Revista Dentista y Paciente 197 | Enero 2025

Page 1


PUNTO DE VISTA

COVID-19 y sus repercusiones en la salud bucal: una revisión sistemática

BOLETÍN INFORMATIVO

79 Expo AMIC Dental

INVESTIGACIÓN CLÍNICA

Importancia del cuidado domiciliario para un buen estado de salud de los tejidos periimplantarios

SONRIENDO AL FUTURO Salud bucal en el Instituto Mexicano del Seguro Social: 2001-2023

ESTUDIO

Comparación de la resistencia de muñones, utilizando fibras de polietileno como endoposte contra núcleo de fibras de vidrio cortas

¡SU LABORATORIO DENTAL DE CONFIANZA!

BruxZir Zirconia

• Combinación óptima de resistencia y estética.

Una alternativa estética para las restauraciones de oro y Metal Porcelana con oclusal metálico. Vitalidad natural, diseñada para el área anterior y posterior. 50% descuento en su primer caso

Obsidian® Fusionado con Metal

• Cuatro veces más fuerte y dos veces más resistente al astillamiento que la porcelana Ceramco®3

• Ideal para coronas y puentes en cualquier parte de la arcada, y restauraciones en la zona estética.

con materiales

• Estética y alta resistencia

• Aplicaciones versátiles y amplia gama de indicaciones

• Preparación mínimamente invasiva y cementación adhesiva

Dra. Yanina Zaragoza
AÑOSGARANTÍA D E GLIDEWELL
IPS e.max es una marca registrada de Ivoclar Vivadent.
IPS e.max

Da la bienvenida a la nueva Tecnología de Equipos con Pantalla Táctil Inteligente!!!

Disponible en:

Medical Systems, se adelanta a los tiempos, presentando una nueva generación de Equipos de Radiodiagnóstico Intra-oral con la funcionalidad que le ofrece la última Tecnología en Pantallas Táctiles Inteligentes, que se configuran sin necesidad e memorizar instrucciones, y con opciones que NO se encuentran en otros equipos.

Tiempos de expo sición Pre-programados compensados por variaciones de voltaje de la línea de suministro. Contador de exposiciones. ersonalización de los tiempos de exposición Pre-programados. Monitoreo del voltaje de alimentación del equipo y protección por variaciones de voltaje en la línea de suministro.

MONTAJE A PARED

CORIX® 70 PLUS-USV-WM-TS

BASE MOVIL

CORIX® 70 PLUS USV-MM-TS

A Division of CORIX MEDICAL SYSTEMS® Lauro Villar No. 94-B, 02440, México, CDMX

Tels:+52 55 5394 1192 +52 55 5394 1199 56 2571 9826 www.corix.us http://www.facebook.com/CORAMEXSA sales@corix.us repre.ventas@corix.us

Enero 2025

A nuestros queridos amigos, lectores, proveedores y colaboradores, les deseamos un 2025 lleno de éxitos, salud y bienestar para ustedes y sus seres queridos.

Este año llega cargado de nuevos proyectos y desafíos que esperamos cumplan con todas sus metas. Como saben, la odontología siempre avanza, y en 2025 veremos grandes eventos como investigaciones innovadoras, convenios, publicaciones, exposiciones, cursos y congresos tanto a nivel nacional como internacional.

El número de nuestros suscriptores sigue en aumento, lo que nos anima a seguir trabajando duro y con mucho entusiasmo para mejorar constantemente nuestros contenidos, y poder continuar con su preferencia.

Nuestro compromiso sigue firme: promover y difundir el conocimiento de cada una de las diferentes ramas de la odontología.

De parte de los integrantes de la familia de la Revista Dentista y Paciente, les agradecemos su preferencia y les mandamos un fuerte abrazo.

¡Feliz Año Nuevo!

Mtro. Carlos Adolfo Espinosa García Especialidad en Odontología Legal y Forense Maestría en Odontología

Te desea

10 | PUNTO DE VISTA

COVID-19 y sus repercusiones en la salud bucal: una revisión sistemática

24 | BOLETÍN INFORMATIVO 79 Expo AMIC Dental

40 | INVESTIGACIÓN CLÍNICA

Importancia del cuidado domiciliario para un buen estado de salud de los tejidos periimplantarios

Editorial Renascence S.A. de C.V.

Directora editorial

Patricia López Guerra patricia.lopez@dentistaypaciente.com

Jaime Francisco Martínez Aceves† jmartinez@dentistaypaciente.com

Directora Editorial

Mariangel Martínez López mmartinez@dentistaypaciente.com

Director de Arte y Diseño

Jesús Salas Pérez

jesasez@dentistaypaciente.com

Coordinador Editorial

Marco A. Vergara Salgado marversa@dentistaypaciente.com

Ejecutivos Comerciales y de Negocios

Carlos Martínez García, Gabriela Dolorez Ocadiz, Edson Aarón Hernández

Producción y Circulación

Edson Aarón Hernández

Fotografía e Ilustraciones

Editorial Renascence Suscripciones

Edson Aarón Hernández

Preprensa e Impresión

Offset Impresión Creativa S.A de C.V.

Distribución

Comercializadora GBN S.A. de C.V.

Calzada de Tlalpan #572, desp. C-302, col. Moderna

Contabilidad y Administración

L. C. y E. F. Renato Muñoz

director científico

Dr. Carlos Espinosa García Especialista en Odontología Legal y Forense consejo editorial

Dr. Francisco Javier Diez de Bonilla Calderón

Catedrático de la F.O de la UNAM

Dr. Francisco Magaña Moheno

Centro de Especialidades Odontológicas

Javier Portilla Robertson

Exdirector de la Facultad de Odontología de la UNAM

Especialista en Patología Bucal

C.D.E.O. Arturo Alvarado Rossano†

Profesor y Especialista en Ortodoncia y Ortopedia Craneofacial en la Facultad de Odontología. UNAM. Asesor Académico y Coordinador de Difusión de la AMOCOAC.

C.D. Manuel García Luna y González Rubio

Dra. Ana Gabriela Carrillo Varguez

Coordinadora de la especialidad en endodoncia UABC Tijuana. Coordinadora de Investigación y Posgrado F.O. UABC

M.C. Ernestina Santillana Marín

Subdirectora de CISALUD UABC

William James Maloney, D.D.S. Clinical Associate Professor New York University

universidad anáhuac méxico norte

C.D. Carlos Robles Bonilla Coordinador de la Licenciatura de Cirujano Dentista

C.D. Sergio Antonio Ojeda León Profesor Titular de Odontopediatría de la Licenciatura de Cirujano Dentista

C.D. Bernardo Grobeisen Weingersz Profesor Titular de Clínica Integral de la Licenciatura de Cirujano Dentista

C.D. Norma Ibañez Mancera.

Profesora Titular de Patología Bucal de la Licenciatura de Cirujano Dentista

Dirección del Derecho de Autor certificado de reserva al uso exclusivo no. 04-2008022718312200-102 con fecha 27 de Marzo del 2008. Gobernación de la H. Comisión Calificadora de Publicaciones y Revistas Ilustradas, certificado de licitud de contenido 5328, certificado de licitud de título 7411, franqueo pagado, publicación mensual permiso no. PP09-02106, SEPOMEX. Las opiniones expresadas en los artículos y en los anuncios publicados no significan de ninguna manera juicios, criterios, ideas o cualquier otro concepto por parte de la editorial; reflejan únicamente las ideas y pensamientos de sus autores. Los artículos, entrevistas, resúmenes, publirreportajes, fotografías y cualquier otro material son exclusivos de la editorial, y no se autoriza la reproducción total o parcial por ningún medio sin previa autorización del editor. Para cualquier asunto relacionado con suscripción, distribución, comercialización, anuncios, contenido u otro propósito, favor de dirigirse a la editorial. Impreso en MV IMPRESIONES, SA DE CV.

Dentista y Paciente® Publicación mensual correspondiente al mes de ENERO DE 2025. editada por Editorial Renascence S.A. de C.V., Rancho Jigüingo 29, Prado Coapa, Ciudad de México, 14350. tel. 56846632, fax 56793656. Distribuida en locales cerrados, depósitos dentales, universidades, congresos y exposiciones. Editora responsable: Mariangel Martínez López. Fotoarte de portada: Editorial Renascence.

distribución certificada por el padrón nacional de medios impresos de la dirección general de medios impresos de la secretaría de gobernación no. 007-136. www.gobernacion.gob.mx

50 | SONRIENDO AL FUTURO

Salud bucal en el Instituto Mexicano del Seguro Social: 2001-2023

58 | ESTUDIO

Comparación de la resistencia de muñones, utilizando fibras de polietileno como endoposte contra núcleo de fibras de vidrio cortas

COVID-19 y sus repercusiones en la salud bucal: una revisión sistemática

Introducción: el COVID-19 fue una infección viral contagiosa transmitida mediante el aire o superficies infectadas, causada por el virus del SARS-CoV-2, y es detectada mediante prueba PCR y seguimiento observacional. La infección puede ser sintomática o asintomática. Objetivo: realizar una revisión sistemática de la literatura para identificar los hallazgos clínicos y manifestaciones orales en pacientes con presencia y/o antecedentes de enfermedad por COVID-19 confirmada mediante prueba de PCR, en su estadio leve, moderado y grave. Método: se realizó una búsqueda sistemática en las bases de datos electrónicas como Science Direct y PubMed. Se incluyeron artículos publicados desde el año 2020 hasta la actualidad. El rango de edad de los pacientes va de los 18 a 80 años. Discusión: la correlación entre COVID-19 y la salud

COVID-19 y sus repercusiones en la salud bucal: una revisión sistemática

bucal presenta mayor relevancia al presentarse hallazgos bucales en pacientes con enfermedades cardiovasculares, enfermedades sistémicas, insuficiencia renal, pacientes con enfermedades respiratorias crónicas o pacientes fumadores. Los pacientes con estos antecedentes sistémicos presentan afectaciones bucales relevantes con mayor prevalencia la xerostomía y disgeusia. Conclusión: la relación de COVID-19 y su influencia en la salud bucal se vio principalmente en pacientes con enfermedades sistémicas, no sistémicas y con o sin comorbilidades en edad intermedia de 40 a 64 años y edad avanzada de más de 65 años, con hallazgos bucales como úlceras, candidiasis, ardor bucal, xerostomía y disgeusia.

Palabras clave: COVID-19; dentistry diseases; oral pathologies; patologías bucales; SARS-CoV- 2.

Camacho-Blancas Itzel Ariadna, YañezHernández Marión Paola, Vázquez-Pichardo Janette Denisse, Avelar-Juárez Karla Mayela. 1,5Universidad Nacional Autónoma de México, Licenciatura en Odontología, Escuela Nacional de Estudios Superiores Unidad León, León Guanajuato, México. avelarjz31@gmail.com

La enfermedad por coronavirus (COVID-19) es una enfermedad infecciosa causada por el virus SARS-CoV-2. El virus es transmisible de humano a humano mediante las vías aéreas y acciones como el toser, hablar o estornudar, así como por el contacto con superficies contaminadas. Se presenta experimentando enfermedad respiratoria de aguda a grave requiriendo de un tratamiento especial. Las personas con mayor riesgo a desarrollar una enfermedad respiratoria grave son adultos mayores, personas con enfermedades cardiovasculares, diabetes, enfermedades crónicas respiratorias, cáncer, etc. La enfermedad se presenta mediante síntomas como fatiga, fiebre, dificultad para respirar, pérdida del gusto, dolor de pecho y pérdida del olfato, entre otras, también puede manifestarse como una infección asintomática.

