
INFORMATIVO VETERINARIO
INFORMATIVO VETERINARIO
Síganos en Facebook y Twitter
• Diagnóstico de enteritis linfoplasmocitaria y linfoma de bajo grado en gatos
• Actualización de la enteropatía responsiva a dieta
• Tratamiento toracoscópico de un cuarto arco aórtico derecho persistente y ligamento arterioso
• Diagnóstico diferencial de los signos clínicos del páncreas y del sistema hepatobiliar
Emailing: herramienta de marketing
Cuatro reglas de oro para la consulta
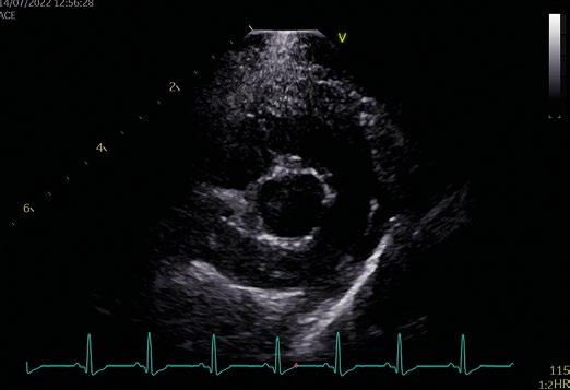
Utilidad de la ecografía cardiaca y pulmonar en urgencias
Tomografía de coherencia óptica
Farmacovigilancia veterinaria
Cuentaconnosotrosparaofrecerunafuentedebienestar
Estamosorgullosos depoderofrecertesolucionesinnovadoras paraconseguir el bienestar deunapiel sanaenlos perroscon pruritodeorigenalergico.
Descartar Parasitos .....,, Simparica·
apoque)'
Masticable 0 cv·ToPOINT
Empiezaunalivio rapidodelprurito
Diagn6stico y tratamiento de infecciones
Dectecta Malassezia/ bacterias vetscon IMAGYST'
apoque)' Masticable 0 cv·ToPOINT
Mantenelcontroldelprurito duranteelprotocolodiagn6stico
Realizer dietade eliminaci6n
---0 Confirmar
DAC cv·ToPOINT 0
apoque)' Masticable
Planterapeutico ydeseguimiento
Obten un diagn6stico y ofrece un cuidado individualizado a cada perro para sentir el bienestar de una piel sana.
1\horadisponesdemasopcionesparaproporcionar atuspacienteselali,iodelpicorquenecesitan
Aliviorapido
apoque)�
Masticable (oclacitinib)
Elige Apoquel0 Masticable paramejorar la experiencia terapeutica2
0Dosificaci6n flexible con un comprimido de Apoquel@ Masticable de alta palatabilidad
0Alivio rapido del picor3
0Reducci6n significativa de las lesiones de la piel4
0Se puede iniciar y parar el control del picor mientras se diagnostica la causa subyacente
0 Manejo de los brotes de prurito
0 Manejo a corto y largo plazo delpicor alergico
0Perros ;:::12 meses y >3 kg
Alivio duradero
cv·ToPOINT.
Elige Cytopoint® para mejorar el cumplimiento terapeutico para aquellos perros que requieran un control continuado del prurito alergico
0Perros con comorbilidades5
0Propietarios que no quieren dar comprimidos orales
0En pruebas con dieta de eliminaci6n para alergia alimentaria
0Casos en los que se quiera reforzar el cumplimiento
0Manejo del prurito estacional y cr6nico
0Perros de todas las edades de mas de 3 kg de peso
0Administrado en la clinica
Para el tratamiento individualizado de la dermatitis alergica y at6pica con 2 opciones de tratamiento de confianza
Referencias: 1.ZoetisMarket Research:Apoquel@Cytopoint®BrandTracker-VeterinariansWave4 (agostode2022). 2. Data on file, Apoquel� chewable Market Research, 2021, Zoetis Inc. 3. CVMP assessment report for Apoquel"' (EMEA/V/C/002688/X/0019). 4. Data on file, Study No. A162R-US-20-805, 2020, Zoetis Inc. 5. Michels GM, Walsh KF, Kryda KA, et al.A blinded, randomized, placebo-controlled trial of the safety of lokivetmab (ZTS-00103289), a caninized anti-canine IL-31 monoclonal antibody in client-owned dogs with atopic dermatitis. Vet Dermatol. 2016;27(6):505-e136. doi:10.1111/vde.12364.
Escanea los OR para acceder a las fichas tecnicas.
.,
Apoquel� Masticable Cytopoint"' En caso de duda, consulte a su veterinario.
Para mas informaci6n, ponte en contactocon Zoetis. Estamos en Parque EmpresarialVia Norte, Edif. 1. Cl Ouintanavides, 13, 28050, Madrid, y puedes contactarnos a troves de www2.zoetis.es, atenci6n al cliente en el telefono gratuito 900 200 920 o por correo electr6nicoa contacto@zoetis.com
4
La farmacovigilancia veterinaria, una herramienta esencial para el mejor uso de los medicamentos
La farmacovigilancia veterinaria, una herramienta esencial para el mejor uso de los medicamentos
“Cómo mejorar las cifras a través de las personas”
4
34
Cuatro reglas de oro para la consulta veterinaria en 2024
Entrevista a Pere Mercader y Miguel Ángel Díaz
Real Decreto 666/2023: el veterinario está obligado a dar de alta su botiquín veterinario para poder ejercer
“Coxatab aporta mayor precisión en la gestión del dolor, lo que evita la sobredosificación y permite alcanzar la dosis mínima efectiva más fácilmente”
Entrevista a Mariana Machado (Alivira)
“Neoleish® contribuye a reducir tanto la gravedad de la leishmaniosis como la carga parasitaria”
8
9
12
Entrevista a Ricardo Troncoso García-Cambón (Petia) 14
“El primer año de WowZen ha estado cargado de novedades”
a José Antonio Esteban (Soria Natural)
La inteligencia está basada en lo eficientes que las especies se vuelven al hacer las cosas que necesitan para sobrevivir. Es decir, desarrollamos nuestra inteligencia en función de cómo la naturaleza nos pone a prueba. Eso creía Charles Darwin.
42
EN PORTADA
Patología digestiva
68
Utilidad clínica de la ecografía pulmonar y cardiaca en urgencias
• Diagnóstico por imagen
• Patología urinaria
• Medicina felina
• Traumatología y neurología
• Odontología
Si desea publicar un artículo sobre estos u otros temas, escríbanos a argos@grupoasis. com
“Disponemos de la gama más completa de alimentos dietéticos para el tracto digestivo” Entrevista a Irma Villanueva (Royal Canin)
“Con Yurvac® RHD protegeremos a
El científico inglés nos dejó innumerables citas célebres: también afirmaba que actuar en grupo nos permite ser más eficientes y obtener un resultado mucho más satisfactorio; que, en la historia de la humanidad, aquellos que aprenden a cooperar son los que han prevalecido; y que, en la lucha por la supervivencia, el más fuerte gana a expensas de sus rivales debido a que logra adaptarse mejor a su entorno.
“Adaptación” y “cooperación” son dos conceptos que se repiten constantemente hoy en día cuando se habla del desempeño laboral ideal. Y “eficiencia”. Y “proactividad”. Y “resiliencia”. Y tantos otros, que una ya no sabe si se está enfrentando a un consejo profesional o al “Rosco” de Pasapalabra.
Ante tanta palabrería, deberíamos tener en cuenta también la otra cara de la moneda. En un contexto profesional es necesario adaptarse y cooperar, pero, para que todo marche como la seda, este comportamiento debe ser unánime dentro del equipo. No en balde, desde el ámbito de la psicología se advierte sobre el hecho de que las personas con una gran capacidad para adaptarse a diferentes escenarios y responsabilidades asumen un mayor gasto energético, porque esa forma de trabajar (o, más bien, de ser) implica una mayor inversión de tiempo y de recursos emocionales. Y eso desgasta. Mucho. Más aún si la proactividad no es generalizada, porque las comparaciones son odiosas.
El esfuerzo personal tiene un límite. La cuestión es no llegar a él, sobre todo si pretendemos que esa prueba a la que nos somete la naturaleza efectivamente nos ayude a desarrollar nuestra inteligencia en lugar de generar un perjuicio. De nuevo me remito a Darwin, que decía que el escudo es tan importante para vencer como lo son la espada y la lanza. De hecho, diría que “Autocuidado” es, también, otra gran palabra que enfatizar. Y probablemente no recibe toda la reivindicación que merece.
Sheila Riera Forteza Veterinaria y socióloga Medios de Comunicación s.riera@grupoasis.com
La farmacovigilancia veterinaria (FV) es la ciencia y actividades vinculadas a la detección, la evaluación, la comprensión y la prevención de las sospechas de acontecimientos adversos (AA) o cualquier otro problema relacionado con un medicamento (Reglamento (UE) 2019/6 del Parlamento Europeo y del Consejo de 11 de diciembre de 2018, sobre medicamentos veterinarios).
Ramiro Casimiro Elena1, Marta Martín Juárez2, Nuria Sánchez Ranchel3
1Jefe adjunto del Departamento de Medicamentos Veterinarios
2Jefe de Área de Farmacovigilancia, Defectos de Calidad y Comercio Exterior
3Técnico del Area de Farmacovigilancia DMV (AEMPS) Imágenes cedidas por la autora
Es probable que muchos veterinarios clínicos no estén familiarizados con este término que, sin embargo, lleva utilizándose desde hace ya muchos años tanto en la UE como en España.
Todos los medicamentos, ya sean de medicina humana o de veterinaria, nos ayudan a mejorar nuestro estado de salud y el de los animales, y a prevenir ciertas enfermedades propias o zoonóticas, contra las que es muy importante luchar en el entorno de “One Health”. A medida que la ciencia ha ido progresando, los recursos tecnológicos y el desarrollo científico han permitido que los medicamentos sean cada vez de mayor calidad y, por tanto, más seguros y eficaces. La farmacovigilancia nos ayuda a que el balance beneficio/riesgo que se ha demostrado en el momento de la autorización de comercialización de un fármaco siga siendo positivo, a pesar de los riesgos inherentes que entraña la administración de cualquier medicamento. En el momento en que dicho balance se vuelve negativo, se toman las medidas correctoras oportunas para gestionar y minimizar los riesgos, entre las que está, como ejemplo, la suspensión de la autorización de comercialización o la retirada de lotes del mercado.
En los estudios clínicos realizados en la etapa de pre autorización de los medicamentos, se realizan pruebas con un número de animales necesariamente limitado (por razones éticas y económicas) y solo se prueba ese medicamento en la especie/s animales para las que se quiere
autorizar. Cuando el medicamento se autoriza, comienza a aplicarse a un mayor número de animales, esto es, población diana del medicamento, en diversos países, en diferentes razas, en distintos estadios fisiológicos y edades, con condiciones de alimentación y manejo muy variables
Estas observaciones son la base sobre la que la Agencia Española de Medicamentos y Productos Sanitarios (AEMPS) puede aportar información adecuada y actualizada durante todo el ciclo de vida de estos productos, tras la evaluación de los datos recibidos.
Desde la entrada en vigor de la nueva reglamentación en materia de medicamentos veterinarios (Reglamento 2019/6 (UE) y Real Decreto 1157/2021), los veterinarios tienen la obligación de “notificar cualquier sospecha de AA de la que tengan conocimiento y enviarla lo más rápidamente posible, en un plazo máximo de 15 días, a la AEMPS o al titular de autorización del producto”.
y, con frecuencia, administrado juntamente con otros medicamentos, e incluso, en función de la prescripción excepcional, en especies animales para las que el medicamento no está autorizado.
Este uso post autorización de los medicamentos nos permite ver los AA que pueden ocurrir en los animales cuando los medicamentos se aplican en condiciones más amplias que en los estudios pre autorización, y ahí comienza nuestra labor de vigilancia, pues pueden aparecer nuevos problemas de eficacia o de seguridad, o problemas conocidos en el momento del registro del medicamento pero que se presentan con más frecuencia o gravedad que los conocidos hasta la fecha.
Por tanto, la FV se ocupa de la evaluación de la seguridad y la eficacia de los medicamentos veterinarios, una vez que el medicamento se comercializa tras la correspondiente autorización, en las condiciones reales de uso.
La misión de la FV es asegurar:
• El uso seguro de los medicamentos veterinarios en los animales.
• La seguridad para el consumidor de los alimentos de origen animal.
• La seguridad de las personas que estén en contacto con los medicamentos veterinarios.
• La seguridad en el medio ambiente de los medicamentos veterinarios.
• La seguridad de los medicamentos de uso humano administrados a los animales.
• La eficacia de los medicamentos veterinarios en los animales.
Los veterinarios clínicos, tanto de animales de compañía como de animales de producción y exóticos, están en una posición idónea para detectar los posibles AA cuando ocurren, y su comunicación contribuye directamente a conocer en mayor profundidad la seguridad y eficacia de estos medicamentos y, en su caso, tomar medidas correctoras lo antes posible.
Es muy importante que todas las sospechas de AA se comuniquen a la autoridad competente (la AEMPS), independientemente de su gravedad, de si están o no descritas en el resumen de características del medicamento o prospecto, etc., no solo porque esté así legalmente establecido en el Real Decreto 1157/2021, sino porque es la única forma de tener conocimiento de lo que está ocurriendo realmente en la clí-
nica diaria y, a partir de ahí poder hacer una evaluación completa y continua de los beneficios y riesgos de cada medicamento en condiciones reales de uso.
¿Qué y cómo se deben comunicar los acontecimientos adversos?
Desde la entrada en vigor de la nueva reglamentación en materia de medicamentos veterinarios (Reglamento 2019/6 (UE) y Real Decreto 1157/2021), los veterinarios tienen la obligación de “notificar cualquier sospecha de AA de la que tengan conocimiento y enviarla lo más rápidamente posible, en un plazo máximo de 15 días, a la AEMPS o al titular de autorización del producto”.
Hablamos de AA cuando nos referimos a:
• Reacción adversa (entendida como un efecto nocivo en el animal) con o sin muerte del animal.
• Reacción adversa que causa signos significativos, prolongados o permanentes.
• Reacción adversa inesperada, es decir; que no figura en el prospecto o en el etiquetado.
Cómo notificar los acontecimientos adversos (AA)
En la AEMPS, hay dos formas esenciales para realizar la notificación de estos AA:
• A través del formulario europeo de uso exclusivo por veterinarios, conocido en España como Tarjeta Verde, que se puede encontrar en la página web de la AEMPS (www.aemps.gob.es); esta tarjeta puede descargarse (http://bit.ly/ tarjeta_verde) y rellenarse online o a mano, y mandarse al correo del Área de Farmacovigilancia Veterinaria (fv_vet@aemps.es).
• A través de NotificaVet, formulario electrónico disponible igualmente en la página web de la AEMPS (https://sinaem.aemps.es/fvvet/NotificaVet), que redirige los casos directamente a la base de datos del Área de Farmacovigilancia Veterinaria de la AEMPS. Este método es cómodo e intuitivo, de manera que van rellenándose los campos (con o sin desplegables) y finalmente se envía, obteniéndose un código para que el notificador veterinario pueda buscar de nuevo el caso, con objeto de incluir nuevos datos (informes, radiografías, diagnósticos, fallos detectados).
En ambos casos, queremos resaltar la importancia de cumplimentar el formulario lo más completo posible, pues todos los campos son de interés para una correcta evaluación del caso, comenzando por los datos obligatorios: notificador, animal/persona que sufre el AA, medicamento/s administrado/s, síntomas observados y fechas de aparición, así como aportar (si se dispone de ellos) los análisis laboratoriales, informes post mortem, fotografías y otros datos relevantes que pudieran estar a disposición de la persona que notifique el AA.
• Reacción adversa en personas.
• Reacción adversa aparecida en un uso fuera de autorización (por ejemplo, en otra especie animal o para una indicación no autorizada del medicamento).
• Falta de la eficacia esperada (que pudiera indicar la aparición de resistencias o la ineficacia de ciertas vacunas, como ejemplos de ello).
• Problema relacionado con los tiempos de espera (posibilidad de residuos de medicamentos en alimentos de origen animal: carne, leche, huevos).
• Posibles problemas medioambientales.
• Reacción adversa a medicamentos de uso humano administrados en animales. Ejemplos prácticos de AA los tenemos en:
• Reacción anafiláctica tras la administración de una vacuna en cualquier animal.
• Un caso de vómitos y/o síntomas neurológicos tras la colocación de un collar antiparasitario a un animal de compañía.
• Reacción local en el punto de inoculación del medicamento (ej: inflamación, dolor, edema, pérdida de pelo, picor, etc.).
• Una detección de residuos de antibióticos en leche, detectada en una empresa.
• Una muerte ocurrida en un animal silvestre o doméstico como consecuencia de la exposición a un medicamento (o a una res tratada con un medicamento).
• Sintomatología en el dueño de un animal o en el veterinario a consecuencia del contacto directo con el medicamento durante o tras su administración.
• La detección de una supuesta falta de eficacia tras vacunar a un animal y diagnosticarse posteriormente la enfermedad que se pretendía evitar.
• Sintomatología digestiva/nerviosa/general tras la administración de un medica-
La AEMPS procederá a validar y evaluar todas las notificaciones enviadas por los veterinarios, solicitaremos información adicional (si fuese necesario) poniéndonos en contacto con los notificadores. Por ello, es importante indicar los datos de contacto (teléfono/email), que en ningún caso se difundirán, de manera que existe una perfecta anonimización de estos datos tanto del notificador primario, como del paciente y del dueño de los animales.
Además de estos, existen otros dos sistemas de notificación en España que son:
• RECEVET, plataforma de receta electrónica veterinaria del Consejo Andaluz de Colegios Oficiales de Veterinarios.
• PRESCRIVET, sistema electrónico del Consejo General de Colegios Oficiales de Veterinarios de España que permite a
Cuando se administra un medicamento fuera de las condiciones establecidas en la Ficha Técnica, no se juzga por parte de la AEMPS cómo se ha utilizado dicho medicamento en la clínica, sino que únicamente interesa conocer los AA tras ese uso.
mento a un animal que no es especie de destino (en casos de prescripción excepcional por vacío terapéutico). Es importante destacar que, en este último caso, cuando se administra un medicamento fuera de las condiciones establecidas en la Ficha Técnica, no se juzga por parte de la AEMPS cómo se ha utilizado dicho medicamento en la clínica, sino que únicamente interesa conocer los AA tras ese uso, para advertir de ello en un futuro y, si es necesario, para que otros veterinarios puedan conocerlo en caso de decidir utilizarlo de la misma forma por necesidad, por bibliografía, por conocimiento propio o por cualquier otra razón. Además de lo indicado, si el AA es grave, especialmente si hay muerte del animal o una persona se ve afectada, el caso debe comunicarse inmediatamente (ver cuadro).
los veterinarios hacer recetas y además, notificar acontecimientos adversos.
¿Qué ocurre tras comunicar una sospecha de acontecimiento adverso?
Todos los casos recibidos en la AEMPS o por los titulares de autorización, una vez validados y evaluados, se envían a la base de datos de FV de la UE (EVVET o Union Pharmacovigilance Data Base), que recopila todos los casos recibidos a nivel mundial, enviados de la misma manera que en España, esto es, por los veterinarios de todos los países en donde se comercializan/aplican los medicamentos.
El objetivo de todo esto es realizar un análisis conjunto de todos los casos recibidos de cada medicamento a través de
un proceso de Detección de Señales a nivel mundial (Reglamento 2019/6) que determine si el balance beneficio/riesgo del medicamento sigue siendo positivo o si, por el contrario, es negativo y corresponde tomar alguna medida:
• Inclusión de advertencias en el resumen de características y en el prospecto.
• Cambios en las condiciones de uso autorizadas.
• Modificación del tiempo de espera.
• Retirada de lotes del mercado.
• Suspensión de la autorización de comercialización del medicamento.
Un buen sistema de FV ayuda a la detección de nuevos AA y a comprender mejor los ya conocidos o a ajustar las frecuencias de su presentación.
La comunicación de los AA ayuda a controlar de manera continuada los beneficios y los riesgos de los medicamentos veterinarios una vez que se comercializan,
contribuyendo a su uso seguro. Por ello, participar en el sistema de FV contribuye a un mejor conocimiento de los medicamentos veterinarios, con beneficios para los animales, las personas, el medioambiente y los profesionales veterinarios.
Datos de acontecimientos adversos en España en 2023
En España recibimos el pasado año un total de aprox. 4.400 notificaciones. Los datos del 2023 (figura 1) ofrecen una mayoría de AA notificados en animales de compañía (fundamentalmente perros) lo cual es una buena noticia, ya que observamos que los veterinarios clínicos de animales de compañía tienen un buen nivel de notificación de casos.
En el caso de animales productores de alimentos, somos conscientes de las dificultades añadidas en el marco del trabajo rural, y que no es igual de fácil disponer de los medios y del tiempo para realizarlo.
No obstante, intentamos mejorar estas cifras año a año, pues sabemos que sigue habiendo AA que no se notifican y es información que pierde el sistema. En este sentido, llevamos muchos años haciendo campañas de promoción de la notificación de las AA, por ejemplo, a través de charlas desde las Facultades, en las CCAA, en congresos de profesionales veterinarios y publicación de artículos en revistas especializadas, para que los veterinarios sean conscientes de la importancia de notificar y de sus obligaciones al respecto.
En cuanto a los medicamentos con mayor número de notificaciones ese mismo año (figura 2), observamos que las vacunas encabezan la primera posición en España, seguidos de los ectoparasiticidas (collares, spot-on, etc.). Son los medicamentos con mayor número de AA y posiblemente las más graves.
De cualquier manera, se intenta concienciar de la importancia de notificar cualquier tipo de AA, independientemente de la gravedad del caso.
Por último, cabe destacar que en la AEMPS recibimos muchas consultas sobre diversos temas relativos a los AA y que se contesta cualquier tipo de duda relativa a ellos, tanto de los veterinarios, como de los titulares, así como del público en general. Recordamos nuevamente nuestro buzón: fv_vet@aemps.es
Somos conscientes de que la notificación requiere un cierto esfuerzo por parte de todos los agentes implicados, pero merece la pena, puesto que el mayor conocimiento de nuestros medicamentos siempre redundará en un mejor uso de ellos, en información más completa del producto y al alcance de todos y, por tanto, en medicamentos más seguros y eficaces en el mercado, tanto para los animales y las personas, como para el medio ambiente.
El artículo 37 del RD 666/2023 regula la distribución, prescripción, dispensación y uso de medicamentos veterinarios. Es importante cumplir con las exigencias legislativas a fin de asegurar la fiabilidad del medicamento suministrado.
Pedro Sáez Jiménez-Tuset
Coord. Dirección Técnica Farmacéutica y Resp. Sistema de Calidad. Nuzoa
El Real Decreto 666/2023, de 18 de julio, por el que se regula la distribución, prescripción, dispensación y uso de medicamentos veterinarios en su artículo 37 establece que:
• El veterinario, para su ejercicio profesional, salvo en el caso de los medicamentos que sean de administración vía pienso, queda autorizado para la tenencia, transporte, aplicación, uso o administración de medicamentos, incluidos los gases medicinales, así como la cesión en los términos previstos en el apartado 8.
• En el marco de su ejercicio clínico, en los términos previstos en este artículo, queda autorizado para la cesión de medicamentos al titular o responsable de los animales.
Esto implica entonces la existencia de lo que se conoce como botiquín veterinario, precisamente para llevar a cabo su ejercicio profesional. En este caso el veterinario autorizado se convierte en el garante de que los medicamentos en su poder están en perfectas condiciones de conservación y no suponen un riesgo para la salud.
El veterinario autorizado se convierte en el garante de que los medicamentos en su poder están en perfectas condiciones de conservación y no suponen un riesgo para la salud.
Por ello el mismo artículo refleja la obligación del veterinario, empresa veterinaria, o sociedad profesional, bajo cuyo amparo se lleve a cabo el ejercicio profesional por más de un veterinario, a comunicar a la autoridad competente correspondiente la existencia del botiquín veterinario, con indicación de su ubicación, incluidas las unidades de clínica ambulante.
Deberá garantizarse que el botiquín se encuentra en todo momento bajo custodia del veterinario, empresa veterinaria o sociedad profesional, responsable del mismo y no podrá estar ubicado dentro de una explotación ganadera, salvo que la sede del veterinario, empresa veterinaria o sociedad profesional veterinaria esté ubicada en la propia explotación y ejerza en exclusiva para esta.
Para poder asegurar una adecuada trazabilidad de los medicamentos desde su dispensación hasta su utilización, el veterinario autorizado a disponer de botiquín deberá llevar un registro de entradas y, cuando se administre medicación a animales de producción, de salida de estos.
Cabe recordar que en ningún caso el veterinario está autorizado a comercializar con los medicamentos que tiene en botiquín. Estos son para su uso en los animales bajo su cuidado, para cubrir una urgencia mientras el responsable del animal o animales no puede ir a adquirirlos con la correspondiente prescripción.
Sin embargo, en la ejecución de programas oficiales de prevención, control, lucha o erradicación de enfermedades de los animales, solo los veterinarios habilitados podrán disponer de los medicamentos necesarios para la ejecución de dicho programa sanitario oficial cuando su comercialización no esté autorizada o se encuentre restringida.
La existencia del botiquín supone una gran ventaja a la hora de poder actuar con rapidez ante una urgencia sanitaria, pero es importante cumplir con las exigencias legislativas a fin de asegurar la fiabilidad del medicamento suministrado.
Entrevista a Pere Mercader y Miguel Ángel Díaz, autores del libro Gestión de clínicas veterinarias
Para gestionar con éxito un centro veterinario es tan importante hablar de números y finanzas como de habilidades personales de comunicación y liderazgo. La combinación armónica de estas competencias es la fórmula.
¿Cómo surgió la creación de este libro?
Para nosotros era una pena haber creado tanto contenido, resultante de años de conferencias y formaciones para crear el curso y no haberlo plasmado en un libro. Además, estaba el clamor de los alumnos de las 5 primeras ediciones del curso de Gestión de Clínicas Veterinarias de Veterinary Management Academia, quienes reclamaban un libro oficial del curso.
Con el libro intentamos dar respuesta a ambos retos, el acercar la gestión al mayor número posible de profesionales que pudieran estar interesados y dar ese valor añadido a los alumnos del curso.
¿Qué aporta cada uno?
Pere aporta una visión económica del centro veterinario, basada en el análisis de miles de cuentas de resultados de estas
empresas, pero sin perder de perspectiva la peculiar idiosincrasia de nuestro sector. Cuestiones habitualmente áridas como el análisis de costes, los indicadores claves de gestión, la rentabilidad de las inversiones, la política de precios o la productividad salarial de los profesionales son explicadas e interpretadas desde una óptica específica del sector, y siempre buscando la ineludible conexión con las personas. En definitiva, cómo mejorar las cifras a través de las personas.
Miguel Ángel Díaz (Pancho) aporta un abordaje diferente al mundo de los soft skills y su aplicación práctica en el día a día para la mejora del liderazgo y las habilidades de comunicación con los clientes y entre las personas que trabajan en una clínica. En el campo del liderazgo, por ejemplo, explora temas como trabajar la confianza, la generosidad o aprender a dar y recibir feedback. En el campo de las habilidades de comunicación explica
cómo pasar consultas radicalmente mejores con la Guía Calgary Cambridge, así como el manejo de objeciones y quejas por parte de los clientes.
Hay conceptos que pueden resultar más complejos, ¿cómo ayuda el libro a comprenderlos y aplicarlos?
Combinando el rigor académico con la practicidad de ejemplos basados en la experiencia de ambos autores con miles de veterinarios de más de 40 países. Por ejemplo, la importancia de aprender a dar y recibir feedback como herramienta de crecimiento continuo. Por desgracia, en demasiadas ocasiones dar feedback es un juicio acerca de la persona. Eso hace que quien lo recibe se ponga a la defensiva y contrataque. Y ya tenemos el conflicto, el cual, cuando se cronifica, lleva al burnout En el libro explicamos una metodología
PERE MERCADER 1,2 Y MIGUEL ÁNGEL DÍAZ 2,3
1 Fundador y socio-director de Veterinary Management Studies (VMS). 2 Coautor y profesor del curso online de Gestión de Clínicas Veterinarias. 3 Director de New Way Coaching.
para que las personas puedan ayudarse a tener éxito diciéndose las cosas con mucho tacto y sin ambigüedades.
¿Cuál es el público objetivo de la obra?
Cualquier profesional interesado en profundizar en el mundo de la gestión de la clínica veterinaria. El perfil de los alumnos de las ediciones del curso de gestión nos ha confirmado que hay un público objetivo muy amplio: veterinarios, dueños o no de clínicas independientes, ATV y recepcionistas, mandos intermedios de grupos, directores clínicos y practice managers de clínicas y hospitales de grupos, directivos y delegados de la industria y consultores.
Tatiana Blasco Edra
Esta enfermedad predispone a padecer convulsiones persistentes en el tiempo sin que exista una causa estructural o reactiva, y con un probable origen genético. Su diagnóstico se centra en descartar todas las causas potenciales de convulsiones en el perro.
Pablo AmengualEBVS European Specialist in Veterinary Neurology
Chestergates Veterinary Specialists (Chestergates, Reino Unido)
INTRODUCCIÓN
La epilepsia es una enfermedad del cerebro caracterizada por producir convulsiones recurrentes. En la práctica, consideramos que un paciente es epiléptico si padece ≥2 convulsiones no reactivas (no producidas por causas metabólicas o tóxicas, o inducidas por otros medios) separadas como mínimo 24 horas entre ellas. Por lo tanto, un paciente con convulsiones recurrentes que padezca un tumor intracraneal será considerado epiléptico. En este caso, hablaríamos de epilepsia estructural La EI la encontramos cuando no existe una causa estructural ni reactiva que nos explique las convulsiones. En algunas razas, donde ya se sospecha una causa genética como responsable de la EI, hablaríamos de epilepsia genética
A su vez, una convulsión se define como una descarga sincrónica, anómala y, generalmente, autolimitante de un grupo de neuronas situadas en los hemisferios cerebrales. Clínicamente, estas convulsiones suelen tener una apariencia paroxística (inicio y final abruptos), mostrando en muchos casos una combinación de signos motores, sensoriales y autonómicos (pe. hipersalivación, orinar/defecar). Dependiendo de la extensión de la actividad anómala, podemos distinguir entre convulsiones generalizadas (cuando ambos hemisferios están afectados), o parciales, cuando solo una o varias zonas localizadas están afectadas. La pérdida de consciencia es uno de los signos más característicos de las convulsiones generalizadas, que no se da en las crisis parciales. Aunque estas son las formas más comunes de convulsiones descritas en el perro, cabe destacar que existen formas más complejas. Un ejemplo es el síndrome de “fly catching”, donde se sospecha que el paciente sufre alucinaciones (pe. ve moscas en el aire) e intenta cazarlas. Para añadirle más dificultad, se han descrito un importante número de eventos paroxísticos que podrían malinterpretarse como convulsiones (p.e. síncopes).
En cuanto a las fases de una convulsión, se han descrito principalmente tres en Medicina Veterinaria:
• La más sencilla de distinguir es la fase ictal, donde se produce la convulsión como tal. En la gran mayoría de casos, al tratarse de un proceso autolimitante, la duración de la convulsión se encuentra por debajo de los 5 minutos.
• Previa a esta, se encuentra la fase preictal o prodrómica. Durante este periodo, que puede ir desde los pocos minutos hasta los días previos a la fase ictal, el paciente muestra comportamientos anómalos (más arisco, sigue al propietario a todas partes, se enconde, etc.). En algunos casos se puede predecir que va a ocurrir una convulsión gracias a estos signos. Desafortunadamente, no siempre se encuentran presentes, o son muy leves o vagos como para ser de ayuda.
Una gran mayoría de perros con EI sufrirán su primera convulsión entre los 6 meses y los 6 años. Sin embargo, se han descrito formas juveniles (< 6 meses) o tardías (>6 años).
• Por último, encontramos la fase postictal. Durante el periodo postictal, el paciente mostrará toda una serie de signos neurológicos asociados al restablecimiento de la función normal del cerebro. Ataxia generalizada, ceguera y desorientación son algunos de los signos que podemos observar. Su duración también es variable, aunque en general se encuentra entre los pocos minutos hasta varias horas (incluso días según la gravedad y frecuencia de las convulsiones). A diferencia de la fase preictal, la fase postictal está casi siempre presente y resulta fácil de detectar, lo que nos permitirá distinguir una convulsión de otros procesos paroxísticos similares, como los síncopes o los desórdenes del movimiento, donde no se aprecia una fase postictal evidente.
Como hemos comentado, la mayoría de las convulsiones son autolimitantes, por lo que no representan un peligro para el paciente. Sin embargo, existen dos situaciones clínicas en las que se recomendará un tratamiento hospitalario de urgencia:
• La primera de ellas son las convulsiones en racimo, que se darán cuando se padezca ≥2 convulsiones con menos de 24 horas entre ellas, en las que se produzca recuperación del estado mental.
• Por otra parte, encontramos el status epilepticus, cuando una convulsión generalizada se extienda por encima de los 5 minutos o padezca ≥2 convulsiones con menos de 24 horas entre ellas sin recuperación del estado mental. La no recuperación del estado mental indica que, aunque la actividad motora ha cesado, la actividad eléctrica del cerebro continua.
En ambos casos, se recomienda el traslado a un centro hospitalario con la mayor brevedad posible para su estabilización y tratamiento antiepiléptico intensivo. Es importante remarcar que presentar convulsiones en racimo o status epilepticus no siempre está asociad a un peor pronóstico. En un estudio publicado en 2009 encontraron que perros intoxicados tenían hasta 2,7 veces más posibilidades de presentarse en status epilepticus comparado con pacientes con epilepsia idiopática o estructural como primera convulsión. Muchas intoxicaciones tienen un pronóstico favorable con tratamiento de soporte, por lo que debe informarse al propietario de esta posibilidad, especialmente antes de optar por la eutanasia.
Una gran mayoría de perros con EI sufrirán su primera convulsión entre los 6 meses y los 6 años. Sin embargo, se han descrito formas juveniles (< 6 meses) o tardías (>6 años). La forma más común de convulsión en estos casos es la generalizada tónico-clónica, comúnmente acompañada de signos autonómicos. Los pacientes afectados suelen mostrar pérdida de consciencia, aumento del tono muscular en las extremidades, cuello y cabeza, movimientos de flexión/extensión de las extremidades, salivación excesiva, micción y defecación espontánea. Sin embargo, algunos de estos pacientes pueden sufrir convulsiones parciales. En estos casos, solo un grupo específico de músculos estaría afectado, como los faciales, los masticatorios o los apendiculares de una extremidad, sin pérdida de la consciencia. Algunas crisis parciales pueden evolucionar hasta convertirse en crisis generalizadas.
TABLA 1. Razas descritas con predisposición a padecer epilepsia idiopática.
• Pastor Australiano
• Pastor Belga
• Pastor Alemán
• Beagle
• Boyero de Berna
• Border Collie (y otros collies)
• Border Terrier
• Cavalier King Charles Spaniel
• Dálmata
• Springer Spaniel Inglés
• Spitz Finlandés
• Golden Retriever
• Vizsla Húngaro
• Lobero Irlandés
• Spinone Italiano
• Labrador Retriever
• Lagotto Romagnolo
• Pequeño Basset Grifón Vandeano
• Keeshond
• Pastor de Shetland
• Caniche estándar
• Teckel
• Husky Siberiano
• Staffordshire Bull Terrier
• Boxer
• Gran Boyero Suizo
• Schipperke
Otra característica es la ausencia de signos neurológicos en el periodo interictal, por lo que el examen neurológico es completamente normal una vez terminada la fase postictal. Sin embargo, algunos pacientes pueden mostrar cambios de comportamiento a raíz del desarrollo de convulsiones, o incluso al tratamiento, pero que no deben considerarse como alteraciones neurológicas. En algunos casos, el paciente demostrará una mayor dependencia del propietario o un aumento de la reactividad a sonidos, entre otros.
Aunque la EI puede aparecer en cualquier raza, algunas están predispuestas a su desarrollo. La tabla 1 incluye un listado de las razas más afectadas. Como hemos comentado anteriormente, existe cierta variación en cuanto a la gravedad de la enfermedad y la respuesta al tratamiento entre razas. Por ejemplo, algunas como el Pastor Australiano, el Spinone Italiano, el Pastor Alemán, el Border Collie o el Staffordshire Bull Terrier tienden a sufrir una forma más agresiva de la enfermedad. Sin embargo, otras como el Labrador Retriever, el Pastor Belga o el Rough Collie presentan formas más benignas y tratables.
El diagnóstico de la EI se centra en descartar todas las causas potenciales de convulsiones en el perro. En el artículo publicado en 2015 International veterinary epilepsy task force consensus proposal: diagnostic approach to epilepsy in dogs por De Risio et al., se establecieron las razones para realizar pruebas diagnósticas en pacientes con convulsiones y el grado de certeza que obtenemos dependiendo de la extensión del protocolo diagnóstico. Es muy importante que previo a cualquier valoración neurológica se tome una anamnesis lo más completa posible, especialmente para determinar si el paciente padece convulsiones u otro tipo de eventos paroxísticos (pe. síncopes, crisis vestibulares, desordenes del movimiento). Además, deberá realizarse un examen físico completo y un examen ortopédico complementario al examen neurológico, dado que algunas alteraciones sistémicas/ ortopédicas y neurológicas pueden mostrarse de manera similar (pe. ruptura bilateral de los ligamentos cruzados y una ataxia propioceptiva). En cuanto a los niveles de certeza, encontramos los siguientes tres:
Nivel 1 de certeza para el diagnóstico de la EI
Existe cierta variación en cuanto a la gravedad de la enfermedad y la respuesta al tratamiento entre razas. Por ejemplo, algunas como el Pastor Australiano, el Spinone Italiano, el Pastor Alemán, el Border Collie o el Staffordshire Bull Terrier tienden a sufrir una forma más agresiva de la enfermedad.
ya es suficiente para establecer una alta sospecha de EI.
1 2 3
Se incluirán perros que sufran la primera convulsión entre los 6 meses y los 6 años, con un examen neurológico completo normal en el periodo interictal, especialmente si se trata de una de las razas predispuestas (ver tabla 1), que hayan sufrido ≥2 convulsiones separadas como mínimo 24 horas entre ellas. Además, se deberán realizar hematología, bioquímica sérica completa y uroanálisis. Algunos resultados analíticos pueden aparecer alterados si la convulsión ha ocurrido poco antes de la toma de las muestras. Por ejemplo, las enzimas hepáticas, así como los niveles de creatina cinasa, pueden aparecen alterados debido al daño muscular que se produce en las convulsiones generalizadas, especialmente si son prolongadas. Si se conoce el historial familiar del paciente en el que aparezcan otros miembros con EI, ayudará a establecer el diagnóstico presuntivo. Si se sospechara de otros tipos de enfermedades metabólicas, endocrinas o neurodegenerativas (pe. shunt portosistémico, síndrome de Cushing o aciduria orgánica, entre muchas otras), podrían enviarse las pruebas pertinentes para su descarte. Sin embargo, si se cumplen los criterios discutidos en el párrafo anterior
Nivel 2 de certeza para el diagnóstico de la EI
El nivel 2 cumple los criterios del punto 1, además de una prueba de estimulación de ácidos biliares, una resonancia magnética de cráneo y un análisis del líquido cefalorraquídeo (LCR) dentro de la normalidad. Como en el caso anterior, se podrían observar cambios postictales en la resonancia magnética en pacientes que hayan sufrido una convulsión poco antes de la prueba. No se conoce el tiempo exacto necesario para que estos cambios desaparezcan. Sin embargo, se suele recomendar un tiempo prudencial de 16 semanas sin convulsiones antes de repetirla. Además, se pueden observar cambios postictales en el LCR, por lo que se recomendaría repetirla tras 6 semanas sin convulsiones.
Nivel 3 de certeza para el diagnóstico de la EI
Para este nivel de certeza, sería necesario detectar anormalidades ictales o interictales en un electroencefalograma, además de cumplir con los niveles 1 y 2. Este nivel de certeza es raramente alcanzado en Veterinaria, debido a la baja disponibilidad de electroencefalogramas, incluso en centros de referencia, y la poca literatura publicada. Por lo tanto, la mayoría de los pacientes solo alcanzan un nivel 1 o 2 de certeza.
La realización o no de una resonancia magnética de cráneo en estos pacientes dependerá de muchas variables. Sin embargo, se recomendará siempre que se de uno o varios de los siguientes supuestos:
• Cuando la edad de la primera convulsión sea anterior a los 6 meses o posterior a los 6 años.
• En caso de que el paciente sufra convulsiones en racimo o episodios de status epilepticus
• Si el examen neurológico completo en el periodo interictal es anormal (una vez finalizado el periodo pre y postictal).
• Cuando se haya establecido un diagnóstico de EI y el paciente sea refractario al tratamiento. Se considerará que un paciente es refractario o resistente a un tratamiento antiepiléptico cuando se haya alcanzado la dosis máxima tolerable de un único fármaco y no se haya alcanzado una mejoría de al menos el 50 % en la frecuencia y/o gravedad de los episodios.
Bibliografía disponible en www.grupoasis.com/argos/ bibliografias/Pexion256.docx
“Coxatab aporta mayor precisión en la gestión del dolor, lo que evita la sobredosificación y permite alcanzar la dosis mínima efectiva más fácilmente”
El nuevo producto de Alivira - Laboratorios Karizoo, a base de firocoxib, supone una nueva posibilidad de tratamiento dentro del abanico de AINE disponibles, que puede encajar mejor en determinados pacientes según sus preferencias o necesidades. Los comprimidos se administran una vez al día y pueden ser mezclados o no con el alimento.
peratorio y la inflamación asociados a la cirugía de tejido blando, ortopédica y dental en perros.
¿Cuáles son sus principales ventajas?
La utilización de inhibidores selectivos de la COX-2, en este caso hablamos de firocoxib, presenta una clara ventaja sobre el uso de AINE clásicos, que es la disminución de efectos secundarios, principalmente de tipo digestivo.
¿En qué consiste su nuevo producto, Coxatab?
Coxatab es un nuevo antiinflamatorio no esteroideo (AINE) para perros cuyo principio activo es firocoxib y se presenta en forma de comprimidos masticables altamente apetentes.
¿Cuáles son sus indicaciones?
El uso de firocoxib, inhibidor selectivo de la ciclooxigenasa-2 (COX-2), es habitual en la mayoría de los centros veterinarios y sus indicaciones son ampliamente conocidas. A modo de recordatorio, estas son: alivio del dolor y la inflamación asociados a la osteoartritis y alivio del dolor posto-
Podríamos destacar un par de particularidades sobre Coxatab, que lo diferencian de otros productos a base de firocoxib presentes en nuestro mercado. Por un lado, las concentraciones de 25 mg, 100 mg y 225 mg permiten una dosificación más precisa, principalmente en perros pequeños (menos de 10 kg de peso corporal). Por otro lado, los comprimidos están fabricados bajo la tecnología Click Tab, que hace que sean fácilmente divisibles en 2 o 4 partes iguales.
Gracias a estos dos puntos, Coxatab aporta mayor precisión en la gestión del dolor de los pacientes caninos, lo que evita la sobredosificación y, por tanto, la posible presentación de efectos indeseables asociados a ella; también permite alcanzar la dosis mínima efectiva más fácilmente. Asimismo, supone una nueva opción para el veterinario clínico dentro del abanico de AINE disponibles.
“Hemos desarrollado un folleto explicativo y unos imanes con la tabla de dosificación para que los centros veterinarios tengan la dosis siempre a mano”.
¿Qué destacaría sobre los comprimidos?
Además de ser divisibles en 2 o 4 partes iguales, son comprimidos masticables y altamente palatables, con un agradable sabor a pollo. Con ello facilitamos la administración del medicamento por parte del propietario y aseguramos una dosis precisa, así como una buena adherencia al tratamiento. Los comprimidos se administran una vez al día, y pueden ser mezclados o no con el alimento.
¿Qué presentaciones existen y para qué pacientes se recomienda cada una de ellas?
Coxatab puede utilizarse en perros a partir de 3 kg de peso corporal. Coxatab 25 mg se presenta en cajas de 30 comprimidos masticables y cubre el rango de
“Las concentraciones de 25 mg, 100 mg y 225 mg permiten una dosificación más precisa, principalmente en perros pequeños, y los comprimidos están fabricados bajo la tecnología Click Tab, que hace que sean fácilmente divisibles en 2 o 4 partes iguales”.
peso de 3 a 10 kg. En el caso de Coxatab 100 mg y Coxatab 225 mg, la presentación es de 100 comprimidos masticables y se pueden tratar perros de hasta 40 kg y 90 kg, respectivamente.
¿Disponen de algún tipo de material promocional para el veterinario?
Somos conscientes de que las concentraciones de firocoxib en nuestros comprimidos son diferentes a las que existen actualmente en el mercado. Esta diferencia es la que nos permite afinar más la dosificación con el fin de evitar sobredosificaciones y efectos indeseables ligados a las mismas. Con el fin de facilitar la prescripción del medicamento, hemos desarrollado un folleto explicativo y unos imanes con la tabla de dosificación para que los centros veterinarios tengan la dosis siempre a mano.
¿Qué supone para Alivira - Laboratorios Karizoo este lanzamiento y cómo complementa su porfolio de productos?
La incorporación de Coxatab al porfolio de productos de animales de compañía de Alivira – Laboratorios Karizoo supone ampliar opciones en el campo de los productos destinados a la gestión del dolor asociados a la osteoartritis en animales de compañía, en el cual ya estamos presentes con diferentes productos:
• AINE: Loxicom (meloxicam, en solución oral e inyectable para perros y gatos) y Osteopen (pentosano polisulfato de sodio, en solución inyectable para perros).
