
8 minute read
Azonnali terhelés biológiailag optimalizált felületű implantátum és transzepitheliális implantátumfej használatával ������������������������������������������������������
Dr. Anitua Eduardo (Spanyolország) AZONNALI TERHELÉS BIOLÓGIAILAG OPTIMALIZÁLT FELÜLETŰ IMPLANTÁTUM ÉS TRANSZEPITHELIÁLIS IMPLANTÁTUMFEJ HASZNÁLATÁVAL
Koncepció és esetbemutatás – egy új módszer
Advertisement
Az azonnali terhelés mára szinte rutinszerűvé vált az orális implantológiában, csökkentve az implantációs fogpótlás elkészítéséhez szükséges időt, javítva az esztétikát és a funkciót [1,2]. Míg az azonnali terhelés protokollja jól megalapozott, a szakemberek számára már ismert, az azonnal terhelt szólókoronák esetében a megfelelő széli záródás és a passzív illeszkedés kialakítása továbbra is nagy kihívást jelent [3–5].
A probléma megoldásaként az – általában cementezett – ideiglenes koronák elkészítéséhez mezostruktúraként ún� cilinderfejeket (post abutmenteket) alkalmaztak, hogy az implantátum és felépítmény határán a kívánt zárást és illeszkedést elérjék� A ideiglenes cilinderfejhez kialakult gingivális zárást a végleges ellátáshoz szükséges lenyomatvételkor néha meg kell szakítani� Ezen felül az egyedi vagy gyári ideiglenes fejek behelyezéséhez a lágyszöveteket a műtét után 24-48 órával manipulálni szükséges, ami sok esetben nem ideális� Egy szisztematikus irodalmi áttekintés és metaanalízis, amely az azonnali terhelési eljárásokat vizsgálta a protetikai ellátás függvényében, nem talált statisztikailag szignifikáns különbséget a különböző ellátási típusok között, mint pl� a rögzített, az ideiglenes és a végleges ellátás� Az ISQ-értékek nagyobb emelkedése azonban megfigyelhető volt az azonnal terhelt és végleges fogpótlással ellátott implantátumok esetében, ez azt jelzi, hogy a fogpótlás megtartása nem csak a lágyszövetek adaptációját és viselkedését javítja, hanem az azonnal terhelt implantátum csontintegrációját is [6]� A jelen irodalmi áttekintés felveti azt a kérdést, hogy az ideiglenes vagy végleges protetikai ellátás mellett – amely az azonnali terhelésű implantátum osszeointegrációját befolyásolja – az implantátum és a protetikai elemek a velük kölcsönhatásba lépő különböző szövetekhez illeszkedő egyedi kialakítása javíthatna-e az általunk kidolgozott azonnali terhelési protokoll sikerességén� Ez a koncepció, melyet BioBlock®-nak nevezünk (különböző felületkialakítások a különböző szöveteknek megfelelően; BTI Biotechnológiai Intézet, Vitoria-Gasteiz, Spanyolország), alapvető fontosságú volt a közelmúltbeli vizsgálataink sikere szempontjából, mivel növelte az implantációs kezelések kiszámíthatóságát, beleértve az azonnali terhelésű implantációkét is� A UNIT® Transepithelial Abutment-et (BTI Biotechnológiai Intézet, Vitoria-Gasteiz, Spanyolország) úgy tervezték, hogy megfeleljen ezeknek a kulcsfontosságú elveknek, valamint más, a szólókoronák megfelelő záródásával és passzív illeszkedésével kapcsolatos követelményeknek is� A Unit fej része egy elfordulásgátolt, transzgingivális
1. ábra: Kiindulási állapot. A 2.1-es fog mellett ínygyulladás látható, a szondázási mélység 12 mm. 2. ábra: A CT-felvételen látható a teljes vesztibuláris csontlemez elvesztése, továbbá az aktív periapikális granulóma jelenléte a 2.1-es fogon, amely megerősíti a vertikális fraktúra diagnózisát.


