Estructuración de la escala formativa posgrado: entrevista a Antonio Cruz (AVEDE)

Estructuración de la escala formativa posgrado: entrevista a Antonio Cruz (AVEDE)
Plastia palpebral por deslizamiento ECT en una presunta recidiva de una neoplasia mesenquimal cutánea en el párpado Consideraciones clínicas de las úlceras recurrentes (SCCED)
XVII Congreso de la SEAAV: novedades y futuro de la anestesia
Lo que se juega la profesión veterinaria en la consolidación
Resolución de quilotórax en un perro con displasia tricúspide
EN PORTADA / PRÓXIMOS NÚMEROS
• Gestión y marketing
• Patología ortopédica
• Medicina y cirugía de exóticos
• Dermatología
• Cardiología
Si desea publicar un artículo sobre estos u otros temas, escríbanos a argos@grupoasis. com
“En AVEDE creemos que los jóvenes y futuros veterinarios merecen tener una vía clara de formación y cualificación después de graduarse”
Antonio Cruz
Las novedades y el futuro de la
4
Casandra, el mito griego, es conocida principalmente por dos características: por un lado, tenía el don de la clarividencia y, por otro, nadie creía lo que decía. Bendecida a la vez que maldecida, el poeta Quinto de Esmirna dijo de ella que parecía que sus palabras “se las llevaba el viento”. Qué frustración.
al magnífico trabajo de nuestro equipo y a unas infraestructuras vanguardistas conseguimos que la experiencia formativa alcance un nivel de excelencia”
Tradicionalmente presente en la cultura popular en muchos aspectos, hoy en día da nombre al síndrome que se adjudica a aquellos cuyas advertencias son desestimadas.
En su artículo de este número, Ignacio Mérida dice que, desde hace tiempo, a veces se siente como ella cuando advierte sobre la evolución que podemos esperar de determinados aspectos del sector clínico veterinario español de pequeños animales. La consolidación de los centros es el mejor ejemplo. No obstante, y aquí viene un detalle que suprime la vertiente sobrenatural de su profecía, nos aclara también que “la hoja de ruta de las consolidaciones es similar en cualquier país”.
Y es que, a menudo, lo que algunos consideran un vaticinio (para más inri, achacado al optimismo o al pesimismo de quien lo formula, según se dé el caso, como si esa fuera su única razón de ser) no es ni más ni menos que fruto de la memoria, es decir, de la experiencia previa. Un fenómeno tan poco mágico como el ojo clínico, me temo.
En el caso que nos ocupa, el artículo de Nacho nos permite hacernos una idea del panorama que existe en Reino Unido y que, en cierto modo, empezamos a ver en nuestro país, en un contexto que incluye, además, relevo generacional, cambio demográfico y crisis económica.
Yo prefiero no hacer vaticinios, pero sí me atrevo a recomendar la lectura del mencionado artículo, porque siempre está bien estar receptivo ante puntos de vista variados. Además, creo que debemos valorar el espíritu crítico y la valentía de quienes, con argumentos fundados, ponen de manifiesto lo que piensan.
En el peor de los casos, discreparemos. En el mejor, puede que aprendamos algo o incluso que, como Casandra, desarrollemos el ojo clínico necesario para detectar cuándo el caballo gigante que tenemos ante nuestros ojos es una amenaza.
La ausencia de una estructura oficial de posgrado ha llevado a que en el sector veterinario exista una “terminología libre y descontrolada”, en palabras de Antonio Cruz. El recién nombrado presidente de la junta directiva de la Asociación de Veterinarios Especialistas Diplomados de España (AVEDE) expone en esta entrevista los aspectos en los que se centra el trabajo de la asociación, con el objetivo claro de mejorar la situación actual.
ha demostrado estar al máximo nivel no tiene ninguna ventaja sobre alguien que no haya realizado dicha formación; es más, seguramente esté en desventaja al no haber “jugado” en el sistema español. Esto tiene que acabar. Mientras la universidad no integre a especialistas diplomados, la capacidad de tener departamentos clínicos reconocidos internacionalmente será muy limitada.
¿Qué objetivos se ha marcado para esta nueva etapa?
El principal objetivo de esta junta es conseguir que la profesión veterinaria acepte una estructura profesional clínica de posgrado a partir de una escala formativa estructurada y bien definida, con diferentes escalones hacia el máximo grado de formación en un área determinada, que es la diplomatura.
“El principal objetivo de la junta de AVEDE es conseguir que la profesión veterinaria acepte una estructura profesional clínica de posgrado a partir de una escala formativa estructurada y bien definida, con diferentes escalones hacia el máximo grado de formación en un área determinada, que es la diplomatura”.
¿Qué significa para usted haber sido elegido presidente en la nueva junta?
La Asociación de Veterinarios Especialistas Diplomados de España (AVEDE) nació en 2013. ¿Con qué finalidad se fundó?
AVEDE nació para representar la creciente presencia de veterinarios españoles que han alcanzado la cúspide de la formación a través de las diplomaturas de los Colegios Europeos o Americanos de la especialidad correspondiente. Este grupo de profesionales, casi en su totalidad formados allende nuestras fronteras, regresaban a España y se encontraban huérfanos de representatividad, por lo que decidieron unirse para promocionar y defender su espacio profesional.
¿En qué ha cambiado la situación de los veterinarios diplomados en España desde entonces?
En muy poco. A nivel profesional y privado, los compañeros veterinarios van reconociendo nuestra capacidad profesional y nuestro elemento diferenciador de cualquier otra formación a nivel mundial, que es ser diplomados.
Pero nos queda que ese reconocimiento sea social y oficial para que los diplomados que así lo deseen puedan competir en igualdad de condiciones en el mercado laboral y, sobre todo, en el acceso al cuerpo docente universitario, que a mi parecer es un punto crítico para optar a un progreso de la profesión real y tangible. Hoy en día, poseer el sello del máximo nivel de formación no es algo que esté reconocido para acceder a plazas docentes, por lo que un diplomado que se ha formado fuera durante años y
Actualmente, representar a los diplomados españoles y liderar un progreso es lo más importante para mí a nivel profesional. Además, lo hago como parte de una junta con compañeros altamente comprometidos con el avance de nuestra profesión.
Yo obtuve mi primer diploma (en cirugía) en el año 1999, lo que supuso que me convirtiera en el tercer diplomado español, y mi segundo diploma (en medicina deportiva y rehabilitación) en 2013. Pasé 30 años “exiliado” al máximo nivel profesional sin que en España las cosas cambiasen de forma dramática para los diplomados. He cumplido con creces todos los objetivos profesionales que me propuse en cuanto a reconocimiento de mis colegas, actividad profesional y experiencia en mi especialidad. Mi tiempo fuera ya estaba amortizado. Regresé a España hace 5 años y me puse manos a la obra.
Creemos que los jóvenes y futuros veterinarios merecen tener una vía clara de formación y cualificación después de graduarse y no tener que marcharse como hemos hecho la gran mayoría para formarnos porque la Universidad en España no puede. ¡Y España es doctorado-céntrica!
Porque nunca ha habido interés por otras ideas, y si lo ha habido no ha cristalizado en algo diferente para la veterinaria. Somos una profesión altamente similar a la medicina, si no idéntica; somos considerados profesión sanitaria a nivel ministerial y, sin embargo, sufrimos el máximo abandono por parte del Estado, que no apoya nuestras iniciativas ni nos ayuda a desarrollarnos. No es serio que un país como España en el siglo XXI carezca de una escala formativa clínica reglada, cuando en medicina existe una estructura de especialistas con su debida formación.
Todo el mundo sabe que un doctorado no es una formación clínica especializada, y un máster (como los actuales) se queda muy corto con respecto al máximo nivel.
“Queremos consolidar la asociación, conseguir mayores cuotas de socios y dar a conocer al público en general qué es un especialista y qué puede hacer, no solo en las áreas clínicas. Hay 27 colegios de especialidades reconocidos a nivel europeo y de todos tenemos representación en España”.
O ¿acaso usted va al cardiólogo porque tiene un doctorado en reperfusión del miocardio? No. Usted va al cardiólogo porque este se ha formado durante 4, 5 o 6 años viendo casos de cardiología junto a otro cardiólogo especialista que lo ha formado.
Las situaciones las cambian las personas con responsabilidad y con poder de hacerlo. Si no lo hacen, que expliquen por qué y trabajaremos para eliminar los obstáculos que existan. El mayor obstáculo al cambio es siempre el miedo a lo desconocido, y yo digo que no hay que tener miedo.
Otros objetivos son consolidar la asociación, conseguir mayores cuotas de socios y dar a conocer al público en general qué es un especialista y qué puede hacer, no solo en las áreas clínicas. Hay 27 colegios de especialidades reconocidos a nivel europeo y de todos tenemos representación en España.
¿Colabora AVEDE con otras entidades científicas españolas e internacionales?
Nuestra asociación es pionera en Europa gracias a sus fundadores, que tuvieron la visión de establecerla. Nuestra labor como asociación en la actualidad no está orientada hacia esa colaboración externa, sino hacia la consolidación de los diplomados en nuestro país. Cada diplomado tiene sus conexiones y colaboraciones con otros colegas a nivel nacional e internacional que son muy amplias porque su experiencia internacional les ha permitido desarrollarlas. Y estas colaboraciones son mucho más fructíferas y dinámicas.
Con respecto a la formación posgrado, ¿cuál es la situación actual en nuestro país?
Altamente ineficaz. En la actualidad la formación posgrado es un batiburrillo de títulos propios, másteres, diplomas de for-
ANTONIO CRUZ LV,MVM,MSc, PhD, MRCVS, DACVS, DECVS, DACVSMR Presidente de AVEDEmación, jornadas, cursos, cursillos, charlas, acreditaciones, webinars, talleres, etc. a la que se ha llegado por inercia y por falta de control y liderazgo. En general hay poco rigor y poca continuidad de progreso. Y este statu quo está claro que no es sostenible y ya no es apropiado para nuestra profesión.
Hay una ausencia de estructura oficial, aunque el Consejo General de Colegios Veterinarios está trabajando en una escala formativa y en el establecimiento de una certificación oficial que me parece muy interesante y útil. Esperemos que los 52 colegios veterinarios tengan el coraje político y la altura de miras para apoyar la escala formativa y la formación propuestas por el Consejo General, que ayudarían a mejorar la profesión de forma significativa y duradera. Si no lo hacen, tendrán que explicar por qué.
¿Cree que la situación actual genera confusiones entre el público general? ¿Perjudica esto a la imagen colectiva del sector veterinario?
Por supuesto. La ausencia de una estructura de posgrado clínico promueve una terminología libre y descontrolada. Y a río revuelto... La semántica es la forma en la que interiorizamos conceptos. Si confundimos al público con la semántica, con los nombres, denominaciones, etc. lo confundimos a nivel conceptual.
Un diplomado es único en su formación y, por tanto, exclusivo. ¡Y al público hay que educarlo conforme a esto para que pueda elegir libremente y para que conozca lo que hacemos! Es lo básico en cualquier mercado libre.
El sector veterinario se beneficiaría enormemente al crear una estructura profesional clínica como tienen los médicos,
por ejemplo. Las consecuencias serían enormes porque de ahí se deberían derivar cambios en las universidades, programas docentes, investigación, etc., tal y como sucede en medicina. Cuando incorporas profesionales de mayor nivel a un sistema, la cascada de consecuencias es enorme, y el resultado final es el progreso. Y, cuando no lo haces, sucede lo contrario.
Pero lo que más nos perjudica es la ignorancia que rodea a la labor de nuestra profesión. El resto de las profesiones sanitarias deben entender que la profesión veterinaria hoy en día está a un nivel que nada tiene que ver con hace 20 años, ni siquiera 10. Los avances han sido enormes. Utilizamos toda la tecnología disponible para las personas, hacemos investigación al más alto nivel y muchas veces de manera invisible; investigación que luego se usa para mejorar la calidad de vida de la sociedad: radiología intervencionista, tomografía computarizada, resonancia magnética, técnicas mínimamente invasivas, prótesis articulares, anestesia inhalatoria con los mismos medios, tratamientos oncológicos avanzados, rehabilitación, y un largo etcétera.
Al igual que un médico especialista que ha pasado por un MIR, los diplomados también lo hemos hecho y estamos formados de forma reglada, intensa, rigurosa y reconocida en el ámbito profesional mundial al máximo nivel. La medicina veterinaria muchas veces sirve de modelo para la medicina humana, y ambas son siempre complementarias. Por ejemplo, el uso de células madre, terapias ortobiológicas, tratamientos oncológicos, manejo de la osteoartrosis, etc. La clínica veterinaria es pareja con la práctica de la medicina humana y el
concepto One Health implica reconocer al ser humano como parte del mundo animal, con todo lo que ello conlleva. Negarlo sería una necedad.
Quizás reconocer la valía de los veterinarios en general y de los especialistas diplomados sería una buena forma de comenzar a implementar dicho concepto. La veterinaria es la más global y completa de todas las profesiones sanitarias. El día que despertemos la sociedad nos pondrá en el sitio que merecemos y eso tendrá sus consecuencias, políticas, económicas, sanitarias, etc.
En su opinión, ¿qué pasos habría que dar para optimizar la situación actual de la formación posgrado? ¿Hay ejemplos de otros países que puedan servirnos como modelo?
No hay que inventar nada. El modelo para seguir ya lleva muchas décadas implementándose en el sistema anglosajón. Yo lo he vivido durante 30 años desde todas sus perspectivas: pública, privada, docente, clínica, investigación, etc. Por eso para mí está clarísimo. Hay que crear una escala formativa con niveles intermedios y reconocer a los diplomados al máximo nivel y como especialistas; es decir, hay que generar una estructura que ponga a cada uno en su sitio y luego ir poblando ese andamiaje.
El sector público tiene que aprovecharse de la existencia de diplomados para poblar sus plantillas docentes y volver a liderar el progreso profesional. Para ello las universidades tienen que modernizar su proceso de contratación y compensación, reconocer a diplomados formados fuera con un plus de baremación y, a partir de ahí, incorporar savia nueva y de máxima calidad.
El sector privado lo hará sí o sí pero, si el sector público no lo hace, el progreso se quedará en el sector privado y no para el bien común. Hay que destacar que un diplomado no solo tiene excelentes capacidades clínicas, sino en muchas ocasiones también docentes y de investigación. El público se sorprendería de la contribución de veterinarios diplomados especialistas en estas áreas.
Sheila Riera Argos – argos@grupoasis.comhttps://acortar.link/zAfU3X
Queremos analizar la situación actual del sector y tu opinión nos importa mucho
Y además podrás ganar un lote de libros*
Un seminario, tres talleres y diversas ponencias, comunicaciones orales y pósteres conformaron el completo programa científico de una nueva edición del congreso anual de la SEAAV, que contó con alrededor de 180 inscritos.
Sheila Riera Argos argos@grupoasis.comImágenes Argos
Para la XVII edición de su congreso anual, la Sociedad Española de Anestesia y Analgesia Veterinaria diseñó un programa novedoso, cuyo leitmotiv fue la “Anestesia y el futuro” y del que disfrutaron alrededor de 180 veterinarios.
Así, casi 200 personas, contando también con los representantes de las casas comerciales que ocuparon la zona de exposición, se reunieron entre el 1 y el 3 de junio en una edición más del congreso de la SEAAV, celebrado en esta ocasión en la ciudad de Granada.
Como en anteriores ediciones, Argos fue una de las marcas colaboradoras.
Así, Rocío Fernández ofreció una sesión introductoria en torno a este concepto y otra titulada “De la anestesia inhalatoria con flujos bajos a la anestesia total intravenosa”, mientras que Diego Portela trató la sedación en estación y las técnicas locorregionales en caballos.
Portela continuó hablando sobre las infusiones controladas por objetivos (target controlled infusions, TCI), que consisten en la administración de una infusión variable de forma automática con el objetivo de mantener una determinada concentración plasmática teórica constante del fármaco en el paciente y, por tanto, lograr la estabilidad del plano anestésico.
Para el funcionamiento de este sistema, diseñado para evitar que el veterinario
Diego Portela explicó que, en el campo de la analgesia multimodal, el protocolo ERAS incluye estrategias fundamentales como la reducción de la dosis de opioides y el uso de la anestesia locorregional, que es clave para lograr la recuperación rápida.
Como es habitual, el congreso comenzó con varios talleres, que se desarrollaron durante la tarde del jueves 1 de junio y trataron sobre anestesia locorregional (Diego Portela, Universidad de Florida), ventilación mecánica (Rocío Fernández, Universidad Católica de Valencia), monitorización del gasto cardiaco (José Miguel Alonso Íñigo, Hospital Universitario y Politécnico La Fe) y ecocardiografía (Xavi Navarro, Hospital Veterinario Southfields).
Por su parte, Carolina Palacios (Royal Veterinary College, Londres) impartió un seminario sobre gasometría.
Durante la jornada del 2 de junio se impartieron diversas ponencias relacionadas con la sostenibilidad en anestesia veterinaria.
Tal y como había manifestado la organización, el objetivo de esta sesión era plantear opciones para, desde esta especialidad, contribuir de alguna manera a evitar o minimizar los cambios negativos que la actividad humana está ocasionando en el planeta.
“haga la titulación a ojo”, una variable clínica media le da feedback al sistema de infusión para ajustar la tasa de administración de manera automática (closed loop system) y lograr mantener la concentración plasmática indicada por el anestesiólogo. El sistema cuenta con diversas ventajas. No obstante, Portela comentó que, de momento, todas las máquinas existentes en el mercado son de humana y su software es cerrado, por lo que no se pueden modificar. Para concluir, el ponente apuntó que el futuro de las TCI está en la inteligencia artificial (IA).
Sobre IA habló también Rocío Fernández, que puso de relevancia que esta tecnología cada vez está más presente en nuestro sector. Como muestra, remarcó que el congreso de la International Veterinary Radiology Association (IVRA EVDI Joint Conference), que tuvo lugar en junio en Dublín, tuvo un bloque completo de su programa dedicado a la IA en medicina. Igualmente, durante la última ponencia del viernes 2 sobre ingeniería biomédica en anestesia veterinaria, Fernández destacó que “la combinación médico-ingeniero es constante desde hace tiempo”. De hecho, ella ha contado con la colaboración del ingeniero Luis Domenech (CEU-UCH) en sus trabajos de ingeniería
biomédica aplicada a la anestesia veterinaria, que están centrados en el estudio de las vías aereas altas y el flujo y resistencia al paso del aire. Además, como ejemplo del avance en nuestro sector, la ponente comentó que tan solo entre 2012 y 2023 se han publicado más de 35 artículos sobre tomografía de impedancia eléctrica (TIE) en veterinaria.
La jornada del 3 de junio comenzó con la actualización de diversas áreas.
• Con respecto a la tendencia actual de suprimir los opioides, el ponente destacó que, según el estudio Perioperative Opioid Administration: A Critical Review of Opioid-free versus Opioid-sparing Approaches (Harsha Shanthanna et al., 2021), “minimizarlos sí ha mostrado ser beneficioso, pero eliminarlos del todo no es necesario”.
• Por su parte, la anestesia locorregional es clave en la rápida recuperación en el contexto ERAS porque favorece el retorno a las funciones normales, ya que proporciona analgesia somática
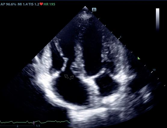
Al mencionar las aplicaciones más frecuentes de la ecocardiografía en el campo de la anestesiología, Xavi Navarro se centró en la evaluación preanestésica, así como en la de la volemia y la respuesta a fluidos.
Portela explicó el papel de la anestesia locorregional en los protocolos de recuperación temprana tras la cirugía (ERAS), cuyo objetivo es acelerar la recuperación del paciente de la forma más controlada y segura posible.
Para ello se requiere un abordaje multidisciplinar en el que se tienen en cuenta aspectos como la nutrición, entre otros, y se recurre, cuando es posible, a la cirugía mínimamente invasiva; en lo referente a la analgesia multimodal, el protocolo ERAS incluye estrategias fundamentales como la reducción de la dosis de opioides y el uso de la anestesia locorregional:
y visceral además de proteger la función motora del paciente. En concreto, se recomienda el uso de técnicas que hagan posible el bloqueo de las fibras C “simpáticas” para prevenir el papel de estas en el dolor posoperatorio, proporcionar analgesia de larga duración, no generar bloqueo sensorial y prevenir el desarrollo de dolor crónico y la sumación temporal (wind-up), un fenómeno por el cual cuando un estímulo doloroso se aplica de forma repetida aumenta progresivamente la percepción del dolor. Para concluir, Portela describió algunos bloqueos nuevos, como el TONIC, el PHD (pericapsular hip desensitization, que podría ser una alternativa en caso de
Esta edición contó con alrededor de 180 inscritos. Imagen cedida por Nacho Redondo.cirugía de cadera), el del erector espinal y el retromamilar.
Ecografía aplicada a la evaluación cardiaca y hemodinámica en anestesia
Xavi Navarro también remarcó el trabajo multidisciplinar, destacando la labor realizada conjuntamente por cardiólogos y anestesiólogos, y comentó que la ecografía permite realizar una evaluación rápida, a tiempo real y no invasiva de la estructura y función cardiacas, de manera que se pueden optimizar la seguridad y el manejo cardiovascular del paciente.
Entre sus limitaciones, hizo hincapié en la necesidad de tiempo para su aprendizaje, y mencionó también el coste, la posibilidad de encontrar hallazgos inespecíficos y la necesidad de realizar estudios que validen su uso y precisión, entre otras.
El ganador del premio Ignacio Cruz 2023 fue Gonzalo Polo Paredes, por la comunicación oral “Estudio cadavérico del abordaje dorsal del bloqueo del cuadro lumbar en gatos (Felis catus): resultados preliminares”.
Al mencionar sus aplicaciones más frecuentes en el campo de la anestesiología, se centró en la evaluación preanestésica y en la de la volemia y la respuesta a fluidos, aunque también hizo referencia a la monitorización hemodinámica durante la anestesia y durante la recuperación, así como a la detección de complicaciones intra y posoperatorias:
• Con respecto a la evaluación preanestésica, recomendó realizarla a animales de razas predispuestas a las cardiopatías, así como a los sénior o a los que tengan signos clínicos que sugieran enfermedad avanzada. No obstante, puesto que “hay que tener cuidado con los pacientes asintomáticos y con los gatos”, en general recomendó realizar un estudio ecocardiográfico siempre que sea posible.
• Al hablar de la evaluación de la volemia y la respuesta a fluidos, Navarro comentó que no existen “normas” para el uso clínico de la administración de fluidos intravenosos para la optimización del gasto cardiaco y la perfusión tisular. En
todo caso, y puesto que el aumento de la precarga no siempre es necesario ni es bien tolerado, se recomienda un enfoque individualizado para cada paciente y la respuesta positiva del animal se podrá evaluar gracias al uso de marcadores, tanto estáticos como dinámicos.
Las técnicas de evaluación de la perfusión y la actualización sobre las guías de supervivencia a la sepsis fueron las propuestas de las dos charlas de Carolina Palacios (Royal Veterinary College, Londres).
Durante su primera ponencia, la especialista abordó qué es la perfusión tisular, qué parámetros la definen y cómo se puede evaluar. Así, explicó que, para que la perfusión sea adecuada, el sistema vascular debe estar intacto, y el intercambio gaseoso y el sistema de eliminación de residuos deben ser adecuados.
“Cuando hablamos de perfusión debemos distinguir la macro de la microcirculación”, remarcó. Mientras la presión y el flujo, los parámetros que definen la macrocirculación, se pueden medir directamente con varias técnicas, la microcirculación es más difícil de definir porque depende de la macrocirculación, de los mecanismos autorreguladores específicos de cada órgano y de ciertas interacciones entre estos. Para evaluarla debemos prestar atención a varios parámetros clínicos, físicos y químicos específicos de cada órgano. Actualmente se suelen medir varios (gasto cardiaco, tono vascular, glucosa, lactato, etc.), mientras que otros ya se están mencionando como una posibilidad en diversas investigaciones (shock index y derivados, temperatura, TRC, PVI/PI, etc.). Con respecto al lactato, Palacios comentó que “deberíamos empezar a llamarlo lactohormona” y aclaró que, al contrario de lo que se ha afirmado tradicionalmente, no indica la existencia de metabolismo anaeróbico. Además, su presencia se está comenzando a dejar de considerar como algo negativo: en realidad, es un marcador de la liberación de catecolaminas endógenas, por lo que nos ayuda a detectar pacientes que presentan un shock oculto, es decir, los que aún mantienen la presión arterial debido a una elevación de la respuesta simpática. “La elevación del lactato nos permite identificar a estos pacientes, que están en riesgo de muerte o descompensación y que requieren un manejo más agresivo”, explicó.
Sobre el control de los fármacos en anestesia y la legislación más actual al respecto habló José Miguel Mayor (presidente del Ilustre Colegio Oficial de Veterinarios de Granada) durante la tarde del sábado. Tras la finalización de su ponencia se celebró una mesa redonda sobre el control farmacológico en esta especialidad en la que participaron todos los ponentes. Tanto ellos como los asistentes mencionaron la existencia de una concienciación cada vez mayor sobre la necesidad de realizar un buen control de los fármacos disponibles en centros veterinarios, aunque aún existen puntos de mejora. Por su parte, Carolina Palacios destacó que en Reino Unido, donde ejerce, tiene “más problemas por la rotura de stocks”, mientras que Diego Portela hizo hincapié en que “en Estados Unidos la crisis de los opioides es un problema serio, generado por su amplio uso en medicina humana, no en veterinaria”, aunque en este último sector se sufren las consecuencias de la falta de stock
Eva Rioja, presidenta de la junta de gobierno de la SEAAV, agradeció su apoyo al comité local y a todos los patrocinadores de esta edición del congreso, además de destacar el “elevado nivel científico y humano” de los ponentes participantes y la “gran calidad de las comunicaciones” que se presentaron.
Por su parte, Diego Rodrigo (Dip. ECVAA, cofundador de 3A Anestesia y
Analgesia Animal y miembro de la SEAAV), presentó el proyecto “1=1”, cuyo objetivo principal es transmitir a los centros veterinarios la ética necesaria para que todo procedimiento anestésico sea supervisado por un anestesista veterinario o, en su defecto, que dicho anestesista supervise a un equipo de profesionales veterinarios con menor formación y experiencia. La SEAAV realizará un sondeo entre sus socios para saber si apoyan esta iniciativa.
