Argos 258

Page 1

Analgesia

• Manejo multimodal del dolor: más allá de los AINE

• Claves de la anestesia epidural

• Anestesia libre de opioides mediante el uso de catéter epidural en pancreatectomía parcial

• Modificación de la técnica splash en la órbita tras la cirugía de enucleación en el paciente canino y felino

GTA de récord

la clínica veterinaria

Importancia de la ética en

Responsabilidad

social empresarial

Estudio de Salud Mental de los Veterinarios

4

Los Grupos de Trabajo de AVEPA celebran un congreso de récord

Sumario ARGOS 258

5

Claves del Estudio de Salud Mental de los Veterinarios

La importancia de la ética en la clínica veterinaria

EN PORTADA / PRÓXIMOS NÚMEROS

• Gestión y marketing

• Medicina y cirugía felina

• Traumatología y neurología

• Odontología

• Urgencias y cuidados intensivos

Si desea publicar un artículo sobre estos u otros temas, escríbanos a argos@grupoasis. com

ACTUALIDAD PROFESIONAL

Los Grupos de Trabajo de AVEPA celebran un congreso de récord 4

Claves del Estudio de Salud Mental de los Veterinarios: autoexigencia y estrés 5

“La capacidad de complementarnos entre todos es grande y esto se nota en el día a día”

Entrevista a Rubén Duque Moreno (Hospital Veterinario Madrid Centro) 8

Resistencia a antimicrobianos e infome ESVAC (AEMPS-EMA) 15

MARKETING Y GESTIÓN EN LA CLÍNICA

La importancia de la ética en la clínica veterinaria 12

Responsabilidad social empresarial en la clínica veterinaria (y II) 18

EN PORTADA / ANALGESIA

Manejo multimodal del dolor: más allá de los AINE

Claves de la anestesia epidural

Anestesia libre de opioides mediante el uso de catéter epidural en pancreatectomía parcial 36

Modificación de la técnica splash en la órbita tras la cirugía de enucleación en el paciente canino y felino 42

FORMACIÓN CONTINUA

HABLANDO DE NUTRICIÓN CLÍNICA / Factores que influencian la presentación de cistitis idiopática felina

SECCIONES Novedades comerciales

de anuncios

de servicios

56, y 57

Reencuentros

Siempre es un placer acudir a congresos como el GTA, reencontrarse con tanta buena gente y desvirtualizar a nuevos conocidos. También es muy motivante observar el grado de entusiasmo con el que los asistentes hablan del aprendizaje que se llevan a casa y de lo que han disfrutado esa parte social que más que paralela es inexcusable. Al final, queda esa sensación general de que estas reuniones se hacen cortas.

No obstante, personalmente, lo que más me llama la atención es el periodo que yo llamo “de resaca emocional”, es decir, el de los días siguientes, cuando los asistentes comparten en sus redes sociales sus testimonios de ponencias impartidas o escuchadas, pósteres presentados y cenas disfrutadas. Resaca, sí, pero de las buenas.

Será que viene bien salir de la rutina, escuchar ciencia, compartir dudas y anécdotas con compañeros, e incluso intercambiar penas. Ay, las penas. Vamos a por ellas: en este número traemos los resultados de un estudio realizado por la UNED sobre salud mental en nuestro sector. Parece ser que la sobrecarga de trabajo, el conflicto entre las demandas laborales y familiares, así como la necesidad de gestionar las emociones propias y de los responsables de los animales son las principales razones de estrés entre los veterinarios encuestados.

Según explican desde la UNED, algunos puntos pueden ser comunes a situaciones vividas en otras profesiones, pero en veterinaria “la diferencia es que se dan todos los factores a la vez, unido a la gran carga emocional del trato con el animal enfermo y con su familia, los sueldos bajos y el poco reconocimiento social”. La casualidad nos ha llevado a que cara y cruz, GTA y problemas de salud mental, estén “pegados” en este número, y el contraste no puede ser mayor; si el reportaje del GTA no logra reflejar la “cara” de la moneda, mea culpa. Créanme, las sensaciones en Valencia lo hicieron de sobra. Ojalá menos burnout y más experiencias compartidas. Kipling decía que “no hay mayor placer que el de encontrar un viejo amigo, salvo el de hacer uno nuevo”. Puede que sea al revés, quién sabe. En todo caso, veámonos en más congresos, por favor.

Sheila Riera Forteza Veterinaria y socióloga Medios de Comunicación s.riera@grupoasis.com

Síguenos en nuestras redes sociales:

COLUMNA DE OPINIÓN 3
24 EN PORTADA Analgesia 12
24
30
48
50 Agenda 51
51
58
Tablón
Noticias 54,
Guía
@RevistaArgos Nº 258 Mayo 2024
https://www.facebook.com/RevistaArgos

Los Grupos de Trabajo de AVEPA celebran un congreso de récord

Al evento, que tuvo lugar los días 12 y 13 de abril en Valencia, acudieron más de 1.400 veterinarios. Por otro lado, también cabe destacar que en esta edición se presentaron 171 comunicaciones libres.

AVEPA celebró la XXIII edición de su Congreso de Especialidades Veterinarias – GTA 2024 en Valencia los pasados 12 y 13 de abril, donde 90 ponentes ofrecieron más de 120 conferencias de una veintena de especialidades. Todo ello, con el apoyo de 53 empresas patrocinadoras.

Como en las últimas ediciones, la organización ha puesto a disposición de los inscritos las grabaciones de algunas de las conferencias (el 30 % del programa), que estarán disponibles en la app del congreso hasta el 17 de julio. Tendrán acceso a ellas todas las personas inscritas al programa científico, así como las que se registraron únicamente para la visualización de las grabaciones.

AVEPA ya ha anunciado que la próxima edición se celebrará durante los días 25 y 26 de abril del próximo año, en Zaragoza.

Precongresos del GEMCA y el GEVONC

Antes del inicio del programa científico del congreso, los grupos de oncología (GEVONC) y comportamiento (GEMCA) celebraron sus precongresos.

El primero se centró en la especie felina, con tres ponencias que corrieron a cargo de Pachi Clemente (La Merced Veterinary Specialists) y trataron sobre tumores epiteliales, tumores mesenquimales y protocolos habituales de quimioterapia. El

precongreso del GEVONC también ofreció una sesión de comunicaciones orales. Por su parte, el precongreso del GEMCA constó de cuatro ponencias. Dos de ellas, a cargo de Juan Argüelles (Universidad CEU Cardenal Herrera), se centraron en la comprensión del funcionamiento de los psicofármacos y la actualización de las terapias biológicas en medicina del comportamiento. Las otras dos, expuestas por Carles Morales, ofrecieron una aproximación diagnóstica y las claves del tratamiento de la epilepsia canina.

AVEPA ya ha anunciado que la próxima edición se celebrará durante los días 25 y 26 de abril del próximo año, en Zaragoza.

Programa científico multidisciplinar

Durante la tarde del viernes 12 y a lo largo de todo el sábado 13 se desarrolló el programa científico del congreso, con 11 salas simultáneas de conferencias. A lo largo de ese día y medio, los grupos de especialidades de AVEPA ofrecieron ponencias sobre oncología, nutrición, gestión, emergencias, traumatología, rehabilitación, endoscopia, odontología, oftalmología, cardiología, medicina felina, anestesia, cirugía general, exóticos, etología, medicina interna y medicinas complementarias. Además, en algunas salas se combinaron especialidades,

El programa científico contó con más de 120 horas de conferencias, que corrieron a cargo de 90 ponentes.

como es el caso de dermatología y cirugía; nutrición y medicina felina; diagnóstico por imagen y reproducción; patología clínica y neurología; reproducción y odontología. En la sala de medicina felina se habló sobre comorbilidades. Así, Alba Peruga (Clínica Felina Tot Cat, Barcelona) se centró en los pacientes con enfermedad cardiaca y renal. Además de repasar la clasificación del síndrome cardiorrenal, hizo hincapié en que la causa más frecuente de enfermedad cardiaca varía entre especies. “La cardiomiopatía hipertrófica es la enfermedad cardiaca más frecuente en gatos, donde su prevalencia es del 15-29 %”, indicó, además de recordar que esta patología es más habitual en machos y en algunas especies, como Bosque de Noruega, Común Europeo, Bengalí o Sphynx, entre otros. Peruga también remarcó que a partir del estadio B2 (subclínico), inclusive, es posible que estos gatos necesiten un diurético y trombofilaxis. Al explicar el manejo del gato con fallo cardiaco congestivo, destacó que es importante pesar al paciente para saber si está perdiendo líquido. Igualmente, también se pueden pesar los empapadores.

Por su parte, Paula Pérez Praga (Family Dog Project, Departamento de Etología de la universidad Eötvös Loránd, Budapest) impartió varias conferencias relacionadas con el apego. Además de recordar que este comportamiento es una estrategia para enfrentarse a situaciones de estrés, se construye a lo largo de toda la vida y va variando en su intensidad durante las diferentes etapas vitales del animal, la ponente explicó que, en la especie canina, llega a su máximo en adultos jóvenes para disminuir después y, posteriormente, volver a incrementarse en la etapa sénior. También aclaró que el tipo de apego que demuestra un perro está

relacionado con el estilo de crianza que ha tenido. Así, el apego seguro se relaciona con una crianza de tipo democrático (consistente, con elogios verbales y caracterizada tanto por una gran exigencia como por una gran muestra de afecto por parte del tutor); por su parte, el apego inseguro se relaciona con una crianza autoritaria (inconsistente, con correcciones verbales, tirones de correa y tutores dominantes y menos pacientes, que exigen mucho pero no demuestran afecto) o permisiva (inconsistente, llevada a cabo por tutores que humanizan al animal, no saben cómo tratarlo y demuestran gran afecto pero son poco exigentes).

La acreditación de AVEPA sigue creciendo

Los inscritos al congreso tuvieron la oportunidad de presenciar las pruebas de acreditación de 27 personas. Por su parte, Amalia Agut, Ignacio Álvarez y Maruska Suárez expusieron sus experiencias en un espacio dedicado a resolver dudas sobre este proceso.

Cabe destacar que, según una encuesta realizada por AVEPA en marzo de este año, un 60 % de los acreditados afirman que ejercen con más seguridad en su especialidad, mientras que un 74 % de los veterinarios no acreditados reconocen y confían en la experiencia de colegas acreditados para referirles casos complejos.

Consulta el listado de comunicaciones libres que se vieron en la zona de pósteres del congreso.

El GTA, en cifras

• Más de 1.400 inscritos

• 90 ponentes

• Más de 120 ponencias

• 171 comunicaciones libres

• 53 empresas expositoras

Al congreso acudieron más de 1.400 veterinarios.
Nº 258 Mayo 2024 4 ACTUALIDAD PROFESIONAL
En la exposición comercial participaron 53 empresas del sector. Esta edición se batió el récord de comunicaciones tipo póster, con 171.

Claves del Estudio de Salud Mental de los Veterinarios: autoexigencia y estrés

Boehringer Ingelheim y la UNED han presentado el primer estudio en profundidad sobre las causas del burnout en Veterinaria.

Con este proyecto se ha recopilado información sobre los factores estresores, las variables mediadoras y las consecuencias en la profesión con el objetivo de concienciar y proponer acciones concretas para mejorar el bienestar de los veterinarios.

Argos

El pasado 22 de marzo, la Facultad de Educación de la Universidad Nacional de Educación a Distancia (UNED) de Madrid acogió la presentación de resultados del mayor estudio sobre la salud mental de los veterinarios. El estudio fue desarrollado por el Departamento de Psicología Social y de la Organización de la UNED, con el apoyo de Boehringer Ingelheim. Una de las conclusiones principales a las que llegó fue que “el nivel de autoexigencia que tenemos los veterinarios nos genera un estrés interno muy alto”.

“Este proyecto pone los cimientos necesarios para entender la realidad del día a día en una profesión que tiene unos índices muy preocupantes de problemas relacionados con la salud mental”, Lorena Millán.

Más de 1.200 participantes

Ante las situaciones de estrés y la gran carga de trabajo de estos profesionales, se desarrolló un estudio científico, compuesto por un análisis cualitativo y otro cuantitativo, con una muestra de más de 1.200 profesionales. “Hasta el momento, la investigación sobre estrés laboral en los veterinarios se ha centrado en describir las consecuencias dejando en un segundo plano las causas y cómo evaluarlas. Con este proyecto se ha recopilado información sobre los factores estresores, las variables mediadoras y las consecuencias en la profesión en nuestro país con un doble objetivo: concienciar al entorno, tanto profesional como social, y proponer acciones concretas para mejorar el bienestar de los veterinarios. Para nosotros

trabajar en un proyecto de estas características es un reflejo de nuestro compromiso con la profesión”, explicó Elena Gratacós, directora general del área de Salud Animal en Boehringer Ingelheim Animal Health España.

Respecto al origen de este estudio, Lorena Millán, psicóloga y veterinaria responsable del Departamento de Diagnóstico por Imagen del HC de la Facultad de Veterinaria de la ULE, explicó que “cuando estaba finalizando los estudios del grado en Psicología se suicidó una compañera veterinaria. Esa muerte me impactó y, hablando con otros compañeros y con mi propia experiencia, empecé a ser consciente de que teníamos un problema en el colectivo. En ese momento, me correspondía hacer mi trabajo de fin de grado y decidí hacerlo sobre el burnout y el estrés laboral en el veterinario clínico. Así fue como empezó a germinar la idea de hacer un estudio serio sobre el tema para establecer la realidad de la situación”.

“Este proyecto pone los cimientos necesarios para entender la realidad del día a día en una profesión que tiene unos índices muy preocupantes de problemas relacionados con la salud mental. Nosotros nos hemos enfocado en salud laboral para empezar a mejorar nuestra situación”, afirmó Lorena Millán. Del mismo modo, quiso dejar claro que “el primer paso para intentar solucionar un problema es

“Los veterinarios encuestados se muestran muy estresados y las principales razones son la sobrecarga de trabajo, el conflicto entre las demandas laborales y familiares, y la necesidad de gestionar las emociones, las propias y las de los responsables de los animales”, Amparo Osca.

Millán matizó que, pese a que algunos puntos pueden ser comunes a situaciones vividas en otras profesiones “la diferencia es que en la profesión veterinaria se dan todos los factores a la vez, unido a la gran carga emocional del trato con el animal enfermo y con su familia, los sueldos bajos y el poco reconocimiento social”.

conocerlo y difundirlo. A partir de ahí, lo siguiente será empezar a establecer medidas que ayuden a estos profesionales sanitarios y que puedan mejorar su calidad de vida en el trabajo”.

Resultados principales: altos niveles de estrés

Durante la sesión divulgativa en la que se presentaron los primeros resultados del estudio, Amparo Osca, profesora de la Facultad de Psicología de la UNED y directora del estudio, destacó los elevados niveles de estrés detectados y sus causas: “Los veterinarios encuestados se muestran muy estresados y las principales razones son la sobrecarga de trabajo, el conflicto entre las demandas laborales y familiares, y la necesidad de gestionar las emociones, las propias y las de los responsables de los animales. Tres datos reveladores: más del 73 % responde que la ‘carga de trabajo’ le afecta muchas veces o siempre, y también que el ‘trabajo le mantiene alejado de las actividades familiares’ pero, sobre todo, su estrés se debe a la carga emocional de su trabajo, pues el 80 % se muestra ‘bastante’ y ‘muy estresado’ por ‘la necesidad de gestionar las emociones de algunos clientes’. Además de estrés, los veterinarios presentan también problemas de salud, tanto físicos como psicológicos”.

En este sentido, Lorena Millán matizó que, pese a que algunos puntos pueden ser comunes a situaciones vividas en otras profesiones “la diferencia es que en la profesión veterinaria se dan todos los factores a la vez, unido a la gran carga emocional del trato con el animal enfermo y con su

familia, los sueldos bajos y el poco reconocimiento social”.

A estos resultados se suman otros, como la sensación de falta de apoyo por parte de “los usuarios de sus servicios y de las instituciones”. Sin embargo, la situación no afecta por igual a toda la comunidad veterinaria. “Son las mujeres, los más jóvenes y los que trabajan como autónomos los que presentan una peor situación y, por tanto, los primeros a los que deberíamos dirigir nuestra atención “, subrayó Amparo Osca.

“Son las mujeres, los más jóvenes y los que trabajan como autónomos los que presentan una peor situación y, por tanto, los primeros a los que deberíamos dirigir nuestra atención “, subrayó Amparo Osca.

Trabajar en la prevención y la concienciación

Con este estudio se pretende avanzar en la prevención partiendo de las evidencias que han aportado los datos recopilados. En este sentido, Amparo Osca quiso dejar muy claro que son plenamente “conscientes de que solo podremos avanzar desde aproximaciones integrales y multidisciplinares y, por eso, es necesaria la colaboración entre instituciones. Esperamos poder avanzar en este objetivo”.

Lorena
Lightspring/shutterstock.com nelzajamal/shutterstock.com Nº 258 Mayo 2024 5 ACTUALIDAD PROFESIONAL

“La cardiología es un campo fantástico en el que investigar. Es un tema en constante evolución en el que cada pocos años tenemos nuevas evidencias”

En 2020, el estudio DELay dirigido por Borgarelli obtuvo unos resultados muy similares a los encontrados en la tesis de Juan José Esteban Jiménez, en los que el iECA con espironolactona mostraba eficacia clínica (en estadio B2).

En el año 2008 me licencié en Veterinaria en la Universidad de Zaragoza. Desde el año 2010 he ido desarrollando mi actividad en clínicas y hospitales privados, como profesor asociado de Anestesia y Cirugía en el Hospital Universitario de la Facultad de Veterinaria de Zaragoza, donde ejerzo actualmente, además, como uno de los responsables del Servicio de Urgencias y Cuidados Intensivos en dicho hospital.

Lo más destacable de mi formación, es que dispongo del título de Experto Universitario en TC, Experto Universitario en Urgencias de Pequeños Animales, y la obtención del CertSAS en 2022. En 2020 obtuve el título de Doctor en Veterinaria por mi tesis titulada “Estudio descriptivo de la variación de la funcionalidad renal según la degeneración de la válvula mitral” con matrícula cum laude

Soy miembro del GEVO (Grupo Especialidad de Ortopedia Veterinaria), SEAAV (Sociedad Española de Anestesia y Analgesia Veterinaria), AVEPA (Asociación de Veterinarios Españoles Especialistas en Pequeños Animales) y SECIVE (Sociedad Española de Cirugía Veterinaria).

"Considero que al diagnosticar una degeneración de la válvula mitral mediante clínica y ecocardiografía cuando todavía no haya remodelado cardiaco evidente (B1), debemos evaluar el eje renina-angiotensinaaldosterona, interviniendo si es preciso con el fin de intentar retrasar y/o evitar dicho remodelado”.

"Hay que hacer partícipes a los propietarios de la enfermedad de su perro, intentando facilitar el seguimiento y realizando un seguimiento telefónico cada 3 meses”.

¿Qué te llevó a interesarte por la cardiología y a profundizar en el conocimiento de la relación entre la enfermedad renal y la degeneración valvular?

Durante mi licenciatura, cuando me explicaban cómo funcionaba el sistema cardiocirculatorio o el sistema renal, veía cómo sin darnos cuenta, millones de funciones se daban simultáneamente en el organismo mediante unas relaciones muy complejas.

En atención de urgencias, hace muchos años, se simplificaban los conceptos en dos grandes mundos: si el paciente padecía del corazón era tan fácil como indicar fluidoterapia baja y si padecía del riñón, fluidoterapia a ritmo elevado, pero ¿y si tenía las dos? Y ahí fue cuando mi interés por ambas patologías despertó y me puse a estudiarlas a fondo. Hace 10 años apenas sabíamos cómo actuar correctamente con un paciente en el momento en que esa balanza de equilibrio propio se perdía. A esta inquietud se le unía además que, en medicina humana, desde hace unos años sí tienen definido el concepto “eje cardiorrenal” que poco a poco va llegando al ámbito veterinario. La aparición de un uso más rutinario del SDMA (dimetilarginina simétrica), el ProBNP (Pro-

péptido natriurético cerebral N-terminal tipo B) incluso la aparición de nuevas moléculas para el tratamiento ha ido revolucionando el concepto que teníamos de un paciente cardiópata. Apenas unos años, algunos fármacos para la diabetes se mostraron eficaces en el tratamiento de patologías cardiacas como los inhibidores de la SGLT2 (inhibidores del cotransportador de sodio y glucosa tipo 2), hecho que indica que es un mundo todavía por entender y desarrollar en medicina veterinaria.

¿Qué retos supuso establecer los criterios y las guías de inclusión de pacientes en el estudio de tu tesis? ¿El seguimiento? ¿La elección de los tratamientos?

El criterio de inclusión era que fueran pacientes de raza canina diagnosticados de degeneración de la válvula mitral mediante ecocardiografía y que no estuvieran tratados previamente con ningún fármaco para dicha patología. La edad, el peso, la raza, su estado sexual, etc., no se consideraron criterios de exclusión. Únicamente las patologías endocrinas u otras patologías concomitantes cardiacas o un carácter agresivo del paciente debido al mal manejo se consideraron criterios de exclusión.

La dificultad de la adherencia al tratamiento a veces resulta compleja. Los pacientes pueden o no tomar correctamente la medicación, o simplemente el tutor se olvida, por lo que el hecho de explicar la función de cada fármaco, además de dedicar el tiempo suficiente a cada caso, me parece fundamental. Soy muy docente con los dueños y por ello el seguimiento de cada caso me ha sido más sencillo: entendían cuando sucedía algo importante o qué información era vital para mí. Durante el seguimiento, los tutores eran obligados a realizar un mínimo de 3 controles separados 6 meses entre ellos. En cada control se les realizaba una exploración general y un cuestionario básico sobre su rutina de ejercicio, alimentación, facilidad de dar la medicación, etc. Se les realizaban, además mediciones de presión arterial, control sanguíneo (hemograma con recuento diferencial, bioquímico incluyendo SDMA, ProBNP, aldosterona, albúmina y electrolitos), control urinario (tira de orina, sedimento, UPC (ratio proteína/creatinina en orina) densidad urinaria en refractómetro y microscopía del posible sedimento). En la radiografía de tórax se valoraba el Buchannan, diámetro traqueal y presencia o no de patrones pulmonares. Y, por supuesto, una ecocardiografía.

Respecto al tratamiento no existe demasiada controversia al tratarse de una patología tan conocida como la degeneración de la válvula mitral.

Aunque no soy especialista en cardiología considero, tras los datos de mi estudio, que al diagnosticar una degeneración de la válvula mitral mediante clínica y ecocardiografía cuando todavía no haya remodelado cardiaco evidente (B1), debemos evaluar el eje reninaangiotensina- aldosterona, interviniendo si es preciso con el fin de intentar retrasar y/o evitar dicho remodelado. No obstante, pese a que a fecha de hoy no existe un claro beneficio de la espironolactona, en mi tesis sí lo evidencié, y existen estudios posteriores, que así parecen confirmarlo.

PUBLIRREPORTAJE
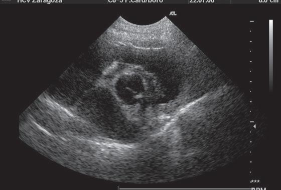
Juan José Esteban Jiménez / Experto Universitario en TC, Experto Universitario en Urgencias de Pequeños Animales y CertSAS / Facultad de Veterinaria de Zaragoza Figura 1. Visión eje corto Ai/Ao. Figura 2. Modo M mitral.

Estas controversias, lo que manifiestan, más que ponerse de parte de una u otra teoría, es que es un campo todavía por terminar de entender y muestran que existen parámetros que todavía se desconocen.

¿Qué lecciones has aprendido a lo largo de los años de estudio que puedes aplicar ahora en la clínica diaria respecto a cómo planificar la visita de los perros geriátricos, cómo mejorar los seguimientos, qué marcadores revisar en cada visita y cómo ayudar a la adherencia al tratamiento?

Considero que la revisión clínica de estos pacientes se debería protocolizar. Dicha revisión se ha de hacer estableciendo un número de controles acorde a la gravedad de la degeneración mitral que presente, en líneas generales, tres controles al año son un número habitual si no existen otras variables.

Hay que hacer partícipes a los propietarios de la enfermedad de su perro, intentando facilitar el seguimiento y realizando un seguimiento telefónico cada 3 meses. Y poder reservar el tiempo necesario para una buena valoración.

La percepción que tengo es que si cada vez que acuden a consulta disponen de una carpeta con el resultado e informe de cada prueba bien organizado, hace que incluso ellos en las siguientes visitas se interesen por organizarlo y se interesen por los cambios en ciertos parámetros que indicabas como importantes. Considero que al menos en el momento del diagnóstico y una vez cada año se ha realizar al menos un control exhaustivo tanto del paciente y su anamnesis, un control analítico, urinario y de imagen. Las mediciones de aldosterona, el SDMA y ProBNP me parecen fundamentales no en su valor puntual, sino en su evolución en el tiempo. De hecho, los valores descendentes de BNP indican mejoría de la función cardíaca, y que la disnea no tuviera origen cardiaco. (Valor predictivo negativo).

Para mí, la adherencia al tratamiento debe basarse en tres pilares fundamentales: precio, eficacia y palatabilidad. En la actualidad, los precios suelen ser asequibles, los estudios avalan y confirman la eficacia y tenemos pocos o ningún problema con los saborizantes de los productos. Si un propietario ve que un fármaco es algo menos económico pero los resultados obtenidos son evaluables y positivos, hace que la percepción de necesidad haga que olvide el tema económico más fácilmente.

¿Cuáles son tus recomendaciones sobre tratamiento y seguimiento basándote en los resultados de tu estudio?

Particularmente creo que, dado que existe un consenso sobre el tratamiento de la degeneración mixomatosa, tendría que ser la guía sobre la que basarnos. No obstante, no debemos olvidar que el corazón no es un ente aislado y que la relación con el sistema renal es fundamental. Es por ello que el control de otros parámetros, como el SDMA, la aldosterona, el ProBNP, la posible hipertensión o proteinuria son valores que debemos monitorizar dado que, si esperamos a que el corazón modifique su estructura, solamente indicará que ha tenido que alterar su morfología por las exigencias de la enfermedad y sabemos que dicha modificación entraña más consecuencias a largo plazo. No obstante, el uso de iECA (inhibidor del enzima convertidor de la angiotensina) sin espironolactona no parecen mostrar ningún tipo de beneficio, y es de las pocas cosas de las que hay

evidencia actual que va quedando claras. En 2020, el estudio DELay dirigido por Borgarelli obtuvo unos resultados muy similares a los encontrados en mi tesis en los que solamente el iECA con espironolactona mostraba eficacia clínica (en estadio B2). Se están poniendo en entredicho valores concretos del ratio Ai/Ao (figura 1), de las medidas ventriculares normalizadas, incluso si es específico de cada raza. Fármacos como el pimobendán parecen tener diferentes semividas en los pacientes, aunque comienza a notificarse que puede ser útil en fases preclínicos, por lo que queda mucho terrero por estudiar.

¿Qué recomendarías a una persona que quisiera realizar un estudio sobre la ICC? ¿Qué campos de investigación crees que se abren ante nosotros?

A esta persona le diría que es un campo fantástico en el que investigar. Es un tema en constante investigación y sujeta a nuevas evidencias cada pocos años que ha visto un incremento significativo de estudios en esta década.

