Victory Over Cancer! - Part 1 - Making the Unthinkable Possible - Chinese

Page 1

战胜癌症! Dr. Rath HealthFoundation MatthiasRath(医学博士) AleksandraNiedzwiecki (博士) 第1部分: 变不可能为可能
战胜癌症! – 第1部分 –变不可能为可能
4 战胜癌症! 第1部分 – 变不可能为可能
电子邮箱:info@rath-eduserv.com
版权所有。由加利福尼亚州圣克拉拉健康基金会Rath博士负责发行;邮编:95050。 除私人和非营利性教育目的,不得使用这本书任何一部分的内容。 免责声明: 本书内容不能代替医嘱。 读者应针对自身存在的健康问题,定期向医生咨询,尤其是需要诊断或就医的症状。 作者和出版商不对本书所包含信息直接或间接引发的不良反应负责。
第一版 © 2012 年。Matthias Rath博士和Aleksandra Niedzwiecki博士著。 ISBN978-94-92173-20-1 发行商: Rath博士 Education Services B.V. Postbus 656号NL-6400 AR Heerlen 电话:0031-457-111 222 传真:0031-457-111 229
books@rath-eduserv.com 互联网访问:www.rath-eduserv.com
5 战胜癌症! – 第1部分 –变不可能为可能 MatthiasRath博士 AleksandraNiedzwiecki博士
6 “我们将会活到不必再像犯人一样被监视着数出‘二 加二等于四’的那一刻。” 贝托尔特•布莱希特(BertoltBrecht), 《加利利的生活》(LifeofGalilee)
7 目录
9
17
引言 . . . . . . . . . . . . . . . . . . . . . . . . . . . . . . . . . . . .
第I章 . . . . . . . . . . . . . . . . . . . . . . . . . . . . . . . . . .
事实上,我们都无法忽视它
第II章 . . . . . . . . . . . . . . . . . . . . . . . . . . . . . . . . . . 45 癌症自然控制的医学突破
177
第III章 . . . . . . . . . . . . . . . . . . . . . . . . . . . . . . . . 109 科学事实使得这种突破变得不可逆转 附录 . . . . . . . . . . . . . . . . . . . . . . . . . . . . . . . . . .
重要文档
战胜癌症 – 第 1部分: 变不可能为可能 8
MatthiasRath 博士 AleksandraNiedzwiecki 博士
引言 引言 人类历史上只有一次发现了使癌症能够得到自然控制。 这本书就记录了这一发现。 这种自然控制的突破使得走在潜在细胞机制探索道路上的先驱科 学家在基础研究水平上证实了新的治疗方法,并最终获得癌症患 者的临床证据支持。 这本书就是这些先驱科学家书写的报告。 本书作者之一MatthiasRath博士发现了控制癌症的新型自然方 式。AleksandraNiedzwiecki博士整合了这次医学突破的科学证 据。 “战胜癌症”并非人类自愿获得的一种成就。人类必须消除自身 对癌症的恐惧,获得在世界上生存的权利。将这一基本权利变为 现实的斗争正在上演。 就是现在。 9
值得注意的是,为了实现“战胜癌症”,人类无需发明新的高科 技方法。有效预防、控制并最终消灭癌症的重大突破是在对微量 营养素的关键作用获得新认识的基础上完成的。 事实上,微量营养素在控制癌症方面发挥了重要的作用。然而, 到目前为止这一点尚未被世人所知,也就更不用说应用微量营养 素对癌症进行流行病学控制。上述内容绝非巧合。这一点被刻意 忽视,从而保全了医药投资企业的利益。 一般来说, 疾病在医药商业利益的驱使下已经成为专利药物的市 场,然而令人震惊的癌症值得我们思考。“癌症”诊断在人类的 认识领域中已经被视为一种“死亡判决”,而这并非巧合。对于 死亡的恐惧使得数以百万的癌症患者理所当然地接受任何治疗程 序,即便是可疑的治疗程序(包括高毒性化疗)。 这份报告将会终结这一谬论,从而帮助人类从对“治病”医药“ 商业”致命的依赖性中解脱。 战胜癌症是医学界的伟大进步之一。150年前,路易•巴斯德( Louis Pasteur)发现了“微生物是传染病的病因”,从而为控制 多种困扰人类数千年的流行病铺平了道路。25年后,他的理论才 最终被接受。 正如哲学家亚瑟•叔本华 ( Ar thu r Sch op enh auer) 指出的那样 “ 所有浮出水面的真理都需要经历三个阶段:第一阶段,被嘲笑; 第二阶段,遭受反对;第三阶段,被人们接受并被事实所验证, 而成为显而易见的真相。” “战胜癌症”的关键发现其实在二十多年前就已经完成。当时, 我们努力说服大型制药公司承诺“消灭癌症是徒劳的”。现在回 战胜癌症 – 第 1部分: 变不可能为可能 10
想起来,这一点不足为怪。这是因为这一发现威胁到了价值数十 亿美金的化疗药物市场。 然而,我们并没有放弃,我们花了大约十年的时间在我们自己位 于加利福尼亚州的研究所进行研究,并于1999年发起了一项综合 性癌症研究项目。 截至2001年底,我们获得了第一个经研究证实可以通过自然的手 段控制癌症疾病的关键步骤。我们决定与全世界分享这个能拯救 生命的信息。2002年3月8日,我们在全球发行量最大的报纸《 今日美国》(USA Today)上用整个版面公布了这一医学突破。 这一对人类健康具有重大意义的突破或许是基于现状对强烈反对 呼声最好的裁决。在过去的十年里,制药游说领域上百次采用法 律手段对这一突破发起攻击,结果都无济于事。如今,本书的问 世证实了我们是正确的。 引言 11 作为本书的作者,我们首先要感谢研究所的研究团队,尤其是癌症研究组 组长Waheed Roomi博士(左二)。
这本书将激发数百万人采取行动终结对这种“将利润凌驾于生命 之上”的经济利益的毁灭性依赖。 这本书将打破人类对“癌症流行性投资业务”的心理依赖。这将 激励人们与其他疾病斗争并获得类似的突破,从而为当今数十亿 人类和后代建立一个新的、独立的全球卫生保健体系。 加利福尼亚州圣克拉拉,2011年秋 Matthias Rath 和 Aleksandra Niedzwiecki 战胜癌症 – 第 1部分: 变不可能为可能 12
引言 13 上图: 2002年 3月 8日我们在 USA Today 发表关于癌症自然控制突 破内容的复印文本。我们希望通过向公众直接展示这些信息使整个世 界都能了解它。
星星在红色背 景下还会 如此耀眼吗? “科学如艺术”是August Kowalczyk提出的想法。 “星星在红色背景下还会如此耀眼吗?” 是宫颈癌细胞经历自然死亡(自杀)的微观图像。 这张照片是 Rath博士在研究所拍摄的。 欲参观整个研究所,请访问 www.dr-rath-humanities-foundation.org/exhibition/index.html.
事实上,我们都无 法忽视它 第一章.
事实 #1: 癌症是当今世界的第三大死亡原因 • 21世纪初,癌症仍然是地球上最主要的死亡原因之一。 •据世界卫生组织统计,全世界每年有约750万人死于癌症,这 一数字仅次于因患传染病而死亡的人数。 •在美国、加拿大和欧洲,这一数据更为惊人-每年有约560万人 死于癌症。这意味着,在北美和欧洲各地,约有三分之一的人 死于癌症。 最为重要的是,每一个统计数 据都代表一个生命死亡。 战胜癌症 – 第1部分: 变不可能为可能 16
第一章-事实上,我们都无法忽视它 17 癌症 癌症 心血管疾病 心血管疾病 其他疾病 其他疾病 传染性疾病 传染性疾病 A. 全世界每年有约750万人死于癌症。 B. 在北美和欧洲,每年约有560万人死于癌症。 参考文献:世卫组织2008年的死亡率统计 世界卫生组织(WHO)的癌症死亡数据统计
癌症流行病的死亡规模 21世纪初,癌症仍然是人类最普遍的流行病之一。要想描绘出 这种疾病的整体规模,几乎是不可能的。我们能做的是使用具象 的维度,得出每年因癌症死亡的人数,并与世界上最大城市的人 口进行比较。 全世界每年约有750万人死于癌症。与之相比,以下是世界上一 些最大城市的人口数量:东京890万,墨西哥890万,纽约840万 ,拉各斯(尼日利亚)800万,伦敦780万,利马(秘鲁)760万 ,香港700万,曼谷(泰国)700万,开罗(埃及)680万以及里 约热内卢(巴西)630万。 想象一下,假如你居住在以上其中一座城市,你必须从城市的一 端驱车前往城市的另一端,城市中各个角落的人们将由于这种无 法战胜的疾病而死亡。在过去50年间,有3亿多人死于癌症,这 相当于美国的人口总数。 除了难以想象的生活成本之外,癌症还为每位患者、每个群体和
战胜癌症 – 第1部分: 变不可能为可能 18
国家都带来了严重的经济负担。仅2010年一年,全球肿瘤药物的 成本就达到560亿美元。除去所有医疗费用,癌症流行病的经济 影响仍然惊人,达8950亿美元,这是迄今为止所有疾病中最大的 经济成本第四章第2部分将就这一问题予以详述。
第一章-事实上,我们都无法忽视它 19 全世界每年的癌症死亡人数相当于世界上一些最大城市的人口数量 。在过去50年间,即“化疗时代”,癌症死亡总人数相当于美国的 人口总数。 纽约 东京 里约热内卢 伦敦 美国 人口超过3亿 癌症死亡规模的具象比较:
战胜癌症 – 第1部分: 变不可能为可能 20 将全球癌症死亡人数转换为城市规模 • 北京 • 重庆+ 太原 • 西安+ 广州 • 武汉+ 南京 • 济南+ 其他四个同样大小的城市 在前几页中,我们比较了全球癌症死亡规模与大城市人口总数。 但是,由于癌症会发生在国家的各个地方,本页比较了全球癌症 死亡规模与英国大多数城市的人口,可能也包括你的家乡。 全球年均癌症死亡人数 750万 250万 500万 • 长春+ 其他三个同样大小的城市 • 淮北+ 其他七个同样大小的城市 与英国的城市相比
第一章-事实上,我们都无法忽视它 21 设想一下, 假如找到有 效的癌症治 疗方法,可 以挽救多少 生命! • 伦敦 • 香港 上图中每列均代表每年死于癌症的大致总数。绘制以上图表不 仅是为了强调这种疾病的影响规模,更重要的是为了阐明寻找 解决方案的紧迫性! • 东京 • 洛杉矶+ 芝加哥
事实 #2: 尽管各家媒体大肆宣传医学上取得了“突破” ,实际上癌症仍在持续蔓延。 这意味着什么? •如果患病人数仍在增加,这意味着人类尚未发现控制这种疾病 的机制,或者控制这种疾病的机制尚未在医疗实践中得到应用 。 •过去50多年以来,放化疗等常规方法被用于治疗癌症患者, 但其显然尚未很好地遏止癌症流行。 •因此,放化疗不再被认为是治疗癌症的有效方法。 •因此,我们迫切需要新的更有效的方法来控制癌症流行! 战胜癌症 – 第1部分: 变不可能为可能 22 6 September, 2008
第一章-事实上,我们都无法忽视它 23 1970 2000 美国统计数据;较发达国家的统计数据。 资料来源:美国医学协会杂志,2005年。 癌症患者 年龄 50 - 59 癌症患者 年龄 60 - 69 癌症患者年龄 70 - 79 1970年至2000年间不同年龄段癌症患者的死亡率
事实 # 3: 放化疗的作用机理是在麻醉整个人体后,杀死 癌细胞。 过去50年来,传统医学通过放化疗来抗击癌症,得出了一种常见 的治疗效果:即在杀死癌细胞的同时,也杀死了数以亿计的健康 细胞。这种高致毒疗法对人体所有细胞都造成了不同程度的损伤 。换句话说,这相当于“鸟枪法”。 更糟的是,化疗特别影响人体中快速增长的健康细胞,例如免疫 系统的白细胞。因此,当癌症患者体内最需要有效防御时,免疫 细胞已被这种高致毒疗法全面破坏了。 即使外行的人也可以理解,如果存在相关药物,那就无需采取这 种“鸟枪法”了。这表明由于人类尚未了解发病原因和途径,无 法研发针对特应性靶向异常细胞(即癌细胞)的药物。 采用“鸟枪法”治疗疾病反映出医学界的绝望。为了让患者麻痹
战胜癌症 – 第1部分: 变不可能为可能 24
而构建虚假的希望,使用放化疗这种本质上无效的疗法。过去50 多年的实践证明,这样的传统癌症疗法是失败的。
第一章-事实上,我们都无法忽视它 25 癌细胞 健康细胞 化疗 放疗 传统癌症疗法陷入僵局 放化疗在杀死癌细胞的同时,也杀死了患 者体内的健康细胞。
事实# 4: 化疗的高致毒性 “化疗”是指使用一系列高致毒化学药品以期治疗世界各地数百 万癌症患者、并声称有治愈希望的疗法。化疗所使用的药物中, 一些是人类目前已知的最具毒性的化学物质。第一种化学药物直 接来源于“芥气”,这是第一次世界大战中用作化学武器的军用 毒剂!如今,这种致命气体的衍生物仍被用于治疗癌症患者,如 二氯甲基胺、环磷酰胺、苯丁酸氮芥和异环磷酰胺。 除了这些芥气衍生物之外,还有几种其他高致毒化学药品被用于 治疗癌症患者。所有这些化学药品的共同特性是破坏细胞核中的 遗传分子(DNA),并中断体内每个细胞的其他必要生物反应。 美国癌症协会曾发表针对癌症患者的“安全注意事项”,这也也 证明了化疗的毒性作用。甚至,医务工作者也被提醒他们在处理 化疗药物时面临的健康风险。这些风险包括DNA损伤、新生儿缺
患者的皮肤分泌物、尿液、粪便、甚至泪液、精液和阴道分泌物 也会对其他人构成毒性威胁。特别危险的人群包括患者的家庭成 员、护理人员及接触化疗患者的任何人。 战胜癌症 – 第1部分: 变不可能为可能 26
陷、引发新癌症和器官损伤。因此,医务工作者们“在准备和进 行化疗时,必须佩戴专业手套、护目镜和防护服” (www.cancer.org)。
第一章-事实上,我们都无法忽视它 27 芥气分子。在第一次世界大战中,约三分之一的战士接触芥气后死亡。 医务工作者进行化疗时必须佩戴极厚的手套,以保护自己免受毒 性损伤(左图)。右图为未戴防护手套的情况下化疗物质溢出而 造成的损伤。 因销售供化疗使用的防护手套和废物处理设备,业界所有公司实 现了蓬勃发展。 化疗的可怕毒性
化疗的损伤性副作用 很多其他输液药物通过手臂静脉注入患者体内。然而,由于化学 物质会立即“燃烧”血管壁、进而导致严重的组织损伤和炎症, 这种方式并不适用于大多数化疗药物。 但是,要将这些物质施用到癌症患者体内,必须使用专业的输注 装置,即“希克曼(Hickman)导管”。这种专业导管需要直 接插入患者的上腔静脉中。上腔静脉是人体内最大的静脉之一, 位于右心房附近。由于静脉直径较大(约1英寸),这种高浓度 化学物质不会直接接触血管壁,而是通过血流稀释直接进入右心 室。 由于这些毒性化学物质的作用机理是在患者体内循环数小时、甚 至数天,从而破坏细胞,因此也就无需奇怪为什么“化疗”会给 患者带来严重的副作用。这些副作用包括: 战胜癌症 – 第1部分: 变不可能为可能 28 •破坏骨髓(骨髓是形成血细胞的 位置),进而导致 -免疫细胞受损 -感染率增加 -贫血 -出血过多 •器官损伤 -心脏损伤,气短、水肿、 心律失常 -肺部损伤、呼吸问题、发烧 -肝脏损伤和肝功能衰竭 -肾脏损伤和肾功能衰竭 -大脑损伤、记忆丧失、 精神萎靡、抑郁 -视力和听力受损 -损坏整个消化系统, 造成口腔溃疡、呕吐和腹泻 -不孕 -体重下降、厌食 -脱发 •触发体内各处生长新癌症细胞 -死亡
第一章-事实上,我们都无法忽视它 29 希克曼(Hickman )导管: 大多数化疗药物毒性极强, 需通过这种专业装置才能被 递送到患者体内。 希克曼(Hickman)导管简介
为什么癌症患者自愿接受这种毒性极强的疗 法呢? 在阅读前几页的时候,我们的读者可能会自问:怎么会有患者自 愿将这种有毒化学物质注射或输入到体内呢? 更重要的是,在过去50多年里,人类怎么会允许这种有毒疗法成 为癌症的标准通用疗法呢? 答案显而易见:患者一旦被确诊为“癌症”并被告知最坏结果为 死亡,就会立刻陷入恐惧和绝望的心理状态。这种状态反过来使 得患者容易接受任何“疗法”-即使治疗本身是就是潜在致命的 。只要可以延迟死亡,哪怕只能延迟很短的时间,他们也会接受 。 更严重的是,对于很多类型的癌症,已经确定化疗并不会延长患 者的生命。包括前列腺癌、皮肤癌(黑素瘤)、膀胱癌、肾癌、 胰腺癌等。换句话说,这些癌症患者即使接受了化疗,其预期生 命也与未接受化疗的患者一样,毫无作用。* 战胜癌症 – 第1部分: 变不可能为可能 30 * www.ncbi.nlm.nih.gov/pubmed/15630849
第一章-事实上,我们都无法忽视它 31 1. 对癌症致死的恐惧是接受化疗等潜在致命性 疗法的前提。 2.只要患有癌症还基本上等同于被判死刑,对 毒性化疗的投资业务就不会停止。 3.任何将癌症变成可控疾病的医学突破将一定 会消除与癌症相关的“死亡威胁”,从而使 数百万患者解除对毒性化疗的致命依赖。 4.考虑到过去50多年以来,患有癌症仍然等 同于被判死刑,我们迫切需要探寻新的科研 方向,从而结束与癌症的心理抗战。
事实# 5: 致毒化疗药物增加患者对其他药物的需要, 产生数十亿美元的销售额。 化疗药物的毒性不仅会损害人体内的一些器官,还会损坏所有器 官和细胞系统。对于大多数患者,每个化疗疗程不仅会带来剧痛 ,还会引发许多新的健康问题。一些“副作用”甚至会持续终身 ,例如,对器官造成的不可逆损伤。 为了应对化疗的这些副作用,医生会开出一系列药物,以减轻这 些副作用症状。在化疗期间和之后最常用于癌症患者的药物类别 包括: •不同类型的抗生素,针对免疫系统受损造成的频繁感染。 •止痛药,包括吗啡,用于减轻与人体化学药品中毒相关的难忍 的疼痛。 •类固醇和所有其他炎症药物,用于减轻化疗引发的关节和其他 器官甚至全身炎症。 •抗抑郁药和其他精神药物,用于帮助患者应对化疗造成的身体 创伤和心理创伤。 此外,目前还有无数医疗方案试图修复化疗药物引起的严重损伤 ,包括骨髓、肝、肾和其他器官的移植。 战胜癌症 – 第1部分: 变不可能为可能 32
第一章-事实上,我们都无法忽视它 33 化疗的毒性衍生出许多“副作用 疾病”,需使用许多处方药和强 化医疗方案进行治疗。 右图:在过去几十年里,若干相 关手册被出版,供患者和护士参 考如何控制放化疗的副作用。 化疗的毒性 滋生更多药 物需求。 • 止痛药 • 类固醇/可的松 • 其他抗炎药 • 抗生素 • 输血 • 抗抑郁药 • 许多其他药物 由多种“副作用疾病”引发的新型癌症药物市场 {
事实# 6: 很多处方药物可致癌 如上一页中所述,由于化疗的毒副作用,我们需要更多的处方药 才能减轻所谓的“副作用疾病”。但是,你还应该知道,用于各 种疾病的处方药物中,几乎有一半药物被美国政府列为“致癌性 (诱发癌症)”物质。 其原因是药物是合成的,即人工化合物,而非天然物质。因此, 人体无法识别,也无法轻易中和消除。大多数药物会对细胞的 DNA造成损伤,从而诱发癌症。 那么,为什么大多数处方药物不是天然化合物而是合成化合物呢 ?本质上是由于药物的专利性所致。制药行业需从新合成化合物 的巨额专利费中获利,这也是癌症的流行产生了商业利益的原因 。我们将在第五章中进一步讨论这一问题。 许多处方药物可致癌这一事实是众所周知的,很多临床研究和政 府报告中都有记录。对开页中列出了最易诱发癌症的处方药类别 ,其他强致癌物质包括雌激素等。避孕药中含有的雌激素,作为 “激素替代疗法”被用于数以百万计的更年期妇女。 战胜癌症 – 第1部分: 变不可能为可能 34
第一章-事实上,我们都无法忽视它 35 美国政府报告: 很多被广泛使用的药物可致癌,占所有化学物质的40%以上。 不同类别的处方药物可在不同程度上引发癌症: • 87%的抗癌药物可诱发新的癌症。 • 50%的抗生素可致癌。 •60%的抗抑郁药和精神障碍药物有可能致癌。 •几乎所有的免疫抑制剂都会促进癌症发展。 •许多其他药物也被列为致癌性药物,包括抗溃疡药物和抗过 敏药物等。 资料来源: •国立卫生研究院,关于致癌物的第 9次报告,2001年 •国立卫生研究院,关于致癌物的第 11次报告,2011年 •美国卫生及公共服务部,关于致癌 物的第7次年度报告,1995年 很多被广泛使用的处方药物可致癌

