DENTAL PRÓTESIS Nº221

Page 1


REPORTAJE TÉCNICO

- Cerámica de feldespato VITABLOCS Mark II como estructura de laboratorio precisa y altamente estética

INFORME

- Profesionales Sanitarios Colegiados en España. Año 2023

- La OMC rinde homenaje a todos los sanitarios por su entrega y sacrificio durante la pandemia bajo El Árbol de la Vida

El medicamento que puede regenerar los dientes

- La AEMPS participa en la acción europea JAMS 2.0 para llevar a cabo inspecciones conjuntas

- International Dental Show 2025: el número de expositores en la mayor feria

y encerado de completas

- Estructuras híbridas con PEEK. Demostración teórico-práctica: “Una forma

Edita: Consejo General de Colegios de Protésicos Dentales de España

Bulevar de José Prat 5, 28032 Madrid Tel.: +34 91 571 05 84 www.consejoprotesicosdentales.org | info@consejoprotesicosdentales.org

dental PRÓTESIS no se identifica, necesariamente, con las opiniones manifestadas en sus páginas, así como de la información contenida en los anuncios publicitarios.

Si eres colegiado y deseas recibir la revista por correo postal, puedes enviar un email solicitándolo a: dentalprotesis@consejoprotesicosdentales.org

dEfEnsa ProfEsional: consultas a través del correo: dentalprotesis@consejoprotesicosdentales.org anuncios brEvEs: dentalprotesis@consejoprotesicosdentales.org

dirEcción dE la rEvista: Felicia Novalbos

comisión dE la rEvista: Pablo Tortosa Tortosa, Alejandro Díaz Pérez ImprIme: Editorial MIC, Tel. 902 271 902 | www.editorialmic.com

Descargar revista

Depósito legal: M-70-1983

ISSN: 0212-3738

dental PRÓTESIS

REPORTAJE TÉCNICO

Cerámica de feldespato VITABLOCS Mark II como estructura de laboratorio precisa y altamente estética

Julio Gómez Paris

Protésico dental Rosario, Argentina

Situación clínica de partida

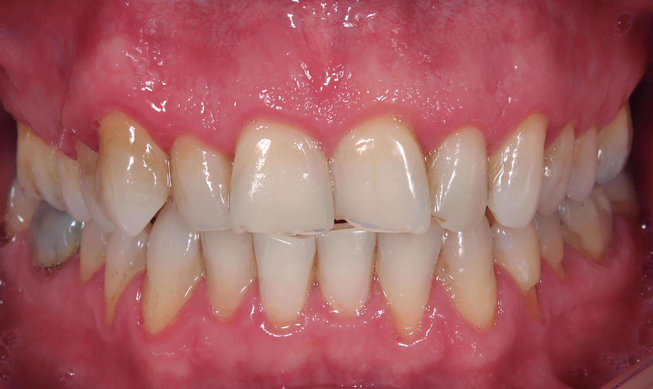
Un paciente de 60 años acudió a la clínica porque estaba insatisfecho con la estética de sus dientes anteriores superiores. Durante el examen clínico se observaron rotaciones e inclinaciones de los

Los VITABLOCS han demostrado su eficacia clínica a lo largo de 35 años. Se caracterizan por su apariencia esencialmente similar a la del diente y su fidelidad cromática a los estándares de color VITA. Esto significa que la determinación del color dental mediante las guías de colores VITA se reproduce de forma personalizada en los bloques. La confección asistida por CAD/ CAM tiene lugar de forma eficiente y precisa, sin necesidad de llevar a cabo a continuación una cocción

o sinterización. Así pues, resulta posible crear restauraciones altamente estéticas de manera económica, en particular en la zona estética. En el siguiente caso se muestra cómo se aprovechan estas ventajas en el laboratorio para lograr una rehabilitación altamente estética y cómo, en combinación con la cerámica de recubrimiento universal VITA LUMEX AC y los maquillajes VITA AKZENT Plus, se crean sin esfuerzo restauraciones absolutamente personalizadas.

Fig. 1: La situación de partida con abrasiones, inclinaciones y rotaciones en los dientes anteriores superiores.

dientes en esta zona, así como abrasiones pronunciadas en las zonas incisal y palatina. Además, se diagnosticó una periodontitis acompañada de recesiones y defectos cervicales, así que en primer lugar se trató la periodontitis

y, a continuación, se rehabilitaron con composite los cuellos dentales expuestos. Debían utilizarse coronas para restaurar los dientes anteriores superiores del paciente. Como material de restauración se seleccionó VITABLOCS Mark II, a fin de satisfacer las elevadas ex-

pectativas estéticas del paciente. Sobre esta base cromáticamente fiel y biomimética, debían reproducirse los rasgos individuales de los dientes inferiores empleando la cerámica de recubrimiento VITA LUMEX AC y el sistema de maquillajes VITA AKZENT Plus.

Mock-up digital y analógico

A partir de una fotografía digital frontal, se llevó a cabo en el software exocad (Exocad, Darmstadt, Alemania) un Digital Smile Design bidimensional en el paciente sonriente. A continuación, se procedió

Fig. 2: Se diseñó un mock-up virtual sobre la base del Digital Smile Design y del escaneo intraoral.

dental PRÓTESIS

REPORTAJE TÉCNICO

a un escaneo intraoral con CEREC Primescan (Dentsply Sirona, Bensheim, Alemania) que se importó a través del Connect Case Center, a fin de combinar ambos conjuntos de datos en el Smile Creator de exocad y poder proceder al acabado tridimensional de un encerado digital. Acto seguido, el modelo virtual así creado se confeccionó de forma aditiva con la resina fotopolimerizable FREEPRINT model (DETAX, Ettlingen, Alemania) en la unidad de impresión MiiCRAFT Ultra 150 (Hsinchu, Taiwán), y sobre este se confeccionó una llave de silicona para un mock-up direc-

to con PROTEMP 4 (3M, Seefeld, Alemania). Se modificó morfológicamente el mock-up y se controló de nuevo en una segunda sesión.

CAD/CAM

Antes de la preparación, en la misma sesión se escaneó el mock-up final como base para el diseño y se determinó el color dental 1M2 mediante la guía de colores VITA Linearguide 3D-MASTER. Tras el tallado de los dientes anteriores superiores para coronas completas, se tomó la impresión con el CEREC Primescan en el software CEREC 5.2. Se envió el conjunto

de datos al laboratorio a través del portal Connect Case Center para poder diseñar las restauraciones en el software CAD inLab 22.0 (todo de Dentsply Sirona, Bensheim, Alemania) y fresarlas a partir de VITABLOCS Mark II en el CEREC Primemill. A continuación, se procedió a la prueba intraoral de las restauraciones acabadas provisionalmente. Antes de la personalización, se creó en el modelo una llave de silicona para capturar la extensión incisal de las restauraciones antes del cut-back mediante puntas rotativas abrasivas e instrumentos diamantados.

Fig. 3: A partir del mock-up virtual se creó un modelo aditivo. Fig. 4: El segundo mock-up intraoral tras la modificación morfológica
Fig. 5: La determinación sistemática del color dental con la VITA Linearguide 3D-MASTER
Fig. 6: El color dental determinado y los dos colores adyacentes se documentaron mediante las correspondientes varillas de colores

dental PRÓTESIS

REPORTAJE TÉCNICO

Fig. 7: Se prepararon los dientes anteriores superiores para coronas completas, teniendo en cuenta el grosor de capa mínimo
Fig. 8: El modelo virtual tras el escaneo intraoral con el CEREC Primescan

REPORTAJE TÉCNICO

Fig. 11: Se llevó a cabo un cut-back controlado en la zona del borde incisal
Fig. 12: La primera estratificación alterna en las zonas incisal y de los flancos
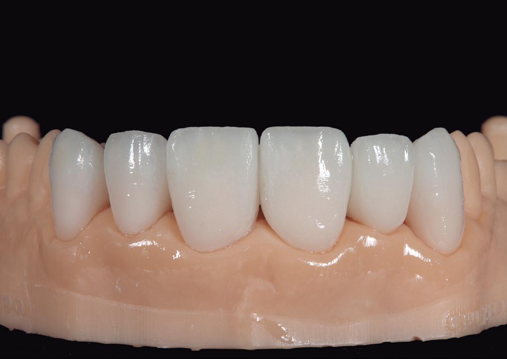
Fig. 9 : A partir del mock-up se diseñaron las coronas de VITABLOCS Mark II
Fig. 10: Las coronas de cerámica de feldespato se adaptaron sobre un modelo aditivo
Fig. 13: : El resultado del recubrimiento tras la primera cocción, sobre el modelo
Fig. 14: La segunda estratificación alterna con ENAMEL clear, FLUO INTENSE clear y cappuccino en la zona incisal

dental PRÓTESIS

REPORTAJE TÉCNICO

Fig. 15: La segunda estratificación alterna en ambos incisivos superiores

17: La extensión de la tercera estratificación en el tercio superior de la corona se controló mediante una llave de silicona