Para que inicie la infección celular es necesario que el virus se una a un receptor de la superficie celular dado entre la proteína (S) del virus

Acrónimos PICOS:

y el receptor de la enzima convertidora de angiotensina 2 (ACE2). El ACE2 contribuye a la regulación de la presión arterial al realizar la conversión de la angiotensina I en angiotensina. 1-9 El receptor de ACE2 se halla expresado en el tracto respiratorio bajo, corazón, riñón, estómago, vejiga, esófago e intestino. En el pulmón, se encuentra principalmente en un subconjunto pequeño de células llamadas células alveolares tipo 2; y, en la cavidad oral, está altamente expresado en células epiteliales de la lengua.

Las enfermedades bucales son las enfermedades no transmisibles más comunes. La OMS en el Global Oral Health Status Report (2022) estima que las enfermedades orales afectan alrededor de 3 500 millones de personas en el mundo, cada 3 de 4 personas afectadas viven en países de ingresos medianos.

La prevalencia va en aumento con la creciente urbanización y los cambios en las condiciones de vida.

Objetivo: realizar una revisión sistemática de la literatura para identificar los hallazgos clínicos y manifestaciones orales en pacientes con presencia y/o antecedentes de enfermedad

por COVID-19 confirmada mediante prueba de PCR, en su estadio leve, moderado y grave.

Materiales y métodos: pregunta de investigación. Durante y después del período de pandemia por COVID-19, ¿Qué hallazgos clínicos y manifestaciones orales fueron asociados a la infección por SARS-CoV-2 en personas adultas de edad intermedia y avanzada? ¿Cuál es la asociación de algunas enfermedades coadyuvantes con estas manifestaciones orales?

Estrategia de búsqueda

Se realizó la búsqueda bibliográfica en las bases de datos electrónicas Science Direct y PubMed mediante el uso de términos boleanos y los establecidos por PRISMA, así como la revisión de la literatura publicada de 2020 en adelante, se utilizaron las palabras:

(((“Dentistry/disease” [Mesh] OR (“Oral/pathologies” [Mesh])) AND “COVID-19” [Mesh] AND “Adult” [Mesh].

Se arrojaron 107 artículos, de los cuales se seleccionaron 13 mediante los criterios de exclusión establecidos, se volvieron a seleccionar los artículos a

Paciente/Problema/Población Intervención Comparación Resultados Tipo de estudio

Pacientes con COVID-19 confirmados por pruebas de laboratorio y PCR, que se encuentran en la etapa adulta intermedia (40- 64 años) y avanzada (más de 65 años).

Enfermedades crónico-degenerativas (diabetes mellitus tipo I y II, enfermedades cardiovasculares, enfermedades crónicas respiratorias e insuficiencia renal) del paciente.

Pacientes con COVID-19 sanos y pacientes con COVID-19 y antecedentes de enfermedades cardiovasculares, respiratorias o cualquier antecedente patológico.

Diagnóstico de manifestaciones orales por COVID19 como xerostomía, disgeusia, úlceras, aftas, presencia de hongos como cándida, ardor bucal e inflamación gingival.

Estudio de casos. Serie de casos.

trabajar con los criterios de eliminación obteniendo una total de 8 artículos.

Criterios de inclusión:

• Artículos PUBMED y SCIENCE DIRECT.

• Artículos que incluyan género y un rango de edad de 18 a 80 años.

• Artículos observacionales y de serie de casos.

• Artículos publicados del año 2020 a la fecha.

Criterios de exclusion:

• Artículos que no presentan estadísticas o comparativas en su estudio.

• Estudios que no presentan la edad y género.

COVID-19 y sus repercusiones en la salud bucal: una revisión sistemática

• Estudios que no cumplen con la metodología GRADE.

Criterios de eliminación

• Artículos que no identifican las manifestaciones orales por COVID-19.

• Pacientes fuera del rango de edad.

Evaluación de la calidad metodológica:

Resultados

Se realizó la selección de artículos mediante la estrategia de búsqueda utilizando palabras clave y términos boleanos donde se identificaron 107 artículos en bases de datos electrónicas como lo es Science Direct y

Identification of studies via databases and registers

Records identified from*: Databases (n =106) Registers (n = 0)

Records screened (n = 25)

Reports sought for retrieval (n = 0)

Reports assessed for eligibility (n = 13)

Records removed before screening:

Duplicate records removed (n = 2)

Records marked as ineligible by automation tools (n = 0) Records removed for other reasons (n = 79)

Records excluded** (n =18)

Reports not retrieved (n = 0)

Reports excluded:

Contains neither statistics nor comparisons (n = 1)

Age and gender not presented (n = 3)

Relates to another subject (n=2)

Studies included in review. (n = 6)

Reports of included studies (n = 2)

Identification of studies via other methods

Records identified from: Websites (n = 0) Organisations (n = 1) Citation searching (n = 0) etc.

Reports sought for retrieval (n = 0)

Reports assessed for eligibility (n = 1)

Reports not retrieved (n = 0)

Reports excluded: Contains neither statistics nor comparisons (n = 0)

Age and gender not presented (n = 0)

Relates to another subject (n=0)

*Consider, if feasible to do so, reporting the number of records identified from each database or register searched (rather than the total number across all databases/registers).

**If automation tools were used, indicate how many records were excluded by a human and how many were excluded by automation tools.

From: Page MJ, McKenzie JE, Bossuyt PM, Boutron I, Hoffmann TC, Mulrow CD, et al. The PRISMA 2020 statement: an updated guideline for reporting systematic reviews. BMJ 2021;372: n71. doi: 10.1136/bmj. n71. For more information, visit: http://www.prisma-statement.org/

Figura 1. Diagrama PRISMA.

PubMed, los cuales fueron filtrados mediante los criterios de eliminación obteniendo un total de 13 artículos representando un 12.14% de los artículos originales encontrados. Posteriormente se aplicaron los criterios de exclusión obteniendo un total de 8 artículos representando un 7.47%, 7 artículos corresponden a la base de datos Science Direct y un artículo correspondiente a PubMed, estos últimos mencionados cumplen con los criterios de inclusión planteados y aseguran un buen filtro de información al encontrarse en revistas e instituciones con validez oficial, el filtro de

evaluación metodológica y selección realizado se representa en la Figura 1

Características de los estudios

Aplicando los criterios de exclusión y eliminación se obtuvieron 8 artículos, mismos que fueron revisados para obtener las características de estudios propios que ayudarán a abordar la metodología GRADE, se revisó la población estudiada buscando en ella el número de pacientes evaluados y la cantidad por género así como el rango de edad, abarcado un 75%

Simple calculation

Randomization

Randomization (method)

Blinding

Follow

Response

Concordance

Assumptions of statiscal test

de los artículos que lo mencionan, mientras que el 25% no refieren la cantidad de pacientes evaluados; se observó el tipo de intervención para detección y seguimiento de la serie y estudio de casos, ya sea por confirmación de prueba PCR, seguimiento observacional e historia clínica aplicada.

La comparación de estudios se obtuvo al saber si había una comparativa entre pacientes sistémicamente sanos o no, así como si poseían comorbilidades que pudieran

Villarroel-Dorrego et al. (2022)

Lakshman P. Samaranayake et al. (2022)

Nadya Marouf et al. (2024)

Khaled Wafaie et al. (2023)

Jitendra Chawla et al. (2022)

Zahi Badran et al. (2020)

Chico M. Bachtiar et al. (2023)

Nathalie Botros et al. (2020)

COVID-19 y sus repercusiones en la salud bucal: una revisión sistemática

Riesgo bajo de sesgo Riesgo medio de sesgo Riesgo alto de sesgo

influenciar de manera desfavorable representando un 37.5% los artículos que lo presentan, un 25% ejecuta una comparativa mediante análisis estadístico utilizando algún tipo de software, el 37.5% restante lleva a cabo una comparativa mediante seguimiento observacional y rectificación de infección mediante prueba PCR aplicada.

Los hallazgos fueron adquiridos al identificar el tipo de lesiones en la mucosa bucal y si esto presentaba una prevalencia significativa.

3. Resumen de riesgo de sesgo.

Figura

Punto de vista

Población Fueron evaluados 55 pacientes hospitalizados, COVID-19 confirmado mediante PCR y la prueba diagnóstica rápida antigénica COVID-19 FIA. Se evaluaron 30 varones (54.5%) y 25 mujeres (45.5%), con edad mínima de un año y edad máxima de 89 años, y una media de 51 +/- 23.24 años. Todos los pacientes estaban hospitalizados, 19 (34.5%) de ellos en la unidad de cuidados intensiva (UCI).

Intervención Exploración mediante historia clínica y exploración intraoral de la cavidad bucal. En cada paciente se evaluaron las alteraciones del gusto y xerostomía. Los hallazgos clínicos fueron reportados en un soporte informático. Los datos fueron analizados mediante estadística descriptiva y la variabilidad de edad fue comparada por la prueba t de student y valores de p menores a 0.05.

Comparación Las lesiones orales fueron más comunes en los varones que en las mujeres (13 y 9 casos, repectivamente); sin embargo, no se observó una diferencia estadísticamente significativa entre los grupos (p = 0.58 chi cuadradade Pearson). Con respecto a la edad, la media fue similar entre los grupos con o sin lesiones (53.45 +/- 22.51 y 49.36 +/- 23.92 años, respectivamente), sin diferencia estadísticamente significativa (p = 0.52). Solo 6 (27.3%) de los 22 pacientes que mostraron manifestaciones orales se encontraban en la UCI.

Hallazgos Se registró una alteración o pérdida total del gusto en 33 pacientes (60%), la presencia de dolor o de ardor bucal en 20 pacientes (36.4%) y una xerostomía en 15 pacientes (27.3%). La disgeusia como el dolor/ ardor oral fueron frecuentes en los pacientes que mostraron lesiones en la mucosa (68.2 y 77.3%).

Los 150 pacientes con COVID-19 confirmado experimentaron una o más de las siguientes infecciones fúngicas orales predominantes: candidiasis, aspergilosis o mucormicosis. Estos pacientes eran asintomáticos o presentaban COVID-19 leve, moderado o grave. Mujeres de 13 años a 78 años registradas y hombres de 13 años a 70 años registrados.

El 92.6% (139/150) tenía comorbilidades, y solo una pequeña minoría no registró comorbilidad. La comorbilidad predominante observada fue la diabetes mellitus, reportada en 43.3% (65/150) junto con o sin otras comorbilidades, como enfermedades cardiovasculares, enfermedades renales y enfermedades hepáticas. Algunos otros pacientes presentaban una condición inmune atópica, asma e hipotiroidismo leve.

El 8.7% de los pacientes con COVID-19 asintomático/leve y el 91.3% con COVID-19 de moderado a grave se vieron afectados por candidiasis, aspergilosis o mucormicosis. Ninguno de los pacientes presentó coinfección oral simultánea con 2 micosis diferentes.

Fueron 949 pacientes incluidos, 63 enfrentaron complicaciones de COVID-19 (casos), mientras que 886 no (controles). De los 949 pacientes incluidos, 552 tenían al menos una lesión AP.

La presencia de AP no se asoció significativamente con el IMC, la hipertensión, el asma, el cáncer, la enfermedad hepática crónica, la enfermedad renal crónica, el trasplante de órganos y las condiciones inmunocomprometidas.

