Revista Dentista y Paciente 195 | Noviembre 2024

Page 1


CALIDAD Y DIRECCIÓN

Efecto de la mepivacaína en pacientes hipertensos en atención odontológica

ENTREVISTA

Dra. Heather J. H. Edgar

INVESTIGACIÓN CLÍNICA

Implante inmediato en sector estético con PRGF-ENDORET como único material de relleno del gap

dentistaypaciente.com

CASO CLÍNICO

Clase II subdivisión I con mordida abierta por hábito de succión digital tratada ortopédicamente. Reporte de caso.

SONRIENDO

AL FUTURO

Tratamiento de mordida cruzada anterior. Con aparatología ortopédica funcional en un paciente con dentición mixta. Reporte de caso.

ESTUDIO

Trasplante dental autólogo complementario al tratamiento ortodóntico.

� al �� de Noviembre

¡¡Podrás adquirir tus equipos en el stand, además de interactuar con ellos y con nuestro software!!

Llévate un EzSensor HD de regalo

Antes EzSensor Classic

en la compra de un equipo

�D

*Promociones válidas del � de octubre del ���� y hasta el � de noviembre del ����. sólo pagando de contado. Los obsequios varían dependiendo del modelo comprado. (Excepto A�)

Financiamiento extendido

��, �� y hasta ��

meses

En todos nuestros equipos intraorales

restricciones. condiciones. T.C MXN

����. Aplica restricciones. Consulta términos y condiciones. T.C de $��.�� MXN comprado. Válido hasta agotar existencias. Sujeto a cambios sin previo aviso.

damos hasta

USD de descuento

Para que adquieras un equipo nuevo

¡SU LABORATORIO DENTAL DE CONFIANZA!

BruxZir Zirconia

• Combinación óptima de resistencia y estética

• Una alternativa estética para las restauraciones de oro y Metal Porcelana con oclusal metálico

• Vitalidad natural, diseñada para el área anterior y posterior

Obsidian® Fusionado con Metal

• Cuatro veces más fuerte y dos veces más resistente al astillamiento que la porcelana Ceramco®3

• Ideal para coronas y puentes en cualquier parte de la arcada, y restauraciones en la zona estética.

• Estética y alta resistencia

• Aplicaciones versátiles y amplia gama de indicaciones

• Preparación mínimamente invasiva y cementación adhesiva

Fabricada con materiales
Envíos GRATIS A a todo México
IPS e.max
IPS e.max es una marca registrada de Ivoclar Vivadent.
AÑOS
REEMPLA ZO GRATIS GARANTÍA D E GLIDEWELL
Dra. Nadia Rodriguez

Noviembre 2024

La Organización Mundial de la Salud (OMS) presentó el 3 de octubre pasado el Plan Estratégico Mundial de Preparación, Disposición Operativa y Respuesta (Plan Estratégico Mundial) para hacer frente al dengue y otros arbovirus transmitidos por mosquitos Aedes. El Plan tiene por objeto reducir la carga de morbilidad, así como el sufrimiento y las muertes por dengue y otras enfermedades arbovirales como el zika y el chikungunya, fomentando una respuesta mundial coordinada.

Por otro lado, la OMS ha autorizado la primera prueba de diagnóstico in vitro de la viruela símica (mpox) con arreglo a su protocolo de uso en emergencias, con lo cual ha dado un paso importante para ampliar el acceso a las pruebas de detección de esta enfermedad en todo el mundo.

La UNAM informó que el número de casos de COVID-19 ha aumentado. Si bien, no hay señales de alarma y se registra una menor tasa de personas afectadas por la enfermedad en comparación con años previos, el aumento en el número de casos de COVID-19 entre la comunidad incrementa la demanda de servicios de salud.

En mejores noticias, recuerden que este mes, será la 79 EXPO AMIC en el WTC de la CDMX. Es la exposición dental más grande de habla hispana. Se llevará a cabo del 6 al 10 de noviembre. Como es tradición, se rifarán 5 automóviles. Lo que es novedoso es que se expande la zona de exposición. La nueva área comercial va a ser en los salones Mexicas. Allá nos veremos, nos saludaremos y platicaremos.

¡Síganse cuidando!

Mtro. Carlos Adolfo Espinosa García Especialidad en Odontología Legal y Forense Maestría en Odontología

Da la bienvenida a la nueva Tecnología de Equipos con Pantalla Táctil Inteligente!!!

Disponible en: MONTAJE A PARED

Medical Systems, se adelanta a los tiempos, presentando una nueva generación de Equipos de Radiodiagnóstico Intra-oral con la funcionalidad que le ofrece la última Tecnología en Pantallas Táctiles Inteligentes, que se configuran sin necesidad e memorizar instrucciones, y con opciones que NO se encuentran en otros equipos.

Tiempos de expo sición Pre-programados compensados por variaciones de voltaje de la línea de suministro. Contador de exposiciones. ersonalización de los tiempos de exposición Pre-programados. Monitoreo del voltaje de alimentación del equipo y protección por variaciones de voltaje en la línea de suministro.

CORIX® 70 PLUS-USV-WM-TS

BASE MOVIL

CORIX® 70 PLUS USV-MM-TS

A Division of CORIX MEDICAL SYSTEMS® Lauro Villar No. 94-B, 02440, México, CDMX

Tels:+52 55 5394 1192 +52 55 5394 1199 56 2571 9826 www.corix.us http://www.facebook.com/CORAMEXSA sales@corix.us repre.ventas@corix.us

10 | CALIDAD Y DIRECCIÓN

Efecto de la mepivacaína en pacientes hipertensos en atención odontológica.

20

| ENTREVISTA Dra. Heather J. H. Edgar.

Renascence S.A. de C.V.

26 | INVESTIGACIÓN CLÍNICA

Implante inmediato en sector estético con PRGF-ENDORET como único material de relleno del gap.

42 | CASO CLÍNICO

Clase II subdivisión I con mordida abierta por hábito de succión digital tratada ortopédicamente Reporte de caso.

Directora editorial

Patricia López Guerra patricia.lopez@dentistaypaciente.com

Jaime Francisco Martínez Aceves† jmartinez@dentistaypaciente.com

Directora Editorial

Mariangel Martínez López mmartinez@dentistaypaciente.com

Director de Arte y Diseño

Jesús Salas Pérez jesasez@dentistaypaciente.com

Coordinador Editorial

Marco A. Vergara Salgado marversa@dentistaypaciente.com

Ejecutivos Comerciales y de Negocios

Carlos Martínez García, Gabriela Dolorez Ocadiz, Edson Aarón Hernández

Producción y Circulación

Edson Aarón Hernández

Fotografía e Ilustraciones

Editorial Renascence Suscripciones

Edson Aarón Hernández

Preprensa e Impresión

Offset Impresión Creativa S.A de C.V.

Distribución

Comercializadora GBN S.A. de C.V.

Calzada de Tlalpan #572, desp. C-302, col. Moderna

Contabilidad y Administración

L. C. y E. F. Renato Muñoz

director científico

Dr. Carlos Espinosa García

Especialista en Odontología Legal y Forense consejo editorial

Dr. Francisco Javier Diez de Bonilla Calderón

Catedrático de la F.O de la UNAM

Dr. Francisco Magaña Moheno

Centro de Especialidades Odontológicas

Javier Portilla Robertson

Exdirector de la Facultad de Odontología de la UNAM

Especialista en Patología Bucal

Contenido

C.D.E.O. Arturo Alvarado Rossano†

Profesor y Especialista en Ortodoncia y Ortopedia Craneofacial en la Facultad de Odontología. UNAM. Asesor Académico y Coordinador de Difusión de la AMOCOAC.

C.D. Manuel García Luna y González Rubio

Dra. Ana Gabriela Carrillo Varguez Coordinadora de la especialidad en endodoncia UABC Tijuana. Coordinadora de Investigación y Posgrado F.O. UABC

M.C. Ernestina Santillana Marín Subdirectora de CISALUD UABC

William James Maloney, D.D.S. Clinical Associate Professor New York University

universidad anáhuac méxico norte

C.D. Carlos Robles Bonilla Coordinador de la Licenciatura de Cirujano Dentista

C.D. Sergio Antonio Ojeda León Profesor Titular de Odontopediatría de la Licenciatura de Cirujano Dentista

C.D. Bernardo Grobeisen Weingersz Profesor Titular de Clínica Integral de la Licenciatura de Cirujano Dentista

C.D. Norma Ibañez Mancera.

Profesora Titular de Patología Bucal de la Licenciatura de Cirujano Dentista

Dirección del Derecho de Autor certificado de reserva al uso exclusivo no. 04-2008022718312200-102 con fecha 27 de Marzo del 2008. Gobernación de la H. Comisión Calificadora de Publicaciones y Revistas Ilustradas, certificado de licitud de contenido 5328, certificado de licitud de título 7411, franqueo pagado, publicación mensual permiso no. PP09-02106, SEPOMEX. Las opiniones expresadas en los artículos y en los anuncios publicados no significan de ninguna manera juicios, criterios, ideas o cualquier otro concepto por parte de la editorial; reflejan únicamente las ideas y pensamientos de sus autores. Los artículos, entrevistas, resúmenes, publirreportajes, fotografías y cualquier otro material son exclusivos de la editorial, y no se autoriza la reproducción total o parcial por ningún medio sin previa autorización del editor. Para cualquier asunto relacionado con suscripción, distribución, comercialización, anuncios, contenido u otro propósito, favor de dirigirse a la editorial. Impreso en MV IMPRESIONES, SA DE CV.

Dentista y Paciente® Publicación mensual correspondiente al mes de NOVIEMBRE DE 2024. editada por Editorial Renascence S.A. de C.V., Rancho Jigüingo 29, Prado Coapa, Ciudad de México, 14350. tel. 56846632, fax 56793656. Distribuida en locales cerrados, depósitos dentales, universidades, congresos y exposiciones. Editora responsable: Mariangel Martínez López. Fotoarte de portada: Editorial Renascence.

distribución certificada por el padrón nacional de medios impresos de la dirección general de medios impresos de la secretaría de gobernación no. 007-136. www.gobernacion.gob.mx

50 | SONRIENDO AL FUTURO

Tratamiento de mordida cruzada anterior. Con aparatología ortopédica funcional en un paciente con dentición mixta. Reporte de caso.

58 | ESTUDIO

Trasplante dental autólogo complementario al tratamiento ortodóntico.

Efecto de la mepivacaína en pacientes hipertensos en atención odontológica

Uiquixu Flores Castro. Residente del segundo año de Rehabilitación Oral del Centro Educativo Multidisciplinario en Rehabilitación Oral, CEMRO. Tarímbaro, Michoacán. María Ruth Reséndiz Rincón. Especialista en Rehabilitación Oral, CEMRO. Xichú, Guanajuato. Benjamín Alberto Lázaro Castillo. Especialista en Ortodoncia. Maestría en Ciencias Odontológicas.

Profesor e Investigador del Centro Educativo Multidisciplinario en Rehabilitación Oral, CEMRO. Tarímbaro, Michoacán.

La hipertensión arterial es un problema de salud a nivel mundial, la atención odontológica es necesaria en pacientes con este problema, por lo cual es importante el conocer las reacciones a los anestésicos en pacientes con este tipo de padecimiento. Objetivo: analizar el comportamiento de la presión arterial al anestesiar con mepivacaína al 2%, en pacientes hipertensos.

Metodología: investigación experimental en vivo, en 16 pacientes de ambos géneros, con edades entre 40 a 50 años. Comparando la presión arterial antes y después de haber sido anestesiado con mepivacaína al 2%. Resultados: la presión arterial no mostró una diferencia significativa entre ambos registros. Conclusión: los resultados obtenidos nos muestran que la atención a pacientes con hipertensión arterial se puede realizar sin ninguna complicación, siempre y cuando el paciente sea estable es su hipertensión arterial y manifieste su condición actual de salud.

Palabras clave: presión arterial, mepivacaína, hipertensos.