La clausura del congreso también fue el momento escogido por la organización para hacer entrega de la beca Ignacio Cruz, el premio a la mejor comunicación oral y el galardón para el ganador del concurso de fotografía, otro clásico de este congreso. Así, el ganador del premio Ignacio Cruz 2023 fue Gonzalo Polo Paredes, por la comunicación oral “Estudio cadavérico del abordaje dorsal del bloqueo del cuadro lumbar en gatos (Felis catus): resultados preliminares”. Como es habitual, Dechra patrocinó este premio, consistente en una beca para realizar una estancia en un centro extranjero. Mª Victoria Falceto, viuda de Cruz, agradeció a la organización que se cuente con su familia para realizar la entrega de esta beca e hizo hincapié en que “lo importante no es solo lo que se transmite a nivel de conocimiento, sino también sobre la manera de trabajar y la ética profesional”. Por eso, en el premio Ignacio Cruz ella aprecia “la ética de Nacho, su capacidad de esfuerzo y crítica, su tenacidad y su pasión”.
La organización de la SEAAV ya ha anunciado que la próxima edición de su congreso anual tendrá lugar en Gijón, entre el 30 de mayo y el 1 de junio de 2024.
Por otro lado, la ganadora al premio al mejor póster fue Patricia Romero, por “Manejo anestésico y complicaciones en un pingüino de Humboldt sometido a pruebas de diagnóstico por imagen”. También se presentó el resultado del trabajo realizado por la asociación en un orfanato de Guinea Ecuatorial, al que se le han podido realizar reformas gracias a las personas que adquirieron un disco grabado por varios miembros de la SEAAV y cuya edición fue posible gracias al apoyo de Ecuphar.
Por último, cabe destacar que la organización anunció que la próxima edición de su congreso anual tendrá lugar en Gijón, entre el 30 de mayo y el 1 de junio de 2024.
Las ponencias fueron grabadas y será posible acceder a ellas durante julio/agosto.
Mesa redonda en la que participaron José Miguel Mayor, Xavi Navarro, Diego Portela, Rocío Fernández, Carolina Palacios y Diego Rodrigo. Gonzalo Polo Paredes recogió el premio Ignacio Cruz 2023 de manos de Mª Victoria Falceto (izquierda) y Mireia Peña (derecha). Algunos de los pósteres presentados en esta edición. Las ponencias y comunicaciones orales se desarrollaron durante las dos últimas jornadas del congreso. Eva Rioja, presidenta de la junta de gobierno de la SEAAV, durante el acto de clausura.Como miembro del equipo de liderazgo global de Royal Canin, Natalia Ball expone en esta entrevista las claves del enfoque nutricional de la compañía, así como algunos aspectos relacionados con sus políticas de responsabilidad social y diversidad.
primero”. Es decir, nos preguntamos cuáles son los nutrientes que se necesitan, dadas esas necesidades específicas, nos encargamos de buscar la fuente de esos nutrientes y la usamos. No nos dejamos llevar por lo que está de moda o por lo que el propietario de la mascota quiere. No pensamos en los ingredientes en general ni en los que están de moda en concreto: ponemos las necesidades de la mascota en el primer lugar y trabajamos en función de ello.
Aparte de en la selección de nutrientes, ¿hay algo más en lo que les afecte la naturaleza de perros y gatos?
Sí, realmente influye en todo. Desde el punto de vista del respeto hacia su naturaleza, es muy importante cómo los alimentamos, pero también cómo interactuamos con ellos.
óptimo. Por tanto, consideramos la salud de los perros y los gatos de manera integral: mental, física y del medio ambiente donde se encuentran.
La sostenibilidad juega un papel muy importante y nosotros lo estamos priorizando. Es crítico para nuestro propósito de crear un mundo donde las mascotas están más sanas, pero también como parte de nuestro legado. Somos una división de Mars, una compañía dirigida por una familia desde hace años, cuyos miembros piensan en términos de generaciones. Por eso quieren que este negocio sea sostenible para las generaciones futuras.
apoyo para llevar su trabajo al siguiente paso. Estuvieron presentes en Turquía tras el terremoto y fueron de gran ayuda allí.
En España trabajamos con DogPoint, una asociación que prepara perros de asistencia para niños con TEA, con el objetivo de que haya más perros preparados y dar también visibilidad a las dificultades a las que se enfrentan estas familias.
Además, los asociados de la compañía proponen los proyectos y votan los que les parecen que marcan la diferencia. Así se decide cuáles se van a apoyar. De esta manera, son tan dueños de esa Fundación como la compañía misma. De hecho, la
¿Qué significa su eslogan de marca “la salud es nuestra obsesión”?
La razón por la que existimos como compañía es para transformar la salud de los gatos y los perros, junto con los profesionales de la salud de las mascotas: veterinarios, criadores, diplomados en nutrición, etc. Cuando evaluamos si estamos haciendo un buen trabajo lo primero que vemos es si logramos una diferencia en su salud, en general.
De hecho, estamos tratando de implementar medidas que no están basadas tan solo en la salud de los perros y los gatos que comen alimentos Royal Canin, sino en la de todos los perros y gatos, compartiendo también nuestro conocimiento y expertise. Un ejemplo de esto son los programas de formación para los profesionales, con las universidades o eventos en los que compartir con expertos de todo el mundo, como el reciente Vet Symposium celebrado en Montpellier.
El hecho de que las mascotas se hayan convertido en miembros de la familia a veces no ha sido muy bueno para ellas. Nosotros tratamos de abanderar el hecho de que algunas prácticas no están bien y tenemos que asegurarnos de que hacemos lo mejor para perros y gatos sin dejarnos llevar por esta humanización.
Por eso nos enfocamos en prácticas de crianza responsables y que respetan su naturaleza, y vamos mucho más allá de la nutrición, que es donde jugamos un papel, para influir en el ecosistema que está alrededor de las mascotas y llegar a respetar al animal por lo que es.
En este punto es donde entra en juego su enfoque People, Pets and Planet ¿Cómo se relacionan la sostenibilidad y su enfoque nutricional?
Nosotros decimos que nuestro objetivo principal es que las mascotas estén saludables, pero esto no se puede conseguir en un planeta no saludable, en un ambiente contaminado o que no es
“La Fundación Royal Canin está dando pasos para convertirse en algo realmente importante y contribuir a destacar el rol que tienen las mascotas en la sociedad”.
Queremos elevar los estándares de la profesión para que pueda haber un mejor cuidado de los perros y los gatos. Y por eso decimos que la salud es nuestra obsesión: porque es lo que nos motiva y la razón por la cual existimos.
¿Cómo se relaciona esta filosofía con el enfoque nutricional de la marca?
Vemos la nutrición entendiendo las necesidades únicas de los perros y de los gatos. Por más que sean miembros de la familia, fisiológicamente son muy diferentes a nosotros. Pasamos mucho tiempo observando y utilizando el método científico para entender cuáles son sus necesidades únicas en función de su especie, edad, raza, patologías, etc.
Cada uno de esos elementos crea diferentes necesidades y, en función de ellas, diseñamos nuestra nutrición y lo hacemos con un enfoque que llamamos “nutrientes
“La diversidad implica una ventaja competitiva frente a las compañías que no la tienen. Además, también queremos representar a los consumidores del mundo: si nosotros no tenemos diversidad no los representamos apropiadamente”.
La combinación de esas dos cosas hace que prioricemos y por eso tenemos el compromiso de ser una de las primeras marcas de Mars que va a tener una huella neutra de carbono para 2025. Estamos trabajando para asegurarnos de que con el paso de los años tenemos más envases reciclables, reducimos la cantidad de plástico virgen y contribuimos en esta transformación de sostenibilidad.
Además, nuestro enfoque “nutrientes primero” permite buscar las fuentes más sostenibles, sin estar supeditados a un ingrediente en concreto. Por eso tenemos libertad; si nos enfocáramos en los ingredientes lo tendríamos más difícil.
Con respecto a la Fundación Royal Canin. ¿En qué consiste su labor y cuál es su importancia?
Una de sus prioridades es destacar el rol que cumplen las mascotas en la sociedad. La Fundación se enfoca en respaldar proyectos en los que las mascotas apoyan a las personas. Por ejemplo, hace poco estuve en México, donde tenemos la brigada K-9; los voluntarios y sus respectivos perros no tenían grandes recursos hasta que, gracias a la Fundación, se les pudo dar un
Fundación es independiente de la compañía y creo que está dando pasos para convertirse en algo realmente importante y contribuir a destacar el rol que tienen las mascotas en la sociedad.
Por último, ¿qué destacaría sobre su política de inclusión y diversidad?
Soy muy activa en ese tema porque, cuando empecé mi carrera, llegó un punto en el que pensé que no necesitaba seguir creciendo; pero la realidad era que me convencí de ello porque no me veía reflejada en el equipo de liderazgo de la compañía donde trabajaba en ese momento.
Para mí, contar con representación en roles de liderazgo sénior es muy importante para demostrarle a todo el mundo que hay lugar para crecer. Por eso cambié de opinión cuando empecé a trabajar en Mars y vi que la presidenta global de nutrición era una mujer y que hablaba en inglés con acento. Pensé que si ella lo puede hacer yo también puedo y sé que el hecho de que yo esté donde estoy le dice a mucha gente en la organización que ellos también pueden. Es lo mismo si hablamos de personas con discapacidades, de color, LGTB, etc. Todo el mundo debe tener un lugar donde se sienta representado y donde puedan ser ellos mismos; donde no tengan que cambiar para ser aceptados. Hay quien dice que la inclusión implica dar la oportunidad a gente que no está preparada, pero no es cierto: hay mucha gente que está preparada y antes no tuvo la oportunidad, ya sea porque no se la dieron o porque ellos mismos se descartaron. Lo que hemos visto es que es mejor cuando hay más diversidad, porque hay puntos de vista variados. Eso implica una ventaja competitiva frente a las compañías que no tienen esa diversidad. Además, también queremos representar a los consumidores del mundo: si nosotros no tenemos diversidad no los representamos apropiadamente.
Sheila Riera Argos - argos@grupoasis.com NATALIA BALL Global Brand Officer & Pet Specialty Retailing VP Royal CaninCada vez son más las empresas que confían en Improve Veterinary Education (IVE) para la organización de sus formaciones en el centro que la compañía tiene en Madrid. Además, Improve Veterinary Education lanza su catálogo actualizado, una de cuyas novedades más importantes son los posgrados avanzados de ecografía, medicina felina y medicina interna
nes presenciales es el de asistir, si por alguna razón no puede acudir, las clases serán también retransmitidas en streaming y permanecerán grabadas dos semanas por si el alumno quiere repasar o afianzar conceptos. Respecto a la modalidad de precios, todos aquellos alumnos que se inscriban con más de 5 meses de antelación tendrán un gran descuento respecto a aquellos que lo hagan en los últimos dos meses.
¿En qué ciudades van a ofertar formación presencial?
ENRIQUE SORIANO
Head of Business Development Portugal, Spain & Latin America
Improve Veterinary Education
¿Qué novedades incluye su catálogo de oferta formativa 2023-2024?
El próximo año traemos grandes novedades. En relación con los GPCert, vamos a impartir en Madrid por primera vez (además de en Valencia) el posgrado específico de cirugía de tejidos blandos; también vamos a llevar a cabo el posgrado de anestesia, así como el de endoscopia médica.
Otra novedad importante serán los posgrados avanzados de ecografía, medicina felina y medicina interna, que se suman a los ya consolidados de cirugía de tejidos blandos y traumatología y ortopedia.
“En relación con los GPCert, vamos a impartir en Madrid por primera vez (además de en Valencia) el posgrado específico de cirugía de tejidos blandos; también vamos a llevar a cabo el posgrado de anestesia, así como el de endoscopia médica”.
¿Cuándo estará disponible?
El nuevo catálogo saldrá en julio de 2023. ¿De qué modalidades dispondrán los alumnos en esta ocasión y en qué se diferencian?
Los alumnos, en función del curso, podrán elegir entre las siguientes modalidades: online, semipresencial y presencial. Además, aunque el objetivo de las formacio-
Este año, IVE estará presente en Madrid, Barcelona y Valencia. Os invito a visitar nuestra página web para encontrar la ubicación que mejor se acople a vuestras necesidades.
¿Toda la formación del año que viene será para veterinarios?
El año que viene sacaremos la segunda edición para ATV de los siguientes cursos: anestesia, cirugía, fisioterapia y urgencias. Estos cursos tienen un enfoque práctico para que el ATV pueda aplicar rápidamente los conocimientos adquiridos; además, permitirán presentarse al examen y conseguir la certificación más extendida que existe a nivel mundial otorgada por la ISVPS.
¿Han establecido algún nuevo acuerdo recientemente?
Recientemente hemos firmado un acuerdo con la UAX para formar a sus estudiantes de último año y a sus alumni. Esta colaboración empezará con dos posgrados:
Disfruta de la libertad de aprender donde quiera que estés y a tu propio ritmo. Los nuevos posgrados en modalidad e-learning de Improve Veterinary Education van más allá de la oferta estándar que puedes encontrar hoy en día y son adecuados para profesionales que desean una actualización integral en diferentes campos de la medicina veterinaria. La duración de los másteres modulares es de entre uno y dos años y pueden ser tanto 100 % en línea (distance learning) como semipresenciales (blended-learning), con el fin de proporcionar un nivel educativo superior. Nuestra plataforma de aprendizaje te permite acceder a través de un portátil, un dispositivo móvil o una tableta las 24 horas del día, los 7 días de la semana, para que puedas ajustar los módulos dentro de la ocupada agenda que suele tener un profesional veterinario, lo que te permitirá obtener un título de posgrado sin dedicar un tiempo excesivo.
“Cada vez son más las empresas que confían en nosotros para que les organicemos sus formaciones. Por nuestra parte, dejamos todo preparado para que la única preocupación de la empresa colaboradora sea la de traer a la gente que quiere formar”.
uno de cirugía de tejidos blandos y otro de urgencias y cuidados intensivos. Además, contarán con 15 días de estancias en el servicio de cirugía o de urgencias en el Hospital Clínico Veterinario de dicha Universidad.
Con respecto a su centro de formación, estrenado en 2022, ¿hay alguna novedad?
Cada vez son más las empresas que confían en nosotros para que les organicemos sus formaciones en nuestro centro
de Madrid, que cuenta con dos salas de cirugía totalmente equipadas, tres salas adicionales para impartir tanto clases teóricas como otro tipo de cursos, una zona de descanso con todos los servicios, otros espacios necesarios como una sala de preparación y una sala de rayos X y el mejor soporte audiovisual y tecnología educativa.
Por nuestra parte, dejamos todo preparado para que la única preocupación de la empresa colaboradora sea la de traer a la gente que quiere formar. Gracias al magnífico trabajo de nuestro equipo que está durante todo el curso dando apoyo y a unas infraestructuras vanguardistas, conseguimos que la experiencia formativa alcance un nivel de excelencia.
Visita la web de Improve Veterinary Education para ver su nuevo catálogo y las ciudades donde ofrecen la modalidad presencial
Sheila Riera Argos - argos@grupoasis.com“Gracias
magnífico trabajo de
equipo y a unas infraestructuras vanguardistas conseguimos que la experiencia formativa alcance un nivel de excelencia”
Autor: ISAAC CARRASCO
• Director del postgrado de Dermatología y responsable del área de Dermatología del postgrado de Medicina Felina de IFEVET.
• Acreditado en Dermatología por AVEPA-GEDA.
• Certificado en Dermatología por la ISVPS.
• Responsable del Servicio de Dermatología de los Hospitales Canis Mallorca & Hospital Veterinari Glòries
RESEÑA
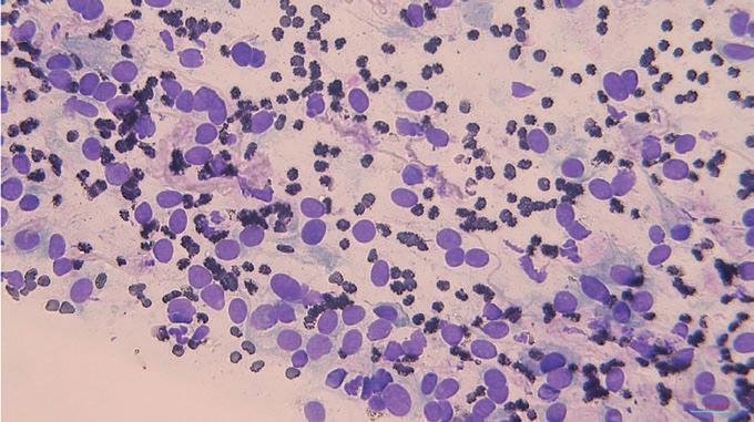
Border collie macho no esterilizado de 10 meses.
Los tutores detectaron un nódulo dermoepidérmico, sólido, no doloroso en el tarso de la extremidad posterior izquierda. Se tomaron muestras para estudio citológico por punción con aguja fina, en la que se obtuvo un material de color blanco. Tras la tinción con Diff Quick® se observó una matriz amorfa hialina, en la que se encontraban embebidas escasas células inflamatorias y epiteliales. A pesar de no observar signos de malignidad, se realiza la extirpación quirúrgica para su estudio histopatológico posterior, en el que se confirma el diagnóstico de calcinosis circunscrita.
Después de 2 días de la cirugía el paciente es capaz de eliminar todo el material de sutura por lamido de la zona afectada, lo que provoca la dehiscencia de la práctica totalidad de la herida quirúrgica.
No se detectan cambios patológicos.
Solución de continuidad a nivel de tarso, de todo el espesor cutáneo, sin formación de un tejido de granulación adecuado, pero con márgenes aparentemente limpios y sanos. Quedan expuestos tejidos profundos.
Ante la tensión existente en la zona afectada se desaconseja volver a suturar, por lo que se propone iniciar una terapia con el fin de conseguir la cicatrización por segunda intención. Así, se inician sesiones de fotobiomodulación con el fin de acelerar en la medida de lo posible la cicatrización, mejorando el manejo global
del paciente. Por tanto, se insta a los tutores a realizar una sesión semanal con Phovia®. Tras la aplicación de una capa de unos 2 mm del gel fotoconversor sobre la lesión, se ilumina la región con Phovia® durante 2 minutos. Tras la primera aplicación se elimina el gel con el uso de gasas impregnadas en suero salino estéril, para volver a aplicar una nueva capa de 2 mm, e iluminar la zona durante dos minutos más.
EVOLUCIÓN
Entre sesión y sesión se pide a los tutores que eviten el acceso del animal a la herida, mediante el uso de un calcetín y collar isabelino. No se aplican otros fármacos con capacidad cicatrizante sobre la lesión.
Después de 3 días de la primera sesión el tejido de granulación ha evolucionado de forma considerable, ocupando gran parte de la profundidad de la lesión.
A los 7 días, antes de la segunda sesión, todo el tejido de granulación está a nivel de la piel sana circundante, y el proceso de reepitelización periférica se ha iniciado de forma significativa. Así, se aplica la segunda sesión con Phovia®, siguiendo el mismo protocolo previamente descrito.
A los 14 días los tutores reportan una evolución excelente, habiéndose producido la reepitelización de prácticamente todo el defecto causado por la cirugía. Por tanto, y considerando la excelente evolución, no se realizan más sesiones de fotobiomodulación.
Es común encontrar situaciones similares a la reportada en este caso en la clínica veterinaria diaria, en las que, debido a un manejo inadecuado del paciente durante el periodo postoperatorio inmediato, la resolución de la herida quirúrgica puede complicarse más de lo deseado. En todos los casos el objetivo es conseguir un tejido cicatricial útil y fuerte, pero de la
En todos los casos el objetivo es conseguir un tejido cicatricial útil y fuerte, pero de la manera más rápida posible con el fin de mejorar la calidad de vida tanto del paciente como del tutor.
Tras la aplicación de una capa de unos 2 mm del gel fotoconversor sobre la lesión, se ilumina la región con Phovia® durante 2 minutos. Tras la primera aplicación se elimina el gel con el uso de gasas impregnadas en suero salino estéril, para volver a aplicar una nueva capa de 2 mm, e iluminar la zona durante dos minutos más.
DÍA 3 DÍA 0 DÍA 7de mejorar la calidad de vida tanto
manera más rápida posible con el fin de mejorar la calidad de vida tanto del paciente como del tutor. Además, cuanto antes se consiga la cicatrización menos posibilidades habrá de que se produzcan infecciones secundarias, disminuyendo así la necesidad del uso de fármacos antibióticos.
En general, todas las técnicas de fotobiomodulación influyen sobre la actividad biológica de múltiples células mediante el uso de fotones emitidos por una luz LED a diferentes longitudes de onda.1 Concretamente Phovia® estimula los cromóforos que se encuentran en el gel con luz azul, para generar fluorescencia y, en consecuencia, modificar la actividad biológica celular. El uso de terapias lumínicas permite realizar una acción directa y limitada sobre la región anatómica en la que actuar, reduciendo los efectos adversos potenciales derivados del uso de otras terapias.1
En un trabajo publicado, en los que se utilizó la fotobiomodulación para estimular la cicatrización de heridas con pérdida significativa de tejido en dos perros, se consiguió una reepitelización total después de 9 y 16 semanas, utilizando una pauta semanal de aplicación.2 A pesar de que en nuestro caso clínico el defecto era significativamente menor que el reportado en el estudio previamente descrito, se consiguió la reepitelización casi total antes de las 2 semanas de tratamiento y habiendo recibido dos únicas sesiones de fotobiomodulación. Esta rápida respuesta hace que el abordaje terapéutico con fotobiomodulación de este tipo de lesiones sea adecuado, con el fin de mejorar la calidad de vida del paciente, así como la adherencia al tratamiento por parte del tutor.
El proceso de cicatrización se compone de una serie de eventos que evolucionan progresivamente, pero que en muchas ocasiones se solapan entre ellos. En este proceso se ven implicadas numerosas citoquinas y factores
Se consiguió la reepitelización casi total antes de las 2 semanas de tratamiento y habiendo recibido dos únicas sesiones de fotobiomodulación
DÍA 14
de crecimiento. Del mismo modo, es fundamental un correcto aporte sanguíneo y la formación de una matriz extracelular funcional.3 La fotobiomodulación estimula la secreción de factores de crecimiento epidérmico, vascular y de fibroblastos (EGF, VEGF, FGF). Así mismo, estimula la producción del factor de crecimiento transformante Beta (TGF-α) y de colágeno. De forma paralela, se produce una reducción de la inflamación y dolor de la zona afectada, gracias a la modulación en la producción de citoquinas pro-inflamatorias como la IL-1, IL-6, IL-17 y TNF-β. Su acción sobre la enzima citocromo C en las mitocondrias aumenta la producción de ATP en estos orgánulos, aumentando la cantidad de energía para la célula durante el proceso de cicatrización.1
Paralelamente, es adecuado destacar que durante el proceso de cicatrización de nuestro paciente no fue necesario el uso de fármacos antibióticos. Se ha reportado el uso de la fotobiomodulación para el control de la pioderma superficial en el perro.4 Considerando que la infección bacteriana afecta a la cicatrización por la lisis de neutrófilos, lo que da lugar a la liberación de sustancias citotóxicas en el lecho cicatricial que contribuye a la necrosis del tejido y a la disminución de sus funciones normales,3 la fotobiomodulación puede aportar todavía más efectos beneficiosos sobre el proceso de cicatrización actuando a este nivel.
Considerando que el uso de Phovia® es rápido, sencillo y bien tolerado por los pacientes, parece adecuado recomendarlo en aquellos casos en los que el objetivo sea conseguir una cicatrización más rápida y adecuada, como por ejemplo en perros con alta actividad en los que queramos acortar el periodo de convalescencia lo máximo posible o en pacientes en los que existan enfermedades concomitantes que puedan ralentizar el proceso de cicatrización.
El proceso de reconversión que sufre el sector veterinario español, cada vez más consolidado, tiene que ver con la transformación del servicio en una commodity. Factores como el relevo generacional y un cambio demográfico influyen en este desarrollo, que sigue una ruta similar a la vista en otros países, como Reino Unido. En este contexto, ¿cuáles son los retos a los que realmente se enfrenta el sector?
En el vídeo titulado “La veterinaria que se va” de mi canal de YouTube hablo de la veterinaria que ha sido empujada al olvido desde la consolidación de las clínicas en el Reino Unido, donde aproximadamente el 80 % de estos centros de animales de compañía pertenecen a unas cinco empresas.
Veterinaria convertida en commodity
En resumen, en Reino Unido se han dado cambios basados en convertir la veterinaria en una commodity, término que se usa para hacer referencia a todo bien que es producido en masa por el hombre o incluso del cual existen enormes cantidades disponibles en la naturaleza, que tiene un valor o utilidad y un muy bajo nivel de diferenciación o especialización.
Evidentemente la veterinaria no es una commodity clásica, para empezar porque es un servicio y no un producto. Sin embargo, sí que tiene mucho en común con la manera en la que se venden las commodities
Un ejemplo que todos hemos sufrido en algún momento, y que puede servir para entender el concepto, es la industria de la aviación: hemos normalizado tener que esperar en la pista de despegue haga frío o calor, que llevar una maleta cueste más que el billete, que haya cobros extras
escondidos, etc. Todo por irnos de viaje a las cercanías de una capital europea u otro destino turístico.
Las consecuencias de lo anterior incluyen salarios bajos para el personal, alta ocupación y cero redes de seguridad (si algo sale mal pasan meses hasta que sucede algo, si es que sucede).
Las fases de la reconversión sectorial
Debo confesar que en ocasiones me siento como Casandra, el mito griego. No en balde, en mi canal de YouTube hay varios vídeos que tienen 5 años de antigüedad y siguen estando al día: enfermedad mental, fondos de inversión, cambios en la profesión, etc.
En realidad, la hoja de ruta de las consolidaciones es similar en cualquier país: llega el momento del relevo generacional, una generación de emprendedores
En Reino Unido se han dado cambios basados en convertir la veterinaria en una commodity, término que se usa para hacer referencia a todo bien que es producido en masa por el hombre o incluso del cual existen enormes cantidades disponibles en la naturaleza, que tiene un valor o utilidad y un muy bajo nivel de diferenciación o especialización.
Casandra era hija de Príamo, rey de Troya, y Hécuba. Se cuenta que Apolo, dios del arco, la música y la adivinación y epítome de la belleza, se enamoró de ella y le prometió el don de la profecía a cambio de yacer juntos. Casandra aceptó y consiguió al don, pero después rechazó las proposiciones del dios sol. En ese momento Apolo le permitió mantener su capacidad de adivinación, pero la condenó (escupiéndole en la boca) a que nadie la creyese en sus profecías y, por tanto, a no poder hacer nada para cambiar el futuro. Casandra quiso advertir de la guerra de Troya si Paris se iba a Esparta, del caballo trampa con los troyanos dentro de él, de lo bruja que era Clitemnestra, etc. Al final, su alma terminó en los campos Elíseos, el lugar de descanso de las almas nobles.
veterinarios se tiene que enfrentar a una reconversión (sí, como en cualquier industria) y entonces una crisis cualquiera hace que la maldición de Sísifo (el de la roca para arriba y para abajo) sea demasiado y se busque una salida sencilla.
