Skip to main content

202601_DSKBnyt

Page 1


Medlemsblad for Dansk Selskab for Klinisk Biokemi

Nr. 1

» Nyt fra bestyrelsen

Januar 2026

Smudge celler

» Skal patientens neutrofiltal afhænge af, hvilket hospital de får analyseret blodprøven på?

» Håndtering af den hæmolysefølsomme neuron-specifik enolase analyse på AUH

» Kan man prædiktere cøliaki ved brug af blodprøveresultater?

» Biokemisk diagnostik og monitorering af sjældne arvelige stofskiftesygdomme: en specialiseret enhed

» Modsatrettet analytisk interferens ved bestemmelse af D-vitamin

» Den 40. Nordiske Kongres i Klinisk Biokemi 2026 – vi ses snart i Aarhus!

» Om patalogisk anatomi

» PhD: Venøse tromboser efter operation for esophaguscancer

» Responsum til indlæg i DSKB-Nyt 2025/4 med titlen ”Drift af LC MS/MS sektioner –erfaringer og anbefalinger”

» Nyt fra YLKB-bestyrelsen: Bestyrelsesmøde i Kolding januar 2026

» Nyt om navne

Count on the Enhanced Liver Fibrosis (ELF ™) Test

Assess the risk of metabolic dysfunction-associated steatotic l iver disease (MASLD)/ metabolic dysfunction-associated steatohepatit is (MASH) progression and liver-related events with a simple blood test.

A non-invasive blood test that measures three direct markers of fibrosis: hyaluronic acid (HA), procollagen III amino-terminal peptide (PIIINP), and tissue inhibitor of matrix metalloproteinase 1 (TIMP-1). The ELF Test, in conjunction with other laboratory and clinical findings, can be used to assess the risk of progression to cirrhosis and liver related events in patients with chronic liver disease.

Scan for more info

Sign up for latest news

DSKB-Nyt nr. 1/2026

Udgiver:

Dansk Selskab for Klinisk Biokemi

Ansvarshavende redaktør:

Birgitte Sandfeld Paulsen

Layout og redaktionel tilrettelæggelse: tuen

Bladet udgives 4 gange årligt

Denne og tidligere udgaver kan downloades fra www.dskb.dk

Nyt fra bestyrelsen

Birgitte Sandfeld Paulsen

Redaktør, Cheflæge

Klinisk Biokemisk Afdeling, Aalborg Universitetshospital

DSKB’s bestyrelse

Mie Samson

Email: miesam@rm.dk

Anders Berg Wulff

Email: anders.berg.wulff.01@regionh.dk

Anne Juhl Nielsen

Email: ANJUNI@rm.dk

Anne Lindegaard

Email: Anne.lindegaard@rsyd.dk

Elke Hoffmann-Lücke

Email: elkehoff@rm.dk

Thomas Salskov Rosengren

Email: thros@regionsjaelland.dk

Birgitte Sandfeld Paulsen

Email: birgitte.paulsen@rn.dk

Så er vi trådt ind i et nyt år, hvor den første måned allerede har budt på meget uforudsigelighed i den store, vide verden. En ting er dog, som det plejer: DSKB-Nyt udkommer fire gange om året, og det er nu tid til første nummer i 2026!

Visions- og strategiarbejde i bestyrelsen Den nye bestyrelse har for nylig afholdt sit første visions- og strategiseminar. Her blev der arbejdet videre med det materiale, som blev udviklet i 2023/24 og nu ses i lyset af de kommende specialebeskrivelser og specialeplan. Der var gode og engagerede drøftelser om specialets fremtidige retning, som vi glæder os til at dele med jer. Derudover havde vi besøg af Nete Hornung, forperson for Uddannelsesudvalg for Læger og Eva Greibe, forperson for Uddannelsesudvalg for Biokemikere til drøftelse af specialistuddannelsen for biokemikere og fremtidens speciallægeuddannelse. I 2026 forventes de endelige udgaver af specialebeskrivelserne samt udarbejdelsen af specialeplaner, hvilket vi ser frem til med spænding.

DSKB’s forårsmøde den 20. maj 2026 Sæt allerede nu kryds i kalenderen tirsdag den 20. maj 2026, hvor DSKB afholder forårsmøde på Comwell i Middelfart. På programmet er: ”Kuldeagglutininer - en multidisciplinær tilgang” samt ”Kunstig Intelligens (AI)”. Kuldeagglutininer er et klassisk, men fortsat aktuelt område med både diagnostiske og analytiske udfordringer, som har stor betydning i klinikken. AI er til gengæld et felt i hastig udvikling, som

i stigende grad påvirker både dataanalyse, beslutningsstøtte og laboratoriets arbejdsgange. Sidst men ikke mindst vil der til forårsmødet blive afholdt generalforsamling. Bestyrelsen håber på stor opbakning og et levende møde med god tid til faglig dialog og netværk. Yderligere information om tilmelding kan findes på DSKBs hjemmeside.

Nordisk Kongres for Klinisk Biokemi i Aarhus

Den Nordiske Kongres for Klinisk Biokemi afholdes i år i Aarhus fra den 15. til 18. september 2026. Kongressen byder på et bredt og varieret videnskabeligt program med både fælles sessioner, symposier og posterpræsentationer og med deltagelse fra hele Norden. Tilmeldingen åbner den 1. marts, og bestyrelsen opfordrer allerede nu medlemmerne til at reservere datoerne. I kan læse mere om kongressen og det faglige program i dette nummer samt på DSKBs hjemmeside.

DSKB-Nyt denne gang indeholder igen et bredt udsnit af indlæg, som repræsenterer arbejdet på de klinisk biokemiske afdelinger fra forskning, drift og udvikling samt det mere organisatoriske. Vi sætter stor pris på, at I vil dele jeres erfaringer om stort og småt til glæde for andre.

Sidst, men ikke mindst, er der kun tilbage at ønske jer god læselyst med dette nummer.

Skal patientens neutrofiltal afhænge

af, hvilket hospital de får analyseret blodprøven

på?

Nana Trolddal Nielsen Seniorspecialist

Afdeling for Klinisk Biokemi, Rigshospitalet Nana.trolddal.nielsen.01@regionh.dk

Ulla Saaby Steffensen Bioanalytiker (superbruger)

Blodprøver og Biokemi, Regionshospitalet Gødstrup

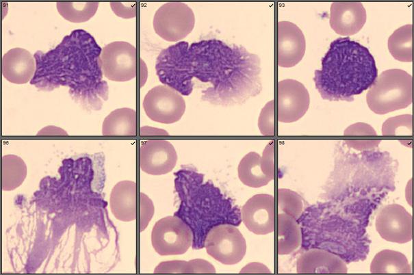
Inden for hæmatologien er præcision og reproducerbarhed fundamentale krav. Krav, som vi som bioanalytikere sætter en stor ære i at leve op til. Ved manuel differentialtælling inddeles leukocytter i deres respektive typer, men der er celler, som falder uden for kategori, nemlig smudge celler. Smudge celler er celler, der fremstår som udsmurte kromatinrester uden defineret cytoplasma eller kernegrænse (figur 1). Håndteringen af smudge celler er ikke standardiseret i Danmark. Selvom fænomenet oftest associeres med kronisk lymfatisk leukæmi (CLL), optræder de skrøbelige celler ved flere forskellige tilstande herunder virusinfektioner og andre hæmatologiske maligniteter [1]. Hvis

laboratoriet ekskluderer disse celler fra den manuelle tælling, skævvrides hele differentialtællingen, og dette kan i værste tilfælde være fatalt for patienten i form af fejldiagnosticering eller manglende iværksættelse af behandling.

Den usynlige trussel for kemopatienten For en patient i kemoterapi er det absolutte neutrofiltal (ANC) et vigtigt styringsværktøj. Det er her, den manglende standardisering kan blive alvorlig. I de fleste tilfælde er smudge celler rester af skrøbelige lymfocytter, hvor en eksklusion af disse betyder, at den relative andel af de resterende celler stiger kunstigt.

Tabel 1: Eksempel på forskellen i rapporterede værdier for samme patientprøve ved Hospital A (eksklusion) og Hospital B (inklusion). På Hospital B inkluderer man smudge celler under lymfocytter ved fremstilling af nyt albumin-præpareret slide. Bemærk den kritiske forskel i det absolutte neutrofiltal.

Det gennemgåede eksempel vil ikke være kritisk for patienten, men det kan det være ved neutropeni (f.eks. hvor der afgives et ANC på 0,6 x 109/L i stedet for et svar på 0,2 x 109/L).

Som det fremgår af nedenstående eksempel (tabel 1), kan to hospitaler analysere den samme prøve og nå frem til vidt forskellige konsekvenser for patienten. Hospital A, der ekskluderer smudge celler, rapporterer et ANC på 8,41 x 109/L. Hospital B, der inkluderer dem, finder et ANC på blot 3,91 x 109/L, og det er en forskel på over 115%. For klinikeren, der sidder med resultatet fra Hospital A, ser alt måske fint ud, mens Hospital B’s resultat kalder på en helt anden handleplan. Det er stærkt bekymrende, at rekvirenterne ofte er intetanende om denne metodemæssige forskel mellem landets laboratorier. Det gennemgåede eksempel vil som udgangspunkt ikke være kritisk for patienten, men det kan det være hos patienter med neutropeni (f.eks. hvor der afgives et ANC på 0,6 x 109/L i stedet for et svar på 0,2 x 109/L). Manglende reaktion på et lavt neutrofiltal kan betyde, at patienten ikke bliver opstartet i en livsnødvendig antibiotisk behandling.

Løsningen er allerede fundet – lad 2026 blive året for dens indførsel! Standardiseringen kan dog løses ganske enkelt! Der er flere løsninger på samme problemstilling. Det er et fælles ansvar at sikre, at et neutrofiltal er sammenligneligt, uanset hvor i landet blodprøven analyseres. Med

den viden, der forligger om CLL og andre tilstande med høj forekomst af smudge celler, er det i patientens interesse, at man gør noget frem for at ignorere fejlkilden. Ifølge litteraturen [2][3][4] og anerkendte guidelines findes der mindst tre valide strategier til at modvirke denne systematiske fejl:

1. Brug af automatiserede tællere (aDIFF): Når systemet ikke angiver tekniske "flag", er maskintællingen ofte overlegen, da cellerne analyseres intakte i en væskefase samt i langt højere antal end manuelt. Når systemet derimod angiver tekniske ”flag”, kan en korrekt udført manuel differentialtælling (pkt. 2 eller 3) understøtte afgivelsen af maskintællingen, så patienten med største præcision kan følges af klinikerne.

2. Manuel inklusion: At tælle smudge celler med som lymfocytter eller som en selvstændig gruppe (nøgne cellekerner/ celleskygger) i den manuelle tælling for at bevare den korrekte koncentration i differentialtællingen.

