* Die Beiträge in dieser Rubrik stammen von den Anbietern und spiegeln nicht die Meinung der Redaktion wider.



![]()
* Die Beiträge in dieser Rubrik stammen von den Anbietern und spiegeln nicht die Meinung der Redaktion wider.



Endo-Spezialistin Dr. Sabine Remensberger spricht im Interview über Herausforderungen, moderne Feilensysteme und die Zukunft der Endodontie.
Mehr Effizienz, mehr Sicherheit, mehr Freude an der Endodontie: Zahnärztin und Endo-Trainerin Dr. Sabine Remensberger gibt seit fast 30 Jahren ihr Knowhow an Kollegen weiter – und weiß, worauf es in der Praxis wirklich ankommt. Im Interview mit Dr. Alina Ion von der Dental Tribune spricht sie über typische Herausforderungen, erfolgreiche Strategien und ihre Erfahrungen mit dem HyFlex EDM OGSF Feilensystem von COLTENE.
Dr. Remensberger, Sie geben seit vielen Jahren Endodontie-Weiterbildungskurse. Wie hat sich Ihr Kursangebot über die Zeit entwickelt?
Ich habe 1996 mit den ersten Endodontie-Kursen begonnen. Damals ging es vor allem darum, Zahnärzten den sicheren Umgang mit rotierenden Feilen beizubringen – das war zu jener Zeit eine echte Innovation und war weitgehend nur praktisch orientiert. In den Anfangsjahren war das Thema Frakturen allgegenwärtig, weil viele der damals verwendeten Systeme noch nicht ausgereift waren. Mit der Weiterentwicklung der Instrumente begann ich aber, den Fokus meiner Kurse stärker auf Biologie und klinisches Verständnis zu legen.
Im Jahr 2006 habe ich gemeinsam mit führenden Endodontologen und Wissenschaftlern wie Dr. Martin Trope, Dr. Steve Senia, Dr. Syngcuk Kim, Dr. Frank Setzer, Dr. Meetu R. Kohli und weiteren Kollegen von der Universität Pennsylvania (U-Penn) mein Wissen in der Endodontie extrem erweitert und das Curriculum TEC2 mit Dr. Thomas Rieger entwickelt. Dieses Curriculum vereint theoretisches Wissen mit intensiver Praxisnähe. Die Teilnehmenden erleben Live-Behandlungen, nehmen an Handson-Kursen teil und können optional an der University of Pennsylvania hospitieren. Die Kurse sind ein Erfolgskonzept für alle Zahnärzte, die sich in der Endodontie fortbilden möchten.
Darüber hinaus gibt es weitere Fortbildungsmaßnahmen wie den Next Level Revisionskurs und den Chirurgie WSRKurs bis hin zum Master of Endodontics an der U-Penn in den USA. Das Konzept ist international ausgerichtet und spricht sowohl Generalisten als auch angehende Endo-Spezialisten an (Abb. 1).
Welche typischen Herausforderungen beobachten Sie bei Ihren Kursteilnehmern im Praxisalltag besonders häufig?
Viele Zahnärzte, insbesondere Generalisten, haben Hemmungen, endodontische Behandlungen durchzuführen –nicht aus mangelndem Interesse oder Können, sondern oft schlicht aus Unsicherheit, Zeitdruck und der personellen


Abb. 1: Lernen in kleinen Gruppen: Das Curriculum Endodontie von TEC2 setzt auf praxisnahe Fortbildung in einem persönlichen Umfeld.
Situation in der Praxis. Im Studium wird die Endodontie häufig nur rudimentär und am Rande behandelt, sodass in der Praxis oft die Erfahrung mit der Wurzelkanalbehandlung und der strukturierten Durchführung fehlt.
Ein gutes Endo-Konzept ist für den Erfolg aber unerlässlich: Es braucht System und Konsequenz. Moderne Technik, sichere Feilensysteme und durchdachte Arbeitsprotokolle helfen dabei enorm. Es ist wichtig, sich bewusst zu machen, dass sich der anfängliche Aufwand lohnt. Langfristig arbeitet man effizienter, sicherer und stressfreier.
Was sind aus Ihrer Sicht die Schlüsselfaktoren für eine nachhaltig erfolgreiche endodontische Behandlung?
Zwei Dinge: biologische Prinzipien verstehen und technische Präzision. Die Diagnostik ist entscheidend, ebenso wie ein tiefes Verständnis für die Kanalanatomie. Moderne Feilensysteme, die der natürlichen Kanalform folgen, biokeramische Sealer, effektive Spülprotokolle und ein bakteriendichter Aufbau – das alles muss zusammenkommen.
Auch die passende Ausstattung spielt eine große Rolle. In unserer Praxis nutzen wir zum Beispiel den CanalPro Jeni EndoMotor von COLTENE, bei dem sämtliche Parameter automatisch angepasst werden – Drehmoment, Geschwindigkeit, Sequenz, sogar die Länge wird mitgemessen (Abb. 2).
Zudem gibt das System akustische Signale bei zu starkem Druck, für den Feilenwechsel oder wenn gespült werden soll. Dennoch kontrolliere ich meine Instrumente regelmäßig visuell – eine persönliche Routine, die ich jedem empfehle.
Aktuell arbeiten Sie mit der HyFlex EDM OGSF Feilensequenz. Welche

