The Malibu Times • December 8, 2022

Page 1

The Malibu Times The Malibu Times

e window is closing for com munity residents to submit written comments and questions by email or regular mail to the Mountains Recreation & Conservation Au thority (MRCA) on their proposed overnight camping plans for Mal ibu. O cially titled the “Malibu Lower-Cost Accommodations Public Works Plan for Malibu Blu s and Ramirez Canyon Park,” the agency wants to allow up to 480 overnight campers in Malibu Blu s Park and up to 80 overnight camp ers in Ramirez Canyon Park.

Written comments from the public are being solicited in prepa ration for the MRCA’s Environ mental Impact Report (EIR) on the project. e EIR will be used by the MRCA when considering approval

Think of the final scene of Cinema Paradiso, where after many years away, the famous

movie director returns to the small Sicilian town that shaped him, and he sees all the characters who were part of that shaping — older faces, happy faces, crazy faces.

at was kind of the vibe of the nal day of Malibu Kitchen, which closed on Dec. 4, exactly 22 years after it opened.

Two decades of familiar, famous, and anonymous faces came by to say adieu and thanks for the

meatloaf, the bagels, the tsunamis of Peet’s co ee, and all the food, ’tude, Sinatra and atmosphere that owed from Malibu Kitchen going back to 2000.

Many, many faces, famous and anonymous, including 90-plusyear-old Jimmwy, a World War II veteran who got shrapnel in his knee during the invasion of Normandy. A regular at Lilly’s most of the week, Jimmy had a

regular corner at Malibu Kitchen on Sundays, where he would watch the world go by, listen to the Lambos rev, and re ect back on a long, long life.

Jay Leno showed face — as the Hawaiians say — and his face looked pretty good, considering he had been badly burned while working under a steam car in the middle of November.

Leno rolled up in a yellow

e Malibu City Council took time out of its busy meeting last week to honor the chief executive o cer of the Malibu Paci c Pali sades Chamber of Commerce. Bar bara Bruderlin has served the Mali bu business community as CEO of the now merged Chamber of Com merce since 2016. She was honored for her dedication to the community. In her tenure, Bruderlin revamped the city’s business guide to give a robust presence to local business es, created mixer events so business owners can network and important ly inaugurated a mixer to help res idents and businesses that su ered

Our Lady of Malibu School hosted its Christmas Boutique on Saturday, Dec. 3.

The event featured vendor tables, food trucks, a bake sale,

and photos with Santa.

e event ran from 11 a.m. to 5 p.m., and concluded with the Christmas tree lighting ceremony with music and hot cocoa.

ere were a variety of di erent items sold at the event. Vendors sold clothing, jewelry, books, pottery, candles, plants, and salsa.

Twenty percent of all proceeds were donated to the Our Lady of Malibu school and church. e money will go into the annual

fund, which will help make renovations to the school’s upper eld and upper playground in the school’s kindergarten area.

Gina Longo, co-chair of the OLM Parent Guild, said she was grateful for everyone who contributed their time and money for a good cause, but said the event was really about creating community.

“Really it’s about community

Over three weeks ago, on Nov. 14, a horri c fatal accident oc curred at the intersection of Pa ci c Coast Highway and Kanan Dume Road.

e as-yet-unidenti ed driver of a stolen 2017 Lexus NX SUV blasted down Kanan towards Pa ci c Coast Highway at excessive speed. Upon entering the T-in tersection, he did not slow down, and made no attempt to turn left or right to avoid the 30-foot-high cli straight ahead. He hit a pick up traveling west on PCH, causing it to ip over and land on top of a motorcycle waiting at the light.

e Lexus then smashed head-on into the cli and exploded into a

NEWSPAPER • MAGAZINE • ONLINE
NEWSPAPER • MAGAZINE • ONLINE
Times The Malibu Times VOL. LXXVI • NO. XXXII THURSDAY, DECEMBER 8, 2022 malibutimes.com • $.50 • WEEKLY
Award-Winning Community Paper Since 1946
The Malibu
Malibu’s
Bill Miller of Malibu Kitchen says goodbye after more than two decades supercar, and he was joined by Spike Feresten, whose “Spike’s Car Radio” podcast on Apple Radio had turned Malibu Kitchen into a kind of mecca for auto enthusiasts past, present, and futuristic.
Malibu lmmakers Rory Kennedy and Mark Bailey set to debut new volcano documentary on Net ix | B1 INSIDE this week Opinion A2 News Briefs A3 Family identi es body found on Mulholland Calendar A4 Events Community . . . . . . . . . B5 Paci c Ballet Dance eatre to present ‘Joys of the Season’ at Pepperdine News A7 • #SaveLACougars campaign holds seminar ‘Coexisting with Cougars’ to educate residents on recent mountain lion attacks Real Estate A8 Malibu Life B1 • 40 artists display their work at the Malibu Art Association rst annual Holiday Boutique and Art Sale People B2 Legal Notices B3 Business & Directory B5 Classi eds B5 Sports B8 Our Lady of Malibu welcomes community to its Christmas Boutique Deadline to submit comments on MRCA’s proposed Malibu campsite plans is Dec. 16 GoFundMe created for motorcyclist suffering near-fatal injuries Malibu Pacific Palisades Chamber of Commerce CEO honored by City Council CONTINUED ON PAGE A6 CONTINUED ON PAGE A9 Proceeds help support renovations at OLM school and church Proposal would put up to 480 overnight campers at Malibu Blu s and up to 80 at Ramirez Canyon Stephen Levey, 55, is home from the hospital, but has a lifetime of recovery ahead Barbara Bruderlin helps Malibu businesses succeed
Special
The Malibu Times
By JIMY TALLAL
to
Bill Miller (center) and friends, Spike Feresten (left), Matt Farah, Paul Zuckerman Esq., Judith Haenel, Jay Leno, and Jonny Lieberman pose for a photo on Sunday, Dec. 4 in front of Malibu Kitchen before closing its doors for good after 22 years.
by Mo Satarzadeh Santa Claus made an appearance at the Old Lady of Malibu Christmas Boutique on Saturday, Dec. 3. Photos by Julie Ellerton/TMT Twenty-two years of myths, legends, rumors, and pies CONTINUED ON PAGE A8 CONTINUED ON PAGE A8 PHOTOS ON PAGE A9
Photo
Special
to The Malibu Times
HAPPY HOLIDAYS SAFE AND CLEAN STOP FOR KIDS SHOP FOR KIDS EAT WITH KIDS

In Case

You Missed it

e top stories from last week you can read at MalibuTimes.com

For more than a quartercentury, the entertainment reporter delighted her readers

Several recognized for their commitment to community, residents continue to air concerns on MRCA proposal

All proceeds from the tours, and sales from the Visitor Center, bene t the Malibu Adamson House Foundation

OPINION

Letters to the Editor

*Letters to the Editor may not re ect the view, opinion and/or ethics of the e Malibu Times. ey are however, letters from the people of Malibu. We support your right to express your opinion. Read "Write to Us" to submit your letter today.

Malibu Kitchen

Dear Editor, Sorry to hear about Malibu Kitchen. I can see how 22 years of constant, chronic rudeness would be pretty exhausting.

Post Mortem

Dear Editor, It is often difficult to know precisely what the results of an election mean because there are so many different reasons why people vote the way they do.

First and foremost, Doug Stew art and Marianne Riggins were elected because they are both decent, caring, competent peo ple who want to make Malibu a better place. They ran positive campaigns, made themselves ac cessible to the community, and have already served our City in different ways.

There were also other factors at play. I don’t think it is a stretch to say that the local election for City Council was partially a referendum on civility—some thing the majority of people in Malibu are hungering for and which has been in short supply in some quarters these past cou ple of years.

I don’t think any one issue played the dominant role in this campaign, nor do I believe that our mission statement was in any way rejected by the vot ers. From what I could gather from the campaign materials I saw, all the candidates should be congratulated on running a clean campaign addressing what they wanted to do for Malibu, not demonizing their opponents. Unfortunately, the same cannot be said of a dozen or so people on Nextdoor who tried to falsely accuse Doug of being a developer and Marianne of malfeasance.

I do not share the conclu sion that this was an especially

close election between the “slow growth” group and the “more pro-development” group, and that there was no mandate. Doug and Marianne and most of those who supported them are not re motely pro-development. Nor was this a close election. Doug, as of this writing (probably the final tally), had 2,206 votes, and he and Marianne had roughly 48 percent of the vote with six names on the ballot. Their next two closest opponents had a combined vote total of 37 per cent.

In April of 2014 Laura Rosen thal finished in first place with 1,561 votes, and in the Presi dential election of 2020 which generated a considerably larger voter turnout, Bruce Silverstein garnered 2,414 votes, not mate rially more than Doug got in an off year election.

Just as people on the national scene are tired of Trump’s name calling (even those who approve of his policies), most of us in Malibu are also tired of the in cessant personal attacks fre quently expressed on Nextdoor. A small minority of people dominate Nextdoor on occasion, but they do not begin to repre sent most of the people who live here and wish to use Nextdoor as it was intended—for neighbor to help neighbor. We have had enough of the name calling, false accusations without evidence, the constant questioning of people’s motivation simply because they might have a different opinion, and the endless trashing of vir tually all the people whom we elected over past years—people who tried their level best to serve Malibu.

I believe that all this negativ ity came back to hurt the very candidates a small band of sup porters were trying to help. Their attacks were counterproductive. Hans Laetz is correct when he says that Nextdoor, as used by some, lost. It is no coincidence that Doug, who ran on a “kind er” and “safer” platform, got by

the publisher HAYLEY MATTSON

the Publisher Emeritus

I’ve known Kim Devore for over twenty- ve years, since she rst came to write for us at the Malibu Times. She was so much part of our lives and the life of the Malibu Times that it is di cult to think of her being gone.

Kim was easy to work with because she cared so much. Her’s was the world of show biz and its people, and she was our emissary to that world. It is a world she had practically been born into. Her Dad Sy Devore was the tailor to show biz royalty, and she grew up with Uncle Frank and Uncle Dean in her family kitchen. Kim was rst a print journalist, later an on-air TV journalist,

far the most votes, so civility did indeed win out.

Bruce Silverstein recently of fered to “bury the hatchet” and has committed to working coop eratively with his fellow mem bers of the Council, and his sup porters on Nextdoor have been virtually silent on Nextdoor since the election. This should all be welcome news to the vast ma jority of Malibuites who simply want a return to civility and a sense of community.

Burt Ross, Malibu

Malibu’s Unique Position

Dear Editor, Our City Council now has two new members, so it might be a good time to remind citizens of Malibu’s unique position. While we are an incorporated city with all of the issues that presents, we also have five other governmen tal or quasi-governmental orga nizations within our city limits that we do not control. Our main street (PCH) is owned by Caltrans. We have State Parks, County and State Beaches, and Santa Monica Mountains Con

and then back to print.

In the last few years, we all admired her pro fessionalism and courage as the disease took over her body and the simplest physical steps came progressively more di cult. But Kim never gave up. She kept writing right up to the end, even as her faculties were failing. She was a woman of remarkable courage to the very end.

We will all miss her.

servancy, all within or adjacent to our boundaries. We also have the California Coastal Commis sion with jurisdiction over many development issues in the City.

Malibu is one of 88 incorpo rated cities in LA County and one of 42 that contract with the County for many services, in cluding the sheriff’s, fire, and water departments. In the early days of our city, the relationships with many of these entities was often adversarial, and that has been repeated of late. There was a period where we developed working relationships with most of these agencies and could often resolve our differences.

Jefferson Wagner and I met one-on-one with every Coast al Commissioner to share the City’s concerns and hear their issues. Former Malibu Coun cilmember Lou LaMonte was president of the California Con tract Cities Association, which allowed us a much bigger voice with the County and the State. I also served on the Las Virgenes Malibu Council of Governments and the Southern California As sociation of Governments, both of which amplified issues of im portance to Malibu.

With the 2022 elections set tled, there are fresh faces at lo cal, County, and State levels that present an opportunity re-open the dialogue with those offices that have an impact on Mali bu. With Lindsey Horvath as the our new County supervisor, we have an individual who has served as mayor of a contract city and knows well the issues we face with the County services. Our new State Senator is Ben Allen, who has represented the neighboring coastal cities and is open to discussing Malibu issues. And Jacqui Irwin is now our as semblywoman. She has served as mayor of Thousand Oaks and is someone with whom we should open discussion.

Malibu does not exist in isola tion. Our issues are intertwined with these of a number of oth er government entities, and we would benefit from developing a rapport with them instead of denigrating and threatening law suits. I hope our City Council can begin to develop these im portant relationships.

PAGE A-2 • Thursday, December 8, 2022 Malibu’s Award-Winning Community Paper Since 1946 malibutimes.com
Malibu institution loses its lease After 50 years in business, A&B Hardware shuts its doors e Malibu Times remembers Kim Devore Plans for Farmers Market, Community Labor Exchange move forward during City Council meeting Adamson House returns with its annual holiday fundraiser Waves tennis pair captures ITA fall national title Savannah Broadus and Janice Tjen end the fall season as the fourth-ranked doubles team in ITA From From
Deadline is every Monday for possible placement in the paper depending on space available. Letters can be up to 400 words. We do not publish anonymous letters, nor every letter received. We reserve the right to edit for clarity and style. Email: editorial@malibutimes.com Submit a letter to the editor THE MALIBU TIMES 24955 Pacific Coast Highway, Suite A102 • Malibu, CA 90265 Editorial: (310) 456.5507 | Advertising: (310) 456.5507 | editorial@malibutimes.com | malibutimes.com © 2022 The Malibu Times • A 13 Stars Publication Periodical postage paid at Malibu, CA 90265. Send address changes to: The Malibu Times, P.O. Box 1127, Malibu, CA 90265 PUBLISHER EDITOR IN CHIEF SALES DIRECTOR COMPANY ADMINISTRATOR ASSISTANT EDITOR COPY EDITOR GRAPHIC DESIGNERS PHOTOGRAPHERS CONTRIBUTORS DISPLAY ADVERTISING Hayley Mattson Hayley Mattson Nic Mattson Cami Martin Samantha Bravo Michael Chaldu Evan Rodda, Neil Schumaker, Jen Rodman, Benson Moore Devon Meyers, Julie Ellerton Jimy Tallal, Judy Abel, McKenzie Jackson, Ted Vaill, Burt Ross, Kim Devore, Emmanuel Luissi, Kathryn Alice Mary Abbott, Anthony McDemas, Dorie Leo “I am not bound to win, but I am bound to be true. I am not bound to succeed, but I am bound to live by the light that I have. I must stand with anybody that stands right, and stand with him while he is right, and part with him when he goes wrong.” — Abraham Lincoln CONEJO HARDWOODS ‘INVINCIBLE’ Pat & Neil Giraldo magazine g p p Features: Invincible Pat & Neil Giraldo ON STANDS NoW winter 2022 Conejo Hardwoods Quality since 1981 Last week in the article titled, "Former Player Moore Takes MHS Boys Soccer Coaching Reigns from Rodriguez" Liam Anderson's last name was incorrect. It was corrected online. The Malibu Times Serving Malibu since 1946 Read the latest news online at MalibuTimes.com
H appiest of Birthdays to my love and the incredible business partner, Nicholas; thank you for all you do for our family, our team, and our business. May this year be the best year yet.

The following incidents were reported between:

NOV 18 - NOV 23

 11/18 | Burglary

A vehicle parked near El Pescador State Beach was bro ken into and a laptop was sto len. e rear passenger window was shattered and was estimat ed to cost $150 to repair. e victim’s laptop worth $2,500 was stolen.

11/18 | Burglary

A vehicle parked near El Matador State Beach was bro ken into and ransacked. e rear passenger window was shattered and was estimated to cost $150 to repair. e vic tim’s laptop worth $2,500 was stolen.

 11/18 | Vandalism

A mailbox on Philip Avenue was vandalized. e victim es timated the cost to remove the gra ti to be $100.

11/20 | Vandalism

Blue Spruce Capital busi ness was vandalized. The damage was estimated to cost $5,000 to repair. e vic tim said the security camera showed two suspects throwing rocks at the gate, causing it to chip. e suspects were driving a dark green jeep convertible.

11/22 | Burglary

A vehicle parked near To panga Canyon Road was bro ken into, and an iPhone, wal let, and multiple credit cards were stolen. e victim left the key underneath the vehi cle, and upon return the key was missing and his vehicle was ransacked. ere were no security cameras available for evidence. ere was no damage made to the vehicle.  11/23| Burglary

A vehicle parked near To panga State Beach was broken into and ransacked. e victim hid the key under the driver’s side front wheel, went sur ng, and returned to see the key had been stolen. e victim said their iPhone, wallet and an estimated $300 in cash were stolen from the center console. ere were no security cameras available for evidence.

Family identi es body found on

Mulholland

e family of a transgender woman says the body found on Mulholland Highway in Mali bu last ursday is that of their loved one. On Dec. 2, police re ceived a call before 9 a.m. report ing a body found o the side of the road at the 33000 block of Mulholland near Decker Can yon. e road was blocked for ve hours as police combed the area looking for clues into the death. Initially, the Los Angeles Sheri ’s Department reported the body found was that of a man. Days later, LASD updat ed its reports identifying the body as that of a woman and asking for the public’s help in solving the mysterious circum stances surrounding the death.

e family of 27-year-old Day Rodas came forward to report their family member missing and con rmed her identity. No cause of death is known at this time. e Rodas family has said they are unsettled by her death. ey described Rodas as “pure and kind.” She had only recent ly come out as transgender. Her family has set up a GoFundMe to take care of funeral expenses.

Michael Landon Community Center to be closed for maintenance

e Michael Landon Com munity Center at Malibu Blu s Park will be closed from Dec. 12-18 for maintenance. Exterior restroom access will be available.

Additional water bottle lling stations and drinking fountains are located on the multipur pose eld near the sandbox play area and at the baseball elds. Please excuse the inconvenience. For more information on the city’s parks and facilities, visit https://malibucity.org/facilities.

Support the Malibu High Booster Club by

purchasing your Christmas tree

Members of the Malibu High Sharks water polo teams will be helping sell Christmas trees at Malibu High’s Ath letic Booster Club Christ mas Tree Lot until Dec. 11.

Join for a community night on Friday, Dec. 9 from 4 p.m. to 8 p.m. at the Chili Cook-O Site. Bison Burger Truck will be there from 4 p.m. to 8 p.m. Mal ibu High School Choir will per form at 5:30 p.m. and enjoy hot chocolate, candy canes and crafts.

The players are among the volunteers helping the boost

er club sell 150 Christmas trees that are from 5 feet to 10 feet tall. ey are also sell ing personalized ornaments, handmade wreaths, and Mal ibu High Sharks athletic wear.

All the proceeds will bene t the school’s athletic teams, such as basketball, base ball, soccer, football, golf, track and field, and more.

e Christmas Tree Lot is located at 23575 Civic Center Way. e booster club began selling trees on Dec. 1. e lot is open 3 to 7 p.m. Sunday to Thursdays and open until 8 p.m. on Fridays and Saturdays.

Holiday safety tips

e City of Malibu sta and City Council wish everyone in the community a safe and happy holiday, lled with health, happiness, family, friendship and love. We are grateful to serve this community and work together to help protect Malibu’s beautiful natural surroundings and environment, and protect Malibu’s safety and community character.

As we head into the holidays, our Public Safety Team has some safety tips for the community. A Christmas tree can go from a delightful household holiday symbol to a potential starting point of a dangerous house re as it becomes dry and amma ble, so don’t wait too long to dispose of your holiday tree.

e city o ers free Christmas trees recycling Dec. 27 through Jan. 10, 8 a.m. to 4 p.m. (closed Dec. 30 to Jan. 2) at the Chili Cook-off lot at 23575 Civic Center Way. For curbside col lection, remove all metal stands and decorations, and cut up the tree so that it ts into the yard waste bin. Check and re ll the tree’s water pan regularly. Keep holiday trees at least 3 feet away from any heat source. Make sure lighting cords are not worn out, check for broken bulbs, and do not overload electric outlets.

Decorative candles are the source of numerous house res every year. Keep candles safe ly away from any flammable materials, and do not leave them burning unattended.

Every year, many people are badly burned, and nearly 1,000 house res are started by the improper use of deep fryers to cook turkeys. Always use turkey fryers outdoors, on a at surface at least 10 feet from any struc tures. Keep children and pets away. Do not leave the fryer un attended. Use safety equipment such as hot mitts and keep a re extinguisher on hand. Make sure your turkey is completely defrosted before frying it. See more turkey fryer safety tips

from the US Fire Administra tion (usfa.fema.gov/downloads/ pdf/publications/turkey-fry er- re-safety-infographic.pdf).

Always ensure that the chim ney ue is open while using the replace to prevent smoke and carbon monoxide from ooding the house. Before starting a wood re in your replace, make sure it is approved for wood burning. Have your chimney inspected annually and cleaned if necessary.

Celebrate responsibly by designating drivers, or us ing taxis or rideshares.

Christmas tree recycling service

Free Christmas tree recycling is o ered to the community Dec. 27 through Jan. 10, 8 a.m. to 4 p.m. (closed Dec. 30 to Jan. 2) at 23575 Civic Center Way (Chili Cook-o lot). Collected trees will be recycled into mulch. Re move all metal stands and deco rations before dropping o trees. Please do not leave trees on the ground or outside the gate. For curbside collection options, re move all metal stands and dec orations, and cut up the tree so that it ts into the yard waste bin. For trees too large to t in the bin, contact your waste hauler.

Public comment period for MRCA proposed plan ends on

Dec. 16

The Mountains Recreation & Conservation Authority (MRCA) seeks input from re viewing agencies and the public about the Environmental Impact Report (EIR) for its Malibu Lower-Cost Accommodations

Public Works Plan. e plan proposes a variety of park fa cility improvements and public outreach programs at the Mal ibu Blu s Open Space and the existing campground at Ramirez Canyon Park. On Dec. 12, sta will present a draft comment letter to the City Council for its consideration. Based on the City Council comment, the comment letter will be sent to the MRCA. Send written comments Oct. 17 through Dec. 16 by mail to “Mountains Recreation & Con servation Authority, RE: Malibu Lower-Cost Accommodations Public Works Plan. Attn: Ma rio Sandoval, Project Manager. 26800 Mulholland Highway. Calabasas, CA 91302.” Send comments by email to public. comments@mrca.ca.gov. See details about the plan, includ ing maps, background, and po tential environmental impacts in the Notice of Preparation and on the project website.

Santa Monica College Campus nearing completion; registration for Spring 2023 now open

e Santa Monica College Malibu Campus on Civic Cen ter Way is nearly completed and registration is now open for spring 2023 classes. For more information, including pho tos, campus facilities, faculty, and classes available in spring 2023, visit the website (smc. edu/about/campuses/malibu/).

