Dental Berri nº57

Page 1

REVISTA OFICIAL DEL COLEGIO DE DENTISTAS DE GIPUZKOA

Mayo 2024 nº 57
GIPUZKOAKO DENTISTEN ELKARGOKO ALDIZKARIA

COMITÉ EDITORIAL

BATZORDE EDITORIALA

Ramón Amantegui Ibargoyen

Jose Francisco Navajas Marzo

Javier Sanz Acha

Nina Camborda Coll

Santiago Guisasola Berasategui

Maider Porrua Sánchez

Ana Jiménez Ayestaran

Iratxe Plazaola Aizpurua

Jose Ramón Uriz Zurutuza

COMITÉ CIENTÍFICO

BATZORDE ZIENTIFIKOA

Gustavo Pérez Liévano

Mikel Aldalur Arrigorrialde

Jose María Echeverría

Aitzol Areso Odriozola

Iñaki Suárez Soto

Iñigo Gastaminza Aperribay

ILUSTRACIÓN PORTADA

Infotres.

DISEÑO, MAQUETACIÓN E IMPRESIÓN:

1. C ARTA DEL PRESIDENTE

2. COLABORACIÓN

3. CENA DE SANTA APOLONIA 2024

4. CURSOS CELEBR ADOS

5. PR ÓXIMOS CURSOS

6. ARTÍCULO CIENTÍFICO: TRATAMIENTO DE LA MORDIDA ABIERTA CON ALINEADORES

7. TABLÓN DE ANUNCIOS

C/ Zabaleta 40, bajo 20002 Donostia-San Sebastián

Tel. 943 29 76 90

coeg@coeg.eu

3 | RevistaOficialdelCOLEGIO de DENTISTAS de GIPUZKOA
www.coeg.eu Sumario

Dental Berri aldizkaria, zuen eskuetan, negua eta egun laburrak atzean utzita.

Denbora azkar pasatzen da, eta berrikuntza gutxi ditugu komentatzeko.

Denborak aurrera egin ahala, gure oraingo batzordeak legegintzaldiko lau urteak beteko ditu hilabete batzuetan.

2020ko urrian hartu genuen COEGeko Gobernu Batzordearen kargua.

cartapresidente

Horrek esan nahi du urtea amaitu baino lehen beste hauteskunde prozesu bat izango dugula batzorde berria hautatzeko. Horren berri garaiz emango dizuegu, baina uste dut egokia dela gogorarazpen hau zuei bidaltzea.

Egungo Padi-ri buruzko Dekretua indarrean sartu ondoren, eta itxuraz normal funtzionatzen zuela ikusita, joan den martxoaren 20an Lakuan bilera egin zuten hiru Elkargoetako ordezkariek D.Frumencio Molinero, eta EJko Aseguramendu eta Kontratazioko zuzendaria. Topaketa honen asmoa komunikazio-bide bat irekitzea da, aurreko garaietan bezala, ondo funtzionatzen duela ziurtatzeko.

Bestalde, Paula Amantegui gure kidearen artikulu zientifikoarekin gertatu zen bezala, zenbaki honetan Domingo Martín kidearen artikulu zientifiko berri eta interesgarri bat irakur dezakezue, lerrokatzaileekin irekitako hozkadaren tratamenduari buruzkoa.

Eta amaitzeko, gogorarazi nahi dizuet denon zain egongo garela Miramar Jauregian ekainaren 15ean, larunbatean.

Hilaren 14an Kontseilu Nagusian dagoen bilera batekin batera etortzeak, eta beste data bat aurkitzeko ezintasunagatik, larunbatean egitea erabaki dugu .

.Aurreko urteetako leku berezia eta harrera onak ez digu zalantzan utzi hautaketari buruz, eta musika-formatuan aldaketa bat gehitu dugu zalantzarik gabe, ez zaituzte epel utziko.

Zenbaki honetan aurkituko duzue izena emateko inprimakirako esteka. Besterik gabe, datozen hilabeteetan eguraldi ona aprobetxatuz ondo pasa!

RevistaOficialdelCOLEGIO de DENTISTAS de GIPUZKOA | 4 institucional
Jose Francisco Navajas Marzo
5 | RevistaOficialdelCOLEGIO de DENTISTAS de GIPUZKOA

Nuevo Dentalberri en vuestras manos, tras dejar atrás el invierno y sus cortos días. El tiempo pasa rápido y pocas novedades tenemos para comentar.

Al hilo de este rápido paso del tiempo, nuestra junta actual va a cumplir, en unos meses, los cuatro años de su legislatura. Fue en el mes de octubre de 2020 cuando tomamos posesión como Junta de Gobierno del COEG. Esto implica que antes de que acabe el año, tendremos nuevo proceso electoral para la elección de la nueva junta. Os iremos informando oportunamente al respecto pero creo oportuno enviaros este recordatorio.

cartapresidente

Después de la entrada en vigor del actual Decreto sobre el Padi y la aparente normalidad en su funcionamiento, el pasado día 20 de marzo tuvo lugar en Lakua, una reunión por parte de representantes de los tres colegios con D.Frumencio Molinero, Director de Aseguramiento y Contratación del GV. La intención de este encuentro no es otra que abrir una vía de comunicación para velar por el buen funcionamiento del mismo, como ya se hacía en épocas anteriores.

Por otra parte, podréis leer en este número, al igual que sucedió en el anterior Dental Berri con el artículo científico de nuestra compañera Paula Amantegiu, un nuevo e interesante artículo científico de nuestro compañero Domingo Martín, sobre el tratamiento de la mordida abierta con alineadores.

Y para terminar, quiero recordaros que os esperamos a todos en el Palacio de Miramar el próximo día 15 de junio, en esta ocasión, sábado. La coincidencia de fechas con una reunión del Consejo General el día 14 y la imposibilidad de encontrar otra fecha posible, nos han hecho decidirnos por el sábado. El lugar tan especial y la buena acogida que nos habéis dado los años anteriores, no nos han dejado duda sobre la elección, con el añadido de un cambio en el formato musical, que no tengo duda de que no os dejará indiferentes.

Encontraréis en este número el enlace al formulario de inscripción. Sin más, sólo me queda desearos que disfrutéis de lo próximos meses aprovechando la llegada del buen tiempo.

RevistaOficialdelCOLEGIO de DENTISTAS de GIPUZKOA | 6 institucional

HIJOSDELASNUBES

Nuestro viaje a los campamentos de Tinduf en el Sáhara comenzó el 1 de dicembre en el aeropuerto de Foronda.

Alli nos juntamos Carlos Lopetegi, dentista en Lezo y yo, Joxean Galdona, dentista en Deba, fue a través de él como me embarqué en este proyecto.

Carlos lleva muchos años yendo a los campamentos y gracias a su experiencia y a sus buenos contactos, fue muy fácil organizar nuestra visita, ya que es muy importante llevar todo bien atado en un viaje a los campamentos.

Dos veces al año se organizan vuelos solidarios con el pueblo saharaui desde el País Vasco y desde otras comunidades del estado, a través de las diferentes organizaciones que aportan su ayuda y colaboración.

La gente va por diferentes motivos, acuden familias que visitan a los niños que han tenido

en acogida en sus casas durante el verano, maestros, médicos, enfermeras, dentistas, psicólogos y otros profesionales de la salud, así como gente que trabaja en grupos de solidaridad con el Sahara.

Desde el principio vivimos un ambiente de compañerismo entre todos los viajeros, ya que todos compartimos el mismo objetivo, colaborar y expresar nuestro apoyo a la población saharaui.

La gente en los campamentos vive en unas condiciones muy duras, dependiendo de la ayuda internacional para subsistir. A pesar de ello, su dignidad, fuerza y capacidad organizativa son muy grandes. De hecho, funciona como si fuera un estado, a pesar de encontrarse en territorio argelino.

El gobierno del RASD, el Frente Polisario, tiene la responsabilidad de proveer a la población de vivienda, sanidad, educación, seguridad,

alimentos y agua, así como otras necesidades básicas.

La ayuda humanitaria internacional y los proyectos de colaboración son esenciales para satisfacer las necesidades de la población y para el mantenimiento de los servicios.

En 1977, parte de la población huyó de sus hogares en el Sahara occidental. Esta era una provincia de España, y cuando comenzó la descolonización, España, sin tener en cuenta los derechos de los saharauis, dejó el territorio en manos de Marruecos.

