ParaCore® 3 Indications – 1 Material (PL)

Page 1

3 wskazania – 1 materiał PODWÓJNIE UTWARDZALNY CEMENT ŻYWICZNY DO ODBUDOWY ZRĘBU

Podwójnie utwardzalny materiał ParaCore jest wzmacnia nym włóknem szklanym, kompozytem, nieprzepuszczającym promieniowa nia RTG. Dostępny w trzech odcieniach: zębinowym, białym i przeziernym. ParaCore jest oparty na dziesięcioleciach doświadczenia i wiedzy w zakresie kompozytów, technologii wiązania i wkładów endodontycznych. Ten zinte growany system do wiązania i cementowania uzupełnia szeroką gamę sys temów wkładów endodontycznych w celu uzyskania klinicznie skutecznych, długotrwałych uzupełnień koronowo-korzeniowych.

Optymalne właściwości obróbki

Kremowa, gładka i jednolita konsystencja sprawia, że ParaCore jest idealnym materiałem „all-in-one” (wszystko w jednym). Dzięki tiksotropowej formule materiał ParaCore nadaje się również doskonale do aplikacji z „wolnej ręki”. Dzięki ścieralności tego materiału, podobnej do naturalnej zębiny, nie występują rowki ani wcięcia.

3 kolory – 2 czasy – 1 materiał

W każdym wskazaniu istnieją inne wymagania materiałowe. Oprócz odpowiedniego odcienia, a w szczególności przezierno ści materiału, kluczową kwestią jest czas pracy. Z tego powodu ParaCore jest nie tylko dostępny w trzech kolorach, ale również z dwoma różnymi czasami pracy. I tak wersja standardowa z krótkim czasem przetwarzania nadaje się szczególnie dobrze do stosowania do odbudowy zrębu, a wersja SLOW sprawdza się we wszystkich rodzajach prac wymagających cementowania.

23 °C 37 °C 37 °C Czas pracy Czas utwardzania (bez czasu pracy) > 200s 60s 160s 23 °C 37 °C 37 °C Czas pracy Czas utwardzania (bez czasu pracy) > 120s 30s 80s

Wiązanie typu monoblok

Odbudowa monoblokCementowanie wkładów

Odbudowa zrębu Cementowanie koron, mostów, inlayów i onlayów

Materiał ParaCore upraszcza technikę odbudowy koronowo-korze niowej dzięki możliwości jego stosowania jako materiału „3 w 1” do cementowania wkładu, odbudowy zrębu oraz cementowania koron i mostów. Materiał ParaCore można również stosować do cemento wania inlayów i onlayów.

Stosowanie jednego materiału do cementowania i odbudowy zrębu zapewnia optymalną „monoblokową powierzchnię styczną wiązania” między zębiną-wkładem-koroną, co prowadzi do jednej, spójnej odbudowy o nadzwyczajnej trwałości i wytrzymałości.

5 ml 25 ml 5 ml 25 ml 5 ml

Aplikacje kliniczne

Technika monoblok: Poniższe zdjęcia kliniczne prezentują materiał ParaCore użyty w połącze niu z ParaBond i wkładami z włókna ParaPost Fiber Post do leczenia koronowo-korzeniowego.

Cementowanie wkładu

Aplikacja chemicznie utwardzane go systemu wiążącego ParaBond Adhesive na powierzchnię kanału korzeniowego opracowaną pod wkład i na inne powierzchnie kontaktu.

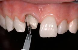
Aplikacja ParaCore bezpośrednio do kanału korzeniowego za pomocą końcówki do kanałów korzeniowych.

Cementowanie wkładu ParaPost Fiber Lux Post w kanale korzeniowym.

Usunięcie nadmiaru materiału ParaCore.

Cementowanie koron, mostów, inlayów i onlayów

Aplikacja chemicznie utwar dzanego systemu wiążącego ParaBond Adhesive na opracowaną koronę.

Aplikacja ParaCore bezpośrednio do całkowicie ceramicznej odbudowy korony.

Cementowanie końcowej korony, a następnie usunięcie nadmiaru mate riału ParaCore.

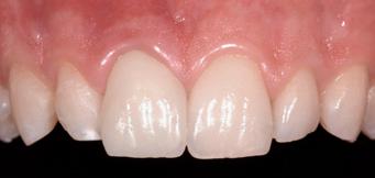
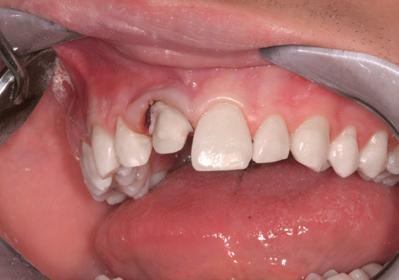
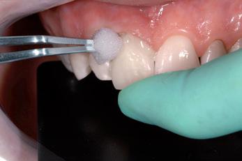
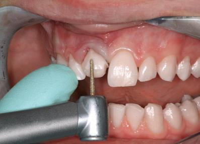
Zdjęcia kliniczne: Ass. Prof. Dr. med. dent. Stefan J. Paul Odbudową zrębu techniką „z wolnej ręki” za pomocą materiału ParaCore. Ręczne konturowanie odbudowy zrębu. Opracowanie korony za pomocą różnych rodzajów wierteł diamento wych DIATECH. Zakończone opracowanie korony. Odbudowa zrębu Sytuacja kliniczna po zabiegu.
5 ml 25 ml 5 ml 25 ml 5 ml

„Możliwość stosowania jednego materiału do cementowania wkładu, odbudowy zrębu i na koniec cementowania korony oszczędza czas i jest nadzwyczajnie praktyczna. Bardzo polecamy system ParaCore.”

