Aumento

Sociedad
Plásticos


Tendencias
Tinte y Corte 2026
Consejos
Botox y Rellenos
Carillas
TENDENCIAS
CABELLO 2026

Sexualidad después del Cáncer
MedicinaRegenerativa
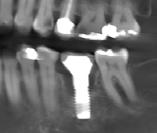
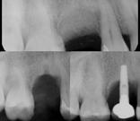
Infección en Implantes
![]()
Aumento

Sociedad
Plásticos


Tendencias
Tinte y Corte 2026
Consejos
Botox y Rellenos
Carillas
TENDENCIAS
CABELLO 2026

Sexualidad después del Cáncer
Infección en Implantes
SECCIONES FIJAS
4..…….…Carta del Director
5..…….…Club Brava
6…….......Créditos
7-11……..Colaboradores
12-15.......Guía de Profesionales
16............ Publicidad
17-18........Turismo Casino del Mar
19-20........Entrevista Dr. Champion
21..............Publicidad
22..............PR Fashion Diseñador Carlos Alberto
23-24.........Sexóloga Tatiana Aponte
25..............Restaurante Tomate
26-28.........Dr. Latoni
29...............Infinity Him - Leslie Padin
30-31..........Sociedad Cirujanos Plásticos
32-33..........Belladonna Med
34-35..........Elevate Med Spa - Dra. Angie Paz
36...............Laboratorio Toledo - Lcda. Ilia Toledo
37-39..........Dr. Erik Caro
40...............Patria
41...............Red Party Christmas - Empresarios con Propósito
42...............Spa Expo
43...............Estudio Legal Vissepó
44-46..........Entrevista Alexandra Lúgaro
47...... CARA
48-49..........Champion Dental
50-51..........Dr. Deliz
52-53..........Vanessa Marzan
54...............Dr. Luis Martinez
55...............Página Suscriptor
56...............Colombia Moda
57...............Dreyfus
58-59..........Gold Goddess
60...............Dra. Glenda Alicea

Envíenos sus preguntas o sugerencias sobre temas relcionados con cirugía plástica, salud oral, estética, nutrición, cuidado del cuerpo, piel o cabello, entre otros a revistacontorno@gmail.com o a nuestras redes sociales.
Visite nuestro website rediseñado www.revistacontorno.com para que lea los artículos de los especialistas de la salud, esteticistas y demás profesionales que nos colaboran. Escriba directamente a nuestros colaboradores, vea las pasadas ediciones en PDF y visite desde un solo lugar Facebook:ContornoMagazine; Twitter:RevistaContorno y YouTube:ContornoTV.

61...............Tendencias Maquillaje 2026
62-64..........Gala Sociedad Americana Cáncer 65...............Club Cívico Fogo de Chao 66-67..........Royal Gala
68...... CABELLO
69-70............. Tendencias Cabello 2026 - Rey Blanco
71...................Tendencias 2026 - Willie Menéndez
72-73............. Cabello Navidad 2025 - Esteban Montés
74.......... MODA Y EVENTOS
75...................William Villafañe
76...................Mr. Beauty
77...................San Juan Moda - Diseñador Luis Antonio 78-79............. Evexipel 80-81............. Bella Fashion 82-83............. Alas de Mujer
84...................CUD Biz Growth Summit
85...................Professional Beauty Show
86-87............. San Juan Beauty Show
88...................NYFW Canoe Studio 89...................NYFW Couture Andres Aquino 90-91............. Paris Fashion Week - Flying Solo 92-93............. Paris Fashion Week - Tiffany 94...................Ranier - Paris
95-96............. Hyundai Rexville 15 años 97-98............. Porsche 99...................Novaderm 100.................Banco Popular
Contamos con el respaldo de:



Portada: Dr. Derrick Champion
Dirección: Edinson R. Casanas
Producción: Revista Contorno
Diseño portada: Jorge J. Pantano Soto
Foto portada: Carmen Beatriz Ferrer




Es válido decir “no sé” o “en este momento no lo sé, pero me informo y te respondo”. Hay que tener coraje para enfrentarse a nuevas experiencias y conociendo tus fortalezas, aprenderás a resolver en el momento oportuno, con humildad y paciencia, sin necesidad de competir o compararte con nadie. El único con quien debes competir es contigo mismo. No todos lo sabemos todo en la vida; a diario aprendemos. Si actuamos con arrogancia, nos limitamos, pues damos a entender que lo sabemos todo o que no estamos dispuestos a aprender, lo cual nos cierra puertas y reduce las oportunidades.
Es válido actuar con confianza, ya que conocer tus destrezas y fortalezas te permite indagar y preguntar. Rodéate de quienes te complementen y aprenderás de ellos. Tu actitud puede abrirte caminos o cerrarte puertas. Si te enfocas en lo que puedes controlar, como tus pensamientos, el análisis y la lógica, podrás activar el sistema parasimpático, logrando calma y relajación, y así obtener un mayor rendimiento. Recuerda: tu mente controla tu cuerpo, pero tu respiración y relajación controlan tu mente. Estos son principios básicos del yoga.
El éxito viene con la libertad de ser y expresar lo mejor de ti, liberando ese poder interno y confiando en ti mismo. La confianza es una habilidad que se entrena, permitiéndote interpretar lo que sucede y cómo responder. Así, las caídas y los retos se convierten en oportunidades y tu mente creativa se activa para jugar a ganar desde el principio. La clave del éxito está en tu preparación, en conocer tus destrezas , fortalezas y en controlar tu mente.
Edinson R. Casanas







BRAVA: Tres Décadas Marcando el Ritmo de la Noche en Puerto Rico



con tranquilidad desde que entra






Edinson R. Casanas
Director/Fundador edcontorno@gmail.com
Elizabeth Pacheco
Asistente de Producción contornoagency@gmail.com
Joandra Batista
Directora de Eventos
Susan Rivera
Eventos
Carolina Gaviria
Editora caro.contorno@gmail.com
Jorge J. Pantano Soto
Director creativo / Diseñador Gráfico jorge.pantano86@gmail.com
Junito Olivieri
Willie Menéndez
Asesor de Belleza
LoidaLeón
Marianne de Jesús
Rosalía Jover
Asistente ejecutiva
Maquillistas y Estilistas
Junito Olivieri
Giovanni Adorno
Armando Avilés
@reyblancopr
Cynthia Isett
@vsanjurjo_5
Willie Menéndez
Image Stylist
Ivelisse Nieves
Yanira Chaar
Willie Menéndez
Laurent Thouvenin laurent_thouvenin_photographe
Charles Willis (NY-Paris)
Jean-Marie Boyer
jean_marie_boyer
Tincho Gronda @vcrpics
Carmen Ferrer
beafineartphotography
Luciano Aquino lucianoaquinophotographer
Impresión
CG Printing
Webmaster
Ana Recci
Juan Quevedo
Corrección de texto
Nathalia Arboleda Carolina Gaviria
Revista Contorno
Revista Contorno no asumirá responsabilidad alguna por los productos, servicios o practicas anunciadas a criterio de los autores en sus artículos, ni del material utilizado y/o publicado por ellos.
Revista Contorno ser limita a ser un medio de comunicación. Toda responsabilidad rescae sobre el anunciante.
Vendedores
Ramsey Martínez
Nesmar Andrade
Presentadora y Corresponsal
Jessica Ginés
Corresponsal
Kiara Rivera
Kyanette Frashele Orama
Tiany Castillo
Distribución
Distribuidor de la Revista Contorno
Raúl Aponte Distributor
Ángel Vélez
Distribuidor de agencias
Editoriales por Nathalia Arboleda
Es política de la Revista Contorno clarificar y corregir cualquier error o información incorrecta que pueda aparecer en sus publicaciones. Para sugerencias, correcciones o aclaraciones, favor de comunicarse a través de nuestro correo electrónico: revistacontorno@gmail.com (787) 740-7376 | (787) 251-5744 | (787) 399-0165
Prohibida la reproducción total o parcial de esta revista sin previa autorización escrita de sus autores. Revista Contorno verifica la seriedad y credibilidad de sus anunciantes y colaboradores, pero no se hace responsable de concursos, ofertas especiales, cupones y otros ofrecimientos hechos por ellos. Su cumplimiento es responsabilidad del propio anunciante y/o colaborador. Revista Contorno advierte que el contenido de esta revista es de carácter informativo y no para establecer un diagnóstico de salud al lector. Recomendamos consultar a un cirujano plástico, doctor o especialista sobre cualquier condición. Revista Contorno es una guía de cirugía estética, belleza, salud, turismo médico-estético, estilo de vida y moda. Es un medio cuyo fin es orientar sobre estos temas. TODOS LOS DERECHOS RESERVADOS. All Rights Reserved. Copyright© 2007 11-277 ®EDINSON RIVERA 2011

El Doctor Jorge Latoni es el Presidente de la Sociedad de Cirugia Plastica de Puerto Rico. Esta Certificado por el American Board of Otolaryngology; además es Socio del American Society of Plastic Sirgery y Fellow del American College of Surgeons.



Cirujano plástico con entrenamientos avanzados en cirugías craneofacial, endoscópica, facial y con láser. Diplomado por el American Board of Plastic Surgery. Miembro de la Sociedad de Cirugía Plástica de Puerto Rico y del American Society of Plastic Surgery.
Cirujano plástico y reconstructivo con especialización de la Universidad de Indiana. Entrenamiento en cirugía general en la Universidad de Puerto Rico. Miembro activo de la Sociedad de Cirugía Plástica de Puerto Rico, el American Society of Plastic Surgery y el American Society of General Surgery.
Cirujano plástico y reconstructivo egresado del Providence Hospital en Michigan. Es diplomado por el “American Board of Plastic Surgery”. Es miembro de la “American Society of Plastic Surgeons”, La Sociedad de Cirugía Plástica de PR y de la “International Society of Aesthetic Plastic Surgery”. Ha ejercido su práctica en PR por 15 años, habiendo fundado el Centro Integral de Cirugía Estética y Reconstructiva, en el área oeste del país.




Cirujano plástico y el American Board of Plastic Surgery. Presidente de la Sociedad de Cirugía Plástica de Puerto Rico y actual coordinador de Educación. Delegado de Cirugía Plástica y Senador del Colegio Médico de Puerto Rico.
Orlando Cañizares, MD. Universi dad de PR Recinto de Ciencias Médicas, graduado en Cirugía General. University of Texas Southwestern, Dallas, graduado en Cirugía Plástica. Diplomado por el American Board of Plastic Surgery. Miembro del American Society of Plastic Surgery. Miembro de American Society of Aesthetic Plastic Surgery.
Cirujano plástico diplomado por el American Board of Plastic Surgery con especialización de la Univ de Tulane en New Orleans. Ha presentado en varias conferencias y publicado varios artículos. Es miembro del American Society of Plastic Surgery y la Sociedad de Cirugía Plástica de PR.
Cirujano plástico, estético y reconstructivo. Egresado del New York Medical College, Valhalla, New York. Becado por el Eastern Paralyzed Veterans Association para cirugía plástica y reconstructiva. Miembro del American College of Surgeons y del Colegio de Médicos Cirujanos de Puerto Rico.




Cirujano plástico y reconstructivo diplomado por el American Board of Plastic Surgery. Miembro de la Sociedad de Cirugía Plástica de Puerto Rico. Miembro del American Society of Plastic Surgery, la Sociedad Iberoamericana de Cirugía Plástica y el American Medical Association.
Cirujano Fellow Colegio Americano de Cirujanos. Con
of Surgery”. Catedrático Auxiliar Departamento de Cirugía, de la Escuela de Medicina UPR.
Facultad Hospital Auxilio Mutuo, Hato Rey Pavia y San Jorge. Con práctica en el Centro de Cáncer Auxilio Mutuo, la Clínica Salus, y la Torre Auxilio Mutuo.
Otorrinolaringólogo subespecialista en cirugía plástica facial, de ojos y párpados.
Board of Facial Plastic and Reconstructive Surgery y por el American Board of Otolaryngology, Miembro del American Academy of Facial Plastic and Reconstructive Surgery.
Especialista en Bariatría, Anti-Aging, Medicina Regenerativa. Médica bariátrica, familiar, estética, terapista física y en obesidad pediátrica.
Presidenta y fundadora de Belladona Medical Wellness.
Miembro del Colegio de Médicos Cirujanos de PR, American Society of Bariatric Physicians.

Cirujano Plástico Facial “double board certified” en Otorrinolaringología y Cirugía de Cabeza y Cuello; y Cirugía Plástica Facial y Reconstructiva. Realizó sus estudios en Washington University, New York Medical College y Walter Reed Army Medical Center. Cuenta con más de 27 años de experiencia. Por 3 años, ejerció como jefe de Otorrinolaringología y Cirugía de Cabeza y Cuello en Eglin AFB Regional Hospital, FL. Luego se convirtió en el director médico y cirujano plástico facial de su clínica Adler Clinics.

Cirujana Plástica Facial originaria de California, certificada en Otorrinolaringología y Cirugía de Cabeza y Cuello. Realizó su residencia en Mount Sinai Hospital, N.Y. y su entrenamiento en Cirugía Plástica Facial y Reconstructiva en Smith Facial Plastics y en Ohio State University. Ejerció como cirujana plástica facial en Granite Bay Cosmetic Surgery en California. Actualmente es cirujana plástica facial de Adler Clinics y su especialidad es facelift, rinoplastia, y cirugía para los parpados.

Cirujano Plástico Facial y Reconstructivo certificado como cirujano de cabeza y cuello. Su práctica se centra en el rejuvenecimiento facial quirúrgico y no quirúrgico, la cirugía nasal estética y funcional, el tratamiento de la parálisis facial y la reconstrucción del cáncer de piel. Completó su residencia en Otorrinolaringología y Cirugía de Cabeza y Cuello en el Hospital Mount Sinai en NY. Seguido por un “fellowship” en Cirugía Plástica Facial y Reconstructiva en la Universidad de Washington.

Cirujano dentista con especialidad en periodoncia e implantes dentales. Posee un fellowship oral. Miembro del Colegio de Cirujanos Dentistas de Puerto Rico y del American Association of Periodontology. Presidente de la Asociación de Periodoncistas de Puerto Rico.




Obtuvo su Doctorado en Medicina Dental en la UPR, Recinto de Ciencias Médicas. Completó un postgrado en Odontología General AvanzaMedical Center” en Nueva York. Recibió tres (3) años adicionales de entrenamiento especializado en Prostodoncia en la UPR, Recinto de Ciencias Médicas. Completó un Postgrado en Odontología Cosmética de la UCLA.
La doctora Frances M. Herrero se graduó Magna Cum Laude de Bachillerato en Ciencias del Colegio de Mayagüez y Suma Cum Laude del Recinto de Ciencias Médicas, Escuela de Medicina Dental. Especialidad en Periodoncia de la Universidad de Maryland. Pertenece al Colegio de Cirujanos Dentistas; Sociedad de Especialistas en Periodoncia e Implantología de Puerto Rico, Sociedad Americana de Periodoncia y es Board eligible en Periodoncia.


Dr. Luis
Graduado de Medicina de la Universidad de Navarra, España. Especialista en Ortopedia de la Universidad de Temple, en Philadelphia. Tiene una subespecialidad en Cirugía Reconstructiva realizada en Londres. Actualmente es jefe de Ortopedia del Hospital Auxilio Mutuo. Fellow del American Academy of Orthopedic Surgery.
el American Board of Dermatology y el National Board of Medical Examiners. Ha presidido organizaciones como la Sociedad Americana del Cáncer, Capítulo de Puerto Rico y la Sociedad Dermatológica de Puerto Rico, entre otras.
Ortodoncista diplomado por el American Board of Orthodon tics. Pertenece a la facultad médica del Instituto de Cirugía Plástica y Reconstructiva del Hospital San Jorge, a la American Association of Orthodontists, y al World Federation of Orthodontists. Ha sido premiado con el Dentists Choice Awards en Ortodoncia (PR) y el Devlin Award (USA).
Dr. Derrick R. Champion se graduó en el 2005 de la Escuela de Meharry Medical College of Dentistry en Nashville, TN y completó un año de práctica de residencia en el Hospital de Especialidades Coler-Goldwater en Nueva York haciendo hincapié en todos los aspectos de la Odontología general cosmética, implantes y cirugía oral.


Prostodoncista especialista en rehabilitación oral e implantes, odontología cosmética y diseño. Presidente de la Asociación de Prostodoncistas de PR. Miembro del American Academy of Cosmetic Dentistry.
Bachillerato en Biología en la UPR de Río Piedras. Su pasión por la medicina lo llevó a la Universidad Central del Este, donde obtuvo el título de Médico Cirujano. Trabajó en el Departamento de Educación como “Supervisor de Área en Salud”. Fundador y CEO del primer centro holístico, medicina regenerativa y estética medica: “Angelorum Medical Aesthetics and Pain Control.”



Comenzó su trayectoria académica en la UPR de Mayagilez, donde obtuvo su Bachillerato en Biología. Luego continuó sus estudios en la Escuela de Medicina Dental de la Universidad de Puerto Rico de Ciencias Medicas, graduándose con su título de Doctor en Medicina Dental (DMD) en 2013. El Dr. Reinaldo Deliz Guzman está profundamente comprometido con la excelencia en la atención periodontal y se enorgullece de servir, a la comunidad local en PR,

El Dr. Luis Martínez es médico, investigador y líder reconocido en los campos de la Medicina de Longevidad, Medicina Regenerativa, Peptidoterapia, Terapias Autólogas y Age-Management Medicine. Con formación en Medicina y una Maestría en Salud Pública, el Dr. Martínez ha dedicado su carrera a integrar ciencia de vanguardia, terapias basadas en evidencia y aplicaciones clínicas innovadoras.
María Elena Bonnin posee un Bachillerato en Ciencias de la Universidad de Florida en Gainesville. Realizó sus estudios en Medicina en la Universidad Central del Caribe en Bayamón, Puerto Rico. Obtuvo su especialidad en Obstetricia y Ginecología en el Hospital San Juan en Centro Médico donde fue elegida Jefe de Residentes. La Dra. Bonnin está diplomada por el American Board of Obstetrics and Gynecology (ABOG) y es Fellow del American College of Obstetricians and Gynecologists (FACOG).
La doctora De La Torre es dermatóloga acreditada por la Academia Americana de Dermatología, forma parte de la Facultad Médica del Hospital HIMA San Pablo en Bayamón, es Catedrática Auxiliar del Departamento de Medicina de la Universidad Central del Caribe School of Medicine y pasada presidenta de la Sociedad Dermatológica de Puerto Rico.


Dra Angie Paz, Medico Aestheics and Anti Aging. Graduada con honores en la Escuela de Medicina de Ponce. Su internado lo hizo en el Meddlesex Hospital de Connecticut. CEO de Elevate Med Spa en Bayamon.
Dr. Erik J. Caro, Medico Familiar Graduado en la escuela de medicina del Tecnológico de Monterrey, con mas de 20 años en el Blue Cross. Especialidad en Medicina Primaria y CEO de E l C Health and Body Care Mayaguez.

Especialista en Medicina Física y Rehabilitación en la Universi dad de Puerto Rico, Recinto de Ciencias Médicas. Especialista en Fisiatria, MD-Trainer, creador del ChamoTrainingSystem. Autor del libro: “Entrenando la mente para desarrollar el cuerpo”. Fundador del Instituto Médico de Entrenamiento Físico Dr. Ricardo Guerrero.

Ginecóloga y obstetra diplomada por el Board Americano de Obstetricia y Ginecología. Es Fellow del Colegio Americano de Obstetricia y Ginecología. -
tética de la Academia Americana de Medicina Estética. Facultativo académico del programa de entrenamiento en Ginecología y Obstetricia del Hospital San Juan, en el Centro Médico de P.R. Director Médico de Women’s Wellness & AntiAging Medical Spa.