Los campamentos de refugiados saharauis se organizan en Wilayas(provincias) cada wilaya a su vez en daras(pueblos) y estos en barrios. Estos son los nombres de las wilayas, idéntico nombre a las ciudades del Sahara occidental. AUSER, BOJADOR, DAJLA, EL AAIUN, SMARA Y RABUNI, esta última es el campamento administrativo del RASD.

La población ronda los 175.000 habitantes, y están situados en la provincia argelina de Tinduf, en la Hamada argelina, un desierto pedregoso e inhóspito a 1.500 kilómetros de Argel.

La duración y complejidad del conflicto con Marruecos parece no tener fin, se siguen sin

RevistaOficialdelCOLEGIO de DENTISTAS de GIPUZKOA | 8 Colaboración
Mohamed Salem, asistente y traductor. Joxean y David, director del hospital de Auserd.

respetar los derechos humanos en el Sáhara occidental y la población de los campamentos parece condenada a sobrevivir en condiciones durísimas. Sin salida visible en un horizonte cercano, la situación se prolonga sin fin, a merced de la política y geo estrategia internacional.

EL clima es extremo, en verano se llegan a alcanzar los 50º y en invierno las noches son gélidas. Viven precariamente en jaimas y pequeñas casas de adobe, con escasez de agua, alimentos y servicios básicos.

A pesar de ello, han logrado establecer una organización mínima en diferentes ámbitos y en algunos han establecido infraestructuras bastante sólidas, por ejemplo en el ámbito sanitario.

Cada wilaya tiene su “Hospital” con su consultorio dental. En algunos lugares las instalaciones están bastante bien, no así en otros.

Carlos estuvo en el hospital de Smara. A mí me tocó en el hospital de AUSERD. Allí había un buen equipo gracias a una donación y gracias a ello pude trabajar en condiciones aceptables.

El principal problema es la falta de profesionales, son pocos y los recursos de los que disponen, escasos. Ejemplo de ello es que se nos solicitara llevar la mayor cantidad de anestesia posible, pues ésta escaseaba.

El idioma principal es el Hassanía, algunos hablan un poco de español o francés.

Gracias a la ayuda del intérprete, logramos crear un ambiente de verdadera confianza y cercanía.

Mohamed Saled, en cuya casa familiar me alojaba, fue mi traductor y asistente y comenzamos a trabajar enseguida. La ayuda del director y el médico del hospital también fue determinante para la buena organización del trabajo. Pronto, y gracias al boca a boca, comenzó a llegar la gente y se organizó en filas ordenadas, esperando a ser atendidos. La necesidad de atención bucodental es muy grande. En pocas ocasiones acuden dentistas, y por tanto resulta difícil satisfacer todas las necesidades en tan poco tiempo, aun así, siempre se obtienen resultados. Extraccio -

nes, empastes, consejos y todo lo posible, dadas las circunstancias. La gente es muy agradecida y valora mucho la atención recibida.

Durante nuestra estancia convivimos con una familia. Hay numerosas ocasiones para compartir historias alrededor de un té y disfrutar de su hospitalidad. Es muy destacable el rol de la mujer en los campamentos. La familia y la comunidad representan un pilar muy importante para ellos.

En este rincón del desierto necesitan de nuestra solidaridad y acudir a dar nuestro apoyo es una experiencia rica y gratificante.

Joxean Galdona Aizpurua

HODEIENSEME-ALABAK

Gure Saharako bidaia Forondako aireportuan hasi zen, abenduaren 1-ean.

Bertan elkartu ginen Carlos Lopetegi, Lezoko dentista eta ni, Joxean Galdona, Debakoa. Carlos-en bitartez sartu bait nintzen ni egitasmo honetan.

Berak urteak darama Tinduf-eko kanpalekuetara joaten eta bere esperientziari ezker antolamendua eta kontaktuak egitea erraza izan zen, oso ondo ezagutzen du ingurua eta bertako jendea , ezagun asko ditu eta hau oso lagungarria izan zen, ondo antolatuta joatea oso garrantzitsua bait da basamortuko bazter honetara.

Urtean bitan, Euskal Herritik eta beste erkidego batzuetatik ere, hegaldi solidarioak antolatzen dira. Arrazoi ezberdinetatik joan

9 | RevistaOficialdelCOLEGIO de DENTISTAS de GIPUZKOA Colaboración

ohi da jendea, hala nola, Euskal Herrian beraien familiatan egon diren umeak ikustera, irakasleak, osasun arloko profesionalak, medikuak, erizainak, psikologoak, dentistak ,eta saharar herrialdearekin lotura solidarioa duen hainbat lagun ere. Giro jatorra sortzen da bidaiarien artean, denok konpartitzen dugu helburu bera, Saharako kanpalekuetako biztanleei gure elkartasuna adieraztea.

Bertako jendea oso baldintza gogorretan bizi da, kanpoko laguntza eta nazioarteko erakundeen menpe. Hala ere beraien duintasun, kemena eta antolaketa maila izugarria da. Estatu baten antzera funtzionatzen du nahiz eta Algeriaren barruan kokatu.

RASDeko gobernuak, Fronte Polisarioak, herritarrei etxebizitza, osasuna eta hezkuntza, segurtasuna eta elikagaiak, ura eta bestelako oinarrizko ondasunak emateko ardura du. Nazioarteko laguntza humanitarioa eta lankidetza proiektoak funtsezkoak dirá herritarrenbeharrak asetzeko eta zerbitsuei eusteko.

1977-an alde egin zuten ihesi kanpamendu hauetara, Mendebaldeko Sahara, beraien lurraldea zena, atzean utzita. Mendebaldeko Sahara Espainiar estatuko probintzia zen eta deskolonizatze prozesua abiatu zenean, bere kabuz eta Sahararren eskubideak kontuan hartu gabe, Saharako lurrak, Marokoren esku utzi zituen Espainiak.

Saharako errefuxiatuen kanpamenduak wilayetan (probintziatan) daude antolaturik, wilaya bakoitza dairatan (udalerrietan) eta hauek auzoetan. Hauek dira wilayen izenak, mendebaldeko Saharan zituzten herrien izen berberak. AUSERD, BOJADOR, DAJLA, EL AAIUN, SMARA eta RABUNI, azken hau RASD-en kanpamendu administratiboa izanik. Bataz beste, guztira, 175.000eko populazioa bizi da kanpamenduetan.

Tinduf-eko probintzian ALGERIAko Hamadan daude kokatuak, basamortu harritsu eta bizitzeko guztiz desegokia dena, Argel-etik 1500 kilometroetara.

Gatazka luzea eta korapilotsua da oraindik ere , mendebaldeko Saharan bizi direnen sahararren giza eskubideak eten gabe urratzen dira eta kanpalekuetako biztanleak gordinki bizirautea kondenaturik daude. Irtenbidea ikusi eta gauzatu ezinik, amaigabe luzatzen ari da egoera, nazioarteko politika eta geo estrategiaren esku.

Bertako klima muturrekoa da, udaran 50º egin ditzake eta neguan gauak izozteko modukoak. Jaimetan eta adobezko etxe txikietan bizi dira, bizi baldintza gogorretan. Ura , elikagaiak eta oinarrizko hornikuntzak urriak dira.

Gordintasun honen barruan antolakuntza minimo bat izatea lortu dute arlo batzuetan, egitura nahiko sendoak eraiki dituzte, horien artean osasun arloan.

Wilaya nagusi bakoitzak bere “OSPITALEA” du, odontologiako kontsulta barne. Leku batzuetan instalakuntzak nahiko ondo daude, beste batzuetan ez hainbeste.

Karlos, SMARA herriko ospitalean egon zen. Neri AUSERD herrikoan egotea egokitu zitzaidan. Ekipo ona zegoen bertan donazio

bati ezker, eta lana nahiko baldintza onetan egin ahal izan nuen.

Arazo handiena profesionalen falta da. Gutxi dira eta dituzten baliabideak urriak dira. Adibide bezala, guri, ahal genuen anestesia gehiena eramatea eskatu ziguten, une horretan oso gutxi zituztelako.

Hizkuntza nagusia hassaniera da, gutxi batzuk espainola edo frantsesa pixka bat egiten dute. Itzultzailearen laguntzari ezker lortu genuen benetako konfiantza eta hurbiltasuna.

RevistaOficialdelCOLEGIO de DENTISTAS de GIPUZKOA | 10 Colaboración
Joxean eta Carlos Lopetegi. Auserd-ko hospitaleko hortz klinika.