Se incluyeron y evaluaron clínicamente 44 pacientes de ortodoncia divididos en 2 grupos iguales mediante el índice de salud gingival.

Grupos compuestos por pacientes tratados con aparatos fijos con apiñamiento moderad o/severo, que requirieron anclaje máximo con TAD

El 95.8% (92/96) experimentó candidiasis con sus síntomas de COVID-19 y el 4.2% durante el período de recuperación post-COVID-19. El lapso de presentación de la candidiasis varió desde unos pocos días hasta 1 mes después de la aparición de los síntomas iniciales de COVID-19. Todos los pacientes con candidiasis estaban en tratamiento con antibióticos, antivirales y/o esteroides.

No hubo diferencias significativas en términos de edad promedio entre los pacientes con PA (41.0 +/-13.8 años) y aquellos sin (41.3 +/- 13.8 años) (P = 0.711), el número de citas dentales realizadas y la cancelación de citas dentales entre pacientes con PA y pacientes sin PA. El grupo de control fue seguido y evaluado prospectivamente después de la cuarentena por COVID-19, mientras que el grupo de cuarentena experimentó la cuarentena por COVID-19.

Los resultados mostraron niveles significativamente más altos de leucocitos y HbA1c en pacientes con PA, tanto al ingreso como al alta.

La diferencia media en las puntuaciones de inflamación gingival entre los 2 grupos mostró que el grupo de cuarentena tuvo un aumento medio mayor (aumento medio = 0.75 +/- 0.65) en la puntuación de inflamación gingival que el del grupo de control (aumento medio = 0.45 +/- 0.59). La diferencia fue estadísticamente significativa con un valor de p bilateral de 0.028 (IC del 95% = 0.032, 0.559).

1. Características de los estudios. Las características de los estudios evaluados se presentan en la Tabla 1.

Se evalúan los artículos seleccionados mediante el riesgo de sesgo y la aplicación metodológica GRADE se establece que 25% son riesgo bajo, 50% representan un riesgo medio y 25% son valorables como riesgo alto.

Tabla

Abarcó a 367 sospechosos con síntomas leves/moderados de COVID-19 que acudieron al OPD de detección de un hospital de atención terciaria.

Pacientes COVID- 19 confirmados mediante prueba PCR.

COVID-19 y sus repercusiones en la salud bucal: una revisión sistemática

Se obtuvo una muestra de saliva (5 mL) de 23 pacientes hospitalizados con COVID-19, categorizados en 2 grupos: diabéticos (G1, n = 10) y no diabéticos (G2, n = 13).

Se tomó una historia clínica detallada y se realizó un examen de la cavidad bucal para detectar cualquier hallazgo bucal. A todos los participantes se les realizó una prueba de detección de SARS- CoV-2 mediante un hisopo nasofaríngeo y una reacción en cadena de la polimerasa con transcripción inversa.

Se correlacionaron las manifestaciones orales y los resultados de las pruebas RT-PCR. Los análisis estadísticos se realizaron utilizando el software Epi Info y R. Para estimar la prevalencia de síntomas bucales se utilizó la prueba chi cuadrada de Pearson.

Mediante pruebas PCR positivas o negativas los nichos de la toma de muestra pueden servir como reservorios de SARS- CoV-2.

Se incluyó como control saliva de pacientes con periodontitis sin diabetes y enfermedad por coronavirus 2019 (COVID-19; n = 6).

Pacientes mayores de 65 años, con o sin comorbilidades y pacientes con o sin enfermedades sistémicas.

Se encontraron manifestaciones orales en el 58% de la población de estudio. La diferencia en la prevalencia de manifestaciones orales entre pacientes con COVID-19 positivos a RT-PCR versus sospechosos negativos a RT-PCR fue estadísticamente significativ a (p = 0.007), siendo la xerostomía y la disgeusia significativamente mayores en pacientes positivos (p = 0.036 y p = 0.044 respectivamente).

Pacientes de prueba PCR positiva y pacientes con prueba PCR negativa.

Los datos obtenidos se analizaron mediante ANOVA unidireccion al y la prueba de correlación de Spearman.

Las personas con enfermedad pulmonar crónica, asma de moderada a grave, obesidad grave, diabetes, enfermedad renal crónica y enfermedad hepática también tienen un alto riesgo de sufrir síntomas graves de COVID- 19.

Utilizar el muestreo de placa/GC F del PP como herramienta de prueba para COVID-19. La terapia periodontal se consideraría un parámetro de atención en el manejo clínico global de los pacientes positivos.

La mayoría de los artículos seleccionados están relacionados a revistas e instituciones de salud demostrando que el proceso de selección es adecuado, otros artículos se presentan

La reacción en cadena de la polimerasa cuantitativa en tiempo real midió los niveles de P. gingivalis y A. actinomycetemcomitans, así como marcadores de periodontitis en saliva.

La obesidad y la diabetes como las 3 principales afecciones subyacentes con los resultados más desfavorables en pacientes con COVID-19 que requieren hospitalización.

incompletos en ciertos puntos como en el proceso de selección de individuos para un estudio sin mostrar una media o división por género por lo cual es imposible modificar.

Mejorar la salud bucal en personas de cualquier edad, al reducir su riesgo de desarrollar enfermedades sistémicas no bucales, puede reducir la morbilidad de COVID- 19.

1. Características de los estudios.

Tabla

Punto de vista

Autor, año

Tipo de estudio

Villarroel-Dorrego et al. (2022) Estudio de casos

Tamaño de muestra

Fueron evaluados 55 pacientes hospitalizados por COVID-19 en distintos estadios de severidad.

Lakshman P. Samaranayake et al. (2022) Serie de casos Los 150 pacientes con COVID-19 confirmados. Estos pacientes eran asintomáticos o presentaban COVID-19 leve, moderado o grave.

Nadya Marouf et al. (2024) Estudio de casos Fueron 949 pacientes incluidos, 63 enfrentaron complicaciones de COVID-19 (casos), mientras que 886 no (controles). De los 949 pacientes incluidos, 552 tenían al menos una lesión AP.

Khaled Wafaie et al. (2023) Estudios observacionales Se incluyeron y evaluaron clínicamente 44 pacientes de ortodoncia divididos en 2 grupos iguales mediante el índice de salud gingival.

Jitendra Chawla et al. (2022) Estudios observacionales Abarcó a 367 sospechosos con síntomas leves/ moderados de COVID- 19.

Zahi Badran et al. (2020) Estudio de casos Pacientes COVID-19 confirmados mediante prueba PCR.

Chico M. Bachtiar et al. (2023) Estudios observacionales 23 pacientes diagnosticados con COVID-19, clasificados en diabéticos y no diabéticos.

Nathalie Botros et al. (2020) Estudio de casos Pacientes mayores de 65 años sistémicamente sanos o no, con o sin comorbilidades.

En la Figura 2 se muestra el gráfico de riesgo de sesgo.

Discusión

Todos los hallazgos encontrados en los pacientes confirmados mediante prueba PCR positiva a COVID-19 y algunos otros mediante historia clínica y seguimiento observacional fueron los siguientes; la presencia de úlceras, ardor bucal, xerostomía, disgeusia, candidiasis o presencia de otras enfermedades fúngicas.

Algunas con mayor presencia ante una falta de higiene bucal, sirviendo como un reservorio viral ante este

Edad y sexo de pacientes

Se evaluaron 30 varones (54.5%) y 25 mujeres (45.5%), con edad mínima de un año y edad máxima de 89 años, y una media de 51 +/- 23.24 años. Todos los pacientes estaban hospitalizados y 19 (34.5%) de ellos en la unidad de terapia intensiva (UCI).

Mujeres de 13 años a 78 años registradas y hombres de 13 años a 70 años registrados.

Pacientes adultos (≥18 años) diagnosticados con COVID-19, los pacientes también debían tener registros odontológicos activos con al menos 1 ortopantomografía digital (OPG) antes de la infección por COVID-19.

Pacientes de 16 a 35 años, no especifica la cantidad por sexo de los pacientes.

Pacientes de 18 a 60 años, no especifica la cantidad por sexo de los pacientes.

No menciona edad ni sexo de los pacientes.

No menciona edad ni sexo de los pacientes.

Adultos mayores y personas de cualquier edad que padecen afecciones médicas graves.

tipo de hallazgos clínicos, además de la influencia total de enfermedades sistémicas y comorbilidades como la diabetes mellitus tipo 1 y 2, insuficiencia renal, periodontitis apical, pacientes fumadores, pacientes con enfermedades cardiovasculares y crónico respiratorias.

Candidiasis

Acumulación en el revestimiento en la cavidad de la boca. Infección primaria o secundaria causada por levaduras relacionada con la candida albicans, con manifestaciones clínicas extremadamente variables de evolución aguda, subaguda, crónica o episódica,

Tabla 2. Datos extraídos de los estudios individuales.

causando lesiones cutáneas, mucocutáneas, profundas o diseminadas.

Disgeusia

Trastorno del gusto que tiene una sensación del gusto desagradable,

Autor, año Sample calculation. Tamaño de muestra mínimo

1 = 20-100

2 = +100

Randomization. Si incluye 2= Rango de 20 - 80 años

1 = Rango 20-40

0 = Rango 40-80

Randomization (method).

Paridad de género 2= Cantidad similar 1= predomina más un género

0= No menciona cantidad

Villa-

rroel-Dorrego et al. (2022)

Lakshman

P. Samaranayake et al. (2022)

Nadya Marouf et al. (2024)

Khaled Wafaie et al. (2023)

Jitendra Chawla et al. (2022)

Zahi Badran et al. (2020)

Chico M. Bachtiar et al. (2023)

Nathalie Botros et al. (2020)

COVID-19 y sus repercusiones en la salud bucal: una revisión sistemática

experimentando sabor desagradable, salado o metálico.

Xerostomía

Sequedad de la boca causada por la reducción o flujo de saliva, puede

Blinding. Menciona como antecedente enfermedades sistémicas o comorbilidades 0= No las menciona 1 = Menciona una única enfermedad

2 = Menciona dos o más enfermedades

Follow- up 0 = incomplete, 1 = intention to treat/other methods of analysis, 2 = full

Response variable COVID-19. Cualitativa dicotómica: confirmación mediante PCR

2 = Positiva 1 = Negativa

Tabla 3. Evaluación metodológica de los estudios con el sistema GRADE.

Concordance of measuring method

2 = Sin valoración (0) 1= Una única valoración 0= Valoración por historia clínica y revisión intraoral (2)

Assumptions of the statistical test 0 = Not present, 1 = Not clear/ categoric al data, 2 = present and described

Results 2 = Más de 3 síntomas 1= 1 a 2 síntomas 0= Sin síntomas

producir incomodidad, interferencia con el habla, la deglución, provocando halitosis por deterioro en higiene bucal, disminuye el pH y aumento de crecimiento bacteriano.

Conclusiones

La presencia de COVID-19 en pacientes positivos mediante prueba PCR y su relación con los hallazgos bucales encontrados fueron mayormente vistos en pacientes con enfermedades sistémicas y comorbilidades, afectando principalmente a los adultos en la

edad intermedia de 40 a 64 años y adultos de edad avanzada de más de 65 años, los hallazgos encontrados principalmente fueron xerostomía, disgeusia, ardor bucal, úlceras y candidosis.