3. ábra: Csontviszonyok 12 héttel a 2.1-es fog eltávolítása és a PRGF-Endoret segítségével végzett alveolusprezerváció után.
4. ábra: Implantátum tervezése a 2.1-es pozícióba.
henger, mely alkalmas a csavaros rögzítésű szólókoronák rögzítésére, így már a műtét kezdetétől fogva azonnal biztosítható a végleges fogpótlás passzív illeszkedése és pontos zárása, egyszerűbbé téve az azonnal terhelhető fogpótlás készítését� A UNIT® fej a fent említett BioBlock® koncepciónak megfelelően egységbe foglalja az implantátum speciális UnicCa® és a fej TiGolden® felületét, egy funkcionális egységet teremtve, biztosítja az implantátum és a felépítmény pontos és passzív illeszkedését, ezáltal növeli a sikerrátát� (A BTI implantátumokat speciális felületkezelés (UnicCa®) és az implantátum területein eltérő, hármas felületi érdesség jellemzi: kisebb érdesség a nyaki részen, a csont stabilitásának elősegítése és a bakteriális kolonizáció minimalizálása érdekében; mérsékelt érdesség és pórusok a csavarmeneteken, az implantátum stabilitásának javítására, és mérsékelt érdesség az implantátum testén, mely elősegíti az osszeointegrációt az implantátum mechanikai tulajdonságainak kompromittálása nélkül�) Klinikai eset A 63 éves páciens bal felső nagymetsző foga vertikálisan frakturált, a bukkális csontlemez teljesen felszívódott, és az ezzel járó egyéb tünetek is megfigyelhetőek voltak (1� és 2� ábra)� A fogat eltávolítottuk, és alveolus-prezervációt végeztünk PRGF-Endoret® (BTI Biotechnológiai Intézet, Vitoria-Gasteiz, Spanyolország) segítségével� Az ideiglenes fogpótlást a szomszédos fogakhoz rögzítettük, amelyeket előkészítettünk a későbbi, a 2�1-es pozícióban lévő implantátummal együtt történő protetikai helyreállításhoz� A 12 héttel a fog eltávolítása után végzett CT-vizsgálat a csontdefektus teljes regenerációját mutatta, lehetővé téve az implantáció tervezésének folytatását (3. és 4. ábra)� Az implantátumágyat a kis sebességű fúrási protokollt követve készítettük el, és behelyeztük az implantátumot� A fúrás során nyert csontforgácsot összekevertük a PRGF-Endoret®-tel, és szemcsés csontpótlóként felhasználtuk a bukkális csontfal egyenetlen gyógyulása következtében kialakult enyhe bukkális dehiszcencia feltöltésére (5. és 6. ábra)� A területet fibrinmembránnal (PRGF-Endoret®, 1� frakció, aktivált és retraktált) borítottuk� Az implantátum azonnali terhelése céljából rögzítettük a UNIT® fejet, ahogy az az intra-operatív röntgenfelvételen is látható (7. ábra)� A UNIT® fejet 48 órával később titáncilinderen rögzített, a UNIT® fejre illeszkedő ideiglenes koronával láttuk el, és azonnal terheltük (8. ábra)� A lágyszövetek gyógyulását követően a varratokat két hét után eltávolítottuk, és látható, hogy az íny szépen adaptálódott az ideiglenes fogpótláshoz (9. ábra)� Három hónappal később, amikor az implantátum oszszeointegrációja és a lágyszövetek érése megtörtént, a területet előkészítettük a végleges korona elkészítéséhez és a szomszédos (korábbi gyökérkezelés után elszíneződött) fogak helyreállításához� Diagnosztikus viaszmintázatot (wax-up) készítettünk, melyet bepróbáltuk a szájba�


5. ábra: Az implantátum behelyezése. Vesztibuláris csontpótlás kis mennyiségű, az előfúráskor nyert saját csontforgáccsal és PRGF-Endoret aktivált 2. frakcióval. 6. ábra: A PRGF-Endoret membránnal (aktivált és retrahált 1. frakció) teljesen fedett műtéti terület.



Medentika® ÉLETHOSSZIG TARTÓ GARANCIA

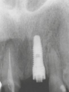
7. ábra: Röntgenfelvétel a UNIT Abutmenttel.
MÁR MAGYARORSZÁGON IS ELÉRHETŐ
IPS MEDENTIKA IMPLANTÁTUMOK
8. ábra: Röntgenfelvétel a UNIT Abutmentre rögzített ideiglenes koronával. Magas Precizitású Implantációs Rendszer9. ábra: A lágyszövetek állapota a varratok eltávolításakor, a műtét Innovatív Komponensekután két héttel.


10. ábra: Diagnosztikus viaszmintázat (wax-up) készítése a gingivális lefutás megtervezése céljából. 11. ábra: A tervezett restaurációk: kerámiakoronák a 1.1 és 1.2-es fogakon; a 2.1-es pozícióban lévő implantátumra új, a UNIT Abutmenten csavaros rögzítésű korona; földpát kerámiahéj a 2.2-es fogra. 12. ábra: A diagnosztikus viaszmintázat próbája a szájban.