型的癌症,放化疗根本没有任何优势。对于某些类型的癌 症,疗效微乎其微。这种短期疗效是以患者承受剧痛和生 活质量急剧下降为代价的。

因此,客观事实要求我们寻求一种全新的癌症疗法,这种 新的疗法必须建立在了解癌细胞的自然调节之上。有效控 制癌症的关键在于通过自然药物干扰和调节癌细胞的生物 功能障碍,同时不得影响健康细胞。

一旦完成这一突破,就可很大程度上消除癌症这种致死致 残的疾病。

事实# 7: 这种任意杀死癌细胞的失败“疗法”将被 现代“细胞调节”疗法取代 20世纪的抗癌历程将会终结。尽管无数媒体报道称已在癌 症“治愈”方面已取得突破,但是癌症依然在全球蔓延。 主要常规疗法(放化疗)是基于任意破坏和杀死数亿个癌 细胞的方式,以期根除癌症。 统计数据证明,这种“致毒”疗法是无效的。对于许多类
战胜癌症 – 第1部分: 变不可能为可能 36
第一章-事实上,我们都无法忽视它 37 战胜癌症的关键之处在于: 用调节疗法替代致毒疗法 有毒化学药物 反射性物质 自然调节: • 抑制肿瘤生长 • 抑制癌细胞转移 • 封闭肿瘤 • 选择性地消除癌细胞 用调节疗法替代致毒疗法
战胜癌症 – 第1部分: 变不可能为可能 38 21世纪初,世界各地的医务室和医院上演着同样诡异的戏码: 患者被诊断为“癌症”,他们痛苦地表达自己的想法,思绪在无 奈和绝望之间切换。同时,也上演着另一幕。 “医生,多长时间能治好?”
第一章-事实上,我们都无法忽视它 39 医生拍拍患者的腿,夹杂着安慰、鼓励和希望。当然,医生没有 传达虚假信息-在很大程度上,癌症仍然和一个世纪前一样,等 同于死亡判决。现在是时候改变了!
战胜癌症 – 第1部分: 变不可能为可能 40
第一章-事实上,我们都无法忽视它 41 在接下来的章节中, 我们将带您踏上非凡的健康之旅! 您会明白, 生物科技才是 “战胜癌症” 的法宝!
紫色海岸 August Kowalczyk提出“科学就是一种艺术”。 “紫色海岸”是肾脏组织经胶原蛋白染色后的微观图片。 本图片由Rath博士研究所拍摄。 欲查看全部图片,请点击: www.dr-rath-humanitiesfoundation.org/exhibition/index.html
癌症自然控制的 医学突破 第二章.
战胜癌症 第1部分:变不可能为可能 44 Rath博士-引言 本章中所提及的发现是20多年前的。对开页所示为1992年初我 以“纤溶酶诱导性蛋白水解”为题发表的一页手稿。其中首次阐 述了癌症扩散的关键机制是胶原蛋白水解,而这一过程可被天然 物质阻断。诺贝尔奖得主LinusPauling支持本结论,并指出将这 一发现应用到医学领域可自然控制癌细胞扩散! 本发现发表后不久,“胶原蛋白水解”即成为很多科学会议上的 关键议题。此外,很多制药公司争先找到这种机制的合成阻滞剂 ,以期抢先申请专利。十年后,即2002年5月12日,《旧金山纪 事报》发表了一篇题为“误诊”的文章,描述了医药行业这场戏 剧性的竞争,该报道称医药公司争先恐后地寻找“抗癌圣杯”。 然而,制药公司失败了。如果制药公司认为最后可能会损失数百 亿美元,那么他们很容易放弃研究。几十年来,癌症一直是制药 业最盈利的市场之一,终结癌症流行对他们来说是一种不利因素 。因此,当时放弃寻找 “抗癌圣杯”对于致力于药物投资业务的 制药公司来说并不是一个困难的决定。 但是,“Genie”却是个例外情况。为了解决这一问题,他决定 在下一个十年致力于实现这个医疗突破(另见第四章)。但是, 他们的努力却以失败告终。本书为全人类提供了“抗癌圣杯”。
第二章-癌症自然控制的医学突破 45 纤溶酶诱导性蛋白水解及载脂蛋白(a)、 赖氨酸和赖氨酸合成物的作用 MatthiasRath和LinusPauling 分子医学期刊(JournalofOrthomolecularMedicine), 1992年, 7, 17-22 全文见附录
战胜癌症 第1部分:变不可能为可能 46 本章中将学到哪些内容? •癌症不再是一种神秘的疾病。任何人即使没有任何专业的医学 背景,也可了解癌症的发展和控制机制。 •癌症可以由许多因素引起,但是却以同一种方式扩散。各种类 型的癌细胞均通过癌细胞周围结缔组织的水解扩散。 •突破周围结缔组织(例如,胶原蛋白)的限制是癌细胞生长、 转移和发展成致命疾病的前提条件。 •癌细胞通过产生数量不可控的酶或生物催化剂,破坏这种屏障 。这些小的蛋白像“生物剪刀”一样,为癌细胞在体内移行创 造了条件。 •无论癌细胞来源于哪个器官,所有癌细胞均需使用相同的胶原 蛋白溶解酶扩散。 •癌细胞产生的“生物剪刀”越多,癌症的侵袭性和恶变性就越
)条件下,细胞也使用这种酶在体内移行,包括白细胞,保护 身体免受感染,也在女性月经周期的排卵过程中保护卵细胞。 •因此,癌细胞会模拟和滥用身体在正常条件下使用的自然机制 。但是,正常情况下胶原蛋白溶解酶是严格控制的,而癌细胞 会毫无控制地生产这种像“生物剪刀”一样的溶解酶。
强,扩散速度就越快。通常,患者的预期寿命就越短。 •这种像“生物剪刀”一样的酶并不限于癌细胞。在正常(生理
第二章-癌症自然控制的医学突破 47 •癌细胞模仿正常生理机制,容易逃避我们身体防御系统,这也 解释了为什么癌症的侵袭性如此之高。 •更重要的是,我们了解到一些天然饮食分子(微量营养素)能 够阻断这种生物剪刀酶,适当摄取微量营养素能抑制结缔组织 水解和癌细胞扩散。 本书提供的十分通 俗易懂的信息将会 很快成为生物学的 一部分。
战胜癌症 第1部分:变不可能为可能 48 首先简单了解一下癌细胞 通常,体内的细胞被嵌到胶原蛋白和其他结缔组织分子的网格中 ,保持在适当的位置。而癌细胞要生长成肿瘤、扩散到整个身体 ,需要克服这种结缔组织的限制。为此,每个癌细胞都会生成“ 生物剪刀”酶(或生物催化剂),水解癌细胞周围的结缔组织。 癌细胞只要存活,就会产生这些极具破坏性的酶。然而,由于癌 细胞本质上来讲不会消亡,癌症也可被描述为一种逐渐消化人体 的疾病。 对开页中的插图显示了真实癌细胞在电子显微镜下放大到正常大 小6500倍的情况。这种类型的细胞被称为癌细胞,来源于上皮细 胞,分为体内表面(即,肺和肠)上的上皮细胞和体外表面(皮 肤)的上皮细胞。 在这种高放大倍数下,我们可清楚地看到所有癌细胞的一些共性 :1)细胞核巨大、形状异常,表明癌细胞增殖速率高;2)细胞 表面结构复杂、不均匀,表明癌细胞产生的物质分泌活性高。 其中,胶原蛋白“剪刀”溶解酶是癌细胞大量分泌的分子中最为 重要的一种,通常会以红色“吃豆子”(pacman:一种游戏) 样的结构存在。
第二章-癌症自然控制的医学突破 49 所有癌细胞都会生成 “生物剪刀”酶
战胜癌症 第1部分:变不可能为可能 50 纤溶酶原激活物 (尿激酶) 本生物链式反应即是体内 结缔组织的水解过程。 结缔组织水解的生物“链式反应” 当然,实际生活中,这种“吃豆子”样的结构能够切断胶原纤维 和其他结缔组织分子的生物分子与蛋白质。上图不仅显示了一种 “吃豆子”样的结构,还包括纤溶酶原/纤溶酶和金属蛋白酶 胶原蛋白溶解酶的生物剪刀作用
第二章-癌症自然控制的医学突破 51 纤溶酶原 金属蛋白酶(MMPs) 结缔组织溶解 (彩色三维结构图示)等多种结构。这些结构会通过生物“链式 反应”彼此激活。
战胜癌症 第1部分:变不可能为可能 52 细胞是如何在体内移行的? 如果想了解疾病是如何传播的,那么首先要看看健康细胞在体内 移行的方式。红细胞存在于血液中,会跟随血液移行,这很容易 理解。但是,我们很难想象来自其他器官的细胞如何穿过结缔组 织形成的障碍在体内移行。 为了能够穿过结缔组织,细胞必须能够暂时溶解周围的组织,如胶 原蛋白和弹性纤维。在此过程中,细胞需分泌“生物剪刀”酶,溶 解周围的胶原蛋白,方可穿过致密组织进行迁移。这就是为什么这 些蛋白质分子被称为结缔组织溶解酶,或简称胶原蛋白溶解酶。 为了便于理解,本书将用红圈或“吃豆子”结构来表示这种胶原 蛋白溶解酶。 对开页中的插图显示了胶原蛋白溶解酶在细胞中的生成过程(图 A)。细胞分泌这种酶后,会“攻击”和消化周围的胶原纤维。 在此过程中,细胞会在致密的结缔组织网格中建立“环孔”,以 此通过结缔组织(图B)。 在下面几页中,我们将为您提供一些示例,说明在正常(生理) 条件下体内如何应用这种生理机制。
第二章-癌症自然控制的医学突破 53 A 细胞核开始生成胶原蛋白溶解酶 酶攻击胶原蛋白 和其他结缔组织 酶暂时水解细胞周 围的结缔组织,进 而为细胞在体内移 行创造条件。 细胞内生成这 种酶并分泌到 细胞外 细胞穿过我们体内的组织和器官 B
战胜癌症 第1部分:变不可能为可能 54 排卵期间的胶原蛋白水解 女性体内的排卵过程是人体利用胶原溶解机制最重要的功能之一 。女性每月的周期性激素变化会刺激卵巢内成熟卵细胞(卵泡) 周围的某类细胞(粒细胞)。 在激素(例如雌激素)的影响下,这些细胞开始产生胶原溶解酶 中富含的大量液体。在女性生理周期的中期,成熟卵细胞周围有 丰富的胶原溶解酶,导致卵巢壁的胶原组织松弛并形成孔状开口 。当这个开口足够大时,卵细胞就能够通过小的连接通道(输卵 管)进入子宫。 显然,这种机制需要精确定时控制,并仅限定在特殊位置。在这 种机制下,每个月经周期仅有一个卵子进入子宫。因此,这种机 制必须保证胶原蛋白溶解酶时刻保持在生理平衡状态,以及时阻 断酶的水解作用,启动组织的自愈功能。 卵细胞离开卵巢后,体内的酶阻断剂会阻止胶原蛋白溶解酶的活 性。这种转变使得体内开始趋向胶原蛋白产生机制,控制胶原蛋 白的溶解过程。在此机制下,卵巢壁的组织可以快速愈合和闭合 。四周后,重复整个过程。
第二章-癌症自然控制的医学突破 55 子宫 输卵管 卵巢 在激素影响下,胶原蛋白溶解酶暂时达到峰值,使得卵巢组织开启几 秒,让卵子离开卵巢进入子宫。 排卵:成熟的卵 子通过卵巢壁, 并开始进入子宫 卵巢内的视图: 卵巢壁内的 视图: 排卵的细胞机制
战胜癌症 第1部分:变不可能为可能 56 关于本机制的详细内容 要知道,本书很难囊括所有健康信息。但是,为了了解疾病的病 因和方法,我们必须学会从细胞的角度思考问题所在。 对于医务工作人员来讲,由于他们已经熟悉人体在微观水平下的 生理过程,可能更容易理解本书内容。而对于非专业人员来讲, 理解起来可能比较困难。 鉴于我们希望世界上任何人都可以理解本书内容,我们在书中用 图示等易于理解的方式向读者呈现具体的细胞变化过程。通过阅 读本书,您将踏上探索人体奥秘的神奇之旅。 对开页中显示了排卵过程在显微镜下的图片。 图A 是在成熟卵细胞通过卵巢壁中形成的小孔离开卵巢壁时拍摄 的图片。利用胶原蛋白溶解酶(红色的吃豆子结构),说明了这 一生理过程。 图B 为在高放大显微镜下的卵细胞。卵细胞周围的小突起是粒细 胞,专门用于生成大量的胶原蛋白溶解酶,供排卵所需。
第二章-癌症自然控制的医学突破 57 卵巢 子宫 图A 图B 排卵期间的胶原蛋白溶解 卵泡细胞 粒细胞
战胜癌症 第1部分:变不可能为可能 58 感染期间的胶原蛋白溶解 胶原蛋白的另一种溶解机制发生于人体感染期间。白细胞用于为 人体提供基本保护,防御外来(微生物)侵袭。白细胞的几个亚 组像“警察细胞”一样,在免疫系统中发挥特殊的作用。  其中,巨噬细胞尤为重要,能够“吃掉”并消化入侵物质。这些 细胞在不成熟时被称为单核细胞,可通过血液到达人体中各个部 位。如果肺部发生感染,体内会释放“警报物质”,将单核细胞 吸引至肺部感染部位。 人体肺部发生感染时,白细胞随着血液穿过肺毛细血管的血管壁 ,在胶原蛋白溶解酶的协助下进入肺组织。为了到达肺中的感染 部位(例如,由细菌或病毒导致感染),白细胞必须能够穿过肺 组织。为此,需使用胶原蛋白的溶解机制,松动周围的结缔组织 ,像探险队用大刀开路通过丛林一样穿过组织。 正如我们在排卵部分所提及的,细胞通过后,结缔组织会利用酶 的中和机制与组织修复机制再次闭合。 只有酶中和因子保持正常可用状态且生成新的胶原分子时,方可 保证结缔组织能够正常修复。
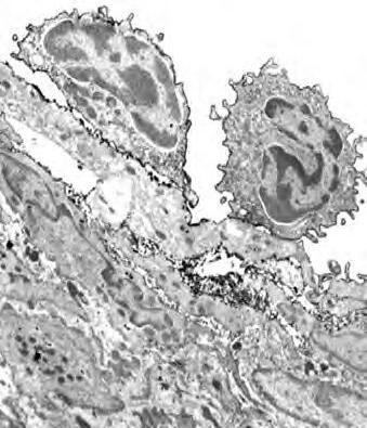
第二章-癌症自然控制的医学突破 59 例如,肺部感染 白细胞通过后,胶原蛋白溶解停止,开始自我修复组织。 细菌 白细胞(“警察细胞 ”)在胶原蛋白溶解 酶的帮助下,离开肺 毛细血管并移向感染 部位。 白细胞利用的胶原蛋白溶解机制是正常情况下 可控的,并且是时间处理十分精确的。 白细胞如何在我们体内移动
战胜癌症 第1部分:变不可能为可能 60 白细胞移行过程的微观视图 A B a) 血液中的白细胞 (白色区域)附着 在血管壁的细胞衬 里(内皮细胞)上 。 b) 白细胞离开血 液,并在胶原蛋 白溶解酶的作用 下“挤压”血管 壁中的通道。
第二章-癌症自然控制的医学突破 61 D C c) 白细胞完全离开 血液,随后血管壁 关闭。 d) 白细胞开始通过 结缔组织,并完全包 围结缔组织。 版权归A. Loesch所有, 获许可印刷。
战胜癌症 第1部分:变不可能为可能 62 组织重建过程中发生的胶原蛋白溶解 正常条件下使用胶原蛋白溶解酶的另一种机制是各种形式的组织重 建过程,例如女性乳房准备哺乳的过程(即母乳喂养)。 女性在怀孕结束准备开始为新生儿哺乳时,激素信号会“告诉”乳 房的细胞开始生成胶原蛋白溶解酶。正如现实生活中的“拆除团队 ”,胶原蛋白溶解酶拆除乳房组织的现有结构,重建“哺乳乳房” ,满足哺乳需要。 对开页中显示了显微镜下女性乳房组织从正常阶段到哺乳阶段的巨 大结构变化。 图A为非哺乳乳房的组织结构,其特征在于乳管(位于图中央)整 体闭合,周围有致密的结缔组织。 与之形成鲜明对比的是,图B为哺乳乳房的细胞(组织)结构,其 特征在于结缔组织输送,存在哺乳所需的腺细胞(小白圈),乳管 开放(位于图中央)。 设想一下,启动该机制重建乳房组织,需使用多少胶原蛋白溶解酶 。 其他涉及胶原蛋白溶解的组织重建过程包括伤口愈合以及身体和器 官的生长。
第二章-癌症自然控制的医学突破 63 图A:正常乳房组织中的乳管(闭合) 图B:哺乳期间的乳管(开放) A. 非哺乳妇女乳房中闭合乳管的微观图片。 B. 为哺乳需要,人体重建乳房组织。 乳管开放供乳汁流出。 胸部胶原蛋白溶解
战胜癌症 第1部分:变不可能为可能 64
第二章-癌症自然控制的医学突破 65 揭开癌症的奥秘
战胜癌症 第1部分:变不可能为可能 66 待解决的问题1: 为什么癌症的侵袭性如此之高? 尽管已经阐述了关于癌症的一些背景知识,但是癌症的本质仍然 是个未解之谜。此外,只要与癌症有关的最基本问题尚未得到解 决,就不可能会有有效的治疗方法。 本书回答了最基本的问题: 1. 为什么癌症是一种侵袭性特别高的疾病? 2. 为什么人体中的某些器官更易患癌? 对开页中以图形形式回答了第一个问题。如果在正常的健康条件 下使用了发病机制,那么体内尚未建立有效的防御机制来对抗这 种发病机制。 白细胞、卵巢细胞和很多其他体细胞在正常(生理)条件下使用 胶原蛋白溶解酶(图A)的产生机制,而癌症则可通过不受控制 的方式扩散,并不受身体防御的干扰(图B)。其中的原因很简 单:癌细胞劫持了健康细胞所使用的相同机制-并且无法得到控 制。 这是首次解释癌症的侵袭性。这种新的理解指出了这种特殊发病 机制的意义,从而可据此有效地自然地控制癌症。
第二章-癌症自然控制的医学突破 67 疾病,比如癌症 (病理状态) 健康(生理条件) 白细胞 卵细胞(卵巢细胞) 结缔组织得到 严格控制 结缔组织 不受控制 癌细胞滥用我们体内的自然机制 图A 图B