3. Albumin-præparerede udstrygninger: Tilsætning af albumin stabiliserer cellernes membran og forhindrer dem i at briste under udstrygning, hvilket muliggør en præcis identifikation.

Referenceliste:

(1) Kaziwa B. Rasoul1, Lennart FriisHansen2 & Christian Bjørn Poulsen1 1) Hæmatologisk Afdeling, Sjællands Universitetshospital, Roskilde, 2) Afdeling for Klinisk Mikrobiologi, Københavns Universitetshospital –Rigshospitalet

Ugeskr Læger 2024;186:V11230714. doi: 10.61409/V11230714

(2) Marionneaux SM, Keohane EM, Lamanna N, King TC, Mehta SR. Smudge Cells in Chronic Lymphocytic Leukemia: Pathophysiology, Laboratory Considerations, and Clinical Significance. Lab Med. 2021;52:426–438.

(3) Macdonald D, Richardson H, Raby A. Practice Guidelines on the Reporting of Smudge Cells in the White Blood Cell Differential Count. Archives of Pathology & Laboratory Medicine. 2003 Jan;127(1):105–105. doi:10.5858/2003127-105-PGOTRO

(4) Gene Gulati, Vandi Ly, Guldeep Uppal, Jerald Gong, Feasibility of Counting Smudge Cells as Lymphocytes in Differential Leukocyte Counts

Performed on Blood Smears of Patients With Established or Suspected Chronic Lymphocytic Leukemia/Small Lymphocytic Lymphoma, Laboratory Medicine, Volume 48, Issue 2, May 2017, Pages 137–147

På Afdeling for Klinisk Biokemi på Rigshospitalet benyttes i praksis to metoder til at reducere forekomsten af smudge celler. Indeholder et udstryg til manuel differentialtælling mere end 20 % smudge celler, fremstilles et nyt udstryg enten ved at tilsætte albumin før udstrygning eller ved at anvende en diffspinner.

Ved brug af en diffspinner fordeles blodet jævnt over objektglasset ved hjælp af centrifugalkraft, hvorved den mekaniske påvirkning fra udstrygningsglasset undgås. Dette modvirker dannelsen af smudge celler.

På afdeling for Blodprøver og Biokemi, Gødstrup, reagerer man altid på smudge celler større end 20 %.

Udstrygninger tilsat albumin udføres kun i tvivlstilfælde.

Ved tilstedeværelse af smudge celler >20% vurderes maskintællingen, scatterplots, suppleret med patientens øvrige analyseresultater og alder. I udgangspunktet afgives den

maskinelle tælling.

Den maskinelle differentialtælling suppleres med kommentar, f.eks. ”ved mikroskopi ses enkelte/en del atypiske lymfocytter”. Ved patienter med CLL gøres dette kun første gang, de diagnosticeres, og senere, hvis der ses forandring evt. ledsaget af morfologiske kommentarer. Manuel differentialtælling afgives, hvis det tilfører svaret noget, som den maskinelle tælling ikke kan, f.eks. blaster, flere promyelocytter osv.

Konklusion

For at sikre patienter får den bedste behandling, skal rekvirenter have det bedste behandlingsgrundlag, som ikke bør afhænge af, hvilken laboratorieinstruks der følges på det lokale hospital. Derfor mener vi, at der bør arbejdes på en ensretning for håndtering af smudge celler i hele Danmark.

Figur 1. Mikroskopisk visning af smudge celler. Cellerne fremstår som udsmurte kromatinrester uden defineret cytoplasma eller kernegrænse.
Håndtering af den hæmolysefølsomme neuron-specifik enolase analyse på

AUH

Neuron-specifik enolase (NSE) er et intracellulært glykolytisk enzym (enolase) med en molekylvægt på ca. 78 kDa. Generelt forekommer enolase som dimerer sammensat af tre mulige subunits (α, β og γ), hvilket giver anledning til fem isoformer: αα, αβ, αγ, ββ og γγ. Historisk blev betegnelsen NSE anvendt om γγ-isoformen, som primært findes i neuroner og neuroendokrine celler. Med indførelsen af moderne antistofbaserede immunoassays er definitionen af praktiske formål udvidet til også at omfatte αγ-isoformen, da antistofbaserede metoder ikke kan adskille γγ fra αγ, og sidstnævnte er i litteraturen derfor blevet medbestemt i en længere årrække [1]. αγisoformen, som bidrager til det målte NSE, er at finde mange steder i kroppen, heriblandt trombocytter, glat muskulatur og navnligt i erytrocytter.

Som følge heraf er serum NSE særdeles følsom over for hæmolyse, hvor præanalytisk hæmolyse udgør langt størstedelen. Frigivelse af intracellulært αγ-enolase fra erytrocytter medfører en lineær stigning i målt NSE-koncentration i takt med stigende hæmolyse, også ved grader af hæmolyse, som ikke er synligt erkendelige.

Klinisk anvendes NSE til diagnostik og monitorering af neuroendokrine tumorer (primært neuroblastomer) og kvantitativt mest til vurdering af hjerneskade i komatøse/bevidstløse patienter efter hjertestop – hvor serum NSE indgår i både internationale og nationale guidelines [2]. Til diagnostisk vurdering anvendes NSE >60 µg/L som cut-off ved neurologisk evaluering af fortsat bevidstløse patienter 48 og/eller 72 timer efter hjertestop, da værdier over dette indikerer dårlig prognose. Korrekt håndtering af hæmolyse er afgørende,

da fejltolkning af forhøjede NSE-værdier kan få alvorlige kliniske konsekvenser og i værste fald føre til en beslutning om at afslutte respiratorbehandling.

I takt med øget opmærksomhed på den præanalytiske interferens fra hæmolyse ved NSE-målinger er der i litteraturen blevet stillet stadigt skrappere krav til tilladt hæmolyse – fra initial visuel inspektion til kvantificering ved hæmolyseindex (Hindex), hvor acceptable grænser gradvist er reduceret fra <50 mg/dL frit hæmoglobin til <5-10 mg/dL. Som en direkte konsekvens heraf har enkelte laboratorier rapporteret afvisning af op mod 60% af NSE-prøvesvar. Flere modeller er derfor blevet afsøgt med henblik på at korrigere NSE for hæmolyse - og dermed bevare klinisk anvendelige svar. Simpel lineær korrektion er intuitivt tiltalende, idet spikeforsøg med poolet hæmolysat genererer overbevisende lineære sammenhænge. Problemet opstår imidlertid ved anvendelse på enkeltprøver, hvor der ses betydelig interindividuel variation i erytrocytternes indhold af enolase, som dog er tilnærmelsesvis normalfordelt [3]. Som alternativ er der foreslået individualiserede korrektionsstrategier, hvor der for hver prøve udføres en særskilt undersøgelse. Denne tilgang er imidlertid ikke forenelig med rutinedrift i et moderne klinisk biokemisk laboratorium, idet dette kræver omfattende manuel præparation, adgang til både serum og fuldblod, samt medfører et væsentligt øget ressourceforbrug og lange svartider.

I Danmark analyseres NSE aktuelt på tre matrikler, alle på en Cobas-platform, og alle med definerede krav til maksimalt tilladt hæmolyse. På nuværende tidspunkt anven-

Jacob Rudjord Therkildsen

Læge i hoveduddannelse

Blodprøver og Biokemi, Aarhus Universitetshospital jacthe@rm.dk

Cindy Søndersø Knudsen

Biokemiker

Blodprøver og Biokemi, Aarhus Universitetshospital

Tina Parkner

Overlæge

Blodprøver og Biokemi, Aarhus Universitetshospital

Figur 1: Flowchart, som viser håndteringen af NSE svarafgivelse på basis af målt NSEkoncentration og H-index. Prøver, som er under øvre referenceinterval, svares altid direkte.

des en grænse for H-index svarende til <20 mg/dL frit hæmoglobin på Odense Universitetshospital og <10 mg/dL på Rigshospitalet. Også på Aarhus Universitetshospital (AUH) har der historisk været fastsat en grænseværdi, som gradvist er blevet sænket over tid. Fastlæggelse af en hensigtsmæssig hæmolysegrænse er imidlertid ikke triviel og afhænger af, hvilke analytiske krav, der lægges til grund, herunder om man fokuserer på absolut eller relativt bias. Gennemsnitligt vil en hæmolyse svarende til 10 mg/dL frit hæmoglobin øge den målte NSE med ca. 3,4 µg/L. Dette svarer til et relativt bias på ~26% (fra sande værdi) ved øvre referenceinterval på 16,3 µg/L og ~6% ved det kliniske cut-off på 60 µg/L. Hvis man samtidig forudsætter, at det præanalytiske bidrag til den samlede usikkerhed skal ligge i samme størrelsesorden som analysemetodens maksimale tilladte fejl, bliver det problematisk at kunne afgive svar på en fornuftig andel af de rekvirerede prøver.

På AUH har vi derfor valgt at indføre en korrektionsmodel svarende til den, som er foreslået af Nome et al. [4]. Ved at udnytte den tilnærmelsesvist normalfordelte variation i erytrocytternes bidrag af αγ-enolase kan der beregnes en simpel lineært korrigeret NSE-koncentration (cNSE), hvor usikkerheden på korrektionen angives ved: cNSE = NSE – H-index · (0,34 ± 0,23) µg/L. Modellen anvendes i publikationen udelukkende på NSE-svar over øvre referenceinterval og ved H-index mellem 5 og 30 mg/ dL [4]

Forud for denne udgivelse arbejdede vi på AUH parallelt med en lignende løsning og havde gennemført indledende hæmolyseforsøg. Da vi med vores mere begrænsede datasæt kunne genfinde den publicerede korrektionsformel, besluttede vi at implementere en simpel lineær korrektion af NSE baseret på H-index i rutinedrift, som illustreret i det efterfølgende flowchart (figur 1).

På AUH er det øvre referenceinterval for NSE på 16,3 µg/L. I modsætning til Nome et al. har vi valgt kun at korrigere NSE-svar op til et H-index på 26 mg/dL og ikke 30 mg/dL, dette for at sikre at den maksimalt tilførte usikkerhed med 95% sikkerhed forbliver under 10% omkring det kliniske cut-off på 60 µg/L. Der er ikke oprettet en selvstændig analyse; i stedet tilføjes ”se kommentar” i svarfeltet for NSE med en kommentar indeholdende målt NSE, Hindex og den beregnede cNSE. Efter dialog med relevante klinikere er usikkerhedsestimatet ikke inkluderet i selve svaret. Implementeringen har stillet betydelige krav til vores laboratorieinformationssystem, idet H-indeks normalt ikke registreres i dette. Etablering af et særskilt H-index som hjælpeanalyse koblet til NSE har løst denne udfordring og har samtidig også givet en bedre sporbarhed på H-index.

