Dental Tribune - OCTOBER issue / #4, 2022

Page 1

The World's Dental Newspaper Bulgarian Edition октомври 2022, год. 20 dental-tribune.com dentaltribune.bg dental.tribune.bg #105 „В СВЕТА НА БИЗНЕСА ВАЖНИТЕ НЕЩА НЕ СЕ ПРАВЯТ ОТ ЕДИН ЧОВЕК. ТЕ СА НАПРАВЕНИ ОТ ГРУПА ХОРА“ СТИВ ДЖОБС @microgen/iStock ЗАЩО ТОЧНО ДУЕТ ПО СИНХРОННО ПЛУВАНЕ НА КОРИЦАТА?* *Виж на стр. 2

когато този синхрон е постигнат, можем да се радваме на съвършен кра ен резултат. Затова и избрахме да публикуваме двата ком плексни клинични случая, които грабнаха първото мяс то в международния дентален конкурс Smile of the year 2022, защото точно тези сложни случаи презенти

най-точно идеята за предизвикателството на

работа. Разбира се, в броя ще намерите

Пет печатни

редакционно2 Dental Tribune Bulgarian Edition / октомври 2022 г. ОФИС БЪЛГАРИЯ Издава Dental Tribune България ЕООД София 1000, ул. "Хан Крум" 35, ет. 1 office@dental-tribune.net www.dentaltribune.bg www.dental-tribune.com Действителен собственик: Уляна Винчева Предоставената информация е съгласно чл. 7а, ал. 3 от ЗЗДПДП. INTERNATIONAL/HEADQUARTERS Publisher and Torsten R. Oemus Chief Executive Officer Chief Content Officer Claudia Duschek Dental Tribune International GmbH Holbeinstr. 29, 04229 Leipzig, Germany Tel.: +49 341 48 474 302 Fax: +49 341 48 474 173 General requests: info@dental-tribune.com Sales requests: mediasales@dental-tribune.com www.dental-tribune.com Българското издание на Dental Tribune е част от групата Dental Tribune International – международно издание на 20 езика, разпространявано в над 55 държави. Съдържанието, преведено и публикувано в този брой от Dental Tribune International, Германия, е с авторското право на Dental Tribune International GmbH. Всички права запазени. Публикувано с разрешението на Dental Tribune International GmbH, Holbeinstr. 29, 04229, Лайпциг, Германия. Възпроизвеждането по какъвто и да било начин и на какъвто и да е език, изцяло или частично, без изричното писмено разрешение на Dental Tribune International GmbH и Dental Tribune България ЕООД е абсолютно забранено. Dental Tribune е запазена марка на Dental Tribune International GmbH. Редакцията не носи отговорност за съдържанието на публи куваните реклами в броя. Авторските права за редакционните материали, преведени и републику вани в това издание, са собственост на Dental Tribune International GmbH. Материалите са публикувани с позволението на Dental Tribune International GmbH. Dental Tribune е търговска марка на Dental Tribune International GmbH. Всички права са запазени. © 2022 Dental Tribune International GmbH. Възпроизвеждането на целите материали или на части от тях по ка къвто и да било начин на всеки език, без предварителното писме но позволение на Dental Tribune International GmbH, е изрично забранено. Dental Tribune International GmbH полага всички усилия да докладва с точност клинична информация и новости относно продукти на производители, но не носи отговорност за верността на информацията относно продуктите, както и за допуснати печатни грешки. Издателят също така не носи отго ворност относно наименования на продукти, информация и изказвания на ре кламодатели. Мненията, които представят авторите, принадлежат изцяло на тях и е възможно да не отразяват тези на Dental Tribune International GmbH. Главен редактор Уляна Винчева Отговорен редактор д-р Павлина Колева Дизайн и предпечат Петър Парнаров Превод д-р Павлина Колева Коректор Галя Христова Маркетинг и реклама тел.: 0897 958 321 Печат „Спектър“ АД Автори в броя: Д-р Kübel Özkut, Турция Д-р Манол Ивчев, България, зт. Leandro Gambogi, Бразилия Д-р Калин Маринов и зт. Стефан Петров Д-р Naren Rajan, САЩ Д-р Iro Eleftheriadi и д-р Christodoulos Laspos, Гърция и Кипър Д-р Радой Димитров, България Д-р Dirk U. Duddeck, Германия Jeremy Booth, Dental Tribune International Уляна Винчева Главен редактор ТЕМА НА БРОЯ: „Синхронът в екипната работа в денталната професия“ При сегашното състояние на денталната медицина за осигуряване на най-добрите и всеобхватни дентални услу ги за естетически изискващите пациенти парадигмата се е променила в посока интердисциплинарен екип от специа листи, които работят заедно, насочвани от определен ко ординатор. Той трябва да бъде или общопрактикуващ ден тален лекар с компетенции във всички области на дентал ната медицина, или специалист с допълнително обучение извън неговата област на специализация. Това дава възмож ност на въпросния специалист да събере хирургичен, орто донтски, ресторативен и технически екип, който да ра боти заедно, като едно цяло, следвайки лечебните после дователности, индивидуализирани специално в името на най-добрия интерес и очаквания на пациента. Предизвика телството се състои в това да се достигне до коректна диагноза и да се избере подходящ лечебен подход. За да по стигне това, клиницистът трябва да следва определени насоки и да разбира връзката между зъбите и съседните структури. Настоящият брой е с тема „Перфектният синхрон между различните специалисти при решението на комплексни случаи“. Защото само именно
рат
екипната
и още много и интересни отправни точки, които ще ви дадат повод за размисъл по пътя ви към пости гане на съвършенството във вашата чудна професия. Приятно четене на новия ни брой! The World's Dental Newspaper @microgen/iStock Синхронното плуване е спортна дис циплина, която води началото си от древността. Бидейки колективен спорт, който комбинира елементи от плуване, гим настика и различни танци, той изис ква голяма гъвкавост и пластичност, както и много голяма физическа из дръжливост на тялото, дълго задържа не на въздуха под вода и чувство за син хрон с музиката. Заради сложността и колективност та на този вид спорт направихме асо циация със сложността и екипността при решението на комплексни клинични случаи в денталната медицина. ЗАЩО ТОЧНО ДУЕТ ПО СИНХРОННО ПЛУВАНЕ НА КОРИЦАТА? Dental Tribune Bulgarian Edition / октомври 2021
луксозни издания, доставени на адреса ви Пълен достъп до дигитално то издание (реплика на печат ното издание) от компютъра, таблета и телефона ви Имейл с линкове към акценти те на всеки нов брой в деня на излизането му Ежемесечен електронен нюзле тър с информация за новини и предстоящи научни събития в бранша Пълен достъп до 5 броя ди гитални издания (реплики на печатните издания) от ком пютъра, таблета и телефо на ви Имейл с линкове към акцен тите на всеки нов брой в деня на излизането му Ежемесечен електронен нюз летър с информация за нови ни и предстоящи научни съ бития в бранша През 2023 г. Dental Tribune излиза 5 пъти годишно в месеците: февруари, април, юни, октомври, декември. Абонирай се на dentaltribune.bg или позвъни на 0897 958 321. ПАКЕТ PREMIUM ХАРТИЕНО ИЗДАНИЕ + ПОДАРЪК ДИГИТАЛНО ИЗДАНИЕ ПАКЕТ DIGITAL ДИГИТАЛНО ИЗДАНИЕ АБОНАМЕНТ 2023 200 лв. 140 лв.

в безопасност и защитени, за да продължат да поддържат добро орално здраве, получавай

достъп до всички необходи

лечения. Но това да знаем

перфектно да изпълним

дентална манипулация

реалната възможност да я извършим на пациент, са две различни неща. Да мотивира ме пациента да се подложи на препоръчана от нас терапия може да бъде трудно, но е от ключова важност за проспери тета на нашите практики. Процентът на приемане на приложените терапии

про даване на дентални лечения, а за опознаване на пациентите и установяване на партньор ски взаимоотношения с тях, така че да се постигне една пе челивша за всички страни си туация. Задаването на въпро си, особено такива с отворен край, би окуражило пациенти те да споделят желанията си, касаещи тяхното орално здра ве. Например: От скала от 1 до 10 ( като 1 е най-лошото възможно, а 10 е отлично) какво ниво на орално здраве бихте ис кали да постигнете? Някога имали ли сте про блеми при дъвчене или ня какви болки в устата, или зъбобол? Доколко е важен за вас и за самочувствието ви видът на усмивката при взаимо действие с хора в професи онален и личен план? Ако имахте вълшебна пръ чица, какво бихте проме нили в усмивката си, ако изобщо искате някакви ко рекции? Начинът на хранене влияе на оралното здраве. Бихте ли ми разказали

