DENTAL PRÓTESIS Nº223

Page 1


REPORTAJES TÉCNICOS

NOTICIAS

- Inventan una prótesis

- España vuelve a formar parte del órgano de gobernanza de la OMS tras casi 20 años de ausencia

COLEGIOS PROFESIONALES

- Quinta sesión CURSO EXOCAD 2024 (2ª Edición). Manejo, edición y estudio de mallas

Edita: Consejo General de Colegios de Protésicos Dentales de España

Bulevar de José Prat 5, 28032 Madrid Tel.: +34 91 571 05 84 www.consejoprotesicosdentales.org | info@consejoprotesicosdentales.org

dental PRÓTESIS no se identifica, necesariamente, con las opiniones manifestadas en sus páginas, así como de la información contenida en los anuncios publicitarios.

Si eres colegiado y deseas recibir la revista por correo postal, puedes enviar un email solicitándolo a: dentalprotesis@consejoprotesicosdentales.org

dEfEnsa ProfEsional: consultas a través del correo: dentalprotesis@consejoprotesicosdentales.org

anuncios brEvEs: dentalprotesis@consejoprotesicosdentales.org

dirEcción dE la rEvista: Felicia Novalbos

comisión dE la rEvista: Pablo Tortosa Tortosa, Alejandro Díaz Pérez

ImprIme: Editorial MIC, Tel. 902 271 902 | www.editorialmic.com

Descargar revista

Depósito legal: M-70-1983

ISSN: 0212-3738

dental PRÓTESIS

REPORTAJE TÉCNICO

Estratificación

de composite como si fuera cerámica

Jürgen Freitag

Maestro protésico, Bad Homburg (Alemania)

El maestro protésico Jürgen Freitag (Oberscheinfeld, Alemania) prestó asesoramiento desde el principio, cuando se puso realmente en marcha el desarrollo de composites de

sistencia en el laboratorio, incluso años después del lanzamiento del composite de recubrimiento fluido con alta proporción de relleno (68 % en peso). En la siguiente entre-

recubrimiento hace nada menos que 30 años. Ayudó a ajustar el color y probó los materiales antes de su comercialización. A su juicio, el sistema de composite fluido VITA VM LC flow constituye un último gran salto evolutivo, después de que se hubiera transitado sistemáticamente por otro camino basado en el uso mayoritario de dióxido de circonio como material de relleno. “Este material no pierde brillo ni tan siquiera tras la limpieza con chorro de vapor”, afirma Freitag, quien continúa mostrándose entusiasmado con su ensayo personal de re-

vista, cuenta en qué casos utiliza VITA VM LC flow en combinación con el primer VITA AKZENT LC Primer y los maquillajes para composite VITA AKZENT LC, y explica sus experiencias a este respecto.

¿Desde cuándo y por qué trabaja con el sistema de composite fluido y fotopolimerizable VITA VM LC flow? ¿Para qué reconstrucciones utiliza este material?

El VITA VM LC flow no contiene los copolímeros BisGMA, TEGDMA y

HEMA, discutibles en cuanto a sus efectos sobre la salud. ¡Este es un aspecto importante para mí! Utilizo el composite de recubrimiento principalmente en prótesis telescópicas. Pero también confecciono muchos inlays a partir de VITA VM LC flow. He comprobado sus ventajas, sobre todo en pacientes funcionalmente difíciles y con poco espacio. Definitivamente, el composite resiste mejor que la cerámica en estos casos. Dado que su módulo de elasticidad es considerablemente inferior al de la cerámica, también suelo utilizar el material de recubrimiento sobre implantes. De este modo se absorbe una parte de las fuerzas masticatorias y, en mi experiencia, se reduce sustancialmente el riesgo de astillamiento.

¿Cuándo y cómo trabaja con los maquillajes para composite VITA AKZENT LC en combinación con el composite de recubrimiento VITA VM LC flow o en restauraciones monolíticas?

En los trabajos monolíticos utilizo los maquillajes para composite VITA AKZENT LC solo en restauraciones provisionales de larga duración a partir del composite VITA CAD-Temp. Freso la restauración de forma completamente anatómica a partir de la pieza en bruto y después personalizo tan solo en la superficie acabada, para a continuación finalizar con VITA AKZENT LC GLAZE. Para prótesis telescópicas que deban permanecer en boca mucho tiempo, personalizo

Fig. 1: El VITA VM LC PRIMER crea una unión segura al material de la estructura.

REPORTAJE TÉCNICO

el núcleo de dentina con los maquillajes para composite y después estratifico materiales de esmalte sobre el núcleo. De este modo, los efectos cromáticos presentan un efecto tridimensional de dentro afuera.

¿Cuál es su experiencia con la manipulación de VITA VM LC flow? ¿Qué prefiere, una estratificación de cerámica o una estratificación con composite?

El composite de recubrimiento es enormemente estable tras la aplicación. Eso me evita tener que realizar polimerizaciones intermedias a toda prisa para no perder la forma. Puedo construir por capas de forma totalmente selectiva sin que las distintas capas confluyan. De hecho, VITA VM LC flow solo se mezcla si realmente quieres mezclarlo. Pero, por supuesto, eso lo hago siempre antes de la aplicación. También yo me pregunto continuamente si prefiero recubrir con cerámica o con composite. Me gustan ambas opciones, así como la variedad. La ventaja del composite es que uno ve directamente lo que está haciendo.

En las prótesis combinadas, es importante que los dientes preconfeccionados y los recubrimientos armonicen entre sí.

¿Qué grado de armonía se logra entre los dientes VITA y el VITA VM LC flow?

Figs. 2 a 5: Gracias a su estabilidad, VITA VM LC flow puede estratificarse de forma precisa y no requiere polimerización intermedia después de cada paso.

dental PRÓTESIS

REPORTAJE TÉCNICO

Figs. 6 y 7: Aplicación de una capa fina de VITA VM LC PRIMER y opacificación inicial de la estructura metálica.

8: El recubrimiento de las estructuras metálicas con VITA VM LC flow presentaba un aspecto enormemente expresivo.

Fig.

dental PRÓTESIS

REPORTAJE TÉCNICO

En combinación con dientes VITA, basta utilizar de tres a cuatro materiales VITA VM LC flow para obtener la coincidencia cromática entre recubrimientos adyacentes. No hay que hacer gran cosa y se ahorra mucho tiempo. ¡Es realmente genial! Eso sí, tengo mi propio método para opacar la corona secundaria. A menudo no utilizo los materiales de opáquer propiamente dichos, sino los materiales claros 0M1 o 1M1. Entonces empiezo mi estratificación sobre esta superficie blanca y puedo obtener el color deseado. Esto supone una auténtica ventaja, sobre todo en espacios reducidos.

¿En qué casos utiliza el VITA VM LC PRIMER? ¿Cómo se utiliza correctamente el agente adhesivo?

El uso del sistema de primer para resinas basadas en acrilato y composite sobre metal, dióxido de circonio y polímeros de alto rendimiento es sumamente sencillo. El primer 1 se seca al aire tras la aplicación. A continuación, se aplica el primer 2 en una capa fina y se fotopolimeriza. Utilizo siempre los primers 1 y 2 de forma combinada. De este modo puedo trabajar con seguridad sobre cualquier material de estructura. Una vez hice una prueba de desbastado en una estructura de dióxido de circonio y me resultó muy difícil desprender el recubrimiento. Eso me convenció realmente.

¿Qué reacciones ha recibido de las clínicas y de los pacientes en relación con los recubrimientos de composite con VITA VM LC flow? ¿Cómo se comporta el ma-

terial en boca?

Lo que vengo viendo y oyendo desde hace cuatro años es que los recubrimientos armonizan siempre muy bien con los dientes naturales y los dientes preconfeccionados. El composite de recubrimiento VITA VM LC puede pulirse a alto brillo de forma extremadamente rápida y fácil, y posteriormente no presenta una mayor acumulación de placa en comparación con los dientes naturales. Los recubrimientos no pierden brillo ni tras la limpieza con chorro de vapor ni tras un periodo de uso prolongado. Las prótesis que se rebasan en mi laboratorio al cabo de un cierto tiempo no presentan ni placa ni tinciones.

Fuente: VITA

Fig. 9: Vista palatina del acabado liso y del pulido a alto brillo de las coronas ricas en matices.

REPORTAJE TÉCNICO

Figs. 10 y 11: Una corona estratificada de forma sencilla y glaseada con el sistema de maquillajes para composite VITA AKZENT LC.
Fig. 12: El módulo de elasticidad más bajo del composite reduce el riesgo de astillamiento, sobre todo en caso de parafunciones y espacio reducido.

dental PRÓTESIS

REPORTAJE TÉCNICO

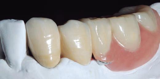
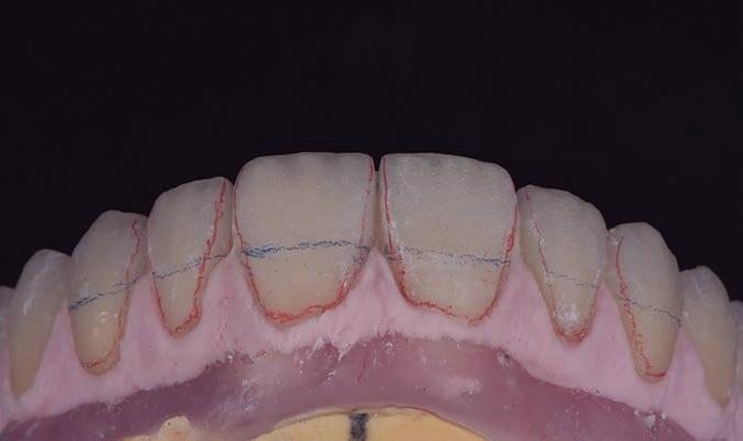
Fig. 13: Coincidencia cromática entre dientes preconfeccionados VITA y recubrimientos con VITA VM LC flow.