待解决的问题2: 为什么某些类型的癌症更常见? 迄今为止,关于第二个问题“为什么某些类型的癌症更常见?” 癌症研究人员和专家(肿瘤学家)尚未给出回答。 我们的研究回答了这个关键问题。癌症尤其易发生在那些在正常 生理条件下使用胶原蛋白溶解机制的器官中。第一类易受影响的 器官是生殖器官,特别是女性生殖器官。因为女性生殖器官会在 一生中会经历反复剧烈的功能(激素)变化和结构变化。 在本章前述部分,我们探讨了女性在排卵和哺乳期间发生的巨大 变化。同样地,子宫和子宫颈也会经历与月经周期和妊娠相关的 组织重建,在这些过程中需要大量的活性胶原蛋白溶解酶。因此 这些器官最易发生结缔组织溶解失控不足为奇,即也最易发生癌 症。 因为同样的原因,男性的生殖器官(前列腺和睾丸)也是最易患 癌的部位。 此外,另外一个特别重要的原因是,我们知道雌性和雄性生殖激 素会刺激生殖器官中产生胶原蛋白溶解酶,而这些激素水平升高 (无论是体内分泌增加还是服用避孕、激素替代药物等激素药物 所导致的升高)都会增加生殖性癌症的风险。 战胜癌症 第1部分:变不可能为可能 68
第二章-癌症自然控制的医学突破 69 哺乳 排卵 怀孕 受孕 生产精子 生产精液 乳房 卵巢 子宫 子宫颈 睾丸 前列腺 生殖器官的癌症 正常条件下使用的胶原蛋 白溶解酶
常见癌症类型-骨癌 另一种经常患癌的器官是我们的骨骼系统。请注意, 事实上骨癌尤其频发于儿童和青少年中。 现在这种现象也可以解释。骨骼在从儿童到成年的生 长阶段,也发生了最巨大的结构改变,骨骼生长也需 要大量的活性胶原蛋白溶解酶。 骨骼伸长并非代表整段骨头各个部分均匀地伸长,而 是会集中在骨头末端靠近关节处的部位。 不足为奇,这一部位(又称骨骺)是大部分原发性骨 癌的起始之处。 战胜癌症 第1部分:变不可能为可能 70
第二章-癌症自然控制的医学突破 71 骨癌的X光片 注:癌症发生于关节附近的骨骼“生长部位”。 儿童的骨癌 关节 骨骼生长部位 (骨骺)
常见癌症类型-白血病 本章前面部分描述了白细胞的独有特征,即能够在胶 原蛋白溶解酶的帮助下在体内组织间移行。 设想一下,如果该过程中一些白细胞变得不正常,就 会不停地破坏结缔组织。 而身患白细胞癌症(也称白血病)时就会这样。 由于白细胞本身能够产生大量的胶原蛋白溶解酶,白 细胞尤其容易诱发癌症。 现在我们也理解了为什么白血病是最常见的癌症之一 。 战胜癌症 第1部分:变不可能为可能 72
第二章-癌症自然控制的医学突破 73 白血病 高放大电子显微镜下的白细胞。用红色“吃豆子”结构表 示持续分泌的胶原蛋白溶解酶。
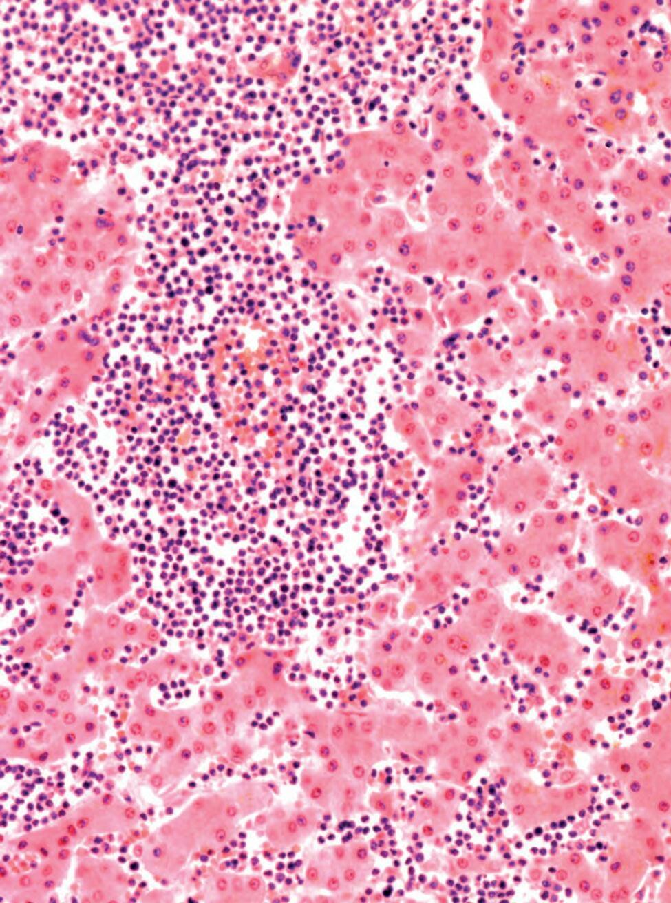
关于白血病的详细内容 一旦癌细胞产生“生物剪刀酶”,将不再受任何屏障所限,可侵 入并慢慢“消化”体内的任何器官结构。 白血病细胞也是如此。事实上,白血病患者主要不是死于生成了 过量的白细胞,而是死于白细胞堵塞了血液循环。 在许多情况下,白血病患者死于各种器官衰竭,尤其是肝脏和脾 脏等“血液过滤”器官的衰竭。数百万的白细胞从血液侵入这些 器官,但是并不会像健康的白细胞那样只是通过血液,而是会产 生大量的胶原蛋白溶解酶,从内部消化这些器官。 对开页显示了白血病患者肝脏的微观横截面,图中每个小紫点是 已侵入肝组织(粉色区域)中的白细胞(在这种情况下是指淋巴 细胞)。 大量的小紫点即代表会产生大量胶原蛋白溶解酶,这就容易想象 白血病对结缔组织和器官造成的损伤程度了。 白血病是细胞机制变化的一个典型示例,白细胞产生胶原蛋白溶 解酶,我们将根据这一原理寻求有效的治疗方案。 战胜癌症 第1部分:变不可能为可能 74
第二章-癌症自然控制的医学突破 75 淋巴性白血病的微观图示 癌性白细胞(淋巴细胞)侵入肝脏,它们产生大量胶原蛋白 溶解酶,破坏器官,最终导致器官衰竭。 显微镜下的白血病
战胜癌症 第1部分:变不可能为可能 76 癌症患者的胶原蛋白溶解 正如我们刚了解到的那样,各种形式的癌症无论来源于哪种器官 ,都是通过滥用胶原蛋白溶解机制扩散的,对开页的插图显示了 肝癌的进展过程。 肝脏是人体的中枢代谢器官,负责中和并去除体内毒素。农药、 防腐剂及许多合成药物等毒素是肝癌最常见的诱因。肝细胞如果 暴露于这些有毒物质下,可能会被永久损伤或损坏。最常见的损 伤形式是导致细胞遗传物质(DNA)发生永久性编序错误。 这种细胞恶性变化标志着癌症过程的开始,通过激活一系列生物 步骤,最终导致癌症全面爆发。其中,以下步骤对癌症的生长和 扩散至关重要。 1.细胞增殖不受控制。 癌细胞变化导致细胞非但不会“死亡” ,还会无限增殖。 2.产生大量胶原蛋白溶解酶。 癌细胞产生的胶原蛋白溶解酶越多,癌症的侵袭性会越强,癌症 蔓延速度越快。如果不停止这种机制,患者的预期寿命会变短。
第二章-癌症自然控制的医学突破 77 肝肿瘤 肝细胞: • 健康细胞(棕色) • 癌细胞(绿色) 癌细胞的细胞核重新排 序,成为“永存”细胞。 癌细胞继续 •增殖 • 并产生胶原蛋白溶解酶 图中所示为肝肿瘤的单个癌细胞使用胶原蛋白溶解酶打开周围结缔组 织通道进行组织扩散。 胶原蛋白溶解酶的产生是任何癌症增长和扩散的先 决条件 - 和癌症从哪个器官产生没有关系。 肿瘤如何发展
战胜癌症 第1部分:变不可能为可能 78 癌细胞如何扩散并侵袭(转移到)其他器官? 当癌细胞移行到体内其他器官或部位形成继发性肿瘤时,胶原蛋 白溶解酶也发挥了重要作用。继发性肿瘤又称肿瘤转移,对开页 的插图显示了肝肿瘤向肺转移的过程。 每个肿瘤周围都包覆有小血管网(毛细血管网),在胶原蛋白溶 解酶的帮助下,单个癌细胞可“刺破”毛细血管壁,进入血液。 一旦进入血液,癌细胞就会像红细胞或白细胞一样跟随血液到达 其他器官。 由于肺支气管中血液循环需用到数亿个毛细血管以保持最佳的血 氧状态,肺部尤其易受癌症转移。肺毛细血管的直径比毛发还小 ,癌细胞很容易附着在这些血管壁上。 由于这些癌细胞仍然会产生大量的胶原蛋白溶解酶,并能够跟随 血液再次穿透肺组织,癌细胞将在肺部继续大量增殖,并发展成 继发性肿瘤,即肺转移。 癌细胞产生的胶原蛋白溶解酶越多,就越容易发生转移。
第二章-癌症自然控制的医学突破 79 肝肿瘤(原发性肿瘤) 癌细胞通过血液 进入其他器官 肝部血管 癌细胞在胶原蛋 白溶解酶的帮助 下进入血液 癌细胞利用胶原蛋白 溶解酶离开血液,形 成转移性肿瘤(图中 所示为肺转移) 转移 (继发性肿瘤) 所有类型的癌症 - 无论原发肿瘤在哪个器官 - 都利用胶原 蛋白溶解酶到达人体内各个器官,从而进行扩散。 癌细胞怎样转移
战胜癌症 第1部分:变不可能为可能 80 继续探索身体奥秘之旅 ... 癌症的转移过程不再是未解之谜。 对开页上的插图显示了高放大显微镜下的癌细胞。 癌细胞在组织内按照移行方向扩散,形成小的“臂状 ”结构沿其表面(这里指的是血管)拖动癌细胞移行 。 图中还显示了胶原蛋白溶解酶可克服癌细胞在移行途 中遇到的任何阻碍。
第二章-癌症自然控制的医学突破 81
继续探索身体奥秘之旅 ... 癌症转移是一个独特的过程,指一个器官的癌细胞驻 留在另一个器官,并在另一器官增殖。 对开页中显示了这种独特机制,我们在肝门静脉内拍 摄到了乳腺癌细胞簇。 一旦这些细胞侵入肝组织,“乳腺肿瘤”将开始在另 一器官(这里指肝脏)内生长。 战胜癌症 第1部分:变不可能为可能 82
第二章-癌症自然控制的医学突破 83 图为显微镜下已发生肝转移(蓝色区域)的乳腺癌细胞 (图中的褐色细胞簇)。如图中所示,乳腺癌细胞已转移 到肝脏血管(门静脉) 内。
战胜癌症 第1部分:变不可能为可能 84
第二章-癌症自然控制的医学突破 85 现在我们已经了解所有癌细胞扩散的关键机 制,但我们尚需寻求一种阻滞方式-阻滞这 一破坏性进程的天然方法!
赖氨酸是一种天然酶阻滞剂 前面几章中,我们了解了胶原蛋白溶解机制促进疾病在体内扩散 的作用。不受控制地激活这种胶原蛋白溶解机制后,将引发癌症 等侵袭性疾病。 在医药领域,只要一种疗法能够暂缓结缔组织的溶解过程甚至减 缓这一过程,均代表巨大成功。由于其在所有抗癌过程中的重要 性,这一治疗目标已被视为“抗癌圣杯”。 请注意,自然本身为我们提供了可阻滞胶原蛋白溶解机制的两大 类分子。第一类是体内的内在酶,可在几分钟内停止胶原蛋白溶 解酶的作用。第二类是酶阻滞物质,来源于我们的膳食或膳食补 充剂。最重要的微量营养素是天然氨基酸L-赖氨酸。当摄取足量 的赖氨酸作为膳食补充剂时,可阻滞胶原蛋白溶解酶结合结缔组 织分子的靶向位点。因此,赖氨酸防止这些酶不受控制地溶解结 缔组织。 对开页中说明了赖氨酸可抑制胶原蛋白溶解酶及胶原蛋白的降解 过程,进而阻滞癌症扩散。 战胜癌症 第1部分:变不可能为可能 86
第二章-癌症自然控制的医学突破 87 赖氨酸是胶原蛋白溶解酶的天然阻滞剂,必须从膳食中获取。 赖氨酸会占据胶原蛋白溶解酶与结缔组织结合的通常靶向位点,防 止其溶解结缔组织。一 旦赖氨酸占据这些靶向位点,胶原蛋白溶 解酶与胶原纤维结合的机会就变小,从而减少组织降解。 赖氨酸因子能够抑制癌细胞造成的结缔组织溶解, 因此可以抑制癌细胞的扩散 赖氨酸是阻断胶原蛋白溶 解酶最有效的天然方式
战胜癌症 第1部分:变不可能为可能 88 赖氨酸的重要价值 人体中的所有代谢功能均由生物语言控制。约20种已知的氨基酸 构成体内全部蛋白质,这些基础功能模块像字母表中的字母一样 。身体内使用各种组合的氨基酸构成无数的生物语言(多肽)和 语句(蛋白质)。单独的氨基酸(字母)也具有重要的代谢功能 ,赖氨酸就是一个典型示例。 人体中的细胞本身可产生大多数氨基酸,这些氨基酸被称为“非 必需氨基酸”。但是,还有9种已知的氨基酸是我们身体所不能产 生的,必须通过饮食供应,这些氨基酸被称为“必需氨基酸”。 像维生素C在维生素族中发挥着重要作用一样,赖氨酸在必需氨 基酸中也发挥着相似的重要作用。赖氨酸的日常需求超过所有其 他氨基酸的需求。除其他功能之外,赖氨酸也是氨基酸肉碱的基 本组成部分,对每个细胞中的能量代谢非常重要。 事实上,人体可储存大量的氨基酸,这也证明了其对人体健康的 重要性。胶原蛋白是骨骼、皮肤、血管壁和所有器官中最丰富、 最重要的结构分子,其中约25%的胶原蛋白由赖氨酸和脯氨酸这 两种氨基酸组成。由于人体非常熟悉赖氨酸的存在,将自动排出 多余的赖氨酸,所以服用大量赖氨酸不会产生不良反应。
第二章-癌症自然控制的医学突破 89 赖氨酸-天然氨基酸 氮原子 氢原子 1 纳米 = 1 百万分子一毫米 (比细胞小10,000倍) 人体中可处理多少赖氨酸? • 一个体重约155磅(70千克)的人体内含有约22磅 (10千克)的蛋白质。 • 蛋白质重量的50%以结缔组织蛋白质、胶原蛋白和 弹性蛋白的形式存在。 • 赖氨酸构成胶原蛋白和弹性蛋白重量的12%,或约 1.3磅(0.5千克)。 • 因此,一个体重约155磅(70千克)的人体内含有 约1.3磅(0.5千克)的赖氨酸。 由于人体已习惯大量赖氨酸的存在,如果癌症患者每 天服用0.4盎司(11.3克)赖氨酸,应该不算过量。 氧原子
战胜癌症 第1部分:变不可能为可能 90 赖氨酸在胶原蛋白溶解平衡和修复中发挥的作用 正如我们刚了解到的,可通过两种方式阻断胶原蛋白溶解酶的活 性,即体内自身的抑制性分子(酶蛋白)和饮食中补充的天然抑 制剂(如赖氨酸)。 体内自身的抑制剂构成第一道防线,确保胶原蛋白和结缔组织在 降解和形成之间达成平衡。对开页的插图显示了体内产生的酶阻 滞剂,以蓝色三角形表示。 赖氨酸分子(以绿色表示)具有同样的作用,构成了第二道防线 。当体内自身防御系统不足时,赖氨酸分子就准备发挥防御功能 。即使大量摄入膳食“阻滞剂,也不会超出作用范围。 对开页的插图还显示了第二个重要事实,即胶原蛋白溶解机制( 以红色表示)和其阻滞机制(以蓝色和绿色表示)之间的平衡。 例如,当体内有感染时,白细胞在体内移行,在体内造成偏向胶 原蛋白水解的短暂失衡状态,使得白细胞通过并抵达感染部位。 一旦细胞通过,健康体内会立刻恢复平衡。 而在癌症患者中,这种平衡被永久性地偏向胶原蛋白水解,内在 的“阻滞剂”不足以组织结缔组织破坏。在这种情况下,高营养 摄入赖氨酸和其他饮食“阻滞剂”是恢复结缔组织降解平衡与修 复的最有效方式。
第二章-癌症自然控制的医学突破 91 胶原蛋白溶 解酶 健康人群 : 平衡 或 短暂失衡 立即恢复 患病人群 : 长期失衡 预防和控制: 补充大量赖氨酸和 其他天然饮食阻断 剂 (人体内产生的)阻滞剂 从饮食摄入的阻滞剂(赖氨酸) 胶原蛋白溶解酶的持续失衡诱发疾病
战胜癌症 第1部分:变不可能为可能 92 维生素C和赖氨酸: 对人体健康至关重要的分子 人体结缔组织的稳定性(即,人的体力)由两个主要因素决定: 第一,适当生成胶原蛋白和促进结缔组织稳定性的其他分子;第 二,预防不受控制的组织降解。 除赖氨酸之外,维生素C(抗坏血酸)是人体另一种必需微量营 养素。这两种微量营养素在促进结缔组织稳定性、帮助控制癌症 等其他疾病的作用总结为如下内容: 1. 赖氨酸通过防止酶降解胶原蛋白分子抑制结缔组织的破坏,同 时,这种氨基酸也是体内胶原蛋白的必需组成部分。 2. 维生素C刺激产生胶原蛋白和其他结缔组织分子,是结缔组织 结构的必需元素。正如我们从船员患坏血病的故事中所知,维生 素C缺乏会削弱体内的结缔组织。反之,适当充分的摄取维生素C 可确保胶原蛋白和弹性蛋白纤维充足,促进结缔组织强劲有力。 但是遗憾的是,人体中既不会产生赖氨酸,也不会产生维生素C 。而现代饮食结构中赖氨酸和维生素C的含量并不充足,因此几 乎每个人都长期缺乏这些必需的微量营养素。 现在,我们根据这一原理制定有效的癌症控制措施。换言之,适 当充分地生成结缔组织,可促进包覆肿瘤,从生物层面限制肿瘤 扩散。
第二章-癌症自然控制的医学突破 93 赖氨酸分子 维生素C 刺激生成新的胶原蛋白分子, 强化结缔组织。 赖氨酸 阻断胶原蛋白溶解酶,抑制不 结缔组织被不受控制地破坏。 维生素C分子 通过自然手段封闭肿瘤
健康的胶原蛋白是疾病预防和控制的关键所在 保证体内生成适当量的胶原蛋白分子是保持结缔组织健康的关键 因素,也是有效控制癌症和其他疾病的基础。对开页的插图显示 了细胞中生成胶原蛋白的重要步骤,描述了某些微量营养素在该 过程中的重要作用。 保证体内生成适当量的胶原蛋白分子主要取决于以下三种决定性 微量营养素: •维生素C 控制细胞核生成胶原蛋白。此外,新形成的胶原蛋白 链像绳子一样缠绕在一起,需要维生素C才可达到最佳稳定性 状。因此,维生素C催化形成各个胶原纤维之间的化学“桥梁 ”,稳定整个胶原蛋白结构。 •赖氨酸是氨基酸链构成胶原蛋白分子的重要组成部分。由于人
战胜癌症 第1部分:变不可能为可能 94
体内无法自己产生赖氨酸,每个赖氨酸分子都必须从膳食或膳 食补充剂中获取。 •脯氨酸是一种氨基酸,也是胶原蛋白的重要组成部分。与赖氨 酸相反,人体内可产生脯氨酸,但产生的数量很有限。如果一 个人患有与长期酶降解胶原蛋白相关的慢性疾病,那么体内生 成脯氨酸的能力可能会被耗尽。这通常会导致脯氨酸相对缺乏 ,表现为组织无力,导致疾病进一步恶化。
第二章-癌症自然控制的医学突破 95 维生素C 控制细胞核中产 生胶原蛋白 脯氨酸 是胶原蛋白的组成 部分,通常体内产 生的量不足 胶原蛋白 分子 维生素C 形成羟基,连接胶原链, 稳定胶原蛋白 赖氨酸 是胶原蛋白的组 成部分,只能从 膳食中补充 脯氨酸和赖氨酸是形成胶原蛋白的基础分子

