Dental Prótesis 217 junio 2023

Page 1

-"Respeten y protejan los derechos laborales de los sanitarios"

-Agresiones a profesionales sanitarios

-Premios Admirables

Informes

-Profesionales sanitarios en España. Año 2022

-Salud para todos

Reportajes técnicos

-VITA LUMEX AC en la prótesis implantosoportada

-Tecnología para el laboratorio dental

www.consejoprotesicosdentales.org Nº 21 7 | JUNIO 2023

Edita: Consejo General de Colegios de Protésicos Dentales de España

Bulevar de José Prat 5, 28032 Madrid Tel.: +34 91 571 05 84 www.consejoprotesicosdentales.org | info@consejoprotesicosdentales.org

dental PRÓTESIS no se identifica, necesariamente, con las opiniones manifestadas en sus páginas, así como de la información contenida en los anuncios publicitarios.

Si eres colegiado y deseas recibir la revista por correo postal, puedes enviar un email solicitándolo a: dentalprotesis@consejoprotesicosdentales.org

dEfEnsa ProfEsional: consultas a través del correo: dentalprotesis@consejoprotesicosdentales.org

anuncios brEvEs: dentalprotesis@consejoprotesicosdentales.org

dirEcción dE la rEvista: Felicia Novalbos

comisión dE la rEvista: Pablo Tortosa Tortosa, Alejandro Díaz Pérez

SUMARIO Nº 217 | Junio 2023 dental PRÓTESIS 3 Nº 217 | Junio 2023 SUMARIO
dental PRÓTESIS
ImprIme: Editorial MIC, Tel. 902 271 902 | www.editorialmic.com Descargar revista Depósito legal: M-70-1983 ISSN: 0212-3738 REPORTAJES TÉCNICOS - VITA LUMEX AC en la prótesis implantosoportada: armonía de la cerámica de recubrimiento sobre estructuras de titanio de gran envergadura 4 - Tecnología para el laboratorio dental 8 INFORMES - Salud para todos 16 - Profesionales Sanitarios en España. Año 2022 22 NOTICIAS - Informe de la comisaria europea de Derechos Humanos: "Respeten y protejan los derechos laborales de los sanitarios" 26 - Premios Admirables 2023 27 - Expodental 2024. Presentación a las empresas del sector dental 30 - Prevención de agresiones a profesionales sanitarios. Año 2022 32 - Congreso Internacional Rhein83 34 COLEGIOS PROFESIONALES - Cuarta sesión CURSO EXOCAD 2023. Rehabilitaciones sobre implantes en EXOCAD 36 - Construyendo puentes 3D para el futuro 36 - Completas de principio a fin con el método TIF 37 - 2º Congreso De incisivo a molar 38 - Celebración de la Patrona de los protésicos dentales en Las Palmas 40 - 5ª sesión curso EXOCAD 2023 40 ANUNCIOS BREVES 43 DIRECTORIO DE COLEGIOS 52

dental PRÓTESIS

REPORTAJE TÉCNICO

VITA LUMEX AC en la prótesis

Tras obtener su título de protésico dental en la Universidad Al-Baath (Homs, Siria) en el año 2007, Tamer Al Haddad acumuló nueve años de experiencia en diversos laboratorios en su país y en el extranjero. Lo que motiva y fascina a este director de laboratorio y protésico dental en su trabajo diario es armonizar entre sí la forma, la textura, el efecto cromático y la función en sus creaciones protésicas. No es de extrañar que su laboratorio, inaugurado en 2016

de alta calidad a 30 clínicas.

en Al Ain (EAU), lleve el nombre Harmonic Dental Lab y tenga éxito a escala nacional e internacional: hoy en día, Tamer Al Haddad suministra sus prótesis dentales

A fin de crear restauraciones dentales armoniosas, el propietario de laboratorio busca constantemente las combinaciones de materiales adecuadas, que posibiliten un uso seguro y económico. Así es como dio con la cerámica de recubrimiento VITA LUMEX AC, donde “AC” significa “All Ceramics”, que indica la posibilidad de uso universal sobre todas las estructuras cerámicas habituales. Sin embargo, la cerámica de recubrimiento también puede utilizarse perfectamente sobre estructuras de titanio, tal como explica Tamer Al Haddad en la siguiente entrevista.

¿Por qué utiliza estructuras de titanio recubiertas con VITA LUMEX AC como supraconstrucción para el concepto “all on four”?

El titanio brinda una ventaja decisiva: pese a su ligereza, posee una elevada estabilidad en comparación con otros materiales de estructura. Así pues, se trató de una decisión estratégica para reducir el peso y lograr una estabilidad fiable. Además, el titanio presenta

de por sí una biocompatibilidad excelente, que lo hace muy tolerable por los tejidos. Esto constituye una auténtica ventaja, especialmente en la implantología. En combina-

Nº 217 | Junio 2023
4
implantosoportada: armonía de la cerámica de recubrimiento sobre estructuras de titanio de gran envergadura
Fig. 1: Gracias a la excelente unión de VITA LUMEX AC directamente sobre la estructura de titanio, la estructura en su conjunto presenta un peso reducido.

ción con VITA LUMEX AC, podemos beneficiarnos de todo ello sin renunciar a nada en cuanto a la estética.

¿Qué ventajas ofrece la cerámica de recubrimiento VITA LUMEX AC en una estructura de tanta envergadura?

VITA LUMEX AC nos permite iniciar de inmediato el recubrimiento, sin necesidad de llevar a cabo preacondicionamientos o trata-

mientos previos con otros materiales. Gracias a la excelente unión de la cerámica de recubrimiento directamente sobre la estructura de titanio, en última instancia también la estructura en su conjunto se beneficia de grosores de capa reducidos y, por ende, del bajo peso del titanio. Pese a la gran superficie de recubrimiento, no se forman grietas ni hendiduras. La estabilidad de cocción permite obtener con rapidez la morfología

deseada.

¿Es la estabilidad de cocción y cromática un requisito imprescindible para el éxito de la reproducción? ¿Cuál ha sido su experiencia a este respecto con VITA LUMEX AC?

De hecho, a un ceramista experimentado le basta con seguir las instrucciones de uso para crear de inmediato reconstrucciones convincentes. Los resultados morfo-

REPORTAJE TÉCNICO Nº 217 | Junio 2023 dental PRÓTESIS 5
Fig. 2: Supraconstrucción de gran envergadura con estructura de titanio recubierta sobre seis implantes.

dental PRÓTESIS

REPORTAJE TÉCNICO

lógicos se mantuvieron absolutamente estables después de todas las cocciones. Y es esta reproducibilidad lo que hace tan sencillo el trabajo con VITA LUMEX AC. Se puede confiar en obtener no solo la forma deseada, sino también el color exacto conforme a los estándares de color VITA. De ahí que sea en cualquier caso el material elegido por protésicos dentales con menos experiencia.

¿Cómo ha modificado VITA LUMEX AC los procesos de trabajo en general? ¿Qué ventajas ofrece la cerámica de recubrimiento a los principiantes?

El uso de VITA LUMEX AC se ha traducido en un flujo de trabajo mucho más eficiente, sobre todo en prótesis de gran envergadura sobre cuatro o seis implantes. En general, se ha acortado conside-

rablemente el tiempo de trabajo para la estratificación, el acabado y el pulido, gracias a la estabilidad de cocción, a los grosores de capa finos y a la homogeneidad cerámica. Además, la predictibilidad de los resultados de cocción permite planificar mejor la entrega de prótesis dentales. Sobre todo los principiantes se benefician en gran medida de la fiabilidad y la facilidad de manipulación de VITA

Nº 217 | Junio 2023
6
Fig. 3: VITA LUMEX AC posibilita un recubrimiento eficiente gracias a la estabilidad de los resultados cromáticos y de cocción.

LUMEX AC.

¿Qué experiencias ha tenido hasta ahora con esta forma de tratamiento protésico sobre implantes? ¿Cuáles han sido las reacciones de su clientela?

Ya llevamos un año cosechando

experiencias muy positivas con VITA LUMEX AC, y estamos plenamente satisfechos tanto con la manipulación en el laboratorio como con las reacciones de nuestra clientela. En particular por lo que respecta a las prótesis implantosoportadas, la cerámica de recubrimiento en combinación

con estructuras de titanio nos ha permitido trabajar de manera mucho más predecible, reproducible y productiva. Las ventajas de la cerámica de recubrimiento se ponen especialmente de manifiesto al trabajar con estructuras de gran envergadura.

REPORTAJE TÉCNICO Nº 217 | Junio 2023 dental PRÓTESIS 7
Fig. 4: Pese a la gran superficie de recubrimiento, con VITA LUMEX AC no se forman grietas ni hendiduras. Fig. 5: El resultado expresivo y altamente estético del recubrimiento con VITA LUMEX AC.

Tecnología para el laboratorio dental

Documentación gráfica de la fabricación de las cofias de óxido de circonio recubiertas

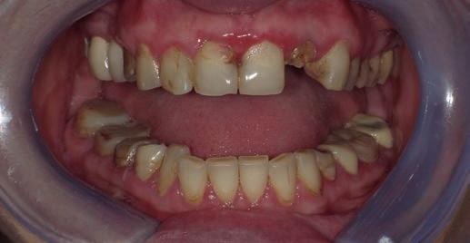
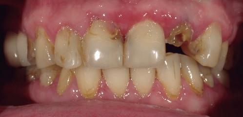
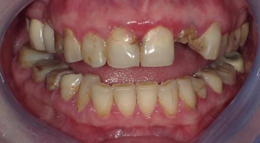
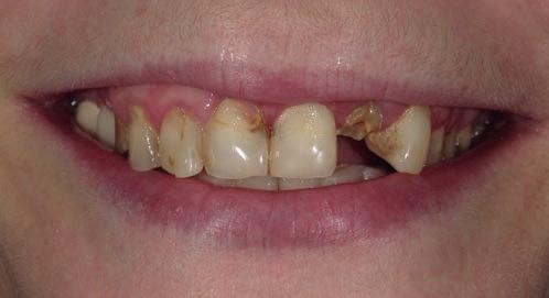
Hay ocasiones en las que un paciente no sabe exactamente lo que quiere. En muchos casos, las expectativas de estos pacientes no son muy altas porque buscan tratamiento cuando sus dientes ya están en mal estado. Su deseo

ven las fotografías del antes y del después y, en ocasiones, hay incluso lágrimas de alegría por el increíble cambio de imagen. Como he mencionado en varios artículos anteriores, cada vez son más los encargos de restauraciones estéticas. Pero nunca perdemos de vista que también queremos recuperar las propiedades funcionales. En este caso restauramos la dentadura de

Durante la primera consulta se tomaron fotografías de la paciente, un TAC e imágenes intraorales (imágenes 1-8). Desde el comienzo, la paciente sabía que quería un cambio radical en sus dientes. Así que esto nos permitió pasar inmediatamente al siguiente paso del procedimiento, que eligiera el tono de los dientes: seleccionó Bleach 3.

es simplemente que su dentadura vuelva a ser funcional y que tenga un aspecto presentable. Al final del tratamiento se sorprenden cuando

la paciente con 25 cofias de óxido de circonio NexxZr T Sagemax recubiertas.

Se prepararon los dientes y se tomaron impresiones. Se confeccionó un modelo de estudio sobre la base de las impresiones. En nues-

Nº 217 | Junio 2023 REPORTAJE TÉCNICO dental PRÓTESIS 8
Michał Nytko Protésico dental Polonia Imág. 1 Imág. 2 Imág. 3

tro laboratorio capturamos los datos del modelo y los cargamos en el módulo DentalDB del software

de exocad. A continuación, diseñamos las restauraciones de contorno completo. Las imágenes intrao-

rales documentaron la oclusión y las condiciones antes de comenzar con la preparación de los dientes

REPORTAJE TÉCNICO Nº 217 | Junio 2023 dental PRÓTESIS 9
Imág. 4 Imág. 6 Imág. 7 Imág. 5

dental PRÓTESIS

REPORTAJE TÉCNICO

(imágenes 9-11). Los provisionales se fabricaron con la resina Sagemax PMMA Disc Multi.

Palabras clave: Óxido de circonio NexxZr T Sagemax, resina PMMA Disc Multi Sagemax

En la siguiente cita pusimos los provisionales de Sagemax PMMA y comprobamos su forma, las líneas horizontal y media y la oclusión

Nº 217 | Junio 2023
10
Imág. 8 Imág. 9 Imág. 10 Imág. 11 Imág. 12

(imágenes 12-14).

Para la siguiente cita, las restauraciones se fabricaron con el óxido

dental PRÓTESIS

REPORTAJE TÉCNICO

de circonio NexxZr T (imágenes 15-18). Se probaron en boca y se comprobó su ajuste (imágenes 1922). Después, Maciej Nytko hizo

las restauraciones con la cerámica Bleach 3 siguiendo los deseos de la paciente.

Nº 217 | Junio 2023
11
Imág. 13 Imág. 14 Imág. 15 Imág. 16 Imág. 17 Imág. 18

dental PRÓTESIS

REPORTAJE TÉCNICO

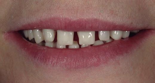
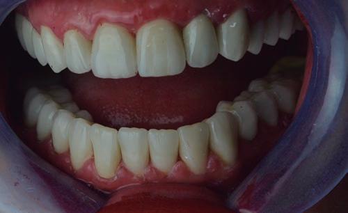
Antes del acabado y del glaseado se probaron las restauraciones en la boca de la paciente (imágenes 23-24). En la última consulta se tomaron varias fotografías del resul-

tado (imágenes 25-40).

Tanto la paciente como la dentista, la Dra. Jolanta Nytko, estaban muy satisfechas con el resultado. Natu-

ralmente, para nosotros es también un orgullo saber que otro paciente ha recibido una brillante sonrisa de nuestro laboratorio.

Nº 217 | Junio 2023
12
Imág. 19 Imág. 20 Imág. 21
REPORTAJE TÉCNICO Nº 217 | Junio 2023 dental PRÓTESIS 13
Imág. 22 Imág. 23 Imág. 24 Imág. 25 Imág. 26 Imág. 27

dental PRÓTESIS

REPORTAJE TÉCNICO

Nº 217 | Junio 2023
14
Imág. 28 Imág. 29 Imág. 30 Imág. 31 Imág. 32 Imág. 33 Imág. 34 Imág. 35
REPORTAJE TÉCNICO Nº 217 | Junio 2023 dental PRÓTESIS 15
Imág. 36 Imág. 37 Imág. 38 Imág. 39 Imág. 40

Salud para todos

El Día Mundial de la Salud, que se celebra todos los años el 7 de abril, marca el aniversario de la fundación de la Organización Mundial de la Salud (OMS) en 1948 y cada año se centra en un problema de salud pública específico. Además de centrarse en el camino hacia el logro de la Salud para todos, que es el tema de este año, la OMS celebra su 75º aniversario bajo el lema 75 años mejorando la salud pública.