Д-р Kübel Özkut, Турция
Dental Tribune Bulgarian Edition / октомври 2022 г.4 управление на практиката реклама лечебни планове, които всъщ ност не желаят. Вместо това на драго сърце ще одобрят ле чения, които им помагат да постигнат целите си, касае щи оралното им здраве. ВЗАИМОДЕЙСТВИЕ С ПАЦИЕНТИТЕ Внимателното изслушване е ключът към установяване какво мотивира пациентите, какво мислят за усмивките си и какво биха желали да про менят.3 Не става дума за
повече за вашата диета? Ние като зъболекари може да сме отлични клиницисти и перфектно да се справяме с лечебното планиране, но пред ставянето на лечебния план на пациента е задача, която по-добре да бъде делегирана на специално обучен за целта член на екипа. Например, ако има координатор на лечени ята, който обсъжда всеки де тайл с пациента в комфорт на и спокойна обстановка, да вайки му възможност да зада ва въпроси, без да се чувства притиснат, тази стратегия би била много ефективна. Раз говори, подкрепени с дигитал ни инструменти, които да онагледят лечебните възмож ности, също помагат на паци ентите да разберат предим ствата на предложеното ле чение и да се почувстват поПоследните две години ка тегорично бяха трудни и мно го от нас с право се притесня ват как всичко това ще се от рази на бъдещето на нашите бизнеси. Икономиките, кои то и преди пандемията от COVID-19 са били в затруднено положение, се сблъскват с още по-сериозни проблеми и това определено не ни помага да въз становим обичайния си брой пациенти. От началото на пандемия та ние като дентални спе циалисти положихме огромни усилия, така че да накараме пациентите да се чувстват
ки
ми
как
дадена
и
тряб ва да бъде над 80% за стари па циенти и между 50% и 75% за нови.1 От огромна важност е да отделим нужното време и да обясним на всеки един паци ент защо тя или той се нуж дае от конкретното лечение и трябва да дадем най-добро то от себе си да му/ѝ отгово рим на всички въпроси. Ма кар да са получили цялата не обходима информация относ но терапията, много пациен ти напускат практиката, без да си запазят час, като някои от тях никога повече няма да се върнат в кабинета. Въпре ки че това може да е доста от чайваща ситуация, може да се окаже и възможност да проме ним подхода си, така че да по вишим процента на приемане на предложените лечения. Ако искаме пациентите да приемат лечебните планове, трябва напълно да разберем какво искат те. Ако приори тетите ни съвпадат с тези на пациентите, запазването на пациенти и процентът приети лечения ще се увели чат. Пациентите ще усещат, че имат по-голям контрол над процеса, и ще оценяват, че ние истински разбираме нуж дите и ценностите им, а по този начин ще стимулираме изграждането на лоялност и доверие.2 Те няма да се чувст ват притиснати да приемат ПОМОГНЕТЕ НА ПАЦИЕНТИТЕ СИ ДА КАЖАТ „ДА!“ Внимателното изслушване и успокояване на денталните страхове са само два компонента от стратегията за предразполагане на пациентите да се съгласят с предложеното лечение.
@karolina-grabowska/Pexels

програма

Dental Tribune Bulgarian Edition / октомври 2022 г. 5управление на практиката свързани с практиката, а от там и с охота да си запазят час. Ако искаме да увеличим процента на приемане на ле чебните планове, трябва да попитаме за финалното реше ние на пациента след предста вяне на лечебния план и да ана лизираме евентуални спънки за одобряването му. ДЕНТАЛНИ СТРАХОВЕ За съжаление, страхът от зъболечение е често срещан и нерядко е причина пациен тът да не пристъпва към нужното лечение. Ако паци ентите гледат снимки преди и след на сходни случаи, леку вани от вас, това може да ус покои страховете, да спече ли доверието им и респектив но е много по-вероятно да при емат предложеното лечение. От ключова важност е паци ентът много добре да разби ра какво включва лечението и как планираме да му осигурим максимален комфорт. Това оз начава да го разпитаме за при тесненията му, да разясним потенциални последици, ако не се извърши лечението, и да се фокусираме върху предим ствата на предложения лече бен план. Проучване е установило, че близо 68% от тези, които из бягват или отлагат посеще нията при зъболекар, изтък ват цената като основна при чина.4 Макар да са били избро ени множество причини, раз ходите за зъболечение са из тъкнати повече от два пъти по-често от която и да е дру га причина.4 Повечето пациен ти не си заделят пари специ ално за дентални нужди и ня мат никаква идея колко би им струвало лечението.5 От моя опит мога да заявя, че ако не ги боли, те често се самозалъг ват, че нямат нужда от лече ние, което неизбежно води до по-сериозни проблеми и допъл нителни разходи. Трябва да отделим време да образоваме обстойно паци ентите, преди да говорим за цена, така че те да разбират добре стойността на дентал ните услуги, които предлага ме. Ако те не оценяват важ ността на лечението, тряб ва да ги информираме за със тоянието им и за възможни те последици от непровежда не на терапията. След като пациентите разберат защо се нуждаят от лечение, цената става по-маловажна. В наша та клиника имаме практика та да предлагаме различни на чини за разплащане и по този начин показваме на пациенти те си, че сме готови да ги под крепим. НЕДОСТИГ НА ВРЕМЕ Недостигът на време е чес та причина за отлагане на ле чението. Като повечето хора и нашите пациенти често са много заети и щом напуснат кабинета, може и да забравят да се обадят, за да си запазят час, понякога въпреки че осъз нават важността на орално то си здраве и спешността на предложеното лечение. За да се справим с този проблем, може да обучим координатора на ле ченията да потърси пациен та два дни или седмица след като е представен лечебният план. По този начин информа цията е още прясна в главата на пациента. Може да използ ваме този разговор като въз можност допълнително да образоваме пациента и да адресираме спиращите го съо бражения. Пациентът ще оце ни положеното допълнител но усилие и ще разбере още подобре необходимостта от предложеното му лечение. ЕФИКАСНА ПРОГРАМА ЗА ЗАПАЗВАНЕ НА ПАЦИЕНТИ И ЗАПИСВАНЕ НА КОНТРОЛНИ ЧАСОВЕ Запазването на стар паци ент е много по-лесно и изискващо по-малко разходи, откол кото привличането на нов, за това е много важно да инвес тираме в ефикасна страте гия за запазване на пациенти и записване на контролни ча сове. При една добре работеща такава
пациентът трябва да посещава кабинета два пъти годишно. Стратегията за запазване на пациенти и записване на контролни часове трябва да предвижда информиране на па циентите за важността на поддържащата терапия и за услугите, които практиката предлага. Това включва неверо ятните нововъведения в сфе рата на денталните мате риали и дигиталните техно логии и възможните лечебни алтернативи, които те пре доставят. Съществено е да се подчертаят по-доброто пре живяване на пациента и побързите резултати, които могат да бъдат постигнати с помощта на тези средства. В обобщение, една ефектив на, структурирана стра тегия за презентиране на лечебните планове гарантира одобрение от страна на па циентите. Освен това тя е в унисон с една от основополага щите ценности на дентална та медицина, а именно отго ворността за поддържане на добро орално здраве като част от цялостното здравословно състояние на нашите паци енти. Когато съумеем да спе челим и задържим пациенти, които ценят нашите грижи, ние ще можем да работим при по-малко стресови условия и ще се наслаждаваме повече на практиката си. Ред. бел.: Библиографията е на лична при издателя. реклама

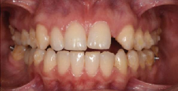
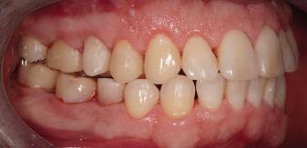
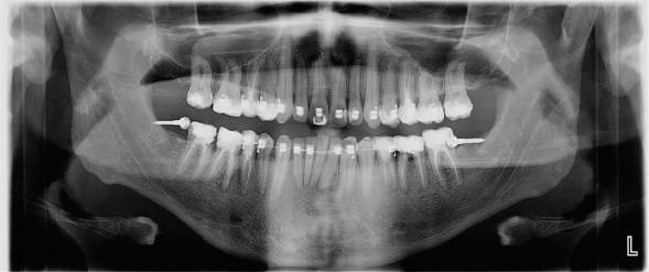
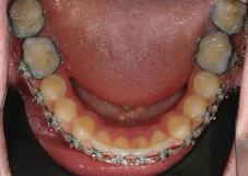
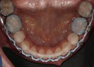
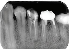
Пациент: 30 г., мъж Първо посещение: 02.08.2018 г. Основни оплаквания: Лицева болка, главо болие и болка в дясната темпоромандибу ларна става, естетични съображения РАБОТЕН ПРОТОКОЛ:

диагностика терапия със сплинт ортодонтска рехабилитация диагностична реоценка вертикален размер на оклузията –диагностичен восъчен моделаж протетична рехабилитация работа в зъботехническата лабора тория диагностична реоценка поддръжка

СПИСЪК С ПРОБЛЕМИ:

тясна зъбна дъга – горна и долна струпване във фронта – в горна и долна челюст вертикален излишък в максилата, водещ до скелетна гингивална усмивка недобри амалгамени и композитни обтурации наличие на мъдреци 18, 38, 48 – стръм на

установяване на клас I функционално водене с канинова защита елиминиране на дисталните блокажи

ЛЕЧЕБЕН ПЛАН: екстракция на мъдреците възстановяване на компрометирани те зъби и ендодонтски релечения терапия със сплинт гингивектомия в горна челюст ортодонтско лечение: – нивелиране и подреждане на зъбите в горна и долна челюст;

– интрузия на цялата горна зъбна дъга; – дъга Gummetal с tip-back извивки в до лна челюст за нивелиране на крива та на Шпее; – ретенция. VTO – диагностичен восъчен моделаж след финалната кондилография: проме ни в оклузалната равнина; промени в относителния кондиларен наклон протетична рехабилитация

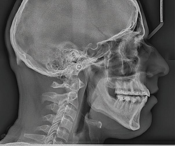
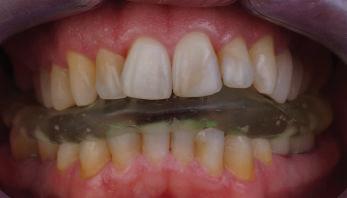
Пациентът постъпи в моята клини ка с наличие на темпоромандибуларен дисфункционален болков синдром, едно странно изместен диск с редукция в дяс ната става, клас II, подклас 2, тесни гор на и долна челюст със струпване, дъл бок овърбайт

орални снимки и снимки на позата, пал пация на мускулите, брукс-чекър, оклу зограми, кондилография, рентгеногра фии, СВСТ и ядрено-магнитен резонанс на темпоромандибуларните стави). Преди началото на ортодонтското лечение всички стари възстановява ния бяха свалени и бяха заменени с дъл госрочни временни от хибридна керами ка. На девитализираните зъби бе прове дено ендодонтско релечение. Индивиду ализиран оклузален сплинт бе направен с цел да се постигне контролирано репо зициониране на долната челюст, като носенето му продължи три месеца до възстановяване на правилната позиция на ставния диск и затихване на орофаци алната болка и дискомфорт в ставата. Брекетите в горната челюст бяха за лепени, за да започне подреждането и нивелирането на зъбите, докато паци ентът все още носеше сплинта. След края на терапията със сплинта бе на правена кондилография, за да се потвър ди триизмерната позиция на долната челюст. След залепване на брекетите в долна

тация на долната челюст. Дъга GUMMETAL с tip-back извивки бе поставена в долната челюст за ниве лиране кривата на Шпее. Случаят бе финализиран с 19x25 SS дъги в горната и долната зъбна дъга за координиране. Преди да се изготви финалният восъ чен моделаж, естетичните и лицеви те характеристики бяха анализирани с помощта на дигитален дизайн на ус мивката, за да се създаде мок-ъп, чии то форма и размери да бъдат одобрени от пациента. Бе оценена фонетиката и бяха заснети лицеви снимки и видеа. Зъ бите бяха изпилени, като препарация та бе изцяло водена от функционалния восъчен моделаж, прехвърлен в устата на пациента. След препарацията восъч ният моделаж бе напаснат и насложен върху препарационния модел и бе фрезо ван от e-max multi bl 1. Циментирането на финалните конструкции бе направе но при изолация с кофердам, следвайки адхезивния протокол. След циментирането бе направено проследяване на оклузията чрез снема не на отпечатъци, монтиране на моде лите в артикулатор в окончателната интеркуспидация и внимателно прове ряване за наличие на блокажи при воде ни движения.