El desarrollo de agentes anestésicos locales seguros fue uno de los avances de la odontología.1 La combinación de vasoconstrictor y de anestésico local fue usada por primera vez en 1901 cuando Braun administró simultáneamente adrenalina y cocaína. 2

La hipertensión arterial, definida como presión arterial sistólica igual o superior a 140 mmHg o presión arterial diastólica igual o superior a 90 mmHg, es uno de los factores de riesgo más importantes para las enfermedades cardiovasculares y la enfermedad renal crónica.3

La clasificación de la hipertensión arterial está basada en mediciones realizadas en la consulta médica, las cuales se determinan de acuerdo a los siguientes niveles: óptima: menor de 120 (PAS) y menor de 80 (PAD), normal: menor de 130 (PAS) y menor de 85 (PAD), normal-alta: 130-139 (PAS) y 85-89 (PAD), hipertensión I: 140-159 (PAS) o 90-99 (PAD), hipertensión II: 160-179 (PAS) o 100-109 (PAD) e hipertensión III: 180 (PAS) o 110 (PAD).4

La supresión óptima del dolor, total o casi total, durante el tratamiento odontológico es una medida esencial en la práctica clínica. Para ello, el odontólogo dispone de distintos tipos de anestesia local, de infiltración, conducción e intraligamentosa. 5

La lidocaína se sigue utilizando hoy en día como anestésico local y también en la anestesia superficial. Los anestésicos mencionados provocan vasodilatación y con ello una mayor perfusión del tejido, lo que favorece el paso más rápido del anestésico al tejido circundante. La mepivacaína tiene la ventaja de que genera una vasodilatación mínima y proporciona, por lo tanto, una duración de acción adecuada.6

La prilocaína se empezó a comercializar en 1960. No se debe utilizar ni en embarazadas ni en niños, o solo bajo indicación estricta, debido a una serie de interacciones. En 1969 se desarrolló el principio activo articaína, que hoy sigue siendo el anestésico local más vendido en el mercado alemán. A este éxito ha contribuido sobre todo su buena tolerabilidad y su reducida tasa de efectos adversos. Para contrarrestar el efecto vasodilatador

La hipertensión arterial, definida como presión arterial sistólica igual o superior a 140 mmHg o presión arterial diastólica igual o superior a 90 mmHg, es uno de los factores de riesgo más importantes para las enfermedades cardiovasculares y la enfermedad renal crónica.

antes descrito y conseguir una duración de acción más larga, se añade a la mayoría de los anestésicos locales un vasoconstrictor, normalmente en forma de adrenalina. A través de la adición de dosis distintas del vasoconstrictor se consigue controlar la duración de la anestesia, como en el caso de la articaína.7

Reportan Alborguetti y cols. que son extremadamente seguros y respetan la mayoría de los criterios de un anestésico local ideal.8

El motivo de esta investigación fue analizar el comportamiento de la presión arterial al anestesiar con mepivacaína al 2% 45 minutos después de haberse infiltrado. Realizado en pacientes hipertensos, entre edades de 40 a 50 años, medicamente controlados.

Metodología

Investigación experimental, longitudinal, in vivo, analizando el comportamiento de la presión arterial al anestesiar con mepivacaína al 2% ZEYCOMR a pacientes hipertensos controlados, ambos géneros, entre 40 y 50 años, que acudieron a consulta dental para la realización de operatoria en general, en la Ciudad de Morelia, Michoacán, en el periodo de octubre del 2023 a febrero del 2024. Cumpliendo con los criterios de selección excluyendo a personas no controladas y embarazadas. Previo consentimiento informado

aceptado; la muestra establecida fue anestesiada por motivos de remoción de caries y obturación con resinas, en la misma sesión.

Ya el paciente en la sala de espera del consultorio, se le pidió que reposara 10 minutos, con la finalidad de regular su presión arterial, empleando musicoterapia.

Previamente calibrado el personal se procedió para la toma de presión arterial utilizando un baumanómetro de mercurio GenmedMR. El paciente adoptó una posición sentado con espalda apoyada sobre el respaldo, con los pies firmes, sin cruzar las piernas, se solicitó al paciente descubrir y extender su brazo izquierdo sobre la superficie del escritorio a la altura del corazón, se colocó el brazalete en el brazo de 2 a 3 cm por encima del pliegue del codo, se palpó la arteria braquial y se colocó la campana del estetoscopio en zona localizada. Las cifras obtenidas de dicha medición se registraron en una tabla de control. Teniendo 2 tomas de cada paciente, antes de anestesiar y otros 45 minutos posteriores a la infiltración del anestésico.

Ya el paciente recostado a 45° en la unidad dental para realizar procedimientos de operatoria dental. El operador se colocó barreras de protección, en tanto al paciente se le indicó realizar a un enjuague bucal de 5 ml con clorhexidina al 0.12% durante 10 segundos, seguido de esto se colocó con un hisopo con

Calidad y dirección

Figura 1. Procedimiento. A) Anestésicos y agujas, B) Toma de presión arterial, C) Preparación de anestésico en carpule y D) Infiltrado de anestésico.

benzocaína tópica ZEYCOMR en la zona del órgano dental a tratar por un minuto, tiempo en el que también se cargó el cartucho del anestésico mepivacaína simple de ZEYCOMR. En jeringa carpule con aguja corta ZEYCOMR se aplicó ligera presión sobre el émbolo del cartucho para verificar la salida del anestésico.

Se infiltraron 2 cartuchos de anestésico con técnica supraperióstica se retrajo el labio en dirección lateral para delimitar el pliegue mucoyugal y mantener la mucosa tensa. Se sostuvo la jeringa anestésica de manera que el bisel de la aguja se dirigiera hacia el diente y se insertó la aguja en la profundidad del pliegue mucoyugal y se

avanzó paralela al diente hasta que entró en contacto con el hueso apuntando hacia el vértice, se aspiró para descartar que la aguja no se hubiera introducido dentro de un vaso. Inyectando alrededor de 0.1 a 0.2 ml de anestésico lentamente por segundo, durante la inyección se utilizó un dedo para aplicar presión externa sobre la mejilla cerca del sitio donde se acumuló la anestesia para evitar el edema local del tejido (Figura 1).

Al cabo de 45 minutos de haber realizado la técnica anestésica se realizó un segundo chequeo de la presión arterial en modo de control y de igual forma se realizó el registro completo de cada paciente para su análisis.

Efecto

Resultados

En la Tabla 1, se muestran los resultados obtenidos de los 16 pacientes que participaron con un promedio de edad de 46 años. Después de los 45 minutos, al tomar nuevamente la presión con respecto a los valores

Sistólica/Diastólica

de la presión sistólica, se observó que aumentó en un 25%, 37.5% presentaron una disminución y 37.5% mantuvieron las cifras iniciales. En la presión diastólica un 43.7% presentó un aumento, 37.5% presentaron una disminución y 18.8% mantuvieron las cifras iniciales.

Tabla 1. Tabla de resultados M- mujer y H- hombre.

M 7- 140/80

M

+5/+10

M 14- 140/110 14- 140/120 14- 0/+10

M 15- 145/120 15- 140/120 15- -5/0

M 16- 130/110 16- 135/115 16- +5/+5

Calidad y dirección

Discusión

Se considera que un adulto mayor de 20 años tiene la condición de hipertensión arterial cuando su presión sistólica es mayor o igual a 140 mmHg y su presión diastólica es mayor o igual a 90 mmHg o está tomando medicamentos antihipertensivos. La hipertensión puede presentar los siguientes síntomas y signos: dolores de cabeza frecuentes, mareos, visión borrosa, fatiga, dificultad para respirar, náuseas, cansancio excesivo y dolor de pecho. 9 En general los anestésicos locales que se usan en los procedimientos odontológicos pertenecen a 2 grandes grupos: aminoésteres (procaína, cocaína, cloroprocaína y tetracaína) y aminoamidas (lidocaína, prilocaína, mepivacaína, bupivacaína y etidocaína. La mepivacaína simple es la indicada para hipertensos, tiene una iniciación de acción más rápida y una duración más prolongada que la lidocaína, su duración es de aproximadamente 2 horas, es

La hipertensión puede presentar los siguientes síntomas y signos: dolores de cabeza frecuentes, mareos, visión borrosa, fatiga, dificultad para respirar, náuseas, cansancio excesivo y dolor de pecho.

el doble de potente que la procaína y se consigue en concentración del 3% sin vasoconstrictor y al 2% con vasoconstrictor 1:20,000. Sin embargo, la dosis segura es de 3 cartuchos en pacientes hipertensos, es importante considerar algunos riesgos asociados con su uso, aumento de la presión arterial, interacción con medicamentos, toxicidad sistémica, efectos cardiovasculares y reacciones alérgicas.10

Conclusión

La hipertensión es una enfermedad que con frecuencia encontramos en los pacientes que acuden a consulta odontológica; muchas personas desconocen tener este padecimiento, por lo cual es de suma importancia siempre realizar la toma de la presión arterial, esto nos ayuda a prevenir complicaciones en la consulta, y a su vez nos ayuda a determinar el tipo de anestésico que debe utilizarse para seguridad del paciente. La mepivacaína es el anestésico de elección en personas con dicho padecimiento, de acuerdo a esto es importante recalcar que las discrepancias que se presentan en las cifras iniciales y finales de la presión arterial son mínimas, por lo cual se determinó que la mepivacaína es el anestésico indicado para este padecimiento, ya que en ningún momento se presentan riesgos en la salud de los pacientes, bajo esta investigación podemos recomendar una dosis máxima de 3 cartuchos, para un procedimiento dental en pacientes hipertensos controlados.

Referencias

1. Nai, G. A. (2013). La anestesia local en odontología. Elservier, 384-389.

2. M. F. Mirón Rodríguez a, F. J.-M. (2008). Anestesia general en pacientes con discapacidad intelectual sometidos a cirugía dental. Revista española anestesia. Elservier,137 ,138 ,139, 140, 141, 142, 143.

3. Lancet. (2017). Hipertensión arterial. Elservier, 50-62.

4. Intrago, A. (2017). Manejo odontológico del paciente hipertenso. Revista dental de Chile. Elservier, 234-243.

5. Gierl, F. (2009). La anestesia local en odontología. (Quintessenz Team Journal. 2009; 39:553-7).

6. Carey RM, M. (2018). Manejo odontológico del paciente en odontología. Elservier, 87-100.

7. Evers, H. &. (2014). El uso de anestésicos en odontología. Elservier, 234-267.

8. Alborghetti, G., Oliveira, M., Tavares, G., & Fonseca Pereirac, L. F. (2013). Evaluación de la genotoxicidad inducida por la administración repetida de anestésicos locales: un estudio experimental en ratones. Revista Brasileira de Anestesiología, 21, 22, 23, 24,26.

9. Martín, D. C. (2017). Manejo Odontológico del paciente hipertenso. Revista Dental de Chile.

10. Vargas-Trujillo, C. (2015). Anestesiología local para la odontología. revista mexicana de anestesiología.

Hace quince años publicaron en la revista de Odontología de mayor circulación un boletín informativo, titulado: ¿QUÉ TIENE CORIX®

QUE LO HACE TAN ESPECIAL?, pregunta que nos podemos volver a hacer hoy, cuando CORIX® va a cumplir 50 AÑOS de existencia, porque siguen vigentes los comentarios que nos han hecho los Cirujanos Dentistas al visitarnos en Expo AMIC, y otros eventos nacionales y extranjeros: “En el mercado hay equipos “CORIX®”y otros también...más no son lo mismo”

En el año de 1972 se llevó a cabo en México el primer Congreso de la Federación Dental Internacional, y en esa ocasión una Compañía Italiana nos propuso importar un Equipo de Rayos-X periapical con calidad comparable a los equipos de tres multinacionales presentes en ese entonces en nuestro país que dominaban el mercado, más con una diferencia fundamental: los de la Compañía Italiana costaban la mitad. Y para un mercado como el de México, en pleno desarrollo y crecimiento, este fue un factor determinante para importar los primeros equipos.

Logramos superar los primeros obstáculos que la competencia nos puso en el camino y se tomó la decisión de fabricar directamente el producto en México, evitando gastos de envío.

Con mucha satisfacción podemos asegurar al día de hoy que: ¡CORIX® en México ha fabricado más equipos para Radiodiagnóstico intra-oral que las tres empresas italianas más importantes del sector, juntas!

Nuestra filosofía ha sido siempre la de diseñar y producir equipos con materiales y componentes de calidad, para que el producto dure en el tiempo y no se convierta en un consumible, así como contar con soporte técnico y refacciones disponibles para nuestros clientes.

1975 hasta 1991.

1975 hasta

Este equipo sigue funcionando normalmemte

Este equipo sigue funcionando normalmemte

SIN haber sido intervenido para servicio.

