ParaCore® 3 Indications – 1 Material (EN)

Page 1

3 Indications – 1 Material DUAL CURING CORE & RESIN CEMENT

ParaCore dual-cured is a glass-reinforced composite, which is radiopaque and available in three shades, dentin, white and translucent. ParaCore is based on our decades of experience and expertise in the areas of composite, bonding and endodontic posts. This integrated bond & cement system complements a wide array of endodontic post systems for clinically sound, long-lasting post & core restorations.

Optimal handling properties

With its creamy, smooth and non-slumping consistency, ParaCore is the ideal all-in-one material. Due to its thixotropic formulation, ParaCore is also eminently suitable for free-hand application. Due to its grindability, similar to natural dentin, there are no grooves or notches.

3 Colours – 2 Timings – 1 Material

Each indication has its own material requirements. Next to a suitable shade and, in specific, its translucency, the working time is crucial. Therefore, ParaCore is not only available in three colours, but also with two different working times. For instance, the standard version with its short processing time is especially suited for core build-ups, whereas the SLOW version demon strates its strengths in all types of cementation work.

23°C 37°C 37°C Working time Curing time (not including working time) > 200s 60s 160s 23°C 37°C 37°C Working time Curing time (not including working time) > 120s 30s 80s

Mono-block bonding

Post cementing

Core build-up

Cementing of crowns, bridges, inlays and onlays

Mono-block restoration

ParaCore simplifies the post & core restorative technique with its ability to be used as a 3-in-1 material for post cementation, core build-ups and crown & bridge cementation. ParaCore can also be used to cement inlays and onlays.

Using one material for cementation and core build-ups provides an optimal «monoblock bond interface» between the dentin-postcrown, resulting in one cohesive restoration with outstanding durability and strength.

5 ml 25 ml 5 ml 25 ml 5 ml

Clinical applications

The mono-block technique:

Application

the chemical cured

Adhesive into the post space

of the root ca nal

contact

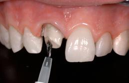
The following clinical photos demonstrate ParaCore being used in combination with ParaBond and ParaPost Fiber Posts for post & core therapy.
Clinical photos: Ass. Prof. Dr. med. dent. Stefan J. Paul
of
ParaBond
preparation
and onto the
surfaces. Application
of ParaCore directly into
the root
canal using the root canal
tip.
Cementation of the ParaPost Fiber Lux Post into the root canal. Removal of excess ParaCore.
Post cementation
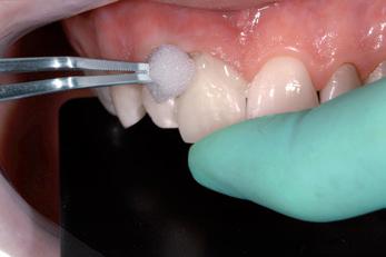
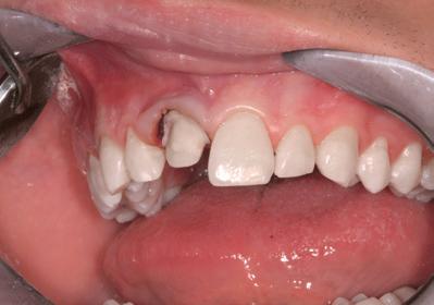
Freehand core build-up using ParaCore. Manual contouring of the core build-up. Crown preparation using different types of DIATECH diamonds.
Completed
crown preparation.
Core
build-ups Application
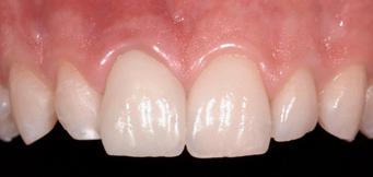
of the chemical cured ParaBond Adhesive onto the crown preparation. Application of ParaCore directly into the allceramic crown restoration. Cementation of the final crown with excess ParaCore material being removed afterwards. Postoperative clinical situation. Cementing of crowns, bridges, inlays and onlays 5 ml 25 ml 5 ml 25 ml 5 ml