В конкретния случай комбинирах златния стандарт при статична по зиция с динамична оценка на функци ята на темпоромандибуларната ста ва, за да диагностицирам и лекувам ней ната дисфункция.

Д-р Манол Ивчев, България, зт. Leandro Gambogi, Бразилия
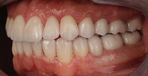
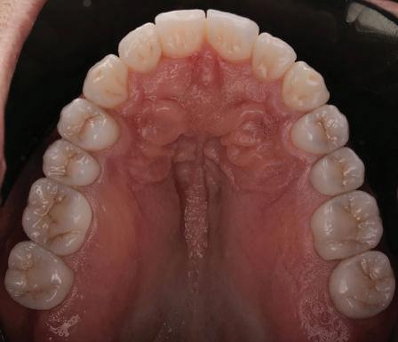
6 Dental Tribune Bulgarian Edition / октомври 2022 г. КРАТКО ОПИСАНИЕ НА КЛИНИЧНИЯ СЛУЧАЙ
оклузална равнина ендодонтски проблеми – 15, 25, 35, 36, 37, 45, 46, 47 отклонение на срединната линия с 2 мм вляво в долна челюст мускулни болки ДИАГНОСТИКА: скелетен клас II зъбен клас II функция: ограничения в движенията –мускулни проблеми; хлабави лигамен ти – латеротрузивни странични про блеми при медиотрузия вдясно; девиа ция на долната челюст вляво. ЦЕЛИ НА ЛЕЧЕНИЕТО: разширяване на горната и долната зъбна дъга промяна на оклузалната равнина в по сока надолу – намаляване на наклона на оклузалната равнина, така че да стане по-плоска, и постигане на пра вилна оклузална равнина дистално намаляване на вертикалния размер на оклузията (LFH)
и гингивална усмивка. Започнахме лечението с пълна диагно стика (анамнеза, интраорални, екстра
та челюст 4 минивинта (TADs) бяха по ставени в максилата – 2 в небцето и 2 интрарадикуларно във фронта, с цел да се извърши интрузия на цялата зъбна дъга, да се коригира гингивалната усмивка и да се позволи провеждането на обратна на часовниковата стрелка авторо
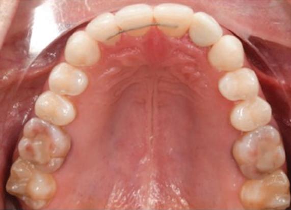
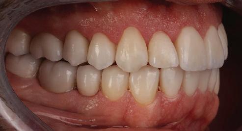
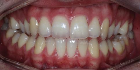
След стабилизира не на ставите и долната челюст в те рапевтична позиция постигнах орто донтски премествания и скелетни ко рекции, които обикновено са възмож ни единствено посредством ортогнат на хирургия. Преминах от аналогов мо дел на работа към изцяло дигитален, за да се хармонизира лицевата естетика чрез Digital Smile Design, като същевре менно обаче изработих функционален аналогов восъчен моделаж и на двете че люсти, за да мога да приложа оклузална та концепция на Славичек. След което напаснах препарациите с аналоговия во съчен моделаж при изцяло дигитални ус ловия с цел фрезоване на короните. Всич ки тези комбинации правят случая из ключително комплексен. В крайна сметка този сложен случай бе лекуван с най-добрата възможна ком бинация от възможности, които ана логовият и дигиталният свят предла гат, за да се постигне красота, която е следствие от отлична функция. ОКЛУЗАЛЕН „БАЛЕТ“ С РОЗОВАТА ЕСТЕТИКА Клиничен случай, победител в категория „Комплексно естетично възстановяване“ в конкурса „Усмивка на годината 2022“ Преди След
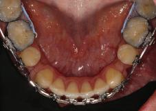
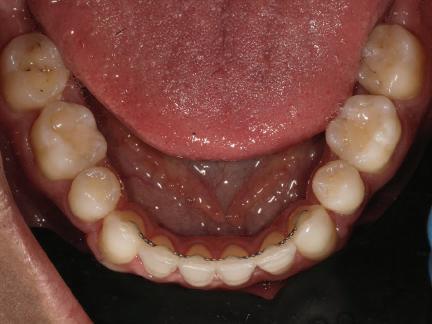
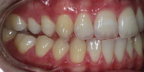
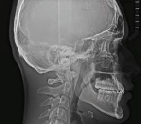
7Dental Tribune Bulgarian Edition / октомври 2022 г. Преди лечението Фиг. 1 Фиг. 4 Фиг. 7 Фиг. 10 Фиг. 13 Фиг. 16 Фиг. 17 Фиг. 18 Фиг. 19 Фиг. 20 Фиг. 11 Фиг. 14 Фиг. 12 Фиг. 15 Фиг. 8 Фиг. 9 Фиг. 5 Фиг. 6 Фиг. 2 Фиг. 3
8 Dental Tribune Bulgarian Edition / октомври 2022 г. По време на лечението Фиг. 21 Фиг. 25 Фиг. 30 Фиг. 31 Фиг. 34 Фиг. 38 Фиг. 40 Фиг. 44 Фиг. 48 Фиг. 50 Фиг. 49 Фиг. 46 Фиг. 39 Фиг. 41 Фиг. 45 Фиг. 47 Фиг. 42 Фиг. 43 Фиг. 35 Фиг. 36 Фиг. 37 Фиг. 32 Фиг. 33 Фиг. 26 Фиг. 28 Фиг. 29 Фиг. 27 Фиг. 22 Фиг. 23 Фиг. 24
9Dental Tribune Bulgarian Edition / октомври 2022 г. След лечението За авторите: Д-р Манол Ивчев е създател на COLDY DENT Functional Atelier, завършва дентална медицина във ФДМ, София. Шест години е стажант в ортодонтска практика. Интересите му са изцяло насочени към функционалната дентална медицина. Посещава курсовете на Доусън и Льо Гал. Преминава редица обучения, акредитирани от Института на Славичек във Виена – VieSID. Впоследствие става най-младият инструктор във VieSID. Придобива права да преподава философията на проф. Рудолф Славичек в България. В практиката си се придържа към протоколите на Славичек за функционално лече ние и диагностика, тъй като те са насочени към комплексно лечение. Завършва всички нива за морфология на зъбите и моделаж при Janos Mako. Повишава знанията си по функционална ортодонтия чрез индивидуален курс в Румъния. Д-р Ивчев е и сертифициран зъболекар по лингвална ортодонтия от Катедрата по ортодонтия от Университета по стоматология в Тегу, Южна Корея. Сертифициран е и за лечение на ортодонтски аномалии чрез миофункционални апарати, а също и за ортодонтия, подпомагана от миниимпланти, отново от Университета по стоматология в Южна Корея. Завършва индивидуално обучение по функционална ортодонтия в Университета по дентална медицина в Богота, Колумбия, както и индивидуално обучение по функционална ортодонтия и физиотерапия по про токола на Mariano Rocabado. Има завършено индивидуално обучение по функционална зъботехника и функционален Wax-Up клас I,II и III. Завършва курс за Digital Smile Design и Skin Concept в Люксембург при Christian Coachman, Florin Cofar, Paulo Kano, Josef Kunkela, Livio Yoshinagа. Зт. Leandro Gambogi, Бразилия, завършва зъботехника през 1999 г. Експерт и пионер в дигиталната диагностика. Лектор и инструктор на курсове в областта на дигиталното протезиране. Понастоящем е главен изпълнителен директор и зъботехник в DENTALE DIGITAL LAB. В периода януари 2005 г. – декември 2006 г. завършва бизнес управление и администрация в Methodist University Center Izabela Hendrix. Съавтор на книгата Odontologia Digital: Desafiando os Limites, глава 5: „Дигитално включване във времето. Технология CAD/CAM“. Преминал множество обучения при световноизвестни кли ницисти. Фиг. 51 Фиг. 54 Фиг. 57 Фиг. 58 Фиг. 63 Фиг. 64 Фиг. 65 Фиг. 59 Фиг. 61 Фиг. 62 Фиг. 60 Фиг. 55 Фиг. 56 Фиг. 52 Фиг. 53 Фиг. 66

