El futuro de la comunicación digital en la clínica veterinaria inteligente

Algunos aspectos clave de la ‘Ley de bienestar animal’ para la clínica veterinaria
El GTA 2023
reúne a casi 1.400 veterinarios en Bilbao

El futuro de la comunicación digital en la clínica veterinaria inteligente
Algunos aspectos clave de la ‘Ley de bienestar animal’ para la clínica veterinaria
El GTA 2023
reúne a casi 1.400 veterinarios en Bilbao
• Pequeños cambios pueden marcar grandes diferencias en el manejo de los animales en el centro veterinario
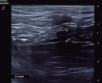
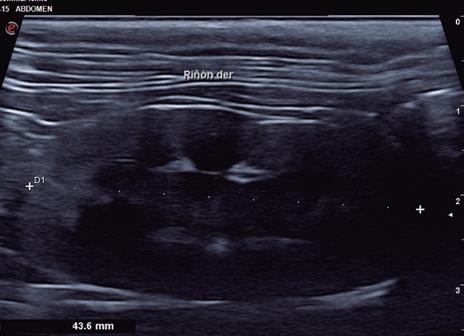
Hipertensión sistémica y cambios de comportamiento en un paciente felino
• Falta de bienestar en perros con agresividad
• Influencia de los veterinarios en el bienestar presente y futuro de perros y gatos en la clínica veterinaria
• Feromonoterapia en perros y gatos
EN PORTADA / PRÓXIMOS NÚMEROS
• Marketing y gestión
• Pediatría
• Oncología
• Patología ortopédica
• Medicina y cirugía de exóticos
Si desea publicar un artículo sobre estos u otros temas, escríbanos a argos@grupoasis. com
Los debates éticos que giran en torno a la inteligencia artificial (IA) están a la orden del día, sobre todo en relación con los vehículos autónomos. ¿Cómo deben actuar si se encuentran en la tesitura de elegir entre arrollar a un peatón o desviarse para evitarlo, a costa de estrellarse y causar la muerte a su pasajero? ¿Cómo se elige ante semejante dilema? Mejor dicho, ¿cómo se programa una máquina para que decida qué hacer?
Este debate es anterior a la llegada a nuestras vidas de la IA, porque trasciende este tema. Philippa Foot expuso ya hace tiempo el conocido “dilema del tranvía”, que plantea una situación similar y es objeto de estudio tanto en Derecho como en Filosofía, entre otras áreas: un tranvía corre fuera de control por una vía a la que están atadas cinco personas, que serán arrolladas; se puede accionar un botón que llevará el tranvía por una vía diferente, donde hay una persona, también inmovilizada. ¿Debería pulsarse ese botón?
En un estudio de Harvard, el 90% de las personas respondió que sí. Parece lo más razonable, ¿verdad? Una víctima en lugar de cinco. Pero, en tal caso, optaríamos por causar un mal en lugar de dejar que este simplemente ocurra: esa es la clave que se esconde detrás del dilema del tranvía, la que hace que las respuestas obtenidas se usen para evaluar la moral de los individuos.
En este número acercamos la IA a la clínica veterinaria, aunque sin esta “carga” ética y, desde luego, sin la intención de evaluar la moral de nadie. Lo que planteamos, mejor dicho, lo que expone Alejandro Elson en su artículo, es la utilidad de herramientas como los expansores de texto, que pueden contribuir no solo a estandarizar y mejorar la comunicación con los clientes, sino también a optimizar el tiempo de las personas que trabajan en el centro.
Decía Henry Ford que el verdadero progreso es el que pone la tecnología al alcance de todos. Progreso que, en este caso, es sinónimo de simplificarnos el trabajo. Por eso, si a alguien le intimidan estos avances tecnológicos, le animo a centrarse en las ventajas de contar con herramientas cuya finalidad es hacer más sencillo el día a día, que bastante complicada se pone ya la vida en otros aspectos.
Sheila Riera Forteza Veterinaria y socióloga s.riera@grupoasis.comLa Ley 7/2023, de 28 de marzo, de protección de los derechos y el bienestar de los animales, que entrará en vigor el próximo 29 de septiembre, sigue generando muchas dudas. En este artículo recogemos algunos de sus puntos e incertezas aún existentes.
Argos
Artículo elaborado a partir del resumen proporcionado a sus colegiados por el Ilustre Colegio Oficial de Veterinarios de Zaragoza
Seis meses tras su publicación en el BOE (que tuvo lugar el 29 de marzo 2023), la Ley de protección de los derechos y el bienestar de los animales continúa formando parte de la actualidad del sector. Gracias al resumen de sus puntos clave elaborado por el Ilustre Colegio Oficial de Veterinarios de Zaragoza podemos presentar aquí algunos de sus aspectos que más pueden afectar a los clínicos veterinarios.
Animales considerados de compañía
Se consideran animales de compañía:
• Perros, gatos y hurones, per se
• Animales que se incluyan en el listado positivo de animales de compañía, cuyo completo desarrollo reglamentario puede tardar hasta 5 años. Los propietarios de animales distintos a perros, gatos y hurones que tengan animales de especies que cumplan alguno de los siguientes criterios tendrán la obligación de comunicar su tenencia a las autoridades competentes (pendientes de regular) en el plazo de 6 meses a partir de la entrada en vigor de la ley:
1. Artrópodos, peces y anfibios cuya mordedura o veneno pueda suponer un riesgo grave para la integridad física o la salud de personas y animales.
2. Reptiles venenosos y todas las especies de reptiles que en estado adulto superen los 2 kg de peso, excepto los quelonios.
3. Todos los primates.
4. Mamíferos silvestres que en estado adulto superen los 5 kg.
5. Especies incluidas en otra normativa sectorial a nivel estatal o comunitario que impida su tenencia en cautividad.
• Todos los perros, gatos y hurones deberán estar identificados mediante microchip y registrados en RIACA a partir de la entrada en vigor de la Ley (29 de septiembre de 2023).
• Todos los gatos deberán estar esterilizados antes de los 6 meses de edad, salvo aquellos inscritos en el registro de identificación como reproductores y a nombre de un criador incluido en el registro de criadores de animales de compañía (cuya creación está pendiente reglamentariamente).
• Se creará una casilla en RIACA para que el/la veterinario/a habilitado/a marque el cumplimiento de esa obligación.
• Es obligatorio prestar al animal los cuidados sanitarios necesarios para garantizar su salud y, en todo caso, los estipulados
como obligatorios según su normativa específica, así como facilitarle un reconocimiento veterinario, con la periodicidad que se determine reglamentariamente, y que deberá quedar debidamente documentado, en su caso, en el registro de identificación correspondiente.
• Aún no hay información sobre el desarrollo reglamentario de este punto, y no se conoce:
- La periodicidad.
- En qué va a consistir el reconocimiento.
- Cómo se registrará en los registros de identificación.
• Los titulares de perros deberán contratar y mantener en vigor un seguro de responsabilidad civil por daños a terceros activo durante toda la vida del animal.
• Por lo general todos los seguros del hogar suelen incluir esta cobertura. Se recomienda informar a los propietarios a tal efecto.
• Su contenido y desarrollo todavía no está regulado y, por lo tanto, hoy en día no es posible su realización.
• Será gratuito.
• Su validez será indefinida.
• Todavía no está definido ni su contenido, ni cómo se realizará, ni quién lo puede impartir.
• La Ley solo obliga a la esterilización de todos los gatos antes de los 6 meses de edad.
• Los propietarios del resto de especies deberán adoptar medidas de no cría, salvo que estén dados de alta en el Registro de Criadores.
Perros de caza, rehalas y animales auxiliares de caza
• Quedan excluidos de la Ley.
• Eso no implica que no deban cumplir con la normativa europea, autonómica y local, por lo que es obligatorio:
- Su identificación mediante microchip.
- Su vacunación frente a la rabia.
- El genotipado (ADN), en los municipios que lo tengan regulado.
- Tener seguro.
Eutanasia
• Por norma general la eutanasia está prohibida, excepto por motivos de seguridad en las personas o animales, o de riesgo para la salud pública.
• Se podrá realizar la eutanasia para evitar sufrimiento por causas no recuperables que comprometan seriamente la calidad de vida del animal, siempre justificado bajo criterio y control veterinario. En estos casos el profesional deberá emitir un certificado que lo justifique.
Ante la pregunta del Consejo General de Colegios Veterinarios sobre la interpretación de estos conceptos, la respuesta de la Dirección General de Derechos de los Animales del Ministerio de Derechos sociales y Agenda 2030 fue que en posterior desarrollo reglamentario se detallarán estas situaciones. Se cita la respuesta literal: “El profesional veterinario tendrá que, dentro de su condición de único profesional con capacidad para valorar el bienestar animal en estas circunstancias, decidir si las condiciones que tenga el animal, dado su sufrimiento causado
por una causa no recuperable, son suficientes para practicar la eutanasia. Esta causa no recuperable puede estar dada, bien porque no haya un procedimiento clínico o técnico que la solvente o bien por la negativa a abonar los honorarios del profesional veterinario o la imposibilidad de sufragar los gastos por parte del titular del animal. En esa situación, y como hasta este momento han hecho los profesionales veterinarios que las afrontan de manera continuada, será su propio criterio y código deontológico quien marque las opciones que deben tomar. No obstante, y dada la inquietud que ha suscitado en algunos sectores profesionales veterinarios, en el desarrollo reglamentario de la Ley 7/2023 se realizará una pormenorización de estas situaciones”.
Eliminación de los cadáveres
• La baja de un animal de compañía por muerte deberá ir acompañada del documento que acredite que fue incinerado o enterrado por una empresa reconocida oficialmente para la realización de dichas actividades, haciendo constar el número de identificación del animal fallecido y el nombre y apellidos de su responsable o, en su defecto, que quede constancia en las bases de datos de la empresa que se ocupó del cadáver. En caso de imposibilidad de recuperar el cadáver, se deberá documentar adecuadamente.
• Sin ese certificado de la empresa que elimina el cadáver no se podrá dar de baja ningún animal.
• Todavía no se sabe cómo se implementará esta situación.
Indefinición de artículos
Conforme vayan regulándose reglamentariamente se irá informando.
Tras los precongresos del GEMCA y el GEVONC, el congreso ofreció un amplio programa científico de un día y medio de duración. En total, se impartieron más de 140 horas de conferencias, 35 de las cuales se grabaron y estarán disponibles para su visualización hasta finales del mes de julio.
Sheila Riera Argos – argos@grupoasis.comAVEPA celebró la XXII edición de su Congreso de Especialidades Veterinarias –GTA 2023 en Bilbao los pasados 21 y 22 de abril. Mucho ha evolucionado el evento desde su primera edición, que tuvo lugar en 2002 en la Facultad de Veterinaria de la UCM: de los 9 grupos y 300 asistentes de entonces, el GTA ha pasado a contar con la presencia de 23 grupos y casi 1.400 veterinarios en la edición de este año.
Lo que no ha cambiado es el objetivo que persigue la asociación, que se sigue centrando en ofrecer a sus grupos de especialidades un foro para celebrar y comunicar sus actividades, así como en promover la sinergia entre sus programas científicos, algo de lo que son testigos todos los asistentes. Para todo ello resulta fundamental el apoyo de las empresas del sector, 50 en esta ocasión, que participaron tanto mediante su presencia en la exposición comercial como con el patrocinio de salas de conferencias.
Cabe destacar que la organización ha puesto a disposición de los inscritos las grabaciones de 35 ponencias, que estarán disponibles hasta el 26 de julio. Tendrán acceso a ellas todas las personas inscritas al programa científico, así como las inscritas únicamente a las grabaciones.
La Secretaría de AVEPA ya ha hecho público que está preparando la edición
del año que viene, que se celebrará en el Palacio de Congresos de Valencia durante los días 12 y 13 de abril.
Precongresos
El evento comenzó con dos precongresos, los del Grupo de Medicina del Comportamiento (GEMCA) y el Grupo de Oncología (GEVONC), que se desarrollaron durante la mañana del viernes 21.
La Secretaría de AVEPA ya está preparando la edición del año que viene, que se celebrará en el Palacio de Congresos de Valencia durante los días 12 y 13 de abril.
El primero ofreció ponencias sobre problemas de conducta y geriatría (a cargo de Ángela González) y causas médicas de alteraciones de la conducta en gatos (de la mano de Diego Esteban), mientras Noemí Graña Torralba, Susana Muñiz de Miguel y Xiana Costas Alonso expusieron los puntos clave de los journals 2021-2022. Por su parte, el precongreso del GEVONC se centró en la radioterapia, con charlas sobre principios de radiobiología, tipos de protocolo y principios adversos; indicaciones de la radioterapia y casos clínicos; y avances tecnológicos en este campo, como
la radioterapia de intensidad modulada, la guiada por imagen y la estereotáctica.
Programa científico
Durante la tarde del viernes 21 y a lo largo de todo el sábado 22 se desarrolló el programa científico del congreso, con 12 y 11 salas simultáneas de conferencias, respectivamente. A lo largo de ese día y medio, los 23 grupos de especialidades de AVEPA ofrecieron más de 140 horas de conferencias, que corrieron a cargo de más de 70 ponentes y trataron sobre patología y medicina interna, medicina felina, nutrición, cirugía y cardiología, anestesia y neurología, rehabilitación, dermatología, etc. También se expusieron más de 100 comunicaciones tipo póster y orales.
En el programa de gestión Paolo Peppuci compartió su experiencia profesional de 18 años a lo largo de los cuales ha pasado de estar al frente de una clínica a, en la actualidad, gestionar tres hospitales veterinarios que dan servicio 24 h y en los que trabajan unas 140 personas. Liderar con el ejemplo, llevar a cabo reuniones efectivas, la metodología Lean y la comunicación con el equipo son los cuatro pila-
• 1.378 inscritos
• 74 ponentes
• Más de 140 ponencias
• 108 pósteres
• 50 empresas expositoras
res que han hecho posible la evolución de sus centros; y este cambio se refleja en su facturación, que ha pasado de 100.000 a 600.000 a lo largo de todo este tiempo. Durante el congreso también hubo tiempo para la actualidad ya que, por ejemplo, el abogado Jaime de Torre Ruiz explicó algunas de las implicaciones que tendrá la nueva ley de bienestar animal en la clínica de exóticos. El ponente recordó que el hurón queda definido como animal doméstico y que seguramente con especies como el conejo o la cobaya no habrá problema si se los incluye en el listado positivo. Otras como la chinchilla, el hámster, el degú, el jerbo, la rata o el ratón, en cambio, “no se sabe dónde quedarán”. Entre otras cuestiones, el ponente aclaró que se podrá atender por cuestiones sani-
Durante el congreso también hubo tiempo para la actualidad ya que, por ejemplo, el abogado Jaime de Torre Ruiz explicó algunas de las implicaciones que tendrá la nueva ley de bienestar animal en la clínica de exóticos.
tarias a las especies que no estén incluidas en el listado positivo, aunque, a falta de un desarrollo posterior, considera “complejas cuestiones especiales como el marcado o identificación de ejemplares cuya tenencia no esté permitida”.
Además de las destinadas a las distintas especialidades, AVEPA ofreció algunas charlas de utilidad para acreditados o personas interesadas en acreditarse siguiendo el proceso de la asociación. Así, Luis Feo explicó cómo presentar un caso clínico; Maruska Suárez habló sobre las normas generales, las diferencias entre grupos y las diferentes dudas que suelen surgir durante la acreditación; y Raquel Santiago se centró en la percepción del impacto de la acreditación en especialidades de AVEPA en el desarrollo de la veterinaria en España. Estas charlas se grabaron y serán publicadas en la web de AVEPA. Igualmente, el congreso también sirvió como marco para llevar a cabo las pruebas de evaluación de 23 veterinarios aspirantes a la obtención de la acreditación en diversas especialidades. El sistema, basado en criterios uniformes y actualizados, reconoce un nivel de especialización en un área de conocimiento clínico veterinario de animales de compañía en función de conocimientos, experiencia probada y continuada.
El programa científico contó con más de 140 horas de conferencias, que corrieron a cargo de más de 70 ponentes. Al congreso acudieron casi 1.400 veterinarios, provenientes de toda España. Más de 50 empresas del sector participaron en la exposición comercial. Zona de comunicaciones tipo póster.El evento, que contó con la asistencia de 250 profesionales en Montpellier y más de 11.000 registrados online, se centró en la gestión del tiempo y el estrés, así como en el trabajo en equipo dentro del centro veterinario.
El Vet Symposium 2023 organizado por Royal Canin tuvo lugar los días 25 y 26 de abril, en formato híbrido y con la colaboración de MSD y VETGirl. En él participaron distintos profesionales del ámbito clínico veterinario, especialmente auxiliares, que por primera vez supusieron el eje en torno al cual giró el evento.
Como remarcan desde la compañía, según datos internos “existen 387.000 auxiliares veterinarios en todo el mundo, que colaboran a diario con 465.000 veterinarios y que afrontan sus propios retos a nivel profesional y social”. En este contexto, foros como su Vet Symposium permiten a Royal Canin seguir apoyando a la industria del cuidado del animal de compañía.
En este sentido, Natalia Ball (Global Brand Officer & Pet Specialty Retailing VP) manifiesta que la razón de que Royal Canin exista como compañía es “transformar la salud de perros y gatos”, trabajando junto con otros profesionales. Tienen “un propósito claro y genuino”, una “cultura muy particular” que la hace sentir “muy orgullosa” de formar parte de la firma. Para ello, y siempre con una base científica, intentan comprender las “necesidades únicas” que tienen las mascotas en lo que respecta a su nutrición, en función de su edad, raza, sensibilidad, etc. Así, para el diseño de sus productos se centran en elegir los nutrientes adecuados en función de esas necesidades y respetando “la naturaleza de los animales”.
En la misma línea explica el trabajo de investigación y desarrollo de Royal Canin Yann Queau (Discover Veterinary Pillar Manager, R&D), para quien el trabajo en equipo de personas de distinto perfil profesional es clave en el diseño de la formulación de sus alimentos. “Todos los departamentos trabajan juntos para desarrollar el mejor producto. Creamos la fórmula en Francia y la trasladamos al resto del mundo para asegurarnos de que siempre es la misma, aunque para la fabricación usamos ingredientes locales en cada lugar”, aclara.
El “centro de la producción” es la seguridad de sus procesos, remarca Queau, que
destaca que su proceso de fabricación se caracteriza por un “control de principio a fin”. Como la mejor forma de demostrar que esto es una realidad es enseñarlo, la visita al “campus” de Royal Canin suele formar parte de las actividades que conforman su Vet Symposium.
El hecho de que existan más de 400.000 auxiliares en todo el mundo demuestra “lo importante que es esta profesión”, tal y como remarcó Cécile Coutens, CEO de Royal Canin, al inaugurar las sesiones plenarias. Pero es una profesión difícil, con elevados niveles de estrés, y por eso Royal Canin “quiere apoyar a los que dan apoyo”, manifestó.
En este aspecto se centró Julie Morgenstern, experta en organización y productividad, que habló sobre cómo “domar el caos” y lograr tiempo para uno mismo, además de liderar una mesa redonda sobre estrategias de autocuidado para cuidadores.
El sentido de la responsabilidad puede llevar a que veterinarios y auxiliares se sientan superados. Además, el sector está cambiando y “la única forma de atravesar una época de cambios es modificando nuestra relación con el trabajo”. Por ello, Morgenstern ha desarrollado el lema “Fuel your S.E.L.F.”, que resume los pilares vitales que permiten “restablecer nuestra energía”, algo que cobra mayor relevancia cuanto mayor es la responsabilidad asociada al trabajo: dormir (sleep), ejercicio (exercise), relaciones interpersonales (love) y ocio (fun). Para cuidarlos la ponente dio algunos consejos, como procurarse microdosis de autocuidado de 5-20 minutos, realizar listas para liberar la mente y controlar el uso de pantallas, entre otros. Con respecto al día a día en la clínica, remarcó que la gestión del tiempo no es una cuestión simplemente individual, sino que “abarca a todo el equipo”. De ahí la “importancia del líder y la cultura del tiempo en la organización”.
Addie Reinhard (DVM, MS) es fundadora y CEO de MentorVet, un programa de desarrollo profesional para veterinarios
recién licenciados que combina herramientas online con trabajo de campo y cuenta con mentores en todo el mundo. Además de participar en la mesa redonda sobre qué hacer cuando tus clientes no pueden permitírselo todo, durante su ponencia explicó que lo habitual es que “un profesional sea asesorado por otro con más experiencia, y así durante toda su carrera”. En su opinión se debería optar a algo más amplio y multidisciplinar como le sucedió a ella, que contó con una tutorización “muy interesante por parte de auxiliares” al inicio de su carrera.
“Lo que hacen los auxiliares importa y los veterinarios no podrían hacer su trabajo sin su ayuda”, remarcó Reinhard quien, para terminar, hizo hincapié en que “todo el mundo puede asesorar” y ser de ayuda a otros.
Por su parte, Amanda Kriesel (MA, CTV, BluePearl Veterinary Partners, Minnesota) ofreció una charla sobre cómo desarrollarse profesionalmente desde su perspectiva actual, como jefa de auxiliares. Su intervención enlazó con las anteriores, por un lado, porque destacó la importancia de su mentora en su carrera y, por otro, porque hizo hincapié en que su mayor reto en la actualidad es lograr la conciliación.
Así, igual que Morgenstern, remarcó la importancia del autocuidado ya que “si no somos capaces de cuidarnos nosotros mismos nunca podremos desarrollar completamente esa carrera que queremos”.
A lo largo de su carrera, Kriesel ha ejercido diferentes funciones. En su opinión, “la visión de las mascotas como un miembro de la familia ha incrementado la necesidad de especializarse dentro de la profesión de auxiliar, para atender todas las necesidades que van apareciendo”. Por ello, no hay que “tener miedo de crear tus propias oportunidades”.
Sin duda, este enfoque contribuye a mejorar el trabajo en equipo en el centro. Por ello, Coutens se mostró muy “feliz” de contar en esta edición tanto con veterinarios como con auxiliares ya que, en su opinión, la importancia de estos para apoyar a los veterinarios es indiscutible. De hecho, tal y como expuso, “el 80 % de los perros
que entran en una clínica veterinaria de Estados Unidos y que podrían beneficiarse de un buen enfoque nutricional no lo hacen, la mayor parte de las veces por falta de tiempo del personal”. En este aspecto los auxiliares pueden ser de gran ayuda.
En esta misma línea se manifestó Tabitha Hookey (DVM, DACVIM, Pet & Product Science Specialist - Global R&D Royal Canin), para quien una posible solución a la falta crónica de tiempo de los veterinarios para abordar asuntos de nutrición con los propietarios es “la intervención de un auxiliar que esté interesado en ello”. La clave reside en “empoderar” a estos profesionales “para que se formen” en este ámbito. Si tenemos en cuenta que, según Hookey, la prevalencia global del sobrepeso en perros y gatos es del 45 %, queda patente la relevancia que adquiere encontrar tiempo para hablar de nutrición con los clientes, sobre todo desde un enfoque preventivo. Y esta labor preventiva, en la que se centra actualmente Royal Canin, debe empezar “en etapas tempranas” de la vida del animal, no solo para introducir hábitos saludables, sino también para detectar necesidades especiales ya que “cuando los propietarios tienen el conocimiento suficiente pueden lograr un gran cambio”.
La posibilidad de seguir el evento online convierte el Vet Symposium en algo más que un evento: una plataforma donde los participantes pueden vivir una experiencia repleta de multitud de formatos distintos. Cabe destacar que todo el contenido está disponible hasta finales del mes de julio y en varios idiomas: español, chino, italiano, portugués, francés y alemán. Además, quienes accedan de manera virtual podrán explorar el Vet Symposium Village, con vídeos exclusivos y conferencias, entre otros.
Accede a las grabaciones del VetSymposium a través de este código QR:
Texto e imágenes Sheila Riera Argos – argos@grupoasis.comEl nuevo producto de Virbac contiene hidrocortisona aceponato (HCA), que cuenta con una potente actividad glucocorticoide intrínseca. Al priorizar el tratamiento de la inflamación, factor primario de la otitis externa eritemato-ceruminosa aguda, Cortotic® ha demostrado reducir el sobrecrecimiento microbiano secundario.
¿Qué implicaciones tiene su uso en la lucha frente a las resistencias antimicrobianas?
¿Con qué frecuencia se presentan en la consulta casos de otitis externa canina y a qué suelen deberse?
Unos de los motivos de consulta más frecuente en perros son las otitis externas, que llegan a representar hasta el 20 % de las visitas al veterinario1-2. A su vez, hasta
Sabemos que las resistencias bacterianas representan una gran amenaza, no solo para la salud de las mascotas, sino también para la salud pública. Desde hace años son muchas las medidas e iniciativas que se han puesto en marcha con el fin de ayudar a los veterinarios a hacer un uso cada día más racional de los antibióticos en su clínica diaria. Sin embargo, como he mencionado anteriormente, la mayoría de las otitis externas en el perro actualmente se tratan con combinaciones que contienen antiinflamatorios, antibióticos y antifúngicos. No es imprescindible administrar un antibiótico para resolver todos los tipos de otitis y, aún menos, si se tratan de otitis externas eritemato-ceruminosas de origen alérgico que son las de mayor prevalencia. Cortotic® se presenta como una elección responsable de primera línea para tratar eficazmente este tipo de otitis sin usar antimicrobianos. Aunque, por supuesto, no hay que olvidar que es necesario identificar y tratar la causa subyacente de la otitis externa, especialmente en los animales alérgicos para evitar las recaídas frecuentes.
“No es imprescindible administrar un antibiótico para resolver todos los tipos de otitis y, aún menos, si se tratan de otitis externas eritemato-ceruminosas de origen alérgico que son las de mayor prevalencia”.
el 85 % de las otitis externas en la especie canina son eritemato-ceruminosas3-4 con sobrecrecimiento microbiano secundario frecuente3-5. Y más del 75 % de estas otitis eritemato-ceruminosas son de origen alérgico (principalmente atópico), con recaídas recurrentes en fase aguda3-4
¿Qué es Cortotic y en qué consiste su carácter innovador?
Cortotic® es el nuevo tratamiento de primera línea frente a la otitis externa eritemato-ceruminosa en la especie canina.
Debido a las opciones terapéuticas disponibles actualmente en el mercado, la gran mayoría de otitis externas se tratan con combinaciones óticas de antiinflamatorios, antibióticos y antifúngicos. Cortotic® está formulado a base de un único y potente corticosteroide: hidrocortisona aceponato.
En el manejo de las otitis externas su carácter innovador reside en que ha demostrado reducir el sobrecrecimiento microbiano secundario6-7 al actuar directamente frente a la inflamación, evitando de este modo el uso excesivo de antimicrobianos como primera línea de tratamiento.
¿Qué destacaría de sus componentes?
Cortotic contiene como principio activo la hidrocortisona aceponato (HCA), que pertenece a la clase de diéster de los glucocorticosteroides con una potente actividad glucocorticoide intrínseca. La hidrocortisona aceponato (HCA) es un componente lipofílico que garantiza una mayor penetración en la piel.
¿Qué ventajas aporta el hecho de que priorice el tratamiento de la inflamación?
Al priorizar el tratamiento de la inflamación, factor primario de la otitis, ha demostrado reducir el sobrecrecimiento microbiano secundario. Consigue aliviar el prurito y el dolor a la vez que se restaura el microbioma normal del oído sin antimicrobianos.
¿Qué puede decirnos sobre su acción local y sistémica?
Cortotic® tiene una potente acción local con un alivio rápido de la inflamación y los signos clínicos asociados: prurito y dolor. Además, reduce el sobrecrecimiento de bacterias y levaduras.
Después de la administración auricular, la hidrocortisona aceponato se acumula ligeramente en la dermis e hipodermis del canal auditivo del perro. Se transforma dentro de las estructuras de la piel y esta transformación es responsable de la potencia de la clase terapéutica a la que pertenece.
La hidrocortisona aceponato (HCA) se asocia con una baja disponibilidad plasmática y exposición sistémica, por lo que los acontecimientos adversos sistémicos son limitados.
“Cortotic® tiene una potente acción local con un alivio rápido de la inflamación y los signos clínicos asociados: prurito y dolor. Además, reduce el sobrecrecimiento de bacterias y levaduras”.
¿Qué resultados ha obtenido el producto en los estudios de eficacia?
En los ensayos clínicos de campo solo se incluyeron perros diagnosticados con otitis externa con presencia de crecimiento excesivo de bacterias y/o hongos. Se demostró que el medicamento veterinario no era inferior en el tratamiento de la otitis aguda en comparación con un medicamento tópico de combinación fija que contenía un corticosteroide, un antibiótico y un antimicótico como principios activos. Se demostró una reducción secundaria del crecimiento excesivo de bacterias y hongos y no fue necesario un tratamiento concomitante con antimicrobiano.