City Council to

review race event policies

The Malibu City Council directed sta to bring back an item in January 2023 to form and appoint members to an ad hoc committee to review the city’s Road Race Policy and the proposed Super League Triathlon agreement and re turn to the City Council with a recommendation. e council also directed sta to request ve years of nancial data from Su per League Triathlon to be re viewed by the ad hoc committee. For more information, see the agenda and sta reports (mali bucity.org/AgendaCenter) from Nov. 14 and watch video of the Council meeting on YouTube.

malibutimes.com Malibu’s Award-Winning Community Paper Since 1946 Thursday, December 8, 2022 • PAGE A-3
SIRENS NEWS BRIEFS The Malibu Times Serving Malibu since 1946 MalibuTimes.com MalibuTimesMag.com FRIDAY 60º | 50º MOSTLY SUNNY SATURDAY 60º | 54º SHOWERS SUNDAY 60º | 49º SHOWERS MONDAY 58º | 45º PARTLY CLOUDY TUESDAY 61º | 45º MOSTLY SUNNY WEDNESDAY 60º | 47º PARTLY CLOUDY On the Agenda Discussion on Next Week’s City Council: December 12: • Presentation to Outgoing Councilmembers. Remarks by Outgoing Councilmembers. Adjournment of 16th City Council. • Reconvene 17th City Council. • Administration of Oath O ce to Newly Elected Councilmembers. • Election of Mayor and Mayor Pro Tem. Administration of Oath of O ce to Mayor and Mayor Pro Tem. • Remarks by Newly Elected Councilmembers. Ordinances and Public Hearings 1. Adoption of Ordinance No. 503U - California Building Standards Code. 2. Adoption of Ordinance No. 506 - Update to Permitting Process for Electric Vehicle Charging Stations. New Items: 3. Amendment to Professional Services Agreement with Stoel Rives LLP. 4. Findings to Hold Virtual City Council, Commission, Committee, Board and Other City Bodies, Meetings Under AB 361. 5. Appeal No. 21-016 - Appeal of Planning Commission Resolution No. 21-11 (18868 Paci c Coast Highway; Owner/Appellant, Farshid Etaat). 6. Planning Department Performance Metrics. 7. November 8, 2022 General Municipal Election Results. To view the full City Council Agenda, visit malibucity. org/virtualmeetings. The Malibu Times Serving Malibu since 1946 Julian Alexander (424) 425-9292 julian@coastalcowboyrealty.com coastalcowboyrealty.com CalBRE #01994705 THE MALIBU GROTTO PROPERTY 3BD, 3BA, 1750 SQFT HUGE ENTERTAINMENT DECK DIRECT ACCESS TO SANDY COVE AVAILABLE SHORT/LONG TERM LEASE

Submission deadline is Monday at noon. Please email submissions to: e Malibu Times

c/o Calendar Editor, to editorial@malibutimes.com

Only events with a connection to Malibu will be considered. Calendar events are scheduled in advance and subject to change.

thu dec 8

PARK TALES: ART IN THE

PARK Park Tales is a fun and educational program for the entire family. Children and their caregivers will listen to stories, create an art activity, and enjoy a complimentary snack. On ursday, Dec, 8 from 10 to 11 a.m. at Malibu Blu s Park. Pre-registration is required at MalibuCity.org/Register, and children must be accompanied by an adult.

sat dec 10

SEMI-ANNUAL HOUSEHOLD HAZARDOUS AND ELECTRONIC WASTE COLLECTION

All residents of Los Angeles County may utilize mobile, one-day collection events throughout the county. Events will be held as scheduled, rain or shine. Download the bilingual (English/Spanish) event yer at www.malibucity. org/DocumentCenter for details. Please follow the transportation limit of 15 gallons or 125 pounds of hazardous waste per trip when driving your HHW/E-waste to collection events for disposal. Business hazardous waste and electronic waste is not accepted.

For a complete list of accepted materials, visit pw.lacounty.gov/ epd/hhw/Hhw.

sat dec 10 &

rst time for the Paci c Ballet to bring their show to the Malibu theater at Pepperdine’s campus. Tickets are on sale now at www. paci cballetdancetheatre.com. Smothers eatre is located at Pepperdine University, 24255 Paci c Coast Hwy, Malibu, 90263.

sun dec 11

MALIBU CHRISTMAS WOODIE PARADE

Malibu Senior Center! Lunch will be catered by Maggiano’s and entertainment will be provided by the Malibu Senior Center Choir class from 12 to 1:30 p.m. Preregistration is required. Maximum 60 participants. $5, preregistration is required.

‘JOYS OF THE SEASON’ PACIFIC BALLET DANCE THEATRE

e Paci c Ballet Dance eatre is bringing their “Joys of the Season” performance to the Smothers eatre on Dec 10 and 11. Led by Director and Choreographer Natasha Middleton, this year marks the

Join the Malibu community on Sunday, Dec. 11, for the Malibu Christmas Woodie Parade. Food, music, fun and Woodies! Hosted by John Zambetti. Arriving at Aviator Nation across from the Malibu Pier by 3 p.m.

sun

dec 11

SANTA PAWS

Join us for an event that is for humans and their dogs! e event will include:

• Pictures with Santa • Shelter Donation Box — bring an item to donate to a local shelter

• Treats for humans and pups

• Ugly Sweater Contest

Dogs must always be on a leash and under control by their owner. At Malibu Blu s Park, from 10 a.m. to 12 p.m.

sun dec

12

MALIBU CITY COUNCIL MEETING

e Malibu City Council meets regularly on the second and fourth Monday of every month. Virtual meeting via Zoom at 6:30 p.m. No physical location from which members of the public may observe the meeting and o er public comment will be provided. Please view the meeting, which will be livestreamed at https:// malibucity.org/video and malibucity.org

sun dec 15

DECEMBER LUNCHEON

Celebrate the new year at the

VirtualMeeting.

sat dec 17

BREAKFAST WITH SANTA AND FRIENDS

Families can enjoy a tasty breakfast box and the chance to meet Santa Claus and a couple of his friends from the North Pole! e morning also includes art activities, holiday games, and storytime with the Malibu Library. Show o your holiday pajamas and bring a camera! Reservations are recommended, maximum 60 participants. From 9 to 11 a.m. at Malibu City Hall. $5 per person. Check-in begins at 8:45 a.m.

Tue dec 27- Tue Jan10

CHRISTMAS TREE RECYCLING SERVICE

Free Christmas tree recycling is o ered to residents from Dec. 27 through Jan. 10, 8 a.m. to 4 p.m. (closed Dec. 30 to Jan. 2) at 23575 Civic Center Way (Chili Cook-o lot). Collected trees will be recycled into mulch. Remove all metal stands and decorations before dropping o trees.

ONGOING

ADAMSON HOUSE FUNDRAISER TOURS

Enjoy the festively decorated Adamson House for the holiday season, and explore this beautiful 1930s beach home lled with original ceramic tiles from Malibu Potteries. e docent-led tours of the house will run Fridays and Saturdays from Nov. 25 through Dec. 31. Tours will begin at 10 a.m. and start every half hour, with the nal tour of the day at 2:30 p.m. Walk-ins are accepted for parties of less than six people. Refreshments will be served in the museum. Guests can pick up their gift at our Visitor Center.

Adults 16 and older: $25 Children under 16: $10 5-years and under: Free Reservations required for groups of six or more: Call (310) 4569378

All proceeds from the tours, as well as sales from the Visitor Center, bene t the Malibu Adamson House Foundation, a 501(c)3 nonpro t that uses the funds for the upkeep and preservation of the Adamson House. No refunds. Location is 23200 Paci c Coast Highway, Malibu.

MALIBU FILM SOCIETY FILM SCREENINGS

e Malibu Film Society has announced 14 lms for the season. In-person screenings will continue to take place at the Regency Agoura Hills Stadium 8, and had just agreed to resume their free pre-show wine receptions. For the latest

version of their downloadable screening calendar, visit www. malibu lm society.org. e rst seven shows are now listed on their website. To start booking your seats, submit your link requests for online screenings on mfsreservations.org. Reservations and link requests are free for all members of MFS. For nonmembers: remaining seats to inperson screenings (if any) will be made available one week before each show, with advance ticket purchase required (please note: we do not o er day-of-show ticket sales).

BOARD GAMES AND SOCIAL CLUB

Join Malibu community members for an afternoon of fun board games every Tuesday 2:30 to 4:30 p.m. at the Malibu Senior Center. Games include bridge, canasta, checkers, chess, dominos, and mancala. RSVP required. is is an ongoing drop-in program. For more information or to RSVP contact the Malibu Senior Center at (310) 456.2489 ext. 357 or at MalibuSeniorCenter@ MalibuCity.org

CARDIO SALSA AND STRETCH

An energetic Latin dance workout that incorporates salsa, cha-cha, and merengue in an easy-to-follow format. e cooldown will include stretching to relax the body. No dance experience is necessary. Instructed by Jackline Daneshrad. Tuesdays from 11:30 a.m. to 12:30 p.m. at Michael Landon Community Center, $5 per class.

CHAIR YOGA

Yoga is a wonderful way to stretch the body and calm the mind. is class helps you develop a strong and exible spine, feel ease in your joints, and be steady in your balance. Get t while you sit! Join this peaceful hour of exercise. Instructed by Daya Chrans. Class is organized on Mondays at the Senior Center at Malibu City Hall from 11 a.m. to 12 p.m.

KNITTING

Knit with Sheila Rosenthal is organized every Monday and Friday at the Senior Center at Malibu City Hall from 9 to 10:30 a.m. is is an ongoing drop-in complimentary program. No experience is required.

SENIOR STRETCH AND STRENGTH

Class is organized on Mondays from 1 to 2 p.m. and Wednesdays and Fridays from 11 a.m. to 12 p.m. Participants will focus on exibility, balance, circulation, muscle tone, and breathing techniques. Class will be held outdoors at Malibu Blu s Park. Register for the month or pay a $5 drop-in rate. For additional information contact (310) 456-2489, Ext. 357, or visit Malibucity.org/seniorcenter.

FARMERS MARKET

Shop for fresh fruits and veggies, prepared food, and more at the weekly Malibu Farmers Market on Sundays from 9 a.m. to 2 p.m. Market located at 23555 Civic Center Way.

PAGE A-4 • Thursday, December 8, 2022 Malibu’s Award-Winning Community Paper Since 1946 malibutimes.com
CALENDAR The Malibu Times Serving Malibu since 1946 Read the latest news online at MalibuTimes.com
Join the
community on
Dec. 11, for the Malibu
CHRISTMAS WOODY PARADE
Malibu
Sunday,
Christmas Woodie Parade.
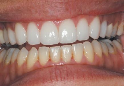
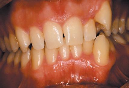
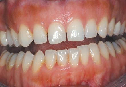
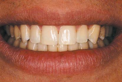
BOB S. PERKINS, D.D.S. 24955 Pacific Coast Hwy Ste C100 Malibu, CA 90265 (310) 456-5700 bobperkinsdds.com Follow us on: OUR SERVICES Cosmetic Dentistry General Dentistry Invisalign TMJ treatment Sleep Apnea Screening and Treatment WELCOME TO SMILES IN MALIBU. Before Before Before After After After Invisalign Special for November and December $3,995 for full Invisalign (must mention this ad)
Photo by Julie Ellerton

Paci c Ballet Dance eatre to present ‘Joys of the Season’ at Pepperdine

Another Christmas tradition is nally return ing to Malibu after the pandemic — the annual holiday dance and ballet performance at Pep perdine.

Under the direction of Director and Chore ographer Natasha Middleton, the Paci c Ballet Dance eatre (PBDT) will be giving two holi day dance performances at Pepperdine University on Dec. 10 and 11, under the auspices of the Lisa Smith Wengler Center for the Arts, at the Smothers eatre.

Instead of performing “ e Nutcracker” ballet in its entirety — which was the Pepperdine tra dition before the pandemic — PBDT decided to spice things up a bit with a show featuring selec tions from “ e Nutcracker,” “Les Patineurs ( e Skater’s Waltz)” and “ e Little Match Girl.”

“We’re very excited to be a part of the Malibu area by performing at Pepperdine for the rst time,” Natasha said in a phone interview. “We

were invited by a patron of Pepperdine and hope to work more with the university’s dance depart ment, although we’re just getting to know each other.”

“Joys of the Season” will present excerpts from “ e Nutcracker” that include the sugarplum fair ies, nutcracker prince, land of snow, land of sweets and the waltz of the owers. While Nutcracker and Skater’s Waltz will feature classic ballet style, “ e Little Match Girl” portion is choreographed by Middleton to be something di erent.

“ ere will be a touch of Old Irish and English dancing, with a lot of acrobatics and even some fusion hip-hop,” Middleton described. “ ere are a lot of di erent characters and very upbeat music. It’ll be a fun experience for the whole family.”

“Joys of the Season” is a two-hour show that includes an intermission. e production is a mul timedia presentation with backdrops and lm projections that show things like the growing of a Christmas tree and snow akes falling.

Paci c Ballet Dance eatre is a nonpro t organization with a school and a professional ballet company based out of Media City Dance in Burbank, where the rehearsal hall is located.

“We’ve performed many di erent ballets at many di erent venues, mostly in LA, but also around other parts of California like Fresno and Lancaster,” Middleton said. “We’re high-end en tertainers known for storytelling and bringing productions to people who wouldn’t normally

see a ballet… We want the audience to sit back and enjoy, and be engaged by the choreography.”

PBDT has 15 full-on dance company members that are soloists and principals, as well as seven apprentices — all of whom will be performing at Pepperdine, plus a couple of guest artists. e talented and diverse cast comes from around the U.S. and the world, including Japan, Mexico, Italy, Brazil, Armenia, and Brazil.

When asked what the dancers did during the pandemic and how they spend their time during the o -seasons, Middleton said they work as ac tors, dance instructors, models for dance attire, waiters, and even bankers.

She comes by the music, acting and ballet genes honestly enough — her father, a surviving mem ber of the elite Ballet Russe de Monte Carlo, was the original founder of PBDT. Her mother was a San Francisco Opera soprano, her grandmother was also in the Ballet Russe, and her aunt, Yvonne de Carlo, was Lily on “ e Munsters.”

“Joys of the Season” will be performed by the Paci c Ballet Dance eatre on Saturday, Dec. 10, at 8 p.m. and Sunday, Dec. 11, at 2:30 p.m. Both performances will take place at the Smothers eatre at Pepperdine University (24255 Paci c Coast Highway, Malibu).

Tickets can be purchased at www.paci cballet dancetheatre.com or from the Pepperdine University Box O ce, (310) 506-4522, open Tuesday through Friday from noon to 5 p.m.

Pepperdine lights up the Christmas tree

Students, sta and community members gathered at Pepperdine University on Friday evening for the annual festive Christmas Tree lighting.

e Christmas Tree Lighting is an annual tradition where the Pepperdine community gathers for a time of worship and celebrating the birth of Christ. e program culminates in the lighting of the Christmas tree.

Malibu experienced a slight drizzle of rain and the event moved indoors to Elkins Auditorium for

the rst half of the ceremony. e ceremony included Christmas carols sung by Celebration Chapel and group Won By One, a prayer by Rachel Yoshimura, and a devotional by Eric Wilson.

Doug Hurley welcomed the guests to the ceremony and shared a message.

“Wherever you are this Christmas, we invite you into this space of worship and re ection,” Hurley said. “Of all the things that the lights, the trees, the food, and gifts represent, the Christian faith explains that Christmas means we are not alone.”

Hot cocoa, churros, and popcorn was served indoors and students and families gathered around the tree to take photos and enjoy the rest of the festivities.

malibutimes.com Malibu’s Award-Winning Community Paper Since 1946 Thursday, December 8, 2022 • PAGE A-5
COMMUNITY
Selections from ‘The Nutcracker,’ ‘Les Patineurs (The Skater’s Waltz)’ and ‘The Little Match Girl’ will be performed
Holiday season celebrations kick o at Pepperdine
Students, faculty and friends gathered at Mullin Town Square to countdown the lighting of the Christmas Tree at Pepperdine University on Friday, Dec. 2. Photo by Samantha Bravo/TMT

COMMUNITY

‘No limits’: Malibu Arts Commission holds ‘Music Inspired Art’ exhibition

Music and art enthusiasts gathered at City Hall on Sunday evening

Paintings, sculptures, and photographs once again lled the walls of City Hall for the Malibu Arts Commission exhibition “Music Inspired Art.” e gallery features ne art, three-dimensional work created by Malibu and non-Malibu artists inspired by music.

Contributing artists include: Irene Biery, Ra phaele Cohen-Bacry, Julie Ellerton, Kylie Epstein, Barbara Freund, Maureen Haldeman, Diane Hines, Ann Krasner, Lisa La Mer, Janet Milhomme, Luisa Millicent, Terry Porter, Eric Renard, Seda Saar, Ja nia Vanderwer , Russell Walks, and Shifra Wylder.

Malibu Arts Commission Vice Chair Fireball Tim Lawrence welcomed the guests at the gallery reception.

“I’m extremely grateful to be able to stand here in front of you, which not that long ago was just a vision in the commission and we had some extraor dinary artists and we’ve all been working very hard to make sure the shows are diverse that we include everything from painters, photographers, sculptures — there’s no limits,” Lawrence said. “ ere’s some

awareness and bringing people into Our Lady of Malibu as a school and a church. We’re a tight-knit family here and we want to make that family bigger,” Longo said. “We love creating a place where people can feel like a part of the community and that was really the point of today’s event.”

Steve Graham, a parent volunteer, said he is happy to see the community returning to in-person gathering and said it is an exciting time for the school and church.

“ is is only our second fundraiser [since COVID-19 pandemic] so I think that being able to do this again it’s an exciting time for the school to open its doors to the community again, welcome them to this environment, and experience OLM the way it’s been experienced for the last 50 years,” Graham said.

Krisha Garvey, owner of Golden State Beauty, was a vendor at the event. She attended the school as a child and said being able to contribute to the church was a rewarding experience.

“ e experience is so tender for me. is was my family, this school is my family,” Garvey said. “I remember I had everyone who I cared about and everyone who cared about me here in one place, so to come back and give back is the ultimate feeling of goodwill.”

Santa Claus made an appearance at the event, and said he had to visit OLM because he knows that Malibu is full of

things in there that might make you wonder, there’s some things that might make you scratch your head, but we really appreciate you all for being here.”

Malibu Mayor Paul Grisanti thanked the com mission for their hard work and for hosting the gallery.

“It keeps getting better and better,” Grisanti said. “Really I’m so pleased that we’re doing this and I’m so pleased that the City of Malibu has a department that supports this.”

Malibu artist Ann Krasner had two three-di mensional sculptures of Louis Armstrong and Ella Fitzgerald on display. Krasner said her sculptures were at Burning Man, an event held annually in Nevada that focuses on community, art, self-ex pression, and self-reliance.

“It’s just a natural progression for me to create something that brings so much joy to everyone,” Krasner said. “ ey were just at the Burning Man festival where they made a huge splash and now they’re here in the City of Malibu. e mayor and the creators did such a good job putting together local artists with their beautiful art.”

Some artists had a QR code near their artwork to take the viewer to their website or social media account when scanned with a phone.

Lawrence also thanked Malibu Arts Commis sioner Julia Holland.

Professional musicians Federico Ramos, Eduardo Del Signore, and Ron Wagner from A Call 2 Peace Core Ensemble provided a live performance during the reception.

e artwork will be on display from Dec. 5 until Jan. 13, 2023.

Christmas cheer in the community.

“ e event is great, the kids have been wonderful. I am leaving all the kids with one speci c request from Santa Claus and that’s to look for opportunities to be kind,” Santa said.

Stevie Simpson, 7, said she liked meeting Santa Claus. She said she asked Santa for an iPad and an Apple Pen for Christmas, and believes she will get it because she has been good this year.

Santa said he is evaluating things based on everyone’s contributions to the community and their ability to look for and nd opportunities to be kind.

“She seemed like an amazing young lady with a heart that’s pure and solid and I think she can probably count on getting the gift that she wants,” Santa said.

PAGE A-6 • Thursday, December 8, 2022 Malibu’s Award-Winning Community Paper Since 1946 malibutimes.com
Malibu Mayor Paul Grisanti (on stairway) welcomes the guests to the City Hall gallery reception on Sunday, Dec. 4. Photo by Samantha Bravo/TMT Times photographer Julie Ellerton and Malibu Mayor Paul Grisanti pose in front of Ellerton’s photograph Barbara Burke (left) and artist Ann Krasner pose for a photo during the “Music Inspired Art” exhibition on Dec. 4. Vendors sold clothing, jewelry, books, pottery, candles, plants and more. Twenty percent of all proceeds were donated to the Our Lady of Malibu school and church. Photo by Julie Ellerton/TMT
CONTINUED
A1
OUR LADY OF MALIBU
FROM
Historic 1930s Malibu Adamson House festively decorated for the holidays and filled with original ceramic tiles from Malibu Potteries. DATES Fridays & Saturdays November 25th - December 31st $25.00 for adults 16 and over $10.00 for children under 16 FREE for children 5 and under *Refreshments served and all guests will receive a gift *Walk-ins only for parties of less than 6 people *Reservations required for parties of 6 or more
for preserving and maintaining the
NO REFUNDS. www.adamsonhouse.org
MALIBU ADAMSON HOUSE HOLIDAY FUNDRAISER
the Malibu Adamson House Foundation,
Adamson House.

On Wednesday, Nov. 9, a cougar attacked a small dog while it was being walked on a leash near the Hollywood Reservoir. Based on video footage and GPS tracking collar data, Santa Monica Mountains National Parks Service con rmed P-22 was the animal responsible for the attack.

“We understand an incident like this is upsetting and can possibly heighten people’s concern for the safety of their pets and themselves. We also want to express our sympathies to the dog owner,” Santa Monica Mountains National Parks Service shared on Instagram. “As many of you know, the NPS has been studying generations of mountain lions in this region, including P-22, for more than 20 years. While the California Deparment of Fish and Wildlife manages these animals in our state, we are committed to learning as much as we can about them through our scienti c research, with the goal of conserving mountain lions in the park. It is our man date to preserve all of the wildlife in the park for future generations.”

In terms of the incident, specialists said there is no evidence that preying on pets is related to an increased chance of an attack on a person, either in mountain lions, or in other urban carnivores such as coyotes. Specialists said mountain lion attacks on humans are exceedingly rare.

Mountain lions are typically more active during dusk and dawn and an hour after sunset, and the incident occured in full darkness.

While mountain lions largely avoid urban areas and are fearful of humans, they sometimes travel through residential areas near their preferred habitat. Accord ing to the video footage of the incident, P-22 did not attack the dog walker or show any aggressive behavior toward him.

e National Wildlife Federation California and a team of biologists and Cougar Conservancy members hosted a “Coexisting With Cougars” seminar on Mon day, Nov. 21, to educate residents on the recent mountain lion attacks.

Regional Executive Director of the National Wildlife Federation Beth Pratt led the seminar and introduced the group speakers.

“We don’t want incidents like that to happen, they are rare, it is never zero risk wildlife, these are wild animals,” Pratt said. “But like preventing crime, with wildlife we can also do things to minimize that risk and get it as close to zero as possible.”

Pratt said P–22 and other mountain lions that prey on animals are not abnormal as it resembles their nat ural prey.

