Skip to main content

I-MAX IMAGEN MAXIMA (1)

Page 1


c l i n i c a d e n t a l o r t h o c l i n i c . c o m

EDITORIAL

Estimados colegas, profesionales de la salud, investigadores y estudiantes:

Es un honor y una gran alegría presentarles la octava edición de I MAX INFORMATIVA 2025, un espacio dedicado a la vanguardia de la Radiología Oral y Maxilofacial. En la odontología moderna, la imagen ya no es solo un complemento; es el pilar fundamental sobre el que se cimientan el diagnóstico preciso, la planificación minuciosa del tratamiento y la evaluación del pronóstico. I MAX imagen máxima, ha experimentado una transformación asombrosa Hemos pasado de las técnicas convencionales a la era de la Tomografía Computarizada de Haz Cónico (CBCT) y la Radiología Digital, que nos ofrecen una visión tridimensional y detallada, minimizando la dosis de radiación para nuestros pacientes, además enlazamos estas imágenes al sistema CAD CAM, Esta evolución constante nos impone la responsabilidad de mantenernos actualizados y de aplicar estas herramientas con el máximo rigor científico y ético

NuestraMisión

DR. IVAN FERNANDO ROJAS SOLIZ

El propósito de I MAX INFORMATIVA, es ser un faro de conocimiento, un punto de encuentro para la excelencia y la innovación en el campo radiológico. Nos comprometemos a publicar contenido de la más alta calidad:

Artículos de Investigación que impulsen nuevas fronteras, como la aplicación de la Inteligencia Artificial (IA) en la detección de patologías o la dosimetría

Revisiones Bibliográficas que sinteticen el conocimiento actual sobre técnicas de imagen (periapical, panorámica, lateral, cefalometría, CBCT) y su aplicación clínica.

Reportes de Casos Clínicos desafiantes que ilustren el manejo de patologías complejas como quistes, tumores, traumatismos o alteraciones de la Articulación Temporomandibular (ATM) GRACIAS PARA TOMAR UN TIEMPO PARA LEER TODA NUESTRA REVISTA.

DR. IVAN F ROJAS SOLIZ

DIRECTORGENERAL: Dr IvanF RojasSoliz

APOYO:

COLABORADORES

Dra.AriadneReneeMorandoSoliz

Dr.EduardoAndrésTroncosoLópez

Dra.MireyaIsabelTorrezTarqui

Dra.NicolsEvelynVargasAyaviri

Dra YamileMarciaCubaMartínez

Dra ReanethRojsanaChoqueAncalle

Dr.FreddyDennisNogalesMedina

Est.ClaudiaEsmeraldaLoaizaAliaga

Dra.AnaKarenQuiñonezYapari.

CONTENIDO

1 PREVALENCIA DE MESIODENS EN RADIOGRAFÍAS PANORAMICAS DE PACIENTES QUE ACUDEN AL CENTRORADIOGRAFICOI-MAXDELACIUDADDEPOTOSÍDEMARZOAAGOSTO2024

2. REPORTEDECASOINICIAL:DOBLEMESIODENSENREGIÓNANTEROSUPERIOR.ENFOQUERADIOLÓGICO, QUIRÚRGICOYORTODÓNCICO

3. CANINOSRETENIDOSBILATERAL

4. TUMORODONTOGENICOADENOMATOIDE-TOAASOCIADOACANINORETENIDO(PROBABLE)

5 QUISTEDERETENCIÓNMUCOSOENSENOMAXILAR:REPORTEDECASOTOMOGRAFICOY

6. RADIOGRÁFICO

7. CARILLASDEDISILICATODEVIDRIODISEÑADASCONELSISTEMACAD-CAM

8 PrevalenciadeQuistesOdontogenicosenradiografíaspanorámicas:Análisisretrospectivoenel centroimagenologoI-MAXPotosí2024

9. FRACTURADELOSMAXILARES

PREVALENCIA DE MESIODENS EN RADIOGRAFÍAS PANORAMICAS DE PACIENTES QUE ACUDEN AL CENTRO RADIOGRAFICO

I-MAX DE LA CIUDAD DE POTOSÍ DE MARZO A AGOSTO 2024

Concepto supernumerario:

Dr. Eduardo Andrés Troncoso López

La hiperdoncia o dientes supernumerarios son patologías que se pueden definir como dientes que se forman de manera extra o en exceso tanto en denticiones deciduas como en denticiones permanentes estos dientes no tienen una etiología definida sin embargo algunos autores definen su origen por una sobreactividad de la lámina epitelial asociada en muchos casos Estos dientes pueden ser uno o varios y pueden aparecer tanto en el maxilar superior como en el inferior, si bien la gran mayoría de dientes supernumerarios son no sindrómicos la hiperdoncia está fuertemente relacionada con la displasia

Cleidocraneal y el síndrome de Gardner

Concepto mesiodens:

Los dientes supernumerarios pueden desarrollarse en cualquier zona, pero afecta principalmente al maxilar y sobre todo a la zona premaxilar, este exceso de dientes entre dos incisivos

Resultados:

En la ciudad de Potosí, Bolivia se analizaron 426 radiografías panorámicas de pacientes obtenidas del Centro Radiográfico I-MAX, de los cuales 9 pacientes presentaron Mesiodens, adquiriendo una prevalencia de 0.02. maxilares se denomina mesiodens Los mesiodens representan aproximadamente el 80% de las ocurrencias de dientes supernumerarios (Carrasco Acosta, 2022)

Cantidad de pacientes que presentaron mesiodens según su género al momento de realizarse una radiografía panorámica:

De los 9 pacientes que presentaron mesiodens (100%), 2 pertenecen al género femenino (22 %) y 7 al género masculino (78%).

Los resultados muestran que el género con más probabilidad de presentar la anomalía de mesiodens es el masculino.

Cantidad de pacientes que presentaron mesiodens según su rango de edad al momento de realizarse una radiografía panorámica:

La edad se dividió en los siguientes rangos de edad: 0-15 años se encontró 4 pacientes (44%) y 16-30 años que tuvo 5 pacientes (56%) Son resultados bastante igualados ya que son rangos de edad donde los pacientes recién son advertidos que presentan la anomalía de mesiodens y se encuentran en el análisis de realizarse el tratamiento quirúrgico también demuestra que en rangos de edades mayores los pacientes pudieron haber presentado mesiodens y optaron por el tratamiento quirúrgico de dicha pieza supernumeraria.

BIBLIOGRAFÍA

Carrasco Acosta, H G (2022) Prevalencia de mesiodens en radiografías panorámicas de pacientes que acuden a un centro de diagnóstico por imágenes Piura https://repositorio ucv edu pe/handle/20 500 12692/111651

Nafria, B. (26 de abril de 2022) Share4rare https://www share4rare org/es/news/prevalencia-comorbilidad-e-incidencia-deunaenfermedad#: :text=La%20prevalencia%20de%20una%20enfermedad%20cuantifica%20la%20proporci%C3%B3n%20de%20 personas,la%20enfermedad%20en%20ese%20momento

Vidal Gómez, D N (2020) Prevalencia de Mesiodens en radiografias panorámicas de pacientes de 5 a 20 años de edad en el Centro Odontológico de la Universidad Católica de Santa María https://repositorio ucsm edu pe/handle/20 500 12920/10293

REPORTE DE CASO INICIAL: DOBLE MESIODENS EN REGIÓN ANTEROSUPERIOR.

ENFOQUE RADIOLÓGICO, QUIRÚRGICO Y ORTODÓNCICO

Resumen

El mesiodens es el supernumerario más común, ubicado en la línea media maxilar Su presentación múltiple es poco frecuente y suele asociarse a diastemas, retenciones o erupción ectópica Se presenta un caso clínico de doble mesiodens, con presencia simultánea de incisivos centrales permanentes erupcionados en boca y sin diastema nterincisal, lo cual constituye una variación inusual.

El hallazgo fue diagnosticado mediante ortopantomografía. Se discuten las implicaciones radiológicas, quirúrgicas y ortodóncicas. Palabras clave: mesiodens, radiografía panorámica, ortodoncia, cirugía oral, dientes supernumerarios

Reporte de Caso

Paciente masculino de 13 años acude a consulta para revisión odontológica

Hallazgos clínicos:

Presencia en boca de incisivos centrales superiores permanentes erupcionados con giro versión

Se identifican clínicamente dos dientes adicionales en la línea media, compatibles con mesiodens, sin alteraciones funcionales.

