Revista Dentista y Paciente 193 | Septiembre 2024

Page 1


INVESTIGACIÓN CLÍNICA

Diagnóstico y tratamiento ortodóntico interceptivo como prevención en la inclusión del canino

ESTUDIO

Estudio comparativo de la precisión entre 2 distintas técnicas de tomas de impresión, odontología análoga contra odontología digital

CALIDAD Y DIRECCIÓN

Principios y aplicaciones de la microcirugía endodóntica

ENTREVISTA

Alexandre Dedioulio

CASO CLÍNICO

Osteointegración de implantes en pacientes diabéticos

SONRIENDO AL FUTURO

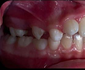
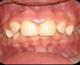
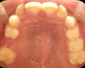
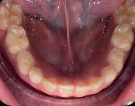
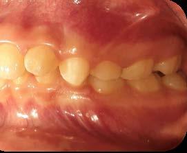
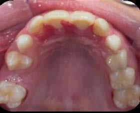
Sobremordida vertical excesiva en paciente pediátrico

Te damos hasta $20,000 USD de descuento

No importa la marca, antigüedad de (análogo,

Compara y

descubre

cómo nuestros equipos pueden elevar tu práctica dental

marca, modelo o de tu equipo

(análogo, �D o �D)

Descubre la magia del MÓDULO

La Tomografía (CBCT) es una herramienta que proporciona imágenes 3D con menos dosis de radiación, además permite resultados más rápidos y exactos.

Da click para descubrir más sobre la CT digital

Con el MÓDULO ENDO del software Ez 3D-i podrás obtener imágenes de alta definición para una mejor exploración endoperiodontal.

MÓDULO ENDO de vatech

¿Sabías que entre más pequeño es el Voxel, mejor definición tendrán tus imágenes?

FOV �X� �.���� mm

FOV �X� �.��� mm

En vatech estamos comprometidos en brindar la mejor calidad en tecnología, por ello nuestros equipos cuentan con un voxel minimo de 0.0495 micras, en el FOV de 4x4, lo que permite un diagnóstico más preciso y optimo.

"PREPÁRATE" ¡NO FALTES!

Septiembre 2024

Si no es una cosa es otra. Además del regreso del coronavirus, del que aumentan de manera importante los contagios y las muertes por dicho virus, la Organización Mundial de la Salud (OMS) declaró el brote de mpox (viruela símica) que afecta a varios países africanos como una emergencia de salud pública de importancia internacional (ESPII).

El problema se ve muy lejano y por lo mismo, a muchos no les preocupa, a pesar de las advertencias de la OMS. Así fue con el covid, se veía muy lejos y pocos se preocuparon a pesar de todas las advertencias. Lo peor es que, aunque se ha advertido por diversos medios el retorno del virus, vemos a la gente sin cubrebocas en la mayoría de los lugares públicos.

“La detección y rápida propagación de un nuevo clado (variante) de mpox en el este de la República Democrática del Congo, su detección en países vecinos que no la habían reportado anteriormente, y el potencial de una mayor propagación dentro de África y más allá es muy preocupante”, dijo en rueda de prensa Adhanom Tedros Ghebreyesus, director general de la OMS.

La declaración de emergencia internacional hace que países de todo el mundo deban tomar medidas para frenar la expansión del virus, en virtud del reglamento sanitario internacional. Esperemos que no se ignore o minimice esta advertencia, como pasó con el covid.

Los síntomas de la viruela símica son similares a los de la viruela, aunque algo más leves. Comienzan con fiebre, dolor de cabeza, dolores musculares, escalofríos y cansancio. La principal diferencia entre los síntomas de la viruela humana y la símica es que la segunda hace que los ganglios linfáticos se inflamen (linfadenopatía), mientras que la primera no. La mayoría de los casos de viruela símica son leves y se superan en unas semanas, aunque algunos casos pueden ser más graves y provocar la muerte.

¡Cuídense Mucho!

Mtro. Carlos Adolfo Espinosa García Especialidad en Odontología Legal y Forense Maestría en Odontología

Da la bienvenida a la nueva Tecnología de Equipos con Pantalla Táctil Inteligente!!!

Disponible en: MONTAJE A PARED

Medical Systems, se adelanta a los tiempos, presentando una nueva generación de Equipos de Radiodiagnóstico Intra-oral con la funcionalidad que le ofrece la última Tecnología en Pantallas Táctiles Inteligentes, que se configuran sin necesidad e memorizar instrucciones, y con opciones que NO se encuentran en otros equipos.

Tiempos de expo sición Pre-programados compensados por variaciones de voltaje de la línea de suministro. Contador de exposiciones. ersonalización de los tiempos de exposición Pre-programados. Monitoreo del voltaje de alimentación del equipo y protección por variaciones de voltaje en la línea de suministro.

CORIX® 70 PLUS-USV-WM-TS

BASE MOVIL

CORIX® 70 PLUS USV-MM-TS

A Division of CORIX MEDICAL SYSTEMS® Lauro Villar No. 94-B, 02440, México, CDMX

Tels:+52 55 5394 1192 +52 55 5394 1199 56 2571 9826 www.corix.us http://www.facebook.com/CORAMEXSA sales@corix.us repre.ventas@corix.us

10 | CALIDAD Y DIRECCIÓN

Principios y aplicaciones de la microcirugía endodóntica

24 | INVESTIGACIÓN CLÍNICA

Diagnóstico y tratamiento ortodóntico interceptivo como prevención en la inclusión del canino. Parte 1

Editorial Renascence S.A. de C.V.

38 | ENTREVISTA

44 | ESTUDIO

Estudio comparativo de la precisión entre 2 distintas técnicas de tomas de impresión, odontología análoga contra odontología digital

Directora editorial

Patricia López Guerra patricia.lopez@dentistaypaciente.com

Jaime Francisco Martínez Aceves† jmartinez@dentistaypaciente.com

Directora Editorial

Mariangel Martínez López mmartinez@dentistaypaciente.com

Director de Arte y Diseño

Jesús Salas Pérez

jesasez@dentistaypaciente.com

Coordinador Editorial

Marco A. Vergara Salgado marversa@dentistaypaciente.com

Ejecutivos Comerciales y de Negocios

Carlos Martínez García, Gabriela Dolorez Ocadiz, Edson Aarón Hernández

Producción y Circulación

Edson Aarón Hernández

Fotografía e Ilustraciones

Editorial Renascence

Suscripciones

Edson Aarón Hernández

Preprensa e Impresión

Offset Impresión Creativa S.A de C.V.

Distribución

Comercializadora GBN S.A. de C.V.

Calzada de Tlalpan #572, desp. C-302, col. Moderna

Contabilidad y Administración

L. C. y E. F. Renato Muñoz

director científico

Dr. Carlos Espinosa García

Especialista en Odontología Legal y Forense consejo editorial

Dr. Francisco Javier Diez de Bonilla Calderón

Catedrático de la F.O de la UNAM

Dr. Francisco Magaña Moheno

Centro de Especialidades Odontológicas

Javier Portilla Robertson

Exdirector de la Facultad de Odontología de la UNAM

Especialista en Patología Bucal

Alexandre Dedioulio

Contenido

C.D.E.O. Arturo Alvarado Rossano†

Profesor y Especialista en Ortodoncia y Ortopedia Craneofacial en la Facultad de Odontología. UNAM. Asesor Académico y Coordinador de Difusión de la AMOCOAC.

C.D. Manuel García Luna y González Rubio

Dra. Ana Gabriela Carrillo Varguez

Coordinadora de la especialidad en endodoncia UABC Tijuana. Coordinadora de Investigación y Posgrado F.O. UABC

M.C. Ernestina Santillana Marín

Subdirectora de CISALUD UABC

William James Maloney, D.D.S. Clinical Associate Professor New York University

universidad anáhuac méxico norte

C.D. Carlos Robles Bonilla Coordinador de la Licenciatura de Cirujano Dentista

C.D. Sergio Antonio Ojeda León Profesor Titular de Odontopediatría de la Licenciatura de Cirujano Dentista

C.D. Bernardo Grobeisen Weingersz Profesor Titular de Clínica Integral de la Licenciatura de Cirujano Dentista

C.D. Norma Ibañez Mancera.

Profesora Titular de Patología Bucal de la Licenciatura de Cirujano Dentista

Dirección del Derecho de Autor certificado de reserva al uso exclusivo no. 04-2008022718312200-102 con fecha 27 de Marzo del 2008. Gobernación de la H. Comisión Calificadora de Publicaciones y Revistas Ilustradas, certificado de licitud de contenido 5328, certificado de licitud de título 7411, franqueo pagado, publicación mensual permiso no. PP09-02106, SEPOMEX. Las opiniones expresadas en los artículos y en los anuncios publicados no significan de ninguna manera juicios, criterios, ideas o cualquier otro concepto por parte de la editorial; reflejan únicamente las ideas y pensamientos de sus autores. Los artículos, entrevistas, resúmenes, publirreportajes, fotografías y cualquier otro material son exclusivos de la editorial, y no se autoriza la reproducción total o parcial por ningún medio sin previa autorización del editor. Para cualquier asunto relacionado con suscripción, distribución, comercialización, anuncios, contenido u otro propósito, favor de dirigirse a la editorial. Impreso en MV IMPRESIONES, SA DE CV.

Dentista y Paciente® Publicación mensual correspondiente al mes de SEPTIEMBRE DE 2024. editada por Editorial Renascence S.A. de C.V., Rancho Jigüingo 29, Prado Coapa, Ciudad de México, 14350. tel. 56846632, fax 56793656. Distribuida en locales cerrados, depósitos dentales, universidades, congresos y exposiciones. Editora responsable: Mariangel Martínez López. Fotoarte de portada: Editorial Renascence.

distribución certificada por el padrón nacional de medios impresos de la dirección general de medios impresos de la secretaría de gobernación no. 007-136. www.gobernacion.gob.mx

52 | CASO CLÍNICO

Osteointegración de implantes en pacientes diabéticos. Reporte de casos

58 | SONRIENDO AL FUTURO

Sobremordida vertical excesiva en paciente pediátrico. Caso clínico

Calidad y dirección

Principios y aplicaciones de la microcirugía endodóntica

Principios y aplicaciones de la microcirugía endodóntica

Espinosa Reyes Héctor Ezequiel,1 Sánchez Aboytes Miriam Seir, 1 Trava de Diego José Alfredo,1 Méndez Cornejo Michelle Joselin,2 García Muñoz Alejandro.1,2

1 Clínica Odontológica Aragón, Facultad De Estudios Superiores Iztacala, UNAM. Estado De México, México.

2 Laboratorio De Investigación Odontológica Almaraz, Facultad De Estudios Superiores Iztacala, UNAM. Estado De México, México.

La microcirugía endodóntica es una técnica quirúrgica que se utiliza como alternativa al tratamiento de casos en los que, por numerosas situaciones, la pulpa del diente está inflamada y/o infectada, se necesita un tratamiento de conductos menos invasivo que el convencional, esta se basa en la utilización de microscopios y herramientas ultrasónicas para realizar preparaciones apicales conservadoras, biselados poco profundos y retrocesos más precisos. Su técnica es muy efectiva y segura, la cual permite a los odontólogos tratar problemas en el interior de los dientes con una alta tasa de éxito. Además, al minimizar el daño a los tejidos circundantes, el tiempo de recuperación del paciente es más rápido y menos doloroso que con otras técnicas más invasivas.

Calidad y dirección

La microcirugía endodóntica se define como el tratamiento realizado en los ápices radiculares de un diente infectado, que no se resolvió con la terapia de conducto convencional.1

Históricamente, la endodoncia quirúrgica ha sido vista como un tratamiento de último recurso, principalmente debido a los malos resultados derivados de las limitaciones en materiales y técnicas. Las técnicas contemporáneas, los materiales modernos y una mejor visualización han conducido a una mejora en las tasas de éxito, lo que hace que la microcirugía endodóntica sea una opción de tratamiento valiosa, para ciertos pacientes. Sin embargo, estos avances no sustituyen la habilidad en el diagnóstico endodóntico y la planificación del tratamiento, que a menudo, pueden resultar un desafío.2

La microcirugía endodóntica ha dado resultados muy exitosos en la conservación de dientes con problemas persistentes o recurrentes de periodontitis periapical que no pudieron tratarse con éxito mediante endodoncia no quirúrgica.3

La microcirugía endodóntica (MCE) es un procedimiento quirúrgico que tiene como objetivo eliminar las lesiones periapicales persistentes de los dientes tratados endodónticamente y también regenerar los tejidos periapicales. Actualmente, con el desarrollo de técnicas de tratamiento, la MCE se

puede realizar con el uso de magnificación, iluminación de alta potencia, preparación ultrasónica del extremo de la raíz y tipos avanzados de materiales biocompatibles.4

Justificación

La microcirugía endodóntica ha emergido como una técnica fundamental en el campo de la endodoncia debido a sus múltiples beneficios y aplicaciones, presenta un enfoque avanzado y eficaz para el tratamiento de problemas endodónticos complejos, ofreciendo mayores posibilidades de éxito, menor invasividad y preservación del diente natural siempre que sea posible, por lo cual, queremos profundizar y difundir estos conocimientos en la comunidad odontológica y se pueda llevar a cabo con mayor conocimiento del tema, la microcirugía endodóntica.

Objetivos

Explorar la técnica, así como ventajas y desventajas de la microcirugía endodóntica, haciendo énfasis en su utilidad en comparación con tratamiento de conducto radicular convencional, lo cual implica analizar las situaciones clínicas específicas donde la microcirugía, puede ser más ventajosa.

Materiales y métodos

A través de la base de datos Bidi UNAM por medio del buscador Pubmed se buscaron las palabras clave:

endodontic microsurgery, endodontic surgery, surgical endodontic, apicoectomy.

Resultados

Después de haber realizado las búsquedas se encontraron un total de 338 artículos, de los cuales se ocuparon 27, con palabras clave que consideramos útiles para la elaboración del presente artículo, de los cuales se mostraron la siguiente cantidad de artículos: endodontic microsurgery (111), endodontic surgery (3 053 resultados), surgical endodontic (1 445 resultados), apicoectomy (122 resultados).

Con dichos resultados pudimos determinar que los siguientes temas son fundamentales para comprender íntegramente el tema:

• Definición

• Beneficio de realizar microcirugía endodóntica

• Diferencias entre microcirugía endodóntica y cirugía endodóntica

• Indicaciones

• Ventajas y desventajas

• Materiales necesarios para realizar la operación cubren las necesidades de los objetivos.

