PROMO Catalog Q4-2022, Iberia

Page 1

HySolate Dique Dental p. 10 HyFlex EDM p. 24 ONE COAT 7 UNIVERSAL p. 8

BRILLIANT

CLÍNICO

Paciente

Fresado

BLOQUE Y DISCO DE COMPOSITE REFORZADO PARA RESTAURACIONES PERMANENTES
Alto rendimiento hecho brillantemente CASO
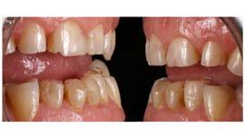
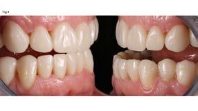
CON Cortesía Dr. Nicolás Gutiérrez. Presidente DOA academy NUEVAS TONALIDADES SUPER TRANS! INDICACIONES: INLAYS, ONLAYS, FACETAS, CORONAS, CORONAS SOBRE IMPLANTES.
adulto con desgastes generalizados y perdida de dimensión vertical Encerado digital de ambas arcadas con los nuevos planos de oclusión.
de restauraciones mínimamente invasivas en BRILLIANT Crios A2 HT. Restauraciones finales adheridas y con la nueva dimensión vertical del paciente. RESTAURACIÓN 2
RESTAURACIÓN 3 BRILLIANT Crios Disco 14 mm - 1 ud. 417 € 1 × Disco 14 mm BRILLIANT Crios Disco 18 mm - 1 ud. 480 € 1 × Disco 18 mm BRILLIANT Crios CEREC/inLab - 5 bloques 115,90 € 5 × Bloques (tamaños 12 mm o 14 mm) BLOQUES CEREC/INLAB DISCO Translucidez Low (LT) High (HT) Super (ST) Low (LT) High (HT) Super (ST) Monto 5 uds 1 ud Tamaños 12 14 12 14 14 14 18 14 18 14 18 BLEACH 60019998 60019985 60024174 60024179 60024177 UNIVERSAL 60024175 60024180 60024178 A1 60019999 60019986 60020007 60019994 60022899 60022886 60022907 60022894 A2 60020000 60019987 60020008 60019995 60022900 60022887 60022908 60022895 A3 60020001 60019988 60020009 60019996 60022901 60022888 60022909 60022896 A3.5 60020002 60019989 60022902 60022889 B1 60020003 60019990 60020010 60019997 B2 60020004 60019991 B3 60020005 60019992 C2 60020006 60019993

Excepcional pulido y brillo duradero BRILLIANT EverGlow

a la composición de su sofisticada carga, BRILLIANT EverGlow presenta una superficie excepcionalmente lisa, satinada y brilliante durante la obturación. El pulido se convierte en un detalle y una estética restauración puede realizarse en poco tiempo.

BRILLIANT EverGlow destaca por la larga conservación de su brillo.

Shade

tonos universales

tonos esmalte

tonos opacos para restauraciones más complejas

BRILLIANT EverGlow Flow

complemento ideal

BRILLIANT EverGlow Flow ofrece resultados estéticos convincente y es el compañero perfecto para el composite universal BRILLANTE EverGlow. El compuesto estético y fácil de manejar, BRILLIANT EverGlow Flow tiene las siguientes caracteristicas.

Sistema Duo Shade Ideal para obturar lugares difíciles de acceso y el sellado de fisuras Excelente conservación del brillo Buenas propiedades de adaptación debido a su baja viscosidad Alta estabilidad y perfecta tixotropía Nivel absoluto de precisión en su aplicación