La doctora De La Torre es dermatóloga acreditada por la Academia Americana de Dermatología, forma parte de la Facultad Médica del Hospital HIMA San Pablo en Bayamón, es Catedrática Auxiliar del Departamento de Medicina de la Universidad Central del Caribe School of Medicine y pasada presidenta de la Sociedad Dermatológica de Puerto Rico.
La doctora Vilma Ortega practica la obstetricia y ginecología desde hace aproximadamente 25 años. Estudió medicina en la Universidad Central del Caribe y completó su entrenamiento en obstetricia y ginecología en el Hospital Universitario del Recinto de Ciencias Médicas, Fellow del Colegio Americano de Obstetricia y Ginecología (FACOG).

Con 2 maestrias en el tema de Educacion Sexual y asesoramiento sexual en el Instituto de Ciencias Sexológicas ( INEISEX ) de la Universidad de Alcalà de Henares. Terapia Sexual y de Parejas con Perspectiva de Gènero en la Fundación SEXPOL de la Universidad de Nebrija.

Cursó estudios universitarios en la Universidad Interamericana de PR Metro. Se graduó de Bachillerato en Ciencias, luego en el mismo recinto, completó el grado de Tecnología Médica. Culminó sus estudios de medicina en UNIBE en Santo Domingo. Miembro activa de la Aesthetic and antiaging world congress association. Forma parte de la facultad médica del Hospital Metropolitano Dr. Pila en Ponce. Directora de Ucare Medical Spa.



American Board of Radiology. Cursó sus estudios universitarios Purdue University, West Lafayette, Indiana. Egresada de la Universidad Central del Caribe, Escuela de Medicina Magna Cum Laude. Realizó su especialidad en el Departamento de Radiología en la UPR. Co-fundadora de la Academia Americana de Medicina Estética. Miembro de la American College of Radiology, Society of Breast Imaging y American College of Aesthetic Medicine.

Oftalmólogo, Cirujano Refractivo y Cirujano de Cataratas. Egresado de la Escuela de Medicina de la Universidad de Puerto Rico.
Board of Ophthalmology. Miembro de la American Academy of Ophthalmology y American Society of Cataract and Refractive Surgery.
Graduado de la Universidad de Medicina y Odontología de Nueva Jersey, con el título de DMD. Tiene licenciatura en Biología de la Universidad de Rutgers. Director médico de “Smile Studio & WELLNESS Center Miami”, ubicados en el Doral y Coral Gables, en Miami, Florida.
Especialista en Naturopatía Integrativa y Salud Integral, Naturopata licenciada, Completa un bachillerato en Biología y un post grado en Tecnologia Médica, de la Universidad de Puerto Rico maestría en Ciencia en Naturopatía, y, un Doctorado en Filosofía de la Naturopatía. Presidenta y Fundadora de 8 Healthy Medical Wellness.

CENTROS EDUCATIVOS
Edic College
Calle Genoveva Urb. Caguas Norte Caguas, P.R. 00726
Tel.: 787-744-8519
Sonage Institute
27 Ave. Luis Muñoz Marín Villa Carmen, Caguas, PR 00725 Tel. 787-743-1975
CIRUJANOS BARIÁTRICOS
Dr. Enrique Whittwell
Miami Obesity Surgery 6705 Red Road, Suite 416, Coral Gables, Fl. 33143. Tel.: 1-305-665-0100 www.miamiobesitysurgery.com
Dr. Jorge Rabaza
The Miami H.O.P.E.
Center for Bariatric Surgery 7800 SW 87th Avenue, Suite B210, Miami FL 33173.
Tel.: 1-305-271-9777
Web: www.miamihope.com
CIRUJANO MAXILOFACIAL
Clínica de Cirugía Oral y Maxilofacial de Caparra
Dr. Ricardo J. Jiménez Bosch
Edificio Doral Bank #800 Ave. Roosevelt
Río Piedras, Puerto Rico 00920 Tel.: 787-622-0552
Email: ricardo@maxilofacialpr.com
Web: maxilofacialpr.com
CIRUJANOS PLÁSTICOS
Dr. Fernando M. Calero
Torre San Pablo, Oficina 103 Calle Santa Cruz #68 Bayamón, P.R. 00961
Tel.: 787-780-5971 / 787-780-5026
Email: calero4plastics@hotmail.com
Dr. Luis I. Morell Abello
Aesthetic Center of Puerto Rico
Suite 404
Hospital Ryder Memorial Humacao, P.R.
Tel.: 787-850-8217
Dr. Rosendo E. Martínez
Plastic Aesthetic & Reconstructive Surgery
Ponce by Pass #2225
Edif. Parra, Suite 401
Ponce, P.R. 00717-1320
Tel.: 787-840-9450
Fax: 787-840-9454
Dra. Norma I. Cruz
Santurce Medical Mall, Suite 412
Ponce de León 1801
Santurce, P.R. 00909
Tel.: 787-622-2420
Dr. Natalio Debs Elías
Edif. Arturo Cadilla
Suite 508 Paseo San Pablo #100 Bayamón, P.R. 00961
Tel.: 787-786-4460
Dr. Luis F. Rodríguez Terry
Plastic Surgery Institute
Fernández Juncos #703 Avenida Miramar San Juan, P.R. 00907
Tel.: 787-977-7070
Web: www.plasticsurgeryinstitute.com
Dr. Joel Toro Pagán
Ciudadela, Suite 1
1509 Ave. Ponce de León
San Juan, P.R. 00909
Tel.: 787-722-0022
Fax: 787-723-2853
Web: www.drjoeltoro.com
Dr. Francisco Pérez Rivera
Plastic Surgery & Laser Center
Avenida Degetau A#18
Urb.Bonneville Terrace
Caguas, P.R. 00725
Tel.: 787-961-4023/4024 / 787-367-3497
Email: fjperezriveramd@gmail.com
Dr. Orlando Cañizares
Clínica Las Américas
Suite 412
Ave. Roosevelt #400
Hato Rey, P.R. 00918
Tel.: 787-753-1999
Fax: 787-753-1101
Web: www.drcanizares.com
Dr. Ricardo Jiménez Lee
Plastic & Reconstructive Surgery P.S.C.
P.O. Box 362246
San Juan, P.R. 00936
Tel.: 787-751-9641
Web: www.drjimenezlee.com
Dr. Juan M. Maldonado Rebelo
Torre Médica Hospital Auxilio Mutuo 735 Ave. Ponce de León, Suite 414
Hato Rey, P.R.
Tel.: 787-751-6701 / 787-763-9928
Email: maldonadorabelo414@yahoo.com
Dr. Carlos M. Portocarrero Blanco
Body by Porto
Calle San Jorge #169
San Juan, Puerto Rico 00911
Tel.: 787.723.1234
Fax: 787.289.5544
Web: www.plasticsurgerypr.com
Dra. Sally Priester
Ashford Medical Center
29 Washington St. Suite 608
San Juan, Puerto Rico 00907
Tel.: 787-985-9705
Fax: 787-958-7087
Enail: spriester@mail2doctor.com www.globalmedicine.earth
Belladona Medical Wellness
Dra. Evelyn Cintrón
Bayamón Carr #2 Betances Shopping Capri Bayamón, P.R 00951
Tel: 787- 449-8806
Vega Baja
Tel: 787-533-7520
Facebook: belladonnamedical
Web: belladonnamedical.com
Dr. Michael F. Soler
Grupo Médico Familiar
Clínicas Médicas de Control de Peso
Cupey- Urb. San Gerardo
1700 Sta. Agueda
San Juan- P.R. 00926
Tel.: 787-754-1059 / 787-565-6869
Guayama - Suite 101
Hospital Santa Rosa#1 Ave. Los Veteranos
Guayama, P.R. 00786
Tel.: 787-516-3111
ChiroMed
Dra. Olga Negrón Seijo
Dr. Félix Lugo-Adams
San Patricio Town Center, Suite #200 Guaynabo, P.R 00969
Tel: 787-998-8388 / 787-525-6247
Email: chiromedpr@hotmail.com
CLUB
Caparra Country Club
Calle Dr. Ramos Mimoso #6 Garden Hills Guaynabo, PR 00966
Tel.: 787-783-5286
Fax: 787-749-9877
Email: cmarrero@caparracountryclub.com Web: www.caparracountryclub.com
Vivo Beach Club
RD 187, KM 2. 4
Carolina, Puerto Rico 00979
Tel.: 787-648-5655
Email: membership@vivobeachclub.com Web: www.vivobeachclub.com
Union Auto Group
Tels.: 787-708-4444 / 787-708-4445
Carr. #1, San Juan
San Juan Lincoln
227 marginal Ave. Kennedy
San Juan, P.R. 00920
Tel: 787-782-4000
Uniauto Mitsubishi Guaynabo
Carretera #1 Km 21
Sector la Muda Via Caguas
Guaynabo PR, 00969
P.O Box 2514 Guaynabo PR 00970
Tel.: 787-945-0555
Kitchens and More
Bo. Camarones 169 Km 0.9
Guaynabo PR 00965
Tel.: 787-720-5584/787-922-0211
www.Kitchensandmorepr.com
DENTISTAS
The Dental Center
Dr. Melvin Hernández Viera Domenech #315 Segundo Piso San Juan, P.R., 00918
Tels.: 787-754-0600 / 787-282-8904 www.sudentista.com
DERMATÓLOGOS
Dr. Luis J. Ortiz Espinosa
Novaderm Centro
Dermaestético y Láser
Bayamón
Edif Galería Médica, Suite 108
Calle Santa Cruz #64
Bayamón, P.R. 00959
Tels.: 787-798-1200 / 787-7982765/1993
Novaderm - Carolina
Avenida Comandante, Esq. Campo Rico PQ-28. Carolina, P.R. 00983
Tel.: 787-752-3395 / 787-752-3280
Dermatology Practice, Inc.
Dr. Roberto L. Dávila de Pedro San Juan
Torre de Plaza Las Américas
Suite 712. San Juan, P.R. 00918
Tel.: 787-764-6611
Fax: 787-764-1596
Guayama
First Guayama Medical Plaza
Hostos #21 Sur, Esq. Baldorioty Guayama, Puerto Rico 00784
Tel.: 787-864-1867 / 6580
Fax: 787-866-2296
Ponce
Marginal by Pass, Paseo Las Colonias Núm. 1675 Ponce, Puerto Rico 00717
Tel.: 787-844-7430/4315
Fax: 787-844-4325
Los Prados Medical Gallery
Dr. Samuel Sánchez
Plaza Los Prados, Local Z-5, Caguas P.R. 00725
Tel.: 787-746-3136
Fax: 787-745-1585
Email: dermagallery@yahoo.com
Dr. Edgardo Rodríguez Vallecillo
Tel. (787) 723-7230 www.rodriguezvallecillo.com
Dra. Elena Montalván Miró Santurce Medical Mall
1801 Ave Ponce de León, Suite 302. Santurce PR 00909 Tel.: 787-727-0060
Doctors’ Center Dorado Clinic Centro Comercial Plaza Dorada Local #24. Dorado, PR 00646
Tel.: 787-665-2222
Manatí, PR 00674
Tel.: 787-621-3300
Dra. Adisbeth Morales, MD FAAD
Hospital Auxilio Mutuo
Torre Médica Suite 802
Tel.: 787-296-0944 / 787-296-0945
skincancerham@gmail.com
Dermogalenic Experts PR
Calle Marginal C3, Suite 12
Dorado, PR 00646
Tel.: 939-275-5590
info.pr@dermogalenicexperts.com www.hddermocosmetics.com
Academia Serrant 8180 Concordia, Ponce Tel. 787-259-4900
Ángel Martínez #6
Sabana Grande Tel. 787-873-3900
ESPECIALISTAS EN ODONTOLOGÍA COSMÉTICA
Dr. José Rivera Zayas
Prostodoncista
Doral Bank Center 576 César
González Ave. Ste 301, San Juan, PR 00918
Tel. 787-773-0123
Fax. 787-773-0125
baldrichdental@yahoo.com www.dentalestheticspr.com
Dra. Ruth Rodríguez Noboa
Odontóloga General
654 Ave. Muñoz Rivera Ste. 1104
Edificio T-Mobile
San Juan, PR 00918
Tel. 787-764-1414
Fax. 787-763-3885
ruthrodriguezdds@gmail.com
San Juan Dental Center
Dra. Rosa M. Rodríguez
Dentista pediátrico y ortodoncia
456 Calle Teniente Cesar Gonzalez, Hato Rey PR 00918
Tel. 787-753-2376
Fax. 787-767-8392 www.sanjuandentalcenterpr. com
Dra. Sigrid Mojica
Odontología Estética
Ave. Aguas Buenas 1012
Santa Rosa, Bayamón PR 00959
Tel.: 787-785-1090
sigrid.mojica@yahoo.com
Instagram: @dra.mojica
Dr. G-Smile
Odontología
1760 Coral Way. Miami FL.
Tel. (305)856-1488
4207 NW 107th Ave.,Doral,FL
Tel.: (305)594-4418
Dr. Mario Polo
Ortodoncista
702 La Torre de Plaza Las Américas
Avenida F.D. Roosevelt #525
San Juan, P.R. 00918-0702
drmariopolo@mariopolo.com
Web: www.mariopolo.com
Dr. Francisco Herrero
Periodoncista e Implantes Dentales Bayamón
Calle Santa Cruz, B-8, (Frente al Hospital San Pablo) Bayamón, P.R. 00961
Tel.: 787-269-8687
Fax: 787-786-4891
Hato Rey Domenech 201 (Frente al Colegio Cirujanos Dentistas P.R.), Hato Rey, P.R. 00918
Tel.: 787-753-1419
Fax: 787-763-3521
Email: herrerodmd@yahoo.com Web: www.perioimplantpr.com
Champion Dental & Orthodonstic Ortodoncia
Edificio Edgewell 544 calle Aldebarran Suite 202
San Juan
Tel. 939-333-0000
Plaza del Mar Shopping Carr 693 Sector Brenas Suite 112
Vega Alta, PR
Dr. José L. Rivera Zayas Prostodoncista
Doral Bank Center
576 César González Ave. Suite 301
San Juan, P.R. 00918
Tel.: 787-773-0123
Fax: 787-773-0125
baldrichdental@yahoo.com www.dentalestheticspr.com
Dr. José O. Colón Deglans
Periodoncia & Implantes Dentales
Doral Bank Center
576 César González Ave. Suite 308
Hato Rey, P.R. 00918
Tel.: 787-764-5100 / 787-764-0159
Email: jocperio@gmail.com
Dr. Clyde H. Fasick-Juliá Laser Dental Center
Cirujano Dentista Ashford Medical Center
Suite 808, #29 Washington St. San Juan, P. R. 00907
Tel./Fax: 787-725-4776
Email: citadental@gmail.com
Dental Esthetic Solution
Dr. Richard Cañizarez
Clínica Las Américas
Ave. Roosevelt 400 Suite 307
San Juan, Puerto Rico 00918
Tel.: 787-777-1163
Fax: 787-777-1164
Email: info@dentalcarepr.com www.dentalEstheticSolutions. com
Dr. Carlos Izcoa
Prostodonsista
Rehabilitación Oral e Implantes
Odontología Cosmética
Tel.: 787-798-1772
Email: cizcoa@caribe.net
Dr. Donald Mangual
Prostodonsista
Edificio América, ofic. 504B Ave. Roosevelt San Juan, PR 00918 Tel.: 787-946-5556
Email: drmangual@me.com
Dr. Gustavo Fadhel Castellví Caguas
Quadrangle Medical Center 50 Ave. Luis Muñoz Marín Suite 206, Caguas, P.R. 00725 Tel.: 787-746-0895
Bayamón
Santa Cruz B-9 Frente al Hospital San Pablo Bayamón, P.R. 00951 Tel.: Fax 787-787-0895
Dr. Suzette Espada Clínica Dental Puerto Nuevo #611 Ave. Andalucía San Juan, P.R. 00920 Tels.: 787-626-6164 / 787-626-6111 cdpn.pr@gmail.com
FITNESS
Goals Gym
José Juan Roldán Carr. 167, Km. 18.7 Bayamón, P.R. 00956 Tel.: 787-730-4460
LIV Fitness
Guaynabo Urb. Parkside Guaynabo, PR 00966 Tel: 787-946-0948
Condado Gallery Plaza 103 Avenida de Diego San Juan, PR 00911 Tel.: 787-998-4553 www.LIVfitnessclub.com
Instituto Médico y Entrenamiento Físico - IMEF Dr. Ricardo Guerrero Ave. Isla Verde Carr #187 Mall Isla Verde Piso 2 Ste. 209 Carolina, PR 00979 Tel: 787-961-2983 | 787-368-9592 Email: chamotrainingsystem@ gmail.com
Dr. Miguel Velázquez Villanueva Centro de Cirugía Pélvica y Reconstructiva
Guaynabo Medical Mall Ave. Cumbres 140 Suite 202 Guaynabo, P.R. 00968
Tel.: 787-720-1414 / 787-243-0708
Condominio Centro Plaza #650 Calle Lloveras(cerca del Hospital Pavía en Santurce) Suite 203 San Juan, P.R. 00910 Tel.: 787-243-0708
centrocirugiapelvica@gmail.com
Instituto Clínico Doctors’ Center Carr. #2, Km 47.7
Tel.: 787-754-7658