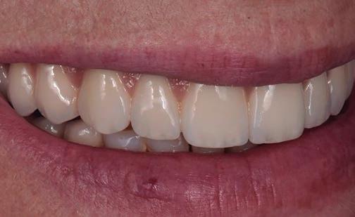
Fig. 15: Restauración colocada, con recubrimientos de VITA VM LC flow en combinación con dientes preconfeccionados VITA.

Fuente: VITA

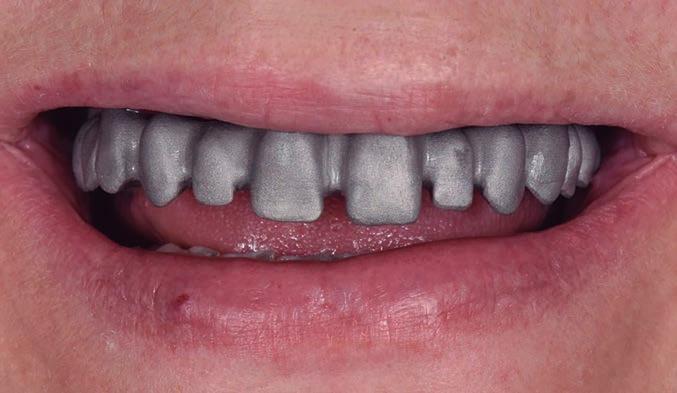
Fig. 14: Coronas primarias de PEEK

dental PRÓTESIS

Protocolo de rehabilitación dentogingival "de la A a la Z"

Carlos López Gómez

Prótesico Dental

Colaboradores:

Alejandro López Gómez, Ferran Puigrefagut Cos y Albert Verd

1. Introducción

En muchas ocasiones cuando nos encontramos con ausencia de tejido blando (encía) debido a la

reabsorción ósea y tenemos que reemplazar dicho tejido con un material protésico (composite, resina o cerámica) se nos presenta

un reto que debemos superar copiando fielmente las características que nos encontramos en una encía natural con el objeto de conseguir una buena integración en su entorno. En este artículo se describen las principales maneras de obtener unas características naturales en nuestra rehabilitación dentogingival.

La mayoría de las veces cuando tenemos estas características en la que hay que restaurar la encía perdida, debemos preguntarnos si tenemos las herramientas para resolverlo exitosamente. Con lo de herramientas hacemos referencia a si podemos darle la naturalidad que requiere el caso (en este caso con cerámica), si poseemos toda la información necesaria, si éste dispone de la misma guía de colores personalizada correspondiente a las masas de cerámica que tenemos en el laboratorio, etc. Todos ellos son requisitos necesarios para poder copiar los distintos biotipos naturales de encía y realizar así un trabajo de alta calidad estética.

2. Estructura compensada ideal

Es primordial que la estructura metálica sobre la que recubriremos nuestra estética sea compensada de tal manera que cumpla los requisitos de espacio para el recubrimiento, para la funcionalidad, y para la estética. Para ello, siempre partiremos de una prueba de dientes ya sea digital, encerado digital, o algún provisional que el paciente lleve puesto. Lo que nos transmite este paso son los factores a tener

en cuenta como la oclusión, dimensión vertical, parámetros estéticos, necesidades del paciente, etc…

Una vez que estos parámetros son

no ira por la mitad del diente, si no en cervical del diente y en encía, ya que no es necesario llevarlo a incisal de diente y que nos perjudique posteriormente a la hora de

correctos podemos diseñar con la planificación y con una visión del acabado de la prótesis. En nuestros casos, como parámetro estándar siempre dejamos un espacio oclusal en cúspides de 1,5 mm que junto con nuestra cerámica sintética como es noritake es la medida perfecta para trabajar la funcionalidad, oclusión, lateralidades, protusiva, retrusiva, …

Hacemos una estructura compensada en la cual nuestro conector

darle naturalidad a la prótesis. Una vez que estos requisitos están bien podemos crear naturalidad a la rehabilitación.

3. Técnica de colores naturales

Cuando hablamos de colores naturales hacemos referencia a unos colores bonitos pero reales, que se parezcan a los colores naturales que podemos encontrar en cualquier situación oral desde los rojizos más fuertes hasta los tonos más claros de los frenillos, papilas, bordes incisales, zonas cervicales, valor de diente, croma, translucidez, efectos y caracterizaciones, …

¿Cómo sabemos si son naturales?

Si prestamos atención, en los dientes y encías de nuestras personas más cercanas (ejercicio recomendable) y cocemos unas muestras de masas de colores que tengamos (de las más fuertes a las más suaves) haciendo después una serie de fotografías y analizándolo con detenimiento, podemos ir eligiendo los tonos que elijamos que son más naturales y que se ven con más frecuencia descartando a su vez los que sean más artificiales o de un color menos auténtico.

dental PRÓTESIS

4. Muestras de colores

Para fabricar nuestras muestras de color tenemos que partir de los

REPORTAJE TÉCNICO

mica tienen una gran variedad de cerámicas. Hay que estudiarlas y elegir las que se adapten más a

que más nos gustan tomamos en cuenta otros sistemas cerámicos realizando varias comparativas o

colores que hemos observado y seleccionado como naturales, los cuales debemos conseguir con nuestras masas. Hoy en día, todas las casas que comercializan cerá-

nuestras necesidades teniendo en cuenta los colores que queremos conseguir.

En nuestro caso trabajamos con Noritake y para conseguir los tonos

“muestras de color “y mezclando “stains, tissues y efectos” para llegar a los tonos que considerábamos más reales.

Posteriormente, han salido al mercado todos los tonos logrados en las muestras exceptuando algunas tonalidades. Con esta última explicación os queremos transmitir que muchas veces debemos tener claro a dónde queremos llegar y que medios debemos usar para conseguir el resultado deseado.

5. Caracterización del diente

La gran mayoría de denticiones naturales poseen infinita variedad de colores y efectos que nos desafían en nuestro día a día. Uno de los motivos por los que escribimos este artículo es para intentar explicar cómo reproducimos nuestra estética rosa y blanca.

Existen en la naturaleza una gran

dental PRÓTESIS

REPORTAJE TÉCNICO

variedad tipos de diente y encía. Éstos dependen del sexo, edad, morfología facial, etc…

Vamos a explicar paso a paso como realizamos nuestra encía y diente protésico, ilustrándolo con unas explicaciones e imágenes:

En nuestro caso, nuestra primera cocción siempre haremos alusión al croma y a la translucidez que queremos obtener teniendo en cuenta la edad del paciente, efectos de dientes adyacentes, reflejos… y sobre todo la opinión del paciente, que siempre es nuestro mejor examen.

A raíz de ahí, `podemos conseguir dichos efectos con “internal stains” (maquillaje interproximal, mas saturación, efectos opales, intensificación de mamelones, cracks, descalcificaciones, etc...) y proseguir en una segunda cocción de cerámica con masas translúcidas. De esta manera conseguimos que el color dentinario salga desde el interior y no se desgaste nunca.

Una vez hayamos tenido en cuenta este protocolo de estratificación

dental PRÓTESIS

dental PRÓTESIS

REPORTAJE TÉCNICO

posteriormente siempre podemos matizar de cara al acabado con la combinación de la estética rosa.

6. Caracterización de la encía

Como hemos mencionado antes, existen gran variedad de colores y características asombrosas (recesiones, heridas, melanosis, etc.…). En este artículo os mostramos como reproducimos estas características que nos encontramos en la naturaleza y poderlas copiar en nuestra encía protésica.

Respecto a la encía, existen biotipos muy distintos entre sí que vienen determinados por la forma de los dientes. A la hora de caracterizar con la encía protésica, aunque contemos con toda la información de los colores que nos han transmitido, en ocasiones nos encontramos con características que resultan muy complicadas de reproducir. Podemos conseguirlas mezclando los Stains con las masa cerámica o controlar nuestra estética rosa matizando con un internal stains entre dos cocciones. Nuestro internal stain nos es de gran ayuda para copiar con garantía las características que nos encontramos en la encía de una forma más sencilla y predecible que con masas cerámicas. De esta manera podemos reproducir lo que seamos capaces de imaginar para esa encía.

El internal Stain es una herramienta que usamos en nuestro día a día tanto en estética rosa como en estética blanca. Los maquillajes internos de Noritake son cerámicos, no están hechos a partir de óxidos metálicos, lo que nos proporciona una buena vitalidad a la pieza dentaria ya que no bloquea la luz que pasa a través de la superficie cerámica y no produce efecto artificial.

Anteriormente para conseguir un “rojo sangre o rojo intenso”, en cualquier cerámica usábamos la masa más intensa rojiza y la mezclábamos con el maquillaje “red” de Noritake. Actualmente la masa “Dark Pink” nos aporta ese plus de profundidad para poder estratificar la estética rosa de manera correcta y así conseguir una mayor mimesis con la encía del paciente.

Posteriormente, una vez tengamos nuestra estructura intensa en surcos y zonas lejanas de la estética blanca, nos acercaremos al diente con tonos más -suaves y blanquecinos para no generar gran contraste con el diente.

Una de las cuestiones que comentamos con muchos compañeros protésicos es el de opacar de color rosa la estructura que soportará la encía. En nuestra opinión no es conveniente por dos motivos: El primero es tener un suficien-

te espacio de estratificación en la estructura y el segundo se debe a como tenemos masas cerámicas muy cromáticas y saturadas, conseguimos opacar el color con estas masas sin importar el opáquer de la estructura o Zirconio blanco, que por lo general es lo que tenemos debajo cuando hacemos este tipo de restauraciones.