A continuación, desarrollaremos los temas anteriores.

Definición

La cirugía endodóntica tiene una larga tradición como procedimiento

odontológico. Varios médicos introdujeron conceptos de cirugía apical a finales del siglo XIX y principios del XX. La intención era eliminar las porciones necróticas del ápice (Beal, 1908; Brophy, 1880; Farrar, 1884) además de extirpar los tejidos periapicales enfermos.5

La microcirugía endodóntica es un enfoque actual que utiliza técnicas microquirúrgicas modernas, como el uso de un microscopio quirúrgico o un endoscopio, la preparación de la cavidad radicular con puntas ultrasónicas y materiales de obturación radicular más biocompatibles.6 En un sentido más amplio, se define como el tratamiento realizado en los ápices radiculares de un diente infectado que no se resolvió con la terapia de conducto convencional. Este procedimiento implica la extracción del hueso bucal para localizar con precisión los ápices de la raíz, seguido del desbridamiento quirúrgico del tejido periradicular patológico y la resección del extremo de la raíz. La profundidad de preparación mínima de 3 mm es crucial para sellar eficazmente los canales accesorios que puedan estar presentes.3

Muchos médicos dudan en elegir la cirugía apical como tratamiento para el conducto no quirúrgico fallido, no solo debido a sus preferencias personales, sino también debido a la incierta tasa de éxito. Antes de la llegada del microscopio quirúrgico, las tasas de éxito de la cirugía apical tradicional oscilaban entre el 30 y el 50%,

Principios y aplicaciones de la microcirugía endodóntica

cifra inferior a la de los retratamientos no quirúrgicos. Sin embargo, la tasa de éxito aumentó después de la década de 1990 con la introducción de “técnicas modernas”, en las que se utiliza una punta ultrasónica para la preparación del extremo de la raíz y el relleno del mismo, se realiza utilizando materiales biocompatibles, bajo un microscopio. Las técnicas modernas superaron las limitaciones del campo de visión con el uso de lupas, endoscopios y microscopios; sin embargo, carecen de pautas definidas para el procedimiento y se informa que la tasa de éxito oscila entre el 74 y el 92%. Un concepto de microcirugía endodóntica establecido más recientemente incluye el uso de instrumentos microquirúrgicos y microscopios de gran aumento.7

Durante la última década, la cirugía endodóntica ha evolucionado hacia la microcirugía endodóntica mediante la introducción del microscopio

Calidad y dirección

quirúrgico y/o el endoscopio. Aunque todavía se debate el uso del microscopio quirúrgico en odontología general, su uso para endodoncia quirúrgica y no quirúrgica se ha convertido en un procedimiento de rutina para los endodoncistas desde la década de 1990 y se ha convertido en un requisito para la educación de posgrado en los Estados Unidos desde 1998. 9

El objetivo del tratamiento endodóntico quirúrgico es eliminar cualquier infección extrarradicular asociada y cuerpos extraños, incluida la eliminación de lesiones de tejidos blandos, como quistes y granulomas apicales persistentes. Luego se debe sellar el sistema de conductos radiculares para bloquear el escape de cualquier microbio intrarradicular persistente y evitar la entrada de nutrientes potenciales desde los tejidos periapicales.10

La microcirugía endodóntica tiene como objetivo eliminar todo el tejido necrótico del sitio quirúrgico y proporcionar un adecuado sellado apical, permitiendo consecuentemente la restauración de la integridad de los tejidos duros y blandos y el restablecimiento del complejo dentogingival.

Los casos de retratamiento quirúrgico son propensos a sanar más rápido que los no quirúrgicos, la evidencia más relevante sobre el proceso de curación se obtuvo en el primer año después de la cirugía y el seguimiento de un año puede ser suficiente para predecir un resultado a largo plazo de la microcirugía endodóntica.11

Beneficios de la microcirugía endodóntica

El gran aumento del microscopio permite una mejor identificación del istmo o de los canales accesorios y mejora la visualización, así como el tratamiento de aberraciones anatómicas, complicaciones iatrogénicas previas, fracturas u obstrucciones de los canales, como instrumentos separados o calcificaciones. Se recomendó ayudar en la identificación de fisuras dentinarias cuando la superficie radicular resecada se tiñe con tintes como el azul de metileno. Se ha demostrado en estudios in vitro que la precisión de la identificación de grietas dentinarias en las superficies de las raíces resecadas no fue significativamente diferente entre la observación sin ayuda y con gran aumento sin el uso de tintes o transiluminación.8 Se encontró un resultado exitoso del 95.2% para los casos que fueron lesiones puramente endodónticas después de MCE, mientras que la tasa de éxito fue solo del 77.5%, para los casos asociado con enfermedades periodontales.3

Diferencias entre microcirugía endodóntica y cirugía endodóntica

La microcirugía endodóntica que utiliza la plantilla guía ha demostrado una precisión mejorada en comparación con una operación a mano alzada. Además, la propia plantilla guía puede actuar como un retractor de tejidos blandos, ayudando a evitar

daños iatrogénicos a los tejidos blandos. Generalmente, se acepta que es más ventajoso utilizar la plantilla guía para los casos clínicos en los que existe una patología apical con síntoma clínico, pero intratable con terapia de conducto convencional debido a la calcificación del conducto y ausencia de fístula, que de otra manera ayuda a identificar la posición del ápice de la raíz.1

El desarrollo de técnicas avanzadas de radiodiagnóstico como el examen de tomografía computarizada de haz cónico (CBCT) ha permitido un mejor diagnóstico y planificación de la microcirugía endodóntica y la localización del ápice radicular, mejorando la tasa de éxito de la cirugía endodóntica.13

La microcirugía endodóntica y periodontal ha superado las tasas de éxito de los procedimientos quirúrgicos endodónticos y periodontales tradicionales. Se atribuyen excelentes resultados de curación a ambas técnicas, cuando se emplean para defectos endodónticos o periodontales aislados.14

Otra ventaja importante de la microcirugía endodóntica es la preparación de la cavidad radicular mediante una punta ultrasónica. En la cirugía endodóntica tradicional, la preparación del extremo radicular generalmente requiere una pieza de mano o micropieza de mano. Esto, sin embargo, fue informado a ser una causa importante de fracaso de la cirugía

de endodoncia porque es difícil realizar la preparación del extremo de la raíz paralela al eje principal del conducto radicular, así como para asegurar una profundidad >3 mm para la cavidad del extremo de la raíz. La microcirugía endodóntica, que utiliza una punta ultrasónica especialmente diseñada, permite la preparación del extremo de la raíz paralelo al eje mayor del conducto radicular con suficiente profundidad (es decir, >3 mm), mientras se elimina menos hueso.7

En la cirugía para endodoncia tradicional, el tamaño de la osteotomía debía ser > 10 mm de diámetro debido a limitaciones en la visibilidad y el tamaño del instrumento. Sin embargo, en la microcirugía endodóntica solo se necesitan de 4 a 5 mm. suficiente para permitir que una punta ultrasónica vibre libremente dentro de la cavidad ósea.7

Los instrumentos microquirúrgicos y las retropuntas ultrasónicas, mejoraron significativamente el resultado de la cirugía perirradicular, en comparación con las técnicas tradicionales. Estos dispositivos aportan ventajas para el manejo del extremo de la raíz. Al mismo tiempo, se ha recomendado el uso de dispositivos de iluminación y magnificación bien enfocados como estándar de atención en cirugía perirradicular. 1

En situaciones donde el tratamiento quirúrgico endodóntico es necesario, la evidencia sugiere que el enfoque

Principios y aplicaciones de la microcirugía endodóntica

moderno del procedimiento, produce mejores resultados. Un metaanálisis comparó los resultados de la cirugía tradicional del extremo de la raíz, con la microcirugía endodóntica. Las tasas de éxito agrupadas ponderadas fueron del 59% (IC del 95%: 55-63%) para la cirugía tradicional del extremo de la raíz en comparación con el 94% (IC del 95%: 89-98%) para la microcirugía endodóntica, que es una diferencia estadísticamente significativa (P <0.0005), con la microcirugía endodóntica se tiene 1.58 veces más probabilidades de éxito que la cirugía tradicional del extremo de la raíz. La ausencia de dolor preoperatorio, un llenado satisfactorio del conducto radicular, una radiolucidez periapical inferior a 5 mm de diámetro y un operador experimentado han sido identificados como factores pronósticos positivos. Los errores de procedimiento anteriores y un procedimiento de endodoncia quirúrgico

previo, se han identificado como factores de pronóstico negativo.10

El concepto de cirugía endodóntica guiada, incluida la tecnología de navegación estática (SN) y navegación dinámica (DN), superó hasta cierto punto los desafíos del MCE manual y permitió una longitud y un bisel más apropiados para la resección del extremo de la raíz. De todos los estudios publicados sobre cirugía endodóntica de SN y DN in vivo, excepto un estudio retrospectivo, todos fueron informes/series de casos con resultados clínicos y radiológicos favorables.15

Indicaciones

El examen de casos clínicos fallidos y dientes extraídos mediante microscopios quirúrgicos revela que el cirujano no puede localizar, limpiar y llenar de manera predecible todas

Calidad y dirección

las ramificaciones apicales complejas con técnicas quirúrgicas tradicionales. Estas limitaciones, solo pueden superarse con el uso del microscopio con aumento e iluminación y la especificidad de los instrumentos microquirúrgicos, especialmente los instrumentos ultrasónicos.16

Dentro de la microcirugía endodóntica encontramos diversas ventajas y desventajas que nos brinda dicho procedimiento.24

Materiales para realizar la operación

Los cementos a base de silicato de calcio han ganado amplia aceptación en la comunidad endodóntica para obturar dientes con ápices abiertos, para reparación de perforaciones y como materiales de obturación radicular, debido a sus buenas propiedades físico-químicas y biológicas. Se sabe que se adhieren a las paredes

dentinarias hidratadas formando un enlace cristalino mediante un proceso controlado por difusión, una característica también reportada para un grupo restringido de sustitutos óseo-sintéticos disponibles comercialmente, generalmente cerámicas de vidrio reactivas en superficie. Desafortunadamente, los conductos radiculares rellenos únicamente con cemento a base de silicato de calcio nunca pueden volver a tratarse, una medida correctiva que la mayoría de los médicos consideran importante. Por esta razón, se sugirió incorporar partículas cristalinas en polímeros de matriz de materiales de obturación radicular central.25

Se recomendó el uso de una imprimación de autograbado para mejorar la adhesión del núcleo de obturación, el sellador y la dentina entre sí, y al mismo tiempo aprovechar las características únicas de B-G: potencial

para desplazar el agua de las regiones insuficientemente llenas del sistema de conductos radiculares, redeposición de mineral apatítico del diente y formación de una unión física con la superficie húmeda de la dentina.25

Se postuló que la humedad, a la larga no afectaría el entrelazamiento micromecánico inicial establecido por los componentes del imprimador/sellador hidrófilo en los túbulos dentinarios abiertos; en realidad ayudaría a impulsar reacciones de cristalización dentro y alrededor del material del núcleo. Como este proceso puede añadir agua durante largos períodos de tiempo y fomentar la reprecipitación de los depósitos de apatita, se anticipó que podría contribuir a limitar la fuga bacteriana durante la función a largo plazo. Desde su introducción, se han publicado varios informes. sobre varios aspectos del sistema Resilon™ que

ofrecerían una mejora con respecto a la gutapercha.25

MCE obtuvo una alta tasa de éxito en la literatura actual, que osciló entre 69.3 y 93.3% en un metaanálisis de 10 estudios clínicos seguidos durante 2 a 13 años con microscopía endodóntica, instrumentos microquirúrgicos, puntas ultrasónicas y materiales biocerámicos.3

Las limitaciones y desventajas de la cirugía endodóntica se han hecho evidentes debido al rápido avance de la tecnología. Sin embargo, estos problemas se pueden resolver basándose en la aplicación de CBCT, CAD y la tecnología de impresión 3D junto con la microcirugía. Se podría explorar más a fondo un enfoque de diagnóstico no invasivo alternativo, como la resonancia magnética, para utilizarlo con CAD y tecnología de impresión 3D.26

El uso de un agente hemostático local es esencial para una adecuada hemostasia durante la microcirugía endodóntica. Sin embargo, la selección y aplicación inadecuada de agentes hemostáticos locales podría provocar respuestas biológicas indeseables, deteriorando el pronóstico de la microcirugía endodóntica. Aunque la eficacia hemostática es un requisito importante de los agentes hemostáticos locales para el manejo adecuado de la raíz durante la microcirugía endodóntica, no se puede garantizar la curación adecuada de las estructuras periapicales, a menos

Principios y aplicaciones de la microcirugía endodóntica

que se considere la estabilidad biológica de los agentes hemostáticos locales.27

La curación exitosa después de la MCE no solo depende de lograr un sellado hermético contra las bacterias del sistema de conductos radiculares, sino también del manejo de las deficiencias del BPT periapical, marginal y adyacente a la lesión. En la evaluación del periodo de observación y la curación con MCE, el grupo GTR tuvo una curación más rápida en comparación con el grupo sin GTR. Como se muestra a lo largo, se observó un mayor porcentaje de curación en los grupos GTR en cada índice de curación del MCE a los 12, 18, 24 y 30 meses después de la operación.28

Discusión

El objetivo de la cirugía es eliminar las filtraciones y el foco infeccioso de la región perirradicular haciendo un curetaje del tejido inflamatorio, resección del ápice, ambientación y obturación retrógrada del sistema de conductos con un material biocompatible. Una de las complicaciones más frecuentes es la destrucción de gran cantidad de tejido de soporte del diente e imprecisión del tratamiento del ápice radicular por el difícil acceso y visualización del campo operatorio principalmente en las zonas posteriores. Actualmente estas dificultades se reducen con la introducción del microscopio al campo quirúrgico de la endodoncia, implementando así técnicas

conservadoras que minimizan la destrucción de los tejidos dentales y estructuras de soporte al momento de realizar la cirugía.

La microcirugía proporciona 3 características importantes: iluminación, magnificación e instrumentación precisa, logrando una identificación exacta del ápice radicular, osteotomía pequeña, inspección de la raíz y obturación retrógrada precisa; además, se introducen instrumentos adecuados denominados microinstrumentos, con un tamaño apropiado para la magnificación del campo operatorio, todo esto logra un tratamiento adecuado, poco invasivo y conservador de los tejidos.

