Skip to main content

Dental Tribune 2026-1

Page 1


The World‘s Dental Newspaper

GYAKORLÓ FOGORVOS AJÁNLJA

Az optimális terápia sokban különbözik az elfogadhatótól, különösen a páciens szempontjából. Ez az esettanulmány rámutat a strukturális felmérés szükségességére a légutak 4 pontján, amelyet a kezelés megkezdése előtt a CBCT (i-CAT) alkalmazásával végezhetünk

A fogászati közösség gyászolja a parodontológia úttörőjének, dr. Myron Nevinsnek a halálát

Dr. Myron Nevins, a parodontológia és implantológia területén nemzetközileg elismert klinikus, tudós és vezető szakember 2025. december 24-én, 87 éves korában elhunyt. A regeneratív terápia és az interdiszciplináris fogászati ellátás úttörőjeként széles körben elismert szakember több mint hat évtizedes karrierje során maradandó hatást gyakorolt a klinikai gyakorlatra, a kutatásra és az oktatásra világszerte.

Az egyesült államokbeli Philadelphiában született, fogászati hagyományokkal rendelkező családban. Dr. Nevins a Temple Egyetemen tanult fogászatot, és a fogorvosi diplomáját is ott szerezte. Posztgraduális parodontológiai képzését a Bostoni Egyetemen végezte, majd Massachusettsben kezdett magánpraxist, ahol sok éven át kizárólag parodontológiával és implantológiai fogászattal foglalkozott.

Dr. Nevins az implantátumok korai alkalmazói közé tartozott, első fogászati implantátumát 1966-ban helyezte be, még rezidensként. Az idő múlásával központi szerepet játszott az implantátumterápia parodontológiába való integrálásában. A csontregeneráció, a szövetmérnöki munka és az implantátumterápia terén végzett munkája segített kialakítani a modern klinikai szabványokat, és hozzájárult a bizonyítékon alapuló regeneratív fogászat fejlődéséhez. Klinikai karrierje mellett dr. Nevins elkötelezett volt az akadémiai és szakmai vezetői tevékenység iránt is. Négy évtizeden át az Internatio-

Dr. Myron Nevins (középen) volt az első, aki megkapta a PI Brånemark-díjat a fogászat terén elért életművéért. A díjat Per-Ingvar Brånemark professzor (1929. május 3. –2014. december 20.) tiszteletére hozták létre, és azoknak a klinikusoknak ítélik oda, akik a fogászatot a társadalom javára fejlesztették. 2015 márciusában Mark Ferber (balra) és dr. Robert Gottlander (jobbra) adták át a díjat dr. Nevinsnek a Dental Tribune International és az OEMUS MEDIA által az International Dental Show keretében rendezett Channel3 csoportos fogadáson. (Kép: Dental Tribune International)

nal Journal of Periodontics & Restorative Dentistry főszerkesztőjeként dolgozott, és megalapította az Institute for Advanced Dental Studies intézetet. Akadémiai kinevezései voltak a Harvard School of Dental Medicine, a University of Pennsylvania School of Dental Medicine és a Temple University intézményeiben, és gyakran tartott nemzetközi előadásokat.

Számos vezető periodontológiai szervezetben betöltött vezetői szerep mellett dr. Nevins az American Academy of Periodontology korábbi elnöke, valamint az American Board of Periodontology igazgatója és elnöke volt. 2003 és 2015 között az Osteology Foundation igazgatótanácsának tagja volt, és hozzájárult annak tudományos irányvonalának kialakításához a szervezet alapításának éveiben. Munkája mind a klinikai gyakorlatra, mind a periodontológiai szakoktatásra hatással volt.

(Kép: Dental Tribune International)

SZÍNES HÍREK A NAGYVILÁGBÓL

Szöuli kutatók feltérképezték azokat az embrionális fogsejteket, amelyek előre be vannak programozva vagy magának a fognak a felépítésére, vagy a tartószövetek kialakítására.

SZÍNES HÍREK A NAGYVILÁGBÓL

Az idei pénzügyi év harmadik negyedévében a világ legnagyobb fogászati vállalatai örömmel fogadták az amerikai fogászati piac javulására utaló jeleket; azonban Kína lopta el a show-t.

A gyártók és szövetségek az orvostechnikai eszközökre vonatkozó uniós szabályozás módosítását követelik

Jeremy Booth, Dental Tribune International

Az orvostechnikai eszközökről szóló 2017/745/EU rendelet (MDR) öt évvel a hatálybalépése után átalakítja az orvostechnikai és fogászati eszközök betegekhez való eljutását Európa-szerte; a kritikusok szerint azonban a rendelet akaratlanul is aláássa pontosan azt, amit védeni kívánt: a biztonságos orvostechnikai eszközöket és az erős és innovatív európai orvostechnikai eszközipar létrehozását. Az iparági szakértők által közzétett új jelentés felvázolja, hogy az MDR hol hiányos, és hogyan lehetne javítani a helyzeten.

Az „Ellátásbiztonság védelme Európában és az európai versenyképesség” („Safeguarding supply security in Europe and European competitiveness”) című jelentés szerint Németország 2014 óta több mint 10 000, többnyire mikro- és kis méretű orvostechnikai eszközgyártót veszített. Az ilyen vállalatok a piac mintegy 99%-át

képviselik, de a teljes forgalomból való részesedésük körülbelül 75%ról alig több, mint 36%-ra csökkent. Továbbá a jelentés kiemeli, hogy sok kisebb gyártó bezárt vagy teljesen kilépett az iparágból, és hogy a nagyobb cégek kevésbé jövedelmező termékcsaládokat szüntettek meg. A fogászati praxisok számára ez a fogászati anyagok eltűnését, a választék csökkenését és a kezelési hiányosságok kockázatát jelenti, amikor a régóta bevált termékek már nem állnak rendelkezésre. A jelentés hangsúlyozza, hogy ez a tendencia a COVID-19 világjárvány előtt kezdődött, és szorosan összefügg az MDR újratanúsítási szabályaival. Az MDR értelmében a bejelentett szervezetek a nagyvállalatoknál a termékdokumentációknak csak kis részét vizsgálják meg, míg a kevés termékkel rendelkező kisés középvállalkozások gyakran egyetlen cikluson belül teljes újratanúsítással szembesülnek, néha ugyanazt a dokumentációt évről évre, teljes költséggel újraellenőrizve. Az egy alkalmazottra jutó auditidő drámaian magasabb a

Számos kis beszállító elvesztése miatt a rugalmasságunkat is elveszítjük –Yvonne Hoffmann, Hoffmann Dental

kisebb vállalkozásoknál. A jelentés a Dentaurum, egy 1886-ban Délnyugat-Németországban alapított fogászati vállalat példáját hozza fel. A vállalat az MDR miatt már mintegy 1000 terméket távolított el a kínálatából.

Yvonne Hoffmann, a németországi Hoffmann Dental Manufaktur ügyvezető igazgatója és a jelentés társszerzője rámutatott, hogy vállalata kivonta a Proxifungine-t portfóliójából. A régóta fennálló III. osztályú orvostechnikai eszköz értékesítését az eszköz újraregisztrálásának magas költségei miatt leállították. „Más termékek is követhetik a példát az átmeneti időszak végén, 2028 végén” – mondta Hoffmann a Dental Tribune Internationalnek. A termék-

” 3. oldal

Balról: Mariano Sanz professzor, az Osteology Foundation akkori elnöke; dr. Myron Nevins és Friedrich W. Neukam professzor a 2016-os monacói Nemzetközi Osteology Szimpózium megnyitóján.

alphaimplant.

családok megszüntetésén túl a valódi mikrovállalkozások számára a választás gyakran bináris: bezárnak, vagy felhagynak az orvostechnikai eszközök gyártásával egy kevésbé szabályozott terület javára. Eközben a forgalmazókra vonatkozó keretrendszer gyengeségéről számolnak be. Sok forgalmazó nincs regisztrálva gazdasági szereplőként Európában, mégis magas kockázatú vagy nem megfelelő termékeket értékesítenek online, határokon átnyúlóan, beleértve a laikusokat is. Ez tisztességtelen versenyt teremt a megfelelő gyártók számára, és kockázatot jelent a betegek biztonságára nézve. Hoffmann hangsúlyozta, hogy a gyártók túlzott követelményekkel szembesülnek a dokumentációval és a klinikai vizsgálatokkal kapcsolatban, és hogy az MDR által az európai fogászati gyártóiparra jelentett kockázatok kettősek: „Egyrészt mivel elveszítjük a biztonságos orvostechnikai eszközöket, a végső kockázat a betegbiztonság. Ezenkívül számos kis beszállító elvesztése

miatt a rugalmasságunkat is elveszítjük.” A jelentésben hangsúlyozta, hogy családi vállalkozása túlélt két világháborút, számos pénzügyi válságot és a COVID-19 világjárványt, „és most az MDR súlyosan fenyegeti”.

Három javasolt megoldás az orvostechnikai eszközökről szóló rendelettel (MDR) kapcsolatban

A jelentés három eseti intézkedést javasol. Ezek gyorsan és nagyon alacsony költséggel megvalósíthatók:

1. Új „I. osztályú örökölt” eszköz létrehozása a jól bevált technológiai eszközök számára. A régi orvostechnikai eszközökről szóló irányelv értelmében legalább tíz éve biztonságosan használt örökölt eszközöket egy új, alacsony kockázatú osztályba sorolnák át. Mentesülnének a költséges bejelentett szervezet általi újratanú-

sítás alól, de továbbra is teljes mértékben a nemzeti hatóságok általi forgalomba hozatal utáni felügyelet hatálya alá tartoznának.

2. Az MDR 97. cikkének proaktív alkalmazása a kisebb vállalkozások esetében. A szerzők sürgetik az Európai Bizottságot, hogy engedélyezze az MDR 59. és 97. cikke szerinti eltéréseket az átmeneti időszak meghoszszabbítása érdekében a biztonságos örökölt eszközöket gyártó kisebb, EU-ban működő vállalkozások számára. Ez erősebb szerepet biztosítana az egészségügyi hatóságoknak a bevált eszközök elérhetőségének megőrzésében, amíg a kisebb vállalkozások elvégzik a megfelelőségértékeléseket.