Fig. 16: El resultado del recubrimiento tras la segunda cocción, sobre el modelo

18: El resultado del recubrimiento tras la tercera cocción, sobre el modelo

Fig.
Fig.
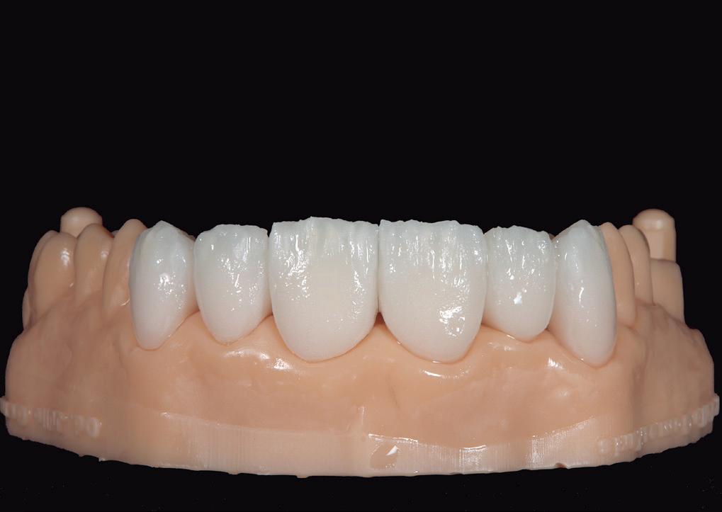
Fig. 19: La estratificación final con VITA LUMEX AC OPAL TRANSLUCENT neutral
Fig. 20: El resultado final del recubrimiento tras el acabado y el pulido

REPORTAJE TÉCNICO

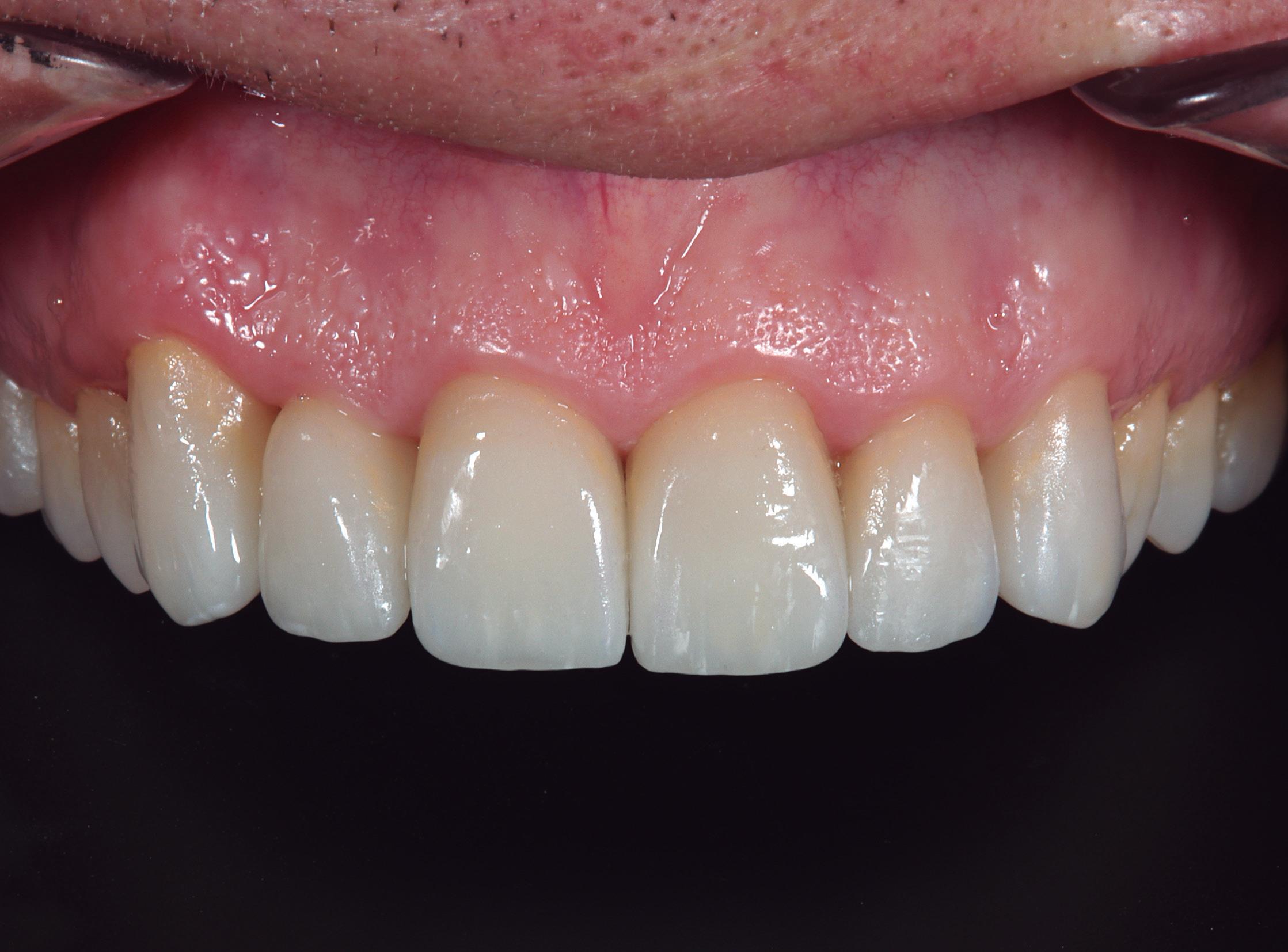
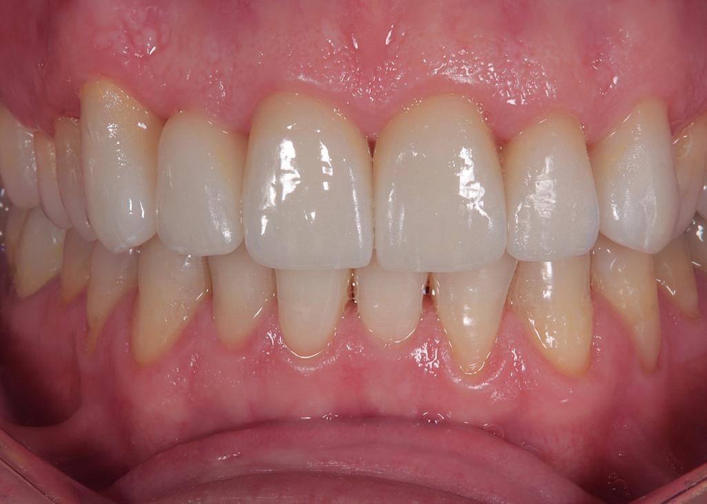
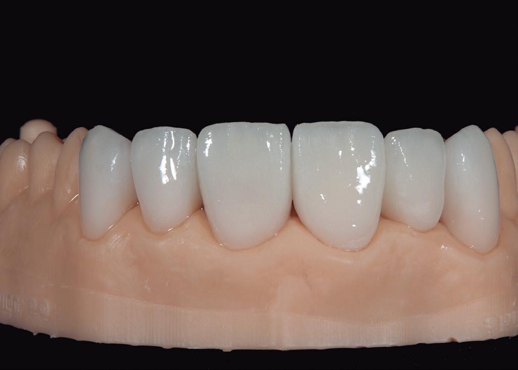
21: Las coronas terminadas, tras la caracterización y el glaseado con VITA AKZENT Plus ES01 (blanco) y ES05 (naranja)

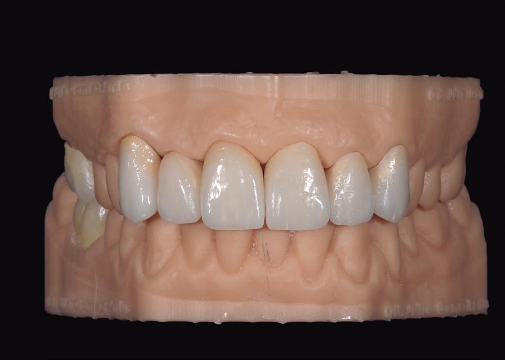
22: Las coronas se integraron de forma absolutamente armoniosa en las arcadas dentarias naturales desde los puntos de vista cromático y morfológico.

Fig.
Fig.
Fig. 23: El resultado final con dinámica lumínica y rico en matices, tras siete días in situ

dental PRÓTESIS

REPORTAJE TÉCNICO

Acabado y resultado final

Para la personalización se utilizó la cerámica vítrea reforzada con leucita VITA LUMEX AC, que puede emplearse de manera universal sobre todos los materiales de estructuras de cerámica integral de uso habitual. La estable cerámica de recubrimiento puede modelarse con gran precisión, ofrece todas las variantes de la naturaleza y

VITA AMBRIA:

posee una estabilidad de cocción absoluta. Al cabo de cuatro cocciones, se llevó a cabo la caracterización final con VITA AKZENT Plus EFFECT STAINS 01 (blanco) en la zona incisal y EFFECT STAINS 05 (naranja) en la zona cervical. Por último, se procedió al glaseado con GLAZE LT. Tras la prueba y el acondicionamiento del interior con ácido fluorhídrico y silano, se procedió a la colocación adhesiva

con 3M Scotchbond Universal y el composite de fijación translúcido 3M RelyX Ultimate (ambos de 3M, Seefeld, Alemania). Siete días después de la colocación, se observó la integración cromática y morfológica altamente estética de las coronas de cerámica integral.

Fuente: Vita

Cerámica prensada brillante con aún más variantes de color y niveles de translucidez

Prensado de cerámica vítrea sin renunciar a nada: eso es lo que posibilita la cerámica prensada VITA AMBRIA, disponible desde ahora también como pastillas

superficial y una fidelidad cromática excelentes. Gracias a la tecnología de coincidencia cromática de VITA, la inexpresividad gris en el laboratorio es cosa del pasado.