• Opiáceos: Bupaq (buprenorfina, en solución inyectable para perros y gatos), Butomidor (butorfanol, en solución
inyectable para perros y gatos), Insistor (metadona, en solución inyectable para perros y gatos).
• Ácidos grasos omega-3: K-Omega 3 (EPA y DHA).
Como en todo lanzamiento, Coxatab supone una nueva posibilidad de tratamiento que puede encajar mejor en determinados pacientes según sus preferencias o necesidades.
¿Cómo encaja Coxatab en la estrategia de desarrollo de negocio de AliviraLaboratorios Karizoo?
Fruto de la colaboración con diferentes laboratorios europeos para la comercialización de nuevos productos, este lanzamiento refuerza doblemente nuestra posición. Por un lado, en el segmento de la gestión del dolor, y por otro, en el área de los animales de compañía.
Coxatab supone un paso más en la estrategia de desarrollo de negocio de la empresa, combinando el lanzamiento de medicamentos y productos de titularidad propia, así como la comercialización de productos de otros laboratorios veterinarios. Esta doble estrategia nos permite llegar al mercado con un mayor número de productos en menor tiempo, una presencia creciente totalmente alineada con los objetivos del grupo a nivel global. Además del mercado español, Coxatab se lanza también en otros mercados europeos de la mano de otras filiales del Grupo Alivira.
Sheila Riera
Argos - argos@grupoasis.com
Imágenes cedidas por Alivira
MARIANA MACHADO Product Manager“Neoleish® contribuye a reducir tanto la gravedad de la leishmaniosis como la carga parasitaria”
La nueva vacuna de Petia Vet Health ha sido desarrollada con el propósito específico de inmunizar activamente a perros negativos a Leishmania a partir de los 6 meses de edad.
¿Para qué está indicado Neoleish®?
Neoleish® se ha desarrollado con el propósito específico de inmunizar activamente a perros negativos a Leishmania a partir de los 6 meses de edad. La leishmaniasis, causada por el parásito Leishmania infantum, es una enfermedad significativa que afecta a perros. Esta vacuna tiene como objetivo reducir el riesgo de desarrollar infección activa y/o enfermedad clínica tras el contacto con dicho parásito. Representa un avance crucial en la prevención y el manejo de esta enfermedad, que puede tener impactos graves en la salud canina y humana.
“Esta vacuna tiene como objetivo reducir el riesgo de desarrollar infección activa y/o enfermedad clínica tras el contacto con dicho parásito”.
¿Cómo ha sido el desarrollo de una nueva vacuna de ADN contra la leishmaniosis canina?
El desarrollo ha sido fruto de la colaboración con el equipo multidisciplinar de investigadores coordinado por el profesor Vicente Larraga del Centro de Investigaciones Biológicas Margarita Salas del CSIC (Madrid). Esta colaboración se inició con las primeras pruebas de concepto en la especie de destino realizadas en 2011. El proceso de desarrollo de la vacuna terminó en 2022 con la autorización de comercialización europea otorgada por la Agencia del Medicamento Europeo (EMA).
El producto fue evaluado por la EMA teniendo en cuenta los más altos requisitos respecto a calidad, seguridad y eficacia, no solo teniendo en cuenta la legislación vigente en materia de vacunas de ADN en animales1,2 sino también aplicando el nivel de exigencia requerido en vacunas de uso
humano3 por ser la primera vacuna de ADN y contar con una tecnología novedosa.
¿Qué destacaría de su mecanismo de acción?
El mecanismo de acción de Neoleish® se basa en su contenido de ADN plasmídico superenrollado pPAL-LACK, que codifica la proteína LACK de Leishmania infantum Esta proteína es clave para estimular una respuesta inmunitaria activa en perros, particularmente a través de la activación específica de las células T en diversos tejidos. Al desencadenar esta respuesta inmunológica, la vacuna contribuye a reducir tanto la gravedad de la enfermedad como la carga parasitaria, mejorando así la capacidad del organismo para combatir la infección.
“Al desencadenar la activación específica de las células T en diversos tejidos, la vacuna contribuye a reducir tanto la gravedad de la enfermedad como la carga parasitaria, mejorando así la capacidad del organismo para combatir la infección”.
¿A partir de qué edad puede administrarse?
La administración de Neoleish® está destinada a perros sanos a partir de los 6 meses de edad. Este periodo se considera óptimo para la primovacunación, proporcionando una ventana temporal que permite abordar eficazmente la amenaza de la leishmaniasis en una etapa temprana de la vida del animal.
¿Cómo se administra?
La administración de Neoleish® se lleva a cabo por vía nasal, asegurando una aplicación eficiente y segura del medicamento. Cada dosis de la vacuna consta de 1 mL de una solución transparente e incolora. El proceso de administración sigue un protocolo específico, utilizando un dispositivo intranasal adecuado para garantizar una entrega precisa de la vacuna.
La vía intranasal ofrece ventajas en la vacunación: es cómoda y de fácil administración, aprovechando la permeabilidad del epitelio nasal para estimular el sistema
inmunitario mucosal y generar respuestas sistémicas. El tejido linfoide asociado a la nariz (NALT) facilita la interacción de antígenos con células especializadas, activando respuestas inmunitarias. La vacuna de ADN Neoleish, imita la activación antigénica sin riesgos, induciendo respuestas de linfocitos T CD4+ y CD8+ para controlar la enfermedad.
¿Qué puede decirnos sobre su seguridad?
En los estudios clínicos realizados, Neoleish® ha demostrado un perfil de absoluta seguridad, con la ausencia de reacciones adversas locales o sistémicas tras la administración de una dosis y la repetición de hasta 10 dosis en pruebas de seguridad. No obstante, es crucial seguir las precauciones y recomendaciones establecidas, incluyendo la realización de pruebas diagnósticas antes de la vacunación para detectar la presencia de Leishmania y garantizar la seguridad del paciente canino.
¿Cómo se presenta?
Neoleish® se presenta en viales de vidrio tipo I, cada uno de los cuales contiene una dosis precisa de 1 mL de la solución para pulverización nasal.
¿Qué implica para Petia este lanzamiento?
La Agencia Europa de Medicamentos (EMA) la consideró hito destacado del año 2022. El lanzamiento de Neoleish® es un momento significativo para Petia, empresa del grupo Zendal que lleva más de 30 años, y la consolida como un actor destacado en la provisión de soluciones veterinarias avanzadas.
“Neoleish® se presenta en viales de vidrio tipo I, cada uno de los cuales contiene una dosis precisa de 1 mL de la solución para pulverización nasal”.
Neoleish® es la primera y única vacuna de ADN en el mundo desarrollada para perros, y la segunda en utilizar tecnología de ADN recombinante a nivel mundial. Esta asociación estratégica no solo posiciona a Petia en la vanguardia de la distribución de soluciones innovadoras, sino que también resalta su compromiso con la excelencia en el cuidado animal.
Referencias:
1. Vaccines for veterinary use and other relevants European Pharmacopeia monograph
2. EMA Note for guidance CVMP/IWP/07/98 – FINAL “DNA vaccines non-amplifiable in eukaryotic cells f
3. European Pharmacopeia chapter 5.1.4 Gene transfer medicinal products for human use (Recombinant vectors and bacterial cells used for the manufacture of plasmid vectors for human use).
Argos
argos@grupoasis.com
Imágenes cedidas por Petia
“El primer año de WowZen ha estado cargado de novedades”
Tras su primer año en el sector veterinario, Soria Natural hace un balance de cómo han sido acogidos los productos de la gama WowZen. Formulados y pensados específicamente para animales, todos ellos recogen los conocimientos en fitoterapia que la compañía ha acumulado durante décadas de I+D+i
Hace algo más de un año Soria Natural, empresa líder en el sector de la Medicina Natural, sacaba al mercado WowZen, una línea de alimentos complementarios para perros y gatos a base de plantas medicinales. Un equipo de científicos y técnicos veterinarios, de la mano de su departamento de I+D+i, desarrolló una completa gama de productos específicos para mascotas que en estos meses ha seguido creciendo.
“Hasta el momento el sector se ha mostrado muy receptivo y agradecido por tener a su alcance productos de calidad basados en el uso de las plantas, avalados por una marca con décadas de experiencia en medicina natural”.
¿Qué balance hacen de su primer año de andadura en el sector veterinario?
Para nosotros ha sido un gran año. Aunque partíamos desde cero en el sector veterinario y sabíamos que teníamos que ir llamando una por una a todas las puertas para presentarnos, el resultado ha sido muy bueno. Nos queda mucho por trabajar, muchos profesionales y centros veterinarios que visitar, pero hasta el momento el sector se ha mostrado muy receptivo y agradecido por tener a su alcance productos de calidad basados en el uso de las plantas, avalados por una marca con décadas de experiencia en medicina natural.
Ha sido un año lleno de novedades. ¿Qué productos han lanzado durante este tiempo?
Efectivamente, ha sido un año cargado de novedades. WowZen nació en enero de 2023 con una línea de complementos naturales para perros y gatos formada por trece productos, todos elaborados con plantas, extractos naturales y aceites esenciales, diseñada por veterinarios junto con nuestro departamento de I+D+i. Incluíamos entonces soluciones para el cuidado articular, respiratorio, gastrointestinal e inmunitario de nuestras mascotas.
“Toda la gama de productos WowZen está diseñada con productos cien por cien naturales, sin cereales y sin proteína animal para reforzar el bienestar de los animales”.
¿Qué ha implicado para la compañía esta llegada al sector veterinario?
Antes de dar el paso y lanzar al mercado nuestra línea WowZen, en Soria Natural llevábamos años valorando la necesidad de trasladar nuestros conocimientos en fitoterapia al mundo animal y ayudar a los veterinarios con un catálogo natural con el que pudieran cubrir un amplio espectro de necesidades con productos eficaces. Siempre hemos creído que el sector veterinario merecía tener a su alcance productos formulados y pensados específicamente para animales que recogieran todo el conocimiento y la calidad contrastada que nos da nuestro bagaje como líderes en el cuidado de la salud desde un punto de vista natural. Dar ese paso, con la creación de WowZen, ha supuesto trasladar nuestros 40 años de experiencia en humana a un sector con enormes posibilidades.
En el mes de octubre ampliamos la gama con otras doce nuevas referencias que abordan las alteraciones derivadas del aparato urogenital, trastornos hepáticos o alteraciones provocadas por viajes y situaciones de agitación e inquietud en perros y gatos.
Toda la gama de productos WowZen está diseñada con productos cien por cien naturales, sin cereales y sin proteína animal para reforzar el bienestar de los animales.
Otra de sus plantas de referencia es Lepidium latifolium. ¿Cuáles son sus beneficios?
Esta planta, conocida como rompepiedras, ha sido valorada tradicionalmente por sus propiedades para favorecer la salud renal. Se ha comprobado su capacidad para disolver cálculos de vías urinarias, especialmente los de oxalato cálcico. Además, por su acción de eliminación de líquidos ayuda a evitar la formación de nuevos cálculos. El extracto de lepidio es el ingrediente principal de CalcuWow.
El tercer producto que ocupa ese top WowZen es OcuWow. ¿Qué ingrediente es el más destacado de su fórmula?
Destacaríamos el maqui, Aristotelia chilensis, cuyas bayas son ricas en antocianidinas como la delfinidina y otros flavonoides. Distintos estudios han constatado que el extracto de las bayas de maqui aumenta significativamente la generación
“CalcuWow, OcuWow y LeishWow son tres alimentos complementarios a base de plantas y extractos que han destacado en ventas en este año y que atienden tres de las demandas más habituales de los profesionales especializados”.
¿Dirían que tienen uno o varios “producto estrella”? En ese caso, ¿cuál es diría que son?
Si atendemos al feedback que hemos obtenido de los profesionales en estos meses, podríamos decir que el pódium de WowZen está ocupado por CalcuWow, OcuWow y LeishWow.
Se trata de tres alimentos complementarios a base de plantas y extractos que han destacado en ventas en este año y que atienden tres de las demandas más habituales de los profesionales especializados: tratar la leishmaniosis, disolver cálculos urinarios y tratar la sequedad ocular.
¿Qué destacarían de LeishWow?
LeishWow es la alternativa natural ante intolerancias al tratamiento convencional, recaídas o simplemente en aquellos casos en los que puede ser necesario o útil complementarlo con otras opciones naturales para los perros. Está elaborado con Artemissa annua, una planta que cuenta con estudios sobre la eficacia de su extracto en casos de ciertos problemas por parásitos. Además, está disponible en tres formatos adaptados a perros pequeños, medianos y grandes.
de líquido lagrimal, mejorando algunos problemas como la fatiga y la sequedad ocular.
En general, ¿qué beneficios aporta la gama WowZen a los centros veterinarios?
WowZen logra atender los principales problemas que llevan a los animales de compañía a demandar una atención profesional. Nuestros productos constituyen una valiosa herramienta para todos esos profesionales que apuestan por la salud integrativa y el cuidado natural de perros y gatos. Porque entendemos que son estos profesionales los que, considerando a cada animal individualmente y valorando todos los aspectos relacionados con su salud, pueden aplicar la referencia más adecuada en cada caso.
WowZen está disponible en exclusiva en centros y clínicas veterinarias de todo el país.
Sheila Riera
Argos - argos@grupoasis.com
Imágenes cedidas por Soria Natural
JOSÉ ANTONIO ESTEBAN Consejero Delegado de Soria Natural LAURA MONTEJO Veterinaria y Responsable en Investigación y Desarrollo FitoterapiaLa fotobiomodulación por energía lumínica (FLE) se ha utilizado en el manejo de pioderma superficial, pioderma profunda, pioderma y forunculosis interdigital, así como en fístulas perianales. Este artículo es la continuación de otro que se publicó en el número de febrero de Argos.
Autores: CÉSAR YOTTI ÁLVAREZ, JUDITH PÉREZ GAVIRO Y MARÍA PÉREZ-ARANDA
REDONDO.
• Skinpet - Medivet (Madrid)
• Imágenes cedidas por los autores
Acudió a consulta una paciente canina mestiza de Pastor Alemán de 11 años y 27 kg de peso. El motivo de consulta fue la presencia de una lesión en la zona dorsal del tarso de la extremidad posterior derecha de un año de evolución que se lamía de manera constante.
Historial clínico
Recibía una pauta de desparasitación interna trimestral con milbemicina oxima y praziquantel (Milbemax®, Elanco) y desparasitación externa mensual los meses de primavera-verano con lotilaner (Credelio®, Elanco). Anualmente se administraban la vacuna de rabia (Eurican R®, Boehringer Inhelheim) y polivalente (Eurican DAPPi-L multi®, Boehringer Inhelheim).
Pseudomonas aeruginosa y Streptococcus canis, ambas con un amplio perfil de resistencia a los antibióticos testados. El título de anticuerpos frente a leishmaniosis resultó ser negativo.
Se había instaurado un tratamiento oral con cefalexina y prednisolona que había mejorado parcialmente la lesión cutánea, pero produjo graves efectos secundarios sistémicos con un cuadro de gastroenteritis grave aguda, decaimiento y anorexia. Un perfil hematología-bioquímica reveló elevación de transaminasas hepáticas: ALT >1000 U/L (10-25), ALP
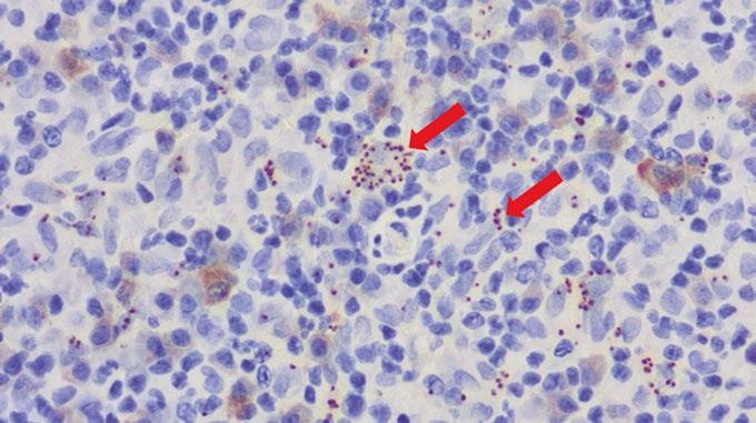
Pasada una semana tras la primera sesión se observó una mejora muy significativa, con reducción del 50 % de la superficie de extensión, ausencia de exudado seroso y disminución del lamido constante. La citología de control no mostró elementos infecciosos.
Era alimentada con un pienso gastrointestinal que controlaba satisfactoriamente un cuadro de diarrea crónica. Convivía con otra perra que no presentaba lesiones cutáneas. Los cuidadores tampoco presentaban lesiones.
En su centro de referencia se había realizado una biopsia cutánea de la lesión que dio como resultado una inflamación crónica inespecífica, así como un cultivo bacteriano que reveló la presencia de escasas colonias de
1271 U/L (23-212), GGT 261 U/L (0-11). El resultado de una ecografía abdominal concluyó la presencia de hepatopatía esteroidea. La administración del tratamiento fue suspendida y se instauró terapia de soporte.
Exploración
En el momento de la consulta de dermatología tanto los valores analíticos como el estado general de la paciente habían mejorado parcialmen-
te: ALT 124 U/L (10-25), ALP 94 U/L (23-212), GGT 13 U/L (0-11).
En la exploración general se observó baja condición corporal, leve grado de deshidratación y linfadenomegalia del ganglio poplíteo derecho.
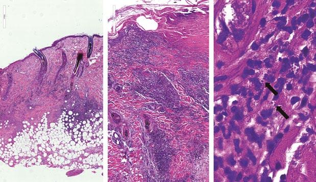
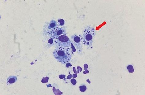
La exploración dermatológica reveló la presencia de una lesión erosivoulcerativa con solución de continuidad en la zona dorsal del tarso de la extremidad posterior derecha. Los bordes de la lesión se presentaban indurados y la zona central con un exudado seroso (figura 1). Asimismo, se apreció pelo ralo y xerosis generalizada.
Diagnóstico
Se realizó una citología por aposición de la zona en la que se observó un infiltrado piogranulomatoso con escasa presencia de formas bacterianas de tipo cocoide.
Tratamiento
Dado el mal estado general de la paciente y el proceso de recuperación en el que se encontraba, se consideró prudente evitar el empleo de medicación sistémica. Se instauró fotobiomodulación con energía lumínica (FLE) (Phovia®, Vetoquinol) realizando dos sesiones consecutivas de 2 minutos de duración con una frecuencia semanal.
Pasada una semana tras la primera sesión se observó una mejora muy significativa, con reducción del 50 % de la superficie de extensión, ausencia de exudado seroso y disminución del lamido constante (figura 2). La citología de control no mostró elementos infecciosos.
La evolución tras la tercera sesión fue favorable (figura 3), con presencia de tejido sano de granulación, ausencia de prurito e inicio de crecimiento del pelo en la zona.
La evolución tras la tercera sesión fue favorable, con presencia de tejido sano de granulación, ausencia de prurito e inicio de crecimiento del pelo en la zona.
Se mantuvo la aplicación de FLE semanalmente y se observó una progresiva cicatrización de la lesión, reepitelización superficial, disminución de la profundidad de la úlcera y ausencia de prurito (figuras 4 y 5).
Toda la información sobre Phovia en www.phovia.es. Allí puedes encontrar:
• Materiales descargables
• Estudios y experiencias clínicas descargables
• Estudios de energía lumínica
FLE
• Información sobre el funcionamiento y cómo utilizar Phovia
• Preguntas frecuentes
• Etc.
La energía lumínica FLE (Fluorescent Light Energy) es generada por el gel cromóforo cuando es iluminado por la lámpara LED.
Pero, ¿cómo se produce la aceleración de la regeneración natural que las investigaciones han demostrado obtener como resultado?
• La lámpara LED produce luz azul.
• Los cromóforos del gel generan fluorescencia bajo esta luz azul, emitiendo energía FLE policromática.
• Las moléculas fotorreceptoras de las células absorben la energía FLE, dando lugar a cambios químicos.
• Las mitocondrias se vuelven más eficientes.
• Unas mitocondrias más eficientes significan mayor producción de ATP y, por tanto, una reparación celular más rápida.
• Unas mitocondrias más eficientes significan más AMPc y más óxido nitroso (NO), lo que provoca cambios en la actividad celular y en la vasodilatación.
• Unas mitocondrias más eficientes también significan una mayor producción de especies
reactivas de oxígeno, que se producen en las células inmunitarias para atacar a bacterias y otros microorganismos.
• Las diferentes longitudes de onda de la luz penetran a diferentes profundidades y, por tanto, provocan efectos diferentes.
• Las longitudes de onda azules penetran hasta 1 mm, dirigiéndose a las bacterias y reduciendo la inflamación epidérmica.
• Las longitudes de onda verdes penetran a una profundidad de 0,5-2 mm, dirigiéndose a los fibroblastos e impulsando la proliferación de queratinocitos.
• Las longitudes de onda amarillas penetran hasta 2 mm, modulando la inflamación y mejorando la perfusión.
• Las longitudes de onda rojas, más largas, son las que más penetran, pudiendo llegar hasta los 6 mm. Estimulan la angiogénesis y modulan la inflamación, estimulan la producción de ATP y promueven la síntesis de colágeno adicional, lo que conduce a una regeneración dérmica rápida1-4
1. Marchegiani A., et al. (2019) Fluorescence biomodulation in the management of canine interdigital pyoderma cases: a prospective, singleblinded, randomized and controlled clinical study. Vet Dermatol, 30: 371-e109.
2. Marchegiani, A., et al. (2021) Applications and Future Perspectives of Fluorescence Light Energy Biomodulation in Veterinary Medicine. Vet. Sci., 8, 20.
3. Marchegiani A., et al. (2021) The Effectiveness of Fluorescent Light Energy as Adjunct Therapy in Canine Deep Pyoderma: A Randomized Clinical Trial, Veterinary Medicine International, vol. 2021, Article ID 6643416.
4. Marchegiani A., (2018) Klox Fluorescence Biomodulation System (KFBS), an alternative approach for the treatment of superficial pyoderma in dogs: preliminary results. In: Proceedings of 61st BSAVA Congress; Birmingham, England: 442.
“Disponemos de la gama más completa de alimentos dietéticos para el tracto digestivo”
La gama Gastrointestinal, enmarcada dentro del portfolio Veterinary Health Nutrition de Royal Canin, incluye productos específicamente formulados para el manejo nutricional de diferentes trastornos digestivos y hepáticos en gatos y en perros.
¿En qué consiste la línea de dietas veterinarias Gastrointestinal Tract, de Royal Canin?
Disponemos de la gama más completa de alimentos dietéticos para el tracto digestivo. La gama Gastrointestinal, enmarcada dentro de nuestro portfolio Veterinary Health Nutrition, incluye productos específicamente formulados para el manejo nutricional de diferentes trastornos digestivos y hepáticos en gatos y en perros. Comprende alimentos de perfiles nutricionales muy diferentes para responder a las necesidades tan diversas que requieren las distintas patologías que afectan al tracto digestivo y favorecer así la recuperación del animal. Son alimentos dietéticos muy palatables para que resulten atractivos a este tipo de pacientes, que suelen presentar falta de apetito, y se encuentran disponibles en distintos formatos para adaptarse lo mejor posible a sus preferencias individuales. Contamos con alimentos secos y diferentes texturas de alimentos húmedos y, además, disponemos de dietas líquidas completas para los pacientes en los que haya que recurrir a la alimentación por sonda.
También contamos con alimentos dietéticos específicamente formulados para animales en crecimiento. Tanto los gatitos como los cachorros padecen frecuentemente este tipo de patologías y es una ventaja contar con una dieta que ayude a su recuperación además de seguir aportando los beneficios de un alimento específico de crecimiento. Gastrointestinal Tract Puppy y Gastrointestinal Tract Kitten contienen niveles adaptados de energía y de nutrientes para favorecer un crecimiento saludable, teniendo en cuenta su aparato digestivo y sistema inmunitario aún inmaduros. El alimento seco son croquetas fácilmente rehidratables para crear una papilla fácil de tomar en gatitos y cachorros de menor edad, y el alimento húmedo tiene una textura tipo mousse, especialmente diseñada para estimular la ingestión de alimento y facilitar la transición de la leche al alimento sólido.
y contribuirá sin duda a su recuperación. Dentro de nuestra gama Gastrointestinal encontrará un alimento que responda a las necesidades de cada paciente.
¿Cómo de frecuente son los trastornos gastrointestinales en mascotas?
Como ya hemos comentado, los trastornos gastrointestinales son muy comunes en gatos y perros, tal y como lo confirman los datos: 1 de cada 4 ha sufrido algún tipo de sintomatología gastrointestinal en los últimos 12 meses.
¿Cuáles son los principales síntomas?
Los síntomas más típicos como la diarrea, los vómitos o el estreñimiento son los más fáciles de detectar, pero en algunas ocasiones no son tan evidentes porque aparecen de forma intermitente o las heces no son excesivamente “anormales”. Por eso es importante que el cuidador expli-
“Gastrointestinal Tract Puppy y Gastrointestinal Tract Kitten contienen niveles adaptados de energía y de nutrientes para favorecer un crecimiento saludable, teniendo en cuenta su aparato digestivo y sistema inmunitario aún inmaduros”.
¿Qué es lo que aporta? ¿A qué necesidad responde esta línea?
Los trastornos gastrointestinales son muy comunes en gatos y perros, y suponen el principal motivo de consulta al veterinario. A veces los cuidadores de mascotas piensan que se encuentran ante un problema pasajero y tienden a darle poca importancia, pero podríamos estar ante un problema más grave que necesite tratamiento médico. Por eso es importante concienciarles para que acudan siempre al veterinario para que este pueda llevar a cabo un diagnóstico, evaluar la gravedad y proporcionar una recomendación nutricional adecuada para la enfermedad que presente el animal. Es un momento en el que, más que nunca, una alimentación dietética específica será importante
“Son alimentos dietéticos muy palatables para que resulten atractivos a este tipo de pacientes que suelen presentar falta de apetito y se encuentran disponibles en distintos formatos para adaptarse lo mejor posible a sus preferencias individuales”.
solución, pero desgraciadamente carece de muchos de los nutrientes que necesitan tanto el gato como el perro y, en el caso de animales en crecimiento, queda aún más lejos de satisfacer sus necesidades nutricionales. Hace años se recomendaba incluso el ayuno, pero todos los estudios recientes indican que la alimentación temprana acorta los tiempos de recuperación de las patologías del tracto digestivo, siempre y cuando se proporcione el alimento adecuado para cada paciente.
que cómo son los hábitos higiénicos del animal, así como el aspecto de sus heces, para poder detectar cualquier alteración.
¿Cuándo es necesario el diagnóstico de un veterinario?
Acudir al veterinario debe ser el primer paso ante cualquier problema de salud de una mascota. Será el veterinario el que determine las pruebas diagnósticas necesarias en cada caso, en función de la sintomatología del animal, para instaurar el tratamiento más adecuado y la recomendación nutricional que mejor responda a las necesidades de cada paciente.
¿Cómo puede ayudar Gastrointestinal Tract de Royal Canin a contribuir a la recuperación de los problemas gastrointestinales de las mascotas?
Una alimentación dietética específica será importante y contribuirá sin duda a la recuperación de los animales que presenten este tipo de trastornos. Existe la creencia de que una “dieta blanda” a base por ejemplo de arroz con pollo es la mejor
“Todos los estudios recientes indican que la alimentación temprana acorta los tiempos de recuperación de las patologías del tracto digestivo, siempre y cuando se proporcione el alimento adecuado para cada paciente”.
Por eso insistimos en que la mejor opción es optar por alimentos dietéticos completos formulados para las diferentes patologías gastrointestinales y, además, si se trata de cachorros o gatitos, deben cumplir con los requerimientos nutricionales de los animales en crecimiento. Siempre puede ser una buena opción estar preparados por si aparecen estos síntomas, teniendo en casa una lata de alimento de primera respuesta, como las de Gastrointestinal de Royal Canin para ayudar a que el sistema digestivo se recupere lo antes posible, por ejemplo, en el caso de una indiscreción alimentaria.
Siempre sin olvidar que si los síntomas persisten hay que acudir al veterinario y, si se trata de cachorros o gatitos o hubiera vómitos persistentes o sangre en las heces, la consulta con el veterinario no se puede retrasar.
Texto e imágenes Royal Canin
IRMA VILLANUEVA Scientific Communication Manager Royal Canin“Con Yurvac® RHD protegeremos a los conejos frente a la cepa clásica y variante, incluidas las cepas altamente virulentas de la enfermedad hemorrágica del conejo”
La nueva vacuna recombinante de Hipra provoca una excelente respuesta inmunológica frente a diferentes cepas de RHD, tal y como han demostrado los estudios de eficacia que ha llevado a cabo la compañía.
Hipra siempre ha apostado por la protección de los conejos frente a las diferentes patologías víricas. Recientemente, han registrado en Europa una nueva vacuna recombinante frente a la enfermedad hemorrágica del conejo. ¿Por qué han apostado por una nueva vacuna frente a esta enfermedad?
Hipra es una compañía biofarmacéutica enfocada a la prevención para la salud animal y humana. Además, tiene una sólida presencia internacional en más de 40 países, con filiales propias, 3 centros de I+D y 6 centros de producción estratégicamente ubicados en Europa (España) y América
“Yurvac® RHD es la primera vacuna recombinante frente a RHD que está indicada para la protección frente a cepas variantes (RHDV2) altamente virulentas y la primera que presenta también protección cruzada frente a la cepa clásica (RHDV)”.
(Brasil). Esto hace que tengamos un gran conocimiento de los nuevos retos epidemiológicos que puedan surgir internacionalmente.
Por otro lado, la investigación y el desarrollo constituyen el núcleo de su conocimiento. Todas las actividades de I+D se concentran en la creación y aplicación de los últimos avances científicos al desarrollo de vacunas innovadoras de la más alta calidad.
Por todos estos motivos, estamos muy orgullosos de poder lanzar nuestra nueva vacuna, Yurvac® RHD, ya que es el resultado de muchos años de investigación enfocados en mejorar la prevención frente a la enfermedad hemorrágica del conejo.
Sabemos que es una vacuna muy especial ya que aporta innovación, no solo en medicina veterinaria, sino también frente a esta enfermedad. ¿Qué hace de Yurvac® RHD una vacuna tan especial?
Nuestra nueva vacuna Yurvac ® RHD es tan especial principalmente por tres motivos.
Para empezar, es la primera vez en medicina veterinaria que la sustancia activa de una vacuna comercial se produce a través de la levadura, como plataforma tecnológica para producir VLP (virus similares a partículas).
Además, es la primera vacuna recombinante frente a RHD que está indicada para la protección frente a cepas variantes (RHDV2) altamente virulentas.
Por último, es la primera vacuna que presenta también protección cruzada frente a la cepa clásica (RHDV).
Vamos a intentar profundizar en cada uno de ellos. ¿A qué se refiere con que se utiliza levadura para producir VLP?
Al ser una vacuna recombinante, necesitaremos una plataforma tecnológica para producir la sustancia activa. En este caso,
“Nuestra vacuna es eficaz frente a cepas variantes (RHDV2), incluyendo las cepas altamente virulentas, a 7 días posvacunación, con una duración de la inmunidad de 1 año”.
utilizamos una levadura modificada que contiene en su código genético el gen que codifica la proteína VP-60 del virus.
¿Por qué han seleccionado esta proteína?
La VP-60 es la proteína de la cápside del virus que otorga las principales características antigénicas. Además, tiene la propiedad de auto-ensamblarse en forma de VLP en el interior de la levadura. Dicha estructura permite que la vacuna provoque una excelente respuesta inmunológica frente a diferentes cepas de RHD, tal y como hemos demostrado en los estudios de eficacia.
Antes ha comentado que Yurvac® RHD es eficaz frente a cepas altamente virulentas, ¿a qué se refiere con ello?
En los últimos años, se ha detectado un aumento en la virulencia de los brotes de RHDV2. Antes las tasas de mortalidad no llegaban al 70 – 80 %. Recientemente, se están viendo ratios de mortalidad que pueden llegar a estar por encima del 80 %, incluso del 90 %. Por eso, necesitamos vacunas cada vez más eficaces, sobre todo que protejan frente a cepas que estén circulando actualmente.
“La sustancia activa de Yurvac® RHD es la proteína recombinante de la cápside del virus RHDV2. Por lo tanto, la vacuna no contiene proteínas de la cepa clásica.
Sin embargo, hemos demostrado que protege frente a esta cepa clásica”.
¿Y Yurvac® RHD protege frente a este tipo de cepas?
Sí, con resultados excelentes. Nuestra vacuna es eficaz frente a cepas variantes (RHDV2), incluyendo las cepas altamente virulentas, a 7 días posvacunación, con una duración de la inmunidad de 1 año.
También ha comentado que Yurvac® RHD ofrece protección cruzada frente a la cepa clásica. ¿A qué se refiere?
La sustancia activa de Yurvac ® RHD es la proteína recombinante de la cápside del virus RHDV2. Por lo tanto, la vacuna no contiene proteínas de la cepa clásica. Sin embargo, hemos demostrado que protege frente a esta cepa clásica (RHDV, también nombrada anteriormente como RHDV1).
A partir de los resultados que han obtenido en las pruebas de seguridad, ¿Yurvac® RHD se puede administrar en conejos de compañía?
Sí, se puede administrar tanto en conejos de compañía como en conejas gestantes y lactantes. Nuestros estudios de seguridad así lo avalan. Además, se puede aplicar a partir de los 30 días de edad, ya que hemos demostrado que no queda interferida por la inmunidad maternal.
Para acabar, ¿qué plan vacunal recomiendan ahora que esta nueva vacuna ya está disponible en España?
Anteriormente, nuestros clientes utilizaban Eravac® para proteger a los conejos frente a la cepa variante (RHDV2), Cunipravac® para protegerlos frente a la cepa clásica (RHDV) y Mixohipra-FSA o Mixohipra-H para protegerlos frente a mixomatosis. Ahora, con nuestra nueva vacuna recombinante, ya no deberá administrarse ni Eravac® ni Cunipravac®, únicamente con Yurvac® RHD protegeremos a los conejos frente a la cepa clásica y variante, incluidas las cepas altamente virulentas de la enfermedad hemorrágica del conejo. Por lo tanto, los conejos quedarán protegidos frente a estas enfermedades víricas, administrando Yurvac® RHD y Mixohipra.
Texto e imágenes Hipra
SANDRA GASCON TORRENS Global Product Manager en HipraLa dirofilariosis afecta a numerosas especies de animales de compañía y silvestres. Los cambios medioambientales y la globalización, que ha aumentado el movimiento de animales entre países, favorecen la propagación de la enfermedad y el desarrollo y supervivencia de los mosquitos que la transmiten durante periodos más largos del año.
Alba Climent Pastor1, Patricia Sebastián Marcos2 / 1Gda. Vet, Residente ECVIM-CA (Cardiology). 2Lda. Vet, MSc, MRCVS, Dip. ECVIM-CA (Cardiology). Servicio de Cardiología, Respiratorio y Cardiología Intervencionista Hospital Veterinario de Referencia de la Universidad Católica de Valencia / Imágenes cedidas por los autores
Introducción
La dirofilariosis o enfermedad del gusano del corazón está causada por el organismo Dirofilaria immitis (D. immitis). Es una enfermedad crónica que afecta principalmente a las arterias pulmonares y los pulmones. El corazón se puede ver afectado en la última fase de la infección, cuando el daño endovascular y la presencia de parásitos deriva en hipertensión pulmonar y este aumento de la poscarga acaba provocando un fallo del corazón derecho (cor pulmonale), que conduce a una insuficiencia cardiaca congestiva derecha. Muchos animales responden favorablemente al tratamiento con pronóstico favorable pero, lamentablemente, las infecciones más graves y las complicaciones asociadas pueden poner en peligro la vida del paciente. Dirofilaria es un parásito transmitido por vectores. Existen más de 70 especies de mosquitos culícidos que pueden servir como hospedadores intermediarios (las familias más frecuentes son Culex, Aedes y Anopheles). La dirofilariosis canina se ha diagnosticado en todo el planeta y los cambios medioambientales y la globalización, que ha aumentado el movimiento de animales entre países, favorecen la propagación de la enfermedad y el desarrollo y supervivencia de los mosquitos durante periodos más largos del año. La humedad y la temperatura ambiente son fundamentales para mantener la población de mosquitos viable y permitir el desarrollo de las microfilarias en el interior del mosquito de larva 1 a larva 3 (estadio infectante).
La dirofilariosis afecta a numerosas especies de animales de compañía y silvestres. El perro doméstico y algunos cánidos salvajes (lobo, zorro, etc.) son los hospedadores definitivos habituales del parásito y, por tanto, sus principales reservorios. De forma menos común se ha diagnosticado en gatos y hurones (hospedadores menos adecuados), además de considerarse una enfermedad zoonótica, que puede afectar a personas inmunodeprimidas.
En este artículo profundizaremos en muchos de los aspectos de la enfermedad, respondiendo a preguntas y dudas habituales de esta patología.
El ciclo de vida de la D. immitis es relativamente largo, de 7 a 9 meses (figura 1), por lo que los perros desarrollan infecciones patentes generalmente a partir de los 7-9 meses después de la infección (el mínimo tiempo descrito es de 6 meses).
¿Cómo se infecta un perro por Diro laria immitis? ¿Qué provoca la infección?
Para entender la infección es muy importante conocer bien el ciclo de vida del
parásito, que describe la transmisión, el desarrollo y el periodo de prepatencia. Así podemos entender la susceptibilidad de las diferentes fases de vida del parásito a los fármacos disponibles para lograr un buen manejo terapéutico y mejorar las expectativas del tratamiento.
El ciclo de vida de la D. immitis es relativamente largo, de 7 a 9 meses (figura 1), por lo que los perros desarrollan infecciones patentes generalmente a partir de los 7-9 meses después de la infección (el mínimo tiempo descrito es de 6 meses).
El ciclo empieza cuando un mosquito se alimenta con sangre de un hospedador infectado, es decir, microfiláremico (con presencia de microfilarias o lavas en estadio 1 “L1”). En el interior del mosquito, si la temperatura es adecuada entre 8-17 días, estas microfilarias evolucionan hasta larva en estadio 3 (L3); estadio infectante. La L3 migra al aparato bucal del mosquito permitiendo que cuando un mosquito se alimente de un nuevo hospedador sea infectado. En este estadio (L3) las larvas están sexualmente
El parásito adulto provoca un daño/trauma mecánico directo, estimulación antigénica y liberación de sustancias/excreciones tóxicas que dañan la capa íntima de los vasos, provocando una endoarteritis pulmonar proliferativa, inflamación (neumonitis eosinofílica), hipertensión pulmonar e incluso predisposición a infecciones crónicas y fibrosis.
diferenciadas, se introducen en el hospedador a través de la herida realizada en la piel por el mosquito y evolucionan de L3 a L4 (3-12 días) en la zona de picadura (tejido subcutáneo, adiposo o músculo). Las L4 mudan a su estadio final entre los días 50 a 70. Estos vermes adultos inmaduros (L5) entran al sistema vascular y migran hasta el corazón y los pulmones (aproximadamente 70-120 días después de la infección inicial), crecen rápidamente, aumentando su longitud (hembras 25 cm y machos 15 cm) y llegando a la madurez sexual. Los vermes adultos empiezan a producir microfilarias a partir de los 184-210 días post-infección. Con las microfilarias ya en el torrente sanguíneo del hospedador un nuevo mosquito puede transmitir la enfermedad a otro hospedador, completando así el ciclo del parasito.
El parásito adulto provoca un daño/trauma mecánico directo, estimulación antigénica y liberación de sustancias/excreciones tóxicas que dañan la capa íntima de los vasos, provocando una endoarteritis pulmonar proliferativa, inflamación (neumonitis eosinofílica), hipertensión pulmonar e incluso predisposición a infecciones crónicas y fibrosis (figura 2). Esto puede complicarse con obstrucción arterial y vasoconstricción causada por los vermes vivos, además de tromboembolismos pulmonares de vermes muertos. A consecuencia de estos cambios vasculares pulmonares, se puede producir remodelación cardiaca derecha (cor pulmonale) e insuficiencia cardiaca congestiva. Como parte de la patogénesis de la dirofilariosis, hay que remarcar el papel de las bacterias del género Wolbachia. Esta bacteria endosimbiótica vive intracelularmente dentro del parásito a lo largo de todos sus estadios (larvas y adultos) y es necesaria para la maduración, reproducción y la infectividad del parásito filarioide. Ade-
más, potencia la inflamación y estimulación antigénica del huésped a través de la producción de endotoxinas y proteínas de superficie. Tratar de erradicar esta bacteria es un pilar importante del tratamiento. La gravedad de la patología cardiopulmonar provocada por el parásito va a depender del número de vermes adultos (carga parasitaria), la respuesta inmunitaria del hospedador, la duración de la infección (cuanto más crónica es la infección, mayor es el daño al sistema cardiopulmonar y mayor el riesgo de enfermedad y muerte) y muy importante la actividad física del paciente. Los perros con mayor actividad física tienden a desarrollar con mayor frecuencia hipertensión pulmonar ante una misma carga parasitaria, ya que el ejercicio/esfuerzo incrementa la patología pulmonar arterial y la resistencia vascular pulmonar, resultando o agravando la hipertensión pulmonar.
¿Cuáles son los hallazgos clínicos habituales en un perro con dirofilariosis?
Hay que tener en cuenta que la mayoría de los perros no presentan signos clínicos y muchos pueden mantenerse asintomáticos durante meses o años, a menos que haya una carga parasitaria grave de gusanos y/o un alto nivel de ejercicio.
En función de la gravedad de los signos clínicos, clasificamos la dirofilariosis en:
• Leve: pacientes mínimamente afectados a nivel clínico, asintomáticos o con tos leve.
• Moderada: pacientes con tos, intolerancia al ejercicio y sonidos pulmonares anormales.
• Grave: pacientes gravemente afectados y que manifiestan tos, intolerancia al ejercicio, disnea, sonidos pulmonares y cardiacos anormales, síncope (por hipertensión pulmonar), insuficiencia cardiaca congestiva de-
recha (ascitis) y muerte.
• Síndrome caval: pacientes con síndrome de vena cava, con debilidad generalizada acompañada de hemoglobinuria. En algunos casos, el acúmulo de complejos antígeno-anticuerpo, formados en respuesta a la estimulación antigénica del parásito, pueden producir problemas secundarios como glomerulonefritis. Además, aunque es poco común, la dirofilariosis también puede producir enfermedades debido a la migración aberrante de los vermes. Se ha asociado con manifestaciones neuromusculares y oculares porque se han descrito vermes en tejidos como el músculo, el cerebro, la médula espinal y la cámara anterior del ojo. Es importante conocer el grado de afecta-
Hay que remarcar el papel de las bacterias del género Wolbachia, que vive intracelularmente dentro del parásito y potencia la inflamación y estimulación antigénica del huésped a través de la producción de endotoxinas y proteínas de superficie. Tratar de erradicar esta bacteria es un pilar importante del tratamiento.
ción de los pacientes para prevenir las posibles complicaciones que puedan surgir durante el tratamiento.
¿Qué es el síndrome de vena cava? ¿Es urgente su tratamiento?
El síndrome caval es una complicación relativamente poco común pero grave de
la dirofilariosis y requiere de tratamiento urgente. Se produce en pacientes con una alta carga parasitaria y con la mayoría de los vermes (más del 60 %) residiendo en el atrio derecho y las venas cavas (figura 3). El pronóstico es reservado y sin tratamiento, la muerte ocurre frecuentemente en un plazo de 24 a 72 horas debido a un shock cardiogénico, complicado frecuentemente por anemia, acidosis metabólica y coagulación intravascular diseminada (CID).
Este síndrome se produce debido a la migración retrógrada de adultos de dirofilaria hacia el atrio derecho y venas cavas, lo que provoca una obstrucción parcial del flujo hacia el corazón derecho. Al interferir con el aparato valvular provoca insuficiencia tricúspidea con el consiguiente soplo sistólico y aumento de la presión venosa central, pudiendo observarse pulso yugular en estos pacientes. La hipertensión pulmonar preexistente aumenta los efectos hemodinámicos de la insuficiencia tricúspide y por ello en algunos casos, aparte de provocar fallo cardiaco congestivo derecho, puede disminuir el gasto cardiaco por reducción de la precarga del ventrículo izquierdo.
Estos eventos precipitan un inicio agudo de signos clínicos, que incluyen anemia hemolítica causada por el trauma a los glóbulos rojos al pasar a través de una agrupación de vermes en las cámaras derechas y venas cavas. La hemólisis intravascular, la acidosis metabólica y la función hepática disminuida contribuyen al desarrollo de CID. En algunos perros se puede observar disfunción hepatorrenal. La causa de esta se sospecha que es de origen multifactorial por los efectos combinados de la congestión pasiva, la disminución de la perfusión y los efectos nocivos de los productos de la hemólisis. A nivel clínico, la mayoría de los perros presentan un inicio repentino de anorexia, debilidad, depresión, ocasionalmente tos, junto con disnea y hemoglobinuria. La hemoglobinuria se considera patognomónica para este síndrome.
¿Qué pruebas deben realizarse para diagnosticar la dirofilariosis?