Ovenstående korrektionsmodel er, ud over ved individuelle hæmolyseforsøg, indirekte verificeret i forbindelse med udarbejdelsen af et kontinuert pædiatrisk referenceinterval

Figur 2: Verificering af beregnet NSE (cNSE) i en pædiatrisk population. Figuren illustrerer et pædiatrisk referenceinterval baseret på prøver med H-indeks < 10 mg/dL og er angivet både som et kontinuert interval (blå kurve for percentil, grå kurve for median) og et nonparametrisk interval (sorte linjer); alle med 90% konfidensintervaller markeret. Punkterne repræsenterer beregnede cNSE-værdier fra 137 prøver, der blev ekskluderet på grund af høj hæmolyse. Beregnede resultater (cNSE) inden for det estimerede referenceinterval er markeret med grønt, mens resultater, der efter korrektionen stadig ligger uden for intervallet, er markeret med rødt og angivet med tilhørende usikkerhedsestimater. Figuren er modificeret fra tidligere egen publikation (5).

for NSE [5]. I dette studie indgik serumprøver fra 378 børn samt 25 unge (18–25 år, for at kunne “bridge” til vores voksen referenceinterval). Af disse blev 149 prøver ekskluderet på baggrund af et H-index >10 mg/dL, hvoraf 137 lå inden for det interval, hvor NSE på AUH ville være blevet korrigeret. I figur 2 (modificeret fra publikation [5]) er disse 137 blevet korrigeret som rutineanalyserne og afbildet inden for det nyetablerede referenceinterval, samt angivet med tilhørende usikkerhedsestimater. Herefter lå kun syv af prøverne (markeret med rødt) uden for, svarende til 5,1% over den øvre 95 %-referencegrænse, hvilket jo præcist er forventeligt.

Hvorvidt matematisk korrektion af NSE på baggrund af H-index er en god idé, er der nok lige så mange holdninger til, som der er korrektionsmodeller. Et centralt forbehold er, hvorvidt eksisterende kliniske studier og guidelines uden videre kan overføres til praksis. En væsentlig del af den underliggende litteratur håndterer på forskellig vis hæmolyse, fra ren visuel inspektion til accept af hæmolysegrader svarende til H-index omkring 50 mg/dL. Dette gør sammenligneligheden mellem studier og klinisk praksis vanskelig. Problemet

kompliceres yderligere af, at præanalytiske forhold varierer betydeligt mellem laboratorier og påvirkes af lokale faktorer såsom prøvetagning, transport, centrifugering og analysetid. Mht. potentielt latent in vivo hæmolyse vil dette i de fleste tilfælde ikke være detekterbart grundet markant kortere in vivo halveringstid på frit hæmoglobin sammenlignet med NSE.

På tværs af disse forbehold er systematisk håndtering og dokumentation af hæmolyse afgørende. En større grad af ensretning –eller som minimum sporbarhed af H-index i forbindelse med rapportering af NSE – vil kunne forbedre fortolkningen af svar og styrke muligheden for sammenligning af kliniske svar og forskning på tværs af laboratorier, hospitaler og regionsgrænser.

Siden korrektionsmodellen blev indført på AUH pr. 19-05-2025, har dette medført, at 69 svar (31,7 %) er blevet afgivet som korrigerede svar, mens blot fem svar (2,3 %) er blevet afvist på grund af hæmolyse. Siden indførelsen af korrigerede svar har vi ikke modtaget henvendelser fra kliniske afdelinger vedrørende tolkning eller anvendelse af resultaterne, hvilket indikerer, at løsningen opleves som klinisk anvendelig.

Reference liste:

1. Babkina AS, Lyubomudrov MA, Golubev MA, Pisarev MV, Golubev AM. Neuron-Specific Enolase-What Are We Measuring? Int J Mol Sci. 2024 May 6;25(9):5040. doi: 10.3390/ ijms25095040. PMID: 38732258; PMCID: PMC11084499.

2. Nolan JP, Sandroni C, Cariou A, Cronberg T, D'Arrigo S, Haywood K et al. European Resuscitation Council and European Society of Intensive Care Medicine guidelines 2025: postresuscitation care. Intensive Care Med. 2025 Dec;51(12):2213-2288. doi: 10.1007/s00134-025-08117-3. Epub 2025 Oct 22. PMID: 41123621.

3. Verfaillie CJ, Delanghe JR. Hemolysis correction factor in the measurement of serum neuron-specific enolase. Clin Chem Lab Med 2010;48:891–2

4. Nome RV, Paus E, Gehin JE, Bolstad N, Bjoro T. Managing hemolysis in serum neuron-specific enolase measurements - an automated algorithm for routine practice. Scand J Clin Lab Invest 2024;84:225–9.

5. Therkildsen JR, Knudsen CS, Parkner T. Serum neuron-specific enolasereference interval in Danish children and the impact of preanalytical factors. Clin Chem Lab Med. 2025 Oct 3;64(2):460-468. doi: 10.1515/cclm2025-0582. PMID: 41035379.

Kan man prædiktere cøliaki ved brug af blodprøveresultater?

Signe Ulfbeck Schovsbo Læge, ph.d.-studerende

Center for Klinisk Forskning og Forebyggelse, Bispebjerg og Frederiksberg Hospital

Bent Struer Lind overlæge

Klinisk Biokemisk Afdeling, Amager og Hvidovre Hospital.

Line Lund Kårhus sektionschef

Center for Klinisk Forskning og Forebyggelse, Bispebjerg og Frederiksberg Hospital

Line.lund.kaarhus@regionh.dk

Cøliaki er en livslang immunmedieret sygdom, der udløses ved glutenindtag hos genetisk disponerede individer [1]. Gluten igangsætter en autoimmun reaktion, bl.a. i slimhinden i tyndtarmen, hvilket resulterer i inflammation, affladede slimhinder, malabsorption og produktion af antistoffer. Cøliaki er en systemisk sygdom, der kan ramme alle aldersgrupper. Cøliaki behandles med livslang glutenfri diæt.

Cøliaki diagnosticeres ved hjælp af cøliakiantistoffer i en blodprøve (primært IgA anti-transglutaminase eller IgG antideamideret gliadinpeptid). Det er vigtigt, at patienten spiser gluten ved diagnostik, da antistoffer kan normaliseres på glutenfri diæt. De danske guidelines for voksne og børn anbefaler gastroskopi med biopsi fra duodenum for bekræftelse af diagnosen, medmindre antistofferne er 10 gange højere end normalniveauet [2]. Her kan diagnosen stilles hos en specialist i gastroenterologi eller pædiatri kun ved bekræftelse af de forhøjede antistoffer. Det anbefales, at nydiagnosticerede cøliakipatienter taler med en diætist, da glutenfri diæt kan være vanskelig at håndtere og er en byrde for patienten. Cøliaki rammer cirka én procent af befolkningen, men sygdommen anses for at være markant underdiagnosticeret. Den kliniske præsentation af cøliaki er meget varierende fra asymptomatisk til diffuse symptomer som hovedpine, træthed og vægttab til mere ”typiske” symptomer som diarré, oppustethed og mavesmerter. Sygdommen kan også præsentere sig med biokemiske afvigelser, og der anbefales screening for cøliaki ved fx uforklaret jernmangel-anæmi, vitamin B12- eller folatmangel. Vi har i et tidligere studie med data fra almen praksis fundet en sammenhæng mellem biokemiske afvigelser

og positive cøliaki-antistoftests [3] Det diffuse kliniske billede vanskeliggør diagnosticeringen af cøliaki, og flere studier har vist en markant diagnostisk forsinkelse, hvor mange patienter rapporterer en forsinkelse på over 10 år fra første symptom til diagnose, og dermed behandling. Tiden op til diagnose kan være belastende for både patient og sundhedsvæsen og resultere i mange undersøgelser, blodprøver og sygedage.

Da subjektive symptomer har vist sig vanskelige at anvende til identifikation af patienter i risiko for cøliaki, valgte vi i dette studie at fokusere på blodprøveresultater. Formålet var at undersøge, om der kunne identificeres et mønster i blodprøver taget i perioden op til diagnosetidspunktet, som kunne forudsige, hvilke patienter der senere udviklede cøliaki. Ideelt set kunne en sådan metode bidrage til at hjælpe klinikeren med at få mistanken om cøliaki tidligere end i dag.

Studiet er baseret på data fra Copenhagen Primary Care Laboratory (CopLab), som indeholder detaljerede laboratoriedata fra almen praksis i Storkøbenhavn [4]. Databasen rummer longitudinelle oplysninger om millioner af blodprøver rekvireret i primærsektoren og analyseret på Københavns Praktiserende Lægers Laboratorium (KPLL) mellem 2000 og 2015 og giver en unik mulighed for at undersøge laboratoriemæssige forløb forud for specifikke diagnoser. Ved brug af CopLab-databasen identificerede vi knap 55.000 patienter, som var testet for cøliaki i almen praksis. Vi inkluderede både dem, som var testet positive eller negative. Ved at gå tilbage i patienternes blodprøveresultater fra almen praksis op til fem år før deres cøliaki-antistoftest undersøgte vi, om der i blodprøvesvarene var mønstre,

Illustration af studiet: Machine learning-based prediction of celiac antibody seropositivity by biochemical test parameters.

Created in https://BioRender.com

Referencer

1. Lebwohl B, Rubio-Tapia A. Epidemiology, Presentation, and Diagnosis of Celiac Disease. Vol. 160, Gastroenterology. W.B. Saunders; 2021. p. 63–75.

2. Borre M, Harsløf T, Harvald GB, Hvas CL, Pedersen JS, Riis BR, et al. Cøliaki: diagnostik, behandling og kontrol [Internet]. [cited 2026 Jan]. Available from: https://dsgh.dk/wp-content/ uploads/2025/05/CD-guide2025_ godkendt20feb2025.pdf

3. Kårhus LL, Kriegbaum M, Grand MK, Lind BS, Møllehave LT, Rumessen JJ, et al. Biochemical abnormalities among patients referred for celiac disease antibody blood testing in a primary health care setting. Sci Rep. 2022 Dec 1;12(1).

4. Kriegbaum M, Lind BS, Grand MK, Andersen CL. The Copenhagen Primary Care Laboratory (CopLab) Database. Clin Epidemiol. 2024;16:155–63.

5. Schovsbo SU, Sachs MC, Kriegbaum M, Bjerregaard AA, Møllehave LT, Hansen S, et al. Machine learningbased prediction of celiac antibody seropositivity by biochemical test parameters. Sci Rep. 2025 Jul 3;15(1):23732. https://www.nature.com/ articles/s41598-025-08225-6

som kunne forudsige, hvilke patienter der senere ville teste positive eller negative. Blandt de inkluderede patienter testede cirka en procent positiv for cøliaki-antistoffer, og i alt inkluderede vi op til 77 forskellige blodprøvekomponenter i vores prædiktionsmodeller.