Mohamed Saled, bere familian ostatu eman zidana, nire itzultzaile eta laguntzailea izan zen, eta berari ezker berehala hasi ginen lanean, bertako medikua eta ospitaleko zuzendariaren laguntza osoa izan genuen lana aurrera atera ahal izateko eta oso ondo antolatu ginen. Berehala eta ahoz ahozko komunikazioaren bitartez hasi zen jendea hurbiltzen, ilara ordenatuak egiten arreta jasotzeko zain. Ahoa konpontzeko duten beharra oso handia da.

Gutxitan joaten omen da dentista bertara eta jendearen beharra betetzen zaila da hain denbora laburrean, naiz eta lanari ezker beti lortzen diren emaitzak. Hortzak atera, enpasteak, aholkuak eta ahal den guztia. Jendea oso ezker onekoa da eta asko estimatzen dute jasotako arreta eta laguntza.

Bertako familien etxeetan bizi gera han gauden bitartean eta noiznahi dago aukera beraiekin tea eta istorioak konpartitzeko.

Oso abegikorrak dira. Familiak eta komunitateak garrantzi handia dute beraientzat eta emakumearen rola oso garrantzitsua da ere beraien gizartean.

Basamortuko bazter honek gure elkartasuna behar du eta hori ematera joateak merezi du. Oso esperientzia aberatsa eta emankorra izan da.

Joxean Galdona Aizpurua

Actualidaddelaclínicasolidaria

En enero, se ofrecieron 2 servicios en la clínica solidaria, siendo atendidos 3 pacientes.

En febrero, fueron 5 los servicios, a cargo de 4 colegiados voluntarios, siendo atendidos 9 pacientes.

En marzo, fueron 8 los pacientes atendidos repartidos en 4 turnos a cargo de 4 voluntarios.

Con el fin de ofrecer una atención con regularidad, además de mantener la posibilidad de que quien lo desee pueda acudir de forma voluntaria, se ha decidido contratar a un dentista para 2 mañanas a la semana.

Se publicó el anuncio en la web colegial y también mediante una noticia en un boletín electrónico. En el momento de editar estas líneas, el proceso de selección estará en curso en base a las candidaturas recibidas.

Asambleageneralanualcelebradael pasado9defebrero

Tras el discurso del presidente, se aprobaron todos los puntos del orden del día, incluyendo el presupuesto 2024, que contempla, como en el 2023, una cuota trimestral (la segunda) con un descuento del 50%.

11 | RevistaOficialdelCOLEGIO de DENTISTAS de GIPUZKOA Colaboración

CenadeSantaApolonia2024 elsábado15dejunioenelPalacioMiramar.

Inscripcionesabiertas

Programa:

20:00 a 20:30: recepción de los asistentes con cocktail de bienvenida.

20:30 a 20:45: Entrega de distinciones a los colegiados que cumplen 30 años de profesión en 2024, así como a los colegiados jubilados en el 2023, a las nuevas altas de colegiados en el 2023 y a los colegiados que han participado como voluntarios en la clínica solidaria en el último año.

20:45: sorteos entre los colegiados de diversos premios: Un Ipad, y cenas para dos personas en los siguientes establecimientos: Astelena, Jarana, Narru, Portuetxe, Patxiku-enea.

21:00 a 23:00: cena tipo cocktail.

23:00 a 00:00: barra libre amenizada por DJ Fonki Cheff.

Coste: Gratis para todos los colegiados. Cada colegiado homenajeado podrá además asistir con un acompañante, también sin coste. Para el resto de acompañantes, el coste será de 50 Eur y se cobrará al colegiado correspondiente.

Se harán fotos durante el evento que se compartirán en las redes sociales del Colegio.

En caso de inscripción pero no asistencia sin cancelación previa al menos con 48 horas de antelación, se cobrará un importe de 20 Eur por persona inscrita.

Las inscripciones se realizan a través de este sencillo formulario online. (Nota: enlace accesible sólo desde la versión pdf de la revista. Versión en papel: consultar información enviada por whatsapp y por boletín electrónico: www.coeg-news.eu)

RevistaOficialdelCOLEGIO de DENTISTAS de GIPUZKOA | 12 actualidadcolegial
13 | RevistaOficialdelCOLEGIO de DENTISTAS de GIPUZKOA actualidadcolegial

TÉCNICADEVENOPUNCIÓN.USOY

APLICACIONESCLÍNICASDELAFIBRINARICA

ENPLAQUETASYLEUCOCITOSINTRASPINL-PRF

Los pasados días 15 y 16 de diciembre de 2023, tuvo lugar este curso en el Colegio. El viernes por la tarde, bajo la dirección de Doña Coral Sanchez Toural, enfermera de SERCAM/SUMMA 112, fue la sesión teórica y posteriormente la parte práctica sobre la técnica de venopunción.

Con los maniquíes que aportaron desde Intralock, los asistentes pudieron llevar a cabo la realización de la técnica de venopunción, bajo la supervisión de

Doña Coral, para acto seguido proceder a la extracción mutua de sangre entre los participantes en el curso.

Lo que facilitaba el proceso de llevar a cabo la primera extracción de sangre en un posible paciente real de forma práctica, venciendo esa barrera de la primera vez.

El sábado por la mañana, se procedió a tener el curso teórico sobre el uso

y aplicaciones clínicas de la fibrina rica en plaquetas y leucocitos (L-PRF), impartido por el Dr. Hugo Esquiaga García, autor del libro: “Concentrado de Plaquetas, Fibrina y Leucocitos. Uso en odontología y en otras especialidades”. Fue una exposición, meramente práctica y clínica, explicando el método de la obtención de dichos concentrados plaquetarios y mostrando la aplicación práctica de dichos concentrados en la clínica diaria.

RevistaOficialdelCOLEGIO de DENTISTAS de GIPUZKOA | 16 actualidadcolegial / CURSOS
cursos

RCP

El pasado 12 de enero celebramos una nueva edición del curso de reanimación cardiopulmonar a través de DYA Irakaskuntza Eskola.

La Dra Amalur Guridi nos ofreció formación actualizada para gestionar ese tipo de situaciones, pudiendo además realizar prácticas con muñeco.

La participación de los asistentes fue notable, con preguntas sobre distintas situaciones que se pueden dar, que sirvieron para enriquecer la formación.

BLANQUEAMIENTODENTAL

Los días 2 y 3 de febrero el Dr. D. José Amengual Lorenzo impartió en el COEG un curso de blanqueamiento dental.

Comenzó explicando una forma objetiva de toma de color mediante el uso de espectofotómetro, indispensable para monitorizar la evolución y la estabilización del caso evitando recidivas.

sibles efectos adversos del blanqueamiento.

Expuso las diferentes técnicas de blanqueamiento externo e interno y el tratamiento de manchas blancas así como técnicas para la prevención de los po -

Finalmente facilitó el consentimiento informado que utiliza (de SOCE) y las instrucciones que aconseja entregar a los pacientes durante el tratamiento.

17 | RevistaOficialdelCOLEGIO de DENTISTAS de GIPUZKOA CURSOS / actualidadcolegial cursos

RECONSTRUCCIÓNGINGIVALEN DIENTESEIMPLANTES

Los días días 16 y 17 de febrero, viernes y sábado, tuvimos de invitado al Dr. Nelson Carranza dictante internacional de cirugía plástica periodontal y perimplantaria. El viernes abordamos todas las técnicas de recubrimiento radicular sobre dientes y sus aplicaciones para cada situación clínica. Al día siguiente continuamos con un resumen del día anterior y el Dr. Carranza nos presentó sus técnicas quirúrgicas de recubrimiento radicular tipo "LAST", para después concluir con abordajes de cirugía plástica sobre implantes según la nueva clasificación del World Workshop.

INTERACCIONESFARMACOLÓGICAS

El pasado viernes, día 1 de marzo, tuvimos a la Dra. Victoria Pastor dictando sobre interacciones farmacológicas, donde nos puso al día sobre las interacciones con fármacos de uso habitual en nuestra práctica como son los anestésicos locales, antibióticos y otras medicaciones como los antihipertensivos. A última, concluyó la ponencia explicando como tenemos que actuar ante urgencias en el gabinete dental.