Por lo tanto, el medicamento veterinario se recomienda como tratamiento de primera elección en la otitis externa eritematosa-ceruminosa aguda.
¿Cómo lo han valorado los propietarios?
Los propietarios valoraron Cortotic® con 8/10 por su facilidad, comodidad y tiempo de uso6a. El 97 % manifestaron que el pulsador era fácil de usar6a. Y el 94 % de los propietarios encuestados lo volverían a elegir.
¿Es fácil de administrar?
Cortotic es un spray delicado con el oído y muy fácil de usar. Tiene una cánula atraumática que permite una pulverización fina para una aplicación uniforme en el conducto auditivo.
La dosis recomendada es la misma independientemente del peso del perro:
dos pulsaciones de la bomba dosificadora en cada oído afectado, durante 7 días. El tratamiento puede extenderse hasta 14 días.
¿Cómo se comercializa?
Se presenta en una caja de cartón que contiene un frasco de 16 ml, cerrado con un tapón de rosca y una bomba de pulverización. Antes de la primera administración hay que enroscar la bomba y cebarla. El volumen del frasco permite el tratamiento de dos oídos durante 14 días.
Referencias:
1.O’Neill DG, Volk AV, Soares T, Church DB, Brodbelt DC, Pegram C. Frequency and predisposing factors for canine otitis externa in the UK - a primary veterinary care epidemiological view. Canine Med Genet. 2021 Sep 7; 8(1): 7
2. Carlotti DN. Diagnosis and medical treatment of otitis externa in dogs and cats. Vol. 32, Journal of Small Animal Practice. 1991.
3.Carlotti DN, Taillieu-Leroy S. Otitis externa in the dogetiology and clinical findings, literature review and retrospective study of 752 cases. Prat Med Chir Anim Comp. 1997; 32: 243-257.
4. Aymeric-Cuingnart E, Bensignor E. A prospective study of canine otitis in general practice. Rev Vet Clin. 2018; 53: 3-9.
5. Campbell JJ, Coyner KS, Rankin SC, Lewis TP, Schick AE, Shumaker AK. Evaluation of fungal flora in normal and diseased canine ears. Vet Dermatol. 2010; 21: 619-625.
6. Rigaut D, Briantais P, Jasmin P, Bidaud A. Efficacy and safety of a hydrocortisone aceponate-containing ear spray solution in dogs with erythemato-ceruminous otitis externa: a randomised, multicentric, single-blinded, controlled trial, 2022, submitted for publication.
6a. Pet-owners satisfaction of use questionnaire after the clinical field efficacy study.
7. Ficha técnica de Cortotic®
Sheila RieraLa doctora Cristina Costa es la responsable del Servicio de Anestesia y de la Unidad del Dolor del Hospital Clínico Veterinario de la Universitat Autónoma de Barcelona. Además, coordina un estudio multicéntrico para evaluar la eficacia del cannabis en el tratamiento del dolor.
La principal diferencia entre el cáñamo y la marihuana es su perfil fitocannabinoide, es decir, la cantidad y tipo de compuestos biológicamente activos que se encuentran en las diferentes plantas de este género. Los principales cannabinoides y también los más abundantes son el tetrahidrocannabinol (THC) y el cannabidiol (CBD).
Basándonos en una clasificación de tipo legal, y debido a los efectos psicotrópicos del THC, los diferentes tipos de cannabis se clasifican en: los que tienen un alto contenido en THC, como la marihuana, y los que tienen un bajo contenido en THC, como el cáñamo.
medicamentos que contienen fitocannabinoides puros y que están registrados para el tratamiento del dolor en la esclerosis múltiple y para algunas formas de epilepsia infantil.
En cuanto a veterinaria, no disponemos en la actualidad de medicamentos registrados, aunque la inclusión del cáñamo en nutrición animal sí está autorizada. La legislación europea es estricta en cuanto a la cantidad de THC que puede contener el cáñamo industrial, que es el que se utiliza como materia prima para nutrición animal.
“Cuando ya se estaba comercializando como complemento nutricional tuvimos la oportunidad de iniciar un estudio piloto para evaluar la efectividad del CroniCare, que ahora hemos ampliado para que sea un estudio multicéntrico”.
otros estudios han demostrado la sobreexpresión de receptores cannabinoides en otras patologías como la gingivoestomatitis felina o la dermatitis atópica, aunque no disponemos todavía de estudios clínicos. Probablemente no tarden en aparecer los que evalúen la efectividad del CBD en estas patologías.
¿Qué es el cannabis? ¿Cuál es la diferencia entre el cáñamo y la marihuana?
Cuando hablamos de cannabis nos referimos a cualquier variedad de la planta del género Cannabis sativa, la única variedad de la que disponemos actualmente para animales de compañía y que podemos encontrar en el mercado español en forma de suplemento nutricional es el cáñamo.
“A nivel clínico debemos tener en cuenta que no es un tratamiento que utilicemos de primera línea, sino que normalmente ya se han administrado antes otros tratamientos que no han sido suficientemente efectivos, de manera que los cuidadores están abiertos a otras opciones terapéuticas”.
El CBD es un cannabinoide abundante en el cáñamo y debido a sus efectos terapéuticos actualmente se seleccionan cepas de cannabis con un alto contenido en CBD para destinarlo a usos médicos.
Los productos con cannabis están generando un gran interés, tanto a nivel profesional como en los propietarios de mascotas…
La población en general está bien informada en cuanto a los efectos terapéuticos del cannabis medicinal y es conocedora de la presión social que se está ejerciendo para que la prescripción médica sea legalizada en España, igual que ha ocurrido ya en otros países, tanto en Europa como en Estados Unidos y Canadá. Además, el mercado online se ha llenado en los últimos años de productos derivados del cannabis para mascotas, incentivando cada vez más el interés y la curiosidad de los propietarios de animales de compañía.
Algunas personas consideran que lo que puede ser beneficioso para ellos lo será también para sus mascotas, lo que no deja de ser un riesgo ya que, si bien es cierto que el sistema endocannabinoide está presente en todos los mamíferos, los perros son mucho más sensibles al THC debido a una mayor expresión de receptores cerebrales. De ahí la importancia de informar bien a nuestros clientes.
A nivel clínico debemos tener en cuenta que no es un tratamiento que utilicemos de primera línea, sino que normalmente ya se han administrado antes otros tratamientos que no han sido suficientemente efectivos, de manera que los cuidadores están abiertos a otras opciones terapéuticas.
¿Cuál es la situación legal vigente del uso de cannabis en veterinaria en España?
La única prescripción médica autorizada actualmente en la especie humana es la de
Por esta razón en los productos formulados como complemento nutricional y que han sido autorizados para animales en nuestro país la cantidad de THC que contienen nunca va a ser superior al 0,2 %.
¿Qué beneficios acarrea el uso del cáñamo en animales de compañía?
El CBD y otros cannabinoides que se encuentran en el cáñamo actúan en múltiples receptores dentro del organismo produciendo efectos analgésicos, antiinflamatorios, ansiolíticos, antieméticos y neuroprotectores. Actualmente la mayor evidencia clínica que tenemos sobre su efectividad, tanto en personas como en animales, está en el tratamiento del dolor y, por tanto, esta es actualmente su principal indicación.
Por ejemplo, en pacientes con cáncer que tienen dolor, pérdida de apetito, problemas gastrointestinales y que no toleran bien algunos antiinflamatorios por sus efectos adversos, el CBD es una opción analgésica que se puede tener en cuenta.
Empiezan también a aparecer datos sobre su uso en la epilepsia refractaria en perros y, si nos basamos en la especie humana, otros potenciales terapéuticos pueden ser en el futuro el tratamiento de enfermedades inflamatorias y neurodegenerativas.
¿Se ha demostrado ya su eficacia real?
Disponemos ya de investigación clínica suficiente para obtener conclusiones sobre su efectividad en el tratamiento del dolor en la especie canina. En cuanto a otras especies, ha aparecido recientemente alguna publicación sobre su uso en caballos con dolor refractario.
También se está investigando el efecto del CBD en el tratamiento de la epilepsia canina, pero el número de estudios clínicos es todavía muy reducido. Además,
En España, Stangest es una de las compañías pioneras en este sentido y dispone de toda una línea de complementos nutricionales formulados con cannabis, como el CroniCare. ¿Cómo va el estudio que realiza con este producto? Stangest fue la primera empresa que comercializó en nuestro país un producto derivado del cáñamo al mismo tiempo que empezaban a emerger los primeros estudios de dolor en perros con osteoartrosis en Estados Unidos. En estos estudios se utilizaba aceite de cáñamo rico en CBD muy parecido al CroniCare. Cuando ya se estaba comercializando como complemento nutricional tuvimos la oportunidad de iniciar un estudio piloto para evaluar la efectividad del CroniCare, que ahora hemos ampliado para que sea un estudio multicéntrico en colaboración con el Hospital veterinario de la Universidad Católica de Valencia y el Hospital Veterinario de Referencia Memvet, en Palma de Mallorca.
Actualmente, la única opción de la que disponemos para administrar cannabinoides en animales son los suplementos nutricionales, como los de Stangest, y creo que seguirá siendo así durante mucho tiempo.
“Actualmente, la única opción de la que disponemos para administrar cannabinoides en animales son los suplementos nutricionales, como los de Stangest, y creo que seguirá siendo así durante mucho tiempo”.
Quiero terminar haciendo hincapié en que se debería contar con un adecuado asesoramiento veterinario, ya que su efectividad depende de su correcta administración. Igual de importante respecto a su futuro es que se sigan las recomendaciones por parte de profesionales sobre la adquisición únicamente de productos de calidad que cuenten con certificados de análisis, tanto de composición como de contaminantes, tal y como alerta la Federación de Veterinarios de Europa.
Texto e imágenes Stangest
CRISTINA COSTA Responsable del Servicio de Anestesia y de la Unidad del Dolor del Hospital Clínico Veterinario de la Universitat Autónoma de BarcelonaCon el objetivo de garantizar siempre el mejor servicio, AniCura continúa reforzando sus áreas de especialización mediante la adquisición de equipamiento técnico que permita ofrecer una amplia gama de diagnósticos de vanguardia para determinar un tratamiento adecuado y oportuno. Desde 2020, ha incorporado en sus centros de la península ibérica 22 equipos de alta tecnología.
Brindar una atención veterinaria moderna y de primera calidad es la prioridad de AniCura. En esta línea, el grupo de hospitales veterinarios se focaliza constantemente en lograr un diagnóstico exhaustivo y correcto que permita asegurar la opción terapéutica más conveniente para las mascotas, así como la tranquilidad para sus cuidadores.
Para proporcionar este servicio de primer nivel, el grupo dispone de un gran equipo de veterinarios especializados —36 diplomados en AniCura Iberia— en varias disciplinas con amplia experiencia como Oncología Veterinaria, Medicina Interna y Anestesia. Además, refuerza de forma continua su equipamiento técnico, lo que le permite ampliar la oferta de servicios médicos, quirúrgicos y tratamientos integrales. De hecho, recientemente, ha incorporado tecnología en centros estratégicos para mejorar el diagnóstico de patologías respiratorias, cardiovasculares, neurológicas y oncológicas, entre otras.
En concreto, AniCura Iberia ha instalado, en los últimos tres años, 7 nuevos tomógrafos computarizados (TC) —dos de ellos de 32 cortes—, 3 resonancias magnéticas (una de bajo campo y dos de alto), 3 láseres quirúrgicos de CO2, 6 equipos de electroquimioterapia y 9 nuevos dispositivos de ultrasonido a lo largo de la península ibérica.
El grupo de hospitales veterinarios AniCura se focaliza constantemente en lograr un diagnóstico exhaustivo y correcto que permita asegurar la opción terapéutica más conveniente para las mascotas, así como la tranquilidad para sus cuidadores.
Para ofrecer soluciones veterinarias de la más alta calidad asistencial, AniCura apuesta por la adquisición de TC de última generación, cuyas características permiten valorar, con velocidad y precisión, tejidos blandos y óseos. De este modo, se consigue que los pacientes pasen menos tiempo bajo los efectos de la anestesia y, por lo tanto, se reduce el riesgo de complicaciones durante el procedimiento.
Gracias a los tomógrafos computarizados con los que cuenta el Grupo ubicados en los hospitales y clínicas, además de dar
servicio a los clientes de los centros veterinarios, se atiende a las clínicas referidoras que no cuentan con esta técnica y que confían y refieren sus pacientes a AniCura. De los equipos disponibles, dos son de 16 cortes (AniCura Aitana Hospital Veterinario, Valencia, y AniCura Vetsia Hospital Veterinario, Madrid), mientras que seis son de 32 cortes, que permiten obtener imágenes de una gran calidad, todos ellos repartidos por diferentes regiones tanto de España como de Portugal.
Resonancias magnéticas
La apuesta por avances diagnósticos de alto nivel pasa por la incorporación de resonancias magnéticas, técnica en la que no se utiliza ningún tipo de radiación. En veterinaria se emplean para detectar y caracterizar enfermedades y lesiones corporales, en particular en el sistema nervioso, como el encéfalo y la médula espinal.
AniCura ha incorporado recientemente dos de alto campo en AniCura CHV Porto Hospital Veterinário (Oporto) y AniCura Valencia Sur Hospital Veterinario (Valencia). Estos últimos se suman a los equipos avanzados de AniCura Restelo Hospital Veterinário (Lisboa), AniCura Ars Veterinaria Hospital Veterinari (Barcelona) y AniCura Vetsia Hospital Veterinario (Madrid).
Láser de CO2
El láser de CO2 quirúrgico es una herramienta que permite realizar cirugías que requieren de incisiones de gran precisión y una mínima lesión térmica. Es ideal para cirugías en tejidos blandos, de piel y estéticas, como párpados, maxilofaciales, oídos, cirugías urinarias e incluso cirugías oncológicas, puesto que favorece la fotovaporización de células tumorales cuando no se cuenta con bordes libres de tumor.
De igual manera, el láser CO2 facilita la realización de cirugías más cortas y seguras, por lo que se proporcionan recuperaciones quirúrgicas más rápidas, menos dolorosas y con el mínimo sangrado. Recientemente lo han incorporado AniCura Lepanto Referencia Veterinaria (Sevilla), AniCura San Fermín Hospital Veterinario (Pamplona) y AniCura Albea Hospital Veterinario (Las Palmas), centros que cuentan con el apoyo de cirujanos altamente cualificados para brindar un servicio premium a los pacientes y a las mascotas de los centros referidores.
AniCura Iberia ha instalado, en los últimos tres años, 7 nuevos TC —dos de ellos de 32 cortes—, 3 resonancias magnéticas (una de bajo campo y dos de alto), 3 láseres quirúrgicos de CO2, 6 equipos de electroquimioterapia y 9 nuevos dispositivos de ultrasonido a lo largo de la península ibérica.
Además de las técnicas de diagnóstico por imagen, otra de las especialidades estratégicas del grupo de hospitales veterinarios es la oncología, en la que en los últimos años se han dado una gran cantidad de avances.
En concreto, la electroquimioterapia es una técnica mediante la cual se pueden tratar tumores de forma única o en combinación con cirugía o quimioterapia convencional. Se utiliza en el tratamiento de tumores de la cavidad oral o tumores nasales, en tumores resecados de forma incompleta como los sarcomas, e incluso de forma paliativa para control del sangrado y el
dolor en tumores primarios o metastásicos. El beneficio de esta técnica radica en la facilidad de su aplicación ya que, aun requiriendo anestesia general, es un procedimiento corto.
Desde 2020, 6 centros han reforzado su equipamiento con la electroquimioterapia: AniCura Albea Hospital Veterinario Las Palmas, AniCura Buenavista Hospital Veterinario (Oviedo), AniCura Velázquez Hospital Veterinario y AniCura Estoril Hospital Veterinario (ambos en Madrid), AniCura Uribe Kosta Clínica Veterinaria (Bizkaia) y AniCura Atlântico Hospital Veterinário (Mafra, Portugal).
Gracias a estas dotaciones, los hospitales y clínicas AniCura siguen a la vanguardia en equipamiento de alta tecnología y continúan reforzando su modelo enfocado a la atención veterinaria avanzada
La ecografía es parte importante de los procedimientos de diagnóstico al servir para explorar la mayoría de los órganos del cuerpo. Las ondas ultrasónicas se emplean sobre todo para realizar la ecografía abdominal y la ecocardiografía. En la ecografía abdominal se explora la región abdominal junto con las venas y los ganglios linfáticos, y permite valorar alteraciones del hígado, los riñones, páncreas, y el útero, entre otros órganos. En la ecocardiografía se exploran el corazón, el pericardio y los vasos sanguíneos que llegan al corazón o salen de él.
AniCura CHV Porto Hospital Veterinário, AniCura Alma Veterinária Hospital Veterinario y AniCura Restelo Hospital Veterinário (los tres en Portugal), AniCura Valencia Sur Hospital Veterinario y AniCura Constitución Hospital Veterinario (Valencia), AniCura Glòries Hospital Veterinari (Barcelona), AniCura Vetamic Clínica Veterinaria (Cambrils), AniCura Velázquez Hospital Veterinario (Madrid) y AniCura Lepanto Referencia Veterinaria (Sevilla) son los centros que cuentan con nuevos ecógrafos entre 2020 y 2023.
Gracias a estas dotaciones, los hospitales y clínicas AniCura siguen a la vanguardia en equipamiento de alta tecnología y continúan reforzando su modelo enfocado a la atención veterinaria avanzada, en el que, además, la formación y la colaboración entre clínicas, dentro y fuera de AniCura, son fundamentales. Todo ello con un único propósito: lograr la mejor calidad de vida de nuestras mascotas.
Nuestro sector está llamado a formar parte de la revolución tecnológica actual. Adelantarse a esta revolución nos permitirá ser más eficaces en el desarrollo de nuestro trabajo clínico y administrativo. La comunicación entre el personal del centro y los clientes será, sin duda, la gran beneficiada.
Actualmente muchas empresas de gran tamaño ya han instalado un robot conversacional (bot) dedicado a la atención de sus clientes. Dentro de poco, servicios de inteligencia artificial van a entrenar estos sistemas conversacionales, lo que proporcionará nuevas herramientas autónomas que ayudarán a gestionar citas, contactos, visitas y todas aquellas tareas organizativas diarias que hoy en día absorben gran cantidad de recursos en nuestros centros veterinarios.
llegue a resolver las dudas planteadas por el usuario, el sistema pondrá en contacto al cliente con el equipo del centro veterinario. Esta situación es muy parecida a la conducción autónoma de vehículos eléctricos, donde el conductor y el vehículo interactúan cediendo las tareas de conducción en carretera alternativamente con total naturalidad.
Ahora, la inteligencia artificial se ha sumado a esta revolución. Esta tecnología se integrará y comunicará con la base de datos del centro y será capaz de gestionar, organizar y comunicar de forma autónoma los recordatorios de vacunación anual, desparasitación mensual o trimestral, el seguimiento
Podemos programar bots para responder a preguntas frecuentes de forma automática como: conocer el horario de la clínica, enviar el enlace de Google Maps con la dirección del centro, ofrecer información sobre los productos y servicios de la clínica, entre infinidad de posibilidades.
Un robot conversacional o bot es un software que automatiza la interacción entre un ser humano y un algoritmo de programación predefinido a través de un chat o una aplicación de mensajería instantánea, como Whatsapp. Hablamos de Whatsapp porque el 77 % de la población en España dispone de esta aplicación de mensajería instalada en sus dispositivos, lo que la coloca muy por delante del resto de opciones (figura 1).
Podemos programar bots para responder de forma automática a preguntas frecuentes como cuál es el horario de la clínica, enviar el enlace de Google Maps con la dirección del centro u ofrecer información sobre los productos y servicios de la clínica, entre infinidad de posibilidades.
En definitiva, estas aplicaciones ofrecen respuestas de forma automática a los clientes. En caso de que la programación no
personalizado de planes de salud, el consumo del pienso y la perspectiva de compra de la alimentación por parte del tutor de la mascota, el control y uso de medicamentos en pacientes crónicos y una infinidad de oportunidades de comunicación que cada día tenemos con nuestros clientes.
La revolución ya ha empezado. Todo lo que hemos descrito hasta ahora ya se ha consolidado o se encuentra en fase de desarrollo y llegará más pronto que tarde a nuestros centros veterinarios. Mientras tanto, ya podemos empezar a mejorar y estandarizar la comunicación en nuestra clínica.
Evidentemente, para desarrollar un conjunto de estrategias orientadas a la excelencia en la comunicación se requiere un esfuerzo inicial.
1 2
Actualmente, en España, el canal más recomendable para los centros veterinarios es Whatsapp, aplicación de mensajería instantánea de la que hace uso más del 77 % de los españoles en sus dispositivos.
Implicar a todo el equipo
El primer paso es preparar al equipo y presentar esta oportunidad, que potencia a las personas y amplía sus capacidades. Es muy importante organizar reuniones de trabajo que impliquen a todas y cada una de las personas que componen el equipo de la clínica. En ningún momento nadie se puede quedar fuera de esta estrategia. El éxito en la comunicación debe convertirse en un objetivo transversal de todos.
Seleccionar los escenarios clave
Debemos poner mucha atención en la forma de implantar una forma de comunicación estandarizada en nuestra clínica. Como hemos indicado, primero debemos entrenar a las personas. Con ellas, necesitamos definir de forma muy precisa los escenarios donde se produce la comunicación con nuestros clientes, con el objetivo de crear protocolos de comunicación y estandarizar el lenguaje de forma trans-
versal. Por ejemplo: en sala de admisiones (recepción), en los chats por Whatsapp y en la redacción de los informes.
La comunicación es el elemento que ayuda a mantener viva la relación entre los clientes y las personas que componen el equipo de la clínica veterinaria. Es esencial que en todos los ámbitos de la clínica donde implementemos protocolos la comunicación sea:
• Abierta. El cliente debe tener acceso con detalle a toda la información. El equipo debe estar entrenado para resolver dudas de forma completa y eficaz.
• Clara. Un segundo aspecto esencial para mantener en el tiempo una relación sana con nuestros clientes a nivel comunicativo es que nuestro equipo transmita la información de forma transparente. Debemos emitir respuestas contrastadas, evitando confusiones a nuestros clientes.
• Bidireccional. El equipo debe estar orientado a la escucha activa de los clientes. Muchas veces queremos compartir una cantidad ingente de datos que confunden al tutor de la mascota, de manera que conseguimos el efecto contrario al que buscábamos. La comunicación con nuestros clientes debe estar basada en la escucha, el diálogo y el asesoramiento.
En Cullera llevamos más de 10 años trabajando en la estandarización y la calidad de los procedimientos comunicativos del lenguaje orientado a la excelencia. Esto nos ha llevado a tener una de las mejores reputaciones online de España, pese a ser un centro veterinario de tamaño medio. Para conseguir que todo el equipo disponga de las mismas herramientas comunicativas debemos apoyar sus habi-
Código de expansión: / apn (contracción de “aparentemente normal”)
El texto expandido guiará al veterinario durante la exploración del animal en la consulta:
• Examen físico: aparentemente normal.
• Temperatura: normo térmico, aparentemente normal.
• Mucosas rosadas. Tiempo de relleno capilar < 2 sec. Aparentemente normal.
• Nódulos linfáticos a la palpación: aparentemente normales.
• Pulso sincrónico, simétrico y firme, aparentemente normal.
• Auscultación, ritmo sinusal respiratorio. Aparentemente normal.
• No hay signos de dolor.
Recordatorio por Whatsapp 24 horas antes de la cita para la realización de un control analítico a la mascota.
Código de expansión: / cita
Texto expandido: El siguiente mensaje es tu próxima cita en la clínica. Por favor ante cualquier contratiempo, escríbenos. Tu colaboración es importante.
Código de expansión: / mañana10
Texto expandido: Mañana tenemos una cita a las 10:00 horas con vosotros.
Código de expansión: / ayuno
Texto expandido: Vamos a realizar una prueba analítica y necesitamos el ayuno del animal. Por favor retira el alimento al menos 8 horas antes de la visita. Gracias por tu colaboración.
Código de expansión: / ok
Texto expandido: Ahora. Por favor, lee con atención los mensajes y confirma vuestra cita enviando un OK. Gracias por confiar en nosotros.
Sirve como guía durante la lectura de la radiografía y descripción de los hallazgos clínicos. El veterinario/a se apoya en el expansor de texto durante la redacción.
Código de expansión: / rx torax
Texto expandido: Descripción de hallazgos radiográficos.
• Diafragma. No se observan alteraciones.
• Mediastino. No se observan alteraciones.
• Pleura y espacio pleural. No se observan alteraciones.
• Pulmones y parénquima pulmonar. En el campo pulmonar no se detecta un patrón alterado y no hay evidencia de nódulos pulmonares o de neumonía.
• Tráquea. No se observan alteraciones. La tráquea presenta un diámetro normal y su trayectoria es correcta.
• Silueta cardiaca y vasos. La silueta cardiaca muestra un tamaño normal y la morfología no sugiere un aumento en la zona de proyección de las diferentes cámaras cardiacas.
• Esófago. No se observan alteraciones.
• Estructuras esqueléticas. No se observan alteraciones.
• Realización de diagnósticos complementarios:
- Se recomienda realizar una prueba de electrocardiografía
- Se recomienda realizar un lavado broncoalveolar
- Se recomienda realizar una ecocardiografía
- Se recomienda realizar un análisis de NT-proBNP
lidades mediante protocolos estandarizados. En este sentido, consideramos que las herramientas denominadas “expansores de texto” son esenciales.
Los expansores de texto son aplicaciones que se unen al sistema operativo o, en su caso, al navegador. Estas herramientas permiten, mediante códigos predefinidos, escribir grandes cantidades de textos. Su utilización nos ayuda a mejorar nuestra comunicación en todos los ámbitos diarios de la clínica.
Existen en el mercado un gran número de aplicaciones asequibles y herramientas para programar códigos de expansión en cualquier dispositivo. No desarrollaremos en este artículo la forma de utilizar los códigos, porque es un procedimiento muy sencillo. Sin embargo, sí que mencionaremos algunas de las ventajas que presentan estas herramientas, según nuestra experiencia.
Los textos están programados con antelación y sirven como guía en la redacción de informes. Con esta estrategia podemos ayudar a los compañeros a estandarizar todos los aspectos de la comunicación con los clientes.
veterinario o al asistente clínico veterinario en sus responsabilidades.
Como hemos descrito, la utilización de códigos de expansión en la redacción de informes veterinarios ayuda al clínico a no olvidar ningún detalle. Por ejemplo, durante la redacción de un informe de la visita de un animal a consulta.
Los asistentes clínicos veterinarios se entrenan en la detección de la estructura del informe y ofrecen una información organizada y precisa a los tutores de las mascotas. Mediante protocolos de comunicación basados en expansores de texto conseguimos que se comuniquen todos los detalles durante la conversación con los clientes.
Mejora de la calidad informativa Codificar la comunicación reduce la probabilidad de incidencias al transcribir la información, mejora la precisión de las respuestas de todo el equipo, ayuda como guía en las tareas y aumenta la calidad de los informes clínicos. El uso de expansores de texto también asegura la consistencia de la comunicación y permite la corrección, implementación y mejora constante de la escritura en todos los ámbitos.
Los expansores de texto permiten, mediante códigos predefinidos, escribir grandes cantidades de textos. Estos códigos ahorran al equipo de la clínica mucho tiempo en la comunicación con los clientes, la redacción de informes y la gestión de tareas de registro.
También utilizamos los expansores de texto como guías durante los procedimientos diagnósticos o terapéuticos:
• Ciertos códigos expanden, por ejemplo, la descripción de los resultados de un análisis de hematología o guían al veterinario en el diagnóstico microscópico de una muestra.
• Esta estrategia también es muy útil a la hora de prescribir los tratamientos ya que, por ejemplo, todos los tratamientos se encuentran pre-programados por especie, peso y características del animal, lo que ayuda a ser muy precisos y exactos en la prescripción y posología de medicamentos y tratamientos. Se trata de tareas diarias que realizan los veterinarios y que ahora, mediante la codificación, se ven respaldadas por guías de trabajo que creamos y que acompañan al
3 4 5
En este sentido, es muy importante que los cambios se trabajen en equipo. La modificación de forma unilateral de la base del conocimiento de los códigos o los textos expandidos por parte de un solo miembro del equipo o del director de la clínica genera conflictos en el uso de los mismos y hace que esta estrategia pierda eficacia.
Ahorro de costes y orientación a resultados
Estos códigos ahorran al equipo de la clínica mucho tiempo en la comunicación con los clientes, la redacción de informes y la gestión de tareas de registro. Las respuestas son claras y precisas. Como resultado de todo esto, los expansores de texto también ofrecen un importante ahorro de costes. Y todo el equipo de la clínica está orientado a los mismos resultados.
