











































![]()













































Dilema del bienestar del camarón: una perspectiva científica sobre la ablación del pedúnculo ocular Dilema del bienestar del camarón: una perspectiva científica sobre la ablación del pedúnculo ocular 16 16
Noticias de la industria
Perspectivas
Perspectivas europeas sobre la acuicultura de Litopenaeus vannamei: Encuesta a expertos
Investigación y desarrollo
Terapia de cóctel de fagos para AHPND en Penaeus vannamei: perspectivas, retos y cambios microbianos
Directorio
DIRECTOR Salvador Meza info@dpinternationalinc.com
EDITOR ASOCIADO Marco Linné Unzueta
COORDINADORA EDITORIAL
Karelys Osta edicion@dpinternationalinc.com
DIRECCIÓN ADMINISTRATIVA
Adriana Zayas Amezcua administracion@dpinternationalinc.com
COLABORADORES EDITORIALES Carlos Rangel Dávalos
DISEÑO EDITORIAL / PUBLICITARIO Perla Neri / Rozana Bentos design@dpinternationalinc.com
VENTAS Y MARKETING crm@dpinternationalinc.com
CIRCULACIÓN Y SUSCRIPCIONES Renée Meza suscripciones@panoramaacuicola.com
OFICINA EN LATINOAMÉRICA
Empresarios No. #135 No. Int. Piso 7 Oficina 723, Col. Puerta de Hierro, C.P. 45116 Zapopan, Jal., México. Cruza con las calles Av. Paseo Royal Country y Blvrd. Puerta de Hierro Tels: +(33) 8000 0578
OFICINA EN ESTADOS UNIDOS DP INTERNATIONAL INC. 401 E Sonterra Blvd. Sté. 375 San Antonio, TX. 78258 info@dpintertnatinonalinc.com
COSTO DE SUSCRIPCIÓN ANUAL $750.00 M.N. DENTRO DE MÉXICO USD $100.00 EE.UU., CENTRO Y SUDAMÉRICA €80 EUROPA Y RESTO DEL MUNDO (SEIS NÚMEROS POR UN AÑO)
PANORAMA ACUÍCOLA MAGAZINE, Año 30, No. 6, septiembre - octubre 2025, es una publicación bimestral editada y distribuída por Design Publications, S.A. de C.V. Av. Empresarios #135 Piso 07 Oficina 723 Col. Puerta de Hierro CP. 45116. Zapopan, Jalisco, México. Tel: +52 (33) 80 00 05 78, www.panoramaacuicola.com, info@dpinternationalinc.com. Editor Responsable: Salvador Antonio Meza García. Número de Reserva de Derechos de Uso Exclusivo 04-2019-071712292400-01, licitud de Título No. 12732, Licitud de Contenido No. 10304, ambos otorgados por la Comisión Calificadora de Publicaciones y Revistas Ilustradas de la Secretaría de Gobernación. Permiso SEPOMEX No. PP-140033. Impresa por Negocios Gráficos Grafinpren S.A. Teléfono: 04-2221362 ext 28 / 0959537917. Av. C.J. Arosemena Km 2.5 Antiguo Coliseo Granasa, Guayaquil, Ecuador. Este número se terminó de imprimir el 30 de septiembre de 2025 con un tiraje de 3,000 ejemplares.
La información, opinión y análisis contenidos en esta publicación son responsabilidad de los autores y no reflejan necesariamente el criterio de esta editorial. Queda estrictamente prohibida la reproducción total o parcial de los contenidos e imágenes de la publicación sin previa autorización de Design Publications, S.A. de C.V. Tiraje y distribución certificados por Lloyd International

Visite nuestra página web: www.panoramaacuicola.com
También síganos en:
Artículo
Efectos de la sustitución de la harina de pescado por péptidos proteicos funcionales en el rendimiento, el crecimiento, la capacidad antioxidante, la morfología del hepatopáncreas y la función inmunitaria no específica en el camarón blanco del Pacífico (Litopenaeus vannamei)
Artículo
Abordando los problemas de salud del camarón a través de la nutrición funcional
Artículo
Nutrición líquida de Zeigler: ¿Por qué los principales laboratorios la prefieren?
Artículo
Nuevas herramientas sostenibles que potencian el sistema inmune del camarón
Artículo
ShrimpTalk y la sostenibilidad: Creando prosperidad bajo la superficie
Artículo
¿Cómo elegir un producto de biorremediación para acuicultura?
Entrevista
Entrevista a Alfredo Molina (CEO de AQUAMOL)
Tilapia en México: genética, resiliencia y visión a largo plazo
Entrevista
Entrevista a Sergio Zimmermann:
Anécdotas, desafíos y perspectivas sobre el futuro del cultivo de tilapia








Carpe Diem
En la mira
Financiamiento para la acuicultura
Feed notes
Nueva era en tecnologías acuícolas
¡Tenemos que interesar a los no interesados!
La Pirámide de McKinsey aplicada en la acuicultura
¿Es viable cultivar basa en México? Claves para inversionistas
Inocuidad alimentaria en la nutrición animal y humana Auditoría de su presencia en el marketing on line
Convertir residuos en proteína: cómo la tecnología simbiótica y los fermentos están cambiando la acuicultura

Para el fortalecimiento de la actividad acuícola, es imprescindible, aunado a la creciente capacidad política y administrativa de los gobiernos, que se transforme en una participación más activa y responsable. Esta transformación detonará regionalmente la acuicultura como actividad prioritaria para el desarrollo social, económico y producción de alimentos de calidad.
Ante la condición de sobreexplotación o de riesgo en la que se encuentran gran parte de las principales pesquerías, se ha realizado una promoción de la acuicultura por parte de los gobiernos. Esta situación obliga a la definición de políticas públicas eficaces e instrumentos jurídicos permanentes. Para alcanzar estos objetivos, se requiere que los resultados de las investigaciones se vinculen con el sector productivo y se transformen, a su vez, en programas y políticas públicas.
Una serie de decisiones interrelacionadas, tomadas por un actor o un grupo de actores políticos en cuanto a la selección de metas y los medios para conseguirlas dentro de una situación específica, deben ser posibles de lograr en el mediano plazo. Estas decisiones permitirán el establecimiento de estrategias de mejora y fortalecimiento con base en las condiciones de cada una de las regiones de aprovechamiento. Se debe considerar el establecimiento de acciones de adopción de paquetes biotecnológicos requeridos por las especies y condiciones de cultivo, evitando la “clonación” de dichos paquetes.
Como parte de las acciones de vital importancia se encuentra la bioseguridad, ya que conlleva la promoción de una garantía de que la vida en el sistema se encuentre libre de daño, peligros y riesgos. La bioseguridad deberá caracterizarse por contener medidas y normas preventivas, de control y manejo de diversos factores de riesgo. Es relevante considerar que las medidas de bioseguridad dependen de la actividad, especie, ambiente o situación que se quiera regular.
pH 2- -
Alcalinidad (CO3 /HCO3 Nitrógeno amoniacal total - NAT (NH3, NH4 ) Nitrito
Tomar decisiones correctas basadas en datos ambientales
Reducir el cambio de agua en los estanques de camarones Optimizar el uso de probióticos y minerales
Evaluación fácil y precisa de los parámetros clave del agua Reducción en el precio de producción de camarones
Hasta 1USD/kg de camarón (Más información en https://tomota.vn)
Como factor de éxito en los procesos de producción acuícola, es fundamental evitar la transfaunación de especies, especialmente exóticas, a la región donde se pretende establecer el desarrollo acuícola. Esto se debe a que las especies exóticas pueden, en ciertos casos, considerarse invasoras y establecerse fuera de su área de distribución natural, lo que representa el riesgo de generar daños en ecosistemas específicos e impactar al ambiente, la salud vegetal, animal y humana, afectando directamente la pérdida de biodiversidad del planeta.
En consecuencia, se deberán gestionar acciones de capacitación en materia de bioseguridad de las Especies Acuáticas Exóticas Invasoras, incluyendo protocolos de actuación y medidas preventivas, de control y manejo integrado que consideren las siguientes prioridades:
3 Establecer laboratorios de producción de crías en las regiones de producción.
DIMENSIONAR LOS CAMARONES CON TOMOTA S3
3 Establecer estándares técnicos regionales para el manejo adecuado de la salud en laboratorios, con el objetivo de producir crías saludables y de alta calidad para el desarrollo del programa de cultivo, considerando las condiciones regionales.
Se requiere una atención integral a las especies invasoras, considerando sus diversas dimensiones: ambientales, sociales, de salud, económicas, entre otras. Asimismo, es necesario llevar a cabo actividades que consoliden una cultura de valor y mejora de la diversidad biológica del país, fomentando la generación de soluciones de bioseguridad, la prevención de la introducción de especies invasoras y la dispersión de las existentes.

DESCARGAR LA APLICACIÓN TOMOTA


3 Establecer estándares y un sistema de mejora continua para la capacitación técnica de productores y expertos nacionales en el manejo sanitario de organismos acuáticos.
3 Implementar un sistema de información regional sobre patógenos de animales acuáticos, cuarentena y salud, con especial énfasis en la salud de organismos acuícolas regionales.

support@tomota.vn en 6 segundos granjeros a ajustar sus camarones
Crecimiento de los camarones

Lo anterior permitirá establecer estrategias para el control de la potencial dispersión de patógenos de organismos acuáticos, armonizar las medidas de manejo de la salud y promover el movimiento responsable de los mismos.
Editor Asociado Marco Linné Unzueta


































































Solución para la gestión óptima del agua en estanques de camarones










Una solución para contar nauplios
Una solución para la evaluación de la calidad de las postlarve de camarón A3 S3+ S3N S3T
Solución para la gestión óptima del agua en estanques de camarones
la foto - Conoce el agua
Una solución para controlar el crecimiento de los camarones Grabe un
Solución para controlar el crecimiento de los camarones
Solución para contar nauplios
Grabación de
Solución para la evaluación de la calidad de las postlarva de camarón
Cosecha éxito, multiplica productividad y maximiza ganancias !

Litopenaeus vannamei es la especie dominante en la acuicultura mundial del camarón, gracias a su rápido crecimiento y adaptabilidad. En Europa, está aumentando el interés por los sistemas interiores o en tierra, con 32 instalaciones en funcionamiento o en desarrollo. Estos ofrecen una mayor bioseguridad y trazabilidad, pero carecen de buenas prácticas estandarizadas y de directrices sobre el bienestar.
Por: Redacción de PAM*
La acuicultura de crustáceos, en particular el cultivo de camarones marinos, ha experimentado un importante crecimiento a escala mundial, con una producción anual que alcanza los 11 millones de toneladas, de las cuales más de la mitad corresponde a Litopenaeus vannamei, debido a su capacidad de adaptación y su rápido crecimiento. Aunque la Unión Europea es una recién llegada a este sector, está aumentando el interés por el cultivo de camarones en interiores, con 32 instalaciones en funcionamiento o en desarrollo en 2020. A diferencia de la cría tradicional en estanques, que predomina en Asia y América Latina, la producción europea depende en gran medida de sistemas cerrados en interiores, debido a las limitaciones climáticas y a las preocupaciones medioambientales. Estos sistemas reducen el impacto ecológico y mejoran la bioseguridad y la trazabilidad de los productos. El camarón europeo, que a menudo se comercializa como un producto de alta calidad criado de forma sostenible, no presenta los problemas éticos y sanitarios que a veces se asocian al camarón importado. No obstante, el conocimiento
sobre las mejores prácticas de gestión de estos sistemas sigue siendo limitado. Aunque cada vez se utilizan más herramientas de alta tecnología, como sensores automatizados, sistemas de alarma, suministros de oxígeno y generadores de reserva, las comprobaciones manuales del sistema siguen siendo esenciales. Sin embargo, hay pocos datos sobre la frecuencia y sistematicidad con que se llevan a cabo estas comprobaciones.
Las diferencias clave entre el cultivo de camarones y el de peces incluyen la gestión de las exuvias (exoesqueletos desprendidos) y el uso de estructuras de enriquecimiento, como sustratos artificiales y bandejas de alimentación, que pueden afectar el comportamiento, la salud intestinal y el bienestar, aunque los detalles sobre su eficacia son escasos. Los parámetros de calidad del agua y la densidad de población son fundamentales, pero se miden o comunican de manera inconsistente debido a la confidencialidad de la industria y a la diversidad de los sistemas. Además, las normas de bienestar de los camarones están poco desarrolladas y se presta poca atención a los indicadores de estrés y al comportamiento.
En este sentido, se presenta el resumen de una encuesta realizada a criadores de camarones y expertos de toda Europa, el cual se centra en documentar rutinas de gestión, prácticas de bienestar y necesidades de investigación futuras para optimizar la productividad y el bienestar en la fase de engorde de la acuicultura de camarones en tierra.
Materiales y métodos
La encuesta se realizó conforme al Reglamento General de Protección de Datos (GDPR, por sus siglas en inglés) de la Unión Europea, garantizando el anonimato de los participantes. Se distribuyó a través de tres canales: el boletín informativo y la página web de Euroshrimp, por correo electrónico a expertos europeos en camarones y en copias impresas que se entregaron en la conferencia European Aquaculture 2023, celebrada en Viena (Austria). Los destinatarios eran criadores, investigadores, estudiantes, consultores e inversores de camarón, las principales partes interesadas en el sector de la acuicultura de L. vannamei
El cuestionario constaba de 17 preguntas, combinando formatos de respuesta múltiple y abierta, en el

A diferencia de la acuicultura tradicional en estanques, que predomina en Asia y América Latina, la producción europea depende en gran medida de sistemas cerrados en interiores debido a las limitaciones climáticas y a las preocupaciones medioambientales. Estos sistemas reducen el impacto ecológico y mejoran la bioseguridad y la trazabilidad de los productos.
cual se exploraban temas como: tipos de sistemas, química del agua, rutinas de gestión y densidades de población. Las preguntas específicas abordaban las deficiencias biológicas y los comportamientos anormales, así como las lagunas y necesidades en la evaluación del bienestar y la mejora del sector.
Los datos de la encuesta se introdujeron en Microsoft Excel y se analizaron con la versión 4.3.1 de R mediante la prueba de chi cuadrado con simulaciones de Monte Carlo, dado que había valores de baja frecuencia y un tamaño de muestra limitado.
Un total de 29 encuestados la completó. Dado que los participantes podían seleccionar varios sistemas acuícolas, se registraron 39 entradas de sistemas. Los más mencionados fueron los sistemas de recirculación acuícola (RAS, por sus siglas en inglés) (17 respuestas) y los sistemas biofloc (11 respuestas) (Figura 1), seguidos de los RAS híbridos (4 respuestas), los sistemas acuapónicos (2 respuestas) y otros tipos (2 respuestas).
La mayoría de las instalaciones realizan comprobaciones del sistema al menos una vez al día (n = 24, 83%), y algunas lo hacen varias veces al día (n = 9, 31%). Solo el 10% informó de una frecuencia menor. Además, el 75.9% utiliza sistemas de monitoreo en línea para detectar fallos de funcionamiento. No se encontraron correlaciones entre el tipo de sistema y la frecuencia de las comprobaciones.
Respecto a la gestión de las exuvias, el 55% de los operarios las retira activamente (la mitad de forma manual y la otra mitad mediante sistemas automatizados), mientras que el 41% no lo hace. La mayoría de los encuestados (83%) indicó que los camarones consumen sus exuvias, pero las opiniones sobre si el consumo es total o parcial están divididas. El 55% de los encuestados utiliza enriquecimientos estructurales


Los sistemas más utilizados en Europa son los sistemas de recirculación acuícola y los sistemas biofloc, debido a su eficiente gestión de la calidad del agua y capacidad para controlar las enfermedades. Los RAS ofrecen una gran estabilidad gracias al control tecnológico, mientras que los sistemas biofloc proporcionan beneficios nutricionales y son más rentables.
(por ejemplo, sustratos artificiales), aunque su uso no se correlacionó con el tipo de sistema.
Las percepciones sobre las densidades de población varían. Se considera “baja” una densidad de hasta 0.5 kg/m², “estándar” una densidad de entre 1 y 5 kg/m² y “alta” una densidad superior a 5 kg/m². En kg/ m³, menor o igual a 3 se considera “bajo”, “estándar” de 3 a 10, y “alto” mayor de 10. Las diferencias de percepción según el tipo de sistema fueron evidentes para kg/m², pero no para kg/m³.
La temperatura óptima del agua se situó en su mayoría entre 27 y 30°C (77%) (Figura 2a). El rango de pH preferido fue de 7.5 a 8.0 (48%) (Figura 2b). La salinidad ideal se situó entre 15 y 25 ppt (Figura 2c), mientras que los niveles de alcalinidad preferidos oscilaban entre 51 y 200 mg/L de CaCO3 (Figura 2d). Se recomendaron niveles de oxígeno disuelto de ≤ 5 mg/L (Figura 2e), aunque 11 encuestados no respondieron. Los niveles de nitrógeno nítrico se situaron principalmente entre 50 y 150 NO3–N (45%) o por debajo de 50 (38%) (Figura 2f).
En cuanto a la frecuencia de control de la calidad del agua, el nitrógeno se controlaba a diario (24%), varias veces a la semana (37%) o semanal (31%). La alcalini-


dad se comprobaba principalmente una o varias veces a la semana (38% en cada caso), aunque el 14% de los encuestados declaró no realizar ningún control. El 55% de las instalaciones no controlaba los niveles de CO2, y solo el 30% lo hacía con frecuencia semanal o mayor. No se encontró ninguna relación entre el tipo de sistema y los rangos de química del agua elegidos.
El 55% de los encuestados realizaba controles de salud diarios (el 14% más de una vez al día), mientras que el 17% informó de controles semanales. Alrededor del 51% documentaba tanto las observaciones de salud como las de comportamiento en listas de control, el 20% solo registraba el comportamiento y el 29% no documentaba ninguno de los dos (Figura 3). No se observaron diferencias estadísticamente significativas entre los sistemas en cuanto a los comportamientos anormales notificados.
Se notificaron daños morfológicos frecuentes en las antenas (79%), los urópodos (88%) y el rostro, el exoesqueleto y los músculos (72%). Menos comunes fueron los problemas oculares y branquiales, la melanosis o la luminiscencia. Los daños en las antenas, los urópodos y los ojos afectaron a hasta el 30% de las poblaciones de camarones. Los sistemas RAS mostraron una calidad branquial significativamente mejor que los sistemas biofloc o no especificados. Las lesiones en las antenas y los ojos aumentaron con la densidad de población, en especial, por encima de los 5 kg/ m².
Los comportamientos de estrés más comunes fueron la natación anómala (62%), seguida de falta de alimentación, comportamiento de huida, letargo y calambres corporales (en torno al 30% cada uno). El hacinamiento y el acicalamiento excesivo rara vez se relacionaron
con el estrés. Solo dos expertos no observaron ningún comportamiento anómalo.
Con el fin de mejorar el bienestar de los camarones, el 86% de los expertos apoyó la creación de un índice de bienestar y el 65% prefirió combinarlo con un etograma. Aproximadamente la mitad se mostró a favor de las directrices de bienestar y las herramientas de inteligencia artificial.
En las respuestas abiertas, se identificaron como riesgos clave para el bienestar la mala calidad del agua (12 menciones), las prácticas de gestión (11 menciones), los problemas de alimentación (4 menciones) y los problemas técnicos (3 menciones). Los encuestados hicieron hincapié en la necesidad de llevar a cabo proyectos específicos para estudiar indicadores de bienestar de los camarones, como supervivencia, estrés y directrices de gestión.