En primer lugar, habría que hablar de lo que significa la reconversión veterinaria, ya que esta tiene que ver con el concepto de commodity: los dueños de mascotas quieren todo y lo quieren ya, los proveedores de servicios veterinarios tienen problemas para generar una oferta diferenciada, así que solo les queda ser más baratos: mucho más baratos. Los precios bajos solo se pueden mantener con coste salarial contenido (no salarios bajos, sino más mascotas activas por veterinario) y
Los precios bajos solo se pueden mantener con coste salarial contenido (no salarios bajos, sino más mascotas activas por veterinario) y para tener muchas mascotas hay que ofrecer servicios sencillos (medicina preventiva), que no requieren especialistas.
para tener muchas mascotas hay que ofrecer servicios sencillos (medicina preventiva), que no requieren especialistas. Estos, por su parte, están en centros donde la
mayoría de los dueños de mascotas tienen problemas para afrontar los presupuestos que se les ofrecen.
Si al momento tan “dulce” de cambio generacional y reconversión sectorial se une un cambio demográfico, tenemos la tormenta perfecta. Cualquiera con capacidad de endeudarse puede empezar a adquirir negocios perfectamente rentables y encontrar maneras de capitalizar la inversión rápidamente (¿Recordáis la crisis de la vivienda del año 2008? ¿Os acordáis de cómo cualquiera ponía el depósito de una vivienda cuando solo era un solar y una infografía y la vendía con beneficio antes de tener que escriturar? ¿Recordáis cómo terminó la fiesta?). No penséis que los que adquieren centros tienen intención de gastar dinero propio en mejorar nada, más bien al contrario.
Para que nadie sospeche, lo primero es controlar el relato. No solo de lo buena que será la profesionalización de la veterinaria, sino de los problemas de la profesión: por ejemplo, la salud mental. De repente, el foco está en el individuo y dejamos de mirar otros factores, por ejemplo, las condiciones laborales (aumento de la carga de volumen de trabajo, trabajo rutinario, falta de expectativas de crecimiento, etc.).
La necesidad de control del gasto en un mercado de commodities veterinarias lleva a que la mayoría de los centros tenga un presupuesto de personal en el que, en muchos casos, la caja diaria limite el gasto en salarios. Existen en el Reino Unido muchos centros que ante un día de ausencia del veterinario eligen cerrar antes que buscar un sustituto, porque no generan suficiente para justificar el gasto.
estaban haciendo mal), aunque los datos demuestren lo contrario.
También se ocupan las asociaciones y grupos generadores de opinión y se controla que la formación sea lo más inocua posible para la hoja de ruta.
En lugar de hablar de emprendimiento veterinario, maternidad y emprendimiento, de cómo sacarle rendimiento a la clínica después de la jubilación o de maneras de evolucionar de clínico a gerente de un negocio de servicios veterinarios, vamos a contar maneras de vender mejor, marca personal online (sabiendo que en el futuro todas ellas tenderán a cero debido a la supremacía de la marca de la empresa), especialización médica y no de la oferta de servicios; mientras se
Si al momento tan “dulce” de cambio generacional y reconversión sectorial se une un cambio demográfico, tenemos la tormenta perfecta. Cualquiera con capacidad de endeudarse puede empezar a adquirir negocios perfectamente rentables y encontrar maneras de capitalizar la inversión rápidamente.
Además, se tienen que generar enemigos fáciles de explicar, como sucede con el síndrome del impostor. En este momento, bajamos la autoestima del futuro empleado para que se conforme con lo mínimo establecido por la ley. Y le presentamos como un beneficio el que se le ofrezca un programa de mentoría dentro de la empresa que lo ate a la misma por un periodo, con la penalización de tener que pagar por irse a trabajar en otro sitio.
Mientras tanto, hablamos de lo mucho que se van a beneficiar los clientes y dueños de mascotas por lo bien que se hacen las cosas (que implica que hasta ahora se
deja fuera a todo aquel que no comparta el discurso oficial.
Y, lo que es peor, se simplifican las soluciones de los problemas veterinarios de tal manera que cualquiera con una herramienta de gestión cree tener la solución perfecta a todos los problemas de cualquier centro.
El tiempo pasa y la pregunta se convierte en: ¿Qué ocurre cuando la mayor parte de los centros pertenecen a las mismas entidades y forman una especie de
cártel? ¿Creéis que los salarios suben? ¿Que los servicios son mejores y se invierte en nuevas tecnologías?
La realidad es justo la opuesta: cuanto menor es la cantidad de empresas que contratan, mayor es el control que ejercen sobre la oferta de trabajo. La necesidad de control del gasto en un mercado de commodities veterinarias lleva a que la mayoría de los centros tenga un presupuesto de personal en el que, en muchos casos, la caja diaria limite el gasto en salarios. Existen en el Reino Unido muchos centros que, ante un día de ausencia del veterinario, eligen cerrar antes que buscar un sustituto, porque no generan suficiente para justificar el gasto.
Pero, volvamos al tema: el cártel de los proveedores veterinarios conlleva, como bien explicó Stackelberg en su matriz de competencia (teoría de juegos) que, cuando existe un oligopolio de compradores (grandes grupos consolidados), estos marcan los precios de lo que compran (productos, servicios, empleados, etc.) y de lo que venden (subida de precios al cliente final). Si no se tiene cuidado, se corre el riesgo de tener un mercado veterinario hiperconsolidado que empeore la vida de todos los actores del sector: veterinarios/as que prestan servicios, dueños de mascotas, laboratorios que ofertan productos y servicios, etc.
Voy a hacer de Cassandra y a decir que los retos de la profesión veterinaria que vienen son muy diferentes a los que se comentan hoy en día:
• Cómo enfrentarse a unos dueños que quieren todo ahora (servicios 24 horas), pero no están dispuestos a pagar o no tienen posibilidades de hacerlo.
• Cómo gestionar la irrupción de la inteligencia artificial en la vida de los dueños de las mascotas, que comenzarán a auto-
diagnosticarse pensando que los algoritmos pueden sustituir a los profesionales.
• Cómo evitar que empresas sin centros veterinarios presenciales busquen deslocalizar servicios de telemedicina a países con cargas salariales más bajas.
• Una nueva fuerza laboral que viene con unas expectativas poco o nada acordes con la realidad del mercado laboral.
• Falta de emprendimiento por una formación obsoleta.
• Condiciones laborales acordes con una commodity, basadas en la productividad y la rentabilidad para el inversor externo.
Existe otra veterinaria: una que pone al cliente en el centro y el foco, en el bienestar de la mascota; y tiene poco que ver con diagnósticos con equipamientos caros y tres casos al día. Es la veterinaria de primera opinión, ese médico de cabecera para los animales de compañía que se centra en mantener la salud y trabajar con los dueños para evitar que sus pacientes caigan enfermos.
No me gustaría terminar sin dejar un mensaje para las nuevas generaciones que no conocen otra veterinaria. Existe otra veterinaria: una que pone al cliente en el centro y el foco, en el bienestar de la mascota; y tiene poco que ver con diagnósticos con equipamientos caros y tres casos al día. Es la veterinaria de primera opinión, ese médico de cabecera para los animales de compañía que se centra en mantener la salud y trabajar con los dueños para evitar que caigan enfermos.
Esa medicina es la que no se enseña en las facultades de veterinaria, pero la que compone más del 80 % del negocio veterinario. Aprende a llevarla a cabo y no te faltará trabajo nunca.
La colaboración entre LETI Pharma y la Red Nacional de Leishmaniasis (ReNLeish) permitirá aunar la trayectoria de la compañía en investigación sobre prevención y tratamiento en leishmaniasis con el conocimiento médico, la experiencia clínica y la recogida de datos sobre leishmaniasis de ReNLeish.
Begoña Monge Maillo / Médico Facultativo Especialista de Área en el Centro de Referencia Nacional de Medicina Tropical del Servicio de Enfermedades Infecciosas del Hospital Ramón y Cajal. Coordinadora junto con el Dr. Rogelio López-Vélez del Centro Colaborador de la OMS en el manejo clínico
• Afecta sobre todo a aquellas comunidades que viven en zonas tropicales y subtropicales, muchas veces ubicadas lejos de los servicios de atención sanitaria.
• Puede ser prevenida y controlada con intervenciones de salud pública.
• Está relativamente desatendida por la investigación científica y la financiación pública/privada, en comparación con la magnitud del problema de salud que supone.
¿Cuál es la situación en los países menos desarrollados?
“Es imprescindible la investigación en nuevas opciones terapéuticas para tener más alternativas. Y por supuesto, investigar en el desarrollo de una vacuna en humanos que previniese la enfermedad”.
La doctora Begoña Monge Maillo trabaja en el Servicio de Enfermedades Infeccionas del Hospital Ramón y Cajal de Madrid. Es Centro de Referencia Nacional para Enfermedades Tropicales, y colaborador de la OMS para el manejo clínico de leishmaniasis. La doctora Monge ha puesto en marcha ReNLeish, para mejorar el reporte de casos de leishmaniasis por parte de los profesionales sanitarios. LETI Pharma colabora con ReNLeish para aunar esfuerzos en la monitorización de esta zoonosis y la concienciación del riesgo que supone.
¿Cuántos casos se detectan cada año en todo el mundo y cuál es su mortalidad?
De forma global se calcula que cada año hay entre 700.000 y 1 millón de nuevos casos (https://www.who.int/es/news-room/fact-sheets/ detail/leishmaniasis) estimándose unas 40.000 muertes al año por la enfermedad (Alvar. J. et al. Leishmaniasis worldwide and global estimates of its incidence. Plos One 2012:e35671.)
La OMS considera la leishmaniasis como una enfermedad desatendida. ¿Por qué?
Cumple los criterios que establecen para dicha definición:
• Afecta de manera desproporcionada a poblaciones empobrecidas y marginadas.
En países endémicos de leishmaniasis con bajos recursos, son muchas las dificultades a las que se enfrentan. En muchos casos es difícil poder realizar un diagnóstico de certeza, por la complejidad y precio de las técnicas. Por otro lado, el acceso al tratamiento y la infraestructura sanitaria mínima es en gran medida también un problema.
Además, aspectos como la desnutrición y la coinfección por VIH, son claramente factores de mal pronóstico para la infección por Leishmania
Desde la OMS se lleva a cabo un plan de donación de prueba de diagnóstico rápido (rK39) que ha facilitado el diagnóstico de la leishmaniasis visceral y existe también un programa de donación de anfotericina B liposomal para países endémicos que lo precisen.
¿Existe un registro riguroso de los casos de leishmaniasis en España?
En España la leishmaniasis es una enfermedad de declaración obligatoria en todo el territorio español desde 2015. Dicha vigilancia es realizada por la Red Nacional de Vigilancia Epidemiológica (RENAVE). Son varios los informes que oficiales que han puesto de manifiesto que existe una infra notificación de los casos.
¿Cuántos casos se detectan cada año en España?
En España la leishmaniasis es endémica en todo el territorio nacional. Según el último informe publicado por RENAVE (Red Nacional de Vigilancia Epidemiológica) en 2020, durante el año 2017 y 2018 se notificaron, respectivamente, 420 y 356 casos de leishmaniasis desde todas las Comunidades Autónomas excepto Asturias, Ceuta y Melilla.
Por CC. AA., ¿cuáles presentan más casos? ¿Por qué?
La distribución es heterogénea pero las tasas de incidencia más altas correspondieron, en 2017, a la Comunidad Valenciana, Baleares y
Madrid mientras que en 2018 fueron la Comunidad Valenciana, Baleares y Castilla-La Mancha.
¿Existe un perfil de personas infectadas por leishmaniasis? ¿Qué sucede con las personas inmunodeprimidas?
Parece existir más bien un perfil de personas que enferman de leishmaniasis. La infección, en la mayoría de los casos, cursa de forma asintomática. Sin embargo, se ha visto que en población pediátrica menor de 5 años y en pacientes inmunodeprimidos por distintas causas, la evolución de la infección hacia una leishmaniasis cutánea, mucocutánea o visceral es mucho más frecuente. De hecho, se estima que cerca de un 60 % de los casos de leishmaniasis visceral se producen en pacientes inmunodeprimidos (infectados con VIH, trasplantados, pacientes oncológicos que reciben quimioterapia, tratamientos inmunosupresores por enfermedades autoinmunes).
¿Cómo se suele contraer esta enfermedad?
La leishmaniasis se transmite por medio de la picadura de las hembras de flebotomos o mosca de los arenales (pequeño insecto dípteros de 2-3 mm -más pequeñas que mosquitos) infectadas por Leishmania
¿Qué medidas son imprescindibles para controlarla?
Dentro de las distintas medidas a tomar y dado que no existe vacuna eficaz en humanos, la prevención de la infección pasa por evitar que los flebótomos piquen a las personas. Por tanto, son muy importantes las medidas de vigilancia y control vectorial.
Por otro lado, es imprescindible cuidar bien a los animales, especialmente a los perros, por ser el principal reservorio del parásito en nuestro medio. Por ello es necesario la prevención de la leishmaniosis en los perros mediante el uso de collares o insecticidas aplicados a la piel.
La leishmaniasis es un claro ejemplo de concepto One Health donde previniendo la enfermedad en los perros se previene la enfermedad en humanos.
En el caso de los animales, ¿qué medidas se pueden llevar a cabo para evitar que se contagien o desarrollen la enfermedad?
En el caso de los perros, que son el principal reservorio de leishmaniasis en nuestro medio, la infección puede evitarse o reducirse significativamente mediante el uso de collares o insecti-
cidas específicos aplicados en la piel que evitan las picaduras por flebótomos y la administración de la vacuna para evitar que desarrollen la enfermedad o que sea un cuadro más leve.
En el ámbito de la investigación, ¿en qué situación se encuentra esta enfermedad?
¿Hacia dónde es necesario avanzar?
En nuestra área sería fundamental tener un registro clínico de los casos que se diagnostican en España para tener un dibujo real y exhaustivo de la enfermedad.
Por otro lado, es imprescindible la investigación en nuevas opciones terapéuticas para tener más alternativas. Y por supuesto, investigar en el desarrollo de una vacuna en humanos que previniese la enfermedad.
Finalmente sería necesario investigar en marcadores pronósticos y de curación, lo cual es especialmente importante en el manejo de pacientes inmunodeprimidos y con necesidad de profilaxis secundarias.
Como centro colaborador de la OMS en el manejo clínico de la leishmaniasis, ¿qué objetivos os marcáis en este campo?
Los objetivos principales establecidos de la colaboración son:
• Dar soporte a la OMS en la creación y actualización de los protocolos clínicos en diagnóstico y tratamiento de la leishmaniasis.
• Impartir formación a personal sanitario de países endémicos de leishmaniasis.
• Dar soporte técnico a la OMS para mejorar la vigilancia epidemiológica de leishmaniasis.
¿Qué va a suponer la colaboración entre LETI Pharma y la Red Nacional de Leishmaniasis (ReNLeish)?
La colaboración supondrá aunar la trayectoria de Leti Pharma en investigación sobre prevención y tratamiento en leishmaniasis con el conocimiento médico, la experiencia clínica y la recogida de datos sobre leishmaniasis de ReNLeish.
Texto e imágenes LETI Pharma, S.L.U.
Multiva Active Defense for Cats, suplemento multivitamínico y multimineral con aminoácidos, antioxidantes, omega-3 y omega-6 de VetNova, llega con una nueva fórmula que sustituye al actual Active Cats. Recomendado como apoyo al sistema inmunitario en situaciones o etapas que se beneficien de un aporte nutricional extra como cambios estacionales y reducción del apetito, ayuda a mantener el bienestar físico, en estados carenciales o aumentos de las necesidades nutricionales. Multiva Active Defense está disponible en una presentación de 45 chews altamente palatables.
■ Para más información: VetNova - Tel.: 918 440 273 vetnova@vetnova.net - www.es.vetnova.net
Arquivet lanza una nueva línea de productos envasados en formato doypack: Buffalo Treats, unos snacks naturales elaborados a base de búfalo. Se trata de un delicioso snack que se puede utilizar como regalo o recompensa, y que al mismo tiempo ayuda a mejorar la salud de sus huesos y articulaciones. Sin conservantes ni aditivos, incluye un alto índice proteico pero bajo en grasas. Los snacks de búfalo son naturales y saludables, muy apetitosos, fáciles de comer y una alternativa cuando se tiene alergias o intolerancias a otras proteínas más comunes.
■ Para más información: Arquivet - www.arquivet.com
DFV Protect
DFV Protect, basada en la acción de biopolímeros de origen vegetal, obtenidos mediante el procesado de determinadas algas marinas en forma de extracto, dota a la epidermis de una película de protección que facilita hidratación, lubricación y regeneración. Favorece la recuperación del equilibrio natural, evitando además durante 72 h la colonización por microorganismos mediante mecanismos de acción antiadherente. Actúa como antimicrobiano natural carente de efectos biocidas, y por ello sin la posibilidad de crear resistencias. Además de DFV Protect, todos los productos tienen sus principios activos específicos contra enfermedades dermatológicas.
■ Para más información: DFV - info@divasa-farmavic.com
animales. El miembro anterior
Autores: varios
Editorial: Edra
Ortopedia en pequeños animales. El miembro anterior se ha concebido como una obra práctica en la que se describen con detalle las técnicas quirúrgicas existentes, comunes y complejas, de las patologías más frecuentes del miembro anterior de perros y gatos, incluyendo desde la planificación de las intervenciones al posoperatorio. Las descripciones de las técnicas se acompañan de imágenes reales de gran calidad, ilustraciones y más de 20 vídeos para que los lectores puedan entender mejor el desarrollo de las intervenciones.
■ Para más información: Grupo Asís - Tel.: 910 003 892 store@edicionesedra.com - https://edicionesedra.com
Trovetplus comercializa más de 15 recetas hipoalergénicas, además de la gama Unique Protein, una dieta de eliminación específica para paliar alergias graves. Estas dietas hipoalergénicas están formuladas para ser fácilmente digeribles y tener bajo contenido de alérgenos potenciales. La gama incluye recetas con arroz o patata como única fuente de hidratos de carbono y una sola fuente fresca de proteína animal: Caballo, Salmón, Pavo, Pato, Cordero, Conejo, Insecto y Solo Vegetales. Incluye nutracéuticos como kale (vitamina C), caléndula (rica en luteína, fuente de vitamina A), romero (antiinflamatorio y antioxidante natural) y té verde (antioxidante natural).
■ Para más información: Trovetplus Petfood - https://trovetplus.com
Virbac presenta Cortotic, el nuevo tratamiento de primera línea frente a la otitis externa eritemato-ceruminosa para perros. Su principio activo es la hidrocortisona aceponato, de potente actividad glucocorticoide intrínseca y con una baja disponibilidad plasmática, por lo que los acontecimientos adversos sistémicos son limitados.
Ceva Salud Animal presenta Dermipred (prednisolona), un medicamento diseñado específicamente para tratar la dermatitis inflamatoria e inmunomediada en perros. Este corticosteroide sintético, perteneciente a la familia de los glucocorticoides, se puede utilizar como tratamiento sintomático o complementario para afecciones dermatológicas en perros. Dermipred se comercializa en dos presentaciones: 5 mg (envase de 120 comprimidos) y 20 mg (envase de 100 comprimidos). La prednisolona es reconocida por su efecto antiinflamatorio, antiprurítico e inmunomodulador en el tratamiento de diversas afecciones cutáneas en perros.
Cortotic es un spray delicado con el oído muy fácil de usar, con una cánula atraumática que permite una pulverización fina para una aplicación uniforme en el conducto auditivo. La dosis recomendada es la misma independientemente del peso del perro: dos pulsaciones de la bomba dosificadora en cada oído afectado una vez al día, durante 7 días. El tratamiento puede extenderse hasta 14 días. Cortotic ha demostrado reducir el sobrecrecimiento microbiano secundario al priorizar el tratamiento de la inflamación, factor primario de la otitis externa eritemato-ceruminosa aguda, y consigue aliviar prurito y dolor mientras restaura el microbioma normal del oído sin antimicrobianos.
Se presenta en una caja de cartón que contiene un frasco de 16 ml, cerrado con un tapón de rosca y una bomba de pulverización. Antes de la primera administración hay que enroscar la bomba y cebarla. El volumen del frasco permite el tratamiento de dos oídos durante 14 días.
■ Para más información: contacte con su delegado de Virbac
Lenda Vet Nature comercializa 18 dietas para perros y gatos que destacan por su enfoque en mejorar la calidad de vida de animales en tratamiento. Estas recetas incluyen seis FAEC diferenciados y complementarios, así como núcleos Biofuncionales FAEC Probio, como FAEC ProbioInmune, fruto de la elección de seis cepas de bacterias intestinales específicas para obtener beneficios digestivos, inmunológicos y antioxidantes. Para gatos, Lenda Vet Nature Cat ofrece siete dietas especializadas, sin cereales, que proporcionan beneficios antioxidantes, antiinflamatorios y digestivos. Contienen FAEC Complete y FAEC Inmune para mejorar la salud digestiva e inmunológica.
■ Para más información: Lenda Vet Nature
La línea digestiva de VetNova, Adiva, sigue creciendo con la llegada de Adiva Hepaguard, alimento complementario para perros y gatos formulado en pequeños comprimidos de alta palatabilidad como apoyo a la función hepática. Su potente fórmula antioxidante, con complejo de silibina, fosfatidilcolina, bioflavanol, cisteína y cinc, ayuda a la protección de las células hepáticas y favorece las funciones de destoxificación del hígado. Está disponible en tres presentaciones: Small, Medium y Large, que se adaptan a todos los rangos de peso de perros y gatos.
■ Para más información: VetNova - Tel.: 918 440 273 vetnova@vetnova.net - www.es.vetnova.net
■ Para más información: contacte con su delegado de Ceva Salud Animal
Centauro, empresa referente en distribución veterinaria, ha ampliado la gama de productos para animales de compañía de Gigwi, marca de accesorios dedicada al ocio y juego de las mascotas. Ofrece una amplia selección de juguetes interactivos para gatos y perros con sonidos y melodías que les ofrecen momentos de diversión solos o en compañía de sus propietarios. El compromiso de Centauro por apostar por las mejores gamas y ampliar su catálogo de productos se reafirma con la ampliación de la colección Gigwi.
■ Para más información: Centauro https://shop.centauro.es/
Visán se ha asociado con la empresa israelí Smiley Pet para la distribución de sus productos de higiene y belleza para perros y gatos. Formulados con minerales y sales del mar Muerto, la gama incluye champús, acondicionadores, lociones, mascarillas y bálsamos que no causan irritación en la piel y mejoran la apariencia física. La sal marina y el barro del mar Muerto han sido utilizados durante siglos por sus beneficios y son conocidos por su efecto reparador en la piel y el pelo, proporcionando exfoliación, hidratación, desintoxicación y tratamiento de afecciones como heridas, inflamación e irritaciones.
■ Para más información: Visan www.onlyfresh.com
Zoetis presenta “Veterinarios como tú”, su campaña de apoyo a los veterinarios con la que quiere mostrar su fiel compromiso con esta profesión. Una profesión con un papel clave y fundamental para la preservación de la salud humana, animal y medioambiental (One Health); y por cuyo reconocimiento y respeto se debe trabajar. Esta campaña se engloba en la iniciativa de Zoetis #Resvet, la plataforma de formación e información para veterinarios de animales de compañía que se adapta a las nuevas circunstancias de la clínica veterinaria. #Resvet forma parte del proyecto #Respet, cuyo propósito es conseguir un entorno más respetuoso en la práctica veterinaria, integrando el respeto a las mascotas, con el respeto a los profesionales veterinarios y a los propietarios.
Las “Noticias” publicadas en Argos deben tener como máximo 125 palabras y contar con un único elemento gráfico (fotografía o logotipo). Si desea publicar una noticia, remítala a notasdeprensa@grupoasis.com.
Boehringer Ingelheim. Compañía firmemente comprometida con la formación práctica y continuada en traumatología avanzada, sigue organizando en este 2023 talleres teórico-prácticos dirigidos a veterinarios centrados en esta especialidad. El pasado martes 13 de junio se celebró la segunda sesión de este año, centrada en la técnica de nivelación de la plataforma tibial mediante CTWO (Cranial Tibial Wedge Osteotomy)/CCWO (Cranial Close Wedge Osteotomy).
La jornada se desarrolló en las instalaciones del centro veterinario Gure Kide de Abadiño (Bizkaia) y tuvo una gran acogida. Los ponentes Andrés Sánchez Carmona (DVM y presidente del GEVO) y Gonzalo Belmonte (DVM y miembro del comité científico del GEVO) fueron los responsables del desarrollo de la sesión, que fue de un elevadísimo nivel y recibió un excelente feed-back por parte de los asistentes. La jornada permitió a los asistentes perfeccionar la técnica de nivelación de forma práctica y contó con la colaboración de Petia y Nuzoa. Las próximas sesiones están programadas para celebrare durante los meses de septiembre y octubre, en las ciudades de Barcelona, Valencia y Madrid.
Ceva Salud Animal brindó a sus clientes la oportunidad de participar en un exclusivo evento de formación online titulado “Técnicas complementarias en derma, ¡saca partido al microscopio!”, celebrado en mayo. El veterinario Marcos Fernández, referente en Dermatología, ofreció esta sesión práctica diseñada para abordar la consulta dermatológica diaria de la clínica veterinaria. El enfoque principal estuvo en presentar técnicas complementarias básicas, destacando el método POA (Problem-Oriented-Approach), el cual se basa en un enfoque diagnóstico protocolizado, ordenado, lógico y científico. Fernández, certificado ESAVS Dermatology, acreditado en Dermatología por AVEPA y full member ESVD (Sociedad Europea de Dermatología), hizo hincapié en la importancia de recopilar de manera exhaustiva información a través de la revisión de la historia clínica del paciente y una anamnesis completa.
Lisboa acogió los días 8 y 9 de junio el 4.o Congreso Internacional Xpertise in OA organizado por Vetoquinol. Esta cuarta edición, enfocada en la calidad de vida de las mascotas con osteoartritis, contó con la asistencia de 50 expertos internacionales de 10 países diferentes y se dividió en dos sesiones. Se trataron distintos temas relacionados con la calidad de vida de las mascotas en relación con la osteoartritis, desde la situación actual a las perspectivas futuras; las distintas opciones de evaluación y sus herramientas, así como las tendencias actuales y la posibilidad de su implementación. Además, se organizaron workshops temáticos por países donde los expertos trabajaron de manera más focalizada y concreta sobre los diferentes temas abordados.