Con estas herramientas los veterinarios adquieren la capacidad de documentar la información de los pacientes de forma eficaz y estandarizada. En los cuadros de esta página se pueden ver tres ejemplos: la descripción de un examen de un paciente, el recordatorio 24 horas de una cita y la redacción de un informe de diagnóstico radiográfico.
En definitiva, el uso de los expansores de texto permite de forma sencilla orientar eficazmente la comunicación a la excelencia, mediante la estandarización de procedimientos y la mejora del rendimiento del equipo. Estas herramientas son la base de un futuro extraordinario, donde las nuevas tecnologías nos ayudarán a reducir las tareas repetitivas.
Nuestro sector está llamado a formar parte de la revolución tecnológica que está ocurriendo en muchas profesiones. Adelantarse a esta revolución nos permitirá ser más eficaces en el desarrollo de nuestro trabajo clínico y administrativo.
La compañía de nutrición para mascotas orientada a dar servicio tanto a los dueños de mascotas como a veterinarios presenta un innovador producto dedicado especialmente a gatos de razas de pelo largo para tratar la formación de bolas de pelo.
En los últimos años, Farmina ha hecho de la quinoa el ingrediente central de toda una gama de alimentos funcionales de mantenimiento para mascotas. El objetivo de estos alimentos es ayudar a las mascotas con necesidades especiales o propensas a desarrollar diversos tipos de patologías y afecciones, o que se están recuperando de ellas. Además de los productos ya presentes (Digestion, Skin & Coat, Weight Management, Urinary, y Neutered), Farmina ha añadido ahora un nuevo artículo para gatos: N&D Quinoa Hairball, especial para el tratamiento de las bolas de pelo.
¿Por qué se forman las molestas bolas de pelo?
Hay que tener en cuenta que los gatos pasan un 25 % del tiempo lamiéndose para acicalarse y tienen la lengua cubierta de papilas, unas pequeñas púas orientadas hacia atrás que actúan como un cepillo, atrapando el pelo suelto en su boca.
Otros factores que favorecen la formación de bolas de pelo son la muda excesiva, las alergias cutáneas y los problemas digestivos. Algunas razas de gatos son más propensas a la formación de bolas de pelo que otras, y las de pelo largo son especialmente susceptibles.
¿Cómo se puede evitar la formación de bolas de pelo?
personalizado adaptado a las necesidades del gato; en ese plan aparece la ración diaria exacta que hay que darle.
¿Qué valor añadido ofrece Farmina?
El nuevo producto pertenece a la gama Quinoa. ¿Qué tiene de especial este alimento para dedicarle una línea específica?
La quinoa es una semilla rica en proteínas y sin gluten cada vez más popular en la alimentación humana. Ahora también está cada vez más introducida como complemento beneficioso para la alimentación de los animales de compañía. Es una proteína completa, lo que significa que contiene todos los aminoácidos esenciales necesarios para el crecimiento y el desarrollo, y también es una fuente rica en vitaminas, minerales y antioxidantes. Esto la convierte en una opción ideal para proporcionar una nutrición equilibrada a perros y gatos.
El término médico para una bola de pelo es “tricobezoar”, una masa que se puede encontrar en el estómago y los intestinos. Estas bolas no son solo de pelo, ya que se crean junto a la saliva, jugos estomacales y alimentos digeridos por el gato.
La formación de bolas de pelo es un problema común al que se enfrentan muchos propietarios de gatos, sobre todo los de pelo largo. Cuando los gatos se acicalan, el pelo suelto se ingiere y no se digiere; se apelmaza en el tracto digestivo, causando vómitos, falta de apetito, letargia, estreñimiento o diarrea y otros problemas si no se trata.
“La mezcla específica de fibras solubles e insolubles que contiene N&D Quinoa Hairball, ayuda a que se produzca contracciones rápidas y el avance del pelo del estómago al intestino”.
Se puede evitar incrementando la fibra en la dieta, ya que facilita el paso de pelo del estómago al intestino. La mezcla específica de fibras solubles e insolubles que contiene N&D Quinoa Hairball, ayuda a que se produzca contracciones rápidas y el avance del pelo del estómago al intestino.
¿Cuáles son las características del nuevo N&D Quinoa Hairball?
N&D Quinoa Hairball es una adición a la gama de alimentos funcionales de mantenimiento de Farmina. La receta a base de pato contiene un 91 % de proteínas de origen animal, alto contenido en fibra, no contiene gluten, tiene un bajo índice glucémico y es rico en aminoácidos esenciales. La quinoa no es un cereal y aporta más nutrientes, es rica en antioxidantes naturales y proviene de cultivos ecológicos.
¿Cuáles son las ventajas del nuevo N&D Quinoa Hairball?
N&D Quinoa Hairball proporciona una solución cómoda y eficaz para controlar la formación de bolas de pelo en los gatos, y su disponibilidad en varios formatos de bolsa facilita a sus dueños el proporcionar una dieta exclusiva a sus gatos para ayudar a aliviar las molestias causadas por las bolas de pelo.
¿En qué formatos se presenta?
Estará disponible en formatos de bolsa de 300 g y 2 kg, garantizando a los dueños de mascotas el acceso a la cantidad adecuada para satisfacer las necesidades dietéticas de sus mascotas. Los puntos de venta contarán con un expositor de fácil montaje el cual facilitará el reconocimiento inmediato del nuevo producto dentro de la gama, mejorando así la comunicación del producto en el punto de venta.
¿Qué cantidad de N&D Quinoa Hairball tendría que tomar un gato con problemas de bolas de pelo?
Los gatos necesitan atención y cuidados, pero el amor no es suficiente para garantizar una correcta gestión de la salud y a veces, se cometen errores graves; por ejemplo, el gato puede estar alimentado en exceso creando así problemas de salud. Con la ayuda de un consultor nutricional especializado al que llamamos un Consultor Genius, se crea un plan nutricional
La excelencia de Farmina no se detiene en la fabricación de alimentos de primera calidad, sino que tiene mucho más que aportar: cada cliente de Farmina puede contar con el apoyo de un Consultor Genius personal. Se trata de un servicio gratuito y de por vida que se adapta a las necesidades de la mascota, con un plan nutricional dinámico y personalizado que se va adaptando a las necesidades de la mascota en cada etapa de su vida. Pero esto no acaba aquí: Farmina ha creado Pet Care Program, un programa que cuida de la salud de las mascotas mediante la monitorización de 5 indicadores importantes.
“Su disponibilidad en varios formatos de bolsa facilita a sus dueños el proporcionar una dieta exclusiva a sus gatos para ayudar a aliviar las molestias causadas por las bolas de pelo”.
Háblame más del programa, ¿cómo funciona?
Es muy sencillo, solo se tiene que descargar la app gratuita FarminaGenius, con la ayuda de un Consultor Farmina Genius y el veterinario de confianza, se pueden controlar los 5 parámetros de la salud claves que son: la condición corporal de la mascota, la creación de un plan de nutrición dinámico que se va adaptando a lo largo de la vida de la mascota, la ingestión de agua, el control del pH urinario y un chequeo de salud. Además, la app cuenta con un recordatorio de vacunas y visitas de seguimiento al veterinario, hace posible el contacto con el Consultor Genius y es tan sencilla de usar que permite informar de un problema de salud de la mascota en unos pocos clics.
Adicionalmente el consultor o su veterinario de confianza podrá realizar un plan nutricional específico para la mascota teniendo en cuenta todos los datos actuales y el estado de salud del animal.
Texto e imágenes
B. Braun VetCare presenta el lanzamiento del nuevo limpiador RWD-P9L. Se trata de un equipo dental que tiene autonomía gracias a su depósito de 350 ml de capacidad para refrigerante y una pieza de mano piezoeléctrica compuesta por una aleación de aluminio con luz led que es ligera y resistente, evita el sobrecalentamiento y es ergonómica y autoclavable. Ofrece múltiples funciones: limpieza, terapia periodontal y endodoncia. Además, incluye un set de cuatro cabezales de limpieza, un cabezal periodontal, más un mandril y limas para endodoncia.
■ Para más información: B. Braun VetCare www.bbraun-vetcare.es
DFV presenta DFV Test Giardia en dos presentaciones de 1x10 unidades de test y EC de 20 test. Incorpora la nueva tecnología PadFlow Technology, también implementada en DFV Test Parvo/Corona que asegura la absorción de la muestra y el correcto funcionamiento del ensayo. La falta de conciencia sobre la importancia clínica de Giardia lamblia entre propietarios de mascotas y algunos veterinarios hace de DFV Test Giardia la herramienta efectiva en la lucha contra esta zoonosis. Demuestra una sensibilidad del 97,9 % y una especificidad del 100 % respaldando su eficacia y fiabilidad.
■ Para más información: DFV info@divasa-farmavic.com
Pavo amplía su gama de productos con Pavo BeChill, un líquido natural que ayuda a los caballos a calmarse rápidamente en situaciones estresantes. Sus ingredientes principales, magnesio y bálsamo de limón (melisa), ayudan no solo a reducir el estrés en el cuerpo (síntomas de estrés como tensión muscular y movimientos incontrolados), sino que también favorecen la relajación. Pavo BeChill es 100 % natural y libre de doping. Puede administrarse tanto por vía oral o mediante el alimento o el agua.
■ Para más información: Pavo – www.pavo-horsefood.es
Autores: Karen M. Tobias, Spencer
A. Johnston
Editorial: Edra
La segunda edición de Cirugía veterinaria de pequeños animales incluye un nuevo capítulo sobre ortopedia adaptativa y prótesis en pequeños animales, donde explica sus posibles usos en múltiples situaciones clínicas. Además, amplía y actualiza sus capítulos sobre radiología intervencionista, y hace especial hincapié en modalidades de imágenes médicas vanguardistas que permiten el acceso a diferentes estructuras del cuerpo de los pacientes, ya sea por diagnósticas o terapéuticas. También añade un apartado sobre osteosíntesis mínimamente invasiva.
■ Para más información: Grupo Asís - Tel.: 910 003 892 store@edicionesedra.com – https://edicionesedra.com
Cardiak, de VetNova, vuelve a estar disponible con una fórmula única y completa para el apoyo al mantenimiento de la función cardiaca, que ayuda a proteger frente a la acción de los radicales libres. Mantiene su ratio EPA:DHA, específico para el soporte del buen funcionamiento cardiaco, y ahora está enriquecida con más vitamina E, que ayuda a proteger frente a la acción de los radicales libres. Se comercializa en presentaciones de 90 ml y 400 ml de solución oral de alta palatabilidad.
■ Para más información: VetNova – Tel.: 918 440 273 vetnova@vetnova.net – www.es.vetnova.net
Dermoscent presenta Uti-Zen, un nuevo complemento alimenticio para mascotas propensas a padecer molestias urinarias (animales mayores, estresados, etc.). Se comercializa en forma de comprimidos 100 % naturales formulados con arándanos rojos enteros, lo que permite que mantengan sus propiedades antioxidantes y su capacidad de limitar la adherencia de la bacteria E. Coli. Se recomienda un uso regular como mantenimiento o durante las crisis urinarias en combinación con el tratamiento indicado. Uti-Zen es muy fácil de administrar gracias a su presentación en comprimidos divisibles y palatables que favorecen la ingestión espontánea.
■ Para más información: Dermoscent - https://ah.simplysmart.es
MSD Animal Health ha dado a conocer la nueva edición en español del Manual Veterinario MSD, un clásico de referencia sobre los aspectos básicos de la clínica de los animales de compañía y de granja, que supone una herramienta fundamental de consultas rápidas. Se trata de su undécima edición, actualizada con contenido multimedia e interactiva. Incorpora nuevas referencias relacionadas con acuicultura, manejo neonatal, toxicología, animales exóticos y aspectos relacionados con el vínculo entre ser humano y animal. Casi 400 expertos veterinarios de 20 países han participado en su elaboración. Su contenido se presenta a dos columnas, acompañadas de tablas y de cientos de imágenes a color para una mejor lectura. La traducción al castellano (está escrita originalmente en inglés) ha sido realizada por Grupo Asís (Edra), así como por 64 veterinarios especialistas y profesores de la Universidad CEU Cardenal Herrera, de la Universidad Complutense de Madrid y de la Universidad de Córdoba. Incluye una nueva sección de salud pública que aborda cuestiones sobre funciones de las agencias de salud pública, principios epidemiológicos, investigaciones de brotes de enfermedades y seguridad alimentaria, además de actualizar la extensa tabla de zoonosis.
■ Para más información: contacte con su delegado de MSD Animal Health
Trovetplus comercializa alimentos para conejos y cobayas que ayudan a prevenir enfermedades y fomentan su salud y vitalidad. Son recetas libres de cereales que ofrecen una alta palatabilidad. Evitan la comida selectiva y favorecen el desgaste natural de los dientes gracias a la dureza y la forma triangular de las croquetas. Contribuyen a evitar el sobrepeso y su alto contenido en fibra reduce el riesgo de padecer problemas intestinales. Además, su bajo contenido en calcio reduce el riesgo de cálculos vesicales y renales. Contienen prebióticos beneficiosos para la flora intestinal.
■ Para más información: Trovetplus Petfood – https://trovetplus.com
Elanco Animal Health amplía la protección para la desparasitación de los animales de compañía, reforzando la eficacia de Credelio Plus (Lotilaner+Milbemicina oxima), obteniendo la indicación para el tratamiento de la demodicosis canina. Credelio Plus es un comprimido masticable, en una única administración mensual, que ofrece doble desparasitación de amplio espectro, tanto externa (garrapatas y pulgas) como interna (gusanos intestinales y cardiopulmonares). Previene la dirofilariosis y la angiostrongilosis desde la primera dosis mensual y es eficaz frente a nematodos intestinales, contra adultos y sus fases larvarias.
■ Para más información: consulte con su delegado de Elanco Animal Health
Menforsan presenta, dentro de su línea profesional para peluquerías caninas, este producto en polvo que facilita la depilación del conducto auditivo sin dolor y que favorece la transpiración, reduciendo el mal olor y secando el exceso de humedad de los oídos. De esta manera, se inhibe el desarrollo de bacterias y hongos, y contribuye a la prevención de futuras otitis. Este producto en polvo se comercializa en envases de 30 g con aplicador especial de precisión.
■ Para más información: Laboratorios Bilper – Tel.: 944 520 007 info@menforsan.com www.menforsan.com
Natur Fresh Antiinsectos es la solución efectiva para combatir las infestaciones de insectos y parásitos en perros y gatos. Formulado con ingredientes naturales y sin químicos tóxicos, es seguro para mascota y medioambiente. Su fórmula única, a base de aceites esenciales de plantas con propiedades repelentes, mantiene a la mascota libre de pulgas, garrapatas, piojos, ácaros, mosquitos y otros insectos molestos. Es adecuado para perros y gatos de todas las razas, edades y tamaños. Natur Fresh Antiinsectos se presenta en spray para su aplicación sobre pelo seco en mascotas.
■ Para más información: Magistral Royal - Tel.: 627 695 844 info@magistralroyal.com magistralroyal.com
Málaga acogió en marzo el XII Congreso Anual de la Asociación de Veterinarios de Équidos de España (AVEE), que reunió a 300 profesionales. Bajo la temática “Podiatría equina, patologías del casco y tratamientos”, el evento contó con el apoyo de Boehringer Ingelheim Animal Health España como patrocinador platinum. La compañía estuvo presente en el espacio expositivo y patrocinó una sesión en torno a RenuTend, el nuevo medicamento veterinario registrado por Boehringer Ingelheim indicado para mejorar la curación de las lesiones de tendones y ligamentos de los caballos. Durante el congreso se otorgaron por primera vez los Premios vetPartners y Boehringer Ingelheim. Este reconocimiento a la Excelencia en Presentaciones Orales XII Congreso AVEE recayó en Joana Ramos (Hospital La Equina de Manilva) y Antonio Romero (Universidad de Zaragoza).
La primera convocatoria del Proyecto Experiencias Phovia (www.phovia.es) puesto en marcha por Vetoquinol recibió más de un centenar de experiencias prácticas realizadas en perros y gatos mostrando las múltiples aplicaciones de Phovia en las clínicas veterinarias. Las experiencias prácticas, además de haberse realizado en perros y gatos, han incluido experiencias tanto en el área de dermatología como en la de gestión y manejo de heridas. Phovia es la alternativa de Vetoquinol basada en energía lumínica FLE que se aplica en clínica que ayuda a reducir el tiempo de recuperación en lesiones cutáneas y acelera la regeneración dérmica en una gran variedad de alteraciones dermatológicas, lo que redunda en un mayor bienestar para mascotas y propietarios. Próximamente se pondrá en marcha una nueva convocatoria.
El doctor Javier Collados impartió el 25 de abril una interesante formación online sobre casos clínicos en odontología de pequeños animales. El ponente abordó patologías orales y dentales comunes, así como casos menos habituales que presentan un mayor desafío diagnóstico. Virbac abre ahora la grabación de la sesión para los veterinarios. Para acceder a ella, disponible en el QR adjunto, los interesados deben ponerse en contacto con su delegado de Virbac habitual con el fin de obtener la clave de acceso. La grabación del WebSeminar “Casos clínicos típicos (y no tan típicos…) en odontología de pequeños animales” ofrece una valiosa oportunidad para que los profesionales mejoren sus habilidades y conocimientos, lo que se traducirá en una mejor atención a los pacientes. La formación tenía como objetivo proporcionar herramientas para el diagnóstico y tratamiento adecuado de patologías orales y dentales en situaciones frecuentes y no tan frecuentes. Además, se discutieron los errores más comunes que se cometen en estas situaciones clínicas y cómo solventarlos. El doctor Collados destacó la importancia de un diagnóstico adecuado y un tratamiento efectivo en odontología de pequeños animales. Además, subrayó que es fundamental estar preparado para afrontar situaciones clínicas menos habituales que pueden presentar un mayor desafío.
Unas 80 personas, entre veterinarios, profesores y estudiantes, asistieron a la charla sobre tratamiento del dolor en perros y gatos organizada por Stangest-Cantabria Labs en la Universidad CEU Cardenal Herrera (Valencia). Miguel Ángel Cabezas analizó el tratamiento multimodal de pacientes con dolor crónico y presentó casos prácticos incidiendo en los beneficios del cannabis para su tratamiento. El acto contó con la destacada presencia del doctor Joaquín Sopena, decano de Veterinaria de la CEU. Posteriormente, Joan Lleó, director nacional de Ventas de Stangest-Cantabria Labs, realizó una presentación de los productos más destacados de este laboratorio relacionados con la temática del encuentro. Stangest dispone de toda una línea de complementos nutricionales formulados con cannabis, como CroniCare y CondroCare.
Virbac abre la grabación del WebSeminar “Casos clínicos típicos (y no tan típicos…) en odontología de pequeños animales”
GPCert en Etología clínica
■ Fecha de inicio: junio de 2023
■ Lugar: online
GPCert en Dermatología
■ Fecha de inicio: junio de 2023
■ Lugar: online
GPCert en Medicina y cirugía de urgencia
■ Fecha de inicio: junio de 2023
■ Lugar: online
GPCert en Clínica de animales exóticos
■ Fecha de inicio: junio de 2023
■ Lugar: online
GPCert en Ecografía
■ Fecha de inicio: junio de 2023
■ Lugar: online
GPCert en Oncología
■ Fecha de inicio: septiembre de 2023
■ Lugar: online
GPCert en Quiropráctica animal
■ Fecha de inicio: octubre de 2023
■ Lugar: online
Para más información: Improve International Tel.: 911 881 568 info.es@improveinternational.com www.improveinternational.com
Eastern European Regional Veterinary Conference (EERVC)
■ Fecha: del 5 al 7 de octubre de 2023
■ Lugar: Tesalónica (Grecia)
Para más información: eervc.vet
Congreso de Especialidades de AVEPA (GTA)
■ Fecha: 12 y 13 de abril de 2024
■ Lugar: Valencia
Para más información: avepa.org
2023 International Society of Feline Medicine Congress
■ Fecha: del 29 de junio al 2 de julio de 2023
■ Lugar: Dublín (Irlanda)
Para más información: icatcare.org/ congress-2023-dublin/
■ Fecha: del 27 al 29 de septiembre de 2023
■ Lugar: Lisboa (Portugal)
■ Diez sesiones simultáneas con posibilidad de traducción en vivo.
Para más información: fecava.org/eurocongress/
■ Fecha: del 28 de septiembre al 1 de octubre de 2023
■ Lugar: Roma (Italia)
■ Ponentes: Ursula Dietrich, Anna Groth, Adolfo Guandalini.
Para más información: esvomeeting2023.org
Congreso Nacional de AVEPA - Southern European Veterinary Conference (SEVC)
■ Fecha: del 9 al 11 de noviembre de 2023
■ Lugar: Barcelona
■ Ponentes: Alejandra García de Carellán, Jordi López, Ignacio Mesa, Ángela González, Gustavo Machicote, Cecilia Villaverde, Manu Jiménez Peláez, Vicente Herrería-Bustillo, Ferrán Solanes, Juan Miguel Ramírez, Jordi Calvo Marqués, Alfonso Chico, Ane Uriarte, etc.
Para más información: sevc.info
Información a día 16 de mayo.
Improve Veterinary Education (IVE) ya tiene fecha para sus nuevos posgrados en modalidad online que comenzarán a partir de junio. Destacan el posgrado en Dermatología (junio); Medicina y Cirugía de Urgencia (junio), con tres módulos prácticos de asistencia opcional; y Clínica de Animales Exóticos (junio), con cinco módulos prácticos opcionales. El posgrado en Ecografía de Pequeños Animales, en modalidad semipresencial en Madrid, y el programa en Oncología de pequeños animales (septiembre) son los dos cursos que siguen. La novedad de estas formaciones es que no solo cuentan con contenidos interactivos y multimedia que ayudan a mantener la atención de los estudiantes, sino también con foros de debate, apuntes, vídeos, casos clínicos reales y ejercicios para poner a prueba los conocimientos adquiridos.
Estos posgrados, permiten obtener el General Practitioner Certificate otorgado por la International School of Veterinary Postgraduate Studies (ISVPS) y reconocido internacionalmente.
“El número de veterinarios que realiza cursos de formación ha aumentado a lo largo de estos años e IVE está preparado para ofrecer la mayor oferta formativa facilitando el aprendizaje y la mejora continua”, afirma Jeniffer Giannotti, Senior Programme Coordinator de IVE. Los interesados deben inscribirse en https://improveinternational.com/es para poder beneficiarse de las condiciones especiales de pago.
Acana viene organizando, a través de la Asociación de Guías Caninos de Policías Locales de España (AGPLE), actividades y exhibiciones dirigidas a colectivos vulnerables, así como en colegios para el público general. La presencia de perros policía con sus guías y tener la posibilidad de interactuar con los canes es una de las mejores terapias para romper con la rutina diaria. Así les ocurrió a los residentes de la residencia de ancianos Amavir (Pamplona) y a los chicos de Aspandem, asociación a favor de las personas con discapacidad en la Costa del Sol, quienes disfrutaron de una mañana distinta. Además, el equipo de la AGPLE ofreció una exhibición con sus perros a cerca de 600 alumnos del Colegio Cerrado Calderón (Málaga).
Vetoquinol organizó el 20 de abril una nueva formación presencial con Phovia en Bilbao, en el contexto de las formaciones en Dermatología que viene desarrollando desde el año pasado. La sesión, que fue impartida por Isaac Carrasco, tuvo una gran acogida no solo en lo que se refiere a la asistencia, sino en la participación de los asistentes a la misma, que mostraron un gran interés en el turno de preguntas. Este año las formaciones de Phovia no se centrarán exclusivamente en el campo de la dermatología, sino que en las sucesivas formaciones se ampliará el foco incluyendo la indicación de gestión y manejo de heridas. Consulte con tu delegado para obtener más información sobre futuras formaciones de Phovia.
Purina ha dado a conocer el nombre de los ganadores de su premio BetterwithPets, iniciativa que reconoce el trabajo y las buenas iniciativas de tres organizaciones que enfocan sus esfuerzos en establecer estándares y mejores prácticas para fomentar la salud y el bienestar de las personas a través del poder del vínculo humano-animal. Los tres ganadores tienen el potencial de fortalecer aún más su impacto y contribuir a combatir algunos de los problemas sociales más urgentes, incluida la atención veterinaria gratuita para personas sin hogar: Pets As Therapy, Centre de Teràpies Assistides amb Cans (CTAC) y StreetVet.
Con motivo del Día Mundial de la Veterinaria, Elanco Animal Health celebró distintas iniciativas para rendir homenaje a la valiosa contribución que realiza el sector veterinario en cuidar la salud de los animales, y favorecer con ello la de personas y planeta. La campaña se enmarcó en el programa Vetnia (www.vetnia.es), creado recientemente por Elanco para apoyar y reconocer la actividad veterinaria, y cuyo lema es “Cuidarnos, Querernos y Acompañarnos”. Entre las iniciativas destacan la creación de un gran mural urbano conmemorativo y una acción en redes sociales con la participación de la cantante Gisela y la influencer Alba. También se difundió la campaña en El País digital y en medios profesionales online
Edra, referente en comunicación, información y formación para profesionales de la salud, ha nombrado a Francesca Romana Imbrighi como directora general de Grupo Asís, representante de Edra para las operaciones en España. Imbrighi contribuirá al desarrollo de Grupo Asís Biomedia, líder internacional en actividades de formación, información y comunicación en el ámbito veterinario, como Argos; Maxillaris, referente en odontología; y Luzan 5, reconocida en el ámbito sanitario para comunicación, consultoría y formación. “Estoy orgullosa de contribuir al crecimiento de un grupo italiano que en los últimos años ya ha logrado importantes éxitos en su desarrollo internacional gracias a adquisiciones selectivas y al desarrollo de soluciones innovadoras”, subraya Imbrighi.
El curso oficial de Criador de Animales de Compañía de Alianz Formación ofrece todo lo necesario para criar y cuidar a las mascotas. El curso proporciona formación sobre la cría de animales, desde la selección de los padres hasta el cuidado de los cachorros. Los estudiantes aprenderán genética, nutrición, salud y bienestar animal, así como las leyes y las regulaciones actuales. El curso, que se dirige a quienes desean convertirse en criadores de animales de compañía, ayuda a garantizar que sean criados de manera responsable y ética y proporciona información valiosa sobre su salud y bienestar. Más información en info@alianzformacion.com y www.campusalianzformacion.com
Más de 100 veterinarios de toda España y Portugal participaron en el webinar “IECAs, aún seguimos ahí”, organizado por Calier y en el que participó Susana García Pérez de Ayala, directora técnica de VetPartners España, miembro científico de la Asociación Madrileña de Veterinarios de Animales de Compañía (AMVAC), certificada internacional en Cardiología y Medicina Felina y presidenta del Grupo de Especialidad de Medicina Felina (GEMFE). En la actualidad, la salud de las mascotas tiene cada vez más importancia para sus propietarios y, con acciones como esta, Calier quiere seguir reforzando su compromiso con las clínicas veterinarias a través de formación que les ayude en su práctica diaria.
Farmina Pet Foods ha incorporado a Marta Lázaro Rojo como nueva Veterinary Manager de España y Portugal. Licenciada por la Universidad Complutense de Madrid, la veterinaria tiene experiencia comercial y clínica técnica tanto en España como en Reino Unido y EE. UU. Uno de los principales objetivos de su incorporación es desarrollar y potenciar los Servicios de Farmina específicamente en el canal veterinario, de forma similar a lo que la compañía viene realizando con éxito en el canal de tiendas. Junto al equipo comercial, Marta Lázaro explicará a los socios del canal veterinario cómo Farmina plantea acciones para que los clínicos puedan fidelizar a sus clientes a través de una innovadora propuesta basada en sus servicios veterinarios, proporcionando valiosas herramientas como, por ejemplo, el acceso a formaciones técnicas impartidas por ponentes nacionales e internacionales, la presencia en eventos o la participación directa en ensayos clínicos, entre otros. Por otro lado, explicará cómo Farmina ayuda a valorizar y fidelizar a los pet parents que acuden a las clínicas en busca de asesoramiento nutricional. En definitiva, dará a conocer este potente proyecto que tantos clientes están solicitando conocer, y que forma parte del gran activo de Farmina.