“ ere was no sign of aggression towards the dog walker,” Pratt said. “ ere was no evidence that moun tain lions or coyotes or other wildlife when they do attack livestock or domestic animals that it signals any increased threat to humans.”

Most recently, on Friday, Dec. 2, a 2-year-old girl was attacked by a coyote in Woodland Hills. Her father, Ariel Eliyahuo, was able to run to her side and save her

from the coyote.

Eliyahuo said they wouldn’t expect to see coyotes in their neighborhood. Authorities said there were a few coyote sightings in the area Saturday night.

For the presentation, founder and Cougar Conser vancy Director Korinna Domingo, provided safety tips for recreationists and those who live in urban areas.

Domingo provided information on their cougar con ict task force and con ict prevention which conducts work on the ground to intervene, directly assist and empower local communities through training and ed ucation before and after cougar con ict occurs.

A family in the Santa Ana Mountains reached out for a con ict prevention visit for their 4-H animals after hearing incidents occurring with neighbors who own or house livestock.

“ e service really allows individuals the opportunity to be proactive as opposed to reactive to human-wildlife interactions,” Domingo said.

Cougar Conservancy o ers assistance programs in pen building, carcass disposal, and trail camera rental programs to reduce barriers.

Domingo said they also o er workshops to inform those on the basics of con ict theory and hands-on training sessions that focus on practical mitigation tools.

Regarding keeping your animals safe, Domingo said proo ng your barns and animal housing with walls, fences, and a roof at night is the best preventive measure to keep animals safe.

“ e main message when building an enclosure is that any gaps more than four inches need to be closed o ,” Domingo said.

Domingo suggested another way to reduce con icts

with predators is by trimming vegetation above the ground by 2 to 3 inches. Landscaping can reduce the areas where cougars and other wildlife can take refuge. Trimming hedges and reducing backyard clutter can also minimize wild re risk.

Securing trash and compost piles can also prevent the activity of wildlife. Cougars may not raid your trash bins, but unsecured trash and compost piles often attract rodents and predators that prey on them.

To report a cougar sighting, individuals can send vid eos to SAMO_mountainlions@nps.gov or call (805) 370-2317.

While hiking with friends or alone, Domingo provid ed tips on trail safety, such as staying on marked trails, hiking in groups, supervising children at all times, and considering carrying an air horn or bear spray.

Domingo provided tips on what to do when encoun tering a cougar, such as making yourself look as large as possible by extending your arms or opening your jacket. Domingo said if you are hiking with your pet, pick up small dogs, bring them as close as possible, and hold them rmly on a leash beside you.

Domingo wrapped up the presentation with more resources and information on the Cougar Conservancy organization.

“With mountain lions attacks are very very rare, in the last 100 years in California with 40 million peo ple, there had been 22 attacks with six that were fatal in California, we never want an attack to happen and those are people not just statistics, but what we just say is put the risk in perspective,” Pratt said. “Your chances of being attacked by a mountain lion are not zero but are very low.”

malibutimes.com Malibu’s Award-Winning Community Paper Since 1946 Thursday, December 8, 2022 • PAGE A-7
‘Coexisting with Cougars’ to educate residents on recent mountain lion attacks The Malibu Times Serving Malibu since 1946 Read the latest news online at MalibuTimes.com
NEWS #SaveLACougars campaign holds seminar
LOCAL

after the Woolsey Fire.

In the commendation read by Mayor Paul Grisanti, he mentioned Bruderlin’s establishment of an ac tive calendar of events, producing the Malibu Guide and revamping the Chamber’s website to increase each member’s presence.

“After the Woolsey Fire, Barba ra quickly organized the Rebuild Malibu mixer where homeowners who lost properties could connect with each other and contractors,” Grisanti stated. “ roughout the COVID-19 pandemic Barbara has been a valuable collaborator with the city to ensure local businesses were constantly updated with the latest information on how to comply with state and county protocol. She’s al ways made herself and the Chamber available to the city, working closely with city sta on numerous events including the Veterans Day ceremo ny. She’s dedicated to maintaining a strong relationship with the city. e

City Council commends Barbara Bruderlin for her years of dedicated service and her steadfast commit ment to maintaining and enriching the bond between the city and the Chamber.”

Councilmember Mikke Pierson added, “It was noticeable to me that when the Woolsey Fire hit and the pandemic hit, you took action. You didn’t sit around and wait for things to happen. You had meetings to help people who lost their homes, gathering people together to help each other. In the pandemic, you put out some of the best information I saw anywhere and helped out with grants to local businesses. You raised the bar. And then by joining the Pal isades recently, that was a brilliant maneuver because it’s really hard to run small chambers. at was a smart move. I applaud you and thank you for all you’ve done.”

Speaking by phone, Bruderlin said she was surprised and grateful for the commendation. As the Cham ber’s only employee, she pointed out that “people think the Chamber is

a government organization. It’s not. It’s a nonpro t organization. We run because a bunch of people volunteer their time. It’s just people helping people.” She mentioned she just got some help from Pepperdine students and also that the Chamber is not subsidized by the government.

Bruderlin is a big advocate for networking.

“Some people don’t understand why we have get-togethers,” she said. “What happens is that instead of just a business, you get to know and fall in love with the owner. It becomes like a big family and warm and people working together. It be comes like an old-fashioned com munity.”

e CEO has increased the web presence for all members of the Chamber. “It gives them more visi bility,” she said.

According to Bruderlin, this is important in small towns with high rents and seasonal visitors.

“You need a group promoting, advocating and advertising for ev erybody,” she said. “ is creates ex citement and support when people are struggling to get o the ground.”

During the Woolsey Fire, Brud erlin was active in disseminating in formation on Facebook. She along with the Malibu Public Safety Department are about to launch a program called Malibu HEART. It stands for Health Emergency Assis tance Relay Team.

“If we have an emergency again I can have a support team on hand through Facebook helping people, direct them, working with the re department and rescue teams be cause when there’s an emergency people go to Facebook where you can get into local groups,” she said.

“ at’s what I can o er to the mix.”

On her dedication to the commu nity Bruderlin explained: “I love the people in Malibu so much. ey’re so a ectionate, down-to-earth and

reball. All of this happened in about three seconds.

e motorcyclist and the driver of the pickup survived the ery crash, but the stolen Lexus driver did not.

Motorcyclist Stephen Levey was airlifted to Cedars-Sinai Hospital, where he remained for 11 days before being released to his home in Hollywood. He has no memory of the collision, but later learned that the re and sheri department personnel on the scene were doubtful he was going to make it.

Levey, interviewed by various local TV news sources, stated that his right arm had been shattered from the elbow to the ngers and had to be surgically reconstructed. He had nine broken ribs, one of which punctured a lung; which makes it very painful to cough, or even to eat and drink. He also had an injured right leg and foot.

“I now have a substantial amount of titanium holding me together,” he commented.

While hospitalized, Stephen

considerate. ey think about every body before themselves. I see them lled with joy at somebody else’s gain. For being lled with people

who like the ner things in life that’s not their rst priority. Malibu’s all about others; loving people and helping the world. It’s an amaz

ing group of people here. It doesn’t matter how much money you have or where you live there’s a theme of a ection for others in Malibu.”

recalled that he had his phone on to record the ride on the day of the accident, and asked the nurses to bring it to him. He then dis covered the entire accident had been recorded — a heart-stopping video that’s now been shown and viewed over and over again in LA and around the world.

Stephen hired personal injury trial attorney Brian Breiter, who appeared on several local TV newscasts asking for any witnesses or anyone with information about the driver of the Lexus to contact his o ce at brian@lawbreiter.com

“Any information would be helpful in trying to put this puzzle together,” Breiter said on camera. “ e driver either escaped from a rehab [facility] or was let out early; and we’re still trying to get to the bottom of that … Stephen is look ing at a lifetime of debt for an ac cident he had nothing to do with.”

Earlier, the LA County Sher i ’s Department had con rmed that the Lexus was stolen from a Malibu rehab facility.

Breiter emailed The Malibu Times that no questions about the Lexus driver or the rehab could be answered until the Sheri ’s

Department completes its tra c investigation and report on the incident.

In the meantime, Stephen, who lives alone, was struggling at home with the e ort of even trying to feed himself or perform the simplest tasks. A professional photographer, he is now unable to work and has no money coming in. As his medical bills mounted, he felt he had no choice but to try raising money through Go FundMe.

“I hate asking for help, but it’s the situation,” he said. Here are some excerpts from Stephen’sGo FundMe page, posted Nov. 29:

“I’ll have a lifetime of trauma, not to mention years and years of occupational and physical therapy and mental [e ort] in an attempt to try to recover as much use as I can from my arm, hand and foot in an attempt to get back to my old self.

“I’ll never again be who I was before that day, and my life is now forever changed: I’m a pho tographer who cannot take photo graphs; I’m an active person who now can’t even stand unassisted. Every year, I run the LA Mara

thon for St Jude’s Children’s Hos pital, and now I can’t even walk to my kitchen without being in crippling pain and it taking 20 minutes; and I’m a motorcyclist with no motorcycle.

“ is ‘accident’ has taken ev erything from me except my life, and thank God for that … I drastically underestimated the bills; not to mention my ongoing care. Whatever the bills amount to, which are most likely millions of dollars; I’ll be stuck with them. Sadly, the driver who caused all of this perished in the accident and the car he was driving was stolen. But, I will recover, I will regain the use of my arm, and I will go on with my life.”

Stephen explained that he’ll be responsible for whatever expens es his insurance won’t pay, which will include being transported to a hospital that was not in his in surance plan.

Visit Stephen Levey’s GoFund Me page at gofundme.com/f/ im-the-motorcyclist-from-pch kanan-dume-accident

As of Monday morning, Dec. 5, he’d raised $46,669 of a $50,000 goal with 975 donations.

PAGE A-8 • Thursday, December 8, 2022 Malibu’s Award-Winning Community Paper Since 1946 malibutimes.com
REAL ESTATE
Barbara Bruderlin Chief Executive O cer. Malibu Pacific Palisades Chamber of Commerce. Photo courtesy of Barbara Bruderlin This screenshot from Stephen Levey’s helmet cam shows the moment right before Levey was hit by a pickup while waiting at a stoplight on Pacific Coast Highway. Levey su ered serious injuries in the crash, which was caused by a driver of a stolen Lexus who originally hit the truck.
GOFUNDME CREATED CONTINUED FROM A1 CHAMBER CEO CONTINUED FROM A1 15 Years Serving LA’s Most Amazing Young Minds WASC Accredited (310) 478-9900 ‧ admissions@qualiaschool.org GRADES 4-12 LIMITED SPACE AVAILABLE Malibu’s Playground For Passionate Learners Malibu’s Playground For Passionate Learners Susan Cosentino 310.924.9382 susan.cosentino@compass.com DRE# 01315015 Tessa Cosentino 310.924.0787 tessa.cosentino@compass.com DRE# 02106122 susancosentinoandco.com Cliffs to Coast. Generation to Generation. 21509 Pacific Coast Highway $15,000,000 Mixed Use, centrally located Malibu gem! Approx. 2 acre, property currently operating as nursery, with 2 bed/2 bath SFR. Oh the possibilities... don’t miss this slice of Old School Malibu! 21422 Pacific Coast Highway $20k/per month $25k/month short term Prime Malibu La Costa Beach Lease! 2 bed/2.5 bath, adorable charmer on the sand complete with fabulous outdoor entertainment area! Centrally located and just 15 minutes to Santa Monica.
Photo Courtesy of Stephen Levey

Leno,

Malibu Kitchen has generated a lot of myths, legends, rumors, and lies over the years. One of the myths is that the place was founded by a cabal of celebrities who pitched in to establish an island of New York cuisine and atmosphere on the other side of the continent. at rumor is true, although the names of the founders can’t be disclosed.

Originally from New York, Bill Miller had a long career in show business as a road manager for everyone from Frank Sinatra to John Denver to Led Zeppelin to Kiss. Working with Judith Haenel, he brought Zabar’s smoked salmon, H&H Bagels, New York rye and comfort foods like meatloaf, pulled pork, roast turkey, and fried chicken with mashed potatoes and all the xings to hungry Malibuans.

And for breakfast, oceans of Peet’s co ee, along with cinnamon buns to die for, co ee cake, croissants, cupcakes, cakes, and pies that were especially popular around the holidays.

“We would sell over 200 pies every anksgiving,” Miller said. “Would you think more?”

Malibu Kitchen became a nosh away from home for homesick New Yorkers, including the likes of Jerry Seinfeld. e comedian is one of the busier men in show business who always made it a point to motor out to Malibu Kitchen when he was on this side of the country.

Seinfeld regularly visited Malibu Kitchen to get a taste of the Hamptons while soaking up that warm California sun and talking show biz with Spike and Bill and others.

“ ey would come here for the driving,” Miller said. “Malibu Kitchen was a haven for Seinfeld. Because he could sit here in peace and quiet and watch the herons poop on all the high-end Ferraris.”

Seinfeld couldn’t make the closing day, which was kind of a shame, although Miller said Seinfeld phoned in to say mazel tov and thanks for the bagel.

Another of the myths, legends, rumors, and lies about Malibu Kitchen is that Miller had inspired the Soup Nazi character in Seinfeld. Not true, although it is true that Feresten had been a co-writer of the “Soup Nazi” episode; however, that ctional character had nothing to do with Miller or Malibu Kitchen.

ere was a long line out the door and down to Starbucks on this nal Sunday. Some who came to say goodbye, others who read the closing signs and audibly expressed their shock and sadness that Malibu Kitchen would be no more — at least at that location.

Dr. Jay Grossman is a dental surgeon who regularly rolled up for a nosh en route to his o ce in the Palisades.

Grossman expressed remorse: “I am now taking antidepressants as my daily stop to the o ce, was to see Bill and have a New York bagel cream cheese and lox sandwich.”

Chiropractor Dr. Mitch Carter D.C. lives in West Hills and his wife Randy — also a chiropractor — are two of many outsiders who come to Malibu for the blue skies and ocean breezes, and Malibu Kitchen for the atmosphere.

“Malibu Kitchen was about the only place I could unplug and just sit for hours in the glorious, interesting, beautiful moment,” Mitch Carter said. “For me and my wife, it had it all — great cars, eccentricity, comedy, love, the dogs, co ee, and the old Malibu vibe. We’ll miss it!”

By Monday, Miller, Haenel, Cathy Goodman, estate expert Katie Ladyko and Benny — the hardest working man in the deli business — were putting up white paper on the windows and beginning to disassemble the interior for a storewide sale of memorabilia on the

weekend of Dec. 10 - 11.

As for the future of Malibu Kitchen and the space it held for 22 years, it’s a mystery wrapped in a blintz. Malibu Kitchen survived res, oods, COVID, road closures, Bill’s broken hip and everything up to locusts and frogs falling from the sky, but couldn’t survive the 21st-century transformation of Malibu from small town to a California version of Cannes — a transformation that has claimed Radio Shack, A&B Lumber, the Regal Malibu Cinemas and now Malibu Kitchen.

ere are many myths, legends, rumors, and lies about the future of Malibu Kitchen and the space it no longer occupies.

“Jay Luchs is sad that we are leaving this location,”

Miller said. “but we are going to need a new home and Jay has made it his mission to nd a new spot so he can continue to get his 8-inch Jay Luchs Chubby Chewy Chocolate Chip Cookie.”

It is hoped that Malibu Kitchen and crew will nd a spot in the Cross Creek Ranch shopping area going up between Whole Foods and Santa Monica College.

As for the space, it is likely the landlord will gut, rewire and recon gure the interior, add bathrooms that connect to the new sewage system and bring it all into the 21st-century world of computerized, e cient service. But that space will most likely be closed for at least a year.

Regardless, the food and atmosphere will never be the same.

of the plan, and by other agencies.

e written comment and ques tion period began on Oct. 17 and will end shortly on Dec. 16.

e MRCA refers to the ball elds area that Malibu manages as “Malibu Blu s Park,” and calls the adjacent 84-acre natural area it manages as “Malibu Blu s.” Only the northwestern portion of the 84 acres, which the MRCA says is outside ESHA (environmentally sensitive habitat area), would be developed.

e proposed project, all within

the city limits of Malibu, would include “ ameless” camping facili ties consisting of 8-12 yurts (10-12 people per yurt), 16-20 tent cabins (6-8 people per cabin), and 18-22 tent pad sites (6-8 people per site).

e proposed infrastructure for this many campers is 30-40 parking spaces, restrooms, picnic tables, amphitheater, a ranger residence, medical building, o ce, kitchen, pedestrian and vehicle bridges, water storage tanks, re hydrants, and re extinguishers.

In addition, the MRCA wants to upgrade walking paths and trails, signage, landscaping, and coastal overlooks. It would also require the

clearing of additional native vege tation to reduce wild re hazards.

e Ramirez Canyon Park site, with the entrance at 5350 Kanan Dume Road, is on 45 acres of unincorporated LA County and Malibu land. e MRCA proposes putting 7-10 “ ameless” tent pad sites (6-8 people per site) there. Added infrastructure would in clude 36-42 parking spots, re strooms, picnic areas, re hydrants and re extinguishers; as well as utility trenching and grading to install utility lines.

e project would also include improving existing trails and paths, landscaping, and signage. Addi

tional native vegetation would have to be cleared to reduce wild re hazards.

MRCA claims that no Sensi tive Environmental Resource Ar eas (SERA) would be disturbed at Ramirez, because the proposed project area would be “located on previously disturbed and graded building pads within the western portion of the site.”

Anyone deciding to write a com ment letter on this project needs to focus on one or more of the possible environmental impact areas of the project that the state recognizes; also known as the CEQA check list: aesthetics, biology, greenhouse

gas emissions, land use/ planning, population/ housing, transporta tion/ tra c, forestry, tribal cultural resources, hazards/hazardous ma terials, minerals, public services, utilities/service systems, air quali ty, geology/ soils, hydrology/ water quality, noise, and recreation.

At the very end of 2018, the CEQA guidelines were revised to add two new topics: energy use and wild re. Comment letters with questions related to re hazard im pacts for projects located in “Very High Fire Hazard Severity Zones (VHFHSZ)” must now be consid ered — and both of the proposed campgrounds are in VHFHSZs.

Comment letters should not just list complaints — to be more e ec tive, they need to raise one or more speci c issues, and then ask what the MRCA would do to mitigate them. e agency is required to answer questions.

Email comments and questions to public.comments@mrca.ca.gov or send by regular mail to: Mountains Recreation & Con servation Authority

RE: Malibu Lower-Cost Ac commodations Public Works Plan.

Attn: Mario Sandoval, Project Manager.

26800 Mulholland Highway Calabasas, CA 91302

malibutimes.com Malibu’s Award-Winning Community Paper Since 1946 Thursday, December 8, 2022 • PAGE A-9 The Malibu Times Serving
Malibu since 1946
DEADLINE TO SUBMIT CONTINUED FROM A1 Feresten and Adam Carolla sat at a table inside for the last broadcast of “Spike’s Car Radio” from Malibu Kitchen.
MALIBU KITCHEN CLOSES DOORS CONTINUED FROM A1 REAL ESTATE
Jay Leno (left), Adam Carolla, and podcast host Spike Feresten (black cap) conduct the “Spike’s Car Radio” podcast in Malibu Kitchen on Dec. 4, the last day of business for the restaurant at its Malibu Country Mart location. Photo by Mo Satarzadeh
PAGE A-10 • Thursday, December 8, 2022 Malibu’s Award-Winning Community Paper Since 1946 malibutimes.com

Malibu Life

Malibu lmmakers Rory Kennedy and Mark Bailey set to debut new volcano documentary on Net ix

The timing couldn’t be better — just as the Big Island of Hawaii’s Mauna Loa volcano began erupt ing and spewing fresh lava this past week, a new documentary about an explosive volcano eruption in 2019 on New Zea land is coming out: “ e Volcano: Res cue from Whakaari” by Malibu residents and lmmakers Rory Kennedy and Mark Bailey.

On Dec. 9, 2019 the active Whakaari Volcano on White Island, in New Zea land’s northeastern Bay of Plenty region, explosively erupted. e island was a pop ular tourist destination, known for its vol canic activity, and 47 people were on the island at the time. Twenty-two people died, either in the explosion or from in juries, including two whose bodies were never found. An additional 25 people required intensive care for severe burns.

e ongoing seismic and volcanic activ ity in the area as well as heavy rainfall, low visibility and toxic gases hampered recovery e orts over the week following the incident.

Experts identi ed the event as a “phre atic” eruption: a release of steam and volcanic gases that caused an explosion, launching rock and ash into the air.

e “Volcano” documentary tracks the unfolding of the volcanic eruption min ute-by-minute using images, video and audio of the eruption, and its aftermath,

much of which hasn’t been seen before. A group of 47 tourists and their guides were on a routine daytime sightseeing trip to White Island when the Whakaari volcano began erupting unexpectedly, trapping the group. Daring rescues were made using boats and helicopters.

e lm interviews survivors who give rst-hand accounts of what it was like to live through the volcanic eruption expe rience; as well as the folks who bravely came to the rescue.

“ ese men and women were tested in ways they never imagined,” Kennedy said. “We see the courage and quick-thinking of ordinary citizens who sprang to action that day – humanity at its best.”

In deciding whom to interview for the lm, the team focused on people with rst-hand experience in the disaster, but went through a preliminary selection pro cess of talking with each individual rst to make sure they weren’t too traumatized with PTSD to relive the experience.

e seven survivor interviewees includ ed not only tourists, but a tour guide and helicopter pilot. e seven rescuers inter viewed for the lm were mostly pilots and law enforcement, and there was also input from a reporter and a local Maori leader who were on the scene of the disaster.

Kennedy, an Academy Award-nomi nated documentary lmmaker, was direc tor/producer of “Volcano,” and Bailey and Dallas Brennan Rexer, were co-writers/ producers.

e lmmakers rst became aware of the story when a partner sent them an article about it in Outside magazine. “Mark and I both read the article and were gripped. We were fascinated by the story and shocked we hadn’t heard about it — it happened during an inten sive news cycle in the U.S. and around the world,” Kennedy said. “We’re always looking for strong stories, but also ones that can rise to something bigger and be

The Malibu Art Association wel comed the community to their rst annual Holiday Boutique and Art Sale last weekend on Dec. 3 and 4. e events were held at the old Con sentino orist property on Paci c Coast Highway.

e location, now known as e Malibu Bungalows or BUngalows, hosted 40 local artists in four separate bungalows. e art showcased a wide range of di erent arts such as abstract art, impressionist art, landscape art, neon light art, por traits, photography, ceramics, sculptures, handmade jewelry and many more.

Malibu Art Association Board Member Derek Martin Schimming said the show embodied the spirit of Malibu.

“I mean this is cool, this is totally Mal ibu,” Schimming said. “ at was my in tention, this is not just an art show, it’s a Malibu art show.”

He expressed pride in the diversity of art and artists at the show.

“Expect surprises. Lots of color, lots of surprises, lots of diversity,” Schimming said. “ ey [Malibu community] will come thinking they’ll visit some little

art show but they will be blown away by seeing how much di erent stu we have here. ere’s something here for every body.”