No existe diastema interincisal ni malposición significativa.

Dra. Mireya Isabel Torrez Tarqui

Hallazgos radiográficos:

La ortopantomografía revela:

Diagnóstico:

Dos supernumerarios de morfología cónica en la región interincisal superior

Ambos mesiodens erupcionados, en coexistencia con los incisivos centrales permanentes.

Ausencia de patología periapical o lesiones radiolúcidas asociadas

Pieza 2.1 y 1.1. 2.2 1.2 con mesioversion

Presencia germen dentario piezas 8

Doble mesiodens erupcionado en región anterosuperior, coexistiendo con incisivos centrales permanentes erupcionados y sin diastema.

Plan de tratamiento interdisciplinario

Enfoque quirúrgico:

Evaluar indicación de exodoncia quirúrgica de los mesiodens en caso de riesgo de apiñamiento, problemas oclusales o compromiso estético

Enfoque ortodóntico:

Valorar la relación de los mesiodens con la oclusión y alineación dentaria

Controlar la posible aparición futura de rotaciones o apiñamiento en la zona anterior.

Establecer seguimiento clínico-ortodóntico, considerando la exodoncia si generan interferencias en la alineación o el plano sagital.

Conclusiones

El doble mesiodens erupcionado sin diastema ni retención de incisivos es un hallazgo radiológico y clínico inusual.

El diagnóstico radiográfico es indispensable para confirmar la coexistencia de supernumerarios y su relación con estructuras adyacentes

El manejo debe ser individualizado, considerando exodoncia quirúrgica o seguimiento clínicoortodóntico según las necesidades funcionales y estéticas del paciente.

Bibliografía (Vancouver)

Garvey MT, Barry HJ, Blake M Supernumerary teeth–an overview of classification, diagnosis and management J Can Dent Assoc 1999;65(11):612–616

Primosch RE Anterior supernumerary teeth – assessment and surgical intervention in children Pediatr Dent 1981;3(2):204–215

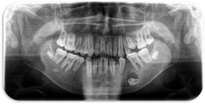
CANINOS RETENIDOS BILATERAL

Introducción

Los caninos permanentes desempeñan un papel fundamental en la función y estética dentaria, ya que participan en la guía de la oclusión, la armonía de la sonrisa y el soporte del labio superior. La retención de caninos, especialmente en el maxilar superior, constituye una de las anomalías eruptivas más frecuentes después de los terceros molares. Se define como la imposibilidad de erupción de un diente en el tiempo esperado, permaneciendo incluido parcial o totalmente en el hueso maxilar. El diagnóstico temprano y el abordaje interdisciplinario son esenciales para prevenir complicaciones como reabsorciones radiculares de dientes adyacentes, mal oclusiones y alteraciones estéticas

Desarrollo

Etiología

- Falta de espacio en la arcada dentaria.

- Dientes supernumerarios.

- Malformaciones dentarias o anquilosis.

- Factores hereditarios y genéticos

- Alteraciones en el trayecto eruptivo

Manifestaciones clínicas

- Ausencia del canino permanente en la arcada después de los 12-13 años

- Persistencia de canino temporal.

- Protuberancia o asimetría en la zona vestibular o palatina.

- Alteraciones en la oclusión y estética dental.

Complicaciones

- Reabsorción radicular de incisivos laterales.

- Formación de quistes dentígeros.

- Apiñamiento y mal oclusión

- Problemas estéticos por ausencia de guía canina

Dra. Nicols Evelyn Vargas Ayaviri
FIGURA 1 (TOMOGRAFIA VISTA FRONTAL)

Procedimiento:

Opciones de tratamiento

Intercepción temprana: extracción de canino temporal y creación de espacio.

Exposición quirúrgica y tracción ortodóntica: tratamiento de elección en la mayoría de los casos

Autotrasplante dentario: en situaciones específicas con indicación limitada.

El tratamiento siempre debe planificarse en conjunto cirujano maxillofacial + ortodoncista.

