ParaCore® 3 Indications – 1 Material (GR)

Page 1

3 ενδείξεις – 1 υλικό ΥΛΙΚΟ ΨΕΥΔΟΚΟΛΟΒΩΜΑΤΩΝ ΚΑΙ ΡΗΤΙΝΩΔΗΣ ΚΟΝΙΑ ΔΙΠΛΟΥ ΠΟΛΥΜΕΡΙΣΜΟΥ
Το ParaCore διπλού πολυμερισμού είναι μια ενισχυμένη με ύαλο σύνθετη ρητίνη, η οποία είναι ακτινοσκιερή και διαθέσιμη σε τρεις αποχρώσεις, οδοντίνη, λευκό και ημιδιαφανές. Το ParaCore βασίζεται στις δεκαετίες εξειδίκευσης και εμπειρίας μας στους τομείς των σύνθετων υλικών, της συγκόλλησης και των ενδοδοντικών αξόνων. Αυτό το ολοκληρωμένο σύστημα συγκολλητικού και κονίας συμπληρώνει μια μεγάλη γκάμα συστη μάτων ενδοδοντικών αξόνων για κλινικά άρτιες αποκαταστάσεις αξόνων και ψευδοκολοβωμάτων με μεγάλη διάρκεια ζωής.
23° C 37° C 37° C Χρόνος εργασίας Χρόνος σκλήρυνσης (μη συμπερ. του χρόνου εργασίας) > 200 δευτ. 60 δευτ. 160 δευτ. 23° C 37° C 37° C Χρόνος εργασίας Χρόνος σκλήρυνσης (μη συμπερ. του χρόνου εργασίας) > 120 δευτ. 30 δευτ. 80 δευτ. Βέλτιστες ιδιότητες χειρισμού Με τη λεία και κρεμώδη σύστασή του χωρίς κάθιση, το ParaCore είναι το ιδανικό υλικό όλα-σε-ένα. Λόγω της θιξοτροπικής σύνθεσής του, το ParaCore είναι επίσης ιδιαίτερα κατάλληλο για ελεύθερη εφαρμογή. Λόγω του ότι κόβεται όπως η φυσική οδοντίνη, δεν δημιουργούνται αυλακώσεις ή κοιλώματα. 3 αποχρώσεις – 2 χρόνοι – 1 υλικό Κάθε ένδειξη έχει τις δικές της απαιτήσεις υλικού. Πέρα από μια κατάλληλη απόχρωση και, ιδίως, την ημιδιαφάνειά της, ο χρόνος εργασίας είναι κρίσιμης σημασίας. Επομένως, το ParaCore δεν διατίθεται μόνο σε τρεις αποχρώσεις, αλλά επίσης με δύο διαφορετικούς χρόνους εργασίας. Για παράδειγμα, η τυπική έκδοση με το σύντομο χρόνο επεξεργασίας είναι ιδιαίτερα κατάλληλη για κατασκευές ψευδοκολοβωμάτων, ενώ η έκδοση SLOW καταδεικνύει τα πλεονεκτήματά της σε όλους τους τύπους εργασιών στερέωσης με κονία.