El rendimiento de la producción oscila generalmente entre 1 y 5 kg/m2, alcanzando en ocasiones los 10 kg/m2 en los sistemas RAS. Las densidades de población suelen oscilar entre 3 y 10 kg/m3 en los sistemas biofloc, y tienden a alcanzar los 10-15 kg/m3 en los RAS. Estas cifras reflejan los avances tecnológicos y la mejora de las prácticas de gestión.
Discusión
A pesar de la creciente importancia económica de la cría de camarones en Europa, son escasos los datos exhaustivos sobre las prácticas actuales y el bienestar de los mismos. Este estudio recopila las opiniones de 29 expertos en la materia de toda Europa y arroja luz sobre las metodologías actuales, los tipos de sistemas, las cuestiones relacionadas con el bienestar y las oportunidades futuras de la acuicultura de camarones en interiores.
Los sistemas más utilizados en Europa son los RAS y los sistemas biofloc, debido a su eficiente gestión de la calidad del agua y su capacidad para controlar las enfermedades. Los RAS ofrecen una gran estabilidad gracias al control tecnológico, mientras que los sistemas biofloc proporcionan beneficios nutricionales y son más rentables. Ambos sistemas reducen significativamente la dependencia de los antibióticos. Estos sistemas dominan el cultivo de camarones en interiores, mientras que otros se utilizan principalmente para la investigación o como adaptaciones para ahorrar costos.
Es habitual realizar controles diarios o varias veces al día de los componentes de los sistemas, a menudo
con la ayuda de alarmas de supervisión remota, lo que resulta especialmente importante cuando el personal es limitado. A pesar de la falta de directrices uniformes sobre la frecuencia de las inspecciones, los controles diarios parecen esenciales en todos los sistemas. Cabe destacar que la presencia o ausencia de prácticas de eliminación de exuvias varía, lo que suscita preocupación por los posibles riesgos bacterianos y las deficiencias nutricionales que podrían producirse si los camarones las consumen en exceso. Esto pone de manifiesto la necesidad de realizar investigaciones más específicas. El rendimiento de la producción suele oscilar entre 1 y 5 kg/m², aunque los RAS pueden alcanzar ocasionalmente los 10 kg/m². Por lo general, la densidad de población se sitúa entre 3 y 10 kg/m³ en los sistemas biofloc, y tiende a alcanzar los 10-15 kg/m³ en los RAS. Estas cifras reflejan los avances tecnológicos y la mejora de las prácticas de gestión.
Los parámetros óptimos de calidad del agua son indicadores cruciales del bienestar. La temperatura ideal oscila entre 25 y 30°C, y valores inferiores a 22°C o superiores a 33°C causan estrés. Las preferencias de pH varían ligeramente, pero la
mayoría de los expertos se decantan por un valor de entre 7.5 y 8.0, en consonancia con la bibliografía. Se prefieren niveles de salinidad de entre 15 y 25 ppt, que se ajustan en función de las fuentes de agua locales o del uso de sal artificial. Respecto a la alcalinidad, aunque la bibliografía sugiere un valor de 100140 mg/L de CaCO3, la mayoría de los acuicultores apuntan a valores más altos para favorecer la nitrificación en los sistemas biofloc. Se recomiendan niveles de CO2 inferiores a 5 mg/L, aunque muchos expertos toleran hasta 10 mg/L. El control de los nitratos, la alcalinidad y el CO2 es irregular, ya que algunas instalaciones no los miden con frecuencia. Esto pone de manifiesto una laguna en las prácticas de gestión del agua y la necesidad de establecer protocolos de monitoreo estandarizados. Se han notificado problemas de salud en los camarones, incluso en condiciones óptimas. Las alteraciones más comunes incluyen deformidades en la parte frontal del cuerpo, necrosis muscular, lesiones en el exoesqueleto y melanosis, que probablemente son consecuencia de traumatismos físicos, malas condiciones del agua o patógenos. Las lesiones en las antenas y los urópodos fueron muy frecuentes,
posiblemente debido al estrés causado por las altas densidades o por factores ambientales. El estado de las branquias fue mejor en los sistemas RAS, lo cual puede atribuirse a la mayor limpieza del agua y a la filtración avanzada.
En cuanto al comportamiento de los camarones, los signos anormales, como letargo, disminución del apetito y natación errática (por ejemplo, movimientos bruscos de la cola o en forma de espiral), son indicadores evidentes de estrés o enfermedad. También se mencionaron con frecuencia los calambres musculares. Estos comportamientos pueden servir como señales de alerta temprana de problemas de salud. Sin embargo, no existen normas claras para controlar el comportamiento y la salud. La mayoría de los operarios observan a los camarones a diario basándose en la morfología y el movimiento como principales indicadores de salud.
Se ha elaborado una lista consolidada de recomendaciones que incluye consejos de gestión, rangos ambientales óptimos y señales de alerta en el comportamiento. Estas recomendaciones pueden servir de guía a las granjas hasta que se establezcan normas formales de bienestar. La mayoría de los expertos muestran su interés en disponer de un índice estandarizado de la salud de los camarones, similar a la empleada en la acuicultura de peces. La bibliografía existente, como los trabajos de Pedrazzani et al. (2023, 2024), ofrece índices de bienestar tempranos y criterios para identificar la morfología y el comportamiento saludables que podrían adaptarse para su uso en interiores. Por último, la integración de la inteligencia artificial y la videovigilancia, especialmente factible en los RAS debido a la claridad del agua, podría optimizar aún más el control de la salud de los camarones. Las pruebas rápidas de detección de enfermedades y los diagnósticos fisiológicos in situ son herramientas emergentes. No obstante, aún quedan por resolver aspectos relacionados con la manipulación, el almacenamiento y la gestión de minerales óptimos. Para perfeccionar estos conocimientos, se recomienda una mayor participación en las encuestas y ampliar el estudio más allá del contexto europeo.
Con base en las opiniones de 29 expertos en camarones entrevistados, este estudio recopila información sobre las prácticas de gestión aplicadas e indicadores de bienestar (para la fase de engorde), centrándose en los sistemas de interior más usados en Europa. Se proporcionan recomendaciones para los sistemas de acuicultura de camarones en interiores o en tierra, en un contexto en el que no existen normas, las cuales incluyen: frecuencias rutinarias de las tareas de mantenimiento (por ejemplo, revisiones diarias del sistema de gestión de la granja), rangos y umbrales óptimos para los parámetros clave del agua, indicaciones sobre el estado de salud y comportamientos normales y anormales de los camarones. Se explora el tema del seguimiento del bienestar de los organismos vivos, lo que da lugar a preguntas que podrían abordarse en proyectos futuros. Los encuestados apoyaron claramente las actividades de investigación destinadas a desarrollar índices que respalden las verificaciones rutinarias y las operaciones de toma de decisiones a nivel de granja o de centro de investigación. La gestión ideal de la muda, el tratamiento de las exuvias, la manipulación, la mejora del entorno de cría y, en parte, los requisitos minerales no obtuvieron consenso entre los expertos y, por lo tanto, requieren más investigación.
Esta es una versión resumida desarrollada por el equipo editorial de Panorama Acuícola Magazine del artículo “EUROPEAN PERSPECTIVES ON LITOPENAEUSVANNAMEI AQUACULTURE: AN EXPERT’S SURVEY”escrito por GAMBERONI,P.- Alfred-Wegener-Institute Helmholtz-Centre for Polar-and Marine Research,Humboldt University(Berlin)y Leibniz-Institute of Freshwater Ecology and Inland Fisheries,WUERTZ,S.- LeibnizInstitute of Freshwater Ecology and Inland Fisheries,BIERBACH,D.- Humboldt University(Berlin),Leibniz-Instituteof Freshwater Ecology and Inland Fisheries, yTechnical University of Berlin,BOGNER, M.y JAMES SLATER,M.- Alfred-WegenerInstitute Helmholtz-Centre for Polar-and Marine Research. La versión original, incluyendo tablas y figuras, fue publicada en MARZO de 2025 en AQUACULTURE REPORTS. Se puede acceder a la versión completa a través de https://doi. org/10.1016/j.aqrep.2025.102732


La acuicultura del camarón se enfrenta a brotes bacterianos recurrentes, en particular la necrosis hepatopancreática aguda causada por cepas toxigénicas de vibrios, como Vibrio parahaemolyticus que alberga genes de la toxina PirAB Los métodos tradicionales de mitigación ofrecen resultados inconsistentes y plantean problemas de sostenibilidad. La terapia con bacteriófagos, que usa virus que atacan y destruyen bacterias, representa una alternativa prometedora y ecológica a las enfermedades bacterianas. Este estudio evalúa la eficacia de un cóctel de fagos durante una infección experimental en Penaeus vannamei
Por: Sonia A. Soto-Rodríguez*, Bruno Gómez-Gil, Rodolfo Lozano-Olvera, Karla G. Aguilar-Rendon, Jean Pierre González-Gómez, Cristobal Chaidez
Introducción
La acuicultura del camarón se enfrenta constatemente a enfernedades bacterianas, en particular la necrosis hepatopancreática aguda (AHPND, por sus siglas en inglés) causada por cepas de Vibrio parahaemolyticus que alberga genes de
la toxina PirAB (Soto-Rodríguez et al., 2022). Los productores de camarón han utilizado diversos métodos para controlar AHPND en los laboratorios de larvas y durante la enagorda, tales como dietas funcionales, desinfectantes, productos a base de plantas y macroalgas,
probióticos y tecnología biofloc Sin embargo, hoy en día no existen métodos eficaces para controlar esta enfermedad durante los cultivos de camarón. Las alternativas biológicas, como la terapia de fagos, podrían ayudar a mitigar las devastadoras pérdidas en la in-
dustria camaronera y evitar o reducir el uso de agentes antimicrobianos. Los métodos tradicionales ofrecen resultados inconsistentes. La terapia con bacteriófagos, que son virus que atacan y destruyen bacterias, representa una alternativa biológica a las enfermedades bacterianas. Sin embargo, la aparición de resistencias a los fagos y la complejidad de los ecosistemas microbianos marinos justifican una evaluación cuidadosa. Este estudio evalúa la eficacia de un cóctel de tres fagos durante una infección experimental en Penaeus vannamei, considerando la supervivencia, desarrollo de las etapas de AHPND, cambios microbianos y caracterización genómica.
Métodos
Selección de fagos
Se seleccionaron tres fagos líticos basándose en la especificidad del
dio). La anotación del genoma confirmó la ausencia de genes de virulencia y resistencia a antibióticos.
Caracterización biológica de los fagos
La actividad lítica y la estabilidad ambiental de los bacteriófagos dirigidos contra V. parahaemolyticus AHPND se evaluaron mediante curvas de crecimiento de un solo paso y crecimiento a diferentes condiciones ambientales. También se evaluó la eficacia de los fagos y parámetros clave como el periodo de latencia y la producción de viriones.
Diseño experimental
Se distribuyeron camarones juveniles (~0,5 g) en cuatro grupos de tratamiento con cinco réplicas:
3 Control positivo: infectados con V. parahaemolyticus M0605 (AHPND).
3 Terapia de fagos: infectados +
La terapia con fagos se administró en una sola dosis por el método de inmersión, antes de la inoculación bacteriana.
Supervivencia e histopatología
La mortalidad se registró constantemente durante 72 horas. Los hepatopáncreas de camarones moribundos se fijaron para su análisis histopatológico y las lesiones se clasificaron de acuerdo a las fases de AHPND.
Muestreo metagenómico
Se colectaron muestras de agua a las 0, 6, 24 y 48 horas postinfección (hpi). Se realizó metagenómica Shotgun utilizando la platafroma Illumina, y posteriormente se realizó el análisis bioinformático.
Resultados y discusión
El fago Vp11 inhibió el crecimiento de V. parahaemolyticus (Figura 1a). El análisis del rango de hospederos mostró que los fagos infectan cepas patógenas de vibrios, incluyendo seis cepas causantes de AHPND. Las pruebas de estabilidad ambiental revelaron cómo la temperatura y la salinidad afectaron la viabilidad de los fagos, los cuales presentaron diversos grados de tolerancia a las condiciones de pruebas de temperatura, salinidad y pH. Los fagos con la capacidad de producir viriones elevados y periodos de latencia cortos suelen ser más eficaces a la hora de infectar y eliminar especies o grupos bacterianos específicos (Abedon et al., 2001). El fago Vp11 se caracteriza por un buen periodo de latencia de 25 minutos y un tamaño de pr oducción de viriones de 41.3 UFP/célula (Figura 1b).


investigación y desarrollo
Estos hallazgos ilustran el potencial de estos fagos para destruir especies de Vibrio (vibriófagos), que son patógenos oportunistas críticos.
Curvas de supervivencia
La mortalidad aguda se retrasó en los camarones tratados con fagos (muerte inicial a las 8 hpi con respecto a las 12 hrs de los camarones no tratados con fagos) (Figura 2, p < 0.0001), pero la supervivencia a las 72 hpi no difirió significativamente (González-Gómez et al., 2023). Esto indica una protección de los fagos en la etapa aguda de la enfermedad, que es cuando se presenta la mayor mortalidad causada por AHPND.
Progresión histológica
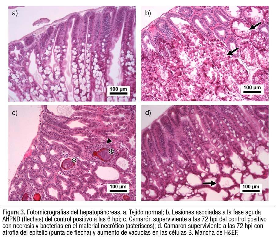
Los camarones de ambos grupos infectados (control positivo y terapia de fagos) mostraron lesiones típicas de AHPND, incluyendo desprendimiento masivo de las células epiteliales del hepatopáncreas y vacuolación reducida (Aguilar-Rendón et al., 2020) (Figuras 3a, b). El grupo de terapia de fagos progresó por las etapas más rápidamente, lo que sugiere una resolución acelerada y al mismo tiempo una fase terminal más rápida. En los camarones sobrevivientes fue evidente un menor número de lesiones y una mejor recuperación del hepatopáncreas en los camarones del grupo con terapia de fagos (Figuras 3c, d).


Dinámica de la comunidad microbiana
La diversidad alfa disminuyó significativamente en el agua de los grupos tratados con fagos a las 24 h (índice de Shannon, p < 0.006). El análisis de componentes principales reveló composiciones microbianas distintas, con abundancia de V. parahaemolyticus y bacterias como Ruegeria y Erythrobacter (Dong et al., 2023; Ali et al., 2022).
Conclusión
La terapia con cócteles de fagos demuestra protección contra AHPND durante la fase aguda que es la más crítica de la infección. Los resultados histológicos sugieren la posibilidad de usar dosis adicionales de fagos y respaldan la aplicación de la terapia de fagos como una alternativa sostenible a los antibióticos en la acuicultura de camarones. La integración de fagos con inhibidores de toxinas y disruptores de quorum sensing puede mejorar las estrategias de control. Los esfuerzos futuros deben centrarse en la optimización de la composición del cóctel, el monitoreo de la resistencia y el análisis del microbioma en los sistemas de cultivo de camarones.
Las referencias y fuentes consultadas por el autor en la elaboración de este artículo están disponibles bajo petición previa a nuestra redacción.
Esta es una versión resumida del artículo “PHAGE COCKTAIL AGAINST VIBRIO PARAHAEMOLYTICUS CAUSING ACUTE HEPATOPANCREATIC NECROSIS DISEASE (AHPND) IN PENAEUS VANNAMEI: GENOMIC, BIOLOGICAL, AND PATHOLOGICAL CHARACTERIZATION” escrito por: SOTORODRÍGUEZ, S. - Centro de Investigación en Alimentación y Desarrollo (CIAD), Unidad Mazatlán, QUIROZ-GUZMAN, E. - Centro de Investigaciones Biológicas del Noroeste, GÓMEZ-GIL, B. - CIAD, Unidad Mazatlán, LOZANO-OLVERA, R. -CIAD, Unidad Mazatlán, AGUILAR-RENDON, K. - CIAD, Unidad Mazatlán, SERRANO-HERNÁNDEZ, J.M. - CIAD, Unidad Mazatlán, GONZÁLEZGÓMEZ, J.P. - CIAD, Unidad Culiacán, CHAIDEZ, C. - CIAD, Unidad Culiacán.
* Sonia A. Soto-Rodríguez Centro de Investigación en Alimentación y Desarrollo, A.C. (CIAD), Subsede Mazatlán en Acuicultura y Manejo Ambiental, Av. Sábalo-Cerritos 82112, Mazatlán, México. Correo electrónico: ssoto@ciad.mx





El cultivo de camarones desempeña un papel fundamental en la seguridad alimentaria y contribuye al desarrollo económico de múltiples regiones en el mundo. Sin embargo, al igual que otras industrias de producción animal, se enfrenta a un escrutinio cada vez mayor en relación con las prácticas acuícolas que pueden afectar de forma negativa el bienestar de estos organismos, entre las cuales destaca la ablación del pedúnculo ocular.
Por: Redacción de PAM*
Introducción
El cultivo de camarones desempeña un papel fundamental en la seguridad alimentaria mundial y contribuye al desarrollo económico de múltiples regiones a escala global. Sin embargo, al igual que otras industrias de producción animal, se enfrenta a un escrutinio cada vez
mayor en relación con las prácticas acuícolas que pueden afectar de forma negativa el bienestar de estos organismos. Una de las prácticas que suscitan mayor controversia es la ablación del pedúnculo ocular, la cual implica la extirpación o el deterioro del ojo con el propósito de estimular la maduración ovári-
ca y el rendimiento reproductivo de las hembras reproductoras. Si bien esta controvertida práctica ha sido ampliamente adoptada por su demostrada eficacia en la productividad de los criaderos, no ha estado exenta de suscitar preocupaciones en materia de bienestar, y ha sido prohibida en algunos lugares. A
La complejidad científica inherente a la neurobiología de los decápodos subraya la importancia de continuar con las investigaciones antes de poder realizar afirmaciones definitivas sobre la sensibilidad de los camarones. No obstante, algunas regiones del mundo ya la han reconocido.
modo ilustrativo, los supermercados Tesco (Reino Unido) han anunciado en su “Política de bienestar de los crustáceos decápodos de criadero” de 2024 que, solo aceptarán postlarvas de hembras no ablacionadas de Penaeus vannamei y P. monodon a partir de 2026 y 2027 respectivamente. La ablación, si bien es efectiva en términos comerciales, genera una marcada aversión por parte del público. De allí que, el debate es un delicado equilibrio entre la aceptación social y la realidad de garantizar una alta productividad en la acuicultura moderna.
El presente artículo de opinión diserta sobre la ablación de los pedúnculos oculares en la acuicultura del camarón. Para ello, se ha llevado a cabo una valoración crítica de dicha práctica, así como de su base científica, y las implicaciones más amplias para el bienestar del camarón. Al establecer comparaciones con la industria ganadera terrestre, el objetivo es resaltar las complejidades inherentes a esta práctica y la manera en que la ciencia puede contribuir al progreso futuro, tomando en consideración la viabilidad de la industria y la seguridad alimentaria frente a las repercusiones en el bienestar animal.
La práctica de la ablación del pedúnculo ocular en el cultivo de camarones
El pedúnculo ocular del camarón alberga los órganos encargados de la producción de las hormonas inhibidoras ováricas. La ablación del pedúnculo ocular se define como la extirpación completa o el deterioro de un globo ocular y su pedúnculo ocular. La ablación se lleva a cabo en hembras reproductoras en criaderos con el propósito de acelerar la maduración ovárica y reducir la inhibición hormonal reproductiva. A pesar de la diversidad de métodos empleados, el más común es la cauterización. El procedimiento es rápido (menos de un minuto) y se realiza en cada hembra reproductora mientras está “consciente” (es decir, sin sedación). El uso de anestésicos es inconsistente en las diferentes industrias, debido a la falta de conocimiento sobre la eficacia y los beneficios de este “alivio del dolor”.
La ablación se ha empleado durante décadas en los criaderos comerciales como un método fiable para garantizar un suministro constante de larvas de camarón. No obstante, es preciso señalar que esta práctica suscita grandes inquietudes en lo que respecta al bienestar animal,
debido a que conlleva una serie de cambios físicos y fisiológicos, así como la posible aparición de dolores y alteraciones en los sistemas neurológico, endocrino e inmunológico del camarón. La extirpación de un órgano sensorial de tal magnitud puede resultar en un estado de estrés y malestar innecesarios, afectando así el bienestar del individuo. Asimismo, se plantea la cuestión de si la práctica es éticamente aceptable.
Perspectivas científicas sobre la sensibilidad de los camarones
En el debate sobre el bienestar, se plantean preguntas acerca de la sensibilidad de los camarones y su capacidad para experimentar sensaciones subjetivas, tales como dolor, sufrimiento y otros estados afectivos. La sensibilidad desempeña un papel fundamental a la hora de determinar el impacto de las intervenciones invasivas en los sistemas de producción animal sobre el bienestar, así como en los juicios éticos.
La sensibilidad de los camarones sigue siendo un tema de debate, y un aspecto crucial para determinar si poseen la capacidad de experimentar “dolor” más allá de la simple nocicepción. Los camarones

