
INFORMATIVO VETERINARIO
Síganos en Facebook y Twitter
Síganos en Facebook y Twitter
• Técnicas endoluminales de mínima invasión en la clínica diaria
• RM o TC: ¿qué prueba elegir?
• Diagnóstico ecográfico del derrame pleural canino y felino en urgencias
Posicionamiento del GEMCA: socialización
8
Posicionamiento del GEMCA sobre la socialización en el perro
Herramientas para la fidelización de clientes
“El precongreso ‘ECVS habla español’ es un gran aliciente del Congreso Anual del European College of Veterinary Surgeons” Entrevista a Antonio Cruz (AVEDE) 4
Posicionamiento del GEMCA sobre la socialización en el perro
La prescripción veterinaria
“Ifevet International se ha internacionalizado” Entrevista a Daniel García (Ifevet International)
Diagnóstico por imagen
Herramientas para la fidelización de clientes
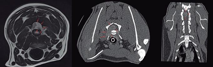
PORTADA / DIAGNÓSTICO POR IMAGEN
Técnicas endoluminales de mínima invasión en la clínica diaria
Dice Jordi Gimeno en su artículo de este número que, en su opinión, los programas de marketing que tienen más probabilidades de éxito son los destinados a fidelizar a los clientes actuales. Al menos, en comparación con los dirigidos a captar clientes nuevos o a recuperar los perdidos.
Manejo anestésico de un caso de vólvulo intestinal canino
EN PORTADA / PRÓXIMOS NÚMEROS
• Gestión y marketing
• Medicina y cirugía felina
• Traumatología y neurología
• Odontología
• Urgencias y cuidados intensivos Si desea publicar un artículo sobre estos u otros temas, escríbanos a argos@grupoasis. com
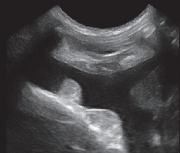
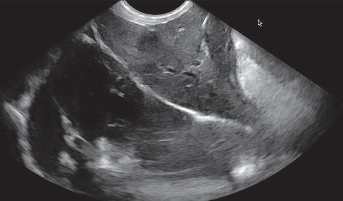
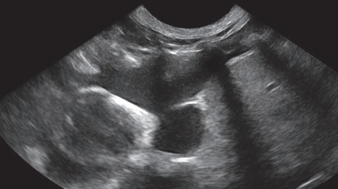
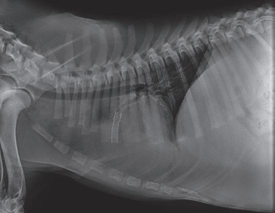
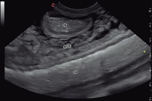
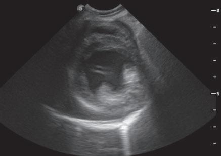
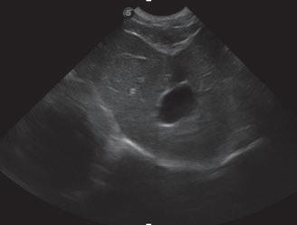
Diagnóstico ecográfico del derrame pleural canino y felino en urgencias
FORMACIÓN CONTINUA
anestésico de un caso de vólvulo intestinal canino
HABLANDO DE NUTRICIÓN CLÍNICA / La enteropatía perdedora de proteínas en el perro
SECCIÓN DIAGNÓSTICA / Nuevas recomendaciones para el diagnóstico y el manejo del virus de la leucemia felina (FeLV)
Se refiere en todo momento al cliente externo pero, no nos engañemos, ¿no es también la fidelización del cliente interno un puntal básico del progreso de una empresa? Hay más clínicas, según VMS y, por tanto, más competencia para captar clientes, explica Jordi. No solo externos, insisto. El mayor riesgo de pérdida de clientes en favor de otra clínica al que hace referencia él en el contexto de su artículo se puede trasladar también a la posibilidad de perder trabajadores en favor de otro centro porque no hemos sido capaces de mantenerles en nuestras filas. A partir de aquí, me atrevería a decir que prácticamente todos los puntos que expone se podrían extrapolar a la gestión de equipo: “seleccionar el paciente objetivo” es, en cierto modo, el equivalente a tener claro con qué tipo de profesionales queremos contar en nuestro centro. Saber (y explicarles claramente) qué esperamos de ellos, comunicarnos adecuadamente y tenerles en cuenta. Y eso solo es el principio. Jordi termina diciendo que, independientemente de cómo adapte cada uno las herramientas marketininanas generales a su realidad específica, “lo que sí ha de quedar claro es que el fin último de cualquier programa [de fidelización de clientes externos] es la salud de las mascotas, su bienestar y calidad de vida”. ¿Y en lo que respecta a los clientes internos? ¿Cuál es el fin último? Cada empresa dirá. Que se alcance la misión del negocio, que este prospere y que todos desempeñen su trabajo alineados y motivados quizá suene demasiado genérico, pero como punto de partida no está mal. Eso sí, a cada cual le corresponde decidir cuál es su misión. “No hay viento favorable para el que no sabe dónde va”, afirmó Séneca. Comprensible. Navegar sin rumbo no solo es peligroso, sino tremendamente agotador para todos.
Sheila Riera Forteza Veterinaria y socióloga Medios de Comunicación s.riera@grupoasis.com
Síguenos en nuestras redes sociales:
“El
El Congreso Anual del ECVS (Colegio Europeo de Especialistas en Cirugía Veterinaria), que tendrá lugar en julio en Valencia, ofrece educación al más alto nivel en un programa con máximo rigor científico y clínico en cirugía.
Valencia acogerá del 4 al 6 de julio el 33 Congreso Anual del European College of Veterinary Surgeons (ECVS). La cita será el escenario ideal para que los veterinarios puedan actualizar sus conocimientos en torno a un completo programa de pequeños animales y equino. Antonio Cruz, presidente de la Asociación de Veterinarios Especialistas Diplomados de España (AVEDE), iniciativa que surge para defender el espacio profesional de los diplomados veterinarios en especialidades reconocidos por el Consejo Europeo de Especialización Veterinaria, desvela cuestiones de interés sobre esta cita ineludible.
¿Qué van a encontrar los asistentes al 33 Congreso Anual del ECVS?
Educación al más alto nivel a través de un programa con el máximo rigor científico y clínico en el campo de la cirugía, relaciones profesionales con los mejores especialistas de Europa en un ambiente internacional enriquecedor, una agenda social increíble donde compartir con otros profesionales, talleres para obtener educación práctica y monetizable de forma inmediata, una exposición comercial donde encontrar lo último en equipamiento, instrumentación, tendencias, etc.
Además, está planteado el precongreso “ECVS habla español”, donde aquellos que peor lleven lo del inglés puedan acceder a conferencias de los máximos exponentes de la cirugía veterinaria en habla castellana.
Este precongreso es, sin duda, un atractivo para los veterinarios nacionales. ¿Cómo surgió esta idea?
Efectivamente, este es uno de los grandes atractivos. La idea la propuse porque soy consciente de que en España, desafortunadamente, el inglés sigue siendo una asignatura pendiente y más para las generaciones de más de 40 años. El ECVS hace este esfuerzo también para acercarse a todos, hablen o no inglés. Queremos estar y apoyar a todos los veterinarios clínicos. El especialista, europeo o americano, está aquí para apoyar al equipo de salud del paciente, que comienza con el veterinario generalista.
¿Qué es lo que más puede llamar la atención del ECVS?
El elenco de ponentes, incomparable con cualquier otro congreso. Es un con-
“Llama la atención el elenco de ponentes, incomparable con cualquier otro congreso. Es un congreso de los máximos especialistas para todos los veterinarios”.
greso de los máximos especialistas para todos los veterinarios, y en la puerta de tu casa como quien dice, a un precio muy asequible.
¿El primer paso para diseñar el futuro de la profesión pasa por este congreso?
No sé si es el primer paso, pero sí es importante que sea en nuestro país y que sea ahora no es baladí. Personalmente, estoy muy involucrado en el desarrollo de una escala profesional veterinaria en España y el reconocimiento de los especialistas europeos y americanos, y como diplomado especialista propuse y defendí Valencia ante el ECVS como sede para su congreso anual. Visualizar a los especialistas europeos es muy necesario en España, donde existe una especie de descontrol en el uso de la terminología especialista. Este congreso es del Colegio Europeo de Especialistas en Cirugía Veterinaria, tanto de pequeños animales como de grandes, máximos exponentes de conocimiento y experiencia clínica.
“Todo el mundo encontrará algo útil en el programa. No es solamente para diplomados especialistas”.
¿Cuáles son los temas más importantes que se van a tratar?
El congreso trata de abarcar todos los temas de actualidad e interés y de ser un foro de actualidad donde los veterinarios tanto especialistas como generalistas puedan beber directamente de las fuentes que generan esa actualidad. También hay sesiones dedicadas al manejo de dolor y a la rehabilitación posquirúrgica. La cirugía comprende un campo muy amplio y, si por algo se caracteriza un especialista europeo, es por su profundidad en sus
conocimientos y su capacidad de tener una visión completa del caso clínico. Todo el mundo encontrará algo útil en el programa. No es solamente para diplomados especialistas.
“Para registrarse hay que visitar la web www.ecvs.org. Los socios de AVEPA y AVEE tienen una cuota reducida”.
En el programa aparece un apartado que hace referencia a la salud mental. ¿Es este un aspecto que hay que abordar decididamente?
Por supuesto. Es un tema que como parte del comité organizador propuse porque al cirujano especialista le afecta muy directamente. Gestionar los pacientes, los clientes, la presión del trabajo, etc. Cada vez va siendo más difícil y a los profesionales hay que darles instrumentos para que no se pierdan en ese camino. Es un tema de actualidad y que no se debe ignorar. Una de las misiones del ECVS es formar a sus futuros especialistas y mantener un programa formativo incomparable con cualquier otro. Como tal es sensible a las dificultades que los cirujanos más jóvenes puedan experimentar. El ECVS está siempre a su lado apoyándolos.
¿Cómo se pueden apuntar los interesados? ¿Hay algún tipo de beneficio? Para registrarse hay que visitar la web www.ecvs.org. Los socios de AVEPA y AVEE tienen una cuota reducida.
Anime a los veterinarios a participar. El Congreso ECVS combina a la perfección la ciencia y la actividad social. Crear contactos con los que desarrollar un vínculo profesional es casi tan importante como el conocimiento. Para la gente más joven, es una ventana a un mercado laboral no solo de especialistas, sino para establecer relaciones, preparar estancias, internados, salir de España, ver otras cosas, etc. Los congresos son siempre estimulantes, catalizadores, catárticos algunas veces diría yo. Ves cosas, escuchas, te relacionas, aprendes de los mejores. No hay mejor foro, porque viene gente de todas las partes de Europa y el mundo a abrir horizontes y a decirte su experiencia. Los congresos nacionales están genial, pero a veces pueden ser un poco de ejercicio de “mirarse el ombligo”. Los congresos internacionales son como un balón de oxígeno. Hay que salir y experimentar. Asistir a un congreso internacional es esa ventana. ¡Y te la hemos traído a casa!
Israel Salvador Argos – argos@grupoasis.com
ANTONIO CRUZ LV, MVM, MSc, PhD, MRCVS, DACVS, DECVS, DACVSMR Presidente de AVEDECon motivo de la celebración, el día 1 de junio, del Día Mundial de la Leishmaniosis, Boehringer Ingelheim aprovecha la oportunidad para recordar a los veterinarios la importancia de la protección de los perros frente a esta importante enfermedad.
Hoy en día, ¿sigue siendo importante concienciar a la población sobre la trascendencia de la prevención de la leishmaniosis canina?
La leishmaniosis canina sigue siendo un problema médico veterinario importante y, además, emergente, en plena expansión. Los últimos estudios1,2 muestran que la infección ya está presente en todas las provincias de la España peninsular, con una media de 1 de cada 10 perros infectado (alrededor del 10 % de prevalencia global). Aunque una proporción importante de perros infectados están sanos en el momento de la detección de la infección, es importante recalcar que muchos perros siguen muriendo de leishmaniosis o presentando un cuadro clínico grave. Pero, además, es necesario destacar que, en España, la leishmaniosis es un importante problema de salud pública, notificándose casos de leishmaniosis humana en casi toda la geografía. En 2022, 15 comunidades autónomas notificaron un total de 304 casos de leishmaniosis en personas3. Por todo ello, desde Boehringer Ingelheim, seguimos haciendo un esfuerzo enorme en seguir concienciando a los cuidadores de perros sobre la importancia de su preven-
ción. Aunque en las zonas históricamente endémicas muchos cuidadores están concienciados, aún falta mucho por hacer en zonas donde es ahora cuando se empiezan a ver casos.
En 2015, Boehringer Ingelheim lanzó Frontline Tri-Act®, la pipeta repelente de la gama Frontline® que, actualmente, es la pipeta repelente líder en el mercadoa. ¿Hay algo que marque diferencias entre Frontline Tri-Act® y otras pipetas repelentes del mercado?
Exacto, Frontline Tri-act® ha sido este 2023 la pipeta frente a parásitos externos líder en Españaa gracias a que la mayoría de los cuidadores de perros han confiado
en los beneficios de la marca para proteger a sus perros frente a parásitos externos. Estamos muy contentos de este logro, y queremos agradecer a todos los cuidadores, veterinarios y profesionales del sector que nos dan su confianza día a día.
Sin duda este liderazgo es gracias a que Frontline Tri-Act® presenta varias diferencias técnicas beneficiosas respecto a otras pipetas repelentes del mercado, pero, sobre todo, focalizándonos en la leishmaniosis, la mayor diferencia es que es la única pipeta indicada para reducir el riesgo de leishmaniosis durante 4 semanas gracias a su acción repelente e insecticida frente al flebotomob
¿Acaso no todas las pipetas repelentes del flebotomo no están indicadas para reducir el riesgo de leishmaniosis?
En las fichas técnicas de este tipo de productos, repelencia del flebotomo y reducción del riesgo de leishmaniosis son indicaciones diferentes. Las pipetas repelentes tienen la indicación de repelencia (efecto antialimentación, es decir, una proporción significativa de flebotomos no pican), pero esto no se traduce en tener la indicación de reducción del riesgo de leishmaniosis y, de hecho, muchas pipetas repelentes no la tienenb La Agencia Europea del Medicamento (EMA) establece en su guía que para que un producto obtenga la indicación de reducir el riesgo de transmisión de patógenos transmitidos por vectores, la eficacia repelente, insecticida y/o acaricida del producto demostrada frente a un vector puede no ser suficiente para respaldar la indicación de reducción del riesgo de transmisión. Es decir, un producto que ha alcanzado el umbral requerido de eficacia suficiente para la indicación de insecticida/acaricida y/o repelente puede no ser eficaz para reducir el riesgo de transmisión de un patógeno, ya que el vector aún puede tener la capacidad de picar y, por lo tanto, transmitir el patógeno antes de que sea eliminado y/o repelido4. Este hecho está también apoyado por las guías de la Asociación Mundial de Parasitología Veterinaria (W.A.A.V.P.)5
¿Y por qué Frontline Tri-Act® tiene la indicación de reducción del riesgo de leishmaniosis durante 4 semanas? Volviendo a las guías de la EMA4 y de la W.A.A.V.P.5, estas establecen que la eficacia de un producto para reducir el riesgo de transmisión de un patógeno tiene que ser probada. Para ello se recomienda demostrar la eficacia mediante estudios específicos de campo, que cumplan una serie de requisitos. Estos estudios deben realizarse en zonas altamente endémicas de leishmaniosis.
Frontline Tri-Act® ha demostrado eficacia en la reducción del riesgo de leishmaniosis mediante 3 estudios6-8 en zonas con una alta prevalencia de infección. Por poner algún dato, uno de estos estudios, de 1 año de duración y realizado en una zona altamente endémica de leishmaniosis (48 % de prevalencia), demostró un 100 % de eficacia. Al final del estudio, el 100 % de los perros tratados dieron negativos a las diferentes pruebas de detección de Leishmania vs. un 35 % de los perros del grupo control8
Las guías establecen que las indicaciones de repelencia y reducción del riesgo de transmisión de un patógeno no son lo mismo4,5
Frontline Tri-Act® es la única pipeta indicada para reducir el riesgo de leishmaniosis durante 4 semanasb
Frontline Tri-Act® presenta una acción dual frente al flebotomo, es decir, además de repelerlo, lo mata. ¿Es esto importante?
Efectivamente, Frontline Tri-Act® presenta un efecto repelente durante 4 semanas (>90 % durante las 3 primeras semanas y >80 % durante una semana adicional)c, gracias a la acción de la permetrina. Esto se traduce en que una alta proporción de flebotomos no pican, evitando así la transmisión de la infección; pero, además, también presenta un efecto insecticida significativo durante 3 semanas, es decir, mata rápidamente a una alta proporción de flebotomos, y este efecto puede ser atribuido a la combinación de la permetrina con el fipronil9. Frontline Tri-Act® es la única pipeta repelente con indicación de efecto insecticida frente al flebotomo durante varias semanasb
La trascendencia del efecto insecticida se basa en que, al morir los flebotomos, se evita que estos vuelvan a picar y, además,
puede contribuir a controlar la tasa de infección en la población de vectores5
Frontline Tri-Act® se establece como un buen producto para reducir el riesgo de leishmaniosis. ¿Es esto suficiente?
Incluso aunque los estudios realizados con Frontline Tri-Act® han demostrado eficacia en reducir el riesgo de leishmaniosis durante 4 semanas, siempre serán necesarias otras estrategias de control adicionales. Como bien sabemos, los expertos recomiendan, como primera estrategia, el uso de insecticidas/repelentes y, según la valoración beneficio/riesgo, combinarlos con vacunas efectivas. Además, otras medidas se basan en el uso adicional de inmunoterapia y, por supuesto, medidas de control ambiental del vector10,11
No nos podemos olvidar de las pulgas y garrapatas. ¿Presenta Frontline TriAct® alguna diferencia en su acción frente a estos ectoparásitos?
La prevención frente a pulgas y garrapatas es esencial porque estas son transmisoras de varios patógenos causantes de enfermedad, así que cuanto más rápido sea un producto en prevenir las nuevas infestaciones, mucho mejor.
Frontline Tri-Act® ha demostrado una velocidad de acción preventiva muy rápida sobre nuevas infestaciones por pulgas y garrapatas. De hecho, es el único producto repelente en el que en su ficha técnica se menciona que elimina las pulgas y garrapatas en 6 horas desde que infestan a los perros durante todo el mes a partir de los 2 días de su administraciónb
Aún más, dos estudios experimentales han mostrado que Frontline Tri-Act® reduce indirectamente el riesgo de ehrlichiosis y babesiosis desde los 7 días hasta las 4 semanas después de su aplicación.
Frontline Tri-Act® presenta una acción preventiva muy rápida sobre nuevas infestaciones por pulgas y garrapatas. Las elimina dentro de las 6 h durante todo el mes a partir de los 2 días tras su administración.
¿Y frente a los mosquitos vectores de dirofilariosis?
Frontline Tri-Act® presenta un efecto repelente durante 4 semanas frente a Culex pipiens, el principal vector de la dirofilariosis en España12. Pero, además, Front-
albopictus. Este mosquito invasor, que se está extendiendo por España y Europa, ha demostrado ser un vector capaz de transmitir Dirofilaria spp. en condiciones naturales en países de nuestro entorno, además de otras enfermedades graves en el ser humano como el Dengue, el virus chikungunya, el West Nile virus, etc.13
Otra cualidad beneficiosa de Frontline Tri-Act® es su facilidad de administración, ¿no es así? Efectivamente, otra diferencia que el producto presenta respecto a otras pipetas repelentes es su facilidad de administración, ya que es la única pipeta repelente que se administra solo en el cuello en dos puntos en todos los perros, es decir, independientemente del tamaño del perrob Esto garantiza que los principios activos se distribuyan bien por el pelaje del perro durante el primer día tras su administración.
No es necesario repartir el contenido de la pipeta en varios puntos o a lo largo de la línea dorsal del perro, llegando a la zona lumbar, como sí es preciso hacer con el resto de las pipetas repelentes a partir de un determinado peso.
Frontline Tri-Act® es la única pipeta repelente que se administra solo en el cuello en dos puntos en todos los perros, independientemente del peso de estosb
ción de los productos tópicos frente a parásitos, más teniendo en cuenta que los perros que sufren un mayor riesgo de exposición a los parásitos suelen ser perros que hacen mucha vida en el exterior y pueden tener más posibilidades de mojarse con la lluvia, meterse en ríos o incluso de ser bañados con champú. Como con el resto de las pipetas repelentes, es necesario esperar 48 h tras la administración del producto para que los animales se mojen o bañen. Los estudios han demostrado que el producto sigue siendo efectivo frente a pulgas cuando los animales tratados se sumergen en el agua varias veces al mes o incluso se bañan con champú aproximadamente a mitad de mes14d
Texto e imágenes Boehringer Ingelheim
Bibliografía
1. Gálvez et al. Latest trends in Leishmania infantum infection in dogs in Spain, Part I: mapped seroprevalence and sand fly distributions Parasites Vectors (2020) 13:204 https://doi.org/10.1186/s13071-020-04081-7
2. Montoya-Alonso JA, Morchón R, Costa-Rodríguez N, Matos JI, Falcón-Cordón Y and Carretón E (2020) Current Distribution of Selected VectorBorne Diseases in Dogs in Spain. Front. Vet. Sci. 7:564429. doi: 10.3389/fvets.2020.564429
3. Informe epidemiológico sobre la situación de la leishmaniasis en España. Centro Nacional de Epidemiología. Instituto de Salud Carlos III. CIBERESP. 2022.
4. CVMP. Guideline on data requirements for veterinary medicinal products intended to reduce the risk of transmission of vector-borne pathogens in dogs and cats (EMA/CVMP/EWP/278031/2015). 2022, 24 de Junio.
5. Otranto D et al. World Association for the Advancement of Veterinary Parasitology (W.A.A. V.P.) guidelines for studies evaluating the efficacy of parasiticides in reducing the risk of vector-borne pathogen transmission in dogs and cats. Veterinary Parasitology 290 (2021) 109369
6. Papadopoulos E, Angelou A, Diakou A, et al. Five-month serological monitoring to assess the effectiveness of permethrin/fipronil (FRONTLINE TRI-ACT®) spot-on in reducing the transmission of Leishmania infantum in dogs. Veterinary Parasitology: Regional Studies and Reports. 2017;7:48-53.
7. Abbate JM, Napoli E, Arfuso F, et al. Six-month field efficacy and safety of the combined treatment of dogs with FRONTLINE TRI-ACT® and NexGard SPECTRA®. Parasites & Vectors. 2018;11:425.
8. Papadopoulos E, Angelou A, Madder M, et al. Experimental assessment of permethrin-fipronil combination in preventing Leishmania infantum transmission to dogs under natural exposures. Veterinary Parasitology. 2020;277S.
9. Dumont P. Repellent and insecticidal efficacy of a new combination of fipronil and permethrin against the main vector of canine leishmaniosis in Europe (Phlebotomus perniciosus). Parasites & Vectors (2015) 8:49 DOI 10.1186/s13071-015-0683-y
10. Informe para veterinarios clínicos sobre leishmaniosis canina y felina. 5ª edición, marzo de 2022. ALIVE-dec22-ES (leishvet.org) https://doi. org/10.3390/ vetsci9080387
11. Miró G et al. Novel Areas for Prevention and Control of Canine Leishmaniosis. Trends in Parasitology, September 2017, Vol. 33, No. 9 http:// dx.doi.org/10.1016/j.pt.2017.05.005
12. Rodríguez-Escolar, I.; Hernández-Lambraño, R.E.; Sánchez-Agudo, J.Á.; Collado, M.; Pérez-Pérez, P.; Morchón, R. Current Risk of Dirofilariosis Transmission in the Iberian Peninsula (Spain and Portugal) and the Balearic Islands (Spain) and Its Future Projection under Climate Change Scenarios. Animals 2023, 13, 1764. https:// doi.org/10.3390/ani13111764
13. Cancrini G et al. Aedes albopictus is a natural vector of Dirofilaria immitis in Italy. Veterinary Parasitology 118 (2003) 195–202
14. Frankhauser B, Dumont P, Halos L, et al. Efficacy of a new combination of fipronil and permethrin against Ctenocephalides felis flea infestation in dogs. Parasites & Vectors. 2015;8:62.
Ficha técnica de Frontline Tri-Act®. En caso de duda, consulta a tu veterinario.El Grupo de Especialidad en Medicina del Comportamiento Animal de AVEPA ha actualizado y publicado su posicionamiento sobre este periodo sensible en la vida del perro, que tiene gran importancia en la prevención de problemas de comportamiento.
¿Qué es el periodo de socialización?
Entendemos por periodo (sensible) de socialización la etapa vital en la que el animal aprenderá de una forma rápida e intensa a relacionarse con otros individuos de su especie, así como de otras (como la especie humana), adquiriendo las herramientas sociales para una correcta comunicación. Durante este periodo, comprendido aproximadamente entre las 3 y las 12 semanas de vida1,2,3, el cachorro se mostrará además especialmente receptivo para habituarse de una forma natural a los principales estímulos tanto sociales como
que la exposición sea gradual y adecuada a cada individuo, y es necesario evaluar continuamente que el perro no está mostrando conductas de miedo8, lo que sería totalmente contraproducente. Además, para que los efectos de estos aprendizajes sean permanentes se deberá asegurar que se sigan produciendo estos contactos y se refuercen posteriormente al periodo de socialización, de forma regular, al menos hasta la madurez sexual del animal, y luego se mantengan durante la edad adulta.
El aprendizaje y la adaptación del cachorro a los diferentes estímulos se podrá producir también posteriormente al periodo sensible, pero de una forma menos óptima, requiriendo más tiempo y esfuerzo para conseguir los mismos resultados.
Es indispensable que la exposición a estímulos sea gradual y adecuada a cada individuo, y es necesario evaluar continuamente que el perro no está mostrando conductas de miedo8, lo que sería totalmente contraproducente.
no sociales con los que se encontrará en su vida adulta, pudiéndose evitar así el futuro desarrollo de problemas de comportamiento relacionados con el miedo o la agresividad4,5,6,7. Esta extraordinaria capacidad de adaptación es debida principalmente a la falta de maduración a esta edad de los mecanismos neurofisiológicos responsables de la respuesta comportamental de miedo.
La socialización no es una ciencia exacta
La finalización del periodo sensible de socialización vendrá marcada precisamente por la maduración completa de estas estructuras nerviosas responsables de la respuesta de miedo frente a estímulos desconocidos. Al tratarse de un proceso gradual, el final del periodo se podrá alargar según la raza o individuo hasta las 16 semanas de edad en el perro.
La mera exposición del animal a estímulos durante este periodo no garantiza su habituación a estos; es indispensable
Claves para una adecuada socialización
El cachorro deberá crecer en entornos social y físicamente enriquecidos que le permitan exponerse a una amplia variedad e intensidad de estímulos. Este contacto se llevará a cabo siempre de forma agradable y progresiva para el animal, en presencia de su cuidador principal, y a través de presentaciones breves cuando se trate de situaciones o estímulos nuevos.
La edad recomendada de adopción es entre las 8 y las 10 semanas de vida, siempre y cuando las condiciones de cría sean favorables y el cachorro no se encuentre en una situación de aislamiento (ej: sin acceso continuado a la madre, sin contacto social regular con personas, etc.); si es así, en este tiempo el cachorro habrá podido adquirir suficientes aptitudes y pautas de comportamiento social procedentes de la madre y hermanos de camada, lo que optimizará su capacidad de entrenamiento y favorecerá su sociabilidad hacia personas y otros perros9
La socialización debe empezar precisamente durante esta etapa de cría del cachorro, antes de su adopción10. Así, en este proceso de socialización temprana se tendrán que asegurar las siguientes condiciones:
• Contacto continuado con la madre (y a ser posible con los hermanos de camada) hasta el momento de la adopción (destete a término). En el caso de cachorros huérfanos, es aconsejable el contacto regular con uno o varios perros adultos equilibrados11
• Contacto social regular con congéneres socializados y dóciles.
• Exposición a personas conocidas y desconocidas, que adopten actitudes tranquilas y positivas hacia el cachorro.
• Facilitar contacto con otras especies con las que vaya a convivir.
• Exposición a estímulos domésticos variados, incluidos ruidos y olores.
• Manipulación física diaria de forma que prepare al cachorro para la exploración, la higiene y el contacto de las distintas partes del cuerpo por parte de las personas8,12
• Proporcionar juguetes y otros ítems de diferentes texturas para potenciar su conducta exploratoria y enriquecer su ambiente. Una vez se materialice la adopción del cachorro, será crucial que la familia adoptante, con ayuda y guía de su veterinario, continúe con la tarea de socializar y estimular al cachorro en una amplia variedad de contextos, siempre asegurando que se cumplen los siguientes requisitos:
• Interacción con otros congéneres, de diferentes edades, razas y sexo, evitando el contacto con perros de temperamento o estado de salud desconocidos.
• Interacción con personas de características diversas, entre ellas el género y la edad (por ejemplo, se deberá proporcionar contacto con niños de diferentes edades, desde bebés a adolescentes).
• Exposición controlada y regular a una variedad de nuevos entornos.
• Habituación temprana a caminar/pasear con correa.
La edad recomendada de adopción es entre las 8 y las 10 semanas de vida, siempre y cuando las condiciones de cría sean favorables y el cachorro no se encuentre en una situación de aislamiento.
• Contacto visual y auditivo con diversos estímulos inanimados, como tráfico, objetos o artilugios llevados por personas (cochecitos, paraguas, mochilas, carritos, patinetes, etc.), para potenciar la percepción de tales ítems como estímulos no amenazantes para el cachorro.
• Proporcionar experiencias en diferentes situaciones que el cachorro podrá encontrarse a lo largo de su vida, de una
forma frecuente y regular, como el desplazamiento en coche o en otros medios de transporte, el baño y diferentes manipulaciones o las visitas al veterinario. Es en parte tarea del veterinario generalista concienciar a los propietarios de la importancia de la socialización para una correcta y satisfactoria convivencia, así como para la prevención de futuros problemas de comportamiento.
La socialización del cachorro es y debe ser totalmente compatible con proporcionarle una adecuada cobertura sanitaria.