NOVIEMBRE

PRODUCTO DEL MES

Gracias
Además
Sistema Duo
7
2
5
El
EN
5+5 REPOSICIONES BRILLIANT EVERGLOW OFERTA VÁLIDA SOLO CON SU PROMOTOR COLTENE PRODUCTO DEL MES EN NOVIEMBRE 4+2 REPOSICIONES BRILLIANT EVERGLOW FLOW OFERTA VÁLIDA SOLO CON SU PROMOTOR COLTENE RESTAURACIÓN 4 Product insights you can trust. EDIT OR’S CHOIC E Sistema de puntuación: Excelente + + + + + Muy Bien + + + + Bien + + +
Tonalidad Jeringas Tips DENTINA Bleach 60019697 60019706 A1/B1 60019698 60019707 A2/B2 60019699 60019708 A3/D3 60019700 60019709 A3.5/B3 60019701 60019710 C2/C3 60019702 60019716 A4/C4 60019703 60019717 ESMALTE TRANSLUCENT 60019704 60019718 BLEACH TRANSLUCENT 60019705 60019719 OPACOS OPACOS BLEACH 60019743 60019746 OPACOS A1 60019744 60019747 OPACOS A2 60023819 60023823 OPACOS A3 60019745 60019748 60023820 60023824 NUEVA TONALIDAD BRILLIANT EverGlow Reposición jeringas 51,99 € 1 × Jeringas 3 g Jeringas Bleach BL 60019752 60019753 60019754 60019755 60019756 60019757 TRANSLUCENT TRANS 60019758 60019751 60023825NUEVA TONALIDAD BRILLIANT EverGlow Reposiciones Tips 76 € 20 × Tips 0,2 g RESTAURACIÓN 5 96% note globale obtenue par les éditeurs Dental
Composite Nano Híbrido Universal, estético gracias a sus tonos DuoShade dentina y 3 tonos de esmalte que favorecen un excelente mimetismo. Resultado clínico demostrado. SYNERGY D6 Edición Limitada Kit Edición Limitada SYNERGY D6 en jeringas (13 pcs.) 60014361 313,48 € 219 € 5 × Jeringa de 4 g de cada color A2/B2, A3/D3 1 × Jeringa de 4 g de cada color A3.5/B3, A4/C4, esmalte universal Diseño retentivo incomparable Fibra de vidro reforzada con resina Flexibilidad semejante a la dentina Radiopacos Largo ajustable Fresas calibradas Visite: https://www.dentaladvisor.com/evaluations/ parapost-taper-lux-2017-product-award/ ParaPost X System ParaPost Fiber System Reposiciones XP / XH / XT Reposiciones Taper Lux / Fiber Lux / Fiber White ParaPost OFERTA -25% EN REPOSICIONES PARAPOST RESTAURACIÓN 6
Kit Eco DuoTEMP 7090 81,89 € 5 × Jeringas 5 g Una doble seguridad para mantener la sonrisa APLICACIÓN FÁCIL Y RÁPIDA Un componente, sin mezclas. Buena retención en la cavidad. Fácil extracción. DuoTEMP JET BLUE BITE Material para el registro de mordida Doble fraguado Elevada integración marginal Fácil extracción Un material con númerosas indicaciones RESTAURACIÓN Reposición JET BLUE BITE 31,09 € Fast 6491 Super Fast 6493 1 × 50 ml 6 × Puntas de mezcla 6 × Puntas aplicadoras planas
ONE COAT 7 UNIVERSAL Cohesión en todas las situaciones ADHESIVO UNIVERSAL MONOCOMPONENTE FOTOPOLIMERIZABLE Un único agente adhesivo universal para todas las indicaciones y técnicas de grabado. FORMULA MDP 4-META Extremadamente económico: Hasta 300 aplicaciones por frasco ONE COAT 7 UNIVERSAL Reposición frasco 60019539 93,41 € 1 × 5 ml Frasco 1 × Accesorios ONE COAT 7 UNIVERSAL Réassort unidoses 60019540 120,49 € 50 × 0,1 ml Monodosis 50 × Pinceles 1 × Accesorios ONE COAT 7 UNIVERSAL, fotopolimerizable, es el único agente adhesivo que necesita en su clínica para todos sus tratamientos. Sin imprimaciones, sin silano, aplicar, igualar con aire y fotopolimerizar... es todo! PRODUCTO DEL MES EN NOVIEMBRE 3+3 REPOSICIONES ONE COAT 7 UNIVERSAL EN FRASCO OFERTA VÁLIDA SOLO CON SU PROMOTOR COLTENE RESTAURACIÓN 8 Product insights you can trust. EDIT OR’S CHOIC E 96% note globale obtenue par les éditeurs Dental Sistema de puntuación: Excelente + + + + + Muy Bien + + + + Bien + + +
Adhesión del poste Reconstrucción del muñon Cementación de coronas, puentes, inlay y onlays 5 ml 5 ml 5 ml ParaCore Composite para la reconstrucción corono - radicular: 1 producto 3 indicaciones Recontrucción de muñones Adhesión de postes de fibra Cementación de coronas y puentes sin metal Reposición jeringa automix, 2 × 5 ml 99,07 € Resultante Ud. 66,04€ 2 × 5 ml Tonalidad a elegir 20 × Puntas de mezcla Puntas intra-orales Tonalidades White 5886 Dentine 5887 Dentine SLOW 60011391 Trans SLOW 60011392 PRODUCTO DEL MES EN OCTUBRE 4+2 REPOSICIONES PARACORE OFERTA VÁLIDA SOLO CON SU PROMOTOR COLTENE RESTAURACIÓN 9

HySolate Dique Dental

Los colores claros permiten iluminar de manera natural el campo operatorio, y los colores oscuros aportan un mejor contraste Diques sin polvo y bajo contenido en proteinas de latex: reducen el riesgo de hipersensibilidad al latex Visibilidad mejorada gracias a un aislamiento mejorado. Barrera contra infecciones Crear un campo operatorio seco El dique HySolate está fabricado a base de puro latex natural, sin polvo. Un dique dental sin polvo y con baja carga de proteina de latex es una medida simple y eficaz de reducir riesgos de desarrollar con el tiempo una hipersensibilidad al latex. El dique HySolate está disponible en diferentes colores, medidas, perfume y grosores. Un movimiento inteligente para aislar PIDA UNA MUESTRA GRATUITA A SU PROMOTOR COLTENE 60033844 BLACK EDITION - 152 × 152 mm - MEDIO ×2 60033845 VERDE - 152 × 152 mm - MEDIO ×2 NOVEDAD 10 DISPOSITIVOS AUXILIARES PARA EL TRATAMIENTO

