



















































![]()




















































"Small businesses are the heartbeat of your neighborhood, the spine of your local economy, and the spirit of your town."
This is truly one of our favorite issues of the year—our annual Best of North SLO County Readers’ Poll edition!
There is something incredibly special about opening these pages and seeing the names of the businesses our community has chosen to celebrate. You voted. We counted. And now, the results are in. From longtime favorites continuing their winning streaks to standout newcomers making an impressive debut—and even a few razor-thin ties in highly competitive categories—this year’s poll once again showcases the very best from Bradley to Santa Margarita.

Now in its 13th year, the Best of North SLO County Readers’ Poll remains 100% organic. There are no paid placements. No sponsored winners. No purchased titles. The results reflect the authentic voices of our local readers recognizing the businesses, services, and professionals who help make this region exceptional. Inside this special edition of Paso Robles Magazine and Atascadero News Magazine—sister publications to the historic Paso Robles Press (est. 1889) and the Atascadero News (est. 1913)—you’ll find Business Spotlights, community stories, and the much-anticipated unveiling of the 2026 winners.
As a local publisher, this issue carries even deeper meaning for us. We are locally owned and deeply rooted in this community. We own property here. We raise our family here. We invest here. Our administration team, sales representatives, writers, designers, and photographers live here, raise their children here, volunteer here, and support many of the same small businesses featured in these pages. Our longtime office in downtown Atascadero has served as home base for years, and every magazine we produce is created by a dedicated local team.
Thirteen years ago, the Paso Robles Press and Atascadero News launched the Best of North SLO County Readers’ Poll. When we acquired the publications in 2019, we combined the results into a glossy, perfect-bound keepsake edition to properly honor the winners. This year is especially meaningful as we approach the 300th edition of Paso Robles Magazine—a milestone we are incredibly proud of—along with our eighth year publishing Atascadero News Magazine (formerly Colony Magazine).
While outside companies from Texas and New York have entered markets like ours, our commitment remains unchanged. We are truly local. We are here. We will remain here. And we will continue to keep it local.
Congratulations to all of our 2026 winners—and thank you to every reader who cast a vote. This celebration belongs to you.
Hayley Mattson Publisher, Editor In Chief
This month’s edition of Paso Robles Magazine is brought to you by all the local advertisers that fill our pages. Thanks to them, we are able to bring you your local Hometown Magazine. if thou wouldest win immortality of name, either do things worth the writing, or write things worth the reading.
— Thomas Fuller, 1727








