E-journal implantologia 2023-1

Page 1

2023. VI. évfolyam

1. szám

E-JOURNAL IMPLANTOLÓGIA

A FOGÁSZAT INFORMÁCIÓS MAGAZINJA

www.dental.hu

„Mindennek az alapja egy tökéletes team megszervezése és működtetése…”

Frontrégióban végzett azonnali implantáció socket-shield technikával

A kombinált atrófia kiszámítható kezelése

Emergencia profil lágyszöveti rekonstrukciója

A fémes nano- és mikrorészecskék szerepe a periimplantitiszben

A 10 éves Alpha Implant Kft. a hagyományos munkafolyamatok mellett a digitális workflow minden lépésére megoldást kínál. A digitális technika fejlődése a fogászati piacon is egyre nagyobb teret hódít. Ebben nyújt

segítséget a 6 lépésből álló Alpha Digital Workflow, amely az intraorál scanneléstől a kész fogmű behelyezéséig terjed. Ne zárja magát keretek közé, lépjen az Alpha Implant Kft.-vel a Digitális Szabadság Világába!

ÜDVÖZÖLJÜK
IMPLANTÁTUM
IRÁNYÍTOTT SEBÉSZET
A DIGITÁLIS SZABADSÁG VILÁGÁBAN!
PROTETIKAI FELÉPÍTMÉNYEK +36 1 353 9090 | info@alphaimplant.hu | www.alphaimplant.hu
INTRAORAL SCANNER CIRKON TÖMB
3D NYOMTATÓ REGIONÁLIS KÉPVISELŐ:

Tisztelt Olvasó!

2023-ra a fogászati szektor – reményeink szerint – fel tudja dolgozni a Covid-19 okozta nehézségeket, a háború mellett elszabaduló inflációt, és már tervezi az idei év fejlődési lehetőségeit. Mindanynyian abban bízunk, hogy időben alkalmazkodni tudunk majd a változásokhoz, és stabilan tudjuk vezetni a vállalkozásinkat!

A tavalyi év sokunk életében hozott különböző nehézségeket, mégis elmondhatjuk, hogy mindenképp jobb volt, mind a 2020-as és a 2021-es esztendő, amikor a létbizonytalanság, a járványtól való félelem uralta a napjainkat. Az idegenforgalom szépen megindult, de a korábbi számok, a vendégéjszakák még nem érik el a 2019-es év adatait. A nagy rendelők már próbálnak teljes kapacitással üzemelni, a fogtechnikai laborokban is visszatért a folyamatosság, a fogászati kereskedők jelentős része pedig jobb évet zárt 2022-ben, mint korábban.

A fogászati rendelők és fogtechnikai laborok az elmúlt 2-3 évben főleg a fejlesztéseket állították előtérbe, amelyhez számos pályázat és egyéb forrás is kedvező konstrukciókat kínált. 2023-ban – tudomásunk szerint – is lesznek új pályázati források, melyekről a kereskedelmi vállalatok részletesebb információkat tudnak adni. Az új források bevezetése idén már bizonyosan ismét növekedési spirálba helyezi majd ezt a szektort!

Az infláció elérte a fogászati ágazatot is, a vállalkozások az euro változásától, gyengülésétől függően azzal találkoznak, hogy az árak – a mindennapi élet mellett – itt is jelentősen és folyamatos változnak, emelkednek. A fogászati rendelők is kénytelenek az áraikat emelni, egyre több rendelő, ún. „piaci alapú” árképzést vezet be. A folyamat kimenetelét még nem lehet pontosan látni, a munkaerő fluktuációja, az Európai Unió áraihoz képest alacsony magyar fogászati beavatkozások értéke - jelenleg még nem érte el a drágulás csúcspontját. Az elmúlt időszakban számos újság, cikk foglalkozott a fogászati szektorban található extra drágulási folyamattal. Ez egyelőre - a hazai rendelőkben - még nem mutatott jelentős problémát, új hívószavakkal, sok marketing munkával, reklámmal most a magyar lakosságot kell határozottabban a rendelőkbe invitálni!

Tavasszal újra megrendezzük a néhány évig elhalasztott Upgrade Congress-t, melyet a Hungexpo

új Konferencia Központjában tartunk. A 2 napos rendezvényen elsősorban magyar előadók állnak ki a pódiumra, összesen 36 előadást tartunk, 4 témakörben, melyek az Esztétika&Endodontia, Implantológia, Prevenció és Digitális&Ortho. A rendezvény mellett szakkiállítást is szervezünk, díjmentes kávézóval és számos egyéb programmal.

Idén már 23. éve nagy energiával szervezzük, és sok munkával készülünk az őszi Dental World Nemzetközi Kongresszus és Szakkiállítás sikeres lebonyolítására, melyen reméljük, hogy az egész fogászati szakma képviselteti majd magát! Nemzetközi szinten is ismert/elismert előadók, gyakorlat-orientált képzések, továbbá sok új élmény is várja majd a látogatókat, az érdeklődőket!

A kiadó bizakodva tekint a jövőbe, a megújult tartalmaink kapcsán sok pozitív visszajelzést kapunk, melyeket nagyon köszönünk! Az elmúlt években - a nehézségek ellenére is - növelni tudtuk a kiadványaink, a magazinjaink számát, nem csökkentve azok tartalmi minőségét. 2020 óta a tematikus e-Journalok is folyamatosan megjelennek, melyek egyfajta online könyvtárként is szolgálnak az olvasóinknak. A dental. hu oldalon díjmentesen elérhetőek a korábbi tematikus online lapszámaink is.

A mostani kiadványunkban általános fogorvosi eljárások mellett az implantológia témakörével foglalkozunk.

Jó olvasást kívánok!

3 VI. ÉVFOLYAM – 2023. 1. SZÁM
Laczkó Tamás, felelős kiadó

E-Journal VI. évfolyam, 2023. 1. szám

Kiadja: DP Hungary Kft.

1012 Budapest, Kuny Domokos u. 9.

Felelős kiadó: Laczkó Tamás

Főszerkesztő: Dr. Riba Magdolna

Előkészítés:

DP Hungary Kft., Sárközi András

e-mail: grafika@dental.hu

Információ, hirdetésfelvétel:

Bárdos Veronika, telefon: 06-30-472-0030, 06-1-793-1874

Az újság e-mail címe: info@dental.hu

Az újság internetcíme: www.dental.hu

Terjesztés: E-mail hírlevél formájában.

A tudományos közleményeket a szerkesztőség lektoroknak adja át véleményezésre. Közlés csak egyetértő lektori vélemény, illetve a javasolt módosítások elvégzését követően lehetséges.

A cikkek szerzői vállalják, hogy az általuk elküldött írás saját forrásból származik, illetve a felhasznált anyagokat (publikációkat, illusztrációkat, képeket stb.) mindenkor pontosan feltüntetik. Írásaiknak jogi és egyéb adatvédelmi kérdéseiben felelősséget vállalnak.

A német nyelvű szakmai cikkeink magyar fordítását az Oemus Media AG Kiadó engedélyével szerkesztettük lapunkba. A fel nem használt kéziratokat, fotókat nem őrizzük meg, és nem küldjük vissza.

A hirdetések tartalmáért nem vállalunk felelősséget. A gyártó, illetve forgalmazó cégek kérésére közzétett cikkeket keretbe foglalva közöljük és (x)-szel jelöljük, azok szakmai tartalmáért a szerkesztőbizottság nem vállal felelősséget.

4 Tartalom IMPLANTOLÓGIA „Mindennek az alapja egy tökéletes team megszervezése és működtetése…” 8 Frontrégióban végzett azonnali implantáció socket-shield technikával 16 A sebészi technika és a PRF szerepe az alveolaris csont és a mucogingivális struktúrák megőrzésében II. 24 Egy minimálinvazív implantációs eljárás a maxilla hátsó részének rehabilitációjára 34 A kombinált atrófia kiszámítható kezelése 38 A fogatlan maxilla arcprofil alapján történő rehabilitációja irányított sebészettel 46 Emergencia profil lágyszöveti rekonstrukciója 56 A fémes nano- és mikrorészecskék szerepe a periimplantitiszben 72 A stabil szövet koncepciója 80 Erős fogak és egészséges száj – meggyőző mosoly 86

Nyomtatott magazinok

ADENTALPRESSTEMATIKUSKIADVÁNYA

DIGITÁLIS FOGÁSZAT

2022 / III.ÉVFOLYAM–ÁR:2500FT

pot az orvoskamara kifejezésével élve: „irányítási-igazodási válság” –, amiben az egészségügy járvány eleje óta őrlődött két tárca között. Igaz, sokan csalódtak, hogy az új kormányban sem lesz egészségügyi minisztérium. Őket friss ágazati egyik első megszólalásakor azzal vigasztalta, hogy az egészségügy érdekérvényesítő képességét nem az önálló minisztérium erősíti, hanem a mi

niszter személye.

bilitás érzetét erősítheti, mivel

Tanulmányozd először az elméletet, aztán jöjjön a gyakorlat, mely belőle származik

„A helyreállító fogászat lett a szenvedélyem és a mindennapi munkám”

Hagyományos teljes fogsor hatékony átalakítása

Teljes ívű rehabilitáció primer vázra ragasztott lítium-diszilikát szekunder koronákkal

ESETISMERTETÉS ESETISMERTETÉS
PORTRÉ
INTERJÚ
Katona József hogy túl nagy változások nem vár-demi fejleményt azonban már tárca (EMMI) felszámolásával azniszter portfóliójába került. Ezzel megszűnhetett az az áldatlan álla-
-
-
őt „igen közelről”, az Országos Kórházi Főigazgatóság (OKFŐ) főigazgató-helyettesi székéből vette magakozásakor pedig azt hangsúlyozta: egészségügyben. Az első nagy léciklusban, most finomhangolásjövő szereposztásáról is: stratégioperatív végrehajtás az országos utóbbi poszton Jenei Zoltánnal indul óta tölti be hivatalt. Bemutatkozásakor azt jelezte az államtitkár: nyár közepéig elkészítik „stratégiai anyagaikat”, csak olyan megoldási javaslat kerülhet kormány elé, amit támogatnak szakmai szervezetek is. Így minden érdekelt reményekkel telve indulhatott nyaralni, bízva abban: számára is gyümölcsözően alakul majd az ágazat sorsa. A Magyar Orvosi Kamara (MOK) azonban semmit sem bízott a véletlenre. Amint felállt a kormány, egy 8 oldalas levélben részletezték belügyminiszter számára, hogy miben problémáit. Látleletükben egyebekutak szétzilálódtak, várakozási idők ellátások közel elérhetetlenné váltak,berhiány. Összességében úgy látják, hosszú, sem rövid távon nem tartszorgalmazták ajánlották hozzá a helyzet javítására egy, a 2011-es részletességű programot alkossanak. Az ellátási problémák nagyságának érzékeltetésére Kiss Zsolt Nemzeti Egészségbiztosítási Alapkezelő (NEAK) főigazgatója szolgált egészen meghökkentő adatokkal június elején. E szerint idén, az első negyedévben a kórházak közel negyedével, szakrendelők ötödével kevesebb beteget láttak el, mint a járvány előtti utolsó év megfelelő időszakában. A krónikus osztályok teljesítménye pedig korábbinak Mindez arra utal, hogy sok páciens be sem jut az ellátórendszerbe, kórházszövetség kongresszusának ma 19-31 százalékkal kapnak több indokolna. 3. oldal TUDOMÁNY ÉS KUTATÁS A fogászati implantológiát évtizedeken elérése vezérelte. kifejezés létrejöttét P. Branemarktól eredeztetik, aki elsőként írta le vitális csontszövet és vele kapcsolatba kerülő titániumból készült eszközök között megfigyelhető... GYAKORLÓ FOGORVOS AJÁNLJA Egy fogpótlás készítéséhez a fogorvos felpuhított viaszba haraptatja pácienst. harapás alapján készített fogpótlás nem csak fogak, a fogpótlás... IRÁNYVONALAK, ALKALMAZÁSOK A Cerec Accept programjának erőteljes szegmense status quo megvitatása. Mindannyian átéltük már, mindannyian éreztük már otthonosan magunkat benne. Velünk nyaralt a remény Új tanulmány szerint a nanorészecskék használata hatékonyabb módszer lehet a fogfehérítésre Anisha Hall Hoppe, Dental Tribune International A dél-koreai Sungkyunkwan Egyebizonyos típusú nanorészecskék lehetnek következő élenjáró megazért nem bíztak bennük, mert azkéről bebizonyosodott, hogy nem a fogfehérítést, és emellett antiremineralizációs tulajdonságokkalben alkalmazzák fogászatban, beleértve fogpótlást, helyreállító fogászatot és parodontológiát. A jelenleg klinikailag használt fogfehérítő szerek, mint például karbamid-peroxid és a hidrogén-peroxid, szabad gyökök keletkezése miatt potenciálisan kóros károsodást okozhatnak. Az áttekintés azt sugallja, hogy a nanorészecskék nemcsak akkor hasznosak, ha fehérítő termékekhez abrázió céljából adják őket, hanem fehérítőszerként alkalmazva még jobban működhetnek, mint meglévő termékek, mivel képesek elősegíteni remineralizációt, oxigénfajokat szabadítanak fel. A keletkező reaktív oxigénfajok oxid és az arany nanorészecskék nanorészecskék viszont hidroxiláttekintés beszámolt szerint hidrogén-perhatást fejtet ki, amikor arany nanorészecskéket használtak, valamint egy másik vizsgálatról, amely kimutatta, hogy az aranylata nem okozott biológiai problémákat vizsgált állatokban. A felülvizsgálat szerzői szerint szükség annak ellenőrzésére, hogy ezek nanorészecskék potenciálisan jelenthetnek-e toxicitási kockáA hosszú hullámhosszú fénnyel amelyről beszámoltak, azt sugallsza szén kompozitja jobb fehérítésiláltak nyilvánvaló toxicitást. Egy hanm-es diódalézerrel aktiválva egy amely titán-dioxid nanorészecskéket tartalmazott, ugyanolyan mértékű fehérítést biztosított, mint egy 35%-os hidrogén-peroxid-oldat. A csoport beszámolt hidroxiapatittal kapcsolatos kutatásról is, amelyről ismert, hogy fogak szilárdságát növeli azáltal, hogy apatitot ad demineralizált zománchoz. Az egyik tanulmány megállapította, hogy hidroxiapatit nanorészecskék fogkrém formájában javították fogak színét, egy másik pedig azt jelezte, hogy a hidroxiapatit nanorészecskéket tartalmazótonságosak. A tanulmány, amelynek címe: „Nanowhitening agents: Progress and perjúnius 15-i számában jelent meg, Forr s: www.dental-tribune.com Kép: Shutterstock/MarcinK3333 B 2022. - XViii é 3. szám The World‘s Dental Newspaper 2022 / XXVI. ÉVFOLYAM – 3. SZÁM A FOGÁSZAT INFORMÁCIÓS MAGAZINJA DENTAL HÍREK ÁRA: 2500 FT PORTRÉ „A tanulási folyamatnak soha nincs vége...” ÚJ GENERÁCIÓ „Csak komplexen kezelek egy problémát...” MED. DENT MED. DENT Kalcifikált felső metszőfog kiszámítható gyökérkezelése 3D-nyomtatott fúrósablon segítségével Szemfog és kisőrlő formázása kismetsző aplázia részárással történő kezelése során 2022 / XIX. ÉVFOLYAM – 3. SZÁM FOGTECHNIKA FOGTECHNIKUSOK SZAKMAI LAPJA ÁRA: 2500 FT Egyedi fogszínkulcsok a CAD/CAM fogpótlások színének meghatározásához A „Majesthetik” csodája – a munkamenet Makó János és Péry Eleonóra interjú –páratlan páros CÍMLAPSZTORI LABORATÓRIUM LABORATÓRIUM A kézművesség tisztelete AKIKTŐL TANULHATUNK 2022 XIX. ÉVFOLYAM – 2. SZÁM A DP HUNGARY TEMATIKUS KIADVÁNYA ÁRA: 2500 FT IMPLANTOLÓGIA INTERJÚ INTERJÚ INTERJÚ „Mindennek az alapja egy tökéletes team megszervezése és működtetése…” Fontos a rendszeres megújulás KERESKEDELMI HÍREK Nézzünk előre! „Én a szakterületek harmonikus együttműködésében hiszek…” Dental Hírek 4 szám/év Fogtechnika 4 szám/év Digitális Fogászat 1 szám/év Dental Tribune 4 szám/év Implantológia 3 szám/év bankkártyás fizetés esetén Szakkönyvek ajándékba! 2023-as éves, mind az öt magazinunkra történő előfizetés esetén választhat fogászati szakkönyveink közül egyet ajándékba 2023 DENTAL PRESS AKCIÓ!
Online magazinok Az előfizetéshez kattintson IDE! 16 újság + 16 e-Journal 45%41 000 Ft helyett 23 500 Ft

„MINDENNEK AZ ALAPJA EGY TÖKÉLETES TEAM MEGSZERVEZÉSE ÉS

MŰKÖDTETÉSE…”

Dr. Urbán Istvánnal beszélgettünk az elmúlt évek történéseiről és a jövő terveiről

Dr. Urbán István 1991-ben a SOTE

Fogorvostudományi Karán, majd 1996-ban az Általános Orvostudományi Karán végzett. Szakmai tudását folyamatosan bővítette, a posztgraduális képzésbe Amerikában kapcsolódott be a UCLA (Los Angeles) Egyetem Parodontológiai Klinikáján, illetve a Loma Linda Egyetem (California) Fogászati Implantológiai Centrumában, ahol 2001-től 2021-ig oktató is. 2012-ben a Szegedi Tudományegyetemen parodontológiából szerzett PhD fokozatot. Jelenleg a Szegedi Tudományegyetemen, a Michingani Egyetem Parodontológiai Klinikáján vendégtanár, és az idei évtől vendégprofesszorként oktat a Harvard Egyetemen is. Előadásaival, kurzusaival szinte az egész világot bejárta már, a csont- és lágyrészrekonstrukciós sebészet, valamint az implantológia egyik legkeresettebb és legrangosabb előadója. E témában kiemelkedő a publikációs és szakkönyvírói tevékenysége is.

Lapjaink hasábjain Olvasóink már több alkalommal kaptak hírt az Ön életéről, szakmai munkásságáról, de legutóbbi beszélgetésünk óta is eltelt már több esztendő. Először visszatekintve a múlt fontosabb eseményeire, most elsősorban az elmúlt időszak történéseiről és a következő évek terveiről beszélgetünk. Egyetemi diplomáinak a megszerzése után hogyan alakult az élete?

A fogorvosi diplomám megszerzése után egy évig az USA-ban tevékenykedtem mint fogorvosi asszisztens, közben megszereztem a kinti írásbeli államvizsgákat is. Hazajövetelem után a budapesti Szent István Kórház Szájsebészeti Osztályára kerültem, ahol négy éven át elsősorban szájsebészeti műtéteket végeztem. Szakmai szempontból rendkívül fontosnak tartom ezt az időszakot, nagyon sokat tanultam, rengeteg tapasztalathoz jutottam. Közben megszereztem az általános orvosi diplomámat is. 1998-ban családostól az Egyesült Államokba költöztünk, és tanulmányaim ott folytattam. Szakmám kezdetén sok min-

den vonzott a fogászat területén, mint például a kerámiahéjak és -betétek. Amerikában viszont műtétekre kezdtem specializálódni, különös tekintettel a csont- és ínyátültetésekre, illetve az ezzel kapcsolatos implantológiára fókuszáltam. Ez az érdeklődési terület azóta is tart.

Először a UCLA (University of California, Los Angeles) Parodontológiai Klinikáján tanultam parodontológiát és implantológiát. Megemlítem, hogy itt ismertem meg dr. Henry Takei és dr. Sascha Jovanovic professzorokat, akiket életem egyik meghatározó tanárainak tartok.

Ismereteim bővítése érdekében közben jelentkeztem a Loma Linda University (LLU) Fogászati Implantológia Centrumába is, ahová csak olyan jelentkezőket vettek fel, akik már legalább 3-4 évet eltöltöttek szájsebészeti vagy parodontológiai osztályon. A két képzést párhuzamosan végeztem, mindez sok szervezést és igen zsúfolt napi programot jelentett nekem. A két egyetemen összesen két és fél évet ta-

8 e-Journal IMPLANTOLÓGIA

nultam, ezt az időszakot – mondhatni teljesen – ismereteim bővítésére fordítottam.

Miután elvégeztem a Loma Linda Egyetem ösztöndíjas implantációs fogászati programját, rövidesen – 2001-ben –meghívtak oktatni, ahol többek között az egyetem posztgraduális programjában a rezidenseket tanítottam a csont- és lágyszövet-regeneráció témakörében 2021-ig.

Közben sikerült letennem a kaliforniai állami vizsgát is (state board), így működési engedélyem van az USA-ban. Úgy gondolom, ennek sokkal nagyobb értéke van ma is, mintha közben bármilyen programot elvégeztem volna. Végül mindezek birtokában hazatértem, szeretek itthon lenni, és ezt megígértem a betegeimnek is.

Amikor a tanulmányaim, illetve a szakmai felkészülésem különböző állomásairól beszélünk, akkor feltétlenül szeretném megemlíteni a Semmelweis Orvostudományi Egyetemen szerzett ismereteimet.

ember, akivel a későbbiek során remekül tudtunk együtt dolgozni sok esztendőn át. Jó kapcsolatunk a mai napig is tart.

Öt évvel ezelőtt nyílt meg az Urban Regeneration Institute Klinika. Céljai között többek között az is szerepelt, hogy a korábbi években a világ különböző országaiban megtartott előadásainak, kurzusainak egy helyszínt biztosítson. Mit igazoltak az elmúlt évek tapasztalatai? Ezek közül mit tart a legfontosabbnak?

A korábbi években szinte minden hétvégén a legkülönbözőbb helyszínekre utaztam, ez rendkívül fárasztó és megterhelő volt.

A klinika létrehozásának mondhatni ez volt az egyik kiindulópontja. A tervezés és kivitelezés során nagy hangsúlyt fektettünk arra, hogy megfelelő hátteret biztosítsunk az élő műtétekkel kísért oktatásokhoz, előadásokhoz, hands-on képzésekhez. Az itt megtartott eseményeken tudjuk a legtöbbet és legjobbat nyújtani az érdeklődőknek, akik igen nagy számban vesznek részt ezeken a programokon a világ mintegy 50 országából.

Nagyon népszerűek a csont- és lágyszöveti pótlásról tartott kurzusaink.

Az elmúlt évek során szerzett legfontosabb tapasztalatom az, hogy mindennek az alapja egy jól működő team megszervezés és működtetése, ahol jó együtt végezni a mindennapi tevékenységeket. Úgy érzem, hogy sikerült kialakítani ezt a csapatot, mindenki szerves része a kihívásoknak és sikernek egyaránt.

2012-ben a Szegedi Tudományegyetemen PhD fokozatot szerzett parodontológiából, azóta az Egyetem tiszteletbeli tanára is. Konkrétan milyen témában védte meg a dolgozatát?

A csontpólással összefüggésben, a horizontális és vertikális augmentáció témájában védtem meg a PhD dolgozatomat. Nagyon sokat köszönhetek a Szegedi Tudományegyetemnek, illetve Nagy Katalin professzor asszonynak, aki rendkívül sokat segített, folyamatosan ösztönzött a téma kidolgozása során.

Évekig együtt dolgozott dr. Gerlóczy Pállal a Sodrás utcai rendelőben. Ezekre az évekre hogyan emlékezik?

Igen, sokáig dolgoztunk együtt, közel 12 évig egy helyszínen, de külön rendelőben. Gerlóczy doktor úrnak nagyon sokat köszönhetek, a mai napig igen jó az emberi és a munkakapcsolatunk is. Szerintem Ő egy rendkívül nagy tudású szakember, rendkívül sokat tanultam tőle. Úgy kezdődött a kapcsolatunk, hogy bejártam hozzá a rendelőbe, és közben megismertem, hogy nem csak kiváló szakember, hanem igen segítőkész, jószívű, sok pozitív tulajdonsággal rendelkező

Több száz élő műtétet végeztünk az elmúlt években. Nagyon sokféle, érdekes, de alkalmanként árnyaltabb különbségeket is bemutató esetek ezek, melyeknek a tapasztalatait, szerettük volna megosztani, ezért ezekről minden alkalommal nagyon jó minőségű felvételeket készítettünk. Célunk a jövőben ezeknek a felvételeknek a feldolgozása és egy online videótárba helyezése.

A Covid közel 2 esztendejét hogyan sikerült „átvészelni”, hiszen az előadások megszervezése, az előadók és a résztvevők jelenléte is elsősorban utazásokhoz kötődik? A gyógyító munkát – a bezárások után – mikor tudták újrakezdeni?

Két hónapig teljes lezárás volt – mint mindenhol –, de az első 2 hét eltelte után arra gondoltam, kihasználom ezt az időt, és folytattam a 2016-ban publikált (Vertical and Horizontal Ridge Augmentatión – New Perspectives) könyvemet, és nagyrészt meg is írtam a Vertical 2 – The Next Level of Hard and Soft Tissue Augmentation c. könyvet, amelyben a kemény- és lágyrész-augmentáció következő szintjét taglalom.

9 VI. ÉVFOLYAM – 2023. 1. SZÁM
Ezeknek nagyon fontos szerepe volt egész életem alakulásában, nagyon jó alapot biztosítottak a továbbiakhoz.
A parodontologiát Gera professzor szerettette meg velem, amiért a mai napig hálás vagyok neki.

A zárás feloldása után óriási volt az érdeklődés a tevékenységünk, a képzések iránt, melyeket kezdetben a biztonságos működésre való tekintettel kisebb létszámmal folytattunk. Többeknek a közlekedési akadályokat is sikerült – különböző lehetőségek kihasználásával (pl. járatok cseréje stb.) – megoldaniuk, mert semmiképpen nem akarták elhalasztani a lehetőséget, amelyre esetleg már 2 éve vártak. Kurzusainkat végig folytattuk, akár kevesebb résztvevő esetén is. Volt olyan alkalom, amikor egy francia csoportból csak 8 fogorvos tudta megoldani az ideutazást, de így is megtartottuk. Nagyon jó élmény volt. Nagyon élveztem ezekben a kisebb csoportokban a munkát, mert ilyenkor lehetőségünk volt szorosabb szakmai kapcsolat kialakítására, baráti beszélgetésekre is.

A két hónap eltelte után a gyógyító tevékenységet is folytattuk. Kialakítottunk egy nagyon jól működő rendszert a fertőzések elkerülése érdekében, minden mozzanatot alaposan szeparáltunk, mindannyian speciális maszkokat használtunk.