No obstante, no está de más opacar la zona basal y de terminación de los implantes ya que son zonas que tendremos poco espacio para la cerámica.

7. Caracterización de la superficie

Es muy importante, para obtener una rehabilitación que imite la naturaleza además de usar las masas correctamente y hacer nuestro “internal Stain”, que copiemos fielmente la textura de dientes naturales y de encía (piel de naranja, frenillos, papilas, lóbulos, líneas de crecimiento,…

Respecto a la estética blanca está varios factores a tener en cuenta como mamelones, lóbulos, planos del diente, periquimatías, cracks,... macro y micro textura.

Respecto a la estética rosa, consideramos que la piel de naranja existe en la mayoría de los casos naturales. Son un micropuntos pequeños y rugosos que se pue-

den observar en una mandarina o naranja. Esto nos puede ayudar a entender la caracterización natural de la encía, pero es necesario conocer cómo se comporta nuestro material cerámico después de las cocciones realizadas. La temperatura del glaseado es muy importante que esté muy controlada ya que tendrá que ver en los factores de textura mencionados anteriormente porque pueden eliminarlos, suavizarlos, etc. En nuestro caso preferimos completar nuestra rehabilitación después de glaze con un pulido y abrillantado manual ya que así conseguimos un brillo natural y evitamos que las zonas texturizadas no se conviertan en áreas de retención de placa bacteriana.

8. Mimetismo e integración

La integración es la característica más importante por todos los protésicos en el momento de colocar un caso en boca.

REPORTAJE TÉCNICO

Respecto a la mimetización la podemos definir como una simbiosis entre lo natural y lo artificial con el fin de alcanzar una buena estética y funcionalidad y por consiguiente una buena integración con el medio natural que lo rodea.

Para ello, en nuestra estratificación tenemos la costumbre de usar una masa translúcida pura para que nuestra rehabilitación protésica se integre y mimetice correctamente.

9. Conclusión

En este artículo podemos ver técnicas aplicables en nuestro día a día en el laboratorio tanto en estética blanca como en rosa.

Toda esta información esperamos que os sirva de ayuda para conseguir unos resultados óptimos más naturales. Lo que queremos transmitir es que debemos tener la capacidad de conocer los materiales

con los que trabajamos y saberlos manejar de tal manera, para resolverlo de una forma exitosa. Para ello hay que cruzar el límite y desafiar a la naturaleza y a nosotros mismos.

La resolución de estos casos no es posible sin la práctica diaria de muchas horas en el laboratorio y “jugar” con nuestros materiales para que el resultado que nos den sea un medio de enseñanza para aplicarlo en la imitación de la naturaleza. Hay que tener muy claro que para lograr nuestras metas hay que salir de nuestra zona de confort y “lanzarse a la piscina”. Cuando comencemos a conseguir ciertos objetivos que nunca pensaríamos que podríamos lograr, empezaremos a disfrutar gracias a la sensación de bienestar que nos produce y aun así solo estaremos en la mitad del camino.

Inventan una prótesis dental autoadhesiva inspirada en las ventosas de los pulpos

Los científicos están aprovechando el poder de la naturaleza imitando las ventosas del pulpo para ayudar a que las dentaduras postizas se

adhieran a la boca.

Por primera vez, se han diseñado pequeñas "ventosas" en próte-

sis dentales impresas en 3D que ayudan a que permanezcan en su posición. La investigación podría ayudar al 11% de la población del Reino Unido que usa prótesis dental y a los 350 millones de personas de todo el mundo que no tienen ningún diente natural.

Las prótesis dentales siguen siendo el tratamiento más común para las personas que pierden los dientes, especialmente con la edad. Otras opciones incluyen los implantes dentales, pero son caros y no siempre están disponibles para las personas.

Muchos usuarios de prótesis dentales conocen el desafío que supone mantenerlas en su lugar, conocido como "retención". La gente suele recurrir a adhesivos para prótesis

Dentadura con ventosas tipo pulpo en la parte superior
Simulación por ordenador de prótesis dentales con los tentáculos del pulpo que las inspiraron

dentales que se venden en los supermercados, que se utilizan para pegarlas nuevamente en su lugar, pero esta opción es poco higiénica y poco popular entre los usuarios.

Para mejorar la situación, un equipo interdisciplinario de científicos del King's College de Londres exploró

Cuando se analizaron los modelos, se observó que tenían una retención mayor que las prótesis dentales estándar, aunque, afortunadamente, no tan fuerte como para que los usuarios no pudieran quitárselas por completo de la boca. Los modelos tenían el doble de

Este trabajo muestra el poder de la "biomimética" para resolver desafíos médicos del mundo real. Es inspirador ver cómo los conocimientos de la naturaleza, combinados con técnicas de fabricación de vanguardia, pueden dar lugar a innovaciones que mejoran tanto la funcionalidad como la satisfacción del paciente. Contribuir a este proyecto ha sido una oportunidad increíble para ampliar los límites de la ciencia de los materiales dentales.

Dra. Eda Dzinovic, investigadora de materiales dentales del King's College de Londres

cómo podrían reproducir el mismo proceso que permite a los pulpos adherirse a superficies resbaladizas en odontología. Los pulpos tienen "ventosas" en sus tentáculos que crean una presión negativa y un vacío, creando una fuerte succión que los fija a las rocas.

El equio planteó la teoría de que se podrían añadir ventosas similares a las dentaduras postizas, lo que permitiría que se fijaran a la mucosa blanda de la boca. Diseñaron modelos impresos en 3D utilizando el diseño asistido por computadora (CAD) de dentaduras postizas superiores e inferiores.

retención que las prótesis dentales normales.

Los científicos, de la Facultad de Odontología, Ciencias Orales y Craneofaciales de King's, exploraron cómo se podrían utilizar los cambios químicos para ayudar a fijar las dentaduras postizas en su lugar. Con dentaduras postizas hechas de plástico, demostraron que al cubrirlas con una fina capa de queratina (la misma proteína que se encuentra en la piel y el cabello) se forma un enlace químico con la queratina de la piel de la boca (mucosa). Esto mejora aún más la retención y también es invisible a la vista, por lo que no afecta el aspec-

to de las dentaduras postizas.

El autor principal, el Dr. Sherif Elsharkawy, del King's College de Londres, dijo: "Después de haber trabajado con usuarios de dentaduras postizas, a quienes veo a menudo en la clínica, durante varios años, realmente quería mejorar sus experiencias.

“La primera vez que tuve la idea de reproducir superficies pegajosas de la naturaleza fue cuando mordí un melocotón. Noté cómo la piel peluda se pegaba al paladar de mi boca y decidí investigar otras superficies pegajosas de la naturaleza. Las ventosas de pulpo me parecieron el lugar perfecto para comenzar.

“Esta investigación une la naturaleza y la tecnología para abordar un desafío de larga data para los usuarios de prótesis dentales. Al imitar las ingeniosas estrategias adhesivas que se encuentran en las ventosas de pulpo, hemos desarrollado un prototipo que ofrece un mejor agarre y comodidad incluso en los entornos bucales más exigentes. Nuestros hallazgos allanan el camino para una nueva generación de prótesis dentales que pueden transformar la calidad de vida de millones de personas en todo el mundo”.

Fuente: King's College London

Dr. Sherif Elsharkawy

Profesor Clínico Académico en Prótesis Dentales

dental PRÓTESIS

NOTICIAS

Asamblea del Consejo General

El pasado 28 de diciembre, el Consejo General de Colegios de Protésicos Dentales de España, máximo órgano representativo, coordinador y ejecutivo superior, a nivel nacional e internacional, de los Colegios de Protésicos Dentales de España celebró, por vía telemática, la Asamblea General Ordinaria.

Como es habitual en estas reunio-

nes, en el primer punto del día se llevó a cabo una exposición de algunos de los principales temas que se esán llevando a cabo en los últimos meses. El responsable de Defensa Profesional y el Asesor Legal explicaron las acciones llevadas a cabo con la Administración y sus correspondientes departamentos.

Asimismo, la Asamblea aprobó, la

cuenta general de gastos e ingresos del año 2023, el presupuesto y su norma específica para el año 2025 y el Reglamento de Régimen Interno del Consejo General de Colegios de Protésicos Dentales. Igualmente, en esta misma asamblea se aprobó la modificación de los Estatutos del Colegio Profesional de Protésicos Dentales de Castilla y León.

Dióxido de circonio prémium: estética óptima con

Multi-Gradient Technology

- la tecnología multigradiente

VITA Zahnfabrik amplía su gama de dióxido de circonio con el nuevo dióxido de circonio prémium VITA YZ MULTI TRANSLUCENT.

coronas parciales, onlays, carillas o puentes implantosoportados de hasta 14 piezas, el innovador material posibilita resultados estéticos

La nueva generación del material (4Y-TZP cervical, 5Y-TZP incisal) combina una resistencia máxima a la flexión con un gradiente cromático y de translucidez natural. Gracias a la transición cromática y de translucidez fluida y natural desde el cuello hasta la zona incisal, cada restauración se convierte en un fenómeno estético.

Versatilidad para satisfacer las máximas exigencias estéticas

Este multitalento es la elección ideal para todas las indicaciones. Ya se trate de coronas monolíticas completamente anatómicas,

excelentes sin necesidad de aplicar las laboriosas técnicas de cut back o de recubrimiento. Nunca antes había sido tan fácil alcanzar la perfección natural.

Estabilidad y durabilidad excepcionales

En particular en la zona de la dentina y del cuello, donde las fuerzas que actúan sobre los puentes son más elevadas, VITA YZ MULTI TRANSLUCENT presenta unos impresionantes valores de resistencia a la flexión de hasta 1200 MPa, que permiten esperar una gran durabilidad.