He said the show gave many local art ists the platform to showcase their art, meet with other artists and meet members of the community and introduce them to many di erent styles of art.

He said it is pride in the Malibu Art Association and pride of being a Malibu resident that helped bring the event to

gether. He said it was an event by Mali bu residents to showcase Malibu art and culture.

“It goes back to how much art is actu ally in our community,” Schimming said. “We need more opportunities like this.”

e event featured live music by op eratic soul artist Samadhi Sound, Soul Stingers, and the Malibu High School Orchestra.

e event also o ered food from the

Section The Malibu Times THURSDAY, DECEMBER 8, 2022 malibutimes.com
People B2 Legals B3 Classi eds/ Directory B5 Sports B8 WHAT’S INSIDE
40 artists display their
Association first
Holiday Boutique and Art Sale A portion of all art sales at the event contributed to the association’s fund for art scholarships for local youth CONTINUED ON PAGE B2 CONTINUED ON PAGE B2
work at the Malibu Art
annual
Mosaic Artist Kimberly Bennett poses with her artwork at the Holiday Boutique and Art Sale on Dec 3.
A heavenly sunset heralds the start of the holiday season on Dec. 3 Snapped at our rebuild in Malibu Park. Joy to the world. Photo taken by Lisa McKean To submit your community spotlight, send a high resolution (300 dpi) jpeg photo by email to editorial@malibutimes.com, along with a caption up to 85 words
BEST SH T
Photo by Emmanuel Luissi/TMT
MALIBU’S
Special sneak preview of ‘The Volcano: Rescue from Whakaari’ set for Dec.14 with in-person Q&A
Members of a tour group are shown inside the Whakaari volcano, on New Zealand’s White Island, right before the volcano begins to erupt in this screen shot from Netflix documentary “The Volcano: Rescue from Whakaari.” Photos from the film, courtesy of Netfli
CONEJO HARDWOODS ‘INVINCIBLE’ Pat & Neil Giraldo winter 2022 magazine ON STANDS NOW winter 2022

In Loving Memory

MALIBU SEEN

e Ultimate Luxury

Those of you who read my column before the holiday will recall that I was working on a contraption which would rotate my body from one side to the other while sleeping. As I mentioned, I nally gave up on the idea for fear that the gadget might accidentally throw my bride out of the bed, an event which would not help the marriage.

I don’t give up easily though. I still want to solve the problem of using too much of my limited energy to rotate from one side to the other. Now we all like to spend our money di erently. Some people like to purchase fancy clothes or cars, others with far more in their bank account prefer to buy yachts and pri vate aircraft, but most of us are quite happy with an occasional meal out.

I have been thinking. I need a new car. My Toy ota, which was purchased in 2008 and currently has 133,000 miles, has seen better days. Rather than spend God knows how much for a new car, I might just spend the money on solving my rotating problem. How, you might ask? Well, here is my thinking: I could hire one or two people who would sit in the hallway outside my bedroom. When during the night I had the urge to turn from one side to the other, I would push a button and the “rotators” would quietly enter the bedroom on command and gently roll me over.

Now some of you might think this an exorbitant way of spending my money, but I don’t tell you how to spend your funds so please don’t tell me how to spend mine. As far as I’m concerned, this expenditure will solve a signi cant problem, and I will consider it not only money well spent, but the ultimate luxury. A good night’s sleep is far more important than a new car, or at least that’s what I think.

worthy of people’s time to watch. is had all of that in the mix; we felt very strongly and passionately about the subject early on.”

e story reminded each member of the lm team about the personal moments of terror in their own lives and how they coped. For Kennedy and Bailey, it was evacuating from the Woolsey Fire in Malibu in 2018, and then learning that the community had come together and neighbors kept their house from burning. For Dallas, it was being in New York on 9/11.

When it comes to humans being willing to help others in need, Dallas decided there was something unique about New Zealanders.

“It’s a small island, a small community, they take care of one another and there’s a camaraderie that really shines through,” she observed.

“Kiwi culture has a ruggedness and willingness to help someone else, even if you sometimes have to put yourself in a risky situation to do so,” Kennedy added. “It’s been reassuring and a rming to be able to witness that in this story.”

e lm team spent four or ve weeks lming in New Zealand over several trips in 2021 and 2022.

e special sneak preview screening with in-per son Q&A with Kennedy and Bailey will take place on Wednesday, Dec. 14, at the Bay eater in the Paci c Palisades at 7 p.m. Reservations can be booked through the Malibu Film Society website.

“ e Volcano: Rescue from Whakaari” releases globally on Net ix on Dec. 16.

MHS Theatre Department’s ‘Noses Off’ takes audience on a hilarious romp

Angeles Wood Fired Pizza truck, co ee and tea from Fifty Skies, and whiskey tasting from Heaven’s Door Whiskey for guests over 21.

A portion of all art sales at the event were con tributed to the association’s fund for art scholarships for local youth.

Eugenie Spirito, a stone sculptor, said having her work displayed at the show was like a gift and a sign to continue making her art. She said she was happy to be back among her peers.

“We’re a community in Malibu, we need to see our people.” Spirito said. “We artists need to be in our beautiful Malibu. We’re seeing our friends, and yes we’re getting exposure, but it feeds our souls to be around people.”

Photographer Jason Konysky said he was excited by the opportunity to share his art with the community and meet with other local artists who make up the Malibu art scene.

“We’re showing that there is a lot of creativity happening here. It’s not just cool bars and pretty beaches, there’s creative folks, people happy to share the beauty of this place,” Konysky said. “I think every beautiful place needs somebody to express that beauty for people interested in seeing what we have to o er.”

Mosaic Artist Kimberly Ney Bennett said the show was uplifting for the community. She said she was happy to see members of the community interested in speaking about the arts and supporting local artists.

“I think these events are important for people who want to connect with creative people, curious people, and generous people,” Bennett said. “It’s nice to meet neighbors, make new friends and connect.”

She said she enjoyed the atmosphere at the show and said she enjoyed the new venue for the show.

“I love the bungalows. I remember years ago when it was a nursery orist place, so it’s fun to see it being revived,” Bennett said.

Painter Gay Summer Rick said she was thrilled to have her work displayed at the show. She said she is excited to see a growing art community in Malibu.

“It’s really important for us to share the amazing creativity and talent in Malibu,” Rick said. “ ere’s a growth of galleries popping up in town and I think it means we can share all this creativity.”

Schimming said the show was a celebration of the arts in Malibu and said he considered the show a “new coming out party” for the Malibu Art Asso ciation.

“I have so much pride in the Malibu Art Associa tion. Sixty one years, the association began in 1961, and this is our largest event. at says something,” Schimming said.

The Malibu High School e atre Department came out of the gate like gangbusters this year with their hilarious performance of “Noses O .” From the rst mo ments of the play with the con tinuous music skipping, you knew something crazy was about to begin. e play opens with the frenzied director desperately trying to get the cast through one full rehearsal.

“’Noses O ’ was a huge success and the audience loved it,” MMHS Arts and Angels President Jolynn Regan said in an email to The Malibu Times.

As the play unfolds, the audience is taken on a hilarious romp, as they try to gure out who is with who, who’s dead, how did they die and who murdered them. Rest assured, you will never get the answers you expect from “Noses O .”

Senior Ethan Marshall gave a standout performance as Jake, playing Reginald the butler. He held the show together with his hu mor, sarcasm, and murderous laugh. Along with junior Sophie Regan as

frazzled director Lila, she kept the audience hoping and wondering, can she actually pull this rehearsal o and get to opening night.

Regan was frustrated and funny all at once. e incomparable se nior, Marsaille Wells, delighted the audience with her performance as props person AND costume person Millie. Other standouts included Felix de Raspide Ross as Steve, playing Miles Bradley. He brought the slime of a senator with the wit of a man in love to life on stage. And love interests Arnold and Kaylie, played by Nick Ortiz and Kylie Morra, were superbly sweet together.

Optimist Club of Malibu Youth Appreciation holds awards ceremony at Pepperdine

For the rst time since 2019, the Optimist Club of Malibu was able to host its annual Youth Appreciation Program in person at Pepperdine University on ursday, Nov. 17.

ceremony with the school principals, teachers, family, and friends in attendance.

e Malibu Optimists believe it is important to recognize the youth of our community for their e orts and achievements in the arts, athletics, aca demics and community service work,” the press release says. “On an an nual basis, the club hon ors the accomplishments of Malibu students with the Youth Appreciation Award.”

is year, 24 outstand ing students from all ve Malibu schools were pre sented with their awards, along with gift certi cates from the Malibu McDon ald’s and Malibu Yogurt & Ice Cream at a breakfast

“I was a proud principal celebrating our incredible Malibu High students at this morning’s Optimist Club of Malibu Youth Appreciation Awards ceremony,” Malibu High School Prinicipal Patrick Miller shared on Twitter. “Congrats to all students recognized at this morn ing’s Optimist Club of Malibu Youth Recogni tion.”

e masters of ceremo nies for this event were SMMUSD School Board Member Craig Foster and Laura Rosenthal, Public A airs on the Client Re lations team.

The 2022 Recipients of the Optimist Club of Malibu Youth Apprecia tion Award have demon strated qualities such as exceptional leadership, sel essness, courage and sincere devotion to the welfare of others, and have

consistently exhibited the principles of optimism and made positive con tributions to Malibu and society as a whole.

e 2022 Youth Appre ciation Award Recipients (by school and grade):

Malibu Elementary School:

Fifth grade: Kailand Ford Maja Rostampor

Webster Elementary School: Fifth grade: Bodhi Skelton Viola Fernald

Our Lady of Malibu School:

Fifth grade: Carrington Hale Charles Nenejian

Sixth grade: Xue Mastripollito Bertie Merkell

Seventh grade: Sophie Falvai

Eighth grade: Uma Friesen

Malibu Middle School: Sixth grade: Aayan Jain Leila Trujillo

Seventh grade: Parker Kaplan Pixie Jones

Eighth grade: Natalie Lapajne Terence Tejada-Gonzalez

Malibu High School: Ninth grade: Diego Alvarez Nick Ortiz

10th grade: Sean Perl Shane Perl

11th grade: Hannah Kaloper Sophie Regan

12th grade: Charlotte Flores Jake Sichta

PAGE B-2 • Thursday, December 8, 2022 Malibu’s Award-Winning Community Paper Since 1946 malibutimes.com
PEOPLE
PERSPECTIVE
The artists showcased at the Holiday Boutique and Art Sale get together for a photo on Dec 3. Photos by Emmanuel Luissi/TMT.
Malibu students gather with their Youth Appreciation Award certificates after being honored by the Optimist Club of Malibu. Photo courtesy Optimist Club of Malibu The Malibu High School Theatre Department presented “Noses O ,” a murder mystery comedy that was an adaptation and full-throttled homage of Michael Frayn’s classic company’s murder mystery play. Photos contributed by Jolynn Regan
Play-within-a-play the impetus for an entertaining plot pulled off successfully by young actors
MALIBU ART ASSOCIATION SALE
Continued from B1
VOLCANO DOCUMENTARY Continued from B1
NEW
STAFF REPORT
DANIELA SCHWEITZER AND GAY SUMMER RICK DECLAN BATES JAYNE COOPER EUGENIE SPIRITO DEREK MARTIN SCHIMMING

SUMMONS (CITACION JUDICIAL)

CASE NUMBER: 22SMCV01175

NOTICE TO DEFENDANT: (AVISO AL DEMANDADO): ERIN HUGHES

YOU ARE BEING SUED BY PLAINTIFF: (LO ESTA DEMANDAN DO EL DEMANDANTE): CARRINGTON MORTGAGE SERVICES, LLC and WILMINGTON SAVINGS FUND SOCIETY, FSB AS TRUSTEE OF UPLAND MORTGAGE LOAN TRUST A NOTICE! You have been sued. The court may decide against you without your being heard unless you respond within 30 days. Read the information below.

You have 30 CALENDAR DAYS after this summons and legal papers are served on you to file a written response at this court and have a copy served on the plaintiff. A letter or phone call will not protect you. Your written response must be in proper legal form if you want the court to hear your case. There may be a court form that you can use for your response. ou can find these court forms and more information at the California Courts Online Self-Help Center (www.courtinfo.ca.gov/selfhelp), your county law library, or the courthouse nearest you. If you cannot pay the filing fee, ask the court clerk for a fee waiver form. If you do not file your response on time, you may lose the case by default, and your wages, money, and property may be taken without further warning from the court.

There are other legal requirements. You may want to call an attorney right away. If you do not know an attorney, you may want to call an attorney referral service. If you cannot afford an attorney, you may be eligible for free legal services from a nonprofit legal services program. ou can locate these non profit groups at the California Legal Services eb site (www. lawhelpcalifornia.org), the California Courts Online Self-Help Center (www.courtinfo.ca.gov/selfhelp), or by contacting your local court or county bar association. NOTE: The court has a statutory lien for waived fees and costs on any settlement or arbitration award of $10,000 or more in a civil case. The court’s lien must be paid before the court will dismiss the case. ¡AVISO! Lo han demandado. Si no responde dentro de 30 días, la corte puede decidir en su contra sin escuchar su versión. Lea la información a continuación.

Tiene 30 DÍAS DE CALENDARIO después de que le entreguen esta citación y papeles legales para presentar una respuesta por escrito en esta corte y hacer que se entregue una copia al demandante. Una carta o una llamada telefónica no lo pro tegen. Su respuesta por escrito tiene que estar en formato legal correcto si desea que procesen su caso en la corte. Es posible que haya un formulario que usted pueda usar para su respuesta. Puede encontrar estos formularios de la corte y más información en el Centro de Ayuda de las Cortes de California (www.sucorte.ca.gov), en la biblioteca de leyes de su condado o en la corte que le quede más cerca. Si no puede pagar la cuota de presentación, pida al secretario de la corte que le dé un formulario de exención de pago de cuotas. Si no presenta su respuesta a tiempo, puede perder el caso por incumplimiento y la corte le podrá quitar su sueldo, dinero y bienes sin más advertencia. Hay otros requisitos legales. Es recomendable que llame a un abogado inmediatamente. Si no conoce a un abogado, puede llamar a un servicio de remisión a abogados. Si no puede pagar a un abogado, es posible que cumpla con los requisitos para obtener servicios legales gratuitos de un programa de servicios legales sin fines de lucro. Puede encontrar estos grupos sin fines de lucro en el sitio web de California Legal Services, (www. lawhelpcalifornia.org), en el Centro de Ayuda de las Cortes de California, (www.sucorte.ca.gov) o poniéndose en contacto con la corte o el colegio de abogados locales. AVISO: Por ley, la corte tiene derecho a reclamar las cuotas y los costos exentos por imponer un gravamen sobre cualquier recuperación de $10,000 ó más de valor recibida mediante un acuerdo o una concesión de arbitraje en un caso de derecho civil. Tiene que pagar el gravamen de la corte antes de que la corte pueda desechar el caso.

The name and address of the court is: (El nombre y dirección de la corte es): Santa Monica Courthouse, 1725 Main Street, Santa Monica, CA 90401

The name, address, and telephone number of plaintiff’s attor ney, or plaintiff without an attorney, is: (El nombre, la direcci n y el número de teléfono del abogado del demandante, o del demandante que no tiene abogado, es): Robert W. Norman, Neil J. Cooper - HOUSER LLP - 9970 Research Drive, Irvine, CA 92618 - (949) 679-1111

DATE: (Fecha): 07/21/2022

Sherri R. Carter, E ecutive Officer / Clerk of Court by K. Par enteau, Deputy

Publish in The Malibu Times 11/17/22 11/24/22 12/1/22 12/8/22 MALIBU 256 2022228159

FICTITIOUS BUSINESS NAME STATEMENT

THE FOLLOWING PERSON IS (ARE) DOING BUSINESS AS:

1. LIJ SPACES

2. LIFE IN JENERAL SPACES 1601 N. SEPULVEDA UNIT 128, MANHATTAN BEACH, CA 90266, LOS ANGELES COUNTY Articles of Incorporation or Organization Number (if applicable): Registered Owner(s): 1. LIFE IN JENERAL PRODUCTS LLC 1601 N. SEPULVEDA UNIT 128, MANHATTAN BEACH, CA 90266

If Corporation or LLC- CA State of Incorporation/Organization CA

This business is conducted by A LIMITED LIABILITY COMPANY The date registrant commenced to transact business under the fictitious business name or names listed above on: 01/2021. I declare that all information in this statement is true and correct. (A registrant who declares as true information which he or she knows to be false is guilty of a crime). Signed, LIFE IN ENERAL PRODUCTS LLC, JENNIFER ROBIN, PRESIDENT This statement was filed with the County Clerk of Los Angeles County on 10/19/2022.

NOTICE IN ACCORDANCE WITH SUBDIVISION (a) OF SEC TION 17920, A FICTITIOUS NAME STATEMENT GENERALLY EXPIRES AT THE END OF FIVE YEARS FROM THE DATE ON HICH IT AS FILED IN THE OFFICE OF THE COUNT CLERK, EXCEPT, AS PROVIDED IN SUBDIVISION (b) OF SECTION 17920, WHERE IT EXPIRES 40 DAYS AFTER ANY CHANGE IN THE FACTS SET FORTH IN THE STATEMENT PURSUANT TO SECTION 17913 OTHER THAN A CHANGE IN THE RESIDENCE

LEGAL NOTICES

ADDRESS OF A REGISTERED OWNER. A NEW FICTITIOUS BUSINESS NAME STATEMENT MUST BE FILED BEFORE THE EXPIRATION.THE FILING OF THIS STATEMENT DOES NOT OF ITSELF AUTHORIZE THE USE IN THIS STATE OF A FICTITIOUS BUSINESS NAME IN VIOLATION OF THE RIGHTS OF ANOTHER UNDER FEDERAL, STATE, OR COMMON LAW (SEE SECTION 14411 ET SEQ., BUSINESS AND PROFESSIONS CODE).

Publish in The Malibu Times: 11/17, 11/24, 12/01, 12/08/2022

MALIBU 258

2022245650

FICTITIOUS BUSINESS NAME STATEMENT

THE FOLLOWING PERSON IS (ARE) DOING BUSINESS AS: 1. MALIBU SECRET GARDEN 2873 SEABREEZE DR, MALIBU, CA 90265, LOS ANGELES COUNTY

Articles of Incorporation or Organization Number (if applicable): Registered Owner(s):

1. MADE IN INTERNATIONAL, LLC 2873 SEABREEZE DR, MALIBU, CA 90265

If Corporation or LLC- CA State of Incorporation/Organization CA

This business is conducted by A LIMITED LIABILITY COMPANY The date registrant commenced to transact business under the fictitious business name or names listed above on: 11/2022. I declare that all information in this statement is true and correct. (A registrant who declares as true information which he or she knows to be false is guilty of a crime). Signed, MADE IN INTER NATIONAL, LLC, ASHLEY SHOSHAN, MANAGING MEMBER This statement was filed with the County Clerk of Los Angeles County on 11/09/2022.

NOTICE IN ACCORDANCE WITH SUBDIVISION (a) OF SEC TION 17920, A FICTITIOUS NAME STATEMENT GENERALLY EXPIRES AT THE END OF FIVE YEARS FROM THE DATE ON HICH IT AS FILED IN THE OFFICE OF THE COUNT CLERK, EXCEPT, AS PROVIDED IN SUBDIVISION (b) OF SECTION 17920, WHERE IT EXPIRES 40 DAYS AFTER ANY CHANGE IN THE FACTS SET FORTH IN THE STATEMENT PURSUANT TO SECTION 17913 OTHER THAN A CHANGE IN THE RESIDENCE ADDRESS OF A REGISTERED OWNER. A NEW FICTITIOUS BUSINESS NAME STATEMENT MUST BE FILED BEFORE THE EXPIRATION.THE FILING OF THIS STATEMENT DOES NOT OF ITSELF AUTHORIZE THE USE IN THIS STATE OF A FICTITIOUS BUSINESS NAME IN VIOLATION OF THE RIGHTS OF ANOTHER UNDER FEDERAL, STATE, OR COMMON LAW (SEE SECTION 14411 ET SEQ., BUSINESS AND PROFESSIONS CODE).

Publish in The Malibu Times: 11/17, 11/24, 12/01, 12/08/2022

MALIBU 259

NOTICE OF PUBLIC HEARING CITY OF MALIBU CITY COUNCIL

The Malibu City Council will hold a public hearing on Mon day, December 12, 2022 at 6:30 p.m. on the item identified below via teleconference only in order to reduce the risk of spreading COVID-19, pursuant to AB 361 and the County of Los Angeles Public Health Officer’s order.

Public comment can be submitted ahead of the public hearing to citycouncil@malibucity.org for inclusion in the public record. To participate during the public hearing, please visit https:// malibucity.org/VirtualMeeting and follow the directions for signing up to speak and downloading the oom application

CALIFORNIA BUILDING STANDARDS CODE: ORDINANCE 503U

AN ORDINANCE OF THE CITY OF MALIBU ADOPTING BY REFERENCE TITLE 26 OF THE LOS ANGELES COUNTY CODE, INCORPORATING THE CALIFORNIA BUILDING CODE, 2022 EDITION; TITLE 27 OF THE LOS ANGELES COUNTY CODE, INCORPORATING THE CALIFORNIA ELECTRICAL CODE, 2022 EDITION; TITLE 28 OF THE LOS ANGELES COUNTY CODE, INCORPORATING THE CALIFORNIA PLUMBING CODE, 2022 EDITION; TITLE 29 OF THE LOS ANGELES COUNTY CODE, INCORPORATING THE CALIFORNIA MECHANICAL CODE, 2022 EDITION; TITLE 30 OF THE LOS ANGELES COUNTY CODE, INCORPORATING THE CALIFORNIA RESIDENTIAL CODE, 2022 EDITION; TITLE 31 OF THE LOS ANGELES COUNTY CODE, INCORPORATING THE CALIFORNIA GREEN BUILDING STANDARDS CODE, 2022 EDITION; THE CALIFORNIA EN ERGY CODE, 2022 EDITION; TITLE 33 OF THE LOS ANGELES COUNTY CODE, INCORPORATING THE CALIFORNIA EXISTING BUILDING CODE, 2022 EDITION; THE CALIFORNIA FIRE CODE, 2022 EDITION; THE CALIFORNIA REFERENCES STANDARDS CODE, 2022 EDITION; THE CALIFORNIA ADMINISTRATIVE CODE, 2022 EDITION, THE CALIFORNIA HISTORICAL BUILD ING CODE, 2022 EDITION, MAKING AMENDMENTS TO SAID CODES; DECLARING THE URGENCY THEREOF; REPEALING ORDINANCE NO. 457; AND FINDING THE ACTION EXEMPT FROM THE CALIFORNIA ENVIRONMENTAL QUALITY ACT

COPIES OF THE CODE IS ON FILE ITH THE CIT CLERK AND OPEN TO PUBLIC INSPECTION.