En 1948, los países del mundo se unieron y fundaron la OMS para promover la salud, mantener el mundo seguro y servir a los vulnerables, para que todos, en todas partes, puedan alcanzar el más alto nivel de salud y bienestar. El 75.º aniversario de la OMS es una oportunidad para mirar hacia atrás a los éxitos de salud pública que han mejorado la calidad de vida durante las últimas siete décadas. También es una oportunidad para motivar la acción para abordar los desafíos de salud de hoy y mañana.

La OMS hace un llamamiento urgente a los líderes y a todas las personas para que aceleren la adopción de medidas a fin de preservar y proteger la salud y mitigar la crisis climática como parte de la campaña «Nuestro planeta, nuestra salud», que conmemora la fundación de la Organización en un momento de agravamiento de los conflictos y la fragilidad.

Al emitir su llamamiento a la acción, la OMS señala que el 99 por ciento de las personas respiran aire insalubre, procedente principalmente a la quema de combustibles fósiles. Debido al calentamiento del planeta, los mosquitos propagan las enfermedades más lejos y más rápido que antes. Los fenómenos meteorológicos extremos, la pérdida de biodiversidad, la degradación del suelo y la escasez de agua provocan desplazamientos de perso-

nas y tienen efectos negativos sobre su salud. La contaminación y los plásticos llegan hasta los abismos más profundos de nuestros océanos, hasta la cima de las montañas más altas, y se han abierto paso en nuestra cadena alimentaria y en el torrente sanguíneo. Los sistemas que producen alimentos y bebidas altamente procesados y malsanos impulsan una ola de obesidad, provocan el aumento de los cánceres y las enfermedades cardíacas, y generan hasta un tercio de las emisiones de gases de efecto invernadero en todo el mundo. Esta crisis sanitaria y social compromete la capacidad de las personas para tomar el control de su salud y su vida.

«La crisis climática es una crisis de la salud: las mismas opciones insostenibles que deterioran nuestro planeta están provocando la muerte de seres humanos», ha señalado el Director General de la OMS, Dr. Tedros Adhanom Ghebreyesus. «Necesitamos soluciones transformadoras para desenganchar al mundo de su adicción a los combustibles fósiles, reimaginar economías y sociedades centradas en el bienestar y salvaguardar la salud del planeta, del que depende la salud humana».

La pandemia de COVID-19 ha hecho visibles las fallas de la inequidad en todo el mundo, y ha puesto de relieve la urgencia de crear sociedades del bienestar sostenibles que no infrinjan los límites ecológicos y que garanticen que todas las personas tengan acceso a herramientas, sistemas, políticas y entornos que salven y mejoren la vida de las personas.

En el Manifiesto de la OMS para garantizar una recuperación de la COVID-19 saludable y respetuosa con el medio ambiente se prescribe que se proteja y preserve la naturaleza como

fuente de salud humana; que se invierta en servicios esenciales, desde agua y saneamiento hasta energía limpia en los establecimientos de salud; que se garantice una transición energética rápida y saludable; que se fomenten los sistemas alimentarios saludables y sostenibles; que se construyan ciudades saludables y habitables; y que se deje de utilizar el dinero de los contribuyentes para financiar sectores contaminantes.

En la Carta de Ginebra en pro del Bienestar se subrayan los compromisos mundiales que es necesario asumir para lograr resultados sanitarios y sociales equitativos actualmente y para las generaciones futuras, sin destruir la salud de nuestro planeta.

Mediante la campaña del Día Mundial de la Salud, la OMS hace un llamamiento a los gobiernos, las organizaciones, las empresas y los ciudadanos para que compartan las medidas que están adoptando para proteger el planeta y la salud humana.

Datos y cifras

Alrededor de 2400 millones de personas (cerca de un tercio de la población mundial) cocinan con fuegos abiertos o cocinas con fugas que alimentan con queroseno, biomasa (leña, excrementos de animales o desechos agrícolas) o carbón, lo que genera contaminantes dañinos en el aire de sus hogares. Se ha calculado que, en 2020, esta contaminación del aire doméstico causó 3,2 millones de defunciones, entre ellas 237 000 de niños menores de 5 años.

La contaminación del aire doméstico causa enfermedades no transmisibles, como accidentes cerebro-

Nº 217 | Junio 2023 INFORME dental PRÓTESIS 16

vasculares, cardiopatía isquémica, enfermedad pulmonar obstructiva crónica (EPOC) y cáncer de pulmón.

Las mujeres y los niños, que se suelen ocupar de las tareas domésticas como cocinar y recoger leña, son los que soportan la mayor carga de morbilidad por el uso de métodos y combustibles contaminantes en los hogares.

Es necesario ampliar el uso de técnicas y combustibles más limpios para reducir dicha contaminación y proteger la salud de las personas, como la energía solar, la electricidad, el biogás, el gas licuado de petróleo, el gas natural, los combustibles a base de alcohol y los hornos de biomasa que cumplen las metas de emisión establecidas en las directrices de la OMS.

Panorama general

Unos 2400 millones de personas siguen cocinando y calentando sus hogares con combustibles sólidos (como leña, desechos agrícolas, carbón vegetal y mineral y excrementos de animales) y queroseno, en fuegos abiertos y cocinas con fugas. (1) En su mayor parte, se trata de personas en situación de pobreza que viven en países de ingresos medianos y bajos. Además, se observa una gran desigualdad en el acceso a medios menos contaminantes para cocinar entre las zonas urbanas y rurales: en 2020, solo el 14% de las personas que vivían en áreas urbanas utilizaban métodos y combustibles contaminantes, mientras que esta proporción ascendía al 52% entre la población rural del mundo.

La contaminación del aire domésti-

co se genera al usar combustibles y tecnologías ineficientes y contaminantes dentro y alrededor de las viviendas que contienen numerosos contaminantes dañinos nocivos para la salud, entre ellos partículas pequeñas que penetran profundamente en los pulmones y entran en el torrente circulatorio. En las viviendas mal ventiladas, el humo interior puede tener niveles de partículas finas 100 veces superiores de lo aceptable. Las mujeres y los niños, que suelen pasar la mayor parte del tiempo dentro de las casas, son los que resultan más afectados. Por otro lado, la dependencia de tecnologías y combustibles contaminantes consume mucho tiempo, puesto que e snecesario ir a buscar el combustible, prepararlo para su uso y cocinar en fuegos y hornos ineficientes.

Orientaciones

Ante el uso generalizado de cocinas y combustibles contaminantes, la OMS publicó sus directrices sobre la calidad del aire de interiores: quema de combustibles en los hogares (en inglés), que ofrecen orientaciones prácticas y basadas en la evidencia sobre los métodos y los combustibles que no contaminan usados en los hogares. Por ejemplo, se desaconseja utilizar queroseno y carbón sin procesar; se clasifican combustibles y técnicas a fin de proteger la salud, basándose en metas establecidas de emisiones; y se subraya la importancia de actuar para mejorar todos los usos de las fuentes de energía en los hogares, en especial para cocinar, calentar y alumbrarse, con objeto de queel entorno sea más saludable. Ade más, la OMS ha determinado que los métodos y combustibles

(en inglés) que no afectan a la salud en el lugar de uso son la energía solar, la electricidad, el biogás, el gas licuado de petróleo, el gas natural, los combustibles a base de alcohol y los hornos de biomasaque cumplen las metas de emisión establecidas en las directrices de la Organización.

Se calcula que, si no se adoptan medidas políticas contundentes, 2100 millones de personas seguirán sin disponer de combustibles y tecnologías no contaminantes en 2030. La necesidad de actuar es especialmente apremiante en el África subsahariana, donde la población ha crecido a tal ritmo quemuchas personas no disponen de medios de cocina no contaminantes y 923 millones de personas carecían de acceso a ellos en 2020. Entre las estrategias encaminadas a aumentar la adopción de energías no contaminantes en los hogares se encuentran las políticas de ayudas económicas para adquirir tecnologías y combustibles menos contaminantes, la mejora de la ventilación y el diseño de las viviendas y las campañas de comunicación para fomentar el uso de energías no contaminantes.

Consecuencias para la salud

Cada año, 3,2 millones de personas mueren prematuramente por enfermedades atribuibles a la contaminación del aire doméstico causada por el uso ineficiente de combustibles sólidos y queroseno para cocinar. Las partículas en suspensión y otros contaminantes del humo de interiores inflaman las vías respiratorias y los pulmones, dificultan la respuesta inmunitaria y reducen lacapacidad de oxigena-

Nº 217 | Junio 2023 INFORME dental PRÓTESIS 18

ción de la sangre. Estas son algunas de las causas de estas 3,2 millones de defunciones tras la exposición a la contaminación del aire en los hogares:

• el 32% se deben a la cardiopatía isquémica, y el 12% de ellas (es decir, más de un millón de muertes prematuras cada año) se puede atribuir a la contaminación del aire doméstico;

• el 23% se deben a accidentes cerebrovasculares, y el 12% de las defunciones por esta causa son consecuencia de la exposición diaria al aire doméstico contaminado por cocinar con combustibles sólidos y queroseno;

• el 21% se deben a infecciones de las vías respiratorias bajas: la exposición al aire doméstico contaminado casi duplica el riesgo de neumonía en la niñez y causa el 45% de las defunciones por esa enfermedad en los niños menores de 5 años. Además, esta contaminación también supone un riesgo de sufrir infecciones agudas de las vías respiratorias bajas en los adultos y se le puede atribuir el 28% de las defunciones por neumonía que padece este grupo de edad;

• el 19% se deben a la enfermedad pulmonar obstructiva crónica (EPOC), y el 23% de las defunciones por esta causa en los países de ingresos bajos y medianos se debe a laexposición a la contaminación del aire doméstico; y

• el 6% se debe al cáncer de pulmón: aproximadamente el 17% de las defunciones por esta causa en los adultos son

atribuibles a la exposición a materiales cancerígenos presentes en el aire doméstico contaminado, que proceden de la quema de queroseno o de combustibles sólidos, tales como madera y carbón vegetal o mineral, para satisfacer las necesidades del hogar.

La contaminación del aire doméstico provocó la pérdida de unos 86 millones de años de vida saludable en 2019, y su mayor incidencia recayó en las mujeres que viven en países de ingresos medianos y bajos.

Cerca de la mitad de las defunciones por infecciones de las vías respiratorias bajas en los niños menores de 5 años son causadas por partículas en suspensión (hollín) inhaladas en el aire doméstico.

Además, se ha demostrado la relación entre la contaminación del aire doméstico y el bajo peso al nacer, la tuberculosis, las cataratas y los cánceres de laringe y nasofaringe.

Repercusiones en la equidad sanitaria, el desarrollo y el cambio climático

Es preciso introducir cambios sustanciales en las políticas para aumentar rápidamente el número depersonas que tienen acceso a combustibles y tecnologías no contaminantes de aquí a 2030 a fin desolventar las desigualdades en materia de salud, alcanzar los objetivos de la Agenda 2030 para el Desarrollo Sostenible y mitigar el cambio climático.

• Las mujeres y los niños sufren de forma desproporcionada la mayor parte de los perjuiciospara la salud causados por los

combustibles y las tecnologías contaminantes en los hogares,ya que suelen ocuparse de las tareas domésticas, como cocinar y recoger leña, y pasan más tiempo expuestos al humo nocivo de las cocinas y de estos combustibles.

• La recogida de combustibles aumenta el riesgo de sufrir traumatismos osteomusculares y consume una parte considerable del tiempo de las mujeres y los niños, lo que limita la realización de otras actividades productivas y aleja a los niños de la escuela. En los lugaresmenos seguros, las mujeres y los niños se exponen a sufrir traumatismos y agresiones mientras recogen combustibles.

• Muchos de los combustibles y tecnologías utilizados en los hogares para cocinar, calentarse y alumbrarse son peligrosos. La ingestión accidental de queroseno es la principal causa de intoxicación infantil, y una gran parte de las quemaduras y lesiones graves que ocurren en los países de ingresos bajos y medianos están relacionadas con el uso de energía en el hogar para los tres fi nes mencionados anteriormente

• La falta de acceso a la electricidad para más de 750 millones de personas (obliga a los hogares a depender de aparatos y combustibles contaminantes, como las lámparas de queroseno, lo que expone a niveles muy altos de partículas finas.

• El tiempo que se dedica a consumir y preparar el combustible en aparatos poco efi cientes ycontaminantes limita la reali-

INFORME Nº 217 | Junio 2023 dental PRÓTESIS 19

zación de actividades productivas, de estudio y de ocio que sonnecesarias para la salud y el desarrollo.

• Las partículas de hollín y el metano emitidos por la combustión en cocinas con fugas songrandes contaminantes climáticos de vida corta.

• La contaminación del aire doméstico es también uno de los principales factores que provocan la contaminación del aire ambiente (exterior).

Respuesta de la OMS

La OMS presta asistencia técnica a los países y les ayuda a mejorar su capacidad para efectuar sus

propias evaluaciones y fomentar el uso doméstico de tecnologías y combustibles que preserven lasalud. Para evitar la contaminación del aire en los hogares y su impacto negativo en la salud, la OMS desarrolla las actividades siguientes:

• elabora directrices sobre la calidad del aire y el uso de combustibles en los hogares que contienen recomendaciones relativas a los tipos de combustibles y tecnologías que protegenla salud, así como estrategias eficaces para difundir el uso de combustibles y tecnologías domésticos menos contaminantes;

• crea capacidad en los países

y regiones mediante consultas directas y talleres sobre energía y salud en los hogares;

• mantiene la base de datos mundial sobre energía en los hogares para hacer un seguimientode los progresos realizados en la transición hacia combinaciones menos contaminantes de combustibles y cocinas en los hogares y, en su calidad de organismo responsable de proporcionar datos sobre el indicador 7.1.2 de los ODS, informa de la proporción de la población cuya fuente primaria de energía consiste en combustibles y tecnologías no contaminantes. Además, la OMS ayuda a evaluar la carga de morbilidad por la contamina-

Nº 217 | Junio 2023 INFORME dental PRÓTESIS 20

ción del aire doméstico generada por el uso de combustibles y tecnologías contaminantes;

• elabora y actualiza herramientas y recursos, como el conjunto de soluciones para promoverlas energías domésticas no contaminantes, para ayudar alos países a determinar cuáles son las partes interesadas del sector de la energía doméstica y la salud pública a fin de elaborar y aplicar políticas relativas al uso de energías domésticas que no afecten a la salud, así como de hacer un seguimiento de su aplicación;

• ayuda a los gobiernos a calcular los costos y los beneficios para la salud de aplicari ntervenciones en materia de energía doméstica;

• convoca la Plataforma de Acción sobre Salud y Energía, que trabaja para mejorar la cooperación entre los sectores de la salud y la energía a fin de dar acceso universal a la energía no contaminante y sostenible para los hogares y los establecimientos de salud para proteger la salud de las personas;

• trabaja con los países, los investigadores y otros asociados para armonizar los métodos de planificación y evaluación en todos los contextos con el fin de realizar evaluaciones coherentes y rigurosas de la energía y la salud en los hogares;

• junto con los países y las entidades que realizan encuestas, lleva a cabo actividades para

mejorar, armonizar y poner a prueba nuevas preguntas para los censos y las encuestas nacionales , lo cual incluye la evaluación de los riesgos para la salud del uso de energías contaminantes en los hogares, así como las consecuencias de su uso en función del sexo; y

• elabora orientaciones y recursos para integrar la energía doméstica no contaminante en las iniciativas mundiales sobre salud y cambio climático, así como herramientas de ayuda paratomar decisiones.