Agradecimientos

Agradecemos a la Escuela Nacional de Estudios Superiores Unidad León de la UNAM y a la Dra. Ma. Concepción Arenas Arrocena por su invaluable apoyo en la presente revisión sistemática.

Referencias

1. Pastrian-Soto, G. (2020). Bases genéticas y moleculares del COVID-19 (SARS-COV-2). mecanismos de patogénesis y de respuesta inmune. International Journal of Odontostomatology (Print), 14(3), 331-337. https://doi.org/10.4067/s0718- 381x2020000300331

2. World Health Organization: WHO. (2020, 10 enero). Coronavirus. https://www.who.int/es/ health-topics/coronavirus#tab=tab_3

3. World Health Organization: WHO. (2023, 14 marzo). Oral health. https://www.who.int/newsroom/fact-sheets/detail/oral-health

4. Bachtiar, B. M., Bachtiar, E. W., Kusumaningrum, A., Sunarto, H., Soeroso, Y., Sulijaya, B., Apriyanti, E., Theodorea, C. F., Pratomo, I. P., Yudhistira, Y., & Efendi, D. (2023). Porphyromonas gingivalis association with inflammatory markers and exosomal miRNA- 155 in saliva of

COVID-19 y sus repercusiones en la salud bucal: una revisión sistemática

periodontitis patients with and without diabetes diagnosed with COVID-19. The Saudi Dental Journal, 35(1), 61-69. https://doi.org/10.1016/j.sdentj.2022.12.002 Badran, Z., Gaudin, A., Struillou, X., Amador, G., & Soueidan, A. (2020). Periodontal pockets: A potential reservoir for SARS-CoV-2? Medical Hypotheses, 143, 109907. https://doi.org/10.1016/j.mehy.2020.109907

5. Botros, N., Iyer, P., & Ojcius, D. M. (2020). Is there an association between oral health and severity of COVID-19 complications? Biomedical Journal, 43(4), 325-327. https://doi.org/10.1016/j. bj.2020.05.016

6. Chawla, J., Navaneeth, Y., Bakshi, S. S., Kalidoss, V. K., Yadav, S., Polineni, S., & Jayam, C. (2022). Oral manifestations associated with COVID-19 disease: An observational cross- sectional study. Journal Of Oral Biology and Craniofacial Research, 12(2), 279-283. https://doi.org/10.1016/j. jobcr.2022.03.008

7. Marouf, N., Ba-Hattab, R., Al-Sheeb, F., Diab, A., Diab, H., Almajed, M., Al-Haithami, K., Al-Mannai, G. A., Barhom, N., Tharupeedikayil, S., & Tamimi, F. (2024). COVID-19 Severity in Patients with Apical Periodontitis: A Case Control Study. International Dental Journal. https://doi. org/10.1016/j.identj.2024.01.002

8. Samaranayake, L., Fakhruddin, K. S., Ngo, H. C., Bandara, H., & Leung, Y. Y. (2022). Orofacial Mycoses in Coronavirus Disease-2019 (COVID-19): A Systematic Review. International Dental Journal, 72(5), 607-620. https://doi.org/10.1016/j.identj.2022.02.010 Wafaie, K., Mohammed, H., Sergani, A. M. E., Rizk, M. Z., Zhu, L., Vandevska Radunovic, V., & Yiqiang, Q. (2023). Gingival health changes around temporary anchorage devices during COVID-19 quarantine – A longitudinal controlled report. Seminars In Orthodontics. https://doi.org/10.1053/j.sodo.2023.07.002

9. Dorrego, M. V., Chacón, L. B., Rosas, R., Barrios, V., Pernía, Y., & Vélez, H. (2022). Hallazgos bucales en pacientes COVID-19. Actas Dermo-sifiliográficas/Actas Dermo- sifiliográFicas, 113(2), 183-186. https://doi.org/10.1016/j.ad.2021.08.007

10. Hennessy, B. J. (2022, 8 febrero). Xerostomía. Manual MSD Versión Para Profesionales. https:// www.msdmanuals.com/es/professional/trastornos-odontol%C3%B3gicos/s%C3%ADntomas-de-los-trastornos-bucales-y- dentales/xerostom%C3%ADa

11. CANDIDIASIS. (s. f.). Fbioyf. https://www.fbioyf.unr.edu.ar/evirtual/file.php/118/MATERIALES_2013/TEORICOS_2 013/CANDIDIASIS_2013-1.pdf

12. Barcelona, C. D. (2021, 17 noviembre). Disgeusia: ¿En qué consiste? Clínica Dental Barcelona. https://www.clinicadentalbarcelona.com/blog/disgeusia/

Del 6 al 10 de noviembre se llevó a cabo la 79 Expo AMIC y el XLI Congreso Internacional ADM-AMIC en el WTC de la Ciudad de México. La Expo AMIC es la exposición dental más grande del mundo de habla hispana.

Durante el Congreso, se presentaron conferencias magistrales en las que se dieron a conocer los últimos avances en odontología clínica. En esta edición, la Expo AMIC amplió la zona de exposición, utilizando también los Salones Mexicas como área comercial, y se espera que en la próxima edición se mantenga esta expansión.

En la Expo, diversas casas comerciales presentaron lo último en materiales dentales, así como instrumental, equipos y tecnología de punta. También se realizaron conferencias y cursos cortos.

Nos dio mucho gusto ver y saludar en el evento a colaboradores de nuestra revista, y estamos emocionados por los nuevos colaboradores que se sumarán el próximo año. Además, tuvimos la oportunidad de interactuar con una gran cantidad de estudiantes y profesionales, tanto especialistas como de práctica

general, que conocen y utilizan nuestra revista como apoyo para su actualización. Agradecemos su preferencia y esperamos seguir contando con su confianza.

Como es tradición, se llevó a cabo el sorteo de 5 automóviles. ¡Felicidades a los ganadores!

La próxima Expo AMIC se celebrará del 30 de abril al 4 de mayo de 2025 en el WTC de la Ciudad de México. ¡Esperamos verlos allá!

Ariel Alborino, Director General. Ma. Elena Alvarez, Gerente de Mercadotecnia. En Curaprox, empresa suiza líder en higiene bucal, ofrecemos soluciones holísticas en más de 70 países. Nuestra misión se basa en la relevancia de la salud bucal y su relación con la salud general. Ofrecemos productos llamativos y funcionales que vinculan la salud con la felicidad. Nos complace asistir año con año a este gran evento e interactuar con los profesionales de la salud y expertos en el ramo, dando a conocer nuestras soluciones e innovaciones. Gracias por acompañarnos en esta ocasión, los esperamos la próxima y los invitamos a participar en todas nuestra dinámicas y actividades.

En Sunstar GUM estamos emocionados de compartir el gran éxito que tuvimos en la AMIC Dental de noviembre 2024. Nuestra plática magistral llenó el auditorio con profesionales apasionados por la salud bucal, y nuestra destacada presencia con 2 stands y numerosos promocionales logró crear una verdadera "mancha verde" en el evento. Este impacto refleja nuestro compromiso con la innovación y el crecimiento continuo. Nos motiva a superarnos día a día y a seguir trabajando para ofrecer lo mejor en cuidado bucal.

¡Gracias a todos los que formaron parte de esta experiencia única!

Hiossen México presente en la 79 Expo Dental AMIC

Del 6 al 10 de noviembre, Hiossen México tuvo una destacada participación en la 79 Expo Dental, organizada por la Agrupación Mexicana de la Industria y el Comercio Dental (AMIC Dental). Este importante evento, celebrado en el World Trade Center de la Ciudad de México, ha sido desde su fundación en 1982 un punto de encuentro clave para las principales empresas del sector dental, tanto nacionales como internacionales.

Durante los 5 días de actividades, Hiossen México ofreció paquetes exclusivos a los más de 30 000 visitantes, además de destacar las ventajas de sus innovadores productos y servicios. También presentó adelantos de los nuevos productos que próximamente se integrarán a su extenso catálogo, reafirmando su compromiso con la innovación en odontología.

Además, 2 reconocidas figuras del ámbito impartieron ponencias magistrales sobre temas cruciales: “Enfoques Sinérgicos en Elevaciones de Seno Maxilar y Regeneración Ósea”, impartida por el Dr. Wahn Khang, periodoncista y profesor de la Facultad de Odontología en la Universidad de Harvard, y “Desmitificación de la Cirugía Guiada en Implantología”, presentada por el Dr. Pilseong Kim, destacado periodoncista y especialista en implantes dentales.

La Expo AMIC Dental es un evento dirigido exclusivamente a profesionales de la salud, comerciantes y especialistas del ámbito odontológico. Más de 120 empresas participan en esta plataforma, mostrando una amplia gama de insumos, productos y equipos dentales de la más alta calidad, respaldados por la tecnología más avanzada.

De esta forma, Hiossen México continúa creciendo conforme a las tendencias globales en odontología y explora los avances más recientes aplicados a las diversas especialidades de la práctica dental.

Lorma contigo

En la edición de noviembre de 2024, el equipo de Lorma tuvo nuevamente la oportunidad de asistir a la AMIC, donde pudimos acercarnos a nuestros distribuidores y, lo más importante, interactuar con nuestros estimados clientes, a quienes les agradecemos profundamente su confianza. Lorma formó parte de la innovación en tecnologías de esterilización que ofrece la AMIC, ya que, siendo una empresa 100% mexicana con muchos años de experiencia, nuestro objetivo no es solo replicar autoclaves, sino ofrecer algo único a cada usuario.

El evento contó con una gran asistencia y demostró su impacto en el ámbito médico, al presentar tecnologías innovadoras que apoyan a los odontólogos, incluso en las operaciones más complicadas, además de ofrecer una amplia variedad de materiales y equipos de última generación.

El Congreso AMIC es un evento emblemático para la industria dental, no solo en México, sino en toda Latinoamérica, ya que es reconocido internacionalmente y cuenta con la participación de muchos profesionales de países cercanos. La AMIC ofrece 2 veces al año una oportunidad única para la industria dental, donde en un mismo espacio convergen casas comerciales y usuarios de productos. Aquí se dan a conocer avances, novedades y tendencias, tanto en temas de práctica clínica como en productos y soluciones innovadoras disponibles en el mercado, siempre en busca de la excelencia en el campo dental.

María Gabriela Clark Directora Comercial, Dental Solutions Solventum México

Vatech

Recientemente tuvimos la oportunidad de participar en AMIC Dental con nuestro stand, un espacio diseñado para conectar, informar y demostrar las soluciones que ofrecemos. Fue un encuentro enriquecedor en el que pudimos interactuar con profesionales, resolver inquietudes y recibir comentarios valiosos. Durante el evento, presentamos nuestras últimas innovaciones y servicios, destacando nuestro tomógrafo Green X y nuestros sensores con 10 años de garantía. La respuesta positiva de los asistentes y las conversaciones que mantuvimos reafirmaron nuestro compromiso con la excelencia y la innovación en la imagenología digital dental.

Este tipo de encuentros nos permite no solo compartir lo que hacemos, sino también aprender sobre las necesidades y expectativas de nuestros clientes y colegas. ¡Estamos emocionados por lo que viene! Agradecemos a todos los que nos visitaron; su interés y entusiasmo nos inspiran a seguir innovando. ¡Nos vemos en el próximo evento!

Participar en AMIC como expositor es una gran experiencia, nos permite conocer más a fondo a nuestros clientes, sus necesidades y sobre todo es una experiencia que nos da ideas para otorgar a nuestro clientes nuevos productos.