Fax: 787-753-8415
Urb. Santa Cruz D-9 Calle 1, Bayamón, PR 00961
Women’s Wellness Ant-aging
Medical Spa
Dra. Erika Benabe-González
Urb. Caribe 1565, Calle Alda San Juan, PR 00926
Tel. 787-379-4777
Web: www.DoctoraBenabe.com
Instagram: @womenswellnesspr Facebook: womenswellnesspr
Skin by Navitas
Dra. Maria E. Bonnin y Dra. Sheila Ashby
200 Ave. Winston Churchill Ste. 303 San Juan, PR
Tel. 787-624-7474
Web: www.navitasmed.com
Instagram: @skinbynavitas
Mind & Beauty
Dra. Vilma Ortega y Dra. Livette Milán
Capital Center Bldg., Ste 601 239 Arterial Hostos Ave. San Juan, PR 00918 Tel. 787-754-8333
HOSPITALES
San Jorge Plastic & Reconstructive Surgery Center
Ave. San Jorge #258 Santurce, PR
Tel.: 787-727-1000
HIMA San Pablo Bayamón
Calle Santa Cruz #70 Urb. Santa Cruz Bayamón, P.R.
Tel.: 787-620-4747
Fax: 787-798-5495
Hospital Metropolitano D’Mujer Health & Prevention Center Carr. 21 #1785 Las Lomas Guaynabo. P.R.
Web: www.metropavia.com
Tel.: 787-999-8946
Hospital Auxilio Mutuo
Avenida Juan Ponce de León
Parada 37 ½ Hato Rey San Juan P.R, 00919
Tel.: 787-758-2000 www.auxiliomutuo.com
HOTELES
El San Juan Hotel
Av. Isla Verde 6063 Carolina, Puerto Rico 00979
Tel.: 787-791-1000
Fax.: 787-791-0390
www.elsanjuanhotel.com
Hyatt Plaza Bayamón Ave. Ramón Luis Rivera Bayamón, PR 00961 Tel.: 787-779-5029
Sheraton Puerto Rico Hotel & Casino
200 Convention Boulevard, San Juan, P.R. 00907
Tel.: 787-993-3500
Web: www.sheraton.com
Isla Verde
5961 Isla Verde Avenue
San Juan, P.R. 00979
Tel.: 787-791-6100
Fax 787-253-2510
Web: www.icsanjuanresort.com
San Juan Water Beach
Club Hotel
2 Tartak St, Isla Verde, Carolina, PR 00979
Tel.: 787-728-3666
Fax.: 787-728-3610
www.waterbeachhotel.com
Double Tree By Hilton
105 Ave. De Diego
San Juan Pr. 00911
Tel.: 787-721-1200 Ext. 5997
M. 787-649-3530
Email: yodel.caban@hilton.com www.SanJuanDobuleTree.com
Casablanca Hotel
316 Calle Fortaleza
Viejo San Juan, PR
Tel.: 787-725-3436
Email: reservations@hotelcasablancapr.com
www.hotelcasablancapr.com
Hotel Verdanza
8020 Tartak Street
Isla Verde, P.R. 00979
Tel.: 787-625-9037 / 787-253-9000
Ext. 3111
Fax: 787-253-9007
Email: wrodriguez@verdanzahoTel.: 800-625-0312 / Tel: 787-2539000
Fax: 787-253-9007
Web: www.verdanzahotel.com
Hotel Condado Vanderbilt 1055 Ashford Avenue
San Juan, P.R. Tel.: 787-7251-5500 www.condadovanderbilt.com
Serafina Beach Hotel 1045 Ave. Ashford
San Juan Tel. 787-625-6000
Hotel Villa Herencía 23 Caleta las Monjas St, San Juan 00901, Puerto Rico Tel.: 877-764 8301
Dra. María E. Carrascal
Torre San Francisco Suite 403
Calle De Diego #369
Río Piedras, PR 00923
Tel.: 787-758-5660 / 787-767-1414
Email: dreamwks@gmail.com
LABORATORIOS
AMT, Alpha Medical Test
Calle Dr. Ferrer #6 (pueblo) Plaza de Recreo Bayamón, PR 00961 Tels.: 787-585-6111/787-627-2935 www.amtests.com amtests@yahoo.com
Laboratorio Clinico Principal
Terminal Tomas Kuilan 171 Carr 2 Guaynabo, PR 00966 Tels.: 787-780-4150 ramado@laboratorioprincipal.com
Laboratorio Clinico Bayamón Terminal Tomas Kuilan Frente Plaza del Mercado Bayamón Centro Tels.: 787-780-4150
MEDICINA HIPERBÁRICA
Dra. Damarys Reyes B Healthy Wellness Edificio BR Home Medical, piso 1, Trujillo Alto, PR Tel.: 787-761-8870
Hyperbaric Healing Institute. Inc. P. O. Box 11688 San Juan, P.R. 00922-1688 Tel.: 787-650-7315 /7 272Exts.1186/1187 Fax: 1-787-650-7316 web: www.hbopr.com hyperbaricmedicine@yahoo. com
MEDICINA INTEGRADA
Dr. José A. Torres Torres Urb. Higland Gardens C9 Calle marginal Guaynabo, PR 00969 Tels.: 787-272-6146/787-662-6160 josetorrestorres@hotmail.com www.antiagingmedicineinstitutepr.com
NUTRICIONISTAS
Lcda. Giselle Zavala Doral Bank Center Ste 403 Calle Cesar Gonzalez 576 San Juan, PR 00918 Tel.: 787-754-0907
OFTALMOLOGíA
New Vision Optica
31 Calle Acosta
Esq Terminal Caguas, PR 00725 Tel.: 787-744-0707
Infinity Laser Centers
Dr. Francisco Monserrate City View Plaza Lobby suite 117 Carr. 165 Km. 1.2 #48 Guaynabo, PR 00968 Tel.: 787-775-2020 Fax.: 787-775-2010 Mayagüez Town Center Tel.: 787-652-2020 contactenos@infinitylaserpr.com Web: www.infinitylaserpr.com
Dra. Elena M. Jiménez
Torre Médica Hospital Auxilio Mutuo Suite 503
San Juan PR 00917
Tel.: 787-510-7880
Rafael A. Taboas, M.D.
Eduardo P. Taboas, M.D. Clínica Taboas
Torre de Plaza Las Américas
525 Ave. Roosevelt, Suite 406
San Juan, P.R. 00918
Tel.: 787-767-0599
Web: www.plazarefractive.com
ONCÓLOGOS
Dra. Kathia Alejandro
Instituto de la Mujer, en el Hospital Doctors’ Center Manatí, PR 00673
Tels.: 787-406-2348 / 787-621-3300
Email: kvalejandro@yahoo.com www.cirugiaoncoplasticapr.com
Senos Puerto Rico
Torre de Plaza Las Américas Suite 403
San Juan, Puerto Rico 00918
Tel.: 787-474-0820
Fax: 523-0955
Email: dsoler@senospr.com
Dr. Miguel Echenique
Torre de Auxilio Mutuo Avenida Ponce de León 725
Parada 37.5
San Juan, P. R. 00917
Tel.: 787-771-7933
Email: echegaz@pol.net
Advanced Breast Clinics
Dr. Carlos Santiago Sánchez
Toa Baja
Ave. Dos Palmas #1000 Manatí
Torre Médica 1, suite #314
Edif. Dr. Pedro Blanco Doctor’s Center
Fax: 787-795-0952
Hotel InterContinental,
Tels.: 787-784-5706 / 787-318-8930
Email: advancedbreastclinics@ gmail.com www.advancedbreastclinic.com
OPTÓMETRAS
Dra. Madeleine López
Calle Santa Cruz B-9 Bayamón, P.R. 00961 (Frente al Hospital San Pablo) Tel.: 787-787-2500
Email: metrooptika@gmail.com
Vista Ophthalmic Ambulatory Center
Carr.165 Km. 1.2 #48
City View Plaza Lobby Suite 1010 Guaynabo, P.R 00968
Te.l: 787-522-2825
OTORRINOLARINGÓLOGO
Dr. Edgar Reyes
Subespecialista en cirugía plástica facial
Arturo Cadilla Bldg., Suite 507 #100 Paseo San Pablo, Bayamón, P.R. 00961
Tel.: 787-740-2323
Fax: 787-269-3489
Web: www.dredgarreyes.com

Plaza Refractive Laser Center
Medscan
Radiólogos sub-especialistas
Tel.: 787-740-3010
Fax: 787-740-3009
Ave. 65 Infantería, Río Piedras
Web: www.medscanpr.com
D´Mujer
Health & Prevention Center
Hospital Metropilitano Carre. 21 #1785 Las Lomas Guaynabo, PR.
Tel.: 787-999-8946
Senos Advanced Breast Care & Cancer Detention Center
Plaza Las Américas
Torre médica, Suite 403
San Juan, P.R 00918
Tels.: 787-474-0820
Fax: 523-0955
Email: citas@senospr.com
RESTAURANTES
Campo Bravo Restaurant Carr. 177 Río Bayamón Golf Course, Bayamón, PR
Tel. 787-501-7248
Web: www.campobravopr.com
Email: info@campobravopr.com
Ristorante Casa Italia Ave. Domenech #275 San Juan PR Tel.: 787- 250-7388
Kiku Restaurant Japanesse
Las Vistas Shopping Village #36 Ave. Felisa Rincón de Gautier (Las Cumbres)
San Juan, P. R. 00926
Tel.: 787-283-6054
Email: kikupr@gmail.com
Ichiban Restaurante Bayamón Plaza Praderas
Río Hondo
Tel.: 787-795-5990
Caguas
Centro Comercial Los Prados
Tel.: 787-633-8866
Web: www.ichibanpr.com
Ropa Vieja Grill
1021 Ave. Ashford Condado San Juan PR 00907
Tel. 787-725-2665
Web: www.ropaviejagrill.com
Condal
1104 Ave. Magdalena Condado
San Juan, PR 00907
Tel. 787-725-0023
www.condaltapasrestaurant.com
Restaurante El Campeón
Tel. 787-399-0444
201 Calle San Justo
Viejo San Juan, PR 00901
Peru Fusión
Tels.: 939-337-4282 / 787-706-8787
1486 FD Roosevelt Ave.
Borinquen Towers II Local 11
San Juan, PR 00920
Gala Salón
Tels.: 787-778-7788 / 787-363-1717
Santa Rosa
Calle 1 Bloq. 10 #34
Bayamón, PR 00959
Willie Negrón Hair Designers
Carr. 167 Marginal
Ext. Forest Hill 625
Bayamón, P.R. 00959
Tel.: 787-786-9966
Cel.: 787-638-9715 / 787-447-9553
Web: www.willienegronpr.com
Pigmentarius Hair Salon
Carr. 402 km. 4.6
Barrio Piñales
Añasco, P.R. 00610
Tel.: 787-826-1684
Facebook: Pigmentarius Añasco
Amado Amado Salon & Body
Plaza Las Américas
Segundo Nivel
Tel.: 787-250-0222
D’Radiant Hair & Salon Boutique Ave. Luis Muñoz Marín E-13
Caguax, P.R. 00725
Tel.: 787-704-0083
Rolando Montes Peluquería & Spa
Calle Los Mirtos 164, Hyde Park
Río Piedras, P.R. 00927
Tel.: 787- 765-8670 / 8680
Asociación de Especialistas en Belleza de Puerto Rico
Ana María Santiago
Urb. González Seijo 578
Calle De Diego
Rio Piedras, P.R. 00924
Tel.: 787-727-6813 amsantiago@dualdual.com
Crea’tif Salón
Tels.: 787-789-6412
787-272-1616
Ave. Esmeralda #73-3, Guaynabo, PR 00969 Facebook://Crea’tif Salón Instagram: creatifsalon
Rey Blanco Salon Av. Boulevard 1444 Levittown
Toa Baja, PR 00949 Añasco, P.R. 00610
Tel.: 787-998-0903
Cosmundo / Simone Professional Simone Guzmán Caguas, PR Facebook: simoneprofessional Instagram: simoneprofessional simonefguzman@hotmail.com
Tels.: 787-964-2905 / 787-213-2663
SERVICIOS PROFESIONALES
MD Technologies P.O. Box 2017
Vega Baja, P.R. 00694-2017 Tel.: 787-368-2321
aperez@md-technologies.net
Web: www.MD-Technologies.net
Extra Realty
Warren Rodríguez
Isla Verde Mall Suite 215, Carolina, PR 00979
Tels.: 787-200-9852 / 787-593-0567
Fax: 787-957-9852
Email: warren@extrarealtypr.com www.extrarealtypr.com
Health Home Solutions, Inc.
Ingrid Fernández
Tel. 787-234-7954
Email: ingrid.fernandezdiaz@gmail.com Calle Carmelo Martínez 120 Bo. Dulces Labios, Mayaguez, PR 00680
CG Printing Group
Tel. 787-256-9090
Email: cgpier@gmail.com
Japri Planners Corp. Urbanizació Paradis
Calle Corchado #3 Suite 2 Caguas, P.R 00725
Tel.: 787-612-5775 / 787-961-2502 japriplanners@hotmail.com
Betances Professional Services and Equipment
Av. Betances F-11 San Fernando Bayamón P.R 00957 Tels.: 787-786-4212 / 787-786-4425 Fax: 787-288-8233 pivotpointpuertorico@gmail.com www.pivotpointpr.com
Colegio de Barberos y Estilistas En Barbería de Puerto Rico
Calle Mayagüez #29 San Juan P.R, 00917 Tel.: 787-758-5790 1989@colegiodebarberos.com www.colegiodebarberos.com
SPA
Dorado Esthetic Center & Salon Enid de León
373 Calle Méndez Vigo Dorado, P.R. 00656 Tel.: 787-961-8888 / 787-396-5950 enidestheticusa@gmail.com
SPA Skin Professionals & Associates
Nivia Maldonado La Cambija #110 Bayamón, P.R. 00961 Tel.: 787-786-7290 skinsprofessionals@gmail.com
By Cy Spa Estética & Belleza
Lucy Rivera De León Bairoa, Caguas
Tel.: 787-639-2712
FB: By Cy Spa & Salon IG: By Cy Spa & Salon by-cy-spa.business.site
Body Creators
Advanced Aesthetics
Elizabeth Pacheco
Popular Mortgage Plaza Carr 2 2do Piso, Arecibo

Urb. Santa Rosa Ave. Boulevard Drive #12-34, Bayamón
Tel.: 787-564-8044
IG: @bodycreator
FB: Bodycreatorspr Bodycreatorspr@gmail.com
Dorado Vista Spa
Yolaira Santiago
261 Calle Méndez Vigo Dorado, PR 00646
Tel.: 787-957-7777
Skin Radiance
Esthetic Boutique & Spa
Reyna Martínez
Sardinera Beach Building
Carr 693 Km 8.2 Urb. Costa de Oro. Dorado, P.R. 00646 Tel.: 787-436-0797
TIENDAS DE ROPA
Saks Fifth Avenue
The Mall of San Juan San Juan, P.R 00924
Tel. 787-250-6600
By Charls Boutique
Tel. 787-407-7652
1496 Ave Roosevelt San Juan, PR 00920 bycharlsboutique@gmail.com www.bycharlsboutique.com
Leonisa Puerto Rico
211 Calle O’Neill San Juan, PR 00918 Tel.: 787-766-1140 infopr@leonisa.com www.leonisa.com/pr/
Fajas Gama Alta
Smart Fajas
Luz Álvarez
Urb. Sierra Bayamón 75 #42
Local B Calle 64 Bayamón, P.R 00961 Tel. 787-903-0447
info@fajasgamaaltapr.com
YR Sport Collections
Yira Rosa
The Outlet 66 Mall Canóvanas 18400
Tel. 787-237-2466 / 939-539-2105
FB: yrsportcollections
IG: yrsportcollections yr.ccollections@gmail.com



Casino del Mar en La Concha Resort celebra su decimoséptimo aniversario, marcado por una remodelación de $9.7M por parte de Paulson Puerto Rico, consolidándose como un centro de entretenimiento de primera clase que integra una variedad de experiencias diseñadas para responder a las demandas de un mercado en continua evolución.
La celebración, en la cual se llevó a cabo un conversatorio entre Rolando Paulson, presidente de Paulson Puerto Rico, Lcdo. Juan Carlos Santaella, director de la Comisión de Juegos y Sigfrido De Jesús, gerente de Casino del Mar, y estuvo acompañada de una ceremonia de corte de cinta, destacó su renovación física, así como una visión empresarial enfocada en impulsar el crecimiento sostenido de los sectores del entretenimiento, la hospitalidad y los juegos de azar, con miras a posicionar a Puerto Rico como un destino turístico líder en juegos y casinos.
“Esta remodelación es un reflejo de nuestra visión sobre el futuro de Puerto Rico y la convicción que tenemos en la capacidad de crecimiento de los sectores del
entretenimiento, la hospitalidad y los juegos de azar. Apostamos, sin reservas, por crear expeiencias de clase mundial que sigan ampliando las oportunidades económicas de nuestra isla. La renovación de Casino del Mar se suma a nuestra estrategia de inversión y transformación dentro de The Condado Collection, conglomerado al que hemos destinado $102M para fortalecer y expandir la oferta turística de Puerto Rico en los años por venir”, afirmó Padua.
Como parte de esta remodelación, se destinaron $3.5 millones al área de apuestas deportivas, $1.5 millones a la sala de high limit y $250,000 a la renovación de la entrada principal. Asimismo, se invirtieron $200,000 en mejoras de seguridad, incluyendo la remodelación de los baños, así como en nuevas pantallas y televisores. La transformación también abarcó la creación de un centro de entretenimiento con tarima, la incorporación de máquinas especializadas para torneos y $3.3 millones adicionales para completar el resto de los trabajos de modernización. De igual forma, se destinó $1 millón a la adquisición de nuevo producto de tragamonedas, fortaleciendo la oferta para los jugadores. De igual forma se inauguró El BetMGM

Sports Lounge de La Concha Resort, un espacio de apuestas deportivas de última generación que integra tecnología avanzada, pantallas de alta definición y un ambiente diseñado para ofrecer a los visitantes una experiencia moderna, cómoda y segura para disfrutar de eventos deportivos en tiempo real. Aproximadamente 2.4 millones de visitantes disfrutan anualmente de las instalaciones de Casino del Mar.
Durante el evento, el Lcdo. Juan Carlos Santaella, director ejecutivo de la Comisión de Juegos del Gobierno de Puerto Rico, destacó el impacto económico del sector, que aporta $215M al año. Detalló esta cifra explicando que, tanto el pasado año como en años anteriores, la Universidad de Puerto Rico recibió $100M anuales en aportaciones provenientes de la industria; el Fondo General, $50M; y la industria del turismo, $65M. Estas cifras reafirman el carácter esencial del sector para la economía del país. La Comisión de Juegos también se ha transformado, ampliando sus funciones de fiscalizador a facilitador, garantizando el crecimiento ordenado y responsable de la industria.
Sigfrido De Jesús, gerente de Casino del Mar, quien labora en esta localidad desde un año


antes de su apertura, es testigo de primera mano de la evolución de la industria en términos de juegos, experiencias, comportamiento del cliente y cambios en su perfil. Expresó su orgullo por el crecimiento alcanzado por Casino del Mar en estos 17 años. Recordó que el casino
comenzó con 145 empleados y hoy cuenta con una plantilla de 216, reflejo de una estrategia sólida de expansión y desarrollo del talento local. Empleados que comenzaron en posiciones iniciales han recibido capacitación y educación profesional que
Hay algo diferente en la brisa de las BVI. Una vez llegues y la sientas, comprenderás lo extraordinario que es presenciar cada día aquí

hoy les permite ocupar roles gerenciales con pericia, liderazgo y una comprensión profunda de la operación.
La industria de casinos en Puerto Rico ha experimentado transformaciones sustanciales: nuevos juegos, experiencias inmersivas, ampliación de oportunidades laborales, diversificación del público y la integración del innovador concepto de apuestas deportivas a través del BetMGM Sports Lounge. Este modelo ha permitido atraer a varias generaciones durante la última década, consolidando una oferta moderna y competitiva. Casino del Mar es actualmente el casino con el mayor volumen de apuestas en Puerto Rico, un indicador de su liderato y preferencia entre los visitantes. En la última década, los casinos han experimentado un resurgir, convirtiéndose en espacios de entretenimiento donde las personas acuden a disfrutar, divertirse y socializar.


Entrevistado por Elizabeth Pacheco

1. Cómo nació su decisión de estudiar medicina y elegir ortodoncia?
Desde muy joven sentí una inclinación natural por la ciencia y un deseo profundo de ayudar a otros.
Elegí la odontólogia porque


combina dos mundos que siempre me han fascinado: la precisión científica y la armonía estética. Me atraía la idea de transformar sonrisas, y una sonrisa campeona, no solo por un tema funcional, sino porque una sonrisa puede cambiar la manera en que una persona se ve y se siente en el mundo. Para mí, eso es poderoso.
2. La vida doble: médico de día, modelo de noche
La idea no nació de manera planificada; de hecho, surgió


casi por accidente. Vino a mi oficina el Director de la Revista y Agencia Contorno, el señor Edinson Casanas, con quien tenía ya varios años anunciandome, y me preguntó, si yo quería modelar, el cual en ese momento me negué. Tiempo después conoció a mi hija Decelise y me preguntó que si gustaría que ella modelara; el cual su mamá y yo aceptamos. Sin entrenamiento alguno, nos invitó a New York Fashion Week, y sin realizar ningún casting, nos entró a modelar con un diseñador sirio-italiano Elieh Balleh, el cual quedó admirado por nuestra estatura. El señor Edinson nos dijo que a veces el destino nos da una sola oportunidad y que no podemos dejarnos llevar de los nervios y hay


quen atreverse; el cual nos hizo sentir cómodos, y lo hicimos. El resultado fue la mejor experiencia de mi vida, verme modelando al lado de mi hija, y que nadie hubiese notado que fue nuestra primera vez sin preparación alguna. Inmediatamente nuestro promotor Edinson Casanas nos consiguió oportunidades en Milan, Paris, Monte Carlo, Cannes y Dubai. Ya después quise tener mi propia marca (Ranier). Lo que empezó como algo práctico se convirtió en una segunda pasión.
Lo que realmente me motivó a continuar en ambas profesiones fue el contraste entre ellas. La medicina exige concentración, análisis y res- ponsabilidad profunda. El modelaje, en cambio, me permite expresar mi creatividad, mi gusto por la moda y mi lado artístico. Esa dualidad me equilibra. Me mantiene humano.
3. Países y pasarelas donde ha modelado.
He tenido la oportunidad de

modelar en Italia, Francia, Milan, Dubai, Puerto Rico y Estados Unidos. Cada pasarela ha sido una experiencia unica y me siento afortunado.
Modelar para mí ha significado descubrir el mundo desde una perspectiva estética: entender culturas a través de su forma de vestir, de caminar, de expresarse. También me ha enseñado disciplina, presencia y respeto por el trabajo creativo de quienes están detrás de cada prenda.
4. El origen de la marca RANIER RANIER nació de un deseo personal por mi segundo nombre. El crear una marca que representara elegancia moderna con una esencia atemporal. La moda para mí siempre ha sido más que prendas; es una forma de identidad.
5. Sueños y metas por cumplir
He sido afortunado al haber logrado muchas metas, pero aún tengo sueños por perseguir. Me gustaría expandir RANIER internacionalmente.
Aspiro a seguir creciendo, aprendiendo y construyendo proyectos que me permitan dejar una huella positiva. Todavía hay mucho por hacer… y eso es lo que me mantiene en movimiento.