Prædiktionsmodeller og resultater Prædiktionsmodellerne og resultaterne kan læses i artiklen: Machine learning-based prediction of celiac antibody seropositivity by biochemical test parameters [5]

Sammenfattende var blodprøveresultaterne svage til at prædiktere, hvilke patienter der senere ville teste positive og negative for cøliaki, og vores model havde en lav prædiktiv værdi. Modellerne var derfor ikke egnede til klinisk risikostratificering på individniveau. Få blodprøver var lidt bedre end andre, dog stadig svage prædiktorer. De var karakteriseret ved at være prøver, der hyppigt tages i almen praksis, fx som led i udredning af cøliaki, differentialdiagnoser eller generelle mere uspecifikke symptomer. Studiets resultater passer med billedet af, at patienter med cøliaki ofte præsenterer sig med uspecifikke symptomer over lang tid, hvilket kan føre til mange forskellige differentialdiagnostiske overvejelser og dermed talrige blodprøver. Fraværet af stærke prædiktorer kan indikere, at biokemiske forandringer hos patienter med cøliaki kan være uspecifikke og varierende. Derudover kan blodprøveresultaterne muligvis overlappe med andre sygdomme eller forekomme normale. Samlet mindsker disse forhold maskinlæringsmetodernes mulighed for at prædiktere individer med positive eller negative tests – og besværliggør diagnostikken for klinikeren i daglig praksis.

Perspektiver

Vi er endnu ikke i mål med den tidligere opsporing af cøliaki. Sygdommen er vanskelig at identificere, idet både symptombilledet og blodprøvesvarene kan være svære at genkende som tegn på cøliaki. Fremadrettet kan prædiktionsmodeller muligvis styrkes ved at supplere blodprøver med oplysninger om eksempelvis komorbiditeter, familiær disposition eller ved at inddrage symptomer. Samtidig er det væsentligt, at sådanne modeller ikke bliver så komplekse og specifikke, at de mister deres anvendelighed i den kliniske hverdag.

Konklusion

I dette studie, baseret på blodprøveresultater fra knap 55.000 patienter i primærsektoren i Storkøbenhavn, fandt vi, at prædiktionsmodeller baseret på blodprøver taget forud for diagnosen ikke kunne identificere, hvilke patienter der senere ville teste positivt eller negativt for cøliaki. Dette understreger, at cøliaki er vanskelig at genkende i klinisk praksis – også når der tages udgangspunkt i biokemiske markører. Selvom modellen havde begrænset prædiktiv værdi, bidrager studiet med vigtig metodisk indsigt, som kan danne grundlag for fremtidige modeller for bedre diagnostik af cøliaki.

Biokemisk diagnostik og monitorering af sjældne arvelige stofskiftesygdomme: en specialiseret enhed

En heterogen sygdomsgruppe

Sjældne arvelige stofskiftesygdomme (metaboliske sygdomme) udgør tilsammen ca. 1450 diagnoser og repræsenterer derfor en betydelig gruppe af sygdomme, selvom de enkelte diagnoser er sjældne [1]. Fælles for sygdommene er, at genetiske varianter påvirker kroppens evne til at omsætte, transportere eller lagre næringsstoffer eller andre metabolitter korrekt. Den patofysiologiske mekanisme er ofte enzymmangel eller -dysfunktion, som medfører ophobning af toksiske metabolitter eller mangel på essentielle produkter. Konsekvenserne kan være neurologiske symptomer, leversvigt, muskelsvaghed, kardiomyopati, metaboliske kriser m.m. Ubehandlet kan dette medføre alvorlige, og i nogle tilfælde irreversible, organskader eller tidlig død. Hurtig diagnose, målrettet behandling og tværfaglig opfølgning er derfor afgørende for prognosen. Der fødes årligt ca. 60 børn med en sjælden arvelig stofskiftesygdom i Danmark, hvoraf ca. halvdelen kan diagnosticeres ved hjælp af specifikke biokemiske markører.

Biokemisk Genetik

Et biokemisk genetisk laboratorium har til opgave at analysere bl.a. plasma- og urinprøver med henblik på at identificere genetiske og metaboliske årsager til sygdom. I Danmark findes et sådant laboratorium kun på Rigshospitalet (RH), hvor det traditionelt har været en del af Afdeling for Genetik, men er pr. 2026 en del af Afdeling for Klinisk Biokemi. Laboratoriet består af fire kliniske akademikere (kemikere/biokemikere) og syv bioanalytikere og er derudover i daglig kontakt med de tre børnelæger specialiseret i metaboliske sygdomme, alle tilknyttet Center

for Sjældne Sygdomme på RH. Laboratoriet er akkrediteret efter ISO 15189.

Brede kvalitative og (semi)kvantitative screeningsanalyser udgør et centralt element i det diagnostiske arbejde. Den mest omfattende diagnostiske analyse er den urinmetaboliske screening, hvor der i én samlet analyse undersøges for mere end 100 analytter. Denne brede tilgang er nødvendig, da det kliniske symptombillede ofte er uspecifikt. De samme symptomer kan forekomme ved flere forskellige metaboliske sygdomme eller være sekundære til andre tilstande.

Fortolkning og svarafgivelse varetages af laboratoriets kliniske akademikere, som sammenfatter de komplekse analysemønstre til en samlet, skriftlig konklusion. Ved påvisning af specifikke fund foretages en tværfaglig vurdering i samarbejde med de metaboliske speciallæger, hvor laboratorieresultaterne sammenholdes med det kliniske billede. Den betydelige kompleksitet i fortolkningen forudsætter et højt erfaringsniveau samt et tæt samarbejde mellem bioanalytikere, kliniske akademikere og metaboliske læger.

Ud over screeningsanalyser udfører laboratoriet præcise kvantitative analyser, der er nødvendige for den ofte livslange monitorering af behandling hos patienter med arvelige stofskiftesygdomme. I modsætning til de diagnostiske screeningsanalyser omfatter monitoreringsanalyser et mere begrænset antal målrettede metabolitter, f.eks. udvalgte aminosyrer, acylkarnitiner eller enzymaktiviteter. Fælles for begge analytiske tilgange er anvendelsen af massespektrometriske metoder (LC-MS, LC-MS/MS og GC-MS) suppleret med forskellige fluorometriske og spektrofotometriske assays.

Mette Christensen

Seniorspecialist

Biokemisk Genetik

Afdeling for Klinisk Biokemi, Rigshospitalet

Mette.Christensen.03@regionh.dk

Flemming Wibrand

Labmanager

Biokemisk Genetik

Afdeling for Klinisk Biokemi, Rigshospitalet

En dag på Biokemisk Genetik

En arbejdsdag på Biokemisk Genetik kan sjældent planlægges i detaljer, da specialets akutte karakter gør, at laboratoriet løbende modtager hasteprøver. En rolig dag kan omfatte konference med metaboliske læger om patienter til opfølgning, registrering og visitering af prøver samt analyse og svarafgivelse. Arbejdsdagen kan imidlertid hurtigt ændre karakter ved behov for akut diagnostik. Et eksempel herpå fandt sted lige før jul, hvor laboratoriet modtog hasteprøver fra to patienter, herunder et barn fløjet ind fra Jylland. Hasteprøver visiteres altid af metaboliske speciallæger, hvilket sikrer, at laboratoriet er orienteret om behovet for hurtigst mulig svarafgivelse. Her orienteres laboratoriet også om den

kliniske kontekst, hvilket er vigtigt for både prioriteringen af analyser og fortolkning af analyseresultater. Den første prøve fra en patient med mistanke om organisk aciduri ankom med taxa ca. kl. 14, mens den anden – fra en patient med mistanke om urinstofcyklusdefekt (pga. hyperammoniæmi) – blev bragt fra helikopterplatformen ca. kl. 16. En erfaren bioanalytiker igangsatte straks en bred urinmetabolisk screening samt analyse af aminosyreprofil i plasma, og analyseresultater forelå henholdsvis ca. kl. 18 og omkring kl. 20. Den efterfølgende fortolkning blev udført umiddelbart efter via onlineadgang af en klinisk akademiker og efterfølgende konfereret telefonisk med en metabolisk læge. Den biokemiske profil fra den først ankomne patientprøve viste udtalt ketose pga. svær hypoglykæmi af ukendt

ætiologi. Patienten, der var mistænkt for en urinstofcyklusdefekt, havde en biokemisk profil forenelig med en mitokondriesygdom, og defekten blev senere karakteriseret molekylærgenetisk og bekræftet som mitokondriedefekt. Som det fremgår, er mange af laboratoriets arbejdsgange håndholdte og centreret omkring enkelte specifikke patienter, og Biokemisk Genetik er derfor det ultimative eksempel på personlig medicin.

Tværfagligt samarbejde

Forløbet ovenfor illustrerer fagligheden, beredskabet og det tætte tværfaglige samarbejde omkring de sjældne arvelige stofskiftesygdomme. Biokemisk Genetik samarbejder også tæt med molekylærgenetiske enheder, kliniske genetikere, flere andre enheder/afsnit på landets hospitaler og den neonatale screeningsenhed på Statens Serum Institut. Sidstnævnte, da laboratoriet varetager den diagnostiske opfølgning af positive screeningsfund for 20 af de 25 sygdomme, der aktuelt indgår i den nationale nyfødtscreening, dvs. afklaring af falske versus sande positive fund [2]

Teknologisk udvikling og innovation Sjældne arvelige stofskiftesygdomme diagnosticeres i stigende grad ved anvendelse af next generation sequencing, særligt i form af helgenomsekventering (WGS). Denne udvikling medfører, at den biokemiske diagnostik både aktuelt og fremadrettet må fastholde og til dels redefinere sin vigtige rolle i det diagnostiske forløb. WGS er fortsat forbundet med relativt lange svartider, hvorfor biokemiske analyser stadig er uundværlige i den akutte udredning og ved hurtig iværksættelse af behandling. Geneti-

ske varianter er ofte ikke entydigt korreleret med den kliniske fænotype, hvilket betyder, at biomarkørbaserede analyser er nødvendige for at belyse den funktionelle og kliniske betydning af genetiske fund. Hertil kommer en stigende forekomst af genetiske varianter af ukendt betydning (variants of uncertain significance, VUS’er), som kræver supplerende biokemiske analyser eller funktionelle studier for afklaring af patogenicitet. Udviklingen mod WGS i diagnostikken understøtter behovet for en videreudbygning af den biokemiske udredning mod teknologier, der muliggør bredere og mere forenklet screening af et større antal metabolitter end det nuværende analysetilbud tillader. Metabolomics-baserede tilgange rummer her et betydeligt potentiale [3]. Implementering af brede metabolom-analyser forudsætter anvendelse af massespektrometrisk udstyr med højere masseopløsning og præcision end de konventionelle massespektrometre, der i dag anvendes i rutinediagnostik. En strategisk satsning på højopløsnings-massespektrometri (HRMS) vil således kunne skabe grundlag for at inkludere en langt større del af det humane metabolom og styrke den biokemiske diagnostiks fremtidige rolle inden for sjældne arvelige stofskiftesygdomme [4]

Referencer

1. Ferreira CR, Rahman S, Keller M, Zschocke J; ICIMD Advisory Group. An international classification of inherited metabolic disorders (ICIMD). J Inherit Metab Dis. 2021 Jan;44(1):164-177. doi: 10.1002/jimd.12348. PMID: 33340416; PMCID: PMC9021760.