Dique latex HySolate, Fino

Cantidad Medida Color Perfume Ref. Precio

36 × 152 × 152 mm Negro 60031351 27 €

Dique latex HySolate, Medio 36 × 152 × 152 mm Negro 60031352 30 €

Dique latex HySolate, Grueso 36 × 152 × 152 mm Negro 60031353 33 €

Dique latex HySolate, Extra Grueso 36 × 152 × 152 mm Negro 60031354 34 €

Dique latex HySolate, Medio 360 × 152 × 152 mm Negro 60031355 285 €

Dique latex HySolate, Fino 52 × 127 × 127 mm Verde 60034414 24 €

Dique latex HySolate, Medio 52 × 127 × 127 mm Verde 60034415 26 €

Dique latex HySolate, Grueso

52 × 127 × 127 mm Verde 60034416 29 €

Dique latex HySolate, Extra Grueso 52 × 127 × 127 mm Verde 60034417 30 €

Dique latex HySolate, Fino 36 × 152 × 152 mm Verde 60034418 24 €

Dique latex HySolate, Medio

Dique latex HySolate, Grueso

Dique latex HySolate, Extra Grueso

36 × 152 × 152 mm Verde 60034419 26 €

36 × 152 × 152 mm Verde 60034420 29 €

36 × 152 × 152 mm Verde 60034421 30 €

Dique latex HySolate, Medio 364 × 127 × 127 mm Verde 60034422 248 €

Dique latex HySolate, Medio 360 × 152 × 152 mm Verde 60034423 248 €

Dique latex HySolate, Fino 52 × 127 × 127 mm Claro 60034424 24 €

Dique latex HySolate, Medio 52 × 127 × 127 mm Claro 60034425 26 €

Dique latex HySolate, Grueso 52 × 127 × 127 mm Claro 60034426 29 €

Dique latex HySolate, Fino 36 × 152 × 152 mm Claro 60034427 24 €

Dique latex HySolate, Medio 36 × 152 × 152 mm Claro 60034428 26 €

Dique latex HySolate, Grueso 36 × 152 × 152 mm Claro 60034429 29 €

Dique latex HySolate, Extra Grueso 36 × 152 × 152 mm Claro 60034430 30 €

Dique latex HySolate, Medio 360 × 152 × 152 mm Claro 60034431 248 €

Dique latex HySolate, Medio 364 × 127 × 127 mm Claro 60034432 248 €

Dique latex HySolate, Medio 52 × 127 × 127 mm Azul 60034441 26 €

Dique latex HySolate, Medio 36 × 152 × 152 mm Azul 60034442 26 €

Dique latex HySolate, Grueso 36 × 152 × 152 mm Azul 60034443 29 €

Dique latex HySolate Fiesta, Fino 36 × 152 × 152 mm Surtido Tutti Fruitti 60034433 24 €

Dique latex HySolate Fiesta, Fino 52 × 127 × 127 mm Surtido Tutti Fruitti 60034434 24 €

Dique latex HySolate Fiesta, Medio 52 × 127 × 127 mm Surtido Tutti Fruitti 60034435 28 €

Dique latex HySolate Fiesta, Medio 36 × 152 × 152 mm Surtido Tutti Fruitti 60034436 28 €

Dique latex HySolate Fiesta, Grueso 52 × 127 × 127 mm Surtido Tutti Fruitti 60034437 30 €

Dique latex HySolate Fiesta, Grueso 36 × 152 × 152 mm Surtido Tutti Fruitti 60034438 30 €

Dique latex HySolate Fiesta, Medio 364 × 127 × 127 mm Surtido Tutti Fruitti 60034439 248 €

Dique latex HySolate Fiesta, Medio 360 × 152 × 152 mm Surtido Tutti Fruitti 60034440 298 €

11 DISPOSITIVOS AUXILIARES PARA EL TRATAMIENTO

NUEVOS

PRESIDENT The Original MATERIAL DE IMPRESIÓN heavy body LA GAMA PRESIDENT EN UNA MIRADA
COLORES Los nuevos colores vivos de la familia PRESIDENT ofrecen un mejor contraste con los materiales de rebase y los de cubeta para una mejor visión de los detalles. PROSTODONCIA 12 Fluidez Viscosidad Dureza final Resistencia al desgarro Recuperación elástica REBASE Xtra light body 50 Shore A 1,9 MPa 99,8 Light body 50 Shore A 1,9 MPa 99,8 % Regular body 55 Shore A 2,5 MPa 99,8 % MATERIAL DE CUBETA MonoBody 58 Shore A 3,0 MPa 99,7 % heavy body 63 Shore A 3,5 MPa 99,7 % putty super soft 55 Shore A 2,5 MPa 99,5 % putty soft 65 Shore A 2,8 MPa 99,4 % putty 75 Shore A 3,5 MPa 99,2 %
Puntas de mezcla universales para cartucho 50 ml 60019663 38,28 € 40 × 60019694 72,14 € 100 × PRESIDENT The Original putty 79,95 € 59,96 € 2 × 300 ml Base y catalizador 2 × Cucharillas Viscosidades putty 60019942 putty soft 60019943 putty soft fast 60022166 putty super soft 60019944 system 360 ,11 € 132,08 € 2 × 380 ml Anillo de cierre Viscosidades MonoBody 60019946 heavy body 60019948 2 × 50 ml 12 × Puntas de mezcla universales Viscosidades regular body 60019939 light body 60019938 Xtra light body 60019937 EN NOVIEMBRE Y DICIEMBRE -25% PRESIDENT THE ORIGINAL PROSTODONCIA 13

VELOCIDAD

Siempre una de las siliconas A más rápidas

AFFINISPROSTODONCIA 14

AFFINIS

putty 101,32 € 75,98 € 2 × 300 ml Base y Catalizador 2 × Cucharillas Viscosidades putty soft 6530 putty soft fast 6531 putty super soft 6535 AFFINIS y AFFINIS PRECIOUS 64,45 € 48,33 € 2 × 50 ml 12 × Puntas de mezcla universales Viscosidades light 6501 light fast 6601 regular 6511 regular fast 6611 PRECIOUS light 6775 PRECIOUS regular 6776 AFFINIS system 360 210,27 € 157,70 € 2 × 380 ml Reposición 1 × Anillo de cierre Viscosidades putty 6472 heavy body 6487 MonoBody 6482 Una silicona A siempre entre las más rápidas de su generación. AFFINIS Fast con un fraguado de 2 min. 10 Corona de exito hasta el mínimo detalle EN NOVIEMBRE PROSTODONCIA 15