RevistaOficialdelCOLEGIO de DENTISTAS de GIPUZKOA | 18 actualidadcolegial / CURSOS
cursos
RevistaOficialdelCOLEGIO de DENTISTAS de GIPUZKOA | 20 actualidadcolegial / CURSOS cursos
21 | RevistaOficialdelCOLEGIO de DENTISTAS de GIPUZKOA CURSOS / actualidadcolegial cursos
RevistaOficialdelCOLEGIO de DENTISTAS de GIPUZKOA | 22 actualidadcolegial / CURSOS cursos
23 | RevistaOficialdelCOLEGIO de DENTISTAS de GIPUZKOA CURSOS / actualidadcolegial cursos
RevistaOficialdelCOLEGIO de DENTISTAS de GIPUZKOA | 24 actualidadcolegial / CURSOS
cursos
25 | RevistaOficialdelCOLEGIO de DENTISTAS de GIPUZKOA CURSOS / actualidadcolegial cursos
RevistaOficialdelCOLEGIO de DENTISTAS de GIPUZKOA | 26 actualidadcolegial / CURSOS
cursos
27 | RevistaOficialdelCOLEGIO de DENTISTAS de GIPUZKOA CURSOS / actualidadcolegial cursos
RevistaOficialdelCOLEGIO de DENTISTAS de GIPUZKOA | 28 actualidadcolegial / CURSOS
cursos
29 | RevistaOficialdelCOLEGIO de DENTISTAS de GIPUZKOA CURSOS / actualidadcolegial cursos
RevistaOficialdelCOLEGIO de DENTISTAS de GIPUZKOA | 30 actualidadcolegial / CURSOS cursos
31 | RevistaOficialdelCOLEGIO de DENTISTAS de GIPUZKOA CURSOS / actualidadcolegial cursos

Artículo

TRATAMIENTODELA

MORDIDAABIERTACONALINEADORES

• Licenciado en Medicina y Cirugía. Universidad del País Vasco.

• Especialista en Estomatología. Universidad del País Vasco.

• Licenciado en Biología. Universidad del Sur de California (USA).

• Máster en Ortodoncia y Ortopedia Dentofacial. Universidad de Valencia.

• Miembro activo de la Sociedad Europea de Angle.

• Presidente de la Sociedad de Angle (2014-2016).

• Miembro Diplomado de la Sociedad Española de Ortodoncia y Ortopedia Dentofacial (SEDO).

• Presidente del congreso anual de SEDO-San Sebastian (2000).

• Premio Juan Carol (SEDO) a la mejor comunicación oral (1991).

• Premio Jose Antonio Canut (SEDO) al mejor caso clínico (2018).

• Miembro Diplomado de la Sociedad Europea de Ortodoncia (EOS)

• Profesor visitante de diferentes Universidades. (UCM, UB, UIC, UCAM…)

• Director del Grupo FACE Ortodoncia.

• Creador del FAS (Face Aligner System)

• Ha sido conferenciante en más de 40 países del mundo.

• Ortodoncista de práctica exclusiva en San Sebastián.

• Licenciado en Odontologia. Univ. Alfonso X el Sabio, Madrid

• Doctor en Odontología. Univ. Alfonso X el Sabio, Madrid

• Máster en Ortodoncia. Hospital de San Rafael, Madrid

• Máster en Ciencias Odontológicas. Universidad de Sevilla

• Diploma en metodología de la investigación. U. de Washington y Hospital infantil de Seattle

• Diplomado por el FACE/Roth Williams Center for Functional Occlusion

• Ex profesor asociado. Univ. de Zaragoza y Univ. Alfonso X el Sabio

• Miembro Activo de la Sociedad Española de Ortodoncia y Ortopedia Dentofacial (SEDO)

• Autor de numerosas publicaciones sobre Ortodoncia

• Ortodoncista de práctica exclusiva en San Sebastián

Licenciado en Odontología. Universidad CEU San Pablo, Madrid

• Máster en Ortodoncia. Universidad CEU San Pablo, Madrid

• Diplomado por el FACE/Roth Williams center for functional occlusion

• Autor de numerosas publicaciones sobre Ortodoncia

• Ortodoncista de práctica exclusiva en San Sebastián

RevistaOficialdelCOLEGIO de DENTISTAS de GIPUZKOA | 32 actualidadcolegial / Artículo científico
Domingo Martin Salvador Javier Aznar Arraiz Pablo Arias-Camisón Lilly

INTRODUCCIÓN

Tradicionalmente, las mordidas abiertas se han considerado la maloclusión más difícil de corregir por la comunidad ortodoncica. De hecho, la mayoría de ellas tienen que ser corregidas quirúrgicamente 1-3

Sin embargo, este hecho cambió radicalmente con la aparición del anclaje esquelético que permitía lograr movimientos de intrusión más amplios y un cambio en el plano oclusal que permitiese una anterorrotacion mandibular que ayudase en el cierre de dicha mordida; lo que conocemos como control vertical4,5

Sin embargo, día a día cuando acudimos a congresos observamos como la mayoría de ortodoncistas siguen cerrando dichas mordidas abiertas mediante la extrusión de los dientes anteriores; sin embargo este movimiento es altamente recidivante y será muy frecuente observar una recidiva de la mordida abierta pasado un tiempo post tratamiento de ortodoncia. Aunque cuando la corrección de la misma se hace mediante intrusión molar, serán las propias fuerzas masticatorias las que imposibiliten la indeseada recidiva 6,7

Es de destacar, que los alineadores transparentes son un tipo de aparato ideal para conseguir este fin ya que el mismo grosor del alineador acompañado de las fuerzas masticatorias van a ayudar a conseguir la intrusión de los dientes posteriores 8,9

Aun así, en este tipo de tratamientos será fundamental desde el inicio del tratamiento calcular la cantidad de intrusión necesaria para cerrar la mordida así como la relación sagital resultante una vez corregido el problema vertical, Para ello es fundamental disponer de un montaje en articulador (antes era analógico y hoy en día se puede hacer de forma virtual) para poder saber la relación sagital final una vez corregido la relación vertical10. Además, es fundamental disponer de un programa que tenga en cuenta el eje de rotación (arco de cierre) real del paciente a fin de planificar los movimientos dentales necesarios teniendo en cuenta dicho eje a la hora de autorotar la mandíbula 11

El propósito del presente artículo es mostrar el caso de una paciente tratada en la Clínica MartinGoenaga de San Sebastián con

maloclusión de mordida abierta anterior donde se ha solucionado mediante la técnica de control vertical con alineadores FAS y microtornillos.

CASO CLÍNICO

Paciente mujer de 18 años acude a nuestra consulta conocedora de su maloclusión de mordida abierta anterior buscando solución a la misma.

En el análisis extraoral observamos un patrón dolicofacial, cara simétrica, falta

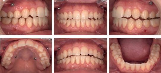
de exposición de incisivos con los labios en reposo y sonrisa invertida. La paciente presenta un perfil convexo y birretrusivo con un ángulo nasolabial obtuso. (Fig. 1)

En el análisis intraoral se aprecia una amplia mordida abierta anterior, tendencia a la clase III dentaria, compresión maxilar, ligero apiñamiento superior e inferior y línea media inferior desviada a la derecha. La forma de arcada superior es triangular y la forma de arcada inferior cuadrangular. (Fig. 2)

33 | RevistaOficialdelCOLEGIO de DENTISTAS de GIPUZKOA Artículo científico / actualidadcolegial científico
Figura 1. Fotografías extraorales pretratamiento. Figura 2. Fotografías intraorales pretratamiento.

Artículo

En la radiografía panorámica destacamos la presencia de los gérmenes de los cuatro cordales, reabsorción radicular avanzada en la arcada superior y buena salud periodontal generalizada. (Fig. 3)

En la telerradiografía lateral de cráneo y trazado cefalométrico destacan los valores de clase II esquelética, patrón vertical con

posterorotación mandibular e incisivos superiores e inferiores ligeramente proinclinados. (Fig. 4)

En el análisis transversal de Penn, los valores de anchuras basales maxilomandibulares son de 57,7mm para la maxila y 54,8 mm para la mandíbula; la diferencia de +3 mm hace que no sea

necesario en este caso una expansión esquelética. (Fig. 5)

Para dar instrucciones claras a los planificadores de los alineadores, siempre nos gusta comenzar realizando un VTO (tratamiento virtual de tratamiento). En este caso la necesidad de intrusión posterior de 4mm (control vertical) a fin de cerrarle la mordida abierta por la autorrotación mandibular, nos obliga a tener que planificar intrusión posterior en ambas arcadas dentarias. (Fig. 6)

El sistema de alineadores elegido fue el FAS Aligner System al ser el único del mercado que permite simular la anterorrotacion mandibular del paciente en el eje real de bisagra (arco de cierre) tan importante en este tipo de casos de mordidas abiertas.