197. Enero 2025

Importancia del cuidado domiciliario para un buen estado de salud de los tejidos periimplantarios

Lizeth Zavala Medina. Residente de 2.o año de la especialidad en Rehabilitación Oral del Centro Educativo Multidisciplinario en Rehabilitación Oral CEMRO, Tarímbaro, Michoacán, México. Jorge Miguel Santacruz Monzón. 3.er Semestre de la Maestría en Ciencias de la Salud, Universidad Michoacána de San Nicolás de Hidalgo UMSNH, Morelia, Michoacán, México. Benjamín Alberto Lázaro Castillo. Maestría en Ciencias Odontológicas, Profesor e Investigador del Centro Educativo Multidisciplinario en Rehabilitación Oral CEMRO, Tarímbaro, Michoacán, México.

Conflicto de interés. No existe ningún conflicto de interés por parte de los autores. Contacto. Dra. Lizeth Zavala Medina izzavala1110@gmail.com

Introducción: anteriormente el éxito de un implante dental se centraba en la fase quirúrgica para lograr la estabilidad; pero la presencia del biofilm bacteriano presente en los tejidos periimplantarios dio inicio a la importancia de fase de mantenimiento preventivo para evitar enfermedades patológicas como la periimplantitis. Objetivo: comparar la eficacia de 2 técnicas de eliminación del biofilm bacteriano en un paciente rehabilitado con implantes. Metodología: se realizó un reporte de caso en el que analizó la eficacia del WaterpikMR para eliminar el biofilm en un paciente femenino de 47 años de edad, con 2 implantes rehabilitados correspondientes a los OD 36 y 46 sin el empleo del

mismo. Monitoriado en las semanas 3, 7 y 15, empleando revelador de placa bacteriana DitonosMR. Resultados: la presión ejercida por el WaterpikMR obtuvo efectos favorables, controlando la formación del biofilm y manteniendo la encía saludable. Conclusión: Es de gran importancia implementar protocolos para el control y mantenimiento bajo recomendaciones de cuidados domiciliarios por parte del paciente con implantes rehabilitados y en función, para evitar complicaciones periimplantarias asegurando así el éxito a largo plazo.

Palabras claves: periimplantitis, waterpik, cepillo dental unipenacho.

El estado de salud de los tejidos periimplantarios es de vital importancia en el éxito de la rehabilitación a largo plazo, se debe tener en cuenta los factores que contribuyen a mantener este estado de salud. 1 Es responsabilidad del equipo odontológico transmitir a los pacientes la importancia de la higiene bucal sobre un implante dental.2 Un mantenimiento domiciliario eficaz por parte del paciente y la profilaxis profesional en el consultorio dental, ayudarán a un control del biofilm en la zona periimplantaria. Los pacientes son considerados coterapeutas en la terapia de mantenimiento, especialmente para el éxito a largo plazo de los implantes dentales.3 Evitando complicaciones periimplantarias, que pudieran incluso ocasionar la pérdida del mismo.4

Los factores como el tabaco o la persistencia de periodontitis, junto con una mala higiene oral, son las principales causas de las enfermedades periimplantarias. Tras el tratamiento realizado, será muy importante el control periódico y el mantenimiento de una correcta higiene oral.5

Los principios y características de la terapia de mantenimiento en implantes dentales es similar a la que se aplica en los dientes naturales.6 El incluir un cepillo de dientes eléctrico puede facilitar y mejorar el control del biofilm alrededor de los implantes, pero debe ser empleado adecuadamente.7

Bajo estas circunstancias, surgen los irrigadores bucales los cuales tienen aditamentos que movilizan agua por una manguera muy fina que se coloca en los espacios entre diente y diente y son diseñados para eliminar placa adherida mediante acción mecánica, de chorro de agua o enjuague bucal.8

El primer irrigador bucal fue desarrollado en Fort Collins en 1962 en Estados Unidos por el dentista Gerald Moyer y el ingeniero John Mattingly, ideal para eliminar los restos de alimento y biofilm, masajeando la encía sin dañarla, gracias a su comodidad los pacientes lo integran a su rutina de higiene bucal diaria.9 (Figura 1).

Los irrigadores bucales Waterpik facilitan la eliminación del biofilm gracias a un chorro pulsátil de agua para la prevención de problemas bucales; así como para pacientes con necesidades especiales de higiene bucal, como portadores de implantes ya que tienden a acumular más placa bacteriana.10

La idea de utilizar colutorios, como forma de tratamiento es muy atractiva debido a que son fáciles de utilizar por el paciente. El objetivo es alterar la cantidad y/o calidad de la placa supra y subgingival de manera que el sistema inmunitario pueda controlar las bacterias y prevenir la aparición y/o progresión de enfermedades periodontales y/o periimplantarias. Entre los antisépticos comunes en colutorios se incluye la clorhexidina que tiene gran afinidad

por las superficies dentarias y tisulares y ello sirve como depositó incluso después del enjuague o la irrigación con el agente.11

El cepillo unipenacho también conocido como cepillo de penacho único, es eficaz para remover placa en numerosos sitios; la punta del penacho se dirige hacia la zona interproximal, combinando un movimiento rotatorio con presión intermitente, ha sido sugerido para la aplicación de agentes quimioterapéuticos, así como para facilitar la limpieza de la higiene bucal en pacientes portadores de implantes12 (Figura 2).

Estos principios están basados en la técnica de cepillado de Bass modificado donde se coloca el cepillo en un ángulo de 45 grados con respecto al eje longitudinal del diente, los filamentos del cepillo se introducen en los nichos interdentales y el surco gingival, al estar ahí se realizan pequeños movimientos vibratorios y después un movimiento de barrido hacia oclusal.13

El uso de cepillos eléctricos da como resultado mejores tasas de eliminación de placa que los cepillos manuales, particularmente entre aquellos que no eran expertos en el cepillado de dientes manual.14

Objetivo

Comparar la eficacia de 2 técnicas de eliminación del biofilm bacteriano en un paciente rehabilitado con implantes, bajo un monitoreo empleando revelador de placa bacteriana DitonosMR.

Figura 1. Irrigador bucal.

Metodología

Paciente femenino de 47 años, acude a consulta para rehabilitar órganos dentarios que fueron pérdidas por fracturas postendodónticas acude a la clínica de rehabilitación oral CEMRO, se realizó su historia clínica y autorizó su consentimiento informado, sin antecedentes diabéticos ni de hipertensión, reportó no ser fumador; se solicitó estudios de laboratorio y tomografía. Aceptó tratamiento con 2 implantes para los OD 36 con

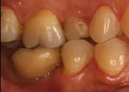
3. Rehabilitación con implantes. En ambas radiografías (A y B) observamos favorablemente la osteointegración después de 4 meses de haber colocado los implante. En C y D observamos la colocación de las coronas atornillo/cementadas en zirconio.

las medidas D: 4.3 L: 8.0 y OD 46 con medidas D: 4.3 L: 10.0 ambos de la marca SNUCONEMR. Dentro de las recomendaciones postquirúrgicas se le indicó como antibiótico amoxicilina 875 mg/ácido clavulánico 125 mg cada 12 horas por 7 días, ibuprofeno 600 mg cada 8 horas por 3 días y enjuague bucal de clorhexidina. A los 4 meses ya osteointegrados, y valoradas radiográficamente su osteointegración son rehabilitados con coronas atornillo/cementadas en zirconia (Figura 3).

Figura 2. Cepillo unipenacho.
Figura

Al paciente se le proporcionó y capacitó con los protocolos para el mantenimiento y cuidado de la limpieza en casa, utilizando cepillo dental convencional unipenacho GumMR para implantes de cerdas suaves, así como el uso del irrigador bucal WaterpikMR.

Se le indicó usar en la zona del implante correspondiente al OD 46 únicamente con cepillo dental unipenacho GumMR con técnica de Bass modificado y en la zona del implante correspondiente a la zona del OD 36 utilizó el irrigador bucal WaterpikMR, al menos 2 veces por día con un período mínimo de 30 segundos cada uno.

Se le mostró física y verbalmente la técnica de cepillado de Bass modificado, para el OD 46, empleando cepillo dental unipenacho GumMR de cerdas suaves para implantes, con un ángulo de 45 grados con respecto al eje longitudinal del diente, para que los filamentos del cepillo entren en los nichos interdentales y el surco gingival, para realizar pequeños movimientos vibratorios y después un movimiento de barrido hacia oclusal por 3 minutos.

Se utilizó como enjuague bucal, una solución de agua natural potable de garrafón con bicarbonato de sodio

Se utilizó como enjuague bucal, una solución de agua natural potable de garrafón con bicarbonato de sodio ARM&HAMMERMR, para los monitoreos y valoración de limpieza.

Figura 4. A y B en la 3.a semana de valoración.
Figura 5. A y B 7.a semana de valoración

ARM&HAMMERMR, para los monitoreos y valoración de limpieza, así como una valoración clínica donde se observó que el uso de un irrigador bucal WaterpikMR favoreció la eliminación de biofilm bacteriano, en comparación del uso de cepillo unipenacho.

El procedimiento que se realizó en las semanas 3, 7 y 15 donde se utilizaron 2 gotas reveladoras DitonosMR, colocadas bajo la lengua del paciente y se indicó generar movimiento con la misma, para tratar de disolver durante 1 minuto, para luego escupirla.

Resultados

En este estudio comparativo que se realizó a nivel supragingival de los tejidos periimplantarios para la valoración de la presencia de biofilm bacteriano, lo que se encontró después de realizar los procedimientos de tinción y valoración, fue lo siguiente:

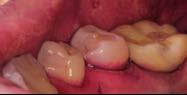
En la 3.a semana a partir de la cita de inicio de protocolos donde visualmente se valora la presencia de biofilm de ambas piezas.

En el OD 36 donde se empleó WaterpikMR, no se observó tinción de biofilm bacteriano.

En el OD 46 donde se empleó el cepillo dental unipenacho se observó una leve tinción de biofilm bacteriano (Figura 4).

En la 7.a semana, se repite paso de la placa reveladora DitonosMR para su valoración de biofilm en ambas piezas.

En el OD 36 donde se empleó WaterpikMR, no se observó tinción de biofilm bacteriano.

En el OD 46 donde se empleó el cepillo dental unipenacho GumMR se observó una tinción leve de biofilm bacteriano, pero en OD 45 se apreció biofilm en la zona cervical de la corona (Figura 5).

En la 15.a semana, se repite el mismo paso de la placa reveladora DitonosMR para su valoración de biofilm en ambas piezas.

En el OD 36 se obtuvieron resultados satisfactorios, donde continuó utilizando el WaterpikMR.

Mientras OD 46, donde se continuó con el cepillo dental unipenacho GumMR, se observó nuevamente una leve tinción de biofilm bacteriano, además de la presencia de una ligera inflamación en la zona supragingival (Figura 6).

Figura 6. A y B en la 15.a semana de valoración.

3a

3a

7a

7a

15a

15a

Dentro de la valoración generalizada en ambas técnicas se observó, que ambas técnicas son apoyo para mantener en buenas condiciones a los tejidos periimplantarios. Se muestra la tabla comparativa donde se analizan cómo fueron las valoraciones de todas las citas de control (Tabla 1).