trabajar

TIEMPO DE TRABAJO CLÍNICO

Speedex ofrece propiedades físicas que la aproximan a las siliconas vinilpolixiloxanas de adisión. El sistema Speedex proporciona las ventajas de
con solo un activador para 3 consistencias. 7 días estabilidad dimensional Tiempo de trabajo controlable Sperficie activada Control sobre la humedad Precisión optimizada Detalles superiores Excelente control de la fluidez
Speedex light | Máximo 4:30 min Speedex medium | Máximo 4:00 min Speedex putty & Speedex putty soft | Máximo 4:15 min Speedex putty 4970 36,60 € 27,45 € 1 × 910 ml Speedex light body 4980 15,06 € 11,29 € 1 × 140 ml Speedex Universal Activator 4990 21,27 € 15,95 € 1 × 60 ml Speedex putty soft 60023572 36,60 € 27,45 € 1 × 910 ml Speedex medium 4986 15,06 € 11,29 € 1 × 140 ml Bites of passion SpeedexPROSTODONCIA 16 OFERTA -25% SPEEDEX
ETAPA 1 ETAPA 2 ETAPA 3ETAPA 1 ETAPA 2 ISO O∕ 1/10 mm 140 140 140 Head L in mm 1.6 1.6 1.6 Reposiciones (5 pulidores) 60019881 60019882 60019883 Reposiciones (× 5) 72 € 72 € 72 € ISO O∕ 1/10 mm 110 140 110 140 Head L in mm 1.6 1.6 1.6 1.6 Reposiciones (5 pulidores) 60019877 60019878 60019879 60019880 Reposiciones (× 5) 72 € 72 € 72 € 72 € ETAPA 1 ETAPA 2 ISO O∕ 1/10 mm 140 140 Head L in mm 1.6 1.6 Reposiciones (5 pulidores) 60022004 60022005 Reposiciones (× 5) 74 € 74 € Cada kit de prueba contiene 1 pulidor de cada referencia. 60022006 25,78 € 60019915 46,14 € 60019914 34,61 € ShapeGuard Kit de prueba para Zirconio ShapeGuard Kit de prueba para Composite ShapeGuard Kit de Prueba para Cerámica LOS COMPOSITES El perfecto pulidor DIATECH ShapeGuard ISO O∕ 1/10 mm 140 Head L in mm 1.6 US No. 152EZ Reposiciones (× 5) 235177AA DIATECH para Endo Fresa Carburo Tungsteno para turbina con Punta Inactiva para Endodoncia Forma tronco cónica para apertura de la cámara pulpar Punta inactiva, no cortante Cabeza 8,8 mm parte activa conservadora ISO 014 Caja 5 unidades DIATECH para Endo Caja de 5 fresas 235177AA 33 € INSTRUMENTOS ROTATIVOS 17

DIATECH Speedster

Combinación de potencia y precisión

Elaboradas con tecnología de vanguardia, las fresas Speedster están hechas de una pieza maciza de carbono de primera calidad con un grano submicrónico. Los procesos de fresado de precisión multiaxial introducen ángulos cuidadosamente diseñados, estrías, ángulos de inclinación y deslizamiento de cuchillas para que la geometría y el corte sean óptimos.

El diseño asistido por ordenador (CAD, por sus siglas en inglés) es la base primordial para la creación de fresas de carburo consistentes y concéntricas.

Nuestro proceso de inspección de calidad garantiza que todas las fresas Speedster cumplan con los elevados requisitos de calidad de COLTENE.

Los diseños avanzados y los agresivos ángulos de inclinación permiten crear instrumentos de mayor duración, concéntricos y de corte más homogéneo que recortan rápidamente materiales como la amalgama, el oro, la porcelana, el esmalte y la PFM.

DIATECH Speedster: potencia y precisión cuando más se necesitan.

INDICACIONES

Preparación de cavidades

Retirada de obturaciones antiguas

Corte de coronas Preparación de coronas

AVANZADO DE UNA PIEZA DE CARBURO MACIZA CONCÉNTRICA

Su excelente eficacia de corte reduce la preparación y el tiempo de tratamiento Contacto consistente con la superficie del diente para un corte más homogéneo Menos vibración

daño a la estructura dental

resistencia

desgaste

DISEÑO
Menos
Gran
al
Gran durabilidad S5.012 - Caja de 10 fresas 237114AA 29,26 € S5.012 - Caja de 100 fresas 237214AA 275 €
PREGUNTE A SU PROMOTOR COLTENE POR LA MEJOR OFERTA
INSTRUMENTOS ROTATIVOS 18

LIMAS K

lima K se utiliza para explorar el canal radicular antes de pasar al conformado. Esta lima da una primera indicación de la anatomía del canal, este paso debe completarse con una radiografía. Durante la primera exploración, la K ayuda a determinar la longitud de trabajo, con o sin el uso de un localizador de ápice, ensanchando y eliminando las principales limitaciones.

ENSANCHADOR

o colocar el material de obturación.

HEDSTROEM

Sus ángulos muy agudos son los más adecuados para corte vertical de dentina y para la ampliación del conducto radicular y la eliminación de restos del ápice a la parte coronal, especialmente cuando las paredes del canal son irregulares.