SIN haber sido intervenido para servicio.

Hemos sido también innovadores. Llegaron al mercado nuevas películas radiográficas más rápidas, y después los sensores digitales de más alta sensibilidad para reducir la dosis de radiación requerida para el radiodiagnóstico. CORIX® se ajustó a las necesidades, desarrollando equipos con relojes-timers de alta precisión para tiempos cortos de exposición.

La presencia en el mercado de teléfonos celulares con Pantalla Táctil dio la pauta para desarrollar equipos que se configuran intuitivamente al tacto del operador, sin botones superfluos y a prueba de errores, que representan ahora a nuestra nueva línea de “TOUCH SCREEN”

Para CORIX® no es suficiente poder contar con el prestigio ganado en sus 50 años de actividad si no hay ética y confiabilidad que nos respalden. Fabricamos con apego a las más estrictas Normas de Seguridad Radiológica y conforme a los protocolos para el debido uso de fuentes de radiación ionizante. Tomando siempre en cuenta que quien está expuesto a un mayor riesgo de daños biológicos no es el paciente, sino el operador del equipo por su carga de trabajo y por desconocer, en su mayoría, los protocolos de seguridad. Hay equipos en el mercado, de los llamados “Portátiles”, que no cumplen con ninguna de las Normas de Seguridad establecidas por organismos internacionales y constituyen un riesgo sanitario que muchos Odontólogos ignoran.

En los 50 años de vida de CORIX® hemos visto llegar, para luego desaparecer a una larga lista de marcas y modelos de equipos de la competencia, dejando sin servicio post-venta a muchos Odontólogos...por lo que a la pregunta. ¿QUÉ TIENE CORIX® QUE LO HACE TAN ESPECIAL?, es más fácil ahora poder contestar.

El diagnóstico radiológico tuvo su inicio en el año de 1895 cuando el Físico Wilhem Conrad Roentgen, al observar la luminiscencia producida por un tubo de rayos catódicos, obtuvo la primera imagen radiográfica, que lo llevó al invento del Tubo de Rayos-X.

La radiología, como medio de diagnóstico, ha tenido desde entonces unos avances sorprendentes, que van al paso de los avances que ha tenido la electrónica, por lo que no nos debe de sorprender que los equipos de radiodiagnóstico fabricados en la actualidad por Corix® cuenten con los últimos avances tecnológicos y la capacidad de producir dosis muy reducidas de radiación, con una normatividad que garantiza un alto nivel de seguridad para el operador y el paciente.

El lema de Corix® ha sido siempre desde un principio el de fabricar productos con la tecnología y confiabilidad que nos han convertido en una de las principales empresas del sector a nivel mundial.

Nueva línea de Equipos de RayosX Intraorales

Nueva línea de Equipos de RayosX Intraorales

MOD. Corix® 70 PLUS USV Touch Screen.

MOD. Corix® 70 PLUS USV Touch Screen.

Iniciando su comercialización a partir de 2024.

Iniciando su comercialización a partir de 2024.

Dra. Heather J. H. Edgar

Por el Mtro. Carlos Adolfo Espinosa García

Nos encontramos con Heather J. H. Edgar, antropóloga y maestra de antropología forense en la Universidad de Nuevo México. Heather, un gusto conocerte y gracias por esta entrevista. ¿Podrías contarnos sobre tu trabajo en antropología dental?

Claro, estoy entrenada en antropología dental. No soy dentista, pero estudio varios factores de los dientes para entender mejor a las personas. Mi trabajo es tanto forense como bioarqueológico; analizo tanto a la gente de hoy como a la del pasado. Me enfoco en las características de las superficies de los dientes, especialmente las coronales, lo que llamamos dentomorfología. Es un término amplio, y de hecho, escribí un libro sobre ello: Dental Morphology for Anthropology. No se trata de la información que necesita un dentista, sino de características que todos los que observan dientes pueden reconocer, como los dientes de pala o el tubérculo de Carabelli. También observamos cosas como el tamaño de las cúspides y la profundidad de los surcos. Estas características varían de persona a persona y entre diferentes grupos. Este análisis anatómico, no es como el que se realiza para buscar genes, que es destructivo y costoso; los dientes son duros y pueden durar hasta 40 000 años, por lo que es un buen sustituto para buscar rasgos genéticos. Usamos estas características para estimar la población a la que podría pertenecer un individuo.

Estoy aquí para un proyecto llamado For Dent, donde estamos creando un sitio web interactivo para que los practicantes de forense estimen la población usando dentomorfología.

¿Qué trabajo estás realizando en México y por qué estás en la Escuela de Ciencias Forenses de la UNAM?

Estoy aquí para un proyecto llamado For Dent, donde estamos creando un sitio web interactivo para que los practicantes de forense estimen la población usando dentomorfología. He recolectado datos durante unos 15 años, principalmente de personas contemporáneas en Florida, Nueva York, Nuevo México y California, para representar a la población de Estados Unidos. El mes pasado, estuve en Mérida, en la UADY (Universidad Autónoma de Yocatán), recolectando datos y ahora estoy en la Ciudad de México, tratando de incluir esta población. Tengo la esperanza de

Dra. Heather J. H. Edgar

que sea útil cuando, por ejemplo, se encuentre un esqueleto en Nuevo México y no sepa quién es, pueda comparar su dentomorfología con mis datos y estimar su población. Además, este programa será gratuito y accesible para todos, y será muy bueno para EU y para México, aunque claro que tendré que venir y continuar este trabajo por muchos años.

He leído que los mayas en Yucatán, Campeche,

Quintana Roo y Chiapas tienen dientes de pala.

Así es, recolecté 2 ejemplares: uno de un cementerio contemporáneo que es maya, pero con mezcla, y otro de los lacandones en Chiapas, también contemporáneo.

Después de regresar a Nuevo México, ¿cuál es el siguiente paso?

Buena pregunta. El programa está casi listo; estos son los últimos datos que necesitamos. No soy experta en estadística ni en diseño web, así que tengo un equipo trabajando en eso. Queremos que sea fácil de usar para antropólogos forenses aún cuando no sean especialistas dentales. Hay muchas imágenes y ejemplos, y Joe Hefner, un colega antropólogo mucho mejor que yo en matemáticas, está a cargo de las estadísticas y de echar a andar la máquina. Le daré estos datos, los integrará y haremos pruebas de usuario para mejorar el sitio. Esperamos anunciarlo y hacerlo público en febrero del próximo año.

Así que dentro de unos meses.

Sí, después de 15 años de trabajo, estamos en la última fase. Esto es posible gracias al financiamiento del Instituto Nacional de Estadísticas y Tecnología de los EU, que cubre este viaje y el tiempo de Joe y Ron.

¿Tienes algunos especímenes de nativos americanos?

Sí, en Nuevo México, alrededor del 11% de la población es nativa americana, más que en otros estados, incluido Alaska.

¿Qué tan similares son las características dentales con los nativos mexicanos?

Son muy similares, especialmente en la forma de pala. Sin embargo, en México he visto formas inusuales de incisivos laterales, tienen una curva graciosa de barril, muy redonda y muy distintiva y a veces presentan ausencias o dientes supernumerarios. Aunque no lo sé de cierto, me parece que en México hay una gran variedad de formas, lo que lo hace fascinante. Creo que hace 10 000 años había muchas poblaciones pequeñas, aisladas unas de otras, y eso ha llevado a esta diversidad. Para los nativos americanos en EU la frontera no significa nada, los dientes son similares a los de nativos mexicanos, inclusive tienen semejanza a los de la gente de Japón, China y otros lugares de donde vienen.

Los antiguos mexicanos vienen de los antiguos

Para los nativos americanos en EU la frontera no significa nada, los dientes son similares a los de nativos mexicanos, inclusive tienen semejanza a los de la gente de Japón, China y otros lugares de donde vienen.

Dra. Heather J. H. Edgar

asiáticos, incluso hay algunas similitudes y ciertas coincidencias lingüísticas entre lenguas indígenas y asiáticas.

Interesante. Los dientes reflejan definitivamente que los nativos americanos y gente de México tienen ancestros asiáticos.

Algunos antropólogos dicen que los aztecas vienen de Aztlán.

Bueno, eso es más una creencia popular. Aztlán es considerado un lugar ficticio.

Hay quienes creen que Aztlán no está en México, sino en Estados Unidos.

En Nuevo México hay un lugar famoso llamado Cañón del Chaco, donde hay evidencia de comercio con México. Allí se encuentra el mismo chocolate, incluso una guacamaya, que se encuentra aquí. Eso no significa que la gente de Chaco viniera hasta acá, ni que los mexicas provengan de allá, sino que había comercio. Existen muchos lugares interconectados, como Cañón del Chaco y Paquimé en Chihuahua. Pero, ¿de dónde venían los mexicas? Se sabe que eran del norte, pero no se conoce qué tan al norte.

DyP: He leído que podrían existir pirámides en EE. UU.

No sé si sean pirámides, quizás sean plataformas. Hay estructuras en otros lugares de EU, pero no son comparables a las de aquí. Aunque existe la posibilidad de que tengan cierta interconexión, lo cierto es que la idea de construir pirámides es algo que puede surgir de forma independiente en diferentes culturas.

En China también hay pirámides.

Sí, eso solo muestra que a los humanos les atraen las pirámides. Son una buena forma de construir estructuras. En Yucatán, al no haber montañas, la gente crea sus propias formas.

Tienes algunos ejemplares aquí.

Sí, aún no los he revisado, pero tenemos modelos de ortodoncia de la clínica aquí en la universidad. Son interesantes, muestran claramente la forma de pala en algunos incisivos laterales. Tienen una forma muy interesante que es más común en México que en otros lugares. También notamos varias características en los premolares. Hay una gran cantidad de pequeñas diferencias que son cruciales para estimar la población de origen de un individuo.

Heather, un placer conocerte y gracias por tu tiempo.

El placer es mío.

material de relleno del gap

Implante inmediato en sector estético con PRGF-ENDORET como único material de relleno del gap

Eduardo Anitua DDS, MD, PhDr

Private practice in oral implantology, Eduardo Anitua Institute, Vitoria, Spain. Clinical researcher, Eduardo Anitua Foundation, Vitoria, Spain. University Institute for Regenerative Medicine and Oral Implantology - UIRMI (UPV/EHU-Fundación Eduardo Anitua), Vitoria, Spain.

Corresponding author: Dr. Eduardo Anitua, Eduardo Anitua Foundation; C/ Jose Maria Cagigal 19, 01007 Vitoria, Spain; Phone: +34 945160653, e-mail: eduardo@ fundacioneduardoanitua.org

Cuando se pierde una pieza en el sector anterior, sobre todo en la zona superior, se crea un problema estético que el paciente siente la necesidad de resolver de forma rápida, predecible y estética en la mayoría de las ocasiones, ya que este área de la cavidad oral es la más expuesta, siendo parte de la sonrisa y produciéndose un problema que puede afectar incluso las relaciones interpersonales del paciente y generar un problema psicológico.1,2

Los incisivos centrales superiores y los incisivos laterales superiores, así como los caninos, son los dientes en los que con mayor frecuencia realizamos extracción de la pieza dental e implante inmediato, con carga inmediata en muchas situaciones, debido principalmente a estos condicionantes anteriormente mencionados.5-9 Los buenos resultados

Investigación clínica

aportados por la literatura internacional con respecto al implante postextracción inmediata han hecho que en los últimos años la colocación de implantes inmediatos postextracción sea una técnica considerada habitual en la consulta odontológica arrojando tasas de éxito para los implantes similares a los implantes insertados de forma “convencional” (diferida a la extracción).10-12 A la implementación de esta técnica de implante inmediato postextracción le siguió la carga inmediata de los implantes inmediatos con función inmediata, insertándose la prótesis provisional 24-48 horas después de la colocación del implante. 12 Uno de los principales problemas que podemos encontrar en el implante inmediato con carga imediata es la pérdida ósea vestibular del hueso que se considera dependiente del diente, y que irremediablemente, aunque se inserte un implante y se cargue tras su inserción, se verá afectada por el mecanismo fisiológico de remodelado del alveolo. Este hueso se conoce con “bundle bone”, y cuando se produce su pérdida se generan zonas de exposición si no se ha tenido en cuenta a la hora de la inserción del implante inmediato.5-12

