DENTAL PRÓTESIS Nº224

Page 1


TÉCNICOS

- Impulso, innovación, IDS: la feria líder mundial conduce a la industria

COLEGIOS PROFESIONALES -

Edita: Consejo General de Colegios de Protésicos Dentales de España

Bulevar de José Prat 5, 28032 Madrid Tel.: +34 91 571 05 84 www.consejoprotesicosdentales.org | info@consejoprotesicosdentales.org

dental PRÓTESIS no se identifica, necesariamente, con las opiniones manifestadas en sus páginas, así como de la información contenida en los anuncios publicitarios.

Si eres colegiado y deseas recibir la revista por correo postal, puedes enviar un email solicitándolo a: dentalprotesis@consejoprotesicosdentales.org

dEfEnsa ProfEsional: consultas a través del correo: dentalprotesis@consejoprotesicosdentales.org anuncios brEvEs: dentalprotesis@consejoprotesicosdentales.org

dirEcción dE la rEvista: Felicia Novalbos

comisión dE la rEvista: Pablo Tortosa Tortosa, Alejandro Díaz Pérez ImprIme: Editorial MIC, Tel. 902 271 902 | www.editorialmic.com

VITA LUMEX AC: Estabilidad del color y la forma para alcanzar el objetivo

Dr. Jorge Carro Juárez

Odontólogo y protésico dental, Panotla, Tlaxcala (México)

El objetivo de una restauración es imitar a la perfección la apariencia individual de la sustancia dental dura natural. Este principio se aplica sobre todo en la zona estética, especialmente cuando se trata un único diente anterior. En la reproducción con cerámica de recubri-

go y protésico dental Jorge Carro Juárez (Panotla, Tlaxcala, México) se encarga de la totalidad del tratamiento de sus pacientes, de modo que es el indicado en casos de reconstrucciones complejas. En el siguiente artículo, muestra cómo la cerámica de recubrimiento univer-

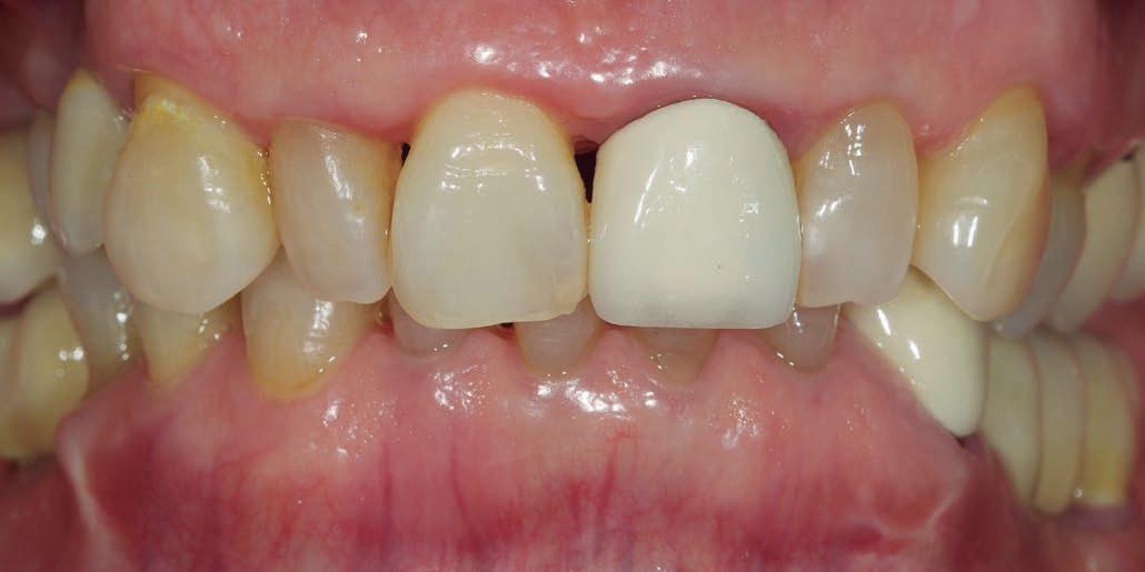
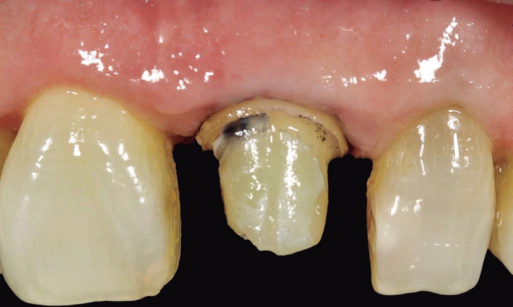
nica se observó una única corona VMK en el diente 21. La antigua restauración presentaba un aspecto inexpresivo en comparación con la sustancia dental dura natural, y su color no armonizaba en absoluto. Además, era visible un borde metálico antiestético en la zona del

miento, la estabilidad de cocción en cuanto al color y la forma es un factor clave para que el protésico dental pueda entregar un producto personalizado. La morfología creada mediante el pincel debería reproducirse tras la cocción sobre el material de estructura. Para poder trabajar de forma predecible, un color A3 procedente del frasco de cerámica debería seguir siendo un A3 tras la cocción. El odontólo-

sal VITA LUMEX AC para disilicato de litio, feldespato, dióxido de circonio y titanio le ayuda a obtener una estética excelente y absolutamente personalizada en pocos pasos de recubrimiento.

El caso clínico

Una paciente de 64 años estaba insatisfecha con la estética de su sonrisa. Durante la exploración clí-

límite de la preparación, y la morfología no encajaba en la arcada dentaria. Se decidió restaurar el diente con una nueva corona de cerámica integral. Se utilizaría el dióxido de circonio VITA YZ T como material de estructura cromáticamente fiel y enmascarador en la profundidad.

1 Igiel C, Lehmann KM, Ghinea R, Weyhrauch M, Hangx Y, Scheller H, Paravina RD. Reliability of visual and instrumental color matching. J Esthet Restor Dent 2017 Sep; 29(5): 303-308.

Sobre la estructura estable y precisa confeccionada con asistencia CAD/CAM debían reproducirse todos los matices cromáticos y la compleja morfología de la sustancia dental dura mediante la cerámica vítrea reforzada con leucita VITA LUMEX AC.

Determinación del color dental y trabajo de laboratorio

En una primera sesión, se determinó digitalmente el color dental utilizando el espectrofotómetro VITA Easyshade V. Se ha demostrado que la medición independiente del entorno es más precisa que la realizada por el ojo humano.1 En este caso, se llevó a cabo una medición de tres puntos en las zonas cervical, central e incisal del núcleo de dentina, a fin de determinar el color dental básico A2 adecuado. A continuación, se rajó y retiró la corona VMK y se procedió a la preparación meticulosa del muñón. Tras la colocación de un hilo de retracción, se tomaron impresiones de precisión y del maxilar antagonista y, sobre esta base, se confeccionaron y articularon los modelos. Se escaneó el modelo maestro del maxilar superior mediante el escáner de laboratorio InEos X5 y se diseñó la estructura en el software CAD inLab para, a continuación, confeccionarla en el equipo de fresado MC X5 (todo de Dentsply Sirona, Bensheim, Alemania) y sinterizarla. Después del control de ajuste en el modelo maestro, se pudo iniciar el recubrimiento cerámico.

Control del color y de la translucidez

Se empezó con VITA LUMEX AC POWERWASH A2, a fin de regular la fluorescencia desde la profundidad, potenciar el color dental básico y lograr una unión segura a la estructura. Tras la cocción wash, se estratificó el núcleo de dentina con DENTINE A2 conforme al color dental básico determinado. Se utilizó TRANSLUCENT waterdrop azul claro para incorporar efectos de esmalte translúcidos en la zona de los flancos y por incisal. Tras la primera cocción de la dentina, se estratificó el esmalte con una mezcla de ENAMEL clear (70 %) y OPAQUE DENTINE A2 (30 %) para reforzar aún más el color dental básico también en la zona del esmalte y controlar selectivamente la translucidez y la transición de translucidez. Para la incorporación de las crestas del esmalte pronunciadas y la creación de la morfología definitiva se utilizó una mezcla equilibrada de OPAL TRANSLUCENT opal-neutral (25 %), PEARL shell (25 %) y ENAMEL clear (50 %). Gracias a la excelente microindentación de las partículas de cerámica y a su resultante estabilidad, fue posible configurar mediante el pincel la morfología deseada. Tras la segunda cocción de la dentina, la corona estaba lista para el acabado. Por último, se caracterizó mínimamente con los maquillajes VITA AKZENT Plus ES06 (auburn) en la zona marginal cervical y de manera puntual en la zona incisal, así como de forma alterna

con ES13 (grey) y ES02 (cream) en la zona de las protuberancias horizontales del esmalte, y se glaseó la superficie con VITA AKZENT Plus GLAZE LT.