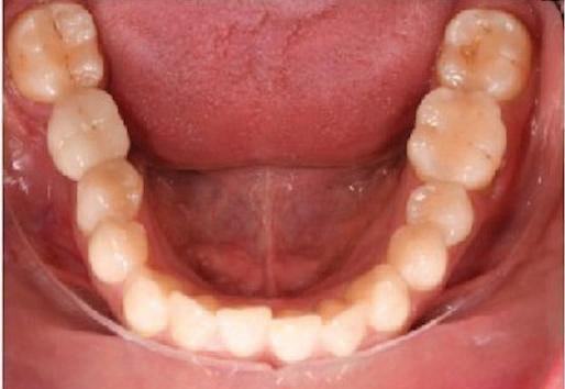
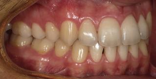
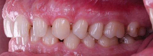
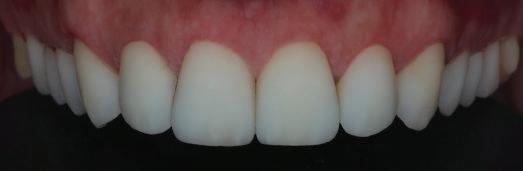
КРАТКО ОПИСАНИЕ

КЛИНИЧНИЯ СЛУЧАЙ

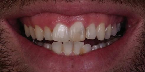
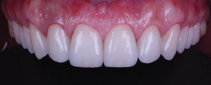
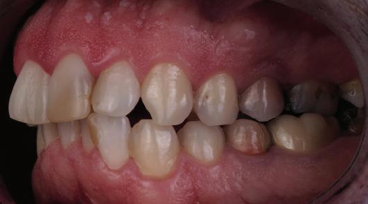
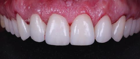
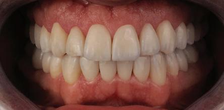
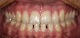
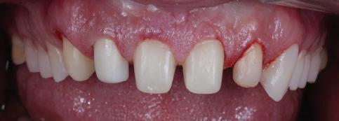
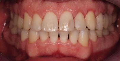
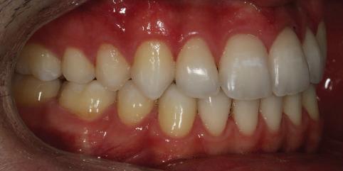
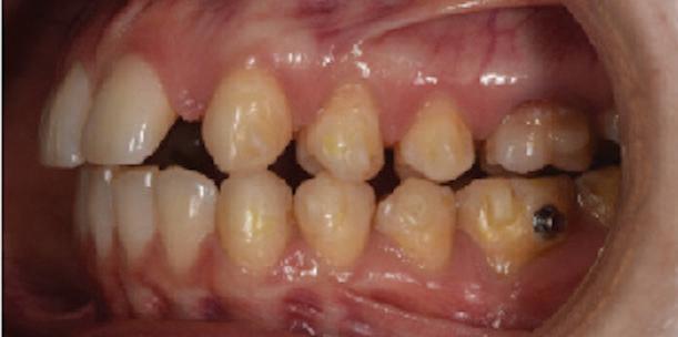
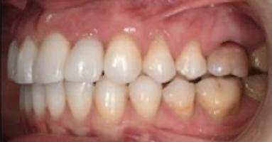
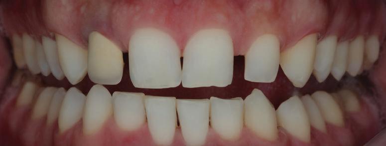
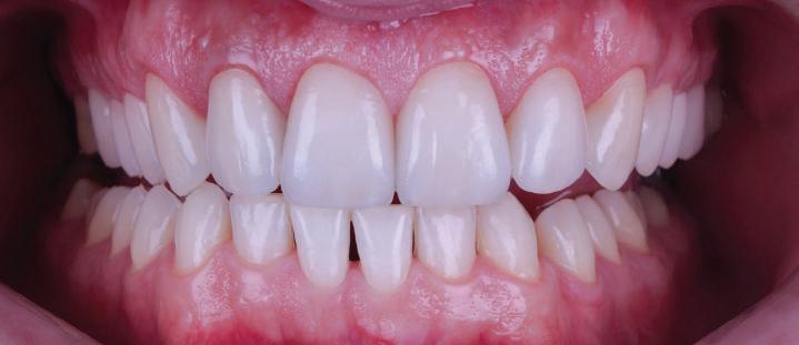
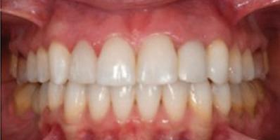
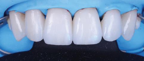
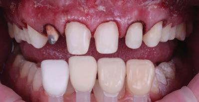
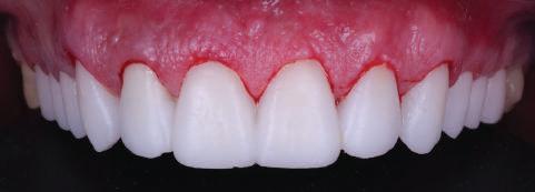
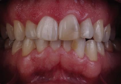
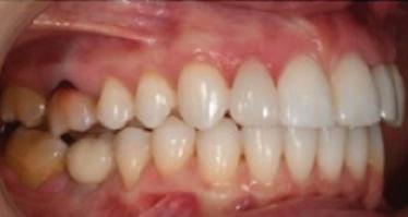
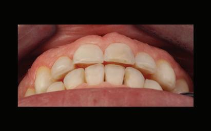
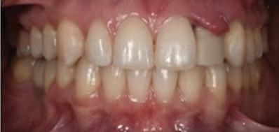
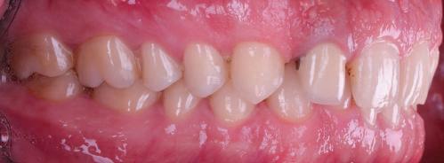
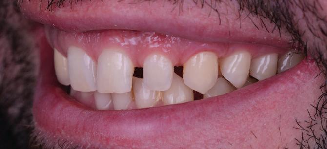
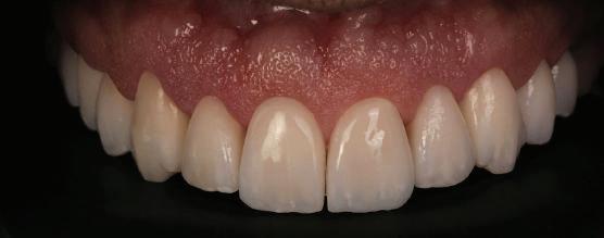
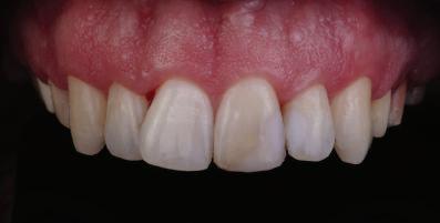
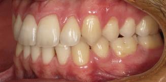
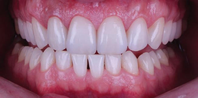
Пациентът постъпи в клиниката с молба за тотална рехабилитация на усмивката. Той не харесваше централ ните си резци, които според него бяха твърде къси и квадратни. Имаше раз стояние от медиално и дистално на латералните му резци. Друго сериоз но оплакване бе свързано с металоке рамичната корона на зъб 12, която бе жълтеникава и неестетична, като цяло не харесваше вида на венците си и както самият той се изразяваше, „вижда се прекалено много от венците при усмивка“.

ЛЕЧЕБНИЯТ ПЛАН ПРИ ТОЗИ СЛУЧАЙ БЕШЕ СЛЕДНИЯТ: Диагностика, фотодокументация,

циментиране на фасетата върху него).

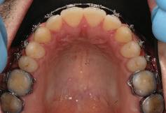
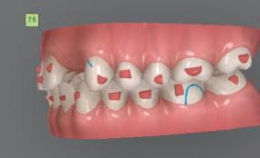
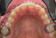
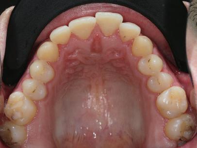
След диагностиката бяха направени екстра- и интраорални снимки, както и рентгенографии; професионалното почистване бе от изключителна важ ност, бяха дадени и инструкции за лич на орална хигиена. Бе направено интра орално сканиране с Medit i500. Цялата тази информация бе използ вана в приложението Smilecloud за 2D биометричен дизайн. В приложението са налични естест вени форми на зъбите и щом бяха под брани зъби и бе направен дизайн

мивката, те бяха свалени като stl

лове,

дула

естествени

файловете от Smile Cloud,

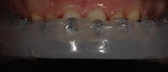
библиотеката на Exocad. Струва си да се отбележи, че 2D дизайнът от Smile Cloud бе спазен до последния детайл в Exocad smile creator с цел да се създаде 3D obj файл със зъбните форми. След като естетичният дизайн бе готов в model creator модула на Exocad, адитивен 3D мок-ъп модел бе експорти ран и принтиран от принтер Formlabs 3. Моделът бе използван за направата на силиконов водач, за да се изготви мо тивационен мок-ъп в устата на паци ента и да се оценят естетичните па раметри. След като пациентът одобри вида на усмивката си, мок-ъпът бе използван за финализиране дизайна на усмивка та. Мок-ъпът бе използван също така като водач по време на мекотъканна та хирургия, както и при препарация на зъбите.

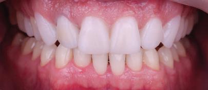
Препарираните зъби бяха импорти рани в Exocad и насложени върху ес тествените форми от биометричния дизайн, като така стана ясно дали зъ бите са били препарирани коректно. По този начин зъболекарят и зъботехни кът работят в една и съща екосистема и резултатът е оптимален. С короната се справихме чрез диги тална редукция на циркония в Exocad, като по този начин на практика създа дохме циркониево кепе, след което про изведохме фасета от IPS Empress Cad Multi. Кепето от Katana Zirconia на зъб 12 с букално послойно нанесена керами ка бе фрезовано (послойното нанасяне бе направено, за да се подобри връзката и да се осигури адхезивно циментиране на фасетата към циркониевото кепе, както и за да се напасне цветът към този на съседните зъби). При първото сканиране регистрирах ме цялата горна зъбна дъга, така че, ко гато се наложи да сканираме повторно, бе изтрит и сканиран наново само зъб 12, тъй като венците не бяха отдръп нати при второто сканиране.