@carlos_albertodisenadorpr
hizo presencia en la plataforma del PR Fashion Week en donde presentó su coleccion de Bodas













Superar el cáncer de mama no significa renunciar al placer; significa aprender nuevas formas de vivirlo. Y más allá de la prevención y de las cifras de supervivencia, existe un tema del que pocas veces se habla con la profundidad que merece: la vida sexual de las mujeres que han atravesado un diagnóstico de cáncer de mama y que hoy viven en remisión.
Porque sí, sobrevivir es un triunfo enorme, pero recuperar la plenitud, la confianza en el propio cuerpo y

la intimidad también forman parte del proceso de sanar.
El cuerpo después del cáncer
El cáncer de mama deja huellas visibles e invisibles. Algunas mujeres experimentan cirugías como lumpectomías o mastectomías, acompañadas o no de reconstrucción mamaria. Otras atraviesan radioterapia, quimioterapia o tratamientos hormonales. Todo ello puede traer consigo cambios en la imagen corporal, resequedad vaginal, dolor durante la penetración, disminución del deseo y fatiga.
Estos efectos secundarios no son menores. En la consulta sexológica escucho con frecuencia frases como: “No me siento atractiva”, “Me da miedo que me toque porque siento dolor” o “No sé cómo volver a disfrutar”. Cada una de ellas encierra una verdad profunda: el cáncer no solo afecta la salud física, también puede trastocar la vida sexual y la manera en que una mujer se percibe como un ser deseante y sensual.
El silencio que pesa
Muchas pacientes me confiesan que, durante el tratamiento, hablar de sexualidad parecía un lujo en medio de la urgencia médica. La prioridad era sobrevivir. Sin embargo, cuando los médicos dan la anhelada noticia de la remisión, surge una nueva pregunta: y ahora, ¿cómo vuelvo a sentirme yo misma en mi intimidad?
El problema es que este tema todavía se vive con mucho silencio. A las mujeres se les enseña a ser fuertes, a “estar agradecidas por estar vivas”, pero pocas veces se les valida que también tienen derecho a reclamar su placer, a reconectar con su cuerpo y a reencontrarse con el deseo.
Reconstruir la sensualidad
La sexualidad no empieza ni termina en los genitales. Es mucho más amplia: abarca las caricias, la intimidad, las fantasías, la manera en que nos vestimos y hasta cómo nos miramos al espejo. En este sentido, las sobrevivientes de cáncer

de mama pueden abrirse a nuevas formas de experimentar placer y reconectar con su sensualidad.
Algunos pasos clave son:
Redescubrir el cuerpo: Tomarse el tiempo de tocarse, acariciarse y mirar con amor cada parte, incluyendo cicatrices. La autoexploración es una herramienta de reconciliación.
Practicar el autocuidado erótico:

Desde un baño relajante con aceites esenciales hasta la elección de lencería que haga sentir seguridad. El erotismo se cultiva en lo cotidiano.
Experimentar con nuevas formas de estimulación: Lubricantes, vibradores y juguetes sexuales pueden ayudar a contrarrestar la resequedad y el dolor, además de abrir la puerta a sensaciones diferentes.
La pareja como aliada
Si existe una relación de pareja, la comunicación es fundamental. Expresar lo que se siente, lo que duele y lo que genera inseguridad no es un signo de debilidad, sino un puente hacia la complicidad.
Las parejas que logran hablar abiertamente de sexualidad después del cáncer suelen encontrar nuevas formas de intimidad: más caricias, más besos, más juegos eróticos. A veces, incluso descubren que su vínculo se fortalece, porque aprenden a disfrutar de una sexualidad más amplia, menos centrada en el coito y en donde la conexión emocional cobra mayor relevancia.
El rol de la mente
El deseo sexual no depende solo del cuerpo, comienza en la mente. Muchas mujeres en remisión enfrentan miedo a la recaída, ansiedad por su apariencia o tristeza por lo perdido. Es normal. Aquí, la terapia
sexológica o psicológica se convierte en un espacio seguro para elaborar emociones y transformar la relación con la sexualidad.
El erotismo empieza en la cabeza. Fantasear, leer literatura erótica, escuchar música sensual o practicar “mindfulsex” durante el contacto íntimo son recursos que ayudan a reconectar con el placer.
Moda, estilo y sexualidad
Hablar de sensualidad también tiene que ver con la forma en que una mujer decide mostrarse al mundo. Muchas pacientes me comparten que volver a ponerse un vestido que aman, maquillarse con sus colores favoritos o probar una nueva prenda de lencería son actos de reafirmación de su feminidad.
La moda se convierte entonces en una aliada del erotismo. No se trata de cumplir con estándares de belleza, sino de elegir aquello que conecta con la identidad propia y que les recuerda que siguen siendo mujeres completas, deseantes y hermosas.
Romper el tabú
Hablar de sexualidad en sobrevivientes de cáncer de mama es un acto necesario. Significa reconocer que la vida después del cáncer no se limita a consultas médicas, chequeos y medicamentos, sino que incluye también el derecho al disfrute, al placer y a la intimidad.

Como sociedad, debemos romper el silencio y acompañar a las mujeres en este proceso, entendiendo que la salud sexual es parte de la salud integral.
Abrazando un nuevo comienzo
El cáncer de mama cambia la vida, pero no define para siempre la sexualidad de una mujer. En la remisión, comienza una nueva etapa en la que se puede aprender a mirar el cuerpo con gratitud, a reconstruir la confianza y a descubrir nuevas formas de placer.
Hablar de sexo después del cáncer es hablar de vida. Y cada mujer que decide reconectar con su sensualidad nos recuerda que sobrevivir no es solo respirar: es también sentir, amar y disfrutar.



En el corazón de Isla Verde, donde la brisa del mar se mezcla con los aromas del chile, el cilantro y el maíz tostado, se levanta un rincón que ha logrado conquistar los paladares más exigentes de Puerto Rico. Se trata de Tomate Cocina Mexicana & Margarita Bar, una propuesta de cocina mexicana auténtica creada por Leo Ramos, puertorriqueño, y Gina Villalobos, mexicana de alma y corazón.
Hace casi cinco años, Leo y Gina dejaron atrás su vida en Memphis, Tennessee, para emprender una nueva aventura en la Isla del Encanto. Su visión era clara: traer a Puerto Rico una experiencia gastronómica que rindiera homenaje a las recetas tradicionales mexicanas, esas que se preparan sin prisa, con amor y con el sabor heredado de las abuelas.
“Queríamos que cada plato contara una historia”, dice Gina. “Que al probarlo, las personas sintieran

ese abrazo cálido de una cocina familiar mexicana, pero con un servicio y una presentación al nivel que merece el público puertorriqueño”.
El resultado es un espacio elegante y acogedor donde la autenticidad se respira en cada detalle. Desde el guacamole molido al momento hasta los moles artesanales y los tacos con tortillas hechas a mano, Tomate rescata la esencia de la comida mexicana sin artificios, combinando la pasión de Gina por las raíces culinarias de su país con el instinto empresarial y la hospitalidad de Leo.
Un papel fundamental en este sueño lo cumple Mía Villalobos, hija de los dueños, quien forma parte activa en la administración y manejo del restaurante. Su energía joven y visión moderna han aportado una nueva dimensión al proyecto familiar, fortaleciendo la conexión entre generaciones y asegurando que Tomate siga creciendo con identidad y propósito.
Además de su cocina, Tomate se distingue por su impresionante barra de margaritas, un verdadero tributo a la creatividad y al buen gusto. Los visitantes pueden crear su propia margarita a partir de una selección exclusiva de más de 30 sabores, combinando tequilas y mezcales premium con frutas tropicales, especias y toques artesanales.
Entre las recomendaciones de la casa, destacan dos creaciones emblemáticas que reflejan la personalidad del restaurante. Para quienes disfrutan de un paladar dulce y sofisticado, la preferida es la “Margarita Mía”, elaborada con tequila reposado, jugo fresco de limón, coco, dragonfruit, fresa y un delicado toque de jengibre. Una mezcla exótica y refrescante que captura la esencia vibrante del Caribe.
Por otro lado, para los que buscan una experiencia más atrevida, “La Reina del Sur” es la elección ideal: una margarita tradicional con jalapeño fresco, tequila reposado, licor de naranja,

oro comestible y un borde de azúcar que combina el picante, lo cítrico y lo lujoso en perfecta armonía.
Más que un restaurante, Tomate es una familia. Su equipo —desde los cocineros hasta el personal de sala— comparte una misma filosofía: trabajar con pasión, respeto y orgullo por lo que hacen. “Aquí nadie es solo un empleado”, comenta Leo. “Cada persona aporta su esencia y juntos creamos algo más grande que un negocio: una comunidad unida por el amor a la buena comida”.
La propuesta también ha sabido integrarse al movimiento de lujo gastronómico que distingue a Puerto Rico. Su cocina abierta, el servicio personalizado y la selección cuidadosa de ingredientes frescos y locales reflejan una filosofía clara: respetar la tradición sin renunciar a la innovación.
Hoy, a cinco años de su apertura, Tomate Cocina Mexicana & Margarita Bar se consolida como un referente de la alta cocina mexicana en el Caribe, una fusión de culturas y sabores que celebra la unión entre Puerto Rico y México, entre el sazón de las abuelas y la visión moderna de una familia que decide transformar su pasión en legado.
3062 Ave. Isla Verde Carolina, PR 00979

El aumento de senos continúa siendo una de las cirugías plásticas más solicitadas en Puerto Rico. Más allá de la estética, las pacientes buscan confianza, seguridad y resultados que se adapten a su cuerpo y estilo de vida. Conversamos con el Dr. Jorge Latoni, Presidente de la Sociedad de Cirugía Plástica de Puerto Rico, sobre la evolución de esta cirugía, la importancia de la certificación médica y el fenómeno de pacientes que viajan al extranjero en busca de procedimientos estéticos.
Dr. Latoni, ¿cómo describiría la demanda actual de aumentos de senos en Puerto Rico y cuál es la motivación principal de las pacientes al considerar esta cirugía?
“Considero que el aumento de senos continúa siendo una de las cirugías más solicitadas por nuestros pacientes en Puerto Rico. Mayormente por mujeres jóvenes con senos pequeños que quisieran poder lucir más llenas y con un poco de escote en traje de baño o ropa de vestir. También vemos a mujeres entre 30 a 40 años que nunca les crecieron los senos y buscan un balance con su figura. En adición, están las mujeres con senos caídos que quisieran recuperar volumen luego de embarazos o perdida de peso mediante un levantamiento, y de una vez desean ponerse un implante para de esa manera mejorar el escote y llenar la parte superior de los senos, complementando así el levantamiento. Es una cirugía que no solo impacta la apariencia, sino también la confianza y la autoestima de las mujeres. Lo importante es que las decisiones estén basadas siempre en expectativas realistas.”
¿Cómo ha evolucionado la cirugía de aumento de senos en los últimos años?
“Los avances han sido significativos ya que hoy contamos con mejores técnicas quirúrgicas y opciones de implantes más seguras. La cirugía siempre ha tomado un poco menos de 1 hora, usualmente con anestesia general, aunque tenemos algunos colegas que prefieren anestesia local con sedación intravenosa. Los tres abordajes más comunes son por el pliegue inferior del seno, por el borde de la areola y por la axila. Lo más común, basado en estadísticas, es poner el implante parcialmente debajo del músculo pectoral mayor, lo que se conoce como un “dual plane”. Algunos colegas cirujanos plásticos, dependiendo de las características del paciente, prefieren ponerlo encima del musculo. El patrón más moderno consiste en: tratar de hacer incisiones lo más pequeñas posibles, crear el espacio del implante lo más ajustado posible al tamaño de este, crear un seno más firme que no se mueva tanto hacia los lados y así también mantener un escote más marcado.”
La seguridad como prioridad y la migración de pacientes al extranjero
Muchas pacientes puertorriqueñas viajan a países como Colombia, República Dominicana o ciudades como Miami en busca de paquetes quirúrgicos más económicos que incluyen aumentos o levantamiento de senos. ¿Qué podría decirnos de esa práctica y qué debe considerar una paciente al elegir un cirujano plástico?
Por: Dr. Jorge Latoni Presidente de la Sociedad de Cirugía Plástica de Puerto Rico

“Pienso que es una práctica muy arriesgada, y que se debe hacer una investigación minuciosa antes de tomar esa decisión. Aunque alguien pueda pensar “es solo un aumento de senos”, esta es una cirugía invasiva, en la que hay que administrar anestesia y saber manejar los contratiempos y complicaciones que puedan surgir. Primero que todo deberían preguntarse en dónde se realizará el procedimiento, tomando como ejemplos una oficina, un local o un hospital. Otros aspectos importantes son la higiene del lugar, acreditaciones de este y disponibilidad de otros colegas médicos o facilidades en caso de que ocurran complicaciones. Una pregunta a hacerse es: ¿quién administrará la anestesia y velará los signos vitales y vía aérea de la paciente durante el procedimiento? ¿Será un anestesiólogo o enfermera(o) anestesista debidamente entrenados? Y lo más importante: ¿qué cualificaciones tiene el cirujano? Recuerde siempre que un cirujano “cosmético” no es lo mismo que un cirujano plástico. En muchos de estos lugares tienen a médicos no especialistas o especialistas en
otras ramas haciendo cirugías plásticas. Si previo a cirugía se hace todo el proceso a distancia, consultas por cámara, y apenas se conoce al cirujano hasta el mismo día de la cirugía, todo esto representa una gran bandera roja porque no permite una adecuada evaluación medica ni un plan quirúrgico personalizado.”
¿Qué riesgos enfrentan las pacientes que acuden a médicos o cirujanos no certificados?
“Se enfrentan a verdaderas desgracias desafortunadamente, desde resultados insatisfactorios hasta complicaciones médicas severas. Hay que pensar que el que yo coja un curso de cirugía torácica, no me hace un cirujano torácico y, en definitiva, usted no quisiera que yo fuese su cirujano torácico. La certificación en cirugía plástica significa que el médico pasa por un riguroso proceso de entrenamiento, evaluaciones y mantiene estándares éticos y profesionales altos. Pensar que cualquier médico puede hacer
procedimientos de cirugía plastica, incluyendo aumentos de senos y levantamientos, es un acto muy tonto y peligroso ya que pone su vida en las manos de estas personas.”
¿Por qué recomienda que las pacientes se operen en Puerto Rico cuando consideren un aumento de senos o cualquier otra cirugía cosmética?
“Primeramente, para que la Junta de Licenciamiento y Disciplina Médica (JLDM) de Puerto Rico te otorgue un certificado como Cirujano Plástico es únicamente porque has completado satisfactoriamente un entrenamiento debidamente acreditado en Estados Unidos. De hecho, todos los miembros de la Sociedad de Cirugia Plástica de Puerto Rico tienen que estar debidamente certificados por la JLDM para pertenecer a nuestra sociedad. En adición, la inmensa mayoría
Natrelle ® Breast Implants
IMPORTANT SAFETY INFORMATION
WARNINGS

de nuestros miembros operan en hospitales certificados, y los pocos que no lo hacen, operan en sus salas de operaciones debidamente certificadas también, todos con altos estándares de seguridad. Como un dato valioso, siempre puedes conocer a alguien que te pueda dar referencias de los cirujanos que estes considerando. Lo verdaderamente importante a considerar es el aspecto de posibles complicaciones y el debido seguimiento. Estando fuera de PR, si tuvieses una complicación inmediata, tendrías que extender tu estadía. ¿Qué pasaría si se te complica la operación ya de vuelta en casa? ¿Y si te surge una preocupación o malestar por la cirugía a los meses o años de esta? ¿Qué tan fácil o cuán costoso seria volver a consultar con el cirujano original? Operándose en Puerto Rico, las pacientes mantienen relación directa con su cirujano en todo el proceso: antes, durante y después de la cirugía.”
• Breast implants are not considered lifetime devices. The longer patients have them, the greater the chance they will develop complications, some of which will require more surgery
• Breast implants have been associated with the development of a cancer of the immune system called breast implant–associated anaplastic large cell lymphoma (BIA-ALCL). This cancer occurs more commonly in patients with textured breast implants than smooth implants, although rates are not well defined. Some patients have died from BIA-ALCL
Patients receiving breast implants have reported a variety of systemic symptoms, such as joint pain, muscle aches, confusion, chronic fatigue, autoimmune diseases, and others. Individual patient risk for developing these symptoms has not been well established. Some patients report complete resolution of symptoms when the implants are removed without replacement
INDICATIONS
Natrelle ® Breast Implants are indicated for women for the following:
• Breast augmentation for women at least 22 years old for silicone-filled implants and breast augmentation for women at least 18 years old for saline-filled implants. This includes primary breast augmentation to increase the breast size, as well as revision surgery to correct or improve the result of a primary breast augmentation surgery
• Breast reconstruction. This includes primary reconstruction to replace breast tissue that has been removed due to cancer or trauma or that has failed to develop properly due to a severe breast abnormality. Breast reconstruction also includes revision surgery to correct or improve the result of a primary breast reconstruction surgery
CONTRAINDICATIONS
Breast implant surgery should not be performed in:
• Women with active infection anywhere in their body
• Women with existing cancer or precancer of their breast who have not received adequate treatment for those conditions
• Women who are currently pregnant or nursing
ADDITIONAL WARNINGS
• See Boxed Warning
• Avoid damage during surgery: Care should be taken to avoid the use of excessive force and to minimize handling of the implant. Forcing of implants through too small an opening or applying concentrated localized pressure on the implants may result in localized weakening of the breast implant shell, potentially leading to shell damage and possible implant rupture. An incision should be of appropriate length to accommodate the style, size, and profile of the implants. Use care when using surgical instruments in proximity with the breast implant
• Follow recommended fill volumes for saline implants to decrease possibility of shell wrinkling and crease-fold failure
PRECAUTIONS
Safety and effectiveness have not been established in patients with the following:
• Autoimmune diseases (eg, lupus and scleroderma)
• A compromised immune system (eg, currently receiving immunosuppressive therapy)
• Planned chemotherapy or radiation following breast implant placement
• Conditions or medications that interfere with wound healing and blood clotting
• Reduced blood supply to breast tissue
• Clinical diagnosis of depression or other mental health disorders, including body dysmorphic disorder and eating disorders. Please discuss any history of mental health disorders prior to surgery. Patients with a diagnosis of depression, or other mental health disorders, should wait until resolution or stabilization of these conditions prior to undergoing breast implantation surgery
ADVERSE EVENTS Possible adverse events with breast implant surgery include implant rupture with silicone implants, implant deflation with saline-filled implants, capsular contracture, reoperation, implant removal, pain, changes in nipple and
¿Qué mensaje final les daría a las mujeres que están considerando un aumento o levantamiento de senos?
“Que se aseguren que su cirujano esté debidamente entrenado y certificado para realizar el procedimiento y para manejar cualquier complicación. Que el procedimiento se realice en una sala de operaciones debidamente acreditada. Que un anestesiólogo o enfermera(o) anestesista esté a cargo de la anestesia. Que se eduquen antes de asistir a su cita y que busquen referencias de otros pacientes. La cirugía plastica puede cambiar la vida de una mujer de forma positiva, pero solo cuando se realiza con seguridad y en manos expertas.”
El rol de la Sociedad de Cirugía Plástica de Puerto Rico
En la Isla, la Sociedad de Cirugía Plástica de Puerto Rico la cual preside el Dr. Jorge
Tips de seguridad antes de un aumento o levantamiento de senos
1. Verifique que su cirujano esté certificado.
2. Pregunte todas sus dudas en la consulta.
3. Asegúrese de que la cirugía se realice en un hospital o centro acreditado.
4. Asegúrese que la anestesia será supervisada por un Anestesiólogo o Anestesista debidamente acreditado.
5. Busque referencias y de ser posible pida fotos de trabajos anteriores.
6. Nunca se guíe únicamente por el precio.
Latoni, trabaja activamente para educar a la comunidad, denunciar prácticas ilegales y orientar a las pacientes sobre cómo identificar a cirujanos plásticos certificados. En su página oficial se encuentra un directorio con todos los miembros activos, lo que facilita a las pacientes confirmar que su médico cuenta con las credenciales necesarias.
Dónde encontrar cirujanos plásticos certificados
1. Visite la página oficial de la Sociedad de Cirugía Plástica de Puerto Rico: www. prplasticsurgerysociety.org
2. Consulte la página del “American Board of Plastic Surgery”: www.abplasticsurgery. org
3. Puede buscar en la página del “American Board of Medical Specialties”: www.abms.org
4. Un recurso local adicional es la Junta de Licenciamiento y Disciplina Médica: www.salud. pr.gov
@Dr. Jorge D. Latoni
Maldonado
787-831-1000
#27. Calle Nelson Perea Norte S-105 Doctor Center Mayaguez PR.