“Veterinarios como tú”, Zoetis está contigo
El I Congreso Científico Hospital Veterinario Menes se celebrará los días 23 y 24 del próximo mes de septiembre en Gijón. Es la primera vez que el centro organiza una formación de tales características con la intención de que sea una cita que se instaure cada año con una temática diferente. Esta edición la Oncología en Pequeños Animales será la especialidad en la que se centrará el congreso. Veterinarios y ATV de todo el país se darán cita durante esos días en Gijón para ampliar sus conocimientos sobre Oncología de la mano de cuatro reconocidos profesionales de dicha especialidad: Maurizio Annoni (Milán), Pachi Clemente (Valencia), Juan Francisco Borrego Maso (Valencia) y Elisa Cebrián (Valencia).
El congreso tendrá una parte práctica en la que se explicarán y realizarán en cadáveres las plastias cutáneas más habituales en cirugía oncológica. Esta parte tendrá lugar en el hospital y las plazas serán limitadas. La idea de la celebración de este congreso parte del compromiso del Hospital Menes con la formación continuada en las diferentes especialidades de la medicina veterinaria. Esta será la primera edición de un congreso que tiene como objetivo convertirse en cita anual. Más información en www.hvmenes.com
Centauro, referente en distribución veterinaria, ha estrenado su perfil público en la red social Instagram (@centauro_vet) Centauro, que ya estaba presente en LinkedIn y Facebook desde hace años, ha hecho una apuesta por abrirse al sector a través de esta red social de una manera más directa y espontánea. “Instagram es una gran ventana al mundo, y en Centauro no podíamos dejar pasar la oportunidad de comunicar nuestro propósito desde allí”, explican desde la distribuidora. Los interesados pueden seguir el perfil de Instagram de Centauro en www.instagram. com/centauro_vet
Zoetis España reunió en mayo a expertos de la salud en un coloquio que celebró en sus oficinas de Madrid y fue retransmitido a través de su página de LinkedIn, superando hasta la fecha más de 1.000 visualizaciones. El coloquio, bajo el título “One Health, el impacto de los animales de compañía en el medio, otros animales y las personas”, trató cómo entender y abordar las relaciones entre estos desde una visión holística y multidisciplinar de la salud. “El número de animales de compañía está aumentando. En España, son ya 9 millones de perros y 6 millones de gatos; y el 50 % de las familias tienen al menos una mascota”, explicó Diego García, director general de Zoetis España.
Cádiz acogió del 17 al 20 de mayo las XXI Jornadas GEVO. Como en anteriores ediciones, Vetoquinol estuvo presente en dicho congreso, donde pudo recoger las inquietudes de los veterinarios de la especialidad a la vez que constatar el interés que dichos especialistas mostraron por Phovia. Esta revolucionaria solución para los problemas de piel de las mascotas basada en energía lumínica FLE se aplica en clínica veterinaria y ayuda en la regeneración dérmica en los procesos de reparación de afecciones cutáneas crónicas, heridas traumáticas y heridas quirúrgicas. Uno de sus beneficios es la reducción del tiempo de recuperación. Además de Phovia, Vetoquinol mostró otros productos de especial interés en la especialidad de traumatología como Flexadin y Cimalgex.
El 13 de mayo se celebró en el Hospital Clínico Veterinario de la Facultad Veterinaria de la Universidad Complutense de Madrid el I Taller Práctico de Terapia Celular Avanzada en Osteoartrosis Canina. Las conferencias de los ponentes Miguel Ángel Cabezas, Felipe de Vicente, Raquel Salgüero y Almudena Pradera versaron sobre tratamiento médico y quirúrgico de la enfermedad articular, el manejo multimodal del dolor, la ayuda de la imagen en el diagnóstico y la terapia celular en el tratamiento de la osteoartrosis canina. En la parte práctica se realizó el abordaje de diferentes articulaciones mediante referencias anatómica y ecoguiadas. Los veterinarios asistentes pudieron igualmente realizar infiltraciones articulares en cadáveres. Las empresas colaboradoras de este taller fueron Dômes Pharma, Equicord, Probian y Neftys Farma.
más las Jornadas GEVO
El grupo de trabajo especialista en traumatología y ortopedia (GEVO), de AVEPA, organizó la XXI edición de su congreso del 17 al 20 de mayo en Cádiz, y contó, un año más, con el patrocinio de Boehringer Ingelheim. Más de 200 especialistas en traumatología y ortopedia asistieron al congreso y pudieron conocer la completa gama de soluciones de Boehringer Ingelheim para el manejo óptimo de inflamación, dolor, y mejora de la movilidad de perros y gatos. Los antiinflamatorios Previcox y Metacam, y el condroprotector Seraquín Omega, son tratamientos referentes del laboratorio, pionero en esta área terapéutica de la medicina veterinaria.
Ceva Salud Animal lidera el estudio colaborativo europeo Check&Protect, que tiene como objetivo mejorar el conocimiento y la prevención de enfermedades parasitarias en perros. Encabezado por los destacados doctores Gaetano Oliva, en Italia, y Guadalupe Miró, en España, este proyecto innovador aspira a ampliar su alcance a nivel internacional en un futuro próximo. Las clínicas participantes reciben las herramientas necesarias y un manual de instrucciones detallado para llevar a cabo el estudio de manera efectiva. La intención de la compañía es que los veterinarios compartan esta valiosa información con los tutores de los perros, fomentando así la importancia de la prevención y el cuidado adecuado. Check&Protect se distingue por su enfoque integral en el abordaje de enfermedades parasitarias en caninos.
Una vez más, Neftys Farma Iberia, grupo familiar con más de 30 años de historia, dedicado a la comercialización de productos para el bienestar animal (sanidad, nutrición y accesorios), reafirma su compromiso formativo hacia los veterinarios mediante la colaboración con el laboratorio Dômes Pharma, EquiCord y la Universidad Complutense de Madrid (UCM), en el desarrollo del taller práctico Terapia Celular Avanzada en Osteoartrosis Canina, celebrado el pasado 13 de mayo en las instalaciones de la UCM. El evento contó con los expertos de las disciplinas involucradas Miguel Ángel Cabezas, Felipe de Vicente, Raquel Salgüero y Almudena Pradera, quienes guiaron a los asistentes durante el taller y a quienes Neftys Farma Iberia agradece su participación y el éxito de este evento formativo.
Improve Veterinary Education (IVE) presenta su nuevo catálogo 2023-2024 de posgrados y cursos cortos. El compromiso de IVE es ayudar a veterinarios y auxiliares técnicos veterinarios a mejorar sus habilidades, ampliar sus conocimientos y mantenerse actualizados gracias a un aprendizaje de calidad respaldado por el mejor equipo docente. En el catálogo destacan las nuevas ediciones de los cursos más demandados de la empresa: el Posgrado en Cirugía de Pequeños Animales y el Posgrado en Medicina de Pequeños Animales, ambos en modalidad presencial; y una variada y amplia oferta en modalidad online, para profesionales que buscan formarse a su ritmo. Todos los posgrados están acreditados internacionalmente por la International School of Veterinary Posgraduate Studies (ISVPS).
Como novedad este año, la compañía ofrece condiciones de inscripción anticipada (precio de lanzamiento, precio anticipado y regular) para profesionales que quieran planificar su futuro con antelación. “Con esta nueva oferta formativa más amplia y completa buscamos que los alumnos adquieran la seguridad y los conocimientos necesarios para ofrecer la mejor atención a sus pacientes”, comenta Aram Díez, Regional Head of Operations Spain & Portugal. Los interesados pueden echar un vistazo al nuevo catálogo en https://improveinternational.com/es/
Elanco Animal Health ha nombrado a Ana Isabel Costa commercial director-Pet Health Spain, rol que asume junto con su actual cargo de country director-Portugal. Con un gran conocimiento del mercado español y capacidad de liderazgo, se ocupará de potenciar las oportunidades de crecimiento. “En España, más del 40 % de los hogares cuentan con un animal de compañía, siendo un importante mercado para el cuidado de la salud animal. Estoy deseando trabajar con equipo y clientes para enfrentar los retos y conseguir las grandes oportunidades que tenemos por delante, así como continuar persiguiendo el propósito de Elanco de contribuir a la salud de los animales como solución para algunos de los grandes desafíos de la sociedad actual”, Costa.
Su fórmula incluye GABA, un aminoácido encargado de relajar la actividad del sistema nervioso, que completa su acción con L-teanina y Ashwagandha, entre otros ingredientes.
una incorrecta manipulación, pero, como decía anteriormente, la mayoría de los casos se producen por una incapacidad de llevar a cabo sus conductas típicas de especie (en forma o frecuencia suficiente), es decir, lo que se define como bienestar animal y la ausencia de este. Si no se trata o desaparece la causa, puede alargarse en el tiempo sin límite y desembocar en lo que se conoce como un problema de conducta, incluso generar un aprendizaje en el animal que, luego, será necesario revertir y reconducir. Por ello, si no se interviene adecuadamente, el problema puede persistir durante toda su vida.
Por último, las vitaminas del grupo B van a contribuir a una buena salud del sistema nervioso.
¿Cuál es su formato y modo de administración? RelaxGreen está disponible en comprimidos y en solución oral (más fácil de administrar en gatos y perros pequeños).
Se administra una vez al día según la dosis recomendada en el envase, al menos una hora antes del suceso estresante siempre que se pueda prever. Pero, siempre, recomendamos administrarlo, si es posible, durante una semana antes para preparar y relajar el sistema nervioso. En caso necesario, se puede dar dos veces el mismo día del evento ‘estresante’.
o durante el tiempo necesario en el tratamiento de una ansiedad por separación o adaptación a la llegada al hogar de un nuevo perro o gato, tanto para el que ya vivía allí como para el nuevo. Siempre es importante acompañarlo de un manejo y/o acciones adecuadas al caso.
El estrés, la ansiedad y los problemas de comportamiento en los animales de compañía son bastante frecuentes, pero, quizá, no lo suficientemente diagnosticados o tratados. Nuestro estilo de vida y la rapidez con la que llevamos a cabo el día a día no son, siempre, acordes con lo que nuestros perros y gatos necesitan para tener conductas típicas de especie, lo cual es necesario para tener un correcto estado mental y emocional. Otras veces, sin embargo, se debe a un manejo inadecuado, por desconocimiento o negligencia, como una incorrecta socialización o manipulación.
¿Cuáles son las manifestaciones más comunes de este tipo de problemas?
Pueden ser muy diferentes según la especie: desde un aumento en las vocalizaciones o ladridos hasta una eliminación inadecuada o destrucción de objetos, conductas compulsivas, agresividad, etc. El tratamiento y manejo del problema en cuestión dependerán de cómo se manifieste, aunque en todos se encuentre presente el estrés.
¿Es lo mismo la ansiedad que el estrés?
Con frecuencia se habla indistintamente de ansiedad o de estrés cuando hay un problema de comportamiento, sobre todo por parte de los propietarios. Pero son problemas diferentes y el abordaje también lo es. El estrés se presenta debido a una causa presente y existente, ya sean unos petardos o la visita al veterinario.
La ansiedad, por su lado, es el miedo a algo que por sí mismo no supone una amenaza para el animal, como quedarse solo en casa, pero para él representa una situación de peligro e incertidumbre que le genera mucho malestar. No obstante, ya sea ansiedad o estrés, puede manifestarse de formas distintas en perros y gatos y hay que identificarlos adecuadamente.
¿Cuáles son las principales causas que producen este tipo de estados transitorios? ¿Cuánto se pueden alargar en el tiempo si no se tratan?
Hay múltiples causas que pueden conducir a estos problemas: desde un suceso traumático a
¿Está relacionada la nutrición con el estrés? ¿En qué medida? Sí. La alimentación siempre está relacionada con la salud en general, ya sea física o mental. Los animales, al igual que nosotros, obtienen de ella aminoácidos como el triptófano, necesario para producir serotonina, por ejemplo, y, también, vitaminas del grupo B o los ácidos grasos omega, que contribuyen a un buen funcionamiento del sistema nervioso. Otro ejemplo de esta relación es que parte del tratamiento en perros agresivos se basa en modificar su alimentación, con una dieta baja en proteínas y más basada en carbohidratos complejos.
¿Disponéis en Dr.Green by Drasanvi de algún producto que pueda paliar o tratar este tipo de problemas?
Sí, Relax Green es un complemento nutricional a base de ingredientes de origen natural para reducir el estrés sin producir sedación, ya sea este puntual, como unos fuegos artificiales o un viaje, o más duradero en el tiempo, como una modificación de conducta o la llegada de un nuevo miembro, humano o animal, al domicilio.
¿Y cuál es su composición y funcionamiento? Contiene GABA como ingrediente principal, un aminoácido encargado de relajar la actividad del sistema nervioso. El resto de los ingredientes que contiene, como la pasiflora, el espino blanco y la melisa actúan en sinergia apoyando la acción del GABA, por ejemplo, inhibiendo su recaptación, la enzima que lo metaboliza, o activando sus receptores. Además, la fórmula incluye también L-teanina y Ashwagandha. La L-teanina, procedente del té verde, aumenta la dopamina y la serotonina, por lo que es útil en el estrés a largo plazo y ayuda en el aprendizaje. Además, reduce el ácido glutámico, que es excitante. La Ashwagandha funciona como un adaptógeno (aumenta la resistencia física y mental en periodos de estrés) y reduce el cortisol, por lo que, también, va a ser útil en el estrés crónico.
¿Durante cuánto tiempo podemos incluir este producto en la nutrición de perros y gatos? Podemos administrarlo de forma puntual para eventos que supongan un estrés para el animal
¿Qué ha llevado a Drasanvi a incluir este tipo de producto en la línea Dr.Green? Como decía anteriormente, es frecuente la existencia de este tipo de problemas en nuestros animales de compañía por lo que el apoyo mediante ingredientes naturales, sin efectos secundarios y más seguros que la medicación es una necesidad que es importante cubrir. También, puede haber casos más graves en los que la medicación convencional se hace imprescindible, pero, siempre que podamos, debemos abordarlos con productos seguros y sin efectos secundarios como primera opción.
María Luisa López ha asumido, desde el 1 de mayo, la dirección de la planta de Salamanca que MSD Animal Health España tiene en Carbajosa de la Sagrada, y que se erige como el centro de excelencia en producción de vacunas en el ámbito animal. La nueva directora cuenta con una amplia experiencia en el sector, después de haber ocupado diferentes responsabilidades en el seno de la compañía.
López, doctora en Farmacia, inició en el año 1999 su relación con MSD Animal Health en la propia planta de Salamanca. Allí ocupó varios puestos de responsabilidad hasta que, posteriormente, se trasladó a las instalaciones de MSD Animal Health en Ignoville (Francia), donde asumió las funciones en el departamento de Operaciones Farmacéuticas.
Más tarde, se trasladó a Boxmeer (Países Bajos) como líder de equipo en la implementación de Atlas-SAP. Posteriormente, asumió la dirección de planta en Aprilia (Italia), antes de regresar a Salamanca, donde ha desarrollado labores de responsable de Calidad desde 2018 y hasta su nombramiento como directora de las instalaciones de MSD Animal Health en esta localidad española.
La prevención desempeña un papel crucial frente a la leishmaniosis, y mucho más dado el aumento generalizado de las temperaturas. Este cambio climático afecta directamente a la incidencia de las enfermedades de transmisión vectorial y obliga a mantener a los perros protegidos todo el año. Evitar la exposición a vectores como los flebótomos ayuda a reducir significativamente el riesgo de infección. Bajo esta premisa, Ceva Salud Animal y Vectra 3D se sumaron a la celebración del Día Nacional de la Prevención de la Leishmaniosis Canina, que se conmemora cada 1 de junio, incidiendo en el trabajo de concienciación social sobre una enfermedad que afecta a perros y seres humanos en todo el mundo.
Barcelona acogió el 1 de junio una formación organizada por Vetoquinol e impartida por Araceli Calvo sobre gestión y manejo de heridas. En esta sesión, los asistentes pudieron trasladar sus inquietudes a la ponente, Araceli Calvo, que está considerada una de las mayores expertas a nivel nacional en la gestión y tratamiento de heridas, siendo además la primera y única veterinaria reconocida por la Comisión de Acreditación de Profesionales del Grupo Nacional para el Estudio y Asesoramiento de úlceras y heridas crónicas con el Certificado de Experto nivel Avanzado. La formación fue, como viene siendo habitual, del máximo interés para todos los asistentes a la misma al ser la cicatrización de las heridas un proceso complejo.
El grupo Zendal convoca la IV edición de los International Zendal Awards, los galardones anuales organizados por el grupo biofarmacéutico que cuentan con una categoría específica de salud animal, dotada con 25.000 euros. Los trabajos se podrán presentar hasta el próximo 3 de octubre. Los premios, abiertos a instituciones y equipos de trabajo, tanto públicos como privados, establecen también la categoría de salud humana y una mención especial para distinguir a la mejor iniciativa a la sostenibilidad. Esta nueva modalidad está en consonancia con la visión del grupo Zendal, ya que salud humana y animal están interconectadas con el bienestar y conservación de los ecosistemas.
Boehringer Ingelheim organizó en mayo una jornada sobre traumatología avanzada ante una veintena de veterinarios de diversos puntos de España, quienes recibieron formación sobre las últimas técnicas quirúrgicas recomendadas para la cirugía espinal en el perro. El ponente de la jornada de Boehringer Ingelheim fue Cristóbal Frías Rides, veterinario acreditado por AVEPA en Traumatología y Ortopedia y miembro del comité científico del GEVO, quien presentó el protocolo recomendado de exploración neurológica y neurolocalización, así como las técnicas quirúrgicas de hemilaminectomía y slot ventral. En la parte teórica se presentaron casos clínicos, destacando las recomendaciones de las guías internacionales de WSAVA e ISFM para el control del dolor agudo y la inflamación presente en este tipo de patologías en perros y gatos.
El pasado mes de marzo Centauro, referente en distribución veterinaria, presentó su programa exclusivo de formación para este 2023: los Congresos Centauro, jornadas de medio día de duración que cuentan con tres ponencias. Este año, las ciudades elegidas son Barcelona, que tuvo un éxito rotundo, y Madrid, que tendrá su turno en octubre. El Congreso Centauro en Barcelona de Medicina Felina, celebrado el 1 de junio, contó con las ponencias de M.a Luisa Palmero Colado, Salvador Cervantes Sala y Diego Esteban Saltiveri, y con la colaboración de Zoetis, B.Braun y Bioiberica. El evento reunió a 170 veterinarios. El formato de las ponencias fue muy dinámico y dio pie a turnos de preguntas y debates.
La Universidad Alfonso X el Sabio (UAX) ha escogido a Improve Veterinary Education (IVE), referente mundial en formación veterinaria, como aliado para ofrecer dos títulos de experto en favor de mejorar la inserción laboral de sus recién graduados y exalumnos. Las dos nuevas titulaciones de Experto en Medicina y Cirugía de Urgencias y Experto en Cirugía de Tejidos Blandos se impartirán en formato semipresencial, con una carga lectiva de 15 y 20 créditos ECTS, respectivamente, y contarán con prácticas presenciales en las instalaciones de vanguardia de la UAX durante 15 días de estancia en su Hospital Clínico Veterinario. Los alumnos tendrán la disponibilidad de obtener el certificado del General Practitioner Certificate otorgado por la International School of Veterinary Postgraduate Studies (ISPVS).
Masale Productes, distribuidora oficial de las marcas Acana y Orijen en España, ha adquirido la distribución de estas en el país vecino. Masale introdujo las marcas canadienses en España hace más de 23 años, convirtiéndose en referente en la distribución de alimentación de calidad de perros y gatos. Con esta operación, Masale amplía y refuerza su posición en el mercado ibérico ofreciendo los mejores productos para mascotas en toda la península. Más información a través de correo electrónico info@ masale.com
La empresa española de formación continuada Vetmedia ha lanzado su nuevo catálogo para el curso 20232024 centrado en las necesidades de los profesionales veterinarios de pequeños animales.
Entre sus novedades, destacan los Títulos de Experto Universitario avalados por la Universidad Europea de Madrid, los cursos cortos prácticos realizados en distintas localidades españolas y los cursos online, en español, en colaboración con el Royal Veterinary College de Londres (RVC).
Tras el éxito de las ediciones anteriores, Vetmedia vuelve a apostar por algunos de sus posgrados estrella como Cirugía de Tejidos blandos de Pequeños Animales o Tomografía Computarizada y cursos cortos como el teórico-práctico en Odontología Felina, dirigido por Javier Collados (DVM, PhD, MRCVS), o el teórico-práctico de Ecografía Abdominal encabezado por Raquel Salgüero y Eduardo Fraga.
“En el catálogo de Vetmedia, el veterinario puede encontrar diferentes alternativas y modalidades que cubrirán las disciplinas más demandadas del sector, acompañadas siempre de un gran equipo docente”, explica Enrique Soriano, Head of Business Development de Vetmedia, El nuevo catálogo está disponible de manera gratuita en el sitio web de la marca (https://vetmedia.es).
Nestlé ha nombrado a Mónica Massó nueva directora de Purina España en sustitución de Mark El Khoury, ahora responsable de gran consumo del negocio en la zona AOA (Asia, Oceanía y África subsahariana). Massó comenzó su carrera en la compañía hace 29 años. Ha ocupado diferentes cargos en el negocio de Nutrición Infantil. En 2009, asumió la jefatura de ventas en el canal especializado de farmacias y cuatro años después se trasladó a la sede central del Grupo en Vevey (Suiza) como responsable de innovación y estrategia de Nutrición Infantil. En 2016, regresó a España y, en concreto, a Purina. Durante los últimos 7 años ha sido la responsable del canal especializado de alimentación para mascotas.
La otitis externa (OE) eritematosa ceruminosa suele estar causada por una dermatitis alérgica, por lo que los glucocorticoides tópicos son el pilar de su tratamiento. El control rápido y eficaz de la inflamación permite frenar la progresión de la enfermedad y evitar los cambios patológicos asociados a una OE crónica, cuyo tratamiento es más complicado.
La otitis externa (OE) es una inflamación aguda o crónica del pabellón auricular, del conducto auditivo externo y de la membrana timpánica. Se trata de un problema muy común en el perro y la manifestación crónica de la enfermedad a menudo representa un problema frustrante tanto para el veterinario como para el tutor del paciente.
Con el fin de abordar de la mejor manera posible el diagnóstico y el tratamiento de la OE, es importante diferenciar entre las distintas manifestaciones clínicas que puede tener una inflamación localizada en el oído externo. De hecho, la OE eritematosa-ceruminosa es la manifestación clínica de una OE aguda más común en el perro. Por este motivo, un enfoque diagnóstico y terapéutico correcto de esta condición resultará en el control del cuadro inflamatorio y en la prevención de la cronificación de la inflamación y del desarrollo de una OE hiperplásica o una OE purulenta asociada a una infección bacteriana, ambas de manejo más complicado.
En este artículo abordaremos el enfoque diagnóstico y terapéutico de la manifestación más frecuente de la OE canina aguda, es decir, la OE eritematosa-ceruminosa.
Los motivos por los cuales los perros con una inflamación auricular son llevados para una consulta veterinaria a menudo son: ladeo de la cabeza o caída del pabellón, rechazo a la palpación de las orejas (lo que se atribuye a dolor) o por exceso de cerumen o mal olor en los oídos. Debe averiguarse, a través de una buena historia clínica, la duración de estos signos, ya que cuanto más tiempo lleven más probable es que se observen lesiones cutáneas asociadas a una OE crónica. En tal caso es muy probable que se observe una liquenificación del pabellón auricular, una estenosis del conducto auricular debido a fibrosis o hiperplasia glandular, o una cantidad variable de exudado símil-purulento debido a una infección bacteriana secundaria.
El examen otoscópico es esencial para confirmar la sospecha clínica de una OE, pues permite determinar la presencia de eritema, el aspecto de la membrana timpánica y evaluar la cantidad y calidad de cerumen o de exudado auricular presente. Solo tras realizar este examen se podrá definir el tipo de OE que presenta nuestro paciente (OE eritematosaceruminosa, OE símil-purulenta o erosiva-ulcerativa o OE hiperplásica).
En una OE eritematosa-ceruminosa aguda la piel del pabellón suele estar eritematosa (figura 1). El conducto se presenta eritematoso, ligeramente estenótico y con una cantidad aumentada de cerumen que puede ser de leve (figura 2) a intensa llegando a dificultar o impedir la visualización de la membrana timpánica (figura 3).
Es importante recordar que, aunque el motivo de la consulta sea algún signo de enfermedad auricular, debe realizarse un examen físico general y dermatológico completo. Algunas de las causas primarias de la OE pueden presentarse con otros signos dermatológicos o incluso extra cutáneos. Por ejemplo, la dermatitis atópica o una reacción cutánea adversa a los alimentos puede manifestarse con una pododermatitis eritematosa y un hipotiroidismo con bradicardia o hipotermia concomitantes.
Diagnósticos diferenciales
La causa más frecuente de una OE eritematosa-ceruminosa en el perro es sin lugar a duda una dermatitis alérgica (dermatitis atópica y/o reacción cutánea adversa a los alimentos) (figura 4). Es difícil diferenciar clínicamente entre estas dos enfermedades si no es por la respuesta o no a una dieta de eliminación. Sin embargo, la presencia de una OE eritematosaceruminosa, ya sea mono o bilateral, estacional o no en un perro de raza predispuesta a la dermatitis atópica (p.e Retrievers, pastor Alemán, Terriers, Bóxer, Shar Pei) sugerirá una otitis atópica como diagnóstico diferencial principal.
Una infestación por Otodectes cynotis puede provocar este cuadro clínico, si bien mucho menos frecuentemente de lo que sucede en la especie felina (figura 5). En las enfermedades previamente mencionadas será habitual observar signos de prurito como el rascado auricular o un sacudir intenso de la cabeza. Una proliferación de Demodex puede causar una OE eritematosa-ceruminosa no pruriginosa. Sin embargo, típicamente en el perro y a diferencia de lo que
sucede en el gato, esta manifestación clínica va acompañada de otros signos cutáneos de demodicosis generalizada. Si en la historia clínica se determina que la OE inició como un proceso ceruminoso más que eritematoso se deberían considerar los desórdenes de queratinización (primarios en perros jóvenes y secundarios como el hipotiroidismo o hiperestrogenismo en perros adultos, figura 6) como diagnósticos diferenciales más probables. Estas enfermedades se comportan como un factor predisponente de un sobrecrecimiento bacteriano o por Malassezia que será el desencadenante de la inflamación (eritema) y prurito secundario.
En este tipo de OE es más habitual que se produzca un sobrecrecimiento bacteriano (figura 7) o por Malassezia (figura 8) secundario a la causa primaria o factor predisponente que una infección bacteriana; sin embargo, será necesario realizar un examen citológico del cerumen para determinar la presencia y el tipo de componente microbiológico.
También realizaremos el examen microscópico directo del cerumen para valorar la presencia de ácaros (Otodectes o Demodex). Si no se evidenciaran ácaros, pero es un caso muy sugestivo de una otocariasis por O. cynotis se debería recomendar un ensayo terapéutico con una isoxazolina para descartar definitivamente esta posibilidad.