Socialización vs. enfermedad
En las primeras semanas del proceso de socialización el sistema inmunitario del cachorro está aún en desarrollo, y en la mayoría de los casos la pauta de vacunaciones estará empezando. Aun así, la socialización del cachorro es y debe ser totalmente compatible con proporcionarle una adecuada cobertura sanitaria. Por esto, especialmente en el caso del perro, se deberán considerar una serie de puntos que resumimos a continuación. En primer lugar, es necesario tener en cuenta las circunstancias de cada caso particular para determinar el momento en el que el cachorro podrá llevarse a la calle de una forma segura para su salud, como son: su edad, el estatus de vacunación, la posible presencia de anticuerpos maternales, el estado de salud y especialmente la incidencia de enfermedades infecciosas en esa zona geográfica concreta. Esto podrá variar según el caso y requerirá del criterio personalizado del veterinario de cabecera. El calendario vacunal del cachorro, aunque va a depender de la edad de inicio o presentación en la clínica veterinaria, puede adaptarse tanto en lo que se refiere al intervalo entre vacunaciones como al tipo y producto inoculado (por ejemplo, existen vacunas con licencia de indicación
GEMCAde administración de las dosis principales durante las primeras 10 semanas de vida)13 Por otro lado, la introducción gradual del cachorro a los diferentes ambientes de menor a mayor estimulación es recomendable tanto desde el punto de vista sanitario como de la socialización. Así, conforme el calendario de vacunaciones determinado para cada individuo progrese, aconsejamos realizar una exposición pautada y gradual:
La asistencia del animal a las clases de cachorros ha demostrado ser un buen complemento para la socialización del perro, además de aumentar el éxito de la adopción y mejorar la obediencia del cachorro15,16,17
• En un primer término, introducir el cachorro en ambientes nuevos “limpios”, libres de posibles agentes infecciosos procedentes de otros perros, como hogares de particulares u otras áreas privadas interiores. Las clases de cachorros, si se realizan en un entorno sanitariamente controlado y con otros perros adecuadamente vacunados pueden ser una opción viable y segura14
• En un segundo paso, dejar que el cachorro se mueva libremente en diferentes zonas interiores o exteriores de bajo riesgo de contagio poco concurridos por otros perros. Solo se permitirá la interacción con perros adultos o cachorros vacunados y en buen estado de salud.
• Por último, llevar al cachorro a parques o zonas de concurrencia de otros animales, proporcionando contacto social directo o indirecto con estos. Siempre se debe informar al propietario de los riesgos y los beneficios que se derivan de un correcto manejo durante el periodo de socialización.
Clases de cachorros
La asistencia del animal a las clases de cachorros ha demostrado ser un buen complemento para la socialización del perro, además de aumentar el éxito de la adopción y mejorar la obediencia del cachorro15,16,17
Para tener acceso a estas clases es importante evaluar el estado de salud de los cachorros y la posibilidad de contagio
entre ellos. Asimismo, con el fin de minimizar cualquier riesgo para la salud deberán tomarse una serie de precauciones:
• El cachorro debe presentar un calendario de vacunaciones actualizado.
• Debe presentar un buen estado de salud (es precisa una revisión veterinaria previa al inicio de las clases).
• Tiene que estar correctamente desparasitado.
• Las clases deben realizarse en un entorno controlado sanitariamente, que pueda desinfectarse fácil y adecuadamente antes y después de cada sesión. En caso de tratarse de instalaciones veterinarias, se empleará un espacio específico donde no se produzca un tránsito regular de animales enfermos o potencialmente enfermos.
• Debe evitarse el contacto con animales cuyo estado higiénico-sanitario no sea óptimo, así como llevar al cachorro a zonas o espacios que no hayan podido ser higienizados previamente a la asistencia a las clases. Estas sesiones deberán ser conducidas por un especialista en educación canina y se llevarán a cabo de una forma cuidadosa y responsable, controlando las interacciones entre cachorros en todo momento para evitar cualquier situación desagradable como acercamientos bruscos, agresiones u otras experiencias que puedan generar miedo o incomodidad. Como hemos comentado anteriormente, la exposición en sí no es la que produce un efecto positivo, sino las buenas exposiciones; por ejemplo, las interacciones entre cachorros deberán producirse inicialmente entre cachorros con temperamentos y tamaños similares.
La exposición en sí no es la que produce un efecto positivo, sino las buenas exposiciones; por ejemplo, las interacciones entre cachorros deberán producirse inicialmente entre cachorros con temperamentos y tamaños similares.
Las clases de cachorros constituyen una gran herramienta para informar y concienciar al propietario sobre las necesidades educativas, sanitarias y los aspectos clave para el bienestar de su animal de compañía, así como para asegurar que el proceso de socialización pueda seguir realizándose hasta su vida adulta.
El periodo de socialización es una etapa sensible en la vida del perro sumamente importante para prevenir problemas de comportamiento. La socialización del cachorro debe empezar antes de la adopción, durante el periodo de cría. Para ello, es necesario informar y concienciar de forma efectiva no solamente a los cuidadores o adoptantes de los perros, sino también a los criadores y al personal de refugios.
El hecho de socializar adecuadamente a un cachorro no tiene por qué entrar en conflicto con el riesgo de padecer enfermedades infecciosas, si se toman las precauciones adecuadas.
Bibliografía citada en el texto:
1. Serpell, J, Jagoe, J, 1995. Early experience and the development of behavior. In: Serpell, J (Ed.), The Domestic Dog, Its Evolution, Behaviour and Interaction with People. University of Cambridge, Melbourne, pp: 79-102.
2. Scott, JP, Fuller, JL, 1965. Dog Behavior The Genetic Basics. University Chicago Press, Chicago.
3. Whitney, L, 1975. Dog Psychology, The Basis of Dog Training. Howell Book House, New York, pp: 102-104.
4. Seksel, K, 2008. Preventing behavior problems in puppies and kittens. Vet Clin North Am Small Anim Pract, 38:971–982.
5. Seksel, K, 1997. Puppy socialization classes. Vet Clin North Am Small Anim Pract, 27:465–477.
6. Pierantoni, L, Verga, M, 2007. Behavioral consequences of premature maternal separation and lack of stimulation during the socialization period in dogs. J Vet Behav, 2:84–85.
7. Haug, LI, 2008. Canine aggression towards unfamiliar people and dogs. Vet Clin North Am Small Anim Pract, 38:1023–1041.
8. American Veterinary Society of Animal Behavior, 2008. Position Statement on Puppy Socialization. Disponible en: https://avsab.org/resources/position-statements/.
9. Wilsson, E, 1984. The social interaction between mother and offspring during weaning in German Shepherd Dogs: individual differences between mothers and their effects on offspring. Appl Anim Behav Sci, 13:101–112.
10.Rezvani, T, 2021.Socialization of domestic dogs and the role of veterinarians. Doctoral dissertation, Washington State University.
11.García-Belenguer, S et al, 2022. Prevención primaria: intervención educativa sobre el propietario. En: Manual de medicina del comportamiento. Consulta de difusión veterinaria, pp: 97-101.
12.Gazzano, A et al, 2008. Effects of early gentling and early environment on emotional development of puppies. Appl Anim Behav Sci 110: 294-304.
13.Day, MJ et al, 2016. WSAVA Guidelines for the vaccination of dogs and cats.The Journal of small animal practice,57(1), E1.
14.Stepita, ME, Bain, MJ, Kass, PH, 2013. Frequency of CPV infection in vaccinated puppies that attended puppy socialization classes.Journal of the American Animal Hospital Association,49(2):95-100.
15.Duxbury, MM et al, 2003. Evaluation of association between retention in the home and attendance at puppy socialization classes.Journal of the American Veterinary Medical Association,223(1):61-66.
16.González-Martínez, Á et al, 2019. Association between puppy classes and adulthood behavior of the dog.Journal of Veterinary Behavior,32:36-41.
17.Seksel K, Mazurski EJ, Taylor A, 1999. Puppy socialisation programs: short and long term behavioural effects. Appl Anim Behav Sci, 62(4):335–49.
Otras lecturas recomendadas:
• Arai S, Ohtani N & Othta M, 2011. Importance of bringing dogs in contact with children during their socialization period for better behavior. Journal of Veterinary Medical Science, 73(6): 747-752.
• Blackwell EJ et al, 2008. The relationship between training methods and the occurrence of behavior problems, as reported by owners, in a population of domestic dogs. Journal of Veterinary Behavior: Clinical Applications and Research, 3(5): 207-17.
• Crowell-Davis SL, 2008. Resources on Puppy and Kitten Behavior, Socialization and Training. Compendium on Continuing Education for the Practising Veterinarian-North American Edition, 30(6): 314.
• Denenberg S, Landsberg GM, 2008. Effects of dog-appeasing pheromones on anxiety and fear in puppies during training and on long-term socialization. JAVMA, 233:1874-82.
• Estep DQ, 1996. The ontogeny of behavior. In: Voith VL, Borchelt PL, eds. Readings in companion animal behavior. Trenton: Veterinary Learning Systems, pp: 19–31.
• Hetts S, 1999. Pet behavior protocols: what to say, what to do, when to refer. Lakewood, Colo: AAHA Press. Hunthausen W, 2009. Preventive behavioural medicine for dogs. In: BSAVA Manual of Canine and Feline Behavioural Medicine, 2nd ed. BSAVA publ, pp: 65-74.
Overall KL, 1997. Clinical behavioral medicine for small animals. St Louis: Mosby Year Book Inc. Korbelik, J, Rand, JS, & Morton, JM, 2011. Comparison of early socialization practices used for litters of small-scale registered dog breeders and nonregistered dog breeders. Journal of the American Veterinary Medical Association, 239(8):1090-1097.
Kutsumi A, Nagasawa M, Ohta M & Othani N, 2013. Importance of puppy training for future behavior of the dog. Journal of Veterinary Medical Science, 75(2): 141-49. Landsberg GM, Shaw J & Donaldson J, 2008. Handling behavior problems in the practice setting. Veterinary Clinics of North America: Small Animal Practice, 38(5): 951-69.
• Woolpy JH, Ginsburg BE, 1967. Wolf socialization: a study of temperament in a wild social species. Amer Zoologist, 7:357-63.
La prescripción debe adaptarse al nuevo Real Decreto 666/2023 que regula la distribución, prescripción, dispensación y uso de medicamentos veterinarios.
Pedro Sáez Jiménez-Tuset Coord. Dirección Técnica Farmacéutica y Resp. Sistema de Calidad. NuzoaLa entrada en vigor del Real Decreto 666/2023 trae consigo una serie de cambios y especificaciones en cuanto a la prescripción veterinaria. La adaptación de dichos cambios es fundamental para el buen ejercicio de la profesión. El veterinario debe prescribir un tratamiento que sea acorde a la dolencia que tengan los animales. En el artículo 35.8 del Real Decreto 666/2023 se especifica que la medicación prescrita en cada receta podrá contemplar un único tratamiento e incluirá uno o varios medicamentos, debiendo en este último caso establecerse el tiempo de espera necesario para asegurar el cumplimiento de los tiempos de espera de todos los medicamentos incluidos en la receta. Esta posibilidad podrá aplicarse salvo que exista normativa autonómica más restrictiva.
Si concurren varias patologías en un mismo animal que no estén relacionadas entre sí, por ejemplo, una de tipo reproductivo y otra de tipo respiratorio, se debe
hacer una prescripción para cada tratamiento.
Si son agentes de una misma afección, tendrá que prescribirse un tratamiento que lo cubra todo.
Los puntos más importantes en cuanto a las novedades de prescripción de manera general serían los siguientes:
• Obligatoriedad de comunicar los datos de las prescripciones veterinarias de antimicrobianos de forma quincenal.
• Comunicación obligatoria a Presvet de prescripción de antibióticos, en la que habrá que exponer los motivos de cada prescripción.
• Las recetas veterinarias solo se expedirán tras un examen clínico por el veterinario prescriptor, que debe ser justificado mediante visitas anotadas con firma manuscrita o por cualquier otro sistema digital (se contemplan ciertas excepciones).
• Prohibición de expedir una receta para justificar una dispensación previa.
• Los medicamentos de administración exclusiva por el veterinario no podrán ser dispensados al público, si bien si podrán ser recogidos por otra persona diferente del veterinario siempre con autorización expresa de este último.
• La receta indicará la cantidad prescrita para el tratamiento y el formato del medicamento a dispensar.
• Cada receta deberá estar numerada de forma que se identifique de manera individual.
mos que debe contener una prescripción veterinaria y que son imprescindibles para que el medicamento veterinario sea dispensado. Todos esos datos son obligatorios y deben ser adaptados ya sean para animales de producción o anima-
Si concurren varias patologías en un mismo animal que no estén relacionadas entre sí, por ejemplo, una de tipo reproductivo y otra de tipo respiratorio, se debe hacer una prescripción para cada tratamiento.
• El periodo de validez de la receta desde su firma hasta la dispensación, o hasta el inicio de la fabricación en el caso de las autovacunas, será de un mes. No obstante, este plazo será de:
- Cinco días en el caso de tratamientos con un medicamento antimicrobiano, dentro de los cuales deberá iniciarse el tratamiento.
- Tres meses en el caso de tratamientos periódicos o crónicos.
- Seis meses en el caso de tratamientos preventivos en especies no consideradas animales de producción.
En el ANEXO III del RD 666/2023, de 18 de julio, se describen los datos míni-
les de compañía: nº identificación de la receta, tipo de dispensación, datos del propietario, código REGA de la explotación, especie de los animales, identificación del animal/es, nº animales incluidos en el tratamiento, fecha emisión de la receta, datos veterinario prescriptor, firma veterinario o registro electrónico, nombre medicamento (incluyendo principios activos), prescripción, indicación del tratamiento, declaración de tratamientos antimicrobianos, forma farmacéutica y concentración del medicamento, cantidad y nº envases prescritos, régimen posológico, tiempo de espera, validez receta, advertencias.
La dermo-reparación
interna y externa es de vital importancia para fortalecer y reparar la piel, de manera que la barrera cutánea sea más impermeable a alérgenos.
Los problemas dermatológicos de los perros suelen ser uno de los principales motivos de consulta en las clínicas veterinarias, y algunos expertos ya sitúan la prevalencia de dolencias como la dermatitis atópica entre el 10 % y el 15 % del total de la población canina.
Papel de la barrera dérmica
La dermatitis atópica canina es una enfermedad cutánea que se manifiesta con prurito e inflamación. Su etiología es multifactorial, como resultado de la interacción entre factores relacionados con el perro y factores ambientales. Tradicionalmente el enfoque siempre había sido considerar a la dermatitis atópica como una reacción alérgica. Sin embargo, cada vez son más las evidencias que prueban que la función de barrera epidérmica está deteriorada (disminución de los niveles de ceramidas, expresión de
filagrina y péptidos antimicrobianos alterada) en la dermatitis atópica canina, confirmando la necesidad de actuar sobre la barrera cutánea con productos específicos que actúen a este nivel.
Se ha documentado una alteración de la función de la barrera dérmica, tanto en animales como en humanos con dermatitis atópica, como presencia de enzimas que degradan componentes del estrato córneo de la piel, disminución de los niveles de ceramidas, y aumento de pérdida de agua transepidérmica.
Para una correcta función de la barrera cutánea, es necesario un estrato córneo bien estructurado, con una barrera lipídica sana y una expresión adecuada de filagrina (figura 1).
Tratamiento de la dermatitis atópica
Los alérgenos no penetran
Piel sana
El agua se evapora
Los alérgenos penetran
Mínima pérdida de agua transepidérmica. Los alérgenos no pueden entrar.
Existe abandono de los tratamientos por parte del propietario de la mascota, en cuanto remite el prurito, debido en parte al coste económico y a la necesidad de ser constantes en la aplicación de los diferentes tratamientos a largo plazo.
El tratamiento ideal es el tratamiento a largo plazo, es el que va a prevenir que vuelva a haber nuevos brotes, intentando mejorar la calidad de la estructura cutánea.
El tratamiento ideal es el tratamiento a largo plazo, es el que va a prevenir que vuelva a haber nuevos brotes, intentando mejorar la calidad de la estructura cutánea.
La barrera cutánea se deteriora en situaciones de dermatitis atópica, por lo que se requiere intervenir sobre ella con productos específicos que actúen a este nivel.
Para una correcta función de la barrera cutánea, es necesario recuperar la estructura de la piel, propiciando una barrera lipídica adecuada, bien estructurada, y que evite la entrada de alérgenos y la pérdida de agua en la piel.
La dermo-reparación interna y externa actúa a nivel de la dermis y de la epidermis. Cubrir este aspecto es de vital importancia para fortalecer y reparar la piel, de manera que la barrera cutánea sea más impermeable a alérgenos, y la mascota pueda tener brotes más leves, redu-
Proteínas Esfingolípidos Células
Filagrina y colágeno: Armazón
Ceramidas: Cemento
Queratinocitos: Ladrillos
Reducen la entrada de alérgenos y macromoléculas.
La piel ya no desempeña su función de protección: Deja evaporar agua y se deshidrata. Entran alérgenos fácilmente y puede desencadenarse una reacción inflamatoria. Piel atópica
La dermo-reparación hace que la penetración de antígeno sea menor y la intensidad del brote también sea menor a medio y largo plazo.
ciendo así la necesidad de tratamientos de rescate y manteniendo una mejor calidad de vida de la mascota durante un tiempo más prolongado.
La dermo-reparación hace que la penetración de antígeno sea menor y la intensidad del brote también sea menor a medio y largo plazo.
BARRERA CUTÁNEA
Estructura ordenada del estrato córneo.
Queratinocitos
Evitan la evaporación excesiva de agua y en consecuencia la deshidratación de la epidermis. Lípidos
Buen feedback por parte de los tutores y veterinarios acerca de los beneficios de Atopivet® Collar.
Seguridad: no se detectaron efectos adversos.
Eficacia: mejoras estadísticamente significativas en CADESI, PICAD y PVAS.
La filagrina es una de las proteínas más importantes en la epidermis que se encuentra involucrada en la formación de la barrera dérmica y la hidratación del estrato córneo. Se ha descrito un descenso en la expresión de filagrina epidérmica en perros con dermatitis atópica. Dicha expresión puede ser modulada por la respuesta inflamatoria atópica. Por otro lado, se han reportado mejoras en la salud de la piel con el uso de esfingolípidos y glicosaminoglicanos, como veremos más adelante.
Los esfingolípidos llevan a cabo funciones tanto estructurales como biológicas en la epidermis, principal-
mente relacionadas con el mantenimiento de la barrera cutánea. Los más abundantes en la epidermis son las ceramidas, y sus niveles están disminuidos tanto en perros como en personas con dermatitis atópica, alterando la barrera cutánea y sus funciones (figura 2).
Atopivet Collar es un innovador producto en fase de patente, para perros y gatos que contribuye a mantener la integridad de la piel sana. Atopivet Collar cubre las necesidades del veterinario y del tutor de la mascota mejorando el
durante un periodo de tiempo de hasta 2 meses, pudiendo existir pequeñas diferencias según el tipo de piel de la mascota.
Biosfeen® es un ingrediente ÚNICO de origen animal rico en esfingomielinas, desarrollado por Bioiberica. Su diversidad de ceramidas y especialmente su alto contenido en esfingomielina bioactiva, es claramente superior a los compuestos de origen vegetal. La esfingomielina es un precursor de las ceramidas de la piel, y el origen animal de Biosfeen® lo hace más adecuado para la síntesis endógena de ceramidas.
Biosfeen® mostró en un estudio incrementar 97 de las 99 ceramidas que se cuantificaron. Los tipos de ceramidas que aumentan con Biosfeen® son las que están reportadas que disminuyen en el estrato córneo de perros con dermatitis atópica, que son las CER[EOS] y CER[EOP].
Biosfeen® promueve la expresión de filagrina y la síntesis endógena de lípidos, esenciales para el estrato
Se recomienda usar Atopivet® Collar un mínimo de 6 meses, para que tenga un efecto más beneficioso y sostenido en el tiempo. Con aroma a lavanda. Dejar airear 2-4 horas en perros y 24 horas en gatos antes de colocarlo.
cumplimiento del tratamiento, ya que facilita la administración del producto de manera muy cómoda, optimizando así los costes de tratamiento mensual y contribuyendo de manera eficaz al enfoque multimodal de la dermatitis atópica.
Atopivet Collar libera Biosfeen® de manera sostenida y constante
córneo. Todo ello ayuda a mantener la barrera cutánea de la piel (figura 3). Se recomienda usar Atopivet® Collar un mínimo de 6 meses, para que tenga un efecto más beneficioso y sostenido en el tiempo. Con aroma a lavanda. Dejar airear 2-4 horas en perros y 24 horas en gatos antes de colocarlo (figura 4).
El efecto de Atopivet® Collar dura hasta 2 meses
Colocar el collar al animal dejando 2 dedos entre el collar y su cuello.
Biosfeen® está integrado en la matriz polimérica del collar. Al entrar en contacto con la piel del animal empieza a liberarse.
Biosfeen® se libera de forma continua, sostenida a lo largo de la piel del animal.
1 3 2 4
El efecto de Atopivet® Collar dura hasta 2 meses.
Ifevet International, el Instituto Internacional de Formación Veterinaria, se ha internacionalizado por todo el mundo convirtiéndose en un proyecto referente para realizar formación de postgrado en distintas especialidades y adaptados a las necesidades de cada país. En esta entrevista conversamos con Daniel García, CEO de Ifevet international.
Ifevet International se ha convertido en un proyecto de formación líder a nivel mundial. ¿Podría proporcionar algún detalle más de esta expansión internacional?
Nos alegra comunicar que Ifevet International se ha internacionalizado y ahora es conocido como el Instituto Internacional de Formación Veterinaria en todo el mundo.
Ifevet International nace en España con el objetivo de ofrecer una formación de calidad que pueda realmente ayudar al veterinario a mejorar en su día a día como clínico. Tras el gran éxito que tuvo en España, convirtiéndose en uno de los proyectos líder en cuanto a número de alumnos por año, se decidió iniciar la expansión internacional ofreciendo así postgrados universitarios adaptados a las necesidades específicas de los veterinarios de cada país con los ponentes y el idioma respectivos.
Actualmente el proyecto cuenta con más de 5.000 alumnos formados y más de 500 ponentes de reconocido prestigio distribuidos por todo el mundo para poder ofrecer una formación clínica de calidad aplicable para el día a día en cada país.
¿A qué regiones han llegado?
Actualmente, estamos cubriendo con postgrados universitarios adaptados a cada país en prácticamente toda Europa, así como en LATAM. Adicionalmente, en el
corto plazo, se planea una expansión que llegue a todos los continentes del mundo.
¿Cuáles son sus puntos diferenciales?
El Instituto Internacional de Formación Veterinaria se caracteriza por tres pilares: reconocimiento universitario internacional, formación aplicable para tu día a día y ponentes de reconocido prestigio.
¿En qué consiste su reconocimiento internacional?
Al completar con éxito un programa de formación en Ifevet International, obtendrás un certificado de postgrado universitario con créditos universitarios ECTS que reconoce tu formación continuada universitaria y una credencial universitaria reconocida internacionalmente PGCert. (PostGraduate Certificate) que valida tus habilidades y conocimientos en el campo veterinario.
¿Qué relevancia tiene en el mundo la credencial universitaria PGCert. (Postgraduate Certificate)?
Sin lugar a duda, es una de las más reconocidas a nivel internacional en el sector veterinario. La credencial internacional PGCert., abreviatura de PostGraduate Certificate, representa la culminación exitosa de un programa de formación de postgrado universitario en una especialidad específica.
Este certificado indica que has completado con éxito un riguroso curso de estudios universitarios de postgrado en Ifevet International, obteniendo así el reconocimiento de tus habilidades y conocimientos en el área seleccionada. Por ejemplo, al superar un postgrado en dermatología en Ifevet International, recibirás la credencial «PGCert. Derm.», que certifica tu competencia en esta especialidad. Esta credencial puede ser un importante respaldo para tu
carrera profesional, demostrando tu capacitación en un campo específico dentro del ámbito veterinario.
¿Qué son los créditos universitarios ECTS que obtienen los alumnos con sus postgrados universitarios?
En el Espacio Europeo de Educación Superior (EEES), las siglas ECTS (European Credit Transfer and Accumulation System), reflejan un sistema de créditos (Sistema Europeo de Transferencia y Acumulación de Créditos), el cual representa el volumen de estudio universitario del alumno.
¿En qué consiste su lema: “formación aplicable para tu día a día”?
Con la inversión en formación adquirirás unas capacidades aplicables para el día a día que puedan ayudar a salvar más animales, pero también facturar más a la clínica y, por ende, ser mejor profesional y rentabilizar tu inversión.
¿Qué opciones de formación ofertan?
Actualmente, ofrecemos formaciones en streaming, presenciales o mixto dependiendo de la necesidad de cada postgrado.
¿Cómo se estructuran?
Todas nuestras formaciones, ya sean en formato streaming o presencial, se realizan en directo. Las clases quedan grabadas para que puedan revisarse mientras dure el postgrado.
Creemos que para el alumno es muy importante tener la oportunidad de recibir la formación en directo y no solo de forma grabada (online), dado que la experiencia de la clase es mucho más enriquecedora.
Asimismo, los postgrados cuentan con una estructura modular en la que cada mes se va avanzando por módulos hasta llegar
“Estamos cubriendo con postgrados universitarios adaptados a cada país en prácticamente toda Europa, así como en LATAM. Adicionalmente, en el corto plazo, se planea una expansión que llegue a todos los continentes del mundo”.
al último donde se dejará un mes de estudio para presentarse al examen y así poder obtener tu título y credencial que certifica la adquisición de estos conocimientos.
¿Podría proporcionar más detalles sobre sus ponentes?
Son la clave del proyecto Ifevet international. Si bien es cierto que la marca es importante porque da la garantía, aún más importante son los ponentes ya que son los que van a transmitir el conocimiento científico que adquieres.
Por este motivo, me gustaría destacar que contamos con un equipo de más de 500 profesionales, entre los que se incluyen más de 200 diplomados por el colegio europeo o americano en distintas especialidades veterinarias, los cuales aseguran una calidad científica de muy alto valor añadido para el alumno.
¿Qué servicios de formación ofrece Ifevet International en España?
Tenemos disponibles en nuestra página web 16 postgrados universitarios en distintas especialidades para veterinarios, 6 cursos para auxiliares veterinarios en distintas especialidades veterinarias y una plataforma de formación continuada, duniavet, que cuenta con la mayor biblioteca de contenidos de habla hispana.
¿Cuál es la visión de Ifevet International?
Nuestra visión trasciende fronteras, aspiramos a ser líderes en la evolución y transformación del desarrollo profesional de veterinarios y auxiliares veterinarios a nivel internacional. Nos comprometemos a ofrecer programas innovadores y de alta calidad, diseñados e impartidos por ponentes de reconocido prestigio en cada país, con el fin de satisfacer las necesidades específicas de los profesionales en diferentes regiones del mundo.
Argos
Imagen cedida por Ifevet international
Autor: DAVID SANMIGUEL POVEDA
• Acreditado AVEPA en Dermatología
• Responsable de los servicios de dermatología de Clínica Wecan De Carreres (Sant Joan d’Alacant) y Fénix Hospital Veterinario (Elche).
• Miembro de GEDA y ESVD
RESEÑA Y ANAMNESIS
Perra mestiza, fértil, de unos 3 años y 29 kg de peso.
En el momento de su rescate presentaba unas lesiones alopécicas y ulcerativas a nivel del codo izquierdo, con cierto grado de prurito (5-6 en la escala pVAS).
Se le trató de forma sistémica mediante la administración por vía oral de un antibiótico (amoxicilina/ clavulánico) y de forma tópica, mediante la aplicación de una pomada de ácido fusídico. Estos tratamientos, aunque produjeron una mejora parcial, no lograron la resolución del cuadro clínico.
EXPLORACIÓN FÍSICA
GENERAL
La perra se encontraba alerta y presentaba una óptima condición corporal (3 sobre 5). Su temperatura rectal era de 38,4ºC. No se observó linfadenomegalia. La auscultación torácica no mostró hallazgos significativos.
EXPLORACIÓN DERMATOLÓGICA
Se observaba un área alopécica en la extremidad anterior izquierda. La piel se encontraba eritematosa, engrosada, con aspecto de tejido cicatricial. Esta lesión en forma de banda afectaba a la articulación del codo, continuaba hacia la axila y pecho medialmente y hacia el carpo distalmente. En la porción lateral del codo presentaba una lesión ulcerativa con presencia de costras negruzcas y pelos adheridos (Figs. 1a y 1b).
PATRÓN DERMATOLÓGICO
Se trataba de una lesión alopécica, eritematosa, con presencia de ulceración focal y prurito asociado.
Se realizó una citología por impronta de la superficie de la úlcera. En dicha preparación, tras la tinción con la técnica de Diff-quik se observó la presencia de neutrófilos degenerados y bacterias cocoides intra y extracelulares.
Se trataba de una lesión cronificada, que no respondía a los tratamientos aplicados y que presentaba una úlcera que no cicatrizaba, por lo que se decidió realizar una biopsia del tejido afectado, con un punzón de 6 mm, para su examen histopatológico, así como un cultivo microbiológico del mismo.
La histopatología reveló la presencia de un cuadro inflamatorio cutáneo de carácter mixto con extensa ulceración epidérmica y coagulación moderada del tejido conectivo. Este cuadro podría ser compatible con una quemadura o un traumatismo grave cutáneo. No se observaron indicios de agentes infecciosos en las muestras examinadas.
El cultivo reveló la presencia en el tejido analizado de Staphylococcus spp. y Streptococcus spp. Ambos sensibles a clindamicina, antibióticos beta-lactámicos y fluoroquinolonas.
PRUEBAS DIAGNÓSTICAS
COMPLEMENTARIAS
Se realizó también una hematología, una bioquímica sanguínea y una serología para la detección de leishmaniosis que no mostraron alteraciones reseñables.
DIAGNÓSTICO
El diagnostico presuntivo fue de dermatosis inflamatoria, ulcerativa, con presencia de tejido cicatricial. Se sospechaba que este cuadro clínico podría haber sido iniciado por un evento traumático cutáneo.