mono-block

Συγκόλληση τύπου
Το ParaCore απλουστεύει την τεχνική αποκατάστασης άξονα και ψευδοκολοβώματος με την ικανότητά του να χρησιμοποιείται ως υλικό 3-σε-1 για τη στερέωση αξόνων με κονία, την κατασκευή ψευδοκολοβωμάτων και τη στερέωση στεφανών και γεφυρών με κονία. Το ParaCore μπορεί επίσης να χρησιμοποιηθεί για τη στερέω ση ένθετων και επένθετων με κονία. Η χρήση του ίδιου υλικού για στερέωση με κονία και για την κατασκευή ψευδοκολοβωμάτων παρέχει βέλτιστη «διεπαφή συγκόλλησης τύπου monoblock» μεταξύ οδοντίνης-άξονα-στεφά νης, με αποτέλεσμα μία συνεκτική αποκατάσταση με εξαιρετική ισχύ και αντοχή. Αποκατάσταση τύπου mono-block Στερέωση αξόνων με κονία Κατασκευή ψευδοκολοβώ ματος Στερέωση στεφανών, γεφυρών, ένθετων και επένθετων με κονία 5 ml 25 ml 5 ml 25 ml 5 ml
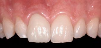
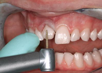
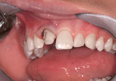
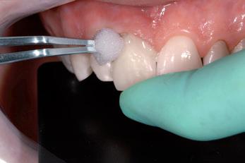
Κλινικές εφαρμογές Τεχνική τύπου mono-block: Οι ακόλουθες κλινικές φωτογραφίες δείχνουν τη χρήση του ParaCore σε συνδυασμό με το ParaBond και άξονες ParaPost Fiber για θεραπεία άξονα και ψευδοκολοβώματος. Κλινικές φωτογραφίες: Ass. Prof. Dr. med. dent. Stefan J. Paul Εφαρμογή του χημικά πολυμερι ζόμενου συγκολλητικού ParaBond Adhesive μέσα στην παρασκευή του χώρου του άξονα στο ριζικό σωλήνα και επάνω στις επιφάνειες επαφής. Εφαρμογή του ParaCore απευθείας μέσα στο ριζικό σωλήνα χρησιμοποι ώντας το προστόμιο ριζικού σωλήνα. Στερέωση με κονία του άξονα ParaPost Fiber Lux μέσα στο ριζικό σωλήνα. Αφαίρεση του περίσσιου ParaCore. Στερέωση αξόνων με κονία Ελεύθερη κατασκευή ψευδοκο λοβώματος χρησιμοποιώντας ParaCore. Διαμόρφωση με το χέρι του περιγράμματος της κατασκευής ψευδοκολοβώματος. Παρασκευή στεφάνης χρησιμο ποιώντας διαφορετικούς τύπους διαμαντιών DIATECH. Ολοκληρωμένη παρασκευή της στεφάνης. Κατασκευές ψευδοκολοβωμάτων Εφαρμογή του χημικά πολυ μεριζόμενου συγκολλητικού ParaBond Adhesive επάνω στην παρασκευή της στεφάνης. Εφαρμογή του ParaCore απευθείας μέσα στην ολοκεραμική αποκατάστα ση στεφάνης. Στερέωση με κονία της τελικής στε φάνης με επακόλουθη αφαίρεση του περίσσιου υλικού ParaCore. Μετεγχειρητική κλινική κατάσταση. Στερέωση με κονία στεφανών, γεφυρών, ένθετων και επένθετων 5 ml 25 ml 5 ml 25 ml 5 ml
«Η δυνατότητα να χρησιμοποιείται το ίδιο υλικό για τη στερέωση του άξονα, την κατασκευή του ψευδοκολοβώ ματος και τέλος τη στερέωση της στεφάνης εξοικονομεί χρόνο και είναι ιδιαίτερα πρακτική. Συνιστούμε θερμά το σύστημα ParaCore.» Ass. Prof. Dr. med. dent. Stefan J. Paul Σχόλια από οδοντιατρεία «Τα συστήματα όλα-σε-ένα για τη στερέωση του άξονα με κονία, την παρασκευή του ψευδοκολο βώματος και τη στερέωση της τελικής αποκατά στασης με κονία, όπως το ParaCore ... αποτελούν εξαιρετικές επιλογές για χρήση με αυτές τις διαδι κασίες.» Dr. Enrique Kogan «Το υλικό ParaCore ταιριάζει εξαιρετικά με την απόχρωση της οδοντίνης και είναι πολύ ισχυρό. Επίσης εξοικονομεί χρόνο όταν χρησιμοποιείται ως κονία και υλικό κατασκευής ψευδοκολοβωμάτων. Η χρήση ενός συγκολλητικού στοιχείου διασφαλίζει μια προβλέψιμη συγκόλληση στη δομή του δοντιού. Ολόκληρο το σύστημα λειτουργεί αρμονικά ενισχύοντας την ενδοδοντική θεραπεία δοντιών που απαιτούν την κατασκευή ενός υποβάθρου.» Dr. James Braun D.D.S.

αποκατάσταση

κίνδυνο

σύγκρινε το βαθμό μικροδιαρροής που ήταν παρούσα

μετά τη στερέωση ολοκεραμικών στεφανών χρησιμοποιώντας διαφορετικές

προσθέτοντας

διαρροής διαρροή από

8 (καθολική διαρροή

βαθμολογίες από την αριστε

πλευρά μεταξύ τους. Η μη παραμετρική δοκιμή Mann-Whitney

ότι το ParaCore είχε σημαντικά καλύτερες βαθμολογίες (π.χ. μικρότερη

χρωστικής) από τα:

διαρροή

επιφάνεια διαρροή

διαρροή

Dr. B. Millar, Dr. S. Deb, King`s College London Dental Institute, Oct.