Ceva Salud Animal patrocinó una doble sesión para veterinarios enmarcada en su Proyecto GRAM (www.ceva-gram.com/es/public). Los asistentes pudieron aumentar sus conocimientos y diagnosticar y abordar las infecciones de forma más eficaz. La primera jornada, titulada “Uso racional de antibióticos: hacia una clínica libre de resistencias”, tuvo lugar en el Colegio de Veterinarios de Lleida con la participación de Salvador Cervantes. La segunda, celebrada en el Hospital Clínico Veterinario de la Universidad CEU Cardenal Herrera de Valencia (UCH-CEU), llevó por título “Cómo implementar el uso racional de antibióticos en la práctica clínica veterinaria”. Gemma León, profesora adjunta en el Departamento de Farmacia de la UCH-CEU; Esperanza Montaner, responsable del Servicio de Medicina Interna del Hospital Clínico Veterinario; y María Jiménez, veterinaria del Servicio de Cirugía, fueron las ponentes.
El pasado 25 de abril concluían los talleres “DesafíOA On the Road” celebrados por Zoetis. Se trata de unos originales workshops teórico-prácticos con los que la compañía ha profundizado en los aspectos más importantes de la osteoartritis (OA) en perros y gatos. Didácticos, interactivos y muy participativos, estos talleres han contado con el apoyo de reconocidos expertos en la materia. Durante los últimos meses se han celebrado un total de diez workshops DesafíOA con la asistencia de más de medio millar de profesionales de animales de compañía. “Muy divertido”, “Totalmente recomendable”, “Un formato muy dinámico”, son algunas de las opiniones expresadas por los veterinarios asistentes a estas sesiones.
La industria de alimentación de animales de compañía aumenta un 14 % su facturación
La industria española de alimentos para animales de compañía facturó 1.708 millones de euros en 2022, un 14,4 % más que en 2021, según los datos publicados por la Asociación Nacional de Fabricantes de Alimentos para Animales de Compañía (ANFAAC). Por especies, la facturación se ha incrementado de forma significativa tanto en alimentos para perros (12,5 %, hasta los 1.032 millones de euros) como gatos (17,6 %, hasta 676,9 millones de euros). Se han producido aumentos de las ventas en todas las categorías de alimentos (secos, húmedos y snacks). En este crecimiento han jugado también un papel importante el canal especializado y el ecommerce, cuya facturación conjunta sube un 9,4 % en 2022.
Tot Cat Clínica Felina celebró el 15 de abril su 30 aniversario con una jornada de puertas abiertas en la que más de 100 personas visitaron las instalaciones de una clínica que presentaba importantes novedades: quirófano para procedimientos dentales, sala de consulta adaptable y, sobre todo, una nueva hospitalización con jaulas metabólicas calefactables y con recogida y medición automática de volumen de orina excretado. Tot Cat fue la primera clínica veterinaria exclusiva para gatos de España. En este tiempo han pasado 14.272 pacientes y, actualmente, es un referente en el sector. “30 años después seguimos con la ilusión del primer día. Nos debemos a nuestros pacientes y clientes y procuramos ofrecerles el mejor servicio posible”, explica Martín Martí, veterinario director y propietario de Tot Cat Clínica.
Dogtor Animal, con la colaboración de Purina, presenta los resultados del programa “Perros en los juzgados de menores”. Este servicio es una herramienta que mejora las condiciones de niños y niñas en el abordaje del peritaje judicial, además de favorecer la transición hacia una justicia donde las personas estén en el centro. Desde su inicio, en 2015, el proyecto ha acompañado a alrededor de 530 menores en sus entrevistas forenses. Este recurso, muy bien valorado entre profesionales y familias, se ha demostrado efectivo en aquellos casos en que se ha utilizado al perro para mejorar la experiencia del menor y la de su familia. En 2022, la demanda aumentó más de un 90 % respecto a 2021.
Más de 80 veterinarios asistieron el 27 de abril a la jornada formativa sobre los errores más comunes en la medicina felina, organizada por Boehringer Ingelheim en Murcia. El evento suscitó gran interés entre los especialistas de la zona, y se superaron todas las expectativas de asistencia. Joaquín Albaladejo y Alicia Miñarro, de Amigato Clínica Felina y especializados en medicina felina, impartieron la formación. Abordaron diferentes errores que comúnmente se cometen en la clínica felina, además de compartir las soluciones que ellos, desde su vasta experiencia, tienen para corregirlos. El manejo de los gatos, enfermedades infecciosas y parasitarias felinas y tratamientos médicos, entre otros, fueron algunos de los temas que se abordaron en la sesión.
La Asociación de Veterinarios Especialistas Diplomados de España (AVEDE) celebró el pasado 25 de abril una junta general extraordinaria con motivo de elegir a su nueva junta directiva, para reemplazar a la anterior, presidida por Alejandro Luján Feliu-Pascual, veterinario diplomado especialista europeo en Neurología. La nueva junta será presidida por el doctor Antonio Cruz Madorrán, especialista europeo y americano diplomado en Cirugía Equina, Medicina Deportiva y Rehabilitación, siendo este también representante nacional para el EBVS (Consejo Europeo de Especialidades Veterinarias). El resto de la junta estará formada por el doctor Lluis Luján, especialista europeo en Patología Veterinaria; María Ortega, especialista europea en Neurología; y Miguel Valdés Vázquez, especialista europeo y americano en Cirugía Equina.
Uno de los objetivos del Centro de Cirugía de Mínima Invasión Jesús Usón (CCMIJU) es la creación de recursos de innovación docente y formación para el personal sanitario. En esta ocasión, ha elaborado un póster sobre el Sistema Vascular del Perro, con imágenes que corresponden a angiografías de los más representativos vasos sanguíneos, donde se pueden observar sus principales ramificaciones. Este recurso cuenta además con un código QR que permite visualizar las angiografías in vivo de cada una de las imágenes, incluso alguna de ellas en diferentes proyecciones, para ayudar a una mejor comprensión y visualización de la anatomía vascular canina. Se trata de una herramienta para familiarizar tanto a veterinarios como a estudiantes con imágenes angiográficas reales del sistema vascular del perro. El objetivo es ayudar a los profesionales veterinarios tanto en la práctica clínica como en la iniciación en las técnicas endoluminales y radiología intervencionista en Veterinaria.
La adquisición del póster, en formato digital o en papel, se puede realizar a través de la web del campus virtual CCMIJU, en el catálogo de cursos (www.campusccmiju.com/catalogo). Está disponible tanto en castellano como en inglés. Acceda la versión en castellano a través del QR adjunto.
La Asociación Canina Nacional (ACCAM) ha renovado su imagen online con una web (www.caninanacionalaccam.es) más actual y vibrante que ofrece nuevas experiencias a un solo clic. En ella, los usuarios encontrarán todas las razas reconocidas, con registros online de inscripciones de camadas, homologaciones, reconocimientos de raza, títulos, afijos, información general, normativas, legislaciones y jueces caninos. Esta potente web contiene un buscador de nombres para mascotas, recomendaciones para la salud animal y muchos temas de interés. ACCAM es una asociación con obra social que lleva muchos años comprometida con labores sociales y humanitarias. Promueve la salud y el bienestar canino y educa al público sobre la propiedad responsable del perro. Desde hace más de 25 años, es referente para todo lo relacionado con los perros.
Improve Veterinary Education (IVE) pone a disposición del veterinario clínico 12 manuales de consulta, escritos en castellano por expertos y recomendados por la International School of Veterinary Postgraduate Studies (ISVPS). Con ello, IVE tiene el objetivo de proporcionan una información bien sintetizada sobre las distintas especialidades veterinarias, incluyendo figuras, tablas y fotografías de calidad para facilitar la comprensión. “Estos ejemplares pretenden ser manuales prácticos de consulta habitual, que puedan resultar útiles a la hora de tomar de decisiones y reforzar conocimientos”, comenta Aram Díez, Regional Head of Operations Spain & Portugal. Los manuales clínicos se encuentran disponibles en la web de IVE (https://improveinternational.com/es/) con un precio especial para sus alumnos y exalumnos.
Fundada en 1983, Virbac España, una de las filiales más antiguas del grupo, celebró el 11 de mayo 40 años de compromiso con la salud animal. El médico veterinario Pierre Richard Dick fundó la filial de Virbac en España una mañana de junio de 1983. Desde entonces, varios directores se han sucedido en España y, lo que es más significativo, la mayoría de los ellos ocupan hoy un puesto de alta responsabilidad dentro del grupo: Sébastien Huron es director general de Virbac, Andrés Engelbreit, director de América Latina, y Enguerrand Dubois, director de Europa. Desde 2022, Pilar Molina asume la dirección de Virbac España, siendo la primera mujer directora general en España (aunque no en el grupo, donde muchas mujeres ocupan puestos directivos).
Un importante caso de leishmaniosis en un cachorro de 5 meses ha sido diagnosticado y tratado por AniCura Lepanto Referencia Veterinaria, cuyo éxito se ha debido al abordaje integral y personalizado del paciente y al uso de técnicas de diagnóstico como la punción aspirativa con aguja fina y la biopsia y la combinación de fármacos para su tratamiento. “Nos hemos puesto en la situación de la cuidadora cuya preocupación eran inicialmente las lesiones nodulares faciales. Nos ha parecido adecuado realizar una citología antes de proponer un paquete de pruebas adicionales, explicando a la cuidadora este proceso para que entendiera la necesidad de realizarlas”, explican desde el centro.
El CCMIJU pone a disposición de los veterinarios el póster del Sistema Vascular del Perro
en los juzgados de menores” aumenta su demanda un 90 por ciento
Se conoce como reacciones adversas al alimento (RAA) al conjunto de alteraciones asociadas a la ingestión de un determinado componente presente en algún ingrediente del alimento. Este componente normalmente es una glucoproteína hidrosoluble de 10 a 70 kilodaltons de tamaño y relativamente estable al calor, los ácidos y las proteasas. Los signos clínicos más frecuentes asociados con las RAA son dermatológicos (hablamos entonces de reacciones cutáneas adversas al alimento, CAFR) y gastrointestinales
REACCIONES ADVERSAS AL ALIMENTO
Las proteínas son los componentes del alimento que más frecuentemente inducen reacción adversa alimentaria. Las que se han reportado como las más comunes en el perro son las de carne de vacuno, productos lácteos, pollo y trigo.
En cambio, en el gato las carnes de vacuno, pescado y pollo representan los alérgenos alimentarios más frecuentes. Por tanto, se evidencia que son las fuentes de proteína animal, y no vegetal, las más frecuentemente involucradas en este tipo de reacciones1
Estas proteínas pueden estar presentes en la alimentación que recibe habitualmente el animal, ya sea en su alimento principal, un extra que suela recibir e incluso formando parte de los saborizantes de algún medicamento. El signo dermatológico más frecuente es el prurito no estacional, que puede ser generalizado o localizado. Las lesiones cutáneas más comunes incluyen eritema, pápulas, excoriaciones, pododermatitis y otitis externa en perros. Dermatitis miliares, placas eosinofílicas, alopecia simé-
LAS PROTEÍNAS SON LOS COMPONENTES DEL ALIMENTO QUE MÁS FRECUENTEMENTE INDUCEN REACCIÓN ADVERSA ALIMENTARIA. LAS QUE SE HAN REPORTADO COMO LAS MÁS COMUNES EN EL PERRO SON LAS DE CARNE DE VACUNO, PRODUCTOS LÁCTEOS, POLLO Y TRIGO. EN CAMBIO, EN EL GATO LAS CARNES DE VACUNO, PESCADO Y POLLO REPRESENTAN LOS ALÉRGENOS ALIMENTARIOS MÁS FRECUENTES.
trica autoinducida y excoriaciones de cabeza y cuello son las lesiones dermatológicas más frecuentemente descritas en gatos.
La fisiopatología de las RAA inmunomediadas (comúnmente conocidas como alergias alimentarias) en gatos y perros no es completamente conocida, aunque se cree que las reacciones de hipersensibilidad más frecuentemente implicadas son las de tipo I, mediadas por IgE.
La reacción alérgica se produce como consecuencia de la liberación de mediadores celulares (histamina) de los mastocitos previamente sensibilizados, que desencadenan una respuesta inflamatoria que da lugar a signos dermatológicos, respiratorios, gastrointestinales o a una combinación de todos ellos. Para que esto tenga lugar se requiere la unión de dos secuencias de aminoácidos de la misma proteína a dos IgE situadas en la superficie del mastocito.
El manejo de las RAA se basa en la elección de la dieta más adecuada. Esta no solo es necesaria para su control, sino que es el único método preciso para su diagnóstico.
LA PRUEBA DE ELIMINACIÓN
La prueba más importante y la única fiable para evaluar y diagnosticar la alergia alimentaria en un perro o gato es la prueba de eliminación.
Consiste en ofrecer una dieta de eliminación durante un periodo recomendado de 8 semanas2 observando una mejora de los signos clínicos, seguido de una recurrencia de estos cuando se realiza la prueba de provocación, es decir, cuando se vuelve a introducir el alimento previo.
El diagnóstico se confirma después de la resolución de los signos cuando se alimenta con la dieta de eliminación de nuevo. Tan pronto como aparezcan los signos clínicos se debe retirar el alimento anterior y continuar solo con la dieta de eliminación.
Se recomienda introducir gradualmente la dieta nueva realizando una transición de 5-7 días de duración y algunos dermatólogos permiten el uso de fármacos antripuríticos a bajas dosis para minimizar los signos cutáneos al comienzo de la prueba.
Ni la serología sanguínea ni la prueba intradérmica proporcionan información clínicamente relevante sobre a qué proteínas del alimento es alérgico un animal.
Se puede optar por dietas con proteína novel, bien caseras o comerciales, o dietas basadas en proteína hidrolizada.
Principales fuentes de proteína relacionadas con RAA en perros y gatos.
Probabilidad de reacción alérgica en función del peso molecular de la proteína.
Peso molecular
Probabilidad de causar una reacción alérgica
>40 kDa Menos frecuente
14-40 kDa Más comunes
4-13 kDa Reducida alergenicidad
1-3 kDa Muy reducida alergenicidad
<1 kDa No produce alergia
Respecto a las dietas caseras, algunos autores las prefieren al considerarlas más fiables que las comerciales, aunque estudios recientes revelan que una dieta comercial extensamente hidrolizada es tan fiable como una dieta casera en el diagnóstico de reacciones adversas al alimento en el perro3 Las dietas comerciales a base de proteína novel se fundamentan en la elección de una proteína a la que el animal no haya estado expuesto anteriormente. Su recomendación para este fin empieza a estar en desuso debido a que se utilizan multitud de fuentes de proteína en los alimentos comerciales de las distintas marcas, además del potencial riesgo de reactividades cruzadas entre las distintas fuentes de proteína. Los alimentos fisiológicos (no dietéticos) aunque se basen en ingredientes poco comunes deben evitarse, ya que pueden contener trazas de fuentes proteicas comunes no mencionadas en la etiqueta, debido a la contaminación en la línea de producción o a la inclusión de estas a nivel de los proveedores de los ingredientes.
Por tanto, la utilización de dietas basadas en proteína hidrolizada es una buena opción.
EL MANEJO DE LAS REACCIONES ADVERSAS AL ALIMENTO (RAA) SE BASA EN LA ELECCIÓN DE LA DIETA MÁS ADECUADA. ESTA NO SOLO ES NECESARIA PARA SU CONTROL, SINO QUE ES EL ÚNICO MÉTODO PRECISO PARA SU DIAGNÓSTICO.
Tanto para el diagnóstico de las reacciones adversas al alimento, como para su manejo nutricional a largo plazo, las dietas con proteína hidrolizada han demostrado ser una herramienta eficaz.Texto e imágenes Royal Canin
La proteína hidrolizada se obtiene tras un proceso de hidrólisis enzimática que divide las proteínas en péptidos más pequeños que las hacen menos alergénicas. Como consecuencia de la disminución del tamaño molecular de las proteínas se reducen las probabilidades de que se produzca la unión con dos IgE y la liberación de histamina. Por otro lado, la gran digestibilidad de estos péptidos también reduce el tiempo de permanencia en el intestino, lo que hace que la posibilidad de reacciones alérgicas o intolerancias sea mínima.
Además, las dietas hipoalergénicas basadas en proteína hidrolizada deben tener en cuenta otros factores, como son el control y la limpieza en todo el proceso de fabricación para evitar una contaminación con antígenos alimentarios indeseados. Por tanto, para evaluar la eficacia de estas dietas se debe valorar el producto final, y no únicamente las proteínas hidrolizadas utilizadas.
Por otro lado, las dietas con proteína hidrolizada presentan varias opciones. Las hay específicas para perros pequeños, otras con un contenido calórico reducido y desde hace poco también una específica para cachorros, que además de sus propiedades hipoalergénicas cubre las necesidades de crecimiento.
LA PROTEÍNA HIDROLIZADA SE OBTIENE TRAS UN PROCESO DE HIDRÓLISIS ENZIMÁTICA QUE DIVIDE LAS PROTEÍNAS EN PÉPTIDOS MÁS PEQUEÑOS QUE LAS HACEN MENOS ALERGÉNICAS. COMO CONSECUENCIA DE LA DISMINUCIÓN DEL TAMAÑO MOLECULAR DE LAS PROTEÍNAS SE REDUCEN LAS PROBABILIDADES DE QUE SE PRODUZCA LA UNIÓN CON DOS IGE Y LA LIBERACIÓN DE HISTAMINA.
Aunque la probabilidad de alergia disminuye con la proteína hidrolizada y se consiguen excelentes resultados en el 90-95 % de los pacientes, se ha observado que, en algunos casos, los gatos y perros mejoran, pero los signos no llegan a desaparecer completamente. Por ello se han desarrollado las dietas basadas en proteína sometida a una hidrólisis extrema o extensamente hidrolizada.
Las diferencias con las dietas a base de proteína hidrolizada “clásicas” se refieren tanto al grado de hidrólisis de la proteína como a la selección del resto de sus componentes y a las medidas higiénicas y de control llevadas a cabo durante su producción. Respecto al grado de hidrólisis de estas dietas, la fuente de proteína se somete a una hidrólisis extrema y su peso molecular es inferior a 1 kD, del que el 88 % está constituido por aminoácidos libres.
En cuanto a la selección de los componentes no proteicos, es recomendable que estas dietas incluyan una única fuente de hidratos de carbono y que esté purificada, es decir, que no contenga ningún resto de proteína. Por otro lado, es necesario tomar medidas de control exhaustivo a lo largo de todo el proceso de producción, desde la limpieza de toda la línea de producción hasta el análisis de las materias primas y el control del producto final mediante PCR para garantizar que no ha habido contaminación durante el proceso.
Por todo ello, estas dietas tienen un potencial alérgeno muy bajo, y esto las convierte en las de elección para ser utilizadas como dieta de eliminación en el diagnóstico de las RAA. Están disponibles para gatos y para perros, también con una versión específica para perros pequeños.
REFERENCIAS:
Proteína vs proteína hidrolizada y proteína extensamente hidrolizada.
Péptidos
Oligopéptidos
La eficacia de la proteína extensamente hidrolizada ha sido demostrada tanto en el diagnóstico como en el manejo de los signos clínicos de las RAA. Se probó su eficacia utilizándola para hacer la prueba de eliminación durante 8 semanas en perros adultos con sospecha de RAA. Se observó una reducción significativa de la puntuación cutánea y la reaparición de los signos tras la provocación4 Puesto que el origen de esta proteína a la que se somete a una hidrólisis extrema es el extracto de pluma de ave, podría surgir la duda de su eficacia en animales alérgicos al pollo. Sin embargo, en un estudio aleatorio doble ciego se comparó con otra dieta a base de hígado de pollo hidrolizado. El resultado fue que en perros alérgicos al pollo la primera no indujo prurito, mientras que la segunda provocó brotes de prurito en el 40 % de los perros5 Para valorar su eficacia diagnóstica se comparó con una dieta casera. En un estudio multicéntrico, prospectivo aleatorio en 72 perros divididos en 2 grupos, uno con dieta casera y el otro con una dieta con proteína de pluma de ave extensamente hidrolizada se demostró la misma eficacia diagnóstica de esta que la elaborada en casa6
OTRAS VENTAJAS
Es cierto que algunos especialistas prefieren las dietas caseras frente a una dieta comercial para realizar el diagnóstico, aunque también reconocen que presentan la dificultad de seleccionar una fuente proteína realmente nueva para el paciente (se necesita una historia nutricional exhaustiva para conocer todos los alimentos que ha tomado el paciente a lo largo de toda su vida), que puede ser costosa económicamente y no siempre fácil de conseguir, junto con la complejidad de equilibrar nutricionalemente la dieta. Además, también se observa un mejor cumplimiento cuando la dieta es comercial. Buscar los ingredientes, su elaboración y su almacenamiento suponen un tiempo y un esfuerzo que pocos propietarios pueden combinar con su día a día. A esto se le une el coste de los componentes de la dieta junto con los suplementos nutricionales que, aunque puede dar la impresión de ser más barato, en realidad resulta más costoso económicamente como se demuestra en un estudio multicéntrico realizado en Francia que compara el coste dia-
rio de una dieta de eliminación utilizando una dieta preparada en casa con una dieta a base de proteína intensamente hidrolizada7. La conclusión fue que en Francia es más cara una dieta preparada en casa que una dieta comercial a base de proteína intensamente hidrolizada.
CONCLUSIÓN
Las dietas basadas en proteínas hidrolizadas han dado buenos resultados en el diagnóstico y el manejo de reacciones adversas al alimento.
Ahora disponemos también de dietas con proteínas extensamente hidrolizadas, para dar respuesta a aquellos pacientes en los que los primeros no son completamente eficaces. Se basan en una hidrólisis extrema de la proteína, así como en la selección del resto de componentes y en un exhaustivo control de todo el proceso.
LA EFICACIA DE LA PROTEÍNA EXTENSAMENTE HIDROLIZADA HA SIDO DEMOSTRADA TANTO EN EL DIAGNÓSTICO COMO EN EL MANEJO DE LOS SIGNOS CLÍNICOS DE LAS RAA. SE PROBÓ SU EFICACIA UTILIZÁNDOLA PARA HACER LA PRUEBA DE ELIMINACIÓN DURANTE 8 SEMANAS EN PERROS ADULTOS CON SOSPECHA DE RAA. SE OBSERVÓ UNA REDUCCIÓN SIGNIFICATIVA DE LA PUNTUACIÓN CUTÁNEA Y LA REAPARICIÓN DE LOS SIGNOS TRAS LA PROVOCACIÓN4.
1. Critically appraised topic on adverse food reactions of companion animals (2): common food allergen sources in dogs and cats. Ralf S. Mueller, Thierry Olivry, Pascal Prélaud. BMC Veterinary Research 2016.
2. Olivry T, Ralf Mueller R, Pascal Prélaud P. Critically appraisedtopic on adverse food reactions of companionanimals (1): duration of elimination diets. BMC Veterinary Research 2015, 11:225 http://www. biomedcentral.com/1746-6148/11/225.
3. Diagnostic value of home-cooked and extensively hydrolyzed diet in the diagnosis of canine adverse food reaction. Cadiergues M.C, Muller A, Bensignor E, Heripret D, Yaguiyan-Colliard L, Mougeot I. WCVD Congress, Bordeaux 2016. Vet Dermatology, 27
4. Mougeot I, et al. Clinical efficacy of a highly hydrolyzed poultry feather protein-based diet for canine AFR diagnosis and dietary management: a 12 case pilot study. Waltham International Nutritional Science Symposium, 1-4 Oct 2013, Portland, Oregon. P70.)
5. Bizikova P, Olivry T. A randomized, double blinded crossover trial testing the benefit of two hydrolysed poultry based commercial diets for dogs with spontaneous pruritic chicken allergy. Vet Dermatol 2016; 27:289-e70).
6. Cadiergues MC - Diagnostic value of home-cooked and extensively hydrolyzed diet (Anallergenic™, Royal Canin, France) in the diagnosis of canine adverse food reaction: a randomized prospective multicentre in 72 dogs. Vet Dermatol 2016; 27 (Suppl. 1): 6-121.
7. M.C. Cadiergues, A. Muller, E. Bensignor, D. HeripreT, L. Yaguiyan-Colliard, I. Mougeot. Cost evaluation of home-cooked and an extensively hydrolyzed diets during an elimination trial: a randomized prospective study.
8. Alergia alimentaria en perros y gatos, desarrollo, diagnóstico y manejo nutricional. Marta Hervera Abad. Revista Clinnutrivet nº6. Mayo 2017
Vetoquinol estuvo presente un año más en el Congreso GTA de AVEPA, celebrado los días 21 y 22 de abril en Bilbao. Con especial foco en el área de Dermatología, la compañía patrocinó la sala del grupo de dicha especialidad, aunque en el congreso estuvo presente con otras soluciones para distintas especialidades como Flexadin, Felpreva o Zylkene, además de Phovia, la alternativa de Vetoquinol basada en energía lumínica FLE que se aplica en clínica veterinaria. Phovia ayuda a reducir el tiempo de recuperación en lesiones cutáneas y acelera la regeneración dérmica en una gran variedad de alteraciones dermatológicas, lo que redunda en un mayor bienestar para las mascotas y sus propietarios.
Fiel a su compromiso con las terapias asistidas con animales, Acana ha comenzado una nueva colaboración con la asociación Perros Azules, la cual permitirá financiar parte de su programa “Cuenta Conmigo”. Esta iniciativa, nacida en 2016, tiene como objetivo ayudar, a través de terapias asistidas con perros, a niños y adolescentes ingresados en la Unidad de Psiquiatría del Hospital Gregorio Marañón. Este tipo de terapias con perros tiene importantes beneficios en personas con problemas de salud mental, ya que reducen la ansiedad y el estrés, sirven de refuerzo positivo para modular conductas, permite expresar mejor las emociones, disminuye la sensación de aislamiento que produce el hospital y mejora el vínculo con el personal sanitario, entre otros.
Biocan Pet’s, referente europeo en la formulación de nutracéuticos derivados del cannabis medicinal en el sector veterinario, patrocinó el Campeonato Mundial del Pastor Alemán WUSV Lerma
2023, celebrado del 11 al 16 de abril la localidad burgalesa. Además, la compañía presentó su destacada línea de productos a asistentes y participantes. “Como empresa comprometida con la salud animal, estamos entusiasmados por apoyar este tipo de eventos que fomentan la conexión entre guía y perro a través del deporte”, aseguraron Jhonatan Segura y Pablo Alamán, CEO y CTO de Biocan Pet’s, respectivamente. Los productos tuvieron un impacto muy satisfactorio, destacando Artro K-nan, Dermo K-nan y el revolucionario Fissio K-nan, cuyos efectos del CBD liposomado favorecen el más alto rendimiento deportivo. Más información en www.biocanpets.es
Neftys Farma Iberia, en su apuesta por la cercanía y el trato personal a los veterinarios, ha reafirmado su compromiso con el apoyo a la formación de los profesionales, de la mano del laboratorio Domes Pharma, mediante su presencia en el XXII Congreso de Especialidades Veterinarias de AVEPTA-GTA, celebrado los días 21 y 22 de abril en Bilbao. Ambas compañías tienen un claro foco en la formación continuada de los veterinarios, y continuarán ofreciendo alternativas innovadoras para avanzar junto con los profesionales en disciplinas clave que ayuden al veterinario en su día a día.
Dômes Pharma patrocinó en el Congreso GTA a varios grupos de especialidades: Traumatología y Ortopedia (GEVO), para apoyar la formación de los veterinarios prescriptores DogStem, el primer medicamento veterinario a base de células madre para la osteoartrosis canina; Emergencias y Cuidados Intensivos, con la gama Anti-Tox para el manejo de las intoxicaciones; y Oftalmología, en el que el laboratorio premió a la veterinaria ganadora de los casos clínicos de oftalmología. Con el equipo de Dômes Pharma estuvo Neftys Farma, distribuidores exclusivos de DogStem y de la gama de oftalmología.
La Plataforma One Health ha sido galardonada en la segunda edición de los Premios El Escarabajo Verde que otorga RTVE con el objetivo de destacar la labor por la conservación del medioambiente en distintos ámbitos de la sociedad. Nacida en 2021, la plataforma One Health es una red de ámbito estatal que aúna los esfuerzos de organizaciones colegiales nacionales, asociaciones y fundaciones pertenecientes a diferentes ámbitos. “Este reconocimiento nos anima a seguir trabajando para que el enfoque One Health se traslade realmente a las políticas para alcanzar un bien superior: proteger la salud de las personas, reducir las inequidades en salud y preservar la sostenibilidad de nuestro planeta”, apunta Maite Martín, presidenta de la plataforma One Health.
El laboratorio Stangest-Cantabria Labs está inmerso en la campaña de su gama de protectores solares HelioVet. Bajo el lema “¿Si proteges tu piel del sol, por qué no la suya?”, la compañía veterinaria quiere concienciar a veterinarios y a propietarios de la importancia de la protección de los efectos nocivos del sol, también en las mascotas.
Para ello han lanzado una oferta especial dirigida al profesional veterinario, a la vez que han diseñado una serie de materiales para el punto de venta, como displays de sobremesa y folletos informativos.