Con VITA, el color es el correcto. Siempre

La exclusiva tecnolgía de colores de VITA posibilita un PERFECT MATCH con la guía de colores VITA. Disponible en 16 colores VITA classical A1-D4 y tres colores de blanqueamiento 0M1, 0M2 y 0M3 del VITA SYSTEM 3D-MASTER, este dióxido de circonio prémium ofrece la solución adecuada para cualquier exigencia estética.

Manipulación sencilla para prótesis exigentes

El dióxido de circonio se caracteriza por una elevada estabilidad de los ángulos, que permite confeccionar restauraciones extremadamente precisas con un ajuste exacto. La facilidad de manipulación y el posicionamiento sencillo garantizan una elevada seguridad del proceso, así como una alineación precisa de las restauraciones durante el anidamiento. Además, mediante el programa de sinterización YZ Speed se pueden sinterizar restauraciones de hasta 14 piezas en solo 50 minutos sin merma de calidad.

Material innovador para las más elevadas exigencias de calidad El dióxido de circonio de VITA está basado en polvo de dióxido de circonio estabilizado al 100 % con óxido de itrio de Tosoh (Tosoh Corp. Japón). Esta materia prima de alta calidad garantiza una sinterización sin tensiones y un ajuste preciso, incluso en caso de puentes de gran envergadura, tras la sinterización de alta velocidad.

Fuente: VITA

dental PRÓTESIS

NOTICIAS

Investigadores japoneses prueban un fármaco pionero para regenerar los dientes

Las personas a las que les faltan dientes podrían tener la posibilidad de que les crezcan otros nuevos, afirman dentistas japoneses que están probando un fármaco pionero que esperan que ofrezca una alternativa a las dentaduras postizas y los implantes.

A diferencia de los reptiles y los peces, que suelen reemplazar sus colmillos periódicamente, es ampliamente aceptado que los humanos y la mayoría de los demás mamíferos solo tienen dos juegos de dientes .

Pero debajo de nuestras encías se esconden los brotes latentes de una tercera generación, según Katsu Takahashi, jefe de cirugía oral del Instituto de Investigación Médica del Hospital Kitano en Osaka.

Su equipo lanzó ensayos clínicos en el Hospital Universitario de Kioto

en octubre, administrando un medicamento experimental a sujetos de prueba adultos que, según dicen, tiene el potencial de impulsar el crecimiento de estos dientes ocultos.

Es una tecnología "completamente nueva" en el mundo, dijo Takahashi a la AFP.

Los tratamientos protésicos utilizados para reemplazar dientes perdidos por caries, enfermedades o lesiones suelen considerarse costosos e invasivos.

"Restaurar dientes naturales definitivamente tiene sus ventajas", afirmó Takahashi, el investigador principal del proyecto.

Pruebas realizadas en ratones y hurones sugieren que bloquear una proteína llamada USAG-1 puede despertar el tercer juego, y los in-

vestigadores han publicado fotografías de laboratorio de dientes de animales regenerados.

En un estudio publicado el año pasado, el equipo afirmó que su "tratamiento con anticuerpos en ratones es eficaz para la regeneración dental y puede suponer un gran avance en el tratamiento de anomalías dentales en humanos".

Por ahora, los dentistas están dando prioridad a las necesidades "urgentes" de los pacientes a los que les faltan seis o más dientes permanentes desde el nacimiento.

Se dice que la condición hereditaria afecta a alrededor del 0,1 por ciento de las personas, que pueden tener graves problemas para masticar y en Japón a menudo pasan la mayor parte de su adolescencia usando una mascarilla para ocultar los grandes espacios en su boca,

Las imágenes del Instituto de Investigación Médica del Hospital Kitano muestran imágenes de antes (arriba) y después del recrecimiento de los dientes en un hurón (centro) y ratones (derecha e izquierda) © Folleto / Instituto de Investigación Médica del Hospital Kitano/AFP

dijo Takahashi. "Este medicamento podría cambiarles la vida", añadió.

El medicamento está destinado principalmente a los niños y los investigadores quieren que esté disponible ya en 2030.

Angray Kang, profesor de odontología de la Universidad Queen Mary de Londres, sólo conoce a otro equipo que persigue un objetivo similar: utilizar anticuerpos para regenerar o reparar los dientes.

"Yo diría que el grupo Takahashi está a la vanguardia", explica a la AFP este experto en inmunotecnología, que no está vinculado a la investigación japonesa.

El trabajo de Takahashi es "emocionante y vale la pena continuar", dijo Kang, en parte porque un fármaco de anticuerpos que se dirige a una proteína casi idéntica a USAG-1 ya se está utilizando para tratar la osteoporosis.

"La carrera para regenerar los dientes humanos no es un sprint corto, sino, por analogía, una serie de ultramaratones consecutivos", dijo.

Chengfei Zhang, profesor clínico de endodoncia en la Universidad de Hong Kong, dijo que el método de Takahashi es "innovador y tiene potencial".

"La afirmación de que los humanos poseen brotes dentales latentes capaces de producir un tercer juego de dientes es a la vez revolucionaria y controvertida", declaró a la AFP.

También advirtió que "los resultados observados en animales no siempre se traducen directamente en los humanos".

Los resultados de los experimentos con animales plantean "preguntas sobre si los dientes regenerados podrían reemplazar funcional y estéticamente a los dientes faltantes", añadió Zhang.

Takahashi, confiado, sostiene que la ubicación de un nuevo diente en la boca se puede controlar, si no determinar con exactitud, mediante el sitio de inyección del medicamento. Y si crece en el lugar equivocado, se puede mover mediante ortodoncia o trasplante, dijo.

En el primer ensayo clínico no participan pacientes jóvenes con este trastorno congénito, ya que el objetivo principal es probar la seguridad del fármaco, más que su eficacia.

Por ahora, los participantes son adultos sanos que han perdido al menos un diente existente.

Y aunque la regeneración dental no es el objetivo expreso del ensayo esta vez, hay una pequeña posibilidad de que les suceda de todos modos a los sujetos, dijo Takahashi.

De ser así, los investigadores habrán confirmado que el fármaco puede ser eficaz para aquellas personas que han adquirido dientes sin dientes, lo que sería un triunfo médico. "Me sentiría muy feliz si eso sucediera", dijo Takahashi.

Esta podría ser una noticia especialmente bienvenida en Japón, que tiene la segunda población más vieja del mundo.

Los datos del Ministerio de Salud muestran que más del 90 por ciento de las personas de 75 años o más en Japón tienen al menos un diente faltante.

"Hay grandes expectativas de que nuestra tecnología pueda prolongar directamente su esperanza de vida saludable", afirmó Takahashi.

Implantología como profilaxis con amplio impacto – más seguridad gracias a la planificación inversa –inserción a mano alzada o cirugía guiada – la tomografía por resonancia magnética complementa a la radiografía – postes de fibra de vidrio como elemento amortiguador con propiedades similares a la dentina – materiales alternativos: óxido de circonio y plástico.

Los procedimientos digitales han conseguido en los últimos años simplificar y hacer más fiable la implantología dental. En el futuro, es probable que la lleven aún más lejos y acentúen su potencial profiláctico. La Exhibición Dental Internacional (IDS) mostrará del 25 al 29 de marzo de 2025 en Colonia cómo se preparan las consultas de hoy a los tratamientos implantológicos del futuro.

La implantología está ganando actualmente importancia en un terreno aparentemente, pero solo aparentemente, lejano: la profilaxis. Al colocar un implante para cerrar un hueco, deja de ser necesario tallar los dientes adyacentes para colocar un puente (conservación de la estructura dental sana) y a la vez se mantiene el nivel óseo en los años posteriores a la colocación del implante (profilaxis de pérdida ósea). Con soluciones implantológicas como nuevo estándar de tratamiento, la reconstrucción con puentes, las prótesis parciales e híbridas, así como las prótesis totales serían mucho menos frecuentes.

Fuente: RFI

dental PRÓTESIS

41ª Exhibición Dental Internacional (IDS) 2025

Procedimientos innovadores y de eficacia demostrada – material de moldeado y escáner intraoral – flujos de trabajo digitales, parcialmente digitales y analógicos – de la ortodoncia digital a la asistida por inteligencia artificial – metales de renovado interés gracias a la fabricación aditiva – IDS 2025 presenta la gama al completo.

En la odontología y la tecnología dental rara vez un material o un procedimiento sustituye por completo a otro de golpe. Es mucho más habitual que las clínicas y laboratorios ofrezcan procedimientos probados e innovadores en la misma medida, y el mayor éxito lo consiguen aquellos que saben combinarlos de forma óptima para cada caso. La Exhibición Dental Internacional (IDS) ofrecerá del 25 al 29 de marzo de 2025 en Colonia una visión global de todas las posibilidades en una escala sin precedentes en el sector. Por ejemplo, en el moldeado, el procedimiento digital proporciona a los pacientes sensibles la sensa-

ción de poder respirar con mayor libertad. No obstante, en la actualidad coexisten los métodos digitales y analógicos. Los moldeados digitales son cada vez más precisos, pero en algunos casos, especialmente en prótesis sobre implantes de mayor complejidad, son muchos quienes siguen prefiriendo los procedimientos clásicos. En otros casos, se pasa del moldeado digital a un procedimiento analógico en vez de seguir un flujo de trabajo estrictamente digital.