Ass. Prof. Dr. med. dent. Stefan J. Paul

„Systemy all-in-one do cementowania wkładu, opracowania zrębu i cementowania końcowej odbudowy, takie jak ParaCore ..., są wyśmienity mi opcjami do stosowania w tych zabiegach.”

„Materiał ParaCore pasuje odcieniem do zębiny i jest bardzo mocny. Oszczędza również czas w przypadku stosowania jako cement i materiał do odbudowy zrębu. Zastosowanie komponentu wiążącego zapewnia podążane wiązanie do struktury zęba. Cały system działa harmonijnie w celu wzmocnienia zębów leczonych endodontycznie, wymagających odbudowy podstawy.”

Komentarze użytkowników
Dr James Braun D.D.S.

Wyjątkowe uszczelnienie

Aplikacja systemu wiążącego ParaBond

cemen towaniem materiałem ParaCore skutecznie

chroni odbudowę przed mikroprzeciekiem brzeżnym w celu zminima lizowania ryzyka powikłań pozabiegowych. Niezależne badanie in vitro1 porównywało liczbę mikroprzecieków obecnych po

cementowaniu koron pełnoceramicznych przy użyciu różnych wiążących cementów kompozytowych. Przekrojone ludzkie zęby trzonowe wykazały istotne różnice w zakresie przenikania barwnika (mikroprzeciek brzeżny) po obciążeniu termicznym.

Cementowanie bez materiału wiążącego

Cementowanie materiałem ParaBond

bez przecieku przeciek z obrzeża korony do ściany osiowej przeciek na ścianie osiowej, ale nie powierzchni okluzyjnej przeciek do powierzchni okluzyjnej przeciek do połowy powierzchni okluzyjnej

Dr. B. Millar, Dr. S. Deb,

College

Dental Institute,

Porównanie penetracji koloru1

ParaCore

Wytrzymałość na zginanie

ParaCore

ParaCore

Całkowita punktacja między 0 (brak przecieku) a 8 (całkowity przeciek wzdłuż obszaru opracowania) była uzyskana poprzez zsumowanie punktów dla lewej i prawej strony. Test nieparametryczny Mann-Whitney wykazał, że materiał ParaCore miał statycznie znamiennie lepszą punktację (np. mniejszy przeciek barwnika) niż:

seT (P < 0,001)

Maxcem Elite (P = 0,002)

Ale bez statycznie znamiennej różnicy w porównaniu z:

SmartCem2 (P = 0,170)

RelyX Unicem (P = 0,170)

Wytrzymałość na ściskanie

ParaCore 25 ml

ParaCore

ml

Optymalna powierzchnia styczna wiązania

Aplikacja ParaBond do kanału korzeniowego przed cemen towaniem wkładu stwarza optymalną powierzchnię styczną między zębiną-cementem-wkładem w celu zwiększenia retencji wkładu w kanale korzeniowym.

Przechowywanie

0.0 1.0 2.0 3.0 4.0 5.0 6.0 0 25 50 75 100 125 150 0 50 100 150 200 250 300 350 1 2 34 0
Adhesive przed
uszczelnia i
Wkład ParaPost Fiber Post Cement ParaCore Zębina Skład ■ metakrylany ■ Szkło stomatologiczne ■ Amorficzny kwas krzemowy
Dane techniczne ■ ParaCore spełnia wymagania normy ISO 4049 ■ Grubość warstwy 5 | 25 ml 15 µm ■ Skurcz 5 | 25 ml 3,5 % ■ Absorpcja wody 5 | 25 ml 18 | 16 µg/mm³ ■ Rozpuszczalność w wodzie 5 | 25 ml 0,7 | 0,6 µg/mm³
Źródło: dane własne
„
„
„
„
5 ml RelyX Unicem* SmartCem2 * Maxcem Elite* seT *
1)
King`s
London
Oct. 2008
Porównanie
penetracji barwnika po obciążeniu termicznym1
25 ml
5 ml Luxacore 2* Core Paste XP*
Core Paste XP*
Źródło: dane własne MPa Źródło: dane własne MPa
5
Luxacore 2* * Nie jest to zarejestrowany znak towarowy Coltène/Whaledent 1 2 3 4 0

ParaCore strzykawka 5 ml podwójnie utwardzalny, żywiczny cement do odbudowy zrębu