El OcclusalDesign® (software de planificación de los movimientos) del FAS Aligner System, se simulo la alineación y nivelación de las arcadas (sin protruir los incisivos), una expansión dentoalveolar superior, una intrusión posterosuperior y posteroinferior, el centrado de la línea media inferior y la autorrotación mandibular. Para solucionar el apiñamiento inferior sin protruir estos dientes, fue necesario la realización de IPR posterior. (Fig. 7)

La cantidad de intrusión predecible con alineadores es de 1 mm máximo en la zona de molares, es por esto que es necesario potenciar los movimientos de intrusión con la colocación de microtornillos y elásticos.

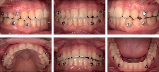
En la primera cita se colocaron los ataches y se colocaron los microtornillos superiores (6) entre primeros y segundos molares por vestibular y entre primer molar y segundo premolar por palatino. El paciente fue instruido a llevar gomas de 5/16; 8oz entre los microtornillos y por encima de los alineadores de forma bilateral. Por su parte en la arcada inferior los microtornillos se colocaron entre los molares y los premolares inferiores. El paciente fue instruido a colocarse los elásticos desde los microtornillos a botones linguales por encima de los alineadores. El tamaño de los microtornillos fue de 10 mm de longitud y 1,6 mm de anchura. (Fig. 8)

En el alineador nº 20; (momento en el que hicimos Stop and Go®; paramos el tratamiento, volvimos a escanear a la

RevistaOficialdelCOLEGIO de DENTISTAS de GIPUZKOA | 34 cursos actualidadcolegial / Artículo científico
Figura 3. Radiografía panorámica pretratamiento. Figura 4. Telerradiografía lateral de cráneo y trazado cefalométrico. Figura 5. Análisis transversal.

paciente y replanificamos) el apiñamiento ya está solucionado y ya hemos cerrado la mordida; no obstante, tenemos que seguir intruyendo para conseguir una sobremordida correcta. Esta fase nos ayuda a ser más precisos y no perder los ajustes de los alineadores.

Tras el Stop and Go® consistente en 12 alineadores; continuamos con la intrusión ya solo en la arcada superior. (Fig. 9)

La segunda tanda de alineadores estuvo destinada a la finalización del caso con la mejora del engranaje posterior, el centrado de líneas medias, y la mejora en la relación sagital con la ayuda de IPR posterior y el uso de gomas de clase III bilaterales. (Fig. 10)

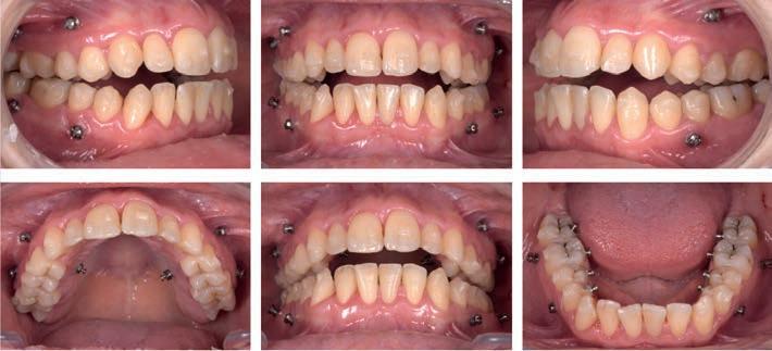
Tras 18 meses de tratamiento; a nivel extraoral observamos una mejora de la curvatura de la sonrisa, una mayor exposición de los incisivos en reposo, y una mejora significativa del perfil facial gracias a la autorrotación mandibular. (Fig. 11)

Intraoralmente, observamos como hemos logrado una clase I molar y canina, un correcto alineamiento y nivelación de las arcadas, un correcto resalte y sobremordida final y el centrado de las líneas medias superior e inferior. (Fig. 12)

A parte de la obtención de una buena estética y función, con control vertical también obtenemos una mejoría en

35 | RevistaOficialdelCOLEGIO de DENTISTAS de GIPUZKOA
/ actualidadcolegial
cursos Artículo científico
científico
Figura 6. V.T.O (objetivo visual de tratamiento) Figura 7. Superposiciones del OcclusalDesign® de los movimientos planificados. Figura 8. Colocación de ataches y microtornillos superiores e inferiores.

la estética facial, acortando el tercio inferior, dando mayor proyección y soporte al labio superior e inferior y un

avance del menton de 5 mm. (1,3 mm

Además, como se observa en la radiografía panorámica final todo se ha realizado sin un perjuicio de las reabsorciones radiculares que presentaba la paciente al principio de tratamiento. (Fig. 14)

La telerradiografía final y trazado cefalométrico reflejan como se ha logrado de forma efectiva la autorrotación mandibular y un acortamiento del tercio facial inferior. (Fig. 15)

Por último, el montaje virtual final refleja una coincidencia entre la máxima intercuspidación y el arco de cierre; es decir hemos logrado una estabilidad ortopédica factor sine qua non para la longevidad de la dentición y la estabilidad de los resultados en el tiempo. (Fig. 16)

CONCLUSIÓN

La técnica de control vertical realizada con alineadores transparentes y microtornillos resulta ser muy efectiva para el cierre de las mordidas abiertas anteriores, así como estable en el tiempo.

El empleo de un sistema de alineadores como FAS Aligner System que tienen en cuenta el arco de cierre real del paciente en su software de planificación, resulta muy útil en la planificación de los movimientos dentales, evitando de esa manera viajes de “ida y vuelta” que darán lugar a una mayor producción de alineadores innecesarios, un mayor número de refinamientos necesarios, una mayor producción de plásticos y una demora innecesaria en los tiempo de tratamiento.

REFERENCIAS BIBLIOGRÁFICAS

1. M izrahi E. A review of anterior open bite. Br J Orthod. 1978;5(1):21-7.

2. Janson G, Valarelli FP, Henriques JF, Freitas MR, Cançado RH. Stability of anterior

RevistaOficialdelCOLEGIO de DENTISTAS de GIPUZKOA | 36 actualidadcolegial / CURSOS
cursos
Figura 9. Situación tras el alineador nº 20 (Stop and Go®) Figura 10. Fase de finalización con alineadores. de avance por cada grado del eje facial cerrado) (Fig. 13) Figura 11. Fotografías extraorales post tratamiento. Figura 12. Fotografías intraorales post tratamiento.

open bite nonextraction treatment in the permanent dentition. Am J Orthod D entofacial Orthop. 2003;124(3):265-76.

3. V ig KW. Nasal obstruction and facial growth: the strength of evidence for clinical assumptions. Am J Orthod Dentofacial Orthop. 1998;113(6):603-11.

4. Suga wara J, Baik UB, Umemori M, Takahashi I, Nagasaka H, Kawamura

H, et al. Treatment and posttreatment dentoalveolar changes following intrusion of mandibular molars with application of a skeletal anchorage system (SAS) for open bite correction. Int J Adult Orthodon Orthognath Surg. 2002;17(4):243–53.

5. Baek M -S, Choi Y-J, Yu H-S, Lee K-J, Kwak J, Park Y-C. Long-term stability of anterior open-bite treatment by intrusion of

maxillary posterior teeth. Am J Orthod Dentofac Orthop. 2010; 138(4):396.e1396.e9.

6. Deng JR, Li YA, Wang XD, Li J, Ding Y, Zhou YH. Evaluation of Long-term Stability of Vertical Control in Hyperdivergent Patients Treated with Temporary Anchorage Devices. Curr Med Sci. 2018;38(5):914-19.

7. R ozzi M, Mucedero M, Pezzuto C, Lione R, Cozza P. Long-term stability of curve of Spee levelled with continuous archwires in subjects with different vertical patterns: a retrospective study. Eur J Orthod. 2019;41(3):286-93.

8. Boyd RL. Esthetic orthodontic treatment using the invisalign appliance for moderate to complex malocclusions. J Dent Educ. 2008;72(8):948–67.

9. M elsen B, McNamara JA Jr, Hoenie DC. The effect of bite-blocks with and without repelling magnets studied histomorphometrically in the rhesus monkey (Macaca mulatta). Am J Orthod Dentofac Orthop. 1995;108(5):500– 9.

10. M artin D, Cocconi R. Orthodontic dental casts: the case for routine articulator mounting. Am J Orthod Dentofacial Orthop. 2012;141(1):8-14.

11. https://www.fasaligners.com

CURSOS / actualidadcolegial cursos 37 | RevistaOficialdelCOLEGIO de DENTISTAS de GIPUZKOA
Figura 14. Radiografía panorámica postratamiento. Figura 16. Estabilidad ortopédica final (montaje virtual con ModJaw®) Figura 15. Telerradiografía lateral de cráneo y trazado cefalométrico post tratamiento. Figura 13. Comparativa pretratamiento-post tratamiento del perfil facial.