物摄入维生素C含量充足的饮食,而给另一组摄入维生素C含量缺 乏的饮食。

肿瘤包覆-证明 现在我们为读者提供第一个科学依据。我们选择记录维生素 C对 包覆肿瘤(限制结缔组织)的决定性作用。 事实上,与人类不同,大多数动物可自己产生维生素C。更令人 惊讶的是,在动物世界中癌症是极为罕见的,而在人类中却有四 分之一的人会因癌症死亡死于癌症。 我们提出设想,如果人体内维生素 C的 含量充足,仅这个因素是 否可抑制肿瘤生长?为此,我们建立了体内不能生成维生素 C的 小鼠模型,通过这种遗传变异,我们精确地模仿了影响所有人类 的基因缺陷。 在后续试验中,我们将不能自行生成维生素C的小鼠分成两组。 然后,让两组动物均患上皮肤癌(黑色素瘤)。随后,给一组动
战胜癌症 第1部分:变不可能为可能 96
对开页中显示了本实验第一次记录的重大结果。饮食中缺乏维生 素C的动物体内形成了大肿瘤,并扩散到邻近组织中(图A)。与 之相比,饮食中维生素C充足的动物中,肿瘤越来越少、越来越 小。更显著的是,饮食中充足的维生素C在该组动物中形成结缔 组织限制层(包覆层),包覆了肿瘤(图B)。该实验表明,是 否存在维生素C 是刺激体内抵抗癌症肿瘤的决定性因素。
第二章-癌症自然控制的医学突破 97 图A. 小鼠患致癌肿瘤,无法自行产生维生素C,给予维生 素C缺乏的饮食。 注:肿瘤的扩散边缘(箭头所指)显示癌细胞易于侵 入周围组织。 A B 图B.补充维生素C后,相同实验中的小鼠肿瘤周围形成了强 大的结缔组织屏障,将肿瘤限制在原始位置。该图表 明,包覆后的肿瘤不太可能侵入和转移到其他组织。 科学证据:自然抑制肿瘤是可能的
战胜乳腺癌 我是Baerbel Saliger。 在48岁时,我被诊断患有乳腺癌, 这一刻改变了我的生活。我接受了手 术治疗,左部乳房全部切除。随后进 行了14个疗程的化疗,导致头发全 部脱落。我的伴侣不再爱我。当他离 开我时,我最后的希望也没有了,我 甚至有了轻生的念头。 我18岁的女儿和我的父母非常关心 我,亲戚和朋友也打电话鼓励我。接 受化疗一年后,我被诊断为骨质疏松 晚期,这个消息再次把我打倒。我非 常绝望,但是我没有放弃。 我不能走动了,手指也只能翻书, 但至少我还可以阅读。体内摄入的 皮质醇让我越来越胖,像充气面包 一样。由于不能行走,我不得不坐 轮椅。 就是在这个时候,我了解到了微量 营养素可抗击癌症的信息。我对自 己说:“这至少不会让我的病情恶 化,不妨尝试一下。” 三个月后,我开始在膳食中补充微 量营养素,身体的疼痛慢慢减少。 我告诉我的医生,我不想服用皮质 醇了。医生没有同意。但我没有听医生的建议,我选择停止服用 皮质醇。四周后,我的血液测试结果良好。医生跟我解释说,这 是皮质醇的疗效。我自己笑了,但没有说什么。 战胜癌症 第1部分:变不可能为可能 98
走进 Baerbel Saliger的故事 第二章-癌症自然控制的医学突破 99 补充膳食微量营养素半年后,我能够再次走路了,这让我非常高 兴。我相信不久以后会有人再次爱我。我把微量营养素的账单发 送给保险公司,保险公司拒绝支付保费。但是,毕竟我还是受益 于微量营养素。 回首过去,12年前我被诊断为癌症,10年前开始在饮食中补充 微量元素。 今年1月,我女儿送给我一大束鲜花,告诉我我能活着她有多么 高兴。今天照镜子的时候,过去的种种铺面而来,但是过了一会 儿,我很幸福地朝着镜子里的我微笑。 现在跳舞已成为我最大的爱好了,几个月后,我还将成为外婆, 我的生活过得非常幸福。 2011年8月于哈雷Baerbel Saliger
我们为传播这一信息做过什么? 读到前面Saliger 女士的故事时,你可能会问这些问题:这些疗 效是仅发生在个别患者中吗?为什么世界上没有更多的患者受 益?为什么媒体没有报道?作为先驱研究者,你们为传播这一 信息做过些什么? 这些问题都很合理。我们在书中第2部分会给出详细回答。本章 只涉及一些广泛问题。 目前,已有数千名癌症患者与我们分享他们的病历。其中,许 多患者在持续补充微量营养素后,能生存10年或更久,本书将 分享部分病例报告。 2001年,我们在研究所首次确认了这一突破性进展。随后,我 们竭尽全力,向世界各地传播。首先,2002年3月8日,我们在 世界发行量最大的报纸《今日美国》(USA Today)上,发表 了这一医学突破(见引言章节)。 接下来几年中,我们在美国和许多欧洲国家举办了很多讲座。 我们走进肿瘤大学,邀请医学专业人员加入国际研究工作,挽 救了数百万患者的生命。 同时,我们的研究所(www.drrathresearch.org)成为科学自 然健康领域中领先的独立研究机构,我们并不知道其他任何在 线发表并记录癌症自然控制信息的机构。 我们通过自然、非专利的方式传达了“战胜癌症”的信息,得 到了来自公众和专业人士的广泛欢迎。但是我们的研究结果对 制药领域和化疗领域构成了一个根本的威胁。不足为奇,制药 领域和化疗领域并未给予我们足够的重视,我们反而遭到冷漠 甚至抵制。 战胜癌症 第1部分:变不可能为可能 100
自2002年在美国首次公开发布研究成果后,我们机构在全球各 地大量发表研究数据(见图),显著削弱了制药领域和化疗领 域的抵制。 在下一章里,我们将为您介绍半个世纪以来,我们在突破癌症 放化疗的垄断性研究中所付出的努力。 第二章-癌症自然控制的医学突破 101 维生素和癌症领域的研究发表的文章逐年增加 1000 3000 5000 2001 2003 2005 2007 2009 Source: www.ncbi.nlm.nih.gov/
战胜癌症 第1部分:变不可能为可能 102 本章个人总结 在撰写本章时,我们希望本章的内容能够改变读者关于 癌症的认识。本页为您提供了一个简要列表,以检验您 是否了解了其中的重要信息。 您是否知道: 癌细胞会模仿人体在正常条件下的自然机 制。 这种生物“欺骗”就是癌症能够逃避身体 防御系统的原因。 每种类型的癌细胞均使用这种酶破坏周围 的结缔组织、扩散并侵入其他器官。 通过了解这种细胞侵袭机制,我们可确定 关键机制,制定有效自然的控制疾病的具 体目标。 赖氨酸和维生素C是人体两种天然必需物 质,可用于稳定肿瘤周围的结缔组织, 这是最终控制癌症流行的关键机制。 是否
第二章-癌症自然控制的医学突破 103 如果您认为您刚刚所了解到的知识对于您 的学生们来说是重要的,请将本书带至您 的学校并介绍给您的学生或其他老师们。
104
105 本书的目标: 终结对癌症恐惧的时代!
火星风暴 August Kowalczyk提出“科学就是一种艺术”。 “火星风暴”是Rath博士研究所在显微镜下为黑色素瘤拍 摄的照片。 欲查看全部图片,请点击: www.dr-rath-humanities-foundation.org/exhibition/index.html
科学事实使得这种突破 变得不可逆转 第三章.
战胜癌症 第1部分:变不可能为可能 108 Niedzwiecki博士-引言 对科学家们而言,癌症是最具挑战性的课题之一,几十年来,科 学家们无法成功抗癌,想法不断破灭。但是,在我的科研生涯中 ,基于Rath博士所做的癌症研究是目前为止最有价值的项目之一 。 在加入Rath博士团队之前,我致力于解决人体独特的生物因素。 其中,我研究了细胞核结构是如何构建、细胞是如何增殖及人们 变老时会发生什么。我很荣幸曾在美国和加拿大的著名研究所工 作过,并曾与两位诺贝尔奖获得者合作过。 但是,当我遇到Rath博士后,我开始了惊人的科学旅程。我们一 起共事了20多年,从一开始见到Rath博士,我就已清楚地看出 他的独特之处,对待同样的事情,他能以特别的方式观察到别人 看不到的东西。 他的想法极富挑战性,但他同时擅长解释复杂的过程。 1991年,与Rath博士进行早期研究
第三章 科学事实使得这种突破变得不可逆转 109 1999年,我们成立了自己的研究所, Rath博士邀请我负责领导,我也邀请了 一些前同事加入我们的团队。感谢Shrirang Netke博士(癌症研究的先驱)和 之后加入我们的Waheed Roomi博士, 他们的研究成果使我们快速推进了研究 过程。早在2001年,我们就知道Rath博 士的研究方向是正确的,我们遇到的第 一个挑战是确定抑制癌细胞侵袭体内的 最有效的天然物质。 截至今日,我们共发表了60多篇文章, 在美国和其他国家参与了很多科学会议并做了研究性探讨,撰写 了研究报告,还与其他癌症项目科研团队进行过合作。 令我们感到自豪的是,许多学生通过参与我们实验室的科研项目 ,看到微量营养素对各种癌症的巨大影响。许多学生之后继续在 医学院校学习,包括耶鲁医学院和其他一些知名大学,这些学生 都是会能客观看待科学自然疗法的新一代医学博士。 作为一个研究团队,我们秉承着伟大的想法,我们希望我们的研 究成果能让全人类受益。
战胜癌症 第1部分:变不可能为可能 110 本章中将学到哪些内容? 在本章中,我们将与您分享更多有趣的事实,包括可能最终战胜 癌症的科研突破。我们将学到: • 除癌细胞的侵袭机制之外,还有决定癌症疾病进程的其他关键 细胞过程; • 除维生素C和赖氨酸之外,还有能够自然阻断癌症发病机制的 其他重要微量营养素; • 所有这些微量营养素像一个团队一样,互相协作促进,共同有 效控制癌症。 最重要的是,接下来我们会提供大量的科学证据,证明通过自然 方式控制癌症的可能性。
第三章 科学事实使得这种突破变得不可逆转 111 这些知识打开了未来世 界之门,让我们创建一 个没有癌症的世界!
战胜癌症 第1部分:变不可能为可能 112 用通俗易懂地方式呈现关于癌症的科学发现 本章内容与科学有关,包括疾病科学和生命科学。你可能会说: 我又不是科学家,为什么要花费精力阅读这一章、理解其中的内 容呢? 我们必须让您知道,您自己、您的家人、甚至您的孩子和数百万 人对癌症的了解是控制癌症的前提。 为了让大家做出最有利于自己健康的明智决定,每个人都需要了 解癌症的自然控制基础。这是非常重要的,不仅对癌症患者非常 重要,对希望预防癌症的人来说也特别关键。 此外,理解这些知识后,还会让您免于经济损失,让您不会成为 全球专利放化疗药物的牺牲品。 20多年前,我们就已经很清楚地意识到,如果验证了这一发现 (如前一章节中所述),那将意味着战胜癌症,从而为全人类带来 巨大进步。 接下来,我们将为您举例说明过去十多年来,我们研究所进行的 全面而严谨的科学实验。 关于本章中描述的每个试验,您都可在本章末尾找到在线链接查 看原始科学出版文献。
第三章 科学事实使得这种突破变得不可逆转 113 1 3 2 细胞层次:科学证明最基础的层次是 细胞。在这里,我们可以研究微量营 养素不同生物行为的大量细节。 对于活的生物体来说,一旦微量营养 素的基础机制被识别,这些基础机制 就需要被活的生物体确认,这对于... 来说是必要的。 • 将它们在复杂生物系统中的功效记 录下来,再再人体内进行复制。 • 确认生物营养素的安全性 癌症患者。微生物营养素功效的终极 证明来自于癌症患者使用它们战胜了 癌症,在这种情况下有两点是身份重 要的: • 微量营养素能够阻止肿瘤生长和癌 症扩散吗? • 微量影响素能逆转已经存在的肿瘤 吗? 科学验证的三大步骤

长供应氧气和营养。这种新血管的形成简称为“血管生成”。 阻断血管生成已成为国际抗癌研究的重要目标。

4. 诱导癌细胞自然死亡(细胞凋亡)。我们已经知道,癌细胞永 远不会死亡。癌细胞的这一“永生”特性是由于细胞核中的基 因“改变”所致,纠正并逆转这种异常特性可诱导癌细胞自然 死亡,这是让癌细胞停止继续增殖、最终使肿瘤收缩甚至消失 的前提条件。 有效阻断其中的一种机制就足以控制癌症扩散。

战胜癌症 第1部分:变不可能为可能 114 癌症的关键机制 癌细胞使用各种机制生长、扩散,最终控制人体: 1. 癌细胞的侵袭和转移。其中,最为关键的机制是,癌细胞能够 消化其周围的结缔组织,进而为侵袭性生长和向其他器官转移 创造条件。 2. 癌细胞的增殖和肿瘤的生长。癌细胞的一个特征在于,它可以 改变细胞核的生物结构,达到无限存活状态。这就解释了为什
么癌症可无限增殖,进而逐渐增大肿瘤,最终控制人体。 3. 为滋养肿瘤形成新的血管(血管生成)。如果肿瘤超过一定尺 寸(通常为1/20英寸),肿瘤细胞不再能从人体内部获得滋养 。因此,随着肿瘤的生长,会形成新的血管,为肿瘤进一步生
第三章 科学事实使得这种突破变得不可逆转 115 在细胞层面上有效控制癌症的 关键目标 1 2 4 3 1. 癌细胞的侵袭和转移 2. 癌细胞的增殖和肿瘤的生长 3. 为滋养肿瘤形成新的血管(血管生成) 4. 诱导癌细胞自然死亡(细胞凋亡)

半胱氨酸(NAC)、绿茶和硒。

• 新血管生成(血管生成)的抑制剂:绿茶和N-乙酰半胱氨酸( NAC)。

• 癌细胞死亡(细胞凋亡)的诱导剂:维生素C、绿茶、N-乙酰 半胱氨酸(NAC)、硒、精氨酸和脯氨酸。

战胜癌症 第1部分:变不可能为可能 116 控制癌症的关键性天然微量营养素 在上一章节中,我们已经了解到维生素C和赖氨酸在阻断癌细胞 扩散中发挥的关键作用。 我们过去十多年来的研究表明,某些其他特定微量营养素可提高 这两种天然化合物在控制癌症中的有效性。 根据癌症控制的具体机制,可对微量营养素进行细分。例如: • 支持生成结缔组织,维护结缔组织完整性和稳定性的物质:维 生素C、赖氨酸、脯氨酸、铜和锰。 • 结缔组织溶解的抑制剂:赖氨酸、脯氨酸、维生素C、N-乙酰
第三章 科学事实使得这种突破变得不可逆转 117 维生素 • 维生素C 氨基酸 • L-赖氨酸 • L-脯氨酸 • L-精氨酸 • 乙酰半胱氨酸(NAC) 多酚 • 绿茶提取物(EGCG) • 槲皮素* 矿物质 • 硒 • 铜 • 锰 癌症试验中包括的 微量营养素 *研究证明,槲皮素是营养素合成中的必要成分。因此,目 前所有试验中均包括这种物质。
战胜癌症 第1部分:变不可能为可能 118 微量营养素协同(营养素协同) 提高生物有效性 过去十多年来,我们针对个别微量营养素(如高剂量的维生素C )进行了抗癌研究,方法论中又称为“大剂量研究”。 通过十多年的研究,我们提供了新的现代思路,促进了最大限度 地提高微量营养素的生物有效性。 其中,关键原则是 “协同 ”。这个原则非常重要,重点强调以下 特征: 1.协同也是生命的原则。很多生物成分在细胞内系统工作,达到 一种理想的生物结果。 2.协同作用表明,生物成分协同工作下的效力要大于其各组分单 独效力的总和。 3.将这一“协同”原理应用于微量营养素的抗癌特性:即大量摄取 一种微生物的效力低于均衡摄取多种微量营养素的效力。 对开页的插图显示了这一原则,本章将进行详细讨论。
第三章 科学事实使得这种突破变得不可逆转 119 维生素C 多酚 协同效应 协同的效力要高于各组 分单独效力的总和。 + 协同原则
战胜癌症 第1部分:变不可能为可能 120 我们已经了解到,不论何种癌症类型,其侵袭程度(恶化程度) 取决于癌症产生的“生物剪刀”数量。 因此,任何试图阻断癌症扩散的方法必须抑制过度、不受控制地 生成胶原蛋白溶解酶(见第二章)。 纤溶酶原激活物 (尿激酶) 证明1 微量营养素在阻断癌细胞分泌纤溶酶 原激活物中的作用。 癌细胞 生物剪刀 我们如何证明结束癌症蔓延的必要步骤-微量营养素 的协同作用能够预防结缔组织的破坏
第三章 科学事实使得这种突破变得不可逆转 121 针对癌细胞所使用的两种最重要的酶,我们测试了微量营养素的 协同作用对癌细胞的影响,旨在证明微量营养素在协同配合下发 挥的抑制作用。 第一种关键的酶被称为“尿激酶型纤溶酶原激活物(uPA)”,第 二种是“金属蛋白酶(MMP2和MMP9)”群。以下为测试结果。 金属蛋白酶 (MMP) 结缔组织(胶原蛋白) 证明2 微量营养素在阻断癌细胞分泌金属 蛋白酶(NMP)中的作用。 欲知更多与本插图相关的信 息,请参阅第二章。 生物剪刀 生物剪刀
战胜癌症 第1部分:变不可能为可能 122 科学证明: 阻滞人类癌细胞分泌纤溶酶原激活物(尿激酶) 在本实验中,我们测试了微量营养素是否能够抑制人体前列腺癌 细胞分泌“生物剪刀”酶-尿激酶。 为此,我们研究了6个测试组,每组数量相同。第一组细胞未摄 取额外的微量营养素,用作作为对照。其他五组细胞与增量的微 量营养素一起放置(培养)。 第二天,我们测量了在不同微量营养素影响下,各组细胞分泌的 尿激酶型胶原蛋白溶解酶的量。 我们发现,微量营养素的浓度越高,前列腺癌细胞分泌的“生物 剪刀”尿激酶越少。 据此,我们可以推断微量营养素对人类其他癌症类型也同样起作 用。 这意味着,微量营养素通过抑制尿激酶的分泌可削弱许多类型癌 细胞生长、扩散和向其他器官转移的能力。 同时,其他科学家也证实了本研究结果。他们发现在缺乏尿激酶 的小鼠中,癌症转移被抑制,这再次强调了这种酶在癌症扩散中 的重大作用。
第三章 科学事实使得这种突破变得不可逆转 123 控制组 “生物剪刀” 纤溶酶原激活物的分泌量 50 微量营养素的浓度 (微克/毫升) 250 100 1000 500 点击以下网址,在线阅读完整研究结果: http://www.drrathresearch.org/pub/voc/121 微量营养素浓度越高,癌细胞能 溶解的周围胶原蛋白越少 微量营养素抑制 癌细胞分泌生物剪刀

第二天,我们测量了在不同微量营养素影响下,各组细胞分泌的 MMP-2和MMP-9酶的量。研究结果见对开页。

同前述尿激酶试验结果一样,我们发现微量营养素能够抑制 MMP“剪刀酶”的分泌。尤其需要注意的是,在这种情况下,中 等和较高浓度的微量营养素能够完全阻止癌细胞分泌MMP酶。 同时,我们也证实微量营养素在40多种类型的人类癌症中具有相 同作用。