Cuando se habla de liderazgo en salud, innovación educativa y desarrollo médico en Puerto Rico, el nombre de Leslie Padín Rosario, se ha convertido en sinónimo de visión y acción. Desde su pueblo natal Arecibo, esta profesional de la salud y gestión hospitalaria ha logrado posicionar a su empresa, Infinity HIM Consulting, como una firma pionera

en educación, cumplimiento clínico y transformación organizacional. Su más reciente iniciativa, la división Infinity Graduate Medical Education (GME) by HIM Consulting, marca un hito en la historia del país: por primera vez, una compañía puertorriqueña lidera la creación y desarrollo de programas de residencia médica con estándares de acreditación ACGME.
La visión detrás del proyecto
Infinity HIM Consulting nació como una empresa de consultoría especializada en Health Information Management (HIM), codificación médica y auditoría clínica. Bajo la dirección de Leslie Padín, quien es Enfermera Registrada y Administradora en el Manejo de la información de Salud con su certificación de RHIA por AHIMA (American Health Information Management Association), la firma evolucionó mucho más allá de los límites administrativos del manejo de información. Se convirtió en un ecosistema integral de formación médica y hospitalaria, combinando educación, innovación tecnológica y desarrollo institucional.
“Mi propósito siempre ha sido formar estructuras sólidas dentro del sistema de salud. Desde los hospitales hasta los programas académicos, todo debe operar con la misma visión de excelencia, ética y sostenibilidad”, afirma Padín.
La única firma puertorriqueña en su clase
Infinity Graduate Medical Education surge como la única entidad puertorriqueña que diseña, desarrolla y estructura programas de residencia médica con el propósito de alcanzar acreditación ACGME. Mientras que la mayoría de las instituciones médicas dependen del recurso humano interno o corporaciones estadounidenses para este tipo de procesos, que lo hace ser más lento para la formación. Infinity GME,


ofrece un modelo local, flexible y alineado con las regulaciones del Departamento de Salud de Puerto Rico y conoce los estándares internacionales.
Bajo su liderazgo, Padín ha impulsado proyectos en colaboración con hospitales del sistema privado, incluyendo la creación de manuales institucionales, estructuras curriculares, guías de rotación y cumplimiento de criterios de la Junta de Licenciamiento y Disciplina Médica. Además, ha desarrollado internados estatales en Puerto Rico, estructurados bajo el mismo rigor académico y administrativo que los programas de residencia.

de Puerto Rico
Convention 2025
Fairmont Hotel














Por: Evelyn Cintron M.D. | Founder / CEO / Board Certified | Belladonna Medical Wellness Anti-Aging & Regenerative Medicine

La belleza moderna ya no se limita a borrar arrugas o tensar la superficie. Hoy hablamos de una nueva era en Medicina Estética Bioregenerativa y Funcional, donde la verdadera transformación comienza a nivel celular.
El objetivo ya no es cambiar la apariencia, sino reactivar la biología de la piel para que funcione como cuando era joven. En Belladonna Medical Wellness, esta filosofía se materializa a través de tres pilares de avanzada:
Exosomas, PDRN y NAD+ combinados con microneedling de precisión, potenciados por la ciencia de la regeneración celular. Los Exosomas, vesículas nanométricas derivadas de


células madre, actúan como mensajeros inteligentes que reparan y comunican información de juventud entre las células cutáneas.
Cuando se combinan con PDRN (polidesoxirribonucleótidos), se estimula la síntesis de colágeno,

la reparación del ADN y la regeneración vascular, logrando una piel más firme, luminosa y equilibrada. La fusión de Exosomas + Ácido Tranexámico representa otro salto en esta medicina de precisión.


Esta sinergia controla la inflamación, regula la pigmentación y mejora la oxigenación tisular, ofreciendo resultados visibles en melasma, manchas y daño oxidativo sin comprometer la barrera cutánea. El tercer componente, NAD+ (nicotinamida adenina dinucleótido), es la molécula esencial de la longevidad celular.

Aplicado mediante microneedling, reactiva los procesos metabólicos del fibroblasto y estimula la reparación mitocondrial, logrando un rejuvenecimiento profundo y sostenido. Estas terapias — emblema de la Medicina Estética Bioregenerativa y Funcional— no


rellenan ni disimulan: reeducan la piel para que vuelva a comportarse como una piel joven.
El resultado es una textura refinada, un tono uniforme y un brillo que refleja vitalidad y salud desde el interior. En esta nueva era, rejuvenecer ya no significa “verse distinto”, sino regenerar lo que somos: energía, equilibrio y vida en cada célula.
(787) 449-8806 | (787) 533-7520
draecintron@gmail.com
www.belladonnamedical.com
Carr. #2 Km. 42 Salida Expreso #42 , Morovis-Vega Baja Vega Baja, PR 00693


Angie Paz es la CEO de la clínica Elevate MedSpa en Bayamón. Doctora, gracias por estar con nosotros.
¿Cómo se encuentra usted el día de hoy, y desde cuándo comenzó esta clínica que estáhermosa?
Gracias por esas palabras y muchas gracias por visitarme. Pues nuestra clínica de Elevate MedSpa aquí en Bayamón, pues empezó hace dos años. Este mes de septiembre los cumplimos, so estamos en celebración. Yo me mudé a PR hace como tres años porque estuve siete años fuera y tuve mi MedSpa afuera y todo eso.
Y ahora que volví a PR, pues quise abrir una clínica y de verdad que estoy encantada de poder trabajar con mi gente aquí en PR.
Nos gustaría saber cuál es el procedimiento que usted más realiza acá en la clínica. ¿Qué es lo que más le piden los pacientes?
Este mes han venido muchos para bótox, y cuando digo bótox, puede ser Xeomin, Dysport, Daxxify, hay diferentes en el mercado. También están viniendo mucho para las inyecciones semanales, donde pierden dos o tres libras a la semana.
El famoso bótox, a muchos nos encanta, pero también hay personas que dicen que no se debe comenzar a temprana edad. ¿Qué opinión tiene usted al respecto de esto?
Muy buena pregunta, y nosotros mismos, los médicos, nos hemos hecho esa misma pregunta. Se han hecho estudios sobre consecuencias a largo plazo de estar usando b ótox. A largo plazo, realmente, los músculos se pueden volver un poco más pequeños porque no lo estamos utilizando y no tiene consecuencia adversa para nada.
La única consecuencia que podem os considerar es que puedes


desarrollar una resistencia. Hay ciertos tipos de bótox que te pueden crear esa resistencia despues de 15 o 20 años. Pero hay otros, como el Xeomin, que es una proteína un poquito más pura, pues evita que crees esa resistencia. Pero a largo plazo, realmente vale la pena. Si te están empezando a crear las líneas, pues entonces hay que empezar a poner el bótox para que no se pongan muy profundas y marcadas.
En cuanto a los fillers, los famosos fillers, ¿Qué procedimiento usted realiza aquí con ellos?
En cuanto a los rellenos o fillers, usualmente utilizamos el ácido hialurónico, hacemos mucho nasolabiales, líneas de marioneta,


hacemos las mejillas también. Utilizamos también los bioestimuladores como el Radiesse o el Sculptra, que también ayudan mucho, y en el área del temple los hacemos también.
Los labios también, por ejemplo, delinear los labios, un poco de relleno siempre añaden belleza.
Hablando de belleza, entiendo que usted fue Miss Universiales 2016, ¿Es por ésta razón que usted comienza con su amor hacia los procedimientos estéticos, la belleza, etc.?
Gracias por la pregunta, de hecho fue en el 2006, pero realmente me encantó esa experiencia. A mí me encanta la moda, belleza, ciencia y medicina. Queria mezclar la ciencia con la belleza. Pero sí, me encantan los certámenes.
Nos encantaría saber si usted tiene algún especial para Halloween, Thanksgiving o Navidad.
Por ahora es mito, pero estamos corriendo un especial donde las primeras veinte unidades de bótox están en 159 dólares.
Es un buen especial, buenísimo. Bueno, doctora, gracias por acompañarnos en el día de hoy. Le deseamos muchísimo éxito.
787-778-1000
@dr._paz



En la constante búsqueda de tratamientos innovadores que nos permitan ofrecer a nuestros pacientes una piel más joven, luminosa y saludable, los Polinucleótidos (PDRN) han emergido como un protagonista fascinante. Como profesional en medicina estética, me mantengo a la vanguardia y he sido testigo de los notables beneficios que esta terapia regenerativa puede aportar, marcando una diferencia significativa en la calidad y apariencia de la piel.
Los Polinucleótidos (PDRN) son fragmentos de DNA y RNA de bajo peso molecular, obtenidos principalmente del esperma de salmón, aunque también pueden derivarse de otras fuentes biológicas. Su biocompatibilidad y seguridad han sido extensamente documentadas, lo que los convierte en una opción terapéutica atractiva para aquellos que buscan una revitalización cutánea profunda y natural.
¿Cómo actúan los Polinucleótidos en nuestra piel?
los PDRN es multifacético y se centra en la bioestimulación y la reparación celular. Una vez infiltrados en la piel, los Polinucleótidos desencadenan una serie de procesos biológicos que contribuyen a su rejuvenecimiento:
* Estimulación de fibroblastos: Los PDRN actúan como señales para los fibroblastos, las células responsables de la producción de colágeno, elastina y ácido hialurónico. Al estimular su actividad, se promueve la síntesis de estos componentes esenciales de la matriz extracelular, lo que se traduce en una piel más firme, elástica e hidratada.
* Angiogénesis: Los polinucleótidos favorecen la formación de nuevos vasos sanguíneos (angiogénesis). Una mejor vascularización implica un mayor aporte de oxígeno y nutrientes a las células de la piel, optimizando su función y contribuyendo a un aspecto más radiante y saludable.
* Efecto antiinflamatorio: Los PDRN han demostrado tener propiedades antiinflamatorias al modular la liberación de citoquinas proinflamatorias. Esto es particularmente beneficioso en pieles sensibles, con rosácea o con tendencia al
acné, ayudando a calmar la inflamación y a mejorar la homeostasis cutánea.
* Reparación del DNA: Se ha observado que los polinucleótidos pueden facilitar la reparación del DNA celular dañado por factores como la radiación UV (ultravioleta). Este efecto protector contribuye a la prevención del envejecimiento prematuro y a la mejora de la resiliencia de la piel frente a agresiones externas.
¿Cuáles son las indicaciones de los tratamientos con PDRN?
La versatilidad de los polinucleótidos los convierte en una herramienta valiosa para abordar diversas preocupaciones estéticas en nuestros pacientes:
El mecanismo de acción de

* Rejuvenecimiento facial general: Los PDRN son excelentes para revitalizar la piel del rostro, cuello y escote, mejorando su textura, luminosidad y firmeza. Ayudan a reducir la apariencia de líneas finas y arrugas superficiales.
* Tratamiento de cicatrices: Su capacidad para estimular la regeneración tisular los hace útiles en la mejora de cicatrices de acné, cicatrices quirúrgicas y estrías, promoviendo una curación más uniforme y una apariencia menos visible.
* Mejora de la calidad de la piel: En pieles deshidratadas, apagadas o con signos de

fotoenvejecimiento, los PDRN pueden restaurar la vitalidad, la hidratación y la elasticidad.
* Tratamiento del contorno de ojos: La delicada piel alrededor de los ojos puede beneficiarse de la suave pero efectiva acción regenerativa de los PDRN, ayudando a reducir ojeras, bolsas y líneas finas.
* Preparación y recuperación de otros tratamientos: Los polinucleótidos pueden utilizarse para preparar la piel antes de procedimientos más invasivos, como láser o rellenos, tratamiento con radiofrecuencia fragmentada (Morpheous 8®), Ultrasonido microfocalizado (Ultherapy®),

optimizando la respuesta y acelerando la recuperación post-tratamiento.
¿Cómo se realiza el tratamiento con PDRN?
El tratamiento con polinucleótidos generalmente se realiza mediante técnica de micro inyección (microneddle) o con microinyecciones en la dermis, esto depende del país y las regulaciones existentes. La técnica es mínimamente invasiva y bien tolerada por la mayoría de los pacientes. Se suelen recomendar varias sesiones, espaciadas generalmente con intervalos de 3 a 4 semanas, para obtener resultados óptimos y duraderos.
Durante la consulta inicial, evaluamos las necesidades específicas de cada paciente para diseñar un plan de tratamiento personalizado. Es importante destacar que los resultados con PDRN son graduales y naturales, ya que se basan en la estimulación de los propios procesos regenerativos de la piel.
Mi experiencia con los polinucleótidos
En mi práctica clínica, he observado resultados muy
satisfactorios con la aplicación de polinucleótidos. Mis pacientes reportan una mejora notable en la hidratación, la luminosidad y la textura de su piel. He visto cómo pieles fatigadas recuperan su vitalidad y cómo cicatrices se vuelven menos evidentes. La combinación de PDRN con otras terapias, como la bioestimulación con inductores de colágeno o la radiofrecuencia fraccionada, puede potenciar aún más los resultados, ofreciendo un enfoque integral para el rejuvenecimiento facial.
En conclusión, los polinucleótidos representan un avance significativo en el campo de la medicina estética regenerativa. Su capacidad para estimular la reparación y el rejuvenecimiento de la piel a nivel celular los convierte en una herramienta valiosa en nuestro arsenal terapéutico. Si buscas una forma natural y efectiva de revitalizar tu piel, te invito a explorar los beneficios que los PDRN pueden ofrecer.
Squadrito F, et al. (2017). "Polynucleotides: An Overview of their Clinical and Biological Activity in Regenerative Medicine." BioMed Research International, 2017, Article ID 4712537.
Falcone M, et al. (2020). "Polynucleotides in Aesthetic Medicine: A Comprehensive Review." Journal of Clinical and Aesthetic Dermatology, 13(10) Suppl 1, S1-S6.


Kim JE, et al. (2018). "Effect of Polydeoxyribonucleotide on Skin Rejuvenation: A Systematic Review and MetaAnalysis." Journal of Cosmetic Dermatology, 17(5), 786-793.
Pellicoro V, et al. (2019). "Polynucleotides for Skin Rejuvenation and Scars: A Systematic Review." Dermatologic Surgery, 45(10), 1335-1345.
Lee SY, et al. (2017). "Effect of polydeoxyribonucleotide in combination with hyaluronic acid on skin rejuvenation: a randomized, double-blind, placebo-controlled study." Journal of Cosmetic and LaserTherapy, 19(5), 283-287.

Lampridou S, et al. (2025). “The Effectiveness of Polynucleotides in Esthetic medicine: A Systematic Review.” J Cosmet Dermatol. Feb;24(2):e16721. doi: 10.1111/jocd.16721

E|C Health & Body Care
Dr. Erick J Caro Vélez
T. 787-983-0911
F. 939-649-4007
Calle Mendez Vigo
25 W, STE 100, Mayagüez, PR 00680






TRAYECTORIA DE IMPACTO



INSPIRACIÓN PARA TERMINAR




PARTY AWARDS
La Organización EMPRESARIAS CON PROPÓSITO de PR celebraron Red Chritmas Party en donde se les otorgó un reconocimiento a los empeesarios destacados del 2025 y a la Filantropía.
Fotógrafo: @lucianoaquinophotographer










Es el evento líder en bienestar, belleza y cuidado profesional de la piel en PR. Reúne a expertos y emprendedores del sector para presentar las últimas tendencias y oportunidades de formación. Es un espacio para aprender, conectar, impulsar negocios y elevar el estándar de la industria estética en la isla. Llevar a PR a una estética responsable es la meta de la CEO Elsie Pacheco.










El Estudio Legal Vissepó & Alverio es una firma con más de veinticinco años de experiencia en la práctica jurídica, destacándose particularmente en el campo de la litigación criminal. Fundada por ex fiscales, la firma ha consolidado una trayectoria marcada por la defensa

diligente de los derechos individuales, el respeto al debido proceso de ley y el fortalecimiento del sistema de justicia en Puerto Rico. Su reputación se sostiene sobre un compromiso firme con la justicia y la representación eficaz de sus clientes en casos complejos.
Actualmente, la firma ofrece una práctica legal amplia que incluye representación en casos penales, civiles, administrativos y ciertas controversias de derecho de familia. Este enfoque multidisciplinario permite a Vissepó & Alverio brindar soluciones integrales y personalizadas, adecuadas a las diversas necesidades legales de sus clientes. Su equipo se distingue por su atención cercana, asesoría clara y estrategias legales efectivas en momentos particularmente
difíciles para sus representados.
En el campo de la salud, Vissepó & Alverio reconoce la importancia de que los profesionales cuenten con conocimientos básicos sobre las


implicaciones legales de su ejercicio. Aspectos como el consentimiento informado, la confidencialidad médica y el manejo de expedientes clínicos tienen implicaciones jurídicas directas. La falta de orientación legal puede derivar en errores costosos, sanciones administrativas o incluso la pérdida de licencia, afectando tanto al profesional como a los pacientes que atiende.