carecen de una estructura cerebral centralizada, lo que dificulta la evaluación de su capacidad para percibir el dolor en comparación con los demás taxones. Existen pruebas concluyentes que demuestran respuestas conductuales a la exposición a estímulos nocivos y a la ablación. Aun así, es importante destacar que, hasta el momento, no se han obtenido pruebas científicas suficientes para concluir si estas respuestas son solo nocicepción, es decir, una respuesta fisiológica a estímulos nocivos que no necesariamente equivale a una experiencia consciente del dolor.
La complejidad científica inherente a la neurobiología de los decápodos subraya la importancia de continuar con las investigaciones antes de poder realizar afirmaciones definitivas sobre la sensibilidad de los camarones, aunque algunas regiones del mundo ya la han reconocido. Esta medida se alinea con el principio de precaución y aborda las posibles implicaciones éticas y de bienestar asociadas a la falta de sensibilidad. En el año 2022, el gobierno del Reino Unido amplió el alcance de su Ley de Bienestar Animal (Sensibilidad) para incluir a los decápodos como seres sensibles. En el ámbito de los decápodos, existen limitadas evidencias que permitan validar o refutar la hipótesis de la sensibilidad de los camarones. Por lo tanto, existe una necesidad constante de datos científicos sólidos que pueda orientar cualquier decisión política futura. Independientemente de las pruebas científicas que respaldan o contradicen la sensibilidad, la práctica de la ablación genera una marcada aversión pública.
¿Hay alternativas a la ablación?
Dada la naturaleza controvertida de la ablación y las recientes prohibiciones de esta práctica, se debe considerar cuáles podrían ser las alternativas y sus implicaciones. Los camarones P. vannamei, también conocidos como camarones

peneidos, son la familia de mayor relevancia en el ámbito de la producción acuícola a escala global. Los avances en la cría y selección de esta especie han permitido la eliminación gradual de la ablación mediante el desarrollo de líneas de reproductores domesticados que desovan en altos niveles en cautiverio.
En el caso de otra especie clave para la acuicultura, P. monodon, la industria mundial sigue dependiendo en gran medida de los reproductores silvestre y de las prácticas de ablación. Para eliminar la ablación y alcanzar el mismo nivel comercial de suministro de larvas de P. monodon, se requeriría una población de reproductores considerablemente mayor. Este hecho conlleva implicaciones económicas y supone la incorporación de un criterio de pro-
porcionalidad para los organismos. Si bien la práctica de la ablación puede tener implicaciones éticas y de bienestar, optimiza el número de reproductores necesarios. Esta medida se alinea con el principio ético de “reducción”, que se aplica en las consideraciones sobre el uso de animales en investigación, y tendría implicaciones éticas similares en contextos comerciales. Determinar si resulta preferible que unos pocos organismos sean sometidos a la ablación de los pedúnculos oculares para reducir el uso de más camarones en el criadero constituye un desafío y, en última instancia, depende de las perspectivas éticas.
Se ha dedicado un considerable esfuerzo de investigación destinado a encontrar alternativas y, en consecuencia, eliminar la práctica de la
Si bien la práctica de la ablación puede tener implicaciones éticas y de bienestar, optimiza el número de reproductores necesarios. Esta medida se alinea con el principio ético de “reducción”, que se aplica en las consideraciones sobre el uso de animales en investigación, y tendría implicaciones éticas similares en contextos comerciales.

ablación del pedúnculo ocular. Se está incrementando el conocimiento sobre la fisiología y la endocrinología del camarón, aunque a un ritmo que no permite el rápido desarrollo de soluciones tecnológicas para la industria. Es preciso señalar que aún se requiere una mayor comprensión acerca del complejo proceso de la vitelogénesis en los crustáceos, incluyendo la función de las hormonas estimulantes e inhibidoras. Se han realizado pruebas con diversas moléculas, incluyendo neurotransmisores (y sus antagonistas), juvenoides, prostaglandinas y esteroides, administrados mediante inyección o dieta, ya sea de manera individual o combinada. Otra alternativa potencial es el silenciamiento de la hormona inhibidora de la vitelogénesis (VIH, por sus siglas en inglés) mediante interferencia de ARN (ARNi) empleando ARN bicatenario inyectado. Hasta que las tecnologías estén completamente desarrolladas y adaptadas, el impacto negativo temporal en los organismos debido a la manipulación y la inyección sigue siendo un reto por superar. Existen indicios que demuestran que las modulaciones
nutricionales y ambientales pueden aumentar las tasas de desove natural; sin embargo, es imperativo realizar investigaciones adicionales a escala comercial.
Lecciones extraídas de la industria ganadera terrestre Las alteraciones físicas que se practican a los animales en la industria comercial no se limitan a la acuicultura, ni son nuevas en la producción animal. La industria ganadera terrestre ha estado realizando múltiples alteraciones físicas (también conocidas como “prácticas ganaderas dolorosas”) durante décadas. Por ejemplo, el recorte del pico en gallinas ponedoras, la castración y el mulesing en ovejas, la castración y el descornado en ganado vacuno, el marcado de orejas y el marcado con hierro candente para fines de identificación, entre otras. Estas prácticas invasivas conllevan implicaciones para el bienestar de los animales que se someten a alteraciones físicas, experimentando dolor tanto a corto como a largo plazo. No llevar a cabo estas prácticas también tiene implicaciones para el bienestar: las ovejas no sometidas a mulesing
muestran una mayor propensión a la miasis, mientras que las gallinas sin recorte de pico pueden sufrir lesiones graves entre sí durante el picoteo. Por lo tanto, se deduce que los animales individuales se benefician tanto de manera directa como indirecta de la mejora de la salud del rebaño. En comparación, la castración del ganado vacuno presenta beneficios tanto en el bienestar como en la producción, al evitar la reproducción no deseada, facilitar el manejo y mejorar la calidad de la carne. La ablación del pedúnculo ocular en los camarones no reporta beneficios para el animal individual, pero sí contribuye a aumentar la eficiencia reproductiva, lo que a su vez reduce el número de camarones reproductores que es necesario criar y utilizar en el criadero.
En cierta medida, la justificación se asemeja al marco ético utilitarista aplicado al uso de animales en la investigación. En el ámbito de la investigación con animales, los potenciales efectos adversos de los procedimientos realizados en una cantidad limitada de especímenes pueden ser justificados por los beneficios esperados para la salud y/o el bienestar de los seres humanos o de los animales. El uso de prácticas ganaderas en ciertos animales para promover el bienestar de una población más amplia no es equiparable a la ética de la investigación, que tiene el potencial de beneficiar a una cantidad mucho mayor de animales. La similitud entre ambos enfoques se centra principalmente en el compromiso ético utilitario, que respalda la aceptación de procedimientos potencialmente aversivos por parte de unos pocos con el fin de mejorar el bienestar colectivo.
A pesar de los posibles beneficios para el bienestar que aportan las modificaciones físicas y la necesidad de satisfacer la demanda de proteínas de los consumidores, estas prácticas son consideradas públicamente como indeseables y son el motor que impulsa muchas voces a favor del cambio en la ganadería. Es por ello que existe una colaboración continua entre la industria ganadera y la comunidad científica, con el objetivo de identificar alternativas a los procedimientos invasivos que mejoren el bienestar animal, minimicen el daño y mantengan la viabilidad de la industria.
En general, en todos los sistemas de cría, la inclusión de indicadores operativos de bienestar animal en las normas de certificación es limitada, dados los retos que plantea la identificación y la validación de indicadores sólidos y prácticos.

Bienestar animal en la industria acuícola
Los debates actuales sobre el bienestar en el cultivo de camarones muestran similitudes con los desafíos históricos enfrentados por la industria ganadera terrestre. La acuicultura del camarón se encuentra en una etapa inicial en lo que respecta a la ciencia relacionada con el bienestar. Existen sistemas de certificación para las especies acuícolas que ofrecen orientación y garantías a los consumidores sobre la aplicación de las mejores prácticas. Por ejemplo, la norma Mejores Prácticas Acuícolas (BAP, por sus siglas en inglés) para criaderos aborda la implementación de la Sección de Bienestar Animal (AWS) del Plan de Gestión Sanitaria, con la intención de que la AWS describa específicamente cómo se debe tratar a los reproductores. Esta incluye, entre otras cosas, las intervenciones empleadas para inducir la maduración o el desove, como ablación del pedúnculo ocular en los camarones, inyección de hormonas en peces, extracción
manual de óvulos y esperma y/o sacrificio de reproductores de cualquier especie. Los procedimientos se deben diseñar para minimizar el sufrimiento de los organismos. En lo que respecta a la gestión general de los camarones, la cual no está directamente relacionada con la ablación, la Norma para el Camarón del Consejo de Administración de Acuicultura (ASC, por sus siglas en inglés) consta de dos secciones (5 y 6) que se centran en el tema del bienestar. Es importante destacar que las normas no contienen “indicadores operativos de bienestar” directos basados en los organismos, más allá del control rutinario de la salud y el requisito general de que los acuicultores operen de manera que se garantice una alta supervivencia del camarón. Las normas de BAP se centran predominantemente en las mejores prácticas de gestión. Se han emitido declaraciones de carácter general en relación con la provisión de recursos e insumos apropiados para los organismos, así como la garantía del control de
su salud y comportamiento, y la prevención de enfermedades. Los indicadores operativos de bienestar se describen más relacionados con los peces, con aplicabilidad a los crustáceos, y se fundamentan en que los productores posean conocimiento acerca de sus cultivos (por ejemplo, para detectar el comportamiento normal frente al anormal). En general, en todos los sistemas de cría, la inclusión de indicadores operativos de bienestar animal en las normas de certificación es limitada, dados los retos que plantea la identificación y la validación de indicadores sólidos y prácticos. La investigación científica actual y continua puede respaldar medidas de bienestar animal más validadas, con el fin de proporcionar herramientas a los productores para la mejora continua de las prácticas de manejo de los camarones.
Para abordar de manera efectiva los aspectos relacionados con la abla-
ción de los pedúnculos oculares, es fundamental una investigación científica continua, la innovación tecnológica y los esfuerzos de colaboración para reducir las alteraciones físicas que pueden causar estrés, manteniendo al mismo tiempo la productividad. Dado el prolongado uso de la ablación en la industria y los esfuerzos de investigación para identificar alternativas, es improbable que se descubra una solución de manera inmediata. La cría de la especie de peneidos más común en el cultivo (P. vannamei) está experimentando un éxito cada vez mayor, sin necesidad de recurrir a la ablación. Sin embargo, es preciso señalar que aún se requieren avances en la siguiente especie peneida más prevalente, P. monodon. Se recomienda que, en el futuro inmediato, se priorice la validación de un manejo eficaz provisional del “dolor”, junto con la verificación de la sensibilidad o no de las especies de camarones. Se promueve la implementación de mejoras graduales en las prácticas óptimas, en el marco del equilibrio entre los intereses comerciales y las inquietudes relacionadas con el bienestar. La validación de medidas sólidas, fundamentadas en el comportamiento de los organismos, que podrían incorporarse a las evaluaciones en las granjas, proporcionaría herramientas para garantizar el bienestar animal optimizado, al tiempo que se mantiene la viabilidad de la industria.
Las referencias y fuentes consultadas por el autor en la elaboración de este artículo están disponibles bajo petición previa a nuestra redacción.
Esta es una versión resumida desarrollada por el equipo editorial de Panorama Acuícola Magazine del artículo “THE SHRIMP WELFARE DILEMMA: A SCIENTIFIC PERSPECTIVE ON EYESTALK ABLATION” escrito por CAMPBELL,D.;COMAN,G.; LEE,C.;SCHMOELZ,S.y ROMBENSO,A.Agriculture and Food,Commonwealth Scientific and Industrial Research Organization,Australia. La versión original fue publicada en AGOSTO de 2025 en REVIEWS IN AQUACULTURE. Se puede acceder a la versión completa a través de: https://doi.org/10.1111/raq.70082.

Efectos de la sustitución de la harina de pescado por péptidos proteicos funcionales en el rendimiento, el crecimiento, la capacidad antioxidante, la morfología del hepatopáncreas y la función
La sustitución parcial de la harina de pescado por péptidos proteicos funcionales derivados del cartílago de pollo es una opción prometedora para el cultivo sostenible del Litopenaeus vannamei. Los resultados de este estudio sugieren que algunos niveles moderados de sustitución mantienen el crecimiento, refuerzan la inmunidad y mejoran la flora intestinal del camarón blanco del Pacífico; mientras que una sustitución excesiva provoca estrés oxidativo, daños en el hepatopáncreas y una mayor vulnerabilidad a los patógenos.
Por: Redacción de PAM*
Litopenaeus vannamei es una de las especies de camarón más importantes en la acuicultura mundial, ya que crece rápidamente, cuenta con buena adaptabilidad y es adecuada para el cultivo de alta densidad. En China, su producción anual ha superado el millón de toneladas durante varios años, lo que lo consolida como el camarón de cultivo dominante. No obstante, la industria se enfrenta a un gran desafío: la escasez y el aumento del precio de la harina de pescado (FM, por sus siglas en inglés), una fuente fundamental de proteínas en la alimenta-
ción del camarón. La sobrepesca y la creciente demanda mundial han provocado un aumento de los precios de la FM, lo que ha repercutido significativamente en el costo de los alimentos, que supone una parte importante de los gastos de cría. Las investigaciones han demostrado que la FM puede sustituirse parcial o totalmente por otras fuentes de proteínas, como harinas vegetales (de soya, gluten de maíz, cacahuete), proteínas unicelulares y subproductos de origen animal (harina de carne y huesos, harina de subproductos avícolas, proteína hidrolizada de pescado y proteínas
animales tratadas enzimáticamente). Estas alternativas aportan nutrientes esenciales y mejoran el crecimiento y la salud, ya que ofrecen propiedades antibacterianas, antioxidantes e inmunomoduladoras. Los derivados del cartílago, en particular los péptidos de cartílago de pollo, han demostrado tener propiedades bioactivas, entre ellas, efectos antiinflamatorios y antioxidantes, lo que aumenta aún más el potencial de estos subproductos en la alimentación animal.
Adicionalmente, los aditivos funcionales para alimentos, como microalgas (Arthrospira platensis),

algas marinas (Sargassum dentifolium), astaxantina natural y productos de levadura, se están empleando con más frecuencia para mejorar la inmunidad, el crecimiento y la resistencia a las enfermedades de los camarones. La levadura, rica en proteínas, vitaminas, enzimas y componentes de pared celular, como glucanos y manooligosacáridos, ha demostrado ser especialmente eficaz para fortalecer la salud de los camarones, sin producir efectos tóxicos ni residuos ambientales.
El cartílago de pollo se procesó mediante homogeneización, tratamiento térmico, ajuste de pH e hidrólisis enzimática, para extraer el material rico en proteínas. Tras la filtración, la ultrafiltración y el secado por atomización, los péptidos del cartílago se combinaron con levadura de pared celular, obteniéndose así un producto de péptidos proteicos funcionales (FPP, por sus siglas en inglés) (81% de proteína bruta). Se formularon siete dietas en las que
la FM se sustituyó progresivamente por FPP en un 0% (D0), 10% (D10), 20% (D20), 30% (D30), 40% (D40), 50% (D50) y 100% (D100). Se añadió proteína de soya aislada para equilibrar la cantidad total de proteína. Las dietas se sometieron a granulado, tratamiento térmico, secado al aire y, luego, se almacenaron a 20°C.
Los juveniles de L. vannamei provienen de un criadero comercial en Hainan (China). Los camarones se asignaron de manera aleatoria a siete grupos dietéticos (cuatro réplicas de 30 camarones por tanque) y se criaron durante 56 días en tanques de 300 litros. La alimentación se realizó tres veces al día (6:00, 14:00 y 22:00), inicialmente al 5% del peso corporal, cantidad que se ajustó según la ingesta de alimento. La calidad del agua se mantuvo durante todo el ensayo. Al finalizar el experimento, se registraron la supervivencia y el crecimiento. Los camarones ayunaron durante 24 horas antes del muestreo, se anestesiaron con MS222 y se procesaron para determinar
su composición corporal total, analizar su hepatopáncreas y evaluar su microbiota intestinal. Se calcularon parámetros como: aumento de peso (WG, por sus siglas en inglés), tasa de crecimiento específica (SGR), supervivencia, consumo de alimento (FI), factor de conversión alimenticia (FCR), factor de condición (CF), índice hepatosomático (HI), peso corporal inicial (IBW), peso corporal final (FBW), tasa de eficiencia proteica (PER) y eficiencia en conversión proteica (PCE).
Crecimiento
El rendimiento del crecimiento de L. vannamei disminuyó progresivamente a medida que aumentaba el nivel de FPP en la dieta (Tabla 1). Se observaron disminuciones lineales y cuadráticas en los parámetros FBW, WG, SGR y CF cuando los FPP sustituyeron a la FM (p < 0.001). En comparación con el grupo de control (D0), no se observaron diferencias significativas en los grupos D10

La sustitución de hasta un 20% de la harina de pescado por péptidos proteicos funcionales no compromete el crecimiento del Litopenaeus vannamei, lo que supone una estrategia viable y sostenible frente al aumento del costo de la harina de pescado.
y D20 (p > 0.05). Del mismo modo, la tasa de supervivencia y el FI no se vieron afectados en ninguno de los tratamientos (p > 0.05).
Composición corporal
En cuanto a la composición corporal total, no se detectaron diferencias significativas en los niveles de
humedad, proteína bruta o extracto de éter entre los grupos D10, D20, D30, D40 y el grupo de control (p > 0.05). Sin embargo, los camarones alimentados con las dietas D50 y D100 mostraron un contenido de humedad significativamente mayor (p > 0.05), mientras que los niveles de proteína bruta y extracto de éter disminuyeron de manera progresiva con un mayor reemplazo de FM.
Estado antioxidante del hepatopáncreas
El aumento de la sustitución alimentaria de FM por FPP influyó significativamente en el contenido de malondialdehído (MDA), tanto de forma lineal como cuadrática (p > 0.001). Los camarones de los grupos D50 y D100 presentaron concentraciones de MDA más elevadas que los de los grupos D0-D40 (p > 0.05). La capacidad antioxidante total (T-AOC, por sus siglas en inglés) mostró una respuesta cuadrática (p > 0.001), pero solo se observaron descensos significativos en el grupo D100 en comparación con el grupo de control (p > 0.05).
Superóxido dismutasa
Tras el análisis realizado, se llegó a la conclusión de que las actividades de la superóxido dismutasa (SOD) y la glutatión peroxidasa (GSH-Px) no variaron en los grupos D10, D20 y D30 (p > 0.05), pero disminuyeron en el grupo D100 (p > 0.05). En general, la expresión de los genes relacionados con antioxidantes se redujo para niveles elevados de inclusión de FPP en la dieta (Figura 1).