Discusión

La estructura de soporte de los implantes los hace más susceptibles a la inflamación y la pérdida ósea cuando se acumula biofilm en comparación con los dientes naturales. Se debe seguir un protocolo de mantenimiento integral para garantizar la longevidad del implante.3 El éxito de los implantes dentales no solo depende de realizar un adecuado protocolo quirúrgico y la posterior rehabilitación, sino que cobra mayor importancia realizar una adecuada fase de mantenimiento para prevenir que se

presenten las enfermedades periimplantarias y así se pueda garantizar una mejor supervivencia del implante.6 Para evitar complicaciones periimplantarias, es sumamente importante someterse a un mantenimiento profesional de los implantes en consulta y seguir unas buenas recomendaciones de cuidados domiciliarios.4 Por esta razón, es necesario observar todos aquellos factores que contribuyen a mantener este estado y dentro de ellos, principalmente la higiene bucal.1 Los irrigadores bucales Waterpik pueden ser de gran ayuda; consisten en la aplicación directa de un chorro pulsátil de agua u otra solución, para la limpieza del implante. Este sistema favorece la eliminación de las bacterias depositadas alrededor de los implantes, donde pueden adherirse fácilmente.15

En nuestra investigación analizamos que se deben establecer hábitos

Tabla 1. Resultados de las 3 valoraciones.

diarios para la eliminación de biofilm, en los que la higiene bucal es vital para el mantenimiento de los tejidos sanos alrededor de los implantes rehabilitados y en función para evitar y prevenir el desarrollo de la periimplantiits, ya que el paciente de no ser informado adecuadamente, puede no llevar a cabo los cuidados domiciliarios.

Conclusiones

Siguiendo un protocolo recomendado de mantenimiento presente en la

higiene bucal por parte del paciente, la mayoría de los implantes pueden seguir siendo exitoso a largo plazo, reduciendo así la incidencia de periimplantitis.

El uso de irrigadores bucales WaterpikMR u otros tipos de irrigadores, en combinación con el cepillo dental unipenacho, proporciona una mejora en la salud de los tejidos periimplantarios. Se recomienda realizar más estudios referentes al tema, para tener resultados más acertados.

Referencias

1. Zurbano, C., Martín, L., Lòpez de Castro, A., Pérez, C., Monteagudo, S., & Rodríguez, R. (2023). Influencia de la higiene bucal en el estado de salud de los tejidos periimplantarios. Revista Científica Villa Clara, 1-19.

2. Krishnamoorthy, G., Narayana, A. I., & Balakrishnan, D. (2021). El mantenimiento de los implantes dentales. IntechOpen, 1-15.

3. Gulati, M., Govila, V., Anand, V., & Anand, B. (2014). Mantenimiento de implantes: una actualización clínica. Hindawi Publishing Corporation, 1-8.

4. Wingrove, s. (2020). Prevención a largo plazo de complicaciones periimplantarias: protocolos de evaluación, mantenimiento y cuidados domiciliarios. Straumanngroup, 1-6.

5. Segura, A. G., Gil, P. R., Vicente, G. F., Ferreiroa, N. A., Faus, L. J., & Agustín, P. R. (2015). Periimplantitis y mucositis periimplantaria. Factores de riesgo, diagnóstico y tratamiento. Avances en periodoncia, 25-36.

6. Falcón-Gerrero, B. E., Carita-Sagua, H., Cachi-Huanca, L., Flores-Quispe, D., Ccosi-Chipana, A., Aguirre-Mamani, B., . . . Ccama-Acero, J. (2021). Fase de mantenimiento en implantología. Revista Odontológica Basadrina, 85-91.

7. Tawse-Smith, A., Duncan, W., Payne, A., Thomson, W., & Wennstrom, J. (2002). Eficacia relativa de los cepillos de dientes eléctricos y manuales en pacientes de edad avanzada con implantes mandibulares sobredentaduras. Journal of Clinical Periodontology, 275-280.

8. Ruiz, G. A., Gómez, S. J., & Rodríguez, M. R. (julio 2024). y cuales son las técnicas de cepillado dental. Como puedo tener una buena higiene oral, 49-52.

9. Calvo, X. (2008). Los beneficios de la irrigación bucal. Dentaid salud bucal, 1-19.

10. Expertise, D. (2019). La higiene interproximal es sinónimo de salud y bienestar. Publicación para profesionales de la odontología, 27.

11. Enrile de Rojas, F. J., & Santos-Alemany, A. (2005). Colutorios para el control de placa y gingivitis basados en la evidencia científica. RCOE, vol 10 no 4, 445-452.

12. Normano O. Harris, D., & García-Godor, F. (2005). Higiene oral personal: medidas auxiliares para complementar el cepillo dental. Odontología preventiva primaria, 107-121.

13. Rizzo-Rubio, L. M., Torres-Cadavid, A. M., & Martínez-Delgado, C. M. (2016). Comparación de diferentes técnicas de cepillado para higiene bucal. CES Odontología, 52-64.

14. Maeda, T., MUkaibo, T., Chihiro, M., Thongpoung, S., Tsuka, S., Tamura, A., . . . Hosokawa, R. (2019). Eficacia de los instrumentos de limpieza eléctricos en pacientes edéntulos con prótesis fija de arcada completa implantosoportada: un diseño cruzado. Revista internacional de implantología , 1-8.

15. Pulcini, A., Bollaín, J., Sanz-Sánchez, I., Figuero, E., Alonso, B., Sanz, M., & Herrera, D. (2019). Mejora de los resultados clínicos en pacientes con mucositis periimplantaria. Mediante el control mecánico del biofilm y un enjuague bucal complementario. Dentaid Expertise, 16-27.

Salud bucal en el Instituto Mexicano del Seguro Social:

2001-2023

Salud

Se analizó la evolución en el número de derechohabientes y del personal adscrito en los servicios de Estomatología del Instituto Mexicano del Seguro Social de 2001 a 2023 y se relacionaron para determinar la suficiencia para su atención. La población derechohabiente incrementó en 71.7% y el personal odontológico en 21.2%, lo que significa un decremento real de 50.4%. En promedio había un dentista por cada 28 064 derechohabientes.

Palabras clave: seguridad social, área sin atención médica, odontología,

Roberto Gómez García. UNAM Iztacala. José Luis Cadena Anguiano. UNAM Iztacala.

El artículo 4. o de la Constitución Política de los Estados Unidos Me xicanos (México) establece el derecho a la protección de la salud: “Toda Persona tiene derecho a la protección de la salud. La Ley definirá las bases y modalidades para el acceso a los servicios de salud…)1

Para hacer efectivo este derecho, el 7 de febrero de 1984 se promulgó la Ley General de Salud,2 la cual señala en su artículo 27: “Para los efectos del derecho a la protección de la salud, se consideran servicios básicos de salud los referentes a... VII. La prevención y el control de las enfermedades bucodentales...”3

La misma Ley establece que el Sistema Nacional de Salud está constituido por las dependencias y entidades de la Administración Pública, tanto federal como local, y las personas físicas o morales de los sectores social y privado, que presten servicios de salud, así como por los mecanismos

de coordinación de acciones, y tiene por objeto dar cumplimiento al derecho a la protección de la salud,4 destacando el Instituto Mexicano del Seguro Social (IMSS) creado el 19 de enero de 1943, como un servicio publico nacional para otorgar seguros de: I.- Accidentes de trabajo y enfermedades profesionales, II.- Enfermedades no profesionales y maternidad, III.- Invalidez, vejez y muerte, y IV.Cesantía involuntaria en edad avanzada, siendo obligatorio asegurar: I.- A los trabajadores que prestan a otra persona un servicio en virtud de un contrato de trabajo, ya sean en empresas privadas, estatales, de administración obrera, o mixtas. II.- A los miembros de sociedades cooperativas de producción, y III.- A los que presten sus servicios en virtud de un contrato de aprendizaje.5

En la actualidad, el IMSS ha definido su misión como: “Ser el instrumento básico de la seguridad social, establecido como un servicio público de carácter nacional, para todos

Figura 1. Derechohabientes por año.

los trabajadores y trabajadoras y sus familias”.6

Material y Métodos

De la página web del IMSS se obtuvieron los archivos: 01- Asegurados,7 02-Poblacion Derechohabiente 8 y 13-Recursos Humanos Materiales Financieros9 que comprenden el periodo 2001- 2023, de donde se extrajo la información correspondiente a los servicios de salud bucal o Estomatología como se denomina correctamente en el IMSS y que se analiza en la siguiente sección.

Resultados

Entre 2001 y 2023 el número de derechohabientes (DH) del IMSS tuvo un crecimiento de 71.7%, pasando de 44 718 984 DH a 76 779 454 DH en ese periodo (Figura 1).

Salud
Figura 2. Total Personal Médico.

Total de médicos Médicos familiares

En el mismo lapso el personal médico aumentó de 54 025 a 98 831 trabajadores (Figura 2), lo que significó un crecimiento global del 82.9% y de 11.2% en términos reales respecto a la población asegurada (71.7%).

Durante estos 23 años el número de médicos familiares pasó de 13 488 a 20 048 ( Figura 3 ), crecimiento numérico de 48.6% pero decremento real de 23.1% respecto al aumento en el número de DH señalado anteriormente (71.7%).

Durante el mismo periodo el personal adscrito a los servicios de Estomatología (Clasificados como “Personal No Médico”) que incluye Estomatólogos y Promotores de Estomatología, pasó de 1 579 y 238,

respectivamente, a 2 043 y 160, lo que se traduce en decrementos reales de 42.3% en los profesionistas y 104.5% en los promotores.

Se excluyó de este análisis al servicio de Cirugía Maxilofacial (CMF) por haberse identificado un error evidente, ya que conforme a esta información en 2001 había 137 adscritos, número que tuvo incrementos anuales discretos hasta 2015 en que se reportan 156 y una caída improbable al año siguiente en que habría solo 9 con tendencia decreciente hasta llegar a 4 en 2023.

Discusión

Al relacionar el número de derechohabientes con el número de médicos

Figura 3. Médicos Familiares y Estomatólogos.

disponibles para su atención (Figura 4) se observa que en promedio y con ligeras variaciones a lo largo de estos 23 años, había 1.248 Médicos por cada 1 000 DH, de los cuales, 0.270 eran Médicos Familiares (de primer contacto) y 0.036 Estomatólogos y Promotores, también de primer contacto.

Expresado de manera inversa, cada Médico Familiar sería responsable del cuidado de la salud general de 3 315.46 DH al inicio del siglo y de 3 829.78 en 2023 (promedio de 3 746.82), mientras que cada Estomatólogo o Promotor lo serían de 24 611.44 DH en 2001 y de 34 852.23 DH en 2023, lo que significa un decremento real.

La Organización Mundial de la Salud (OMS) reporta que a nivel mundial existen 1.72 médicos por cada 1 000 habitantes, lo que ubicaría al IMSS 27.5% por debajo del índice global y muy por debajo de países como Argentina que cuenta con 4.08 Médicos por 1 000 habitantes, Canadá con 2.50, Costa Rica 2.64 o Chile con 3.17.10

Respecto a la odontología, la OMS reporta un índice global mundial de 0.33 Dentistas por cada 1 000 habitantes, y por países: Argentina 0.9, Canadá 0.66, Costa Rica 1.07 y Chile 1.58, todos ellos muy superiores al índice encontrado en el IMSS de 0.036.11

Total de médicos Medicos familiares

Estomoatología

Figura 4. Médicos por cada 1 000 DH.