Ahogy a 10-12� képen is látható, a jobb felső kis- és nagymetszőkre teljes kerámiakoronákat, míg a 2�1-es implantátumon lévő UNIT® fejre cementezett koronát terveztünk, megőrizve az azonnali terhelés első szakaszában kialakult gingivális zárást és tapadást� Ezen kívül a jobb felső kismetszőre héj készült, hogy a többi frontfoggal megegyező színárnyalatot érjünk el, valamint, hogy a mosolyvonallal
összehangoljuk, és esztétikusabb szintre helyezzük a ginPRECIZITÁS GYORSASÁG givális zenitek vonalát� Német mérnökök és fogászati Idő- és pénzmegtakarítás A 13-17. ábrák a következő lépéseket szemléltetik: A szakemberek dolgoznak együtt, a fogtechnikusok UNIT fej közti-elemére illesztett mintázósapka segítséhogy tökéletes protetikai és a fogorvosok számára. gével leplezett egyedi protetikai fejet (mezo-struktúra) rendszert alkossanak. készítettünk, majd arra végül egy csavaros rögzítésű koronát� Ez a kialakítás megőrzi az azonnali terhelés kez-
MADE IN GERMANY Tradicionálisan magas minőség.
PIACVEZETŐ MÁRKAKOMPATIBILIS GYÁRTÓ Az összes ismert implantátum rendszerrel kompatibilis.
IPS




Medentika® ÉLETHOSSZIG TARTÓGARANCIA
PIACVEZETŐ MÁRKAKOMPATIBILIS GYÁRTÓ
Az összes ismert implantátum rendszerrel kompatibilis.
MADE IN GERMANY
Tradicionálisan magas minőség.
GYORSASÁG
Idő- és pénzmegtakarítás a fogtechnikusok és a fogorvosok számára.
PRECIZITÁS
Német mérnökök és fogászati szakemberek dolgoznak együtt, hogy tökéletes protetikai rendszert alkossanak.

13. ábra: Első lépés: munkaminta a UNIT Abutment labor-analógjával.

16. ábra: A UNIT Abutment közti-elemére készített fej leplezve. Az emergencia profil kerámiából került kialakításra, a jobb esztétikum érdekében. A leplezett fejet a közti-elemre cementezve, szilárd egység alakítható ki. 14. ábra: A UNIT Abutment közti-eleme (interface) a labor-analógon. 15. ábra: A UNIT Abutment közti-elemére illesztett mintázósapka (coping) segítségével készített direkt leplezhető fej.


17. ábra: A kész kerámiakorona a UNIT Abutment közti-elemére készített leplezett fejre, a cementezés előtt. 18. ábra: A kész restaurátumok a mintán.




19. ábra: A kész restaurátumok a szájban, beragasztás után. 20. ábra: A kontroll panorámaröntgen felvétel.
deti fázisában a gingivális szinten kialakult hemidezmoszomális tapadást, anélkül, hogy bármilyen módon kompromittálná az esztétikát ebben az igen érzékeny régióban� Az egyedileg leplezett protetikai fej és korona elkészülését követően a szomszédos fogak helyreállítása is befejeződött (18. ábra)� Átadáskor a korona cementezésével kitűnő esztétikai eredményt értünk el (19. ábra)� Az elért zárást és a BioBlock koncepciót követve, már az implantátum behelyezésétől kezdve a formázott ínyt sikeresen megőriztük a végleges fogpótlás elkészültéig� A kezelés befejezését dokumentáló panoráma röntgenfelvétel (20. ábra) a restaurátum és a csont stabil állapotát mutatja�
Következtetés
A BioBlock koncepció szerint speciálisan kialakított felületek biztosítják az összes szövet „megfelelő” viselkedését, amely még fontosabb az azonnal terhelt implantátumok esetén� Az implantátumfej sokoldalúságának köszönhetően a restaurátum a helyreállítási folyamat különböző lépéseihez igazítható anélkül, hogy az implantátum és a csont közötti kapcsolatot veszélyeztetnénk� A UNIT Abutment fej megkönnyíti e célok elérését, és protetikai sokoldalúságot biztosít, amely lehetővé teszi a különböző, kiváló esztétikumú fogpótlások készítését anélkül, hogy megzavarná az eljárás első szakaszában kialakult gingivális zárást�
Irodalomjegyzék: www.teamwork-media.de/literatur Forrás: EDI Journal 2018/3