Medium Opacity. VITA AMBRIA, compuesta de disilicato de litio reforzado con dióxido de circonio, ofrece aquello que los protésicos dentales esperan de una cerámica prensada: resultados de prensado limpios y precisos con una calidad

Juego cromático de una expresividad fascinante

El pronunciado efecto camaleón de VITA AMBRIA permite obtener un efecto cromático armonioso aunque los grosores de capa de

las restauraciones adyacentes sean distintos. La combinación de este efecto con la fidelidad cromática del material ayuda a alcanzar un resultado estéticamente atractivo que se integra armoniosamente en la estética global.

Nuevas pastillas MO

A fin de facilitar la reproducción personalizada, ahora se ha ampliado la gama con otras tres pastillas de prensado en Medium Opacity. Las nuevas pastillas MO proporcionan un efecto natural acompañado de una capacidad de cubrimiento total, y, por lo tanto, están sumamente indicadas para carillas y coronas cuando se desea un color claro, en particular sobre muñones dentales decolorados. Gracias a su excepcional estética y a la posibilidad de ajustar el grado de translucidez mediante la temperatura de prensado, estas pastillas de prensado establecen un nuevo estándar de naturalidad. Calidad sin concesiones y máxima flexibilidad: eso es VITA AMBRIA.

Fuente: VITA

Profesionales Sanitarios Colegiados en España.

Año 2023

El Instituto Nacional de Estadística hizo público, el pasado mes de mayo, el informe con el número de profesionales sanitarios colegiados en España en 2023, situándose en 975.243, un 3,0% más que en 2022. Por sexo, 302.009 hombres (un 2,4% más) y 673.234 mujeres (un 3,4% más). Los colectivos mayoritarios fueron los de enfermeros (35,5% del total), médicos (30,9%) y farmacéuticos (8,2%).

El número de médicos colegiados aumentó en 9.271 personas (un 3,2%) hasta un total de 301.684 en el año 2023.

Por su parte, los enfermeros colegiados se incrementaron en 9.766

personas (un 2,9%), situándose en 345.969. Dentro de este colectivo, 10.286 personas estaban registradas como matronas (un 4,1% más que en 2022).

El número de colegiados del resto de profesiones que recoge la estadística también aumentó, excepto el de protésicos dentales (-0,4%). Los mayores incrementos se dieron en terapeutas ocupacionales (11,8%), físicos con especialidad sanitaria (8,2%) y químicos con especialidad sanitaria (7,3%).

El colectivo de enfermeros presentó en 2023 la mayor tasa por 1.000 habitantes (7,12). Por detrás

Profesionales sanitarios colegiados Años 2019-2023

Valores y tasas de variación (%)

se situaron los médicos (6,21) y los farmacéuticos (1,65).

En el caso de los enfermeros con especialidad de matrona, la tasa fue de 0,97 profesionales por cada 1.000 mujeres en edad fértil.

Profesionales sanitarios colegiados por edad y sexo

Atendiendo a la distribución por grupos de edad, los mayores porcentajes de profesionales sanitarios menores de 45 años se encontraron en terapeutas ocupacionales (87,9%), fisioterapeutas (76,8%) y podólogos (69,4%).

Protésicos Dentales por Comunidad Autónoma de Colegiación

Unidades: nº de profesionales

Los menores porcentajes en este grupo de edad lo presentaron los colectivos de biólogos (38,7%), protésicos dentales (38,8%) y médicos (39,2%).

Por su parte, los mayores porcentajes de colegiados de 65 y más años se dieron en médicos (25,3%) y farmacéuticos (17,8%).

La función sanitaria tiene una presencia mayoritariamente femenina. En el año 2023 había más mujeres colegiadas que hombres en 13 de las 15 profesiones analizadas.

Los colectivos con mayor porcentaje de mujeres fueron los de

logopedas (el 93,0% eran mujeres), terapeutas ocupacionales (90,0%) y enfermeros (84,2%).

Por el contrario, los tipos de profesión que presentaron los menores índices de feminidad fueron los protésicos dentales (31,5%), los físicos con especialidad sanitaria (32,2%) y los veterinarios (53,6%).

Los colectivos con mayor porcentaje de mujeres fueron los de logopedas (el 93,0% eran mujeres), terapeutas ocupacionales (90,0%) y enfermeros (84,2%).

Datos por comunidades y ciudades autónomas

El número de médicos colegiados aumentó en todas las comunidades autónomas en 2023, y sólo descendió en la ciudad autónoma de Melilla (-4,0%).

Los mayores incrementos se dieron en Cantabria (5,4%), Canarias (3,9%) e Illes Balears (3,8%). Y los menores en la ciudad autónoma de Ceuta (0,8%), Aragón (1,9%) y Castilla-La Mancha (2,6%).

Las tasas más elevadas de médicos se dieron en Principado de Asturias

Fuente: INE
1) Colegiados en España a 31 de diciembre de 2023 No hay colegiados en el País Vasco porque no existe Colegio de Protésicos Dentales en dicha Comunidad Autónoma

dental PRÓTESIS

Nº Protésicos Dentales por Comunidades y sexo. Año 2023

1) Colegiados en España a 31 de diciembre de 2023

No hay colegiados en el País Vasco porque no existe Colegio de Protésicos Dentales en dicha Comunidad Autónoma

Fuente: INE

Evolución Protésicos Dentales. Años 2012-2023 (7,32 por cada 1.000 habitantes), Aragón (7,31) y Comunidad de Madrid (7,25). Y las más bajas en las ciudades autónomas de Melilla (3,59) y Ceuta (4,41), y en Castilla-La Mancha (4,89).

Por su parte, las tasas más elevadas de enfermeros colegiados por cada 1.000 habitantes se registraron en Cantabria (9,05), Comunidad Foral de Navarra (8,87) y País Vasco (8,84). Y las menores en Región de Murcia (4,81), Galicia (5,21) e Illes Balears (5,97).

Fuente: INE
Fuente: INE (Instituto Nacional de Estadística)

dental PRÓTESIS

NOTICIAS

Ana Pastor nueva presidenta del Grupo AMA

Ana Pastor ha jurado su cargo como presidenta de A.M.A. Grupo en un acto multitudinario en el que estuvo arropada por el secretario de Estado de Sanidad, Javier Padilla; los consejeros de Sanidad de Castilla y León, La Rioja y Extremadura; la presidenta de UNESPA, Mirenchu del Valle; así como por el Dr. Diego Murillo, su antecesor en el cargo y actualmente presidente de honor

de A.M.A., la Fundación A.M.A. y consejero AMA Vida y A.M.A. América.

Tras la lectura por el secretario del Consejo de Administración del acuerdo del nombramiento y la aceptación de la nueva presidenta comenzaron las intervenciones cargadas de emotividad y reconocimiento a las figuras de Ana Pas-

tor y el Dr. Diego Murillo, presidente de A.M.A. durante 22 años.

Ana Pastor inició su intervención agradeciendo “el apoyo y confianza” ante un reto “que acepto con humildad, con responsabilidad y con respeto a la historia de esta casa que es una historia de éxito”.

“A este compromiso -continuó- se suman mis ganas de superación y la enorme responsabilidad que supone llevar las riendas de la mayor aseguradora de profesionales sanitarios de España y una de las mutualidades más sólidas de Europa”.

Para Ana Pastor, presidir A.M.A. supone renovar su compromiso con el servicio público. “Me debo a la Sanidad de mi país y desde A.M.A. intentaremos construir un sistema sanitario más fuerte, reforzando el papel que tienen nuestros profesionales y apoyándoles para que puedan ejercer su profesión con mayores garantías de seguridad”. “Ellos son el verdadero motor del progreso que ha vivido nuestro sistema sanitario”, afirmó.

A continuación pronunció unas palabras de reconocimiento para el Dr. Murillo. “Nos dejas el listón muy alto y no habrá ningún homenaje que sea capaz de reconocer la deuda impagable que tenemos los profesionales sanitarios contigo”.

Y resaltó el “camino de solvencia, confianza y seguridad” que el Dr. Murillo ha trazado a todos los sanitarios sabiendo adelantarse y adaptarse a sus necesidades.

En este contexto puso de ejemplo la creación del seguro de responsabilidad civil profesional, que A.M.A. creo cuando ninguna otra compañía de este país quería ase-

gurarlo por los extraordinarios riesgos que decían asumir.

“No conozco a nadie tan entregado a proteger la profesión médica como tú”, sentenció Pastor.

Se dirigió también a los consejos generales y colegios profesionales sanitarios, a quienes les brindó su apoyo y se comprometió a seguir colaborando en las distintas actividades profesionales, formativas y colegiales que desarrollan trabajando sobre la base de los valores de A.M.A.-compromiso ético, rigor e integridad-, orientados hacia la calidad y la satisfacción de los mutualistas.

La presidenta de A.M.A. se refirió a su etapa como ministra de Sanidad y la aprobación entonces de la Ley de Cohesión y Calidad del Sistema Nacional de Salud y la Ley de Ordenación de las Profesiones Sanitarias, leyes que, en su opinión,

“tiene que ser objeto de una profunda transformación y actualización”, teniendo siempre en cuenta el “papel clave” que juegan los profesionales.