43 U-Cart And Landscape Supply, 43 Farms 59 (805) 461-6411 43ucartandlandscapesupply.com
A Heavenly Home ................. 6 (805) 296-3239 aheavenlyhomepaso.com
A1 Glass Paso Robles........... 61 (805)227-6697 a1glasswindows.com
AM Sun Solar ...................... 19 (805) 772-6786 amsunsolar.com
Arcadian Gardens ................ 29 (805) 237-0672 arcadiangardens.net
Azteca Taqueria & Pupuseria 49 (805) 464-2975 aztecataqueriapupuseria.com
Bell's Plumbing .................. 36 (805) 466-1610
Birch Fabrics ....................... 14
Black Sheep Sourdough Micro-Bakery ...................... 51 (805) 221-5281 blacksheepsourdough.com
Blake's True Value 16 (805) 238-3934 truevalue.com
Blast & Brew ....................... 51 blastandbrew.com
bloke 43 (805) 464-2538 blokeoutfitters.com
Bob Sprain's Draperies ........ 23 (805) 712-5393 bobsprain.com
Brad's Overhead Doors 27 (805) 239-0202 bradsdoors.com
Bravo Construction ............. 58 (805) 226-7545
Bravo Pizza Plus .................. 49 (805) 462-1000 bravopizzaplus.com
Bridge Sportsman's Center ................................ 14 (805) 239-4867 bridgesportsmen.com
California Coast Beer Company ........................... 63 (805) 369-2347 calcoastbeer.com
California Mid State Fair 2 (805) 239-0655 midstatefair.com
CalSun Electric & Solar ........ 31 (805) 239-0111 calsunelectric.com
Central Coast Casualty Restoration ......................... 25 (805) 466-5419 cccrinc.com
Central Coast Pediatrics 55 (805) 549-0888 centralcoastpediatrics.net
City of Atascadero ............... 41 visitatascadero.com
City of Paso Robles Rec & Library 11 (805) 237-3988 prcity.com/268/Recreation-Services
Cuesta College Concord Chorus 29
Deep Steam Carpet and Upholstery Cleaners 25 (805) 466-1248 deep-steam.com
Derek Luff Photography ...... 33 (818) 519-4158 derekluffphoto.com
Diane Cassidy - ReMax Success3 (805) 434-8300
Eberle Winery 4 (805) 238-9607 eberlewinery.com
EECU - Educational Employees Credit Union 34 (800) 538-3328 myeecu.org
El Camino Veterinary Hospital 53 (805) 466-6677 elcaminovet.com
Farron Elizabeth .................. 43 (805) 464-7977 farronelizabeth.com
Figueroa's Tires 37 (805) 461-9101 fpmw.us/atascaderotires
First Call Plumbing ............. 25 (805) 721-3638 firstcallplumbingca.com
Five Star Rain Gutters 63 (805) 461-3283 fivestarraingutters.com
Gallagher Video Services ..... 16 (805) 227-0300 gallaghervideo.com
Hamon Overhead Door 31 (805) 238-0524 hamonohd.com
Harrington Home Furniture ............................ 39 (805) 464-0420 harringtonhomefurniture.com
Hedges Insurance 6 (805) 466-9048 hedgesinsurance.com
Howard Products 31 howardproducts.com
Ironhorse Restaurant & Bar - Cambria Hotel .......... 23 (805) 400-3336 ironhorsetempleton.com
John Glau Insurance ........... 21 (805) 222-0199 glauinsurance.com
Kaitilin Riley, DDS ............... 13 (805) 721-3878 kkrdds.com
Kenneth's Heating & Air 19 (805) 460-9305 kennethsheatingandair.com
Lansford Dental .................... 5 (805) 238-1441 lansforddental.com
Lemos Feed & Pet Supply .... 53 (805) 466-5378 lemospet.com
Madrone Landscapes .......... 27 (805) 466-6263 madronelandscapes.com
Mayan Hardwood, Inc. 29 (805) 238-0038 mayanhardwood.com
Melissa Gorden RN, A Nursing Corp./Paso Robles Aesthetics ........................... 33 (925) 378-4343 pasoroblesaesthetics.com
Mid State Roofing ............... 63 (805) 239-4054 roofwithmidstate.com
Montoya Family Dental ....... 58 (805) 466-6713 montoyafamilydental.com
Native Landscape Creations ............................ 60 (805) 610-8672 nativelandscapesinc.com
Nology Computers .............. 17 (805) 226-5200 nologycomputers.com
North County Pilates 31 (805) 466-9642 nc-pilates.com
O'Connor Pest Control 31 (805) 466-1510 oconnorcentralcoast.com
Odyssey World Cafe ............ 33 (805) 237-7516 odysseyworldcafe.com
Optometric Care Associates 13 (805) 466-6939 oca2020.com
Pambrun Bracing ................ 57 (805) 466-1064 pambrunbracing.com
Paso Robles Auto Repair 61 (805) 239-7440 pasoroblesautorepair.com
Paso Robles Furniture ................ Back Cover (805) 227-0145 pasohomefurniture.com
Paso Robles Handyman 15 (805) 835-5207 pasorobleshandyman.com
Paso Robles Lions Club 23 pasorobleslionsclub.org
Paso Robles Safe and Lock 27 (805) 238-7115 prsafeandlock.com
Paso Robles Waste & Recycle 9 (805) 238-2381 prwaste.com
Patterson and Tedford Pediatrics 57 (805) 466-6622 pattersonandtedford.com
Pedro's Mexican Restaurant ........................... 47 (805) 461-1111 pedrosatascadero.com
Pine Street Saloon 62 (805) 238-1114 pinestreetsaloon.com
San Luis Obispo County Office of Education - SLOCOE 9 (805) 543-7732 slocoe.org
Shift'N Gears Garage 17 (805) 400-2249 shiftngears805.com
Shop Little Cousins .............. 45 (805) 538-8408 shoplittlecousins.com
Sienna & Hope ..................... 15 (805) 296-3886 siennaandhope.com
Solarponics 25 (805) 439-9799 solarponics.com
Specs by Kyla 45 (805) 460-7575 specsbykyla.com
Steam Pro Carpet Care ......... 61 (805) 466-7777 steamproatascadero.com
Stilson Cellars ..................... 63 (805) 591-7003 stilsoncellars.com
Story Termite & Pest Control ........................ 59 (805) 347-4707 storytermite.com
Sunset Service Center 61 (805) 462-8199 sunsethonda.com
Ted Hamm Ins. .................... 59 (805) 238-1818 tedhamminsurance.com
Templeton Glass 27 (805) 434-3438 empletonglass.com
Teresa Rhyne Law Group ..... 21 (805) 991-7433 teresarhynelaw.com
The AutoBahn 33 (805) 434-2200 mercedesautobahn.com
The Natural Alternative & Marketplace 15 (805) 237-8290 naturalalternativenutrition.com
The Revival Center .............. 29 (805) 434-5170 alphabeth.org
Trilogy Nevina 4 visittrilogy.com
True Dental Studio .............. 21 (805) 238-1033 gemsmiles.com
Tyndall Tile 60 (805) 556-7900 tyndalltile.com
Victory Baptist Church ........... 7 (805) 221-5251 vbcpaso.org
Wyatt Wicks Finish Carpentry, Inc. 23 (805) 434-3755 wyattwicks.com


