Para evitar que tras la cicatrización del alveolo se produzca un defecto que genere un compromiso estético en la zona vestibular una de las estrategias más empleadas es la colocación del implante postextracción inmediata ligeramente palatinizado. La variación de la posición del

implante hacia palatino para evitar la proximidad a la tabla vestibular implica que en muchos casos entre el implante y la tabla ósea vestibular se genere un espacio conocido como “gap” en el implante postextracción inmediata. Este espacio en ocasiones debe ser rellenado para evitar el colapso posterior estableciéndose como norma general que en aquellos casos en los que el grosor de la tabla vestibular oscile entre 1 y 2 mm y el espacio del gap es menor de 2 mm la capacidad regeneradora propia del alveolo haría que no fuese necesario el relleno del gap con ningún tipo de material para que se produjese la regeneración ósea en el mismo.13 Otros casos en los que la cortical sea de menor grosor o el gap de mayor distancia (o la combinación de ambos factores) debe ser rellenado el espacio con un biomaterial que permita la regeneración más favorable del defecto.13,14 Dentro de los materiales de relleno que pueden utilizarse, en la literatura internacional tenemos: hueso autólogo, hueso desmineralizado desecado y congelado, hueso mineralizado desecado y congelado, xenoinjerto, fosfato tricálcico y plasma rico en factores de crecimiento.15,16 El empleo de PRGF-Endoret para el manejo de este gap en el implante postextracción es un enfoque biológico y totalmente autólogo basado en las propias proteínas y señales celulares del paciente que nos garantiza buenos resultados a largo plazo, según las referencias publicadas en la literatura internacional donde se ha confirmado el potencial

del PRGF-Endoret como regenerador del alveolo postextracción. En ellos se ha podido observar una diferencia en cuanto a los resultados de regeneración ósea y de tejido blando, por lo

que para estas situaciones altamente comprometidas es una excelente opción.18-24 En el presente caso clínico mostramos un paciente rehabilitado con un implante postextracción

Figura 1. Radiografía panorámica inicial del caso donde observamos el defecto óseo alrededor del ápice de la pieza 11.

Investigación clínica

El defecto circunferencial recubre todo el ápice y hace que la tabla vestibular se encuentre ausente en prácticamente toda la superficie radicular además de dejar un remanente palatino de menos de 2 mm.

inmediata y carga inmediata en el sector estético manejando el gap con la utilización exclusiva de PRGF-Endoret.

Caso clínico

Presentamos el caso de un paciente varón de 47 años, que acude a la consulta dental por presentar dolor, movilidad y fístula en la pieza dental 11. Este caso, fruto de un traumatismo previo, tuvo que ser endodonciado y posteriormente realizada sobre el mismo una apiceptomía, para abordar un quiste apical residual que no terminaba de evolucionar de forma favorable. El trabajado de rehabilitación posterior se llevó a cabo con una reconstrucción con poste y una carilla cerámica. Tras varios años, el diente ha comenzado de nuevo con los síntomas anteriormente descritos por lo que se sospecha la presencia de una fractura radicular. La

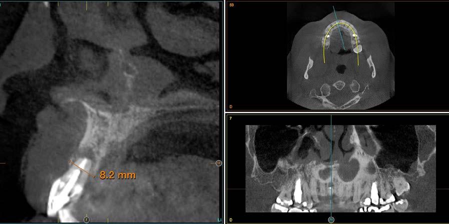
radiografía panorámica inicial para el diagnóstico nos aporta una imagen radiolucida entorno al ápice del diente en posición 11 ( Figura 1 ). Para conocer mejor el alcance de la lesión y las opciones terapéuticas de las que disponemos se lleva a cabo un cone-beam en el que se puede objetivar de forma precisa el defecto apical al diente. Este defecto es circunferencial y está dejando una reabsorción casi completa de la tabla ósea vestibular y parcial de la palatina, con un grosor de 1.9 mm, como vemos en el corte seccional (Figura 2). Si observamos la medida total en la zona media del incisivo dentral, necesitamos cubrir una anchura aproximada de 8 mm por lo que el implante que coloquemos irremediablemente dejará un gap, que según los protocolos quedará en vestibular. Utilizando una plataforma estándar de 4.1 mm el gap a rellenar será prácticamente de 4 mm según las medidas que nos

Figura 2. Corte seccional del cone-beam

arroja el cone-beam de planificación. Utilizaremos además un implante de longitud mayor que la que se emplearía para un incisivo central en una zona edéntula, para lograr un anclaje apical que nos dé la estabilidad necesaria en la colocación del implante y

nos permita la carga inmediata posterior. En este caso 11.5 mm (Figura 3 y 4).Una vez diagnosticado el caso de forma correcta con las imágenes del cone-beam iniciamos la fase quirúrgica. Realizamos la exodoncia del diente 11 con el menor trauma

Figura 3. Diámetro del alveolo tras la exodoncia del diente 11.

Figura 4. Planificación del implante de plataforma universal con una longitud que nos permita anclarnos apicalmente.

Investigación clínica

5 y 6. Alveolo tras la extracción atraumática del diente en posición 11, conservándose al máximo los tejidos duros y blandos para la colocación posterior del implante.

posible sobre los tejidos blandos y sobre el hueso remanente (Figura 5 y 6). Procedemos posteriormente a realizar una secuencia de fresado adaptada al lecho postextracción, alargando el alveolo con las fresas apicalmente y hacia palatino, donde se producirá el anclaje del implante. Con el lecho preparado colocamos el implante, quedándonos en vestibular el gap esperado de aproximadamente 4 mm como podemos ver en la

Figura 7. La utilización de un implante de longitud mayor y la inclinación hacia palatino nos permite lograr la estabilidad primaria necesaria para poder llevar a cabo una carga inmediata del implante. Una vez finalizada la inserción colocamos el transepitelial unitario para trabajar sobre el mismo generando la prótesis provisional de carga inmediata. Esta pieza intermedia (implante-prótesis) nos permite el uso de una interfase,

Figuras

que es altamente versátil y que nos da la posibilidad de generar restauraciones atornilladas o cementadas.25 La mayor ventaja que nos da el uso de las interfases, además de la versatilidad anteriormente mencionada, es que se eliminan gran parte de los fallos que pueden acumularse en la construcción de una prótesis provisional por los ciclos térmicos de cocción de la cerámica unida a la conexión de la corona con

el implante. En este caso, conexión con el implante (interfase) y corona se trabajan por separado y una vez finalizado el proceso de elaboración se cementan en frío.26-27

Una vez colocado el implante y el transepitelial para elaborar la prótesis de carga inmediata se realiza el sellado del gap vestibular, en este caso empleando únicamente PRGF-Endoret. El procedimiento es igual que

Figura 7. Imagen tras la colocación del implante ligeramente palatinizado con el gap situado en vestibular.

Figura 8. Imagen del implante colocado en el alveolo con el transepitelial unitario para llevar a cabo la carga inmediata.

Investigación clínica

9 y 10. Relleno del gap con PRGFEndoret, situando un coágulo recién activado de la fracción 2 en el fondo del alveolo y posteriormente un tapón de fibrina para la zona más superior (fracción 1 activada y retraída).

para el sellado de un alveolo postextracción, colocándose un coágulo de PRGF-Endoret recién activado de la fracción 2 (con alta liberación de factores de crecimiento) y sobre el mismo un tapón de fibrina autóloga sellando la zona más cercana al reborde alveolar (Figura 9 y 10). No se utilizan puntos de sutura para evitar el colapso del tejido blando del alveolo, además que por la adhesividad de la fibrina se mantiene en

posición sin necesidad de suturarla. A los 3 días podemos colocar la corona confeccionada de carga inmediata y vemos en la imagen antes de hacerlo la correcta epitelización de los tejidos blandos alrededor de la tapa de protección del transepitelial (Figura 11).

Pasados estos 3 días, podemos colocar la corona provisional de carga inmediata, habiéndose generado

Figuras

ya cicatrización parcial del tejido blando. Estando en esta fase de cicatrización temprana, podemos además adaptar los tejidos blandos a la emergencia que queremos darle al incisivo central (Figura 12 y 13 ). La prótesis provisional se mantiene durante 3 meses. Transcurrido este tiempo se confecciona sobre el mismo transepitelial la prótesis definitiva. De esta manera, las uniones epiteliales formadas entre el tejido gingival periimplantario y el transepitelial no se rompen, garantizándose un mejor sellado a este nivel, evitándose problemas como la mucositis periimplantaria. El paciente continúa en seguimiento posterior durante 2 años. En las imágenes clínicas se observa la estabilidad de los tejidos blandos (Figura 14 y 15). En este momento del seguimiento se realiza un nuevo cone-beam en el que vemos la anchura lograda a nivel crestal, con una regeneración completa de la tabla vestibular (Figura 16).

Discusión

La extracción de una pieza dental y colocación de un implante en el mismo acto quirúrgico es hoy una técnica prácticamente de rutina, sobre todo para las zonas estéticas, donde la mejor provisionalización puede realizarse sobre el propio implante. 28,29 Por ello, la inserción inmediata con carga inmediata es una técnica ampliamente desarrollada para el sector estético, con diferentes variantes en cuanto al abordaje, el tipo de implante, la colocación tridimensional del mismo y la forma de confección de la prótesis provisional.28-31 Un protocolo protésico que nos permita asegurar un correcto hermetismo implante-prótesis a la vez de generar una correcta distribución de la carga y que sea estandarizado para todas las rehabilitaciones nos garantiza mayores posibilidades de éxito y prevención de complicaciones posteriores como la pérdida ósea crestal y la periimplantitis,

Figura 11. Imagen clínica de la cicatrización temprana a los tres días antes de colocar la prótesis de carga inmediata.

Investigación clínica

hecho clave, sobre todo cuanto trabajamos en el sector estético.17,25, 32-36 Este ajuste y hermetismo es más crítico aún cuando queremos realizar una carga inmediata en un implante unitario. Una revisión sistemática con metanálisis que ha analizado los protocolos de carga inmediata en función del tipo de restauración utilizada no ha encontrado diferencias estadísticamente significativas entre los diferentes tipos de prótesis

empleadas (fijas, removibles , provisionales y definitivas), aunque se encontraron mayores incrementos en los valores de ISQ en el seguimiento de los pacientes con carga inmediata cuando las prótesis eran definitivas, lo que parece indicar que la no remoción de la prótesis favorece no solo el sellado y buen comportamiento de los tejidos blandos, sino también la integración del implante de carga inmediata.37 En este caso, utilizar

Figuras 12 y 13. Colocación de la prótesis provisional de carga inmediata a los tres días de la cirugía. Podemos ver en las imágenes como el contorno gingival se ha podido recrear con exactitud al encontrarse en una fase temprana de la cicatrización.

el mismo transepitelial, realizando una prótesis provisional sobre interfase (del mismo modo que si fuese definitiva) sin romper la unión implante-tejido blando en la zona crítica ha podido marcar la diferencia en cuanto a la conservación del tejido blando periimplantario y, por lo tanto, también del hueso crestal adyacente. El manejo del gap es otro punto diferencial en el éxito a largo plazo del implante inmediato, como

hemos explicado anteriormente. En nuestro caso, el uso de PRGF-Endoret para rellenarlo ha generado un hueso estable, como hemos podido evidenciar en el tac de control a los 2 años, así como evitar la reabsorción de la tabla vestibular, hecho clave en la zona estética. Existen numerosas referencias en la literatura internacional en los que se ha puesto a prueba el potencial del PRGF-Endoret como regenerador del alveolo

Figuras 14 y 15. Estado de los tejidos blandos 2 años después de la colocación de la prótesis definitiva.

Figura 16. Comparativa inicial y final a los 2 años del seguimiento con la regeneración completa de la tabla vestibular y el mantenimiento tras la carga.

postextracción se ha evidenciado su buen comportamiento obteniendo resultados de regeneración de tejido óseo y tejido blando superiores a muchos materiales empleados habitualmente o frente a la regeneración a través de coágulo sanguíneo (técnica convencional).19-24

Conclusiones

La técnica del implante postextracción inmediata debe ser empleada en aquellos casos en los que tras un análisis exhaustivo del caso las características permitan obtener un resultado estable a largo plazo. La valoración de la posición del implante y el sellado del gap en los casos en los que sea necesario deben ser tenidos en cuenta a la hora de desarrollar el protocolo quirúrgico. El PRGF-Endoret puede ser utilizado para el sellado del gap como material único, tal como hemos visto en este caso, aunque dependerá de la extensión del mismo el que decidamos unir otros materiales como el hueso autólogo.