Para finalizar, se comprometió a mejorar, en los próximos cinco años, la cartera de servicios de A.M.A., solicitando para ello el apoyo de todas las instituciones y corporaciones sanitarias y de todos los profesionales “que formáis parte de esta gran familia que es A.M.A.”.

Por su parte, el Dr. Diego Murillo echó la vista atrás para hacer balance y recordar los logros conseguidos y los esfuerzos desplegados, así como los reconocimientos recibidos desde el colectivo sanitario “a quien tanto debemos y a quienes nos sentimos especialmente vinculados”.

El presidente de honor de A.M.A. recordó aquellos años iniciales, sin apenas recursos pero cargados de ilusión, recorriendo España para

presentar el proyecto a los colegios sanitarios “hasta convertirnos hoy en la mutua líder con más de 600 trabajadores y un centenar de edificios”.

“A.M.A. es el mayor de mis logros, junto con mi familia y los buenos amigos que tengo”, manifestó.

Desde la Fundación A.M.A. que preside, “continuaremos volcados en devolver al colectivo sanitario todo el apoyo que nos brinda, manteniendo nuestro programa de becas, al igual que el impulso a la investigación y las ayudas sociales”.

Por su parte, el secretario de Estado de Sanidad resaltó que “la profesión sanitaria es un sentimiento que va más allá de las horas de trabajo. Debemos poner en valor el servicio público, más allá de las ideologías, y queremos contar con todos en esta labor”.

Fuente: AMA Grupo

La

OMC rinde homenaje a todos los sanitarios por su entrega y sacrificio durante la pandemia

bajo El Árbol de la Vida

Bajo la escultura El árbol de la vida, situada en la Plaza de los Sagrados Corazones de Madrid, la ministra de Sanidad ha intervenido en el acto organizado por la Organización Médica Colegial en homenaje a los médicos y profesionales sanitarios españoles por su entrega durante lapandemia de Covid-19.

Con este tributo, la OMC ha querido ensalzar el enorme valor de las profesiones sanitarias para la sociedad española en todo momento, pero de manera muy especial durante la gran crisis sanitaria de la COVID-19, un periodo en el que todo el país vivió una situación desconocida y desconcertante, pero en la que el esfuerzo, dedicación, profesionali-

dad y vocación de los profesionales sanitarios fue clave para superarla.

Muchos de estos profesionales sanitarios, 125 médicos, fallecieron en acto de servicio, personas que dieron lo más preciado que tenían, sus vidas, por todos nosotros. Ellos son las raíces de este árbol de la vida, una escultura donada por la Fundación A.M.A. e inaugurada por Sus Majestades Los Reyes de España en diciembre de 2020, que hoy ha vuelto a albergar un acto en recuerdo y reconocimiento de los millones de profesionales sanitarios y de su necesaria labor.

El presidente de la OMC, Dr. Tomás Cobo, ha iniciado las intervencio-

nes enalteciendo a los profesionales sanitarios vivos y a los que perdieron su vida durante la pandemia “pero que aún permanecen en la sociedad generando un espíritu de bondad. Hoy rendimos homenaje a la vocación de servicio a los demás y a la defensa de la dignidad del ser humano. Que es nuestro deber como personas y como profesionales sanitarios. Hoy rendimos homenaje a la cooperación entre todos y al trabajo en equipo que fue clave para vencer el virus en la pandemia cuando la sociedad estaba al borde del abismo. Esta es la lección que nos deja la pandemia y este es el ejemplo que debe guiarnos e inspirar a las profesiones sanitarias para

19 Sep · Madrid 27 Edición

¡La gran esta de la Odontología!

¡Envía tu candidatura y elige el camino de la excelencia!

Plazo de recepción: 30 de junio

¡Consulta las bases!

Organiza: Impulsa:

dental PRÓTESIS

NOTICIAS

seguir trabajando juntas en la atención a los enfermos”.

Por su parte, la ministra de Sanidad, Mónica García, ha hecho un sentido recuerdo a todos quienes participaron y ayudaron durante la pandemia en los centros sanitarios. “No podemos olvidar lo que pasó, debemos de transformar aprendizajes en políticas”. Se ha referido a los profesionales sanitarios como “personas de carne y hueso que ejercemos una profesión vocacional y científica con respeto al servicio público. No somos héroes”.

Ha enfatizado que “este homenaje es una acción para preservar la memoria de esos profesionales que aun exhaustos dieron todo lo que tenían y que son de un valor incalculable”. En su opinión, “la mejor forma de rendirles homenaje es cuidándolos y tratándoles bien, es decir, reconociendo su trabajo diario. La profesión médica y el resto de los sanitarios somos simples servidores públicos con una vocación que no nos cabe en el corazón”.

José Luis Martínez Almeida, alcalde de Madrid, ha hecho alusión al monumento que “nos recuerda a todos los médicos y profesionales sanitarios que dieron todo, incluido su vida por salvar a los demás. No hay mayor ejemplo de generosidad que perder tu vida por salvar a otros. En esos días tan tristes en el que los españoles necesitábamos un rayo de luz y esperanza y un grito de aliento ahí estuvisteis los médicos y profesionales sanitarios no solo con la palabra sino con la ac-

ción. Nos dijisteis a todos que entre todos seriamos capaces de sacar adelante esta situación y distéis ejemplo, trabajo e inspiración para el conjunto de la sociedad”

“Este árbol de la vida nos recuerda el aplauso que cada día a las 20.00h. os dedicábamos para daros fuerza y refleja la enorme deuda de gratitud impagable hacia los sanitarios”, ha concluido.

La consejera de sanidad de Madrid, Fátima Matute ha subrayado que “el COVID 19 fue la realidad más dura que tuvimos que afrontar como profesionales y como personas y agradeció el ejemplo de los profesionales sanitarios su esfuerzo y dedicación porque sostuvieron al país y la sociedad. Nunca nos cansaremos de agradecer este ejemplo de unidad de trabajo en equipo, valor y entrega de los profesionales sanitarios con el objetivo de ofrecer la mejor atención a quien enferma”.

Finalmente, ha resaltado que “debéis de sentiros orgullosos de lo logrado: la memoria es un deber y este ejemplo no puede ser olvidado. Este árbol nos recordará siempre a los que ya no están, a aquellos que se fueron, a los que dieron ejemplo y a los que siempre brillarán en la luz”.

La voz de Ainhoa Arteta conduce el acto de homenaje

La soprano Ainhoa Arteta ha sido la encargada de ponerle voz y música a este tributo con distintas actuaciones a lo largo del acto homenaje

celebrado en la Plaza de los Sagrados Corazones de Madrid. Asimismo, durante una de sus actuaciones se han proyectado algunas imágenes de la pandemia captadas por la fotógrafa Natalia García en el hospital de Getafe (Madrid).

Además de las autoridades que han participado en el homenaje, han asistido al acto, la comisionada de salud mental del ministerio de salud, la directora general de ordenación profesional, las ex ministras de sanidad, Ana Pastor y Mª Luisa Carcedo, el consejero de sanidad de Aragón, el viceconsejero de sanidad de Asturias, el teniente coronel de la Unidad Militar de Emergencias (UME) y presidentes de los colegios de médicos de España.

El árbol de la vida

La escultura del artista Jaume Plensa, de 7 metros y medio de altura y 6 toneladas de peso, presenta un corazón en lo alto de la columna y se ha convertido en un símbolo de gratitud a los profesionales sanitarios y una invocación a la memoria de su entrega durante la pandemia.

El Dr. Diego Murillo, ha resaltado que la donación del monumento por la Fundación A.M.A. al Ayuntamiento de Madrid tiene como fin “que las generaciones venideras sean conscientes de lo que significó la pandemia en nuestro país”.

dental PRÓTESIS

NOTICIAS

El medicamento que puede regenerar los dientes

El equipo de investigadores liderado por el Dr. Katsu Takahashi de la Universidad de Kyoto, ha anunciado avances en el desarrollo del medicamento que puede regenerar los dientes, lo que podría cambiar la forma en que se tratan las pérdidas dentales.

Este tratamiento, que comenzará a ser probado en humanos el próximo mes de septiembre de 2024, busca desactivar una proteína que inhibe el crecimiento dental.

El medicamento, llamado "USAG1", desactiva el Gen-1 asociado a la sensibilización uterina (USAG-1), que suprime el crecimiento dental. Al bloquear la interacción de USAG1 con otras proteínas, el medicamento activa la señalización de la proteína morfogénica ósea (BMP), lo que desencadena la generación de nuevo hueso y dientes.

Fases de ensayo clínico

El primer ensayo clínico, que se llevará a cabo en el Hospital de la Universidad de Kyoto, involucrará a 30 hombres de 30 a 64 años que han perdido al menos un molar. La segunda fase se centrará en niños de 2 a 7 años con deficiencia dental congénita, que afecta aproximadamente al 1% de la población.

La tercera fase se enfocará en adultos mayores de 65 años que han perdido entre uno y cinco dientes permanentes debido a factores ambientales.

El medicamento tiene el potencial de ayudar a una amplia gama de individuos, incluyendo aquellos con deficiencia dental congénita y aquellos que han perdido dientes debido a caries, lesiones u otros factores ambientales. Según los in-

vestigadores, alrededor del 5% de los estadounidenses tienen pérdida parcial de dientes, especialmente entre los adultos mayores.