En aquellos casos compatibles, deberían realizarse exámenes hemato-químico-urinarios,
niveles basales de las hormonas tiroideas y/o examen ecográfico de las gónadas para descartar desórdenes de queratinización secundarios de origen hormonal.
En espera de los resultados y/o como enfoque terapéutico inicial debería tratarse la inflamación presente en el canal. El uso de productos que contienen antimicrobianos no está indicado en ausencia de una infección bacteriana (definida por la presencia de una inflamación neutrofílica junto con la presencia de cocos y/o bacilos al examen citológico). Afortunadamente, en los últimos años se han registrado para su uso en el perro medicamentos tópicos para el oído a base de glucocorticoides (p.e hidrocortisona aceponato) adecuados para tratar la inflamación de leve a moderada presente en la OE eritematosa-ceruminosa aguda. La duración del tratamiento será variable en función del caso, si bien en la gran mayoría de las ocasiones suele ser suficiente un tratamiento de 7-14 días. En particular, para el caso de la hidrocortisona aceponato se ha demostrado en los estudios de registro que no solo trata la inflamación sino que además reduce el sobrecrecimiento microbiano (cocos y/o Malassezia) secundario.
Si al examen citológico se observara una infección bacteriana, el tratamiento tópico sería mediante la aplicación de un producto polifarmacéutico con un antifúngico, un antinflamatorio y un antibiótico seleccionado en base al tipo de bacteria (tabla 1), el uso prudente y racional de los antibióticos, así como en la asociación con el glucocorticoide más indicado.
Si durante la primera visita no se visualizara la zona del tímpano, sería recomendable prescribir un tratamiento con predniso(lo) na oral (0,5-1 mg/kg vía oral cada 24 horas) junto con un ceruminolítico no ototóxico (p.e. escualene) y reevaluar el caso a los 5-7 días. Es recomendable cambiar de glucocorticoides sistémicos a tópicos lo antes posible; sin embargo, si al control no pudiera visualizarse la membrana timpánica sería recomendable realizar un lavado auricular bajo anestesia general.
En ausencia de alteraciones a las pruebas diagnósticas realizadas y si tras tatar el cuadro inflamatorio se observan recidivas frecuentes, es recomendable realizar el protocolo diagnóstico de las otitis alérgicas, empezando seguramente por una dieta de eliminación.
Como se ha mencionado con anterioridad, la mayor parte de los casos de OE eritematosa-ceruminosa están asociados a una dermatitis atópica y la remisión a largo plazo puede ser difícil de conseguir. Como
Tabla 1. Antibióticos recomendables para el tratamiento tópico de la infección bacteriana en caso de OE. Categorización de las clases de antibióticos de uso veterinario según ema.europa.eu.
Categoría Cocos Bacilos
D Florfenicol/ ácido fusídico
C Gentamicina/ framicetina Gentamicina/ framicetina
Categoría D: deben utilizarse como tratamientos de primera línea, siempre que sea posible. Como siempre, deben utilizarse con prudencia, solo cuando sea médicamente necesario.
Categoría C: deben considerarse solo cuando no haya antibióticos de la categoría D que puedan ser clínicamente eficaces.
consecuencia, a menudo se necesita un tratamiento proactivo a largo plazo con la aplicación de glucocorticoides tópicos administrados dos días consecutivos a la semana para tratar de prevenir los brotes de otitis atópica. Esta estrategia, aunque bien documentada en el manejo de los signos de dermatitis atópica mediante el uso de la hidrocortisona aceponato, se realiza de manera anecdótica en la otitis atópica.
La OE eritematosa ceruminosa, la manifestación clínica más frecuente de las OE en el perro, está habitualmente cau-
sada por una dermatitis alérgica. Por este motivo, los glucocorticoides tópicos son el pilar del tratamiento ya que se utilizan para reducir la inflamación, el dolor y la estenosis del conducto. El uso de productos otológicos que contienen antimicrobianos no está indicado en ausencia de una infección bacteriana secundaria.
Mediante el control rápido y eficaz de la inflamación en una OE eritematosa-ceruminosa, es posible frenar la progresión de la enfermedad y evitar los cambios patológicos asociados a una OE crónica cuyo tratamiento es más complicado.
Lecturas recomendadas:
1. Bajwa J. Canine otitis externa - Treatment and complications. Can Vet J. 2019 Jan;60(1):97-99.
2. Choi N, Edginton HD, Griffin CE, Angus JC. Comparison of two ear cytological collection techniques in dogs with otitis externa. Vet Dermatol. 2018 Oct;29(5):413-e136.
3. Nuttall T, Bensignor E. A pilot study to develop an objective clinical score for canine otitis externa. Vet Dermatol. 2014 Dec;25(6):530-7, e91-2.
4. Paterson S. Topical ear treatment-options, indications and limitations of current therapy. J Small Anim Pract. 2016 Dec;57(12):668-678.
5. Lourenço AM, Schmidt V, São Braz B, Nóbrega D, Nunes T, Duarte-Correia JH, Matias D, Maruhashi E, Rème CA, Nuttall T. Efficacy of proactive long-term maintenance therapy of canine atopic dermatitis with 0.0584% hydrocortisone aceponate spray: a double-blind placebo-controlled pilot study. Vet Dermatol. 2016 Apr;27(2):88-92e25.
6. https://www.ema.europa.eu/en/documents/report/infographic-categorisation-antibiotics-use-animals-prudent-responsible-use_en.pdf.
• Plastia palpebral por deslizamiento en un paciente canino
• Terapia electroquímica (ECT) en una presunta recidiva de una neoplasia mesenquimal cutánea en el párpado de un gato. A propósito de un caso clínico
• Consideraciones clínicas en las úlceras recurrentes (SCCED) en el perro y en el gato
La técnica “triángulo-triángulo” ofrece resultados satisfactorios desde un punto de vista anatómico, funcional y estético, y prácticamente ninguna complicación durante el posoperatorio inmediato y en las sucesivas revisiones tras el alta quirúrgica.
Los párpados constituyen una de las estructuras fundamentales para el mantenimiento de la superficie ocular, ya que proporcionan protección mecánica frente a traumatismos e irritaciones, y participan en la estabilización y formación de la película lagrimal mediante la liberación del contenido de las glándulas de Meibomio favoreciendo su correcta distribución, así como su drenaje a través de los puntos nasolacrimales. Cualquier alteración en su conformación, posición o estructura puede comprometer la salud del globo ocular y de la visión.
glándulas de Meibomio1. Emergen desde la base de las glándulas, creciendo hasta invadir el borde libre palpebral, o pueden afectar únicamente a la conjuntiva, quedando por detrás de dicho margen. En ocasiones aparecen pigmentados y frecuentemente presentan una superficie irregular con bordes lobulados. Con el tiempo, estas masas tienden a ulcerarse y a sangrar, comprometiendo la salud de la superficie ocular y generando malestar, lagrimeo, hiperemia conjuntival e, incluso, queratitis superficial.
Los melanomas constituyen el segundo tipo neoplásico con mayor incidencia en pacientes caninos. Pueden aparecer como masas únicas o múltiples que se originan en la piel del párpado, son pigmentadas y tienen bajo ratio de recurrencia; pero también pueden originarse en el borde palpebral, donde tienden a expandirse y a actuar de forma más agresiva, aunque nunca al nivel de los melanomas conjunti-
La exéresis quirúrgica temprana debe ser el tratamiento recomendado para cualquier masa localizada en el borde libre del párpado, independientemente de su tamaño, ya que puede generar irritación local que resulta en epífora, blefaroespasmo, hiperemia conjuntival, vascularización corneal, aparición de pigmento e, incluso, queratitis ulcerativas.
En los perros los tumores palpebrales son uno de los principales motivos de consulta en la clínica oftalmológica a diferencia de los pacientes felinos, en los que tan solo un 2 % de las neoplasias oculares que afectan al globo ocular se localizan en los párpados (el carcinoma de células escamosas es el de mayor prevalencia, y se da en un 65 % de los casos). Alrededor de un 75 % de las neoplasias palpebrales son de carácter benigno, principalmente adenomas y epiteliomas de las
vales o de la mucosa oral. La cirugía es el tratamiento de elección de estos tumores, aunque en ocasiones puede requerirse el uso complementario de criocirugía. Tan solo un 10 % de los tumores que se localizan en el margen palpebral tienen características de malignidad y son localmente invasivos, como es el caso de los melanomas, los carcinomas de células basales y los adenocarcinomas.1,2 A pesar de todo, hoy en día no se han descrito metástasis en este tipo de tumores.
Los carcinomas de células escamosas raramente aparecen en párpados de pacientes caninos. Cuando lo hacen, tienen apariencia de masas proliferativas o ulceradas.
Los fibromas y fibrosarcomas pueden resultar localmente invasivos, pero su prevalencia es baja. Se presentan como masas subcutáneas de crecimiento progresivo. De forma similar pueden observarse mastocitomas, cuyo tamaño puede variar y en los que la excisión es curativa. Los histiocitomas afectan a perros jóvenes.
Existen razas predispuestas1,2 a presentar neoplasias palpebrales, como el Bóxer, el Collie, el Caniche y el Cocker Spaniel. Se ven afectados con mayor frecuencia los pacientes a partir de los 10 años de edad2, sin que se haya descrito predisposición sexual. El párpado superior se ve ligeramente más afectado que el inferior (Gelatt). La exéresis quirúrgica temprana debe ser el tratamiento recomendado para cualquier masa localizada en el borde libre del párpado, independientemente de su tamaño, ya que puede generar irritación local que resulta en epífora, blefaroespasmo, hiperemia conjuntival, vascularización corneal, aparición de pigmento e, incluso, queratitis ulcerativas. En la mayoría de los casos la exéresis completa del tumor palpebral es resolutiva. Cuando la extensión de la masa no supera 1/3 de la longitud palpebral, la técnica de elección suele ser la exéresis en V o la técnica de la casa invertida o cinco lados. El principal reto surge a la hora de elegir la técnica quirúrgica más apropiada para conseguir un resultado anatómico, funcional y estético adecuado en aquellos casos en los que, por su localización o por su extensión, existe una mayor dificultad quirúrgica.
Hay diversas técnicas quirúrgicas muy utilizadas, como la técnica en H (figuras 1 y 2) o la plastia en Z, para la eliminación de las masas palpebrales según su tamaño y
Eva Santolaya Meca, Raquel Herrero Agost, Cristina Martín de Santiago, Alberto Baro Lorenzo, Gabriella Lichner, Javier Esteban Martín. AniCura Ocaña Oftalmología Veterinaria Imágenes cedidas por los autores Figura 1. Imagen intraoperatoria del procedimiento quirúrgico de una plastia en H. Se requiere un amplio conocimiento de la anatomía del párpado, así como de la técnica, para su correcta ejecución. La manipulación y movilización de los tejidos es mayor y más agresiva que en la técnica descrita de “triángulo-triangulo“.localización. En este caso, nuestro objetivo es exponer una técnica simplificada para la extirpación de masas palpebrales de gran tamaño, que afectan a más de 1/3 de la longitud total de la superficie palpebral3, y que se localicen en cualquier posición del borde libre de la misma, exceptuando aquellos que afecten directamente al canto lateral o nasal del paciente, de manera que se ven comprometidos el párpado superior y el inferior al mismo tiempo. Esta técnica es conocida como “triángulo-triángulo” o “casa invertida triángulo”.2,3
tanto directo como consensuado. El reflejo de deslumbramiento es positivo OU. El test de Schirmer es > 15 mm/min OU. El test de fluoresceína es negativo OU. La PIO está en rango fisiológico OU. No se observan alteraciones a la exploración del fondo ocular OU ni signos de inflamación intraocular en el momento de la exploración.
El examen con lámpara de hendidura muestra la presencia de una neoformación exofítica (figura 3) en la porción central del párpado superior del ojo derecho, de aproximadamente 7 mm, de superficie irregular,
En la mayoría de los casos la exéresis completa del tumor palpebral es resolutiva. Cuando la extensión de la masa no supera 1/3 de la longitud palpebral, la técnica de elección suele ser la exéresis en V o la técnica de la casa invertida o cinco lados.
Caso clínico
Se presenta en consulta un paciente canino, mestizo, macho castrado de 11 años, por una masa en el párpado superior del ojo derecho.
El cuidador refiere que la masa apareció varios años atrás, pero ha permanecido estable hasta hace tan solo unos meses, cuando ha notado un claro y rápido aumento de tamaño.
El paciente presenta lagrimeo, leve hiperemia conjuntival y blefaroespasmo intermitente. Además, los cuidadores comentan que la lesión le ha sangrado en diversas ocasiones debido a autolesión por rascado.
Examen oftalmológico
En la exploración oftalmológica completa se observa respuesta a la amenaza positiva en ambos ojos (OU) y reflejos fotopupilares cromáticos y acromáticos positivos OU,
pigmentada y que se extiende por la cara interna del párpado invadiendo gran parte de la conjuntiva (figura 4).
El paciente no presenta enfermedades sistémicas, infecciosas ni alergias conocidas. Tampoco antecedentes oculares de inflamación palpebral, traumatismos u otros signos clínicos. Debido a la rápida evolución de la lesión, y a la sintomatología que esta genera, se recomienda la exéresis de la masa palpebral y su posterior estudio anatomopatológico.
Técnica quirúrgica
Como antes de cualquier intervención quirúrgica, se solicita un chequeo completo del paciente que incluye analítica sanguínea, ECG y radiografía de tórax.
La intervención se realiza siempre bajo anestesia general. Se coloca al paciente en decúbito lateral y se posiciona la cabeza de tal forma que los párpados queden parale-
los a la superficie de trabajo, es decir, a la camilla quirúrgica.
Se rasura la zona periorbitaria evitando generar irritaciones en la piel, ya que se trata de un tejido muy sensible, se higieniza la zona que se va a intervenir con betadine diluido al 5 % eliminando así, en la medida de lo posible, cualquier agente contaminante. Se cubre el campo quirúrgico con paños estériles que se fijan mediante el uso de pinzas backhaus y, finalmente, se coloca el microscopio quirúrgico en la posición y distancia adecuadas para el cirujano que realizará la intervención. El primer paso es incidir perpendicularmente el borde libre del párpado, a ambos lados del tumor, dejando un margen de seguridad de al menos 1-2 mm. Se prosigue con la resección del espesor completo del párpado con la técnica que se emplearía en una masa simple, es decir, en forma de “casa invertida” o incisión de cinco lados.2,3 Una vez extirpada la masa, se realiza una cantotomía lateral de la misma longitud que la extensión de la neoplasia, y se elimina un triángulo equilátero de piel al final de esta, siempre en el lado opuesto al párpado intervenido (figura 5).2 En algunos casos puede ser necesario disecar la conjuntiva subyacente para favorecer el avance del tejido; de esta forma se elimina la aparición de un antiestético pliegue cutáneo y se evita extender la longitud del párpado sano. Si tan solo nos limitásemos a realizar una cantotomía lateral estaríamos generando un defecto palpebral por extensión y un posible ectropion lateral o caída del párpado, de forma que la conjuntiva quedaría expuesta. Antes de suturar el defecto creado en el canto lateral, se realiza el cierre del defecto palpebral. Para asegurar una correcta aposición de los bordes de la herida, se debe realizar un punto en ocho en el margen palpebral. Posterior-
mente, se efectúa el cierre de las incisiones en dos capas (figura 6): primero la conjuntiva, con puntos sueltos y material absorbible de 6-0 (poliglecaprona), y finalmente la piel, con puntos simples con una sutura no reabsorbible de 6-0 (nylon).
En el posoperatorio se administra amoxicilina-ácido clavulánico (22 mg/kg cada 12 h durante 6 días), robenacoxib (1 mg/kg cada 24 h 4 días) y omeprazol (1 mg/kg cada 24 h, 6 días). Tópicamente se instaura la administración de tobramicina en colirio (1 gota cada 8 h). Durante todo el posoperatorio se recomienda el uso del collar isabelino para evitar autolesiones. Las revisiones se realizan a las 24 horas, a la semana y a los 15 días de la intervención, momento en el cual se procede a la retirada de los puntos.
Debemos tener en cuenta que las blefaroplastias son intervenciones quirúrgicas que requieren conocimientos extensos de la anatomía de los párpados y una amplia experiencia para afrontar los retos quirúrgicos.1,2 Una de las técnicas más extendidas entre los cirujanos oftalmólogos a la hora de extirpar tumores de gran tamaño es la plastia en H, para aquellas lesiones que se localicen en el borde libre del párpado, así como la plastia en Z, en el caso de que las masas afecten al canto lateral.
Se propone el uso de la técnica “triángulo-triángulo” a la hora de eliminar masas palpebrales de gran tamaño y de localizaciones complejas, dadas las complicaciones de otras técnicas como la plastia en H y la plastia en Z.
Según nuestra experiencia, uno de los principales inconvenientes de dichas técnicas es, como ya hemos mencionado, la dificultad de su ejecución. Se requiere cierta pericia y mucha práctica a la hora de realizarlas; son técnicas que, además, en última instancia, son más agresivas con la piel de los párpados debido a la necesidad de desbridar mayor cantidad de tejido y de movilizar mayor cantidad de piel para el mismo fin que la técnica simplificada. Por otro lado, las triquiasis causadas por los pelos del tejido de avance, que generan, en muchas ocasiones, irritación y roce sobre la córnea y la conjuntiva, dan lugar a un resultado menos estético y funcional de lo esperado, con blefaroespasmo, retracción cicatricial, conjuntivitis, lagrimeo, etc. Por este motivo, se propone el uso de la técnica “triángulo-triángulo” a la hora de eliminar masas palpebrales de gran tamaño y de localizaciones complejas, con unos resultados satisfactorios desde un punto de vista anatómico, funcional y estético. Las complicaciones observadas durante el posoperatorio inmediato y en las sucesivas revisiones tras el alta quirúrgica son prácticamente nulas, más allá de una leve inflamación perilesional o quemosis de la conjuntiva que no se da en todos los casos y, si aparece, suele resolverse en la siguientes 24 horas tras la cirugía.
Bibliografía:
quirúrgica “triángulo-triángulo”. El tamaño del triángulo realizado en el canto lateral coincide con el tamaño de la masa palpebral, sin tener en cuenta los márgenes de seguridad que se aplican al resecar el tumor. En este caso no se elimina el espesor completo del tejido, a diferencia del margen palpebral, pero puede ser necesario disecar la conjuntiva subyacente para facilitar el avance de la piel, evitando la formación de pliegues cutáneos antiestéticos.
1. Carles L. Martin. Ophtalmic disease in veterinary medicine; 2010.172p
2. Kirk N.Gelantt y Janice P. Gelatt. Veterinary Ophtalmic Surgery; 6th edition. 923-971p
3. Sophie Poinsard,IonaMathieson, OlivierBalland. Hubner’s eyelid reconstruction using a free tarsomarginal autograft in eight dogs. A retrospective study Anne. Vet Ophtalmology 2019;22(2):125-131
Este caso pone de manifiesto la importancia de contemplar la utilización de la ECT en el tratamiento de tumores palpebrales felinos de estirpe conjuntiva, especialmente ante posibles recidivas, dado que se trata de una técnica localmente poco agresiva y que podría resultar igualmente satisfactoria en el manejo del paciente oncológico felino.
Rotllán García Asunta1, Delgado
Pérez Ana1, Sanz Herrera
Fernando1, Pérez Muñoz Carmen2, Malagón González Elena3, Gutiérrez Soriano Elisabeth3
1Clínica Veterinaria Visionvet (Sevilla)
2Clínica Veterinaria Felina Kato (Sevilla)
3Clínica Supermascota (Sevilla)
Imágenes cedidas por los autores Los autores desean expresar su más sincero agradecimiento al doctor Ricardo Ruano Barneda por la labor de revisión que ha realizado en el presente artículo.
Este trabajo describe el caso de una gata de raza común europeo, esterilizada y de 10 años, que desarrolla una masa nodular, no pigmentada, blanda, ovalada, en la piel adyacente al canto lateral del ojo izquierdo. Esta masa es extirpada con márgenes limpios y el estudio histopatológico confirma que se trata de un fibroma. Dos años después, en el transcurso de cuatro meses, la gata desarrolla una masa de aspecto similar, bilobulada, sobre la cicatriz donde tuvo lugar la cirugía. Se realiza una citología de la masa, que revela la presencia abundante de células de estirpe conjuntiva, y se procede a su tratamiento con electroquimioterapia (ECT). Tras una única sesión de ECT, la masa remite y 12 meses después la gata no manifiesta signos de recurrencia.
Introducción
Los tumores palpebrales felinos son poco frecuentes y se estima que un 91 % son de carácter maligno. Los gatos mayores de diez años parecen más predispuestos a desarrollar masas palpebrales, sin que exista predilección por sexo o raza.1
adenocarcinoma y tumor de vaina nerviosa, cuyo resultado fue la muerte o eutanasia posterior del paciente.2
Estos estudios reducen la incidencia del fibroma palpebral (FP) en la especie felina a un 2 %, y únicamente se han descrito dos casos de los que actualmente no se dispone de información accesible.
Los fibromas son tumores cutáneos benignos, de estirpe conjuntiva (origen mesenquimal) y crecimiento lento. Su aspecto general es el de una masa pequeña, ovalada y de color grisáceo o
blanco. Presentan una localización intradérmica o subcutánea y son firmes a la palpación. Se generan a partir de los fibrocitos maduros, con un estroma rico en colágeno, y forman fibras de colágeno ordenadas. Es raro observar figuras mitóticas en las muestras histológicas de estas lesiones.
Hay un número reducido de casos de fibromas cutáneos descritos en gatos y algunos investigadores creen que, aunque estas masas tienen la apariencia histológica de un fibroma, podrían tratarse en realidad de fibrosarcomas bien dife-
renciados3. Mientras que en la especie canina pueden aparecer en las extremidades o en la cabeza, en los gatos parecen tener preferencia por las extremidades traseras4,5
El tratamiento recomendado para los fibromas cutáneos, incluidos los FP, es la extirpación quirúrgica, que se considera curativa.
Este caso clínico describe el efecto positivo de una sola sesión de ECT con bleomicina IT para el tratamiento de un presunto caso de FP felino, recurrente, que
Se han realizado diferentes estudios sobre la prevalencia de tumores palpebrales felinos (ver tabla). En un estudio retrospectivo de tumores palpebrales en 43 gatos, los que se identificaron fueron, de mayor a menor frecuencia, los siguientes: carcinoma de células escamosas (12), mastocitoma (11), hemangiosarcoma (6), adenocarcinoma (4), tumor de vaina nerviosa (3), linfoma (3), hidrocistoma apocrino (3) y hemangioma (2). Estas masas en su mayoría fueron extirpadas mediante cirugía y se observó un alto nivel de recurrencia en los casos de linfoma, carcinoma de células escamosas,
afectaba al canto lateral del ojo izquierdo de una gata de 10 años.
El paciente objeto de estudio en este caso clínico es una gata de raza común europea, esterilizada y de 12 años, que acude a consulta para una primera exploración oftalmológica ante la sospecha de recidiva de un fibroma cutáneo que fue extirpado dos años antes en su centro veterinario habitual. El centro remisor refiere que la masa parece estar creciendo en la cicatriz quirúrgica de la masa anterior y afectar al párpado (QR 1). A su vez, el propietario manifiesta que la masa ha ido creciendo progresivamente en los últimos cuatro meses y que su mascota muestra un grado leve de prurito localizado en esa zona desde entonces.
En la exploración oftalmológica a distancia se observa una masa redondeada, no pigmentada y no dolorosa a la palpación. Es de consistencia blanda, aparentemente bilobulada y su extensión afecta a la piel adyacente al canto lateral del globo ocular izquierdo (OS), y al margen más lateral del párpado inferior de este mismo ojo (figuras 1 y 2). El animal no manifiesta blefarospasmo y conserva una respuesta de amenaza positiva, un reflejo de deslumbramiento positivo y reflejos pupilares normales.
En el examen con lámpara de hendidura se observa un nivel de hiperemia conjuntival moderado en ambos ojos, así como en la piel que circunscribe la masa. El examen del resto de las estructuras de la superficie ocular e intraoculares resulta dentro de la normalidad, incluyendo cambios fisiológicos asociados a la edad: atrofia pupilar moderada y esclerosis nuclear de cristalino grado II. La presión intraocular obtenida mediante tonometría de rebote es de
El tratamiento recomendado para los fibromas cutáneos, incluidos los FP, es la extirpación quirúrgica, que se considera curativa.
16 mmHg en ambos ojos y en la funduscopia mediante oftalmoscopia indirecta no se detectan lesiones reseñables.
Tras la realización del examen oftalmológico se contemplan los siguientes escenarios:
• Recidiva del fibroma extirpado dos años antes (QR 2).
• Crecimiento de una masa de características histológicas similares.
• Crecimiento de una nueva masa de diferente naturaleza.
En los últimos cuatro años, la electroquimioterapia (ECT) parece haber adquirido un papel más relevante dentro de los protocolos oncológicos veterinarios, hasta el punto de haberse convertido en la técnica de elección para el tratamiento de diversos tumores cutáneos (primarios o secundarios) localmente invasivos.
Asimismo, se propone llevar a cabo un nuevo estudio citológico o histológico de la masa y, dependiendo del resultado, valorar la realización de una sesión de electroquimioterapia (ECT) con o sin cirugía y/o quimioterapia adyuvante.
El propietario prefiere evitar la realización de una segunda cirugía oncológica en su gata, se interesa por la posibilidad de aplicarle únicamente ECT y autoriza la realización de la citología de la masa para su estudio.
La citología, obtenida mediante PAF, es remitida a un laboratorio externo y el informe (QR 3) revela la presencia abundante de células de estirpe conjuntiva (figura 3), sin que se llegue a determinar si se trata de un fibroma, un fibrosarcoma, un mastocitoma o alguna otra variante neoplásica.
El diagnóstico histopatológico previo de FP felino hace esperar una respuesta par-
cial o escasa de la masa al tratamiento ETC, pero dada la presencia de mitosis esporádica observada en el informe de la primera biopsia y la posibilidad de hallarnos en realidad ante una neoplasia de tipo sarcomatoso o mastocítico, tal como se sugiere en la citología, se procede a practicar una primera sesión de ECT bajo anestesia general, para lo que la paciente es remitida a otro centro.
Se administran 15.000 UI m2 de bleomicina IV y tras 7 min se procede a la realización de la sesión de ECT mediante agujas de 1.000 V/CM. El procedimiento y la recuperación del paciente transcurren sin complicaciones, cubriéndose toda la superficie del nódulo, más márgenes.
Durante las siguientes semanas tras la ECT la masa experimenta una disminución de su tamaño inicial, además de la necrosis superficial y el sangrado característicos de este procedimiento (figura 4).