INFORME Nº 217 | Junio 2023 dental PRÓTESIS 21
• Fuente: Organización Mundial de la Salud

Profesionales Sanitarios en España. Año 2022

El pasado 29 de mayo, el Instituto Nacional de Estadística hizo público el informe con el número de profesionales sanitarios colegiados en España en 2022, situándose en 946.5151, un 2,7% más que en 2021. 295.065 hombres (un 2,0% más) y 651.450 mujeres (un 3,0% más).

Según el informe publicado por el INE sobre los profesionales sanitarios colegiados en el año 2022, el número de profesionales sanitarios colegiados en España se situó en 946.5151 en 2022, un 2,7% más que en el año anterior. Por sexo, 295.065 eran hombres (un 2,0% más) y 651.450 mujeres (un 3,0% más).

El colectivo mayoritario fue el de enfermeros (35,5% del total), seguido de médicos (30,9%) y farmacéuticos (8,4%).

Por su parte, los enfermeros colegiados se incrementaron en 7.066 personas (un 2,1%), situándose en 336.321. Dentro de este colectivo, 9.862 personas estaban registradas como matronas2 (un 0,7% más

que en 2021).

El número de colegiados del resto de profesiones sanitarias que recoge la estadística también aumentó, excepto el de protésicos dentales (–0,6%). Los mayores incrementos se dieron en terapeutas ocupacionales (11,5%), podólogos (7,2%) y químicos con especialidad sanitaria (6,0%).

Profesionales sanitarios colegiados en España segun profesión. Año 2022

1 No disponible en el momento de la publicación el dato de Dietistas nutricionistas de 2021 y 2022 para todo el territorio nacional

2 El número de colegiados que ejerce esta especialidad puede estar infraestimado dado que la colegiación obligatoria lo es respecto a la Diplo- matura de Enfermería, no de la especialidad.

Nº 217 | Junio 2023 INFORME dental PRÓTESIS 22
Fuente: INE

Protésicos Dentales por Comunidad Autónoma de Colegiación

Unidades: nº de profesionales

TASAS DE PROFESIONALES SANITARIOS COLEGIADOS

El número de profesionales sanitarios colegiados por cada 1.000 habitantes difiere según el colectivo. En el año 2022 el de enfermeros presentó la mayor tasa (7,03 por 1.000 habitantes), seguido de médicos (6,12) y farmacéuticos (1,66).

En el caso de los enfermeros con especialidad de matrona, la tasa fue de 0,95 profesionales por cada 1.000 mujeres en edad fértil.

PROFESIONALES SANITARIOS COLEGIADOS POR SEXO

La función sanitaria tiene una presencia mayoritariamente femenina. En el año 2022 había más mujeres colegiadas que hombres en 13 de las 15 profesiones analizadas. Los colectivos con mayor porcentaje de mujeres fueron los de logopedas (el 93,1% eran mujeres), terapeutas ocupacionales (90,4%) y enfermeros (84,2%).

Por el contrario, las profesiones que presentaron los menores índices de feminidad fueron las de protésicos dentales (30,9%), físicos

con especialidad sanitaria (32,9%) y veterinarios (52,9%).

DATOS POR COMUNIDADES Y CIUDADES AUTÓNOMAS

El número de médicos colegiados aumentó en todas las comunidades autónomas en 2022, y sólo descendió en la ciudad autónoma de Melilla (–1,5%).

Los mayores incrementos se dieron en Illes Balears (4,3%), La Rioja (4,1%) y Canarias (3,9%).

Y los menores en Aragón (1,5%),

INFORME Nº 217 | Junio 2023 dental PRÓTESIS 23
No ha No hay colegiados en el País Vasco porque no existe Colegio de Protésicos Dentales en dicha Comunidad Autónoma Fuente: INE

Nº Protésicos Dentales por Comunidades y sexo. Año 2022

No ha No hay colegiados en el País Vasco porque no existe Colegio de Protésicos Dentales en dicha Comunidad Autónoma

Cantabria (1,7%) y Principado de Asturias (2,1%).

Las tasas más elevadas de médicos colegiados se dieron en Aragón (7,33 por cada 1.000.

habitantes), Comunidad de Madrid (7,21) y Principado de Asturias

(7,14). Y las más bajas en las ciudades autónomas de Melilla (3,86) y Ceuta (4,40), y en Castilla–La Mancha (4,84).

Las tasas más elevadas de enfermeros colegiados por cada 1.000 habitantes se registraron en Cantabria (8,93), Comunidad Foral

Fuente: INE

de Navarra (8,89) y Extremadura (8,12). Las menores se dieron en Región de Murcia (4,71), Galicia (5,17) e Illes Balears (5,79).

Fuente:

Instituto Nacional de Estadística (INE)

Nº 217 | Junio 2023 INFORME dental PRÓTESIS 24

Tasa de Protésicos Dentales por 100.000 habitantes por Comunidades y Ciudades autónomas de colegiación. Año 2022

Evolución Protésicos Dentales. Años 2012-2022.

INFORME Nº 217 | Junio 2023 dental PRÓTESIS 25 Fuente: INE

Informe de la comisaria europea de Derechos

Humanos: "Respeten y protejan los derechos laborales de los sanitarios"

El pasado mes de noviembre, la comisaria de Derechos Humanos del Consejo de Europa visitó España. La visita se llevó a cabo durante los días 21 al 25, llevando a cabo reuniones con los miembros del Gobierno Central, Autonómicos y organizaciones de la sociedad civil.

Como consecuencia de la visita a nuestro país, la comisaria y su equipo han elaborado un informe donde se critica las condiciones laborales de los trabajadores sanitarios de España, pidiendo a las autoridades correspondientes que protejan y mejoren la situación laboral de los profesionales sanitarios, también muestran su precoupación por el aumento de los servicios de salud privados, así como la desigualdad existente entre las comunidades autónomas.

En su informe la comisaria indica que “A pesar de los importantes esfuerzos para avanzar en la protección de los derechos sociales en los últimos años, las personas experimentan desigualdades persistentes en sus derechos sociales en función del lugar en el que viven”, pidiendo que se lleve a cabo una asignación transparente y sostenible de los recursos, así como que se adopten normas comunes, en estrecha cooperación con las autoridades competentes, tanto a nivel local como central, para garantizar que se satisfacen las necesidades específicas de los más vulnerables.

Mijatović también hace mención a la "insuficiente" inversión en atención primaria, mostrando su preocupación por las condiciones del personal sanitario y hace un llamamiento a las autoridades "para que respeten y protejan los derechos laborales de los trabajadores de la

salud y el personal de asistencia social" instándoles a que tomen medidas que garanticen "niveles apropiados de dignidad y respeto" para los trabajadores sanitarios,

normas para consolidar la equidad, universalidad y cohesión del Sistema Nacional de Salud, que se encuentra en discusión ahora en el Parlamento”.

desde el punto de vista de estabilidad laboral, salarios y seguridad. Igualmente, llama la atención acerca de las elevadas tasas de mortalidad en las residencias de ancianos durante la crisis de la pandemia del COVID-19, observando que estas muertes aún deben ser investigadas y abordadas de manera efectiva y con la participación de los familiares de las víctimas.

La comisaria también "invita a las autoridades a continuar con la consulta proactiva y la participación de las organizaciones de la sociedad civil en todas las etapas de la toma de decisiones, sobre la cohesión y calidad del Sistema Nacional de Salud (SNS) tal como se propone en la propuesta de Proyecto de Ley por la que se modifican diversas

La comisaria también muestra su preocupación por el impacto negativo en el derecho a la salud resultante de una creciente privatización del sistema de atención médica. […]”. En este sentido, subraya las diferencias existentes en las distintas regiones en la prestación de asistencia sanitaria primaria y especializada y el predominio de clínicas privadas en algunas regiones del territorio español, indicando que " Es necesario realizar un mayor esfuerzo por reforzar el acceso universal a una asistencia sanitaria pública de calidad para todos en toda España”

Nº 217 | Junio 2023 NOTICIAS dental PRÓTESIS 26
Fuente: Mª de Asuntos Exteriores, Unión Europea Dunja Mijatović, comisaria de Derechos Humanos del Consejo de Europa

Premios Admirables 2023

Se ha celebrado la tercera edición de los Premios Admirables de Diario Médico, Correo Farmacéutico, y con la colaboración de Bidafarma y Pfizeen, el pasado 26 de mayo en la Real Fábrica de Tapices en Madrid.

Estos premios nacieron con la irrupción de la covid-19 como homenaje a su encomiable labor durante la pandemia. Son unos galardones dirigidos a reconocer la labor diaria de los profesionales de la sanidad en España en cuatro categorías: Medicina, Farmacia, Enfermería e Investigación.

A la entrega han asistido Silvia Calzón Fernández, secretaria de Estado de Sanidad, que ha clausurado

el acto; Enrique Ruiz Escudero, consejero de Sanidad de la Comunidad de Madrid, y Jesús García-Cruces Méndez, viceconsejero de Asistencia Sanitaria, Planificación y Resultados en Salud y gerente regional de Salud de la Junta de Castilla y León.

Representantes políticos, profesionales y del sector sanitario han asistido a esta cita con la sanidad española.

En sus primeras palabras, Daniel Aparicio, nuevo director de Diario Médico y Correo Farmacéutico ha indicado que: "Celebramos el talento de 12 profesionales de la salud, cuyo esfuerzo y dedicación han marcado la diferencia y han puesto al alcance de la sociedad nuevos

horizontes en el ámbito de la Medicina, la Farmacia, la Enfermería y la Investigación".

Por parte del Gobierno, Calzón ha puesto el broche de oro al evento. "Para que una iniciativa como esta se consolide en el tiempo, hay que comenzar eligiendo con acierto el nombre: Admirables. Cuando admiramos, mostramos nuestro respeto y reconocimiento al esfuerzo de estas personas. Y vamos construyendo referentes, como los 12 hombres y mujeres a los que premiamos hoy, en representación a los sanitarios de todo el país". También ha señalado que es un acicate para los profesionales que están empezando.

"Las 12 trayectorias son muy dife-

NOTICIAS Nº 217 | Junio 2023 dental PRÓTESIS 27
Los premiados Admirables 2023 junto a autoridades, patrocinadores y miembros de Unidad Editorial

rentes, pero confluyen en querer mejorar la salud de las personas. Todos son participativos y comprometidos. En definitiva, transforman con mayúscula, porque trabajan para conseguir cambios que reviertan en una mejora de la población", ha indicado. "Solo en estos 31 años, ¿cuántos avances hemos presenciado? Lo que hay detrás de cada avance es un esfuerzo superlativo, que nos obliga a resituarnos y a plantearnos cómo podemos participar". Y ha resumido: "Para mí es una satisfacción comprobar que compartimos retos".

En el contexto de estos desafíos y ligado a los Premios Admirables, la secretaria de Estado ha destacado la valía de los galardonados. Así, ha nombrado a algunos de ellos, como Lola Palomino, farmacéutica comunitaria en Cádiz y experta en trastorno por déficit de atención e hiperactividad (TDAH): "Como en su día hizo Lola, para que hubiera una especialidad de Psiquiatría Infantil, y hoy, por fin, en esta convocatoria MIR, se han adjudicado ya las primeras 20 plazas y se han reconocido 656 títulos especialistas por la vía extraordinaria. Sin ninguna duda, es una gran noticia". También ha mencionado a Jorge Mínguez, enfermero de atención primaria jubilado: ”Inició su pasión por la AP y por la comunitaria en plena reforma del sistema en nuestro país”.

Igualmente, Calzón ha aludido a la vida académica: "También en nuestra práctica diaria nos tenemos que enfrentar a retos. Muchos de vosotros sois profesores y sabéis la dificultad para encontrar profesorado, con plantillas demasiado mermadas. Hay que avanzar en este sentido. El cambio de criterio de la

Agencia Nacional de Evaluación de la Calidad y Acreditación de España (Aneca) de este año, dando un peso diferente a la experiencia asistencial en Ciencias de la Salud, debe servirnos para poder avanzar más rápido”.

La secretaria de Estado ha continuado diciendo que "sobre todo, el SNS debe ser capaz de aprovechar todos esos avances en la investigación. No sirven de nada si al final no llegan a los pacientes".

En este contexto, ha mencionado proyectos emprendidos por el Gobierno: “Por eso es importante impulsar planes, como el Plan Genes de este año, para que esa herramienta tan útil, tanto para el diagnóstico como para el tratamiento, esté disponible en todos los lugares de nuestro país, independientemente de donde se resida, dotándolo con 100 millones de euros”.

Con anterioridad, en un diálogo con la periodista Ainhoa Arbizu (quien condujo el evento), Rosario Serrano, directora de Negocio del Área de Salud de Unidad Editorial, se ha referido a que "no existe una fórmula magistral" para alcanzar el éxito, pero sí unos buenos ingredientes, como innovación, actitud, valores y un equipo para mantenerse: "Diario Médico es un nexo de unión entre entidades sanitarias de todos los ámbitos y ha llegado a ser el altavoz de toda la profesión, con rigor, honestidad e independencia. [...] Ha marcado tendencia".

Reforzar el SNS

Asimismo, Jesús García-CrucesMéndez, viceconsejero de Asistencia Sanitaria, Planificación y Resultados en Salud y gerente regional de Salud de la Junta de Castilla y

León, ha puesto el acento en que "premiar a nuestros sanitarios es una forma de reforzar nuestro Sistema Nacional de Salud (SNS), ya que los profesionales son un gran activo". Y ha destacado el convenio recién firmado entre Castilla y León y la Comunidad de Madrid en materia de asistencia sanitaria para la zona fronteriza (Segovia y Ávila) entre ambas autonomías. Se ha referido también a que los problemas son muy similares en todas las comunidades, y "es necesario llegar a consensos para afrontar retos como la cronicidad, la financiación, el estatus de los profesionales... Los ciudadanos se lo merecen".