10 Dental Tribune Bulgarian Edition / октомври 2022 г.
НА
рентгенографии. Инициална терапия и професионално почистване. Интраорално сканиране с цел диги тално планиране. Регистрация и 3D ориентиране на ок лузалната равнина на горна и долна челюст в пространството. 2D дигитално планиране и дизайн на усмивката посредством приложение то Smile Cloud. 3D дигитално планиране и дизайн на функционалните и естетичните па раметри. 3D дигитален дизайн и адитивен мокъп на горна челюст. 3D принтиране и мок-ъп модели. Мотивационен мок-ъп. Фини корекции за постигане на фи налния дизайн. Мекотъканна хирургия с мок-ъпа като водач Препарация през мок-ъпа, използвай ки дизайна като водач за финалната препарация в Exocad. Циркониево кепе ще бъде циментира но с цел адхезивно залепяне на фасе та на края. Кепето има същия цвят като този на съседните зъби, за да може фасетата да се впише перфект но в цялостната усмивка. Изработване на 12 IPS Empress Cad Multi фасети с послойно нанесена ке ТОТАЛНА РЕХАБИЛИТАЦИЯ НА УСМИВКАТА С ИЗЦЯЛО ДИГИТАЛЕН ПРОТОКОЛ Д-р Калин Маринов и зт. Стефан Петров рамика букално върху зъбните препа рации и върху първичното циркони ево кепе (има възможност за ецване и адхезивно
на ус
фай
които след това могат да бъдат използвани в Exocad CAD Software за ди гиталното планиране на естетични те и функционалните параметри с мо
smile creator, но реално бяха използ вани
по форма зъби от stl
а не зъби от
Една седмица след препарацията на зъбите и циментирането на цирко ниевото кепе бяха изработени 12 IPS Empress Cad Multi фасети. Макро- и микротекстурата на фасе тите бяха направени на ръка, след кое то бяха нанесени 3D характеризации с боички, а полирането отново бе напра вено ръчно, за да им се придаде естест вен и естетичен вид. Предизвикателството тук беше короната да има същите оптични характеристики като тези на остана лите зъби при естествена светлина, през поляризационен и флуоресцентен филтър. 3D принтерът бе Fromlabs, софтуерът за фрезоване – Mill Box, а фрез апаратът –imes icore CORiTEC 350i. В крайна сметка постигнахме ес тествен вид на усмивката с натурал на зъбна морфология при изцяло диги тален протокол, при който дизайнът бе направен първоначално и през всич ки етапи на лечението се придържахме към него до самия край Излишно е да отбелязваме, че всички сме удовлетворени от постигнатото! Преди След Победител в категория „Клиничен случай с изцяло дигитален протокол“ в конкурса „Усмивка на годината 2022“
11Dental Tribune Bulgarian Edition / октомври 2022 г. Преди лечението Фиг. 1 Фиг. 2 Фиг. 3 Фиг. 4 Фиг. 5 Фиг. 6 Фиг. 7 Фиг. 9 Фиг. 10 Фиг. 11 Фиг. 8 Фиг. 12 Фиг. 13
12 Dental Tribune Bulgarian Edition / октомври 2022 г. По време на лечението Фиг. 14 Фиг. 16 Фиг. 20 Фиг. 23 Фиг. 21 Фиг. 24 Фиг. 26 Фиг. 28 Фиг. 31 Фиг. 34 Фиг. 29 Фиг. 32 Фиг. 35 Фиг. 30 Фиг. 33 Фиг. 36 Фиг. 27 Фиг. 22 Фиг. 25 Фиг. 17 Фиг. 18 Фиг. 19 Фиг. 15
13Dental Tribune Bulgarian Edition / октомври 2022 г. След лечението За авторите: Д-р Калин Маринов е специалист в областта на имплантологията, протетиката и естетичната хирургия. Завършил е дентална медици на в София през 2012 г. През 2014 г. основава Sky Dental Clinic. Бил е на обмен ни начала в катедра „Протетика“ на Университета по дентална медицина във Фрайбург, Германия. Живял е и е практикувал в Мелбърн, Австралия, и е посеща вал курсове и лекции в Италия, Швейцария, Германия с насоченост в естетич ната хирургия и имплантология, както и тоталната рехабилитация на устна та кухина чрез импланти. Зт. Стефан Петров основава собствена лаборатория през 2006 г. Официален демонстратор на GC за България, като от 2015 г. е KOL за Източна Европа. Инструктор е на Straumann за България. Лаборатория та му има сертификат за пилотна лаборатория на Micerium – Италия. Носител е на множество награди в денталния конкурс „Усмивка на годината”. Носител е на награда CERAMISTS MASTER CUP с д-р Софиен Риахи в престижния международен конгрес CERAMISTS – NO LIMITS 2015 г. Изнася лекции и провежда курсове в редица европейски страни. Фиг. 37 Фиг. 40 Фиг. 43 Фиг. 45 Фиг. 47 Фиг. 50 Фиг. 48 Фиг. 49 Фиг. 41 Фиг. 44 Фиг. 46 Фиг. 42 Фиг. 38 Фиг. 39
“Първият биологичен материал за обемнo запълване” педиатрия ЕндодонтияВъзстановяване Biodentine™ Моля, посетете нашия сайт за повече информация www.septodont.com За терапия на пулпата-обемното запълване на кавитетас Biodentine™прави процедурата по-лесна и по-бърза: • Ускорява заздравяването на пулпата: доказана биосъвместимости биоактивност; • Минимален риск за неуспех: силни уплътнителнисвойства; • Само един материал за запълванена кухинатаот пулпатадо върха; • Подобно механично поведение катоестествениядентин: идеален за обемнозапълване; • Окончателнотовъзстановяванена емайлае в рамкитена 6 месеца. Иновативен по природа
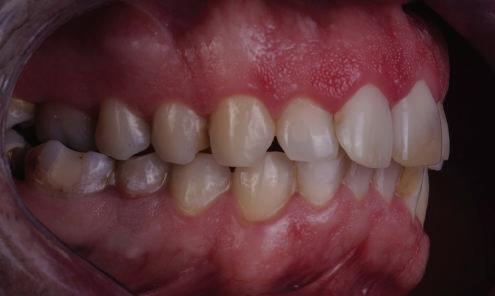
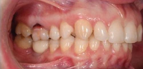
Dental Tribune Bulgarian Edition / октомври 2022 г.16 клиничен случай с алайнери Г орният латерален ре зец е вторият найчесто вродено липсващ зъб.1,2 Поради разполо жението му във видимата зона на усмивката лечение то на подобни случаи нала га мултидисциплинарен под ход, целящ отличен функцио нален и естетичен резултат. Налице са няколко лечебни мо далности, свързани с различ но разпределение на място то: първият вариант е орто донтско отваряне на място и възстановяване на липсва щия зъб с конструкция, под държана от съседните зъби3 или от имплант4, докато при втория подход разстоянията се затварят и премоларът заема мястото на канина.5 Изборът на лечебен подход трябва да бъде направен съв местно от зъболекар и паци ент въз основа на очакванията на последния и предвиди мостта на лечението. Множе ство фактори влияят върху това решение, като напри мер типа малоклузия, размера, формата и цвета на кучеш ките зъби6, оклузалните вза имоотношения (овърджет и овърбайт), лицевия профил, дължината на зъбната дъга и несъответствията в разме ра на зъбите.7 В настоящата публикация се разглежда случаят на жена в зряла възраст с вродена лип са на горен ляв латерален резец. Бяха приложени про зрачни алайнери за отваряне на място за единичен им плант и бяха постигна ти функционална оклузия и отлична естетика. ПРЕДСТАВЯНЕ НА СЛУЧАЯ Диагноза Пациентката бе на 32 годи ни, когато лечението започна, и първоначалното ѝ състоя ние бе следното (фиг. 1–3): липсващ горен ляв латерален резец; клас II, подклас I малоклузия; отклонение на горната сре динна линия вляво; Доклад на клиничен случай ЛЕЧЕНИЕ С АЛАЙНЕРИ НА ПАЦИЕНТ С АГЕНЕЗИЯ НА ЛАТЕРАЛЕН РЕЗЕЦ Д-р Iro Eleftheriadi и д-р Christodoulos Laspos, Гърция и Кипър Фиг. 1a–h Предоперативни лицеви и интраорални снимки. Фиг. 2a–e Дигитални модели преди началото на лечението. Фиг. 3 Панорамна снимка преди лечението. Фиг. 1a Фиг. 1d Фиг. 1f Фиг. 2a Фиг. 2d Фиг. 2b Фиг. 2e Фиг. 3 Фиг. 2c Фиг. 1b Фиг. 1e Фиг. 1g Фиг. 1h Фиг. 1c

111.3°),

(Li–APog: 24.2°).

горната

долната

редовните контролни прегледи

затова

внасянето на няколко

динни корекции (фиг.