Comments from dental practices

“The ParaCore material matches closely in shade to dentin and is very strong. It also saves time when used as a cement and core build-up material. The use of an adhesive component insures a predictable bond to tooth structure. The entire system works in harmony to reinforce endodontically treated teeth that require a foundation build-up.“

“Being able to use one material for post cementation, core build-ups and finally crown cementation saves time and is extremely practical. We strongly recommend the ParaCore System.“
Ass. Prof. Dr. med. dent. Stefan J. Paul
“All-in-one systems for cementing the post, preparing the core and cementing the final restoration, such as ParaCore ... are excellent options for use with these procedures.“
Dr. Enrique Kogan
Dr. James Braun D.D.S.

Superior sealing

leakage

from crown margin reaching axial wall

on axial wall, but not occlusal surface

far as occlusal surface

point of occlusal

ParaCore

different

cements.

Comparison of colour penetration1

ParaCore 5 ml

Unicem

SmartCem2

Elite

total score between 0 (no leakage) and 8 (total leakage across preparation)

generated by adding scores from the left & right sides together. The MannWhitney non-parametric test showed ParaCore with statistically significant better scores (e.g. less dye leakage) than:

(P < 0.001)

Elite (P = 0.002)

not statistically significant for:

SmartCem2 (P = 0.170)

Unicem (P = 0.170)

Dr. B. Millar,

S. Deb, King`s College London Dental Institute,

ParaCore 25 ml

ParaCore 5ml

Optimal bond interface

ParaBond inside the root canal before post cementa tion creates an optimal bond interface between the dentincement-post to enhance the retention of the post inside the root canal.

0.0 1.0 2.0 3.0 4.0 5.0 6.0 0 25 50 75 100 125 150 0 50 100 150 200 250 300 350 1 2 34 0
Applying ParaBond Adhesive prior to cementation with ParaCore effectively seals and protects the restoration against marginal microleakage to minimize the risk of postoperative complications. An independent In-Vitro study1 compared the amount of microleakage present following cementation of all-ceramic crowns using
composite luting
Cross-sectioned human molars demonstrated significant differ ences in the amount of dye penetration (marginal microleakage) after thermal cycling. ParaPost Fiber Post ParaCore cement Dentine Composition ■ Methacrylates ■ Dental glass ■ Amorphous silicic acid Storage Technical data ■ ParaCore complies with ISO 4049 ■ Layer thickness 5 | 25 ml 15 µm ■ Shrinkage 5 | 25 ml 3.5 % ■ Water absorption 5 | 25 ml 18 | 16 µg/mm³ ■ Solubility in water 5 | 25 ml 0.7 | 0.6 µg/mm³
Applying
Source: internal data The
was
„ seT
„ Maxcem
But
„
„ RelyX
RelyX
*
* Maxcem
* seT *
no
leakage
leakage
leakage as
leakage to mid
surface 1)
Dr.
Oct. 2008 Dye penetration comparison after thermal cycling1 Cementation without bonding application Cementation with ParaBond
25 ml ParaCore 5ml Luxacore 2* Core Paste XP* Flexural strength Core Paste XP* Compressive strength Source: internal data MPa Source: internal data MPa
Luxacore 2* * Not a registered trademark of Coltène/Whaledent 1 2 3 4 0