IF YOU CHALLENGE THE CITY COUNCIL’S ACTION IN COURT, YOU MAY BE LIMITED TO RAISING ONLY THOSE ISSUES RAISED AT THE PUBLIC HEARING DESCRIBED IN THIS NO TICE, OR OTHERWISE HELD BY THE CITY, OR IN WRITTEN CORRESPONDENCE DELIVERED TO THE CITY, EITHER AT OR PRIOR TO THE PUBLIC HEARING.

If there are any questions regarding this notice, please contact Yolanda Bundy, Environmental Sustainability Director/Building Official, at (310) 456-2489, e t. 229. Copies of all related doc uments can be reviewed by any interested person at City Hall during regular business hours. Oral and written comments may be presented to the City Council on or before the date of the meeting.

Yolanda Bundy, Environmental Sustainability Director/Building Official

Publish Dates: November 23, 2022, December 1, 2022 and

December 8, 2022 MALIBU 260

NOTICE OF TRUSTEE’S SALE TS No. CA-18-837463-RY Or der No.: 180383325-CA-VOI YOU ARE IN DEFAULT UNDER A DEED OF TRUST DATED 10/13/2006. UNLESS YOU TAKE ACTION TO PROTECT YOUR PROPERTY, IT MAY BE SOLD AT A PUBLIC SALE. IF YOU NEED AN EXPLANATION OF THE NATURE OF THE PROCEEDING AGAINST YOU, YOU SHOULD CONTACT A LAWYER. A public auction sale to the highest bidder for cash, cashier’s check drawn on a state or national bank, check drawn by state or federal credit union, or a check drawn by a state or federal savings and loan association, or savings association, or savings bank specified in Section 5102 to the Financial Code and authorized to do business in this state, will be held by duly appointed trustee. The sale will be made, but without covenant or warranty, expressed or im plied, regarding title, possession, or encumbrances, to pay the remaining principal sum of the note(s) secured by the Deed of Trust, with interest and late charges thereon, as provided in the note(s), advances, under the terms of the Deed of Trust, interest thereon, fees, charges and expenses of the Trustee for the total amount (at the time of the initial publication of the Notice of Sale) reasonably estimated to be set forth below. The amount may be greater on the day of sale. BENEFICIARY MAY ELECT TO BID LESS THAN THE TOTAL AMOUNT DUE. Trustor(s): GERALD LABARBERA, A SINGLE MAN Recorded: 10/26/2006 as Instrument No. 062378472 of Official Records in the office of the Recorder of LOS ANGELES County, California; Date of Sale: 1/26/2023 at 9:00 AM Place of Sale: At the Doubletree Hotel Los Angeles-Norwalk, 13111 Syc amore Drive, Norwalk, CA 90650, in the Vineyard Ballroom Amount of unpaid balance and other charges: $1,446,554.27 The purported property address is: 31258 BAILARD RD. #1, MALIBU, CA 90265 Assessor’s Parcel No.: 4470-002-054

NOTICE TO POTENTIAL BIDDERS: If you are considering bidding on this property lien, you should understand that there are risks involved in bidding at a trustee auction. ou will be bidding on a lien, not on the property itself. Placing the highest bid at a trustee auction does not automatically entitle you to free and clear ownership of the property. You should also be aware that the lien being auctioned off may be a junior lien. If you are the highest bidder at the auction, you are or may be responsible for paying off all liens senior to the lien being auctioned off, before you can receive clear title to the property. You are encouraged to investigate the existence, priority, and size of outstanding liens that may exist on this property by con tacting the county recorder’s office or a title insurance company, either of which may charge you a fee for this information. If you consult either of these resources, you should be aware that the same lender may hold more than one mortgage or deed of trust on the property.

NOTICE TO PROPERTY OWNER: The sale date shown on this notice of sale may be postponed one or more times by the mortgagee, beneficiary, trustee, or a court, pursuant to Section 2924g of the California Civil Code. The law requires that information about trustee sale postponements be made available to you and to the public, as a courtesy to those not present at the sale. If you wish to learn whether your sale date has been postponed, and, if applicable, the rescheduled time and date for the sale of this property, you may call 800280-2832 for information regarding the trustee’s sale or visit this internet website http://www.qualityloan.com, using the file number assigned to this foreclosure by the Trustee: CA18-837463-RY. Information about postponements that are very short in duration or that occur close in time to the sched uled sale may not immediately be reflected in the telephone information or on the internet website. The best way to verify postponement information is to attend the scheduled sale.

NOTICE TO TENANT: You may have a right to purchase this property after the trustee auction pursuant to Section 2924m of the California Civil Code. If you are an “eligible tenant buyer,” you can purchase the property if you match the last and highest bid placed at the trustee auction. If you are an “eligible bidder,” you may be able to purchase the property if you exceed the last and highest bid placed at the trustee auction. There are three steps to exercising this right of purchase. First, 48 hours after the date of the trustee sale, you can call 800-280-2832, or visit this internet website http://www.qualityloan.com, using the file number assigned to this foreclosure by the Trustee: CA-18837463-RY to find the date on which the trustee’s sale was held, the amount of the last and highest bid, and the address of the trustee. Second, you must send a written notice of intent to place a bid so that the trustee receives it no more than 15 days after the trustee’s sale. Third, you must submit a bid so that the trustee receives it no more than 45 days after the trustee’s sale. If you think you may qualify as an eligible tenant buyer” or “eligible bidder,” you should consider contacting an attorney or appropriate real estate professional immediately for advice regarding this potential right to purchase. NOTICE TO PROSPECTIVE OWNER-OCCUPANT: Any prospective owner-occupant as defined in Section 2924m of the California Civil Code who is the last and highest bidder at the trustee’s sale shall provide the required affidavit or declaration of eligibility to the auctioneer at the trustee’s sale or shall have it delivered to Quality Loan Service Corporation by 5 p.m. on the next busi ness day following the trustee’s sale at the address set forth in the below signature block. The undersigned Trustee disclaims any liability for any incorrectness of the property address or other common designation, if any, shown herein. If no street address or other common designation is shown, directions to the location of the property may be obtained by sending a written request to the beneficiary within 10 days of the date of first publication of this Notice of Sale. If the sale is set aside for any reason, including if the Trustee is unable to convey title, the Purchaser at the sale shall be entitled only to a return of the monies paid to the Trustee. This shall be the Purchaser’s sole and exclusive remedy. The purchaser shall have no further recourse against the Trustor, the Trustee, the Beneficiary, the Beneficiary’s Agent, or the Beneficiary’s Attorney. If you have previously been discharged through bankruptcy, you may have been released of personal liability for this loan in which case this letter is intended to exercise the note holders right’s against the real property only. Date: Quality Loan Service Corporation 2763 Camino Del Rio S San Diego, CA 92108 619-645-7711 For NON SALE information only Sale Line: 800-280-2832 Or Login to: http://www.qualityloan.com Reinstatement Line: (866) 645-7711 Ext 5318 Quality Loan Service Corp. TS No.: CA-18-837463-RY IDSPub #0182232 11/24/2022 12/1/2022 12/8/2022 MALIBU 262

2022245357

FICTITIOUS BUSINESS NAME STATEMENT

THE FOLLOWING PERSON IS (ARE) DOING BUSINESS AS:

1. WATCHFUL EYE SECURITY AND TRANS PORTATION SERVICES

1925 20TH ST APT #L, SANTA MONICA, CA 90404, LOS AN GELES COUNTY

Articles of Incorporation or Organization Number (if applicable): Registered Owner(s):

1. JESSIE CORTEZ

1925 20TH ST APT #L, SANTA MONICA, CA 90404

If Corporation or LLC- CA State of Incorporation/Organization

This business is conducted by AN INDIVIDUAL

The date registrant commenced to transact business under the fictitious business name or names listed above on: 10/2022. I declare that all information in this statement is true and cor rect. (A registrant who declares as true information which he or she knows to be false is guilty of a crime). Signed, ESSIE CORTEZ, OWNER

This statement was filed with the County Clerk of Los Angeles County on 11/09/2022.

NOTICE IN ACCORDANCE WITH SUBDIVISION (a) OF SEC TION 17920, A FICTITIOUS NAME STATEMENT GENERALLY EXPIRES AT THE END OF FIVE YEARS FROM THE DATE ON HICH IT AS FILED IN THE OFFICE OF THE COUNT CLERK, EXCEPT, AS PROVIDED IN SUBDIVISION (b) OF SECTION 17920, WHERE IT EXPIRES 40 DAYS AFTER ANY CHANGE IN THE FACTS SET FORTH IN THE STATEMENT PURSUANT TO SECTION 17913 OTHER THAN A CHANGE IN THE RESIDENCE ADDRESS OF A REGISTERED OWNER. A NEW FICTITIOUS BUSINESS NAME STATEMENT MUST BE FILED BEFORE THE EXPIRATION.THE FILING OF THIS STATEMENT DOES NOT OF ITSELF AUTHORIZE THE USE IN THIS STATE OF A FICTITIOUS BUSINESS NAME IN VIOLATION OF THE RIGHTS OF ANOTHER UNDER FEDERAL, STATE, OR COMMON LAW (SEE SECTION 14411 ET SEQ., BUSINESS AND PROFESSIONS CODE).

Publish in The Malibu Times: 11/24, 12/01, 12/08, 12/15/2022

MALIBU 263

2022250999

FICTITIOUS BUSINESS NAME STATEMENT

THE FOLLOWING PERSON IS (ARE) DOING BUSINESS AS: 1. DESERT ESTATE GROUP 9454 WILSHIRE BLVD. #100, BEVERLY HILLS, CA 90212, LOS ANGELES COUNTY 341 BAYSIDE DRIVE, NEWPORT BEACH, CA 92660

Articles of Incorporation or Organization Number (if appli cable):

Registered Owner(s): 1. CARI YOUNG

341 BAYSIDE DRIVE, NEWPORT BEACH, CA 92660

If Corporation or LLC- CA State of Incorporation/Organization This business is conducted by AN INDIVIDUAL

The date registrant commenced to transact business un der the fictitious business name or names listed above on: 11/2022.

I declare that all information in this statement is true and correct. (A registrant who declares as true information which he or she knows to be false is guilty of a crime). Signed, CARI YOUNG, OWNER

This statement was filed with the County Clerk of Los Angeles County on 11/17/2022.

NOTICE IN ACCORDANCE WITH SUBDIVISION (a) OF SEC TION 17920, A FICTITIOUS NAME STATEMENT GENERAL LY EXPIRES AT THE END OF FIVE YEARS FROM THE DATE ON WHICH IT WAS FILED IN THE OFFICE OF THE COUNTY CLERK, E CEPT, AS PRO IDED IN SUBDI ISION (b) OF SECTION 17920, WHERE IT EXPIRES 40 DAYS AFTER ANY CHANGE IN THE FACTS SET FORTH IN THE STATEMENT PURSUANT TO SECTION 17913 OTHER THAN A CHANGE IN THE RESIDENCE ADDRESS OF A REGISTERED OWNER. A NEW FICTITIOUS BUSINESS NAME STATEMENT MUST BE FILED BEFORE THE EXPIRATION.THE FILING OF THIS STATEMENT DOES NOT OF ITSELF AUTHORIZE THE USE IN THIS STATE OF A FICTITIOUS BUSINESS NAME IN VI OLATION OF THE RIGHTS OF ANOTHER UNDER FEDERAL, STATE, OR COMMON LAW (SEE SECTION 14411 ET SEQ., BUSINESS AND PROFESSIONS CODE).

Publish in The Malibu Times: 11/24, 12/01, 12/08, 12/15/2022

MALIBU 265

NOTICE OF PUBLIC HEARING CITY OF MALIBU CITY COUNCIL

The Malibu City Council will hold a public hearing on MON DAY, December 12, 2022, at 6:30 p.m. on the item identified below via teleconference only in order to reduce the risk of spreading COVID-19, pursuant to the Governor’s Executive Orders N-25-20 and N-29-20 and the County of Los Angeles Public Health Officer’s order.

Public comment can be submitted ahead of the public hear ing to citycouncil@malibucity.org for inclusion in the public record. To participate during the public hearing, please visit https://malibucity.org/VirtualMeeting and follow the direc tions for signing up to speak and downloading the oom application.

Update to Permitting Process for Electric Vehicle Charging Stations

AN ORDINANCE OF THE CITY OF MALIBU DETERMINING THE PROJECT IS CATEGORICALLY EXEMPT FROM THE CAL IFORNIA ENVIRONMENTAL QUALITY ACT AND AMENDING CHAPTER 15.36 TO TITLE 15 OF THE MALIBU MUNICIPAL CODE UPDATING THE EXPEDITED, STREAMLINED PER MITTING PROCESS FOR ELECTRIC VEHICLE CHARGING STATIONS WITHIN THE CITY

IF YOU CHALLENGE THE CITY COUNCIL’S ACTION IN COURT, YOU MAY BE LIMITED TO RAISING ONLY THOSE ISSUES RAISED AT THE PUBLIC HEARING DESCRIBED IN THIS NO TICE, OR OTHERWISE HELD BY THE CITY, OR IN WRITTEN CORRESPONDENCE DELIVERED TO THE CITY, EITHER AT OR PRIOR TO THE PUBLIC HEARING.

If there are any questions regarding this notice, please con tact Environmental Sustainability Director Bundy at (310)

malibutimes.com Malibu’s Award-Winning Community Paper Since 1946 Thursday, December 8, 2022 • PAGE B-3

456-2489, ext. 229. Copies of all related documents can be reviewed by any interested person at City Hall during regular business hours. Oral and written comments may be presented to the City Council on, or before, the date of the meeting.

Publish Dates: December 1, 2022 and December 8, 2022 MALIBU 261

NOTICE OF TRUSTEE’S SALE TS No. CA-22-910935-CL Or der No.: DEF-394130 YOU ARE IN DEFAULT UNDER A DEED OF TRUST DATED 3/2/2006. UNLESS YOU TAKE ACTION TO PROTECT YOUR PROPERTY, IT MAY BE SOLD AT A PUBLIC SALE. IF YOU NEED AN EXPLANATION OF THE NA TURE OF THE PROCEEDING AGAINST YOU, YOU SHOULD CONTACT A LAWYER. A public auction sale to the highest bidder for cash, cashier’s check drawn on a state or national bank, check drawn by state or federal credit union, or a check drawn by a state or federal savings and loan association, or savings association, or savings bank specified in Section 5102 to the Financial Code and authorized to do business in this state, will be held by duly appointed trustee. The sale will be made, but without covenant or warranty, expressed or implied, regarding title, possession, or encumbrances, to pay the remaining principal sum of the note(s) secured by the Deed of Trust, with interest and late charges thereon, as provided in the note(s), advances, under the terms of the Deed of Trust, interest thereon, fees, charges and expenses of the Trustee for the total amount (at the time of the initial publication of the Notice of Sale) reasonably estimated to be set forth below. The amount may be greater on the day of sale.

BENEFICIARY MAY ELECT TO BID LESS THAN THE TOTAL AMOUNT DUE. Trustor(s): DEBBIE DUNLAP, AN UNMAR RIED WOMAN Recorded: 3/14/2006 as Instrument No. 06 0540575 of Official Records in the office of the Recorder of LOS ANGELES County, California; Date of Sale: 12/29/2022 at 10:00 AM Place of Sale: Behind the fountain located in Civic Center Plaza, located at 400 Civic Center Plaza, Pomona CA 91766 Amount of unpaid balance and other charges: $174,258.44 The purported property address is: 1959 LATI GO CANYON ROAD, MALIBU, CA 90265 Assessor’s Parcel No.: 4465-006-034

NOTICE TO POTENTIAL BIDDERS: If you are considering bidding on this property lien, you should understand that there are risks involved in bidding at a trustee auction. You will be bidding on a lien, not on the property itself. Placing the highest bid at a trustee auction does not automatically entitle you to free and clear ownership of the property. You should also be aware that the lien being auc tioned off may be a junior lien. If you are the highest bidder at the auction, you are or may be responsible for paying off all liens senior to the lien being auctioned off, before you can receive clear title to the property. You are encouraged to investigate the existence, priority, and size of outstanding liens that may exist on this property by contacting the county recorder’s office or a title insurance company, either of which may charge you a fee for this information. If you consult ei ther of these resources, you should be aware that the same lender may hold more than one mortgage or deed of trust on the property.

NOTICE TO PROPERTY OWNER: The sale date shown on this notice of sale may be postponed one or more times by the mortgagee, beneficiary, trustee, or a court, pursuant to Section 2924g of the California Civil Code. The law requires that information about trustee sale postponements be made available to you and to the public, as a courtesy to those not present at the sale. If you wish to learn whether your sale date has been postponed, and, if applicable, the rescheduled time and date for the sale of this property, you may call 916-939-0772 for information regarding the trustee’s sale or visit this internet website http://www.qualityloan. com, using the file number assigned to this foreclosure by the Trustee: CA-22-910935-CL. Information about postpone ments that are very short in duration or that occur close in time to the scheduled sale may not immediately be reflected in the telephone information or on the internet website. The best way to verify postponement information is to attend the scheduled sale. NOTICE TO TENANT: You may have a right to purchase this property after the trustee auction pursuant to Section 2924m of the California Civil Code. If you are an “eligible tenant buyer,” you can purchase the property if you match the last and highest bid placed at the trustee auction. If you are an “eligible bidder,” you may be able to purchase the property if you exceed the last and highest bid placed at the trustee auction. There are three steps to exercising this right of purchase. First, 48 hours after the date of the trustee sale, you can call 916-939-0772, or visit this internet website http://www.qualityloan.com, using the file number assigned to this foreclosure by the Trustee: CA-22-910935-CL to find the date on which the trustee’s sale was held, the amount of the last and highest bid, and the address of the trustee. Second, you must send a written notice of intent to place a bid so that the trustee receives it no more than 15 days after the trustee’s sale. Third, you must submit a bid so that the trustee receives it no more than 45 days after the trustee’s sale. If you think you may qualify as an “eligible tenant buyer” or “eligible bidder,” you should consider contacting an attor ney or appropriate real estate professional immediately for advice regarding this potential right to purchase.

NOTICE TO PROSPECTIVE OWNER-OCCUPANT: Any prospective own er-occupant as defined in Section 2924m of the California Civil Code who is the last and highest bidder at the trustee’s sale shall provide the required affidavit or declaration of eligibility to the auctioneer at the trustee’s sale or shall have it delivered to Quality Loan Service Corporation by 5 p.m. on the next business day following the trustee’s sale at the address set forth in the below signature block. The undersigned Trustee disclaims any liability for any incorrectness of the property address or other common designation, if any, shown herein. If no street address or other common designation is shown, directions to the location of the property may be obtained by sending a written request to the beneficiary within 10 days of the date of first publication of this Notice of Sale. If the sale is set aside for any reason, including if the Trustee is unable to convey title, the Purchaser at the sale shall be entitled only to a return of the monies paid to the Trustee. This shall be the Purchaser’s sole and exclusive remedy. The purchaser shall have no further recourse against the Trustor, the Trustee, the Beneficiary, the Beneficiary’s Agent, or the Beneficiary’s Attorney. If you have previously been discharged through bankruptcy, you may have been released of personal

liability for this loan in which case this letter is intended to exercise the note holders right’s against the real property only. Date: Quality Loan Service Corporation 2763 Camino Del Rio S San Diego, CA 92108 619-645-7711 For NON SALE information only Sale Line: 916-939-0772 Or Login to: http:// www.qualityloan.com Reinstatement Line: (866) 645-7711 Ext 5318 Quality Loan Service Corp. TS No.: CA-22-910935-CL IDSPub #0182301 12/1/2022 12/8/2022 12/15/2022 MALIBU 264

2022251774

FICTITIOUS BUSINESS NAME STATEMENT

THE FOLLOWING PERSON IS (ARE) DOING BUSINESS AS:

1. LEE LA WADEE REFLEXOLOGY 22837 PCH #C, MALIBU, CA 90265, LOS ANGELES COUNTY 3117 OAKCREEK RD, CHINO HILLS, CA 91709 Articles of Incorporation or Organization Number (if appli cable):

Registered Owner(s):

1. MANTHANA ADISA 3117 OAKCREEK RD, CHINO HILLS, CA 91709

If Corporation or LLC- CA State of Incorporation/Organization This business is conducted by AN INDIVIDUAL The date registrant commenced to transact business under the fictitious business name or names listed above on: N/A. I declare that all information in this statement is true and correct. (A registrant who declares as true information which he or she knows to be false is guilty of a crime). Signed, MANTHANA ADISA, OWNER This statement was filed with the County Clerk of Los Angeles County on 11/18/2022.

NOTICE IN ACCORDANCE WITH SUBDIVISION (a) OF SEC TION 17920, A FICTITIOUS NAME STATEMENT GENERAL LY EXPIRES AT THE END OF FIVE YEARS FROM THE DATE ON WHICH IT WAS FILED IN THE OFFICE OF THE COUNTY CLERK, EXCEPT, AS PROVIDED IN SUBDIVISION (b) OF SECTION 17920, WHERE IT EXPIRES 40 DAYS AFTER ANY CHANGE IN THE FACTS SET FORTH IN THE STATEMENT PURSUANT TO SECTION 17913 OTHER THAN A CHANGE IN THE RESIDENCE ADDRESS OF A REGISTERED OWNER. A NEW FICTITIOUS BUSINESS NAME STATEMENT MUST BE FILED BEFORE THE EXPIRATION.THE FILING OF THIS STATEMENT DOES NOT OF ITSELF AUTHORIZE THE USE IN THIS STATE OF A FICTITIOUS BUSINESS NAME IN VI OLATION OF THE RIGHTS OF ANOTHER UNDER FEDERAL, STATE, OR COMMON LAW (SEE SECTION 14411 ET SEQ., BUSINESS AND PROFESSIONS CODE).

Publish in The Malibu Times: 12/08, 12/15, 12/22, 12/29/2022 MALIBU 266

ORDINANCE NO. 505U

AN URGENCY ORDINANCE OF THE CITY OF MALIBU TO TEMPORARILY AUTHORIZE A FARMERS’ MARKET AT A PUBLICLY-OWNED PARK BY AMENDING MALIBU MUNIC IPAL CODE CHAPTER 17.68 (TEMPORARY USE PERMITS), AND FINDING THE ACTION EXEMPT FROM THE CALIFORNIA ENVIRONMENTAL QUALITY ACT AND SETTING FORTH THE FACTS CONSTITUTING SUCH URGENCY

The City Council of the Malibu does ordain as follows:

SECTION 1. Findings.