ме на лечението възникнаха

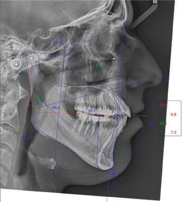
Dental Tribune Bulgarian Edition / октомври 2022 г. 17клиничен случай с алайнери леко струпване в долната че люст; несъответствие по Болтън (мандибуларен излишък от 3.06 мм във фронталната зона и общо 1.47 мм); издължено лице с лицева аси метрия; конвексен профил с ретруди рана долна челюст и проми нентен нос. На мястото на зъб #46 бе на лице имплант, а зъби #16 и 26 са ендодонтски лекувани. Тези зъби бяха асимптоматич ни, затова бе взето решение да се прави релечение само при нужда. Мъдреците липсваха. Анализът на телерентгеногра фията (фиг. 4) показа ретрог натна мандибула (SNB: 74.2°) и нормална инклинация на резците както в
(Ui–FH:
така и в
челюст
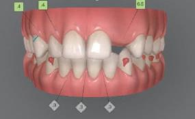
Цели на лечението и лечебен план Целите на лечението бяха следните: нивелиране и подреждане на зъбите и в двете зъбни дъги; отваряне на пространство за липсващия латерален резец; коригиране на отношенията при канините и моларите до клас I; и корекция на отклонението на срединната линия. Лечебният план включваше: корекция на отношенията при кучешките зъби и мола рите до клас I с дистализира не на максилата; отваряне на пространство в областта на #22 за поставя не на единичен имплант; корекция на срединната ли ния; и създаване на място за раз ширяване на зъб #12 и апрок симална редукция в долната челюст с цел подобряване на несъответствието по Болтън и осигуряване на подобра оклузия. Изпълнение на лечебния план Този случай бе изпълнен със системата за алайнери Invisalign (Align Technology). Одобреният първоначален лечебен план предвиждаше 49 алайне ра с дистализиране на задни те горни зъби до клас I (прибли зително с около 3.5 мм; фиг. 5). За бъдещия имплант в областта на липсващия латерал бе планирано пространство от 6.5 мм, докато във фронталния сегмент на долната челюст бе предвидена апроксимална редук ция. В дясната страна бутон за ластици клас II бе поставен на зъб #47 вместо на зъб #46, за да не се увреди короната на импланта. Понеже пациентката жи вееше в чужбина,
бяха не възможни и
се наложи
меж
6). По вре
следните казуси: недобра оклу зия в дисталните зони по вре ме на дистализирането на гор ната челюст и накланяне на зъб #21 (фиг. 7). Последното се дължи на липсата на компози тен атачмънт на този зъб, каквото не бе зададено в пър Фиг. 4 Телерентгенография и цефалометричен анализ преди началото на лечението. Фиг. 5a–e Одобреният първоначален лечебен план. Фиг. 6a–h Снимки по време на лечението, показващи нуждата от внасяне на някои корекции. Фиг. 4 Фиг. 5a Фиг. 5d Фиг. 6a Фиг. 6d Фиг. 6f Фиг. 6b Фиг. 6e Фиг. 6g Фиг. 6h Фиг. 6c Фиг. 5e Фиг. 5b Фиг. 5c

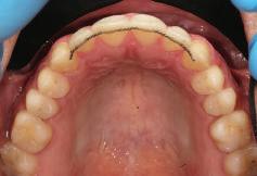
те линии

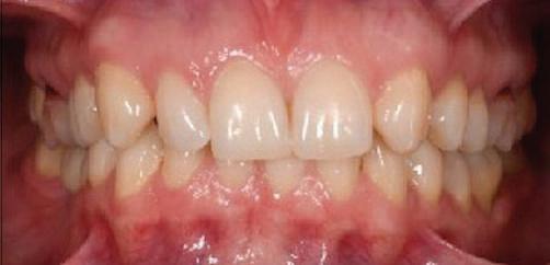
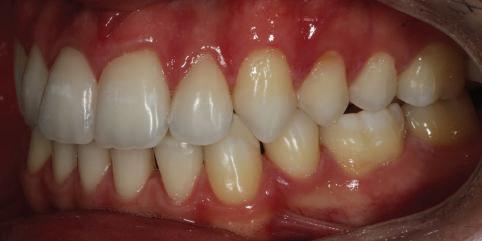
планта бе поставена временна коронка (фиг. 10 и 11), докато бъде изготвена окончателна та. Бе постигнат отличен кра ен резултат. Меките тъка ни около импланта напълно заздравяха, което доприне се за перфектната хармония между бяла и розова естетика (фиг. 12–15).

Що се отнася до финалния це фалометричен анализ, лице вата височина

неспециа листи са оценили двете лече ния като еднакво добри.21 Наши ят избор за отваряне на мяс то бе подкрепен и от възмож ността за постигане на отлич на оклузия. Скорошни подобре ния в системата Invisalign поз волиха предвидимо дистализи ране на задните зъби при лече ние на клас II и III малоклузии.22 Лечението с алайнери в комби нация с композитни атачмън

Dental Tribune Bulgarian Edition / октомври 2022 г.18 воначалния план. Тези пробле ми бяха адресирани чрез допъл нителна поръчка на алайнери с торк контрол и зададено екст рудиране на задните зъби с цел установяване на добри оклузал ни контакти в дисталните об ласти, като бяха предвидени и оптимизирани атачмънти с контрол над корените за корекция на ангулацията на макси ларните резци (фиг. 8). Резултати от лечението Панорамната рентгено графия след ортодонтското лечение показа благоприятна паралелна позиция на съседни те зъби, подходяща за поставя не на имплант в областта на #22, както и конвергенция на ко рените на зъби #44 и 45 (фиг. 9), но преценихме, че няма да от деляме допълнително лечебно време за коригирането ѝ поради факта, че пациентката бе мно го доволна от постигнатия до момента резултат. След при ключване на лечението бяха постигнати отлични взаимо отношения клас I при мола рите и канините, а срединни
съвпадаха. Върху им
(LFH: 56.5 mm) и размерите на меките тъка ни останаха непроменени. На клонът на горните резци бе за пазен (Ui–FH: 115.8°), а долните резци бяха леко наклонени ве стибуларно (Li–APog: 30°; фиг. 16). ДИСКУСИЯ Липсата на зародиш на по стоянен горен латерален резец е налице при 3.5–6.5% от евро пеидната раса, като при жени е по-честа, отколкото при мъ жете в съотношение 3:2.8–10 Възможни са няколко лечебни подхода, включително замя ната му с преоформен канин, отваряне на място чрез орто донтско лечение и протетич но възстановяване, както и ав тотрансплантация. Устано вено е, че изборът за затваря не на място или за отваряне то му все още подлежи на дис кусия сред ортодонти и проте зисти.11,12 Според литературните дан ни затварянето на простран ството и замяната на липсва щия латерал с канин се предпо чита в случаи на едностранна липса на зародиш, балансиран профил, кучешки зъби и премола ри със сходна форма и цвят, дву челюстна протрузия или клас II малоклузия.13–15 Отваряне на пространство по-често се изби ра при клас I, наличие на диасте ми и треми в горната зъбна дъга или голяма разлика в размерите на канини и премолари.16 Скорошно проучване е уста новило, че изборът на лечение при конгенитално липсващ ла терал е пряко свързан със след ните фактори17: възрастта на пациента при започване на лечението; индивидуалните особености при всеки конкретен случай; и сътрудничеството между специалистите в лекуващия екип. Макар да има проучвания, фа воритизиращи леченията със затваряне на място11,18, всеки случай трябва да бъде оценяван индивидуално. В презентирания в тази статия случай бе взето решение за отваряне на мяс то и протетично възстановя ване, понеже целта бе да се по стигнат клас I отношения при канините и моларите, както и по-широка усмивка. За да се из бегнат компромиси, след лече нието бе постигнат клас I при моларите и кучешките зъби, несъответствието по Болтън бе подобрено и срединната ли ния бе коригирана. Други изслед вания демонстрират отлични естетични и функционални ре зултати при лечение с отваря не на място и протетична ре хабилитация.19 И двете лечеб ни модалности са подходящи за третиране на вродена лип са на зародиш на латерал и да ват сходни функционални и па родонтални резултати20, като при едно проучване
ти и клас II ластици е устано вено, че осигурява достатъч на дистализация без промяна на лицевата височина.23 Както се видя от цефалометричния анализ, точно това бе постиг нато и в представения случай като се има предвид, че лице вата височина остана същата като първоначалната. Предвид леката тенденция към дистал Фиг. 8a–e Поръчаните допълнителни алайнери. Фиг. 9 Панорамна рентгенография след края на лечението. Фиг. 10a–c Странични (а и с) и фронтална интраорални снимки след края на ортодонтското лечение и поставянето на импланта (b). Зъб #12 все още не беше протезиран. Фиг. 11а и b Оклузални снимки след ортодонтското лечение. Фиг. 7a Фиг. 8a Фиг. 7d Фиг. 8d Фиг. 9 Фиг. 10a Фиг. 10b Фиг. 10c Фиг. 11bФиг. 11a Фиг. 7b Фиг. 8b Фиг. 7e Фиг. 8e Фиг. 7c Фиг. 8c Фиг. 7a–e Интраоралната ситуация по време на лечението. клиничен случай с алайнери

с липсва щи странични резци.26 Доказа

е, че дигиталните техноло гии допринасят за подобрява не и опростяване на диагности ката, лечебното планиране и реализиране на ортодонтско то лечение.27 Дигиталните ин струменти за диагностика и лечебно планиране се утвърди ха като надеждни за възпроиз веждане на ортодонтското ле чение.28 Софтуерът ClinCheck (Align Technology) бе ефективно използван в представения слу чай с цел планиране на мулти дисциплинарното лечение и ко муникация