Cheers to March 2026! As we embrace the adventures of this month, we’re facing spring — the time of new beginnings, with blooming flowers, animals waking from hibernation, the migration of birds, and the start of planting season. Don’t forget Sunday, March 8, is daylight savings time, set the clocks one hour forward.
“Springtime is the land awakening. The March winds are the morning yawn.” — Lewis Grizzard
The Paso Robles Downtown Main Street Association is experiencing new beginnings without Norma Moye at the helm. Our staff, Board of Directors, and devoted volunteers were all personally selected and directed by Norma. She left this organization with the best people she knew, people who would keep “Main Street” moving forward with
success. Norma set us up, made us great, then slipped away in peace knowing her legacy is completely alive and will continue to “carry on”! Again, we say, “Thank You, Norma.”
This month’s “Full Worm Moon” appears the evening of Tuesday, March 3. Before it reaches full illumination, it will collide with a Total Lunar Eclipse, referring to it
“What lies behind us and what lies before us are tiny matters compared to what lies within us.”
— Ralph Waldo Emerson
as a “Blood Moon” because of the red glow of the Earth’s shadow. This is referred to as a time to shed old habits and embrace new beginnings. A time to set intentions and initiate positive changes.
Spring Equinox takes center stage on Friday, March 20. We will
experience equal hours of daylight and equal hours of darkness. Days will begin to get longer! Enjoy the season change, get outside, become more active and remember the words of Charles Darwin when he tells us, “It’s not the strongest of the species that survive, nor the most intelligent, but the one most responsive to change.”
As March winds down and we begin to look ahead, we realize Easter is right around the corner (Sunday, April 5). “Hop To It” is on Saturday, March 28, from 11 a.m. until 2 p.m. Downtown Main Street has invited the Easter Bunny to spend time in the Holiday House in the City Park, at the corner of Park and 12th Streets. The bunny will have gifts for the children, and the parents have the perfect photo-op for the family album. It’s a fun event for the whole family!
The Main Street Calendar of events in the City Park starts to pick up in April and continues through the rest of the year. Stay busy and have fun!







Healthy, resilient skin is deeply connected to internal health, particularly the gut. This relationship, known as the gut-skin axis, reflects how closely the digestive system, immune system, and skin communicate. Around 70% of the immune system resides in the gut, meaning an imbalanced microbiome can increase systemic inflammation. That inflammation often manifests externally as acne, eczema flareups, redness, premature aging, or dullness.
When the gut microbiome is balanced, it supports proper nutrient absorption, hormone regulation, and immune stability — all of which directly affect skin function. For example, poor digestion can limit absorption of key skin-supportive nutrients like zinc, vitamin A, omega-3 fatty acids, and antioxidants. Blood sugar spikes can increase insulin levels, stimulating excess oil production and breakouts. Chronic stress also disrupts gut bacteria, further contributing to inflammation.
Supporting skin from within involves:
• Prioritizing fiber-rich whole foods to feed beneficial gut bacteria
• Incorporating probiotic and fermented foods to maintain microbiome diversity
• Choosing anti-inflammatory fats like omega-3s
• Staying hydrated to support circulation and detoxification
• Managing stress and sleep, which both influence gut balance
Topical care should then strengthen and protect the skin barrier, not disrupt it. Brands like Derma E focus on plant-based, cruelty-free formulations designed to support barrier health. Ingredients such as stabilized vitamin C provide antioxidant protection against environmental damage and support collagen production. Hyaluronic acid enhances hydration and barrier function by binding water to the skin. Gentle retinol and botanical alternatives promote cell turnover without compromising skin integrity, while ingredients like tea tree and probiotics help support the skin’s natural microbiome.
Ultimately, natural skin care is not just about avoiding harsh chemicals, it’s about reducing internal inflammation, nourishing the microbiome, and reinforcing the skin barrier with clinically supported ingredients. When internal health and topical care align, the result is skin that functions optimally, not just cosmetically.