Ezekben az években saját kurzusai mellett külföldön is vállalt előadásokat? Hová hívták, és ezek közül melyik rendezvényt emelné ki?

Ebben az időszakban voltam többször külföldön, tartottam kurzusokat, de főleg előadásokat. Tavaly őszig viszonylag keveset utaztam, hiszen a legtöbb nagy szakmai rendezvényt, kongresszust elhalasztották. 2021 ősze óta újra elindult a régi gyakorlat, a nagy amerikai és európai akadémiákon részt vettem, sok helyen előadást és élő műtétet is tartottam.

Előadást tartottam többek között Bostonban a 14. ISPRD-n (International Symposium on periodontics and restorative dentistry), illetve San Diegóban az AO-n (Academy of Osseointegration), Európában a legnagyobb parodontológiai kongresszuson, az Euro Perio rendezvényén, ahol 3500 résztvevő jelenlétében élő műtétet végeztem.

2021-ben az American Academy of Periodontology (AAP) rendezvényén kitüntetésben is részesültem, ahol megkaptam a 35. alkalommal kiadott „Mester klinikus díj”-at (Master Clinician Award). Ez nagy öröm és megtiszteltetés volt számomra, hiszen ezt a díjat 1987-ben alapították, évente egy parodontológusnak ítélik oda, és egy nagyon szépen megrendezett ünnepély keretében adják át.

Egy nagyon fontos eseményre készültek, 2022. október 2122-én került megrendezésre a „3. Urbán Nemzetközi Csontés Lágyszövet Regenerációs Szimpózium.” A 2017-es és a 2019-es rendezvény nagy sikerrel és jelentős nemzetközi részvétellel zajlott. Az előzetes felmérések alapján mire számítottak? Hány országból várták az érdeklődőket? Sikerült megnyernie a szakma legkiválóbb képviselőit, hogy elhozzák ide a legfrissebb ismereteiket, tudásuk „legjavát”? Úgy gondolom, hogy az idei rendezvényünk volt az eddigi legjobb programunk, amelyet most a Kongresszusi Központban tartottuk. A Szimpózium csak a regenerációról szólt, a szakma legkiválóbb szakemberei adták át valóban a tudásuk „legjavát”. Örömünkre mindenki elfogadta a meghívásunkat. Sok résztvevőt vártunk idén is. Az előző kongresszusunkon 45 országból jelentkeztek. Sajnos, most az ázsiai országokból nem jöhettek, Ausztráliából sem, de úgy gondolom, hozzávetőleg majdnem annyi résztvevőre mégis számítottunk, mint 2019-ben.

Kínából 150 jelentkezőnk volt, akiket most nélkülöznünk kellett, viszont sikerült megszerveznünk több szakmai központ segítségével, hogy néhány nagyvárosban on-line követhették az eseményeket. Számításaim szerint, ilyen módon sok kínai fogorvos volt „jelen” a 3. Urbán Szimpóziumon!

Eltérően az általános gyakorlattól (a legtöbb konferencián csak kb. 20-30 perc áll az előadók rendelkezésére), nálunk minden előadó másfél órával rendelkezik, így lehetőségük volt témájuk alapos kifejtésére. A résztvevők találkozhattak mesterklinikusok és kutatók különböző eseteinek a bemutatásával, amikor más-más módon, másféle módszerekkel, gyakorlattal közelítettek és oldanak meg egy-egy szakmai problémát. Fontosnak tartom azt is, hogy az érdeklődők személyesen is találkozhattak az előadókkal, a szakma legjobbjaival, így bensőségesebb beszélgetésekre is sor kerülhetett. Nagyon sokat vártunk ettől a rendezvénytől, ez szerintem a „csillagok háborúja” volt!

A csontpótlás kérdésköre, irányai szakmai érdeklődésének egyik központi témája. Úgy tudom, kidolgozott egy saját eljárást is. Hallhatnánk erről?

Korábban kidolgoztam egy saját technológiát, aminek a Sausage TechniqueTM nevet adtam, és ami azóta elterjedt a világon. Ez az addig alkalmazott eljárásoknál sokkal kisebb beavatkozást jelent, viszonylag könnyen elsajátítható, és mégis nagyon jó csontminőséghez vezet, amely hosszú távon is stabil marad.

A csontpótlás témakörében a mai napig sokféle kutatást végzek, preklinikait és klinikait is. Sikerült kidolgozni egy újfajta hibrid membránt – amelyet már forgalomba is hoztak –, ez egy membrán és egy mesh (háló) kombinációja. Erről sikerült bizonyítani, hogy sokkal gyorsabban, jobban vaszkularizált csontot képez.

Ez az egyik fő kutatási területem, a másik pedig: most is kutatunk olyan növekedési faktorokat, mint a BMP-2 (Bone Morphogenetic Protein), melynek a mikrodózisát alkalmazva gyorsabban lehet jobb csontot képezni, amely szintén hamarabb eresedik. E módszer másik előnye, hogy a BMP nagyon drága, és nem voltak vele igazán jó tapasztalatok, valószínű nem jól alkalmazták. Ez sokkal olcsóbb lesz, nem jár akkora duzzanattal, és ezeknek a mikrodózisa tovább gyorsítja az egész csontosodás folyamatát. Az új hibrid membrán

10 e-Journal IMPLANTOLÓGIA

tökéletesen alkalmas a kis dózisú növekedési faktorok alkalmazásakor. Lehetséges, hogy ezek segítségével az autogén csont-transzplantáció el fog tűnni.

Az elmondottakról szóló publikációk rövidesen elkészülnek, és ezektől nagyon sok mindent várok a jövőben. Természetesen az is nagyon fontos, hogy ebben a fejlesztésben a gyártó cégek is hamarosan partnerek legyenek.

Követve a fogászat fejlődését, néha úgy érzem, mintha nem 30, hanem száz év telt volna el a diplomáim megszerzése óta. Több olyan élményre is emlékszem, amikor tudtam, hogy egy új anyag „kisebb forradalmat” hoz a szakmában.

A csontosodást segítő membránok, a csontpótló anyagok, a cirkóniumfelépítmények, vagy a teljes kerámiakoronák és a technika, a digitális sablontervezés, a CT elterjedése, mindmind óriási lépcsők voltak számomra is. Mára így együtt pedig gyakorlatilag kicserélték a szakmánkat.

Ön szerint a csontpótlók terén lehet számítani még olyan új eljárásra, szakmai „nagyágyúra”, amely alapvetően megváltoztathatja a gyógyítás lehetőségeit?

Igen, szerintem ilyenek a korábban említett mikrodózisú növekedési faktorok, valamint olyan mátrixok, vivőanyagok, amelyeket ezekkel könnyen be lehet vinni a szervezetbe, továbbá olyan csontosodást segítő anyagok, szintén mátrixok, amelyeket szintetikus úton, nyomtatványok formájában, digitálisan állítanak elő, ezekbe be lehet vinni pl. sejteket, növekedési faktorokat. Ez még természetesen nagyon messze van, és az is, amikor a saját csont használatát már teljesen eliminálni lehet. De a műtéti technika akkor is és mindig na-

gyon fontos lesz, a sebész munkájára mindig, legalábbis nagyon sokáig még szükség lesz!

Az elmúlt években több szakkönyve megjelent a csontregeneráció és a fogimplantátumok körüli lágyrész-rekonstrukciós műtétekről. Ki/kik, esetleg különböző szakmai szervezetek, kiadók kérték fel egy-egy téma kidolgozására?

Először szakkönyvek szerkesztői kértek fel különböző fejezetek kidolgozására vertikális és horizontális augmentáció témakörben. Később a Quintessense tulajdonosa megkért egy könyv írására, amely szintén a vertikális és horizontális augmentációról szólt, de rám bízta, hogy pontosan miként dolgozom fel a témát. A 2016-ban kiadott könyvből (Vertical and Horizontal Augmentation, New perspectives) már az első hónapban többet adtak el, mint amennyire a kiadó gondolt, hogy valaha ennyi érdeklődője lehet a kiadványnak. Azóta többször kellett újra megjelentetni, már 12 nyelvre lefordították, az ún. alapnyelveken kívül többek között japánra, kínaira, koreaira és még iránira is.

Később szándékomban volt egy második kötet elkészítése. Ennek a pontosabb tartalmával, majd a cím kiválasztásával kapcsolatban folyamatosan egyeztettem a kiadóval. Ahogyan korábban már említettem, a Covid teljes lezárásakor – felhasználva a váratlanul kapott szabadidőt – jórészt megírtam a Vertical 2 – The Next Level-t. A címet nagyon lerövidítettem (a kiadó először ezt túl rövidnek tartotta), de úgy gondoltam, aki ismerte az első kötetet, annak egyértelmű lehet, hogy miről szól a 2. kötet.

11 VI. ÉVFOLYAM – 2023. 1. SZÁM

Már kialakulóban van egy harmadik kötetnek a kidolgozása is, de erről egyelőre most még nem szólnék.

A tanítás mindig fontos volt Ön számára. Jelenleg hol, illetve milyen felsőoktatási intézményekben, egyetemeken végez oktató munkát?

Jelenleg a Michigani Egyetem Parodontológiai Klinikáján, a Szegedi Tudományegyetemen vagyok vendégtanár. Az idei évtől a Harvard Egyetemen is vendégprofesszorként oktatok.

Milyen fontosabb változásokra gondol a fogászat jövőjét illetően?

Az egyik változást a digitális technikák még további fejlődése eredményezheti, a másikat pedig az anyagok további tökéletesedése jelentheti. Minél egyszerűbb legyen annak felhasználása, minél ellenállóbb és hosszú távra is alkalmas legyen. Ismét hangsúlyozom, hogy nagyon sokáig szükség lesz „az emberi kézre”, pl. technikusra is, aki például meg tudja tökéletesen színezni azt a fogat.

A fogorvosoknak sokat segíthet akár az ún. robottechnikák alkalmazása is. Megemlítem itt pl. a Davinci készüléket, amely egy robottechnikára épül, ezeket már a 90-es évek óta használják Amerikában, Magyarországra csak most került, de megfelelő ismerettel rendelkező személyzet ennek a használatához is elengedhetetlen.

Röviden három tényezőt hangsúlyoznék a jövőt illetően: a digitalizálást, az anyaghasználatot és a robottechnikát.

A következő évekre milyen célok, tervek realizálását szeretné elérni szakmai téren?

A csontpótlás témája természetesen továbbra is központi helyen áll az érdeklődésemben, sőt, egyre fontosabb helyen! Klinikai és preklinikai vizsgálatokkal olyan további kutatásokat szeretnék végezni, melyekkel tudományosan is igazolni tudom az elképzeléseimet, majd ezeket rövidesen publikálni is szeretném.

Az elmúlt nyáron tudott időt szakítani a pihenésre is? Hol töltötte a szabadságát?

Tavaly az egész augusztus a pihenésről szólt, ilyenkor bezár a klinika is, ezek a kikapcsolódás hetei voltak. A szabadságomat legszívesebben a Balatonon, Franciaországban és Görögországban, Rodoszon töltöm.

Szabadidejében mi jelenti Ön számára a kikapcsolódást?

Nyáron a kajakozás. 42 éve kezdtem kajakozni, de az egyetem közben abba kellett hagynom. 19 évvel ezelőtt kezdtem újra versenyszerűen kajakozni, ami a mai napig a legjobb kikapcsolódást nyújtja egy hosszú nap után. Télen síelek, de az utóbbi években a sífutás volt a legfontosabb téli sport számomra. Amikor Rodoszon nyaralok, különösen élvezem a windsurf-özést.

Két nagy fia van, ők követik majd Önt a fogorvoslás területén?

Egyikük sem lesz fogorvos. Már felnőttek, Amerikában élnek mindketten. A fiaimra vagyok a legbüszkébb! A fiatalabb (22 éves) most végzi az egyetem utolsó évét pszichológia szakon, de őt a színészet érdekli. Az idősebb (26 éves) már befejezte az egyetemet (idegtudományokat tanult), őt pedig elsősorban a zene érdekli.

A művészi hajlamot, a művészetek iránti érzékenységet szerintem édesapjuktól örökölhették, hiszen Ön is művész, ahogyan már többen megfogalmazták, Ön a „fogászat művésze”!

Köszönöm ezt a rendkívül sok új információt adó beszélgetést!

12 e-Journal IMPLANTOLÓGIA

Empowering Predictability

KIZÁRÓLAGOS MAGYARORSZÁGI FORGALMAZÓ alphaimplant.hu powered by TM Launch!
Immediacy
and Performance in

Fogászati Kiállítás és Kongresszus 2023. március 24–25.

KÉT NAP A JÖVŐÉRT – Lépjen velünk hipertérbe!

VIII. UPGRADE CONGRESS
Esztétika & Endo Implantológia Digital & Ortho Prevenció
Dr. Luigi Canullo Dr. Felkai Tamás Dr. Borbély Judit Dr. Baktai Zoltán
Mester Emese
Dr. Fráter Márk Dr. Joób-Fancsaly Árpád Dr. Nagy Pál Dr. Dumitru Muntean Dr. Mikolicz Ákos Dr. Alexander Tzovairis Dr. Baráth Zoltán Dr. Palkovics Dániel Dr. Walter-Kovács Noémi Dr. Döbrentey Zsolt Dr. Antal Márk Dr. Nagy Zsolt Dr. Molnár Bálint Dr. Simon Fanni Dr. Tóth György

Upgrade Congress új helyszínen, a Hungexpo „Cˮ kongresszusi központjában

Mit hoz a 2023-as esztendő a fogászatban? Milyen új trendek, eljárások, technológiák várják a mindig megújuló szakmát? Hogyan tud versenyképes maradni a nyitott és egyre zajosabb nemzetközi piacon?

A továbbképző rendezvényre Önt is várjuk, ha nem elégszik meg a tegnapi ismereteivel, és mind elméleti, mind gyakorlati megközelítésben lépést akar tartani a világgal. A szervezők korábbi tapasztalatai és a nemzetközi rendezvényeken gyűjtött új ismeretek alapján egy szélesebb körű, átfogóbb koncepciót és tematikát mutat be a VIII. Upgrade Congress.

2023 VIII. UPGRADE HUNGEXPO implantológia • esztétika • endodontia orthodontia • digitális fogászat • prevenció Early Bird kedvezmény
31-ig! Jelentkezzen most: www.upgradecongress.hu
január

FRONTRÉGIÓBAN VÉGZETT AZONNALI IMPLANTÁCIÓ

SOCKET-SHIELD TECHNIKÁVAL

Esetbemutatás

Bevezetés

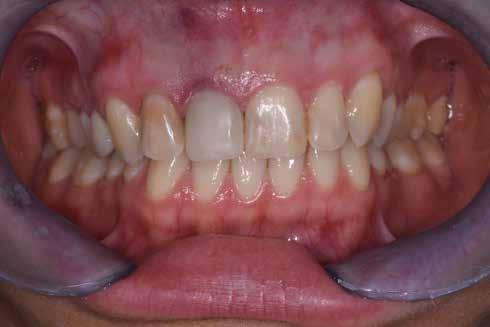
A felső frontrégió helyreállítása mind sebészi, mind protetikai szempontból kihívást jelentő feladat. A funkció és a megfelelő esztétikai eredmény elérése már a tervezés első pillanatától kiemelkedő fontossággal bír, az implantológia utóbbi évtizedekben tapasztalt fejlődése azonban egyre jobb és kiszámíthatóbb alternatívákat kínál. Jelen esetbemutatásunkban egy korábbi balesetben sérült, jobb felső nagymetsző fog helyreállítását szeretnénk ismertetni, egyéves utánkövetéssel.

Anyag és módszer

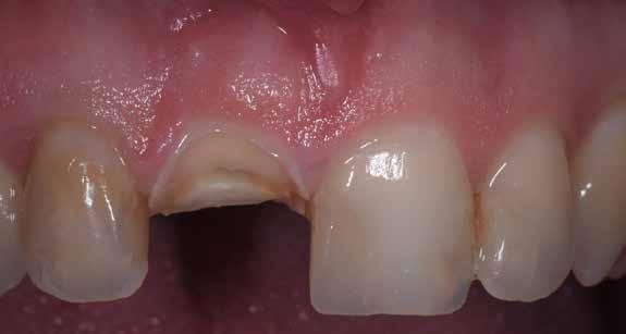
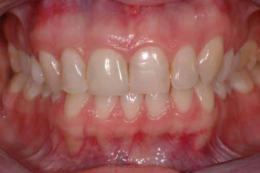
A korai harmicas éveiben járó hölgy rendelőnkbe érkezésének oka a jobb felső nagymetsző fog bizonytalan érzkenysége, elmondása alapján gyermekkorában trauma érte a felső frontrégiót. A frakturált klinikai koronákat kompozittöméssel helyreállították, egyéb kezelést akkor nem tartottak szükségesnek. Az utóbbi hónapokban tapasztalt érzékenység miatt kereste fel rendelőnket. A klinikai vizsgálat (1. és 2. kép) és a CBCT felvétel (3. kép) alapján diagnosztizált külső gyökérreszorpció megoldására a fog eltávolítását, implantátum

behelyezését, majd csavarozott rögzítésű, cirkónium-dioxid vázas, kerámialeplezésű korona készítését terveztük [1., 5., 6., 8.].

A tíz évvel ezelőtt még csak az állatkísérletekben leírt, azóta azonban már humán kutatásokban is vizsgált és napjainkban már széleskörűen alkalmazott, socket-shield technika alkalmazását tartottuk a legjobb választásnak [2., 4., 7.]. Az azóta megjelent szakirodalmi adatok alapján, a fent említett módszer alkalmas a bukkális oldal kemény- és lágyszöveti kontúrjának megőrzésére, a funkció mellett a megfelelő esztétikai eredmény elérésére is [3.].

A socket-shield technika lényege az azonnali implantációt megelőző részleges fogeltávolítás. Dekoronálást követően a megmaradt gyökér több darabban kerül eltávolításra, azonban a

16 e-Journal IMPLANTOLÓGIA
bukkális 1. kép: Kiindulási állapot, 2020. január. 3. kép: Kiindulási CBCT felvétel. 2. kép: Kiindulási állapot a palatinális oldal felől.

falat mint „pajzsot”, meg kell őrizni, ezzel megelőzhető a bukkális csontfal egyébként fiziológiás reszorpciója (4. és 5. kép). A sebészi technika különös körültekintést követel meg, nehogy a bukkális „gyökérpajzs” megmozduljon, ezzel a bukkális oldalon megmaradt periodontális ligamentumok sérülését kockáztatnánk, amely az esetenként

igen vékony (0,5-1,5 mm), bukkális köteges csont (bundle bone) lebomlásához vezetne a periodontális ligamentumok felől megszűnő vérellátás miatt.

A teljes palatinális gyökérrészlet és az apex eltávolítása után a megmaradt bukkális dentinfalat kb. 0,75-1 mm-re elvékonyítva, továbbá a koronális dentinszélt csontszintig preparálva készül el a megmaradó foggyökér-részlet. Az összes endodontális maradvány (pulpa, illetve esetleges gyökértömés), valamint az apex teljes mértékű eltávolítása kulcsfontosságú az implantátum sikeres osszeointegrációja szempontjából.

A részleges extrakció befejezése után következhet az implantátumágy preparálása a gyártó utasításai szerint (6.

kép). A bemutatott esetben Nobel Replace CC 4,3x13mm implantátumot helyeztünk be, amely a bukkális oldalon direkt kontaktusba került a megmaradt foggyökérdarabbal (7. kép). Az alveolus oldalfalai és a körszimmetrikius implantátum közötti hézag kitöltésére bovin eredetű xenograftot (Creos S xenogain) használtunk (8. kép). A hasonló

17 VI. ÉVFOLYAM – 2023. 1. SZÁM
5. a–e képek: Részleges extrakció. 4. a–c képek: A fog dekoronálása.

szakirodalmi esetismertetések zománcmátrix derivátum (Straumann Emdogain) használatáról is beszámolnak, ám ennek alkalmazása nem konzekvens, az ismertetett esetben eltekintettünk ettől [4.].

A behelyeztt implantátum primer stabilitását megfelelőnek ítéltük (kb. 40 Ncm) az azonnali terheléshez (9. kép).

Az extrakciót megelőző szituációs lenyomat alapján gyári, titán, ideiglenes abutment felhasználásával, a szék mellett készített, csavaros rögzítésű, azonnali akrilát ideiglenes koronával láttuk el, melyet 20 Ncm nyomatékkal rögzítettünk (10. kép). Az azonnali terhelés szabályainak megfelelően, az ideiglenes korona nem volt kontaktusban a szomszédos és az antagonista fogakkal.

18 e-Journal IMPLANTOLÓGIA
6. kép: Implantátum-ágy preparáció. 7. a–b. képek: Implantátum behelyezés. 8. kép: A behelyezett implantátum. 10. a–b képek: Azonnali ideiglenes korona készítése. 9. kép: Megfelelő primer stabilitás.
19 VI. ÉVFOLYAM – 2023. 1. SZÁM
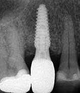
10. c–d képek: A kész ideiglenes korona. 11. kép: A 6 hónapos kontroll felvétele.
9024 Győr, Csokonai u. 10. labor@dentartttechnik.hu www.dentarttechnik.hu +36 30 682 3827 Virtuális terezés Ti és CoCr 3D nyomtatása Egyéni implantátumok Egyedi titán zsalúhálók Csontpótlás Csontpótlás eszközei Implantólógiai fúrósablonok Műtéti segédeszközök Impl lantológiában és csontpótlásban az első!
12. kép: A 6 hónapos intraorális kontrollröntgen felvétele.

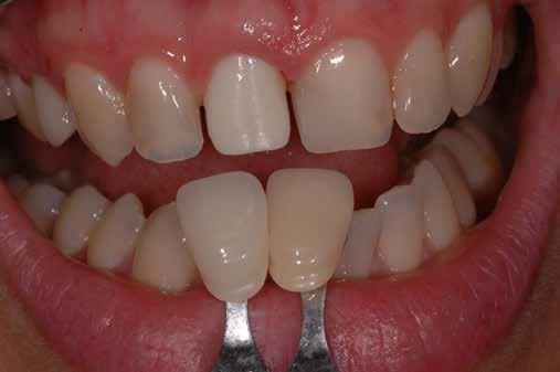
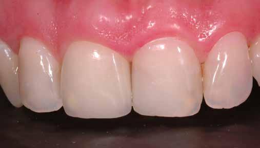
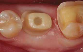
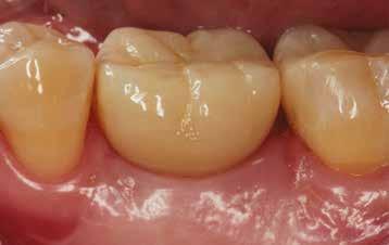
A 2020 januárjában elkezdett kezeléssorozat befejezését az év márciusában, hazánkba is begyűrűző Covid-19 pandémia késleltette, így kb. 6 hónap gyógyulás után láttunk hozzá az emergencia profil és a gingivális zenit ideiglenes koronával történő formázásához (11. és 12. kép). A 3 hetente végzett apró alakításokkal sikerült megfelelő ínyprofilt kialakítani, a „rózsaszín esztétika” a páciens számára is megfelelő volt. A bal felső nagymetsző fog meziális kompozit tömés cseréjét követően, individualizált nyitott kanalas lenyomati fejet készítettünk: az akrilát ideiglenes korona profilját átlátszó szilikonnal lemásoltuk, majd a körszimmetrikus gyári lenyomati fej és az ideiglenes korona kontúrja közötti hézagot folyékony kompozittal töltöttük ki (13. kép). Az így készített egyéni lenyomati fejjel vettünk lenyomatot a végleges, kerámialeplezésű cirkónium-dioxid vázas, átmenő csavaros rögzítésű koronához. (A fogtechnikai munkát Nébl Péter fogtechnikusmester készítette.), (14., 15., 16 és 17. képek).

Eredmények

A kész korona átadásakor a páciens elégedett volt az esztétikával, az azóta eltelt évben rendszeres kontrollokon jelent meg, melyek során meggyőződtünk a kemény- és lágyszövetek stabilitásáról (18. és 19. képek).

20 e-Journal IMPLANTOLÓGIA
13. a–c képek: Egyéni lenyomati fej készítése. 13. d kép: Egyéni lenyomati fej. 15. kép: Cirkónium-dioxid vázpróba, in situ. 14. kép: Kétfázisú, egyidejű nyitott kanalas lenyomat (Aquasil Ultra+ - Dentsply Sirona). 16. a–b képek: A kész munka gipszmintán.
TUDOMÁNY - TAPASZTALAT - INNOVÁCIÓ
-ÓTA A MAGYAR FOGORVOSLÁS SZOLGÁLATÁBAN DENTISYSTEM.HU
1983

Irodalom

[1] Ahangari Z, Nasser M, Mahdian M, Fedorowicz Z, Marchesan MA. Interventions for the management of external root resorption. Cochrane Database Syst Rev. 2015 Nov 24;2015(11):CD008003. doi: 10.1002/14651858. CD008003.pub3. PMID: 26599212; PMCID: PMC7185846.

[2] Bäumer D, Zuhr O, Rebele S, Schneider D, Schupbach P, Hürzeler M. The socket-shield technique: first histological, clinical, and volumetrical observations after separation of the buccal tooth segment – a pilot study. Clin Implant Dent Relat Res. 2015 Feb;17(1):71-82. doi: 10.1111/cid.12076. Epub 2013 Apr 30. PMID: 23631704.

[3] Gluckman H, Salama M, Du Toit J. A retrospective evaluation of 128 socket-shield cases in the esthetic zone and posterior sites: Partial extraction therapy with up to 4 years follow-up. Clin Implant Dent Relat Res. 2018 Apr;20(2):122-129. doi: 10.1111/cid.12554. Epub 2017 Nov 26. PMID: 29178381.

[4] Hürzeler MB, Zuhr O, Schupbach P, Rebele SF, Emmanouilidis N, Fickl S. The socket-shield technique: a proof-of-principle report. J Clin Periodon-

Összefoglalás

A fent bemutatott, „socket-shield” technikával végzett esethez hasonló, speciális esetek ellátása jelenleg is zajlik a rendelőnkben. Tény, hogy az indikációs kör szűk mivolta miatt ritkán alkalmazható, azonban egyre gyarapodó tapasztalataink szerint ezekben a különleges helyzetekben biztonságos, kiszámítható módszer a frontrégió implantátummal történő pótlására.

tol. 2010 Sep;37(9):855-62. doi: 10.1111/j.1600-051X.2010.01595.x. PMID: 20712701.