En el mismo sentido, Ruiz Escudero ha puesto de relieve los Premios Admirables, y a los profesionales de Diario Médico y Correo Farmacéutico, "por el rigor que les caracteriza siempre". Eso sí, ha recalcado que "los profesionales sanitarios son los protagonistas. Es un orgullo para la sanidad española contar con vosotros, que nos hace ser un rerferente a nivel internacional".

También, ha puesto de manifiesto los puntos a mejorar en el SNS: déficit de profesionales, estrategia nacional de recursos humanos, plazos de entrada de los medicamentos... "Debemos actuar de forma organizada. precisa y conjunta para fines que nos son comunes. Por eso, otro aspecto fundamental es la salud digital. Debemos ser capaces de tener una tarjeta sanitaria virtual única y una historia clínica compartida".

Los Premios Admirables 2023, que buscan reconocer la trayectoria profesional y la inestimable labor de los profesionales sanitarios, están divididos en cuatro categorías:

Nº 217 | Junio 2023 NOTICIAS dental PRÓTESIS 28

Farmacia, Investigación, Medicina y Enfermería

En esta edición, los galardonados han sido:

Farmacia

• Lola Palomino, farmacéutica comunitaria en Cádiz y experta en TDAH.

• Mª José Faus, exdecana de la Facultad de Farmacia de la Universidad de Granada (UGR) y miembro de la cátedra de Atención Farmacéutica (AF) que lleva su nombre en el mismo centro.

• José Manuel Martínez Sesmero, jefe de Servicio de Farmacia Hospitalaria en el Clínico San Carlos (Madrid) y director de Investigación en la Sociedad Española de Farmacia Hospitalaria (SEFH).

Investigación

• Elías Campo, consultor sénior de Anatomía Patológica del Hospital Clínic y director del Idibaps.

• Francis Mojica, catedrático de Microbiología de la Universidad de Alicante (UA).

• Manel Esteller, director del Instituto de Investigación contra la Leucemia Josep Carreras, en Barcelona.

Medicina

• Pablo Lara, presidente de la Conferencia de Decanos de Medicina y decano de la Universidad de Málaga (UMA).

• Vicente Vicente, emérito del Servicio Murciano de Salud y catedrático de Hematología.

• Felipe Prósper, experto en terapias avanzadas de la Clínica Universidad de Navarra.

Enfermería

• Pilar Serrano, vicepresidenta de la Asociación Madrileña de Salud Pública (AMaSaP), diplomada en Enfermería por la Universidad Autónoma de Madrid y profesora en la Sección Departamental de Enfermería de la Universidad Autónoma de Madrid (UAM).

• María José Menor, subdirectora de Humanización y Atención al Ciudadano. Área Sanitaria Santiago de Compostela- Barbanza.

• Jorge Mínguez, enfermero de Atención Primaria jubilado.

Fuente: Diario Médico

NOTICIAS Nº 217 | Junio 2023 dental PRÓTESIS 29
Jesús García-Cruces Méndez, viceconsejero de Asistencia Sanitaria, Planificación y Resultados en Salud de Castilla y León; Rosario Serrano, directora de Negocio de Salud de UE; Carlos Murillo, presidente de Pfizer España; Silvia Calzón, secretaria de Estado de Sanidad; Marco Pompignoli, presidente de UE; Enrique Ruiz Escudero, consejero de Sanidad de Madrid; Antonio Mingorance, presidente de Bidafarma; Daniel Aparicio, director de DM, y A. Pérez Ostos (Bidafarma). Foto: JL. PINDADO.

Expodental 2024. Presentación a las empresas del sector dental

IFEMA MADRID y Fenin avanzan los detalles y contenidos de la próxima edición del Salón Internacional de Equipos, Productos y Servicios Dentales, que se celebrará del 14 al 16 de marzo en los pabellones 4, 6 y 8 del Recinto Ferial, con una fuerte orientación al negocio

Más de un centenar de profesionales de 80 empresas líderes del Sector Dental, se dieron cita el 6 de junio en el Recinto Ferial, con motivo de la presentación de la próxima edición de EXPODENTAL

2024, Salón Internacional de Equipos, Productos y Servicios Dentales. La feria, organizada por IFEMA MADRID en colaboración con la Federación Española de Empresas de Tecnología Sanitaria, Fenin, celebrará su XVII edición los días 14

al 16 de marzo (jueves a sábado) bajo el lema “Tecnología al servicio de los profesionales”.

El acto, que ha contado con las intervenciones de la directora de negocio de IFEMA MADRID, Arancha Priede; la secretaria general de Fenin, Margarita Alfonsel; el presidente del Sector Dental de Fenin, Luis Garralda, y la directora de EXPODENTAL, Ana Rodríguez, ha ofrecido un amplio detalle de los contenidos, así como de la estrategia ya en marcha para impulsar la representatividad e internacionalidad de esta feria líder y con una fuerte orientación al negocio, que se perfila, una vez más, como el principal punto de encuentro de todos los profesionales del sector de la odontología. La presentación

también ha contado con la participación de Roberto Rosso, fundador y presidente de Key-Stone que ha realizado un análisis de la situación actual del mercado dental.

El proyecto EXPODENTAL 2024

La previsión de participación para EXPODENTAL 2024 muestra signos muy positivos que apuntan a que se superarán los datos de la edición 2022, cuando la feria reunió 329 expositores directos – 238 nacionales y 91 internacionales de 17 países; 542 empresas expositoras y 26.154 visitantes profesionales, procedentes principalmente de Portugal, Italia, Alemania, Francia y Argentina. La adjudicación de espacios para la nueva edición, que ocupará los pabellones 4, 6 y 8 del

Nº 217 | Junio 2023 NOTICIAS dental
30
PRÓTESIS

Recinto Ferial, se realizará los días 26, 27 y 28 de septiembre en las instalaciones de IFEMA MADRID.

Como novedad, Italia, será el País Invitado de EXPODENTAL, una iniciativa que, en cada edición, pone el foco en un país o región de interés para las empresas expositoras, con el objetivo de promover la asistencia de sus profesionales, ofreciéndoles una serie de ventajas para facilitar su visita.

El esquema de organización de EXPODENTAL contempla, además, la presentación de un espacio diferenciado para el Sector de Formación, que concentrará la información sobre la mejor oferta académica en grado, postgrado y formación continua de profesionales, a través de la participación de universidades, centros de formación, sociedades científicas, colegios profesionales y empresas. El Área de Formación también contará con una zona específica de actividades donde las empresas participantes podrán desarrollar sus presentaciones y charlas y con su propio Speakers’ Corner.

Por otra parte, y como es habitual, el carácter formativo de EXPODENTAL se completará con la celebración del Día del Estudiante el jueves 14 de marzo, una jornada abierta a los estudiantes de 4º y 5º de Odontología, así como a los futuros higienistas y protésicos dentales.

De forma paralela a la exposición comercial, se organizará un programa de presentaciones, a cargo de las empresas expositoras, que tendrá lugar en el Speakers´ Corners de EXPODENTAL, donde se darán a conocer algunas de las tecnologías, soluciones y tratamientos más innovadores desarrollados en los últimos dos años. Durante la edición de 2022 los Speakers´Corners ofrecieron 54 ponencias que congregaron a 1.125 asistentes.

EXPODENTAL LiveConnect

EXPODENTAL también incorpora una fórmula de hibridación que complementa la participación presencial de empresas y profesionales con la plataforma digital LIVEConnect ofreciendo un valor añadido a todos los participantes y

una probada herramienta para ampliar las oportunidades de networking entre expositores y visitantes.

Mercado del Sector Dental

El valor del mercado dental en España en el año 2022 se estima que supero una facturación de 930 millones de euros. Si consideramos también el negocio de los alineadores ha rozado los 1.100 millones de euros, lo que supone un crecimiento de un 2,4% con respecto a 2021, consolidándose respecto a un 2020 que había crecido notablemente NACEX patrocinador de EXPODENTAL 2024

Con una amplia experiencia en distribución para el sector de la salud, NACEX dispone de las máximas certificaciones en calidad, seguridad y sostenibilidad, además de ser la primera empresa del sector en certificar el cumplimiento de las Buenas Prácticas de Distribución de Medicamentos (GDP).

NOTICIAS Nº 217 | Junio 2023 dental PRÓTESIS 31
Fuente: IFEMA

Prevención de agresiones a profesionales sanitarios. Año 2022

El Ministerio de Sanidad muestra el apoyo, implicación y soporte máximo del Gobierno para la prevención de agresiones a profesionales sanitarios.

El pasado 1 de marzo la Policía Nacional presentó el balance de las agresiones a profesionales sanitarios durante 2022 . Durante el pasado año se han llevado a cabo

rritorio nacional, representando un canal de comunicación fluido con el sector sanitario hacia el que se difunde actividad formativa y preventiva.

Además de las denuncias recibidas, los agentes de seguridad ciudadana realizaron durante el año pasado 8.812 actuaciones policiales en el ámbito del sector

un 8%. Málaga con 32 y Sevilla con 23, fueron las provincias con mayor número de denuncias por agresiones.

La secretaria de Estado Sanidad, Silvia Calzón, inauguró el 10 de marzo la jornada ‘La prevención de agresiones a los profesionales sanitarios’, donde mostró el máximo apoyo, implicación y soporte a todas las personas que participan en la red de intervención creada para prevenir y, en su caso, actuar frente a estas agresiones.

La jornada, que se celebró en el salón de actos Ernest Lluch del Ministerio de Sanidad, ha permitido analizar los avances realizados en este campo hasta la fecha, así como promover la búsqueda de medidas que permitan evitar que las agresiones se produzcan.

La secretaria de Estado de Sanidad insistió en la necesidad de desarrollar e implantar medidas preventivas y, de manera simultánea, proporcionar a los profesionales sanitarios protección frente a este tipo de agresiones o amenazas.

más de 8.000 actuaciones policiales, tanto en centros sanitarios como durante atenciones domiciliarias, que se saldaron con 60 detenidos.

En comparación con el año 2021 han disminuido las agresiones físicas y han aumentado las amenazas, contabilizándose un total de 241 denuncias durante el año 2022.

59 Policías Nacionales ejercen como Interlocutores Policiales Territoriales Sanitarios, en todo el te-

sanitario, produciéndose 6.188 de ellas durante asistencias sanitarias domiciliarias y el resto, 2.624, en centros sanitarios.

También se resaltó que durante 2022 se redujeron las agresiones y aumentaron las amenazas, contabilizándose un total de 241 denuncias frente a las 225 del año 2021, representando las agresiones físicas un 42% del total, siendo el colectivo de médicos el más denuncias interpuso con un 68% del total, seguido por el de enfermeros que suman un 24% y el de técnicos

Para conseguirlo, Silvia Calzón subrayó que es vital la colaboración entre todas las administraciones públicas, promover una mayor concienciación y sensibilización de los profesionales sanitarios y de la sociedad en general, para afrontar esta problemática.

Para lograr estos objetivos, recordó que, se llevó a cabo hace una década una reforma del Código Penal, donde se amplían los funcionarios protegidos como autoridad pública a los sanitarios y docentes. Asimismo, en 2017 se adoptó una instrucción del Ministerio del Interior sobre medidas policiales a adoptar frente

Nº 217 | Junio 2023 NOTICIAS dental PRÓTESIS 32

a agresiones a profesionales de la salud.

La ejecución de esta instrucción está siendo llevada a cabo por la Policía Nacional y la Guardia Civil a través de una red creada de interlocutores provinciales y autonómicos entre ambos cuerpos.

En este sentido Calzón agradeció a todas las personas implicadas en esta red colaborativa por su implicación, por la cercanía con la que intervienen, el apoyo que prestan a las instituciones y a toda la profesión sanitaria.

Asimismo, en 2018 se constituyó el grupo de trabajo para el análisis y estudio de las agresiones a los profesionales del SNS, con el objetivo principal de elaborar un sistema de información nacional que permitiese evaluar la situación y adoptar medidas eficaces y eficientes que mitiguen el problema, grupo que sigue trabajando y promotor de esta jornada.

La secretaria de Estado reconoció el esfuerzo diario de los servicios de salud en mejorar la información,

que resulta ser clave para poder actuar y ha significado las medidas que se han ido poniendo en marcha en materia de seguridad, formación y sensibilización en la lucha contra este problema.

Campaña divulgativa

Silvia Calzón subrayó también la campaña divulgativa dirigida a los profesionales de la salud y a la población en general para informar, concienciar, evitar y, en caso de producirse, denunciar las agresiones a profesionales en el ámbito sanitario.

En esta campaña, se muestran diferentes consejos para evitar las posibles agresiones, además de recordar el uso de la aplicación “Alertcops”, como herramienta de petición de ayuda y la figura del Interlocutor Policial Sanitario.

La aplicación “Alertcops” está vinculada al Registro Estatal de Profesionales Sanitarios, para que se produzca una inmediata identificación de los mismos por parte de las fuerzas de seguridad.

Es fundamental por ello, ha recordado la secretaria de Estado, la actualización de este registro por parte de las comunidades autónomas y demás entidades obligadas a ello. Día Europeo contra las Agresiones a Médicos y Profesionales Sanitarios

El 12 de marzo, se conmemora el Día Europeo contra las Agresiones a Médicos y Profesionales Sanitarios; una jornada que, según señaló la secretaria de Estado de Sanidad, debe servir para manifestar nuestra tolerancia cero frente a esta lacra que se debe erradicar.

Las agresiones hacia los profesionales en el ámbito sanitario están aumentando en todos los países industrializados y es un motivo de gran preocupación tanto para los propios profesionales como para los gobiernos ya que, según ha enfatizado Silvia Calzón, las agresiones no solo les ponen en riesgo, sino que, además pueden afectar al desempeño de las funciones en su puesto de trabajo, así como a la calidad del servicio asistencial.

En la jornada participaron también la directora general de Ordenación Profesional, Celia Gómez, así como con los máximos expertos en la materia y con representantes de los Ministerios de Sanidad e Interior y de las Comunidades Autónomas.

También han participado representantes de Observatorio nacional de agresiones a médicos y médicas, de la Organización Médica Colegial (OMC), el Observatorio nacional del Consejo de Enfermería y la Plataforma de Organizaciones de Pacientes (POP).