A. The Governor issued a proclamation declaring a state of emergency on March 4, 2020, due to the COVID-19 pandemic, pursuant to section 8625 of the California Emer gency Services Act, and this proclaimed state of emergency currently remains in effect;

B. State or local officials continue to impose or rec ommend measures to promote social distancing and reduce the risk of community transmission;

C. The City Council finds that there remains a current and immediate threat to the public safety, health, and welfare due to the threat of public health emergencies to residents, including seniors over the age of 65 who are at greater risk for COVID-19 and other illnesses in the winter/spring months;

D. Pursuant to the latest County of Los Angeles De partment of Public Health Order of the Health Officer (Order) issued on September 22, 2022, the primary intent of the Order continues to be to reduce the transmission risk of COVID-19 in the County for those in higher transmission risk settings and protect those persons at elevated risk for severe health outcomes due to COVID-19 infection. The Order provides that additional protective measures based on local conditions may be implemented at the local level;

E. Due to the nature of farmers’ markets being con ducted outdoors with spacing between vendor stalls and walking aisles, this type of use is considered by the City Coun cil as an effective and necessary measure to provide residents an outdoor alternative to obtain essential provisions related to health and wellness, including fresh fruits and vegetables;

F. The operational impacts to the current farmers’ mar ket use at the County of Los Angeles site due to construction and its impending inability to continue operations at the site during the winter/spring months will limit residents’ ability to obtain essential health and wellness provisions in an outdoor setting and, even if it could continue at the current location, these construction constraints have concentrated the booths, vendors, and patrons and relocation to a site with more space will provide a safer environment;

G. This Ordinance is intended to promote the health, safety, and public welfare of City residents, particularly during the winter and spring months (December to May), that would enable Legacy Park, a publicly-owned park within 350 feet of the current permitted site for farmers’ market use, to be used as an immediate and temporary location for such use;

H. On December 31, 2021, the City Council directed staff to define what is considered a temporary event, partic ularly for series of events, and bring back a draft ordinance, (Zoning Text Amendment (ZTA) No. 21-005, for Council con sideration, to amend Malibu Municipal Code Chapter 17.68 (Temporary Use Permits);

I. Draft language for Urgency Ordinance 505U was presented along draft language for ZTA No. 21-005 to the Zoning Ordinance Revisions and Code Enforcement Sub

committee (ZORACES) on November 11, 2022, at which time public testimony was received and a recommendation was made by the ZORACES members to bring Urgency Ordinance 505U directly to the City Council;

J. While Urgency Ordinance 505U is being processed now, a similar provision will be considered by the Planning Commission as a regular ordinance as part of ZTA No. 21-005 to amend Malibu Municipal Code Chapter 17.68 (Temporary Use Permits);

K. The current farmers’ market continues to be im pacted by construction; and

L. On November 28, 2022, the City Council held a duly noticed public hearing on Urgency Ordinance 505U reviewed and considered the staff report, materials in the record and public testimony.

M. This Ordinance is adopted for the protection of life, property, health, safety, and welfare of the public and is adopted pursuant to the powers vested in the City of Malibu under the laws and the Constitution of the State of California, including the police powers vested in the City pursuant to Article XI, section 7 of the California Constitution. This Ordi nance is approved pursuant to section 36937 of the California Government Code, allowing for ordinances of immediate presentation of the public peace, health, or safety. As set forth below, the immediate preservation of the public peace, health and safety requires that this Ordinance be enacted as an urgency ordinance pursuant to Government Code section 36937 and take effect immediately upon adoption by fourfifths of the City Council.

SECTION 2. Amendments..

A. Title 17 of the Malibu Municipal Code Chapter 17.68.040 (Temporary Use Permits) is amended to add section “M” which shall read as follows to allow farmers markets as an allowed temporary use:

M. Temporary relocation of a permitted farmer’s mar ket to a publicly-owned park located within 350 feet of the permitted location so long as such use does not exceed one day per week. The dates for this use shall not count against the maximum sixty (60) calendar days within one (1) calendar year for which a site can be used for temporary uses, nor toward the six (6) events per parcel limit. Any approvals for this use shall be good for six (6) months. The application for a TUP is required to be filed with the Planning Department sixteen (16) days prior to the proposed use. Public notices shall be mailed not less than fourteen (14) days prior to the proposed use. The Planning Director shall render a decision twelve (12) days prior to the proposed use. In addition to a TUP, a Facilities Use Permit must be obtained prior to the relocation of the Farmers Market. This provision shall expire the earlier of the issuance of a certificate of occupancy for Santa Monica College or on January 1, 2024.

SECTION 3. Severability.

If any section, subsection, provision, sentence, clause, phrase or word of this Ordinance is for any reason held to be illegal or otherwise invalid by any court of competent jurisdiction, such invalidity shall be severable, and shall not affect or impair any remaining section, subsection, provision, sentence, clause, phrase or word included within this Ordinance, it being the intent of the City that the remainder of the Ordinance shall be and shall remain in full force and effect, valid, and en forceable.

SECTION 4. Environmental Review.

The City Council finds that adoption and implementation of this urgency ordinance is statutorily exempt under the Califor nia Environmental Quality Act (CEQA) Guidelines 15269(c) in that the action is necessary to prevent or mitigate the threat of an emergency resulting from potential impacts to the City as a result of COVID-19 and other illnesses during the coming winter/spring months.

Furthermore, pursuant to CEQA, the proposed action has been analyzed and determined to be Categorically Exempt pursuant to CEQA Guidelines Section 15304(e) (Class 4 – Mi nor Alterations to Land). This is appropriate for the proposed action because if the action occurs, it would consist of a temporary event that would not involve the removal of mature, scenic trees and would not have any permanent effects on the environment. It is further determined that none of the six exceptions to the use of a categorical exemption apply to this project (CEQA Guidelines Section 15300.2). Any activity and/or project developed as a result of the City Council’s action that requires the City or the City Council’s discretionary approval, such as issuance of the temporary use permit or other permit will be analyzed in accordance with CEQA prior to such approval. The current City Council action in no way limits the exercise of the City or the City Council’s sole and absolute discretion.

SECTION

5. Urgency Declaration; Effective Date.

The City Council finds and declares that the adoption and im plementation of this Ordinance is necessary for the immediate preservation and protection of public health and safety as detailed above. The operation impacts to the current farmers’ market use at the County of Los Angeles site due to con struction and its impending inability to continue operations at the site in the winter/spring months will limit residents’ ability to obtain essential provisions related to health and wellness in an outdoor setting and poses a serious threat to the public health and safety. Without a farmers’ market operation in the City, residents would not have access to essential provisions, including fresh fruits and vegetables, available in an outdoor setting and risk exposure to COVID-19 and other illnesses during the winter/spring months by having to shop in indoor settings. Relocating the existing farmers’ market use within 350 feet of its current location will allow for continuity of operations and keep the farmers’ market in an area accustomed to such activity by residents, and provide more distance and spacing between booths, vendors, and patrons. The City Council therefore finds and determines that the immediate preservation of public health and safety, and protection of life, require that this Ordinance be enacted as an urgency ordinance pursuant to Government Code section 36937 and take effect immediately upon adoption by fourfifths of the City Council.

SECTION 7.

The City Clerk shall certify the passage and adoption of this Ordinance and enter it into the book of original ordinances.

PASSED, APPROVED AND ADOPTED this 28th day of No vember 2022.

PAUL GRISANTI, Mayor

ATTEST: Kelsey Pettijohn, City Clerk (seal) Date:

APPROVED AS TO FORM: TREVOR RUSIN, Interim City Attorney

I CERTIFY THAT THE FOREGOING ORDINANCE NO. 505U was passed and adopted at the Regular City Council meeting of November 28 2022, by the following vote:

AYES:5 Councilmembers: Farrer, Pierson, Uhring, Silver stein, Grisanti NOES:0 ABSTAIN:0 ABSENT: 0

Kelsey Pettijohn, City Clerk (seal)

Publish: The Malibu Times, December 8, 2022 MALIBU 238

Kelsey Pettijohn, City Clerk

Post: December 8, 2022

Publish: The Malibu Times

December 8, 2022 December 15, 2022 December 22, 2022 December 29, 2022

PAGE B-4 • Thursday, December 8, 2022 Malibu’s Award-Winning Community Paper Since 1946 malibutimes.com
Yolanda Bundy, Environmental Sustainability Director
CITY OF MALIBU PUBLIC NOTICE INVITING APPLICATIONS FOR COUNCIL APPOINTMENT TO COMMISSIONS AND COMMITTEES PLEASE TAKE NOTICE THAT the City of Malibu is accepting applications for Council appointment to the following commissions and committees: HOMELESSNESS TASK FORCE MALIBU ARTS COMMISSION MOBILEHOME PARK RENT STABILIZATION COMMISSION PARKS AND RECREATION COMMISSION PLANNING COMMISSION PUBLIC SAFETY COMMISSION PUBLIC WORKS COMMISSION WASTEWATER ADVISORY COMMITTEE BUILDING BOARD OF APPEALS Each body makes recommendations to the City Council as directed by the City Council. Information about membership requirements and duties may be found at www.malibucity.org/commissions. Application forms are available on the City’s website at www.malibucity.org (City Government>City Clerk>City Forms>Commission/Committee Application) or by emailing Kelsey Pettijohn, City Clerk, at kpettijohn@malibucity. org. Applications received will be presented to the City Council for consideration at the Regular City Council meeting on January 9, 2023.
must be received by Kelsey Pettijohn, City Clerk, City of Malibu, 23825 Stuart Ranch Road,
CA
or kpettijohn@malibucity.org by 5:30 p.m. on January
2023. No late applications or postmarks will be accepted.
Applications
Malibu,
90265,
2,
malibutimes.com Malibu’s Award-Winning Community Paper Since 1946 Thursday, December 8, 2022 • PAGE B-5 BUSINESS DIRECTORY malibutimes.com Malibu’s Award-Winning Community Paper Since 1946 Thursday, June 2, 2022 • PAGE B-5 BUSINESS DIRECTORY FUR BABY SERVICES B5 The Malibu Times Pets & Business Dirctories December 9, 2021 HOME CAREGIVING SENIOR IN-HOME CAREGIVING SERVICES STATE LICENSED • BONDED • INSURED KristieJosCareGiving.com Y CERTIFIED HCA & CPR Y TRANSPORTATION Y A BOOKKEEPING SERVICE Quicken, QuickBooks, Excel. QuickBooks Pro Advisor. Honest, reliable, discreet. Local references. Patti 310.720.8004 pattiullmanbookkeeping.com BEAUTY CONTRACTORS DIRECTORY www.kaneroy.com 310-456-6841 Builders of Fine Homes & Commercial Real Estate since 1989 Custom Quality Construction Lic# 569337 FEATURING PET CARE & ANIMAL SERVICES Poppy’s Pet Pour ri To place your ad in Poppy’s Pet Pourri call 310.456.5507 or email classads@malibutimes.com ACCOUNTING ATTORNEYS BOOKKEEPING DENTIST HANDYMAN EDUCATION MENTAL HEALTH REAL ESTATE AGENT WINDOW SHADES PERSONAL TRAINER Accountants and Advisors 15200 Sunset Blvd. #203 Pacific Palisades (310) 454-6545 Your Full Service Accounting Firm Serving Malibu for Over 54 Years Johnson, Foster, Fitzgerald & Brenes, LLP GARDENING Je rey Titcher, PsyD Clinical Psychologist Lic#PSY20442 (310) 589-1969 22761 PCH, Suite 232, Malibu Dr. Sherri Nader Licensed Clinical Psychologist Adjunct Faculty, USC Individuals / Couples / Families / Parenting Children / Adolescents / Teenagers Weekend Appointments Available (310) 459-6350 Malibu* Pacific Palisades www.SherriNader.net DIGITAL SERVICES David C. Niebergall, D.D.S. David Sturgeon D.D.S. Rosalie Friis-Ross, R.D.H. Sue Pierson, R.D.H. 29350 Paci c Coast Hwy, #3 310.457.9292 Gregory S. Beaton, PT, OCS Malibu Rehabilitation Center Malibu’s Only Board Certified Orthopedic & Sport Specialist 310-456-9332 PHYSICAL THERAPY 3840 Cross Creek Rd. OPTOMETRY PROFESSIONAL & SERVICES DIRECTORY 2007 — 2020 ❄ CUSTOM MIRRORS ❄ SHOWERS ❄ DOORS ❄ WINDOWS ❄ SKYLIGHTS ❄ WINDBREAKS ❄ SCREENS 3547 WINTER CANYON RD MALIBU, CA 90265 310-456-1844 WWW.MALIBUGLASS.NET Lic. #396181 Malibu GLASS & MIRROR Wood, Chain link & Vinyl Fencing Custom Gates. Entry Systems Windscreens. Snake Fences & Corrals. Wrought Iron Competitive prices | Quality work Local Malibu Co. for over 26yrs OPEN 7 DAYS A WEEK Jeff Turner 310.457.2139 Coastlinefence@gmail.com Lic#965437 Palm Tree Specialist, Citrus Pruning for high yield, Brush Clearance, Disease, Pest & Tree Removal 310.456.6564 LIC #837611 Family Owned Business 25 + Years Experience AFFORDABLE TREE CARE Certified Arborists Quality Workmanship RAY HEPINSTALL PAINTING Lic#794969 805.208.5918 www.rayhepinstallpainting. com Let us give you the custom home you deserve! Residential & Commercial Custom Specialist Reasonable Rates 310.496.9073 Malibu & Surrounding areas Since 1965 1st Place AIA Awards Interiors • Exteriors Marine & Custom Licensed • Serving Malibu Since 1965 310.456.0409 We remove • Furniture • Appliances • Yard waste • Construction debris •trash Home & Garage clean-outs 310.924.0132 Kitchen / Bath, Pool Tile / Flooring, Additions Siding, Stucco, Painting, Decks Reliable, No Short Cuts. Custom quality Construction 310.935.8385 lahomeconstruction.com * Senior Discounts * Lic##1061118 Providing Finely Crafted Automated Shading Orly Janiga 310.866.8311 Orly@bayscreensinc.com 3225 Pico Blvd., Santa Monica 29178 Heathercliff Rd #3 Malibu, CA 90265 REALTOR ® CaRE # 02114825 C: 901.831.2663 O: 310.457.6550 lee.bowling@cbrealty.com Call Randy & Casey 310 460 8760 Calvin’s Specialty Gardens Garden & Landscape Design Interior & Exterior Plant Maintenance See classi ed ad for more info fully licensed, bonded, and insured. Home Remodels and Additions, New Constructions, and ADUs. ~ FREE ESTIMATES ~ 323.800.0445 westpointbuildersinc.com Lic#1072498 • Traditional weight training • Body Sculpting & Toning • Competing Bodybuilder PERSONAL TRAINER Billy Moss Malibu Fitness In home training 310.420.4199 ELECTRICIAN CONSTRUCTION CONSTRUCTION GLASS DECKS HOME PROTECTION LANDSCAPE FENCING PAINTING PAINTING TREE CARE ROOFING I Heal the Soil Since 1970 Organic Consultant 310.457.4438 landline 805.612.7321 cell InvisibleGardener.com • NOT a gardening service • Malibu is Poison Free. Are You? H POPPY’S PAL H Is your favorite furry, feathered or scaley friend pupp-tacular or divinely purr-licious? Do they love the limelight and being the center of attention? Do you want the whole world (or at least Malibu) to marvel at their magnificence? Then submit a photo of them along with a clever caption to classads@malibutimes.com for a chance to have them featured in Poppy’s Pals! To submit a Poppy’s Pal photo of your pet, please email to: classads@malibutimes.com. 200DPI as jpg or pdf file. Include pet’s name along with a clever caption, and/or their name, breed and age. Poppy’s Pal photos are published in the order in which they are received. Pool re pumps Fire hoses, nozzles Water cannons Custom systems 626.410.7101 HANDYMAN SERVICE SPECIAL HOLIDAY LIGHT INSTALLATION! Specializing in windows & doors installation & repairs. Electrical, low/high voltage lights, garage doors/gates. Basic household repairs, painting and more. Family owned/operated. Contact Avi 818.292.0573 CONTRACTOR DIRECTORY www.kaneroy.com 310-456-6841 Builders of Fine Homes & Commercial Real Estate since 1989 Custom Quality Construction Lic# 569337 Accountants and Advisors 15200 Sunset Blvd. #203 Pacific Palisades (310) 454-6545 Your Full Service Accounting Firm Serving Malibu for Over 54 Years Johnson, Foster, Fitzgerald & Brenes, LLP A BOOKKEEPING SERVICE Quicken, QuickBooks, Excel. QuickBooks Pro Advisor. Honest, reliable, discreet. Local references. Patti 310.720.8004 pattiullmanbookkeeping.com Wood, Chain link & Vinyl Fencing Custom Gates. Entry Systems Windscreens. Snake Fences & Corrals. Wrought Iron Competitive prices | Quality work Jeff Turner 310.457.2139 Lic#965437 • Furniture • Appliances • Construction debris 310.924.0132 C: 901.831.2663 O: 310.457.6550 lee.bowling@cbrealty.com LifeStyleValue! 29178 Heathercliff Rd. #3 Malibu, CA 90265 REALTOR® CaRE# 02114825 Je rey Titcher, PsyD Clinical Psychologist Lic#PSY20442 (310) 589-1969 22761 PCH, Suite 232, Malibu Gregory M . O'Connor, O.D. 3840 Cross Creek Rd. 310-456-7464 Gregory S. Beaton, PT, OCS Malibu Rehabilitation Center Malibu’s Only Board Certified Orthopedic & Sport Specialist 310-456-9332 Quality Workmanship RAY HEPINSTALL PAINTING Lic#794969 805.208.5918 www.rayhepinstallpainting.com Let us give you the custom home you deserve! Residential & Commercial Custom Specialist Reasonable Rates 310.496.9073 Malibu & Surrounding areas • Traditional weight training • Body Sculpting & Toning • Competing Bodybuilder PERSONAL TRAINER Billy Moss Malibu Fitness In home training 310.420.4199 Palm Tree Specialist, Citrus Pruning for high yield, Brush Clearance, Disease, Pest & Tree Removal 310.456.6564 LIC #837611 Family Owned Business 25 + Years Experience AFFORDABLE TREE CARE Certified Arborists Conejo Valley Electric Lighting and Electrical Solutions Recessed & Landscape Anything Electrical Family Owned FREE Quote 24 Hrs Service Hourly Rates Supply any ceiling fan & we will install it for you. We Install ALL Wall Mount, Flat Screen TVs Speakers & Network Systems Will Beat Anyone’s Price! 818-259-4055•805-497-7711 Lic#922260 Kitchen / Bath, Pool T ile / Flooring, Additions Siding, Stucco, Painting, Decks Reliable, No Short Cuts. Custom quality Construction 310.935.8385 lahomeconstruction com * Super Lawyers 2007–2021 David C. Niebergall, D.D.S. David Sturgeon D.D.S. Rosalie Friis-Ross, R.D.H. Sue Pierson, R.D.H. 29350 Paci c Coast Hwy, #3 310.457.9292 CUSTOM MIRRORS 547 WINTER CANYON RD MALIBU, CA 90265 310-456-1844 WWW.MALIBUGLASS.NET GLASS & MIRROR Since 1965 1st Place AIA Awards Interiors • Exteriors Marine & Custom Finishes Licensed • Bonded • Insured Serving Malibu Since 1965 310 456 0409 Lic# 491492 AFFORDABLE QUALITY PAINTING Residential • Commercial Reliable • Fast • Clean Custom Homes • Custom Work FREE Estimates 805-797-6885 Licensed & Bonded # 879583 Member of the BBB Malibu & Surrounding Areas Weed Abatement and Brush Clearing over 30 years in business. Call George at 818-675-7607 PROFESSIONAL DIRECTORY CONSTRUCTION ACCOUNTING BOOKKEEPING CONSTRUCTION ATTORNEYS DENTIST HAIR STYLIST HOME IMPROVEMENTS JUNK REMOVAL REAL ESTATE AGENT MENTAL HEALTH OPTOMETRY PHYSICAL THERAPY PAINTING PERSONAL TRAINER TREE CARE TREE CARE GLASS PAINTING ELECTRICIAN PAINTING ROOFING WEED ABATEMENT The Malibu Times Advertise with us. www.malibutimes.com I Heal the Soil Since 1970 Organic Consultant Visit website and use inquiry form at InvisibleGardener.com • NOT a gardening service • Malibu is Poison Free. Are You? Four Seasons Tree Specialists Sick Trees? Joseph DiBernardo (818) 355-4090 Malibu (424) 425-8044 www.cdhipro.com CHARLES DRESSER HOME IMPROVEMENTS INTEGRITY &EXCELLENCE C.D.H.I., INC. Charles Dresser Home Improvements CSLB #B537044 Dream. Design. B uild. Ma n age A Stradella® Builders Company Office: (424) 274-3675 Cell: (310) 924-2751 Ca ll aHa n ® We B u i ld J o y ® Relieve your current financial stress. Payo outstanding debt. Eliminate your mortgage payments! TERRY FOX (310) 457-7355 terfoxy@gmail.com 40 years of lending experience. REAL ESTATE LOANS REVERSE MORTGAGE HOME LOANS FOR SENIORS. REAL ESTATE AGENT Anjela Kasper-Nova IG: @hairbyanjelakaspernova or contact 310-460-8548 IN THE MALIBU/ PALISADES & SURROUNDING AREAS Hair by malibutimes.com Malibu’s Award-Winning Community Paper Since 1946 Thursday, June 2, 2022 • PAGE B-5 BUSINESS DIRECTORY FUR BABY SERVICES B5 The Malibu Times Pets & Business Dirctories December 9, 2021 HOME CAREGIVING SENIOR IN-HOME CAREGIVING SERVICES STATE LICENSED • BONDED • INSURED (805) 424-1140 KristieJosCareGiving.com Y CERTIFIED HCA & CPR Y TRANSPORTATION Y EXERCISES & LAUNDRY A BOOKKEEPING SERVICE Quicken, QuickBooks, Excel. QuickBooks Pro Advisor. Honest, reliable, discreet. Local references. Patti 310.720.8004 pattiullmanbookkeeping.com BEAUTY MIA’S MOBILE SPA For BEAUTY & HEALTH Get pampered in your home. In home toning/inch-loss & relaxing massage. Detox & anti-aging facials for men & women. References available. Contact Milly 562.419.1340 Fully Licensed CONTRACTORS DIRECTORY www.kaneroy.com 310-456-6841 Builders of Fine Homes & Commercial Real Estate since 1989 Custom Quality Construction Lic# 569337 FEATURING PET CARE & ANIMAL SERVICES Poppy’s Pet Pour ri To place your ad in Poppy’s Pet Pourri call 310.456.5507 or email classads@malibutimes.com ACCOUNTING ATTORNEYS BOOKKEEPING DENTIST HANDYMAN EDUCATION JUNK REMOVAL MENTAL HEALTH REAL ESTATE AGENT WINDOW SHADES PERSONAL TRAINER Accountants and Advisors 15200 Sunset Blvd. #203 Pacific Palisades (310) 454-6545 Your Full Service Accounting Firm Serving Malibu for Over 54 Years Johnson, Foster, Fitzgerald & Brenes, LLP GARDENING Je rey Titcher, PsyD Clinical Psychologist Lic#PSY20442 (310) 589-1969 22761 PCH, Suite 232, Malibu Dr. Sherri Nader PSY 22116 / LCS 22848 Licensed Clinical Psychologist Adjunct Faculty, USC Individuals / Couples / Families / Parenting Children / Adolescents / Teenagers Weekend Appointments Available (310) 459-6350 Malibu* Pacific Palisades www.SherriNader.net DIGITAL SERVICES David C. Niebergall, D.D.S. David Sturgeon D.D.S. Rosalie Friis-Ross, R.D.H. Sue Pierson, R.D.H. 29350 Paci c Coast Hwy, #3 310.457.9292 Gregory S. Beaton, PT, OCS Malibu Rehabilitation Center Malibu’s Only Board Certified Orthopedic & Sport Specialist 310-456-9332 PHYSICAL THERAPY Gregory M . O'Connor, O.D. 3840 Cross Creek Rd. 310-456-7464 OPTOMETRY PROFESSIONAL & SERVICES DIRECTORY 2020 2007 — 2020 ❄ CUSTOM MIRRORS ❄ SHOWERS ❄ DOORS ❄ WINDOWS ❄ SKYLIGHTS ❄ WINDBREAKS ❄ SCREENS 3547 WINTER CANYON RD MALIBU, CA 90265 310-456-1844 WWW.MALIBUGLASS.NET Lic. #396181 Malibu GLASS & MIRROR Wood, Chain link & Vinyl Fencing Custom Gates. Entry Systems Windscreens. Snake Fences & Corrals. Wrought Iron Competitive prices | Quality work Local Malibu Co. for over 26yrs OPEN 7 DAYS A WEEK Jeff Turner 310.457.2139 Coastlinefence@gmail.com Lic#965437 Palm Tree Specialist, Citrus Pruning for high yield, Brush Clearance, Disease, Pest & Tree Removal 310.456.6564 LIC #837611 Family Owned Business 25 + Years Experience AFFORDABLE TREE CARE Certified Arborists Quality Workmanship RAY HEPINSTALL PAINTING Lic#794969 805.208.5918 www.rayhepinstallpainting. com Let us give you the custom home you deserve! Residential & Commercial Custom Specialist Reasonable Rates 310.496.9073 Malibu & Surrounding areas Since 1965 1st Place AIA Awards Interiors • Exteriors Marine & Custom Finishes Licensed • Bonded • Insured Serving Malibu Since 1965 310.456.0409 Lic# 491492 We remove • Furniture • Appliances • Yard waste • Construction debris •trash Home & Garage clean-outs 310.924.0132 Kitchen / Bath, Pool Tile / Flooring, Additions Siding, Stucco, Painting, Decks Reliable, No Short Cuts. Custom quality Construction 310.935.8385 lahomeconstruction.com * Senior Discounts * Lic##1061118 Providing Finely Crafted Automated Shading Orly Janiga 310.866.8311 Orly@bayscreensinc.com 3225 Pico Blvd., Santa Monica 29178 Heathercliff Rd #3 Malibu, CA 90265 REALTOR ® CaRE # 02114825 C: 901.831.2663 O: 310.457.6550 lee.bowling@cbrealty.com Call Randy & Casey 310•460•8760 Calvin’s Specialty Gardens Garden & Landscape Design Interior & Exterior Plant Maintenance See classi ed ad for more info Family-owned business with 20+ years of experience. We are fully licensed, bonded, and insured. Home Remodels and Additions, New Constructions, and ADUs. FREE ESTIMATES 323.800.0445 westpointbuildersinc.com Lic#1072498 • Traditional weight training • Body Sculpting & Toning • Competing Bodybuilder PERSONAL TRAINER Billy Moss Malibu Fitness In home training 310.420.4199 ELECTRICIAN CONSTRUCTION CONSTRUCTION GLASS DECKS HOME PROTECTION LANDSCAPE FENCING PAINTING PAINTING TREE CARE ROOFING I Heal the Soil Since 1970 Organic Consultant 310.457.4438 landline 805.612.7321 cell InvisibleGardener.com • NOT a gardening service • Malibu is Poison Free. Are You? H POPPY’S PAL H Is your favorite furry, feathered or scaley friend pupp-tacular or divinely purr-licious? Do they love the limelight and being the center of attention? Do you want the whole world (or at least Malibu) to marvel at their magnificence? Then submit a photo of them along with a clever caption to classads@malibutimes.com for a chance to have them featured in Poppy’s Pals! To submit a Poppy’s Pal photo of your pet, please email to: classads@malibutimes.com. 200DPI as jpg or pdf file. Include pet’s name along with a clever caption, and/or their name, breed and age. Poppy’s Pal photos are published in the order in which they are received. Pool re pumps Fire hoses, nozzles Water cannons Custom systems 626.410.7101 HANDYMAN SERVICE SPECIAL HOLIDAY LIGHT INSTALLATION! Specializing in windows & doors installation & repairs. Electrical, low/high voltage lights, garage doors/gates. Basic household repairs, painting and more. Family owned/operated. Contact Avi 818.292.0573 CONTRACTOR DIRECTORY www.kaneroy.com 310-456-6841 Builders of Fine Homes & Commercial Real Estate since 1989 Custom Quality Construction Lic# 569337 Accountants and Advisors 15200 Sunset Blvd. #203 Pacific Palisades (310) 454-6545 Your Full Service Accounting Firm Serving Malibu for Over 54 Years Johnson, Foster, Fitzgerald & Brenes, LLP A BOOKKEEPING SERVICE Quicken, QuickBooks, Excel. QuickBooks Pro Advisor. Honest, reliable, discreet. Local references. Patti 310.720.8004 pattiullmanbookkeeping.com Wood, Chain link & Vinyl Fencing Custom Gates. Entry Systems Windscreens. Snake Fences & Corrals. Wrought Iron Competitive prices | Quality work Local Malibu Co. for over 26yrs OPEN 7 DAYS A WEEK Jeff Turner 310.457.2139 Coastlinefence@gmail.com Lic#965437 We remove • Furniture • Appliances • Yard waste • Construction debris •trash Home & Garage clean-outs 310.924.0132 C: 901.831.2663 O: 310.457.6550 lee.bowling@cbrealty.com LifeStyleValue! 29178 Heathercliff Rd. #3 Malibu, CA 90265 REALTOR® CaRE# 02114825 Je rey Titcher, PsyD Clinical Psychologist Lic#PSY20442 (310) 589-1969 22761 PCH, Suite 232, Malibu Gregory M . O'Connor, O.D. 3840 Cross Creek Rd. 310-456-7464 Gregory S. Beaton, PT, OCS Malibu Rehabilitation Center Malibu’s Only Board Certified Orthopedic & Sport Specialist 310-456-9332 Quality Workmanship RAY HEPINSTALL PAINTING Lic#794969 805.208.5918 www.rayhepinstallpainting.com Let us give you the custom home you deserve! Residential & Commercial Custom Specialist Reasonable Rates 310.496.9073 Malibu & Surrounding areas • Traditional weight training • Body Sculpting & Toning • Competing Bodybuilder PERSONAL TRAINER Billy Moss Malibu Fitness In home training 310.420.4199 Palm Tree Specialist, Citrus Pruning for high yield, Brush Clearance, Disease, Pest & Tree Removal 310.456.6564 LIC #837611 Family Owned Business 25 + Years Experience AFFORDABLE TREE CARE Certified Arborists Conejo Valley Electric Lighting and Electrical Solutions Recessed & Landscape Anything Electrical Family Owned FREE Quote 24 Hrs Service Hourly Rates Supply any ceiling fan & we will install it for you. We Install ALL Wall Mount, Flat Screen TVs Speakers & Network Systems Will Beat Anyone’s Price! 818-259-4055•805-497-7711 Lic#922260 Kitchen / Bath, Pool T ile / Flooring, Additions Siding, Stucco, Painting, Decks Reliable, No Short Cuts. Custom quality Construction 310.935.8385 lahomeconstruction com * S en i or Dis count s * Lic##1061118 DAVID OLAN - Malibu ResidentBest Lawyers of America 2021 Southern California Super Lawyers 2007–2021 AUTO ACCIDENTS PERSONAL INJURIES 310.556.0010 David C. Niebergall, D.D.S. David Sturgeon D.D.S. Rosalie Friis-Ross, R.D.H. Sue Pierson, R.D.H. 29350 Paci c Coast Hwy, #3 310.457.9292 CUSTOM MIRRORS SHOWERS DOORS WINDOWS SKYLIGHTS WINDBREAKS SCREENS 3547 WINTER CANYON RD MALIBU, CA 90265 310-456-1844 WWW.MALIBUGLASS.NET Lic. #396181 Malibu GLASS & MIRROR Since 1965 1st Place AIA Awards Interiors • Exteriors Marine & Custom Finishes Licensed • Bonded • Insured Serving Malibu Since 1965 310.456.0409 Lic# 491492 AFFORDABLE QUALITY PAINTING Residential • Commercial Reliable • Fast • Clean Custom Homes • Custom Work FREE Estimates 805-797-6885 Licensed & Bonded # 879583 Member of the BBB Malibu & Surrounding Areas Weed Abatement and Brush Clearing over 30 years in business. Call George at 818-675-7607 PROFESSIONAL DIRECTORY CONSTRUCTION ACCOUNTING BOOKKEEPING CONSTRUCTION ATTORNEYS DENTIST HAIR STYLIST FENCING HOME IMPROVEMENTS LANDSCAPE JUNK REMOVAL REAL ESTATE AGENT MENTAL HEALTH OPTOMETRY PHYSICAL THERAPY PAINTING PERSONAL TRAINER TREE CARE TREE CARE GLASS PAINTING ELECTRICIAN PAINTING ROOFING WEED ABATEMENT The Malibu Times Advertise with us. www.malibutimes.com I Heal the Soil Since 1970 Organic Consultant Visit website and use inquiry form at InvisibleGardener.com • NOT a gardening service • Malibu is Poison Free. Are You? Four Seasons Tree Specialists Sick Trees? Joseph DiBernardo (818) 355-4090 Malibu (424) 425-8044 www.cdhipro.com CHARLES DRESSER HOME IMPROVEMENTS INTEGRITY &EXCELLENCE C.D.H.I., INC. CSLB #B537044 Charles Dresser Home Improvements CSLB #B537044 Dream. Design. B uild. Ma n age A Stradella® Builders Company Office: (424) 274-3675 Cell: (310) 924-2751 Ca ll aHa n ® We B u i ld J o y ® Relieve your current financial stress. Payo outstanding debt. Eliminate your mortgage payments! TERRY FOX (310) 457-7355 terfoxy@gmail.com 40 years of lending experience. REAL ESTATE LOANS REVERSE MORTGAGE HOME LOANS FOR SENIORS. REAL ESTATE AGENT Anjela Kasper-Nova IG: @hairbyanjelakaspernova or contact 310-460-8548 IN THE MALIBU/ PALISADES & SURROUNDING AREAS Hair by To submit a Poppy’s Pal photo of your pet, please email to: office@ malibutimes.com 200DPI as jpg or pdf file. Include pet’s name along with a clever caption, and/or their name, breed and age. Poppy’s Pall photos are published in the order in which they are received. POPPY’S PALS

