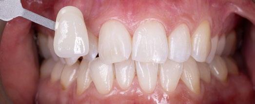
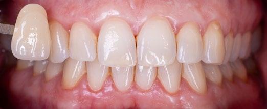
BRILLIANT Lumina



![]()

















BRILLIANT
BRILLIANT





Πηγή: Empa, Swiss Federal Laboratories for Materials Science and Technology
4

ROEKO Parotisroll 160001

ROEKO Luna Gold 109102
ROEKO Surgitip 462025
ROEKO VacuSoft 60023549


© COLTENE – www.coltene.com
Coltène / Whaledent AG
Feldwiesenstrasse 20
CH-9450 Altstätten
Τηλ. +41 71 757 53 00 info@coltene.com

Coltène / Whaledent GmbH + Co. KG
Raiffeisenstraße 30
DE-89129 Langenau
Τηλ. +49 7345 805 0 info.de@coltene.com
service@coltene.com
800 11
12 (UIFN)