Los valores ecocardiográficos, los resultados de las administraciones farmacológicas, etc. todo está en revisión, todo es planteable, y todo es investigable. Considero que el campo que habría que desarrollar es la investigación del síndrome

cardiorrenal, ya que es un área con muy pocos estudios publicados. Es algo objetivo que el futuro de la investigación veterinaria parte por entender esta relación.

Estudio descriptivo de la variación de la funcionalidad renal según la degeneración de la válvula mitral

“La

capacidad

de complementarnos entre todos es grande y esto se nota en el día a día”

Diagnóstico por imagen, traumatología, cirugía general y de mínima invasión, oncología, medicina interna, dermatología, rehabilitación, urgencias y hospitalización son los servicios que ofrece el nuevo Hospital Veterinario Madrid Centro. Rubén Duque Moreno, director técnico veterinario del centro, explica sus servicios y destaca la unión y solidez del equipo.

Director técnico veterinario

Hospital Veterinario Madrid Centro

¿Cómo afronta este reto de ser el director técnico veterinario en Hospital Veterinario Madrid Centro?

Me sumo a un proyecto muy ilusionante, con un equipo que está demostrando querer seguir dando pasos hacia delante, creando un proyecto sólido y único en España para proporcionar el mejor cuidado posible a los animales de compañía. Como veterinario clínico, y personalmente, no podría estar más satisfecho laboralmente que dentro de este grupo.

¿Cómo están viviendo esta primera etapa tras su apertura?

Es muy fácil y gratificante acudir cada día a tu puesto cuando te ofrecen la posibilidad de crecer y desarrollarte en lo que te apasiona, teniendo un equipo que te apoya, que tienen una gran experiencia en gestión, expansión y desarrollo de centros veterinarios, así como unos compañeros en el hospital que creen en el propósito de velar por el bienestar de los animales. Quedan muchos meses por delante donde seguiremos ampliando el equipo

humano, especialidades y adquiriendo nuevo equipamiento para poder brindar la mejor atención veterinaria.

¿Qué puede decirnos sobre el equipo del centro?

Somos un grupo sólido y unido, desde las compañeras de administración y enfermeras hasta los veterinarios y directores del centro. La capacidad de complementarnos entre todos es grande y esto se nota en el día a día, cuando atendemos a los pacientes que acuden al hospital.

puestos de control distribuidos por varias zonas del hospital.

¿De cuántas consultas y quirófanos dispone?

Contamos con 12 consultas completamente equipadas, 6 para perros y 6 para gatos. Actualmente, estamos en proceso de adquirir la certificación Cat Friendly Gold; certificado internacional, otorgado por la Sociedad Internacional de Medicina Felina

“Tenemos capacidad de hospitalización para más de 50 animales, diferenciando por especies. Todos ellos pueden ser monitorizados mediante el sistema de telemetría, con el que cuentan muy pocos centros veterinarios en España”.

¿Qué especialidades se atenderán?

Actualmente, contamos con servicio de atención de urgencias y emergencias las 24 horas del día, así como con hospitalización y unidad de cuidados intensivos. Además, destacamos diagnóstico por imagen con TC y RM de alto campo 1.5 T, traumatología, cirugía general (torácica, abdominal, urogenital, etcétera), cirugía de mínima invasión, oncología, medicina interna, dermatología y rehabilitación.

¿Qué destacaría de las instalaciones?

El hospital tiene una superficie de 1.000 m2 repartidos en una sola planta, lo que facilita en gran parte la movilidad de toda clase de pacientes por las instalaciones. Además, tenemos capacidad de hospitalización para más de 50 animales, diferenciando por especies. Todos ellos, a su vez, pueden ser monitorizados mediante el sistema de telemetría, con el que cuentan muy pocos centros veterinarios en España. Esto nos permite poder monitorizar de forma avanzada a los pacientes que lo requieran desde los

(ISFM) a los centros especializados en atención, cuidado y bienestar de los gatos. Además, tenemos cuatro quirófanos completamente equipados diferenciados por especialidad, en los que podemos realizar varios procedimientos quirúrgicos de manera simultánea. Uno de ellos es utilizado exclusivamente para procedimientos odontológicos y endoscópicos, localizado en otra área y aislado del resto, lo que permite mantener la máxima esterilidad.

¿Cómo es su servicio de urgencias?

Actualmente, contamos con servicio de atención de urgencias y emergencias las 24 horas del día, los 365 días del año de manera presencial, así como hospitalización y unidad de cuidados intensivos para pacientes caninos y felinos.

¿Con qué opciones cuentan para realizar diagnóstico por imagen?

El hospital cuenta con una máquina de resonancia magnética de alto campo; 1.5 teslas. Tomografía computarizada de 16 cortes, arco quirúrgico en el quirófano,

radiología digital directa avanzada y ecógrafo de última generación para ecografía cardíaca abdominal.

¿Disponen de sala de espera y de hospitalización diferenciada para gatos?

¿Han tenido en cuenta de alguna otra manera las necesidades de esta especie?

Como decía anteriormente, somos un centro muy concienciado con el bienestar de esta especie. Es por ello por lo que se han desarrollado protocolos de manejo exclusivos para ellos, así como un diseño hospitalario en el que no existe conexión alguna entre dos especies diferentes. Tienen su sala de espera, consultas, hospitalización, así como material específico para su cuidado.

Vídeo del Hospital Veterinario Madrid Centro

Sheila Riera

Argos - argos@grupoasis.com

Imágenes cedidas por el Hospital Veterinario Madrid Centro

Nº 258 Mayo 2024 8 ACTUALIDAD PROFESIONAL

La importancia de la ética en la clínica veterinaria

La aplicación de principios éticos es de utilidad a la hora de tomar decisiones para resolver situaciones cotidianas en la clínica, así como para enfrentarnos de manera profesional a problemas morales. Además, puede ser de ayuda para hacer valer nuestra labor social.

En los últimos años, la dinámica de las publicaciones veterinarias ha evolucionado e incorporado a su temática contenidos importantes, antes ignorados, como salud mental, gestión de personas, comunicación, marketing, etc. que van más allá de la información clínica; pero sigue habiendo un tema que se menciona más bien poco, incluso del cual casi nada se estudia en las facultades, pero que en conversaciones entre colegas, cuando se da la oportunidad, despierta grandes pasiones y encendidos debates: la ética en la práctica veterinaria.

Mientras que, en otras carreras sanitarias, como medicina, la ética se estudia con considerable profundidad, a la mayoría de los veterinarios nos ha sucedido que al salir de la universidad y empezar a trabajar en clínica nos tocó enfrentarnos a dilemas éticos que nunca habíamos imaginado y de los que no nos habían hablado nunca. Con el aliciente de que, salvo lo escuetamente estipulado en el código deontológico veterinario, no hay respuestas escritas fácilmente disponibles para resolverlos, como sí tuvimos cuando nos tocaba atender por primera vez un cuadro clínico nunca visto anteriormente.

Las sociedades democráticas delegan a los profesionales los asuntos éticos a los que se enfrentan mejor que la sociedad en general, dada su naturaleza técnica. El fracaso de una profesión para actuar de acuerdo con una ética profesional que refleje y esté en armonía con la ética social de consenso puede tener como resultado la pérdida de autonomía para la profesión en cuestión.

Esto último es algo en lo que deberíamos pensar seriamente los veterinarios respecto a la recientemente publicada ley de protección animal para cuya redacción fuimos muy poco tenidos en cuenta. La falta de formación ética en la profesión nos expone a no detectar los intereses de la sociedad. Por ejemplo, el hecho de que el bienestar de los animales es de primordial interés para esta. Que los veterinarios no hayamos tenido un rol protagónico en el bienestar animal daña nuestra credibilidad en dicha sociedad.

La ética tiene otro componente, el más importante, aunque menos familiar, que es el estudio racional y lógico de sí misma, lo que incluye el intento de justificar sus principios. Esta parte de la ética es sobre la que nos hace falta poner más el foco. Este es el componente filosófico de la ética y es lo que lleva a que la ética social, personal y profesional pueda recibir una crítica racional y estar sujeta a cambios. Esta práctica es, por ejemplo, lo que ha llevado, no hace

Necesitamos una jerarquía de principios para decidir a cuáles se les da más peso en cada situación y para mantenernos firmes en nuestras evaluaciones, de forma que apliquemos las mismas prioridades en situaciones que sean similares.

Un poco de teoría

Para hablar de ética con fundamento, debemos evitar la idea de que los juicios éticos son opiniones; de hecho, el estudio de la ética proporciona un medio que obliga a ir más allá de los pensamientos y expectativas de cada persona y es por eso por lo que a mucha gente le resulta incluso incómodo.

La ética se define como el conjunto de principios que rige las opiniones de lo correcto e incorrecto. Dentro de ella podemos encontrar:

• Una ética social de consenso, sin la cual no podríamos vivir pacíficamente, que incluye juicios éticos universalmente vinculantes con reglas que rigen el comportamiento de toda una sociedad.

• Esta ética no regula todos los campos de la vida; ciertas áreas se dejan a criterio del individuo: es lo que se define como ética personal (por ejemplo, qué elegimos leer o creer).

• La ética profesional, que se refiere a las funciones especializadas que requieren habilidades a las que la gente fuera de la profesión en cuestión no se enfrenta.

mucho tiempo, a la prohibición de mutilaciones por estética en perros, práctica contra la cual la profesión tiene un consenso en la actualidad, pero que no hace tanto tiempo se realizaba en muchas clínicas.

Los veterinarios nos encontramos enredados en un conjunto de obligaciones que pueden resultar conflictivas, o incluso contradictorias entre sí: tenemos obligaciones morales con nuestros clientes, con nuestros colegas, con la sociedad en general, con los animales y con nosotros mismos. Al evaluar cualquier situación deberíamos tener en cuenta si contiene obligaciones frente lo anteriormente mencionado, ya que de esta manera sabremos que hemos considerado todos los posibles campos de preocupación ética. Para facilitar esta práctica es muy necesario el debate ético entre colegas, algo que en nuestra profesión todavía no está todo lo extendido que debería.

Muchas situaciones a las que nos enfrentamos en la clínica diaria no están definidas claramente, lo que las convierte en conflictivas. La clave para resolver este tipo de situaciones radica en cómo priorizamos los principios en conflicto. Necesitamos una jerarquía de principios para decidir a cuáles se les da más peso en cada situación y para mantenernos firmes en nuestras evaluaciones, de forma que apliquemos las mismas prioridades en situaciones que sean similares.

En la recientemente estrenada y premiada película “La sociedad de la nieve” hay un ejemplo muy gráfico de la aplicación de esto último en la escena donde los protagonistas debaten la decisión de optar por la antroprofagia: recurren a la justificación y priorización de principios éticamente opuestos, llegando a un consenso grupal para tomar una decisión sin la cual no habría habido supervivientes a la tragedia.

Siempre se debe buscar dar una explicación racional de la resolución de un conflicto ético.

Los principios no deben cambiar en las diferentes situaciones, sino que se debe decidir qué principios se aplican en cada caso.

Veterinarios y bienestar de animales de compañía

Las personas tenemos animales de compañía para establecer lazos afectivos y así aumentar nuestra calidad de vida, estableciendo una supuesta relación de reciprocidad; pero sabemos bien que muchos seres humanos violan muchas veces su parte del trato, incumpliendo su compromiso, mediante abandono, incumplimiento de necesidades de ejercicio y juego, medicina preventiva, alimentación, perpetuación de enfermedades genéticas de determinadas razas.

Los principios no deben cambiar en las diferentes situaciones, sino que se debe decidir qué principios se aplican en cada caso.

Una gran proporción del maltrato animal en la sociedad se encuentra en el trato hacia los animales de compañía, el cual además no puede justificarse de ninguna manera racional. Este tipo de maltrato es, además, contrario a los objetivos de tener una mascota, de lo cual se puede argumentar que representa la peor forma de maltrato animal, ya que esa tenencia no tiene ningún sentido útil como puede tener la ganadería o la experimentación con animales de laboratorio. La mayoría de los que hacen este mal lo hacen por ignorancia y ahí tenemos la gran oportunidad los veterinarios de comprometernos en nuestra función educacional hacia los propietarios y la sociedad en general. Un buen ejemplo de esta falta de compromiso hacia nuestra profesión se da cuando, ante consultas por problemas de comportamiento canino, muchos veterinarios delegan la gestión de estos casos a adiestradores, en lugar de recurrir a vete-

12 MARKETING Y GESTIÓN EN LA CLÍNICA Nº 258 Mayo 2024 The KonG/shutterstock.com

rinarios etólogos, especialidad de la cual hoy en día hay másteres universitarios y muchos otros posgrados disponibles.

La ética y el bienestar laboral

En la actualidad, cuando se habla recurrentemente de problemas de salud mental en veterinarios poniendo el foco sobre todo en el burnout, la fatiga por compasión o el síndrome del impostor, no se presta la suficiente atención al estrés moral al que estamos sometidos los veterinarios. A diferencia de otros tipos de estrés, el moral no aumenta ni disminuye según cada momento, sino que se acumula, creando así una tensión muy grande sobre lo que creemos que deberíamos estar haciendo y lo que estamos haciendo realmente, condicionados por factores externos (presión de propietarios o cuidadores de animales, compañeros de trabajo o superiores, limitaciones económicas, desatendimiento de las autoridades competentes del cuidado animal, etc.) y erosionando la salud mental y satisfacción laboral.

En mi opinión, este estrés moral es en gran parte responsable del alto grado de abandono o intención de abandono de la profesión que hay entre los veterinarios clínicos, revelados en recientes encuestas

a quien consultar o sentirse necesarios haciendo atender a su animal.

El grado considerable en el que los veterinarios cumplimos esta función aumenta nuestro estrés moral mermando nuestro bienestar y salud mental, como también lo hace, por ejemplo, enfrentarnos a cuidadores que no consideran ni están abiertos a entender que, por ejemplo, una correcta prevención de parásitos externos es necesaria para evitar enfermedades sistémicas potencialmente graves.

La ética y la eutanasia humanitaria

Uno de los asuntos que más frustración suele provocar a veterinarios clínicos de pequeños animales es la práctica de la eutanasia.

No hace mucho tiempo, los veterinarios nos enfrentábamos cotidianamente a clientes que solicitaban la eutanasia como única “solución” asumible al problema médico, comportamental o hasta logístico que presentaba el animal. En la actualidad el problema incluso se ha invertido, con clientes dispuestos a asumir todos los medios para alargar la vida del animal sin considerar su sufrimiento. Esta última situación nos deja a los veterinarios, muchas veces, como abogados a

A diferencia de otros tipos de estrés, el estrés moral no aumenta ni disminuye según cada momento, sino que se acumula, creando así una tensión muy grande sobre lo que creemos que deberíamos estar haciendo y lo que estamos haciendo realmente.

realizadas, por lo que debería, mediante formación y debate, dar herramientas sólidas para enfrentarnos correctamente a este problema.

En nuestra sociedad los veterinarios no tenemos el mismo grado de autoridad médica que los facultativos en medicina humana. En la práctica real estamos obligados a trabajar de acuerdo con el concepto del cliente sobre la salud y la enfermedad, muchas veces no acorde a consideraciones médicas, sino más bien de carácter económico o cultural. Todos nos hemos encontrado con propietarios que afirman que su animal está de alguna manera enfermo, a pesar de nuestra apreciación contraria, y para satisfacer las exigencias del cliente, muchas veces terminamos siendo nosotros también su profesional de salud mental. Incluso muchos clientes recurren a esto para tener alguien

y muerte como “victoria” o “derrota”, sin poner énfasis en el confort del paciente. Por esta razón la discusión sobre la eutanasia es tan controvertida.

La autoridad médica de los veterinarios

Mientras los médicos trabajan directamente con los pacientes, los veterinarios trabajamos siempre a través de un tercero, el tutor del animal, al cual muchas veces vemos como un “obstáculo” para lograr nuestros objetivos médicos.

Muchas veces, por cuestiones de baja autoestima generalizado en la profesión, o de falta de formación o debate al respecto, no somos conscientes de nuestra autoridad médica y de la enorme capacidad que tenemos de influir y educar.

favor de la eutanasia a tiempo, evitando así la agonía final. Muchos veterinarios rechazan determinar el momento adecuado para decidir la eutanasia de una mascota enferma ante esta consulta por parte de un cliente, pero creo que esto es desaprovechar una gran oportunidad de hacer valer nuestra autoridad médica, ya que somos el profesional mejor cualificado para poder asesorar en esta difícil decisión, la cual es mucho más difícil para un propietario que, además de estar emocionalmente afectado, no posee los conocimientos ni la experiencia necesarios para tomar semejante decisión, y con la cual no quiere cargar. Una visión profesional, externa y objetiva será la más adecuada ante estas situaciones, siempre poniendo el foco en que se hace lo mejor para el animal en cada caso. De la misma forma que no delegaríamos a un propietario que decida si es necesario o no administrar un determinado medicamento a su mascota, no creo que sea bueno que decida por sí solo cuándo es el momento adecuado de mitigar el sufrimiento de su animal, sin nuestro asesoramiento.

La medicina científica moderna, basada en datos objetivos y abstraída completamente de estados subjetivos, ha esquematizado la batalla contra la enfermedad

La veterinaria es también una profesión social, lo que imposibilita tratar médicamente cada caso estrictamente desde un enfoque técnico. Debemos invertir, trabajar y entrenar mucho mejor nuestras habilidades sociales para poner de nuestro lado a quien será el medio para lograr nuestras metas para con el animal. La formación, entrenamiento o debate respecto a esto último es muy rudimentaria en nuestra profesión y es algo que se debe esforzar por corregir. Además de nuestros conocimientos y experiencia, debemos aprender a apelar al carisma y comunicación efectiva. Muchas veces, por cuestiones de baja autoestima generalizado en la profesión, o de falta de formación o debate al respecto, no somos conscientes de nuestra autoridad médica y de la enorme capacidad que tenemos de influir y educar.

Conclusiones

La intención de este artículo es darle un merecido protagonismo al componente racional de la ética, y animar a que debatamos entre colegas sobre este tema tan importante, de la misma forma que discutimos cotidianamente asuntos clínicos, ya que además de enriquecedor para la mente, lo es también para el alma y nos da herramientas sólidas a la hora de tomar decisiones y enfrentarnos de una forma profesional a problemas morales del trabajo diario y hacer así valer nuestra labor social, que es, sobre todo en el mundo actual, muy importante.

Si trabajamos, como colectivo, en ello correctamente, puede serlo todavía mucho más y quizá así los veterinarios seamos los encargados de redactar la siguiente ley de bienestar animal cuando se actualice algún día que, en definitiva, y en eso estaremos todos de acuerdo, sería lo éticamente correcto.

Have a nice day Photo/shutterstock.com
14 MARKETING Y GESTIÓN EN LA CLÍNICA Nº 258 Mayo 2024 SeventyFour/shutterstock.com

Resistencia a antimicrobianos e infome ESVAC (AEMPS-EMA)

Con motivo de la apertura del plazo para la declaración de antimicrobianos (ESVAC) es importante resaltar la importancia de ser conscientes de la situación mundial de la resistencia a estos.

Coord.

Técnica Farmacéutica y Resp. Sistema de Calidad. Nuzoa

La resistencia a antimicrobianos aparece cuando las bacterias, virus, hongos y parásitos evolucionan a lo largo del tiempo y dejan de responder a los medicamentos; es decir, estos se vuelven ineficaces a la hora de tratar infecciones. Como consecuencia, las infecciones son cada vez más difíciles o imposibles de tratar, de manera que incrementa el riesgo de propagación de enfermedades, de aparición de formas graves de enfermedades y de muerte.

Factores relevantes

La resistencia a los antimicrobianos es un fenómeno que aparece de forma natural con el tiempo, generalmente por modificaciones genéticas; sin embargo, algunas de nuestras acciones pueden acelerar su aparición. Entre los principales factores de la resistencia a los antimicrobianos se encuentran los siguientes: el uso indebido y excesivo de antimicrobianos; la falta de acceso a agua

limpia, saneamiento e higiene (ASH); la adopción de medidas deficientes de prevención y control de las enfermedades y las infecciones en los centros de atención de salud y las explotaciones agrícolas; el acceso deficiente a medicamentos, vacunas y medios de diagnóstico asequibles y de calidad; la falta de sensibilización y conocimientos; y el incumplimiento de la legislación.

Motivo de preocupación mundial

La aparición y propagación de patógenos farmacorresistentes compromete nuestra capacidad para tratar infecciones comunes, afectando a países de todos los niveles de desarrollo y especialmente a sus sistemas de atención de salud.

La resistencia a los antimicrobianos tiene un coste considerable para las economías de los países y sus sistemas de salud, ya que implica mayor duración de las estancias hospitalarias y una atención más cara e intensiva.

Además, el desarrollo de nuevos antimicrobianos es una tarea cada vez más compleja, ya que es muy difícil obtener

medicamentos innovadores que sean eficaces. De todas formas, si no se cambia la forma en que se utilizan actualmente los antibióticos, esos nuevos antibióticos tendrán el mismo destino que los actuales y se volverán ineficaces.

Informe ESVAC

ESVAC (European Surveillance of Veterinary Antimicrobial Consumptiones) es una iniciativa de ámbito europeo para la recogida y evaluación de datos sobre la venta y el consumo de medicamentos veterinarios que contengan en su composición antibióticos como principio activo. En España el proyecto ESVAC está incluido dentro del Plan Nacional frente a Resistencias a los Antibióticos (PRAN). El Proyecto ESVAC se organiza en tres actividades:

• La recogida y la validación de los datos.

• El análisis y la evaluación de los datos.

• La comunicación de los resultados obtenidos a la EMA a partir del análisis de los datos. Los datos se aportarán con carácter anual y referidos al ejercicio anterior. El próximo 15 de mayo es la fecha límite para todos los establecimientos que están

obligados a presentar la declaración del informe ESVAC.

Para ello, las entidades obligadas deben acceder a la aplicación web de ESVAC, desde la cual podrán cargar todos los datos referidos a las salidas de los medicamentos veterinarios que deben ser declarados. Las entidades obligadas a realizar la declaración ESVAC son las siguientes: laboratorios (ventas estimadas por especie), establecimientos comerciales detallistas (dispensaciones a otros minoristas y cliente final), oficinas de farmacias (dispensaciones a cliente final), agrupaciones ganaderas (dispensaciones a sus ganaderos).

El acceso a dicha web se hará en función del perfil correspondiente y, una vez dentro, se estratifican las salidas en función de las especies a las que han sido destinados, si bien este aspecto puede ser aproximado, ya que no siempre la dispensación va asociada a una especie en concreto (por ejemplo, el caso de botiquín veterinario). Una vez enviados los datos ya no se podrá corregir ni volver a enviar otra declaración. La finalidad de la plataforma es actuar como una herramienta más en el plan de lucha frente a resistencias a los antibióticos.

Nº 258 Mayo 2024 15 ACTUALIDAD PROFESIONAL

NeoLeish®, la nueva vacuna contra la leishmaniosis canina

NeoLeish®, de Petia Vet Health, es la única vacuna diseñada con tecnología de ADN patentado para proteger frente a la leishmaniosis canina.

La filial del grupo Zendal Petia Vet Health ha lanzado al mercado NeoLeish®, la primera vacuna para perros basada en ADN recombinante para hacer frente a la leishmaniosis canina. Desarrollada por el grupo Zendal junto a un equipo del Consejo Superior de Investigaciones Científicas (CSIC), es la primera y única vacuna de ADN en el mundo desarrollada para perros y la tercera en el mundo con esta tecnología, basada en fragmentos de información genética que codifican inmunógenos. Es, también, la segunda vacuna existente y autorizada comercialmente frente a la transmisión de Leishmania infantum en perros.

Cabe destacar que la Agencia Europea de Medicamentos (EMA) la consideró el hito científico del año en 2022.

Perros vacunados con NeoLeish® presentan una reducción de la carga parasitaria en la médula ósea de hasta un 92 %1

Reducción de hasta un 92% en la carga parasitaria1 Los perros vacunados con NeoLeish® presentan una reducción de parásitos en médula ósea de hasta un 92 %.

En este sentido, el investigador del CSIC Vicente Larraga, del grupo de Parasitología Molecular del Centro de Investigaciones Biológicas Margarita Salas (CIB-CSIC), y director del desarrollo, explica que “esta vacuna destaca por ser muy eficaz, ya que reduce un 92 % el número de parásitos en la médula ósea de los perros vacunados en un experimento paralelo realizado en el laboratorio”.

Estamos ante un protozoo parásito peculiar que se introduce en las células del sistema inmunitario del animal al que infecta y así se protege de los anticuerpos que este genera para eliminarlo.

Diseñada con la tecnología de ADN más avanzada, NeoLeish® potencia la respuesta celular necesaria para la protección contra el parásito Leishmania infantum

Tecnología innovadora de ADN

Diseñada con la tecnología de ADN más avanzada, NeoLeish® potencia la respuesta celular necesaria para la protección contra el parásito Leishmania infantum

Primera y única vacuna de ADN en el mundo para perros

Avalada por la Agencia Europea del Medicamento, NeoLeish® ha superado los estándares más rigurosos, garantizando seguridad y eficacia.

NeoLeish® utiliza un plásmido patentado que elimina la necesidad de adyuvantes en su composición, ofreciendo una protección avanzada y específica.

Por ello, para su protección, “requiere la activación de la vía celular (células asesinas y linfocitos T), para ser eliminado”, señala Larraga. Así, la vacuna activa específicamente la vía celular de defensa en los animales infectados y disminuye la presencia del parásito dentro de las células de los perros vacunados. Además, permite la inmunización activa de perros negativos a Leishmania a partir de los 6 meses de edad, para reducir el riesgo de desarrollar una infección activa y/o la enfermedad clínica tras la exposición a L.infantum

Referencias

Sin reacciones adversas ni inyecciones subcutáneas

NeoLeish® no cuenta con efectos secundarios locales ni sistémicos2, proporcionando así una protección sin complicaciones.

Plásmido superenrollado patentado pPAL-LACK sin adyuvantes2

NeoLeish® utiliza un plásmido patentado que elimina la necesidad de adyuvantes en su composición, ofreciendo una protección avanzada y específica.

No interfiere en el diagnóstico

Los perros vacunados con NeoLeish® no dan positivo en las pruebas de diagnóstico diseñadas para detectar anticuerpos contra Leishmania infantum (IFAT)2

El lanzamiento de NeoLeish® es un momento significativo para Petia Vet Health, empresa del grupo Zendal que surgió en 2016, y la consolida como un actor destacado en la provisión

Los perros vacunados con NeoLeish® no dan positivo en las pruebas de diagnóstico diseñadas para detectar anticuerpos contra Leishmania infantum (IFAT)2 de soluciones veterinarias avanzadas. No solo posiciona a Petia en la vanguardia de la distribución de soluciones innovadoras, sino que también resalta su compromiso con la excelencia en el cuidado animal.

route protects against canine leishmaniasis” Front. Immunol. 14: 1213193, 2023. (Dosis inicial / Dosis de recuerdo, 30 días de intervalo). (Primovacunación/Repetición 30 d. intervalo)

2. Ficha técnica: https://qrco.de/ben1Fh

PUBLIRREPORTAJE
Petia Vet Health
Molecular Parasitology and Vaccines, Department of Cellular and Molecular Biology, Centro de Investigaciones Biológicas Margarita Salas, Consejo Superior de Investigaciones Científicas (CIBMS-
Madrid,
antibiotic resistance-free DNA vaccine delivered by the intranasal
1. Laboratory of
CSIC),
Spain. Laboratory of Parasitology, Department of Animal Pathology, Faculty of Veterinary Science, University of Zaragoza,
Zaragoza, Spain. (18 September 2023). Alonso, A et al. “A non-replicative

Responsabilidad social empresarial en la clínica veterinaria (y II)

Mediante la responsabilidad social empresarial (RSE) contribuimos a un desarrollo sostenible y tenemos un impacto social muy positivo, lo que ayuda a mejorar la imagen profesional del centro.