La sostenibilidad está en el corazón de la acuicultura moderna gracias a los productos del rendering.

Al utilizar ingredientes reciclados, estos productos no solo ayudan a reducir el desperdicio, sino que también aseguran una alimentación nutritiva y sostenible para peces y camarones.
nara.org
#AcuiculturaSostenible #InnovaciónAcuícola #AlimentaElCambio #ProtegeNuestrosOcéanos
Se observó un patrón bifásico en la expresión de GSH-Px: los niveles moderados de FPP mejoraron la capacidad antioxidante, mientras que la sustitución excesiva la deterioró. Se ha comprobado que los niveles de ARNm de SOD aumentaron inicialmente, alcanzando su máximo en D30 (p > 0.05), antes de disminuir en D40-D100, donde la expresión fue inferior a la del grupo de control (p > 0.05). Estos hallazgos sugieren que la inclusión moderada de FPP puede favorecer la defensa antioxidante, mientras que la sustitución excesiva puede inducir estrés oxidativo.
Expresión génica inmunitaria
En lo que respecta a la expresión de genes relacionados con el sistema inmunitario en el hepatopáncreas, se observó una disminución signifi-
cativa en los niveles de ARNm de la proteína de choque 70 de la cabeza (HSP70) en D50 y D100 (p > 0.05), aunque no se detectaron diferencias en los grupos de reemplazo más bajos. Los niveles de ARNm de caspasa 3 fueron consistentemente más bajos en todos los grupos de camarones alimentados con dietas de reemplazo de FPP en comparación con el grupo de control D0 (p > 0.05). La expresión de la enzima profenoxidasa (proPO) aumentó significativamente en el grupo D100 en comparación con el grupo de control (p > 0.05), mientras que los grupos D10-D50 no mostraron diferencias. La expresión de interleucina-16 (IL-16) experimentó una reducción significativa en el grupo D100 (p > 0.05), sin que se observaran cambios notables en otros grupos.
Respuesta inmunitaria innata
Se evaluaron las rutas Toll e inmunodeficiencia (IMD), fundamentales para la inmunidad innata del camarón, en muestras de hepatopáncreas. En la ruta Toll, el nivel de ARNm fue significativamente mayor en los grupos D30, D40, D50 y D100 en comparación con el grupo de control D0 (p > 0.05). Los niveles de ARNm de Pen3a experimentaron un incremento notable en D100 en comparación con el control (p > 0.05), mientras que no hubo diferencias en el rango D10-D50.
El factor de diferenciación mieloide 88 (MyD88), gen clave en la ruta Toll, mostró una expresión significativamente mayor en todos los grupos de sustitución de FPP (p > 0.05). Los niveles de expresión de IMD experimentaron un incremento notable en las categorías


Una moderada sustitución de la harina de pescado resulta beneficiosa para la capacidad antioxidante y la respuesta inmunitaria del camarón. Sin embargo, niveles más altos de sustitución pueden tener un impacto negativo en la actividad enzimática y aumentar el daño oxidativo en los tejidos.
D40, D50 y D100 (p > 0.05). La expresión del ARNm de Relish evidenció un incremento notable solo en el grupo D100, sin variaciones en los demás grupos.
Morfología del hepatopáncreas
El análisis histológico reveló la presencia de túbulos hepáticos intactos, con integridad de la membrana basal y conexiones celulares conservadas en el grupo de control. Asimismo, los grupos D10-D40 no experimentaron cambios significativos. No obstante, los camarones del grupo D50 evidenciaron una disminución en el número de células B y un incremento en las células R. En el caso del D100, se observó una severa degeneración tisular, caracterizada por la desaparición del tejido conectivo, la descomposición de los túbulos hepáticos y la pérdida de la capacidad de distinguir entre los tipos de células epiteliales.
Análisis de la flora intestinal
Con base en los resultados de crecimiento, se examinó la diversidad microbiana intestinal en los grupos D0, D20 y D100 mediante un análisis de ARN ribosómico 16S. Cada grupo incluyó seis réplicas, con tres camarones por réplica. Se reportó el
índice de diversidad alfa. Los índices Chao1, ACE y Shannon mostraron diferencias significativas entre los niveles de D20 y D100 en comparación con el valor D0, mientras que el índice Simpson presentó una diferencia notable (p > 0.05).
El análisis de coordenadas principales (PCoA) basado en UniFrac ponderado mostró que las comunidades microbianas intestinales en D0 y D20 presentaban una mayor similitud entre sí, mientras que D100 evidenció una diferencia significativa. Con respecto a la clasificación taxonómica, Proteobacteria exhibía una presencia dominante en todos los grupos, seguida por Bacteroidetes y Actinobacterias. Se observó una disminución significativa en la abundancia de Actinobacterias en el tratamiento D100 en comparación con el tratamiento D0.
En cuanto al género, es pertinente señalar que los camarones en D20 presentaron una menor presencia de Haloferula, pero mayor de Achromobacter en comparación con D0. Por el contrario, D100 mostró una mayor abundancia de Ruegeria y Vibrio, mientras que Saccharimonadales se redujo significativamente en relación con el control.
Discusión
El incremento en los precios de la FM ha motivado la investigación para reemplazarla por fuentes de proteínas de origen animal en la acuicultura. Según lo señalado por Naylor et al. (2009), los subproductos de las industrias acuáticas exhiben una mayor similitud en su perfil nutricional con la FM que las proteínas vegetales o unicelulares. Las proteínas de origen animal ofrecen una alta concentración de proteína bruta, disponibilidad confiable, rentabilidad y una digestibilidad sobresaliente. La harina de carne y huesos (MBM, por sus siglas en inglés), un subproducto derivado de las vísceras y huesos del ganado, contiene entre un 45% y un 60% de proteína bruta, dependiendo de las materias primas utilizadas y del procesamiento aplicado (Forster et al., 2003). Como indican Tazikeh et al. (2020), se trata de un alimento con un elevado contenido en proteínas, calcio, fósforo y vitamina B12. De acuerdo con los estudios realizados, la MBM tiene el potencial de reemplazar entre el 60% y el 80% de la FM en la alimentación sin comprometer el crecimiento del L. vannamei (Tan et al., 2005; Zhu et al., 2004). En el presente estudio,
El análisis de la microbiota intestinal reveló que la sustitución del 20% de la harina de pescado promueve la presencia de bacterias beneficiosas y reduce los patógenos, mientras que la sustitución total aumenta el Vibrio y otros microorganismos nocivos.
la sustitución de la FM por FPP no mostró diferencias significativas en el FI y la supervivencia en comparación con los controles. La WGR no se vio afectado con una sustitución del 0% al 40%. De acuerdo con informes previos (Ai et al., 2006; McLean et al., 2020; Qiu et al., 2023; Yang et al., 2022), la sustitución parcial de FM por subproductos ganaderos no afectó el crecimiento de diversas especies.
El FCR mostró un incremento lineal con una mayor inclusión de FPP, lo que refleja un menor consumo de alimento, en consonancia con los resultados en Sparus aurata, donde la MBM redujo la eficiencia alimenticia en niveles de sustitución elevados (Moutinho et al., 2017). Además, Moutinho et al. (2017) informaron que no se observaron diferencias significativas en la composición aproximada del pescado, salvo una reducción de la grasa bruta con un reemplazo del 75%. Estos efectos están relacionados con la composición de los ácidos grasos, ya que las grasas saturadas de los subproductos de origen animal son menos digeribles (Peng et al., 2017). En el presente estudio, se observó que FPP > 40% redujo la proteína bruta y la grasa, al tiempo que aumentó la humedad en L. vannamei, reflejando estos patrones. El estrés oxidativo constituye otra importante preocupación. Como han señalado González (2005) y Liguori et al. (2018), en las especies reactivas del oxígeno (ROS, por sus siglas en inglés), principalmente al O2–, dañan los tejidos a menos que se contrarresten con enzimas antioxidantes como la SOD. En este estudio, la sustitución del 30% de FM con FPP resultó en un aumento en la expresión de SOD, pero niveles más altos la disminuyeron, lo que sugiere una protección antioxidante dependiente de la dosis. El marcador de peroxidación lipídica MDA se mantuvo estable con un reemplazo del 10-20%, pero aumentó con un mayor contenido de FPP, en paralelo a la disminución de la actividad de la GSH-Px, lo que indica una
defensa antioxidante deteriorada. De acuerdo con Wang et al. (2020), se han observado efectos negativos comparables del MBM sobre el estado antioxidante y la respuesta inmunitaria en Pseudobagrus ussuriensis
Asimismo, se evidenciaron alteraciones en las respuestas inmunitarias. Las rutas Toll e IMD regulan la expresión de péptidos antimicrobianos en los camarones (De Gregorio et al., 2002; Wang et al., 2012). Los FPP aumentaron la ruta Toll y MyD88, con una regulación al alza significativa de Pen3a en el grupo D100 (Yin et al., 2020), lo que sugiere una mejora de la inmunidad. De manera similar, el ARNm de IMD aumentó con la sustitución por FPP (Deepika et al., 2014; Lan et al., 2013). Sin embargo, se observó daño en el hepatopáncreas en D50 y D100, sugiriendo que una sustitución excesiva compromete la integridad de los tejidos.
Se observaron cambios significativos en la composición de la microbiota intestinal. El análisis de diversidad beta reveló diferencias significativas entre los grupos D0 y D100. Los filos principales identificados incluyen Proteobacteria, Bacteroidetes, Actinobacteria y Verrucomicrobia, lo cual concuerda con los hallazgos de Chen et al. (2023). Por otro lado, la sustitución moderada (20%) ha demostrado aumentar las bacterias beneficiosas y reducir los patógenos. En contraste, la sustitución total ha incrementado la presencia de Vibrio y Proteobacteria, al tiempo que ha disminuido la Actinobacteria, asociada con un mayor riesgo de enfermedad (Rizzatti et al., 2017; Barreto-Curiel et al., 2018; Binda et al., 2018). Estos hallazgos evidencian que, si bien los FPP pueden reemplazar parcialmente a la FM sin comprometer el rendimiento, los elevados niveles de inclusión perjudican el crecimiento, el equilibrio oxidativo, la inmunidad y la salud intestinal en L. vannamei.
Conclusión
El presente estudio reveló que el rendimiento del crecimiento de L.
vannamei no fue afectado negativamente por la sustitución de FM por FPP en niveles del 0 al 20%. Además, el reemplazo de FM en niveles del 0 al 30% no provocó un cambio significativo en la capacidad antioxidante del hepatopáncreas, y la incorporación de bajos niveles de sustitutos de FM tiene el potencial de mejorar la inmunidad y alterar la estructura de la flora intestinal en el L. vannamei Luego de un análisis exhaustivo, se ha determinado que el nivel óptimo de sustitución de FM por FPP en la alimentación de los camarones es del 20%, ya que maximiza los beneficios al tiempo que mantiene el crecimiento y la salud de L. vannamei, hallazgos que permiten destacar la importancia de este estudio para el progreso y la implementación de nuevas fuentes de proteínas en la acuicultura.

Este artículo es patrocinado por NORTH AMERICAN RENDERERS ASSOCIATION (NARA).
Esta es una versión resumida desarrollada por el equipo editorial de Panorama Acuícola Magazine del artículo “RESPONSES IN GROWTH PERFORMANCE, ANTIOXIDANT CAPACITY,HEPATOPANCREAS MORPHOLOGY,AND NON-SPECIFIC IMMUNE FUNCTION AFTER FUNCTIONAL PROTEIN PEPTIDE REPLACE FISHMEAL IN THE PACIFICWHITE SHRIMP (LITOPENAEUS VANNAMEI.”escrito por BAOYANG CHEN y ANQI CHEN - SunYat-Sen University; JIAN ZHONG - Zhanjiang Customs;AIHUA DONG y XUNYIN CHEN - Guangdong Atech Biotechnology Co.,Ltd;MENGDIE CHEN, RONGYAO,YONGKANG CHEN, WEI ZHAO y JIN NIU - SunYat-Sen University. La versión original fue publicada en AGOSTO de 2025 en AQUACULTURE REPORT. Se puede acceder a la versión completa, incluyendo tablas y figuras, a través de https://doi. org/10.1016/j.aqrep.2025.103010





Por:
Alberto J.P. Nunes, Ragnhild Dragøy y Kiranpreet
Kaur*
Amedida que la acuicultura de camarón se expande a nivel mundial para satisfacer la creciente demanda, la industria enfrenta mayores desafíos debido a brotes
La expansión mundial de la acuicultura de camarón para satisfacer la creciente demanda, implica mayores desafíos para la industria debido a brotes de enfermedades, factores de estrés ambiental y presiones por una mayor producción. Los ingredientes marinos como la harina de krill aportan beneficios funcionales que las alternativas vegetales no pueden replicar fácilmente, lo que los convierte en elementos indispensables en alimentos de alto rendimiento. de enfermedades, factores de estrés ambiental y presiones de producción. Estas amenazas no solo reducen las tasas de supervivencia y crecimiento, sino que también erosionan la rentabilidad y la sostenibilidad a largo plazo. Las herramientas tradicionales de manejo de enfermedades, incluidos antibióticos y tratamientos químicos, están cada vez más limitadas por la supervisión regulatoria y los problemas
En un sector que avanza rápidamente hacia la intensificación, las estrategias de alimentación inteligentes ofrecen un camino sostenible y basado en la ciencia.
de resistencia. En este contexto, las soluciones basadas en la nutrición están surgiendo como una poderosa línea de defensa. Ingredientes funcionales en los alimentos muestran resultados prometedores al mejorar la inmunidad, la salud intestinal y la resistencia al estrés en los camarones. Estos ingredientes actúan de manera proactiva, fortaleciendo al camarón de adentro hacia afuera, lo que reduce la necesidad de intervenciones reactivas.
Estas herramientas nutricionales están redefiniendo el manejo sanitario en la producción de camarón, ya que integrar alimentos funcionales respalda el bienestar animal, a la vez que responde a la demanda del consumidor por prácticas acuícolas limpias y responsables. A medida que la investigación se profundiza y las formulaciones mejoran, la nutrición está en camino de convertirse en una piedra angular de la prevención de enfermedades y la optimización del rendimiento en la producción de camarón.
En un sector que avanza rápidamente hacia la intensificación, las estrategias de alimentación inteligentes ofrecen un camino sostenible y basado en la ciencia.
Los costos ocultos de las enfermedades y el estrés
La camaronicultura enfrenta una lucha constante contra patógenos como Vibrio, Enterocytozoon hepatopenaei (EHP) y diversos virus que afectan el hepatopáncreas, un órgano vital responsable de la digestión y la inmunidad. Estas amenazas biológicas suelen verse agravadas por factores de estrés ambiental como mala calidad del agua, altas densidades de cultivo y alimentos contaminados con micotoxinas. El resultado son camarones debilitados, crecimiento atrofiado y enormes pérdidas económicas. Los enfoques nutricionales tradicionales que se concentran únicamente en nutrientes esenciales —como vitaminas, minerales y aminoácidos—, los cuales a menudo no son suficientes en condiciones reales de cultivo. Si bien cumplir con los nive-
les mínimos de nutrientes es necesario, rara vez es suficiente cuando los camarones están expuestos a estrés crónico y patógenos.
Aditivos funcionales y nutrientes: más allá de la nutrición básica
Para cerrar esta brecha, las formulaciones de alimentos están incorporando cada vez más ingredientes funcionales que mejoran la salud intestinal, la respuesta inmunológica y la tolerancia al estrés. Se trata de nutrientes esenciales o no esenciales (vitaminas, minerales, fosfolípidos, ácidos grasos) que cumplen funciones tanto nutricionales como funcionales. Por lo tanto, apoyan el metabolismo y las funciones fisiológicas del camarón, con beneficios
adicionales. Estos nutrientes pueden participar en el metabolismo celular, con efectos sobre la inmunidad o la respuesta al estrés. Algunos ejemplos incluyen nucleótidos, taurina, minerales traza (selenio, zinc), aminoácidos con funciones específicas (como arginina y glutamina), ácido eicosapentaenoico (EPA, por sus siglas en inglés) y ácido docosahexaenoico (DHA) ligados a fosfolípidos, vitaminas A y D, antioxidantes liposolubles como la astaxantina, y colina, entre otros.
Por qué los ingredientes marinos siguen siendo importantes
A pesar del creciente interés en alternativas vegetales y animales para los alimentos balanceados, los ingredientes marinos siguen siendo