科学证明: 阻滞人类癌细胞分泌胶原蛋白溶解酶(MMP) 正如我们所知,第二类由癌细胞产生的关键胶原蛋白溶解酶又称 基质金属蛋白酶(MMP),其中MMP-2和MMP-3在癌症扩散 中至关重要。 我们希望证明,这种微量营养素也能够抑制癌细胞分泌生物剪刀 MMP-2和MMP-9。 为此,我们研究了5个测试组,每组数量相同。细胞取自人类膀 胱癌患者。第一组细胞未摄取额外的微量营养素,作为对照。其 他四组细胞与增量的微量营养素放置(培养)。
战胜癌症 第1部分:变不可能为可能 124
第三章 科学事实使得这种突破变得不可逆转 125 10 50 500 100 控制组 微量营养素的浓度 (微克/毫升) MMP-2 MMP-9 微量营养素浓度越高,癌细胞能 破坏的周围胶原蛋白越少。 点击以下网址,在线阅读完整研究结果: • http://www.drrathresearch.org/pub/voc/123 •http://www.drrathresearch.org/pub/voc/124 微量营养素抑制 人类癌细胞分泌生物剪刀(MMP) MMP酶的分泌量
测试微量营养素抑制癌细胞侵袭的能力 下一个问题是微量营养素是否不仅可以阻断这些“剪刀”酶,还 可以防止癌细胞穿过结缔组织侵入其他器官。 为研究这一问题,我们建立了一个测试系统,模拟人体化合物的 情况(如对开页所示): •玻璃瓶中装满模拟人类体液的溶液。 •用结缔组织膜(称为人工基底膜)将玻璃瓶顶部和底部分开。 •玻璃瓶顶部装有等量的人类癌细胞。 玻璃瓶A和玻璃瓶B的唯一区别在于在玻璃瓶B中添加了微量营养 素。 从早期的试验得知,癌细胞容易穿过分割的结缔组织膜,因此可 在膜的另一侧中发现并计数。通常,癌症类型侵袭性越强,膜的
通过一系列广泛试验,我们发现微量营养素能够阻断所有测试类
接下来,我们来详细了解下这些研究结果。 战胜癌症 第1部分:变不可能为可能 126
另一侧中发现的癌细胞越多。
型的癌细胞破坏并穿过结缔组织。
第三章 科学事实使得这种突破变得不可逆转 127 AB 微量营养素能防止癌细胞 通过结缔组织迁移。 测试癌细胞的侵袭性 停止
科学证明: 微量营养素抑制人类癌细胞的侵袭 纤维肉瘤是结缔组织的常见癌症形式。当人体纤维细胞的基因结 构改变为致癌结构时,就会发生癌症。 我们利用测试系统(如以上所述)测试了微量营养素对纤维肉瘤 侵袭的抑制作用。对开页上半部分的四个图中显示了纤维肉瘤细 胞(深棕色结构)穿过结缔组织膜的显微图片。 •图A用作对照,该组未添加任何微量营养素。在这种情况下, 大多数纤维肉瘤细胞穿过了结缔组织膜。 •图B、图C和图D采用相同的测试系统,显示微量营养素的数量 越多,转移癌细胞的数量就越少。 从图中可清楚得出,在微量营养素浓度最高时(图D),未检测
战胜癌症 第1部分:变不可能为可能 128
到癌细胞。这是因为,微量营养素完全阻止了癌细胞破坏结缔组 织。图中的小黑点是膜的阴影,并非细胞。 插图页的下半部分显示了本试验的数据结果:柱形越高,微量营 养素抑制癌细胞的侵袭能力就越强。微量营养素的浓度越高,癌 细胞就越不会穿过结缔组织(图D)。
第三章 科学事实使得这种突破变得不可逆转 129 微量营养素是癌细胞侵袭的抑制剂。 点击以下网址,在线阅读完整研究结果: http://www.drrathresearch.org/pub/voc/127 图B. 10 微克/ 图D. 1000 微克/毫升 微量营养素抑制癌症(纤维肉瘤) 侵袭结缔组织 10 控制组 1000 100 微量营养素浓度 (微克/毫升) 抑制癌细胞侵袭 (%) 所有癌细胞 侵袭 完全阻断癌细胞侵袭 B C D A 图A. 对照 图C. 100 微克/毫升
战胜癌症 第1部分:变不可能为可能 130 科学证明: 微量营养素抑制乳腺癌细胞的侵袭 我们尤其感兴趣的是,微量营养素在控制最常见癌症类型中是否 也有效。 女性最常见的癌症之一是乳腺癌。乳腺癌分为两大类,由于其中 一种乳腺癌的侵袭性取决于雌激素,这种癌细胞被认为有“雌激 素依赖性”。另一种乳腺癌与这种激素无关,被认为有“雌激素 独立性”。 我们为了研究微量营养素是否能阻止这两种人类乳腺癌细胞侵袭 使用了前述试验设置。 试验中,我们通过逐渐增加微量营养素含量,研究了乳腺癌的侵 袭能力。研究发现,在微量营养素浓度最高时,乳腺癌细胞将无 法通过结缔组织膜。 如对开页上两个图所示,“雌激素依赖性”和“雌激素依赖性” 乳腺癌都显示同样的结果。 对开页底部的显微图片为一种特殊的乳腺癌,又叫腺癌,来源于 乳房中乳腺导管的腺细胞,这也是女性最常见的恶性肿瘤之一。
第三章 科学事实使得这种突破变得不可逆转 131 雌激素独立性乳腺癌 雌激素依赖性乳腺癌 控制组 10 50 100 微量营养素浓度 抑制癌细胞侵袭 (%) 控制组 10 50 100 微量营养素浓度 抑制癌细胞侵袭 (%) 人类乳腺癌(腺癌)的显微图片 完全阻断癌细胞侵袭 完全阻断癌细胞侵袭 点击以下网址,在线阅读完整研究结果 http://www.drrathresearch.org/pub/voc/129 微量营养素抑制癌细胞侵袭
科学证明: 微量营养素抑制前列腺癌细胞的侵袭 男性最常见的癌症是前列腺癌。与女性的乳腺癌相似,前列腺癌 也可以是激素依赖性的。在这种情况下,癌症的生长受男性激素 (即雄激素)调节,包括睾酮。 我们同样使用前述试验设置研究了微量营养素是否能阻止这两种 人类前列腺癌细胞侵袭。 与纤维肉瘤和乳腺癌相似,我们发现微量营养素的用量越多,前 列腺癌细胞的侵袭性越弱。此外,当微量营养素浓度最高时,前 列腺癌细胞将无法通过结缔组织。 如对开页上的图中所示,激素依赖性和激素独立性前列腺癌都显 示同样的结果。 对开页底部的显微图片是人类前列腺腺癌。我们已经了解到,这 种癌症类型来源于产生激素的腺细胞。 我们使用扫描电子显微镜(SEM)拍摄的高放大图片显示, 癌 细胞(蓝色/灰色结构) 完全覆盖了前列腺管。 战胜癌症 第1部分:变不可能为可能 132
第三章 科学事实使得这种突破变得不可逆转 133 微量营养素抑制前列腺癌细胞侵袭 激素独立性前列腺癌 激素依赖性前列腺癌 控制组10501001000 微量营养素浓度 控制组10501001000 微量营养素浓度 抑制癌细胞侵袭 (%) 抑制癌细胞侵袭 (%) 人类前列腺癌(腺癌)的显微图片 完全阻断癌细胞侵袭 完全阻断癌细胞侵袭 点击以下网址在线阅读完整研究结果: http://www.drrathresearch.org/pub/voc/131
战胜癌症 第1部分:变不可能为可能 134 微量营养素会抑制40多种人类癌症的侵袭性 在阅读前几页时,你可能会想到研究人员在做试验时也会想到的 问题,那就是治疗癌症的解决方案会如此简单和普遍吗?为回答 这一问题,我们研究了微量营养素对几乎所有人类癌细胞侵袭作 用的影响。 我们一共测试了微量营养素协同作用对40多种不同人类癌症类型 的影响。其中,所测试的癌细胞类型包括最常见的威胁数百万患 者的癌症,如肺癌、结肠癌、胰腺癌、脑癌、血癌、皮肤癌、卵 巢癌等(见对开页)。 在研究各种癌症类型过程中,我们证实了微量营养素的协同作用 能够完全阻止所有癌细胞的侵袭性,唯一不同的是所需微量营养 素的用量不同。 一些化疗支持者可能认为,治疗癌症不可能如此简单。但是,答案 是可以的。我们知道原理:癌细胞使用相同的机制侵入周围组织和 转移。由于微量营养素能够阻断这种通用的细胞机制,微量营养素 就能够抑制各种癌细胞的扩散,无论癌细胞来源哪个部位。 当然,这并不代表微量营养素可用于治疗任何阶段的癌症。尤其
不适用于晚期癌症患者,及免疫系统(人体抗癌能力)被化疗完 全破坏的患者。
第三章 科学事实使得这种突破变得不可逆转 135 微量营养元素在低浓度下可完全阻滞的疾病类型: • 乳腺癌 • 霍奇金淋巴瘤 微量营养元素在中等浓度下可完全阻滞的疾病类型: • 肺癌 • 结肠癌 • 宫颈癌 • 皮肤癌(黑色素瘤) • 骨癌(骨肉瘤) • 睾丸癌 • 血癌(非霍奇金淋巴瘤) • 胰腺癌 微量营养元素在高浓度下可完全阻滞的疾病类型: • 肝癌 • 膀胱癌 • 肾癌 • 卵巢癌 • 前列腺癌 • 脑癌(胶质母细胞瘤) • 血癌(白血病,PML) 微量营养素能够抑制所有已检测癌细 胞类型的侵袭性。 点击以下网址,在线阅读完整研究结果 http://www.drrathresearch.org/pub/voc/133 示例:自然阻断人类癌症侵袭