3. A forgalmazók regisztrációjának kötelezővé tétele az orvostechnikai eszközök európai adatbázisában. Minden forgalmazót központilag kell regisztrálni a 31. cikk alapján az európai orvostechnikai eszközök adatbázisában, akárcsak a gyártókat és az importőröket. Technikailag ez

Egy új, a fogászati gyártók szövetségei által támogatott jelentés szerint a kisebb orvostechnikai eszközgyártók hátrányosan érintik az EU orvostechnikai eszközökre vonatkozó rendeletét. (Fotó: Hoffmann Dental)

csak egy új azonosító kört igényelne, de jelentősen javítaná a nyomon követhetőséget a határokon átnyúló e-kereskedelemben, és megnehezítené a nem biztonságos, rosszul címkézett vagy CE-jelöléssel nem rendelkező termékek piacra jutását.

Hoffmann a DTI-nek elmondta, hogy az olyan összehangolt változtatások, mint például egy különálló, hagyományos osztály létrehozása a jól bevált technológiák számára nagy elő-

Praxismenedzsment Maraton –

Powered by Flexi-Dent

A fogorvosi diploma nem üzleti terv, avagy miért nem tanítják meg a preparálás mellé a túlélést is?

Van egy pillanat minden rendelő tulajdonos életében, amikor a sterilizáló zúgása közben rájön: ő nem is orvos, hanem egy zsonglőr, aki egyszerre próbálja a rendelőben tartani az éppen felmondó asszisztenst, megnyugtatni a reklamáló pácienst és féken tartani az elszálló költségeket. Itt az ideje, hogy megnézzük, miért vérzik el egyre több rendelő az „eddig is elvoltunk, majd ezután is lesz valahogy” stratégián.

A „majd az elégedett páciens ajánl minket” mítosza – avagy a marketing, ami a múlt században maradt Sokan ringatják még a mai magukat abba az illúzióba, hogy ha minőségi munkát végeznek, akkor a váróterem magától megtelik lelkes új páciensekkel. Ez talán még néhány éve is igaz volt. Ma viszont a tőkeerős multicégek olyan marketing-úthengerrel érkeznek, ami mellett a „szájhagyomány” olyan, mintha egy kaviccsal akarnánk megállítani egy tankot. Ez már nem lesz elég. Ha nem te uralod a kommunikációt, akkor a konkurencia fogja - és ő nem lesz szemérmes. A páciens ma már nem csak egy jó orvost választ, hanem élményt, kényelmet és profizmust. Aki nem látszik, az nincs is. Hol az asszisztensem? (És miért pont most ment el?)

A munkaerő utánpótlása vagy az értékes új munkaerő felvétele a fogászat állatorvosi lova. Találni valakit, aki nemcsak tudja, mi az a puszter, de még a páciensre is rámosolyog hétfő reggel, nehezebb, mint egy rögzített pótlást leszedni épségben.

A legtöbb rendelőben nincs rendszer a felvételre, nincs protokoll a betanításra, és nincs vízió, ami ott tartaná az értékes kollégát. Marad a tűzoltás: amikor már ég a ház, akkor kapkodunk fűhöz-fához. De mi lenne, ha nem vadászni kellene az embereket, hanem egy olyan rendszert építeni, amibe „házhoz jönnek” a legjobb szakemberek?

Vakrepülés a fogorvosi székben – Adatok nélkül csak tippelsz „Hogy ment a hónap? – Á, egész jól, sokan voltak.” Ez nem üzleti elemzés, ez jóslás kávézaccból. A legtöbb praxisvezetőnek fogalma sincs a valós számairól: mennyi az egy órára jutó székóra-díj vagy tiszta profit. Hány konzultációból lesz tényleges kezelés? Melyik orvos termel profitot és melyik veszteséget hosszú évek óta? Hol szivárog el a pénz az anyag rendelésnél meg a technikán? Ha a rendelődnek nincs „idegrendszere” - egy olyan szoftveres háttér, ami másodpercre pontosan megmondja a megalapozott üzleti döntésekhez nélkülözhetetlen adatokat-, akkor csak sötétben tapogatózol. És a sötétben általában nekimegyünk a falnak.

A multicégek már a spájzban vannak (és van náluk MI is!) Amíg te azon gondolkodsz, hogy lecseréld-e a papíralapú naptárat, a nagy tőkéjű klinikák már mesterséges intelligenciával optimalizálják a páciensútjaikat. Nem, a MI nem fogja kihúzni a fogat, de félelmetes hatékonysággal szervezi meg a munkát, amitől a kisebb rendelők versenyhátránya még nagyobbra nő. A kérdés nem az, hogy kell-e neked a modern technológia, hanem az, hogy akarod-e látni, ahogy a szomszéd utca nagy klinikája „elszippantja” a pácienseidet és a munkatársaidat.

Maraton, nem sprint: A havi egy óra, ami megmentheti a nyugalmadat

A praxisvezetés nem egy hétvégi gyorstalpaló. Ez egy maraton. Hosszú távú stratégia, folyamatos finomhangolás és a környezet változásaihoz való proaktív alkalmazkodás. Aki azt hiszi, hogy készen van, az jó úton van a lejtőn lefelé. Éppen ezért indult el egy olyan kezdeményezés, ahol havonta egyszer, mindössze hatvan percben, tabuk nélkül, nyers őszinteséggel és a jövőbe tekintve beszélünk arról, ami nélkülözhetetlen az életben maradáshoz és a fejlődéshez:

• Hogyan építs olyan csapatot, aki nem csak a fizetésnapért jár be?

• Miként konvertáld a „csak egy árajánlatot kérek” típusú érdeklődőt lojális pácienssé?

• Hogyan válts a „tűzoltó üzemmódról” adatvezérelt, tudatos vezetésre?

Megéri ez a havi egy óra?

Ez a hatvan perc ingyen van, de a felkészületlenség a jövőre milliókba kerülhet.

A Praxismenedzsment Maraton nem eladni akar neked valamit, hanem támogatni téged a fejlődésben és egy olyan gondolkodási modellt adni, amivel viszszakaphatod a szabadidődet és a kontrollt a saját vállalkozásod felett. Miért? Mert ez mindenkinek a hasznára válik, azzal, hogy azonnali változást inspirál.

25 év tapasztalata a fogászati rendelők menedzselésében (Kluka Attila, a fogorvosok független tanácsadója) és az ország legnépszerűbb digitális szoftvere (Flexi-Dent) találkozik a képernyődön. Minden hónapban egy újabb téglát teszünk le, amitől a rendelőd fala végre repedésmentes lesz.

Szeretnél te is a fejlődők táborához tartozni, vagy megvárod, amíg a piac dönt helyetted?

A részvételhez csak egy regisztráció kell, és máris ott lehetsz a következő online „edzésen”. Ne maradj le, jó lesz. Honnan tudjuk? Mert az eddigi Praxis Maraton eladások elégedettségi rátája 94,6%-os volt és mi nem adjuk lejjebb. Te se tedd… (X)

relépést jelentene, és megmenthetné Európa orvostechnikai eszköziparát a bizonytalan jövőtől. A jelentés arra a következtetésre jut, hogy az MDR intelligens, célzott változtatásai nélkül Európa kockáztatja, hogy elveszíti az innovatív családi tulajdonban lévő gyártókat és a rutin fogászat alapjául szolgáló bevált anyagokat. A jelentést az Európai Fogászati Kereskedők Szövetsége és a Bundesverband Dentalhandel, a német fogászati nagykereskedők szakszervezete támogatta.

IMPRESSZUM NEMZETKÖZI SZÉKHELY

FELELŐS KIADÓ ÉS VEZÉRIGAZGATÓ: Torsten Oemus

TARTALOMÉRT FELELŐS IGAZGATÓ: Claudia Duschek

Dental Tribune International GmbH Holbeinstr. 29, 04229 Leipzig, Germany Tel.: +49 341 4847 4302 Fax: +49 341 4847 4173 Általános információ: info@dental-tribune.com Hirdetésfelvétel: mediasales@dental-tribune.com www.dental-tribune.com

A Dental Tribune International GmbH azon anyaga, amelyet újra nyomtattak vagy lefordítottak és újból kinyomtattak ebben a kiadásban a Dental Tribune International GmbH szerzői jogi védelme alatt áll. Az ilyen anyagokat a Dental Tribune International GmbH engedélyével lehet csak közzétenni. A Dental Tribune a Dental Tribune International GmbH védjegye. Minden jog fenntartva. © 2026 Dental Tribune International GmbH. A Dental Tribune International GmbH előzetes írásbeli engedélye nélkül bármilyen módon, egészben vagy részben történő sokszorosítása kifejezetten tilos.

A Dental Tribune International mindent megtesz annak érdekében, hogy a klinikai információkat és a gyártók termékeiről szóló híreket pontosan adja közre, nem vállal azonban felelősséget a termékekről szóló állítások helytállóságáért vagy a nyomdahibákért. A kiadó nem vállal továbbá felelősséget sem a terméknevekért vagy -leírásokért, sem a hirdetők közleményeiért. A szerzők által kifejtett véleményt a sajátjuknak kell tekinteni, és azok semmi módon nem tükrözik a Dental Tribune International véleményét.

KIADJA: EVENT ORGANIZER HUNGARY KFT. 1012 Budapest, Kuny Domokos u. 9.

FELELŐS KIADÓ: Laczkó Tamás

NYOMDAI ELŐKÉSZÍTÉS: Event Organizer Hungary Kft.

NYOMDAI KIVITELEZÉS: Copy & Consulting Kft.

ADATEGYEZTETÉS, INFORMÁCIÓ: Kiss Éden Aliz, 06-30-472-0030

HIRDETÉSFELVÉTEL: Laczkó Tamás, 06-30-472-0030 ISSN 1786-9889

Optimális fogászati terápia obstruktív alvási apnoe esetén

Bevezetés

Az optimális terápia sokban különbözik az elfogadhatótól, különösen a páciens szempontjából. Ez az esettanulmány rámutat a strukturális felmérés szükségességére a légutak 4 pontján, amelyet a kezelés megkezdése előtt a CBCT (i-CAT) alkalmazásával végezhetünk. Ezenkívül az esettanulmány bemutat egy súlyos obstruktív alvási apnoét egy olyan páciens esetében, akinél a folyamatos pozitív légúti nyomás (CPAP) csupán igen csekély hatással volt az állandó fáradtságára mindaddig, amíg a problémát nem kezelték orális alvásterápiás készülékkel megfelelően.