DENTISTAS OFERTA

Se busca odontólogo/a para clínica dental en la zona de Rentería para cubrir dos días a la semana. Ponerse en contacto en la dirección de correo electrónico: elisabetfabian@hotmail.com

Esperientzia duen odontologo orokorraren bila dabil Hernaniko klinika. Interesik izanez gero Info@u10dental.com helbidera Kurrikuluma biladi mesedez.

Clínica dental con mas de 30 años en funcionamiento situada en Santesteban (Navarra) busca ortodoncista que realice ortodoncia invisible, tratamiento con brackets y ortopedia dentofacial. Jornada a convenir según disponibilidad del candidato. Interesado enviar el curriculum a: direccion@ clinicadentaliruritarubio.es o llamar al 948450267.

Clínica dental en Donostia selecciona odontólog@ con experiencia en cirugía oral, implantología avanzada y periodoncia. Con capacidad de trabajo en equipo, ganas de mejorar y aprender, buena actitud y especial sensibilidad y trato con los pacientes. Interesad@s enviar curriculum: odontologo. donostia@gmail.com

Clínica dental en Donostia busca odontólog@ con experiencia en periodoncia, endodoncia y estética dental. Con capacidad de trabajo en equipo, ganas de mejorar y aprender, buena actitud y especial sensibilidad y trato con los pacientes. Interesad@s enviar curriculum: odontologo.donostia@gmail.com

Clínica de Ortodoncia Exclusiva de San Sebastián, busca incorporar un@ ortodoncista en su equipo. Se valora: Experiencia demostrable de al menos 3 años en el sector de la Ortodoncia. Certificado de Invisalign. Experiencia en casos multidisciplinares ortodóncico-quirúrgicos, dientes incluidos, agenesias, fenestraciones, uso de microtornillos, alargamiento coronario… Se ofrece: Incorporación inmediata. Trabajo estable. Jornada completa; Horario fijo de lunes a viernes y sábados alternos en época escolar. Navidades, Semana Santa y Verano el horario es continuo. 3 mañanas libres durante la semana. Interesad@s escribir a higienistaortodoncia@ gmail.com

Clínica dental en San Sebastián selecciona odontólogo(a) generalista con experiencia en periodoncia y endodoncia, apasionado por su profesión, carismático, con vocación, resolutivo y creativo, con aptitud de humanizar el servicio

y la atención. . Condiciones negociables en función de la experiencia. Interesados enviar curriculum al correo: gerencia.clinicaro@gmail. com o al wassap : 688875831

Clínicas dentales en San Sebastián y Lasarte seleccionan odontólogos(as) generalistas con disponibilidad, por lo menos, de 24h a la semana. Condiciones negociables en función de la experiencia. Interesados enviar curriculum al correo: gerencia.clinicaro@gmail.com o al wassap : 688875831

Necesitamos odontólogo generalista en clínica dental ubicada en donostialdea para trabajar 2 días por semana. Interesados enviar CV a khkodontolgia@gmail.com

Se busca socio odontólogo/a para clínica dental situada en Donostia en pleno funcionamiento con buen rodaje. Se busca a alguien dispuesto a invertir en su futuro profesional y con ganas de trabajar y pasión por la profesión para hacer crecer la clínica y poder gestionarla en común. Interesados llamar por favor al 616 658 261

Se necesita Odontopediatra/ Odontólogo general, que le guste trabajar con niños para trabajar en el centro de Donostia. Muy buen ambiente de trabajo. Horario y salario negociables. Interesados enviarnos curriculum a la siguiente dirección: ortodonciayortopediadonostia@gmail.com.

Oferta trabajo Odontólogos generales para Francia.No hay Contrato de permanencia ni penalización.Salario de 5000-12000€ brutos al mes.Contratos de 2,3 y 4 días de Lunes a Viernes. Clínicas Multidisciplinares y bien equipadas con Panorámico, Conebeam, Escáner intraoral Medit i700. Requisitos: Diploma/Título Europeo, Nacionalidad Europea y Nivel B2 de Francés.Para más información dentistasenfrancia@gmail. com y 623299997

Clínica dental situado en Santesteban (Navarra) con mas de 30 años de experiencia busca odontolog@ general por ampliación de equipo. A tiempo completo o parcial, dependiendo disponibilidad del candidato. Experiencia laboral mínima de 1 año. Buen ambiente de trabajo y buenas condiciones laborales. Interesad@s enviar el curriculum: direccion@clinicadentaliruritarubio.es

Clínica dental en San Sebastian precisa incorporar profesional de la implantología y odontólogo general con experiencia. Enviar cv: bdentistas@gmail.com

Somos una consulta de gran experiencia, y estamos buscando Odontólogo generalista

con vistas a contrato de larga duración para ampliar nuestra plantilla. Si estuviera interesado, por favor, póngase en contacto con nosotros en los teléfonos 943762795 o 662101286 (preguntar por Sonia) o en el correo info@astiazaranclinica.com

Clínica dental en Ondarroa busca a un odontolog@ general para incorporación inmediata. La jornada laboral seria de 2-3 días, se puede negociar. Ofrezco permanencia y estabilidad. Interesados enviar el CV a lasaiondarroa@gmail.com

Clinica dental ubicada en Azpeitia,busca incorporar a su equipo disciplinar un odontologo/a generalista a jornada completa o parcial.Se valorara experiencia y las condiciones reributivas se negociaran en funcion de la experiencia y valia. Interesado@s enviar C.V a : ortzadar6@gmail.com

Buscamos odontologo/a generalista para jornada parcial de 2 o 3 dias a la semana, ofrecemos estabilidad laboral, incorporación inmediata. Enviar currículum a : rrhhklinika@hotmail.com

Clínica dental de Pamplona con larga trayectoria precisa incorporar periodoncista con más de dos años de experiencia y máster en Periodoncia. Ofrecemos un contrato indefinido a jornada completa. Apreciamos saber trabajar en equipo y ganas de aprender. Contacto: cclinicadentalxi@gmail.com

Se necesita odontólogo/a con experiencia para una clínica privada situada en Gijón (Asturias) para desempeñar tratamientos de odontología conservadora, prótesis, rehabilitación protésica y estética dental. Se ofrece jornada completa y condiciones a negociar. Requisitos: Licenciado en odontología u homologado en España. Experiencia preferible de al menos 3 años. Éxito en los tratamientos y buen trato al paciente. Contacto: selecciondental24@gmail.com

Clínica dental ubicada en donostia busca incorporar endodoncista nobel a su equipo CVs contactoanunciocoeg@gmail.com

Se precisa Odontólogo/a con formación y experiencia en Endodoncia para colaborar en una Clinica dental de nueva apertura en Elgoibar. Interesados enviar CV vía email o contactar a través de WhatsApp. mikelinzu@gmail.com Tlf: 618863960

Clínica Dental Pérez-Mosso, situada en Aiete, necesita una odontóloga generalista para las tardes del lunes o martes. Interesadas envíen CV a: meperezmosso@dentalperezmosso.com.

RevistaOficialdelCOLEGIO de DENTISTAS de GIPUZKOA | 38 tablónanuncios

Clinica Dental ubicada en Eibar, busca odontólog@ generalista, para realizar todo tipo de tratamientos; conservadora, endodoncia, rehabilitación protésica, Programa Padi,… Jornada completa. Se valorará experiencia. Interesad@s enviar CV a: info@aratklinika.com

Se necesita Odontólogo/a con experiencia para la zona de Donostialdea. Mandar curriculum a : hortzaginklinika@gmail.com

Clinica dental en Tolosa busca odontologo@ general con experiencia para trabajar a tiempo completo o parcial. Horario y sueldo a convenir. Enviar curriculum a : mscurriculum2024@gmail.com

Necesitamos Odontólogo en Clínica Dental Sannas: A tiempo completo o parcial dependiendo del candidato. Experiencia laboral mínima de 2 años. El nivel retributivo estará de acuerdo a la capacitación, competencias y del nivel de experiencia. Incorporación inmediata. Interesados/as enviar currículum a direccion. comunicacion@gruposannas.com”

Necesitamos Higienista en Clínica Dental Sannas: A tiempo completo o parcial dependiendo del candidato. Experiencia laboral mínima de 2 años. El nivel retributivo estará de acuerdo a la capacitación, competencias y del nivel de experiencia. Incorporación inmediata. Interesados/as enviar currículum a direccion. comunicacion@gruposannas.com”

Incorporamos ORTODONCISTA en nuestro equipo. Valoramos experiencia en ortodoncia convencional, interceptiva y alineadores. Clínica situada en Urola Kosta. Envíanos tu curriculum a la siguiente dirección: hortzklinikake@gmail.com.