Exposición quirúrgica y tracción ortodóncica

Es el tratamiento más habitual cuando el canino está retenido, pero tienepronóstico favorable

-Cirujano expone el canino retenido (técnica abierta o cerrada).

-Se coloca un aditamento (botón, Brackets o cadena)

Ortodoncista aplica fuerzas ligeras para guiar la erupción hacia la arcada.

Conclusión

Los caninos retenidos constituyen una anomalía eruptiva frecuente que requiere atención interdisciplinaria. El diagnóstico temprano mediante exploración clínica y radiográfica es esencial para prevenir complicaciones y planificar un tratamiento adecuado. La combinación de ortodoncia y cirugía representa la opción terapéutica más utilizada, con un pronóstico favorable si se actúa de manera oportuna

Bibliografía

1 Bishara SE Impacted maxillary canines: a review Am J Orthod Dentofacial Orthop 1992;101(2):159-171

2 Becker A The orthodontic treatment of impacted teeth 2nd ed London: Informa Healthcare; 2007

3 Ericson S, Kurol J Radiographic examination of ectopically erupting maxillary canines Am J Orthod Dentofacial Orthop 1987;91(6):483-492

4 Peck S, Peck L The palatally displaced canine: a new hypothesis Am J Orthod Dentofacial Orthop 1994;105(6):623-633

FIGURA 2 (PERIAPICAL PZA. 1.3)

Introducción

TUMOR ODONTOGENICO ADENOMATOIDE-TOA

ASOCIADO A CANINO RETENIDO (PROBABLE)

Dra. Yamile Marcia Cuba Martínez

El término tumor odontogénico adenomatoide (TOA) El TOA se presenta más frecuentemente en el maxilar que en la mandíbula y generalmente en la zona anterior Afecta a individuos mayoritariamente entre la segunda y tercera década de vida (87%), con predilección por mujeres, encontrándose dos veces más frecuente que en hombres.

DESARROLLO CASO CLINICO

Paciente femenino de 19 años acude a consulta referido por su odontólogo para la evaluación y localización del canino superior derecho para su posterior tratamiento de ortodoncia.

RECONSTRUCCION 3D DE LA ZONA A ESTUDIAR

Las reconstrucciones tridimensionales nos permiten una visualización detallada y precisa de las estructuras vecinas a la pieza retenida, superando las limitaciones 2D de las radiografías convencionales, también ayudara en este caso para la planificación quirúrgica y posterior tratamiento de ortodoncia.

En este caso podemos observar una lesión de diámetro considerable de bordes corticalizados y forma irregular proyectada en el maxilar superior en el cuadrante 1, que se extiende desde distal de la pieza 1.1 hasta distal de la pieza 1.5, desde el tercio apical de las piezas 1.2 – 1.4 y 1.4 por vestibular y desde cervical por palatino. Se evidencia también a la pieza 1.3 retenida desplazada el ápice hacia la cortical palatina y la corona hacia la cortical palatina

CORTES AXIALES

Con la evaluación de la tomografía volumétrica en cortes axiales y transversales se observa la expansión y adelgazamiento de la tabla ósea vestibular y palatina legando a dicha pérdida ósea, también se observa el desplazamiento de la pieza 1 3 la cual se encuentra retenida y desplazada hacia la basal vestibular.

CONCLUSION

CORTES SAGITALES

A nivel de los cortes sagitales y coronal verificamos la extensión de la lesión y evidenciar el desplazamiento de las piezas 1.2 a mesial y 1.4 hacia distal a causa de la retención de la pieza 1.3 y expansión de la lesión

Las neoplasias benignas tienen una etiología y evolución compleja dado que en muchas ocasiones una lesión presenta características similares a otras, lo que daría para pensar que desde el origen hasta la madurez de la lesión hay etapas que se pueden confundir con otras entidades. En base a estos hallazgos se plantean cuatro diagnósticos diferenciales, fibroma osificante, tumor odontogénico queratoquistico, quiste dentigero

Por ello se recomienda en estos casos un estudio histopatológico para confirmar diagnóstico y proceder al plan de tratamiento correcto.