Los ingredientes marinos como la harina de krill superan constantemente a las alternativas vegetales, no solo porque cumplen con los requisitos nutricionales, sino porque proporcionan compuestos biodisponibles que activan vías fisiológicas vinculadas a la inmunidad, el metabolismo y la ingesta de alimento.
fundamentales para un rendimiento óptimo del camarón. Su perfil bioquímico único —rico en péptidos, ácidos grasos y compuestos bioactivos— mejora la atracción del alimento, su palatabilidad y la salud intestinal. La harina de krill (KM, por sus siglas en inglés), aun en niveles bajos de inclusión, ha demostrado mejorar significativamente el crecimiento, la inmunidad y la tolerancia al estrés en los camarones. Las investigaciones destacan el papel de la KM en la mejora de la supervivencia durante cambios de salinidad y temperatura, el fortalecimiento del hepatopáncreas y el refuerzo de las defensas antioxidantes, en especial frente al desafío del EHP. En resumen, ingredientes marinos como la KM aportan beneficios funcionales que las alternativas no pueden replicar fácilmente, lo que los convierte en elementos indispensables en alimentos de alto rendimiento.
Los camarones necesitan más que solo nutrientes
La frase “los camarones requieren nutrientes, no ingredientes” puede ser técnicamente correcta, pero simplifica en exceso las complejas respuestas biológicas observadas en la acuicultura. Los ingredientes marinos superan constantemente a las alternativas vegetales, no solo porque cumplen con los requisitos nutricionales, sino porque proporcionan compuestos biodisponibles que activan vías fisiológicas vinculadas a la inmunidad, el metabolismo y la ingesta de alimento.
Diseñando el futuro de los alimentos para camarón
El cambio generalizado hacia alimentos comerciales con cantidades mínimas de ingredientes marinos merece una evaluación más cuidadosa. Si bien reducir la dependencia de la harina y el aceite de pescado tiene méritos en términos de soste-
nibilidad, la exclusión casi total de otros ingredientes marinos sostenibles puede tener un costo oculto. Aun en niveles bajos de inclusión, los ingredientes marinos desempeñan un papel vital en el crecimiento del camarón, su salud y resistencia a enfermedades, especialmente en condiciones comerciales. Los alimentos con bajo contenido marino actuales corren el riesgo de comprometer el rendimiento y la rentabilidad a largo plazo. Es importante que la industria reconsidere esta trayectoria.
Los alimentos funcionales enriquecidos con ingredientes marinos funcionales pueden ofrecer una solución equilibrada, combinando viabilidad económica, mejora del bienestar animal y prácticas sostenibles. Reintroducir ingredientes marinos en niveles óptimos podría ser clave para desbloquear la próxima generación de alimentos de alto rendimiento para camarones.
Los alimentos funcionales enriquecidos con ingredientes marinos funcionales pueden ofrecer una solución equilibrada, combinando viabilidad económica, mejora del bienestar animal y prácticas sostenibles.
El aumento de ingredientes marinos requiere un enfoque en su obtención y uso sostenible
Se ha demostrado que la inclusión de ingredientes marinos proporciona beneficios importantes para la salud y la producción en la camaronicultura. Estos efectos varían según la fuente de los ingredientes marinos. Los ingredientes de alto rendimiento que son efectivos a bajos niveles de inclusión son alternativas sostenibles.
Al obtener ingredientes marinos, si provienen de la pesca, la gestión y producción de estos ingredientes debe ser analizada y evaluada junto con su impacto en el rendimiento. Las pesquerías bien gestionadas previenen la sobrepesca y aseguran la preservación de los recursos naturales. Esquemas de certificación como el del Marine Stewardship Council (MSC) evalúan y califican a las empresas de captura y producción para garantizar que sus operaciones sean sostenibles. Las pesquerías de krill están entre las más altamente calificadas por el MSC a nivel mundial, lo que garantiza una excelente gestión de la biomasa marina. Otras medidas importan-
tes para una operación sostenible incluyen la reducción del impacto ambiental y el aseguramiento de buenas condiciones laborales.
Al incluir ingredientes marinos que sean eficaces en niveles bajos y provenientes de operaciones sostenibles, la camaronicultura puede mejorar el rendimiento preservando la biodiversidad.
La nutrición funcional es el futuro
El éxito en la camaronicultura ahora depende de algo más que cubrir las necesidades nutricionales básicas: exige estrategias de alimentación inteligentes y funcionales.
A medida que aumentan las presiones por enfermedades y factores ambientales estresantes, la nutrición convencional resulta insuficiente. Los alimentos funcionales ofrecen soluciones específicas para mejorar la inmunidad, la salud intestinal y la resistencia al estrés. Estas formulaciones avanzadas van más allá de la promoción del crecimiento; apoyan de manera activa la resiliencia del camarón y reducen la dependencia de antibióticos y tratamientos químicos.
En los sistemas de cultivo intensivo actuales, la nutrición funcional no es opcional, es esencial. Cierra la brecha entre el rendimiento y la sostenibilidad, alineándose tanto con las necesidades de los productores como con las expectativas del mercado en cuanto a una acuicultura responsable. A medida que la industria evoluciona, adoptar el diseño de alimentos funcionales no solo es una decisión inteligente: es el futuro del manejo sanitario del camarón.

* Dr. Alberto J.P. Nunes. Instituto de Ciências do Mar (Labomar), Brazil.
Ragnhild Dragøy, Ph.D., MBA. Aker QRILL Company.
Kiranpreet Kaur Ph.D. Aker QRILL Company.


¿Por qué
En la acuicultura del camarón, la nutrición en las primeras etapas es fundamental para el éxito de los laboratorios. Zeigler ha desarrollado EZ Larva Ultra y EZ Artemia Ultra, dos dietas líquidas de última generación diseñadas para revolucionar la nutrición larval del camarón, ofreciendo una alternativa confiable, biosegura y altamente digestible a los alimentos vivos convencionales.
Por: Zeigler Bros. Inc.
En el dinámico mundo de la acuicultura del camarón, la nutrición en las primeras etapas es fundamental para el éxito de los laboratorios. Los laboratorios de todo
el mundo enfrentan desafíos como la variabilidad en la calidad del alimento vivo, riesgos de bioseguridad y tasas de supervivencia inconsistentes. Para abordar estos problemas, Zeigler ha desarrollado EZ Larva
Ultra y EZ Artemia Ultra, dos dietas líquidas de última generación diseñadas para revolucionar la nutrición larval del camarón. Estos avanzados alimentos líquidos ofrecen una alternativa confiable, biosegura y alta-
Cada lote de las dietas líquidas de Zeigler se formula para ofrecer un contenido de nutrientes uniforme, reduciendo la dependencia de la Artemia y las algas vivas, y garantizando un rendimiento predecible.
mente digestible a los alimentos vivos convencionales.
Las ventajas de la Nutrición Líquida
Mejor flotabilidad y estabilidad
Uno de los principales beneficios de las dietas líquidas de Zeigler es su capacidad para permanecer uniformemente suspendidas en el agua, asegurando un acceso óptimo a los nutrientes para las larvas de camarón. A diferencia de los alimentos secos, que pueden asentarse demasiado rápido, la formulación líquida mejora la disponibilidad y el consumo de nutrientes.
Salud intestinal mejorada y mayor supervivencia
EZ Larva Ultra y EZ Artemia Ultra están enriquecidos con probióticos y Vpak®, una potente mezcla de inmunoestimulantes patentada por Zeigler. Los probióticos Rescue y Remediate están diseñados específicamente para reducir Vibrio spp en el tracto intestinal del organismo y minimizar el amoníaco y el exceso de materia orgánica en los sistemas de cultivo. Esta poderosa combinación favorece la salud intestinal, fortalece la respuesta inmune y ayuda a mantener la calidad del agua, factores clave para mejorar la supervivencia y resistencia de las larvas de camarón.
Nutrición consistente y biosegura
Los alimentos vivos, como las nauplios de Artemia y las algas, introducen variabilidad en las operaciones del laboratorio, dificultando la obtención de resultados consistentes. Las dietas líquidas de Zeigler eliminan esta incertidumbre al proporcionar una solución nutricional controlada y biosegura. Cada lote se formula para ofrecer un contenido de nutrientes uniforme, reduciendo la dependencia de la Artemia y las algas vivas, y garantizando un rendimiento predecible.
Procesamiento en frío para máxima eficacia
Los alimentos líquidos de Zeigler utilizan una técnica de procesamiento
en frío que preserva la integridad de los probióticos y otros ingredientes sensibles dentro de las microcápsulas. Esto asegura la entrega efectiva de nutrientes y bacterias beneficiosas directamente al sistema digestivo del camarón, mejorando la digestión y la salud general.
Una nueva era en la sustitución de Artemia
EZ Artemia Ultra ha sido diseñado específicamente como una alternativa de alto rendimiento a los nauplios vivos de Artemia. Gracias a su avanzada tecnología de microencapsulación, esta dieta líquida ofrece:
3 Mayor densidad de nutrientes por partícula para una digestibilidad superior.
3 Microcápsulas mejoradas para una liberación óptima de nutrientes.
3 Sustitución comprobada del 100% de Artemia en ensayos comerciales de laboratorios.
Al reemplazar la Artemia viva, los laboratorios logran un mayor control sobre su proceso de alimentación, mejorando la eficiencia, reduciendo costos y reforzando la bioseguridad.
La mejor alternativa a las algas y un alimento funcional
EZ Larva Ultra es una alternativa altamente eficaz a las algas, pudiendo reemplazar hasta el 100% del alimento de algas tradicionales a partir de la etapa larval Z2. Sus beneficios clave incluyen:
3 Probióticos específicos para mejorar la salud intestinal y la calidad del agua.
3 Ácidos orgánicos y antioxidantes para fortalecer la resiliencia y la función inmune.
3 Nutrición consistente y controlada para optimizar los resultados del laboratorio.
Resultados comprobados en ensayos de laboratorio
Los laboratorios que han adoptado las dietas líquidas de Zeigler han reportado mejoras notables en su desempeño. En pruebas de desafío con síndrome de la necrosis hepatopan-
creática aguda (AHPND, por sus siglas en inglés), el uso combinado de EZ Larva Ultra y EZ Artemia Ultra aumentó la tasa de supervivencia en un 33%. Además, su alto contenido de lípidos ayuda a mantener las reservas de energía durante el transporte, asegurando larvas más fuertes y resistentes al momento de la siembra.
¿Por qué los laboratorios están haciendo el cambio?
A medida que la industria avanza hacia soluciones de alimentación más controladas y bioseguras, EZ Larva Ultra y EZ Artemia Ultra de Zeigler lideran la innovación. Al reemplazar o complementar los alimentos vivos con estas dietas líquidas avanzadas, los laboratorios pueden:
3 Mejorar la supervivencia y el desarrollo larval.
3 Reducir la dependencia de Artemia y algas.
3 Optimizar la calidad del agua y la bioseguridad.
3 Aumentar la eficiencia y consistencia en la producción.
¿Listo para impulsar el éxito de tu laboratorio?
Únete a la creciente comunidad de laboratorios en todo el mundo que confían en EZ Larva Ultra y EZ Artemia Ultra de Zeigler para mejorar la supervivencia, optimizar la eficiencia y garantizar resultados consistentes. Contáctanos hoy mismo para solicitar una prueba y descubre cómo la nutrición líquida de Zeigler puede transformar la productividad y rentabilidad de tu laboratorio.


La producción global de camarón cultivado en 2024 ascendió a 5.9 millones de toneladas y se espera que 2025 se cierre con 6.1 millones de toneladas, mercado en el que Ecuador destaca como uno de los principales exportadores a escala global. Teniendo en cuenta los desafíos que representan las enfermedades en su cultivo, este artículo se centra en el efecto de los β-glucanos, nucleótidos, alginato y fucoidanos (compuestos bioactivos provenientes de las algas pardas del género Macrocystis integrifolia y de levaduras del género Saccharomyces cerevisiae), como estrategia para potenciar el sistema inmune del camarón blanco del Pacífico.
Por: Bioiberica*
Los camarones son una de las especies acuáticas más comercializadas del mundo. La producción global de camarón cultivado en 2024 ascendió a 5.9 millones de toneladas y se espera que 2025 se cierre con
6.1 millones de toneladas. Ecuador, China, India, Vietnam e Indonesia representaron el 74% de la producción global de 2024. La producción, en su mayoría de cultivos intensivos y semiintensivos en América Latina y Asia, se destina principalmente
a mercados de altos ingresos en Estados Unidos, Europa y Japón. La exportación de camarones se ha incrementado de manera drástica, pasando de USD 1,200 millones en 1976 a su valor actual de USD 24,700 millones (Figura 1).



La industria camaronera a nivel global se enfrenta a numerosos desafíos, entre los que destacan las enfermedades de origen viral, bacteriano y fúngico; a lo que se suma la búsqueda constante de ingredientes funcionales innovadores que serán necesarios para la sostenibilidad del sistema productivo y hacer frente a la creciente demanda de alimentos acuícolas; sin olvidar que el impacto ambiental, la competitividad y las cuestiones de inversión son otros retos del sector.
En el caso particular de Ecuador, los desafíos antes mencionados son de especial importancia, ya que la producción de camarón allí se caracteriza por su enfoque en la sostenibilidad y la adhesión a estándares internacionales de calidad, lo que le ha permitido al país mantener una sólida reputación en los mercados y ser uno de los principales exportadores de este rubro. Sin embargo, en los últimos años uno de los factores más críticos ha sido la dinámica del precio y los costos de producción del camarón (Figura 2).
Entre los factores que han contribuido al posicionamiento de Ecuador como uno de los principales exportadores de camarones a nivel mundial se encuentran su ubicación geográfica favorable para la acuicultura de camarones
y la implementación de regulaciones que han tenido como objetivo garantizar una producción amigable con el medio ambiente y certificar la calidad y seguridad del camarón ecuatoriano.
Estos logros han sido en parte debido a los métodos semiintensivos que se utilizan en Ecuador, a diferencia de los productores asiáticos, lo que reduce la probabilidad de brotes de enfermedades y ha permitido disminuir el uso de antibióticos, hasta el punto que, desde marzo de 2018, siete de los productores de camarones más grandes lanzaron la Asociación de Camarones Sustentables (SSP, por sus siglas en inglés), una certificación que garantiza el cero uso de antibióticos, la trazabilidad absoluta y una práctica sostenible para el medio ambiente.
Este reducido uso de antibióticos, sumado al bajo desarrollo de vacunas para los camarones debido a las características inherentes del sistema inmunológico de estos crustáceos, hacen que los productores, tanto en Ecuador como en otras regiones, busquen estrategias que contribuyan a mejorar de manera holística la respuesta inmune, el microbioma y la mitigación del estrés en camarones.
A todos estos desafíos a los que está expuesta la industria camaronera, se le suma que los
camarones −a diferencia de otras especies− carecen de un sistema inmune adaptativo y dependen del sistema innato. Este sistema de los invertebrados y camarones, se caracteriza por una respuesta inmune generalizada que consiste en barreras físicas y componentes celulares y humorales, que responde a estructuras moleculares de los diferentes patógenos. Muchas de estas vías son relativamente bien comprendidas, e involucran una serie de receptores de reconocimiento de patrones que interactúan con proteasas de serina para iniciar la encapsulación, fagocitosis y una cascada antimicrobiana basada en el sistema enzimático de profenoloxidasa (ppo) con la consecuente liberación de moléculas acumuladas en los hemocitos (lisozimas, péptidos antimicrobianos, aglutininas, etc.). El sistema del complemento, micro RNA y la interferencia de RNA también juegan un papel en el sistema inmune en camarones. Cabe destacar que, cada vez es más aparente la sofisticación de esta respuesta innata, pues recientemente se ha sugerido la existencia de una inmunidad adaptativa y de memoria en estos organismos.
Teniendo en cuenta las características inherentes al sistema inmune del camarón, junto con los altos estándares de calidad del
El equipo de investigación y desarrollo de Bioiberica diseñó un estudio en el que se evaluó una combinación sinérgica de dos ingredientes con alta concentración de compuestos bioactivos procedentes de harina de algas pardas del género M.integrifolia y un concentrado de nucleótidos libres de S. cerevisiae en la supervivencia del camarón blanco del Pacífico frente a un desafío mediante inmersión con Vibrioparahaemolyticus.
Los β-glucanos son polímeros de carbohidratos unidos mediante enlaces β-1-3, 1,4 o 1,6 que se han empleado para proteger frente a potenciales patógenos y prevenir enfermedades.
camarón ecuatoriano y el uso restringido de antibióticos, así como la eficiencia en costos y el respeto por el medio ambiente, este artículo se centra en el efecto de los β -glucanos, nucleótidos, alginato y fucoidanos (compuestos bioactivos provenientes de las algas pardas del género Macrocystis integrifolia y de levaduras del género S accharomyces cerevisiae ), como estrategia para potenciar el sistema inmune del camarón blanco del Pacífico ( Litopenaeus vannamei ).
3 Los β -glucanos son polímeros de carbohidratos unidos mediante enlaces β -1-3, 1,4 o 1,6 que se han empleado para proteger frente a potenciales patógenos y prevenir enfermedades. Los β -glucanos reaccionan con los receptores de unión de β -glucanos. Estos estimulan diferentes mecanismos celulares y humorales como la fagocitosis, la producción de especies de oxígeno, la síntesis de péptidos antimicrobianos y el sistema profenoloxidasa. Un ejemplo es la interacción que ocurre en la superficie de los hemocitos, en la cual se liberan gránulos de hemocitos que se activan con la presencia de calcio, lo que conduce a la actividad de la fenoloxidasa. Esto hace que los β -glucanos reduzcan la carga de patógenos al contribuir al sistema inmune innato en camarones.
3 Los nucleótidos son los cimientos del ADN y ARN, que juegan un papel muy importante en diferentes procesos fisiológicos de los organismos vivos y como inmunomoduladores. En situaciones de estrés, como lo son un rápido crecimiento y desafíos patogénicos que causan daño celular, es interesante contar con una fuente exógena de nucleótidos biodisponibles, para optimizar la proliferación celular y las funciones de los tejidos con alta tasa de replicación. Esto es especialmente importante en las células intestinales y en el sistema inmune, ya que no son capaces de sintetizar nucleótidos

La suplementación con la combinación específica de compuestos bioactivos procedentes de S. cerevisiae y M.integrifolia (Nucleoforce Immunity) con el objetivo de potenciar el sistema inmune de camarones, logra reducir la mortalidad en camarones desafiados con V.parahaemolyticus.

de-novo . Un estudio de Burrells et al. (2001) sugiere que, a diferencia de los β -glucanos, los nucleótidos estimulan no solo el sistema inmune inespecífico, sino que también la respuesta inmune específica, lo que permite generar una respuesta inmune más rápida y precisa. Además, existe evidencia del uso de nucleótidos en dietas con un alto contenido de proteína vegetal y factores antinutricionales, donde se ha visto que contrarrestan este efecto negativo, contribuyendo a mejorar el desempeño productivo y la resistencia a enfermedades.
3 Los fucoidanos son polisacáridos sulfatados presentes en la matriz extracelular de las algas pardas. Se ha demostrado que poseen varias propiedades bioactivas, tales como actividad antiinflamatoria, antiviral y antimicrobiana. Esta actividad está correlacionada con su estructura, siendo muy dependiente del contenido de sulfato y ácido urónico. Además, existen estudios que han demostrado efectos beneficiosos de los fucoidanos en el tratamiento de enfermedades inflamatorias. En acuicultura se usan como inmunoestimulantes, pero también mejoran el desempeño productivo. Los fucoidanos inducen la desgranulación de los hemocitos, incrementan la activación de la profenoloxidasa, la actividad fagocítica y la producción de aniones superóxidos.
3 El alginato es un polisacárido compuesto por dos tipos de ácidos urónicos, componentes estructurales de las algas pardas y de algunas bacterias. Es conocido por ser inmunoestimulante en camarones, al favorecer la expresión genética relacionada con el sistema inmunológico y estimular el sistema inmune no específico. En un estudio realizado por Yudiati et al. (2019) se observó que el alginato aumentaba la resistencia frente a infección por mancha blanca.
Con el fin de buscar alternativas que contribuyan a potenciar la respuesta del sistema inmune en camarones y su supervivencia frente a desafíos, el equipo de investigación y desarrollo de Bioiberica diseñó un estudio en el que se evaluó una combinación sinérgica de dos ingredientes con alta concentración de compuestos bioactivos procedentes de harina de algas pardas del género M. integrifolia y un concentrado de nucleótidos libres de S. cerevisiae en la supervivencia del camarón blanco del Pacífico frente a un desafío mediante inmersión con Vibrio parahaemolyticus . Este es un bacilo gramnegativo causante de la enfermedad necrotizante hepatopancreática aguda (AHPND, por sus siglas en inglés), cuya característica principal es la atrofia severa del hepatopáncreas que puede causar mortalidades masivas y repentinas de hasta el 100%
en camarones, la cual es posible observar dentro de los 30 a 35 días posteriores a la siembra.
El estudio se llevó a cabo en Shrimpvet, un centro de investigación de referencia en camarones en Vietnam. Se analizó una muestra de 600 organismos (0.57 ± 0.11 g).
Tras una aclimatación de 2 días, los camarones fueron clasificados en 5 grupos (4 réplicas/grupo; 30 organismos/tanque de 90 L) y recibieron diferentes tratamientos durante 28 días (Tabla 1). Se realizó seguimiento durante los 10 días postdesafío para cuantificar y comparar la tasa de supervivencia de los diferentes grupos.
Tras los 10 días de desafío, el grupo control positivo (CP) mostró una tasa de supervivencia (30.63 ± 4.70%) significativamente menor con respecto al control negativo (CN) (88.29 ± 2.73%; p < 0.05).
Los grupos que recibieron el tratamiento con nucleótidos a 500 ppm (33.95 ± 9.62%), y harina de algas a 500 ppm (41.02 ± 5.82%) tuvieron una mejora numérica en la tasa de supervivencia frente al CP, mientras que la combinación de nucleótidos y algas pardas evidenció una tasa de supervivencia (59.61 ± 9.55%) significativamente mayor respecto al grupo CP (Figura 3).
Gracias a los resultados de este estudio se ha podido presentar una solicitud de patente y abre una línea de estudio muy interesante para la aplicación de este producto en la nutrición de otras especies de acuicultura.