ABORDAJE TERAPÉUTICO
Se decidió la realización de sesiones de fotobiomodulación (Phovia®, Vetoquinol) usando la pauta recomendada de 2 sesiones consecutivas 1 vez por semana. Tras aplicar el gel que contiene los cromóforos
(Fig. 2a) se aplicaron dos sesiones consecutivas con la lámpara Phovia® de 2 minutos de duración (Fig. 2b), separadas un minuto entre ellas. Tras cada aplicación se procedió a la retirada del gel mediante una gasa impregnada en solución salina fisiológica. Posteriormente la lesión se protegía con un vendaje para evitar traumatismos autoinducidos.
SEGUIMIENTO Y EVOLUCIÓN
Tras las dos primeras sesiones el tejido alterado presentaba cambios en su conformación. Los bordes de la lesión comenzaban a reducir su grosor y se observaba la formación de epitelio en el borde proximal (Fig. 3).
DISCUSIÓN
La energía lumínica (FLE) se usa para tratar tejidos lesionados de una manera no farmacológica y no térmica. Esta técnica estimula la proliferación celular contribuyendo a acele-
Figura 3. Los bordes de la lesión comenzaban a reducir su grosor y se observaba la formación de epitelio en el borde proximal.
rar la curación en heridas crónicas y agudas, y a la reducción del dolor y la inflamación. Se ha demostrado que la FLE reduce las citoquinas proinflamatorias al tiempo que promueve un ambiente propicio para la curación1. Actualmente disponemos de esta tecnología en medicina veterinaria. El equipo de fotobiomodulación
(Phovia®, Vetoquinol) consiste en la combinación de emisión de luz azul mediante una lámpara de tecnología led, unida a un gel fotoconvertidor, que cuando es iluminado por esta luz, emite luz fluorescente de baja energía. Gracias a los cromóforos presentes en el gel, la luz se descompone en diferentes longitudes de onda que penetran a distintas profundidades en la piel:
• Las longitudes de onda azules penetran hasta 1 mm, dirigiéndose a las bacterias y reduciendo la inflamación epidérmica.
• Las longitudes de onda verdes penetran a una profundidad de
BIBLIOGRAFÍA
0,5-2 mm, dirigiéndose a los fibroblastos e impulsando la proliferación de queratinocitos.
• Las longitudes de onda amarillas penetran hasta 2 mm, modulando la inflamación y mejorando la perfusión.
• Las longitudes de onda rojas, más largas, penetran hasta los 6 mm. Estimulan la angiogénesis y modulan la inflamación, estimulan la producción de ATP y promueven la síntesis de colágeno adicional, lo que conduce a una regeneración dérmica rápida.
En este caso se optó por esta terapia por su capacidad para mejo-
1. MARCHEGIANI, Andrea; SPATERNA, Andrea; CERQUETELLA, Matteo. Current Applications and Future Perspectives of Fluorescence Light Energy Biomodulation in Veterinary Medicine. Veterinary Sciences, 2021, vol. 8, no 2, p. 20.
rar la curación de úlceras2 y heridas crónicas de difícil cicatrización3,4
Se realizó la pauta de dos aplicaciones consecutivas del tratamiento de dos minutos de duración, dejando un minuto de reposo entre ambas. Tras cada aplicación se retiró el gel usando una gasa impregnada en solución salina fisiológica. Estas sesiones dobles se realizaban cada 7 días. La paciente recibió el tratamiento durante un total de 8 semanas.
A partir de la segunda sesión se observó una notable mejoría de la lesión ulcerativa, que comenzaba a granular y epitelizar, estando casi resuelta tras 8 semanas de tratamiento.
2. Valentina Dini, Agata Janowska, Giulia Davini et al. Biomodulation induced by fluorescent light energy versus standard of care in venous leg ulcers: a retrospective study. Journal of Wound Care 2019 28:11, 730-736
3. MARCHEGIANI, ANDREA, et al. Fluorescence biomodulation in the management of acute traumatic wounds in two aged dogs. Veterinární medicína, 2020, vol. 65, no 5, p. 215-220.
En el caso que nos ocupa la fotobiomodulación resultó efectiva para la mejoría de la lesión ulcerativa.
La fotobiomodulación (FLE) resulta una herramienta útil en gran variedad de enfermedades dermatológicas. Permite reducir la cantidad de fármacos administrados, ayudando, en ocasiones, a disminuir el uso de antibióticos tópicos y sistémicos5. Por otro lado, se trata de una técnica de vanguardia que proporciona valor añadido a la consulta de dermatología y que permite el seguimiento semanal de los pacientes.
4. SCAPAGNINI, Giovanni, et al. Management of all three phases of wound healing through the induction of fluorescence biomodulation using fluorescence light energy. En Photonic Diagnosis and Treatment of Infections and Inflammatory Diseases II. SPIE, 2019. p. 147163.
5. MARCHEGIANI, Andrea, et al. The effectiveness of fluorescent light energy as adjunct therapy in canine deep pyoderma: a randomized clinical trial. Veterinary Medicine International, 2021, vol. 2021.
Entre los distintos programas de marketing orientados a la gestión de clientes, para el autor de este artículo los más rentables son los dirigidos a fidelizarlos. Para implementarlos, recomienda seguir un programa en cinco pasos.
Jordi Gimeno Veterinariohttps://www.jordigimeno.com
El último informe VMS arrojó un dato que da que pensar: a finales de 2023 había en España 7.125 clínicas veterinarias, es decir, 236 más que un año antes. No entraré a valorar si eso es bueno o malo, pero una cosa es cierta: hay más competencia. A más competencia, mayor dificultad de atraer clientes a nuestra clínica y mayor riesgo de pérdida de clientes en favor de otra clínica.
Por lo tanto, no hace falta ser un lince para darse cuenta del valor que tiene para la clínica cada uno de los clientes y lo importante que es que estos lo sigan siendo.
logías, debemos seguir un procedimiento concreto. Mi recomendación es desarrollar este programa en cinco pasos.
Establecer la base clínicocientífica sobre la que se sustenta el programa
Para ello debemos buscar bibliografía sobre la patología que queremos “descubrir” y su prevalencia en el área donde está ubicada la clínica. Con esto me refiero a que debemos tener una base que justifique el programa. Por ejemplo, un estudio o artículo que confirme la prevalencia de una patología concreta, del tipo “1 de cada 6 gatos de 7 años o más sufre hipertensión arterial”. Esta será la base para los siguientes cuatro puntos del programa.
Yo prefiero los programas dirigidos a nichos de clientes concretos, como los propietarios de animales en riesgo de sufrir alguna enfermedad que, de ser diagnosticada precozmente, puede tener un buen pronóstico y alargar la vida del animal.
Dentro del marketing se desarrollan programas para captar nuevos clientes, para fidelizar a los actuales y para recuperar a los perdidos. Desde mi punto de vista, los que tienen más probabilidades de éxito, es decir, los más rentables, son los que podemos implementar para fidelizar clientes.
Yo no soy partidario de “campañas” con descuentos. Normalmente, estas campañas atraen al cliente que lo es solo por precio y no fidelizan, sino que canibalizan ingresos. Me estoy refiriendo a esos “programas” tipo “OHT 25 % de descuento” o “Limpieza dental 20 % de descuento”. Yo prefiero los programas dirigidos a nichos de clientes concretos, como los propietarios de animales en riesgo de sufrir alguna enfermedad que, de ser diagnosticada precozmente, puede tener un buen pronóstico y alargar la vida del animal.
A la hora de establecer un programa de fidelización de clientes basado en la detección precoz de enfermedades o pato-
Seleccionar el paciente objetivo
Ya que he comentado anteriormente el tema de la hipertensión arterial en gatos, seguiré con él. El punto 1 nos marca cuál es el paciente objetivo, en este caso, gatos de 7 años o más. Es importante esta selección por dos motivos: para que el programa tenga sentido y, más importante, para que la probabilidad de encontrar positivos sea más elevada.
Hacer un listado de clientes objetivos
El propietario del “paciente objetivo” debe ser un cliente que haya pasado por la clínica al menos una vez en los últimos 12 o 18 meses. Es decir, un cliente activo que queremos que se vea favorecido por el programa y que lo pueda valorar. En este punto es muy importante la opinión de todo el equipo de la clínica a la hora 1 2 3
de cribar y hacer el listado definitivo de clientes objetivos.
Plantear la colaboración de un patrocinador
Desde hace unos años los laboratorios se han ido especializando. Tienen muchos productos y moléculas, pero siempre disponen en su porfolio de algún producto que destaca sobre su “espejo” de otros laboratorios. Para cada programa debemos detectar qué laboratorio encaja más en nuestra propuesta de valor del programa y negociar con él un plan de colaboración.
5
Establecer un protocolo
Una vez tenemos claros y establecidos los cuatro puntos anteriores, es momento de poner el programa en papel. Para ello debemos considerar lo siguiente
Listado de pacientes objetivo
El programa de gestión de la clínica debe darnos el listado con los filtros que nosotros le pongamos. Siguiendo con el ejemplo anterior, gatos de 7 años o más. Una vez tengamos el listado, debemos trabajar en él para asegurarnos de que no hay ningún animal que ya haya muerto.
Filtrado de clientes objetivo
Una vez tengamos el listado de pacientes objetivo, lo “limpiamos” eliminando aquellos que por motivos obvios deben ser suprimidos (cambios de residencia, etc.) o bien consideremos que deben ser eliminados del listado por cualquier otro motivo.
Canal de comunicación
Para mí, el mejor y más práctico es el correo electrónico. Sin embargo, sabemos que hay mucha gente que no lo mira o lo revisa de uvas a peras. Entonces, el WhatsApp puede ser una buena opción.
Formación del equipo
Una vez tengamos diseñado el programa (habiendo escuchado las ideas y propuestas de nuestro equipo y tomando aquellas que aportan valor al programa) hay que formar a todo el equipo. Todos
y cada uno de los miembros del equipo en contacto con el cliente deben ir en la misma dirección, transmitir la misma información y estar completamente al corriente del programa.
Valor añadido
Incluye en el programa algo que el cliente no se espera. Aquí quiero comentar una experiencia que viví hace unos días: inauguraban una nueva frutería/verdulería en mi barrio. Para probar compré cuatro cosas. Al ir a pagar, la cajera me preguntó, ¿necesita bolsa? Sí, le contesté. Y me dio una bolsa de tela en cuyo interior había dos plátanos, tres naranjas y un yogur. El valor económico de eso era muy bajo, pero el emocional para mí fue enorme. Me obsequiaron con algo que yo no esperaba. El valor de mi primera compra fue de 4,35 € (la que dio derecho al obsequio). El valor de mi segunda compra, dos días después, fue de 48 €. Cualquier obsequio inesperado tiene mucho más valor añadido para el cliente que aquel que anunciamos previamente a la compra.
Seguimiento
Hasta aquí hemos hablado del “antes” y el “durante” del programa. Tan importante como ambos es el “después”. ¿Qué hacemos cuando ya hemos aplicado el programa a un cliente/paciente y hemos obtenido un resultado? Debemos tener claro qué transmitimos al cliente, cuál es la consecuencia del resultado obtenido y cuáles son nuestras recomendaciones para que, sobre todo, la mascota se beneficie del programa.
Todo lo expuesto no es más que una serie de sugerencias. Cada uno puede adaptar los programas a su realidad diaria, a sus necesidades y a las de sus clientes. Lo que sí ha de quedar claro es que el fin último de cualquier programa es la salud de las mascotas, su bienestar y calidad de vida.
• Técnicas endoluminales de mínima invasión en la clínica diaria
• RM o TC: ¿qué prueba elegir?
• Diagnóstico ecográfico del derrame pleural canino y felino en urgencias
Las técnicas de radiología intervencionista permiten diagnosticar y solucionar patologías con una menor agresión tisular que otras cirugías invasivas y con una rápida recuperación. Son procedimientos sin dolor, rápidos y seguros, y una alternativa terapéutica cuando no es posible intervenir de forma convencional.
Laín García Guasch1,2, Carles Olmedo Bosch1,2
Servicios de cardiología, cirugía mínimamente invasiva y cirugía intervencionista
1IVC Hospital Veterinaria del Mar (Barcelona)
2IVC Hospital Veterinari Molins (Barcelona) Imágenes cedidas por los autores
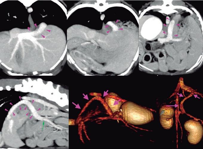
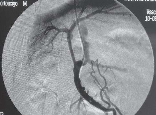
La radiología intervencionista es una especialidad que se encarga del diagnóstico y tratamiento de una gran cantidad de patologías de una forma mínimamente invasiva. Para realizar estos procedimientos es imprescindible disponer del equipamiento adecuado, tener nociones tanto de la instrumentalización como de las diferentes técnicas, y conocer con precisión la anatomía del paciente. Se trata de técnicas cada vez más implementadas en la clínica diaria ya que permiten solucionar diferentes patologías con una menor agresión a nivel tisular, una rápida recuperación, son procedimientos sin dolor, rápidos y seguros, suponen un menor coste respecto a otras cirugías invasivas, y constituyen una alternativa terapéutica a pacientes que no se pueden operar de forma convencional. Entre las más frecuentes destaca el cierre del conducto arterioso persistente, valvuloplastias en estenosis pulmonar, oclusión de shunts portosistémicos, implantación de marcapasos y colocación de stents
mos resultados, o incluso la posibilidad de ofrecer una alternativa terapéutica a pacientes que no se pueden operar de forma convencional.
En 1953, el Dr. Sven Seldinger describió la colocación percutánea de catéteres vasculares mediante acceso con aguja, técnica que posteriormente se denominó método Seldinger, y que sentó las bases del desarrollo de la radiología intervencionista. En 2005, el Dr. Chick Weisse creó el primer servicio veterinario de radiología intervencionista en la Facultad de Veterinaria de la Universidad de Pensilvania. Desde entonces, esta especialidad ha logrado grandes avances permitiendo el desarrollo de nuevas técnicas y dispositivos, así como un número cada vez mayor de indicaciones para estas técnicas quirúrgicas.
Estos procedimientos diagnósticos y terapéuticos requieren un avanzado grado de especialización, ya que para realizarlos de forma exitosa es imprescindible disponer del equipamiento adecuado, tener nociones tanto de la instrumentalización como de las diferentes técnicas, y conocer con precisión la anatomía del paciente.
Equipamiento necesario
Fluoroscopio
Para realizar la mayoría de los procedimientos quirúrgicos, es imprescindible disponer de un equipo de fluoroscopia, que permite la adquisición rápida de
La radiología intervencionista se realiza mediante un abordaje guiado por distintas técnicas de imagen como, por ejemplo, la ecografía, la fluoroscopia o la tomografía computarizada, para alcanzar la zona a diagnosticar o tratar.
La radiología intervencionista, también conocida como radiología vascular e intervencionista, es una especialidad que se encarga del diagnóstico y tratamiento de una gran cantidad de enfermedades de una manera mínimamente invasiva. Se realiza mediante un abordaje guiado por distintas técnicas de imagen como, por ejemplo, la ecografía, la fluoroscopia o la tomografía computarizada, para alcanzar la zona a diagnosticar o tratar.
La radiología vascular e intervencionista ofrece una alternativa segura y eficaz a la cirugía en muchas enfermedades. Entre sus ventajas para el paciente destaca una menor agresión a nivel tisular, una rápida recuperación, procedimientos sin dolor, rápidos y seguros, un menor coste respecto a otras muchas cirugías con mis-
imágenes basadas en rayos X y posteriormente las convierte en una señal de vídeo en tiempo real. Estas imágenes pueden manipularse ofreciendo funciones como la angiografía de sustracción digital, mapeo vascular y ampliación. Respecto a una radiografía, la exposición de rayos X necesaria para realizar una fluoroscopia es baja, pero debido a la duración de las series de imágenes que habitualmente se toman, el nivel de exposición en los pacientes suele ser elevado. Por lo tanto, es importante controlar el tiempo de exposición y llevar un registro de este. El fluoroscopio debe estar situado en una sala adecuada para su uso seguro, y todo el personal que entre en la sala de fluoroscopia debe protegerse de la radiación utilizando un delantal plomado, protectores de tiroides y gafas plomadas.
Agujas de acceso vascular
Para realizar cualquier procedimiento endovascular es necesario disponer de un acceso vascular, que se obtiene mediante la utilización de estas agujas. Existen diferentes modelos, pero todas tienen un lumen central que permite el paso de una guía.
Introductores vasculares
Las angiografías y los procedimientos vasculares se realizan a través de catéteres vasculares que se colocan en el vaso para mantener el acceso vascular, proteger el punto de entrada del vaso, y permitir el paso y la manipulación fácil y segura del resto de dispositivos (guías y catéteres) a través de sus lúmenes.
Los catéteres de angiografía permiten administrar medios de contraste radiopacos o agentes terapéuticos en un lugar específico.
Guías
Las guías son cables diseñados específicamente para acceder a un lugar determinado y proporcionar soporte a catéteres y otros dispositivos. Son radiopacos y su manipulación se realiza bajo guía fluoroscópica. Existen diferentes modelos con características específicas como su rigidez, revestimiento y configuración de la punta. La punta de una guía no solo se caracteriza por su suavidad o rigidez, sino también por su forma, que puede ser angular, recta o en forma de “J”.
Catéteres de angiografía
Los catéteres de angiografía permiten administrar medios de contraste radiopacos o agentes terapéuticos en un lugar específico. Tienen un adaptador Luer en su extremo distal para permitir la conexión de jeringas u otros accesorios. Son radiopacos y se manipulan sobre una guía hasta el lugar deseado utilizando la fluoroscopia.
Las angiografías se pueden realizar de forma selectiva o no selectiva. Los catéteres angiográficos selectivos tienen una forma que permite acceder a estructuras de pequeño calibre, se utilizan con inyecciones de contraste de menor volumen y suelen tener un único orificio terminal. En cambio, los catéteres angiográficos no selectivos se utilizan con mayores volúmenes de contraste, tienen una punta recta o curvada, y múltiples orificios laterales cerca del orificio final para crear una nube de contraste en la inyección.
El tamaño de los catéteres angiográficos se describe en unidades French (Fr), que corresponde a su diámetro exterior, así como en centímetros, que corresponden a su longitud. Los catéteres angiográficos de 4 Fr y 5 Fr son los más utilizados en veterinaria. El tamaño de la vaina vascular (basado en el diámetro interior de la vaina) a través de la cual se hará avanzar el catéter debe ser igual o mayor que el tamaño del catéter utilizado. Por ejemplo, una vaina vascular de 4 Fr puede alojar un catéter angiográfico de 4 Fr.
radial. El balón no es radiopaco, por lo que para inflarlo y visualizar su posición se utiliza una mezcla de solución salina y medio de contraste yodado. En los procedimientos vasculares es imprescindible eliminar todo el aire del balón antes de inflarlo ya que, en caso de rotura accidental del balón, podría producirse un émbolo de aire.
Coils y dispositivos de oclusión
Los coils y los dispositivos de oclusión se utilizan en intervencionismo endovascular para reducir u obliterar el flujo sanguíneo
El tamaño de la vaina vascular (basado en el diámetro interior de la vaina) a través de la cual se hará avanzar el catéter debe ser igual o mayor que el tamaño del catéter utilizado. Por ejemplo, una vaina vascular de 4 Fr puede alojar un catéter angiográfico de 4 Fr.
Catéteres de dilatación con balón
Los catéteres de dilatación con balón son catéteres de doble luz utilizados para la dilatación de estructuras estenosadas como vasos, uretra, nasofaringe, válvulas cardiacas. Los catéteres de balón se manipulan sobre una guía bajo control fluoroscópico, y en cada extremo del balón hay marcadores radiopacos que delimitan su tamaño y permiten la colocación precisa del dispositivo en la zona adecuada. Los diámetros de los balones se expresan en milímetros y las longitudes en centímetros. Cada catéter balón tiene un tamaño de canal mínimo, un tamaño de guía y una presión máxima de inflado del balón que se expresa en atmósferas. El balón puede inflarse manualmente, pero se recomienda el uso de un dispositivo inyector para controlar la presión y evitar que se rompa. El balón debe estar centrado en la cintura de la estenosis para maximizar la fuerza
a través de vasos, fístulas o comunicaciones cardiacas.
Los coils son dispositivos generalmente diseñados con una estructura espiralada, están hechos de alambre de platino o níquel de muy fino calibre (más fino que un cabello) y son de longitudes variables. Están recubiertos de materiales o sustancias que promueven la formación de trombos, por lo que se utilizan para obstruir el flujo sanguíneo y así formar un coágulo localizado que termine ocluyendo o aislando de la circulación la región donde son depositados. Este tipo de dispositivo no necesita ser retirado. Su diámetro se describe en milímetros y su longitud en centímetros.
Existen otros dispositivos de oclusión que principalmente se utilizan para el cierre de los conductos arteriosos persistentes (CAP). Originariamente se utilizaban los denominados Amplatzer Duct
Occluder (ADO), un dispositivo autoexpandible de nitinol con forma de seta que incorpora estructuras de poliéster para estimular la trombogénesis dentro del mismo, y que consta de una zona de mayor diámetro que se coloca en el lado aórtico del CAP. Actualmente se utiliza mucho más un dispositivo específicamente diseñado para la oclusión de los CAP en perros denominado Amplatz® Canine Duct Occluder (ACDO). Este dispositivo permite ocluir un amplio rango de CAP de distintos tamaños y morfologías con un mínimo riego de migración y flujo residual a través del conducto.
En pacientes de menos de 3 kg también se pueden utilizar otros dispositivos para el cierre del CAP, como el Vet-PDA Occluder y los dispositivos AVP.
Stents
Los stents son dispositivos tubulares que se utilizan para mantener la permeabilidad luminal de vasos u otras estructuras anatómicas (p. ej., uréter, uretra, nasofaringe, tráquea). Se trata de endoprótesis metálicas fabricadas a partir de nitinol o aleaciones de acero inoxidable. Se clasifican en auto expandibles y expandibles mediante balón.
han usado en el tracto de salida del ventrículo derecho y como paliativo en pacientes con obstrucción del flujo sanguíneo asociado a un efecto compresivo ocasionado por una masa. Las endoprótesis auto expandibles, en cambio, están replegadas bajo una vaina en un sistema de colocación, y la retracción de la vaina permite la expansión de la endoprótesis. Se suelen colocar en la tráquea en pacientes con colapso traqueal, en la uretra debido a estenosis debido a estenosis, en bronquio principal si hay una compresión localizada, y en vasos sanguíneos.
Indicaciones clínicas
Oclusión de conducto arterioso persistente
El conducto arterioso persistente es una de las malformaciones congénitas más frecuentes en perros. Si no se trata en los primeros meses de vida, el pronóstico suele ser muy desfavorable, por lo que es necesario realizar su cierre mediante cirugía convencional o mínimamente invasiva. El dispositivo de oclusión más comúnmente utilizado, tal y como se ha descrito previamente, se denomina ACDO (figura 1).
Las endoprótesis auto expandibles se suelen colocar en la tráquea en pacientes con colapso traqueal, en la uretra debido a estenosis, y en vasos sanguíneos.
Los stents expandibles con balón están diseñados para permitir la dilatación simultánea de una estenosis y la colocación de un stent. Se montan en un catéter con balón y se expanden al inflar el balón. Se utilizan sobre todo para el tratamiento de la estenosis nasofaríngea, pero también se
Tratamiento de la estenosis pulmonar
La estenosis pulmonar es otra de las principales cardiopatías congénitas en perros. Su presencia implica un aumento significativo de la poscarga derecha que, en pacientes con estenosis pulmonar grave, si no se trata mediante valvuloplastia, comporta la presencia de signos clínicos como síncopes, intolerancia al ejercicio, fallo congestivo derecho, o incluso muerte súbita. La realización de una valvuloplastia mediante balón permite dilatar la estenosis mejorando el gasto cardiaco y aumentando el tiempo de supervivencia (figura 2). En casos de estenosis pulmonar tipo B, también está indicado el uso de stents vasculares para incrementar el diámetro del tracto de salida del ventrículo derecho (figura 3).
Implante de marcapasos endovasculares
La presencia de una bradicardia grave también supone para nuestros pacientes un estado de intolerancia al ejercicio, síncopes, debilidad. Si esta bradicardia no está asociada a patologías sistémicas, como un Addison o un estado de hiperpotasemia, el único tratamiento que puede resolver esta situación es la implantación de un marcapasos. Para ello, generalmente se utilizan dispositivos que constan de un generador y un electrodo endovascular que se introduce a través de la vena yugular hasta el ventrículo derecho. Existen diferentes modelos o configuraciones de marcapasos, pero el más habitual es el VVI, que cual detecta actividad ventricular espontánea, estimula el ventrículo y se inhibe en caso de detección de actividad eléctrica espontánea (figura 4).
Tratamiento del colapso traqueal
El colapso traqueal es una patología comúnmente diagnosticada en perros de razas pequeñas y edad avanzada. Se trata de una patología irreversible que ocasiona tos grave y dificultad respiratoria importante debido a la presencia de
Figura 1. Fluoroscopia de un paciente tras liberar un dispositivo de oclusión ACDO. Figura 2. Valvuloplastia en un paciente con estenosis pulmonar tipo A. Figura 3. Stent vascular en un paciente con estenosis pulmonar tipo B. Figura 4. Radiografía de un paciente con implante de marcapasos con electrodo endocavitario.una menor rigidez de los cartílagos y un aplanamiento de los anillos traqueales. Los pacientes suelen presentar diferentes grados de obstrucción dinámica de vías aéreas superiores, tos crónica “en graznido de ganso”, sonidos respiratorios anormales, intolerancia al ejercicio y cianosis. Los diversos protocolos terapéuticos farmacológicos no siempre son suficientemente eficaces, por lo que la implantación de un stent traqueal puede resultar una alternativa eficaz en algunos pacientes (figura 5).
Tratamiento de la estenosis uretral
La obstrucción uretral permanente suele ser una complicación urinaria grave secundaria a enfermedades malignas (carcinoma de células transicionales del tracto urinario inferior, tumores prostáticos, etc.) así como a estenosis benignas como la estenosis uretral postraumática. Las opciones quirúrgicas
como la derivación urinaria al colon son invasivas, costosas y pueden provocar complicaciones en hasta el 50 % de los casos, especialmente en pacientes oncológicos. La excesiva morbilidad asociada al manejo quirúrgico agresivo de estos tumores combinada con la alta incidencia de metástasis a distancia y complicaciones quirúrgicas desaconseja estos procedimientos. Otras opciones, como los tubos de cistotomía permanentes de bajo perfil o los catéteres uretrales permanentes, son menos traumáticos, pero requieren drenaje manual y pueden pro-
vocar infecciones crónicas. Atendiendo esas complicaciones, los stents uretrales metálicos autoexpandibles son un tratamiento alternativo que permite reducir la morbilidad y mortalidad, requiere menos tiempo de anestesia, y de hospitalización (figura 6).
Tratamiento de obstrucciones ureterales
Las obstrucciones ureterales por urolitiasis en una situación relativamente frecuente tanto en perros como en gatos. En estas situaciones, las técnicas quirúr-
Atendiendo las complicaciones de otras opciones, los stents uretrales metálicos autoexpandibles son un tratamiento alternativo que permite reducir la morbilidad y mortalidad en casos de estenosis uretral, requiere menos tiempo de anestesia, y de hospitalización.
Oclusión endovascular de shunts portosistémicos
Las anomalías vasculares portosistémicas son un grupo de patologías vasculares a nivel hepático que se caracterizan por la presencia de conexiones entre la circulación portal y la sistémica provocando un drenaje parcial de sangre abdominal procedentes del estómago, intestinos, bazo y páncreas directamente hacia la vena cava caudal o la vena ácigos sin pasar por el hígado. Estos shunts pueden ser extrahepáticos o intrahepáticos. La base del tratamiento endovascular en estas malformaciones consiste en la medición de presiones portales y cierre agudo y completo mediante dispositivos de embolización como un oclusor vascular, o la combinación de coils y un stent (figura 8).
El tratamiento endovascular en los shunts portosistémicos consiste en la medición de presiones portales y cierre agudo y completo mediante dispositivos de embolización.
Dilatación de estenosis esofágica
Las estenosis esofágicas primarias se pueden clasificar en benignas o malignas según la patología causante, o bien secundarias a procesos torácicos extraluminales que ejercen presión sobre el esófago. Las estenosis benignas más habituales suelen estar asociadas a lesiones traumáticas de la mucosa secundarias a una agresión física (p.ej. por un cuerpo extraño), o química (p.ej. reflujo gástrico, ingesta de líquidos corrosivos). En cambio, las malignas suelen asociarse a neoplasias del sistema digestivo. Los signos clínicos asociados suelen ser la presencia de regurgitaciones y pérdida de peso. Mediante balones de dilatación se puede incrementar el diámetro de la luz esofágica estenosada (figura 9). Para ello se suelen realizar sesiones de 2-3 dilataciones seriadas dejando pasar 3-5 minutos entre cada una de ellas y repitiendo el procedimiento a los 4-7 días. También se pueden utilizar stents, pero estos dispositivos se suelen reservar para casos complicados, estenosis recidivantes o para estenosis demasiado extensas.
Otras indicaciones
gicas convencionales son muy invasivas y se asocian a una elevada morbilidad. Ante esta situación, la utilización de un bypass ureteral subcutáneo en gatos o un stent ureteral (principalmente en perros) constituye una buena elección para solucionar el problema urinario minimizando las complicaciones posquirúrgicas (figura 7).
Aparte de las descritas, existen muchas otras situaciones en las cuales las técnicas quirúrgicas endoluminales mínimamente invasivas resultan de gran utilidad para resolver la patología de nuestros pacientes. Entre estas se incluye la colocación del dispositivo V-Clamp en pacientes con insuficiencia mitral secundaria a degeneración mixomatosa valvular, el manejo de las estenosis de colon, nasofaríngeas, el manejo de masas en el sistema respiratorio y urinario, la urolitiasis mediante litotricia, la valvuloplastia de la estenosis subaórtica y del cor triatrium dexter, la ablación de arritmias, la implantación de prótesis valvulares y la extracción de filarias.
recomendada:
Figura 9. Dilatación mediante balón en un paciente con estenosis esofágica postraumática. Bibliografía Casas García DL, Santana González AJ: Técnicas de mínima invasión en pequeños animales. 2018, Multimédica Ediciones Veterinarias. Cléroux A, Hersh-Boyle R, Clarke DL: Interventional equipment and radiation safety. Vet Clin Small Anim 48 (2018): 751–763. • Weisse C, Berent A: Veterinary Iimage-Guided Interventions, 2015, Wiley Blackwell. Figura 5. Stent traqueal en un paciente que tenía colapso traqueal grado IV. Figura 6. Stent uretral en un paciente con estenosis uretral por carcinoma de células transicionales. Figura 7. Dispositivo de bypass ureteral subcutáneo (SUB).Tanto la TC como la RM son técnicas de imagen avanzada y su utilización estaría justificada en aquellas situaciones en las que las técnicas de imagen convencionales, es decir, radiografía y ecografía, no aporten suficiente información diagnóstica.