Bibliografía

1 Hallazgo de un Tumor Odontogénico Adenomatoide en una paciente adolescente (2022) Revista De Odontopediatría Latinoamericana,

2 Dhirawani RB, Pathak S, Mallikaarjuna K, Sharma A An adenomatoid odontogenic tumor in disguise J Indian Soc Pedod Prev Dent 2016;34:291-3

3 Saumya Taneja, Anuj Jain, Manejo del tumor odontogénico adenomatoide en un paciente pediátrico con preservación de un diente impactado asociado: un enfoque quirúrgico y ortodóncico combinado. 2 de febrero 2023; 24

QUISTE DE RETENCIÓN MUCOSO EN SENO MAXILAR:

REPORTE DE CASO TOMOGRAFICO Y RADIOGRÁFICO

Dra. Ariadne Renee Morando Soliz

Resumen

El quiste de retención mucoso del seno maxilar es una lesión benigna, generalmente asintomática, que se detecta de manera incidental en estudios radiográficos. Se presenta el caso de un paciente en el que, durante una radiografía panorámica de rutina, se identificó una imagen radiopaca bien delimitada en seno maxilar izquierdo compatible con quiste de retención mucoso Se discuten las características radiográficas, el diagnóstico diferencial y las consideraciones clínicas en el manejo de este hallazgo

Palabras clave: quiste de retención mucoso, seno maxilar, radiografía panorámica, hallazgo incidental.

Introducción

Los senos maxilares son cavidades neumáticas de gran importancia clínica y radiográfica en odontología

El quiste de retención mucoso (QRM) es una lesión benigna, producida por la obstrucción de los conductos de glándulas mucosas en la mucosa sinusal, lo que provoca acumulación de moco y formación quística

Su prevalencia en radiografías panorámicas se estima entre 1,4 % y 9,6 %, siendo más frecuente en adultos. Debido a que suele ser asintomático, su detección ocurre como hallazgo radiográfico incidental.

Reporte de caso

Paciente masculino, de 35 años, acude para valoración odontológica general Se realizó radiografía panorámica como parte del examen inicial En el seno maxilar izquierdo se observó una imagen radiopaca de límites definidos, redondeada, localizada en la pared inferior del seno No se observaron signos de destrucción ósea ni desplazamiento de estructuras adyacentes

El paciente no refirió síntomas respiratorios ni dolor en la región. Con base en las características radiográficas, el hallazgo fue diagnosticado como quiste de retención mucoso en seno maxilar izquierdo. Se indicó control clínico y tomografía, al no requerir tratamiento quirúrgico inmediato.

Introducción

El QRM es una entidad benigna, autolimitada y habitualmente asintomática. Radiográficamente se presenta como una opacidad homogénea, redondeada, en el interior del seno maxilar, sin comprometer la arquitectura ósea.

El diagnóstico diferencial incluye sinusitis crónica, pólipos antrales y lesiones quísticas odontogénicas que invaden el seno Sin embargo, la ausencia de sintomatología y la apariencia radiográfica típica orientan hacia un QRM

La mayoría de los casos no requiere tratamiento, siendo suficiente el seguimiento clínico-radiográfico

Solo en casos sintomáticos o de gran tamaño puede considerarse la derivación a otorrinolaringología para su manejo quirúrgico

En el corte tomográfico oblicuo–sagital derecho se observa: (figura 3)

Imagen hipodensa, bien delimitada, de contorno redondeado, ubicada en el seno maxilar derecho.

La lesión parece originarse desde el piso del seno, con íntima relación con los ápices dentarios superiores posteriores.

No se aprecian signos de erosión ósea marcada, aunque existe adelgazamiento del piso sinusal

La densidad es homogénea, lo que orienta hacia un contenido quístico

Conclusión

Seno maxilar derecho: ocupándolo parcialmente, se identifica una imagen hipodensa, bien delimitada, de contorno redondeado y homogéneo, compatible con lesión quística

Produce expansión con adelgazamiento de la pared ósea sin clara evidencia de destrucción.