[5] Ne RF, Witherspoon DE, Gutmann JL. Tooth resorption. Quintessence Int. 1999 Jan;30(1):9-25. PMID: 10323155.

[6] Patel S, Kanagasingam S, Pitt Ford T. External cervical resorption: a review. J Endod. 2009 May;35(5):616-25. doi: 10.1016/j.joen.2009.01.015. PMID: 19410071.

[7] Schwimer C, Pette GA, Gluckman H, Salama M, Du Toit J. Human Histologic Evidence of New Bone Formation and Osseointegration Between Root Dentin (Unplanned Socket-Shield) and Dental Implant: Case Report. Int J Oral Maxillofac Implants. 2018 Jan/Feb;33(1):e19-e23. doi: 10.11607/jomi.6215. PMID: 29340355.

[8] Trope M. Luxation injuries and external root resorption--etiology, treatment, and prognosis. J Calif Dent Assoc. 2000 Nov;28(11):860-6. PMID: 11811235.

22 e-Journal IMPLANTOLÓGIA
17. a–b képek: A kész munka átadáskor. 18. a–c képek: 1 éves kontroll. 19. kép: Intraorális kontroll röntgen felvétele 1 évvel az átadás után.

KIVÁLÓSÁG AZ AZONNALISÁGBAN

Straumann® TLX Implantátum rendszer Az ikonikus Tissue Level és az azonnali terhelés találkozása

AZONNALI TERHELÉS PROTOKOLOKRA KIFEJLESZTVE

Kúpos forma az optimális primer stabilitásért

A PERIIMPLANTÁRIS EGÉSZSÉG

FENNTARTÁSA

Kevesebb megtapadó baktérium és egyszerűbb

tisztíthatóság

EGYSZERŰSÉG ÉS HATÉKONYSÁG

Egyfázisú folyamat, amely szöveti szintű restaurátumot és jobb szék melletti időkihasználást tesz lehetővé

A Straumann TLX implantátum rendszer kialakításánál számításba vették a keményés lágyszövet gyógyulás kulcsfontosságú elemeit.

Az implantátum-felépítmény kapcsolat távolabb került a csonttól, ezzel jelentősen csökkentve a gyulladás, valamint a csontreszorpció esélyét.

Keresse helyi Straumann képviselőjét vagy látogasson el a www.starumann.com/tlx oldalra!

A SEBÉSZI TECHNIKA ÉS A PRF SZEREPE AZ ALVEOLARIS CSONT ÉS A MUCOGINGIVÁLIS STRUKTÚRÁK MEGŐRZÉSÉBEN II.

Alveolus prezerváció PRF Sticky Bone™ segítségével (PRF Sticky Bone™ +A-PRF/S-PRF)

Bevezetés

A magazin 2021/ XVIII. évfolyam 1. számában megjelent „A sebészi technika és a PRF szerepe az alveolaris csont és a mukogingivális struktúrák megőrzésében I. – Alveolus prezerváció PRF segítségével” című közleményünkben már hangsúlyoztuk a csapatmunka és protetikai szemléletű, „visszafelé” tervezés fontosságát a fogászati-szájsebészeti gyakorlatban, kiemeltük a természetes szöveti struktúrák megőrzésének jelentőségét. A kemény- és lágyszövetek prezervációjával a későbbi munkafolyamatok egyszerűbbé válnak, magas szintű funkcionális és esztétikai eredmény érhető el. Implantológiai szempontból különösen fontos a megfelelő csontkínálat, és a megfelelő állapotú gingivális szövet.

Az említett előző közleményünkben ismertetett módszer (alveolus prezerváció natív PRF segítségével) egyszerű, jól kiszámítható és megbízható eljárás a csonttal minden oldalról körülvett posztextrakciós területek augmentációjára. Klinikai gyakorlatunkban a natív PRF használatát elsődlegesen ezen indikáció alapján végezzük. Munkánk során gyakran találkozunk azonban több, alveolaris csontfal hiányával járó defektussal. Ezekben az esetekben az alveolus prezerváció elvégzésére PRF Sticky Bone™ eljárást alkalmazunk.

A posztextrakciós alveolaris szövethiány kialakulásának hátterében több tényező szerepel. A paro- és peridontális kórfolyamatok már akkor kemény- és lágyszöveti hiány vagy defektus kialakulásához vezethetnek, amikor a fog még az anatómiai helyén található. A prezervációs szemlélet nélkül végzett extrakciós és szkulpciós beavatkozások gyakran okoznak szövethiányt, vagy annak mértékét jelentősen növelik. A fog eltávolítása során kiemelt jelentőségű a bukkális csont megőrzése, emellett törekednünk kell mindenfajta csontveszteség minimalizálására is. Ennek érdekében a klasszikus, extrakciós és szkulpciós technikákat módosítani kell: ajánlott a foggyökerek intraalveoláris darabolással történő eltávolítása, vagy részleges

eltávolítása a socket shield technika (1) elveinek megfelelően. Törekedni kell az alveolaris struktúrák vérellátásának megóvására (a lebenyképzés lehetőség szerinti mellőzésével vagy jelentős minimalizálásával), továbbá a lágyrészek megtámasztására (2). Utóbbi szempontjából kiemelkedő jelentőségű lehet az azonnali implantáció (3) és az azonnali – akár implantátumon vagy természetes fogakon rögzített – ideiglenes pótlás készítése, esetleg socket plug technika (4) alkalmazása. Nagy jelentősége van az időtényezőnek is: a fogak eltávolítását követően az első hetekben az alveolus jelentősen kollabál, ezt követően lassú involúciós atrófián megy keresztül (5, 6, 7, 8, 9, 10, 11, 12, 13, 14).

Az alveolus prezerváció megfelelő kivitelezésének első lépése a fog eltávolítása oly módon, amely az alveolaris struktúrák megőrzését célozza. Második lépés a csont-augmentáció elvégzése. Ha a beavatkozás nem vagy nem megfelelően célozza a kemény- és lágyszövetek prezervációját, a csontosodás elősegítését vagy annak irányítását, akkor gyakran előfordul, hogy a gyógyulási idő letelte után nem lesz megfelelő csontkínálat. Az esetek egy részében alveolus prezerváció elvégzése nélkül is marad akkora csontvolumen, amely lehetővé teszi az implantátum behelyezését, de gyakran protetikailag előnytelen pozícióba. A keményszöveti hiánnyal gyakran összefüggést mutat a lágyszöveti hiány, a feszes íny megszűnik. A protetikai szempontból rossz pozíciójú implantáció, valamint a szövethiány rontja a funkcionális és esztétikai eredményt, továbbá a hoszszú távú sikerességet is. Sok esetben azonban olyan mértékű lehet a csont volumenében tapasztalt deficit, hogy az implantátum beültetésére nincs lehetőség, ilyenkor csont augmentációs műtét végzése szükséges, amely jelentős megterheléssel, költségekkel, időveszteséggel és számos szövődménnyel járhat.

Fontos kérdés, hogyan tudjuk a csontosodást elősegíteni, valamint megőrizni a mukogingivális szövetek integritását, megfelelő struktúrát kialakítva. A csontosodás elősegítésére és irányítására számos hagyományos sebészi eljárás és csontpótló anyag áll rendelkezésünkre.  Ezeknél a legtöbb (1)AquaDent Fogászat, (2)Cranium-B Fogászat, (3) Precedent Fogászat

24 e-Journal IMPLANTOLÓGIA

esetben lebenyképzés és az íny per primam zárása szükséges, ami nem csak az alveolaris csont vérellátását zavarja meg, de a vesztibulum szűkülését és a feszes íny megszűnését is eredményezheti. Az utóbbi években egyre szélesebb körben terjedt el a PRF technika, aminek napjainkban az irányított csontregenerációban világszerte elismert szerepe van, emellett a PRF membránok alkalmazásával mukogingivális sebészeti szempontból is figyelemre méltó előnyökkel jár (15). Több nemzetközi közlemény a módszer kiszámíthatóságát és megbízhatóságát igazolja. Ezen eredmények alapján a trombocitában gazdag fibrin (Platelet Rich Fibrin, PRF) kiválóan alkalmas az extrakciós csontsebek kezelésére (16, 17, 18, 19). Hazánkban e módszer még nem terjedt el széles körben, ezért tartjuk esetismertetésünket közlésre érdemesnek.

Esetismertetés

A 68 éves nőpáciens, panaszt (fájdalom, ráharapási érzékenység) okozó bal oldali felső, első kisőrlő foga miatt jelentkezett rendelőnkben. Az általános anamnézisben említést érdemlő betegség, műtét nem szerepel. Az elvégzett klinikai és radiológiai vizsgálatok (1., 2. ábra) endo-parodontális érintettséget igazoltak, vertikális fraktúra gyanújával. A fog harmadfokban mozgatható volt, a bukkális oldalon 14 mm-es tapadásveszteséggel. A reménytelen parodontális prognózis a fog eltávolításának abszolút indikációját jelentette. Hídpótlás készítéséhez a szemfog előkészítése lett volna szükséges, illetve csak vegyesen rögzített (implantátum-fog) hídpótlás készítése lett volna lehetséges. Figyelembe véve a szemfog anyagának védelmét, parodontális állapotát (a szemfognál is észlelhető volt tapadásveszteség, noha a fog stabil volt) és azt a tényt, hogy a szakirodalomban nem találtunk egyértelmű ajánlást vagy vizsgálatot, amely megbízhatóan alátámasztaná az ilyen státuszban fogon és implantátumon vegyesen rögzített protetikai megoldás hosszú távú megfelelőségét, a preoperatív konzultáció során, a pácienssel egyeztetve a hídpótlás készítését elvetettük, és implantációs fogpótlás készítése mellett döntöttünk. A protetikai szemléletű,

„visszafelé” tervezés elveit követtük a hosszú távú funkcionális, esztétikai siker és szöveti stabilitás elérése érdekében. Ezek alappillére az implantátum megfelelő pozicionálása, amelyre akkor nyílik lehetőségünk, ha a fog eltávolítását követően megfelelő mennyiségű és minőségű csontkínálattal rendelkezünk. A páciens kivizsgálása és megfelelő előkészítése után, a fog eltávolításával egy időben PRF Stikcy Bone™ segítségével kivitelezett alveólus prezerváció mellett döntöttünk, a megfelelő mennyiségű és minőségű csontos és mukogingivális gyógyulás elősegítése érdekében. A PRF készítmény mennyiségét, minőségét, kezelhetőségét és hatékonyságát jelentősen befolyásolják a páciens laborértékei, ezért a PRF csont augmentáció esetén, a műtétet megelőzően mindig laborvizsgálatot végzünk (hemoglobin: 134 g/liter, hematokrit: 0,43, fehérvérsejt: 6,6 G/ liter, CRP: 3,60 mg/liter, vércukor: 5,2 mmol/liter, összkoleszterin: 7,00 mmol/liter, triglicerid: 1,28 mmol/liter, HDL koleszterin: 1,02 mmol/liter, LDL koleszterin: 4,8 mmol/ liter), D3-vitamin: 117,5 nmol/liter).

A foggyökér óvatos, atraumatikus eltávolítását követően excochleáltuk a parodontális és periapikális gyulladásos folyamatok eredményeként jelen lévő sarjszövetet. Az alapos tisztítás és a bukkális csontfal hiánya miatt indokolt membrántechnika megfelelő kivitelezése céljából mukoperioszteális lebenyt képeztünk, a lebeny tervezésénél arra törekedtünk, hogy az a lehető legkisebb méretű legyen és a második kisőrlő fog helyén lévő implantátum hámtapadását ne érintse, illetve, hogy lehetővé tegye a szemfog parodontális kezelését is (3., 4. ábra). Az alveoláris csont megőrzésének és regenerációjának segítése céljából a fog eltávolításával egy időben alveólus prezervációt végeztünk Stikcy Bone™ és PRF membránok segítségével, melyek előállításánál követtük a J. Choukroun által megadott vérvételi és centrifugálási protokollt (20). Kizárólag Process for PRF Duo Quattro System eszközöket, centrifugát, vérvételi egységet és csöveket, a membránok előállításához PRF Box-ot használtunk. Az A-PRF és S-PRF csöveket a PomPac eljárásnak megfelelően 4 °C-ra előhűtöttük. A Stikcy Bone™ készítmény előállításához Purgo™ xenografot használtunk. Az alveolust a grafttal feltöltöttük, tömörítő műszerrel enyhe kompreszsziót, illetve vertikális irányban 10 százaléknyi túlkompen-

25 VI. ÉVFOLYAM – 2023. 1. SZÁM
1. 2.
26 e-Journal IMPLANTOLÓGIA
3. 6. 10. 11. 12. 13. 7. 8. 9. 4. 5.
28 e-Journal IMPLANTOLÓGIA
14. 15. 16. 17. 18. 19. 20. 21. 22. 23.

zációt alkalmaztunk  (5., 6. ábra). Ezt követően a palatinális marginális gingivát óvatosan alápreparálva a bukkális defektust, valamint az okkluzális felszínt keresztirányban

A-PRF membránokkal borítottuk (7. ábra). A mukogingivális lebenyt – annak megnyújtása nélkül – a helyére fektettük és varratokkal rögzítettük, per primam sebzárást nem végeztünk (8., 9. ábra). A varratokat 2 hét után távolítottuk el, a varratszedésig a sebgyógyulás támogatására per os 1000 mg/nap C- és 12 000 NE/nap D-vitamint adtunk (20). A műtéti beavatkozást 24 hét gyógyulási időszak követte, melynek során sem helyi, sem gyógyszeres kezelés nem történt, az esztétikum javítása érdekében a páciens ideiglenes kivehető fogpótlást használt. A csontos gyógyulás ellenőrzése és az implantáció tervezése céljából állcsonti CT felvételt készítettünk, illetve lenyomatvételt végeztünk. A CT felvételen tökéletes csontos gyógyulást észleltünk, az alveolaris csont volumene teljes mértékben megtartott volt (10. ábra), a klinikai kép is ennek megfelelően alakult (11., 12. ábra)

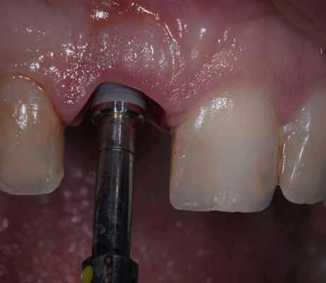
A Trishape Implant Studio™ a korábbi csont augmentáció területén, a felső állcsontnál áltagosnak számító D2-D3 csontminőséget jelzett (13. ábra). A lenyomat alapján készített gipszmodellt szkennelve virtuális mintát nyertünk. A CBCT felvétel és a virtuális modell adatait a Dual Scan protokoll (21) elveinek megfelelően használtuk fel az implantációs sablon (New Age Dental Kft, Nemeskéry Károly) készítéséhez (14., 15., 16. ábra). Az implantátum (Ankylos C/X A11) behelyezése teljesen navigált módon, 35 Ncm primer stabilitással történt (17., 18. ábra). Az implantátumra a fogtechnikus (D1 Dental Kft., Garamvári Csaba) által előzetesen

elkészített csavarozott, ideiglenes fogpótlást rögzítettünk a gyártó által előírt 15 Ncm-es nyomatékkal, az ideiglenes korona az okklúzióban és artikulációban nem vett részt (19., 20., 21. ábra). A front- és prémoláris régióban, amennyiben lehetséges, mindig nyílt gyógyulási protokollt választunk, azonnali ideiglenes restaurátumot készítve, így biztosítva elegendő időt a lágyrészek maturációjához (23, 24, 25, 26, 27). A kontrollvizsgálatok során havonta ellenőriztük az ideiglenes fogpótlás és az implantátum stabilitását, valamint a lágyrészek állapotát, korrekciós beavatkozás vagy az ideiglenes korona emergencia-profiljának változtatása nem volt szükséges (22. ábra). Két hónapos terhelésmentes időszakot követően, csont-tréninget alkalmaztunk részleges terheléssel, a teljes terhelést a hatodik hónap végére értük el, és megkezdtük a definitív protetikai ellátást. Az ideiglenes restaurátum eltávolításakor az alveoláris struktúrák tökéletes gyógyulását észleltük, a páciens ínye békés, reakciómentes volt, megfelelő mennyiségű keratinizált, feszes ínnyel rendelkezett (23. ábra). Az implantátum stabilitása Periotest-tel -8 értékű volt. Cerec Omnicam rendszerrel digitális lenyomatot vettünk (24. ábra), és a fogtechnikus (Prodont Silver Kft., Panyi János) által ragasztott, csavarozott hibridkerámia koronát készíttettünk nem indexált Ankylos C/ titanium-base fej felhasználásával, amelyet az előírás szerinti 15 Ncm-es nyomatékkal rögzítettünk (25., 26 ábra), majd ellenőriztük az okklúziót és az artikulációt (27. ábra). A beavatkozást követően 6 hónappal az alveoláris struktúrák stabilak, a röntgenfelvételen a csontállomány megtartott, a beteg panaszmentes, rágó funkciója kifogás-

Fergeteges

Sertés

eredetû xenograft – magas biokompatibilitás! AKCIÓ!

Kis szemcseméret: 0,25–1 mm

BG-A25: 0,6 cc (0,25 g)

BG-A05: 1,2 cc (0,50 g)

BG-A10: 2.4 cc (1 g)

BG-A20: 4,8 cc (2 g)

Nagy szemcseméret: 1–2 mm

BG-B05: 1,8 cc (0,50 g)

BG-B10: 3,6 cc (1 g)

KETTÔT FIZET, HÁRMAT KAP azonos kiszerelés esetén, vagy 20% kedvezmény vegyes kiszerelés esetén, min. 3 doboz, egyidejû vásárlásakor!

Termékeink

29 VI. ÉVFOLYAM – 2023. 1. SZÁM
06 30 942 7560
www.harmonycom.hu
dental@harmonycom.hu
folyamatosan új gyártásból érkeznek, 2027–2028. évi lejárattal.

talan, az esztétikai eredménnyel teljes mértékben elégedett (28., 29., 30. ábra)

Megbeszélés

A fog eltávolításának indikációja

A bukkális csontállomány teljes felszívódását és a fog jelentős mobilitását okozó előrehaladott parodontális folyamat a fog eltávolításának abszolút indikációját jelenti, különösen akkor, ha azzal egy időben periapikális elváltozást észlelünk, és a fog repedésének a gyanúja is fennáll. Tapasztalataink szerint ilyen esetben a fog megtartását célzó regeneratív kezelésektől hosszú távú siker nem várható, az adekvát oki terápia a fog eltávolítása.

Atraumatikus extrakciós technika és a vérellátás megóvása  A csontmennyiség megőrzésének alapja az atraumatikus, minimálinvazív extrakciós technika alkalmazása. Klinikai gyakorlatunkban minden fog eltávolításánál a rendelke-

30 e-Journal IMPLANTOLÓGIA
24. 27. 28. 29. 25. 26.

zésre álló alveoláris csont teljes megkímélésére törekszünk, különösen akkor, ha a fog eltávolítását indokoló patológiás folyamat következtében a fogmedernyúlványt érintő csonthiánnyal állunk szemben. Ilyen szituációban gyakran nem lehetséges a lebenyképzés elkerülése, csak a lebeny méretének és a feltárás mértékének redukálására törekedhetünk, annak érdekében, hogy mérsékeljük az alveoláris csont és a csontpótlásra használt graft vérellátási zavarát (28, 29, 30, 31). A fogmedernyúlvány csontvesztesége egyúttal lágyrész veszteséget is eredményez, mivel az atrófizált alveoláris csontot kisebb volumenű íny fogja fedni. Amennyiben a kemény- és lágyszöveti struktúrák védelmére és megőrzésére nem törekszünk, az ínyszövet – különös tekintettel a feszes ínyre –  relatív hiánya a másodlagos augmentációs műtét során problémát jelent, a beavatkozás sikerét veszélyezteti, és gyakran korrekciós lágyrészműtétet tesz szükségessé.

A per primam sebzárás elkerülése PRF használatával

A legtöbb rutinszerűen alkalmazott, hagyományos csont augmentációs technika esetében elengedhetetlen a graft, illetve az alkalmazott barrierek felett a teljes sebzárás. Ha az ilyen jellegű csontpótlást a fog eltávolításával egy időben végezzük, szükséges a fog helyének megfelelő, anatómiai ínyhiány pótlásának megoldása. Erre lágyrész átültetéssel (FGG, CTG technikák) vagy az ínylebeny nyújtásával van lehetőségünk. Előbbi esetben mindig számítanunk kell erős panaszokra (fájdalom, étkezési nehézség) a vételi helyen, illetve esetenként számolnunk kell donorhelyi morbiditással is.

Ha a primer sebzárás során a lebenynyújtást hagyományos módszerrel végezzük el, az a legtöbb esetben a vesztibulum szűkülését és/vagy a feszes, keratinizált gingiva megszűnését eredményezi és korrekciós műtét elvégzése válhat szükségessé. A PRF membrántechnika alkalmas a posztextrakciós sebek fedésére, per primam sebzárás nélkül. Az A-PRF, illetve S-PRF membránok 14-21 napon át megfelelő barrierfunkcióval rendelkeznek, valamint a gyógyulási folyamat során átépülve elősegítik a keratinizált ínyszövet kialakulását.

A csontpótlás időzítése

Célunk mindig a meglévő csont megőrzése, ezért törekedni kell arra, hogy a csont augmentáció a fog eltávolításával egy időben történjen. Ezzel egyrészt csökkentjük a páciens műtéti terhelését (eggyel kevesebb műtét), másrészt megelőzzük az alveoláris csont elvesztését, amelynek visszaépítése gyakran nehézséggel jár.

A laborvizsgálat jelentősége

Az oszteogenetikus folyamatokat a helyi tényezőkön kívül a páciens általános állapota is jelentősen befolyásolja, ezért fontosnak tartjuk préoperatív laboratóriumi vizsgálatok elvégzését (32). A páciensnél fennálló akut, szisztémás gyulladás, fertőzés (emelkedett Fvs, CRP), anyagcserezavar (magas vércukor- és koleszterinszint) a sebgyógyulást akadályozhatja, infekcióra hajlamosít. Eltérő laboratóriumi leletek esetében a beteg általános állapotának rendezése

31 VI. ÉVFOLYAM – 2023. 1. SZÁM
ARANY MUNKÁIT RENDELJE MEG A SCHULZE LABORTÓL! Több mint 100 éves tapasztalat! INLAY, ONLAY ARANY KERÁMIA ARANY LEMEZ ARANY KOMBINÁLT MUNKA LEMEZ ARANYOZÁS GALVÁN MUNKÁK KESZÍTÉSE ELÉRHETŐSÉG: +36 20 366 10 80 schulzefogtechnika@gmail.com

után végezhető el az augmentációs beavatkozás. Kiemelt figyelmet érdemel a szérum D3-vitamin szintje, melynek alacsony értéke szintén kedvezőtlenül befolyásolhatja a sebgyógyulást és csontregenerációt (33, 34).

A PRF használatának indikációja Számos vizsgálat, többek közt randomizált kontroll-tanulmányok számolnak be a PRF kedvező hatásairól az alveoláris csont és lágyszöveti regeneráció kapcsán (35, 36, 37, 38). Ebben jelentős szerepet játszanak a centrifugálás során fokozatosan kialakuló, háromdimenziós fibrinhálóban elhelyezkedő trombociták, leukociták, progenitor sejtek, valamint az általuk közel 2 héten át termelt növekedési faktorok, különböző citokinek (39, 40, 41). A PRF Stikcy Bone™ módszer előnye, hogy a hozzáadott xenograft volumenstabilizáló és oszteokonduktív hatását egyidejűleg használjuk ki. Az eljárás során autológ szövetet használunk, melyet minimál-invazív beavatkozással nyerünk, egyszerű lépésekből álló protokoll alapján állítjuk elő. Biztonságos és sikeres alkalmazása azonban megfelelő gyakorlatot és öszszehangolt műtéti csapatmunkát igényel.

Az implantáció időzítése

A PRF Sticky Bone™ alveólus prezervációt követően a felső állcsontba 6, az alsó állcsontba 3 hónappal ültetünk implantátumokat. Ezzel szemben, egyes irodalmi ajánlások PRF+A-PRF/S-PRF technika alkalmazása esetén az implantátumok korábbi beültetésének lehetőségét írják le (42, 43, 44). A gyógyulási idő PRF segítségével történő lehetséges redukálásának kérdése további vizsgálatokat igényel.

A navigált implantátumbehelyezés és azonnali ideiglenes korona

A navigált implantátumbehelyezéssel és a protetikai szempontból ideális implantátum-pozíció elérésén túl célunk az

azonnali ideiglenes restaurátum készítése is volt. Az implantátumon rögzített, azonnali ideiglenes korona lehetőséget nyújt a lágyrészek megtámasztására, továbbá a definitív protetikai ellátáshoz szükséges emergencia profil alakítására, emellett egyúttal jelentősen javítja a páciens komfortját. Hangsúlyozni kívánjuk, hogy amennyiben az implantátum behelyezésével egy időben ideiglenes koronát adunk át, a csontminőségtől függetlenül, mindig a következő alapelveket követjük:

1. Az ideiglenes korona és az ideiglenes implantátum-fel építmény is fémmentes, kompozíciós anyagból készül;

2. Az ideiglenes korona az ideiglenes implantátumfelépítménnyel a technikus által összeragasztott, az így kapott restaurátum csavarral mikromozgás mentesen rögzített;

3. Az ideiglenes korona átadáskor az okklúzióban, artikulációban nem vesz részt;

4. A páciens gondos felvilágosítása a restaurátum terhelhetőségéről és tisztításáról;

5. Rendszeres kontrollvizsgálat.

A megfelelő lágyszöveti és csontos gyógyuláshoz elengedhetetlen, hogy az ideiglenes pótlás mozgás- és mikromozgás-mentesen legyen rögzítve az implantátumhoz, ezért szóló foghiányok pótlására a Morse-kónusszal rendelkező implantátum rendszereket tartjuk megfelelőnek, ahol kiemelt jelentőségű a kúp angulációjának értéke (22). A csavarral rögzített ideiglenes szuprastruktúra-korona komplex eltávolíthatósága lehetővé teszi az emergenciaprofil alakítását: a gingivális felszínen hígan folyó, kompozit tömőanyaggal elvégzett kontúrozással és a kontaktpont-alveoláris csontszél távolságának változtatásával (44) hatni tudunk a lágyrészek megtámasztására és maturációjára. Klinikai gyakorlatunkban a felső állcsontba helyezett, azonnali restaurátummal ellátott, legalább 35 Ncm primer stabilitással rendelkező implantátumok esetében – két hónap terhelésmentes időszakot követően – részleges terhelést alkalmazunk és a teljes terhelést a hatodik hónap végére érjük el.