Buscamos odontóloga/o generalista para 2 jornadas laborales en horario continuo de 7 horas / dia para clínica dental en Errenteria. interesad@s enviar curriculum al correo klinika2003errenteria@gmail.com

Se precisa odontóloga/o para realizar tratamientos de odontología conservadora y rehabilitación implanto protésica a tiempo completo o parcial para colaborar en clínica dental situada en Irún. Se valora capacidad de gestión y experiencia. Las personas interesadas pueden ponerse en contacto en el e-mail: clidenirun@gmail.com

Buscamos Higienista para Clínica en Mondragón. Jornada completa. Interesad@s enviar CV a: dentalcenter30@gmail.com

Se precisa odontóloga/o para realizar tratamientos de odontología conservadora

y rehabilitación implanto protésica a tiempo completo o parcial para colaborar en clínica dental situada en Irún. Se valora capacidad de gestión y experiencia. Buenas condiciones laborales y retribución óptima. Las personas interesadas pueden ponerse en contacto en el e-mail: clidenirun@gmail.com

Clínica dental situado en Santesteban (Navarra) con mas de 30 años de experiencia busca odontolog@ general por ampliación de equipo. A tiempo completo o parcial, dependiendo disponibilidad del candidato. Experiencia laboral mínima de 1 año. Buen ambiente de trabajo y buenas condiciones laborales. Interesad@s enviar el curriculum: direccion@clinicadentaliruritarubio.es

Estamos creciendo y buscamos un/una odontólog@ apasionad@ por la profesión, comprometid@ y dispuest@ a aprender y crecer con nosotr@s. Interesad@s mandad CV a: clinica@gastesidental.es

DEMANDA

Odontóloga con 17 años de experiencia, experta en Cirugía Oral, Implantes y Periodoncia, se ofrece para colaborar en clínicas dentales. Cirugías de implantes, regeneraciones óseas, elevaciones de seno, injertos de tejido conectivo e injertos gingivales libres. Contacto por email o móvil: neretz@gmail.com 653184885. Currículum en el Colegio. DREF20240209-01

Odontólogo con 13 años de experiencia, con dedicación en implantología, cirugía oral y en tratamientos de rejuvenecimiento facial de tercio inferior mediante el uso de ácido hialurónico, se ofrece para trabajar en clínicas de toda Gipuzkoa. Contactar vía email: cirugiahialuronico@gmail.com

Se ofrecen servicios de Cirugía oral, implantologia avanzada y regeneración ósea. Jornada a tiempo parcial. Interesados llamar a 609543917 o escribir a dlopezvaquero@gmail.com CV disponible en el Colegio con la referencia DREF20230330-02

Ortodoncista se ofrece para cubrir baja/ sustituciones en San Sebastián y alrededores. Contactar a ortosansebastian@gmail.com

Odontóloga

General/Endodoncista con 5 años de experiencia se ofrece para colaborar en clinicas de la zona de Irun y alrededores 2 a 3 jornadas disponibles por semana Contacto: gvmb2512@gmail.com

Se ofrece ORTODONCISTA con master universitario de 3 años y 8 años de experiencia en ortodoncia

exclusiva para colaborar en clinicas dentales preferiblemente en Gizpuzkoa. Experiencia en INVISALIGN, aparatologia multibrackets, ortodoncia interceptiva, aparatologia ortopedica y funcional, RNO. Dada de alta en autónomos y material propio. CV disponible en el colegio con la referencia DREF20240108-2. Correo electrónico: mizaguirre@hotmail.es / Tel. 636569779

HIGIENISTAS OFERTA

Buscamos higienista dental a media jornada para Zumaia. Interesad@s contactad con nosotras en info@iratxeplazaola.com o llamando al 943860247.

Clínica de Ortodoncia Exclusiva de San Sebastián, busca incorporar un@ higienist@ dental en su equipo. Se valora: Experiencia demostrable de al menos 2 años en el sector de la Ortodoncia. Conocimientos de escáner digital. Título de Rayos X. Orientación al paciente. Capacidad de trabajo en equipo. Se ofrece: Incorporación inmediata. Trabajo estable. 40h semanales; Horario fijo de lunes a viernes y sábados alternos en época escolar. Navidades, Semana Santa y Verano el horario es continuo. 3 mañanas libres durante la semana. Interesad@s escribir a higienistaortodoncia@gmail.com

Se requiere higienista para media jornada para clínica dental en Andoain. Tel : 657813501

Busco una Higienista Dental para Clínica situada en Donosti y Pasaia. Mandar curriculum a ane881153@gmail.com

Busco Higienista a jornada parcial para una Clínica dental en Oiartzun. Enviar los curriculums a: klinika@arkupehortzklinika.com

Se necesita higienista dental con más de un año de experiencia para trabajar en una clínica ubicada en el centro de Donostia. Necesitamos a una persona dinámica y responsable para cubrir una jornada de 30 horas, en horario de tarde, de lunes a jueves. INCORPORACIÓN INMEDIATA. Interesados, enviar CV al siguiente correo electrónico: clinicadental32donostia@gmail.com

Clínica dental con más de 30 años de experiencia en Navarra, busca higienista dental a jornada completa e indefinida. Se requiere mínimo dos años de experiencia y conocimientos de euskera. Buscamos un/a profesional que sepa (y a quien le guste) trabajar en equipo y que valore la empatía como herramienta de trabajo. Valoramos el trabajo bien hecho, la calidad y el perfeccionismo. También que se contribuya al buen ambiente de la clínica. Contacto: +34 656 900 063

39 | RevistaOficialdelCOLEGIO de DENTISTAS de GIPUZKOA tablónanuncios

Necesitamos higienista para completar equipo en Clínica de Bergara. Se valora cercanía, euskera… Buenas condiciones económicas y de horario. Enviar curriculum con foto a: odontobergara@gmail.com

Clínica Dental en Tolosa precisa higienista para una jornada completa. Interesados/ as pueden contactar con nosotros. knkdental2024@gmail.com 650 23 69 07

Se necesita higienista para clínica dental en Tolosa. Interesados enviar CV a odontoseleccion@gmail.com

Clínica Dental ubicada en Donostia precisa incorporar higienista bucodental a jornada completa. Se valorará experiencia previa en asistencia al odontólogo en tratamientos de periodoncia y ortodoncia, así como habilidad y gusto por el trato al paciente, capacidad de trabajo en equipo y ganas de evolucionar profesionalmente. Interesad@s enviar el C.V. a vygcv@yahoo.com

Se precisa higienista dental a jornada completa para clínica dental en Errenteria en la calle Biteri. Interesados mandar CV a direccion@badental.es

HIGIENISTA bila gabiltza. Esperientzia edukitzea baloratzen da, eta orokorrean odontologiako arlo ezberdinak kontrolatzea. Ordutegi jarraia eta lan giro bikaina. Donostiatik gertu ( Urola Kosta), komunikazio oso ona bai zerbitzu publiko bidez, bai kotxez joateko lanera. zure kurrikuluma ondorengo emailean: Hortzklinikake@gmail.com

Clinica dental en Altza busca higienista para ampliar equipo en horario de jornada completa o media jornada a negociar Interesados mandar cv a clinicadentallorenagarcia@hotmail.com o llamar al número de teléfono 943350367 o 636399203

DEMANDA

Higienista bucodental en régimen de autónomo con una amplia experiencia y me ofrezco a colaborar en clínicas dentales. Telf: 660128322

Higienista Bucodental se ofrece para colaborar con clínicas en régimen de autónomo con experiencia. Currículum en el colegio referencia. HREF20240226-01-Teléfono: 685406305

Se ofrece higienista con experiencia y con muchas ganas de aprender y seguir formándome profesionalmente. Busco una clínica que me de la oportunidad de integrarme en el mundo laboral de la clínica dental. Currículum en el Colegio. HREF20240123-01

Se ofrece higienista con conocimiento en asistencia de gabinete, uso de GESDEN, higienes, radiografías, auxiliar en ortodoncia, etc. Disponibilidad inmediata y completa. Para más información contactar por correo electrónico: guipuzcoahigienista@gmail.com

AUXILIARES OFERTA

Se requiere auxiliar para media jornada para clínica dental en Andoain. Tel : 657813501

Busco una auxiliar para clinica situada en Donosti y Pasaia. Mandar curriculum a ane881153@gmail.com

Clinica Dental, en Irun busca persona para cinco horas al día para ejercer el puesto de auxiliar y administrativa. Interesados mandar currículum a la dirección irebelli@yahoo.es

Clínica Dental en Tolosa precisa auxiliar para una jornada completa. Interesados/as pueden contactar con nosotros. knkdental2024@gmail.com 650 23 69 07

Clínica Dental en Egia, Donostia, busca auxiliar de clínica para media jornada. Buscamos a alguien que acompañe y ayude al odontólogo atendiendo pacientes y gestionando la agenda. Interesados contactar a odontologodonosti@gmail.com

Se necesita auxiliar para clínica dental en Tolosa. Interesados enviar CV a odontoseleccion@gmail.com

DEMANDA

Se ofrece auxiliar con 19 años de experiencia para jornada completa en clínica dental. CV disponible en el Colegio con la referencia AREF20230928-01.Interesados contactar en 671 265 457

Se ofrece auxiliar de clínica para trabajar a media jornada. Experiencia en recepción y de auxiliar de clínica en gabinete. Conocimientos del programa Gesden. Currículum en el Colegio. AREF20240118-01.