El diagnóstico de la enfermedad en los perros se basa en la detección de microfilarias y/o la detección de antígenos circulantes de dirofilaria. Es recomendable realizar ambos tipos de pruebas para un máximo rendimiento diagnóstico y los resultados deben tomarse conjuntamente e interpretarse junto con los resultados del examen clínico, pruebas de laboratorio y pruebas de imagen torácica.
Pruebas de antígenos de filaria
La detección de antígenos circulantes de D. immitis es la técnica diagnóstica más sensible y específica. Las pruebas de
antígenos pueden utilizarse para realizar un screening en perros asintomáticos y para confirmar sospechas clínicas de enfermedad.
Mediante Ensayo Inmunoabsorbente Ligado a Enzimas (ELISA) se detecta una proteína producida principalmente en el tracto reproductor de los vermes femeninos adultos. A pesar de su elevada sensibilidad, podemos obtener falsos negativos en determinadas circunstancias: si solo hay vermes macho presentes, si las hembras son todavía inmaduras o cuando hay poca carga parasitaria. Además, en algunos perros, los complejos antígenoanticuerpo pueden interferir con la prueba de antígenos.
A pesar de su elevada especificidad, se pueden obtener resultados falsos positivos. Se han reportado casos de reacciones cruzadas (falsos positivos) con infecciones por Angiostrongylus vasorum y Spirocerca lupi
La mayoría de los perros con síndrome de vena cava presentan un inicio repentino de anorexia, debilidad, depresión, ocasionalmente tos, junto con disnea y hemoglobinuria. La hemoglobinuria se considera patognomónica para este síndrome.
Detección de microfilarias
La mayoría de los perros microfilarémicos pueden detectarse examinando con el microscopio una gota de sangre fresca bajo un cubreobjetos en busca de microfilarias o movimiento celular provocado por microfilarias en movimiento (método de gota fresca). No obstante, esta prueba no es sensible cuando hay presentes
La detección de antígenos circulantes de D. immitis es la técnica diagnóstica más sensible y específica. Las pruebas de antígenos pueden utilizarse para realizar un screening en perros asintomáticos y para confirmar sospechas clínicas de enfermedad.
bajos números de microfilarias. Para obtener resultados más precisos, existen técnicas de concentración (test de Knott o de filtración modificados) para determinar la ausencia o presencia de microfilarias. El test de Knott modificado sigue siendo el método de elección para observar la morfología y dimensiones corporales con objetivo de diferenciar la D. immitis de especies de filarias no patógenas.
Incluso en áreas endémicas, muchos perros infectados (20 %) pueden no ser microfilarémicos, y esta cifra aún es mayor en perros que reciben profilaxis con lactonas macrocíclicas.
Radiografía torácica
La radiografía proporciona un método más objetivo de evaluar la gravedad de la enfermedad cardiopulmonar derivada de la infección de dirofilaria. Las anormalidades radiográficas, que se desarrollan relativamente temprano en la evolución de la enfermedad, están presentes en aproximadamente el 85 % de los casos. Los hallazgos radiográficos típicos (casi patognomónicos) de la enfermedad vascular por dirofilariosis afectan a las arterias pulmonares lobulares, principalmente caudales, que se observan dilatadas y tortuosas. Otros cambios encontrados son dilatación del tronco de pulmonar, inflamación perivascular y cambios en el
parénquima pulmonar en distintos grados (generalmente más graves en los lóbulos caudales), aumento de tamaño del corazón derecho e incluso efusión pleural en casos de insuficiencia cardiaca congestiva derecha.
Ecocardiografía
La ecocardiografía no es un método eficaz para el diagnóstico de dirofilariosis, en particular en perros con una infección leve, debido a que los vermes a menudo están limitados a las ramas periféricas de las arterias pulmonares, fuera del campo de visión ecocardiográfico. No obstante, cuando las dirofilarias son numerosas, es más probable que estén presentes en la arteria pulmonar principal y sus ramas derecha e izquierda o en el corazón derecho, donde pueden observarse fácilmente (figura 4). La pared corporal de las dirofilarias adultas es altamente ecogénica y produce imágenes características de líneas paralelas con la apariencia de “signos iguales”.
La ecocardiografía permite la evaluación de la anatomía cardiaca y de las consecuencias funcionales de la enfermedad (evaluar los cambios a nivel de corazón derecho y arterias pulmonares principales, afectación a nivel valvular tricúspide y pulmonar, y estimación de la gravedad de la hipertensión pulmonar). La visualización de dirofilaria en la válvula tricúspide en perros con hemoglobinuria confirma el síndrome caval.
El test de Knott modificado sigue siendo el método de elección para observar la morfología y dimensiones corporales con objeto de diferenciar la D. immitis de especies de filarias no patógenas.
Patología clínica
Las anormalidades clínico-patológicas durante la infección son inespecíficas, no siempre están presentes y comúnmente están relacionadas con un estado inflamatorio. A menudo solo se observan cambios marcados en hematología y bioquímica en la etapa tardía de la enfermedad o cuando se producen cambios agudos como en el síndrome caval.
Comúnmente se observa un grado de leve a moderado de anemia no regenerativa normocítica-normocrómica, leucocitosis, eosinofilia y basofilia. Más raramente, se puede observar trombocitopenia, especialmente en presencia de CID.
A nivel bioquímico puede aparecer azotemia, aumento en las enzimas hepáticas e hiperbilirrubinemia mientras que el análisis de orina puede revelar proteinuria. En presencia de glomerulonefritis grave pueden llegar a presentar hipoalbuminemia, además de hemoglobinuria en caso de síndrome caval.
La ecocardiografía permite la evaluación de la anatomía cardiaca y de las consecuencias funcionales de la enfermedad (evaluar los cambios a nivel de corazón derecho y arterias pulmonares principales, afectación a nivel valvular tricúspide y pulmonar, y estimación de la gravedad de la hipertensión pulmonar).
¿Qué tratamientos existen?
Los objetivos de cualquier tratamiento contra la dirofilariosis son mejorar el estado clínico del paciente y eliminar todos los estadios de las dirofilarias (microfilarias, fases larvarias juveniles y adultas) con el mínimo de complicaciones posteriores al tratamiento.
Restringir la actividad del perro es fundamental, ya que el ejercicio es uno de los factores más significativos que pueden contribuir a la aparición de complicaciones tras el tratamiento adulticida (principalmente tromboembolismo pulmonar). Los pacientes que muestran síntomas significativos de padecer dirofilariosis, pueden requerir de estabilización inicial antes de administrar un adulticida. Esto puede incluir el uso de glucocorticoesteroides, diuréticos, vasodilatadores, agentes inotrópicos positivos y fluidoterapia. Antes de la terapia adulticida, los perros infectados deben ser evaluados y clasificados según el riesgo bajo o alto de tromboembolismo post-adulticida (tabla 1). La terapia adulticida mediante dihidrocloruro de melarsomina es el único fármaco adulticida aprobado para el tratamiento de dirofilariosis. La melarsomina elimina los vermes adultos de ambos sexos. En el pasado se consideraba que la melarsomina no tenía actividad contra vermes menores de 4 meses de edad; pero datos recientes sugieren que podría tener una mayor eficacia contra los vermes juveniles de la que se creía.
La melarsomina se administra por vía intramuscular profunda en la musculatura lumbar epaxial (entre L3 y L5) a una dosis de 2,5 mg/kg. Las guías americana de dirofilariosis (Animal Heartworm Society - AHS) y europea de dirofilariosis y angiostrongylosis (European Society of Dirofilariosis and Angiostrongylosis
La terapia adulticida mediante dihidrocloruro de melarsomina es el único fármaco adulticida aprobado para el tratamiento de dirofilariosis. La melarsomina elimina los vermes adultos de ambos sexos.
- ESDA) recomiendan el protocolo de 3 dosis por su mayor seguridad y eficacia. Este protocolo consiste en una primera inyección seguida, tras un mínimo de 30 días después, de otras dos inyecciones de la misma dosis con 24 horas de diferencia. El objetivo es matar los vermes gradualmente, minimizando el riesgo del tromboembolismo pulmonar. Algunos animales pueden desarrollar una leve inflamación y dolor en el lugar de la inyección. Esto se minimiza asegurándose de que la inyección se administra en el grueso de la musculatura y con una aguja nueva de calibre apropiado para el tamaño del paciente. En casos puntuales pueden incluso requerir un grado de sedación.
Previamente al tratamiento adulticida, se recomienda el pre-tratamiento con dosis preventivas de una lactona macrocíclica combinada con doxiciclina. Esta última reduce los números de Wolbachia en todas las fases de la dirofilaria.
La doxiciclina debe administrarse previamente a la melarsomina, con objeto de que los organismos Wolbachia y sus metabolitos se hayan reducido o desaparecido cuando los vermes mueran y fragmenten. La doxiciclina se administra a 10 mg/kg BID durante 4 semanas.
Actualmente, la AHS y ESDA recomiendan la administración mensual durante los dos meses previos a la administración de melarsomina de una lactona macrocíclica desde el inicio del tratamiento con el objetivo de eliminar las larvas jóvenes existentes susceptibles (L3 y L4) (no susceptibles a melarsomina) y minimizar la brecha en la susceptibilidad debido a la incompleta eficacia de la melarsomina contra los vermes adultos jóvenes. Este pretratamiento permite que los vermes de mayor edad (2 y 4 meses) se vuelvan susceptibles a la melarsomina. Datos posteriores sugieren que la melarsomina es eficaz contra vermes menores de cuatro meses y que las lactonas macrocíclicas tienen cierta eficacia contra vermes ma-
El consenso veterinario sobre el uso de antitrombóticos y trombolíticos (CURATIVE) recomienda que se considere la terapia antitrombótica en perros con dirofiariosis, particularmente en aquellos con enfermedad más grave y aquellos sometidos a terapia adulticida.
yores de dos meses, minimizando dicha brecha de susceptibilidad. Con ello se podría plantear un protocolo de tratamiento más corto en un futuro, si se constatan estos datos.
A lo largo de la terapia adulticida se recomienda tratamiento de soporte mediante el uso de prednisona en dosis antiinflamatoria e incluso antihistamínicos para minimizar posibles reacciones al tratamiento, especialmente en perros en los que se han detectado numerosas microfilarias circulantes.
Con respecto a la terapia antitrombótica, la AHS no recomienda actualmente el uso de antitrombóticos en el tratamiento de perros con dirofilariosis. No obstante, el consenso veterinario sobre el uso de antitrombóticos y trombolíticos (CURATIVE) recomienda que se considere la terapia antitrombótica en perros con dirofiariosis, particularmente en aquellos con enfermedad más grave y aquellos sometidos a terapia adulticida.
En los casos en los que la terapia con melarsomina no se posible o esté contraindicada, se ha descrito una alternativa en una terapia adulticida alternativa con lactonas macrocíclicas y doxiciclina. Consiste en el uso de un fármaco preventivo de administración mensual (lactona macrocíclica) de forma continuada junto con doxiciclina 10 mg/kg cada 12 horas durante un periodo de 4 semanas. Este protocolo da como resultado una rápida eliminación de microfilarias (21 días), rompiendo el ciclo de transmisión del parásito. Además, la mayoría de los perros se vuelven negativos al antígeno en 10 meses, lo que indica un efecto adulticida. Al igual que con la melarsomina, la restricción el ejercicio es importante durante todo el tratamiento.
¿En qué pacientes debemos recomendar la extracción quirúrgica de los vermes de dirofilaria y en qué consiste?
La extracción quirúrgica de los gusanos (figura 5) mediante cirugía intervencionista o de mínima invasión está recomendada en pacientes con una carga parasitaria alta, en los que el riesgo de complicaciones (especialmente tromboembolismo) asociado al tratamiento con adulticida es elevado, así como en pacientes que se presentan con síndrome caval. Es independiente del tratamiento médico, es decir, una vez el paciente esté estabilizado,
al cabo de semanas-meses se debe llevar cabo el tratamiento adulticida previamente descrito para eliminar los vermes restantes que no han podido ser extraídos. Estos pacientes, especialmente si presentan con síndrome caval, se encuentran hemodinámicamente inestables, por lo que suelen requerir estabilización previamente al procedimiento ya que el riesgo anestésico es alto. Esto puede incluir oxigenoterapia, toracocentesis o abdominocentesis (en pacientes que se presentan con fallo cardiaco congestivo derecho), terapia intravenosa con fluidos y vasopresores para mejorar el gasto cardiaco, transfusiones de productos sanguíneos (concentrado eritrocitos, plasma fresco congelado, sangre fresca, de albúmina), etc. Antes del procedimiento, suelen administrarse corticoesteroides, antihistamínicos (difenhidramina), anticoagulantes y antiagregantes plaquetarios (heparina de bajo peso molecular y clopidogrel) además de doxiciclina, con el objetivo de minimizar las posibles complicaciones del procedimiento. En estos pacientes la eliminación física de los vermes supone un beneficio inmediato tanto a nivel hemodinámico como en la carga parasitaria para favorecer el posterior tratamiento adulticida.
El daño o fragmentación de los gusanos durante la extracción puede llegar a provocar un colapso circulatorio agudo, por lo que es importante tener experiencia en el campo quirúrgico para realizar la extracción del parásito.
Las complicaciones que pueden ocurrir durante la extracción de los vermes incluyen tromboembolismo, anafilaxia, hemorragia, arritmias y muerte. El daño o fragmentación de los gusanos durante la extracción puede llegar a provocar un colapso circulatorio agudo, por lo que es importante tener experiencia en el campo quirúrgico para realizar la extracción del parásito. Según el estado del paciente, el procedimiento se puede realizar con sedación y
Bajo riesgo de complicaciones tromboembólicas. Baja carga parasitaria y sin evidencia de lesiones pulmonares parenquimatosas y/o vasculares
Perros que tienen todas las siguientes condiciones:
• Asintomáticos
• Radiografías torácicas normales
• Bajo nivel de antígeno circulante o una prueba de antígeno negativa con presencia de microfilarias
• No se observan vermes en la ecocardiografía ni evidencia de hipertensión pulmonar
• No hay enfermedades concurrentes
• Los dueños están de acuerdo en restringir el ejercicio
anestesia local o bajo anestesia general, abordando la vena yugular derecha. El procedimiento se realiza asistido mediante fluoroscopia y ecocardiografía transesofágica preferiblemente, para alcanzan las venas cavas, cámaras cardiacas derechas e incluso arteria pulmonar y mediante el uso de un lazo o cesta capturar todos los vermes que sea posible, hasta que ya no puedan recuperarse más. Inmediatamente después de una operación exitosa, el soplo sistólico se reduce o desaparece, y en un plazo de entre 12 a 24 horas suele corregirse la hemoglobinuria. El plazo de recuperación postquirúrgico suele ser de 2-3 días de hospitalización con monitorización intensiva antes de poder ser enviados a casa con vistas a continuar el tratamiento médico.
¿Se puede prevenir la dirofilariosis?
La dirofilariosis puede prevenirse mediante la administración de lactonas macrocíclicas que son capaces de eliminar las larvas infectivas de hasta 30 días de edad (ivermectina, milbemicina, moxidectina y selamectina). La administración mensual eliminará todas las larvas que los mosquitos hayan introducido en los últimos 30 días. La formulación inyectable de liberación lenta disponible en algunos países mantiene el efecto larvicida durante los 6-12 meses.
La recomendación actual es llevar a cabo la prevención durante todo el año, incluso en invierno, ya que las “islas de calor urbanas” (garajes, edificios) permiten que los mosquitos sobrevivan. El uso de piretroides sintéticos tópicos aplicados mensualmente disminuye significativamente el riesgo de picaduras de mosquitos en perros (efecto “anti-alimentación”). pero es importante destacar que no sustituye el uso de lactonas macrocíclicas.
La dirofilariosis puede prevenirse mediante la administración de lactonas macrocíclicas que son capaces de eliminar las larvas infectivas de hasta 30 días de edad (ivermectina, milbemicina, moxidectina y selamectina).
Alto riesgo de complicaciones tromboembólicas. Alta carga parasitaria y/o evidencia de lesiones pulmonares parenquimatosas y/o vasculares
Perros que tienen como mínimo una de las siguientes condiciones:
• Presentan signos clínicos asociados a la enfermedad
• Radiografías torácicas anormales
• Alto nivel de antígeno circulante
• Se observan vermes en la ecocardiografía y/o evidencia de hipertensión pulmonar
• Enfermedades concurrentes
• Poca probabilidad de restringir el ejercicio
Bibliografía:
• Ettinger, S. J., Feldman, E. C., & Cote, E. (2017). Textbook of Veterinary Internal Medicine. Elsevier health sciences.
• ESDA (European Society of Dirofilariosis and Angiostrongylosis). Guidelines for clinical management of canine heartworm disease (2017).
• AHS (American Heartworm Society). Current Canine Guidelines for the Prevention, Diagnosis and Management of Heartworm (Dirofilaria immitis) Infection in Dogs (2018).
• Carretón E, Falcón-Cordón Y, Falcón-Cordón S, Morchón R, Matos JI, Montoya-Alonso JA. Variation of the adulticide protocol for the treatment of canine heartworm infection: Can it be shorter? Vet Parasitol. 2019 Jul; 271:54-56.
• Romano AE, Saunders AB, Gordon SG, Wesselowski S. Intracardiac heartworms in dogs: Clinical and echocardiographic characteristics in 72 cases (2010-2019). J Vet Intern Med. 2021 Jan;35(1):88-97.
• Vila J, Alost E. Management and outcome of intracardiac heartworms in dogs. Parasit Vectors. 2023 Apr 28;16(1):146.
• deLaforcade A, Bacek L, Blais MC, Boyd C, Brainard BM, Chan DL, Cortellini S, Goggs R, Hoareau GL, Koenigshof A, Li R, Lynch A, Ralph A, Rozanski E, Sharp CR. 2022 Update of the Consensus on the Rational Use of Antithrombotics and Thrombolytics in Veterinary Critical Care (CURATIVE) Domain 1- Defining populations at risk. J Vet Emerg Crit Care (San Antonio). 2022 May;32(3):289-314.
• Weisse, C, Berent, A. (2015). Veterinary Image-Guided interventions. Wiley Blackwell.
Tabla 1. Clasificación de perros con dirofilariosis en función del riesgo de tromboembolismo postadulticida.“El email es la herramienta de marketing que mejor me ha funcionado desde que abrí la clínica, mucho mejor que las redes sociales”
José Luis Guerrero compagina la clínica de pequeños con la mentoría en marketing digital. En esta entrevista nos habla de su experiencia usando esta herramienta en su día a día.
¿Cómo resumiría su trayectoria profesional?
Llevo ejerciendo 34 años y puede decirse que he hecho de todo en esta bendita profesión. Me inicié en 1989 haciendo clínica de ganado vacuno y desde entonces no he parado.
En el 93 pasé a hacer nutrición animal para una distribuidora de productos zoosanitarios y ahí empecé a interesarme por las ventas y el marketing. Después trabajé cinco años como gerente en Cooperativa Xallas, una cooperativa de ganado lechero de La Coruña, y los siguientes haciendo gestión de compras y control de calidad para un grupo de fábricas de pienso de La Coruña hasta que, en 2006, decidí por motivos familiares pasarme a la clínica de pequeños animales.
Actualmente, compagino la clínica de pequeños con la mentoría en marketing digital.
proyecto en 1997: una web sobre nutrición animal con la que esperaba dar un pelotazo.
Sé que hoy día suena muy loco, pero antes de que saliera Google al mercado se creía que el futuro de internet estaba en los portales web. Yo me inspiré en Pep Vallés, que acababa de vender ole.com a Terra por 3.000 millones de pesetas (18 millones de euros) por aquel entonces pensé: “malo será que no venda nuntricionanimal.net por 30.000 euros”.
El proyecto fracasó porque la adopción de internet en el sector ganadero fue más lenta de lo esperado y acabó estallándome la burbuja puntocom en la cara. Sin embargo, no me desanimé, me sirvió para iniciarme en el diseño web y he seguido creando proyectos y haciendo un montón de cursos relacionados con el SEO y el marketing digital.
Creo que he adquirido una experiencia en estos años que puede ser valiosa para cualquier veterinario que quiera potenciar su negocio en internet.
Si tuviera que recomendar una estrategia de marketing digital, ¿por cuál empezaría?
Sin lugar a duda, empezaría por el email marketing, lo que mejor está funcionando en la actualidad.
El email marketing genera autoridad y fidelización, sirve para lanzar nuevos servicios y permite comunicar en situaciones excepcionales, como las crisis de reputación, tan frecuentes en veterinaria desde que hay redes sociales.
Es la herramienta más eficaz para compartir tus valores y diferenciarte de la competencia si lo hace bien; además, reduce las tasas de deserción y mejora el ratio de visitas/año.
Definitivamente, recomendaría el email marketing a todo veterinario que tenga un listado de emails de clientes.
“El email marketing genera autoridad y fidelización, sirve para lanzar nuevos servicios y permite comunicar en situaciones excepcionales, como las crisis de reputación, tan frecuentes en veterinaria desde que hay redes sociales”.
¿Qué le llevó a compaginar el ejercicio clínico con el marketing?
He estado muy relacionado con la gestión empresarial y las ventas desde los inicios de mi carrera. En 1993 me saqué un máster en marketing y dirección comercial por la Facultad de Empresariales de La Coruña, lo cual resultaba un poco friki para un veterinario de la época: hay que tener en cuenta que el Grupo de Gestión de Avepa no se fundó hasta el 2007 o el 2008.
Poco después empezó a introducirse internet en España y ahí nació mi interés por el marketing digital. Hice mi primer
¿Por qué es tan eficaz el email marketing en el sector veterinario?
Un ciudadano medio recibe entre 3.000 y 5.000 impactos de publicidad diarios. Y el problema es que han desarrollado una coraza publicitaria para defenderse de tanto bombardeo. En marketing lo denominamos infoxicación.
El email marketing es la herramienta ideal para atravesar esa coraza.
Funciona muy bien para conseguir cumplimiento en todo tipo de servicios veterinarios, por una razón es muy sencilla: el poder de la repetición.
“El email marketing permite establecer un canal directo con tus clientes que hace posible compartir tus valores y diferenciarte de la competencia. Una herramienta muy económica para reducir las tasas de deserción y mejorar el ratio de visitas/año”.
Cualquier veterinario sabe que, si manda un recordatorio de vacunación, pone más vacunas que si no lo hace. ¿Por qué no usarlo para dar a conocer nuevos servicios?
El email marketing permite establecer un canal directo con tus clientes que hace posible compartir tus valores y diferenciarte de la competencia. Una herramienta muy económica para reducir las tasas de deserción y mejorar el ratio de visitas/año.
¿Qué ventajas tiene el email marketing frente a las RRSS?
Lo que te voy a decir nunca lo cuentan los comnunity managers, pero la cruda realidad es que, si no pagas, es prácticamente imposible tener más de un 3 % de visibilidad entre tus seguidores.
Me explico: o eres un genio que conviertes todos tus post en virales o pasas por la caja de Zuckerberg. No hay más.
Se ha puesto muy complicado conseguir visibilidad en redes. Pero el problema no es ese: el verdadero problema empezó con la pandemia, hasta la panadera de mi barrio se ha montado un ecommerce y pone anuncios en Instagram.
Los precios de la publicidad en RRSS se han triplicado en los últimos 4 años.
El precio de un anuncio en Instagram ya ronda 8 euros por cada mil impresiones. Esto es un hecho.
El coste del email marketing es irrisorio comparado con las RRSS. Hoy día puedes mandar más 60.000 correos al mes por menos de 25 euros al año.
¿No cree que la gente ya recibe demasiados correos?
Es cierto, pero eso es porque hay demasiadas empresas haciendo lo mismo.
Las pocas clínicas que hacen email marketing mandan correos llenos de logos y ofertas exclusivas. Igualitos que los que mandan los bancos.
Es el típico email marketing de look corporativo que aburre hasta a las ovejas.
Ojo; aun así, funcionan, de lo contrario dejarían de hacerlo los bancos. Pero si tu negocio es pequeño, no te queda otro remedio que cambiar de estrategia, o te perderás en la bandeja de promociones de tus clientes.
Hoy día puede conseguirse con técnicas de storytelling, una modalidad de marketing de contenidos que se basa en contar historias en torno a una marca y sus productos. Está funcionando muy bien este tipo de anuncios.
JOSÉ LUIS GUERRERO Veterinario Marketing digital para veterinarios en Joseleguerrero.comLa razón es sencilla: el cerebro humano
NO está hecho para leer ni escribir. Antes de que aprendiéramos a escribir, los Sapiens ya llevábamos 150.000 años contándonos chismes.
La prueba está en que aprendemos a hablar con solo dos años, pero gastamos 14 en aprender a escribir más o menos bien.
Las historias ayudan porque ordenan la información de manera que el cerero no tiene que esforzarse para comprender el mensaje. Yo aplico el storytelling en todas mis campañas.
“Se ha puesto muy complicado conseguir visibilidad en redes. Pero el problema no es ese: el verdadero problema empezó con la pandemia, hasta la panadera de mi barrio se ha montado un ecommerce y pone anuncios en Instagram”.
¿Cuándo empezó a usar email marketing?
Yo empecé mandando presupuestos a la gente que llamaba a mi clínica pidiendo precios de castraciones.
En vez de darles el precio en frío, tipo telegrama, descubrí que pidiéndoles su dirección de correo y mandándoles un texto persuasivo, conseguía que vinieran a castrar más a mi clínica que si no lo hacía.
Por ejemplo, si me pedían el precio de castrar una hembra, les mandaba un correo explicando las enfermedades que podrían evitar y las ventajas de mi servicio de cirugía mínimamente invasiva.
Se dice que la gente no lee, pero yo veía que los que lo leían convertían mucho más, entonces decidí especializarme en el tema del copywriting
A principios del 2020 llegó la pandemia y lo cambió todo. De la noche a la mañana todos teníamos una necesidad imperiosa de comunicarnos con nuestros clientes. Las razones son obvias y me decidí a mandar correos masivos a todo mi listado de clientes.
Los primeros correos que mandé fueron una pasada. Mi lista tenía tasas de apertura de un 70 % y se leían 3 y 4 veces cada uno.
Desde entonces no he parado: actualmente mando dos correos semanales a mis clientes y puedo asegurarte que el email es la herramienta de marketing que mejor me ha funcionado desde que abrí la clínica, mucho mejor que las redes sociales.
¿Cree que el email marketing podría funcionar en otros sectores veterinarios, además de en las clínicas?
El email marketing está funcionando en muchos sectores diferentes. No veo motivos para que no funcione en cualquier sector de la veterinaria, desde un consultorio de barrio a un veterinario encargado de una ADS de porcino. No conozco ningún sector donde esto no sea muy rentable cuando lo haces bien.
Metes a la gente una costumbre de repetición. Un veterinario que manda todas las semanas correos a sus clientes, cuando alguno de ellos necesite un veterinario, no se va a ir a un amigo a preguntar por el suyo, van a ir directamente a aquel que está en su mente.
Si lo piensas bien, estar presente en la mente de tus clientes, tiene un poder realmente muy potente.
Invito a todo el mundo a hacer esto.
Yo tengo alumnos que lo están haciendo y también les funciona muy bien.
¿Cuál es la mejor forma de hacer email marketing en veterinaria?
Lo primero que te diría es que te olvides de la forma de escribir que te enseñaron en el colegio, y también de los tecnicismos de la Facultad. Escribe como hablas, hazlo directo y sencillo: escríbelo como se lo contarías a tu abuela.
Usar frases largas como “estudiaremos la naturaleza del tumor mediante una punción ecoguiada”, “realizamos una ovariohisterectomía mínimamente invasiva”, “análisis espectrofotométrico” y cosas por el estilo no funcionan. Nunca escribas como un veterinario o no te van a leer.
El lenguaje técnico y académico aburre hasta a las ovejas, y el aburrimiento está prohibido en la redacción persuasiva. Los clientes pueden perdonar que llegues tarde a una cita, pero nunca te perdonarán que les aburras.
¿Cómo debería ser un correo para que convierta lectores en visitas a tu clínica?
El tema es muy amplio, pero voy a tratar de explicar dos principios que son fundamentales. Si los aplicas, cualquier clínica veterinaria puede aumentar considerablemente sus ventas.
Cuando mandas un email, lo primero que debes evitar es algo que puede sonar muy raro: no tenemos que poner logos en los emails, no tenemos que poner colorines, no tenemos que llenarlo de enlaces, ni de fotografías. Eso no funciona.
Lo digo con la experiencia haber mandado miles de emails, no es una simple opinión: hay que evitar hacer el famoso branding de marca en los correos.
Un email que funciona debe tener el aspecto como el que mandas a un familiar o un amigo. Ese es el email que funciona, que no parezca un folleto publicitario.
Un veterinario no puede imitar a su banco cuando manda sus emails porque pones en guardia a tus clientes, la gente no se siente cómoda leyendo publicidad.
Es importante que primero acabemos con esa barrera. Por muy potente que sea la empresa en la que trabajes, yo recomiendo no poner logos con vuestros colores corporativos porque estarás convirtiendo menos de lo que podrías con un email más natural.
A lo mejor la mascota falleció hace un mes y tu cliente estuvo todo el domingo de guardia.
Empezar así suena hipócrita a cualquier persona medianamente inteligente, ya sé que muchas empresas comunican así, pero mi consejo es que huyas del servilismo y la falsa amabilidad. No resulta creíble, suena demasiado comercial y aburre a tus lectores.
Cuando recibes un correo que parece un anuncio, el inconsciente te dice: “ya están queriéndome vender algo”.
La gente no es tonta, sabe que se lo estás mandando a mil personas. Además, si todos respondieran qué tal les ha sido el fin de semana, no harías otra cosa en la vida.
Hay muchos más factores para hacer un email persuasivo, pero solo respetando estas dos reglas, ya consigues mejorar mucho las conversiones.
¿Por qué son tan importantes los titulares en email marketing?
El 99 % de la gente abre un correo en función de lo que ponga en el asunto.
“Lo primero que te diría es que te olvides de la forma de escribir que te enseñaron en el colegio, y también de los tecnicismos de la Facultad. Escribe como hablas, hazlo directo y sencillo: escríbelo como se lo contarías a tu abuela”.
¿Cuál sería el segundo?
Otra cosa fundamental es no empezar tus emails con el típico: “Hola, ¿cómo estás?”, “Espero que tu mascota siga feliz”, o “¿Qué tal el fin de semana?”.
Cada vez que escribes un mal titular estás dando un portazo a tus clientes. Si nadie abre tus correos estás muerto, todo el esfuerzo habrá sido en vano. Es el primer reto que tenemos y el más importante.
“Cuando mandas un email, lo primero que debes evitar es algo que puede sonar muy raro: no tenemos que poner logos en los emails, no tenemos que poner colorines, no tenemos que llenarlo de enlaces, ni de fotografías. Eso no funciona”.
Hay al menos 10 tipos de titulares que van a hacer que destaque tu mensaje en una bandeja llena. Uno de los que más me gustan son los titulares raros. Algo estrambótico o estrafalario, un contrasentido. Este tipo de asuntos funcionan muy bien porque fijan la atención del lector, generan curiosidad. Por ejemplo, uno de los anuncios de más éxito de todos los tiempos lo mandó Barack Obama para recaudar fondos en las elecciones de 2014. El asunto decía: “Hey”. Nada más. Tres letras y un éxito sonado que le llevó a la presidencia de Estados Unidos. Son extraordinariamente persuasivos precisamente por la rareza, por el impacto que nos produce. Otro tipo de titulares que funcionan muy bien son los de autoridad. Consisten en llamar la atención con algún aspecto de tu formación o experiencia profesional. Sirven para posicionarte como un experto en tu especialidad. Por ejemplo: “Algo que me enseñaron en la Facultad y que no sirve absolutamente para nada”. El correo de autoridad es tremendamente persuasivo porque genera confianza. Vuelve al cliente más receptivo a tus tratamientos. Hay más tipos de titulares: yo animo a los compañeros a que se formen y conozcan estas técnicas, porque son muy rentables.
¿Cómo pueden encontrarte los veterinarios interesados en email marketing? Lo más fácil es darse una vuelta por mi web en joseleguerrero.com y apuntarse a mi lista. Allí tengo una comunidad de veterinarios interesados en el marketing digital que reciben los mismos correos que mando a los clientes de mi clínica. Además, mando una píldora semanal sobre marketing aplicado a la veterinaria
Argos
Imágenes cedidas por José Luis Guerrero
Incorporar a la consulta unas sencillas pautas o gestos hace que incremente la confianza del cliente y, con ella, la valoración de los servicios del centro veterinario. En muchas ocasiones se trata de comportamientos que se pueden implementar de forma sencilla y que es importante que todo el equipo conozca, realice y tenga interiorizados.
Vera González Veterinaria Marketer y comunicadoraRecientemente leí un estudio realizado en 2023 según el cual, en España, el 95 % de las familias con mascota la consideran “un miembro más”, equiparándola así a un hijo; y ese es uno de los porcentajes más elevados de Europa. En otro estudio se comentaba cómo, por primera vez en la historia, en todas las provincias de España hay ya más perros que niños.
Como veterinaria, amante de los animales —y “madre perruna” de tres peludos—, estos datos me hacen inmensamente feliz; pero, al mismo tiempo, no puedo evitar interesarme por cómo esto afecta a las expectativas depositadas en nuestra profesión: a nuestro día a día clínico, a nuestro bienestar y al de nuestras mascotas y, muy particularmente, a las habilidades necesarias para acoger y desplegar una consulta exitosamente.
él que hiciese mil pruebas para descubrir, analizar o comprender el origen del problema. Su trabajo era simple: solucionar lo más barato y rápido posible el asunto por el que acudíamos a su consulta.
Pero, como señalan los estudios antes mencionados, los tiempos están cambiando, las expectativas y exigencias de los dueños sobre el veterinario también, y eso en una era en la que la información (y la desinformación) se encuentran a un clic; una era en la que todo el mundo cree saber de todo y todo individuo se siente lógicamente con derecho a opinar.
Hoy en día, los pet-parents queremos y necesitamos más; no buscamos un veterinario que se limite a resolver el problema de nuestras mascotas sin ofrecernos las explicaciones necesarias; buscamos a alguien en quien confiar y depositar el cuidado de la salud y bienestar de un miembro de nuestra familia, querido —y posiblemente “mimado— por todos. Demandamos un profesional bien formado en quien dejar, como dirían Marta Sánchez y Carlos Baute,
Para quienes acudimos con nuestras mascotas es muy diferente que el veterinario, nada más vernos, nos pregunte “¿cómo va con los picores que tenía?” o “¿ha mejorado su relación con otros perros?” a que, al entrar en consulta, nos pregunte por enésima vez si toma alguna medicación o si está esterilizado.
ofrecer como consejos cuatro simples actitudes, gestos, disposiciones o ejercicios —llámalos como quieras— que, incorporados en tus consultas, proporcionarán, sin duda alguna, una atención a tus pacientes que incrementará su confianza y la valoración de tus servicios, su voluntad de regresar a ti siempre que su mascota lo necesite y, cómo no, de recomendarte a todos sus amigos.
Conecta
Recuerdo, cuando era pequeña, cómo nuestro veterinario casi siempre intentaba buscar la solución más económica y eficaz para resolver el problema por el que acudíamos a su consulta: si el perro tenía diarrea, nos recetaba antibióticos; si le picaba la piel, corticoides, etc. No parecía necesario ir más allá; no se esperaba de
“el corazón colgando en tus manos”.
Llevo ya años dedicándome a la comunicación y al desarrollo del negocio veterinario, viendo y analizando, en diferentes contextos geográficos y culturales, cómo los veterinarios reciben y atienden a sus clientes y mascotas. Teniendo en cuenta lo que vengo comentando, hoy quiero
Esto va de humanos, insisto, de humanos; en su día, empezamos nuestra formación con ganas de curar, cuidar y salvar a todos los perros y gatos que lleguen a nuestras manos y, sin embargo, en el inicio mismo de nuestra actividad profesional, para bien o para mal, constatamos que con quien vamos a lidiar no es con ellos, sino con sus propietarios. Y los propietarios, como todos los seres humanos, necesitamos sentirnos bien recibidos, escuchados, valorados y comprendidos; y no por vanidad, sino porque sabemos que somos muy importantes para nuestras mascotas; que su salud, su bienestar y su vida dependen de nosotros.
No estoy sugiriendo que pongas una alfombra roja y toque una banda de mariachis cada vez que entre un cliente con su mascota. Pero te recomendaría, y este es mi primer consejo, que escuches con
auténtica y verdadera atención todo aquello que él te dice; que habilites y dispongas lo necesario para generar un ambiente relajado y de confianza que le permita a tu cliente sentirse en condiciones de describir, narrar, explicar y contar todo lo que le ha hecho acudir a tu consulta.
Para ello, previamente a la consulta, puede ser buena idea echar un vistazo a la ficha del paciente constatando si ha acudido o no al centro otras veces, cuáles fueron los motivos, el diagnóstico, el tratamiento que se le recomendó, etc. y así tener una buena referencia del historial clínico del animal que tienes enfrente; porque, para quienes acudimos con nuestras mascotas, es muy diferente que el veterinario, nada más vernos nos pregunte “¿cómo va con los picores que tenía?” o “¿ha mejorado su relación con otros perros?” a que, al entrar en consulta, nos pregunte por enésima vez si toma alguna medicación o si está esterilizado.
En su día, empezamos nuestra formación con ganas de curar, cuidar y salvar a todos los perros y gatos que lleguen a nuestras manos y, sin embargo, en el inicio mismo de nuestra actividad profesional, para bien o para mal, constatamos que con quien vamos a lidiar no es con ellos, sino con sus propietarios. No asumas que el propietario te está entendiendo; ya sabes, a los humanos nos cuesta mucho reconocer nuestras limitaciones y es más fácil simular y fingir que entendemos a reconocer que nos suena todo a chino.
1 2
Esta práctica la puedes extender —y te lo recomiendo encarecidamente— tanto como quieras; sería deseable anotar cualquier tipo de dato que se comente en la consulta sobre “la familia” de la mascota y que pueda serte útil, posteriormente, para establecer este vínculo y conexión tan necesaria —tal como decíamos al principio— con los propietarios; por ejemplo, de qué equipo de fútbol son, si los niños tocan algún instrumento, o cualquier referencia circunstancial que pueda ser recuperada en una consulta posterior, evidenciando tu implicación con ellos, que realmente les recuerdas y valoras.
Este consejo se lo tomo prestado a Stephen Covey, quien lo desarrolla muchísimo más en su libro Los 7 hábitos de la gente altamente efectiva. Pero tiene gran relevancia en el contexto que estamos exponiendo.
Como profesionales de la salud animal estamos muy habituados a hablar con tér-
minos que, aunque no nos lo parezca, corresponden a nuestra especialización y son altamente científicos, por ejemplo: urolitos, dermatitis, anticuerpos, diagnóstico, hipersensibilidad, terapia, fármaco, etc. Ese es nuestro particular vocabulario y en él se han institucionalizado palabras que, de tanto oírlas, leerlas, usarlas y trabajarlas, nos parecen familiares y que todo el mundo entiende. Para hacerte una idea de lo que esto supone puedes escuchar a un abogado o a un economista; seguramente, si eres como, yo solo los entenderás parcialmente aunque ellos consideren que están usando el menor vocabulario técnico posible. Hace unos años participé en unas jornadas sobre divulgación científica y nos propusieron un ejercicio que ahora voy a plantearte. Piensa en una enfermedad que hayas visto recientemente en la clínica y ahora escribe a continuación los cinco términos clave para entender y/o describir esa enfermedad. Por ejemplo, la dermatitis atópica:
• Anticuerpos
• Sistema inmunitario
• Prurito
• Inflamación
• Crónica
Ahora, y este es mi segundo consejo, intenta explicar la dermatitis atópica sin usar ninguna de esas palabras, de manera que puedas ser fácilmente comprendido. No soy dermatóloga, pero creo que tu conversación con el cliente podría ser algo así: “tu perro sufre una enfermedad que le va a acompañar toda su vida (crónica), que hace que su piel esté más roja (inflamación) y que le pique (prurito); este trastorno se debe a un funcionamiento defectuoso de sus propias defensas (sistema inmunitario) que están reaccionando excesiva y desproporcionadamente a algo que no deberían”.
Insisto, porque creo que es una cuestión relevante, que siempre que puedas hagas este ejercicio mentalmente cuando estés hablando con un propietario sobre un procedimiento diagnóstico, una cirugía o cualquier tratamiento. Por favor, no asumas que el propietario te está enten-
Es tan deseable como imprescindible que nos posicionemos como la principal fuente de información, explicando a nuestros clientes, con la mayor claridad y transparencia posibles, todo lo que se puede hacer con su mascota.
diendo; ya sabes, a los humanos nos cuestan mucho reconocer nuestras limitaciones y es más fácil simular y fingir que entendemos a reconocer que nos suena todo a chino.
3 4
Hace unos años, los dueños, mayoritariamente, querían lo más barato y rápido. Hoy en día todo indica que las cosas han cambiado y ahora todos queremos lo mejor; pero, además, queremos entender qué pasa, cuál es la causa o el motivo de lo que pasa y qué opciones se nos pueden ofrecer.
A veces, como profesionales, nos puede dar apuro ofrecer un tratamiento que, a nuestro parecer, puede suponer alguna dificultad en su administración o un gran desembolso para los propietarios; pero la realidad es que, muy posiblemente, si no ofrecemos, describimos y explicamos las diferentes alternativas terapéuticas disponibles, el propietario al salir de la consulta las encontrará por sí mismo en internet. Y es ahí donde puede empezar a crearse el recelo, la susceptibilidad y la desconfianza hacia nosotros.
Como veterinarios —y este es mi tercer consejo— es tan deseable como imprescindible que nos posicionemos como la prin-
cipal fuente de información, explicando a nuestros clientes, con la mayor claridad y transparencia posibles, todo lo que se puede hacer con su mascota: analizando y describiendo con un lenguaje sencillo los pros y contras de las distintas opciones y permitiendo así al propietario tomar una decisión lo mejor informada posible.
Es altamente recomendable que alguien del equipo (ATV, recepcionista, estudiante en prácticas, o quien sea) explicite y evidencie interés por el estado, el ánimo o la salud de la mascota, enviando un mensaje al cabo de 24 horas preguntando cómo se encuentra. Es un detalle que supone mucha diferencia.
La visita acaba; las expectativas del cliente, no. Cuando un propietario y su peludo salen de tu clínica o consulta es importante que sientan que el acompañamiento sigue, que no están solos, que la clínica que sigue ahí. No digo que tú personalmente hagas un seguimiento con llamadas diarias. ¡Faltaría! Pero sí que es altamente recomendable —y este es mi cuarto consejo— que alguien del equipo (ATV, recepcionista, estudiante en prácticas, o quien sea) explicite y evidencie interés por el estado, el ánimo o la salud de la mascota, enviando un mensaje al cabo de 24 horas preguntando cómo se encuentra. Es un detalle pequeño, pero créeme que supone mucha diferencia.
Probablemente alguna o varias de las sugerencias o consejos compartidos en este artículo ya sean hábitos en tu clínica. No obstante, pese a ello, te invito a sentarte con tu equipo y a ver cómo se puede mejorar o maximizar su atención en consulta ofreciendo así una mejor experiencia a tus clientes, de manera que estos se sientan atendidos, comprendidos, seguros y, sobre todo, con la certeza de que tienen al mejor equipo veterinario para la salud de su peludo.
Más allá de lo común: casos clínicos desafiantes en la leishmaniosis canina
Boehringer Ingelheim presenta una serie de artículos donde diferentes expertos, desde su experiencia, mostrarán casos clínicos desafiantes en la leishmaniosis canina con el objetivo de ayudar a los veterinarios clínicos en el reconocimiento de estos casos y orientarles sobre su abordaje diagnóstico y un manejo adecuado.
La leishmaniosis canina sigue presentando desafíos clínicos significativos debido a su variabilidad en las manifestaciones clínicas y/o analíticas. Por ello, tanto el abordaje diagnóstico como el manejo de la enfermedad pueden ser complicados, principalmente en zonas endémicas. Estos tres casos clínicos ilustran tres escenarios en los que, a pesar de tratarse de un cuadro de leishmaniosis ulcerativa, el diagnóstico definitivo se consigue de formas algo diferentes.
Introducción
La leishmaniosis canina es una patología sistémica causada por Leishmania infantum, que frecuentemente cursa con afección cutánea. De hecho, se considera que incluso más del 80 % de los perros enfermos presentan lesiones cutáneas en algún momento de la enfermedad, siendo esta la única manifestación de la patología en algunas ocasiones.1
La gran variedad de signos clínico-patológicos observados en los animales enfermos son el reflejo de diversos factores, como el tipo de respuesta inmunitaria del hospedador contra el parásito, características propias del paciente y la existencia de comorbilidades, así como de algunas características del propio parásito1-4. Desde un punto de vista inmunológico, es bien sabido que cuando un perro se infecta por L. infantum su sistema inmunitario puede responder mediante una respuesta celular o humoral (formación de anticuerpos). El tipo de respuesta predominante marcará la evolución de la enfermedad y determinará los signos clínicos observados en cada paciente5-7
Las lesiones ulcerativas atípicas pueden suponer en ocasiones un desafío diagnóstico y terapéutico, principalmente en zonas no endémicas, ya que comparten características clínicas con otras patologías.
Las diferentes presentaciones clínicas dermatológicas se asocian a su vez con una carga variable de parásitos a nivel cutáneo, y con diferentes patrones histopatológicos. Como ejemplos, podemos observar inflamación piogranulomatosa o granulomatosa que afecta directamente a diferentes estructuras cutáneas, o cambios secundarios al depósito de inmunocomplejos (antígeno-anticuerpo) en los vasos sanguíneos2. Estas diferencias son un condicionante a la hora de elegir la mejor herramienta diagnóstica en cada caso.