Conclusión
Se puede concluir que la suplementación con la combinación específica de compuestos bioactivos procedentes de S. cerevisiae y M. integrifolia (Nucleoforce Immunity) con el objetivo de potenciar el sistema inmune de camarones, logra reducir la mortalidad en camarones desafia-
dos con V. parahaemolyticus. Por lo tanto, estos nutrientes funcionales pueden mejorar el estatus sanitario del camarón blanco del Pacífico y contribuir con el sector camaronero, al ser una alternativa sostenible a los tratamientos convencionales, como antibióticos, y alineada con el concepto ‘’Una Sola Salud’’.
La nueva gama Nucleoforce® aporta nucleótidos libres biodisponibles para modular la respuesta inmune dando fuerza a la vida cuando más se necesita.
Este artículo es patrocinado por: BIOIBERICA
Las referencias y fuentes consultadas por el autor en la elaboración de este artículo están disponibles bajo petición previa a nuestra redacción.
Mantiene el correcto funcionamiento del sistema inmunitario.

Contribuye al rendimiento de la productividad animal.
Descubre toda la ciencia detrás de Nucleoforce®
Más de 15 años al servicio de la acuicultura del camarón

Validado por más de 40 estudios científicos

ShrimpTalk, la solución de alimentación impulsada por inteligencia artificial de Eruvaka, comenzó como un avance en precisión acústica y se ha convertido en una fuerza para el progreso medioambiental y social que está redefiniendo cómo se crían los camarones, ganan dinero los acuicultores y se protegen los ecosistemas.
Por: Eruvaka Technologies*
Cuando se piensa en productos del mar sostenibles, a menudo nos imaginamos océanos prístinos y capturas certificadas. Sin embargo, la verdadera transformación está teniendo lugar en los estanques de camarones, donde la tecnología está cambiando silenciosamente la forma como las comunidades los cultivan, obtienen ingresos y cuidan el medio ambiente. ShrimpTalk, la solución de alimentación impulsada por inteligencia artificial (IA) de Eruvaka, ya ha demostrado que puede “escuchar” a los camarones y proporcionarles la cantidad exacta de alimento. Lo
que comenzó como un avance en precisión acústica se ha convertido en una fuerza para el progreso medioambiental y social que está redefiniendo cómo se crían los camarones, ganan dinero los acuicultores y se protegen los ecosistemas.
Empoderar a los acuicultores con estabilidad económica
Para los criadores de camarón, el alimento representa la mayor parte de sus costos de producción. ShrimpTalk ayuda a reducir drásticamente el desperdicio, disminuyendo tales costos entre 15% y 26%, logrando mejorar las tasas de supervivencia entre 20% y 25%.
Esta mayor estabilidad económica permite realizar inversiones en equipos sin demora y aumenta la confianza para reinvertir en la cría. Este tipo de estabilidad económica permite que las familias se mantengan en la cría de camarones y garantiza la producción de alimentos a largo plazo.
Reducción de la huella de carbono y aumento del valor de mercado
Cada kilogramo de alimento ahorrado supone una menor huella medioambiental. ShrimpTalk reduce la demanda de alimento y mejora el factor de conversión alimenticia (FCR, por sus siglas en inglés) entre 12% y 20%, lo que reduce las emisiones de gases de efecto invernadero y alivia la presión sobre los recursos terrestres e hídricos.
Estanques más limpios, menor descarga de efluentes y menor necesidad de antibióticos refuerzan la salud ecológica. Cabe destacar que las granjas capaces de demostrar que aplican prácticas de bajo impacto medioambiental, están mejor posicionadas en los canales minoristas de alta gama. Cada vez más, los compradores globales y las principales cadenas de supermercados, como Walmart, demandan productos del mar con bajas emisiones y certificados, y recompensan a las granjas que cumplen esos estándares, lo que abre mercados de mayor valor para el camarón producido de manera responsable.
hacia
El impacto de ShrimpTalk trasciende la economía acuícola y los ecosistemas regionales. Apoya directamen-


ShrimpTalk ayuda a reducir drásticamente el desperdicio, disminuyendo tales costos entre 15% y 26%, logrando mejorar las tasas de supervivencia entre 20% y 25%.
te varios Objetivos de Desarrollo
Sostenible (ODS) de las Naciones
Unidas:
3 Hambre Cero (ODS 2): permite la producción fiable de mariscos ricos en proteínas, lo que ayuda a satisfacer la creciente demanda mundial de alimentos.
3 Trabajo decente y crecimiento económico (ODS 8): crea empleos cualificados y aumenta los ingresos rurales, lo que fortalece las economías locales.
3 Acción por el clima (ODS 13): reduce el uso de alimentos y las emisiones de gases de efecto invernadero, lo que disminuye la huella de carbono de la cría de camarón.
3 Vida submarina (ODS 14): reduce los efluentes y protege la
salud de los estanques, salvaguardando los ecosistemas marinos y costeros.
Estos vínculos globales muestran cómo la acuicultura impulsada por la tecnología puede satisfacer las necesidades alimentarias de la humanidad, al tiempo que se alinea con los compromisos internacionales en materia de clima y biodiversidad.
Mejora de las comunidades rurales a través de la tecnología ShrimpTalk también está impulsando el desarrollo social. En lugar de sustituir trabajadores, se crean nuevas oportunidades laborales. Las poblaciones rurales trabajan ahora directamente con tecnologías basadas en la inteligencia artificial (IA)
y el internet de las cosas (IoT, por sus siglas en inglés), lo que no solo mejora las habilidades individuales, sino todo el sistema acuícola. Los programas de alfabetización digital de Eruvaka enseñan a los acuicultores a integrar estas tecnologías en su trabajo diario y a aplicar esas habilidades digitales a la banca, la educación y la comunicación. Este desarrollo de capacidades impulsado por la tecnología fortalece las economías locales y prepara a las comunidades para un futuro más conectado.
Fomenta la resiliencia frente a riesgos climáticos y biológicos Las comunidades acuícolas costeras se enfrentan a retos cada vez mayores debido a la variabilidad climática y a las enfermedades. Al mejorar la supervivencia, el crecimiento y la eficiencia general, ShrimpTalk ofrece una solución fundamental para hacer frente a estas crisis. Las cosechas predecibles y la menor dependencia de productos químicos protegen los medios de vida y preservan el medioambiente, garantizando que el cultivo de camarones siga siendo una fuente fiable de alimentos e ingresos, incluso en condiciones de incertidumbre.
ShrimpTalk demuestra que la sostenibilidad puede integrarse en todos los aspectos de la acuicultura, desde el alimento distribuido hasta los datos recopilados, desde los puestos de trabajo creados hasta los mercados globales abastecidos. Es más que un avance tecnológico: es un plan estratégico para una producción acuícola rentable, resiliente y respetuosa con el medio ambiente.

Este artículo es patrocinado por: ERUVAKA TECHNOLOGIES


Con más de 100 años de experiencia en el desarrollo, producción y comercialización de microorganismos, Lallemand Animal Nutrition destaca por su rigor científico e innovación. Su capacidad para seleccionar cepas altamente específicas, adaptadas a las necesidades de los profesionales de la acuicultura, ofrece soluciones de biorremediación efectivas, científicamente validadas y apropiadas desde una perspectiva ambiental.
Por:
François Cellier*
¿Cepas o especies?
En microbiología, una especie es un grupo de bacterias que comparten rasgos genéticos centrales, mientras que una cepa es un subtipo que puede diferir en metabolismo, nicho ecológico o interacción con el hospedador (Göker & Oren, 2024).
La importancia de las variedades dentro de una especie se entien-
de fácilmente si pensamos en los perros. Aunque todas las razas pertenecen a la misma especie (Canis lupus familiaris), un Border Collie ágil y hábil tiene características y ha-
Dentro de una misma especie, diferentes cepas muestran capacidades metabólicas muy distintas, como asimilación de amonio, producción de enzimas, degradación de materia orgánica o inhibición de patógenos.
bilidades muy distintas a las de un Bulldog tranquilo y de bajo cardio. En biorremediación acuícola, seleccionar la cepa bacteriana adecuada puede ser más importante que elegir la especie. De hecho, dentro de una misma especie, diferentes cepas muestran capacidades metabólicas muy distintas, como asimilación de amonio, producción de enzimas, degradación de materia orgánica o inhibición de patógenos (Figura 1). La tolerancia a la salinidad y la actividad bajo diferentes niveles de oxígeno también son rasgos
específicos de cepa que determinan la eficacia en sistemas acuícolas particulares. De manera similar, la capacidad de formar biofilms suele depender de la cepa. Además, ensayos en campo han demostrado que consorcios optimizados por cepa pueden ofrecer mejores resultados en biorremediación o salud animal. En resumen, basarse únicamente en la clasificación a nivel de especie puede llevar a aplicaciones ineficaces. El rendimiento funcional y la compatibilidad ecológica se determinan a nivel de cepa, no de especie.


Inhibición de patógenos:
no todas las bacterias pueden hacerlo
No todas las cepas bacterianas tienen la capacidad de inhibir patógenos en ambientes acuícolas. El efecto antagonista suele ser específico de cepa y depende de interacciones complejas con el hospedador, el entorno y el patógeno. Esto se debe a la diversidad genética que afecta la producción de compuestos antimicrobianos, señales de quorum sensing o rasgos competitivos. Estas diferencias también pueden surgir de adaptaciones ambientales, donde ciertas cepas han evolucionado bajo condiciones específicas para ser más eficaces en la supresión de patógenos. Además, las interacciones entre estas cepas y la microbiota circundante o los organismos hospedadores pueden influir en su rendimiento inhibidor, haciendo que algunas cepas sean más adecuadas para aplicaciones de biocontrol que otras.
Según Golnari et al. (2024), solo ciertas cepas específicas demuestran una inhibición consistente de patógenos en condiciones acuícolas (Figura 2).
Adaptabilidad comprobada al nivel de salinidad
Las bacterias halotolerantes o halófilas pueden regular su presión osmótica interna acumulando solutos compatibles, lo que les permite sobrevivir en un amplio rango de salinidades (Galinski, 1993). Sin embargo, las cepas no adaptadas experimentan estrés osmótico que afecta la integridad celular e inhibe la actividad metabólica (Tabla 1). Es importante validar que las cepas utilizadas estén adaptadas al nivel de salinidad actual de la finca.
Adaptabilidad comprobada a distintos niveles de oxígeno
Los niveles de oxígeno varían considerablemente entre los microambientes de un estanque acuícola: desde la columna de agua y los flóculos, hasta la interfaz sedimento-agua y las capas más
En biorremediación acuícola, seleccionar la cepa bacteriana adecuada puede ser más importante que elegir la especie.
profundas del suelo. Estos gradientes están influenciados por factores como fotosíntesis y respiración del fitoplancton, sistemas de aireación, acumulación de materia orgánica y biomasa animal. Por lo tanto, es esencial aplicar un producto de biorremediación que funcione bajo condiciones aeróbicas, microaeróbicas y anaeróbicas (Tabla 2).
Algunas bacterias de biorremediación poseen rutas metabólicas flexibles que les permiten alternar entre respiración aeróbica y anaeróbica (Geng et al., 2021). En cambio, otras cepas son estrictamente aerobias o anaerobias, sin capacidad de adaptación a ambientes con variaciones en el potencial redox.
Producción de enzimas: clave para la digestión de materia orgánica
La capacidad de las cepas seleccionadas para producir una amplia gama de enzimas extracelulares —como proteasas, lipasas, amilasas y celulasas— es crucial para la degradación eficiente de residuos orgánicos. Estas enzimas descomponen la materia orgánica compleja en moléculas solubles más pequeñas, que pueden ser
absorbidas y metabolizadas por las mismas bacterias que las secretan.
La estrategia enzimática de cada cepa depende de su genética y regulación interna (Domingues et al., 2022). Por eso, una mezcla bien diseñada de cepas complementarias puede sintetizar un panel consistente de enzimas digestivas bajo distintas condiciones, permitiendo la degradación de residuos orgánicos de diversa composición en distintos entornos acuícolas.
Por ejemplo, ciertas cepas de Bacillus subtilis producen altos niveles de amilasa, mientras que otras no (Figura 3).
Asimilación de amonio por heterótrofos: una ventaja selectiva en el manejo del nitrógeno En bacterias heterótrofas empleadas para biorremediación en acuicultura, la capacidad de incorporar amonio en la biomasa celular es clave para reducir la acumulación de nitrógeno y prevenir la proliferación excesiva de fitoplancton. Esta capacidad varía entre cepas, dependiendo de la eficiencia de rutas como el ciclo GS-GOGAT (Glutamina Sintetasa–
Glutamato Sintasa), influenciada por el fondo genético y la respuesta ambiental (Sørensen & Jensen, 2007).
Algunas cepas heterótrofas muestran alta tasa de absorción de amonio incluso bajo relaciones carbono-nitrógeno fluctuantes, lo que las hace especialmente valiosas en sistemas ricos en nutrientes como los de alta densidad o semicerrados. La combinación de cepas con perfiles complementarios de asimilación de nitrógeno mejora la capacidad del sistema para manejar cargas dinámicas de nitrógeno de forma efectiva.
La asimilación de amonio por microorganismos beneficiosos contribuye a estabilizar los florecimientos de fitoplancton, reduciendo las fluctuaciones de parámetros como oxígeno disuelto y pH entre el día y la noche en los estanques de acuicultura.
Al asimilar amonio, estas cepas seleccionadas también reducen la carga sobre las bacterias nitrificantes, favoreciendo un proceso de nitrificación más estable y eficiente, y minimizando el riesgo de picos de nitrito.



Lallemand Aquapharm alberga la mayor colección privada de microorganismos marinos del mundo, con más de 12,500 cepas.
Biorremediación en acuicultura: la importancia de una fuente confiable
Con la creciente demanda en acuicultura, el mercado de biorremediación ha atraído a numerosos proveedores que ofrecen productos con diversas características. Sin embargo, la calidad varía significativamente, y en muchos casos, las decisiones comerciales prevalecen sobre la funcionalidad real.
Esto se debe también a la complejidad y variabilidad de los sistemas acuícolas, lo que dificulta la evaluación estricta del rendimiento de un biorremediador. Por ello, las decisiones a veces se basan en el precio o el marketing, en lugar de criterios científicos y técnicos.
Para asegurar resultados óptimos, es esencial exigir evidencia
científica y técnica robusta que demuestre que el producto:
1. Está adaptado a tu entorno específico.
2. Puede cumplir con tus necesidades operativas, como:
3 Producción de enzimas.
3 Inhibición de patógenos.
3 Asimilación de amonio.
3 Modulación de la microbiota (explicación detallada en un próximo artículo).
Lallemand: un siglo de experiencia microbiana
Con más de 100 años de experiencia en el desarrollo, producción y comercialización de microorganismos, Lallemand se destaca por su rigor científico e innovación. La empresa es propietaria de Aquapharm,

que alberga la mayor colección privada de microorganismos marinos del mundo, con más de 12,500 cepas, incluyendo más de 6,000 completamente secuenciadas.
Este recurso único permite a Lallemand seleccionar cepas altamente específicas, adaptadas a las necesidades de los profesionales de la acuicultura, ofreciendo soluciones de biorremediación efectivas, científicamente validadas y apropiadas desde una perspectiva ambiental.

Este artículo es patrocinado por: LALLEMAND ANIMAL NUTRITION
Las referencias y fuentes consultadas por el autor en la elaboración de este artículo están disponibles bajo petición previa a nuestra redacción.

* François Cellier Mettre Aquaculture Manager LATAM, pas tech deployer Correo electrónico: fcellier@lallemand.com
Alfredo Molina, CEO de AQUAMOL, habló sobre los desafíos y oportunidades del sector. Destacó la importancia de la genética y las mejoras en los procesos de producción que han impulsado el crecimiento de la industria, resaltando el gran potencial de la industria de la tilapia en México y la necesidad de trabajar en conjunto para aprovechar las oportunidades.
Por: Redacción de PAM*

Alfredo Molina, CEO de AQUAMOL, una empresa clave en el desarrollo de la industria de la tilapia en México, habló sobre los desafíos y oportunidades del sector. Destacó la importancia de la genética y las mejoras en los procesos de producción que han impulsado el crecimiento de la industria. Sin embargo, señaló que aún falta una mayor asociación entre los productores, acceso a financiamiento y campañas de promoción del consumo de tilapia. Además, mencionó la llegada de nuevas líneas genéticas que podrían beneficiar aún más a los productores mexicanos. En general, Molina resaltó el gran potencial de la industria de la tilapia en México y la necesidad de trabajar en conjunto para aprovechar las oportunidades.
Introducción
Salvador Meza: Bienvenido al podcast “Proveedores Acuícolas”. Hoy tenemos con nosotros a Alfredo Molina, director general de AQUAMOL, una empresa que ha sido

Para Alfredo Molina, solo unidos se podrá gestionar vacunas, financiamiento, campañas de consumo y representación frente a autoridades.
clave en el desarrollo de la tilapia en México. Con Alfredo hablaremos de genética, de resiliencia empresarial, de cómo sobrevivir a crisis políticas y medioambientales, y de la importancia de pensar en la acuicultura como un negocio pecuario de largo plazo. Alfredo, muchas gracias por acompañarnos.
Alfredo Molina: Gracias a ti, Salvador, por la invitación. Es un gusto poder compartir experiencias y reflexiones sobre la producción de tilapia en México.
Orígenes de AQUAMOL
Salvador Meza: Para quienes no conocen AQUAMOL, cuéntanos cómo surgió y qué papel juega hoy en la industria de la tilapia en México.
Alfredo Molina: AQUAMOL nació hace casi 40 años, gracias a mi padre. Él fue técnico pesquero y recibió capacitación en Israel en el cultivo de carpas y tilapia. Regresó a México con esa visión y comenzó
a aplicar lo aprendido. Yo me involucré muy joven, y llevo ya tres décadas en esta actividad. Con el tiempo, AQUAMOL se volvió un punto de referencia en genética. Podría decir que existe “un antes y un después” en el cultivo de tilapia en México desde que empezamos a introducir líneas genéticas mejoradas, allá por 2011-2013.
Formación internacional y de aprendizajes
Salvador Meza: Tú estudiaste biología, ¿Cierto?
Alfredo Molina: Sí, egresé en 2002 y siempre tuve claro que la acuicultura sería mi campo. Además de mis estudios, me capacité en granjas en Estados Unidos, Brasil y Tailandia. Pasé por Mississippi, California, Sao Paulo y centros asiáticos de referencia. Todo eso me permitió ver cómo se manejan granjas a gran escala, cómo funcionan los programas de incubación y hat-

Alfredo Molina, CEO de AQUAMOL
chering, y lo más importante: que la innovación diaria es la única forma de mantenerse vigente.