Con el objetivo de robustecer la compañía para continuar con la senda de crecimiento y abrirse a nuevos mercados, el grupo Zendal abordó el pasado año una reorganización de las diferentes divisiones, que se acompañó de un nuevo organigrama corporativo enfocado al mayor aprovechamiento de sinergias entre las diferentes empresas. Zendal da un paso más para afrontar los retos futuros dentro del sector biotecnológico, incorporando como asesor estratégico senior a Juan Carlos Castillejo, veterinario y biólogo que cuenta con una dilatada experiencia profesional en la alta dirección de compañías biofarmacéuticas de salud animal. Castillejo fue más de 10 años presidente de Veterindustria y ocupó la dirección para España y Portugal de Zoetis y de MSD Animal Health, esta última hasta 2023.
El mensaje de Stangest se centra en que la protección de perros y gatos del sol es crucial para el cuidado de su piel, ya que la radiación solar les afecta igual que a los seres humanos, sobre todo a aquellos de pelo corto, blanco y rapados. HelioVet realiza una triple acción sobre el animal: ofrece una protección de amplio espectro frente a la radiación solar, repara el daño en el ADN e hidrata la barrera cutánea. HelioVet se encuentra tanto en crema como en spray; ambos tienen una textura ligera de rápida absorción, resistente al agua, que les hace ideales para aplicar durante las actividades al aire libre.
Veterindustria colaborará en el desarrollo reglamentario del Real Decreto de la Ley 7/2023 de Protección de los Derechos y el Bienestar de los Animales, tras la invitación de Sergio García, director general de Derechos de los Animales del Ministerio de Derechos Sociales y Agenda 2030, durante la reunión mantenida con el director general Santiago de Andrés y el director técnico Pablo Hervás. Sergio García emplazó a la patronal a participar en los procesos de consulta actuales y futuros como son, entre otros, el listado positivo de animales de compañía, la creación del Consejo Estatal de Protección Animal, el Plan Estatal de Protección Animal, los registros para la protección animal o los cursos de formación para la tenencia de perros.
HifasVet se presentó en sociedad en el XXII Congreso de Especialidades Veterinarias de AVEPA (GTA 2023), celebrado los días 21 y 22 de abril en Bilbao. La compañía aprovechó este evento de alto contenido científico para lanzar su innovadora gama de alimentos complementarios y dermatología exclusiva para el canal veterinario. “Agradecemos a los veterinarios que nos visitaron su interés por la micoterapia veterinaria y les animamos a descubrir más beneficios de la micoinmunobiótica en la salud de las mascotas”, apuntan Esteban Sinde, CEO y responsable de R&D e Innovación de HifasVet, y Begoña Ondiviela, BD & Marketing Manager. “En HifasVet trabajamos para mejorar diariamente e innovar en productos e ingredientes funcionales que cuiden de personas, mascotas, animales de producción y medioambiente dentro del enfoque One Health”, añaden.
La Mesa Nacional del Perro se reunió en mayo por primera vez para abordar las prioridades aún pendientes de desarrollo reglamentario en la nueva Ley de Protección de los Derechos y el Bienestar de los Animales, aprobada en marzo, entre las que se encuentran la puesta en marcha de un nuevo sistema de registros de animales y criadores. En este encuentro, impulsado por la Real Sociedad Canina de España, participaron el Real Club Español del Perro de Pastor Alemán, Asociación Nacional Canina ACCAM y Kennel Club de España, principales asociaciones de criadores reconocidas oficialmente en España, para coordinar sus trabajos.
Zendal refuerza su comité directivo con la incorporación de Juan Carlos Castillejo como asesor estratégico
El control efectivo de los parásitos debe tener como objetivo prevenir una infección patente y la enfermedad, especialmente en el caso de A. abstrusus, dado que el daño pulmonar se produce durante el periodo de prepatencia. Bravecto® Plus ha sido recientemente autorizado en Europa para la prevención de la aelurostrongilosis, al evitar el establecimiento de Aelurostrongylus abstrusus adulto responsable de la enfermedad clínica.
Federica Burgio
Scientific and Policy Lead
Companion Animals
MSD Animal Health
Los nematodos cardiopulmonares son parásitos que pueden afectar a los gatos y que en Europa representan un problema emergente. Aelurostrongylus abstrusus es el gusano pulmonar más prevalente en los gatos domésticos, mientras que Oslerus rostratus y Troglostrongylus se encuentran principalmente en gatos salvajes.
Este nematodo metastrongiloide provoca la aelurostrongilosis felina, una importante y grave enfermedad pulmonar parasitaria muy extendida en todo el mundo que puede afectar a todo tipo de gato independientemente de su hábitat, estilo de vida, sexo y raza.
dro subclínico hasta producir una enfermedad respiratoria potencialmente mortal, especialmente en jóvenes debilitados o animales inmunodeprimidos. Sin embargo, existe la posibilidad de que infecciones patentes se detecten tras una analítica fecal de rutina en gatos aparentemente sanos.
En la última década, los nematodos cardiopulmonares, incluyendo A. abstrusus, se están propagando tanto en áreas endémicas como en regiones previamente libres de la enfermedad. Las alteraciones en los patrones climáticos a nivel global pueden haber influido en los cambios en la epidemiología del gusano pulmonar felino. Temperatura, humedad y la disponibilidad de agua afectan, de hecho, al desarrollo y la supervivencia de los moluscos hospedadores intermediarios, así como al desarrollo de las larvas en caracoles y babosas.
Aelurostrongylus abstrusus provoca la aelurostrongilosis felina, una importante y grave enfermedad pulmonar parasitaria muy extendida en todo el mundo que puede afectar a todo tipo de gato independientemente de su hábitat, estilo de vida, sexo y raza.
Esta enfermedad es causada por nematodos que viven en el sistema respiratorio de los gatos, donde las hembras ponen huevos y estos eclosionan en las vías respiratorias, liberando larvas que son eliminadas en las heces. Las larvas pueden infectar moluscos terrestres y desarrollarse hasta una fase infectiva, que puede ser ingerida por los gatos cuando comen huéspedes intermediarios como los propios moluscos o paraténicos como pájaros, ranas, lagartijas, serpientes y roedores. No es necesario que el gato coma el molusco, simplemente beber en aguas donde puede haber moluscos infectados puede ser suficiente para producir la enfermedad en el gato. Las larvas luego migran a los pulmones del gato a través del torrente sanguíneo y los vasos linfáticos, donde alcanzan la edad adulta después de 4-6 semanas.
Las características clínicas de la aelurostrongilosis felina pueden variar en gravedad desde la aparición de un cua-
La prevalencia en Europa varía entre un 0,1 y 10,7 % en el norte y en el centro, y entre el 8,0 y el 27,3 % en el este y en el sur. El control efectivo de los parásitos debe tener como objetivo prevenir una infección patente y la enfermedad, especialmente en el caso de A. abstrusus dado que el daño pulmonar se produce durante el periodo de prepatencia.
Bravecto® Plus ha sido recientemente autorizado para la prevención de la aelurostrongilosis, al evitar el establecimiento de Aelurostrongylus abstrusus adulto responsable de la enfermedad clínica.
Un estudio reciente ha demostrado la eficacia de Bravecto® Plus para la prevención de la aelurostrongilosis felina durante 12 semanas. El estudio evaluó la eficacia y seguridad de una combinación de moxidectina y fluralaner para la prevención frente a la aelurostrongilosis clínica y a las infecciones patentes en gatos
desafiados experimentalmente con A. abstrusus 4, 8 o 12 semanas después de un solo tratamiento.
En este estudio, los animales se dividieron en 4 grupos: los grupos (G) 1, 2 y 3 recibieron una única dosis de Bravecto® Plus, a la dosis mínima recomendada en los días 0, 28 y 56, mientras que los animales del grupo de control (G4) recibieron una dosis de placebo (solución salina al 0,9 %) en los mismos días de estudio (0, 28 y 56).
En el día 84, cada gato de cada grupo fue inoculado por vía oral con aproximadamente 300 L3 de A. abstrusus (tabla 1).
La valoración de la eficacia preventiva se basó en verificar la media geométrica del recuento de gusanos en cada grupo de tra-
Grupos Día tratamiento
tamiento en comparación con el grupo de control al que se le administró placebo.
Como criterios secundarios de valoración de eficacia preventiva, se evaluaron los siguientes parámetros:
En la última década, los nematodos cardiopulmonares, incluyendo A. abstrusus, se están propagando tanto en áreas endémicas como en regiones previamente libres de la enfermedad. Las alteraciones en los patrones climáticos a nivel global pueden haber podido influir en los cambios en la epidemiología del gusano pulmonar felino.
Infección con 300 larvas L3
G1 0 12 semanas después
G2 28 8 semanas después
G3 56 4 semanas después
Un estudio reciente ha demostrado la eficacia de Bravecto® Plus para la prevención de la aelurostrongilosis felina durante 12 semanas. El estudio evaluó la eficacia y seguridad de una combinación de moxidectina y fluralaner para la prevención frente a la aelurostrongilosis clínica y a las infecciones patentes en gatos desafiados experimentalmente con A. abstrusus 4, 8 o 12 semanas después de un solo tratamiento.
• El recuento máximo individual de larvas L1 entre los días 114 y 130 en los grupos de tratamiento (G1-G3) comparados con los gatos del grupo control (G4) (tabla 2).
• Las frecuencias respiratorias examinadas el día anterior al primer tratamiento (D-1), el día anterior a la infección experimental (D83) y dos veces a la semana entre el día 85 y 128.
• Las puntuaciones de patología pulmonar en la necropsia de los grupos tratados comparadas con el grupo placebo (figura 1).
Este es el primer estudio que demuestra un efecto preventivo a largo plazo de
un fármaco contra la aelurostrongilosis felina cuando se aplica como un único tratamiento antes de la infección. Los autores refieren que la administración de Bravecto® Plus 4, 8 o 12 semanas antes de la infección por A. abstrusus es segura y fiable y una opción de confianza para inhibir el establecimiento de adultos de A. abstrusus en el pulmón, en la prevención de lesiones pulmonares y en la excreción de larvas.
Por tanto, se puede concluir que un solo tratamiento con Bravecto® Plus previene la aelurostrongilosis felina durante al menos 12 semanas.
Este es el primer estudio que demuestra un efecto preventivo a largo plazo de un fármaco contra la aelurostrongilosis felina cuando se aplica como un único tratamiento antes de la infección.
■ Lesiones pulmonares muy severas
■ Lesiones pulmonares severas
■ Lesiones pulmonares leves
■ Lesiones pulmonares muy leves
■ Lesiones pulmonares ausentes
La administración de Bravecto® Plus 4, 8 o 12 semanas antes de la infección por A. abstrusus es segura y fiable y una opción de confianza para inhibir el establecimiento de adultos de A. abstrusus en el pulmón, en la prevención de lesiones pulmonares y en la excreción de larvas.
BIBLIOGRAFÍA:
• Lungworm disease in cats: ABCD guidelines on prevention and management. M.G. Pennisi et al. J Feline Med Surg. 2015 Jul;17(7):626-36.
• Diagnosis and management of lungworm infections in cats: Cornerstones, dilemmas and new avenues. D.Traversa and A. Di Cesare. Journal of Feline Medicine and Surgery (2016) 18, 7–20
• Efficacy of Bravecto Plus® spot-on solution for cats (280 mg/ml fluralaner and 14 mg/ml moxidectin) for the prevention of aelurostrongylosis in experimentally infected cats. Katharina Raue et al. Parasites & Vectors (2021) 14:110
• Pequeños cambios pueden marcar grandes diferencias en el manejo de los animales en el centro veterinario
• Falta de bienestar en perros con agresividad
• Influencia de los veterinarios en el bienestar presente y futuro de perros y gatos en la clínica veterinaria
• Feromonoterapia en perros y gatos
El manejo de bajo estrés en la clínica se centra en reducir todo lo posible los estímulos negativos presentes durante las visitas veterinarias y facilitar las experiencias positivas y agradables para el animal. Por tanto, debemos transformar la forma en la que interactuamos con nuestros pacientes y buscar la manera de realizar los procedimientos veterinarios con su colaboración.
Rosario Galtier Vallejo
Responsable de Ebavet. Centro de Referencia en Medicina del Comportamiento Animal Ctra. TF-228, 121. Tacoronte, 38355. Santa Cruz de Tenerife Imágenes cedidas por la autora Agradecimiento a la Clínica Veterinaria La Cuesta por su colaboración
Hace más de 10 años que Sophia Yin publicó su libro Low Stress Handling, Restraint and Behavior Modification of Dogs and Cats: Techniques for Developing Patients Who Love Their Visits. Desde entonces, se han popularizado conceptos como “manejo de bajo —o libre de— estrés”, “manejo respetuoso”, “manejo libre de miedos” o “manejo amable” para hacer referencia a técnicas de manejo respetuosas con el animal y su bienestar. Como veterinarios, debemos asumir que las visitas veterinarias pueden suponer un evento especialmente estresante y traumático para los animales. Es nuestra obligación, como profesionales, priorizar el bienestar animal utilizando todas las herramientas y recursos a nuestro alcance para transformar las visitas veterinarias en experiencias lo más agradables posibles para nuestros pacientes.
para el manejo de animales en los centros veterinarios.
¿Es complicado llevar a cabo un manejo amable en los centros veterinarios?
Con el objetivo principal de disminuir el estrés y las respuestas de miedo habituales durante una consulta veterinaria, el manejo de bajo estrés en la clínica se centra en dos premisas básicas:
• Reducir todo lo posible los estímulos negativos presentes durante las visitas veterinarias.
• Facilitar las experiencias positivas y agradables para el animal.
Sin embargo, aunque visto así pueda parecer sencillo, con las prisas del día a día es fácil que acabemos recurriendo a viejas costumbres.
¿Cómo puedo contribuir a que mi centro veterinario sea un centro amable con los animales?
En la tabla 1 se recogen diferentes preguntas que podemos plantearnos sobre el centro veterinario y cómo mejorarlo.
Revisar los protocolos de actuación Debemos analizar cómo es la experiencia de visitar nuestro centro como cliente y como paciente. Por tanto, debemos revisar los diferentes protocolos de actuación, desde la primera toma de contacto por parte del cliente con el centro veterinario, la reserva de la cita, la llegada al centro, el tiempo en la sala de espera, el traslado hacia la sala de consulta, la atención en la consulta y en hospitalización, hasta el momento del alta y la vuelta a casa.
Aunque a la hora de atender a un animal habrá que adaptarse a sus circunstancias, todo el personal deberá conocer las recomendaciones estándar de manejo y actuación.
Facilitar la formación sobre manejo low-stress a los trabajadores del centro
Las técnicas de low stress handling ayudan a mejorar la relación y fidelización con el cliente, e incluso la salud laboral de los trabajadores y la gestión de los centros veterinarios.
Y en los últimos años estamos viendo cómo se publican cada vez más estudios sobre los efectos del manejo veterinario en el bienestar y la salud de los animales. Además, las técnicas de low stress handling ayudan a mejorar la relación y fidelización con el cliente, e incluso la salud laboral de los trabajadores y la gestión de los centros veterinarios.
Sin duda, lo que nació como un libro se ha convertido en toda una revolución de la atención veterinaria a nivel mundial. Tanto que varias asociaciones internacionales —como la Federación Europea de Asociaciones Veterinarias de Animales de Compañía (FECAVA), la Sociedad Europea de Etología Clínica Veterinaria (ESVCE), la Sociedad Internacional De Medicina Felina (ISFM), entre otras— han publicado diferentes guías con recomendaciones y programas de certificación
Como responsable de un centro veterinario Si estamos al mando de la gestión de un centro veterinario tenemos la responsabilidad de facilitar todas las herramientas necesarias para que nuestros trabajadores puedan llevar a cabo su trabajo de la mejor manera posible, incluyendo el trato hacia sus pacientes. Para ello tal vez sea necesario realizar cambios estructurales y organizativos que faciliten la implementación del manejo amable. A la hora de transformar nuestro centro veterinario hacia un centro más amable con los animales debemos empezar por los aspectos que se exponen a continuación.
Revisar la infraestructura del centro Revisaremos cada estancia del establecimiento buscando puntos de mejora. No tiene por qué ser necesario hacer grandes obras: con un poco de imaginación se pueden hacer pequeños cambios que marquen la diferencia. Podemos ayudanos de nuestro equipo para conocer sus opiniones y buscar soluciones entre todos.
En la actualidad existen diferentes cursos y programas de certificación sobre manejo low-stress que pueden ser de utilidad para ayudar a la capacitación de los trabajadores en técnicas de manejo de bajo estrés.
en las fotografías Figura 1. Con una manta podemos transformar una jaula para perro en una jaula para gato con una zona para esconderse cuando el paciente lo necesite.Tabla 1. Factores para revisar en un centro veterinario.
Estancia Algunos aspectos que tener en cuenta Posibles soluciones
• ¿Qué es lo primero que ven/escuchan/huelen nuestros pacientes al entrar al centro?
• ¿La entrada está libre de otros animales?
Entrada
Recepción
Sala de espera
• ¿Pueden entrar al centro sin encontrarse con otros animales?
• ¿Es posible contar con entradas diferenciadas para perros y gatos?
• ¿La zona de recepción está separada de la sala de espera?
• ¿El mostrador tiene espacio suficiente para que el cliente pueda ver/rellenar la documentación de forma cómoda?
• Mientras el cliente está en la recepción, ¿el perro puede estar viendo a otros perros?
• ¿Hay espacio donde colocar el transportín de un gato en alto?
• ¿Contamos con salas de espera separadas por especie?
• ¿La sala de espera de perros permite separar visualmente a los perros que muestren miedo o agresividad hacia perros o personas?
• ¿La sala de espera para gatos cuenta con zonas donde colocar los transportines en alto?
• ¿Cuenta con suficiente espacio para que el animal pueda moverse cómodamente?
• ¿Es necesario tener en consulta todos los muebles y todo el material que hay?
• Contar con paneles o biombos que faciliten la separación de espacios (figuras 4 y 5).
• Tener una sala disponible donde invitar a pasar a perros que muestren miedo en presencia de otros perros o personas.
• Trabajar con cita previa para evitar la afluencia de animales en la sala de espera, incluso evitar coincidir a perros con gatos.
• Colocar difusores de feromonas específicas para cada especie para ayudar a reducir el estrés de los animales.
• Tener disponibles toallas o alfombras para hacer más confortables las mesas de exploración metálicas.
Consulta
Hospitalización
• ¿La mesa de exploración cuenta con alguna funda que la haga menos resbaladiza, brillante y fría?
• ¿La zona de pesado (báscula) se encuentra en una zona tranquila y de fácil acceso?
• ¿Disponemos de hospitalización separada por especies?
• ¿Qué ven los animales cuando están dentro de las jaulas?
• ¿Es posible bloquear la visión entre los pacientes?
• ¿De qué material son las jaulas de hospitalización?
• ¿Contamos con material para hacer más confortables las jaulas metálicas?
• ¿Las jaulas para gatos cuentan con zonas para esconderse y superficies elevadas?
Facilitar a los trabajadores el material necesario
Aparte del material veterinario habitual, una clínica con manejo amable deberá contar con una serie de elementos:
• Material de refuerzo positivo: premios de diferentes tamaños, sabores y texturas.
• Alfombras de lamido.
• Bolsas de premios para el personal.
• Difusores y spray de feromonas.
• Mantas y toallas.
• Termómetros de lectura rápida.
Favorecer el diálogo y el trabajo en equipo
Podemos realizar reuniones de equipo donde comentar los avances, las dificultades y los puntos de mejora, así como escuchar las sugerencias de los trabajadores.
Invertir en soluciones tecnológicas
En la actualidad contamos con la opción de trabajar con microchips con
• Colocar la báscula en zonas amplias, evitando colocarlas en esquinas para no acorralar al animal (figuras 2 y 3).
• Contar con mantas o toallas para cubrir las jaulas (figura 1), y facilitar el descanso confortable de los animales ingresados.
• Contar con cajas de plástico (no transparentes) para facilitar que los gatos puedan esconderse, así como usar la zona alta.
biosensor de temperatura integrado. Gracias a estos microchips, muchos animales pueden librarse de uno de los momentos más incómodos y estresantes de las consultas veterinarias: la medición de la temperatura rectal.
Buscar asesoramiento externo
Si estás interesado en transformar tu centro en un centro amable hacia los animales, pero no ves cómo conseguirlo, puedes buscar la ayuda de un profesional externo.
Tras una primera base de evaluación del centro, preparará un programa personalizado y te ayudará a llevarlo a cabo.
Como trabajador
Como trabajadores de centros veterinarios podemos llegar a encontrarnos con el freno de la negativa de la dirección para llevar a cabo cambios estructurales u organizativos que faciliten la implementación
No tiene por qué ser necesario hacer grandes obras: con un poco de imaginación se pueden hacer pequeños cambios que marquen la diferencia. Puedes ayudarte de tu equipo para conocer sus opiniones y buscar soluciones entre todos.
del manejo amable en nuestro puesto de trabajo, como los comentados en el punto anterior.
Sin embargo, esto no debe frenarnos para mejorar nuestro propio manejo de nuestros pacientes y la atención que prestamos a nuestros clientes.
Quién sabe, tal vez nuestro cambio influya en otros compañeros y ayude a hacer ver a los responsables que su negativa era un error.
A la hora de cambiar nuestro manejo hacia uno más amable debemos empezar por los siguientes puntos.
Aprender a reconocer el lenguaje corporal
Conocer el lenguaje corporal de las diferentes especies que vienen a nuestro centro nos ayudará a reconocer cualquier signo de ansiedad, miedo o estrés (tabla 2).
La mayoría de los animales que muestran dificultad para el manejo dentro de los centros veterinarios, incluyendo los que tienen conductas agresivas hacia el personal, son animales miedosos, que intentan evitar una situación desagradable e incluso, a veces, dolorosa. De forma natural, antes que la agresividad, muchos animales muestran previamente otras señales de miedo, ansiedad o estrés. Si sabemos detectar dichas señales a tiempo,
podremos readaptarnos y considerar otras formas de actuación.
Aprender a utilizar nuestro lenguaje corporal
Al igual que podemos reconocer el lenguaje corporal de nuestros pacientes para detectar signos de incomodidad o estrés, podemos utilizar nuestro propio lenguaje para comunicar a los animales que no somos una amenaza.
Existen algunas pautas generales de manejo que nos ayudarán a mejorar la percepción que nuestros pacientes tienen de nosotros:
• No acercarnos directamente.
• Colocarnos de lado y evitar el contacto visual directo.
• Si no hay signos de agresividad, podemos colocarnos de cuclillas con el cuerpo girado para parecer menos amenazantes. Evitar inclinarnos sobre el animal.
• Dejar que el animal sea el primero en acercarse a nosotros y olfatee nuestra mano antes de intentar tocarlo.
• Si el animal se muestra desconfiado o inseguro podemos hablarle con voz suave y ofrecerle premios, y analizar su reacción a nuestra interacción.
• Evitar manipular a los perros cogiéndolo por el collar. Podemos incitarlos a que nos sigan llamándolos u ofreciéndoles un premio comestible (figura 3).
Tabla 2. Signos de ansiedad o estrés en perros y gatos que podemos observar en el centro veterinario.
• Jadeos, temblores y/o rigidez muscular
• Aumento de la frecuencia cardiaca y respiratoria
• Midriasis
• Bostezos
• Lamido de labios y/o nariz
• Retracción de los labios
• Rechinar los dientes
• Salivación/hipersalivación
• Sacudidas de la cabeza
• Vocalización (excesiva y/o fuera de contexto)
• Vocalizaciones repetitivas, incluidos gemidos agudos
• Esconderse o intentar esconderse
• Escapar o intentar escapar
• Inmovilización o disminución de la actividad
• Deambulación o incremento de la actividad
• Evitar el acercamiento y/o el contacto. Apartar la mirada, girar la cabeza o el cuerpo, alejarse.
• Postura del cuerpo más baja de lo normal (en la postura defensiva, por miedo, el cuerpo está extremadamente bajo y con la cola baja o metida entre las patas)
• Orejas bajas y caídas
• Hipervigilancia y estado de alerta. Reacciones exageradas a estímulos habituales
• Elevación de una extremidad (como si fuera a moverse)
• Disminución del apetito/rechazo de premios
• Vaciado de glándulas anales
• Cambios de comportamientos, incluido aumento de reactividad o agresividad
Adaptado de American Animal Hospital Association. AAHA, 2015.
Figura 2. Un error frecuente al pesar a los perros es hacer que caminen hacia una pared o esquina de la habitación.• Evitar sacar nosotros a los gatos del transportín. Podemos incitarlos a salir utilizando comida o juguetes.
Desterrar pautas de manejo obsoletas
Durante muchos años, el manejo de los perros —e incluso de los gatos— se ha basado en la errónea teoría de la dominancia, donde predominan un manejo brusco y un alto grado de correcciones, castigos y estímulos aversivos. Sin embargo, un estudio científico ha demostrado que el manejo basado en métodos aversivos afecta negativamente al bienestar de los perros.
La acepromacina disminuye las respuestas motoras sin afectar a la percepción sensorial por lo que, aunque el animal no pueda responder, sigue percibiendo los estímulos amenazantes, lo que aumenta los estados de ansiedad y el miedo.
Las técnicas de manejo basadas en la teoría de la dominancia siguen los principios de imposición y fuerza (por encima del vínculo, el respeto y la confianza) y se apoyan en la creencia de que para convivir con perros debemos dominarlos. Un ejemplo es la técnica del alpha-roll o volteo, con la que lo único que conseguimos es demostrar al perro que no debe fiarse de la persona que le obliga a hacer esa postura. Nunca debemos usar el alpha-
roll para el manejo de nuestros pacientes ni, por supuesto, recomendarla a nuestros clientes.
Perder el miedo a utilizar psicofármacos
Cada vez tenemos más evidencia científica sobre los beneficios de la administración de ciertos fármacos antes de la visita al veterinario. Los fármacos recomendados son: trazodona, gabapentina, benzodiacepinas o dexmedetomidina.
Aunque tradicionalmente sea uno de los fármacos más utilizados, se desaconseja el uso de acepromacina antes de acudir a centros veterinarios. La acepromacina disminuye las respuestas motoras sin afectar a la percepción sensorial por lo que, aunque el animal no pueda responder, sigue percibiendo los estímulos amenazantes, lo que aumenta los estados de ansiedad y el miedo. Por tanto, su uso puede acabar empeorando la percepción del animal de las visitas al centro veterinario, incrementando aún más su miedo al veterinario. Además, se ha descrito la desinhibición de conductas agresivas, por lo que estaríamos poniendo en riesgo tanto a nuestros clientes como al personal del centro.
Familiarizarnos con las técnicas de manejo respetuoso más habituales
Una vez en consulta, debemos adaptarnos al motivo de la consulta y las necesidades de cada animal. Sin embargo, existen diferentes técnicas de manejo respetuoso básicas a las que siempre podemos recurrir:
• En el caso de los perros, al inicio de la consulta le dejaremos explorar la sala y podemos esparcir comida por
el suelo (siempre que se pueda) para facilitar su exploración. A la hora de la exploración física debemos valorar si es necesario subirlos a la mesa de exploración. A los animales grandes es recomendable explorarlos en el suelo (figura 6). Durante la exploración podemos administrar premios para que asocien la manipulación con estímulos agradables.
• En el caso de los gatos, siempre que se pueda es recomendable realizar la exploración dentro de su transportín retirando la parte superior. Con los gatos más temerosos podemos ayudarnos de una manta (cubriendo el transportín para que puedan esconderse) e ir levantándola por las zonas que queramos explorar. Gatos más sociables agradecen que se les explore estando sobre el
Bibliografía:
regazo del veterinario. Para ello colocaremos al paciente con la cabeza hacia nuestras rodillas, dándonos la espalda. La utilización de las llamadas “alfombras de lamido” pueden ayudarnos para mejorar la percepción del animal de algunos procedimientos veterinarios. Estas alfombras se rellenan con comida húmeda que ofreceremos al animal y lo distraerán mientras lo exploramos, e incluso mientras le tomamos la temperatura rectal o cuando le aplicamos tratamientos inyectables.
En definitiva, debemos evitar recurrir a la fuerza y la imposición, y transformar la forma en la que interactuamos con nuestros pacientes buscando la manera de realizar los procedimientos veterinarios con su colaboración.
• Alvarez, R., Quintana, G. (2020). Manejo libre de estrés en la clínica veterinaria. Ed Servet, Zaragoza, España.
• Cascales, M. (2017). Manejo low stress en la práctica clínica diaria. Canis et Felis, 144, 34-52.
• GEMCA-AVEPA (2016). Posicionamiento sobre Recomendaciones del GEMCA sobre el uso de la acepromacina en problemas de fobias en perros.
• GEMCA-AVEPA (2019). Posicionamiento sobre la teoría de la dominancia en perros.