Las siguientes revisiones (QR 4) ponen de manifiesto la remisión progresiva y completa del presunto FP durante los siguientes 12 meses.
químico del paciente, la realización de un estadiaje e incluso la necesidad de realizar un estudio histológico de la masa antes de aplicar el tratamiento ECT. En lo relativo a este estudio histológico, la guía más reciente publicada en julio de 2022 considera esta prueba un requisito obligatorio, mientras que las guías anteriores consideran el estudio histológico de la masa como una prueba complementaria al estudio citológico, pero no imprescindible. El caso que nos ocupa fue atendido antes de la publicación de la guía más reciente, por lo que antes de proceder a la aplicación de la ECT solo se llevó a cabo el estudio citológico de la masa.
La citología de la masa sugiere que se trata de una neoplasia de estirpe conjuntiva,
En la especie felina esta técnica ha demostrado ser efectiva para el tratamiento del carcinoma de células escamosas, como tratamiento adyuvante en fibrosarcomas extirpados de forma incompleta9,10,11 e incluso para el tratamiento de fibrosarcomas asociados a los puntos de inyección, durante y después de la cirugía12
En los últimos cuatro años, la electroquimioterapia (ECT) parece haber adquirido un papel más relevante dentro de los protocolos oncológicos veterinarios, hasta el punto de haberse convertido en la técnica de elección para el tratamiento de diversos tumores cutáneos (primarios o secundarios) localmente invasivos, sobre todo en aquellos casos donde a la cirugía se le presupone un efecto limitado o se desee evitar los efectos sistémicos secundarios e indeseables de la quimioterapia convencional6,7
La ECT es una técnica de ablación local, que se aplica de forma endovenosa (IV) o intratumoral (IT). Utiliza pulsos eléctricos cortos, pero de gran intensidad, para permitir la entrada de quimioterápicos citotóxicos como la bleomicina o el cisplatino a través de la membrana celular, que se vuelve transitoriamente más permeable.8
En la especie felina esta técnica ha demostrado ser efectiva para el tratamiento del carcinoma de células escamosas, como tratamiento adyuvante en fibrosarcomas extirpados de forma incompleta9,10,11 e incluso para el tratamiento de fibrosarcomas asociados a los puntos de inyección, durante y después de la cirugía12
Actualmente hay al menos dos guías disponibles13,14 para estandarizar el protocolo ECT. En ambas guías se mencionan una serie de recomendaciones y obligaciones que comprenden el examen físico del paciente, el examen hematológico y bio-
lo cual concuerda con el diagnóstico de la biopsia llevada a cabo dos años antes por otra masa de crecimiento lento que se originó en esa misma zona, que fue extirpada con bordes libres de células displásicas y que confirmaba la existencia de un fibroma cutáneo. Sin embargo, en el informe también se hace referencia a la posibilidad de que se trate de otro tipo de tumor de estirpe conjuntiva3, incluyendo el fibrosarcoma (FS), o de una neoplasia de otra estirpe celular (mastocitoma, tumor de células redondas).
En este sentido, teniendo en cuenta que la recidiva de un tumor benigno como el fibroma es harto improbable, especialmente habiéndose extirpado con márgenes limpios; la observación de mitosis esporádicas en la primera biopsia; la edad avanzada de la paciente; el crecimiento de la nueva masa sobre la cicatriz quirúrgica; y la respuesta positiva a la aplicación de una sola sesión de ECT; para los autores es más probable que en realidad este presunto fibroma recurrente se trate de un FS o, en su defecto, un queloide maligno, que de cualquier otra forma de tumor perteneciente a la estirpe conjuntiva.
La apariencia habitual de un FS es la de una masa nodular que invade la piel y el subcutáneo. Externamente suelen mostrar una superficie alopécica y ulcerada. Histopatológicamente se caracterizan por la presencia de fibroblastos inmaduros infiltrados entre las fibras de colágeno Hay tres formas reconocidas de FS en los gatos: multifocal, solitario y asociado a
QR 1. Informe del centro veterinario revisor QR 2. Informe de la biopsia QR 3. Informe de la citología Figuras 1 y 2. Imágenes macroscópicas, de perfil, del presunto fibroma cutáneo bilobulado que afecta al OS de la paciente. Figura 3. Imagen citológica del presunto fibroma ocular felino con objetivo de x40.Bibliografía:
1. McLaughlin SA, Whiley RD, Gilger BC, Wright JC, Lindley DM (1993) Eyelid neoplasms in cats: a review of demographic data. J Am Anim Hosp Assoc 29: 63-67.
2. Newkirk KM, Rohrbach BW. A retrospective study of eyelid tumors from 43 cats. Vet Pathol 2009;46:916–927.
3. Hendrick MJ (2017) Mesenchymal tumors of the skin and soft tissues. In: Meuten DJ (ed) Tumors domestic animals, 4th edn. Iowa State Press, pp 142–175.
4. Miller M.A., Nelson S.L., Turk J.R., Pace L.W., Brown T.P., Shaw D.P., Fischer J.R., Gosser H.S. Cutaneous neoplasia in 340 cats. Vet. Pathol. 1991;28:389–395.
5. Bostock DE: Neoplasms of the skin and subcutaneous tissues in dogs and cats. Brit Vet J 142:1-19, 1986
6. E. P. Spugnini, M. Filipponi, L. Romani, I. Dotsinsky, N. Mudrov, G. Citro, A. Baldi. Electrochemotherapy treatment for bilateral pleomorphic rhabdomyosarcoma in a cat
7. J Small Anim Pract. 2010 Jun;51(6):330-2.
8. Marcelo M.M. Rangel, Jean C.S. Luz, Krishna D. Oliveira, Javier Ojeda González-Posada, Jennifer O. Freytag, Daniela O. Suzuki. Electrochemotherapy in the treatment of neoplasms in dogs and cats. Austral journal of veterinary sciences, Vol. 51, Nº. 2, 2019, págs. 45-51
9. Filippo Torrigiani, Alessio Pierini, Ron Lowe, Petra Simcic, George Lubas. Soft tissue sarcoma in dogs: A treatment review and a novel approach using electrochemotherapy in a case series. Veterinary and comparative Oncology. 2019 Sep;17(3):234-241
10.Spugnini EP, Vincenzi B, Citro G, et al. Electrochemotherapy for the treatment of squamous cell carcinoma in cats: a preliminary report. Vet J. 2009; 179(1): 117‐ 120.
11.Spugnini EP, Renaud SM, Buglioni S, et al. Electrochemotherapy with cisplatin enhances local control after surgical ablation of fibrosarcoma in cats: an approach to improve the therapeutic index of highly toxic chemotherapy drugs. J Transl Med. 2011; 9(1): 152.
12.Tozon N, Pavlin D, Sersa G, Dolinsek T, Cemazar M. Electrochemotherapy with intravenous bleomycin injection: An observational study in superficial squamous cell carcinoma in cats. J Feline Med Surg. 2014; 16(4): 291‐ 299.
13.Spugnini EP, Baldi A, Vincenzi B, et al. Intraoperative versus postoperative electrochemotherapy in high grade soft tissue sarcomas: a preliminary study in a spontaneous feline model. Cancer Chemother Pharmacol. 2007; 59(3): 375‐ 381.
14.Tellado M, Mir LM, Maglietti F. Veterinary Guidelines for Electrochemotherapy of Superficial Tumors. Front Vet Sci. 2022 Jul 27;9:868989.
15.Tozon N, Lampreht Tratar U, Znidar K, Sersa G, Teissie J, Cemazar M. Operating Procedures of the Electrochemotherapy for Treatment of Tumor in Dogs and Cats. J Vis Exp. 2016 Oct 24;(116):54760.
16.Strong, T.D., Tangeman, S., Ben‐Shlomo, G., et al. (2016) Corneal fibrosarcomas in a cat. Veterinary Ophthalmology, 19, 131–135.
17.Daniela Isaza, Nicholas A. Robinson, Stefano Pizzirani, Stephanie A. Pumphrey. Evaluation of cytology and histopathology for the diagnosis of feline orbital neoplasia: 81 cases (2004-2019) and review of the literature. American College of Veterinary Ophthalmologists. July 2020, Vol. 23 (4): 682-689
18.Elisabetta Manuali, Claudio Forte, Gaia Vichi, Domenica Anna Genovese, Danilo Mancini, Alessia Arcangela Pia De Leo, Laura Cavicchioli, Paolo Pierucci and Valentina Zappulli. Tumours in European Shorthair cats: a retrospective study of 680 cases. Journal of Feline Medicine and Surgery 2020, Vol. 22(12) 1095–1102
19.Mary Belle Glaze, David J. Maggs, and Caryn E. Plummer. Diseases of the Eyelids. Feline Ophthalmology. Veterinary Ophthalmology Sixth Edition. Vol 2 (28): 1683.
20. Chiara Giudice , Damiano Stefanello, Marcello Sala, Matteo Cantatore, Fulvia Russo, Stefano Romussi, Olga Travetti, Mauro Di Giancamillo, Valeria Grieco. Feline injection-site sarcoma: recurrence, tumour grading and surgical margin status evaluated using the three-dimensional histological technique. Vet J. 2010 Oct;186(1):84-8.
21.S K McDonough, S Larsen, R S Brodey, N D Stock, W D Hardy Jr. A transmissible feline fibrosarcoma of viral origin. Cancer Res. 1971 Jul;31(7):953-6.
puntos de inyección. Se han descrito casos de FS “solitarios” afectando a la córnea15, párpado, tercer párpado y órbita16 de los gatos; así como dos casos de fibropapilomas que afectan a la piel de los párpados. Su incidencia se estima en un 25 %17 El tratamiento recomendado para los FS solitarios es la extirpación quirúrgica con amplios márgenes. A pesar de ello, la tasa de recurrencia del FS es del 70 % (e incluso mayor) un año después de la cirugía.
El tratamiento recomendado para los FS solitarios es la extirpación quirúrgica con amplios márgenes. A pesar de ello, la tasa de recurrencia del FS es del 70 % (e incluso mayor) un año después de la cirugía.
Dentro de los tratamientos oncológicos no quirúrgicos, la quimioterapia se reserva para FS cuya localización hace que sea complicado plantear una cirugía de amplios márgenes. Del mismo modo, la combinación de quimioterapia y radioterapia ha conseguido incrementar el intervalo de remisión de los FS que son objeto de cirugía.
En este artículo se quiere poner de manifiesto la importancia de contemplar la utilización de la ECT en el tratamiento de tumores palpebrales felinos de estirpe conjuntiva, especialmente ante posibles recidivas, al ser una técnica localmente poco agresiva y que podría resultar igualmente satisfactoria en el manejo del paciente oncológico felino.
La falta de una biopsia que confirme la verdadera naturaleza de la masa tratada mediante ECT puede generar controversia pero, dada la negativa del propietario a la realización de una segunda intervención quirúrgica para solventar el problema de la paciente, los pocos efectos secundarios cutáneos/sistémicos de la aplicación de la ETC, la posibilidad de hallarnos ante uno de los pocos casos de fibrosarcoma palpebral felino descritos y tratados mediante ECT, así como la excelente evolución del caso que es objeto de estudio en este artículo, consideramos que puede ser de gran interés clínico para la comunidad científica veterinaria en general.
22.G L Harasen. Multicentric fibrosarcoma in a cat and a review of the literatura. Can Vet J. 1984 May;25(5):207-10.
23.D E Bostock, M T Dye. Prognosis after surgical excision of fibrosarcomas in cats. J Am Vet Med Assoc. 1979 Oct 1;175(7):727-8.
24.Hoffman A, Blocker T, Dubielzig RR, et al. Feline periocular peripheral nerve sheath tumors: a case series. Vet Ophthalmol 2005;8:153–158.
25.Gumbrell RC, Rest JR, Bredelius K, Batchelor DJ, Williamson J. Dermal fibropapillomas in cats. Vet Rec 1998;142:376.
26.Schulman FY, Krafft AE, Janczewski T. Feline cutaneous fibropapillomas: clinicopathologic findings and association with papillomavirus infection. Vet Pathol 2001;38:291–296.
27.Paul E. Hanna and Danielle Dunn. Cutaneous fibropapilloma in a cat (feline sarcoid). Can Vet J. 2003 Jul; 44(7): 601–602.
28.F. Y. Schulman, A. E. Krafft, T. Janczewski, I. Mikaelian, J. Irwin and K. Hassinger. Cutaneous Fibropapilloma in a Mountain Lion (Felis concolor).
29.Reifinger M, Lipnik K, Schneeweiss E (2020) Bilateral Adenocarzinoma of the Lower Eyelid in a Cat Affecting Serial Meibomian Glands. J Vet Sci Med Diagn 9:3.
30. Barrett, P.M., Merideth, R.E. & Alarcon, F.L. (1995) Central amaurosis induced by an intraocular, posttraumatic fibrosarcoma in a cat. Journal of the American Animal.
31.Richard R. Dubielzig. Ocular and Periocular Tumors in Cats. WSAVA congress proceedins, 2011.
32.Baba AI, Câtoi C. Comparative Oncology. Bucharest (RO): The Publishing House of the Romanian Academy; 2007. Chapter 5, Mesenschymal tissue tumors.
33. Manuali E, Forte C, Vichi G, et al. Tumours in European Shorthair cats: a retrospective study of 680 cases. Journal of Feline Medicine and Surgery. 2020;22(12):1095-1102.
34.Nyska A, Dayan D. Ameloblastic fibroma in a young cat. J Oral Pathol Med. 1995 May;24(5):233-6.
35.William S. Dernell and G. H. Hullinger. Surgical management of ameloblastic fibroma in the cat. Journal of Small Animal Practice, 1994(35): 35-38.
Figura 4. Imágenes iniciales y de la evolución posterior de la masa tras la realización de la sesión de ECT.GPCert en Dermatología
■ Fecha de inicio: junio de 2023
■ Lugar: online
GPCert en Medicina y cirugía de urgencia
■ Fecha de inicio: junio de 2023
■ Lugar: online
GPCert en Clínica de animales exóticos
■ Fecha de inicio: junio de 2023
■ Lugar: online
GPCert en Ecografía
■ Fecha de inicio: junio de 2023
■ Lugar: online
GPCert en Oncología
■ Fecha de inicio: septiembre de 2023
■ Lugar: online
GPCert en Quiropráctica animal
■ Fecha de inicio: octubre de 2023
■ Lugar: online
GPCert en Medicina de pequeños animales
■ Fecha de inicio: octubre de 2023
■ Lugar: online
Curso corto en Fisioterapia deportiva de pequeños animales
■ Fecha de inicio: 9 de septiembre de 2023
■ Lugar: Madrid
Curso corto en Oncología felina
■ Fecha de inicio: 19 de noviembre de 2023
■ Lugar: Madrid
Curso corto en Clínica práctica de animales exóticos
■ Fecha de inicio: 22 de noviembre de 2023
■ Lugar: Madrid
Para más información: Improve International Tel.: 911 881 568 info.es@improveinternational.com www.improveinternational.com
48th World Small Animal Veterinary Association Congress y 28th FECAVA Eurocongress
■ Fecha: del 27 al 29 de septiembre de 2023
■ Lugar: Lisboa (Portugal)
■ Diez sesiones simultáneas con posibilidad de traducción en vivo.
Para más información: wsava-congress.org y fecava.org/eurocongress/
Título Experto Universitario en Traumatología en pequeños animales
■ Fecha: 4 nov 2023 - 8 jun 2024
■ Lugar: online y presencial
Título Experto Universitario en Medicina
Felina
■ Fecha: 4 nov 2023 - 15 jun 2024
■ Lugar: online y presencial
Título Experto Universitario en Diagnóstico por Imagen en pequeños animales
■ Fecha: 18 nov 2023 - 2 jun 2024
■ Lugar: online y presencial
Título Experto Universitario en Cirugía de tejidos blandos en pequeños animales
■ Fecha: 24 nov 2023 – 19 mayo 2024
■ Lugar: online y presencial
Curso teórico-práctico de endoscopia rígida y flexible
■ Fecha: 24 y 25 de noviembre de 2023
■ Lugar: Santiago de Compostela
Curso teórico-práctico en odontología felina
■ Fecha: 24 de noviembre de 2023
■ Lugar: Madrid
Formaciones certificadas RVC - Ecografía abdominal en pequeños animales - Nivel 2
■ Fecha: 1 dic 2023 – 31 ene 2024
■ Lugar: online
Formaciones certificadas RVCIntroducción a la ecocardiografía en pequeños animales
■ Fecha: 11 dic 2023 – 12 feb 2024
■ Lugar: online
Formaciones certificadas RVC - Curso de dermatología clínica media y avanzada (2ª edición)
■ Fecha: 12 dic 2023 – 13 feb 2024
■ Lugar: online
Curso 100 % práctico de cirugía reconstructiva y tegumentaria
■ Fecha: 15 de diciembre de 2023
■ Lugar: Madrid
Curso de cirugía 100 % práctico. Cabeza y cuello /Abdominal y perineal
■ Fecha: 16 y 17 de diciembre de 2023
■ Lugar: Madrid
Curso teórico-práctico de ecografía abdominal
■ Fecha: 16 dic 2023 – 14 ene 2024
■ Lugar: Madrid
Para más información: vetmedia.es
Información a día 13 de junio.
PUBLIRREPORTAJE
Veterinarios especialistas en cardiología se reunieron bajo el lema “Dos corazones que laten como uno solo”, en un evento que contó con destacados ponentes nacionales e internacionales.
Ceva Salud Animal
Ceva Salud Animal organizó su I Cardio Day en Sevilla el pasado 3 de junio para abrir un espacio de comunicación entre veterinarios dedicados a la cardiología y científicos cuya labor de investigación aborda esta especialidad. Así, la compañía refuerza su implicación y compromiso con esta área clínica y pone el foco en la importancia de estos especialistas para transmitir a los veterinarios generalistas la relevancia de diagnosticar y monitorizar a sus pacientes mejorando su calidad y esperanza de vida.
El objetivo de Ceva Salud Animal es profundizar en el conocimiento y el tratamiento de las patologías cardiacas fomentando el diagnóstico precoz, ayudando a desarrollar protocolos de seguimiento y mejorando la adherencia al tratamiento. Por ello, el programa científico del I Cardio Day contó con ponentes que son destacados líderes de opinión.
Dr. Jonathan P. Mochel (DVM, Ph.D, Dip. ECVPT, Iowa State University, Estados Unidos) fue el encargado de inaugurar las ponencias mostrando cómo las matemáticas y la ciencia clínica pueden “trabajar juntas” y generar una herramienta que permita optimizar la dosificación de fármacos como los inhibidores de la enzima convertidora de la angiotensina (IECA).
El sistema renina-angiotensina-aldosterona (SRAA) desempeña un papel central en la fisiopatología de la insuficiencia cardiaca congestiva (ICC), lo que justifica el uso de IECA como el benazepril para su manejo. Los estudios preliminares sobre la ICC canina habían sugerido que la acción farmacológica de este fármaco es relativamente independiente de dosis superiores a 0,25 mg/kg PO, lo que justificaba la actual dosis de etiquetado europea en perros con enfermedades cardiovasculares (0,25 mg/kg PO/24 h).
No obstante, la mayoría de estos estudios sobre la farmacodinámica del benazepril se han basado en medidas de la actividad de la ECA, que es un criterio de valoración subóptimo para caracterizar el efecto de este fármaco sobre el SRAA. Moche también explicó cómo ha observado que las dosis de este fármaco administradas en centros veterinarios
de Estados Unidos y Europa son distintas y, por tanto, merecía la pena averiguar “qué estaba sucediendo”.
Así, los objetivos del estudio llevado a cabo por Mochel y su equipo mediante la utilización de simuladores que analizan la angiotensina II (AngII) y la Ang (1-7) (Breakthrough: a firstin-class virtual simulator for dose optimization of ACE inhibitors in translational cardiovascular medicine) fueron, por un lado, ampliar los esfuerzos previos de modelización matemática de la relación dosis-exposición-respuesta del benazepril sobre los biomarcadores del SRAA relevantes para la fisiopatología de la ICC y el pronóstico de la enfermedad; y, por otro, desarrollar un software capaz de simular ensayos clínicos de optimización de la dosis del benazepril en perros.
Mochel terminó su exposición explicando que los modelos matemáticos manejan gran cantidad de datos, lo que permite obtener muchos resultados y realizar predicciones. No obstante, el siguiente paso de su trabajo es “alimentar ese modelo experimental con resultados clínicos”, usando pacientes caninos con ICC y teniendo en cuenta su respuesta clínica. “Esperamos poner en marcha un estudio prospectivo el año que viene en 24 centros de Europa y Estados Unidos”, concluyó.
Uso racional de diuréticos
Dr. Luca Ferasin (DVM PhD, DipECVIM-CA, Veterinary Cardiology Consultancy, Hampshire, UK) ofreció en primer lugar una ponencia introductoria e interactiva para “romper el hielo”, en la que recordó que la causa más común de la IC en perros es la enfermedad de la válvula mitral (EVM). En la etapa inicial los mecanismos de compensación hacen que el paciente no muestre signos clínicos hasta que, más tarde, el incremento de presión en el atrio izquierdo termina por
trasladarse a las venas pulmonares y deriva en la aparición de edema e hipertensión pulmonar y, finalmente, de los signos clínicos asociados.
Los diuréticos proporcionan un alivio sintomático del edema pulmonar, la efusión pleural y la ascitis y, tal y como remarcó el ponente, en cardiología “solo se deben administrar si existe congestión”. Incluso, según su experiencia, puede que realizar un drenaje torácico o abdominal sea en ocasiones una buena alternativa.
En todo caso, antes de administrar un diurético recomienda plantearse varios aspectos:
Hay que identificar correctamente la causa primaria y saber si el paciente tiene ICC: “la tos como único signo clínico no es motivo suficiente para administrar furosemida ya que, si existiese congestión pulmonar, el paciente también tendría taquipnea y disnea”.
Se debe conocer el fundamento del tratamiento y qué resultados se esperan: lo primero que se produce es la excreción de sodio (y, en consecuencia, de agua), lo cual genera una reducción del volumen circulante que deriva en la reducción de la precarga y del edema.
Conocer la evidencia científica que lo respalda, aunque “no existen estudios de todo”, así que a veces hay que decidir únicamente en función de criterios clínicos sin olvidar las preferencias del propietario.
Saber qué efectos secundarios pueden aparecer: hipotensión, daño renal, pérdida de electrolitos, activación del SRAA y resistencia a los propios diuréticos. Por ello los diuréticos se deben usar “con criterio, solo en pacientes con descompensación aguda o crónica que tengan signos clínicos de sobrecarga de volumen”, subrayó.
Establecer cómo se monitorizará la respuesta: el parámetro recomendado es la frecuencia respiratoria durante
Ceva refuerza su implicación y compromiso con la cardiología y pone el foco en la importancia de estos especialistas para transmitir a los veterinarios generalistas la relevancia de diagnosticar y monitorizar a sus pacientes con el objetivo de mejorar su calidad y esperanza de vida.
el sueño (SRR, Sleeping Respiration Rate), tal y como apunta un estudio de Porciello et al. (2016), ya que tiende a mostrar valores más bajos que la frecuencia respiratoria en reposo y es más consistente, porque se ve afectada por menos factores.
Tras repasar brevemente la historia y la clasificación de estos fármacos (diuréticos de asa, tiazidas y agentes ahorradores de potasio), Ferasin explicó el uso práctico de furosemida y torasemida en la IC aguda y crónica: La furosemida es todavía el diurético más usado en el manejo de la ICC aguda y la única opción inyectable. Se puede administrar un bolo de 4 mg/kg en pacientes gravemente descompensados o de 2 mg/kg en caso de congestión leve-moderada. En función de la gravedad del edema pulmonar subyacente, se pueden repetir los bolos IV cada 4-6 h o recurrir a una infusión continua (CRI, 0,66 mg/kg/h durante más de 8 horas), aunque Faresin aclaró que “en realidad no hay mucha evidencia a favor del efecto de la infusión continua en perros con fallo congestivo”. En perros y gatos con ICC crónica leve o moderada la dosis habitual de furosemida para mantenimiento es de 1-2 mg/kg SID/BID. El objetivo debe ser siempre administrar la dosis más baja posible que logre controlar los efectos clínicos de forma efectiva, “y la monitorización regular del paciente es la forma de conseguirlo”, recordó.
en la que le damos el diagnóstico, así que nosotros le entregamos un folleto con información que le viene muy bien y evita que consulte fuentes menos fiables”, explicó el ponente. También mencionó el papel de la dieta (omega 3, aporte energético y proteico, control de peso), la reducción moderada de la cantidad de sodio ingerido (en perfecto equilibrio con el excretado), el consumo de agua (de acceso libre salvo que exista ICC en fase aguda, en cuyo caso se debe restringir temporalmente), el ejercicio regular controlado (para reducir la posibilidad de pérdida muscular) y la monitorización regular (de la gravedad y la progresión de la IC, además de la tolerancia al ejercicio).
Mª Josefa Fernández puso de relevancia la comunicación entre veterinario y cliente, fundamental para lograr un buen cumplimiento terapéutico, así como entre veterinarios especialistas y generalistas.
La torasemida, por su parte, se puede administrar con las dosis altas los primeros 5 días (0,25-0,40 mg/kg SID) si existe fallo grave, y a continuación se puede pasar a una dosis de mantenimiento (0,13-0,25 mg/kg SID).
A continuación, el ponente expuso los resultados de Carpodiem, un estudio promovido por Ceva en perros con edema pulmonar debido a ICC secundaria a EVM. Según este estudio, el riesgo de muerte/eutanasia por motivos cardiacos o de fallo terapéutico es dos veces inferior con Isemid® (torasemida) que con furosemida tras tres meses de tratamiento; además, existe una menor necesidad de incrementar la dosis durante las dos primeras semanas. Así, Isemid® se asocia con una mejora en la calidad de vida del paciente, una alta satisfacción del veterinario con los resultados obtenidos y un buen cumplimiento por parte del propietario.
Para finalizar la ponencia, Ferasin expuso varios casos clínicos como muestra de buen y mal manejo clínico de varios pacientes con ICC.
Durante su segunda intervención, Dr. Luca Ferasin hizo hincapié en que él habla de “IC y no de ICC porque es posible que haya insuficiencia sin congestión” y si solemos hablar de ICC por inercia es porque “lo más frecuente es que no detectemos signos clínicos tempranos, como la intolerancia al ejercicio, que aparecen antes de la congestión”.