Referencias

1. Hartog L, Meijer HJ, Santing HJ, Vissink A, Raghoebar GM. Patient satisfaction with single-tooth implant therapy in the esthetic zone. Int J Prosthodont. 2014 May-Jun;27(3):226-8.

2. Al-Dosari A, Al-Rowis R, Moslem F, Alshehri F, Ballo AM. Esthetic outcome for maxillary anterior single implants assessed by different dental specialists. J Adv Prosthodont. 2016 Oct;8(5):345-353.

3. Gamborena I, Sasaki Y, Blatz MB. Predictable immediate implant placement and restoration in the esthetic zone. J Esthet Restor Dent. 2021 Jan;33(1):158-172.

4. Testori T, Bianchi F, Del Fabbro M, Capelli M, Zuffetti F, Berlucchi I, Taschieri S, Francetti L, Weinstein RL. Implant aesthetic score for evaluating the outcome: immediate

loading in the aesthetic zone. Pract Proced Aesthet Dent. 2005 Mar;17(2):123-30; quiz 132.

5. Araújo MG, Sukekava F, Wennström JL, Lindhe J. Tissue modeling following implant placement in fresh extraction sockets. Clin Oral Implants Res. 2006 Dec; 17(6): 615-24.

6. Araújo MG, Wennström JL, Lindhe J. Modeling of the buccal and lingual bone walls of fresh extraction sites following implant installation. Clin Oral Implants Res. 2006 Dec; 17(6): 606-14.

7. Vignoletti F, Johansson C, Albrektsson T, De Sanctis M, San Roman F, Sanz M. Early healing of implants placed into fresh extraction sockets: an experimental study in the beagle dog. De novo bone formation. J Clin Periodontol. 2009 Mar; 36(3): 265-77.

8. Vignoletti F, de Sanctis M, Berglundh T, Abrahamsson I, Sanz M. Early healing of implants placed into fresh extraction sockets: an experimental study in the beagle dog. II: ridge alterations. J Clin Periodontol. 2009 Aug; 36(8): 688-97.

9. Vignoletti F, de Sanctis M, Berglundh T, Abrahamsson I, Sanz M. Early healing of implants placed into fresh extraction sockets: an experimental study in the beagle dog. III: soft tissue findings. J Clin Periodontol. 2009 Dec; 36(12): 1059-66

10. Sanz I, Garcia-Gargallo M, Herrera D, Martin C, Figuero E, Sanz M. Surgical protocols for early implant placement in post-extraction sockets: a systematic review. Clin Oral Implants Res. 2012 Feb;23 Suppl 5:67-79.

11. Meijer HJA, Raghoebar GM. Immediate implant placement in molar extraction sites: a 1-year prospective case series pilot study. Int J Implant Dent. 2020 Feb 12;6(1):3.

12. Zhang S, Wang S, Song Y. Immediate loading for implant restoration compared with early or conventional loading: A meta-analysis. J Craniomaxillofac Surg. 2017 Jun;45(6):793-803.

13. Paolantonio M, Dolci M, Scarano A, d’ArchivioD, di Placido G, Tumini V, Piattelli A. Immediate implantation in fresh extractionsockets. A controlled clinical and histologicalstudy in man. Journal of Periodontology 2001:72,1560-1571.

14. Solis C, Nart J, Violant D, Santos A. Tratamiento del alveolo post-extracción. Revisión de la literatura actual. Rev. Esp. Odontoestomatológica de Implantes 2009;17(1):7-17

15. Ragucci GM, Elnayef B, Criado-Cámara E, Del Amo FS, Hernández-Alfaro F. Immediate implant placement in molar extraction sockets: a systematic review and meta-analysis. Int J Implant Dent. 2020 Oct 13;6(1):40.

Investigación clínica

16. Seyssens L, Eeckhout C, Cosyn J. Immediate implant placement with or without socket grafting: A systematic review and meta-analysis. Clin Implant Dent Relat Res. 2022 Jun;24(3):339-351.

17. Anitua E, Piñas L, Begoña L, Alkhraisat MH. Prognosis of Dental Implants Immediately Placed in Sockets Affected by Peri-implantitis: A Retrospective Pilot Study. Int J Periodontics Restorative Dent. 2017 Sep/Oct;37(5):713-719.

18. Anitua E. Novel protocols for predictable implantology. Pract Proced Aesthet Dent. 2008 Mar;20(2):123-8.

19. Alissa R, Esposito M, Horner K, Oliver R. The influence of platelet-rich plasma on the healing of extraction sockets: an explorative randomised clinical trial. Eur J Oral Implantol. 2010 Summer;3(2):121-34.

20. Ogundipe OK, Ugboko VI, Owotade FJ. Can autologous platelet-rich plasma gel enhance healing after surgical extraction of mandibular third molars? J Oral Maxillofac Surg. 2011 Sep;69(9):2305-10.

21. Célio-Mariano R, de Melo WM, Carneiro-Avelino C. Comparative radiographic evaluation of alveolar bone healing associated with autologous platelet-rich plasma after impacted mandibular third molar surgery. J Oral Maxillofac Surg. 2012 Jan;70(1):19-24.

22. Gürbüzer B, Pikdöken L, Urhan M, Süer BT, Narin Y. Scintigraphic evaluation of early osteoblastic activity in extraction sockets treated with platelet-rich plasma. J Oral Maxillofac Surg. 2008 Dec;66(12):2454-60.

23. Mozzati M, Arata V, Gallesio G. Tooth extraction in patients on zoledronic acid therapy. Oral Oncol. 2012 Sep;48(9):817-21.

24. Anitua E, Murias-Freijo A, Alkhraisat MH, Orive G. Clinical, radiographical, and histological outcomes of plasma rich in growth factors in extraction socket: a randomized controlled clinical trial. Clin Oral Investig. 2015 Apr;19(3):589-600.

25. Hernández-Marcos G, Hernández-Herrera M, Anitua E. Marginal Bone Loss Around Short Dental Implants Restored at Implant Level and with Transmucosal Abutment: A Retrospective Study. Int J Oral Maxillofac Implants. 2018 Nov/Dec;33(6):13621367.

26. Anitua E. Immediate Loading of Short Implants in Posterior Maxillae: Case Series. Acta Stomatol Croat. 2017 Jun;51(2):157-162.

27. Anitua E, Alkhraisat MH. Single-unit short dental implants. Would they survive a long period of service? Br J Oral Maxillofac Surg. 2019 May;57(4):387-388.

28. Chen J, Cai M, Yang J, Aldhohrah T, Wang Y. Immediate versus early or conventional loading dental implants with fixed prostheses: A systematic review and meta-analysis of randomized controlled clinical trials. J Prosthet Dent. 2019 Dec;122(6):516536.

29. Pitman J, Seyssens L, Christiaens V, Cosyn J. Immediate implant placement with or without immediate provisionalization: A systematic review and meta-analysis. J Clin Periodontol. 2022 Oct;49(10):1012-1023.

30. Donos N, Asche NV, Akbar AN, Francisco H, Gonzales O, Gotfredsen K, Haas R, Happe A, Leow N, Navarro JM, Ornekol T, Payer M, Renouard F, Schliephake H. Impact of timing of dental implant placement and loading: Summary and consensus statements of group 1-The 6th EAO Consensus Conference 2021. Clin Oral Implants Res. 2021 Oct;32 Suppl 21:85-92.

31. Qin R, Chen Y, Han C, Wu D, Yu F, He D. Immediate Implant Placement With or Without Immediate Provisionalization in the Maxillary Esthetic Zone: A Systematic Review and Meta-analysis. Int J Oral Maxillofac Implants. 2023 May, Jun;38(3):422434c.

32. AlJasser RN, AlSarhan MA, Alotaibi DH, AlOraini S, Ansari AS, Habib SR, Zafar MS. Analysis of Prosthetic Factors Affecting Peri-Implant Health: An in vivo Retrospective Study. J Multidiscip Healthc. 2021 May 25;14:1183-1191.

33. Sanz-Esporrin J, Carral C, Blanco J, Sanz-Casado JV, Muñoz F, Sanz M. Differences in the progression of experimental peri-implantitis depending on the implant to abutment connection. Clin Oral Investig. 2021 Jun;25(6):3577-3587.

34. Sasada Y, Cochran DL. Implant-Abutment Connections: A Review of Biologic Consequences and Peri-implantitis Implications. Int J Oral Maxillofac Implants. 2017 Nov/Dec;32(6):1296-1307.

35. Duncan JP, Nazarova E, Vogiatzi T, Taylor TD. Prosthodontic complications in a prospective clinical trial of single-stage implants at 36 months. Int J Oral Maxillofac Implants. 2003;18:561-565.

36. Brägger U, Karoussis I, Persson R, Pjetursson B, Salvi G, Lang NP. Technical and biological complications/failures with single crowns and fixed partial dentures on implants: a 10-year prospective cohort study. Clin Oral Impl Res 2005;16:326-334.

37. Sanz-Sánchez I, Sanz-Martín I, Figuero E, Sanz M. Clinical efficacy of immediate implant loading protocols compared to conventional loading depending on the type of the restoration: a systematic review. Clin. Oral Impl. Res. 2015;26:964–982.

Clase II subdivisión I con mordida abierta por hábito de succión digital tratada ortopédicamente. Reporte de caso.

Caso clínico

Clase II subdivisión I con mordida abierta por hábito de succión digital tratada ortopédicamente

Carmen Cristina Karina Fernández López . Residente del segundo año de la Especialidad en Ortopedia Maxilar en el Centro de Estudios Odontológicos y Clínica Especializada GNATHOS, Morelia, Michoacán, México.

Ana Cristina Sánchez Bustamante. Residente del segundo año de la Especialidad en Ortopedia Maxilar en el Centro de Estudios Odontológicos y Clínica Especializada GNATHOS, Morelia, Michoacán, México. Soledad B. Torres Castillo. Especialista en Ortopedia Funcional de los Maxilares, Especialidad en Ortodoncia y Catedrática en la Especialidad de Ortopedia Maxilares del Centro de Estudios Odontológicos y Clínica Especializada GNATHOS, Morelia, Michoacán, México. Benjamín Alberto Lázaro Castillo. Maestría en Ciencias Odontológicas, Ortodoncista y Profesor del área de investigación del Centro de Estudios Odontológicos y Clínica Especializada GNATHOS, Morelia, Michoacán, México.

Correspondencia: Carmen Cristina Karina Fernández López karinafdezlopez09@gmail.com

Conflicto de interés: Los autores reportan no tener ningún conflicto de interés.

Introducción: La presencia del hábito de succión digital, puede dar como consecuencia una mordida abierta anterior; la ortopedia funcional maxilar es la adecuada para reorganizar las funciones del sistema estomatognático tras la deformación que ocasiona este hábito. Objetivo: corregir clase II subdivisión I con mordida abierta por hábito de succión digital, y así mejorar el perfil del paciente, la oclusión, el overbite y overjet por medio del tratamiento ortopédico funcional. Metodología: paciente femenina de 9 años, con tratamiento de 8 meses con ortopedia miofuncional utilizando SN6. Resultado: se reportan cambios favorables, relacionados con el cierre de mordida anterior y cambio de postura, mejorando con esto las estructuras

blandas, óseas, musculares y dentales, eliminando la problemática. Conclusión: la cooperación del paciente durante el tratamiento fue imprescindible para lograr el resultado obtenido. El hábito de succión digital es considerado normal desde la vida intrauterina hasta los 36 meses de vida, si el hábito continúa después de esa edad se considera como una alteración, la cual debe ser corregida por medio de aparatología ortopédica funcional; dependiendo de la edad dental específica del paciente en ese momento será la elección del aparato que puede ser variable.

Palabras claves: succión digital, mordida abierta, hábito, ortopedia.