Alcanzar el objetivo de forma predecible y eficiente

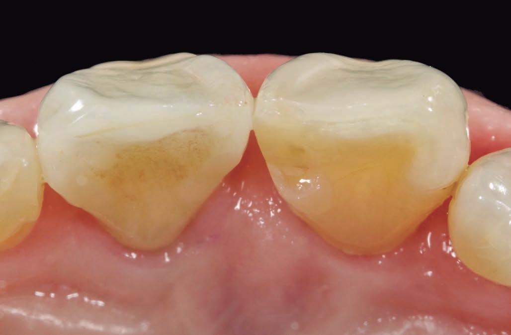
Pese a la morfología y al efecto cromático inusualmente complejos, mediante VITA LUMEX AC fue posible alcanzar un resultado de restauración que se integraba de forma armoniosa en la arcada dentaria natural. La estabilidad morfológica y la fidelidad cromática tras la cocción permitieron crear la restauración de manera predecible y eficiente. Aquello que se había planificado en el marco del protocolo de estratificación es lo que se obtuvo al final en la reproducción cerámica. Una gran ventaja reside en la fidelidad cromática a los dos estándares de color de VITA: VITA LUMEX AC reproduce el color con absoluta precisión en la estratificación convencional con OPAQUE DENTINE, DENTINE y ENAMEL. El uso selectivo de materiales de efectos permite incorporar el toque personalizado. Gracias a ello, tampoco en este caso fue necesaria una trabajosa cocción de corrección e incluso pudo completarse con rapidez el acabado, ya que también fue posible incorporar la textura mediante el pincel con anterioridad. La paciente quedó absolutamente satisfecha con la excelente estética de la restauración.

Fuente: VITA

dental PRÓTESIS

REPORTAJE TÉCNICO

Figs. 2: El color dental se determinó con precisión pulsando un botón mediante el espectrofotómetro VITA Easyshade V
Figs. 3: Visualización en pantalla de la medición de tres puntos realizada en los dos estándares de color VITA

El talento que mueve el futuro de la Odontología

18 Sep 2025

Hay estudiantes, profesionales, entidades y empresas que destacan por su capacidad innovadora y se merecen un premio.

¿Eres uno de ellos? ¡Te esperamos!

¡Consulta las bases!

Organiza: Impulsa:

dental PRÓTESIS

REPORTAJE TÉCNICO

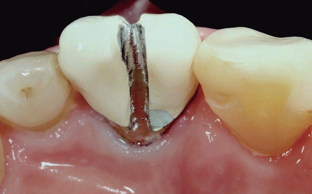
Fig. 4: Se rajó mediante un diamante grueso la antigua corona VMK
Fig. 5: La situación poco antes de la retirada de la antigua corona VMK
Figs. 6: Estado del muñón dental en el diente 21 antes de la preparación
Fig. 7::Se utilizó silicona de precisión para tomar la impresión del muñón preparado en el diente 21

dental PRÓTESIS

REPORTAJE TÉCNICO

Fig. 8: Sobre la base de la impresión se creó un modelo maestro de yeso superduro
Fig. 9: El modelo del maxilar superior se digitalizó mediante el escáner de laboratorio

REPORTAJE TÉCNICO

Fig.10: Se estableció el límite de la preparación en el software CAD
Fig.11: La estructura de soporte se diseñó virtualmente con el dióxido de circonio VITA YZ T A2

dental PRÓTESIS

REPORTAJE TÉCNICO

se ajustó de manera precisa

Fig. 12: La estructura de soporte ya diseñada, antes de la confección sustractiva en el equipo de fresado MC X5
Fig. 13: La estructura de soporte de dióxido de circonio VITA YZ T A2
Fig. 14: La cocción wash con VITA LUMEX AC POWERWASH A2
Fig. 15: El resultado sobre el modelo maestro tras la cocción wash

dental PRÓTESIS

Fig. 16: Vista desde palatino del resultado de la cocción wash
Fig. 17: Vista palatina del modelado del núcleo de dentina con DENTINE A2

CAM-Ad-protesicos_175x125_cmyk-sinsangre.pdf 1 03/04/2025 10:51:37

dental PRÓTESIS

REPORTAJE TÉCNICO

Fig. 19: La estratificación vestibular del núcleo de dentina con DENTINE A2
Fig. 20: La corona tras la nivelación de las zonas proximales del núcleo de dentina

REPORTAJE TÉCNICO

Fig. 21: Estratificación de TRANSLUCENT waterdrop a lo largo del borde incisal
Fig. 22: El resultado intermedio tras la primera cocción de la dentina

REPORTAJE TÉCNICO

Fig. 23: Morfología del esmalte con OPAL TRANSLUCENT opal-neutral, PEARL shell y ENAMEL clear
Fig. 24: La microindentación de VITA LUMEX AC permitió modelar la compleja morfología del esmalte

dental PRÓTESIS

REPORTAJE TÉCNICO

Fig. 25: La manipulación selectiva con el pincel posibilitó el acabado de la compleja morfología superficial
Fig. 26: Vista desde incisal de la estratificación morfológicamente compleja

dental PRÓTESIS

REPORTAJE TÉCNICO

Fig. . 27: Tras la cocción final y un acabado mínimo, se puso de manifiesto la elevada estabilidad de cocción de VITA LUMEX AC
Fig. . 28: Fue posible reproducir con fidelidad al detalle la compleja morfología superficial

REPORTAJE TÉCNICO

Fig. . 29: El muñón preparado y limpio, con la encía libre de inflamación
Fig. . 30: Mediante una guía de colores de desarrollo propio se comprobó el grado de fluorescencia adecuado

dental PRÓTESIS

REPORTAJE TÉCNICO

Fig. . 31: El grado de opacidad de los materiales VITA LUMEX AC guarda correlación directa con la intensidad de la fluorescencia
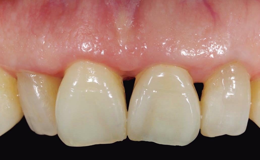
Fig. . 32: Vista desde incisal de la corona tras la colocación definitiva
Fig. . 33: La cerámica de recubrimiento VITA LUMEX AC permitió alcanzar de manera eficiente una estética excelente y compleja

dental PRÓTESIS

Un estudio del Ministerio de Sanidad confirma un resurgimiento de la silicosis en España

Un estudio del Ministerio de Sanidad revela un resurgimiento de la silicosis en España, una enfermedad respiratoria incurable causada por la inhalación de sílice cristalina.

Aunque históricamente se consideraba una enfermedad del pasado asociada a la minería, los casos han aumentado en las últimas décadas, afectando a nuevos sectores industriales, como la fabricación y la manipulación de aglomerados de cuarzo (o piedra artificial), utilizados en encimeras de cocina y baños

Estas circunstancias han propiciado que diferentes agencias sanitarias nacionales hayan reevaluado en la última década los riesgos de la sílice cristalina respirable, mostrando su impacto más allá de la propia silicosis, destacando en particular el cáncer de pulmón o patologías respiratorias y cardíacas.

El objetivo del informe La reemergencia de la Silicosis en España es caracterizar esa reemergencia y medir la magnitud del problema, identificar los principales sectores productivos generadores de la enfermedad, así como la distribución

geográfica de la silicosis en nuestro país.

Desde 2007 a 2024 se han comunicado en España 5.900 partes por silicosis, 520 en el año 2024. Además, desde 2018 se han notificado 46 partes de cáncer de pulmón por exposición a sílice, 19 de ellos en el año 2024. Casi la mitad de los partes por silicosis (47,8%) se han registrado en la fabricación y manipulación de aglomerados de cuarzo y en el procesado de piedra natural (granito y pizarra, principalmente). La construcción, la extracción de otros minerales no metálicos ni

energéticos, y la metalurgia completan los principales sectores implicados en esta reemergencia.

La investigación también ha constatado el aumento de los procesos asistenciales por silicosis como diagnóstico principal en trabajado-

tre 1990 y 2019.

El sector de la "Fabricación de otros productos minerales no metálicos" acumula el 50% de los casos.