Pablo Doménech; Raúl Altuzarra, Dip. ECVDI; Laura Martín, Dip. ECVN; María Ortega, Dip. ECVN Servicio de Diagnóstico por imagen y de Neurología/Neurocirugía en AniCura
Indautxu Hospital Veterinario Imágenes cedidas por los autores
Día a día se producen avances en las distintas herramientas diagnósticas que tenemos en la clínica veterinaria actual. Así, en el campo del diagnóstico por imagen, en veterinaria contamos con la tomografía computarizada (TC) desde los años 80 del siglo pasado y con la resonancia magnética (RM) desde los años 90. Cada vez son más los centros que cuentan con estas tecnologías de imagen avanzada para el apoyo diagnóstico.
Características
Es importante tener unos conocimientos básicos de ambas técnicas para poder elegir aquella que nos aportará más información para tratar de alcanzar un diagnóstico definitivo.
Tomografía computarizada
La TC consta de una camilla que se mueve a través de un anillo, llamado gantry, en el que se encuentra una máquina de rayos X que gira a gran velocidad. Según se va desplazando el paciente a través del gantry, se emiten rayos X que lo atraviesan y, mediante los receptores situados en el anillo, se envían los datos a un ordenador donde se producen múltiples imágenes en el plano transversal. Dichas imágenes se compilan y, mediante un procesamiento informático posterior, se obtienen en plano sagital y dorsal, de forma que se pueden obtener incluso reconstrucciones en 3D o endoscopias virtuales.
La RM es la técnica de elección si los pacientes muestran signos clínicos neurológicos intracraneales y hay indicios de lesión en el encéfalo. Ante sospecha de fracturas o lesiones óseas y/o articulares, la TC es la prueba indicada.
La optimización del diagnóstico se conseguirá mediante una correcta elección de la técnica. Tanto la RM como la TC tienen sus ventajas y desventajas, pero a grandes rasgos los estudios de TC son de menor duración, con lo que requieren menor tiempo anestésico o incluso se pueden realizar bajo sedación (factor a considerar en pacientes inestables clínicamente) y permiten la evaluación de múltiples regiones (tórax, abdomen) en un corto periodo de tiempo.
Conviene recalcar que, debido al elevado tiempo de obtención de imágenes en RM, resulta especialmente importante tratar de acotar el área de estudio lo máximo posible. Además, al ser la técnica de elección para el estudio del sistema nervioso, una correcta neurolocalización de las posibles lesiones es fundamental. De esta manera conseguiremos disminuir al máximo el tiempo de estudio, lo que implica un menor tiempo de anestesia.
Resonancia magnética
Por otro lado, la RM se realiza mediante un campo electromagnético generado por un potente imán, y por ondas de radiofrecuencia. Los organismos estamos compuestos mayoritariamente por agua y, al ser sometidos a la acción del imán, los protones de los átomos de hidrógeno de las moléculas de agua se alinean al campo electromagnético generado. Mediante la emisión de ondas de radiofrecuencia se desalinean los protones y, al cesar las ondas de radio, se realinean. El tiempo que tardan en retomar la orientación del imán varía según el tipo de tejido. En este movimiento de retorno, los protones emiten señales de radiofrecuencia que son captadas por los receptores y que se traducen en las diferentes imágenes con sus distintas intensidades. Según los pulsos de radiofrecuencia utilizados, se obtienen las imágenes de las distintas secuencias en RM con sus características individuales (por ejemplo, el fluido es hiperintenso en la secuencia ponderada en T2 e hipointenso en la secuencia ponderada en T1).
Medios de contraste
El uso de medios de contraste intravenoso en ambas modalidades permite realzar distintas estructuras o áreas para detectar regiones o lesiones que reciben mayor aporte sanguíneo, por ejemplo, a consecuencia de una pérdida de continuidad de la barrera hematoencefálica, hemorragias, neoplasias, entre otros. En TC también puede emplearse en estudios de urinario para realización de pielografías o urografías (por sospecha de uréter ectópico, por ejemplo) y para la evaluación de patologías vasculares. Mediante la administración de contraste yodado en el espacio subaracnoideo, se obtienen mielogramas (mieloTC) que ayudan a detectar lesiones que afectan a la médula espinal, de manera que es posible diferenciar entre tres localizaciones de las lesiones: intramedular, intradural-extramedular o extradural. Además, en TC puede emplearse de manera intraarticular o en tejidos blandos para la realización de linfangiografías. Tanto en estudios de TC como de RM es importante la obtención de imágenes pre y postcontraste para poder compararlas, ya que si no podríamos perder información diagnóstica valiosa.
La técnica de interpretación de la TC es similar a la radiográfica, en cuanto a que materiales minerales y tejido óseo se ven radiopacos/hiperatenuantes, las estructuras de tejido blando producen imágenes con tonalidades intermedias de gris y el tejido graso es más radiotransparente/ hipoatenuante.
En RM la interpretación es mucho más compleja, por lo que se requiere formación y entrenamiento previo.
En ambas disciplinas, así como en el amplio campo del diagnóstico por imagen, es indispensable un alto conocimiento de la anatomía.
Utilidades clínicas
Antes de otras consideraciones, conviene recordar que tanto la TC como la
alteraciones significativas.
2. TC cabeza/cuello en algoritmo tejido blando. Lesión cavitaria de grandes dimensiones localizada en la región submandibular/retrofaríngea izquierda, aproximadamente desde la altura de la rama mandibular hasta el nivel de C2. La lesión incluye una estructura hipodensa tubular, con patrón de círculos concéntricos que representa un trozo de madera.
Figura 3. TC de cabeza en algoritmo cráneo. Lesión intraaxial hiperatenuante que afecta al lóbulo temporoparietal derecho (flecjas rojas), compatible con hemorragia intracraneal. Edema perilesional asociado (flechas verdes). Diagnóstico de hemorragia intracraneal secundaria a Angyostrongilus vasorum
Figura 4. A) TC en algoritmo cráneo a nivel de tálamo, que muestra una grave dilatación de los ventrículos laterales con atrofia marcada de la corteza cerebral. B y C) Mismas imágenes en RM ponderada en T1 y T2, respectivamente.
RM son técnicas de imagen avanzada y que su utilización estaría justificada en aquellas situaciones en las que las técnicas de imagen convencionales (radiografía y ecografía) no aporten suficiente información diagnóstica.
Así, la TC es de gran utilidad en lesiones óseas, mientras que la RM nos permite obtener imágenes de muy alta calidad de tejidos blandos (cerebro y médula espinal). Por ello es la técnica de elección para el estudio del sistema nervioso central (SNC). Mediante este breve texto se pretenden aclarar las distintas utilidades clínicas de cada técnica para ayudar al clínico en la elección de una u otra prueba. En la tabla 1 se enumeran las características específicas de cada prueba.
Cabeza
La RM es la técnica de elección si los pacientes muestran signos clínicos neurológicos intracraneales y hay indicios de lesión en el encéfalo. Ante sospecha de fracturas o lesiones óseas y/o articulares, la TC es la prueba indicada.
Traumatismo craneoencefálico
Si el traumatismo es agudo, normalmente dentro de las primeras 24 horas, la TC tiene un adecuado poder diagnóstico para evaluar el encéfalo (edema, hemorragia, entre otros) y las distintas estructuras óseas (fracturas, fragmentos óseos insertados en parénquima encefálico). Además, la TC es una prueba más rápida e indicada en pacientes inestables.
Figura 1. Estudio TC en algoritmo hueso de cavidad nasal sin FiguraExposición a radiación y otros peligros
Tiempo de adquisición de las imágenes
Estudio con contraste
Manejo anestésico
Monitorización del paciente
Coste económico
Región de estudio
Aplicaciones
Tabla 1. Características específicas de cada prueba.
No exposición a radiación nociva
Radiación ionizante
5-30 minutos
Contraste iodado no iónico
Sedación profunda/anestesia general
Permite introducción de equipos de monitorización convencionales
Menor coste económico
Múltiples regiones para explorar
Trauma
Cavidad nasal
Estudios pulmonares/torácicos
Estudios abdominales
Oncología: estadiaje y seguimiento
PAAF TC-guiadas
Planificación cirugías
En equipos de alto campo: ¡Precaución en pacientes con prótesis metálicas o cuerpos extraños metálicos! ¡Precaución en operarios con marcapasos!
30-90 minutos (dependiendo del equipo: alto o bajo campo)
Contraste paramagnético más seguro. Posibilidad de angiogramas y mielogramas sin contraste en equipos de alto campo
Anestesia general
Requiere equipos de monitorización especiales
Mayor coste económico
Aconsejable acotar la zona de estudio según sospecha clínica (importante correcta neurolocalización)
Estudios del sistema nervioso central y periférico Ligamentos y tendones (alto campo)
Transcurridas las primeras 24 horas, la RM es la prueba que más información nos aporta. Se aconseja la combinación de ambas técnicas en casos de TCE estables clínicamente, para evaluar conjuntamente estructuras óseas y encefálicas.
Cavidad nasal/oral
Mediante TC se consigue una buena evaluación de la cavidad nasal y del estado
de los cornetes nasales (figura 1). Muestra alteraciones que permiten diagnosticar rinitis, neoplasias, fístulas oronosales, pólipos o posibles cuerpos extraños (figura 2) entre otras patologías.
La TC nos permite una buena evaluación de la piezas dentales y sus patologías, de afecciones en las glándulas salivales y masas orales u orofaríngeas. Igualmente, resulta útil para estudiar el síndrome
infiltrativa. Confirmada MUO mediante análisis de líquido cefalorraquídeo.
6.
de
A) Malformaciones vertebrales congénitas con cifosis asociada (flechas naranjas), acortamiento del espacio intervertebral T11-T12, distribución asimétrica de la columna de contraste (flechas amarillas). B) Fusión incompleta del cuerpo vertebral de la
vertebral/lumbarización (flechas moradas).
Figura 7. A) RM ponderada en T2, secuencia transversal del espacio intervertebral C2-C3. Lesión extradural hiperintensa lateralizada que ocupa el aspecto lateral izquierdo del canal medular y se extiende a través del foramen intervertebral izquierdo C2-C3. Diagnósticos diferenciales: tumor maligno de raíz nerviosa, meningioma. By C) TC de columna cervical, imagen transversal y dorsal, respectivamente, en ventana de hueso. Lesión extradural con realce de contraste que ocupa el aspecto lateral derecho del canal medular y se extiende por el foramen intervertebral derecho C5-C6; diagnóstico: tumor maligno de raíz nerviosa (confirmado por anatomopatología).
8. RM ponderada en T2. A) Corte sagital de la columna toracolumbar con presencia de múltiples protrusiones discales y pérdida de hiperintensidad en T2. Imagen ponderada compatible con degeneración discal. Lesión intramedular craneal al espacio intervertebral T12-T13. B) Corte transversal a nivel del disco intervertebral T12-T13 donde se muestra la protrusión discal. C) Corte transversal a nivel del cuerpo vertebral de T12, donde se muestra la lesión intramedular.
Figura 9. A) MieloTC corte sagital de la columna que muestra una extrusión discal C6-C7. B) MieloTC corte transversal a nivel del espacio intervertebral C6-C7, que muestra la extrusión discal calcificada. C) RM ponderada en T2, corte sagital de la columna toracolumbar que muestra una extrusión discal de gran volumen a nivel L1-L2. D) RM ponderada en T2, corte transversal a nivel L1-L2, que muestra la extrusión discal lateralizada hacia la izquierda.
Figura 10. Estudio TC de tórax en algoritmo pulmón. Se observa un aumento de atenuación de tejido blando peribroquial difuso con transición a vidrio esmerilado periférico y presencia de broncogramas aéreos (flechas azules). En lóbulo derecho se aprecia nódulo, mal definido, de características similares a las áreas de consolidación. Diagnóstico más probable: neoplasia infiltrativa.
braquicefálico (elongación del paladar blando, turbinado aberrante, hipoplasia traqueal, colapso traqueal/bronquial).
Oído
El oído es una estructura que puede ser evaluada mediante las dos pruebas. Si hay signos clínicos neurológicos intracraneales la RM sería recomendable para evaluar el oído interno, el tronco encefálico y las meninges. Ante la ausencia de alteraciones neurológicas, la TC aporta información diagnóstica significativa, además de ofrecer mayores ventajas por menor tiempo, manejo anestésico más seguro y menor coste económico. Además, la TC aporta más información de las distintas estructuras óseas.
Espacio retrobulbar
En casos de exoftalmia los estudios de TC y de RM nos dan suficiente información diagnóstica en la misma medida, aproximadamente. Una vez más el tiempo de estudio, la anestesia y el coste económico confieren a la TC una mayor practicidad. Si queremos una mejor evaluación del nervio óptico, la RM ofrece imágenes con una mayor definición de dicha estructura.
En casos de exoftalmia los estudios de TC y de RM nos dan suficiente información diagnóstica en la misma medida, aproximadamente. Si queremos una mejor evaluación del nervio óptico, la RM ofrece imágenes con una mayor definición de dicha estructura.
Encéfalo
Como ya se ha mencionado anteriormente, la RM aporta imágenes de calidad muy superior a las de la TC del SNC. En general, en cualquier patología que afecte al encéfalo, la RM es con diferencia la prueba de elección/gold standard. Aquí se incluyen a pacientes que padezcan crisis epileptiformes, síndrome vestibular, sospecha de accidentes cerebrovasculares (figura 3), enfermedades congénitas (figura 4), neurodegenerativas, inflamatorias/infecciosas (figura 5) y neoplásicas. La RM permite una diferenciación clara entre la sustancia gris y la blanca, permite identificar lesiones intraparenquimatosas de aquellas extraparenquimatosas, así como la lesión principal (por ejemplo, una masa tumoral) y las consecuencias de estas (edema perilesional) o hernia transtentorial/foramen magno por aumento de la presión intracraneal.
Columna vertebral
Cualquier tramo de la columna puede ser evaluado mediante TC o RM. La RM permite una mejor evaluación del parénquima medular, discos intervertebrales y la presencia de lesiones extradurales/intradurales, extramedulares/intramedulares (figuras 6, 7, 8 y 9). También permite un diagnóstico temprano de la discoespondilitis. Es importante una adecuada neurolocalización para optimizar la localización de la lesión debido al elevado tiempo que requieren los estudios de RM.
En TC podemos diagnosticar lesiones medulares compresivas mediante el uso de contraste inyectado en el espacio subaracnoideo (mielo-TC). Sin embargo, no permite la evaluación completa del parénquima medular, por lo que es menos sensible en la detección de patologías como neoplasias, meningomielitis, malacia, siringohidromielia, etc. Mediante
TC tendremos una mejor valoración de las estructuras óseas.
Tórax
Los movimientos respiratorios producen un gran número de artefactos tanto en TC como en RM. Sin embargo, la velocidad de adquisición de imágenes en la TC en combinación con pequeños periodos de apnea, disminuye drásticamente esta limitación. La búsqueda de neoplasias (primarias o metastásicas) (figura 10), torsiones lobares, efusiones en cavidad torácica/neumotórax, alteraciones del mediastino, cuerpos extraños y, en definitiva, de toda aquella patología que involucre costillas (figura 11) y/o
cavidad torácica debe realizarse mediante estudios de TC.
Abdomen
La TC es la técnica empleada en estudios de imagen avanzada de la cavidad abdominal. Especialmente indicada ante la presencia de grandes masas abdominales (figura 12) que mediante ecografía resulta complicado determinar el tejido/órgano del cual se originan, neoplasias en general, shunts portosistémicos (figura 13) y otras anomalías vasculares y alteraciones urogenitales (alteraciones en los uréteres tales como uréteres ectópicos, por ejemplo) (figura 14). En lesiones en cavidad pélvica no abordables ecográficamente y en región
perianal/perineal y vaginal o peneana la TC también es la técnica de elección.
Esqueleto apendicular
En tejido óseo, en general, la TC nos aporta imágenes con alto grado de sensibilidad de cambios patológicos y fisiológicos. Esclerosis, osteólisis, regiones de proliferación ósea, alteraciones de la superficie ósea, mineralizaciones en tejidos blandos, osteofitos/entesofitos, líneas de fractura (figura 15) o fisuras y congruencia articular son algunos de los ejemplos de las alteraciones que la TC permite detectar/estudiar.
En articulaciones, la TC se emplea para la evaluación de hombros y codos
Figura 12. Estudio de TC en algoritmo tejido blando de masa abdominal compatible con neoplasia adrenal (puntas de flecha rosa) con tumortrombo que ocupa la luz de la vena cava (flechas rojas).
Figura 11. Estudio TC de tórax en algoritmo tejido blando y hueso. Presencia de masa (flechas verdes) de grandes dimensiones, que incluye la 7ª costilla izquierda, causando osteólisis y reacción perióstica (círculo verde), y protruye hacia el interior de la cavidad torácica con marcado efecto extrapleural; con realce heterogéneo poscontraste. Cambios compatibles con proceso neoplásico, especialmente sarcoma.
Figura 13. AngioTC. Shunt portosistémico congénito simple de tipo gastro-frénico esplénico. Las flechas rosas muestran vaso aberrante que proviene de la gástrica izquierda y entra en la vena cava posthepática por la izquierda a través de la vena frénica. A, B y C) Imágenes transversales de craneal a caudal. D) Corte sagital que muestra el shunt. E) Reconstrucciones en 3D.
Figura 14. Estudio de TC poscontraste en algoritmo tejido blando en paciente que presenta incontinencia urinaria. A, B y C) Uréter ectópico intramural derecho (puntas de flechas verdes) que continúa paralelo a la luz uretral hasta el pubis sin identificar claramente el punto de conexión con el lumen uretral. D) Uréter ectópico izquierdo (puntas de flecha azules) con inserción vesículo-uretral. E) Región proximal de la uretra con imagen de uréteres intramurales paralelos al lumen uretral (flecha rosa); presencia de hiperplasia útero/vaginal (flechas rojas). F) Uréteres ectópicos intramurales izquierdo y derecho.
(figura 16) principalmente. Si se sospecha de patología en tendones o ligamentos, incluso cartílagos (como por ejemplo meniscos) la RM ofrece mejores imágenes. Sin embargo, la RM no se realiza de manera rutinaria con este fin en la clínica diaria, ya que mediante una buena exploración ortopédica y el apoyo con imágenes radiográficas y/o ecográficas suele ser suficiente para obtener un diagnóstico preciso en la gran mayoría de los casos.
Conclusión
En conclusión, tanto la TC como la RM son técnicas de imagen avanzada con un elevado poder diagnóstico. Para el estudio del sistema nervioso central la RM sería la prueba de elección, mientras que para el estudio de la cavidad oronasal, oídos, tórax, abdomen y esqueleto apendicular la TC sería la prueba más indicada.
Figura 15. Estudio de TC en algoritmo hueso de paciente politraumatizado con alteraciones de la marcha en extremidades posteriores. A) Fractura del íleo derecho que afecta al acetábulo con presencia de múltiples fragmentos (círculo azul). B) Fractura de pubis izquierda (círculo/flechas verdes). C) Fractura de isquion izquierdo (círculo/flechas amarillas). D) Fractura incompleta de la tabla isquiática izquierda (flecha morada). E) Subluxación sacroilíaca izquierda (círculo naranja). F) Reconstrucciones en 3D.
Figura 16. Estudio TC en algoritmo hueso de articulación del codo. Se aprecia neoformación ósea (flechas amarillas), mineralización en zonas de inserción de la musculatura flexora y extensora, leve incongruencia articular con ensanchamiento del espacio articular (flechas azules) y remodelación del proceso coronoides (flechas rosas). A, B y C) Planos sagital, transversal y frontal respectivamente del codo derecho. D, E F. Planos sagital, transversal y frontal respectivamente del codo izquierdo. G) Reconstrucción en 3D de los dos codos.
En los pacientes sanos, el pulmón no se ve pero, si hay derrame pleural, el pulmón se colapsa y adquiere un aspecto de tejido blando debido a la falta de pulmón aireado. Existen criterios ecográficos que permiten confirmar o descartar su presencia.
Søren Boysen1, Kris Gommeren2, Serge Chalhoub3
1DVM, DACVECC
Profesor titular de Urgencias y Cuidados Intensivos, Universidad de Calgary (Canadá). srboysen@ucalgary.ca
2DVM, DECVIM, DECVECC
Jefe del servicio de Urgencias y Cuidados Intensivos, Universidad de Lieja (Bélgica). kris.gommeren@uliege.be
3DVM, Dipl. ACVIM
Profesor titular, Facultad de Veterinaria, Universidad de Calgary (Canadá). schalhou@ucalgary.ca
Imágenes y vídeos cedidos por los autores.
Introducción
El derrame pleural da lugar a acumulaciones hipoecoicas que separan la pleura parietal de la visceral, y su aspecto puede variar en función de la celularidad del derrame, la ubicación de la sonda, la posición del paciente, la cantidad de líquido y la presencia o ausencia de adherencias. La precisión ecográfica para detectar el derrame pleural es relativamente buena y el derrame es más fácil de diagnosticar que el neumotórax, pero se pueden pasar por alto pequeñas cantidades de derrame pleural1-3. El hallazgo de un derrame pleural con la evaluación PLUS lleva a otras consideraciones diagnósticas y terapéuticas. Por ejemplo, una toracocentesis guiada por ecografía permite mejorar la estabilidad del paciente si hay suficiente líquido como para causar un compromiso respiratorio, y el análisis del líquido puede conducir a un diagnóstico etiológico.
El derrame pleural separa la pleura visceral de la pleura parietal dando lugar a una pérdida de deslizamiento pulmonar, pero la pleura visceral sigue siendo visible como una línea blanca hiperecoica (puede ser necesario aumentar la profundidad) porque el líquido transmite los haces de
Superficie de la piel
Pleura parietal
Derrame pleural
Pleura visceral: visible
Sombra costal
Pulmón
ultrasonidos, al contrario que en el caso de neumotórax (el aire es enemigo de los ultrasonidos) en el que no se puede visualizar la pleura visceral cuando la sonda se coloca directamente sobre una región con neumotórax (figura 1, vídeo 1).
Debido a los efectos de la gravedad, el derrame pleural se acumulará en las regiones del espacio pleural más bajas, a menudo formando ángulos agudos y definiendo el contorno del diafragma (figura 2, vídeo 2).
El derrame pleural contrasta con el pericárdico, cuyo líquido quedará dentro del saco pericárdico y definirá el contorno circular del corazón (figura 3, vídeo 3).
En los pacientes en decúbito esternal, se detectan fácilmente los derrames pleurales grandes en el tercio ventral del tórax, y en la ventana pericardiodiafragmática (PD) se observa cómo definen el contorno del diafragma y los pulmones y separan la pleura parietal de la visceral (figura 2, vídeo 4). En los pacientes en decúbito lateral, los derrames pleurales grandes pueden visualizarse fácilmente en la parte del tórax más ancha en la que se produce el mayor efecto de la gravedad (es decir, la parte más baja).
Pueden pasar desapercibidos los derrames pleurales pequeños en el paciente situado en decúbito esternal o de pie, especialmente cuando la sonda se sitúa solo sobre el corazón o en las uniones costocondrales y está orientada perpendicularmente respecto a las costillas, como se recomienda en los protocolos de FAST torácica3-4. Para detectar derrames más pequeños, la sonda debe girarse hasta que se encuentre paralela (marcador dorsal) en la ventana PD o a nivel de la unión costocondral con el paciente en decúbito esternal/de pie. A medida que se acumula líquido pleural, los pulmones pueden volverse atelectásicos y parecer estructuras que “flotan” dentro del derrame pleural (figura 4, vídeo 5). En medicina humana, en los casos de derrame pleural, el pulmón atelectásico se denomina “signo de la medusa” (Lichtenstein, 2005). En los pacientes sanos, el pulmón no se ve (el aire es un enemigo de los ultra-
Pulmón atelectásico
Derrame pleural
Derrame pleural en un paciente en decúbito esternal en la ventana pericardiodiafragmática (PD), con la sonda perpendicular a las costillas. El derrame pleural se ve afectado por la gravedad y se acumula en los sitios del espacio pleural en los que se produce el mayor efecto de la gravedad (es decir, los más bajos). En este ejemplo, el derrame pleural en un gato con peritonitis infecciosa felina (PIF) se observa en la ventana PD y el derrame forma ángulos con otras estructuras. Además, el derrame pleural es suficiente para definir el contorno (por arriba y por abajo) del diafragma y llenar el receso costofrénico. Esta ventana ecográfica es el factor clave para determinar si el derrame es de naturaleza pericárdica o pleural, ya que el derrame pericárdico se encontraría en el saco pericárdico, que se curva a medida que se aleja del diafragma y rodea el corazón.
QR Vídeo 1. Derrame pleural perpendicular.
QR Vídeo 2. PCS pleural con consolidación del derrame.
sonidos), pero si hay derrame pleural, el pulmón se colapsa y adquiere un aspecto de tejido blando debido a la falta de pulmón aireado; por lo tanto, en estos casos será visible en forma de tejido dentro del derrame pleural porque los haces de ultrasonidos podrán atravesar el líquido y el pulmón atelectásico (vídeo 2).
QR Vídeo 3. Derrame pericárdico.
QR Vídeo 4. Derrame pleural pericardiodiafragmático.
QR
Vídeo 5. "Signo de la medusa".
Diafragma
Sombra costal
Deslizamiento ausente, pleuras separadas por líquido
Derrame pleural
Sombra costal
visceral
Imagen ecográfica esquemática que muestra la separación entre la pleura visceral y la parietal debido a la presencia de líquido en el espacio pleural (derrame pleural) con la sonda perpendicular a las costillas. En este caso, la línea pleural (línea blanca continua) está compuesta únicamente por la pleura parietal y, por lo tanto, no hay deslizamiento pulmonar (es decir, las pleuras no están en contacto entre sí). La línea horizontal curvilínea inferior representa la pleura visceral, que está separada de la pleura parietal por el líquido. El líquido transmite los ultrasonidos; por lo tanto, la pleura visceral es visible (A). Imagen ecográfica de un derrame pleural con la sonda perpendicular a las costillas. Tanto la pleura parietal como la visceral son visibles porque el líquido las separa. El líquido permite la penetración de los haces de ultrasonidos, lo cual da lugar a la visualización de la pleura visceral. Aunque la pleura visceral es visible y se mueve con las respiraciones, no hay deslizamiento pulmonar porque las pleuras están separadas (B).
El derrame pleural solo puede descartarse en la ubicación del tórax donde se sitúa la sonda. Por lo tanto, para evitar pasar por alto cantidades pequeñas de líquido, es esencial evaluar las zonas en las que es más fácil detectar un derrame pleural.
Criterios para diagnosticar un derrame pleural
Aunque la pleura visceral (superficie pulmonar) puede ser visible en la parte profunda del derrame y es posible que siga moviéndose con la respiración, uno de los criterios clave es que se pierde el deslizamiento pulmonar (cabe recordar que los requisitos para que se produzca deslizamiento pulmonar completo son que las dos pleuras deben estar en contacto y que el animal debe respirar); en caso de derrame, las pleuras no están en contacto, lo cual suprime el brillo que se crea cuando la superficie pulmonar (pleura visceral) se desliza por el interior de la pared torácica
Saco pericárdico
Figura 3. Derrame pericárdico en un perro con la sonda perpendicular a las costillas y situada en la ventana pericardiodiafragmática (PD). El líquido está en el pericardio y puede verse definiendo el contorno del saco pericárdico, y cómo forma una curva que se aleja del diafragma. SIV, septo interventricular; VI, ventrículo izquierdo; VD, ventrículo derecho; DP, derrame pericárdico.
(pleura parietal). Con grandes cantidades de derrame pleural, puede no ser fácil ver la pleura visceral; esto dependerá de los ajustes de profundidad del ecógrafo (por
Figura 1. Pleura Figura 2. Ligamento pericardiofrénico Corazón Hígado Diafragma Líquido Hígado DP DP VI SIV VD Costilla Costilla A B Pleura parietalSombra costal
Pleura parietal
"Signo de la medusa"
Derrame pleural
Pulmón atelectásico
Hígado
Figura 4. Imagen de un pulmón atelectásico ("signo de la medusa") justo dorsal a la ventana pericardiodiafragmática (PD) en la interfase toracoabdominal, con la sonda perpendicular a las costillas. Cuando se elimina el aire del pulmón, este adopta un patrón ecográfico similar al de los tejidos, lo cual significa que se hace visible porque los haces de ultrasonidos ahora pueden transmitirse a través de él. A veces, el pulmón atelectásico se mueve de un lado a otro y parece una medusa.
ejemplo, puede haber pleura visceral más allá del campo lejano visible de la imagen ecográfica).
Criterios para descartar un derrame pleural
Hay tres hallazgos ecográficos que confirman que ambas pleuras están en contacto, lo cual descarta el derrame pleural (y el neumotórax) en el ubicación de la sonda:
• Deslizamiento completo del pulmón por toda la línea pleural en la ubicación de la sonda.
• Presencia de patología pulmonar (líneas B y/o consolidación) originada en la línea pleural.
• Presencia de pulso pulmonar. Además, el artefacto de imagen especular o en espejo (como el que se observa en la ventana subxifoidea con la sonda en ángulo para observar el tórax más allá del diafragma) descarta el derrame pleural inmediatamente por debajo de la pleura parietal en la ubicación de la sonda, ya que es un artefacto creado por las grandes diferencias de impedancia acústica que tienen lugar
• El derrame pleural se acumula en las regiones del espacio pleural en las que se produce el mayor efecto de la gravedad (es decir, las más bajas).
• Cuando el derrame pleural separa las dos pleuras, no hay deslizamiento pulmonar.
• El aspecto del derrame pleural varía en función de la orientación de la sonda, la cantidad de líquido, la ubicación del líquido, la celularidad y las adherencias, así como la posición del paciente.
• El pulmón atelectásico puede crear el “signo de la medusa”.
• La evaluación de la ventana PD permite diferenciar el derrame pleural del pericárdico.