Manejo no farmacológico
Con respecto al manejo terapéutico de los pacientes con IC, empezó por el no farmacológico y destacó la importancia de un correcto asesoramiento sobre la enfermedad, el tratamiento, etc. “El propietario puede salir asustado de la consulta
Manejo farmacológico
El ponente en todo momento expresó su opinión, basada en su propia experiencia. Tras recordar que los diuréticos están indicados para el alivio sintomático en caso de congestión, si hay edema pulmonar, efusión pleural o ascitis, expuso brevemente el fundamento del uso, los efectos esperados y los secundarios de de IECA, pimobendan y espironolactona. Con respecto a los productos disponibles en el mercado que son el resultado de la combinación de dos de ellos, comentó que “le encantan” porque facilitan el cumplimiento terapéutico.
Los IECA disponibles en Veterinaria son enalapril, benazepril, ramipril e imidapril. Están indicados en todos los estadios de la IC congestiva y, administrados junto a diuréticos, mejoran los síntomas, la tolerancia al ejercicio y la supervivencia. Entre los efectos secundarios, mencionó hipotensión, inapetencia y tos seca. Con respecto a los gatos sintomáticos, diversos estudios muestran que no parece existir una diferencia significativa entre administrar o no un IECA: “Son pacientes distintos y no responden a esta medicación igual que los perros”, remarcó. El pimobendan tiene efecto isótropico y vasodilatador positivo, efecto lusitrópico positivo y acción inhibidora leve de la agregación plaquetaria en perros a dosis estándar. Por tanto, incrementan el volumen sistólico y el gasto cardiaco, además de reducir la poscarga. Los resultados son “difíciles de cuantificar”: sí que se aprecia mejoría clínica (tolerancia al ejercicio e incremento del apetito) pero no radiológica. Entre los posibles efectos secundarios están el incremento de la sobrecarga de presión en caso de lesiones obstructivas y signos gastrointestinales, como los vómitos. Con respecto a su uso en gatos, comentó que sabemos poco sobre la farmacodinámica y farmacocinética de este fármaco en esta especie.
La espironolactona es “un fármaco superinteresante”. Es un diurético ahorrador del potasio suave, que reduce significativamente la remodelación cardiaca. Al ser un inhibidor competitivo de la aldosterona, reduce la aldosterona circulante responsable de la fibrosis miocárdica. Permite controlar la hipokalemia y tiene efecto sinérgico con la furosemida (aunque probado solo en perros sanos). Entre sus efectos secundarios están la hiperkalemia (especialmente si se usa con un IECA, reportado en personas), hipoplasia prostática, lesiones dermatológicas y debilidad muscular.
Sobre el uso combinado de la espironolactona con benazepril trata el estudio Delay, al que Ferasin hizo referencia y según el cual esta administración combinada no retrasa la aparición de IC en perros con EVM preclínica, pero sí que induce efectos beneficiosos sobre la remodelación cardiaca que podrían tener relevancia clínica.
Para finalizar su intervención, hizo hincapié en que su experiencia y recomendación van a veces en contra de lo que recoge el consensus del ACVIM pero, en su opinión, “no estamos obligados a usar este tipo de guías si nuestro punto de vista es igualmente válido”.
El Cardio Day concluyó con una mesa redonda en la que intervinieron Dr. Jonathan P. Mochel, Dr. Luca Ferasin, Mª Josefa Fernández (DVM, PhD, Dipl ECVIM-CA, Universidad de Murcia) y Domingo Casamián (Ldo Vet, Dipl. ECVIM-CA, Universidad Católica de Valencia) que sirvió para resolver algunas cuestiones planteadas por los asistentes.
Además, Fernández puso de relevancia la comunicación entre veterinario y cliente, fundamental para lograr un buen cumplimiento terapéutico, así como entre veterinarios especialistas y generalistas, y mencionó diversos trabajos relacionados con estos aspectos, como los de Cornell et al., 2007 y Block et al., 2006.
En este sentido, Casamián comentó la importancia de saber exactamente qué tipo de servicio de referencia esperan los generalistas que remiten un caso: si un manejo completo del paciente referido por parte del especialista o simplemente un diagnóstico que les permita ocuparse ellos del tratamiento y su seguimiento. Con respecto a los informes, una herramienta muy valiosa de comunicación, Ferasin explicó que él prefiere realizar un único informe para propietario y veterinario referidor.
Este tipo de úlceras son defectos epiteliales crónicos que no se resuelven a través de los procesos normales de cicatrización. Aunque tradicionalmente han sido conocidas como “úlceras del Bóxer”, pueden aparecer en cualquier raza canina y en gatos.
Imágenes cedidas por los autores
La córnea es la primera estructura con capacidad refractiva del ojo. Una de sus principales funciones es contribuir a la visión y por ello debe ser transparente, lisa, brillante y avascular.
Está compuesta por cuatro capas:
• El epitelio, la capa más externa, tiene una alta capacidad regenerativa y contiene una membrana basal que le permite unirse íntimamente al estroma.
• El estroma constituye el 90 % del espesor de la córnea y está compuesta por lamelas de colágeno paralelas entre sí, que favorecen la transparencia corneal.
• La membrana de Descemet es la membrana basal del endotelio, relativamente elástica, y se sintetiza de manera continua durante la vida del animal.
• El endotelio está formado por una monocapa de células con morfología hexagonal, no tiene apenas capacidad regenerativa y contribuye a la transparencia corneal gracias a la bomba Na+ / K+ /ATP asa.
Una de las patologías más comunes que afectan a la córnea es la queratitis. Clínica-
mente se describe como la presencia de infiltrado inflamatorio, reacción vascular y edema corneal invadiendo la superficie corneal. Puede tener una etiología ulcerativa y no ulcerativa1. Centrándonos en las queratitis ulcerativas superficiales, estas a su vez se clasifican en no complicadas, progresivas o refractarias2
En todos los casos debemos intentar identificar la causa primaria que desencadena la aparición de la lesión y, si se puede, eliminarla.
Una úlcera corneal superficial simple debería estar resuelta en un periodo que oscile entre los 7 y los 10 días2. De lo contrario, debemos realizar una buena anamnesis, preguntando al cuidador desde cuándo presenta la lesión la mascota, con qué tratamiento ha estado, si lleva collar isabelino para evitar autolesiones, si ha padecido con anterioridad lesiones corneales o si tiene alguna enfermedad sistémica.
Siempre debemos someter al paciente a un examen oftalmológico completo para intentar encontrar la causa subyacente:
• La evaluación a distancia permite comprobar alteraciones en la posición palpebral, una posible exposición corneal por mala conformación anatómica (Bulldog Francés, Shih-Tzu, Carlino, etc.).
• Debe ir seguida por el examen de cerca observando al paciente con una luz puntual potente para descartar anoma-
lías en los párpados, tales como neoplasias, entropión, triquiasis, etc.
• Proseguiremos el examen con la realización del test de Schirmer, que nos aporta información sobre el estado de la película lagrimal precorneal. Así, valores inferiores a 10 mm en 60 segundos pueden considerarse como una hipoproducción de la parte acuosa de la lágrima y, por lo tanto, una posible causa de queratitis ulcerativa.
• Se continúa con el uso de las tinciones vitales para comprobar la integridad del epitelio corneal (test de fluoresceína) y con colirios anestésicos para explorar la cara interna de los párpados, de la membrana nictitante y el estado de los sacos conjuntivales. Pasados unos minutos de la instilación del anestésico local, buscamos la presencia de cuerpos extraños1,2, generalmente de origen vegetal, o parásitos como Thelazia
Es imprescindible el uso de magnificación (lámpara de hendidura) para localizar cilios ectópicos y distiquias que provocan un roce constante con la superficie corneal impidiendo, de esta manera, la cicatrización de la lesión.
• Por último, es imprescindible el uso de magnificación (lámpara de hendidura) para localizar cilios ectópicos y distiquias que provocan un roce constante con la superficie corneal impidiendo, de esta manera, la cicatrización de la lesión. Teniendo en cuenta las particularidades anatómicas corneales descritas anteriormente y las posibles causas de presentación y permanencia de una queratitis ulcerativa superficial, nos centraremos en la úlcera corneal superficial espontánea crónica, úlcera recurrente o SCCED (spontaneous chronic corneal epithelial defects).
Definición
Este tipo de úlceras son defectos epiteliales crónicos que no se resuelven a través de los procesos normales de cica-
trización.2,3 Aunque tradicionalmente han sido conocidas como “úlceras del Bóxer”, debido a la predisposición en esta raza, estudios posteriores han demostrado que pueden aparecer en cualquier raza2,4 e incluso se puede ver afectada la especie felina1, dentro de la cual algunas razas muestran una alta predisposición, como es el caso de persas, exóticos o himalayos.1
La etiopatogenia de las SCCED responde a cambios degenerativos en las células epiteliales basales de un epitelio poco adherido al margen ulcerativo y a una marcada displasia de la membrana basal2,4, que provocan que las células epiteliales no se unan correctamente al estroma1 y, por tanto, una cicatrización deficiente. Si a estos factores anatómicos predisponentes asociamos irritaciones crónicas sobre la córnea tales como entropion, distiquiasis, cuerpos extraños, etc. se incrementa el riesgo de permanencia de este tipo de úlceras.
Cristina Martín de Santiago, Alberto Baro Lorenzo, Gabriella Lichner, Eva Santolaya Meca, Raquel Herrero Agost y Javier Esteban Martín. AniCura Ocaña Oftalmología Veterinaria. Figura 1. Foto tomada mediante la técnica de retroiluminación, donde se evidencian los bordes desprendidos en este tipo de úlceras. Figura 2. Imagen tomada con OCT (tomografía de coherencia óptica) donde se aprecia la falta de adherencia del epitelio con el estroma como consecuencia de una alteración de la membrana basal. Figura 3. Detalle de las capas de una córnea sana tomada con OCT. Figura 4. Úlcera superficial con inestabilidad del epitelio que se compaña de marcada reacción vascular. Figura 5. Lesión corneal una vez desbridada y tras la colocación de una lentilla terapéutica.Acude a consulta un gato europeo común de 7 años por un malestar en el ojo derecho de varias semanas de evolución.
En la exploración oftalmológica se advierte un marcado blefaroespasmo, hiperemia y quemosis de la conjuntiva palpebral. La tinción con fluoresceína es positiva. Mediante exploración con la lámpara de hendidura se observa una úlcera superficial con marcada alteración del epitelio que se acompaña de leve reacción vascular.
Tras descartar la presencia de cuerpos extraños en la cara interna de la membrana nictitante y en los sacos conjuntivales, se procede a instaurar el tratamiento médico con antibioterapia tópica (cloranfenicol) cada 8 horas y antivirales tópicos (ganciclovir) cada 6 horas. Se recomienda el uso de collar isabelino para evitar autotraumatismos (figura 7).
A la semana se procede a la revisión, donde se advierte una ausencia de los síntomas. La lesión ha epitelizado y el paciente no muestra malestar ocular (figura 8).
Un Bulldog Francés acude a consulta para evaluar una úlcera que presenta en el ojo derecho, tiene varias semanas de evolución y es refractaria al tratamiento médico (figura 9).
Durante la exploración con lámpara de hendidura se advierte hiperemia y quemosis de la conjuntiva palpebral, una lesión superficial con inestabilidad del epitelio de localización paracentral, y con escasa vascularización corneal.
Tras instilar unas gotas de anestésico tópico se descarta la presencia de cuerpos extraños y/o parásitos como Thelazia en la cara interna de la membrana nictitante y en los sacos conjuntivales. No se observan cilios ectópicos ni masas palpebrales rozando sobre la superficie corneal.
Debido al estado corneal y al tipo de úlcera que presenta el paciente, se propone el desbridado mecánico mediante diamond burr y la colocación de una lentilla terapéutica, tras lo cual se instaura tratamiento médico con antibioterapia tópica, ciclopléjico y el uso de collar isabelino.
A los 10 días, en la revisión, se aprecia una curación completa de la lesión (figura 10).
Las SCCED tienen un aspecto típico (figura 1, 2, 3) y se caracterizan por la presencia de un epitelio suelto rodeando la lesión corneal, lo que da como resultado un halo difuso de tinción de fluoresceína menos intenso alrededor del defecto, ya que se difunde por debajo del epitelio mal adherido2,3. Pueden ir acompañadas de edema perilesional epitelial y de una variable reacción vascular2
Este tipo de lesiones son siempre superficiales (afectan solo al epitelio corneal), sin implicación estromal. El tamaño es muy variable, desde milímetros hasta afectación de gran parte de la superficie corneal, y se suelen localizar en la zona axial o paraxial, aunque cualquier parte de la córnea puede verse afectada1,2. Los pacientes pueden acudir a consulta mostrando signos variables de malestar ocular, que van desde un intenso blefaroespasmo3 hasta encontrarse aparentemente cómodos. Esto va a depender de la raza1 y del tiempo que lleve la lesión, debido a que el dolor tiende a disminuir cuando el cuadro se cronifica.2
tuosa. Por ese motivo, debemos tener cuidado para no eliminar epitelio sano y dañar el estroma corneal subyacente2. La tasa de éxito de la desepitelización y el tiempo de curación varía desde el 20 % en 14 días hasta el 84 % en un promedio de 23 días2,4
La implantación de una lente de contacto blanda aumenta la tasa de curación tras el desbridado entre un 58 y un 64 %2 El objetivo de la lente es proporcionar protección mecánica a la córnea, evitando de esta manera el roce de los párpados y contribuyendo así a la curación2. Una de las posibles complicaciones de esta técnica es la aparición de queratomalacia2,4, lo que complica el cuadro ulcerativo (figura 5). En el caso de úlceras de gran tamaño, córneas inestables o que ya se hayan sometido anteriormente a varios desbridados sin éxito, se recomendará instaurar tratamiento quirúrgico, bajo anestesia general, para la realización de una queratotomía punteada o en rejilla y posterior recubrimiento mediante la membrana nictitante1,2. La técnica quirúrgica de la queratotomía punteada se basa en des-
La tasa de éxito de la desepitelización y el tiempo de curación varía desde el 20 % en 14 días hasta el 84 % en un promedio de 23 días2,4. La implantación de una lente de contacto blanda aumenta la tasa de curación tras el desbridado entre un 58 y un 64 %2
La elección del tratamiento va a depender del estado de la córnea y de la respuesta del paciente a tratamientos previos.
En el caso de padecer una úlcera de pequeño tamaño y con una córnea estable, se recomendará la desepitelización o el desbridado corneal4 (figura 4). Es una maniobra relativamente sencilla. Primero debemos instilar unas gotas de anestésico tópico4 y, mediante el uso de un hisopo de algodón o fresa oftálmica (diamond burr), se inicia el desbridado. Comenzamos en el centro de la lesión y continuamos hacia la periferia con movimientos radiales2, manteniendo el cabezal de la fresa en 45º. Se puede eliminar un área de epitelio mucho más grande que la úlcera inicial debido a esa adherencia epitelio-estromal defec-
bridar el tejido corneal no adherido para, posteriormente, mediante el uso de una aguja de 25G, efectuar múltiples punciones pequeñas con una separación de 0,5 a 1,0 mm entre sí sobre toda la córnea afectada2. La queratotomía en rejilla se lleva a cabo mediante la realización de pequeñas incisiones superficiales con trayectoria paralela, sin profundizar demasiado en el estroma, con un patrón de cuadrícula a lo largo de la superficie corneal2. El objetivo de estas técnicas es aumentar la presencia de colágeno tipo IV y estabilizar la membrana basal, componentes importantes en la adhesión epitelial, deficientes en este tipo de úlceras (SCCED)1,2. La tasa de éxito del tratamiento quirúrgico se estima en un 80 %2 (a través del código QR se puede acceder a un vídeo sobre esta técnica).
Como en cualquier úlcera, el tratamiento médico se basa en el uso de antibioterapia tópica (cloranfenicol, tobramicina, moxifloxacino) para prevenir una posible infección bacteriana secundaria. También está indicado el uso de ciclopléjicos para controlar la uveítis refleja que ocasionan las úlceras. El más empleado para reducir el espasmo del músculo ciliar es el ciclopentolato. Siempre se recomienda el uso de collar isabelino para prevenir autotraumatismos2
terapéuticas. Dichas lentes promueven la curación de la lesión, evitando el roce del párpado sobre la superficie corneal y aliviando el malestar del paciente (figura 6). En el caso de que las úlceras sean refractarias al tratamiento médico, se nos plantea un dilema debido a que existe cierta controversia con el uso de la desepitelización corneal y de las queratotomías como tratamiento quirúrgico alternativo en esta especie. En el caso del desbridado, se debe realizar con sumo cuidado ya que puede predisponer al desarrollo de un secuestro corneal. Con las queratotomías se cree que se puede inocular el virus del herpes tipo I en las capas más profundas de la córnea, provocando una queratitis estromal1 Todo lo descrito anteriormente nos lleva a pensar que la técnica de elec-
En caso de úlceras de gran tamaño, córneas inestables o que ya se hayan sometido anteriormente a varios desbridados sin éxito, se recomendará instaurar un tratamiento quirúrgico, bajo anestesia general, para la realización de una queratotomía punteada o en rejilla y posterior recubrimiento mediante la membrana nictitante1,2
En el caso de la especie felina se ha observado que gatos con historial de infecciones respiratorias previas, o de conjuntivitis recurrentes, están predispuestos a padecer este tipo de lesiones ulcerativas corneales. Esto refuerza la sospecha clínica de que muchos de los cuadros ulcerativos están asociados a una infección por herpesvirus tipo I (FHV- I)1. De este modo, a la hora de instaurar un tratamiento médico se recomienda iniciar terapias antivirales tópicas específicas y el uso de lentes
ción para el tratamiento quirúrgico de las SCCED en el gato sería la realización de una queratectomía superficial. Esta cirugía se basa en la eliminación completa de la capa superficial anormal del epitelio2, más concretamente de la lámina basal dañada y de la membrana hialina subyacente que se localizan en el estroma anterior1, lo que permite la reforma de los complejos de adhesión epitelial normales1,2 y favorece la correcta curación de la lesión.
Bibliografía:
(1) Martin, C. Ophthalmic disease in veterinary medicine 2010; 10:266-270
(2)
2013; 18: 987-992
(3) Christopher J. Murphy; Carl F. Marfurt; Allison McDermott; Ellison Bentley; George A. Abrams; Ted W. Reid; Sean Campbell. Spontaneous Chronic Corneal Epithelial Defects (SCCED) in Dogs: Clinical Features, Innervation, and Effect of Topical SP, with or without IGF-1. Invest Ophtalmol Vis Sci 2001;42 (10):2252-61
(4) Joyce H. Hung; Kaila Leidreiter; James S. White; Michael E. Bernays. Clinical characteristics and treatment of spontaneous chronic corneal epithelial defects (SCCEDs) with diamond burr debridement. Vet ophtalmol 2020;23:764-769
Kirk, G. Brian, G. Thomas, K. Veterinary ophthalmology Vídeo intraquirúrgico de la queratotomía en rejilla Figura 7. Detalle de la lesión superficial de bordes desprendidos del paciente. Figura 9. Detalle de la hiperemia de la conjuntiva y procidencia de la membrana nictitante que acompaña a la úlcera de bordes desprendidos de localización paracentral. Figura 8. Ausencia de lesión ulcerativa. Figura 10. Foto del paciente tras 15 días de iniciar el tratamiento médico. Se observa una completa curación de la lesión y ausencia de malestar ocular.La compañía de nutrición animal orientada a dar servicio tanto a los dueños de mascotas como a los veterinarios presenta un innovador producto dedicado especialmente a los perros y los gatos más activos.
fuente de fibra y de ácidos grasos omega-3, por lo que tiene un potente efecto antiinflamatorio y da un soporte extra a las articulaciones. Los altos niveles de vitaminas, antioxidantes, hierro y magnesio también son fundamentales en individuos activos.
La Spirulina puede cultivarse, por lo que es una fuente sostenible de nutrientes.
¿Es N&D Spirulina una línea de producto GrainFree?
celular y estrés oxidativo y favorece el mantenimiento de la masa muscular en deportistas.
¿Por qué lo definen como el superalimento para las mascotas?
¿Cuál es el targetideal de mascota para N&D Spirulina?
Raquel Baeza Marketing ManagerND Spirulina amplía de nuevo la gama Natural & Delicious, ¿qué tiene de especial este ingrediente para dedicar toda una línea?
La Spirulina (Arthrospira platensis) es un alga de color verde azulado que forma parte del fitoplancton. El uso de la Spirulina ha sido aprobado por la Agencia Europea de Seguridad alimentaria para ser utilizada como ingrediente, y ampliamente utilizada como suplemento en nutrición humana.
Entre los beneficios de la Spirulina se encuentra su alto contenido en proteína, sobre un 60 %. Contiene todos los aminoácidos esenciales, por lo que es comparable a la carne. También es
Desde luego. N&D Spirulina, al igual que otras gamas de N&D, es una línea sin cereales, respetando nuestra filosofía en la producción de alimento para mascotas de naturaleza carnívora. Existen algunas marcas que comercializan productos con Spirulina como ingrediente, pero Farmina es la única compañía que dedica una línea completa de productos con Spirulina y diferentes fuentes de proteína para las mascotas.
¿Qué beneficios para la salud proporciona la Spirulina?
La Spirulina tiene diversos beneficios sobre la salud de nuestras mascotas que han sido objeto de diversas publicaciones científicas. El primero de ellos sería el beneficio sobre el tracto digestivo. En concreto, hay dos estudios que muestran que la Spirulina mejora la función de la flora intestinal en perros y en la inflamación crónica gracias a la modulación de la flora y permeabilidad intestinal. Además, tiene un efecto beneficioso en el cuidado del pelo y la piel, facilitando la recuperación de la barrera cutánea. Por otro lado, estimula el sistema inmunitario, ayuda a frenar el envejecimiento
N&D Spirulina mejora el ejercicio físico, de hecho, disponemos de estudios que demuestran que este suplemento aumenta la resistencia frente al efecto oxidativo del estrés en el momento del ejercicio y también es un adyuvante para mantener la masa muscular ya que ayuda al metabolismo de las grasas quemándolas para obtener energía. Por todo ello, definimos a N&D Spirulina como el alimento perfecto para mascotas activas con petparentsactivos.
Por lo tanto, ¿la Spirulina también la han usado los deportistas como ingrediente de su alimentación?
Efectivamente. Este suplemento es muy conocido en el sector del deporte, incluso deportistas de gran relevancia mundial han señalado los beneficios de la Spirulina para el mantenimiento y desarrollo de sus actividades físicas.
“La Spirulina mejora la función de la flora intestinal en perros y la inflamación crónica gracias a la modulación de flora y permeabilidad intestinal. Además, tiene un efecto beneficioso en el cuidado de pelo y piel”.
¿Qué formulaciones presenta N&D Spirulina?
N&D Spirulina se presenta en diferentes fórmulas, tanto para perros como para gatos y tanto para cachorros como adultos.
Disponemos de una formula con cordero, Spirulina y bayas de goji en cachorros, mientras que en gatitos está formulada con arenque, Spirulina y bayas de goji. En perros y gatos adultos la fórmula puede contener carne de cordero o arenque junto a la Spirulina y las bayas de goji.
¿En qué presentaciones puede encontrarse?
En perros se encuentra disponible en formatos de 2 kg y de 7 kg con tamaños de croqueta mini y médium-maxi, respectivamente. En perros, la fórmula que incluye arenque es monoproteica de pescado: esta característica es muy importante en perros con reacciones adversas a los alimentos. En el gato, la fórmula para gatitos está basada en proteína de pescado y arenque, mientras que en adultos la fuente de proteína puede ser cordero o bien arenque. En gatos, la presentación es de 1,5 kg.
Los propietarios de mascotas que hacen ejercicio físico con regularidad ya conocen los grandes beneficios de la Spirulina para el organismo. Normalmente, muchos de ellos hacen ejercicio físico con sus mascotas. Estas mascotas necesitan una dieta que les ayude a mantener el peso y que estén formuladas específicamente para su vida activa.
“La Spirulina es un suplemento muy conocido en el sector del deporte, incluso deportistas de gran relevancia mundial han señalado sus beneficios para el mantenimiento y desarrollo de sus actividades físicas”.
¿Qué valor añadido ofrece Farmina?
La excelencia de Farmina no se detiene en la fabricación de alimentos de primera calidad, sino que tiene mucho más que aportar: cada cliente de Farmina puede contar con el apoyo de un Consultor Genius personal. Se trata de un servicio gratuito y de por vida que se adapta a las necesidades de la mascota, con un plan nutricional dinámico y personalizado que se va adaptando a las necesidades de la mascota en cada etapa de su vida. Pero esto no acaba aquí: Farmina ha creado un programa para el cuidado de las mascotas (Pet Care Program), un programa que cuida de la salud de las mascotas mediante la monitorización de 5 indicadores importantes para la salud de estas.
Hábleme más del programa. ¿Cómo funciona?
Es muy sencillo, solo se tiene que descargar la app gratuita FarminaGenius. Con la ayuda de un Consultor Farmina Genius y el veterinario de confianza se pueden controlar los 5 parámetros de la salud claves que son: la condición corporal de la mascota, la creación de un plan de nutrición dinámico que se va adaptando a lo largo de la vida de la mascota, la ingestión de agua, el control del pH urinario y un chequeo de salud. Además, la app cuenta con un recordatorio de vacunas y visitas de seguimiento al veterinario, permite el contacto con el Consultor Genius y es tan sencilla de usar que permite informar de un problema de salud de la mascota en unos pocos clics. Adicionalmente, el consultor o su veterinario de confianza podrá realizar un plan nutricional específico para la mascota teniendo en cuenta todos los datos actuales y el estado de salud del animal.
Texto e imágenes: Farmina
Aunque en primer lugar se inició un tratamiento médico para controlar el fallo cardiaco congestivo derecho, así como toracocentesis seriadas según la necesidad del paciente, el cuadro no se consiguió controlar, por lo que finalmente se propuso el cierre quirúrgico del conducto torácico.
mismas); hay regurgitación mitral sin significancia clínica y regurgitación tricúspide grave con GP máximo de 76,61 mmHg. El resto de los flujos valvulares son normales, con patrón laminar. Las funciones sistólica y diastólica de ambos ventrículos están mantenidas (figuras 1 y 2).
cilina/ácido clavulánico 22 mg/kg cada 8 horas), pimobendan (0,25 mg/kg cada 12 horas) y furosemida (2 mg/kg cada 8 horas).
Acude a urgencias un perro mestizo, macho entero de 20,5 kg y 3 años, referido de su centro veterinario por apatía, anorexia y cuadro agudo de taquipnea.
Exploración física
En la exploración física el paciente presenta frecuencia respiratoria de 56 rpm, mucosas rosadas con un tiempo de relleno capilar <2” y una frecuencia cardiaca de 127 lpm. Se detecta un soplo sistólico con punto de máxima intensidad en hemitórax derecho grado IV/VI. Su temperatura es normal y está normotenso.
Pruebas diagnósticas
Hemograma y
Se realizan analíticas sanguíneas completas, cuyos resultados se encuentran dentro de los valores de referencia.