La succión digital ocurre en el 89% de los niños con desarrollo normal después de 2 horas de nacido, si el hábito persiste después de los 3 años de edad, se convierte en conducta negativa.1 Incluso este reflejo se manifiesta desde la vida intrauterina. 2 Si el hábito persiste modifica negativamente la posición de la mandíbula a la succión, así como el tono muscular y el patrón esquelético facial, los cuales dependen de la intensidad, frecuencia y duración.3 Los músculos activos en este hábito tienen la función de crear un vacío en la cavidad oral. La mandíbula se deprime por acción del pterigoideo externo, aumentando el espacio intraoral y creando una presión negativa. Los músculos de los labios se contraen impidiendo que el paso del aire rompa el vacío formado.4

El tratamiento para la succión digital a temprana edad mejora considerablemente las funciones orofaciales, en comparación con el inicio de tratamiento en dentición mixta o permanente, ya que el hueso es más moldeable, de otra manera podría convertirse en un procedimiento quirúrgico.

Se reporta que después de los 3 años de edad de persistencia de la succión digital se manifiestan desfiguraciones en las estructuras orales, de tal manera que deforman la premaxila involucrando la erupción patológica de los incisivos permanentes, además genera hábito de lengua, aumenta la incompetencia labial y puede crear mordida abierta severa. Pero si este hábito es eliminado en tiempo y forma los problemas pueden corregirse espontáneamente.5 De no ser así, en el arco inferior se puede manifestar erupción pasiva de los incisivos, posición anormal de la lengua y por lo tanto de los músculos orbiculares, además los buccinadores ejercen presión en las superficies bucales de las piezas y puede originar una mordida cruzada posterior.1 También puede presentar alteraciones en la maxila, debido a la fuerza ejercida por el dedo, lo que ocasiona prognatismo maxilar y paladar profundo.6

El tratamiento para la succión digital a temprana edad mejora considerablemente las funciones orofaciales, en comparación con el inicio de tratamiento en dentición mixta o permanente, ya que el hueso es más moldeable, de otra manera podría convertirse en un procedimiento quirúrgico.7 A través del refuerzo positivo, sustancias con sabor amargo, técnicas psicológicas para controlar estrés y ansiedad, se reduce la acción de la succión digital. 8 De manera mecánica se emplean distractores y moldeadores terapéuticos los cuales

Figura 1. Fotografías extraorales: A)

Muestra regla de quintos donde se alcanza a observar asimetría facial. B) se observa sonrisa mostrando 2/3 partes de la corona clínica de los dientes superiores. C) Perfil de la paciente retrusivo.

pueden incluir aditamentos, y son llamados aparatos ortopédicos funcionales.9 Ejemplo: trampa lingual, trampa de dedo, SN1, SN3, SN4 y SN6.

Objetivo

Bajo estos lineamientos se desarrolla un reporte de caso clínico, con el objetivo de corregir clase II subdivisión I con mordida abierta por hábito de succión digital tratada ortopédicamente, en paciente femenina de 9 años, para mejorar perfil, oclusión, overbite, overjet y fomentar el cierre de mordida anterior.

Reporte del caso clínico

Paciente femenina de 9 años, manifestó: “No quiero hablar, ni me gusta mi sonrisa, porque me hacen burla”. En el interrogatorio a la mamá, se le realizó una historia clínica y consentimiento informado. Manifiesta ser respiradora bucal y roncar por las noches,

manteniendo el hábito de dedo hasta los 7 años, asmática de nacimiento y presenta alergias. A partir de los 8 años se diagnosticó con depresión y ansiedad. Para poder llegar a un diagnóstico y tratamiento adecuado, se le pide un estudio completo.

Se observó en la evaluación asimetría facial, tercio inferior aumentado, en la regla de quintos las líneas interpupilares no coinciden con la comisura labial, muestra 2/3 de las coronas superiores al sonreír y perfil retrusivo ocasionado por la distoclusión mandibular (Figura 1).

Su fonación no es clara, ya que presenta congestión nasal y hábito de lengua. Las fotografías intraorales de inicio se muestran en la Figura 2

Inicio de tratamiento, marzo del 2022 con aparato ortopédico funcional SN6 dando indicaciones de utilizarlo 24 horas y solamente retirarlo para

Clase II subdivisión I con mordida abierta por hábito de succión digital tratada ortopédicamente

alimentarse, activación una vez por semana durante 8 meses (Figura 3).

Sus citas fueron mensuales hasta la obtención de resultados favorables 8 meses después. Consiguiendo cerrar la mordida y obteniendo una línea dental favorable, terminando tratamiento con su aparato removible SN6 en noviembre del 2022 (Figura 4). Se dio de alta temporal, retirando su aparatología funcional.

en julio del 2024, acude la paciente 20 meses después a su cita de control, donde se encontró su línea

media dental estable, así como su mordida anterior manteniendo un overbite favorable, sin presentar indicios de recidiva de mordida abierta anterior, por lo cual se inició su tratamiento en el 2022 (Figura 5).

Discusión

En el presente caso clínico, se pretendía obtener una adecuada corrección de la mordida abierta, originada por el hábito de dedo, lo cual se convirtió en una mordida abierta clase II división I esquelética.

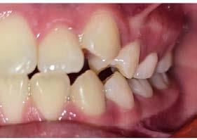
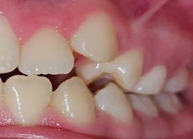
Figura 2. Fotografias intraorales: A) fotografía de en oclusión, mordida abierta, línea media desviada. B) fotografía lateral, clase II subdivisión I.

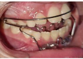
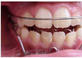
Figura 3. SN6. Aparatología ortopédica funcional usada durante el tratamiento.

Una vez iniciado el tratamiento de ortopedia funcional maxilar, con los aparatos antes mencionados y la frecuencia de uso, que fue de 24 horas y solamente retirarlo para comer, se demostró obtener una guía maxilo-mandubular logrando una armonización y corrigiéndose la problemática.

La colocación del aparato SN6 dio resultados positivos en el perfil facial de la paciente, pues también se obtuvo la corrección en las estructuras óseas y un desarrollo sagital adecuado en ambos maxilares, destacando que la cooperación de la paciente fue imprescindible para obtener esos resultados.10

Conclusión

El aparato SN6 logró la corrección de la mordida abierta de la clase II

subdivisión I, por lo tanto el perfil cambio de manera positiva, hubo desarrollo sagital en ambos maxilares, logrando una rotación convergente por lo que se obtuvo el cierre de mordida anterior, mejorando así las estructuras blandas, óseas, musculares y dentales. Se afirma que sin la cooperación del paciente no lograríamos el éxito obtenido.

El SN6 reubicó la posición de la lengua, cambió la memoria neuromuscular, por lo tanto se estabilizó la relación maxilo-mandibular logrando el cierre de la mordida abierta. La terapia ortopédica funcional removible con el SN6, se considera una terapia efectiva para los problemas de maloclusión clase II, subdivisón I con mordida abierta anterior, ya que redirige el crecimiento óseo para un favorable desarrollo y armonía en los pacientes.

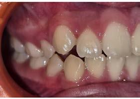
Figura 4. Resultados del SN6.
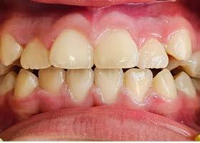
Figura 5. Valoración final, 20 meses después.

Clase II subdivisión I con mordida abierta por hábito de succión digital tratada ortopédicamente

Referencias

1. Páez, Y., Reyes, V., Pérez, K., & Espasandin, S. (2015). Hábito de succión digital en niños de escuelas primarias urbanas y una propuesta de intervención. Revista de Ciencias Médicas. La Habana, 455.

2. Arias, J., & Cortez, D. (2019). El hábito de la succión digital como primer factor influyente en la maloclusión y fonación inadecuada. Revista científica "Especialidades odontológicas UG", 1-7

3. Uribe, G. A. (2018). Fundamentos de Odontología. Temprano no, a tiempo. Medellín, Colombia.: Fondo Editorial. Pág. 4-11

4. González, M., Guida, G., Herrera, D., & Quiroz, O. (2012). Maloclusiónes asociadas a: Hábito de succión digital, hábito de deglución infantil o atípica, hábito de respiración bucal, hábito de succión labial y hábito de postura. Revista Latinoamericana de ortodoncia y odontopediatría, 1-5.

5. Medina, C., Laboren, M., Viloria, C., Quiroz, O., D´jurisic, A., Alcedo, C., Tedaldi, J. (2010). Hábitos bucales mas frecuentes y su relación con maloclusiónes en niños con dentición primaria. Revista latinamericana de ortodoncia y odontopediatría, 1-15.

6. Mateos, J. (2024). Jennifer Mateos Logopedia. Obtenido de https://jennifermateoslogopedia.es/succion-digital-consecuencias-y-tratamiento/

7. Loreto, N. (2018). Odontología conciente y bienestar integral. Obtenido de https://www.dranarelisloreto.com/2018/10/06/que-es-la-la-ortopedia-funcional-de-los-maxilares-ofm/#%C2%BFA%20Qu%C3%A9%20Edad%20Podemos%20 Y%20debemos%20debemos%20Tratar%20Las%20Maloclusiones

8. Romero, M., Romero, P., Pardo, A., & Sáez, M. (2004). Tratamiento de la succión digital en dentición temporal y mixta. Revista Científica del ilustre consejo general de colegios de odontólogos y estamotálogos de España., 77-82.

9. Restrepo, C. (2010). Tratamiento desucción digital en niños. Revisión sistemática. CES odontología, 67-75.

10. Diane, A. T. (2017). Tratamineto ortópedico SN6 en adolescente con maloclusión calse II. Reporte de caso. ADM, 152-158.

Tratamiento de mordida cruzada anterior

Con aparatología ortopédica funcional en un paciente con dentición mixta. Reporte de caso

Tratamiento de mordida cruzada anterior

Patricia Martínez Arce. Residente del segundo año de la Especialidad en Ortopedia Maxilar en el Centro de Estudios Odontológicos y Clínica Especializada GNATHOS, Morelia, Michoacán, México.

Elva Itzel Espinoza Romero. Residente del segundo año de la Especialidad en Ortopedia Maxilar en el Centro de Estudios Odontológicos y Clínica Especializada GNATHOS, Morelia, Michoacán, México.

Soledad B. Torres Castillo. Especialista en Ortopedia Funcional de los Maxilares, especialidad en Ortodoncia y Catedrática en la Especialidad de Ortopedia Maxilar en el Centro de Estudios Odontológicos y Clínica Especializada GNATHOS, Morelia, Michoacán, México.

Benjamín Alberto Lázaro Castillo. Maestría en Ciencias Odontológicas, Ortodoncista y Profesor del área de investigación del Centro de Estudios Odontológicos y Clínica Especializada GNATHOS, Morelia, Michoacán, México.

Conflicto de Interés: Los autores no manifiestan tener ningún conflicto de interés.

Contacto: Patricia Martínez Arce; patriciamtza@yahoo.com.mx

La atención a edad temprana durante el crecimiento de los maxilares, puede evitar diversos factores que ocasionan alteraciones en la oclusión. Objetivo: evitar una clase III verdadera bajo tratamiento ortopédico funcional, en un reporte de caso clínico de un niño de 10 años con mordida cruzada anterior profunda. Metodología: tratamiento con aparatología ortopédica funcional, iniciando con encapsulado superior con tornillo de expansión, posteriormente se utilizó un Bimler C, un segundo encapsulado con tornillo de expansión anterior, retomando el tratamiento colocando pistas planas clase III. Resultado:

se logró obtener el avance y la remodelación ósea de la premaxila además del espacio necesario para el OD 23 y eliminación de la mordida cruzada anterior. Conclusión: el tratamiento precoz de las interferencias dentales de la oclusión y un diagnóstico certero de la clase III dental, evita alteraciones en el crecimiento de los maxilares y así se resuelven padecimientos orofaciales agresivos como cirugías ortognáticas.

Palabras clave: mordida cruzada anterior, aparatos ortopédicos funcionales, clase III esquelética.

Figura 1. Estudios de inicio. A) Radiografía lateral de cráneo. B), C) y D), Fotografías extraorales (frente, frente con sonrisa y perfil). E), F), G), H), e I. Fotografías

intraorales (lateral derecha, frontal, lateral izquierda, oclusal superior, oclusal inferior).