Se ofrece Auxiliar de Clinica para trabajar en Clinica Dental a media jornada, ya sea ejerciendo labores de auxiliar de Clinica o de Recepcionista. para contactar ; nikzurine@gmail.com. Currículum en el Colegio. AREF20240108-01

Se ofrece auxiliar de Elgoibar con más de 10 años de experiencia para jornada completa en zona bajo deba.Contactar en auxiliarodonto.elgoibar@gmail.com

INMOBILIARIA OFERTA

Ponemos a la venta Clínica dental ubicada en una primera planta de céntrico barrio donostiarra. Cuenta con sala de espera y dos amplios gabinetes, completamente equipados y exteriores, con grandes ventanales que permiten trabajar con luz natural, creando un ambiente agradable tanto a pacientes como a profesionales. Además cuenta también con recepción, sala de Rayos X, despacho, baño, cocina, sistema de esterilización, patio, almacenaje… La clínica posee todas las licencias, permisos y revisiones actualizadas en noviembre y se encuentra actualmente operativa. Es una oportunidad única, debido al traslado a otra localidad. Si tiene interés en adquirir una clínica dental en pleno funcionamiento en el corazón de San Sebastián, póngase en contacto con nosotros en el siguiente correo clinicadentalsnm@gmail.com

Vendo o traspaso consulta en funcionamiento a pocos km de Donostia. Cartera de 6.000 pacientes y 30 años de experiencia. Interesados contactar por whatsapp en el 690724222

Se vende clínica dental por jubilación en Tolosa. Actualmente en funcionamiento. Información personal. Tel. 607 48 06 04

URGE alquilar o vender por jubilación, clínica dental en activo, ubicada en un local comercial céntrico y completamente exterior de 186 metros y a 12 min de Donostia. Consta de 1 recepción,4 gabinetes, 2 despachos, 2 salas de espera,sala de radiología,sala de esterilización,2 baños y ducha ,almacén,sala de yesos y office-cocina. Completamente exterior, luminosa y dotada de aparatologia para entrar a trabajar. Ideal para uno o varios profesionales. Se alquilaría por 2200€/mes,durante un tiempo con opción de compra posterior. O se vende directamente por un precio a convenir personalmente. Contactar en: info.traspasoclinica@gmail.com Tfno: 605 713 054

Se traspasa clínica dental en Rentería próximamente por jubilación. Más de 20 años funcionando. Secretaría administrativa. Situada cerca de un parque. Programa de gestión NM. Viene un cirujano exclusivo.

RevistaOficialdelCOLEGIO de DENTISTAS de GIPUZKOA | 40
anuncios
tablón

Todos los documentos en regla. Buenas condiciones. Alquiler mensual actual 600 EU. Interesados contactar en el teléfono al mediodía 655 43 43 37.

Se traspasa Consulta Dental en funcionamiento a 10 km de Donostia. 150.000 € más alquiler de 500€ al mes. Ideal como consulta de inicio. Dejar mensaje en tel. 650629353

Se traspasa/vende clínica dental en activo en población costera de Gipuzkoa, a 15 minutos de Donosti, por jubilación próxima. Muy bien ubicada, en local comercial a pie de calle. Totalmente equipada y a pleno rendimiento. Ideal para emprendedores con experiencia, que deseen iniciar un proyecto. Se ofrece acompañamiento durante el periodo de transición. Contacto: venta.clinicadental.gipuzkoa@gmail.com

EQUIPACIÓNCLÍNICAS OFERTA

Por cierre de consulta, se vende diferente material y equipamiento de Clínica dental ; sillón Fedesa, compresor Mestra (nuevo), Radiovisiografía Kodak, termoformadora de cubetas, lámpara de blanqueamiento, mobiliario, etc. En lote o por separado. Contacto: 679.953.571

Vendo aparato de rayos Satelec panorámico + telegradiografía del año 2010. Muy bien cuidado. En funcionamiento con el programa Dígora. Junto con el aparato de rayos proporciono el ordenador de torre, que tiene el programa Dígora instalado. precio 4000€. Gastos de transporte e instalación a cargo del comprador. Contacto 653184885 Nerea

Vendo por jubilación en mayo una unidad de imagen, en perfecto funcionamiento, que consta de : Ortopantomógrafo 2D, Vista scan Durr Dental con placas de fósforo, Aparato de Rx intraoral Satelec, Ordenador, pantalla y teclado con programa sincronizado. Precio: 10000 euros. Transporte e instalación a cargo del comprador. Interesados contactar en el correo 2311c2805m@gmail.com .

Vendo equipamiento completo Clínica Dental por cierre de Clínica. Interesados contactar en teléfono: 630 070 726 (Rafa). Listado con el equipamiento disponible en la versión web del anuncio publicada en www.coeg.eu

OFERTASY DEMANDASDEEMPLEO VARIAS

Clinica dental en Zarautz necesita auxiliar administrativa. Contrato indefinido. Horarios L/J de 10h00/20h00 M/M/V de 10h00 a 16h30. Incorporación inmediata Imprescindible que hable francés Se valorará experiencia en clínicas dentales. Interesados escribir por mail a : info@argidental.com

Se busca trabajo de coordinadora de clínica. Experiencia en atención al paciente ,atención telefónica, gestión de presupuestos y comercial de clínica dental. Experiencia y formación en gestión y coordinación de clínicas. Disponibilidad inmediata y flexibilidad de horario. CV Disponible en el Colegio con la referencia RREF20240312-01. Teléfono 618 155 787

Clinica dental en Villabona busca recepcionista, se valorara el uso del programa GESDEN, y euskera. CV a info@mugicadental.com

Clínica dental con más de 30 años de experiencia en Pamplona, busca persona para puesto de administrativ@ de larga duración, a jornada completa e indefinido. Se requiere experiencia mínima de 3 años y conocimientos de euskera. Se valorará experiencia en uso de programa GESDEN, así como la amabilidad en el trato con el resto de compañer@s y pacientes. Contacto: +34 656 90 00 63 Email: consulta@clinicabayona.es

Clínica dental en San Sebastián busca recepcionista a jornada completa. Horario intensivo de mañana. Interesados enviar CV a curriculumsansebastian@gmail.com

VARIOS

Grupo de anestesistas con muchos años de experiencia en sedaciones dentales (odontofobia, pacientes con necesidades especiales…). Ofrecemos servicios para anestesiar pacientes en su propia clínica de odontología en todo tipo de procedimientos. Aportamos todo el material médico necesario (oxigenoterapia, farmacología, monitorización…) y administrativo (consentimiento, información para el paciente, seguro de responsabilidad profesional…). CONTACTO: 646449096 nagore2631@hotmail.com

Se necesita un motor de cirugía ( implantes ) , para los campamentos de refugiados Saharawis,

en Tinduf ( Argelia ) .Si alguien está interesado en donar uno , puede contactar conmigo : Carlos Lopetegi Mekolalde, colegiado 377 , teléfono : 943622108 – 635736891. EZKERRIK

ASKO

41 | RevistaOficialdelCOLEGIO de DENTISTAS de GIPUZKOA tablónanuncios

Turn static files into dynamic content formats.

Create a flipbook
Issuu converts static files into: digital portfolios, online yearbooks, online catalogs, digital photo albums and more. Sign up and create your flipbook.
Dental Berri nº57 by editorialmic - Issuu