Galicia es la comunidad autóno-

Los costes sanitarios directos de la asistencia a los casos de silicosis corren a cargo del propio Sistema Nacional de Salud, que financió el 97,5% de los procesos asistenciales entre 1997 y 2020.

res jóvenes. Estos procesos siguen estando sometidos a un elevado nivel de infra-reconocimiento como enfermedad profesional, lo que implica la socialización de los costes asistenciales por el Sistema Nacional de Salud.

Principales hallazgos del estudio:

Se registraron 4.418 partes de enfermedad profesional causada por exposición a la sílice cristalina en-

ma con mayor número de casos (32,9%), seguida de Castilla y León (14%) y Andalucía (10,3%).

Se observa un aumento de casos en trabajadores más jóvenes y una disminución en la edad mediana de los pacientes atendidos por silicosis.

Los trabajadores expuestos a sílice cristalina pueden desarrollar otras enfermedades, como patologías respiratorias, cardíacas o cáncer de pulmón.

Se han registrado 4.418 defunciones por silicosis entre 1990 y 2020.

Recomendaciones:

Continuar el estudio de la silicosis y otras enfermedades laborales asociadas a la exposición a la sílice cristalina, mediante un estudio cualitativo que permita conocer en mayor detalle la situación sanitaria y médico-legal de los afectados.

Reconocer el origen laboral de los procesos asistenciales por silicosis,

para lograr una mayor contribución del sistema de Seguridad Social a la financiación de los costes asistenciales generados en el Sistema Nacional de Salud.

Extender el reconocimiento de enfermedad profesional causada por la sílice cristalina a enfermedades inmunomediadas sistémicas, tales como la esclerodermia sistémica, la artritis reumatoide o el lupus sistémico.

Profundizar en el estudio de las condiciones y sectores de exposición de las mujeres expuestas a la sílice cristalina, para una mejor comprensión de la extensión epidemiológica de los riesgos de la sílice cristalina.

Proporcionar en los registros del RAE-CMBD y BDCAP un identificador individual de paciente anonimizado, que permita estudiar los itinerarios asistenciales de los afectados.

Extremar las medidas de vigilancia y seguimiento sobre los principales sectores productivos que están en el origen de la reemergencia de la silicosis en España para conocer con detalle la evolución del número de casos en los mismos.

Considerar la prohibición de los aglomerados de cuarzo o la reglamentación mucho más estricta del

trabajo con estos materiales, siguiendo el ejemplo de otros Estados como Australia o California.

Este estudio subraya la necesidad de una mayor atención y acción coordinada de la administración pública para abordar la reemergencia de la silicosis en España, con el fin de proteger la salud de los trabajadores y garantizar una adecuada atención sanitaria y reconocimiento de los derechos de los afectados.

Fuente: Ministerio de Sanidad

Expodental 2026

Tras el éxito de 16 ediciones celebradas, con un importante crecimiento tanto en visitantes como en superficie de exposición, el salón se presenta como la cita clave e ineludible para la industria dental donde mostrar las innovaciones, las novedades tecnológicas y el mundo digital que está transformando el sector dental.

Un punto de encuentro de la industria con odontólogos, higienistas, protésicos y auxiliares.

Expodental sigue apostando por la Formación, con un sector específico donde universidades y centros de formación presenten sus programas académicos tanto de grado, postgrado como de formación

continuada.

Durante Expodental además habrá un completo programa de conferencias que acercan las tendencias más recientes al público profesional que vista el evento.

Expodental sigue consolidándose como el evento clave para la industria dental, un punto de encuentro indispensable para odontólogos, higienistas, protésicos y auxiliares. El salón ofrece una plataforma única para mostrar las innovaciones, novedades tecnológicas y avances en el mundo digital que están transformando el sector dental.

Tras el rotundo éxito de su última edición, con cerca de 30.000 visi-

tantes profesionales y la participación de 375 empresas, Expodental vuelve con más fuerza y energía, ofreciendo nuevas propuestas al conjunto de la industria que contribuyan a dinamizar y facilitar su interacción comercial.

Con el respaldo de un sector en constante evolución, la feria reafirma su papel como referente nacional e internacional. El cambio de fechas y horario está diseñado para mejorar la experiencia de los participantes, creando un entorno más profesional y dinámico que facilite la asistencia y potencie el networking.

Fuente: IFEMA/EXPODENTAL

dental PRÓTESIS

NOTICIAS

Quinto Barómetro de Periodismo Sanitario 2024

El Quinto Barómetro de Periodismo Sanitario, estudio que busca ser una radiografía actualizada del sector identificando sus principales retos y áreas de mejora, se realizó en noviembre de 2024 mediante la

Resultados

clave del barómetro

Trayectoria y envejecimiento profesional. El periodista sanitario promedio tiene 21,9 años de experiencia en el sector y 16,9 años

encuesta a 79 profesionales de la Asociación Nacional de Informadores de la Salud (ANIS).

Entre los resultados más destacados de esta edición, cabe resaltar que la trayectoria promedio entre los periodistas sanitarios está en más de 20 años, que existe una manifiesta disparidad salarial y laboral según su área de trabajo y que, tras analizar las condiciones laborales y profesionales de los periodistas especializados en salud, ha puesto de manifiesto la necesidad de mejoras salariales. Asimismo, existe una percepción de decadencia en el periodismo sanitario.

centrados en información de salud. Este dato refleja un “envejecimiento” profesional, con escasa renovación generacional y menor presencia de perfiles jóvenes.

Ámbitos de desempeño profesional y condiciones laborales. Las principales áreas de trabajo son los gabinetes de prensa de instituciones o centros sanitarios públicos, con un 38,6% de profesionales, un 22,3% en medios de comunicación y agencias de prensa y un 14,8% en gabinetes de comunicación de colegios profesionales, asociaciones de pacientes y sociedades científicas.

Además, este estudio evidencia disparidades laborales entre los gabinetes de prensa en empresas privadas (farmacéuticas, centros sanitarios privados), que ofrecen las mejores condiciones salariales y laborales, frente a las agencias de comunicación, que presentan mayor precariedad.

Por otro lado, la mayoría de los periodistas cuentan con un contrato indefinido a tiempo completo, lo que supone una mejoría respecto a las cifras del año pasado, y las retribuciones tienen de media 2.247 euros netos mensuales, un incremento respecto a 2023, que era de 2.131 euros.

Los salarios más altos se concentran en gabinetes privados (centros sanitarios y farmacéuticas), mientras que el 10% de los profesionales en agencias no alcanza los 1.000 euros mensuales.

Entre las preocupaciones laborales, los encuestados destacan las retribuciones, las formaciones y el reconocimiento profesional como las áreas clave señaladas para mejorar la profesión y la carga de trabajo con un 58,4% de periodistas reportando mayor carga laboral no compensada.

“El diagnóstico del V Barómetro Sanitario se resume en una erosión de la profesión, que desgasta a la profesión y su futuro. Podemos decir, que son pequeñas señales de alarma, que hay que tener en cuenta en una asociación como ANIS”, José Maria San Segundo, director del Grupo de Análisis e Investigación.

Desafíos y reflexiones sobre el sector

Los resultados del barómetro ponen de manifiesto la necesidad de

Comparativa del Quinto y Cuarto Barómetro de Periodismo Sanitario

Mejoras salariales moderadas: El salario medio aumentó de 131 euros (2023) a 2.247 euros (2024), aunque persisten grandes desigualdades entre áreas.

Trayectoria profesional en ascenso: La experiencia media en periodismo sanitario pasó de 20,3 años (2023) a 21,9 años (2024), lo que refleja el envejecimiento del sector.

Retroceso en la percepción del sector: En 2024, más del 22% de los periodistas considera que el periodismo sanitario está en decadencia, frente a un 10,3% en 2023.

Fuente: Asociación Nacional de Informadores de la Salud

fomentar la especialización, revalorizar la profesión y mejorar la estabilidad laboral. A pesar del crecimiento en algunas áreas, los datos evidencian un entorno con desafíos en reconocimiento, retribución y condiciones laborales.

dental PRÓTESIS

NOTICIAS

Impulso, innovación, IDS: la feria líder mundial conduce a la industria dental hacia el futuro

Para muchos participantes, la Exhibición Dental Internacional 2025 ha sido algo más que un simple encuentro del sector: ha representado un enfoque común de un mundo odontológico orientado al futuro, cada vez más digitalizado e interconectado. La gran expectación de las empresas, consultas dentales y los laboratorios participantes se hizo notar claramenteen los pabellones de la exposición: hubo muchos encuentros y en conversaciones en persona se discutieron e intercambiaron ideas y soluciones. Además, los pabellones se caracterizaron por un alto grado de internacionalidad: la industria dental mundial estuvo visiblemente re-

presentada, tanto por parte de los expositores como de los visitantes.