Az előre elkészített csavarozott ideiglenes korona és definitív csavarozott korona készítésének jelentősége Az implantációs protetikai restaurátumok átadását követően gyakran alakul ki gyulladásos folyamat a koronák ragasztása során a gingiva alá kerülő, illetve a nem eltávolított anyagmaradványok következtében. Ez megtörténhet ideiglenes és végleges koronák esetében is. Bármilyen alapos is a ragasztást követő tisztítás, csak abban az esetben lehetünk teljesen biztosak benne, hogy nincs reziduális anyag az íny

32 e-Journal IMPLANTOLÓGIA
30.

alatt, ha a ragasztási folyamat nem intraorálisan történt. Az implantátum beültetésével egy időben, a Scutan-módszerrel történő ideiglenes korona készítését nem javasoljuk izolálási, sterilitási problémák, illetve a kemény- és lágyszövetek fokozott terhelése miatt. Az ilyen eljárással készített ideiglenes restaurátumok pontossága és felületi struktúrája, valamint az ideiglenes ragasztóanyag-maradványok jelenléte is problémákat okozhat. Klinikai gyakorlatunkban kizárólag a technikus által készített, valamint az ideiglenes felépítményhez a laborban ragasztott vagy csavarozott ideiglenes implantátumon rögzített koronákat alkalmazunk, és arra törekszünk, hogy a definitív protetikai ellátásunk is csavaros retenciójú legyen.

A csapatmunka jelentősége

Az elmúlt évtizedek kutatásai és fejlesztései oly mértékben bővítették szakmai ismereteinket és technológiánkat, hogy napjainkban különlegesen fontossá vált a kollegiális és interdiszciplináris együttműködés.

A PRF technika dentoalveoláris sebészeti alkalmazása jól példázza mindezt, hiszen a megfelelő eredmény eléréséhez nélkülözhetetlen a megfelelő előkészítés, kiemelt jelentőségű a PRF centrifugátum és a membránok előírás szerinti elkészítése, az adekvát sebészi technika alkalmazása, amelyek jellemzően túlmutatnak az egy kézben öszszefogható tevékenység lehetőségein.

› Szétszerelhető

EM-19 LC

Erőteljes, fényes sebészeti

-33%

Vezeték nélküli lábpedál S-NW

Vezérelje az Implantmed Plus és a Piezomed modul készülékeket egy, közös lábkapcsolóval.

Implantmed Plus SI-1023

› Menetvágó funkció

› Implantációs adatok dokumentációja pen-drivera › Nyomaték szabályozás 5 és 80 Ncm között

Osstell Beacon

Az implant stabilitás és az osszeointergritás könnyű mérése, egyszerű csatlakoztathatóság az Implantmedhez.

Sebészeti kocsi

3 dugaljjal.

Sebészeti torony „MINDEN EGYBEN“ WORKFLOW-kocsi

Piezosebészet és implantológia egy készülékben.

12.687€

18.993 €

Budapest Breznó-köz 11 t +36 1 788 53 91 info@fejerfog.hu www.fejerfog.hu

33 VI. ÉVFOLYAM – 2023. 1. SZÁM
#whdentalwerk wh.com
Ajánlat érvényessége 2023. január 1-től 2023. február 28-ig. Esetleges nyomdai hibákért felelősséget nem vállalunk. Az árak tartalmazzák a 27% Áfát.
motor. Piezomed Plus Modul SA-435 › Fényes kézidarab › Automata eszköz felismerés
WS-75 L › Sebészeti könyökdarab 20:1 › LED+ fény

EGY MINIMÁLINVAZÍV IMPLANTÁCIÓS ELJÁRÁS A MAXILLA HÁTSÓ RÉSZÉNEK REHABILITÁCIÓJÁRA Biztosan

az arcüregemelés a legjobb megoldás?

A fogatlan állcsont implantációs pótlással történő rehabilitációja egy megbízható és széleskörűen elfogadott kezelési eljárás [1]. Az atrófiás maxilla esetében az implantátum behelyezését olyan tényezők nehezíthetik meg, mint például a fogvesztést követő csontfelszívódás, a sinus maxillaris kiterjedése, valamint az anatómiai variációk. Az irányított csontregeneráció (arcüregemelés), amely az arcüreg nyálkahártyáját természetes barrierként használja, mára rutineljárássá vált a csontmennyiség növeléséhez [2].

Bevezetés

Sinus lift során, az arcüreg-nyálkahártya iatrogén eredetű perforációja az egyik leggyakoribb intraoperatív komplikációnak számít, átlagban az esetek 20%-ánál bekövetkezik [3,4], és megnöveli az esélyét az esetleges posztoperatív arcüreggyulladásnak, amely vagy a csontpótló bakterális kontaminációja, vagy a graft arcüregbe kerülése miatt alakul ki.

Számos tényező járul hozzá egy esetleges perforáció kialakuláshoz, mint például a nem megfelelő sebészi tapasztalat, a vékony sinus membrán [5,6], illetve a komplex arcüreg morfológia [7], ezért a megfelelő kezelési eljárás kiválasztása kulcsfontosságú.

A sinus lift műtét gyakran indokolt annak érdekében, hogy megfelelő méretű és megfelelő tengelyállású implantátumokat helyezhessünk be a maxilla hátsó részébe [8]. A kezdeti leírások szerint az implantátumok axiális irányú terhelése a természetes fogak terhelésére irányuló teóriákon alapult, ahol a cél, hogy az erők a fog hossztengelyére koncentrálódjanak. Az implantátumok esetében ez irreleváns, mivel az

összetett nyomó-, feszítő- és nyíró-erők makroszkópikusan jelen vannak az implantátum minden egyes meneténél [9].

Az elmúlt évtizedekben a fogászati implantátumok ipara rengeteget fektetett a kutatásba és a fejlesztésbe, hogy olyan, kevésbé invazív kezelési lehetőségeket tudjanak alkalmazni, amelyek alternatívát kínálnak az olyan páciensek kezelésére, akiknél a csont mennyisége és minősége nem megfelelő. Ezzel egy időben számos klinikus felismerte, hogy a csontpótlás sokkal nagyobb morbiditással, többletköltséggel és hosszabb kezelési idővel jár, ebből fakadóan az alternatív kezelést kezdték előnyben részesíteni [10,11,12].

Az alábbi esetnél egy olyan pácienst szeretnénk bemutatni, akinél a csontmennyiség nem volt megfelelő a maxilla hátsó részén, ennek következtében a kezelést rövid implantátummal, továbbá a tuber területére behelyezett ferde implantátummal végeztük. Ez egy pácienscentrikus alternatív kezelési eljárás, annak érdekében, hogy az arcüregemelés elkerülhető legyen.

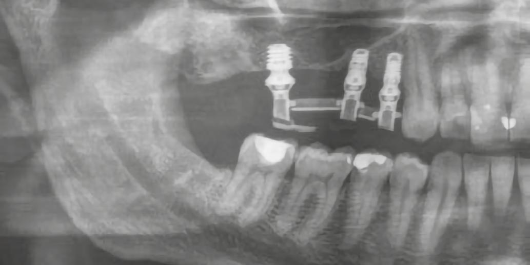
Esetbemutatás

Kiindulási szituáció Egy 49 éves, nem dohányzó, egészséges férfi páciens jelentkezett a rendelőnkben hiányzó 2.6-os és 2.7-es foggal, valamint azzal a panasszal, hogy már lassan egy hete, lüktető fájdalmat érez a 2.5-ös fogánál. Megoldást keresett a hiányzó fogak pótlására is. Klinikai intraorális vizsgálat alapján a 2.5-ös fogon egy sérült fémkerámia korona volt,

34 e-Journal IMPLANTOLÓGIA
1. ábra: Megfelelő szájhigiénia – panorámaröntgen. 2. ábra: A 2.5, 2.6 és 2.7-nek megfelelő terület a röntgenfelvételen.

és jelentős mobilitással rendelkezett. A radiológiai vizsgálat után egyértelműen látszódott, hogy a fogon még nem végeztek gyökérkezelést. A 2.6-os és 2.7-es fogaknak megfelelő területen az arcüreg kiterjedése jelentős volt, vertikális csontmennyiség szignifikánsan csökkent (1. és 2. ábra).

A tervezés

A páciensnek két kezelési lehetőséget ajánlottunk fel: Első lehetőség: A 2.5-ös fognál a korona eltávolítása, gyökérkezelés, gyökércsapos felépítés és új korona készítése.

A 2.6-os és 2.7-es régiónál külső sinus lift és csontpótlás (bovin eredetű xenograft), majd 6 hónapos gyógyulás.

2.6-os és 2.7-es fogak helyére implantátum behelyezés, 12 hét gyógyulási idő a fogpótlás elkészítéséig.

Második lehetőség: A 2.5-ös fog eltávolítása és azonnali implantáció. A 2.6-os fog helyére egy rövid implantátum behelyezése. A 2.7-es fog helyére egy implantátum behelyezése ferdén a tuberbe, hogy maximalizáljuk az elhorgonyzását, 6 hét gyógyulási idő a fogpótlás elkészítéséig.

Mivel a páciens anamnézisében krónikus és visszatérő arcüreggyulladás szerepelt, azt az opciót, amelyben arcüregemelést végeznénk, elvetettük. A kezelés összes költségét, a műtétek számát, valamint a teljes kezelési időt figyelembe véve, a páciens a második opció mellett döntött.

A sebészi fázis

Helyi érzéstelenítésben a 2.5-ös fog mentén intraszulkuláris metszést végeztünk, hogy minimalizáljuk a lágyszövetet érő traumát az extrakció során. Ezt követően kresztális metszést végeztünk a 2.5-ös fog disztális részétől egészen a tuber végéig, és a teljes vastagságú lebenyt preparáltuk, hogy feltárjuk az állcsontgerincet.

A 2.5-ös fog mentén periotómot haszáltunk, hogy átvágjuk a periodontális rostokat, így a fogat kilazítottuk, hogy ezzel is csökkenthessük a fogó által végzendő laterális mozgások szükségességét, illetve hogy a környező csontot is a legnagyobb mértékben megőrizzük. Nem volt elég csont (anélkül, hogy perforálnánk az arcüreg alapját) ahhoz, hogy abban stabilizáljuk az implantátumot, úgy döntöttünk, hogy behelyezünk egy ∅ 5.0 x 12 mm-es Straumann® BLX implantátumot közvetlenül az alveolusba, előfúrás nélkül. Az implantátum menetkialakítása lehetővé tette, hogy a kézidarabbal behajtva, 25 Ncm-es nyomatékot érjünk el, majd racsnis nyomatékkulcs segítségével juttattuk a végső pozíciójába, 80 Ncm-es behajtási nyomatékot mérve (3. és 4. ábrák).

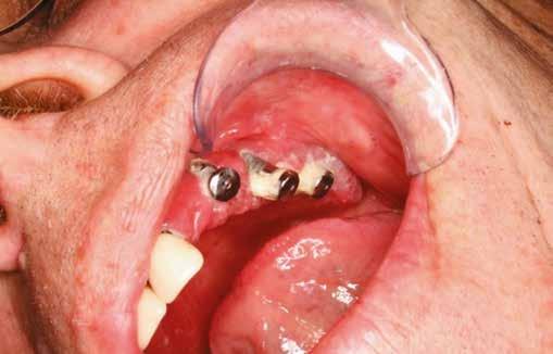
A 2.6-os fog helyén egy 6 mm mély furatot készítettünk a gyártó előírása szerint, a puha csont protokoll lépéseit követve. Egy ∅ 5.0 mm × 6 mm Straumann® BLX implantátumot helyeztünk be 50 Ncm-es behajtási nyomatékkal (5. ábra)

A 2.7-es fog helyénél egy disztális irányú, 14 mm mély, ferde előfúrást végeztünk, elkerülve a sinus maxillarist a tuber csontkínálatának felhasználásával. Egy ∅ 5.0 mm x 14 mm Straumann® BLX implantátumot helyeztünk be, 50 Ncm-es behajtási nyomatékkal (6. ábra)

Mind a három implantátumba gyógyulási csavar került, ezzel elkerültük az újabb sebészi beavatkozás szükségességét.

Tovafutó varrattal zártuk a sebet az ínyformázó csavarok körül (7. és 8. ábrák).

A fogpótlás készítésének lépései

Hathetes gyógyulás után a lágyszövetek kiválóan gyógyultak, és minden implantátum megfelelően osszeointegrálódott, amelyet a radiológiai vizsgálat is megerősítetett (9. és 10. ábra).

Nyitott kanalas lenyomatvételi fejeket csatlakoztattunk az implantátumokhoz, és elasztomer lenyomat-anyagot fecskendeztünk köréjük és a lenyomatkanálba, hogy egyfázisú lenyomatot vegyünk. A minta laboratóriumi elkészítését követően a kimart vázra kerámia leplezés került, amelyet megfelelő festéssel tettek még természetesebbé. Ezt követően a pótlást közvetlenül az implantátumokhoz csatlakoztattuk, majd ellenőriztük a kontaktpontot és az okklúziót. Minden csavart 35 Ncm-es nyomatékra húztunk, majd a csavarnyílásokat teflonszalaggal és fényre kötő kompozittal zártuk (11. ábra).

35 VI. ÉVFOLYAM – 2023. 1. SZÁM
3. ábra: Straumann® BLX implantátum ∅ 5.0 mm x 12 mm – készen a behelyezésre a 2.5-ös fog helyére. 4. ábra: A végső behelyezési nyomaték 80 Ncm volt a nyomatékkulcs alapján. 5. ábra: Straumann® BLX implantátum ∅ 5.0 mm x 6 mm – készen a behelyezésre a 2.6-os fog helyére. 6. ábra: Straumann® BLX implantátum ∅ 5.0 mm x 14 mm – készen a behelyezésre a 2.7-es fog helyére.

Az eredmény

A végső röntgenfelvételen láthatjuk az osszeointegrálódott implantátumokat, valamint a stabil kresztális gerincet az azonnal behelyezett, a rövid és a ferde, a tuberben elhorgonyzott implantátum körül (12. ábra).

A páciens teljesen elégedett volt az esztétikai és a funkcionális eredménnyel is, továbbá lenyűgözte a kezelés rövidsége, valamint a minimálisan invazív megoldása.

Megbeszélés

Az orvos számára továbbra is nagyon fontos, hogy elsajátítsa és elvégezze a sinus lift műtéti technikáit, hogy képes legyen azoknak a pácienseknek a kezelésére, akiknél ez a maxilla hátsó régiójában feltétlenül indokolt. A sinus lift nagyfokú kézügyességet igényel, hogy elkerülhető legyen a leggyakoribb szövődmény, amely az arcüreg nyálkahártyájának az átszúrását vagy szakadását jelenti. Napjainkban a szakirodalom az összes eset 25–50%-ánál számol be sinus-membrán-perforációról a laterális ablakkal végzett sinus lift műté-

1. Moreno Vazquez JC, Gonzalez de Rivera AS, Gil HS, et al: Complication rate in 200 consecutive sinus lift procedures: Guidelines for prevention and treatment. J Oral Maxillofac Surg 72:892,2014

2. Watzek G, Weber R, Bernhart T, et al: Treatment of patients with extreme maxillary atrophy using sinus floor augmentation and implants: Preliminary results. Int J Oral Maxillofac Surg 27:428, 1998

3. Pjetursson BE, Tan WC, Zwahlen M, Lang NP: A systematic review of the success of sinus floor elevation and survival of implants inserted in combination with sinus floor elevation. J Clin Periodontol 35(8 suppl):216, 2008

4. Chiapasco M, Zaniboni M: Methods to treat the edentulous posterior maxilla: Implants with sinus grafting. J Oral Maxillofac Surg 67:867, 2009

5. Wen S-C, Lin Y-H, Yang Y-C, Wang H-L: The influence of sinus membrane thickness upon membrane perforation during transcrestal sinus lift procedure [published online ahead of print May 29, 2014]. Clin Oral Implants Res. http://dx.doi.org/10.1111/clr.12429.

6. Pommer B, Unger E, Sütö D, et al: Mechanical properties of the Schneiderian membrane in vitro. Clin Oral Implants Res 20:633, 2009

7. Zijderveld SA, van den Bergh JP, Schulten EA, ten Bruggenkate CM: Anatomical and surgical findings and complications in 100 consecutive maxillary sinus floor elevation procedures. J Oral Maxillofac Surg 66:1426, 2008

8. Esposito M, Grusovin MG, Rees J, Karasoulos D, Felice P, Alissa R, Worthington H, Coulthard P. Effectiveness of sinus lift procedures for dental im-

10. ábra: Lágyszövetek a hat hét gyógyulást követően.

11. ábra: Az elkészült híd a szájban – okkluzális nézet.

tek során, melynek következménye a csontpótló anyag elvesztése, valamint az ezt követő arcüreggyulladás lehet [12]. Napjainkban, amikor már a könnyű megoldások mindenki számára elérhetőek, a páciensek hatékony, minimális traumával járó, és nem utolsósorban megfizethető megoldásokat keresnek az interneten elérhető információk alapján. Az orvosi vizitek számának és időtartamának csökkentése, különösen a világjárvány idején, valamint a sebészeti beavatkozások minimalizálása további előnyökkel is jár [13].

12. ábra: A végső radiológiai vizsgálat megerősítette az osszeointegrációt és a pótlás optimális illeszkedését.

plant rehabilitation: a Cochrane systematic review. Eur J Oral Implantol. 2010 Spring;3(1):7-26. PMID: 20467595.

9. Lin WS, Eckert SE. Clinical performance of intentionally tilted implants versus axially positioned implants: A systematic review. Clin Oral Implants Res. 2018 Oct;29 Suppl 16:78-105. doi: 10.1111/clr.13294. PMID: 30328193.

10. Atieh MA, Zadeh H, Stanford CM, Cooper LF. Survival of short dental implants for treatment of posterior partial edentulism: a systematic review. Int J Oral Maxillofac Implants. 2012 Nov-Dec;27(6):1323-31. PMID: 23189281.

11. Guljé FL, Raghoebar GM, Vissink A, Meijer HJA. Single crown restorations supported by 6-mm implants in the resorbed posterior mandible: A five-year prospective case series. Clin Implant Dent Relat Res. 2019 Oct;21(5):1017-1022. doi: 10.1111/cid.12825. Epub 2019 Jul 28. PMID: 31353837; PMCID: PMC6899810.

12. Thoma DS, Zeltner M, Hüsler J, Hämmerle CH, Jung RE. EAO Supplement Working Group 4 - EAO CC 2015 Short implants versus sinus lifting with longer implants to restore the posterior maxilla: a systematic review. Clin Oral Implants Res. 2015 Sep;26 Suppl 11:154-69. doi: 10.1111/clr.12615. Epub 2015 May 21. PMID: 25997901.

13. Nolan, P.J., Freeman, K. and Kraut, R.A. (2014) Correlation between Schneiderian Membrane Perforation and Sinus Lift Graft Outcome: A Retrospective Evaluation of 359 Augmented Sinus. Journal of Oral and Maxillofacial Surgery, 72, 47-52.

36 e-Journal IMPLANTOLÓGIA
7. ábra: RB/WB gyógyulási csavarok a helyükön, egyfázisú műtét. 8. ábra: Tovafutó varratok. 9. ábra: Radiológiai vizsgálat a 6. hét után. Irodalom
R

A KOMBINÁLT ATRÓFIA KISZÁMÍTHATÓ KEZELÉSE

Keskeny (3,3 – 3,5 mm) és rövid, továbbá extra rövid implantátumok

A rövid és extra rövid implantátumok egyre gyakoribb kezelési lehetőséget jelentenek a maxilla és mandibula vertikális atrófiája esetében. Ezek az implantátumok hasonló vagy még inkább kiszámítható kezelést biztosíthatnak, mint az olyan regenerációs technikák, melyek a már elvesztett csontállomány visszanyerésére szolgálnak, és normál hosszúságú implantátumokat alkalmaznak (1-3].

A keskeny implantátumok a rövid implantátumok hasonló alternatívái, azonban a következő esettanulmányban a horizontális reszorpcióra kívánnak megoldást nyújtani. Méretük és kialakításuk az idővel folyamatosan fejlődött. Jelenleg Klein, Schiegnitz és Al-Nawas (2014), [4] besorolása szerint azon implantátumok, amelyek átmérője kisebb 3,5 mm-nél, keskenynek tekintendők. A keskeny implantátumok a következő kategóriákba sorolhatók:

• 1. kategória (3,00 mm-nél kisebb átmérőjű implantátumok);

• 2. kategória (3,00–3,25 mm átmérőjű implantátumok);

• 3. kategória (3,30–3,50 mm átmérőjű implantátumok) [4–5].

A keskeny implantátumok – amelyek átmérője kisebb 3,00 mm-nél – túlélésével foglalkozó szisztematikus tanulmányok kimutatták, hogy túlélési arányuk meghaladja a 90%ot, az egytől három évig terjedő utánkövetési periódus esetén. Ennél is magasabb (mintegy 93,8%-os) a túlélési esélye azoknak az implantátumoknak, amelyek átmérője 3,00-3,25 mm közé esik, egytől öt évig terjedő utánkövetés esetén (6–10].

A csökkentett átmérőjű implantátumokat vizsgáló tanulmányok túlnyomó részében olyan implantátumokat alkalmaztak, amelyek átmérője keskenyebb, viszont hosszúsága szokványos volt az apex optimális rögzítése érdekében, így biztosítva a megfelelő primer stabilitást. A keskeny, illetve rövidebb implantátumok használatát manapság már a szakirodalom is elismeri. Egy 2018-ban közzétett tanulmány megállapította, hogy a 7 mm-nél rövidebb és 3,5 mm-nél keskenyebb implantátumok hasonló túlélési rátával rendelkeznek, mint a szabványos méretűek. A marginális csontvesztés 0,5 mm volt három év utánkövetés esetén [11].

A témában megjelent további tanulmányok is hasonló eredményekről számolnak be, azonban ezeknek a tanulmányoknak a száma jelenleg még csekély [12]. Ebben a cikkben olyan klinikai eseteket mutatunk be, melyek során a betegeknél

csökkentett átmérőjű (3,3–3,5 mm) és csökkentett hosszúságú (6,5–7,5 mm) implantátumokat alkalmaztak.

Anyagok és módszerek

A betegeket, akik 2017 és 2018 között egy magánklinikán (Spanyolország, Vitoria) kaptak ellátást, az alábbi kritériumok alapján válogatták be:

• 18 éven felüliek;

• horizontális atrófia a maxillában és/vagy a mandibula hátsó régiójában, ahol a meglévő csontállomány 4 és 5 mm szélességű, mind a bukkális, mind a lingvális kortikális megtartott;

• vertikális és horizontális kombinált atrófia, ahol a csontállomány magassága 6,5 és 8 mm közötti.

Az implantátum behelyezése előtt a betegek amoxicillin (2 g per os egy órával a műtét előtt) kezelést kaptak, kiegészítve 1 g paracetamollal ( os). A műtét után a betegek per os 500–750 mg amoxicillint kaptak nyolc óránként (súlytól függően), öt napon keresztül. Az intraorális vizsgálat után a kezelés tervezését diagnosztikus modellek, radiológiai felvételek (CBCT) és speciális szoftverek (BTI-Scan III) támogatták. Az összes implantátumot ugyanaz a szájsebész helyezte be. A műtéti technika mindegyik betegnél azonos volt, amely az érzéstelenítésből, a teljes vastagságú lebeny-preparálásból és az implantátumágy alacsony fordulatszámú (50 ford./perc), sebészi fúróval történő kialakításából állt. Az adatgyűjtést két független vizsgáló végezte (mindketten függetlenek a protetikai, illetve a műtéti fázist végzőktől). Az összes adatot adatbázisban rögzítettük, és statisztikai szoftverrel elemeztük ki. A páciensek állapotát hathavonta ellenőriztük panoráma-, illetve intraorális röntgenfelvételek segítségével. A csontszintet kalibrálás után (az implantátum hosszát figyelembe véve) egy speciális szoftverrel (Sidexis és Digora) mértük.

38 e-Journal IMPLANTOLÓGIA

Statisztikai elemzés

Az elsődlegesen vizsgált változó az implantátum túlélése volt, a másodlagos változók pedig a kresztális csont stabilitása, a protetikai szövődmények és a protézis túlélése voltak. A páciensek száma volt a mértékegység az életkor, a nem és a kórtörténet elemzéséhez. (The patient was the unit of measurement for the analysis of age, sex, and medical history.) A minta normál eloszlásának biztosítása érdekében Shapiro-Wilk tesztet végeztünk A minőségi változókat frekvenciaanalízissel, míg a mennyiségi változókat átlaggal és szórással írtuk le. Az implantátum túlélését a Kaplan-Meier módszer segítségével becsültük meg. Minden elemzést SPSS v15.0-val (SPSS Inc., Amerikai Egyesült Államok) végeztünk, ahol a szignifikancia szintet 5%-ra állítottuk be (p < 0,05).

Eredmények

14 nő páciens lett bevonva, és 14 implantátum felelt meg a beválogatási kritériumoknak. Az átlagéletkor 63 év volt (± 3,45). Két beteg dohányzott. Minden kezelést kétfázisú műtéttel végeztünk el. Az esetek 42,9%-ában az implantátumok átmérője 3,3 mm volt, és 3,5 mm a többi esetén. A hoszszát tekintve a behelyezett implantátumok 14,3%-ban 6,5 mm-esek voltak, és 7,5 mm-esek a fennmaradó 71,4%-ban a szerző számításai szerint. A hossz és átmérő tekintetében az 1. grafikon mutatja az eloszlást a vizsgálatba bevont implantátumok közül. Az implantátumok leggyakrabban az alsó, első őrlőfog pótlására szolgáltak (28,6 %), ezt követte a második, felső őrlőfog (az esetek 14,3 %-a). A további implantátumok fogíven belüli elhelyezkedése hasonló gyakorisággal fordult elő, ahogy azt a 2. grafikon

39 VI. ÉVFOLYAM – 2023. 1. SZÁM
szemlélteti. A követési idő 1. ábra: Az implantátumok átmérője és hosszúsága. 3. ábra: Az eset kezdetén készült radiológiai felvétel. Az implantátumok körüli csont vertikális reszorpciója a maxilla hátsó régiójában figyelhető meg. 2. ábra: Az implantátumok fogíven belüli elhelyezkedése.
40 e-Journal IMPLANTOLÓGIA
4-5. ábra: A preoperatív CBCT felvételen kombinált (vízszintes és vertikális) atrófia figyelhető meg. Ebben az esetben a rövid és keskeny implantátumok megfelelő kezelési lehetőséget jelentettek. 6. ábra: Az implantátum behelyezése után készült radiológiai felvétel.