Plazo de disponibilidad comercial

Si los ensayos clínicos son exitosos, el medicamento podría estar disponible comercialmente tan pronto como en 2030. La empresa Toregem Biopharma, una startup afiliada a la Universidad de Kyoto, planea ofrecer el tratamiento inicialmente a pacientes con anodontia congénita, antes de expandir su disponibilidad a aquellos que han perdido dientes en cualquier momento de la vida.

Fuente: El Litoral

La AEMPS participa en la acción europea JAMS 2.0 para llevar a cabo inspecciones conjuntas de productos sanitarios

La Agencia Española de Medicamentos y Productos Sanitarios (AEMPS) participa en la acción conjuntaJAMS 2.0, enmarcada dentro del programa EU4Health de la Comisión Europea, que tiene como objetivo mejorar la coordinación europea, la vigilancia y

el control del mercado de los productos sanitarios y productos sanitarios para diagnóstico in vitro.

La Agencia forma parte de cuatro de los ocho paquetes de trabajo de esta iniciativa y es líder de uno de ellos, el paquete de trabajo nº

7 (WP7, por sus siglas en inglés) para desarrollar una metodología común para la realización de campañas europeas de control demercado.

Además, la AEMPS participa en otro de los paquetes de trabajo, el WP6, que busca desarrollar un marco para llevar a cabo inspecciones conjuntas a operadores económicos en el campo de los productos sanitarios y productos sanitarios para diagnóstico in vitro, para coordinar y armonizar las actuaciones de las autoridades en las inspecciones. En un periodo de tres años, las autoridades competentes de la UE, entre ellas, la AEMPS, realizarán un programa piloto de inspecciones a fabricantes y a otros operadores económicos dentro del territorio de la Unión Europea para cumplir con los objetivos de este paquete detrabajo. En total, se llevarán a cabo 60 inspecciones, 30 a fabricantes y en una segunda fase 30 inspecciones a otros operadores económicos, como importadores, agrupadores, etc.

Estas inspecciones se realizarán por equipos compuestos por inspectores de varios países de la UE, junto con los propios del país donde está ubicado el operador económico. Los inspectores de la AEMPS participarán en varias de estas inspecciones conjuntas. En la primera fase, que comenzó el pasado mes de marzo, se están llevando a cabo, previo aviso, dos inspecciones a fabricantes establecidos en dos Estados miembros participantes. Cada inspector realizará tres inspecciones en países distintos al suyo.

Fuente: AEMPS

María Jesús Lamas Díaz, Directora de la Agencia Española de Medicamentos y Productos Sanitarios

dental PRÓTESIS

NOTICIAS

International Dental Show 2025: el número de expositores en la mayor feria del sector dental sigue creciendo

A diez meses de su inicio, la edición 2025 de la Exhibición Dental International (IDS Internationale Dental-Schau) registra una muy buena respuesta por parte de los expositores, lo que subraya su posición como feria líder para la industria dental mundial. Prácticamente todos los actores clave del sector han confirmado su participación en la 41ª edición de IDS, que tendrá lugar en Colonia del 25 al 29 de marzo de 2025. La lista actual de participantes ya incluye más de 1.100 empresas de 54 países y se prevé un resultado final contundente.

En un comunicado conjunto, la Sociedad para la promoción de la industria dental (GFDI / Gesellschaft zur Förderung der Dental-Industrie mbH), la empresa comercial de

la Asociación de la Industria Dental Alemana (VDDI / Verband der Deutschen Dental-Industrie e.V) y Koelnmesse expresan su satisfacción: “En 2025, IDS volverá a dar la bienvenida a Colonia al quién es quién de todo el sector dental. El excelente número de inscripciones demuestra claramente que IDS es reconocido como el evento internacional líder del sector y ofrece el foro ideal para las innovaciones y las tendencias del mercado. Es impresionante ver cuántas empresas utilizan IDS como plataforma para desarrollarse empresarialmente”.

Para los organizadores de la feria es prioritario fomentar un éxito empresarial duradero de todos los participantes en el mercado; un objetivo que desde siempre viene

marcado por el postulado olímpico. Al igual que los Juegos Olímpicos que se celebran en París este verano, IDS es sinónimo de excelencia, equidad y cohesión global. “IDS es una feria inigualable para todo el sector dental. Creamos condiciones competitivas justas para favorecer una comparativa de rendimiento ambiciosa y colaborativa, en línea con el espíritu olímpico”, enfatiza Mark Stephen Pace, presidente de la asociación VDDI. Los fabricantes interesados en presentar sus innovaciones y desarrollos en productos y técnicas dentales, así como en establecer valiosos contactos comerciales tienen aún la oportunidad de registrarse para IDS 2025 en el sitio web oficial.

Fuente: IDS

dental PRÓTESIS

3º Congreso de Incisivo a molar

El Colegio Profesional de Protésicos Dentales de Andaluzía ha llevado a cabo la tercera edición del Congreso De incisivo a molar.

Celebrado en Sevilla durante los días 7 y 8 de junio y con la colaboración de las principales empresas del sector.

El congreso se ha consolidado, en su tercera edición, como el evento de referencia del sector en Andalucía y con una importante

afluencia de participantes.

Héctor Couso, presidente del Co -

legio de Andalucía, en su discurso de bienvenida, agradeció a todos los participantes, colaboradores y

asistentes en general su presencia y su apoyo y contribución en el éxito del Congreso.

dental PRÓTESIS

COLEGIOS PROFESIONALES

Durante las jornadas se han impartido clases magistrales por ponentes de primer nivel en el sector protésico dental como Miquel Coronel, Ferran Puigrefagut, Andrés Astorga y Mariano Maurizi.

Héctor Couso en su discurso de clausura agradeció la participación de todos los asistentes, emplazándoles para el próximo congreso en 2025.

Equilibrio natural: Estética blanca y rosa

La Asociación de Técnicos en prótesis denal del Pais Vasco organizó el curso teórico-practico ¨Equilibrio natural: Estética blanca y rosa¨ impartido por Jungo Endo.

Aplicando la técnica de “Oral Stratifield Build” o con los nuevos materiales como Magic Color (Creation) el ponente presentó como resuelve trabajos de alta estética blanca y rosa, recreando tanto los tejidos

periodontales perdidos como las piezas dentales.

Se realizaron seis elementos anteriores con su encía, todo sobre estructura de Zi.

dental PRÓTESIS

COLEGIOS PROFESIONALES

Curso de diseño y encerado de completas

El sábado 8 de junio, el Colegio Profesional de Protésicos Dentales de Aragón organizó el "Curso de diseño y encerado de completas". Tuvo lugar en el laboratorio Estudio Dental David Minguillón.

Los principales temas que se tratarón fueron: estudio de modelos, montaje de dientes, Modelaje natural de encía, estudio de la oclusión, maquillaje de encía y las conclusiones finales.

El curso se inició con una breve formación teórica, donde se explicó por qué se trabaja con según que técnicas y lo que se iba a poner en practica durante el mismo, además se pudieron analizar casos reales, para ver resultados finales.

La segunda parte consistió en la parte práctica, donde los participantes pudieron realizar un montaje, de esta forma pudieron desarrollar técnicas y resolver dudas que fueron surgiendo mientras trabajaban en el montaje y maquillaje de sus trabajos.

Asimismo, se pudo experimentar y manipular diferentes materiales,

dientes, resinas… que fueron facilitados por On dental, Garzón y Denart.

Al término del curso, los integrantes del mismo se pudieron llevar los trabajos realizados observar los resultados obtenidos al poner en práctica las técnicas y tips tratados en el curso por David Minguillon.

Estructuras híbridas con PEEK. Demostración

teórico-práctica:

“Una forma sencilla de creatividad”

El pasado 12 de abril, el Colegio de Protésicos Dentales de Aragón organizó, junto con la empresa Dental Everest una charla demostrativa que se llevó a cabo en las instalaciones del Centro Empresarial Parque Roma. Esta jornada forma parte del compromiso continuo del colegio por promover la formación continua y la excelencia en el campo de la prótesis dental.

La charla fue impartida por la técnico dental María Veiga, colaboradora de la empresa Merz Dental. A través de su gran experiencia y conocimientos técnicos, María condujo una sesión teórico-práctica enfocada en los beneficios del material PEEK, un polímero de alto rendimiento que está revolucionando los trabajos protésicos gracias a su resistencia y adaptabilidad.

Durante la parte práctica, María Veiga realizó una estructura de PEEK y procedió a finalizarla con resina. Los participantes tuvieron la oportunidad de observar todo el proceso de maquillaje de la parte

rosa y la finalización del trabajo hasta el pulido final.

Desde la organización colegial quieren mostrar su agradecimiento a María Veiga por compartir su expertise y a Dental Everest y Merz Dental por su apoyo en la realización de este evento. La colaboración entre instituciones, expertos y la industria dental es fundamental

ren extender su gratitud a todos los asistentes que con su presencia enriquecieron la jornada. Su interés y entusiasmo por seguir aprendiendo y mejorar sus habilidades son la razón por la cual eventos como este son esenciales y de gran valor. Están convencidos de que iniciativas como esta fortalecen la práctica dental de la profesión, y en

para el avance y la innovación en nuestra profesión, y esta charla fue un claro ejemplo de ello.