De igual modo, la ausencia de representación legal especializada puede derivar en problemas éticos serios, particularmente ante acusaciones de negligencia o conflictos administrativos. Una adecuada asesoría legal permite a los profesionales de la salud tomar decisiones informadas, proteger su reputación, garantizar el cumplimiento normativo y actuar con integridad profesional. Contar con respaldo legal no es solo una herramienta preventiva, sino una necesidad para ejercer con responsabilidad, ética y seguridad en un entorno altamente regulado.
Fotos tomadas por : @lucianoaquinophotographer
Por: Tiany Castillo
Fotos retocadas por : @beafineartphotography
Alexandra Lugaro Aponte, es una abogada, empresaria y figura pública puertorriqueña, conocida por su incursión en la política como candidata independiente a la gobernación en el 2016, luego como parte del movimiento Victoria ciudadana en el 2020. Nacida en San Juan ,Lugaro se ha destacado desde joven por su formación académica en administración de empresas y derecho, así como por su liderazgo en temas sociales y educativos. En los últimos años se ha enfocado en los medios de comunicación, desempeñándose como analistas y presentadora del programa Última Palabra con Lugaro en Teleonce, donde continúa aportando a la discusión pública sobre los retos y oportunidades de Puerto Rico

Para Alexandra Lugaro, ¿Qué significa la palabra liderazgo?
Alexandra Lugaro: Primeramente, gracias por la invitación para estar con ustedes…Yo creo que liderazgo no es otra cosa que modelar con el ejemplo, permitir utilizar las herramientas que se tienen para ayudar a otros a mejorarse a sí mismos. Yo creo que más allá de una cosa individual, el liderazgo tiene que ver con el colectivo y en cómo utilizamos la visibilidad que tenemos para adelantar la misión de otras personas y del colectivo. El liderazgo es la medida en que mejora la posición en la que se encuentran otros y que influye positivamente.
Anteriormente has estado involucrada en la política, ¿como ese pasado te ha ayudado en esta nueva etapa?
Alexandra Lugaro: La política no es otra cosa que el deseo de ver la sociedad organizada y funcionando adecuadamente, y dentro del proceso político se adquieren muchísimas herramientas que son importantes para lo que
hoy hago, tanto en la educación, como en el mundo empresarial, como en las comunicaciones.
En la política desarrollas herramientas de comunicación, el poder ejercer posturas, el poder llegar a puntos de consenso con respeto, el poder diferir y poder respetar las ideas de otros y más allá de polarizar los debates, buscar cuáles son esos puntos en común.
Es un tema todo el tiempo de negociaciones continuas, pero más allá de eso, es como buscamos dentro de esa negociación que surja algo que sea positivo para todas las partes. Así que, creo que la política me equipó mejor que cualquier otra cosa para las cosas que hago hoy, desde las comunicaciones hasta el empresarismo y hasta esta campaña educativa que estoy llevando junto a la familia de Hannabis Puerto Rico.
Continuando por esa línea, Alexandra Lugaro del 2016 a la Alexandra Lugaro del 2025, ¿Qué cambios has visto de esa Alexandra Lugaro del pasado con la con la actual?
Alexandra Lugaro: La realidad es que si yo mirara esa Alexandra Lugaro de hace 10 años y estuviese igual me sentiría mal de no haber crecido. Creo que he cambiado mucho, no solamente en la intolerancia a las cosas que no están bien hechas, en la intolerancia a la injusticia, la intolerancia a la mentira. Creo que soy menos ingenua ahora de lo que era.
Continuo siendo igual de optimista, con mucha esperanza, continuo creyendo y teniendo mucha fe en la gente y en los cambios en Puerto Rico. Pero sí, he cambiado en postura y yo creo que también he visto tantas cosas y he experimentado tantas cosas que, las mismas decepciones nos llevan a ajustar cuentas con la realidad.

Ver cómo las cosas corren, qué es lo práctico y sobre todo qué es lo posible, en lugar de quiero moverme directamente a esta meta, vamos a hacerlo por paso. Vamos a llegar aquí primero y este paso está un poco más cerca de la meta de lo que hubiese estado si no hubiésemos comenzado a andar.
Así que, creo que ha cambiado muchísimo en ese aspecto y como persona, al igual que me he rodeado de tanta gente distinta que me han enseñado. He aprendido, desaprendido. Siento que he tenido una evolución muy grande a nivel profesional y a nivel personal.
Todos sabemos que tu posición hacia el cannabis medicinal siempre ha sido positiva. Siempre has brindado la educación que conlleva este tema tan controversial para muchos. ¿Qué te llevó a a a esta unión con Hannabis Puerto Rico y para ser embajadora oficial de la marca?
Alexandra Lugaro: Primero es precisamente que no quiero que se siga viendo como un tema

controversial y creo que para que no lo vean como un tema controversial tenemos que desmitificar lo que hay allá afuera, hay que acabar con los estereotipos, con los prejuicios y la herramienta más poderosa para acabar con todo eso es la educación, es la información.
La gente conoce mis posturas en cuanto al cannabis medicinal desde el año 2015, porque soy figura pública pero siempre he tenido las posturas a favor del cannabis medicinal, porque conozco cómo puede beneficiar la salud de tantas y tantas personas.
Cuando comencé como candidata, ejerci unas posturas muy claras, me costaron muchísimo precisamente por la desinformación que había y quizás en aquel momento todavía Puerto Rico no estaba preparado con la educación y la información que hoy tenemos sobre la industria del cannabis medicinal, pero desde aquel momento ya se podían ver los números, los datos, la evidencia científica que apuntaba a cuántas condiciones se podían tratar con el cannabis medicinal, cuántos tratamientos, síntomas podrían aliviarse con cannabis medicinal. También en el aspecto económico y social, como el tú trabajar con la industria del cannabis, podría generar empleos competitivos, una industria que realmente pudiese aportar a Puerto Rico. En aquel momento quienes lo habían comenzado a hacer, como dicen por ahí “daban alante” y yo hubiese querido que Puerto Rico “diera alante” también. Tuvimos
que esperar un poquito más en lo que socialmente empezábamos a desmitificar esas cosas, pero aquí estamos. Hoy es una realidad la industria del cannabis medicinal en Puerto Rico pero todavía queda muchísimo por hacer
¿Piensas que esa misma desinformación en la isla, fue lo que te llevó a esta unión con Hannabis Puerto Rico?
Alexandra Lugaro: Antes de yo comenzar esto, como lo hago con cualquier otra cosa, me aseguro de conocer la calidad del trabajo, la calidad del producto. Que sea un enfoque serio y que realmente haya una visión, una misión, un compromiso. Antes de iniciar esta relación con Hannabis Puerto Rico, yo fui a sus cultivos, conocí a sus empleados, conocí a su gerencia, vi cuán capacitadas estaban las personas que trabajan con ellos. Vi el compromiso que tenían con el tema de salud y lo que me gustó fue que había dentro de todo esto, más allá de la cuestión empresarial, más allá del negocio, había un compromiso con educar y para mí la educación siempre ha sido fundamental. Para mí era como dicen por ahí “el pareo perfecto”. A mí me gusta educar, a mí me gusta llevar información que contrarreste todas las etiquetas que hay allá afuera y Hannabis tiene el producto, tiene la gente, tiene la calidad, tiene la misión, así que yo dije bueno trabajemos juntos en esto.
Me escogieron como su embajadora educativa, para mí ha sido un orgullo porque es una forma distinta de educar sobre una industria. No es una venta, no es un comercial, es quiero que conozcas cómo ocurre esto, cómo se mueve esto. Quiero que conozcas los aspectos legales, los aspectos científicos, los aspectos sociales, así que es bien abarcador pero a misma vez está tan gratificante
Más allá del producto, ¿Qué ofrece Hannabis Puerto Rico a la población puertorriqueña?
Alexandra Lugaro: Lo primero es que, es importante que la gente vea esto como trabaja por ejemplo una farmacéutica. Hay un enfoque de tantos detalles y atención a lo que es la calidad, a lo que es, en el caso del cannabis, estos terpenos que pueden a su vez tratar diferentes condiciones. Hannabis no es una marca más, Hannabis ofrece
salud a las personas y quienes son pacientes y utilizan los productos de Hannabis saben que lo que reciben no es un producto, no es una flor, es salud, es tratamiento, es alivio y se siente bien ser parte de algo como eso.
Aunque ya hemos avanzado mucho en este tema en Puerto Rico, ¿Piensas que todavía falta un poco más?
Alexandra Lugaro: Falta un montón, recuerda que la sociedad se mueve un paso, la educación se mueve otro paso, la legislación se mueve otro paso. Aquí falta mucho por legislarse, todavía falta que haya un entendimiento de las agencias que regulan esto para que sepan cómo moverlo. Todavía hace falta a nivel federal que se legisle para sacarlo de la sustancia que están controladas a nivel federal, para que entonces también tú puedas tener una facilidad bancaria, una facilidad de mover esto tanto desde el punto de vista empresarial, pero también eliminando estos estereotipos que hacen que hoy miles de personas todavía sientan miedo de utilizar el cannabis medicinal.
Y yo creo que las campañas educativas van a ser fundamentales para que las personas conozcan los beneficios, conozcan los procesos, le pierdan el miedo al proceso, pero sobre todo yo creo que al final del día el miedo es producto de la incertidumbre. Le tememos a lo incierto, cuando conocemos el proceso la gente va mucho más confiada.


¿Qué mensaje podrías dar para estas personas que todavía tienen un pensamiento erróneo sobre el cannabis medicinal y sobre la misión de esta marca?
Alexandra Lugaro: Más allá de promesas, la verdad es que yo no quisiera obligar a nadie a cambiar
su pensar. Lo que sí quisiera hacer es una exhortación a que las personas miren este tema con mente abierta y que sin importar los prejuicios, los estereotipos, lo que llevan escuchando hace años. Se den la oportunidad de educarse, de aprender, que busquen la información que está allá afuera, que está disponible. Nosotros hemos hecho un recorrido educativo por lo que es las áreas de cultivo, las áreas de manufactura, dispensario, los procesos legales. Que busquen esta información que está en las redes sociales de Hannabis Puerto Rico. Yo estoy convencida de que yo no le tengo que cambiar la mentalidad a nadie, yo estoy segura que cuando reciban esta educación, ellos mismos por sentido común y con esas herramientas que van a recibir de este esfuerzo educativo, van a cambiar su opinión y se van atrever a dar ese paso. Al final del día yo lo que no quisiera es que personas que están allá afuera sufriendo o padeciendo de condiciones se priven de una herramienta que está allá afuera disponible para hacerle sentir mejor y proveer salud.
?cómo podemos conseguir a Hannabis en las redes?
Alexandra Lugaro: Pueden encontrarlo todo a través de @ hannabispuertorico. También pueden buscar mis redes sociales, yo continuamente estoy compartiendo todo el contenido de Hannabis Puerto Rico. Es importante que durante ese proceso vayan y busquen lo que hemos trabajado previamente, no solo más actualizado, para que puedan ver ese recorrido desde sus inicios.

@alexandralugaro @hannabispuertorico



• Modelo: Yamirelis Carrasquillo
• Animadora de TV, modelo, locutora comercial y actriz
• Cuarta Finalista Miss Mundo Puerto Rico 2022 (ganadora de Head to Head Challenge)
• Miss Hispanic International 2024
• Embajadora de Casa
Ronald McDonald Puerto Rico y Vidawasi Perú
• H&M: Orlando Torres
@yamicarrasquillo

@championdentalpuertorico

Actualmente, estamos viviendo tiempos en los que el aspecto físico de las personas es cada vez más valorado y más importante para cada individuo, de ello depende no sólo su autoestima y la forma cómo se relacionan con los demás sino en ocasiones, también interfiere en las posibilidades de encontrar un buen empleo, o simplemente de mejorar la calidad de vida.
Las carillas dentales son unas finas láminas que se ponen en la parte frontal de los dientes para corregir algunos defectos como
color, pequeñas deformidades o cualquier tipo de defectos estéticos que puedan estar comprometiendo la autoestima del paciente y su seguridad al sonreír.
También llamadas carillas estéticas, o facetas, las carillas dentales se pueden poner en un diente de forma individual o en múltiples piezas dentales según la necesidad del paciente, se hacen a la medida del diente y de acuerdo con lo que se requiera corregir. Son elaboradas en porcelana o composite y se adhieren al diente mediante una resina o cemento especial para dientes.
Carillas de composite: Este tipo de carillas, están hechas de una resina acrílica que se adhiere a la parte frontal del diente, en ocasiones se incluye también partículas de cerámica en su construcción para hacerlas más resistentes y de mejor apariencia. Para crearlas, se pueden moldear directamente en la boca del paciente o en un laboratorio, dependiendo de la precisión con la que hayan quedado hechas, a veces ni siquiera se debe tallar el diente para ponerlas. Debido a esto y a que es un tratamiento poco invasivo, en raras ocasiones se requiere usar anestesia.

Ventajas de las carillas de composite:
• Se pueden usar en personas jóvenes como adolescentes y niños, que aún no han terminado su edad de crecimiento.
• Se pueden remover fácilmente, razón por la cual, también se pueden usar en adultos durante un tratamiento.
• Así como son fáciles de remover, también son fáciles de instalar.
• No se requiere mayor preparación del diente para instalar la carilla de composite.
• Suelen ser más económicas que las carillas de otros materiales.
• Pueden remplazarse fácilmente si se presenta una fractura en alguna carilla.
Desventajas de las carillas de composite:

• Su duración está estimada entre 5 y 10 años.
• Son frágiles, por lo que se rompen fácilmente.
• Con el paso del tiempo, van perdiendo su brillo y color inicial.
• Si la persona bebe con frecuencia, café, té, vino tinto, o bebidas oscuras, esto puede ocasionar que se oscurezcan.
Carillas de porcelana o cerámicas: Estas carillas son hechas de porcelana, zirconio o disilicato de litio, lo que las hace más estéticas y resistentes que las carillas de composite. Para instalarlas, se deben tomar las medidas

del diente, se fabrican en laboratorio y luego, se cementan en el diente. Este tipo de carillas también se pueden usar en tratamientos de ortodoncia cuando el diente no tiene la posición correcta.
Ventajas de las carillas cerámicas:
• Se ven más naturales, ya que el material usado, les proporciona un color más semejante al del esmalte de los dientes.
• Incluso si el paciente bebe té, café o bebidas oscuras con regularidad, su color no cambia.
• Es poco común que se fracturen o se rompan, pues el material en el que se fabrican es más resistente que las carillas de composite.
• Si el paciente realiza un cuidado adecuado de las carillas, pueden durar entre 10 y 15 años.
Desventajas:
• Debido al proceso que se realiza para pegar la carilla, el diente requiere previa preparación.
• En caso de ocurrir una fractura o rotura, es un poco más complicado y generalmente no puede repararse, sino que debe cambiarse completamente.
• Aunque su material es resistente, existen ciertos alimentos que no se deben morder, por riesgo de fracturar la carilla.
• Después de instalada una carilla, no se puede retirar, debido al desgaste que se debe hacer en el diente, al presentarse una fractura o rotura, se debe remplazar por una similar para recuperar las dimensiones de la pieza.
• Su precio suele ser mayor que el de las carillas de composite.
Carillas Lumineers: Son fabricadas en porcelana Cerinate, un tipo de porcelana ultrafina reforzada con cristales de leucita, lo que la hace más resistente, su tamaño es menor al de las demás, se estima entre 0,2 y 0,3 milímetros. Son fabricadas en Estados Unidos y en laboratorios en Suiza, además, al paciente se le entrega una garantía y
certificado personalizado sobre el producto adquirido.
Ventajas de las carillas Lumineers:
• Gracias al material usado en su fabricación, son más duraderas que los dos tipos anteriores.
• Se estima que duran aproximadamente 20 años.
• Son las más buscadas por las personas famosas por su duración.
• Su instalación es un proceso más sencillo comparado con las carillas de cerámica ya que el diente no requiere ser tallado, además de conservar la estructura y tamaño de la pieza.
• Es uno de los tipos más recomendados, si no se quiere alterar el color del esmalte de los dientes naturales.
• Se pueden usar para tratar manchas leves en los dientes.
Desventajas:
• Aunque el material es duradero, también son más costosas que las demás.
• Su instalación requiere de varias visitas al odontólogo.
• En caso de una rotura o fractu ra, no se pueden reparar, se debe repetir todo el proceso desde el inicio.
• No se puede usar en dientes asimétri cos o mal posicio nados.
• Por su espesor tan fino, es difícil usarlas como

opción para un tratamiento de blanqueamiento dental, puesto que dejan al descubierto el color natural de las piezas dentales.
Como no todas las personas son buenas candidatas para realizarse un tratamiento con carillas, antes que nada, se debe realizar un estudio minucioso previo, donde se incluyen no sólo radiografías sino también escáneres, fotografías o incluso videos de la boca y la cara. Con ellos, se busca realizar un análisis completo de la función masticatoria y así poder tener más datos de cómo se debe realizar el tratamiento.
En ocasiones, se realizan pruebas estéticas previas de forma digital o directamente en la boca del cliente, para conocer cómo será el resultado final.
Con toda la información obtenida, se puede asegurar que las carillas dentales son una excelente opción para mejorar la sonrisa cuando los dientes tienen pequeñas imperfecciones. Lo mejor siempre será acudir a un odontólogo que sea experto en la instalación del tipo de carillas que se desea adquirir, puesto que no cualquier odontólogo Experiencia








Actualmente y con la importancia que está tomando la apariencia física, cada vez está siendo más común encontrar personas con tratamientos en sus dientes, no sólo ortodoncia, blanqueamientos dentales, sino también aquellas que requieren y han optado por los implantes dentales.
Pero con esos tratamientos, especialmente los implantes, no sólo viene la belleza y perfección en la sonrisa, sino que también se esconden riesgos como infecciones, rechazos a los componentes de este, teniendo en cuenta que se expone el hueso para poder implantar el nuevo componente.
La infección del implante dental tiene dos fases:
Fase 1