2. Lund A, Wibrand F, Skogstrand K, Cohen A, Christensen M, Jäpelt RB, Dunø M, Skovby F, Nørgaard-Pedersen B, Gregersen N, Andresen BS, Olsen RKJ, Hougaard D. Danish expanded newborn screening is a successful preventive public health programme. Dan Med J. 2020 Jan;67(1):A06190341. PMID: 31908255.

3. Coene KLM, Kluijtmans LAJ, van der Heeft E, Engelke UFH, de Boer S, Hoegen B, Kwast HJT, van de Vorst M, Huigen MCDG, Keularts IMLW, Schreuder MF, van Karnebeek CDM, Wortmann SB, de Vries MC, Janssen MCH, Gilissen C, Engel J, Wevers RA. Next-generation metabolic screening: targeted and untargeted metabolomics for the diagnosis of inborn errors of metabolism in individual patients. J Inherit Metab Dis. 2018 May;41(3):337353. doi: 10.1007/s10545-017-0131-6. Epub 2018 Feb 16. PMID: 29453510; PMCID: PMC5959972.

4. Martens J, Engelke UFH, Wevers RA, Lefeber DJ, Kulkarni P. Untargeted Metabolomics for Diagnosis, Monitoring, and Understanding the Pathophysiology of Inherited Metabolic Disorders. J Inherit Metab Dis. 2026 Jan;49(1):e70120. doi: 10.1002/ jimd.70120. PMID: 41330729; PMCID: PMC12672196.

Modsatrettet analytisk interferens ved bestemmelse af D-vitamin

Charlotte Wegge Juul

Læge i introduktionsstilling

Klinisk Biokemisk Afdeling, Aalborg Universitetshospital c.weggelarsen@rn.dk

Line Philipsen

Læge i introduktionsstilling

Klinisk Biokemisk Afdeling, Aalborg Universitetshospital

Stine Linding Andersen Ledende overlæge

Klinisk Biokemisk Afdeling, Aalborg Universitetshospital

Vi beskriver to patientcases, hvor klinikere henvendte sig til vagthavende læge ved Klinisk Biokemisk Afdeling (KBA) med undren over resultatet af P-25-HydroxyVitamin D (D3+D2) (dtot25), og hvor udredningen gav mistanke om modsatrettet analytisk interferens.

Baggrund

Dtot25 er en hyppigt bestilt analyse, og mange laboratorier anvender immunologisk metode på automatiseret udstyr, hvorimod andre udbyder analysen ved brug af massespektrometri (LC-MS) (1). Den immunologiske metode er antistof-baseret, og der er tale om et kompetitivt assay til bestemmelse af dtot25 på tværs af leverandører. Som for andre typer af immunologiske metoder kan der i sjældne tilfælde forekomme analytisk interferens (2). Mistanke derom rejses ofte af den patientansvarlige læge, som finder, at analyseresultatet ikke passer med det forventede i forhold til patienthistorik og -behandling. Første trin i udredningen vil fra laboratoriets side som oftest være at gentage prøvetagningen og krydskøre den samme prøve på tværs af udstyr fra forskellige leverandører. I tilfælde med dtot25 drejer dette sig om andre udbydere af den immunologiske metode, og dertil er der muligheden for bestemmelse med LC-MS, som også kvantificerer koncentrationen af hhv. D2 og D3.

Ved KBA, Aalborg Universitetshospital, er der siden 2022 anvendt immunologisk metode på automatiseret udstyr (Alinity, Abbott) til bestemmelse af dtot25. Vi har oprettet en analyse, som hedder ’Udredinterferens’, og som kan rekvireres i tilfælde

med mistanke om analytisk interferens efter dialog med vagthavende læge ved KBA. Denne hjælpe-analyse sikrer tilstrækkeligt prøvemateriale til, at der kan analyseres på tværs af udstyr.

Cases

Case 1: En endokrinolog henvendte sig angående en patient i 50-års-alderen, som gentagne gange over en årrække havde fået målt dtot25 i niveauer under 50 nmol/L, og hvor behandlingsforsøg med vitamin D3tilskud i form af tabletter, spray og injektioner ikke havde haft effekt. Patienten tog ikke anden potentielt interfererende medicin, og der var normal nyrefunktion. Der var påvist M-komponent igennem flere år. Case 2: Praktiserende læge henvendte sig angående en patient i 80-års-alderen, som gentagne gange over en kort periode havde fået målt dtot25 i svært forhøjede niveauer (over øvre målegrænse). Der var ingen anamnese eller klinisk mistanke om forgiftning med vitamin D. Patienten tog ikke anden potentielt interfererende medicin, og der var normal nyrefunktion. Der var påvist M-komponent igennem flere år. Den biokemiske interferensudredning viste for begge cases diskrepans i resultaterne på tværs af udstyr (Tabel 1). For case 1 fandtes alene lav koncentration af dtot25 med Abbott-udstyr, hvorimod øvrige immunologiske metoder og LC-MS fandt en dtot25koncentration i højere niveau. For case 2 var koncentrationen høj eller ikke mulig at kvantificere på to af tre immunologiske analyseudstyr, mens Roche-udstyret og LC-MS fandt en koncentration i normalområdet. I begge cases var fraktionen af D3 dominerende (Tabel 1).

Tabel 1 Resultater for P-25-Hydroxy-Vitamin D (D3+D2) ved samme prøvetagning på tværs af udstyr.

Case 1 Case 2

Alinity, Abbott 32 nmol/L > 386 nmol/L Atellica, Siemens 182 nmol/L Svar ikke muligt

Cobas, Roche 187 nmol/L 62 nmol/L LC-MS

D2+D3 167 nmol/L 79 nmol/L

D2 < 10 nmol/L < 5 nmol/L D3 167 nmol/L 79 nmol/L

Vurdering

Den biokemiske udredning på tværs af udstyr til bestemmelse af dtot25 gav i disse cases mistanke om analytisk interferens. Interferensen var modsatrettet og førte henholdsvis til falsk for lav og falsk for høj koncentration. Vi har ikke haft mulighed for at fastlægge den specifikke årsag til analytisk interferens i disse tilfælde, men interferens fra heterofile antistoffer eller tilstedeværende M-komponent må mistænkes. Den immunologiske metode til bestemmelse af dtot25 er et kompetitivt assay, hvor signalet er omvendt proportionalt med koncentrationen af dtot25 i prøven, og falsk for høj dtot25 er beskrevet hos patienter med M-komponent (3). De to patienthistorier understreger vigtigheden af samarbejde og dialog mellem klinikere og de kliniske biokemiske afdelinger som led i at få mistanke om og udrede potentiel analytisk interferens.

Referencer

1) Atef SH. Vitamin D assays in clinical laboratory: Past, present and future challenges. J Steroid Biochem Mol Biol. 2018;175:136-137.

2) Bolstad N, Warren DJ, Nustad K. Heterophilic antibody interference in immunometric assays. Best Pract Res Clin Endocrinol Metab. 2013;27:647-61.

3) Mae Jeraldine de Vera, Ann Sierens and Leen Vandevenne. Falsely elevated levels of 25(OH) vitamin D measured on Alinity: two case reports. EJMCR. 2023;7:23-26.

Din nemme indgang til innovation og driftsmæssig værdi med robust datafortrolighed og -sikkerhed

digitale løsninger fra Roche Diagnostics forbinder sundhedssektoren og giver hurtigere adgang til innovation og indsigt.

Ved at anvende analyser på forbundne data leverer indsigt, der skaber medicinsk, driftsmæssig og økonomisk værdi på tværs af sundhedsområderne for at understøtte rettidige og velbegrundede beslutninger.

digitale økosystemer sikrer nem tilslutning og muligheder med robust datafortrolighed og datasikkerhed.

Få mere at vide på eller scan QR-koden. navify® navify® navify® navify.roche.com

Roche Diagnostics AS, Flaskehalsen 17, 4. sal, 1799 København V MC-DK-02746

Den 40. Nordiske Kongres i Klinisk Biokemi 2026 – vi ses snart i Aarhus!

På vegne af Nordisk Forening for Klinisk Kemi (NFKK) og Dansk Selskab for Klinisk Biokemi (DSKB) har vi fornøjelsen af at invitere til den 40. Nordiske Kongres i Klinisk Biokemi, som afholdes i Aarhus den 15.–18. september 2026.

Det videnskabelige program er baseret på bidrag og idéer fra et bredt udsnit af både kliniske- og forskningsmiljøer i de nordiske lande. Målet er at tilbyde et stærkt og relevant program, der kombinerer aktuelle kliniske emner med perspektiver på fremtidige udviklinger inden for klinisk biokemi og laboratoriemedicin.

Programmet vil omfatte fem plenary lectures, 27 parallelle sessioner samt de traditionsrige videnskabelige konkurrencer NFKK Young Researcher Award og Lorentz Eldjarn Prize Competition for Best Publication. Der vil naturligvis også være posterkonkurrence med priser til de tre bedste posters. Derudover er vi stolte af at kunne præsentere en plenarsession med vinderne af den prestigefyldte UNIVANTS of Healthcare Excellence Award.

Vigtige datoer:

Abstractindsendelse: 1. mar–30. maj 2026

Early bird-tilmelding: 1. mar–30. maj 2026

Almindelig tilmelding: 1. jun–15. aug 2026

Sen tilmelding: 16. aug–14. sep 2026

Netværk og sociale arrangementer

Ud over det videnskabelige program vil der også denne gang på den Nordiske Kongres være rig mulighed for at netværke. Det sociale program omfatter:

• Velkomst-Get-Together-middag

• Morgenløb og yoga

• Bådtur i Aarhus Havn med afslappet netværk på vandet

• Festlig kongresmiddag

Vi ser frem til at byde jer velkommen i Aarhus til den 40. Nordiske Kongres i Klinisk Biokemi.