Asimismo, desde el Colegio, quie-

esta línea seguirá trabajando para promover más actividades que permitan compartir conocimientos y expriencias en beneficio de todos los protésicos dentales colegiados de Aragón.

¡Ojo con la identificación!

En muchas ocasiones, las personas ajenas a nuestra profesión, que desconocen la existencia del título de protésico dental, nos llegan a llamar “dentista”, “dientista”, “mecánico”, o similares. Cuando suena el teléfono y nos dicen, ¿es el dentista?, aunque pueda parecer algo cortante, hay que corregir y decir, no, es está llamando al protésico dental (quien lo sea).

¿Por qué esta recomendación?

El artículo 403 del Código Penal castiga con cárcel al que se identifica como profesional de la profesión supuestamente invadida, y tenemos noticia de que algún miserable está aprovechando la situación buscando encarcelar a algún protésico, pese a no haberse identificado como dentista, aunque el ciudadano nos llame así.

Por eso, es recomendable que los protésicos dentales nos identifiquemos de forma inequívoca como lo que somos, aunque tengamos que corregir, de forma amable, a quienes nos identifican de forma errónea.

OFERTAS

SE NECESITA protésico dental y ceramista con experiencia en encerado de estructura, repasado y montaje de cerámica para laboratorio en zona sur de Alicante. Interesados llamar al Tel.: 966780412, col. nº 9 Alicante.

SE BUSCA ceramista con experiencia para laboratorio en Barcelona, llamar al Tel.: 639157848, Sr. Francisco, colegiado 677 COPDEC.

BUSCAMOS protésico dental para laboratorio dental en Ávila. Con buenos conocimientos generales y buena predisposición. Incorporación a pequeño equipo con buen ambiente de trabajo con las últimas tecnologías y buenas expectativas de futuro. información Tel.: 920250320, colegiado 49 Castilla y León.

SE NECESITAN protésicos con experiencia para cubrir varios puestos en prótesis removible y fija. Tel.: 645995215. Enviar CV laboratoriogranadent@gmail.com, colegiado 745 Andalucia.

BUSCAMOS ceramista con experiencia demostrable para laboratorio situado en Orihuela Costa (Alicante) por ampliación de plantilla. Se ofrece contrato indefinido a jornada completa, jornada intensiva y salario a convenir. Enviar CV a dentartstylezenia@gmail.com. Tel.: 693783255 Colegiado 315 Alicante.

LABORATORIO de Ortodoncia en Madrid busca incorporar protésicos para sus secciones de ortodoncia fija, removible y CAD CAM. Email: contestador@ortodonciaortosol.es, colegiado 515 Madrid.

SE NECESITAN Protésicos Dentales, especializados en el área de resina y de cerámica, con experiencia mínima de 2 años demostrable para laboratorio ubicado en Jerez de la Frontera. Interesados llamar al Tel.: 637552632/956 18 52 64. Colegiado 575 Andalucia.

LABORATORIO de ortodoncia en Oviedo busca protésic@ con experiencia en ortodoncia, jornada completa, salario a convenir según valía y productividad. Tel. 628807736, email: info@orthoeasy.es. Colegiado 268 Asturias.

SE BUSCA protésico especializado en prótesis removible, la oferta es en Torrelavega/Cantabria. Enviar CV laboratoriooscarmartin@gmail.com, colegiado 250 Cantabria.

SE PRECISA para laboratorio ubicado en Jaca, un profesional con ganas de aprender y de adquirir responsabilidades dentro del equipo y una proyección a largo plazo en nuestro laboratorio. Se valora experiencia en Exocad y manejo de herramientas CAD / CAM (fresadoras, impresoras 3D). Enviar CV a: info@fabueldentallab.com.

SE PRECISA protésico/a dental para laboratorio en Zaragoza. Preferiblemente con experiencia de 2 años y conocimientos en Exocad. Interesados/as enviar C.V. a: Laborzaragoza@gmail.com. Colegiado nº 389 de Aragón.

LABORATORIO ubicado en Zaragoza, busca 3 protésicos dentales. 1Protésico/a dental CAD-CAM: experiencia mínima 3 años demostrables, diseño Exocad (puentes, coronas, rehabilitaciones, férulas de descarga, coronas sobre implante, carillas, cargas inmediatas, blender, férulas quirúrgicas). Manejo de impresoras 3D, maquillaje de zirconio monolítico.

2- Protésico/a dental CERAMISTA: experiencia mínima 3 años demostrables, estratificación de todo tipo de restauraciones, puentes, coronas, rehabilitaciones, coronas sobre implantes, maquillaje. 3- Protésico/a dental sección REMOVIBLE: experiencia mínimo 3 años demostrables, diseño y fabricación de todo tipo de prótesis de resina. Ponte en contacto con nosotros dejándonos tu currículo en nuestro email: 3dentallaboratorio@ gmail.com. Colegiado 387 Aragón.

DEMANDAS

PROTÉSICO colegiado busca trabajo en Córdoba y provincia. 17 años de experiencia en resina (montaje, modelado, repasado) y pulido en cerámica con metal IPS Design (modelado, repasado estructuras y montaje de cerámica). Tel.: 609069055. Colegiado nº 314 CPDA.

SE OFRECE protésica colegiada con laboratorio propio, máxima seriedad, para hacer trabajos estéticos en removible, metal cerámico, cerámica total e-max, prótesis fija y combinada. Tel.: 606652563. Margarita. Col.184 COPRODIB.

SE OFRECE protésico dental de 22 años con 20 meses de experiencia voluntaria y 3 curriculares con mucho interés en aprender tanto prótesis fija como removible y ganas de trabajar. Paco Bastida. Tel.: 697822168. pacobastida95@gmail. com, Sanlúcar de Barrameda – Cádiz.

SE OFRECE protésico dental colegiado con más de 25 años de experiencia. Tel.: 659930402. prietofma@gmail.com. Colegiado 280287 de Madrid.

BUSCO un laboratorio donde poder trabajar o realizar un contrato de prácticas para poder ampliar mis conocimientos y desarrollar todo lo aprendido. He acabado este año Prótesis Dental, en estos dos años de curso he realizado prótesis completas, parciales, implantes, cerámica y un poco de CAD/CAM. He realizado un cursillo de iniciación a la cerámica en el Dental Training Center de Barcelona by August Bruguera, tengo intención de seguir desarrollándome, haciendo más cursos. Soy una persona muy trabajadora y responsable, no tendría problemas p ara desplazarme de lugar de residencia. Colegiado 425 Aragón, email: baipe-19_96-na@outlook.es, Ignacio, Tel.: 664040461.

SE OFRECE protésico dental en Valencia capital, 30 años, 8 años de

dental PRÓTESIS

ANUNCIOS BREVES

experiencia destacada en cargas inmediatas y sección de resina. También quiero destacar otros campos como Cad/Cam y encerados estéticos. Tel.: 686918179 Mariotellezdelsaz@gmail.com, colegiado 1178 Castellón y Valencia.

LABORATORIO Martínez González ofrece sus servicios prótesis fija zirconio, prótesis removible y ortodoncia a laboratorios dentales. Disponemos de las últimas tecnologías, escáner, fresadora, impresora, los trabajos pueden ser recogidos mediante mensajería o bien mandados mediante formato STL Pidan información sin compromiso. Tel.: 868175177, correo: laboratoriomartinezgonzalez@hotmail.com, colegiado 276 Murcia.

PROTÉSICA Dental con 17 años de experiencia en removible se ofrece para trabajar en Bilbao o alrededores. Correo: m.acuarioruiz@gmail. com.

PROTÉSICO dental-ceramista con más de 15 años en prótesis dental fija (estructuras, cerámica, di silicato, zirconio...) busca trabajo en Málaga capital y provincia. Persona seria, responsable y trabajadora. Tel.: 630056336, email pequinvigo@ gmail.com.

PROTÉSICO con 12 años de experiencia en escayola y Resina y conocimiento en cerámica y máster, se ofrece para trabajar en Madrid. Colegiado 281331 Madrid. Email: relli_fer@hotmail.com.

SE OFRECE protésico dental titulado con muchos años de experiencia en prótesis removible, inmediatas, híbridas, férulas etc... Prótesis fija, repasado, modelado, ataches, implantes, barras etc... Para contactar llamar al Tel.: 600387424. Valencia.

SE OFRECE servicio de diseño CAD. Protésica dental con más de 14 años de experiencia (10 en CAD), ofrece sus servicios como freelance para épocas de excedente de trabajo, también formación, on-line/in-situ, para laboratorio dental. Tel.: 642727429, ana@lanadental-

design.comm.

PROTESICO dental recién titulado busca trabajo en la comunidad andaluza. Experiencia en período de prácticas en resina, escayola y flujo digital. Soy una persona puntual y responsable. Tengo muchísimas ganas de ejercer la profesión y adquirir experiencia. Si le encajo en su perfil, no dude en contactarme Tel.: 669955311, victorjose12cod@ gmail.com.

PROTESICA dental busca laboratorio en Sevilla o alrededores que me permita seguir desarrollándome profesionalmente en cualquier área. Soy una persona trabajadora y responsable. Estaría encantada de enviarle mi currículum. Mi correo: Lauramorenokr@gmail.com, Tel.: 605520053. Colegiada 2516 Andalucia.

LOCALES

ALQUILO laboratorio dental equipado para removible metálica, resina y metal cerámica, actualmente en funcionamiento. Todas las licencias, con o sin maquinaria. Colegiado nº 264 CPDCM. Tel.: 916609114.