El quiste de retención mucoso del seno maxilar es un hallazgo frecuente en radiografías panorámicas de rutina Su reconocimiento es importante para evitar diagnósticos erróneos y procedimientos innecesarios El seguimiento radiográfico constituye la conducta adecuada en pacientes asintomáticos

Bibliografía

1 Gonçales ES, Gonçales AGB, Lima ES, Rocha JF, Noleto JW, Hochuli-Vieira E Symptomatic mucous retention cysts of the maxillary sinus: case report. RSBO. 2016;12(2):234-238.

2 Mattos RG, Egas LS, Oliveira PC, Bassi APF, Souza FA, Ponzoni D Mucous retention cyst in maxillary sinus with expansion of maxillary tuberosity: case report J Oral Diagnosis 2018;3:1-7

3. Shah AM, Shah D, Butoliya P, Chakrabarty H, Verma I, Chaurasia I, Arya S. Incidence of mucous retention cyst in maxillary sinus: a retrospective radiographic study J Pharm Negat Results 2022;13(SI-6):4093-4097

4 Halstead CL Mucous retention cysts of the maxillary antrum: report of 75 cases J Am Dent Assoc 1973;87:1435-1437

CARILLAS DE DISILICATO DE VIDRIO DISEÑADAS CON

EL SISTEMA CAD-CAM

Dra. Reaneth Rojsana Choque Ancalle

Paciente llega a la consulta por la separación de sus piezas dentales porque no se bien estéticamente y decide realizarse unas carillas dentales de material de disilicato de litio. El material de disilicato de litio es un material compuesto de cerámica de alta resistencia y estética, compuesto de vidrio y cristales de litio sus propiedades incluyen gran durabilidad, y un aspecto natural y buena incompatibilidad que lo convierten en la mejor opción para la restauración

(FIGURA 1)

En la (figura 1) se observa el escaneado de los modelos de yeso que se le tomaron al paciente para diseñar las carillas dentales

En la (figura 4) se observa el diseño de las futuras carillas en el inLab cam podemos ver cómo serán las carillasdentales para sí poder mandara tallar en el inLab MC X5

En la (figura 2) se observa el escaneado de los modelos de yeso y en la imagen se observa la oclusión de los modelos así para poder diseñar las carillas dentales

En la (figura 3) se observa el modelo de yeso con las futuras carillas posicionadas revisando los parámetros para diseñar las coronas revisando el eje de inserción.

En la (figura 5 y 6) se observa las carillas de disilicato de litio ya talladas en el inLab MC X5

(FIGURA 2)
(FIGURA 3)
(FIGURA 5)
(FIGURA 4)
(FIGURA 6)

PREVALENCIA DE QUISTES ODONTOGENICOS EN RADIOGRAFÍAS

PANORÁMICAS: ANÁLISIS

RETROSPECTIVO EN EL CENTRO

I-MAX POTOSÍ 2024

Est. Claudia Esmeralda Loaiza Aliaga

Institución: Universidad Autónomo Tomas Frias Carrera de Odontologia

Resumen

Los quistes odontogénicos son lesiones benignas frecuentes, generalmente asintomáticas y detectadas incidentalmente en radiografías panorámicas. El objetivo de este estudio fue determinar la prevalencia y características de los quistes odontogénicos en pacientes atendidos en el Centro de Imagenología I-MAX

Potosí entre abril y septiembre de 2024.

Se revisaron 487 radiografías panorámicas, de las cuales 62 presentaron quistes odontogénico prevalencia: 12.7%). El tipo más frecuente fue el quiste radicular (80.6%), seguido del quiste dentígero. El grupo etario más afectado fue el de 19 a 29 años (35%), con ligera predominancia femenina (58%).

Los resultados muestran la relevancia de la radiografía panorámica como herramienta diagnóstica preliminar, aunque se destaca la limitación metodológica de no contar con confirmación histopatológica

Estos hallazgos constituyen evidencia local actualizada que puede fortalecer el diagnóstico presuntivo y la formación académica en odontología

Introducción

Palabras clave: Prevalencia, quistes odontogénicos, radiografía panorámica

Los quistes odontogénicos derivan del epitelio dental y, aunque benignos, pueden causar desplazamientos dentarios, expansión ósea y pérdida de piezas si no se detectan a tiempo. En Bolivia existe escasez de datos epidemiológicos actualizados sobre estas lesiones. Este estudio busca aportar información local que facilite el diagnóstico presuntivo y la toma de decisiones clínicas.