Dental Tribune Bulgarian Edition / октомври 2022 г. 19 на отворена захапка е устано вено, че финалното адаптиране и подобряване на оклузалните контакти се установяват след повече от три месеца след лече нието.24 Следователно подобря ване на ситуацията и плътни оклузални контакти се очак ват след края на лечението. Що се отнася до избора за замест ване на липсващия латерален резец с единичен имплант и протезирането му, установе но е, че това е най-често при лаганата лечебна алтернати ва.25 Съседните зъби остават интактни и следователно най голямото предимство на този подход е съхраняването на здра ви зъбни структури. Изборът ни на лечебен план бе базиран на детайлна мул тидисциплинарна диагноза и планиране, а те категорично са ключови за постигане на оп тимални индивидуални резул тати при пациенти
но
между членовете на екипа и пациента. ЗАКЛЮЧЕНИЕ Случаите на липсващи лате рални резци трябва да бъдат третирани от перспектива та на интердисциплинарна ди агностика и лечение. Употреба та на софтуера ClinCheck има доказани предимства за плани ране, комуникация между кли ницистите и пациента и фи нализиране на лечебния план, като се адресират всички же лания и притеснения на паци ента. Настоящият доклад на клиничен случай доказва, че с помощта на съвременните ме тоди един успешен екип от спе циалисти (ортодонт, консерва тивен зъболекар и хирург) може да се стреми към отлични ре зултати и да постига есте тични и функционални усмив ки без компромиси. Ред. бел.: Статията Treatment of a patient with a congenitally missing lateral incisor using aligners: A case report е пуб ликувана за първи път в сп. aligners–international magazine of aligner orthodontics, бр. 1, издание 1/2022. Библиографията е налична при издателя. За авторите: Д-р Iro Eleftheriadi завършва дентална медицина в Атинския университет, а магистратурата си по медицинска статистика – през 2014 г. в Публичния университет в Атина, Гърция. Специализира ортодонтия и завършва през 2017 г. в Университета в Тел Авив, Израел. Предстои ѝ да защити докторан тура във Факултета по дентална медицина към Университета в Атина, Гърция. Д-р Christodoulos Laspos завършва дентална медицина през 1995 г. в Атинския университет, Гърция, а магистратурата си завършва през 1999 г. във Фа култета по дентална медицина към Университета в Тенеси, Мемфис, САЩ. Печели стипендия и специализира лечение на пациенти с лицево-челюстни малформации в Университета в Тексас, Далас, САЩ, и е сертифициран специалист от Европейския борд на ортодонтите. Той е докторант в Универ ситета в Берн, Швейцария. От 2000 г. д-р Laspos практикува в частната си ортодонтска практика в Лимасол, Кипър. Той е основател и директор на MEDICLEFT, Кипърски център за цепки и лицево-челюстни аномалии, както и директор на фондацията Synergy, която осигурява следдипломно обучение на лекари по дентална медицина. Научен съ трудник е във Факултета по дентална медицина към Европейския университет в Кипър. Д-р Laspos изнася лекции по цял свят по теми като лицево-челюстни мал формации, ортогнатна хирургия, мултидисциплинарен подход и нови технологии в ортодонтията. Той е активен член на Европейското общество на Енгел и прези дент на Европейското ортодонтско общество. Фиг. 12а–c Финални странични (а и c) и фронтална интраорални снимки (b). Фиг. 13а и b Финални оклузални снимки. Фиг. 14 Финална снимка на усмивката отблизо. Фиг. 15 Финална екстраорална снимка на усмивката. Фиг. 16 Финална телерентгенография и цефалометричен анализ. Фиг. 12a Фиг. 13a Фиг. 14 Фиг. 15 Фиг. 16 Фиг. 13b Фиг. 12b Фиг. 12c клиничен случай с алайнери
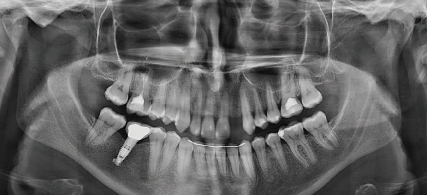
20 Dental Tribune Bulgarian Edition / октомври 2022 г. П ациентите със завършен растеж и скелетни проблеми обикновено представляват предизвикателство за ортодонт ската практика. Необходимостта от изваждане на зъби в комбинация с особеностите на възрастовата ортодонтия изисква особено внима ние. Фокусът върху критично важното значение на позицията на долните резци във връзка с дългосроч ната стабилност и постигането на оптимални оклузални взаимоотношения при затварянето на екстракционните пространства лесно може да излезе извън контрол. Когато към тези чисто кли нични проблеми се добави и стресът от натоваре ната практика, предизвикателството става още по-голямо. Всички тези фактори налагат използ ването на доказан подход с ясни и последовател ни стъпки, в което се разкрива силата на дисциплината „Алекзандър“ – предвидим протокол през целия процес на елиминиране на ротациите, ниве лиране на дъгите, затваряне на екстракционните пространства и финализиране на случая. Именно такъв е и случаят, който презентираме –екстракционен, скелетен клас 3 при възрастен па циент, лекуван по системата „Алекзандър“. ПРЕДВИДИМИ РЕЗУЛТАТИ ПРИ ПАЦИЕНТИ СЪС ЗАВЪРШЕН РАСТЕЖ И СКЕЛЕТЕН КЛАС 3, ИЗПОЛЗВАЙКИ ЕКСТРАКЦИОННО ЛЕЧЕНИЕ ПО ДИСЦИПЛИНАТА „АЛЕКЗАНДЪР“ Д-р Радой Димитров, България Преди започване на лечение клиничен случай | ортодонтия Фиг. 1а–1e Преди започване на лечение. Пациентът пристига в практиката с основното оплакване от невъзмож ност за нормално дъвчене. Снета е цялата необходима диагностична ин формация. Фиг. 1f–1h Снимки в профил и анфас. Фиг. 1i–1k Панорамна снимка, телерентгенография и анализ на телерент генография. Фиг. 1а Фиг. 1d Фиг. 1f Фиг. 1g Фиг. 1h Фиг. 1e Фиг. 1b Фиг. 1c Фиг. 1i Фиг. 1j Фиг. 1k
closed.
21Dental Tribune Bulgarian Edition / октомври 2022 г. ДИАГНОСТИЧНИ РЕЗУЛТАТИ: 1. Възраст на пациента: 21 години 2. Скелетен клас III (ANB 0) 3. Зъбен клас 3 4. Ръбцова захапка във фронта, кръстосана в дисталните участъци 5. Тясна горна челюст 6. Overjet – 0 мм, Overbite – 0 мм 7. Несъответствие на горната с долната средна линия 8. Единични контакти в ЦО 9. Хиподивергентен тип на растеж SN/MP – 33.5 10. Неравен гингивален контур 11. Неравна линия на усмивката 12. Тенденция за рецесии в долен фронт ПРЕПОРЪЧИТЕЛНО ЛЕЧЕНИЕ: Пълно ортодонтско лечение с метални брекети „Алекзандър“ Корекция на клас 3 захапката в областта на кучешките зъби с екстракция на първите пре молари в долна челюст Корекция на кръстосаната захапка в дистални участъци Коригиране на ръбцовата захапка във фронта Подобряване на ОJ и OB на пациента Стрипинг в долен фронт Подреждане на зъбите в горната и долната челюст Професионално хигиенизиране и профилактични дентални прегледи са препоръчителни на всеки 6 месеца. 1-ви месец След 1 месец са залепени брекети в горната челюст – поставена е еластична дъга. 016 NiTi. В долната челюст са елиминирани ротациите, поставена е стоманена дъга. 016SS, закалена с ток, и еластична верижка за затваряне на пространствата. 3-ти месец В долната челюст е поставена трета дъга – 17 x 25 NiTi с къси лигатури и верижка
В горната челюст се затварят пространствата с дъга .016SS и верижка. 5-и месец На 5-ия месец след залепяне на брекетите в долната челюст е поставена стоманена дъга 16 x 22 SS с четвъртито сечение, омега луп и тай бек. В горната челюст е поставена дъга 17 x 25 NiTi. Поради липсата на стабилни оклузални контакти са поставени лингвални верижки в областта на моларите, за да се предотврати нежелана ротация на 7-ите зъби. 6-и месец На 6-ия месец от началото на лечението са екстрахирани долните първи премолари, поставена е дъга 16 x 22 SS със затваряща чупка teardrop. Чупката се активира всеки месец по 1 мм с чинч-бек. клиничен случай | ортодонтия СТЪПКИ НА ЛЕЧЕНИЕТО Начало на лечението Лечението започва с поставяне на апарат за бърза експанзия в горната челюст. През първия месец от лечението са направени 24 оборота на апарата за експанзия. Залепени са брекети в долната челюст, поставена е дъга 17x25 CuNiTi, като са предпи сани клас 3 ластици (1/4”,4 1/2 oz) по време на сън, за да се осигури контрол върху торка на долните резци. Фиг. 2а Фиг. 3a Фиг. 4a Фиг. 3b Фиг. 4b Фиг. 3c Фиг. 4c Фиг. 3d Фиг. 4d Фиг. 3e Фиг. 4e Фиг. 5a Фиг. 5b Фиг. 5c Фиг. 5d Фиг. 5e Фиг. 6a Фиг. 6b Фиг. 6c Фиг. 6d Фиг. 6e Фиг. 7a Фиг. 7b Фиг. 7c Фиг. 7d Фиг. 7e Фиг. 2b Фиг. 2c Фиг. 2d
Dental Tribune Bulgarian Edition / октомври 2022 г.22 клиничен случай | ортодонтия 14-и месец В горната и долната челюст са поставени последни стоманени дъга с омега луп и тай бек – 17 x 25 SS с четвъртито сечение. Назначени е ластик за средната линия в комбинация с клас 3 ластик (1/4”, 6 1/2 oz). Контролни рентгенографии 13-и месец Екстракционните пространства са затворени. Направена е контролна панорамна снимка за оценка позицията на корените. Взето е решение за презалепване на брекетите на 12, 22 и пръстените на 36 и 46. 21-ви месец Средната линия в горната и долната челюст съвпадат. Ластиците са спрени. Свалени са пръстените и брекетите в горната и долната челюст, зигзаг ластици не са използвани поради благоприятните оклузални взаимоотношения. Фиг. 11j Ортопантомография в края на лечението. Фиг. 11k Телерентгенография след края на лечението. Фиг. 11l Анализ на телерентгенографията след лечението. Фиг. 11m Последователност на дъгите в горната и долната челюст Фиг. 11n Суперимпозиция на PreOp и PostOp ортопантомографии. 10-и месец Затварянето на пространствата е предвидимо и контролирано, без да се отварят пространства в зъбната дъга. Фиг. 8a Фиг. 8b Фиг. 8c Фиг. 8d Фиг. 8e Фиг. 10a Фиг. 10b Фиг. 10c Фиг. 10d Фиг. 10e Фиг. 9a Фиг. 9b Фиг. 9c Фиг. 9d Фиг. 9e Фиг. 9f Фиг. 11a Фиг. 11f Фиг. 11j Фиг. 11l Фиг. 11m Фиг. 11n Фиг. 11k Фиг. 11g Фиг. 11h Фиг. 11i Фиг. 11b Фиг. 11c Фиг. 11d Фиг. 11e
Dental Tribune Bulgarian Edition / октомври 2022 г. 23клиничен случай | ортодонтия реклама Лечението е продължило 21 месеца. Проведено е домашно избелване с индивидуални шини. За автора: Д-р Радой Димитров завършва с отличие Факултета по дентална медицина към МУ–София през 2015 г. В продължение на 5 години работи в няколко водещи практики в София, като през 2019 г. заедно със своята съпру га д-р Траяна Димитрова основават собствена практика в гр. Гоце Делчев –Dimitrovi Dental Care. Посещава редица курсове за повишаване на квалификаци ята, но най-сериозен тласък в развитието на ортодонтската си практика получава след завършването на комплексната ортодонтска програма, воде на от д-р Иван Горялов, базирана на дисциплината „Алекзандър“ – система с повече от 50 години опит в целия свят. Д-р Димитров е член на Българския изследователски клуб „Алекзандър“. Взе ма участие като гост-лектор в симпозиума с международно участие The Power of the Alexander Discipline, който се проведе на 14–15.05.2022 г. С д-р Ди митров можете да свържете на тел. +359885 252 025. Заключение Представеният случай е ярък пример за възможностите и красо тата на дисциплината „Алекзандър“ – приложен е утвърден под ход с ясни правила и са постигнати очакваните цели. Резулта тът ще бъде дългосрочно стабилен, тъй като са спазени всички правила, които се отнасят към максимално комфортната пози ция на зъбите в края на лечението. Постигнати са красива усмив ка и стабилна оклузия. ПОСТИГНАТИ РЕЗУЛТАТИ ОТ ЛЕЧЕНИЕТО 1. Коригирана ръбцова захапка 2. Коригирана клас 3 захапка в областта на ку чешките зъби 3. Коригирана кръстосана захапка в дисталните участъци 4. Коригиран овърджет и овърбайт 5. Разширена е горната зъбна дъга 6. Подредени зъби в горната и долната челюст 7. Постигната е стабилна захапка с множество контакти в ЦО 8. Драматично е подобрена дъвкателната функ ция 9. Подобрена е линията на усмивката ДРУГИ ПРОВЕДЕНИ ДЕНТАЛНИ ПРОЦЕДУРИ 1. Домашно избелване на зъбите 2. Екстракция на мъдреците Фиг. 12a Фиг. 12b Фиг. 12c Фиг. 12eФиг. 12d Фиг. 12f Фиг. 12g Информация за дати, цени и отстъпки www.bracescourses.com 0889 22 55 01 Практически курсове лектор д-р Иван Горялов Дисциплината „Алекзандър“ ПЪТЯТ КЪМ СУПЕРУСМИВКИТЕ 100% връщане на цялата сума, ако не сте удовлетворени след преминаване на Ниво 1 Директно и индиректно залепяне на брекети Анализ, диагноза и план на лечение Лечение на клас 2 дълбока захапка Екстракционно лечение Лечение на клас 3 отворена захапка НИВО 5НИВО 1 НИВО 2 НИВО 3 НИВО 4