Conclusiones

Por todo lo anterior se debe concluir que el personal adscrito a los servicios de Estomatología en el Instituto Mexicano del Seguro Social es, sin lugar a duda, insuficiente para

atender a la población bajo su responsabilidad, lo que significa en último término que no se cumplen los preceptos Constitucionales del derecho a la protección de la salud de sus derechohabientes, en especial en cuanto a la salud bucal.

Respecto a la odontología, la OMS reporta un índice global mundial de 0.33 Dentistas por cada 1 000 habitantes, y por países: Argentina 0.9, Canadá 0.66, Costa Rica 1.07 y Chile 1.58, todos ellos muy superiores al índice encontrado en el IMSS de 0.036.

Referencias

1. Constitución Política de los Estados Unidos Mexicanos, disponible en: https://www.diputados. gob.mx/LeyesBiblio/pdf/CPEUM.pdf

2. Ley General de Salud, Diario Oficial de la Federación 7/02/1984, disponible en: https://dof.gob. mx/nota_detalle.php?codigo=4652777&fecha=07/02/1984#gsc.tab=0

3. Ley General de Salud, Artículo 27, disponible en: https://salud.gob.mx/unidades/cdi/legis/lgs/ LEY_GENERAL_DE_SALUD.pdf

4. Ley General de Salud, Artículo 5°, disponible en: https://salud.gob.mx/unidades/cdi/legis/lgs/ LEY_GENERAL_DE_SALUD.pdf

5. Ley del Seguro Social, Diario Oficial de la Federación 19/01/1943, disponible en: https://dof.gob. mx/nota_to_imagen_fs.php?codnota=4555563&fecha=19/01/1943&cod_diario=194788

6. Instituto Mexicano del Seguro Social, Misión, disponible en: https://www.imss.gob.mx/conoce-al-imss#:~:text=Su%20misi%C3%B3n%20es%20ser%20el,constitucional%2C%20con%20 un%20sentido%20social.

7. Instituto Mexicano del Seguro Social, Capítulo I.- Asegurados, disponible en: https://www.google.com/search?q=imss+cap%C3%ADtulo+I+asegurados&sca_esv=2c6f63ed83ad38b8&sca_ upv=1&sxsrf=ADLYWIJJXlE1wA3xDflf88OWBqXnmyVHUQ%3A1720315423716&ei=H-6JZr6-K 826kPIP0sGOmAU&ved=0ahUKEwj-ye2t4pOHAxVNHUQIHdKgA1MQ4dUDCA8&uact=5&oq=imss+cap%C3%ADtulo+I+asegurados&gs_lp=Egxnd3Mtd2l6LXNlcnAiG2ltc3MgY2Fww610dWxvIEkgYXNlZ3VyYWRvczIEECMYJzIIEAAYgAQYogQyCBAAGIAEGKIEMggQABiABBiiBDIIEAAYgAQYogRIsC5QzgNYrglwAXgBkAEAmAGTAaAB2QKqAQMxLjK4AQPIAQD4AQGYAgSgAu4CwgIKEAAYsAMY1gQYR5gDAIgGAZAGCJIHAzIuMqAHvws&sclient=gws-wiz-serp

8. Instituto Mexicano del Seguro Social, Capítulo II.- Población Derechohabiente, disponible en: https://www.google.com/search?q=IMSS+CAP%C3%8DTULO+II+POBLACI%C3%93N+DERECHOHABIENTE&oq=IMSS+CAP%C3%8DTULO+II++POBLACI%C3%93N+DERECHOHABIENTE&gs_lcrp=EgZjaHJvbWUyBggAEEUYOTIHCAEQIRigAdIBCDkxNzJqMGo5qAIAsAIA&sourceid=chrome&ie=UTF-8

9. Instituto Mexicano del Seguro Social, Capítulo XIII. Recursos humanos, materiales y financieros, disponible en: https://www.google.com/search?q=IMSS+CAP%C3%8DTULO+XIII.+RECURSOS+HUMANOS%2C+MATERIALES+Y+FINANCIEROS&oq=IMSS+CAP%C3%8DTULO+XIII.+RECURSOS+HUMANOS%2C+MATERIALES+Y+FINANCIEROS&gs_lcrp=EgZjaHJvbWUqCAgAEEUYJxg7MggIABBFGCcYO9IBCDgxNjlqMGo5qAIAsAIA&sourceid=chrome&ie=UTF-8

10. Organización Mundial de la Salud, Médicos por 10 000 habitantes, disponible en: https://data.who. int/es/indicators/i/CCCEBB2/217795A

11. Organización Mundial de la Salud, Densidad de Dentistas por 10 000 habitantes, disponible en: https://data.who.int/es/indicators/i/C25EFD6/9F88C44

Comparación de la resistencia de muñones, utilizando fibras de polietileno como endoposte contra núcleo de fibras de vidrio cortas

Introducción: las fracturas dentales representan un 92% de las lesiones traumáticas en dientes permanentes, al tratarlos endodónticamente se vuelven más susceptibles a fracturas. Reforzar la estructura dental se vuelve fundamental cuando se busca alargar la vida del diente en la boca del paciente. Para ello una de las opciones es el uso de resinas reforzadas con fibras de vidrio y polietileno, teniendo estas últimas un peso molecular ultraalto, logrando tener una alta resistencia estructural que beneficia al tejido dental y su resistencia a las fuerzas oclusales. Objetivo: comparar la resistencia de los premolares unirradiculares maxilares tratados endodónticamente con poste de fibra de polietileno (Ribbond) y núcleo de resina reforzada con fibras de vidrio (EverX Posterior). Materiales y métodos: estudio experimental in vitro, transversal y comparativo. Se obtuvieron 7 premolares superiores sanos almacenados en solución fisiológica y se dividieron en grupo A, B y una muestra control C. Se trataron endodónticamente y se decoronaron dejando

Comparación de la resistencia de muñones

una férula de 2 mm. El grupo A se colocó poste personalizado Ribbond y el grupo B se obturó con EverX posterior ambos con núcleo de Tetric N ceram. Sometidos a una prueba de compresión simple con una prensa universal, se registraron y analizaron estadísticamente las cargas de fractura. Resultados: fueron evaluados un grupo de fibras EverX Posterior, otro con fibras Ribbond y una muestra control, marcando este último el resultado más alto, seguido de las fibras Ribbond y EverX Posterior. Conclusión: los procesos de reconstrucción adhesiva es un tratamiento que conlleva un alto grado de cuidados en el proceso de adhesión y la colocación y tratamiento de los materiales resinosos que influyen directamente en el comportamiento de resistencia final, siendo la preservación de tejido la mejor opción para un pronóstico favorable.

Palabras clave: fibras de polietileno (Ribbond), fibras de vidrio (EverX Posterior), carga estructural.

Walter Armando Rivadeneira Cuevas. Segundo año de residencia de la especialidad en Rehabilitación Oral en el Centro Educativo Multidisciplinario en Rehabilitación Oral, CEMRO, Tarímbaro, Michoacán. Benjamín Alberto Lázaro Castillo. Ortodoncista con Maestría en Ciencia Odontológicas. Profesor e investigador del Centro Educativo Multidisciplinario en Rehabilitación Oral, CEMRO, Tarímbaro, Michoacán.

María Guadalupe Rangel Bedolla. Cirujano Dentista Especialista en Endodoncia, Coordinadora de la Especialidad de Endodoncia en el Centro Educativo Multidisciplinario en Rehabilitación Oral, CEMRO, Tarímbaro, Michoacán.

Proteger el tejido dental, con la finalidad de que se pueda restaurar la mayor cantidad de veces posibles durando así un mayor tiempo en boca es uno de los principales objetivos. Para lograr esto se utilizan materiales que se comporten de una manera semejante a los tejidos naturales del diente, lo que se le conoce como materiales biomiméticos, teniendo una relación ideal entre parámetros funcionales, biológicos y mecánicos.1

Mostrando características de resistencia a microfisuras, tenacidad, flexibilidad y disminución de la contracción. Estas son sumamente importantes a la hora de resistir fuerzas oclusales y evitar fracturas dentales.2

Se ha encontrado que las fracturas dentales representan hasta un 92% de las lesiones traumáticas en los dientes permanentes y unos de los dientes más afectados son los premolares superiores.3

Cuando estos dientes han sido tratados con endodoncia se vuelven más susceptibles a la fractura, debido a que son sometidos a una combinación de fuerzas de corte y compresión durante la carga funcional.2

Esta debilidad estructural pudiera ser compensada con las características favorables de estos materiales a base de fibras, debido a la resistencia a propagación de fracturas. Deben usarse en áreas de alta tensión para producir mayor tenacidad.4

Una de las opciones restauradoras son los postes de fibra de vidrio que se han utilizado hasta la fecha para generar mayor retención de los materiales de reconstrucción debido a la pérdida de tejido dental. Pero se ha observado que la concentración de tensión en el poste iba en función de su longitud dentro del conducto, así como la forma del poste que parece influir en el comportamiento biomecánico, ya que los postes cilíndricos resisten las fuerzas de tracción 4

Figura 1. Secuencia adhesiva para colocación de EverX Posterior.

El objetivo de esta investigación fue comparar la resistencia de los premolares unirradiculares maxilares tratados endodónticamente con poste de fibra de polietileno (Ribbond) y núcleo de resina reforzada con fibras de vidrio (EverX).

veces más que los postes cónicos. Sin embargo, presentan ángulos agudos en su porción apical, concentrando la tensión de tracción en el conducto radicular, haciendo frecuente las fracturas radiculares.5

Debido a esto, se han comenzado a utilizar materiales de fibras de polietileno con peso molecular ultraalto como postes personalizados. No son postes de manera tradicional, sino una cinta de fibra tejida de polietileno recubierta de un agente adhesivo para la dentina que posteriormente se introduce en el canal y se polimeriza en su posición.6

Estos materiales funcionan de manera óptima sobre una base sólida y bien establecida de un protocolo adhesivo ideal, ya que en la odontología biomimética restauradora, los protocolos se dividen en 2 grupos: reducción de estrés y protocolo de máxima adhesión, siendo estos conceptos y técnicas necesarias para la restauración de piezas con este tipo de fibras.7

Objetivo

El objetivo de esta investigación fue comparar la resistencia de los premolares unirradiculares maxilares tratados endodónticamente con poste

de fibra de polietileno (Ribbond) y núcleo de resina reforzada con fibras de vidrio (EverX).

Materiales y métodos

Se realizó un estudio experimental in vitro transversal y comparativo donde se obtuvieron 7 premolares superiores sanos, extraídos por razones periodontales u ortodónticas, se eliminaron los restos de tejido blando, biofilm, calcificaciones y fueron desinfectados. Las muestras se dividieron en grupo A, grupo B y grupo C como muestras control. Fueron almacenados con solución fisiológica en envases estériles y herméticos durante un mes para mantenerlos hidratados.

Posteriormente se les realizó tratamiento de endodoncia midiendo la longitud de cada conducto, al encontrar la cámara pulpar con fresa de bola número 8 se empleó la fresa endozeta para ampliar el acceso y se utilizó el explorador de conductos DG16.

Una vez localizado cada conducto se ingresó una lima K 10 para la conductometría.

Se realizó la instrumentación del conducto en base a la conductometría obtenida con sistema rotatorio

dejando 1 mm de seguridad, se mantuvo permeable el conducto utilizando Glidepath 10/.05 file, se usó fresa conformadora 30 para premolares a la conductometría de seguridad y se procedió a realizar la obturación retrógrada dejando sin obturar 3 mm.