Con mejores genéticas y certificaciones, México podría exportar a Estados Unidos en pocos años, sobre todo con los aranceles que hoy afectan a China.
Salvador Meza: ¿Alguna experiencia te marcó especialmente?
Alfredo Molina: Sí, conocer a Sergio Zimmermann, genetista brasileño, en 2007. Él me transmitió la pasión por el mejoramiento genético en tilapia. Años después, en 2013, le propuse colaborar en México. Esa alianza cambió todo: importamos líneas desde Brasil con más de 27 generaciones de trabajo genético, probablemente las más longevas del mundo.
El impacto de las nuevas líneas genéticas
Salvador Meza: ¿Qué pasó cuando introdujeron esas líneas en México?
Alfredo Molina: Fue revolucionario. Antes, una tilapia local tardaba cuatro meses en llegar a 100
g, y ocho o nueve meses en alcanzar 400-500 g. Con las nuevas líneas, en mes y medio ya teníamos peces de 100 g, y en cuatro a cinco meses llegaban a un kilo. Eso sorprendió a todos. Hubo un cliente que se quejaba de tener peces de 2 a 3 kilos y no saber qué hacer con ellos. ¡Imagínate el cambio!
Salvador Meza: ¿Dirías que se adelantaron varios años a lo que se esperaba en el país?
Alfredo Molina: Sin duda. Al menos 5 o 6 años. Esto nos dio ventaja, pero también generó confusión. Era como poner un Ferrari en manos de alguien, y lo conducía por una terracería, no por una autopista. Muchos productores no tenían todavía las capacidades técnicas para aprovechar esa genética.
La curva del aprendizaje en México
Salvador Meza: Entonces, el problema no era solo la genética, sino el manejo.
Alfredo Molina: Exactamente. El productor debía manejar agua, nutrición, bioseguridad, todo un sistema. Y al no hacerlo, no obtenía los resultados esperados. Algunos incluso prefirieron vender crías rápidas para obtener flujo, en vez de enfocarse en engorda y carne. Eso frenó la adopción de genética avanzada.
Salvador Meza: ¿Por qué en México muchos productores que empiezan en el cultivo de tilapia prefieren producir sus propias crías, engordarlas y hasta fabricar su propio alimento, en lugar de especializarse en la engorda y en la comercialización de carne, como ocurre en países de Asia donde solo unas cuantas empresas se enfocan en la producción de alevines para todo el mercado?
Alfredo Molina: Correcto. En Tailandia son dos o tres compañías. En China, algo similar. Aquí en México, cada productor quiere hacer todo: producir, criar, engordar, vender alimento, comercializar. Es parte de la cultura. Esa dispersión limita la eficiencia y nos resta competitividad.
Salvador Meza: ¿Cómo sobrevivieron ustedes en medio de esa falta de preparación en el entorno?
Alfredo Molina: Con resiliencia y capacitación constante. No nos quedó otra. Innovamos en sistemas de recirculación de agua hasta lograr cero gastos de agua, certificamos procesos RAP en cría y engorda, y mantuvimos alianzas técnicas globales. La filosofía fue: si al productor le va bien, a nosotros también. Además, enfrentamos crisis como la alarma del “TiLV” (virus de la tilapia del lago) que nunca existió en México. Sobrevivimos porque teníamos procesos sólidos y no dejamos de innovar.
Salvador Meza: Muchos productores ven las certificaciones como un gasto.
Alfredo Molina: Es un error. Sí, implica invertir en laboratorios,

Con las nuevas líneas, en mes y medio ya teníamos peces de 100 g, y en cuatro a cinco meses llegaban a un kilo. Eso sorprendió a todos. Hubo un cliente que se quejaba de tener peces de 2 a 3 kilos y no saber qué hacer con ellos. ¡Imagínate el cambio!
biólogos, patólogos, químicos, auditores. Pero, al estandarizar procesos eliminas pérdidas ocultas. Eso vuelve competitivo al productor y a la empresa. El problema es que el mercado interno aún no lo valora: muchos clientes siguen comprando lo más barato, sin importar calidad ni inocuidad.
Cultura empresarial y falta de asociacionismo
Salvador Meza: Me llama la atención algo: ¿Por qué en México cuesta tanto que los productores se asocien?
Alfredo Molina: Es cultural. Falta visión empresarial. En otros países entienden que cada eslabón debe especializarse y cooperar. Aquí, los productores quieren hacerlo todo, sin delegar ni confiar. Eso lleva a ineficiencias.
En un momento existieron los sistemas producto, que permitían cierta coordinación. Pero, hoy no
hay uniones fuertes de productores de tilapia. Sin asociacionismo no podemos negociar mejores precios, acceder a certificaciones colectivas o defendernos de importaciones.
Importaciones y competencia desleal
Salvador Meza: Hablemos de las importaciones.
Alfredo Molina: México importa cerca de 420 millones de dólares en tilapia al año. Filetes de China llegan hasta 20% más baratos que nuestro costo de producción. Esto tumba precios locales. En Semana Santa de 2025, por ejemplo, la tilapia se vendió a MXN 55/kg (USD 2.96/ kg), cuando el año anterior estaba en MXN 70-75/kg (USD 3.76-4.03/kg).
Además, el consumidor se confunde: ve filetes chinos con sobreglaseado y cree que toda la tilapia es igual. Eso daña la percepción de la tilapia mexicana, que es de mucho mayor calidad.
El potencial
consumo interno
Salvador Meza: Aun así, la tilapia tiene una ventaja: es muy consumida en México y el mundo.
Alfredo Molina: Así es. Yo lo llamo el “pollo acuático”: resiliente, adaptable y con alto valor nutricional. En Asia, Estados Unidos, Canadá, en todos lados se consume mucho. El problema en México es que falta una campaña seria de promoción. La tilapia podría estar en cualquier platillo, cualquier día de la semana. No deberíamos depender solo de la cuaresma.
Atracción de talento y nuevas generaciones
Salvador Meza: Otro reto es la falta de jóvenes interesados en la acuicultura.
Alfredo Molina: Sí, es un problema de todo el campo mexicano. Los jóvenes no quieren trabajar en el sector primario. Pero hay señales

Los jóvenes no quieren trabajar en el sector primario. Pero hay señales de esperanza: segundas generaciones de familias productoras están regresando con formación universitaria. Son más arriesgados, con hambre de crecer.

de esperanza: segundas generaciones de familias productoras están regresando con formación universitaria. Son más arriesgados, con hambre de crecer.
Recientemente, un joven egresado de Biología me sorprendió por lo que ya sabía del sector y por sus ganas de emprender una granja. Creo que esa nueva generación será clave para el futuro.
Salvador Meza: Mencionaste que pronto llegará la línea Spring Genetics a México.
Alfredo Molina: Correcto. Es una de la mejores del mundo. Tiene resistencia a Streptococcus y está
muy adaptada a cultivos en jaula. Nosotros seguiremos ofreciendo también nuestra línea, que es muy estable y adaptada a condiciones mexicanas. Así el productor podrá elegir.
El verdadero beneficio será tener dos “autos de carrera” en el mercado, siempre que los productores entiendan que necesitan también vacunación, biotecnología y manejo técnico.
Piratería genética y servicio técnico
Salvador Meza: Pero, la piratería sigue siendo un problema.
Alfredo Molina: Muy grande. Pequeños productores toman nuestras crías, hibridan y venden a bajo precio. El rendimiento nunca es igual, pero confunden al mercado. Para nosotros, no queda más que demostrar con hechos: mejores factores de conversión, más supervivencia, mayor peso. Solo así el productor entiende que la genética certificada le dará más dinero.
Estamos iniciando un programa de servicio técnico y capacitación para clientes, aunque debemos escoger bien dónde ofrecerlo. No todos valoran esa asesoría, y es un costo alto. Creemos que a largo plazo es indispensable.
Los retos principales del sector
Salvador Meza: Si tuvieras que resumir los retos más importantes para la tilapia en México, ¿Cuáles serían? Alfredo Molina:
3 Falta de asociacionismo: necesitamos unirnos para acceder a mercados grandes.
3 Financiamiento limitado: no hay acceso fácil a créditos para crecer.
3 Cultura empresarial rezagada: el productor aún prioriza precio sobre calidad.
3 Importaciones baratas: compiten deslealmente con nuestro producto.
3 Ausencia de campañas de consumo: necesitamos promoción para aumentar la demanda interna.
Optimismo y visión a largo plazo
A pesar de todos estos retos, Molina es optimista:
3 Con mejor genética y certificaciones, México podría exportar a Estados Unidos en pocos años, sobre todo con los aranceles que hoy afectan a China.

3 La calidad de la tilapia mexicana está a la altura de las mejores granjas de Asia.
3 Lo único que falta es organización y visión compartida.
Alfredo Molina: México es un monstruo dormido en tilapia. El día que logremos organizarnos, despertará un gigante capaz de competir en cualquier mercado.
Al cierre
La conversación concluye con un llamado a la asociación nacional de productores. Para Molina, solo unidos se podrá gestionar vacunas, financiamiento, campañas de consumo y representación frente a autoridades.
Al despedirse, reitera que AQUAMOL distribuye crías en todo el país y busca pronto exportar a Centroamérica.
Salvador Meza: Gracias, Alfredo. Ha sido una plática muy interesante.
Alfredo Molina: Gracias a ti, Salvador. Ojalá que con esas reflexiones logremos que la tilapia mexicana ocupe el lugar que merece.

Esta es una versión resumida desarrollada por el equipo editorial de Panorama Acuícola Magazine del episodio “TILAPIA EN MÉXICO: GENÉTICA, RESILIENCIA Y VISIÓN A LARGO PLAZO” del podcast “Proveedores Acuícolas” moderado por Salvador Meza, editor de Panorama Acuícola Magazine. Se puede acceder a la versión completa a través de https://www. youtube.com/watch?v=0SVI8MeYh0c
Alfredo Molina
CEO de AQUAMOL
Para más información: Web: www.aquamol.mx
Correo electrónico: xxx@xxxx.com
*Salvador Meza
Editor & Publisher de Panorama Acuícola Magazine.

Con más de cuatro décadas de experiencia en genética, nutrición e innovación, Sergio Zimmermann repasa los hitos que han marcado la historia de la tilapia. Con tono cercano y reflexivo, comparte anécdotas, desafíos y perspectivas sobre el futuro de la tilapia como proteína clave para la seguridad alimentaria global, subrayando que la sostenibilidad y la innovación en sistemas y alimentación marcarán el rumbo de la próxima década.
Por: Redacción de PAM*
En esta conversación, Salvador Meza entrevista a Sergio Zimmermann, uno de los grandes referentes internacionales de la acuicultura moderna. Con más de cuatro décadas de experiencia en genética, nutrición e innovación, Zimmermann
repasa los hitos que han marcado la historia de la tilapia: desde el simbólico regalo del emperador Hirohito al rey de Tailandia en 1966, hasta la consolidación de Brasil y América Latina como potencias productoras. La charla aborda la evolución del “International Symposium on Tilapia
in Aquaculture” (ISTA), que en 2025 celebrará su edición más emblemática en Bangkok. Con tono cercano y reflexivo, Zimmermann comparte anécdotas, desafíos y perspectivas sobre el futuro de la tilapia como proteína clave para la seguridad alimentaria global, subrayando que
Hoy, Brasil produce más de 700,000 toneladas de tilapia anuales, más del doble que Tailandia. El impacto económico supera el millón de empleos directos, y si sumamos México y Colombia, hablamos de más de dos millones en toda la región.
la sostenibilidad y la innovación en sistemas y alimentación marcarán el rumbo de la próxima década.
Introducción
Sergio Zimmermann, un referente mundial en la acuicultura moderna. Con más de 40 años de trayectoria internacional, es ingeniero agrónomo y maestro en Zootecnia, con experiencia en genética, nutrición, bioeconomía y circularidad aplicada a la acuicultura en más de 30 países. Ha fundado empresas como Zimmermann Aqua Solutions, ha sido vicepresidente en Genomar y coordinador global de tilapia en Benchmark Genetics, con más de 150 publicaciones científicas. Su experiencia combina academia, innovación, tecnología y desarrollo sostenible en acuicultura a escala global.
Salvador Meza recuerda además la columna de Zimmermann en Panorama Acuícola: “El fabuloso mundo de las tilapias”, muy valorada por los productores. Con esta introducción, la conversación
se centra en la historia y el futuro de la tilapia, con énfasis en el “International Symposium on Tilapia in Aquaculture” (ISTA), que en 2025 celebrará en Bangkok, una edición histórica.
Orígenes y relevancia del ISTA
Salvador Meza: Para empezar, ¿Qué es el ISTA, cómo nació y por qué es tan importante?
Sergio Zimmermann: El ISTA surgió en 1983, en Nazareth (Israel), a orillas del mar de Galilea. Fue un encuentro entre un pequeño grupo de científicos y productores que reconocieron el potencial de la tilapia como especie clave para la seguridad alimentaria mundial. En ese momento, la tilapia era aún muy poco conocida fuera de África y Medio Oriente. Desde entonces, el ISTA se ha celebrado cada dos a cuatro años en distintos países (Egipto, Estados Unidos, Filipinas, México, Brasil, Tailandia, Kenia, entre otros), consolidándose como un espacio central para la innovación y la discusión técnica de la acuicultura.
El evento ha crecido hasta atraer a miles de asistentes, desde pequeños productores, que representan la mayoría en la tilapicultura global, hasta grandes corporaciones que en décadas recientes se han incorporado al sector.
Hitos históricos en el ISTA
Salvador Meza: ¿Recuerdas alguna edición que haya marcado un cambio de rumbo?
Sergio Zimmermann: Varias, te doy ejemplos: 3 1987, Bangkok (Tailandia): se presentaron los primeros resultados de un programa de selección genética de tilapia en el Asian Institute of Technology (AIT). Fue mi primer contacto con la línea “Chitralada”, introducida en Tailandia por el emperador Hirohito de Japón como un regalo diplomático. Este programa se convirtió en la base del famoso proyecto Genetic Improvement of Farmed Tilapia (GIFT), iniciado un año después.


3 1996, Río de Janeiro (Brasil): con Kevin Fitzsimmons ya como figura clave del ISTA, se reunieron líderes de toda América Latina. Allí se introdujeron las primeras tilapias genéticamente mejoradas en Brasil, lo que impulsó una producción que en poco tiempo convirtió al país en potencia continental.
3 2006, Veracruz (México): un ISTA inolvidable, donde conocí a la familia Molina, con quienes trabajé en innovaciones de biofloc, fermentados y sistemas de recirculación. Ese encuentro marcó más de 20 años de colaboraciones.
3 2013, Filipinas: fortaleció la expansión del programa GIFT y reforzó la cooperación entre Asia y América Latina.
En conjunto, cada ISTA ha sido un reflejo de los avances técnicos y de la transformación de la tilapia de un cultivo rudimentario a una industria globalizada.
La importancia de Bangkok 2025
Salvador Meza: ¿Qué hará especial al ISTA 2025 en Bangkok?
Sergio Zimmermann: Varias cosas. Primero, coincide con dos aniversarios clave:
3 60 años de la introducción de la tilapia en Tailandia (1966, desde Japón).
3 30 años de la introducción de variedades mejoradas en Brasil y América Latina.
Habrá un fuerte enfoque en edición genética, sostenibilidad, mer-
cados premium y, de forma novedosa, demostraciones culinarias y talleres prácticos con chefs. Kevin Fitzsimmons será el conferencista principal. Además, se destacará cómo la tilapia, al ser omnívora y adaptable, es ideal para sistemas circulares y sostenibles, a diferencia de especies carnívoras como el salmón.
La historia del “regalo del emperador”
Salvador Meza: Explícanos la historia del regalo del emperador de Japón al rey de Tailandia.
Sergio Zimmermann: Tras la Segunda Guerra Mundial, Japón recibió tilapias del Nilo como parte de las iniciativas para combatir el hambre. Aunque no prosperaron
Brasil cuenta con sistemas muy organizados en regiones específicas, como en el oeste del país, donde un radio de 300-400 km produce más que toda Tailandia. Se han creado cooperativas modernas de alimentos, procesos y exportación.
por el clima frío, sobrevivieron en los estanques del Palacio Imperial de Hirohito. En 1966, el emperador regaló ejemplares al rey Bhumibol Adulyadej de Tailandia, allí encontraron un clima ideal y aguas ricas en minerales, lo que permitió su rápida expansión.
De esos peces nació la variedad Chitralada, seleccionada en el palacio y luego desarrollada en el AIT. Paralelamente, el programa GIFT combinó líneas de Tailandia, Egipto, Kenia e Israel, logrando un mayor crecimiento y rendimiento de filete, aunque con menor rusticidad que la Chitralada.
Impacto de la tilapia en América Latina
Salvador Meza: ¿Qué impacto tuvo en América Latina esta introducción?
Sergio Zimmermann : Fue enorme. Hoy, Brasil produce más de 700,000 toneladas de tilapia anuales, más del doble que Tailandia. El impacto económico supera el millón de empleos directos, y si sumamos México y Colombia, hablamos de más de dos millones en toda la región.
En Brasil, la tilapia pasó de ser solo el 5% de la piscicultura en 1996 a más del 90% hoy. Parte del fenómeno se explica por el consumo juvenil: con la moda del sushi y el sashimi, los jóvenes prefieren pescados de sabor neutro, y la tilapia se ajustó perfectamente.
En México, en cambio, el mercado ha sido más difícil por la fuerte competencia de importaciones baratas de China y Vietnam, aunque existen productores locales de alta calidad.
El caso brasileño: barreras y oportunidades
Salvador Meza: ¿Por qué Brasil logró crecer tanto?
Sergio Zimmermann: En parte por las barreras arancelarias que limitaron la entrada de tilapia congelada de Asia. Eso permitió que el mercado interno se desarrollara con producción fresca, especialmente para restaurantes japoneses.
Además, Brasil cuenta con sistemas muy organizados en regiones específicas, como en el oeste del país, donde un radio de 300400 km produce más que toda Tailandia. Se han creado cooperativas modernas de alimentos, procesos y exportación.
El consumo per cápita sigue siendo bajo (2 kg por persona al
año), por lo que hay enorme potencial de crecimiento.
Innovaciones en consumo
Salvador Meza: En Brasil incluso se habla de innovaciones curiosas como las paletas de tilapia.
Sergio Zimmermann: Exacto. Una madre empezó a usar tilapia en helados para su hijo con problemas