сериозно съзна нието на клиентите, които си правят планове за идните 6 до 12 месеца, ясно е, че качест веният пациентопоток оста ва устойчив, а денталните спе циалисти са уверени в дълго срочните перспективи пред ин дустрията и пред своя бизнес. Aghdaei разяснява, че предста вянето на денталните практи ки през периода е било ограниче но главно като резултат от за труднения във веригата на дос тавки и трудности при намира нето на нови членове на екипа, но специалистите са съобщили

Ormco, наречени Spark, чиито продажби

нараснали посте пенно с 27.8%. Главният финан сов директор Howard Yu от беляза, че

отнело

„Смятаме, че европейската икономика

рискът, асоцииран с енергийните доставки, ще обременят сериозно денталната индустрия“

Amir Aghdaei, изпълнителен директор на Envista

Yu

ята

Aghdaei

веригата

нарастващата инфлация

риозния COVID-19 локдаун в Ки тай като причини за значими смущения в представянето на Envista. Yu заяви, че инфлация та има огромно влияние вър ху индустрията и че води до спад в инвестициите за основ но оборудване и намаляване на инвентара. Що се отнася до ефекта от войната в Украйна, Aghdaei съобщава: „Смятаме, че евро пейската икономика и рискът, асоцииран с енергийните дос тавки, ще обременят сериозно денталната индустрия. В мо мента, както се и очакваше, европейците са във ваканция и прогнозите за това какво пред стои след септември не са така ясни, както преди. Очакваме да се уталожи прахът и да видим къде ще му излезе краят“. Yu споделя, че ръстът на ос новните продажби в Западна Европа за периода е 11.0%, кое то е значително повече, от колкото в Северна Америка, където е регистриран при раст от 0.5%. Около 14–15% от бизнеса на Envista се нами ра в Русия и Китай. Основни те продажби на Envista в Русия са спаднали с около 5% за пери ода, а прирастът на основни те продажби в Китай е спад нал с 0.3%. Като изключим Ру сия и Китай, развиващите се пазари продължават възста новяването си от предизвика ния от пандемията спад и бе лежат възход на продажбите с около 20% на годишна база.

ДОБРЕ ПОЗИЦИОНИРАНА ЛИ Е ДЕНТАЛНАТА ИНДУСТРИЯ, ТАКА ЧЕ ДА УСТОИ НА БУРЯТА?

Имайки предвид задаващия се икономически спад, Bergman загатна, че зъболекарите има защо да са оптимисти. „Паза рите, които Henry Schein об служва, са устоявали доста добре при предишни спадове. Дори по време на икономически предизвикателни времена потребителите продължават да имат нужда от услугите на работещи в кабинети здравни работници“, заявява той И макар че ще бъде предизви

при условия

коментира Hogan.

28 Dental Tribune Bulgarian Edition / октомври 2022 г. 1 1 All You need is ‘u’ • Двойно полимеризиращ универсален адхезив • Самоецващ, със селективно ецване или с тотално ецване – изборът е Ваш! • Забележителна многостранност на приложенията – за директни или индиректни възстановявания – напълно съвместим с всички фотополимеризиращи, двойно полимеризиращи или самополимеризиращи композити – без допълнителен активатор – надеждна адхезия към различни материали като метал, циркониев или алуминиев оксид, както и към силикатна керамика – без допълнителен праймер • Нанася се в един слой – само 35 секунди общо работно време Futurabond ® u 170784 Възползвайтесе отнастоящатаоферта!* *Моля, обърнете се към Вашия консултант на VOCO относно настоящите оферти VOCO GmbH · Anton-Flettner-Straße 1-3 · 27472 Cuxhaven · Германия · Tel. +49 4721 719-0 · www.voco.dental 1 1 2 1 2 1 Подател,печатнапрактиката Клиентскиномер Дата Подпис ENVISTA АЛАРМИРА ЗА ПОТЕНЦИАЛНИ ПРОБЛЕМИ С ЕНЕРГИЙНИТЕ ДОСТАВКИ В ЕВРОПА Продажбите на Envista нара стват леко през периода въпреки предизвикателствата, с които се сблъскват компани ята, зъболекарите и съслов ните организации, които фир мата обслужва. По време на скорошното си пътуване из САЩ изпълнителният дирек тор Amir Aghdaei се е срещнал с над 100 клиенти на Envista и споделя с инвеститори някои от констатациите си. Той зая вява: „Макар разговорите за ин флация и потенциален иконо мически спад без съмнение да обременяват
за устойчив поток от пациенти. Продажбите на Envista за второто тримесечие възли зат на US$ 645.8 милиона, кое то бележи 1.3% прираст, а ръс тът на основните продаж би за периода е 4.0%. Значите лен принос за този успех имат прозрачните алайнери на
са
е
на Envista три години, за да достигне до 100 000 започнати лечения със Spark, което е значим етап от развитието на компани ята, а през първата половина на тази година 50 000 пациен ти са стартирали терапия с тази система алайнери.
и
и
сочат смущени
във
на доставки,
и се
кателно да се оперира при на стоящото финансово положе ние предвид продължаващата пандемия, денталните компа нии може и да успеят да при ложат някои от стратегии те си, разработени след избух ването на SARS-CoV-2, за да под крепят бизнесите си. На въпроса как би процеди рал, ако доверието на потреби телите спадне, а инфлацията и безработицата продължат да растат, Hogan отговаря, че компанията би се адаптирала към по-слабото търсене, как то го е направила и в начало то на пандемията. „Ако ста ва все по-лошо и по-лошо […] [главният финансов директор John Morici и аз] имаме преди шен опит с начина на работа при подобен цикъл. Знаем как да процедираме
на спад“,
стр. 26 реклама бизнес
INTERNATIONAL DENTAL AWARDS Vol. 16 / 2023 POWERED BY: REGISTRATION OPENS NOVEMBER 1 | 2022 REGISTRATION ENDS MARCH 1 | 2023 JURY VOTING APRIL 1 - APRIL 25 | 2023 AWARD CEREMONY MAY 18 | 2023 www.smileoftheyear.com SAVE THE IMPORTANT DATES:
ПРОЧЕТЕТЕ СТАТИЯТА НАУЧЕТЕ ПОВЕЧЕ ЗА GBT САМО НАЙ-ДОБРОТО ЗА МОИТЕ ПАЦИЕНТИ САМО ШВЕЙЦАРСКИТЕ ОРИГИНАЛИ КОНТРОЛИРАНАТА БИОФИЛМ ТЕРАПИЯ - GBT - Е СИСТЕМАТИЧНА, БАЗИРАНА НА ДОКАЗАТЕЛСТВА, МОДУЛНА, ПРЕВАНТИВНА И ТЕРАПЕВТИЧНА ПРОЦЕДУРА ЗА ВСИЧКИ ОРАЛНИ ПРИЛОЖЕНИЯ. ПАЦИЕНТИТЕ ОБИЧАТ GBT

Turn static files into dynamic content formats.

Create a flipbook
Issuu converts static files into: digital portfolios, online yearbooks, online catalogs, digital photo albums and more. Sign up and create your flipbook.