DIFFERENTIATE YOUR PRACTICE NEODENT®

DIGITAL
SOLUTIONS
Grand Morse® Connection

alatt a vizsgált implantátumok mind sikeresnek bizonyultak.

Az átlagos követési idő 3,5 év (± 5,2), amely 2,5 és 4 éves tartomány között mozgott. Az átlagos meziális csontvesztés 0,31 mm (± 0,10), az átlagos disztális csontvesztés 0,15 mm volt (± 0,88 mm). Minden implantátumot csavarozható fém-kerámia koronák segítségével rehabilitáltak. (A 3-8. ábrákon az esettanulmányt mutatjuk be.)

Megbeszélés

Az olyan súlyos vertikális mandibula-atrófia esetén, ahol fogászati implantátum beültetése indokolt a páciens megfelelő funkcionális rehabilitációjához, különböző augmentációs technikákat alkalmazunk, hogy az implantátum behelyezését lehetővé tegyük. A bonyolultabb csontaugmentációs technikák alternatívájaként a rövid és extra rövid implantátumok biztonságos megoldást jelentenek a maxilla és a mandibula hátsó régiójának rehabilitációjára. Ezek az implantátumok

98 %-ot meghaladó, hosszú távú túlélési arányt mutatnak [13–17]. A publikált tanulmányok szerint a keskeny implantátumok esetén is 90-94% közötti a túlélési arány. Amikor ezeket elválasztjuk azoktól az esetektől, ahol valamilyen csontrepesztés/tágítás vagy augmentáció történt az implantátum behelyezéssel egy időben, a túlélési arány jóval magasabb, akár a 100%-ot is eléri némely tanulmány szerint [19-22]. A fentiekben leírt két implantátum-csoportnak a fő előnye, hogy megoldást nyújtanak a gyakran igen költséges regenerációs kezelések elkerülésére, továbbá a páciens számára kevésbé drasztikus műtéti beavatkozással

Konklúzió

A rövid és keskeny implantátumok a kombinált vertikális és horizontális atrófia augmentációjának minimálinvazív alternatívái lehetnek.

Forrás: EDI Journal 2021/4

42 e-Journal IMPLANTOLÓGIA
és morbiditással járnak. 7. ábra: Az implantátumon végzett progresszív terhelés radiológiai felvétele, öt hónappal a behelyezést követően, merevítőrudas struktúrákkal. 8. ábra: A páciensről készült radiológiai felvétel négyéves utánkövetéskor.

Teljes szájrehabilitáció 72 óraalatt

▶ Egyfázisútechnika

▶ Azonnaliterhelésesprotokoll

▶ Egyedülállóprimerstabilitás

▶ Azegyetlentökéletesimplantátum-felépítmény „kapcsolat”–nincsmikromozgás

▶ Polírozottfelszín–nincstöbbéperiimplantitis

▶ Csontpótlásmentes,apáciensszámáraisigazán egyszerű,gyors, költséghatékonyimplantológia*

*Aköltséghatékonyság aztfejeziki,hogyazonoshatásosság(eredményesség)milyenköltséggel (ráfordítással)érhetőel.Aleginkábbköltséghatékonyazazeljárás,technológia,amelyikalegkisebb ráfordítássalalegnagyobberedménytériel.Azaz egészségügyitechnológia tekinthető költséghatékonynak,amelyazakárszűkösenrendelkezésreállóerőforrásokbólalehetőlegtöbb egészség-nyereséget termeli,illetveaztalegkisebberőforrásfelhasználássalállítjaaztelő. Azegészségügyifogalomtáralapján.

sofortimplant.com

A páciensek esztétikus megoldások precízióra való törekvése az implantációs fogászatban,

kezelési technikákat

iránti igénye, valamint a fogorvosok fogászatban, szükségessé teszi az optimális technikákat és anyagokat.

A FOGATLAN MAXILLA ARCPROFIL ALAPJÁN TÖRTÉNŐ REHABILITÁCIÓJA IRÁNYÍTOTT SEBÉSZETTEL

Az implantációs fogászat napjainkban a teljes, a digitális munkafolyamat felé tartó paradigmaváltáson megy keresztül, amely magában foglalja a fejlett fogászati diagnosztikai és tervezőszoftvert, mint a Digital Smile Design, az intraorális digitális lenyomatokat és szkennelést, továbbá a számítógépes tervezést (CAD – Computer-Aided Design), illetve a számítógéppel irányított gyártást (CAM –Computer-Aided Manufacturing), melyekkel ideiglenes és végleges pótlásokat készíthetünk. A digitális munkafolyamat lehetővé teszi a páciens számára, hogy már az eljárás megkezdése előtt láthassa a várható rehabilitációt, ezáltal könnyebb a kommunikáció az orvos és páciens között, illetve a páciens elvárásaihoz illeszkedő kezelést tudunk kialakítani. Az orvosnak lehetősége nyílik, hogy a folyamat teljes digitalizálásával minimális kezelési és rövid átfutási idővel sikeres, valamint reprodukálható rekonstrukciót érhessen el.

Manapság számos háromdimenziós mosolytervező szoftver áll a rendelkezésünkre. Az utóbbi években a fogászati tervezőszoftverek fejlődése lehetővé tette, hogy a páciensekről virtuális képet szerezzünk az intraorális szkennelés és képalkotás során keletkezett CBCT és STL fájlok kombinálásával. Ez a háromdimenziós adatgyűjtés lehetővé teszi a fogorvos számára, hogy virtuális modelleket készítsen az arcról, a csontalapzatról és a fogprofilról. Ezeket az adatokat egy CAD szoftverbe importálják, és egymásra helyezik a virtuális páciens megjelenítése érdekében [1]. A fogorvos és a fogtechnikus a CAD szoftver segítségével megtervezi a műtéti sablont és a protetikai helyreállítást. Végül ezeket az eszközöket CAM-szoftver dolgozza fel, kifaragásra vagy 3D nyomtatásra kerülnek, és előkészítik őket a klinikai használatra.

A szakirodalom – amely a maxillában rögzített teljes fogívre kiterjedő pótlással történő azonnali terheléssel foglalkozik – azt mutatja, hogyha a megfelelő kritériumok alapján értékeljük a páciens állapotát, és az adott esethez alkalmas, magas primer stabilitásra képes implantátumokkal dolgozunk a műtéti és protetikai kezelés elvégzése során, akkor várható, hogy a beavatkozás sikerrel jár. Az azonnali terhelésről szóló tanulmányok magas implantátum- és pótlástúlélési arányról, alacsony marginális csontvesztésről és kevés szövődményről számolnak be [2].

46 e-Journal IMPLANTOLÓGIA
1. ábra: A felső fogsor és az alsó fogív (STL fájl). 2. ábra: A harapás (STL).

A SKY „fast and fix” kezelési koncepció lehetővé teszi a teljes ív azonnali terhelését a terhelésátvitel biomechanikai elveit követve, csökkentett számú implantátummal, feltéve, hogy az implantátumokat legalább 30 Ncm-es behajtási nyomatékkal sikerül behelyezni. Az azonnali protokoll alapján behelyezett implantátumok ideiglenes híddal történő sínezése az íven belül erősen javasolt, ezáltal csökkenthető a külső erők hatása és mikromozgások kiterjedése (<150 µm), így kevésbé veszélyeztetett az osszeointegráció kialakulása. Ennek köszönhetően, a páciens a műtét napján rögzített pótlással távozik. Az alábbi esetbemutatás egy fogatlan hölgypáciens aprólékosan megtervezett és esztétikailag kivitelezett esetét mutatja be a SKY „fast and fix” kezelési koncepció alkalmazásával, újszerű digitális munkamenet segítségével.

Esetbemutatás

A középkorú nőpáciens kivehető, teljes felső fogsorral kereste fel a rendelőnket, és a hiányzó fogainak pótlására kért kezelést, lehetőleg rögzített pótlással. A radiológiai és klinikai vizsgálatot követően egy teljes ívű rehabilitációt terveztünk

hat implantátummal a maxillában, a „fast and fix” koncepciónak megfelelően, digitális munkamenet és Digital Smile Design (DSD) segítségével.

Preoperatív eljárások

Teljes szájra kiterjedő intraorális szkennelést végeztünk a meglévő fogsorral, majd a fogsor nélkül, hogy megkapjuk a tervezéshez szükséges STL fájlokat (1. és 2. ábra). A DICOM adatokat úgy kaptuk meg, hogy először a páciensről készítettünk egy CBCT-t a régi fogsorral együtt – amelybe előzőleg radioopák markereket helyeztünk –, majd még egyet a fogsor nélkül (3. ábra). Ezután magáról a fogsorról is készült CBCT felvétel, majd további arckép-sorozatot készítettünk a páciensről mind nyugalmi, mind mozgás közbeni pozíciókról (4. és 5. ábra). A digitális mosolytervezés, az implantációs sebészeti sablonok és protézisek gyártásához szükséges tervezés a Nemotec és Exocad (Exocad GmbH, Németország) szoftverrel történtek. Az STL-fájlokat, a CBCT-ket és a képeket importáltuk a szoftverbe. Ezt szuperponáltuk a virtuális manipulációhoz, hogy elkészíthessük a sebészeti sablonokat,

47 VI. ÉVFOLYAM – 2023. 1. SZÁM
3. ábra: Preoperatív CBCT. 4. ábra: Szemből nézet, nyugalmi helyzet. 5. ábra: A páciens mosolya a jelenlegi pótlással (szemből nézet). 6. ábra: Az aktuális helyzet a mosollyal.
48 e-Journal IMPLANTOLÓGIA
7. ábra: Digital Smile Design: 3D ideális mosoly a kezelés után. 8. ábra: Ideális kezelést követő állapot az arcra vetítve. 10. ábra: Okklúzió. 9. ábra: Ideális kezelést követő állapot, profilból.

és lehetővé tegyük a páciens mosolyának digitális megtervezését. A Digital Smile Design az esztétikai szempontokat, az ajaktámasztást és az okklúziós sémát ( 6-10. ábra) figyelembe véve készült, és ezek alapján tudtuk megtervezni az azonnali ideiglenes hibrid PMMA (polimetil-metakrilát) pótlást. A protetikai tervezés és a maxilla anatómiája alapján az implantátumok helyzetét megterveztük a pótláshoz és a sebészi sablonhoz (11. ábra), majd az arcprofil alapján vezérelt eljárást alkalmaztunk. A csontalapzatot redukálni kellett, ehhez egymásra helyezhető sablonokat készítettünk (12. ábra)

Harapási sablon is készült, hogy azáltal pozicionáljuk az első sablont, mielőtt azt a pinekkel rögzítettük (13. ábra). Az implantátum olyan kialakítása, amely elősegíti a magas primer stabilitás elérését, fontos ahhoz, hogy azonnal terhelhető ideiglenes pótlást készíthessünk. A gyökér-formájú önmetsző, dupla-menetekkel ellátott, saját felszíni topográfiával (OCS-osseo-connect surface) rendelkező implantátum (copaSKY, bredent medical GmbH & Co. KG, Németország) kialakítása elősegíti az osszeointegrációt, továbbá a lágyszöveti tapadást az implantátum nyakánál. A SKY planX sablon fúrókat és perselyeket az irányított sebészethez és a pontos implantációhoz fejlesztették ki.

Sebészeti fázis

A kezelést helyi érzéstelenítésben végeztük (14. ábra), a páciensnél teljes vastagságú nyálkahártya-lebenyt képeztünk. A sebészeti alapsablont a páciensre szabott előregyártott, azonnali implantációs pótlással és a harapási sínnel egyidejűleg helyeztük be, ez utóbbit azért használtuk, hogy a sablon szegecsekkel való rögzítése a megfelelő pozícióban történhessen (15. ábra). A horgonyzó szegecsek sebészeti fúró segítségével kerültek a helyükre (16. és 17. ábra). A csontredukciót és az állcsontgerinc elsimítását csontcsípővel és gömbfúrókkal végeztük, hogy megfelelő szélességű csont vegye körül az implantátumok nyakát (18. ábra). A csonteltávolítást követően az oszteotómia előkészítéséhez szükséges sebészeti vezetősablont (Pilot System) az alapsablonhoz rögzítettük, és az oszteotómia befejeződött (19. és 20. ábra). A SKY plax C fúrókat alkalmaztuk az előfúrásokhoz, majd behelyeztük a hat darab copaSKY implantátumot (21. ábra). Rezonancia frekvencia analízist (RFA) végeztünk (Penguin, bredent medical GmbH & Co. KG, Németország), amely alapján a mért értékek átlaga az összes implantátumnál meghaladta a 70-et (ISQ – Implant Stability Quotient), ez

49 VI. ÉVFOLYAM – 2023. 1. SZÁM
11. ábra: Az arcprofil által végzett tervezés (fogpótlás és implantátum pozíciók). 12. ábra: Az első alap-sablon terve. 14. ábra: Helyi infiltrációs érzéstelenítés. 15. ábra: Az első alap-sablon pozicionálása a harapási sablon segítségével. 13. ábra: Az alap-sablon a multifunkcionális sablonnal és a harapási sablon terve.

kecsegtető volt az azonnali terhelés szempontjából. A copaSKY uni.cone felépítményeket csatlakoztattuk az implantátumokhoz, majd az ideiglenes pótlás titán felépítményeit is (22. ábra). Az azonnali ideiglenes PMMA pótlást szájon kívül aktiváltuk Qu connector (bredent medical GmbH & Co. KG, Németország) segítségével a ragasztási zónák mentén, majd szájba helyezve rögzítettük Qu rezinnel (bredent medical GmbH & Co. KG, Németország) (23. ábra). Csak a centrális barázdáknak és a tartó csücsköknek megfelelően volt érintkezés az okklúzióban. Az ideiglenes híd nem rendelkezett szabad végekkel, ezzel elkerültük a hosszabb erőkar okozta túlterhelést, amely kockáztatta volna az implantátumok

osszeointegrációját (24. ábra). A páciens igen elégedett volt az eredménnyel (25. és 26. ábrák), a gyógyulás is megfelelően zajlott (27. ábra)

Megbeszélés

A teljes fogívre kiterjedő SKY „fast and fix” koncepciónak a legnagyobb előnye maga a lehetőség, hogy a páciens a műtét napján egy azonnali, rögzített pótlással távozhat. Ez késedelem nélküli, esztétikai és funkcionális rehabilitációt biztosít, ezáltal javítja a

50 e-Journal IMPLANTOLÓGIA
páciens életminőségét. Az implan- 16. ábra: Az alap-sablont rögzítő pinekkel stabilizáltuk. 18. ábra: A csont korrekciója a redukciós sablon alapján. 20. ábra: Multifunkcionális sablon a párhuzamosságot ellenőrző pinekkel. 17. ábra: A palatinálisan rögzített alap-sablon. 19. ábra: Sebészi sablon az implantátumok előfúrásához (pilot). 21. ábra: A copaSKY implantátum behelyezése.

tátumok sínezése fontos az azonnali terhelésnél, különösen alacsony csontdenzitás esetén [3]. A csökkentett számú, stabil implantátum kezelési protokollja alapján az okkluzális tehereloszlás érdekében az implantátumok sínezését alkalmazzuk. Így azonnali terhelést érhetünk el ideiglenes, rögzített pótlással a fogatlan maxillán. Tanulmányok kimutatták, hogy a SKY „fast and fix” kezelési protokoll sikeres a teljesen fogatlan páciensek rehabilitációjánál az implantátumok, a felépítmények és fogászati laboratóriumi anyagok egymást tökéletesen kiegészítő kombinációjának köszönhetően, amely megvalósíthatóvá és kiszámíthatóvá teszi az implantátumokkal történő azonnali terhelést [4]. Egy tanulmány, amely a SKY „fast and fix” rendszer klinikai hatékonyságát értékelte, a protetikai helyreállítás 100%-os sikerességi arányáról számolt be. A betegek elégedettek voltak a protézis kinézetével, illetve a beszéd- és a rágófunkcióval is [5]. A protetikailag vezérelt

implantációs fogászat a fogászati implantátumra vágyó páciensek kezelésének optimális módja [6]. A jelen esetben a DSD-t azért végeztük, hogy biztosítani tudjuk a protetikailag vezérelt kezelést az ideiglenes és végleges pótlás tervezésénél, illetve a kialakításánál. Ugyanez vonatkozik az irányított megközelítéssel történő implantátumok beültetésére is. A DSD egy olyan eszköz, amely részletes információkat nyújt az orvosnak, a technikusnak és a páciensnek egyaránt. A különböző digitális fájlformátumokkal, szoftverekkel és a mo-

52 e-Journal IMPLANTOLÓGIA
22. ábra: Az ideiglenes titán fejek a copaSKY uni.cone felépítményekhez csatlakoztatva. 24. ábra: Az azonnali ideiglenes hibrid pótlás a helyén. 26. ábra: Posztoperatív panoráma felvétel. 23. ábra: Az ideiglenes hibrid pótlás rögzítése szájon belül. 25. ábra: Az azonnali ideiglenes hibrid pótlás, szemből nézet.

Az éppen aktuális lízing és pályázati lehetőségekről naprakész információval állunk rendelkezésre. Az ügyintézést vállaljuk és nagy raktárkészletünkről gyorsan szállítunk.

CS 9600

3D CBCT szkenner

Páratlanul vékony – 75 µm - 150 µm* – szeletvastagságok, kisebb sugárterheléssel

FOV térfogatok: 4x4/5x5/6x6 cm, 5x8 cm,  8x5/10x5/12x5 cm,  8x8/10x10 cm, 12x10 cm, 16x6 cm, 16x10 cm, 16x12 cm, 16x17 cm

• 5 az 1-ben:

• Fogászati, arc-, és szájsebészeti, orthodontiai, fül-orr-gégészeti vizsgálatokhoz

• Ultra éles panoráma felvételek

• CS MAR – mesterséges intelligenciával támogatott fém műtermék szűrés

• 4 az 1-ben:

• 120 kV a jobb képminőségért, kisebb sugárterheléssel

• CAD/CAM kompatibilis, teljesen nyitott, stl, Pal formátum

• Dicom kompatibilis

3D CBCT szkenner

• Fogorvosok, szájsebészek, implantológusok részére

• Teljes digitális panoráma program, tűéles képekkel

• FOV térfogatok: 4x4 / 5x5 / 8x5 / 8x9 / 12x5 / 12x10 cm

• A létező legvékonyabb szeletvastagság: 75 µm - 150 µm

• CS MAR

• CAD/CAM kompatibilis

A Carestream 8000-es családja – 8100, 8100SC, 8100SC 3D, a CS 8200 3D valamint a CS 9600 gépek teleröntgen kiegészítéssel szállíthatók.

A leggyorsabb telefelvételek, rövid exponálási idők segítik a hatékony munkát.

Képméretek: 26x24 cm, 18x24 cm, 18x18 cm

Telepprogram: koponya, standard, oldalirányú felvétel, frontális AP és PA, kézfej Autotracing fogszabályozási segédeszközként használható pontfelismerő rendszer Két szenzor jobb, mint egy! Második beépített szenzorral készülnek a telefelvételek.

Intraorális falikar, szuperszép képminőséggel a 300 kHz-nak köszönhetően

Automatikus expozíciós timer

Direkt digitalizáló szenzor. Valós felbontása: 24 vp/mm

Direkt digitalizáló szenzor. Valós felbontása: 16 vp/mm

Azonnali képmegjelenítés. Minden intraorális röntgengéppel kompatibilis.

Intraorális falikar, szuperszép képminőséggel a 300 kHz-nak köszönhetően Félautomata expozíciós timer.

Gyors szkennelési idő Kisméretű fej Nagyfokú precizitás Full HD képek

Vezetéknélküli kivitel Ultrakönnyű Még precízebb, még gyorsabb. Megnövelt mélységélesség

CS ScanFlow Prémium kevés lépésből álló gyors munkafolyamatú szoftver. Teljesen nyitott rendszer: .stl, Pal, minden applikációhoz

Dent-East Kft. 1112 Budapest, Rétkerülő út 51. • Telefon (06) 1 319 45 68 • e-mail: mail@dent-east.com • www.dent-east.com
CS 2200 CS 3700 orálszkenner CS 3800
orálszkenner
RVG 6200 S-1 RVG 5200 S-1 www.dent-east.com
CS 2100 Új CS 8200 Neo

lyezésekor. Az önmetsző, dupla menetek gyorsabb behelyezést tesznek lehetővé, amely kisebb hőtermelődéssel és jobb csonttömörüléssel jár [11]. A homokfújt és savmaratott implantátumok önmetsző menetekkel és cilindro-kónuszos dizájnnal – statisztikailag magasabb behelyezési és eltávolítási nyomatékot mutatnak, mint az esztergált implantátumok [12].

Minden érintett tanulmány egyetért abban, hogy az implantátum primer stabilitása az azonnali terhelés sikerének kulcsfontosságú követelménye [13].

®aktinedeM

ÉLETHOSSZIG TARTÓ ANCIARAG

MÁR MAGYARORSZÁGON IS ELÉRHETŐ SPI

A rövid, gyökérformájú és párhuzamos falú implantátum és felépítmény közötti összeköttetésnek köszönhetően a felépítmény könnyen eltávolítható, és nincs morze-kúp hatás a terhelés után sem. A copaSKY uni.cone felépítmények lágyszövet-barátok, éles és durva élek nélkül. A copaSKY uni.cone felépítmények kiváló illeszkedésének köszönhetően, az okkluzális csavar által rögzített híd nagy stabilitással bír. Papaspyridakos és mtsai szisztematikus áttekintése arról számolt be, hogy a fogatlan betegek rögzített implantátummal történő rehabilitációjának a leggyakoribb, implantációval kapcsolatos technikai szövődménye a csavartörés volt, amely 5 éves utánkövetés mellett 10,4%-os arányt, míg 10 éves utánkövetésnél 20,8%-os arányt mutatott (14]. Ez a „formfit” technológia minimálisra csökkenti az olyan szövődményeket, mint a csavarok kilazulása és törése, amelyek gyakran megfigyelhetők a teljes fogívre kiterjedő, implantátummal rögzített hidak esetében [15].

MEDENTIKA IMPLANTÁTUMOK

Magas Precizitású Implantációs RendszerInnovatív Komponensek

dern fogászati berendezésekkel való kompatibilitásának köszönhetően a DSD optimális a tervezéshez, és kiszámítható eredményekhez vezet [7]. A műtéthez egymásra illeszthető sablonokat alkalmaztunk.

A statikus sablonrendszerek alatt azt értjük, amikor egy me rev implantátum-sablon vagy guide segítségével helyez zük be az implantátumot a csontba, a már előre, virtuálisan megtervezett pozíció alapján (8]. Egy szisztematikus átte kintés alapján a statikus, számítógéppel támogatott implan tációs műtétek pontossága – a legtöbb klinikai helyzetben – a klinikailag elfogadható tartományon belül van. Egy lega lább 2 mm-es biztonsági zónával azonban minden esetben számolnunk kell [9]. A statikus sablon segítségével behelye zett implantátumok és a protetikai rekonstrukció eredmé nye hasonló a hagyományos technikákkal összehasonlítva. A sebészeti szövődmények száma az irányított sebészeti tech nológia mellett elenyésző [10].

Az ideiglenes pótlás anyaga PMMA volt, mivel az interim akril pótlásoknál számos tanulmány magas törési arányt mutatott ki [16, 17]. A PMMA digitális munkafolyamatokkal egyszerűen kifaragható és gyártható. Finomabb terhelést biztosít esztétikai kompromisszumok nélkül.

A páciensek esztétikus megoldások iránti igénye, valamint a fogorvosok precízióra való törekvése az implantációs fogászatban, szükségessé teszi az optimális kezelési technikákat

PRECIZITÁS Német mérnökök és fogászati szakemberek dolgoznak együtt, hogy tökéletes protetikai rendszert alkossanak.

A copaSKY implantátum rendszert a magas primer stabilitása, az implantátum felületének és kialakításának köszönhető gyors osszeointegráció, valamint a kónuszos implantátum-felépítmény kapcsolat protetikai előnyei alapján választottuk ki. A copaSKY implantátum egyedi csonthoz illeszkedő felülettel rendelkezik, az implantátum nyaka támogatja a lágyrészek tapadását, megelőzve ezzel a bakteriális beszivárgást, így védve az implantátumot. A homokfúvott és savmaratott felület elősegíti a gyors csontosodást. A gyökér formájú kialakítás és a dupla, önmetsző menetek fontosak a primer stabilitás elérésében, mivel a trabekuláris csontnak csak kisebb része sérül az implantátum behe-

GYORSASÁG Idő- és pénzmegtakarítás a fogtechnikusok és a fogorvosok számára.

A digitális munkafolyamatok irányába mutató tendencia képes kiszolgálni ezeket az igényeket, ráadásul oly módon, hogy a páciens a kezelés minden lépése során komfortosan érezheti magát. Az itt bemutatott kezelés kiválóan szemlélteti, hogy a műtét ideje jelentősen lerövidül, így lehetővé válik az azonnali funkcionális és esztétikai helyreállítás, amelyet az átfogó, digitalizált tervezés, és a műtét előtti laboratóriumi eljárások tesznek lehetővé. Ezért fontos, hogy odafigyeljünk a részletekre, és holisztikus megközelítést alkalmazzunk annak érdekében, hogy funkcionálisan és vizuálisan tetszetős eredményeket érhessünk el a modern bioanyagok segítségével. Összefoglalva: a SKY gyors és rögzített digitális munkafolyamat, amely a páciens és a rendelő számára egyaránt előnyös kezelést biztosít. A fogatlan állkapocs rehabilitációjának kérdéskörében azonban mindenképp hosszú távú klinikai vizsgálatokra van szükség, hogy megértsük az irányított implantológiai eljárások klinikai előnyeit a hagyományos módszerekkel szemben.

MADE IN GERMANY Tradicionálisan magas minőség.

PIACVEZETŐ MÁRKAKOMPATIBILIS GYÁRTÓ

Az összes ismert implantátum rendszerrel kompatibilis.

Forrás: EDI Journal 2021/4

54 e-Journal IMPLANTOLÓGIA
27. ábra: Frontális nézet, három nappal a műtét után.

IPS

MEDENTIKA IMPLANTÁTUMOK MÁR MAGYARORSZÁGON IS ELÉRHETŐ

Magas Precizitású Implantációs RendszerInnovatív Komponensek

Medentika®

ÉLETHOSSZIG TARTÓ GARANCIA

PIACVEZETŐ

MÁRKAKOMPATIBILIS

GYÁRTÓ

Az összes ismert implantátum rendszerrel kompatibilis.