Las manifestaciones dermatológicas producidas por la leishmaniosis se han clasificado como típicas y atípicas y, a su vez, existen cuadros clínicos más y menos comunes dentro de ambos grupos (tabla 1).1 En concreto, las lesiones ulcerativas de la piel producidas por la leishmaniosis pueden considerarse más o menos típicas según el caso, siendo las más comunes las que afectan a salientes óseos. Las lesiones ulcerativas atípicas, por su parte, pueden suponer en ocasiones un desafío diagnóstico y terapéutico, principalmente en zonas endémicas, ya que comparten características clínicas con otras patologías. Las lesiones ulcerativas relacionadas con la leishmaniosis pueden producirse por diferentes mecanismos fisiopatológicos, aunque algunos de ellos todavía no son comprendidos en su totalidad: • Uno de ellos es el daño vascular (vasculitis/vasculopatía), que da lugar a la pérdida de la vascularización cutánea regional. Como consecuencia, es habitual observar úlceras y costras, principalmente en regiones apicales del cuerpo (márgenes de pabellones auriculares, punta de la cola, almohadilla) (figura 1). Pero en ocasiones dicho daño puede producir lesiones erosivo/ulcerativas y costrosas en otras localizaciones, en forma de cráter, inflamatorias y más o menos dolorosas; o incluso los cambios derivados de una dermatosis isquémica, como
puede ser alopecia no inflamatoria o cicatricial8 (figura 2). Se ha descrito ampliamente la presencia de inmunocomplejos circulantes en perros con leishmaniosis9. Cuando se depositan en las paredes de los vasos sanguíneos se pone en marcha una reacción inflamatoria más o menos intensa, produciéndose un daño vascular que da lugar a los cuadros clásicos de vasculitis10. Así, los perros con lesiones atribuibles a una vasculitis suelen presentar altos títulos de anticuerpos anti-Leishmania11
• Pero las lesiones ulcerativas observadas en casos de leishmaniosis no necesariamente estarán asociadas a daño vascular. Se han descrito lesiones ulcerativas en áreas sujetas a traumatismo crónico (figura 3), en las que el daño tisular no está causado ni por vasculitis ni directamente por el
Tabla 1. Diferentes cuadros clínicos dermatológicos asociados a leishmaniosis.
Cuadros típicos Cuadros atípicos
Dermatitis exfoliativa con alopecia
Dermatitis ulcerativa en prominencias óseas
Dermatitis papular
Otras dermatitis ulcerativas (ej. en plano nasal o en regiones sometidas a traumatismo continuo)
Dermatitis ulcerativa mucocutáneas
Dermatitis nodular mucocutánea
Onicogrifosis Dermatitis pustular
Alopecia multifocal
Hiperqueratosis naso-digital
Tabla adaptada de Ordeix L, Fondati A. In: Solano-Gallego, L. (Ed). Leishmaniosis canina. Una revisión actualizada. Servet. 2013. Pg 69-95.
Isaac Carrasco Rivero / LV – PhD – Acred Dermatología AVEPA – GPCertDerm - PGDDermparásito, sino porque este se instala en una lesión primaria complicando el proceso de curación1. La liberación de un gran número de amastigotes a la dermis desde los macrófagos infectados circulantes da lugar a un cuadro grave de inflamación necrotizante. En estos pacientes no siempre tendremos altos niveles de anticuerpos en sangre, por lo que el diagnóstico definitivo puede ser algo más complejo y requiere de otras técnicas diagnósticas para la detección del parásito.
• Y, por último, y no por ello menos importante, la alteración de la homeos-
tasia cutánea y del sistema inmunitario causada por la enfermedad puede predisponer al paciente a presentar infecciones secundarias bacterianas y fúngicas, así como a la proliferación de parásitos como Demodex spp., dando lugar a lesiones que en ocasiones pueden ser profundas y erosivo-ulcerativas12; complicando todavía más el diagnóstico definitivo de la enfermedad (figura 4).
Es importante entender, en la medida de lo posible, la fisiopatología de cada una de las lesiones para poder elegir en cada caso la mejor técnica diagnóstica, o la mejor combinación de estas.
Casos clínicos
Caso 1
Reseña e historia clínica
Se presenta a consulta un Pinscher macho de 2 años con un cuadro dermatológico generalizado de varias semanas de evolución. Vive en un piso en Barcelona sin más animales.
Diagnóstico definitivo Leishmaniosis.
Tratamiento
Antimoniato de meglumine + alopurinol.
Seguimiento
Después de 2 semanas de tratamiento, las lesiones habían mejorado parcialmente, pero todavía existía mucha inflamación y dolor. Se añaden glucocorticoides a la terapia (inicio de 0,7 mg/ kg/día de prednisolona), observando una mejoría significativa a los pocos días (figura 7).
Caso 2
Reseña e historia clínica
Se presenta a consulta un Labrador macho de 12 años porque hace semanas que tiene una lesión ulcerativa y dolorosa en un dedo, con mala respuesta a antibióticos vía oral y pomadas cicatrizantes. Vive en un piso en Barcelona. Hace unos meses se realizó una prueba rápida en sangre, en la que obtuvo un resultado negativo de Leishmania
Examen físico general
Linfadenopatía periférica moderada. Resto de parámetros dentro de la normalidad.
Examen dermatológico
Lesión nodular ulcerativa en región interdigital plantar (entre dedo 4 y 5), dolorosa a la palpación (figura 8).
Diagnóstico diferencial más probable
Examen físico general Linfadenopatía periférica moderada. Resto de parámetros dentro de la normalidad.
Examen dermatológico Lesiones ulcerativo-costras, dolorosas, que afectan a varias regiones corporales, incluido el escroto (figura 5).
Diagnóstico diferencial más probable
• Vasculitis/vasculopatía generalizada [de origen infeccioso (ej. leishmaniosis) farmacológico, autoinmune].
• Infecciones profundas (bacterianas, fúngicas).
• Paniculitis nodular estéril.
• Reacciones farmacológicas.
Pruebas diagnósticas realizadas
• Citología de las lesiones: inflamación piogranulomatosa. En las muestras obtenidas no se observan bacterias intracelulares ni estructuras compatibles con amastigotes.
• Inflamación crónica (furunculosis) interdigital.
• Infecciones profundas (bacterianas, fúngicas) con furunculosis asociada.
• Cuerpo extraño.
• Pododemodicosis.
• Leishmaniosis.
• Neoplasia.
Pruebas diagnósticas realizadas
• Citología de las lesiones: inflamación piogranulomatosa. En las muestras obtenidas se observa un gran número bacterias (cocoides y bacilares) intracelulares, además de estructuras compatibles con amastigotes de Leishmania spp. dentro de macrófagos (figura 9).
• Serología de Leishmania spp. y proteinograma: ELISA 4,14 [0-0,9]. Gammaglobulinemia moderada 2,4 [0,28-1,57].
• Estudio histopatológico de las lesiones: en este caso no se realiza estudio
En ocasiones, el diagnóstico definitivo se basa en la mejoría clínica observada después del tratamiento; aunque lamentablemente tampoco servirá como respuesta definitiva en algunos casos (como en el caso 1).
• Serología de Leishmania spp. y proteinograma: ELISA 2,28 [0-0,9]. Proteinograma sin alteraciones.
• Estudio histopatológico de las lesiones: dermatitis perivascular superficial y profunda, nodular, histiocítica, linfocítica y plasmocítica, moderada, crónica, con amastigotes de Leishmania spp. intralesionales. Dermatitis de la unión, pobre en células, subaguda con degeneración hidrópica y apoptosis de queratinocitos. Dermatitis ulcerativo-necrotizante multifocal, grave con vasculitis neutrofílica y necrosis de paredes vasculares, edema y hemorragias. Necrosis del panículo adiposo (figura 6).
histopatológico ya que se visualizaron claramente amastigotes en la citología de la lesión dermatológica.
Diagnóstico definitivo Leishmaniosis.
Tratamiento
Antimoniato de meglumine + alopurinol.
Seguimiento
Después de 2 semanas de tratamiento, las lesiones habían mejorado significativamente. Se continúa con el seguimiento analítico-clínico adecuado desde un punto de vista de medicina interna (figura 10).
Caso 3
Reseña e historia clínica
Se presenta a consulta un perro mestizo macho de 7 años con leishmaniosis diagnosticada y controlada por el servicio de Medicina Interna meses atrás. Actualmente está en tratamiento únicamente con inmunoestimuladores (nucleótidos), ya que no tolera el alopurinol (producción de xantinas en orina); proteinograma normalizado y serología ELISA 1,4 [0-0,9].
Se encuentra clínicamente estable, pero han aparecido lesiones en almohadillas, que le producen dolor y cojera.
Examen físico general
Linfadenopatía periférica leve-moderada. El resto de los parámetros se encuentran dentro de la normalidad.
Examen dermatológico
• Hiperqueratosis plantar moderada.
• Lesiones ulcerativas en cojinetes digitales (figura 11).
Diagnóstico diferencial más probable
• Leishmaniosis.
• Traumatismo.
• Infecciones profundas (bacterianas, fúngicas).
• Cuerpo extraño.
• Reacciones farmacológicas.
• Enfermedades autoinmunes con afección de unión dermoepidérmica.
Pruebas diagnósticas realizadas
• Citología de las lesiones: inflamación piogranulomatosa. En las muestras obtenidas se observa un gran número bacterias (cocoides) intracelulares.
• Estudio histopatológico de las lesiones (tras tratamiento antibiótico sistémico, sin observar mejoría significativa): dermatitis nodular a coalescente, histiocítica, linfocítica y plasmocítica, crónico activa, grave, difusa. Tinción inmunohistoquímica altamente positiva para Leishmania spp. (figura 12).
Diagnóstico definitivo Leishmaniosis.
Tratamiento
Antimoniato de meglumine.
Seguimiento
Después de 2 semanas de tratamiento,
las lesiones habían mejorado significativamente.
Se continúa con el seguimiento analíticoclínico adecuado desde un punto de vista de medicina interna.
Diagnóstico
Estos tres casos clínicos ilustran tres escenarios en los que, a pesar de tratarse de un cuadro de leishmaniosis ulcerativa, el diagnóstico definitivo se consigue de formas algo diferentes.
Alcanzar un diagnóstico definitivo puede ser complejo en algunos casos de leishmaniosis, por lo que debemos ser capaces de elegir la opción ideal entre todas las herramientas diagnósticas que tenemos a disposición13
Es importante entender, en la medida de lo posible, la fisiopatología de cada una de las lesiones para poder elegir en cada caso la mejor técnica diagnóstica, o la mejor combinación de estas (tabla 2).
por lo general, el daño vascular está producido por el depósito de inmunocomplejos, y no por el ataque directo del parásito, por lo que el uso de otras técnicas como la tinción de inmunoperoxidasa sobre la muestra de biopsia puede no ser útil. Por otro lado, es posible que durante el estudio histopatológico se observen cambios que sugieran un daño vascular, pero en muchos casos no será posible confirmar ni descartar que la causa de este sea la leishmaniosis.
Mejoría clínica después del tratamiento
En ocasiones, el diagnóstico definitivo se basa en la mejoría clínica observada después del tratamiento; aunque lamentablemente tampoco servirá como respuesta definitiva en algunos casos (como en el caso 1) ya que, aunque el daño vascular sea secundario a la leishmaniosis, si no se trata la respuesta inflamatoria a la vez que
El estudio citológico será de especial interés principalmente en pacientes donde la serología es negativa o muy baja. En muchos casos será necesario el uso de tinciones específicas sobre la muestra de biopsia con el objetivo de visualizar los amastigotes de Leishmania, mejor que con las tinciones de rutina, ya que en estas pueden ser difíciles de visualizar, principalmente si hay una baja carga.
Serología y lesiones clínicas
La vasculitis/vasculopatía es uno de los mecanismos fisiopatológicos implicados en la aparición de lesiones ulcerativas en perros con leishmaniosis.
Tal como hemos comentado, es común que estas lesiones se produzcan en pacientes con altos niveles de anticuerpos, por lo que es habitual emitir un diagnóstico clínico presuntivo de vasculitis en pacientes con serología positiva y lesiones clínicas compatibles, sin llegar a hacer un estudio histopatológico de las mismas.
Estudio histopatológico
Considerando que puede haberse producido un daño vascular temporal, y que este puede no seguir activo en el momento de la toma de muestra, el estudio histopatológico tampoco sería definitivamente diagnóstico en todos los casos. Además,
1. Ordeix L, Fondati A. In: Solano-Gallego, L. (Ed). Leishmaniosis canina. Una revisión actualizada. Servet. 2013. Pg 69-95.
la propia enfermedad infecciosa primaria es posible que los signos clínicos no mejoren según lo esperado.
Será adecuado en todos los casos descartar otras patologías que puedan cursar con daño vascular, como otras enfermedades infecciosas (ej. Ehrlichiosis), enfermedades inmunomediadas (como el lupus) o reacciones de hipersensibilidad a vacunas y/o otros fármacos, sin olvidar las causas idiopáticas para las que algunas razas se encuentran sobre-representadas (como el Jack Russell).1,14
Visualización directa del parásito
El diagnóstico definitivo pasará por descartar otras patologías infeccioso/inflamatorias y, en muchos casos, por el uso de técnicas que evidencien la presencia de parásito en la lesión. Para esto, el uso de la citología puede ser de gran ayuda,
2. Saridomichelakis MN. Advances in the pathogenesis of canine leishmaniosis: epidemiologic and diagnostic implications. Vet Dermatol 2009; 20: 471–489.
3. Baxarias M, Álvares-Fernández A, Martínez-Orellana P, et al. Does co-infection with vector-borne pathogens play a role in clinical canine leishmaniosis? Parasit Vectors 2018;11(1):135.
4. Cabré M, Planellas M, Ordeix L, et al. Is signalment associated with clinicopathological findings in dogs with leishmaniosis? Vet Rec 2021;189(10): e451.
5. Koutinas AF, Koutinas CK. Pathologic mechanisms underlying the clinical findings in canine leishmaniasis due to Leishmania infantum/chagasi. Vet Pathol 2014;51(2):527-38.
6. Papadogiannakis EI, Koutinas AF. Cutaneous immune mechanisms in canine leishmaniosis due to Leishmania infantum. Vet Immunol Immunopathol 2015;163(3-4):94-102.
7. Hosein S, Blake DP, Solano-Gallego L. Insights on adaptive and innate immunity in canine leishmaniosis. Parasitology 2017;144(1):95–115.
Tabla 2. Diferentes técnicas
la
Parasitológicas
Citología
Estudio histológico
Inmunohistoquímica
Cultivo
Moleculares PCR (diferentes tipos)
Serológicas Cuantitativa (IFAT y ELISA)
Cualitativa (pruebas rápidas)
Adaptada de https://www.leishvet.org/fact-sheet/diagnosis/
como vimos en el caso 2; pero no siempre será sencillo evidenciar amastigotes en el estudio citológico, por la gran inflamación asociada y la facilidad de hemo contaminación de estas muestras.
Así, el estudio histopatológico será de especial interés principalmente en pacientes donde la serología es negativa o muy baja. En muchos casos será necesario el uso de tinciones específicas sobre la muestra de biopsia con el objetivo de visualizar los amastigotes de Leishmania, mejor que con las tinciones de rutina, ya que en estas pueden ser difíciles de visualizar, principalmente si hay una baja carga.
Pruebas moleculares (PCR)
El uso de pruebas moleculares (PCR) puede ser útil, pero su alta sensibilidad la hace menos adecuada en zona endémica ya que un resultado positivo no necesariamente implica que el daño cutáneo que estamos viendo esté causado directamente por la leishmaniosis, sino que existe material genético del parásito en nuestro paciente.
Conclusiones
La leishmaniosis es una enfermedad sistémica que puede presentar un gran pleomorfismo lesional a nivel dermatológico Especialmente en el caso de las lesiones menos comunes, el protocolo diagnóstico debe ser completo y ordenado en todos los casos, y debemos conocer y saber utilizar todas las técnicas diagnósticas que tenemos actualmente a disposición para conseguir el diagnóstico más adecuado y temprano posible.
8. Bardagí M. Canine leishmanosis: the challenge of histopathological diagnosis. In: Proceedings of the International Society of Veterinary Dermatopathology. Pre-Congress Day of the 7th World Congress of Veterinary Dermatology. 2012. Vancouver. Pg 22-30.
9. Baneth G, Solano-Gallego L. Global aspects of leishmaniosis: canine leishmaniosis. In: Greene C.E. (Ed) Infectious diseases of the dog and cat. 4t edition. Saunders Elsevier, St Louis. 2012. Pg 735-746.
10. Torrent E, Leiva M, Segalés J, et al. Myocarditis and generalized vasculitis associated with leishmaniosis in a dog. J Small Anim Pract 2005;46(11):549-52.
11. Torres M, Bardagí M, Roura X, et al. Long term follow-up of dogs diagnosed with leishmaniosis (clinical stage II) and trated with meglumine antimoniate and allopurinol. Vet J 2011; 188:346-351
12. Saridomichelakis MN, Koutinas AF. Cutaneous involvement in canine leishmaniosis due to Leishmania infantum (syn. L. chagasi). Vet
13.
14.
Dermatol 2014; 25(2):61-71, e22. Solano-Gallego L, Villanueva Saz S. In: Solano-Gallego, L. (Ed). Leishmaniosis canina. Una revisión actualizada. Servet. 2013. Pg 129-150. Innera M. Cutaneous vasculitis in small animals. Vet Clin North Am Small Anim Pract 2013;43(1):113-34. disponibles en actualidad para el diagnóstico de la leishmaniosis. Figura 12. Aspecto de los amastigotes (flechas) con tinción de inmunoperoxidasa específica (cortesía de Gloria Albinyana). Figura 11. Paciente del caso 3. Lesión ulcerativa en cojinetes plantares.• Diagnóstico de enteritis linfoplasmocitaria y linfoma de bajo grado en gatos según el consenso ACVIM 2023
• Actualización de la enteropatía responsiva a dieta en perros
• Tratamiento toracoscópico de un cuarto arco aórtico derecho persistente y ligamento arterioso
• Diagnóstico diferencial de los signos clínicos del páncreas y del sistema hepatobiliar
El tratamiento y el pronóstico de estas dos condiciones son distintos, por lo que es importante diferenciarlas. Hasta la fecha no existe ningún criterio, prueba o biomarcador que nos permita diferenciar entre ambas patologías de forma fiable, pero sí se ha visto la necesidad de realizar biopsia en todos los casos de sospecha de LPE del LGITL para estimar el pronóstico y aplicar el mejor tratamiento.
Ana Fernández Clemente1, Gloria Valero González2
1DVM, responsable del Servicio de medicina felina de Laclinicaveterinaria Marroquina – Vetpartners
2DVM, responsable del Servicio de diagnóstico por imagen de Laclinicaveterinaria Rivas – Vetpartners Imágenes cedidas por las autoras
La enteropatía crónica (chronic enteropathy) (EC) es una patología común en gatos cuya prevalencia ha aumentado en los últimos años1. La diferenciación entre la enteritis linfoplasmocitaria (lymphoplasmacytic enteritis) (LPE) y el linfoma intestinal de bajo grado (lowgrade intestinal T-cell lymphoma) (LGIT) puede resultar difícil, ya que la exploración física, los hallazgos laboratoriales, los ecográficos y los histopatológicos pueden superponerse. Parte de la comunidad veterinaria ha argumentado que puede no ser necesaria esta diferenciación, pero los últimos estudios indican que, en función del diagnóstico subyacente, el tratamiento y el pronóstico son distintos2,3 La combinación de datos clínicos, laboratoriales y las pruebas de imagen (radiografía y ecografía) no permiten la diferenciación de forma fiable entre la LPE y el LGITL. Sin embargo, la histopatología, la inmunohistoquímica y las pruebas de clonalidad parecen ser el mejor enfoque para llegar a un diagnóstico definitivo.
El gold standard para la diferenciación entre LPE o LGITL es el examen histopatológico de muestras de biopsia de tejido intestinal. Sin embargo, la técnica óptima para la obtención de la muestra sigue siendo un tema controvertido. Tanto la laparotomía como la endoscopia presentan ventajas e inconvenientes que se muestran en la tabla 12,4,5,6,7
Un estudio* mostró que se requiere un mínimo de 6 muestras de biopsia de calidad adecuada de mucosa del duodeno y de 3 a 5 del íleon para una evaluación histopatológica confiable. Sin embargo, otro determinó que son necesarias de 10 a 15 muestras de biopsia duodenal para confirmar lesiones inflamatorias leves con una confianza de al menos el 90 %.
Clonalidad
Cabe destacar que, en algunos casos, a pesar de una correcta técnica y un adecuado número de muestras, el examen histopatológico por sí solo puede ser insuficiente para llegar a un diagnóstico final. Existen casos ambiguos que presentan características tanto inflamatorias como neoplásicas y, por lo tanto, a menudo se requieren pruebas auxiliares como inmunohistoquímica y clonalidad5,6
Aunque la histopatología, la inmunohistoquímica y las pruebas de clonalidad sean la mejor vía para llegar a un diagnostico definitivo, no debemos olvidar la realización de una buena anamnesis, exploración física y pruebas tanto laboratoriales como de imagen que descarten otras patologías y confirmen la necesidad de realizar biopsia.
Presentación clínica
Aunque se sugiere que el LGITL es menos probable en gatos menores de 8 años, y la edad de presentación oscila entre los 4 y los 20 años, existe una superposición en la edad de presentación del la LPE, que oscila entre los 1 y los 16 años8
Por otro lado, ningún estudio ha encontrado signos clínicos ni hallazgos en el examen físico significativamente diferentes entre los gatos que presentan LPE y LGITL.
En ambos cuadros podemos encontrar pérdida de peso como signo más común, además de hiporexia, letargo y vómitos. En el examen físico podemos detectar dolor abdominal o engrosamiento de las asas intestinales a la palpación9
Pruebas laboratoriales
Cabe destacar que siempre son necesarias pruebas laboratoriales que nos permitan realizar un diagnóstico diferencial entre una enteropatía crónica y otras enfermedades metabólicas, endocrinas e infecciosas que también causan signos digestivos. A continuación, se describen alteraciones analíticas que pueden estar presentes tanto en la LPE como en el LGITL y, por lo tanto, no nos permiten la diferenciación entre ambas patologías.
Hipoalbuminemia
Las enteropatías perdedoras de proteínas o las hipoalbuminemias graves son raras en gatos, pero tanto en la LPE como en el LGITL se describen hipoalbuminemias leves8
Enzimas hepáticas
Se ha informado de un aumento de estas enzimas en casos de LPE y LGITL, y de que el aumento de la actividad sérica de ALT predice la gravedad histopatológica
Tabla 1. Ventajas e inconvenientes de las técnicas de obtención de muestra.
Endoscopia Laparotomía
Técnica mínimamente invasiva
No permite tomar muestras intestinales de espesor total, y presenta limitación para llegar a yeyuno medio o distal.
Permite visualizar directamente la superficie de la mucosa, para recolectar muestras de zonas que presenten lesiones macroscópicas.
El número de muestras obtenidas puede ser mayor de 5.
El tratamiento médico puede iniciarse sin necesidad de que se complete la cicatrización.
Técnica invasiva
Permite la obtención tanto de muestras intestinales de espesor total (incluido yeyuno medio o distal) como extraintestinales (hepáticas y pancreáticas).
Imposibilidad de observar la mucosa del segmento a muestrear.
*El número de muestras obtenidas suele ser menor de 5.
Es necesario posponer el tratamiento hasta que se complete la cicatrización. Tiempo de recuperación corto Tiempo de recuperación prolongado
del LPE. Sin embargo, otro estudio reciente encontró que solo un 14 % de los gatos con LGITL y un 0 % de los gatos con LPE presentaban un aumento de esta enzima8
Lipasa pancreática
Aún se tiene que evaluar la asociación entre pancreatitis y EC, ya que aunque la prevalencia de pancreatitis parece ser mayor en gatos con EC, las lesiones histopatológicas compatibles con ella también son comunes en gatos mayores clínicamente sanos, y su aparición se ha relacionado con la edad10
Cobalamina y folato
Los gatos con EC pueden tener valores de cobalamina normales, y la ausencia de hipocobalaminemia no excluye enfermedad gastrointestinal. Sin embargo, en algunos estudios la prevalencia de hipocobalaminemia era significativamente mayor en gatos con LGITL8,11,12
Otros
Otras alteraciones analíticas en gatos con EC son anemia por deficiencia de hierro, hiposfosfatemia, hipovitaminosis D y
un aumento de la actividad lactatodeshidrogenasa sérica (LDH). Sin embargo, ninguno de estos marcadores ha demostrado diferenciar entre LPE y LGITL13,14,15,16
Diagnóstico por imagen
Radiografía
Se trata de una prueba que nos permite descartar ciertos procesos cuando sospechamos de patología digestiva, como masas abdominales y algunas obstrucciones intestinales.
Sin embargo, presenta limitada utilidad para el diagnóstico de LPE y LGITL.
Ecografía
La ecografía abdominal es una de las pruebas más críticas en el proceso diagnóstico de las patologías digestivas crónicas, a pesar de que la interpretación en ocasiones es difícil según el operador, el equipo, la presencia de patologías concurrentes, etc.
Además, no siempre van a coincidir los hallazgos histopatológicos con los ecográficos17, y la ausencia de signos ecográficos no excluye la existencia de patología.
Entre un 50-95 % de los gatos con patología digestiva van a presentar un aumento difuso del grosor de la capa muscular, submucosa o mucosa intestinal8,18. De hecho, se correlaciona en algunos estudios una capa muscular o mucosa de mayor grosor en aquellos gatos con diagnóstico de LGITL, frente a los que presentan LPE (figura 1, tabla 2)8
A nivel yeyunal se ha estudiado un aumento significativo de grosor de la capa mucosa en gatos con LGITL, frente a aquellos con LPE (figura 1)8. Sin embargo, también se han observado cambios ecográficos en gatos clínicamente sanos y no siempre aquellos con signos ecográficos tienen hallazgos histológicos que concuerden17
Por otro lado, se han estudiado los ratios muscular/submucosa, y se ha evidenciado que son superiores en aquellos gatos con LPE y LGITL frente a animales sanos. Un ratio >1 se considera anormal, pero no se puede diferenciar entre LGITL y LPE (figura 2)17
Otro de los signos ecográficos frecuente y de importancia es la presencia de linfonodos aumentados de tamaño y con cambios de ecogenicidad. Los linfonodos yeyunales redondeados, hipoecogénicos y aumentados de tamaño se han relacionado más con LGITL (figura 3, tabla 2)8,19
El mismo estudio reveló que en un 45 % de los casos de LGITL se evidencia una leve efusión abdominal, frente al 14 % de los casos con LPE.
Hasta la fecha no existe ningún criterio, prueba o biomarcador que nos permita diferenciar entre la enteritis linfoplasmocitaria y el linfoma intestinal de bajo grado de forma fiable, pero sí se ha visto la necesidad de realizar biopsia en todos los casos de sospecha de LPE del LGITL para estimar el pronóstico y aplicar el mejor tratamiento.
Además, se necesitan más estudios que utilicen herramientas de investigación de inmunohistoquímica y genética y se espera una evolución de los esquemas de clasificación y las pruebas de diagnóstico que mejoren la precisión de este.
Tabla 2. Mediciones estimadas mucosa y muscular yeyunal y duodenal, y linfonodos yeyunales en gatos con LPE y LGITL.
Bibliografía:
1. Louwerens M, London CA, Pedersen NC, Lyons LA. Feline lym- phoma in the post-feline leukemia virus era. J Vet Intern Med. 2005; 19:329-335.
2. Freiche V, Paulin MV, Cordonnier N, et al. Histopathologic, pheno- typic, and molecular criteria to discriminate low-grade intestinal T- cell lymphoma in cats from lymphoplasmacytic enteritis. J Vet Intern Med. 2021;35(6):26732684.
3. Kieslinger M, Swoboda A, Kramer N, et al. A recurrent STAT5BN642H driver mutation in feline alimentary T cell lym- phoma. Cancers (Basel). 2021;13:5238.
4. Lingard AE, Briscoe K, Beatty JA, et al. Low-grade alimentary lym- phoma: clinicopathological findings and response to treatment in 17 cases. J Feline Med Surg. 2009;11:692-700.
5. Moore PF, Rodriguez-Bertos A, Kass PH. Feline gastrointestinal lym- phoma: mucosal architecture, immunophenotype, and molecular clonality. Vet Pathol. 2012;49:658-668.
6. Briscoe KA, Krockenberger M, Beatty JA, et al. Histopathological and immunohistochemical evaluation of 53 cases of feline lympho- plasmacytic enteritis and low-grade alimentary lymphoma. J Comp Pathol. 2011;145:187-198.
7. Freiche V, Da Riz F, Benchekroun G, et al. Endoscopic assessment of presumed acquired pyloric narrowing in cats: a retrospective study of 27 cases. Res Vet Sci. 2021;136:408-415.
8. Freiche V, Fages J, Paulin MV, et al. Clinical, laboratory and ultrasonographic findings differentiating low-grade intestinal T-cell lymphoma from lymphoplasmacytic enteritis in cats. J Vet Intern Med. 2021;35(6):2685-2696.
9. Marsilio S, Ackermann MR, Lidbury JA, Suchodolski JS, Steiner JM. Results of histopathology, immunohistochemistry, and molecular clonality testing of small intestinal biopsy specimens from clinically healthy client-owned cats. J Vet Intern Med. 2019;33:551-558.
10.De Cock HE, Forman M, Farver TB, et al. Prevalence and histopatho- logic characteristics of pancreatitis in cats. Vet Pathol. 2007;44: 39-49.
11.Gianella P, Pietra M, Crisi P, et al. Evaluation of clinicopathological features in cats with chronic gastrointestinal signs. Pol J Vet Sci. 2017;20(2):403-410.
12.Simpson KW, Fyfe J, Cornetta A, et al. Subnormal concentrations of serum cobalamin (vitamin B12) in cats with gastrointestinal disease. J Vet Intern Med. 2001;15:26-32.
13.Reed N, Gunn-Moore D, Simpson K. Cobalamin, folate and inorganic phosphate abnormalities in ill cats. J Feline Med Surg. 2007;9: 278-288.
14.Lalor S, Schwartz AM, Titmarsh H, et al. Cats with inflammatory bowel disease and intestinal small cell lymphoma have low serum concentrations of 25-hydroxyvitamin D. J Vet Intern Med. 2014;28: 351-355.
15.Terragni R, Morselli-Labate AM, Vignoli M, Bottero E, Brunetti B, Saunders JH. Is serum total LDH evaluation able to differentiate between alimentary lymphoma and inflammatory bowel disease in a real world clinical setting? PLoS One. 2016;11:e0151641.
16.Hunt A, Jugan MC. Anemia, iron deficiency, and cobalamin defi- ciency in cats with chronic gastrointestinal disease. J Vet Intern Med. 2021;35:172-178.
17.Guttin T, Walsh A, Durham AC, Reetz JA, Brown DC, Rondeau MP. Ability of ultrasonography to predict the presence and location of histologic lesions in the small intestine of cats. J Vet Intern Med. 2019;33:1278-1285.
18.Norsworthy GD, Scot Estep J, Kiupel M, Olson JC, Gassler LN. Diag- nosis of chronic small bowel disease in cats: 100 cases (2008-2012). J Am Vet Med Assoc. 2013;243:1455-1461.
19.Daniaux LA, Laurenson MP, Marks SL, et al. Ultrasonographic thick- ening of the muscularis propria in feline
J Feline Med Surg. 2014;16:89-98.
La enteropatía responsiva a dieta o alimentos es un concepto que incluye las reacciones adversas a los alimentos (RAA) y condiciones inflamatorias intestinales leves que se benefician con una nueva dieta. Es una causa común de enteropatía crónica en perros y debe considerarse como uno de los principales diagnósticos diferenciales en perros con signos clínicos compatibles.
Jorge Castro López
LV, MSc, PhD, Dipl. ECVIM-CA (Internal Medicine)
Acreditado AVEPA en Med. Felina y Med. Interna
Corresponsable del Servicio de Medicina Interna de AniCura Valencia Sur Hospital Veterinario
Imágenes cedidas por los autores
La enteropatía crónica (EC) incluye un grupo de enfermedades con signos gastrointestinales asociada a inflamación intestinal de causa desconocida con una duración de más de tres semanas. Actualmente, estas enfermedades se clasifican en enteropatía responsiva a dieta (ERD), enteropatía que responde a antibióticos (ERA), enteropatía que responde a inmunosupresión (ERI) —que era conocida como IBD por sus siglas en inglés—, y enteropatía que no responde (ENR). Actualmente, la ERA está en cuestionamiento y los antibióticos se deben utilizar para enfermedades específicas. Por otro lado, otro grupo es la enteropatía con pérdida de proteínas, que incluye enfermedades como enteropatía que responde o no a inmunosupresión, neoplasias intestinales, linfangiectasia intestinal primaria o secundaria y linfadenitis, entre otras.
Patogénesis
Existe una interacción entre la barrera física de la mucosa gastrointestinal, el tejido linfoide asociado al intestino y la tolerancia oral (innata y adaptativa). Se describen dos mecanismos de tolerancia oral que dependen de la cantidad de antígeno expuesto de la mucosa gastrointestinal. La tolerancia a altas cantidades de antígenos se produce debido a la anergia de los linfocitos y la tolerancia a bajas cantidades está mediada por células T reguladoras. Las alteraciones en el desa-
Hipersensibilidad alimentaria
No tóxico
Inmunomediado
Respuesta innata
Respuesta adaptativa
Hipersensibilidad tipo 1 Hipersensibilidad tipo 1 y 4
rrollo a la tolerancia a bajas cantidades de antígenos podrían ser causa importante de la alergia alimentaria (AA) en las personas. Otros factores que influirían en la tolerancia oral son la microbiota intestinal y la genética del individuo.
En los pacientes con AA, este complejo equilibrio está alterado. La tolerancia oral se puede alterar directamente a través de un proceso inflamatorio que aumenta la permeabilidad de la barrera mucosa, causando mayor absorción de antígenos alergénicos y sensibilización.
Las reacciones adversas a los alimentos (RAA) se definen como reacciones a un alimento que de otro modo sería inofensivo.
Las RAA son una causa común de signos gastrointestinales a través de mecanismos inmunológicos como la alergia alimentaria (AA), también llamada hipersensibilidad dietética/alimentaria, reacciones no inmunológicas (intolerancia alimentaria) y reacciones tóxicas (intoxicaciones) (figura 1). La hipersensibilidad tipo 1 es menos fre-
RAA
Intolerancia alimentaria
Tóxico
Alfatoxinas
Bacterias
Chocolate
No inmunomediado
Idiosincrático
Hipersensibilidad tipo 4
Enzimático (intolerancia a la lactosa)
Farmacológico (aminos vasoactivos)
alimentos.
Las RAA son una causa común de signos gastrointestinales a través de mecanismos inmunológicos como la alergia alimentaria (AA), también llamada hipersensibilidad dietética/alimentaria, reacciones no inmunológicas (intolerancia alimentaria) y reacciones tóxicas (intoxicaciones).
cuente en animales. La intolerancia alimentaria, por su parte, puede ser causada por un problema metabólico como la deficiencia de enzimas digestivas (deficiencia de lactasa) o por una causa farmacológica (aminas vasoactivas como la histidina en el pescado en mal estado que se transforma en histamina por la flora intestinal) o puede ser idiosincrásico (reacción a aditivos alimentarios, enteropatía sensible al gluten del setter irlandés).
La AA se define como una respuesta inmunitaria adversa y aberrante provocada por la exposición a una sustancia alimentaria en particular, la mayoría a una
proteína. En general, estas respuestas se caracterizan como anticuerpos IgE dependientes, mediada por células o mixtas. En los animales, todas las RAA pueden asociarse con alimentos que incitan la respuesta inmunológica. Por tanto, puede resultar difícil distinguir entre intolerancia alimentaria y AA.
En los últimos años se ha investigado en la importancia de la alimentación en el tratamiento de las enfermedades intestinales crónicas idiopáticas en los perros. Debido a esto, surgió el concepto de enteropatía responsiva a dieta o alimentos, que incluye la RAA y condiciones inflamatorias intes-
tinales leves que se benefician con una nueva dieta.
En los perros, los alérgenos alimentarios más comunes son la carne de ternera, productos lácteos, trigo, huevos y carne de pollo. Además, podrían existir reacciones cruzadas entre las proteínas de diferentes especies como bovino y ovino, pollo y pavo. Por otro lado, la mayoría de los perros comen alimentos procesados (seco y/o húmedo), donde el proceso puede destruir unos epítopos y hacer que se descubran otros escondidos pudiendo generar una reacción antigénica.
Con respecto a la intolerancia al gluten, ha sido estudiada en familias de la raza Setter Irlandés. Esta enteropatía, hereditaria autosomal recesiva afectaba a animales con diarrea intermitente crónica y pérdida de peso entre los 7 y los 10 meses de edad cuando fueron alimentados con dieta que contenía gluten.
La ERD es aquella enteropatía que responde al tratamiento con dieta de eliminación y no relapsa después de la provocación con la dieta original o componentes de la dieta anterior, por lo que no se da una RAA real. Probablemente, estos pacientes tienen una enteritis, colitis o enterocolitis de ligera a moderada como resultado de otras causas y se benefician con el cambio de dieta por una mayor biodisponibilidad de los nutrientes, la presencia de fructooligosacáridos y el contenido de ácidos grasos.
En los perros, los alérgenos alimentarios más comunes son la carne de ternera, productos lácteos, trigo, huevos y carne de pollo. Además, podrían existir reacciones cruzadas entre las proteínas de diferentes especies como bovino y ovino, pollo y pavo.
Diferentes estudios han demostrado que más del 50 % de los perros con EC responden solo al cambio de dieta. Estos perros tuvieron una muy buena respuesta a largo plazo en pacientes alimentados con diferentes tipos de dietas hidrolizadas o noveles. El 79 % de los perros que responden a la dieta pueden volver a su dieta original después de haber estado con una dieta de proteína novel durante 14 semanas según un estudio suizo. Otro estudio describió que el 90 % de los perros que recibieron continuamente una dieta hidrolizada permanecieron en remisión durante 3 años. Se ha descrito que durante el desafío dietético pueden recaer entre el 15 y el 65 % de los perros.
Tabla 1. Índice de actividad clínica de enteropatía crónica más bajo (CCECAI, por sus siglas en inglés).
Parámetro Puntuación
Actitud/Actividad
Apetito
Vómitos
Consistencia de las heces
Frecuencia de las heces
Pérdida de peso
Niveles de albúmina
Ascitis y edema periférico
Prurito
0: normal
1: ligeramente disminuido
2: moderadamente disminuido
3: marcadamente disminuido
0: normal
1: ligeramente disminuido
2: moderadamente disminuido
3: marcadamente disminuido
0: normal
1: leve (1/semana)
2: moderado (2-3/semana)
3: grave (>3/semana)
0: normales
1: ligeramente blandas
2: muy blandas
3: diarrea acuosa
0: normal
1: levemente aumentada (2-3/día), hematoquecia, moco o ambos
2: moderadamente aumentada (4-5/día)
3: gravemente aumentada (>5/día
0: no
1: leve (<5 %)
2: moderado (5-10 %)
3: marcado (>10 %)
0: >2 mg/dl
1: 1,5-1,9 mg/dl
2: 1,2-1,4 mg/dl
3: <1,2 mg/dl
0: nada
1: leve ascitis o edema periférico
2: moderada ascitis/edema periférico
3: marcada ascitis/efusión pleural/edema periférico
0: sin prurito
1: episodios de picor ocasional
2: episodios de picor regulares, pero paran cuando el perro duerme
3: episodios de picor regulares, despiertan al perro
Habitualmente, los pacientes con ERD son jóvenes y tienen una edad media de 3,4 años (rango de edad de 0,6 a 7,6 años, figuras 2A, B y C). No existe predisposición por raza ni sexo.
Los signos clínicos son principalmente de intestino grueso (71 %), como defecación frecuente, tenesmo, heces mucosas y/o hematoquecia (figuras 3A y B). En cambio, el 24 % de los perros tenían signos intestinales mixtos, y solo el 5 % de intestino delgado. Además, del 6 al 44 % de perros con ERD presentan signos cutáneos concurrentes. Los signos clínicos suelen ser leves en el 30 % de los perros, moderados en el 62 % y graves en el 8 %. Por este motivo, estos perros tienen un índice de actividad clínica de enteropatía crónica más bajo (CCECAI por sus siglas en inglés, tabla 1).
En las pruebas laboratoriales puede existir eosinofilia, hipoalbuminemia y/o hipoproteinemia, e hipocobalaminemia. Se han buscado biomarcadores para el diag-
Se deben utilizar dietas con proteína novel, dietas hidrolizadas o caseras, no las dietas gastrointestinales. En caso de utilizar dietas comerciales, es importante usar dietas de compañías que posean estudios científicos y que aseguren una línea de producción única para evitar la contaminación con trazas de otros antígenos. Una dieta de eliminación debe incluir un número limitado de fuentes de proteínas (evitar que tenga un alto contenido) y carbohidratos, <30 % grasa, alta digestibilidad, moderada fibra fermentable y altamente digestible. La dieta del ensayo se debe dar de forma estricta y única, por lo que no se deben dar premios ni restos de nuestras comidas. Además, hay que evitar medicamentos con sabor y aguas saborizantes.
Cuando existe respuesta a la dieta de eliminación, los signos clínicos de la ERD suelen mejorar totalmente en 2 semanas, aunque algunos perros pueden tardar más.
La mayoría de los perros con ERD responden en pocos días de haber iniciado la nueva dieta al 100 % de forma estricta, pero algunos pueden tardar hasta 14 días. Entre el 31 y el 75 % de los perros pueden volver a su dieta anterior después de usar la dieta de eliminación por más de 12 semanas. Actualmente, no existe una prueba que determine si un perro recaerá en el desafío. Por esta razón, muchos cuidadores optan por mantener la nueva dieta una vez controlados los signos clínicos. En caso de que no haya una resolución de los signos clínicos se debería seguir con el plan diagnóstico de EC.
nóstico de la ERD como los anticuerpos citoplásmicos antineutrófilos perinucleares y la 3-bromotirosina sérica. Las pruebas séricas de inmunoglobulina E específica de alimentos no sirven para conocer qué antígeno alimentario genera la ERD. No suelen verse alteraciones en la ecografía abdominal, pero se puede observar engrosamiento de la mucosa intestinal y linfadenomegalia. Las pruebas de provocación de alérgenos mediante gastroscopia o colonoscopia no servirían para su diagnóstico. Con respecto a la histopatología, la ERD presenta una inflamación linfoplasmocítica con más frecuencia al igual que en perros con ERI.
La mayoría de las dietas comerciales con proteína novel tienen fuentes de proteínas de conejo, pato o salmón y se combinan con una fuente de carbohidratos como patatas, batatas, avena y cebada para los perros. Generalmente, cuanto mayor sea la relación taxonómica entre las carnes, mayor será el riesgo de reactividad cruzada como pollo y pavo, y, menos frecuentemente, pollo y pato, y vacuno y cordero. Se pueden usar dietas caseras, teniendo en cuenta que sean desequilibradas, aunque como el ensayo dura 14 días no debería ser un problema mayor. Además, algunos perros toleran mejor los mismos ingredientes preparados en una dieta casera que en una dieta comercial.
El ensayo con la dieta de eliminación se utiliza para el diagnóstico de la ERD. Para realizarlo correctamente es importante conocer el historial dietético completo del paciente antes de elegir la dieta.
Para el diagnóstico de las EC es importante seguir un protocolo y tener en cuenta los diferentes diagnósticos diferenciales (tablas 2 y 3) y, según estos, hacer las pruebas necesarias. Se recomienda realizar la desparasitación del paciente, aunque el coprológico y el test de antígeno de Giardia hayan sido negativos, ya que estas pruebas no son 100 % sensibles. Posteriormente, se debe hacer el ensayo dietético si el perro está estable y tiene apetito.
Ensayo con dieta de eliminación
El ensayo con la dieta de eliminación se utiliza para el diagnóstico de la ERD. Para realizarlo correctamente es importante conocer el historial dietético completo del paciente antes de elegir la dieta. Los antígenos dietéticos identificados con mayor frecuencia en perros son la carne de ternera, el pollo, los productos lácteos y el trigo.
Se debe tener en cuenta que la mayoría de las dietas de proteínas novel y dieta casera no son adecuadas para cachorros en crecimiento. Si se desconoce cuál es la mejor opción, se recomienda consultar a un especialista en nutrición certificado. Con respecto a las compañías pequeñas de alimentación, sus dietas poseen trazas de carnes de ternera y pollo entre otras, a pesar de no figurar entre los ingredientes. Además, poseen más de una fuente de proteínas, grasas y carbohidratos que influencian en el éxito del ensayo. Por lo tanto, deberían evitarse para realizar el ensayo.