(P < 0,001)

Elite (P = 0,002)

όχι στατιστικά σημαντική διαφορά από τα:

(P = 0,170)

Unicem (P = 0,170)

0.0 1.0 2.0 3.0 4.0 5.0 6.0 0 25 50 75 100 125 150 0 50 100 150 200 250 300 350 1 2 34 0 Εξαιρετική σφράγιση Η εφαρμογή του συγκολλητικού Para-Bond Adhesive πριν τη στε ρέωση με ParaCore σφραγίζει αποτελεσματικά και προστατεύει την
από οριακή μικροδιαρροή ελαχιστοποιώντας τον
μετεγχειρητικών επιπλοκών. Μια ανεξάρτητη In-Vitro μελέτη1
ρητινώδεις κονίες. Οι διατομές ανθρώπινων γομφί ων κατέδειξαν σημαντικές διαφορές στο βαθμό εισχώρησης της χρωστικής (οριακή μικροδιαρροή) μετά από θερμικούς κύκλους. Άξονας ParaPost Fiber Κονία ParaCore Οδοντίνη Σύνθεση ■ Μεθακρυλικοί εστέρες ■ Οδοντικά υαλοσωματίδια ■ Άμορφο πυριτικό οξύ Φύλαξη Τεχνικά χαρακτηριστικά ■ Το ParaCore συμμορφώνεται με το πρότυπο ISO 4049 ■ Πάχος στρώματος 5 | 25 ml 15 µm ■ Συρρίκνωση 5 | 25 ml 3,5% ■ Απορρόφηση νερού 5 | 25 ml 18 | 16 µg/mm³ ■ Διαλυτότητα στο νερό 5 | 25 ml 0,7 | 0,6 µg/mm³ Βέλτιστη διεπαφή συγκόλλησης Η εφαρμογή του ParaBond στο εσωτερικό του ριζικού σωλήνα πριν τη στερέωση με κονία δημιουργεί μια βέλτιστη διεπαφή συγκόλλησης μεταξύ οδοντίνης-κονίας-άξονα βελτιώνοντας τη συγκράτηση του άξονα στο εσωτερικό του ριζικού σωλήνα. Πηγή: Εσωτερικά δεδομένα Η συνολική βαθμολογία μεταξύ 0 (απουσία διαρροής) και
στην παρασκευή) καθορίστηκε
τις
ρή και τη δεξιά
κατέδειξε
διαρροή
„ seT
„ Maxcem
Αλλά
„ SmartCem2
„ RelyX
ParaCore 5 ml RelyX Unicem* SmartCem2 * Maxcem Elite* seT * Σύγκριση της εισχώρησης χρωστικής1 απουσία
το όριο της στεφάνης που φθάνει στο αξονικό τοίχωμα
στο αξονικό τοίχωμα, αλλά όχι στη μασητική
μέχρι τη μασητική επιφάνεια
μέχρι το μέσον της μασητικής επιφάνειας 1)
2008 Σύγκριση εισχώρησης χρωστικής μετά από θερμικούς κύκλους1 Στερέωση χωρίς εφαρμογή συγκόλλησης Στερέωση με ParaBond ParaCore 25 ml ParaCore 5 ml Luxacore 2* Core Paste XP* Αντοχή σε κάμψη Core Paste XP* Αντοχή σε θλίψη Πηγή: Εσωτερικά δεδομένα MPa Πηγή: Εσωτερικά δεδομένα MPa ParaCore 25 ml ParaCore 5 ml Luxacore 2* * Δεν είναι σήμα κατατεθέν της Coltène/Whaledent 1 2 3 4 0

