Diagnostic en parasitologie médicale 2026
maintenant aussi en anglais

Diagnostic en parasitologie médicale 2026
Cours d’une journée (9.15 – 17h)
Paludisme
10 septembre 2026
Parasitoses intestinales
15 octobre 2026
Nouveauté : les cours sont désormais proposés en anglais:
Paludisme
10 septembre 2026
Parasitoses intestinales
15 octobre 2026
Vous trouverez plus d’informations sur le site web.
Les cours ont lieu à l’Institut Tropical et de Santé Publique
Suisse, Allschwil


Description du cours
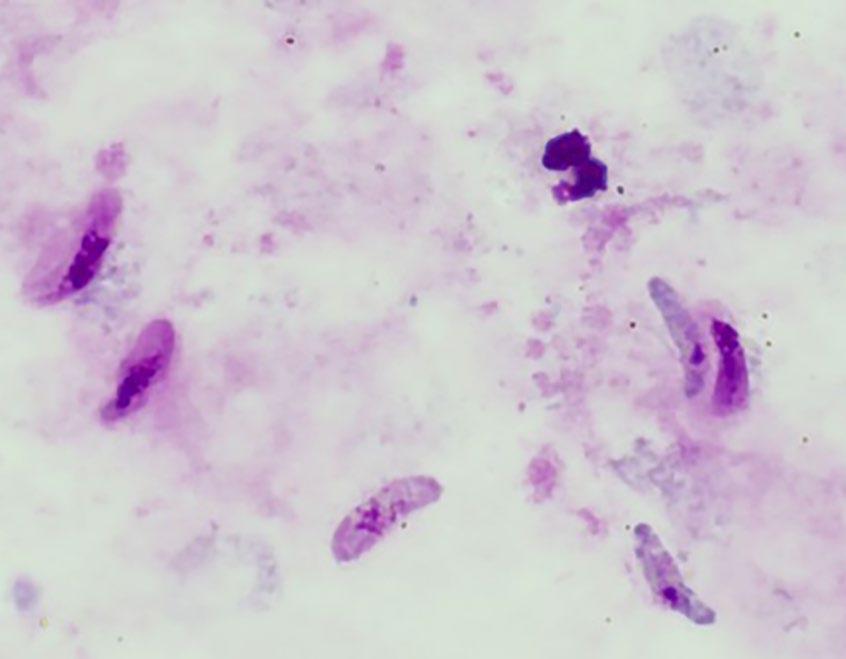
Diagnostic du paludisme
La mise en évidence des plasmodies dans le sang reste la procédure diagnostique de référence même en présence de tests modernes. Plasmodium falciparum est l’espèce létale parmi les quatre espèces en cause dans le paludisme.
Lors de ce module, les aspects biologiques, épidémiologiques, et cliniques ainsi que des méthodes diagnostiques sont enseignés. En outre le cours donne une vue globale de la problématique mondiale du paludisme et de sa lutte. Une grande partie du cours est consacrée au diagnostic différentiel au microscope des quatre espèces plasmodiales. Un test pratique d’auto-évaluation est proposé en fin de journée.
Parasitoses intestinales
Les infections intestinales dues aux protozoaires et aux helminthes sont très importantes dans les pays à faible revenu. En outre, les protozoaires intestinaux sont très fréquents chez les voyageurs. Les parasitoses intestinales peuvent entraîner de graves problèmes de santé. Outre la diarrhée et ses conséquences, ces infections peuvent également toucher d’autres organes, notamment le foie, les poumons, le cerveau, etc. Un diagnostic rapide des protozoaires et helminthes intestinaux est d’une grande importance. Dans ce cours, la biologie, l’épidémiologie et l’importance en santé publique des protozoaires et helminthes intestinaux seront abordées. Une partie importante du cours est consacrée aux travaux pratiques avec le microscope pour le diagnostic différentiel des protozoaires et la reconnaissance des œufs d’helminthes.
Participants
Techniciens
Responsables de laboratoires médicaux
Biologistes
Médecins
FAMH candidates
Frais du cours
CHF 520 par journée de cours
Ce cours est accrédité par la «Formation supérieure et de cadres pour technicien(ne)s en analyses biomédicales diplômé(e)s ES» comme formation continue.
Renseignements et inscription
Institut Tropical et de Santé Publique Suisse
Secrétariat des cours
Kreuzstrasse 2, 4123 Allschwil
T: +41 61 284 83 61 courses@swisstph.ch, www.swisstph.ch
Nombre maximal de participants: 25
Suite à l’inscription, vous recevrez une confirmation et une facture. Cette dernière devra être acquittée au plus tard 4 semaines avant la date du cours.
Une annulation d’inscription est possible sans frais jusqu’à 2 semaines avant le début du cours. Après cette date un droit de CHF 50 sera prélevé.
Talon d’inscription
Diagnostic en parasitologie médicale 2026
Inscription digitale:
Cochez la case correspondante s.v.p.
Paludisme: 10 septembre 2026
Parasitoses intestinales: 15 octobre 2026
Nom
Prénom F M
Date de naissance
Profession
Adresse professionnelle
Adresse du domicile
Téléphone
Adresse de la facture: entreprise domicile
Adresse de la correspondance: entreprise domicile
Signature du destinataire de la facture du cours, si différent du participant
Veuillez nous faire parvenir votre inscription par email ou par courrier:
Institut Tropical et de Santé Publique Suisse
Secrétariat des cours Kreuzstrasse 2, 4123 Allschwil courses@swisstph.ch
Date Signature
Merci beaucoup!