MADE IN GERMANY Tradicionálisan magas minőség.

GYORSASÁG

Idő- és pénzmegtakarítás a fogtechnikusok és a fogorvosok számára.

PRECIZITÁS

Német mérnökök és fogászati szakemberek dolgoznak együtt, hogy tökéletes protetikai rendszert alkossanak.

EMERGENCIA PROFIL LÁGYSZÖVETI REKONSTRUKCIÓJA

Az alábbi eset egy új eljárást mutat be, ahol egyéni, anatómikus ínyformázók kerülnek felhasználásra, egyetlen sebészi

beavatkozással

A periimplantáris lágyszövet formázása alapvető lépés ahhoz, hogy természetes kinézetű, anatómikus és jól tisztítható pótlást kaphasson a páciens. Az anatómiailag formázott gyógyulási csavar műtétkor történő használatával szebb lágyszövetet tudunk kialakítani, amely egyszerű, gyors és költségkímélő megoldás. Az alábbi eset egy egyszerű módszert és protokollt mutat be az ínyformázó csavar kiválasztásához és elkészítéséhez, illetve egy ezáltal duplikálható lenyomatvételi fejet, amellyel pontosan reprodukálható a kialakított emergencia profil. Az eset szék mellett kivitelezhető egy speciális eszközkészlettel, ezek segítségével az egyes gyári elemek könnyen individualizálhatóak anatómiai fejekké.

A fogászati implantátumok komplex rendszerek, amelyek mechanikai komponensekből állnak (implantátum, felépítmény, pótlás), és szoros kapcsolatban állnak az emberi szövetekkel (implantátum körüli lágy- és keményszövetek), valamint az orális biofilmmel. A jelenlegi tudásunk alapján a szuprakresztális komplexum és az implantátumot körülvevő szövetek hosszú távú stabilitásának a titka a mechanikai komponensek és az emberi szövetek funkcionális kölcsönhatásában rejlik, amely egy baktériumokban gazdag környezetben zajlik.

Ezt figyelembe véve az implantátumot körülvevő lágyszövet formázásának és kondicionálásának fontossága csak nemrégiben vált nyilvánvalóvá. Ez elérhető precíz, protetikailag vezérelt implantátum-behelyezéssel és egyedi ínyformázó készítésével [1-3]. Számos eljárás létezik, ahol ideiglenes pótlással fokozatosan formázzák a szöveteket a sebészi vagy a protetikai kezelés alatt [4-9]. Ezek a technikák hatásosan növelik a laterális lágyszövet-dimenziót, és formázzák az emergencia profilt [6]. Ezekhez az eljárásokhoz azonban szükség van a fogtechnikai laboratóriumra és számos orvos-páciens találkozóra, amikor számtalanszor változtatni kell az egyes csavarok helyzetén, az implantátum szintjén, valamint nélkülözhetetlen a klinikus szakértelme és figyelme. Cserébe a kezelés bonyolultabbá, hosszabbá és költségesebbé válik, és fennáll az esély, hogy mindez negatívan befolyásolja az implantátum körüli szöveteket. A felsorolt tényezők miatt ezek a módszerek nem terjedtek el a klinikusok széles körében. Az alábbi cikk egy egyszerűsített protokollt céloz bemutatni, protetikailag vezérelt implantációval és protetikailag segített lágyszövet formázással, az emergencia profil anatómiai kon-

dicionálásával, amihez anatómiailag formázott ínyformázó csavarokat helyezünk be a műtétkor. A lenyomatvételi elemet is ennek megfelelően alakítjuk át, ez lehetővé teszi az így kialakított lágyszöveti topográfia pontos másolását, ezáltal egy anatómiailag formázott pótlás készíthető el. Az anatómiailag formázott protetikai komponensek (ínyformázó csavar és lenyomatvételi fej) kiválasztása és átalakítása közvetlenül a szék mellett történik, egy új, könnyen használható rendszer segítségével (1. ábra), [10].

Esetbemutatás

Egy 51 éves, nem dohányzó férfi páciens jelentkezett nálunk a hiányzó, bal alsó nagyőrlőfoggal. Az implantátum beültetésnek nem volt ellenjavallata [11]. Hat hónappal korábban a fogat vertikális törés és periapikális elváltozás miatt eltávolították. A terület másodlagosan gyógyult, mindenféle komplikáció nélkül. Ideiglenes pótlás nem készült. A klinikai vizsgálat során a terület teljesen hámosodott, az állcsontgerinc enyhe horizontális rezorpciót mutatott, a mucogingivális junkció kissé koronális irányba tevődött át, ezáltal kissé beszűkült a vesztibulum. Periapikális röntgen alapján megállapítható, hogy a csont megfelelően gyógyult (2. ábra). A klinikai és radiológiai vizsgálat után a fogatlan területre egy implantátum behelyezését és implantációs pótlás készítését terveztük. Ideiglenes pótlást nem ajánlottunk a páciensnek, mert a páciens csikorgatja a fogait, és a foghiány esztétikai zavart sem okozott a gyógyulás során. A kezelési tervet és az esetleges alternatívákat ismertettük a pácienssel, aki be-

56 e-Journal IMPLANTOLÓGIA

profil szerinti megfelelő forma, dimenzió és orientáció kiválasztásához. A Cervico Mold mintázót a megfelelő anatómiai ínyformázó

leegyezett a javasolt ajánlatba és írásos hozzájárulását adta, mind a sebészi, mind a protetikai fázisokhoz, valamint az adatok publikálásához.

A műtét napján a páciens 2 g Amoxicillint (Amoxil, GlaxoSmithKline, Egyesült Királyság) kapott 1 órával a beavatkozás előtt [12]. A fogatlan területet először a Cervico rendszer Cervico Guide (CG) cilindrikus korongjaival vizsgáltuk (3. ábra). A 10-es számú (10 mm átmérőjű) cilindrikus korongra esett a választás, az illett legjobban a foghiányba, a szomszédos fogakkal enyhén érintkezve. Helyi érzéstelenítésben (Ubistesin forte, 3M ESPE, Németország), lebenyképzés nélkül történt az előfúrás. A 10-es számú korongot a nyélhez csatlakoztattuk, majd a fogatlan terület fölé helyeztük, felső felszínén lévő, középső referencia vonallal, úgy, hogy az a szomszédos fogak okkluzális felszíneit összekötő egyenes legyen.

Az első fúrást a korong középső nyílásán keresztül végeztük a 2 mm-es pilot fúróval. Ezt követően a korongot eltá-

volítottuk, és a párhuzamosságot ellenőrző pint a furatba helyeztük, hogy ellenőrizzük a megfelelően centralizált pozíciót és a megfelelő tengelyállást (4. ábra). A CG anatómiai korongjai közül az alsó molárishoz valókat használtuk, amelyek közül kiválasztottuk a legmegfelelőbbet (5. ábra)

A kisméretű, alsó moláris anatómiai korong tűnt a legmegfelelőbb választásnak (no. M1S) a cervikális kialakítása miatt (6. ábra). A szomszédos fogak bukkális és lingvális nyaki határát használtuk a referencia pontok kiválasztásához. Ezt követően kresztális metszést ejtettünk két vertikális segédmetszéssel, ezáltal egy papilla kímélő, teljes vastagságú lebenyt preparáltunk. Az implantátum ágyának előkészítését az implantátumgyártó által javasolt fúrási protokoll szerint végeztük, és egy 5 x 8 mm-es implantátumot (Paltop Dynamic, Keystone Dental Group, Amerikai Egyesült Államok) helyeztünk be (7. a ábra). A behajtási nyomaték értéke 30 Ncm volt, ez lehetővé tette az egyfázisú műtéti protokoll alkalmazását. Ebben a fázisban az

57 VI. ÉVFOLYAM – 2023. 1. SZÁM
1. ábra: A Cervico rendszer az emergencia profil kialakításához; Cervio Guide (bal oldalon) és Cervico Mold (jobb oldalon). A Cervico Guide-ot intraorálisan használjuk az emergencia csavar és az annak megfelelő lenyomatvételi elem előállításához alkalmazzuk. 2. Kiindulási szituáció. Egyértelmű a horizontális lágy- és keményszöveti defektus. Klinikai nézet és a műtétet megelőzően készített periapikális röntgenfelvétel.

A 10-es számú cilindrikus korong (10 mm átmérőjű) behelyezve, és laza érintkezésben a szomszédos fogak proximális felszíneivel. Az előfúrást a korongon keresztül kezdtük, meggyőződve arról, hogy a fogatlan terület közepére pozicionáltuk.

korongjai. Az anatómiai korongokat különböző csoportok szerint kódolták (a: anterior, p: premolárisok, m1 alsó molárisok, m2 felső molárisok), illetve a méretük és formájuk szerint (S: kicsi, M: közepes, L: nagy), ez az egyes fogcsoportok nyaki keresztmetszetén alapszik.

alapján kerül kiválasztásra a megfelelő anatómiai korong. Ennél az esetnél egy kisméretű (S) korongot választottunk az alsó molárisok közül (m1), amely a leginkább megfelel a hiányzó fog nyaki keresztmetszetének.

58 e-Journal IMPLANTOLÓGIA
3. A CG cilindrikus korongjai. A számok a korongokon az aktuális átmérőnek felelnek meg. 4. ábra: 6. Az intraorális vizsgálat 5. A CG anatómikus

Legyen Ön is a VIP Dental partnere!

Szeretne folyamatos, kiszámítható és tervezhető, passzív bevételre szert tenni?

Mit nyújtunk?

Közel 20 éves szakmai tapasztalatot a fogászat, mind a fül-orr-gégészet területén.

Legmodernebb, digitális rendszerű csúcstechnológiás gépekkel a legmagasabb minőségű tűéles felvételeket.

Páciensközpontú szemléletünknek köszönhetően gyors és precíz ügyintézést, az ország 4 frekventált helyén lévő centrumainkban. (4,8 google értékelés több, mint 1000 páciens visszajelzése alapján)

Negyedéves legális pénz visszafizetést a páciens forgalom után, vagy bónuszpontokat, amit beválthat bármilyen fogászati eszközre amire csak szüksége van!

Folyamatos CBCT képzéseket!

Orvoslátogatóink bármikor felkeresik Önt, amennyiben gondjuk lenne.

4,8-as átlag

Mit jelent ez nekünk?

Örömünkre szolgál, hogy folyamatosan Önnel együtt fejlődhetünk és kamatoztathatjuk szakmai tudásunkat.

Amennyiben felkeltettük érdeklődésüket, és szeretnének partnerünkké válni, vagy már partnerünk, de nincs még szerződése, kérem keressen engem bizalommal az alábbi elérhetőségemen: iroda@vipdental.hu

Tisztelettel

Vékony
Tibor ügyvezető
www.vipdental.hu info@vipdental.hu
Budán, Pesten, Székesfehérváron, Debrecenben
Tel: 0613361168

7. ábra: A papilla prezervációs, teljes vastagságú lebeny preparálása. Az implantátumot optimális háromdimenziós pozícióba helyeztük be, biztosítva a 4 mm-es távolságot az implantátum platformja és a leendő pótlás zenit pontja között. Ehhez a szomszédos fog zománc-cement határát vettük referenciának. Az ideiglenes PEEK felépítmény behelyezve és a bukkális oldalán megjelölve (8/d.).

8. ábra: A szükséges anatómiai ínyformázó kiválasztása és előállítása. Az ábrasor az at #m1S kódszámú anatómia korongot mutatja, amelyet a megfelelő pinre helyeztünk, amely így meghatározza a kívánt anatómiai gyógyulási csavar formáját és méretét (8/a.). A CM mintázó panoráma nézete a csoportok szerinti különböző méretű és formájú bemélyedésekkel (8/b.). A felépítményen ejtett jelölésnek egy vonalban kell lennie a szilikon formázó megfelelő bevágásával (8/c.). Az egyes elemek körül a mélyedésbe folyékony kompozitot folyattunk (8/d.).

állcsont gerinc esetleges defektusait ellenőriztük, ezáltal megállapítottuk, hogy a keményszövetek megfelelő dimenziókkal rendelkeznek az implantátum körül (több mint 1,5 mm minden irányban), [13], valamint az implantátumot körülvevő lágyszövet is megfelelőnek bizonyult, elégséges mennyiségű (több mint 2 mm) keratinizált ínyt láttunk mind bukkálisan, mind lingválisan [14,15]. Azt a döntést hoztuk, hogy a horizontális gerinc konkavitását mindöszsze a lágyszövet bukkális irányú eltolásával kompenzáljuk az előzőleg kiválasztott anatómiai ínyformázó segítségével (no. m1S). A Cervico mold (CM) mintázót használtuk, hogy a no. m1S-nek megfelelő anatómiai ínyformázót készíthessünk közvetlen a szék mellett. Először egy 2 mm magasságú, konkáv állal rendelkező, gyári ideiglenes PEEK (poli-éter éter keton) felépítményt (Paltop, Keystone Dental Group, Amerikai Egyesült Államok) csatlakoztattunk az implantátumhoz, és egy sebészi filctoll segítségével megjelöltük a bukkális középvonalat (7. b ábra). Ezt követően a PEEK felépítményt a CM m1S jelzésű szilikon részébe helyeztük, ahogy azt az intraorális felmérés segítségével kiválasztott korong meghatározta. A felépítményt CM mélyedésébe helyeztük úgy, hogy a jelölés szemben legyen a mélyedés mentén lévő behúzódással (8. a-c ábra). Ezt követően nano-hybrid folyékony kompozit rezinnel (Purefill Bio+, ELSODENT, Franciaország) fokozatosan feltöltöttük

a felépítmény körüli mélyedést, majd foto-polimerizáltuk, egészen addig, amíg az meg nem telt (8 d ábra)

Az így előállított gyógyulócsavar kompozit felszínét teljesen felpolíroztuk a Cervico rendszer (VP Innovato Holdings Ltd, Ciprus) speciális polírozó keféivel és pasztájával (9. a ábra) Az okkluzális felszínt visszavágtuk, hogy csökkentsük és minimalizáljuk az esetleges véletlen túlterhelést, amely a rágás során felléphet. A gyógyuló csavart ezután kigőzöltük, majd ultrahangos fürdőbe helyeztük, steril fiziológiás sóoldatba 5 percig a megfelelő dezinficiálás céljából [16]. Azt követően az ínyformázót az implantátumhoz csatlakoztattuk és 25 Ncmes nyomatékra húztuk a gyártó utasítása szerint. A lebenyt a Cervico ínyformázó körül 5-0 nem felszívódó monofilament varratok segítségével zártuk (SilverPlug, Siveraid, Olaszország), (9. b ábra). A felépítmény csavarnyílását a csavar felé helyezett ezüstalapú polimer kúpdugóval zártuk (SilverPlug, Siveraid, Olaszország), majd folyékony kompozittal zártuk (9. b ábra). Végül kontroll röntgenfelvételt készítettünk (9. c ábra). A páciensnek 500 mg-os paracetamolt írtunk fel (Panadol, GlaxoSmithKline, Egyesült Királyság) 8 óránként 3 napig, majd ezt követően, szükség szerint fájdalomcsillapításra. Posztoperatív helyi infekciókontrollra és a lágyszöveti gyógyulás elősegítésére az első héten a páciensnek oxigén-kibocsátó szájöblítővel (blue m oxygen liquid, blue

60 e-Journal IMPLANTOLÓGIA
8a 8b 8c 8d
H A S O N L Ó T E R F E L S Z Í V Ó D I K , H A N E M Á T C S O N T O S O D I K K O L L A G É N V Á Z K O L L A G É N B L O K K 1037 Budapest, Bécsi út 324. www.osstem.hu/csontpotlo-megoldasok sales@osstem.hu 06 1 439 1300 Önthető fejek akár 25°-os változatban is! ONLINE RENDELÉS AZONNAL WEBSHOPBÓL Kompatibilis implantfejek különböző implantációs rendszerekhez +36 70 384 0366

9. ábra: A Cervico anatómiai gyógyulási csavart (9/a.) az implantátumba tekertük, és a lebenyt lezártuk két vertikális matracöltés segítségével (9/b.). Periapikális röntgenfelvétel közvetlen a műtét után. Oxigént kibocsátó blue m orális gélt vittünk fel a területre (9/d.).

m, Hollandia) napi kétszeri öblögetést írtunk elő, valamint a sebészi területre szintén naponta kétszer oxigén-kibocsátó gél (blue m oxygen liquid, blue m, Hollandia) alkalmazását (9. d ábra), [17].

A pácienst tájékoztattuk, hogy a következő 8 hétben kerülje a rágást ezen az oldalon. Egy héttel a műtét után a varratokat eltávolítottuk, a gyógyulási időszak eseménytelen volt a további 11 hétben. A három hónap eltelte után először a Cervico anatómiai gyógyulási csavart távolítottuk el. A gerinc horizontális dimenziója és a kialakított implantátum körüli lágyszöveti profil anatómiai kontúrjai kifogástalannak bizonyultak (10 -12. ábrák)

Ennél a pontnál elkészítettük a megfelelő egyéni lenyomatvételi elemet a szék mellett, ehhez az implantátumgyártó standard lenyomatvételi fejét alakítottuk át. A pontos eljárás az egyéni, anatómiai gyógyulási csavar készítésével megegyezett (13. ábra). Az így duplikált lenyomatvételi elemet ezután csatlakoztattuk az implantátumhoz, a megfelelő illeszkedést röntgenfelvétel segítségével ellenőriztük, majd nyitott kanalas lenyomatot vettünk (14. ábra). A lenyomatot elküldtük a fogtechnikai laboratóriumba, ahol a mintákat kiöntötték, majd digitalizálták. CAD/CAM egyéni felé-

pítményeket és koronákat terveztünk. A végleges pótlásnál a monolitikus cirkóniumot a frézelt titánium felépítményre ragasztották (15–16. ábra), [18]. Az átadás napján a Cervico gyógyulási csavart eltávolítottuk, és a végleges pótlást azonnal behelyeztük. A megfelelő illeszkedést klinikailag és radiológiailag is ellenőriztük, majd 35 Ncm-es nyomatékra húztuk a gyártó javaslata szerint. A csavar nyílását SilverPlug kúppal zártuk (SilverPlug, SiverAid, Olaszország), és felső rétegként mikro-hibrid kompozit rezint alkalmaztunk. Ezt követően minimális becsiszolást végeztünk, hogy tökéletes legyen az okklúzió és az artikuláció. Az egy évvel későbbi kontroll alkalmával a terület megtartott volt (17. ábra)

Megbeszélés

A bemutatott eset szemlélteti a standardizált protokollt a protetikailag kivitelezett lágyszövet hiány korrekciójához, továbbá egy anatómiailag formázott emergencia profil kialakításához, mindezt egy lépésben, a műtéttel egy időben. A Cervico rendszert alkalmaztuk a csavarok és a felépítmények egyéni kialakításához. A Cervico mold mintázó egy uni-

62 e-Journal IMPLANTOLÓGIA
9a 9c 9b 9d
Nobel Biocare N1™ nobelbiocare.com/n1 GMT70838 HU © Nobel Biocare Services AG, 2020. Minden jog fenntartva. A Nobel Biocare, a Nobel Biocare logó és az összes egyéb márkanév a Nobel Biocare tulajdonát képezi, ha a márkanév tulajdonosa nincs feltüntetve, vagy a szövegkörnyezetből nem derül ki. További tudnivalókért keresse fel a www.nobelbiocare.com/trademarks oldalt. A termékképek nem feltétlenül méretarányosak. Jogi nyilatkozat: Előfordulhat, hogy egyes termékek nem minden piacon rendelkeznek forgalomba hozatali engedéllyel. Az aktuális termékválasztékunkkal és elérhetőségekkel kapcsolatban forduljon a Nobel Biocare helyi értékesítési irodájához. Kizárólag orvosi rendelvényre kapható eszköz. A termék felírásához szükséges információkat, így a javallatokat, ellenjavallatokat, figyelmeztetéseket és óvintézkedéseket a termék használati útmutatójában találja. Megreformáljuk AZ IMPLANTOLÓGIÁT

műtét után a Cervico ínyformázóval előállított lágyszöveti profil. Az anatómiailag kialakított Cervico gyógyulási csavar lehetővé tette, hogy a páciens megfelelően tudja tisztítani a területet a gyógyulási időszak alatt, és a felépítmény annyira plakkmentes legyen, amennyire csak lehet, ezáltal elősegítve az implantátumot körülvevő nyálkahártya gyógyulását.

hónappal

lágyszöveti topográfia teljesen átalakult egy megfelelően ívelt és anatómiailag kialakított lágyszöveti profillá a Cervico ínyformázónak köszönhetően.

64 e-Journal IMPLANTOLÓGIA
10. ábra: Három a 11. A kezdeti, lapos 12. Az ábrasor a kiválasztás és az előállítás egyes lépéseit mutatja.

Kónuszos felépítmény kapcsolat

Kisebb mikromozgás

Erősebb és egyenletesebb csatlakozás

Platform switching

KIZÁRÓLAGOS MAGYARORSZÁGI FORGALMAZÓ
www.alphaimplant.hu

előállítása. Egy gyári, nyitott kanalas lenyomatvételi elemet helyeztük a CM szilikon mintázó megfelelő mélyedésébe, majd körbefolyattuk folyékony kompozittal.

lenyomatvételi elem az implantátumba helyezve megfelelő megtámasztást ad a lágyszöveti profilnak. Stabilan beágyazódva a lenyomatba, amely által a szubgingivális részt megfelelően mintázza le.

verzális eszköz, amely kompatibilis az összes implantációs rendszerrel (az összes típusú implantátum kapcsolattal és platformmal). Így bármelyik protetikai elem individualizálható, beleértve az egy-, illetve a kétrészes felépítményeket, valamint a lenyomatvételi elemeket, készüljenek azok bármilyen anyagból (pl. titán, PEEK, alumínium-oxid stb.) az implantátumgyártó kínálatának megfelelően. Bármilyen folyékony kompozit rezint használhatunk a gyógyuló-csavarok előállításához, amelyeket teljesen simára lehet polírozni.

A protetikailag vezérelt, térbelileg korrekt implantátum-pozíció alapvető fontosságú, hogy elkerüljük az esetleges műtéti vagy protetikai komplikációkat. A Cervico rendszer egyik legnagyobb előnye az alábbi esetben, hogy egy egyszerűsített, hatékony módszert biztosít az implantátum-ágy kezdeti, protetikailag vezérelt preparálásához. A cilindrikus korongok és a vezető pinek használata lehetővé teszi, hogy az orvos ideális protetikai pozícióban végezze az első előfúrást. Amíg a furat dőlésszögének módosítása bármilyen irányban könnyen kivitelezhető, a pozíció változtatása igen nagy kihívást jelent, különösen olyan területeken, ahol a

csontdenzitás alacsony. Az első fúrás megfelelő irányítása a legkritikusabb, a parallax hatás miatt gyakran látunk nem megfelelő pozíciójú, szabad kézzel végzett behelyezéseket, különösen moláris régióban (18. ábra). A természetes (alakú és kiterjedésű) lágyszöveti profil kialakítása klinikailag igen fontos és alapvető feltétele az esztétikailag, valamint a funkcionálisan is sikeres implantációs pótlás készítésének (19-20. ábra), [1,4,5,19-25].

Jelenleg a legelterjedtebb klinikai gyakorlat sajnos az, hogy az implantátum behelyezésekor vagy a felszabadításakor egy gyári, cilindrikus gyógyulási csavar kerül felhasználásra az implantátumgyártó cég készletéből. Ezek az ínyformázó csavarok egy cilindrikus emergencia profil kialakulásához vezetnek. Ha az orvos nem formázza tovább ezt a profilt, így ez kerül át a fogtechnikai laboratóriumhoz, a technikusok gyakran „gomba” formájú pótlásokat készítenek. Ilyenkor a lapos gerinc feletti rész gyakran tartalmaz alámenős területeket, illetve sokszor a szomszédos fogak felé

felszínt sem sikerül megfelelően kialakítani. Az ilyen formai kialakítás felelős számos klinikai problémáért, amelyek egyaránt jelentkezhetnek rövid és

66 e-Journal IMPLANTOLÓGIA
néző hosszú távon. A leggyakoribb rövid 13. A duplikált lenyomatvételi elem 14. ábra: A duplikált

ábra: A CAD/CAM munkamenet alkalmazását megkönnyíti az anatómiai felépítmény és a pótlás tervezése. A laboratóriumnak sokkal könnyebb dolga van, amennyiben egyértelműen látja a cervikális határt és a kialakított, határozott lágyszöveti profilt.

A végső pótlás profilja a Cervico ínyformázó által kialakított emergencia profil másolata, amelyet erre a formára átalakított lenyomatvételi elemnek köszönhetünk.

Klinikai nézet és periapikális röntgenfelvétel egy évvel a műtét után. A terület sikeres anatómiai helyreállítása. A lágyszövet kontúrjai és topográfiája harmonizál a szomszédos fogakéval. Az implantátumon kiválóan osszeointegrálódott, nincs jele csontveszteségnek, továbbá a proximális csontszeptumok magassága is megtartott.

67 VI. ÉVFOLYAM – 2023. 1. SZÁM
15. 16. 17.

18. ábra: Az alábbi ábrák egy olyan esetet mutatnak be, ahol a mezio-disztális hely igen csekély volt (6 mm). A 6-os számú cilindrikus korongot alkalmaztuk, ezen keresztül végeztük az előfúrást. Megerősítettük a megfelelő pozicionálást és angulációt egy pin segítségével. Periapikális röntgenfelvétel a végleges pótlás átadását követően (Anyridge, Megagen Implant Co., Dél-koreai Köztársaság). Az implantátum pozíciója megfelelő a szomszédos fogakhoz viszonyítva.

távú hatás a nagy és nyitott fekete háromszögek a proximális nyaki területek mentén, valamint a nem megfelelő bukkális kontúr, amely az étel beszorulásához, az íny sérüléséhez, továbbá jelentős diszkomforthoz vezethet. Az így kialakított pótlás nagyon gyakran szinte tisztíthatatlan, amely könnyen periimplantitishez vezethet.

Két tanulmány alapján az esetek 74-77%-ában a periimplantitis oka a nem megfelelően kialakított fogpótlás és annak a nehézkes tisztítása volt [26,27]. Ennek elkerülése érdekében néhány klinikus a cilindrikus lágyszöveti profil további formázását javasolja a protetikai fázisban, az ideiglenes pótlás átalakításával vagy több egymást követő ideiglenes pótlás segítségével.