素的实验组;和3)通过血液(静脉)直接注射微量营养素的实 验组。

当我们后来分析肺中发生转移的癌细胞数量时,发现膳食中摄取

科学证明: 微量营养素抑制生物体中的癌症转移(I) 在实验室环境下(体内)证实微量营养素阻止癌细胞侵袭性的优 势后,我们希望进一步在生物体(体外)级别再次证实这一点。 经动物护理委员会仔细评估和批准后,我们使用小鼠作为实验对 象进行了重要试验。考虑到如果没有找到合适的治疗方案,每年 将有超过400万人将死于癌症,这些试验是符合伦理道德的。 为了节省动物生命,我们立即着手解决癌症最难的问题,即预防 癌症转移。事实上,每10名癌症患者中就9名患者死于癌症转移 ,而非局限于某个器官上的肿瘤。 我们用如下方法检测了微量营养素抑制癌症转移的能力:在一组
小鼠中注射等量的皮肤癌(黑色素瘤)细胞。然后,将小鼠分为 三组:1)未补充微量营养素的控制组,2)膳食中摄取微量营养
微量营养素补充剂后可减少60%以上的癌细胞转移数量。通过血
战胜癌症 第1部分:变不可能为可能 136
液直接注射微量营养素的实验组表现更好:与未补充微量营养素 的控制组相比,癌细胞转移数量减少了80%以上。
第三章 科学事实使得这种突破变得不可逆转 137 本动物试验符合伦理道德。 我们在这个重要话题上立场非常明确。整体来讲,任何生命都需要被保护,动物试验 必须尽量减少生命死亡。只有当试验结果直接关系到人类生命且没有任何替代方案的 情况下,方可考虑做动物试验。而在每年都有数百万人的生命受到威胁的这种情况下 ,我们相信为此所做的试验将大大有助于减少人类痛苦和死亡。 无 微量营养素补充 膳食摄取 静脉注射 微量营养素补充 微量营养素可减少癌细胞在体内转移。 点击以下网址,在线阅读完整研究结果: http://www.drrathresearch.org/pub/voc/135 微量营养素抑制黑色素瘤细胞向肺转移 肺转移数量 50 10 肺转移 (黑点)
科学证明: 微量营养素抑制生物体中的癌症转移(II) 在前述试验中,我们发现通过向血液中直接注射微量营养素补充 剂能够预防癌细胞向肺转移。 这是非常关键的一步,但是并未能完全反映癌症在人体中的进展过 程。通常情况下,癌症以某个器官中的“原发性肿瘤”开始,然后 癌细胞会转移到患者体内的其他器官。因此,我们需要了确认微量 营养素能够减少癌细胞从原发性器官到另一个器官的扩散。 为了确定这一重要事实,我们将黑色素瘤细胞直接注射到小鼠的 脾脏。然后,一组小鼠正常饮食,未补充微量营养素(控制组) 。另一组小鼠的饮食中每天补充微量营养素。随后,我们对器官 进行了分析,图A 为脾脏中原发性肿瘤的生长情况,图B为黑色 素瘤向肝脏转移的情况。肝脏是黑色素瘤的主要转移器官。 这些试验结果与前述试验同等重要。通过本试验,我们证实了在 动物补充微量营养素后,原发性肿瘤的生长会显著减少,原发性 器官(脾脏)到肝脏的转移也减少了近一半。 此外,我们还进行了研究,以期证实膳食中增加微量营养素后可 进一步减少或甚至阻滞癌细胞向继发性器官转移。 战胜癌症 第1部分:变不可能为可能 138
第三章 科学事实使得这种突破变得不可逆转 139 微量营养素可减少癌症转移。 点击以下网址,在线阅读完整研究结果: http://www.drrathresearch.org/pub/voc/137 脾脏原发性肿瘤 肝转移 未添加微量营养素 肿瘤(黑色区域)显著增大了整个 器官。 添加了微量营养素 肿瘤显著减小。器官未增大。 未添加微量营养素 增大的肝脏中发现大量癌细胞转移 (黑色区域)。 添加了微量营养素 肝脏中的癌细胞转移大量减少。 器官未增大。 微量营养素可抑制癌症转移 图A 图B
为了让每个人都可以理解这种复杂但生命攸关的医疗科技知识, 本书作者付出了巨大努力。 从读者的反馈来看,我们在很大程度上实现了这一目的。 战胜癌症 第1部分:变不可能为可能 140
当然,我们也希望作为读者的您也付出一定努力,才能理解本书 中的新信息。 阅读到这里,请先休息一会儿! 第三章 科学事实使得这种突破变得不可逆转 141 为让您在继续阅读之前放松一下,在这里附上我们在撰写本书时 遇到的风景。
战胜癌症 第1部分:变不可能为可能 142 微量营养素阻滞肿瘤生长 截至目前,我们接受了与癌症侵袭和转移相关的研究结果,这也 是癌症最为重要的机制。 在长达十年的研究过程中,我们当然希望了解微量营养素能否影 响甚至阻滞癌症进展过程中的其他重要机制。因此,我们要研究 的另一种重要机制是肿瘤生长,即肿瘤细胞不受控制的增殖。 正常细胞的生长是被严格调节的。人体中的一些细胞生长和增殖 比较频繁,如血细胞(红细胞和白细胞)、肠内细胞和皮肤细胞 。大多数细胞增殖比较慢,少数细胞(如骨细胞或神经细胞)几 乎不增殖。 相比而言,癌细胞已失去调节自身生长的能力,会不断增殖。此 外,根据定义,癌细胞变得永生,不会死亡。这两种机制对发生 癌症的器官非常有害。假以时日,肿瘤会扩散至主要部位或整个 器官。 对开页底部的显微图片是侵袭性骨癌(尤文肉瘤)的分裂癌细 胞。蓝色结构是两个细胞核,已经完全分裂。接下来,细胞体将 会分裂。
第三章 科学事实使得这种突破变得不可逆转 143 2 分裂的骨癌细胞(尤文肉瘤) –电子显微镜图片 癌细胞不断分裂形成肿瘤 肿瘤细胞增殖的图示(示意图)
战胜癌症 第1部分:变不可能为可能 144 乳腺癌 78% 胰腺癌 64% 结肠癌 63% 纤维肉瘤 59% 黑色素瘤 57% 骨肉瘤 53% 前列腺癌 47% 肺癌 44% 滑膜癌 44% 肝癌 36% 科学证明: 微量营养素阻滞肿瘤生长 为测试微量营养素对肿瘤细胞增殖的影响,我们设置了如下试验 : 我们将等量的骨癌细胞(骨肉瘤)注射到两组小鼠中。然后,一 组在膳食中不摄取任何微量营养素,另一组在膳食中补充了微量 营养素。 如对开页上所示,结果非常惊人。图A显示未补充微量营养素的 小鼠体中发展了巨大肿瘤。相比之下,图B显示小鼠在膳食中摄 取大量微量营养素后的肿瘤发展情况。差别清晰可见。 在显微镜下分析肿瘤时,我们证实了这些结果。对开页的底部显 示了肿瘤在高放大倍数下的组织横截面。两张图片中显示了单个 肿瘤细胞,但右侧图片(添加微量营养素)相比,左侧图片(未 添加微量营养素)中分裂细胞(棕色)更多。 据我们研究,微量营养素可不同程度地抑制各种人类肿 瘤的生长:
第三章 科学事实使得这种突破变得不可逆转 145 微量营养素能够抑制癌细胞增殖。 点击以下网址,在线阅读完整研究结果: http://www.drrathresearch.org/pub/voc/143 骨癌(骨肉瘤)在小鼠中的生长 图A 图B 已添加 微量营养素 未添加 微量营养素 图A和图B是肿瘤的显微图片。棕色表示此时正在增殖的癌细胞。 请注意,图A 表明,在膳食中未添加微量营养素的情况下,癌细胞 将大量分裂。 微量营养素阻滞肿瘤生长
微量营养素与肿瘤中新血管的生成 (血管生成) 癌症发展的另一个关键机制是形成滋养肿瘤的新血管。每个肿瘤 都需要持续的营养供应,才可以生长和扩大。如果没有形成新的 血管提供血液供应,1毫米(1/25英寸)的肿瘤将无法生长。 为了诱导形成新的血管(血管生成),癌细胞会产生各种信号分 子,发送到周围的血管,促进这些血管或毛细血管生成。在这些 信号分子的影响下,形成血管内衬的细胞(内皮细胞)从“母血 管”分离,移行至肿瘤。对开页的图显示了这一重要过程。 对开页上的图显示,新血管从原血管生成,正向肿瘤输送血液( 圈出部分)。对开页底部的显微图片显示血管至肿瘤(黑色区域 )深处形成的整个分支系统,这些结构的独特形式与植物的根类 似,在显微镜下清楚可见。 新血管通过组织生长重建整个部位,而人体中的任何组织重建反 过来都需要在胶原蛋白溶解酶的辅助下破坏胶原蛋白和其他结缔 组织分子。 血管生成是癌症的另一关键机制。基于以上了解,我们认为,微 量营养素也能够阻滞血管生成。 战胜癌症 第1部分:变不可能为可能 146
第三章 科学事实使得这种突破变得不可逆转 147 3 肿瘤血管生成的显微图片 形成滋养肿瘤的新血管 肿瘤血管生成图示(示意图)
战胜癌症 第1部分:变不可能为可能 148 科学证明: 微量营养素抑制肿瘤中新血管的形成 为了测试微量营养素是否能在癌症生长期间抑制新血管的形成, 我们使用了前四页中所述的相同试验模型。 在前面的试验中,两组动物接受等量的骨癌(骨肉瘤)细胞,接 受微量营养元素补充的动物体内肿瘤显著较小。 在本组试验中,我们尤其观察了补充微量营养素是否也能够减少 新肿瘤血管的形成。从外部(对开页图A所示)观察肿瘤,可以 清楚地看到在微量营养素缺乏的小鼠体内,肿瘤内形成了血管网 。 显微图片(对开页右图)证实了这一发现。据观察,在未补充微 量营养素的动物体内肿瘤内形成了大量的新血管(红色结构)。 相反,膳食中补充微量营养素的动物,其体内肿瘤内几乎没有或 完全未形成新血管。 此外,我们还确定了微量营养素具有这一显著效果的原因:膳食 中补充微量营养素的动物,其体内由肿瘤细胞产生的、用于刺激 血管生长的许多信号因子显著较低。这些因子包括血管内皮生长 因子(VEGF)等。
第三章 科学事实使得这种突破变得不可逆转 149 未添加 微量营养素 已添加 微量营养素 微量营养素通过抑制形成滋养肿瘤 的新血管来帮助减少肿瘤生长。 点击以下网址,在线阅读完整研究结果: http://www.drrathresearch.org/pub/voc/147 科学证明: 微量营养素能够抑制肿瘤中新血管的生成 A B
科学证明: 微量营养素抑制人类模型中的血管生成 考虑到抑制肿瘤内新血管的生成是控制癌症的关键机制,许多制 药公司目前花费数亿美元用于寻找抑制血管生成的新型合成药物 ,然后申请专利,作为抗癌药物在市场上出售。全球血管生成抑 制剂的市场估值达数百亿美元。 因此,我们的研究结果对数百万患者甚至全世界的医疗卫生系统 具有重要的意义。鉴于这一事实,我们希望进一步通过试验验证 微量营养素在这一控制癌症重要机制中的作用。 我们选择了一个系统,在我们研究微量营养素对血管生成的影响 时,用于排除所有干扰变量。然后,使用了源于人类脐带的血管 内衬细胞(内皮细胞)。 我们在增量的微量营养素中培养这些细胞。 如对开页图中所示,未添加微量营养素的内皮细胞内产生了致密 的毛细血管(图A),以黑线表示。 随着微量营养素的增多,人类内皮细胞产生的毛细血管结构越来 越少(图B到图D)。微量营养素浓度最高(图D)时,毛细血管 生成被完全阻断。 本研究提供了确凿的科学证据,说明微量营养素是强大的抗血管 生成剂,可立即被应用于抗癌治疗。 战胜癌症 第1部分:变不可能为可能 150
第三章 科学事实使得这种突破变得不可逆转 151 微量营养素可抑制人类内皮细胞内形成毛细 血管结构,这是抑制肿瘤生长的重要机制。 点击以下网址,在线阅读完整研究结果 http://www.drrathresearch.org/pub/voc/149 图B. 50 微克/毫升 图D. 1000 微克/毫升 图A. 对照 图C. 500 微克/毫升 左图为小血管(毛细血 管)的模型。 可使用人类细胞模型研 究其形成过程。以下黑 线代表毛细血管。 图B到图D为人类血管内衬细胞(内皮细胞)在微量营养素各浓度下的状态。 当微量营养素浓度最高时(图D),内皮细胞内未形成血管结构。 微量营养素能够抑制人类内皮细胞内血管形成
微量营养素与诱导癌细胞自然死亡(细胞凋亡) 癌细胞的特点在于永生性,意味着癌细胞不会死亡。由于癌细胞 核中DNA的编程有误,导致其正常细胞周期失常。 扭转这一“生物开关”并让癌细胞自然死亡是逆转和消除癌症的 前提条件。导致癌细胞自然死亡的机制又称为“细胞凋亡”, 定 义为细胞的自然死亡。这一词源于希腊语的“脱落”,如落叶。 与细胞凋亡相似,细胞和活组织的提前死亡或非自然死亡被称为 “坏死”,这一词源于希腊语的“致死”,即杀死。这是由细胞 或组织外的损害因素, 如高毒性化疗剂、高能辐射和其他有 害物质等所致。 人体每天有500到700亿个正常死于细胞凋亡,而癌细胞却是例 外。 我们测试了癌症是否可诱导癌细胞自然死亡、进而逆转其永生特 性。我们非常详细地研究了这一过程,确定了其中的遗传机制和 细胞机制。对开页的下图显示了癌症经历自然细胞凋亡的过程。 其特征在于,粗糙表面(“芽”)中包括细胞分解碎片。 接下来我们将提供微量营养素诱导癌细胞凋亡的研究示例。 战胜癌症 第1部分:变不可能为可能 152
第三章 科学事实使得这种突破变得不可逆转 153 4 癌细胞通过细胞凋亡而死亡的微观示意图 癌细胞的自然死亡 改变癌细胞的永生特性、进而导致其死亡的示意图
战胜癌症 第1部分:变不可能为可能 154 科学证明: 微量营养素能够诱导癌细胞自然死亡 研究癌细胞细胞凋亡过程的关键在于能够在显微镜下观察细胞变 化步骤。 为此,我们在细胞或细胞核中做了一些标记,以区分经历细胞凋 亡的癌细胞与其他活细胞。 对开页显示了单个黑色素瘤癌细胞在微量营养素的诱导下经历细 胞凋亡的过程;下页中描述了试验相关的详细内容。 对开页中,白色圈出的是细胞核;圆圈内的红色标记为细胞核的 分解过程;红色区域中的暗红斑点(放大镜下)表示DNA及较小 致密的相关核心成分。 细胞凋亡始于细胞中特殊酶的激活,导致所有细胞组成部分(包 括细胞核)逐渐降解。 稍后,细胞在表面形成芽(见前页)。最后,细胞收缩,变成小 的结构,被白细胞(吞噬细胞)处理。吞噬细胞是专门处理生物 垃圾的细胞。
第三章 科学事实使得这种突破变得不可逆转 155 微量营养素可诱导癌细胞自然死亡。 点击以下网址,在线阅读完整研究结果 http://www.drrathresearch.org/pub/voc/153 细胞营养素可诱导黑色素瘤细胞凋亡 皮肤癌(黑色素瘤)细胞的凋亡过程
科学证明: 微量营养素诱导癌细胞凋亡的有效性 本页记录了一些 确定微量营养素是否能够逆转已经存在的肿瘤或 使肿瘤完全消失的研究结果。 鉴于传统医学在很大程度上无法实现这一目标,这个问题的解决 就显得尤为重要。化疗通过使细胞中毒来适当缓解癌症症状,但 由于化疗药物不仅会攻击癌细胞还会破坏健康细胞(包括抗癌所 需的免疫系统细胞),通常情况下癌症还会复发。 在一系列试验中,我们将皮肤癌(黑色素瘤)细胞暴露于不同浓 度的微量营养素中。 我们使用了前页中相同的规则来标记细胞:绿色代表存活的细胞 ,黄色代表处于细胞凋亡早期的细胞(癌细胞开始死亡),红色 代表细胞凋亡晚期的细胞(癌细胞基本死亡)。 我们评估了显微镜下癌细胞暴露于不同浓度的微量营养素中的情 况(对开页上图所示),并且量化了各种颜色细胞的百分比(对
结果显示,微量营养素的浓度越高,经历自然死亡的癌细胞数量 就越多。 浓度最高时(图C),我们发现所有癌细胞都处于细胞 凋亡晚期,即趋向死亡状态。 因此,微量营养素这一安全方法不 仅可以阻碍癌症进一步进展,还可以逆转已经存在的肿瘤。 战胜癌症 第1部分:变不可能为可能 156
开页下图所示)。
第三章 科学事实使得这种突破变得不可逆转 157 微量营养素浓度越高, 癌细胞死亡数量越多。 点击以下网址,在线阅读完整研究结果: www.drrathresearch.org A. 控制组 C. 1000 微量营养素浓度 (微克/毫升) 各组中的细胞百分比 全部细胞自 然死亡 B. 500 存活的细胞 死亡的细胞(细胞凋亡) 正在死亡的细胞 (死亡初期) 图B. 500 微克/毫升 图C. 1000 微克/毫升 微量营养素诱导人类黑色素瘤自然死亡 图A. 控制 微量营养素诱导黑色素瘤细胞凋亡
我是Werner Pilniok。 1999年9月,在一次常规X线检查时,我被诊断为患有快速生长 型肺癌。据医生(肿瘤专家)说,肺肿瘤为1.5 x 1厘米 【0.6 x 0.4英寸 】。医生建议手术切除整个肺部,也即肿瘤所在的部 位。为此,我必须要接受一系列其他检查。 因为我患过心脏病,任何手术对我来说都可能会带来很大的风 险,所以我开始考虑是否有其他替代方案。我读了Rath博士的 研究,其中提到了微量营养素的自然抗癌疗效。 于是,我决定取消预定的手术,开始尝试微量营养素。自1999 年10月起,我开始在饮食中添加大量的微量营养素。2000年4 月3日,接受了对照CT检查。检查发现半年前所诊断的肿瘤消 失了,医生简直不敢相信!医生怀疑X线检查出了问题,直到另 一项X线检查得出同样的结果时,才告诉我检查结果。重复的扫 描得出相同的结果:我不再患有肿瘤了。 这件事已经过去十多年了。2011年,我过了80大寿,身体非常 健康,感谢微量营养素让我多活了这么多年。 WernerPilniok 战胜癌症 第1部分:变不可能为可能 158 战胜肺癌
第三章 科学事实使得这种突破变得不可逆转 159 走进 Werner Pilniok 的故事 图A-1: 1999年,Pilniok先生的肺部CT扫描表明, 突出显示区域存在肿瘤。 图A-2: 为图A-1中突出显示区域的放大图示。 图B: 2002年4月,Pilniok先生再次接受肺部对照CT扫描。 该照片是与A-2相同的位置。图中显示不再存在肿瘤。 该患者未接受手术或放化疗,通过自 然疗法就消除了肿瘤。
战胜癌症 第1部分:变不可能为可能 160 您是否已经意识到… 通过阅读本章内容,您是否领略到了新型现代医学和健康知 识?这种新型医学知识旨在让“人人都能理解”,真正对您 的健康负责。 在您继续阅读本书之前,首先让您看看我们位于加利福尼亚 的研究所,我们每位员工都竭诚让“人人都拥有健康”成为 现实。 Rath博士研 究所 某实验室
第三章 科学事实使得这种突破变得不可逆转 161 Niedzwiecki博士, 十多年来负责在研究 所指导研究。 Waheed Roomi博士, 担任癌症研究主任, 负责评估癌症实验 图中为主要研究人 员在实验台讨论科 研项目
战胜癌症 第1部分:变不可能为可能 162 微量营养素协同(营养协同作用)提高疗效 我们的一些读者,甚至包括医疗专业人员,可能对微量营养素在 阻断癌症、甚至逆转这种重要的细胞机制中发挥的综合作用表示 惊讶。 而这种神奇疗效背后的科学原理非常简单:我们模拟了自然过程 。我们并非只靠单种微量营养素的作用,而是通过利用单个营养 素的相互促进作用,充分发挥人体的天然自愈潜力。 在过去十几年中,许多研究人员都研究了微量营养素控制癌症的 可能性。可惜的是,他们大多试图使用单种微生物和其他天然化 合物达成这一目标,而这种局限性是由于政治环境所致。 世界各地的监管机构禁止注册微量营养素组合药物用于医疗防治 。因此,总是导致结论错误。 监管机构只是把药物相互作用的经验强加于生物物质。毫无疑问 ,药物间的相互作用影响非常严重,通常会致命,是重要的健康 问题。而生物物质并非如此,人体内每秒会发生数十亿的生化作 用。 我们研究所开创了微量营养素协同作用的新方向。下文中记录了 微量营养素协同作用比单种化合物更具优势。
第三章 科学事实使得这种突破变得不可逆转 163 植物生物制剂 维生素 矿物质 微量营养素的协同作用是现代医学的基础
科学证明: 与单种微量营养素相比,营养组合物 在抑制癌症侵袭性方面更有效 为了研究微量营养组合物与单种天然化合物在抗癌疗效的差别, 我们进行了一组科学实验: 我们将结缔组织产生的人类癌细胞(纤维肉瘤)放置于两种不同 的环境下: 1. 补充有绿茶提取物(GTE)的细胞培养液,绿茶提取物中富含 生物活性化合物(又称多酚),图中以绿色表示该化合物。 2. 补充有与(1)相同的GTE细胞培养液,但是另外添加包含某 些维生素、矿物质和氨基酸的微量营养素组合物。欲知组合物 中的详细成分,请参考本章开始头提及的营养组合物(NS) ,在对开页中以红色表示。
其他微量营养素结合使用时,可以更有效地抑制癌细胞的侵袭能 力。 该试验结果并不仅局限于纤维肉瘤细胞,我们在人类肝癌细胞、 脑癌细胞(成胶质细胞瘤)和其他癌症类型中也得出了相同的结 果。 战胜癌症 第1部分:变不可能为可能 164
试验结果显示,绿茶提取物及营养结合物的用量越多,抑制癌细 胞生成胶原蛋白溶解酶的作用就越强。请注意,当绿茶提取物与
第三章 科学事实使得这种突破变得不可逆转 165 模仿生物系统条件下微量影响素的协同作 用比单一成分能够更有效地抑制癌症 点击以下网址,在线阅读完整研究结果: http://www.drrathresearch.org/pub/voc/163 1. 多酚中富含绿茶因子 2. 营养结合物(NS) 氨基酸 矿物质 维生素 绿茶提取物 * 更多详情,请查看本章开始部分。 单独使用绿茶提取物与和其他微量营养素结合使用绿茶提取物在抑 制人类癌细胞分泌胶原蛋白溶解酶(MMP-9)中的效果比较 图A.控制组 图C. 100 微量营养素浓度 (微克/毫升) 请注意绿柱与红 柱的区别 图B. 50 图D. 500 测试成分: 1. 绿色提取物(GTE) 2. 营养结合物(NS) 1 1 1 2 2 营养结合物在抑制癌细胞(纤维肉瘤) 侵袭性方面的优势
战胜癌症 第1部分:变不可能为可能 166 科学证明: 与单种微量营养素相比,营养组合 物在抑制癌症侵袭性方面更有效 在确定微量营养素组合物比单种微量营养素更有疗效后,我们希 望了解这一发现是否可被应用于生命体系。 我们假定可以,毕竟人体的生化功能并非仅依赖于某一种微量营 养素,而是依赖于多种微量营养素的相互“协调”作用。 我们设计了一个试验,将三组动物(大鼠)诱发乳腺癌,让肿瘤 生长18周。我们希望通过这项试验设计模拟癌症患者的实际情况 。 在补充任何微量营养素之前,我们测量了三组动物中的肿瘤大小 ,对开页中显示为“开始”。 A组作为对照继续未补充微量营养 素, B组在饮食中添加了绿茶提取物,C组在饮食中添加了绿茶 提取物及其他微量营养元素(营养组合物,见前页)。 对开页中显示了研究结果。图中显示,膳食补充显著降低了乳腺 肿瘤的尺寸。值得注意的是,微量营养素组合膳食的动物获益最 大。当研究持续到40天到60天时,肿瘤生长基本上完全停止。
第三章 科学事实使得这种突破变得不可逆转 167 在活体条件下,与单种微量营 养素相比,使用微量营养素组 合能更有效地抑制肿瘤生长。 点击以下网址,在线阅读完整研究结果: www.drrathresearch.org 单独使用绿茶提取物与和其他微量营养素结合使用绿茶提 取物在抑制体内乳腺肿瘤生长中的效果比较 A. 控制组饮食 研究持续天数 肿瘤的平均尺寸(以cc计) 4.0 40 B.绿茶饮食 C. 营养组合饮食 开始 60 与单用绿茶提取物相比,营养组合物在抑 制乳腺癌生长方面更有效
让您信得过的研究结果! 当您听到媒体报道任何“突破性”的抗癌进展时,一定要多加 小心。制药公司擅长通过媒体炒作,增加专利药物的销售量, 促进企业的股价。 本研究所不受任何制药投资业务影响,与任何其他私人利益无 关。十多年来,我们的投资方都是曾受益于我们科研成果和医 学知识的人员。 此外,本研究所和Rath博士的整个团队完全由非营利基金会所 有。因此,当我们为您提供信息时,不涉及任何利益动机。我 们关心的是您的健康,这也是赢得您信任的最佳方式。 多年来,本研究所已成为自然健康领域最领先的世界研究所之 一。我们的研究成果不仅已在各领先科学期刊中上发表,还曾 在各国际科研会议中提出。我们的研究所网站上也展示了所有 研究成果: 战胜癌症 第1部分:变不可能为可能 168 www.drrathresearch.org
第三章 科学事实使得这种突破变得不可逆转 169 www.wha-www.org/en/library/index.html
战胜癌症 第1部分:变不可能为可能 170 本章 个人总结 在撰写本章时,我们希望本章的内容能够改变读者关于癌症 的认识。本页为您提供了一个简要列表,以检验您是否已了 解了其中的重要信息。 您是否知道: 各种类型的癌症均使用相同的机制在体内扩 散。 微量营养素可控制癌症的所有关键机制。 微量营养素配合(协同)应用比单用一种更 为有效。 微量营养素是一种安全、有效、无副作用的 抗癌方式。 微量营养素通过调节细胞功能发挥作用, 与化疗使细胞中毒的方法相反。 基于对癌症起源和控制的理解,我们这一代 是否可在很大程度上让癌症消失。 是 否
第三章 科学事实使得这种突破变得不可逆转 171 全球医疗领域的重大观点 根据本章中提供的科学证明来看,本书将对患者、医疗从 业人员、政治决策人员以及每个读者带来直接影响。 基于以下假设,我们希望引发公众的长期讨论,最终战胜 癌症。 1. 基于本书中呈现的自然控制癌症方法,战胜癌症仅取决 于一个因素: 该信息需要多久才能在世界范围内传播开来? 2. 将本书中呈现的知识应用于实践中将有助于消除癌症这 一直困扰着人类的疾病的大规模流行。 3. 以本书作为新型公共卫生策略的基础,将节省数十亿的 医疗成本,减少患者和政治家等对传统抗癌药物的致命 依赖。由于癌症流行,制药领域在传统抗癌药物业务中 投资了数十亿。
战胜癌症 第1部分:变不可能为可能 172 您是否已经意识到… 在阅读本书内容时,您是否已经发觉,世界上任何医科院校 并未将本书内容作为授课材料? 对开页所示为世界三大领先的医疗机构:哈佛医学院、斯隆 凯特林中心和斯坦福大学。 截至目前,未来一代又一代的医生在学习医学知识,但却没 有学到癌症之所以能够侵袭人体,是因为癌细胞滥用人体中 排卵、白细胞移行等天然机制,这是关于癌症的基础知识。 未来一代又一代的医生在世界各地的医学院学习,却并未了 解滥用正常细胞机制才是癌症容易逃脱身体防御的原因,才 是癌症侵袭性如此之高的原因。 随着本书的出版,医疗专业人员将会了解这一生命攸关的信 息。更重要的是,本书通俗易懂,即使没有接受过任何医学 教育的人也可以理解本书内容,明白自己可以掌握战胜癌症 的秘诀。 为生命而勇敢设想!
第三章 科学事实使得这种突破变得不可逆转 173 哈佛医学院, 剑桥, 马萨诸塞州 斯隆凯特林中心,纽约 斯坦福大学,帕洛阿尔托
附录 重要文档
战胜癌症 – 第1部分: 变不可能为可能 176 鸣谢 感谢整个研究团队,因为他们的才智和毅力才实现了这一医疗突 破。首先要感谢研究部门的负责人WaheedRomi博士十多年来 实施和监督这些重要实验,还要感谢ShrirangNetke博士、 VadimIvanov博士、RaxitJariwalla博士、NusrathRoomi博 士和TatianaKalinovsky博士为这项突破性研究付出的努力。 感谢LisaSmith帮助排版;感谢CathyFlowers和JohnJourney 校对。 感谢BetsyLong、EarleHall、ChristianKammler、 ThomasWenn和PaulAnthonyTaylor的支持。 还要感谢国际法律团队的所有成员,因为他们十多年来的保护, 才使得本医疗突破免受法律侵权。 感谢WernerPilniok、BaerbelSaliger和其他所有勇于公开讲述 他们故事的患者。 我们在此特别要提到那些已经去世的患者,如果没有耗费太多时 间在传统医疗上,他们可能还有一线机会战胜病魔。 特别感谢AugustKowalczyk、JerzyUlatowski和奥斯威辛集中 营的其他幸存者, 他们仍然是我们工作中的思想源泉。我们与他 们一起承诺:“绝不让同类事件再次发生”! 特别感谢国际健康联盟成千上万的成员,感谢他们十多年来的支 持。没有他们,我们不可能实现这一突破。 感谢我们家人的支持和耐心。
附录-重要文档 177
还要感谢Andy和JamieKerr在我们撰写本书时为我们提供工作 环境。 最后,感谢那些质疑和反对我们的人,是他们让我们更有研究动 力研。
以下是1992年发表在科学刊物上的文章,为我们的癌症研究奠定 了基础。该文章由Rath博士撰写,获诺贝尔奖得主LinusPauling 支持。 纤溶酶诱导性蛋白水解及载脂蛋白(a)、赖氨酸和赖氨酸合成 物的作用 M. Rath,L. Pauling 分子医学期刊,1992年,7: 17-23 摘要 除由于个体遗传或外源性原因所致的疾病之外,大多数疾病通过类似的 发病机制扩散。其中一条通用途径是通过自由基传播。本文提出另一种 通用的发病机制:由纤溶酶所致结缔组织降解。这种机制适用于一些疾 病,但是其普遍性尚未得到充分理解。我们认为,癌症、心血管疾病( CVD)、炎症和许多其他疾病的扩散在不同程度上与这种发病机制相关 。活化巨噬细胞以及癌细胞、病毒转化细胞和其他病原细胞会分泌大量 的纤溶酶原激活物,将血纤维蛋白溶酶原激活为蛋白纤溶酶,进一步将 原胶原酶激活为胶原酶。细胞外基质的降解是任何疾病恶化和临床表现 的前提条件。大多数急性和慢性疾病都是通过这种发病机制进展的。这 种发病机制是指人体各种细胞系统在生理条件下发生的退化。其在病理 条件下发生的恶化是由于活化剂与抑制剂之间的慢性不平衡所致。载脂 蛋白(a)(简称apo(a))与纤溶酶原同源,被认为是纤溶酶诱导蛋 白水解和组织降解的竞争性内源抑制剂。必需氨基酸L-赖氨酸是该过程 的外源抑制剂。通过施用L-赖氨酸和赖氨酸合成物(例如,氨甲环酸) ,可有效控制纤溶酶诱导的蛋白水解过程。如果该机制得到临床验证, 那么将为很多疾病提供新的治疗饲料,尤其是晚期心血管疾病(CVD) 、癌症、炎症和感染性疾病(包括艾滋病)等。 战胜癌症 – 第1部分: 变不可能为可能 178

多疾病(如癌症和某些病毒性疾病)的发病机制(4,5)。但是,这种机 制几乎还未在心血管疾病领域中引起任何注意。 L-赖氨酸及其合成物是 该机制的外源抑制剂,由于无法了解其广泛的治疗用途,需要我们做出 更多研究,以充分了解这种发病机制的通用性质。由于缺乏了解,导致 人类健康依然承受有害的后果,数以百万计的患者无法接受最佳治疗。 本书旨在介绍相关知识,为将赖氨酸及其合成物广泛用于临床治疗提供 理论依据。