Fuente: Mº del Interior, Mº de Sanidad

NOTICIAS Nº 217 | Junio 2023 dental PRÓTESIS 33

Congreso Internacional Rhein83

El congreso internacional Rhein83, celebrado en Bolonia, Italia durante los días 8, 9 y 10 de junio contó con la participación de 1.200 invitados de más de 80 países de todo el mundo. Protésicos dentales y odontólogos asistieron a 2 días de conferencias sobre el tema de prótesis sobre implantes con modernas aplicaciones digitales.

Un gran éxito para la empresa italiana a la que también asistieron profesionales españoles.

Nº 217 | Junio 2023 NOTICIAS dental PRÓTESIS 34

Cuarta sesión CURSO EXOCAD 2023. Rehabilitaciones sobre implantes en EXOCAD

El 12 de mayo pasado, se realizó la cuarta sesión del curso modular de Exocad de el año en curso, organizado por el Colegio Profesional de Protésicos Dentales de Aragón,

“Rehabilitaciones sobre implantes en exocad”, impartido porJuan Carlos Palma:

Como en ocasiones anteriores, este curso se ofreció en formato

online, donde se mostraron los diferentes tipos de protocolos para realizar prótesis sobre implante en la última versión, Exocad Rijeka 3.1.

Construyendo puentes 3D para el futuro

El Colegio Profesional de Protésicos Dentales de Aragón realizó en el Centro Empresarial Parque Roma: “Construyendo Puentes 3D para el Futuro”, el 26 de mayo de 2023.

La encargada de impartir esta presentación fue Dña. Iris Martínez, de la casa comercial GC Ibérica Dental Products, S.L.

Durante la presentación explicó que las restauraciones complejas son más fáciles de imprimir,

sin necesidad de desperdiciar material. Y con GC Temp PRINT, un material biocompatible de clase IIa para coronas y puentes provisionales diseñado para su uso en impresiones 3D basadas en DLP.

En la demo se caracterizaron diente y encía de una manera sencilla, creando diversos efectos que dan un plus a nuestra rehabilitación provisional.

Nº 217 | Junio 2023 COLEGIOS PROFESIONALES dental PRÓTESIS 36

Completas de principio a fin con el método TIF

Durante los días 24 y 25 de marzo el Colegio de Protésicos Dentales de Aragón, en colaboración con la empresa Dental Everest, organizó el curso teórico-práctico "Completas de principio a fin con el método TIF" impartido por María Veiga, técnico dental portuguesa y colabora-

dora de la empresa Merz Pharma. Durante las dos jornadas del curso, los asistentes conocieron de primera mano las diferentes tecnicas de montaje, profundizando en la técnica de Gerbert. Además, realizaron, de principio a fin, una pró-

tesis mediante la técnica Premeco line, utilizando muflas para trabajar con gelatina y caracterizando por medio de los maquillajes Premeco Line de Merz.

Este curso tuvo lugar en las Instalaciones del centro Valle de Tena.

COLEGIOS PROFESIONALES Nº 217 | Junio 2023 dental PRÓTESIS 37

2º Congreso De incisivo a molar

El Colegio Profesional de Protésicos Dentales de Andalucía ha celebrado la segunda edición del Congreso De incisivo a molar.

Celebrado en Sevilla en el hotel Silken Al-Andalus de Sevilla durante los días 16 y 17 de junio y con la colaboración de las principales empresas del sector.

El congreso se ha consolidado, en su segunda edición, como el evento de referencia del sector en Andalucía.

Con una afluencia de participantes incluso superior a la del año anterior que tuvo que ser aplazado a consecuencia de la pandemia Covid-19

Héctor Couso, presidente del Colegio de Andalucía, en su discurso de bienvenida, agradeció a todos los

Nº 217 | Junio 2023 COLEGIOS PROFESIONALES dental PRÓTESIS 38

participantes, colaboradores y asistentes en general su presencia y su apoyo y contribución en el éxito del Congreso.

Durante las jornadas se han impar-

tido clases magistrales por ponentes de primer nivel en el sector protésico dental como Jorge Reyes, Sergi Barcia, David García y Luis Mampel.

Héctor Couso en su discurso de clausura agradeció la participación de todos los asistentes, emplazándoles para el próximo congreso en 2024.

COLEGIOS PROFESIONALES Nº 217 | Junio 2023 dental PRÓTESIS 39

Celebración de la Patrona de los protésicos dentales en Las Palmas

Con motivo de la celebración de la Patrona Nuestra Señora del Perpetuo Socorro y día del Protésico Dental, el pasado día 1 de junio, y tras su Asamblea General, el Colegio Profesional de Protésicos Dentales de las Palmas tuvo la cena de hermandad de sus colegiados.

Una vez finalizada la cena se pro-

cedió a realizar el sorteo de regalos para los colegiados, proporcionados por las casas comerciales colaboradoras: A.M.A, Banco Sabadell, Henry Schein y Den.Pro.

Una vez finalizado el acto, el Colegio agradeció su asistenta y colaboración a todos los asistentes y casas comerciales, emplazándoles

para el año próximo.

sesion curso EXOCAD 2023

El viernes 9 de junio, se finalizó el curso modular de Exocad del año 2023, organizado por el Colegio Profesional de Protésicos Dentales de Aragón, con la sesión “Carga Inmediata, Gallucci avanzado y Planificación de implantes con CBCT”

Nº 217 | Junio 2023 COLEGIOS PROFESIONALES dental PRÓTESIS 40
C M Y CM MY CY CMY K

Colabora:

Salón Internacional de Equipos, Productos y Servicios Dentales

Tecnología al servicio de los profesionales.

2024 Mar 14-16

Recinto Ferial ifema.es

Patrocina: País invitado:

DEMANDAS

LABORATORIO de prótesis dental en Zamora capital se ofrece para trabajar a clínica dental de la misma ciudad o de otra. Jose Luis Tel. 722645948, email Labdent6d2@ hotmail.com. Colegiado 421 Castilla León.

LABORATORIO DENTAL busca protésico/a dental para la sección fija en Murcia. Técnico Superior en Prótesis Dentales, se valorará experiencia en modelado y repasado de metal. Contrato media jornada hasta 15 mayo. Después jornada completa. enviar CV: dental@laboratoriomoreno.com . Colegiado 140 Murcia

SE BUSCA personal para el área de removible con al menos 3 años de experiencia en el montaje y enmuflado/cargado de completas, esqueléticos, telescópicas, híbridas y composturas. Jornada completa y contrato indefinido, para laboratorio localizado en Murcia centro. Enviar CV a: gerencialaboratorioprotesis@gmail.com. Colegiado 237 Murcia.

LABORATORIO de ortodoncia en Oviedo busca protésic@ con experiencia en ortodoncia, jornada completa, salario a convenir según valía y productividad. Tel. 628807736, email: info@orthoeasy.es. Colegiado 268 Asturias.

SE BUSCA protésic@ dental, Técnico Superior en Protésis Dentales, para la sección de removible, Experiencia demostrable, jornada completa/media (negociable). Jornada intensiva. Los Alcázares/Murcia, enviar CV: laboratorio.ajlt@gmail. com. Colegiado 292 Murcia.

LABORATORIO DENTAL, necesita protésico dental titulado y especialista en removible e implantes con un mínimo de 3 años de expe-

riencia. También se necesita ayudante. Buen horario. Colegiado 38 de La Rioja. Interesados mandar CV: a javier@selectivodental.com.

LABORATORIO Martínez González ofrece sus servicios prótesis fija zirconio, prótesis removible y ortodoncia, tanto a clínicas dentales como a otros laboratorios. Disponemos de las últimas tecnologías, escáner, fresadora, impresora, los trabajos pueden ser recogidos mediante mensajería o bien mandados mediante formato STL Pidan información sin compromiso. Tel. 868175177, correo: laboratoriomartinezgonzalez@hotmail.com, colegiado 276 Murcia.

LABORATORIO dental consolidado en Córdoba busca incorporar por ampliación los siguientes puestos : ceramista dental, técnico en diseño CAD/CAM,digital y técnico para sección escayola. Rogamos envien cv a acontreras@convadent.com, colegiado 1135 Andalucia.

SE NECESITAN Protésicos Dentales, especializados en el área de resina y de cerámica, con experiencia mínima de 2 años demostrable para laboratorio ubicado en Jerez de la Frontera. Interesados llamar al Tel. 637552632/956 18 52 64. Colegiado 575 Andalucia.

LABORATORIO dental con alta calidad en sus prótesis, necesita protésico especialista titulado en removible e implantes con un mínimo de 4 años de experiencia. Con capacidad de organización y posibilidad de entrar como jefe sección. Mandar cv javier@selectivodental.com para concertar entrevista. Colegiado 38 La Rioja.

SE BUSCA protésico/a dental para la sección de removible, titulación requerida: Técnico Su perior en Prótesis Dentales. Se valorará experiencia previa, jornada completa, ubicación: Caravaca de la Cruz/

Murcia, enviar CV: norodenttrabajosdigitales@gmail.com, colegiado 277 Murcia.

SE BUSCA protésico/a dental para la sección de removible. Media jornada, contrato indefinido en Espinardo/Murcia, enviar CV prodentalmurcia@gmail.com, colegiado 204 Murcia.

BUSCAMOS ceramista con experiencia demostrable para laboratorio situado en Orihuela Costa (Alicante) por ampliación de plantilla. Se ofrece contrato indefinido a jornada completa, jornada intensiva y salario a convenir. Enviar cv a dentartstylezenia@gmail.com. Tel. 693783255. Colegiado 315. Alicante.

SE NECESITA protésico especialista titulado en removible e implantes con un mínimo de 4 años de experiencia. Con capacidad de organización y posibilidad de entrar como jefe se sección para laboratorio dental. Enviar curriculum a javier@ selectivodental.com para concertar entrevista

SE NECESITAN protésicos con experiencia para cubrir varios puestos en prótesis removible y fija. Tel. 645995215. Enviar CV laboratoriogranadent@gmail.com. Colegiado 745 Andalucia.

SE BUSCA protésic@ dental en Totana – Murcia, para la sección de removible resina y ortodoncia. Titulación requerida: Técnico Superior en Prótesis Dentales, experiencia demostrable, jornada completa, incorporación inmediata, enviar CV: muverdent@gmail.com, colegiado 224 Murcia.

LABORATORIO ¿Eres protésico dental con experiencia demostrable en Exocad o 3Shape? Odontec, laboratorio especializado en flujo digital ubicado en Osuna (Sevilla), ofrece varios puestos vacantes en

ANUNCIOS BREVES Nº 217 | Junio 2023 dental PRÓTESIS 43

dental PRÓTESIS

diseño digital dental para incorporación inmediata a su plantilla. Si estás interesado y tienes ganas de formar parte de nuestro equipo, puedes presentar tu candidatura enviando el CV a odontecinfo@gmail.com o bien puedes llamar o enviar un mensaje de Whatsapp al 696905449.¡No lo dudes y contáctanos! Colegiado 1343 Andalucia.

SE BUSCA protésic@ dental en Cartagena. Titulación requerida: Técnico Superior en Prótesis Dentales. Media jornada (ampliación a jornada completa, por sustitución maternidad), enviar CV: info@digilabdental.com, colegiado 326 Mur

LABORATORIO DENTAL busca protésico/a dental para la sección fija en Murcia. Técnico Superior en Prótesis Dentales, se valorará experiencia en modelado y repasado de metal. Contrato media jornada hasta 15 mayo. Después jornada completa. enviar CV: dental@laboratoriomoreno.com . Colegiado 140 Murcia

SE BUSCA personal para el área de removible con al menos 3 años de experiencia en el montaje y enmuflado/cargado de completas, esqueléticos, telescópicas, híbridas y composturas. Jornada completa y contrato indefinido, para laboratorio localizado en Murcia centro. Enviar CV a: gerencialaboratorioprotesis@ gmail.com. Colegiado 237 Murcia.

LABORATORIO de ortodoncia en Oviedo busca protésic@ con experiencia en ortodoncia, jornada completa, salario a convenir según valía y productividad. Tel. 628807736, email: info@orthoeasy.es. Colegiado 268 Asturias.

SE BUSCA protésic@ dental, Técnico Superior en Protésis Dentales, para la sección de removible, Experiencia demostrable, jornada completa/media (negociable). Jornada

intensiva. Los Alcázares/Murcia, enviar CV: laboratorio.ajlt@gmail. com. Colegiado 292 Murcia.

LABORATORIO DENTAL, necesita protésico dental titulado y especialista en removible e implantes con un mínimo de 3 años de experiencia. También se necesita ayudante. Buen horario. Colegiado 38 de La Rioja. Interesados mandar CV: a javier@selectivodental.com.

LABORATORIO Martínez González ofrece sus servicios prótesis fija zirconio, prótesis removible y ortodoncia, tanto a clínicas dentales como a otros laboratorios. Disponemos de las últimas tecnologías, escáner, fresadora, impresora, los trabajos pueden ser recogidos mediante mensajería o bien mandados mediante formato STL Pidan información sin compromiso. Tel. 868175177, correo: laboratoriomartinezgonzalez@hotmail.com, colegiado 276 Murcia.

LABORATORIO dental consolidado en Córdoba busca incorporar por ampliación los siguientes puestos : ceramista dental, técnico en diseño CAD/CAM,digital y técnico para sección escayola. Rogamos envien cv a acontreras@convadent.com, colegiado 1135 Andalucia.

SE NECESITAN Protésicos Dentales, especializados en el área de resina y de cerámica, con experiencia mínima de 2 años demostrable para laboratorio ubicado en Jerez de la Frontera. Interesados llamar al Tel. 637552632/956 18 52 64. Colegiado 575 Andalucia.

LABORATORIO dental con alta calidad en sus prótesis, necesita protésico especialista titulado en removible e implantes con un mínimo de 4 años de experiencia. Con capacidad de organización y posibilidad de entrar como jefe sección. Mandar cv javier@selectivodental.com para concertar entrevista. Colegiado 38

La Rioja.

SE BUSCA protésico/a dental para la sección de removible, titulación requerida: Técnico Su perior en Prótesis Dentales. Se valorará experiencia previa, jornada completa, ubicación: Caravaca de la Cruz/ Murcia, enviar CV: norodenttrabajosdigitales@gmail.com, colegiado 277 Murcia.

SE BUSCA protésico/a dental para la sección de removible. Media jornada, contrato indefinido en Espinardo/Murcia, enviar CV prodentalmurcia@gmail.com, colegiado 204 Murcia.

BUSCAMOS ceramista con experiencia demostrable para laboratorio situado en Orihuela Costa (Alicante) por ampliación de plantilla. Se ofrece contrato indefinido a jornada completa, jornada intensiva y salario a convenir. Enviar cv a dentartstylezenia@gmail.com. Tel. 693783255. Colegiado 315. Alicante.