H-Files (hedstroem)

Hedstroem H-Files B6

Blister con 6 instrumentos estérilizados Limas mecanizadas para multiples usos MicroMega HandFiles* Evaluación de la anatomía del conducto *Limas K, Ensanchador, Hedstroem B6 K-Files n006 L25 sterile 60029718 10,33 € B6 K-Files n006 L31 sterile 60029719 B6 K-Files n008 L25 sterile 60029721 B6 K-Files n008 L31 sterile 60029722 B6 K-Files n010 L25 sterile 60029724 B6 K-Files n010 L31 sterile 60029725 B6 K-Files n015 L25 sterile 60029727 B6 K-Files n015 L31 sterile 60029728 B6 K-Files n020 L25 sterile 60029730 B6 K-Files n020 L31 sterile 60029731 B6 K-Files n025 L25 sterile 60029733 B6 K-Files n025 L31 sterile 60029734 B6 H-Files n008 L25 sterile 60029781 10,33 € B6 H-Files n008 L31 sterile 60029782 B6 H-Files n010 L25 sterile 60029784 B6 H-Files n010 L31 sterile 60029785 B6 H-Files n015 L25 sterile 60029787 B6 H-Files n015 L31 sterile 60029788 B6 H-Files n020 L25 sterile 60029790 B6 H-Files n020 L31 sterile 60029791 B6 H-Files n025 L25 sterile 60029793 B6 H-Files n025 L31 sterile 60029794 B6 K-Reamers n006 L25 sterile 60029655 10,33 € B6 K-Reamers n006 L31 sterile 60029656 B6 K-Reamers n008 L25 sterile 60029658 B6 K-Reamers n008 L31 sterile 60029659 B6 K-Reamers n010 L25 sterile 60029661 B6 K-Reamers n010 L31 sterile 60029662 B6 K-Reamers n015 L25 sterile 60029664 B6 K-Reamers n015 L31 sterile 60029665 B6 K-Reamers n020 L25 sterile 60029667 B6 K-Reamers n020 L31 sterile 60029668 B6 K-Reamers n025 L25 sterile 60029670 B6 K-Reamers n025 L31 sterile 60029671
La
Utilizado originalmente para localizar la entrada a los canales, hoy en día se usan como lima para alisar y eliminar residuos
MicroMega
6 ×
MicroMega K-Reamers (ensanchador) 6 × Ensanchador K-Reamers B6 MicroMega K-Files (limas K) 6 × Limas K-Files B6 LONGITUDES DISPONIBLES 21, 25 y 31 mm CONICIDAD 2 % MEDIDAS De 006 a 140 ENDODONCIA 19

CanalPro Jeni

Sistema de asistencia digital para la preparación del conducto radicular

El nuevo asistente para endodoncia CanalPro Jeni, totalmente automátizado, inovador y único, garantiza un tratamiento canalar seguro, simple y eficaz. Jeni adapta el movimiento de la lima en milisegundos y encuentra el camino a traves del canal radicular mientra que el utilizador solo tiene que aplicar una ligera presión sobre la lima.

5 sistemas de limas NiTi programadas; HyFlex CM & EDM, MicroMega One Curve, HyFlex Remover y MicroMega 2Shape Detecta riesgos de fractura de limas El Programa Doctor´s Choice permite memorizar otras secuencias de limas incluidas las reciprocantes

El Localizador de ápice integrado garantiza une medición precisa y continua de la distancia de trabajo

Nuevo sistema de asistencia autónomo para el tratamiento del conducto

Movimiento Jeni, cambia según progresa, cada conducto es diferente!

Idealmente adaptado a las limas Coltene y MicroMega

Notifica cuando irrigar

Sistema preventivo de rotura de lima

Localizador de Ápice, una medición sin interupciones

Programa Doctor Choice* para cualquier sistema de limas incluido reciprocantes

Fácil instalación de Actualizaciones, siempre al día

CanalPro Jeni, set completo

3 327 €

Dispositivo

Motor con localizador de ápice

Contra-ángulo completamente aislado

ápice

detalles en el catálogo: características del software, particularidades del hardware.

DESCUBRA AL ASISTENTE ENDO JENI!
60023659
1 ×
1 ×
1 ×
1 × Pedal Bluetooth 1 × Set de alimentación 1 × Set de cableado localizador de épice 1 × Accesorios para localizador de
Más
ENDODONCIA 20

Move

la lima

húmedo gracias a una tecnología de determinación multifrecuencia Estabilidad del voltaje entregado sea cual sea el nivel de la batería Indicaciones visuales y sonoras en tiempo real El apagado automático conserva la vida útil de la batería Autocomprobador Plug & Play

ambiente

Excelente experiencia en el trabajo

Doble movimiento, rotación continua o reciprocante 6 memorias programables con programación de velocidad, el sentido de giro y el par máximo

Motor Endo Inalámbrico MicroMega MicroMega Dual Move motor con rotación continua + reciprocante abierto 52002004 1 063 € 1 × Pieza de mano Dual Move + batería 1 × Soporte de la pieza de mano 1 × Cable de transferencia de datos 1 × Cargador con adaptador 1 × Boquilla para lubrificar 1 × Protector cabezal de silicona 1 × Instrucciones de uso Dual Pex localizador electónico apical 51300050 536,82 € 429,45 € 1 × Localizador de ápice Dual Pex + batería 2 × Clips laviales 1 × Probador 2 × Pinza 1 × Cableado para medición 1 × Cargador con adaptador 1 × Instrucciones de uso Localizador electrónico apical 06 00 Dual Pex Dual
Pantalla fácil de usar Localización precisa de
en los conductos radiculares en un
seco o
FUNCIÓN DE RECIPROCANTE DISPONIBLE ENDODONCIA 21 OFERTA GRATIS 150 LIMASOFERTA -20% EN MICROMEGA DUAL PEX