• GEMCA-AVEPA (2021). Posicionamiento sobre la educación amable y positiva.
• Hammerle, M., Horst, C., Levine, E., Overall, K., Radosta, L., Rafter-Ritchie, M., Yin, S. (2014). 2015 AAHA Canine and Feline Behavior Management Guidelines. Journal of the American Animal Hospital Association, 51(4), 205221.
• Riemer, S., Heritier, C., Windschnurer, I., Pratsch, L., Arhant, C. Affenzeller, NA. (2021). Review on Mitigating Fear and Aggression in Dogs and Cats in a Veterinary Setting. Animals, 11, 158.
Rodan, I., Dowgray, N., Carney, HC., Carozza, E., Ellis, S., Heath, S., Niel, L., St Denis, K., Taylor, S. (2022). 2022 AAFP/ISFM Cat Friendly Veterinary Interaction Guidelines Approach and Handling Techniques. Journal of Feline Medicine and Surgery, 24, 1093–1132.
Vieira de Castro, AC., Fuchs, D., Morello, GM., Pastur, S., de Sousa, L., Olsson, IAS. (2020). Does training method matter? Evidence for the negative impact of aversive-based methods on companion dog welfare. PLoS ONE. 15(12): e0225023. Wess, L., Bohm, A., Schützinger, M., Riemer, S., Yee, JR., Affenzeller, N., Arhant, C. (2022) Effect of cooperative care training on physiological parameters and compliance in dogs undergoing a veterinary examination – A pilot study. Applied Animal Behaviour Science, 250: 105615.
• Yin, S. (2009). Low Stress Handling, Restraint and Behavior Modification of Dogs and Cats: Techniques for Developing Patients Who Love Their Visits. Cattle dog Publishing Davis, CA, USA.
Figura 3. Según la colocación de la báscula, podemos colocarnos de manera que facilitemos que el perro haga un recorrido hasta subir a pesarse sin percibir que lo estamos acorralando. Figura 4. Si no tenemos espacio para hacer dos salas de espera separadas, podemos utilizar paneles separadores para dar más intimidad a los gatos. Figura 5. Podemos hacer uso de paneles temporales de separación cuando tengamos perros con miedo a otros perros o personas.Las conductas agresivas suponen más de la mitad de los casos de consulta en centros especializados en medicina del comportamiento. En estos pacientes es importante abordar la falta de bienestar mediante un enfoque integral: identificar y manejar las causas subyacentes y establecer un programa adecuado de modificación de conducta.
1DVM, Msc, Residente ECAWBM. Hospital Veterinario Universitario Fundación Rof Codina
2DVM, Msc, Acreditada en AVEPA en Medicina del Comportamiento. Centro Veterinario Berango (Bilbao)
3DVM, PhD, Msc, Diplomada ECAWBM, Acred AVEPA Medicina del comportamiento. Hospital Veterinario Universitario Fundación Rof Codina
Los perros son animales de compañía populares en todo el mundo y muchas personas los consideran parte de la familia. Sin embargo, algunos pueden desarrollar comportamientos agresivos, lo que puede causar problemas tanto para el perro como para sus tutores, así como para la seguridad de las personas y otros animales de su entorno.
En un estudio llevado a cabo en nuestro país en 2007 se observó que los problemas de agresividad eran el motivo más común de consulta a centros de especialidad de medicina del comportamiento,
En un estudio llevado a cabo en nuestro país en 2007 se observó que los problemas de agresividad eran el motivo más común de consulta a centros de especialidad de medicina del comportamiento, hasta el punto de que suponían el 52,28 % de todos los casos. La más prevalente fue la agresividad hacia los miembros de la familia, seguida de la agresión hacia otros perros y hacia personas desconocidas1
hasta el punto de que suponían el 52,28 % de todos los casos. La más prevalente fue la agresividad hacia los miembros de la familia, seguida de la agresión hacia otros perros y hacia personas desconocidas1
La agresividad canina puede tener múltiples causas, y a menudo es el resultado de una combinación de factores genéticos y ambientales, por lo que la capacidad de
predecir qué individuos pueden tener tendencias agresivas es muy limitada. Sabemos que, aunque la genética juega un papel importante en la agresividad en los perros2, la raza por sí sola no es un predictor confiable de las tendencias conductuales individuales3. Un estudio genómico reciente mostró que, aunque la mayoría de los rasgos de comportamiento canino tienen una heredabilidad relativamente alta (h 2 > 0,25), la raza explica solo el 9 % de la variación de comportamiento entre individuos4
La falta de bienestar en los perros puede contribuir a la presentación de conductas agresivas. En este sentido, el bienestar es un concepto que se refiere a su estado físico, mental y emocional en general, y es un aspecto crucial de su calidad de vida: puede tener un impacto negativo en la salud y el comportamiento de los perros, y puede ser un factor contribuyente en el desarrollo de la agresividad como una forma de protección o defensa.
A continuación, se exponen algunas posibles causas de la falta de bienestar en perros agresivos.
Factores de salud
Los problemas de salud, como el dolor crónico, las enfermedades neurológicas o las alteraciones hormonales pueden influir en el comportamiento de los perros y cursar con agresividad5. Así, se ha visto que los perros con dolor crónico pueden manifestar conductas agresivas que no habían mostrado anteriormente6,7
Estrés y ansiedad
El estrés crónico puede deberse a factores como el ambiente, la socialización inadecuada, la falta de estimulación mental o física, cambios en la rutina o en el hogar, entre otros8. Los perros que están sometidos a altos niveles de estrés o ansiedad pueden desarrollar comportamientos agresivos como una forma de adaptación al medio que los rodea.
falta puede hacer que los perros se aburran, se estresen y desarrollen comportamientos indeseables, incluyendo la agresividad10 Falta de contacto social Los perros son una especie socialmente gregaria y una de sus necesidades etológicas básicas es el contacto social, tanto con personas como con sus congéneres. Si esto no es posible, pueden desarrollar agresividad11
Ambiente inadecuado
Un ambiente poco adecuado para los perros, como un espacio confinado o sucio, falta de acceso a agua fresca y comida, falta de descanso adecuado, entre otros factores, puede contribuir a la falta de bienestar en los perros y, en algunos casos, a la agresividad12
Sabemos que, aunque la genética juega un papel importante en la agresividad en los perros2, la raza por sí sola no es un predictor confiable de las tendencias conductuales individuales3
Falta de socialización
Una socialización adecuada es esencial para que los perros aprendan a interactuar de manera correcta con sus congéneres, otros animales y personas. Los problemas de socialización pueden dar lugar a trastornos ansiosos y fóbicos en los perros, lo que a su vez puede manifestarse con comportamientos agresivos9
Falta de ejercicio y estimulación mental
Los perros son animales activos: necesitan ejercicio regular y estimulación mental para mantenerse sanos y equilibrados. Su
Cabe destacar que en muchos casos se opta por el confinamiento de estos animales agresivos, lo que disminuye más su bienestar causado por un ambiente inadecuado, una falta de acceso al contacto social y una falta de ejercicio y estimulación mental (figura 1).
Una de las formas de clasificar la agresividad es la denominada “clasificación biológica”, donde cada tipo se diferencia principalmente en sus objetivos y regulación neuronal13:
Susana Muñiz de Miguel1, Gloria Maldonado Cecilia2, Ángela González Martínez3Categoría diagnóstica Blanco
Conflicto social Miembros de la familia
Contexto Postura Sistema motivacionalemocional
Competición Situaciones de conflicto Interacciones relacionadas con el estatus
Ambivalente Frustración Ansiedad- miedo
Agresividad defensiva dirigida hacia personas Personas desconocidas Aproximación Manipulación Defensiva Ansiedad – miedo Frustración
Agresividad ofensiva dirigida hacia personas Personas desconocidas Aproximación Manipulación Ofensiva Frustración (ansiedad – miedo)
• Agresividad no afectiva: es la denominada agresividad predadora. Se trata de una agresividad no emocional donde la comunicación entre los sujetos está ausente y la activación simpática es baja14,15, aunque existen artículos que ponen en duda que el animal no presente una emoción negativa en algunos casos16. Se relaciona con la activación de los centros cerebrales de recompensa, con el fin de capturar la presa. Parece estar relacionada con la activación del hipotálamo lateral13,17
• Agresividad afectiva: tiene un fuerte componente emocional y comunicativo y se acompaña de una importante activación simpática y adrenal18. Su función es aumentar la distancia entre los sujetos y, eventualmente, evitar/ controlar los resultados negativos a través de la expresión de comportamientos amenazantes (p. ej., gruñidos, posturas, vocalizaciones)19. La agresión afectiva se desencadena por estados emocionales transitorios (p. ej., frustración, miedo, irritabilidad, ansiedad).
Parece estar relacionada con la activación del hipotálamo ventro-medial y la sustancia gris periacueductal13,17. Se divide en dos subtipos:
- Agresividad defensiva: su fin es proteger la integridad del individuo. Se relaciona con la activación del hipotálamo medial y la sustancia gris periacueductal.
- Agresividad ofensiva: su fin es la obtención de recursos limitados frente a otros individuos. Se implican las
estructuras anteriormente descritas y el hipotálamo lateral17
Diagnóstico
Para realizar un buen diagnóstico en primer lugar debemos descartar cualquier patología orgánica con una exploración física, neurológica, ortopédica, analítica sanguínea y, si fuera necesario, otras pruebas complementarias como las de imagen.
La anamnesis debe ser amplia y detallada y nunca debemos olvidar recoger datos como el inicio y la evolución del problema, contextos, blanco, secuencia de los ataques y lenguaje corporal.
Tratamiento
Debemos observar qué emoción hay detrás del comportamiento problema y qué lo motiva (tabla).
En los últimos diez años se ha publicado una gran cantidad de literatura científica que respalda la relación directa que existe entre el uso de métodos aversivos en el entrenamiento de perros y el estrés psicológico incluidas la agresividad, la ansiedad y la excitabilidad en estos20,21 A pesar de que existe consenso entre los profesionales caninos y los científicos sobre los efectos perjudiciales del entrenamiento punitivo, incluyendo el desarrollo de fobias y aumento de la agresión22,23, la práctica sigue sin estar restringida al público.
Para realizar un buen diagnóstico en primer lugar debemos descartar cualquier patología orgánica con una exploración física, neurológica, ortopédica, analítica sanguínea y, si fuera necesario, otras pruebas complementarias como las de imagen.
Se recomienda realizar modificación de conducta basada en desensibilización y contracondicionamiento junto a una mejor comunicación, y entendimiento perro–tutor para mejorar el vínculo.
carse en la dominancia, se promueve una comprensión más holística y basada en la ciencia del comportamiento canino, que considera la complejidad y la individualidad de cada perro. La recomendación actual de tratamiento abarca diferentes técnicas, dependiendo del tipo de agresión:
• En general, se ha demostrado que los collares aversivos reducen la probabilidad de éxito en el tratamiento.
• Se recomienda una modificación de conducta basada en la desensibiliza-
ción y el contracondicionamiento, junto a una mejor comunicación y entendimiento perro–tutor para mejorar el vínculo. Las sesiones deben ser cortas y frecuentes para mayor éxito27
• Se le debe proporcionar un enriquecimiento ambiental adecuado con ejercicio regular y fomentar el sentido del olfato; los protocolos de relajación son beneficiosos.
• Siempre debemos evitar el castigo, la confrontación y las circunstancias detonantes de la agresividad.
• La seguridad es algo esencial, por lo que debemos realizar una habituación al bozal de forma progresiva y usar arneses de pecho y correas fijas.
• Por último, las terapias biológicas se deben evaluar de forma individual y tener en cuenta ante la presencia de ansiedad/miedo, impulsividad y reactividad/excitabilidad17
Es importante abordar la falta de bienestar en perros agresivos a través de un enfoque integral que incluya la identificación y manejo de las posibles causas subyacentes, así como la implementación de un programa adecuado de modificación de conducta. Consultar con un veterinario especializado en comportamiento canino puede ser de gran ayuda.
También es importante asegurarse de que el perro reciba atención médica adecuada para abordar cualquier problema de salud física o emocional que pueda contribuir a la agresividad.
Bibliografía:
1. Fatjo J, Amat M, Mariotti VM, de la Torre JL, Manteca X. Analysis of 1040 cases of canine aggression in a referral practice in Spain. Journal of Veterinary Behavior. 2007 Sep 1;2(5):158-65.
2. Amat M, Manteca X, Mariotti VM, de la Torre JL, Fatjó J. Aggressive behavior in the English cocker spaniel. Journal of Veterinary Behavior. 2009 May 1;4(3):111-7.
3. Hammond A, Rowland T, Mills DS, Pilot M. Comparison of behavioural tendencies between “dangerous dogs” and other domestic dog breeds–Evolutionary context and practical implications. Evolutionary Applications. 2022 Nov;15(11):1806-19.
4. Wake, A. A. F., Minot, E. O., Stafford, K. J., & Perry, P. E. (2009). A survey of adult victims of dog bites in New Zealand. New Zealand Veterinary Journal, 57(6), 364–369.
5. Camps T, Amat M, Manteca X. A review of medical conditions and behavioral problems in dogs and cats. Animals. 2019 Dec 12;9(12):1133.
6. Rutherford KM. Assessing pain in animals. Animal Welfare. 2002 Feb;11(1):31-53.
7. Camps T, Amat M, Mariotti VM, Le Brech S, Manteca X. Pain-related aggression in dogs: 12 clinical cases. Journal of Veterinary Behavior. 2012 Mar 1;7(2):99-102.
8. Wormald D, Lawrence AJ, Carter G, Fisher AD. Physiological stress coping and anxiety in greyhounds displaying inter-dog aggression. Applied Animal Behaviour Science. 2016 Jul 1;180:93-9.
9. Arai S, Ohtani N, Ohta M. Importance of bringing dogs in contact with children during their socialization period for better behavior. Journal of veterinary medical science. 2011;73(6):747-52.
10.Horwitz D, Mills D. BSAVA manual of canine and feline behavioural medicine. British Small Animal Veterinary Association. 2009 January 3: 24–34.
11.Hennessy MB, Willen RM, Schiml PA. Psychological stress, its reduction, and long-term consequences: What studies with laboratory animals might teach us about life in the dog shelter. Animals. 2020 Nov 7;10(11):2061.
12.Mellor DJ. Updating animal welfare thinking: Moving beyond the “Five Freedoms” towards “a Life Worth Living”. Animals. 2016 Mar 14;6(3):21.
13.Lindsay SR. Handbook of applied dog behavior and training, adaptation and learning. John Wiley & Sons; 2013 Apr 29.
El bozal es una medida de seguridad fundamental, por lo que debemos habituar al perro a llevarlo de forma positiva desde temprana edad. Se le enseña a aceptarlo como parte de su vida cotidiana, lo que facilita su uso en situaciones futuras en las que pueda ser necesario, como visitas al veterinario, viajes en transporte público u otro tipo de interacciones.
El uso de técnicas basadas en la aversión en el adiestramiento canino se ha visto respaldado principalmente por la visión tradicional de que los perros, como los lobos, son animales de manada, cuya organización social abarca una jerarquía lineal, y que su comportamiento está impulsado por el deseo de ser “dominante” o el “alfa” en la manada. Esta visión se extiende a la relación perro-humano, en el sentido de que se cree que los perros ven a los humanos como miembros de su manada y nosotros debemos tener el liderazgo. Sin embargo, se ha cuestionado este modelo de dominancia en los perros, incluso en los lobos24,25 Como consecuencia, el uso de técnicas más suaves para entrenar perros, centradas en el refuerzo positivo, ha ido ganando terreno26 y, en paralelo, el uso de técnicas basadas en la aversión es cada vez más controvertido. En lugar de enfo-
14.Weinshenker NJ, Siegel A. Bimodal classification of aggression: affective defense and predatory attack. Aggression and Violent Behavior. 2002 May 1;7(3):237-50.
15.Chávez GA, Opazo ÁJ. Predatory aggression in a German shepherd dog. Journal of Veterinary Behavior. 2012 Nov 1;7(6):386-9.
16.d’Ingeo S, Iarussi F, De Monte V, Siniscalchi M, Minunno M, Quaranta A. Emotions and dog bites: could predatory attacks be triggered by emotional states?. Animals. 2021 Oct 8;11(10):2907.
17.García-Belenguer Laita S., Rosado Sánchez B., Palacio Liesa J., Luño Muniesa I., Gonzalez Martínez A. Manual de medicina de comportamiento especies canina y felina. Consulta. 2022
18.Schilder MB, van der Borg JA, Vinke CM. Intraspecific killing in dogs: Predation behavior or aggression? A study of aggressors, victims, possible causes, and motivations. Journal of Veterinary Behavior. 2019 Nov 1;34:52-9.
19.Luescher AU, Reisner IR. Canine aggression toward familiar people: a new look at an old problem. Veterinary Clinics of North America: Small Animal Practice. 2008 Sep 1;38(5):1107-30.
20.Schilder MB, van der Borg JA. Training dogs with help of the shock collar: short and long term behavioural effects. Applied Animal Behaviour Science. 2004 Mar 25;85(3-4):319-34.
21.Blackwell EJ, Twells C, Seawright A, Casey RA. The relationship between training methods and the occurrence of behavior problems, as reported by owners, in a population of domestic dogs. Journal of Veterinary Behavior. 2008 Sep 1;3(5):207-17.
22.Overall K. Manual of Clinical Behavioral Medicine for Dogs and Cats-E-Book. Elsevier Health Sciences; 2013 Jul 5.
23.Ziv G. The effects of using aversive training methods in dogs—A review. Journal of veterinary behavior. 2017 May 1;19:50-60.
24.Bradshaw JW, Blackwell EJ, Casey RA. Dominance in domestic dogs—A response to Schilder et al.(2014). Journal of Veterinary Behavior. 2016 Jan 1;11:102-8.
25.Coppinger R, Coppinger L. Dogs: A startling new understanding of canine origin, behavior & evolution. Simon and Schuster; 2001 May 27.
26.Yin SA. Low stress handling, restraint and behavior modification of dogs & cats: techniques for developing patients who love their visits. (No Title). 2009.
27.Dinwoodie IR, Zottola V, Dodman NH. An investigation into the effectiveness of various professionals and behavior modification programs, with or without medication, for the treatment of canine aggression. Journal of Veterinary Behavior. 2021 May 1;43:46-53.
Con esta nueva indicación, NexGard® y NexGard SPECTRA® se convierten en los comprimidos antiparasitarios indicados para el mayor número de especies de parásitos externos, incluyendo además las tres acariosis más importantes de los perros: la sarna sarcóptica, la demodicosis y la sarna otodéctica.
Boehringer Ingelheim
Otodectes cynotis, el agente causal de la sarna otodéctica, es un ácaro común, no excavador, que desarrolla todo su ciclo biológico por completo en el hospedador, principalmente en el conducto auditivo externo
• Presenta una distribución mundial
• Afecta principalmente a gatos, perros (más a gatitos y cachorros) y otros muchos carnívoros
• Es altamente contagioso
• Activo durante todo el año
Principalmente infesta los canales auditivos de su hospedador, pero también puede ser encontrado en la región facial, pabellones auriculares, cuello, espalda, cola o extremidades anteriores.
Aunque excepcionalmente puede afectar a personas, no se considera una zoonosis.
• Los ácaros del oído causan una otitis externa eritematosa con prurito y caracterizada por un cerumen seco marrón negruzco.
• La irritación causada por los ácaros hace que la mascota se rasque las orejas y sacuda la cabeza, lo cual conduce a erosiones y costras en los oídos afectados o la formación de un otohematoma.
• Pueden producirse, además, infecciones bacterianas o fúngicas secundarias ante la presencia de infestaciones intensas.
Se basa en la anamnesis, los signos clínicos y la detección del parásito en cualquiera de sus estadios, mediante examen microscópico del exudado.
Ácaros del oído (Otodectes cynotis) desplazándose en el cerumen observados al microscopio. Imagen cortesía de Stéphane Girodon. Acceda al vídeo a través de este código QR:
• Administración de ectoparasiticidas orales o tópicos con esta indicación.
• Como la mayoría de los productos no son ovicidas, puede ser necesaria una segunda administración para interrumpir el ciclo biológico.
• La eliminación del exudado ceruminoso es una buena práctica.
• Tratar simultáneamente a todos los animales que convivan para evitar la reinfestación a partir de portadores subclínicos.
Eficacia del AFOXOLANER para el tratamiento de la sarna otodéctica en perros Como el afoxolaner demostró ser altamente eficaz en el tratamiento de otras infestaciones por ácaros (Demodex canis, Sarcoptes scabiei var. canis), se llevaron a cabo varios estudios1-3 para valorar su eficacia frente a los ácaros de los oídos usando las formulaciones comerciales disponibles: NexGard SPECTRA® y/o NexGard® (ver tabla).
NexGard® y NexGard SPECTRA® demostraron una alta eficacia frente a los ácaros de los oídos.
Los signos clínicos asociados a la infestación por O. cynotis disminuyeron significativamente durante los períodos de los estudios**.
**Para asegurar que una reinfestación potencial es tratada apropiadamente, se recomienda un examen veterinario un mes después del tratamiento inicial, ya que algunos animales requerirán un segundo tratamiento.
*Para las valoraciones finales, los recuentos de ácaros vivos se llevaron a cabo tras la realización de un lavado ótico (bajo sedación). Todos los resultados son proporcionados en medias geométricas (excepto para el estudio 1: media aritmética), p<0,05.
Garrapatas
• Eficacia rápida y sostenida frente a pulgas (Ctenocephalides felis y C. canis)
• Eficacia alta y constante frente a garrapatas (Dermacentor reticulatus, Ixodes ricinus, Ixodes hexagonus, Rhipicephalus sanguineus, Hyalomma marginatum).
• Alta eficacia frente a los principales ácaros (Demodex, Sarcoptes y Otodectes).
Demodex
Incluyendo Hyalomma marginatum, la garrapata gigante
Ácaros del oído
Pulgas
*Antiparasitario ectoparasiticida oral indicado para el mayor número de especies de parásitos externos. (Según las indicaciones de las fichas técnicas de los productos en: https://ec.europa.eu/health/documents/community-register/html/reg_vet_act.htm?sort=a)
• Eficacia rápida y sostenida frente a pulgas (Ctenocephalides felis y C. canis)
• Eficacia alta y constante frente a garrapatas (Dermacentor reticulatus, Ixodes ricinus, Ixodes hexagonus, Rhipicephalus sanguineus, Hyalomma marginatum)
• Alta eficacia frente a los principales ácaros (Demodex, Sarcoptes y Otodectes)
• Eficacia demostrada frente a los nematodos intestinales comunes, así como para la prevención de enfermedades emergentes y/o zoonósicas como la dirofilariosis, la angiostrongilosis (verme pulmonar canino) y la thelaziosis
Trichuris
Garrapatas
Ácaros de la sarna
Anquilostomas
Pulgas
Incluyendo Hyalomma marginatum, la garrapata gigante
Ácaros del oído
Thelazia
Nematodos
*Antiparasitario endectocida oral indicado para el mayor número de especies de parásitos.
Demodex
Ácaros de la sarna Gusano del pulmón Gusano del corazón
(Según las indicaciones de las fichas técnicas de los productos en: https://ec.europa.eu/health/documents/community-register/html/reg_vet_act.htm?sort=a)
300 (2021) 109607
FICHAS TÉCNICAS:
EMA/950147/2022
En caso de duda, consulte a su veterinario.
El periodo de socialización, el bienestar, la influencia del estrés y el miedo en el individuo y el uso de métodos amables en nuestra práctica clínica diaria son los aspectos básicos que deberíamos conocer para mejorar la experiencia de nuestros pacientes y de sus familias en el centro veterinario con el objetivo de influir de forma positiva en su comportamiento.
Rosana Álvarez
Veterinaria - Acredit. AVEPA en Medicina del comportamiento Etolia. Etología veterinaria
Directora del Dpto. de medicina del comportamiento y bienestar animal del Hospital veterinario Bluecare Partners www.etologiaveterinaria.net
¿Te has planteado la gran influencia que los veterinarios tenemos hacia el animal en el comportamiento futuro del individuo? Nuestro trato durante las primeras visitas del cachorro o gatito a la clínica puede dejar una huella imborrable en su manera de comportarse, no solo durante su estancia en la clínica, sino en su vida en general. También es importante en los adultos, por supuesto, pero se da de forma más marcada durante las etapas tempranas del desarrollo.
Para entender esto tendríamos que conocer aspectos básicos sobre el periodo de socialización, sobre el bienestar, sobre la influencia del estrés y el miedo en el individuo y sobre el uso de métodos amables en nuestra práctica clínica diaria. Un estudio reciente para identificar factores relacionados con la atención veterinaria que probablemente influyan en el bienestar canino y felino, realizado mediante encuestas entre veterinarios canadienses y estadounidenses, reveló 85 factores que afectan al bienestar en el centro veterinario y en el entorno doméstico1. Entre ellos estaban el entorno de la clínica, la atención hacia los pacientes, las interacciones entre el paciente, el equipo y el cliente, la gestión de la clínica, los procedimientos, las actitudes y educación del personal y la comunicación entre el veterinario y el cliente. Es decir, prácticamente todo lo que ocurre durante la estancia del cliente y el paciente en el centro.
Un estudio reciente para identificar factores relacionados con la atención veterinaria que probablemente influyan en el bienestar canino y felino, realizado mediante encuestas entre veterinarios canadienses y estadounidenses, reveló 85 factores que afectan al bienestar en el centro veterinario y en el entorno doméstico1
Y esto no es lo más importante de ese estudio; en mi opinión, lo más relevante es que la mayoría de los participantes creían que el 68 % de los factores identificados podrían ser mejorados fácilmente y que el 43 % podrían medirse durante una evaluación del bienestar.
Esto es lo positivo: que todo se puede identificar y evaluar, lo que nos permite cambiarlo para mejorarlo.
Sabemos que el entorno del centro veterinario resulta estresante y amenazante para perros y gatos, incluso para las familias de estos animales, porque es un lugar desconocido, existen olores extraños, así como personas y otros animales, a veces hay largas esperas, se realizan procedimientos proporcionalmente más negativos que positivos y el animal no está habituado. Como consecuencia, los animales pueden mostrar agresividad2, lo que nos hace la práctica clínica difícil, estresante y peligrosa.
La mayoría de los participantes en el estudio creían que el 68 % de los factores identificados que probablemente influyan en el bienestar canino y felino podrían ser mejorados.
Sin embargo, disponemos de herramientas para conseguir que esta experiencia se vuelva más positiva, o que resulte positiva desde el inicio, que en realidad sería lo más interesante. Las técnicas de trato amable que utilizan estímulos positivos y distractores, que proporcionan espacio y tiempo para la adaptación a animales y personas, que reducen el estrés y el dolor mediante fármacos, que evitan las actitudes y técnicas amenazantes y aversivas, etc. existen, y los veterinarios debe-
La sala de espera es uno de los lugares donde el animal acumula más emociones negativas, que va arrastrando hacia el resto de las estancias y procedimientos de la clínica7
mos adaptarnos a estos nuevos protocolos para mejorar la experiencia de los pacientes y de sus familias. De esta manera podemos incidir muy positivamente sobre su bienestar y su calidad de vida.
el propio animal experimenta representa su estado de bienestar. Está diseñado para facilitar una evaluación sistemática, estructurada, integral y coherente del bienestar animal5. Este modelo ha sido elaborado
Las técnicas de trato amable que utilizan estímulos positivos y distractores, que proporcionan espacio y tiempo para la adaptación a animales y personas, que reducen el estrés y el dolor mediante fármacos, que evitan las actitudes y técnicas amenazantes y aversivas, etc. existen, y los veterinarios debemos adaptarnos a estos nuevos protocolos para mejorar la experiencia de los pacientes y de sus familias.
El bienestar debe entenderse como el estado de un individuo con respecto a sus intentos de hacer frente a su entorno3 teniendo en cuenta los aspectos físico, emocional y social. Pero, a veces, se nos olvida que tiene esas tres vertientes, ya que como veterinarios solemos fijarnos en lo físico y no en lo demás.
Es más, para evaluar el comportamiento de un animal debemos prestar atención y analizar cinco ejes principales: el comportamiento, el temperamento, el entorno, la salud y la funcionalidad o cómo se adapta el individuo4
Actualmente, como marco recomendado para la evaluación del bienestar del animal, disponemos del modelo de los cinco dominios, desarrollado tras la reformulación del concepto de las cinco libertades. Este desarrollo destacó que lo que
para incorporar medidas de bienestar positivo, así como protección contra estados de bienestar negativos. Existen cuatro dominios de valoración: nutrición, ambiente, salud y conducta, que influyen en el quinto dominio, el estado mental/ anímico del animal. Se hace hincapié cada vez más en la promoción de estados positivos, teniendo en cuenta que cuanto más se maximicen estos, mejor protección estaremos llevando a cabo sobre los negativos. Y, como a veces es inevitable que estos se produzcan, hay que hacer esfuerzos para enmascararlos todo lo posible, asegurando que el balance final entre ellos se incline hacia el lado positivo. Más reciente es la adaptación de este modelo para alinearlo con la evaluación de la calidad de vida. La calidad de vida sería el resumen de todos los estados de bienestar que experimenta el individuo a lo largo de un ciclo vital o de un periodo concreto.