Ezek az eljárások azonban eléggé komplikáltak, költségesek és időigényesek a mindennapi praxisban, mivel szükség van a laboratóriumi háttérre és számos időpontra [28-32]. Ezekhez az eljárásokhoz az egyes protetikai elemeket számtalanszor ki-be kell helyezni. Ez könnyen vezethet lágyszöveti recesszióhoz, illetve csontvesztéshez [33].

A bemutatott eset is mutatja, ha a Cervico anatómiai ínyformázót azonnal behelyezzük a műtétkor, és hagyjuk a szöveteket pihenni, gyógyulni és érni a gyógyulási csavar

anatómikus teste körül, akkor a lágyszöveti profil kondicionálása azonnal elkezdődik, kihasználva a proliferatív fázisban történő gyógyulás előnyeit. Ekkor elégséges gyógyulási idő áll rendelkezésre a lágyszövet részére anélkül, hogy emiatt hosszabb lenne a teljes kezelési idő. A javasolt protokoll lehetővé teszi a lágyszövet bukkális irányú eltolását is, ezáltal javítva a külső szövetmennyiséget. Ezt a Cervico ínyformázó kialakítás könnyíti meg, amely megfelelő megtámasztást ad a szövetnek a nyak vonalában, az alatt pedig védi a koagulumot és az átépülést. A stabilizált koagulum fokozatosan átalakul lágyszövetté, és előnyösebbé teszi a gerinc dimenzióit [34,35]. Fontos kiemelnünk, hogy ezzel az eljárással és megfelelő kezeléssel akkor is jó eredmény érhető el, amikor a keratinizált íny mennyisége minimális. Minden egyéb helyzetben, amikor nincsen feszes íny, gondolnunk kell a lágyszövet-augmentációra [14,15].

A bemutatott protokollt akkor is alkalmazhatjuk, ha rendelkezésre áll előregyártott anatómiai ínyformázó. Ezeket az utóbbi években vezették be a piacra, azonban egyelőre nem terjedtek el széles körben. E mögött az a tényező áll, hogy a kialakításukat egy adott specifikus implantátumpozícióra alakították ki. A valóságban azon -

68 e-Journal IMPLANTOLÓGIA

19. ábra: 4 mm-es, vertikális hely (az implantátum platformja és a leendő pótlás zenitje között) szükséges, hogy megfelelő legyen a szuprakresztális rész formája. Ennél az esetnél a 2 mm-es lágyszövet vastagság és a 2 mm-es szubkresztális behelyezés megfelelőnek bizonyult (19/a.). A CG megfelelő mérőeszközével igazoltuk a kívánt 4 mm meglétét a szomszédos fogak zománc-cement határa és az implantátum platformja között (19/b.). A Cervico gyógyuló-csavart betekertük az implantátumba, és a lebenyt lezártuk (19/c.). A kialakított lágyszöveti profil.

20. ábra: A korrekt háromdimenziós implantátum pozicionálása és a Cervico anatómiai ínyformázó formája segíti az implantátum körüli lágyszövet megfelelő érését, valamint megfelelő helyet biztosít a kötőszöveti zóna, a junkcionális epiteliális zóna és a szulkuláris epiteliális zóna kialakulásának. Ezzel a módszerrel valamennyi anatómiai komponens megfelel a biológiai és a funkcionális kritériumoknak, lehetővé téve a biológiai szélesség kialakulását az implantátum nyaka körül, anélkül, hogy túlzott csontátépülés lépne fel.

69 VI. ÉVFOLYAM – 2023. 1. SZÁM
19a 19c 19b 19d

ban az esetek nagy részénél különböző pozíciók, angulációk és változatos lágy- és keményszöveti viszonyok vannak, amelyek további szék melletti individualizálást tesznek szükségessé. Ez gyakorlatilag lehetetlen az előregyártott titán anatómiai ínyformázók esetén. Az előregyártott anatómiai műanyag vagy PEEK ínyformázókat lehetséges módosítani, de az érintett felszínek megfelelő polírozása nagyon nehéz, vagy szinte lehetetlen. A kellően sima felszín nélkülözhetetlen a megfelelő plakk kontroll fenntartásában. Ezért mindenképpen előnyös olyan ínyformázót használni, amelynek a teste könnyen módosítható anyagból készül, például kompozit rezinből. Ezeket könnyen lehet egyéni formára alakítani és megfelelően felpolírozni a szék mellett, hogy olyan felszíni tulajdonságokat kapjunk, amelyek lehetővé teszik az epiteliális zárást, valamint a junkcionális epiteliális zóna kialakulását a felszínen [36-41]. A mukointegráció rendkívül fontos a korai és hosszú távú implantátum körüli lágyszöveti zárás stabilitásához [42,43]. Ehhez bármilyen ideiglenes anyag használható, amely megfelel ezeknek a kritériumoknak.

A rezinek (akrilát, bisz-akrilát, kompozit), a PEMA és a PMMA már bizonyították, hogy megfelelő polírozás és tisztítás esetén pozitívan befolyásolják a sejtek adhézióját, és csökkentik egy esetleges gyulladás kialakulását, amely megvédi az implantátumot és a körülötte lévő lágyszövetet. Fontos, hogy nem szabad a felszínt semmilyen lakkal vagy klórhexidin oldattal kezelni, mivel az gátolhatja az epiteliális zárás kialakulását [16,44,45). A megoldások alternatívája lehet egy CAD/CAM technológiával készített anatómiai ínyformázó is. Ez egy kiváló megoldás, azonban digitális tervezést és megfelelő eszközparkot igényel, amely nem áll a legtöbb orvos rendelkezésére. Ha sikerül egy természetes, anatómikus emergencia profilt elérni, akkor a következő kihívást ennek a pontos mintázása jelenti annak érdekében, hogy az így kialakított lágyszöveti profilt át lehessen ültetni a végső pótlásra.

Amikor az anatómiai ínyformázót eltávolítjuk, akkor a lágyszövet nagyon hamar összeesik. Ez a jelenség néhány perccel az ínyformázó vagy a pótlás eltávolítása után fellép, és jelentős problémát okoz mind az analóg, mind a digitális lenyomatvétel esetén, ahol nem alkalmazunk egyénileg kialakított lenyomatvételi elemeket. Ez a probléma sokkal kritikusabb azoknál az eseteknél, ahol több implantátumról, egyszerre szeretnénk lenyomatot venni. Ekkor a pontos lenyomatvételhez individualizált lenyomatvételi elemekre van szükség, amelyek szub-gingivális része pontos másolata az anatómikus ínyformázó implantátum körüli mucosaval találkozó részének, amellyel kialakítottuk az anatómikus emergencia profilt [46-50]. A CM használata egy pontos és egyszerű eljárás a szék melletti egyéni lenyomatvételi elem előállításához, amellyel pontos lenyomat vehető akár anterior, akár posterior esetről. Ugyanez vonatkozik a digitális lenyomatvételi protokollokra. A scan-body individualizálható a CM-ben, amely szkennelés során látható jeleket hagy. A laboratóriumi fázis során a fogtechnikus meg tudja tervezni a definitív pótlás biológiailag kritikus cervikális és szubgingivális részét, követve a Cervico anatómiai ínyformázó által kialakított lágyszöveti topográfiát (amelyet a duplikált lenyomatvételi elemmel sikerült lemintázni). Ez bizonyíthatóan előnyös, mert egyes paraméterekről – mint például a páciens biotípusa, az implantátum platform helyzete a csontos gerinchez képest, továbbá számos egyéb tényező – a fogtechnikai laboratóriumnak általában nincs információja. Bármilyen, tetszőleges módosítás a minta ínymaszkján, továbbá az ezt követő modifikáció (a pótlás gingivális részén) komplikációkhoz vezethet, amelyek általában az átadáskor jelentkeznek. A bemutatott protokoll által a fogtechnikus számára egyértelmű, hogy milyen formára kell kialakítani a pótlás nyaki részét, amely megfelel a korábban kialakított optimális emergencia profilnak (21. ábra). Így a páciens megfelelő szájhigiéniát tud fenntartani, csökkentve ezzel a periimplantitisz kialakulásának esélyét [1, 26, 27].

Forrás: EDI Journal 2021/4

70 e-Journal IMPLANTOLÓGIA
21. ábra: A Cervico kezelési koncepció összefoglalása. A Cervico anatómiai ínyformázó, a duplikált lenyomatvételi elem, az egyedileg kialakított CAD/CAM terv, végül végleges pótlás, balról jobbra. Az egyes elemek cervikális és szubgingivális részei ugyanazt a dizájnt követik.

50db Megagen AnyRidge

50 db AnyRidge implantátum vásárlása esetén a szimpózium regisztrációs díját átvállaljuk ($1.195)!

Bővebb információ: +3630-4279829 vagy bszucs@sanitaria.hu

Bővebb információ: oktatas.sanitaria.hu

Csomagajánlat
!

A FÉMES NANO- ÉS

MIKRORÉSZECSKÉK SZEREPE

A PERIIMPLANTITISZBEN

A fogászati implantológia a szájrehabilitáció alapvető részévé vált, és szorosan összefügg a protetikai rehabilitációval. Az implantológia és protetika együttes célja az elvesztett természetes fogak pótlása, továbbá a restitutio ad integrum elérése. E cél érdekében már évszázadok óta különböző anyagokkal és technikákkal próbálkoztunk. Az elmúlt néhány évtizedben a fém implantátumok rendkívül sikeresnek bizonyultak a hagyományos protetikai kezelések alternatívájaként; azt azonban érdemes közelebbről megvizsgálni, hogy ezen eljárásoknak milyen, a szervezetre gyakorolt negatív hatásai lehetnek, illetve, hogy mennyire vannak összefüggésben az esetleges gyulladásos reakciókkal [1,2].

A huszadik század közepén a Brånemark vezette göteborgi kutatócsoport elsőként tanulmányozta a különböző anyagok csonttal kapcsolatos biokompatibilitását, így segítve azóta is a fogászati implantológia elterjedését. Megfigyelték, hogy a teljes egészében titánból készült implantátumok képesek a gyulladás vagy kilökődés jelei nélkül a csontba „begyógyulni”. Brånemark ezt a folyamatot csontintegrációként definiálta, amely a biokompatibilitás minden elemét, a bioinert anyagot és bioaktivitást is magába foglalja [1,3]. A „biokompatibilitás” kifejezés olyan anyagokat jelöl, amelyek nem rendelkeznek negatív hatással az élő szervezetekre. Ez a tulajdonság rendkívül fontosnak bizonyul az implantátumok esetében, mivel ezek arra hivatottak, hogy hosszú időt töltsenek el az élő szövetben. Az implantációs anyagoknak bioinertnek is kell lenniük, ami annyit jelent, hogy nem szabadulhatnak fel belőlük mérgező anyagok. A bioaktivitás az implantátum és a szövet között létrejött kémiai integrációt jelenti [1,3]. Mivel a Brånemark bizonyítani tudta a teljes egészében titánból készült implantátum ezen tulajdonságait, manapság elsősorban ilyen implantátumokat alkalmaznak. A

titán alternatívája a cirkónium-dioxid, amely szintén nagyon jó biokompatibilis tulajdonságokkal rendelkezik. Emellett az orvostudományban más fémeket, fémötvözeteket, polimereket és kerámiákat is használnak biokompatibilis anyagként [1,3]. Az osszeointegráció szempontjából fontos csontépülést a titán implantátum felületén számos tanulmány is megerősítette. A primer stabilitás a behajtással érhető el.

Míg a természetes fogak a periodontális szövettel egyidejűleg válnak funkcionális egységgé, addig az enosszeális implantátumok mesterségesek, mivel szervetlen anyagból készülnek, amelyhez még nem fejlesztettek ki mesterséges periodontális szövetet. Ez hátrányt jelent a későbbi implantátum körüli gyulladások szempontjából [4,5]. A természetes fog és a titán implantátum közötti morfológiai különbségek miatt az implantátumok hajlamosabbak a gyulladásra [32]. Összességében a fémek jó mechanikai tulajdonságokkal rendelkeznek, viszont korrózióra való hajlamosságuk, illetve, hogy esetlegesen fémionokat szabadíthatnak fel a szervezetben, hátrányt jelent alkalmazásuk során. Ezért az implantátum körüli, a szájüregbe benyúló, stabil, gallér alakú lágyszövet elengedhetetlen az implantátum hosszú távú sikeréhez, beleértve a protetikai helyreállítást is. A behelyezés utáni gyógyulási folyamatok alapfeltétele a vitális csont [6,7].

Parodontitisz és periimplantitisz

A biofilm a parodontitisz kialakulásának alapfeltétele. Az ebből származó baktériumok beszivárognak a parodontális szövetbe, gyulladásos reakciókat, majd visszafordíthatatlan szövetkárosodást okoznak. Az olyan kockázati tényezők,

72 e-Journal IMPLANTOLÓGIA
1. a-b ábra: Klinikai periimplantitisz.

mint a nikotin- és alkoholfogyasztás, valamint a szisztémás betegségek (pl. diabétesz mellitusz) vagy akár a stressz, elősegítik a baktériumok szövetbe való migrációját [6]. A periimplantitisz progresszív implantátum körüli csontvesztés, egyidejűleg gyulladásra hajlamos és már gyulladt lágyrészekkel. Kiváltó okai a bakteriális fertőzés és a biomechanikai túlterhelés. Ezek klinikailag és radiológiailag is felismerhető károkat eredményeznek, mivel a parodontális ligamentum hiányában a csont sokkal inkább ki van téve a gyulladásos infiltrátumnak. Mivel a periimplantitisz klinikailag és mikrobiológiailag is hasonlít a krónikus marginális parodontitiszhez, az a következtetés vonható le, hogy a plakk implantátum körüli betegséget okozhat. Még nem tisztázott azonban, hogy a fogágybetegségre való hajlam kedvez-e az implantátum körüli gyulladásnak.

Az olyan pácienseknél, akiknél a fogágybetegségre való fokozott hajlam mutatkozik, javasolt az implantátumok helyett alternatív kezeléseket alkalmazni [6,8,9–14]. Egy 2017-es konferencián (World Workshop on the Classification of Periodontal and Peri-Implant Diseases) a periimplantitiszt úgy definiálták, mint „az implantátum körüli szövetekben fellépő plakkal összefüggő kóros állapotot, amelyet a periimplantáris nyálkahártyájában fellépő gyulladás jellemez, így okozva progresszív volumen-vesztést a támasztó csontban”. Ez a meghatározás azonban nem veszi figyelembe a fém részecskéket vagy a fémek citotoxicitását, mint lehetséges tényezőket.

A periimplantitisz klinikai eseteit az 1/a-b. ábrákon szemléltetjük. Jól észrevehető az implantátum ágy körül felgyülemlett gennyes váladék. A lágyszövet mandzsetta már nincs jelen, és feltételezhető a csontvesztés. Tudományos konszenzus van abban, hogy a parodontitiszt, illetve a periimplantitiszt a fogíny túlzott bakteriális kolonizációja okozza, amely a nem megfelelő fog- és szájhigiénia eredménye. Kimutatták, hogy a progresszív parodontitisz gyakrabban fordul elő családokban. Bár eredete többtényezős, a genetikai hajlam azért fontos, mert egyes géneket kockázati tényezőként izoláltak, köztük az interleukin-1 gént, a proteináz 3-at és a katepszint [15,16]. A jelenlegi kutatások egyre inkább fókuszálnak azon nanorészecskékre, amelyek magukon a sebészeti eszközökön keresztül, illetve az implantátum beültetése révén jutnak be a csontszerkezetbe, így előidézve a periimplantitiszt. Ennek ellenére még mindig nincs egyértelműen meghatározott szabály vagy protokoll a periimp-

lantitisz kezelésére. Tekintettel arra, hogy a periimplantitisz egy év elteltével a terápiás (sebészeti vagy nem sebészeti) beavatkozás után is nagyon magas kiújulási aránnyal rendelkezik, felmerül a kérdés, hogy az implantátum felületéről származó fém részecskék esetlegesen közrejátszanak a periimplantitisz fennmaradásában. Egyetlen tanulmány sem hasonlította össze a nem sebészeti eredményeket a sebészetiekkel [2,17,18].

Nanorészecskék

Az elmúlt 20 évben a nanotechnológia gyors fejlődésen ment keresztül. A 100 nm alatti részecskéket nanorészecskéknek nevezzük. Ezeket képesek vagyunk iparilag előállítani, de előfordulnak a természetben is (például vírusok, vulkáni hamu és erdőtüzek esetén). Kis tömegükhöz képest rendkívül nagy felület jellemzi őket. A nanorészecskéket főként szilikátokból és különféle fém-oxidokból, köztük titánés alumínium-oxidokból állítják elő. Megtalálhatók például a cukorkákban és számos bőrápoló termékben, különösen a fényvédőkben. Stabilizátorként titán-dioxid részecskéket és cink-oxidot használnak. Bebizonyosodott, hogy a szájon át bevitt titán-dioxid részecskék a bélben és más szövetekben (hashártyaszövetben, májban, lépben, vesében és szívben) lerakódnak anélkül, hogy kiürülhetnének, hámrendellenességeket, és a bélsejtek krónikus károsodását okozzák. Ép bőr esetén a titán-dioxidra utaló jelek csak az epidermális réteg legfelső rétegében mutathatók ki [19]. A nanorészecskéket a gyógyászatban is alkalmazzák. A nanorészecske alapú fluoreszcens jelölés a nagyobb hatékonyság és pontosság miatt nélkülözhetetlen a diagnosztikában és a képalkotásban. A nanorészecskék gyógyszeripari felhasználása azt mutatta, hogy jobb a biológiai hozzáférhetőségük és hatékonyságuk, kevesebb a mellékhatásuk és mindenekelőtt a szerveket érintő toxicitásuk is csökken [20]. Ezen pozitív és negatív szempontok mentén felmerül a kérdés, hogy az implantátumokból származó nano- vagy mikrorészecskék, illetve fémes műszerek növelik-e a periimplantitisz kockázatát a beültetést követően. Nagyon keveset tudunk a titán-dioxid nanorészecskék implantátumokból vagy fémes műszerekből származó kockázatairól és transzlokációjáról. A 2010-től meglévő szakirodalomban találunk hivatkozásokat a témában, mivel az implantátum beültetése során történő

73 VI. ÉVFOLYAM – 2023. 1. SZÁM
2a 2b
2. a-b ábra: Az implantátum és a szuprastruktúra korróziója. Az implantátum és a felépítmény kapcsolatának korróziója (a). Az overdenture pótlás korróziója (b).

3. a-d ábra: A Streptococcus sanguinis hatása a titán felszínen SEM (scanning electron microscope-pásztázó elektronmikroszkóp) képen, a titán felszínén S. Sanguinis-szel dúsított műnyálban (méretarány: 100 μm), (a) és S. Sanguinis nélkül (méretarány: 100 μm), (b). A 4/a. ábra nagyított nézete (a nyilak mutatják az S. Sanguinis-t, méretarány: 10 μm), (c). A 4/c ábra nagyított nézete (méretarány: 5 μm), (d).

részecskeképződés szempontjait csak az utóbbi években kezdték el részletesebben vizsgálni.

A titán tulajdonságai

A titán szürke színét a fém oxigénnel való érintkezése után a felületen közvetlenül kialakuló 2-5 nm vastag oxidréteg okozza. Ez, az általában nagyon sűrű és kémiailag stabil oxidréteg biztosítja a titán biokompatibilitását, és segíti az osszeointegrációt azáltal, hogy lehetővé teszi a sejtadhéziós molekulák felhalmozódását. Egyes esetekben azonban klinikailag különböző típusú korrózió figyelhető meg: lyuk-, rés- és feszültség-korrózió, valamint erózió (2/a-b. ábra), [7,21,22]. A lyuk-korrózió elsősorban és túlnyomórészt az implantátum és a felépítmény csatlakozási pontján jelentkezik, ami rés-korróziót okozhat. Ennek eredményeként kloridionok halmozódnak fel, amelyek az implantátum közvetlen közelében csökkentik a pH-t. Így a titán implantátum oxidrétege helyreállíthatatlanul feloldódik, és a Streptococcus sanguinis miatt nem tud megújulni. Ezek a baktériumok meggátolják az oxigénhez való hozzáférést az implantátum körül kialakult biofilmen keresztül; az oxigénhiány miatt titán ionok és részecskék szabadulnak fel a bonyolult titán szerkezetből. Ez a folyamat részben gyulladást vált ki a szövetben, másrészt pedig a titán implantátum további korróziójához vezet. A nyál – amely elektrolitként működik – hozzájárul az oxidréteg maradandó károsodásához, mivel a korróziót a szájban zajló elektrokémiai folyamatok tovább támogatják

[23,24]. Az implantátum felületén keletkezett jelentős károsodást a 3/a–d. ábrán láthatjuk [24].

Nakagawa és mtsai egy további tanulmányban megállapították, hogy a teljes egészében titán és a titánötvözetek gyorsabban korrodálódnak a fluoridok hatására alacsony oxigéntartalom mellett, míg fluor nélkül nagyobb korrózióállóságot mutattak ugyanazon oxigénkoncentráció mellett [25]. Ehhez a megfigyeléshez a kereskedelemben kapható fogkrémeknek a fluorid koncentrációját vették alapul, amely túl magasnak bizonyult, és nem védi a fémeket a korróziós károktól [25].

Fémkopás a behelyezés során és annak következményei

Az implantátum eredeti felülete és formája a beültetése során módosulhat. A túlságosan mély behelyezés nagyobb károsodást okoz a csontban és az implantátumban, mint a kevésbé erőltetett behelyezés. Az implantátum torziója és súrlódása révén az implantátum felületi szerkezetéből titán részecskék szabadulnak fel és kerülnek a már sérült csontszövetbe. A felszabaduló titán részecskék mérete 10 nm és 20 µm között változik. Az implantátum éles szélein a behelyezés következtében a teljes oxidréteg részben elvész. Az oxidréteg elvesztése az implantátum típusától is függ [26–28]. Martini és mtsai megfigyelték, hogy a fluoro-hidroxiapatittal bevont implantátumok kevésbé voltak érzékenyek a behelyezés során a kopásra, mint a plazma bevona-

74 e-Journal IMPLANTOLÓGIA
3a 3c 3b 3d

tú implantátumok. A plazma bevonatú implantátumokból felszabaduló titán részecskéket az implantátum felületétől 200-250 µm távolságban találták meg, amelyek megakadályozták a neo-oszteogenezist. Az érintett csontban az implantátum menetének deformációja látható, elsősorban mikrotörések formájában. A titán kopás mind az implantátum körüli nyálkahártyában, mind az újonnan képződött csontban felfedezhető.

A titánrészecskéket még távolabbi szervekben is kimutatták: a májban, a vesében, a tüdőben és a szívben [29,30]. Az implantátum beültetése mellett az implantátum és a felépítmény közötti kapcsolat nagy mechanikai terhelése is hozzájárul a fémrészecskék felszabadulásához. Ennek következtében az implantátum elvesztése is előfordulhat. Emellett az implantátum és felépítmény közötti csatlakozásnál mikrorések keletkezhetnek, ahonnét további titán- és fémrészecskék is felszabadulhatnak. A mikroszivárgás, az anyagkopás, az anyagfáradás és a csavarok kilazulása további lehetséges következmények lehetnek, amelyeket a mikrorések idéznek elő. A mikroszivárgás különösen szembetűnő a laza illeszkedéssel rendelkező hatszögletű csatlakozásoknál (4/a-d. ábra), amelyen keresztül – a fémkopáson és az anyagban keletkezett károkon kívül – folyadék és baktériumok jutnak be az implantátum belsejébe, így okozva az implantátum belső korrózióját. A mikrorés által okozott mozgások az implantátum és a felépítmény közötti kúpos csatlakozással mérsékelhetők [31].

Konklúzió

Az implantológia korszakának elején az osszeointegráció problémájának megoldása volt a fókuszban, az utóbbi években azonban egyre inkább előtérbe kerültek azok a kutatások, amelyek az implantátumok lerövidült élettartamának okaira próbálnak választ adni. Az olykor terápia-rezisztensnek bizo-

nyuló periimplantitisz bizonyítja, hogy a lege artis behelyezés mellett egyéb tényezők is befolyásolhatják az osszeointegráció kialakulását. A nano- és mikroméretű titán- és cirkónium-dioxid részecskék mind a műszerekről, mind az implantátumokról leválhatnak a behelyezés, valamint a műtéti, a protetikai és az utókezelési fázis során. Kimutathatók csontokban és más szövetekben, és csak nemrégiben bizonyosodott be róluk, hogy citotoxikusak. A jelenlegi kutatások szerint ezeknek a részecskéknek a felszabadulása még nem akadályozható meg függetlenül attól, hogy az implantátum milyen felszínnel rendelkezik. Az implantátum körüli kemény- és lágyszövetbe diszpergált fém- és titán-ionok és részecskék olyan sejtes reakciókat váltanak ki, amelyek az aszeptikus, krónikus gyulladáshoz hasonlíthatók. Ez sikertelen csontintegrációhoz vagy terápiarezisztens periimplantitiszhez is vezethet. Ezek a klinikailag és radiológiailag is észrevehető implantátum körüli elváltozások nagyon hasonlítanak a parodontitiszhez, de a periimplantitisz nem minden esetben bakteriális. A periodontitisz klasszikus kezelési koncepciója ezért általában nem ültethető át a periimplantitiszre. Jelenleg a nem baktériumok által okozott periimplantitisz kezelésére nem áll rendelkezésre koncepció. A részecskék által kiváltott periimplantitiszt gyakran oszteolízis kíséri, amely nyilvánvalóan nem tekinthető bakteriálisnak. Ilyen esetekben el kell távolítani az implantátumot, majd alaposan ki kell tisztítani a csontdefektust. További vizsgálatok elvégzése javasolt, hogy megállapíthassuk, szükséges-e, illetve milyen mértékben érdemes további csontregeneráló kezeléseket elvégezni. A 2017-es „World Workshop on the Classification of Periodontal and Peri-Implant Diseases and Conditions” úgy definiálta a periimplantitiszt, hogy nem vett figyelembe olyan tényezőket, mint a fémrészecskék és azok citotoxicitása. Így határozottan kijelenthető, hogy a fémes nanorészecskékkel kapcsolatos további kutatásokra feltétlenül szükség van azok potenciális veszélye miatt.

Forrás: Implants 2021/4

76 e-Journal IMPLANTOLÓGIA
4. a-d ábra: Két implantátum-felépítmény kapcsolatának részletes képe, terhelés alatt.
1037 Budapest, Bécsi út 324. OSSTEM HUNGARY www.osstem.hu sales@osstem.hu 06 1 439 1300 @osstemhungary A VILÁG LEGTÖBBET ELADOTT IMPLANTÁTUMA 2017-BEN, 2018-BAN ÉS 2019-BEN IS! Ok az ünneplésre! Köszönjük a bizalmat!