THE INFORMATION CONTAINED HEREIN IS FOR EDUCATIONAL PURPOSES ONLY AND DOES NOT CONSTITUTE DIAGNOSIS, PRESCRIPTION OR TREATMENT AND IS NOT INTENDED TO BE USED AS A SUBSTITUTE FOR MEDICAL COUNSELING WITH A HEALTH PROFESSIONAL.
THE INFORMATION CONTAINED HEREIN IS EDUCATIONAL PURPOSES ONLY AND DOES NOT CONSTITUTE DIAGNOSIS, PRESCRIPTION OR TREATMENT AND IS NOT INTENDED TO BE USED AS A SUBSTITUTE FOR MEDICAL COUNSELING WITH A HEALTH PROFESSIONAL.
THE INFORMATION CONTAINED HEREIN IS FOR EDUCATIONAL PURPOSES ONLY AND DOES NOT SUBSTITUTE FOR MEDICAL COUNSELING WITH A HEALTH PROFESSIONAL.






Paso Robles didn’t become a “Best Of” city by accident; it was built by people who care deeply about this community and the businesses that call it home. Anyone who lives or works locally knows this already: Paso Robles is a special place.The "Best Of North SLO County" awards each year are a great way to celebrate that, but they also shine a light on something deeper: a community that consistently shows up for its local businesses.
What makes Paso Robles stand out isn’t just one industry or one success story. It’s the people behind the businesses, the relationships built over time, and a shared pride in doing things well. Whether you’re welcoming visitors, serving longtime locals, launching a new idea, or growing a business that’s been here for generations, there’s a strong sense that we’re all in this together. That collaboration and mutual support are part of what makes doing business here feel different.
That connection is at the heart of the Chamber’s work. The Paso Robles & Templeton Chamber of Commerce exists to support, advocate for, and connect the businesses that keep our community thriving. Membership gives businesses a bigger voice and a broader reach through marketing opportunities, events, and advocacy — but just as important, it creates space for real relationships. It’s where business owners meet peers, share ideas, and stay informed about what’s happening in our region.
Paso Robles continues to grow in thoughtful ways, while holding onto the character that makes it home. As the community celebrates our "Best Of" awards this month, it’s a reminder that Paso Robles isn’t just a great place to visit — it’s a great place to build, grow, and do business.
To learn more about joining the Chamber, contact Krista Carpenter at memberservices@ pasorobleschamber.com



Vehicles rely on a network of electronic sensors to operate efficiently, meet emissions standards, and protect internal components. These sensors continuously report data to various control modules, which adjust fuel delivery, ignition timing, airflow, transmission behavior, and more in real time. Modern vehicles may use dozens of sensors working together to balance performance, efficiency, and reliability under constantly changing driving conditions.
Each sensor plays a critical role. When one sensor reports data outside its expected range — or when the module detects a mismatch between inputs — it stores a diagnostic trouble code (DTC) and may illuminate the check engine light.
A stored code doesn’t automatically mean a part has failed. It indicates the system has detected a condition that could affect performance, efficiency, or emissions. For example, an O2 sensor code may be triggered by exhaust leaks, fuel delivery issues, or wiring faults — not
just the sensor itself. Accurate diagnostics require interpreting live data, checking related systems, performing tests, and verifying the root cause before replacing components.
This is why relying on luck — or quick code scans alone — often leads to misdiagnosis and wasted money. Proper testing protects your engine and transmission from long-term damage, prevents unnecessary parts replacement, and restores optimal performance.
In the spirit of St. Patrick’s Day, smart diagnostics are how you find the real pot of gold: improved fuel economy, consistent drivability, reduced emissions, and extended vehicle life.
To reward proactive maintenance, Shift’N Gears now offers our very own loyalty discount program with no extra work from you. Our Key Lime Discount Loyalty Program adds extra value to every visit!
This March, don’t guess. Trust data, diagnostics, and experience to keep your engine running e xactly as it was designed. Call Shift’N Gears today.