En nuestro mercado existen dietas con proteína hidrolizada de pollo o salmón, hidrolizado de soja con o sin hidrolizado de hígado de pollo. Se debe tener en cuenta que las dietas que llevan hidrolizado de proteína animal o hígado de pollo pueden generar una reacción inflamatoria
Enfermedades pancreáticas
Enfermedades hepáticas
Enfermedades endocrinas
Enfermedades renal
Enfermedades infecciosas sistémicas
Misceláneas peritonitis
• Insuficiencia pancreática exocrina
• Pancreatitis crónica
• Carcinoma pancreático
• Shunt portosistémico, malformación arterio-venosa hepática
• Hipertensión portal no cirrótica
• Hepatitis lobular disecante
• Colestasis extra-intrahepática
• Hepatitis crónica
• Hipoadrenocorticismo
• Hipertiroidismo/hipotiroidismo
• Hipoparatiroidismo
• Hipercalcemia
• Uremia
• Síndrome nefrótico
Moquillo, Hepatitis infecciosa canina (Virus)
Aspergilosis sistémica, Cigomicosis, Histoplasmosis (Hongos) Prototecosis (Alga), Leishmaniosis (Protozoo)
• Toxinas, Medicamentos
• Fallo cardíaco congestivo
• Enf. Autoinmunes (Lupus eritematosos sistémico)
• Piometra
• Metástasis neoplásicas
en los pacientes. En cambio, las dietas solo con hidrolizado de soja como fuente de proteínas generan una menor respuesta inflamatoria. La dieta hidrolizada de plumas es otra opción, pero puede tener problemas de palatabilidad y es alta en grasa. Esta dieta se debería considerar como última opción.
Estas dietas contienen péptidos pequeños que tienen menos probabilidades de ser alergénicos (baja antigenicidad) que las proteínas de tamaño completo. Las dietas hidrolizadas se han utilizado con éxito en el tratamiento de la EC en perros. Estas dietas utilizan varias estrategias dietéticas diferentes que pueden ser beneficiosas para la EC. Las dietas hidrolizadas pueden influir en el sistema inmunitario que está alterado en esta enfermedad. Además, casi o no producen una respuesta inflamatoria.
Los pros y los contras de las diferentes dietas para el tratamiento de EC se enumeran en la tabla 4
Prueba de desafío dietético
La dieta de eliminación se debe dar durante 12 semanas, tras las cuales se puede hacer el desafío. Se debe reintroducir el alimento inicial o agregar los ingredientes individuales de la dieta original mientras se continúa alimentando con la dieta de eliminación para cubrir necesidades nutricionales. Para garantizar una provocación completa, es importante desafiar con todos los productos alimenticios anteriores, incluidos los premios. No se sabe el tiempo exacto de cuándo se produce la reacción gastrointestinal (1-7 días).
Muchos clientes optan por no volver
Una dieta de eliminación debe incluir un número
limitado de fuentes de proteínas (evitar que tenga un alto contenido) y carbohidratos, <30 % grasa, alta digestibilidad, moderada fibra fermentable y altamente digestible.
Para elegir una dieta hidrolizada, se debe tener en cuenta que algunas fórmulas no son apropiadas para perros en crecimiento. Idealmente deben tener un contenido de grasa de moderado a bajo que también puede ser beneficioso, y algunas dietas hidrolizadas contienen ácidos grasos omega-3 y soja, que son inmunomoduladores. Incluso algunas fórmulas son vegetarianas o semivegetarianas, que en humanos demostraron ser más eficaces. El autor prefiere usar una dieta hidrolizada como primera opción, teniendo en cuenta los factores descritos. En caso de que el paciente no quiera comer una marca en concreto, se pueden probar otras marcas, y, si sigue sin aceptarlas, probar una dieta con proteína novel.
Dieta casera
Estas dietas deben ser formuladas por un especialista en nutrición si se usan a largo plazo, y deben estar cocinadas. Existen pacientes que pueden reaccionar a emulsionantes y conservantes que afectan a la microbiota y al sistema inmunitario intestinal. Por lo tanto, algunos perros con EC no toleran las dietas comerciales. Se deben usar fuentes de proteínas y carbohidratos que no haya probado el paciente en su historial dietético como por ejemplo carne de caballo, conejo, pescado blanco, carnes de caza, boniato y patatas, entre otros.
a probar la dieta anterior, y a no realizar el desafío. En este escenario, la mascota puede mantenerse con la dieta de eliminación indefinidamente. Si se van a probar nuevos alimentos, incluidos los premios, es importante introducirlos uno a uno solo durante un tiempo.
Pronóstico
En perros con ERD, el pronóstico es bueno a corto y largo plazo una vez que se diagnostica correctamente la enfermedad y se identifica la dieta adecuada. Se ha descrito que pacientes con una CCECAI grave e hipocobalanemia tienen un pronóstico reservado.
Sin embargo, a muchos clientes les resulta difícil mantener una dieta estricta. Se debe tener en cuenta que la mayoría de los perros pueden volver a su dieta original después de un tratamiento exitoso con una dieta de eliminación.
Referencias:
Tabla 3. Causas gastrointestinales de diarrea crónica.
• Hookworms (Ancylostoma caninum, Uncinaria stenocephala)
Parásitos
Bacterias
• Whipworms (Trichuri vulpis, más frecuente en colon)
• Strongiloides (Strongyloides stercolaris)
• Nemátodos (Toxocara canis, Toxascari leonina)
• Clostridium
• Campylobacter
• Salmonella
• E. coli
Hongos/Alga Pitiosis/Prototeca
Protozoos
Enteropatías crónicas
• Giardia
• Cryptosporidium
• lsospora
• Leishmania
• Diarrea que responde a dieta
• Diarrea que responde a antibiótico
• Diarrea que responde a inmunosupresores (IBD)
• Diarrea que no responde a inmunosupresores (IBD)
• Enteropatía con pérdida de proteínas
Neoplasias Linfoma de grado bajo/alto, carcinoma, sarcoma, carcinoide
Misceláneas Cuerpo extraño no obstructivo, intususcepción crónica
Tabla 4. Pros y contras de las diferentes categorías de dieta utilizadas en el tratamiento de la enteropatía crónica canina.
Tipo de dieta Pros Contras
• Alta digestibilidad
Gastrointestinal
• Más barata que dietas hidrolizadas
• Algunas fórmulas bajas en grasas
• Mayor palatabilidad
Proteína novel
Hidrolizada
Casera
• Algunas tienen alta fibra dietética para intestino grueso
• Eficacia demostrada en la EC
• No es necesaria la historia dietética
• Menor relapso que las dietas de proteína novel
• Algunas tienen menos grasa que las dietas de proteína novel
• Eficacia demostrada en la EC
• Alta digestibilidad
• Mejor palatabilidad
• Establecer con mejor precisión los macronutrientes (grasa)
• Evitan antígenos del procesado y emulsiones
EC: enteropatía crónica.
Conclusiones
La ERD es una causa común de EC en perros y debe considerarse como uno de los principales diagnósticos diferenciales en perros con signos clínicos compatibles. Desafortunadamente, no es posible diferenciar entre alergia alimentaria, intolerancia alimentaria o EC que responde solo a dieta.
Actualmente, la mejor forma de diagnosticar la ERD es realizando el ensayo con dieta de eliminación, que puede ser
Menor capacidad de mantener la remisión que las dietas hidrolizadas
• Necesidad de historia dietética
• Alto contenido en grasa
• Posible relapso por reacción cruzada a antígenos nuevos en el tiempo
• Pueden tener trazas según la marca
• Posible menor palatabilidad que las otras dietas
• Más caras que las otras dietas
• Más cara que las otras dietas
• Más laboriosa
• Necesidad de un nutricionista
• Posible relapso por reacción cruzada a antígenos nuevos en el tiempo
• Dificultad de encontrar una proteína novel
• Monitorización cercana (analíticas sanguíneas) si la biodisponibilidad de la dieta se desconoce
de proteína novel, hidrolizada o casera. Es importante tener en cuenta que se puede probar más de una dieta del mismo o de diferente tipo.
Se puede realizar la prueba de desafío para determinar el alérgeno causante del cuadro clínico, aunque las dietas de eliminación se pueden usar a largo plazo. Se requieren más estudios para distinguir entre estas tres condiciones gastrointestinales mencionadas en perros para realizar el tratamiento dietético más adecuado.
1. Dandrieux JRS. Inflammatory bowel disease frente a chronic enteropathy in dogs: are they one and the same?. J Small Anim Pract, 2016; 57(11): 589-599.
2. Cerquetella M, Rossi G, Suchodolski JS et al. Proposal for rational antibacterial use in the diagnosis and treatment of dogs with chronic diarrhoea. J Small Anim Pract, 2020; 61(4): 211-215.
3. Makielski K, Cullen J, O’Connor A, Jergens AE. Narrative review of therapies for chronic enteropathies in dogs and cats. J Vet Intern Med, 2019; 33(1): 11-22.
4. Gaschen FP, Merchant SR. Adverse food reactionsin dogsand cats. Vet Clin North Am Small Anim Pract, 2011; 41(2): 361-379.
5. Allenspach K. Clinicalimmunology and immunopathology of the canine and feline intestine. Vet Clin North Am Small Anim Pract, 2011; 41(2): 345-360.
6. Tolbert MK, Murphy M, Gaylord L, Witzell-Rollins A. Dietary management of chronic enteropathy in dogs. J Small Anim Pract, 2022; 63(6): 425-434.
7. Mueller RS, Unterer S. Adverse food reactions: pathogenesis, clinical signs, diagnosis and alternatives to elimination diets. Vet J, 2018; 236: 89-95.
8. Kathrani A. Dietary and nutritional approaches to the management of chronic enteropathy in dogs and cats.
Vet Clin North Am Small Anim Pract, 2021; 51(1): 123-136. 9. Rudinsky AJ, Rowe JC, Parker VJ. Nutritional management of chronic enteropathies in dogs and cats. J Am Vet Med Assoc, 2018; 253(5): 570-578. Tabla 2. Causas extra gastrointestinales de diarrea crónica.En un estudio publicado recientemente en el Veterinary Dermatology Journal, la aplicación tópica durante 7-14 días de este producto a base de hidrocortisona aceponato (HCA) en perros con OEEC fue segura y produjo una mejora comparable a la de una formulación comercial con antibiótico, antifúngico y glucocorticoide, controlando tanto la inflamación primaria como el sobrecrecimiento microbiano asociado (bacterias y levaduras).
La otitis externa (OE) es un problema frecuente en los perros, que puede aparecer con diversas presentaciones clínicas1-7. De ellas, la OE eritematosa-ceruminosa (OEEC) es, con diferencia, la diagnosticada con más frecuencia1-3
Por su parte, la dermatitis alérgica [dermatitis atópica (DA), alergia a la picadura de pulga o alergia alimentaria] fue la enfermedad subyacente/preexistente diagnosticada con más frecuencia, tanto en un estudio llevado a cabo con perros con OEEC no relacionada con parásitos óticos1 (en los que las levaduras del género Malassezia y las bacterias del género Staphylococcus fueron los agentes detectados con más frecuencia en el examen citológico del cerumen ótico) como en dos realizados con perros con OE2,3
Otro estudio mostró que un aumento en el exceso de cerumen se asociaba a una mayor probabilidad de aislar Malassezia spp.8 en el cultivo.
Las ventajas de una solución comercializada de hidrocortisona aceponato (HCA, Cortotic®) en perros con OE alérgica se reflejan en un artículo9 que recoge los resultados de la administración del producto en ambos conductos auditivos de perros con OE de origen alérgico una vez al día durante 7-14 días, tras los cuales se redujeron sustancialmente tanto la puntuación del eritema como la citológica.
Sin embargo, hasta ahora se desconocía el impacto de la HCA sobre la micro-
biota fúngica, así como el sobrecrecimiento microbiano que tiene lugar en el perro, especialmente en el conducto auditivo, algo que puede tener más importancia fisiopatológica y ser difícil de reducir solo con glucocorticoides tópicos.
Todos los parámetros clínicos evaluados (OTIS- 3, así como el dolor y prurito óticos mediante EAV) mejoraron sin diferencias estadísticamente significativas entre los grupos de tratamiento.
Por ello, se llevó a cabo un nuevo estudio aleatorizado, controlado y ciego para el investigador para evaluar la eficacia y la seguridad de una solución de corticosteroides para pulverización ótica en el tratamiento de la OEEC canina. Los resultados, publicados el pasado mes de diciembre en el Veterinary Dermatology Journal (E cacy and safety of a hydrocortisone aceponatecontaining ear spray solution in dogs with erythemato-ceruminous otitis externa: A randomised, multicentric, single-blinded, controlled trial)10, se resumen a continuación.
Para llevar a cabo este estudio se trataron perros con OEEC mediante:
• Una solución para pulverización ótica que contenía un solo principio activo, hidrocortisona aceponato (HCA, a razón de 0,584 mg/mL), y no incluía ningún agente
antibiótico ni antifúngico. La forma química de la HCA, que es un diéster, tiene propiedades farmacodinámicas particulares que aumentan el cociente eficacia/seguridad.11
• O con un producto ótico comercializado (CTRL) que contenía un glucocorticoide (acetato de prednisolona a razón de 5 mg/ mL), un antifúngico (miconazol) y un antibiótico (polimixina B).
El objetivo del estudio era demostrar que el producto estudiado (HCA) no era inferior al CTRL.
Animales incluidos
En total, se asignaron de forma aleatoria 97 y 104 perros con OEEC, respectivamente, a los grupos HCA y CTRL.
Todos los animales incluidos, machos y hembras sin distinción de raza, pertenecían a clientes de las clínicas de los investigadores (veterinarios generalistas) situadas en España (5 clínicas), Francia (4 clínicas) e Irlanda (2 clínicas) y debían cumplir los siguientes requisitos:
• Edad superior a siete meses
• Buena salud o enfermedades crónicas estables
• Signos clínicos de OEEC con una puntuación mínima de 5 en el Otitis Index Score-3 (OTIS-3) sobre un máximo de 12.12
La ventaja clínica de la monoterapia con HCA radica en su eficacia y seguridad en perros con membranas timpánicas intactas.
• En el examen citológico de un frotis del exudado ótico del día (D)0 debían poderse observar fácilmente bacterias y/o levaduras.
Ambos productos parecieron reducir sustancialmente el sobrecrecimiento de levaduras y el sobrecrecimiento bacteriano, especialmente cuando este último se asociaba a sobrecrecimiento de levaduras.
Quedaron excluidos:
• Las perras gestantes o lactantes.
• Los perros con OE supurativa (OES), con parásitos en los oídos o con OE causada por un cuerpo extraño.
• Los perros con sospecha clínica o diagnóstico de rotura de la membrana timpánica mediante un examen otoscópico cuidadoso.
• Los perros con otras enfermedades no controladas en el momento de plantearse la inclusión.
• Los que se sabía que eran alérgicos a cualquiera de los componentes de los productos administrados.
• Los animales tratados con antifúngicos, antibióticos, glucocorticoides o antiinflamatorios no esteroideos, ya fueran tópicos o sistémicos, en las dos semanas previas a la posible inclusión en el estudio, y los perros tratados previamente con glucocorticoides de acción prolongada (definidos como aquellos cuya actividad dura >1 semana) en los dos meses previos a la posible inclusión
La inmunoterapia específica de alérgeno estaba permitida si se utilizaba durante más de un año; los fármacos antialergénicos no esteroideos estaban permitidos si se utilizaban durante más de dos meses, siempre que el tratamiento no cambiara y los signos clínicos se hubieran mantenido estables con estas intervenciones.
En los animales con los dos oídos afectados se trataron ambos, pero solo el más grave (según la puntuación en OTIS-3) fue objeto de seguimiento.
Resultados
Todos los parámetros clínicos evaluados (OTIS- 3, así como el dolor y prurito óticos mediante EAV) mejoraron sin diferencias estadísticamente significativas entre los grupos de tratamiento. La reducción de las puntuaciones clínicas a lo largo del tiempo se asoció a una mayor valoración global de la respuesta al tratamiento tanto por parte de los investigadores como de los propietarios.
En este estudio, todos los acontecimientos adversos observados se consideraron no relacionados con el tratamiento, excepto una inclinación de la cabeza transitoria y que se resolvió sin intervención.
Los exámenes citológicos realizados por subgrupos formados según si a D0 los perros solo presentaban sobrecrecimiento de leva-
duras, solo sobrecrecimiento de bacterias, o sobrecrecimiento de ambos microorganismos, pusieron de relieve algunas tendencias interesantes:
• Ambos productos parecieron reducir sustancialmente el sobrecrecimiento de levaduras y el sobrecrecimiento bacteriano cuando este último se asociaba a sobrecrecimiento de levaduras.
• Solo hubo unos pocos perros con sobrecrecimiento solo bacteriano (nueve de cada grupo) y la reducción citológica del sobrecrecimiento bacteriano en este subgrupo no fue tan marcada como en los otros grupos. Serán necesarios más estudios para obtener datos sobre la eficacia
Es importante remarcar que, aunque la OEEC se trató solo durante 7-14 días, la mejora de los parámetros clínicos y la respuesta global al tratamiento se mantuvieron al menos hasta el D28 en ambos grupos. Aunque se requieren estudios de mayor alcance, estos resultados indican que un glucocorticoide podría no empeorar la disbiosis o infección existente en el oído 13 Algunas de las recaídas registradas pueden haber sido consecuencia de la rápida recaída en un nuevo sobrecrecimiento microbiano, y otras, de una recuperación incompleta. La identificación de los microorganismos no permitió confirmar la causa de estas recaídas.
Los resultados de este estudio indican que, en la OEEC canina, incluso cuando se detecta sobrecrecimiento microbiano en el examen citológico, podría utilizarse como terapia de primera línea un producto comercial con hidrocortisona aceponato (HCA) para pulverización ótica que no contenga antimicrobianos (ni antibióticos ni antifúngicos).
antimicrobiana del tratamiento en esos casos concretos.
• Pareció producirse una reaparición de algunas bacterias y levaduras durante el tratamiento cuando no las había al inicio de este, lo cual indica un posible retorno a la microbiota normal. Para confirmar estas tendencias y hallazgos, se necesitan otros estudios que examinen los cambios en la microbiota del conducto auditivo tras el tratamiento con diversos medicamentos óticos.
Nuestro estudio sobre la OEEC canina ha planteado cuestiones similares a algunas de las que surgen en la DA humana, ya que se ha propuesto tratar sin antibióticos las lesiones de la DA humana infectadas por estafilococos,14 aunque en revisiones sistemáticas15,16 sobre este tema no se establecen recomendaciones definitivas.
La ventaja clínica de la monoterapia con HCA radica en su eficacia y seguridad en perros con membranas timpánicas
Referencias:
Línea azul: solución de hidrocortisona aceponato (HCA) para pulverización ótica; línea fucsia discontinua: suspensión de gotas óticas de acetato de prednisolona, polimixina B y miconazol (CTRL).
intactas. En este estudio, todos los acontecimientos adversos observados se consideraron no relacionados con el tratamiento, excepto una inclinación de la cabeza transitoria y que se resolvió sin intervención. Asimismo, los parámetros de laboratorio se mantuvieron dentro de los intervalos de referencia.
Conclusiones
La aplicación tópica durante 7-14 días de una solución para pulverización ótica que contiene el diéster de glucocorticoides hidrocortisona aceponato (HCA) en perros con OEEC fue segura y produjo una mejora comparable a la de una formulación comercial con antibiótico, antifúngico y glucocorticoide, controlando tanto la inflamación primaria como el sobrecrecimiento microbiano asociado (bacterias y levaduras).
Aunque para confirmar estos hallazgos es necesario seguir investigando, los resultados de este estudio indican que, en la OEEC canina, incluso cuando se detecta sobrecrecimiento microbiano en el examen citológico, podría utilizarse como terapia de primera línea un producto comercial con hidrocortisona aceponato (HCA) para pulverización ótica que no contenga antimicrobianos (ni antibióticos ni antifúngicos).
Se trata de una observación positiva y bienvenida, teniendo en cuenta el aumento de casos de resistencia a los antimicrobianos que se observa tanto en los animales como en las personas.
1. Carlotti DN, Le Roy ST. Otitis externa in the dog – etiology and clinical findings, literature review and retrospective study of 752 cases. Prat Med Chir Anim. 1997;32:243–57.
2. Bensignor E, Legeay D, Médaille C. Prospective study on otitis externa in the adult dog in France. Prat Med Chir Anim Comp. 2000;35:405–14.
3. Aymeric-Cuingnart E, Bensignor E. A prospective study of canine otitis in general practice. Rev Vet Clin. 2018;53:3–9.
4. Saridomichelakis MN, Farmaki R, Leontides LS, Koutinas AF. Aetiology of canine otitis externa: a retrospective study of 100 cases. Vet Dermatol. 2007;18:341–7.
5. Paterson S. A review of 200 cases of otitis externa in the dog (abstract). Vet Derm. 2003;14:249.
6. Paterson S, Matyskiewicz W. A study to evaluate the primary causes associated with pseudomonas otitis in 60 dogs. J Small Anim Pract. 2018;59:238–42.
7. Zur G, Lifshitz B, Bdolah-Abram T. The association between the signalment, common causes of canine otitis externa and pathogens. J Small Anim Pract. 2011;52:254–8.
8. Campbell JJ, Coyner KS, Rankin SC, Lewis TP, Schick AE, Shumaker AK. Evaluation of fungal flora in normal and diseased canine ears. Vet Dermatol. 2010;21:619–25.
9. Bergvall KE, Ahman S, Mueller R, Boehm T, Chala V, Fournel S, et al. Can topical hydrocortisone aceponate e ectively control allergic otitis externa and reduce the risk of recurrence? A double-blinded, placebo-controlled, prospective study (abstract). Vet Dermatol. 2017;28:535.
10. Rigaut D, Briantais P, Jasmin P, Bidaud A. E cacy and safety of a hydrocortisone aceponate-containing ear spray solution in dogs with erythemato-ceruminous otitis externa: A randomised, multicentric, single-blinded, controlled trial. Vet Dermatol. 2023 Dec 13. doi: 10.1111/vde.13224. Epub ahead of print. PMID: 38093088.
11. Nuttall T, Mueller RS, Bensignor E, Verde M, Noli C, Schmidt V, et al. E cacy of a 0.0584% hydrocortisone aceponate spray in the management of canine atopic dermatitis: a randomised, double blind, placebo-controlled trial. Vet Dermatol. 2009;20:191–8.
12. Nuttall T, Bensignor E. A pilot study to develop an objective clinical score for canine otitis externa. Vet Dermatol. 2014;25:530– 7, e91-2.
13. Léonard C, Taminiau B, Ngo J, Fantini O, Daube G, Fontaine J. Preventive use of a topical anti-inflammatory glucocorticoid in atopic dogs without clinical sign of otitis does not a ect ear canal microbiota and mycobiota. Vet Dermatol. 2021;32:355-e98.
14. Gonzalez ME, Scha er JV, Orlow SJ, Gao Z, Li H, Alekseyenko AV, et al. Cutaneous microbiome e ects of fluticasone propionate cream and adjunctive bleach baths in childhood atopic dermatitis. J Am Acad Dermatol. 2016;75:481–493.e8.
15. Bath-Hextall FJ, Birnie AJ, Ravenscroft JC, Williams HC. Interventions to reduce Staphylococcus aureus in the management of atopic eczema: an updated Cochrane review. Br J Dermatol. 2010;163:12–26.
16.
Este caso describe la resolución, mediante un procedimiento completamente toracoscópico, de un cuarto arco aórtico derecho persistente con un ligamento arterioso izquierdo como causa de la compresión esofágica y el consecuente megaesófago en una perra con historia médica previa de vómitos y regurgitaciones desde cachorra.
Manuel Jiménez Peláez1, Ane Sánchez Sánchez de Rojas2 1Especialista Diplomado Europeo en Cirugía de pequeños animales. Socio Fundador, Codirector y Responsable del Servicio de Cirugía. LV, MRCVS, Dipl. ECVS
2LV, Interna del Servicio de Cirugía Aúna Especialidades Veterinarias - IVC Evidensia (Valencia)
Imágenes cedidas por los autores.
Introducción
Las anomalías de anillo vascular son debidas a malformaciones embriológicas de los arcos aórticos y sus ramas. Estas alteraciones producen un anillo que envuelve el esófago, provocando la constricción/ compresión de este, con su posterior dilatación (megaesófago) y signos clínicos de obstrucción esofágica. En ocasiones, también pueden comprimir la tráquea.
Existen varios tipos de anomalía de anillo vascular, entre las cuales la más común es el cuarto arco aórtico derecho persistente (4AADP), que abarca el 95 % de los casos. En ocasiones, es el 4AADP el que contribuye al desarrollo de la aorta definitiva. En estos casos, al cerrarse el ductus arterioso y dar lugar al ligamento arterioso, se produce un atrapamiento del esófago entre la aorta por la derecha, la arteria pulmonar y la base del corazón ventralmente y el ligamento arterioso por la izquierda.
La presencia de estas anomalías es una de las causas frecuentes de megaesófago en animales de compañía.1
En las radiografías torácicas se identifica una estructura de morfología redonda dilatada por gas en la zona mediastínica dorsolateral izquierda (compatible con megaesófago), aumento de la silueta cardiaca, y la tráquea se encuentra levemente desplazada hacia ventral y hacia la izquierda.
En 1910, el profesor Hans Christian Jacobaeus realizó la primera toracoscopia y, por su extensa labor en técnicas de laparoscopia y toracoscopia en medicina humana, es conocido como “el padre de la toracoscopia”12. Sin embargo, no es hasta 1990 cuando se desarrolla el instrumental laparoscópico que conocemos actualmente.13
En medicina veterinaria son escasas las publicaciones sobre 4AADP, ya que no es una patología frecuente, y menos aún realizarla mediante el procedimiento de toracoscopia. La cirugía por toracoscopia presenta, frente a la cirugía convencional, múltiples ventajas tales como un menor
dolor posoperatorio, una recuperación más rápida, mejor visualización, menor tiempo de hospitalización e incluso menores ratios de infección y complicaciones de heridas.
El objetivo del siguiente caso clínico es la descripción de la resolución de un cuarto arco aórtico derecho persistente con un ligamento arterioso izquierdo como causa de la compresión esofágica a través de un procedimiento completamente toracoscópico en un perro.
Caso clínico
Se remite un paciente canino de raza Cocker Spaniel, hembra esterilizada de 6 años y 10,4 kg de peso, con historia médica previa de vómitos y regurgitaciones desde cachorra. Las regurgitaciones y los vómitos ocurren tanto inmediatamente tras la ingestión del alimento (minutos) como a las pocas horas (2-3 horas). El contenido es alimento no digerido y espuma blanca. En ciertas ocasiones presenta esfuerzo abdominal; en otras, la expulsión del alimento es de forma pasiva. Los episodios ocurren a diario y varias veces al día. En alguna ocasión ha presentado episodios de diarreas autolimitantes (24 horas de duración) con una frecuencia aproximada de un episodio/año.
Examen físico
No presenta fatiga, intolerancia al ejercicio, apatía, pérdida de peso ni de apetito. En el examen físico se observan las constantes dentro de rango fisiológico y una condición corporal 5/9.
Pruebas diagnósticas
Las analíticas sanguíneas que incluyen hemograma, bioquímica y electrolitos, se encuentran en rango de referencia.
En las radiografías torácicas se identifica una estructura de morfología redonda dilatada por gas en la zona mediastínica dorsolateral izquierda (compatible con megaesófago), aumento de la silueta cardiaca, y la tráquea se encuentra levemente desplazada hacia ventral y hacia la izquierda (figuras 1A y 1B).
Para continuar el protocolo diagnóstico, se realiza una ecografía abdominal que revela los siguientes hallazgos: presencia de barro biliar, bazo con bordes redondeados y dimensiones aumentadas y la luz del fundus del estómago distendida con un patrón gas/líquido. En la ecocardiografía no se aprecian alteraciones relevantes. Acto seguido, se realiza una tomografía computarizada de la región torácica en la que se aprecia una anomalía del arco aórtico por persistencia del cuarto arco aórtico derecho y ausencia de tronco braquiocefá-
lico, estrechamiento esofágico y megaesófago craneal a la compresión esofágica. Además, se halla un material extraño en la porción distendida del esófago que probablemente podrían ser huesos (figuras 2A, 2B y 2C). Por último, se aprecia una pequeña hernia diafragmática de origen congénito (posible hernia peritoneo-pericárdica) asociada a la malformación del apófisis xifoides (figuras 3A y 3B).
Se colocan tres portales intercostales izquierdos de 5 mm: dos portales instrumentales en el noveno espacio intercostal y la óptica en el centro de ambos, pero en el décimo espacio intercostal.
También se lleva a cabo una esofagoscopia que evidencia una compresión esofágica extraluminal a la altura de la zona de proyección de la base cardiaca asociada a una dilatación esofágica (“saco ciego”) en la misma región. La mucosa esofágica presenta una imagen ligeramente eritematosa, más acentuada en esófago distal y cardias. A continuación,
la mucosa gástrica se observa moderadamente eritematosa y no se constata reflujo gastroesofágico. Por otra parte, se encuentra un hueso en la dilatación esofágica, que se extrae sin complicaciones mediante pinzas endoscópicas.
cópicos y un sellador vascular y tisular. Se colocan tres portales intercostales izquierdos de 5 mm: dos portales instrumentales en el noveno espacio intercostal y la óptica en el centro de ambos, pero en el décimo espacio intercostal (figura 4).
El lóbulo pulmonar craneal izquierdo se desplaza del campo de visión con un palpador para poder ver el sitio de compresión esofágica. Se puede observar y palpar el ligamento arterioso en la zona comprendida entre el mediastino craneodorsal y la base del corazón.
Diagnóstico
El diagnóstico presuntivo es un cuarto arco aórtico derecho persistente con un ligamento arterioso izquierdo como causa de la compresión esofágica y una hernia peritoneo-pericárdica.
Tratamiento
Se propone un tratamiento quirúrgico cuyo objetivo es únicamente liberar el esófago en su zona de compresión. En consenso con sus tutores, se decide no tratar la hernia diafragmática congénita, debido a la ausencia de signos clínicos asociados a la hernia, su cronicidad y el riesgo de descompensación tras la intervención.
La intervención quirúrgica se realiza por toracoscopia intercostal izquierda mediante la colocación del paciente en decúbito lateral derecho y el uso de tres portales de 5 mm. El monitor se coloca frente al cirujano, en la región craneal del paciente. Toda la intervención se lleva a cabo con un laparoscopio de 5 mm de diámetro y 30º de angulación, conectado a un vídeo endoscopio Full HD y una fuente de luz xenón. Las imágenes se visualizan y graban en Full HD.
El instrumental laparoscópico utilizado consta de: una unidad de pinzas de agarre atraumáticas, palpador, disectores endos-
La exploración toracoscópica usando un capnotórax a 2 mmHg de presión revela la dilatación esofágica y su compresión (figura 5). El lóbulo pulmonar craneal izquierdo se desplaza del campo de visión con un palpador para poder ver el sitio de compresión esofágica. Se puede observar y palpar el ligamento arterioso en la zona comprendida entre el mediastino craneodorsal y la base del corazón. Primero, se utiliza un palpador para evaluar el área de interés e identificar el ligamento arterioso. Si no se hubiese podido identificar el liga-
Las pruebas complementarias para el diagnóstico incluyen: la radiografía, cuyos signos radiológicos más comunes son la dilatación esofágica craneal a la base del corazón y la desviación traqueal hacia la izquierda; la esofagoscopia, la ecografía transesofágica y la tomografía computarizada con contraste IV.
mento, se podría haber avanzado una sonda estomacal hasta el esófago o haber insuflado el esófago con un endoscopio flexible; en este caso no es necesario. Se continua el procedimiento identificando el nervio vago y los nervios frénicos. Utilizando las pinzas de disección endoscópicas con varias angulaciones y la punta Maryland del sellador vascular y tisular, se procede a realizar una disección, sellado y división de la vena ácigos izquierda (figura 6), que se encuentra sobre la zona de la compresión, y posteriormente, de la misma manera, del ligamento arterioso izquierdo (figuras 7A
y 7B). Se comprueba la ausencia de compresión esofágica (figura 8) y de sangrado, se coloca un drenaje torácico y se cierran los portales de forma rutinaria en tres planos (muscular, subcutáneo y piel) (figura 9). El procedimiento completo aparece en el vídeo 1
Vídeo 1.
Procedimiento completo de la cirugía toracoscópica.
Figuras 3A Y 3B. Imágenes de la TC (3A reconstrucción sagital y 3B reconstrucción coronal) donde se observa el defecto diafragmático (flechas naranjas) y parte del hígado herniado con grasa falciforme (flecha amarilla).Es muy importante la forma de alimentación de estos animales, que ha de ser en bipedestación, líquida/semilíquida o blanda, varias veces al día en reducidas cantidades de comida hasta evaluar la remisión del megaesófago.2
no se encuentran definidos los criterios de inclusión.1 Algunas referencias podrían ser el tipo de patología, ya que dentro de los anillos aórticos compresivos todos son reseccionables por toracoscopia excepto el doble arco aórtico.1-3 Otro aspecto que se debe tener en cuenta es el tamaño del animal, ya que idealmente estas patologías han de diagnosticarse en paciente jóvenes. Lo que sí está confirmado es que el tratamiento de elección es quirúrgico.1-3
Recuperación
El paciente se recupera en hospitalización durante las siguientes 24 horas y es dado de alta al día siguiente de la intervención sin dolor, clínica y analíticamente normal (vídeo 2). La analgesia administrada al paciente tras la intervención únicamente es metadona a 0,2 mg/kg cada 4-6 horas. Como tratamiento médico ambulatorio se le prescribe cefazolina 22 mg/kg vía oral cada 12 horas durante 7 días, meloxicam 0,1 mg/kg vía oral cada 24 horas durante 5 días y maropitant 3 mg/kg cada 24 horas durante 5 días. Además, se facilitan a los tutores una serie de indicaciones, tales como pautas de alimentación específica para los animales con megaesófago, mantener el collar isabelino puesto hasta la retirada de puntos 15 días tras la intervención y mantener al paciente en reposo durante dos semanas. Durante el año de seguimiento posquirúrgico se ha notado una mejoría significativa con respecto a la tolerancia de alimentos, observándose solo algún vómito y regurgitación esporádica con comida sólida. El megaesófago radiográfico, no se ha resuelto por completo debido a la cronicidad del proceso, como cabía esperar dada la edad del paciente en el momento de la cirugía.
Hay seis tipos de arcos aórticos, durante cuyo desarrollo y maduración normal se produce su regresión selectiva para formar el sistema vascular adulto. Todas las alteraciones de los anillos vasculares se producen por anomalías en el desarrollo del tercer, cuarto y sexto arco, ya que el primero y el segundo desaparecen, el quinto es incompleto y anómalo, y el resto dan lugar a grandes vasos.
No obstante, siempre debemos tener en cuenta en primer lugar los valores analíticos bioquímicos, hematológicos y de funcionalidad cardiaca. Uno de los primeros signos clínicos en aparecer es la regurgitación cuando empiezan a introducir alimentos sólidos en el destete. En algunos pacientes pasan incluso varios años antes de ser diagnosticados por lo que la neumonía por aspiración es un riesgo frecuente. El diagnóstico diferencial primario es el megaesófago
Un punto clave es realizar la cirugía temprana para prevenir cambios irreversibles en el esófago. En cambio, si el paciente ya manifestase otros signos clínicos como neumonía o pérdida de peso, se debe tratar médicamente y mejorar la condición corporal antes de la cirugía, respectivamente.2
La anomalía más común del anillo vascular es el arco aórtico derecho persistente con un ligamento arterioso izquierdo en un 95 % de los casos, donde el arco aórtico proviene del cuarto arco aórtico derecho en vez del izquierdo, el cual forma la aorta.2,3,4,9,10,11 El ligamento arterioso se extiende entre la arteria pulmonar izquierda y el anómalo arco aórtico derecho, causando la constricción dorsolateral izquierda del esófago.1,6 Es una patología que afecta más a los cánidos que a los felinos y las razas Pastor Alemán y Setter Irlandés son las más predispuestas. En el caso de los gatos no hay estudios suficientes como para determinar las razas con mayor predisposición.10
La selección del candidato idóneo para cirugía por toracoscopia es frecuentemente un punto clave, pero actualmente
En nuestro caso, la elección del tratamiento quirúrgico mediante cirugía por toracoscopia se realizó teniendo en cuenta que era un paciente estable, el tipo de anomalía de anillo vascular, el tamaño óptimo del paciente y la experiencia del cirujano.
Un punto clave es realizar la cirugía temprana para prevenir cambios irreversibles en el esófago. En cambio, si el paciente ya manifestase otros signos clínicos como neumonía o pérdida de peso, se debe tratar médicamente y mejorar la condición corporal antes de la cirugía, respectivamente.2 Se ha descrito el uso temporal de una sonda de gastrostomía para controlar las regurgitaciones por el megaesófago y mejorar el estado nutricional del paciente antes de la corrección quirúrgica del 4AADP. Además, puede ser una opción de tratamiento viable para perros mayores o que por otras causas no puedan ser sometidos a la cirugía de 4AADP.7
Las complicaciones tras una cirugía toracoscópica descritas en medicina veterinaria son: formación de seroma o enfisema en la zona intercostal (ambas frecuentemente autolimitantes), neumotórax, hemorragia y efusión pleural. En nuestro caso, no se observaron complicaciones.
De la escasa bibliografía veterinaria que hay publicada, cabe destacar un estudio retrospectivo de 15 años de duración publicado en 2022, donde 52 perros con esta patología fueron tratados quirúrgicamente por toracotomía. El 92 % sobrevivieron hasta la fecha del alta hospitalaria y un 74 % sobrevivieron más de dos meses tras la cirugía.4 El pronóstico, tras eliminar quirúrgicamente la compresión esofágica por el 4AADP y ligamento arterioso, se considera generalmente favorable. Sin embargo, a largo plazo, el pronóstico dependerá principalmente de la funcionalidad del esófago, dado que normalmente siguen padeciendo megaesófago con una reducción de las regurgitaciones ya que la inervación y musculatura esofágica ha sido dañada, por lo que una recuperación completa es poco probable, especialmente cuando la cirugía no se realiza a una edad temprana3-4. En consecuencia, es muy importante la forma de alimentación de estos animales, que ha de ser en bipedestación, líquida/semilíquida o blanda, varias veces al día en reducidas cantidades de comida hasta evaluar la remisión del megaesófago.2
Conclusión
generalizado y obstrucción causada por un cuerpo extraño, estenosis, masa o hernia hiatal. Puede ser difícil diferenciar radiológicamente entre la dilatación esofágica causada por una anomalía del anillo vascular y una gran bolsa craneal al corazón asociada con megaesófago.3,4,10
Las pruebas complementarias para el diagnóstico incluyen: la radiografía, cuyos signos radiológicos más comunes son la dilatación esofágica craneal a la base del corazón y la desviación traqueal hacia la izquierda; la esofagoscopia, la ecografía transesofágica y la tomografía computarizada con contraste IV. Estas últimas son actualmente las pruebas de elección para la evaluación de una compresión esofágica por la persistencia de un cuarto aórtico derecho y para la planificación quirúrgica.3,4,8,9,10
El tratamiento toracoscópico del cuarto arco aórtico derecho persistente con ligamento arterioso izquierdo es una técnica factible, eficaz, mínimamente invasiva y segura en perros. Aunque actualmente el tratamiento de este tipo de anomalías congénitas por toracoscopia se considera una intervención técnicamente compleja, con la debida experiencia en la materia, sus indicaciones son muy amplias, al igual que pueden ser sus beneficios. Como en toda cirugía mínimamente invasiva, la selección adecuada del candidato quirúrgico será especialmente primordial, apoyada por un estudio preoperatorio completo, imágenes de TC que muestren el tipo de la anomalía a tratar.
Figura 8. Imagen toracoscópica donde se aprecia la liberación esofágica y ausencia de compresión. Figura 9. Imagen posoperatoria inmediata donde se observan los tres portales suturados y el drenaje torácico colocado.En muchos casos, los signos clínicos del páncreas y del sistema hepatobiliar son inespecíficos o están asociados al tracto gastrointestinal. La anamnesis y los hallazgos iniciales pueden ser útiles para hacernos sospechar de una enfermedad hepatobiliar o pancreática, pero serán necesarios varios niveles de investigación y una minuciosa batería de pruebas para llegar al diagnóstico definitivo.
Fabio Procoli1,Karin Allenspach2, Silke Salavati Schmit3, Jordi Puig4
1DMV, MVetMed, DipACVIM, DipECVIM-CA, MRCVS
Jefe del Departamento de Medicina Interna, Hospital Veterinario I Portoni Rossi, Italia.
2DVM, PhD, DipECVIM-CA
Profesora de Medicina Interna y Salud Translacional, Universidad de Iowa, Estados Unidos.
3DrMedVet, PhD, DipECVIM-CA, FHEA, MRCVS
Profesora titular de Medicina Interna de Pequeños Animales, Universidad de Edimburgo, Reino Unido.
4Revisor científico
LV, Dipl ECVIM-CA (medicina interna), Dipl ACVIM (SAIM).
Corresponsable del Departamento de Medicina Interna de AniCura Ars Veterinaria.
Imágenes cedidas por los autores
Los signos clínicos del páncreas y el sistema hepatobiliar son a menudo indistinguibles de los signos asociados a la enfermedad gastrointestinal (GI) primaria. A diferencia de los perros, en los gatos suelen ser imprecisos e inespecíficos (anorexia, letargo, resistencia a la palpación abdominal).
Aunque puede haber signos clínicos más específicos o hallazgos en la exploración física (p. ej., vómitos, ictericia, masa abdominal craneal palpable), los signos característicos generales considerados patognomónicos en los perros (p. ej., la combinación de vómitos agudos, dolor abdominal craneal grave o incluso una «posición de oración» en la pancreatitis aguda; o ascitis como signo de enfermedad hepática avanzada y/o hipertensión portal) casi nunca están presentes en los gatos.
Incluso los signos de encefalopatía hepática son más difíciles de reconocer en los gatos que en los perros, ya que incluyen signos como pirexia, hipersalivación, ceguera o convulsiones, que se considerarían atípicos en los perros. De ahí que los diagnósticos diferenciales siempre se solapen con afecciones de otros órganos
Además, las enfermedades infecciosas son en general más comunes en los gatos que en los perros y, por tanto, deben considerarse un diagnóstico diferencial más probable (p. ej., peritonitis infecciosa felina [PIF], toxoplasmosis).
Un estudio sistemático orientado al problema y basado en los signos clínicos predominantes es lo más adecuado para determinar un diagnóstico preciso, pero puede implicar un número considerable
Signos clínicos asociados a la enfermedad hepatobiliar en los gatos
Tabla 1. Signos clínicos comunes asociados a la enfermedad hepatobiliar en los gatos. Se describen el significado y las diferencias con los perros.
Significado/mecanismo
Frecuencia en el contexto de la enfermedad hepatobiliar
Diagnósticos diferenciales comunes
Anorexia/inapetencia No específico Común Muchos
Heces acólicas Sugiere una obstrucción completa del conducto biliar común (p. ej., OVBEH; v. cap. 25)
Hemorragia/ coagulopatía
Reducción o ausencia de síntesis y activación de los factores de coagulación por el hígado
Ceguera/pérdida de visión A menudo un signo de EH
Diarrea
Disuria
Abdomen distendido
Por lo general diarrea del intestino delgado, resultado de ulceración GI, malabsorción, producción de toxinas, osmótica
Debido a urolitiasis Los cristales o cálculos de urato amónico no suelen desarrollarse en gatos con fallo funcional hepático/ DPS; se desconoce la causa de la mayoría de los casos de urolitiasis de urato en gatos
Raro Ninguno
Rara vez se presenta como signo principal, pero a menudo se observa clínicamente (p. ej., tras una venopunción)
En general es raro, pero puede verse con más frecuencia en los gatos con DPS que en los perros
Poco común en comparación con los perros
Muy raro
Hepatomegalia o masa hepatobiliar; líquido peritoneal libre Poco común
Hipertermia/fiebre Causa infecciosa real (sistémica o local) o falta de eliminación de endotoxinas por la circulación portal
En general infrecuente, pero observado en la DPS o PIF
Trombocitopenia, trombocitopatía, intoxicación por rodenticidas, CID, deficiencia del factor XII
Enfermedad ocular (coriorretinitis, toxoplasmosis); enfermedad inflamatoria, infecciosa o neoplásica del SNC (ceguera cortical); hipertensión sistémica
Muchas enfermedades GI primarias (infecciosas, inflamatorias, neoplásicas), pancreatitis, IPE, ERC, hipertiroidismo
Urolitiasis de causa no hepática (oxalato cálcico, estruvita), infección de orina, cistitis idiopática felina
Aumento de otros órganos o masa, grasa intraabdominal Los diferenciales para el líquido peritoneal deben determinarse por el tipo de líquido: trasudado (hipoalbuminemia, enfermedad cardiaca [también si es quilo]), trasudado modificado (inflamatorio, infeccioso, neoplásico, uroabdomen), exudado (PIF, rotura biliar, peritonitis séptica)
Cualquier otra causa inflamatoria o infecciosa (órganos o sistémica), según los signos predominantes y los hallazgos iniciales Ictericia Se diferencian en prehepáticas, hepáticas y poshepáticas Común Véase el cuadro 1
Mucosas pálidas Anemia o perfusión subóptima (shock)
Poco común
Hemólisis, hemorragia digestiva (aguda o ferropénica), trastornos de la médula ósea, shock (hipovolémico, distributivo/ anafiláctico, cardiogénico, neurogénico)
Poliuria/polidipsia Lavado medular (reducción de la producción de urea), psicógeno Raro ERC, hipertiroidismo, hipercalcemia, diabetes mellitus (insípida rara), inducida por fármacos
Ptialismo/ hipersalivación A menudo un signo de EH Frecuente en la DPS o con otras causas de EH
Convulsiones (y otros signos del SNC como estupor, coma, vueltas en círculos, “head pressing”, ataxia) A menudo un signo de EH
Vómitos
Patogenia a menudo poco clara, pero probable combinación de vómitos centrales debidos a la acumulación de toxinas endógenas y posible lesión de la mucosa GI
En general, las convulsiones son raras, pero más comunes en los gatos con DPS que en los perros Rara vez se observan otros signos del SNC
Menos frecuente que en los perros
Salivary gland disease, oral/dental disease, neurological condition (trigeminal nerve), dysphagia/odynophagia, drug reaction
Enfermedades infecciosas, inflamatorias o neoplásicas del SNC; crisis idiopáticas (epilépticas); enfermedades del oído; intoxicación Debe diferenciarse del síncope
Idiopáticos, enfermedad GI infecciosa, cuerpo extraño/obstrucción GI, hipertiroidismo, CAD, LRA o ERC, intoxicación, inducidos por fármacos Pérdida de peso Inespecífico, secundario a anorexia, estado catabólico Común Muchos
CAD, cetoacidosis diabética; CID, coagulación intravascular diseminada; DPS, derivación portosistémica; EH, encefalopatía hepática; ERC, enfermedad renal crónica; GI, gastrointestinal; IPE, insuficiencia pancreática exocrina; LRA, lesión renal aguda; PIF, peritonitis infecciosa felina; OVBEH, obstrucción de la vía biliar extrahepática.
de pruebas de laboratorio y procedimientos de diagnóstico por imagen.