Carlos Muñoz Sevilla

Departamento de Medicina y Cirugía

Animal. Facultad de Veterinaria

Universidad Cardenal Herrera-CEU, CEU Universities

Imágenes cedidas por el autor

Estrategias

Al final del artículo anterior, publicado en el número de abril, hablábamos de lo que son los impactos. Una vez los tenemos, elegimos en primer lugar los de nivel de riesgo más alto y establecemos su indicador. El indicador, que debe ser preferentemente cuantitativo, nos permite comprobar el grado de cumplimiento de las estrategias y acciones que pongamos en marcha para reducir dicho impacto.

Los pasos que podemos seguir para determinar los indicadores son:

• Definir los objetivos y las metas que quieres alcanzar con respecto a cada dimensión.

• Identificar los aspectos más relevantes, de cada una de las cuatro dimensiones, para tu clínica, tus grupos de interés y tu entorno.

• Seleccionar los indicadores que mejor se adapten a lo que quieres conseguir, definir cómo lo vas a calcular y la frecuencia con la que vas a poder medir.

• Recopilar y analizar los datos necesarios para calcularlos, y compararlos con los valores de referencia.

Las estrategias las dividimos en cuatro categorías que coinciden con las dimensiones de la RSE. Al clasificarlas según las dimensiones de la RSE nos será más fácil, posteriormente, integrarlas en el plan de negocio de la empresa. Las estrategias de las dimensiones social y económica las integramos muy fácilmente en el área de personas y financiera de la empresa, respectivamente. Las estrategias derivadas de las dimensiones medioambiental y ética

podrán corresponder a cualquiera de las áreas de la empresa.

Pongamos un ejemplo: queremos reducir el impacto medioambiental por consumo de energía eléctrica que tiene la clínica. El indicador puede ser los Kw/h consumidos, ya sea mensual, trimestral o anualmente. La propia compañía de electricidad informa de los consumos medios de usuarios de nuestra zona. La estrategia será reducir el consumo de electricidad si observamos que tenemos un consumo elevado (figura 1).

Para cada acción decidiremos un plazo de cumplimiento, asignaremos responsables de la ejecución y estableceremos un calendario de seguimiento.

Ahora debemos hacer un plan de acción para la estrategia “reducir el consumo de electricidad”. Podemos plantear varias acciones, que a su vez tendrán subacciones:

• Cambiar la iluminación de la clínica a luz led.

• Instalar un inversor que recupere la energía reactiva y la convierta en energía aprovechable.

• Reducir consumos de electricidad siendo más eficientes poniendo, por ejemplo, el autoclave siempre lleno.

• Instalar sensores de encendido automático en las zonas de poco uso.

• Comprar electrodomésticos de categoría más eficiente.

Por último, para cada acción decidiremos un plazo de cumplimiento, asignaremos responsables de la ejecución y estableceremos un calendario de seguimiento.

Cómo aplicarla

Para llegar a implementar un Plan de Responsabilidad Social en la clínica vete-

rinaria lo primero que tenemos que hacer es estar convencidos del porqué de la RSE y luego seguir los pasos que hemos ido explicando (figura 3). Elaborar una política de RSE que defina:

• Los objetivos que quieres conseguir: mejorar el impacto social en tus clientes, en tu equipo, etc.; el medioambiental reduciendo el consumo, el desperdicio, etc.; el económico mejorando los salarios de tu equipo, estableciendo unos precios correctos, etc.; el ético mejorando los protocolos de actuación con tus pacientes, protocolos clínicos de tratamiento del dolor, etc.

• Los indicadores para cada impacto.

• Los impactos derivarán en una serie de estrategias que nos indican el camino a seguir para cumplir con los objetivos que nos hemos marcado.

• Establecemos el plan de acción de cada estrategia lo más detallado posible, definiendo muy bien cada acción y subacción, buscando el mecanismo y los recursos para llevarlas a cabo, deci-

diendo el plazo de consecución, asignando responsables y un calendario de seguimiento.

Implica en el desarrollo y la ejecución de la Política de RSE a tus grupos de interés más importantes (figura 4):

• A tu equipo, que ya tiene una conciencia de responsabilidad social y, por tanto, va a aportar muchas ideas y a colaborar en la ejecución.

• A tus clientes les va a generar un sentimiento de pertenencia al pedirles opinión y poder participar en mejorar la atención para sus miembros de la familia de cuatro patas.

• Tus proveedores están encantados de proporcionarte información de diversa índole, muy valiosa ya que visitan muchas clínicas veterinarias. La mejor manera de fomentar su participación es hacerles sentir importantes porque les pides opinión, les tienes en cuenta y les agradeces su colaboración. Si lo estimas oportuno implica y recaba información de otros grupos de interés.

Objetivos

Evaluación impactos

Establecimiento indicadores

Estrategias

Plan de acción

4. Implicación de los grupos de interés.

CLIENTES EQUIPO

IMPLICACIÓN RSE

PROVEEORES

Figura 3. Pasos para la elaboración de la Política de RSE Figura Figura 1. Detalle de consumos eléctricos en una factura de una compañía eléctrica.
18 MARKETING Y GESTIÓN EN LA CLÍNICA Nº 258 Mayo 2024
Figura 2. Plan de acción.

Integración en el plan de negocio

Una vez tenemos las estrategias, las hemos clasificado en cuatro grupos según las dimensiones y tenemos las acciones, buscamos en qué área de la empresa se ajustan mejor para integrarlas en el plan de negocio (figura 5).

En el ejemplo expuesto anteriormente para reducir el consumo eléctrico, en la dimensión medioambiental, la estrategia tendrá un impacto en el área de finanzas aumentando, al principio, los costes por la sustitución de iluminación, sensores y electrodomésticos y la instalación del inversor, pero a corto plazo la factura de electricidad disminuirá compensando los costes iniciales y reduciendo los costes fijos a medio plazo.

• Mejora el clima laboral y la motivación del equipo, que se sienten parte de un proyecto común, proyecto que respeta sus derechos, reconoce su trabajo y les ofrece oportunidades de desarrollo profesional y personal.

• Reduce los costes operativos y aumenta la eficiencia de la clínica veterinaria, al optimizar el uso de los recursos, evitar el desperdicio, prevenir los riesgos y mejorar la gestión de los procesos.

• Contribuye al desarrollo sostenible y a la protección del medio ambiente, al minimizar el impacto ambiental de la actividad veterinaria, al promover el uso de productos ecológicos y al apoyar la conservación de la biodiversidad.

• Genera un impacto social positivo, al mejorar el bienestar y la salud de los

Cada acción que decidamos llevar a cabo la podemos integrar en una o varias de las áreas de la empresa y completar y ampliar el plan de negocio, mejorando el funcionamiento diario de la clínica veterinaria, la percepción del cliente y, por tanto, la reputación.

Si decidimos actuar en la dimensión económica y mejorar las condiciones laborales de nuestro equipo, por ejemplo, realizando una mejora salarial y facilitando capacitación profesional, las acciones que hayamos desarrollado para implementar dichas mejoras las podemos integrar plenamente en el área financiera de nuestra empresa, ya que tendrán un coste económico directo por el aumento de salarios y la financiación de la capacitación, pero puede incrementar los ingresos al mejorar la motivación del equipo y su destreza profesional. Sin embargo, tanto motivación como capacitación también son parte del área de personas.

Dentro de la dimensión social, si queremos mejorar el clima laboral proporcionando un ambiente de trabajo saludable, seguro y motivador para el equipo y facilitar la conciliación familiar y personal, las acciones de esta mejora las integramos en el área de personas principalmente, aunque también tienen un coste económico que afecta al área de finanzas.

En cuanto a las posibles acciones de la dimensión ética, si decidimos implantar protocolos clínicos para trabajar de forma profesional, cumpliendo con la medicina basada en la evidencia y velando por el bienestar animal, la elaboración de estos protocolos afecta a la planificación estratégica de la empresa, al equipo que debe participar en la elaboración y esto supone un coste económico en tiempo de las personas.

Como podemos apreciar, cada acción que decidamos llevar a cabo la podemos integrar en una o varias de las áreas de la empresa y completar y ampliar el plan de negocio, mejorando el funcionamiento diario de la clínica veterinaria, la percepción del cliente y, por tanto, la reputación.

Beneficios de la RSE en la clínica veterinaria

Aplicar la RSE en la clínica veterinaria tiene muchos beneficios, tanto para la clínica como para tus grupos de interés (figura 6). Algunos de ellos pueden ser:

• Mejora la imagen y la reputación de la clínica veterinaria, lo que puede atraer a más clientes, proveedores y empleados. Genera una ventaja competitiva frente a otras clínicas por la forma de trabajar.

• Aumenta la satisfacción y la fidelización de los clientes, que valoran la calidad, la ética y la responsabilidad de los servicios veterinarios, y que pueden convertirse en prescriptores de la clínica.

animales, al colaborar con asociaciones protectoras de animales, al atender a mascotas de personas en situación de vulnerabilidad y al educar y sensibilizar a la sociedad sobre el cuidado y el respeto a los animales.

MEDIOAMBIENTAL

• Consumo eléctrico

ECONÓMICA

• Mejora Salarial

• Capacitación

SOCIAL

• Ambient trabajo

• Conciliación

ÉTICA

• Protocolos Clínicos

• Bienestar animal

No aplicar la RSE en tu clínica veterinaria puede tener otros riesgos, como perder el talento y la productividad de tu gente, al no ofrecerles un ambiente de trabajo saludable y al no reconocer su desempeño y aportaciones.

Inconvenientes de no tener RSE en la clínica veterinaria

Además de lo opuesto a los beneficios anteriores, no aplicar la RSE en tu clínica veterinaria puede tener otros riesgos. Estos inconvenientes pueden ser:

• Perder el talento y la productividad de tu gente, al no ofrecerles un ambiente de trabajo saludable y al no reconocer su desempeño y aportaciones. Se desmotivan y se frustran, algunos buscan otro trabajo y los que se quedan rinden mucho menos.

• Perder la calidad y la seguridad de tus servicios veterinarios, al no invertir en tecnología, investigación y capacitación profesional. El trabajo clínico no se puede realizar correctamente por falta de medios o de conocimientos.

• Desaprovechar las oportunidades de mejora e innovación, al no escuchar ni involucrar a tus grupos de interés, y al no aprovechar sus conocimientos, experiencias, sugerencias o demandas. Por

tanto, se pierde la capacidad de adaptación y anticipación.

Comunicación de la RSE

Comunicar la RSE de tu clínica veterinaria a tus clientes, equipo y resto de grupos de interés es una forma de demostrar tu compromiso y diferenciarte, así como de generar confianza, satisfacción y fidelización. Una vez has definido la política de RSE puedes saber qué es lo que más te interesa destacar. Elige lo que más te represente por tu forma de ser como clínica, por tu misión, haz un plan de acción y decide los momentos en que quieres comunicarlo. Elige los canales de comunicación más adecuados para cada grupo de interés, en función de sus características, preferencias y necesidades. Puedes usar la página web, las redes sociales, el correo electrónico, el teléfono, la sala de espera, folletos, carteles, eventos, etc.

Comunica de forma frecuente, continua y actualizada, manteniendo el interés y la participación de tus grupos de interés, y solicitando su feedback y sus sugerencias para mejorar.

Adapta el contenido y el tono de tu comunicación a cada grupo de interés, buscando informar, educar, sensibilizar y motivar. Por ejemplo, puedes usar un lenguaje sencillo, claro y cercano, acompañado de imágenes, vídeos, testimonios, casos de éxito, etc.

Comunica de forma transparente, honesta y coherente, mostrando los beneficios de la RSE para los animales, los clientes, el equipo, la comunidad y el medio ambiente, pero también reconociendo los retos y las dificultades que puedas encontrar. Comunica de forma frecuente, continua y actualizada, manteniendo el interés y la participación de tus grupos de interés, y solicitando su feedback y sus sugerencias para mejorar.

Conclusión

Satisfacción y fidelización

laboral Desarrollo sostenible

Imagen y reputación Reducción de costes

Como hemos visto, implementar una política de RSE en la clínica veterinaria tiene sus retos. Hay que planificar lo que queremos hacer y dedicar tiempo de la empresa, tanto de los empresarios como del equipo. Además, conviene pedir opinión a los grupos de interés para que nos den información y ayuden a que el plan tenga éxito. Sin embargo, aporta muchos beneficios. Cualquier plan de mejora que hagamos en la clínica es una oportunidad de ejercer una mejor la medicina veterinaria. Con la RSE, además, vamos a mejorar la imagen y la reputación no solo de la clínica, sino también de la profesión. Contribuimos a un desarrollo sostenible y tenemos un impacto social muy positivo, lo que contribuye a mejorar la imagen profesional. Aumentaremos la satisfacción y fidelización de los clientes, y la motivación y la retención de las personas de nuestro equipo, mejorando el clima laboral. En conclusión, la RSE es, en definitiva, una forma de ejercer la medicina veterinaria con excelencia, humanidad y sostenibilidad.

Figura 6. Beneficios de la RSE. Figura 5. Integración de la RSE en el Plan de Negocio de la clínica.
FINANZAS PERSONAS ESTRATEGIA MARKETING
Clima
20 MARKETING Y GESTIÓN EN LA CLÍNICA Nº 258 Mayo 2024
Impacto social

MAYO,

FELINA: UN PROBLEMA FÁCIL DE

DIAGNOSTICAR, PREVENIR Y TRATAR

Ceva Salud Animal continúa trabajando para aumentar el conocimiento y concienciación de esta patología entre los cuidadores de gatos.

Texto e imágenes Ceva Salud Animal

Ceva presenta su campaña 2024 “Mayo, mes de la hipertensión felina. Prevenir es vivir”, cuyo objetivo es mejorar la detección y seguimiento de los gatos que presentan hipertensión para evitar en la medida de lo posible la aparición de lesiones graves en los órganos diana.

Estudios recientes muestran que el 74 % de los propietarios no han oído hablar nunca de la hipertensión felina. Sin embargo, a un 92 % le gustaría que a sus gatos se les midiera la presión sanguínea1. Pocas veces el clínico encuentra un apoyo tan evidente por parte del tutor para realizar una prueba diagnóstica.

LA PREVENCIÓN ES LA CLAVE

Varios estudios han demostrado que, como mínimo, 1 de cada 6 gatos mayores de 7 años2 puede presentar hipertensión. Si además el gato padece una patología renal crónica este riesgo aumenta todavía más, ya que 1 de cada 3 gatos con insuficiencia renal crónica3 padece hipertensión.

Es por ello que debemos medir la presión sanguínea de forma rutinaria en gatos mayores de 7 años, ya que si no se detecta a tiempo no se pueden prevenir las graves lesiones que provoca la hipertensión, algo que sería fácil de paliar si se instaurase un tratamiento adecuado.4

Las lesiones causadas por la hipertensión son:

• Lesiones oculares: pérdida de visión. Las lesiones de los ojos indican que la presión sanguínea ha estado elevada durante mucho tiempo. Sin embargo, para los tutores es muy difícil apreciarlo debido a la ausencia de síntomas. Por ello, a la hipertensión se le conoce también como “el asesino silencioso”. Los tutores se dan cuenta de que algo sucede cuando su mas-

cota comienza a tropezar con los objetos que se encuentra en su camino y es entonces cuando acuden a su centro veterinario, pero lamentablemente, en la mayoría de los casos, ya es demasiado tarde para revertir el problema.

• Lesiones cerebrales: los signos neurológicos que se han descrito en gatos con hipertensión son desorientación, temblores, ataxia, depresión y signos vestibulares, así como edema cerebral y arterioesclerosis.

• Insuficiencia renal: en gatos con hipertensión y problemas renales se han detectado glomeruloesclerosis y arterioesclerosis. Uno de cada tres gatos con IRC tiene hipertensión.

• Lesiones cardiacas. Pueden aparecer sonidos de galope, arritmias y una hipertrofia del ventrículo izquierdo.

Para tratar de prevenir estas consecuencias, la detección precoz es vital. Las recomendaciones de la International Society of Feline Medicine (ISFM) incluyen la medición de la presión sanguínea dentro de las revisiones rutinarias a los gatos, ya desde los 3 años. Así, se acostumbrarán al manejo y la clínica dispondrá de los valores habituales en ese animal para evaluar su evolución a medida que se hace mayor.

LA COMUNICACIÓN

CON EL TUTOR

Es primordial explicar a los clientes que debemos controlar la presión sanguínea de su gato. Es básico informarles de que se trata de una prueba fácil e indolora para su mascota5, que aportará la información necesaria para controlar el estado de salud de su gato o la evolución de las patologías que padece si las presentara y que, si no se detecta a tiempo, las lesiones anteriormente descritas pueden ser irreversibles, por lo que es muy recomendable que forme parte de las revisiones anuales, sobre todo en gatos mayores de 7 años.6

Para ayudar al veterinario a transmitir este mensaje, Ceva, como parte de su campaña “Mayo, el mes de la hipertensión felina”, pone a tu disposición numeroso material didáctico donde se explica de una forma sencilla el peligro que supone este “asesino silencioso” y que la única manera de detectarlo y controlarlo es acudiendo a la clínica veterinaria.

Según las guidelines del ACVIM acerca de la identificación, evaluación y manejo de la hipertensión sistémica en perros y gatos, el diagnóstico de la hipertensión se

debe basar siempre en mediciones fiables de la presión sanguínea. La presencia de lesiones en órganos diana justifica inicialmente instaurar el tratamiento después de una sola medición compatible, pero en la mayoría de casos, solo se puede realizar el diagnóstico cuando se han obtenido resultados compatibles de manera repetida en múltiples ocasiones (>2). En casos de resultados dentro del riesgo bajo de lesión las mediciones se pueden realizar en el espacio de 4-8 semanas, mientras que en los casos de mediciones más graves compatibles se deberían realizar entre 1-2 semanas. Cuando se confirma que el aumento de la presión es persistente, no asociado a errores de medición o una hipertensión transitoria (p.ej: efecto bata blanca), se deben empezar a buscar posibles causas secundarias de hipertensión e instaurar el tratamiento.

AMODIP®: TRATAMIENTO PARA LA HIPERTENSIÓN FELINA

Amodip® ha sido el primer fármaco registrado en veterinaria para el tratamiento de la hipertensión felina. Contiene amlodipino, el fármaco de primera elección según las recomendaciones del ACVIM y de la IRIS para disminuir la hipertensión en gatos. Además, es muy palatable y de fácil dosificación.

¿CUÁL ES LA PAUTA DE TRATAMIENTO RECOMENDADA?7 Una vez diagnosticada la hipertensión, el tratamiento recomendado es el uso de amlodipino a una dosis de 0,125 mg/ kg (medio comprimido de Amodip cada 5 kg). A las dos semanas se debe revaluar al paciente para verificar que hemos alcanzado la presión sanguínea adecuada. La presión sistólica que se desea mantener debe ser evaluada individualmente por el veterinario pero, en general, será inferior a los 160 mmHg.

Es importante tener en cuenta que los valores en los que el grupo IRIS considera

que el riesgo de lesión de los órganos diana es mínimo son inferiores a 140 mmHg. En caso de no lograrlo con la dosis inicial, se debe doblar la dosis y volver a evaluar.

En la guía de la ISFM la hipertensión felina se recomienda comenzar ya con dosis de 0,25 mg de amlodipino/kg (1 comprimido de Amodip® cada 5 kg) cuando los valores de la presión sistólica superan los 200 mmHg.

Bibliografía disponible en https://www.grupoasis.com/argos /bibliografias/CevaAmodip258.docx

EN EL QR PODRÁS DESCARGARTE TODO EL MATERIAL DE LA CAMPAÑA 2024 NECESARIO PARA REDES SOCIALES:

• Contenidos editables para personalizar la campaña en tus redes sociales con adhesivos para tus reels, post, stories y WhatsApp, además de una guía de publicaciones,

• Guía práctica con nuevas ideas y consejos para elaborar post atractivos que enganchen

EL MES DE LA HIPERTENSIÓN
PUBLIRREPORTAJE

En portada Analgesia

• Manejo multimodal del dolor: más allá de los AINE

• Claves de la anestesia epidural

• Anestesia libre de opioides mediante el uso de catéter epidural en pancreatectomía parcial

• Modificación de la técnica splash en la órbita tras la cirugía de enucleación en el paciente canino y felino

Manejo multimodal del dolor: más allá de los AINE

Además de los antiinflamatorios no esteroideos (AINE), existen numerosas terapias farmacológicas y de otra índole que utilizan distintas vías de actuación para generar efecto analgésico. Es importante conocer todas las opciones y combinarlas, si es necesario, para lograr el mejor efecto terapéutico posible.

Silvia Quintana Gutiérrez

DVM. Responsable del Servicio de medicina interna de Clínica Vinateros-Vetpartners.

Imágenes cedidas por la autora

En la actualidad, el principal reto en la clínica veterinaria diaria es el manejo del dolor en animales.

Según la Asociación Internacional para el Estudio del Dolor (IASP), el dolor se define como “una experiencia sensorial y emocional desagradable, asociada con un daño tisular real o potencial, o descrita en términos de dicho daño”26

Existen varios tipos de dolor: agudo, cuando ocurre con menos de tres meses;

crónico, cuando supera los tres meses; somático o visceral; y neuropático. El dolor actúa mediante diferentes vías y receptores (figura 1).

Signos clínicos

En perros, los principales signos clínicos de dolor pueden variar desde la alteración al tacto, la vocalización en ausencia de estímulo doloroso, la cojera persistente o la disminución de la carga de peso de

alguna extremidad, hasta signos más sutiles como una disminución del nivel de actividad, el rechazo a subir o bajar escaleras, y cambios de comportamiento y del apetito, entre otros1,2

En el caso de los gatos, se pueden observar alteraciones en la postura corporal, disminución del acicalado o ronroneo, cambios en las expresiones faciales, dificultad para subirse a zonas elevadas o bien que la subida sea en varias fases, irritabilidad, tenesmo3 (tabla 1).

En el caso de los gatos, se pueden observar alteraciones en la postura corporal, disminución del acicalado o ronroneo, cambios en las expresiones faciales, dificultad para subirse a zonas elevadas o bien que la subida sea en varias fases, irritabilidad, tenesmo3

Periférico

Nociceptor Aferente primario Inflamación

Monocito Macrófago Mastocitoma

Nociceptor Aferente primario

Médula espinal

Fármaco Potencial de acción

Perros

Cambios posturales

Disminución de la actividad

Vocalizaciones

Cambios de comportamiento

Reacción alterada al tacto

Presinapsis Aferente primario Postsinapsis Médula espinal

Signos clínicos de dolor

Glutamato CGRP Sustancia

Gatos

Dificultad para entrar en el arenero

Falta de acicalamiento

Agresividad o irritabilidad

Se esconde

Figura 1. Vías y receptores del dolor. Tabla 1. Signos clínicos de dolor en perros y gatos.
de la actividad Hiporexia/anorexia Hiporexia/anorexia
Disminución
COX-2 ↑ mPGEs ↑ PGE2 ↑ PGE2 ↑ NGF ↑ EP4 cAMP TRPV1 Nav 1.8 PKA PKC Trk
CNS SNC
P
Interneurona inhibitoria EP4 EP4 Glicina GlicinaR CGRP NK COX-2 ↑ mPGEs ↑ AMPA NMDA Nº 258 Mayo 2024 24 EN PORTADA / ANALGESIA

Tabla 2. Escala Glasgow Short form- Glasgow Composite Pain Scale (SF-GCPS).

A. Observa al perro en la jaula B. Ponle una correa y guíalo fuera de la jaula* C. Si se presenta herida o dolor en alguna zona, presiona suavemente alrededor de la zona a una distancia de 5cm

Estado general

o no muestra interés por el entorno 2 Aúlla 3 Se frota la herida 3 Está agarrotado 3 Gruñe 3 Encorvado o tenso 3 Nervioso, ansioso o temeroso 3 Se muerde la herida 4 No quiere moverse 4 Suelta una dentellada 4 Rígido 4 Abatido o no reacciona a estímulos 4

Llora 5

*En el caso de existir fracturas en la columna vertebral, pelvis o en más de una extremidad o si el perro necesita ayuda para moverse, sáltese la sección B y vaya a la C. Por favor, marque la casilla si se trata de uno de estos casos y vaya a la sección C. PUNTUACIÓN TOTAL (1+2+3+4+5+6) =_________Reconsiderar analgésicos cuando CMPS>6/24 o 5/20

Posición de las orejas y tensión de los ojos

Posición de los bigotes

de

1 2 3.
4.
hace el
5.
6.
Con normalidad
No hace
Relajado
Alegre
Se
la
Cojea
Mira
su alrededor 1 Inquieto 1 Tranquilo
Se
la
Lentamente
se resiste 2 Se escoge
dolor 2 Agitado 2 Indiferente
D.
Cuando se levanta/ camina, ¿cómo lo hace?
¿Qué
perro?
¿Cómo está el perro?
¿Cómo está el perro? Tranquilo 0 Ignora las heridas 0
0
nada 0
0
y contento o alegre y con ganas de jugar 0 Llora o gime 1
mira
herida 1
1
a
1 Se queja 2
lame
herida 2
o
de
Tensión del hocico Posición la cabeza
Nº 258 Mayo 2024 26 EN PORTADA / ANALGESIA
Figura 2. Escala felina Grimace.

Evaluación del dolor

Para hacer una evaluación objetiva se han desarrollado una serie de escalas del dolor que utilizan variaciones de los parámetros físicos (taquicardia, hipertermia, midriasis, etc.), cambios en el comportamiento o alteraciones neuroendrocrinas como el aumento del cortisol que, a su vez, son especie-específicas.

Para usarlas, se da una puntuación numérica a varios parámetros recogidos en cada una de ellas y se suman todos al final. Según el resultado, estará indicado administrar analgesia o no4

En el caso de los perros4 contamos con dos escalas:

• Glasgow Composite Pain Scale (GCPS).

• Short form- Glasgow Composite Pain Scale (SF-GCPS) (tabla 2).

En el caso de los gatos4 existen otras:

• Feline Grimace Scale (FGS): está validada y fue desarrollada por la Universidad de Montreal. Se basa en la evaluación de los cambios de la expresión facial 5 (figura 2).

• Feline Glasgow Composite Mesure Pain Scale (CMPS).

• UNESP-Botucatu-MCPS.

Manejo terapéutico

Terapia farmacológica

Hoy en día el manejo multimodal es fundamental para el tratamiento del dolor.