Robles Main Street enters year of transition following Norma Moye’s passing
By Hayley Mattson
The Paso Robles Main Street Association is entering what leaders call a year of transition following the death of longtime Executive Director Norma Moye, whose decades of service helped shape downtown into a thriving destination for residents and visitors alike.
Stepping into interim leadership roles are Jeffry Wiesinger as executive director and Margaret Heely-Holstine as board president. Both say they are committed to honoring Moye’s legacy while guiding the organization forward with steady, community-focused leadership.
Jeffry, who has served as board president for the past five years and owns Jeffry’s Wine County BBQ, a restaurant adjacent to the Main Street office, downtown district, said accepting the interim executive director role was about service and continuity.
“Having been board president and owning a restaurant right next door, I understand how important this organization is to the downtown business district and the community,” Jeffry said. “My respect and admiration for Norma, and my desire to see this organization continue to grow and go to a higher level, made it an honor to step in.”
He emphasized that no single person can replace Moye.
“I don’t think any one person will ever be able to fill Norma’s shoes,” Jeffry shared. “What she meant to this community is immeasurable. Her impact on Paso Robles is inspiring.”
Moye’s leadership helped elevate signature events such as Taste of Downtown, the Olive
and Lavender Festival, Downtown Lighting Ceremony, Vintage Sidecar Rendezvous, and other community gatherings that draw thousands each year. Jeffry said he was inspired not only by her organizational leadership but by her example of volunteerism and civic pride.
“She inspired multiple generations about what it means to take care of your community — coming together, and working together to do great things,” he said. “That’s the legacy we want to carry forward.”
In the weeks following Moye’s passing, Jeffry explained he and Margaret were in near-daily communication to ensure operations continued smoothly. As board chair at the time, Jeffry began handling executive duties immediately.
“Since the day Norma passed away, Margaret and I have been in almost daily communication,” he said. “Her help and advice have been invaluable.”
Recognizing the expanded scope of responsibilities, the board voted to appoint Wiesinger as interim executive director and selected Heely-Holstine — a veteran leader with decades of involvement — to serve as interim board president.
“There was an obvious choice,” Jeffry said. “There is no one more qualified to help guide this next generation of Main Street than Margaret Heely-Holstine. I give my full support and appreciation for her taking on this position to help us through the transition.”
Margaret brings more than 30 years of experience with Main Street and a longstanding history in civic service. She previously served on
the Paso Robles Planning Commission and acted as liaison to Main Street for a decade before joining the board as a member. Over the years, she has held every executive board position.
“I’ve known Norma for more than 50 years,” Margaret said. “I believe deeply in our downtown and in our city. I want to support our businesses as we move forward, and together with Jeffry and the board, I know we can do that. We will make Norma proud.”
She said her motivation is rooted in personal connection to downtown merchants and the community they serve.
“I’ve chaired Taste of Downtown. I’ve been to all the businesses. I get to talk to the people and learn what’s going on,” she said. “What drives me is helping the businesses downtown succeed. Their success is Main Street’s success.”
Margaret described the board as unified and proactive during the transition. The group has been holding weekly meetings, in addition to regular sessions, to maintain momentum and address operational needs.
“The board is extremely strong,” she said. “We’re excited. We’re looking at ways to make our events even better. Not that they weren’t wonderful before, but we have new ideas to inspire people.”
While both leaders are cautious about unveiling specific plans prematurely, they confirmed that all longstanding annual events will continue in 2026.
“All events will be happening this year,” Jeffry said. “We want to lead with confidence and strength, but we also want to set realistic expectations. These are big shoes to fill.”
He described 2026 as a “transition year,” one focused on stability and thoughtful growth rather than sweeping changes.
Main Street’s funding comes primarily from event production and partnerships tied to downtown promotions. The organization also operates as a community information hub, supporting tourism and economic vitality in the city’s core.
A key source of institutional knowledge remains within the office. Executive Assistant Susanne Anshen, who first joined Main Street in 1995, has served a total of 26 years with the organization and worked closely alongside Moye.
“Susanne is Main Street in many ways,” Jeffry said. “Her knowledge and history have been invaluable to us as we move through this process.”
“I was hired by Norma and had the privilege of learning alongside her over the years. It has been an honor to serve with her all this time. I love Main Street, and my goal is to ensure her legacy continues to thrive for years to come,” Susanne shared.
Both Wiesinger and Heely-Holstine stressed that the organization rests on a solid foundation built over decades of volunteer leadership and community support.
“She left us a solid foundation,” Margaret said of Moye. “That’s where our strength comes from.”
Jeffry echoed that sentiment, emphasizing that the future of Main Street depends largely on community involvement.
“The future of Main Street is dependent on the community,” he said. “It depends on volunteers, on local business leaders, on people who are passionate about Paso Robles.”
He called on residents to step forward and participate in volunteer opportunities and downtown initiatives.
“We need the next generation of people who love and support Paso to step up alongside us,” he said. “We’ve lost our matriarch. We’ve lost a part of the soul that defines our community. But we still stand firm on the strong foundation Norma instilled in each of us.”

