
10 minute read
A csontgraftok hosszú távú stabilitása vertikális augmentáció esetén �������������
Dr. Neugebauer Jörg, dr. Kisler Frank, dr. Kisler Steffen, dr. E. Zöller Joachim (Németország) A CSONTGRAFTOK HOSSZÚ TÁVÚ STABILITÁSA VERTIKÁLIS AUGMENTÁCIÓ ESETÉN
Saját csont átültetése
Advertisement
Számos tényező felelős az implantációs fogpótlások hosszú távú sikerességéért és a stabil periimplantáris csontszintért. Az implantátum kialakítása mellett - pl. a mikrotexturált implantátumfelület és ideálisan csökkentett profilú fej a kilépési területen (platform switch) - elengedhetetlen a megfelelő csontpótlási eljárás kiválasztása. Annak ellenére, hogy az autológ csontgraftok alkalmazása a kezelés időtartamának megnövekedését eredményezi, hatékonyságuk miatt a későbbi eredmények jobbak, és szükségtelenné válhatnak a további beavatkozások.
Implantátumbehelyezés atrofizált állcsontba
Szokásos esetben az implantátumokat a rendelkezésre álló csontba helyezik be, és ínnyel fedetten hagyják gyógyulni� A csontágy sorvadásával azonban a periimplantáris csont már nem feltétlenül elegendő a hosszú távon stabil eredmény eléréséhez [5]� Különösen a mandibula hátsó területén, ahol a kortikális csont nagyon kifejezett lehet, az implantátum körüli csont vérellátása elégtelen, különösen, ha a vékony vesztibuláris csont gyorsan felszívódik� Ennek eredményeként kezdetben megnő a szondázási mélység, majd ennek talaján periimplantáris mucositis, illetve kezelés nélkül progresszív csontvesztéssel kialakuló periimplantitis alakulhat ki� Az alveoláris folyamat konfigurációjától függően a csontvesztés stabilizálódhat, ha az implantátum bázisánál a csont elég széles� A legtöbb esetben azonban hiányzik a feszes ínyszövet, ezért a gyulladás többször visszatér, a nyálkahártya mozgathatósága miatt különösen a linguális oldalon [1]�
Anyagválasztás
Elégtelen csontkínálat esetén csontpótlást javasolt végezni, vagy az implantátum behelyezése előtt, vagy azzal egy időben� Ezen eljárások különböznek a műtéti technikában, elsősorban a csonthiány kitöltésére használt anyag vonatkozásában� Autológ anyag alkalmazásakor általában egy második sebészeti terület is szükséges, ahonnan a csontgraftot kinyerjük� Az anatómiai viszonyoktól és az alveoláris gerincrekonstrukció tervezett mértékétől függően a csontot leginkább a mandibula retromoláris régiójából nyerhetjük, illetve olykor a maxillából vagy a mentum területéről is [7]� Míg a mandibula retromoláris területéről a csontgyűjtés viszonylag kevés komplikációval jár, az áll területén a beavatkozás érzéskieséshez is vezethet� A maxilla területén rendelkezésre álló csontmennyiség nagyon kevés [7]� A nagy kiterjedésű rekonstrukciók esetén ajánlott a csípőtaréj használata donorterületként [16]� A mobilitás megőrzése és a posztoperatív stressz minimalizálása érdekében a crista iliaca belső területéről csak monokortikális csíkokat szabad eltávolítani [10]� Ha a csípőtaréjhoz hátulról férünk hozzá, kisebb posztoperatív terhelésről számol be az irodalom, ez azzal jár együtt, hogy a pácienst az anesztézia során át kell pozicionálni, amely önmagában is kockázatot jelent [11]� A csípőtaréjból kinyert autológ csont használatának legnagyobb korlátja maga a műtét szükségessége, amelyet általában kórházi, fekvőosztályos körülmények között végez a sebész�
Biológiai hasznosság
A nagyobb sebészi beavatkozások elkerülése érdekében különféle, nem autológ anyagok felhasználása került előtérbe, melyeket természetes anyagok feldolgozásával vagy szintetikus eljárásokkal nyernek [3]� Kimutatták azonban, hogy ezen anyagok biológiai hasznossága annál jobban csökken, minél kisebb a fehérjetartalmuk� A csontregeneráció a neoangiogenezis és a csont-remodeling lehetőségétől függ, amely jobban működik tehát, ha az anyag biológiailag sértetlenebb [6]� Sokan azonban úgy vélik, hogy ez is kockázatot jelent, mivel a megmaradó fehérje növelheti a betegségek átvitelének a kockázatát� A biológiai regeneráció mellett az anyag mechanikai stabilitása is különösen fontos az alveoláris gerinc hibáinak megfelelő rekonstrukciójához, különösen vertikális csonthiány esetén� Kimutatták, hogy titánerősítésű PTFE membránokkal biztosítható leginkább a csontregeneráció
1. a ábra: CBCT (Galileos Comfort; Dentsply Sirona, Bensheim, Németország) segítségével meghatározott mandibuáris csontszint ismétlődő periimplantitis esetén.
1. c ábra: Vertikális augmentáció két csontlemez bukkális és linguális rögzítésével, oszteoszintézishez használt csavarokkal (Ustomed, Tuttlingen, Németország).
1. e ábra: Komplikációmentes gyógyulás a vesztibulum elvesztésével, vertikális augmentáció esetén. 1. b ábra: Vestibuláris metszés, amely feltárja a foramen mentalét és az alveoláris gerincdefektust.
1. d ábra: A lemezek közötti rések kitöltése tömörített szivacsos csonttal.
1. f ábra: Az implantátumok pozícióinak megtervezése CBCT (Galileos Implant; Sicat / Dentsply Sirona, Bonn, Németország) segítségével a maxilláris és mandibuláris alveoláris gerinc rekonstrukciója után.