Más de 2 000 empresas de más de 60 países presentaron una amplia gama de productos médico-odontológicos y protésicos, con un nivel visiblemente elevado de motiva-

mania. La edición de IDS de este año demostró así lo que es posible cuando una industria se une.

La 41ª IDS concluyó el 29 de marzo de 2025 con un convincente resultado global que no solo superó las cifras de IDS 2023, sino que confir-

ción, así como de profundidad y variedad técnica. Los más de 135 000 visitantes procedentes de 156 países respondieron a este compromiso con apertura y voluntad de invertir. A pesar de las incertidumbres geopolíticas y los retos económicos actuales, el número de visitantes profesionales aumentó en más de un 15% en comparación con la edición anterior, con un incremento especialmente fuerte de la asistencia procedente de Ale-

mó su pretensión de ser un referente internacional en términos de calidad, alcance y relevancia técnica. Una vez más ha quedado claro que Alemania es un centro neurálgico de innovación en el mundo dental y que la sede ferial de Colonia es el motor activo del futuro del sector.

«Una vez más, IDS ha vuelto a superar con creces nuestras expectativas. En general, creemos que la industria dental alemana ocupa una excelente posición en la competen-

dental PRÓTESIS

cia internacional y se encuentra a la vanguardia de la innovación. Esto se refleja también en el gran interés que suscitan los productos innovadores y las soluciones de sistema. IDS es el punto de referencia para la industria dental mundial», afirma Mark Stephen Pace, presidente de la Asociación de la Industria Dental Alemana (VDDI / Verband derDeutschen Dental-Industrie).

«IDS 2025 ha sido un auténtico éxito en todos los aspectos. Ha demostrado que 2/3 Colonia no es solo la cuna de la industria dental, sino también un lugar donde se está forjando el futuro. Como feria líder mundial, es a la vez un escaparate y una fuerza motriz para el progreso sostenible, la calidad asistencial y las colaboraciones globales», añade Oliver Frese, Chief Operating Officer de Koelnmesse. Con herramientas digitales como la aplicación IDS e IDSconnect, así como formatos específicos para jóvenes

profesionales, IDS 2025 respondió una vez más a las necesidades de un mundo odontológico moderno y conectado en red. Así pues, la feria líder mundial no solo ha sido un escaparate de innovaciones, sino también una plataforma de intercambio entre generaciones y fronteras. Encuentros y visión de futuro: la Asociación Odontológica Alemana (BZÄK) y la Asociación Alemana de Protésicos Dentales (VDZI) elogian IDS 2025 como plataforma para intercambiar ideas y construir el futuro «En tiempos en los que el progreso tecnológico y las soluciones digitales avanzan con tanta rapidez, es más importante que nunca que trabajemos juntos como comunidad en la industria dental. IDS nos ofrece la oportunidad de compartir las mejores prácticas para que en el futuro nuestros pacientes sigan disponiendo de una odontología accesible y cercana», resume el Prof. Dr. Christoph Benz, presidente de la Asociación Odon-

tológica Alemana (BZÄK).

Para Dominik Kruchen, presidente de la Asociación Alemana de Protésicos Dentales (VDZI), IDS 2025 también ha sido todo un éxito: «La edición de IDS de este año ha confirmado que sigue siendo la feria líder para un gran número de laboratorios dentales. Aquí, los laboratorios examinan de cerca las nuevas tecnologías, materiales y flujos de trabajo, y buscan los nuevos productos y soluciones revolucionarios en el campo de la protésica dental, y lo hacen con visión empresarial y experiencia profesional. Las decisiones de inversión se estudian detenidamente con vistas a su aplicación en el laboratorio. La presencia de muchos aprendices en los pabellones feriales nos demuestra que nuestra próxima generación también se está preparando para su papel en la protésica dental del futuro».

Fuente: IDS

VITA Rocks 2025

Colaboran y participan

TPD. PEDRO PERALES
TPD. JOSE M. FONOLLOSA
LUKEN DE ARBELOA
TPD. PAOLO MORAZZINI
DR. PERI COLINO
PETER PIZZI
RUNE FISKER
SERGI GUIRAO TPD. SERGIO LOSAS DR. STEPHAN WEIß
TPD. FEDERICO RAMON
DR. VICTOR C. BLASCO
TPD. AINHOA FERNANDEZ
TPD. ALVARO GALAN
TPD. BARBARA CALERO
TPD. CARLOS ORTIZ
TPD. JAUME AISA TPD. JORGE REYES
TPD. MAR COLOMA
DRA.BEATRIZ M. NIETO
DR. JUANJO ITURRALDE

dental PRÓTESIS

NOTICIAS

4ª edición de VITA Rocks Jerez

Vita Rocks, en su 4º edición se traslada al sur, a la provincia de Cádiz, en concreto la ciudad de Jerez y más concretamente a una de las bodegas con más historia de España.

La bodega de GONZALEZ BYASS con 180 años de historia y unas instalaciones monumentales, acogerá el próximo 30 y 31 de mayo de 2025 la 4ª

edición de este evento bianual.

Es una oportunidad única para escuchar a ponentes nacionales e internacionales de primer nivel y observar de cerca una vez más a expertos seleccionados en numerosos talleres, todo ello en un ambiente agradable rodeado de colegas de profesión y de una exposición tecnológica donde colaboran las primeras

marcas del sector dental.

En este evento único del sector se ofrecerán: ponencias técnico -odontólogo, talleres en vivo, salas multifunción, algunas de las marcas expositoras más punteras dental, conferencias, música en directo, novedades VITA y mucho más.

Fuente: VITA

dental PRÓTESIS

Protocolo para barra microfresada con Locator

Organizado por el Colegio Profesional de Protésicos Dentales de Aragón, de la mano de del Centro de Formación Oficial en exocad, DentalCAD Academy y con Oscar García como ponente, el pasado 24 de enero, el citado Colegio Profesional, en su compromiso con la innovación y la formación continua, organizó el curso online especializado en diseño de barras microfresadas con sistema Locator y supraestructura, utilizando el software exocad.

Durante la formación, los colegiados exploraron paso a paso el protocolo digital para crear prótesis sobre implantes con máxima precisión. Desde la planificación de la barra microfresada hasta la integración de los attachments Locator y el diseño de la supraestructura, los participantes profundizaron en técnicas avanzadas de exocad para optimizar funcionalidad y estética.

El curso combinó teoría y prácti -

ca con demostraciones en tiempo real, casos clínicos y sesiones interactivas para resolver dudas. Los asistentes destacaron la utilidad de dominar estas herramientas, clave para ofrecer soluciones personalizadas y de vanguardia en rehabilitaciones complejas.

Diseño de supraestructura con rejilla esquelética sobre barra microfresada

El Colegio Profesional de Protésicos Dentales de Aragón, en colaboración con el Centro de Formación Oficial en exocad, DentalCAD Academy y con Oscar García como ponente, organizó el pasado mes de febrero el curso

Diseño de Supraestructura con rejilla esquelética sobre barra microfresada.

A lo largo de la formación, los participantes aprendieron, paso a paso, el protocolo digital para la creación de prótesis sobre implan -

tes, asegurando una precisión máxima. Además, se profundizó en la creación de subestructuras secundarias en PartialCAD y exocad, así como en técnicas avanzadas para mejorar tanto la funcionalidad como la estética.

Digitalización de prótesis dentales removibles

El 6 y 7 de marzo, el Colegio Profesional de Protésicos Dentales de Andalucía, en sus sedes de Málaga y Sevilla organizó sendos cursos para profundizar en la Digitalización de prótesis dentales removibles. Pedro Pablo Rodríguez (3Shape) y José Carlos Blasco (VITA) fueron los ponentes. A lo largo de los dos días se vió como diseñar digitalmente una prótesis dental completa mediante el software 3Shape, así como las diferentes opciones de terminación con materiales VITA, y viendo en detalle las diferentes opciones de diseño y fabricación de prótesisdentales removibles.