Wiesinger said leadership in the current climate requires collaboration and unity.
“Leadership is not easy,” Jeffry explained. “But it is essential. We are at an important time right now. We love downtown Paso Robles, and we want to see our city preserve its historic charm while continuing to thrive as one of the best cities on the Central Coast. Bringing people together for the common good of our community is our main focus.”
He described his guiding philosophy as “leading with hospitality,” a concept rooted in his restaurant background but applicable more broadly.
“Hospitality goes beyond the restaurant industry,” Jeffry said. “It’s about welcoming people, celebrating family and togetherness, and focusing on all the great things we have in Paso.”
As interim leaders, both Jeffry and Margaret said their focus remains on continuity, collaboration, and careful stewardship of an organization that has become central to downtown life.
“This is a beautiful organization,” Margaret said. “It means a lot to this community. We’re here to support it and make sure it continues to thrive.”
Wiesinger added that while transition can be challenging, it also presents opportunity.
“The core of the Main Street Association is strong,” he said. “As we look to the future, it will continue to grow and be built on the strength of our volunteers, our businesses, and our community, and the legacy that Norma built and leaves behind... If we continue to rally together, the future is bright.”
For now, they both agreed that the message is simple: “Main Street remains committed, events will continue, and the work of promoting and supporting downtown Paso Robles carries on — grounded in legacy, guided by experience and sustained by community support.”
To get involved or learn more, visit pasoroblesdowntown.org



Proudly serving all of the San Luis Obispo County


By Camille DeVaul
On Monday, February 9, the Jermin family watched as crew members from ABI Engineering demoed the remainder of the Templeton Feed & Grain on Main Street. The demolition of what remained of the cement building marks the first step in moving the family's business back onto Main Street.
The final demolition comes just over six months after a July 4th fire erupted and consumed the granary. What was left behind was nothing but rubble and partial structure to the original cement building. The building has served many lives during its time on Main Street. One of which was a grocery store, and then turning into a feed store in the 1940s when Rick Jermin's grandfather, Tom Jermin Sr., bought the property, and later adding the feed mill and granary that towered over Main Street for generations.
By about 11:30 a.m., the roof had been removed, and crews shifted their focus to the north side of the structure. As heavy
equipment pulled away at the walls, decades-old materials gave way with surprising ease.
Rick walked Paso Magazine through the site, pointing out cracks in the foundation and areas where it had become uneven, not only from over time but mainly from the destruction of the fire. The building’s thick walls, constructed of riverbed rock cement, crumbled almost instantly once disturbed — collapsing more like sand than solid masonry.
Built in 1912 — the same year the Titanic's maiden voyage — the building had stood for more than a century. For Rick and his family, its demolition marked the end of an era. He grew up around the structure, and generations of his family built their lives and livelihoods there. Watching it fall was surreal and undeniably emotional. Yet alongside the sadness was a sense of relief. The deteriorating building had become a liability, and its removal clears the way for the next phase of the property’s redevelopment.
There was no large crowd gathered for the demolition,
though passing motorists slowed to watch and record video. A few members of the fire department were present, along with the ABI crew overseeing the work. Crews will continue demolishing the remaining structures, leveling and grading the site in preparation for what comes next.
At the end of January, the Jermin family met with Paso Magazine to talk about what the future looks like for them.
Since the feed and grain was destroyed during the July 4th fire the family has been working to get approval for several permits through both the county and the state. They recently received the final approval to continue with demolition, which will allow them to take the next step into rebuilding.
“We know this will be hard for the community to see,” Stacey Jermin said. “That’s why we wanted to share what’s happening and be transparent about the plan — so everyone understands why it needed to come down.”
Originally, the family thought they would be able to keep the building. Unfortunately, due to years of natural wear and tear, along with damage from putting out the July 4th fire, its not feasible for the family to simply just repair the building or keep the facade and build around it.
“It’s a hard reality that this is the route that has to be taken,” Rick said, “but being able to make this step is a positive move forward
in our journey to getting back onto Main Street.”
As a result, the building was torn down on Monday, Feb. 9 and the empty space is being prepared for a new building that plans to look as much like the original building as possible. While timelines remain fluid, the family hopes to begin the rebuilding within the next few months after the final demolition is complete.
While the loss of the 114-yearold building is significant, the family has come to terms with the necessity of its removal. With the last now gone, they can begin moving forward.
The Jermin family wanted to share their heartfelt gratitude with the community:
"Thank you so much for your thoughtful donations. Our family is deeply touched by your generosity and by your shared love for Templeton Feed & Grain. Losing such an iconic building has been heartbreaking, but your kindness and support have brought us comfort and strength. Templeton Feed & Grain was never just a building — it was the people and the community who gave it life. From the bottom of our hearts, thank you for standing with us during this difficult time. We look forward to one day once again calling Main Street home."
Until they return to Main Street, you can find Templeton Feed & Grain at their temporary home at 1650 Ramada Drive.
You can read our full reporting on the Templeton Feed and Grain on pasoroblespress.com
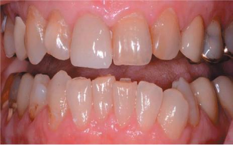
After many years of dedicated care to our community, Dr. Grant Marcum is retiring and proudly entrusting the practice to Dr. Alina True. Dr. True is honored to continue the tradition of compassionate, highquality dental care that our guests have come to know and trust. At True Dental Studio, our philosophy centers on comprehensive, personalized dental care, and long-term oral health. It is very important to us that patients feel heard, respected, and empowered to partner with us in their dental treatment decisions.