• Los derrames pleurales grandes se identifican fácilmente en las regiones torácicas en las que se produce el mayor efecto de la gravedad (es decir, las más bajas), independientemente de la orientación de la sonda y de la posición del paciente. No obstante, para localizar las regiones en las que se produce el mayor efecto de la gravedad, debe tenerse en cuenta la posición del paciente.
• Los derrames pleurales pequeños suelen pasar desapercibidos ventralmente y pueden identificarse con la sonda paralela a las costillas.
El derrame pleural solo puede descartarse en la ubicación del tórax donde se sitúa la sonda.
Corazón
QR Vídeo 6. Artefacto de imagen especular.
QR Vídeo 7. Derrame pericárdico visto en la ventana pericardiodiafragmática.
QR Vídeo 8. Derrame pleural visto en la ventana pericardiodiafragmática.
en las interfases entre el tejido blando y el aire (figura 5, vídeo 6). Del mismo modo, la detección de líneas A, por ser un tipo de artefacto de imagen especular inducido por el aire, también descarta el derrame pleural en la ubicación de la sonda.
Criterios para confirmar el derrame pleural
Para detectar un derrame pleural, se aplican principalmente estos dos criterios:
• Pérdida de deslizamiento pulmonar porque las dos pleuras están separadas por el derrame.
• El derrame se encuentra dentro del espacio pleural. Como tal, tiende a formar ángulos marcados y bordes irregulares cuando se localiza en las regiones en las que se produce el mayor efecto de la gravedad (es decir, las más bajas), y define el contorno del diafragma (es decir, no se curva alrededor del corazón). Ello contrasta con el líquido que se encuentra en el saco pericárdico.
Si el neumotórax es importante, la presencia de aire en el espacio pleural puede impedir que se visualice el derrame pleural subyacente. En estos casos, la exploración ventral por debajo de la zona del neumotórax, si el paciente está de pie, o de la parte más ancha del tórax si el paciente está en decúbito lateral (por ejemplo, las zonas en las que se produce el mayor efecto de la gravedad) puede revelar la presencia de un derrame pleural concurrente.
Criterios para diferenciar el derrame pleural del pericárdico
A veces, el derrame pleural puede confundirse con el pericárdico, y viceversa, y un mismo paciente puede tener los dos. Por ello, es importante evaluar cuidadosamente en busca de líquido tanto el espacio pericárdico como el pleural.
Ventana pericardiodiafragmática (PD) En la ventana PD, el derrame pericárdico tendrá aspecto de líquido contenido en el saco pericárdico, formando una curva alrededor del corazón y alejándose del diafragma, y a menudo preservando el triángulo mediastínico (figura 6). Por el contrario, el derrame pleural definirá el contorno del diafragma, a menudo ocultando el triángulo mediastínico y permitiendo la visualización del diafragma formando una curva que se aleja de la pared torácica, sobre todo cuando el derrame pleural llena el receso costofrénico (figura 4, vídeos 7 y 8).
Vistas de eje corto paraesternal derecho Familiarizarse con las imágenes del eje corto paraesternal derecho normales del corazón es clave para diferenciar el derrame pericárdico de las cámaras cardiacas normales, como los ventrículos
QR Vídeo 9. Corazón normal.
Superficie de la piel
Diagrama esquemático (a) e imagen ecográfica fija (b) en la ventana pericardiodiafragmática (PD) con la sonda perpendicular a las costillas en un perro con derrame pericárdico (b). VD, ventrículo derecho; VI, ventrículo izquierdo; DP, derrame pericárdico; TM, triángulo mediastínico.
izquierdo y derecho. Ello evitará que las cámaras cardiacas se confundan con un derrame pericárdico. La exploración del corazón partiendo del ápice, pasando por las imágenes en forma de “champiñón” y “boca de pez” y llegando hasta las de “Mercedes y cola de ballena”, situadas en la base, también ayudará a detectar el derrame pericárdico (la evaluación POCUS cardiaca queda fuera de los objetivos de este artículo).
En la imagen del eje corto paraesternal derecha, el derrame pericárdico tendrá aspecto de líquido contenido en el saco pericárdico que define el contorno del corazón (figura 7, vídeo 3), mientras que
el derrame pleural no definirá el contorno del corazón. Por el contrario, en los animales sanos, el saco pericárdico está en contacto directo con las paredes ventriculares, sin derrame que las separe (figura 7B, vídeo 9).
En estas dos situaciones, es importante cambiar la profundidad para visualizar todo el corazón y el saco pericárdico. Si persiste la duda respecto al origen del líquido, se puede deslizar la sonda caudalmente para localizar la ventana PD y determinar si el derrame visible define el contorno del diafragma o solo está contenido en el saco pericárdico (a veces, se detectan ambas situaciones).
Vista subxifoidea
Los derrames pleural y pericárdico pueden diagnosticarse en la vista subxifoidea, tanto en la imagen del eje longitudinal como en la del transversal (figura 8). Para diferenciar el derrame pericárdico del pleural, no es necesario visualizar todo el corazón y el saco pericárdico en esta ventana.
En la mayoría de los perros y en algunos gatos, el ápice del corazón está en contacto con el diafragma y, por lo tanto, la pared libre del ventrículo izquierdo parece mezclarse con el diafragma en este lugar (transmisión de los haces de ultrasonidos de tejido blando a tejido blando).
• Si el corazón está en contacto con el diafragma y no hay líquido hipoecoico que los separe, es muy poco probable que haya un derrame pericárdico clínicamente significativo. Cuando no hay un derrame pericárdico clínicamente significativo, la pared libre del ventrículo izquierdo está en contacto con el diafragma y parece mezclarse con este (figura 8A-B; vídeo 10).
• En los casos de derrame pericárdico, el líquido está contenido en el interior del pericardio y puede verse definiendo el contorno del corazón alrededor del saco pericárdico. El diafragma y la pared libre del ventrículo izquierdo quedan separados por el derrame pericárdico (figura 8C-D, vídeo 11).
QR Vídeo 10. Imagen cardiaca subxifoidea mezclada.
Hígado
QR Vídeo 11. Derrame pleural y pericárdico subxifoideo.
QR Vídeo 12. Derrame pleural subxifoideo.
• En los casos de derrame pleural, el líquido definirá el contorno del diafragma y no el del corazón (vídeo 12).
En los animales en los que el corazón no está en contacto con el diafragma, el corazón no será visible en la ventana subxifoidea porque el pulmón (aire), que no transmite los haces de ultrasonidos, quedará entre el diafragma y el corazón. En los gatos, al observar la ventana subxifoidea, suele pasar que el pulmón separa el diafragma del corazón.
La forma del derrame pleural
El aspecto y la forma del derrame pleural varían según la ubicación y la interacción con el corazón, los pulmones, la caja torácica y el diafragma, y también según si hay adherencias y en qué cantidad y según la orientación de la sonda.
Sonda perpendicular a las costillas:
• Cuando hay pequeñas cantidades de líquido pleural, el líquido suele dar lugar a una franja hipoecoica (negra), de gro-
Tabla 1. Confirmación o descarte de un derrame pleural en la ubicación de la sonda.
Confirmación Descarte
Pérdida de deslizamiento pulmonar
El líquido define el contorno del diafragma formando ángulos
Deslizamiento pulmonar completo
Patología pulmonar (líneas B y/o consolidación) originada en la línea pleural
Pulso pulmonar
Artefacto de imagen especular (en espejo) más allá del diafragma o la línea pleural
Corazón Diafragma
D Derrame peritoneal
Hígado Hígado
Derrame
Corazón
(A) y vista del eje largo subxifoideo (imagen ecográfica) (B)
con el corazón normal. Diagrama esquemático (C) y vista de eje largo subxifoideo (imagen ecográfica) de un perro con derrame pericárdico (D). Obsérvese que la imagen ecográfica muestra una pequeña cantidad de derrame peritoneal entre el diafragma y el hígado. DP, derrame pericárdico; PLVI, pared libre del ventrículo izquierdo; VB, vesícula biliar; VD, ventrículo derecho; VI, ventrículo izquierdo.
Tabla 2. Confirmación o descarte de un derrame pericárdico.
Ubicación de la sonda Confirmación Descarte
Ventana pericardiodiafragmática (PD).
Ventana subxifoidea.
Ventana cardiaca paraesternal (eje corto o largo).
Derrame contenido en el saco pericárdico, definiendo el contorno del corazón.
Derrame contenido en el saco pericárdico definiendo el contorno del corazón y separando la pared libre del ventrículo izquierdo respecto al diafragma.
Derrame contenido en el saco pericárdico definiendo el contorno del corazón (importante para identificar correctamente las cámaras cardiacas normales).
sor variable, que separa las dos hojas pleurales (figura 1B, vídeo 13).
• Cuando hay grandes cantidades de derrame, la cantidad de líquido puede ser considerable, y puede ser necesario aumentar la profundidad para visualizar la pleura visceral y/o el pulmón atelectásico. Sonda paralela a las costillas, marcador dorsal y sonda situada ventralmente (zona en que se produce el mayor efecto de la gravedad):
• Cuando no hay derrame, la línea pleural está formada por ambas pleuras, que se curvan a lo largo del borde esternal ventral, formado por los músculos esternales/ pectorales. Esta imagen ha sido denominada por los autores como signo del “salto de esquí” (figura 9A).
• Cuando se acumulan cantidades escasas o pequeñas de líquido entre la pleura parietal que recubre los músculos esternales/pectorales y la pleura visceral/ superficie pulmonar, las dos hojas pleurales se separan y a menudo forman lesiones hipoecoicas en forma de “vela de espináker” (figura 9B, vídeo 14). De ahí que los autores lo hayan denominado “signo de la vela” para identificar un derrame pleural positivo cuando la sonda está paralela a las costillas.
• La localización de cantidades escasas de líquido puede no tener repercusiones terapéuticas, pero sí importantes ventajas desde el punto de vista del diagnóstico. Por ejemplo, en un paciente que presente signos clínicos inespecíficos, la localización de una cantidad escasa de derrame pleural, así como la posible toma de muestras, puede dar lugar a un diagnóstico.
La evaluación de la ventana pericardiodiafragmática y del corazón a través de la ventana subxifoidea suele ser útil para diferenciar fácilmente el derrame pleural del pericárdico (figura 2). Conocer el aspecto que tiene el líquido en función de la ubicación es importante para identificar con exactitud un posible derrame pleural.
Este artículo es un extracto de la obra Ecografíapulmonary pleural en la atención de urgencias en perros y gatos
Disponible en https://ediciones edra.com/ Tel.: 976 461 480
QR Vídeo 13. Líquido en la parte PD profunda.
Si no hay derrame, la grasa del triángulo mediastínico suele ser visible. Si hay derrame pleural: el derrame define el contorno del diafragma, pero no rodea el corazón, y el triángulo mediastínico a menudo es reemplazado por líquido.
Pared libre ventricular tocando el diafragma, lo cual mezcla las respectivas imágenes; no hay separación entre ambos.
Saco pericárdico íntimamente asociado a las paredes del corazón sin líquido que separe ambas estructuras (importante explorar el corazón desde el ápice hacia la base para descartar derrames pericárdicos pequeños).
Figura 9. El signo del "salto de esquí"; la sonda está paralela a las costillas en sentido ventral y el marcador de la sonda está dirigido en sentido dorsal sobre el tórax del paciente, que está en decúbito esternal. La imagen producida cuando no hay derrame pleural es la del "salto de esquí"; es decir, las dos láminas pleurales están en contacto y se ve el deslizamiento pulmonar, y la línea pleural se curva a lo largo de los músculos pectorales/esternales (A). El "signo de la vela"; la sonda está paralela a las costillas, con el marcador dirigido dorsalmente; la sonda está situada ventralmente sobre el tórax del paciente, que está en decúbito esternal. La imagen que se produce cuando hay derrame pleural es la del "signo de la vela"; es decir, las dos láminas pleurales están separadas por líquido, que adopta forma triangular; no hay deslizamiento pulmonar. En un paciente vivo, el triángulo de líquido cambia de forma con la respiración y la expansión pulmonar, dando la impresión de una vela agitada por el viento (B).
Superficie de la piel 2-6 cm 1/3 - 1/2 de la profundidad de la imagen ecográfica
Línea pleural
Línea A
Sombra costal Sombra costal
A
Figura 10. Imagen ecográfica esquemática que muestra la profundidad inicial recomendada para empezar a evaluar la línea pleural en busca de deslizamiento pulmonar. La profundidad se ajusta a unos 2-6 centímetros y la línea pleural se localizará a aproximadamente 1/3 - 1/2 de la profundidad de la imagen ecográfica (flecha roja).
QR Vídeo 14. "Signo de la vela".
Figura 8. Diagrama esquemático de un perroEstas situaciones clínicas reales permiten poner en práctica lo expuesto en entregas anteriores a la hora de decidir el abordaje terapéutico y ver si el diagnóstico de epilepsia idiopática encaja con la presentación clínica, edad y raza del paciente.
Pablo Amengual EBVS European Specialist in Veterinary NeurologyChestergates Veterinary Specialists (Chestergates, Reino Unido)
INTRODUCCIÓN
En los anteriores capítulos hemos cubierto una gran variedad de conceptos acerca de la epilepsia idiopática en el perro, incluyendo definiciones, el protocolo adecuado para su diagnóstico y los fármacos que podemos utilizar, tanto para prevenir la aparición de convulsiones como detenerlas una vez el paciente convulsiona. Como hemos comentado con anterioridad, estos capítulos son en realidad un formato resumido, y recomiendo una lectura más en profundidad en cualquiera de los artículos referenciados. Una vez hemos asentado las bases, vamos a proponer una serie de situaciones clínicas y cómo podríamos solucionarlas desde el punto de vista terapéutico. También valoraremos si el diagnóstico de epilepsia idiopática cuadra con la presentación clínica, edad y raza del paciente. Como ejercicio, recomiendo que, antes de leer mis respuestas/recomendaciones, intentéis plantear qué camino tomaríais.
PACIENTE 1 - PEDRITO
Pedrito es un Labrador Retriever de tres años, macho entero. Ha sufrido dos convulsiones tónico-clónicas generalizadas con signos autonómicos de dos minutos de duración en los últimos nueve meses.
El paciente es completamente normal entre convulsiones. Las pruebas sanguíneas no mostraron ninguna alteración, incluyendo una prueba de estimulación de ácidos biliares.
¿Posible caso de epilepsia idiopática?
En principio, Pedrito cumple con todos los requisitos para considerarse una epilepsia idiopática con un nivel de certeza 1 (edad, raza, examen neurológico normal y pruebas sanguíneas normales).
En caso de optar por la imepitoína, comenzaríamos con 10 mg/kg cada 12 horas. La medicación puede administrarse a la vez que el fenobarbital.
¿Requiere tratamiento? En caso afirmativo, ¿qué antiepiléptico podríamos utilizar?
Con la actual frecuencia y presentación, no es necesario comenzar a tratar a Pedrito. Dicho esto, es posible que los tutores se planteen comenzar si sienten que los episodios les desbordan. Tanto la imepitoína como el fenobarbital serían las opciones terapéuticas adecuadas.
PACIENTE 2 – SAMBA
Samba es una Border Collie de cinco años, hembra esterilizada. Samba padece convulsiones desde hace tres años, todas tónico-clónicas generalizadas con signos autonómicos de tres minutos de duración, y unos signos post-ictales leves. La frecuencia inicial era de una crisis cada 2-3 meses. En el momento que comenzaron las convulsiones, se realizó analítica sanguínea completa sin que se hallara ningún cambio reseñable. Hace cinco meses empezamos con fenobarbital como tratamiento antiepiléptico, aumentando la frecuencia a una crisis cada 4-5 meses.
¿Posible caso de epilepsia idiopática?
Como en el caso de Pedrito, Samba cumple con los requisitos para ser diagnosticada de epilepsia idiopática con un nivel de certeza 1.
¿Requirió tratamiento? En caso afirmativo, ¿fue una elección adecuada?
En este caso, al padecer más de una crisis en un periodo de seis meses, estaría indicado comenzar con tratamiento.
Como en el caso de Pedrito, tanto la imepitoína como el fenobarbital serían los antiepilépticos de elección. Samba acude para una revisión y se encuentra estupendamente, sin efectos secundarios significativos. Al realizar la analítica de control, observamos que los niveles de fenobarbital se encuentran en el límite superior, sin posibilidad de aumentar la dosis sin llegar a niveles considerados tóxicos.
¿Cuál sería el siguiente paso?
Lo primero que debemos entender es que, a pesar de haber respondido al fenobarbital, la frecuencia sigue siendo inadecuada, al padecer más de una convulsión cada seis meses. Por lo tanto, debemos comenzar con un segundo antiepiléptico. Ya que ha habido una respuesta positiva al fenobarbital, y los efectos secundarios son muy leves, descartaría el bromuro potásico en este punto, ya que la combinación de ambos antiepilépticos suele ser significativa a nivel de efectos secundarios. Por lo tanto, mi recomendación sería añadir imepitoína o levetiracetam. En caso de optar por la imepitoína, comenzaríamos con 10 mg/kg cada 12 horas. La medicación puede administrarse a la vez que el fenobarbital. Al actuar de manera más rápida que otros antiepilépticos, deberíamos observar una respuesta en pocos días. Sin embargo, considerando la frecuencia actual de convulsiones de Samba, deberemos esperar como mínimo 4-5 meses
En cualquiera de los casos, deberemos continuar midiendo los niveles de fenobarbital y realizando las analíticas de control, tal y como comentamos en el segundo capítulo.
PACIENTE 3 – FERMÍN
Fermín es un Pastor Alemán de nueve años, macho castrado. Hace tres meses sufrió su primera convulsión generalizada tónico-clónica con signos autonómicos. La convulsión apenas duró un minuto. Desde entonces, Fermín está más decaído y parece tener cierta debilidad generalizada. Hace una semana, Fermín sufrió una segunda crisis, muy parecida a la primera.
¿Posible caso de epilepsia idiopática?
En este caso, la historia clínica, edad del paciente y presencia de signos entre convulsiones no parece sugerir que Fermín sufra una epilepsia idiopática. Los principales diferenciales incluirían un proceso neoplásico, vascular o inflamatorio/infeccioso, por lo que se recomienda remitir el caso para realizar pruebas de sangre completas, resonancia magnética de cráneo y extracción/ análisis de líquido cefalorraquídeo según los hallazgos. Sin embargo, cabe recordar que, aunque no se encontraría entre los principales diferenciales, la epilepsia idiopática de aparición tardía es una posibilidad, aunque la consideraría mucho menos probable en este caso.
Aunque un paciente sea diagnosticado con epilepsia idiopática años atrás, no significa que el aumento de las crisis (tanto en frecuencia como en gravedad) siempre se deba a un empeoramiento de la epilepsia idiopática.
desde la última convulsión para realmente valorar su respuesta. Si Samba respondiera de manera muy positiva a la medicación, y su frecuencia fuera cada vez menor (p.e. una crisis al año), podríamos intentar disminuir la dosis del fenobarbital (recomiendo disminuir de manera progresiva cada 1-2 meses y no más de un 25 % de la dosis cada vez) para evitar sobremedicar a Samba. En caso de ver un aumento en la frecuencia o gravedad de las crisis durante la retirada, aumentaríamos la dosis de imepitoína progresivamente hasta el máximo de 30 mg/kg cada 12 horas. De continuar empeorando, se recomendaría regresar a la dosis previa de fenobarbital. Si se optara por el levetiracetam, seguiríamos la misma mecánica, comenzando con una dosis de 20 mg/kg cada 8 horas hasta un máximo de 60 mg/kg cada 8 horas.
Noa es una Staffordshire Bull Terrier de seis años, hembra esterilizada. Comenzó a sufrir convulsiones generalizadas tónico-clónicas cuando tenía ocho meses de edad. En ese momento, se realizaron pruebas de sangre completas, incluyendo test de estimulación de ácidos biliares, resonancia magnética de cráneo y análisis de líquido cefalorraquídeo, con todos los resultados dentro de la normalidad. Inicialmente, las crisis ocurrían cada nueve meses, pero recientemente se ha observado una aumento de la frecuencia y duración, sufriendo una crisis cada tres meses. Ayer sufrió cinco convulsiones generalizadas en un periodo de 18 horas, con recuperación del estado mental entre ellas. Hoy se presenta a la consulta completamente recuperada.
¿Posible caso de epilepsia idiopática?
A diferencia de los casos de Pedrito y de Samba, a Noa se le realizaron pruebas de imagen avanzada y análisis de líquido cefalorraquídeo, por lo que consideramos en este caso una epilepsia idiopática con un nivel de certeza 2. Como un apunte interesante desde el punto de vista práctico, aunque un paciente sea diagnosticado con epilepsia idiopática años atrás, no significa que el aumento de las crisis (tanto en frecuencia como en gravedad) siempre se deba a un empeoramiento de la epilepsia idiopática. En algunos casos puede deberse a la aparición de otra enfermedad (neoplasia, infecciones, infartos, etc.). Por lo tanto, hay que estar siempre atento a la aparición de signos neurológicos entre crisis que puedan indicar la presencia de una enfermedad estructural. Para simplificar el caso de Noa, asumiremos que se trata del empeoramiento de su epilepsia idiopática.
¿Requiere tratamiento? En caso afirmativo, ¿qué antiepiléptico podríamos utilizar?
Tanto por la frecuencia actual (una crisis cada tres meses), como por la presencia de convulsiones en racimo (sufrió cinco convulsiones generalizadas en un periodo de 18 horas, con recuperación del estado mental entre ellas), estaría indicado comenzar a tratar. Al haber
padecido convulsiones en racimo, la medicación de elección es el fenobarbital. Comenzaríamos como una dosis de 2,5-3 mg/kg cada 12 horas y seguiríamos el protocolo de medición de niveles y analíticas de control.
A pesar de responder de forma inicial, las crisis continúan con una frecuencia similar, con un episodio de convulsiones en racimo cada vez que convulsiona.
Aumentamos la dosis máxima de fenobarbital durante un periodo de 6 meses de forma progresiva hasta alcanzar los niveles pre-tóxicos sin resultados.
¿Cuál sería el siguiente paso?
¿Hay alguna terapia que podamos utilizar para reducir las posibilidades de sufrir convulsiones en racimo? Alcanzado este punto, debemos comenzar con un segundo antiepiléptico. Me gustaría contestar a la pregunta, ya que podría modificar nuestra decisión. Como comentamos en el segundo capítulo, el levetiracetam puede utilizarse como terapia de choque para reducir las posibilidades de sufrir convulsiones en racimo. Generalmente, mi recomendación es comenzar a administrar levetiracetam 60 mg/kg cada 8 horas durante 3-7 días, dependiendo de la gravedad de los episodios, tras sufrir la primera convulsión. Una vez terminado ese periodo, se detiene el tratamiento. En mi opinión, el levetiracetam funciona mejor así que
de forma crónica para evitar la tolerancia terapéutica. Si hemos optado por añadir el levetiracetam, el bromuro potásico estaría indicado como segundo antiepiléptico crónico. Tanto el fenobarbital como el bromuro potásico requieren mediciones en sangre, como hemos explicado con anterioridad. Aunque a priori pueda parecer un contratiempo, también nos permite hacer cálculos para alcanzar los niveles deseados de manera más precisa. En el caso de Noa, podríamos haber optado por aumentar el fenobarbital de manera empírica (p.e. un aumento del 25 % de la dosis) o basándonos en los niveles en sangre utilizando la siguiente fórmula:
comenzáramos con dosis de mantenimiento, podríamos optar en dosis de carga. Disponemos de dos protocolos:
• 625 mg/kg dividido en ocho o más dosis durante 48 horas.
• 125 mg/kg/día dividido en 3-4 dosis diarias durante cinco días.
No recomiendo el uso del primero a menos que sea estrictamente necesario (epilepsia refractaria muy severa o potencialmente fatal para el paciente), ya que los efectos secundarios pueden ser muy marcados. Se requiere la hospitalización del paciente para realizarlo. En el segundo caso, los efectos secundarios son intensos, pero menos marcados, por lo que puede administrarse
Por ejemplo. Si Noa tomaba 60 mg diarios de fenobarbital (en tomas de 30 mg cada 12 horas y pesa 20 kg), como resultado tenemos unos niveles en sangre de 20 mg/l y queremos llevarla rápidamente a niveles pre-tóxicos de 30 mg/l, utilizando la fórmula, deberíamos aumentar la dosis a 90 mg diarios (45 mg cada 12 horas).
Lo mismo aplica para el bromuro potásico, aunque debemos recordar que los niveles de bromuro tardan mucho más en estabilizarse (hasta tres meses). En este caso, tenemos dos fórmulas según el bromuro potásico se administra en combinación con fenobarbital.
• Con fenobarbital: (2.000 mg/l – niveles en sangre actuales) × 0,02 = mg/ kg/día que debemos añadirle a la dosis actual.
• Sin fenobarbital: (2.500 mg/l – niveles en sangre actuales) × 0,02 = mg/kg/ día que debemos añadirle a la dosis actual.
La dosis de mantenimiento inicial recomendada de bromuro potásico es de 15 mg/kg cada 12 horas (o 30 mg/kg cada 24 horas, menos recomendado). Por ejemplo. Si Noa toma 325 mg cada 12 horas de bromuro potásico (pesa 20 kg) y sus niveles están en 1.000 mg/l tras tres meses de tratamiento, y toma fenobarbital también, deberíamos añadirle 400 mg más repartido durante el día (200 mg más a cada toma), para alcanzar los niveles deseados (2000 mg/l).
En el caso de que necesitáramos llegar a los niveles mucho más rápido que si
desde casa. En cualquier caso, las dosis de carga deben detenerse si se observaran efectos secundarios muy graves (p.e. sedación profunda sin capacidad para responder a estímulos). Tras la dosis de carga, se continuaría con la dosis de mantenimiento.
Por ejemplo. Si quisiéramos realizar el segundo protocolo con Noa, deberíamos darle un total de 2.500 mg de bromuro potásico durante cinco días. En este caso, podríamos administrarle 162 mg cada 8 horas o 125 mg cada 6 horas.
Bibliografía:
Berendt M., Farquhar RG., Mandigers PJJ., et al. International veterinary epilepsy task force consensus report on epilepsy definition, classification and terminology in companion animals. BMC Vet Rest. 2015; 11:182.
De Risio L., Bhatti S., Muñana K., et al. International veterinary epilepsy task force consensus proposal: diagnostic approach to epilepsy in dogs. BMC Vet Rest. 2015; 11:148.
Bhatti SFM., De Risio L., Muñana K., et al. International veterinary epilepsy task force consensus proposal: medical treatment of canine epilepsy in Europe. BMC Vet Rest. 2015; 11:176.
Reanimación volémica guiada y protocolo anestésico multimodal limitando anestésicos generales
Para disminuir el efecto depresor de los anestésicos generales sobre el sistema cardiovascular, en el protocolo anestésico de este paciente se optó por un abordaje multimodal que incluyó infusiones continuas (IC) de fentanilo, midazolam y lidocaína, además de un bloqueo locorregional previo al ingreso a quirófano.
Ariel Cañón-Pérez1,2, Ayla Del Romero-Martínez3, Sara Pérez-Montagud3,4, Natalia Aguilar-Gallego4, Jaime Viscasillas-Monteagudo5
1Experimental Surgery Unit (ESU), VHIR, Campus Vall d’Hebron, Barcelona.
2Universidad de Zaragoza.
3Universidad UCH-CEU, Valencia.
4Hospital Veterinario Universidad Católica de Valencia, Valencia.
5AniCura Valencia Sur Hospital Veterinario, Valencia. Imágenes cedidas por los autores
Introducción
Se define como vólvulo intestinal a la torsión del intestino sobre sí mismo, en cualquier punto, que causa obstrucción. Puede ser segmentario o completo, en cuyo caso es siempre resultado de una torsión mesentérica, lo que provoca una oclusión rápida de la arteria mesentérica craneal.1 Sus consecuencias son múltiples: necrosis isquémica, liberación de toxinas gastrointestinales, edema de la pared intestinal con ingurgitación vascular, desprendimiento de la mucosa y hemorragia en la luz intestinal. Todo ello desencadena el rápido establecimiento de un cuadro de shock, donde se combinan
El paciente ingresó con signos de shock y su estado mental muy deprimido. Presentaba las membranas mucosas muy pálidas, el tiempo de relleno capilar retardado, frecuencia cardiaca de 180 ppm y pulso femoral débil, metatarsiano ausente.
Ante la hipotensión persistente con mejora ecocardiográfica de la volemia, se inició una infusión continua (IC) de noradrenalina (NA) (0,5 mcg/kg/min) que hizo mejorar la PAM (58-70 mmHg) y la presión sistólica (85-105 mmHg) dentro de las primeras 2 horas.
el shock hipovolémico, mal distributivo y séptico asociados con una alta tasa de mortalidad2
A continuación, se describe el manejo anestésico de un caso de vólvulo intestinal en un perro, en cuyo protocolo anestésico se optó por un abordaje multimodal en el que se limitaron los anestésicos generales con el objetivo de disminuir sus efectos depresores cardiovasculares. Para el mantenimiento anestésico se realizó una analgosedación mediante las infusiones continua (IC) de fentanilo, midazolam y lidocaína. Sumado a dicho protocolo, se llevó a cabo un bloqueo locorregional previo al ingreso a quirófano.
Descripción del caso
Se atendió en el servicio de urgencias a un perro Beagle castrado, de 6 años, que
hacía menos de una hora había comido su ración de pienso sin presentar signos clínicos.
Examen físico
El paciente ingresó con signos de shock y su estado mental muy deprimido. Presentaba las membranas mucosas muy pálidas, el tiempo de relleno capilar retardado, frecuencia cardiaca de 180 ppm y pulso femoral débil, metatarsiano ausente. En el electrocardiograma se confirmó la taquicardia sinusal. La medición no invasiva de la presión arterial reveló hipotensión (con presión arterial media -PAM- inferior a 50 mmHg) y una temperatura rectal de 37,1 °C.
Diagnóstico por imagen
En la radiografía abdominal se observó patrón obstructivo de intestino delgado con pérdida grave de detalle seroso de forma generalizada y signo de grava (figura 1).
A continuación, se realizó una ecografía abdominal, donde se observó una dilatación grave de asas de intestino delgado con contenido líquido y gas en su interior y movimientos de vaivén. La grasa mesentérica estaba gravemente reactiva y aumentada de tamaño (figura 2).