ml

ParaCore 5 ml Intro Kit

Tip

60013753 ParaCore SLOW

ml

ml Intro Kit

5886 ParaCore 5 ml White Refill

Tip

Super Fine

5887 ParaCore 5 ml Dentin Refill

Dentin

Tip Short Super Fine

60011391 ParaCore 5 ml Dentin

Refill

60011392 ParaCore 5 ml Trans SLOW Refill

2 × 5 ml ParaCore Trans SLOW

20 × Mixing Tip Short Super Fine

6747 Mixing Tip Short Super Fine

40 × Mixing Tip, ∅ 1 mm

6759 Mixing Tip Short Super Fine

40 × Mixing Tip, ∅ 1.8 mm

1500 ParaCore 25 ml Dentin Intro Kit

1 × 25 ml ParaCore Dentin

1 Coltène Dispenser 25 ml

3 × 3 ml ParaBond Non-Rinse Conditioner + Adhesive A & B

20 × Mixing Tip Yellow / Oral Tip Yellow

1501 ParaCore 25 ml Dentin Kit

1 × 25 ml ParaCore Dentin

3 × 3 ml ParaBond Non-Rinse Conditioner + Adhesive A & B

20 × Mixing Tip Yellow / Oral Tip Yellow

1502 ParaCore 25 ml White Intro Kit

1 × 25 ml ParaCore White

1 Coltène Dispenser 25 ml

3 × 3 ml ParaBond Non-Rinse Conditioner + Adhesive A & B

20 × Mixing Tip Yellow /

Oral Tip Yellow

1503 ParaCore 25 ml White Kit

1 × 25 ml ParaCore White

3 × 3 ml ParaBond Non-Rinse Conditioner + Adhesive A & B

20 × Mixing Tip Yellow /

Oral Tip Yellow

5853 ParaCore 25 ml Dentin Refill

1 × 25 ml ParaCore Dentin

20 × Mixing Tip Yellow /

Oral Tip Yellow

5854 ParaCore 25 ml White Refill

1 × 25 ml ParaCore White

20 × Mixing Tip Yellow / Oral Tip Yellow

6550 Mixing Tips Yellow

40 × Mixing Tip Yellow

6555 Oral Tips Yellow

100 × Oral Tip Yellow

4470 Coltène Dispenser 25 ml

7494 ParaBond Non-Rinse Conditioner Refill

1

3 ml ParaBond Non-Rinse Conditioner

5885
1 × 5 ml ParaCore Dentin 1 × 5 ml ParaCore White 1 × 5
ParaCore Dentin SLOW 1 × 5 ml ParaCore Trans SLOW 3 × 3 ml ParaBond Non-Rinse Conditioner + Adhesive A & B 20 × Mixing
Short Super Fine
5
2 × 5
ParaCore Dentin SLOW 2 × 5 ml ParaCore Trans SLOW 3 × 3 ml ParaBond Non-Rinse Conditioner + Adhesive A & B 20 × Mixing Tip Short Super Fine ParaBond χημικά πολυμεριζόμενο conditioner/συγκολλητικό Φύσιγγα ParaCore 25 ml υλικό ψευδοκολοβώματος διπλού πολυμερισμού
2 × 5 ml ParaCore White 20 × Mixing
Short
2 × 5 ml ParaCore
20 × Mixing
SLOW
2 × 5 ml ParaCore Dentin SLOW 20 × Mixing Tip Short Super Fine 7493 ParaBond Adhesive A & B Refill 1 × 3 ml ParaBond Adhesive A 1 × 3 ml ParaBond Adhesive B 7486 ParaBond Adhesive 1 × 3 ml ParaBond Non-Rinse Conditioner 1 × 3 ml ParaBond Adhesive A 1 × 3 ml ParaBond Adhesive B
×
Σύριγγα ParaCore 5 ml υλικό ψευδοκολοβωμάτων και ρητινώδης κονία διπλού πολυμερισμού Πληροφορίες παραγγελιών Coltène/Whaledent AG Feldwiesenstr. 20 9450 Altstätten/Switzerland Τηλ. +41 71 757 53 00 Φαξ +41 71 757 53 01 info.ch@coltene.com Coltène/Whaledent Inc. 235 Ascot Parkway Cuyahoga Falls, Ohio 44223/USA Τηλ. +1 330 916 8800 Φαξ +1 330 916 7077 info.us@coltene.com 9102 GR 03.16 © 2016 Coltène/Whaledent AG – www.coltene.com

Turn static files into dynamic content formats.

Create a flipbook
Issuu converts static files into: digital portfolios, online yearbooks, online catalogs, digital photo albums and more. Sign up and create your flipbook.