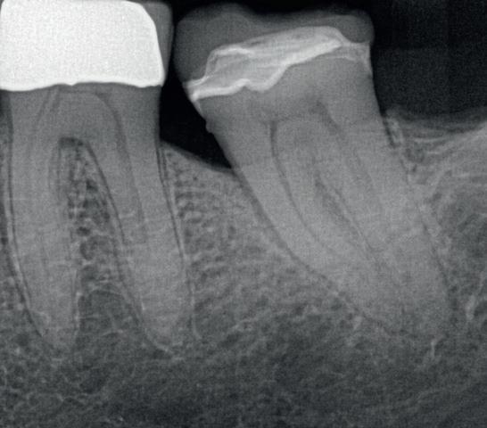
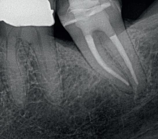
Abb. 4a: Zahn 37: Die präoperative Röntgenaufnahme zeigt eine keramisch adhäsive Versorgung nach Caries profunda, zwei Jahre später: irreversible Pulpitis mit apikaler Parodontitis. –Abb. 4b: Röntgenaufnahme nach der Füllung von Zahn 37: Die endodontische Aufbereitung mit HyFlex EDM OGSF sorgt für schonende Reinigung bei komplexer Kanalanatomie.
praktischen Erfahrungen haben Sie damit gemacht – insbesondere im Vergleich zu früheren Systemen?
Ich habe im Laufe der Jahre fast alle rotierenden Systeme getestet – und mit den HyFlex EDM Feilen fühle ich mich heute am sichersten. Die thermische Behandlung des NiTi-Materials macht sie extrem flexibel und fraktursicher. Besonders bei stark gekrümmten oder kalzifizierten Kanälen lassen sich die Feilen schonend entlang der Anatomie führen.
Das OGSF-Konzept – also Opener, Glider, Shaper, Finisher – ist logisch aufgebaut, die Feilen sind perfekt aufeinander abgestimmt und „gleiten“ leicht durch den Kanal (Abb. 3). Klinische Bilder und Follow-up-Ergebnisse sehen Sie in einem meiner letzten Patientenfälle, bei dem genau dieses System eingesetzt wurde (Abb. 4a+b).
Sie erwähnten kalzifizierte Kanäle als zunehmendes Problem. Beobachten Sie hier eine tatsächliche Zunahme, und wie gehen Sie in Ihrer Praxis damit um?
Absolut. Ich sehe in letzter Zeit immer häufiger auch junge Patienten mit extrem engen Kanälen und auch Pulpensteinen. Eine der Ursachen: Bruxismus bei der Generation Z. Durch das steigende Stresslevel – sei es durch Schule, Studium, soziale Medien oder Leistungsdruck – knirschen viele Jugendliche unbewusst im Schlaf. Die Folge sind stärker mineralisierte, engere Pulpenräume. Ich spreche inzwischen fast schon augenzwinkernd von einer Mutation der „Z-Pulpa“.
Das ist für uns als Behandler eine Herausforderung – aber auch ein Antrieb, uns weiterzubilden, neue Techniken zu erlernen und entsprechend ausgerüstet zu sein. Hier leisten moderne Instrumente wie die HyFlex EDM OGSF Sequenz wichtige Hilfe.
Sie sagten einmal: „Als Schwäbin weiß ich, wo man sparen darf –und wo nicht.“ Was meinen Sie damit?
Ich schätze Qualität, weil Sparen bei Billiginstrumenten teuer wird. Hochwertige Systeme ermöglichen schnelleres und sichereres Arbeiten, wie das CanalPro SyringeFill System. Gute Ergebnisse schaffen Vertrauen und langfristige Patientenbindung. Ein gut behandelter endodontischer Zahn hat statistisch –das ist nun auch wissenschaftlich belegt – eine höhere Lebenserwartung als ein Implantat.
Welchen Stellenwert messen Sie dem Stiftaufbau im Hinblick auf den langfristigen Behandlungserfolg bei?
Wenn ein Stift notwendig ist, dann nur Glasfaserstifte, die adhäsiv verklebt eingesetzt werden können. Der Aufbau sollte unter Kofferdam und unter aseptischen Bedingungen erfolgen – am besten direkt von Endo-Behandlern, die die Anatomie der Wurzeln genau kennen. Die Glasfaserstifte gibt es in verschiedenen Größen. Mit einem Anbieter wie COLTENE lässt sich alles aus einer Hand beziehen – das reduziert Fehlerquellen und spart Zeit. Solche Komplettlösungen sind gerade für Generalisten im Alltag eine echte Hilfe.
In welchen Fällen halten Sie eine Überweisung an eine endodontische Spezialpraxis für sinnvoll?
Ehrlich gesagt, ist jeder endodontische Fall in einer spezialisierten Praxis gut aufgehoben, da immer wieder unerwartete Herausforderungen auftreten können. Besonders bei Revisionen zeigt sich der Vorteil der spezialisierten Behandlung. Häufig wurde die erste Wurzelbehandlung nicht ausreichend durchgeführt – sei es aufgrund unzureichender Desinfektion, begrenzter Sicht, mangelhaften Equipments oder Zeitdruck. Revisionen sind technisch anspruchsvoll und erfordern oft das Beheben von Problemen wie abgebrochenen Instrumenten, Perforationen oder alten Stiften. Diese komplexen Fälle gehören zu meinem Alltag, aber gerade
meinen Kursen ist das Verhältnis mittlerweile ausgeglichen bis überschüssig –vor 15 Jahren waren fast ausschließlich Männer dabei.
Ich halte nichts vom Quotendenken. Der Markt regelt vieles von selbst. Und ich stelle fest: Frauen haben oft ein besseres Feingefühl in den Händen, das in der Endodontie sehr hilfreich ist. Zudem ist das Fach hervorragend geeignet für Teilzeitmodelle. Es ist ein abwechslungsreiches, spezialisiertes Gebiet – mit großem Potenzial für Kolleginnen.
Zum Abschluss: Gibt es ein persönliches Motto oder einen Leitsatz, den Sie Ihren Kollegen gerne mit auf den Weg geben?
Ja, ich zitiere hier gern meinen geschätzten Kollegen Dr. Martin Trope:


Abb. 2: Der CanalPro Jeni Endo-Motor übernimmt die automatische Feilensteuerung – individuell auf jedes Instrument abgestimmt, für ein präzises, kontrolliertes Arbeiten. – Abb. 3: Die HyFlex EDM OGSF Feilen von COLTENE – vom Opener bis zum Finisher perfekt aufeinander abgestimmt, für eine effiziente und sichere Aufbereitung.
Die Zahnmedizin wird zunehmend weiblich geprägt. Wie nehmen Sie diese Entwicklung wahr, etwa in Ihren Kursen oder im kollegialen Umfeld?
Das ist eine sehr spannende Entwicklung. Inzwischen sind an manchen Universitäten über 90 Prozent der Zahnmedizinstudierenden Frauen. Auch in
„Asepsis is everything.“ Diagnostik, sauberes Arbeiten, gutes Material und viel Spülen ist und bleibt der Schlüssel zum Erfolg. Denn am Ende zählt nicht nur, wie schnell man arbeitet – sondern wie lange das Ergebnis hält.
Vielen Dank für das interessante Gespräch!
Das Curriculum Endodontie der TEC2 GmbH, unter wissenschaftlicher Leitung der University of Pennsylvania, bietet Zahnärzten praxisorientierte Fortbildung für Einsteiger und Fortgeschrittene. Es besteht aus vier Präsenzmodulen, die theoretisches Wissen, Fallplanung, praktische Übungen und klinische Live-Behandlungen kombinieren, sowie zusätzlichen Internetvorlesungen. Das Ziel ist, endodontische Behandlungen sicher, systematisch und mit biologischem Verständnis durchzuführen. Themen wie Diagnostik, Desinfektion, Obturation, Revisionen und Perforationsmanagement werden praxisnah vermittelt. Weiterführende Kurse behandeln Resektion/ WSR und Instrumentenfrakturentfernung. Abschluss des Curriculums ist eine Falldokumentation und ein Zertifikat. Das „Next Level“-Modul richtet sich an spezialisierte Zahnärzte und vertieft komplexe Fälle, während der Revisionskurs für alle Kollegen geeignet ist, die Revisionen durchführen möchten.
Weitere Infos & Anmeldung: info@tec2-endo.de · www.tec2-endo.de

Dr. Sabine Remensberger Tel.: +49 8331 980906 info@rieger-remensberger.de www.rieger-remensberger.de Infos zur Interviewpartnerin