Háttér

2004 óta az Amerikai Alvásgyógyászati Akadémia hivatalosan is elfogadja az orális alvásterápiás készülékek (Oral Appliance Therapy – OAT) használatát az obstruktív alvási apnoe (OSA) kezelésére. Ennek következtében az államokban drámaian megnőtt az ilyen típusú ellátást nyújtó fogorvosok száma. Ezt bizonyítja az olyan iskolák számának a növekedése, mint például az Ame-

rican Board of Dental Sleep Medicine és az American Board of Craniofacial Dental Sleep Medicine, amelyek a fogászati alvásgyógyászatban szakvizsgát adnak. Fontos, hogy az OSA-t kezelő fogorvosok erős háttérrel rendelkezzenek a temporomandibuláris rendellenességek (TMD-k) terén is, mivel az OSA tünetei megelőzik az első temporomandibuláris szabálytalanságok esetén fellépő tüneteket, amint azt az NIH által finanszírozott „Orofacial Pain: Prospective Evaluation and Risk Assessment” tanulmány, más néven OPPERA megállapította [1]. Ez nagyon jó hír a betegek számára, mert a legtöbb OSA-ban szenvedő embernél még nem diagnosztizálták a betegséget (a páciensek több mint 80%-a) és így van esély a lappangó probléma felismerésére. A Wisconsin Sleep Cohort Study extrapolált adatai szerint az OSA általános előfordulási gyakorisága 9% a nők – és 24% a férfiak esetében [2].

Az OSA felnőttkori előfordulásának a gyakorisága az általános fogorvosi rendelőkben 33% a férfiak esetében, és 7% a nők esetében [3]. Tehát a felnőtt páciensek 40%-a diagnosztizálható OSA-problémával rendelkezik.

Ez az adat ráadásul nem tartalmazza azokat a pácienseket, akiknél az OSA enyhébb formái vannak jelen, mint például a felső légúti rezisztencia szindróma (UARS), a horkolás, nem

is beszélve arról, hogy a gyermekeknél az alvás során jelentkező légzési zavarok ugyanolyan vagy nagyobb arányban fordulnak elő, mint a felnőtteknél. Fontos adalék, hogy az OSA és a parodontitis jelentős mértékben összefügg, ami létfontosságú információ ezen állapotok kezelésére vonatkozó tervezés szempontjából [4–6]. Az a fontos tény, hogy az éjszakai kivehető fogszabályozó készülékek, TMD sínek és helyfenntartók ronthatják az OSA állapotát, elengedhetetlenné teszik az éjszakai bruxizmus eredetének a megállapítását [7–9]. Azaz az új alvással kapcsolatos kutatások és ismeretek sok korábbi kezelési eljárás felülvizsgálatát és újragondolását indikálja. Ez mindenképpen hozzájárul ahhoz, hogy egyre több páciensnél derül

majd ki az alvászavar és egyre több alváskezelésben lesz szerepe az alvásfogászatnak. A piac növekedésének egyik példája a Frost & Sullivan cég tanulmánya, amely szerint az OSA kezelésére szolgáló, az egyénre gyártott és nem egyénre gyártott orális készülékek (OA) amerikai piaca 2020-ra több mint kétszeresére nőtt. Az egyik legdinamikusabban fejlődő ágazat a fogászatban, amely az egyedi OA-k esetében a bevétel várhatóan az ötszörösére fog nőni a következő időszakban [10].

A diagnózisban fontosak a kérdőíves felmérések. A légúti elzáródás enyhébb formái, mint az UARS és az enyhe és közepes OSA átlagosan I3-as Epworth-pontszámot mutattak a 24ből egy katonák között végzett vizs-

gálat során. Az Epworth-álmosság skála (ESS) a túlzott nappali aluszékonyság értékelésének a standard szabványa és az alvási-légzési zavar jelenlétének egyik indikátora. A normál kontrollcsoport ESS-pontszáma 5,9 ± [22], amely az összehasonlítás alapjául szolgál. A horkolásban szenvedő páciensek ESS-pontszámai 6 ± 3,0-nál nagyobbak voltak. Az olyan alvászavarok, mint a periodikus lábmozgászavar, az OSA-szindróma, a narkolepszia és az idiopátiás hipersomnia mind 9-nél nagyobb ESS-értékkel rendelkeztek.

Esetismertetés

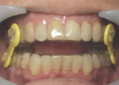
Egy 57 éves nőt 2012. augusztus 15én a háziorvosa utalt be rendelőnkbe. Fő panaszként fáradtságot, jelentős nappali aluszékonyságot, reggelente kialvatlan érzést, míg éjszaka gyakori ébredést tapasztalt és a CPAP-készülékkel való kezelést elviselhetetlen problémaként kezelte. Nyakának kerülete 37 cm volt, magassága 180 cm, testsúlya 91 kg, BMI 39,06, vérnyomás 116/117, pulzus 70, légzés 16, testhőmérséklet 36,6 °C Hosszú kórtörténettel rendelkezett: jobb csípőprotézis beültetése, jobb oldali agyműtét, amely során a szövetek és hipocampus eltávolításra kerültek, állcsontsebészeti műtét történt a mélyharapás és a keresztharapás korrigálására, számos elváltozás a szájban, amely a hátsó fogak csikorgatását eredményezte, valamint a páciens L–5 és S-I porckorongműtéten is átesett. Gyógyszeres kezelésben részesült magas vérnyomás, epilepszia, gastrooesophagealis reflux (GERD), migrén, osteoarthritis, pajzsmirigyproblémák, szorongás, depresszió és koncentrációs nehézségek kezelésére. ESS-pontszáma 14 volt. A beteg gyógyszerei a következők voltak: Nuvigil (stimuláns a túlzott nappali álmosság ellen) 250 mg naponta egyszer, Synthroid (pajzsmirigy-alulműködés ellen) 137 µg naponta egyszer, Lev-etiradcetam (Keppra) (görcsoldó gyógyszer a rohamok kezelésére) 1500 mg naponta kétszer, Trileptal (görcsoldó gyógyszer a rohamok kezelésére) 450 mg naponta kétszer, Viibryd (SSRI antidepresszáns) 40 mg naponta egyszer, Losartan (vérnyomáscsökkentő,

A páciens 3D CBCT lágy szövet renderelése. Szagittális CBCT-felvétel a csontszövetekről és a légutakról.
1. ábra: Nyelv helyzete az okkluzális sík felett.
2. ábra: Mallampati besorolás 4, mindegyik minimális orális térfogatot jelez.
3. ábra: Porckorongmozgás, perforációk nélkül, gyulladással összhangban. A függőleges szaggatott vonal elválasztja a lágy szöveti rezgéseket (0–300 Hz) a kemény szöveti rezgésektől (>300 Hz).

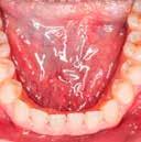
angiotenzin II receptor antagonista) 50 mg naponta egyszer, Nexium (protonpumpa-gátló, amely csökkenti a gyomorban termelődő sav mennyiségét) (GERD) 40 mg naponta, Intuniv (multivitamin) 4 mg naponta, és aszpirin 81 mg naponta egyszer. Klinikailag a nyelv az okkluzális sík fölött helyezkedett el, hiperkeratózis (B), a nyelv légutakba való behúzódása és Mallampati 4, amely mind minimális szájüregi térfogatra utalt (1–2. ábra). Ezek indikálták az alvásfogászati készülékes kezelést. Az izomtapintás elhanyagolható volt, és az állkapocs mozgástartománya is normális volt. A maximális nyitás 45 mm volt (1–2. ábra), oldalirányú elmozdulással 12, illetve 10 mm balra és jobbra. Az állkapocs normál mozgástartománya 42–52 mm volt maximális nyitás esetén, emellett oldalirányú elmozdulás 14 mm volt [13]. Az állkapocs ízületeinek dinamikus funkcióértékelését Joint Vibration Analysis (JVA [BioResearch]) segítségével végezték, és a lágy szövetek esetében a normál határokon belülinek, valamint kétoldali porckorongok perforációjának mentesnek találták (3. ábra)

Az ízületek háromdimenziós képalkotása a condylusok és a fossa osteogenetikus átalakulását mutatta ki, amely az ízületek hosszú távú terhelésére utal (4–5. ábra)

A hipertrófiás gonialis szögek a felszíni masseter izmok kétoldali gyakori és folyamatos összehúzódásainak következményei, amelyek fokozott hypercapneával járnak együtt (megnő a CO a vérben) [14-15]. A hypercapnoe az OSAban a légzésre való ingerlés. A páciens gonialis szögének hipertrófiája jól látható volt a felvételen (6. ábra). Az okkluzális analízis II. osztályú volt, bruxizmusból eredő attrícióval. Standard fényképfelvételeket is készítettek (7. ábra). A páciensnél egy szakképesítéssel rendelkező alvásszakértő orvos poliszomnográfiát (PSG) alkalmazva súlyos OSA-t diagnosztizált. Apnoe/ hypopnoe-indexe (AHI) 79,9 volt (az AHI 30

súlyosnak minősül). A laboratóriumi alvásvizsgálat (PSG) eredményei a következők voltak: arousal index: AHI/légzési zavar index [RDI] 10,3, spontán 8,5, horkolás 3,1). A vizsgálat során a beteg egész éjszaka hanyatt fekve aludt, NI alvás: a teljes alvási idő (TST) 12,3%-a; N2 alvás: a TST 87,7%-a; N3 alvás: nulla; és REM alvás: nulla. A páciensünk a teljes alvásvizsgálat folyamán egyszer sem érte el a 3., sőt a REM fázist sem. Ez azt jelentette, hogy az alvása során csupán korlátozottan tudott növekedési hormont termelni, és emiatt szörnyű memóriaproblémái voltak. A növekedési hormon a 3. delta hullámú mélyalvásban termelődik, és elengedhetetlen a gyógyuláshoz. A kognitív memória, a REM alvás fázis fontos funkciója, és nélküle a memória jelentősen károsodna. A legalacsonyabb O2

77% volt. 37 percet vagy a TST 27%-át töltötte 90%-os véroxigénszint alatt, és a CPAP-titrálása 8 cm H2O volt az események nullára csökkentése érdekében. 8 hónapig próbálkozott a CPAP orrillesztékkel, de a nyomás, a szivárgás és a zaj

miatt nem tudott aludni. Így, bár a CPAP hatékony volt, nem tudta viselni. Ez rámutat az OSA értékelésének és kezelésének leggyakoribb hibájára. A betegeket alvás közbeni légzési patológiájukra vonatkozóan alvásvizsgálattal