SE NECESITA protésico especialista titulado en removible e implantes con un mínimo de 4 años de experiencia. Con capacidad de organización y posibilidad de entrar como jefe se sección para laboratorio dental. Enviar curriculum a javier@ selectivodental.com para concertar entrevista

SE NECESITAN protésicos con experiencia para cubrir varios puestos en prótesis removible y fija. Tel. 645995215. Enviar CV laboratoriogranadent@gmail.com. Colegiado 745 Andalucia.

SE BUSCA protésic@ dental en Totana – Murcia, para la sección de removible resina y ortodoncia. Titulación requerida: Técnico Superior en Prótesis Dentales, experiencia demostrable, jornada completa, incorporación inmediata, enviar CV: muverdent@gmail.com, colegiado

Nº 217 | Junio 2023
ANUNCIOS BREVES
44

LABORATORIO ¿Eres protésico dental con experiencia demostrable en Exocad o 3Shape? Odontec, laboratorio especializado en flujo digital ubicado en Osuna (Sevilla), ofrece varios puestos vacantes en diseño digital dental para incorporación inmediata a su plantilla. Si estás interesado y tienes ganas de formar parte de nuestro equipo, puedes presentar tu candidatura enviando el CV a odontecinfo@ gmail.com o bien puedes llamar o enviar un mensaje de Whatsapp al 696905449.¡No lo dudes y contáctanos! Colegiado 1343 Andalucia.

SE BUSCA protésic@ dental en Cartagena. Titulación requerida: Técnico Superior en Prótesis Dentales. Media jornada (ampliación a jornada completa, por sustitución maternidad), enviar CV: info@digilabdental.com, colegiado 326 Murcia.

SE BUSCA protésic@ dental en Espinardo/Murcia, para la sección de fija ceramista. Titulación requerida: Técnico Superior en Prótesis Dentales. Experiencia demostrable de al menos 3 años, jornada completa, contrato indefinido, enviar CV a virginia.paredes@corusdental. com, colegiado 237 Murcia.

SE BUSCA protésic@ dental en Murcia, para la sección de removible y ortodoncia. Titulación requerida: Técnico Superior en Prótesis Dentales. Experiencia demostrable. Jornada completa, contrato indefinido. Enviar CV: arcodentrh@gmail. com, colegiado 84 Murcia.

SE BUSCA Protesic@ dental para sección CAD/CAM. Titulación requerida: Técnico Superior en Prótesis Dentales. Jornada completa, turno intensivo en Águilas-Murcia. Colegiado 300 Murcia. Enviar CV: info@

customlaboratorio.com

SE BUSCA Protésic@ dental sin experiencia (formación en el laboratorio) Titulación requerida: Técnico Superior en Prótesis Dentales. Jornada completa, turno intensivo en Águilas-Murcia. Colegiado 300 Murcia. Enviar CV: info@customlaboratorio.com

SE BUSCA protésico dental para laboratorio dental en Dublín. Contacto: Javier Madrid Tel. 605 017 418; javiermadrid@pharmarecs.com.

LABORATORIO DENTAL busca Protésico/a dental con experiencia en cerámica, zirconio monolítico, disilicato de litio, maquillajes. Titulación requerida, Técnico Superior en Prótesis Dentales. Jornada completa, turno intensivo. Colegiado 300 Murcia Tel. 611140844. email: info@customlaboratorio.com.

LABORATORIO de prótesis dental de Granada necesita protésico/a colegiado con experiencia en sección de prótesis fijas. Interesados contactar al tel.: 958084488 o 619978654. Colegiado nº 322 CPDA.

SE BUSCA CERAMISTA con expe riencia para laboratorio en Barcelona, llamar al Tel. 639157848, Sr. Francisco, colegiado 677 COPDEC.

SE NECESITA protésico dental y ceramista con experiencia en encerado de estructura, repasado y montaje de cerámica para laboratorio en zona sur de Alicante. Interesados llamar al Tel. 966780412, col. Nº 9 Alicante.

LABORATORIO de Ortodoncia de Elda, (Alicante) busca protésicos para que se puedan incorporar a su equipo, email: rrhh@ortholab. es Marta. Colegiado 211 Alicante.

SE SOLICITA protésico dental con titulación oficial, para laboratorio situado en Jerez de la Frontera, con una experiencia Mínima de 2 años de trabajo (acreditable), para departamento de resina, se requiere experiencia en prótesis híbridas y sobre implantes. Abstenerse quién no cumpla los requisitos mínimos. Jornada completa. Interesado mandar currículo: ancodental.admon@ hotmail.com. Colegiado nº 575 del CPDA.

LABORATORIO DENTAL ubicado en Zaragoza precisa protésico/a con experiencia en prótesis removible. Roberto. Tel.: 659593834.

LABORATORIO DENTAL ubicado en Zaragoza necesita ceramista con experiencia para trabajar en laboratorio ubicado en Zaragoza. Roberto. Tel.: 659593834.

SE PRECISA protésico/a dental para laboratorio en Zaragoza. Preferiblemente con experiencia de 2 años y conocimientos en Exocad. Interesados/as enviar C.V. a: Laborzaragoza@gmail.com. Colegiado nº 389 de Aragón.

SE SOLICITA, para laboratorio ubicado en Jaca especializado en estética dental, profesional con un mínimo de 3 años de experiencia. Importante: conocimiento del flujo digital. Contacto: laboratorio@ fabueldentallab.com. Colegiado nº 389.

SE BUSCA protésico/a dental con experiencia en removible/fija, jornada completa, turno intensivo, en Los Alcázares/Murcia, Laboratorio AJTL, Tel. 644111979 José, enviar CV laboratorio.ajlt@gmail.com, colegiado 292 Murcia.

SE BUSCA protésico/a dental con experiencia en removible, preparación de modelos, jornada comple-

ANUNCIOS BREVES Nº 217 | Junio 2023 dental PRÓTESIS 45

dental PRÓTESIS

ANUNCIOS BREVES

ta, contrato de 6 meses y después indefinido en Cartagena – Murcia, DIGILAB dental enviar CV a info@ digilabdental.com para proceso de selección, colegiado 326 Murcia.

SE BUSCA protésico/a dental para Laboratorio exclusivo ortodoncia, Técnico Superior en Prótesis Dentales, contrato inicial 3 meses, jornada completa, turno partido, en Aljezares/Murcia. Enviar CV a qualiteeth.laboratorio@gmail.com colegiado 320 Murcia.

BUSCAMOS protésico dental para laboratorio dental en Ávila. Con buenos conocimientos generales y buena predisposición. Incorporación a pequeño equipo con buen ambiente de trabajo con las últimas tecnologías y buenas expectativas de futuro. Tel. 920250320, colegiado 49 Castilla y León.

SE BUSCA Protésico/a dental para la sección de removible titulación requerida: Técnico Superior en Prótesis Dentales, experiencia demostrable, jornada completa. Tel. 687463028 Antonio. E-mail para enviar CV: toni.marludent@gmail. com. Colegiado 27 Murcia.

SE BUSCA Protésico/a dental para la sección de removible, cerámica y CAD-CAM, titulación requerida: Técnico Superior en Prótesis Dentales, experiencia demostrable, Tel. 685169133, e-mail para enviar CV: poyatodental@gmail.com. Colegiado 206 Murcia.

LABORATORIO de Prótesis Dental de Badajoz necesita protésico/a dental con experiencia en la sección de prótesis removibles e híbridas. Interesados contactar al Tel. 616790749, colegiado 31 Extremadura.

LABORATORIO en Málaga capital, necesita protésico dental para la

sección de resina, imprescindible experiencia, contacto Santiago Tel. 66706090, colegiado 735 colegio de Andalucía.

LABORATORIO en Cartagena busca protésic@ dental para la sección de removible, titulación requerida: Técnico Superior en Prótesis Dentales, experiencia demostrable, colegiado 287 Murcia, Tel. 661736817, enviar CV: sergiogss@ hotmail.com

LABORATORIO de prótesis dental en Zaragoza necesita protésico/a para área de removible. Experiencia solicitada: de 1 a 3 años. Se valorará experiencia previa y conocimientos en diseño Cad/Cam. Enviar CV : estudiodentaldm@gmail. com. Colegiado 251 Aragón.

LABORATORIO de prótesis dental en Zaragoza, busca protesic@ dental con experiencia de removible y preparación de modelos. Horario de jornada continua de 07.00 a 15.00, salario a convenir. Contacto Eduardo Tel. 6398872193, puede entregar el CV personalmente en el Laboratorio: C/ Juan de Aragón, 6 local derecha Zaragoza, colegiado 69 Aragón.

SE BUSCA protésico/a dental para la sección de removible y ortodoncia. Titulación requerida Técnico Superior en Prótesis Dentales, Experiencia demostrable, enviar CV: arcodentrh@gmail.com. Tel. 968350307. Colegiado 82 Murcia.

SE PRECISA protésico/a dental para laboratorio en Aranda de Duero. Para la sección de prótesis removible, con al menos 2 años de experiencia. Se valorarán conocimientos en exocad e impresión 3D. Tf. de contacto: 669978502.

LABORATORIO de Ortodoncia en Madrid busca incorporar protésicos

para sus secciones de ortodoncia fija, removible y CAD CAM. Email: contestador@ortodonciaortosol.es. Colegiado 515 Madrid.

LABORATORIO Dental Anprodent, ubicado en Las Palmas de Gran Canaria necesita protésico dental para el área de removibles que tenga experiencia previa en el área, jornada completa, contactar al teléfono: 638102945. Colegiado 156 Las Palmas.

OFERTAS

SE BUSCA Técnico/a Superior en Prótesis Dentales para la sección de cerámica y CAD/CAM, experiencia en prótesis sobre implantes (exocad) y carga de cerámica. Buena remuneración, horario flexible, opción de freelance. Fortuna/ Murcia. Enviar C.V.: ajol11@icloud. com. Colegiado 324 Murcia.

BUSCAMOS protésic@ dental con conocimientos en encerar, repasar y CAD/CAM. Somos un laboratorio ubicado en la Isla de Guadalupe (Caribe) ofrecemos 1.800€ de suelto neto más dietas, el 50% de mutua de seguro privada y 5 semanas de vacaciones. 2 personas del laboratorio hablan español. Interesados contactar con Lorenzo. WhatsApp 0590690938214. loalcarezsevilla@gmail.com.

LABORATORIO DENTAL busca

Técnico Superior en Prótesis Dentales para la sección de removible en Cartagena/Murcia., experiencia demostrable. Jornada completa. C.V.: info@digilabdental.com. Colegiado 326 Murcia.

LABORATORIO DENTAL busca

Técnico Superior en Prótesis Dentales para la sección de removible en Molina de Segura/Murcia., experiencia demostrable. Jornada completa, turno a convenir. C.V.: prote-

Nº 217 | Junio 2023
46

sisdentalmolinapdm@hotmail.com. Colegiado 114 Murcia.

LABORATORIO DENTAL busca

Técnico Superior en Prótesis Dentales para la sección de resina en Alcantarilla/Murcia, experiencia demostrable. Jornada completa, turno partido enviar C.V.: ag.orthosur@ gmail.com . Colegiado 192 Murcia

PROTÉSICO con 12 años de experiencia en escayola y Resina y conocimiento en cerámica y master, se ofrece para trabajar en Madrid. Colegiado 281331 Madrid. Email: relli_fer@hotmail.com.

SE OFRECE PROTÉSICO dentalceramista con más de 15 años de experiencia en prótesis dental fija (estructuras, cerámica, disilicato, zirconio...) busca trabajo en Málaga capital y provincia. Persona seria, responsable y trabajadora. Móvil: 630056336. email: pequinvigo@ gmail.com

PROTÉSICO colegiado busca trabajo en Córdoba y provincia. 17 años de experiencia en resina (montaje, modelado, repasado) y pulido en cerámica con metal IPS Design (modelado, repasado estructuras y montaje de cerámica). Tel.: 609069055. Colegiado nº 314 CPDA.

SE OFRECE protésica dental responsable con experiencia de dos años en prótesis completas, parciales, esqueléticos, coronas y puentes de metal cerámica, de silicato de litio inyectable, flexores, etc. Con disponibilidad de desplazamiento. Telf.: 622421699. consolipicon@gmail.com.

SE OFRECE protésico dental ceramista de alta estética, más de 11 años de experiencia, zirconio e-max, gradia,...., Tel. 669804837, Nº de colegiado: 1152 Valencia, correo electrónico mj_mh@hotmail.com.

SE OFRECE protésica dental con 28 años ubicada en Los Barrios (Cádiz). Con alta disponibilidad de movilidad geográfica. Cuento con 5 años de experiencia en laboratorio, realizando vaciado de impresiones, montaje en articulador, resinas, estructuras mecanizadas y adquiriendo conocimientos de los distintos materiales empleados para prótesis dental. Actualmente he cursado un Máster en diseño y flujo digital con EXOCAD de 50h presenciales. Estefanía Rivera Tel. 664664727, correo fani.rivera@ hotmail.com.

SE OFRECE protésico dental titulado con muchos años de experiencia en prótesis removible, inmediatas , híbridas, férulas etc.. Prótesis fija , repasado, modelado, attaches, implantes, barras etc... Para contactar llamar al Tel. 600387424. Valencia.

SE OFRECE servicio de diseño CAD. Protésica dental con más de 14 años de experiencia (10 en CAD), ofrece sus servicios como freelance para épocas de excedente de trabajo, también formación, on-line/in-situ, para laboratorio dental. Tel. de contacto: 642727429, ana@lanadentaldesign.com.

BUSCO laboratorio donde poder trabajar o realizar un contrato de prácticas para poder ampliar mis conocimientos y desarrollar todo lo aprendido. He acabado este año Prótesis Dental, en estos dos años de curso he realizado prótesis completas, parciales, implantes, cerámica y un poco de CAD/CAM. He realizado un cursillo de iniciación a la cerámica en el Dental Training Center de Barcelona by August Bruguera, tengo intención de seguir desarrollándome haciendo más cursos. Soy una persona muy trabajadora y responsable, no tendría problemas para desplazarme de lugar de residencia. Colegiado 425 Aragón, email: baipe-19_96-na@ outlook.es. Ignacio. Tel. 664040461

LOCALES

SE TRASPASA laboratorio completamente equipado en Caldes de Montbui (a 30 Km. de Barcelona) por jubilación. Tiene tres zonas de trabajo: yeso y metal, cerámica y administración. Está al corriente de permisos municipales y sanitarios. Luminoso, situado en los bajos de una torre, en una zona muy tranquila. Estaría dispuesto a realizar una transición progresiva para poder mantener a los clientes actuales. Tiene micro-motores Cavo K11, 2 hornos de cerámica e inyección, centrifugas y horno de calentamiento, batidora de vacío, etc. Alquiler a convenir. Colegiado 64 Cataluña. Contacto dentamil@copdec.es

SE VENDE o TRASPASA laboratorio de prótesis dental por jubilación, más de 30 años abierto, funcionando en la actualidad, maquinaria y mobiliario, cartera de clientes. Local de 160 m, en polígono comercial, a 5 minutos de M40 y a 10 minutos de M30 y M45. Madrid capital. Juan Antonio. Tel. 685869021. Colegiado 280148 Madrid.