“We are deeply grateful to our loyal patients and are excited to welcome new patients and families as we begin this next chapter together. It has been a privilege to step into a practice rooted in integrity and care. My goal is to provide a welcoming environment where you are not just a patient – you are our guest.”














In January and February, I had the privilege of observing the Libretto Conservatory, led by highly accomplished jazz musician and composer Michael Ragonese. It was a pleasure and hopeful experience as I watched the students meet Michael, work together to play a few songs, and discuss the joy of music. These young people were fully engaged as they listened to each other, the audio clips Michael provided, and then played the music. Jazz is often used for relaxation exercises, creative writing, and thoughtful contemplation. The flowing rhythm, smooth tones, and complex harmonies create a calming environment for some and are part of the program’s success.
The program is sponsored by local patrons of the arts, Libretto owners Corey Jordon and Kate Smith, along with the San Luis Obispo Career Technical Education Foundation. This after-school music program, now in its second year, is designed for middle, high, and postsecondary students. Libretto and the SLO CTE Foundation collaborated with Ragonese to bring his world-class musical talent and instruction to the next generation of musicians here on the Central Coast.
Michael is a highly accomplished jazz
pianist and composer based in Los Angeles, with over 25 years of experience in the music industry. After graduating from CSU Northridge, Ragonese has become one of the most sought-after pianists of his generation, performing, touring, and recording with legends such as Barbra Streisand, Walter Smith III, Mark Turner, Chanett Moffett, Bennie Maupin, Dave Kos, Rick Braun, Norman Brown, Alphonso Johnson, Jonn Daversa, Tierney Sutton, Stanley Jordan, Bob Sheppard, and others. Michael debuted as a bandleader in 2019 with the release of “Day to Day,” featuring Walter Smith III. His second album, “Stracci,” was released in 2023 and pays homage to his Italian heritage and classical training.
Just as jazz pioneers like Miles Davis and John Coltrane have influenced generations of music lovers with their expressive performances, the young people participating in this program are making a lasting impact on our community. Watching a high school sophomore jam with a local professional and then discuss the intricate melodies of a stand-up bass with a middle school student offers hope for the next generation’s potential. Initial rehearsals took place at the Paso Robles Encore Center. The center supports three proven initiatives: The Arts, K-12 Career & Technical Education, and SLO Partners programs. Each of these economic drivers
shares the common mission of “Arts-Based Leadership.” The San Luis Obispo Career and Technical Education Foundation (SLO CTE Foundation) is a nonprofit dedicated to improving the lives and economy of our community by supporting and inspiring transformative educational opportunities in our county, such as the Libretto Conservatory. Academics and business leaders recognize that arts-based instruction is an interdisciplinary approach to learning. Several community and arts organizations are strengthening pre-apprenticeship and apprenticeship Arts Partnerships for local students. According to the latest Arts and Economic Prosperity Survey, San Luis Obispo County’s arts and arts-related activities contribute over $30 million to our local economy. The most recent Central Coast Economic Forecast highlights the positive impact of the arts on our economy. Our county thrives on cultural and artistic vibrancy thanks to the dedicated individuals who call the Central Coast home. I encourage any interested arts organizations to partner with our local schools to strengthen our community. It is an honor to serve as your county superintendent, and I hope this article inspires discussion about the power of collaboration.
“Music is a higher revelation than all wisdom and philosophy.” — Ludwig van Beethoven


