Esto sucede, por ejemplo, cuando se pasa a trabajar sobre un modelo físico realizado a partir de una impresión 3D. La elección del procedimiento más adecuado en cada caso depende de la situación clínica del paciente, las consideraciones económicas y las preferencias del dentista y del protésico dental responsable. En un estadio similar se encuentran los avances en implantología: escáneres intraorales, radiografías en 3D, tomografías computarizadas y, sobre todo, la correlación de informaciones digita-

les procedentes de diferentes fuentes, conforman actualmente las bases de la planificación inversa. En cuanto a los implantes en sí, se han mantenido bastante conservadores a lo largo de las décadas, pero no del todo, ya que los departamentos de investigación y desarrollo de la industria dental han enfocado sus esfuerzos cada vez más hacia la preservación de hueso y tejido blando en la zona periimplantaria. Esto ha llevado, por ejemplo, al empleo de la plataforma reducida. En la actualidad, es más frecuente encontrar en la zona del hombro del implante una micro rosca y un diseño especial de la superficie. Todo ello garantiza el éxito a largo plazo (también a nivel estético), reduce los ajustes necesarios del implante tras su colocación y ahorra al dentista trabajo posterior en el paciente. El material de titanio para implantes no ha conocido rival durante décadas, sin embargo, hoy en día encontramos alternativas como los implantes cerámicos y el recién desarrollado implante po-

limérico, como el de polieteretercetona (PEEK) reforzada con fibra. En la misma línea se sitúan las opciones de tratamiento para ortodoncia: los brackets y aparatos de ortodoncia metálicos visibles conviven con aparatos “ocultos” como la técnica lingual y las férulas “invisibles” de plástico. Los procedimientos clásicos se complementan y a veces se sustituyen por otros digitales.

Hoy en día, incluso las estructuras ocultas a primera vista se pueden reconocer digitalmente, lo cual permite responder con mayor seguridad a preguntas como “¿Desarrollará determinado niño a lo largo de su crecimiento una maloclusión de clase III?”.

Las aleaciones de cromo-níquel, además de la cerámica, han demostrado su eficacia para aparatos de ortodoncia tanto fijos como removibles. Para la variante removible también se presentan como materiales alternativos los polimerizados en frío para su procesamiento en un dispositivo de prensado, así como las siliconas y las resinas completamente fotopolimerizables. La elección del material y del procesamiento para cada caso concreto dependen de consideraciones tanto funcionales como estéticas y, sobre todo, de las preferencias del paciente.

“Los procedimientos de eficacia ya comprobada y los más innovadores se complementan en prácticamente todos los ámbitos de la odontología”, asegura con satisfacción Mark Stephen Pace, director general de la Asociación de la Industria Dental Alemana (VDDI). “Por ejemplo, los materiales metálicos se pueden procesar hoy en día de diferentes maneras, lo que confiere a los nuevos materiales una mayor flexibilidad y a los clásicos un atractivo renovado. Las cerámicas para estructuras se pueden encontrar en diferentes grados de transparencia o incluso colocarse sin recubrimiento. Por otro lado, los ingenieros dentales han desarrollado vitrocerámicas de alta resistencia, abriendo así la posibilidad de su uso para coronas y puentes dentales. Dentistas, técnicos dentales y todos los demás profesionales de la industria dental podrán informarse de las posibilidades actuales en todos los ámbitos de la odontología en la Exhibición Dental Internacional (IDS) del 25 al 29 de marzo de 2025 en Colonia. Fuente: IDS

Investigadores estadounidenses estudian el esmalte dental a nivel atómico

Investigadores de la Universidad de Washington y del Laboratorio Nacional del Pacífico Noroeste han examinado la composición atómica de muestras de esmalte de dos dientes humanos: uno de un hombre de 22 años y otro de uno de 56 años. Su estudio, publicado en Communications Materials el pasado 19 de diciembre, encontró que la muestra del individuo mayor contenía niveles más altos de flúor, particularmente en las regiones de la capa de la estructura cristalina del esmalte.

El esmalte dental está sujeto a ciclos de desmineralización y remineralización en el entorno bucal durante toda su vida, cuyos efectos

acumulativos provocan fragilización con la edad. Sin embargo, la comprensión de los mecanismos a escala atómica del envejecimiento del esmalte dental aún está en sus primeras etapas, en particular en lo que respecta a dónde se producen las diferencias de composición en los nanocristales de hidroxiapatita y qué mecanismos subyacentes podrían ser responsables. Según citan los investigadores "En este trabajo, utilizamos la tomografía de sonda atómica para comparar el esmalte de un diente donante adulto joven (22 años) y uno mayor (56 años). Los hallazgos revelan que la concentración de flúor es elevada en las capas de los nanocristales mayores en relación con los jóve-

Solo son visibles los iones Mg. a , c Las reconstrucciones correctamente alineadas muestran el núcleo enriquecido con Mg de cada nanocristal rodeado por una capa empobrecida en Mg. El espacio intergranular entre los nanocristales también tiene una concentración relativamente alta de Mg. Se delinean los límites de cada nanocristal. b , d Se dibujan ROI rectangulares y se asignan a la fase intergranular, de capa o de núcleo.

nes, con diferencias menos significativas entre los núcleos o las fases intergranulares. Se propone que la fragilización del esmalte está impulsada, al menos en parte, por la infusión de flúor en los nanocristales y que el mecanismo principal son los ciclos de desmineralización y remineralización que erosionan y reconstruyen preferentemente las capas de los nanocristales".

Fuente: Grimm, JR, Renteria, C., Mukhopadhyay, S. et al. Estratificación de la captación de flúor entre los cristales del esmalte con la edad dilucidada mediante tomografía de sonda atómica. Commun Mater 5 , 270 (2024). https://doi.org/10.1038/s43246-02400709-8

España vuelve a formar parte del órgano de gobernanza de la OMS tras casi 20 años de ausencia

La Organización Mundial de la Salud (OMS) Europa aprobó el 30 de octubre en su reunión anual en Copenhague la incorporación de la ministra de Sanidad, Mónica García, como representante en el

Comité Ejecutivo de la OMS. Este nombramiento no se informó en su día por respeto a la situación que se estaba viviendo en las zonas afectadas por la DANA.

Por primera vez desde 2005, nuestro país forma parte del Comité Ejecutivo de la OMS, el órgano encargado de la gobernanza de este organismo internacional. Esta elección supone un reconocimiento a la labor de España en el ámbito de la salud pública y le permitirá participar activamente en la toma de decisiones a nivel global.

“Con nuestra presencia”, ha dicho García, “queremos impulsar a nivel global lo que ya estamos trabajando desde el ministerio: la atención primaria como corazón de los sistemas de salud, cuidar a los profesionales, señalar la importancia del cambio climático para la salud, promover la equidad de género en salud y trabajar

dental PRÓTESIS

NOTICIAS

contra la obesidad infantil a través del deporte, la alimentación saludable y los determinantes sociales de la salud.”

El Consejo Ejecutivo de la OMS está integrado por 34 miembros técnicamente cualificados en el ámbito de la salud. Sus miembros se eligen para un mandato de tres años.

El Consejo celebra dos reuniones anuales. La primera, de mayor envergadura, tiene lugar en enero. En ella se define el orden del día de la Asamblea de la Salud y se votan resoluciones que posteriormente serán presentadas ante dicha Asamblea. La segunda reunión, más breve y de carácter ad -

ministrativo, se celebra en mayo, inmediatamente después de la Asamblea de la Salud

La principal función del Consejo Ejecutivo es implementar las decisiones y políticas establecidas por la Asamblea de la Salud, además de servirle de órgano asesor y facilitar su labor.

La Asamblea Mundial de la Salud es el órgano decisorio más importante de la Organización Mundial de la Salud (OMS). Su principal función es establecer las políticas de salud pública a nivel global, lo que incluye definir prioridades, guiar estrategias y aprobar programas de trabajo.

Esta asamblea se reúne anualmente en Ginebra, Suiza, con la participación de delegaciones de todos los Estados Miembros de la OMS. Durante las reuniones, se debaten temas cruciales para la salud global y se toman decisiones que impactan en la vida de millones de personas.

Entre sus responsabilidades destacan la elección del Director General de la OMS, la supervisión de las finanzas de la organización y la aprobación del presupuesto que permite la ejecución de los programas y proyectos en salud pública.

Fuente: Ministerio de Sanidad

Quinta sesión CURSO EXOCAD 2024 (2ª Edición). Manejo,

edición y estudio de mallas

El pasado viernes 29 de noviembre, el Colegio Profesional Professional de Protésicos Dentales

de Aragón oraganizó un curso online impartido por Oscar Garcíaque, bajo el título “Manejo, edición

y estudio de mallas”, congregó a un grupo de colegiados interesados en este tipo de materias.

Estudio y captación del color

El Colegio Profesional de Protésicos Dentales de Aragón organizó el pasado 25 de octubre en su sede de Zaragoza y con la colaboración de Dental Everest, un nuevo curso para todos sus colegiados interesados en actualizarse en todos los avances relativos a su profesión. En esta ocasión

el curso "Estudio y Captación del Color", impartido por Luis Miguel Vera.

Durante el curso, Luis Miguel Vera compartió los secretos de la toma de color en prótesis y reconstrucciones, enfocándose en lograr restauraciones estéticamente integradas con el entorno

bucal del paciente. Los asistentes mostraron un gran interés en el método de trabajo, especialmente en técnicas innovadoras y el uso de herramientas como el sistema Optishade de Smile Line, el cual facilita la captación precisa del color, minimizando el margen de error.

dental PRÓTESIS

ANUNCIOS BREVES

OFERTAS

SE NECESITA protésico dental y ceramista con experiencia en encerado de estructura, repasado y montaje de cerámica para laboratorio en zona sur de Alicante. Interesados llamar al Tel.: 966780412, col. nº 9 Alicante.

SE BUSCA ceramista con experiencia para laboratorio en Barcelona, llamar al Tel.: 639157848, Sr. Francisco, colegiado 677 COPDEC.