El diagnóstico presuntivo fue un vólvulo mesentérico.
Análisis
Además, se confirmó la presencia de moderada cantidad de líquido libre en los cuatro cuadrantes (figura 3). Se realizó una abdominocentesis y el análisis del líquido, que resultó ser un trasudado modificado con lactato de 6,34 mmol/l.
La analítica sanguínea reveló un hematocrito del 40 % (ref. 37,3-61,7 %), leve azotemia (urea 33 mg/dl; ref. 7-27 mg/ dl), hipoalbuminemia (2,1 g/dl; ref. 2,3-
4,0 g/dl), aumento de la ALT (558 U/L; ref. 10-125 U/L), hiperglucemia (192 mg/ dl; ref. 74-143 mg/dl), hiperlactatemia (8,32 mmol/l; ref. 0,5-2,5 mmol/l) (figura 4), pH venoso de 7,32 (ref. 7,367,44) y un déficit de base de -6.8 mmol/l.
Protocolo anestésico
El riesgo anestésico según la clasificación ASA (American Society of Anesthesiologists) fue 5 “E”. Se realizaron radiografías de tórax, donde no se apreciaron alteraciones. Se inició la oxigenoterapia, se canalizaron ambas venas cefálicas y se comenzó con la reposición de volumen administrando bolos de lactato de Ringer (RL) de 15 ml/kg en 15 minutos hasta un total de 45 ml/kg. Se guio la terapia con ecocardiografía y se añadió un bolo de coloides (40 mg/ml 5 ml/kg en 20 minutos).
El mantenimiento anestésico se llevó a cabo mediante infusión continua de midazolam 0,1 mg/kg/hora, fentanilo 3 mcg/kg/hora y lidocaína 0,7 mg/kg/hora.
Ante la hipotensión persistente con mejora ecocardiográfica de la volemia, se inició una infusión continua (IC) de noradrenalina (NA) (0,5 mcg/kg/min) que hizo mejorar la PAM (58-70 mmHg) y la presión sistólica (85-105 mmHg) dentro de las primeras 2 horas. Se mantuvo fluidoterapia con RL a 20 ml/kg/hora junto con coloides a 2 ml/kg/hora. Se administró antibioterapia de amplio espectro endovenosa (amoxicilina con ácido clavulánico en dosis de 22 mg/kg).
Tras la preparación aséptica del campo quirúrgico, se realizó un bloqueo bilateral ecoguiado del plano transverso abdominal con lidocaína 1 % (0,4 ml/kg/lado). A continuación se indujo al paciente con lidocaína 1 mg/kg + fentanilo 4 mcg/ kg + midazolam 0,3 mg/kg + alfaxalona
Figura 1. Radiografía lateral derecha de abdomen en la que se observa dilatación de un asa de intestino delgado con contenido gas en su interior (flecha amarilla), pérdida de detalle seroso generalizado y signo de grava. Figura 2. Imagen ecográfica en la que se observa dilatación grave de asas de intestino delgado (ID), con contenido líquido en su interior, y la grasa mesentérica (GM) gravemente engrosada e hiperecoica. Figura 3. Imagen ecográfica del mismo paciente en la que se observa abundante cantidad de líquido libre (LL) alrededor del hígado (H) y de un asa de intestino delgado gravemente dilatada (ID).0,3 mg/kg (IV), tras lo cual se intubó y se inició ventilación mecánica controlada por volumen. Debido a que el valor de la PAM disminuyó por debajo de 40 mmHg, se aumentó IC de NA a 1 mcg/kg/min. El mantenimiento anestésico se llevó a cabo mediante infusión continua de midazolam 0,1 mg/kg/hora, fentanilo 3 mcg/ kg/hora y lidocaína 0,7 mg/kg/hora. Se administró un nuevo bolo de coloide en dosis de 3 ml/kg, y se inició una infusión de plasma fresco congelado (PFC) a 20 ml/kg/hora.
Manejo quirúrgico
Se canalizó la arteria nasal lateral para la monitorización hemodinámica mediante análisis de la onda de pulso (MostCare, Vygon). Se procedió a la laparotomía exploratoria, que confirmó el vólvulo intestinal que involucraba parte distal del duodeno y yeyuno. Además, el animal presentaba plicaturas a nivel del duodeno proximal, como consecuencia de una cirugía previa de enterotomía por cuerpo extraño. Tras el aspirado de gran cantidad de líquido libre abdominal, se procedió a desrotar el segmento intestinal afectado, debido a que era inviable reconocer la dirección correcta de los tramos intestinales y de la arteria mesentérica craneal sin este paso (figura 5).
Una vez finalizado el procedimiento quirúrgico, se administró flumazenilo a 0,01 mg/kg y se procedió a la recuperación del paciente en quirófano, continuando con las IC de NA, lidocaína y fentanilo.
A continuación, se procedió a la enterectomía del segmento intestinal afectado, que presentaba un color morado oscuro y una dilatación grave de la luz en su extremo caudal, y alcanzaba aproximadamente los 60 cm de longitud. En ese momento se realizó una gasometría arterial (reseñable pH 7,37; potasio 3,3 mmol/l, que comenzó a suplementarse; BE –6,3 mmol/l, PCO2
32 mmHg) y lactato venoso (4,4 mmol/l) (figura 4). Debido a la disparidad entre los diámetros luminales, se realizó una anastomosis latero-lateral con puntos simples con sutura monofilamento absorbible 4/0 y una omentalización.
Ante la persistente hipotensión (PAM 35-45 mmHg) (figura 6) se procedió a aumentar la velocidad de IC del plasma (40 ml/kg/hora) y de NA (2 mcg/kg/min), se administraron dos bolos de fenilefrina de 1 mcg/kg y se observó una mejoría de las presiones (PAM 55-60 mmHg). Las presiones arteriales mejoraron paulatinamente hasta lograr PAM estables en torno a 70-80 mmHg, tras lo cual se redujo la IC de NA hasta la finalización de la cirugía, donde se mantuvo la NA a razón 0,25 mcg/ kg/min. En ese momento se realizó una nueva gasometría arterial (reseñable pH 7,32; potasio 3,7 mmol/l; BE –6,8 mmol/l; PCO2 36 mmHg).
Antes del cierre rutinario de la laparotomía, se lavó profusamente tanto el área de la sutura (figura 7) como la cavidad abdominal con solución de lavado atemperada, con el fin de minimizar la contaminación residual por translocación bacteriana y/o contaminación intraoperatoria. Una vez finalizado el procedimiento quirúrgico, se administró flumazenilo a 0,01 mg/kg y se procedió a la recuperación del paciente en quirófano, continuando con las IC de NA, lidocaína y fentanilo.
Posoperatorio
Se transfirió al paciente a hospitalización, donde se prosiguió con la monitorización continua y se repitió el análisis de parámetros analíticos a las 4 horas. Ante la existencia de hipoalbuminemia (albúmina 1,8 g/dl), se realizó nueva transfusión de PFC.
La evolución del caso fue positiva: el paciente accedió a la alimentación voluntaria a las 26 horas (vídeo) y comenzó a defecar con normalidad. A las 36 horas, el hematocrito descendió a 17 % en ausencia de sangrado, por lo que se transfundió un concentrado de eritrocitos.
Se realizó una desescalada analgésica progresiva guiada por la evaluación del dolor (escala de Glasgow modificada) y se dio el alta hospitalaria a los 7 días, con excelente evolución médica.
Se realizó una desescalada analgésica progresiva guiada por la evaluación del dolor (escala de Glasgow modificada) y se dio el alta hospitalaria a los 7 días, con excelente evolución médica.
Discusión y conclusiones
La pronta asistencia a nuestro hospital, seguida de una estabilización rápida por parte del servicio de urgencias, el diagnóstico precoz y la inmediata laparotomía exploratoria2, lograron que el paciente tuviera una evolución favorable.
Se definió la clasificación de riesgo anestésico como ASA 5 “E”, lo cual significa el riesgo más alto de la escala, con
Vídeo. El paciente accedió a la alimentación voluntaria a las 26 horas de la intervención.
El objetivo del protocolo anestésico fue disminuir al máximo posible la utilización de anestésicos inyectables en la inducción, así como prescindir tanto de ellos como de los inhalatorios durante el mantenimiento anestésico debido a la condición de shock del paciente, que potenciaría sus efectos depresores hemodinámicos.
la necesidad de un proceso quirúrgico de emergencia. El objetivo del protocolo anestésico fue disminuir al máximo posible la utilización de anestésicos inyectables en la inducción, así como prescindir tanto de ellos como de los inhalatorios durante el mantenimiento anestésico debido a la condición de shock del paciente, que potenciaría sus efectos depresores hemodinámicos.
La terapia tanto de fluidos (cristaloides y coloides) como de vasopresores, guiada tanto por ecocardiografía como
por el análisis de la onda de pulso arterial, permitieron estabilizar la hemodinamia. Esto, sumado a la reducción del potencial impacto de los anestésicos generales, podría aumentar la posibilidad de éxito frente a una patología potencialmente mortal, cuya tasa mortalidad puede ascender al 100 %3
La correcta coordinación entre los servicios de urgencias, diagnóstico por imagen, anestesia, cirugía y hospitalización es fundamental para optimizar los resultados de los pacientes críticos.
Figura 7. Lavado profuso de la sutura intestinal realizada. Bibliografía: 1. Slatter D (ed.) Textbook of Small Animal Surgery, 3rd edn. Philadel- phia: WB Saunders, 2003. 2. Junius G, Appeldoorn A M, Schrauwen. Mesenteric volvulus in the dog: a retrospective study of 12 cases. Small Anim Pract. 2004 Feb;45(2):104-7 3. Fossum TW: Cirugía en pequeños animales, tercera edición, Intermédica Ed, 1999. 4. Manual de anestesia y analgesia en pequeños animales BSAVA. Ediciones S. 2017. 5. Shealy PM, Henderson RA. Canine intestinal volvulus. A report of nine new cases. Vet Surg 1992; 21(1): 15Según los resultados de este estudio, esta técnica aporta información útil en las patologías de las vías urinarias bajas y de la vejiga urinaria, algo esencial para el diagnóstico certero y la planificación quirúrgica de dichos procesos.
El presente estudio describe la técnica de uretrografía/vaginouretrografía retrógrada por tomografía computarizada (TC) mediante inyector mecánico en el diagnóstico de patologías de vías urinarias bajas en 6 pacientes caninos. La técnica realizada se basa en la descrita por Kang et al. (2020), modificando la concentración de contraste a 75 mg yodo/ml (el artículo describe una concentración de 15 mg de yodo/ml). Se incluyen 6 casos de pacientes caninos con diferentes patologías urinarias de vías bajas, estableciendo un diagnóstico de uretritis, mal posicionamiento de la vejiga, 3 trayectos fistulosos y ruptura vesical asociada a un proceso neoplásico. Según los resultados, la uretrografía retrógrada con TC utilizando inyector mecánico, aporta información útil en las patologías de las vías urinarias bajas, para obtener un detalle preciso en 3D de la uretra en todo su recorrido, así como de la vejiga urinaria, siendo esencial para el diagnóstico certero y planificación quirúrgica de dichos procesos.
Introducción y objetivos
La uretrografía retrógrada es una técnica de contraste en la que se evalúa la uretra y vejiga administrándose contraste iodado por la uretra, mediante una sonda Foley.1,2 Está indicada ante la sospecha de patologías que afecten a la uretra.2 La principal diferencia entre realizar esta técnica con radiografía o con tomografía computarizada (TC), es que en esta última se consigue mayor detalle anatómico y se evita la superposición de estructuras.1 El uso del inyector mecánico en la TC ayuda a reducir la variabilidad interoperador al inyectar el contraste a un flujo de velocidad constante, y evita la exposición a radiación del operador al poder realizar el procedimiento desde la sala de control.2 No existen muchos estudios acerca de su uso y no existe un protocolo estandarizado, por lo que cada autor usa dosis y concentraciones diferentes.2,3 El objetivo del presente estudio fue la descripción de la técnica de uretrografía retrógrada por TC mediante inyector mecánico en el diagnóstico de patologías de vías urinarias bajas en 6 pacientes caninos.
Material y métodos
Se trató de un estudio retrospectivo que incluye seis casos clínicos de pacientes caninos con sintomatología de vías urinarias bajas a los que se les realizó una uretrografía retrógrada por TC mediante inyector mecánico. Para realizarlo, se utilizó el protocolo del artículo de Kang et al. (2020), aunque modificado; ya que
en este artículo se utilizan dos sondas Foley, una de ellas para vaciar la vejiga; a continuación, se retira esa sonda y se administra una nueva sonda para realizar la uretrografía retrógrada; realizándose la dilución a razón de 1:20, 15 mg de yodo/ ml, y con una dosis de administración de 1 ml/kg y ratio de inyección de 0,3 ml/s. Los pacientes se posicionaron en decúbito dorsal bajo anestesia general. A conti-
mostró cambios renales crónicos (riñones de pequeño tamaño y de contorno irregular) con mineralizaciones renales bilaterales y un engrosamiento de la pared uretral con captación de contraste; permitiendo diferenciar con la uretrografía retrograda la luz y descartar alteraciones luminales. El diagnóstico diferencial más probable fue uretritis debido a las alteraciones prostáticas (figura 1).
La principal diferencia entre realizar esta técnica con radiografía o con tomografía computarizada (TC), es que en esta última se consigue mayor detalle anatómico y se evita la superposición de estructuras.1
nuación, se realizó un estudio de TC (Siemens® Somatom Scope de 16 cortes) en vacío y con contraste intravenoso (a razón de 600 mg/kg de contraste iodado no iónico Omnipaque® 300 mg/ml) en dosis de 2 ml/kg, iniciando el escáner a los 40 segundos tras el inicio de la administración de contraste. Posteriormente se realizó una uretrografía retrógrada con inyector mecánico de contraste Medrad® Stellant, insertando una sonda Foley en la vejiga urinaria con la finalidad de vaciar la orina, para retirarla posteriormente hasta el extremo distal de la uretra peneana -uretrografía- o hasta el vestíbulo vaginal -vaginouretrografía- donde se rellenó el balón con suero fisiológico. Se realizó una dilución 1:4 de contraste iodado no iónico (Omnipaque® 300 mg/ml) (75 mg de yodo/ml) con suero fisiológico para inyección, purgando la sonda previamente. La dosis de administración fue de 1 ml/kg y el ratio de inyección de 0,3 ml/s
Resultados
Se incluyeron 6 casos de pacientes caninos donde se realizó una uretrografía/vaginouretrografía retrógrada. En todos los estudios de TC se pudo realizar una correcta valoración del tamaño, pared, contenido e integridad de la uretra, así como tamaño, posición, contenido e integridad de la vejiga y grosor de la pared.
Caso 1
Yorkshire Terrier, macho castrado de 13 años, que acudió a consulta por un cuadro de incontinencia urinaria, estranguria y disuria. Se le realizó una ecografía abdominal, en la que se observó la próstata con parénquima heterogéneo y nódulos mal definidos y mineralizados, compatible con una prostatitis crónica o un proceso neoplásico. Posteriormente se le realizó TC con uretrografía retrógrada. El estudio
Caso 2
Teckel, hembra esterilizada de 6 años. Acudió a consulta por incontinencia urinaria e infección de las vías urinarias de forma recurrente. Además, presentaba una fístula vaginouretral como consecuencia de un parto distócico. En la ecografía abdominal presentaba aumento del grosor de la pared vesical, sedimento vesical y una cavidad ciega llena de líquido ecogénico que comunicaba probablemente con la uretra. Se realizó una vaginouretrografía retrógrada por TC donde se observó un trayecto fistuloso de 3-4 mm de diámetro y 1,7 cm de longitud entre la uretra y la vagina, permitiendo visualizar todo el trayecto con esta técnica para realizar una adecuada planificación quirúrgica (figura 2).
Caso 3
Galgo Español, hembra fértil de 8 años, que acudió a consulta por un cuadro de debilidad generalizada aguda con poliuria y polidipsia de 48 horas de evolución. Se realizó una ecografía abdominal en la que se observó moderada efusión peritoneal,
esplenomegalia, engrosamiento de la pared vesical, distensión gástrica, reacción peritoneal, corrugación del intestino delgado, linfadenomegalia ilíaca medial y engrosamiento endometrial. Tras realizar una abdominocentesis, se analizó el líquido abdominal que resultó compatible con orina (uroabdomen).
Se realizó un TC de tórax y abdomen. En el tórax se observaron múltiples nódulos pulmonares compatibles con metástasis pulmonar con leve efusión pleural. En el abdomen se reportaron los mismos hallazgos que en la ecografía y se realizó una uretrografía retrógrada para investigar el origen del líquido libre. La uretrografía retrógrada reveló la pared de la vejiga engrosada de forma difusa, compatible con una neoplasia con extensión hasta la uretra donde también se observó la pared engrosada. También se evidenció una laceración de la pared del cuerpo vesical por el lado derecho, con ruptura de esta y extravasación del contraste en el abdomen (figura 3).
Caso 4
Pachón Navarro, hembra entera, de un mes de edad, que presentaba una atresia anal, evidenciándose excreción de contenido fecal por la vagina y vulva. Se realizó un estudio de TC de abdomen con vaginouretrografía retrógrada donde se observó una atresia anal con una fístula rectovaginal, aumento del grosor de la pared del colon y el recto, agenesia renal izquierda con hipertrofia compensadora renal derecha, duplicación ureteral derecha en “Y” invertida, duplicación de la vena cava caudal en el segmento pre-renal, y hernia en la pared abdominal ventral (figura 4).
Caso 5
Boxer, hembra entera, de 1 año, con incontinencia e infecciones urinarias recu-
rrentes. Se realizó un TC con vaginouretrografía retrógrada donde se observó una posición anómala de la vejiga, con una localización intrapélvica, leve engrosamiento focal de la pared de la vejiga en la zona del cuello vesical y sedimento urinario; descartando alteraciones luminales uretrales.
Caso 6
Bulldog Francés, macho castrado, de 7 años, con excreción de orina por la zona anal. Se realizó un estudio de TC de abdomen en el que se observó esplenomegalia heterogénea con dos lesiones nodulares, infarto esplénico y linfadenopatía esplénica. En la uretrografía retrógrada se visualizó una fístula uretrorectal y engrosamiento de la pared de la vejiga (figura 5).
Discusión y conclusiones
El uso del medio de contraste con inyector mecánico en TC para la realización de una uretrografía/vaginouretrografía retrógrada es de mayor utilidad para un mejor diagnóstico de las diversas patologías que se pueden encontrar en las vías urinarias inferiores y la exacta localización de la patología. Existen otras técnicas que permiten la visualización de la uretra y vejiga como la cistografía de contraste positivo, negativo o doble contraste y la uretrografía retrógrada en radiografía.4 No obstante, con la TC se puede evaluar la luz de la uretra en 3D ob-
teniendo un mejor detalle anatómico para una mejor planificación quirúrgica.2,5
Cuando se utiliza el inyector mecánico en esta técnica, se crea la máxima distensión de la uretra y de la vejiga, debido a la presión ejercida y al volumen de fluido introducido, y esto proporciona una mejor información anatómica, importante en casos de estenosis donde permite medir el diámetro transversal de la uretra en cada tramo2,3 y en fistulas, donde se observa el trayecto fistuloso permitiendo una planificación quirúrgica, como ya se ha descrito previamente.4
Otra de las ventajas que tiene el uso del inyector es que no sea necesaria la pre-
sencia física de un operador en la sala durante el procedimiento evitando la exposición a la radiación del personal, así como una menor variabilidad en los estudios debido justamente a la ausencia de personal en la sala realizando la inyección del contraste.
Como conclusión, la uretrografía retrógrada con TC utilizando inyector mecánico aporta información útil en las patologías de las vías urinarias bajas, para obtener un detalle preciso en 3D de la uretra en todo su recorrido, así como de la vejiga urinaria, siendo esencial para el diagnóstico certero y planificación quirúrgica.
Bibliografía:
1. Longo, M., Andreis, M. E., Pettinato, C., Ravasio, G., Rabbogliatti, V., De Zani, D., Di Giancamillo, M., & Zani, D. D. (2016). Use of the bolus tracking technique for the tomographic evaluation of the uretero-vesicular junction in dogs and assessment of dose records. BMC Veterinary Research, 12(1). https://doi.org/10.1186/S12917-016-0690-Z
2. Kang, K., Kim, K., Oh, D., Choi, J., Choi, M., & Yoon, J. (2020). Retrograde CT urethrography using a power injector quantitatively reveals effects of bladder distension on urethral size in healthy male Beagle dogs. Veterinary Radiology and Ultrasound, 61(3), 302-311. https://doi.org/10.1111/ vru.12849
3. Kang, K., Moonjung, J., Kyeong, U. C., Oh-Kyeong, K., Mincheol, C. & Yoon, J. (2019). Antegrade and retrograde CT uretrography with virtual urethroscopy in a dog with urethral narrowing after bilateral triple pelvic osteotomy. Veterinary Radiology and Ultrasound, 2019;1-6. doi: 10.1111/vru.12799
4. Agut A, Carrillo JD, Anson A, Belda E, Soler M. (2016) Imaging diagnosis-urethrovaginal fistula caused by a migrating grass awn in the vagina. Vet Radiol Ultrasound. 2016 May;57(3):E30-3. doi: 10.1111/vru.12311.
5. Bruwier, A., Godart, B., Gatel, L., Leperlier, D., and Bedu, A.S. (2022) Computed tomographic assessment of retrograde urohydropropulsion in male dogs and prediction os stone composition using Hounsfield unit in dogs and cats. Journal of Veterinary Science., 2022. https://doi. org/10.4142/jvs.22109.
La enteropatía perdedora de proteínas (EPP) en perros es un síndrome heterogéneo que hay que abordar de manera individualizada y en el que la modificación dietética es una parte importante del tratamiento en muchos casos.
Veterinaria, Acre. GTNC AVEPA
Comunicación Científica Royal Canin
La EPP se caracteriza por la pérdida excesiva de proteínas a través de la mucosa intestinal, que se produce por un deterioro de la permeabilidad y de la absorción de proteínas por alteración de la mucosa y/o debido a la alteración concomitante de la función linfática y la pérdida de linfa rica en proteínas. Se aso-
cia con diferentes enfermedades, entre las que se encuentran principalmente la enteropatía inflamatoria crónica (EIC) y la linfangiectasia intestinal (LI) o la combinación de ambas, aunque también puede ser debida a linfoma gastrointestinal o a algunas enfermedades infecciosas y parasitarias1
Su pronóstico es reservado independientemente de que la causa subyacente sea EIC, LI o ambas y la mortalidad como consecuencia de la enfermedad se produce en el 54,2 % de los casos. La malnutrición es muy prevalente en estos pacientes y llevar a cabo una evaluación nutricional en la consulta es muy importante porque está relacionada con el pronóstico2
La presentación clínica de la EPP en el perro, independientemente de la causa que la produjo2 se suele manifestar con signos gastrointestinales crónicos recidivantes o progresivos, pérdida de peso y signos asociados a la hipoalbuminemia (p. ej., ascitis, derrame pleural, edema subcutáneo). La diarrea, la pérdida de peso y la disminución del apetito son los signos más frecuentes, mientras que los vómitos son menos habituales. En el 5-10 % de los casos no se observan signos gastrointestinales y los signos asociados a la hipoalbuminemia suelen ser el motivo de consulta. Con menos frecuencia, la consulta se debe a los signos relacionados con las complicaciones sistémicas de la EPP; por ejemplo, un perro con una baja concen-
suele recomendar una dieta baja en grasas, para disminuir la formación de quilomicrones y evitar así la dilatación linfática, mientras que en perros con una EIC se suele recomendar una dieta con proteína novel o hidrolizada. En muchos casos al comienzo de la terapia no se sabe cuál sería el manejo nutricional más adecuado y con frecuencia es necesario seguir un enfoque de ensayo y error con la dieta que se elija hasta dar con la mejor para cada caso individual. En teoría, la dieta ideal debe ser altamente digestible, a base de proteína hidrolizada en cantidad adecuada y restringida en grasas, es decir con menos de 20 g de grasa/Mcal. Esta opción ya está comercialmente disponible y puede ser una primera opción para comenzar el ensayo dietético. En perros con EPP causada por LI se suele observar una notable mejoría con una dieta baja en grasas, pero en algunos casos el paciente puede requerir una restricción de grasas todavía mayor que la que pueden proporcionar las dietas comerciales y, en perros con EIC junto con una LI significativa, puede ser necesaria una dieta casera formulada por un veterinario especialista en nutrición para poder abordar ambos problemas5
Estos perros están en estado catabólico y pueden tener un balance energético y proteico negativo importante, por lo que es esencial proporcionar la nutrición adecuada.
tración de calcio iónico puede presentar temblores, prurito facial o convulsiones focales o generalizadas, y un perro con tromboembolismo puede presentar signos respiratorios, neurológicos o musculoesqueléticos1,3,4
Manejo nutricional
Para muchos especialistas la modificación dietética es clave en el tratamiento de la EPP. Estos perros están en estado catabólico y pueden tener un balance energético y proteico negativo importante, por lo que es esencial proporcionar la nutrición adecuada. Además, el tratamiento de la EPP causada por una EIC o una LI se basa en el manejo dietético. En teoría, la dieta ideal debe ser altamente digestible, con una cantidad adecuada de proteínas y restringida en grasas, pero en la práctica, a la hora de elegir la mejor estrategia dietética, también se debe tener en cuenta el historial alimentario previo del perro. En perros con LI se
Otras características nutricionales que se deben considerar incluyen la textura del alimento (seco o húmedo), la frecuencia de la alimentación y la cantidad suministrada (en perros con EPP suele ser beneficioso administrar varias comidas pequeñas al día) y el contenido de fibra. En algunos casos la suplementación con fibra puede ser beneficiosa.
La mayoría de los perros que responden a la dieta lo hacen en las dos semanas siguientes al comienzo del ensayo, aunque se han reportado casos en los que han sido necesarias hasta 8 sema-
Bibliografía:
nas. Sin embargo, la respuesta individual de cada paciente va a depender de la composición de la dieta seleccionada y pueden ser necesarios múltiples ensayos dietéticos antes de considerar que nos enfrentamos a una enfermedad que no responde a la dieta.
La dieta ideal debe ser altamente digestible, a base de proteína hidrolizada en cantidad adecuada y restringida en grasas.
Además, a veces también nos encontramos el reto de un paciente inapetente que no acepta la dieta que se va a probar. Una lenta transición al nuevo alimento y modificación del entorno incluyendo presentar pequeñas cantidades de alimento de forma frecuente, ofrecer la comida en diferentes lugares e incluso diferentes tipos de comederos puede ser de ayuda. También se debe considerar la posibilidad de alimentación por sonda en pacientes con enfermedad grave y en estado catabólico que no comen voluntariamente.
El manejo nutricional de los pacientes con EPP puede ser frustrante en muchas ocasiones para el cuidador del animal. Es muy importante que el clínico desde el principio advierta que pueden ser necesarios varios ensayos dietéticos y que el seguimiento del animal va a ser imprescindible.
La enteropatía perdedora de proteínas (EPP) en el perro es un síndrome heterogéneo cuya causa más frecuente es la enteropatía inflamatoria crónica, la linfangiectasia intestinal o la combinación de ambas. El tratamiento debe adaptarse a cada caso en función de la causa específica, teniendo en cuenta que en muchos casos la modificación dietética puede ser la pieza clave del tratamiento.
1. Craven, MD, Washabau, RJ. Comparative pathophysiology and management of protein-losing enteropathy. J Vet Intern Med. 2019; 33: 383–402.
2. Wootton, FE, Hoey, CSFK, Woods, G, et al. An undernutrition screening score for dogs with protein-losing enteropathy: A prospective multicenter study. J Vet Intern Med. 2023; 37(5): 1821-1829
3. Dossin O, Lavoué R. Protein-losing enteropathies in dogs. Vet. Clin. North Am. Small Anim. Pract. 2011;41(2):399418
4. Allenspach K, Iennarella-Servantez C. Canine protein losing enteropathies and systemic complications. Vet. Clin. North Am. Small Anim. Pract. 2021;51(1):111-122.
5. Jablonsky, SA,(2023) Canine Protein Losing Enteropathy: An update. Veterinary Focus 33.1; 21-27
Los resultados de los métodos de diagnóstico combinados de la prueba de antígenos del FeLV por ELISA y la PCR cuantitativa en tiempo real proporcionan datos más objetivos para la estadificación, la evaluación de la probabilidad de supervivencia a largo plazo y el seguimiento de las infecciones por el FeLV.
expuesto al virus, la infección puede ser progresiva, regresiva o abortiva.1,4
El virus de la leucemia felina (FeLV), como retrovirus, utiliza su enzima transcriptasa inversa para crear un ADN complementario de su ARN genómico. Este ADN provírico se inserta en el ADN genómico de la célula felina infectada cuando se divide. Mientras esa célula sobreviva o dé lugar a nuevas células, el ADN provírico del FeLV persiste y deja una huella del virus infeccioso. Los estudios que utilizan la reacción en cadena de la polimerasa (PCR) para detectar el ADN provírico del FeLV indican que la mayoría de los gatos tendrán pocas probabilidades de eliminar la infección.2,3
• Una infección abortiva es aquella en la que el sistema inmunitario del gato elimina el virus antes de la integración del ADN provírico en los linfocitos en división.
• En un gato con infección regresiva, el ADN provírico del FeLV se integra en las células del huésped, pero una respuesta inmunitaria eficaz suprime su replicación, controlando la propagación de la infección antes de una viremia secundaria. Estos gatos tienen un riesgo reducido de diseminar el virus y desarrollar una enfermedad relacionada con el FeLV.
• Un gato con infección progresiva presenta infección de la médula ósea y
Las pruebas rápidas para el antígeno p27 del FeLV en sangre completa, suero o plasma se utilizan con frecuencia para detectar la infección por el FeLV en las clínicas veterinarias y en refugios de animales1, siendo recomendable confirmar los resultados positivos del cribado obtenidos en consulta por el laboratorio de referencia.
El FeLV es un virus muy contagioso. La transmisión se produce entre gatos que tienen un contacto estrecho (vía oronasal a través de la saliva por aseo mutuo, bebederos y comederos compartidos) o a través de heridas por mordedura. La transmisión vertical también puede producirse entre una gata y sus gatitos. En función de la edad y el estado de salud e inmunológico del gato
viremia secundaria por una respuesta inmunitaria ineficaz, y tiene mayor riesgo de diseminar el virus y desarrollar enfermedad.