Protocolo de diseño de caso bimaxilar y corrección de mordida

El 7 de marzo, el Colegio Profesional de Protésicos Dentales de Aragón, en colaboración con DentalCAD Academy, organizó el curso Protocolo de diseño de caso bimaxilar y corrección mordida con Oscar García como ponente. En el mencionado curso se profundizó en los protocolos para el diseño de arcadas completas bimaxilares en exocad. Los asistentes aprendieron a optimizar cada paso del flujo digital, asegurando precisión, funcionalidad y estética en rehabilitaciones avanzadas.

El paciente virtual: diseño en la era digital

El 14 de marzo, el Colegio Profesional de Protésicos Dentales de Aragón organizó un curso presencial impartido por Eduardo García Fernández, sobre odontología digital aplicada a la prótesis dental, donde protésicos de diferentes niveles de experiencia pudieron descubrir el potencial del flujo de trabajo 100% digital.

Durante la formación, se abordaron los pilares fundamentales de la digitalización en el laboratorio, desde la segmentación de CBCT y la alineación de fotografías hasta la optimización de escaneados intraorales y la integración de

movimientos mandibulares reales en Exocad. La sesión incluyó una parte teórica y una demostración en vivo, permitiendo a los asistentes ver en directo cómo se desarrolla un caso clínico con herramientas digitales avanzadas.

Uno de los aspectos más interesantes del curso fue la diversidad del público. Por un lado, protésicos con experiencia en digital que buscaban perfeccionar su flujo de trabajo; por otro, profesionales en proceso de digitalización que encontraron en esta formación una base sólida para iniciarse en el mundo CAD-CAM.

Además, se debatió sobre la importancia de la impresión 3D en la prótesis actual y su precisión con resinas certificadas, lo que generó un gran interés entre los asistentes.

Este tipo de cursos reflejan la evolución del sector protésico y la necesidad de seguir formando a los protésicos dentales para ofrecer soluciones cada vez más precisas y eficientes. La digitalización no es el futuro, es el presente, y quienes la incorporen a su día a día marcarán la diferencia en la profesión.

dental PRÓTESIS

COLEGIOS PROFESIONALES

El flujo digital en el laboratorio protésico

En el Centro Empresarial Parque Roma, el pasado 17 de enero, el Colegio Profesional de Protésicos Dentales de Aragón organizó, junto a Todocadcam, una formación en la que se explicó el proceso del Flujo Digital en el sector dental.

dental PRÓTESIS

ANUNCIOS BREVES

OFERTAS

LABORATORIO en Les Corts de Barcelona, busca persona con estudios de prótesis dental acabados. Es indispensable tener un mínimo de experiencia y facilidad de aprendizaje y capacidad de ocupar diferentes áreas en el laboratorio, incorporación inmediata, email info@dacostalaboratori.com, Tel.: 722616734 colegiado 1527 Catalunya.

BUSCAMOS ceramista con experiencia y capacidad de trabajar en equipo, incorporación inmediata, email info@dacostalaboratori.com, Tel.: 722616734 colegiado 1527 Catalunya.

SE NECESITA protésico dental y ceramista con experiencia en encerado de estructura, repasado y montaje de cerámica para laboratorio en zona sur de Alicante. Interesados llamar al Tel.: 966780412, col. nº 9 Alicante.

SE BUSCA ceramista con experiencia para laboratorio en Barcelona, llamar al Tel.: 639157848, Sr. Francisco, colegiado 677 COPDEC.

BUSCAMOS protésico dental para laboratorio dental en Ávila. Con buenos conocimientos generales y buena predisposición. Incorporación a pequeño equipo con buen ambiente de trabajo con las últimas tecnologías y buenas expectativas de futuro. Información Tel.: 920250320, colegiado 49 Castilla y León.

SE NECESITAN protésicos con experiencia para cubrir varios puestos en prótesis removible y fija. Tel.: 645995215. Enviar CV laboratoriogranadent@gmail.com, colegiado 745 Andalucía.

BUSCAMOS ceramista con experiencia demostrable para laborato-

rio situado en Orihuela Costa (Alicante) por ampliación de plantilla. Se ofrece contrato indefinido a jornada completa, jornada intensiva y salario a convenir. Enviar CV a dentartstylezenia@gmail.com. Tel.: 693783255 Colegiado 315 Alicante.

LABORATORIO de Ortodoncia en Madrid busca incorporar protésicos para sus secciones de ortodoncia fija, removible y CAD CAM. Email: contestador@ortodonciaortosol.es, colegiado 515 Madrid.

SE NECESITAN Protésicos Dentales, especializados en el área de resina y de cerámica, con experiencia mínima de 2 años demostrable para laboratorio ubicado en Jerez de la Frontera. Interesados llamar al Tel.: 637552632/956 18 52 64. Colegiado 575 Andalucía.

LABORATORIO de ortodoncia en Oviedo busca protésic@ con experiencia en ortodoncia, jornada completa, salario a convenir según valía y productividad. Tel. 628807736, email: info@orthoeasy.es. Colegiado 268 Asturias.

SE BUSCA protésico especializado en prótesis removible, la oferta es en Torrelavega/Cantabria. Enviar CV laboratoriooscarmartin@gmail. com, colegiado 250 Cantabria.

SE PRECISA para laboratorio ubicado en Jaca, un profesional con ganas de aprender y de adquirir responsabilidades dentro del equipo y una proyección a largo plazo en nuestro laboratorio. Se valora experiencia en Exocad y manejo de herramientas CAD / CAM (fresadoras, impresoras 3D). Enviar CV a: info@fabueldentallab.com.

SE PRECISA protésico/a dental para laboratorio en Zaragoza. Preferiblemente con experiencia de 2 años y conocimientos en Exocad. Interesados/as enviar C.V. a: Laborzaragoza@gmail.com. Colegia-

do nº 389 de Aragón.

LABORATORIO ubicado en Zaragoza, busca 3 protésicos dentales. 1- Protésico/a dental CAD-CAM: experiencia mínima 3 años demostrables, diseño Exocad (puentes, coronas, rehabilitaciones, férulas de descarga, coronas sobre implante, carillas, cargas inmediatas, blender, férulas quirúrgicas). Manejo de impresoras 3D, maquillaje de zirconio monolítico.

2- Protésico/a dental CERAMISTA: experiencia mínima 3 años demostrables, estratificación de todo tipo de restauraciones, puentes, coronas, rehabilitaciones, coronas sobre implantes, maquillaje. 3- Protésico/a dental sección REMOVIBLE: experiencia mínimo 3 años demostrables, diseño y fabricación de todo tipo de prótesis de resina. Ponte en contacto con nosotros dejándonos tu currículo en nuestro email: 3dentallaboratorio@gmail.com. Colegiado 387 Aragón.

DEMANDAS

LABORATORIO de León necesita protesic@ con experiencia en prótesis removible para incorporación inmediata a jornada completa. Enviar currículum a: ortoartes@gmail. com o al WhatsApp: 609825595, colegiada 541 Castilla y León.

PROTÉSICA con experiencia (8 años) en prótesis fija- cerámica, composite y también CAD/CAM. Por ahora estoy abierta a ver varias ciudades, porque no tengo una ciudad concreta considerada. Correo henchagram@gmail.com, WhatsApp 680391955.

SE OFRECE protésica en Madrid, buscando ampliar conocimientos y experiencias, disponibilidad inmediata. Tel.: 605157446, email sheridalucena@gmail.com Sheri.

PROTÉSICO colegiado busca trabajo en Córdoba y provincia. 17 años de experiencia en resina (montaje, modelado, repasado) y pulido en cerámica con metal IPS Design (modelado, repasado estructuras y montaje de cerámica). Tel.: 609069055. Colegiado nº 314 CPDA.

SE OFRECE protésica colegiada con laboratorio propio, máxima seriedad, para hacer trabajos estéticos en removible, metal cerámico, cerámica total e-max, prótesis fija y combinada. Tel.: 606652563. Margarita. Col.184 COPRODIB.

SE OFRECE protésico dental de 22 años con 20 meses de experiencia voluntaria y 3 curriculares con mucho interés en aprender tanto prótesis fija como removible y ganas de trabajar. Paco Bastida. Tel.: 697822168. pacobastida95@ gmail.com, Sanlúcar de Barrameda – Cádiz.

SE OFRECE protésico dental colegiado con más de 25 años de experiencia. Tel.: 659930402. prietofma@gmail.com. Colegiado 280287 de Madrid.