AINE

Los fármacos más utilizados en la práctica diaria en medicina veterinaria son los antiinflamatorios no esteroideos (AINE). Su método de actuación se basa en la inhibición de las isoformas de COX, aunque los de segunda generación son más selectivos para COX-2, ya que ejercen un efecto antiinflamatorio y analgésico, reduciendo a su vez los efectos adversos como alteraciones gastrointestinales o fallo renal, entre otros6

Más allá de los AINE, existen numerosas terapias farmacológicas para el tratamiento del dolor tanto agudo como crónico. Dichos tratamientos se pueden usar de forma independiente o combinada cuando se necesita reforzar su efecto (tabla 3).

Anticuerpos monoclonales

El bedinvetmab es un anticuerpo monoclonal canino que actúa interrumpiendo la interacción del receptor tropomiosina quinasa A, al unirse al factor de crecimiento nervioso7. Recientes estudios lo conside-

Fármaco

Meloxicam

Bedinvetmab

Tabla 3. Tipos y posología de los fármacos analgésicos en perros y gatos.

Dosis

Perro Gato

0,2 mg/kg/24 h primer día y luego, 0,1 mg/kg/24 h VO

0,1 mg/kg/24 h primer día y luego, 0,05 mg/kg/24 h VO

0,5-1 mg/kg mensual NO DISPONIBLE

Frunevetmab NO DISPONIBLE 1-2,8 mg/kg mensual

Gapiprant

2 mg/kg/24 h VO NO DISPONIBLE

Paracetamol 10 a 15 mg/kg/8-12 h VO o 10 mg/kg/8 h IV durante 15 min NO UTILIZAR

Amantadina 3 a 5 mg/kg/24 h VO Sin datos clínicos disponibles

Gabapentina 10 mg/kg/8-12 h VO 5 mg/kg/12 h VO

Tramadol

4-6mg/kg/6-8 h VO, IM o IV 2-4 mg/kg/6-8h VO, IM o IV

Buprenorfina 0,01-0,02 mg/kg/6-8 h IM o IV 0,02-0,04 mg/kg/4-6h transmucosa oral, IM o IV

Recientemente, se ha estudiado que la suplementación con ácidos grasos omega-3 puede reducir los marcadores de la inflamación, la degradación del cartílago en las articulaciones y el estrés oxidativo.

ran un medicamento seguro y eficaz para el alivio del dolor asociado a la osteoartrosis en perros8

El frunevetmab es un anticuerpo monoclonal felinizado con el mismo mecanismo de acción y de efecto que el bedinvetmab en perros9. Es reseñable la forma de administración ya que, al ser inyectada mensualmente, facilita a los propietarios mantener a largo plazo el tratamiento puesto que, en muchos gatos, es complicada la administración oral de los fármacos10

Grapiprant

El grapiprant pertenece a la clase piprant, actúa como antagonista el receptor 4 de la prostaglandina E2 sin inhibir la COX y, a su vez, ejerce un buen efecto antiinflamatorio y analgésico evitando los efectos secundarios de los fármacos inhibidores de COX11

Paracetamol

El paracetamol se cree que actúa sobre una isoforma de COX-1 en el sistema nervioso central. Tiene poco efecto anti-

inflamatorio, pero es buen analgésico y antipirético12. Su uso solo se aconseja en perros, ya que en gatos está contraindicado por el riesgo de sufrir metahemoglobinemia13

Amantadina

La amantadina actúa inhibiendo los receptores de NMDA y está indicado en el tratamiento de dolor de osteoartrosis refractario a los AINE, incluso con componente neuropático. Su vía de excreción es renal, por lo que hay que evitarla en animales con la función renal disminuida14

Gabapentina

La gabapentina no tiene un mecanismo de acción totalmente claro, pero actúa como análogo del neurotransmisor GABA (ácido γ-aminobutírico) y es capaz de atravesar la barrera hematoencefálica. Actualmente se cree que, en combinación con otros fármacos, puede ayudar al tratamiento del dolor crónico y neuropático12

El grapiprant pertenece a la clase piprant, actúa como antagonista el receptor 4 de la prostaglandina E2 sin inhibir la COX y, a su vez, ejerce un buen efecto antiinflamatorio y analgésico evitando los efectos secundarios de los fármacos inhibidores de COX11

Opioides

Respecto a los opioides, el fármaco más utilizado es el tramadol. Su mecanismo de acción se basa en la activación de los receptores opioides μ de forma débil y la inhibición de la recaptación de monoaminas. Ejerce su efecto analgésico principalmente por la producción del metabolito O -desmetil tramadol (M1). Por este motivo, su eficacia es mayor en gatos que en perros16

La buprenorfina es un opioide agonista parcial de los receptores μ, donde ejerce su mecanismo de acción y, con ello, su efecto antinociceptivo en gran medida17. En perros el efecto analgésico es menor por vía subcutánea que por vía intravenosa o intramuscular18 y, en el caso de los gatos, es bien tolerado y se ha visto que tiene buena biodisponibilidad y eficacia tras su administración transmucosa oral19

Ácidos grasos omega-3

Recientemente, se ha estudiado que la suplementación con ácidos grasos omega-3 puede reducir los marcadores de la inflamación, la degradación del cartílago en las articulaciones y el estrés oxidativo. Se ha observado, a su vez, una disminución del dolor y de la disfunción tanto en

Nº 258 Mayo 2024 28 EN PORTADA / ANALGESIA

La terapia con células madre mesenquimales es una opción cada vez más utilizada en medicina veterinaria. Se ha observado que ejercen un efecto inmunomodulador, antiinflamatorio y regenerativo.

perros como en gatos. Por el contrario, estos marcadores inflamatorios aumentaron tras la estimulación con ácidos grasos poliinsaturados omega-6 y ácidos grasos saturados20,21

Terapia no farmacológica del dolor

En los últimos años se han empezado a combinar terapias no farmacológicas para el tratamiento del dolor en animales. Entre ellas, encontramos:

• La disminución de peso basada en una dieta baja en calorías y en perros con cojera secundaria a osteoartrosis en la cadera puede mejorar por los signos clínicos derivados22. También se ha estudiado la relación entre la obesidad y la disminución en la calidad de vida en perros, ligada a la osteoartrosis y aumento del dolor en los mismos23

• La terapia de fotobiomodulación se basa en la utilización de determinadas longitudes de onda de luz con el fin de generar una reacción fotoquímica y, con ello, un efecto terapéutico. Entre ellos es interesante mencionar el de tipo antiinflamatorio, ya que se genera un efecto antiedema y analgésico al aumentar el umbral del dolor, reduciendo la trans-

Conclusión

misión de estímulos nociceptivos al cerebro y aumentando la producción de endorfinas24

• La terapia con células madre mesenquimales es una opción cada vez más utilizada en medicina veterinaria. Se ha observado que ejercen un efecto inmunomodulador, antiinflamatorio y regenerativo. Dichos efectos se basan en la capacidad de estas células de proliferar y autorrenovarse de forma que pueden diferenciarse en distintos tipos de células y son de gran utilidad en caso de osteoartrosis25

• La crioterapia se basa en la aplicacion del frío controlando la duración, lo cual ejerce una menor activación de los receptores tisulares nociceptivos disminuyendo el edema, reduciendo el espasmo muscular y, a su vez, ejerciendo analgesia en la zona de aplicación26

• Por último, existen otras terapias muy útiles y utilizadas de forma combinada para el tratamiento del dolor como la acupuntura, la fisioterapia o la terapia manual, modificación del medioambiente o el uso de cannabinoides26

Es importante recalcar que el tratamiento del dolor es complejo e individualizado en cada paciente. Por ello, es importante saber identificar los signos de dolor en los animales y, en muchas ocasiones, se requiere una terapia multimodal que permita mejorar y alargar su calidad de vida.

Bibliografía:

1. Epstein M, Rodan I, Griffenhage G, Kadrlik J, Petty M, Robertson S, et al. 2015 AAHA/AAFP pain management guidelines for dogs and cats. J Am Anim Hosp Assoc 2015 Mar-Apr;51(2):67-84.

2. Mathews K, Kronen PW, Lascelles D, Nolan A, Robertson S, Steagall PVM, et al. WSAVA: guidelines for recognition, assessment and treatment of pain. J Small Anim Pract 2014 Jun; 55(6): E10-68.

3. Steagall P, Monteiro B. Acute pain in cats: Recent advances in clinical assessment. ISFM (2018).

4. Rivas R. Identificación del dolor en perros y gatos. Cuas (2022).

5. Evangelista M, Watanabe R, Leung V, Monteiro B, O’Toole E, Pang D, Steagall P. Facial expressions of pain in cats: the development and validation of a Feline Grimace Scale. Sci Rep 2019 Dec 13;9(1):19128.

6. Kim T-W, Giorgi M. A brief overview of the coxib drugs in the veterinary field. American Journal of Animal and Veterinary Sciences. 2013 8 (2): 89-97.

7. Enomoto M, Mantyh P, Murrell J, Innes J, Lascelles D. Anti-nerve growth factor monoclonal antibodies for the control of pain in dogs and cats. Vet Rec 2019 Jan 5; 184 (1):23.

8. Corral M, Moyaert H, Fernandes T et al. A prospective, randomized, blinded, placebo-controlled multisite clinical study of bedinvetmab, a canine monoclonal antibody targeting nerve growth factor, in dogs with osteoarthritis. Vet Anaesth Analg 2021 Nov;48(6):943-955

9. Walters R, Boucher J, De Toni F. Pharmacokinetics and Immunogenicity of Frunevetmab in Osteoarthritic Cats Following Intravenous and Subcutaneous Administration. Front Vet Sci 2021 Jun 10:8:687448.

10.Sivén M, Savolainen S, Räntilä S, et al. Difficulties in administration of oral medication formulations to pet cats: an e-survey of cat owners. Vet Rec 2017 Mar 11;180(10):250.

11.Sartini I, Giorgicorresponding M. Grapiprant: A snapshot of the current knowledge. J Vet Pharmacol Ther 2021 Sep; 44(5): 679–688.

12.Pacheco M, Knowles T., Hunt J, et al. Comparing paracetamol/codeine and meloxicam for postoperative analgesia in dogs: A non-inferiority trial. Veterinary Record 2020 187, e61

13.McConkey S, Grant D, Cribb A. The role of paraaminophenol in acetaminophen-induced methemoglobinemia in dogs and cats. J Vet Pharmacol Ther (2009) Dec;32(6):585-95

14.Mathews K, Kronen PW, Lascelles D, Nolan A, Robertson S, Steagall PVM, et al. WSAVA: guidelines for

recognition, assessment and treatment of pain. J Small Anim Pract 2014 Jun; 55(6): E10-68.

15.Di Cesare F, Negro V, Ravasio G, Villa R, Draghi S, Cagnardi P. Gabapentin: Clinical Use and Pharmacokinetics in Dogs, Cats, and Horses. Animals (Basel) 2023 Jun; 13(12): 2045.

16.Pypendop B, Ilkiw J. Pharmacokinetics of tramadol, and its metabolite O-desmethyl-tramadol, in cats. J Vet Pharmacol Ther 2008 Feb;31(1):52-9.

17.Watanabe R., Marcoux J., Evangelist, M. C., Dumais Y., Steagall, P. V. The analgesic effects of buprenorphine (vetergesic or simbadol) in cats undergoing dental extractions: A randomized, blinded, clinical trial. PLoS One 2020 Mar 6;15(3): e0230079.

18.Steagall P, Ruel H, Yasuda T. Pharmacokinetics and analgesic effects of intravenous, intramuscular or subcutaneous buprenorphine in dogs undergoing ovariohysterectomy: a randomized, prospective, masked, clinical trial. BMC Vet Res 2020 May 24;16(1):154.

19.Robertson S, Lascelles B, Taylor P, Sear J. PK-PD modeling of buprenorphine in cats: intravenous and oral transmucosal administration. J Vet Pharmacol Ther 2005 Oct;28(5):453-60.

20.Okuyama H, Kobayashi T, Watanabe S. Dietary fatty acids--the N-6/N-3 balance and chronic elderly diseases. Excess linoleic acid and relative N-3 deficiency syndrome seen in Japan. Prog Lipid Res. 1996 Dec; 35(4):409-57.

21.Marieke L, Jan W. Schoones J, Kloppenburg M, IoanFacsinay A. Fatty acids and osteoarthritis: different types, different effects. Joint Bone Spine Volume 86, Issue 4, July 2019, Pages 451-458.

22.German A, Holden S, Wiseman-Orr M, et al. Quality of life is reduced in obese dogs but improves after successful weight loss. The Veterinary Journal 192 2012 428–434.

23.Impellizeri J, Tetrick M, Muir P. Effect of weight reduction on clinical signs of lameness in dogs with hip osteoarthritis. J Am Vet Med Assoc. 2000 Apr 1;216(7):1089-91.

24.Huntingford J. Laser Therapy for Treatment of Joint Disease in Dogs and Cats. TVP September 27, 2019 Issue: November/December 2019.

25.Dias I, Cardoso D, Soares C. Clinical application of mesenchymal stem cells therapy in musculoskeletal injuries in dogs—a review of the scientific literatura. Open Vet J. 2021 Apr-Jun; 11(2): 188–202.

26.Gruen M, Lascelles B, Colleran E, et al. 2022 AAHA Pain Management Guidelines for Dogs and Cats. J Am Anim Hosp Assoc 2022 Mar 1;58(2):55-76.

29 29

Claves de la anestesia epidural

Las técnicas de anestesia neuroaxial, además de proporcionar el plano anestésico necesario para la intervención quirúrgica, permiten un adecuado control del dolor perioperatorio. Dentro de las técnicas neuroaxiales se incluyen la anestesia epidural, descrita a continuación, y la anestesia espinal.

Fernando Martínez Taboada Doctor en Veterinaria. Certificado en Anestesia Veterinaria por el RCVS y diplomado por el ECVAA.

Eye Clinic for Animals (ECA) y Sydney Animal Pain Clinic (Sídney, Australia). Imágenes cedidas por el autor.

El bloqueo epidural, peridural o extradural constituye una de las técnicas de analgesia regional más frecuentemente utilizadas: durante el parto y en la cirugía abdominal perineal y de los miembros pélvicos. En anestesia humana también se utiliza de forma rutinaria en el tratamiento del dolor crónico, oncológico y neuropático. Tradicionalmente, el abordaje del espacio epidural se realiza en el espacio intervertebral L7-S1 (figura 1), aunque, actualmente, tanto en el gato como el perro, se recomienda la inyección sacrococcígea (S3-Cc1) por ser más segura (evitando la posible inyección en el saco dural) (figura 2). En los pacientes obesos, es muy común realizarlo entre el espacio L6-L7 de forma inadvertida y, en la práctica, la inyección puede realizarse en cualquier espacio intervertebral caudal a L1 (figura 3).

Las apófisis espinosas de las vértebras lumbares no son especialmente grandes, por lo que el abordaje es factible modificando la angulación de la aguja epidural. Por su parte, las apófisis espinosas de

Las apófisis espinosas de las vértebras lumbares no son especialmente grandes, por lo que el abordaje es factible modificando la angulación de la aguja epidural.

Recuerdo anatómico

las vértebras torácicas hacen imposible el bloqueo sobre la línea media, dificultando en gran medida la localización de referencias anatómicas (existen descripciones del bloqueo usando neuroestimulación para determinar el espacio epidural).

Anestésicos locales

Los anestésicos locales (AL), una vez inyectados en el espacio epidural, actúan a diferentes niveles:

1. En los nervios espinales dorsales y ventrales por medio de difusión, debido a que la duramadre parietal también envuelve estas estructuras.

2. Difusión al líquido cefalorraquídeo a través de las meninges y las vellosidades aracnoideas.

3. Actuación sobre la médula espinal, en mayor o menor grado, de acuerdo con sus características fisicoquímicas (en general, la concentración alcanzada en la médula es muy inferior a la de los nervios espinales).

4. Difusión a los ganglios dorsales y al espacio paravertebral.

Opioides

Los opioides actúan de forma diferente, ya que fundamentalmente atraviesan las meninges dependiendo de su liposolubilidad y actúan sobre el asta dorsal de la médula produciendo analgesia sin bloqueo simpático y motor (con la excepción de la petidina, que produce bloqueo simpático).

En los opioides, la latencia del efecto depende fundamentalmente de la liposolubilidad, si esta es alta (p. ej., fentanilo) la latencia es muy breve y la duración corta, y si la liposolubilidad es baja (p. ej., morfina) la latencia es larga y la duración prolongada.

La médula espinal recorre el canal medular terminando en el filum terminale y la cauda equina. Al nacimiento, la médula continúa caudalmente hasta el sacro, pero durante el crecimiento del animal la desproporción entre el crecimiento de la columna y de la médula hace que termine aproximadamente en L5-L6 en perros y en L7 en gatos.

La columna vertebral está formada por la unión de las vértebras mediante ligamentos; el ligamento amarillo es el situado dorsalmente y es el que contribuye a la sensación de “pop” cuando se realiza una inyección neuroaxial.

La médula espinal está rodeada por las tres meninges dentro del canal medular:

• La duramadre a nivel espinal está realmente formada por dos capas, una muy fina unida al periostio vertebral y la otra que cubre la médula (que normalmente conocemos como epidural propiamente dicha). El espacio epidural es el espacio delimitado por la duramadre y la columna vertebral (en realidad es el espacio interdural).

• La aracnoides está inmediatamente por debajo de la duramadre y contiene un espacio lleno del líquido cefalorraquídeo conocido como espacio subaracnoideo, espinal o intratecal. La duramadre y la aracnoides envuelven la columna por su parte caudal creando el saco dural, que acaba en todos los gatos y en la mayoría de los perros (independientemente de su talla) en el sacro, lo que aumenta el riesgo de acceder de forma inadvertida al saco dural y al líquido cefalorraquídeo cuando se intenta acceder al espacio epidural. Entre la duramadre y la aracnoides también existe un espacio virtual conocido como el espacio subdural, al que puede se puede acceder e hidrodisecar mediante la inoculación de AL. La inyección accidental de AL tanto en el saco dural como en el espacio subdural está asociada con complicaciones graves.

• Finalmente, la piamadre es la membrana en contacto directo con el tejido nervioso y cuya vascularización se encarga de nutrirlo.

Nº 258 Mayo 2024 30 EN PORTADA / ANALGESIA
Figura 1. Referencias anatómicas para la inyección lumbosacra. Alas ilíacas (líneas azules), vértebra L7 (línea amarilla) y sacro (línea roja). Figura 3. Colocación del paciente para realizar una inyección epidural entre L1-L2. Obsérvese la forma de arquear la espina dorsal para favorecer la apertura del espacio intervertebral. Figura 2. Referencias anatómicas para la inyección sacrococcígea. Alas ilíacas (líneas azules), sacro (línea roja) y primera vértebra coccígea (línea verde).

Técnica

La técnica del bloqueo epidural debe ser siempre aséptica, por lo que se debe rasurar y preparar el campo como si fuera un procedimiento quirúrgico.

La aguja más recomendable para realizar este bloqueo es la Tuohy, ya que, al ser más roma y tener un bisel más corto, minimiza el riesgo de la inyección subdural (entre la duramadre y la aracnoides), una complicación poco frecuente (1-7 % de inyecciones epidurales en anestesia humana) pero muy grave (figura 4), y la inyección subaracnoidea o espinal accidental.

El paciente se coloca en decúbito esternal con los miembros pélvicos flexionados hacia delante (figura 5). Una vez que se determina el lugar de inoculación (p. ej., el espacio lumbosacro o sacrococcígeo) se debe introducir la aguja completamente perpendicular a la columna vertebral y manteniendo la línea media, tanto para el abordaje lumbosacro (figura 6) como para el sacrococcígeo (figura 7). El ligamento amarillo es siempre perceptible con este tipo de agujas; este cambio de resistencia al avance se ha descrito tradicionalmente como un “pop”.

Figura 8. Técnica de la gota pendiente (obsérvese la forma correcta de sujetar una aguja epidural con alas); es importante colocar los dedos corazón de ambas manos sujetando la aguja para evitar avanzar de forma brusca; en el cono de la aguja se puede ver una gota de líquido que será absorbida en el caso de acceder al espacio epidural (A). Técnica de la pérdida de resistencia (obsérvese que se mantiene cierta presión en el émbolo de la jeringuilla mientras se avanza la aguja) (B); la mano no dominante debe sujetar firmemente la aguja para evitar movimientos bruscos (C). Al incidir en el espacio epidural se nota la sensación de “falta” o “pérdida” de resistencia a la inyección.

5. Colocación del paciente para un bloqueo epidural lumbosacro. Obsérvese la posición de las extremidades posteriores en dirección craneal y la cabeza directamente sobre la mesa para no influir en la distribución craneal del volumen inyectado.

7. Inyección epidural sacrococcígea mediante la técnica de la neuroestimulación. Pueden encontrar más detalles de esta

en la lecturas recomendadas.

• Basado en el peso: se recomiendan 0,2 ml/kg para inyecciones en L7-S1, tanto en perros como en gatos.

• Basado en la longitud occipitococcígea (medida en cm entre el hueso occipital y la primera vértebra coccígea): se recomiendan 0,05 ml/cm para obtener un bloqueo aproximadamente hasta L4, 0,1 ml/cm para bloquear hasta L1 y 0,15 ml/cm para obtener analgesia hasta T5.

Todos los fármacos deben diluirse en suero fisiológico de manera aséptica.

Existen diferentes métodos para determinar la presencia del bisel de la aguja en el espacio epidural:

• La técnica de la gota pendiente, que fue descrita en 1932 por Gutiérrez, hace referencia a colocar una gota de líquido en el cono de la aguja (una vez retirado el fiador) que es succionada hacia el espacio epidural cuando la aguja penetra en él (esta técnica es más efectiva cuando el paciente se encuentra en decúbito esternal y no en lateral) (figura 8a).

• El método de la pérdida de resistencia consiste en la aplicación de una presión constante sobre el émbolo de una jeringa llena de solución salina estéril, mientras se avanza la aguja espinal y

Bibliografía:

con la mano no dominante se sujeta la aguja en su zona cercana a la piel para actuar como freno (figuras 8b y c). • Otras técnicas son la técnica de goteo continuo de fluido, que fue descrita inicialmente por Baraka en los años 70 y adaptada por el autor de este artículo a su uso en perros, y la técnica de neuroestimulación.

Dosificación de fármacos

La dosificación de fármacos en esta técnica puede ser única o en infusión continua (mediante el uso de un catéter epidural). Existen dos métodos fundamentales para determinar el volumen que debe inyectarse:

Campoy L, Read MR, Small animal regional anesthesia and analgesia, Wiley-Blackwell, Hoboken, 2013.

Novello L, Corlettof, Rabozzi R, et al. Sparing effect of a low dose of intrathecal morphine on fentanyl re- quirements during spinal surgery: A preliminary clinical investigation in dogs, Veterinary Surgery, 2008, 37(2), 153-160. Sarotti D, Rabozzi R, Corletto F, Efficacy and side effects of intraoperative analgesia with intratecal bupivacaine and levobupivacaine: A retrospective study in 82 dogs, Veterinary Anaesthesia and Analgesia, 2011, 38(3), 240-251.

Valverde A, Epidural analgesia and anesthesia in dogs and cats, Veterinary Clinics of North America: Small Animal Practice, 2008, 38(6), 1205-1230.

Otero Pe, Portela Da, Manual de anestesia regional en animales de compañía, Editorial Intermedica, Buenos Aires, 2017.

T,

En el caso de utilizar grandes volúmenes, nunca deben usarse concentraciones de bupivacaína superiores a 0,125 % y de lidocaína por encima del 1 %. En los gatos, se ha determinado que la inyección a nivel lumbosacro de 1,5 ml en individuos de entre 4 y 5 kg produce un bloqueo aproximadamente hasta T10. La dosis de morfina más estudiada es la de 0,1 mg/kg; dosis más altas se asocian con casos de prurito muy intenso. Las dosis recomendadas para otros fármacos se pueden consultar en la tabla 1 El patrón de distribución del volumen inyectado depende, fundamentalmente, del punto de inoculación, la dosis total de fármaco, el volumen total y las dimensiones del espacio epidural. Estas dimensiones dependen de la edad (los pacientes jóvenes tienen menos grasa epidural y la distribución craneal es menor) y la presencia de una presión abdominal aumentada (p. ej., pacientes gestantes, obesos, etc.). En estos casos, al aumentar la presión abdominal aumenta el tamaño de los senos venosos reduciendo las dimensiones del espacio epidural y favoreciendo una mayor distribución craneal.

Este artículo es un extracto de la obra Manual de anestesia y analgesia de pequeños animales, 2.ª edición

Disponible

en edicionesedra.com Tel.: +34 910 003 892
Lerche P, Aames Covey-Crump G, et al. Handbook of Small Animal Regional Anesthesia and Analgesia Techniques, Wiley Blackwell, Hoboken, 2015.
A B C Nº 258 Mayo 2024 32 EN PORTADA / ANALGESIA
Figura 4. En la parte superior, aguja espinal con punta Quincke. En la parte inferior, aguja epidural con punta Tuohy. Figura Figura 6. Inyección epidural en espacio lumbosacro. Obsérvese la aguja en dirección perpendicular a la piel y en la línea media. Figura técnica
Fármaco Dosis Latencia (min) Duración (h) Morfina 0,1 mg/kg 30-60 12-24 Metadona 0,1-0,2 mg/kg 10-20 5-20 Fentanilo 2-5 μg/kg 10-20 2-3 Xilacina 0,02-0,2 mg/kg 15-30 2-5 Medetomidina 5-10 μg/kg 15-30 1-8 Dexmedetomidina
Tabla 1. Fármacos utilizados en anestesia epidural.
1-2 μg/kg 15-30 1-8 Ketamina 2-3 mg/kg 5-10 2

Anestesia libre de opioides mediante el uso de catéter epidural en pancreatectomía parcial

En este caso clínico se lleva a cabo el bloqueo del quadratus lumborum y la colocación posterior de un catéter epidural para proporcionar analgesia periquirúrgica. De esta manera, se sigue la tendencia de evitar o reducir el uso de opioides para minimizar los efectos secundarios asociados a ellos.

Agustín Martínez Albiñana

Eduardo J. Pastor, Alejandra López, Marta Areso

AniCura Aitana Hospital Veterinario (Valencia)

Imágenes cedidas por los autores

Se presenta en AniCura Aitana Hospital Veterinario una perra esterilizada de raza American Staffordshire de 11 años por presentar un cuadro de abdomen agudo con fuerte sintomatología asociada. Tras la realización de pruebas diagnósticas, se confirma la presencia de una masa pancreática bien localizada en el extremo apical del lóbulo izquierdo.

Ante la localización determinada, se plantea su extirpación, con fines diagnósticos y terapéuticos, mediante pancreatectomía parcial.

En el presente caso clínico se expone el manejo perioperatorio de una anestesia libre de opioides mediante la realización del bloqueo quadratus lumborum y la colocación posterior de un catéter epidural para proporcionar analgesia periquirúrgica. Realizamos la evaluación de la eficacia analgésica mediante el uso de la escala abreviada compuesta de evaluación del dolor de Glasgow (Glasgow Composite Measure Pain Score- Short Form, GCMPS-SF).

La reducción o la evitación del uso de opioides (Opioid Free / Sparing Anaesthesia) es una nueva tendencia anestésica en la cual se pretende minimizar los efectos secundarios asociados al uso de esta familia de fármacos.

Introducción

Los opioides son una familia farmacológica ampliamente utilizada en anestesia humana y veterinaria en la actualidad. Sus efectos secundarios pueden suponer potenciales contraindicaciones en determinadas situaciones. Podemos encontrar las siguientes repercusiones1:

• Respiratorias: depresión ventilatoria que puede manifestarse mediante una reducción del volumen minuto, lo que puede generar problemas de oxigenación e incluso acido-básicos.