CLASSIFIEDS

"NOTICE TO READERS: Califor nia law requires that contrac tors taking jobs that total $500 or more (labor and/or materials) be licensed by the Contractors State License Board. State law also requires that contractors include their license numbers on all advertising. Check your con tractor's status at www.cslb. ca.gov or 800-321-CSLB (2752). Unlicensed persons taking jobs that total less than $500 must state in their advertisements that they are not licensed by the Contractors State License Board."

ALL REAL ESTATE advertised herein are subject to the Federal Fair Housing Act and the Califor nia Fair Employment and Hous ing Act, which makes it illegal to advertise any preference, limitation or discrimination because of race, color, religion, sex, handicap, familial status, ancestry or national origin or intention to make such pref erence, limitation or discrimi nation. We will not knowingly accept any advertisements for real estate in violation of the law. All persons are here by informed that all dwellings advertised are available on an equal opportunity basis.

THE MALIBU TIMES reserves the right to refuse the publish ing of any advertisement(s) and to delete any objection able word(s), phrase(s) and/ or image(s) from such adver tisement. If there is an error or omission in the printing and/ or publication of an advertise ment, The Malibu Times' liability is limited to only one incorrect insertion or omission.

Advertising Packages

DO YOU WANT YOUR BUSI NESS KNOWN IN MALIBU! We can can make it happen with our SPECIAL ADVERTISING PACK AGES. . Our low discounted rates will save you up to 50%. *Billing on monthly basis. *Get in 2-3 sections of the paper + online. *Your ad will be seen

310456-5507

Animals

AGOURA ANIMAL SHELTER 29525 West Agoura Road, Agoura, CA 91301 (west of Kanan Road) 818-991-0071. Morning visits from 10-12 dai ly except Wednesdays are by appointment only. Visits to the Care Centers between the hours of 2pm-5pm DO NOT require an appointment every day EXCEPT Wednesday, when visiting hours will be 2pm-7pm. www.animal care.lacounty.gov

GERMAN SHEPHERDS ALL COLORS, ALL AGES, RESCUE, DONATION REQ’D WWW.GS ROC.ORG

HELP OUR SOLDIERS & THEIR BUDDIES Operation Baghdad Pups. No dogs, cats or donkeys left behind! http://www.spcai. org/baghdad-pups.html.

WESTSIDE GERMAN SHEP HERD RESCUE adopts quality dogs to qualified homes. We want to help you find just the right German Shepherd for your family. 310-202-7283 www. sheprescue.org

Announcements

Prepare for power outages today with a GENERAC home standby generator. $0 Money Down + Low Monthly Payment Options. Request a FREE Quote -Call now before the next pow er outage: 1-844-439-5645 (SCAN)

Eliminate gutter cleaning for ever! LeafFilter, the most ad vanced debris-blocking gutter protection. Schedule a FREE LeafFilter estimate today. 15% o Entire Purchase. 10% Senior & Military Discounts. Call 1-855424-7581 (Cal-SCAN)

MALIBU RUGBY CLUB Want to play a fun and interesting sport, Malibu Rugby is inviting you to come and join, please e-mail at www.maliburugbyclub.com, if interested 310-980-3328, Alex.

MEALS ON WHEELS is looking for volunteer drivers to deliver here locally in Malibu. Call Jo anna Vasquez @ 310-394-7558.

RECYCLING CENTERS:. www. californiarecycles.com, 818886-0800 x 100. E-waste, batteries, lamps and more, drop o s or pick ups. Allan Company, www.allancompany.com, 626962-4047. Or visit Calrecycle. ca.gov, www.recyclingcenter near.me, search.earth911.com, for more locations and infor mation.

DID YOU KNOW Newspa per-generated content is so valuable it’s taken and repeated, condensed, broadcast, tweet ed, discussed, posted, copied, edited, and emailed countless times throughout the day by others? Discover the Power of Newspaper Advertising. For a free brochure call 916-288-6011 or email

Get DIRECTV for $64.99/mo for 12 months with CHOICE Pack age. Save an additional $120 over 1st year. First 3 months of HBO Max, Cinemax, Showtime, Starz and Epix included! Directv is #1 in Customer Satisfaction (JD Power & Assoc.) Some re strictions apply. Call 1-888-6415762 (Cal-SCAN)

NEW AUTHORS WANTED!

Page Publishing will help you self-publish your own book.

FREE author submission kit! Limited o er! Why wait? Call now: 1-855-667-0380 (CalSCAN)

We want to Read Your Book!

Dorrance Publishing-Trusted by Authors Since 1920. Book man uscript submissions currently being reviewed. Comprehensive Services: Consultation, Produc tion, Promotion and Distribution. Call for Your Free Author`s Guide 1-877-538-9554 or visit http:// dorranceinfo.com/Cali (CalSCAN)

The di erence in winning and losing market share is how businesses use their advertis ing dollars. CNPA’s Advertising Services’ power to connect to nearly 13 million of the state’s readers who are an engaged au dience, makes our services an indispensable marketing solu tion. For more info call Cecelia @ (916) 288-6011 or cecelia@ cnpa.com

Switch and save up to $250/ year on your talk, text and data. No contract and no hidden fees. Unlimited talk and text with flexible data plans. Premium nationwide coverage. 100% U.S. based customer service. Limited time o er get $50 o on any new account. Use code GIFT50. For more information, call 1-844-908-0605 (SCAN)

Art For Sale

Death, Uninsured Motorist, Premises Liability, and Product Liability. Call David Olan 310566-0010 www.olanlaw.com

Autos Wanted

craftsmanship to work for you on your next con struction project. Kane Sickner 310-456-6841, www.kaneroy. com. Lic.#569337-Bonded/ insured.

Very Valuable and Beautiful Colombian Painting Is For Sale. For more information email johnelac3@aol.com or call 386-503-1517.

Attorneys

OLAN LAW Personal Injuries, Auto Accidents, Wrongful

PAGE B-6 • Thursday, December 8, 2022 Malibu’s Award-Winning Community Paper Since 1946 malibutimes.com
|
SUBMIT CLASSIFIEDS AND LEGALS TO (310) 456-5507 | o ce@malibutimes.com
Classi ed Ads are posted on e Malibu Times website | malibutimes.com
in print & 24/7 Online
weekly
at MalibuTimes.com Call
Become a Published Author
TO HERITAGE FOR THE BLIND. Free 3 Day Vacation, Tax De ductible, Free Towing, All Pa perwork Taken Care Of. CALL
Bookkeeping A BOOKKEEPING SERVICE Quicken, QuickBooks, Excel. QuickBooks Pro Advisor. Hon est, reliable, discreet. Local ref erences. Patti 310-720-8004. www.pattiullmanbookkeeping. com Cemetery Lots Pierce Bros. Memorial Park Westlake Village Ca. 91361. Grave E, Lot 877 -$ 7500. Grave F, Lot 877 -$ 7500. JR.NY38@AOL.COM 818-9294009 Computer Services COMPUTER & IT TRAINING PROGRAM! Train ONLINE to get the skills to become a Computer & Help Desk Professional now! Grants and Scholarships avail able for certain programs for qualified applicants. Call CTI for details! 1-877-806-0935 (M-F 8am-6pm ET). Computer with internet is required. (Cal-SCAN)
NEED HELP? Call Jason of Calabasas Comput ers. Home or O ce, PC & Mac. 310-570-8256, www.calaba sascomputers.com. Serving Malibu and surrounding areas since 2003. Contractor
We Build Joy. Dream, Design. Build. Manage. A Stradella Builders Company. O ce: (424) 274 - 3675 Cell: 310-924-2751
and ASSOCIATES has
to serve
bu
and
creativity and
DONATE YOUR CAR OR TRUCK
1-844-491-2884 (Cal-SCAN)
COMPUTER
CallaHan,
KANEROY
been proud
Mali
& the Westside for the past 20 years,
look forward to putting it’s broad experience,
Counselors Dr. Sherri Nader PSY 22116 / LCS 22848 License Clinical Psychologist Adjunct Facul ty, USC. Individuals *Couples *Families * Parenting * Children *Adolescents *Teenagers. Mal ibu & Pacific Palisades. Week end Appointments Available. 310-459-6350, www.Sherri Nader.com.
Eva Ackerman - Consultant, Coach, Mediator, Lighthouse. Se habla español. Eva blends psy cho-spiritual training, transfor mational leadership and Sacred Commerce consulting to provide loving support, insightful re flection and e ective tools for grounding and executing your vision into physical reality. Call 503-791-9939.
Raw unsalted nuts, Dawn dish detergent, Fra grance free laundry detergent, Paper towels. Drop o address: 26026 Piuma Rd, Calabasas CA Drop o times: 10am-2pm, 7 days a week. cawildlife.org Electrical CONEJO VALLEY ELECTRIC Lighting & electrical solutions. Full service electrical contractor & lighting specialist. We also in stall all wall mounts, flat screen TV’s, speakers & network sys tems. Family owned. Call 818259-4055 or 805-497-7711. Lic#922260. Employment Wanted MEN AND WOMEN available everyday at Labor Exchange of Malibu. Nonprofit charity for 22 years, 6:30 am - 1:00 pm Mon day - Saturday. 310-317-4717 Fencing COASTLINE FENCE CO Wood, Chain link & Vinyl Fencing * Custom Gates & Entry Systems *Windscreens * Snake Fences & Corrals. Competitive prices * Quality work. Local Malibu Co. for over 26yrs Je Turner 310-457-2139 coastlinefence@ gmail.com Lic#965437 Financial Services / Mon ey to Loan Over $10K in Debt? Be debt free in 24 to 48 months. No upfront fees to enroll. A+ BBB rated. Call National Debt Relief 1-888-2314274. (Cal-SCAN) Flea Market TO PLACE YOUR FREE FLEA MARKET ADS CALL 310-4565507 OR EMAIL OFFICE@MAL IBUTIMES.COM. For Rent 1 BEDROOM APARTMENT. Ocean view, near beach, shops & restaurants. Security, laun dry, parking & pool. Must have good credit. Absolutely no pets! $2,850.00/month, water & trash included. Shown by appointment only. Please Call 310-592-5996. Gardening DUARTE LANDSCAPING Com plete Garden Service Yard & Hillside Clean Up. Tree * Trimming * Topping * Shaping PAGE B-6 • Thursday, June 2, 2022 Malibu’s Award-Winning Community Paper Since 1946 malibutimes.com BUSINESS & SERVICES SUBMIT CLASSIFIEDS AND LEGALS TO (310) 456-5507 | o ce@malibutimes.com | Classi ed Ads are posted on e Malibu Times website | malibutimes.com CLASSIFIEDS Traditional weight training Body Sculpting & Toning Competing Bodybuilder PERSONAL TRAINER Billy Moss Malibu Fitness In home training 310.420.4199 Windows & Doors Showers & Mirror Railings & Skylights Replacements & Repairs 310.456.1844 3547 WINTER CANYON, MALIBU LICENSED CONTRACTOR #396181 Est. 1971 Visit website and use inquiry form at InvisibleGardener.com Andy Lopez The Invisible Gardener “I heal the soil” www.kaneroy.com 310-456-6841 Serving Malibu and the Westside for over 25 yrs Lic# 569337 Builders of Fine Homes & Commercial Real Estate since 1989 Custom Quality Construction, New & Remodels Traditional Styles to Cutting Edge Contemporary Save your cash Barter your excess time and merchandise www.malibuexchange.com | 310-457-6020 Four Seasons Tree Specialists Sick Trees? Joseph DiBernardo “The Tree Doctor” Tree Spraying Trunk Injections ‧ Deep Fertilizing ‧ Systemic & Organic Treatments (818) 355-4090 ‧ 45+ years experience V.I.P. TRUST DEED COMPANY OVER 40 YEARS OF FAST FUNDING Principal (818) 248-0000 Broker WWW.VIPLOAN.COM *Sufficient equity required - no consumer loans Real Estate License #01041073 Private Party loans generally have higher interest rates, points & fees than conventional discount loans WE BUY TRUST DEEDS We Purchase and Loan on Partial Interests* CA Department of Real Estate, NMLS #339217
CALIFORNIA WILDLIFE CEN TER NEEDS YOUR HELP! The following are items are needed on an ongoing basis: Gift cards for pet/grocery stores, Bleach, Canned dog food,

*Palm *Cleaning *Sprinkler Work. Insurance. Bonded. Free Estimates. Jose Duarte, Owner. 323-733-2699 or 323-333-7003

Hair Stylist

Hair by Anjela Kasper-Nova in the Malibu / Palisades and surrounding areas.