BUSCAMOS protésico dental para laboratorio dental en Ávila. Con buenos conocimientos generales y buena predisposición. Incorporación a pequeño equipo con buen ambiente de trabajo con las últimas tecnologías y buenas expectativas de futuro. información Tel.: 920250320, colegiado 49 Castilla y León.

SE NECESITAN protésicos con experiencia para cubrir varios puestos en prótesis removible y fija. Tel.: 645995215. Enviar CV laboratoriogranadent@gmail.com, colegiado 745 Andalucia.

BUSCAMOS ceramista con experiencia demostrable para laboratorio situado en Orihuela Costa (Alicante) por ampliación de plantilla. Se ofrece contrato indefinido a jornada completa, jornada intensiva y salario a convenir. Enviar CV a dentartstylezenia@gmail.com. Tel.: 693783255 Colegiado 315 Alicante.

LABORATORIO de Ortodoncia en Madrid busca incorporar protésicos para sus secciones de ortodoncia fija, removible y CAD CAM. Email: contestador@ortodonciaortosol.es, colegiado 515 Madrid.

SE NECESITAN Protésicos Den-

tales, especializados en el área de resina y de cerámica, con experiencia mínima de 2 años demostrable para laboratorio ubicado en Jerez de la Frontera. Interesados llamar al Tel.: 637552632/956 18 52 64. Colegiado 575 Andalucia.

LABORATORIO de ortodoncia en Oviedo busca protésic@ con experiencia en ortodoncia, jornada completa, salario a convenir según valía y productividad. Tel. 628807736, email: info@orthoeasy.es. Colegiado 268 Asturias.

SE BUSCA protésico especializado en prótesis removible, la oferta es en Torrelavega/Cantabria. Enviar CV laboratoriooscarmartin@gmail. com, colegiado 250 Cantabria.

SE PRECISA para laboratorio ubicado en Jaca, un profesional con ganas de aprender y de adquirir responsabilidades dentro del equipo y una proyección a largo plazo en nuestro laboratorio. Se valora experiencia en Exocad y manejo de herramientas CAD / CAM (fresadoras, impresoras 3D). Enviar CV a: info@fabueldentallab.com.

SE PRECISA protésico/a dental para laboratorio en Zaragoza. Preferiblemente con experiencia de 2 años y conocimientos en Exocad. Interesados/as enviar C.V. a: Laborzaragoza@gmail.com. Colegiado nº 389 de Aragón.

LABORATORIO ubicado en Zaragoza, busca 3 protésicos dentales. 1- Protésico/a dental CAD-CAM: experiencia mínima 3 años demostrables, diseño Exocad (puentes, coronas, rehabilitaciones, férulas de descarga, coronas sobre implante, carillas, cargas inmediatas, blender, férulas quirúrgicas). Manejo de impresoras 3D, maquillaje de zirconio monolítico.

2- Protésico/a dental CERAMISTA: experiencia mínima 3 años demostrables, estratificación de todo tipo de restauraciones, puentes, coronas, rehabilitaciones, coronas sobre implantes, maquillaje. 3Protésico/a dental sección REMOVIBLE: experiencia mínimo 3 años demostrables, diseño y fabricación de todo tipo de prótesis de resina. Ponte en contacto con nosotros dejándonos tu currículo en nuestro email: 3dentallaboratorio@gmail. com. Colegiado 387 Aragón.

DEMANDAS

LABORATORIO de León necesita protesic@ con experiencia en prótesis removible para incorporación inmediata a jornada completa. Enviar currículum a: ortoartes@gmail.com o al WhatsApp: 609825595, colegiada 541 Castilla y León.

PROTESICA con experiencia (8 años) en prótesis fija- cerámica, composite y también CAD/CAM. Por ahora estoy abierta a ver varias ciudades, porque no tengo una ciudad concreta considerada. Correo henchagram@gmail.com, WhatsApp 680391955.

SE OFRECE protésica en Madrid, buscando ampliar conocimientos y experiencias, disponibilidad inmediata. Tel.: 605157446, email sheridalucena@gmail.com Sheri.

PROTÉSICO colegiado busca trabajo en Córdoba y provincia. 17 años de experiencia en resina (montaje, modelado, repasado) y pulido en cerámica con metal IPS Design (modelado, repasado estructuras y montaje de cerámica). Tel.: 609069055. Colegiado nº 314 CPDA.

SE OFRECE protésica colegiada con laboratorio propio, máxima seriedad, para hacer trabajos estéticos en removible, metal cerámico, cerámica total e-max, prótesis fija y combinada. Tel.: 606652563. Margarita. Col.184 COPRODIB.

SE OFRECE protésico dental de 22 años con 20 meses de experiencia voluntaria y 3 curriculares con mucho interés en aprender tanto prótesis fija como removible y ganas de trabajar. Paco Bastida. Tel.: 697822168. pacobastida95@gmail. com, Sanlúcar de Barrameda – Cádiz.

SE OFRECE protésico dental colegiado con más de 25 años de experiencia. Tel.: 659930402. prietofma@gmail.com. Colegiado 280287 de Madrid.

BUSCO un laboratorio donde poder trabajar o realizar un contrato de prácticas para poder ampliar mis conocimientos y desarrollar todo lo aprendido. He acabado este año Prótesis Dental, en estos dos años de curso he realizado prótesis completas, parciales, implantes, cerámica y un poco de CAD/CAM. He realizado un cursillo de iniciación a la cerámica en el Dental Training Center de Barcelona by August Bruguera, tengo intención de seguir desarrollándome, haciendo más cursos. Soy una persona muy trabajadora y responsable, no tendría problemas p ara desplazarme de lugar de residencia. Colegiado 425 Aragón, email: baipe-19_96-na@outlook.es, Ignacio, Tel.: 664040461.

SE OFRECE protésico dental en Valencia capital, 30 años, 8 años de experiencia destacada en cargas inmediatas y sección de resina. También quiero destacar otros campos como Cad/Cam y encerados estéticos. Tel.: 686918179 Mariotellez-

delsaz@gmail.com, colegiado 1178 Castellón y Valencia.

LABORATORIO Martínez González ofrece sus servicios prótesis fija zirconio, prótesis removible y ortodoncia a laboratorios dentales. Disponemos de las últimas tecnologías, escáner, fresadora, impresora, los trabajos pueden ser recogidos mediante mensajería o bien mandados mediante formato STL Pidan información sin compromiso. Tel.: 868175177, correo: laboratoriomartinezgonzalez@hotmail.com, colegiado 276 Murcia.

PROTÉSICA Dental con 17 años de experiencia en removible se ofrece para trabajar en Bilbao o alrededores. Correo: m.acuarioruiz@gmail. com.

PROTÉSICO dental-ceramista con más de 15 años en prótesis dental fija (estructuras, cerámica, di silicato, zirconio...) busca trabajo en Málaga capital y provincia. Persona seria, responsable y trabajadora. Tel.: 630056336, email pequinvigo@ gmail.com.

PROTÉSICO con 12 años de experiencia en escayola y Resina y conocimiento en cerámica y máster, se ofrece para trabajar en Madrid. Colegiado 281331 Madrid. Email: relli_fer@hotmail.com.

SE OFRECE protésico dental titulado con muchos años de experiencia en prótesis removible, inmediatas, híbridas, férulas etc... Prótesis fija, repasado, modelado, ataches, implantes, barras etc... Para contactar llamar al Tel.: 600387424. Valencia.

SE OFRECE servicio de diseño CAD. Protésica dental con más de 14 años de experiencia (10 en CAD), ofrece sus servicios como freelance para épocas de excedente

de trabajo, también formación, on-line/in-situ, para laboratorio dental. Tel.: 642727429, ana@lanadentaldesign.comm.

PROTESICO dental recién titulado busca trabajo en la comunidad andaluza. Experiencia en período de prácticas en resina, escayola y flujo digital. Soy una persona puntual y responsable. Tengo muchísimas ganas de ejercer la profesión y adquirir experiencia. Si le encajo en su perfil, no dude en contactarme Tel.: 669955311, victorjose12cod@ gmail.com.

PROTESICA dental busca laboratorio en Sevilla o alrededores que me permita seguir desarrollándome profesionalmente en cualquier área. Soy una persona trabajadora y responsable. Estaría encantada de enviarle mi currículum. Mi correo: Lauramorenokr@gmail.com, Tel.: 605520053. Colegiada 2516 Andalucia.

LOCALES

TRASPASO laboratorio prótesis dental de resina y cerámica en Badajoz, zona centro junto al corte inglés. Consta de sala de escayola, despacho, sala de resina, sala de cerámica, recepción, almacén y baño. Con toda la maquinaria, mobiliario y materiales en propiedad al cesionario. Todo apunto para comenzar a trabajar. Licencia vigente hasta julio del 2027. Tel.: 610709095 Ana, precio 19.000 euros. Col. 151 Extremadura.

SE TRASPASA laboratorio dental por jubilación, laboratorio en activo, trabajo desde el primer día y uso para laboratorio grande dos plantas centro de Alicante, prótesis digital fija o colada, esqueléticos,

dental PRÓTESIS

ANUNCIOS BREVES

removible, ortodoncia, tiene capacidad y maquinaria para todo ello digital o por colado, (actualmente solo Digital Fija) y removible. Se deja clientela y me quedaría para hacer la transición el tiempo que lo requiera, alquiler bajo solo 430 euros, pudiendo crecer en producción en poco tiempo apto para grandes producciones. Interesado llamar al Tel.: 610300339 o profdentsc@ gmail.com, colegiado 3 de Alicante, preguntar por José M.