Dentro del presente artículo estamos de acuerdo en el uso del microscopio para realizar la microcirugía endodóntica, pues aporta beneficios a la hora de realizar el procedimiento tal como lo dijeron Kim y Kratchman, con un aumento mayor, la osteotomía se puede hacer pequeña (3-4 mm) y esto da como resultado una curación más rápida y menos molestias postoperatorias, se pueden evaluar las técnicas quirúrgicas, por ejemplo, si el tejido granulomatoso se elimina completamente de la cripta ósea, la integridad de la raíz se puede examinar con gran precisión, en busca de fracturas, perforaciones u otros signos de daño. La eliminación de los tejidos enfermos es precisa y completa, la distinción entre el hueso y la punta de la raíz se puede hacer fácilmente con un gran

Calidad y dirección

aumento, especialmente con tinción azul de metileno.16

La cirugía apical es una buena alternativa de tratamiento, pero está limitada por la visión del ojo humano; el tamaño al que se observa un objeto depende de lo cerca que esté del ojo. En la cirugía endodóntica tradicional, el tamaño de la osteotomía debía ser >10 mm de diámetro debido a limitaciones de visibilidad y tamaño del instrumento; sin embargo, en la microcirugía endodóntica bastan solo de 4 a 5 mm para que una punta ultrasónica vibre libremente dentro de la cavidad ósea. La osteotomía significativamente más pequeña en la microcirugía endodóntica minimiza la pérdida de hueso sano, permite una curación más rápida y causa menos molestias a los pacientes que la cirugía endodóntica tradicional.7

El desarrollo de técnicas avanzadas de radiodiagnóstico como el examen de tomografía computarizada de haz cónico (CBCT) ha permitido un mejor diagnóstico y programación de la microcirugía endodóntica y la localización del ápice radicular, mejorando la tasa de éxito de la cirugía endodóntica. Además, el desarrollo de la técnica de navegación estática asistida por computadora (SN) permite una guía de perforación durante los procedimientos de microcirugía endodóntica, mejorando la precisión de la ubicación del ápice radicular y permitiendo una microcirugía endodóntica precisa y segura, especialmente en la región posterior.12

Esta forma de cirugía de precisión se realiza a través de un microscopio quirúrgico y con instrumentos especializados.

Los cambios en la técnica quirúrgica han sido posibles gracias a otros avances tecnológicos, la tasa de éxito aumentó después de la década de 1990 con la introducción de “técnicas modernas”, en las que se utiliza una punta ultrasónica para la preparación del extremo de la raíz y el relleno del extremo de la raíz se realiza utilizando materiales biocompatibles bajo un microscopio.7

Por nuestra parte, estamos de acuerdo con los autores acerca de los nuevos avances tecnológicos dentro de la microcirugía; sin embargo, consideramos que falta profundizar en el tema en cuanto a costos de inversión tanto para el operador como para el paciente.

Conclusiones

La microcirugía endodóntica es una técnica avanzada utilizada en casos en donde se tratan enfermedades y afecciones de la pulpa dental, así como del tejido circundante a esta, en los que el tratamiento endodóntico convencional no es suficiente para resolver el problema.

Dicho proceso pese a tratar de ser amigable para todo el diente posee una gran desventaja, la cual es no ser lo suficientemente conservador. Para evitar esto, la endodoncia tradicional añadió distintos equipos para evitar quitar todo el tejido saludable que le sea posible, además de evitar los errores humanos tanto como sea posibles.

Esta forma de cirugía de precisión se realiza a través de un microscopio quirúrgico y con instrumentos especializados, lo que permite al endodoncista acceder a áreas muy pequeñas dentro de la raíz del diente.

La microcirugía endodóntica puede ser altamente efectiva para tratar afecciones como las lesiones en la punta de la raíz, las fracturas dentales y otras complicaciones que no pueden abordarse de manera adecuada con tratamientos endodónticos convencionales. Aunque es un procedimiento complejo, puede ofrecer resultados exitosos y ayudar a preservar el diente natural a largo plazo. Es importante consultar a un endodoncista experimentado para determinar si la microcirugía endodóntica es la mejor opción en un caso particular.

Referencias

1. J. Kim, J. Shim, y Y. Shin, “Case Report A new minimally invasive guided endodontic microsurgery by cone beam computed tomography and 3-dimensional printing technology”, vol. 44, núm. 3, pp. 1–7, 2019.

2. Monaghan L, Jadun S, Darcey J. Endodontic microsurgery. Part one: diagnosis, patient selection and prognoses. Br Dent J. 2019 Jun;226(12):940-948. doi: 10.1038/s41415-019-0415-3. PMID: 31253911.

3. N. Li, R. Zhang, W. Qiao, y L. Meng, “Conservative endodontic microsurgery to protect critical anatomical structures–selective curettage: a case series”, BMC Oral Health, vol. 23, núm. 1, pp. 1–12, 2023, doi: 10.1186/s12903-023-03287-2.

4. G. T. D, P. Saxena, y S. Gupta, “Static vs. dynamic navigation for endodontic microsurgery - A comparative review”, J Oral Biol Craniofac Res, vol. 12, núm. 4, pp. 410–412, 2022, doi: 10.1016/j.jobcr.2022.04.010

5. Setzer, F. C., & Kratchman, S. I. (2022). Present status and future directions: Surgical endodontics. International Endodontic Journal, 55(S4), 1020–1058. https://doi.org/10.1111/iej.13783

6. D. Pinto, A. Marques, J. F. Pereira, P. J. Palma, y J. M. Santos, “Long-Term Prognosis of Endodontic Microsurgery —”, Medicina (B Aires), vol. 56, núm. 9, pp. 1–19, 2020.

7. E. Kim y Y. Kim, “Endodontic microsurgery : outcomes and prognostic factors”, pp. 356–366, 2019.

Calidad y dirección

8. Niemczyk S. P. (2010). Essentials of endodontic microsurgery. Dental clinics of North America, 54(2), 375–399. https://doi.org/10.1016/j.cden.2009.12.002

9. F. C. Setzer, M. R. Kohli, S. B. Shah, B. Karabucak, y S. Kim, “Outcome of endodontic surgery: A meta-analysis of the literature - Part 2: Comparison of endodontic microsurgical techniques with and without the use of higher magnification”, J Endod, vol. 38, núm. 1, pp. 1–10, 2012, doi: 10.1016/j. joen.2011.09.021.

10. S. Eliyas, J. Vere, Z. Ali, y I. Harris, “Micro-surgical endodontics”, Br Dent J, vol. 216, núm. 4, pp. 169–177, 2014, doi: 10.1038/sj.bdj.2014.142.

11. M. Sarnadas, J. A. Marques, I. P. Baptista, y J. M. Santos, “Impact of periodontal attachment loss on the outcome of endodontic microsurgery: A systematic review and meta-analysis”, Medicina (Lithuania), vol. 57, núm. 9, 2021, doi: 10.3390/medicina57090922.

12. A. Ramis-Alario, B. Tarazona-Álvarez, M. Peñarrocha-Diago, D. Soto-Peñaloza, M. Peñarrocha-Diago, y D. Peñarrocha-Oltra, “The study of bone healing after endodontic microsurgery using cone beam computed tomography: A retrospective cohort study”, J Clin Exp Dent, vol. 14, núm. 8, pp. e652–e660, 2022, doi: 10.4317/jced.58354. 12

13. Á. Zubizarreta-Macho, C. Castillo-Amature, J. M. Montiel-Company, y J. Mena-Álvarez, “Efficacy of computer-aided static navigation technique on the accuracy of endodontic microsurgery. A systematic review and meta-analysis”, J Clin Med, vol. 10, núm. 2, pp. 1–10, 2021, doi: 10.3390/jcm10020313.

14. R. Sharma, “Endodontic-periodontal microsurgery for combined endodontic-periodontal lesions : An overview”, pp. 2005–2006, 2014, doi: 10.4103/0972-0707.144571.

15. C. Chen et al., “Clinical and radiological outcomes of dynamic navigation in endodontic microsurgery: a prospective study”, Clin Oral Investig, vol. 27, núm. 9, pp. 5317–5329, 2023, doi: 10.1007/s00784-023-05152-6.

16. R. Article, “Modern Endodontic Surgery Concepts and Practice : A Review”, vol. 32, núm. 7, pp. 601–621, 2006, doi: 10.1016/j.joen.2005.12.010.

17. “Moder Endodontic Microsurgery Concepts_unlocked.pdf”.

18. C. Su, R. Zhang, R. Wang, C. Yang, Z. Wang, y L. Meng, “Prognostic Predictors of Endodontic Microsurgery: Radiographic Assessment”, Int Dent J, vol. 72, núm. 5, pp. 628–633, 2022, doi: 10.1016/j.identj.2022.02.007

19. M. Zhang, H. Liu, y Y. Shen, “The bone lid technique in endodontic microsurgery”, Asian J Surg, núm. xxxx, pp. 1015–1016, 2023, doi: 10.1016/j.asjsur.2023.09.011.

20. R. Richert, J. C. Farges, J. C. Maurin, J. Molimard, P. Boisse, y M. Ducret, “Multifactorial Analysis of Endodontic Microsurgery Using Finite Element Models”, J Pers Med, vol. 12, núm. 6, 2022, doi: 10.3390/jpm12061012.

21. D. Bieszczad, J. Wichlinski, y T. Kaczmarzyk, “Factors Affecting the Success of Endodontic Microsurgery: A Cone-Beam Computed Tomography Study”, J Clin Med, vol. 11, núm. 14, 2022, doi: 10.3390/jcm11143991.

22. Y. J. Lu, L. H. Chiu, L. Y. Tsai, y C. Y. Fang, “Dynamic navigation optimizes endodontic microsurgery in an anatomically challenging area”, J Dent Sci, vol. 17, núm. 1, pp. 580–582, 2022, doi: 10.1016/j.jds.2021.07.002.

23. Y. Tang, K. Xu, Y. Chen, y L. Lu, “Evaluating the efficacy of endodontic microsurgery for teeth with an undeveloped root apex and periapical periodontitis after nonsurgical treatment failure”, BMC Oral Health, vol. 23, núm. 1, pp. 1–5, 2023, doi: 10.1186/s12903-023-03117-5.

24. A. Pallarés-Serrano, P. Glera-Suarez, B. Tarazona-Alvarez, D. Peñarrocha-Oltra, M. Peñarrocha-Diago, and M. Peñarrocha-Diago, “Healing of 295 Endodontic Microsurgery Cases After Long-Term (5-9 Years) Versus Middle-Term (1-4 Years) Follow-up,” J. Endod., vol. 48, no. 6, pp. 714–721, 2022, doi: 10.1016/j. joen.2022.03.001.

25. A. C. Profeta y G. M. Prucher, “Bioactive-glass in Endodontic Therapy and Associated Microsurgery Abstract ”:, vol. 1971, núm. August 2016, pp. 164–170, 2017, doi: 10.2174/1874210601711010164

26. J. A. Shaik y R. K. Reddy, “Review Article Prevention and Treatment of White Spot Lesions in Orthodontic Patients”, Contemp Clin Dent, vol. 8, núm. September, pp. 11–9, 2017, doi: 10.4103/ccd.ccd.

27. Y. Jang, H. Kim, B.-D. Roh, y E. Kim, “Biologic response of local hemostatic agents used in endodontic microsurgery”, Restor Dent Endod, vol. 39, núm. 2, p. 79, 2014, doi: 10.5395/rde.2014.39.2.79.

28. M. Um, B. Johnson, y M. Fayad, “Buccal plate thickness as a predictor for endodontic microsurgery outcomes: A retrospective cohort study”, Oral Surg Oral Med Oral Pathol Oral Radiol, vol. 135, núm. 3, pp. 324–332, 2023, doi: 10.1016/j.oooo.2022.07.005.

Fotoarte:

Diagnóstico y tratamiento ortodóntico interceptivo como prevención en la inclusión del canino.

Parte 1

Diagnóstico y tratamiento ortodóntico interceptivo como prevención en la inclusión del canino

Figura 1.

C.D.E.O. Guillermo Martínez Nasser Especialidad en Ortodoncia, Director del C.E.S.I.A.N. (Centro de Especialidades e Investigación Avanzada Nasser S.C.), Coordinador del Grupo de Investigación en Ortodoncia (G.A.O.I.), Profesor del Diplomado en Ortodoncia Interceptiva FES IZTACALA UNAM, y Responsable del Grupo Académico y Científico del Colegio Nacional de Cirujanos Dentistas Sección Baja California A.C.

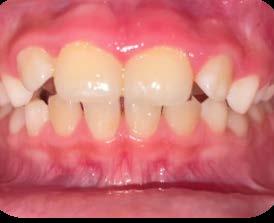
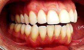
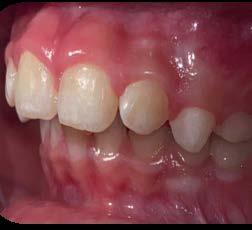
Entre los elementos que conforman al sistema estomatognático, están los dientes caninos, órganos dentales esenciales en la fisiología masticatoria; punto de unión y continuidad estética entre la línea de la sonrisa y el corredor posterior del arco dental, además de que ejercen la función de pilares estabilizadores en la oclusión fisiológica (Figura 1).

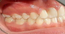
Los caninos son indispensables durante los movimientos de lateralidad y vitales para la continuidad de los arcos dentales, tanto en la dentición decidua como en la permanente; son responsables del funcionamiento y la armonía oclusal. Su posición adecuada en el arco asegura un buen contorno de la cara, sonrisa agradable y armónica con la estética facial. (Figura 2).

Septiembre 2024

Investigación clínica

El canino divide su cara vestibular en 2 vertientes, una mesial que se continúa con los incisivos y otra distal que se alinea con los dientes posteriores, razón por la cual su ausencia genera alteraciones muy importantes en la oclusión y la estabilidad fisiológica del sistema estomatognático (Figura 3).

La bibliografía señala que el canino superior es el diente que presenta una mayor frecuencia de inclusión después de los terceros molares superiores e inferiores; ubicándose los caninos superiores, como los de mayor frecuencia de retención unilateral en la cara palatina y rara vez en forma bilateral (Lezcano, 2009).1

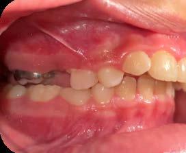
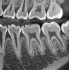
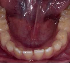
La incidencia de inclusión en los caninos superiores e inferiores tiene diferentes etiologías y similitudes. En ambos casos, el motivo principal se deriva de razones propias por su anatomía, tamaño en volumen coronal y largo de la raíz; sumado a esto, su ubicación lejana intraósea respecto al arco dental, desde la germinación y/o inicio de formación y desarrollo y, hasta alcanzar la erupción (Figura 4).