értékelik; azonban ritkán vizsgálják a betegeket az elzáródások eredetére vonatkozóan. Ennek eredményeképpen nagyon gyakran orrelzáródásuk van, és a légutak fizikális vizsgálata vagy képalkotó vizsgálata nélkül kapnak CPAP készüléket, amely a maszk szivárgásával kapcsolatos problémákhoz vezet. Az OSA hatékony kezelési tervének első lépése egy teljes fejre kiterjedő CBCT-vizsgálat elvégzése az elzáródás 4 pontjának meghatározására. (A 4 elzáródási pont (8. ábra) és a CBCT (i-CAT) segítségével történő értékelés részletes magyarázatát lásd az Orthodontic Practice US 2015. márciusi/áprilisi számában [16]). A páciens 4 obstrukciós pontjának – orr-szájpad, orr-garat, velopharynx és oropharynx – vizsgálata kimutatta, hogy a pozíciófüggő apnoe (nyelvalap és velopharynx) mellett orrdugulása is volt (lásd a 9. ábrán látható CBCT-felvételt). Az orrlégúti ellenállás és a BMI a legkorlátozóbb tényezők az OSA-behirdetés

4. ábra: A CBCT-vizsgálat 3 dimenziós információkat nyújtott a kondilusokról.
5. ábra: Az ízületek 3 dimenziós képalkotása a kondilusok és a fossa oszteogén átalakulását mutatja, amely az ízületek hosszú távú terhelésére utal.
6. ábra: A felvétel a páciens jobb és bal oldali gócszög hipertrófiáját mutatja.

alvást tekintve végeredményben a súlyos apnoe megszűnését eredményezték. Az alvásfogászati készülék használatát követő 2 héten belül a fáradtság és a nappali álmosság 30%kal csökkent. Az ébredéskor jelentkező fáradtság érzésének a tünete 50%-kal mérséklődött. 2012. október 20-án egy otthoni alvásvizsgálatot végeztek (Brae-bon MediByte), amely a következő eredményeket hozta: AHI: 6,2, RDI: 9,8, O, 90% alatt: 0,5 perc vagy 0,1%, min P2: 87%, és fekvő alvás: 100%. Az 5 vagy annál kisebb AHI normálisnak tekinthető. Súlyos

túlterhelés elzárhatja az orrlégutakat, ezért xilit orrspray-t (Xlear) ajánlottunk. A xilit egy olyan cukor, amely antimikrobiális és gyulladáscsökkentő hatású. Szájszárazságban szenvedő, fogszuvasodás és parodontális betegségek szempontjából veszélyeztetett betegeknél alkalmazzák. Az orrjáratokról készült i-CAT-felvételek összehasonlítása azt mutatja, hogy a lágy szövetek hiper trófiája csekély, a septum pedig egyenesebb, amely az orr légáramlásának drámai növekedését eredményezte (14. ábra). Nagyon érdekes ered-

tegek orális készülékterápiával (OAT) történő sikeres kezelésében [17]. Az orrlégúti elzáródás közvetlenül öszszefügg a nappali fáradtsággal [18]. Az i-CAT képalkotó szoftver lehetővé teszi az oropharyngeális légutak volumetrikus értékelését. Ennek a betegnek a kapott adatok alapján súlyosan veszélyeztetett légútja volt, minimum 61,3 mm-rel. A színskála azt mutatja, hogy az értékelés alsó határa 100 mm (9–11. ábra). Kezelési tervünkben OAT (EMA II), fül-orr-gégészeti konzultáció és egy nyomon követő alvásvizsgálat szerepelt. Az FDA által jóváhagyott alvásfogászati készülék 2012. szeptember 5-én került szállításra (12. ábra). A Sibilant Phoneme (Sziszegő fonéma) harapásregisztrációs technikát használtuk a készülék elkészítésének a kiinduló helyzeteként, mivel ez fiziológiai, nem pedig konstrukciós technika. Ez az egyetlen olyan harapásregisztrációs technika, amely bizonyítottan és szakmailag lektorált folyóiratban publikálva jelent meg. Ennek a harapásregisztrációs technikának lényege, hogy megnyitja a légutakat, de amely a legfontosabb, csökkenti azok összeesését [19]. Az OSA-ban szenvedő betegeknél a légzés kizárólag csak alvás közben áll le, ezzel szemben ébrenlét közben soha nem áll le. Így az oropharyngealis légutak térfogata kevésbé fontos, mint azok összeesése. Ez azt jelenti, hogy ritkán van szükség titrálásra, ha a fonetikus harapásregisztrációt kiindulási pontként használjuk. Ez a páciens tökéletes példa erre, mivel az ő készülékét soha nem kellett titrálni. Az orofaringeális térfogatok (13. ábra) az ébrenléti kiindulási állapotban és a harapásregisztrációval csak kis különbséget mutatnak, azonban az

apnoés betegeknél az OAT sikeres alkalmazása az AHI 50%-os csökkenését, 8-nál kisebb ESS-pontszámot és 90%-nál nagyobb véroxigenizációt jelent [20]. Az ESS-pontszáma ekkor 10 volt, amely azt mutatja, hogy a nappali fáradtság jelentős problémát jelentett. Először a páciens nem volt hajlandó felkeresni a fül-orr-gégészt, akihez az orrdugulás miatt utalták. Végül engedett a kérésnek, és kimutattuk, hogy a Provent orrtapaszok (már nincs forgalomban; a Theravent helyettesítette) alkalmazásával hatékonyan enyhítettük a fáradtságot. 2012. december 20-án orrműtéten esett át, és a 6 hetes gyógyulási folyamat után a fáradtsága elmúlt, a többszöri ébredés 90%-kal csökkent, és a nappali álmossága is megszűnt. Újbóli kivizsgáláson (2015. április 13án) a következő eredményekkel jelentkezett: A Simcor, a Nuvigil, a Keppra és a Nexium szedését 2014-ben abbahagyta. Ez azt jelentette, hogy már nem volt szüksége gyógyszeres kezelésre az emelkedett koleszterinszint, a túlzott nappali álmosság, a rohamtevékenység vagy a GERD miatt. Az új ESS-pontszáma 5 volt. A diéta és az allergia okozta lágy szöveti

mény volt, hogy az oropharyngealis légutak nagyobbak voltak az orrműtét után. A minimum 61,3 mm-ről 213 mm-re nőtt (15. ábra)

Záró

megjegyzések

Ez az esetismertetés arra világít rá, hogy a szakma még mindig túl nagy hangsúlyt fektet a tágas légutak kialakítására anélkül, hogy megértené, hogy a légutak összeomlásának megelőzése, valamint az orrlégzés sokkal fontosabbak [21]. Ebben az esetben jól bebizonyosodott, hogy az OAT és az orrműtét kombinált vagy hibrid terápiája, fogorvos által irányítva volt az optimális és sikeres kezelés. A fogorvos egyértelműen abban a helyzetben van, hogy a kezelési lehetőségek központi triázs egyik kiemelt szakembere legyen, a CBCT pedig létfontosságú eszköz ebben a folyamatban, mivel a CBCT vizsgálat felmérhet olyan tényezőket, amelyek megoldása nélkül a kezelés hatástalan lehet.

Forrás: Dentalcetoday.com A hivatkozott irodalomjegyzék listája szerkesztőségünkben elérhető.

7. ábra: Okklúziós analízis: II. osztályú bruxizmus okozta kopással. 8. ábra: Az elzáródás 4 pontjának diagramja (Brett Streed illusztrációja).
9. ábra: A 3D-s vizsgálat orrkagyló- és orrsövényproblémákat mutat.
10–11. ábra: Légutak számításai különböző nézetekben.
12. ábra: Páciens és az alvásfogászati készülék.
13. ábra: A légutak méretei (balra) és a harapásregisztráció (jobbra).
14. ábra: Jelentős légáramlás-növekedés. – 15. ábra: Légutak méretének növekedése a kezelés után.

A 2-es típusú cukorbetegség növelheti a nyál

cukortartalmát, ami a szájüregi
a fogszuvasodás irányába tolja

Dental Tribune International

A 2-es típusú cukorbetegségben szenvedő embereknél magasabb a fogszuvasodás előfordulása, de ennek biológiai okai még nem teljesen tisztázottak. Japán kutatók új tanulmánya szerint a tartós hiperglikémia fokozhatja a keringő cukrok nyálba való átjutását, megváltoztatva a fogíny feletti mikrobiómát oly módon, hogy előnyben részesíti a fogszuvasodást okozó fajokat és a savtermelő anyagcserét. A tanulmányban a kutatók azt vizsgálták, hogy a cukrok plazmából nyálba történő migrációja hozzájárul-e a fogszuvasodás kialakulásához azáltal, hogy megváltoztatja a szájüregi baktériumok összetételét és működését. Metabolomikai profilalkotás és mikrobiális szekvenálás segítségével a csapat azonosította a hiperglikémiával összefüggő megnövekedett nyálcukor- és fruktózszintet, és ezeket a változásokat a fokozott fogszuvasodási kockázattal összefüggő mikrobiális változásokhoz kötötte.

„Kifejlesztettünk egy új módszert a mirigyekből származó nyál nem célzott metabolomikus profilozására, amely megőrzi az érintetlen metabolitprofilokat, mielőtt azok az orális mikrobiom által módosulnának” – mondta sajtóközleményében a tanulmány vezető szerzője, dr. Masae Kuboniwa, a japán Oszakai Egyetem Megelőző Fogászat Tanszékének docense.

Egy friss tanulmány kimutatta, hogy a 2-es típusú cukorbetegségben a rossz vércukorszint-szabályozás növelheti a nyál glükózés fruktóztartalmát, ami elősegítheti a fogszuvasodást okozó biofilm kialakulását és növelheti a fogszuvasodás kockázatát. (Марина Демешко/Adobe Stock)

„Ez lehetővé tette számunkra, hogy megértsük ezeknek a metabolitoknak a vér és a nyál közötti változásait, valamint az orális mikrobiom hatásának kitettségét követő változásait” – tette hozzá.

A gazdaszervezetből származó metabolikus jelek és a mikrobiom által módosított profilok megkülönböztetése érdekében a csapat összehasonlította a mirigyekből származó nyálat – amely a gazdaszervezet anyagcseréjét tükrözi, minimális bakteriális hatással – a 2-es típusú cukorbetegségben szenvedő és nem

szenvedő résztvevők teljes nyál- és plazmamintáival. Az elemzések azt mutatták, hogy a hiperglikémia a glükóz és a fruktóz plazmából nyálba történő fokozott átjutásával állt összefüggésben. Ezután mikrobiális szekvenálással értékelték, hogy a megemelkedett nyálcukorszint hogyan kapcsolódik a supragingivális biofilmek összetételéhez.