• Cardiovasculares: estimulación vagal que puede derivar en una reducción de gasto cardiaco por disminución de la frecuencia cardiaca. La presión arterial también puede verse afectada por liberación de histamina (sobre todo con la petidina).

• Digestivas: disminución de la motilidad gastrointestinal que puede derivar en náuseas y en un retraso en la ingestión.

• Inmunológicas: inmunosupresión que podría derivar en una mayor incidencia de infecciones e incluso en un avance de la enfermedad neoplásica2

• Otros: en medicina humana se ha descrito la aparición de hiperalgesia tras la administración de opioides3. Parece ser que este efecto podría verse más habitualmente cuando se utilizan opioides potentes y en infusiones continuas.

La anestesia libre de opioides se apoya en la utilización de otros analgésicos sistémicos y/o en la utilización de técnicas de analgesia locorregional que puedan proporcionar un control del dolor efectivo en el marco de la analgesia polimodal.

La anestesia locorregional utilizada en el presente caso clínico incluye el bloqueo del quadratus lumborum, que proporciona una analgesia de calidad a nivel abdominal4, y la colocación de un catéter epidural para proporcionar administraciones repetidas de anestésico local. La epidural, cuyo uso está ampliamente extendido en medicina veterinaria, proporciona un gran control nociceptivo, reduce el uso de anestésicos y analgésicos sistémicos, proporciona una buena estabilidad hemodinámica5,6. El uso de catéteres epidurales nos da la posibilidad de administrar dosis repetidas de anestésico local a nivel epidural, pero no es una práctica muy extendida en medicina veterinaria hasta la fecha. En este caso clínico se expone un caso en el que se realiza un manejo perioperatorio mediante el uso de anestesia locorregional que permite evitar el uso de opioides y, con ello, los potenciales efectos adversos que podrían aparecer en nuestra paciente.

Caso clínico

Se presenta en AniCura Aitana Hospital Veterinario una perra Staffordshire Bull Terrier de 11 años y 18 kg de peso con un cuadro de abdomen agudo. Tras las pruebas realizadas se evidencia una masa pancreática, bien delimitada, localizada en el extremo apical del lóbulo izquierdo

Prueba

Hemograma

Bioquímica

Ionograma

Ecografía abdominal

Radiología torácica

Electrocardiograma

Coagulación

(figura 1). Se plantea su extirpación quirúrgica.

Como evaluación preanestésica, recopilando las pruebas diagnósticas realizadas previamente (tabla 1), se clasifica a la paciente como ASA III.

Como premedicación, administramos dexmedetomidina (2 µg/kg IV). Obtene-

mos un grado de sedación moderada que permite la preparación quirúrgica de la paciente (figura 2).

Tras la preparación de la paciente, y habiendo realizado una preoxigenación con oxígeno al 100 % durante aproximadamente cinco minutos, procedemos a la inducción anestésica mediante alfaxalona

Corte de tomografía computarizada a nivel abdominal en el que se observa una masa en el extremo apical del lóbulo izquierdo del páncreas, de dimensiones aproximadas de 3,3 cm longitud × 2,4 cm altura × 2,5 cm anchura.

Figura  2. Paciente tras la premedicación con dexmedetomidina a 2 µg/kg IV.

Tabla 1. Pruebas complementarias realizadas a la paciente.

Resultado

Compatible con la normalidad.

Aumento de ALKP: 348 U/L (23-212).

Compatible con la normalidad.

En lóbulo izquierdo pancreático se evidencia masa hipoecoica de bordes irregulares discretamente heterogénea de 0,38 × 0,3 cm. Se visualiza contacto con pared dorsal de curvatura menor gástrica, pero es difícil asegurar si afecta realmente a la pared.

Leve patrón bronquial.

Ritmo sinusal irregular en frecuencia cardiaca de 98 lpm. Compatible con arritmia sinusal respiratoria.

Compatible con la normalidad.

Figura 1. Figura  3. Monitor multiparamétrico que muestra la monitorización de la paciente durante la intervención
Nº 258 Mayo 2024 36 EN PORTADA / ANALGESIA

4. Inserción de la aguja Tuhoy de 18G en el espacio lumbosacro de la paciente.

(2 mg/kg IV) en combinación con lidocaína (2 mg/kg IV). Realizamos la intubación mediante tubo endotraqueal de PVC de 8 mm con sistema de pneumotaponamiento de baja presión y alto volumen.

La anestesia se mantiene mediante isoflurano vaporizado en una combinación de oxígeno y aire (FiO2: 50 %) a un flujo aproximado de 0,4 l/min. Se utiliza un sistema circular coaxial y una ventilación a presión positiva intermitente controlada por volumen (VCV). Se programa un volumen tidal de 200 ml, una frecuencia respiratoria de 10 rpm, una presión positiva al final de la espiración (PEEP) de 4 cmH2O y programamos una pausa inspiratoria del 25 % para favorecer un correcto intercambio gaseoso.

Colocamos un catéter arterial de 22G en la arteria dorsopedal con el fin de obtener una medición de presión arterial invasiva, que nos ofrece valores en tiempo real y de una manera más veraz que con la presión arterial no invasiva.

La monitorización la realizamos mediante electrocardiograma, pulsioximetría, temperatura, fracción inspirada de oxígeno, capnografía, presión arterial invasiva (figura 3).

Con la paciente estable, procedemos a la realización del bloqueo del quadratus lumborum en un abordaje aproximado de la vertebra L2, guiado por ecografía, en el cual depositamos una dilución de bupivacaína (0,37 %) entre los músculos psoas y cuadrado lumbar, de manera bilateral, a razón de 0,3 ml/kg. Con ello, tras 20 minutos, obtenemos una buena analgesia a nivel somático y visceral.

El procedimiento quirúrgico transcurre sin incidencias. Tras el mismo, procedemos a la colocación del catéter epidural. Para ello, trasladamos a la paciente a la sala de radiología, manteniendo la anestesia inhalatoria del mismo modo que durante el procedimiento quirúrgico. De manera aséptica se introduce una aguja Tuhoy de 18G en el espacio lumbosacro y se comprueba la correcta colocación en el especio epidural mediante la técnica de “gota pendiente” y la “técnica de Baraka”7 (figura 4). Tras el correcto posicionamiento de la aguja, introducimos 3 ml de suero salino fisiológico en aras de conseguir cierta hidrodisección que nos facilite la introducción posterior del catéter. Seguidamente procedemos a introducir el catéter epidural (figura 5), avanzándolo a través del espacio epidural hasta una posición aproximada de T12. Previamente habíamos estimado la longitud de catéter que debíamos introducir mediante su posicionamiento sobre la espalda de la paciente (sin que hubiera un contacto

Figura  5. Introducción del catéter epidural a través de la aguja Tuhoy tras la comprobación de la correcta posición de esta en el espacio epidural.

directo para mantener así la asepsia). Se confirma la correcta colocación mediante la evaluación radiológica de la administración de una pequeña cantidad de contraste yodado (figura 6). El catéter es fijado a nivel lumbosacro mediante sutura a la piel y posteriormente la colocación de un apósito.

La paciente se recupera de la anestesia sin incidencias. Podemos observarla caminar con completa normalidad y con una cobertura analgésica óptima 2 horas tras la extubación (vídeo 1). Planteamos la analgesia posquirúrgica mediante monoterapia de bupivacaína 0,25 % a razón de 0,1 ml/kg cada 4 horas. Evaluamos la correcta analgesia mediante la escala abreviada compuesta de evaluación del dolor de Glasgow (GCMPS-SF) cada 4 horas (figura 7), justo antes de la administración de la bupivacaína.

La evaluación fue determinada siempre por las mismas dos observadoras experimentadas del equipo de enfermería del hospital. Todos los valores numéricos se situaron por debajo de 6 puntos, lo que confirmó una buena cobertura analgésica sin la necesidad de administrar ningún rescate analgésico (tabla 2).

En la hospitalización se observó cómo la paciente pudo orinar y defecar con normalidad, no se evidenció bloqueo motor asociado a la dosis de bupivacaína. La ingestión fue introducida a las 4 horas de la extubación, realizándose de manera completa.

El catéter fue retirado a las 48 horas tras la extubación y el alta se planteó a las 72 horas de la cirugía con paracetamol 10 mg/kg TID como única medicación ambulatoria.

Discusión

En el presente caso se muestra una anestesia libre de opioides, de los que se decide prescindir por los efectos secundarios que pudieran repercutir en la paciente, especialmente la inmunosupresión que podría ocasionar el avance de la enfermedad neoplásica o la exacerbación de los signos digestivos que pudieran aparecer secundarios a la cirugía pancreática.

La anestesia libre de opioides está paulatinamente haciéndose presente en la anestesiología veterinaria y ya encontramos numerosa bibliografía sobre su uso8,9,10. En esta nueva tendencia, la analgesia deberá conseguirse sin la utilización de opioides; las técnicas locorregionales son una excelente opción.

En medicina humana se ha demostrado que el uso de técnicas locorregionales que incluyan el periodo posoperatorio reduce

Figura  6. Imagen radiológica del catéter epidural tras la administración de una pequeña cantidad de contraste yodado. Obsérvese cómo el catéter finaliza en T12, localización que se consideró óptima en nuestro caso.

Figura  7. Descarga la escala abreviada compuesta de evaluación del dolor de Glasgow (GCMPS-SF) utilizada en el hospital del autor.

Tabla 2. Puntuaciones obtenidas en la escala abreviada compuesta de evaluación del dolor de Glasgow (GCMPS-SF).

Evaluación del dolor

Horas tras cirugía Puntuación GCMPS-SF

considerablemente la estancia hospitalaria en comparación con los posoperatorios mediante el uso de opioides11

En nuestro caso, el control analgésico sobre el que se basa la anestesia libre de opioides consistió en un primer momento en el uso del bloqueo del quadratus lumborum, que nos aportó una analgesia intraquirúrgica somática y visceral óptima, sin que se detectara ninguna estimulación simpática secundaria a nocicepción. Se abogó por la utilización de este bloqueo en vez de la epidural para evitar la bajada de presión arterial que pudiera ocasionar la epidural y para no manipular el espacio lumbosacro, pensando en la colocación del catéter epidural posterior.

El catéter epidural fue colocado posteriormente al procedimiento quirúrgico para que no resultara molesto en la posición de decúbito supino del paciente y para evitar su desplazamiento intraquirúrgico.

La colocación del catéter epidural con su localización precisa en T12 permitió reducir considerablemente el volumen administrado, de manera que se pudieron bloquear únicamente las metámeras necesarias para producir analgesia abdominal, sin afectar a las extremidades posteriores ni a su funcionamiento. Con respecto a la concentración de la bupivacaína, su utilización al 0,25 % podría generar un bloqueo diferencial, es decir, podría cumplir perfectamente su acción analgésica mediante el bloqueo de las fibras C o Aδ, pero sin afec-

tar fibras más mielinizadas como las Aα, encargadas de la transmisión motora9,12. En nuestro caso, por ambas circunstancias, no tuvimos efectos secundarios indeseables. La evaluación del dolor posquirúrgico resulta imprescindible para afrontar correctamente el manejo analgésico del paciente. En nuestro caso se realizó una evaluación analgésica mediante la escala abreviada compuesta de evaluación del dolor de Glasgow (GCMPS-SF) cada 4 horas. Los valores obtenidos inferiores a 6 puntos subrayaron que la analgesia epidural mediante el uso del catéter supuso un correcto control analgésico de la paciente sin evidenciar efectos secundarios asociados.

Agradecimientos

Al equipo completo de AniCura Aitana Hospital Veterinario y, en especial, al equipo de enfermería.

Vídeo 1. Paciente realizando un pequeño paseo tras 2 horas de la extubación anestésica.

Bibliografía disponible en https://www.grupoasis.com/argos/ bibliografias/epidural258.docx

2 horas 2 6 horas 3 10 horas 3 14 horas 2 18 horas 4 22 horas 2 26 horas 3 30 horas 2 34 horas 4 38 horas 2 42 horas 2
Figura
Nº 258 Mayo 2024 38 EN PORTADA / ANALGESIA

PATRONES DERMATOLÓGICOS EN PERROS: CÓMO SACAR EL

MAYOR

PROVECHO A LAS VISITAS DE DERMATOLOGÍA

DOUXO®S3, de Ceva Salud Animal, lanza una nueva herramienta para ayudar a los veterinarios a que las visitas de dermatología sean más fáciles, educativas y estructuradas.

Las visitas de dermatología son cada vez más frecuentes en la clínica diaria y ocupan un gran volumen dentro del total de consultas. Por ello, realizar una buena visita dermatológica es de vital importancia. Para poder llevarlo a la práctica, DOUXO®S3 ha desarrollado junto con Isaac Carrasco, una herramienta para facilitar el abordaje de estas visitas.

Las consultas de dermatología se pueden englobar en un número determinado de patrones lesionales, y hemos preparado un algoritmo diagnóstico para ayudar a los veterinarios a afrontar cada uno de ellos.

La herramienta, Patrones dermatológicos en perros, diagnóstico y tratamiento nace para proporcionar un documento completo, visual y práctico a modo de guía para ayudar en el día a día de la clínica dermatológica.

¿EN QUÉ CONSISTE LA HERRAMIENTA?

Es un documento muy visual, dinámico y original que cuenta con imágenes macroscópicas de las lesiones, algoritmos diagnósticos y abordajes terapéuticos de 6 patrones: descamativoseborreico, erosivo-ulcerativo, alopécico, pápulo-placo-nodular, pustular-vesicular y pruriginoso.

Entrevista a Isaac Carrasco

ISAAC CARRASCO

Hospital Veterinario

Anicura – Glòries (Barcelona)

Hospital Veterinari Canis (Mallorca)

¿CUÁLES DIRÍAS QUE SON LAS CLAVES PARA REALIZAR UNA BUENA CONSULTA DERMATOLÓGICA?

En Medicina Veterinaria, y especialmente en Dermatología, es fundamental que trabajemos de una manera ordenada y protocolaria, con el fin de maximizar el éxito durante el proceso diagnóstico. Así, es de especial importancia utilizar un método diagnóstico-deductivo basado en el problema (Problem oriented approach),

Cada patrón tiene una introducción donde se presenta la fisiología y las lesiones típicas. De esta manera, tan solo buscando las lesiones principales en el paciente se puede identificar rápidamente el patrón lesional.

Una vez identificado, prosigue con el algoritmo diagnóstico donde se muestran los principales diagnósticos diferenciales de una selección de enfermedades y qué pruebas se deben realizar para confirmar o excluir el diagnóstico. Para finalizar, está la parte de abordaje terapéutico con las recomendaciones generales para cada patrón.

Patrones dermatológicos en perros, diagnóstico y tratamiento es una herramienta muy útil a la hora de abordar las visitas de dermatología ayudando a seguir los protocolos, diagnosticar mejor y escoger así el tratamiento más adecuado para aumentar las probabilidades de éxito y fidelizar a los clientes.

Esta herramienta se ha desarrollado de la mano de Isaac Carrasco, al que queremos agradecer su implicación, dedicación y motivación en el proyecto y al que hemos aprovechado para preguntar sobre las claves de las visitas de dermatología y cómo puede esta herramienta ayudar a los veterinarios en su día a día.

el cual nos guiará durante la visita para poder llegar a tomar las decisiones terapéuticas más oportunas en cada caso.

Será fundamental dedicarle el tiempo necesario a la anamnesis y a recoger una completa historia clínica, general y dermatológica. Del mismo modo, y a pesar de tratarse de una visita dermatológica, no debemos olvidar realizar un examen físico general antes del examen dermatológico, con el fin de detectar cambios sistémicos que puedan estar relacionados directamente con la patología cutánea o que condicionen futuras decisiones terapéuticas (por la existencia de comorbilidades). El examen dermatológico, a su vez, debe ser completo y detallado, teniendo como objetivo definir las lesiones que observamos y determinar el patrón dermatológico predominante (o más de uno, si confluyen diferentes tipos de lesiones). De dicho patrón dermatológico colgará nuestro diagnóstico diferencial, donde incluiremos las patologías que con más frecuencia se relacionan con aquellas lesiones que hemos detectado durante el examen dermatológico. Y en este momento, y en ningún caso antes, realizaremos las pruebas necesarias para ser capaces de diagnosticar y/o descartar las patologías que

“Es un documento muy visual, dinámico y original que cuenta con imágenes macroscópicas de las lesiones, algoritmos diagnósticos y abordajes terapéuticos de 6 patrones: descamativo-seborreico, erosivo-ulcerativo, alopécico, pápulo-placo-nodular, pustular-vesicular y pruriginoso”.

hemos incluido en el diferencial, con el objetivo de instaurar un tratamiento específico, en caso de que sea posible.

¿CUÁLES DIRÍAS QUE SON LOS ERRORES QUE MÁS SE COMETEN A LA HORA DE ABORDAR UN CASO Y QUE SE PUEDE HACER PARA EVITARLOS?

Lamentablemente, no siempre se sigue el orden necesario durante la visita dermatológica, ya sea por falta de tiempo o por falta de entrenamiento, lo que aumenta significativamente las posibilidades de error. Como ejemplos, si no hacemos un examen físico y dermatológico completo podemos obviar pistas fundamentales para el diagnóstico; si no definimos y ordenamos adecuadamente las lesiones no podremos emitir una lista acertada de posibles diagnósticos diferenciales; y si no hacemos las pruebas

diagnósticas en función de un diagnóstico diferencial, su utilidad disminuye o, lo que es peor, algunos de los resultados podrían confundirnos completamente.

Por lo tanto, es absolutamente necesario seguir este orden diagnóstico-deductivo y elegir las mejores pruebas diagnósticas en cada caso. Puede ser de utilidad el uso de plantillas y/o algoritmos que nos guíen durante el proceso, evitando en todo momento el uso del “ojo clínico”.

EN RELACIÓN CON LOS PATRONES DERMATOLÓGICOS ¿CUÁLES SON LOS QUE SE OBSERVAN CON MÁS FRECUENCIA?

Uno de los principales motivos de consulta dermatológica en la clínica veterinaria son las dermatosis alopécicas y las dermatosis pruriginosas, que en muchos casos confluyen. En ambos casos es de

PUBLIRREPORTAJE
Texto e imágenes Ceva Salud Animal

vital importancia realizar un correcto protocolo diagnóstico. Son muchas las patologías que pueden afectar al folículo, todas ellas con tratamientos y pronósticos muy diferentes; y a su vez, las dermatosis pruriginosas condicionan significativamente la calidad de vida tanto del paciente como el tutor, por lo que realizar un correcto abordaje desde el principio es fundamental.

Aun así, existen otros patrones lesionales con los que tendremos que lidiar en el día a día, como por ejemplo las dermatosis erosivo-ulcerativas, las descamativas o pápulo-nodulares. Y, por si eso fuese poco, en muchos casos vamos a observar patrones mixtos que van a hacer más difícil la toma de decisiones durante el proceso diagnóstico. Ahí reside nuestra magia como clínicos, en decidir los patrones principales en cada caso y buscar una explicación científica y una solución a cada uno de ellos.

A LA HORA DE REALIZAR

EL DOCUMENTO

¿CUÁL HA SIDO EL MAYOR RETO?

Ordenar las patologías dermatológicas por patrones lesionales es la forma más práctica de hacerlo, desde un punto de vista pedagógico. Ordenarlas por etiología puede dificultar la comprensión de la propia patología lesional, ya que en ocasiones se forman grupos muy heterogéneos de enfermedades dentro de la lista de diferenciales. Teniendo en cuenta esto, uno de los principales retos reside en separar absolutamente los patrones entre sí, ya que muchas patologías pueden compartir más de uno.

Así mismo, el número de enfermedades dermatológicas descritas en los animales de compañía es enorme, por lo que durante la confección de este material se tomó la decisión de elegir e incluir únicamente las patologías que con más frecuencia nos encontramos en la clínica diaria, ya que era imposible incluirlas todas.

Del mismo modo, resultó complejo buscar una manera visual de indicar cuáles de las técnicas diagnósticas comunes son la más adecuadas para cada patología, por lo que se optó por utilizar pictogramas con el objetivo de simplificarlo.

¿POR QUÉ CREES QUE ESTA

HERRAMIENTA PUEDE SER DE GRAN AYUDA PARA LOS VETERINARIOS?

Gracias a herramientas como esta es posible realizar mejores diagnósticos, disminuyendo en muchos casos la cantidad de pruebas necesarias, eligiendo las más adecuadas, y minimizando así la frustración tanto del clínico como del tutor. Si se utiliza adecuadamente, es un material que servirá de guía durante la toma de decisiones diagnósticas, y permitirá trabajar de una manera más ordenada.

Con el objetivo de hacerlo más práctico, se han incluido imágenes, tanto macro como microscópicas, para ilustrar los diferentes patrones dermatológicos; así como una pequeña introducción a la fisiopatología de las lesiones observadas. Es fundamental entender el porqué de las cosas, para poder saber cómo solucionarlas. Para todos aquellos clínicos con un especial interés en la materia, se ha incluido una lista de bibliografía recomendada por el autor, muy útil y aplicable.

Y en cada uno de los patrones se incluye una pequeña lista de recomendaciones terapéuticas, adaptadas a cada tipo de lesión y etiología, que puede ser de gran ayuda para el clínico y tiene como objetivo facilitar la elección del mejor tratamiento en cada caso, evitando el uso indiscriminado de determinados fármacos, como los antibióticos.

Así, con esta herramienta, podremos abordar adecuadamente una gran cantidad de visitas dermatológicas desde que el paciente entra por la puerta hasta que se le hace una recomendación terapéutica.

¿QUÉ PUNTOS DESTACARÍAS DE LA HERRAMIENTA?

Se trata de una herramienta muy “usable” en el día a día. El hecho de que cada patrón ocupe una única ficha hace que sea ágil y fácil de consultar; y haber incluido patologías comunes hace que se fácilmente “aterrizable” a la realidad de la clínica dermatológica.

Además, el hecho de basar la estructura de la herramienta en el proceso diagnóstico deductivo del que hablábamos anteriormente, y en la definición de correctos patrones dermatológicos, puede tener un gran valor pedagógico para trasmitir

la importancia del orden durante la visita dermatológica.

“Si deseas conseguir un ejemplar, contacta con tu delegado de zona Ceva Salud Animal”.

ACCEDE AL VÍDEO DE PRESENTACIÓN DE LA HERRAMIENTA.

Modificación de la técnica splash en la órbita tras la cirugía de enucleación en el paciente canino y felino

La modificación de esta técnica tiene como objetivo evitar la pérdida, por rebosamiento, de la totalidad o parte del agente anestésico instilado en la cavidad orbitaria tras una cirugía de enucleación.

Asunta Rotllán García1, Jesús del Marco Pérez2, Marina Arjona Martin1, Ana Belén Ruiz Martínez1, Fernando Sanz Herrera1 y Susanna Merino Koch1.

1Clínica Veterinaria Visionvet (Sevilla) 2Vet24 Hospital Veterinari (Barcelona) Imágenes cedidas por los autores

La cirugía de enucleación (transpalpebral, transconjuntival o lateral) es un procedimiento que se reserva para casos de neoplasia, infección grave y dolor ocular no controlable1 en la especie canina y felina.

En la cirugía de enucleación, la anestesia orbitaria comprende técnicas preoperatorias y técnicas intraoperatorias1. Estas técnicas se pueden aplicar por separado o combinadas ente sí. Los agentes anestési-

cos empleados en ambos casos se caracterizan por tener una alta liposubilidad1, como sucede con la lidocaína, la ropivacaina2 y la bupivacaína.

Las técnicas intraoperatorias tienen por objeto prolongar la analgesia posoperatoria en el paciente enucleado. Se aplican inmediatamente después de la extracción del globo ocular y justo antes de proceder al cierre de la cavidad orbitaria. Son técnicas simples, al alcance de cualquier veterinario, con independencia de su grado de especialización en el campo de la oftalmología.1,3 Dentro de las técnicas

intraoperatorias, se describe la técnica de bloqueo splash y el empleo de gelatinas reabsorbibles hemostáticas impregnadas con anestésicos locales.3,4,5

La técnica splash convencional (TSC) consiste en la instilación de bupivacaína al 0,5 % en el espacio retrobulbar (figuras 1 y 2). Posteriormente a la instilación de la bupivacaína, la cirugía continua con el cierre de la cavidad orbitaria en tres planos (porción rostral de la cápsula de Tenon, subcutáneo y piel del músculo orbicular) o dos planos (subcutáneo y piel del músculo orbicular).

Las técnicas intraoperatorias tienen por objeto prolongar la analgesia posoperatoria en el paciente enucleado. Se aplican inmediatamente después de la extracción del globo ocular y justo antes de proceder al cierre de la cavidad orbitaria.

El efecto de la bupivacaína comienza a hacerse efectivo en los primeros 15-30 minutos de su aplicación y puede prolongarse hasta 4-6 h después, por lo que ejerce un impacto positivo en la recuperación posoperatoria del paciente enucleado.

Los autores del presente artículo plantean una modificación de la técnica de bloqueo splash para evitar la pérdida, por rebosamiento, de la totalidad o parte del agente anestésico que es instilado en la cavidad orbitaria tras la realización de una cirugía de enucleación en el paciente canino y felino.

Material y métodos

La técnica splash modificada (TSM) consiste en la instilación de bupivacaína al 0,5 % en el espacio retrobulbar después

Figura 2. Serie de imágenes de la técnica splash convencional. A) Órbita tras extraer el globo y proceder al corte del margen palpebral. B) Preparación de la jeringuilla de bupivacaína. C) Instilación de la bupivacaína con derrame de su contenido fuera de la cavidad orbitaria. Figura 3. La técnica splash modificada (TSM) consiste en la instilación de bupivacaína al 0,5 % en el espacio retrobulbar después de llevar a cabo el cierre del plano subcutáneo, y antes de proceder al cierre del plano de la piel del musculo orbicular. Figura 1. Serie de imágenes de la técnica splash convencional. A) Órbita tras extraer el globo y proceder al corte del margen palpebral. B) Preparación de la jeringuilla de bupivacaína. C) Instilación de la bupivacaína con derrame de su contenido fuera de la cavidad orbitaria.
Nº 258 Mayo 2024 42 EN PORTADA / ANALGESIA A A A B B B C C C

de llevar a cabo el cierre del plano subcutáneo, y antes de proceder al cierre del plano de la piel del musculo orbicular (figura 3).

Para ello, se requiere la precarga previa del volumen necesario de bupivacaína en una jeringuilla, a la que se insertará una aguja de 23G.

La lanceta de la aguja accederá al espacio retrobulbar atravesando de forma traumática el plano subcutáneo ya suturado, o bien aprovechando los espacios que hayan quedado entre las suturas. Después, se instilará la bupivacaína en el interior de la órbita (figura 4).

El cierre del plano subcutáneo tiene lugar después de la instilación transmucosa de la bupivacaína (figura 5). La imagen posoperatoria final será similar a la obtenida con la TSC.

Discusión y conclusiones

La TSC presenta numerosas ventajas con respecto a la técnica de bloqueo preoperatoria retrobulbar, entre las cuales destacan su baja complejidad1,3 y su reducido/nulo índice de complicaciones intra y posoperatorias, pese a obtener un efecto nociceptor más bajo que su homóloga4, lo que la convierte en la técnica de bloqueo más empleada en la cirugía de enucleación del perro y del gato por parte del veterinario generalista.