Respecto a los caninos inferiores permanentes, presentan con mayor frecuencia una posición con mayor tendencia a la inclusión, en el aspecto bucal del arco dental que los superiores, según se muestra en estadísticas con valores de 4% de prevalencia.45

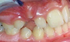
El trayecto que el canino tiene que recorrer desde su germinación hasta su acomodo final en el arco dental, es largo y complicado, al sortear barreras, alteraciones y modificaciones no previstas, surgidas de factores fuera del proceso natural, (entiéndase esto, como una alteración al código preprogramado del proceso de crecimiento y desarrollo craneodentofacial, por factores externos al organismo), antes de lograr erupcionar y en ocasiones sin obtener oclusión con su antagonista (Figura 5).

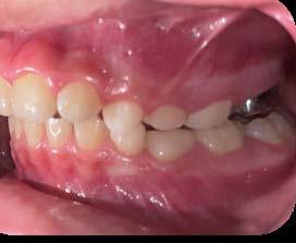
El canino a la mitad de su trayectoria de erupción, usa como guía la cara distal de la raíz del incisivo lateral, situación que clínicamente se refleja en la distoinclinación de dicho diente. Sin embargo, si la dimensión de la raíz del diente lateral o su anatomía no es acorde del todo adecuada, la

Figura 2.
Figura 3.
Figura 4.
Figura 5.

Diagnóstico y tratamiento ortodóntico interceptivo como prevención en la inclusión del canino

dirección de erupción se queda a la deriva y por lo regular se dirige hacia el área palatina43 (Figura 6).

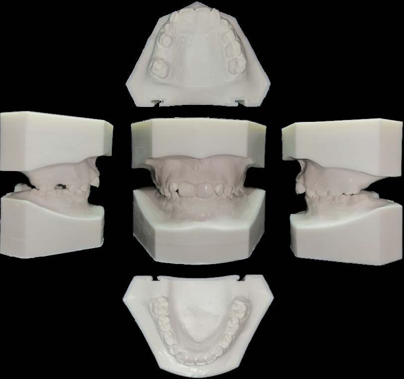
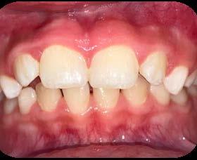
Es por lo anterior, que durante el intercambio dentario, la vigilancia periódica, a través de radiografías, análisis de modelos de estudio y una evaluación clínica, son acciones necesarias para la planeación adecuada de un tratamiento interceptivo, en caso de llegar a ser necesario, para generar los cambios y movimientos a nivel ortopédico y ortodóntico respectivamente y así evitar en lo posible una inclusión canina (Figura 7).

Marco teórico

El germen del canino superior inicia su formación en la parte más apical de la fosa canina, lateral a la apertura piriforme anterior al antro nasal por debajo de la órbita en el hueso maxilar a los 5 meses posnatales, en

una posición muy alta en comparación con los demás dientes. La corona termina su formación entre los 6 y 7 años de edad, iniciando su erupción a los 11 años y medio de edad en promedio.8

Respecto al canino inferior, su erupción ocurre antes en promedio, a la edad de 9 años y medio (Figura 8).

El canino superior se desplaza durante el periodo de dentición mixta tardía a nivel del hueso alveolar próximo a su erupción y visualización clínica, a diferencia del canino inferior, del cual su erupción está en el periodo más activo de la dentición mixta.

Entre los factores etiológicos generadores de una complicación en el proceso de desplazamiento y erupción en el canino, es cuando está presente una carga potencial predisponente heredofamiliar, tanto en

El canino superior se desplaza durante el periodo de dentición mixta tardía a nivel del hueso alveolar próximo a su erupción y visualización clínica, a diferencia del canino inferior, del cual su erupción está en el periodo más activo de la dentición mixta.

Figura 6.
Figura 7.
Figura 8.

Investigación clínica

clase esqueletal II como la III, donde la disarmonía máxilo-mandibular y las fuerzas musculares, tanto masticatorias, faciales y linguales, alteran el desarrollo óseo y el perímetro del arco dental (Figura 9).

Por otro lado, poder diferenciar la razón por la que un canino está en un proceso franco de quedar incluido; ya sea por la propia morfología radicular, tamaño excesivo coronal o al existir aspectos de tipo mecánico que generan una obstrucción; son situaciones complicadas de diferenciar al momento del diagnóstico (Figura 10).

En referencia a lo mencionado anteriormente, es conveniente proyectar las posibles acciones interceptivas a realizar, en caso de presentarse una alta posibilidad de desarrollo de una inclusión canina; para lo cual debemos identificar algunos de los siguientes aspectos y analizarlos como primer paso, con el fin de obtener un diagnóstico adecuado y posteriormente la planificación del tratamiento:

a. Observar radiográficamente las características anatómicas y dimensionales de los caninos superiores e inferiores respecto a dientes adyacentes (Figura 11).

b. Identificar radiográficamente la posición en que se encuentra el canino, respecto a los dientes adyacentes (Figura 12).

c. Determinar que angulación y posición existe entre el eje longitudinal

del canino respecto al plano oclusal, donde “V” es vertical, “M” es mesioangular, “H” es mesiohorizontal, “MI” vertical invertido, “D” distohorizontal (Figura 13).

Posición I: cuando la mayor parte de la corona, se encuentra a nivel del tercio cervical de la raíz de los dientes adyacentes.

Posición II: cuando la mayor parte de la corona, se encuentra a nivel del tercio medio de la raíz de los dientes adyacentes.

Posición III: cuando la mayor parte de la corona, se encuentra a nivel del tercio apical de las raíces de los dientes adyacentes.

d. Conocer en qué estadio de Nolla está el desarrollo del canino (Figura 14).

e. Pronosticar qué dirección de erupción lleva, hacia el vestíbulo, el paladar o pared lingual.

f. Conocer el espacio necesario para el acomodo del canino en el arco dental.

g. Medir el espacio disponible en el arco dental para el acomodo del canino al momento del diagnóstico.

h. Realizar con las diferentes tablas de análisis cefalométricos, el análisis de proyección de crecimiento óseo maxilomandibular respecto a la edad del paciente y secuencia de erupción presente al momento del diagnóstico, es decir, si la secuencia de erupción está acorde

Figura 9.
Figura 10.
Figura 11.
Figura 12.

Diagnóstico y tratamiento ortodóntico interceptivo como prevención en la inclusión del canino

o alterada, así como determinar la clase esqueletal del paciente y su tendencia en dirección, crecimiento y dimensiones hacia el cierre del crecimiento craneodentofacial (Figura 15).

i. Selección de aparatología ortopédica y ortodóntica en el plan de tratamiento, con base en la edad del paciente y las condiciones craneodentofaciales presentes, las cuales otorguen más ventajas y mayor control de movimientos deseados y principalmente, un control estricto para evitar los movimientos no deseados.

Acciones clínicas para el diagnóstico

En la práctica clínica, al hacer la revisión, uno de los signos clínicos motivo de alerta, correspondería a la falta de movilidad de los caninos deciduos cuando ya es tiempo en el intercambio dental,(caninos superiores 10 años ±9 meses, caninos inferiores 9 años ±9 meses)9 así como señalar si existe la ausencia de los mismos, la falta de espacio en el arco dental para la erupción de los caninos

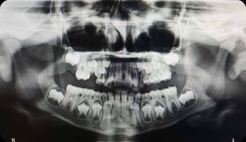
permanentes, por el que el apoyo radiográfico inicial confirmará la posibilidad de una inclusión canina en proceso (Figura 16).

Diagnóstico radiológico

A partir de los 8 años, se puede observar radiográficamente el inicio de la reabsorción del canino deciduo (Figura 17).

El seguimiento del trayecto canino con un estudio radiográfico postero anterior, lateral de cráneo y ortopantomográfico, a partir de la edad señalada anteriormente, también es una herramienta efectiva que permite obtener un diagnóstico inicial, donde podrá observarse si se ha iniciado la reabsorción radicular del canino deciduo e identificar qué

Figura 13.
Figura 14.
Figura 15.
Figura 16.
Figura 17.
Figura 18.

Investigación clínica

Entre otros métodos

de

apoyo para obtener

un

diagnóstico, en el propósito de ubicar al canino con posibilidades de incluirse, en su trayectoria de erupción, está el desarrollado por el Dr. Ricketts.

dirección o trayecto está tomando el canino permanente (Figura 18).

Clasificación de Caninos Retenidos

Ugalde menciona en su publicación lo siguiente:

“Existen numerosas clasificaciones para los dientes anteriores retenidos, la mayoría de las cuales son confusas, siendo diferentes entre sí y ninguna de ellas da una idea clara de la posición y relación de los caninos retenidos. Se sugiere una clasificación simple exclusivamente para caninos impactados, ya que este es un problema muy común en la práctica ortodóntica y no existe una clasificación clara

para los caninos impactados”. (Etal. Ugalde, MFJ)3

Power y Short afirman en su análisis, que si el ángulo resultante formado entre la línea vertical determinada por la espina nasal anterior y el eje longitudinal del canino sea mayor a 31°, el éxito del acomodo del canino en el arco dental es reservado (Camarena-Fonseca et al. ,2017) (Figura 19).

Ubicación del canino

Un método sencillo para obtener el diagnóstico de inclusión canina en proceso o declarada, cuando no se realizó un seguimiento desde una edad temprana, será utilizando como herramienta de diagnóstico inicial, una ortopantomografia, donde al trazar puntos, planos y líneas de referencia en estructuras dentocraneales y en el eje longitudinal del canino propiamente, podremos ubicar tridimensionalmente el sitio de inclusión en proceso de formación radicular (estadio del 6 al 9), o definitivo, cuando el ápice se ha cerrado (estadio 10 de Nolla) y el diente no erupcionó8 (Figura 20).

Así lo mencionan (Ericson y Kurol) (Etal Eur J Orthod. 1988; 10:283–95)4, en el que proponen una clasificación, utilizando como herramienta una ortopantomografía y la angulación del canino, usando planos, líneas de referencia y la determinación de sectores, ubicando a estos de la siguiente manera:

Figura 19.
Figura 20.

Diagnóstico y tratamiento ortodóntico interceptivo como prevención en la inclusión del canino

Sector I es el espacio limitado por 2 líneas tangentes; una distal a la corona y raíz del incisivo lateral y la otra distal a la corona y raíz del canino deciduo.

Sector II es el espacio limitado entre la línea tangente distal a la corona y raíz del lateral y a una línea bisectriz de la línea media del diente incisivo lateral.

Sector III es el espacio limitado entre la línea bisectriz del incisivo lateral y una línea tangente mesial a la corona y raíz del incisivo lateral.

El sector IV incluye todas las áreas mesiales al sector III (Figura 21).

Por otro lado, como complemento a lo anterior, trazando una línea sobre el eje longitudinal del canino, la cual, hará referencia y marcará la angulación de su posición respecto a los planos siguientes:

1. Al plano oclusal, utilizando los primeros molares como referencia.

2. Plano de la línea media, perpendicular al oclusal entre los incisivos centrales superiores.

Paso seguido, habiendo analizado los resultados de las mediciones y angulaciones obtenidas, podremos referir lo siguiente:

1. Si la inclinación resultante de la posición canina es de 25° de inclinación de su eje longitudinal respecto a la línea media, será

considerada la norma ideal dentro de los límites naturales del intercambio dental, donde el canino lleva una dirección de erupción aceptable y de bajo riesgo.

2. Si la angulación aumenta, el riesgo de impactación del canino sobre el diente lateral, incrementará el riesgo de reabsorción radicular del diente lateral en un 50%, así como una franca inclusión (Figura 22).

El diagnóstico obtenido de las mediciones realizadas, debe de ser veraz, ya que un error en interpretación sin calcular bien el contexto anatómico en el que está la retención canina en proceso podría generar severas complicaciones por las malposiciones dentarias presentes, consecuentes y potenciales, que alargarían el tratamiento; existiendo entonces la necesidad de intervenir con acciones ortopédicas, quirúrgicas y ortodonticas, con el fin lograr una alineación adecuada de las arcadas dentales y una estabilidad en la oclusión.29

Como podemos observar, tener una referencia del crecimiento y desarrollo craneodentofacial es básico para poder medir, verificar y diagnosticar correctamente la posición del canino, su trayecto, los tiempos biológicos de crecimiento óseo y así poder tener más referencia de la proyección y posibles causas que generan interferencias y que impliquen una inclusión canina.30

Entre otros métodos de apoyo para obtener un diagnóstico, en el

Figura 21.
Figura 22.

Investigación clínica

Figura 23.

propósito de ubicar al canino con posibilidades de incluirse, en su trayectoria de erupción, está el desarrollado por el Dr. Ricketts, 5 que además de ser una herramienta para planificación de un tratamiento interceptivo ortodóntico adecuado, permite visualizar y el trayecto de formación y erupción del canino, esto es, utilizando radiografías laterales de cráneo, aplicando la técnica de superposición (Figura 23).

Este método es el más utilizado en la actualidad7 y se complementa con un área de estudio que detecta cambios dimensionales y de dirección de crecimiento, tanto en el maxilar como en la mandíbula.6 El apoyo de este análisis, es el punto de partida para tomar acciones interceptivas, en beneficio de obtener los espacios suficientes para el acomodo de caninos y de ese modo evitar su inclusión.

Referencias

1. (Lezcano 2009). https://dialnet.unirioja.es/servlet/articulo?codigo=3022319

2. (Donado 2019). ELSEVIER, 5ª. EDICIÓN. BARCELONA.