NOVEDAD

CARACTERÍSTICAS

Preparación conservadora MicroMega One Curve mini MicroMega One Curve mini puntas de Gutapercha y puntas de PapelMicroMega One Curve mini 5 × B5 One Curve mini sterile CONFORMANDO EL CONDUCTO RADICULAR Preservación de la dentina pericervical Eliminación de estructura dental mínima Respeto de la forma del conducto radicular Creación de un espacio óptimo para una desinfección completa y una obturación adecuada
Tamaño reducido / cónico Alambre de 1 mm Tratamiento térmico de C.Wire Eficiencia de corte Lima única, un solo uso Blíster estéril 3 longitudes: 21, 25, y 31mm Tamaños 25/.04, 25/.06, 35/.04, 45/.04 60 uds 144 uds GP 25/.04 60031547 21,40 € GP 35/.04 60031548 GP 45/.04 60031549 GP 25/.0~ 60031550 PP 25/.04 60031741 PP 35/.04 60031743 PP 45/.04 60031744 PP 25/.06 60031745 Para más información sobre MicroMega One Curve mini escanear el código QR L21 mm L25 mm L31 mm B5 One Curve mini N25 4 % 60030017 60030021 60030025 56,21 € B5 One Curve mini N25 6 % 60030018 60030022 60030026 B5 One Curve mini N35 4 % 60030019 60030023 60030027 B5 One Curve mini N45 4 % 60030020 60030024 60030028 B4 One Curve mini L25 Assorted 60030033 60030034 60030035 PRODUCTO DEL MES EN DICIEMBRE 2+1 MICROMEGA ONE CURVE MINI B5 OFERTA VÁLIDA SOLO CON SU PROMOTOR COLTENE ENDODONCIA 22 TORQUE MÁXIMO 2,5 N.cm VELOCIDAD DE ROTACIÓN 300 - 450 rpm
EVOLUCIÓN

NOVEDAD

CARACTERÍSTICAS

60 uds 144 uds GP 25/.04 60031543 21,40 € GP 40/.04 60031544 GP 25/.06 60031545 GP 35/.06 60031546 PP 25/.04 60031735 PP 40/.04 60031737 PP 25/.06 60031738 PP 35/.06 60031739 MicroMega 2Shape mini Preparación conservadora CONFORMANDO EL CONDUCTO RADICULAR Preservación de la dentina pericervical Eliminación de estructura dental mínima Respeto de la forma del conducto radicular Creación de un espacio óptimo para la desinfección en profundidad y una adecuada obturación
Tamaño reducido / cónico Alambre de 1 mm Tratamiento térmico T.Wire Eficiencia de corte 2 limas de modelado Blíster estéril 3 longitudes: 21, 25 y 31 mm Uso múltiple MicroMega 2Shape mini puntas de Gutapercha y puntas de PapelMicroMega 2Shape mini 5 × B5 2Shape mini sterile Classics S PRODUCTO DEL MES EN DICIEMBRE 2+1 MICROMEGA 2SHAPE MINI B5 OFERTA VÁLIDA SOLO CON SU PROMOTOR COLTENE L21 mm L25 mm L31 mm B5 2Shape TS1 mini N25 4 % 20953201 20953211 20953221 59 € B5 2Shape TS2 mini N25 6 % 20953202 20953212 20953222 B5 2Shape F35 mini N35 6 % 20953203 20953213 20953223 B5 2Shape F40 mini N40 4 % 20953204 20953214 20953224 ENDODONCIA 23
EVOLUCIÓN TORQUE MÁXIMO 2,5 N.cm VELOCIDAD DE ROTACIÓN 250 - 400 rpm Para más información sobre MicroMega 2Shape mini escanear el código QR
HyFlex EDM HyFlex EDM reposición 48,34 € 3 × Lima de su elección HyFlex EDM Kit de conformado Simple 1 × 25/.12 Orifice Opener 1 × 10/.05 Lima de permeabilización 1 × 25/~ Lima de conformado Largo 21 mm 60022267 25 mm 60019363 48,34 € HyFlex EDM Kit de conformado Medio 1 × 10/.05 Lima de permeabilización 1 × 20/.05 Lima de preparación 1 × 25/~ Lima de conformado Largo 21 mm 60022277 25 mm 60022278 ,34 € HyFlex EDM Kit de acabado 25mm (opcional) 40/.04 50/.03 60/.02 60022268 25 mm 60019364 48,34 € HyFlex EDM puntas de Gutapercha 22,41 € 60 × Puntas de Gutapercha HyFlex EDM HyFlex EDM puntas de Papel 13,18 € 100 × Puntas de Papel HyFlex EDM 20/.05 OneFile 25/~ 40/.04 60022708 50/.03 60022709 60/.02 60022710 Surtido 20/.05 - 60/.02 60022705 20/.05 OneFile 25/~ 40/.04 60022676 50/.03 60022741 60/.02 60022740 Surtido 20/.05 - 60/.02 60022744 Una resistencia a la fractura hasta un 700 % superior! PRODUCTO DEL MES EN DICIEMBRE 2+1 HYFLEX EDM OFERTA VÁLIDA SOLO CON SU PROMOTOR COLTENE ENDODONCIA 24 Orifice Opener HandFiles ` Lima de permeabilización según la anatomía del canal 15/.03 10/.05 Lima de preparación Lima de conformado 25/~ OneFile Largo Reposición × 3 400 rpm 2,5 Ncm Reposición × 3 300 rpm 1,8 Ncm Reposición × 3 300 rpm 1,8 Ncm Reposición × 3 400 rpm 2,5 Ncm Reposición × 3 400 rpm 2,5 Ncm 21 mm Ver página 19 60023493 60022269 60022275 60022270 25 mm O lima de su elección 60023492 60019594 60022276 60019595 15 mm 60019596