BUSCO un laboratorio donde poder trabajar o realizar un contrato de prácticas para poder ampliar mis conocimientos y desarrollar todo lo aprendido. He acabado este año Prótesis Dental, en estos dos años de curso he realizado prótesis completas, parciales, implantes, cerámica y un poco de CAD/CAM. He realizado un cursillo de iniciación a la cerámica en el Dental Training Center de Barcelona by August Bruguera, tengo intención de seguir desarrollándome, haciendo más cursos. Soy una persona muy trabajadora y responsable, no tendría problemas para desplazarme de lugar de residencia. Colegiado 425 Aragón, email: baipe-19_96-na@outlook. es, Ignacio, Tel.: 664040461.

SE OFRECE protésico dental en

Valencia capital, 30 años, 8 años de experiencia destacada en cargas inmediatas y sección de resina. También quiero destacar otros campos como Cad/Cam y encerados estéticos. Tel.: 686918179 Mariotellezdelsaz@gmail.com, colegiado 1178 Castellón y Valencia.

LABORATORIO Martínez González ofrece sus servicios prótesis fija zirconio, prótesis removible y ortodoncia a laboratorios dentales. Disponemos de las últimas tecnologías, escáner, fresadora, impresora, los trabajos pueden ser recogidos mediante mensajería o bien mandados mediante formato STL Pidan información sin compromiso. Tel.: 868175177, correo: laboratoriomartinezgonzalez@hotmail.com, colegiado 276 Murcia.

PROTÉSICA Dental con 17 años de experiencia en removible se ofrece para trabajar en Bilbao o alrededores. Correo: m.acuarioruiz@gmail. com.

PROTÉSICO dental-ceramista con más de 15 años en prótesis dental fija (estructuras, cerámica, di silicato, zirconio...) busca trabajo en Málaga capital y provincia. Persona seria, responsable y trabajadora. Tel.: 630056336, email pequinvigo@gmail.com.

PROTÉSICO con 12 años de experiencia en escayola y Resina y conocimiento en cerámica y máster, se ofrece para trabajar en Madrid. Colegiado 281331 Madrid. Email: relli_fer@hotmail.com.

SE OFRECE protésico dental titulado con muchos años de experiencia en prótesis removible, inmediatas, híbridas, férulas etc... Prótesis fija, repasado, modelado, ataches, implantes, barras etc... Para contactar llamar al Tel.: 600387424. Valencia.

SE OFRECE servicio de diseño CAD. Protésica dental con más

de 14 años de experiencia (10 en CAD), ofrece sus servicios como freelance para épocas de excedente de trabajo, también formación, on-line/in-situ, para laboratorio dental. Tel.: 642727429, ana@lanadentaldesign.comm.

PROTÉSICO dental recién titulado busca trabajo en la comunidad andaluza. Experiencia en período de prácticas en resina, escayola y flujo digital. Soy una persona puntual y responsable. Tengo muchísimas ganas de ejercer la profesión y adquirir experiencia. Si le encajo en su perfil, no dude en contactarme Tel.: 669955311, victorjose12cod@ gmail.com.

PROTÉSICA dental busca laboratorio en Sevilla o alrededores que me permita seguir desarrollándome profesionalmente en cualquier área. Soy una persona trabajadora y responsable. Estaría encantada de enviarle mi currículum. Mi correo: Lauramorenokr@gmail.com, Tel.: 605520053. Colegiada 2516 Andalucía.

LOCALES

SE TRASPASA deposito dental en Alboraya, Valencia en pleno funcionamiento, precio del traspaso 60.000€. Interesados contactar con Susana Tel.: 661586827, email: gerencia@dentalsierra.com.

POR JUBILACIÓN se traspasa laboratorio de 95 m2, en Salamanca. El laboratorio se encuentra completamente acondicionado y con todos los permisos. Para más información http://www.dentallabintransfer.com, colegiado 284 CyL.

POR JUBILACIÓN, alquilo laboratorio de prótesis removible, en Mallorca. Ubicado en Felanitx, zona de Manacor, Santanyí... Tel.: 626618677, colegiado 71 Baleares.

dental PRÓTESIS

ANUNCIOS BREVES

VENDO O TRASPASO laboratorio dental en funcionamiento en Sevilla. Equipado para la elaboración de prótesis fija, removible metálica y removible acrílica. Cuenta con cartera de clientes activa. Instalado en un local de 85 m2, en zona muy comercial de fácil aparcamiento. Tiene todos los permisos y licencias en vigor. Colegiado del C.P.P.D.A. 522. Tel.: 655940381

TRASPASO laboratorio prótesis dental de resina y cerámica en Badajoz, zona centro junto al corte inglés. Consta de sala de escayola, despacho, sala de resina, sala de cerámica, recepción, almacén y baño. Con toda la maquinaria, mobiliario y materiales en propiedad al cesionario. Todo apunto para comenzar a trabajar. Licencia vigente hasta julio del 2027. Tel.: 610709095 Ana, precio 19.000 euros. Col. 151 Extremadura.

SE TRASPASA laboratorio dental por jubilación, laboratorio en activo, trabajo desde el primer día y uso para laboratorio grande dos plantas centro de Alicante, prótesis digital fija o colada, esqueléticos, removible, ortodoncia, tiene capacidad y maquinaria para todo ello digital o por colado, (actualmente solo Digital Fija) y removible. Se deja clientela y me quedaría para hacer la transición el tiempo que lo requiera, alquiler bajo solo 430 euros, pudiendo crecer en producción en poco tiempo apto para grandes producciones. Interesado llamar al Tel.: 610300339 o profdentsc@ gmail.com, colegiado 3 de Alicante, preguntar por José M.

TRASPASO laboratorio prótesis dental en el barrio de Sarrià, de Barcelona. Superficie de 110 m2, en ejercicio y con Licencia Sanitaria en regla, solo hay que hacer cambio de titular. En perfecto estado, diseño moderno y con 5 puestos de trabajo, sin personal (3 generales + 2 de cerámica), con maquinaria para cualquier rama exceptuando ortodoncia. Escáner digital con

software EXOCAD, sin fresadora ni impresora. Condiciones inmejorables. Para más información contactar telefónicamente 689759105 o canet@copdec.es, colegiado 172 Cataluña.

SE VENDE o traspasa laboratorio dental en Santiago de Compostela con cartera de clientes. Equipado con 5 puestos de trabajo, cuenta con la maquinaria necesaria para estética, implantes, removible y Cad-Cam (escáner e impresoras). Para más información 651372023, colegiado 8 Galicia.

ALQUILO laboratorio dental equipado para removible metálica, resina y metal cerámica, actualmente en funcionamiento. Todas las licencias, con o sin maquinaria. Colegiado nº 264 CPDCM. Tel.: 916609114.

VENDO O TRASPASO por jubilación, laboratorio dental preparado para todo tipo de trabajos, con CadCam KAVO, fundidora de titanio y láser entre otras maquinarias. Tel.: 922274803 Carlos, colegiado nº 28 de Santa Cruz De Tenerife.

SE TRASPASA laboratorio dental en Madrid por jubilación. Modalidad de venta o alquiler de local. Negocio consolidado con más de 30 años de actividad, con cartera de clientes. El laboratorio dispone de 11 puestos de trabajo, 3 hornos de cerámica, escáner Cad/Cam, sala de colados, sala de escayola, despacho, zona de comedor, 2 servicios completos con vestuario y almacén. Local de 225 m2 muy luminoso, situado en edificio industrial Indobuiding, con conserje, vigilancia 24 horas, ascensor para coches y muelle de descarga. Consultar condiciones. Contacto: Clemente Tel. 616596078, mariamaxsd@ gmail.com, colegiado 280205 Madrid.

ALQUILO laboratorio en Burgos con vistas a próxima jubilación, ubicado en zona tranquila y entor-

no muy agradable. Dispone de 4 puestos de trabajo, está preparado para hacer trabajos de fijo y móvil, hornos, scanner 3d etc. Para más información preguntar por Luis Tel.: 947200959. Colegiado 14 Castilla y León.

SE VENDE laboratorio de Prótesis Dental en Alcobendas. Totalmente equipado con quince puestos de trabajo para protésicos, divididos en varias secciones, recepción, oficina y despacho, con toda la maquinaria necesaria para su funcionamiento. (Prótesis fija, Cad-Cam, removible, y esqueléticos) Incluimos el mobiliaria, las existencias y el fondo de comercio, disponemos de toda la documentación en vigor para seguir funcionando, licencia sanitaria, ayuntamiento y contratos los necesarios como la Lopd , Prevención de riesgos y Extinción. También existe la posibilidad de venta o alquiler del local. Interesados contactar vía email Labodental28@gmail. com. Colegiado 685 Madrid.