Yderligere information og tilmelding findes på kongressens officielle hjemmeside: https://conferences.au.dk/nordic-congressin-clinical-biochemistry

Styregruppen

Anne Winther Larsen

Holger Jon Møller, Forperson for det Videnskabelig Program

Mie Samson, Forperson for Kongressen

Birgitte Sandfeld Paulsen

> Se kongressiden her

12:45 - 13:00

13:00 - 13:45

Scientific Program Overview

40th Nordic Congress in Clinical Biochemistry Aarhus, September 15-18, 2026

Tuesday September 15

Wellcome

Plenary lecture

Gastro-intestinal peptide hormones, from basic research in clinical biochemistry to major public impact

Main Hall Hall 2 Hall 3

Session 1

Session 2

14:00 - 15:30 Novel diagnostic opportunities in neurological disease and cognitive decline Sustainability in the lab

Session 4

15:45 - 17:15 What’s new: Lipids, lipoproteins, and cardiovascular risk

17:30

Main Hall

Session 7

08:00 - 09:30 Reproductive biomarkers

09:45 - 10:30

10:45 - 12:00

12:30 - 13:00

13:00 - 13:45

Session 5

Session 3

Thyroid function tests – past, present, and beyond

Session 6

ctDNA for early detection and screening Establishing Robust Pediatric Reference Intervals

Opening ceremony

Wednesday September 16

Hall 2

Session 8

Hall 3

Session 9

Presentation of working groups in NSMB Extracellular vesicles

Plenary lecture

Sex, sex differences and biomarkers

The NFKK Young Researcher Award

Poster walks

Plenary lecture

Next steps for microbiome therapies: mechanism of action

Main Hall Hall 2 Hall 3

13:55 - 14:15 Company session 1 Company session 2 Company session 3

Session 10

14:30 - 16:00

Fibrinogen and fibrinolysis in health and disease

Session 13

16:15 - 17:45 Outcome studies in laboratory medicine

Session 11

AI in Diagnostics: Where are we now and what lies ahead?

Session 14

Session 12

Mass spectrometry-based proteomics in clinical biochemistry

Session 15

Updates from Nordic screening and screening pilots (session by SKKY) The microbiome and human health

08:00 - 09:30

09:45 - 10:30

10:45 - 12:15

12:45 - 13:15

Main Hall Hall 2 Hall 3

Session 16

Bone turnover markers for monitoring treatment for osteoporosis

Thursday September 17 Plenary lecture

Hereditary diseases in an Icelandic context (session by IFKE) Biomarkers of ageing

13:15 - 14:45 Main Hall

15:00 - 15:20

15:25 - 15:45

16:00 - 17:30 Biomarkers of chronic kidney disease

Friday September 18 Scientific Plenary: UNIVANTS of Healthcare Excellence Award The role of epigenetics in mediating health and disease The Lorentz Eldjarn Prize Competition for Best Publication

From Algorithm to Insight: Practical Applications of AI in Diagnostics

Platelet function testing: old acquaintances and novel biomarkers

Main Hall Hall 2 Hall 3

Session 22 Session 23 Session 24

08:00 - 09:30 The hidden problem of analytical interference – how to identify, investigate and prevent? (session by NFKK)

09:45 - 11:15

11:30 - 12:15

12:15 - 12:30 Poster walks

Mass Spectrometry in Myeloma ctDNA for guiding treatment decisions

Plenary lecture

The Future of Healthcare – Moving Closer to the Citizen

Om patalogisk anatomi

Giuliana Moreano Diaz, Speciallæge

Klinisk Diagnostisk Afdeling, Klinisk Patologisk Anatomi, Esbjerg Sygehus Kerly.Giuliana.Moreano.Diaz@rsyd.dk

Emma Skelmose Speedtsberg, Læge (trin 1)

Klinisk Diagnostisk Afdeling, Klinisk Patologisk Anatomi, Esbjerg Sygehus

Patologisk anatomi og cytologi varetager diagnostik af sygdomme på baggrund af undersøgelser af organer, væv og celler og indgår som en central del af både screening, diagnostisk udredning, behandling og behandlingskontrol. Den patologiske diagnostik baseres på en kombination af makroskopiske og mikroskopiske vurderinger samt immunhistokemiske og molekylærpatologiske analyser [1] .

Diagnostik af kræftsygdomme udgør en væsentlig del af specialets arbejde, men patologer beskæftiger sig i betydeligt omfang også med autoimmune, inflammatoriske og degenerative sygdomme, hvor vævs- og cellebaseret diagnostik er afgørende. Hospitalsobduktioner, hvis primære formål er at fastslå dødsårsag og sygdomsforløb, er fortsat en del af specialets opgaver, men udgør i dag kun en mindre del af den samlede arbejdsbyrde. Mange patologiafdelinger har i dag nedlagt obduktionsvirksomheden, og obduktioner er i stigende grad samlet på de største hospitalsafdelinger i landet [1]

Det diagnostiske arbejde i patologisk anatomi og cytologi kan være akut som ved frysesnitundersøgelse, der udføres, mens patienten opereres, men de fleste prøver indgår i et forløb i laboratoriet, der strækker sig over 2–7 dage, afhængig af prøvetype. De akutte funktioner som hastemikroskopi og peroperativ mikroskopi (frysesnitundersøgelse) udgør en vigtig del af det diagnostiske arbejde.

Pakkeforløb for kræftsygdomme påvirker arbejdsgangen i patologisk anatomi og cytologi grundet bl.a. krav til svartider samt til øget multidisciplinært samarbejde [1] På de fleste afdelinger findes subspecialisering, hvor de individuelle speciallæger koncentrerer sig om enkelte organer. På Esbjerg og Grindsted Sygehus har vi følgende lægefaglige teams: Hud-, bløddels- og knoglepatologi, mammapatologi, gynækologisk patologi, gastroenteropatologi, Øre-, næseog halspatologi samt urologisk patologi.

Vi modtager prøver fra Esbjerg og Grindsted Sygehus, almen praksis, speciallægepraksis samt tandlæger. Prøvematerialet omfatter mindre biopsier (simple vævsprøver), større biopsier og operationspræparater (komplekse vævsprøver), nåleaspirater (celleprøver) samt celleprøver i forbindelse med den landsdækkende screening for livmoderhalskræft.

Specialet er uden vagter, og en speciallæge i patologisk anatomi arbejder 37 timer om ugen inden for almindelig dagsarbejdstid. Der er intet planlagt weekend- eller helligdagsarbejde, bortset fra enkelte afdelinger, der også arbejder med hæmato-patologi. Uddannelse af yngre kollegaer udgør en stor hjørnesten i specialet. Desuden er der mulighed for forskning og udviklingsarbejde, bl.a. i kraft af specialets store vævsdatabase og tætte samarbejde med kliniske og andre diagnostiske specialer.

Der er i alt 13 patologiafdelinger i landet; disse er fordelt på større/mindre sygehuse samt universitetshospitaler. Ved opslag i autorisationsregistret i januar 2026 angives der 299 speciallæger i Klinisk Patologi og Cytologi i Danmark.

Patologens arbejdsdag i Esbjerg

Dagen starter kl. 08.00 med et kort tavlemøde, hvor afdelingens læger, bioanalytikere og sekretærer gennemgår og prioriterer dagens opgaver og fordeler ressourcerne. Morgenen prioriteres til makroskopisk vurdering, mens resten af dagen omfatter peroperativ diagnostik, mikroskopiske undersøgelser, besvarelse af opkald fra klinikere og forberedelse til MDT konferencer. Hertil kommer arbejde med akkreditering, forskningsprojekter og øvrige afdelingsprojekter, mens udviklingsarbejde også fylder en del hos mange speciallæger.

Undervisning af yngre kollegaer, bioanalytikere og medicinstuderende er en integreret del af både speciallægens og uddannelseslæ-

gens hverdag. Uddannelseslæger superviseres løbende – både makroskopisk og mikroskopisk – samtidig med, at deres kompetencer udvikles i henhold til uddannelsesplanen.

I det følgende beskrives en typisk dag for en uddannelseslæge. Speciallæger følger stort set samme arbejdsrytme, men har desuden ansvar for de ekstra opgaver nævnt ovenfor.

Makroskopisk vurdering

Efter endt tavlemøde mødes afdelingens uddannelseslæger med henblik på at få overblik over de vævsprøver, der skal håndteres af og makroskopisk beskrives af en læge. Prøverne modtages i beholdere med formalin, som sikrer, at vævet ikke henfalder under transport og opbevaring.

Bioanalytikere håndterer selv en stor del af vævsprøverne, mens lægerne håndterer de større og mere komplekse operationspræparater og tilkaldes ellers ved behov.

Den makroskopiske vurdering er essentiel, da den giver mange vigtige informationer

om vævet. Beskrivelsen vil typisk indeholde information om antal vævsstykker, suturmarkeringer, størrelsesforhold samt patologiske forandringer med indbyrdes relation. Ved resektater med kræftsygdom beskrives strukturer og forandringer af betydning for stadieinddeling af tumor. Det drejer sig om tumorstørrelse, tumors udbredning til og uden for organet samt udbredning til lymfeknuder. Afstanden til resektionsrande og resektionsflade er ligeledes vigtig og skal angives.

Efter vurdering skæres vævet ud, og der udtages relevant væv, som placeres i nummererede kapsler til videre præparering i laboratoriet: en proces som indebærer at formalinen udskiftes med paraffin, så der kan skæres tynde snit af vævet som lægges på glas, farves (HE) og scannes ind til digital mikroskopering.

Mikroskopisk vurdering

En ikke uvæsentlig del af arbejdsdagen 4

bruges på den mikroskopiske vurdering, som her i regionen foregår digitalt. De indscannede glas kan tilgås i patologisystemet på computeren, og mikroskoperingen foregår således digitalt. Det giver store fordele ergonomisk, bedre muligheder for supervision og nemmere samarbejde med patologer fra andre sygehuse, som også kan tilgå prøverne digitalt. Der udarbejdes svar indeholdende en mikroskopisk beskrivelse, konklusion samt relevante koder.

I 2020-2021 gik de fire patologiafdelinger i Region Syddanmark digitalt som de første i Danmark.

Peroperativ vurdering og frysesnitsundersøgelse

De mest akutte opgaver inden for patologien er peroperativ makroskopisk vurdering og frysesnitsundersøgelse. Frysesnitsundersøgelsen anvendes typisk, hvis patienten ikke har en afklaret diagnose forud for operationen, og resultatet afgør ofte omfanget af det operative indgreb. Et eksempel er en patient med testistumor: Et malignt svar medfører, efter gældende retningslinjer, kontralateral testisbioptering, mens et benignt svar kan spare patienten for denne procedure.