Az augmentációs eljárásokat az adott klinikai szituációhoz

az elegendő vastagságú lágyszövet biztosítja, hogy

az implantátum felett 4-5 mm szélességű,

szituációhoz kell adaptálni. Az esettől függetlenül

ne legyen csontfelszívódás. A szerző a praxisában

szélességű, keratinizált ínyt igyekszik tartani.

hogy

Dr. Kai Zwanzig (Németország)

A STABIL SZÖVET KONCEPCIÓJA

A hosszú távú és megbízható eredmények elérése érdekében fontos, hogy ne hagyjuk figyelmen kívül a biológiai alapelveket. Az implantológusok portfóliójának szerves részét kell képeznie a csont- és lágyszövet kezelésnek, hiszen a stabil szövet az implantológiai beavatkozás sikerének alapvető feltétele. Ennek érdekében kemény- és lágyszövet augmentációra van szükség olyan anyagok segítségével, melyek az adott helyzethez és kórképhez a legalkalmasabbak. Fontos szempont az implantációs rendszer megválasztása, mert ez is meghatározó szerepet játszhat a megfelelő csontmagasság megtartásában. Ennek érdekében a kónuszos belső kapcsolattal rendelkező implantátumok használata javasolt, mivel ezek biztosítják a felépítmények szükséges stabilitását. Az implantátum körüli csont-reszorpció számos okát ismeri a szakirodalom. Gyakran előfordul, hogy az implantátumokat túl vékony csontba helyezik be, továbbá az implantátumot legalább 2 mm-es csontrétegnek kell körbevennie, hogy az implantátum körüli szövetek stabilak legyenek [1]. A kétrészes implantációs rendszereknek jórészt az a hátránya, hogy a felépítménynek van némi mobilitása. Húsz évvel ezelőtt Hermann és mtsai bebizonyították, hogy a csont-reszorpciót nem önmagában az implantátum elemei között felfedezhető rés okozza, hanem az implantátum és felépítmény között fellépő következményes mikromozgások [2]. Ennek érdekében fontos, hogy olyan implantációs rendszert válasszunk, amely ezeket a mikromozgásokat teljesen kiküszöböli. Számos tanulmány kimutatta, hogy a Morse-kúpos belső kapcsolattal rendelkező implantációs rendszerek alkalmasak az efféle mozgások kiküszöbölésére [3], de ezen implantátum rendszerek között is vannak jelentős különbségek. Különösen a Morse-kúpos belső kapcsolattal rendelkező rendsze-

rekre jellemző, hogy az implantátum és felépítmény között a legkevesebb mozgás érzékelhető [4]. A Morse-kúpot úgy fejlesztették ki, hogy igen nagy stabilitást biztosítson, a kúp szöge maximum 1,5°. Az alább látható esetben használt implantációs rendszer (K3Pro, Argon Dental) ilyen belső csatlakozással rendelkezik. Ezek az implantátumok a radiológiai analízis során még 200 N maximális terhelés alatt sem mutatnak résképződést, sem mikromozgást. Ebben az esetleírásban a „stabil szövet koncepció” szerinti klinikai eljárást ismertetjük.

Esetbemutatás

A páciens – a 3.6-os fogának máshol történt eltávolítása után – 2016-ban kereste fel a rendelőt, hogy az akkor fennálló foghiányát implantátum segítségével pótolják (1. ábra). A preoperatív radiológiai felvétel csonthiányt mutatott (2. ábra). A nyálkahártya-lebeny leválasztása és a műtéti terület gondos kürettálása után nyilvánvalóvá vált, hogy augmentációra van szükség (3. és 4. ábra). A látványosnak tűnő defektus ellenére meglehetősen egyszerűnek bizonyult az augmentáció. Ez egy olyan hiány volt, amelyet meziális és disztális irányból is fog határolt, melyek fenntartották a csontvolument.

A regenerációs potenciál így nagyon magas volt, és sikeres prognózist ígért. Az implantátum behelyezési nyomatéka magas volt (5. ábra). A szerző azokat a csontpótló anyagokat részesíti előnyben, amelyek teljesen felszívódnak, és természetes csont veszi át a helyüket. Az allogén csont pontosan ezekkel a kívánt tulajdonságokkal rendelkezik. Az itt használt csontanyag (Osteograft, Argon Dental) a Német

80 e-Journal IMPLANTOLÓGIA
1. 3. 4. 5. 2.

Sejt- és Szövetpótlási Intézet által készített, emberi donortól származó csont volt. A csontanyagot PRGF (Plasma Rich in Growth Factors – növekedési faktorokban gazdag plazma) mátrixban (BTI) készítettük elő, hogy ún. „ragadós csontot” (sticky-bone) kapjunk [5]. Ebbe az alvadékba ágyazva, a szemcsés anyag jobban adaptálható a csontdefektushoz (6. ábra).

Minden csontpótló anyagnak stabilizálásra van szüksége a mechanikai irritáció elkerülése érdekében, vagyis teljesen stabil pozícióban kell lennie a gyógyuláshoz. A mozgás akadályozza a mineralizáció folyamatát, amely kötőszövetes gyógyuláshoz vagy reszorpcióhoz vezet [6]. Ebben az esetben a stabilizáció kétféle módon volt biztosítva. Először: egy nagyon merev membránt használtunk. Ez a membrán egy fehérjementesített vékony kortikális lemez volt, ami nagyon rugalmassá válik a rehidratációt követően. Másodszorra pedig a membránokat mindig szegecsekkel, csavarokkal vagy varratokkal kell oly módon rögzíteni, hogy a barrier membrán elmozdulása elkerülhető legyen. Ebben az esetben felszívódó szegecseket használtunk, hogy megvédje a membránt a bukkálisan és a nyelv által előidézett elmozdulástól (7. ábra). A fix, kúpos csatlakozású implantátumokat – amilyeneket jelen esetben is használtunk – szubkresztálisan kell behelyezni [7]. A feltárás megkönnyítése érdekében a záráshoz nem használtunk záró-csavart. Ebben az esetben mi 2 mm magas membrántartó csavart alkalmaztunk a kényelmesebb kezelés érdekében (8. ábra). Öt hónappal a behelyezés

után úgy láttuk, hogy a keratinizált íny sávja beszűkült, és az arc mozgásai átkerültek az alveoláris gerincre (9. ábra). Ez alátámasztja a kellően keratinizált íny meglétének fontosságát [8]. Az implantátum felszabadítását a lebeny apikális részének leválasztásával végeztük (10. ábra). Ha a membránt tartó csavar behelyezése egyszerű, mint ebben az esetben, akkor szinte mindig szükségtelenné válik a további csonteltávolítás (11. ábra). A csavar eltávolítása után láthatóvá vált az eljárás által kiváltott előnyös hatás: A 12. ábrán jól látható az a kötőszövetes alagút, amely a membránt tartó csavar mintegy meghosszabbításaként, egészen az emergencia profil „belső kúpjába" vezet Ez a szövet meglehetősen merev és mozdulatlan volt. Érdekes lenne tudni a szövettani összetételt, mivel a makroszkópos értékelés meglehetősen nehézkes.

A szerző azt feltételezi, hogy ez egy bonyolult kötőszöveti struktúra, enyhe mineralizációval. Ehhez az esethez a szerző egy személyre szabott, anatómiai gyógyulási csavart készített, amely a keskeny apikális részhez illeszkedett, így az augmentált csontot nem kellett újra eltávolítani (13. ábra). A még mindig elégtelen mennyiségű keratinizált szövet, valamint a lágyszövet vastagságának hiánya miatt autológ lágyszövet graftot vettünk a szájpadlásból, majd vesztibulárisan rögzítettük, hogy mindenféle mozgást kiküszöbölhessünk (14. ábra). A szövet vastagsága az implantátum-váll felett is fontos szerepet játszik; nem lehet kisebb 3 mm-nél, különben csontreszorpció következik be [9].

81 VI. ÉVFOLYAM – 2023. 1. SZÁM
6. 9. 7. 10. 8. 11. 12. 13. 14.

Protetikai helyreállítás

Két hónappal a feltárás után a végleges fogpótlással történő rehabilitáció következett. Mivel ebben az esetben egyedi anatómiai ínyformázót alkalmaztunk, az implantátum vállát teljesen lefedte a leírt kötőszövet (15. ábra). A váll szabaddá tétele érdekében a ránőtt kötőszövetet egy speciális eszköz segítségével ismét eltávolítottuk, hogy a lenyomatvételi fejet rés nélkül csatlakoztathassuk az implantátumhoz (16. és 17. ábra) Ennek következtében azonban az egész biológiailag felépített szerkezet megsemmisült (18. ábra). A korona felhelyezésekor az érintett terület a makroszkópos vizsgálat során teljesen irritációmentesnek és gyógyultnak látszott (19. ábra). Titán bázisra egyedileg tervezett, cirkóniumból készült hibrid műcsonkot rögzítettünk, majd szájba helyeztük, és ráragasztottuk a lítium-diszilikát koronát (20. ábra). A posztoperatív radiológiai felvételen látható a résmentes illeszkedés, továbbá az eltávolított szövet a felépítmény apikális régiójában (21. ábra). Négy évvel a behelyezés után klinikailag tökéletesen integrált, szövetveszteség nélküli helyreállítást figyelhetünk meg (22. ábra)

A CBCT-vizsgálat azt mutatta, hogy a határfelületen lévő csont teljes remineralizációja megtörtént (23. ábra), [10, 11].

Megbeszélés

A bemutatott eljárás – amely kezdetekben még nagyon kísérleti jellegű volt – ma már a szerző praxisában bevett, rutin

kezelési módszerré vált, és ez az alapja a stabil szövet koncepciónak. A stabil szövet koncepcióhoz szükséges eszközök kaphatók. Ez a gyakorlatban azt jelenti, hogy az összes elemet – az anatómiai ínyformázótól a felépítményig – a kívánt geometriára módosították, ezáltal oly módon illeszkednek egymáshoz, hogy nem szükséges további szövetet eltávolítani a kezelt területen. A lenyomatvételi elem már nem érintkezik az implantátum vállával, hanem az belső kapcsolatban rögzül, amely lehetővé teszi a pontos lenyomatvételt anélkül, hogy azt a kúpos kapcsolat akadályozná. Az itt használt implantátum szolgál ennek a koncepciónak az alapjául. A Morse-kúpos belső kapcsolat lehetővé teszi bármilyen jellegű mozgások kiküszöbölését a felépítményen belül, és így nem lép fel csontreszorpció. Az implantátum szabványos behelyezési mélysége 2 mm szubkresztálisan. Ez csak a Morse-kúpos kapcsolattal rendelkező implantátumok esetén lehetséges. Az implantátumot mélyebbre is lehet helyezni anélkül, hogy biológiai komplikációt okoznánk. A kemény- és lágyszöveti augmentációt természetesen oly módon kell alkalmazni, hogy megteremtsük a biológiai feltételeket a hosszú távú stabilitáshoz. Az augmentációs eljárásokat az adott klinikai szituációhoz kell adaptálni. Az esettől függetlenül az elegendő vastagságú lágyszövet biztosítja, hogy ne legyen csontfelszívódás. A szerző a praxisában az implantátum felett 4-5 mm szélességű, keratinizált ínyt igyekszik tartani.

Forrás: Implants 2021/4

82 e-Journal IMPLANTOLÓGIA
15. 16. 17. 18. 19. 20. 21. 22. 23.
Implant Solutions EASY HANDLING NO limits! Go DIGITAL with Callus ® Implants! COVERS A WIDE RANGE OF INDICATIONS callusimplants.com

Könyvajánlataink

A Legfelsőbb Bíróság Polgári Kollégiuma az orvosi műhiba perek gyakorlatának á�ekintésérő szóló összefoglaló jelentésében rögzíte�e, hogy az élet, tes� épség és egészség sérelme mia� indíto� orvosi kártérítési perekben a bekövetkeze� hátrányokat, káros eredmény mia� érvényesíte� nem vagyoni kárigényeket a károsult vagy a saját egészségromlása, vagy saját jogán a hozzátartozójának halála, egészségkárosodása mia� érvényesí� azzal, hogy ezek a károsult esetében együ� is jelentkezhetnek. Ténybeli alapja lehet a szélesen ve� gyógyítás (orvoslás) során bekövetkeze� valamely hiba: általában a diagnosz�kus tévedés következményei, kezelési, műté� hiba akár tevőleges, akár mulasztásos magatartással, a tájékoztatás elmaradása vagy elégtelensége.

Magyarországon a műhibaperek során megítélt összegek folyamatosan emelkednek. A nyilvánosságra hozo� legmagasabb kártérítés eddig 55 millió forint volt, de folyamatban van olyan per is, amelynek tétje meghaladja a 80 millió forintot. A kérdésben érinte� jogászok véleménye szerint az oly sokat emlegete� 1997-es Egészségügyi Törvény hatályba lépése óta az orvosi felelősséggel kapcsolatos perek kétharmadát a betegek nyerik. Megjegyzendő hogy 2008-hoz képest 10%-kal nő� a műhibaperek száma, amely most 151, a folyamatban lévő ügyek vonatkozásában pedig 467 eljárásról beszélhetünk. (Forrás: EBF) Ezen ügyek megközelítőleg 17%-a tekintetében beszélhetünk ún. fogorvosperekről. Napjainkban az egészségügyi szolgáltatóknak – beleértve az intézményeket és a magánpraxist folytató orvosokat – egyre inkább számolniuk kell azzal a lehetőséggel, hogy a beteg vagy hozzátartozója, ha nem elégede� az ellátással, bíróság elő� keresi az igazát. Büntetőeljárás orvossal szemben ugyan lényegesen ritkábban indul, azonban ez talán még nagyobb lelki megterhelést jelent az érinte� orvos számára. A jogi helyzet �sztázására, a releváns szabályozás és a fogorvosi tevékenységet érintő űhibaperek bemutatására és értelmezésére hivato� a Fogorvosperek című kötet, amelyet közérthető megközelítése mia� elsősorban fogorvosok, szájsebészek, de jogászok, illetve a jog iránt érdeklődők is haszonnal forgathatják.

Csak természetesen

FOGORVOSPEREK

Hajdu Zoltán Fogászat és esztétika Dr Forrai Judit Fejezetek a fogorvoslás
és eszközeinek történetébôl
A
FOGORVOSPEREK Ifj. dr. Lomnici Zoltán 4000 Ft 3500 Ft 3500 Ft 3500 Ft 3500 Ft A FOGÁSZATI IMPLANTOLÓGIA története Magyarországon Dr. Divinyi Tamás Fogaszati implantologia tortenete terv.indd 1 1750 Ft 3500 Ft 5000 Ft 2500 Ft 2500 Ft DP Hungary Kft. 1012 Budapest, Kuny Domokos u. 9. Tel.: +36 30/472 0030, 06-1-793-1874 www.dental.hu Megrendelés: www.dental.hu/webshop Róth Lajos Fogpótlás.tan update 8750 Ft
szerző

Ennek a könyvnek a kiadásával célkitűzésünk volt áttekinteni fogászati implantológiában hagyományosan alkalmazott csontmegmunkáló eljárásokat (kézi eszközök, forgóeszközök), összehasonlítva őket az új (piezo, lézer, mágneses kalapács /magnetic mallet = MM) módszerekkel, valamint bemutatni a csontpótló anyagokat és köztük az újnak számító BoneAlbumint.

Mind a mágneses kalapács, mind a BoneAlbumin a nemzetközi irodalomban is rendkívül újnak számít, egyelőre kevés vagy egyáltalán nincs sokéves tapasztalat, így fontos, hogy az eddigi ismereteket, technikákat, az elért eredményeket kellő kritikával, önkritikával kezeljük, és reálisan próbáljuk helyüket és szerepüket meghatározni a fogászati implantológiában.

Dr. Gáspár Lajos

Könyvem megszületését elsősorban dr. Forrai Judit professzor asszonynak köszönhetem. Az ő inspirálására született meg ez a történeti visszatekintés. 2014 februárjában a Semmelweis Egyetem Népegészségügyi Intézetének a tantermében megalakult a Magyar Orvostörténeti Társaság részeként a Fogászattörténeti Kör. Az alakuló ülésen érdekes előadások hangzottak el, majd azok befejeztével Forrai Judit tanárnő felkért, hogy tudnék-e az őszi program keretében a fogászati implantológia történetéről előadást tartani. Természetesen szívesen elvállaltam. Az orvoslás, a fogorvoslás történeti vonatkozásai mindig is érdekeltek, és a fogorvostan-hallgatóknak az érzéstelenítésről, az implantológiáról szóló előadásaimban állandóan próbáltam történeti vonatkozásokat is beépíteni. Engem elsősorban a gyógyító eljárások fejlődése érdekelt. Mi volt a régi gyógymódok – az akkori ismeretek szerinti – élettani, patológiai vagy akár vallási háttere?

A fogászat és különösen az implantológia fejlôdése az elmúlt évtizedekben az érdeklődés középpontjába került. Magyarországon napjainkban évi közel 60 000 darab fogászati implantátumot helyeznek be, ami mintegy évi 12 milliárd forint forgalmat generál az orvosi és fogtechnikai költségekkel együtt.

Az Implant Index című kézikönyv nemcsak a tudományos és szakmai ismeretek jelentős lexikális anyagát összegzi, hanem talán elsőként mutatja be az implantológiai piac jellemző vonásait, gazdasági elemzéseket, múltra, jelenre és jövőre vonatkozó adatokat, fejlődési tendenciákat. Ugyancsak új témának számít az implantációs betegek gondozását bemutató fejezet is. A könyv fejezeteiben először az adott témakör rövid, áttekintő bevezetésére kerül sor, majd ezt követi a lexikális ismeretanyag táblázatokban, majd elsősorban a mindennapi gyakorlatot segítő írások, cikkek következnek.

Dr. Gáspár Lajos és dr. Toldi Ferenc

Az implantológia a fogorvostudomány egyik legintenzívebben változó, fejlődő szakterülete. A foghiányok pótlásának szándéka - valamilyen csontba épített eszköz, anyag segítségével - több évezredes múltra tekint vissza. Az implantációs kísérletek azonban hosszú időn át - a nem megfelelő biológiai, anyagtani stb. feltételek hiánya miatt- többnyire nem jártak sikerrel. A nagy „előrelépést" a 20. század, annak is különösen a második fele hozta meg. Ezekben az évtizedekben számtalan próbálkozásról, kísérletről olvashattak az érdeklődők a hazai és a nemzetközi szakirodalomban egyaránt. A dentális implantológia mára már a fogorvoslás nélkülözhetetlen területe lett. A mindennapi gyakorlatban szükség van az ismeretek permanens bővítésére, frissítésére, hiszen egyre újabb és újabb implantációs rendszerek, fejlesztések, eszközök és eljárások megjelenésével szembesülnek - szinte naponta - a szakemberek.

A FOGÁSZATI IMPLANTOLÓGIA története Magyarországon Dr. Divinyi Tamás Fogaszati implantologia tortenete terv.indd 1 2016. 04. 22. 11:56

ERŐS FOGAK ÉS EGÉSZSÉGES SZÁJ – MEGGYŐZŐ MOSOLY

A száj és a fogak nemcsak a táplálkozás és az emberi kommunikáció fontos részei, de esztétikai szempontból is jelentős szerepük van. Az egészséges fogak és fogíny egészségünk meghatározó elemei, a hibátlan, derűs mosoly pedig minden egyén kívánsága.

Nem csak a fogak fájnak

Az íny leggyakoribb gyulladásos megbetegedése a gingvitis vagy fogínygyulladás, mely legtöbbször a rossz szájhigiénia következményeként jön létre. A begyulladt és vérző fogíny a rossz lehelet mellett a betegség első jele. A gingvitist tehát gyógyítani kell, mert különben a gyulladás előrehaladott állapotában a gyulladt íny gócként szerepel, mely gócbetegségeket okozhat.

Az egészséges ember szájában folyamatosan jelen vannak mikroorganizmusok, amelyek szaporodása az íny gyulladásához vezet, és idővel a fogágy többi része is érintett lesz, paradontitis jelentkezhet. A tasakok mélyebbek lesznek, ezért a gyulladás ráterjed a mélyebb paradontális szövetekre is. A fogágygyulladás következtében a fogakat rögzítő szövetek elbomlanak, a betegség pedig átterjedhet az állkapocs csontszövetére is. Ennek együttes következménye, hogy a fog tartószerkezete meggyengül, elbomlik, így a fogak meglazulnak, majd kihullanak.

A hialuronsav a fogágy kötő- szövetének fontos kompo- nense

A hialuronsav a szervezet természetes anyaga és az egészséges fogíny fontos komponense.

Alkalmazása a fogászatban:

– csökkenti a szájnyálkahártya-irritációt

– megvéd a fertőzésektől

– felgyorsítja a sebgyógyulást és szövetregenerációt – csökkenti a fogínyvérzést, a foggyulladást és a duzzanatot

A kutatások kimutatják, hogy a hialuronsav fogászati alkalmazása jelentős mértékben hozzájárul az ínybetegségek megakadályozásában és gyógyításában.

Ínybetegségek megelőzése és gyógyítása hialuronsavval

A gyógyszertárakban és speciális üzletekben különböző formákban és kiszerelésben már 3 éve kapható a Gengigel, ami az egyedüli hialuronsav-alapú készítmény.

A termékcsalád használata egyszerű, gyermekek, terhes nők és cukorbetegek egyaránt használhatják. A hialuronsav tartalma miatt hatékony megoldás az alábbiakra:

– ínyvérzés

– gingivitis (fogínygyulladás)

– parodontitis (fogágybetegség)

– megsértett íny (sebészeti beavatkozás, foghúzás, fogpótlás után)

– korona, híd, fogprotézisek miatt irritált szájnyálkahártya

Ezen tulajdonságai alapján bátran állíthatjuk, hogy a Gengigel az egészséges fogíny receptje.

Forrás: Medis sajtóanyag

86 e-Journal IMPLANTOLÓGIA
(X)

Hialuronsav

Az egészséges fogíny receptje

Az egészséges fogíny receptje

Az egész csalàd számára

■ csillapítja a vérzést

■ elősegíti a sebgyógyulást a szájüregben

■ elősegíti a szövetregenerációt

■ csökkenti a duzzanatokat

■ védi a szájnyálkahártyát a fertőzésektől

www.gengigel.hu

nagyi protézis által irritált íny, fogágygyulladás

Gengigel spray 3990 Ft Gengigel az első fogaktól 3990 Ft Gengigel szájvíz 4790 Ft Gengigel first aid 4050 Ft smileshop szájápolás mindenkinek DP Hungary Kft. 1012 Bp., Kuny Domokos u. 9. Tel.: +36 30/472-0030 www.dental.hu, info@dental.hu Emmi-Dent Platinum ultrahangos fogkefe 67 990 Ft Oral B pro 6000 elektromos fogkefe 22 990 Ft Gengigel prof 33 990 Ft Gengigel gél 3990 Ft

Dent-East Kft. 1112 Budapest, Rétkerülő út 51 www.dent-east.com • mail@dent-east.com

A LEGINNOVATÍVABB, PIACVEZETŐ AZONNAL TERHELHETŐ IMPLANTÁTUM GYÁRTÓ

a piacvezető oralkamera

A LEGINNOVATÍVABB, PIACVEZETŐ AZONNAL TERHELHETŐ IMPLANTÁTUM GYÁRTÓ

A LEGINNOVATÍVABB, PIACVEZETŐ

AZONNAL TERHELHETŐ IMPLANTÁTUM GYÁRTÓ

Azonnali implantáció és azonnali terhelés meghatározott szakmai protokoll szerint.

KOS

Folyamatos, többlépcsős kurzusok, praxistréning, felhasználótalálkozók. ISO, CE, nemzetközi klinikai tapasztalat és tudományos háttér.

Sofortimplant Egészségügyi Kft. H–9400 Sopron, Deákkúti út 16. tel.: +36 70 36 40 600 fax: +36 70 900 3518 email: sofortimplant@gmail.com web: www.sofortimplant.com KOS PLUS BCS MU KOS MU KOS BCS R R www.alphaimplant.hu A MINO˝SÉG A SIKER GARANCIÁJA 5/7/15 9:24 AM Fogászati implantátumok és felépítmények széles választéka, akár 24 órán belül. shop.bionika.hu +36 70 670 6875 Viz Dental Implant Kft. Nobel Biocare Magyarország Kft. 1117 Budapest, Office Garden I, Alíz utca 1. Tel.: (06 1) 279 3379 Dio Implant Kft. 06-20-326-0579 info@dioimplant.hu ethoss.hu Straumann GmbH Magyarországi Fióktelepe 1016 Budapest, Hegyalja út 7–13. COMMITED TO SIMPLY DOING MORE FOR DENTAL PROFESSIONALS TRY IT. LOVE IT. BUY IT. Sanitaria Kft. 1024 Budapest, Rómer Flóris u. 34. Tel.: (+36-1) 336-0884, Fax.: (+36-1) 336-0860 E-mail: shop@sanitaria.hu, Honlap: www.sanitaria.hu www.imegagen.hu Kérje kedvezményes START csomagunkat! megagen 05.indd Sanitaria Kft. 1024 Budapest, Rómer Flóris u. 34. Tel.: (+36-1) 336-0884 E-mail: shop@sanitaria.hu Honlap: www.sanitaria.hu

R R

Kompressziós és bikortikális egyfázisú implantátumok

PLUS BCS MU KOS MU
KOS
KOS BCS
Bővebb felvilágosítás és információ: Sofortimplant Egészségügyi Kft. H–9400 Sopron, Deákkúti út 16. tel.: +36 70 36 40 600 fax: +36 70 900 3518 KOS PLUS BCS MU
MU KOS
Kompressziós és bikortikális egyfázisú implantátumok választhatóan multiunit fejjel. Csavarozható stégekhez, overdenture felépítményekhez. Azonnali implantáció és azonnali terhelés meghatározott szakmai protokoll szerint. Folyamatos, többlépcsős kurzusok, praxistréning, felhasználótalálkozók. ISO, CE, nemzetközi klinikai tapasztalat és tudományos háttér. Folyamatos fejlesztés 16 éve. R
BCS
Kompressziós és bikortikális egyfázisú implantátumok választhatóan multiunit fejjel. Csavarozható stégekhez, overdenture felépítményekhez.
Folyamatos fejlesztés 16 éve.
Bővebb felvilágosítás és információ:

Turn static files into dynamic content formats.

Create a flipbook
Issuu converts static files into: digital portfolios, online yearbooks, online catalogs, digital photo albums and more. Sign up and create your flipbook.