引言 近年来,国际研究界热衷于研究人体中这种独特的蛋白,载脂蛋白(a) (简称apo(a))。在其被发现后的30多年里,学者们主要探讨了载脂 蛋白(a)对人体健康的危害性,尤其是对心血管疾病(CVD)的危害 性。我们并不认为,载脂蛋白(a)仅只有一种危害特性。根据进化规律 ,载脂蛋白(a)一定也有远超过其缺点的优点。因此,我们发现在生理 条件下,载脂蛋白(a)作为粘附蛋白介导器官分化和生长。而在病理条 件下,载脂蛋白(a)主要替代抗坏血酸缺乏,通过代偿胶原蛋白代谢受 损提高组织稳定性(1)。此外,我们认为,在很多疾病进展中,载脂蛋 白(a)是重要发病机制的抑制剂。这些发病机制在抗坏血酸缺乏时期是 有利的。其中,一项通用发病机制是氧自由基受损,载脂蛋白(a)作为 蛋白硫醇(2)发挥抗氧化作用,从而减缓疾病发展过程。 载脂蛋白(a)还使我们确定另一种机制的普遍重要性,即由纤溶酶所致 结缔组织降解。我们最近提出,载脂蛋白(a)与纤溶酶原同源,被认为 是纤溶酶诱导蛋白水解的竞争性抑制剂(3)。本文详细描述了该机制的 通用特性和载脂蛋白(a)的作用。纤溶酶诱导的蛋白水解已被描述为很
附录-重要文档 179
生理条件下纤溶酶诱导的蛋白水解 纤溶酶诱导的蛋白水解是人体中普遍存在的生理机制。人体中主要的细 胞防御系统包括单核细胞、巨噬细胞和中性粒细胞,利用这种机制在体 内各腔室移行。分泌纤溶酶原激活物后,将纤溶酶原激活为纤溶酶。这 种机制有效利用了纤溶酶原和纤维蛋白溶酶原中高血液浓度和组织浓度 ,是供蛋白水解活动的大型藏库。然后,活化的蛋白酶纤溶酶将原胶原 酶转化为胶原酶(6),也可能会转化成其他酶,导致结缔组织发生局 部降解。结缔组织的这种局部降解为巨噬细胞在体内移行奠定了基础。 纤溶酶的蛋白水解作用也增加了血管通透性(7)。蛋白水解作用也促 进单核细胞和其他血液细胞循环渗透至有更多需求的组织部位。其中, 纤溶酶诱导产生蛋白水解的生理条件包括不同形式的组织形成和重组, 例如神经形成、血管形成及增殖(如有可能)。 纤溶酶诱导的蛋白水解在女性生殖器官内分泌调节过程中发挥着特别重 要的作用。在激素刺激下,乳腺和子宫细胞分泌纤溶酶原激活物,从而 在妊娠和哺乳期间引发器官发生形态变化(4)。排卵就是一个典型示 例。促黄体激素(LH)和促卵泡激素(FSH)刺激卵泡颗粒分泌纤维蛋 白溶酶原激活物(8)。卵巢结缔组织的随后降解是排卵的前提条件( 图1a)。同样,滋养层细胞利用纤溶酶诱导的蛋白水解过程在怀孕早期 胚胎着床期间进入子宫壁。在所有这些条件下,酶的产生是短暂的,受 激素水平和其他控制机制严格调节。 生理条件下纤溶酶诱导的蛋白水解 纤溶酶诱导的组织降解可促进大多数疾病进展。事实上,利用宿主防御 (例如巨噬细胞)攻击病原体,也会诱导产生类似的机制。在很多病理 条件下,巨噬细胞会成为“活化细胞”。这种活化过程表征为大量释放 分泌产物,反应了人体处于特殊警戒状态。分泌产物包括氧代谢物、胶 原酶、弹性蛋白酶及显著增多的纤溶酶原激活物。很显然,人体要严格 控制这种机制。此外,巨噬细胞还会分泌抑制性产物,包括纤溶酶抑制 物和α2-巨球蛋白等能够使纤溶酶和很多其他蛋白酶失活的物质。如果 该机制出现任何不平衡,就可能导致身体恶化和组织持续降解。慢性活 化的巨噬细胞和控制机制最终导致结缔组织持续降解,加快疾病进展。 因此,我们提出,纤溶酶诱导的蛋白水解会在不同程度上促进所有疾病 进展。 但是,这种机制并不限于人体的巨噬细胞和其他防御细胞。以下我们将 更详细地讨论主要疾病的发病机制。 战胜癌症 – 第1部分: 变不可能为可能 180
癌症 人体中许多细胞的恶性转化会导致不受控制地分泌纤溶酶原激活物。在 这种情况下,纤溶酶原激活物的分泌过程不再是短暂的,而是恶性细胞 的表征。纤溶酶原激活物成倍的增多(10倍到100倍)使得这种酶在癌 变相关的生化改变中发挥独特作用。此外,纤溶酶原激活物的分泌与诱 导机制无关,可被认为是致癌病毒或化学致癌物所致。最为重要的是, 纤溶酶原激活物的分泌量通常与恶性程度相关(4,5)。免疫组织学研究 表明,在肿瘤附近发生侵袭性生长的部位,纤溶酶原激活物浓度最高( 9)。 由于生理条件下纤溶酶诱导的蛋白水解对女性生殖器官至关重要,毫不 奇怪,这种机制恶化后非常容易造成女性生殖器官产生恶性肿瘤。乳腺 、子宫、卵巢和其他器官的癌细胞持续分泌大量的纤溶酶原激活物,破 坏周围的细胞外机制,进一步导致发生浸润性生长。这些机制还与前列 腺癌扩散有关,前列腺癌是男性中最常见的癌症之一。 纤溶酶诱导的蛋白水解也是癌症转移扩散的关键所在。如上所述,纤溶 酶诱导增加血管的渗透性,从而促进肿瘤细胞在全身扩散。当然,这种 发病机制不限于生殖器官。据报道,卵巢癌、子宫内膜癌、宫颈癌、乳 腺癌、结肠癌、肺癌、皮肤癌(黑色素瘤等)均与纤溶酶诱导组织降解 相关(4),表明大多数癌症利用这种机制扩散。 传染病和炎症疾病 至于恶性肿瘤中的转化细胞,还发现病毒转化的细胞会分泌纤溶酶原激 活物(4,5)。这些细胞激活其附近(如肺组织)的纤溶酶原,从而促进 感染局部扩散。同时,纤溶酶会增加局部血管的渗透性,进而促进感染 向全身扩散。 我们认为,在感染过程中其他病原体也采用了这种机制。纤维酶原激活 物通常在炎症反应中发挥着重要作用。巨噬细胞和粒细胞产生纤维酶原 激活物与炎症的各种调节因子密切相关。石棉、淋巴因子和干扰素会刺 激酶的分泌,而糖皮质激素等抗炎药会抑制酶的分泌。据研究,纤溶酶 诱导的蛋白水解与多种炎症相关,包括慢性类风湿性关节炎、过敏性血 管炎、慢性炎性肠病、慢性鼻窦炎、脱髓鞘病等(4)。因此,纤溶酶 诱导的组织降解可能是慢性炎症疾病的重要发病机制。 附录-重要文档 181
心血管疾病 活化巨噬细胞在心血管疾病的发病机制中发挥着重要作用。血液中的单核 细胞进入血管壁,变成巨噬细胞。脂蛋白的氧化变性等其他机制强化激活 血管壁中的巨噬细胞(3,10)。一旦巨噬细胞被激活,就会发生与任何其 他疾病类似的一系列反应,包括增加分泌酶原激活物、纤溶酶激活原胶原 酶和血管壁中结缔组织降解。同时,纤溶酶会增加血管壁的渗透性,导致 继续强化血浆成分浸润。这种发病机制进而会引发动脉粥样硬化病变。特 别是当血管壁已经由于抗坏血酸的缺乏而变得不稳定时,这种发病机制尤 为明显。如以上所述(3),这种不稳定性主要体现在冠状动脉分支等血 液动力状况改变的区域。因此,毫不奇怪,人体动脉分支中会检测到纤维 酶原激活物增多。此外,动脉粥样硬化病变通常产生大量的纤维酶原激活 物,比正常的血管壁中含量要高很多(11)。需要注意,尚未系统地跟 踪这些早期发现。这种疏忽表明,人类尚未完全了解纤溶酶诱导蛋白水解 对疾病进展的普遍影响。本文旨在探究这一机制。 载脂蛋白(a)-纤溶酶诱导性蛋白水解的抑制剂 确定纤溶酶诱导性蛋白水解在大多数疾病中的普遍重要性后,我们再一 次注意到载脂蛋白(a)及人体对其增长的需求,表现为在许多病理条 件下血浆浓度升高。如上所述,载脂蛋白(a)在生理条件和病理条件 下会发挥多种作用。本部分将重点探讨载脂蛋白(a)作为纤溶酶诱导 蛋白水解和组织降解的竞争性内源抑制剂所发挥的作用。 载脂蛋白(a)是具有独特结构的糖蛋白。主要由kringle 结构的重复序 列组成,这种结构与纤溶酶原分子的kringle IV结构高度同源。载脂蛋 白(a)的基因位于染色体6上纤维酶原基因附近。据研究,载脂蛋白( a)分子来源于纤溶酶原分子或两种基因来源于相同的源基因(12)。 截至目前,尚未有人解释为什么纤溶酶原的五种kringle结构中,只有 kringle IV用来构成载脂蛋白(a)分子。我们认为,这不是简单的巧合 。其中,之所以载脂蛋白(a)由kringle IV结构的重复序列构成,至少 与纤溶酶原分子中kringle IV的结构/功能相关。 我们认为,由kringle IV重复结构构成的载脂蛋白(a)是纤溶酶诱导蛋 白水解的竞争性抑制剂。载脂蛋白(a)可在不干扰纤溶酶原分子的关键 功能下,控制纤溶酶诱导蛋白水解。因此,载脂蛋白(a)中包含的 kringle IV结构越多, 载脂蛋白(a)的抑制作用越强。这一理论不仅可 解释kringle IV相对于其他kringle 结构的选择性优势,还可解释基因决 定性血浆脂蛋白(a)浓度的巨大变化,进而很大程度上反应出分子内的 战胜癌症 – 第1部分: 变不可能为可能 182
kringle IV重复结构与载脂蛋白(a)合成速率之间成反比关系。 许多观察研究也为此提供了支持性证据,表明载脂蛋白(a)对纤溶酶诱 导蛋白水解的控制作用。据研究,载脂蛋白(a)可减弱组织中纤溶酶原 激活物诱导的纤维蛋白溶解,并竞争性地干扰纤溶酶原和纤溶酶的诱导 途径(综述14)。此外,关于各种疾病的免疫组织学研究表明,载脂蛋 白(a)会优先沉积在需要控制纤溶酶诱导蛋白水解的部位。一项研究观 察了数百个代表各种心血管疾病程度的心血管样品,发现载脂蛋白(a) 主要位于内膜下,很可能会抵消所增加的内皮通透性。在晚期动脉粥样 硬化病变中,载脂蛋白(a)优先位于核心病变周围,尤其是病变边缘( 15),即慢性恢复的主要部位。一项关于癌症不同形态的综合研究发现 ,载脂蛋白(a)位于癌变部位附近(A. Niendorf博士,私人通讯)。 这两项研究均使用了不与纤溶酶原发生交叉反应的相同单克隆抗体。还 有一个初步报告也说明了载脂蛋白(a)在炎症患者的微血管系统中沉积 (16)。我们预测,将会有研究发现载脂蛋白(a)在控制艾滋病等感 染疾病中发挥的重要作用。载脂蛋白(a)作为纤溶酶诱导蛋白水解的竞 争性抑制剂,不限于在病理条件下发挥作用。研究还发现,妊娠早期子 宫变化期间也会需要更多的载脂蛋白(a)。 总之,载脂蛋白(a)被认为是体内控制纤溶酶诱导蛋白水解的重要因子 。特别是在慢性活化期间,载脂蛋白(a)可支持抗纤溶酶和其他内源性 抑制剂发挥作用。除了纤溶酶诱导蛋白水解的内源性抑制剂之外,还存 在外源性抑制剂。本部分提到的发病机制也再一次证明外源性抑制剂在 治疗许多疾病中的巨大价值。 赖氨酸和赖氨酸合成物的治疗用途 赖氨酸是一种必需氨基酸,是这种发病机制中最为重要的天然抑制剂。 与载脂蛋白(a)的竞争性抑制相反,赖氨酸直接抑制纤溶酶诱导蛋白 水解。赖氨酸至少通过部分占用纤溶酶原分子中的赖氨酸结合位点,减 弱纤溶酶的过度活化。由于赖氨酸是一种必需氨基酸,无法通过内源机 制调节。如果膳食中赖氨酸摄入量不足,将不可避免地导致这种氨基酸 缺乏,进而弱化人体对这种发病机制的自然防御功能。此外,癌细胞、 病毒转化细胞或巨噬细胞慢性激活纤溶酶原,导致赖氨酸相对缺乏,进 而加速疾病进展。研究已经证明赖氨酸在很多疾病中的治疗价值(18) ,最近还被证明可与抗坏血酸结合治疗心血管疾病(19)。 ε-氨基己酸、对氨基-甲基苯甲酸、反氨基环己酸(氨甲环酸)等赖氨酸 合成物是纤溶酶诱导蛋白水解的有效抑制剂。这些物质(特别是氨甲环 附录-重要文档 183

发症的风险(3)。然而,这并不是医疗界未频繁使用这种方案、患者 仍然未获最佳治疗的唯一因素。还有一个是经济因素。专利保护是任何

酸)已经成功用于治疗各种病理状况,如血管瘤、溃疡性结肠炎等。据 研究,对乳腺癌(20)和卵巢癌(21)晚期及其他来源的癌症非常有效 。我们最近建议使用赖氨酸合成物减少动脉粥样硬化斑块(3)。 基于以上工作,还需开展全面的临床研究,以确定赖氨酸在各种疾病防 治中关键作用。 据研究显示,每天至少摄取5克赖氨酸对身体没有副作用。基于其与凝 血酸结合使用的治疗效果,特别是在抑制和降低癌症风险中的作用,现 应在临床治疗中广泛测试这些物质对晚期癌症、心血管疾病和艾滋病等 疾病的疗效。之所以长期以来并没有这样研究,是因为有学者争论这些 物质可能会诱发凝血并发症。但是,这些物质是蛋白酶抑制剂,不仅会 抑制纤维蛋白溶解,还会抑制凝血(24)。此外,凝血酸已经使用了10 年以上,还没有引发临床并发症(25)。我们建议,通过将这些物质与 抗坏血酸及其他具有抗凝血性的维生素结合,可进一步降低任何止血并
制药公司开发或销售药物的指导原则。赖氨酸与许多其他营养素一样, 不具备专利性,而临床获批的赖氨酸合成物(包括氨甲环酸)的专利期 限早已过期。 从经济角度来讲,忽视这些物质可以理解;但是从人类健 康的角度来讲,形势紧迫,刻不容缓。 结论 本文讲述了纤溶酶诱导的蛋白水解是癌症、心血管疾病、炎症等其他疾 病扩散的普遍发病机制。病理条件下纤溶酶诱导性组织降解会加重病理 进程。载脂蛋白(a)被认为可用作这种机制的竞争性内源抑制剂。根 据人类进化中载脂蛋白(a)的选择优势,我们认识到载脂蛋白(a)在 这种发病机制的普遍重要性。临床上需进一步确认赖氨酸及其合成物的 治疗价值,从而为数百万患者提供新的有效治疗方案。我们预测,使用 赖氨酸和赖氨酸合成物,尤其通过与抗坏血酸结合使用,将会突破性地 控制多种形式的癌症和传染病(包括艾滋病)。 战胜癌症 – 第1部分: 变不可能为可能 184
鸣谢
附录-重要文档 185
感谢Alexandra Niedzwiecki 博士与我们进行的有益讨论,感谢Rosemary Babcock为我们提供图书馆场地服务,感谢Jolanta Walechiewicz 为我们提供图形资料,感谢Martha Best和Dorothy Munro为我们提供耐心帮助。
战胜癌症 – 第1部分: 变不可能为可能 186
附录-重要文档 187
战胜癌症 – 第1部分: 变不可能为可能 188

参考文献

1.RathM, PaulingL. Apoprotein(a) isanadhesiveprotein. J. OrthomolecularMed.1991;6:139-143.

2. RathM, PaulingL. Hypothesis: Lipoprotein(a) isasurrogatefor ascorbate. Proc.Natl.Acad.Sci.USA1990; 87:6204-6207.

3. RathM, PaulingL. Solutionofthepuzzleofhumancardiovascular disease: Itsprimarycauseisascorbatedeficiency, leadingtothe depositionoflipoprotein(a) andfibrinogen/fibrininthevascularwall. J. OrthomolecularMed.1991;6:125-134.

4. DanøK, AndreasenPA, Grøndahl-HansenJ, KristensenP, NielsenLS andSkriverL: Plasminogenactivators, tissuedegradation, andcancer. AdvancesinCancerResearch1985; Vol44, AcademicPress.

5. ReichE: Activationofplasminogen: ageneralmechanismfor producinglocalizedextracellularproteolysis. MolecularBasisof BiologicalDegradativeProcesses. BerlinRD, HerrmannH, LepowTH, Tanzov T(eds), 1978, AcademicPressInc.,NewYork.

6. WerbZ, MainardiCL, VaterCA, andHarrisJrED: Endogenous activationoflatentcollagenasebyrheumatoidsynovialcells. N.Engl.J.Med.1977 #18; 296:

7. RatnoffOD. Increasedvascularpermeabilityinducedbyhuman plasmin. In: VascularPermeabilityandPlasmin. 1965.

8. StricklandS& BeersWH. Studiesontheroleofplasminogenactivator inovulation. J.Biol.Chem.1976; 251:5694-5702.

9. SkriverL, Larsson L-I, KielbergV, NielsenLS, AndresenPB, Kristensen P, & DanøK. Immunocytochemicallocalizationofurokinase-type plasminogenactivatorinLewislungcarcinoma. J.CellBiol. 1984; 99:752-757.

10. SteinbergD, ParthasarathyS, CarewTE, & WitztumJL. Beyond cholesterol. Modificationsoflow-densitylipoproteinthatincreaseits atherogenicity. N. Engl. J. Med. 1989; 320:915-924.

11. SmokovitisA: Anewhypothesis: possiblemechanismsinthe involvementoftheincreasedplasminogenactivatoractivityin branchingregionsoftheaortaintheinitiationofatherosclerosis. Thromb-Haemost. 1980; 43(2):141-148.

12. McLeanJW, TomlinsonJE, Kuang W-J, EatonDL, ChenEY, FlessGM, ScanuAM, andLawnRM. cDNAsequenceofhumanapolipoprotein(a) ishomologoustoplasminogen. Nature1987;330:132-137.

13. TrexlerM, ValiZ. & PatthyL. Structureofthe w-aminocarboxylicacidbindingsitesofhumanplasminogen. J.Biol.Chem. 1982; 257:74017406.

14.EdelbergJM, PizzoSV: Lipoprotein(a): Thelinkbetweenimpaired fibrinolysisandatherosclerosis. Fibrinolysis1991;5:135-143.

附录-重要文档 189

15.NiendorfA, RathM, WolfK, PetersS, ArpsH, BeisiegelUandDietel M: Morphologicaldetectionandquantificationoflipoprotein(a) depositioninatheromatouslesionsofhumanaortaandcoronary arteries. Virchow's ArchivAPathol. Anat. 1990;417:105-111.

16. EtinginOR, HajjarDP, HajjarKA, HarpelPC& NachmanRL. Lipoprotein(a) regulatesplasminogenactivatorinhibitor-1 expression inendothelialcells. J.Biol.Chem.1991; 266:2459-2465.

17. ZechnerR, DesoyeG, SchweditschMO, PfeifferKP& KostnerGM. Fluctuationsofplasmalipoprotein-a concentrationsduringpregnancy andpostpartum. Metabolism1986; 35:333-336.

18. GriffithRS, WalshDE, MyrmelKH, ThompsonRW, Behforooz A. Successof L-lysinetherapyinfrequentlyrecurrentherpessimplex infection. Dermatologica1987; 130:183-190.

19. PaulingL. Casereport: Lysine/ascorbate-relatedameliorationof anginapectoris. J. OrthomolecularMed.1991;6:144-146.

20. AstedtB, MattssonW, TropŽC. Treatmentofadvancedbreastcancer withchemotherapeuticsandinhibitionofcoagulationandfibrinolysis. ActaMed. Scand. 1977;201:491-493.

21. AstedtB, GlifbergI, MattssonW, TropéC. Arrestofgrowthofovarian tumorbytranexamicacid. JAMA1977; 238:154.

22. MarkusG. Theroleofhemostasisandfibrinolysisinthemetastatic spreadofcancer. SeminarsinThrombosisandHemostasis1984: 10;61-70.

23. RoseWC, JohnsonJE& HainesW. Theaminoacidrequirementof man. JBiolChem1950;182:541-556.

24. AokiN, NaitoK, & YoshidaN. Inhibitionofplateletaggregationby proteaseinhibitors. Possibleinvolvementofproteasesinplatelet aggregation. Blood1978; 52:1-12.

25. MunchEP& WeekeB. Non-hereditaryangioedematreatedwith tranexamicacid. Allergy1985; 40: 92-97.

战胜癌症 – 第1部分: 变不可能为可能 190
附录-重要文档 191 以上是从1992年原出版物中所摘录的图片。

曾出版的文献

前列腺癌

InVivoAntitumorEffectofAscorbicAcid, Lysine, ProlineandGreenTea ExtractonHumanProstatePC-3 XenograftsinNudeMice: Evaluationof TumorGrowthandImmunohistochemistry. M.W. Roomi, V. Ivanov, T. Kalinovsky, A. Niedzwiecki, M. Rath. InVivo, 2005, 19(1), 179-184.