• Algunos especialistas consideran que existe una cuarta fase de FeLV denominada infección focal o atípica. El sistema inmunitario del gato mantiene la replicación del virus secuestrada en determina-
Figura 1. Estadios del FeLV.
La infección comienza con la integración provírica y la replicación del virus en los tejidos linfoides o la orofaringe.
Viremia primaria
Viremia secundaria
Los linfocitos y las células mononucleares infectados por virus propagan la infección a otros órganos linfoides y a la médula ósea.
Los monocitos, los granulocitos y las plaquetas infectados de la médula ósea propagan la infección a los tejidos epiteliales asociados con la diseminación del virus.
Infección regresiva
El sistema inmunitario influye en la extensión de la viremia secundaria
Infección progresiva
Tabla 1. Resultados esperados de la prueba de antígenos del FeLV por ELISA y de la prueba PCR cuantitativa de FeLV para cada estadio de la enfermedad.
Estadio de la infección Antígeno de FeLV por ELISA FeLV Quant RealPCR
No infectado (abortiva) Negativo Negativo
Regresiva Negativo Positivo
Positivo
Progresiva
Positivo
Positivo (<1x106 copias/ml) Mayor probabilidad de supervivencia a largo plazo
Positivo (≥1 × 106 copias/ml) Menor probabilidad de supervivencia a largo plazo
Focal o atípica Positivo Negativo
dos tejidos. La producción y liberación de antígeno p27 del FeLV libre en la sangre con integración del provirus puede ser intermitente en estos gatos.
Si la respuesta inmunitaria no elimina el virus tras la exposición inicial, el FeLV se propaga a la médula ósea e infecta las células precursoras hematopoyéticas.2 La infección por FeLV de los tejidos hematopoyéticos y linfoides puede causar pro-
con frecuencia para detectar la infección por el FeLV en las clínicas veterinarias y en refugios de animales1, siendo recomendable confirmar los resultados positivos del cribado obtenidos en consulta por el laboratorio de referencia.
La PCR en tiempo real detecta el ADN provírico y, por lo tanto, es útil para confirmar la presencia de infecciones por FeLV que han progresado a la médula ósea.2,3
La estadificación de las infecciones por el FeLV refleja el estadio de la enfermedad en el momento de la prueba, que puede cambiar con el tiempo según el estado de salud e inmunológico del gato.
liferación celular (dando lugar a linfoma o leucemia) o mielodepresión.2 A su vez, puede provocar una desregulación inmunitaria y una mayor susceptibilidad a las infecciones oportunistas y coinfecciones (FIP, FIV, vías respiratorias altas, micoplasmas hemotrópicos, estomatitis) que se observan en las infecciones progresivas por FeLV.
Diagnóstico de la infección por el FeLV
La American Association of Feline Practitioners recomienda realizar la prueba de antígenos del FeLV a todos los gatos en el momento de su adquisición, antes de la vacunación inicial, tras la posible exposición a gatos infectados por el FeLV y como parte de cualquier evaluación diagnóstica. Las pruebas con tecnología ELISA para detectar la proteína p27 del FeLV se pueden realizar tanto en consulta como en el laboratorio de referencia. Las pruebas rápidas para el antígeno p27 del FeLV en sangre completa, suero o plasma se utilizan
Estadificación de las infecciones confirmadas por el FeLV
Recientemente, estudios de gatos infectados por el FeLV han demostrado que existe una correlación entre el estado de la infección y las cargas de ARN vírico y ADN provírico.7,8 Es necesario tener un enfoque práctico de las pruebas de seguimiento y no olvidar que el FeLV se representa más como un espectro de enfermedad que puede ser crónica, aunque manejable, en lugar de como un estado patológico estático. La estadificación de las infecciones por el FeLV refleja el estadio de la enfermedad en el momento de la prueba, y dicho estadio puede cambiar con el tiempo según el estado de salud e inmunológico del gato, como sucede con otras infecciones víricas crónicas. El pronóstico para gatos con infecciones progresivas varía en función de su estado inmunológico, el grado de estrés o la presencia de enfermedades concurrentes. Algunos
gatos con infección progresiva pueden no manifestar síntomas clínicos durante varios años. Del mismo modo, los gatos con una infección regresiva pueden no manifestar síntomas clínicos o volver a una infección progresiva en caso de inmunodepresión, estrés o enfermedades concurrentes. Los gatos con infección regresiva pueden generar una respuesta inmunológica eficaz y obtener resultados negativos en la PCR o las pruebas de antígenos. Una sola prueba de detección puede no ser suficiente para determinar el pronóstico a largo plazo de la infección por el FeLV en gatos.
La presencia del antígeno p27 del FeLV, cuando se confirma con la prueba de antígenos del FeLV por ELISA del Laboratorio, indica que existe una infección por el FeLV, pero no indica el estadio de la infección. Se recomienda un enfoque multimodal que utilice tanto la prueba de antígenos del FeLV por ELISA como la PCR cuantitativa en tiempo real, que detecta el ADN provírico del FeLV integrado, para estadificar a los pacientes potencialmente infectados por el FeLV.
Se recomienda un enfoque multimodal que utilice tanto la prueba de antígenos del FeLV por ELISA como la PCR cuantitativa en tiempo real, que detecta el ADN provírico del FeLV integrado, para estadificar a los pacientes potencialmente infectados por el FeLV.
Las infecciones progresivas con cargas elevadas de ARN vírico y ADN provírico se han asociado a una menor probabilidad de supervivencia a largo plazo, mientras que las infecciones progresivas con cargas bajas de ADN provírico presentan una mayor probabilidad de supervivencia a largo plazo.2,3,9 Asimismo, se ha documentado una correlación positiva entre estas medidas moleculares y los niveles del antígeno p27.2,3,8,9 Utilizando la correlación entre las cargas de ADN provírico y las concentraciones de antígeno p27, hemos definido un punto de corte para la PCR cuantitativa en tiempo real del FeLV en 1 × 106 copias/ml. Las copias a partir de este valor suelen ser compatibles con una menor probabilidad de supervivencia a largo plazo. Los valores inferiores a 1×106 copias/ml, en cambio, suelen ser compatibles con una mayor probabilidad de supervivencia a largo plazo. Los resultados de los métodos de diagnóstico combinados de la prueba de antígenos del FeLV por ELISA y la PCR cuantitativa en tiempo real proporcionan datos más objetivos para la estadificación, la evaluación de la probabilidad de supervivencia a largo plazo y el seguimiento de las infecciones por el FeLV.
PCR cuantitativa de FeLV en sangre
La prueba PCR cuantitativa en tiempo real de FeLV en sangre, cuando se considera junto con la historia clínica y los resultados de la prueba de antígenos del FeLV por ELISA, proporciona una estimación de la probabilidad de supervivencia a largo plazo. La evaluación de los cambios en los valores cuantitativos a lo largo del tiempo también puede ser útil para supervisar la reversión de un gato de una enfermedad regresiva a una progresiva, algo que puede llegar a ser preocupante en
momentos de estrés o de enfermedad concurrente. La combinación de la prueba de antígenos del FeLV por ELISA y la prueba PCR cuantitativa de FeLV en sangre, se recomienda como prueba confirmatoria y de estadificación tras una prueba rápida de detección de antígeno del FeLV en consulta. La prueba PCR cuantitativa de FeLV en sangre se puede utilizar también para controlar la progresión de la enfermedad a lo largo del tiempo.
Manejo de gatos positivos
Comprender el estadio actual de la infección permite a los veterinarios informar sobre las consecuencias de introducir
un nuevo felino en hogares o instalaciones con otros gatos, indicar los cuidados adecuados y mostrar las pautas necesarias para controlar el estado de salud de estas mascotas.
• Gestión: los gatos infectados por el FeLV deben ser sometidos a revisiones sanitarias preventivas al menos cada 6 meses para detectar rápidamente cambios en su estado de salud.1
• Comorbilidades: los gatos infectados por el virus FeLV pueden enfermar debido a afecciones no relacionadas con la infección. Determinar su estadio actual puede ayudar a distinguir las comorbilidades de la enfermedad FeLV progresiva.
• Pronóstico: se espera que los gatos con infección regresiva y baja carga de ADN provírico sobrevivan más tiempo que los gatos con infecciones progresivas y alta carga de ADN provírico. No obstante, algunos gatos con infección progresiva pueden vivir años.
Referencias: https://www.idexx.es/es/ veterinary/support/documentsresources/references-article-felv/
La Asociación del Cuerpo Nacional Veterinario (ACNV), tras la renuncia de Ana Rodríguez Castaño como presidenta, convocó elecciones el 5 de mayo, donde fue aclamada por unanimidad Esperanza Orellana Moraleda, exdirectora general de Producciones y Mercados Agrarios del Ministerio de Agricultura, Pesca y Alimentación (MAPA). Tras asumir el cargo, presentó a su nuevo equipo: Mario de la Cueva Escobar (vicepresidente), Alejandro Lastras Gutiérrez (secretario), Manuel García Gómez (tesorero), Beatriz Cruz Pérez, Javier Sierra Andrés, Adrián Martínez Vieira y Ana Charle Crespo. La nueva presidenta resaltó durante la asamblea los pilares de su programa, centrados en la eficaz comunicación sobre el valor del sector agroalimentario y pesquero, donde los veterinarios son fundamentales.
Un grupo de veterinarios españoles visitó Niza los días 19 y 20 de abril para participar en la segunda edición de ALIVE (Animal Leishmaniosis International Veterinary Event), uno de los congresos internacionales más importantes a nivel mundial, invitados por Boehringer Ingelheim, patrocinador del evento. El congreso, organizado por la asociación LeishVet, tiene como principal objetivo facilitar un marco de intercambio de ideas entre todos los congresistas para que puedan compartir experiencias, casos clínicos reales y otros aspectos relacionados con la epidemiología, el diagnóstico, el tratamiento y la prevención de la leishmaniosis animal. Esta edición se celebró en formato híbrido, para poder facilitar la inscripción, que finalmente fue muy exitosa, con un total de 450 especialistas participantes.
LETI Pharma patrocinó y estuvo presente en el Congreso Internacional Veterinario de Leishmaniosis Animal (ALIVE 2), organizado por LeishVet y celebrado en Niza (Francia) del 18 al 20 de abril. Los especialistas más reconocidos en leishmaniosis animal compartieron durante dos jornadas sus más recientes investigaciones sobre esta enfermedad zoonótica endémica con presencia en más de 100 países a nivel mundial. El congreso contó con la participación de un total de 239 asistentes presenciales y 212 participantes online. Rubén Foj, medical scientific liaison en leishmaniosis del departamento médico de LETI Pharma, presentó los principales hallazgos de un estudio de campo en el que se evaluó la seroprevalencia de la infección por Leishmania infantum en más de 5.000 perros sanos procedentes de 32 clínicas veterinarias de 11 comunidades autónomas de España.
HV Puchol, Dômes Pharma y Centauro organizan un webinar de paciente intoxicado con más de 500 inscritos
El HV Puchol, Dômes Pharma y Centauro celebraron un webinar sobre pacientes intoxicados, impartido por Gloria Cerviño. Con una convocatoria de más de 500 inscritos, bajo el título “Guía práctica del paciente intoxicado”, la ponencia contribuyó a formar a los asistentes en relación con los aspectos clave del manejo inicial de pacientes intoxicados. Se hizo especial mención a las intoxicaciones por rodenticidas, fármacos como AINE, paracetamol, antidepresivos, benzodiacepinas, etilenglicol, y pesticidas/insecticidas, además de productos propios de toxicidad alimentaria como el ajo, la cebolla, el chocolate o las setas.
Dado que la oncología es una especialidad veterinaria en auge, AniCura Bahía de Málaga Referencia Veterinaria ha reforzado el área con un equipo de radioterapia, que complementa los servicios de cirugía, quimioterapia y electroquimioterapia. “La radioterapia es un tratamiento de vanguardia. Nuestro dispositivo permite tratar determinados tumores, así garantizamos un manejo integral de los pacientes oncológicos. La radioterapia nos permite controlar el tumor de una manera efectiva y evitar efectos negativos para optimizar la calidad de vida del paciente”, comenta Carlos Macías, practice manager del centro. Recientemente, recibió un caso referido donde intervinieron en otro centro a un gato con sarcoma asociado al punto de inyección con márgenes quirúrgicos comprometidos. AniCura Bahía de Málaga apostó por la radioterapia como tratamiento eficaz para retrasar o evitar la recaída del tumor.
IVE ofrece una biblioteca de contenidos gratuitos para veterinarios y ATV
AVEDE firma un convenio con el Colegio de Valencia
La veterinaria es una profesión en constante evolución en la que la formación continua juega un importante papel. En este sentido, y para que los veterinarios puedan continuar ampliando sus conocimientos, Improve Veterinary Education ha querido enfocarse en la creación de contenidos de valor a los que pueden acceder los profesionales de forma gratuita. Desde el mes de abril, la empresa ha lanzado una serie de webinars con ponentes de primera línea y temas muy demandados por los profesionales clínicos desde urgencias hasta oncología y clínica de felinos. Además de los webinars, IVE ha estado publicando numerosos artículos semanales en su página web. Su objetivo es captar la atención de los veterinarios con temas relevantes y actuales como el burnout, el papel de la mujer veterinaria o cómo mejorar el trabajo en equipo en la clínica, brindando así información valiosa y diferentes perspectivas. En los próximos meses, la empresa tiene previsto publicar más contenido educativo relacionado con sus manuales clínicos y posgrados, aumentando así el acceso a material de alta calidad fortaleciendo la comunidad veterinaria. Para los interesados, IVE invita a suscribirse a su newsletter y a seguirlo en redes sociales para estar al tanto de todas las novedades.
Ceva Sante Animal colaboró activamente con el Segundo Congreso Internacional sobre Leishmaniosis Animal (ALIVE 2024), organizado por el Comité Científico de LeishVet del 18 al 20 de abril en Niza (Francia). La compañía, patrocinadora del encuentro, aprovechó su presencia para celebrar el décimo aniversario de Vectra 3D, una sólida herramienta para la prevención gracias a su efecto repelente demostrado que actúa por contacto frente a flebótomos transmisores de Leishmania infantum. Durante ALIVE 2024 se presentaron dos comunicaciones orales relacionadas con Ceva Salud Animal y el póster “Analysis of the current risk of Leishmania infantum transmission in Spain and Portugal using Ecological Niche Modelling and its future projection in climate change scenarios”, patrocinado por la compañía y elaborado por profesores de la Universidad de Salamanca.
LETI Pharma tiene una destacada participación como patrocinador en el VI Congreso Veterinario de Ibiza
LETI Pharma tuvo una destacada participación como patrocinador en el VI Congreso Veterinario de Ibiza, celebrado del 25 al 27 de abril. El evento congregó a expertos y profesionales veterinarios, ofreciendo un espacio de intercambio de conocimientos y avances en dermatología y oncología cutánea. LETI Pharma fue representado por dos de sus especialistas. Susana Vivancos, responsible veterinary technical advisor de LetiLab, analizó estrategias para optimizar los resultados de cultivos dermatológicos, destacando la importancia de estas técnicas en el diagnóstico y tratamiento de enfermedades cutáneas. Leire Queiruga, medical scientific liaison, recordó todos los servicios y beneficios que ofrece Letilab y sus cultivos innovadores, resaltando su utilidad para el diagnóstico preciso y la gestión efectiva de patologías dermatológicas.
La Asociación de Veterinarios Especialistas Diplomados de España (AVEDE) ha firmado un convenio con el Colegio de Veterinarios de Valencia para promocionar las diplomaturas de especialización y a los veterinarios diplomados especialistas europeos o americanos, quienes representan el máximo grado de formación y práctica veterinaria en su especialización correspondiente. Las organizaciones consideran necesario dar a conocer la existencia de las diplomaturas EBVS, ABVS o RCVS de especialización reconocidas en Europa y América de sus colegiados, ya que supone un avance cuantitativo y cualitativo, asegurando protección para veterinario y sociedad, al tiempo que constituye un vehículo de transmisión de conocimientos, habilidades y valores.
y AVEM refuerzan y consolidan su alianza para avanzar en el bienestar animal en España
La Asociación Española de Veterinarios Municipales (AVEM) y la Federación Española de Municipios y Provincias (FEMP) han formalizado un acuerdo de colaboración. Este acuerdo es el fruto de más de siete años de trabajo entre ambas entidades, fortaleciendo su relación y participando en actividades formativas y de transferencia de conocimiento en diferentes áreas de responsabilidad municipal y de habitual gestión veterinaria. Este convenio tiene por objeto el establecimiento de bases de colaboración a través de la Red de Gobiernos Locales +Biodiversidad, que permitan el desarrollo de acciones conjuntas encaminadas a la transferencia de conocimiento y mejora de la gestión de las especies de fauna urbana, los animales de compañía, la sanidad ambiental y la seguridad alimentaria.
AVEPA acredita a 26 nuevos veterinarios socios
Durante el pasado Congreso de Especialidades Veterinarias (GTA 2024), celebrado en Valencia, AVEPA llevó a cabo las pruebas teórico-prácticas de acreditación en las diferentes especialidades. En total, 26 nuevos veterinarios fueron acreditados. La asociación creó en 2010 el Programa de Formación y Acreditación a Especialidades con el objetivo mejorar la formación de sus socios y la excelencia en la profesión. Los grupos de especialidad, a través de su guía formativa, definen las competencias que el socio debe conocer y desempeñar adecuadamente para poder acreditarse mediante la justificación de un nivel de especialización en el área específica de conocimiento clínico veterinario de animales de compañía.
Boehringer Ingelheim muestra un fuerte crecimiento en 2023 y acelera sus desarrollos en fase avanzada
Boehringer Ingelheim ha anunciado una fuerte aceleración de sus desarrollos en fase avanzada a nivel global en 2023, a medida que los ensayos clínicos en áreas de investigación clave han evolucionado según lo previsto. Las inversiones en investigación y desarrollo aumentaron un 14,2 % hasta los 5.800 millones de euros, representando el 22,5 % de las ventas netas del grupo. Asimismo, estas aumentaron un 9,7% hasta los 25.600 millones de euros en 2023, impulsadas por un crecimiento de 10,3% en Salud Humana y un 6,9% en Salud Animal. Ambas áreas de negocio superaron la actuación en sus respectivos mercados. “Me complace ver lo equilibrado y sólido que se presenta nuestro porfolio”, afirma Hubertus von Baumbach, presidente del consejo de administración de Boehringer Ingelheim.
Dechra apoya a la organización
Not One More Vet y su misión de transformar la salud mental de los veterinarios
659 miembros del equipo de Dechra, de 22 países, participaron en mayo en “La carrera alrededor del mundo”, una prueba virtual para apoyar a la organización Not One More Vet (NOMV), cuya misión es transformar y mejorar el estado y la salud mental dentro de la profesión veterinaria. Los miembros de Dechra, a través de sus pasos, caminando, corriendo o pedaleando, ayudaron a visibilizar la labor de NOMV. Su participación no solo es una forma divertida y saludable de crear conciencia y recaudar fondos para NOMV, sino que también ayuda a consolidar el apoyo de Dechra al bienestar mental de las personas que trabajan en la profesión veterinaria.
“Desafío Ártico 2024” supera grietas, frío y tormentas para salvar a los perros del hielo
La novena edición de la expedición “Desafío Ártico: operación perros del hielo” regresó de su viaje por el mar de hielo de Groenlandia. El viaje los llevó por una travesía de más de 400 km, y que sirvió para repetir el censo de perros groenlandeses y constatar que, aunque su número se mantiene, hay espacio para el optimismo. “Nos llena de orgullo poder contribuir a la preservación de nuestro planeta y seguir con la labor pedagógica que venimos ejerciendo desde la Fundación y que con este proyecto nos ha permitido llegar a más de 300 colegios en toda España”, explica Ana Chinarro, presidenta de la Fundación Dingonatura.
Zoetis consigue la certificación
Great Place To Work por segundo año consecutivo
Ceva Salud Animal, en colaboración con el Grupo de Cardiología y Aparato Respiratorio (GECAR) de AVEPA, organizó una cena en el restaurante Veles e Vents de Valencia, que congregó a alrededor de 60 especialistas en un entorno ideal para el intercambio de conocimientos. La velada no solo ofreció vistas espectaculares al mar, sino que también se convirtió en un foro para hablar sobre la profesión de un modo distendido y estrechar lazos. Ceva Salud Animal planteó un ameno encuentro que favoreció y fomentó el intercambio de conocimientos y opiniones para dar forma al futuro de la cardiología veterinaria. El evento reforzó los lazos profesionales y permitió vislumbrar el prometedor horizonte de la cardiología veterinaria.
Ecuphar, empresa sponsor de LeishVet, participa en el segundo Congreso ALIVE
Ecuphar participó y patrocinó la segunda edición del Congreso ALIVE, celebrado en Niza del 18 al 20 de abril, que reunió a especialistas en leishmaniosis animal con veterinarios e investigadores de más de 100 países. Se presentaron estudios importantes y se actualizaron las facsheets de LeishVet para perros y gatos. Una de las novedades fue el reconocimiento de la domperidona (Leisguard) como fármaco a considerar en pacientes seropositivos bajos a leishmaniosis clínica pero sin signos clínicos. Este reconocimiento es fruto del estudio publicado en Parasites and Vectors (octubre de 2023) por la Universidad Autónoma de Barcelona, la Complutense de Madrid y la Universidad de Mesina (Italia). Evalúa la eficacia clínica y seguridad de Leisguard como inmunoterapia en perros seropositivos a L. infantum sin signos clínicos.
Elanco impulsa iniciativas para ayudar a mejorar el bienestar de los veterinarios
Este año, el Día Mundial de la Veterinaria reconoce al veterinario como un profesional esencial en el ámbito de la salud. Elanco Animal Health se une a esta conmemoración para poner en valor no solo la labor que realizan los profesionales veterinarios, sino también la importancia del cuidado de su salud y bienestar. En este sentido, Elanco lanza VitaVet, una plataforma dedicada a ofrecer apoyo al colectivo veterinario. Este espacio proporciona consejos útiles destinados a mejorar tanto el bienestar profesional como personal de los veterinarios y veterinarias. El contenido de estas recomendaciones está respaldado por datos científicos y ha sido elaborado con la colaboración de reconocidos expertos.
80 veterinarios de toda España se dan cita en el VI Congreso Veterinario de Ibiza
80 veterinarios de toda la geografía española repartidos entre la Comunidad Valenciana, Cataluña, Madrid, Galicia, País Vasco y Baleares se dieron cita en el VI Congreso Veterinario de Ibiza, celebrado del 25 al 27 de abril. Este encuentro nació con vocación de satisfacer las necesidades de formación de los veterinarios locales, y a la vez situarse y afianzarse en el panorama nacional de formación. “Lo vamos intentando edición tras edición, aportando un programa científico de calidad y trayendo a los mejores ponentes de la materia sobre la que verse cada edición. Este año tuvimos dos salas simultáneamente, gracias a la colaboración del Colegio de Veterinario de Baleares, que patrocinó la segunda sala”, explican desde la organización.
VetPartners anuncia un doble nombramiento que refuerza la cultura empresarial centrada en las personas
AniCura Indautxu Hospital Veterinario, el hospital veterinario más grande del País Vasco, ha abierto al público con un equipo multidisciplinar de más de 50 profesionales con amplia trayectoria en servicios especializados como neurología, con veterinarios diplomados europeos en plantilla; medicina interna; cardiorrespiratorio; oncología; servicio de anestesia; servicio de hospitalización, con personal especializado e íntegramente dedicado; y servicio de imagen con resonancia magnética de alto campo y TAC. En este sentido, se posiciona como el hospital veterinario de referencia de la región, con urgencias 24 horas presenciales y atención especializada. Su principal objetivo es dar un servicio de máxima calidad asistencial y contar con el mejor equipo humano y tecnológico.
AVEDE y el Colegio de Alicante promocionan la figura del veterinario diplomado especialista
La Asociación de Veterinarios Especialistas Diplomados de España (AVEDE) y el Colegio de Veterinarios de Alicante han firmado un convenio de colaboración para dar a conocer y promocionar la figura del veterinario diplomado especialista europeo o americano, considerada a nivel mundial como la máxima expresión del conocimiento y práctica clínica. Con un programa formativo de cuatro a siete años de duración, y unas exigencias máximas, solamente un porcentaje reducido alcanza la cima de su formación. A pesar de ello, ya son casi 400 veterinarios españoles los que ostentan tal reconocimiento.
IVE presenta la nueva edición del Posgrado en
Zoetis ha recibido el reconocimiento como una de las mejores compañías para trabajar de acuerdo con Great Place To Work (GPTW) 2024. Esta entidad internacional dedicada a evaluar entornos laborales mide la cultura organizacional, la confianza y la satisfacción de los empleados. El 81 % de los empleados ha opinado que es un excelente lugar para trabajar, pero, además, el 86 % de los colaboradores afirma que recibe un buen trato, independientemente de su posición en la empresa. Por otro lado, el 93 % de los empleados afirma que cuando te incorporas a la empresa, te sientes bien acogido y a un 83 % le gusta acudir a trabajar a Zoetis.
VetPartners ha anunciado dos nombramientos clave tras un periodo de fuerte crecimiento en Europa. El veterinario Tim Shearman ha sido nombrado director del Grupo de Cultura y Personas, mientras que Fiona Nichol, que comenzó su vida laboral como auxiliar veterinario en la clínica de pequeños animales, se convierte en la nueva directora del Grupo de Formación y Desarrollo. Los nuevos cargos se han creado con el objetivo de proteger y arraigar aún más la cultura empresarial de VetPartners tras un periodo de crecimiento significativo, con 12.000 empleados que trabajan actualmente en clínicas y empresas de atención veterinaria en Reino Unido, Irlanda, las Islas del Canal, España, Italia, Francia, Alemania, los Países Bajos, Suiza y Portugal.
Improve Veterinary Education (IVE) ya tiene fecha para el Posgrado en Etología Clínica de Pequeños Animales, que comenzará en octubre. Este programa semipresencial, basado en 19 módulos, cuenta con 10 sesiones realizadas en las innovadoras instalaciones de su Centro de Formación en Madrid. Profundiza en los aspectos más relevantes del comportamiento a través de casos clínicos, centrándose en el diagnostico de problemas caninos y felinos como agresividad, miedos, estrés o conductas compulsivas, aplicándolos a situaciones clínicas frecuentes. La formación será impartida por seis docentes de máximo prestigio y permitirá al alumno obtener el GPCert in Animal Behaviour acreditado por la ISVPS. Los veterinarios interesados podrán marcar una cita con un asesor de formación para aclarar sus dudas. Más información en www.improveinternational.com
La ciencia es fundamental en la filosofía de Royal Canin. Así, la compañía no solo cuenta con un equipo altamente cualificado y especializado de nutricionistas veterinarios y diplomados y doctores en nutrición para formular sus alimentos, sino que profundiza en el aspecto científico del veterinario para reforzar su papel en la comunicación sobre nutrición de perros y gatos.
“Las tendencias muestran cómo los cuidadores de mascotas buscan, cada vez más, opciones que ofrezcan investigación, calidad y seguridad, y el rol de asesoramiento del veterinario es clave”
¿Cómo afronta esta nueva etapa?
Con la máxima ilusión. Durante mis últimos casi 5 años en Royal Canin he estado centrado en el canal especializado, y ahora estoy deseando profundizar en el sector veterinario, actualmente inmerso en un momento de auge. Las tendencias muestran cómo los cuidadores de mascotas buscan, cada vez más, opciones que ofrezcan investigación, calidad y seguridad, y el rol de asesoramiento del veterinario es clave. En Royal Canin creemos firmemente que debería ser así y queremos potenciar dicho rol, además de contribuir con nuestras soluciones nutricionales.
¿Cómo definiría la filosofía nutricional de Royal Canin?
La salud de los gatos y los perros está en el centro de todo lo que hacemos y nuestra filosofía nutricional es única, ya que nos centramos en los nutrientes y no en los ingredientes, para garantizar una alimentación completa y adaptada a las necesidades de cada mascota. Nos basamos en la ciencia y la observación y nuestros alimentos están formulados por un equipo altamente cualificado y especializado que cuenta, entre otros, con nutricionistas veterinarios y diplomados y doctores en nutrición. Y, por supuesto, la calidad y la seguridad son fundamentales durante todo el proceso de producción. Por eso realizamos más 500.000 análisis al año de materias primas y productos finales y podemos establecer la trazabilidad del 100 % de nuestras materias primas.
a la hora de hablar de nutrición y elegir el alimento más adecuado para nuestros animales, siempre desde una perspectiva científica.
La ciencia nos debe guiar a la hora de tomar decisiones sobre nutrición y queremos, junto con toda la comunidad de profesionales veterinarios, reforzar su importancia ante los cuidadores de las mascotas.
Y si hablamos de nuestras gamas, siempre estamos y estaremos enfocados en dar respuesta a las necesidades reales de gatos y perros. No nos dejamos llevar por modas o tendencias, sino que nos enfocamos en lo que los animales necesitan, buscando la mejor solución nutricional basada siempre en la evidencia científica. Todos nuestros productos están formulados desde el conocimiento y experiencia de nuestros equipos de expertos nutricionales. Tenemos como ejemplos nuestra gama Gastrointestinal para patologías digestivas, la oferta de alimentos que dan respuesta a las necesidades de los animales que presentan una pluripatología, como puede ser un problema urinario junto con obesidad, o la nueva guía en neonatología y pediatría felina y canina, con lo último en conocimiento científico sobre esta etapa clave.
¿Cómo se puede reforzar la ciencia al hablar de nutrición?
“Durante las sesiones ‘La Nutrición tiene su Ciencia’, con más de 500 veterinarios participantes, analizamos conjuntamente los retos actuales para comunicar sobre nutrición para gatos y perros y cómo reforzar el rol del veterinario como experto”.
Si hablamos de nutrición, ¿cómo definiría el rol de los profesionales veterinarios?
Sin duda es clave para garantizar la salud de las mascotas. Ellos son los expertos a la hora de hablar de nutrición desde una perspectiva científica y ayudar a los cuidadores a elegir el alimento más adecuado para sus animales. Es cierto que hoy en idea existen muchos mitos, tendencias y supuestos nuevos gurús nutricionales, pero los veterinarios son los garantes del aval científico.