(*)
Cuanto más positivo sea el balance, mejor calidad de vida estará experimentando el animal6
¿Todo esto qué quiere decir? Que, si tenemos en nuestra clínica un animal como paciente, todo lo que hagamos para conseguir que el conjunto de las experiencias en el centro sea positivo estará influyendo, no solo en su bienestar actual, sino en su calidad de vida en general. Sobre todo, teniendo en cuenta que ese animal acudirá más veces a nuestro centro y recordará esas experiencias, y sus tutores también.
rrollo, incluso si estamos hablando de una madre gestante, podemos condicionar de una manera determinante la manera en la que va a funcionar su organismo y, por tanto, la calidad de vida posterior del individuo, ya que todos sus sistemas orgánicos se encuentran en formación y desarrollo cuando aparecen por primera vez en nuestra clínica. La información quedará almacenada en la memoria, pudiendo dañar el hipocampo. Por tanto, la huella que dejamos en ellos es imborrable. Entonces, ¿queremos que esta huella sea
El estrés del animal en la clínica a menudo comienza cuando sale de casa hacia el veterinario. Por eso las técnicas de trato amable deben comenzar desde ahí, proporcionando información a los cuidadores sobre cómo hacer el viaje reduciendo el estrés lo máximo posible.
El miedo, la ansiedad y el dolor son emociones y sistemas emocionales negativos identificados en el perro y en el gato, así como en las personas. Implican circuitos neuroendocrinos y neurotransmisores que conocemos y en los que podemos influir de distintas maneras. Se pueden producir cambios duraderos y permanentes en el cerebro y el sistema nervioso central y el sistema endocrino del animal, que podrán ser positivos o negativos dependiendo de cuál sea nuestra actuación como veterinarios y auxiliares.
No solo eso, sino que si el animal es un cachorro o un gatito que se encuentra en sus periodos tempranos del desa-
negativa? No solo le repercutirá a ellos y a sus familias, sino a nosotros en las sucesivas visitas.
El estrés del animal en la clínica a menudo comienza cuando sale de casa hacia el veterinario. Por eso las técnicas de trato amable deben comenzar desde ahí, proporcionando información a los cuidadores sobre cómo hacer el viaje reduciendo el estrés lo máximo posible. No obstante, la sala de espera es uno de los lugares donde el animal acumula más emociones negativas, que va arrastrando hacia el resto de las estancias y procedimientos de la clínica7. Las dificultades en el manejo, el estrés, el miedo, la ansiedad y el dolor pueden influir además en los parámetros clínicos, en la calidad del diagnóstico, en el estado inmunitario y en la recuperación8,9
De todos es sabido ya que el periodo de socialización comprende en los cachorros desde la 3ª hasta la 12ª-14ª semanas de vida y, en los gatitos, desde la 2ª hasta la 7ª- 9ª. Durante este periodo sensible el individuo aprende a relacionarse de manera intensa con otros congéneres de su misma especie y de otras, desarrollando las normas sociales y de comunicación. Existe una especial plasticidad neuronal en este periodo, durante la formación del cerebro, que le permite habituarse a diferentes tipos de estimulación, algo que les resulta más fácil a esta edad, ya que aún no están desarrollados los mecanismos neurofisiológicos responsables de la respuesta de miedo10
Se ha visto que la socialización adecuada de los gatitos durante el periodo sensible es beneficiosa para evitar comportamientos problemáticos relacionados con el miedo11 y que intervenciones humanas dentro de estas etapas pueden tener un efecto positivo en el comportamiento adulto del perro y reducir la probabilidad de comportamientos basados en el miedo12. En este sentido, uno de los momentos en los que podemos incluir la clínica veterinaria como lugar frecuentado por el cachorro son las clases de cachorros, y asistir a ellas es importante para la exposición social con otros cachorros y personas, lo que podría tener una asociación con el comportamiento a largo plazo del perro13
De esto podemos deducir que el tipo de trato y de relación que desarrollemos con
PARTICIPA AQUÍ
https://acortar.link/zAfU3X
Queremos analizar la situación actual del sector y tu opinión nos importa mucho
Y además podrás ganar un lote de libros*Viktoriia Hnatiuk/shutterstock.com
los pacientes a estas edades en las que se ponen en nuestras manos para la vacunación van a ser totalmente determinantes en la vida de ese individuo, en su desarrollo neurofisiológico, en su calidad de vida, en la relación que establezca con el centro y con el equipo y en sus respuestas en futuras visitas.
Los comportamientos problemáticos tienen un efecto significativo en el vínculo humano-animal. Un gran porcentaje de animales (aproximadamente el 30 %) son entregados cada año, principalmente debido a comportamientos basados en el miedo, incluida la agresión.
Como veterinarios tenemos un papel fundamental en la preservación del bienestar del animal, y también en el vínculo que ese animal y su personal de referencia establecerán entre ellos y entre ellos y nosotros.
Todo lo que hagamos como veterinarios y auxiliares para comunicarnos de manera amable y consciente con las familias y para tratarles de manera amable servirá para fomentar y aumentar la calidad, no solo del vínculo que se formará entre ellos, sino del de ellos con nuestro centro, incrementando su compromiso.
Las personas con un vínculo más emocional con su animal de compañía muestran un mayor compromiso (voluntad de la persona de defender la continuidad de la relación con su animal), más adherencia a los tratamientos veterinarios y son menos sensibles al coste económico de los mismos14. Además, hablar de ello con el veterinario fomenta el vínculo15
Por ello, todo lo que hagamos como veterinarios y auxiliares para comunicarnos de manera amable y consciente con las familias y para tratarles de manera amable servirá para fomentar y aumentar la calidad, no solo del vínculo que se formará entre ellos, sino del de ellos con nuestro centro, incrementando su compromiso. Un mejor vínculo conlleva un mejor cuidado.
Referencias:
1. Dawson, L., Dewey, C., Stone, E., Guerin, M., & Niel, L. (2016). A survey of animal welfare experts and practicing veterinarians to identify and explore key factors thought to influence canine and feline welfare in relation to veterinary care. Animal Welfare, 25(1), 125-134. doi:10.7120/09627286.25.1.125
2. Riemer, S., Heritier, C., Windschnurer, I., Pratsch, L., Arhant, C., & Affenzeller, N. (2021). A review on mitigating fear and aggression in dogs and cats in a veterinary setting. Animals, 11(1), 158.
3. Broom, D. M. (1986). Indicators of poor welfare. British veterinary journal, 142(6), 524-526.
4. Fatjó, J., & Bowen, J. (2020). Making the case for multi-axis assessment of behavioural problems. Animals, 10(3), 383.
5. Mellor, D. J., & Beausoleil, N. J. (2015). Extending the ‘Five Domains’ model for animal welfare assessment to incorporate positive welfare states. Anim. Welf, 24(3), 241.
6. Green, T. C., & Mellor, D. J. (2011). Extending ideas about animal welfare assessment to include ‘quality of life’and related concepts. New Zealand veterinary journal, 59(6), 263-271.
7. Mariti, C., Raspanti, E., Zilocchi, M., Carlone, B., & Gazzano, A. (2015). The assessment of dog welfare in the waiting room of a veterinary clinic. Animal Welfare,
24(3), 299-305.
8. Herron. Meghan E.: Shreyer. Trci. The pet friendly veterinary practice: a guide for practitioners. Veterinary Clinics: Small Animal Practice, 2014, vol. 44, no 3, p. 451481.
9. Nibblett, B.M.; Ketzis,J.K.; Grigg, E.K. Comparison of Stress Exhibited by Cats Examined in a Clinic versus a Home Setting. Appl. Anim. Behav. Sci. 2015. 173. 68-75.
10.GEMCA (2017). Posicionamiento del GEMCA sobre la socialización en el perro. gemca.org, consultado el 29/04/2023.
11.Mikkola, S., Salonen, M., Hakanen, E., & Lohi, H. (2022). Fearfulness associates with problematic behaviors and poor socialization in cats. Iscience, 25(10), 105265.
12.Swanson, S. (2020). The effects of socialization on dogs.
13.González-Martínez, Á., Martínez, M. F., Rosado, B., Luño, I., Santamarina, G., Suárez, M. L., ... & Diéguez, F. J. (2019). Association between puppy classes and adulthood behavior of the dog. Journal of Veterinary Behavior, 32, 36-41.
14.Baker, Z. G., Petit, W. E., & Brown, C. M. (2016). An investigation of the Rusbult investment model of commitment in relationships with pets. Anthrozoös, 29(2), 193-204.
15.Bowen, J., Bulbena, A., Fatjó, J. & García, E.. (2023). Proyecto compromiso. Vetbonds.com, consultado el 29/04/2023.
Lo mejor de Advance Veterinary Diets, ahora en formato húmedo Advance Veterinary Diets ya contaba con una amplia y consolidada gama de dietas veterinarias en formato seco. Ahora, tras cuatro años de investigación y desarrollo, incorpora una nueva gama de dietas en formato húmedo para perros y gatos.
La marca completa así su oferta, dando más opciones de alimentación a perros y gatos con patologías, y refuerza su compromiso con la innovación y el bienestar de nuestras mascotas.
Resultados reales y sabor, la combinación perfecta
Las nuevas dietas húmedas están específicamente formuladas para contribuir al tratamiento de las principales patologías de perros y gatos, y proporcionan resultados reales sobre su salud y bienestar.
Están elaboradas con ingredientes funcionales, contienen proteína de alta calidad y tienen una alta palatabilidad para asegurar una buena aceptación de la dieta por parte de los perros y gatos más exigentes. No contienen conservantes ni colorantes, y son 100 % completas y equilibradas, por lo que se pueden dar como alimentación húmeda exclusiva, o en combinación con su correspondiente dieta seca de Advance para obtener numerosos beneficios.
Recovery es una dieta húmeda completa tanto para perros como para gatos, especialmente formulada para la recuperación nutricional tras una hospitalización o periodo de convalecencia. Contiene un alto nivel de energía y proteínas y es fácil de digerir.
Y más allá de los resultados, Advance Veterinary Diets ha puesto el foco también sobre el sabor. Se han llevado a cabo pruebas para asegurar que la nueva gama proporciona un sabor y textura excelentes. Para perros se ha desarrollado una textura esponjosa en forma de paté, y para gatos, unos suaves y tiernos bocaditos en salsa.
Una gama que responde a las principales patologías
Advance Veterinary Diets ha desarrollado una gama de dietas húmedas que van en consonancia con su gama de dietas secas, cubriendo las principales patologías de perros y gatos: problemas urinarios y renales, gastrointestinales, de sobrepeso y dermatológicos. Y ha lanzado también una dieta específica y diferencial enfocada a dar apoyo en los procesos de convalecencia de ambos.
Las nuevas dietas húmedas están elaboradas con ingredientes funcionales, contienen proteína de alta calidad y tienen una alta palatabilidad.
Dietas húmedas para perros
• Gastroenteric
Fórmula altamente digestible para facilitar la digestión en caso de trastornos gastrointestinales. Ayuda a mejorar la firmeza de las heces.
• Weight Balance
Ayuda a reducir y mantener el peso ideal al ser bajo en calorías y con un alto contenido en fibra con efecto saciante.
• Atopic
Apoya la función dérmica en perros con dermatosis. Ayuda a restaurar la barrera cutánea y a reducir la intolerancia a ingredientes.
• Gastroenteric
Fórmula altamente digestible para facilitar la digestión en caso de trastornos gastrointestinales. Ayuda a mejorar la firmeza de las heces.
Descubre más: Vets&Clinics, el espacio de referencia del sector veterinario
Vets&Clinics es el espacio de referencia del sector veterinario que trabaja día a día para mantenerte actualizado. En él encontrarás una gran cantidad de herramientas, biblioteca de estudios, plataforma de formación e-learning y artículos con las últimas novedades en medicina veterinaria. Descarga guías, pósteres, accede a herramientas gratuitas y mucho más en: www.affinity-petcare.com/vetsandclinics.
• Weight Balance
Ayuda a reducir y mantener el peso ideal al ser bajo en calorías y con un alto contenido en fibra con efecto saciante.
• Urinary
Ayuda a controlar la formación de cálculos de estruvita y oxalato en las vías urinarias. Facilita la dilución de la orina y el control del pH.
• Renal
Apoya la función renal en caso de insuficiencia renal. Reduce la carga de trabajo de los riñones y ayuda a retrasar la progresión de la insuficiencia renal.
La nueva gama proporciona un sabor y textura excelentes, con formatos adaptados: paté para perros y bocaditos en salsa para gatos
El proceso de desarrollo de la nueva gama húmeda ha contado con una fase de pruebas en la que todas las dietas han demostrado excelentes resultados tanto en digestibilidad como en palatabilidad.
Debido a la frecuencia e importancia de los problemas gastrointestinales en perros, Advance Veterinary Diets ha realizado un ensa-
yo con la nueva dieta húmeda Gastroenteric para perros. El estudio refleja que la dieta resuelve rápida y eficazmente la diarrea, la incontinencia fecal y la inflamación intestinal en perros con diagnósticos clínicos de trastornos gastrointestinales agudos y crónicos. Descarga el estudio escaneando el código QR.
Advance Veterinary Diets, la marca veterinaria de Advance Advance Veterinary Diets es una marca de dietas veterinarias para perros y gatos que forma parte de Advance, marca con más de 25 años de experiencia en investigación y desarrollo de nutrición para mascotas.
La marca tiene como objetivo ofrecer las mejores soluciones para perros y gatos con una gama enfocada a las patologías principales, dietas clínicamente testadas y que ofrecen resultados reales y visibles, para cuidar de la salud y bienestar de cada mascota.
Descarga el estudio sobre la eficacia de la nueva dieta húmeda Gastroenteric en perros con diagnósticos clínicos de trastornos gastrointestinales agudos y crónicos.
Las nuevas dietas veterinarias húmedas aúnan ciencia y sabor para ayudar a cuidar de la salud y el bienestar de los pacientes día tras día.
El tratamiento con feromonas permite influir en el comportamiento de los animales domésticos sin intervención directa o manipulación. Estas sustancias pueden usarse tanto con fines terapéuticos como para prevenir problemas de conducta y de estrés, siempre teniendo en cuenta que en ningún caso sustituyen al tratamiento
farmacológico ni a la terapia de modificación de conducta, sino que los complementan.
Rosana Álvarez Bueno1 y Germán Quintana Diez2
1Licenciada en Veterinaria y en Ciencia y Tecnología de los alimentos. Máster en Etología clínica y bienestar animal. Acreditada AVEPA en Medicina del comportamiento. Directora de Etolia etología veterinaria.
2Licenciado y doctor en Veterinaria. Máster en clínica de pequeños animales y exóticos. Máster en etología clínica y bienestar animal. Servicio de medicina interna del Centro Policlínico
A Marosa (Lugo).
Imágenes cedidas por los autores
Las feromonas son sustancias secretadas por un individuo que recibe otro de su misma especie y en el que provocan una reacción específica como, por ejemplo, un cambio en el comportamiento o un proceso del desarrollo (Karlson y Lüscher, 1959).
El término “feromona” fue acuñado en 1959 por Karlson, Luscher y Butenand, y significa “que porta algo que estimula”. Desde entonces, las feromonas han adquirido cada vez más importancia en la medicina del comportamiento y se han conseguido aislar químicamente y comercializarse. Se aplican para reducir el estrés que sufre el paciente durante su estancia en la clínica veterinaria.
Clasificación de las feromonas
Según su mecanismo de acción las feromonas se clasifican en:
• Cebadoras: la reacción que provoca la feromona en el individuo que la recibe es un proceso del desarrollo. Son las más comunes y las más relevantes clínicamente. Inducen la modificación del estado emocional y son beneficiosas como complemento de otras formas de tratamiento de modificación de la conducta y de modificación del ambiente. Se trataría de las feromonas faciales, interdigitales y apaciguadoras (De Porter, 2016).
• Liberadoras: la reacción que provoca la feromona en el individuo que la recibe es un comportamiento específico; p. ej., las feromonas sexuales.
receptoras especializadas. La información se transmite a través de las neuronas aferentes al bulbo olfatorio, la amígdala y el hipotálamo ventromedial.
Áreas liberadoras de feromonas
Las regiones corporales que liberan feromonas en el perro son la facial, la podal, la perianal, la urogenital y la mamaria. En el caso del gato son las regiones facial e intermamaria, y las almohadillas plantares y la base de la cola.
Área facial
En el área facial las zonas secretoras están distribuidas en las mejillas, la zona perioral, el mentón, los labios, las vibrisas y alrededor de los oídos.
En el área facial las zonas secretoras están distribuidas en las mejillas, la zona perioral, el mentón, los labios, las vibrisas y alrededor de los oídos.
La percepción de las feromonas tiene lugar a través del órgano vomeronasal (OVN). El OVN forma parte del tracto olfatorio accesorio, está situado dentro de la cavidad nasal (sobre el paladar duro) a ambos lados del septo nasal. Se encuentra conectado al bulbo olfatorio accesorio a través del nervio vomeronasal y a la amígdala mediante el sistema límbico (núcleo medial y núcleo cortical posteromedial) (Pageat y Gaultier, 2003).
La percepción de las feromonas se lleva a cabo tras olfatear una sustancia mediante el reflejo de Flehmen, una forma particular de movimiento de retracción de los labios en algunas especies, sobre todo en rumiantes.
En el gato, esta conducta se llama gape (mirar boquiabierto). Consiste en un levantamiento del labio superior, mediante el cual se abre el conducto incisivo para que las feromonas disueltas en la saliva lleguen hasta la cavidad nasal, posteriormente en un paladeo con la lengua en la papila incisiva y, por último, el animal queda un momento con la boca entreabierta y la cabeza levantada.
En el perro esta conducta se denomina tonguing, y no es tan evidente el levantamiento del labio superior como el palmeo con la lengua de manera repetida contra la papila incisiva.
Así es como las feromonas llegan al OVN, donde estimulan a las neuronas
Se conocen cinco fracciones en las feromonas faciales del gato, dos de ellas con funciones aún desconocidas:
• La fracción 2 (F2) está relacionada con el marcaje sexual.
• La fracción 3 (F3) es una feromona de familiaridad, relacionada con el territorio propio.
• La fracción 4 (F4) está involucrada en el reconocimiento social de otros individuos de la especie.
La proteína Fel-d-1, sintetizada por las glándulas sebáceas en la especie felina, es el principal alérgeno para las personas, y se puede permanecer en el ambiente hasta 3 semanas.
Las feromonas faciales en el perro tienen una función en las relaciones sociales.
En el área podal existen glándulas distribuidas en las almohadillas de las cuatro patas y en la zona interdigital (sobre todo en el perro). Las feromonas secretadas por estas glándulas tienen una función territorial y de alarma.
En el gato se produce una profusa secreción de sudor, fundamentalmente en situaciones de miedo, como puede ocurrir en la mesa de consulta, por lo que es especialmente importante limpiar bien con detergentes enzimáticos las zonas de la consulta en las que haya estado el gato.
Las feromonas las depositan rascando, lo que representa también una señal visual. En el perro se lleva a cabo en horizontal, en el suelo (frecuentemente tras la deposición de orina o heces); en el gato, en objetos verticales.
Área perianal Se distinguen varias glándulas:
• Supracaudales: situadas en la base de la cola, están más desarrolladas en el gato y su producción de feromonas varía con el estado sexual. A menudo esta zona sufre infecciones (cola de semental), lo que hace que varíe la composición de la secreción. Se reduce su tamaño en gatos castrados. En el perro están menos desarrolladas y son más evidentes en el macho.
• Circumanales: entre las que se incluyen los sacos anales. Están más desarrolladas en el perro que en el gato, y más aún en los machos. Las infecciones de los sacos anales en los perros pueden causar cambios en la composición de la secreción, que resulta atrayente para otros machos en los que incluso puede provocar agresividad. Estas secreciones están asociadas con mensajes de alarma y de identificación individual. En el gato están distribuidas en la piel debajo de la cola y su secreción no contiene trimetilamina, como en el caso de los perros. Si el animal se expone a una situación amenazante puede producirse la expulsión violenta de estas secreciones. Las heces contienen la secreción de los sacos anales, aunque no es muy habitual el marcaje con heces.
Las glándulas están situadas en la zona del prepucio y la vagina. Las secreciones del área urogenital y caudal son muy importantes en el reconocimiento individual y sexual durante un contacto social. En el gato su estudio no está tan desarrollado.
El marcaje con orina se conoce bien en el perro y en el gato. El gato eleva el tercio posterior y rocía la orina verticalmente en forma de espray. Tiene funciones sexuales y territoriales (nuevos individuos o cambios en el entorno).
Habitualmente, el perro levanta una pata trasera para depositar la orina en vertical. Se puede observar tanto en machos como en hembras.
Las feromonas apaciguadoras están específicamente implicadas en garantizar la seguridad y la proximidad de los neonatos.
Las feromonas de esta área se producen en la zona del surco intermamario durante la lactancia.
Recientemente descubiertas, se denominan apaciguadoras por su carácter tranquilizador para los cachorros. Son feromonas específicamente implicadas en garantizar la seguridad y la proximidad de los neonatos. Comienzan a liberarse entre 3 y 4 días tras el nacimiento y permanecen hasta que se lleva a cabo el destete.
La feromonoterapia permite influir en el comportamiento de los animales domésticos sin intervención directa o manipulación; además, son muy fáciles de utilizar.
El tratamiento con feromonas no sustituye en ningún caso al tratamiento farmacológico ni a la terapia de modificación de conducta, sino que los complementan. Además del aspecto terapéutico, las feromonas se aplican para prevenir problemas
de conducta y de estrés en diversas situaciones, entre ellas el entorno clínico.
Es importante que el personal del centro veterinario esté formado sobre las características y el uso correcto de las feromonas para que puedan transmitir esta información al cliente, ya que su efecto es escaso o nulo si se emplean inadecuadamente.
Las feromonas disponibles para su uso en el ámbito clínico en Europa en perros y gatos son las siguientes.
de rascado en la
tratada, por lo que se evita así el marcaje con las uñas en superficies no deseadas.
Feromona facial felina fracción F3 o FFP (feline facial pheromone)
Produce la inhibición del marcaje urinario y con las uñas.
Es útil para prevenir o tratar todas aquellas situaciones que sean susceptibles de producir estrés, miedo o ansiedad en el gato (visitas al veterinario, en la consulta, en hospitalización, uso del transportín, conflictos con otros gatos, cambios en el entorno, viajes, llegada de nuevos individuos al territorio, etc.).
Además de inhibir o reducir las conductas asociadas al estrés y al marcaje, mejoran el juego, la alimentación y la exploración, conductas muy importantes en la recuperación de animales hospitalizados.
Está disponible comercialmente en espray y en difusor.
Feromona apaciguante felina CAP (cat appeasing pheromone)
Reduce o elimina los conflictos entre gatos que conviven en el mismo hogar y las señales agonísticas existentes (persecuciones, luchas, posturas ofensivas, etc.).
Está disponible comercialmente en forma de difusor.
Feromona interdigital felina o FIS (feline interdigital semiochemical)
Induce un comportamiento de rascado en la superficie tratada, por lo que se evita así el marcaje con las uñas en superficies no deseadas.
Se consigue un efecto mucho más completo si además se utiliza a la vez la FFP en la superficie donde no se desea que el gato arañe.
Está disponible comercialmente en forma de pipetas.
Feromona apaciguante canina o DAP (dog appeasing pheromone)
Se aplica en situaciones que inducen estrés, miedo o ansiedad (cambios en el entorno, aprendizaje, viajes, trastornos relacionados con la separación, fobias a ruidos, visitas al veterinario, hospitalización, adaptación a nuevos entornos o situaciones, etc.). Está disponible comercialmente en presentaciones en forma de espray, difusor y collar.
Este artículo es un extracto de la obra Manejo libre de estrés en la clínica veterinaria
Disponible en https://ediciones edra.com/ Tel.: 976 461
En este caso las sospechas apuntan a que la enfermedad renal crónica del paciente, un gato de 16 años, es la causa de su hipertensión arterial sistémica, mientras que esta contribuye a la proteinuria y a la aparición de maullidos debidos a daño cerebral y no relacionados con ningún evento.
M Belén Montoya Jiménez DVMImágenes cedidas por la autora
Desde hace tiempo se denomina a la hipertensión arterial sistémica el “asesino silencioso”, debido a los daños que puede producir en los órganos diana (TOD, por las siglas en inglés de target organ damage) como cerebro, ojos, corazón y riñones, que pueden llegar a ser irreversibles1-5
Esto toma especial relevancia en la especie felina, debido a que muchos de los signos que la hipertensión arterial puede originar pueden ser atribuidos con frecuencia al envejecimiento o a otras enfermedades, como osteoartrosis, disfunción cognitiva, enfermedad renal crónica o hipertiroidismo.
Por otro lado, se ha observado que gran parte de los clínicos refieren dificultad para interpretar los resultados obtenidos, sobre todo en pacientes con alto grado de ansiedad o miedo; esto puede provocar que la investigación de una posible hipertensión se retrase y contribuir a un empeoramiento de la patología subyacente.
A continuación, se describe el caso de un paciente con enfermedad renal crónica previa, que comenzó con alteraciones del comportamiento y en el que se diagnosticó la presencia de hipertensión arterial sistémica como causa de estas alteraciones.
Se presenta a consulta de segunda opinión un gato de 16 años, esterilizado, indoor y raza común europeo, que presenta hiporexia, menor interacción con los tutores y aparición de maullidos en cualquier momento del día y sin relación con ningún evento, desde hace una semana.
El paciente está diagnosticado desde hace 3 años de enfermedad renal crónica por elevación de los parámetros renales y presencia de isostenuria, así como de pancreatitis hace 4 meses por elevación de la lipasa pancreática específica felina (fPLI).
Está recibiendo como único tratamiento mirtazapina transdérmica, como estimulante del apetito en momentos puntuales, y dieta de prescripción renal, tanto seca como húmeda.
Los tutores han notado que últimamente ha bajado de peso, aunque ha estado comiendo con normalidad.
Examen físico
El paciente presenta un grado de ansiedad nulo o leve y, en el examen inicial, su estado mental es alerta, su condición corporal es de 4/9 (bajo peso) y presenta pérdida grave de masa muscular de forma generalizada, así como retraso leve del pliegue cutáneo.
Tabla
Acierno MJ, Brown S, Coleman AE, Jepson RE, Papich M, Stepien RL, Syme HM. ACVIM consensus statement: Guidelines for the identification, evaluation, and management of systemic hypertension in dogs and cats. J Vet Intern Med. 2018 Nov;32(6):1803-1822.
Tipo
Idiopática
Enfermedad renal crónica
Fallo renal agudo
Hipertiroidismo
Diabetes mellitus
sistólica superior a 180 mmHg se considera hipertensión grave1,2 (tabla 1). Si bien en todos los pacientes debemos considerar un posible efecto “bata blanca” o hipertensión situacional debido al estrés que conlleva la consulta1,3, en nuestro caso era poco probable debido al estado emocional del paciente, que correspondía al de un gato tranquilo. Debido a la posible relación de la hipertensión arterial sistémica con los maullidos, así como del resto de signos clínicos, se decide investigar las posibles causas de hipertensión arterial.
Ya que la hipertensión arterial sistémica en gatos está asociada con varias patologías (tabla 2), y esta puede producir daños en órganos diana, ese mismo día se realizan varias pruebas encaminadas a confirmar o descartar dichas enfermedades y/o repercusiones:
• Fondo de ojo con oftalmoscopia indirecta: sin alteraciones (figura 1).
• Hemograma y bioquímica con ionograma: presenta elevación de la creatinina 2,7 mg/dL y del BUN 40 mg/dl.
• T4 total: 1,3 µg/dL
Secundaria
Hiperaldosteronismo
Feocromocitoma
Hiperadrenocorticismo
Fármacos: estimulantes de la eritropoyesis, Acierno MJ, Brown S, Coleman AE, Jepson RE, Papich M, Stepien RL, Syme HM. ACVIM consensus statement: Guidelines for the identification, evaluation, and management of systemic hypertension in dogs and cats. J Vet Intern Med. 2018 Nov;32(6):1803-1822.
Geddes RF. Hypertension: Why Is It Critical? Vet Clin North Am Small Anim Pract. 2020 Sep;50(5):1037-1052.