és a megfelelő térfogat-stabilitás� A felszívódó membránokkal, különösen a tejsavszármazék anyagúakkal, kisebb térfogat-regenerációt érhetünk el, mint nem felszívódó membránok használatával [9]�
Lágyszöveti menedzsment
A behelyezett csontpótló anyagot – a komplikációmentes gyógyulás és regeneráció érdekében – a lágyszövetnek teljesen és feszülésmentesen le kell fednie� Ehhez a mukoperioszteális lebenyt nagy felületen kell mobilizálni, különösen vertikális augmentáció esetében� Ehhez gyakran társul szövetveszteség a mukogingivális junkció területén, amely esztétikai és funkcionális nehézségeket eredményez, így további lágyszöveti műtét, mint például kötőszövet-átültetés vagy a vesztibulumplasztika válik szükségessé [1]� Perioszteális metszésnél ügyelni kell arra, hogy csak a perioszteum folytonosságát szakítsuk meg, a tápláló erekét




1. g ábra: Implantátumok behelyezése epicrestrálisan az oszteoszintézishez használt csavarok eltávolítása után. 1. h ábra: Hét darab implantátum behelyezése (Xive S; Dentsply Sirona, Bensheim, Németország) az ideiglenes pótlást rögzítő teleszkópok megőrzése mellett.


1. i. ábra: A kész hídpótlás, mely rózsaszín kerámiával kiegyenlíti az íny hiányzó vertikális dimenzióját. 1. j. ábra: Kontroll az implantátum beültetése után egy évvel, miután a 1.6 és 1.8 fogak közötti extrakciós seb begyógyult.


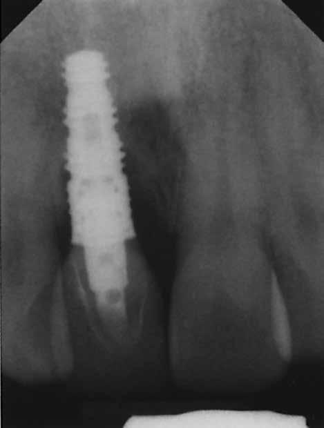
1. k ábra: Stabil csontszint a mikrostrukturált nyakú implantátumok mellett, az implantátum behelyezése után hat évvel.
ne� Ellenkező esetben fennáll annak a veszélye, hogy a mobilizált lágyszöveti lebeny vérellátása nem lesz megfelelő, amely veszélyezteti a sebgyógyulást [6]� Ez különösen olyan páciensek esetében fontos, akik már eleve rugalmatlan érrendszerrel rendelkeznek, például diabétesz vagy hypercholesterinaemia miatt� A jelentős mobilizáció gyakran bőséges vérzést és ödémát okoz, ez tovább rontja a páciens állapotát� Mindemellett, ha perforáció lép fel, és a graft regenerációja még a kezdeti fázisban van, az anyag könnyen fertőződhet� Ez növeli a nem-felszívódó csontpótlók alkalmazásának kockázatát, mely esetben csak kötőszövetes gyógyulás tapasztalható� A későbbi implantátumbehelyezés során ez a szövet ugyan mechanikailag erős lesz, de nem alkalmas az implantátum osszeointegrációjára� A később lokálisan fellépő fertőzések – mint például a periimplantáris mucositis – eredményeképp gyorsan elvész a helyreállítottnak vélt gerinctérfogat [3]� Alternatívaként vesztibuláris metszésből mukoperioszteális lebeny képzése javasolt a vertikális graft lefedésére [16]� A csontaugmentáció kívánt mértékétől függően a lebeny mélyen a vesztibuláris lágyszövetbe terjedhet� Emiatt óvatosan kell eljárni a parotis kivezető csövénél (a maxillán a hátsó régióban) vagy a mentális ideg kilépésénél (a mandibulán), az anatómiai képletek megőrzése érdekében� Mivel – a perioszteális metszéssel ellentétben – ez az eljárás a lágyszövet szerkezetét is megváltoztatja, az implantátum behelyezése után lágyszöveti többlet keletkezik, amelyet újabb műtéttel vissza kell helyezni eredeti helyére (apikálisan elcsúsztatott lebeny)�
A graft stabilizálása
A stabil szöveti ellenállás eléréséhez a behelyezett anyagot stabilizálni kell� A múltban többször megkísérelték a vertikális augmentációt xenogén vagy allogén blokkokkal elérni� Kezdetben ez azért nem sikerült, mert nem volt lehetséges a graftot pontosan a helyi csontviszonyokhoz illeszkedő formájúra alakítani, emiatt nem sikerült csontrekonstrukciót sem elérni [8]� A páciensek részére egyedileg (CAD/ CAM technológiával és 3D-s tervezés /CBCT/ segítségével) kialakított csontblokkokat továbbfejlesztésük ellené-