„Ezeknek a metabolitoknak a nyálban való növekedése változásokat váltott ki a száj mikrobiomában, gazdagítva a fogszuvasodást okozó baktériumokat, mint például

biofilmeket

el

a Streptococcus mutans (S. mutans), és csökkentve az egészséges fajok, mint például a Streptococcus sanguinis számát, ami a száj biofilm anyagcseréjét a glikolízis és a szénhidrát lebontás felé tolta el” – magyarázta a vezető szerző, dr. Akito Sakanaka, ugyanazon tanszék docense. „A mikrobiális populációban bekövetkezett változás növeli a savtermelést, ami erodálja a fogzománcot, és szoros kapcsolatot teremt a cukorbetegség és a fogszuvasodás között” – jegyezte meg.

Fontos megjegyezni, hogy a kutatók azt is megfigyelték, hogy a javuló glikémiás kontroll a cukrok – különösen a fruktóz – plazmából nyálba történő átjutásának csökkenésével, valamint a kariogenitással összefüggő mikrobiom egyensúlyhiány részleges visszafordulásával járt együtt. S. mutans és S. sanguinis baktériumokat tartalmazó ko-kultúra biofilm modellben az S. mutans aránya nö-

vekedett a fruktózt tartalmazó tápanyagban gazdag táptalajon, ami arra utal, hogy a glükóz és a fruktóz együttes hatása versenyhelyzetben előnyös lehet az S. mutans számára. Összességében az eredmények alátámasztják azt a mechanizmust, amely szerint a hiperglikémia a vérből a nyálba történő migráció révén növeli a nyálban rendelkezésre álló cukor mennyiségét, ami potenciálisan elősegítheti a fogszuvasodás kialakulásával és a fogkő felhalmozódásával öszszefüggő supragingivális biofilm változásokat. A szerzők szerint a glikémiás kontroll optimalizálása ezért hozzájárulhat a 2-es típusú cukorbetegségben szenvedő emberek fogszuvasodás kockázatának csökkentéséhez, a parodontális egészségre gyakorolt már bizonyított hatása mellett. „Diabetes alters the supragingival microbiome through plasma-to-saliva migration of glucose and fructose” című tanulmány 2025. december 4-én jelent meg online a Microbiome című folyóiratban.

hirdetés

Tanulmány a nyelvi oldalon található „fogképző” mezenchimális sejteket térképezi fel

Dental Tribune International

Szöuli kutatók feltérképezték azokat az embrionális fogsejteket, amelyek előre be vannak programozva vagy magának a fognak a felépítésére, vagy a tartószövetek kialakítására. A munka részletekkel bővíti az embrionális száj előre huzalozottságának töredezett képét, és bár nem változtatja meg azonnal a klinikai gyakorlatot, finomítja azt a tervet, amelyet a jövőbeli fogregenerációs és biomérnöki úton előállított pótlási stratégiáknak követniük kell.

A klasszikus embriológiában a fogcsíra a rügytől a sapkán át a harangon át fejlődik, mielőtt gyökeret eresztene és a szájüregbe törne. Ezekben a szakaszokban a felszíni hámréteg kölcsönhatásba lép a mélyebb mezenchimális szövettel, ami végül a dentint, a pulpát és a tartószerkezet nagy részét hozza létre. A sejtek az úgynevezett pozicionális információkat értelmezik – a jelzőmolekulák gradienseit, amelyek megmondják nekik, hol vannak és mivé kellene válniuk. A Yonsei Egyetem Fogorvostudományi Karának tudósai által vezetett új tanulmány célja annak megértése volt, hogy ez a pozicionális kódolás hogyan működik konkrétan a fejlődő őrlőfogak nyelv-bukkális tengelye mentén, a fogcsírák e két oldalának összehasonlításával. A csapat az egerekből vett első mandibuláris őrlőfogak sapka stádiumában lévő csíráit vizsgálta. Mindegyik csírát mezio-disztális irányban kettéosztották, és izolálták a fogmesenchymát a nyelvi és bukkális oldalon. Ezután tömeges RNS-szekvenálást végeztek mindkét félen – lényegében meghatározva, hogy mely gének aktívak az egyes populációkban –, és megismételték a kapcsolódó elemzéseket a harang stádiumban. A génontológiai elemzés kimutatta, hogy a lingvális mezenchimális sejtek gazdagodtak az odontogenezissel, a szövetmintázattal és a keményszövet-képződéssel kapcsolatos programokban, míg a bukkális mesenchyma nagyobb aktivitást mutatott a mezenchimális és neurális taréjfejlődéshez, a szárképződéshez, a regenerációhoz és a növekedéshez kapcsolódó útvonalakban.

A linguális mesenchyma építi fel a fogat

Annak tesztelésére, hogy ezek a molekuláris különbségek különböző eredményekhez vezetnek-e, a kutatók rekombinálták a linguális vagy a buccális mesenchymát a foghám-

réteggel, és átültették a konstrukciókat egerek vesetokja alá, ami egy bevett in vivo rés a fogcsíra kultúrában.

Csak a linguális mesenchymát tartalmazó rekombinánsok hoztak létre szervezett fogszerkezeteket odontoblasztokkal, ameloblasztokkal és meszes fogszövettel. A kizárólag buccális mesenchymán alapuló konstrukciók nem hoztak létre teljes fogat, ehelyett főként a környező, csontszerű és parodontális típusú szöveteket hozták létre. A reaggregációs kísérletekben disszociált linguális és buccális mezenchymális sejteket kevertek öszsze, hagyták őket aggregátumokká újra összeállni, majd egyesítették a hámréteggel. Figyelemre méltó, hogy a kevert sejtek elkülönült területekre rendeződtek, és ismét eltérően járultak hozzá a sejtek fejlődéséhez: a linguális eredetű sejtek a dentint és a pulpát népesítették be, míg a buccális eredetű sejtek elsősorban az alveoláris csontot és a parodontális ligamentumot alkották.

Dr. Eun-Jung Kim, a tanulmány első szerzője a British Dental Journalban megjelent cikkében így nyilatkozott: „Kíváncsiak voltunk arra, hogy vajon megtalálják-e eredeti helyüket és átszerveződnek-e, amikor a fluoreszcensen jelölt nyelvi és bukkális mezenchimális sejteket véletlenszerűen összekeverik, ami nemcsak hogy megtörtént, hanem a nyelvi sejtek

dentinné fejlődtek, és a korábbiakhoz hasonlóan kialakították a fogat. Ezt a jelenséget sejtes önszerveződésnek nevezik.”

A szerzők szerint ez a viselkedés azt tükrözi, hogy a fog mesenchyma előre meghatározott: a sejtek megőrzik eredeti helyzetük emlékét, és arra hatnak, még akkor is, ha elmozdulnak.

Az R-spondinok és a WNT/BMP egyensúly

A csoport ezután azt vizsgálta, hogy ezek a pozicionális különbségek hogyan szabályozódnak a jelátviteli szinten. A főbb fejlődési útvonalakra, különösen a WNT-re és a BMP-re összpontosítottak, amelyek a proliferáció, a differenciálódás és a szöveti mintázat kialakulásának kulcsfontosságú szabályozóiként működnek. Az összehasonlító útvonalelemzés kiemelte, hogy az R-spondin (RSPO) család tagjai – nevezetesen az RSPO1, RSPO2 és RSPO4 – rövid távú tenyészet után a lingvális mesenchymában felregulálódnak, a WNT-vel kapcsolatos odontogén gének mellett. Ezzel szemben a bukkális mesenchyma erősebb BMP-vel kapcsolatos aktivitást és a BMP-gátlók felregulációját mutatta, ami összhangban van a csont- és környező szövetképződés felé történő eltolódással. A funkcionális vizsgálatok megerősítették ezt a képet: egy kemotaxis

beállításban a lingvális mezenchimális sejtek az RSPO1-gyel kondicionált táptalaj felé vándoroltak, míg a bukkális sejtek előnyben részesítették a Noggin, egy BMP-útvonal antagonista felé történő elmozdulást. Összességében a szerzők azt feltételezik, hogy a WNT-vel fokozott, RSPO-gazdag környezet a fogképződési viselkedést kedvez a lingvális mesenchymában, míg a BMP-vel szembeni elfogultság a bukkális oldalon elősegíti a csont- és parodontális struktúrák kialakulását. Munkájukat összefoglalva a szerzők arra a következtetésre jutnak, hogy adataik „újszerű betekintést nyújtanak a fogfejlődésben és a mintázatképződésben szerepet játszó pozíciós információk molekuláris alapjaiba”.

Fogászati mérnöki vonatkozások

Összességében az eredmények arra utalnak, hogy a fogászati őssejtek megléte nem elegendő; az számít, hogy ezek a sejtek melyik mezenchimális populációhoz hasonlítanak, és milyen pozicionális jeleket kapnak. A jövőbeli fogmérnöki munkához a tanulmány számos tervezési elvet javasol:

1. A megfelelő mezenchimális rekesz kiválasztása. Úgy tűnik, hogy egy nyelvi-szerű mezenchimális profil szükséges a dentin és a pulpa elő-

állítására képes fogcsíra létrehozásához, míg a bukkális típusú sejtek jobban alkalmasak a támasztó szövetek építésére.

2. Pozicionális jelek újraalkotása. A fogképző régiókhoz R-spondin/ WNT-típusú aktivitásra lehet szükség, míg a parodontális vagy csontcélpontokhoz a BMP-súlyozott jelek eltérő keverékére lehet szükség.

3. A térbeli elrendezés tiszteletben tartása. Még a sapka stádiumában sem felcserélhetők a nyelvi és a bukkális sejtek; pozicionális azonosságuk figyelembevétele nélküli keverésük kockáztatja a fogképző potenciál elvesztését.

A klinikusok számára a munka nem változtat a jelenlegi protokollokon, azonban megerősít egy trendet. Ahogy a fejlődésbiológia kitölti a fogak felépítésének térképét, a biológiai alapú fogjavítás vagy -pótlás hosszú távú kilátásai kevésbé tudományos fikcióvá válnak, és inkább arról szólnak, hogyan lehet a megfelelő sejteket a megfelelő helyen és a megfelelő időben újra létrehozni.