SE VENDE o alquila, por jubilación, laboratorio dental en Asturias de 92 m2, exterior, totalmente equipado para prótesis removible, fija e implantes, para entrar a trabajar, 7 puestos de trabajo, sistema CADCAM de Zirkonzahn.M5, escáner, horno de sinterizado y ordenador. Para más información contactar Tel. 600468152, José Luis colegiado 1 del Principado de Asturias. Email: laboratoriodentalcortina@ gmail.com.

ALQUILO laboratorio con el doble de maquinaria para hacer prótesis fija y móvil, actualmente con trabajo y todos los permisos en regla (85m2). Sin problemas de salida de humos ni problema con los ruidos y estratégicamente ubicado en la zona de Barcelona y fácil de repartir en periferia, aparcamiento para motos en frente y línea de metro y autobuses al lado. Veinte años funcionando. Traspaso 3.000 euros y alquiler mensual 800 euros. Tel.: 661061839. Colegiado 843 Cata-

luña.

SE ALQUILA espacio de trabajo en laboratorio dental ubicado en Sevilla, mesa de trabajo personal y resto de maquinaria a compartir desde 250 euros, colegiado 571 Andalucía. Email: laboratoriodentalmonzonsevilla@gmail.com.

SE TRASPASA o vende laboratorio dental en zona sur de Madrid por cambio de actividad.140 m. Todos los permisos al día, todo montado (8 puestos), cartera de clientes; mando fotos si está realmente interesado zona de Aluche. Tel.: 690864534.Ángel. Col. 853 Madrid.

SE TRASPASA o vende laboratorio en Cornellá de Llobregat (Barcelona), local de 150m, todo exterior con luz natural, en edificio de oficinas en zona industrial, dividido por secciones con aire acondicionado, instalación eléctrica trifásica, instalación de aire comprimido, varios puntos de agua y desagües, extintores. Con todos los permisos y licencias actualizadas. Equipado con mobiliario metálico, 10 puestos de trabajo nuevos (solo utilizado para cursos) y 6 puestos con aspiración individual, lámparas y micromotores en perfecto estado. Varios muebles auxiliares y de almacenaje. Maquinaria para todas las secciones en buen estado. Preparado con una sala independiente para hacer cursos. Bien comunicado con transporte publico cerca de hoteles y a 10minutos del Aeropuerto. Si te interesa puedo mandar fotos. Tel.: 620267671. Colegiado 467 COPDEC.

VENTA del negocio, laboratorio en funcionamiento con personal, cartera de clientes, maquinaria, sección CAD/CAM, licencias en regla, buena facturación anual, dentro de unos años nos llega la jubilación y queremos que nuestro negocio continúe en otras manos. Colegiado 103 Comunidad de Madrid. Contactar con Begui Tel.: 685968443.

VENDO O TRASPASO laboratorio dental en funcionamiento. Equipado para la elaboración de prótesis fija, removible metálica y removible acrílica. Cuenta con cartera de clientes activa. Instalado en un local de 85 m2, en zona muy comercial de fácil aparcamiento. Tiene todos los permisos y licencias en vigor. Colegiado 522 Andalucía. Tel.: 655940381. Sevilla.

TRASPASO laboratorio dental equipado y en funcionamiento por próxima jubilación, 4 puestos de trabajo, maquinaria para trabajo según: flujo digital (CAD/CAM), manual (tradicional), autorización sanitaria para: resina, metálica, fija, mixtas e implantosoportadas y ortodoncia. Se incluyen materiales y reservas existentes (resinas, tabillas de dientes, alambres, fresas, etc.) Precio: alquiler y traspaso a negociar. Se enseñará al completo el funcionamiento del laboratorio. Interesados contactar al Tel.: 647780020 – 968931139. Colegiado 139 Murcia.

TRASPASO laboratorio dental de prótesis removible en pleno funcionamiento en provincia de Barcelona, con buena facturación, dos puestos de trabajo con licencia actual y maquinaria completa, incluido máquina de sistema Deflex, etc…. Más información Tel.: 630035921. Colegiado 458 Cataluña.

TRASPASO laboratorio por jubilación en el Actur de Zaragoza, a 50m de Gran Casa, totalmente legalizado. Amplia cartera de clientes. Mas información Ángel Tel.: 679101626. Colegiado 180 Aragón.

VENTA DE MATERIAL Y

EQUIPAMIENTO

SE VENDE centrífuga de colado por presión al vacío, muy poco uso, Heracast IQ 5.000 euros, arenadora Eco Plus Dentalfarm 200 euros, Mestra Cen-Motor GP-1, centrifuga de colado 150 euros, horno de precalentamiento de cilindros para colar Jelrus 500 euros. Tel.: 948132887, colegiado 74 Navarra.

VENDO escáner por jubilación: Bioech equipo CAD DELUXE 5 ejes auto con cámara color. Interesados llamar Tel.: 619704461, Jordi colegiado 364 Cataluña.

SE VENDE impresora Formlabs 3+ con equipo completo de limpieza wash y cure. Además, añadimos material vario como bandejas, resinas …etc. Precio 1.800 euros. Si se precisa se pueden enviar fotografías de la máquina, equipo y material, Tel.: 956169062, colegiado 990 Andalucía.

VENDO, por cierre de actividad laboral, laboratorio en Las Palmas de Gran Canaria, completamente equipado para prótesis fija y removible. Local propio de 50 m2 aproximadamente con Licencia Sanitaria vigente hasta 2027. 2 puestos de trabajo. Mercedes. Tel.: 659152722 Colegiado 29 CPPD Las Palmas.

VENDO por jubilación horno Cergo Press c/ bomba de vacío 1.800 euros, articulador tipo Arcón marca Fino 110 euros y otros elementos propios de la profesión, preguntar sin compromiso. Tel.: 664430000. Colegiada 861 Andalucía.

SE VENDE Máquina de vacío MINIESTAR de la casa SCHEU: Se adjuntan todas las fresas y discos necesarios, rejilla de repuesto, perdigones, caja con nueve planchas DURAN + de 1,5mm, caja con nueve planchas Bioplast Xtreme de 5mm para protectores de deportistas, catálogo de planchas, etc… 1.200€. Compresor Mestra: Alto-650mm, Ancho-390mm, Largo-390mm, Peso-30kg, Potencia-750w, Pre-

dental PRÓTESIS

ANUNCIOS BREVES

sión-5/8 bar, Capacidad calderin-30 L, Nº cabezales-1. 600€. Lámpara polimerizadora: Alto-115mm, Ancho-215mm, Fondo-295mm, Peso-2kg, Potencia-40w, Espectro- 350/400nm. 230€, Recortadora Mestra: Disco de carburo de silicio, 1500rpm, Potencia-800w 180€, Olla polimerizadora Mestra 125€ , regalo hornillo eléctrico, micromotor colgante Cavo 20000 rpm con pieza de mano. Con más de 40 años y funcionando. ¡Para coleccionistas!!! 550€. Interesados ponerse en contacto con Javier Lacosta, Tel.: 630904931 o al correo electrónico: orto doncialacosta@ gmail.com. Col. 68 Aragón.

SE VENDE por jubilación, maquinaria de laboratorio, consumible de prótesis y ortodoncia. Contacto Manuel Pazos, Tel.: 619344067, colegiado 28 de CyL, correo electrónico pazdentos@gmail.com.

VENDO Horno de cerámica Multimat Touch-Press para cerámica convencional y cerámica inyectada con bomba de vacío, 2.800 euros, (regalo cilindros y pistones para inyectar), metal precioso D.SIgn 84 IVOCLAR 25gr, 15% descuento sobre precio de mercado. Tel.: 606626478. e.mail: dentetes@hotmail.com Col Tenerife.

VENDO horno de inyección EP600 IVOCLAR, soldadora por puntos Phasder KUSS, Metacom horno de precalentamiento MANFREDI, batidora vacío JELENKO, mesa trabajo, chorro vapor, cerámica Desing, In ceram. Tel.: 913513535, Col.1147 CPDCM Jorge.

VENDE laboratorio dental, fresadora-copiadora para óxido de circonio Ceramill de Amanngirrbach, más horno para sinterizar Ceramill Therm (último modelo). Es el sistema completo original, que contiene 84 bloques de circonio pequeños y 4 grandes, y resinas para modelar, todo a estrenar. 6.500 euros. Precio negociable. Tel.: 976252055. Cole-

giado 25 del Colegio Profesional de Protésicos Dentales de Aragón.