5885 ParaCore 5 ml –zestaw wprowadzający

1 × 5 ml ParaCore, kolor zębinowy

1 × 5 ml ParaCore, kolor biały

1 × 5 ml ParaCore SLOW, kolor zębinowy

1 × 5 ml ParaCore SLOW, kolor przezierny

3 × 3 ml ParaBond Non-Rinse Conditioner + Adhesive A & B

20 × Końcówka mieszająca, krótka, bardzo cienka

60013753 ParaCore SLOW 5 ml –zestaw wprowadzający

2 × 5 ml ParaCore SLOW, kolor zębinowy

2 × 5 ml ParaCore SLOW, kolor przezierny

3 × 3 ml ParaBond Non-Rinse Conditioner + Adhesive A & B

20 × Końcówka mieszająca, krótka, bardzo cienka

5886 ParaCore 5 ml –uzupełnienie, kolor biały

2 × 5 ml ParaCore, kolor biały

20 × Końcówka mieszająca, krótka, bardzo cienka

5887 ParaCore 5 ml –uzupełnienie, kolor zębinowy

2 × 5 ml ParaCore, kolor zębinowy

20 × Końcówka mieszająca, krótka, bardzo cienka

60011391 ParaCore 5 ml SLOW –uzupełnienie, kolor zębinowy

2 × 5 ml ParaCore SLOW, kolor zębinowy

20 × Końcówka mieszająca, krótka, bardzo cienka

60011392 ParaCore 5 ml SLOW –uzupełnienie, kolor przezierny

2 × 5 ml ParaCore SLOW, kolor przezierny

20 × Końcówka mieszająca, krótka, bardzo cienka

6747 Końcówka mieszająca, krótka, bardzo cienka

40 × Końcówka mieszająca, ∅ 1 mm

6759 Końcówka mieszająca, krótka, bardzo cienka

40 × Końcówka mieszająca, ∅ 1.8 mm

ParaCore wkład 25 ml podwójnie utwardzalny materiał do odbudowy zrębu

1500 ParaCore 25 ml, kolor zębinowy –zestaw wprowadzający

1 × 25 ml ParaCore, kolor zębinowy

1 × dozownik Coltène 25 ml

3 × 3 ml ParaBond Non-Rinse Conditioner + Adhesive A & B

20 × końcówki mieszające, żółte/ końcówki doustne, żółte

1501 ParaCore 25 ml, kolor zębinowy –zestaw

1 × 25 ml ParaCore, kolor zębinowy

3 × 3 ml ParaBond Non-Rinse Conditioner + Adhesive A & B 20 × końcówki mieszające, żółte/ końcówki doustne, żółte

1502 ParaCore 25 ml, kolor biały –zestaw wprowadzający

1 × 25 ml ParaCore, kolor biały

1 × dozownik Coltène 25 ml

3 × 3 ml ParaBond Non-Rinse Conditioner + Adhesive A & B 20 × końcówki mieszające, żółte/ końcówki doustne, żółte

1503 ParaCore, kolor biały - zestaw

1 × 25 ml ParaCore, kolor biały

3 × 3 ml ParaBond Non-Rinse

Conditioner + Adhesive A & B 20 × końcówki mieszające, żółte/ końcówki doustne, żółte

5853 ParaCore 25 ml –uzupełnienie, kolor zębinowy

1 × 25 ml ParaCore, kolor zębinowy

20 × końcówki mieszające, żółte/ końcówki doustne, żółte

5854 ParaCore 25 ml –uzupełnienie, kolor biały

1 × 25 ml ParaCore, kolor biały

20 × końcówki mieszające, żółte/ końcówki doustne, żółte

6550 Końcówki mieszające, żółte 40 × końcówki mieszające, żółte

6555 Końcówki doustne, żółte 100 × końcówki doustne, żółte

4470 Dozownik Coltène 25 ml

ParaBond chemicznie utwardzany preparat do kondycjonowania / system wiążący

7486 ParaBond Adhesive

7493 ParaBond Adhesive A

- uzupełnienie

7494 ParaBond Non-Rinse Conditioner - uzupełnienie

1 × 3 ml ParaBond Non-Rinse Conditioner

& B
1 × 3 ml ParaBond Adhesive A 1 × 3 ml ParaBond Adhesive B
1 × 3 ml ParaBond Non-Rinse Conditioner 1 × 3 ml ParaBond Adhesive A 1 × 3 ml ParaBond Adhesive B
Informacje dla zamawiających Coltène/Whaledent AG Feldwiesenstr. 20 9450 Altstätten/Szwajcaria T +41 71 757 53 00 F +41 71 757 53 01 info.ch@coltene.com Coltène/Whaledent Inc. 235 Ascot Parkway Cuyahoga Falls, Ohio 44223/USA T +1 330 916 8800 F +1 330 916 7077 info.us@coltene.com 9102 PL 03.16 © 2016 Coltène/Whaledent AG – www.coltene.com

Turn static files into dynamic content formats.

Create a flipbook
Issuu converts static files into: digital portfolios, online yearbooks, online catalogs, digital photo albums and more. Sign up and create your flipbook.
ParaCore® 3 Indications – 1 Material (PL) by COLTENE Marketing - Issuu