En este artículo, los autores abordan los aspectos más relevantes de los diagnósticos diferenciales para signos clínicos específicos del páncreas y el sistema hepatobiliar en los gatos.
En resumen, la pancreatitis aguda es rara en los gatos, pero si está presente (o inducida experimentalmente), los signos son inespecíficos y poco definidos (anorexia, letargo, pérdida de peso). Puede seguir con un deterioro agudo con shock hipovolémico, deshidratación e hipovolemia, mientras que los efectos de masa abdominal, vómitos o diarrea son raros.
La pancreatitis crónica es mucho más común en los gatos y a menudo se asocia con colangitis y enfermedad inflamatoria intestinal (EII) (triaditis), y sus signos clínicos son de nuevo inespecíficos o se asocian predominantemente con los otros órganos afectados (p. ej., vómitos y diarrea en la EII, ictericia y pirexia en la colangitis). Los signos distintivos de la insuficiencia pancreática exocrina son la diarrea y la pérdida de peso, por lo que hay que considerar una cantidad de diagnósticos diferenciales dentro y fuera del tracto gastrointestinal.
Las enfermedades infecciosas son en general más comunes en los gatos que en los perros y, por tanto, deben considerarse un diagnóstico diferencial más probable (p. ej., PIF, toxoplasmosis).
La enfermedad hepatobiliar puede ser primaria o secundaria (la lipidosis hepática es la enfermedad hepática secundaria más común y más representativa en los gatos), y puede manifestarse a través de una gran variedad de signos clínicos (tabla 1), aunque la mayoría de ellos se ven con más frecuencia en perros que en gatos.
De forma similar a la enfermedad pancreática, los signos en los gatos suelen ser inespecíficos (p. ej., letargo, inapetencia o anorexia, vómitos, diarrea, pérdida de peso reciente), por lo que son necesarias varias pruebas para responder a preguntas clínicas cruciales, delimitar el tipo de enfermedad hepática (daño hepatocelular, alteración funcional o colestasis) y confirmar un diagnóstico (figura 2).
El diagnóstico diferencial de la ictericia (figura 1) tampoco se limita a las enfermedades hepatobiliares, sino que en primer lugar debe dividirse en causas prehepáticas (hemolíticas), hepáticas (hepatocelulares) y poshepáticas (biliares u obstructivas) (cuadro 1).
Una vez excluida la hemólisis, hay que diferenciar las causas hepáticas (p. ej., lipidosis hepática; o neoplasia) de las causas poshepáticas. Estas últimas pueden afectar a los canalículos biliares intrahepáticos (p. ej., colangitis/colangiohepatitis) o al conducto biliar extrahepático (p. ej., obstrucción del conducto biliar extrahepático) y a la vesícula biliar. La pancreatitis o la triaditis también deben considerarse diagnósticos diferenciales habituales de ictericia poshepática en los gatos.
Hay que considerar varias infecciones sistémicas como causa de ictericia y
descartarlas adecuadamente. La sospecha de PIF debe ser alta en gatos jóvenes (cachorros) o geriátricos con pirexia, ictericia o ascitis y hallazgos de confirmación apropiados en los análisis de laboratorio rutinarios (hiperglobulinemia, ratio albúmina/globulina en suero o ascitis <0,3). En los casos con ascitis, la reacción en cadena de la polimerasa cuantitativa con transcriptasa inversa (RT-qPCR) para coronavirus felino a partir del líquido peritoneal es la mejor herramienta diagnóstica disponible. En última instancia, el diagnóstico final, especialmente en los casos de PIF seca o para la diferenciación de la colangitis linfocítica o el linfoma hepático de
células pequeñas, solo puede alcanzarse mediante una evaluación histopatológica de las biopsias hepáticas.
La toxoplasmosis puede diagnosticarse basándose en los títulos de IgG e IgM, o en el hallazgo de taquizoítos en biopsias hepáticas (o de otros tejidos) o muestras de bilis.
Ictericia prehepática (hemolítica)
En general, es necesario adaptar los diagnósticos diferenciales probables basándose en la anamnesis, la reseña y los hallazgos iniciales, aunque a menudo son necesarios varios niveles de investigación para encontrar un diagnóstico definitivo (figura 2).
El tratamiento debe dirigirse a la causa subyacente, pero puede incluir antibióticos,
• Anemia hemolítica inmunomediada (primaria y secundaria)
• Infecciones de los eritrocitos:
- Babesia spp.
- Micoplasmas hemotrópicos
- Cytoauxzoon felis
• Lesión oxidativa de los eritrocitos (anemia con cuerpos de Heinz):
- Paracetamol
- Cebolla, ajo
- Zinc
- Vitamina K
- Benzocaína y otros anestésicos locales
- Propilenglicol
- Naftalina (bolas para polillas)
• Envenenamiento (arañas, serpientes, abejas)
• Hipofosfatemia:
- Tratamiento con insulina en la diabetes o la CAD
- Síndrome de realimentación (v. cap. 23)
• Defectos hereditarios de los eritrocitos:
- Deficiencia de piruvato quinasa
- Deficiencia de fosfofructoquinasa
- Estomatocitosis
• Fragmentación microangiopática de los eritrocitos:
- CID
- Vasculitis
- Hemangiosarcoma
- Golpe de calor
- Infección por parásitos del corazón
• Transfusión de sangre incompatible
• Isoeritrólisis neonatal
antiinflamatorios o inmunosupresores, así como tratamiento sintomático. También suelen administrarse antioxidantes y agentes hepatoprotectores. Además, deben tenerse en cuenta medidas nutricionales adecuadas, ya sea como tratamiento complementario o como intervención causal (p. ej., en la lipidosis hepática).
Ictericia hepática (hepatocelular)
• Reacciones adversas a los medicamentos (muchas)
• Hepatotoxinas (muchas)
• Hepatitis infecciosa o infección multiorgánica/sistémica:
- PIF
- Toxoplasmosis
- Infección atípica por calicivirus felino
- Infección ascendente del tracto biliar
• Colangitis/colangiohepatitis (v. cap. 24)
• Neutrofílica/supurativa
• Linfocítica
• Lipidosis hepática felina (v. cap. 21)
• Neoplasia hepática (primaria o metastásica)
• Colestasis por sepsis
Ictericia poshepática (biliar u obstructiva)
• Colelitiasis, coledocolitiasis
• Quiste colédoco
• Inflamación de la vía biliar (granulomatosa), estenosis o quiste
• Infestación por trematodos biliares (Platynosomum concinnum, Amphimerus pseudofelineus)
• Neoplasia biliar
• Colecistitis
• Enfermedad pancreática (pancreatitis, v. cap. 18; neoplasia pancreática)
• Triaditis (v. cap. 24)
• Rotura de la vía biliar o de la vesícula biliar (peritonitis biliar)
Adaptado de WASHBAU RJ, DAY MJ, editors. Canine and Feline Gastroenterology. St. Louis, Saunders Elsevier, 2012. CAD, cetoacidosis diabética; CID, coagulación intravascular diseminada; PIF, peritonitis infecciosa felina.
Sospecha de enfermedad hepatobiliar
• Los signos clínicos de la enfermedad hepatobiliar suelen ser inespecíficos o estar asociados al tracto gastrointestinal.
• Incluso los signos clínicos más específicos (p. ej., ictericia, hemorragia) tienen una gran variedad de diagnósticos diferenciales que deben descartarse.
• Es prudente evaluar inicialmente si existe una situación de riesgo vital (p. ej., encefalopatía hepática, peritonitis biliar), diagnosticarla y tratarla adecuadamente.
• Los análisis rutinarios de laboratorio suelen permitir diferenciar entre lesión hepatocelular, alteración funcional hepática y colestasis.
• El diagnóstico por imagen es esencial en muchos casos para establecer un diagnóstico definitivo y también puede ayudar en la toma de muestras (p. ej., aspiración hepática con aguja fina, colecistocentesis, biopsias con aguja Tru-cut).
• Un número de afecciones hepatobiliares felinas frecuentes solo pueden diagnosticarse mediante muestras de aguja fina o biopsia con pruebas asociadas (p. ej., cultivo de bilis, tinciones especiales en histopatología).
Este artículo es un extracto de la obra
Gastroenterología felina
Disponible en edicionesedra.com
Tel.: +34 910 003 892
¿Hay peligro de muerte?
¿Signos de EH?
Examen neurológico, PA ± bioquímica, NH3
• Tratar la sospecha de EH independientemente de la causa
• Tratar sintomáticamente los signos clínicos según proceda
• Investigar cuando el paciente esté estable
Radiografías abdominales
• Descartar otras causas
• Tamaño del hígado
• Masas
• ¿Vesícula biliar?
Muestras con punción de aguja fina
• Parénquima hepático (lipidosis, inflamación, neoplasia, etc.)
• Colecistocentesis (citología, CS)
• Análisis de fluidos (incluida la RT-qPCR para el FCoV)
¿Hay daño hepatocelular, alteración funcional hepática o enfermedad sistémica?
Evaluación laboratorial rutinaria de:
• Daños (enzimas hepáticas, especialmente ALT > FA)
• Función (urea, albúmina, colesterol, glucosa)
• Signos de inflamación o infección (RL, recuento diferencial, globulinas, ratio albúmina/globulina)
Evaluar los parámetros avanzados de la función hepática (AB, NH3)
Evaluar la coagulación (recuento de plaquetas, TP/TTPa)
Anticuerpos de FCoV, AGP, electroforesis de proteínas séricas si se sospecha PIF; toxoplasma IgG
Diagnóstico por imagen
¿Hay colestasis/enfermedad biliar ± enfermedad sistémica?
¿Ictericia clínica?
Niveles séricos elevados de bilirrubina
Hepáticos o poshepáticos
¿Patrón «colestásico» en la bioquímica rutinaria? (colesterol alto, FA >> ALT), ± fPLI
Ecografía abdominal (Angio)-TC
• Tamaño del hígado, ecotextura, masas
• CBC (OVBEH), vesícula biliar (tamaño, pared, contenido), páncreas
• Vasculatura (DPS)
• Líquido peritoneal libre
• Vasculatura (DPS)
• Extensión, carácter y perfusión de las masas
Biopsia o tratamiento quirúrgico (resección de masa, cierre de DPS)
• Histopatología ± IHQ/tinciones especiales (incluido el FCoV)
• Colecistocentesis (citología, CS)
leucocitos;
Ictericia prehepática = hemólisis
• ¿Anemia? (Hto, hematología)
• Frotis de sangre
• Enfermedades infecciosas (PCR de micoplasmas hemotrópicos)
• ¿Causas de la AHIM?
obstrucción
reacción en cadena de la polimerasa cuantitativa con transcriptasa inversa; TC, tomografía computarizada; TP, tiempo de protrombina; TTPa, tiempo de tromboplastina parcial activado.
Figura 2. Algoritmo para los escenarios clínicos de la enfermedad hepatobiliar y su respectiva preparación. Los números indican el nivel/orden de las pruebas. AB, ácidos biliares; AGP, glicoproteína ácida alfa 1; AHIM, anemia hemolítica inmunomediada; ALT, alanina aminotransferasa; CBC, conducto biliar común; CS, cultivo y sensibilidad; DPS, derivación portosistémica; EH, encefalopatía hepática; FA, fosfatasa alcalina; FCoV, coronavirus felino; fPLI, inmunorreactividad de la lipasa pancreática felina; Hto, hematocrito; IHQ, inmunohistoquímica; NH3, amoniaco; OVBEH, de la vía biliar extrahepática; PA, presión arterial; PIF, peritonitis infecciosa felina; RL, recuento de RT-qPCR,En 2023 Vectra®3D se convirtió en la primera pipeta del mercado1 durante 7 meses consecutivos. Desde su lanzamiento,
Ceva Salud Animal ha sabido demostrar la superioridad técnica, la eficacia científica y las ventajas que aporta Vectra®3D como gran aliado en la prevención de los parásitos.
Vectra®3D la pipeta que actúa frente a parásitos externos de Ceva Salud Animal celebra su 10º aniversario.
A lo largo de este tiempo desde Ceva Salud Animal como parte de nuestro compromiso One Health, nos hemos involucrado en mejorar el conocimiento y la prevención de parásitos externos, aportando valor y demostrando con evidencia científica cómo Vectra®3D puede ser un gran aliado a la hora de proteger a los perros de parásitos trasmisores de enfermedades. Esta andadura no la hemos realizado solos, en estos 10 años nos habéis acompañado los profesionales de la salud, los veterinarios, promoviendo en innumerables veces la concienciación de los peligros de los parásitos externos y la importancia de su prevención. Por eso os queremos dar las gracias, ya que nuestros logros son sin duda fruto de un esfuerzo compartido. ¡Gracias por vuestra confianza!
Aprovechando nuestro décimo aniversario queremos repasar los 10 hitos y/o características de Vectra®3D que han sido cruciales para que en menos de 9 años haya sido la pipeta número uno del mercado1 durante más de la mitad de 2023.
1. Pipeta favorita de los veterinarios españoles2,3 (2018)
En 2014 se lanzó Vectra®3D, una pipeta antiparasitaria innovadora con una composición única. Fue un producto muy esperado por todo el equipo de Ceva y que se acogió con mucha ilusión y determinación.
Gracias al gran trabajo, a la estrategia, a la ejecución de las personas de la compañía y a la gran acogida por parte de los veterinarios, conseguimos que, en tan solo 4 años tras su lanzamiento, el producto se posicionara como la pipeta favorita del veterinario2,3 dejando atrás a los principales competidores. Desde 2018 y en la actualidad continuamos manteniéndonos como la elección preferida de los veterinarios.3
2. Primer anuncio en televisión (2022)
En 2022, España se lanza al gran formato y publicamos el primer spot de Vectra®3D en el mundo.
Para el rodaje escogimos la Reserva Natural de la Ricarda, situada en Barcelona, que presenta las condiciones perfectas para la presencia de parásitos y con un protagonista único, Otto: un Golden Retriever que lucha frente a las agresiones de los parásitos externos.
Esta vía de comunicación es una manera para ayudar a concienciar al público general de los peligros de los parásitos y de la importancia de la prevención y con este spot logramos hacerlo de una manera dinámica y creativa.
Desde 2018 y en la actualidad continuamos manteniéndonos como la elección preferida de los veterinarios.3
3. Pipeta número 1 del mercado1 (2023)
En 2023, un año antes del décimo aniversario, Vectra®3D se convirtió en la primera pipeta del mercado1 durante 7 meses consecutivos. Este logro es sin lugar a duda fruto del buen trabajo realizado, la recomendación de los veterinarios y la gran acogida por parte de los tutores. En estos años hemos sabido demostrar la superioridad técnica, eficacia científica y las ventajas
que aporta Vectra®3D como gran aliado en la prevención de los parásitos. Aunque estamos muy contentos, sabemos que nos queda un gran camino por recorrer y que debemos seguir esforzándonos en aportar valor y en ayudar a promover el conocimiento de los parásitos y los riesgos que suponen para las mascotas.
¿Por qué Vectra®3D es una pipeta diferente?
4. Composición única Vectra®3D actúa por contacto sin necesidad de que los parásitos lleguen a picar, con una peculiar composición que consta de tres principios activos:
• El dinotefurán es un insecticida de acción rápida.
• La permetrina es repelente, insecticida, acaricida y además tiene una sinergia con el dinotefurán potenciando la actividad insecticida.
• El piriproxifeno es un regulador del crecimiento de los insectos, ovicida y larvicida.
5. Aplicación en línea
Dispone de un aplicador patentado de punta redondeada, suave con la piel del perro y alargado para favorecer que el producto llegue a la piel a través del pelo. Gracias a su forma, se recomienda aplicarla en línea desde la base de la cola hasta la zona de los hombros siguiendo la línea de la espalda (ver figura 1). De esta manera favorecemos la distribución homogénea del producto y que llegue a concentraciones óptimas a partes distales del animal.
6. Resistente al agua4
Vectra®3D es ideal para perros amantes del agua ya que es el único antiparasitario repelente que mantiene su eficacia si el perro se moja semanalmente4
En relación con los baños con champú, no alteran su eficacia si se realizan a las dos semanas de haber aplicado el producto4
7. Control de las pulgas y sus formas inmaduras (IGR) Vectra®3D no solo repele y mata las pulgas adultas durante todo el mes, sino que también actúa evitando el desarrollo de las formas inmaduras de las pulgas (ovicida y larvicida) durante 2 meses gracias al piriproxifeno, un regulador del crecimiento de insectos (IGR) que es el componente clave para realizar ese control de pulgas de manera integral.
¿Por qué es importante controlar las formas inmaduras?
En la población de la pulga, los estadios inmaduros (huevos, larvas y pupas) representan el 95 % de la población. Mientras que las pulgas adultas representan tan solo el 5 %. Para cuando un tutor ve las pulgas adultas en su perro, la casa y el ambiente ya han sido invadidos por estadios inmaduros que se van desarrollando (huevos, larvas y pupas). En un ambiente contaminado, los perros están continuamente reinfestándose por nuevas pulgas adultas; por ello es tan importante no solo controlar las pulgas adultas con un adulticida, sino también controlar el ambiente eliminando larvas y huevos (un producto con efecto larvicida y ovicida) para controlar todo el ciclo de vida de la pulga.
8. Previene la picadura del flebótomo transmisor de la leishmaniosis durante 4 semanas
Las medidas para prevenir la leishmaniosis según las guías Leishvet5 incluyen la aplicación de un
insecticida tópico de acción prolongada durante todo el periodo de actividad de los flebótomos. A nivel de spot on recomiendan pipetas a base de permetrina con efecto repelente (anti-alimentación). Adicionalmente se debe considerar la vacunación con un enfoque multimodal.
Vectra®3D tiene efecto repelente frente a Phlebotomus perniciosus durante 4 semanas, por lo que puede ser un gran aliado para prevenir las picaduras de este vector.
9. Previene la picadura de mosquitos transmisores de la dirofilariosis durante 4 semanas
A la hora de prevenir la dirofilariosis las guidelines6 propuestas por ESDA (European Society of Dirofilariosis and Angiostrongylosis) recomiendan la administración mensual de lactonas macrocíclicas ya que son capaces de eliminar las larvas infectivas hasta los 30 días de edad. De manera adicional aconsejan el uso de productos tópicos con piretroides sintéticos para disminuir el riesgo de picaduras de mosquitos.
Vectra®3D actúa frente a los mosquitos transmisores de la dirofilariosis. Tiene eficacia repelente frente Culex pipiens y eficacia repelente e insecticida frente a Aedesaegypti durante 4 semanas.
Además de su eficacia frente a mosquitos
Vectra®3D también actúa frente a pulgas, sus formas inmaduras, garrapatas, flebotomos y mosca del establo. Una aplicación mensual protege de los principlaes parásitos que afectan a los perros.
Vectra®3D no solo repele y mata las pulgas adultas durante todo el mes, sino que también actúa evitando el desarrollo de las formas inmaduras de las pulgas (ovicida y larvicida) durante 2 meses.
10. Contribución científica
A lo largo de los años y desde su lanzamiento, en Ceva Salud Animal hemos trabajado para ir ampliando la evidencia científica del producto y ayudar a aumentar el conocimiento de las enfermedades vectoriales. Sobre este punto queríamos destacar algunos de los materiales y proyectos que se han realizado durante estos 10 años con el objetivo de ayudaros en vuestro día a día. En 2016 lanzamos una monografía completa que agrupaba la evidencia científica de la eficacia de Vectra®3D frente a los diferentes parásitos.
En 2018, lanzamos la campaña “El peligro viene volando” donde ayudábamos a dar visibilidad y concienciar sobre los riesgos de los flebótomos y mosquitos y las enfermedades que pueden transmitir promoviendo la “Double Defense” a la hora de realizar la prevención de leishmaniosis y dirofilariosis.
Ese mismo año lanzamos la primera guía de dirofilariosis y leishmaniosis realizada por expertos mundiales con el objetivo de tener en un solo documento los protocolos para mejorar el diagnóstico y prevención de las dos enfermedades. Dos años más tarde, en 2020, volvimos a reunir a expertos internacionales para realizar la segunda edición con la versión actualizada sobre los protocolos de diagnóstico, tratamiento y prevención.
En 2021 realizamos el protocolo actualizado de desparasitación canina de la mano de la especialista Rebeca Movilla donde abordábamos las pautas personalizadas de desparasitación tanto externa como interna en función del riesgo del paciente y del cliente.
También hemos colaborado en diferentes proyectos para aumentar y promover el conocimiento de las enfermedades vectoriales: Desde 2020 colaboramos de manera estrecha con la Facultad de Salamanca y el Dr. Rodrigo Morchón en la elaboración de mapas de riesgo de algunas enfermedades vectoriales. Desde 2021, a partir del proyecto myVBDmap, la plataforma de mapas interactivos de enfer-
medades vectoriales, hemos colaborado con varias clínicas, universidades y hospitales que han compartido su casuística contribuyendo a conocer mejor cuál es la situación de ciertas enfermedades en nuestro país. Y, por último, en 2023, realizamos Check & Protect, un estudio colaborativo de campo para mejorar el conocimiento y la prevención frente a enfermedades parasitarias.
Estos son algunos de los materiales y proyectos que hemos ido desarrollando a lo largo de estos 10 años reafirmando nuestro enorme compromiso en la prevención de los parásitos, la concienciación de las enfermedades que transmiten y la formación a los veterinarios.
¡Gracias por vuestra confianza!
Nuestra andadura a lo largo de estos 10 años ha sido fructífera permitiéndonos aprender, celebrar, recalcular y esforzarnos al máximo
para estar siempre cerca de nuestros clientes y tratar de cubrir sus necesidades.
El camino para promover la educación y la importancia de la prevención aplicando el One Health es largo, pero siempre hemos ido muy bien acompañados de vuestra mano, la de los veterinarios y conocemos bien que vues-
Referencias:
tro papel es fundamental. Por ello y más que nunca celebramos este aniversario con toda la gratitud del mundo hacia vosotros porque vuestra confianza, apoyo y labor ha sido, es y será, nuestra motivación para continuar hacia un futuro mejor. ¡Felices 10 años! ¡Gracias por acompañarnos! ¡Y a por muchos más!
1. Datos Sell Out Vetevidence, categoría Spot- ON antiparasitarios. De mayo a diciembre de 2023
2. Antiparasitario externo en spot-on preferido por los veterinarios según BIO’SAT Vet Market Research – ECTOPARASITICIDES FOR CATS & DOGS STUDY AMONG SMALL ANIMAL, June 2018.
3. Datos Vet Evidence Pet sell Out. Informe primer semester 2023, Antiparasitarios externos, Canal Veterinario.
4. La inmersión en agua, repetida semanalmente durante un mes y empezando 48 horas después del tratamiento, así como el lavado con champú 2 semanas después del tratamiento, no afectan a la eficacia de este medicamento.
5. Leishvet. Guidelines Leishmaniosis canina y felina. 2022
6. European Society of Dirofilariosis and Angiostrongyliosis. Guidelines for clinical management of Canine Heartworm Disease. 2021
En veterinaria los términos TFAST y AFAST hacen referencia a la exploración ecográfica del tórax y del abdomen en urgencias, respectivamente, y el protocolo VET BLUE al examen pulmonar ampliado. Estos conceptos se incluyen dentro de las POCUS, cuya idea es dar una respuesta inmediata a una situación clínica grave en función de la obtención de información mediante la ecografía.
Javier Hernández Sánchez
Veterinario
Centro Veterinario Sur Medivet
España – GV Kitican
Imágenes cedidas por el autor
Introducción
La aplicación progresiva de la ecografía torácica en el servicio de urgencias de medicina humana ha experimentado un imparable desarrollo a lo largo de los últimos 30 años. Son ya muchos médicos que ejercen la medicina de emergencia y atención inmediata los que se han ido capacitando para obtener información muy valiosa en un primer triaje de la ecografía rápida para evaluar el compromiso vital de pacientes, sin ser radiólogos ni especialistas en esta técnica. En las enfermedades torácicas la ecografía ha desbancado incluso otras pruebas como la radiología o el escáner para evaluar como primer screening personas con síntomas cardiorrespiratorios y es hoy en día una técnica indispensable para el estudio rápido de la pleura, el mediastino, el pulmón, el corazón, la pared torácica y el diafragma. Algunos factores inherentes a ecografía que han permitido un uso creciente son la ausencia de radicación ionizante, la accesibilidad del equipo (muchos ecógrafos son portátiles), la valoración a tiempo real y la rápida curva de aprendizaje para cribar la urgencia.
En perros y gatos, ¿cuáles podrían ser las indicaciones de realizar una POCUS torácica, pulmonar, cardiaca? Sin duda, la respuesta es en aquellos pacientes que se presentan con distrés respiratorio.
Desde los años 90, se han utilizado las FAST (acrónimo de “Focused Assesment with Sonography for Trauma”) para detectar la presencia de líquido libre abdominal y torácica en personas con traumatismo. Sin embargo, esta primera indicación se ha extendido a la evaluación de múltiples situaciones críticas como el fallo cardiaco, obstrucciones, rotura visceral, heridas penetrantes o masas entre otras.
En veterinaria se utilizan los términos TFAST y AFAST para nombrar la exploración ecográfica y del abdomen en urgencias respectivamente, y el protocolo VET BLUE para el examen pulmonar ampliado (“VET” de veterinary y “BLUE” de en inglés “cyanosis and bedside lung ultrasound exam or in emergency”). Estos conceptos se incluyen dentro de las “POCUS”, acrónimo de “point of care ultrasound”, que viene a representar la idea de dar una respuesta inmediata a una situación clínica
grave en función de la obtención de información mediante la ecografía. La combinación de AFAST, TFAST y VET BLUE es la llamada GFAST (“global fast”).
Y en perros y gatos, ¿cuáles podrían ser las indicaciones de realizar una POCUS torácica, pulmonar, cardiaca? Sin duda, la respuesta es en aquellos pacientes que se presentan con distrés respiratorio. Los datos obtenidos de la reseña y de la anamnesis junto con los analizados tras realizar el examen físico en pacientes como compromiso respiratorio serán los que indiquen realizar la ecografía (cuadros 1 y 2).
Técnica ecográfica de la TFAST y del protocolo Vet Blue
Equipamiento
En líneas generales, la ecografía es una prueba diagnóstica que emplea ultrasonidos que son enviados al paciente a través de una sonda, y devueltos en forma de ecos que el ecógrafo transforma en una imagen a tiempo real.
Hay tres tipos de sondas o transductores: lineales que normalmente trabajan a frecuencias altas y nos dan detalles de estructuras superficiales; sectoriales, que incluyen las “phase array” para realizar ecocardiografía y estudios Doppler permitiendo además ecografiar estructuras alejadas con gran calidad; y convexas (microconvexas), que combinan las dos anteriores utilizando frecuencias medias y son las más ampliamente utilizadas en ecografía abdominal.
En general, para las POCUS se utilizarán las convexas, aunque las sondas lineales son especialmente útiles para evaluar detalles de la línea pleuropulmonar o en neumotórax focales.
Modos ecográficos
• Modo M o monodimensional: se envía un único haz de ultrasonidos al paciente, permitiendo evaluar espesores o analizar desplazamientos de estructuras. Forma parte del protocolo de exploración ecocardiográfica especializada, y en las POCUS se utiliza poco, a veces como apoyo diagnóstico para el neumotórax o para el estudio del movimiento diafragmático.
• Modo B o bidimensional: el formato más utilizado y conocido, y el empleado por veterinarios no ecografistas para realizar las POCUS. Consiste en enviar haces de ultrasonidos de forma continua al paciente, evaluando imágenes en dos dimensiones.
• Ecografía Doppler: basada en el efecto Doppler, que consiste en la variación de frecuencia de las ondas de ultrasonido que se produce cuando el emisor y el receptor están en movimiento. No se usa en las TFAST ni AFAST, y tampoco de forma rutinaria en las POCUS cardiacas, salvo para identificar estruc-
Cuadro 1. Síntomas de enfermedad cardiorrespiratoria que en urgencias pueden indicar la realización de una POCUS.
• Tos
• Disnea
• Intolerancia al ejercicio/debilidad
• Síncope
• Cianosis
• Hemoptisis
• Caquexia/pérdida de peso/atrofia muscular
• Distensión abdominal
• Parálisis/paresia extremidades
turas vascularizadas o coágulos. Es una de las piedras angulares de la ecografía cardiaca de especialidad y de la ecografía vascular, aplicada para evaluar flujos sanguíneos, identificación de defectos cardiacos o alteraciones de vasos sanguíneos (shunts) y para estudiar también la hemodinámica cardiaca.
Calidad de imagen
Antes de comenzar el estudio, conviene revisar algunos ajustes del ecógrafo:
• Frecuencia del transductor: cuanto mayor es la frecuencia de la sonda, menor es el poder de penetración de los ultrasonidos. En general, para campos pulmonares se utilizan frecuencias medias puesto que las estructuras están cercanas a la superficie independientemente del tamaño y condición corporal y depósitos grasos del paciente. No obstante, una norma general sería utilizar frecuencias de 10 MHz para perros pequeños y gatos, 5-7,5 MHz para pacientes de pesos medios (hasta unos 20-25 kg) y 3-5 MHz en animales de más de 30 kg.
En general, para las POCUS se utilizarán sondas convexas, aunque las lineales son especialmente útiles para evaluar detalles de la línea pleuropulmonar o en neumotórax focales.
• Profundidad y zoom
• Foco: permite seleccionar una mayor resolución en un área de una profundidad concreta.
• Ganancia: modificar el brillo de la imagen.
• Rango dinámico: permite establecer más o menos contraste entre negros y blancos.
• Doppler (color, pulsado, continuo): útil a la hora de identificar estructuras vasculares.
Cuadro 2. Causas generales de disnea.
• Exposición a altitud extrema
• Excitación o estados de ansiedad
• Ejercicio extenuante
• Dolor
• Anemia
• Golpe de calor
• Acidosis
• Enfermedades de sistema nervioso central
• Efusión pleural, pericárdica o abdominal si es grave
• Enfermedades cardiacas que causan edema pulmonar
• Edema pulmonar no cardiogénico
• Patologías restrictivas (hernia diafragmática, fractura costal, neumotórax)
• Enfermedades de parénquima pulmonar (broncomalacia, bronquiectasia, neumonía, broquitis grave, neoplasias
Procedimiento
Como este procedimiento está indicado en situaciones de urgencia, la duración de la ecografía debe ser corta, de 3 a 5 minutos. Esta técnica debe hacer contestar a las siguientes preguntas:
• ¿El paciente corre riesgo vital elevado?
• ¿El paciente necesita asistencia quirúrgica o anestesia?
• En caso de no disponer de urgencias 24 horas, ¿se ha de hospitalizar de forma intensiva en centro de urgencias?
- Aunque en el protocolo de exploración el posicionamiento óptimo del paciente es en decúbito lateral, si el estado respiratorio del perro o del gato está especialmente comprometido la ecografía se puede hacer perfectamente en estación o en decúbito esternal.
- No será necesario rasurar el paciente, salvo perros con una densidad de pelo excesiva (San Bernardo, Chow Chow o Terranova, por ejemplo), y bastará aplicar alcohol para aplastar el pelaje y facilitar el contacto de la sonda.
- Las frecuencias de la sonda serán de 5-10 MHz según tamaño del paciente, la profundidad media de 4-7 cm y la sonda se apoya perpendicular a las costillas normalmente en posición transversal con la marca de la sonda dirigida hacia la cabeza/cuello para optimizar la orientación. La sonda más comúnmente utilizada es la microconvexa salvo que en pacientes de pequeño tamaño se quieran visualizar detalles superficiales (línea pleuropulmonar, espacio subcutáneo, neumotórax focal).
Las diferencias entre el protocolo TFAST y el VET BLUE son las áreas de exploración torácica (CTS o “Chest Tube Sites”), que aparecen representados en las figuras 1 y 2a y 2b.
Figura 1. Esquema de las tres áreas de exploración torácica (CTS o “Chest Tube Sites”) en el protocolo TFAST: área 1 pulmonar, área 2 hepatodiafragmática y área 3 cardiaca.
¿Cómo se ve un pulmón normal?
En corte transversal se denomina el “signo de cocodrilo” (figura 3), con las siguientes 5 características:
• Estructuras redondeadas anecogénicas (“ojos de cocodrilo”) que se corresponden con las costillas que delimitan un espacio intercostal a explorar.
• Línea pleuropulmonar: línea hiperecogénica que se corresponde con la pleura, con el signo de deslizamiento que consiste en el movimiento de la pleura visceral horizontal en forma de “vaivén” sobre la pleura parietal inmóvil al ritmo de la respiración.
• Líneas A: líneas horizontales dinámicas que corresponden con la reverberación del pulmón bien aireado.
• Líneas B: líneas hiperecogénicas dinámicas que parten de la línea pleuropulmonar, llegan al borde inferior de la pantalla, borran las líneas A y se desplazan al son de los movimientos respiratorios (colas de cometa). En condiciones normales pueden aparecer hasta tres líneas B siempre separadas por más de 7 mm. Si son más abundantes sugieren pulmón húmedo (figura 4).
• Signo de la playa: corresponde con el efecto “orilla del mar” del pulmón cuando se infiere el modo M, dando un aspecto granular que simula la arena de la playa o de las olas del mar (figura 5).
Una norma general sería utilizar frecuencias de 10 MHz para perros pequeños y gatos, 5-7,5 MHz para pacientes de pesos medios (hasta unos 20-25 kg) y 3-5 MHz en animales de más de 30 kg.
Figura 2. Esquema de las áreas de exploración (CTS o “Chest Tube Sites”) en el protocolo Vet Blue Scan, en paciente real (2a) y en radiografía torácica (2b): CdLL o región caudodorsal pulmonar situada en primer tercio de 8.º-9.º espacio intercostal, PhLL o región perihiliar en el tercio medio de 6.º-7.º espacio intercostal, MdLL o región media pulmonar en zona más baja de 4.º-5.º espacio intercostal y CrLL o región craneal pulmonar localizada en último tercio de 2.º-3.º espacio intercostal.
Figura 4. Imagen de líneas B pulmonares, que parten de la línea pleuropulmonar, borran las líneas B, son dinámicas apareciendo y desapareciendo con los movimientos respiratorios.
Con la ecografía se puede detectar fácil y rápidamente derrame pleural, así como neumotórax y masas o engrosamientos pleurales.
En el derrame pleural (figura 6) se observa el acúmulo de fluido en el espacio pleural, generalmente en partes de tórax ventrales o declives, como áreas homogéneas anecogénicas con más o menos ecos en suspensión en función de la cantidad de fibrina, proteínas o celularidad en el líquido. Es también patognomónico de efusión pleural detectar ecográficamente el llamado “signo de la medusa”, en el que se aprecian “brazos” hiperecogénicos que fluctúan sobre el líquido equivalentes a zonas pulmonares atelectásicas en casos de derrames intensos.
En ocasiones es complicado diferenciar la efusión pleural de la pericárdica. Un truco es hallar un corte ecográfico del corazón y, si el líquido se extiende más allá de los grandes vasos de la base del corazón, será siempre derrame pleural.
En cuanto al neumotórax, aparecerán los siguientes hallazgos:
• Desaparición del deslizamiento pleural.
• Desaparición de líneas B.
• Artefactos de reverberación (líneas A) exagerados.
• “Signo de punto pulmonar”, muy específico, en neumotórax no masivos: punto en modo M en el que la imagen de “orilla del mar” o “signo de la playa” acaba y se inicia el “signo de la estratosfera” o “código de barras” (figura 7).
Enfermedad pulmonar: los cinco signos pulmonares
1.- Síndrome alvéolo-intersticial o pulmón húmedo
La presencia de edema pulmonar se manifiesta ecográficamente por un aumento de líneas B pulmonares. Según la distancia entre ellas, se puede diferenciar la localización del edema: las líneas B separadas entre sí 3-7 mm reflejarían edema intersticial, y las separadas por 3 mm o menos indicarían edema alveolar.
Figura 6. Imagen de efusión pleural con el signo de la medusa, brazo hiperecogénico que se mueve en forma de cuerda de arpa al romperse, y que representa el aspecto de atelectasia pulmonar en caso de derrames masivos.
tórax, a partir del cual desaparece el “signo de la playa” (mitad izquierda) y aparece el “signo del código de barras” (mitad derecha)
Ecográficamente no se puede discernir en la naturaleza del fluido acumulado ni el origen del edema, de manera que el contexto clínico es clave para detectar la causa. En medicina humana algunos autores han relacionado la suma de líneas B escaneadas con la medición del agua pulmonar extravascular. A efectos prácticos, es muy interesante utilizar el símil de las “cataratas”. Cuanto mayor es el agua extravascular, mayor es el número de líneas B, y la insuficiencia cardiaca congestiva es el síndrome en el que mayor trasudación de líquido vascular al intersticio existe, y tal y como se muestra en la figura 8 las cataratas muestran el camino hacia edema pulmonar cardiogénico.
2.- Shred sign, signo del borde irregular, dientes de sierra o desgarro
Se trata de áreas subpleurales hipoecogénicas o anecogénicas irregulares, que hacen desaparecer las líneas pulmonares, y están mal delimitadas por imágenes punteadas o lineales hiperecogénicas (líneas C) que representan broncogramas aéreos. Suelen ser múltiples y pequeñas y su detección implica zonas de consolidación pulmonar con pulmón bien aireado, en casos por ejemplo de infiltrados multifocales inflamatorios o neoplásicos. Pueden ser puncionadas de forma ecoguiada para obtener muestras citológicas (figura 9).
3.- Signo tisular
Zonas lobares con patrón ecográfico similar a hígado, de ahí que se denominen también áreas de hepatización pulmonar y que sugieren consolidación masiva sin aireación, en casos por ejemplo de focos neumónicos (figuras 10A y B).
4.- Signo nodular
Similar al signo de desgarro, pero con límites bien definidos que delimitan un nódulo, de origen generalmente inflamatorio o neoplásico (figura 11).
No será necesario rasurar el paciente, salvo perros con una densidad de pelo excesiva (San Bernardo, Chow Chow o Terranova, por ejemplo), y bastará aplicar alcohol para aplastar el pelaje y facilitar el contacto de la sonda.
5.- Wedge sign o signo de cuña
En realidad, es una subclasificación del shred sign, y representa áreas pulmonares infartadas en casos de tromboembolismo, en donde se detectan zonas triangulares hipoecogénicas delimitadas por bandas hiperecogénicas aserradas (figura 12).
Pocus cardiaca
Hay que considerar algunos aspectos a la hora de abordar ecográficamente el corazón en situaciones de emergencia y por personal veterinario de urgencias. No hay que olvidar la historia clínica ni el examen físico, la ecografía no sustituye a la radiografía torácica, una POCUS no evita la ecocardiografía completa realizada por especialista y los hallazgos en modo B son la clave.
El objetivo de la POCUS cardiaca será responder la siguiente pregunta: ¿estará el corazón lo suficientemente afectado como para ser el responsable de los signos clínicos de mi paciente? Para ello hay que entender el ecógrafo disponible, practicar mucho para optimizar la imagen, evitar tocar todos los botones y utilizar sondas phased array. Los cortes estandarizados más útiles son el corte paraesternal derecho eje largo cuatro cámaras, el corte paraesternal derecho eje corto base cardiaca y el corte subcostal.
Con la POCUS se evalúa el pericardio, la contractilidad, el tamaño de cámaras y el aspecto de las valvulares. El Doppler muchas veces no es necesario.
Detección de derrame pericárdico Suele ser la situación clínica más fácil de diagnosticar por personal no especialista, en la que ecográficamente se detecta una
insuficiencia cardiaca congestiva. En la figura 8A, aparece un pulmón ecográficamente normal con menos de tres líneas B separadas por menos de 7 mm, asemejándose a una cascada como el Chorro de la Meancera en las Hurdes cacereñas. En la figura 8B, ya hay líneas B más juntas y numerosas, dando una imagen como las cascadas del Monasterio de Piedra en Zaragoza, sugiriendo acúmulo de líquido intersticial. En la imagen 8C, el agua extravasada es tan abundante que las líneas B son incontables, como en el edema pulmonar cardiogénico, simulando cataratas como la Garganta del Diablo en Iguazú.
Múltiples áreas pulmonares con shred sign o “signo de desgarro” en un gato disneico. Estas áreas subpleurales (flecha blanca) suelen ser de fácil acceso para realizar punción con aguja fina con el fin de obtener muestras para estudio citológico, una prueba menos invasiva que la toma de biopsias, y que suele ser un buen screening inicial a la hora de evaluar la causa de este hallazgo ecográfico y
o terapéuticas. En este caso, la imagen citológica revela carcinoma
banda homogénea casi siempre anecogénica en el saco pericárdico, que representa el fluido y que no se extiende más allá de la base cardiaca (figura 13). En muchas ocasiones, se puede detectar el colapso diastólico del atrio derecho que pone de manifiesto el taponamiento cardiaco, y que suele necesitar pericardiocentesis de urgencia para estabilizar al paciente.
En el derrame pleural se observa el acúmulo de fluido en el espacio pleural, generalmente en partes de tórax ventrales o declives, como áreas homogéneas anecogénicas con más o menos ecos en suspensión en función de la cantidad de fibrina, proteínas o celularidad en el líquido.
Evaluación de tamaño de cámaras cardiacas en corte paraesternal derecho eje longitudinal
• Relación de tamaño ventricular: ventrículo derecho = 1/3 ventrículo izquierdo.
• Septo interatrial e interventricular rectos.
• Pared ventricular derecha = ½ pared ventricular izquierda.
• Atrio izquierdo de forma poligonal asemejando cuadrado o rectángulo. Un atrio izquierdo de forma ovalada con septo interatrial curvado hacia el atrio derecho sugiere atriomegalia izquierda.
Ratio atrio izquierdo/aorta (LA/Ao)
Sin duda se considera uno de los índices “reina” de la ecocardiografía, y de los más sencillos de interpretar y realizar por personal no especializado. Se realiza en el eje corto del lado derecho optimizado para visualizar válvula aórtica y atrio izquierdo, excluyendo tronco pulmonar, congelando el primer fotograma justo después del cierre de la válvula aórtica.
Se mide la válvula aórtica a lo largo de la línea definida por las cúspides no coronaria y coronaria derecha, y se relaciona esa
Patrón tisular, en donde se aprecia la presencia de un lóbulo pulmonar hepatizado (flecha gruesa), con líneas B pulmonares inferiores (flecha blanca fina), correspondientes a edema pulmonar secundario al pulmón colapsado y consolidado (10A), y su correspondiente radiografía (10B).
medida con la del atrio izquierdo a lo largo de la línea definida por las cúspides no coronaria y coronaria izquierda. Los valores de la relación LA/Ao son hasta 1,7 en perros y hasta 1,5 en gatos.
Evaluación del miocardio y de la contractilidad
En modo B, visualizar el miocardio ayuda a distinguir los dos tipos de hipertrofia adaptativa del corazón. Ante sobrecarga de volumen, como en cardiomiopatía de fenotipo dilatado o enfermedad valvular degenerativa crónica, la pared del miocardio es fina y la cámara ventricular izquierda está agrandada. En sobrecargas de presión, como en cardiomiopatía de fenotipo hipertrófico, el miocardio aparecerá engrosado y las cámaras ventriculares reducidas. Subjetivamente, se puede identificar disfunción sistólica ven-
Figura 11. Patrón nodular correspondiente a la presencia de una masa heterogénea pulmonar en paciente canino con hiperadrenocorticismo, e imagen citológica correspondiente con granuloma pulmonar.
tricular graves evaluando el movimiento del miocardio, indicando algunas cardiomiopatías, hipotensión o hipovolemias.
Evaluación de la válvula mitral
En perros, la cardiopatía más frecuente que conduce a insuficiencia cardiaca congestiva es la enfermedad degenerativa crónica de la válvula mitral, con una prevalencia de hasta el 85 % en perros de razas pequeñas de más de 13 años. Se puede visualizar en modo B el aspecto ecográfico del aparato valvular mitral, detectando engrosamiento de velos valvulares, mala oclusión valvular, prolapso valvular hacia atrio izquierdo o rotura de cuerdas tendinosas (figura 14).