Az „Előre meghatározott fogászati mezenchimális sejtek a fog elkészítéséhez” („Prespecified dental mesenchymal cells for the making of a tooth”) című tanulmány 2025. október 9-én jelent meg az International Journal of Oral Science folyóiratban.

Egy dél-koreai tudósok által vezetett új tanulmány célja annak megértése volt, hogy a sejtek pozicionális kódolása hogyan működik a fejlődő őrlőfogak nyelv-bukkális tengelye mentén.
(Fotó: MSC/Adobe Stock)

VÉGTELEN LEHETŐSÉGEK SZÍN A FÉNYBŐL

Egyértelműen felismerhető a SEM-felvételen: az OMNICHROMA gyöngyszerkezete a hagyományos módon zúzott részecskékhez képest.

Smart Chromatic Technology –A

fehér 1000 árnyalata

Strukturális szín mesterséges színpigmentek nélkül: fokozatmentesen illeszkedik minden fogszínhez A1-től D4-ig

BisGMA-mentes összetétel: a jobb biokompatibilitás érdekében Egyszerű készletezés: csupán 1 szín elegendő a gazdasági fenntarthatósághoz

Samples & More

tokuyama-dental.eu

Kína megmutatta globális fogászati erejét

Jeremy Booth, Dental Tribune International

Az idei pénzügyi év harmadik negyedévében a világ legnagyobb fogászati vállalatai örömmel fogadták az amerikai fogászati piac javulására utaló jeleket; azonban Kína lopta el a show-t. A kínai egészségügyi hatóságok 2019-ben kezdték el nagy tételben vásárolni a gyógyszereket és orvostechnikai eszközöket, a volumenalapú beszerzést (VBP) kihasználva a kezelések árának csökkentése érdekében az országban. A fogszabályozó eszközök VBP-je várhatóan a jövő év elején kezdődik, amikor a fogászati implantátumok második fordulója is várható. Mivel ezeknek a fejleményeknek az előjele gyakorlatilag beárnyékolta a harmadik negyedéves eredményjelentéseket, egyértelművé vált, hogy az európai és az amerikai értékesítés növekedése már nem elegendő.

A Dentsply Sirona folytatja a növekedéshez való visszatérést célzó stratégiáját

A Dentsply Sirona, a fogászati berendezések és technológiák egyik vezető globális gyártója a harmadik negyedévben továbbra is kihívásokkal nézett szembe, és olyan eredményt ért el, amely elmaradt a vezetőség várakozásaitól. A vállalat 904 millió USD (771 millió EUR*) nettó árbevételt ért el az időszakban, ami 5%-os csökkenést jelent éves szinten. A két termékszegmenshez kapcsolódó goodwill értékvesztés és a kereskedelmi vámok hatásának nem készpénzes költsége összesen 263 millió USD volt. A vállalat kevesebb pénzt veszített, mint egy évvel korábban, 427 millió USD nettó veszteséget jelentett a 494 millió USD-vel szemben. A Dentsply Sirona összes fogászati üzletága negatív növekedést mutatott éves szinten. A csatlakoztatott technológiai megoldások értékesítése 3,9%-kal csökkent éves szinten, az alapvető fogászati megoldások értékesítése 3,4%-kal esett vissza, a fogszabályozási és fogászati implantátumok értékesítése pedig 15,0%-kal csökkent. Közvetlenül a nyereségjelentés közzététele előtt a Dentsply Sirona bejelentette új pénzügyi igazgatója, Matthew E. Garth távozását. 2022 óta a vállalat számos vezetői változáson ment keresztül a legmagasabb szinten, és Garth mindössze hat hónap utáni távozása jól példázza azt a nyomást, amely a vállalatra nehezedik, hogy korrigálja a korábbi irányát. Scavilla, aki maga is mindössze 90 nappal lépett hivatalba, őszintén beszélt az elemzőkkel: „Elismerem, hogy a vállalat az elmúlt években

változáson ment keresztül. A változás nem volt elég gyors sem az Önök, sem a Dentsply igazgatótanácsa számára. Ezért léptem be ebbe a helybe [amikor felkértek]. Itt az ideje a merész változásnak, és egy új korszakba lépünk.”

A Dentsply Sirona átfogó változásokat vázolt fel az új növekedéshez való visszatérési stratégia részeként, beleértve az amerikai üzletág újjáélesztését célzó intézkedéseket is. Célja, hogy a következő 24 hónapon belül visszatérjen a nyereséges növekedéshez.

A vállalat felülvizsgálta az egész éves nettó árbevételre vonatkozó előrejelzését állandó árfolyamon.

A mutató jelenlegi 2–4%-os csökkenési előrejelzése szerint éves szinten 4–5%-kal fog csökkenni.

Az Envista Holdings emeli az éves előrejelzését

Az Envista Holdings, amely több mint 30 fogászati márkát birtokol, pozitív harmadik negyedéves növekedésről számolt be minden fő üzletágában. A vállalat árbevétele összesen 670 millió USD volt, ami 11,5%-os éves növekedést, vagyis 9,4%-os alaptevékenység-növekedést jelent.** Egy egyszeri, a vállalatcsoporton belüli kölcsön rendezése utáni adókiigazításokkal kapcsolatos költség miatt az Envista 30 millió USD nettó veszteséget könyvelt el.

A vállalat üzleti szegmenseit tekintve a speciális termékek és technológiák árbevétele elérte a 432 millió USD-t, ami 13%-os éves növekedést jelent. A fogszabályozási értékesítés növekedését számos piacon ellensúlyozta a kínai visszaesés, mivel az állami kórházak és a magánrendelők leépítették készleteiket a fogszabályozási termékekre vonatkozó új VBP program bevezetésére való felkészülés érdekében. A program várhatóan 2026 első negyedévében indul. A vállalat Spark fogszabályozó rendszere a harmadik negyedévben nyereségessé vált, miután hat év alatt 300 millió USD árbevételt termelt. Paul Keel vezérigazgató a befektetőknek elmondta, hogy a fogszabályozó rendszer eladásai gyorsabban növekednek, mint a globális fogszabályozó kategória eladásai.

Az Envista berendezés- és fogyóeszköz-üzletágának árbevétele 238 millió USD-vel 8,7%-kal nőtt az előző évhez képest, amit a diagnosztikai berendezések észak-amerikai és európai értékesítésének szerény növekedése is elősegített. A harmadik negyedév a második egymást követő negyedév volt az Envista diagnosztikai berendezések értékesítésének növekedésében, ezzel gyakorlatilag véget vetve egy több negyedéven át tartó visszaesés időszakának.

Keel az elemzőknek elmondta, hogy a globális fogászati piac a harmadik negyedévben nagyjából hasonló volt az előző negyedévhez, amelyet Keel az első negyedévhez képest fokozatosan jobbnak írt le. Azt mondta: „Összességében a betegek iránti kereslet stabil marad, bár még mindig a piacra jellemző hosszú távú szint alatt van. A makrogazdasági bizonytalanság továbbra is magas, ami továbbra is hatással van néhány, a diszkrecionálisabb beavatkozási szegmensre.”

Mivel a Nobel Biocare márkáján keresztül a fogászati implantátumok egyik fő szállítója, az Envista profitált Kína VBP fogászati implantátum programjából. Kína várható második VBP fogászati implantátum köréről – amelyet az iparági szakértők „VBP2.0”-nak neveznek –Keel azt mondta: „Arra számítunk, hogy ez megtörténik, bár sem a tartományi, sem a központi kor-

hirdetés

mányzattól nem kaptunk hivatalos közleményt a részletekről.”

Az Envista idén másodszor emelte az éves bevételnövekedési előrejelzését. Most 4%-os árbevétel-növekedésre számít, szemben a korábban bejelentett 3–4%-os sávval.

Az Align Technology visszatért a növekedéshez

A harmadik negyedévben visszatért a növekedés az Align Technology, a vezető Invisalign fogszabályozó rendszer és az exocad fogászati szoftver mögött álló vállalat számára. Az Align nettó árbevétele 1,8%-kal nőtt éves szinten, elérve a 996 millió USD-t. A vállalat 647 800 fogszabályozótokot szállított ki, ami 4,9%-os növekedést jelent. A fiatalabb fogszabályozós páciensek jöve -

delmező piacán a vállalat erős, 8,3%-os éves volumennövekedést ért el. A fogszabályozók teljes értékesítése 2,4%-kal 806 millió USD-re nőtt, míg a képalkotó rendszerek és a CAD/CAM szolgáltatások értékesítéséből származó bevétel stagnált, 190 millió USD-t tett ki.

A vállalat elnök-vezérigazgatója, Joseph Hogan egy sajtóközleményben így nyilatkozott: „Örömmel jelentem be, hogy a harmadik negyedéves bevételek, a fogszabályozók mennyisége és a nem GAAP szerinti üzemi árrés mind meghaladta a kilátásainkat.” (A nem GAAP szerinti árrés a vállalat korrigált jövedelmezőségi adatai, amelyek nem tartalmaznak bizonyos egyszeri vagy nem készpénzes költségeket.) Elmondta, hogy az eredmény a fogszabályozók menynyiségének növekedését tükrözi az európai, közel-keleti és afrikai

É V E S E L Ő F I Z E T É S

4 1 0 0 0 F T 2 5 0 0 0 F T

H I R D E S S V A G Y K E R E S S ÁLLÁSOK

(EMEA), az ázsiai–csendes–óceáni és latin-amerikai régiókban, különösen a fiatalabb betegek körében. A legjobban teljesítők listájáról hiányzott a vállalat otthoni régiója, Észak-Amerika, ahol a fogyasztói bizalom továbbra is akadályozza az elektív eljárások elterjedését. Hogan elmondta: „Míg a fogszabályozási és fogászati piacokon továbbra is vegyes a tevékenység, különösen Észak-Amerikában, a fogyasztói kereslet és a betegek konverziójának ösztönzése érdekében tett kezdeményezéseink, beleértve a [fogászati támogató szervezettel] való együttműködést, eredményeket hoznak.” Az Align a fogszabályozók mennyiségének növekedésére vonatkozó előrejelzését a pénzügyi évre vonatkozóan az alacsony egy számjegyű értékről a középső egy számjegyű értékre emelte.

A Straumann Csoport ritka visszaesést könyvelhetett el ázsiai értékesítésében

DENTAL PRESS

A Straumann Csoport, az implantációs és digitális fogászat globális vezetője a harmadik negyedévben ismét erős teljesítményt nyújtott, 602 millió svájci frank (644 millió EUR*) árbevételt ért el, ami 2,9%os növekedést jelent éves szinten.