3. Ugalde MFJ. Clasificación de caninos impactados y su aplicación clínica.

4. Revista ADM Órgano Oficial de la Asociación Dental Mexicana (2001) Universidad de Guayaquil, Facultad de Odontología, Ecuador [Internet]. 2018 [Citado 19 de febrero de 2020]; Disponible en: http://repositorio.ug.edu.ec/bitstream/ redug/33808/1/2691

5. Ricketts RM. Un método de cuatro pasos para distinguir entre cambios ortodóncicos y crecimiento natural. JCO 1975.

6. Owen A. Modified Function Regulator For Vertical maxillary exscess. JCO 1985.

7. Gutiérrez A. Gonzalo/Ayala P. Revista Chilena de ortodoncia Vol.16 enero-junio 1999.

8. Nolla C. The development of the permanent teeth. Jour of Dent for Child. 1960:25466.https://www.dentalage.co.uk/wp-content/uploads/2014/09/nolla_cm_1960_ development_perm_teeth.pdf

9. Vellini Ferreira Flavio. Ortodoncia y planeamiento clínico. Editorial ARTES MEDICAS - GRUPO A; 3er edición (1 Enero 2008). ISBN 10:8574040037 ISBN 13: 9788574040035

Diagnóstico y tratamiento ortodóntico interceptivo como prevención en la inclusión del canino

10. Revista de Salud Pública Print version ISSN 0124-0064Rev. salud pública vol.11 no.6 Bogotá Nov./Dec. 2009. Agenesia en dentición permanente. Raúl Díaz-Pérez y Rubén A. Echaverry-Navarrete. Facultad de Odontología, Universidad Nacional Autónoma de México. drraul@prodigy.net.mx, drraul_mx@yahoo.com.mx, raen_28@hotmail.com

11. MOSS, MELVIN. ANALISIS CRITICO DE LA TEORIS FUNCIONAL DE MOSS file:///C:/Users/depos/Downloads/Dialnet-AnalisisCriticoDeLaTeoriaFuncionalDeMoss-4779796%20(1).pdf

12. International journal of interdisciplinary dentistry. Versión impresa ISSN 2452-5596versión On-line ISSN 2452-5588 Int. j interdiscip. dent. vol.17 no.1 Santiago abr. 2024 http://dx.doi.org/10.4067/s2452-55882024000100048 REVISIÓN NARRATIVA Impacto de la agenesia de incisivos laterales maxilares en la oclusión: revisión bibliográfica.

13. Gaceta Sanitaria. Versión impresa ISSN 0213-9111 Gac Sanit vol.21 no.3 Barcelona may. /jun. 2007ORIGINALES. Defectos del esmalte, caries en dentición primaria, fuentes de fluoruro y su relación con caries en dientes permanentes https://scielo. isciii.es/scielo.php?script=sci_arttext&pid=S0213-91112007000300009

14. versión On-line ISSN 2395-8235versión impresa ISSN 0186-2391 Acta pediatr. Méx vol.35 no.4 México jul./ago. 2014 Artículo original Prevalencia de caries de la infancia temprana y factores de riesgo asociados Fernando Javier Aguilar-Ayala1, Claudia Gabriela Duarte-Escobedo2, Marina Eduviges Rejón-Peraza1, Rodrigo Serrano-Piña1, Alicia Leonor Pinzón-Te1 https://www.scielo.org.mx/scielo.php?script=sci_arttext&pid=S0186-23912014000400002

15. https://dentistaypaciente.com/calidad-y-direccion-131.html El diagnóstico oportuno y el tratamiento temprano en los casos de agenesia de dientes laterales del maxilar Julio 1, 2019. Martínez, Guillermo.

16. Tratamiento ortodóntico en molares deciduos en paciente con agenesia de permanentes. Caso clínico. Serratos Lira, Arcelia Andrea1; Galicia García2, Citlalli Elizabeth3; Gasca, Ivonne4 https://www.ortodoncia.ws/publicaciones/2019/art-7/

17. Asociación entre maloclusiones y caries temprana de la infancia en una muestra de niños preescolares FERNANDA RAMÍREZ, ÓSCAR NORAMBUENA , ROCÍO SERRANO2, CRISTIAN VERGARA , EUGENIA HENRÍQUEZ https://www.odontologiapediatrica.com/wp-content/uploads/2022/06/02_FERNANDA-RAMIREZ.pdf

18. Versión impresa ISSN 0001-6365 Acta odontol. Venez v.46 n.3 Caracas dic. 2008 El sistema masticatorio y las alteraciones funcionales consecuentes a la pérdida dentaria. Amílcar Chagas Freitas Júnior, Rosse Mary Falcón Antenucci, Erika Oliveira

Investigación clínica

de Almeida, Eduardo Passos Rocha, Eulália Maria Martins da Silva https://ve.scielo. org/scielo.php?script=sci_arttext&pid=S0001-63652008000300025

19. Revista Latinoamericana de Ortodoncia y Odontopediatría Depósito Legal Nº: pp200102CS997 - ISSN: 1317-5823 – www.ortodoncia.ws P á g i n a | 1 FUENTE: http://www.ortodoncia.ws/publicaciones/2011/art23.asp Revista Latinoamericana de Ortodoncia y Odontopediatría Depósito Legal Nº: pp200102CS997 - ISSN: 1317-5823 - RIF: J-31033493-5 - Caracas – Venezuela. Expansión mandibular y tracción de caninos inferiores, reporte de caso clínico Autores: Alberto Alvarado Cordero Dra. Beatriz Gurrola Martínez, Dr. Adán Casasa Araujo. https://ceso.edu. mx/pdf/EXPANSION_MANDIBULAR_ALBERTO_ALVARADO.pdf

20. Función de la curva de Spee en la oclusión dentaria: Marín Dhanna,* García Eliezer,** Covarrubias Mónica.** Un enfoque Ortodóncico https://www.uan.edu.mx/d/a/ publicaciones/revista_tame/numero_9/Tame39-9.pdf

21. Versión On-line ISSN 0717-9502 Int. J. Morphol. vol.41 no.2 Temuco abr. 2023 http://dx.doi.org/10.4067/S0717-95022023000200374. Actualización del análisis de los Movimientos Mandibulares a través de Articulografía Electromagnética

22. ¿Cómo influyen los malos hábitos en la fisiología bucal? POR DR FERNANDO DE LA IGLESIAEL 7 NOVIEMBRE, 2016 HTTPS://ORTODONCIABARCELONA.COM/ BLOG/COMO-INFLUYEN-LOS-MALOS-HABITOS-EN-LA-FISIOLOGIA-BUCAL/

23. Caso clínico. Tratamiento ortodóncico-ortopédico del colapso del maxilar, mordida cruzada anterior y posterior mediante expansor Hyrax. Reporte de caso Fabian Andrés Campo Franco Beatriz, Gurrola Martínez Adán, Casasa Araujo HTTPS:// WWW.ORTODONCIA.WS/PUBLICACIONES/2019/ART-10/

24. Odontol. Sanmarquina 2018; 21(2): 131-140 http://dx.doi.org/10.15381/os. v21i2.14779 Crecimiento del cartílago condilar. Una revisión de la literatura. Claudia Margarita Romero Peláez 1,a, Ethman Ariel Torres Murillo 1,b, Yuliana Andrea Pinto Parada 1,a FILE:///C:/USERS/DEPOS/DOWNLOADS/ADMOJS,+ODONTOV21N2_011A_ROMERO.PDF

25. Versión On-line ISSN 0717-9502. Int. J. Morphol. v.26 n.4 Temuco dic. 2008 Int. J. Morphol., 26(4):853-859, 2008. Recuperación de la Morfología y Fisiología Maxilo Mandibular: Biomateriales en Regeneración Ósea https://www.scielo.cl/scielo. php?script=sci_arttext&pid=S0717-95022008000400013

26. Disyunción Palatina y sus efectos en las vías aéreas superiores. Donají Orozco Martínez. Residente del Instituto mexicano de Ortodoncia. León. Guanajuato Daniel López. Ortodoncista. Profesor de post grado del Instituto mexicano de ortodoncia. www.imo.edu.mx https://www.ortodoncia.ws/publicaciones/2016/art-46/

27. Manejo de la dimensión transversal (expansión) por medio de microtornillos (TADS). Lorenzo Puebla Ramos1. https://www.elsevier.es/

Diagnóstico y tratamiento ortodóntico interceptivo como prevención en la inclusión del canino

es-revista-revista-mexicana-ortodoncia-126-articulo-manejo-dimension-transversal-expansion-por-S2395921516000106

28. 28.- Versión impresa ISSN 1138-123X RCOE vol.10 no.1 ene./feb. 200 Evolución de las características de las arcadas dentarias en dos grupos de edad. Paulino, Vera Susana https://scielo.isciii.es/scielo.php?script=sci_arttext&pid=S1138-123X2005000100004

29. AGUANA, KARINA COHEN, LUCIA D. PADRÓN, LUCIA B.Revista Latinoamericana de Ortodoncia y Odontopediatría "Ortodoncia.ws edición electrónica junio 2011https://www.ortodoncia.ws/publicaciones/2011/art-11/

30. Cefalometría lateral de Ricketts en adolescentes de 12 a 14 años con oclusión normal, 2001-2003. Dra. Zoila Rosa Podadera Valdés,1 Dr. Francisco Luis Rodríguez Díaz,1 Dr. Teddy Osmín Tamargo Barbeito2 y Lic. Santa González Corrales3 http:// scielo.sld.cu/scielo.php?script=sci_arttext&pid=S0034-75072004000200005

31. Cronología y secuencia de erupción de la dentición permanente. Actualización en la población infantil española. Muñoz Cano L, Diéguez Pérez M, Paz Cortés M M. Cronología y secuencia de erupción de la dentición permanente. Actualización en la población infantil española Cient. Dent. 2022; 19; 1; 23-32 https://coem.org.es/ pdf/publicaciones/cientifica/Vol19Num1/03CronologiaVol19num1.pdf

32. DOI: 10.1016/S2395-9215(16)30009-5. Tracción de canino retenido superior con aparatología ortodóntica fija Edgewise: Reporte de un caso. María de los Ángeles Montenegro Porras. Francisca Hara Ortiz https://www.elsevier.es/es-revista-revista-mexicana-ortodoncia-126-articulo-traccion-canino-retenido-superior-con-S2395921516300095

33. Cruz RM. Orthodontic traction of impacted canines: Concepts and clinical application. Dental Press J Orthod. 2019;24(1):74–87.

34. Howe RP, McNamara JAM, O’Connor KA. An examination of dental crowding and its relationship to tooth size and arch dimension. Am J Orthod 1983; 83(5): 36367.

35. Moss ML. The functional matrix hypothesis revisited. 2. The role of an osseous connected cellular network. Am J Orthd Dent Orthop 1997; 112:221-226. 1197b.

36. Moss ML. The functional matrix hypothesis revisited. 3. The genomic thesis. Am J Orthd Dent Orthop 1997; 112: 338-342. 1197c.

37. Universidad Autónoma del Estado de México Facultad de Odontología Centro de Investigación y Estudios Avanzados en Odontología “Dr. Keisaburo Miyata” Proyecto Terminal de Investigación “Aparato ortopédico recuperador de espacio” http:// ri.uaemex.mx/bitstream/handle/20.500.11799/113232/Aparato%20ortopedico%20recuperador%20de%20espacio.pdf?sequence=1&isAllowed=y

Investigación clínica

38. Onçag, G.; Seçkin, O.; Dinçer, B. & Arikan, F. Osseointegrated implants with pendulum springs for maxillary molar distalization: a cephalometric study. Am. J. Orthod. Dentofacial Orthop., 131(1):16-26, 2007

39. Akimoto S, Kubota M, Sato S. Increase in vertical dimension and maxillo-mandibular growth in a longitudinal growth sample. J Stomat Occ Med 2010; 3:15

40. Altug H, Bengi O, Akin E, Karacay S. Dentofacial effects of asymmetric headgear and cervical. Headgear with removable plate on unilateral molar distalization. Angle Orthod. 2005; 75 (4): 584- 92

41. Andrés Sánchez, Arco extraoral https://www.academia.edu/40754031/Arco_ extraoral

42. Distalización de molares con péndulo en paciente clase II y apiñamiento severo. Reporte de un caso Rosas-Fregoso KA, Cerrillo Lara D, Ocampo-Acosta F, Manriquez-Quintana FI, Zúñiga-Herrera ID. Revista Odontológica latinoamericana. (2022) Vol. 14| Núm. 2 | pp 57-61

43. Suárez D, Borja M, Suárez P. Protocolo para el pronóstico de los caninos superiores retenidos. 2023. Dental Tribune. https://la.dental-tribune.com/news/protocolo-para-el-pronostico-de-los-caninos-superiores-retenidos/

44. Jacoby, H. The etiology of maxillary canine impactions. Am. J. Orthod., 84(2):12532, 1983.

45. GA. R. Cirugía bucal con patología clínica y terapéutica. 8va edición. Ateneo E, editor. 1980

46. Crescini A, Baccetti T, Rotundo R, Evelyn M. Tunnel Technique for the Treatment of Impacted Mandibular Canines. Int J Periodontics Restorative Dent. 2009.

47. Kokich VG, DP Mathews. Surgical and orthodontic management of impacted teeth. Dent Clin North Am. 1993.

48. Cruz RM. Orthodontic traction of impacted canines: Concepts and clinical application. Dental Press J Orthod. 2019;24: 74-87.

49. Bedoya, M. M. & Park, J. H. A review of the diagnosis and management of impacted maxillary canines. J. Am. Dent. Assoc., 140:1485-93, 2009.

Entrevista a Alexandre Dedioulio

Nos encontramos con Alexandre Dedioulio que ha desarrollado el software de Dental Space. Muchas gracias por tu tiempo, por favor, cuéntanos de dónde eres y cuánto tiempo llevas aquí en México.

Bueno, yo soy originario de Rusia, de Moscú, ahí estudié la carrera de Ingeniería en Sistemas, soy Ingeniero Mecánico y al mismo tiempo soy Ingeniero Matemático y me dedico al desarrollo de sistemas. Llegué a México hace 26 años en el año 1997 y desde entonces me dedico al desarrollo del software, en particular para el mercado dental, para las clínicas, para centros radiológicos etc.

¿Cómo y desde cuándo nace Dental Space?

AD: Básicamente, Dental Space fue como una herramienta para manejo de centros radiológicos y surgió por necesidad, aproximadamente como en el año 2010, cuando ya vi el tema de los centros radiológicos. Pero sus primeras versiones fueron implementadas en el año 2015 aproximadamente con un centro radiológico que se llama IDM, en la Ciudad de México. Ahí implementamos la primera versión y desde ahí empieza su historia, con su constante desarrollo, mejoras y crecimiento.

Este software, ¿se puede adquirir en todas partes, se trabaja nada más aquí en la

Mtro. Carlos Adolfo Espinosa García

CDMX, en alguna otra parte de la República o incluso en el extranjero?

De hecho, el software de Dental Space fue desarrollado con la idea de usarlo en toda Latinoamérica, como el manejo de centros radiológicos en Latinoamérica es muy específico y diferente, comparándolo con Estados Unidos y con Europa, fue desarrollado con el objetivo de este mercado y actualmente tenemos los clientes por toda la República y algunos países de Latinoamérica.

¿Está más restringido en EUA que en Latinoamérica o es al revés?

No es cuestión de restricción sino de cómo se operan los centros radiológicos, cómo se aplican.