El ISTA 2025 celebrará 60 años de expansión en Asia y 30 en América, y será un espacio para conectar generaciones: los pioneros que impulsaron la industria y los jóvenes que ahora la transforman con innovación.
digestivos y resultó exitoso. Hoy se venden paletas proteicas de tilapia en gimnasios, combinadas con frutas tropicales. Es un ejemplo de cómo el consumo puede diversificarse más allá de filetes y sashimi.
Salvador Meza: ¿Qué hay de la India y Bangladesh?
Sergio Zimmermann: India es el “próximo Brasil”. Tiene población joven, gusto por alimentos de sabor suave y una creciente industria del camarón que puede transferir tecnología y alimentos a la tilapia. Aunque hoy producen apenas 50,000-100,000 toneladas, tienen un enorme potencial.
Bangladesh, en cambio, ya consolidó su industria y supera las 400,000 toneladas, más que Tailandia. Ambos países muestran como la tilapia se expande en el sur de Asia.
Sin embargo, veo que la tendencia global será hacia descentralización y consumo local. Los costos de flete hacen difícil sostener exportaciones masivas de tilapia barata. Cada país tenderá a producir para su propio mercado, con sistemas intensivos y circulares.
El futuro de la tilapia
Salvador Meza: ¿Cómo imaginas la tilapia en 2030?
Sergio Zimmermann: Veo una industria de 7.5 millones de toneladas, cada vez más tecnificada y descentralizada. El gran desafío es el costo de los alimentos balanceados, cada vez más caros por la presión sobre los ingredientes. La clave estará en:
3 Alimentación alternativa: uso de residuos agroindustriales, fermentados y bioprocesados.
3 Sistemas intensivos y circulares: biofloc, bioRAS e hidroponía integrada.
3 Bienestar animal y bioseguridad: reducir pérdidas por enfermedades.
3 Innovación ambiental: más que genética, el futuro depende de sostenibilidad y eficiencia en sistemas de cultivo.
Los programas genéticos seguirán siendo importantes, pero el verdadero “talón de Aquiles” es el costo del alimento.
¿Por qué no grandes salmoneras en tilapia?
Salvador Meza: ¿Por qué gigantes del salmón no han entrado fuerte en tilapia?
Sergio Zimmermann: Porque se sienten más cómodos en su “medio natural”. Noruega controla genética y engorde de salmón, y aunque empresas como Cargill o BioMar sí invierten en tilapia, no
lo hacen al mismo nivel. Aun así, Noruega reconoce que la tilapia ya superó al salmón en volumen mundial y está observando de cerca. El futuro puede incluir tilapia producida en Europa en techos o estacionamientos de supermerca-


dos, junto con hortalizas hidropónicas. Ya existen pilotos de este modelo.
Mensaje final
Salvador Meza: ¿Qué mensaje quieres dejar?
Sergio Zimmermann: Que la tilapia seguirá siendo pilar de la acuicultura global. El ISTA 2025 celebrará 60 años de expansión en Asia y 30 en América, y será un
espacio para conectar generaciones: los pioneros que impulsaron la industria y los jóvenes que ahora la transforman con innovación.
La historia demuestra que de pequeños estanques rústicos en Israel y Brasil hemos pasado a sistemas sofisticados en todo el mundo. Hoy, la tilapia genera millones de empleos y oportunidades. El reto ahora es consolidar la sostenibilidad, innovar en alimentos y sis-

temas, y seguir construyendo una acuicultura que garantice seguridad alimentaria para las próximas décadas.
Conclusión
La entrevista entre Salvador Meza y Sergio Zimmermann ofrece una panorámica completa de la evolución de la tilapia en el mundo:
3 De un “regalo diplomático” en 1966 a una industria global.
3 De estanques rústicos a biofloc, bioRAS e hidroponía.
El futuro, según Zimmermann, no depende tanto de la genética, sino de la sostenibilidad, la innovación ambiental y el aprovechamiento de recursos locales.
Esta es una versión resumida desarrollada por el equipo editorial de Panorama Acuícola Magazine del episodio “DEL ORIGEN AL FUTURO: SERGIO ZIMMERMANN Y EL IMPACTO GLOBAL DE LA TILAPICULTURA RUMBO
A ISTA 2025”del podcast “Proveedores Acuícolas”moderado por Salvador Meza, editor de Panorama Acuícola Magazine. Se puede acceder a la versión completa a través de https://www.youtube.com/ watch?v=VlWa5K-MF0w
* Sergio Zimmermann, con más de 40 años de trayectoria internacional, es ingeniero agrónomo y maestro en Zootecnia, con experiencia en genética, nutrición, bioeconomía y circularidad aplicada a la acuicultura en más de 30 países. Ha fundado empresas como Zimmermann Aqua Solutions, y cuenta con más de 150 publicaciones científicas.
*Salvador Meza Editor & Publisher de Panorama Acuícola Magazine.
Por: Antonio Garza de Yta*

En todos los años que llevo escribiendo esta columna, no había recibido tanta retroalimentación como en la edición pasada. Realmente los “influencers” y “excelsheeters” son algo con lo que los expertos acuícolas conviven todos los días. Sin embargo, el comentario que más me llamó la atención fue el de mi buen amigo y experto financiero Ali Abdulhussain. Su visión es que a pesar de todas las cosas de las que podamos quejarnos, los “influencers” y “excelsheeters” cumplen la función de interesar a los no interesados. ¡Vaya qué cosa más cierta!
En todos los años que llevo escribiendo esta columna, no había recibido tanta retroalimentación como en la edición pasada. Realmente los “influencers” y “excelsheeters” son algo con lo que los expertos acuícolas conviven todos los días. Sin embargo, el comentario que más me llamó la atención fue el de mi buen amigo y experto financiero Ali Abdulhussain, un joven profesional de calidad mundial, con sobresaliente capacidad de análisis, y con quien he tenido la gran oportunidad de trabajar de cerca en Omán. Su visión es que a pesar de todas las cosas de las que podamos quejarnos, los “influencers” y “excelsheeters” cumplen la función de interesar a los no interesados. ¡Vaya qué cosa más cierta! Los acuicultores no hemos podido hacer una verdadera agenda de comunicación y hemos fallado en transmitir la importancia que representa nuestra actividad. A pesar de que la FAO y la OMS han resaltado su importancia, no hemos sido capaces de permear a la mayor parte de la población y,
por ende, incluso de menor manera, a quienes toman las decisiones tanto de presupuesto en la parte gubernamental, como de inversión en los fondos de capital privados. Si hoy pusiéramos algo en la agenda del sector creo que el comentario de Ali es el más acertado de todos: ¡Tenemos que interesar a los no interesados!
Hace unos años estaba en Italia, cenando con un colega que le preguntó al mesero si la lobina que ofrecía era de pesca o de acuicultura. Al responderle que era producto de la pesca, mi compañero inmediatamente le preguntó que si no tenía algo mejor que ofrecernos. Nunca se me olvidará la cara del mesero, pero antes de que dijera nada mi acompañante le comentó que, por seguridad, él solo comía productos acuícolas, ya que sabía de donde provenía el producto y con qué había sido alimentado gracias a los estándares de sostenibilidad y trazabilidad que le son exigidos a la industria; mientras que el producto proveniente de la pesca pudo estar en cualquier agua y alimentarse de cualquier cosa. Aprovechamos la
oportunidad para explicarle que es falso que la acuicultura use hormonas en el alimento, y que es hoy una industria cada vez más segura sin la cual no se podría alimentar a la creciente población. Estoy convencido que después de aquella conversación, nuestro nuevo amigo vio a la acuicultura con otra cara. No quiero decir que la forma en que mi colega interactuó en ese restaurante es la mejor. A mi parecer, no hay que hablar mal de la pesca que se hace responsablemente, ya que esta genera empleos para millones de familias y alimento de la más alta calidad para la sociedad en general, pero sí lo que quiero compartir es que debemos dar un mensaje disruptivo, no podemos quedarnos en el discurso de siempre, tenemos que aprender de esos “ïnfluencers” y contar las historias buscando incrementar nuestra audiencia y no solo hablar siempre entre nosotros. Tenemos que buscar la idea novedosa, y también no comunicarla en horas sino en cápsulas de menos de un minuto. No podemos esperar que el mundo se adapte a nosotros, sino somos

La acuicultura es la forma más sustentable de producir proteína animal en el planeta, la que permitirá que millones de seres humanos se alimenten de la mejor manera y desarrollen a pleno su capacidad intelectual, viviendo una vida larga y sana. ¡Además tenemos un producto delicioso!
nosotros quienes nos tenemos que adaptar al mundo.
Hoy tenemos que comunicar nuestra historia de una forma en que los gobiernos dediquen presupuesto a la acuicultura y esta termine de desarrollarse en donde todavía no lo hace. Tenemos que presentar al sector de una manera en que inversionistas volteen a ver a nuestra actividad no como una receta para convertirse en multimillonarios en unos años, sino como lo que es: una actividad confiable a largo plazo. Tenemos la gallina de los huevos de oro y no hemos sa-
bido cómo venderla. La acuicultura es la forma más sustentable de producir proteína animal en el planeta, la que permitirá que millones de seres humanos se alimenten de la mejor manera y desarrollen a pleno su capacidad intelectual, viviendo una vida larga y sana. ¡Además tenemos un producto delicioso! Así que aprendamos de quienes si han sido capaces de comunicar sus ideas, y de manera profesional, seria, pero disruptiva. Vayamos por esa nueva audiencia y asumamos este gran reto: interesar a los no interesados.
* Antonio Garza de Yta es COO de Blue Aqua International-Gulf, vicepresidente del Centro Internacional de Estudios Estratégicos para la Acuacultura (CIDEEA), presidente de Acuacultura sin Fronteras (AwF), expresidente de la Sociedad Mundial de Acuacultura (WAS), exsecretario de Pesca y Acuacultura de Tamaulipas (México) y creador de la Certificación para Profesionales en Acuacultura (CAP) junto con la Universidad de Auburn.

ALIMENTOS BALANCEADOS
CARGILL......................................CONTRAPORTADA
Carretera Internacional y Calle Fresno S/N Parque
Industrial No. 2
C.P. 85000 | Cd. Obregón, Sonora.
Contacto: Osvaldo Anaya / Clarissa Navarro
Tel: 644 410 6235
E-mail: clarissa_navarro@cargill.com www.cargill.com.mx
MEGASUPPLY ....5
Centroamérica, EE.UU., Europa, Sudamérica, Asia y Medio Oriente
Tel: +1 305 381 0210
E-mail: orders@megasupply.net W: www.megasupply.net
NATIONAL RENDERERS ASSOCIATION, INC…...25
Oficina para Latinoamérica: Sierra Candela 111 Oficina 501. Lomas de Chapultepec C.P. 11000 CDMX
Contacto: Luz María Cano
Tel: (55) 55 5980 6080
E-mail: nramex@nralatinamerica.org
SKRETTING.........................SEGUNDA DE FORROS
Km 6.5 vía Durán-Tambo, Durán, Ecuador
Contacto: Piero Botteri
Tel: +593 9693 78133
E-mail: piero.botteri@skretting.com https://www.skretting.com/es-EC/
ZEIGLER BROS, INC.................................................1
400 Gardners, Station RD, Gardners, PA. 17324, EE.UU. Contacto: Susan Thompson
Tel: 717 677 6181
E-mail: sales@zeiglerfeed.com www.zeiglerfeed.com
ANTIBIÓTICOS, PROBIÓTICOS Y ADITIVOS PARA ALIMENTOS
BAF BIOAQUAFLOC 66
Tel: +34 613 87 18 60 W: www.bioaquafloc.com
BIOIBERICA. 41
Oficinas corporativas
Av. Països Catalans 34, planta 2ª, 08950 Esplugues de Llobregat (Barcelona - España)
Tel: +34 93 490 49 08
E-mail: animalnutritioncontact@bioiberica.com www.bioiberica.com
MEGASUPPLY 5
Centroamérica, EE.UU., Europa, Sudamérica, Asia y Medio Oriente
Tel: +1 305 381 0210
E-mail: orders@megasupply.net W: www.megasupply.net
PHODÉ......................................................................29
E- mail: phode@phode.com www.phode.com
PRILABSA INTERNATIONAL CORP 15
2970 W. 84 St. Bay #1, Hialeah, FL. 33018, EE.UU.
Contacto: Roberto Ribas.
Tel: 305 822 8201, 305 822 8211
E-mail: rribas@prilabsa.com www.prilabsa.com
EQUIPOS DE AIREACIÓN, BOMBEO, FILTROS, MOBILIARIO PARA LABORATORIO E INSTRUMENTOS DE MEDICIÓN
SUN ASIA AERATION INT´L Co., Ltd.....................11
15f, 7, Ssu-wei 4 road, Ling-ya District, Kaohsiung, 82047 Táiwan R.O.C.
Contacto: Ema Ma.
Tel: 886 7537 0017, 886 7537 0016
E-mail: sales@pioneer.tw.com www.pioneer-tw.com
EVENTOS Y EXPOSICIONES
AQUAEXPO INTERNATIONAL 2025.......................45
Oct. 20-23, 2025
Centro de Convenciones. Guayaquil, Ecuador. T: +593 99 377 1572
E: aquaexpoec@cna-ecuador.com W: https://www.aquaexpo.com.ec/
5º SUMMIT LATINOAMERICANO POR LA SUSTENTABILIDAD PESQUERA Y ACUÍCOLA 2025...............TERCERA DE FORROS
Dic. 3 - 5, 2025
Mérida, Yucatán, México. W: sustenpescaacua.com/registro-summit/
Panorama Acuícola Magazine
Empresarios No. #135 Int. Piso 7 Oficina 723
Col. Puerta de Hierro, C.P.45116. Zapopan, Jal. México. Cruza con las calles Av. Paseo Royal Country y Blvrd. Puerta de Hierro
Tels: +52 (33) 8000 0578
Contacto 1: Suscripciones
E-mail: suscripciones@panoramaacuicola.com
Tel: +52 (33) 8000 0629 y (33) 8000 0653
Contacto 2: Juan Carlos Elizalde, ventas y mercadotecnia
E-mail: crm@dpinternationalinc.com www.panoramaacuicola.com

Aquaculture Magazine
Design Publications International Inc.
203 S. St. Mary’s St. Ste. 160
San Antonio, TX 78205, EE.UU.
Oficina en EE.UU: +(210) 229 9036
Oficina en EE.UU, Directo: +(210) 504 3642
Oficina en México: (+52) (33) 3632 2355
Suscripciones: iwantasubscription@dpinternationalinc.com
Publicidad: crm@dpinternationalinc.com / sse@dpinternationalinc.com www.aquaculturemag.com
GLOBAL SHRIMP FORUM
Sept. 2-4, 2025
Utrecht, Países Bajos
W: www.shrimp-forum.com
INTERNATIONAL AQUACULTURE INNOVATION CONFERENCE, INNAQUA 2025
Sept. 2-4, 2025
Puerto Montt y Puerto Varas, Chile
T: 56 9 6617 2308
E: innaqua@clubinnovacionacuicola.cl
W: https://www.innaqua.cl/.
INTERNATIONAL FISH CONGRESS & III FISH EXPO BRASIL
Sept. 2-4, 2025
Foz do Iguaçu, Brasil
T: +55 (49) 9 8845 4767
E: panty@ifcbrasil.com.br
W: https://ifcbrasil.com.br/
11va. FERIA INTERNACIONAL DE EQUIPOS Y SERVICIOS PARA PESCA & ACUICULTURA/3era. FERIA INTERNACIONAL DE PESCADOS, MARISCOS & DERIVADOS
Sept. 3-5, 2025
Lima, Perú
W: +51 989 177 352
E: thais@thaiscorp.com
W: www.thaiscorp.com/expopesca/
SEAFOOD EXPO ASIA
Sept. 13-12, 2025
Singapore
W: https://www.seafoodexpo.com/asia/.
VICTAM LATAM
Sept. 16-18, 2025
Sao Paulo, Brasil
T: +31 33 246 4404
E: expo@victam.com
W: https://www.allaquaculture.com/events/victamlatam-2025/
FALL CONFERENCE AT HUNTER MOUNTAIN RESORT
Sept. 16-18, 2025
New York, EE. UU.
T: (304) 802-4901
E: ustroutfarmersassociation@gmail.com
W: https://ustfa.org/2025/04/16/ustfa-announces2025-fall-conference-at-hunter-mountain-resortin-new-york-september-16-18-2/
AQUACULTURE EUROPE 2025
Sept. 22-25, 2025
Valencia, España
T: (+1) 760 751 5005
Fax: (+1) 760 751 5003
E: worldaqua@was.org
W: www.was.org, www.aquaeas.org
ENCUENTRO TILAPIA MÉXICO 2025
Sept. 24-25, 2025
Guadalajara, México
T: (55) 5563 4600
E: ana.garces@conafab.org
W: https://eventos.conafab.org/encuentrotilapia/
24va. RESPONSIBLE SEAFOOD SUMMIT
Sept. 29, 2025
Cartagena, Colombia
W: https://events.globalseafood.org/responsibleseafood-summit
LAQUA 2025
Oct. 6-9, 2025
Puerto Varas, Chile
T: (+1) 760 751 5005
Fax: (+1) 760 751 5003
E: worldaqua@was.org
W: www.was.org
SHRIMP MASTERCLASS 2025
Oct. 13-15, 2025
Miami, EE. UU.
T: +1 754 268 2951
E: info@shrimpmasterclass.com
W: www.shrimpmasterclass.com
AQUAEXPO GUAYAQUIL 2025
Oct. 20-23, 2025
Guayaquil, Ecuador
T: +593 99 377 1572
E: aquaexpoec@cna-ecuador.com
W: https://www.aquaexpo.com.ec/
BUSAN INTERNATIONAL SEAFOOD & FISHERIES EXPO 2025 (BISFE 2025)
Nov. 5-7, 2025
Busan Metropolitan City, Corea
T: +82-51-740-7518,7519
E: bisfe@bexco.co.kr
W: https://bisfe.com/eng/sub01/sub01.php
WORLD AQUACULTURE 2025
Nov. 10-13, 2025
Hyderabad, India
T: (+1) 760 751 5005
Fax: (+1) 760 751 5003
E: worldaqua@was.org
W: https://was.org/Meeting/code/WAI2025
INTERNATIONAL CONFERENCE ON FISHERIES AND AQUACULTURE (ICFA)
Nov. 11-12, 2025
George Town, Malasia
T: +91 8280047516 (Call 9.00AM to 7.00PM)
E: papers.asar@gmail.com
W: https://asar.org.in/Conference/53624/ICFA/
XXI FEIRA NACIONAL DO CAMARÃO
Nov. 11-14, 2025
Natal, Brasil
T: +55 84 3231.6291
E: fenacam@fenacam.com.br
W: https://www.fenacam.com.br/
WORLD AQUACULTURE 2025 INDIA
Nov. 12-15, 2025
Hyderaband, India
T: (+1) 760 751 5005
Fax: (+1) 760 751 5003
E: worldaqua@was.org
W: www.was.org
FESTIVAL REGIONAL DE PESCA Y ACUACULTURA SOSTENIBLE
Nov. 14-16, 2025
San Blas, México
E: frpas@cedo.org
W: https://festivalacuapesca.mx/
1st INTERNATIONAL MEETING ON GENE
EDITING IN AQUACULTURE
Nov. 19-20, 2025
Puerto Varas, Chile
E: edigen-favet@uchile.cl
W: www.edigen.uchile.cl
XVII SIMPOSIO INTERNACIONAL EN NUTRICIÓN ACUÍCOLA (VIRTUAL)
Nov. 19-21, 2025
La Paz, México
E: sina2025@cibnor.mx
W: https://www.cibnor.gob.mx/eventoscibnor/3715-xvii-simposio-internacional-en-nutricion-acuicola
W: https://www.seafoodexpo.com/global/


La clave para una acuicul tura más ef iciente y sostenible

Acompañamiento real en tu
Acompañamiento real en tu
granja granja
Planes ef icientes partiendo
Planes ef icientes partiendo de tu realidad de tu realidad
37% menos de costos, más
37% menos de costos, más
resultados resultados
Tecnología simbiótica, salud
Tecnología simbiótica, salud y ef iciencia y ef iciencia
Formación para tu equipo,
Formación para tu equipo,
impacto en tu producción impacto en tu producción
Solicite ya +34 613 87 18 60
Asesoría de nuestros expertos
www.bioaquafloc .com