IG @hairbyanjelakaspernova or con tact 310-460-8548

Handyman

Your local handyman Professional Repair Services * Knowledge in all trades. We Fix It!. Call Bob 818-6359319. Lic#924813

Hauling

THE JUNK REMOVAL COMPANY

Our crew will remove junk from any where on your property then give the area a thorough sweep up. Call or text 310-924-0132 for rates.

Health Insurance

Home Improvement

Charles Dresser Home Improve ments: General Contractor, Services include Carpentry, Plumbing, Instal lations & Electrical. 28890 W. P.C.H. #214 Malibu, CA. 90265. Plumbing C-36, Roofing C-39. Call 424-4258044 or visit www.cdhipro.com

Home & Business Services

Malibu is POISON Free are You? Don’t Panic It’s Organic! Organic Consultant: water management, All Organic: native lawn replacement, rose, veg garden, tree, fruit tree, dis ease, pest control, ant, gopher, spray ing services, fertilization, rock dust. Since 1972. Call Invisible Gardener 310-4574438 or visit www.invisible gardener.com use the inquiry form to set up a house call. $100 per hour.

month! Call 310-456-5507.

Painting

MISTER ROBERTS PAINTING COM PANY Faux/specialty finishes, Tusca ny Washes, Venetian Plaster, Stucco, Plaster, Drywall repairs, Deck Resto rations & more. Call 310-456-0409. Lic#491492, bonded/insured.

AFFORDABLE QUALITY PAINTING

Commercial, residential. Interior & exterior. Reliable, fast & clean. Call 805-797-6885. Lic.#879583. Bond ed.

RAY HEPINSTALL PAINTING Res idential & Commercial, Custom Specialist. We’re always painting a home in your area, so call us today! 310-496-9073 or 805-208-5918. www.rayhepinstallpainting.com Lic#794969.

Personals

Very kind disabled, 62yr old women interested in donations and baked food items for the holidays. Please call Karla 707-273-5063

FREE PERSONAL ADS!! 20 words or less, Tell someone something special. Email them to o ce@malibutimes. com.

Real Estate Loans

ATTN: Malibu! Health Insurance

Open Enrollment 2023 is coming up. Text or email me at 310-8770306 or jsmith@smithlife.com stay informed, stay local. Speak with the same agent every time. 31-years health insurance experience. On or o exchange. CA Ins. Lic. # 0828783

Help Wanted

Elevator Mechanic needed. Must have Los Angeles City Journeyman License and State CCCM License. Call 626-914-6700.

Executive Secretary - Part Time for 50yr old Malibu Real Estate Company. Must have good English, Math and Computer skills. Salary negotiable. Please email your re sume to william@ra nrealty.com

REVERSE MORTGAGE HOME LOANS FOR SENIORS. Relieve your current financial stress. Payo outstanding debt. Eliminate your mortgage payments! Call TERRY FOX. (310) 457-7355

40 years of lending experience. ter foxy@gmail.com

RETIRED COUPLE $$$$ for busi ness purpose Real Estate loans. Credit unimportant. V.I.P. Trust Deed Company www.viploan.com Call 1-818-248-0000. Broker-principal DRE 01041073. No consumer loans. (Cal-SCAN)

Rental Wanted

Malibu local seeks room to rent in Malibu, Calabasas or the Santa Monica area $1,000-1,200. Many well known local references. Full-

time professional. Contact saman thaabravo@gmail.com

Reverse Mortgages

SMITH Reverse Mortgage Services. Malibu resident serving Malibu and the coastal communities since 1994. Specializing in Reverse Mortgages. Expert in JUMBO and FHA/HUD HECM. Title does not change. TaxFree. Does not a ect Social Securi ty or Medicare benefits. Please call 800-968-3762 BRE # 01237482 NMLS # 336491

Roofing

THOMAS MURRAY, WATERPROOF ING SPECIALIST Seamless gutters, slate, decks, shingles, copper, hotmop, torch. All types of Roofing and Repairs. Residential* Commercial* Industrial. “Lowest residential rates in So. Calif.” Call 310-779-5265. #1067954. Bonded/Insured.

Septic Tank Pumping ELY JR.’S PUMPING & Septic Sys tem Installations Install,

Travel/Vacations

Tree Services

Wanted Miscellaneous

malibutimes.com Malibu’s Award-Winning Community Paper Since 1946 Thursday, December 8, 2022 • PAGE B-7 BUSINESS & SERVICES Continued
or call 310-317-1997
min utes. Average savings of $444/year! Call 1-844-410-9609! (M-F 8am8pm Central) (Cal-SCAN) Internet FREE high speed internet for those that qualify. Government program for recipients of select programs incl. Medicaid, SNAP, Housing As sistance, WIC, Veterans Pension, Survivor Benefits, Lifeline, Tribal. 15 GB internet service. Bonus o er: An droid tablet FREE with one-time $20 copay. Free shipping & handling. Call Maxsip Telecom today! 1-855-4800769 (Cal-SCAN) Lost & Found *FREE LOST & FOUND ADS.* Have you lost a pet or found an article? Please call our Classified Dept. at 310-456-5507 and we will be glad to take your classified ad at NO CHARGE. Online Advertising IS YOUR WEB SITE LOST IN CYBERSPACE? Get LINKED to www.MalibuTimes.com and get NOTICED! 45,000+ Visitors. Over 250,000 Page Views per
Insurance SAVE BIG on HOME INSURANCE! Compare 20 A-rated insurances companies. Get a quote within
Repair & Service. Residential & Commercial Pumping. 24hr Service. Free Esti mates!. Call 805-483-2000 or 800876-6332. Lic#746011/C-42
Fully
activities.
fees
Costa Rica Tour 9 Days $995.
guided tour. Includes all hotels, all meals, all
Tax,
extra. Call 1-800-CARAVAN. Book online at Caravan.com. (Cal-SCAN)
Seasons Tree Specialists - Sick Trees? We don’t cut trees down, we help preserve them. Tree SprayingTruck Injections- Deep Fertilizing. Systemic & Organic Treatments. Olive Defruiting - Lawn Treatments - Soil Analysis. 45+ yrs experience. Call Joseph at 818-355-4090
CARE, INC.
Tree Care Service, Trim ming, Sculpting, Removal, Organic Feeding of Trees & Plants, Diagnosis of Unhealthy Trees, Brush
for fire Regulation.
Lic#725258 JOHNSON TREE CO. Fruit tree care, brush clearance & removals, pest control, pruning, preservation, Tree surgery, trimming & feeding. Call 310393-5700. Johnsontreecompany. com. Lic#924238/Insured A ordable Tree Care Certified Ar borists, Family Owned Business, 25 + Years Experience. Palm Tree Spe cialist, Citrus Pruning for high yield, Brush Clearance, Disease, Pest, and Tree Removal. Call 310-456-6564. West Coast Tree.
Tutoring I teach Reading, Handwriting, Math, Algebra 1, French, Piano, Voice, Swimming, Square Danc ing. WINIFRED S. DAVIS, MA., Ed. S. CALL 424-330-0201 or winni ethepooh182@yahoo.com Upholstery IDEAL UPHOLSTERY Sofas * Chairs * Antiques * Seat Covers * Boats * Carpets*. NEW MALIBU LOCATION! FREE PICK-UP & DELIVERY. Call 310317-9490, www.ideal-upholstery. com. Volunteer FRIENDS OF THE MALIBU LIBRARY are looking for volunteers to work in the library bookstore for 3 hours a week. Contact Harriet Pollon at harrietpollon@yahoo.com. MEALS ON WHEELS is looking for volunteer drivers to deliver here lo cally in Malibu. Call Joanna Vasquez @ 310-394-7558.
Four
ENVIRONMENTAL TREE
Complete
Clear ance
Arboriston sta . 310-456-5969. etcla.com
LIC #837611
CA$H PAID FOR OLD GUITARS!
Epiphone, Guild,
Rickenbacker, Prairie State, D’An gelico, Stromberg. And Gibson Man dolins / Banjos. 1-844-910-1960. (Cal-SCAN) CALIFORNIA WILDLIFE CENTER NEEDS YOUR HELP! The following are items are needed on an ongo ing basis: Gift cards for pet/grocery stores, Bleach, Canned dog food, Raw unsalted nuts, Dawn dish detergent, Fragrance free laundry detergent, Paper towels. Drop off address: 26026 Piuma Rd, Calabasas CA
DONATE YOUR CAR TO KIDS . Fast Free Pickup – Running or Not - 24 Hour Response -Maximum Tax Do nation – Help Find Missing Kids! Call 1-888-491-1453. (CalSCAN) Window Cleaning Mr. Crystal Window & Pressure Cleaning Free Estimates Friendly Service Seasonal Discounts Local References Call Gary 310-828-1218 Licensed/Bonded/Insured MR. CRYSTAL WINDOW & Pressure cleaning Free estimates, friendly service, seasonal discounts, local references. Call Gary 310-828-1218. Lic/Bonded/Insured. The Malibu Times Advertise with us. www.malibutimes.com malibutimes.com Malibu’s Award-Winning Community Paper Since 1946 Thursday, June 2, • PAGE Business & services BUSINESS & SERVICES Continued CLASSIFIEDS Continued INTEGRITY &EXCELLENCE C.D.H.I., INC. Charles Dresser Home Improvements CHARLES DRESSER HOME IMPROVEMENTS 28890 W. P.C.H. #214 Malibu, CA. 90265 (424) 425-8044 General Contractor ‧ Roofing C-39 Plumbing C-36 CSLB #B537044 www.cdhipro.com ServicesHandymanAvailable D ream . D es i gn . Bu ild. Ma n age . A Stradella® Builders Company Office: (424) 274-3675 | Cell: (310) 924-2751 Ca ll aHa n ® We Bu il d Jo y. ® • NO MORTGAGE PAYMENTS EVER! • PAY FOR YOUR HEALTHCARE • PAY FOR HOME IMPROVEMENTS • TRAVEL THE WORLD • PAY FOR KIDS COLLEGE • PAYOFF CREDIT CARD DEBT BANK NEVER TAKES YOUR HOME! TERRY FOX (310) 457-7355 Email: terfoxy@gmail.com LOAN OFFICER SINCE 1980 25 YEARS MALIBU RESIDENT NMLS #263276 WHY GET A REVERSE MORTGAGE?
TOP
1920-1980 Gibson, Martin, Fender, Gretsch,
Mosrite,
Drop o times: 10am-2pm, 7 days a week. Cawildlife.org

Waves women’s volleyball closes season in the NCAA Tournament

Pepperdine falls in four games in first-round match against Stanford; season ends with 19-11 record

The Pepperdine Waves women’s volleyball team’s season came to a close on Dec. 2.

e Waves were defeated by the Stan ford Cardinal 3-1 in the rst round of the NCAA Tournament at Stanford’s Maples Pavilion.

Pepperdine nished the 2022 cam paign with a 19-11 record.

Waves head coach Scott Wong said Pepperdine’s 30-game season was mem orable.

“It was a lot of great times on the court,” he said. “ e way our team re sponded, the way our team had a lot of ght. It’s been fun to see that ght from every one of our 13 players. ere are wins, there are some losses in there. ere are some great environments that we’ve played in, which has been a blast. e goal from day one this year was to be able to play in front of the best environments against the best teams.”

e Cardinal downed the Waves 2511, 25-18, 18-25, 25-20.

Senior setter Isabel Zelaya had 32 as sists, 10 digs, three kills, and two blocks for Pepperdine, and junior middle block er Meg Brown tallied 10 kills, ve blocks, and one ace. Sophomore Grace Chilling worth had nine kills and four digs, and freshman outside hitter Emily Hellmuth recorded six kills, three blocks, and one ace. Vanessa Polk, a freshman middle blocker, tallied eight kills and three blocks, while graduate student libero and defensive specialist Riley Patterson recorded eight digs. Junior opposite and outside hitter Emma Ammerman rang up nine kills and three blocks, including one solo.

Stanford took a 10-2 lead in the rst set and never looked back as they ran o with a 25-11 victory. e second match

was a tighter contest though. It was tied 8-8 at one point and then knotted at 12 after kills by Hellmuth and Chilling worth and a rejection by Ammerman and Brown. However, the Cardinal took con trol and pulled out the 25-18 triumph.

Points by Ammerman and Chilling worth and an ace from Hellmuth pushed the Waves to a one-point lead early in the third set. Pepperdine also led 12-8 after an ace from Brown, and 18-12 af ter kills by Ammerman and Chilling worth. A number of kills by Hellmuth and blocks from Ammerman and Polk led Pepperdine to closing the set with the 25-18 win.

Stanford held leads of 12-8 and 1410 in the fourth set before consecutive blocks led to the Waves tying the match at 16. e Cardinal responded though and closed the game with a 25-20 victory.

Pepperdine had three straight losses last month before ending the regular sea son with a win over Portland on Nov. 22.

e squad featured six freshman this season and only two seniors, so the team was much changed from the 2021 Waves bunch, which was also defeated in the rst round of the NCAA Champion ships.

Hellmuth was named the West Coast Conference Freshman of the Year and was also named to the conference’s All-Freshman Team. She was the third consecutive Pepperdine player to capture the top freshman honor. Chillingworth won it last season and Brown in 2020.

Brown and Chillingworth were named to the All-WCC First Team and Patter son was named to the conference’s sec ond team. Zelaya was named All-WCC Honorable Mention and Polk was named to the WCC All-Freshman Team.

Ammerman said the season was spe cial. She said the team overcame any obstacles they faced.

“ e culture that we have, the girls on this team were new this year, so it was a big shift,” she said. “Being able to ourish in that new culture and with this new team, I think was a testament to the leadership we have in our coaching sta and our seniors. It’s a season I will never forget.”

Hair by Anjela Kasper-Nova

IN THE MALIBU / PALISADES AND SURROUNDING AREAS

Anjela started in the art of hair when she was 13. She’s a perfectionist at heart and has even created incredible works of art in sculptures and giant paintings 12 ft high. She even briefly appeared as a hairstylist in the movie 50 Shades of Gray.

After certification in London under Vidal Sassoon, Anjela moved to Vancouver and was a part of Suki’s International Artistic team, traveling Canada and US as a platform artist, and educating other hairstylists.

In Dubai, Anjela performed as the Master Stylist at Jose Eber salon and then returned to Beverly Hills Jose Eber salon.

After Covid, Anjela has remained committed to helping the needy. Now that things are returning to normal, she is offering her services in mobile fashion in the Malibu / Palisades and surrounding areas.

contact 310-460-8548

PAGE B-8 • Thursday, December 8, 2022 Malibu’s Award-Winning Community Paper Since 1946 malibutimes.com
SPORTS H H H THIS WEEK AT THE AGOURA SHELTER H H H The Agoura Shelter is at 29525 Agoura Rd., Agoura Hills. Occasionally pets have already been adopted. To check availability, call 818-991-0071 or visit animalcare.lacounty.gov Meet Bear! Bear A5503585 we just love you! 11 months old, neutered and ready for a new home! Bear is an Akita/Shepherd mix, he’s recommended to a home middle school age and up (younger could be considered with an introduction) and a large dog companion is fantastic. Per his previous owner, he did live with a cat. We don’t know how he’d do with another cat though. BUSINESS SPOTLIGHT ACROSS 1 Tinker (with) 5 Obscures, in a way 10 Acts as one? 14 Memo starter 15 Garden of ___ (punnily named snack brand) 16 Word with bird or nest 17 Persian for “country” 18 Taqueria menu adjective 19 “You sure about that?” 20 _N_ _ _ERS 23 Téa of “Madam Secretary” 24 “No ___!” (cry in a queue) 25 CRAWL SP_ _ _ 31 Brand owned by Whirlpool 34 Absence of musical ability 35 Trojans’ sch. 36 The “seven” referenced by the film title “Seven” 37 Intoxicated, in modern slang 38 Meh 39 Exam taken by many jrs. 40 Works at a restaurant … or what many diners experience at popular restaurants 41 Sauce that often contains nuts 42 _EABR_ _ _ 45 Small valley 46 First name in cosmetics 49 COLD S_ _U_ _ER 54 Goes over or under, in a way 55 Worst possible turnout 56 It might help you get a grip 57 Product with a Mini variety 58 Role on “Stranger Things” 59 University in a town of the same name 60 Org. 61 What good pitches often result in 62 ___ control (city law subject) DOWN 1 Nashville university attended by W. E. B. DuBois and John Lewis 2 To 3 Go over, in a way 4 Riddles in Buddhism 5 ___ Baby 6 Anchor’s position 7 Home of the Uintah and Ouray reservation 8 Nag, nag, nag 9 Popular app originally launched under the name Picaboo 10 Column base 11 Directionless sorts 12 Enterprise rival 13 Lead-in to a counterargument 21 Ancient worshiper of Pachamama (“earth mother”) 22 Violinist Leopold 26 Language family in Canada 27 Up 28 All wound up 29 Khan Academy subj. 30 Comeback 31 “Go, go, go!” 32 Mineral whose name means “crumb” in Latin 33 Cures for what ails you 37 Marks in the sand, perhaps 38 All-time greatest 40 Feral 41 “Hey, over here!” 43 Wrestling maneuver 44 Trojan hero born of Aphrodite 47 Actor Hirsch 48 Printer brand 49 From half of a couple, maybe 50 Name that’s a conjunction + an article 51 It’s all wound up 52 Some time ago 53 Bazaar sight 54 It’s a wrap PUZZLE BY CHASE DITTRICH AND JEFF CHEN Online subscriptions: Today’s puzzle and more than 7,000 past puzzles, nytimes.com/crosswords ($39.95 a year). Read about and comment on each puzzle: nytimes.com/wordplay. ANSWER TO PREVIOUS PUZZLE TIDAL IDOS BRAT ABOVE HEHE ROTI FERREROROCHER IGOR TIM PUPAE BEERME ASIAM FLYOFF CRIB LOOSENS HAWED LAYUP DAT ALERT BOXER FERRY RUE MOOLA FIERCE EMOBAND HAIR VACAYS MESAS AVERSE NOOBS PAZ MOHS BORDERTERRIER FRERE USED AMINO MEET TESS SALTS The New York Times Syndication Sales Corporation 620 Eighth Avenue, New York, N.Y. 10018 For Information Call: 1-800-972-3550 For Release Thursday, December 8, 2022 Edited by Will Shortz No. 1103 Crossword 1234 56789 10111213 14 15 16 17 18 19 20 21 22 23 24 25 262728 2930 313233 34 35 36 37 38 39 40 41 42 43 44 45 46 4748 49 505152 53 54 55 56 57 58 59 60 61 62 ACROSS 1 Flummoxed 6 ___ law 10 Member of the mammalian order Chiroptera (“hand wing”) 13 Late show? 14 It’s raised by a wedge 15 Ecologist Leopold who advocated “thinking like a mountain” 16 Symbolic hand gesture in Hinduism 17 Like overcast skies, in England 18 N.Y.C. neighborhood west of the Bowery 19 “This is too painful to watch!” 21 Rod fitting in a hole 22 Number written as a simple cross in Chinese 23 Festival at the end of Ramadan, informally 24 Cash in Jordan 25 Tomfoolery, e.g. 26 That way 28 Late ___ 29 Means of making untraceable social media posts 32 Fragrant, buttery breakfast offering 33 Something a veteran won’t make 34 Link abbr. 35 When said three times, “Come on, you all” 36 “___ advice?” 37 Stocks 39 Likely 40 Word with baby or house 43 Prejudiced person 44 Using frozen grapes as ice cubes and binder clips as cable organizers, e.g. 47 “Gotcha” 48 Aristocratic type, in British slang 49 Disney’s “___ of Avalor” 50 “Meh”-inducing 51 Subject of a houseguest’s query 52 Small-time 53 Gender-affirming treatment, in brief 54 Type of chalcedony 55 Broods DOWN 1 Grudgingly agree 2 “No hard feelings?” 3 Kia Cadenza, e.g. 4 Take home 5 Event that might include poetry, but not pros? 6 “This is a disaster!” 7 Subway fare? 8 Unassuming 9 Tricksy 10 Fly off the handle 11 Follower 12 You might throw a wrench into it 15 Like the author of “Beowulf,” in brief 20 Carl who pioneered modern taxonomy 21 “Hot Stuff” and “I’m Every Woman,” e.g. 24 Roll with many functions 25 James Brown genre 26 Afternoon hour in Québec 27 John equivalent 29 Cell authority, maybe 30 Courteney Cox was the only “Friends” star who never got one 31 Sommelier’s adjective 32 It goes door to door 33 Codswallop 38 Like some orders 39 Tack on 40 Segment made of lines 41 “Right!” 42 Prerevolutionary rulers 44 Tender ender 45 Dubious 46 Came down 48 Afternoon hour PUZZLE BY WILL NEDIGER Online subscriptions: Today’s puzzle and more than 7,000 past puzzles, nytimes.com/crosswords ($39.95 a year). Read about and comment on each puzzle: nytimes.com/wordplay. ANSWER TO PREVIOUS PUZZLE VOID SOUTH ORCS PINA OUTDO NOLA SLOT CREPE ECON BREA KD ADIPOSE RAG BRAYS FAC ET S ERA CAFES FROST DONIT WAS LYE ONCE ERIVO NCIS NPR CIS TALLE AMANA MANIC TOW PM OWER INONE CVS UNASKED GT OTOE SAKS CACTI ENDS ICEE HIMOM EDIT CONE ORATE SOTU The New York Times Syndication Sales Corporation 620 Eighth Avenue, New York, N.Y. 10018 For Information Call: 1-800-972-3550 For Release Friday, December 2, 2022 Edited by Will Shortz No. 1028 Crossword 12345 6789 101112 13 14 15 16 17 18 19 20 21 22 23 24 25 2627 28 29 30 31 32 33 34 35 36 37 38 39 404142 43 4445 46 47 48 49 50 51 52 53 54 55 Pepperdine’s Meg Brown (center, facing camera) goes for the kill against Stanford in the first round of the NCAA Tournament. Pepperdine’s Emma Ammerman against Stanford in a first-round women’s volleyball NCAA Tournament match.
@hairbyanjelakaspernova
Take a look at her IG:
or
THE MALIBU GROTTO PROPERTY 3BD, 3BA, 1750 SQFT HUGE ENTERTAINMENT DECK DIRECT ACCESS TO SANDY COVE AVAILABLE SHORT/LONG TERM LEASE THE MALIBU GROTTO PROPERTY 3BD, 3BA, 1750 SQFT HUGE ENTERTAINMENT DECK DIRECT ACCESS TO SANDY COVE AVAILABLE SHORT/LONG TERM LEASE Julian Alexander (424) 425-9292 julian@coastalcowboyrealty.com coastalcowboyrealty.com CalBRE #01994705
(From left) Isabel Zelaya, Meg Brown, and Emma Ammerman celebrate after winning a point in their women’s volleyball NCAA Tournament match against Stanford. Photos by Sarah Otteman

Turn static files into dynamic content formats.

Create a flipbook
Issuu converts static files into: digital portfolios, online yearbooks, online catalogs, digital photo albums and more. Sign up and create your flipbook.