TRASPASO laboratorio prótesis dental en el barrio de Sarrià, de Barcelona. Superficie de 110 m2, en ejercicio y con Licencia Sanitaria en regla, solo hay que hacer cambio de titular. En perfecto estado, diseño moderno y con 5 puestos de trabajo, sin personal (3 generales + 2 de cerámica), con maquinaria para cualquier rama exceptuando ortodoncia. Escáner digital con software EXOCAD, sin fresadora ni impresora. Condiciones inmejorables. Para más información contactar telefónicamente 689759105 o canet@copdec.es, colegiado 172 Cataluña.

SE VENDE o traspasa laboratorio dental en Santiago de Compostela con cartera de clientes. Equipado con 5 puestos de trabajo, cuenta con la maquinaria necesaria para estética, implantes, removible y Cad-Cam (escáner e impresoras). Para más información 651372023, colegiado 8 Galicia.

ALQUILO laboratorio dental equipado para removible metálica, resina y metal cerámica, actualmente en funcionamiento. Todas las licencias, con o sin maquinaria. Colegiado nº 264 CPDCM. Tel.: 916609114.

VENDO O TRASPASO por jubilación, laboratorio dental preparado

para todo tipo de trabajos, con CadCam KAVO, fundidora de titanio y laser entre otras maquinarias. Tel.: 922274803 Carlos, colegiado nº 28 de Santa Cruz De Tenerife.

SE TRASPASA laboratorio dental en Madrid por jubilación. Modalidad de venta o alquiler de local. Negocio consolidado con más de 30 años de actividad, con cartera de clientes. El laboratorio dispone de 11 puestos de trabajo, 3 hornos de cerámica, escáner Cad/Cam, sala de colados, sala de escayola, despacho, zona de comedor, 2 servicios completos con vestuario y almacén. Local de 225 m2 muy luminoso, situado en edificio industrial Indobuiding, con conserje, vigilancia 24 horas, ascensor para coches y muelle de descarga. Consultar condiciones. Contacto: Clemente Tel. 616596078, mariamaxsd@ gmail.com, colegiado 280205 Madrid.

ALQUILO laboratorio en Burgos con vistas a próxima jubilación, ubicado en zona tranquila y entorno muy agradable. Dispone de 4 puestos de trabajo, está preparado para hacer trabajos de fijo y móvil, hornos, scanner 3d etc. Para más información preguntar por Luis Tel.: 947200959. Colegiado 14 Castilla y León.

SE VENDE laboratorio de Prótesis Dental en Alcobendas. Totalmente equipado con quince puestos de trabajo para protésicos, divididos en varias secciones, recepción, oficina y despacho, con toda la maquinaria necesaria para su funcionamiento. (prótesis fija, Cad-Cam, removible, y esqueléticos) Incluimos el mobiliaria, las existencias y el fondo de comercio, disponemos de toda la documentación en vigor para seguir funcionando, licencia sanitaria, ayuntamiento y contratos los nece-

sarios como la Lopd , Prevención de riesgos y Extinción. También existe la posibilidad de venta o alquiler del local. Interesados contactar vía email Labodental28@gmail. com. Colegiado 685 Madrid.

SE VENDE o alquila, por jubilación, laboratorio dental en Asturias de 92 m2, exterior, totalmente equipado para prótesis removible, fija e implantes, para entrar a trabajar, 7 puestos de trabajo, sistema CADCAM de Zirkonzahn.M5, escáner, horno de sinterizado y ordenador. Para más información contactar Tel. 600468152, José Luis colegiado 1 del Principado de Asturias. Email: laboratoriodentalcortina@ gmail.com.

ALQUILO laboratorio con el doble de maquinaria para hacer prótesis fija y móvil, actualmente con trabajo y todos los permisos en regla (85m2). Sin problemas de salida de humos ni problema con los ruidos y estratégicamente ubicado en la zona de Barcelona y fácil de repartir en periferia, aparcamiento para motos en frente y línea de metro y autobuses al lado. Veinte años funcionando. Traspaso 3.000 euros y alquiler mensual 800 euros. Tel.: 661061839. Colegiado 843 Cataluña.

SE ALQUILA espacio de trabajo en laboratorio dental ubicado en Sevilla, mesa de trabajo personal y resto de maquinaria a compartir desde 250 euros, colegiado 571 Andalucia. Email: laboratoriodentalmonzonsevilla@gmail.com.

SE TRASPASA o vende laboratorio dental en zona sur de Madrid por cambio de actividad.140 m. Todos los permisos al día, todo montado (8 puestos), cartera de clientes; mando fotos si está realmente interesado zona de Aluche. Tel.:

690864534.Angel. Col. 853 Madrid.

SE TRASPASA o vende laboratorio en Cornellá de Llobregat (Barcelona), local de 150m, todo exterior con luz natural, en edificio de oficinas en zona industrial, dividido por secciones con aire acondicionado, instalación eléctrica trifásica, instalación de aire comprimido, varios puntos de agua y desagües, extintores. Con todos los permisos y licencias actualizadas. Equipado con mobiliario metálico, 10 puestos de trabajo nuevos (solo utilizado para cursos) y 6 puestos con aspiración individual, lámparas y micromotores en perfecto estado. Varios muebles auxiliares y de almacenaje. Maquinaria para todas las secciones en buen estado. Preparado con una sala independiente para hacer cursos. Bien comunicado con transporte publico cerca de hoteles y a 10minutos del Aeropuerto. Si te interesa puedo mandar fotos. Tel.: 620267671. Colegiado 467 COPDEC.

VENTA del negocio, laboratorio en funcionamiento con personal, cartera de clientes, maquinaria, sección CAD/CAM, licencias en regla, buena facturación anual, dentro de unos años nos llega la jubilación y queremos que nuestro negocio continue en otras manos. Colegiado 103 Comunidad de Madrid. Contactar con Begui Tel.: 685968443.

VENDO O TRASPASO laboratorio dental en funcionamiento. Equipado para la elaboración de prótesis fija, removible metálica y removible acrílica. Cuenta con cartera de clientes activa. Instalado en un local de 85 m2, en zona muy comercial de fácil aparcamiento. Tiene todos los permisos y licencias en vigor. Colegiado 522 Andalucia. Tel.: 655940381. Sevilla.

TRASPASO laboratorio dental equipado y en funcionamiento por próxima jubilación, 4 puestos de trabajo, maquinaria para trabajo según: flujo digital (CAD/CAM), manual (tradicional), autorización sanitaria para: resina, metálica, fija, mixtas e implantosoportadas y ortodoncia. Se incluyen materiales y reservas existentes (resinas, tabillas de dientes, alambres, fresas, etc.) Precio: alquiler y traspaso a negociar. Se enseñará al completo el funcionamiento del laboratorio. Interesados contactar al Tel.: 647780020 – 968931139. Colegiado 139 Murcia.

TRASPASO laboratorio dental de prótesis removible en pleno funcionamiento en provincia de Barcelona, con buena facturación, dos puestos de trabajo con licencia actual y maquinaria completa, incluido máquina de sistema Deflex, etc…. Más información Tel.: 630035921. Colegiado 458 Cataluña.

TRASPASO laboratorio por jubilación en el Actur de Zaragoza, a 50m de Gran Casa, totalmente legalizado. Amplia cartera de clientes. Mas información Ángel Tel.: 679101626. Colegiado 180 Aragón.

VENTA DE MATERIAL Y EQUIPAMIENTO

VENDO escáner por jubilación: Bioech equipo CAD DELUXE 5 ejes auto con cámara color. Interesados llamar Tel.: 619704461, Jordi colegiado 364 Cataluña.

SE VENDE impresora Formlabs 3+ con equipo completo de limpieza

wash y cure. Además, añadimos material vario como bandejas, resinas …etc. Precio 1.800 euros. Si se precisa se pueden enviar fotografías de la máquina, equipo y material, Tel.: 956169062, colegiado 990 Andalucia.

VENDO, por cierre de actividad laboral, laboratorio en Las Palmas de Gran Canaria, completamente equipado para prótesis fija y removible. Local propio de 50 m2 aproximadamente con Licencia Sanitaria vigente hasta 2027. 2 puestos de trabajo. Mercedes. Tel.: 659152722 Colegiado 29 CPPD Las Palmas.

VENDO por jubilación horno Cergo Press c/ bomba de vacío 1.800 euros, articulador tipo Arcón marca Fino 110 euros y otros elementos propios de la profesión, preguntar sin compromiso. Tel.: 664430000. Colegiada 861 Andalucia.

SE VENDE Máquina de vacío MINIESTAR de la casa SCHEU: Se adjuntan todas las fresas y discos necesarios, rejilla de repuesto, perdigones, caja con nueve planchas DURAN + de 1,5mm, caja con nueve planchas Bioplast Xtreme de 5mm para protectores de deportistas, catálogo de planchas, etc… 1.200€. Compresor Mestra: Alto-650mm, Ancho-390mm, Largo-390mm, Peso-30kg, Potencia-750w, Presion-5/8 bar, Capacidad calderin-30 L, Nº cabezales-1. 600€. Lámpara polimerizadora: Alto-115mm, Ancho-215mm, Fondo-295mm, Peso-2kg, Potencia-40w, Espectro- 350/400nm. 230€, Recortadora Mestra: Disco de carburo de silicio, 1500rpm, Potencia-800w 180€, Olla polimerizadora Mestra 125€ , regalo hornillo eléctrico, micromotor colgante Cavo 20000 rpm con pieza de mano. Con más de 40 años y funcionando. ¡Para coleccionistas!!! 550€. Interesados

dental PRÓTESIS

ANUNCIOS BREVES

ponerse en contacto con Javier Lacosta, Tel.: 630904931 o al correo electrónico: orto doncialacosta@ gmail.com. Col. 68 Aragón.