For visse tumorer vurderes også resektionsrande peroperativt, eksempelvis ved hudkræft, hvor kirurgen skal vide, om knuden er fjernet i sundt væv, eller om der skal fjernes mere.

Svar på frysesnitsundersøgelsen kan afgives ca. 15–20 minutter efter modtagelsen af præparatet. Kvaliteten er lavere end ved standardpræparering, hvorfor resultatet kun er foreløbigt.

Makroskopisk peroperativ vurdering udføres også, eksempelvis ved lumpektomipræparater fra patienter med brystkræft.

Her vurderes det makroskopisk, om der er tilstrækkelig afstand til den operative margin, inden operationen afsluttes. Dagens operationsprogram kendes på forhånd, så både læger og bioanalytikere er forberedte på de akutte opgaver.

Deltagelse i MDT-konferencer

Patologens diagnostiske vurdering giver afgørende information om sygdommens udbredelse, forventet effekt af behandling og prognose. Disse vurderinger danner grundlag for kliniske beslutninger om både kirurgiske indgreb og medicinsk behandling. Dermed indgår patologer som nøglepersoner i patientforløbet og spiller en central rolle under multidisciplinære konferencer (MDT).

Speciallæger og uddannelseslæger deltager ugentligt i MDT-konferencer. Det er en prioritering, at uddannelseslægen bliver fortrolig med selvstændigt at præsentere patienter og drøfte tværfaglige problemstillinger med supervision og støtte fra en ældre

Eksempel: NGS i kræftdiagnostik

NGS (Next Generation Sequencing) anvendes til diagnostik og molekylær karakterisering af flere kræfttyper, herunder:

• Lungekræft

• Endometriekræft

• Lokalavanceret eller metastatisk cholangiocarcinom

• Tumorer i centralnervesystemet (CNS)

• Brystkræft

• Ovariekræft

• Kolorektal cancer

• Melanom

• Visse hæmatologiske maligniteter

Klinisk betydning:

• Identifikation af mutationer og biomarkører, som kan påvirke valg af målrettet behandling eller immunterapi

• Direkte vejledning af patientens behandlingsplan

kollega. Det styrker forståelsen af det tværfaglige samarbejde og evnen til at arbejde selvstændigt og ansvarsfuldt. Der afholdes tre ugentlige konferencer i mammapatologi og to ugentlige konferencer i nedre gastrointestinal patologi (cancer). Derudover er der månedlige konferencer med hoved- og halslæger samt kæbekirurger.

Nutidens patologi

I de senere år har den diagnostiske patologi gennemgået en markant udvikling som følge af yderligere indførelse af molekylærpatologiske metoder. Disse metoder har udvidet den klassiske, morfologiske diagnostik og spiller i dag en central rolle i både diagnostik, prognostik og behandlingsvalg. Udviklingen hænger tæt sammen med fremkomsten af målrettede og individualiserede behandlinger, hvor terapivalg i stigende grad baseres på specifikke molekylære karakteristika ved tumoren eller den enkelte patient.

Molekylærpatologiske teknikker såsom immunhistokemi, PCR-baserede analyser og Next Generation Sequencing (NGS) anvendes rutinemæssigt til identifikation af både diagnostiske, prognostiske og prædiktive biomarkører. Inden for kræftområdet er disse analyser afgørende for klassifikation af tumorer, påvisning af driver-mutationer og vurdering af behandlingsrespons, herunder valg af målrettet terapi og immunterapi [1] Anvendelsen af molekylærpatologi rækker imidlertid ud over onkologi. Metoderne har fået stigende betydning ved patoanatomisk diagnostik af inflammatoriske sygdomme, genetisk betingede degenerative sygdomme samt medfødte misdannelser, hvor molekylære fund kan bidrage til mere præcis diagnostik og bedre sygdomsforståelse [1] . Samlet set er molekylærpatologi blevet en integreret del af det patologiske speciale og et vigtigt bindeled mellem vævsdiagnostik, kliniske beslutninger og moderne præci-

sionsmedicin. Molekylærbiologer indgår dermed som naturlige samarbejdspartnere i dagligdagen.

Fremtidens patologi

Kunstig intelligens (AI) forventes i stigende grad at blive integreret i patologien som et supplement til den traditionelle mikroskopiske vurdering af væv og celler. I digital patologi kan AI fungere som støtteværktøj til billedanalyse af hele vævssnit og bidrage til øget diagnostisk præcision og effektivitet. I den diagnostiske arbejdsgang vurderes vævsprøver ofte først i basale farvninger, hvorefter supplerende specialfarvninger bestilles efter behov. Her kan AI tidligt identificere prøver, der kræver yderligere farvning, og fremhæve suspekte områder, som bør vurderes nærmere af patologen. Ved påvist cancersygdom vil AI desuden kunne bidrage med forslag til gradering af sygdommens sværhedsgrad og dermed øge ensartethed i diagnostikken [2]

Selvom AI endnu ikke er implementeret i alle patologiafdelinger, bevæger teknologien sig gradvist fra forskning og pilotprojekter mod klinisk anvendelse [2] .

AI ændrer imidlertid ikke ved, at patologens faglige vurdering fortsat er central. Teknologien fungerer som et værktøj, der kan overtage rutineprægede og tidskrævende opgaver og dermed frigive tid til komplekse diagnostiske vurderinger, tværfaglig dialog og kliniske beslutningsprocesser. Fremtidens patologi, tror vi, vil være præget af et tæt samspil mellem menneske og teknologi – til gavn for både diagnostisk kvalitet og patientforløb.

Referencer

1. Dansk Patologiselskab (DPAS). Hvad er patologisk anatomi og cytologi? [Internet]. København: DPAS; [citeret 2026]. Tilgængelig fra: https:// danskpatologi.org/om-dpas/hvad-erpatologisk-anatomi-og-cytologi/

2. Danish Comprehensive Cancer Center (DCCC). Klinisk anvendelse af kunstig intelligens på kræftområdet [Internet]. København: DCCC; 2021 [citeret 2026]. Tilgængelig fra: https://www.dccc.dk

PhD: Venøse tromboser efter operation for esophaguscancer

Venøs tromboemboli (VTE) er den næsthyppigste dødsårsag hos patienter med cancer. Risikoen for VTE er vist at stige yderligere i efterforløbet af en operation hos patienter med hyppigt forekommende cancertyper [1,2]. På trods af dette er koagulation og risikoen for VTE efter kirurgisk behandling sparsomt undersøgt for sjældne cancertyper.

Esophaguscancer rammer ca. 500 danskere årligt [3]. Dødeligheden er høj, idet 80% dør af sygdommen inden for fem år. En omfattende operation er for de fleste patienters vedkommende den eneste chance for helbredelse [3]. Da nærværende ph.d.studie begyndte i 2021, fandtes der ingen nationale eller internationale anbefalinger for varigheden af farmakologisk tromboseprofylakse til patienter, der skulle opereres for esophaguscancer.

Ph.d.-afhandlingen bestod af tre studier: en systematisk litteraturgennemgang [4] , et randomiseret, klinisk studie [5,6] og et kohortestudie [7]

I den systematiske litteraturgennemgang [4] var formålet at undersøge, om tre analyser, der afspejler dannelsen af trombin og dermed koagulationsaktiviteten i blodet, var associeret med udviklingen af VTE hos patienter med cancer. Vi undersøgte protrombinfragment 1+2 (F1+2), trombinantitrombinkompleks (TAT) og ex vivotrombingeneration. Vi fandt, at markørerne havde potentiale til at prædiktere VTE, og at protrombinfragment 1+2 (F1+2) havde den stærkeste association til udvikling af VTE.

Hovedstudiet i afhandlingen var et randomiseret klinisk studie, der sammenlignede forlænget, 30 dages tromboseprofylakse med 5.000 IE Fragmin® dagligt med standardbehandlingen på 10 dage [5,6]. Det primære endepunkt var forskellen i niveauet af F1+2 mellem de to grupper 30 dage efter operationen, og VTE og mortalitet var sekundære endepunkter. Da studiet sluttede, havde 39 patienter i standardgruppen og 40 patienter i interventionsgruppen gennemført. Vi fandt ingen forskel i niveauer af F1+2 eller incidens af VTE i gruppen, der modtog forlænget tromboseprofylakse, sammenlignet med standardgruppen. Derimod fandt vi, at det præoperative F1+2-niveau var signifikant højere hos patienter, der senere udviklede VTE sammenlignet med patienter, der ikke gjorde (figur 1). Odds ratio for udvikling af VTE var 1,64 (95% konfidensinterval 1,17–2,54) per 50 pmol/L øgning i præoperativ F1+2. Den samlede incidens af VTE i studiepopulationen efter operationen var 14%.

I kohortestudiet undersøgte vi den perioperative hæmostase hos de samme patienter, der blev inkluderet i det randomiserede kliniske studie [7]. Patienterne havde et mediant blødningsvolumen på 300 mL og viste ingen tegn på svækket hæmostase.

Vores fund viser behovet for bedre forebyggelse af VTE hos patienter med esophaguscancer. Vi planlægger at arbejde videre med F1+2 og undersøge, om den kan bruges til at forbedre prædiktion af postoperativ VTE.

Tua Gyldenholm
Læge
Blodprøver og Biokemi, Aarhus Universitetshospital tuagyl@rm.dk

Resultater fra studierne er publiceret og blevet præsenteret på bl.a. Dansk Selskab for Klinisk Biokemis kongres, Dansk Thoraxkirurgisk Selskabs årsmøde og The Nordic Coagulation Meeting i Finland.

Hovedvejleder var Anne-Mette Hvas, daværende overlæge på Blodprøver og Biokemi, AUH. Medvejledere var overlæge Thomas Decker Christensen og overlæge Niels Katballe fra Hjerte-, Lunge- og Karkirurgisk Afdeling, AUH samt overlæge Daniel W. Kjær fra Mave- og Tarmkirurgi, AUH.

Afhandlingen blev forsvaret d. 25. oktober 2024.

Figur 1: Præoperative protrombinfragment 1+2-niveauer hos patienter, der udviklede en venøs tromboemboli inden for en måned efter kirurgi (5). Data er vist som boxplots med interkvartilintervaller. Forkortelser: F1+2: Protrombinfragment 1+2, VTE: Venøs tromboembolisk hændelse.

Referencer

1. Costamagna G, Navi BB, Beyeler M, Hottinger AF, Alberio L, Michel P. Ischemic Stroke in Cancer: Mechanisms, Biomarkers, and Implications for Treatment. Semin Thromb Hemost. 2024;50(3):342-59.

2. Agnelli G, Bolis G, Capussotti L, Scarpa RM, Tonelli F, Bonizzoni E, et al. A clinical outcome-based prospective study on venous thromboembolism after cancer surgery: the @RISTOS project. Ann Surg. 2006;243(1):89-95.