Mucositis periimplantaria: Es una infección que sólo afecta los tejidos blandos que rodean el implante.
Peri-implantitis: Es la mucositis peri-implantaria agravada, es decir, cuando no se ha tratado a tiempo y comienza a afectar el soporte óseo del implante, llegando a ocasionar la pérdida del mismo.
La aparición de la peri-implantitis, se debe principalmente a la acumulación de placa bacteriana alrededor del implante por una deficiencia en la higiene oral del paciente, aunque algunos comportamientos conllevan a factores de riesgo como lo son el tabaquismo, preexistencia de enfermedades periodontales, implantes diseñados de forma inadecuada, o incluso, sobrecarga masticatoria.
Diagnóstico, Signos y Síntomas
La peri-implantitis en principio, se podrá confundir con una periodontitis, porque sus síntomas son similares, sangrado y enrojecimiento de las encías, supuración espontánea, pérdida ósea la cual se puede
evidenciar en las radiografías. El proceso y los recursos para la evaluación, seguimiento y diagnóstico de esta infección son los mismos tanto para la periodontitis como para la infección de implantes. Pero se debe tener en cuenta que la infección de los implantes avanza con mayor velocidad y es más agresiva que las infecciones en los dientes naturales.
Hablando de síntomas, en ocasiones es difícil que el paciente se dé cuenta por sí mismo que tiene una infección o que algo está pasando con el implante, sino hasta que visita el profesional en salud oral. La peri-implantitis no siempre supone la pérdida del implante, pero es un factor fundamental que lo pone en riesgo, por eso a los pacientes con implantes dentales, se les recomienda tener la mejor higiene oral posible y la visita al odontólogo o higienita oral regularmente de forma que permita la

detección de la enfermedad en etapa temprana.
Los principales síntomas de una infección en un implante dental son:
• Inflamación.
• Sangrado en los implantes y la zona aledaña al mismo.
• Supuración.
• Mal sabor al salivar o mal olor al pasar la seda dental, en casos muy extremos, se presenta también dolor.
• Exposición de los implantes.
• Movilidad del implante.
Luego de identificar el implante afectado por la infección, se debe identificar la gravedad de esta, para determinar cuál sería el trata-


miento. Según el avance de la infección, hay 3 líneas de tratamiento:
1. Higiene: El primer punto a tratar cuando el paciente presenta una mucositis peri-implantaria, se orienta fundamentalmente a restablecer la salud de la zona mediante la toma de medidas de higiene tanto profesionales como de autocuidado. Entre las acciones profesionales se tienen: realizar limpiezas con instrumentos ultrasonicos, o curetajes entre otros.
El profesional en salud oral u odontólogo, debe garantizar que el diseño y los materiales usados para construir la prótesis fueron los adecuados para las necesidades del paciente y que permiten el acceso a las emergencias de los implantes para ser higienizados correctamente.
El paciente, debe garantizar que


sigue ciertas rutinas de limpieza como:
• Limpiar la zona entre 2-3 veces al día (Poniendo especial atención en la limpieza de la mañana y la noche, que son fundamentales).
• Tener una técnica de cepillado correcta.
• Realizar una limpieza correcta en la zona cercana al implante usando cepillos, seda dental o superfloss, irrigadores orales etc.
• Utilizar de forma complementaria lavatorios antisépticos o geles que permitan realizar una limpieza más profunda.
2. Implantoplastia o tratamiento quirúrgico: La primera fase de la infección es la mucositis, cuando esta ya está en estado avanzado, se convierte en peri-implantitis que es más evidente porque genera la pérdida del soporte óseo del implante. En la mayoría de los casos, el odontólogo lo que debe hacer es eliminar los restos bacterianos de la superficie del implante (sarro, placa, etc.) además de desbridar y quitar todo el tejido blando inflamado e infectado que rodea el implante.
La cirugía se complementa con una implantoplastia, que es la eliminación de las roscas del implante que quedaron al descubierto por la pérdida del hueso y como parte final, se debe pulir la superficie del implante para dificultar la acumulación de placa en el futuro.
En ocasiones, se debe recurrir a usar injertos de hueso, encía o tejido conectivo para regenerar la pérdida de hueso y tejido gingival por causa de la infección, el tejido conectivo nuevo se obtiene del paladar del paciente.
La ayuda de los antibióticos también es relevante para tratar la infección y evitar que siga empeorando.
Para el tratamiento de la peri-implantits, no sólo es necesario revisar

la higiene bucal del paciente, sino también tener en cuenta su estado de salud en general, y así conocer si existen condiciones de base que pudieran interferir en la evolución de la disminución de la infección (Tabaco, Alcohol, Diabetes, Fármacos para el tratamiento de otras enfermedades, etc.)
3. Retirada del implante: Es la medida más agresiva que se toma cuando la infección no
responde a tratamiento antibiótico y/o quirúrgico que ya se haya realizado. Actualmente, la retirada de los implantes es un procedimiento más sencillo que en épocas anteriores, puesto que existen instrumentos que ayudan a desenroscar el implante de forma progresiva del tejido óseo similar como si fuera un sacacorchos.
Dicho esto, la revisión periódica del implante con un profesional, complementando también con imágenes radiográficas que puedan evidenciar lo que pasa dentro del implante y el autocuidado que el paciente tenga sobre la zona, se hacen importantes puesto que estudios realizados, indican que al menos la mitad de los pacientes que poseen implantes dentales van a sufrir una infección a mediano o largo plazo y uno de cada 4 pacientes corre el riesgo de perder el implante debido a la complejidad de la infección.


La comunicadora estratégica y experta en lenguaje no verbal, Vanessa Marzán, se sometió recientemente a un procedimiento de armonización facial como parte de su compromiso con la coherencia entre imagen, propósito y narrativa personal. Bajo el lema “Todo Comunica”, Marzán reafirma que el rostro no solo refleja belleza, sino también intención, liderazgo y autenticidad.
¿Qué es la armonización facial?
La armonización facial es un tratamiento médicoestético personalizado que combina técnicas como ácido hialurónico, bioestimuladores de colágeno, neuromoduladores y redensificación dérmica. Su objetivo no es transformar los rasgos, sino optimizar la proporción, simetría y frescura del rostro, respetando la

identidad única de cada paciente.
“Cada rostro tiene una historia. Nuestro trabajo es potenciarla, no borrarla. En el caso de Vanessa, trabajamos con especial cuidado en preservar su expresividad y fuerza comunicativa, complementando el tratamiento con protocolos regenerativos.” Indicó el Dr. Luis Martínez, propietario de Xano Gene Clinics y experto en medicina regenerativa y antiaging
“La armonización facial es una herramienta poderosa para





quienes desean verse tan bien como se sienten. No se trata de cambiar, sino de revelar lo mejor de cada rostro con sutileza y precisión clínica.” Añadió el Dr. Fabio Morales, experto en optimización facial, propietario de VIP ProAge.
El procedimiento se realizó en siete zonas clave: frente y entrecejo, contorno de ojos, pómulos y mejillas, nariz, surcos nasogenianos, labios, contorno mandibular y mentón, además de cuello y escote. La primera fase abordó la calidad de la piel con la tratamiento de PDRN , mejor conocido como esperma de salmón inyectable,
Un enfoque integral: más allá del rostro
La optimización facial no debe abordarse de forma aislada. Los expertos recomiendan un enfoque integral que incluya terapias de


regeneración celular, péptidos bioactivos, senolíticos, polifenoles y otros agentes que promueven la longevidad cutánea y sistémica.

Para Marzán, el procedimiento va más allá de lo estético. Es una declaración de coherencia entre lo que se dice y lo que se proyecta. Como estratega de lenguaje no verbal, reconoce que el rostro es el primer canal de comunicación en cualquier interacción.
“El rostro es una narrativa viva. Cada línea, cada gesto, cada mirada comunica. Optar por una armonización facial es también una decisión de liderazgo: mostrarme como soy, optimizada, sin perder mi esencia.” — Vanessa Marzán, comunicadora estratégica

El procedimiento indoloro, el cual utiliza anestesia inyectable, tiene una duración aproximada de una hora y no requiere de tiempo de descanso o “down time” como se conoce en el argot médico. El procedimiento se convierte en una herramienta poderosa para optimizar sin alterar, comunicar sin gritar, liderar desde la autenticidad.
Porque en tiempos donde la imagen es mensaje, todo comunica.
@vmarzan


El Dr. Luis Martínez es médico, investigador y líder reconocido en los campos de la Medicina de Longevidad, Medicina Regenerativa, Peptidoterapia, Terapias Autólogas y Age-Management Medicine. Con formación en Medicina y una Maestría en Salud Pública, el Dr. Martínez ha dedicado su carrera a integrar ciencia de vanguardia, terapias basadas en evidencia y aplicaciones clínicas innovadoras para optimizar la salud, la función y la longevidad humana.
Es ampliamente conocido como cofundador y referente clave de la Clinical Peptide Society y como Presidente de CAAMAS (Caribbean Association of Anti-Aging Medicine ), institución dedicada a la educación continua, estandarización clínica y promoción del desarrollo profesional en medicina regenerativa, longevidad y estética avanzada. Desde este rol, ha impulsado programas de formación de alto nivel para médicos en múltiples

países, consolidando una red internacional de profesionales altamente capacitados.

El Dr. Martínez también se desempeña como director y docente en diversos cursos avanzados, incluyendo el Autologous Aesthetics Certification Course, programas de biología del envejecimiento, hormonas bioidénticas, NAD+, PRP, células madre

autólogas, orthobiologics, medicina metabólica y tecnologías emergentes en longevidad. Su enfoque combina precisión científica, claridad estadística y pensamiento crítico, convirtiéndolo en una referencia para profesionales que buscan integrar terapias re -

generativas con rigor y seguridad.
Reconocido por su labor clínica y educacional, el Dr. Martínez es una voz influyente en la nueva era de la salud preventiva y la longevidad. Su práctica se centra en optimizar la salud humana a través de intervenciones celulares, hormonales, metabólicas y regenerativas, con énfasis en resultados clínicos tangibles y bienestar funcional.
El Dr. Martínez continúa expandiendo su trabajo clínico, docente e investigativo, consolidándose como una de las figuras más influyentes en la evolución moderna de la medicina regenerativa y de longevidad.
@doctor_ageless


te pierdas ni un solo número de CONTORNO. Para recibirla por correo, envía esta for ma acompañada de un cheque o giro postal a la siguiente dirección:





Colombiamoda 2025 se Consolida como un “Circuito de Ciudad “ único en el mundo, integrando Arte, cultura, gastronomia, musica y entretenimiento que inspira y conecta el Sistema Moda Latinoamericana con el mercado global. Atenea Profesional y Salon In de Recamier son las marcas oficiales de maquillaje y styling de Colombiamoda Miami destacando su creatividad , innovación y propuesta de valor en cada una de las experiencias de la semana de la moda de Colombia.













Hace 32 años iniciamos un recorrido cuyo destino desconocíamos, pero había algo que sí teníamos claro: lo hacíamos con pasión. Así nació el sueño de crear una empresa dedicada a transformar la enseñanza mediante servicios y materiales educativos innovadores.
Desde joven sentí una profunda fascinación por las matemáticas Mientras cursaba la escuela superior, en la Escuela Juan Ponce de León en Hato Rey, descubrí mi vocación por la educación. Más adelante, continué estudios en la Universidad de Puerto Rico Recinto de Río Piedras, donde obtuve un bachillerato en Ciencias con concentración en Matemáticas y, posteriormente, una maestría en Educación Matemática. En 1986, me trasladé a Estados Unidos para realizar un doctorado (Ph.D.) en Educación Matemática en Florida State University, donde más tarde me desempeñé como profesor visitante de matemáticas.

Buscando que los estudiantes pudieran visualizar los conceptos matemáticos de manera concreta, creé la Politabla®, un manipulativo para multiplicar, dividir y factorizar polinomios. Este invento me permitió obtener la primera patente en la historia de Estados Unidos otorgada a un hispano por un producto educativo de matemáticas. Más adelante, desarrollamos otros manipulativos, como Algeblocks® y ColorFrac®. A lo largo de este recorrido, he obtenido cuatro patentes relacionadas con productos educativos en matemáticas.
A partir de estos materiales concretos, surgió la idea de crear sus versiones digitales, dando paso a los programas Construyendo Álgebra y Construyendo Fracciones . Estas herramientas abrieron el camino para diseñar nuestra propia plataforma educativa digital: Edusystem, repleta de contenido interactivo, atractivo y pertinente para todas las materias (español, inglés, matemáticas, estudios sociales/historia y ciencias) y accesible localmente en cada dispositivo.
Con el tiempo, identificamos que el nivel preescolar no estaba aprovechando la tecnología de manera intencionada. Para atender esa necesidad, creamos D-Genius, una plataforma diseñada para integrar la tecnología en la educación temprana de forma pertinente y con propósito, promoviendo la diversión y el juego, pero siempre con una meta educativa clara.

Estos avances han sido posibles gracias al extraordinario grupo de líderes que han convertido mis sueños en realidad, mientras construyen los suyos propios. Nuestro compromiso con aportar al país nos impulsa a mejorar constantemente el proceso de enseñanza y aprendizaje.

Además de actualizar y perfeccionar nuestras plataformas educativas, hemos iniciado un nuevo proyecto: Dreyfous Labs, dedicado a crear experiencias educativas únicas. Los primeros Labs están dirigidos al aprendizaje de preálgebra, álgebra y fracciones, integrando nuestros manipulativos Politabla, Algeblocks y ColorFrac con recursos tecnológicos que los hacen más atractivos, entretenidos, pertinentes y fáciles de usar.

Nos sentimos profundamente honrados por los reconocimientos recibidos a lo largo de estos años por nuestros aportes al mundo educativo, entre ellos, los galardones más recientes como Empresa con Propósito 2025 y el Premio Águila 2025 (Máximo Galardón Juan Pablo Duarte). Nuestro mayor galardón es el que cada estudiante pueda lograr sus objetivos académicos sin importar su nivel socioeconómico. Cada día reafirmamos nuestro compromiso: innovar y aportar a la educación con pasión, visión y propósito.

Dreyfous

En El Senado de Puerto Rico se realizó la Graduacion de Gold Goddess Institute 2025 en donde la Representante por Acumulacion Lourdes Ramos y su Directora la Doctora Glenda Alicea recibieron a las Graduandas en Estética
















Ella es la Dra. Glenda Alicea, doctora en Educación, profesional de la conducta humana y la salud de la piel desde la neurociencia. Actualmente, es estudiante de Medicina Naturopática, directora de Gold Goddess Skin Institute (GGSI) y del Centro de apoyo a la Mujer (CAM) en Puerto Rico.
Su viaje profesional es una convergencia única de la ciencia de la piel, el bienestar humano y la educación. Inició su camino en el mundo de la estética, cultivando una profunda apreciación por el cuidado y la salud de la piel. Esta pasión inicial, la impulsó a buscar un entendimiento más profundo del ser humano en su totalidad, llevándola a obtener una Maestría en Trabajo Social Clínico. Esta experiencia, le brindó herramientas invaluables para comprender las complejidades emocionales y sociales que influyen en el bienestar de las personas.
Su búsqueda de conocimiento

continuó, culminando en un Doctorado en Educación. Esta etapa académica le permitió explorar las metodologías de enseñanza y aprendizaje, y cómo se puede aplicar el conocimiento de manera efectiva para el crecimiento personal y profesional.
Como Directora de Gold Goddess Skin Institute, su visión es fusionar sus conocimientos para ofrecer una formación integral en estética. Paralelamente, su compromiso con el bienestar integral, la ha llevado a fundar y dirigir el Centro de Apoyo a la Mujer. Este centro, nace de una profunda comprensión de las limitaciones que, las mujeres, enfrentan en sus múltiples roles y facetas, las cuales a menudo obstaculizan su camino en el emprendimiento. Esta realidad la impulsó a especializarse como Coach en Autoestima e investigar la crucial influencia de la Autoestima en el éxito del emprendimiento femenino.
Hoy en día, la Doctora se destaca como pionera y única en la investigación de la Neurociencia en la piel. Su especialización se centra en la fascinante interconexión entre la Neurociencia y la piel, basando su trabajo en la premisa de que la piel no es sólo un órgano externo, sino un reflejo del estado interno de cada persona. Explora cómo las emociones, el estrés y las experiencias de vida, impactan directamente en la salud y la apariencia de la piel, y cómo, a su vez, el cuidado de la piel puede influir positivamente en el bienestar emocional de las personas. Su trabajo busca ofrecer una perspectiva integral, donde la salud de la piel se aborda no sólo desde un punto de vista físico, sino también desde la profunda influencia de las emociones y nuestro cerebro.
Durante más de dos décadas, ha atravesado y crecido junto a un dinámico mercado de la estética a nivel mundial, un viaje de constante aprendizaje y adaptación en un entorno altamente competitivo. Hace tres años, la Doctora Alicea, asumió con profundo orgullo el rol de Embajadora de Puerto Rico para la distinguida organización Global Integral Beauty en Nueva York. Ser parte de esta prestigiosa entidad, que une a visionarios de la belleza,
939-293-6202
Gold Goddess Skin Institute Midtown Bldg #420 Av. Juan Ponce de León, Hato Rey
goldgoddess.skininstitute

la salud, la estética y el bienestar, no sólo ha sido un honor, sino que también le ha ayudado a solidificar su posición como una voz líder y una fuerza impulsora en la industria, tanto en la práctica profesional como en la educación. Su compromiso es mantener la industria siempre a la vanguardia, abrazando las nuevas tendencias educativas sin sacrificar jamás la rigurosidad y formalidad que definen la excelencia. Fruto de esta dedicación y visión, Gold Goddess Skin Institute, ha obtenido avales y acreditaciones de gran calibre, posicionándolo hoy como una institución académica de referencia y un pilar fundamental en el panorama educativo de Puerto Rico, siendo una Institución Académica reconocida con un premio de excelencia Global Award 2025.
Como persona y como profesional, la Doctora Glenda Alicea, cree firmemente que el ser humano sana su ser, sanando a otras personas. Que cada profesional debe comprender a su cliente o paciente como un ser holístico que necesita tener todas las áreas de homeostasis para lograr una salud plena. Sanar desde el interior es la verdadera belleza del ser humano.


Las tendencias de maquillaje para 2026 se centran en un equilibrio entre la naturalidad y la expresión personal, destacando una piel fresca y real, acentos de color llamativos en los ojos y pestañas híbridas sutiles.
La tendencia principal es una piel que respira, abandonando los contornos marcados y los acabados excesivos en favor de la luminosidad natural y la frescura.


Piel Traslúcida: La piel real es la protagonista, con bases ligeras o humectantes con color que permiten ver la textura natural.
Correctores Hidratantes: Se priorizan los correctores que, además de cubrir, aportan hidratación y luz a la mirada, para un acabado saludable.
Rubor Tostado: El rubor se aplica más allá de las mejillas, difuminándose hacia las sienes
y la nariz para simular un brillo bronceado natural, como el de una tarde de verano.
El foco vuelve a los ojos con looks atrevidos y expresivos que permiten la individualidad y la creatividad.
Sombras en Crema: Las sombras de ojos en formato crema serán una tendencia clave, facilitando looks de color suave y fácil aplicación.
Acentos de Color: El verde será uno de los tonos clave en sombras de

ojos, evocando una conexión con la naturaleza y la calma. El azul puro también se posiciona como un color versátil y vibrante para acentos de color.
Pestañas Híbridas: Vuelven con fuerza las pestañas híbridas, pero en una versión más sutil, suave y esculpida, que combina extensiones clásicas y de volumen para un efecto delicadamente combinado.
Cejas Naturales: Las cejas siguen la inclinación general hacia lo natural, con un enfoque en la forma y la definición sutil, sin excesos.

Los labios recuperan protagonismo con un espíritu que equilibra la naturalidad con toques de color.
Tonos Cálidos: Los tonos marrones tostados y canela aportarán profundidad y sofisticación sin recargar el look general.
Acabados Naturales: Se prefieren acabados que no sean excesivamente mates ni brillantes, sino que busquen un punto medio que resalte la forma natural del labio. Para consultas de maquillaje y cualquier tipo de actividad, como clases individualizadas o en grupo,

maquillaje de novia, gala, natural, artistico se pueden comunicar por:
787-564-3617
@vsanjurjo_5

Una elegante actividad Filantrópica llena de Fantasía. A MiLLION DREAMS VINTAGE CIRCUS, en donde se logró recaudar 1.000,000.00 de dolares para beneficio de pacientes del Cancer.






























En el Restaurante Fogo de Chao el COPACABANA de el Club Cívico de Damas de Puerto Rico realizó su primer festival del año Festival de Rio.