Materiales y Métodos

Se realizó un estudio descriptivo, transversal y no experimental. Se analizaron 487 radiografías panorámicas tomadas entre abril y septiembre de 2024 en el centro I-MAX Potosí. La muestra incluyó aquellas imágenes con presencia de quistes odontogénicos (n=62). Se registraron variables como edad, sexo y tipo de quiste. Los datos fueron organizados en tablas de frecuencia y gráficos.

Resultados

De las 487 radiografías analizadas, 62 presentaron quistes odontogénicos (12 7%) El quiste radicular fue el más prevalente (50 casos), seguido del dentígero (6 casos) El rango de edad más afectado fue 19–29 años (35%) Se observó ligera predominancia femenina (58%)

Discusión

La prevalencia hallada (12 7%) es consistente con reportes internacionales que señalan al quiste radicular como el tipo más frecuente. La mayor afectación en jóvenes puede relacionarse con procesos inflamatorios y desarrollo dentario activo. La ligera predominancia en mujeres no es estadísticamente significativa, pero merece explorarse en futuros estudios. La ausencia de confirmación histopatológica limita la interpretación definitiva de los hallazgos.

Conclusiones

- La prevalencia de quistes odontogénicos en Potosí fue del 12.7%.

- El quiste radicular predominó (80.6%).

- El grupo más afectado fue de 19 a 29 años, con ligera predominancia femenina.

- Es necesario complementar con estudios histopatológicos para diagnósticos definitivos.

Referencias

1. White SC, Pharoah MJ. Oral Radiology: Principles and Interpretation. 7th ed. Elsevier; 2014.

2 Pindborg JJ, Kramer IRH, Torloni H, OMS Tipos histológicos de tumores odontogénicos, quistes de los maxilares y lesiones afines. OMS; 1972.

3 Paja Medina SA Prevalencia de Quistes Odontogénicos Univ Católica Santa María; 2019

Introducción

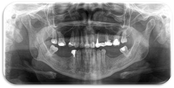
FRACTURA DE LOS MAXILARES

Las fracturas maxilares representan un desafío diagnóstico y terapéutico, ya que afectan a estructuras dentarias, óseas y senos paranasales.

La tomografía computada de haz cónico (CBCT) es el método de elección para valorar con precisión la extensión y ubicación de las fracturas debido a su capacidad de mostrar estructuras en tres dimensiones con alta definición y con diferentes filtros para una visibilidad adecuada a cada estructura

Desarrollo

En este caso se presenta una fractura maxilar y avulsión de pieza 1 1, la fractura de cortical vestibular va desde pieza 1 2 hasta 1 5 asociada a múltiples fracturas en cortical ósea vestibular de seno maxilar derecho. Enfatizando la importancia del diagnóstico tomográfico para este tipo de situaciones cuyo aporte en este caso particular es de alto valor diagnóstico.

Conclusión

La tomografía computada de haz cónico (CBCT) es indispensable para la evaluación de fracturas maxilofaciales complejas.

Las fracturas de los maxilares con compromiso de seno maxilar requieren de un diagnóstico oportuno para evitar complicaciones previas y durante la terapéutica

El abordaje terapéutico debe ser multidisciplinario y personalizado según las características individuales de cada caso, valorando la extensión de la lesión y el estado de las piezas dentarias afectadas.

Bibliografía - Pogrel, M , Kahnberg, K -E , & Anderson, L (2017) Fundamentos de Cirugía Oral y Maxilofacial - Del Castillo Pardo de Vera, J L , Almeida Parra, F, & Botella Casas, G Cirugía Oral y Maxilofacial (Coords ) (2025) - Enríquez Méndez, S K , & Velasco Amagua, E A (2024) Cirugía Maxilofacial para Odontólogos: abordajes Clínicos y Técnicas Avanzadas

EVALUACIÓN DE TÉCNICAS DE DIAGNÓSTICO 3D EN ENDODONCIA

Dra. Ana Karen Quiñonez Yapari.