¿Cuáles son las prioridades para este año 2024? Los profesionales veterinarios son la clave fundamental para garantizar la salud de los gatos y los perros en cualquier etapa de la vida. Por eso es importante reforzar su rol de expertos
La ciencia debe tener un papel clave y por ello trabajamos en dos líneas muy claras. Por un lado, con los profesionales veterinarios, compartiendo y profundizando en la importancia de la ciencia y de su figura al hablar de nutrición.
Lo hemos hecho durante las sesiones “La Nutrición tiene su Ciencia”, con más de 500 veterinarios participantes, en las que analizamos conjuntamente los retos actuales para comunicar sobre nutrición para gatos y perros y cómo reforzar el rol del veterinario como experto. Por otro lado, con los propios cuidadores, con una serie de contenidos que dan respuesta a algunos de los principales mitos y tendencias nutricionales actuales desde una perspectiva científica.
Disponen además de una gama específica para tratar los problemas digestivos. La gama Gastrointestinal es una completa gama de alimentos dietéticos para el tracto digestivo
que incluye productos específicamente formulados para el manejo nutricional de diferentes trastornos digestivos y hepáticos en gatos y en perros, y favorecer así la recuperación del animal. Son alimentos dietéticos muy palatables para que resulten atractivos a este tipo de pacientes que suelen presentar falta de apetito. Se encuentran disponibles en distintos formatos para adaptarse lo mejor posible a las preferencias del paciente, incluyendo alimentemos específicos para la etapa de cachorro y gatito.
¿Los problemas gastrointestinales son tan recurrentes?
Los datos muestra que 1 de cada 4 animales ha sufrido algún tipo de sintomatología gastrointestinal en los últimos 12 meses. Es habitual que los cuidadores piensen que se encuentran ante un problema pasajero y tiendan a darle poca importancia, optando por dietas blandas como un arroz con pollo o incluso el ayuno. Pero la realidad es que los últimos estudios científicos demuestran que, si no están formuladas por un veterinario nutricionista cualificado, estas opciones no resulten equilibradas e, incluso, pueden ralentizar el proceso de recuperación del animal. Por eso es clave acudir siempre al veterinario, para que pueda hacer un diagnóstico, valorar la gravedad de la enfermedad y recomendar una solución nutricional adecuada para la enfermedad que presente el animal.
Texto Royal Canin Imágenes: todos los derechos reservados©2024 Royal Canin SAS
Boehringer Ingelheim entrega el premio a la mejor comunicación libre en Medicina Felina en el GTA
Labiana aumenta su facturación hasta los 58,5 millones en 2023
Éxito de la visita de clientes veterinarios a las instalaciones de LETI Pharma en Tres Cantos
Boehringer Ingelheim patrocinó el Congreso de Especialidades Veterinarias GTA, celebrado el 12 y 13 de abril en el Palacio de Congresos de Valencia. En concreto, la compañía patrocinó las salas de formación de especialistas de Neurología, Cardiología, Rehabilitación y Dermatología. Además, Boehringer Ingelheim entregó el premio a la mejor comunicación libre en Medicina Felina a Luis Magen Moreno, del centro veterinario El Kau de Barcelona. En esta edición, Boehringer Ingelheim quiso brindar el protagonismo a su flamante lanzamiento, el revolucionario tratamiento de la diabetes felina Senvelgo, patrocinando en su nombre la sala de comunicaciones libres de Medicina Felina, organizadas por el Grupo de Especialistas en Medicina Felina (GEMFE).
Xavier Pérez,
Nestlé Purina Petcare ha nombrado a Xavier Pérez nuevo responsable de Purina Studios, el hub digital europeo de Nestlé Purina. Además, asume el cargo de director de Comunicación y Digital de Nestlé Purina Petcare Europa. Xavier Pérez afronta este nuevo reto con la finalidad de seguir convirtiendo a Purina Studios en referencia europea en el área de cuidados para animales de compañía. “Asumo esta posición con el objetivo de generar eficiencias operativas y continuar desarrollando los mejores servicios y productos para seguir construyendo nuestras marcas y responder mejor a las necesidades de nuestros consumidores. Purina Studios se ha consolidado a nivel digital. Precisamente, su gran éxito ha radicado en su equipo de expertos, que cuentan con un profundo conocimiento del negocio”, explica.
Labiana ingresó 58,5 millones en 2023, un 1,06 % más que en 2022. De este modo, mantiene la tendencia al alza en su facturación a pesar del entorno condicionado por la falta de componentes de producción, que ha limitado la actividad comercial y, por tanto, las ventas registradas. Este incremento en la facturación se explica en gran parte por la evolución de las ventas de la división de salud humana, que sigue en expansión y facturó 30,3 millones de euros, un 11,2 % más que en el año anterior. La división de salud animal, impulsada por su vademécum propio y por el crecimiento del segmento de mascotas, registró unos ingresos de 28,2 millones, un 8 % menos que el anterior ejercicio.
La cuarta edición de Stangest Vet Talks sobre la epilepsia en perros y gatos reúne a más 40 veterinarios
LETI Pharma recibió el 8 de mayo a clientes veterinarios en sus instalaciones de Tres Cantos (Madrid) para una jornada educativa excepcional. Durante la visita, los participantes disfrutaron de una completa visita guiada por las instalaciones, donde pudieron conocer de cerca todos procesos de producción y calidad de los productos de inmunoterapia tanto veterinaria como humana, así como de una parte del proceso de la vacuna LetiFend, la única vacuna disponible en el mercado para la leishmaniosis canina. Posteriormente, se llevó a cabo un taller especializado en acarología, centrado en el diagnóstico y tratamiento de ácaros en veterinaria, proporcionando conocimientos prácticos relevantes para la práctica profesional. Asimismo, se ofreció una sesión informativa sobre inmunoterapia veterinaria.
Más de 40 veterinarios interesados en las aplicaciones del cannabis en casos de epilepsia en perros y gatos acudieron a la cuarta edición de Stangest Vet Talks, organizada por Cantabria Labs Stangest el 9 de mayo en Palma de Mallorca. Alejandra Norniella, veterinaria y delegada comercial de Cantabria Labs Stangest, presentó la línea de productos de la compañía sustentados en el cannabis (CroniCare y CondroCare). Posteriormente, Carlos Ros, responsable del servicio de Neurología/Neurocirugía de Memvet y diplomado por el European College of Veterinary Neurology, explicó las novedades sobre ataques epilépticos. Revisó las principales claves para su tratamiento y comentó casos prácticos sobre cómo administrar y combinar el cannabis con protocolos habituales en clínica.
Del 25 al 27 de abril tuvo lugar la sexta edición del Congreso Veterinario de Ibiza, este año dedicado a la Dermatología y la Oncología Cutánea. En esta edición, Vetoquinol estuvo presente con un espacio dedicado a Phovia, la solución de la compañía que cada día es más utilizada en la clínica veterinaria en escenarios como, por ejemplo, la cicatrización y recuperación de heridas posteriores a las cirugías. Phovia es la solución no invasiva basada en energía lumínica FLE que acelera los procesos naturales de regeneración de la piel. La lámpara led y los geles, utilizados conjuntamente, producen energía FLE policromática que penetra en la piel a diferentes profundidades, desencadenando diferentes respuestas beneficiosas a distintos niveles.
Formación:
Federation of European Companion Animal Veterinary Associations (FECAVA)
■ Fecha: del 12 al 14 de septiembre de 2024
Posgrado en Ecografía Clínica de Pequeños Animales
■ Inicio: junio de 2024
■ Lugar: online/Madrid
■ Inicio: diciembre de 2024
■ Lugar: online/Valencia
Posgrado en Medicina y Cirugía de Urgencia
■ Inicio: junio de 2024
■ Lugar: online
Posgrado en Clínica de Animales Exóticos
■ Inicio: junio de 2024
■ Lugar: online
Posgrado en Dermatología
■ Inicio: junio de 2024
■ Lugar: online
Posgrado en Cirugía de Tejidos Blandos
■ Inicio: junio de 2024
■ Lugar: online/Madrid
■ Inicio: marzo de 2025
■ Lugar: online/Valencia
Posgrado en Medicina Endoscópica
■ Inicio: 20 de junio de 2024
■ Lugar: Madrid
Posgrado en Clínica de Felinos
■ Inicio: julio de 2024
■ Lugar: online
Posgrado en Oncología
■ Inicio: septiembre de 2024
■ Lugar: online
Posgrado en Medicina de Pequeños Animales
■ Inicio: septiembre de 2024
■ Lugar: online
Posgrado en Etología Clínica de Pequeños Animales
■ Inicio: 19 de octubre de 2024
■ online/Madrid
Posgrado en Reproducción Pequeños Animales
■ Inicio: diciembre de 2024
■ Lugar: online/Madrid
Posgrado en Diagnóstico por Imagen
■ Inicio: 16 de diciembre de 2024
■ online/Valencia
Para más información: I
mprove Veterinary Education
Tel.: 911 881 568
info.es@improveinternational. com
www.improveinternational.com
Congreso de AVEPA-SEVC 2024
■ Fecha: del 24 al 26 de octubre de 2024
■ Lugar: Madrid
Para más información: https:// sevc2024.vconnect.tv/home.php
■ Lugar: Atenas (Grecia)
Para más información: https://fecava2024.org
El XXIV Congreso de Médicos Veterinarios en Costa Rica y XX Congreso FIAVAC
■ Fecha: 14 y 15 de noviembre de 2024
■ Lugar: San José (Costa Rica)
Para más información: https://congresoveterinarioscr.com
■ Fecha: del 10 al 12 de octubre de 2024
■ Lugar: Belgrado (Serbia)
Para más información: https://eervc.vet 7th Eastern European Regional Veterinary Conference
■ Fecha: del 3 al 6 de octubre de 2024
■ Lugar: Barcelona
Para más información: www.esvomeeting2024.org ESVO Meeting 2024
Acana renueva la imagen de su receta monoproteica Grass-fed Lamb
La receta Grass-fed Lamb, de la gama Singles de la marca canadiense Acana, renueva imagen y mejora su formulación. El envase tiene un aspecto más vibrante, ofrece al consumidor de manera más visual los beneficios para la salud que aporta e incluye fotografías que muestran la calidad de sus ingredientes frescos y crudos, así como los nuevos compromisos Acana. La receta está elaborada con una fuente de proteína animal (50 % de ingredientes de cordero), por lo que es apta para perros sanos con alguna sensibilidad alimentaria.
■ Para más información: Acana - info@masale.com
Distrivet presenta su colirio 100 % natural
¿El paciente sufre ojos secos, irritación o enrojecimiento? Distrivet presenta su colirio 100 % natural, formulado con extractos de manzanilla, eufrasia y hamamelis. Este colirio brinda alivio inmediato a las molestias oculares del paciente, proporcionando sensación de calma y frescor. Su fórmula natural lo hace seguro para el uso diario y su tapón especial garantiza una vida útil de hasta tres meses, impidiendo la entrada de contaminantes y filtrando el aire. Distrivet hace posible mantener sanos los ojos de la mascota.
■ Para más información: Distrivet a Covetrus Company www.distrivet.es
Antech presenta su innovadora herramienta para la detección precoz del cáncer canino
Antech ha anunciado el lanzamiento en Europa de su innovadora prueba disponible en clínicas veterinarias para el cribado del cáncer canino Nu.Q Canine Cancer Test. Esta herramienta para el cribado del cáncer es rápida, precisa y específica para razas de alto riesgo y perros de edad avanzada. También incluye los tipos prevalentes de cáncer canino, lo que permite tanto a los veterinarios como a los propietarios de mascotas tomar decisiones informadas sobre el tratamiento del cáncer con más rapidez.
■ Para más información: Antech - Tel.: 948 821 713 - www.antechdiagnostics.com
Elanco ofrece dos novedades editoriales de vanguardia en medicina veterinaria
Elanco Animal Health, compañía referente en salud animal es patrocinador exclusivo de las últimas novedades editoriales en medicina veterinaria de perros y gatos de Multimédica Ediciones Veterinarias. Clinfelivet es una revista online con artículos de actualidad centrados 100 % en medicina felina. Su distribución es trimestral y gratuita bajo registro en Clinvet. Además, ofrece el Manual práctico de enfermedades infecciosas y parasitarias en el perro, que tiene el objetivo de brindar al veterinario generalista una herramienta práctica para abordar las enfermedades infecciosas y parasitarias del perro.
■ Para más información: consulte con su delegado de Elanco
El Departamento de Redacción de Argos informa a los lectores de que las “Novedades comerciales” publicadas en esta revista han sido estrictamente elaboradas con la información remitida por las propias empresas en lo referente a las características técnicas y particularidades de los distintos productos y/o promociones.
La línea de endoscopia de Elite Tecnología Veterinaria, en expansión
La línea de endoscopia de Elite Tecnología Veterinaria continúa en plena expansión tras cumplir dos años desde su lanzamiento. La compañía especialista en fabricación y distribución de equipamiento veterinario dispone de torres de endoscopia “All in One”, que permiten la realización de broncoscopia, gastroscopia y endoscopia rígida, todo integrado en un mismo equipo, que puede ser ampliado a lo largo del tiempo. Disponen de una línea de endoscopia portátil, destacando equipos como su broncoscopio portátil y su dispositivo “All in One” portátil, que también permite integrar en un mismo equipo endoscopia rígida y flexible.
■ Para más información: Elite Tecnología Veterinaria Tel.: 656 386 895 info@elitetecnologiavet.es www.elitetecnologiavet.es
Menforsan Protector
Solar SPF 50
Menforsan presenta este protector solar especialmente diseñado para uso en perros y gatos. Tiene un factor 50 y protege de las peligrosas radiaciones UVA y UVB las zonas más expuestas y sensibles a la radiación solar como abdomen, punta de las orejas, alrededor del hocico, labios o la zona trasera de las patas. Su fórmula cremosa se absorbe rápidamente, no contiene ninguna sustancia toxica ni peligrosa en caso de lamido accidental y, debido a su pH adaptado, puede aplicarse de manera frecuente. Se comercializa en envases de 60 ml con aplicador.
■ Para más información: Laboratorios Bilper Group - info@menforsan.com www.menforsan.com
Snögg Animal
Care presenta su innovadora gama de productos para el cuidado de heridas
Orkla presenta
Snögg Animal Care, su nueva marca que ofrece una amplia gama de productos diseñados específicamente para el cuidado de heridas en animales. Incluye vendas que se adaptan fácilmente a diferentes necesidades y zonas del cuerpo de los animales, proporcionando libertad de movimiento y libertad creativa al usuario. Todos los productos han sido desarrollados en colaboración con veterinarios y expertos en cuidado animal, y destinados exclusivamente para el uso en animales, priorizando en todo momento su bienestar.
■ Para más información: Snögg Animal Care - https://snogg.com/es
Grupo Emer Veterinaria comercializa Vetix S300 Mindray
Swedencare Spain lanza Proden PlaqueOff Soft Chew, un nuevo formato de su reconocida gama de productos, avalado por el Consejo Oral Veterinario (VOHC). Este producto, exclusivo para clínicas veterinarias, controla la formación de placa dental y previene enfermedades orales y sistémicas. Fácil de administrar y muy apetecible, elimina el sarro y el mal aliento en pequeños animales. “Este formato exclusivo es clave en nuestro plan de prevención”, comenta Raquel Tosca, country business manager de Swedencare Spain. Con el lanzamiento de Proden PlaqueOff Soft Chew, Swedencare Spain reafirma su compromiso con la salud y el bienestar de las mascotas, ofreciendo productos de alta calidad que facilitan el trabajo de los veterinarios y mejoran la calidad de vida de los animales.
■ Para más información: SwedenCare - https://es.swedencare.com
Grupo Emer Veterinaria comercializa Vetix S300 Mindray, un moderno equipo que incluye un tubo Canon Toshiba de rayos X HF (32 kw, 125 kv y 400 mA). El detector Flat Panel 43x43 es de alta resolución y dispone de guía de posicionamiento. Su uso es muy sencillo, ya que se puede encender y apagar con una sola tecla y solo es necesario un operador. Su mesa de 150x65 tiene frenos electromagnéticos silenciosos. Dispone de interruptor de pedal con graduación de la exposición y control remoto de exposición.
■ Para más información: Grupo Emer Veterinaria - info@grupoemer.com www.grupoemer.com
Directorio de laboratorios de análisis clínicos
Ubicación Nombre o razón social Teléfono
A Coruña SEASLAB SL 981 913 299
ANVET S.L. 937 598 565
Citopat Veterinaria, S.L. 932 136 813
Histovet 937 211 916
IDEXX Laboratorio de Referencia 932 672 660
Barcelona
Cádiz
Córdoba
Laboratori CatBio, S.L. 934 516 643
Laboratorios de análisis Dr. Echevarne 935 040 126
Laborti Veterinària, S.L 934 851 786 / 938 444 999 -
Uranolab 934 482 521
VORAN NETZ, S.L. 935 820 203
Laboratorio Maña-Watson 956 110 026
Laboratorio Veterinario Garfia 957 276 351
Granada Anapath 958 292 345
Laboratorios GASSET (GRUPO DAV SALUD) 958 042 121
León INDILAB 900 701 128
Lugo AMSvet (AMSlab Group) 982 808 074
Alergovet 914 134 472
IDEXX Laboratorio de Referencia 916 376 317
Laboratorio de análisis veterinarios Dr. Barba 902 190 942
Madrid
Especialidad principal
Toxicología, PCR y terapias celulares
Análisis clínicos
Histología
Histología
Análisis/Diagnóstico clínico
Análisis clínicos
Infecciosas
Análisis clínicos
Análisis clínicos
Análisis clínicos
Biología molecular
Histología
Diagnóstico Laboratorial Integral
Diagnóstico laboratorial
Toxicología veterinaria
Alergias veterinarias
Análisis/Diagnóstico clínico
Biología molecular LAV 913 838 493
CIAB, Laboratorio de Referencia Veterinaria 913 613 314
Diavet S.L. 914 966 013
Laboratorio veterinario LABOKLIN, S.L. 644 030 557
Uranolab 934 482 521
Málaga Histolab Veterinaria 952 664 819
Pontevedra Lema y Bandín 986 437 400
Laboratorio del Dr. Valenzuela 986 858 313
Valencia Laboratorio ACVLAB 963 532 377
Sagunto 99 963 485 931
Vizcaya Analítica Veterinaria 946 744 251
Microvet laboratorio 944 913 912
Tenerife Laboratorios Taoro 922 353 158
Zaragoza Laboratorios Albéitar 976 306 495
Directorio de centros veterinarios de referencia
Análisis clínicos
Análisis clínicos
Alergia e infección vet.
Diagnóstico clínico
Análisis clínicos
Histología
Hematología
Análisis clínicos
Análisis clínicos
Inmunología
Histología
Endocrinología
Exóticos
Hematología
Aravet Laboratorios 976 598 653 Análisis clínicos Exopol 976 694 525 Microbiología Ubicación Nombre o razón social Teléfono
Alicante Centro de Oftalmología
Centre de Rehabilitació Animal de Referència 935 048 512 / 647931640
FiRVet 676 875 116 Fisioterapia y Rehabilitación
Hospital Veterinari Cardedeu, S.L. 938 462 051 Urgencias, Cirugía y Medicina Interna
Hospital Veterinari del Mar 930 217 812 Cirugía, urgencias, exóticos, oftalmologia, etc.
Hospital Veterinari Desvern 934 990 648 Ortopedia y Traumatología
IMPROVET 600 921 927 Diagnóstico, Cirugía, Formación
Serv., Urgenc. i Ref. Veterinàries Diagonal, S.L. 934 594 500 Urgencias y Cuidados Intensivos
Burgos Hospital Veterinario Valderrama 947 277 843 Traumat., Neurocirugía y Med. Interna
Castellón
ASSISVET Veterinària 964 229 838 Exóticos y Medicina Felina
Centro Médico Veterinario Benicarló 964 472 610 Dermatología
Nexo Hospital veterinario CMV Castelló 964 723 697 Neurología-Neurocirugía, Trauma-Ortopedia, Imagen (TAC, endoscopia, eco), UCI, Derma
Clínica Veterinaria St. Vicent CB 964 672 907 Urgencias, Dermatología
Hospital Veterinario Sagrada Familia 964 254 888 Urgencias, UCI, Cirugía, Cardiorrespiratorio
Servicios Veterinarios Albeytar 964 691 025 Medicina Cardio-Respiratoria
Córdoba Mascoderm 957 300 977 Dermatología canina y felina
Gran Canaria Clínica Ocular Veterinaria 928 696 510 Oftalmología
ADERVET, Atención Dermatológica Veterinaria 914 984 112 Dermatología
Centro Médico Veterinario Delicias 915 275 828 Urg., Traum., Neur., Oftal., Card., Exót. y Cir.
Centro Veterinario Auditorio 915 631 167 Endoscopia y Cirugía Endoscópica
Centro Veterinario los Sauces 914 454 305 Exóticos
Centro Veterinario Prado de Boadilla 916 322 351 Neurología y Neurocirugía
Centro Quirúrgico Veterinario Tobío 913 881 990 Cirugía y Traumatología
Clínica Veterinaria Alberto Alcocer 913 452 515 Urgencias, Hospitalización y Exóticos
Clínica Veterinaria Ciudad Ángeles, S.L. 913 175 562 Urgencias
Clínica Veterinaria El Bosque 916 167 485 Exóticos
Clínica Veterinaria Ignacio Trobo 629 111 305 Odontología, Cirugía maxilofacial y general
Clínica Veterinaria Las Rozas 916 370 277 Homeopatía
Clínica Veterinaria Río Duero, S.L. 916 472 336 Traumatología-Odontología 15-20
Clinica Veterinaria Unzeta S.L. 917 588 393 Medicina Felina, Quirófano y Hospitalización 250-75-30
Clínica Veterinaria Velázquez 915 627 769 Dig., Laparosc., Odontol., Oncol. 100-120 Gattos 915 040 651 Medicina Felina, Comportamiento Felino 20 Habana Boston Centro Veterinario 911 406 072 Rehabilitación de pequeños animales 15
Hospital Veterinario Fuente el Saz 916 200 098 Urgencias 24 h
HURVET 914 173 977 Urgencias y Hospitalización 100
Tris Sampayo (ENDOVES) 619 236 325 Endos. diag. e intervencionista y cirug. de mín. invasión 50-75
Javier Collados. Sinergia Veterinaria. 911 339 038 Odontología y Cirugía Oral PA, Exóticos 60
Vetcare hospital veterinario 24h 916 200 098 Urgencias, hospit., cirugía, Endosc., traumat. y rehab. 200-500
VETERCOL, S.L. 918 915 439 Endoscopia flexible y rígida 8-10
EDITOR Julio Allué1
Contacte con nosotros a través de argos@grupoasis.com si desea publicar un
y remita sus notas de prensa a notasdeprensa@grupoasis.com
REDACCIÓN Sheila Riera1, Natalia Sagarra1, M. Ángel Ordovás, Israel Salvador, Alejandro Vicente1
RESPONSABLE DE DISEÑO Ana Belén Mombiela
JEFA DE DISEÑO Teresa Gimeno
DISEÑO Y MAQUETACIÓN Erica García, Marian Izaguerri, Marisa Lanuza, Marina Alonso
Escriba a publicidad@grupoasis.com si desea anunciarse, y a suscripciones@grupoasis.com para altas, bajas o modificaciones en sus datos de contacto
RESPONSABLE DE PUBLICIDAD Ana Caballero1
PUBLICIDAD Pilar Angás1, Jorge Pérez1, Laura Montón1, María Puig2, Marta Suárez de Peón3
SOPORTE DE PUBLICIDAD Raquel Miguel, Rocío Sarrate
ADMINISTRACIÓN Beatriz Sanz, Carmen Ezquerro, Miriam de la Torre
SUSCRIPCIONES suscripciones@grupoasis.com 1Licenciado/a en Veterinaria, 2Graduada en Farmacia, 3Doctora en Veterinaria
EMPRESA EDITORA Grupo Asís Biomedia, S.L.
PREIMPRESIÓN E IMPRESIÓN Grupo Edelvives
EMPRESA MANIPULADORA Grupo Edelvives
DEPÓSITO LEGAL: Z-2106/98 - ISSN: 1699-7875
Publicación controlada por Grupo Asís Biomedia está asociado a (miembro de y ) y a (miembro de , y )
COMITÉ ASESOR
DIRECTOR TÉCNICO: Enrique Ynaraja.
ANESTESIA: Antonio González (HV Rof Codina), Ignacio Sández (HV Vetsia)
CARDIOLOGÍA: Joaquín Bernal (Cardiovet), Laín García (HV Molins) Susana Serrano (HV Vetsia)
CIRUGÍA: Joaquín Sopena (UCH-CEU, Valencia), José Rodríguez (FV de Zaragoza)
COMPORTAMIENTO: Xavier Manteca (FV de Barcelona)
DERMATOLOGÍA: Maite Verde (Servicio de Dermatología, FV Zaragoza)
ENDOSCOPIA Y CIRUGÍA DE MÍNIMA INVASIÓN: Jesús Usón (CCMI) Federico Soria (CCMI), Tris Sampayo (Endoscopia Veterinaria)
EXÓTICOS: Albert Martínez-Silvestre (Centro CRARC), Jordi Grifols (Hospital Zoologic de Badalona), Andreu Riera (HV Molins), Beatriz Álvarez Carrión (CV Camaleo)
GESTIÓN Y MARKETING: Miguel Ángel Valera (Centauro Veterinarios), Jorge P. Pascual Ribote (CEVE).
HEPATOLOGÍA CLÍNICA Y CIRUGÍA HEPÁTICA: Alfredo Pérez (CV Taco)
MEDICINA FELINA: Mª Luisa Palmero (CV Gattos. GEMFE)
MEDICINA INTERNA: José Ramón García (CV San Francisco de Asís), Alberto Montoya (Facultad de Veterinaria ULPGC)
MICROBIOLOGÍA Y ENFERMEDADES INFECCIOSAS: Mariano Morales (FV Zaragoza)
NEUROLOGÍA: Xavier Raurell (HV Molins)
ODONTOLOGÍA: Soledad Montes (Cardiovet), Javier Collados (Servicio Móvil de Odontología)
OFTALMOLOGÍA: Inmaculada Morales Fariña (Responsable del Servicio de Oftalmología del Hospital Docente ULPGC)
ONCOLOGÍA: Miguel Laporta (HV Molins)
PARASITOLOGÍA: Juan Antonio Castillo (FV de Zaragoza)
REPRODUCCIÓN Y OBSTETRICIA: Pedro García (FV Lugo)
TOXICOLOGÍA Y FARMACOLOGÍA: Arturo Anadón (FV de Madrid)
TRAUMATOLOGÍA Y NEUROCIRUGÍA: Tomás Fernández (Centro Médico Veterinario)
Ramón Sever (Policlínica Veterinaria Rover), Fernando Díaz Santiago (Fauna Clínica Veterinaria)
Animal Bluecare Hospital 952 665 050 Oncol., Card., Exóticos, Oftal., Endoscopia, Med. InternaMundo Animal 952 050 682 Exóticos: aves, reptiles y peq. mamíferos 30
Vetsia 914 984 112 Rehab., Diagnóstico Imagen y NeurologíaMálaga
Myramar Animal Hospital & Exotic VetMed 952 588 543 Traumatología y Ortopedia/Exóticos 20-30
Animalicos Hospital de Día Murcia 968 967 966 Traumatología, Neurología, Oncología y Fisioterapia 70-100
Clínica Veterinaria Bonafé 968 847 478 Endoscopia y cirugía de mínima invasion 40-60
URGENCIAS: Jordi Manubens (HV Molins)
COLABORADORES: Luis Javier Yus Cantín (Gerente del Col. de Veterinarios de Zaragoza)
Murcia
Hospital de Urgencias Veterinarias Región de Murcia 968 899 280 Urgencias y Cuidados Intensivos 120-130
Hospital La Flota 968 246 122 Endoscopia flexible y rígida, Urg. y Cui. int. 100
Navarra Centro Veterinario San Fermín 948 230 802 Traumatología, Ecocardiografía y Neurología 40
Sevilla Centro Veterinario Bormujos 955 725 684 Exóticos 100-120
H.V. Guadiamar-servicios veterinarios de referencia 955 704 804 Neurol.-neurocir., RM-TAC, Cir. lapar. y Anest. 100 Sta. Cruz de Tenerife Hospital Veterinario Taco 922 612 476 Hepatología clínica y Cirugía hepática 15-25
Tarragona Clínica Veterinaria Lagun 977 795 835 Traumat., Dermat. y Exóticos, Urgencias 30-50
Centro Veterinario Silla 961 213 147 Cirugía maxilofacial, Odont. y Cardio.
Veterinaria
Clínica Veterinaria El Puig 961 472 109 Oftalmología
Valencia
La responsabilidad de los artículos, reportajes, comunicados, etc. recae exclusivamente sobre sus autores. El editor sólo se responsabiliza de sus artículos o editoriales. La ciencia veterinaria está sometida a constantes cambios. Así pues es responsabilidad ineludible del veterinario clínico, basándose en su experiencia profesional, el correcto diagnóstico de los problemas y su tratamiento. Ni el editor, ni los autores asumen responsabilidad alguna por los daños y perjuicios, que pudieran generarse, cualquiera que sea su naturaleza, como consecuencia del uso de los datos e información contenidos en esta revista. De acuerdo con la normativa vigente en materia de protección de datos Grupo Asís Biomedia, SL., es responsable del tratamiento de sus datos personales con la finalidad de enviarle comunicaciones postales de nuestras revistas especializadas, así como otras comunicaciones comerciales o informativas relativas a nuestras actividades, publicaciones y servicios, o de terceros que puedan resultar de su interés en base a su consentimiento. Para ello, Grupo Asís podrá ceder sus datos a terceros proveedores de servicios de mensajería. Podrá revocar su consentimiento, así como ejercer sus derechos de acceso, rectificación, supresión, oposición, limitación y portabilidad enviando un correo electrónico a protecciondatos@grupoasis.com, o una comunicación escrita a Grupo Asís en Centro Empresarial El Trovador, planta 8, oficina I, Plaza Antonio Beltrán Martínez 1, 50002, Zaragoza (España), aportando fotocopia de su DNI o documento identificativo sustitutorio e identificándose como suscriptor de la revista. Asimismo, si considera que sus datos han sido tratados de forma inadecuada,