Para más informaciόn

MicroMega

Explorando nuevas direcciones UNA LIMA RECIPROCANTE ÚNICA Eficacia de corte: sección asimétrica variable patentada Seguridad: resistancia a la fatiga cíclica Flexibilidad: respeta la anatomía del canal gracias al tratamiento térmico C.Wire Minimamente-invasiva: preserva la zona peri-cervical y demás tejidos Para más informaciόn sobre MicroMega One RECI, visite nuestra site web: micro-mega.com/one-reci Escanear cόdigo QR para descargarse la lista detallada de las referencias o puede verlas en channel.micro-mega.com MicroMega One RECI GP 20/.04 60031551 GP 25/.04 60031552 GP 35/.04 60031553 GP 45/.04 60031554 GP 25/.06 60031679 MicroMega One RECI puntas de Gutapercha 21,40 € 60 × Puntas de Gutapercha One RECI MicroMega One RECI 5 uds/pack (B5) 56,41 € L21 mm L25 mm L31 mm B5 One RECI n20 4 % sterile - 5 × 20.04 60029878 60029883 60029888 B5 One RECI n25 4 % sterile - 5 × 25.04 60029879 60029884 60029889 B5 One RECI n25 6 % sterile - 5 × 25.06 60029880 60029885 60029890 B5 One RECI n35 4 % sterile - 5 × 35.04 60029881 60029886 60029891 B5 One RECI n45 4 % sterile - 5 × 45.04 60029882 60029887 60029892 B5 One RECI Surtidas sterile 1 × 20.04 1 × 25.04 1 × 25.06 1 × 35.04 1 × 45.04 60029898 60029899 60029900 PP 20/.04 60031746 PP 25/.04 60031747 PP 35/.04 60031748 PP 45/.04 60031749 PP 25/.06 60031750 MicroMega One RECI puntas de Papel 21,40 € 144 × Puntas de Papel One RECI PRODUCTO DEL MES EN DICIEMBRE 2+1 MICROMEGA ONE RECI B5 OFERTA VÁLIDA SOLO CON SU PROMOTOR COLTENE
sobre
One RECI, visite nuestra site web: micro-mega.com/one-reci Escanear cόdigo QR para descargarse la lista detallada de las referencias o puede verlas en channel.micro-mega.com ENDODONCIA 25 VELOCIDAD DE MOVIMIENTO 300 - 400 rpm TORQUE MÁXIMO 4 N.cm ÁNGULOS RECIPROCANTES 170/60
CanalPro Innovador sistema modular para el llenado seguro y eficaz de jeringas con soluciones de irrigación. 60019323 60019324 60011175 60011176 CanalPro SyringeFill Cap SyringeFill Cap SyringeFill CanalPro sobremesa 183,13 € Soporte para frasco incl. base SyringeFill CanalPro pared 60031348 136,57 € 102,42 € 1 × Soporte para frasco 3 × SyringeFill Cap ENDODONCIA 26 Protegido contra la contaminación Rápido y limpio sin goteos Más seguridad, el riesgo de confundir las jeringas se minimiza gracias a la codificación por colores CanalPro Jeringas 13,61 € 50 × Jeringas CanalPro 5 ml 16,48 € 50 × Seringues CanalPro 10 ml OFERTA -15% SOPORTES CANALPRO

Soluciones de irrigación

CanalPro NaOCI CanalPro EDTA 17 % CanalPro CHX 2 % Hipoclorito para la irrigación y el desbridamiento de los canales radiculares durante y después de la instrumentación. Elimina el barrillo dentinario y abre los túbulos para mejorar la acción de las soluciones de desinfección. Clorhexidina al 2%, irrigante adicional muy efectivo contra la E. Faecalis y Hongos. CanalPro NaOCI 3 % 1 × 500 ml 60019655V 34,23 € 25,67 € CanalPro NaOCI 6 % 1 × 500 ml 60019656V 34,23 € 25,67 € CanalPro EDTA 17 % 1 × 500 ml 60019651 71,31 € 53,50 € CanalPro EDTA 17 % 1 × 100 ml 60019654 21 € 15,75 € CanalPro CHX 2 % 1 × 500 ml 60019658 54,53 € 40,89 € CanalPro CHX 2 % 1 × 100 ml 60019659 21,07 € 15,80 € OFERTA -25% SOLUCIONES CANALPRO ENDODONCIA 27

REPOSICIONES

ideal e identica

durante toda la duración del tiempo de trabajo

Polvo de gutapercha, polidimethiloxano, catalizador platino, dioxido de zirconio, plata micronizada, colorante, vitrocerámica bioactiva Expande sin condensación, menos tiempo de trabajo Adhesión a la punta de gutapercha y a la pared dentinaria

Nivel 1 ( Protección directa):

Protección de las obturaciones por la bioactividad en caso de humedad residual en el canal radicular.

Nivel 1 ( Protección directa): Protección de las obturaciones por la bioactividad en caso de humedad residual en el canal radicular.

Tiempo de trabajo

Reposición ROEKO GuttaFlow bioseal

Jeringa de doble cuerpo

ROEKO GuttaFlow bioseal

de doble cuerpo

de

Nivel 2 ( Seguridad latente): Protección regeneradora en caso de una ltración posterior por ej. por la formación de una sura etc.

Nivel 2 ( Seguridad latente):

Protección regeneradora en caso de una ltración posterior por ej. por la formación de una sura etc.