AntitumorEffectofAscorbicAcid, Lysine, Proline, Arginineand EpigallocatechinGallateinProstateCancerCellLinesPC-3, NCaP, andDU145. M.W. Roomi, V. Ivanov, T. Kalinovsky, A. Niedzwiecki, M. Rath Research CommunicationsinMolecularPathologyandPharmacology, 2004, 115:1-6

睾丸癌

InhibitoryEffectsofaNutrientMixtureonHumanTesticularCancercellLine NT2/DTMatrigelInvasionandMMPActivity. M.W. Roomi, V. Ivanov, T. Kalinovsky, A. Niedzwiecki, M. Rath. MedicalOncology2007 24(2): 183-188

乳腺癌

InVitroandInVivoAntitumorigenicActivityofaMixtureofLysine, Proline, AscorbicAcidandGreenTeaExtractonHumanBreastCancer LinesMDAMB-231 andMCF-7. M.W. Roomi, V. Ivanov, T. Kalinovsky, A. Niedzwiecki, M. Rath MedicalOncology2005, 22(2) 129-38

Modulationof N-Methyl –N-Nitrosourea-InducedMammaryTumorsin Sprague-DawleyRatsbyCombinationofLysine, Proline, Arginine, Ascorbic AcidandGreenTeaExtract. M.W. Roomi, N.W. Roomi, V. Ivanov, T. Kalinovsky, A. Niedzwiecki, M. Rath. BreastCancerResearch, 2005, 7:R291-R295

Acombinationofgreenteaextract, specificnutrientmixtureand quercetin: Aneffectiveinterventiontreatmentfortheregressionof N-Methyl–N-Nitrosourea(MNU)-InducedmammarytumorsinWistar rats. AnupKale, SoniaGawande, SwatiKotwal, ShrirangNetke, M.W. Roomi, V. Ivanov, A. Niedzwiecki, M. Rath OncologyLetters, 2010, 1:313-317

宫颈癌

SuppressionofHumanCervicalCancerCellLinesHelaandoTc2 4510 MMP ExpressionandMatrigelInvasionbyaMixtureofLysine, Proline, AscorbicAcid, andGreenTeaExtract. M.W. Roomi, V. Ivanov, T. Kalinovsky, A. Niedzwiecki, M.Rath InternationalJournalofGynecologicalCancer2006;16:1241-1247

战胜癌症 – 第1部分: 变不可能为可能 192

卵巢癌

InvitromodulationofMMP-2 andMMP-9 inhumancervicalandovarian cancercelllinesbycytokines, inducersandinhibitors. M.W. Roomi, J.C. Monterrey, T. Kalinovsky, M. Rath, A. Niedzwiecki. OncologyReports2010; 23(3):605-614

InhibitionofMMP-2 SecretionandInvasionbyHumanOvarianCancer CellLineSKOV-3 withlysine, proline, arginine, ascorbicacid, andGreen TeaExtract. M.W. Roomi, V. Ivanov, T. Kalinovsky, A. Niedzwiecki, M. Rath JournalofObstetricsandGynaecologyResearch2006; 32(2): 148-154

大肠癌

InVivoAntitumorEffectofAscorbicAcid, Lysine, ProlineandGreenTea ExtractonHumanColonCancerCellHCT116 XenograftsinNudeMice: EvaluationofTumorGrowthandImmunohistochemistry. M.W. Roomi, V. Ivanov, T. Kalinovsky, A. Niedzwiecki, M. Rath. OncologyReports, 2005, 12 (3), 421-425

SynergisticEffectofCombinationofLysine, Proline, Arginine, Ascorbic AcidandEpigallocatechinGallateonColonCancerCellLineHCT116. M.W. Roomi, V. Ivanov, T. Kalinovsky, A. Niedzwiecki, M. Rath Journalofthe AmericanNutraceuticalAssociation, 2004, 7 (2): 40-43

骨癌

NaturallyProducedExtracellularMatrixInhibitsGrowthRateand InvasivenessofHumanOsteosarcomaCancerCells. V. Ivanov, S. Ivanova, M.W. Roomi, T. Kalinovsky, A. Niedzwiecki, M. Rath. MedicalOncology 2007; 24(2): 209-217

EffectofAscorbicAcid, Lysine, ProlineandGreenTeaExtractonHuman OsteosarcomaCellLineMNNG-HOSXenograftsinNudeMice: Evaluation ofTumorGrowthandImmunohistochemistry. M.W. Roomi, V. Ivanov, T. Kalinovsky, A. Niedzwiecki, M. Rath. MedicalOncology2006; 23(3 ): 411-417

AntitumorEffectofNutrientSynergyonHumanOsteosarcomaCells U2OS, MNNGHOS, andEwing’s SarcomaSK-ES.1. M.W. Roomi, V. Ivanov, T. Kalinovsky, A. Niedzwiecki, M. Rath. OncologyReports, 2005, 13(2), 253-257

InVivoandInVitroAntitumorEffectofNutrientSynergyonHuman OsteosarcomaCellLineMNNG-HOS. M.W. Roomi, V. Ivanov, T. Kalinovsky, A. Niedzwiecki, M. Rath. AnnalsofCancerResearchandTherapy, 2004, 12: 137-148

附录-重要文档 193

胰腺癌

AntitumorEffectofaCombinationofLysine, Proline, Arginine, Ascorbic Acid, andGreenTeaExtractonPancreaticCancerCellLineMIAPaCa-2. M.W. Roomi, V. Ivanov, T. Kalinovsky, A. Niedzwiecki, M. Rath InternationalJournalofGastrointestinalCancer2005, 35 (2), 97-102

纤维肉瘤

InVivoandinVitroAntitumorEffectofAscorbicAcid, Lysine, Proline, Arginine, andGreenTeaExtractonHumanFibrosarcomaCellsHT-1080. M.W. Roomi, V. Ivanov, T. Kalinovsky, A. Niedzwiecki, M. Rath MedicalOncology2006; 23(1): 105-112

SynergisticAntitumorEffectofAscorbicAcid, Lysine, Proline, and EpigallocatechinGallateonHumanFibrosarcomaCellsHT-1080. M.W. Roomi, V. Ivanov, T. Kalinovsky, A. Niedzwiecki, M. Rath AnnalsofCancerResearchandTherapy, 2004 12:148-157

肾癌和膀胱癌

Pleiotropiceffectsofamicronutrientmixtureoncriticalparametersof bladdercancer. M.W. Roomi, T. Kalinovsky, A. Niedzwiecki, M. Rath. In BladderCancer: Etymology, DiagnosisandTreatments, editedbyWilliam Nilsson, NovaSciencePublishers, Inc, 2010.

AntitumorEffectofAscorbicAcid, Lysine, Proline, Arginine, andGreenTea ExtractonBladderCancerCellLineT-24. M.W. Roomi, V. Ivanov, T. Kalinovsky, A. Niedzwiecki, M. Rath. InternationalJournalofUrology2006; 13: 415-419

ModulationofHumanRenalCellCarcinoma786-0 MMP-2 andMMP-9 ActivitybyInhibitorsandInducersinVitro. M.W. Roomi, V. Ivanov, T. Kalinovsky, A. Niedzwiecki, M. Rath. MedicalOncology2006; 23(2): 245-250

AnticancerEffectofLysine, Proline, Arginine, AscorbicAcidandGreenTea ExtractonHumanRenalAdenocarcinomaLine786-0. M.W. Roomi, V. Ivanov, T. Kalinovsky, A. NiedzwieckiandM. Rath. OncologyReports2006; 16(5):943-7

皮肤癌

Inhibitionof7, 12-Dimethylbenzathracene-InducedSkintumorsbya NutrientMixture. M.W. Roomi, N.W. Roomi, T. Kalinovsky, V. Ivanov, M. Rath, A. Niedzwiecki. MedicalOncology2008; 25(3): 330-340

战胜癌症 – 第1部分: 变不可能为可能 194

SuppressionofgrowthandhepaticmetastasisofmurineB16FOmelanoma cellsbyanovelnutrientmixture. M.W. Roomi, T. Kalinovsky, N.W. Roomi, V. Ivanov, M. Rath, A. Niedzwiecki. OncologyReports2008; 20:809-817

InVitroandInVivoAntitumorEffectofAscorbicAcid, Lysine, Proline, And GreenTeaExtractOnHumanMelanomaCellLineA2058. M.W. Roomi, V. Ivanov, T. Kalinovsky, A. Niedzwiecki, M. Rath. InVivo2006;20(1): 25-32

肺癌

Chemopreventiveeffectofanovelnutrientmixtureonlungtumorigenesis inducedbyurethaneinmale A/J mice. M.W. Roomi, N.W. Roomi, V. Ivanov, T. Kalinovsky, A. Niedzwiecki, M. Rath. Tumori2009; 95: 508-513

ModulationofMMP-2 andMMP-9 bycytokines, mitogens, andinhibitors inlungcancerandmesotheliomacelllines. M.W. Roomi, J.C. Monterrey, T. Kalinovsky, A. Niedzwiecki, M. Rath. OncologyReports2009; 22: 1283-1291

InhibitionofMalignantMesotheliomaCellMatrixMetalloproteinaseProduction andInvasionbyaNovelNutrientmixture. M.W. Roomi, V. Ivanov, T. Kalinovsky, A. NiedzwieckiandM. Rath. ExperimentalLungResearch2006;32:69-79

InVivoandinVitroAnti-tumorEffectofaUniqueNutrientMixtureon LungCancerCellLineA-549. M.W. Roomi, V. Ivanov, T. Kalinovsky, A. NiedzwieckiandM. Rath. ExperimentalLungResearch2006; 32:441-453

InhibitionofPulmonaryMetastasisofMelanomaB16FOCellsinC57BL/6 MicebyaNutrientMixtureConsistingofAscorbicAcid, Lysine, Proline, Arginine, andGreenTeaExtract. M.W. Roomi, V. Ivanov, T. Kalinovsky, A. Niedzwiecki, M. Rath ExperimentalLungResearch2006; 32(10):517-30

血癌

AntineoplasticeffectofnutrientmixtureonRajiandJurkatTcells: thetwo highlyaggressivenon-Hodgkin’s lymphomacelllines. M.W. Roomi, BA Bhanap, N.W. Roomi, A. NiedzwieckiandM. Rath. ExperimentalOncology 2009; 31(3): 149-155

Epigallocatechin-3-Gallateinducesapoptosisandcellcyclearrestin HTLV-1 positiveandnegativeleukemiacells. S. Harakeh, K. Abu-El-Ardat, M. Diab-Assaf, A. Niedzwiecki, M. El-Sabban, M. Rath. MedicalOncology 2008; 25: 30-39

AscorbicacidinducesapoptosisinAdultT-cellLeukemia. S. Harakeh, M. Diab-Assaf, J. Khalife, K. Abu-El-Ardat, E. Baydoun, A. Niedzwiecki, M. El-Sabban, M. Rath. AnticancerResearch2007; 27: 289-298

附录-重要文档 195

MechanisticaspectsofapoptosisinductionbyL-LysineinbothHTLV-1 positiveandnegativecelllines. S. Harakeh, M. Diab-Assaf, K. Abu-ElArdat, A. Niedzwiecki, M. Rath. Chem. Biol. Interactions2006; 164: 102-114

ApoptosisInductionbyEpicanForteinHTLV-1 PositiveandNegative MalignantTCells. S. Harakeh, M. Diab-Assaf, A. Niedzwiecki, J. Khalife, K. Abu-El-Ardat, M. Rath. LeukemiaResearch–2006; 30: 869-881

其他癌症

ComparativeeffectsofEGCG, greenteaandanutrientmixtureonthepatternsof MMP-2 andMMP-9 expressionincancercelllines. M.W. Roomi, J.C. Monterrey, T. Kalinovsky, A. Niedzwiecki, M. Rath. OncologyReports– 2010; 24:747-757

InhibitionofinvasionandMMPsbyanutrientmixtureinhumancancer celllines: acorrelationstudy. M.W. Roomi, J.C. Monterrey, T. Kalinovsky, A. Niedzwiecki, M. Rath. ExperimentalOncology- 2010; 32:243-248

Invivoandinvitroeffectofanutrientmixtureonhuman hepatocarcinomacelllineSK-Hep-1. M.W. Roomi, T. Kalinovsky, A. Niedzwiecki, M. Rath. ExperimentalOncology–2010;32:84-91

PatternsofMMP-2 andMMP-9 expressioninhumancancercelllines. M.W. Roomi, J.C. Monterrey, T. Kalinovsky, A. Niedzwiecki, M. Rath OncologyReports– 2009; 21:1323-1333

Markedinhibitionofgrowthandinvasiveparametersofheadandneck squamouscarcinomaFADUbyanutrientmixture. M.W. Roomi, N.W. Roomi, T. Kalinovsky, A. Niedzwiecki, M. Rath. IntegrativeCancerTherapies2009;8(2):168-176

InhibitionofGliomaCellLineA-172 MMPActivityandCellInvasionin VitrobyaNutrientMixture. M.W. Roomi, V. Ivanov, T. Kalinovsky, A. NiedzwieckiandM. Rath. MedicalOncology2007; 24(2): 231-238

InhibitoryofCellInvasionandMMPProductionbyaNutrientMixturein MalignantLiposarcomaCellLineSW-872. M.W. Roomi, V. Ivanov, T. Kalinovsky, A. Niedzwiecki, M. Rath. MedicalOncology2007; 24(4):394-401

InVitroAnticarcinogenicEffectofaNutrientMixtureonHuman RhadomyosarcomaCells. M.W. Roomi, V. Ivanov, T. Kalinovsky, A. Niedzwiecki, M. Rath GeneTherapyandMolecularBiology2007; 11(B):133-144

InVivoandinVitroAnti-tumorEffectofaNutrientMixtureContaining AscorbicAcid, Lysine, Proline, andGreenTeaExtractonHumanSynovial SarcomaCancerCells. M.W. Roomi, V. Ivanov, T. Kalinovsky, A. Niedzwiecki andM. Rath. JAMA2006; 9(2): 30-34

战胜癌症 – 第1部分: 变不可能为可能 196

ASpecificCombinationofAscorbicAcid, Lysine, Prolineand EpigallocatechinGallateInhibitsProliferationandExtracellularMatrix InvasionofVariousHumanCancerCellLines. S.P. Netke, M.W. Roomi, V. Ivanov, A. Niedzwiecki, M. Rath. ResearchCommunicationsinPharmacology andToxicology, EmergingDrugs, 2003; Vol. II, IV37-IV50.

转移

Micronutrientsynergy– anewtoolineffectivecontrolofmetastasisand otherkeymechanismsofcancer. A. Niedzwiecki, M.W. Roomi, T. Kalinovsky, M. Rath. CancerMetastasisReview2010; 29; 529-542

SuppressionofgrowthandhepaticmetastasisofmurineB16FO melanomacellsbyanovelnutrientmixture. M.W. Roomi, T. Kalinovsky, N.W. Roomi, V. Ivanov, M. Rath, A. Niedzwiecki. OncologyReports2008; 20:809-817

Anutrientmixturesuppresseshepaticmetastasisinathymicnudemiceinjected withmurineB16FOmelanomacells. M.W. Roomi, N.W. Roomi, T. Kalinovsky, J.C. Monterrery, M. Rath, andA. Niedzwiecki. BioFactors2008; 33; 85-97

InhibitionofPulmonaryMetastasisofMelanomaB16FOCellsinC57BL/6 MicebyaNutrientMixtureConsistingofAscorbicAcid, Lysine, Proline, Arginine, andGreenTeaExtract. M.W. Roomi, V. Ivanov, T. Kalinovsky, A. Niedzwiecki, M. Rath. ExperimentalLungResearch2006; 32(10):517-30

血管生成

Distinctpatternsofmatrixmetalloproteinase-2 and-9 expressionin normalhumancelllines. M.W. Roomi, J.C. Monterrery, T. Kalinovsky, M. Rath, andA. Niedzwiecki. OncologyReports– 2009; 21: 821-826

PatternsofMMP-2 andMMP-9 expressioninhumancancercelllines. M.W. Roomi, J.C. Monterrery, T. Kalinovsky, M. Rath, andA. Niedzwiecki. OncologyReports– 2009; 21:1323-1333

Antiangiogenicpropertiesofanutrientmixtureinamodelof hemangioma. M.W. Roomi, T. Kalinovsky, M. Rath, andA. Niedzwiecki. ExperimentalOncology– Accepted10/26/09

Anovelnutrientmixturecontainingascorbicacid, lysine, prolineand greenteaextractinhibitscriticalparametersinangiogenesis. M.W. Roomi, V. Ivanov, T. Kalinovsky, A. Niedzwiecki, M. RathinAntiAngiogenic. FunctionalandMedicinalFoods, editedbyLossoJN, Shahidi F, BagchiD, CRCPress, Taylor& FrancisGroup, BocaRaton, London, NewYork, 2007, pages561-580.

附录-重要文档 197

InhibitoryEffectofaMixtureContainingAscorbicAcid, Lysine, Proline, andGreenTeaExtractonCriticalParametersinAngiogenesis. M.W. Roomi, N.W. Roomi, V. Ivanov, T. Kalinovsky, A. Niedzwiecki, M. Rath. OncologyReports2005, 14(4), 807-815.

AntiangiogenicEffectsofaNutrientMixtureonHumanUmbilicalVein EndothelialCells. M.W. Roomi, N.W. Roomi, V. Ivanov, T. Kalinovsky, A. Niedzwiecki, M. Rath. OncologyReports2005;14(6):1399-404

其他参考文献

DePrithwishetal., Breastcancerincidenceandhormonereplacement therapyinCanada. J. Natl. CancerInst. 2010; 102: 1-7

JemalA. etal., Globalcancerstatistics, CACancerJClin. 2011; 61: 69-90.

JemalAetal., TrendsintheLeadingCausesofDeathintheUnitedStates, 1970-2002. JAMA2005, 294: 1255-1259

HirshJ, AnAnniversaryforCancerChemotherapy. JAMA2006; 296; 1518-1520.

Phang J.M. etal., Themetabolismofproline, astresssubstance, modulatescarcinogenicpathways. AminoAcids, 2008; 35; 681-690

DuffyM.J., Theurokinaseplasminogenactivatorsystem: rolein malignancy. Curr. Pharm. Des., 2004; 10; 39-49

HenrietPetal., Contactwithfibrillarcollageninhibitsmelanomacell proliferationbyup-regulatingp27 KIP1. ProcNatlAcadSciUSA, 2000; 97; 10026-10031.

K. Almholtetal., Reducedmetastasisoftransgenicmammarycancerin urokinasedeficientmice. Int. J. Cancer2005; 113: 525-532

RuhulAminA.R.M. etal., PerspectivesforCancerPreventionwithNatural Copounds. J. Clin. Oncol. 2009; 27: 2712-2725

OakMin-Hoetal., Antiangiogenicpropertiesofnaturalpolyphenolsfrom redwineandgreentea. J. Nutr. Biochem. 2005; 16, 1-8

MorganGetal., TheContributionofCytotoxicChemotherapyto5-year SurvivalinAdultMalignancies. Clin. Oncol. 2004; 16: 549-560.

战胜癌症 – 第1部分: 变不可能为可能 198
附录-重要文档 199 重要网站 在阅读本书过程中,您可能会遇到一些想了解更多的内容。以下是 我们协助创建的部分网站,我们可向您保证网站内容的独立性。
本研究所在加利福尼亚的官网
为大家免费提供在线医学教育课程
本在线自然医学图书馆供医疗专业人员和患者阅读
•www.drrathresearch.org
•www.wha-www.org
• www.wha-www.org/en/library/index.html
• www.hpcm.org(医疗专业人员的细胞医学知识) 本官方网站为自然医学领域活跃的医疗专业人员提供 • www.healthlibrary.info 本网张向您提供最新的微量营养素研究课题和研究结果
自历史伊始,人类就一直被疾病所困扰, 尤其是被基本上无法治愈的癌症折磨。 在过去近一个世纪后,癌症已成为投资业 的热门对象,制药业已将这种疾病转变为 一项价值数十亿美元的投资业务。 癌症带来的结果是可预测的。在21世纪初 的今天,癌症仍在向全球蔓延,而大多数癌 症的年死亡率依然在攀升。治疗癌症的成本 暴涨,使得数以百万计的癌症患者陷入财务 困境,甚至扼杀了整个国家的经济。 本书标志着这场悲剧的结束。本书中提及 的自然健康疗法已被证明可阻断所有使癌 症成为致命疾病的关键机制。 随着本书的出版,放化疗的“致毒时代” 将逐渐被“细胞调节时代”所取代。 本书并未声称已完全战胜癌症,但为使癌 症成为可控疾病奠定了基础。 Aleksandra Niedzwiecki, 博士 本书售卖所得均将捐至RATH博士健康基 金会,本基金会是一家致力于自然健康研 究与教育的非营利组织。详见网址 www.dr-rath-health-foundation.org ISBN 978-94-92173-20-1 Matthias Rath, 医学博士

Turn static files into dynamic content formats.

Create a flipbook
Issuu converts static files into: digital portfolios, online yearbooks, online catalogs, digital photo albums and more. Sign up and create your flipbook.