Figura 14. POCUS cardiaca. 14A Ratio LA/Ao. 14B Patrones de hipertrofia ventricular: excéntrica con miocardio adelgazado y aumento de cámara ventricular izquierda e insuficiencia mitral con jet central en paciente canino con cardiomiopatía dilatada (imagen superior) y concéntrica con aumento de grosor miocárdico con cámara ventricular izquierda de menor tamaño en un gato con cardiomiopatía hipertrófica. 14C Forma de atrio izquierdo (trazado amarillo) y septo interatrial (línea verde) en corte ecocardiográfico paraesternal derecho de eje largo cuatro cámaras. En la imagen superior, el atrio izquierdo tiene forma poligonal rectangular y el septo interatrial es plano. En la imagen inferior, cuando el atrio izquierdo está dilatado, adquiere una forma ovalada y el septo interatrial se inclina. 14D. Imagen ecográfica donde se aprecia válvula mitral con velos severamente engrosados y atrio izquierdo dilatado.
Bibliografía disponible en https://www.grupoasis.com/argos/bibliografias/ecografia256.docx
AGENDA
Formación:
Posgrado Avanzado en Ecografía
■ Inicio: 18 de abril de 2024
■ Lugar: online/Madrid
Posgrado en Cirugía de Pequeños
Animales
■ Inicio: 1 de abril de 2024
■ Lugar: Madrid
■ Inicio: abril de 2024
■ Lugar: online/Madrid
Posgrado en Fisioterapia de Pequeños
Animales
■ Inicio: 13 de abril de 2024
■ Lugar: Madrid
Posgrado en Medicina de Pequeños
Animales
■ Inicio: mayo de 2024
■ Lugar: online
Posgrado Avanzado de Cirugía Tejidos Blandos
■ Inicio: 3 de mayo de 2024
■ Lugar: Madrid
Posgrado en Diagnóstico por imagen
■ Inicio: 6 de mayo de 2024
■ Lugar: online/Madrid
■ Inicio: 16 de diciembre de 2024
■ Lugar: online/Valencia
Posgrado en Ecografía Clínica de Pequeños Animales
■ Inicio: junio de 2024
■ Lugar: online/Madrid
■ Inicio: diciembre de 2024
■ Lugar: online/Valencia
Posgrado en Medicina y Cirugía de Urgencia
■ Inicio: junio de 2024
■ Lugar: online
Posgrado en Clínica de Animales Exóticos
■ Inicio: junio de 2024
■ Lugar: online
Posgrado en Dermatología
■ Inicio: junio de 2024
■ Lugar: online
Posgrado en Cirugía de Tejidos Blandos
■ Inicio: junio de 2024
■ Lugar: online/Madrid
■ Inicio: marzo de 2025
■ Lugar: online/Valencia
Posgrado en Medicina Endoscópica
■ Inicio: 20 de junio de 2024
■ Lugar: Madrid
Programa en Fisioterapia para ATV
■ Inicio: 18 de mayo de 2024
■ Lugar: Madrid
Para más información:
Improve Veterinary Education
Tel.: 911 881 568
info.es@improveinternational.com
www.improveinternational.com
■ Fecha: del 25 al 27 de abril de 2024
■ Lugar: Ayamonte (Huelva)
Para más información: www.congresosaludpublicaveterinaria. com/2024
■ Fecha: 13 y 14 de junio de 2024
■ Lugar: Madrid
Para más información: www.avepa.org
■ Fecha: del 3 al 5 de septiembre de 2024
■ Lugar: Suzhou (China)
Para más información: www.wsava.org/world-congress
■ Fecha: del 18 al 21 de septiembre de 2024
■ Lugar: Atenas (Grecia)
Dermatología
■ Fecha: del 6 al 8 de junio de 2024
■ Lugar: Málaga
Para más información: www.avepa.org
3rd International Forum on Animal Science and Veterinary Medicine (ASVMForum 2024)
■ Fecha: del 12 al 14 de agosto de 2024
■ Lugar: Madrid
Para más información: www.continuumforums.com/2024/ asvmforum
■ Fecha: del 5 al 7 de septiembre de 2024
■ Lugar: Lyon (Francia)
Para más información: www. ecvimcongress.org/future_congresses
Para más información: www.evdi-congress.eu
La suplementación diaria con UC-II® reduce el dolor en un 33 % y 81 %, y disminuye en un 44 % y 90 % la cojera asociada al ejercicio, al mes y a los 4-5 meses tras el inicio de la suplementación, respectivamente.
La osteoartritis (OA) es una enfermedad degenerativa dinámica y lentamente progresiva que afecta a las articulaciones móviles y se caracteriza por la degradación del cartílago. Actualmente, son múltiples los estudios que evidencian que una parte importante de su fisiopatología es el proceso inflamatorio leve que de forma crónica se produce debido a los mediadores inflamatorios liberados por el cartílago, el hueso subcondral y la membrana sinovial.
Pese a que afecta a un porcentaje alto de la población y tiene un impacto negativo en el bienestar del paciente, se desconoce un tratamiento curativo definitivo. Por lo tanto, disminuir el dolor, controlar la destrucción del cartílago y reducir el estado inflamatorio, actuando a través de diferentes mecanismos de acción mediante una visión multimodal parece el enfoque terapéutico más racional. Por esta razón, se recomienda una estrategia terapéutica que combine tratamientos farmacológicos (antiinflamatorios no esteroideos, paracetamol, gabapentina, opioides, cannabinoides, etc.) con suplementos alimenticios (colágeno tipo II no desnaturalizado, glucosamina, condroitina, ácidos grasos omega-3, hierbas medicinales, etc.), permitiendo así mejorar la movilidad y mantener o recuperar la calidad de vida en pacientes con OA.
Con el objetivo de profundizar en un enfoque del manejo de la OA y la función articular mediante complementos alimenticios que impliquen la modulación de la respuesta inmunitaria y la inhibición de las vías inflamatorias, se publicó en la revista Animals la primera revisión de alcance formulada bajo la siguiente pregunta de investigación1: ¿Qué hay publicado en la literatura veterinaria sobre el uso de colágeno tipo II no desnaturalizado y/o Boswellia serrata para mejorar la función articular y los signos clínicos de OA en perros?
Colágeno tipo II no desnaturalizado
El colágeno tipo II no desnaturalizado es un colágeno no hidrolizado que se extrae del esternón del pollo mediante un proceso que permite conservar su conformación nativa de triple hélice. Actúa a través de un mecanismo de tolerancia inmunológica oral, activando vías antiinflamatorias y protectoras del cartílago (células T reguladoras) que evitan que el propio sistema dañe el cartílago articular.
En su mayoría los estudios publicados se han realizado bajo una marca registrada como UCII® (InterHealth Nutraceuticals Inc., Flexadin Advanced®, Vetoquinol SA), la cual incluye una dosis diaria de 40 mg. En otros estudios han utilizado colágeno tipo II no desnaturalizado denominado colágeno tipo II nativo (Confis Ultra, Candioli Pharma S.r.l.) o colágeno tipo II no desnaturalizado soluble en agua (NEXTII) (Ryusendo Co. Ltd., Tokio, Japón). Se ha observado que en la mayoría de ellos la suplementación diaria con UC-II® reduce el dolor en un 33 % y 81 %, y disminuye en un 44 % y 90 % la cojera asociada al ejercicio, al mes y a los 4-5 meses tras el inicio de la suplementación, respectivamente.
Actualmente, en el mercado hay disponibles varios productos con colágeno tipo II no desnaturalizado a diferentes concentraciones. Esto implica que se deben extrapolar con cautela los posibles beneficios obtenidos con un producto específico a todos los productos etiquetados con colágeno tipo II sin desnaturalizar.
La efectividad del colágeno tipo II no desnaturalizado aumenta progresivamente, de manera que se obtiene un mayor beneficio con su uso a medio plazo (3-4 meses), debido al mecanismo por el cual se activa la tolerancia oral. Los pacientes manejados con UC-II® presentan una mejora en la fuerza de pisada mediante el análisis de la marcha, un reequilibrio metabólico evaluado mediante biomarcadores en el líquido sinovial y resultados favorables en los cuestionarios de evaluación del dolor realizados por propietarios y veterinarios. En el caso de pacientes con OA secundaria a luxación de rótula donde la cirugía no es una opción, el uso de colágeno tipo II no desnaturalizado ha demostrado ser una herramienta útil para mejorar la calidad de vida. UC-II® se ha utilizado en otros escenarios, concretamente en pacientes sanos sometidos a ejercicio intenso, donde se produce una mayor velocidad de movimiento y de actividad por kilómetro.
Actualmente, en el mercado se encuentran disponibles varios productos con colágeno tipo II no desnaturalizado a diferentes concentraciones. Este hecho implica que se deben extrapolar con cautela los posibles beneficios obtenidos con un producto específico a todos los productos etiquetados con colágeno tipo II sin desnaturalizar.
Los primeros resultados del manejo de pacientes con OA mediante Flexadin Advanced® fueron favorables, con un aumento de la movilidad tras 4 semanas de suplementación en pacientes con OA de leve a moderada.
Boswellia serrata
Boswellia serrata es un árbol originario de las regiones montañosas de la India que produce una resina aromática habitualmente utilizada en medicina humana como antiinflamatorio, antiartrítico y analgésico. Los efectos antiinflamatorios de los ácidos boswélicos se han relacionado con la capacidad de inhibir selectivamente una rama de la cascada del ácido araquidónico (5 LOX) e inhibir la liberación de leucotrienos, reduciendo, por tanto, los niveles de citoquinas proinflamatorias. Este hecho conlleva una menor destrucción del cartílago y de la quimiotaxis de las células inflamatorias y produce un equilibrio a favor de la regeneración del cartílago. En veterinaria los estudios que evalúan los beneficios específicos que Boswellia serrata puede proporcionar en el manejo de la OA son muy limitados. A este hecho hay que añadir que habitualmente no describen de manera explícita la dosis ni el porcentaje de Boswellia serrata (ácidos boswélicos, resina, AKBA) utilizado, dando lugar a que la comparación entre los diferentes estudios sea controvertida. Sin embargo, lo que todos los estudios parecen tener en común es que Boswellia serrata junto con otros suplementos alimenticios reduce el dolor crónico y mejora los signos clínicos disminuyendo el grado de cojera, especialmente en los casos graves, junto con una reducción en los biomarcadores inflamatorios.
El uso combinado de colágeno tipo II no desnaturalizado y Boswellia serrata como suplementos alimenticios para el manejo de la OA es una estrategia novedosa y se ha vuelto popular en los últimos años. Por esta razón, hace unos años Vetoquinol incorporó Boswellia serrata a su producto con UC-II®, registrado con el nombre de Flexadin Advanced® En el último congreso de la Sociedad Española de Anestesia y Analgesia Veterinaria (SEAAV) se presentaron los primeros resultados del manejo de pacientes con OA mediante Flexadin Advanced®. Los resultados obtenidos fueron favorables, con un aumento de la movilidad tras 4 semanas de suplementación en pacientes con OA de leve a moderada. En cambio, se observó un empeoramiento evidente en los valores del umbral del dolor sensorial cuando los pacientes no recibían la suplementación. Sus mínimos efectos adversos y buena tolerancia convierten Flexadin Advanced® en un suplemento alimenticio que permite reducir el daño al cartílago, ayudar a controlar el dolor asociado a la OA a largo plazo y mejorar la movilidad, actuando a través de diferentes vías antiinflamatorias.
Acceda a través de este código al artículo Management of osteoarthritis and joint support using feed supplements: a scoping review of undenatured type II collagen and Boswellia serrata
Cada tejido tiene unas propiedades únicas que definen su reflectividad. La tomografía de coherencia óptica (OCT) tiene la capacidad de medirlas y de representarlas mediante una escala de colores o grises, de manera que ofrece imágenes del espesor del tejido sometido a estudio. En oftalmología, su uso permite obtener imágenes de las distintas partes del ojo con resoluciones micrométricas, de forma no invasiva y en tiempo real.
Javier Esteban Martín
LV , Acreditado en Oftalmología AVEPA (Asociación de Veterinarios Españoles Especialistas en Pequeños Animales)
AniCura Ocaña Oftalmología Veterinaria Imágenes cedidas por el autor.
La tomografía de coherencia óptica (OCT: optical coherence tomography) permite obtener imágenes de las distintas partes del ojo con resoluciones micrométricas, de forma no invasiva y en tiempo real. Verdaderamente, es como obtener un corte histológico del tejido in vivo, sin contactar con el ojo.
Tecnología
El principio de la OCT es muy similar al de la ecografía: se basa en la medición de la latencia y de la intensidad de una onda que se refleja al hacer incidir una determinada onda sobre un tejido.
Para obtener una correcta medición, en la OCT se necesita un interferómetro, donde se hace interferir un rayo de luz con una versión retardada de sí mismo.
La diferencia fundamental entre la ecografía y la OCT es que en la primera se utilizan ultrasonidos y en la segunda se emplea la radiación luminosa. Este punto es importantísimo, ya que la velocidad de las ondas sonoras es mucho menor que la de las ondas lumínicas. El retraso de tiempo que existe entre la onda incidente y la reflejada, que sí es mensurable de forma directa en el caso del sonido (mediante el empleo de cristales piezoeléctricos), no lo es ya en el caso de la luz (se hace referencia a magnitudes de femtosegundos).
Para obtener una correcta medición, en la OCT se necesita un interferómetro (concretamente, el interferómetro de Michelson), donde se hace interferir un rayo de luz con una versión retardada de sí mismo.
La coherencia de la luz hace referencia a la capacidad que tienen dos ondas lumi-
nosas para interferir entre sí en el tiempo. Cuando dos ondas de luz se sitúan en una misma región del espacio sin interferir, se dice que son incoherentes. Sin embargo, si producen un patrón de interferencias perfecto, diremos que son totalmente coherentes.
absorción y dispersión, y que continúa su trayectoria inicial para interactuar con tejidos más profundos.
Cada tejido tiene unas propiedades únicas que definen su reflectividad, y la OCT tiene la capacidad de medirlas y de representarlas mediante una escala de colores o grises.
La OCT se basa en la interferometría de baja coherencia, acortando la interferencia a una distancia de micras. Esto se consigue usando fuentes que pueden emitir luz sobre una amplia gama de frecuencias (banda ancha). La luz con amplio ancho de banda puede ser generada usando diodos superluminiscentes o láseres con pulsos extremadamente cortos.
Lo que nos ofrece la OCT son imágenes del espesor del tejido sometido a estudio. Cuando el haz de luz llega a las capas tisulares sufre tres fenómenos, que son la absorción, la dispersión y la transmisión:
• Luz absorbida: es la porción que el tejido absorbe y transforma en calor.
• Luz transmitida: es la porción de luz que persiste, a pesar de los fenómenos de
• Luz reflejada: es la luz dispersada en dirección opuesta a la emitida. La dispersión es una propiedad fundamental de los medios heterogéneos, que se produce por variaciones espaciales microscópicas en el índice de refracción, y que provoca cambios aleatorios en la dirección de la luz.
Cada tejido tiene unas propiedades únicas que definen su reflectividad, y la OCT tiene la capacidad de medirlas y de representarlas mediante una escala de colores o grises. Para obtener este resultado final, el aparato emite un haz de luz monocromática (diodo de 820 nm) y un divisor de haces lo separa en dos: un haz es enviado a un espejo de referencia y el otro al ojo. La interferencia de los dos haces reflejados es procesada en el interferómetro y, de este modo, la distancia de las estructuras se mide por el tiempo de retraso de la luz reflejada y la intensidad de la señal, dependiente de las propiedades ópticas del tejido (figura 1).
Figura 1. Equipo de tomografía de coherencia óptica (OCT) 3D. Figura 2. Úlcera central y estromal profunda en la córnea de un Bulldog Francés (A). Detalle de la exploración con OCT en escala cromática (B) y de grises (C). Nótese la profundidad de la lesión que afecta a más de la mitad del estroma corneal. Figura 3. Distrofia corneal canina (A). Gracias al examen con OCT podemos precisar la extensión y profundidad de los depósitos de minerales en la córnea, concentrándose en este caso en el estroma corneal superficial (B).El resultado final será una escala logarítmica de colores. Los colores cálidos indican reflectividad alta y los colores fríos representan reflectividad baja.
La OCT requiere de una transparencia de medios para realizar el examen. Los depósitos de pigmento corneal, las hemo-
rragias vítreas profusas o las cataratas maduras impedirían el estudio correcto de la retina. Si la opacidad es focal (catarata focal, opacidad de la cápsula posterior, distrofia corneal, cicatriz) podemos obtener buenas imágenes de OCT descentrando la entrada de la luz con la pupila.
Si la opacidad es focal (catarata focal, opacidad de la cápsula posterior, distrofia corneal, cicatriz) podemos obtener buenas imágenes de OCT descentrando la entrada de la luz con la pupila.
A B
Aplicaciones de la OCT
Deberíamos considerar la OCT un medio diagnóstico más para emplear en nuestros pacientes, que no sustituye a los ya existentes (lámpara de hendidura, ecografía ocular, UBM, retinógrafos/angiógrafos) y que se considera complementario a los citados.
Córnea
El empleo de la OCT está justificado en el estudio de la córnea sana para estandarizar espesores normales en nuestros
pacientes. El grosor normal de la córnea del perro oscila, según la raza, entre 500 µm y 620 µm, con una media de 535 µm. En el gato, los valores oscilan entre 540 µm y 620 µm, con una media de 600 µm.
Asimismo, el empleo de la OCT facilita la localización de defectos corneales, edemas, cavidades, cicatrices, depósitos de minerales (calcio y/o colesterol), neovasos o bullas que no son identificables con la lámpara de hendidura (figuras 2, 3 y 4).
Especial interés tiene en el seguimiento de cirugías reconstructivas de la córnea (transposición corneoescleroconjuntival, trasplantes de membrana amniótica o queratoplastias laminares) para comprobar el espesor corneal final y la interfase injertoreceptor. La OCT ofrece más ventajas en el seguimiento de la cirugía corneal respecto a la UBM, ya que no requiere el contacto directo con el paciente.
Conjuntiva
La conjuntiva bulbar se visualiza como una banda hiperreflectante algo más fina que la que representa el epitelio corneal, debido al menor número de capas celulares que tiene el epitelio conjuntival.
Podemos identificar la conjuntiva por la presencia de vasos sanguíneos en su espesor, lo que es útil en el seguimiento posoperatorio de pedículos conjuntivales empleados para la reconstrucción de úlceras corneales. El limbo aparece como un engrosamiento de la línea hiperreflectante que une ambos epitelios.
Con la OCT podemos diferenciar entre quistes y neoplasias de la cara anterior del iris. Sin embargo, no es posible mostrar el límite posterior de los tumores de iris.
Película lagrimal precorneal (PLP)
La OCT tiene gran aplicación en el estudio de la película lagrimal precorneal (PLP). Nos permite la medición y la cuantificación del menisco lagrimal, así como realizar un estudio de la dinámica de la PLP. Algunos parámetros del menisco lagrimal podrían ser de utilidad en el diagnóstico de la queratoconjuntivitis seca.
Cámara anterior
El estudio de la cámara anterior con lámpara de hendidura, en pacientes que presentan edema corneal, está muy limitado. Estos animales pueden ser sometidos a un examen con OCT para identificar células inflamatorias (puntos hiperreflectantes) en la cámara anterior, hipema, hipopion, etc.
La OCT del segmento anterior (OCT-SA) proporciona información muy útil sobre la profundidad de la cámara anterior y nos permite medir ciertos parámetros del ángulo iridocorneal sin contactar con la córnea. Esto es muy importante en comparación con el ultrasonido, ya que la posibilidad de mediciones erróneas por mala alineación de la sonda o por compresión corneal desaparece, pero la gonioscopia y la UBM siguen siendo las técnicas de elección para estudiar el ángulo iridocorneal con mayor precisión.
Iris
Con la OCT podemos diferenciar entre quistes y neoplasias de la cara anterior del iris. Sin embargo, no es posible mostrar el límite posterior de los tumores de iris, ya que el epitelio pigmentario del iris no permite el paso de la luz (figura 5). El estudio del cuerpo ciliar, los procesos ciliares y las fibras zonulares tampoco es posible realizarlo con OCT (sí con UBM).
Figura 6. Opacidad de la cápsula posterior del cristalino después de la cirugía de catarata (A). Detalle de las opacidades a través de la OCT (B). Figura 7. Anomalía vascular retiniana (A). La OCT nos permite identificar el recorrido del vaso sanguíneo y su posición exacta (B).Cristalino
Las OCT-SA permiten realizar mediciones del grosor del cristalino, distinguiendo las cápsulas hiperreflectantes respecto al contenido hiporreflectante del cristalino normal.
Algunos equipos permiten medir el tamaño de la capsulorrexis y evaluar la opacidad de la cápsula posterior (figura 6). Es especialmente interesante el empleo de la OCT en el posoperatorio de la cirugía de la catarata para estudiar el comportamiento de la incisión corneal y de las suturas utilizadas. Es de gran utilidad para ver las alteraciones que puede sufrir el endotelio corneal en el posoperatorio y evaluar el edema corneal. La ventaja respecto a la UBM, en este caso, es que la OCT no resulta tan molesta para el paciente al no necesitar el contacto con la córnea.
Vítreo posterior
Algunos desprendimientos del vítreo posterior y membranas epirretinianas, no identificables mediante los ultrasonidos, podrían visualizarse con OCT.
pos, podemos realizar mediciones por áreas de la retina comparando pacientes normales con otros que sufren enfermedades de la retina.
Se considera de gran interés en el diagnóstico de displasias, anomalías vasculares y degeneraciones retinianas (figura 7) Igualmente, nos ayuda a identificar lesiones que inducen un aumento de la reflectividad (hiperreflectividad) tales como las retinitis, las hemorragias, los depósitos de material inflamatorio o las fibrosis. También identificamos lesiones que inducen una disminución de la reflectividad (hiporreflectividad), como los espacios edematosos, las cavidades quísticas o los desprendimientos retinianos.
Sin embargo, en presencia de opacidades corneales extensas, vitreorragias o cataratas el examen del fondo ocular puede ser muy difícil o imposible. En estos casos debemos descartar la OCT como medio diagnóstico y recurrir a los ultrasonidos. Por otro lado, la sensibilidad que nos ofrece la angiografía fluoresceínica, en cuanto a la identificación de áreas retinia-
Es especialmente interesante el empleo de la OCT en el posoperatorio de la cirugía de la catarata para estudiar el comportamiento de la incisión corneal y de las suturas utilizadas.
Retina
La OCT nos permite obtener un análisis cuantitativo de la retina midiendo el grosor de la misma de una forma precisa y reproducible, desde la capa más interna (membrana limitante interna) a la capa más externa (epitelio pigmentario). Gracias al software incorporado en estos equi-
nas o coroideas sin perfusión adecuada, no la podemos obtener con la OCT.
Por otra parte, así como en el glaucoma humano es de gran utilidad la OCT para ver la progresión de la enfermedad, gracias al análisis de la papila óptica (figura 8) y de la capa de fibras nerviosas (CFNR), en el glaucoma canino no puede
utilizarse tan fácilmente debido a la presencia de edema corneal en la mayoría de los pacientes afectados por dicha enfermedad. Quizá sea más útil la información que nos pueda ofrecer en algunos casos de colobomas, neuritis óptica o papilitis, donde podamos examinar con detalle el fondo ocular.
En el contexto clínico del glaucoma se puede contemplar la aplicación de la OCT para el estudio, evaluación y seguimiento de la ampolla de filtración.
Bibliografía
En el contexto clínico del glaucoma se puede contemplar la aplicación de la OCT para el estudio, evaluación y seguimiento de la ampolla de filtración. Asimismo, podemos comprobar el trayecto de los dispositivos de drenaje en la cirugía filtrante y su posición en la cámara anterior.
Este artículo es un extracto de la obra Atlas de oftalmologíaclínica delperroydelgato
Disponible en edicionesedra.com
Tel.: +34 910 003 892
• Alario AF, Pirie CG. Central corneal thickness measurements in normal dogs: a comparison between ultrasound pachymetry and optical coherence tomography. Veterinary Ophthalmology, 2014; 17(3):207-211.
• Dada T, Sihota R, Gadia R, et al. Comparison of anterior segment optical coherence tomography and ultrasound biomicroscopy for assessment of the anterior segment. Journal of Cataract and Refractive Surgery, 2007; 33(5):837-840.
• Famose F. Assessment of the use of spectral domain optical coherence tomography (SD-OCT) for evaluation of the healthy and pathological cornea in dogs and cats. Veterinary Ophthalmology, 2014; 17(1):12-22.
• Gekeler F, Gmeiner H, Völker M, et al. Assessment of the posterior segment of the cat eye by optical coherence tomography (OCT). Veterinary Ophthalmology, 2007; 10(3):173-178.
• Hernandez-Merino E, Kecova H, Jacobson SJ, et al. Spectral domain optical coherence tomography (SD-OCT) assessment of the healthy female canine retina and optic nerve. Veterinary Ophtalmology, 2011; 14(6):400-405.
• Huang D, Swanson EA, Lin CP, et al. Optical coherence tomography. Science, 1991; 254(5035):11781181.
McLellan GJ, Rasmussen CA. Optical coherence tomography for evaluation of retinal and optic nerve morphology in animal subjects: practical considerations. Veterinary Ophthalmology, 2012; 15 Suppl 2:13-28.
Rosolen SG, Rivière ML, Lavillegrand S, et al. Use of a combined slit-lamp SD-OCT to obtain anterior and posterior segment images in selected animal species. Veterinary Ophthalmology, 2012; 15 Suppl 2:105-115.
Entrevista a Enrique Rodríguez Morientes, nuevo General Manager de AniCura Iberia
“En este año 2024, nuestro enfoque principal estará en promover y fortalecer la cultura de calidad médica y seguridad del paciente”
En el pasado mes de octubre, Enrique Rodríguez Morientes fue designado como el nuevo General Manager de AniCura para la península ibérica. Tras cinco años transcurridos desde la adquisición del primer hospital de AniCura, Enrique asume el desafío de consolidar el modelo de crecimiento de la compañía, centrado en la calidad del servicio a las mascotas y a la comunidad veterinaria.
Enrique, ¿cuáles serían las perspectivas para AniCura en este 2024?
En AniCura, nuestro compromiso es contribuir a crear un mundo mejor para las mascotas. Por ello, nos dedicaremos a seguir avanzando en el desarrollo de la medicina veterinaria del futuro. En este año 2024, nuestro enfoque principal estará en promover y fortalecer la cultura de calidad médica y seguridad del paciente. Asimismo, nos esforzaremos, aún más, por crear entornos de trabajo donde nuestros asociados se sientan respaldados, puedan desarrollarse y se enorgullezcan de formar parte de AniCura.
Otra de nuestras áreas prioritarias para este año será la excelencia en la experiencia que ofrecemos a nuestros pacientes y cuidadores. Aspiramos a ser la primera opción tanto para referidores como para cuidadores, acompañándolos y velando por la salud de las mascotas en todas las etapas de sus vidas.
Adicionalmente, en 2024 nos comprometemos a trabajar activamente para reducir nuestro impacto ambiental y ampliar nuestros servicios y operaciones a disposición tanto de referidores y como de cuidadores de mascotas.
“Nos esforzaremos, aún más, por crear entornos de trabajo donde nuestros asociados se sientan respaldados, puedan desarrollarse y se enorgullezcan de formar parte de AniCura”.
¿Para conseguirlo, cuales serían los aspectos prioritarios para tener en cuenta este año?
Uno de los pilares fundamentales para el logro de nuestros objetivos este año será escuchar más a las clínicas. Pretendemos reforzar nuestra cercanía y soporte, fortaleciendo la comunicación y el orgullo de pertenencia. En este contexto, destacamos la importancia de nuestros Asociados (como denominamos en AniCura a nuestros empleados) y la Encuesta de Asociados de Mars (MAS), que ha proporcionado información valiosa sobre su experiencia. Estamos orgullosos de haber alcanzado una alta
participación en el primer año de esta encuesta en nuestras clínicas, y ya estamos trabajando en planes específicos basados en los resultados, implementando acciones concretas para mejorar la experiencia de nuestros Asociados.
El segundo punto clave en el que ya nos estamos dedicando es la eficiencia operativa. En nuestro caso, como hospitales de referencia tenemos tres focos fundamentales: los pacientes, sus cuidadores y los veterinarios de atención primaria que nos refieren pacientes cada día:
■ Con respecto a los pacientes, nos enorgullecemos de tener los mejores profesionales y medios materiales en nuestras clínicas, y de nuestro compromiso con la innovación y con la excelencia. Este año tenemos un agresivo plan de inversiones tanto en hospitales de referencia como en aquellas clínicas con un enfoque más de atención preventiva.
“En 2024 nos comprometemos a trabajar activamente para reducir nuestro impacto ambiental y ampliar nuestros servicios y operaciones a disposición tanto de referidores y como de cuidadores de mascotas”.
■ En lo que respecta a los cuidadores, queremos seguir profundizando en una experiencia cada vez más fácil donde la sensibilidad, disponibilidad y excelencia en todo lo que hacemos revierta en una satisfacción absoluta para el cliente y para el veterinario que nos refiere.
■ En relación con las clínicas que confían sus pacientes a nuestros especialistas o centros de diagnóstico, vamos a seguir reforzando el servicio que les dedicamos. El año pasado lanzamos una APP para que el veterinario referidor pudiera tener control absoluto de su paciente y una comunicación “on time” sobre el estado de este y del propio proceso de referencia. Debemos seguir simplificando procesos y reforzando la comunicación y relación con ellos, para seguir siendo la referencia de la península ibérica en ese sentido.
“Nos enorgullecemos de tener los mejores profesionales y medios materiales en nuestras clínicas, y de nuestro compromiso con la innovación y con la excelencia. Este año tenemos un agresivo plan de inversiones tanto en hospitales de referencia como en aquellas clínicas con un enfoque más de atención preventiva”.
En AniCura, nos enorgullece profundamente la alta valoración que nuestros clientes otorgan a su experiencia en nuestras clínicas y hospitales. Como parte fundamental de nuestro compromiso con la excelencia, hemos decidido intensificar nuestros esfuerzos para acompañar de manera más efectiva a nuestras clínicas en este aspecto crucial. Este año escucharemos más y con mayor intensidad la voz de nuestros clientes, y de los referidores. Ya estamos poniendo en marcha proyectos significativos que nos permitirán monitorizar de manera más exhaustiva la experiencia del cliente. Estos proyectos nos ayudarán a mejorar las sinergias entre hospitales y áreas de actuación. Nuestro objetivo es promover una escucha más activa y cercana a los cuidadores de mascotas, asegurando que sus necesidades y expectativas sean aún más conocidas y atendidas de manera óptima a lo largo de toda la organización.
“Ya estamos poniendo en marcha proyectos significativos que nos permitirán monitorizar de manera más exhaustiva la experiencia del cliente. Estos proyectos nos ayudarán a mejorar las sinergias entre hospitales y áreas de actuación”.
¿Qué balance haría Enrique de sus primeros 100 días en la compañía?
Soy un afortunado. Para mí es una suerte poder trabajar para una organización donde el propósito es tan importante. El poder liderar un grupo de personas que sienten pasión por ayudar a las mascotas a tener vidas más largas, felices y sanas es altamente gratificante. La sensibilidad por el cuidador de la mascota se percibe en cada clínica y es el foco absoluto de la compañía en todos sus ámbitos.
Seguiremos trabajando para que la profesión veterinaria tenga el reconocimiento que se merece y para ser un actor crucial en el desarrollo de la industria veterinaria en la península Ibérica desde un doble foco donde pongamos a nuestros asociados, a los clientes y sus mascotas en el centro absoluto de todo lo que hacemos.
Texto e imágenes AniCura
Para obtener mas información acerca del compromiso de AniCura con la comunidad veterinaria:
La aparición de bacterias altamente resistentes a determinados fármacos hace fundamental recurrir a terapias alternativas para tratar casos como el de este paciente con foliculitis. En este sentido, el tratamiento tópico antiséptico, ya sea único o junto a la terapia sistémica, ha mostrado muchas ventajas.
Marta Martínez1, Isaac Carrasco2
1LV. En proceso de acreditación por AVEPA en la especialidad de dermatología
2LV, PhD. Acreditado en dermatología por Avepa
Servicio de dermatología del Hospital Veterinario Canis IVC Evidensia Mallorca
Imágenes cedidas por la autora
La foliculitis bacteriana superficial (SBF) es la forma más común de pioderma canina y es una de las principales razones para el uso de antimicrobianos en la práctica de pequeños animales1
Lamentablemente, el uso incorrecto y/o indiscriminado de los antibióticos ha dado lugar a la aparición de bacterias altamente resistentes a estos fármacos, por lo que es imprescindible usarlos de un modo responsable y prudente y utilizar nuevas alternativas de tratamiento.
En la exploración dermatológica se observa alopecia multifocal dorsal, eritema periungueal generalizado con pododermatitis e intertrigo facial.
Así, en los últimos años se han publicado numerosos trabajos que demuestran las ventajas del tratamiento tópico antiséptico, único o como coadyuvante a la terapia sistémica.
Caso clínico
Acude al servicio de dermatología de nuestro hospital un Bulldog Inglés, macho esterilizado de 6 años, por la presencia de unas lesiones cutáneas de 6 meses de evolución acompañadas de prurito intenso, de un nivel 8/10 en la escala visual analógica del prurito (PVAS)2
Historia clínica
Los tutores reportan problemas dermatológicos previos, entre los que caben destacar demodicosis juvenil, pododermatitis y otitis crónicas intermitentes. Actualmente se alimenta con dieta hipoalergénica estricta y recibe desparasitación trimestral con isoxazolinas (fluralaner).
El cultivo microbiológico y el antibiograma indican la presencia de Staphylococcus sp. con alta resistencia a la gran mayoría de grupos de antibióticos y solo sensible a rifampicina.
Respecto a las lesiones actuales, se ha realizado cultivo fúngico (DTM) en otro centro con resultado negativo. A pesar del resultado, se le ha administrado tratamiento con itraconazol (5 mg/kg/día) y cefalexina (15 mg/kg cada 12 horas). Al no observarse un resultado satisfactorio, el paciente ha recibido antibiótico oral en cuatro ocasiones más durante los últimos meses.
Para el control del prurito se le ha administrado oclacitinib, que le ha ocasionado un cuadro digestivo. Como consecuencia, se ha optado por lokivetmab y glucocorticoides orales (prednisona 0,5 mg/kg/cada 12 horas), a los cuales ha mostrado una respuesta muy leve.
Examen general y dermatológico
En el examen físico general no se observan alteraciones evidentes.
En la exploración dermatológica se observa alopecia multifocal dorsal, eritema periungueal generalizado con inflamación interdigital dorsal (pododermatitis) y plantar e intertrigo facial (figuras 1, 2 y 3).
El patrón dermatológico es de dermatopatía alopécica multifocal pruriginosa y pododermatitis eritematosa y pruriginosa.
Diagnóstico diferencial
Los diagnósticos diferenciales más probables son los siguientes:
• Pioderma/foliculitis, posiblemente secundaria a dermatopatía alérgica con posible implicación de bacterias multirresistentes (MDR, multidrug resistant).
• Dermatofitosis.
• Demodicosis.
• Adenitis sebácea primaria o secundaria a leishmaniosis.
• Leishmaniosis (dermatopatía isquémica/ vasculopatía).
En el examen microscópico del pelo se observa queratosis peripilar leve-moderada. No se detectan formas parasitarias ni cambios evidentes compatibles con dermatofitos. El hemograma y la bioquímica no presentan alteraciones, y la serología de Leishmania es negativa. Por su parte, el cultivo microbiológico y el antibiograma indican la presencia de Staphylococcus sp. con alta resistencia a la gran mayoría de grupos de antibióticos y sensible a rifampicina, al ácido fusídico y a la amicacina (figura 5).
Desde que se publicaron los primeros artículos sobre la existencia de S. pseudintermedius resistentes a la oxacilina/meticilina en 19993 y, por tanto, a la gran mayoría de betalactámicos, su prevalencia ha aumentado desde un 8,2 % hasta un 47,9 %4
Pruebas diagnósticas
En la citología de superficie se aprecian abundantes polimorfonucleares neutrófilos con bacterias cocoides extra e intracelulares (figura 4).
Diagnóstico definitivo
El diagnóstico definitivo es de una foliculitis bacteriana con implicación de bacteria multirresistente.
Tratamiento y seguimiento
La rifampicina es el único de los tres antibióticos que podríamos utilizar por vía oral para el control de la foliculitis generalizada. Considerando que se encuentra en el grupo A (Avoid) de la EMA (Agencia Europea de Medicamentos), los problemas digestivos crónicos del paciente y el uso frecuente de antibióticos que ya ha recibido, se propone como alternativa el uso de tratamiento tópico con champú de clorhexidina al 3 % y ophytrium (tres veces por semana dejando actuar durante 5 minutos).
Se considera la mejor opción en este caso, ya que la concentración de clorhexidina le confiere una gran capacidad antibacteriana y el ophytrium refuerza la barrera cutánea, de modo que se resta-
Figura 1. Alopecia multifocal dorsal. Figura 2. Dermatopatía eritematosa y exudativa a nivel cervical.blece el equilibrio de la flora microbiana y se favorece la regeneración cutánea.
El seguimiento mediante citologías semanales muestra una muy buena respuesta al tratamiento, lo que permite comenzar a espaciar los baños.
Se utiliza lokivetmab para el control del prurito y, tras 5 semanas de tratamiento, el paciente presenta citologías negativas y la resolución completa de las lesiones cutáneas y signos clínicos asociados (figura 6).
Discusión
Las foliculitis bacterianas son muy comunes en la clínica dermatológica diaria, y uno de los principales motivos para el uso de
antibióticos en medicina veterinaria1. Suelen ser secundarias a otras patologías, entre las que las más comunes son las dermatitis alérgicas; en estos casos, las alteraciones del sistema inmunitario y de la barrera cutánea aumentan la predisposición de los perros afectados a desarrollar infecciones cutáneas.
El agente implicado con mayor frecuencia es Staphylococcus pseudintermedius, que forma parte del microbioma normal del perro y que, bajo determinadas condiciones, se convierte en patógeno. Durante el proceso diagnóstico de la foliculitis bacteriana es imprescindible el reconocimiento de estas bacterias a nivel intracelular mediante el estudio citológico de las lesiones.
Existen importantes ventajas relacionadas con el uso de la terapia tópica, como una resolución más temprana de las lesiones al asociarse al antimicrobiano oral y, por tanto, una reducción del tiempo de tratamiento de este último5
El uso frecuente e indiscriminado de antimicrobianos sistémicos está dando lugar a un aumento constante de bacterias resistentes a múltiples antibióticos, lo cual se está convirtiendo en una amenaza para la salud pública mundial debido a la falta de opciones terapéuticas para tratar ciertas infecciones en medicina humana.
De hecho, desde que se publicaron los primeros artículos sobre la existencia de S. pseudintermedius resistentes a la oxacilina/meticilina en 19993 y, por tanto, a la gran mayoría de betalactámicos, su prevalencia ha aumentado desde un 8,2 % hasta un 47,9 %4. Muchas de estas bacterias desarrollan mecanismos de resistencia
también frente a otros grupos de antibióticos, no solo frente a los betalactámicos, lo que da lugar a la aparición de bacterias multirresistentes (MDR, multiple drug resistance). Este es el caso observado en nuestro paciente, cuyo antibiograma muestra que S. pseudintermedius se considera MDR ya que es resistente a más de tres grupos de antibióticos distintos incluyendo las quinolonas. Así, la EMA ha propuesto recientemente una clasificación de los antibióticos utilizados en animales, restringiendo el uso de muchos fármacos con el objetivo de limitar la aparición de más o nuevas resistencias, para preservar así su utilidad futura de cara al control de infecciones en medicina humana.
A raíz de esta emergencia sanitaria se han estudiado alternativas al tratamiento sistémico de estas infecciones, y se han publicado numerosas investigaciones sobre el tratamiento tópico de las SBF. Afortunadamente, la piel es el órgano más externo del cuerpo y tenemos la suerte de poder verlo casi en su totalidad, por lo que es posible el acceso directo. En muchas ocasiones se infrautiliza la terapia tópica por la complejidad y el esfuerzo que puede implicar al tutor. Sin embargo, existen importantes ventajas relacionadas con su uso, como una resolución más temprana de las lesiones al asociarse al antimicrobiano oral y, por tanto, una reducción del tiempo de tratamiento de este último5
Así mismo, en 2015 otro estudio sobre la terapia combinada de digluconato de clorhexidina 4 % champú dos veces por semana y aerosol diario 4 % durante 4 semanas concluyó que podría ser tan eficaz como el uso único de amoxicilina-clavulánico 25 mg/kg/cada 12 horas durante 4 semanas8. En nuestro caso, el uso de clorhexidina champú al 3 % como tratamiento único fue suficiente para el control de la infección y los signos clínicos, lo que demuestra la utilidad de este antiséptico sin la necesidad de combinarlo con antibiótico sistémico en muchos casos.
Teniendo en cuenta el actual problema de salud global relacionado con la emergencia de resistencias bacterianas, se han publicado algunas guías para el uso de los antimicrobianos sistémicos. Una de las primeras reflexiones que deberíamos hacer es que, siempre que podamos, deberíamos evitar el uso de antibióticos sistémicos. En caso de que sea estrictamente necesario utilizarlos, deberemos optar por antibióticos de primera línea y de espectro lo más reducido posible, evitando en todos los casos el uso de quinolonas o cefalexinas de tercera generación de forma empírica. Solo está justificado el uso de estos, así como de otros antibióticos restringidos por la EMA como la rifampicina, cuando no existan otras opciones terapéuticas en función resultado de un cultivo bacteriano y antibiograma. Del mismo modo, ante el fracaso terapéutico con un determinado antibiótico, no cambiaremos de fármaco
Teniendo en cuenta el actual problema de salud global relacionado con la emergencia de resistencias bacterianas, se han publicado múltiples guías para el uso de los antimicrobianos sistémicos. Una de las primeras reflexiones que deberíamos hacer es que, siempre que podamos, deberíamos evitar el uso de antibióticos sistémicos.
Existen numerosos trabajos sobre el uso de diferentes antisépticos en veterinaria y, entre ellos, la clorhexidina es uno de los más estudiados. Posee actividad bactericida frente a grampositivos y gramnegativos, aunque estas últimas aparentemente son menos sensibles. Mediante diferentes mecanismos irrumpe la integridad de la pared celular de la bacteria e inhibe el crecimiento bacteriano o la destruye por coagulación de proteínas. Además, cuando se utiliza en patologías dermatológicas el efecto residual que se ejerce sobre los queratinocitos se extiende tiempo después de su aplicación6
En un estudio realizado en 2010 se observó que la clorhexidina era eficaz para el control de la pioderma superficial causada tanto por MRSP (meticillin-resistant Staphyloccoccus pseudintermedius) como por MSSP (methicillin susceptible Staphyloccoccus pseudintermedius)7
sin realizar un cultivo previo, con el objetivo de valorar la emergencia de resistencias en los microorganismos que estamos tratando.
El caso que hemos presentado muestra cómo es posible resolver una foliculitis bacteriana superficial complicada con una MDR mediante el uso de antisépticos tópicos, haciendo así un uso responsable y ético de los fármacos antibióticos.
Bibliografía:
1. Hillier A, Lloyd DH, Weese JS, et al. Guidelines for the diagnosis and antimicrobial therapy of canine superficial bacterial folliculitis (Antimicrobial Guidelines Working Group of the International Society for Companion Animal Infectious Diseases). Vet Dermatol 2014; 25:163-e43.
2. Rybnícek J, Lau-Gillard PJ, Harvey R, et al. Further validation of a pruritus severity scale for use in dogs. Vet Dermatol 2009;20(2):115-22.
3. Gortel K, Campbel KL, Kakoma I, et al. Methicillin resistance among staphylococci isolated from dogs. Am J Vet Res 1999; 60: 1526-30.
4. Paul NC. MRSP: prevalence in practice. Vet Rec 2015: 176: 170-171.
5. Beco L, Guaguère E, Lorente Méndez C, et al. Suggested guidelines for using systemic antimicrobials in bacterial skin infections: part 2- antimicrobial choice, treatment regimens and compliance. Vet Rec 2013; 172: 156-160.
6. Mueller RS, Bergvall K, Bensignor E, et al. A review of topical therapy for skin infections with bacteria and yeasts. Vet Dermatol 2012; 23:330-341.
7. Murayama N, Nagata M, Terada Y, et al. Comparison of two formulations of chlorhexidine for treating canine superficial pyoderma. Vet Rec 2010; 167. 532-533.
8. Borio S, Colombo S, La Rosa G, et al. Effectiveness of a combined (4% chlorhexidine digluconato shampoo and solution) protocol in MRS and non-MRS canine superficial pyoderma: a randomized, blinded, antibiotic-controlled study. Vet Dermatol 2015; 26: 339-344, e72.
Figura 3. Intertrigo nasal con secreción purulenta y eritema moderado. Figura 4. Gran población de neutrófilos con bacterias intracelulares. Figura 5. Resultados del cultivo bacteriano y del antibiograma del paciente.Algunos casos de enteropatías que responden al alimento tienen una respuesta positiva a un aporte enriquecido en fibra. Son las conocidas como colitis que responden a la fibra.
Veterinaria, Acre. GTNC AVEPA Comunicación Científica Royal Canin
La enteropatía crónica (EC) incluye un grupo de enfermedades con signos gastrointestinales asociados a inflamación intestinal que persisten durante más de 3 semanas, con signos clínicos poco específicos (vómitos, diarrea, hiporexia, borborigmos, dolor abdominal y pérdida de peso). Los últimos trabajos sugieren que la EC está causada por la alteración de tres factores principales dependientes entre sí para el funcionamiento óptimo del tracto digestivo: inmunorregulación del tejido linfoide asociado al intestino alterada, factores genéticos y factores ambientales intestinales (microbioma)1
Las EC se pueden clasificar según su respuesta al tratamiento: EC que responde a antibióticos, EC que responde a inmunosupresores y EC que responde al alimento,
que constituye el 50-65 % de todas ellas. Algunos de estos casos responden a dietas enriquecidas con fibra o a la suplementación de fibra: son las denominadas colitis que responden a la fibra.