ParaCore 5 ml syringe dual

5885 ParaCore 5 ml Intro Kit

1 × 5 ml ParaCore Dentin

1 × 5 ml ParaCore White

1 × 5 ml ParaCore Dentin SLOW

1 × 5 ml ParaCore Trans SLOW

3 × 3 ml ParaBond Non-Rinse

Conditioner + Adhesive A & B

20 × Mixing Tip Short Super Fine

60013753 ParaCore SLOW 5 ml Intro Kit

2 × 5 ml ParaCore Dentin SLOW

2 × 5 ml ParaCore Trans SLOW

3 × 3 ml ParaBond Non-Rinse

Conditioner + Adhesive A & B

20 × Mixing Tip Short Super Fine

5886 ParaCore 5 ml White Refill

2 × 5 ml ParaCore White

20 × Mixing Tip Short Super Fine

5887 ParaCore 5 ml Dentin Refill

2 × 5 ml ParaCore Dentin

20 × Mixing Tip Short Super Fine

60011391 ParaCore 5 ml Dentin

SLOW Refill

2 × 5 ml ParaCore Dentin SLOW

20 × Mixing Tip Short Super Fine

60011392 ParaCore 5 ml Trans SLOW Refill

2 × 5 ml ParaCore Trans SLOW

20 × Mixing Tip Short Super Fine

6747 Mixing Tip Short Super Fine

40 × Mixing Tip, ∅ 1 mm

6759 Mixing Tip Short Super Fine

40 × Mixing Tip, ∅ 1.8 mm

ParaCore 25 ml cartridge dual curing core build-up material

1500 ParaCore 25 ml Dentin Intro Kit

1 × 25 ml ParaCore Dentin

1 × Coltène Dispenser 25 ml

3 × 3 ml ParaBond Non-Rinse Conditioner + Adhesive A & B

20 × Mixing Tip Yellow / Oral Tip Yellow

1501 ParaCore 25 ml Dentin Kit

1 × 25 ml ParaCore Dentin

3 × 3 ml ParaBond Non-Rinse Conditioner + Adhesive A & B 20 × Mixing Tip Yellow / Oral Tip Yellow

1502 ParaCore 25 ml White Intro Kit

1 × 25 ml ParaCore White

1 × Coltène Dispenser 25 ml

3 × 3 ml ParaBond Non-Rinse Conditioner + Adhesive A & B

20 × Mixing Tip Yellow /

Oral Tip Yellow

1503 ParaCore 25 ml White Kit

1 × 25 ml ParaCore White

3 × 3 ml ParaBond Non-Rinse Conditioner + Adhesive A & B

20 × Mixing Tip Yellow / Oral Tip Yellow

5853 ParaCore 25 ml Dentin Refill

1 × 25 ml ParaCore Dentin

20 × Mixing Tip Yellow /

Oral Tip Yellow

5854 ParaCore 25 ml White Refill

1 × 25 ml ParaCore White

20 × Mixing Tip Yellow / Oral Tip Yellow

6550 Mixing Tips Yellow

40 × Mixing Tip Yellow

6555 Oral Tips Yellow

100 × Oral Tip Yellow

4470 Coltène Dispenser 25 ml

ParaBond chemically curing conditioner / adhesive system

7486 ParaBond Adhesive

1 × 3 ml ParaBond Non-Rinse Conditioner

1 × 3 ml ParaBond Adhesive A

1 × 3 ml ParaBond Adhesive B

7493 ParaBond Adhesive

A & B Refill

1 × 3 ml ParaBond Adhesive A

1 × 3 ml ParaBond Adhesive B

7494 ParaBond Non-Rinse Conditioner Refill

1 × 3 ml ParaBond Non-Rinse Conditioner

curing core and resin cement Order information Coltène/Whaledent AG Feldwiesenstr. 20 9450 Altstätten/Switzerland T +41 71 757 53 00 F +41 71 757 53 01 info.ch@coltene.com Coltène/Whaledent Inc. 235 Ascot Parkway Cuyahoga Falls, Ohio 44223/USA T +1 330 916 8800 F +1 330 916 7077 info.us@coltene.com Coltène/Whaledent Ltd. The President Suite Kendal House, Victoria Way Burgess Hill, West Sussex RH15 9NF / UK T +44 1444 235486 F +44 1444 870640 info.uk@coltene.com 9102 EN 03.16 © 2016 Coltène/Whaledent AG – www.coltene.com

Turn static files into dynamic content formats.

Create a flipbook
Issuu converts static files into: digital portfolios, online yearbooks, online catalogs, digital photo albums and more. Sign up and create your flipbook.