La maloclusión clase III puede involucrar estructuras dentales y o esqueléticas, ocasionada por un adelantamiento de la mandíbula, con relación al maxilar, así como una falta de crecimiento del maxilar, o una combinación de ambas. Dentro de la exploración clínica facial podremos encontrar que el tercio medio de la cara que debe ser la parte más sobresaliente, en la clase III da como resultado un perfil cóncavo.1 Esto muestra que la cresta malar se presenta aplanada, la falta de desarrollo del tercio medio de la cara o el labio inferior prominente.2

Hasta un 10% de los niños sufren mordida cruzada, que puede ocurrir en dentición mixta, incisivos fuera de lugar, maloclusiones esqueléticas de clase III, y maloclusiones falsas de clase III.6 Cuando existe una mordida cruzada anterior hace un efecto de desviación funcional de la mandíbula, la cual puede tener diferentes orígenes, pero la mayoría se deriva de una malposición dental.7

Actualmente, es imposible evaluar el desarrollo de las estructuras craneofaciales sin considerar el impacto de

Si la mordida cruzada se encuentra en la zona de los incisivos, se denomina mordida cruzada anterior.3 En la dentición temporal, se origina comúnmente por interferencia en la zona de caninos.4 Una situación de traumatismo sobre la zona de los incisivos superiores puede provocar un cambio de posición y alterar la erupción de las piezas permanentes; manifestando falta de crecimiento de la premaxila y del arco dental.5

las diversas actividades que se realizan en la cavidad oral. Los hábitos orales patológicos que se mantienen a largo plazo, como la deglución infantil, la succión de dedo y chupete, la interposición de labio, la respiración bucal, alergias, infecciones recurrentes de amígdalas y adenoides alteran el crecimiento y desarrollo específicamente del sistema estomatognático y son cruciales en el agravamiento de las anomalías dentomaxilares.8

Es necesario contar con un estudio completo de gabinete dentofacial que nos ayude a identificar la dirección del crecimiento y el desarrollo de los maxilares,9 así como el grado de dificultad y de afectación estética del paciente.10

Regularmente es utilizado el desgaste selectivo de las piezas dentales, que ayuda a mejorar el equilibrio de la mordida, lo que se verá reflejado en la dentición permanente.11 Cabe recalcar que si no es corregido a tiempo se desarrollara una clase III verdadera y podría ser necesaria una cirugía ortognática.12

Según la OMS, las maloclusiones están en el tercer lugar como problema de salud bucal, y la mordida cruzada puede tener diferentes causas. Se ha observado que existen muchos casos en la población de Latinoamérica. Dentro de las consecuencias de este tipo de maloclusión al no ser tratada, puede abarcar desde la pérdida de hueso alrededor de los dientes,

retracción gingival, por lo tanto pérdida de dientes, así como daño a la articulación.13 Además función atípica neuromuscular, maloclusión dental y discrepancias óseas.14 Es de suma importancia la intercepción a temprana edad de este tipo de mala mordida, para evitar serias consecuencias orofaciales.15

Objetivo

Por lo tanto, este estudio tuvo como objetivo recabar información para fundamentar el tratamiento de una mordida cruzada anterior, para evitar una clase III verdadera, bajo tratamiento ortopédico en un reporte de caso de un niño de 10 años.

Metodología

Paciente masculino de 10 años que acude con su madre a consulta y se reporta a su exploración clínica dentición mixta con mordida cruzada anterior con tendencia a clase III. Se solicitó estudio completo, para su

Figura 2. Desgastes selectivos. A) Desgaste de los OD. 53 y 83. B) Desgaste del OD. 73. C) Caninos inferiores derecho e izquierdo en oclusión sin desgaste. D) Caninos en oclusión posterior al desgaste selectivo.

Figura 3. Encapsulado superior con tornillo de expansión. A) Antes de cementar el encapsulado. B) Encapsulado superior con tornillo de expansión. C) Espacio final con las activaciones del tornillo de expansión.

D) Distancia entre los incisivos superiores e inferiores después de retirar el encapsulado.

diagnóstico, previa historia clínica y consentimiento informado.

Con los estudios realizados se confirmó clase III dental, depresión del tercio medio en la cara, observándose una discrepancia en el tamaño del maxilar contra la mandíbula y ausencia del OD 63, radiográficamente el OD 23 aún sin erupcionar (Figura 1).

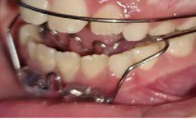
tornillo de expansión ubicado entre el OD 22 y 64. Cementado con ionómero de vidrio en consistencia fluida, el día 12 de enero del 2018, se indicó 2 cuartos de vuelta por semana durante 3 meses, para generar espacio de erupción del OD 23, al retirar el encapsulado quedó a 1mm del borde de los incisivos inferiores con el borde de los incisivos superiores y se obtuvo un espacio de 6 mm en la zona del tornillo (Figura 3).

Figura 4. Bimler C, clase III con arco de Eschler. A) Bimler C, clase III en una vista lateral derecha. B) Bimler C, clase III en una vista lateral izquierda donde se observa un accesorio en U entre el OD 22 y 64. C) OD 11, 12, 21 descruzados.

Se inicia el tratamiento el 8 de diciembre del 2017, con desgaste selectivos en mesial del OD 53 y distal de 73 y 83 para obtener libre movimiento de lateralidad (Figura 2).

Se lleva a cabo la toma de impresiones para la elaboración del aparato ortopédico encapsulado fijo con

4 meses después se continúa con Bimler C, clase III, con accesorio en U entre el OD 22 y 64, colocado en mayo del 2018, con activación del tornillo un cuarto de vuelta por semana y activación del arco de Eschler y resortes frontales en cada consulta mensual. Consiguiendo a los 6 meses descruzar los OD 11,12 y21. Dejó de asistir 5 meses, pero usó su aparato ortopédico sin activar. Regresó en abril del 2019 y se da alta temporal para continuar posteriormente pistas planas clase III, el seguimiento se interrumpió por la pandemia de COVID-19 reanudando atención en diciembre del 2022 (Figura 4).

Se tomó impresiones para elaboración de pistas planas especiales con arco de Eschler y tornillo de expansión sagital para proyectar la

premaxila, colocado en enero del 2023, activando un cuarto de vuelta por semana hasta alcanzar expansión de 6 mm. retirando el aparato en un tiempo de 6 meses, dándose de alta temporal en junio del 2023 por 1 año (Figura 5). En julio del 2024, el paciente ya a sus 17 años, acude a su cita de control, se solicitó radiografía lateral de cráneo y su pudo observar que existe una estabilidad en la corrección ósea de la mordida cruzada anterior (Figura 6).

Discusión

El síndrome clase III constituye un reto en el manejo clínico, el éxito en su tratamiento depende de un adecuado diagnóstico, de la intervención oportuna y la colaboración del paciente.16

Hay diferentes tipos de tratamiento para abordar la corrección de la mordida cruzada anterior, dispositivos fijos como plano inclinado inferior y superior, pistas directas o colocación

Tratamiento de mordida cruzada anterior

de corona de acero, aparatología removible como son el Bimler C, pistas indirectas planas, que se utilizan tanto en dentición primaria, mixta y permanente.17 La máscara facial, utilizada a temprana edad, se combina con aparatos ortopédicos removibles, obteniendo una mayor estabilidad en el resultado de la corrección de la mordida cruzada anterior.18

Uno de los objetivos del tratamiento temprano es eliminar el

Figura 5. Cita de julio del 2024. A) y B) Aparato ortopédico encapsulado con tornillo de expansión anterior, observándose el arco de Eschler. C) Oclusión de los incisivos anteriores al inicio del tratamiento.

D) Oclusión de los incisivos anteriores al término de la utilización del encapsulado.

Figura 6. Comparativa radiográfica.

A) Rx. lateral de inicio del tratamiento.

B) Rx. lateral 7 años después.

C)Fotografía de perfil 7 años después.

desplazamiento funcional y así propiciar un medio ambiente en el que pueda haber un desarrollo dentofacial más favorable.19

Conclusión

Podemos determinar que es de suma importancia que el estomatólogo este informado de los factores que involucran la mordida cruzada anterior, para su intervención a edad temprana, ya que de manera preventiva existen técnicas no invasivas para eliminar interferencias o bloqueos dentales. Una vez determinado el diagnóstico se utilizan diferentes aparatos ortopédicos para lograr la armonía y la

funcionalidad de los maxilares evitando que el problema se degenere a un diagnóstico de clase III esquelética y verse en la necesidad de una cirugía ortognática para su corrección.

En caso de no ser tratado este tipo de padecimiento orofacial, habrá afectaciones dentales, de soporte, neuromusculares y faciales. Dentro de un tratamiento estándar de ortodoncia, los movimientos que se generan en su mayoría son dentoalveolares, teniendo como alternativa solo un camuflaje, de tal manera que no tendríamos una remodelación ósea completa en comparación a la utilización de ortopedia maxilar.

Referencias

1. Rodríguez, P. E., Estrada, M. A., & Abraham, M. (2017). Tratamiento de la maloclusión clase III con protracción maxila: reporte de caso. Revista Estomatológica Herediana, 180-190.

2. Reyes, A., & Herrero, Y. (2021). Características morfológicas del síndrome clase III. Segundo Congreso Virtual de Ciencias Basicas Biomédicas en Grandma. Manzanillo, 1-13.

3. Mato, A., Peréz, L., Rodríguez, M. D; & González, A. (2016). Mordida cruzada anterior y tratamiento en la atención primaria. Revista de Ciencias Médicas de Pinar del Río, 88-98.

4. Cabrera, T. V., George, Y., Martínez, M. R., Ramírez, Y., & González, L. (2016). Estado de la oclusión y tratamiento selectivo en niños con dentición temporal y mixta temprana. Medisan, 1-10.

Tratamiento de mordida cruzada anterior

5. Ruíz, C. D., & Saéz, G. (2015). Corrección de mordida cruzada anterior con ortopedia. Revista Mexicana de Ortodoncia, 239-248.

6. Cameron, A., & Widmer, R. (1998). Diagnóstico y tratamiento ortodoncico en la fase de dentición mixta. Manual de odontología Pediátrica, España: Harcourt Brace. 267-287.

7. Suárez, J. (2000). Odontología en atención primaria. Diagnóstico de las Maloclusiones en atención primaria. Barcelona: Instituto Lacer de Salud Bucodental. 49-76

8. Reni, K. & Piñeiro, S. (2014). Malos hábitos orales: rehabilitación neuromuscular y crecimiento facial. Revista Médica Clínica Las Condes, 380-388.

9. Ramírez, J., Muñoz, C., Gallegos, A., & Rueda, M. A. (2010). Maloclusión clase III. Salud en Tabasco, 944-950.

10. López, D. F., & Corral, C. M. ( 2015 ). Abordaje terapéutico de la maloclusión de pseudoclase III. Reporte de caso clínico. Revista Mexicana de Ortodoncia, 249-256.

11. Ojeda, R. E., Galiana, A. V., Lértora, M. F., Amarilla, M. E., Briend, M. R., Elizondo, M. L., y otros. (2018). Desgaste selectivo de caninos. Facultad de Odontología, 1-7.

12. Ubilla, W., Sánchez, M., Mazzini, F., & Moreira, T. (2017). Tratamiento con cirugía ortognática en paciente clase III esqueletal, con laterodesviación mandibualr izquierda. Odovtos International Journal of Dental Sciences, 15-24.

13. Gamez, A., & Velázquez, J (2016). Frecuencia de maloclusiones en pacientes con dentición mixta de la clínica de la Especialidad en Odontopediatría de la Universidad Autónomade Sinaloa. Revista Tamé, 482-484.

14. Rakosi, T., & Irmtrud, J. (1992). Atlas de ortopedia maxilar diagnóstico, Clasificación de las malposiciones. Nomenclatura Barcelona: Masson-Salvat, 35-56.

15. Isper, G. A., Wakayama, B., Adas, S. T., & Adas, S. G. (2020). Intervención temprana de la mordida cruzada por la pista directa de planas: relato de siete años de seguimiento. Ciencias de la salud, 1-10.

16. Martínez, M. C., Rodríguez, L., & García, D. (2019). Resultado terapéutico con pistas planas en el síndroe de clase III, . Estomatología2020, 1-2.

17. Espasa, J. E., Boj, J. R., & Ustrell, J. M. (1994). Aproximación al tratamiento precoz d la mordida cruzada anterior. Anales de Odontoestomatología, 74-79.

18. Hernández, J., & Soto, L. (2006). La máscara facial de protracción en el tratamiento tempano de la maloclusión clase III. Revista estomatología, 6-11.