Las dosis de bupivacaína descritas para bloqueos craneales y periféricos comprenden los 0,05-0,15 ml/kg (0,5-2 mg/kg), sin sobrepasar los 2-3 ml totales7. Sin embargo, la dosis de bupivacaína empleada en el bloqueo splash convencional que se describe en las publicaciones más recientes de oftalmología veterinaria es variable, y

Manejo anestésico del perro y el gato

Coordinador: Ignacio Sández Cordero

Coautores: varios

Abordaje del manejo anestésico de forma exclusiva y actualizada en el paciente crítico, desde la evaluación y estabilización previa hasta la ventilación, los fármacos y la monitorización básica y avanzada durante y después de la anestesia. Obra clínica de gran ayuda tanto para los veterinarios interesados en la anestesia y analgesia como para aquellos dedicados a los servicios de urgencias.

o bien aprovechando los
se instila la bupivacaína en el interior de la órbita.
Figura 4. La lanceta de la aguja de 23G accede al espacio retrobulbar atravesando de forma traumática el plano subcutáneo ya suturado,
espacios que hayan quedado entre las suturas. Después,
www.edicionesedra.com +34 910 003 892 store@edicionesedra.com NOVEDAD EDITORIAL 5% DESCUENTO ENVÍO GRATIS* * Envío gratis para Península y Baleares. Disponible en versión impresa y ebook Ignacio Sández Cordero MANEJO ANESTÉSICO DEL PERRO Y EL GATO EN ESTADO CRÍTICO I.Sández Cordero MANEJO ANESTÉSICO DEL PERRO Y EL GATO EN ESTADO CRÍTICO
Figura 5. El cierre del plano subcutáneo tiene lugar después de la instilación transmucosa de la bupivacaína.
44 EN PORTADA / ANALGESIA A A B B

puede oscilar entre los 1 ml/kg3 o 0,1 ml/ kg4 en perros y hasta los 0,75 ml8 en gatos. En relación con esta falta de homogeneidad de las dosis de bupivacaína empleadas en el bloqueo orbitario splash convencional tras la extracción del globo ocular en el paciente canino y felino, el empleo de dosis más elevadas de bupivacaína3,8 podría tener el objetivo de suplir una eventual pérdida del volumen del agente anestésico instilado durante el cierre de la órbita, justo en la parte final de la intervención quirúrgica. En este sentido, aunque la bibliografía disponible no hace referencia directa a que se produzca una pérdida parcial del volumen instilado de bupivacaína, sí menciona que, por norma, cuando se usan volúmenes elevados, no se intenta contener el sangrado ni mantener la bupivacaína en el interior de la órbita durante el cierre de la misma3, lo que podría sugerir que en cierto modo se asume que parte del agente anestésico instilado escapa de la órbita por rebosamiento.

A este respecto, los autores del presente artículo han observado que, en su experiencia práctica, habitualmente se produce una pérdida del volumen instilado de bupivacaína durante el cierre de la órbita, tanto si el agente anestésico es empleado en dosis bajas como altas. Asimismo, los autores opinan que al margen del volumen de bupivacaína que se escoja instilar en la órbita vacía del animal, la pérdida por

rebosamiento de este agente anestésico viene también motivada por otros factores que se deben tener en cuenta, como, por ejemplo, la posición más o menos lateralizada de la cabeza del animal, la estabilidad del método utilizado para la sujeción de su cabeza sobre la mesa de quirófano, el empleo de ventilación mecánica vs. espontánea durante la anestesia, la presencia de sangrado orbitario tras la extracción del globo y la propia manipulación ejercida por el cirujano.

La TSM no solo resulta beneficiosa en lo referente a evitar el derrame por rebosamiento de la bupivacaína fuera de la cavidad orbitaria, sino que repercute positivamente en el paciente objeto de enucleación en otros sentidos: permite llevar a cabo un control más correcto del volumen que es necesario instilar en cada paciente y disminuye la posibilidad de sobrepasar la dosis tóxica por elementos azarosos. Finalmente, los autores hacen hincapié en que conseguir mantener un volumen de bupivacaína conocido en la órbita con la TSM va a proporcionar una información mucho más fiable acerca de los verdaderos efectos que ejerce este agente anestésico en el control del dolor orbitario durante el posoperatorio, ya que, hasta el presente artículo, no se había contemplado la posibilidad de que parte del agente anestésico se perdiera, por rebosamiento, cuando se lleva a cabo el cierre de la órbita durante la TSC.

La técnica splash modificada (TSM) consiste en la instilación de bupivacaína al 0,5 % en el espacio retrobulbar después de llevar a cabo el cierre del plano subcutáneo, y antes de proceder al cierre del plano de la piel del musculo orbicular.

Conseguir mantener un volumen de bupivacaína conocido en la órbita con la TSM va a proporcionar una información mucho más fiable acerca de los verdaderos efectos que ejerce este agente anestésico en el control del dolor orbitario durante el posoperatorio.

Bibliografía:

1. Irving W, Annear M, Whittaker C, Caruso K, Reynolds B, McCarthy P, Smith J. Effect of dexmedetomidine added to retrobulbar blockade with lignocaine and bupivacaine in dogs undergoing enucleation surgery. Vet Ophthalmol. 2024 Mar;27(2):148-157. doi: 10.1111/vop.13130. Epub 2023 Jul 7. PMID: 37418492.

2. Briley JD, Washington D, Westermeyer HD, Posner LP, Chiavaccini L. Comparison of a blind and an ultrasoundguided technique for Retrobulbar anesthesia in dogs undergoing unilateral subconjunctival enucleation. Vet Ophthalmol. 2024 Jan;27(1):79-85. doi: 10.1111/vop.13092. Epub 2023 Apr 6. PMID: 37021439.

3. Chow DW, Wong MY, Westermeyer HD. Comparison of two bupivacaine delivery methods to control postoperative pain after enucleation in dogs. Vet Ophthalmol. 2015 Sep;18(5):422-8. doi: 10.1111/vop.12259. Epub 2015 Feb 10. Erratum in: Vet Ophthalmol. 2016 Jan;19(1):90. PMID: 25676206.

4. Zibura AE, Posner LP, Ru H, Westermeyer HD. A preoperative bupivacaine retrobulbar block offers superior antinociception compared with an intraoperative splash block in dogs undergoing enucleation. Vet Ophthalmol. 2020 Mar;23(2):225-233. doi: 10.1111/vop.12708. Epub 2019 Sep 30. PMID: 31566883.

5. Ploog CL, Swinger RL, Spade J, Quandt KM, Mitchell MA. Use of lidocaine-bupivacaine-infused absorbable gelatin hemostatic sponges versus lidocaine-bupivacaine retrobulbar injections for postoperative analgesia following eye enucleation in dogs. J Am Vet Med Assoc. 2014 Jan 1;244(1):57-62. doi: 10.2460/javma.244.1.57. PMID: 24344853.

6. Gelatt, K., Gelatt, J., & Plummer, C. (2011). Veterinary Ophthalmic Surgery ([edition unavailable]). Elsevier Health Sciences. Retrieved from https://www.perlego.com/book/2938546/veterinary-ophthalmic-surgery-pdf (Original work published 2011)

7. I.Sández Cordeor y M.A. Cabezas Salamanca. Manual clínico de Farmacologia y complicaciones en anestesia de pequeños animales. Multimédica Ediciones Veterinarias; N.º 2 edición (1 enero 2018).

8. Shilo-Benjamini Y, Pascoe PJ, Maggs DJ, Pypendop BH, Johnson EG, Kass pH, Wisner ER. Comparison of peribulbar and retrobulbar regional anesthesia with bupivacaine in cats. Am J Vet Res. 2014 Dec;75(12):1029-39. doi: 10.2460/ajvr.75.12.1029. PMID: 25419802.

9. Oliver JA, Bradbrook CA. Suspected brainstem anesthesia following retrobulbar block in a cat. Vet Ophthalmol. 2013 May;16(3):225-8. doi: 10.1111/j.1463-5224.2012.01053.x. Epub 2012 Jul 19. PMID: 22812420.

10.Myrna KE, Bentley E, Smith LJ. Effectiveness of injection of local anesthetic into the retrobulbar space for postoperative analgesia following eye enucleation in dogs. J Am Vet Med Assoc. 2010 Jul 15;237(2):174-7. doi: 10.2460/ javma.237.2.174. PMID: 20632790.

11.Delgado C, Bentley E, Hetzel S, Smith LJ. Comparison of carprofen and tramadol for postoperative analgesia in dogs undergoing enucleation. J Am Vet Med Assoc. 2014 Dec 15;245(12):1375-81. doi: 10.2460/javma.245.12.1375. PMID: 25459482; PMCID: PMC4378264.

12.Shilo-Benjamini Y. A review of ophthalmic local and regional anesthesia in dogs and cats. Vet Anaesth Analg. 2019 Jan;46(1):14-27. doi: 10.1016/j.vaa.2018.10.004. Epub 2018 Nov 7. PMID: 30503700.

13.Shilo-Benjamini Y, Pascoe PJ, Maggs DJ, Pypendop BH, Johnson EG, Kass pH, Wisner ER. Comparison of peribulbar and retrobulbar regional anesthesia with bupivacaine in cats. Am J Vet Res. 2014 Dec;75(12):1029-39. doi: 10.2460/ajvr.75.12.1029. PMID: 25419802.

14.Lemke KA, Dawson SD. Local and regional anesthesia. Vet Clin North Am Small Anim Pract. 2000 Jul;30(4):839-57. doi: 10.1016/s0195-5616(08)70010-x. PMID: 10932828.

15.Ali HM, Elbadawy AM. Comparative Study of Retrobulbar Block versus Ketamine Infusion during Eye Enucleation/Evisceration (Randomized Controlled Trial). Anesth Essays Res. 2020 Jan-Mar;14(1):92-99. doi: 10.4103/aer. AER_146_19. Epub 2020 Feb 14. PMID: 32843800; PMCID: PMC7428106.

45 45

Factores que influencian la presentación de cistitis idiopática felina

Hay factores sobre los que podemos actuar para manejar e incluso prevenir la cistitis idiopática felina.

Comunicación Científica Royal

Las enfermedades del tracto urinario inferior en gatos (FLUTD, del inglés Feline low urinary tract disease) se clasifican, de acuerdo con sus causas, en:

• Cistitis idiopática

• Urolitiasis

• Infección bacteriana del tracto urinario

• Neoplasia

• Malformaciones anatómicas

• Iatrogénicas

• Metabólicas

• Neurológicas

FLUTD es un síndrome espontáneo comúnmente observado en las clínicas de pequeños animales. Su prevalencia reportada en diferentes países varía entre el 1,5 y el 4,5 % del total de los gatos atendidos en las clínicas. Y, de estos, la prevalencia de cistitis idiopática (CIF) se sitúa entre el 55 y el 67 %, por lo que podemos concluir que es la causa más frecuente de FLUTD1 CIF puede ser obstructiva, pero la forma no obstructiva es la más frecuente y se puede presentar de tres formas2:

• Episodios aislados, agudos y autolimitantes.

• Episodios recurrentes con frecuencia.

• Forma persistente.

La mayoría de los estudios concuerdan en que los gatos machos tienen mayor riesgo de desarrollar CIF y algunos, incluso, que la esterilización aumentaría el riesgo. Sin embargo, hay que tener en cuenta que mientras que la proporción de machos y hembras que acuden a las clínicas es muy similar, el porcentaje de esterilizados frente a intactos es mucho mayor. También ha sido objeto de estudio la influencia de la edad de esterilización y estudios recientes confirman que la esterilización de machos

o bandejas pueden estar relacionados con la presentación de un episodio de CIF. Esta falta de adaptabilidad a eventos estresantes que muestran algunos individuos se debe también en parte a factores genéticos y a una falta de socialización durante la etapa temprana de su vida y no podemos actuar sobre ellos. Sin embargo, hay otros factores sobre los que podemos actuar y que formarán parte del enfoque multimodal del manejo de los pacientes con CIF y que, tenidos en cuenta por los cuidadores, pueden prevenir esta y otras enfermedades relacionadas con el estrés.

En algunos estudios se ha visto que los gatos con CIF son más propensos a sentir miedo y ansiedad y se esconden o escapan cuando hay visitas de desconocidos.

en edad previa a la pubertad no predispone a padecer FLUTD3

Entre los factores de riesgo que se han identificado en el FLUTD se encuentran la obesidad, el uso de bandejas de arena, el bajo consumo de agua, el menor nivel de actividad y la falta de acceso al exterior. Algunos de estos factores, como inactividad y falta de acceso al exterior, también son factores de riesgo para padecer obesidad4 Además, en algunos estudios se ha visto que los gatos con CIF son más propensos a sentir miedo y ansiedad y se esconden o escapan cuando hay visitas de desconocidos. Un episodio de CIF se puede desencadenar cuando se producen situaciones de conflicto debido a la convivencia con otros gatos u otras mascotas, causado simplemente por sonidos, olores u otras acciones que puedan ser percibidas como una amenaza. Una mudanza es entendible que afecta a la vida del gato, pero incluso pequeños cambios que el gato pueda percibir como amenaza o falta de seguridad, como pueden ser la posición de los comederos, bebederos

Interacción social positiva, coherente y predecible entre personas y gatos

Evitar la obesidad

Los programas de peso saludable deben ser preventivos. La recomendación nutricional debe ser parte de la consulta previa a la esterilización para evitar la ganancia de peso tras el procedimiento. Un alimento formulado específicamente para animales esterilizados con una restricción calórica adecuada puede evitar la ganancia de peso. Un seguimiento y un ajuste calórico individual nos ayudarán a no tener que recurrir a un programa de pérdida de peso con alimentos dietéticos específicos. En gatos obesos con CIF, la utilización de dietas que promueven la salud urinaria y a la vez están restringidas calóricamente para ayudar a la pérdida de peso son las más adecuadas.

Aumentar el consumo de agua

Recursos calve del entorno múltiples y separados

Proporcionar un entorno saludable

Tanto la AAFP (American Association of Feline Practitioners) com la ISFM (International Society of Feline Medicine) coinciden en que un entorno felino saludable se sustenta respetando cinco principios:

• Disponer de un lugar seguro: cada gato necesita para vivir en un territorio en el que se sienta seguro bajo su propio punto de vista. Esto incluye disponer de lugares en la casa donde esconderse, y también un lugar en altura desde el que pueda observar.

• Recursos clave del entorno múltiples y separados: cada gato necesita acceso libre a sus recursos esenciales: agua, comida, bandeja higiénica, lugares de descanso y rascadores.

• Oportunidad para el juego y para el comportamiento depredador: esto incluye tiempo de juego con miembros de la familia, en solitario con sus propios juguetes e incluso el uso de puzles de comida.

• Interacción social positiva, coherente y predecible entre personas y gatos: las interacciones con el gato deben ser respetuosas, evitando contacto físico forzado y permitir al gato que inicie y termine las interacciones.

• Entorno respetuoso con los sentidos: olores y ruidos muy fuertes, incluso iluminación excesiva, pueden hacer que el gato sienta que su entorno no es seguro.

Bibliografía:

Oportunidad para el juego y el comportamiento depredador

Aumentar el consumo de agua para disminuir la concentración de la orina es uno de los pilares del manejo de CIF. Los alimentos húmedos proporcionan un aumento de la ingestión de agua y también hay alimentos dietéticos específicos en formato húmedo especialmente indicados para CIF.

Para el consumo directo de agua, se han de tener en cuenta las preferencias de cada gato, además de gestionar el agua como uno de los recursos básicos necesarios para un entorno saludable.

Intervenciones nutricionales

Para la prevención de CIF puede ser beneficiosa la disminución de la cantidad de minerales cristalogénicos, el aumento de la cantidad de mediadores antiinflamatorios como los ácidos grasos omega 3, ácido eicosapentanoico y ácido docosahexanocio (EPA y DHA) así como el manejo dietético del pH urinario5

Alimentos enriquecidos en sustancias como la α-casocepina o el l-triptófano han demostrado tener efectos ansiolíticos y pueden tener también efectos favorables para evitar la recurrencia de CIF, sobre todo en combinación con alimentos dietéticos formulados para favorecer la salud urinaria6 Los estudios que se han hecho hasta la fecha para demostrar la eficacia de la adición de glicosaminoglicanos en el alimento no permiten concluir que tengan un efecto significativamente positivo7

1. He C, Fan K, Hao Z, Tang N, Li G and Wang S (2022) Prevalence, Risk Factors, Pathophysiology, Potential Biomarkers and Management of Feline Idiopathic Cystitis: An Update Review. Front. Vet. Sci. 9:900847.

2. Lulich JP, Osborne CA, Kruger J. What constitutes a diagnosis of feline idiopathic cystitis?.  Proc ACVIM Forum. (2010) 630–1.

3. Howe LM, Boothe HW, Fossum TW. Long-term outcome of gonadectomy performed at an early age or traditional age in cats. J Am Vet Med Assoc 2000; 217: 1661–1665

4. Laflamme DP. Understanding and managing obesity in dogs and cats. Vet Clin North Am Small Anim Pract. 2006;36: 1283e95.

5. Kruger, JM, Lulich, JP, Macleay, J, Merrills, J, Paetau‐Robinson, I, Brejda, J, & Osborne, CA. Comparison of foods with differing nutritional profiles for long‐term management of acute nonobstructive idiopathic cystitis in cats. Journal of the American Veterinary Medical Association 2015 247(5), 508–517.

6. Landsberg, G.,Milgram, B.,Mougeot, I.,Kelly, S., & de Rivera, C. Therapeutic effects of an alpha-casozepine and L-tryptophan supplemented diet on fear and anxiety in the cat  Journal of Feline Medicine and Surgery, 2017, 19(6), 594–602.

7. Panchaphanpong J, Asawakarn T, Pusoonthornthum R. Effects of oral administration of N-acetyl-d-glucosamine on plasma and urine con-centrations of glycosaminoglycans in cats with idiopathic cystitis. Am J Vet Res. 2011;72(6):843-850.

Nº 258 Mayo 2024 48 Sección patrocinada por Royal Canin HABLANDO DE NUTRICIÓN CLÍNICA
Canin Entorno respetuoso con el olfato del gato Lugar seguro
© DRAWN BY SANDRINE FONTEGNE
Entorno felino saludable

Add One, un sabroso premio para gatos que facilita la administración de medicación

Happy Snack by Feliway, la tranquilidad en un delicioso premio

Dechra Veterinary Products presenta Add One, una pasta cremosa y sabrosa para gatos que facilita la administración de suplementos y medicaciones como Porus One. Bajo en calorías (menos de 10 kcal por sobre), no contiene azúcares añadidos, colorantes, saborizantes ni conservantes. Con sabor a salmón, Add One es altamente palatable y apto para gatos sin necesidades nutricionales especiales y para los que siguen dietas de pérdida de peso, renales o diabéticos. Add One es perfecto para mezclar con Porus One cuando el gato solo acepta alimento seco.

■ Para más información: Dechra Veterinary Products www.porus-one.com

Centauro se convierte en distribuidor oficial de la marca Beco

Centauro se ha convertido en distribuidor oficial de la marca Beco de bolsas higiénicas ecológicas. Beco es fabricante de bolsas de heces con materiales 100 % reciclados y sin aroma. Son bolsas de altísima calidad, grandes, resistentes y estancas. Fabricadas con material reciclado 100 % posconsumo, cada rollo de bolsas viene con un núcleo de cartón reciclado y cabe en dispensadores estándar. Con la incorporación de marcas como Beco, Centauro refuerza su compromiso por incorporar las mejores gamas y ampliar su catálogo de productos con productos sostenibles y materiales eco.

■ Para más información: Centauro - https://shop.centauro.es

Dialpet Excellence Edition

Ceva Salud Animal amplía su propuesta para ayudar al bienestar felino y cuidar el vínculo con los tutores con Happy Snack by Feliway. Diseñado para ayudar a que los gatos gestionen mejor los momentos de estrés, tiene una composición única con alfa-casozepina, proteína natural de la leche conocida por sus propiedades relajantes. Es un ligero, cremoso y delicioso premio con sabor a pollo que se puede tomar hasta dos veces al día. Es apto para gatos y gatitos (a partir de 12 semanas).

■ Para más información: contacte con su delegado de Ceva Salud Animal

Dibaq Petcare presenta 17 nuevas referencias de Perry&Gaty

Dibaq Petcare acaba de lanzar la nueva marca de productos Perry&Gaty para mejorar el sistema inmunitrio de perros y gatos. Incluye 17 referencias de productos secos y húmedos para mascotas. En concreto, para perros ofrece tres referencias de alimento seco en formato de 3 kg (Perrymix) y ocho referencias de húmeda en latas de 400 y 800 g (Perrynat); mientras que en gato ha apostado por dos secos (Gatymix) y cuatro húmedos (Gatynat). Con estos nuevos productos estarán cubiertas todas las necesidades nutricionales de cada etapa y edad, ya sean cachorro, adulto o esterilizado.

■ Para más información: Perry&Gaty - https://perrygaty.com

Ecuphar regresa

al segmento de la toxicología con Clevor

Ecuphar regresa al segmento de la toxicología con Clevor, el primer colirio emético para perros. Contiene ropirinol, un agonista dopaminérgico altamente selectivo hacia los receptores del vómito, lo que hace que el vómito sea más eficiente, o sea más rápido en su inicio y finalización del proceso de eliminación del tóxico. Clevor se presenta en un estuche de cartón con tres pipetas de un solo uso (una pipeta por paciente). Ecuphar pone a disposición del veterinario materiales de interés para los tutores y un póster con tóxicos domésticos frecuentes.

■ Para más información: Ecuphar Veterinaria – info@ecuphar.es – www.ecuphar.es

Albóndigas para perros Fresh Arquivet

Arquivet presenta las albóndigas de carne fresca, un alimento completo para todo tipo de razas de perros adultos, con un alto porcentaje de carne fresca, lo que las hace muy apetecibles, sabrosas y digestibles. Incluye ingredientes naturales de proximidad y sostenibles, cocinados a fuego lento para conseguir una receta de alto valor nutricional. Sin gluten, sin harinas de carne, sin colorantes ni sabores artificiales. La gama se compone inicialmente de seis sabores diferentes, envasados en latas de 400 g que ya se encuentran disponibles en la tienda online de www.arquivet.com y en todos los establecimientos habituales.

■ Para más información: Arquivet www.arquivet.com

Fresh Naturals: misma esencia, mucha más variedad

Dialpet Excellence Edition supone un salto cualitativo en la alimentación de gatos y perros. Con la garantía de calidad de Nutralgape, esta gama superprémium supone un paso adelante en el panorama de la innovación nutricional animal, promoviendo un estado óptimo de bienestar. A través de la inclusión de la membrana vitelina de huevo y de una selección de superalimentos, Dialpet Excellence no solo atiende las necesidades básicas, sino que abre un nuevo horizonte en el cuidado y la prevención de enfermedades, afirmando así el decisivo compromiso de la compañía con la salud canina y felina.

■ Para más información: Nutralgape www.dialpetexcellence.com

Nuevo Corona Hoof Advanced, de VetNova

VetNova presenta Corona Hoof Advanced, fórmula avanzada para cascos que apoya un óptimo mantenimiento, favorece su regeneración y crecimiento y promueve una pared más gruesa y elástica. Ofrece un soporte completo y equilibrado rico en biotina (30 mg/dosis), con aminoácidos esenciales, vitaminas y minerales. Incluye zinc y cobre quelados para una mejor absorción y biodisponibilidad. Es una fórmula reforzada con Boswellia serrata que favorece un estado de confort y bienestar. Con probiótico (Saccharomyces cerevisiae) para favorecer una óptima salud gastrointestinal, digestión y aprovechamiento de la ración.

■ Para más información: VetNova – Tel.: 918 440 273 vetnova@vetnova.net – www.vetnova.net

Cantabria Labs Stangest lanza al mercado CroniCare Synergy, con cannabinoides de nueva generación

Cantabria Labs Stangest presenta CroniCare Synergy, un suplemento nutricional a base de cáñamo y palmitoiletanolamida (PEA), dos tipos de cannabinoides que sinergizan entre sí para ejercer un potente efecto en el organismo. La fórmula exclusiva también aporta omega-3 y triglicéridos de cadena media. Favorece el bienestar físico y emocional de perros y gatos y aporta nutrientes clave para su salud. Se comercializa en envases de 10 ml con jeringa dosificadora. Se puede administrar directamente en la boca de la mascota o añadir sobre el alimento.

■ Para más información: Cantabria Labs Stangest – www.stangest.com

Felimazole, ahora disponible como solución oral

Dechra comercializa Felimazole Solución Oral 5 mg/ml, con tiamazol, disponible en frascos de 30 ml o 100 ml con jeringa dosificadora. Con sabor a miel, tiene dos años de caducidad (seis meses de caducidad una vez abierto). Al ofrecer flexibilidad y precisión, Felimazole ayuda a controlar el hipertiroidismo. Felimazole ofrece un enfoque versátil con la opción de formulaciones tanto en solución oral como en comprimidos, lo que permite personalizar el tratamiento para adaptarlo a las necesidades de los pacientes y a las preferencias de los cuidadores.

■ Para más información: Dechra Veterinary Products - www.dechra.es

Nota de Redacción

El Departamento de Redacción de Argos informa a los lectores de que las “Novedades comerciales” publicadas en esta revista han sido estrictamente elaboradas con la información remitida por las propias empresas en lo referente a las características técnicas y particularidades de los distintos productos y/o promociones.

Fresh Naturals cubre las necesidades del target que busca real food con una familia de snacks masticables 100 % naturales, sin hormonas ni antibióticos, sin azúcares añadidos, ni colorantes ni conservantes. En definitiva, es un snack transparente, sin letra pequeña. Tanta es la demanda de este tipo de aperitivos para perros que se incorporan a la familia 10 nuevas referencias, entre las que se pueden encontrar: pretzels, corazones de pollo y pato, tiras de salmón y enrollados de pollo y pato, entre otros. Toda una delicia para su paladar y bienestar bucodental.