3. Engholm G. Statistik om Spiserørskræft: Kræftens Bekæmpelse; 2020 [cited 2020 20.07]. Available from: https:// www.cancer.dk/spiseroerskraeftoesofaguscancer/statistik-omspiserorskraeft/.

4. Gyldenholm T, Hvas AM, Christensen TD, Larsen JB. Thrombin Generation Markers as Predictors of CancerAssociated Venous Thromboembolism: A Systematic Review. Semin Thromb Hemost. 2024;50(3):384-401.

5. Gyldenholm T, Madsen N, Katballe N, Kjaer DW, Christensen TD, Hvas AM. Prolonged versus standard thromboprophylaxis in oesophageal cancer patients undergoing surgery: A randomised, controlled study. J Thromb Haemost. 2025.

6. Gyldenholm T, Madsen N, Katballe N, Kjaer DW, Christensen TD, Hvas AM. Thromboprophylaxis in oesophageal cancer patients-a study protocol for a randomised, controlled trial (TOP-RCT). Trials. 2024;25(1):591.

7. Gyldenholm T, Madsen, N., Katballe, N., Kjær, DW., Christensen, TD., Hvas, AM. Patients undergoing oesophageal cancer surgery do not have impaired haemostasis. Clinical and Applied Thrombosis/Haemostasis (In review). 2024.

[1] Palle Fruekilde Biokemiker

Blodprøver og Biokemi, Odense Universitetshospital palle.fruekilde@rsyd.dk

[2] Mads Nybo Cheflæge

Blodprøver og Biokemi, Odense Universitetshospital

[3] Torben Breindahl Kemiker

Klinisk Biokemisk afdeling, Regionshospital Nordjylland

[4] Eva Greibe Biokemiker

Blodprøver og Biokemi, Aarhus Universitetshospital

[5] Elke Hoffmann-Lücke Overlæge

Blodprøver og Biokemi, Aarhus Universitetshospital

[6] Mette Christensen Seniorspecialist

Afdeling for Klinisk Biokemi, Rigshospitalet

[7] Christina Christoffersen Overlæge

Klinisk Biokemisk Afdeling, Rigshospitalet

[8] Anne Vibeke Schmedes Kemiker

Biokemi og Immunologi, Sygehus Lillebælt

[9] Jonna Skov Madsen Cheflæge

Biokemi og Immunologi, Sygehus Lillebælt

Responsum til indlæg i DSKB-Nyt 2025/4 med titlen ”Drift af LC MS/MS sektioner –

erfaringer og anbefalinger”

> Læs artikel i DSKB-Nyt 2025/4

Tak for indlægget ”Drift af LC-MS/MS sektioner – erfaringer og anbefalinger” i DSKB-Nyt 4, 2025, der adresserer vigtigheden af kvalitetssikring af analyser i kliniske LC-MS/MS-sektioner. Indlægget giver anledning til refleksion, men også til forundring. Selvom vi anerkender, at den kliniske anvendelse af LC-MS/MS fortsat rummer udviklingspotentiale, deler vi ikke artiklens overordnede fremstilling af problematisk drift og forankring.

I klinisk biokemi er LC-MS/MS typisk forankret i tværfaglige teams bestående af bioanalytikere, biokemikere og læger – en struktur, som har eksisteret i mange år på laboratorier landet over – og som netop har sikret, at vi i fællesskab kan levere analyser af høj kvalitet med fokus på kliniske behov til gavn for patienterne. Der er ligeledes opbygget et fagligt netværk på tværs af regioner og faggrupper, hvor der er rig

mulighed for at dele erfaringer og udviklingsmuligheder. Vi er repræsenteret i fora såsom LC-MS/MS-erfagrupper, DSKB-arbejdsgrupper, DSKB-møder og -kongresser. Det er ikke vores opfattelse, at indlægget i DSKB-Nyt 4, 2025, flugter med den virkelighed og de erfaringer, som landets øvrige LC-MS-sektioner løbende deler.

I artiklen fremkommer flere anbefalinger til sikring af kvalitet og drift i LC-MS/ MS-laboratorier. Det er for hovedparten af laboratorierne anbefalinger, som bør være –og for manges vedkommende allerede er –implementeret. Anbefalingerne indgår som en naturlig procedure i et moderne klinisk biokemisk laboratorium, der arbejder i overensstemmelse med ISO-certificeringens retningslinjer. I praksis har de LC-MS/ MS-driftslaboratorier, vi repræsenterer og kender til gennem erfa-grupper, arbejdet i overensstemmelse med ISO 15189-ret-

ningslinjerne gennem de seneste 5–15 år, og tilsammen repræsenterer vi mere end 200 akkrediterede analyser.

Konkret betyder det, at:

• Der er fuld integration med regionale IT-systemer.

• Der er fuld sporbarhed på alt.

• Automatisk backup er etableret.

• LC-MS/MS er en integreret del af de klinisk biokemiske afdelingers samlede drift.

• Arbejdet udføres efter standardiserede processer (validering, afvigekontrol, ekstern og intern kvalitetskontrol, audit og fuld sporbarhed).

Fuld sporbarhed afhænger ikke af anvendelsen af kommercielle IVDR/CE-kits.

Sporbarheden sikres gennem en velbeskrevet sporbarhedskæde, som lever op til ISOakkreditering og/eller CLSI-retningslinjer, og som sikrer, at dokumentationen altid findes i form af valideringsrapporter m.v. Vi finder ikke, at anbefalingen om konsekvent anvendelse af kit-baserede analyser er faglig begrundet, bl.a. da sådanne kits:

• Ofte er karakteriseret ved større CV%, end det er klinisk forsvarligt.

• Udbydes i paneler, der ikke matcher det kliniske behov.

• Ikke altid bliver udviklet i takt med nye kliniske behov og krav.

IVDR/CE-kits kan dog være en velegnet løsning, men de er ikke nødvendigvis bedre end veldokumenterede in-house-analyser. Samlet set synes vi, at indlægget tegner et misvisende og unuanceret billede af driften af LC-MS/MS i klinisk biokemi i dagens Danmark. Det omtaler udfordringer inden for IT, organisation og såkaldte ”parallelle

samfund”, som vi ikke mener eksisterer, og det afspejler ikke den virkelighed i de danske laboratorier, vi kender til.

De anbefalinger, der præsenteres som nye, har i realiteten været implementeret i alle de år, hvor størstedelen af landets klinisk biokemiske laboratorier har været akkrediterede.

Kasper Birch Kristensen Læge

Klinisk Biokemisk Afdeling, Nordsjællands Hospital kasper.birch.kristensen@regionh.dk

På vegne af YLKBs bestyrelse

Nyt fra YLKB-bestyrelsen: Bestyrelsesmøde i Kolding januar 2026

I YLKB-bestyrelsen indledte vi det nye år med at mødes i Kolding onsdag den 7. januar 2026. Trods sne over Danmark lykkedes det os at samle seks ud af syv bestyrelsesmedlemmer.

Ud over at sætte ansigter på hinanden i fysisk format var det primære formål med mødet at afstemme, hvad vi i den nuværende bestyrelse ser som vores formål og fokusopgaver. Størstedelen af bestyrelsens medlemmer er nyvalgte, hvorfor vi har lagt energi i at finde rodfæste som ny bestyrelse og diskuteret de opgaver, som vi gerne vil fokusere på. Sammen havde vi nogle gode og effektive timer med givende diskussioner og synspunkter på tværs af landets regioner. Vi kom på mødet frem til, at den aktuelle bestyrelses primære ambition med YLKB er at fungere som formelt talerør for yngre læger i klinisk biokemi i forhold til faglige og uddannelsesmæssige interesser inden for specialet. Desuden er vores ambition, at YLKB skal være med til at styrke grundlaget for et fagligt og socialt netværk på tværs af landet samt øge grundlaget for erfaringsudveksling og forskningssamarbejde på tværs af klinisk biokemiske afdelinger.

Vi definerede vores ambitioner i et opdateret YLKB-kommissorium, som nu afventer godkendelse af DSKB’s bestyrelse. På mødet i Kolding drøftede vi desuden mulighederne for et YLKB-medlemsmøde og formen på dette, samt hvordan vi kan bidrage til, at et eventuelt introkursus i klinisk biokemi kan blive afholdt. Desuden har vi defineret emner for YLKB-artikler til DSKBNyt året ud, herunder en spørgeskemaundersøgelse til introlæger om deres motivation for at vælge klinisk biokemi som speciale.

Vi ønsker som bestyrelse at arbejde med emner, der optager yngre læger i specialet. Hvis du som medlem af DSKB har forslag til emner, som du mener, at YLKB skal fokusere på, eller opgaver inden for specialet, som med fordel kan løses af yngre læger på tværs af regionerne, er du altid velkommen til at rette henvendelse til YLKB-bestyrelsen.

Vi har i YLKB-bestyrelsen lavet en opdateret kontaktliste over yngre læger i klinisk biokemi i landet, så vi har mulighed for at formidle informationer ud til alle interesserede yngre læger. Vi vil via denne kontaktliste blandt andet sende referater og opdateringer fra YLKB’s bestyrelsesmøder, så medlemmerne kan følge med i, hvad der rører sig. Vi vil løbende arbejde på at holde kontaktlisten opdateret.

Du kan finde flere informationer om YLKB og bestyrelsen på DSKB’s hjemmeside under fanen Uddannelse.

Med ønske om et godt nyt år og godt samarbejde.

YLKB-bestyrelsen

Den korte, snedækkede rute fra stationen til mødelokalet på Kolding Bibliotek.

Nyt om navne – 1, 2026

Nye medlemmer af DSKB

Annie Ingerslev Biokemiker

Kathrine Bohn Faldborg Læge

Navn Efternavn Stilling Region Hospital

Bidrag til ‘Nyt om navne’ kan sendes til Bent Lind: e-mail: bent.struer.lind.01@regionh.dk

Dansk Selskab for Klinisk Biokemi www.dskb.dk

DSKB-Nyt redaktionsgruppe

Redaktør Birgitte Sandfeld Paulsen birgitte.paulsen@rn.dk

Redaktionsgruppemedlem

Lene Rosenberg lene.rosenberg2@rsyd.dk

Formand Mie Samson miesamso@rm.dk

Webredaktør Elke Hoffmann-Lücke elkehoff@rm.dk

Redaktionsgruppemedlem Anders Mønsted Abildgaard andeabil@rm.dk

Redaktionsgruppemedlem Bent Lind bent.struer.lind.01@regionh.dk

Redaktionsgruppemedlem Christina Munch Jensen christina.munch.jensen@regionh.dk

Redaktionsgruppemedlem

Signe Toräng sitor@regionsjaelland.dk

Turn static files into dynamic content formats.

Create a flipbook