Az időszak szerves árbevétel-növekedése 8,3% volt.**

A kínai egészségügyi hatóságok bővítik az ország fogászati termékek mennyiségalapú beszerzését, ami megrengeti a nagyobb fogászati gyártókat. (Fotó: leungchopan/ Adobe Stock)

A Straumann ázsiai–csendes-óceáni üzletága az egymást követő negyedévekben is óriási növekedést mutatott; azonban a régió harmadik negyedévi 144 millió svájci frankos árbevétele ritka, 3,4%-os éves visszaesést mutatott. A vállalat közölte, hogy az árbevétel növekedése stabil volt Indiában, Thaiföldön, Ausztráliában és Japánban, de a VBP2.0 jelentős lassuláshoz vezetett Kínában. Guillaume Daniellot vezérigazgató az elemzőknek elmondta, hogy az új pályázati fordulóra való felkészülés a készletek csökkenéséhez és a kezelések késleltetéséhez vezetett. A Straumann egyik legfontosabb eredménye ebben az időszakban egy jelentős gyártóüzem felavatása volt Sanghajban. A vállalat „Kína Kínáért” stratégiájának sarokköveként a létesítményt arra fogják felhasználni, hogy lokalizálja a Straumann kínai üzletágát, és növelje a nagykereskedelmi beszerzések esélyeit.

Latin-Amerikában a 62 millió svájci frankos árbevétel 9,8%-os éves növekedést jelent – organikus értelemben 18,0%-os növekedést. A növekedést a Neodent implantátumok erős értékesítése hajtotta a regionális nagyágyúkban, Brazíliában és Mexikóban, valamint a digitális fogászati megoldások gyorsított elterjedése a régió klinikusai körében.

Az EMEA régióban a Straumann 8,2%-os éves növekedést, illetve 11,2%-os szerves növekedést ért el.

A kínai fejleményekről és az országban lényegében stagnáló értékesítési növekedésről szólva Daniellot elmondta, hogy a következő két negyedév kihívást jelent majd; ugyanakkor rámutatott, hogy a Straumann jelenleg az egyetlen nemzetközi vállalat, amely prémium fogászati implantátumokat gyárt az országban. Elmondta, hogy az idei év negyedik negyedévében és a jövő év első negyedévében felgyülemlett kereslet várhatóan 2026 folyamán felszabadul, és hangsúlyozta, hogy az ország továbbra is „egy nagyon, nagyon alulpenetrált piac”. A Straumann megerősítette korábbi, az egész évre vonatkozó, magas egy számjegyű bevételnövekedésre vonatkozó előrejelzését.

Szerkesztői megjegyzés:

* * Az OANDA platformon számított adatok, 2025. szeptember 30-i adatok.

** Az alapvető és szerves árbevétel-növekedési mutatók nem tartalmazzák a felvásárlások, értékesítések és az árfolyamhatások hatásait, így az alapvető üzleti növekedésre összpontosíthatnak.

A Straumann kiemelte az észak-amerikai üzletágának szekvenciális javulását és gyorsuló növekedését. A régióban az árbevétel elérte a 162 millió svájci frankot, ami stagnál az előző év azonos időszakához képest, és biztató, 5,7%-os szerves árbevétel-növekedést jelent. Az év első kilenc hónapjában a Straumann észak-amerikai árbevétele 0,9%kal csökkent, míg szerves alapon 3,3%-kal nőtt.

hirdetés

Dental Tribune International

A javasolt fogászati utalványprogram újra felizzította a vitát az angol nemzeti egészségügyi szolgálat (NHS) fogászati ellátásának jövőjéről. A politikai gondolkodókör által kidolgozott ötletet a felnőtt betegek hozzáférésének javítására hivatott megoldásként népszerűsítik. A szakmai szervezetek szerint azonban ez az ötlet nem veszi figyelembe a szolgáltatás előtt álló válság mélységét.

Az NHS fogászati ellátása továbbra is az egészségügyi rendszer egyik legszembetűnőbb problémája, és a korlátozott hozzáférés mára Anglia nagy részén bevett gyakorlat lett. A betegek rendszeresen panaszkodnak arra, hogy nehéz olyan rendelőt találni, ahol hajlandóak őket kezelni, míg a fogorvosok továbbra is viszszaszorítják az NHS-ben végzett munkájukat, vagy teljesen kilépnek a rendszerből. Ebben a kontextusban került napirendre egy új utalványmodell.

A Policy Exchange nevű agytröszt legutóbbi jelentésében ismertetett javaslat szerint minden felnőttnek 150 font (171 euró*) értékű fogászati utalványt kellene biztosítani, amelyet közvetlenül kezelésre vagy fogászati biztosításra lehetne fordítani. Az utalvány felváltaná a jelenlegi rendszert, amelyről széles körben elismert tény, hogy nem működik.

A Brit Fogorvosi Szövetség (BDA) azonban kritikus hangnemben reagált. A szakma szempontjából a probléma a krónikus alulfinanszírozásból és a fenntarthatatlan szerződésből fakad. A kérdéssel kapcsolatban a BDA elnöke, dr. Eddie Crouch sajtóközleményben így nyilatkozott: „Az NHS fogászati ellátásában bevezetendő utalványrendszer iránti igény olyan, mintha hordókat kapargatnának. Az NHS-nek sürgősen beruházásokra van szüksége, de ez a politika nem vetne véget a fogászati ellátás hiányának. Ez könnyen azt jelentheti, hogy több pénzt költenek kevesebb hozzáférésre. A nehézségekkel küzdő szolgáltatás sürgős, valódi reformot és fenntartható finanszírozást igényel. Nincs szükségünk figyelemelterelésre vagy ideológiai kényelmi zónákba való kitérőkre.”

A BDA azt is aggályként emelte ki, hogy a javaslat a felelősséget a kormányról a betegekre hárítja. A kritikusok szerint a modell, amely a fogyasztói választásra helyezi a hangsúlyt, lényegében figyelmen kívül hagyja az NHS fogászati szerződés strukturális hibáit, amelyek a fogorvosok szerint a közszolgáltatást vonzóvá és pénzügyileg fenntarthatatlanná teszik. A szövetség úgy véli, hogy az NHS fogászati ellátás finanszírozásának és nyújtásának reformja nélkül a voucher-ek felváltanák az NHS felnőttkori fogászati ellátását,

anélkül, hogy garantálnák, hogy az így létrejövő piac méltányos vagy megfelelő hozzáférést biztosítana. A BDA szerint a javaslat azzal a kockázattal jár, hogy az NHS szol -

gáltatások csökkentését normalizálja, ahelyett, hogy helyreállítaná azokat.

Mások arra figyelmeztettek, hogy egy ilyen rendszer mélyítheti az

egyenlőtlenségeket. Azokban a térségekben, ahol magasabbak a magánellátás díjai vagy kevesebb a rendelő, a betegeknek kevés valódi választási lehetőségük lenne az

utalvány felhasználására. A szakmai szervezetek továbbra is közvetlen beruházásokat, szerződésreformot és hiteles munkaerőtervet szorgalmaznak az NHS fogászati ellátásának stabilizálása érdekében. A hozzáférési problémák súlyosbodásával a BDA üzenete az, hogy a politikai vitáknak a szolgáltatás újjáépítésére kell összpontosítaniuk, és nem olyan javaslatokra, amelyek több pénzt kínálnak több ellátás nélkül.

A súlyos parodontitis továbbra is növekvő terhet ró a globális szájegészségre. Az új Global Burden of Disease 2021 adatok az elmúlt három évtizedben az esetek számának és a fogyatékossággal korrigált életéveknek

(DALY) jelentős növekedését mutatták. Bár az egyéni kockázati szintek összességében alig változtak, a demográfiai eltolódások miatt a világ egészségügyi rendszerei egyre nagyobb parodontális ellátási terheléssel szembesülnek.

A 204 országra kiterjedő Global Burden of Disease 2021 adatok elemzése azt mutatja, hogy a súlyos parodontitis abszolút terhe 1990 és 2021 között jelentősen emelkedett. A globális új esetek száma több mint 76%-

kal nőtt, mintegy 50,8 millióról közel 89,6 millióra. Ugyanezen időszak alatt a súlyos parodontitishez kapcsolódó fogyatékossággal korrigált életévek (DALY) száma mintegy 91%kal nőtt, 2021-re elérve a 6,9 milliót.

Egy friss tanulmány rámutat arra, hogy a globális szájápolási betegségek terheinek növekedése miatt fokozottabb megelőzésre és a szájápolás szélesebb körű, nem fertőző betegségekkel kapcsolatos politikákba való integrálására van szükség. (Kép: My Ocean studio/Adobe Stock)

UPGRADE CONGRESS

Az abszolút számok meredek növekedése ellenére az életkorra standardizált incidencia- és DALY-arányok globális szinten nagyrészt stabilak maradtak. A becsült éves százalékos változások kicsik voltak, ami azt jelzi, hogy a növekvő terhelés fő mozgatórugói a népességnövekedés és az öregedés, nem pedig az alapbetegség kockázatának jelentős romlása. A tanulmány kiemeli az erőteljes regionális eltéréseket. Dél-Ázsia mutatta a legmagasabb életkorra standardizált incidencia- és DALY-arányokat 2021-ben, míg Óceánia következetesen a legalacsonyabb terhet mutatta. Abszolút számokban a legnagyobb növekedés Indiában, Kínában és az Egyesült Államokban következett be, ami a demográfiai növekedést és a jobb diagnosztikai lehetőségeket is tükrözi.

A társadalmi-gazdasági fejlődés kulcsszerepet játszott. A magas szocio-demográfiai indexű országok általában alacsonyabb incidencia- és DALY-arányokat tapasztaltak, míg az alacsony és közepesen alacsony indexű régiók aránytalanul nagy terhet viseltek. Ez a fordított kapcsolat arra utal, hogy a megelőző szolgáltatásokhoz való hozzáférés, a szájegészségi tudatosság és a szélesebb egészségügyi rendszer kapacitása erősen befolyásolja a parodontális kimeneteleket.