Establecer el diagnóstico correcto y determinar la causa de la EC es esencial para poder instaurar el tratamiento específico. A partir de aquí, el primer paso para implementar adecuadamente el manejo dietético en perros con EC es conocer la variedad de opciones dietéticas disponibles para las enfermedades digestivas. No se puede seguir el mismo enfoque nutricional para todos los problemas gastrointestinales, puesto que lo que puede ser adecuado en determinados casos puede no ser recomendable en otros. Existen, por tanto, distintas estrategias dietéticas posibles para el manejo de estos pacientes: dietas bajas en grasas, dietas altamente digestibles, dietas con ingredientes seleccionados/limitados o proteína hidrolizada y dietas ricas en fibras. Además, hay que tener en cuenta que las dietas que se encuentran en una misma categoría pueden tener un perfil nutricional diferente, por lo que hay que valorar bien las características de cada dieta antes de utilizarla.
La fibra, aunque no está considerada como un nutriente esencial, tiene un gran impacto en la salud general de gatos y perros y en el tracto gastrointestinal en particular. Generalmente, las fibras solubles y viscosas retrasan el vaciado gástrico y aumentan el tiempo de tránsito del intestino delgado, mientras que las fibras
Generalmente, las fibras solubles y viscosas retrasan el vaciado gástrico y aumentan el tiempo de tránsito del intestino delgado, mientras que las fibras insolubles suelen disminuir el tiempo de tránsito en el intestino delgado y el colon2
La información que encontramos en el análisis medio del etiquetado de los alimentos para mascotas, de acuerdo con la legislación, se refiere al porcentaje de fibra bruta (FB). Se trata del valor de un análisis que solo mide la parte insoluble, por lo que no aporta información sobre las fibras solubles. En alimentación humana, la medida de fibra es la fibra dietética total (FAT), que se divide en soluble e insoluble, incluyendo así la mayoría de las fibras. De todos modos, aunque no aparezca en la etiqueta del envase, es una información que se puede encontrar en las fichas de los productos o preguntar a las empresas.
insolubles suelen disminuir el tiempo de tránsito en el intestino delgado y el colon2 En el manejo dietético de la colitis que responde a la fibra, las dietas ricas en fibra insoluble o mixta pueden ayudar a mejorar la motilidad, unirse a los irritantes colónicos y mejorar la salud de los colonocitos mediante el aporte de ácidos grasos de cadena corta, que nutren las células epiteliales del colon3
Hay varios estudios que respaldan el uso de alimentos enriquecidos en fibra para el manejo de la diarrea crónica. La indicación más frecuente es la colitis, pero también hay estudios con evidencias preliminares de su eficacia en casos de enteritis o enterocolitis. En el primer estudio realizado en perros se evaluó la eficacia de 3 dietas diferentes (baja en grasas, alta en fibra y de contenido limitado en antígenos) junto con la administración simultánea de corticoesteroides4. La dieta alta en fibra fue la segunda más eficaz, siendo la dieta limitada en antígenos la que obtuvo el mejor resultado. Un estudio retrospectivo en 25 perros con colitis crónica también respalda el uso de alimentos enriquecidos en fibra5, aunque no se trata de un estudio aleatorio controlado y no se puede determinar la eficacia relativa de las diferentes estrategias. En otro estudio no controlado en perros con colitis se utilizó un alimento comercial enriquecido en fibra y se obtuvo la resolución de los signos clínicos6. Por otro lado, se estudió la respuesta de 27 perros con colitis crónica no inflamatoria a la suplementación de varios alimentos con fibra predominantemente soluble7; la mayoría de los perros (96,3 %) tuvieron una respuesta clínica excelente o buena a dicha suplementación con fibra.
Dietas ricas en fibra para perros
Existen distintos enfoques en las dietas ricas en fibra: por un lado, están las destinadas al control de peso y por otro las dirigidas al manejo de problemas gastrointestinales. En las primeras el aumento de fibra tiene la finalidad de reducir la densidad calórica del alimento y favorecer la saciedad, mientras que las segundas incluyen niveles de fibra de moderados a altos manteniendo un aporte calórico que permite mantener o aumentar la condición corporal con una buena digestibilidad. Los niveles de fibra alimentaria total (FAT) en los alimentos para perros y gatos
Hay varios estudios que respaldan el uso de alimentos enriquecidos en fibra para el manejo de la diarrea crónica. La indicación más frecuente es la colitis, pero también hay estudios con evidencias preliminares de su eficacia en casos de enteritis o enterocolitis.
varía enormemente, de tan solo 0,1 a más de 11 g/100 kcal. Tanto los alimentos dietéticos secos para los trastornos digestivos en general, como las dietas hidrolizadas y las de elevada digestibilidad, suelen tener un nivel moderado de fibra alimentaria (1,0-2,5 g de FAT por 100 kcal). Los alimentos dietéticos formulados específicamente para enfermedades gastrointestinales que responden a la fibra suelen tener varios tipos de fuentes de fibra y en mayor cantidad (FAT: 4,5-6,0 g/100 kcal y 2,6-2,9 g/100 kcal para perros y gatos, respectivamente). Los alimentos dietéticos formulados para el control de peso suelen ser los más altos en fibra (FAT: 7,511,0 g/100 kcal y 4,6-7,6 g/100 kcal para perros y gatos, respectivamente)8
Referencias:
1. Jergens AE, Heilmann RM. Canine chronic enteropathy-Current state-of-the-art and emerging concepts. Front Vet Sci. 2022 Sep 21;9:923013.
2. Moreno AA, Parker VJ, Winston JA, et al. Dietary fiber aids in the management of canine and feline gastrointestinal disease. J.Am.Vet. Med. Assoc.2022:1-13.
3. Zoran D. Colitis and large bowel diarrhea. Standards of care. 2006;8(2):9-11
4. Simpson JM, Maskell IE, Markwell PJ. Use of a restricted antigen diet in the management of idiopathic canine colitis. J. Small Anim. Pract. 1994;35:234.
5. Livet V, Drut A, Floch F, et al. Contribution of dietary changes to canine chronic colitis management; a retrospective study of 25 cases. In; Proceedings, ECVIM Congress Liverpool, England, 2013.
6. Royal Canin. Evaluation of effectiveness of diet in clinical improvement of dogs with chronic gastro-intestinal disorders. Study on Fibre Response Canine for dogs with chronic colitis (Royal Canin, unpublished data).
7. Leib MS. Treatment of chronic idiopathic large-bowel diarrhea in dogs with a highly digestible diet and soluble fiber: a retrospective review of 37 cases. J. Vet. Intern. Med. 2000;14:27-32
8. Rudinsky Adam J. Dietary fiber: the clinician’s secret weapon. Vet Focus 2023; 33.1
Arquivet presenta ahora los dos nuevos productos de la gama Fresh Arquivet: Fresh Free Run (carne fresca de pavo) y Fresh Iberian Pork (carne fresca de cerdo Ibérico), en sacos de 10 kg, 2,5 kg y de 100 g. Este es un alimento completo para todo tipo de perros adultos. Incluye un 75 % de carne y pescado fresco y un 25 % de vegetales, frutas y hierbas medicinales. Prensado en frío, no extruido, su procesamiento es mínimo. Cocinado al vapor lentamente. Sin gluten, sin harinas cárnicas, sin colorantes ni aromatizantes artificiales. Es un producto de altísima apetencia y elevada digestibilidad.
■ Para más información: Arquivet - www.arquivet.com
Virbac amplía su gama de productos con la presentación de su nueva dieta para el cuidado de las intolerancias alimentarias: HPM Hypoallergy A1. Se trata de una fórmula elaborada con un 92 % de proteína de insecto, proveniente del gusano de harina y extracto purificado de patata. Al contener una proteína novel, la convierte en la nueva alternativa indicada para la alimentación de perros y gatos que padecen intolerancias alimentarias.
Esta nueva fórmula que lanza ahora Virbac, al igual que sucede con Hypoallergy A2, ofrece un perfil óptimo de aminoácidos que cubre las necesidades proteicas a largo plazo y una digestibilidad superior al 80 %.
Esta gama de productos para hacer frente a las intolerancias alimentarias se comercializa en sacos de 3 kg y 12 kg.
■ Para más información: contacte con su delegado de Virbac
B. Braun VetCare lanza Vet-PDA Occluder, tratamiento único e innovador que consiste en un dispositivo implantable mediante técnicas intervencionistas, compuesto por un alambre de nitinol para el cierre del ductus arterioso persistente en perros de razas toy. Destaca por su diseño específico que se adapta a la anatomía canina, un pequeño tamaño que le permite entrar por un catéter de 4 Fr (adecuado para pacientes de <5kg) y una elasticidad que le permite adaptarse a una amplia gama de morfologías del conducto.
■ Para más información: B. Braun VetCare - consulta www.bbraun-vetcare.es
Dômes Pharma incorpora Remend 0.4 y Remend 0.75 a su gama especializada de oftalmología
Dômes Pharma iberia incorpora Remend 0.4 y Remend 0.75 a su gama especializada de oftalmología. Ambos productos provienen de Sentrx, empresa americana adquirida por Dômes Pharma. Remend 0.4 y Remend 0.75 contienen ácido hialurónico reticulado gracias a una tecnología de bioingeniería avanzada patentada (BioHAnce), que le hace poseedor de propiedades únicas: mejora la hidratación y lubricación, favorece la adherencia de la película lagrimal, prolonga la duración en la superficie ocular y ayuda para una cicatrización más rápida de la córnea.
Remend 0.4 y Remend 0.75 están destinados a perros, gatos, caballos y mascotas exóticas, y no llevan conservantes.
■ Para más información: Dômes Pharma - contacto@domespharma.eswww.domespharma.es
“Prevenir las infecciones nosocomiales, ¡está en tus manos!”
La infección nosocomial es la infección que adquiere el paciente dentro del centro veterinario y que no tenía antes de su ingreso. La infección en el sitio quirúrgico es, más concretamente, la que aparece después de que el paciente sea sometido a una intervención quirúrgica. Puede tener consecuencias devastadoras, por lo que reducir al mínimo estas complicaciones es responsabilidad del personal del centro. Implica conocer las causas que la producen, elegir el material y dominar su aplicación, orientar las prácticas de prevención, preparar y tratar a estos pacientes para minimizar la contaminación, identificar rápidamente la infección y tener muy claro cómo actuar en cada caso.
Una infección nosocomial posoperatoria constituye una complicación que, independientemente de las medidas de prevención y control, aumenta la morbilidad y el dolor posquirúrgico, incrementa el gasto del tratamiento y, en numerosas ocasiones, conduce a la incomprensión y enfado del tutor.
Si no puede asistir a la charla del viernes 15 en el Congreso de AMVAC, B. Braun ofrece una formación online que revisa las infecciones nosocomiales y del sitio quirúrgico desde un punto de vista práctico, así como las medidas de control. La inscripción a “Prevenir las infecciones nosocomiales, ¡Está en tus manos!”, con José Rodríguez, está disponible en https://prevenciondelainfeccion.com
La Asociación de Veterinarios Españoles Especialistas en Pequeños Animales (AVEPA) e IVC Evidensia han firmado un acuerdo para fomentar la acreditación AVEPA en las diferentes especialidades veterinarias de los profesionales veterinarios pertenecientes a las clínicas del grupo en España. Esta colaboración representa un compromiso conjunto para elevar los estándares de excelencia en la atención veterinaria. A través de este acuerdo, ambas organizaciones trabajarán en estrecha colaboración para facilitar oportunidades de formación y desarrollo profesional para los veterinarios que forman parte de la plantilla de IVC Evidensia. El acuerdo se subscribió durante el XI Congreso del Grupo de AVEPA de Medicina Interna “Ignacio Menes”, celebrado en Alicante del 16 al 18 de febrero.
Boehringer Ingelheim presenta Senvelgo en el Congreso del GEMFE ante más de 300 veterinarios
Más de 300 veterinarios, amantes de la medicina felina, asistieron el pasado 2 de febrero a la presentación del nuevo lanzamiento de Boehringer Ingelheim: Senvelgo, un innovador antidiabético oral que revolucionará el manejo de la diabetes felina. La charla, bajo el título “Senvelgo, la revolución en el tratamiento de la diabetes felina”, fue impartida por Diego Esteban, veterinario de la Clínica Felina Barcelona y acreditado en Medicina Felina por AVEPA, en el marco del XII congreso GEMFE (Grupo de Especialistas en Medicina Felina), durante la cual destacó las principales innovaciones que presenta el producto. Senvelgo es el primer tratamiento oral líquido, de administración única diaria, que reduce eficazmente los niveles de glucosa en sangre en gatos con diabetes mellitus
Ceva Salud Animal abre camino a la innovación en terapias para mascotas con la adquisición de Scout Bio
Ceva Salud Animal ha adquirido Scout Bio, empresa pionera en biotecnología centrada en terapias de vanguardia para animales de compañía. Este acuerdo representa un salto significativo en innovación para Ceva Salud Animal, permitiendo el acceso a avances clave que incluyen una cartera de anticuerpos monoclonales y desarrollos de terapias genéticas para tratar enfermedades crónicas. “Esta alianza estratégica nos ofrece la oportunidad de desarrollar productos y soluciones que respondan a estas expectativas. Juntos, estamos preparados para dar forma al futuro de las soluciones bioterapéuticas para el bienestar de las mascotas en todo el mundo”, apunta el doctor Marc Prikazsky, presidente y consejero delegado de Ceva Salud Animal.
Elanco lanza el calendario
Vetnia 2024 para reconocer la labor social de los perros de intervención asistida
Elanco ha creado el Calendario Vetnia 2024, una pieza para rendir homenaje a los perros de intervención asistida que cumplen una importante función social contribuyendo a mejorar la calidad de vida de muchas personas y sus familias. Los perros de terapia aportan motivación y estímulo en cada sesión en la que participan, mejorando el bienestar de las personas atendidas en entornos terapéuticos, educativos y hospitalarios. Por su parte, los perros de asistencia ayudan a personas con alguna discapacidad física o emocional a desenvolverse y ganar seguridad en su día a día. Esta iniciativa se enmarca en los programas Vetnia y Dejemos Huella, impulsados por Elanco.
Animales de Granollers
Boehringer Ingelheim mantiene firme su compromiso con los profesionales veterinarios en su incansable labor por salvaguardar la salud de las mascotas. En colaboración con la revista Argos, la compañía lanza una iniciativa destinada a destacar la epilepsia idiopática en los perros a lo largo de los próximos cuatro números, comenzando con la presente edición de marzo.
La epilepsia idiopática, una enfermedad que afecta a numerosos perros, es el tema central de esta acción educativa. Bajo el patrocinio de Pexion, las páginas de Argos abordarán aspectos esenciales para la práctica clínica diaria de los veterinarios, permitiéndoles actualizar y profundizar sus conocimientos en este campo crucial. El primer artículo de la serie se enfoca en la introducción y el diagnóstico de esta enfermedad compleja. La epilepsia idiopática se caracteriza por convulsiones recurrentes sin una causa subyacente identificable, posiblemente de origen genético. Su diagnóstico requiere descartar otras posibles causas de convulsiones, lo que subraya la importancia de una evaluación minuciosa por parte de los profesionales veterinarios.
Con esta iniciativa, Boehringer Ingelheim demuestra su compromiso continuo con la formación y el apoyo a la comunidad veterinaria, contribuyendo así al bienestar de las mascotas y fortaleciendo los lazos entre los veterinarios y los tutores de perros.
El director general y veterinario jefe de AniCura Món Veterinari - Hospital Veterinari, Jordi Giné Puiggròs, presidirá la Asociación de Veterinarios Españoles Especialistas en Pequeños Animales (AVEPA) los próximos cuatro años. Asume el cargo después de ser vicepresidente desde el 1 de enero de 2020 al 31 de diciembre de 2023, momento en que representaba, por primera vez, que un veterinario no residente en España formara parte del órgano directivo de la asociación. Jordi Giné ha relevado en el cargo a la hasta ahora presidenta Amalia Agut. La nueva junta directiva está formada por con Andrés Somaza (vicepresidente), Javier López Castillo (tesorero), Valentina Aybar (secretaria), Pachi Clemente (director científico), Maruska Suárez (secretaria científica) y José Raúl Pedregosa (coordinador de vocalías).
Calier ha firmado un convenio de colaboración con la Asociación Protectora de Animales de Granollers (APAG), asociación sin ánimo de lucro que tiene por objetivo acoger a perros y gatos abandonados en su refugio y buscarles un nuevo hogar donde puedan ser felices. Con este acuerdo, Calier reafirma su compromiso con el bienestar de los animales de compañía, sus tutores y familias. El laboratorio realizará una aportación anual de 2.000 euros en productos a la protectora para que esta pueda disponer de los medicamentos necesarios para atender a los más de 2.100 perros y gatos que acoge anualmente. Actualmente, APAG colabora con ayuntamientos en toda Cataluña, realizando recogidas de animales en más de una docena de municipios.
B. Braun VetCare le invita a la charla de José Rodríguez sobre infecciones nosocomiales
LSWR España comunica la adquisición por parte de Grupo Asís del 100 % de las acciones de Eumedia, sociedad española con sede en Madrid y referente en información en el sector agroalimentario. La adquisición marca un hito significativo para LSWR España, grupo editor de la revista Argos, al expandir su presencia en el sector de la agricultura y la alimentación. Esta integración fortalece el compromiso de LSWR España con el concepto One Health, un enfoque integral hacia la salud y el bienestar, a través de las diversas empresas que conforman el grupo: Grupo Asís y VetEvidence, en el sector de la salud animal; la consultora especializada Luzán 5 y Edra Media, en el ámbito de la salud humana y la odontología; y ahora Eumedia, en la salud ambiental.
Ignacio Velázquez, responsable del servicio de Odontología de AniCura Ars Veterinaria Hospital, y Ecuphar han desarrollado el algoritmo de árbol de decisión que ayudará al clínico veterinario a diagnosticar e identificar el tratamiento necesario tras la revisión rutinaria bucodental de perros y gatos. La conversación con los tutores acerca de la necesidad de higiene desde cachorros, las revisiones periódicas en consulta y el abordaje con tratamientos clínicos cuando sean necesarios, además de una buena praxis, son una oportunidad de desarrollar una importante área de negocio y facturación dentro de los centros veterinarios de España. Para conseguir este soporte en alfombrilla acolchada para la clínica consulte con su delegado de Ecuphar o escriba a info@ ecuphar.es
Centauro se convierte en el distribuidor oficial y exclusivo de la marca de cosmética
Acana acompaña a Héroes de 4 Patas en la presentación de su calendario solidario 2024
Centauro, referente en distribución veterinaria, se ha convertido en distribuidor oficial y exclusivo de la marca de cosmética y peluquería profesional para mascotas Iv San Bernard en todo el territorio nacional. Fundada en 1995, Iv San Bernard es hoy, en todo el mundo, sinónimo de calidad en el campo de la cosmética animal, una amplia gama de líneas de cosmética para perros y gatos, para un total de más de 200 productos diferentes, desde productos de mantenimiento, hasta los productos especiales para shows y exposiciones.
Un año más, Acana estuvo presente en la presentación del calendario solidario de la asociación Héroes de 4 Patas, entidad que nació en 2015 con el objetivo de buscar un hogar y asegurar el bienestar de los perros que han trabajado en las Fuerzas y Cuerpos de Seguridad del Estado. El evento, celebrado el 17 de enero en la Real Casa de Postas, contó con la presencia del consejero de Medio Ambiente, Agricultura e Interior de la Comunidad de Madrid, Carlos Novillo, así como con diferentes caras conocidas que han colaborado en el calendario, como la modelo Malena Costa o la actriz Inés Sastre, quien tiene un perro adoptado de la asociación.
Otro punto distintivo de Iv San Bernard es poner el peluquero y su formación en el centro: desde hace más de 10 años, ha estado organizando tanto cursos de peluquería canina para principiantes, como seminarios altamente especializados de profundización para los más experimentados En ese sentido, Centauro también dispondrá de las instalaciones de formación ubicadas cerca de Barcelona para ofrecer cursos y talleres a sus clientes. La exclusividad de la importación de la marca Iv San Bernard refuerza el compromiso de Centauro de apostar por las mejores gamas de productos, y su vinculación con la formación de calidad.
Los productos Iv San Bernard pueden adquirirse a través de https://shop.centauro.es
La infección en el sitio quirúrgico aparece en el 5,1-8,7 % de los pacientes intervenidos. Incrementa la morbilidad, el tiempo de hospitalización y de recuperación, el coste del tratamiento, así como la preocupación de tutores y veterinarios. B. Braun VetCare invita a los profesionales a la charla que José Rodríguez, profesor titular de la Universidad de Zaragoza, impartirá este viernes 15 de marzo a las 11:30 h en el Aula Veterinaria del Congreso de AMVAC (situada en la zona de expositores de Ifema). Abordará los aspectos que predisponen a las infecciones nosocomiales y quirúrgicas, cuáles son las precauciones, aspectos y detalles que se deben considerar para reducir al mínimo estas infecciones y cómo actuar en caso de que se produzcan.
Además de su versión impresa, que se entrega junto con este número de Argos, podrá consultar la Guía
Argos Iberzoo+Propet-Vetmadrid en formato digital a través del código QR adjunto. Incluye información de interés sobre uno los principales eventos del sector veterinario del animal de compañía, Iberzoo+Propet, que engloba, entre otros, el congreso Vetmadrid organizado por AMVAC. En ella encontrará el listado de expositores que participan en esta edición, un completo plano con la distribución de los stands en el pabellón 10 de Ifema e información sobre las novedades que presentan algunas de las empresas participantes. La guía también contiene parte del programa formativo de esta edición, así como propuestas de restauración y ocio de las que disfrutar en Madrid.
Dentro de la medicina veterinaria, la formación continuada desempeña un papel fundamental para mantenerse actualizado y avanzar profesionalmente. La empresa Improve Veterinary Education (IVE) destaca por ofrecer una gama completa de programas centrados en cirugía de pequeños animales. Cuenta con un posgrado 100 % presencial en su Centro de Formación en Madrid divido en dos áreas cruciales: Cirugía de Tejidos blandos y Traumatología y Neurocirugía. A su vez, este mismo posgrado puede realizarse en modalidad semipresencial en Madrid. Ambas ediciones comienzan en abril.
Para aquellos que desean especializarse aún más, IVE ofrece un posgrado presencial basado exclusivamente en tejidos blandos que comienza en junio. Con ambas formaciones, el veterinario puede conseguir el certificado GPCert avalado por la ISVPS.
Para aquellos profesionales con experiencia que buscan un conocimiento más profundo, la empresa destaca sus dos posgrados avanzados: Ortopedia y Tejidos Blandos. Ambas formaciones se imparten de manera presencial en sus instalaciones de primer nivel en Madrid.
“Con esta extensa oferta formativa buscando promover la progresión paso a paso. Con estos posgrados, los veterinarios pueden cultivar su experiencia de manera gradual, consolidando su conocimiento a lo largo del tiempo”, comenta Enrique Soriano, Head of Business Development Portugal, Spain & Latin America
General de Derechos de los Animales coinciden en acabar con el abandono
Veterindustria y la Dirección
General de Derechos de los Animales coinciden en la necesidad de acabar con el abandono animal y promover la tenencia responsable, según se constató en la reunión mantenida en la sede del Ministerio de Derechos Sociales, Consumo y Agenda 2030. Santiago de Andrés, director general de Veterindustria, Pablo Hervás, su director técnico, conversaron con José Ramón Becerra, director general de Derechos de los Animales. La patronal ya tiene en marcha un protocolo de actuación con esta Dirección General, además de colaborar en el desarrollo reglamentario de la Ley 7/2023 de protección de los derechos y bienestar de los animales, así como en aquellas cuestiones relacionadas con el cuidado de las mascotas.
Ceva Salud Animal supera las expectativas de los veterinarios en el curso práctico de ecocardiografía avanzada
Pascual y Affinity colaboran con CHEP para reducir su impacto medioambiental
Pascual y Affinity han aunado fuerzas por primera vez para reducir su huella ambiental con el programa de transporte colaborativo AirShared de CHEP, proveedor de soluciones para la cadena de suministro. El objetivo del proyecto es evitar realizar kilómetros en vacío, gracias al uso compartido de un DUO Trailer para el transporte de las mercancías respectivas, disminuyendo así las emisiones de CO2 y reduciendo la huella de carbono de ambas compañías. “El uso de vehículos de altas capacidades y la colaboración entre fabricantes o con clientes son algunas de las claves de nuestra estrategia de reducción de emisiones en el transporte de mercancías a corto y medio plazo”, explica Rafael Martínez, logistic manager del Sur de Europa de Affinity.
“LetiFend Multipliquemos sus defensas”, nueva campaña de vacunación anual frente a la leishmaniosis
“LetiFend Multipliquemos sus defensas” es la nueva campaña de LETI Pharma para concienciar sobre la vacunación de la leishmaniosis canina. Los últimos estudios señalan que su prevalencia ha aumentado en la última década debido a factores como el cambio climático, que permiten al vector ampliar su radio de acción y estar activo más tiempo, así como al incremento de la movilidad geográfica de los animales.
La combinación de la vacunación con el uso de repelentes frente al flebótomo permite alcanzar una protección del 97.5 %1 Los veterinarios tienen un papel fundamental como profesionales sanitarios en la sociedad y son la principal vía de información del tutor de la mascota sobre diferentes enfermedades y las mejores medidas preventivas a su alcance.
LETI Pharma, a través de https://saludanimal.leti.com/es, pone a disposición de las clínicas veterinarias, materiales para informar al tutor sobre la leishmaniosis canina y cómo prevenirla. Además, a lo largo del año ofrecerá formaciones específicas dirigidas al veterinario que desee profundizar en el manejo de la leishmaniosis.
1Foj R., Vivancos S., Usero S., Arce H., Brazis P. Estudio de campo multicéntrico de seguimiento de perros vacunados con LetiFend® (2017-2020).
“Juntos conseguimos más”, el tributo de Vetoquinol a la labor de los veterinarios
La misión de Vetoquinol como empresa del sector veterinario es “enriquecer la vida de las personas dedicándose a la salud y el bienestar de los animales”. Con esta premisa, la compañía lanza “Juntos conseguimos más”, creada para resaltar la dedicación de todos los profesionales y compañeros veterinarios. Una dedicación imprescindible para el bienestar animal y la salud de las personas. 2023 fue el año en que Vetoquinol celebró su 90 aniversario como compañía en el sector veterinario, pero el compromiso de la compañía con los veterinarios se mantiene, porque solo con la colaboración de los veterinarios es posible avanzar en el trabajo de mejorar el bienestar y la salud animal.
Dingonatura ha obtenido el certificado de Sistemas de Control de Calidad ISO 9001:2015 que reconoce la excelencia en sus procesos internos para sus plantas productivas situadas en Berbegal (Huesca) y Olost (Barcelona). La garantía se extiende al proceso de fabricación de las marcas que en estas dos ubicaciones produce la compañía: los productos Natura Diet, Dingo, Free, Moments Cat, Solidary y Natura Vet. “Tras este logro hay un trabajo muy duro de todo un equipo encargado del área de Calidad en colaboración con otros departamentos de la compañía, conscientes de la importancia que tiene esta certificación y que ha visto recompensados todos sus esfuerzos”, explica Ana Chinarro, CEO de Dingonatura.
Ceva Salud Animal marcó de nuevo la diferencia con una formación adaptada a la necesidades de los veterinarios. En colaboración con Panacea Vet, organizó en Valencia los días 19 y 20 de enero un curso de ecografía avanzada que generó un elevado interés. La sesión fue dirigida por Domingo Casamián, director y fundador de Panacea Vet y diplomado europeo en Cardiología y Medicina Interna. Los alumnos disfrutaron de una formación personalizada. Previamente a su celebración, completaron un cuestionario para evaluar su nivel y adaptar los contenidos según sus necesidades. Además, se seleccionaron perros con patologías cardíacas reales para que los asistentes pudieran identificar y aplicar los conocimientos adquiridos en un entorno clínico realista.
Un equipo interdisciplinar de veterinarios españoles trató recientemente con el caso de una cachorra Jack Russell con ductus arterioso persistente, una enfermedad cardiaca congénita causada por la no involución de la comunicación entre la aorta y la pulmonar. “Decidimos realizar con urgencia una oclusión endovascular transyugular con dispositivo VET-PDA Occluder en las instalaciones de AniCura Ars Hospital Veterinario. Este dispositivo ha sido utilizado por primera vez a nivel mundial en nuestro hospital desde hace dos años y fue muy adecuado para este caso, porque permitió tratarla de forma mínimamente invasiva, con una intervención corta y sin ningún tipo de herida quirúrgica”, explica Alexis Santana, practice manager y especialista en Cardiología Intervencionista de AniCura Albea Hospital Veterinario.
Dejemos Huella, de Elanco, cumple 25 años impulsando vínculos entre personas y animales
La iniciativa Dejemos Huella, de Elanco Animal Health, cumple 25 años. Este programa impacta positivamente en la sociedad ayudando diariamente a que miles de personas con algún tipo de necesidad terapéutica, educativa o social, tengan una mayor calidad de vida y dando soporte a las entidades que desarrollan los programas de terapias y educación asistidas. “El bienestar animal siempre ha formado parte del ADN de Elanco Animal Health. De este modo, desde hace 25 años, en Dejemos Huella trabajamos para que nuestra huella sea más profunda. Mediante la colaboración y compromiso de las personas, asociaciones, organizaciones y entidades nuestra labor siempre intenta llegar más lejos”, explica Juan Pascual, vicepresidente de Francia, Iberia e Italia en Elanco Animal Health.
La Organización Mundial de Sanidad Animal (OMSA) conmemora 100 años de compromiso inquebrantable con la promoción de la sanidad y el bienestar de los animales. El camino que le ha llevado a convertirse en la autoridad mundial en sanidad animal ha estado marcado por una larga historia de momentos cruciales. Creada en 1924, se fundó cuando 28 naciones se unieron para combatir la peste bovina, una de las enfermedades animales más letales de su época. En la actualidad, los 28 países signatarios del Acuerdo Internacional de 1924 se han convertido en 183 miembros.
Vetoquinol presenta una herramienta diseñada para ayudar a los veterinarios en la administración de Zylkene
Movora, proveedor global de implantes ortopédicos y soluciones quirúrgicas
Vetoquinol ha diseñado una herramienta para ayudar a los veterinarios en el uso o recomendación de Zylkene: la calculadora Zylkene. De interfaz sencillo, ayuda a seleccionar el formato más adecuado para cada mascota, ya que permite calcular la cantidad adecuada de producto que debe ser administrada. Para realizar el cálculo el usuario solo debe seleccionar el tipo de animal (perro o gato); su peso y el factor o situación que altera al animal. Una vez seleccionados estos parámetros la calculadora proporciona la cantidad adecuada y el formato de producto más conveniente en función de la cantidad a suministrar, teniendo en cuenta la mejor relación precio-resultado y la administración de la menor cantidad de cápsulas. Está disponible en www.vetoquinol.es/calculadora-zylkene
Zoetis ha anunciado que Librela ha alcanzado la administración de nueve millones de dosis. Este hito refleja el impacto positivo y la confianza depositada en Librela por parte de veterinarios y tutores de mascotas. Librela ha revolucionado el tratamiento de la osteoartrosis en perros al ofrecer una opción terapéutica avanzada eficaz frente al dolor, el signo clínico principal que está presente en la enfermedad. Su administración mensual no solo facilita el manejo a los tutores de mascotas, sino que también mejora significativamente el cumplimiento del tratamiento, aspecto muy necesario para el adecuado abordaje multimodal de la enfermedad y evitar tener picos descontrolados de dolor, que dificultan a posterior el manejo de la osteoartrosis en el animal.
IVE anima a las clínicas veterinarias a invertir en la formación
de sus ATV
El trabajo de los ATV es fundamental, por lo que cada vez son más los centros veterinarios que cuentan con estos profesionales. Improve Veterinary Education contará, en mayo, con cuatro cursos específicos para ATV acreditados por la International School of Veterinary Postgraduate Studies (ISVPS): Programa de Anestesia, Programa de Urgencias y Cuidados Intensivos, Programa de Fisioterapia y Programa en Cirugía de Pequeños Animales. “El ATV necesita una formación específica para poder dar el mejor servicio a sus pacientes, y que así el negocio prospere. Una titulación reconocida como el VPPCert, o VPPFCert, da lugar a un profesional más valorado, competente y al que se le pueden asignar más responsabilidades”, afirma Enrique Soriano, Head of Business Development del mercado español.
Veterindustria celebra una jornada sobre distribución de medicamentos veterinarios
Veterindustria organizó la jornada
“Distribución de medicamentos veterinarios y BPDs”, inaugurada por Gema López, jefa del Área de Higiene de la Producción Primaria de la Subdirección General de Sanidad e Higiene Animal y Trazabilidad del MAPA, quien señaló que España cuenta con una normativa actualizada a nivel europeo y nacional que garantiza la correcta calidad, distribución, dispensación, prescripción y uso de los medicamentos veterinarios durante toda la cadena. Además, subrayó la importancia que tienen para la sanidad animal los medicamentos veterinarios y la aplicación del concepto One Health. Por su parte, Santiago de Andrés, director general de Veterindustria, destacó a los más de 110 asistentes, la implicación y dedicación de la industria en la adecuada distribución de los medicamentos veterinarios.
Movora es un proveedor global de implantes ortopédicos y soluciones quirúrgicas vendidas a veterinarios, cirujanos veterinarios y universidades, centrado en mejorar la movilidad y la calidad de vida de las mascotas en todo el mundo.
Las marcas de Movora han sido pioneras en innovación para ofrecer historias de éxito a los pacientes durante más de 30 años. A través de marcas como BioMedtrix, Imex Veterinary, Kyon, NGD, Spectrum Instruments y Veterinary Orthopedic Implants, Movora ofrece una de las carteras de productos más amplias dentro de la ortopedia para animales de compañía, que abarca desde placas para fracturas hasta sistemas completos de reemplazo de cadera.
Cree en el apoyo a los profesionales veterinarios a lo largo de sus carreras y ofrece uno de los calendarios de cursos de formación continua más completos del sector, enseñando a los DVM de todo el mundo nuevas técnicas y procedimientos. Ya sea aprendiendo una nueva disciplina o refrescando sus conocimientos, Movora Education ayuda a los profesionales a seguir avanzando.
Movora es un recurso único de tecnología médica referente en el ámbito veterinario, desde el aula hasta la clínica. Movora tiene sedes regionales en Florida (EE. UU.), Ontario (Canadá), Zúrich (Suiza) y Tokio (Japón). Más información en www.movora.com
Elanco Animal Health presenta la nueva propuesta del Programa Vetnia para 2024, disponible en formato impreso y en vetnia.es, en la que destacan, entre otras, importantes novedades: Canal de WhatsApp, donde los profesionales veterinarios pueden formar parte de la comunidad Vetnia by Elanco y recibir información de primera mano; Biblioteca Vetnia, una recopilación de documentos científicos y prácticos de medicina veterinaria creados o distribuidos por Elanco; el ciclo de conferencias “La vuelta a España de la desparasitación”, formación itinerante sobre enfermedades parasitarias relevantes según las diferentes zonas geográficas de España; patrocinio del programa de formación virtual FORAMVAC; estancias en rehabilitación; el simposio sobre Dolor en Perros y Gatos; y consultorías online con expertos.
La Comisión Europea aprueba la formulación inyectable de Bravecto para su uso en perros
MSD Animal Health acaba de anunciar que la Comisión Europea ha aprobado Bravecto (fluralaner) 150 mg/ml polvo y disolvente para suspensión inyectable para perros. El medicamento está aprobado para la actividad inmediata y persistente durante 12 meses para matar pulgas Ctenocephalides felis y Ctenocephalides canis, la actividad persistente desde el tercer día hasta los 12 meses después del tratamiento para matar garrapatas Ixodes ricinus, Ixodes hexagonus y Dermacentor reticulatus y para la actividad persistente desde el cuarto día y hasta los 12 meses después del tratamiento para matar garrapatas Rhipicephalus sanguineus Esta formulación inyectable de Bravecto debe ser utilizada solo por el veterinario o bajo su estrecha supervisión para su administración en perros y cachorros a partir de los seis meses de edad. Adicionalmente, el medicamento veterinario reduce el riesgo de infección por Babesia canis canis transmitida por Dermacentor reticulatus, desde el tercer día tras el tratamiento y hasta 12 meses, y también reduce el riesgo de infección por Dipylidium caninum transmitida por Ctenocephalides felis, hasta 12 meses. Esta aprobación sigue a la Opinión Positiva del Comité de los Medicamentos Veterinarios de la European Medicines Agency emitida en diciembre de 2023.
Mejorar la salud y calidad de vida de los animales, en especial perros, gatos y caballos, utilizando las tecnologías más avanzadas es el objetivo de la división Animal Health de Indiba, que lleva más de 40 años trabajando en el desarrollo de terapias para humanos junto a fisioterapeutas, investigadores y médicos. Después de trasladar sus avances a los animales desde hace cinco años, la compañía continúa apostando por la investigación: “Queremos revitalizar la práctica veterinaria en ámbitos como la recuperación de lesiones, la mejora de la condición física y aportar bienestar integrando conocimientos clave en medicina veterinaria, tecnología y terapias avanzadas para lograr un bienestar efectivo en animales”, explica Marina Rodríguez Alonso, product & brand leader Animal Health de Indiba.
“La nutrición tiene su ciencia” de Royal Canin visita Alicante, Barcelona y Bilbao
Royal Canin continúa visitando ciudades de España con las sesiones
“La nutrición tiene su ciencia”, con el objetivo de compartir y profundizar en la importancia de la ciencia y el profesional veterinario a la hora de hablar de nutrición para gatos y perros. Las últimas paradas fueron Alicante, Barcelona y Bilbao, donde los ponentes fueron los veterinarios Francisco Sánchez, María Vitoria y Víctor Algra, quienes, respectivamente, compartieron sus experiencias como divulgadores científicos y también los principales mitos y dudas nutricionales que se encuentran en su día a día. Además, estos estuvieron acompañados de Boticaria García y de los veterinarios Pep Merchán y Javier Manzanares, del equipo de comunicación científica de Royal Canin.
Fundación Vet+i y la Oficina Española de Patentes y Marcas (OEPM) han renovado el convenio de colaboración suscrito desde 2011, lo que se traducirá en un incremento de las actividades y actuaciones conjuntas en todo lo que tiene que ver con la propiedad industrial en sanidad animal. Fundación Vet+i y OEPM han llevado a cabo multitud de actividades y actuaciones conjuntas, que van desde la elaboración y publicación de los Boletines de vigilancia tecnológica en sanidad animal, documento que recoge las solicitudes de patentes publicadas a nivel internacional, o los Informes tecnológicos de patentes, donde se analizan en profundidad las patentes y documentos que se han publicado a nivel mundial relacionados con un proyecto de investigación.
Directorio de laboratorios de análisis clínicos
Julio Allué1
EDITOR
Contacte con nosotros a través de argos@grupoasis.com si desea publicar un artículo, y remita sus notas de prensa a notasdeprensa@grupoasis.com
REDACCIÓN
Sheila Riera1 Natalia Sagarra1
M. Ángel Ordovás, Israel Salvador, Alejandro Vicente1
RESPONSABLE DE DISEÑO Ana Belén Mombiela
JEFA DE DISEÑO Teresa Gimeno
DISEÑO Y MAQUETACIÓN Erica García, Marian Izaguerri, Marisa Lanuza
Escriba a publicidad@grupoasis.com si desea anunciarse, y a suscripciones@grupoasis.com para altas, bajas o modificaciones en sus datos de contacto
RESPONSABLE DE PUBLICIDAD Ana Caballero1
PUBLICIDAD Pilar Angás1, Jorge Pérez1, Laura Montón1, Leticia Escuín1, María Puig2
SOPORTE DE PUBLICIDAD Raquel Miguel, Rocío Sarrate
ADMINISTRACIÓN Beatriz Sanz, Carmen Ezquerro, Miriam de la Torre
SUSCRIPCIONES suscripciones@grupoasis.com
1Licenciado/a en Veterinaria, 2Graduada en Farmacia
EMPRESA EDITORA Grupo Asís Biomedia, S.L.
PREIMPRESIÓN E IMPRESIÓN Grupo Edelvives
EMPRESA MANIPULADORA Grupo Edelvives
DEPÓSITO LEGAL: Z-2106/98 - ISSN: 1699-7875
Publicación controlada por
Grupo Asís Biomedia está asociado a (miembro de y ) y a (miembro de , y )
DIRECTOR TÉCNICO: Enrique Ynaraja.
ANESTESIA: Antonio González (HV Rof Codina), Ignacio Sández (HV Vetsia)
CARDIOLOGÍA: Joaquín Bernal (Cardiovet), Laín García (HV Molins)
Susana Serrano (HV Vetsia)
CIRUGÍA: Joaquín Sopena (UCH-CEU, Valencia), José Rodríguez (FV de Zaragoza)
COMPORTAMIENTO: Xavier Manteca (FV de Barcelona)
DERMATOLOGÍA: Maite Verde (Servicio de Dermatología, FV Zaragoza)
ENDOSCOPIA Y CIRUGÍA DE MÍNIMA INVASIÓN: Jesús Usón (CCMI)
Federico Soria (CCMI), Tris Sampayo (Endoscopia Veterinaria)
EXÓTICOS: Albert Martínez-Silvestre (Centro CRARC), Jordi Grifols (Hospital Zoologic de Badalona), Andreu Riera (HV Molins), Beatriz Álvarez Carrión (CV Camaleo)
GESTIÓN Y MARKETING: Miguel Ángel Valera (Centauro Veterinarios), Jorge P. Pascual
Ribote (CEVE).
HEPATOLOGÍA CLÍNICA Y CIRUGÍA HEPÁTICA: Alfredo Pérez (CV Taco)
MEDICINA FELINA: Mª Luisa Palmero (CV Gattos. GEMFE)
MEDICINA INTERNA: José Ramón García (CV San Francisco de Asís), Alberto Montoya
(Facultad de Veterinaria ULPGC)
MICROBIOLOGÍA Y ENFERMEDADES INFECCIOSAS: Mariano Morales (FV Zaragoza)
NEUROLOGÍA: Xavier Raurell (HV Molins)
ODONTOLOGÍA: Soledad Montes (Cardiovet), Javier Collados (Servicio Móvil de Odontología)
OFTALMOLOGÍA: Inmaculada Morales Fariña (Responsable del Servicio de Oftalmología del Hospital Docente ULPGC)
ONCOLOGÍA: Miguel Laporta (HV Molins)
PARASITOLOGÍA: Juan Antonio Castillo (FV de Zaragoza)
REPRODUCCIÓN Y OBSTETRICIA: Pedro García (FV Lugo)
TOXICOLOGÍA Y FARMACOLOGÍA: Arturo Anadón (FV de Madrid)
TRAUMATOLOGÍA Y NEUROCIRUGÍA: Tomás Fernández (Centro Médico Veterinario)
Ramón Sever (Policlínica Veterinaria Rover), Fernando Díaz Santiago (Fauna Clínica Veterinaria)
URGENCIAS: Jordi Manubens (HV Molins)
COLABORADORES: Luis Javier Yus Cantín (Gerente del Col. de Veterinarios de Zaragoza)
La responsabilidad de los artículos, reportajes, comunicados, etc. recae exclusivamente sobre sus autores. El editor sólo se responsabiliza de sus artículos o editoriales. La ciencia veterinaria está sometida a constantes cambios. Así pues es responsabilidad ineludible del veterinario clínico, basándose en su experiencia profesional, el correcto diagnóstico de los problemas y su tratamiento. Ni el editor, ni los autores asumen responsabilidad alguna por los daños y perjuicios, que pudieran generarse, cualquiera que sea su naturaleza, como consecuencia del uso de los datos e información contenidos en esta revista.
De acuerdo con la normativa vigente en materia de protección de datos Grupo Asís Biomedia, SL., es responsable del tratamiento de sus datos personales con la finalidad de enviarle comunicaciones postales de nuestras revistas especializadas, así como otras comunicaciones comerciales o informativas relativas a nuestras actividades, publicaciones y servicios, o de terceros que puedan resultar de su interés en base a su consentimiento. Para ello, Grupo Asís podrá ceder sus datos a terceros proveedores de servicios de mensajería. Podrá revocar su consentimiento, así como ejercer sus derechos de acceso, rectificación, supresión, oposición, limitación y portabilidad enviando un correo electrónico a protecciondatos@grupoasis.com, o una comunicación escrita a Grupo Asís en Centro Empresarial El Trovador, planta 8, oficina I, Plaza Antonio Beltrán Martínez 1, 50002, Zaragoza (España), aportando fotocopia de su DNI o documento identificativo sustitutorio e identificándose como suscriptor de la revista. Asimismo, si considera que sus datos han sido tratados de forma inadecuada, podrá presentar una reclamación ante la Agencia Española de Protección de Datos (C/ Jorge Juan, 6. 28001 – Madrid www.agpd.es). Queda prohibida la reproducción total o parcial del contenido de esta obra sin previa autorización escrita. La Editorial a los efectos previstos en el artículo 32.1 párrafo segundo del vigente TRLPI, se opone expresamente a que cualquiera de las páginas de esta obra o partes de ella sean utilizadas para la realización de resúmenes de prensa. Cualquier forma de reproducción, distribución, comunicación