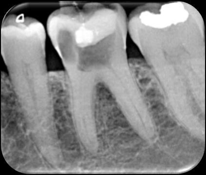
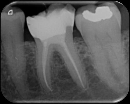
Dr. Dhiraj Arora: A Simple Sequence for Successful Root Canal Treatment Outcomes (EN)

Page 1


Dr Dhiraj Arora

Turn static files into dynamic content formats.

Create a flipbook
Issuu converts static files into: digital portfolios, online yearbooks, online catalogs, digital photo albums and more. Sign up and create your flipbook.
Dr. Dhiraj Arora: A Simple Sequence for Successful Root Canal Treatment Outcomes (EN) by COLTENE Marketing - Issuu