A súlyos parodontitis előfordulása az életkorral nőtt, középkorban tetőzött. A férfiak fiatalabb korban magasabb incidencia-arányt mutattak, de 45 éves kor körül ez a minta megfordult, és a nők aránya lett magasabb. Hasonló tendenciák figyelhetők meg a DALY-k esetében is, különösen az idősebb felnőttek körében. Bár a stabil életkorra standardizált arányok bizonyos előrelépést jeleznek a betegség kezelésében, az abszolút terhek folyamatos növekedése hangsúlyozza az erősebb megelőzési és kontrollstratégiák szükségességét. Az eredmények megerősítik a parodontális ellátás szélesebb, nem fertőző betegségeket célzó egészségpolitikai stratégiákba való integrálásának fontosságát, valamint a közös kockázati tényezők – mint a dohányzás, a vapelés, a rossz szájhigiénia és a cukorbetegség – kezelésének szükségességét.

A „Global and regional burden of periodontal disease in adults (19902021)” című cikk 2025. december 6-án jelent meg az International Dental Journal-ben.

Gyökérkezelés a csökkent gyulladással

és a jobb vércukorszint-szabályozással hozható összefüggésbe

Dental Tribune International

Bár a periapikális periodontitisz fokozhatja a szisztémás gyulladást, és összefüggésbe hozható a szív- és érrendszeri kockázattal, valamint a glikémiás kontroll károsodásával, az endodonciai terápia és az anyagcsere-egészség javulása közötti kapcsolatot korábban nem vizsgálták. A londoni King’s College úttörő klinikai vizsgálata a gyökérkezelés utáni szérummetabolitok változásait vizsgálta, és megállapította, hogy a kezelés a gyulladás jelentős csökkenésével, valamint a vércukorszint és a koleszterinszint javulásával járt, aláhúzva a hatékony fogászati ellátás szisztémás egészségi előnyeit.

A tanulmányban a kutatók 65 beteget követtek nyomon a Guy’s and St Thomas’ NHS Foundation Trust kórházban a gyökérkezelés után két éven keresztül. Öt időpontban elemezték a betegek szérummintáit,

hogy nyomon kövessék 44 metabolit – különösen a glükóz-, aminosavés lipid-anyagcserében részt vevők – változásait. Ezeket a változásokat összefüggésbe hozták a klinikai metabolikus szindróma indikátoraival, a gyulladásos biomarkerekkel, valamint a vér és a gyökércsatornán belüli mikrobiomokkal is, hogy jobban megértsék a periapikális periodontitisz és kezelésének hatását a szisztémás állapotok kockázatára. A csapat megállapította, hogy a sikeres gyökérkezelés számos jelentős egészségi előnnyel járt. Például a vércukorszint statisztikailag szignifikáns csökkenést mutatott a kezelés után két évvel – ez a glükóz-anyagcsere jelentős javulása, ami segíthet csökkenteni a 2-es típusú cukorbetegség kockázatát. Ezenkívül rövid távú javulást figyeltek meg a vérkoleszterin- és zsírsavszintekben, ami a szív egészségével szorosan összefüggő lipidprofilokat jelzi. A tanulmány a metabolitok és a gyulladásos markerek közötti változó korrelációs mintákat talált. A szerzők szerint ezek a min-

ták a kezelés utáni alacsonyabb gyulladásos terhet tükrözik. Továbbá a fertőzött fogakból származó baktériumok összefüggésben álltak a szisztémás anyagcsere-változásokkal, ami rávilágít a szájhigiénia szélesebb körű hatására az általános testi funkciókra. Dr. Sadia Niazi, a King's endodonciai vezető klinikai előadója egy sajtóközleményben elmondta: „Eredményeink azt mutatják, hogy a gyökérkezelés nemcsak a szájhigiéniát javítja, hanem segíthet csökkenteni a súlyos egészségi állapotok, például a cukorbetegség és a szívbetegségek kockázatát is. Ez egy erőteljes emlékeztető arra, hogy a szájhigiénia mélyen összefügg az általános egészségi állapottal.”

Dr. Niazi hangsúlyozta, hogy elengedhetetlen, hogy a fogászati szakemberek megértsék a gyökércsatorna-fertőzések tágabb következményeit, és aktívan támogassák a korai diagnózist és az időben történő kezelést. „Az integrált ellátás felé is el kell lépnünk, ahol a fogorvosok és a háziorvosok együttműködnek

Egy friss tanulmány kimutatta, hogy a sikeres gyökérkezelés összefüggésben áll a szív- és érrendszeri kockázattal kapcsolatos szisztémás anyagcsere-javulással. (Fotó: Microgen/ Adobe Stock)

a kockázatok monitorozásában ezen vérmarkerek segítségével, és megvédik az általános egészséget. Ideje túllépni a fogon, és valóban holisztikus megközelítést alkalmazni a fogászati ellátásban” – zárta gondolatait. Bár további kutatásokra van szükség ezen eredmények nagyobb populációkban történő validálásához, a szerzők szerint a tanulmány mélyreható betekintést nyújt a szájápolás

Töröljék el a „fogadót”: áfamentes gyermekszájápolást

Az ORDO által vezetett új országos kampány arra ösztönzi az Egyesült Királyság kormányát, hogy szüntesse meg az úgynevezett „fogadó adót” azáltal, hogy eltörli a gyermekek fogkefékre és fogkrémekre kivetett áfát, mivel egyre több bizonyíték utal arra, hogy az ország egész területén egyre súlyosabbá válik a családokat érintő szájápolási válság. A kampány vezetői azzal érvelnek, hogy az alapvető szájápolási termékek megadóztatása aláássa a megelőzési erőfeszítéseket egy

olyan időszakban, amikor a gyermekek fogászati egészségi állapota már így is súlyos terhelésnek van kitéve.

Az ORDO a Dental Wellness Trusttel és az Oral Health Foundationnel együttműködésben azt hangsúlyozza, hogy a gyermekek szájápolási termékei alapvető szükségleti cikkek, ezért ugyanúgy kellene kezelni őket, mint más nullaszázalékos áfakulcs alá tartozó termékeket, például a gyermekruházatot vagy a pelenkákat. Mivel gyermekek milliói nőnek fel relatív szegénységben, a kampány szervezői szerint a jelen-

szerepébe az általános egészség és jólét előmozdításában.

A „Sikeres endodonciai kezelés javítja a glükóz- és lipidanyagcserét: Longitudinális metabolomikai vizsgálat” („Successful endodontic treatment improves glucose and lipid metabolism: A longitudinal metabolomic study”) című tanulmány 2025. november 18-án jelent meg online a Journal of Translational Medicine című folyóiratban.

követel egy kampány

legi 20%-os áfa indokolatlan pénzügyi terhet ró a családokra, és hozzájárul az egészségi egyenlőtlenségek további növekedéséhez.

Az ORDO által 2025 októberében, az Egyesült Királyságban 2000 szülő bevonásával megrendelt új felmérés egyértelmű társadalmi támogatottságot mutat a változtatás iránt. A válaszadók nagy többsége úgy véli, hogy a gyermekfogkeféknek és fogkrémeknek áfamentesnek kellene lenniük, míg a szülők fele arról számolt be, hogy ezen termékek költségei megfizethetetlenné váltak. Közel minden második szülő jelezte azt is, hogy gyermekének az elmúlt egy évben szájüregi egészségügyi probléma miatt orvosi ellátásra volt szüksége, ami jól érzékelteti a probléma nagyságrendjét.

A Teeth of Tomorrow (A holnap fogai) elnevezésű kampány komoly közegészségügyi háttérrel indul. Kormányzati adatok szerint a fogszuvasodás továbbra is az egyik leggyakoribb krónikus betegség a gyermekek körében, amely fájdalomhoz, iskolai hiányzásokhoz és hosszú távú egészségi következményekhez vezet. A szuvasodás miatti kórházi felvételek folyamatos

terhet rónak az NHS-re, miközben jelentős regionális különbségek figyelhetők meg: különösen London és Északnyugat-Anglia érintett súlyosan.

A változás érdekében az ORDO fogászati szakembereket, jótékonysági szervezeteket és helyi önkormányzatokat fogott össze, valamint országos petíciót indított, amely a gyermekek szájhigiénés termékeire kivetett áfa eltörlését kéri a kormánytól. A petíció célja 10 000 aláírás összegyűjtése, ami az a küszöbérték, amely hivatalos kormányzati válasz kiváltásához szükséges.

A kampányról és a petícióról nyilatkozva Barty Walsh, az ORDO alapítója és vezérigazgatója elmondta: „Az ORDO büszke arra, hogy ezt az elkötelezett közösséget egyesítheti, hogy rávilágítson egy országszerte családokat érintő, egyre súlyosbodó problémára, és hogy elindíthat egy petíciót a valódi változás érdekében. A fogászati szakemberektől, jótékonysági szervezetektől és helyi hatóságoktól hallott történetek egyértelműen jelzik a helyzet sürgősségét: túl sok család küzd az alapvető szájápolási termékek eléréséért. Minden gyermek megérdemli az egészséges életkezdethez szükséges alapvető eszközöket. A

szájápolás nem luxus – hanem alapvető szükséglet.”

Hasonlóan fogalmazott dr. Linda Greenwall, a Dental Wellness Trust alapítója is:

„A megelőzhető fogszuvasodás továbbra is a gyermekek kórházi felvételének vezető oka az Egyesült Királyságban. Ez egy olyan közegészségügyi kihívás, amely aránytalanul sújtja a legkiszolgáltatottabb családokat, tovább mélyítve az egészségi egyenlőtlenségeket. A rossz szájüregi egészség gyakran jelentős fájdalmat és kellemetlenséget okoz a gyermekeknek, befolyásolja étkezésüket, alvásukat és az iskolai koncentrációjukat, sokaknál pedig önbizalomvesztéshez vezet, ami a szociális fejlődésre és a jóllétre is kihat. Az alapvető szájhigiénés termékek áfájának eltörlése rendkívül nagy hatású lépés lenne, és egyértelmű, hogy elsöprő társadalmi támogatottság áll mögötte.” A kampány rámutat arra, hogy a kormány számára egyértelmű lehetőség kínálkozik az egészségi egyenlőtlenségek csökkentésére és a gyermekeket érintő, elkerülhető szenvedés megelőzésére. A „fogadó” eltörlése egyszerű és népszerű lépés lenne annak érdekében, hogy minden gyermek igazságos és egészséges életkezdethez jusson.

Dental Tribune International
Egy új közös kampány arra hívja fel a figyelmet, hogy a kormánynak fontos lépéseket kell tennie az Egyesült Királyságban élő gyermekek egészségi egyenlőtlenségeinek csökkentése érdekében. (Kép: ORDO)

Turn static files into dynamic content formats.

Create a flipbook