En el grupo A que fue reforzado con fibras cortas discontinuas EverX Posterior se decoronaron las muestras con fresa cilíndrica, pieza de alta y abundante irrigación, dejando 2 milímetros de férula dentinaria. Se utilizó técnica de grabado total con ácido ortofosfórico Ultra Etch durante 20 segundos, se retiró el ácido con cánula y se lavó abundantemente con agua y aire. Para retirar el exceso de agua se utilizaron confetis de filtro

para café previamente esterilizados, de manera que no se desecara la dentina y se realizó imprimación tallando enérgicamente y evaporando el solvente con cánula de endodoncia y se realizó el sellado dentinario con adhesivo de Optibond FL y se polimerizó con lámpara Bluephase de Ivoclar Vivadent a una distancia de 1 cm. Se colocó un núcleo de EverX Posterior con incrementos de 1 mm y hasta alcanzar una altura de 5 mm tomando en cuenta los 3 mm que no se obturaron y para formar el muñón se utilizó resina Tetric N Ceram de Ivoclar, realizando incrementos de 2 mm aproximadamente (Figura 1).

El grupo B fue reforzado con fibras largas y continuas de polietileno

Figura 2. Preparación de fibras Ribbond.

Ribbond. Se realizó el mismo tallado que en el grupo A para eliminar la corona y dejar 2 mm de férula, preparando de la misma manera el sistema adhesivo.

Posteriormente se midió el ancho y largo del conducto con sonda periodontal para cortar la Ribbond en esas dimensiones. Se midió la longitud de nuestra fibra y se cortó 3 veces la longitud del conducto con las tijeras Ribbond, se llevó a una caja de bloqueo para luz y se impregnó con Wetting Resin y se dejó reposar; mientras tanto, se colocó sobre una loseta una capa de resina compuesta APX de Kuraray, de 1.5 mm de espesor y se llevó la tira de Ribbond impregnada a esa capa de resina presionando para que ese conjunto quede adosando perfectamente en la cavidad y se polimerizó 60 segundos a una distancia de 1 cm de distancia con lámpara Bluephase MC de Ivoclar Vivadent.

De esta manera, los extremos de Ribbond que sobresalen del conducto fueron utilizados como núcleo de reconstrucción del muñón. Dicho muñón fue fabricado con resina Tetric N Ceram de Ivoclar con incrementos de 2 mm de espesor aproximadamente y fotocurando 60 segundos entre cada incremento (Figura 2).

En el grupo C, que corresponde al grupo de control, se dejó la muestra intacta. Las muestras de los 3 grupos fueron almacenadas e hidratadas en suero fisiológico hasta que se

sometieran a carga compresiva para ser evaluado su nivel de resistencia.

Resultados

Las muestras fueron sometidas a una prueba de compresión simple con una prensa de estudios universales en Estudios Geotécnicos y Control de Calidad de los Materiales en Morelia, Michoacán. Se obtuvieron diferentes valores de resistencia a la compresión (Figura 3).

En el primer grupo, los muñones reforzados con fibras cortas EverX Posterior mostraron como valor mínimo 99.37 kg/cm2 y alcanzando un valor máximo 392.33 kg/cm2, teniendo una media de 239.02 kg/ cm2. Acercándose a un 42.98% de la resistencia obtenida por la muestra control. Por su parte, el segundo grupo, formado por las fibras de polietileno Ribbond alcanzaron un mínimo de 255.29 kg/cm2 y un valor máximo de 400.38 kg/cm2, teniendo una

Figura 3. Prensa de estudios universales.

media de 331.24 kg/cm2. Reportando un porcentaje mayor de 59.56% con respecto a la muestra control.

Por otro lado, el valor más elevado fue obtenido por la muestra control, mostrando un total de 556.10 kg/ cm2 (Tabla 1).

Discusión

Un diente que es tratado con endodoncia se debilita no por la deshidratación en sí, sino por la pérdida de estructura. El pronóstico de estos dientes depende de una buena restauración coronal. Además de restaurar los dientes comprometidos, la técnica y el material elegidos deben fortalecer la estructura dental restante. La cantidad de estructura que queda después de la preparación de la cavidad es el factor principal que determina la resistencia a la fractura del diente.2

Para brindar mayor resistencia a un diente es fundamental conservar la mayor cantidad de tejido dental, siendo la férula una opción ideal que consiste en un anillo de tejido dental en toda la periferia de la raíz en la porción coronal, este tejido debe tener

un grosor de al menos 2 mm. Lamentablemente, en la práctica clínica no siempre es posible obtener una férula completa debido a caries extensas o fracturas coronarias. En estos casos se recomienda la extrusión ortodóntica o la cirugía clínica de alargamiento de corona para obtener esa altura.5

De forma natural el diente tiene cierta flexibilidad en su composición, y al momento de utilizar un poste rígido de fibra de vidrio restringimos esta propiedad dental haciéndolo susceptible a fracturas.

Al utilizar postes de estas características en dientes sin una estructura dental circunferencial adecuada, las fuerzas oclusales probablemente podrían dirigirse internamente hacia la raíz, creando un efecto de cuña y una alta probabilidad de fractura radicular. Además, la falta de férula puede provocar fatiga del cemento y aflojamiento o fractura del poste.2

Schmitt de Andrade y cols., afirmaron que los postes intrarradiculares no refuerzan la estructura dental, ya que el desgaste preformado para su colocación debilita el diente

Tabla 1. Resultados del muestreo.

remanente. Además, su presencia crea restauraciones con un comportamiento biomecánico antinatural, ya que el conducto se rellena con un material más rígido que el tejido pulpar.5

El uso de las fibras en odontología en estos tratamientos brinda la posibilidad de restaurar un diente con poca estructura brindándole esa flexibilidad a todo el conjunto diente-restauración con un módulo de elasticidad ideal.

Las resinas reforzadas con fibras de vidrio cortas o discontinuas (EverX) presentan una distribución aleatoria. Esta orientación de las fibras cortas en combinación con la matriz de resina compuesta en un material (EverX) puede permitir una propagación de grietas más restringida después de la aplicación de fuerza.

Manzoor y cols. refieren que, en comparación con los postes preformados, donde es necesario eliminar más estructura dental para adaptar el poste, Ribbond no necesita eliminar más estructura dental. Esto preserva la fuerza del diente y elimina el riesgo de fracturas y perforaciones de la raíz, ya que se prepara mientras el Ribbond aún está en estado flexible. Se adapta a los socavados y contornos de los conductos radiculares y ofrece más retención mecánica y sin acumulación de tensión en la interfaz diente-poste.8

Aggarwal y cols. mencionan que el módulo de elasticidad de las fibras es

similar al de la dentina radicular, disipándose así las tensiones y previniendo la formación de zonas de estrés en la interfaz poste-cemento-diente.9

Sin embargo, es importante mencionar que un diente tratado con endodoncia pierde ciertas condiciones de propiocepción, lo que lo hace susceptible a fuerzas desmedidas y riesgo estructural, por lo que es necesario orientar al paciente a su nueva percepción de fuerzas.

Los receptores que responden a los estímulos se denominan mecanorreceptores del ligamento periodontal y pueden identificar las fuerzas más pequeñas que se apliquen en los dientes y con los propioceptores de los tendones y músculos masticatorios, permiten la regulación apropiada de las fuerzas y movimientos de masticación. Estos se encargan de transmitir la información necesaria para el control de funciones motoras.10

Conclusión

La utilización de estas fibras en odontología son una buena opción restauradora debido a que brindan un adecuado módulo de elasticidad al tejido dental, sin embargo, está ligado a una cuidadosa técnica adhesiva sensible a equivocaciones e idealmente se busca que el remanente dental tenga un soporte periférico (efecto férula) para disminuir los riesgos de fractura o aumentar la resistencia estructural del conjunto restaurado.

50% descuento en su primer caso

Referencias

1. Magne, P., & Belser, U. (2002). Biomimetic Restorative Dentistry Volume 1 Fundamentals and Basic Clinical Procedures. Quintessence Publishing, 2.

2. Mugem, Ba, U., Helvacio, G., Kivanc, G., & Alak, T. (2016). Resistencia a la fractura de premolares restaurados con tejidos de fibra corta o polietileno reforzados con compuesto de fibra. Wiley, 412 – 416

Dra. Yanina Zaragoza

BruxZir Zirconia

Combinación óptima de resistencia y estética.

Una alternativa estética para las restauraciones de oro y Metal Porcelana con oclusal metálico. Vitalidad natural, diseñada para el área anterior y posterior.

3. Ramesh, P., Mathew, S., Murthy, S., George, J., Hedge, S., & Premkumar, R. (2016). Eficacia de Ribbond y un poste de fibra sobre la resistencia a la fractura de incisivos centrales superiores reinsertados con dos patrones de fractura: un estudio comparativo in vitro. Dental Traumatology, 110-115

4. Bijelic-Donova, J., Garoushi, S., Vallittu, P., & Lassila, L. (2016). Mechanical properties, fracture resistance, and fatigue limits. The Journal Of Prosthetic Dentistry, 95 – 102

5. Schmitt de Andrade, G., Ferreira Anzaloni, G. d., Gullo, M., Alfonzo, G., Budel, C., Mendes, J., & Oliveira, A. (2023). Tratamientos restauradores post-endodónticos y su comportamiento mecánico: Una revisión narrativa. Dentistry Review, 2 - 21.

6. Baba, N., Golden, G., & Goodacre, C. (2008). Postes prefabricados no metálicos: Una revisión de composiciones, propiedades, laboratorio y clínica. American College of Prosthodontists, 527 – 536

7. Sfeikos, T., Dionysopoulos, D., Kouros, P., Naka, O., & Tolidis, K. (2022). Effect of a fiber-reinforcing technique for direct composite restorations of structurally compromised teeht on marginal microleakage. Wiley, 650 - 660.

8. Manzoor, S., Khader, M., & shafi, S. (2018). Resina reforzada con fibra de polietileno como poste post- endodoncia . Revista Internacional de Odontología Médica, 59 - 62.

Obsidian® Fusionado con Metal

9. Aggarwal, V., Singla, M., Miglani, S., & Kohli, S. (2012). Evaluación Comparativa de la Resistencia a la Fractura de Conductos Estructuralmente Comprometidos Restaurados con Diferentes Tipos de Postes. American College Of Prosthodontists, 312 - 316.

IPS e.max

• Estética y alta resistencia

10. Vargas, V., García, E., & Torrez, A. (2017). Propioception Of Periodontal Ligament, The Key To Success In Oral Rehabilitations. Odontología Actual, 46 - 50.

• Cuatro veces más fuerte y dos veces más resistente al astillamiento que la porcelana Ceramco®3

• Ideal para coronas y puentes en cualquier parte de la arcada, y restauraciones en la zona estética.

• Aplicaciones versátiles y amplia gama de indicaciones

• Preparación mínimamente invasiva y cementación adhesiva

Fabricada con materiales

Envíos GRATIS a todo México

AÑOSGARANTÍA D E GLIDEWELL
IPS e.max es una marca registrada de Ivoclar Vivadent.

Turn static files into dynamic content formats.

Create a flipbook
Issuu converts static files into: digital portfolios, online yearbooks, online catalogs, digital photo albums and more. Sign up and create your flipbook.