Reposición puntas de mezcla ROEKO GuttaFlow bioseal

de

60019562 33,46 € 24 × Puntas
mezcla
: 5 mn Polimerización: 12 - 16 mn
60019561 147,78 € 118,22 € 1 × 5 ml
Kit
60019560 163,28 € 1 × 5 ml Jeringa
12 × Puntas
mezcla 1 × Bloc de mezcla -20%
ROEKO GUTTAFLOW BIOSEALConsistencia
ENDODONCIA 28

MINUTO

Limpieza y desinfección en un solo paso

Virucida

Tiempo

Bactericida

SciCan OPTIM 1
Con un tiempo de contacto rápido y de amplio espectro, es uno de los limpiadores y desinfectantes más rápidos y eficaces del mercado incluso con el Coronavirus. Responde a las más exigentes normas germicidas Europeas sobre desinfección. OPTIM1 no es tóxico es respetuoso con el medio ambiente.
en 30 segundos (EN 14476) Virus no encapsulados Adenovirus, Poliovirus, Norovirus Murine en solo 30 segundos!
de contacto virucida de 30 segundos contra el Covid-19 (Coronavirus)
en 1 minuto (EN 1327,EN16615) Tuberculocida en 1 minuto (EN14348) Fungicida & Levuricida en 1 minuto (EN13624, EN 16615) 100 % EFECTIVO CONTRA EL CORONAVIRUS Más información escaneando el Código QR OPTIM 1 Líquido OPTEU1-4×4 148 € 4 × Garrafa de 4 litros OPTIM 1 Toallitas OPTEU1-12W 14 € 1 × Bote dispensador (160 toallitas) OPTEU1-12W 170,76 € 8,11 € RESULTANTE POR BOTE 12 × Botes dispensadores (1920 toallitas)
DE TIEMPO DE CONTACTO Product insights you can trust. EDIT OR’S CHOIC E 96% note globale obtenue par les éditeurs Dental Système de notation : Excellent + + + + + Très bien + + + + Bien + + + NOVEDAD 29 CONTROL DE INFECCIÓN OFERTA -43% OPTIM 1

MEJORADA

TIEMPOS DE LOS CICLOS

SciCan STATIM B El arte de la esterilización AUTOCLAVE RÁPIDO TECNOLOGÍA G4+
Presentamos el nuevo autoclave de clase B. ¡El milagro de dimensiones compactas que compite fácilmente con las unidades grandes gracias a su carga flexible, a unos ciclos cortos y a sus funciones digitales!
Dimensiones pequeñas, rendimiento extraordinario Cómodas opciones automatizadas para el llenado y el drenaje Programable: funciona según sus órdenes Funciones inteligentes para una automatización y un flujo de trabajo mejorados Tecnología de conectividad G4+ y registro de datos STATIM 6000B G4+ G4-700001 5 480 € CICLO TIPO DE CICLO CARGA MÁX. TEMP. DE ESTERILIZACIÓN TIEMPO DE ESTERILIZACIÓN DURACIÓN DEL CICLO (con secado) Macizo no embolsado N 1 kg 134 °C 3,5 m 15 m Macizo embolsado S 2,6 kg 134 °C 3,5 m 27 m Universal B 1,4 kg 134 °C 3,5 m 27 m Goma y plástico S 1 kg 121 °C 20 m 31 m Personalizar S El usuario puede personalizarlos a temperaturas de 134 °C/121 °C comenzando desde 3,5 min (134 °C) o 20 min (121 °C) con secado ajustable. Prueba de Helix PRUEBA 121 °C o 134 °C 3,5 m Prueba de Bowie-Dick PRUEBA 121 °C o 134 °C 3,5 m Nota: los tiempos pueden variar según la carga y la alimentación eléctrica. Los tiempos de los ciclos enumerados anteriormente se basan en cargas máx. NOVEDAD 30 CONTROL DE INFECCIÓN PRECIO DE LANZAMIENTO 4 663,99 €
UC150 60021988 1 606 € 1 × Cuba UC150 1 × Panel digital 1 × Cesta 1 × Manguera de drenaje 1 × Plantilla para cortar y encastrar 1 × Junta para encastrar 5,7 L 2 AÑOS DE GARANTÍA! UC40 60021961 113 € UC40 1 × 5 L 60021960 30,18 € UC40 1 × 1 L CONTROL DE INFECCIÓN 31 PIDA LA MEJOR OFERTA A SU PROMOTOR COLTENE

PROMOTORES

COLTENE Iberia S.L.U. c/Doctor Fleming, 3 - Bajo A 28220 Majadahonda, Madrid / Spain T +34 91 63 86 492 info.ib@coltene.com COLTENE.Iberia www.coltene.com
ESPAÑA: Zona Galicia, Asturias, León: José Carlos Monteagudo Móvil 683193710 Zona País Vasco, Cantabria, Navarra, La Rioja: Itxaso Viar, Móvil 681180168 Zona Cataluña, Aragón, Islas Baleares: Juan Lacambra, Móvil 696481304 Zona Andalucía Oriental: Francisco García, Móvil 660217655 Zona Andalucía Occidental, Extremadura: Laura Cabrera, Móvil 679281788 Zona Madrid, Castilla León, Castilla la Mancha: Carlos González Móvil 678440542 Zona Valencia, Murcia: Fernando De María Móvil 689186321 PRECIOS SIN I.V.A., VÁLIDOS DEL 01.10.2022 A 31.12.2022 Comprando 30 × reposiciones BRILLIANT EverGlow en jeringa o en tips OFERTA ESPECIAL BRILLIANT EverGlow GRATIS × Lámpara E • C 3 LED 1 048 € 0 € Lámpara de Ultra Alta Intensidad Intensidad de polimerización: Modo standard: 1.600 mw/cm2 +-10% Modo 3K/Orto: 3.000-3.500 mw/cm2 Los precios indicados no incluyen el IVA. Ofertas válidas del 01.10.2022 al 31.12.2022, salvo error tipográfico o rotura de stock. COLTENE se reserva el derecho a modificar o cancelar sus ofertas sin preaviso. 007666 09.22

Turn static files into dynamic content formats.

Create a flipbook
Issuu converts static files into: digital portfolios, online yearbooks, online catalogs, digital photo albums and more. Sign up and create your flipbook.