¿Qué es lo que hace el software?

Es un sistema integral que abarca todas las áreas de un centro radiológico, como parte administrativa, como la parte de elaboración de estudios y esa es la más importante, porque hoy en día, no existe en el mercado una herramienta que le dé todas las herramientas necesarias al centro radiológico para elaborar los estudios. Finalmente los estudios elaborados con diferentes softwares no se ven como un producto, no tienen la solidez de un producto y como que no le dan una buena presentación, apariencia y no inspiran

la confianza al Doctor. Con nuestro sistema, todos los estudios salen muy bien elaborados, perfectamente organizados, hechos y ya tienen una solidez de producto y una imagen corporativa muy fuerte.

¿Los centros radiológicos se pueden apoyar en este software para un mejor diagnóstico?

Claro. Las imágenes son un apoyo para el diagnóstico en todas las clínicas y nosotros aportamos a este proceso de detección de todos los

problemas, nuestro trabajo le ofrece a los doctores la imagen más clara, más nítida; pero aparte de todo, hemos desarrollado varios estudios como el estudio volumétrico para implantes y análisis facial con cortes tomográficos. Hay muchas herramientas nuevas que nosotros introdujimos al mercado, que antes no existían.

¿Cuánto tiempo te tardaste en desarrollar este software?

El software, en general, no tiene fin de desarrollo, siempre va

evolucionando. Es como un bebé o un niño pequeño que nace, crece, madura, luego llega a su edad productiva y siempre se encuentra en un desarrollo constante. Actualmente, nosotros pasamos por la etapa de desarrollo tradicional, genérico, con unos nuevos estudios. Ya mejoramos bastante las herramientas para el doctor y actualmente nos estamos enfocando en el tema de inteligencia artificial, tratando de implementar las herramientas que usa esa moderna tecnología del día de hoy y ponerla en manos de los doctores

Cuándo llegaste a México y se te ocurrió desarrollar esta idea, ¿a qué retos te enfrentaste?

El reto número 1 fue entender cómo piensan los doctores, para hablar con ellos el mismo idioma. Es el tema principal en cualquier desarrollo y porque hay muchos sistemas que no llegan a prosperar y no sobreviven porque están hechos por ingenieros para ingenieros y no por ingenieros para doctores. Yo creo que ese era el reto más fuerte, de entender cómo piensa el doctor y que está esperando de tu software.

¿Tuviste el apoyo de algunos doctores para el desarrollo de tu software?

Claro que sí. Tengo muchísimos amigos doctores que me han ayudado mucho en el tema de desarrollo para aclarar ciertas cosas, pero la mayor

parte fue el estudio autodidáctico de todos los temas de ortodoncia, porque ya tenemos una herramienta de trazado cefalométrico, entonces tuve que aprender desde cero ¿qué es esto?, ¿cómo se hace?, ¿de qué sirve?, etc. y ¿cómo quieren los doctores verlo, manipular, etc.? Lo mismo de tomografía, ¿cómo se hacen los cortes tomográficos?, ¿qué es la tomografía?, ¿qué quiere ver el doctor utilizando esas herramientas? Y así, en todas las áreas.

¿Cuáles crees que sean retos más próximos?

Pues ya superando el reto de entender cómo debe ser el software, ahora el reto principal es integrar, involucrar, nuevas tecnologías en análisis de las imágenes. Estoy hablando de inteligencia artificial, que de manera automática va a hacer las interpretaciones de las radiografías, buscar las caries, fracturas, cualquier tipo de lesión y, sobre todo, nos ayuda a automatizar los procesos y optimizar el trabajo de un centro radiológico. Los estudios que toman mucho tiempo se harán mucho más rápido en forma automatizada, como trazados cefalométricos, análisis facial, todo ese tipo de estudios.

¿Cuáles son los objetivos a corto y a largo plazo?

A corto plazo es la inteligencia artificial y a largo plazo, a base de la misma herramienta, armar una comunidad de los centros

Entre otros métodos de apoyo para obtener un diagnóstico, en el propósito de ubicar al canino con posibilidades de incluirse, en su trayectoria de erupción, está el desarrollado por el doctor Ricketts.

radiológicos. Lo que me gustaría personalmente es unir los centros radiológicos chicos, porque ellos son los que carecen de ese tipo de herramientas, entonces formar una, no tanto como una sociedad, sino una comunidad de los centros pequeños y levantar su nivel de calidad a otro nivel y ofrecer un servicio más corporativo en todo, desde el entrenamiento de personal, al uso del software, procesamiento centralizado de sus estudios, etc. Muchas nuevas ideas.

Esta nueva tecnología, ¿la hay en algún otro lado?

De hecho, no la hay en todos lados, está apenas desarrollándose. Existen algunos sistemas que ya están funcionando, pero están totalmente

separados. Son individuales, cumplen con tareas muy específicas. Unos nada más hacen el trazado cefalométrico, otras nada más hacen interpretación de radiografías periapicales, mientras que nuestra idea es integrar todas esas herramientas y ofrecer a los centros radiológicos y a los doctores una herramienta integral, que cumple con todas las necesidades que buscan diferentes formas en el mercado.

Cuando ya nos acostumbramos a ver las radiografías, tratar de analizarlas, no siempre tiene uno la capacidad o la experiencia suficiente para detectar todos los detalles más diminutos en una radiografía, entonces ya llega de ayuda la inteligencia artificial. La inteligencia artificial recorre toda la imagen y busca todos los detalles que uno no logra detectar, por ejemplo, unas fracturas o fisuras diminutas, malformaciones, tumores, algunos detalles que los doctores, en su vida cotidiana, no tratan diariamente y por lo mismo, no tienen acostumbrado a su ojo a ese tipo de lesiones. La IA le ayuda a detectar todo espectro, toda la gama completa de problemas que pueda tener el paciente, su dentadura, sus estructuras óseas.

Esto le ayudaría mucho a un maxilofacial

Sí, claro. De hecho, mucho antes de hacer el software para centros radiológicos, desarrollé el sistema que se llamaba Dental Clinic, para

las clínicas dentales y desarrollé también con mi equipo de diseñadores, unos videos que apoyan a los doctores, para explicarle al paciente cualquier tipo de tratamiento. De ahí tomé toda la experiencia y estudié la anatomía dental de cómo es el diente, por qué es así, que es lo que tiene, cómo son las estructuras óseas, por qué son así y todo ese tipo de detalles de anatomía dental la tuve que aprender; posteriormente empecé a ver el tema de trazado cefalométrico y ortodoncia. Para poder hacer una herramienta hay que saber perfectamente de lo que es capaz y cómo funciona. Tuve que aprender toda la parte de ortodoncia, el trazado cefalométrico y posteriormente el tema de tomografía, lo que es imagen 3D, los

cortes tomográficos y todo eso, por un lado, es una herramienta para el doctor con la que podrá trabajar. Por otro lado, están las matemáticas, las de muy alto nivel, con muchos cálculos y que son complejas y que el doctor no lo puede hacer, así como el ingeniero no puede hacer, ni entender, lo del doctor. Ese era el reto que superé, ya entendiendo bien qué es lo que quiere el doctor y empleando todo el conocimiento de las matemáticas, para lograr un resultado óptimo.

Alexandre, muchas felicidades por este software que desarrollaste, mucho éxito y muchas gracias por tu tiempo.

AD: Gracias a ustedes.

Fotoarte: Editorial Renascence | Fotografía: AdobeStock

Estudio comparativo

de la precisión entre 2 distintas técnicas de tomas de impresión, odontología análoga contra odontología digital

Estudio comparativo de la precisión entre 2 distintas técnicas

Las restauraciones indirectas son el día a día de la odontología, por lo tanto es de suma importancia conocer los diferentes sistemas para tomar impresiones dentales, ya sea convencionales o modelos digitales. Objetivo: comparar la precisión de la toma de impresión convencional con polivinil siloxano (Elite P&P) vs. el uso de una técnica de escanéo digital. Metodología: estudio transversal, comparativo, observacional e in vitro. En un tipodonto Nissin se realizó una serie de señalizaciones las cuales se fijan con cianocrilato para posteriormente tomar una impresión convencional, se fijan los vástagos con patern resin en la impresión y se vacía con yeso tipo IV de Zhermack, después se realizó un escaneo digital al tipodonto para así comparar

Brian Javier Solís Landa. Residente de 2o año de la especialidad de Rehabilitación del Centro Educativo Multidisciplinario en Rehabilitación Oral. CEMRO. Tarímbaro, Michoacán, México. Octavio Olvera Benítez. Especialista en Ortodoncia. Profesor de la materia de Odontología Digital en Centro Educativo Multidisciplinario en Rehabilitación Oral. CEMRO. Tarímbaro, Michoacán, México. Benjamín Alberto Lázaro Castillo. Maestría en Ciencias Odontológicas. Profesor e Investigador del Centro Educativo Multidisciplinario en Rehabilitación Oral. CEMRO. Tarímbaro, Michoacán, México.

CONFLICTO DE INTERÉS

Los autores manifiesta no tener ningún conflicto de interés

CONTACTO: Brian Javier Solís Landa CORREO ELECTRÓNICO: brianjaviersolislanda@gmail.com

las distancias entre los diversos puntos marcados, esto con un vernier eléctrico. Resultados: se obtuvieron resultados ligeramente significativos entre las 2 distintas formas de obtener un modelo de trabajo. Conclusión: Según los hallazgos encontrados en este estudio, se determinaron las siguientes conclusiones: es de suma importancia utilizar los materiales como lo marca el fabricante. Los resultados obtenidos requieren estudios más precisos, pero pudimos determinar que los tiempos de trabajo son menores con la técnica digital, y por ende requiere menor ajuste.

Palabras clave: impresión convencional, escaneo digital, polivinil siloxano.

Las impresiones dentales en odontología son una necesidad en la práctica diaria en cualquier consultorio y pueden ser llevadas a cabo con éxito mediante una gran variedad de técnicas clínicas y con muchos materiales distintos. Hoy en día, casi todos los materiales y las técnicas de impresión permiten lograr resultados satisfactorios en lo que a reproducción del detalle con precisión se refiere. Los materiales de impresión se han utilizado en prostodoncia, ortodoncia, restauración, prótesis maxilofacial, planificación de diagnóstico/tratamiento e implantes dentales. Se han conocido como impresiones negativas de los tejidos bucales, que se utilizan para la formación positiva de los dientes.1

Una impresión dental precisa es el primer paso en la fabricación de restauraciones indirectas.2

Las burbujas de aire y la deformación del material de impresión como la contracción o la expansión afectarán a la precisión del modelo de trabajo, afectando al ajuste de la prótesis.3

La evolución de los materiales de impresión ha sido muy importante, ya que se busca mejorar la precisión en el ajuste de las restauraciones indirectas principalmente, existe una clasificación de los mismos, que son los materiales de impresión rígidos, los cuales no tienen aplicación en las prótesis fijas y los materiales de impresión elásticos, que se dividen en acuosos, que son los alginatos o hidrocoloides irreversibles y los no acuosos, que son las siliconas por condensación, las siliconas por condensación, poliéteres y polisulfuros; siendo las siliconas por adición o polivinil siloxano, los más utilizados en la actualidad por su fluidez, estabilidad dimensional, hidrofilia, recuperación elástica y definición de los detalles.4

Por lo tanto, se han desarrollado escáneres intraorales para mejorar la precisión de las prótesis definitivas y simplificar el procedimiento. En comparación con las impresiones convencionales de polivinilo siloxano (PVS), el escaneo digital intraoral elimina la selección de bandejas, la dispensación de materiales, el fraguado

Figura 1. A. Perforaciones, B. medición de vástagos a 3 mm.

Estudio comparativo de la precisión entre 2 distintas técnicas

de materiales, la desinfección de materiales, el envasado y envío de impresiones, el vertido de yeso, el seccionamiento y recorte de troqueles, y la articulación y el montaje. La impresión digital limita el error causado por la distorsión de los materiales de impresión convencionales.5

La tecnología de diseño y fabricación asistidos por computadora (CADCAM) se ha vuelto popular en prostodoncia y se espera que digitalice completamente la prótesis y el proceso de fabricación.6 Como primer paso, el escaneo intraoral debe ser tan preciso, consumir menos tiempo y ser más cómodo para los pacientes que la toma de impresiones convencional.7

Los escáneres intraorales (IOS) minimizan las molestias del paciente y permiten que el médico y el técnico del laboratorio dental obtengan inmediatamente un modelo digital.8

En comparación con los procedimientos tradicionales, un flujo de trabajo con un IOS ofrece varias ventajas. Sin embargo, la precisión y veracidad de los IOS se ven afectadas por el movimiento, la saliva y la sangre del paciente, particularmente en exploraciones completas de la arcada, y su uso implica una curva de aprendizaje y altos costos.7

Puede resultar difícil colocar el IOS en la cavidad bucal y los datos del

2. A. Materiales de impresión

B. Impresión convencional de arcada superior C. Modelo de yeso y medición de punto A al punto D (convencional)

D. Escaneo. E. Impresión digital. E. Medición de modelo en resina (digital).

Figura

Estudio

Figura 3. Puntos fijados y evaluados de ambos materiales y técnicas, la flecha roja indica los puntos con más margen de error, que en este caso fue de 2 mm.

escaneo puede variar según la accesibilidad del IOS y acceso. Además, el tipo de cavidad puede afectar el acceso y la dispersión de la luz, la calidad de la imagen generada con un IOS varía dependiendo de la ubicación del margen gingival.9

Sin embargo, se requieren más estudios en los cuales exista mayor diferencia significativa para poder decretar cual técnica es mejor valorando costos, comodidad y las ventajas y desventajas de cada una de las técnicas por este motivo el propósito de este estudio in vitro fue comparar e identificar si existe una contracción, distorsión y precisión de la toma de impresión convencional con polivinil siloxano (Elite P&P) vs. el uso de una técnica de escanéo digital e impresión en resina con un escáner de mesa o de laboratorio Shinning.

Objetivo

Comparar la precisión de la toma de impresión convencional con polivinil

siloxano (Elite P&P) vs. el uso de una técnica de escanéo digital.

