HyFlex EDM Stays on track (EN)

Page 1

HyFlex

Stays on track

THE INNOVATIVE NITI FILE GENERATION
™ EDM

Controlled Memory

Pre-bentable for extremely curved canals

Due to the controlled memory, the files always follow the anatomy of the canal, thus significantly reducing the risk of ledging, transportation or perforation of a canal. Like stainless steel files, the HyFlex EDM files can be pre-bent.

This is a crucial advantage in extremely curved root canals to avoid the creation of steps.

Clinical Studies

Up to 1.200 % higher fracture resistance

Studies have shown that HyFlex EDM files are more than 1.200 % more resistant to fatigue then competitor’s products.

Untwisted (discard)

EDM NiTi have a built-in shape memory. They prevent stress during preparation by changing their spiral shape regain after heat treatment. An autoclaving process is enough to return the files to their original shape and to regenerate the crystal structures and resistance to fatigue.

Should the file fail to regain its shape after heat treatment, it is plastically deformed, thus increasing the risk of fracture. It should not be used after visual inspection. The number of reuses, is higher than that of conventional NiTi files.

In studies, the HyFlex EDM OneFile demonstrated a significantly higher fatigue resistance than other nickel-titanium rotary files with various alloy properties.
of cycles to failure
* The Number to Cycles to Failure (NCF) was calculated by multiplying the time to failure and the rpm used. ¹ Pedullà E et al. Influence of proper or reciprocating optimum torque reverse kinematics on cyclic fatigue of four single files. J Investig Clin Dent. 2019 Aug;10(3):e12409. ² Pedulla E et al. Influence of Continuous or Reciprocating Optimum Torque Reverse Motion on Cyclic Fatigue Resistance of Two Single-File Nickel-Titanium Rotary Instruments. Eur Endod J. 2017 Aug 22;2(1):1-6. ³ Kaval ME et al. Evaluation of the Cyclic Fatigue and Torsional Resistance of Novel Nickel-Titani um Rotary Files with Various Alloy Properties. J Endod. 2016 Dec;42(12):1840-1843. Study Dr. Mehmet Emin Kaval ³ Mean Number of Cycles to Failure (NCF) 0 500 1000 1500 2000 2500 3000 3500 4000 3689 HyFlex EDM OneFile 915 ProTaper Gold (Dentsply Tulsa Dental Specialities, Tulsa, USA) 350 ProTaper Universal (Dentsply Tulsa Dental Specialities, Tulsa, USA) Visual control after thermal treatment
Number
(NCF)
HyFlex
Ready for safe reuse Studies Prof. Eugenio Pedullà, University Catania, Italy ¹, ² Mean Number of Cycles to Failure (NCF)* 0 500 1000 1500 2000 2500 3000 3750 998 1385 755 305 HyFlex EDM OneFile WaveOne Gold (Dentsply Maillefer, Ballaigues, Switzerland) Recipro R25 (VDW, Germany) F6 SkyTaper (Komet Dental, Germany) One Shape (MicroMega, France) 4000 3500 1983 WaveOne Primary (Dentsply Maillefer, Ballaigues, Switzerland
The use of HyFlex EDM files allows the reduction of the number of files. In small, straight canals the usage of the HyFlex OneFile can be enough. Depending on the clinical situation the number of files can be reduced or expanded. All HyFlex EDM NiTi Files should be used at 400 rpm and at a torque of up to 2.5 Ncm (25 mNm) excepted the Glidepath files which should be used with 300 rpm and at a torque of up to 1.8 Ncm (18 mNm).
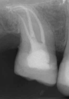
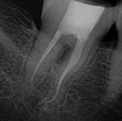
CORONAL MIDDLE APICAL 20/.05 HyFlex EDM 25/~ HyFlex OneFile 25/.12 Orifice Opener Hand File 10/.05 Glidepath File Glidepath Clinical Cases Optional Access Opening Optional Finishing Shaping Prof. Eugenio Pedullà CORONAL MIDDLE APICAL 25/.12 Orifice Opener 25/~ HyFlex OneFile 40/.04 50/.03 60/.02 Finishing Files Hand File 10/.05 Glidepath File
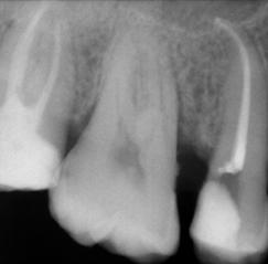
20/.05 HyFlex EDM Hand File 10/.05 Glidepath File CORONAL MIDDLE APICAL 25/.12 Orifice Opener 15/.03 Glidepath File Reduced Number of Files 40/.04 50/.03 60/.02 Finishing Files
Dr. Richard Gray
Dr. Byron Tsivos
drying
the
Autonomous "navigation" in the endo canal owing to revolutionary software.
our file systems.
EDM
™ EDM Paper and Guttapercha Points CanalPro™ Jeni Digital assistance system for canal preparation Jeni – ready – go! ´ Jeni mode continuously adapts to the individual root canal anatomy ´ Control of the file movement at millisecond intervals ´ Irrigation with aplomb ´ Apex locator – measuring length without interruption ´ Precise fit ´ Colour-coded ´ Highest quality
For
and filling, the successful HyFlex system also offers paper and gutta-percha points ideally matched to the proven nickel-titanium files. With
aid of the ROEKO GuttaFlow bioseal obturation material, the root canal can finally be reliably sealed and filled.
Perfectly matched to
The HyFlex
NiTi file system is specifically programmed for use with the Jeni mode. HyFlex

