ParaCore® 3 Indications – 1 Material (RO)

Page 1

3 Indicaţii – 1 Material MATERIAL CU DUBLĂ POLIMERIZARE ŞI CIMENT RĂŞINIC

ParaCore cu dublă polimerizare este un material compozit ranforsat cu sticlă, care este radioopac şi disponibil în trei nuanţe: dentină, alb şi translucid. ParaCore se bazează pe zeci de ani de experienţă şi competenţă în domeniul materialelor compozite, adezivilor şi pivoţilor endodontici. Acest sistem integrat de adeziv şi ciment completează o paletă largă de sisteme de pivoţi endodontici pentru restaurări cu pivoţi şi bonturi de lungă durată şi adecvate din punctul de vedere clinic.

Proprietăţi de manipulare optimă

consistenţei sale cremoase, fine și care nu se scurge, ParaCore este materialul ideal de tipul „toate-într-unul”. Datorită formulei sale tixotrope, ParaCore poate fi foarte bine folosit și pentru aplicarea manuală directă. Datorită posibilităţii sale de a fi șlefuit în mod similar cu dentina naturală, nu apar şanţuri sau crestături.

3 Culori – 2 Timpi de lucru – 1 Material

Fiecare indicaţie are propriile sale cerinţe privind materialul. În afară de o nuanţă potrivită şi, în mod special, un nivel de transluciditate potrivit, timpul de lucru este crucial. Prin urmare, ParaCore este disponibil nu numai în trei culori, dar şi cu doi timpi de lucru diferiţi. De exemplu, versiunea standard, cu timpul său scurt de procesare, este potrivită în mod special pentru restaurări cu bonturi, în timp ce versiunea LENTĂ îşi demonstrea ză valoarea în lucrările de cimentare de orice tip.

23°C 37°C 37°C Timp de lucru Timp de polimerizare (nu este inclus şi timpul de lucru) > 200s 60s 160s 23°C 37°C 37°C Timp de lucru Timp de polimerizare (nu este inclus şi timpul de lucru) > 120s 30s 80s
Datorită

Adeziune monobloc

Restaurare cu bont

Cimentare de coroane, punţi, inlay-uri şi onlay-uri

Restaurare monoblocCimentarea pivotului

ml

ParaCore simplifică tehnica de restaurare cu pivoţi şi bonturi prin capacitatea sa de a fi utilizat ca material de tipul „3 în 1” pentru cimentarea pivoţilor, a restaurărilor cu bont şi cimentarea coroanelor şi punţilor. ParaCore poate fi utilizat și pentru cimentarea inlay-urilor şi onlay-urilor.

Utilizarea unui singur material pentru cimentare şi reconstituirea bontului asigură o «interfaţă de adeziune monobloc» optimă între dentină, pivot şi coroană, rezultând o restauraţie coezivă, cu durabilitate şi rezistenţă remarcabile.

5 ml 25 ml 5 ml 25 ml 5

Aplicaţii clinice

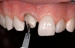
Tehnica monobloc: Următoarele imagini clini ce ilustrează utilizarea ParaCore în combinaţie cu ParaBond şi cu pivoţi de fibră ParaPost în tratamentul cu pivot şi bont.

Aplicarea adezivului ParaBond tratat chimic în spaţiul preparaţiei pentru pivot a canalului radicular şi pe suprafeţele de contact.

Aplicarea ParaCore direct în canalul radicular cu ajutorul sondei radiculare.

Aplicarea adezivului ParaBond tratat chimic pe preparaţia coroanei.

coroanelor,

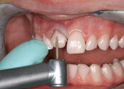
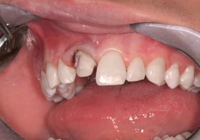
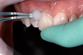
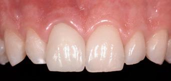
Imagini clinice: Ass. Prof. Dr. med. dent. Stefan J. Paul Cimentarea pivotului ParaPost Fiber Lux în canalul radicular. Înlăturarea excesului de ParaCore. Cimentarea pivotului Conturarea manuală a restaurării de bont folosind ParaCore. Conturarea manuală a reconstrucţiei bontului. Prepararea coroanei folosind diverse tipuri de freze diamantate DIATECH. Preparare terminată a coroanei. Restaurări cu bonturi Aplicarea ParaCore direct în restauraţia de coroană integral ceramică. Cimentarea coroanei finale cu îndepărtarea ulterioară a excesului de material ParaCore.
Situaţia
clinică ulterioară intervenţiei.
Cimentarea
punţilor, inlay-urilor şi onlay-urilor 5 ml 25 ml 5 ml 25 ml 5 ml

