RESTO catalog (JP)

Page 1


ユニバーサル サブミクロン ハイブリッドコンポジット

B R I L L N T

ONE COAT 7 UNIVERSAL

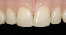
複雑な症例にも柔軟に対応で、きるシェ ー ドシステム 複雑な症例におけるレイヤリング、テクニックにも対応できるよう、ユニバーサルシェ ドに加え5つの補助シェ ドも ご用意しております。乙れによりトランスル セントシェ ドでは特に目をひくエナメル領域を再現でき、3つのオぺ クシェー ドで変色歯や色素沈着に対する裏層が行えます。

トランスル セント

ユニバ サルシ工 ー ド

オペ クシェー ド

l お??

口 ェ

抜去歯にて工I� ク シ ドシステム再現し、 レイヤ 断面を1mmにカットし水中下で撮影したお写真です。

提供:青島デンタルオフィス 青島徹児先生

Translucent BLTrans) Trans)

2種類のトランスルーセントシェー ド

.透光性の高いエナメル質に対する キャラクタライゼ、 ーションに

3色のオペークシェ ー ド

・彩度が異なる場合や色素沈着の遮蔽に

Order information

60019538 ワンコート7ユニバーサル イントロキット 7054 ワンコート7.0 アクティベーター キット

5ml ワンコート7ユニバーサル 3ml ワンコート7.0 アクティベーター

2.5ml エッチャントジェル S 50個 ブラシ 黒

20個 アプリケーションチップ

20個 ブラシ 黒

1 x ミキシングトレイ

1 x ミキシングトレイ蓋

価格 15,000円

価格 5,800円

60019539 ワンコート7ユニバーサルリフィル 7373 エッチャントジェル S キット

5ml ワンコート7ユニバーサル 2 x 2.5ml エッチャントジェル S (35%) 20個 アプリケーションチップ

価格 12,250円  (1ドロップ当たり約40円)

価格 4,800円 (1ml当たり960円)

7634 ブラシ 黒 (50個入り)

価格 1,700円 (1個当たり34円)

DUAL CURING with ONE COAT 7.0 Activator STEP

One step reliable cementation

ソロセム(SoloCem®)はセルフアドヒーシブタイプとなり、含まれるモノマーとコンポジットに類似した処方により、 ボンディング無しで接着する事が可能です。便利なオートミックスシリンジとすぐに使えるミキシングチップ入りで、 容易に塗布できます。

■使い安く時間を節約

■ボンディング無しで強固な接着を実現

■収縮が少ない

■高いX線不透過性

ソロセムでは、エナメル質、象牙質やその他の材料 への優れた接着と確実で永続的な結合が得られます。

ウルトラデント法*によるせん断接着強さ (デュアルキュア)

エナメル 象牙質

NEW SHADE

簡単に手早く塗布

ソロセムは、操作が容易でなおかつ高い接着性を実現します。

MDPと4-MET(A)モノマーにより、様々な材料への良好な接着が でき、別途ボンディングの使用を必要としません。接着までの様 々なステップがなく簡単に使用できるため、操作エラーのリスク を軽減できます。

■セルフアドヒーシブの特性

■蛍光性

■オートミックスシリンジとすぐに使えるミキシングチップ

■約60秒の口腔内処理時間

■余剰材料の除去が簡単(光照射後3秒間)

適応

ソロセムは取り扱いが容易で、多くの症例で利点があります。

以下の永久補綴の為のセメント合着にソロセムのセルフアド ヒーシブの特性をご利用頂けます。

■クラウン(セラミック、金属、コンポジット)

■ブリッジ(セラミック、金属、コンポジット)

■インレー(セラミック、金属、コンポジット)

■アンレー(セラミック、金属、コンポジット)

■全ての種類の根管ポスト

■インプラントアバットメント(酸化ジルコニウムとチタン)

接着力の高さの次に、収縮の少なさも接着の質を 決定づけるものであり、修復物の耐久性にプラス 効果をもたらします。

技術データ

■■ 曲げ強さ 115 M Pa

■■ 圧縮強さ 19 0 M Pa

■■ X線不透過性

4 m m A l / m m

出典:社内試験データ

様々な補綴物に対して接着が良く永久修復を実現します。

ウルトラデント法*によるせん断接着強さ(化学重合)

以下のSEM画像は、ポスト、ソロセムと 象牙質管の優れた接着を示しています。

操作時間

硬化時間(操作時間を除く)

製品番号

60014062 ソロセム デンティン 6747 ミキシングチップ スーパーファイン( Φ1mm、40個入り)

1 x 5ml シリンジ

5 x ミキシングチップ スーパーファイン

6759 ミキシングチップ ファイン(Φ1.8mm、40個入り)

5 x ミキシングチップ ファイン 価格 各4,200円

60014061 ソロセム ホワイトオペーク

1 x 5ml シリンジ

5 x ミキシングチップ スーパーファイン

5 x ミキシングチップ ファイン

60019840 ソロセム トランスルーセント

1 x 5ml シリンジ

5 x ミキシングチップ スーパーファイン

5 x ミキシングチップ ファイン

価格 各9,250円

表示価格には消費税は含まれておりません。

医療機器認証番号:230AIBZI00008000

医療機器届出番号:13B1X00004000133

Turn static files into dynamic content formats.

Create a flipbook
Issuu converts static files into: digital portfolios, online yearbooks, online catalogs, digital photo albums and more. Sign up and create your flipbook.
RESTO catalog (JP) by COLTENE Marketing - Issuu