En pacientes que refieren signos inespecíficos, como en nuestro caso, es clave escoger como “signo problema” aquel que es más relevante. En nuestro caso, la aparición de maullidos sin relación con ningún evento sucedido, en cualquier momento del día y lugar de la casa, es el más significativo y no se ha presentado con anterioridad.
En la exploración física no se detectan más alteraciones, así como en su examen neurológico, que es normal.
Una vez terminado el examen físico, se procede a la toma de tensión arterial sistémica en la zona de la cola, con un monitor oscilométrico de alta definición (HDO). Se toman varias medidas hasta que se observa un valor similar en varias de ellas, y se consideran estas como válidas. La media de las medidas de tensión arterial sistólica es de 181 mmHg.
En pacientes que refieren signos inespecíficos, como en nuestro caso, es clave escoger como “signo problema” aquel que es más relevante. En nuestro caso, la apari-
ción de maullidos sin relación con ningún evento sucedido, en cualquier momento del día y lugar de la casa, es el más significativo y no se ha presentado con anterioridad.
El aumento en la frecuencia de los maullidos en gatos se ha asociado a varias causas, como:
• Patologías inflamatorias/infecciosas de SNC
• Neoplasia primaria o metástasis de SNC
• Disfunción cognitiva felina
• Hipertensión o encefalopatía hipertensiva
• Dolor (articular, visceral, etc.)
• Hipertiroidismo
• Ansiedad por separación
• Síndrome de hiperestesia felina En la exploración, además, encontramos otro signo o problema más, la hipertensión arterial sistémica, debido a que una tensión
• Ecografía abdominal: se observa ausencia de definición corticomedular de ambos riñones, con tamaño, contorno renal sin alteraciones y páncreas hipoecogénico y con contorno irregular (figuras 2, 3 y 4).
• Urianálisis: presenta isostenuria (densidad urinaria 1022), pH 7. En el sedimento no se observan bacterias ni neutrófilos.
• Cultivo de orina: resultado negativo.
• Ratio proteína/creatinina en orina: 0,65 (>0,4).
A partir de los resultados de las pruebas, se sospecha que la enfermedad renal crónica es la causa de la hipertensión arterial sistémica, y esta está contribuyendo a los maullidos por daños a nivel cerebral, así como a la proteinuria de origen renal.
Para el control de la hipertensión arterial sistémica se decide emplear amlodipino en una dosis de 0,625 mg/gato una vez al día, debido a preferencias de los tutores, al tratarse de comprimidos.
Experta en Medicina Felina Pensando en Gato – Medicina Felina Especializada info@pensandoengato.comSe monitoriza la tensión arterial a las 48 h, de la misma forma que en la consulta anterior. La media de la toma de tensión es de 137 mmHg, por lo que se mantiene la dosis de amlodipino.
En el siguiente control, a los 10 días, se monitorizan:
• Alteraciones comportamentales: desaparición de los maullidos y retorno a rutinas normales del paciente en casa y con los tutores.
• Tensión arterial sistémica: 135 mmHg.
• Parámetros renales: creatinina 2,4 mg/ dL, BUN 37 U/L.
• Ratio proteína/creatinina en orina: 0,13 (<0,4).
Se instauran revisiones trimestrales para la monitorización de la progresión de la enfermedad renal, así como para el control de la hipertensión y la proteinuria (tabla 3, figura 5).
No se conoce con certeza la prevalencia de la hipertensión arterial en gatos sin enfermedades asociadas, aunque un estudio reciente en Reino Unido ha revelado una prevalencia del 19,3 % en gatos aparentemente sanos3
Esta cifra es mucho mayor cuando existen enfermedades relacionadas1-4,6
En el caso de la enfermedad renal crónica, se estima que sufren de hipertensión sistémica entre un 20-65 % de los pacientes en el momento del diagnóstico3,4,6. Además, existe la posibilidad de que esta se instaure a lo largo de la vida del animal, ya que aproximadamente un 17 % de los gatos con enfermedad renal crónica se harán hipertensos, aunque no lo fuesen al inicio del diagnóstico3
El mecanismo por el cual la enfermedad renal crónica es causante de hipertensión es multifactorial y no se conoce con exactitud hoy en día3,4,7
A su vez, el riñón se considera un órgano diana, es decir, que sufre los efectos de la hipertensión.
Un riñón normal es capaz de autorregular el flujo sanguíneo renal, mientras que en un riñón con enfermedad renal crónica existe una pérdida de nefronas funcionales, lo que resulta en vasodilatación de las arterio-
las aferentes y, por tanto, en una exposición de los capilares glomerulares a esta hipertensión arterial. Esto, además, predispone a la presentación de proteinuria renal, que se cree que es el factor determinante por el que la hipertensión arterial sistémica contribuye a empeorar y acortar la supervivencia en gatos con patología renal crónica4
A pesar de estos datos, la medición de la tensión arterial sistémica en los pacientes felinos parece no ser un procedimiento habitual. Según algunos estudios, solo entre un 6 % y un 27 % de los clínicos recomiendan la toma de tensión arterial sistémica en gatos senior8,9. Aunque en estos mismos estudios se observaba una mayor recomendación si los pacientes presentaban alguna enfermedad asociada con hipertensión arterial, esta medición no se realiza de forma rutinaria ni regular, y muchas veces está supeditada a la presencia de signos clínicos reportada por los tutores, como fue el caso de nuestro paciente.
A pesar de haber sido diagnosticado de enfermedad renal desde hacía años, no se había realizado una medida de tensión arterial en ninguna de las revisiones de este gato, ya que no presentaba signos clínicos atribuibles a la hipertensión.
Entre todas las causas que se exponen como problemas a la hora de medir la tensión en gatos, las más frecuentes son la dificultad para hacerlo en animales que presentan algo grado de ansiedad o miedo, así como la interpretación de los resultados obtenidos en estos mismos pacientes8,9
Es difícil medir cuánto estrés puede ser capaz de elevar la tensión arterial y en qué medida, por lo que, en gatos sin signos claros de hipertensión debemos combinar la toma de tensión arterial con varias estrategias, así como con pruebas que nos ayuden a determinar la probabilidad de que la hipertensión sea situacional o real.
Para reducir el estrés en nuestros pacientes disponemos hoy en día de fármacos como gabapentina4, a la vez que debemos procurar entornos adaptados a los pacientes felinos y aclimatar al paciente previamente a la toma de tensión1-4,6
Además, en cualquier gato considerado hipertenso con una tensión arterial ≥160 mmHg aún sin signos de hipertensión aparentes, siempre debe realizarse un examen de fondo de ojo, mediante oftalmoscopia indirecta, para detectar posibles daños en la retina, como hemorragias, estrechamiento y/o tortuosidad de
los vasos, desprendimiento o edema de la retina3,4. En el caso de que estos estén presentes, se debe instaurar una terapia antihipertensiva de forma inmediata.
Para el control de la hipertensión arterial sistémica se decide emplear amlodipino en una dosis de 0,625 mg/ gato una vez al día, debido a preferencias de los tutores, al tratarse de comprimidos.
Nuestro paciente no presentaba signos de lesión a nivel ocular, pero sí alteraciones del comportamiento como maullidos y una menor interacción con los tutores.
Los daños a nivel cerebral producidos por la hipertensión, conocidos como encefalopatía hipertensiva, pueden manifestarse de forma distinta, como desorientación, convulsiones, ceguera, depresión, ataxia y/o signos vestibulares y se ha reportado su presencia en un 29-48% de los pacientes felinos con hipertensión arterial sistémica3,5
El tratamiento antihipertensivo suele ser eficaz para reducir los signos neurológicos si se inicia de forma temprana, como fue en nuestro caso.
Este tratamiento puede realizarse en función de dos estrategias terapéuticas con el objetivo de minimizar o eliminar los signos originados por daños en órganos diana,
Bibliografía:
reducir la tensión arterial por debajo de 160 mmHg y evitar la hipotensión, manteniendo la tensión arterial por encima de 120 mmHg. Estas estrategias conllevan la utilización de amlodipino, un antagonista de los canales de calcio, o de telmisartán, un bloqueante del receptor de angiotensina II. Ambos han demostrado su eficacia en la reducción de la tensión arterial en gatos con hipertensión entre 160-200 mmHg3
En nuestro caso, elegimos el amlodipino debido a una preferencia de los tutores, al tratarse de comprimidos palatables. La dosis recomendada de inicio es de 0,625 mg por gato una vez al día, y una dosis mayor, 1,25 mg por gato en aquellos pacientes que presenten hipertensión arterial >200 mmHg1-4
En pacientes en los que la tensión arterial se mantenga por encima de 160 mmHg, se debe confirmar un adecuado cumplimiento y, si este es correcto, se puede aumentar la dosis hasta un máximo de 2,5 mg por gato y día1-4
Otro de los objetivos del tratamiento es la reducción de la proteinuria, si está presente, por debajo de 0,4. Esto puede lograrse solo con el tratamiento hipertensivo, si la hipertensión es la causa de esta. En el caso de no lograrse, puede recurrirse a la combinación de otro tratamiento antiproteinúrico3
La dosis de amlodipino elegida para nuestro paciente, de 0,625 mg, fue suficiente para alcanzar un adecuado control de la tensión arterial, así como sus signos asociados tanto en un primer momento como de forma crónica.
1. Acierno MJ, Brown S, Coleman AE, Jepson RE, Papich M, Stepien RL, Syme HM. ACVIM consensus statement: Guidelines for the identification, evaluation, and management of systemic hypertension in dogs and cats. J Vet Intern Med. 2018 Nov;32(6):1803-1822. doi: 10.1111/jvim.15331. Epub 2018 Oct 24. PMID: 30353952; PMCID: PMC6271319.
2. Taylor SS, Sparkes AH, Briscoe K, Carter J, Sala SC, Jepson RE, Reynolds BS, Scansen BA. ISFM Consensus Guidelines on the Diagnosis and Management of Hypertension in Cats. J Feline Med Surg. 2017 Mar;19(3):288-303. doi: 10.1177/1098612X17693500. Erratum in: J Feline Med Surg. 2018 Jun;20(6):NP1. PMID: 28245741.
3. Geddes RF. Hypertension: Why Is It Critical? Vet Clin North Am Small Anim Pract. 2020 Sep;50(5):1037-1052. doi: 10.1016/j.cvsm.2020.04.001. Epub 2020 Jun 7. PMID: 32522364.
4. Lawson JS, Jepson RE. Feline comorbidities: The intermingled relationship between chronic kidney disease and hypertension. J Feline Med Surg. 2021 Sep;23(9):812-822. doi: 10.1177/1098612X211037872. PMID: 34428941.
5. Moretto L, Beckmann K, Günther C, Herzig R, Rampazzo A, Suter A, Steffen F, Glaus T. Manifestations of hypertensive encephalopathy in cats. J Feline Med Surg. 2023 Feb;25(2):1098612X231153357. doi: 10.1177/1098612X231153357. PMID: 36802953.
6. Sparkes A, Garelli-Paar C, Blondel T, Guillot E. ‘The Mercury Challenge’: feline systolic blood pressure in primary care practice - a European survey. J Feline Med Surg. 2022 Oct;24(10):e310-e323. doi: 10.1177/1098612X221105844. Epub 2022 Jun 27. PMID: 35757930; PMCID: PMC9511504.
7. Jepson RE, Warren H, Wallace MD, Syme HM, Elliott J, Munroe PB. First genome-wide association study investigating blood pressure and renal traits in domestic cats. Sci Rep. 2022 Feb 3;12(1):1899. doi: 10.1038/s41598-02205494-3. PMID: 35115544; PMCID: PMC8813908.
8. Navarro I, Summers S, Rishniw M, Quimby J. Cross-sectional survey of non-invasive indirect blood pressure measurement practices in cats by veterinarians. J Feline Med Surg. 2022 Dec;24(12):1195-1202. doi: 10.1177/1098612X211067015. Epub 2022 Feb 3. PMID: 35109690.
9. Prost K. Under pressure: A survey of Canadian veterinarians in the diagnosis and treatment of feline hypertension. Can Vet J. 2023 Jan;64(1):45-53. PMID: 36593931; PMCID: PMC9754134.
¿Quieres colaborar con nosotros?
Si quieres enviarnos un caso clínico, publicar un artículo de revisión o difundir otra información relevante para nuestros lectores, escríbemos a argos@grupoasis.com y te informaremos.
¡Te esperamos!
Debemos asegurarnos de que el acceso a un alimento equilibrado, de calidad y que satisfaga sus preferencias individuales, no supone ningún estrés para el gato. El alimento húmedo es siempre beneficioso y, además, debe estimularse la ingestión de agua.
En gatos con CIF crónica, las investigaciones clínicas han identificado que la enfermedad se asocia a factores genéticos y epigenéticos y también se relaciona con el entorno o ambiente en el que se encuentra el gato. Además, con frecuencia se han producido otras patologías antes de la cistitis y se ha demostrado que puede haber otras comorbilidades sistémicas4,5
La terapia más recomendada a largo plazo para gatos con CIF recurrentes es el llamado “enriquecimiento ambiental”.
La complejidad de esta enfermedad ha hecho que incluso nos refiramos a ella con diferentes nombres, aunque desgraciadamente ninguno de ellos implica que hayamos llegado a comprender su etiología, podamos diagnosticarla de otra forma diferente a la exclusión de otras causas o tengamos claro un tratamiento que nos asegure su cura.
Según el profesor Buffington1, los términos cistitis idiopática o intersticial felina (CIF) se focalizan en el órgano que presenta signos clínicos predominantes. No obstante, estos pueden ser parte de un desorden sistémico mayor al que se ha llamado “Síndrome de Pandora”2,3, ya que en muchos gatos diagnosticados con CIF también se observan signos clínicos fuera del tracto urinario que pueden incluir el tracto digestivo, la piel y los sistemas respiratorio, nervioso central, cardiovascular o inmunitario. Este síndrome es una condición patológica resultante de la activación crónica del sistema central de respuesta al estrés. Cuando el animal percibe persistentemente una amenaza que escapa de su control, se desencadena una combinación variable de activaciones de los sistemas nervioso autónomo, endocrino e inmunitario y el resultado puede ser la afectación patológica de uno o varios órganos o sistemas.
La terapia más recomendada a largo plazo para gatos con CIF recurrentes es el llamado “enriquecimiento ambiental”, que implica que los cuidadores tomen las acciones necesarias para reducir la percepción de estrés del gato y mejore su sensación de bienestar. Este enriquecimiento ambiental no se limita al espacio físico en el que se encuentra el gato, sino que debe incluir también las interacciones sociales, incluyendo el contacto humano. Cualquier modificación que deba hacerse en cuanto a rutinas, horarios o entorno, debe ser lo más paulatina posible.
En la “Guía de necesidades ambientales felinas” de la ISFM6 se nombran el alimento y el agua como necesidades básicas, que deben ofrecerse en varios lugares y separados cuando conviven en el mismo espacio más de un gato o incluso otras mascotas. Como cazadores y supervivientes solitarios necesitan tener libre acceso a sus requerimientos básicos sin sentirse amenazados por otros gatos o potenciales peligros. Prefieren comer en solitario y disponer de su propio comedero en un lugar tranquilo, alejado de zonas de paso. Cuando el espacio es un problema se puede utilizar algún mueble a modo de separación para mejorar su sensación de protección.
El comportamiento alimentario natural del gato incluye actividades predatorias. Esconder pequeñas cantidades de comida en diferentes lugares de la casa puede
estimular su instinto cazador. Los puzles de comida también son muy estimulantes para algunos gatos7
Ofrecer pequeñas cantidades de alimento de modo frecuente sería lo más similar a las preferencias naturales del gato, pero independientemente de las veces que se haga, se debe tener en cuenta la cantidad diaria adecuada para cada animal y ajustar el racionamiento para el mantenimiento de un peso saludable. En cualquier caso, se recomienda establecer rutinas de alimentación con horarios regulares, prestando atención a la ingestión calórica, ya que el sobrepeso también se ha relacionado con la incidencia de CIF.
Otra cuestión importante, que se aborda pocas veces con los cuidadores, es la limpieza tanto del comedero como del bebedero. Muchos propietarios simplemente rellenan los recipientes y, aparte del riesgo de contaminación microbiológica, la acumulación de migajas, saliva y aromas puede ser motivo de estrés, sobre todo si más de un gato ha tenido acceso8
CIF9. Así pues, ofrecer alimento húmedo y la estimulación de la ingestión de agua deben ser parte del manejo inicial de los pacientes con CIF ya que, además, disminuir la concentración de la orina y aumentar la frecuencia de las micciones ayudará a evitar la formación de cristales o cálculos y la orina será menos irritante para la pared vesical.
Estrés
Simpáticos eferentes
Recepción sensorial
Raíces ganglionares dorsales
GAGs de la vejiga Histamina Sustancia P Neuronas sensoriales
Esquema de la fisiopatología sugerida en gatos con cistitis idiopática/intersticial
Las intervenciones dietéticas son beneficiosas para algunos gatos, pero nunca deben sustituir, sino complementar, las medidas de enriquecimiento ambiental.
Existen muchas dietas formuladas para ayudar a mantener la salud urinaria del gato, pero hasta el momento no hay estudios que demuestren de forma definitiva que estas dietas puedan ayudar a todos los gatos con CIF. Lo que sí es aconsejable es que cualquier cambio dietético se realice gradualmente, ofreciendo el nuevo alimento al lado de la dieta habitual, en un recipiente separado, para dejar que el gato exprese sus propias preferencias1 De todos los tratamientos evaluados en estudios controlados, el único que ha ofrecido resultados significativos ha sido un estudio comparativo de dos dietas acidificantes de la orina, una seca y otra húmeda. Los gatos que recibieron la dieta húmeda tuvieron una recurrencia significativamente menor de los signos clínicos asociados con
Bibliografía:
Otras intervenciones nutricionales que pueden ser beneficiosas para la prevención de CIF pueden ser la disminución de la cantidad de minerales cristalogénicos, el aumento de la cantidad de mediadores antiinflamatorios como los ácidos grasos omega tres, ácido eicosapentanoico y ácido docosahexanocio (EPA y DHA), así como el manejo dietético del pH urinario10 Aparte de disminuir el riesgo de cristaluria, las dietas enriquecidas en sustancias como la alfa-casocepina o el l-triptófano, que han demostrado tener efectos ansiolíticos, pueden tener también efectos favorables para evitar la recurrencia de CIF11 También se ha estudiado la adicción de glicosaminoglicanos (GAG) en la dieta, ya que su papel protector de la mucosa interna de la vejiga urinaria y el hecho de que los gatos con CIF tengan menores concentraciones de GAG en su orina hace pensar que puedan tener un cierto efecto protector. No obstante, desgraciadamente, los estudios que se han hecho hasta la fecha no permiten concluir que tengan un efecto significativamente positivo12 En definitiva, lo primero de lo que debemos asegurarnos es de que el acceso a un alimento equilibrado, de calidad y que satisfaga sus preferencias individuales, no supone ningún estrés para el gato. La ingestión de agua es de suma importancia, debe estimularse y el alimento húmedo es siempre beneficioso. Las intervenciones dietéticas son útiles para algunos gatos, pero nunca deben sustituir, sino complementar las medidas de enriquecimiento ambiental.
1.- Buffington, CA: Pandora Syndrome in Cats: Diagnosis and Treatment. Today’s Veterinary Practice 2018 Sept-Oct: 31-40
2.- Buffington CAT, Westropp JL, Chew DJ.: From FUS to Pandora syndrome: where are we, how did we get here, and where to now? Journal of feline medicine and surgery 2014;16:385–394.
3.- Buffington CA.: Idiopathic cystitis in domestic cats--beyond the lower urinary tract. Journal of veterinary internal medicine / American College of Veterinary Internal Medicine 2011;25:784–796.
4.- Buffington CA. Developmental influences on medically unexplained symptoms. Psychother Psychosom 2009;78:139–44.
5.- Warren JW, Howard FM, Cross RK, et al. Antecedent nonbladder syndromes in case-control study of interstitial cystitis/painful bladder syndrome. Urology 2009;73:52–7.
6.- Ellis SLH, Carney HC, Heath S, et al. AAFP and ISFM feline environmental needs guidelines. J Feline Med Surg 2013;15:219–30.
7.-Dantas LM, Delgado MM, Johnson I, et al. Food puzzles for cats: feeding for physical and emotional wellbeing. J Feline Med Surg 2016;18:723–32.
8.- Mikel Delgado, Leticia M.S. Dantas. Feeding Cats for Optimal Mental and Behavioral Well-Being. Veterinary Clinics of North America: Small Animal Practice, 2020, 50:5, 939-953.
9.- Forrester SD, Towell TL. Feline idiopathic cystitis.Vet Clin North Am Small Anim Pract, 2015;45:783-806.
10.- Kruger, JM, Lulich, JP, Macleay, J, Merrills, J, Paetau‐Robinson, I, Brejda, J, & Osborne, CA. Comparison of foods with differing nutritional profiles for long‐term management of acute nonobstructive idiopathic cystitis in cats. Journal of the American Veterinary Medical Association 2015 247(5), 508–517.
11.- Landsberg, G.,Milgram, B.,Mougeot, I.,Kelly, S., & de Rivera, C. Therapeutic effects of an alpha-casozepine and Ltryptophan supplemented diet on fear and anxiety in the cat Journal of Feline Medicine and Surgery, 2017, 19(6), 594–602.
12.- Panchaphanpong J, Asawakarn T, Pusoonthornthum R. Effects of oral administration of N-acetyl-d-glucosamine on plasma and urine con-centrations of glycosaminoglycans in cats with idiopathic cystitis. Am J Vet Res. 2011;72(6):843-850
EDITOR Julio Allué1
DIRECTOR EDITORIAL DE MEDIOS DE COMUNICACIÓN Enric Brotons
Contacte con nosotros a través de argos@grupoasis.com si desea publicar un artículo, y remita sus notas de prensa a notasdeprensa@grupoasis.com
REDACCIÓN Sheila Riera1, Natalia Sagarra1 M. Ángel Ordovás, Israel Salvador, Sara Palasí1, Alejandro Vicente1
RESPONSABLE DE DISEÑO Ana Belén Mombiela
JEFA DE DISEÑO Teresa Gimeno
DISEÑO Y MAQUETACIÓN Erica García, Marian Izaguerri, Marisa Lanuza
Escriba a publicidad@grupoasis.com si desea anunciarse, y a suscripciones@grupoasis.com para altas, bajas o modificaciones en sus datos de contacto
RESPONSABLE DE PUBLICIDAD Ana Caballero1
PUBLICIDAD Pilar Angás1, Jorge Pérez1 Laura Montón1, Leticia Escuín1, María Puig2
SOPORTE DE PUBLICIDAD Raquel Miguel, Rocío Sarrate
ADMINISTRACIÓN Beatriz Sanz, Carmen Ezquerro, Miriam de la Torre SUSCRIPCIONES suscripciones@grupoasis.com
1Licenciado/a en Veterinaria, 2 Graduada en Farmacia
EMPRESA EDITORA Grupo Asís Biomedia, S.L.
PREIMPRESIÓN E IMPRESIÓN Grupo Edelvives
EMPRESA MANIPULADORA Grupo Edelvives
DEPÓSITO LEGAL: Z-2106/98 - ISSN: 1699-7875
Publicación controlada por
Grupo Asís Biomedia está asociado a (miembro de y ) y a , (miembro de y )
Centro Empresarial El Trovador, planta 8, of. I Plaza Antonio Beltrán Martínez, 1 50002 Zaragoza (España)
Tel.: 976 461 480 - Fax: 976 423 000
Email: argos@grupoasis.com
Web: www.portalveterinaria.com
DIRECTOR TÉCNICO: Enrique Ynaraja.
ANESTESIA: Antonio González (HV Rof Codina), Ignacio Sández (HV Vetsia)
CARDIOLOGÍA: Joaquín Bernal (Cardiovet), Laín García (HV Molins)
Susana Serrano (HV Vetsia)
CIRUGÍA: Joaquín Sopena (UCH-CEU, Valencia), José Rodríguez (FV de Zaragoza)
COMPORTAMIENTO: Xavier Manteca (FV de Barcelona)
DERMATOLOGÍA: Maite Verde (Servicio de Dermatología, FV Zaragoza)
ENDOSCOPIA Y CIRUGÍA DE MÍNIMA INVASIÓN: Jesús Usón (CCMI)
Federico Soria (CCMI), Tris Sampayo (Endoscopia Veterinaria)
EXÓTICOS: Albert Martínez-Silvestre (Centro CRARC), Jordi Grifols (Hospital Zoologic de Badalona), Andreu Riera (HV Molins), Beatriz Álvarez Carrión (CV Camaleo)
GESTIÓN Y MARKETING: Miguel Ángel Valera (Centauro Veterinarios), Jorge P. Pascual Ribote (CEVE).
HEPATOLOGÍA CLÍNICA Y CIRUGÍA HEPÁTICA: Alfredo Pérez (CV Taco)
MEDICINA FELINA: Mª Luisa Palmero (CV Gattos. GEMFE)
MEDICINA INTERNA: José Ramón García (CV San Francisco de Asís), Alberto Montoya (Facultad de Veterinaria ULPGC)
MICROBIOLOGÍA Y ENFERMEDADES INFECCIOSAS: Mariano Morales (FV Zaragoza)
NEUROLOGÍA: Xavier Raurell (HV Molins)
ODONTOLOGÍA: Soledad Montes (Cardiovet), Javier Collados (Servicio Móvil de Odontología)
OFTALMOLOGÍA: Inmaculada Morales Fariña (Responsable del Servicio de Oftalmología del Hospital Docente ULPGC)
ONCOLOGÍA: Miguel Laporta (HV Molins)
PARASITOLOGÍA: Juan Antonio Castillo (FV de Zaragoza)
REPRODUCCIÓN Y OBSTETRICIA: Pedro García (FV Lugo)
TOXICOLOGÍA Y FARMACOLOGÍA: Arturo Anadón (FV de Madrid)
TRAUMATOLOGÍA Y NEUROCIRUGÍA: Tomás Fernández (Centro Médico Veterinario)
Ramón Sever (Policlínica Veterinaria Rover), Fernando Díaz Santiago (Fauna Clínica Veterinaria)
URGENCIAS: Jordi Manubens (HV Molins)
COLABORADORES: Luis Javier Yus Cantín (Gerente del Col. de Veterinarios de Zaragoza)
La responsabilidad de los artículos, reportajes, comunicados, etc. recae exclusivamente sobre sus autores. El editor sólo se responsabiliza de sus artículos o editoriales. La ciencia veterinaria está sometida a constantes cambios. Así pues es responsabilidad ineludible del veterinario clínico, basándose en su experiencia profesional, el correcto diagnóstico de los problemas y su tratamiento. Ni el editor, ni los autores asumen responsabilidad alguna por los daños y perjuicios, que pudieran generarse, cualquiera que sea su naturaleza, como consecuencia del uso de los datos e información contenidos en esta revista.
De acuerdo con la normativa vigente en materia de protección de datos Grupo Asís Biomedia, SL., es responsable del tratamiento de sus datos personales con la finalidad de enviarle comunicaciones postales de nuestras revistas especializadas, así como otras comunicaciones comerciales o informativas relativas a nuestras actividades, publicaciones y servicios, o de terceros que puedan resultar de su interés en base a su consentimiento. Para ello, Grupo Asís podrá ceder sus datos a terceros proveedores de servicios de mensajería. Podrá revocar su consentimiento, así como ejercer sus derechos de acceso, rectificación, supresión, oposición, limitación y portabilidad enviando un correo electrónico a protecciondatos@grupoasis.com, o una comunicación escrita a Grupo Asís en Centro Empresarial El Trovador, planta 8, oficina I, Plaza Antonio Beltrán Martínez 1, 50002, Zaragoza (España), aportando fotocopia de su DNI o documento identificativo sustitutorio e identificándose como suscriptor de la revista. Asimismo, si considera que sus datos han sido tratados de forma inadecuada, podrá presentar una reclamación ante la Agencia Española de Protección de Datos (C/ Jorge Juan, 6. 28001 – Madrid www.agpd.es). Queda prohibida la reproducción total o parcial del contenido de esta obra sin previa autorización escrita. La Editorial a los efectos previstos en el artículo 32.1 párrafo segundo del vigente TRLPI, se opone expresamente a que cualquiera de las páginas de esta obra o partes de ella sean utilizadas para la realización de resúmenes de prensa. Cualquier forma de reproducción, distribución, comunicación pública o transformación de esta obra solo puede ser realizada con la autorización de sus titulares, salvo excepción prevista por la ley. Diríjase a CEDRO (Centro Español de Derechos Reprográficos) si necesita fotocopiar o escanear algún fragmento de esta obra (www.conlicencia.com; 91 702 19 70 / 93 272 04 47).