SE TRASPASA por jubilación, laboratorio funcionando en Salamanca. Más información y fotos en www.dentallabintransfer.com. Tel. 606184039 Juan Vicente, colegiado 284 Castilla y León.

SE ALQUILA laboratorio de prótesis dental en el centro de Málaga construido hace 4 años, local totalmente nuevo, con todos los permisos y licencia sanitaria para prótesis removible resina, parcial removible metal, prótesis fija y prótesis fija implantosoportada, compuesto por sala de trabajo, cocina, sala para cerámica, zona de entrada de trabajos, recepción y baño ( total 80 m.) más entreplanta de 30m donde hemos ubicado el digital y televisión para poder dar

ANUNCIOS BREVES Nº 217 | Junio 2023 dental PRÓTESIS 47

charlas online, se alquila con todas las maquinarías, hornos de precalentamiento, hornos cerámica, inyectora de Biohpp, escáner con licencia activa e impresora 3D, todos los fungibles necesarios para entrar a trabajar, resinas, cerámicas, metal...., se cede posicionamiento en redes. Tel. 658 334 572 .Colegiado 347 Andalucia

SE VENDE o alquila, por jubilación, laboratorio dental en Asturias de 92 m2, exterior, totalmente equipado para prótesis removible, fija e implantes, para entrar a trabajar, 7 puestos de trabajo, sistema CADCAM de Zirkonzahn.M5, escáner, horno de sinterizado y ordenador. Para más información contactar Tel. 600468152, José Luis colegiado 1 del Principado de Asturias. laboratoriodentalcortina@gmail. com.

SE VENDE Laboratorio de prótesis dental en Córdoba. Equipado para prótesis removible y prótesis fija (sin fundición). Actualmente en funcionamiento. Tel. 652812246, colegiado 2122 Andalucía.

SE VENDE, por jubilación, maquinaria de laboratorio de prótesis dental; Inductora mi200 de electrodensa, Spectramat, Ivomat IP3, Recortadora Mestra 1800 r.p.m., Vibrador, Demco, Mesa de trabajo Cornet (adaptada para aspiración,aire y gas), Horno cerámica Programat P95 (con bomba de vacío y suplementos). Contacto: Rafael, colegiado 306 de Galicia. Teléfono 619606100. Precios a convenir.

ALQUILER O VENTA de laboratorio dental completo en Tarragona, con licencia sanitaria, casa de 100 m2, sala de cerámica + escáner, sala de escayola, oficina, zona de descanso, cocina, dos terrazas, dos WC. Interesados contactar para más detalles, Tel. 646717631, colegiado

1545 Catalunya.

ALQUILO laboratorio en burgos con vistas a próxima jubilación ,ubicado en zona tranquila y entorno muy agradable. Dispone de 4 puestos de trabajo ,está preparado para hacer trabajos de fijo y móvil ,hornos ,scanner 3d etc. Para más información preguntar por Luis Tel. 947200959. Colegiado 14 Castilla y León

SE TRASPASA laboratorio dental en funcionamiento con cartera de clientes seria, ubicado en la zona norte de Madrid, buenas instalaciones y excelente equipamiento. Tel. 669875357, colegiado 1295 Madrid

SE VENDE O TRASPASA local de 60 metros cuadrados, Madrid capital, zona Carabanchel, con todas las licencias, maquinaria, mobiliario y cartera de clientes. Interesados llamar al Tel. 681361102. Colegiado 0278 Madrid.

ALQUILO laboratorio dental equipado para removible metálica, resina y metal cerámica, actualmente en funcionamiento. Todas las licencias, con o sin maquinaria. Colegiado nº 264 CPDCM. Tel.: 916609114.

SE TRASPASA laboratorio dental de referencia en Tenerife (cerámica, implantes, zirconio con Cad Cam etcétera) con 33 años de funcionamiento y con más de 40 clientes por motivos de jubilación. Colegiado número 29 CPRTF. Tel. 670973548

SE ALQUILA o SE VENDE laboratorio de prótesis dental en Segovia en pleno funcionamiento y posibilidades de desarrollo y aumento de clientes. Atenerse curiosos Tel.: 625542710. Col. 74 Castilla y León.

SE VENDE laboratorio, local céntrico, sito en Plaza San Miguel, excelente situación. Maquinaria nueva sin estrenar, primeras marcas europeas: inductora licuadora

metales galony, horno mixto cocción-inyección ivoclair ep-3010 (balizado), horno precalentamiento hp 50 con catalizador de humos instalado mestra, mezcladora vacío iris, arenadora 3 vasos constelación, pulidora 2 velocidades, termopolimerizadora 9 muflas manfredy, polyplus, compresor con cabina insono, decantadora, equipo aspiración eolo, micromotores, bombas vacío recortadora, bunsen, calentadores fotopolimerizadora, limpiadora ultrasonidos. Previsto para hasta 3 puestos de trabajo. Excelente distribución; área recepción/ expedición/envasado, 1 sala de montaje, 2 secciones independientes metal y cerámica. Permisos y Licencias en vigor. Magnífica oportunidad: 52.000€ (facilidad de pago). Se facilitan gestiones con la propiedad en local alquiler, mensual orientativo 400€. Posibilidad de moto 50 cc. para reparto en plaza (negociable aparte) NO SE VENDEN MAQUINAS SUELTAS Interesados contactar al móvil 618655570 (solo whatsapp) colegiado Nº 323 Aragón

VENDO O TRASPASO por jubilación, laboratorio dental preparado para todo tipo de trabajos, con CAD-CAM KAVO, fundidora de titanio y láser entre otras maquinarias. Tel. 922274803 Carlos, colegiado nº 28 de Santa Cruz De Tenerife.

SE VENDE O TRASPASA laboratorio en Esparreguera, a 30 km. de Barcelona, precio de traspaso a negociar con la maquinaria que se dispone y que el interesado deseara. Lleva dos años parado por motivos personales, local de 120 m., 86 de laboratorio y el resto zona útil almacén/zona de descanso, cumple con todos los requisitos legales, dispone de zonas de trabajo diferenciadas, 12 mesas de trabajo, 7 de ellas con sistema de aspiración centralizada Zubler también para chorreadoras y vapores, todo equipado con maquinaria en buenas condiciones

Nº 217 | Junio 2023
48
ANUNCIOS BREVES dental PRÓTESIS

y actual. Tel. 649913997. Colegiado nº 961, COPDEC.

SE TRASPASA laboratorio de prótesis dental acrílico por jubilación, tras 40 años de profesión y muy buenos resultados, en el centro de Huelva. Piso de 70m2, con 3 puestos de trabajo y licencia de fabricante renovada hasta abril de 2023. Equipamiento: Micromotor Kavo K9, motor colgante Kavo EWL D-797, micromotor W&H MS-Perfecta, limpiador ultrasonido EMAG, polimerizador Heraeus Kulzer Palemat Practic, pulidora RedWing, vibrador Zenit, recortadora de escayola Toohtmaster, prensa F. Pugliese, bridas, articuladores, muflas,... 30.000€ de traspaso y alquiler del local 500€/mes. Tlf de contacto: 666479111. Colegiado 221 en Andalucía.

SE VENDE laboratorio por próxima jubilación en Zaragoza en pleno funcionamiento. Es una S.L. (sin empleados),no se necesita trámite para empezar a trabajar. Si no interesa la sociedad, se traspasa sólo el laboratorio (informarse antes de las ventajas de una S.L.). 5 puestos de trabajo, hornos de cerámica, cerámica inyectada, precalentamiento, inductora, motores fijos de repasado de metal y micromotores. Local con todos los permisos y licencias en vigor, con salida de humos al tejado. Enrique.Tel.: 681387204, fivadental@ gmail.com.

SE ALQUILA laboratorio de prótesis dental en el centro de Málaga construido hace 4 años, local totalmente nuevo, con todos los permisos y licencia sanitaria para prótesis removible resina, parcial removible metal, prótesis fija y prótesis fija implantosoportada, compuesto por sala de trabajo, cocina, sala para cerámica, zona de entrada de trabajos, recepción y baño ( total 80 m.) más entreplanta de 30m donde hemos ubicado el digi-

tal y televisión para poder dar charlas online, se alquila con todas las maquinarías, hornos de precalentamiento, hornos cerámica, inyectora de Biohpp, escáner con licencia activa e impresora 3D, todos los fungibles necesarios para entrar a trabajar, resinas, cerámicas, metal...., se cede posicionamiento en redes. Tel. 658 334 572 .Colegiado 347 Andalucia

SE VENDE o alquila, por jubilación, laboratorio dental en Asturias de 92 m2, exterior, totalmente equipado para prótesis removible, fija e implantes, para entrar a trabajar, 7 puestos de trabajo, sistema CADCAM de Zirkonzahn.M5, escáner, horno de sinterizado y ordenador. Para más información contactar Tel. 600468152, José Luis colegiado 1 del Principado de Asturias. laboratoriodentalcortina@gmail. com.

SE VENDE laboratorio de Prótesis Dental en Zaragoza. Colegiado nº 58 de Aragón. Javier. Tel.: 657862871.

SE OFRECE laboratorio protésico para compartir con todos los permisos y que se podrá utilizar completamente, cobro por % facturado. Tel. 666125712. Colegiado 281306 Colprodecam.

VENDO Laboratorio Dental ubicado en Avda. Tenor Fleta 28. El local tiene 72m dividido en una zona grande para la cerámica, otra para el repasado, cocina, despacho, un almacén y el baño. Dispone de aire acondicionado, recién pintado y con suelo de tarima nuevo. La maquinaria no tiene apenas uso: Inductora centrifuga vestacast con filtro para la cal, horno precalentamiento con concept hp50 con catalizador de humos, mesa de trabajo con box de aspiración, arenadora constellation con aspiración Eolo plus, máquina de vapor VK300 con filtro para la cal, recortadora

de interiores mestra Pindex Bader, mezcladora vacío Iris 2.m, baño de ultrasonidos, pulidor Mestra, compresor con caja para insonorización, recortadora modelo Mestra con disco de diamante, horno cerámico programat p310, maquina foto polimerizar Omec, termoformadora Erkoform con articulador. Posibilidad de modificar la página web del laboratorio para nuevo dueño. Para obtener más información, verlo sin compromiso o que mande fotos llame al Tel. 607842114, Gabriel, colegiado 359 Aragón.

SE ALQUILA laboratorio dental en Cuarte de Huerva, unos 125 m2, zona de escayola, zona de removible, zona de cerámica, zona de almacén y colados, baño, sala para cursos o ampliación. Provisto de 5 puestos de trabajo. Maquinaria: inductora galloni, horno precalentamiento, ivobase, giroform, recortadora en húmedo, horno de inyección de cerámica, polimerizadora, box de pulido, etc. Interesados, poneros en contacto en el siguiente Tel. 688922281. Contacto Felix, colegiado 296 Aragón.

VENTA DE MATERIAL Y EQUIPAMIENTO

VENDO por jubilación, maquinaria ,mobiliario y productos dentales de laboratorio dental, mesas, inductora, hornos cerámica e inyección, micromotores, porcelanas variadas de fija, removible y esqueléticos...o traspaso a emprendedor a precio simbólico, doy información en el Tel. 636256513, Francisco Javier colegiado 28 de Extremadura.

VENDO horno de precalentamiento HP 25 Mestra con campana extractora, en perfecto estado , pre-

ANUNCIOS BREVES Nº 217 | Junio 2023 dental PRÓTESIS 49

dental PRÓTESIS

ANUNCIOS BREVES

cio a convenir, contacto Eva Tel. 630147009. Colegiada 211 Andalucia.

VENDO mesa de prótesis dental de un puesto, más modulo en lado derecho para horno u otra máquina, preinstalación de sistema de aspiración, luz y gas, precio 790 euros, algo negociables, incluida lampara de 2 fluorescentes valorada en 300 euros. Colegiado 36 Extremadura. Jesús Tel. 647503813, para más información y fotografías.

SE VENDE o TRASPASA en Molina de Segura/Murcia, local 117 m²: maquinaria incluida, stock de materiales, facturación demostrable cartera de clientes, Tel. 622228439. Colegiado 285 Murcia.

SE VENDE horno sinterizar zirconio Zirkonofen 600 2.800€, horno precalentamiento Mestra HP 25 1.000€, inductora MIE 200 automatica 2.500€, maquina soldar Welder Plus 750€, mezcladora gelatina Mestra 950€, maquina recortadora interiores 150€. Colegiado 145 Castilla y León. Julian Tel. 661245218.

SE VENDE sistema de inyección Ivocap con 6 muflas y 3 inyectores. lavapolimerizadora Mestra R-080060, prensa hiddráulica Mestra R-030350, vibrador Mestra R-080020, olla polimerizadora Mestra R-030420, recortadora Mestra, aspirador Renfert Silent 2921.0002, pulidora Erio, Mesa Erio de tres puestos, mesa Erio de 2 puestos, precio a convenir. Colegiada 75 Navarra, Tel. 659529119. Ainhoa.

VENDO por jubilación, horno Densply (MULTIMT-TOUCH-PRESS) con bomba de vacío, incluyo émbolos de inyección, poco uso, precio 1700 euros, polimerizadora MESTRA mod 80400,700 euros. Colegiado 133 Alicante . Tel. 635737497.

SE VENDE articulador SAN III

MAGNÉTICO a estrenar en perfec-

to estado. Colegiado 155 Madrid. Tel.. 626144975.

SE VENDE dos sistemas de inyección SR IVOCAP completos, con inyectora, bridas, muflas y demás accesorios. 200€ cada uno, 4 muflas MESTRA para duplicado de gelatina 10€, DUCATRON QUATTRO apenas usado +regalo valorado en 900€ compuesto por: lote de metal 1 kg aprox. Cr-Ni y Cr-Co marca Wiron Bego, varios cilindros, muflas, bridas, ceras de modelar BREDENT y 2 cajas de revestimiento GC. 3.500€. Tel. 652018478. Email. fatoulaboratoriodental@gmail.com. Colegiado 571 Andalucia.