2. a ábra: Klinikai szituáció csontpótló anyaggal és membrántechnikával 1997-ben végzett augmentációt követő fertőzés után.

2. c ábra: Kiegészítő laterális augmentáció xenogén anyaggal, membrán technikával az implantátum behelyezése után. 2. b ábra: Az expandált PTFE-membrán eltávolítása után látható kollagénszerű szerkezet.


2. d ábra: Műtét közben vett lenyomat az ideiglenes koronához, mutatva a regeneráció remélt szintjét.

2. e. ábra: Kerámiafejre (Cerabase; Dentsply Sirona) készített végleges korona. 2. f ábra: A végleges korona átadásakor készített kontroll röntgenfelvételen látható, hogy a kresztális csont regenerációja nem megfelelő.

re is nagy komplikációs ráta jellemezte [2]� Ennek lehetséges okai közé tartozik az elégtelen neoangiogenézis és a szükséges graft-reosszifikáció; ez a technika tehát még nem fejlődött olyan szintre, hogy a vertikális augmentációt reprodukálhatóan lehetségessé tegye� Másfelől a CAD/ CAM-kialakított fémháló használata ígéretesnek tűnik, mivel az ilyen típusú háló precízen a defektus konfigurációjához illeszthető [14]� A technika kidolgozói xenogén és autológ anyag keverékét ajánlják a lehető legjobb regeneráció elérése érdekében� Autológ csont kinyerésekor az elülső csípőtaréjból (monokortikális csíkok formájában) vagy a mandibula retromoláris régiójából stabilizáló, vékony csontlemezeket is ki lehet alakítani [6]� Ehhez a monokortikális csontcsíkról eltávolítjuk a szivacsos csontállományt, vagy legalábbis öszszenyomjuk, és gyémántkorong segítségével vékony korongformát vagy lemezeket alakítunk a mandibula tömör kortikális tömbjeiből� A lemezek közötti rést tömörített spongiosával, vagy szemcsés kortikális csont és helyileg nyert csontforgács keverékével tölthetjük ki� Ennek az az

2. g ábra: Periimplantitis műtéti kezelése (2006), első lépés a granulációs szövet eltávolítása az implantátum körül.
2. i ábra: Augmentáció, a defektus kitöltése partikuláris csontpótló és csontforgács keverékével.

2. k ábra: Komplikációmentes sebgyógyulás és stabil, gyulladásmentes periimplantáris lágyszövetek. 2. h ábra: Periimplantitis műtéti kezelése (2006), antimikrobiális fotodinamikus terápia (aPDT) támogatásával (Helbo, Bredent medical, Senden, Németország).
2. j ábra: Klinikai szituáció az implantátum körüli csontpótlást követően, széles alapú lebeny képzésével.
2. l ábra: Az egyéves kontroll röntgenfelvételen az augmentált terület regenerációja látható.