„Utilizarea unui singur material pentru cimentarea pivotu lui, reconstituirea bontului dentar şi, în cele din urmă, ci mentarea coroanei economisește timp şi este extrem de practică. Recomandăm cu convingere sistemul ParaCore.“

Ass. Prof. Dr. med. dent. Stefan J. Paul

„Sistemele de tip „toate-într-unul” pentru cimen tarea pivotului, prepararea bontului şi cimentarea restauraţiei finale, cum este ParaCore … constituie o opţiune excelentă pentru utilizarea în aceste proceduri.“

„Materialul ParaCore se apropie foarte mult de nuanţa dentinei şi este foarte rezistent. De asemenea, se economisește timp atunci când este utilizat ca material de cimentare şi de reconstituire a bontului dentar. Utilizarea unei componente adezive asigură o adeziune puternică la substanţa dentară. Întregul sistem func ţionează în mod armonios pentru a consolida dinţii trataţi endodontic, care necesită o reconstruire a fundamentului lor.“

Comentarii din cabinetele stomatologice
Dr. James Braun D.D.S.

Sigilare superioară

Aplicarea adezivului ParaBond înainte de cimentarea

ParaCore sigilează în mod eficient şi protejează

împotriva micropierderilor marginale, pentru a minimiza riscul complicaţii lor ulterioare intervenţiei. Un studiu1 independent realizat in vitro a comparat nivelul micropierderilor ce au loc în urma cimentării

Compararea penetrării culorii

solicitare termică1

coroanelor integral ceramice, utilizând diferite materiale de cimentare compozite cu proprietăţi adezive. Secţionarea transversală a molarilor umani a demonstrat existenţa unor diferenţe semnificative în ceea ce priveşte gradul de penetrare a culorii (micropierderea marginală) în urma solicitării termice.

Compararea penetrării culorii1

ParaCore 5 ml

RelyX Unicem

SmartCem2

Maxcem Elite

seT

Cimentare fără

fără pierdere pierdere la nivelul marginii coroanei, ajungând la peretele axial pierdere la nivelul peretelui axial, fără a ajunge la suprafaţa ocluzală pierdere până la nivelul suprafeţei ocluzale pierdere până la punctul de mijloc al suprafeţei ocluzale

Dr. B. Millar, Dr. S. Deb, King`s College London Dental Institute, Oct. 2008

la flexiune

ParaCore

ParaCore

Scorul total între 0 (fără pierdere) şi 8 (pierdere completă de-a lungul preparaţi ei) a fost obţinut prin însumarea scorurilor din partea stângă şi partea dreaptă. Testul Mann-Whitney neparametric a arătat pentru ParaCore scoruri semnifi cativ mai bune din punctul de vedere statistic (de ex., o pierdere mai mică a culorii) faţă de:

seT (P < 0,001)

Maxcem Elite (P = 0,002)

Dar nesemnificative din punctul de vedere statistic pentru:

SmartCem2 (P = 0,170)

RelyX Unicem (P = 0,170)

Rezistenţa la compresiune

ParaCore

ParaCore

Sursa:

Interfaţă de adeziune optimă

Aplicarea ParaBond în interiorul canalului radicular înaintea cimentării pivotului creează o interfaţă de adeziune optimă

între dentină-ciment-pivot, intensificând retenţia pivotului în interiorul canalului radicular.

Depozitare

0.0 1.0 2.0 3.0 4.0 5.0 6.0 0 25 50 75 100 125 150 0 50 100 150 200 250 300 350 1 2 34 0
cu
restauraţia
Pivot de fibră ParaPost Ciment ParaCore Dentină Compoziţie ■ Metacrilaţi ■ Sticlă stomatologică ■ Acid silicic amorf
Date tehnice ■ ParaCore este conform cu ISO 4049 ■ Grosimea peliculei 5 | 25 ml 15 µm ■ Contracţie 5 | 25 ml 3,5 % ■ Absorbţia apei 5 | 25 ml 18 | 16 µg/mm³ ■ Solubilitate în apă 5 | 25 ml 0,7 | 0,6 µg/mm³
Sursa: date interne
„
„
„
„
*
*
*
*
1)
după
aplicare de adeziv Cimentare cu ParaBond
25 ml
5 ml Luxacore 2* Core Paste XP* Rezistenţa
Core Paste XP*
Sursa: date interne MPa
date interne MPa
25 ml
5 ml Luxacore 2* * Nu este marcă înregistrată a Coltène/Whaledent 1 2 3 4 0