Metodología

Investigación de tipo observacional, comparativa y transversal. En la que se realizó el escaneo e impresión de modelo en el laboratorio de Centro de Estudios Multidisciplinario en Rehabilitación Oral (CEMRO), en Tarímbaro, Michoacán. Se utilizó un tipodonto Nissin de 28 dientes, sin goma, se realizaron 5 perforaciones en el maxilar del tipodonto con fresa sr11 (mani), utilizando pieza de alta a 35,000 rpm, denominadas con letras A, B, C, D, y E, cúspide mesiopalatina del primer molar superior derecho (A), vértice del canino superior izquierdo (B), punto palatino a nivel de línea media y segundos premolares superiores (C), cúspide mesiopalatina del primer molar superior izquierdo (D) y vértice del canino superior derecho (E). Se dejaron las fresas en las perforaciones y se fijan con cianocrilato, se cortan con micromotor y disco para metales, se dejan a una distancia de 3 mm de altura, y se miden con vernier eléctrico (Figura 1).

Se toma impresión con silicona por adición, masilla (P&P Zhermak), de manera que los orificios creados se impriman en negativo, se vacía en yeso tipo IV (Zhermak), después de 40 minutos como lo indica el fabricante. La otra impresión se realiza empleando un escáner de mesa (Shinning), para posteriormente

imprimir los STL en una impresora 3D (Anycubic), con resina para imprimir (Anycubic). Se procede a realizar las medidas con vernier electrónico de los diferentes puntos señalados (Figura 2).

Ya impresos y vaciadas las impresiones, se procede a medir las distancias entre puntos:

De A-B, A-C, A-D y A-E

De B-A, B-C, B-D y B-E

De C-A, C-B, C-D y C-E

De D-A, D-B, D-C y D-E

De E-A, E-B, E-C y E-D

Se midió y analizó ambas técnicas para comprobar si existe una diferencia significativa entre los distintos materiales y para realizar restauraciones indirectas.

Resultados

Los resultados obtenidos en el estudio fueron los siguientes en las Tablas 1-3

Con base a las distancias medidas con el vernier eléctrico, los resultados indican que existe un menor sesgo o margen de error en la toma de impresión digital, se compararon las distancias iguales entre ambas técnicas, con las que tienen una diferencia de 0.1 milímetros (mm), las que tienen una diferencia de más de 0.1 mm, las distancias de 1 a 1.5 mm de error y las que tuvieron una discrepancia de 2 mm o más. Las distancias que fueron iguales, son las

Estudio comparativo de la precisión entre 2 distintas técnicas

siguientes: técnica digital, A-C, A-D, B-E, C-A, y D-A; técnica convencional, A-C, A-D, C-A, D-C. Los puntos con mayor error fueron de B-C, C-B, esto pudo haber ocurrido por la dificultad de la medición entre ese punto ya que no se dio en un punto plano como las demás distancias, por lo cual se invita a realizar mayores estudios para tener un resultado y una conclusión más acertada.

Tabla 1. Tipodonto Nissin de
Tabla 2. Modelo escaneado e impreso de
Tabla 3. Modelo impresión convencional

Discusión

La presente investigación estudió la precisión de una impresión convencional vs. la precisión de una impresión digital. Los resultados son favorables para la técnica digital ya que se realiza en menor tiempo y tiene menor diferencia entre las distancias marcadas.10 Se informaron en un estudio que la técnica digital tiene una mejor precisión en el ajuste marginal e interno de las restauraciones dentales tipo onlay. La distancia de evaluación de este estudio es estándar, ya que es un escáner de laboratorio o de mesa, 11 evaluaron el efecto de 5 distancias de escaneo (5, 10, 15, 20 y 23 mm). Obteniendo mejores resultados a una distancia promedio de 10 mm. En este caso la forma de movimiento del escáner de mesa, favoreció a que no hubiera tanto error en el mismo ya que realiza los movimientos de manera recta

en la parte oclusal y no en ondas o movimientos en zigzag, esta técnica ya mencionada.12

Conclusión

La reducción de tiempo y precisión son favorables para una técnica digital, pudimos identificar que hay una diferencia significativa a favor del escáner, ya que de 10 puntos analizados 8 fueron favorables, lo que representa que podemos tener menor ajuste en una restauración indirecta, por ende, podemos encontrar una mayor fidelidad en una técnica 100% digital. Esta investigación solo fue una muestra pequeña por lo tanto se pide que se siga hablando del tema y hacer una valoración minuciosa de cada uno de los materiales mencionados en dicho artículo pasa determinar con precisión si existe una mayor precisión entre un material y otro.

Referencias

1. Zarrintaj, Payam; Rezaei, Sahba; Hassan Jafari, Seyed; Reza Saeb, Mohammad; Ghalami, Shadi; Roshandel, Mahsa; Milan Peiman, Brouki; Ahmadi Ehsaneh, Daghigh; Sefat, Farshid; Mozafari, Masoud. (2019). Impression materials for dental. Advanced Dental Biomaterials., 198-199.

Estudio comparativo de la precisión entre 2 distintas técnicas

2. Medina-Sotomayor, Priscilla; Ordóñez Esp, Paola; Ortega Esp, Gabriela. (2020). Precisión de los sistemas de impresión digital intraoral en odontología restauradora: Una revisión de la literatura. International Journal of Dental Scienses, 64-57.

3. Punj, Amit; Bompolaki, Despoina; Garaicoa, Jorge. (2017). Dental Impression Materials and Techniques. Department of Restorative Dentistry, 779-796.

4. Díaz-Romeral Bautista, Pablo; López Soto, Enrique; Veny Ribas, Teresa; Orejas Pérez, Jaime. (2007). Materiales y técnicas de impresión en prótesis fija . Cient Dent, 71-82.

5. Su, Ting-Shu; Sun, Jian . (2016). Comparación del ajuste marginal e interno de prótesis dentales fijas cerámicas de 3 unidades realizadas con impresión convencional o digital. The Journal of Prosthetic dentistry, 362-367.

6. Salem, Mohamed M.; Elmahy, Waleed A.; Nars, Dina M. (2024). Efecto de diferentes estrategias de escaneo intraoral en el ajuste marginal e interno de las restauraciones con incrustaciones CAD-CAM: un estudio in vitro. The Journal of Prosthetic Dentistry, 518, volumen 131, número 3.

7. Nadile, B. O., Le Bars, P., Gaudin, A., Benoit Hardouin, J., Cheraud-Carpentier, M., Babacar Mbodj, E., & Soueidan, A. (2022). Evaluación comparativa de prótesis dentales fijas de cobertura completa fabricadas a partir de escaneos digitales o impresiones convencionales. The Journal of Prosthetic Dentistry, 71-79.

8. Paratelli, A., Vania, E., Gómez-Polo, C., Ortega, R., Revilla-León, M., & Gómez-Polo, M. (2023). Técnicas para mejorar la precisión de los escaneos digitales intraorales de implantes de arco completo: una revisión sistémica. Journal of Prosthetic Dentistry, 844-854.

9. Son, S.-A., Kim, J.-H., Seo, D.-G., & Jeong-Kil, P. (2022). Influencia de las diferentes configuraciones de incrustaciones y la distancia desde el diente adyacente en la precisión de una exploración intraoral. The Journal of Prosthetic Dentistry, 680-687.

10. Schaefer O, Decker M, Wittstock F, Kuepper H, Guentsch A. Impacto de las técnicas de impresión digital en la adaptación de coronas parciales cerámicas in vitro J Dent 2014;42:677-83

11. Rotar RN, Faur AB, Pop D, Jivanescu A. Influencia de la distancia de escaneo en la precisión del escaneo intraoral: un estudio in vitro. Materiales (Basilea). 2022;15:3061

12. Mennito AS, Evans ZP, Lauer AW, Patel RB, Ludlow ME, Renne WG. Evaluación del efecto que tiene el patrón de escaneo sobre la veracidad y precisión de seis sistemas de impresión digital intraoral. J Esthet Restor Dent. 2018;30:113e118

Osteointegración de implantes en pacientes diabéticos. Reporte de casos

Parte 1

Osteointegración de implantes en pacientes diabéticos. Reporte de casos

Introducción. El implante dental es considerado como una de las mejores alternativas como tratamiento para sustituir piezas ausentes. La osteointegración es fundamental para garantizar estabilidad misma que en un paciente diabético controlado debe reflejarse mediante pruebas radiográficas y sondeos con monitoreos constantes. Objetivo. Monitorear la osteointegración postimplante en pacientes diabéticos a un año. Metodología. Se evaluaron 2 pacientes de la clínica de implantología en la institución de CEMRO, con previos implantes rehabilitados a los cuales se les realizó monitoreo radiográfico, sondeo y exploración clínica, uno de ellos reportó no estar controlando su nivel de glucosa. Resultados. Se mostró más reabsorción ósea en la paciente diabética no controlada que en el paciente diabético controlado, periodontalmente no muestra signos de inflamación, enrojecimientos, sangrados o supuraciones. Conclusión. Es esencial tener control glucémico en pacientes con diabetes mellitus para mantener la estructura ósea y salud gingival alrededor de un implante dental ya que las enfermedades sistémicas están directamente relacionadas con la salud periodontal. Se recomienda mantener monitoreos constantes.

Palabras clave: implante dental, diabetes mellitus, osteointegración.

Diana Laura Juárez-Flores. Residente 2° año de la especialidad de Rehabilitación Oral del Centro Educativo Multidisciplinario en Rehabilitación Oral, CEMRO, Tarímbaro, Michoacán, México. Mónica Celina Cisneros Martínez. Maestría en administración de instituciones de salud, Especialidad en Periodoncia, Universidad Quetzalcóatl en Urapuato UQI, docente en área de Cirugía del Centro Educativo Multidisciplinario en Rehabilitación Oral, Tarímbaro Michoacán. Benjamín Alberto Lázaro Castillo Ortodoncista con Maestría en Ciencias Odontológicas, Profesor e Investigador de Centro Educativo Multidisciplinario en Rehabilitación Oral, CEMRO, Tarímbaro, Michoacán, México

La diabetes mellitus es una enfermedad crónica caracterizada por niveles elevados de glucosa en sangre, que puede afectar negativamente la salud bucal y la cicatrización de heridas.1 La clasificación de la diabetes se incluye en la NOM 015SSA24 para la prevención, tratamiento y control de la diabetes mellitus conforme su origen y características en: diabetes mellitus tipo 1, diabetes gestacional y diabetes mellitus tipo 2.2 En pacientes diabéticos, la colocación de implantes dentales se ha convertido en una opción de tratamiento cada vez más común para restaurar la función y la estética oral.3 Sin embargo, la influencia de la diabetes en el éxito a largo plazo de los implantes dentales sigue siendo un tema de debate y estudio.4

En pacientes sanos o diabéticos controlados no hay afectaciones sobre su tratamiento, se requiere una prueba glucosilada para corroborar su control de la glucemia antes del procedimiento quirúrgico. 5 La diabetes puede o no tener influencia sobre este procedimiento, así como en la cirugía consecutiva que donde se realiza la colocación de Healings.6 La osteointegración y la óptima cicatrización del tejido blando manifestaran el éxito en el tratamiento.7 La infección periimplantaria y la sobrecarga biomecánica son de los factores principales que se involucran en la pérdida progresiva de hueso alrededor de los implantes que ya se encuentran en funcionamiento provocando enfermedades periimplantarias.8 La mucositis, inflamación reversible, encontramos eritema e inflamación de la mucosa periimplantaria junto con sangrado y/o supuración al sondeo e incremento de la profundidad del sondaje (4-5 mm); la periimplantitis es un proceso inflamatorio que afecta a los tejidos blandos y duros que rodean el implante, ocasiona pérdida de soporte óseo de los implantes, con un aumento de la profundidad de sondaje >5 mm y a la presencia de sangrado y/o supuración al sondeo; finalmente, el fracaso periimplantario, dolor, movilidad y exudado purulento.9

Tenemos mejores resultados al realizar una colocación de implante postextracción para asegurar a largo plazo un buen acoplamiento,10 siempre y cuando haya una preservación del alveolo y correcto ajuste del implante.11

Los pacientes diabéticos son más propensos a que no se produzca una correcta osteointegración. 12 Una higiene bucal adecuada será un factor decisivo para asegurar una correcta cicatrización previniendo al mismo tiempo el riesgo de infecciones.5

Objetivo

Monitorear la osteointegración postimplante en pacientes diabéticos a un año, del archivo clínico de la institución de CEMRO, para valorar la remodelación ósea a través de radiografías periapicales y exploración clínica.

Metodología

Investigación observacional y retrospectiva, donde se revisó archivo clínico de la institución de CEMRO de las especialidades de la Clínica de Implantología. Sin preferencia de género dentro con los siguientes criterios: ser pacientes diabéticos, radiografía final postquirúrgica y radiografía posprotésica, los implantes colocados fueron MSDI se desconoce la técnica del tratado de la superficie y ADIN Touareg CloseFit con superficie OsseoFix, se refiere a una superficie de alta pureza enriquecida con fosfato de calcio, tiene niveles intermedios de rugosidad, ideales para una óptima integración y para su correcto mantenimiento. Se excluyeron pacientes que consumen drogas psicoactivas, haber fumado durante el proceso de integración del implante, con reimplantación, diagnosticados con

osteoporosis, los que mencionaron consumir bifosfonatos después de la colocación del implante, pacientes que se sometieron a tratamiento de radioterapia, así como fue indiferente en el criterio de selección la técnica de colocación de los implantes, la longitud y diámetro, angulación y si hubo alguna regeneración ósea. Obtuvimos a 2 pacientes con las características antes mencionadas.

Una vez identificados se les solicitó regresar a la clínica para una cita de control de su tratamiento de implantes y ofrecer algún otro tratamiento preventivo de ser necesario, asegurándonos así su participación en el muestreo de manera voluntaria.

En ambos pacientes, femenino de 38 y masculino de 56, fueron evaluados con los mismos métodos: radiográficamente y clínicamente; se le tomó a cada paciente una radiografía periapical generando paralelismo, en la que pudimos hacer una comparativa de esta con la radiografía posprotésica con la que ya contábamos, en está, pudimos observar si hay presencia de zonas radiolúcidas o zonas radiopacas y si existía presencia de periimplantitis. La evaluación clínica nos permitió identificar si hay presencia de exudado purulento, movilidad, zonas inflamadas o sangrados en la manipulación del sondeo.

Se interrogó a los pacientes para conocer que cuidados tuvieron después de su cirugía de colocación de

Osteointegración de implantes en pacientes diabéticos. Reporte de casos

implante, para descartar algún factor de riesgo que no nos pudiera asegurar su correcta osteointegración, así como que hábitos siguieron después de su rehabilitación y cuánto tiempo paso de su colocación de implantes a la colocación de prótesis sobre los mismos. Clínicamente observamos cual fue el tipo de rehabilitación y sondeamos con sonda

Hu-Friedy Colorvue Williams, PCVWKIT6, para poder medir la cantidad

de hueso perdido por remodelación ósea (Figura 1).