HyFlex

EDM Electrical Discharge Machining

The HyFlex EDM files constitute the 5th generation root canal files. HyFlex EDM NiTi files have completely new properties due to their innovative manufacturing process using electric discharge machining.

creates the unique surface of the new NiTi files and makes the HyFlex EDM files durable and more fracture resistant. This entirely unique combination of flexibility and fracture resistance makes it possible to reduce the number of files required for cleaning and shaping during root canal treatments without having to compromise preservation of the root canal anatomy.

like HyFlex CM files, HyFlex EDM files have the already familiar Controlled Memory effect (CM). They are manufactured utilising a unique process in which the crystallographic phase transitions from austenite to martensite at room temperature in contrast to conventional NiTi files, making the files extremely flexible, fracture resistant and able to regenerate multiple times.

Pre-Sterile

The HyFlex EDM system also convinced the endo specialists in a practice test with its outstanding flexibility and break resistance. They recommend HyFlex EDM files as a file system with which both simple and complex canals – can be prepared quickly and reliably – even with a reduced number of files.

´ Designed
centered
preparation ´ Multiple regeneration and reuse ´ Specially hardened for safer application ´ High flexibility ´ Extreme resistance to fracture
This
Just
for successful
canal
Dr.
Quadratic cross section at tip Trapezoidal cross section in
Triangular cross section at
Fracture resistance Uniquely hardened surface reduces risk of file separation Variable Cross Section Design Contributes to high breakage resistance
Clinical Case by
Gianluca Fumei
middle
top High
for safer application
Hardened surface plus controlled memory improves cutting efficiency
Cutting Efficiency

HyFlex EDM Sets 21 mm25 mm

HyFlex EDM Shaping Set Simple 25/.12; 10/.05; 25/~ 60022267 60019363

HyFlex EDM Shaping Set Medium 10/.05; 20/.05; 25/~ 60022277 60022278

HyFlex EDM Shaping Set Max Curve 15/.03; 10/.05; 20/.05 60023494 60023495

HyFlex EDM Finishing Set 40/.04; 50/.03; 60/.02 60022268 60019364

HyFlex EDM Refills, 3 pcs

15 mm21 mm25 mm

HyFlex EDM 25/.12 Orifice Opener 60019596

HyFlex EDM 15/.03 Glidepath File 60023493 60023492

HyFlex EDM 10/.05 Glidepath File 60022269 60019594

HyFlex EDM 20/.05 Preparation File 60022275 60022276

HyFlex EDM 25/~ OneFile 60022270 60019595

HyFlex EDM 40/.04 Finishing File 60022271 60019597

HyFlex EDM 50/.03 Finishing File 60022272 60019598

HyFlex EDM 60/.02 Finishing File 60022274 60019599

HyFlex Accessories

3 × Endo Practice Blocks, Acryl 60011085

HyFlex

OneFile 25/~ 6002274360022707 40/.04 6002267660022708 50/.03 6002274160022709 60/.02 6002274060022710 Assortment 20/.05 - 60/.02 6002274460022705 ROEKO

CanalPro Jeni

Complete Set

1 × Control unit, 1 × Motor with apex measuring contact, 1 × Fully insulated angled handpiece 1:1, 1 × Bluetooth foot switch, 1 × Power supply, 1 × Apex cable set, 1 × Holding bracket for apex cable

60024188

60023659 Set without angled handpiece

Coltène/Whaledent Ltd.

The President Suite Kendal House, Victoria Way Burgess Hill, West Sussex RH15 9NF/UK

T +44 1444 235486 info.uk@coltene.com

Coltène/Whaledent AG Feldwiesenstrasse 20 9450 Altstätten/Switzerland

T +41 71 757 53 00 info.ch@coltene.com

Coltène/Whaledent GmbH + Co. KG Raiffeisenstraße 30 89129 Langenau/Germany

T +49 7345 805 0 info.de@coltene.com

© COLTENE – www.coltene.com 60023659
60019561 60022705
6846 06.21
pcsGP
EDM Paper1 / Guttapercha2 Points PP1 100
2 60 pcs 20/.05 6002274260022706
GuttaFlow 2 bioseal
Set
1 × Dual-barrel Syringe, 12 × Mixing Tips, 1 ×
Standard
|
Mixing Pad 6001370160019560 Refill Pack | 1 × Dual-barrel Syringe 6001374560019561
1 × Control unit, 1 × Motor with apex measuring contact, 1 × Bluetooth foot switch, 1 × Power supply, 1 × Apex cable set, 1 × Holding bracket for apex cable HyFlex™ EDM NiTi Files & Accessories

Turn static files into dynamic content formats.

Create a flipbook
Issuu converts static files into: digital portfolios, online yearbooks, online catalogs, digital photo albums and more. Sign up and create your flipbook.
HyFlex EDM Stays on track (EN) by COLTENE Marketing - Issuu