Seringă ParaCore 5 ml Material cu dublă polimerizare şi ciment răşinic

5885 Kit de prezentare ParaCore 5 ml

1 × 5 ml ParaCore dentină

1 × 5 ml ParaCore alb

1 × 5 ml ParaCore Dentină LENTĂ

1 × 5 ml ParaCore Trans LENT

3 × 3 ml Conditioner fără clătire ParaBond + Adeziv A & B

20 × Vârf de mixar scurt superfin

60013753 Kit de prezentare ParaCore

LENT 5 ml

2 × 5 ml ParaCore Dentină LENTĂ

2 × 5 ml ParaCore Trans LENT

3 × 3 ml Conditioner fără clătire ParaBond + Adeziv A & B

20 × Vârf de mixar scurt superfin

5886 Rezervă ParaCore alb 5 ml

2 × 5 ml ParaCore alb

20 × Vârf de mixar scurt superfin

5887

Rezervă ParaCore 5 ml dentină

2 × 5 ml ParaCore dentină

20 × Vârf de mixar scurt superfin

60011391 ParaCore 5 ml Dentină Rezervă LENTĂ

2 × 5 ml ParaCore Dentină LENTĂ

20 × Vârf de mixar scurt superfin

60011392 ParaCore 5 ml Trans Rezervă LENTĂ

2 × 5 ml ParaCore Trans LENT

20 × Vârf de mixare maro scurt superfin

6747 Vârf de mixar scurt superfin

40 × Vârf de mixare, ∅ 1 mm

6747 Vârf de mixar scurt superfin

40 × Vârf de mixare, ∅ 1,8 mm

Cartuş ParaCore 25 ml Material cu dublă polimerizare pentru restaurarea bonturilor

1500 Kit de prezentare ParaCore 25 ml dentină

1 × 25 ml ParaCore dentină

1 × Tub Coltène 25 ml

3 × 3 ml Conditioner ParaBond fără clătire + Adeziv A & B

20 × Vârf de mixare galben / Vârf oral galben

1501 Kit ParaCore 25 ml dentină

1 × 25 ml ParaCore dentină

3 × 3 ml Conditioner fără clătire ParaBond + Adeziv A & B

20 × Vârf de mixare galben / Vârf oral galben

1502 Kit de prezentare ParaCore 25 ml alb

1 × 25 ml ParaCore alb

1 × Tub Coltène 25 ml

3 × 3 ml Conditioner fără clătire ParaBond + Adeziv A & B

20 × Vârf de mixare galben / Vârf oral galben

1503 Kit ParaCore 25 ml alb

1 × 25 ml ParaCore alb

3 × 3 ml Conditioner fără clătire ParaBond + Adeziv A & B

20 × Vârf de mixare galben / Vârf oral galben

5853 Rezervă ParaCore

25 ml dentină

1 × 25 ml ParaCore dentină

20 × Vârf de mixare galben / Vârf oral galben

5854 Rezervă ParaCore alb 25 ml

1 × 25 ml ParaCore alb

20 × Vârf de mixare galben / Vârf oral galben

6550 Vârfuri de mixare galbene

40 × Vârf de mixare galben

6555 Vârfuri orale galbene

100 × Vârf oral galben

4470 Tub Coltène 25 ml

Sistem ParaBond conditioner/adeziv tratat chimic

7486 Adeziv ParaBond

1 × 3 ml ParaBond fără clătire Conditioner

1 × 3 ml Adeziv ParaBond A

1 × 3 ml Adeziv ParaBond B

7493 Adeziv ParaBond

Rezervă A & B

1 × 3 ml Adeziv ParaBond A

1 × 3 ml Adeziv ParaBond B

7494 ParaBond fără clătire

Rezervă Conditioner

1 × 3 ml ParaBond fără clătire Conditioner

Informaţii comenzi Coltène/Whaledent AG Feldwiesenstr. 20 9450 Altstätten/Elveţia T +41 71 757 53 00 F +41 71 757 53 01 info.ch@coltene.com Coltène/Whaledent Inc. 235 Ascot Parkway Cuyahoga Falls, Ohio 44223/USA T +1 330 916 8800 F +1 330 916 7077 info.us@coltene.com 9102 RO 03.16 © 2016 Coltène/Whaledent AG – www.coltene.com

Turn static files into dynamic content formats.

Create a flipbook
Issuu converts static files into: digital portfolios, online yearbooks, online catalogs, digital photo albums and more. Sign up and create your flipbook.