19. Hernández, J., & Padilla, M. (2011). Tratamiento temprano de la mordida cruzada anterior. Revisión de la literatura. Revista Estomatología, 40-47.

Trasplante dental autólogo complementario al tratamiento ortodóntico

Para los especialistas en ortodoncia y ortopedia los dientes retenidos representan un reto que no siempre lleva el tratamiento a preservar dichas piezas dentales, al contrario, se opta por su extracción debido a la imposibilidad de trasladarlos a su lugar anatómico con movimientos propios. Se expone el caso clínico y el manejo interdisciplinario de un trasplante dental autólogo, cuidando cada detalle clínico, bilógico e histomorfológico, para ser considerado como una alternativa de dientes retenidos durante un tratamiento de ortodoncia. El caso presenta un paciente de 30 años de edad con aumento de volumen en la zona anterior mandibular a nivel de ápices de los dientes anteriores y asociado a un canino retenido. Clínicamente se observa

Trasplante dental autólogo complementario al tratamiento ortodóntico

persistencia inusual del diente 73; el estudio radiológico confirma un diente colocado transversalmente en relación a los dientes presentes adyacentes. Se realiza odontectomía convencional, preparación alveolar como lecho receptor, odontectomía por disección del 33 y trasplante de este a la zona anatómica correspondiente para devolver la funcionalidad estomatológica del arco dental mandibular y biorreconstrucción alveolar del defecto óseo postextracción. A los 90 días de la cirugía se observa clínicamente y radiográficamente características de cicatrización dentoalveolar con tripodismo funcional.

Palabras clave: trasplante dental, canino retenido, xenoinjerto, membrana de colágeno.

Cirujano Bucal Guillermo Linas Ledesma México, Universidad Nacional Autónoma de México

Cedula Profesional 7686993

Contacto 52 55 21198757

ORCID 0009-0005-7087-2642

Cirujana Dentista Especialista en Ortodoncia Nancy Vásquez Reyes México, Universidad Nacional Autónoma de México

Cedula Profesional 3813792

La palabra trasplante implica el trasladar o ubicar un elemento de diferentes sitios de un lugar a otro, 2 hoy en día aun con alta tecnología y las propuestas de diferentes filosofías terapéuticas reconstructivas consideramos que en nuestro medio siguen teniendo vigencia como tratamiento alternativo.4 De la misma forma el trasplante autólogo dental conforma una posibilidad de trasladar con fines fisiológicos órganos dentarios que en condiciones convencionales serian desechados, no teniendo posibilidad de ser considerados a futuro.4

Contrario a lo que se pueda pensar el trasplante dental ha sido descrito y aplicado por muchas generaciones siendo los más influyentes considerando sus alcances Hipócrates (s. IV AC), Pierre Fauchar (1712), John Hunter (1778), Wadsworth (s. XIX DC),1,4 a través de la historia, de una u otra forma, han participado e incidido en el manejo del tema que nos ocupa, utilizando y proponiendo,

algunas veces tratamientos empíricos y muchas otras en forma protocolaria, con los que obtuvieron resultados no satisfactorios o discretos.

Se supone que los trasplantes dentarios fueron practicados por los egipcios y que la técnica varió poco desde que la dio a conocer M. L. Hale.2, 3

En México los estudios tomados como referencia son los descritos por el CMF Sergio Soto Góngora, que plantea la aplicación de replantes y trasplantes dentales para la rehabilitación anatómica y funcional, logrando resultados satisfactorios incluso en situaciones de patología benignas correctamente diagnosticadas y tratadas.4, 6

Este tipo de tratamiento representa un tema demasiado controversial debido a su manejo y a los altos estándares tecnológicos de alternativas que hoy en día se manejan.

Los trasplantes dentales tuvieron auge a finales de los años ochenta

Figura 1.
Figura 2.

Trasplante dental autólogo complementario al tratamiento ortodóntico

y principios de los noventa, teniendo como referencia la información que en esos momentos existía como pilar documental de esto los estudios expuestos por Andreassen.5

Actualmente debido a la gran variedad de biomateriales, así como técnicas para la conducción hística de células reparadoras del organismo los resultados se han visto más favorecidos mejorando el pronóstico de estos tratamientos y sus resultados.

Este trabajo expone una perspectiva en el manejo y el pronóstico dentro de parámetros de funcionalidad estomatológica.

Criterios de inclusión

Órganos dentarios retenidos, con posibilidad de ser extraídos sin odontosección, sin riesgo de lesión de estructuras adyacentes significativas, zona receptora preconformada enfatizando tiempo final ortodóntico

Figura 3. Figura 4.
Figura 5.
Figura 6.
Figura 7.
Figura 8.

Estudio

para evitar movimientos dentoparodontales que pudieran comprometer su correcta cicatrización.

Criterios de exclusión

Pacientes con enfermedades sistémicas no controladas, pacientes con enfermedades mentales, embarazo, tabaquismo, atrición, imposibilidad de restaurar funcionalmente el órgano dentario, retención que impida extraer el órgano dentario completo, espacio insuficiente de la zona receptora.

Protocolo

Se basa en cubrir los siguientes apartados:

• Historia clínica, consulta privada.

Paciente femenino de 30 años de edad que acude a cita odontológica a consecuencia de un tratamiento ortodontico llevado a cabo de manera incorrecta, según sus palabras, en otra institución por lo que acude a la consulta privada para continuar con su tratamiento y recibir otra opinión.

A la anamnesis no se refirieron antecedentes patológicos personales ni heredofamiliares.

A la exploración clínica se observa aumento de volumen en zona anterior mentoniana a nivel apical anterior (Figura 1).

Figura 9.
Figura 10.
Figura 11.
Figura 12.

• Estudios de laboratorio prequirúrgicos

• Biometría hemática dentro de los valores normales.

• Química sanguínea de 5 elementos dentro de los valores normales.

• INR dentro de valores normales.

• TC, TS, TTP, TPT dentro de los valores normales.

• Estudios radiográficos (ortopantomografía). Se observa el órgano dentario 33 retenido de manera transversal con un botón de ortodoncia colocado como alternativa durante el anterior tratamiento (Figura 2).

• • Interconsultas médicas para asegurar el estado de salud integral óptimo del paciente así como premedicación basada en antibioticoterápia para disminuir el riesgo de un probable proceso infeccioso.

• • Autorización del consentimiento informado.

• • Una vez realizada una minuciosa exploración y análisis se propone tratamiento quirúrgico de trasplante dental a lo cual acepta y e inicia protocolo prequirúrgico.

• • Se toman modelos de estudio para una futura proyección y modelos de trabajo para elaboración de guarda y así evitar el inmediato contacto oclusal.

Presentación del Caso Clínico

Técnica quirúrgica

Previa asepsia y antisepsia más colocación de campos en forma habitual, mediante infiltración troncular

Trasplante dental autólogo complementario al tratamiento ortodóntico

y en forma local se realiza incisión marginal con descarga lineal para levantar un colgajo seminewman, ostectomía y osteotomía para liberar el órgano dentario retenido y así facilitar la extracción (Figura 3), una vez fuera de boca se realiza tratamiento de conductos y obturación, a la par de esto se realiza extracción atraumática del órgano dentario 73 (Figura 4) y preparación alveolar del lecho receptor para recibir el órgano dentario a trasplantar bajo parámetros quirúrgicos. Enfatizando la mínima manipulación a nivel de los tercios radiculares del órgano dentario a trasplantar intentando preservar en lo posible las fibras del ligamento periodontal, manteniendo en todo momento condiciones de hidratación a base de agua bidestilada durante su preparación y sustitución neurovascular en su forma extrabucal, así como a nivel de los lechos receptores bajo protocolo bacteriostático y bactericida no quelantes (Figura 5).

En la zona postextracción del canino retenido se realiza conformación con materiales biocompatibles a base de xenoinjerto bovino y membrana de colágeno, para favorecer la correcta reparación de los tejidos blandos y duros dados las dimensiones del probable defecto, finalizando con sutura absorbible vicryl 3-0 (Figura 6-8).

Se realiza trasplante del órgano dentario una vez obturado sobre el lecho receptor preconformado, se coloca

Estudio

en correcta posición infraerupcional verificando la ausencia de puntos altos de contacto y considerando la armonización dentooclusa (Figura 9).

Se coloca férula a base de resina epóxica estabilizándolo al arco utilizado en el tratamiento de ortodoncia que conforma la arcada mandibular. Asimismo se coloca un guarda a base de acetato rígido no. 35 liberando de posible trauma oclusal al órgano trasplantado (Figura 10).

Medidas postoperatorias

El manejo inmediato se basa en control hemostático e inflamatorio la prescripción del antibiótico calculado a dosis terapéuticas más analgesia y fisiotermoterapia así como medidas generales de soporte, higiénico/alimenticias y controles postoperatorios (Figura 11).

Resultados

Los controles mediatos, inmediatos y tardíos visualizan resultados biológicamente satisfactorios (Figura 12).

A 3 meses de realizado el trasplante se retiró el tratamiento de ortodoncia observando una cicatrización adecuada del órgano dentario trasplantado

Los últimos controles a 12 meses no revelan ningún dato de alarma, se considera un resultado más que satisfactorio.

Las posibilidades como alternativa mejoran el panorama resolutivo de problemáticas similares, de ahí la importancia de esta línea de manejo alternativo (Figura 13-15).

Conclusión

Se considera al trasplante dental autólogo como una posibilidad altamente efectiva y recomendable para tratamientos de ortodoncia, ya que de una forma natural se preserva un órgano dentario fundamental en la estética y funcionalidad del aparato estomatológico, se da confianza al ortodoncista para manejar matemáticamente los movimientos a realizar con órganos dentarios que en otras condiciones optarían por un tratamiento mutilatorio.

Figura 13.
Figura 14.
Figura 15.

Trasplante dental autólogo complementario al tratamiento ortodóntico

Referencias

1. Jens O A Reimplantación y trasplante en odontología Atlas Tercera edición Buenos Aires Argentina: Ed Medica Panamericana 1992:11-27,34•92.

2. Delfin A.S Trasplante de órganos. Segunda Edición. México: JGH Editores: 1992:2529.

3. Heer J Trasplante dentario -Br Dent J 2007 oct 13:203(7):403)

4. Soto G y cols, Alternativas en el manejo contemporáneo del replante dental, visión dental Vol. 1 NO 2 2004.

5. Andreasen JO, Borum MK, Jacobsen HL, Andreasen FM.Endod Dent Traumatol. 10.1111/j.1600-9657.1995.tb00464.

6. Andreasen JO, Borum MK, Jacobsen HL, Andreasen FM.Endod Dent Traumatol. Abril 1995; 11(2):59-68. Reimplantación de 400 incisivos permanentes avulsionados. Factores relacionados con la cicatrización del ligamento periodontal.

7. Reimplantación de 400 incisivos permanentes avulsionados. Factores relacionados con la cicatrización pulpar. doi: 10.1111/j.1600-9657.1995.tb00462.x. Número de identificación personal: 7641620 Lesiones de los dientes permanentes. Lesiones periodontales.

8. Hasanuddin S, Reddy JS.J Indian Soc Pedod Prev Dent. 2018 Oct-Dec;36 (4):410416. doi: 10.4103/JISPPD.JISPPD_187_18.Número de identificación personal: 30324935. Secuelas de la reimplantación tardía de incisivos permanentes maxilares después de una avulsión: una serie de casos con seguimiento de 24 meses y revisión clínica.1998.

·Multi FOV (5x5/8x9/12x9/16x9)

·Pano + Ceph + CT + Model Scan

¡COTIZA YA!

·Hasta -70% en las dosis de radiación (vs otros equipos en el mercado)

Hasta de DESCUENTO

Hasta de DESCUENTO Ó

ELIGE OBSEQUIOS INCLUIDOS CON 5 AÑOS DE GARANTÍA*

OBSEQUIOS INCLUIDOS

·FOV único de 8x8 (ANATÓMICO 9.3x8)

·Pano + Ceph + CT

*PRECIOS

·Tecnología lite para el software

·Rapid Ceph (sólo 1.9 seg. de escaneo)

Financiamiento

www.vatechmexico.com | (55) 6585-2395 | contacto@vatechmexico.com Lo MEJOR de radiología digital

Turn static files into dynamic content formats.

Create a flipbook
Issuu converts static files into: digital portfolios, online yearbooks, online catalogs, digital photo albums and more. Sign up and create your flipbook.