VSE VENDE, por jubilación, maquinaria de laboratorio de prótesis dental; Inductora mi200 de electrodensa, Spectramat, Ivomat IP3, Recortadora Mestra 1800 r.p.m., Vibrador, Demco, Mesa de trabajo Cornet (adaptada para aspiración,aire y gas), Horno cerámica Programat P95 (con bomba de vacío y suplementos). Contacto: Rafael, Colegiado 306 de Galicia. Tel. 619606100. Los precios son a convenir.

VENDO Ministar máquina de termomoldeo de Scheu Dental. En perfecto estado, el precio incluye: 1 caja de perdigones, 1 repuesto de goma de conexión a compresor, material de termomoldeo: 1 caja de isofolan, 1 caja de Durasoft 1,2mm, 1 caja de Durasoft 1,8mm, 1 caja de Bioplast 1,5mm, 1 caja duran 2mm, 6 planchas Bioplast 4mm, 8 planchas Bioplast 3mm amarillas, 3 planchas Bioplast 3mm rojo. Precio: 700 euros. Se envían fotos por wasapp. Contacto Cristina Tel. 625528189. Colegiada 6 Aragón.

VENDO scanner MDS400 y software ORTHOSTUDIO. El scanner se encuentra en perfecto estado, el software contiene: 1. Módulo de modelos de estudio: permite crear

bases virtuales ABO Ricketts, Paralell, etc. 2. Módulo Set-up Virtual, permite mover dientes, realizar extracciones, stripping (IPR), colocación de ataches, etiquetas, etc. 3. Módulo constructor de Modelos, permite crear el conjunto de modelos 3D necesarios para todo el tratamiento de ortodoncia y exportarlos en archivos STL. 4. Módulo cortar y cerrar, permite recortar y ahorrar material de impresión. 5. Módulo colocación de Brackets, permite colocar brackets según distintas técnicas de colocación Alexander, Roth, Damon, etc. 6. Módulo PDF 3D, permite incrustar el informe PDF de los modelos 3D de estudio para enviarlo al doctor. Precio de venta 11.000 euros. Colegiado número 6 Aragón. Interesados contactar con Cristina Tel. 625528189.

SE VENDE inductora MIE 200 Automática de Ordenta. Funciona perfectamente. Col. 731, Castellón y Valencia. Beatriz Moll Sifre. beatriz. promodent@gmail.com.

VENDO Horno de cerámica Multimat Touch-Press para cerámica convencional y cerámica inyectada con bomba de vacío, 3.000 €, (regalo cilindros y pistones para inyectar), metal precioso D.SIgn 84 IVOCLAR 25gr, 15% descuento sobre precio de mercadoTel.606626478. e.mail: dentetes@hotmail. com Colegiado 252 CPDCV..

VENDO maquina galvanoformacion AGC Wieland completa muy poco uso 1.000 €. Tel.: 630444489, Riccardo, colegiado nº 99 Tenerife.

SE VENDE laboratorio dental fresadora-copiadora para óxido de circonio Ceramill de Amanngirrbach, más horno para sinterizar Ceramill Therm (último modelo). Es el sistema completo original, que contiene 84 bloques de circonio pequeños y 4 grandes, y resinas para modelar, todo a estrenar. 6.500 €. Precio ne-

Nº 217 | Junio 2023
50

gociable. Tel. 976252055. Colegiado nº 25 del Colegio Profesional de Protésicos Dentales de Aragón”.

VENDO horno de inyección EP600 IVOCLAR, soldadora por puntos Phasder KUSS, Metacom horno de precalentamiento MANFREDI, batidora vacio JELENKO, mesa trabajo, chorro vapor, cerámica D.sing, In ceram. Tel. 913513535, Col.1147 CPDCM Jorge.

VENDO prensa para muflas marca Sirio en perfecto estado. Usada durante un año y comprada en 2009 nueva, precio a convenir Tel. 646887128, colegiado Coprodecyl 381, Valladolid.

VENDO Motor DEMCO con muy poco uso 700 €, Mario Demetrio Lopez, colegiado número 66 CPPDA lopezden@hotmail.es

SE VENDE, mesa laboratorio ERIO sole, un puesto con aspiración y micromotor MF PERFECTA buen estado. Puedo enviar fotos 2. 000 € Tel. 670986795 col. 1166 CPPDA Málaga.

VENDO pantógrafo Zirkonzhan 025 EKO con 5º eje para el fresado manual en seco de circonio. Precio 1.000 €. Tel. 675576720, correo electrónico esteticadentale@hotmail.com, Carlo, colegiado 186 de Andalucia.

VENDO fundidora Ducatron Quattro y horno cilindros Ugin Programat 50 con muy poco uso, como nuevos, 6.500 € y 1.800 € respectivamente, escáner dental Wings serie 3 de Wieland 4.000 €, Colegiado 80 Extremadura. Tel. 606772023 José Mª.

VENDO fundidora Ugin Inducast por no usar, precio 4.000€. Licencia Sanitaria PSM-54/14. Tel. 61577177 Eduardo.

VENDO horno cerámica Multimat C. (Con bomba).Por inactividad. Menos de una semana de uso, re-

galo cerámicas, maquillajes y pinceles Ceramco y placa humidificadora de cerámica Rainbow. 2.000€, contactar whatsapp 600229160. Colegiado 1081 Andalucia.

VENDO horno de inyección EP600 IVOCLAR, soldadora por puntos Phasder KUSS, Metaco m horno de precalentamiento MANFREDI, batidora vacio JELENKO, mesa trabajo, chorro vapor, cerámica D.sing, In ceram. Tel. 913513535, Col.1147 CPDCM Jorge.

VENDO articulador Amann Girrbach Artex Carbon CR con pletinas arco facial y transportador por 1500 € más MICROFRESADORA AMANN AF 350 por 2500 € dispongo también de cerámica emax con impulse precio a convenir. Tel. contacto 686162369 o al correo almomedina@hotmail.com. Colegiado 2057 Andalucía.

SE VENDE escáner 3D para laboratorio dental modelo 3 Shape D700, acompañado de su kit de calibración. Scanner en perfecto estado de conservación. Precio 4.000€. Colegiado 205 Andalucía, Tel.. 605161149, Jorge dentalpiosa@gmail.com.

SE VENDE horno de cerámica Ivoclar Programat P-80 con bomba de vacío en perfecto funcionamiento. Envío foto vía whatssap a los interesados. Precio 1000 Euros. Colegiado nº 547-CPPDA. T.fno.: 625395630. Lojident@hotmail. com. Antonio Jimenez Piñero.

SE VENDEN discos Lava Esthetic 98 mm de 14mm (99€) y 18mm (125€) de circonio para uso dental colores Bleach, B1, A2, A3, A3.5, D2. Interesados llamar a 648021236 N° de colegiado 315 de colegio profesional de protésico de Andalucía.

SE VENDE inductora de metal, marca: GALLONY, modelo: OKAY PLUS. (2.500€). Laboratorio Dental Roberto García. Colegiado nº 76 de Aragón. Tel.: 976533516. .Info@laboratorioro-

bertogarcia.es.

VENDO en su totalidad ó por partes 800 grs. de metal TILITE-P de TALLADIUM POR 500€ y cerámica VITA VM 13 A 25€ los 50 grs. (todos los colores 3D-en 12 grs.- y casi todos los normales en 50 grs.), regalos colorantes de cualquier tipo. Tel. 620732625 Carlos colegiado nº28 de Santa Cruz De Tenerife.

VENDO Inductora de metal Marca: Gallony, modelo: Okay Plus, 2.500€. Tel. 976533516, Roberto colegiado 76 Aragón.

SE VENDE sistema GIROFORM para modelos desmontables 850€, contacto Juan Yarza, Tel. 976333241, colegiado 167 Aragón.

SE VENDE escáner 3SHAPE D700, perfecto estado (muy bien cuidado) en su embalaje original y con el kit de calibración (incluido DOONGLE). Magnífica oportunidad 2.900 euros. Colegiado 35 de Navarra. Tel. 657576462 Andrés.

SE VENDE maquinaria Prótesis dental de segunda mano y material fungible esqueléticos. Oferta muy interesante, precio negociable urge vender. Horno precalentamiento Emmevi Furn DM40, Arenadora Mestra, soplete,.... Metal Vitalium para esqueléticos, metal Pisces Williams para implantes. Fresas, discos, conos para pulir, discos de corte, cilindros etc... Todo tipo de ceras, pulir, bebederos, preformas etc. Colegiada 6 Extremadura. Tel. 619021251 Mar.

SE VENDE fresadora ROLAND DWX-50 - En Canarias. Se encuentra en excelentes condiciones. Para mas información, contactar_salvi3d@gmail.com.

Para publicar en esta sección, enviar un correo a: info@consejoprotesicosdentales.org

ANUNCIOS BREVES Nº 217 | Junio 2023 dental PRÓTESIS 51

dental PRÓTESIS

DIRECTORIO DE COLEGIOS

Colegio Oficial de Protésicos Dentales de Alicante

C/ San Carlos 134-1º

03013- ALICANTE

Tf. 965146937

www.coproda.es

Email: info@coproda.es

Colegio Profesional de Protésicos Dentales de Andalucía

C/ Aragón, 23 Local 41006 SEVILLA

Tf. 954641546

www.cppda.es

Email: cppda@cppda.es

Colegio Profesional de Protésicos Dentales de Aragón

Centro Empresarial Parque Roma

C/ Vicente Berdusan, Bloque D-1 Bajos 50010 ZARAGOZA

Tf. 976460332

www.coppda.com

Email: coppda@coppda.com

Colegio Profesional de Protésicos Dentales del Principado de Asturias

C/ Río Caudal 7 entlo. F 33011 OVIEDO

Tf. 985294218

www.protesicosdentalesasturias.com

Email: buzon@protesicosdentalesasturias.com

Colegio Profesional de Protésicos Dentales de Islas Baleares

C/ Cima 17, local 9 07011 PALMA DE MALLORCA

Tf. 971777574

www.coprodib.org

Email: coprodib@gmail.com

Colegio Profesional de Protésicos Dentales de Cantabria

C/ Los Escalantes, 5 Ppal. Izq. 39002 SANTANDER

Tf. 942362764

www.cprotcan.com

Email: protesicoscantabria@gmail.com

Colegio Oficial de Protésicos Dentales de Castellón y Valencia

C/ Ciudad del Aprendiz, 3 Bajo 46017 Valencia

Tf. 963471840

www.cprotcv.org

Email: valencia@cprotcv.org

Colegio Oficial de Protésicos Dentales de Castilla-La Mancha

C/ Dr. Bornadel, 15- Of.3 Edif. Juan de Austria 13600 ALCÁZAR DE S. JUAN

Tf. 926551301

www.protesicosdentales.es

Email: colegio@protesicosdentales.org

Colegio Profesional de Protésicos Dentales de Castilla y León Carretera de Rueda, 17 Local Izquierdo

47008 VALLADOLID

Tf. 983477117

www.coprodecyl.com

Email: coprodecyl@gmail.com

Colegio Oficial de Protésicos Dentales de Cataluña

C/ Provença, 337- 3º I

08037 BARCELONA

Tf. 934576499

www.copdec.es

Email: copdec@copdec.es

Colegio Profesional de Protésicos Dentales de Extremadura

Avda. de Numancia, 1 06800 MERIDA

Tf. 924373638

www.colprodentaex.com

Email: colegioextremadura@colprodentaex.com

Colegio Oficial de Protésicos Dentales de Galicia

C/ del Hórreo, 7 -1º Izq.

15702 Santiago de Compostela -A CORUÑA

Tf. 981571017

www.coprodega.es

Email: coprodega@coprodega.es

Colegio Profesional de Protésicos Dentales de la Rioja

Avda. de La Rioja, 6 - 6º A 26001 LOGROÑO

Tf. 941258467

www.protesicosdentalesrioja.com

Email.info@protesicosdentalesrioja.com

Colegio Profesional de Protésicos Dentales de las Palmas

Urb. Residencial Reina Mercedes I – Local 5º

35012 Las Palmas de Gran Canarias

Tf. 928361000

www.protesicoslaspalmas.com

Email.cppdlaspalmas@infomed.es

Colegio Profesional de Protésicos Dentales de la Comunidad de Madrid

C/ Dcotor Esquerdo, 166 -1º E. 28007 Madrid

Tf. 917580238/917580239

www.colprodecam.org

Email.info@colprodecam.org

Colegio Profesional de Protésicos Dentales de la Región de Murcia

C/ Santa Teresa, 19 entresuelo 1º C 30005 MURCIA

Tf. 968217247

www.colegioprotesicosmurcia.es

Email: info@colegioprotesicosmurcia.es

Colegio Profesional de Protésicos Dentales de la Comunidad Foral de Navarra

C/ Monasterio de Yarte, 1 Bajo 31011 PAMPLONA

Tf. 948251875

www.copdna.es

Email: copdna@outlook.es

Colegio Profesional de Protésicos Dentales de Santa Cruz de Tenerife

C/ Pedro Modesto Campos,4 Piso 1º Of. 2

Ed. Los Dragos 38006 SANTA CRUZ DE TENERIFE

Tf. 822012531/628137142

www.colprotfe.es

Email: colprotfe@gmail.es

Asociación de Técnicos en Prótesis Dental del País Vasco

Aldaieta Bidea, 7 – Lonja

48950 – Astrabudua (VIZCAYA)

Tf. 944 171 097

www.euskalprotesis.com

Email: euskalprotesis@gmail.com

Si estás interesado en publicar tu anuncio en Dental Prótesis, envíanos un email a:

info@consejoprotesicosdentales.org

Nº 217 | Junio 2023
52

En Alda Hotels contamos con alojamientos en Galicia, Asturias, Cantabria, Castilla y León, Castilla-La Mancha, Navarra y Aragón.

Reserva tu próximo viaje con Alda Hotels. Garantizado un 10% de descuento en nuestra web.

Al utilizar el código ALDAHOTELS reservando en nuestra página web, consigue un 5% de descuento extra*.

Ofrecemos diferentes tipos de alojamiento para clientes de ocio y empresa, con tarifas especiales, promociones y largas estancias.

*No acumulable a otras promociones.

Infórmate en www.aldahotels.es o escríbenos por correo electrónico.

comercial@aldahotels.com

Nº 217 | Junio 2023
54 alda hotels BEST PRICE, LOCATION AND SERVICE
DIRECTORIO DE COLEGIOS dental PRÓTESIS

Turn static files into dynamic content formats.

Create a flipbook
Issuu converts static files into: digital portfolios, online yearbooks, online catalogs, digital photo albums and more. Sign up and create your flipbook.