50 aniversario de Wilnelia Merced. Lady Wilnelia Forsyth miss Mundo 1975 haciendo tributo a las personas pacientes de Alzheimer. Evento realizado en el Caribe Hilton























● Modelo Contorno : Geraldine Corchado
Inst: @geraldine.corchado
● 34x24x39 | 20 años | 5'6” ● Estudiante Ciencias Sociales @missearthprofficial
● Fotos by: abnelphoto
● Maquillaje : triebeautybyjerika
● Diseñador: @Mauricio_alpizar_fashion


El 2026 se perfila como un afio de libertad estetica, texturas elevadas y un regreso decidido a la salud capilar como sfmbolo de lujo. Mas que imponer estilos, la tendencia ahora es potenciar la identidad, respetar la naturaleza del cabello y elevarla con tecnica profesional. Desde cortes ic6nicos hasta colores multidimensionales y acabados de brillo espejo, este afio redefine lo que significa llevar un cabello hermoso, moderno y autentico.
Cortes: el regreso de la estructura suave
El 2026 se aleja de los extremos y abraza cortes que equilibran caracter y elegancia. Los protagonistas del afio son:
1. Luxe Bob
Limpio, preciso y elegante. De puntas suaves y brillo impecable, ofrece movimiento natural y una estetica moderna sin perder practicidad.
2. Shag Moderno
Capas estrategicas que realzan ondas y rizos. Un look fresco, juvenil y con personalidad, ideal para quienes buscan volumen y fluidez.
3. Power Pixie
Corto, seguro, sofisticado. Un pixie

con textura superior que proyecta fuerza y estilo con acento femenino.
4. Flequillos Evolutivos
Flecos que se integran suavemente al rostro, con longitudes relajadas y acabados difuminados que favorecen casi todas las facciones.
Color: dimension, brillo y caracter
El color en 2026 vive en dos mundos: la naturalidad elevada y la expresi6n audaz.
1. Brunette Lfquida
Marrones profundos y brillantes con efecto espejo. Tonos espresso, chocolate y caramelo se convierten en protagonistas absolutos.
2. Rojos y Cobrizos lntensos Refinados, especiados, llenos de vida.
Cobrizos luminosos y rojos profundos que aportan energfa al rostro.
3. Tonos Creativos y Sofisticados
Lavandas suaves, rosados translucidos, azules humo, verdes esmeralda: colores artfsticos, elegantes y no saturados.
4. Grey Blending
La integraci6n moderna de canas. Tonos plata y beige se mezclan

Por: Rey Blanco, estilista y educador

con matices suaves para un efecto natural y actual.
Acabados: el brillo como marca de lujo
El acabado mas deseado del 2026 es un brillo saludable, puro y natural.
La salud capilar se posiciona como la nueva forma de lujo:
cutfcula sellada, hidrataci6n profunda suavidad sin exceso de producto, movimiento controlado y elegante.
Ondas sueltas, textura natural y secados con efecto "air-dry look" dominaran el estilismo diario, siempre complementados con formulas ligeras que permiten lucir el cabello sin saturarlo.
Texturas: celebraci6n de lo autentico.
Las texturas se llevan libres, reales, con identidad:
Rizos definidos pero sueltos, sin rigidez. Ondas relajadas, de estetica natural.
Lisos brillantes, pero no extremadamente pianos.
Cabellos crespos con control, suavidad y movimiento.
El mensaje es claro: cada textura

tiene su belleza y merece ser celebrada.
Accesorios: pequenos acentos, gran impacto
En 2026 regresan los accesorios con un nuevo protagonismo: - lazos finos, pasadores de perlas, - piezas metalicas minimalistas,
- cintas aterciopeladas.
Pequenos detalles que elevan incluso los peinados mas simples.
El veredicto de Rey Blanco
El 2026 invita a la autenticidad con intenci6n.
Un año donde la salud capilar se convierte en el verdadero lujo y el brillo en el accesorio mas valioso. La mujer moderna deja atras la necesidad de complacer tendencias para abrazar una belleza mas consciente: cortes inteligentes, colores que realzan la piel, texturas naturales y acabados que reflejan bienestar.
Este ano celebra a la mujer que exige calidad, que entiende la importancia del autocuidado y que busca un estilo que la represente de verdad. Un estilo construido desde adentro hacia afuera, desde la rafz hasta las puntas.

Cierre Final - Mensaje Editorial
En el 2026, el cabello no solo se lleva: se vive. Se honra, se cuida, se disfruta.
Cada fibra cuenta una historia y cada estilo es una declaraci6n personal.
Este año, la tendencia mas fuerte no viene de pasarelas ni pantallas, sino de algo mucho más poderoso:
Avenida del Valle 3174 Levittown, Toa Baja, PR 00949



En esta edición presentamos dos propuestas creadas para la Agencia Contorno, donde exploramos las tendencias que dominarán el 2026 en coloración, peinado y maquillaje. La línea Nirvel se convierte en protagonista, aportando tecnología de alta precisión, pigmentos de lujo y resultados que exaltan la identidad de cada modelo.
El color melting continúa posicionándose como una de las tendencias más solicitadas del próximo año. Esta técnica permite una transición suave entre tonos,

sin líneas marcadas, logrando una apariencia natural, luminosa y con movimiento. Su versatilidad lo hace ideal para realzar distintos tipos de cabello, desde rizados hasta lacios, respetando siempre su esencia.
MODELO 1: DADY – luminosidad cálida sobre rizos naturales

Para Dady, cuya melena rizada posee una textura vibrante y llena de vida, desarrollamos una iluminación en caoba claro, destacando la riqueza de su tono de piel canela. El resultado: un look cálido, sofisticado y profundamente favorecedor.
El maquillaje se construyó en tonos verde aceituna metálico, una elección estratégica para resaltar el matiz caramelo de sus ojos. La piel se trabajó en acabado bronceado natural, aportando frescura y modernidad a la propuesta final.
MODELO 2: EDMARIE – elegancia cobriza con inspiración de época
La segunda propuesta estuvo inspirada en la estética romántica y aristocrática de la serie Bridgerton. Para Edmarie seleccionamos una degradación en cobrizo suave, ideal para equilibrar su

tono de piel rosado y añadir profundidad y calidez al rostro.
El peinado consistió en un medio recogido con ondas clásicas, evocando elegancia, realeza y una feminidad atemporal. El maquillaje se construyó con sombras rosadas, mejillas suaves y un labial rojo intenso que aportó un toque dramático y sofisticado digno de una portada.
Estilista: Willie Menendez
@colorbywilly


La llegada de la temporada Otoño–Invierno introduce un lenguaje visual renovado en el mundo de la belleza, marcado por tonos cálidos, profundos y sofisticados que invitan a realzar la luminosidad natural del cabello. Inspiradas en las pasarelas internacionales, los editoriales de moda y la paleta propuesta por Pantone — que destaca marrones intensos, dorados suaves, cobres especiados y tonos crema — estas tendencias se adaptan perfectamente a la mujer contemporánea del Caribe.
El reconocido estilista Esteban Montes, fundador y director creativo de Esteban Montes Hair Care and Spa, presenta las tendencias más relevantes en color y corte para esta temporada, pensadas para lucir espectacular durante las


festividades navideñas.
Montes destacó que las tendencias en color incluyen castaños cálidos y brillantes, los cuales regresan como protagonistas. Tonos como chestnut brown, teddy bear brown y espresso brunette añaden profundidad, elegancia y brillo. Son ideales para quienes desean un look sofisticado, de bajo mantenimiento y larga duración.
Igualmente, los rubios se tornan cremosos y cálidos con tonalidades dark suede blonde, butter blonde y Old Hollywood blonde, los cuales también dominan en esta temporada. Estos tonos aportan dimensión natural y un brillo suave que armoniza con el clima tropical.


Otra tendencia de color que sigue en auge son los tonos rojizos incluidos el Golden copper, cherry brown y spiced rum que ofrecen intensidad, transformación y un estilo femenino, perfecto para quienes desean un cambio llamativo y lleno de energía.
En cuanto a tendencias en corte, Montes subrayó el corte “Bob” en todas sus versiones, el cual sigue reinando por su elegancia y versatilidad. Entre las variantes más destacadas:
• Classic Bob: pulido y sofisticado.
• French Bob: corto, chic y con textura suave.
• Cropped Bob: moderno y estilizado, ideal para resaltar el cuello.
• Nano Bob: ultracorto y atrevido, pensado para quienes buscan un cambio audaz.
Otra tendencia es la combinación de capas largas y fluidas con flequillos evocando la década de los 60’s aporta movimiento, volumen natural y un marco delicado para


el rostro.
Otra de las opciones cortas que cobran protagonismo para esta temporada los son el corte “Pixie” y el “Shag” suave. En esta ocación, el pixie se reinventa con textura y frescura, mientras que el shag suave ofrece libertad, estilo y un look moderno sin perder elegancia.
La temporada Otoño–Invierno es una invitación a renovar la imagen con colores favorecedores y cortes modernos. “La belleza evoluciona constantemente, pero


lo verdaderamente importante es encontrar un estilo que refleje quién eres. Las tendencias son una guía, no una regla, y se deben adaptar a la persona, no al revés. En esta temporada navideña, buscamos looks cálidos, luminosos y sofisticados que realcen la esencia individual de cada mujer. En nuestro salón, personalizamos cada color y corte para que cada clienta luzca regia, segura y auténtica”, expresó Esteban Montes, fundador y director creativo de Esteban Montes Hair

Care and Spa.
En Esteban Montes Hair Care and Spa, el equipo de profesionales de la belleza está listo para ofrecer consultas especializadas y crear estilos únicos adaptados al rostro, tono de piel y estilo de vida de cada clienta. Para más información, puede comunicarse al 787-7251111 o acceder a sus plataformas de redes sociaales en:

estebanmontessalon

@estebanmontespr


● Dadicilef Gonzalez
● 29 años - 6'1” - 35x27x36
● Modelo Contorno Agency
● Top Model Internacional (Puerto Rico, New York, Paris, Milan )
● Social Worker Billingual
● Future Brand Model and Realtor
@dadi_modela




• William Roberto Vázquez Villafañe
• Mr. Naguabo International
• Hobbies: Ir al gym y practicar deportes
• Metas: culminar sus estudios universitarios y contribuir al progreso y bienestar de PR @william.vazquez_ Fotos @efektopr

El Teatro Municipal de Cayey fue el escenario de la gran final de Mister Beauty International Puerto Rico (MR. BIPR) 2025, certamen que celebró su décimo aniversario y reafirmó su posición como el concurso masculino más sólido de la isla. Con la participación de 27 candidatos, la noche coronó a los nuevos representantes que llevarán el nombre de Puerto Rico a los escenarios internacionales más prestigiosos.
Los ganadores fueron: Jeremy López Pérez, Mister International Puerto Rico 2025; Edrick Morillo Santiago, Mister Global Puerto Rico 2025; Ángel Zayas Febres, Man of the Year Puerto Rico 2025; y Noel Quiñones Jorge, Caballero Universal Puerto Rico 2025.
Los premios están valorados en más de $25,000 y la oportunidad de representar a Puerto Rico en el extranjero, países como Tailandia, Malasya y Venezuela.
La gala contó con varios premios especiales y uno de ellos fue el premio de la revista Contorno que fue para el candidato de Naguabo, William Vázquez.




















The first EVEXIPEl seminar was held at the Caribe Hilton Hotel for more than 200 physicians who will be performing the Bioidentical Hormone Replacement procedure.






















Por: Evelyn Cintron M.D. | Founder / CEO / Board Certified | Belladonna Medical Wellness Anti-Aging & Regenerative Medicine

Cada historia de transformación merece ser celebrada. Y en Belladonna Medical Wellness, esa celebración se viste de luces, música y emoción en un evento que se ha convertido en tradición: el BellaFashion Night, una noche donde la salud, la belleza y la disciplina se encuentran sobre una misma pasarela.
Este año, en su octava edición consecutiva, el BellaFashion 2025 volvió a reunir a pacientes, médicos, artistas, medios y aliados de la salud para rendir homenaje al esfuerzo de quienes lograron transformar su cuerpo, su mente y su estilo de vida.
La velada dio inicio con la


conducción de dos talentos que irradiaron carisma y energía: la productora y conferencista Geraldine Fernández, paciente y fan número uno de Belladonna; y el periodista Normando Valentín, quien compartió su experiencia personal como participante del Reto Belladonna, demostrando que los resultados reales son fruto del compromiso y la constancia.
El evento abrió con la bienvenida de la coordinadora de evento Daisy Velez y la Dra. Tatiana Poueriet, seguida de mi saludo como fundadora y la emotiva invocación del Sr. Benjamín Cintrón González, padre de la dra Cintron quien nos recordó la importancia de la fe en todo proceso de transformación.
Pasarela de Pacientes VIP: Historias que inspiran
El momento más esperado llegó con la Pasarela de Pacientes VIP, donde cada participante — mujeres y hombres— desfiló no solo mostrando su nueva figura, sino el orgullo de haber superado


obstáculos, miedos y hábitos que limitaban su bienestar.
Cada paso en la pasarela representó meses de esfuerzo, disciplina y amor propio.
Entre los participantes se destacaron pacientes que lograron reducciones de peso impresionantes, algunos de más de 100 libras, y otros que descubrieron en Belladonna un nuevo comienzo físico y emocional. Esta pasarela, más que un desfile, fue una ceremonia de graduación del cambio y la resiliencia.
Fitness y Belleza: una fusión de bienestar
El programa continuó con la Pasarela de Cuerpos Fit de Elev8 Factory Gym, liderada por el atleta


y entrenador Jayson Rivera, CEO de Elev8.
Su equipo demostró que la verdadera estética del cuerpo se construye con constancia, fuerza mental y disciplina.
Cada modelo del gimnasio reflejó el espíritu de superación que define a la comunidad Belladonna: transformar la salud desde adentro hacia afuera.
Moda y Trayectoria: Carlos Alberto
El cierre de la noche estuvo a
cargo del renombrado diseñador
Carlos Alberto, quien presentó su colección “34 Años de Trayectoria”.
Una muestra de alta costura que encapsula décadas de arte, elegancia y evolución.
Cada diseño narró visualmente lo que también se vive en Belladonna: que la belleza no es superficial, sino el resultado de dedicación, pasión y amor por lo que uno hace.
Reconocimiento al BellaTeam
El evento también rindió homenaje al BellaTeam, el corazón de Belladonna Medical Wellness: médicos, esteticistas, supervisores y personal administrativo de las clínicas de Bayamón y Vega Baja, quienes hacen posible cada historia de éxito.
Su compromiso, empatía y profesionalismo son la esencia del servicio que distingue a Belladonna.
Un legado de transformación
El BellaFashion Night 2025 no
fue solo una pasarela: fue una celebración de la vida. Una demostración de que la verdadera moda es sentirse bien en la propia piel, que la disciplina es la nueva belleza, y que cada paciente que cruza el escenario se convierte en testimonio de esperanza y cambio.
Porque en Belladonna, la transformación no se mide solo en libras o tallas, sino en autoestima, salud y plenitud.
Belladonna Medical Wellness — “Donde tu transformación comienza desde adentro.”
(787) 449-8806 | (787) 533-7520
draecintron@gmail.com
www.belladonnamedical.com
Carr. #2 Km. 42 Salida Expreso #42 , Morovis-Vega Baja Vega Baja, PR 00693

En el Hotel Hilton Garden de Condado, la Fundación Alas de Mujer realizó la actividad de Recaudación de fondos para proseguir con los proyectos de servir a victimas de violencia doméstica y agresión sexual

















En el hotel Hilton de Ponce se celebró la Convención anual y asamblea de Socios del CUD Biz Growth Summit con su Presidente el Doctor Ramon Barquin lll. Y sus invitados especiales como la Gobernadora de Puerto Rico Jennifer Gonzalez, la Alcaldesa del Condado de Orange, Honorable Maribel Gomez Cordero, la Alcaldesa de Kissimmee Jackie Espinosa, entre otros .






En el Centro de Convenciones de Puerto Rico se celebró el Professional Beauty Show 2025 en donde las Marcas y Profesionales de la Belleza presentan sus ùltimos procedimientos y tecnicas.












San Juan Beauty Show, the largest beauty event in Puerto Rico, featuring the most recognized national and international brands and the best beauty experts in Puerto Rico.





























Designer: @idol_jose
Designer Andres Aquino: @andresaquinonyc Hats: @harlemsheavenhats
The latest couture collection by designer and producer Andres Aquino was presented at the 42nd season of Couture Fashion Week New York. Entitled "Tales from Sea" the designs capture the sublime beauty of the planet’s underwater ecosystems, highlighting the vibrant corals and diverse marine life that symbolize nature's richness and resilience. Mr. Aquino’s work serves as a poignant reminder of our responsibility to protect these invaluable habitats, emphasizing the importance of conservation to ensure they remain an enduring treasure for future generations.
Andres Aquino is a New York-based entrepreneur, award-winning fashion designer, writer, event producer, and global business consultant. A fixture of the New York fashion scene, Mr. Aquino is the founder and producer of Couture Fashion Week New York, one of


Couture Fashion Week: @cfwnyc | Hair & Makeup: Director: @erinmarygeddis | Floor Manager: @uallnaturals Makeup Lead: @kristialves_mua
Divided by Folder Name:
Photos: Virginia Rodriguez, @vcrpics | Photos: Chia-Ta Tsai, @ct_tsai
Photos: Udor Photography, @udorphoto

New York Fashion Week’s most prestigious events, for more than 40 consecutive seasons. He is also the founder and director of the annual Global Short Film Awards. Launched in 2015, the annual competition attracts exceptional films from dozens of countries, culminating with a red carpet awards event in Cannes, France coinciding with the Cannes Film Festival.










At the Galeria Bourbon by Des Chams Elysees. Provides at platform for 75 International Brand and Designers to Showcase their Collections “Fall Winter” with Glamour and Elegance.


















PFW Presents Tiffany's Fashion Paris at the legendary LVTETIA PALACE. International Brand and designers presented their Fall - Winter 2026 Proposals with a Houte Couture and elegance. @varobiova.photographer












































Porsche Center Puerto Rico anunció hoy el lanzamiento en la isla del nuevo Porsche 911 GT3, con innovaciones en diseño, ingeniería y desempeño que lo consolidan como un nuevo ícono en el segmento de autos deportivos. Desde su introducción en 1999, el 911 GT3 se ha distinguido por combinar la experiencia de un auto de carrera con la experiencia de uso diario en la carretera.
Por primera vez, el 911 GT3 se lanza simultáneamente en dos variantes: como deportivo de alerón (“spoiler”) trasero fijo, afín al circuito; y en una variante más discreta para conducción en carreteras. Ambas variantes se pueden personalizar aún más, de acuerdo al gusto del cliente y del uso que le dará al auto, manteniendo la elegante línea atemporal del 911.
“El 911 GT3 no es solo un vehícu -

lo: es una declaración de lo que significa Porsche. Con este lanzamiento reafirmamos nuestro compromiso de traer a Puerto Rico lo mejor de la ingeniería alemana y lo más emocionante de la experiencia automotriz. Celebrar el 25º aniversario del GT3 con este modelo tan avanzado es un momento histórico para todos los entusiastas de la marca en la isla”, expresó Víctor Gómez III, presidente de Gómez Hermanos Paulson, importador exclusivo de la marca.
Por su parte, Orlando Pérez, gerente general de ventas de Porsche

Center Puerto Rico, indicó que “el nuevo 911 GT3 eleva los estándares de lo que un auto deportivo puede ofrecer. Este modelo es la perfecta armonía entre innovación, rendimiento y pasión por manejar, y nos entusiasma muchísimo poder ofrecer a nuestros clientes la oportunidad de escoger, personalizar y disfrutar un deportivo hecho a su medida”.
Con esta nueva edición del 911 GT3, Porsche amplía su estrategia de construcción ligera e incorpora un motor bóxer atmosférico de 4.0 litros con aspiración libre, 375 kW (510 HP) y 450 Nm. Además, alcanza una velocidad máxima superior a los 310 km/h y acelera de 0 a 100 km/h en apenas 3.4 segundos.


El diseño exterior del 911 GT3 presenta un frontal rediseñado con nuevo difusor, ópticas Matrix LED y tomas de aire optimizadas para mejorar el flujo aerodinámico, reflejando el aspecto de competencia del modelo. En el diseño interior, el cuadro de instrumentos digital asiste al conductor con un concepto de visualización y manejo claramente estructurado. La combinación de colores de contraste
permite leer rápidamente el cuentarrevoluciones y el cronómetro. En el modo de visualización “Track Screen”, la información se reduce a datos importantes sobre neumáticos, aceite, agua y combustible, y una luz intermitente que indica al conductor el momento óptimo para el cambio de marcha.
El nuevo Porsche 911 GT3 ya se encuentra disponible en Porsche Center Puerto Rico y puede configurarse de manera 100% personalizada, con distintas opciones según las preferencias del conductor mediante el Paquete Weissach, Paquete Touring y Paquete Clubsport.




