Praktische Tipps für eine souveräne Endo

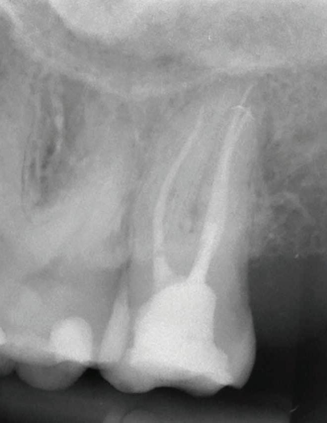
Abb. 1: Präoperatives Röntgenbild Zahn 27.
[ FACHBEITRAG ] Opener, Glider, Shaper und Finisher – für eine klassische Endo Behandlung reicht oftmals ein kompaktes System an NickelTitanFeilen, um reproduzierbare Ergebnisse bei der Aufbereitung der jeweiligen Wurzelkanalanatomie zu erzielen. Der folgende Patientenfall zeigt, wie durch geschickten Einsatz einer festen Sequenz an vorbiegbaren Feilen auch Zahnarztpraxen mit unregelmäßigen Endo Fällen eine große Behandlungsroutine und souveränität entwickeln. Zudem verrät Dr. Friederike Listander praktische Tipps zur Trocknung und Obturation von Wurzelkanälen.
Das Prinzip des maximalen Zahnerhalts ist zentraler Bestandteil unserer Praxisphilosophie. Aufgrund unseres breiten Leistungsspektrums nutzen wir im Alltag die Unterstützung modernster Technik in den unterschiedlichen Indikationsbereichen, um unseren Patienten die jeweils bestmögliche Therapie anzubieten. In der Endodontie bedeutet dies unter anderem eine automatisierte Aufbereitung unter Verwendung eines aktuellen Motors als Navigationshilfe sowie den Einsatz einer einprägsamen NiTi-Feilensequenz. Dies strukturiert Abläufe und sorgt bereits nach kurzer Zeit für eine intuitiv abrufbare, rasche Abfolge an Arbeitsschritten. Ein standardisiertes Behandlungsprotokoll minimiert einerseits potenzielle Fehlerquellen und erleichtert andererseits ein effektives Vorgehen, wie auch unser jüngster Endo-Fall widerspiegelt.
Abb. 2: Messaufnahme zur Längenkontrolle.

* Die Beiträge in dieser Rubrik stammen von den Anbietern und spiegeln nicht die Meinung der Redaktion wider.

Abb. 3: Ultraschallaktivierte Spülung.
Der Fall: Irreversible Pulpitis Regio 27 Im Februar 2024 stellte sich eine 46-jährige Dame mit starken Schmerzen im linken Oberkiefer in unserer Praxis vor. Nach positiver Vitalitätsprobe, aber umso stärkerer Reaktion auf den Perkussionstest wurde in der Röntgendiagnostik eine irreversible Pulpitis an Zahn 27 bestätigt (Abb. 1). Die Patientin stimmte einer zweizeitigen Wurzelkanalbehandlung zu, welche direkt in derselben Sitzung angegangen wurde.
Nach der Oberflächenanästhesie und Betäubung des betroffenen Zahnes wurde zur Durchführung der Aufbereitung standardmäßig ein Kofferdam gelegt. Durch das zusätzliche Abdichten des Kofferdams mit flüssigem Kofferdam wurde dabei effektiv verhindert, dass Spülflüssigkeiten in den Rachen der Patientin liefen. Dies war auch deswegen von Vorteil, da die Behandlung durch eine geringe Mundöffnung zusätzlich erschwert war. Nach Eröffnung des Zahnes wurden die einzelnen Wurzelkanäle sondiert und unter dem Operationsmikroskop mit einer diamantierten Ultraschallspitze erweitert. Die Bestimmung der jeweiligen Arbeitslängen erfolgte mithilfe eines Apex Locators. Eine zur Kontrolle durchgeführte Messaufnahme zeigte, dass die Längen mit den elektronischen Messungen übereinstimmten (Abb. 2).
Die betroffenen Kanäle wurden zunächst manuell per Handfeile bis zur erforderlichen Größe 20 aufbereitet. Anschließend erfolgte das elektrochemische Spülprotokoll unter Verwendung einer Ultraschallspitze (Abb. 3). Die klassische Abfolge von Natriumhypochlorit (NaOCl), EDTA, Natriumchlorid (NaCl) und Chlorhexidin in 0,2%iger Konzentration zur Desinfektion der Kanäle unterstützte die effektive Entfernung von Geweberesten und Debris. Zur temporären Versiegelung wurde medizinisches Calciumhydroxid in die gereinigten Kanäle eingebracht und zu guter Letzt Teflonband fixiert, bevor der Zahn mit DuoTEMP provisorisch verschlossen wurde. Vor der Politur der vorläufigen Füllung erfolgte die Okklusionskontrolle, und so konnte die Patientin bis zur Folgebehandlung beschwerdefrei entlassen werden.
* Die Beiträge in dieser Rubrik stammen von den Anbietern und spiegeln nicht die Meinung der Redaktion wider.
Effiziente Instrumentierung mit einprägsamer NiTi-Sequenz
In der zweiten Sitzung erfolgten die eigentliche Aufbereitung und endgültige Obturation der Wurzelkanäle. Die Patientin war schmerzfrei, als sie sich erneut in unserer Praxis vorstellte. Auch für diese Behandlung wurde der gelegte Kofferdam, zum besseren Schutz der Patientin, nach Lokalanästhesie zusätzlich mit flüssigem Kofferdam abgedichtet.
Für eine einfache Aufbereitung fiel die Wahl auf den handlichen CanalPro X-Move Endo-Motor in Kombination mit der HyFlex EDM OGSF-Sequenz (Abb. 4) des Dentalspezialisten COLTENE. Die Abkürzung OGSF steht für die Anfangsbuchstaben der vier NiTi-Feilen, mit denen sich ein Großteil typischer Endo-Fälle schnell und bequem behandeln lässt: Der Opener (Orifice Opener) eröffnet den zu behandelnden Zahn. Der Glider (Glidepath Feile) hilft, den passenden Gleitpfad entsprechend des natürlichen Kanalverlaufs zu schaffen. Als Drittes kommt der Shaper (Shaping Feile) zum Einsatz. Unter Berücksichtigung der Kanalanatomie entfernt sie effizient Bakterien sowie infiziertes Gewebe und schafft die Voraussetzung für eine gute Abfüllung. Der Finisher (Finishing Feile) stellt am Ende sicher, dass der apikale Bereich ausreichend gesäubert ist und genügend Platz entsteht, damit Spüllösungen bis zum Apex kommen.









Abb. 4: Einprägsame HyFlex EDM Feilensequenz: Opener, Glider, Shaper und