SE VENDE sistema GIROFORM para modelos desmontables 850 euros, contacto Juan Yarza, Tel.: 976333241, colegiado 167 Aragón.

SE VENDE: Por jubilación, maquinaria de laboratorio de prótesis dental; Inductora mi200 de electrodensa, Spectramat, Ivomat IP3, Recortadora Mestra 1800 r.p.m., Vibrador, Demco, Mesa de trabajo Cornet (adaptada para aspiración,aire y gas), Horno cerámica Programat P95 (con bomba de vacío y suplementos). Contacto: Rafael, Colegiado 306 de Galicia. Tel.: 619606100. Los precios son a convenir.

VENDO mesa de prótesis dental de un puesto más modulo en lado derecho para horno u otra máquina, preinstalación de sistema de aspiración, luz y gas, precio 790 euros, algo negociables, incluida lampara de 2 fluorescentes valorada en 300 euros. Colegiado 36 Extremadura. Jesús Tel.: 647503813, para más información y fotografías

VENDO por jubilación, maquinaria, mobiliario y productos dentales de laboratorio dental, mesas, inductora, hornos cerámica e inyección, micromotores, porcelanas variadas de fija, removible y esqueléticos...o traspaso a emprendedor a precio simbólico, doy información en el Tel.: 636256513, Francisco Javier colegiado 28 de Extremadura.

SE VENDE maquinaria prótesis dental por jubilación, articulador tipo arcón, soldadora de punto ortodoncia, horno Cergo press y convencional de Degussa, batidora de vacío y otros artículos más, preguntar sin compromiso. Tel.: 6644300008, colegiada 861 Andalucía.

VENDO maquinaria por cierre de

laboratorio, arenadora 2 módulos ESB 2 Plus EUROCEM, compresor Shark 24/150 OIL Less, chorro de vapor EV EUROCEM, calentador de cera para impresión MESTRA, electrovibrador EV200 13x22 EUROCEM. Colegiado 724 Cataluña. Tel.: 661028097.

VENDO maquinaria laboratorio dental por cese actividad.1-compresor Mafor sin aceite 2 cilindros 2 CV, 2-pulidora Kavo, 3-recortadora Kavo cinta banda, 4-motor Demco, 5-batidora vacío Multivac Degusa, 6-centrífuga Minicast Ugin, 7-horno precal. Magma Renfert, 8-lámpara fotopolimer HILITE POWER 3D + otros.TOTAL LOTE 7.500 euros. Colegiado 10 COPDEC. Tel.: 669513944.

SE VENDE, por motivo de inactividad: recortadora de escayola Mestra, mezcladora revestimientos, compresor aire, motor de mesa Demco, motor de medio caballo, inductora metal Galoni (Ref: 049059), vaporizador, arenadora de dos chorros Mestra, aspirador Kavo, aspirador Bosch, olla termocurado resina Palamat, micromotor Kavo 4 (pieza de mano), micromotor ZENIT (pieza de mano), micromotor NSK (pieza de mano) , turbina NSK (seco+agua, Ref: 041969), turbina bien-air (Ref: H92551), Lampara LED Mestra, horno para inyección y cocción de cerámica Programat PE COMBI 6000 Ivoclar, horno para cerámica Programat P 500 Ivoclar, máquina termoconformado (para placas al vacío), mueble JEB (esquinero para porcelana), escritorio de oficina (esquinero), equipo de soldadura y restos complementarios. Los equipos se encuentran en buen estado. Para más información contacte con 667376590/ 675896506, colegiado 60, Navarra..

Colegio Oficial de Protésicos Dentales de Alicante C/ San Carlos 134-1º 03013- ALICANTE Tf. 965146937 www.coproda.es Email: info@coproda.es

Colegio Profesional de Protésicos Dentales de Andalucía C/ Aragón, 23 Local 41006 SEVILLA Tf. 954641546 www.cppda.es Email: cppda@cppda.es

Colegio Profesional de Protésicos Dentales de Aragón Centro Empresarial Parque Roma C/ Vicente Berdusan, Bloque D-1 Bajos 50010 ZARAGOZA Tf. 976460332 www.coppda.com Email: coppda@coppda.com

Colegio Profesional de Protésicos Dentales del Principado de Asturias C/ Río Caudal 7 entlo. F 33011 OVIEDO Tf. 985294218 www.protesicosdentalesasturias.com Email: buzon@protesicosdentalesasturias.com

Colegio Profesional de Protésicos Dentales de Islas Baleares C/ Cima 17, local 9 07011 PALMA DE MALLORCA Tf. 971777574 www.coprodib.org Email: coprodib@gmail.com

Colegio Profesional de Protésicos Dentales de Cantabria C/ Los Escalantes, 5 Ppal. Izq. 39002 SANTANDER Tf. 942362764 www.cprotcan.com Email: protesicoscantabria@gmail.com

Colegio Oficial de Protésicos Dentales de Castellón y Valencia C/ Ciudad del Aprendiz, 3 Bajo 46017 Valencia Tf. 963471840 www.cprotcv.org Email: valencia@cprotcv.org

Colegio Oficial de Protésicos Dentales de Castilla-La Mancha C/ Dr. Bornadel, 15- Of.3 Edif. Juan de Austria 13600 ALCÁZAR DE S. JUAN Tf. 926551301 www.protesicosdentales.es Email: colegio@protesicosdentales.org

Colegio Profesional de Protésicos Dentales de Castilla y León Carretera de Rueda, 17 Local Izquierdo 47008 VALLADOLID Tf. 983477117 www.coprodecyl.com Email: coprodecyl@gmail.com

Colegio Oficial de Protésicos Dentales de Cataluña C/ Provença, 337- 3º I 08037 BARCELONA Tf. 934576499 www.copdec.es Email: copdec@copdec.es

Colegio Profesional de Protésicos Dentales de Extremadura

Avda. de Numancia, 1 06800 MERIDA Tf. 924373638 www.colprodentaex.com Email: colegioextremadura@colprodentaex.com

Colegio Oficial de Protésicos Dentales de Galicia C/ del Hórreo, 7 -1º Izq. 15702 Santiago de Compostela -A CORUÑA Tf. 981571017 www.coprodega.es Email: coprodega@coprodega.es

Colegio Profesional de Protésicos Dentales de la Rioja Avda. de La Rioja, 6 - 6º A 26001 LOGROÑO Tf. 941258467 www.protesicosdentalesrioja.com Email.info@protesicosdentalesrioja.com

Colegio Profesional de Protésicos Dentales de las Palmas Urb. Residencial Reina Mercedes I – Local 5º 35012 Las Palmas de Gran Canarias Tf. 928361000 www.protesicoslaspalmas.com Email.cppdlaspalmas@infomed.es

Colegio Profesional de Protésicos Dentales de la Comunidad de Madrid C/ Dcotor Esquerdo, 166 -1º E. 28007 Madrid Tf. 917580238/917580239 www.colprodecam.org Email.info@colprodecam.org

Colegio Profesional de Protésicos Dentales de la Región de Murcia C/ Santa Teresa, 19 entresuelo 1º C 30005 MURCIA Tf. 968217247 www.colegioprotesicosmurcia.es Email: info@colegioprotesicosmurcia.es

Colegio Profesional de Protésicos Dentales de la Comunidad Foral de Navarra C/ Monasterio de Yarte, 1 Bajo 31011 PAMPLONA Tf. 948251875 www.copdna.es Email: copdna@outlook.es

Colegio Profesional de Protésicos Dentales de Santa Cruz de Tenerife C/ Pedro Modesto Campos,4 Piso 1º Of. 2 Ed. Los Dragos 38006 SANTA CRUZ DE TENERIFE Tf. 822012531/628137142 www.colprotfe.es Email: colprotfe@gmail.es

Asociación de Técnicos en Prótesis Dental del País Vasco Aldaieta Bidea, 7 – Lonja 48950 – Astrabudua (VIZCAYA) Tf. 944 171 097 www.euskalprotesis.com Email: euskalprotesis@gmail.com

Turn static files into dynamic content formats.

Create a flipbook
Issuu converts static files into: digital portfolios, online yearbooks, online catalogs, digital photo albums and more. Sign up and create your flipbook.
DENTAL PRÓTESIS Nº224 by editorialmic - Issuu