Radiografía y ecografía
Igualmente, se llevan a cabo radiografías de tórax y T-fast, donde se detecta efusión pleural, y A-fast, que está dentro de la normalidad.
Se administra de manera endovenosa un bolo de butorfanol (0,3 mg/kg) para realizar un estudio ecocardiográfico completo. Se observa hipertrofia excéntrica del ventrículo derecho y dilatación grave de atrio derecho; la válvula tricúspide muestra signos de displasia (engrosamiento de valvas con elongación de valva parietal, acortamiento de valva septal y cierre incorrecto de las
Citología
Se procede a realizar una toracocentesis para extraer una muestra de líquido, que tiene aspecto lechoso. El análisis de la efusión pleural es compatible con un exudado. Se analizan colesterol y triglicéridos y se detecta hipertrigliceremia de 324 mg/ dl (en sangre periférica la trigliceremia era de 27 mg/dl) y leucocitosis de 27 k.
En la citología se observan numerosos linfocitos y cocos intra/extracelulares, por lo que se clasifica el líquido como quilotórax con posible piotórax.
TAC
Aunque el diagnóstico de displasia tricúspide ya podría justificar el quilotórax, debido a la aparición de bacterias se decide realizar un TAC de tórax para descartar otras patologías concomitantes. Esta prueba revela una remodelación cardiaca de las cámaras cardiacas derechas y efusión pleural, sin otros hallazgos significativos.
Cultivo
Bajo anestesia se pone un tubo torácico para drenar la efusión pleural, y se extraen 3 litros de líquido blanquecino y denso. Se coge una muestra para enviar el cultivo al laboratorio, aunque su resultado es negativo.
El paciente permanece ingresado durante cuatro días bajo tratamiento con antibiótico de amplio espectro (amoxi-
Durante los días en los que permanece hospitalizado evoluciona favorablemente, tanto analítica como clínicamente. La efusión pleural se controla y se retira el drenaje torácico. Se decide el alta hospitalaria.
conducto torácico para intentar minimizar así la producción de líquido. Se realiza el abordaje por el 9º espacio intercostal derecho. Al abrir la cavidad torácica se observa abundante contenido líquido de color blanco, opaco, que es drenado mediante aspiración. Al retirar el quilo, se detecta pleuritis, así como adherencias en la superficie del parénquima pulmonar.
En la ecocardiografía se observa hipertrofia excéntrica del ventrículo derecho y dilatación grave de atrio derecho; la válvula tricúspide muestra signos de displasia; hay regurgitación mitral sin significancia clínica y regurgitación tricúspide grave con GP máximo de 76,61 mmHg.
Durante las revisiones periódicas los seis meses posteriores se va completando y modificando el tratamiento cardiaco debido a la recurrencia de la efusión pleural. Así, se llega a pautar pimobendan en dosis de 0,3 mg/kg cada 8 horas; se sustituye la furosemida por torasemida y se sube la dosis hasta 0,3 mg/kg cada 12 horas; se administran 0,5 mg/kg de benaceprilo cada 12 horas, así como espironolactona (2 mg/kg cada 12 horas) y sildenafilo (2 mg/kg cada 8 horas).
El paciente acude cada mes/dos meses con distrés respiratorio, por lo que hay que realizar repetidas toracocentesis bajo sedación al no controlarse la producción de quilotórax.
En cada drenaje la extracción se dificulta por la pleuritis asociada y la producción de fibrina en el espacio pleural por lo que, aunque no hay mucha literatura al respecto, se propone realizar el cierre del
A continuación, se procede a la disección de la pleura sobre la aorta para disecar los conductos linfáticos torácicos. Para permitir su visualización se realiza una incisión paracostal abdominal y se exterioriza el intestino delgado. Tras ello, se localiza un ganglio mesentérico y se inyecta azul de metileno hasta que los conductos torácicos muestran una tonalidad azul. Posteriormente, se disecan los conductos y la cisterna del quilo y se procede a ligarlos con sutura no absorbible monofilamento y hemoclips. Para finalizar, se comprueba la correcta hemostasia del procedimiento y se coloca un drenaje torácico (figura 3). El procedimiento quirúrgico transcurre sin incidencias y la recuperación del paciente es buena. Cinco días después, la producción de efusión pleural es inferior a 2 mg/kg/día y el paciente está estable, por lo que se decide el alta hospitalaria.
En las revisiones posteriores muestra una evolución favorable. En las radiografías torácicas y T-fast se aprecia que la producción pleural era mínima. De manera ocasional, se realiza toracocentesis debido a un cuadro de taquipnea y se obtiene un líquido de naturaleza trasudado modificado. A los 30 meses de la intervención el paciente acude a sus chequeos cardiológicos sin más sintomatología respiratoria asociada.
La displasia tricúspide es una malformación congénita del aparato valvular con una prevalencia baja (1,1-7,4 %)1. Afecta a razas como Labrador Retriever, Pastor Alemán, Weimaraner, Setter Irlandés, etc. En el Labrador Retriever se ha encontrado una predisposición genética en el locus del cromosoma 92 Consiste es un incorrecto desarrollo del aparato valvular de la tricúspide, que implica un amplio espectro de malformaciones, como: engrosamiento focal o
Menchu Mataix Pla, Carlos González Villajos Servicio de Cardiología Anicura Hospital Veterinario Valencia Sur Imágenes cedidas por los autores Figura 1. Radiografía de tórax laterolateral derecha a la llegada del paciente. Se observa efusión pleural moderada-grave que desplaza hacia caudodorsal los lóbulos pulmonares. Figura 2. Corte apical izquierdo cuatro cámaras. Se observa engrosamiento de valvas tricúspides con elongación de valva parietal, acortamiento de valva septal y cierre incorrecto de las mismas.Durante la intervención quirúrgica se localiza un ganglio mesentérico y se inyecta azul de metileno hasta que los conductos torácicos muestran una tonalidad azul.
difuso de las cúspides, subdesarrollo de las cuerdas tendinosas y músculos papilares indiferenciados (atróficos/indiferenciados) y mal alineados, separación incompleta del aparato vascular de la pared ventricular y agenesia focal del tejido valvular1,3
Asociada a la malformación valvular puede detectarse la anomalía de Ebstein, caracterizada por un desplazamiento del anillo tricúspideo hacia el ápex del ventrículo derecho; el atrio derecho está muy aumentado de tamaño y se dice que el ventrículo está “atrializado”. También se describe la displasia junto con estenosis tricúspide, que consiste en un estrechamiento del anillo con fusión de valvas y remodelación grave de atrio derecho; la velocidad de la regurgitación tricúspide aumenta para mantener el volumen de flujo normal a través de la válvula y es proporcional al grado de estenosis (más de 5 m/s se considera un grado grave4).
Debido a que la displasia tricúspide abarca una variedad de anomalías y gravedades, la insuficiencia valvular es variable. En estadios más avanzados, esa regurgita-
ción provoca un aumento de la presión y volumen que desencadenan un fallo cardiaco congestivo derecho.
La reparación o sustitución quirúrgica de las valvas no es común debido al coste y a la escasa experiencia en el ámbito veterinario; por este motivo, el tratamiento médico es el de primera elección1. Este consistirá en reducir la sobrecarga del lado derecho del corazón usando fármacos como el pimobendan (sensibilizador de los canales de Ca2+ e inhibidor de la fosfodiesterasa 3) y el sildenafilo (inhibidor de la fosfodiesterasa 5); si, además, existe fallo cardiaco congestivo derecho se recomendará el uso de diuréticos como la furosemida o la torasemida (diuréticos de asa), iECA y la abdominocentesis/toracocentesis si se requiere.
Además, si hay arritmias significativas asociadas, deben ser manejadas mediante un antiarrítmico específico. En caso de estenosis del anillo, se ha descrito la dilatación con balón mediante intervencionismo5
La reparación o sustitución quirúrgica de las valvas no es común debido al coste y a la escasa experiencia en el ámbito veterinario; por este motivo, el tratamiento médico es el de primera elección1
El quilotórax es una acumulación de quilo (linfa) en el espacio pleural como resultado de un drenaje linfático dañado u obstruido. Puede deberse a anomalías de los vasos linfáticos, a una posición anormal de los órganos, a una neoplasia, al aumento de la presión hidrostática venosa a nivel del cora-
zón derecho por enfermedad cardiaca (obstrucción de la vena cava craneal, derrame pericárdico, dirofilariosis, anomalías cardiacas congénitas como la tetralogía de Fallot, la displasia tricúspide o cor triatriatum dexter), o estar asociado con una enfermedad primaria como la hipoplasia venosa portal. Sin embargo, la causa más común descrita en veterinaria es la idiopática6,7,8
No existe un tratamiento específico para el quilotórax. Normalmente, consiste en tratar la causa primaria si la tiene y realizar toracocentesis si fuese necesario. El cierre quirúrgico del conducto torácico está descrito siempre que la efusión se mantenga durante un periodo largo, ya que existe un riesgo elevado de pleuritis y pericarditis secundaria a la naturaleza inflamatoria del líquido6,7
En el caso descrito, los hallazgos ecocardiográficos y las pruebas complementarias realizadas confirmaron que el origen del quilotórax fue secundario a la patología
Bibliografía:
congénita descrita anteriormente. Es por este motivo que se decidió, en primera instancia, iniciar un tratamiento médico para controlar el fallo cardiaco congestivo derecho, y toracocentesis seriadas según la necesidad del paciente.
De manera anecdótica, se ha publicado en la literatura veterinaria la resolución de un quilotórax secundario a fallo cardiaco congestivo derecho por displasia tricúspide tras el cierre del conducto torácico en un perro9 y otro en un Labrador con una doble cámara ventricular derecha10 Debido a esto, y visto que el cuadro no se conseguía controlar correctamente los meses siguientes, aun intentando ajustar la pauta de tratamiento y por la dificultad que iba apareciendo en el drenaje torácico, se propuso el cierre del conducto torácico. En nuestro caso la efusión pleural fue minimizándose y, un año y medio después de la intervención, el paciente se mantiene estable y las toracocentesis han cesado.
1. Porteiro, M.D., Santana, A J (2021) Enfermedades cardiacas congénitas valvulares en Fraga G (Ed.), España: Cardiología Clínica en el perro y en el gato (1 ed., pp. 232-235). Multimédica Ediciones Veterinarias.
2. Fuentes, V.L., Johnson, L.R. and Dennis, S (2010) Congenital heart disease en Martin, M and Dukes-McEwan J. (Ed.), Reino Unido: BSAVA Manual of Canine and Feline Cardiorespiratory Medicine (2 ed., pp. 258). British Small Animal Veterinary Association.
3. Navarro-Cubas X, Palermo V, french A. et al. Tricuspid valve dysplasia: A retrospective study of clinical features and outcome in dogs in the UK. Open Veterinary Journal.2017; 7(4): 349-359.
4. Boon, J.A. (2010) Congenital shunts and AV valve dysplasia. United Kingdom: Veterinary echocardiography (2 ed., pp. 468). Wiley-Blackwell.
5. Lake-Bakkar G, Griffiths L, Kittleson M. Ballon valvuloplasty of tricuspid stenosis: a retrospective study of 5 Labrador Retriever dogs. Journal of Veterinary Internal Medicine. 2017; 31(2): 311–315.
6. Epstein, S, Balsa, I. Canine and feline exudative pleural diseases. Veterinary Clinics of North America: Small Animal Practice.2020; 50(2): 467–487.
7. Reeves L, Anderson K, Luther J. et al. Treatment of idiopathic chylothorax in dogs and cats: A systematic review. Veterinary Surgery. 2019; 49(1):70–79.
8. Fossum T, Miller M, Rogers K. et al. Chylothorax associated with right-sided heart failure in five cats. Journal of Veterinary Internal Medicine. 1994; 204(1): 84-9.
9. Diana A, Guglienlmini C, Acocella F. et al. Chylothorax associated with tricuspid dysplasia and atrial septal defect in a bullmastiff. Journal of the American Animal Hospital Association. 2009; 45(2) 78–83.
10.Tanaka R, Shimizu M, Hirao H. et al. Surgical management of a double-chambered right ventricle and chylothorax in a labrador retriever. Journal of Small Animal Practice. 2006; 47(7): 405–408.
■ Actualización en el manejo anestésico, analgésico y durante la sedación en la clínica cotidiana de pequeños animales
Nuestro objetivo debe ser conseguir una densidad urinaria por debajo de 1.030, por lo que necesitamos que el paciente incremente su ingestión de agua para que aumente el volumen de orina, la frecuencia de las micciones y se reduzca la saturación urinaria.
profilácticas que se implementen para evitar las recaídas, especialmente cuando la FLUTD se debe a urolitiasis. Para que las dietas resulten efectivas nunca se deben mezclar diferentes referencias, ya que su modo de actuar puede ser diferente y pueden contrarrestarse sus efectos.
El manejo dietético general tiene como objetivos: disminuir la densidad urinaria, reducir los precursores de los urolitos y provocar un pH que favorezca la solubilidad de los precursores.
En el caso de los gatos, nuestro objetivo debe ser conseguir una densidad urinaria por debajo de 1.030, por lo que necesitamos que el paciente incremente su ingestión de agua para que aumente el volumen de orina, la frecuencia de las micciones y se reduzca la saturación urinaria.
El consumo de agua aumenta de manera significativa cuando los gatos reciben tres comidas al día en lugar de una única.
La prevalencia de las enfermedades del tracto urinario inferior en gatos (FLUTD) varía dependiendo del país en el que se realice el estudio. Así, en Reino Unido se ha estimado una prevalencia del 1 %, mientras que en Estados Unidos la incidencia reportada es del 1,5 % y en Tailandia aumenta hasta el 2,2 %1
El manejo dietético general tiene como objetivos: disminuir la densidad urinaria, reducir los precursores de los urolitos y provocar un pH que favorezca la solubilidad de los precursores.
En un estudio reciente2 se observó que, independientemente de la causa subyacente de FLUTD, más del 50 % de los gatos sufrían episodios recurrentes y, de estos, más de la mitad habrían sufrido al menos dos recaídas, aunque no se pudo precisar que la causa fuera la misma en todos los episodios.
Los alimentos dietéticos con formulación específica no solo resultan útiles para el manejo de estas enfermedades, sino que además pueden ser parte de las medidas
Nunca debemos olvidar advertir a los tutores que su gato orinará más, por lo que es muy importante que tenga siempre acceso a su bandeja y que esta se limpie con la frecuencia requerida. Podemos utilizar una o varias de las siguientes estrategias, teniendo en cuenta que algunas de ellas pueden no ser adecuadas para animales con comorbilidades o que se encuentren por ejemplo en periodo de crecimiento: aumentar la humedad del alimento, aumentar la cantidad de sodio, moderar la cantidad de proteínas, aumentar la digestibilidad y estimular al animal para que beba.
• Aumentar la humedad del alimento: alimentar al gato con una dieta con más de un 70 % de humedad o agregar hasta tres partes de agua por cada parte de comida seca, aunque esto último puede que no les guste a todos los gatos.
• Aumentar moderadamente la cantidad de sodio de la dieta3 produce sensación de sed y, como consecuencia, también aumenta la ingestión de agua sin consecuencias negativas para animales sanos, si bien en casos en los que otras comorbilidades aconsejen una reducción de sodio en la dieta, se pueden obtener efectos similares con un aumento moderado de cloruro potásico.
• Moderar la cantidad de proteínas dará lugar a menor uremia y reabsorción de agua en la médula renal, con lo que la orina estará menos concentrada.
• Aumentar la digestibilidad de las proteínas también evitará la pérdida de agua por heces.
• Manejo de la alimentación: para un nivel de energía determinado, la ingestión de
Para un nivel de energía determinado, la ingestión de agua aumenta si se aumenta la frecuencia de las raciones4
agua aumenta si se aumenta la frecuencia de las raciones4 • Facilitar el acceso al agua fresca durante las 24 horas, utilizando diferentes tipos de bebederos en diferentes localizaciones, puede ser estimulante para muchos gatos.
Son los más comunes en los gatos y lo más determinante en su formación y en su manejo será la concentración urinaria. Son moléculas muy estables que, una vez formadas, no se pueden disolver con la dieta y, por lo tanto, esta solo puede usarse para evitar su formación y prevenir las recidivas.
Las dietas altas en Ca se deben evitar, ya que promueven su excreción, pero parece que restricciones altas pueden aumentar la absorción de oxalato a nivel gastrointestinal, por lo que lo más adecuado parecen las dietas moderadas en Ca.
Además, se deben evitar los alimentos muy acidificantes que no promuevan la diuresis, los medicamentos que estimulan la excreción de calcio y los premios altos en vitaminas C y D.
Aunque no existe una buena correlación entre la ingestión de oxalatos y su excreción, los extras que sean ricos en oxalatos como los tubérculos o los vegetales de hoja verde deben evitarse.
En los gatos son generalmente estériles y no van a requerir tratamiento antibiótico en muchos casos. Pueden disolverse con la dieta y el tiempo de disolución puede variar desde 5 a 12 semanas, dependiendo de su tamaño, pero sobre todo de la adherencia a la dieta, que es recomendable mantener durante 6 meses.
Es fundamental un seguimiento del paciente con radiografías mensuales y urianálisis para comprobar la densidad urinaria (que se debe mantener por debajo
de 1.030), su pH (debe estar por debajo de 6,5) y la ausencia de infección. Estas dietas son acidificantes, moderadas en proteínas y, por lo tanto, en fosfatos y también moderadas en magnesio, todos ellos precursores de la estruvita.
Los urolitos menos comunes, como los de fosfato cálcico, sílica o cistina carecen de una dieta específica para su manejo, pero la dilución urinaria va a ayudar en todos los casos a evitar su formación. Tampoco se ha descrito la posibilidad de disolución de los cálculos de urato en gatos. Casi siempre relacionados con la existencia de un shunt portosistémico o de enfermedad hepática grave. Las dietas bajas en purinas, como las hepáticas, o a base de hidrolizado de proteína de soja y que produzcan alcalinización de la orina (pH > 7, pero < 7,5) mediante la adición de citrato potásico o bicarbonato sódico, pueden ayudar a evitar la formación de estos cálculos.
Solo en el caso de animales de baja puntuación corporal se podría instaurar una alimentación ad libitum. En el resto de los casos el alimento se debe racionar para el mantenimiento de un peso saludable y, en el caso de sobrepeso y obesidad, que son factores de riesgo para la aparición de problemas urinarios, se debe instaurar un programa de pérdida de peso adecuado para cada paciente.
Referencias:
1. Piyarungsri K, Tangtrongsup S, Thitaram N, Lekklar P, Kittinuntasilp A. Prevalence and risk factors of feline lower urinary tract disease in Chiang Mai, Thailand. Sci Rep. 2020 Jan 13;10(1):196
2. Kaul E, Hartmann K, Reese S, Dorsch R. Recurrence rate and long-term course of cats with feline lower urinary tract disease. Journal of Feline Medicine and Surgery. 2020;22(6):544-556.
3. Queau Y, Bijsmans ES, Feugier A, Biourge VC. Increasing dietary sodium chloride promotes urine dilution and decreases struvite and calcium oxalate relative supersaturation in healthy dogs and cats. J Anim Physiol Anim Nutr (Berl). 2020 Sep;104(5):1524-1530
4. Kirschvink N, Lhoest E, Leemans J, et al. Effects of feeding frequency on water intake in cats. J Vet Intern Med 2005; 19: 476
¿Quieres colaborar con nosotros?
Si quieres enviarnos un caso clínico, publicar un artículo de revisión o difundir otra información relevante para nuestros lectores, escríbemos a argos@grupoasis.com y te informaremos.
¡Te esperamos!
Directorio de laboratorios de análisis clínicos
EDITOR Julio Allué1
DIRECTOR EDITORIAL DE MEDIOS DE COMUNICACIÓN Enric Brotons
Contacte con nosotros a través de argos@grupoasis.com si desea publicar un artículo, y remita sus notas de prensa a notasdeprensa@grupoasis.com
REDACCIÓN Sheila Riera1, Natalia Sagarra1 M. Ángel Ordovás, Israel Salvador, Sara Palasí1, Alejandro Vicente1
RESPONSABLE DE DISEÑO Ana Belén Mombiela
JEFA DE DISEÑO Teresa Gimeno
DISEÑO Y MAQUETACIÓN Erica García, Marian Izaguerri, Marisa Lanuza
Escriba a publicidad@grupoasis.com si desea anunciarse, y a suscripciones@grupoasis.com para altas, bajas o modificaciones en sus datos de contacto
RESPONSABLE DE PUBLICIDAD Ana Caballero1
PUBLICIDAD Pilar Angás1, Jorge Pérez1 Laura Montón1, Leticia Escuín1, María Puig2
SOPORTE DE PUBLICIDAD Raquel Miguel, Rocío Sarrate
ADMINISTRACIÓN Beatriz Sanz, Carmen Ezquerro, Miriam de la Torre SUSCRIPCIONES suscripciones@grupoasis.com
1Licenciado/a en Veterinaria, 2 Graduada en Farmacia
EMPRESA EDITORA Grupo Asís Biomedia, S.L.
PREIMPRESIÓN E IMPRESIÓN Grupo Edelvives
EMPRESA MANIPULADORA Grupo Edelvives
DEPÓSITO LEGAL: Z-2106/98 - ISSN: 1699-7875
Publicación controlada por
Grupo Asís Biomedia está asociado a (miembro de y ) y a , (miembro de y )
Centro Empresarial El Trovador, planta 8, of. I Plaza Antonio Beltrán Martínez, 1 50002 Zaragoza (España)
Tel.: 976 461 480 - Fax: 976 423 000
Email: argos@grupoasis.com
Web: www.portalveterinaria.com
DIRECTOR TÉCNICO: Enrique Ynaraja.
ANESTESIA: Antonio González (HV Rof Codina), Ignacio Sández (HV Vetsia)
CARDIOLOGÍA: Joaquín Bernal (Cardiovet), Laín García (HV Molins)
Susana Serrano (HV Vetsia)
CIRUGÍA: Joaquín Sopena (UCH-CEU, Valencia), José Rodríguez (FV de Zaragoza)
COMPORTAMIENTO: Xavier Manteca (FV de Barcelona)
DERMATOLOGÍA: Maite Verde (Servicio de Dermatología, FV Zaragoza)
ENDOSCOPIA Y CIRUGÍA DE MÍNIMA INVASIÓN: Jesús Usón (CCMI)
Federico Soria (CCMI), Tris Sampayo (Endoscopia Veterinaria)
EXÓTICOS: Albert Martínez-Silvestre (Centro CRARC), Jordi Grifols (Hospital Zoologic de Badalona), Andreu Riera (HV Molins), Beatriz Álvarez Carrión (CV Camaleo)
GESTIÓN Y MARKETING: Miguel Ángel Valera (Centauro Veterinarios), Jorge P. Pascual Ribote (CEVE).
HEPATOLOGÍA CLÍNICA Y CIRUGÍA HEPÁTICA: Alfredo Pérez (CV Taco)
MEDICINA FELINA: Mª Luisa Palmero (CV Gattos. GEMFE)
MEDICINA INTERNA: José Ramón García (CV San Francisco de Asís), Alberto Montoya (Facultad de Veterinaria ULPGC)
MICROBIOLOGÍA Y ENFERMEDADES INFECCIOSAS: Mariano Morales (FV Zaragoza)
NEUROLOGÍA: Xavier Raurell (HV Molins)
ODONTOLOGÍA: Soledad Montes (Cardiovet), Javier Collados (Servicio Móvil de Odontología)
OFTALMOLOGÍA: Inmaculada Morales Fariña (Responsable del Servicio de Oftalmología del Hospital Docente ULPGC)
ONCOLOGÍA: Miguel Laporta (HV Molins)
PARASITOLOGÍA: Juan Antonio Castillo (FV de Zaragoza)
REPRODUCCIÓN Y OBSTETRICIA: Pedro García (FV Lugo)
TOXICOLOGÍA Y FARMACOLOGÍA: Arturo Anadón (FV de Madrid)
TRAUMATOLOGÍA Y NEUROCIRUGÍA: Tomás Fernández (Centro Médico Veterinario) Ramón Sever (Policlínica Veterinaria Rover), Fernando Díaz Santiago (Fauna Clínica Veterinaria)
URGENCIAS: Jordi Manubens (HV Molins)
COLABORADORES: Luis Javier Yus Cantín (Gerente del Col. de Veterinarios de Zaragoza)
La responsabilidad de los artículos, reportajes, comunicados, etc. recae exclusivamente sobre sus autores. El editor sólo se responsabiliza de sus artículos o editoriales. La ciencia veterinaria está sometida a constantes cambios. Así pues es responsabilidad ineludible del veterinario clínico, basándose en su experiencia profesional, el correcto diagnóstico de los problemas y su tratamiento. Ni el editor, ni los autores asumen responsabilidad alguna por los daños y perjuicios, que pudieran generarse, cualquiera que sea su naturaleza, como consecuencia del uso de los datos e información contenidos en esta revista.
De acuerdo con la normativa vigente en materia de protección de datos Grupo Asís Biomedia, SL., es responsable del tratamiento de sus datos personales con la finalidad de enviarle comunicaciones postales de nuestras revistas especializadas, así como otras comunicaciones comerciales o informativas relativas a nuestras actividades, publicaciones y servicios, o de terceros que puedan resultar de su interés en base a su consentimiento. Para ello, Grupo Asís podrá ceder sus datos a terceros proveedores de servicios de mensajería. Podrá revocar su consentimiento, así como ejercer sus derechos de acceso, rectificación, supresión, oposición, limitación y portabilidad enviando un correo electrónico a protecciondatos@grupoasis.com, o una comunicación escrita a Grupo Asís en Centro Empresarial El Trovador, planta 8, oficina I, Plaza Antonio Beltrán Martínez 1, 50002, Zaragoza (España), aportando fotocopia de su DNI o documento identificativo sustitutorio e identificándose como suscriptor de la revista. Asimismo, si considera que sus datos han sido tratados de forma inadecuada, podrá presentar una reclamación ante la Agencia Española de Protección de Datos (C/ Jorge Juan, 6. 28001 – Madrid www.agpd.es). Queda prohibida la reproducción total o parcial del contenido de esta obra sin previa autorización escrita. La Editorial a los efectos previstos en el artículo 32.1 párrafo segundo del vigente TRLPI, se opone expresamente a que cualquiera de las páginas de esta obra o partes de ella sean utilizadas para la realización de resúmenes de prensa. Cualquier forma de reproducción, distribución, comunicación pública o transformación de esta obra solo puede ser realizada con la autorización de sus titulares, salvo excepción prevista por la ley. Diríjase a CEDRO (Centro Español de Derechos Reprográficos) si necesita fotocopiar o escanear algún fragmento de esta obra (www.conlicencia.com; 91 702 19 70 / 93 272 04 47).