előnye, hogy az alveoláris gerincrekonstrukciót kizárólag autológ anyaggal végezzük, így a csontérést követően az eredetileg jelen lévő, és az augmentált csont között gyakorlatilag nem észrevehető az átmenet� A CAD/CAM technikával gyártott allogén csontblokkoktól eltérően azonban az autológ anyag feldolgozása nagy odafigyelést igénylő és időigényes eljárás [13]� A vertikális augmentáció mértékét a rögzített csontlemezek szélessége határozza meg� Különösen a csípőtaréjból nyert monokortikális csontcsíkok formázhatók könnyen úgy, hogy elegendő anyag álljon rendelkezésre a kiterjedt alveoláris gerincrekonstrukcióhoz� A csontaugmentáció nagy kiterjedése miatt azonban gondoskodni kell a megfelelő lágyszöveti fedésről is, ahogy azt korábban említettük (1. a–k ábrák)�



Periimplantitis – egy speciális eset
Az ismétlődő periimplantitis által okozott csontdefektus korrekciója a vertikális csontpótlás speciális formája� A krónikus fertőzés korlátozza a lágyszövetek regenerálódásának képességét� A lágyszövet elvesztése vagy a seb dehiszcenciája gyakran már a lebenyképzés során észrevehető� Ezt széles alapú mukoperioszteális lebeny képzésével kompenzálhatjuk� Reosszeointegráció csak akkor érhető el, ha az alkalmazott anyag biológiai hasznosulása magas, és a behelyezett anyag stabil helyzetét vertikálisan elegendő mennyiségű környező élő csont jelenléte biztosítja [15]� A periimplantáris csont szintjén túlérő augmentáció gyakran eredmé-

2. m ábra: Stabil, gyulladásmentes lágyszövet tizenegy évvel a periimplantitis miatt szükséges vertikális augmentációt követően.
2. n ábra: Radiológiailag változatlan csontszint az augmentált csontszinthez képest, 20 évvel a protetikai rehabilitáció után.
nyez dehiszcenciát még akkor is, ha az implantátumot a csontpótlás után a mobilizált mukoperioszteális lebenynyel lefedték (2/a-n� ábra)�
Diszkusszió
A periimplantáris csontvesztéssel összefüggő csontreszorpció jelenségét a vertikális augmentáció vonatkozásában részletekbe menően vizsgálták [3]� A csont stabilitását több tényező határozza meg� Először is, megfelelő csontszilárdság szükséges a stabil csontágyhoz� Ezt korlátozhatja, ha az alkalmazott anyag nem eléggé porózus, különösen szintetikus anyag esetében [9]� A stabilitást korlátozhatja az anyag reszorpciós viselkedése is� Ha a várt helyettesítő reszorpció gyorsabban megy végbe, mint a reosszifikáció, a csontágy nem lesz kellően stabil az implantátum alátámasztására [12]� Nem felszívódó anyagok esetében a lágyszöveti dehiszcencia vagy a sebfertőzés az anyag bakteriális kolonizációjához vezethet a porózus szerkezet miatt� Ahogy a fertőzés krónikussá válik, az egyes szemcsék fokozatosan elveszhetnek� A csontos rekonstrukció mellett az augmentált terület reszorpciós viselkedését is befolyásolhatja az implantátum körüli lágyszövet [1]� A magasan tapadó szalagok vagy a mozgó nyálkahártya folyamatos funkcionális mikromozgásokat okozhatnak, ami szintén reszorpcióhoz vezet� Ezért a lágyszöveti menedzsment nemcsak csontpótláskor fontos, de felszabadításkor, illetve azt követően is elég széles, keratinizált nyálkahártyának kell körülvennie az implantátumot� Az implantátum tervezésének az implantátum körüli csontszint fenntartására gyakorolt hatására vonatkozó klinikai vizsgálatokat nem augmentált állcsonton végzik, a statisztikai módszerek által igényelt nagy esetszám miatt� Gyakran nincs fellelhető különbség� Úgy tűnik azonban, hogy a mikrostrukturált implantátumfelület és a kortikális régióban mikromenetes nyaki rész előnyös a csontpótolt területre történő implantálás esetén [4]� Klinikai jelentőség Az alveoláris gerinc defektusainak vertikális augmentálása többféle módszerrel végezhető el, amelyeket számos paraméter befolyásol� Különösen innovatív koncepciók esetében szükséges alaposan mérlegelni ezeket a paramétereket, hogy tudatosan kihasználjuk az autológ csontátültetések alkalmazásával elért jó eredményekhez képest a feltételezett előnyöket�
Az irodalmi hivatkozások a következő címen elérhetők: www.teamwork-media.de/literatur Forrás: EDI Journal 2018/3