1. Introducción

El diagnóstico en endodoncia ha evolucionado significativamente gracias a la incorporación de tecnologías tridimensionales. La radiografía convencional (2D) presenta limitaciones como superposición de estructuras, distorsiones y dificultad para detectar lesiones tempranas. El desarrollo de la tomografía computarizada de haz cónico (CBCT) y otras técnicas 3D ha permitido una visualización más precisa del sistema de conductos radiculares y de las estructuras óseas circundantes, mejorando la toma de decisiones clínicas

2. Principales técnicas 3D en endodoncia

1. Tomografía computarizada de haz cónico (CBCT)

Visualización tridimensional del diente y tejidos periapicales.

Detección de fracturas radiculares, reabsorciones y variaciones anatómicas

Medición precisa de longitudes y localización de conductos adicionales

2 Impresión digital intraoral + software de planificación

Combinada con CBCT para guías endodónticas en tratamientos complejos.

Útil en casos de conductos calcificados o perforaciones.

3. Fusión de imágenes digitales

Integración de CBCT con escaneos ópticos para planificar cirugías endodónticas guiadas.

3. Ventajas de las técnicas 3D en endodoncia

Mayor precisión en el diagnóstico de lesiones periapicales ocultas en 2D

Identificación de variaciones anatómicas (conductos adicionales, curvaturas, fusiones).

Localización de fracturas radiculares longitudinales.

Planificación segura de retramientos y cirugías periapicales.

Evaluación postoperatoria más confiable.

4. Limitaciones

Exposición a radiación (aunque menor que TC médica).

Costos elevados en comparación con la radiografía periapical

No siempre justificable en casos simples

Dependencia del conocimiento del operador para interpretar las imágenes

5. Indicaciones específicas en endodoncia

Diagnóstico de lesiones periapicales persistentes.

Evaluación de conductos calcificados o no localizados.

Identificación de reabsorciones internas y externas.

Estudio de dientes con anatomía compleja (premolares y molares con conductos accesorios).

Planificación de cirugías apicales

6. Conclusión

Las técnicas de diagnóstico 3D, especialmente la CBCT, representan una herramienta de gran valor en la práctica endodóntica moderna, permitiendo un abordaje más predecible y preciso en casos complejos.

En la cual , su uso debe estar basado en criterios de justificación clínica, considerando el balance entre beneficio diagnóstico y exposición a radiación

DISEÑODESONRISA

DISEÑODESONRISA

ORTODONCIA

ORTODONCIA

IMPLANTES

IMPLANTES

PRÓTESISSOBREIMPLANTES

PRÓTESISSOBREIMPLANTES

PRÓTESISFIJA

PRÓTESISFIJA

PRÓTESISREMOVIBLE

PRÓTESISREMOVIBLE

PERIODONCIA

PERIODONCIA

ODONTOPEDIATRIA

ODONTOPEDIATRIA

CIRUGÍAMAXILOFACIAL

CIRUGÍAMAXILOFACIAL

ENDODONCIA

ENDODONCIA

DIAGNÓSTICOSCONTOMOGRAFÍA 3DYRADIOGRAFÍAS CIRUGÍASCONLÁSER

DIAGNÓSTICOSCONTOMOGRAFÍA 3DYRADIOGRAFÍAS CIRUGÍASCONLÁSER

Radiografía Odontológica Digital HD

!Trabajamos

para líderes de la odontología!

Rx:

Panorámica

Panorámica

Lateral Carpal

Lateral Carpal

PA/AP

PA/AP

ATMAB/BC

ATM.AB/BC

Senosparanasales

Senosparanasales

RxPericarpialesconsensor Oclusales

RxPericarpialesconsensor Oclusales

PAQUETES DE ORTODONCIA

Fotografiasintrayextraoralesparaortodoncia Cefalometrias

Fotografiasintrayextraoralesparaortodoncia Cefalometrias

Modelosestereolitografia

Modelosestereolitografia

TOMOGRAFIAS 3D

Cráneocompletoydiferentescortestomográficos Cráneocompletoydiferentescortestomográficos

CAD CAM

CoronasenCADCAM Guíasquirúrgicas

CoronasenCADCAM Guíasquirúrgicas

RECONOCIMIENTOS RECIBIDOS

c l i n i c a d e n t a l o r t h o c l i n i c . c o m