SE VENDE laboratorio, local céntrico, sito en Plaza San Miguel, excelente situación. Maquinaria nueva sin estrenar, primeras marcas europeas: inductora licuadora metales galony, horno mixto cocción-inyección ivoclair ep-3010 (balizado), horno precalentamiento hp 50 con catalizador de humos instalado mestra, mezcladora vacío iris, arenadora 3 vasos constelación, pulidora 2 velocidades, termopolimerizadora 9 muflas manfredy, polyplus, compresor con cabina insono, decantadora, equipo aspiración eolo, micromotores, bombas vacío recortadora, bunsen, calentadores fotopolimerizadora, limpiadora ultrasonidos . . . Previsto para hasta 3 puestos de trabajo. Excelente distribución; área recepción/ expedición/ envasado, 1 sala de montajes, 2

secciones independientes metal y cerámica. Permisos y Licencias en vigor. Magnífica oportunidad: 47.000€ (facilidad de pago) Se facilitan gestiones con la propiedad en local alquiler, mensual orientativo 400€ NO SE VENDEN MAQUINAS SUELTAS Interesados contactar al móvil 618655570 (solo WhatsApp) colegiado Nº 323 Aragón.

VENDO O TRASPASO por jubilación, laboratorio dental preparado para todo tipo de trabajos, con CadCam KAVO, fundidora de titanio y laser entre otras maquinarias. Tel.: 922274803 Carlos, colegiado nº28 de Santa Cruz De Tenerife.

SE TRASPASA laboratorio dental en Madrid por jubilación. Modalidad de venta o alquiler de local. Negocio consolidado con más de 30 años de actividad, con cartera de clientes. El laboratorio dispone de 11 puestos de trabajo, 3 hornos de cerámica, escáner Cad/Cam, sala de colados, sala de escayola, despacho, zona de comedor, 2 servicios completos con vestuario y almacén. Local de 225 m2 muy luminoso, situado en edificio industrial Indobuiding, con conserje, vigilancia 24 horas, ascensor para coches y muelle de descarga. Consultar condiciones. Contacto: Clemente Tel. 616596078, mariamaxsd@gmail. com, colegiado 280205 Madrid.

ALQUILO laboratorio en Burgos con vistas a próxima jubilación, ubicado en zona tranquila y entorno muy agradable. Dispone de 4 puestos de trabajo, está preparado para hacer trabajos de fijo y móvil, hornos, scanner 3d etc. Para más información preguntar por Luis Tel.: 947200959. Colegiado 14 Castilla y León.

SE VENDE laboratorio de Prótesis Dental en Alcobendas. Totalmente equipado con quince puestos de trabajo para protésicos, divididos en varias secciones, recepción, oficina y despacho, con toda la maquinaria necesaria para su funcionamiento.

(prótesis fija, Cad-Cam, removible, y esqueléticos) Incluimos el mobiliaria, las existencias y el fondo de comercio, disponemos de toda la documentación en vigor para seguir funcionando, licencia sanitaria, ayuntamiento y contratos los necesarios como la Lopd , Prevención de riesgos y Extinción. También existe la posibilidad de venta o alquiler del local. Interesados contactar vía email Labodental28@gmail. com. Colegiado 685 Madrid.

SE VENDE o alquila, por jubilación, laboratorio dental en Asturias de 92 m2, exterior, totalmente equipado para prótesis removible, fija e implantes, para entrar a trabajar, 7 puestos de trabajo, sistema CADCAM de Zirkonzahn.M5, escáner, horno de sinterizado y ordenador. Para más información contactar Tel. 600468152, José Luis colegiado 1 del Principado de Asturias. Email: laboratoriodentalcortina@ gmail.com.

OPORTUNIDAD asegurada, si te vas a montar un laboratorio por el precio de un alquiler cómprate un local con el doble de maquinaria para hacer prótesis fija y móvil, actualmente con trabajo y todos los permisos en regla (85m2). Sin problemas de salida de humos ni problema con los ruidos y estratégicamente ubicado en la zona de Barcelona y fácil de repartir en periferia, aparcamiento para motos en frente y línea de metro y autobuses al lado. Veinte años funcionando. Tel.: 661061839. Colegiado 843 Cataluña.

SE ALQUILA espacio de trabajo en laboratorio dental ubicado en Sevilla, mesa de trabajo personal y resto de maquinaria a compartir desde 250 euros, colegiado 571 Andalucia. Email: laboratoriodentalmonzonsevilla@gmail.com.

SE TRASPASA o vende laboratorio dental en zona sur de Madrid por cambio de actividad.140 m. Todos los permisos al día, todo montado

(8 puestos), cartera de clientes; mando fotos si está realmente interesado zona de Aluche. Tel.: 690864534.Angel. Col. 853 Madrid.

SE TRASPASA o vende laboratorio en Cornellá de Llobregat (Barcelona), local de 150m, todo exterior con luz natural, en edificio de oficinas en zona industrial, dividido por secciones con aire acondicionado, instalación eléctrica trifásica, instalación de aire comprimido, varios puntos de agua y desagües, extintores. Con todos los permisos y licencias actualizadas. Equipado con mobiliario metálico, 10 puestos de trabajo nuevos (solo utilizado para cursos) y 6 puestos con aspiración individual, lámparas y micromotores en perfecto estado. Varios muebles auxiliares y de almacenaje. Maquinaria para todas las secciones en buen estado. Preparado con una sala independiente para hacer cursos. Bien comunicado con transporte publico cerca de hoteles y a 10minutos del Aeropuerto. Si te interesa puedo mandar fotos. Tel.: 620267671. Colegiado 467 COPDEC.

VENTA del negocio, laboratorio en funcionamiento con personal, cartera de clientes, maquinaria, sección CAD/CAM, licencias en regla, buena facturación anual, dentro de unos años nos llega la jubilación y queremos que nuestro negocio continue en otras manos. Colegiado 103 Comunidad de Madrid. Contactar con Begui Tel.: 685968443.

VENDO O TRASPASO laboratorio dental en funcionamiento. Equipado para la elaboración de prótesis fija, removible metálica y removible acrílica. Cuenta con cartera de clientes activa. Instalado en un local de 85 m2, en zona muy comercial de fácil aparcamiento. Tiene todos los permisos y licencias en vigor. Colegiado 522 Andalucia. Tel.: 655940381. Sevilla.

TRASPASO laboratorio dental

equipado y en funcionamiento por próxima jubilación, 4 puestos de trabajo, maquinaria para trabajo según: flujo digital (CAD/CAM), manual (tradicional), autorización sanitaria para: resina, metálica, fija, mixtas e implantosoportadas y ortodoncia. Se incluyen materiales y reservas existentes (resinas, tabillas de dientes, alambres, fresas, etc.) Precio: alquiler y traspaso a negociar. Se enseñará al completo el funcionamiento del laboratorio. Interesados contactar al Tel.: 647780020 – 968931139. Colegiado 139 Murcia.

TRASPASO laboratorio dental de prótesis removible en pleno funcionamiento en provincia de Barcelona, con buena facturación, dos puestos de trabajo con licencia actual y maquinaria completa, incluido máquina de sistema Deflex, etc…. Más información Tel.: 630035921. Colegiado 458 Cataluña.

TRASPASO laboratorio por jubilación en el Actur de Zaragoza, a 50m de Gran Casa, totalmente legalizado. Amplia cartera de clientes. Mas información Ángel Tel.: 679101626. Colegiado 180 Aragón.

VENTA

DE MATERIAL Y EQUIPAMIENTO

VENDO Horno de cerámica Multimat Touch-Press para cerámica convencional y cerámica inyectada con bomba de vacío, 2.800 euros, (regalo cilindros y pistones para inyectar), metal precioso D.SIgn 84 IVOCLAR 25gr, 15% descuento sobre precio de mercado. Tel.: 606626478. e.mail: dentetes@hotmail.com Col Tenerife.

VENDO horno de inyección EP600 IVOCLAR, soldadora por puntos Phasder KUSS, Metacom horno

dental PRÓTESIS

ANUNCIOS BREVES

de precalentamiento MANFREDI, batidora vacio JELENKO, mesa trabajo, chorro vapor, cerámica Desing, In ceram. Tel.: 913513535, Col.1147 CPDCM Jorge.

VENDE laboratorio dental, fresadora-copiadora para óxido de circonio Ceramill de Amanngirrbach, más horno para sinterizar Ceramill Therm (último modelo). Es el sistema completo original, que contiene 84 bloques de circonio pequeños y 4 grandes, y resinas para modelar, todo a estrenar. 6.500 euros. Precio negociable. Tel.: 976252055. Colegiado 25 del Colegio Profesional de Protésicos Dentales de Aragón.

VENDO scanner MDS400 y software ORTHOSTUDIO. El scanner se encuentra en perfecto estado, el software contiene: 1. Módulo de modelos de estudio: permite crear bases virtuales ABO Ricketts, Paralell, etc. 2. Módulo Set-up Virtual, permite mover dientes, realizar extracciones, stripping (IPR), colocación de ataches, etiquetas, etc. 3. Módulo constructor de Modelos, permite crear el conjunto de modelos 3D necesarios para todo el tratamiento de ortodoncia y exportarlos en archivos STL. 4. Módulo cortar y cerrar, permite recortar y ahorrar material de impresión. 5. Módulo colocación de Brackets, permite colocar brackets según distintas técnicas de colocación Alexander, Roth, Damon, etc. 6. Módulo PDF 3D, permite incrustar el informe PDF de los modelos 3D de estudio para enviarlo al doctor. Precio de venta 11.000 euros. Colegiada 6 Aragón. Interesados contactar con Cristina Tel.: 625528189.