■ Para más información: Dapac https://freshpetnutrition.com

Menforsan limpiador higienizante de patas y almohadillas

Menforsan presenta este spray hidroalcohólico con Aloe vera 100 % natural de cultivo ecológico que higieniza, desinfecta y mantiene limpias patas y almohadillas plantares de los perros tras los paseos diarios. Permite que, una vez aplicado el producto y después que se pase una toallita o gamuza, se puedan subir de manera higiénica a distintos lugares como sofá, cama o coche. Su pH adaptado permite que el producto se pueda utilizar de manera frecuente. Se comercializa en envases de 125 ml con pulverizador en spray

■ Para más información: Laboratorios Bilper Group - Tel.: 944 520 007 info@menforsan.com www.menforsan.com

Nº 258 Mayo 2024 50 NOVEDADES COMERCIALES

33 Congreso Anual del European College of Veterinary Surgeons

Logo IVE

Posgrado en Medicina de Pequeños Animales

■ Inicio: mayo de 2024

■ Lugar: online

Posgrado en Diagnóstico por Imagen

■ Inicio: 6 de mayo de 2024

■ Lugar: online/Madrid

■ Inicio: 16 de diciembre de 2024

■ Lugar: online/Valencia

Programa en Cirugía de Pequeños Animales para ATVS

■ Inicio: 11 de mayo de 2024

■ Lugar: online

Programa en Fisioterapia para ATVS

■ Inicio: 18 de mayo de 2024

■ Lugar: Madrid

Programa Anestesia para ATVS

■ Inicio: 18 de mayo de 2024

■ Lugar: online

Programa en Emergencias y Cuidados Intensivos para ATVS

■ Inicio: 25 de mayo de 2024

■ Lugar: online

Posgrado en Ecografía Clínica de Pequeños Animales

■ Inicio: junio de 2024

■ Lugar: online/Madrid

■ Inicio: diciembre de 2024

■ Lugar: online/Valencia

Posgrado en Medicina y Cirugía de Urgencia

■ Inicio: junio de 2024

■ Lugar: online

Posgrado en Clínica de animales exóticos

■ Inicio: junio de 2024

■ Lugar: online

Posgrado en Dermatología

■ Inicio: junio de 2024

■ Lugar: online

Posgrado en Cirugía de Tejidos Blandos

■ Inicio: junio de 2024

■ Lugar: online/Madrid

■ Inicio: marzo de 2025

■ Lugar: online/Valencia

Posgrado en Medicina Endoscópica

■ Inicio: 20 de junio de 2024

■ Lugar: Madrid

Posgrado en Oncología

■ Inicio: septiembre de 2024

■ Lugar: online

Para más información:

Improve Veterinary Education

Tel.: 911 881 568–info.es@ improveinternational.com www.improveinternational.com

■ Fecha: del 4 al 6 de julio de 2024 ■ Lugar: Valencia

Para más información: https://www.ecvs.org/annual-scientific-meeting/2024.php

Jornada de Oftalmología sobre

Casos Clínicos del Segmento Anterior

■ Fecha: 15 de junio de 2024 ■ Lugar: Barcelona

Para más información: https://ivoft.com

■ Fecha: 25-28 septiembre de 2024

■ Lugar: Lisboa (Portugal)

Para más información: www.esvotcongress.org

PUBLIQUE AQUÍ SU ANUNCIO DE FORMA GRATUITA

Traspasos, ventas y alquileres de locales

■ Traspaso clínica veterinaria con más de 20 años de funcionamiento en Elche, Alicante. Está localizada en una zona excelente. Tiene más de 200 m2 y está totalmente equipada. Dispone de sala de espera, dos consultas, sala de rayos X, quirófano, amplia biblioteca con variedad de bibliografía, peluquería canina, etc. Equipos: radiología digital indirecta, ecógrafo, electrocardiógrafo, generador de oxígeno, analizador de hematología y bioquímica. Cartera de clientes consolidada y facturación demostrable. Interesados ponerse en contacto a través del correo electrónico traspasoclinicavet. elche@gmail.com

Si quiere publicar algún anuncio, escríbanos a argos@grupoasis.com Argos no se responsabiliza del contenido de los anuncios publicados en este tablón.

Nº 258 Mayo 2024
Congreso ESVOT
TABLÓN DE ANUNCIOS 51 AGENDA

Epilepsia idiopática en el perro III: tratamiento anticonvulsivo

La tercera parte de esta serie recoge las propiedades de los principales anticonvulsivos disponibles para la especie canina. También se presentan, de forma gráfica y simple, los pasos para controlar un episodio de status epilepticus y convulsiones en racimo, según el reciente consenso del ACVIM.

Chestergates Veterinary Specialists

Reino Unido)

INTRODUCCIÓN

Una vez hemos cubiertos los principales aspectos de los antiepilépticos más usados, podemos centrarnos en el segundo escenario que comentamos en el capítulo anterior. En este caso, nuestro paciente se encuentra convulsionando una vez llega a la consulta – o está hospitalizado – y debemos detenerlo. Para ello, vamos a comenzar por introducir los principales anticonvulsivos y sus propiedades. Cabe destacar que algunas de las medicaciones que comentaremos también tienen efecto antiepiléptico, y la mayoría de la información la podéis encontrar en el capítulo anterior “Epilepsia idiopática en el perro II: tratamiento antiepiléptico”. Para simplificar la situación, vamos a asumir que la causa de las convulsiones en nuestro paciente es la epilepsia idiopática.

El primer punto que debemos tener en cuenta es que la mayoría de las convulsiones son autolimitantes, y que no será necesaria nuestra actuación para vescenarios en los que sí será necesario: las convulsiones en racimo y el status epilepticus:

• Como discutimos en el primer capítulo “Epilepsia idiopática en el perro I: introducción y diagnóstico”, el primer caso se dará cuando se padezca ≥2 convulsiones con menos de 24 horas entre ellas, en las que se produzca recuperación del estado mental.

• Por otra parte, encontramos el status epilepticus cuando una convulsión generalizada se extienda por encima de los 5 minutos o padezca ≥2 convulsiones con menos de 24 horas entre ellas sin recuperación del estado mental. La no recuperación del estado mental indica que, aunque la actividad motora ha cesado, la actividad eléctrica del cerebro continua. Cuando se trate de convulsiones en racimo, en la mayoría de los casos el paciente convulsionará fuera de la clínica y necesitará simplemente de una modificación en la pauta de tratamiento antiepiléptico. Sin embargo, en el caso del status epilepticus se requerirá de un tratamiento anticonvulsivo que podría llegar a ser muy intenso según la gravedad del episodio.

PRIMERA LÍNEA DE TRATAMIENTO

El diazepam y el midazolam representan los anticonvulsivos por excelencia. Ambos pertenecen a la familia de las benzodiazepinas, un conjunto de fármacos seguros, poco costosos y ampliamente disponibles que representan la primera línea de tratamiento anticonvulsivo. Las benzodiazepinas tienen un metabolismo hepático, por lo que se recomienda un uso más conservador en casos de enfermedad hepática. Entre los efectos secundarios principales encontramos sedación y ataxia. Sin embargo, en dosis altas o en combinación con otros fármacos, como el fenobarbital, podemos observar depresión respiratoria e hipotensión.

Aunque tienen un efecto potente y actúan de manera muy rápida (llegan a su pico en sangre en pocos minutos), la gran mayoría tienen un tiempo de vida

La mayoría de las convulsiones son autolimitantes, y que no será necesaria nuestra actuación para controlarlas. Sin embargo, existen dos escenarios en los que sí será necesario: las convulsiones en racimo y el status epilepticus.

Cuando se trate de convulsiones en racimo, en la mayoría de los casos el paciente convulsionará fuera de la clínica y necesitará simplemente de una modificación en la pauta de tratamiento antiepiléptico. Sin embargo, en el caso del status epilepticus se requerirá de un tratamiento anticonvulsivo que podría llegar a ser muy intenso según la gravedad del episodio.

medio relativamente corto, por lo que no se recomiendan como tratamiento antiepiléptico.

El diazepam puede administrarse por vía intravenosa e intrarrectal, mientras que en el caso del midazolam se recomiendan las vías intravenosa e intranasal (la vía intramuscular no debería utilizarse por tardar demasiado en actuar).

En el caso del diazepam, se recomienda una dosis de 0,5 mg/kg intravenosa, y 1-2 mg/kg por vía intrarrectal. Por el contrario, el midazolam puede utilizarse en dosis de 0,2-0,5 mg/kg. En ambos casos, las dosis pueden repetirse de forma segura.

A pesar de lo que hemos comentado, y dado que tanto el diazepam como el midazolam tienen tiempos de vida medios cortos, ambas medicaciones pueden administrarse como infusiones continuas, lo que permite alargar sus efectos en el tiempo. Raramente se utiliza el diazepam en infusión continua dada la dificultad de manipulación (p.e. reacción al plástico de las jeringas), por lo que el midazolam suele ser el fármaco de elección en estos casos. Generalmente, la dosis utilizada es de 0,3 mg/kg/h.

SEGUNDA LÍNEA

DE TRATAMIENTO

La siguiente línea de anticonvulsivos las ocupan dos fármacos que ya conocemos, el fenobarbital y el levetiracetam.

Cabe destacar del fenobarbital que, a pesar de ser un anticonvulsivo efectivo, su efecto podría tardar unos 30 minutos por su baja lipofilicidad. Debemos recordar también sus efectos secundarios cuando se administra por vía intravenosa, especialmente la sedación profunda y la depresión respiratoria (especialmente en combinación con benzodiazepinas). En algunos casos, debemos estar preparados para intubar.

Se recomienda su administración en pequeños bolos de 2-4 mg/kg, repitiendo según la respuesta cada 20-30 minutos, hasta un supuesto máximo de 24 mg/ kvg/d.

Como nota del autor, si fuera necesario, podría sobrepasarse esta dosis sin consecuencias significativas, aunque los efectos secundarios serán más intensos. Bolos mayores no se recomiendan pues se podría inducir al paciente o producir efectos secundarios severos.

El levetiracetam, por el contrario, resulta muy seguro, sin prácticamente ningún efecto secundario excepto el posible efecto sedante, y actúa de manera rápida en el control de las crisis. Aunque la dosis de este antiepiléptico es de 20-60 mg/ kg, recomiendo administrar la dosis máxima desde el inicio. Esta dosis puede repetirse cada 8 horas. Otro fármaco como la fosfenitoína puede utilizarse en este punto, aunque su acceso es mucho más limitado.

PUBLIRREPORTAJE
Melounix/shutterstock.com
Eric Isselee/shutterstock.com

TERCERA LÍNEA

DE TRATAMIENTO

En la tercera línea de tratamiento encontramos los fármacos anestésicos como la ketamina, la medetomidina/dexmedetomidina, el propofol, los barbitúricos anestésicos (tiopental sódico, pentobarbital) y los agentes inhalantes como el isoflurano. Dado los potenciales efectos graves de algunas de estas medicaciones (propofol, barbitúricos, gases), la recomendación es utilizar la ketamina y la dexmedetomidina primero. La ketamina es una antagonista de los receptores NMDA que permite detener la fase de mantenimiento del status epilepticus, además de tener efecto neuroprotector y aumentar la presión arterial, limitando el efecto de otras medicaciones. Sin embargo, también puede producir aumento de la frecuencia cardiaca y depresión respiratoria. La dosis recomendada es de 0,5 mg/kg intravenosa o 0,5 mg/kg/hora en infusión continua.

La dexmedetomidina es un agonista de los receptores a2-adrenérgicos que permite disminuir la presencia de neurotransmisores excitatorios en ciertas regiones el encéfalo, además de poseer efecto neuroprotector. Además, produce disminución tanto de la frecuencia cardiaca como de la respiratoria. El propofol, por su parte, tiene efecto anticonvulsivo y neuroprotector. Cuando se utilice esta medicación es importante estar preparado para la intubación del paciente, ya que la apnea es una complicación común de su uso. La dosis recomendada es de 1-2 mg/kg intravenoso o 0,1-0,6 mg/kg/min como infusión continua.

Como habéis podido ver, tanto la ketamina, como la dexmedetomina y el propofol pueden administrarse en bolos o

En el caso del diazepam, se recomienda una dosis de 0,5 mg/kg intravenosa, y 1-2 mg/kg por vía intrarrectal. Por el contrario, el midazolam puede utilizarse en dosis de 0,2-0,5 mg/ kg. En ambos casos, las dosis pueden repetirse de forma segura.

Se recomienda la administración del fenobarbital en pequeños bolos de 2-4 mg/kg, repitiendo según la respuesta cada 20-30 minutos, hasta un supuesto máximo de 24 mg/kg/d.

en infusión continua, y en los tres casos se recomienda administrar un bolo previo a la infusión. Es importante destacar que el uso de agentes inhalantes debe utilizarse siempre como último resorte. Nos interesará inducir la anestesia general cuando no podamos controlar las convulsiones con los demás fármacos y los efectos de las crisis sobre el cuerpo (hipotensión, arritmias, hipertermia, daño muscular, daño renal, etc.) puedan suponer un peligro para la vida del animal. Al inducirla, la actividad motora se detendrá, por lo que el control sistémico del paciente será más sencillo. Sin embargo, la actividad eléctrica en el cerebro no se detiene con la inducción, por lo que deberemos continuar utilizando la medicación anticonvulsiva hasta alcanzar nuestro objetivo.

USO RACIONAL DE LOS ANTICONVULSIVOS

Recientemente se ha publicado el primer consenso sobre el tratamiento del status epilepticus en el perro – ACVIM consensus statement on the management of status epilepticus and cluster seizures in dogs and cats. Aquí se presentan, de forma gráfica y simple,

Tanto la ketamina, como la dexmedetomina y el propofol pueden administrarse en bolos o en infusión continua, y en los tres casos se recomienda administrar un bolo previo a la infusión.

y basándose en la evidencia actual, los pasos que debemos tomar para controlar un episodio de status epilepticus y convulsiones en racimo.

Aunque el orden de uso de los diferentes fármacos está bien establecido, cabe destacar que las medicaciones pueden repetirse según la respuesta del paciente (p.e. los bolos de fenobarbital pueden repetirse hasta el máximo de 24 mg/kg/d, el levetiracetam puede administrarse cada 8 horas, etc.).

Aunque recomiendo una lectura exhaustiva del artículo para un aprendizaje correcto (disponible de forma gratuita en Journal of Veterinary Internal Medicine), expondremos los puntos principales del artículo ordenado según el tiempo que lleve el paciente convulsionando. Los fármacos aparecerán en orden de evidencia actual.

5-10 minutos

Fármacos de primera línea:

• Midazolam intranasal/intravenoso o diazepam intravenoso +/- midazolam en infusión continua.

• En este punto se puede considerar administrar un bolo de levetiracetam o fenobarbital intravenosos.

10-30 minutos

Fármacos de primera línea + fármacos de segunda línea:

• Levetiracetam intravenoso +/- fenobarbital intravenoso (+/- fosfenitoína intravenosa).

• En este punto se puede considerar administrar un bolo de ketamina si no ha habido respuesta a la primera línea de tratamiento.

Más de 30 minutos

Fármacos de primera línea + fármacos de segunda línea + fármacos de tercera línea:

• Ketamina intravenosa o en infusión continua +/- dexmedetomidina intravenosa o en infusión continua +/- pentobarbital intravenoso o en infusión continua +/- agentes inhalantes (mantenimiento de anestesia general).

Bibliografía disponible en www.grupoasis.com/argos/ bibliografias/Pexion258.docx

Jagodka/shutterstock.com

IVE inicia el verano con las nuevas ediciones de sus posgrados

Noticia destacada

La educación continua es fundamental para aumentar confianza, habilidades y rendimiento diario en la clínica. Así, Improve Veterinary Education (IVE) impulsa la forma en la que los profesionales acceden a conocimientos de vanguardia.

IVE ofrece en el inicio del verano siete posgrados diferentes con el objetivo de adaptarse a las necesidades de cada veterinario. Destacan cuatro programas 100 % online: Medicina y Cirugía de Urgencia (junio), Dermatología (junio), Clínica de Animales Exóticos (junio) y Medicina Felina (julio). Cuentan con módulos interactivos y atractivos, evaluaciones periódicas, foros de discusión de dudas con el ponente y mucho más. Por otra parte, los posgrados presenciales en su innovador Centro de Formación en Madrid cada vez son más demandados. Para inicios de junio están el Posgrado en Cirugía de Tejidos Blandos (presencial), Medicina Endoscópica y Ecografía de Pequeños Animales (semipresencial). Las formaciones, avaladas por la International School of Veterinary Postgraduate Studies (ISPVS), permitiendo obtener el título General Practitioner Certificate. “Estamos muy contentos por la gran comunidad de veterinarios que nos elige como aliado para su formación. De hecho, acabamos de terminar nuestra última campaña de marca de la que nos sentimos muy orgullosos”, explica Enrique Soriano, Head of Business Development Portugal, Spain & Latin America

Boehringer Ingelheim repasa en Vitoria los puntos clave en el manejo de la

dirofilariosis

Gran interés por Phovia en el XXIII

Congreso de Especialidades de AVEPA

Los días 12 y 13 de abril tuvo lugar el Congreso de Especialidades de AVEPA (GTA). En esta edición se pudo constatar de nuevo el interés creciente por Phovia por la cantidad de veterinarios de distintas especialidades que se acercaron al espacio de Vetoquinol, y es que la energía lumínica FLE cada día es más utilizada en la clínica veterinaria no solo para alteraciones dermatológicas, sino también en otras situaciones como recuperaciones después de procesos quirúrgicos. Phovia es la solución no invasiva basada en energía lumínica FLE de Vetoquinol que acelera los procesos naturales de regeneración de la piel y cada día es más utilizado en recuperaciones posteriores a las cirugías.

Kiwoko, patrocinador

de la I Liga de Doma Clásica de la Real Federación Hípica Española

Happy Snack by Feliway se presenta en sociedad en el GTA 2024

Ceva Salud Animal colaboró activamente con el XXIII Congreso de Especialidades Veterinarias de AVEPAGTA 2024, donde acudió en calidad de patrocinador. La compañía arropó a los veterinarios asistentes y presentó sus novedades principales. Es el caso de Happy Snack by Feliway, una innovadora solución que ya se encuentra disponible en España, los estudios realizados recientemente que demuestran la eficacia de la línea de dermatópicos Douxo S3 o la gama referente en el área de la cardiología. Celebrado en Valencia los días 12 y 13 de abril, el GTA 2024 reunió de nuevo a los veterinarios para intercambiar conocimientos, discutir avances y establecer colaboraciones en beneficio de la salud y el bienestar animal.

Advantix, 20 años protegiendo a millones de perros en todo el mundo

Elanco Animal Health conmemora el 20 aniversario de Advantix, la pipeta pionera y experta en leishmaniosis. Es un antiparasitario externo para perros formulado con dos sustancias activas, imidacloprid y permetrina, que actúan de forma combinada constituyendo una amplia cobertura frente a pulgas, garrapatas, flebotomos, mosquitos, piojos y moscas de los establos. Advantix ha protegido a más de tres millones de perros, buscando siempre mantener su salud y bienestar. Elanco lanza la campaña “20 años contigo” con motivo del aniversario de Advantix agradeciendo a sus clientes la confianza depositada durante estos años. La campaña, activa durante 2024, cuenta con una serie de eventos, material promocional, apoyo audiovisual y difusión en medios digitales y redes sociales.

Boehringer Ingelheim reunió en Vitoria a veterinarios de más de 20 centros de la provincia de Álava para impartir una charla práctica acerca del abordaje de la dirofilariosis canina, enfermedad presente en Álava según un estudio epidemiológico reciente. Bajo el título “Una picadura, muchas consecuencias: puntos clave en el manejo de la dirofilariosis”, la sesión fue impartida por la doctora Marta León, asesora técnica veterinaria de Pets en Boehringer Ingelheim, quien repasó los aspectos más destacables de la enfermedad. Entre otras cuestiones, explicó cómo su epidemiología va cambiando en función de varios factores como la evolución actual del clima y cuál es la fisiopatología y el cuadro clínico que presentan los animales infectados.

Acana presenta sus novedades en Iberzoo+Propet 2024

Acana estuvo presente un año más en la cita más importante del sector de los animales de compañía, Iberzoo+Propet, presentando sus últimas novedades. Sus recetas para gatos fueron las principales protagonistas. La marca ha renovado la imagen y mejorado la formulación de sus dos gamas de recetas (Premium Cat y Highest Protein) y ha lanzado una nueva receta para gatitos, Kitten. Todas ellas estarán disponibles en España y Portugal próximamente. Asimismo, la marca canadiense presentó la nueva imagen de Grassfed-lamb, su receta monoproteica de cordero para perros, la cual muestra imágenes nuevas, beneficios para la salud más claros y fotografías que muestran la calidad de sus ingredientes frescos y crudos.

En su compromiso por la protección del bienestar animal, Kiwoko, el mayor grupo de tiendas en Iberia para el cuidado animal, ha firmado un acuerdo de colaboración como patrocinador oficial en materia de doma clásica de la Real Federación Hípica Española (RFHE) y su Liga Nacional de Doma Clásica (para Caballos Jóvenes de 8 a 10 años). El acto estuvo presidido por Caroline Arrú de Caveda, CMO y sponsor del comité ESG de Kiwoko, y Javier Revuelta del Peral, presidente de la RFHE. Arrú expresó que “estos acuerdos de colaboración y patrocinio permitirán visibilizar el trabajo de Kiwoko y de la RFHE en el fomento y promoción de la equitación, protegiendo el bienestar animal en la hípica”.

Orijen, presente un año más en Iberzoo+Propet

Petia Vet Health presenta la primera vacuna de tecnología ADN frente a la leishmaniosis canina

Petia Vet Health, filial del grupo Zendal, presentó el 13 de marzo, en el marco de Iberzoo+Propet, la primera y única vacuna de ADN en el mundo para perros.

El lanzamiento se llevó a cabo en su stand. Además, Llum Páez impartió, con la colaboración de los científicos del CSIC Ana Alonso y Pedro Alcolea, una formación en el Aula Veterinaria.

La inauguración del 41 Congreso de AMVAC la dirigió, con el espectáculo NeoLeish Live Show, el imitador Carlos Latre. Víctor Fernández Fraile, presidente de AMVAC, Ricardo Troncoso, director general de Petia Vet Health, y Vicente Larraga, profesor de Investigación ad honorem del CSIC, quienes explicaron las características de esta novedosa vacuna.

Orijen estuvo presente un año más en Iberzoo+Propet para mostrar sus recetas para perros y gatos. Elaboradas con entre un 85 y un 90 % de ingredientes de origen animal de calidad, 2/3 de ellos frescos o crudos, las recetas de la empresa canadiense Champions Petfoods son la alternativa más premium del mercado de la alimentación para perros y gatos. Además de utilizar carne, las recetas de Orijen incluyen partes de la presa entera, como órganos y huesos, para imitar la dieta de sus ancestros y proporcionar una alimentación completamente natural. Ninguna de sus recetas incluye cereales, patata, tapioca ni conservantes ni saborizantes artificiales. Durante la feria, el equipo de Masale Productes, distribuidor en España y Portugal de Orijen, presentó diferentes recetas.

NeoLeish es una vacuna de tercera generación indicada para la inmunización activa de perros Leishmania negativos, a partir de los 6 meses de edad. Su administración es intranasal, no contiene adyuvantes y no produce reacciones adversas. Su eficacia ha sido demostrada en estudio de campo y también en estudios de laboratorio, en donde NeoLeish consiguió reducir la gravedad de la enfermedad, los signos clínicos, y también la carga parasitaria en médula ósea, bazo y ganglios linfáticos.

Royal Canin y DogPoint siguen colaborando para mejorar la vida

de niños con TEA

Royal Canin y la Asociación DogPoint, anunciaron el 2 de abril, con motivo del Día Mundial de Concienciación sobre el Autismo, la continuidad de su colaboración para mejorar la vida de niños con trastorno del espectro autista (TEA) mediante el apoyo de perros de asistencia. “Cuando un perro de asistencia llega a una familia con un niño TEA el nivel de estrés se reduce. El perro acompaña al niño, convirtiéndose en un amigo y aportando seguridad y tranquilidad a los padres. A partir de ese momento, las tareas diarias se hacen un poco más sencillas y se recuperan los momentos de ocio fuera de casa, importantísimos para todos los miembros de la familia”, explica Olivia de Matteis, directora de DogPoint.

Noticia destacada
Nº 258 Mayo 2024 54 NOTICIAS

Acana continúa apoyando la labor de las unidades caninas de policías

locales

Acana continúa apoyando la labor de las diferentes unidades caninas de policías locales a través de la colaboración con la Asociación de Guías Caninos de Policías Locales de España (AGCPLE). La marca canadiense fue patrocinadora de la segunda edición de las Jornadas Internacionales de Guías Caninos, celebradas del 27 al 29 de febrero en Alcobendas (Madrid). En ellas participaron más de 150 perros de diferentes cuerpos policiales y fuerzas armadas provenientes de diferentes partes del mundo, dedicados a tareas como la detección de drogas, la búsqueda y rescate de personas, o las terapias con personas con necesidades especiales. Acana también ha promovido, a través de la AGCPLE, una serie de actividades y exhibiciones dirigidas a niños de diferentes colegios.

Boehringer Ingelheim recibe a 60 veterinarios de equino de Cataluña

Boehringer Ingelheim recibió el 1 de marzo en sus instalaciones a 60 veterinarios en una jornada sobre la aplicación práctica de la Ley del Medicamento para el veterinario equino en Cataluña. La iniciativa captó el interés del sector dada la preocupación que existe respecto al tema abordado. Organizada por Equihealth Veterinarios, la jornada tuvo como objetivo formar y ayudar a los asistentes a poder encontrar soluciones prácticas a la aplicación de la ley. Claudio Bernardo detalló los aspectos generales de la ley, Josep M.a Trens analizó aspectos concretos de su aplicación en Cataluña y Óscar López, de Koolvet, analizó las herramientas de software como ayuda en la gestión del día a día. El evento finalizó con una animada mesa redonda.

Veterinarios de Huelva practican la técnica ecocardiográfica FOCUS

Ceva Salud Animal patrocinó el taller teórico-práctico de cardiología realizado en Animal-Vetx Centro Veterinario El Saladillo (Huelva). El evento contó con la participación de profesionales de clínicas veterinarias de la zona. La veterinaria Nuria Sánchez, doctorada en Medicina y Cirugía Animal, dirigió esta práctica formación, ofreciendo una valiosa información sobre últimas tendencias en diagnóstico y tratamiento de enfermedades cardíacas en perros y gatos. Uno de los aspectos más innovadores del taller fue la oportunidad para los participantes de practicar la técnica FOCUS, que permite detectar problemas cardíacos a través de cortes ecocardiográficos clave, siendo una herramienta vital para una detección temprana. Los asistentes tuvieron la oportunidad de discutir casos clínicos, así como revisar los protocolos de tratamiento para nuevos pacientes.

El Hospital Veterinario

Madrid Centro, inaugurado

Las familias de Madrid ya tienen al alcance un nuevo hospital de referencia al que llevar a sus animales cuando estos lo necesiten: el nuevo Hospital Veterinario Madrid Centro, situado en la Calle Velázquez 136. Este nuevo centro es la última apuesta del Grupo IskayPet (que engloba marcas de referencia en cuidado animal como Kiwoko, Tiendanimal, Clinicanimal o Clínicas Kivet, entre otras) por impulsar el bienestar animal en la región y acercar a las familias un centro que reúna todo lo que la salud de los animales necesita. El Hospital ya se encuentra operativo y ofrece un espacio de más de 1.000 m2 en el corazón de Madrid dedicado a proporcionar una atención integral y avanzada a los animales.

Cambios en el manejo del dolor en perros y gatos

Elanco Animal Health reunió a 120 veterinarios de España y Portugal en el simposio “Cambian las reglas en el manejo del dolor”, celebrado en el marco de Vetmadrid con los expertos Miguel Ángel Cabezas, Margot Ruiz y Valle Sánchez. En relación con el dolor crónico, se presentó el “COASTeR España y Portugal”. Este consenso local para el tratamiento de la osteoartritis canina es una adaptación de los contenidos del consenso internacional fundamentado en la realidad clínica española y portuguesa, los fármacos disponibles y la opinión de un comité de 12 expertos locales en anestesia y manejo del dolor, rehabilitación, ortopedia y traumatología que revisó y consensuó los contenidos. Los interesados en este consenso pueden contactar con su delegado de Elanco.