Con estos datos analizamos, si los resultados fueron o no satisfactorios a perspectiva del paciente, contando como resultados indeseados la movilidad grado 1 del implante, exposición de las cuerdas, así como radiográficamente la pérdida de

hueso mayor a 5 mm. En estos casos el acumulo de bacterias será mayor o en su defecto que los pacientes hayan perdido el implante. Asimismo nos percatamos de qué factores de riesgo contribuyeron a no tener un buen resultado, al igual de que hábitos de los pacientes contribuyeron al fracaso o éxito de los implantes colocados y rehabilitados.

Referencias

1. Marathe, Payal, H. Hellen, L. Kelly, (2017). Diabetes americana Normas de la Asociación Atención médica en la diabetes 2017. Journal of Diabetes , 320- 324.

2. Velazco-Guzmán, B. J., & Brena-Ramos, V. M. (2014). Diabetes Mellitus Tipo 2: Epidemiología y emergencía de salud . Salud y administración volumen 1, 11-16 .

3. Correa-Rivas, K. Y., Juárez-Santa Cruz, L. G., Vela-Carillo, M. F., & García-Muñoz, A. (2021). osteointegracion de implantes en pacientes diabeticos . revista de especialidades medico-quirurgicas, 64-70.

4. Navarro, g. (05 de Septiembre de 2022). Dental Navarro. Obtenido de https://www.dentalnavarro. com/blog/diabeticos-implantes-dentales/

Figura 1. Sonda Hu-Friedy Colorvue Williams

Osteointegración de implantes en pacientes diabéticos. Reporte de casos

5. Peñarrocha, D. (05 de Septiembre de 2019). Complicaciones de implantes dentales en pacientes diabeticos . Obtenido de https://idim.es/complicaciones-de-implantes-dentales-en-diabeticos/

6. Rondo, J. L., Ortiz, I., Jiménez, A., Matos, N., España, A., Monsalve, L., & Velasco, E. (2022). El tratamiento con implantes en pacientes con diabetes. Un estudio comparativo a 7 años . Avances en Odontoestomatología , 1-10.

7. Velasco, E., Monsalve, L., A., J., J., S. J., Matos, N., & Moreno, J. (2015). El tratamiento con implantes dentales en pacientes adultos mayores. Avances en odontología , 1-12.

8. García-Calderón, M., Cabezas, J., & Gallego, D. y. (2004). Diagnostico y Tratamiento de la periimplantitis. Actualizacion en el diagnóstico clinico y en el tratamiento de periimplantitis. Avances en periodoncia e Implantología Oral, 1-8.

9. Ándres, S., Pulido, G., Gonzáles, V., Navarro, F., & López, F. y. (2015). Periimplantitis y mucositis periimplantaria. Factores de riesgo, diagnóstico y tratamiento . Avances en Periodoncia e Implantología Oral, 1-11.

10. Montero, E., Luis, H. J., Rodriguez, H. J., & David, H. (2016). Implantes dentales en personas con diabetes. ¿Son seguros? Diabetes, 42-45.

11. Manzur, I., Puerta, M. A., Blanco, S., & Machuca, G. y. (2017). Implante dental inmediato en paciente diabetico . Revista clínica de periodoncia, implantología y rehabilitación oral , 1-6 .

12. Sacoto, M., Oviedo, D., Inga, J., Medina, P., & Ordoñez, P. (2023). Supervivencia de implantes dentales en pacientes diabéticos: Revisión sistémica . Revista facultad de ododntologia , 23-30.

13. Balderas, J. E., Zilli, F. N., & Fandiño, L. A. (2017). Factores relacionados con el éxito o fracaso de los implantes dentales colocados en la especialidad de Prostodoncia e Implantología en la Universidad de La Salle Bajío. Revista Española de Cirugía Oral y Maxilofacial , 1-13.

14. Ortega, R., Olate, S., Claudio, F., Duque de Miranda, H., de Moraes, M., & Mazontteto, R. (2012). Influencia de diámetro y longuitud de implantes en la perdida tardia de implantes dentales. Revista Internacional de Estomatología, 1-5

15. Becerra-Santos, G. y.-M. (2014). Consideraciones clínicas de los implantes en áreas posteriores. CES Odontología, 1-13.

16. Guevara-Callire, L., Falcón-Guerrero, B. E., Flores-Chipana, N., Mamani-Mamani, L., Mamani-Alejos, R., Mamani-Perea, H., Taya-Venegas, D. y.-L. (2021). Diabetes mellitus como factor de riesgo de la periimplantitis. Revista Odontologíca Basadrina , 59-65.

17. Wiltfang, J., Naujokat, H., & Kunzendorf, B. (2016). Revisión sistemica sobre diabetes mellitus e Implantes dentales. Una actualización. Revista Internacional de Implantología, 1-25.

18. Morales, D., Contreras, L., & M. Humberto, (2016). Tratamiento implantologico en pacientes con periodontitis agresiva asociada a diabetes mellitus. Reporte de caso clinico. Fase quirurgica. Revista Odontologíca Mexicana, 1-12.

Sobremordida vertical excesiva en paciente pediátrico

Ana Izeth Martínez Clavijo. Pasante de servicio social de la licenciatura Médico Estomatólogo de la Universidad Autónoma de Aguascalientes

Sobremordida vertical excesiva en paciente pediátrico.

Caso clínico. Parte final

La mordida profunda es una maloclusión vertical que presenta una etiología multifactorial, la cual se define como una condición clínica donde los incisivos superiores recubren de manera exagerada a los incisivos inferiores. Se presenta un caso de una paciente de 10 años, perfil recto, sobremordida vertical aumentada, proinclinación de los incisivos inferiores.

Palabras clave: maloclusiones, sobremordida, ortodoncia interceptiva, odontopediatría.

Caso clínico

Este reporte de caso busca demostrar el uso del plano de mordida anterior para corregir una mordida profunda.

Presentación de caso

Paciente femenina de 10 años presenta maloclusión clase II acompañada de una sobremordida profunda.

Hallazgos clínicos

• Clasificación de Angle: clase II bilateral división 2.

• Mordida profunda sin exposición de encías.

• Apiñamiento leve.

• Ausencia de OD 55.

Objetivo del tratamiento

• Nivelar las arcadas mediante una extrusión de los dientes posteriores superiores mediante un plano de mordida anterior soldado a bandas para desocluir los dientes posteriores.

• Mantener el espacio generado por la ausencia del OD 55.

Figura 1. Fotografias extraorales iniciales.
Figura 2. Fotografias introrales iniciales.

Diagnóstico

En el análisis de fotografías extraorales presentó un patrón facial simétrico, braquifacial, perfil recto, una línea de sonrisa adecuada, así como presencia de corredores bucales (Figura 1).

En el análisis de fotografías intraorales se observa dentición mixta, línea media dental superior coincidente con la línea media facial, anomalía de la forma en OD 12 y 22, línea media inferior desviada hacia la izquierda

con respecto a la línea media dental superior, ausencia del OD 55, relación molar clase II bilateral y la clasificación canina no valorable (Figura 2).

En el análisis de modelos se observó una mordida profunda, sobremordida horizontal de 4.8 mm en OD 11 y de 5.3 mm en OD 21, sobremordida vertical de 5.7 mm en OD 11 y 5.3 mm en OD 21 (Figura 3).

Se realizó trazado cefalométrico de radiografía lateral de cráneo para

Figura 3. Modelos de estudio.

Sonriendo al futuro

Figura 4. Radiografía lateral y trazado cefalométrico de Steiner y complemetarios.
Figura 5. Ortopantomografía.
Figura 6. Análisis cefalométrico de Steiner.

realizar análisis de Steiner y complementarios (Figura 4), así como examinar la ortopantomografía (Figura 5), en la cual se observa dientes en reabsorción (53, 54, 63, 64, 65, 73, 74, 75, 83, 84, 85).

En el análisis cefalométrico se encontró SNA, SNB y SND en norma, así como ANB en clase I, proinclinación del incisivo inferior (32°) en referencia al ángulo 1-NB, crecimiento horizontal (18°) en referencia al ángulo GO-GN/SN y al FHMA (19°) (Figura 6 y 7).

Evolución de tratamiento

Se instala plano de mordida anterior soldado a bandas con cemento definitivo a base de ionómero de vidrio en los molares superiores (Figura 8), en la cual se observa desoclusión posterior. A las 6 semanas se realiza una cita de revisión, donde se observa adecuada extrusión de segmento

posterior (Figura 9). Se indica el retiro del aparato a los 6 meses (Figura 10).

Discusión

El plano de mordida anterior es un aparato utilizado en ortopedia maxilar, el cual está fabricado en acrílico adosado en la arcada superior que incluye los bordes incisales de los dientes anterosuperiores, proporcionando el contacto entre la placa y los incisivos inferiores anteriores, lo que provoca la desoclusión de los dientes posteriores puesto que libera las interferencias cuspídeas y al mismo tiempo genera la extrusión. También provoca una rotación mandibular, la cual producirá la apertura de la mordida aumentando el tercio inferior y disminuyendo la profundidad de la curva de Spee, puede provocar inconvenientes para realizar una correcta higiene bucal, así como en la deglución y el habla.10

Figura 7. Análisis cefalométrico complementario.

En 1997 Nanda cita que la extrusión de dientes posteriores es la técnica más común y fácil de realizar, pero solo debe indicarse en casos de pacientes de clase II división 2 o con altura facial reducida. En 2009 Brito menciona que en pacientes con patrón de crecimiento horizontal está indicada la extrusión de los dientes posteriores, mientras que en aquellos con patrón vertical el tratamiento es la intrusión de los incisivos. En 2013 Ghafari indica que el plano de mordida anterior facilita la nivelación de la curva de Spee y es muy eficaz en pacientes en crecimiento.11

La extrusión de molares es uno de los métodos utilizados para la corrección de mordidas profundas, puesto que se estima que 1 mm de extrusión posterior se puede expresar en 1.5 a 2.5 mm de reducción de la sobremordida vertical anterior.12

Conclusión

La historia clínica, el estudio de fotografías extraorales e intraorales, y análisis de modelos de estudio y cefalometría son auxiliares que deben examinarse para elaborar un correcto diagnóstico y plan de tratamiento.

Figura 8. Fotografías introrales al inicio de tratamiento.
Figura 9. Fotografías introrales de revisión.

Sobremordida vertical excesiva en paciente pediátrico

El uso de aparatos de ortopedia maxilar en pacientes en crecimiento es funcional y de un sencillo manejo en el tratamiento de maloclusiones como la mordida profunda anterior. El plano de mordida anterior es una

herramienta importante en el tratamiento debido a que permite trabajar en las dos arcadas dentales, tanto la superior como inferior y al mismo tiempo producir una extrusión del sector dentario posterior.

Figura 10. Fotografías introrales posteriores al retiro.

Referencias

1. Díaz D. Factores de riesgo y diagnóstico de maloclusiones en niños de 5 a 11 años. P del C [Internet]. 2017 [Consultado 27 Jun 2024]; 2(12): 173-187. Disponible en: https://polodelconocimiento.com/ ojs/index.php/es/article/download/433/pdf

Sonriendo al futuro

2. Machado A., García C., Rodríguez J., Gutiérrez A., Wong J. Sobremordida vertical excesiva: características clínico-epidemiológicas y tratamiento en menores de 19 años. Rev Cienc Médicas [Internet]. 2023 [Consultado el 27 Jun 2024]; 27(0):5897. Disponible en: http://revcmpinar.sld.cu/index.php/ publicaciones/article/view/5897

3. Lima M., Soto L., Peñafiel V., Soto P. Maloclusión dental en estudiantes de 4 a 15 años en Cuenca, Ecuador. Invest Medicoquir [Internet]. 2018 [Consultado el 27 Jun 2024]; 10(2). Disponible en: https://www.medigraphic.com/pdfs/invmed/cmq-2018/cmq182b.pdf

4. Villarreal M., Parise J. Importancia de los elementos diagnósticos en ortodoncia y elaboración del consentimiento informado. Práctica Fam Rur [Internet]. 2019 [Consultado el 27 Jun 2024]; 4(3). Disponible en: https://dialnet.unirioja.es/descarga/articulo/7527394.pdf

5. Sanchez M. Arco de intrusión de Burstone para la corrección de la mordida profunda. Odontol Sanmarquina [Internet]. 2019 [Consultado el 27 Jun 2024]; 22(3): 225-235 Disponible en: https:// revistasinvestigacion.unmsm.edu.pe/index.php/odont/article/view/16714/14273

6. Graber TM, Vanarsdall RL. Ortodoncia: Principios generales y técnicas. Buenos Aires: Editorial Médica Panamericana; 2003.

7. Proffit RW, Fields WHJr., Sarver MD. Ortodontia contemporânea. 4ta Edição. São Paulo: Editora Elsevier; 2008

8. Moyers E. Manual de ortodoncia para el estudiante y el odontólogo general. 3a edición. Paraguay: Editorial Mundi; 1985: 102-41

9. Muñoz O., Gurrola B., Araujo A. Mordida profunda con apiñamiento severo. Rev Dent Pac [Internet]. 2017 [Consultado el 27 Jun 2024] Disponible en: https://dentistaypaciente.com/caso_107_ julio2017.html

10. Brito K., Ortiz E., Dau R., Ubilla W. Cambio de posición del cóndilo dentro de la cavidad glenoidea en pacientes clase II esqueletal con mordida profunda. Act Odonto [Internet]. 2017 [Consultado el 27 Jun 2024]; 14(1):43-48. Disponible en: http://www.scielo.edu.uy/pdf/ao/v14n1/2393-6304ao-14-01-00043.pdf

11. Silva J., Soares M., Figueiredo G., Maia J. Extrusão de molares com aparelho platô fixo: relato de caso clínico. Resea Soc Devel [Internet]. 2021 [Consultado el 27 Jun 2024]; 10(16). Disponible en: https://rsdjournal.org/index.php/rsd/article/view/24029

12. Cruz B., Muñoz C. Tratamiento ortodóncico de mordidas profundas. Rev Fac Odonto Univ Antio [Internet]. 2010 [Consultado el 27 Jun 2024]; 23(1): 158-173. Disponible en: http://www.scielo. org.co/pdf/rfoua/v23n1/v23n1a10.pdf

Turn static files into dynamic content formats.

Create a flipbook
Issuu converts static files into: digital portfolios, online yearbooks, online catalogs, digital photo albums and more. Sign up and create your flipbook.