SE VENDE sistema GIROFORM para modelos desmontables 850 euros, contacto Juan Yarza, Tel.: 976333241, colegiado 167 Aragón.

SE VENDE: Por jubilación, maquinaria de laboratorio de prótesis dental; Inductora mi200 de electrodensa, Spectramat, Ivomat IP3, Recortadora Mestra 1800 r.p.m.,

Vibrador, Demco, Mesa de trabajo Cornet (adaptada para aspiración,aire y gas), Horno cerámica Programat P95 (con bomba de vacío y suplementos). Contacto: Rafael, Colegiado 306 de Galicia. Tel.: 619606100. Los precios son a convenir.

VENDO mesa de prótesis dental de un puesto más modulo en lado derecho para horno u otra máquina, preinstalación de sistema de aspiración, luz y gas, precio 790 euros, algo negociables, incluida lampara de 2 fluorescentes valorada en 300 euros. Colegiado 36 Extremadura. Jesús Tel.: 647503813, para más información y fotografías

VENDO por jubilación, maquinaria, mobiliario y productos dentales de laboratorio dental, mesas, inductora, hornos cerámica e inyección, micromotores, porcelanas variadas de fija, removible y esqueléticos...o traspaso a emprendedor a precio simbólico, doy información en el Tel.: 636256513, Francisco Javier colegiado 28 de Extremadura.

SE VENDE maquinaria prótesis dental por jubilación, articulador tipo arcón, soldadora de punto ortodoncia, horno Cergo press y convencional de Degussa, batidora de vacío y otros artículos más, preguntar sin compromiso. Tel.: 6644300008, colegiada 861 Andalucia.

VENDO maquinaria por cierre de laboratorio, arenadora 2 módulos ESB 2 Plus EUROCEM, compresor Shark 24/150 OIL Less, chorro de vapor EV EUROCEM, calentador de cera para impresión MESTRA, electrovibrador EV200 13x22 EUROCEM. Colegiado 724 Cataluña. Tel.: 661028097.

VENDO maquinaria laboratorio dental por cese actividad.1-compresor Mafor sin aceite 2 cilindros 2 CV, 2-pulidora Kavo, 3-recortadora Kavo cinta banda, 4-motor Demco, 5-batidora vacío Multivac Degusa,

6-centrífuga Minicast Ugin, 7-horno precal. Magma Renfert, 8-lámpara fotopolimer HILITE POWER 3D + otros.TOTAL LOTE 7.500 euros. Colegiado 10 COPDEC. Tel.: 669513944.

VENDO Ministar máquina de termomoldeo de Scheu Dental. En perfecto estado, el precio incluye: 1 caja de perdigones, 1 repuesto de goma de conexión s vompresor, material de termomoldeo: 1 caja de isofalan, 1 caja de Durasoft 1,2mm, 1 caja de Durasoft 1,8mm, 1 caja de Bioplast 1,5mm, 1 caja duran 2mm, 6 planchas Bioplast 4mm, 8 planchas Bioplast 3mm amarillas, 3 planchas Bioplast 3mm rojo. Precio 700 euros. Se envían fotos por wasap. Contacto Cristina Tel.: 625528189. Colegiado 6 Aragón.

SE VENDE, por motivo de inactividad: recortadora de escayola Mestra, mezcladora revestimientos, compresor aire, motor de mesa Demco, motor de medio caballo, inductora metal Galoni (Ref: 049059), vaportizador, arenadora de dos chorros Mestra, aspirador Kavo, aspirador Bosch, olla termo- curado resina Palamat, micromotor Kavo 4 (pieza de mano), micromotor ZENIT (pieza de mano), micromotor NSK (pieza de mano) , turbina NSK (seco+agua, Ref: 041969), turbina bien-air (Ref: H92551), Lampara LED Mestra, horno para inyección y cocción de cerámica Programat PE COMBI 6000 Ivoclar, horno para cerámica Programat P 500 Ivoclar, máquina termoconformado (para placas al vacío), mueble JEB (esquinero para porcelana), escritorio de oficina (esquinero), equipo de soldadura y restos complementarios. Los equipos se encuentran en buen estado. Para más información contacte con 667376590/ 675896506, colegiado 60, Navarra.

Para publicar en esta sección, enviar un correo a: info@consejoprotesicosdentales.org

Colegio Oficial de Protésicos Dentales de Alicante C/ San Carlos 134-1º 03013- ALICANTE Tf. 965146937 www.coproda.es Email: info@coproda.es

Colegio Profesional de Protésicos Dentales de Andalucía C/ Aragón, 23 Local 41006 SEVILLA Tf. 954641546 www.cppda.es Email: cppda@cppda.es

Colegio Profesional de Protésicos Dentales de Aragón Centro Empresarial Parque Roma C/ Vicente Berdusan, Bloque D-1 Bajos 50010 ZARAGOZA Tf. 976460332 www.coppda.com Email: coppda@coppda.com

Colegio Profesional de Protésicos Dentales del Principado de Asturias C/ Río Caudal 7 entlo. F 33011 OVIEDO Tf. 985294218 www.protesicosdentalesasturias.com Email: buzon@protesicosdentalesasturias.com

Colegio Profesional de Protésicos Dentales de Islas Baleares C/ Cima 17, local 9 07011 PALMA DE MALLORCA Tf. 971777574 www.coprodib.org Email: coprodib@gmail.com

Colegio Profesional de Protésicos Dentales de Cantabria C/ Los Escalantes, 5 Ppal. Izq. 39002 SANTANDER Tf. 942362764 www.cprotcan.com Email: protesicoscantabria@gmail.com

Colegio Oficial de Protésicos Dentales de Castellón y Valencia C/ Ciudad del Aprendiz, 3 Bajo 46017 Valencia Tf. 963471840 www.cprotcv.org Email: valencia@cprotcv.org

Colegio Oficial de Protésicos Dentales de Castilla-La Mancha C/ Dr. Bornadel, 15- Of.3 Edif. Juan de Austria 13600 ALCÁZAR DE S. JUAN Tf. 926551301 www.protesicosdentales.es Email: colegio@protesicosdentales.org

Colegio Profesional de Protésicos Dentales de Castilla y León Carretera de Rueda, 17 Local Izquierdo 47008 VALLADOLID Tf. 983477117 www.coprodecyl.com Email: coprodecyl@gmail.com

Colegio Oficial de Protésicos Dentales de Cataluña C/ Provença, 337- 3º I 08037 BARCELONA Tf. 934576499 www.copdec.es Email: copdec@copdec.es

Colegio Profesional de Protésicos Dentales de Extremadura Avda. de Numancia, 1 06800 MERIDA Tf. 924373638 www.colprodentaex.com Email: colegioextremadura@colprodentaex.com

Colegio Oficial de Protésicos Dentales de Galicia C/ del Hórreo, 7 -1º Izq. 15702 Santiago de Compostela -A CORUÑA Tf. 981571017 www.coprodega.es Email: coprodega@coprodega.es

Colegio Profesional de Protésicos Dentales de la Rioja

Avda. de La Rioja, 6 - 6º A 26001 LOGROÑO Tf. 941258467 www.protesicosdentalesrioja.com Email.info@protesicosdentalesrioja.com

Colegio Profesional de Protésicos Dentales de las Palmas Urb. Residencial Reina Mercedes I – Local 5º 35012 Las Palmas de Gran Canarias Tf. 928361000 www.protesicoslaspalmas.com Email.cppdlaspalmas@infomed.es

Colegio Profesional de Protésicos Dentales de la Comunidad de Madrid C/ Dcotor Esquerdo, 166 -1º E. 28007 Madrid Tf. 917580238/917580239 www.colprodecam.org Email.info@colprodecam.org

Colegio Profesional de Protésicos Dentales de la Región de Murcia C/ Santa Teresa, 19 entresuelo 1º C 30005 MURCIA Tf. 968217247 www.colegioprotesicosmurcia.es Email: info@colegioprotesicosmurcia.es

Colegio Profesional de Protésicos Dentales de la Comunidad Foral de Navarra C/ Monasterio de Yarte, 1 Bajo 31011 PAMPLONA Tf. 948251875 www.copdna.es Email: copdna@outlook.es

Colegio Profesional de Protésicos Dentales de Santa Cruz de Tenerife C/ Pedro Modesto Campos,4 Piso 1º Of. 2 Ed. Los Dragos 38006 SANTA CRUZ DE TENERIFE Tf. 822012531/628137142 www.colprotfe.es Email: colprotfe@gmail.es

Asociación de Técnicos en Prótesis Dental del País Vasco Aldaieta Bidea, 7 – Lonja 48950 – Astrabudua (VIZCAYA) Tf. 944 171 097 www.euskalprotesis.com Email: euskalprotesis@gmail.com

Turn static files into dynamic content formats.

Create a flipbook
Issuu converts static files into: digital portfolios, online yearbooks, online catalogs, digital photo albums and more. Sign up and create your flipbook.