Los veterinarios acogen con entusiasmo el lanzamiento de Bravecto inyectable

MSD Animal Health presentó en Vetmadrid 2024 e Iberzoo+Propet Bravecto inyectable, primer y único inyectable que permite a los veterinarios proporcionar a los perros un año de protección ininterrumpida frente a pulgas y garrapatas. Esta innovación convierte la desparasitación externa en un acto clínico en manos del veterinario.

DoctorVet impulsa la terapia láser con contacto y un programa de formación continua

Noticia destacada

Según Ángela Gutiérrez, del Centre Veterinari l’Ametlla (Barcelona) es un “avance brutal” en la prevención frente a parásitos externos y destaca la innovadora formulación inyectable de un principio activo conocido y de confianza (fluralaner) que va a facilitar a las familias con perro a no “bajar la guardia” en la prevención con “una única aplicación anual”. “Tenemos una prevalencia de pulgas y garrapatas muy alta durante todo el año”, afirma María Calderón Clínica Veterinaria Calderón (Pilas, Sevilla). “Como veterinaria es una alegría que haya un tratamiento que nos dé la exclusividad para prevenir este tipo de infestaciones durante 12 meses”, añade Calderón, quien valora “su facilidad de la aplicación” y su seguridad y eficacia. Para Álvaro Nava, del Centro Clínico Veterinario Álvaro Nava (El Berrón, Asturias), el lanzamiento ha sido “una sorpresa” porque “nunca imaginé tener un producto inyectable para perros que proporcionara un tratamiento antiparasitario externo durante un año.

Nace Imagine Animal Health

El Grupo Urano sigue creciendo, diversificando su catálogo de productos y expandiéndose internacionalmente. Fruto de este crecimiento nace Imagine Animal Health, para estar más cerca de clientes y distribuidores y poner a disposición de los veterinarios una nueva generación de productos innovadores para ayudar a mejorar la salud y calidad de vida de las mascotas. Imagine Animal Health está comprometida con la mejora de la profesión veterinaria y apuesta por las tecnologías más avanzadas en el desarrollo y fabricación de productos innovadores y eficaces. Esta nueva empresa comercializa los productos de las áreas de no diagnóstico del Grupo UranoVet: Dental, Dermatología, Oncología, Gastrointestinal, Sedación y Nutricionales. Los productos de diagnóstico y laboratoriales se comercializan a través de Urano Diagnostic.

AVEM e IVC Evidensia se unen para avanzar en el bienestar animal en España

DoctorVet es un láser terapéutico diseñado para prácticamente todos los pacientes de la clínica veterinaria gracias a sus principales efectos: control del dolor, control de la inflamación, bioestimulación, bactericida y antimicrobiano. Su modo contacto y cuatro cabezales intercambiables optimizan la terapia láser permitiendo su uso no solo en rehabilitación y heridas, aplicaciones ampliamente conocidas en veterinaria, sino también en la clínica general, dermatología, odontología o medicina interna, entre otras. Como explicó la compañía en Iberzoo+Propet a los numerosos veterinarios que acudieron a su stand, el modo contacto en terapia láser es el más recomendado por diversos autores en diferentes artículos publicados demostrando los beneficios de esta técnica, incluido el del doctor Enwemeka en 2009.

Dingonatura y Paralímpicos destacan en Iberzoo+Propet con una experiencia deportiva y solidaria

Dingonatura participó en Iberzoo+Propet 2024, donde presentó sus últimas novedades de producto, destacando la gama de Natura Diet en formato paté. Además, como empresa patrocinadora del Equipo Paralímpico Español, organizó una “experiencia deportiva y solidaria” a través de un simulador de remo con el objetivo de cambiar KM recorridos por KG de comida para perros y gatos. En esta actividad participaron los atletas Juan Antonio Valle, campeón mundial y europeo de piragüismo; Javier Reja, palista; Francisca Castro, nadadora paralímpica; y los piragüistas Ricardo Junquera, Adrián Castaño e Inés Felipe, quienes mostraron su habilidad deportiva remando en el simulador de remo con cuentakilómetros, para contribuir así a conseguir la máxima distancia posible.

La Asociación Española de Veterinarios Municipales (AVEM) y el grupo IVC Evidensia han formalizado un acuerdo para colaborar en el desarrollo de la nueva legislación de bienestar animal en España. El convenio, firmado por representantes de ambas entidades, representa un compromiso conjunto para impulsar el avance y la implementación de la normativa que promueve el cuidado y protección de los animales en el país. “Esta alianza nos permitirá combinar nuestros conocimientos y recursos para abordar de manera más efectiva los desafíos actuales en materia de bienestar animal y contribuir al desarrollo de una legislación moderna y compasiva”, explica Juan Carlos Ortiz, presidente de AVEM.

Nota de Redacción

El Departamento de Redacción de Argos informa a los lectores de que las “Noticias” publicadas en esta revista deben tener como máximo 125 palabras y contar con un único elemento gráfico (fotografía o logotipo) para ilustrarlas.

Nº 258 Mayo 2024 56 NOTICIAS

Gran acogida al espacio de Vetoquinol en Iberzoo+Propet

2024

LETI Pharma destaca en el XXIII Congreso de Especialidades Veterinarias

Noticia destacada

Vetoquinol estuvo presente en la pasada edición de Iberzoo+Propet. Con el eslogan “Los gatos merecen más y mejor”, la empresa farmacéutica veterinaria quiso dedicar su espacio a Felpreva, la solución antiparasitaria de aplicación trimestral que, diseñada específicamente para gatos por la compañía, trata los parásitos más relevantes internos y externos con una sola pipeta y con un bajo volumen de producto por aplicación. Además de las soluciones antiparasitarias exclusivas para gatos, la compañía ofreció información sobre otros productos como Phovia, la solución basada en energía lumínica FLE que cada día es más usada en alteraciones dermatológicas y otros escenarios, o el alimento complementario Flexadin, el producto de Vetoquinol que ayuda a mantener sanas las articulaciones de las mascotas.

LETI Pharma destacó en el reciente XXIII Congreso de Especialidades Veterinarias (GTA) organizado por AVEPA los días 12 y 13 de abril en Valencia. La campaña LetiFend, titulada “Multiplicando sus defensas”, fue presentada con éxito en este relevante evento dentro de la profesión veterinaria en España.

Durante el congreso, LETI Pharma tuvo la oportunidad de presentar los beneficios integrales de LetiFend, su innovadora vacuna DIVA contra la leishmaniosis canina. Los aspectos destacados de LetiFend incluyen inmunidad durante 365 días con una sola dosis al año, protección desde los 28 días posteriores a la administración, eficacia del 72 % en la prevención de casos clínicos de leishmaniosis y un alto perfil de seguridad demostrado tras más de siete años en el mercado y más de cuatro millones de dosis administradas. Más información sobre LetiFend y las soluciones innovadoras de LETI Pharma en la web www.saludanimal.leti.com

Nutralgape presenta Dialpet Excellence en Iberzoo+Propet

Iberzoo+Propet fue el expositor elegido por Nutralgape para el lanzamiento profesional de Dialpet Excellence Edition. Esta gama superpremium refleja la pasión de la compañía por innovación, bienestar animal, sostenibilidad y compromiso social. Dialpet Excellence no solo atiende las necesidades básicas, sino que abre un nuevo horizonte en el cuidado y la prevención de enfermedades, afirmando así el decisivo compromiso con la salud canina y felina de Nutralgape. Iberzoo+Propet no solo fue un formidable escaparate para los productos de Nutralgape, sino también una ventana a su filosofía de empresa. Nutralgape demostró que se puede ser referente en el mercado manteniendo un compromiso con el bienestar animal y las causas que lo apoyan, reafirmando su objetivo de contribuir a un mundo mejor para gatos y perros.

Boehringer Ingelheim organiza el simposio “Cambiando el paradigma de la diabetes” con motivo del lanzamiento de Senvelgo

Más de 50 veterinarios de toda España se dieron cita el 15 de marzo en el simposio “Cambiando el paradigma de la diabetes”, organizado por Boehringer Ingelheim en Vetmadrid. Los profesionales recibieron formación especializada sobre diabetes canina y felina de la mano de expertos como Jordi Puig (Anicura Ars Veterinaria) o Marisa Palmero (Gattos). Además, obtuvieron información detallada sobre el innovador tratamiento para la diabetes felina. Senvelgo ha supuesto una verdadera revolución en el abordaje de esta patología. Por parte de Boehringer Ingelheim participaron Helena Arce, Raquel Alonso y Daniel Acha. Macarena Sánchez Martel (Peak Vets, Reino Unido) presentó tres casos reales tratados con Senvelgo y dio paso al testimonio de un tutor de gato diabético.

Lenda

presenta en Iberzoo+Propet sus novedades principales

Lenda, reconocida empresa especializada en la elaboración de alimentos naturales y de alta calidad para perros y gatos, estuvo presente en la pasada edición de la feria internacional para profesionales del sector de los animales de compañía Iberzoo+Propet. Durante el evento, presentó emocionantes novedades, entre las que destacan el lanzamiento de su nueva línea Lenda Urban y las mejoras significativas en sus ya aclamadas recetas Lenda. Con un enfoque firme en la nutrición natural, sana y saludable, Lenda capturó la atención y el interés tanto de expertos como de amantes de los perros y gatos, consolidando su posición como referente en el sector de la alimentación animal.

Nº 258 Mayo 2024 57 NOTICIAS

Directorio de laboratorios de análisis clínicos

Ubicación Nombre o razón social Teléfono

A Coruña SEASLAB SL 981 913 299

ANVET S.L. 937 598 565

Citopat Veterinaria, S.L. 932 136 813

Histovet 937 211 916

IDEXX Laboratorio de Referencia 932 672 660

Barcelona

Laboratori CatBio, S.L. 934 516 643

Laboratorios de análisis Dr. Echevarne 935 040 126

Laborti Veterinària, S.L 934 851 786 / 938 444 999Uranolab 934 482 521

VORAN NETZ, S.L. 935 820 203

Cádiz Laboratorio Maña-Watson 956 110 026

Córdoba Laboratorio Veterinario Garfia 957 276 351

Granada Anapath 958 292 345

Laboratorios GASSET (GRUPO DAV SALUD) 958 042 121

León INDILAB 900 701 128

Lugo AMSvet (AMSlab Group) 982 808 074

Madrid

Alergovet 914 134 472

IDEXX Laboratorio de Referencia 916 376 317

Laboratorio de análisis veterinarios Dr. Barba 902 190 942

LAV 913 838 493

CIAB, Laboratorio de Referencia Veterinaria 913 613 314

Diavet S.L. 914 966 013

Laboratorio veterinario LABOKLIN, S.L. 644 030 557

Uranolab 934 482 521

Málaga Histolab Veterinaria 952 664 819

Pontevedra Lema y Bandín 986 437 400

Laboratorio del Dr. Valenzuela 986 858 313

Valencia Laboratorio ACVLAB 963 532 377

Sagunto 99 963 485 931

Vizcaya Analítica Veterinaria 946 744 251

Microvet laboratorio 944 913 912

Especialidad principal

Toxicología, PCR y terapias celulares

Análisis clínicos

Histología

Histología

Análisis/Diagnóstico clínico

Análisis clínicos

Infecciosas

Análisis clínicos

Análisis clínicos

Análisis clínicos

Biología molecular

Histología

Diagnóstico Laboratorial Integral

Diagnóstico laboratorial

Toxicología veterinaria

Alergias veterinarias

Análisis/Diagnóstico clínico

Biología molecular

Análisis clínicos

Análisis clínicos

Alergia e infección vet.

Diagnóstico clínico

Análisis clínicos

Histología

Hematología

Análisis clínicos

Análisis clínicos

Inmunología

Histología

Endocrinología

Tenerife Laboratorios Taoro 922 353 158 Exóticos

Zaragoza Laboratorios Albéitar 976 306 495

Hematología

Aravet Laboratorios 976 598 653 Análisis clínicos

Exopol 976 694 525 Microbiología

Directorio de centros veterinarios de referencia

Ubicación Nombre o razón social Teléfono Especialidad principal

EDITOR Julio Allué1

Contacte con nosotros a

de argos@grupoasis.com si

y remita sus notas de prensa a notasdeprensa@grupoasis.com

REDACCIÓN Sheila Riera1, Natalia Sagarra1, M. Ángel Ordovás, Israel Salvador, Alejandro Vicente1

RESPONSABLE DE DISEÑO Ana Belén Mombiela

JEFA DE DISEÑO Teresa Gimeno

DISEÑO Y MAQUETACIÓN Erica García, Marian Izaguerri, Marisa Lanuza, Marina Alonso

Escriba a publicidad@grupoasis.com si desea anunciarse, y a suscripciones@grupoasis.com para altas, bajas o modificaciones en sus datos de contacto

RESPONSABLE DE PUBLICIDAD Ana Caballero1

PUBLICIDAD Pilar Angás1, Jorge Pérez1, Laura Montón1, María Puig2, Marta Suárez de Peón3

SOPORTE DE PUBLICIDAD Raquel Miguel, Rocío Sarrate

ADMINISTRACIÓN Beatriz Sanz, Carmen Ezquerro, Miriam de la Torre

SUSCRIPCIONES suscripciones@grupoasis.com 1Licenciado/a en Veterinaria, 2Graduada en Farmacia, 3Doctora en Veterinaria

EMPRESA EDITORA Grupo Asís Biomedia, S.L.

PREIMPRESIÓN E IMPRESIÓN Grupo Edelvives

EMPRESA MANIPULADORA Grupo Edelvives

DEPÓSITO LEGAL: Z-2106/98 - ISSN: 1699-7875

y Rehabilitación Veterinaria

Hospital Veterinari Cardedeu, S.L. 938 462 051 Urgencias, Cirugía y Medicina Interna

Hospital Veterinari del Mar 930 217 812 Cirugía, urgencias, exóticos, oftalmologia, etc.

Hospital Veterinari Desvern 934 990 648 Ortopedia y Traumatología

IMPROVET 600 921 927 Diagnóstico, Cirugía, Formación

Serv., Urgenc. i Ref. Veterinàries Diagonal, S.L. 934 594 500 Urgencias y Cuidados Intensivos

Burgos Hospital Veterinario Valderrama 947 277 843 Traumat., Neurocirugía y Med. Interna

Castellón

ASSISVET Veterinària 964 229 838 Exóticos y Medicina Felina

Centro Médico Veterinario Benicarló 964 472 610 Dermatología

Nexo Hospital veterinario CMV Castelló 964 723 697 Neurología-Neurocirugía, Trauma-Ortopedia, Imagen (TAC, endoscopia, eco), UCI, Derma

Clínica Veterinaria St. Vicent CB 964 672 907 Urgencias, Dermatología

Hospital Veterinario Sagrada Familia 964 254 888 Urgencias, UCI, Cirugía, Cardiorrespiratorio

Servicios Veterinarios Albeytar 964 691 025 Medicina Cardio-Respiratoria 15

Córdoba Mascoderm 957 300 977 Dermatología canina y felina

Gran Canaria Clínica Ocular Veterinaria 928 696 510 Oftalmología

ADERVET, Atención Dermatológica Veterinaria 914 984 112 Dermatología

Centro Médico Veterinario Delicias 915 275 828 Urg., Traum., Neur., Oftal., Card., Exót. y Cir. 300

Centro Veterinario Auditorio 915 631 167 Endoscopia y Cirugía Endoscópica 12

Centro Veterinario los Sauces 914 454 305 Exóticos 50-60

Centro Veterinario Prado de Boadilla 916 322 351 Neurología y Neurocirugía

Centro Quirúrgico Veterinario Tobío 913 881 990 Cirugía y Traumatología

Clínica Veterinaria Alberto Alcocer 913 452 515 Urgencias, Hospitalización y Exóticos 150-200

Clínica Veterinaria Ciudad Ángeles, S.L. 913 175 562 Urgencias

Clínica Veterinaria El Bosque 916 167 485 Exóticos

Clínica Veterinaria Ignacio Trobo 629 111 305 Odontología, Cirugía maxilofacial y general

Clínica Veterinaria Las Rozas 916 370 277 Homeopatía

Clínica Veterinaria Río Duero, S.L. 916 472 336 Traumatología-Odontología 15-20

Clinica Veterinaria Unzeta S.L. 917 588 393 Medicina Felina, Quirófano y Hospitalización 250-75-30

Clínica Veterinaria Velázquez 915 627 769 Dig., Laparosc., Odontol., Oncol. 100-120

Gattos 915 040 651 Medicina Felina, Comportamiento Felino 20

Habana Boston Centro Veterinario 911 406 072 Rehabilitación de pequeños animales 15

Hospital Veterinario Fuente el Saz 916 200 098 Urgencias 24 h

HURVET 914 173 977 Urgencias y Hospitalización 100

Tris Sampayo (ENDOVES) 619 236 325 Endos. diag. e intervencionista y cirug. de mín. invasión 50-75

Javier Collados. Sinergia Veterinaria. 911 339 038 Odontología y Cirugía Oral PA, Exóticos 60

Vetcare hospital veterinario 24h 916 200 098 Urgencias, hospit., cirugía, Endosc., traumat. y rehab. 200-500

VETERCOL, S.L. 918 915 439 Endoscopia flexible y rígida 8-10

Vetsia 914 984 112 Rehab., Diagnóstico Imagen y Neurología -

Animal Bluecare Hospital 952 665 050 Oncol., Card., Exóticos, Oftal., Endoscopia, Med. Interna -

Málaga

Murcia

Mundo Animal 952 050 682 Exóticos: aves, reptiles y peq. mamíferos 30

Myramar Animal Hospital & Exotic VetMed 952 588 543 Traumatología y Ortopedia/Exóticos 20-30

Animalicos Hospital de Día Murcia 968 967 966 Traumatología, Neurología, Oncología y Fisioterapia 70-100

Clínica Veterinaria Bonafé 968 847 478 Endoscopia y cirugía de mínima invasion 40-60

Hospital de Urgencias Veterinarias Región de Murcia 968 899 280 Urgencias y Cuidados Intensivos 120-130

Hospital La Flota 968 246 122 Endoscopia flexible y rígida, Urg. y Cui. int. 100

Navarra Centro Veterinario San Fermín 948 230 802 Traumatología, Ecocardiografía y Neurología 40

Sevilla Centro Veterinario Bormujos 955 725 684 Exóticos 100-120

H.V. Guadiamar-servicios veterinarios de referencia 955 704 804 Neurol.-neurocir., RM-TAC, Cir. lapar. y Anest. 100 Sta. Cruz de Tenerife Hospital Veterinario Taco 922 612 476 Hepatología clínica y Cirugía hepática 15-25

Tarragona Clínica Veterinaria Lagun 977 795 835 Traumat., Dermat. y Exóticos, Urgencias 30-50

Centro Veterinario Silla 961 213 147 Cirugía maxilofacial, Odont. y Cardio.

Clínica Veterinaria Ayora 963 303 979 Endoscopia flexible y rígida

Clínica Veterinaria El Puig

Valencia

Publicación controlada por Grupo Asís Biomedia está asociado a (miembro de y ) y a (miembro de , y )

COMITÉ ASESOR

DIRECTOR TÉCNICO: Enrique Ynaraja.

ANESTESIA: Antonio González (HV Rof Codina), Ignacio Sández (HV Vetsia)

CARDIOLOGÍA: Joaquín Bernal (Cardiovet), Laín García (HV Molins) Susana Serrano (HV Vetsia)

CIRUGÍA: Joaquín Sopena (UCH-CEU, Valencia), José Rodríguez (FV de Zaragoza)

COMPORTAMIENTO: Xavier Manteca (FV de Barcelona)

DERMATOLOGÍA: Maite Verde (Servicio de Dermatología, FV Zaragoza)

ENDOSCOPIA Y CIRUGÍA DE MÍNIMA INVASIÓN: Jesús Usón (CCMI) Federico Soria (CCMI), Tris Sampayo (Endoscopia Veterinaria)

EXÓTICOS: Albert Martínez-Silvestre (Centro CRARC), Jordi Grifols (Hospital Zoologic de Badalona), Andreu Riera (HV Molins), Beatriz Álvarez Carrión (CV Camaleo)

GESTIÓN Y MARKETING: Miguel Ángel Valera (Centauro Veterinarios), Jorge P. Pascual Ribote (CEVE).

HEPATOLOGÍA CLÍNICA Y CIRUGÍA HEPÁTICA: Alfredo Pérez (CV Taco)

MEDICINA FELINA: Mª Luisa Palmero (CV Gattos. GEMFE)

MEDICINA INTERNA: José Ramón García (CV San Francisco de Asís), Alberto Montoya (Facultad de Veterinaria ULPGC)

MICROBIOLOGÍA Y ENFERMEDADES INFECCIOSAS: Mariano Morales (FV Zaragoza)

NEUROLOGÍA: Xavier Raurell (HV Molins)

ODONTOLOGÍA: Soledad Montes (Cardiovet), Javier Collados (Servicio Móvil de Odontología)

OFTALMOLOGÍA: Inmaculada Morales Fariña (Responsable del Servicio de Oftalmología del Hospital Docente ULPGC)

ONCOLOGÍA: Miguel Laporta (HV Molins)

PARASITOLOGÍA: Juan Antonio Castillo (FV de Zaragoza)

REPRODUCCIÓN Y OBSTETRICIA: Pedro García (FV Lugo)

TOXICOLOGÍA Y FARMACOLOGÍA: Arturo Anadón (FV de Madrid)

TRAUMATOLOGÍA Y NEUROCIRUGÍA: Tomás Fernández (Centro Médico Veterinario)

Ramón Sever (Policlínica Veterinaria Rover), Fernando Díaz Santiago (Fauna Clínica Veterinaria)

URGENCIAS: Jordi Manubens (HV Molins)

COLABORADORES: Luis Javier Yus Cantín (Gerente del Col. de Veterinarios de Zaragoza)

La responsabilidad de los artículos, reportajes, comunicados, etc. recae exclusivamente sobre sus autores. El editor sólo se responsabiliza de sus artículos o editoriales. La ciencia veterinaria está sometida a constantes cambios. Así pues es responsabilidad ineludible del veterinario clínico, basándose en su experiencia profesional, el correcto diagnóstico de los problemas y su tratamiento. Ni el editor, ni los autores asumen responsabilidad alguna por los daños y perjuicios, que pudieran generarse, cualquiera que sea su naturaleza, como consecuencia del uso de los datos e información contenidos en esta revista. De acuerdo con la normativa vigente en materia de protección de datos Grupo Asís Biomedia, SL., es responsable del tratamiento de sus datos personales con la finalidad de enviarle comunicaciones postales de nuestras revistas especializadas, así como otras comunicaciones comerciales o informativas relativas a nuestras actividades, publicaciones y servicios, o de terceros que puedan resultar de su interés en base a su consentimiento. Para ello, Grupo Asís podrá ceder sus datos a terceros proveedores de servicios de mensajería. Podrá revocar su consentimiento, así como ejercer sus derechos de acceso, rectificación, supresión, oposición, limitación y portabilidad enviando un correo electrónico a protecciondatos@grupoasis.com, o una comunicación escrita a Grupo Asís en Centro Empresarial El Trovador, planta 8, oficina I, Plaza Antonio Beltrán Martínez 1, 50002, Zaragoza (España), aportando fotocopia de su DNI o documento identificativo sustitutorio e identificándose como suscriptor de la revista. Asimismo, si considera que sus datos han sido tratados de forma inadecuada,

58 GUÍA DE SERVICIOS
Casos/mes Alicante Centro de Oftalmología Juan de Herrera 965 203 811 Oftalmología 150 Centro Policlínico Veterinario Raspeig 965 668 582 Traumat., Diag. por imagen y Medic. Interna 380 Centro
JG 965 951 897 Neurología y Resonancia Magnética 190 Centro Veterinario La Marina 965 419 787 Acupuntura y Rehabilitación 40-50 Centro Veterinario La Marina Exóticos 965 459 692 Exóticos 300-400 Hospital Veterinario Althaía 966 880 157 Derma, Cirugía, D. imagen, Cardio, Neuro. 200 Almería Centro Veterinario Poniente, S.L. 950 570 901 Traumat., Diag. por imagen, Cir. y Cardio. 18 Baleares Clínica Veterinaria Aragó 971 479 354 Cirugía y Traumatología 15-25 L Vilazoo Veterinaris 971 85 10 69 Dermatología. Exóticos. 100-125 Barcelona Clínica Veterinaria Els Altres 931 621 275 Exóticos 300 C.V. Exòtics S.L. 934 178 922 Exóticos 400-500 Clínica Veterinaria Sagrada Familia 934 359 504 Urgencias, Cirugía y Medicina Interna 40 CRAR Centre de Rehabilitació Animal de Referència
048 512 / 647931640 Rehabilitación y Fisioterapia Veterinaria 200 FiRVet
116 Fisioterapia
40
70-80
186
Veterinario
935
676 875
200-300
50
210
30-35
80-100
40
40-60
12-15
50-60
15-20
65
Madrid
80-100
15-20
8-10
100-150
40-50
60
40-50
200-300
20-25
15-20
961 472 109 Oftalmología 15-20 Clínica Veterinaria San Luis 963 748 890 Oftalmología/Cardiología 80-100 Clínica Veterinaria Torrent 961 581 740 Endoscopia flexible y rígida 15-20 Clínica Veterinaria Veterval 961 827 405 Nefrología y Diálisis 5-15 Global Veterinaria Hospital 962 674 414 Traumat., Reprod., Exóticos, Dermat., Urgen. 80 Hospital Veterinario Archiduque Carlos 963 784 440 Traumatología 8-10 Hospital Veterinario Centro de Medicina Animal 963 837 474 Urgencias, Cirugía y Medicina Interna 1.500 Oftalmovet-Clínica Veterinaria 963 625 664 Oftalmología 100-120 Valladolid Visio Oftalmología Veterinaria 983 223 160 Oftalmología clínica y quirúrgica 50-70 Zaragoza Emergencias Veterinarias de Zaragoza 976 404 513 Urgencias 125
través
desea
artículo,
publicar un
podrá presentar una reclamación ante la Agencia Española de Protección de Datos (C/ Jorge Juan, 6. 28001 – Madrid www.agpd.es). Queda prohibida la reproducción total o parcial del contenido de esta obra sin previa autorización escrita. La Editorial a los efectos previstos en el artículo 32.1 párrafo segundo del vigente TRLPI, se opone expresamente a que cualquiera de las páginas de esta obra o partes de ella sean utilizadas para la realización de resúmenes de prensa. Cualquier forma de reproducción, distribución, comunicación pública o transformación de esta obra solo puede ser realizada con la autorización de sus titulares, salvo excepción prevista por la ley. Diríjase a CEDRO (Centro Español de Derechos Reprográficos) si necesita fotocopiar o escanear algún fragmento de esta obra (www.conlicencia.com; 91 702 19 70 / 93 272 04 47). PUBLICACIÓN VETERINARIA INDEPENDIENTE Centro Empresarial El Trovador, planta 8, of. I Plaza Antonio Beltrán Martínez, 1 50002 Zaragoza (España) Tel.: 976 461 480 - Fax: 976 423 000 Email: argos@grupoasis.com Web: www.portalveterinaria.com Nº 258 Mayo 2024

Turn static files into dynamic content formats.

Create a flipbook
Issuu converts static files into: digital portfolios, online yearbooks, online catalogs, digital photo albums and more. Sign up and create your flipbook.
Argos 258 by Grupo Asís - Issuu