SE VENDE por jubilación, maquinaria de laboratorio, consumible de prótesis y ortodoncia. Contacto Manuel Pazos, Tel.: 619344067, colegiado 28 de CyL, correo electrónico pazdentos@gmail.com.

VENDO Horno de cerámica Multimat Touch-Press para cerámica convencional y cerámica inyectada con bomba de vacío, 2.800 euros, (regalo cilindros y pistones para inyectar), metal precioso D.SIgn 84 IVOCLAR 25gr, 15% descuento sobre precio de mercado. Tel.: 606626478. e.mail: dentetes@hotmail.com Col Tenerife.

VENDO horno de inyección EP600 IVOCLAR, soldadora por puntos Phasder KUSS, Metacom horno de precalentamiento MANFREDI, batidora vacio JELENKO, mesa trabajo, chorro vapor, cerámica Desing, In ceram. Tel.: 913513535, Col.1147 CPDCM Jorge.

VENDE laboratorio dental, fresadora-copiadora para óxido de circonio Ceramill de Amanngirrbach, más horno para sinterizar Ceramill Therm (último modelo). Es el sistema completo original, que contiene 84 bloques de circonio pequeños y 4 grandes, y resinas para modelar, todo a estrenar. 6.500 euros. Precio negociable. Tel.: 976252055. Colegiado 25 del Colegio Profesional de Protésicos Dentales de Aragón.

SE VENDE sistema GIROFORM para modelos desmontables 850 euros, contacto Juan Yarza, Tel.: 976333241, colegiado 167 Aragón.

SE VENDE: Por jubilación, maquinaria de laboratorio de prótesis dental; Inductora mi200 de electrodensa, Spectramat, Ivomat IP3, Recortadora Mestra 1800 r.p.m., Vibrador, Demco, Mesa de trabajo Cornet (adaptada para aspiración,aire y gas), Horno cerámica Programat P95 (con bomba de vacío y suplementos). Contacto: Rafael, Colegiado 306 de Galicia. Tel.: 619606100. Los precios son a convenir.

VENDO mesa de prótesis dental de un puesto más modulo en lado derecho para horno u otra máquina, preinstalación de sistema de aspiración, luz y gas, precio 790 euros, algo negociables, incluida lampara de 2 fluorescentes valorada en 300 euros. Colegiado 36 Extremadura. Jesús Tel.: 647503813, para más información y fotografías

VENDO por jubilación, maquinaria, mobiliario y productos dentales de laboratorio dental, mesas, inductora, hornos cerámica e inyección, micromotores, porcelanas variadas de fija, removible y esqueléticos...o traspaso a emprendedor a precio simbólico, doy información en el Tel.: 636256513, Francisco Javier colegiado 28 de Extremadura.

SE VENDE maquinaria prótesis dental por jubilación, articulador tipo arcón, soldadora de punto ortodoncia, horno Cergo press y convencional de Degussa, batidora de vacío y otros artículos más, preguntar sin compromiso. Tel.: 6644300008, colegiada 861 Andalucia.

VENDO maquinaria por cierre de laboratorio, arenadora 2 módulos ESB 2 Plus EUROCEM, compresor Shark 24/150 OIL Less, chorro de vapor EV EUROCEM, calentador

de cera para impresión MESTRA, electrovibrador EV200 13x22 EUROCEM. Colegiado 724 Cataluña. Tel.: 661028097.

VENDO maquinaria laboratorio dental por cese actividad.1-compresor Mafor sin aceite 2 cilindros 2 CV, 2-pulidora Kavo, 3-recortadora Kavo cinta banda, 4-motor Demco, 5-batidora vacío Multivac Degusa, 6-centrífuga Minicast Ugin, 7-horno precal. Magma Renfert, 8-lámpara fotopolimer HILITE POWER 3D + otros.TOTAL LOTE 7.500 euros. Colegiado 10 COPDEC. Tel.: 669513944.

SE VENDE, por motivo de inactividad: recortadora de escayola Mestra, mezcladora revestimientos, compresor aire, motor de mesa Demco, motor de medio caballo, inductora metal Galoni (Ref: 049059), vaportizador, arenadora de dos chorros Mestra, aspirador Kavo, aspirador Bosch, olla termo- curado resina Palamat, micromotor Kavo 4 (pieza de mano), micromotor ZENIT (pieza de mano), micromotor NSK (pieza de mano) , turbina NSK (seco+agua, Ref: 041969), turbina bien-air (Ref: H92551), Lampara LED Mestra, horno para inyección y cocción de cerámica Programat PE COMBI 6000 Ivoclar, horno para cerámica Programat P 500 Ivoclar, máquina termoconformado (para placas al vacío), mueble JEB (esquinero para porcelana), escritorio de oficina (esquinero), equipo de soldadura y restos complementarios. Los equipos se encuentran en buen estado. Para más información contacte con 667376590/ 675896506, colegiado 60, Navarra.

DIRECTORIO DE COLEGIOS PROFESIONALES

Colegio Oficial de Protésicos Dentales de Alicante C/ San Carlos 134-1º 03013- ALICANTE Tf. 965146937 www.coproda.es Email: info@coproda.es

Colegio Profesional de Protésicos Dentales de Andalucía C/ Aragón, 23 Local 41006 SEVILLA Tf. 954641546 www.cppda.es Email: cppda@cppda.es

Colegio Profesional de Protésicos Dentales de Aragón Centro Empresarial Parque Roma C/ Vicente Berdusan, Bloque D-1 Bajos 50010 ZARAGOZA Tf. 976460332 www.coppda.com Email: coppda@coppda.com

Colegio Profesional de Protésicos Dentales del Principado de Asturias C/ Río Caudal 7 entlo. F 33011 OVIEDO Tf. 985294218 www.protesicosdentalesasturias.com Email: buzon@protesicosdentalesasturias.com

Colegio Profesional de Protésicos Dentales de Islas Baleares C/ Cima 17, local 9 07011 PALMA DE MALLORCA Tf. 971777574 www.coprodib.org Email: coprodib@gmail.com

Colegio Profesional de Protésicos Dentales de Cantabria C/ Los Escalantes, 5 Ppal. Izq. 39002 SANTANDER Tf. 942362764 www.cprotcan.com Email: protesicoscantabria@gmail.com

Colegio Oficial de Protésicos Dentales de Castellón y Valencia C/ Ciudad del Aprendiz, 3 Bajo 46017 Valencia Tf. 963471840 www.cprotcv.org Email: valencia@cprotcv.org

Colegio Oficial de Protésicos Dentales de Castilla-La Mancha C/ Dr. Bornadel, 15- Of.3 Edif. Juan de Austria 13600 ALCÁZAR DE S. JUAN Tf. 926551301 www.protesicosdentales.es Email: colegio@protesicosdentales.org

Colegio Profesional de Protésicos Dentales de Castilla y León Carretera de Rueda, 17 Local Izquierdo 47008 VALLADOLID Tf. 983477117 www.coprodecyl.com Email: coprodecyl@gmail.com

Colegio Oficial de Protésicos Dentales de Cataluña C/ Provença, 337- 3º I 08037 BARCELONA Tf. 934576499 www.copdec.es Email: copdec@copdec.es

Colegio Profesional de Protésicos Dentales de Extremadura Avda. de Numancia, 1 06800 MERIDA Tf. 924373638 www.colprodentaex.com Email: colegioextremadura@colprodentaex.com

Colegio Oficial de Protésicos Dentales de Galicia C/ del Hórreo, 7 -1º Izq. 15702 Santiago de Compostela -A CORUÑA Tf. 981571017 www.coprodega.es Email: coprodega@coprodega.es

Colegio Profesional de Protésicos Dentales de la Rioja Avda. de La Rioja, 6 - 6º A 26001 LOGROÑO Tf. 941258467 www.protesicosdentalesrioja.com Email.info@protesicosdentalesrioja.com

Colegio Profesional de Protésicos Dentales de las Palmas Urb. Residencial Reina Mercedes I – Local 5º 35012 Las Palmas de Gran Canarias Tf. 928361000 www.protesicoslaspalmas.com Email.cppdlaspalmas@infomed.es

Colegio Profesional de Protésicos Dentales de la Comunidad de Madrid C/ Dcotor Esquerdo, 166 -1º E. 28007 Madrid Tf. 917580238/917580239 www.colprodecam.org Email.info@colprodecam.org

Colegio Profesional de Protésicos Dentales de la Región de Murcia C/ Santa Teresa, 19 entresuelo 1º C 30005 MURCIA Tf. 968217247 www.colegioprotesicosmurcia.es Email: info@colegioprotesicosmurcia.es

Colegio Profesional de Protésicos Dentales de la Comunidad Foral de Navarra C/ Monasterio de Yarte, 1 Bajo 31011 PAMPLONA Tf. 948251875 www.copdna.es Email: copdna@outlook.es

Colegio Profesional de Protésicos Dentales de Santa Cruz de Tenerife C/ Pedro Modesto Campos,4 Piso 1º Of. 2 Ed. Los Dragos 38006 SANTA CRUZ DE TENERIFE Tf. 822012531/628137142 www.colprotfe.es Email: colprotfe@gmail.es

Asociación de Técnicos en Prótesis Dental del País Vasco Aldaieta Bidea, 7 – Lonja 48950 – Astrabudua (VIZCAYA) Tf. 944 171 097 www.euskalprotesis.com Email: euskalprotesis@gmail.com

Si estás interesado en publicar tu anuncio en Dental Prótesis, envíanos un email a: info@consejoprotesicosdentales.org

Turn static files into dynamic content formats.

Create a flipbook
Issuu converts static files into: digital portfolios, online yearbooks, online catalogs, digital photo albums and more. Sign up and create your flipbook.
DENTAL PRÓTESIS Nº223 by editorialmic - Issuu