IBy Ian Parkinson
San Luis Obispo County Sheriff
f it feels like I’ve been writing a lot lately about Detective Clint Cole in these columns, that’s not by accident. It’s because his work, and the success of our Cold Case Unit, continues to bring long-overdue answers to families who have waited years, sometimes decades, for justice. When cases are solved, especially ones many believed never would be, they deserve to be acknowledged.
The Cold Case Unit of the San Luis Obispo County Sheriff’s Office is responsible for investigating unsolved homicides throughout our county. These are some of the most challenging cases in law enforcement. Detectives must carefully reexamine evidence that may be decades old, review original reports and witness statements, and apply modern technology and investigative techniques that simply did not exist when the crimes first occurred. While the passage of time can complicate investigations, it can also create new opportunities.
That reality is now evident in the resolution of a case that remained unsolved for more than 40 years.
On November 15, 1983, deputies responded to a report of a suspicious van parked at a turnout along Highway 1, approximately three miles north of Hearst Castle. Inside the van, detectives discovered the body of Dorothy “Toby” Tate. She had been fatally shot. Despite investigative efforts at the time, no suspects were identified, and the case eventually went cold.
For decades, this case remained open, and Ms. Tate’s family lived without answers. That is one of

the hardest truths of unsolved homicide investigations and one that continues to drive our Cold Case Unit forward.
After conducting an extensive review of original evidence, reports, and forensic material, Cole reopened the Tate case using modern investigative methods. Among those methods was advanced DNA genealogy analysis, a tool that has transformed the way cold cases are investigated nationwide. Blood evidence recovered from the crime scene was submitted for forensic genealogy testing. That analysis identified Steven Richard Hardy as a contributor, a finding that was later confirmed through DNA comparison with a close family member. Additional evidence from the original investigation, including fingerprints recovered from a Coca-Cola can found near the
van, placed a second individual, Charley Sneed, at the crime scene. Both Hardy and Sneed were residents of Texas at the time of the murder and are now deceased.
Based on the totality of the evidence, Cole determined beyond a reasonable doubt that Hardy and Sneed were responsible for the murder of Toby Tate. The evidence indicates the crime was likely committed during a burglary or theft, as property belonging to Tate was later pawned in California. Investigators found no evidence suggesting the involvement of any additional suspects.
As with all cold case resolutions, the Sheriff’s Office requested review by the District Attorney’s Office. That review confirmed sufficient probable cause existed to support prosecution had the suspects been alive. As a result, the
case has now been officially closed as “exceptionally cleared.”
This case demonstrates the power of modern forensic science and the dedication required to see a cold case through to its conclusion. Cole’s work on this investigation reflects persistence, attention to detail, and a refusal to accept unanswered questions. He has also been instrumental in helping solve other high-profile cases, including the murders of Kristin Smart and Nancy Woodrum, cases that brought national attention to San Luis Obispo County and underscored the importance of continuing to invest in cold case investigations.
Cold cases are not forgotten cases. They represent a promise to victims and their families that we will continue seeking the truth, no matter how much time has passed. When that promise is fulfilled, it is worth telling the story.









By SLO County Farm Bureau Women
The Women’s Farm Bureau member of the month is Debbie Lauridsen, who recently joined the local group. Debbie’s family has roots in areas throughout the Central Coast, including Paso Robles, San Luis Obispo, Carissa Plains, Estrella, Oak Flat, Whitley Gardens, and Atascadero. Her father, grandfather, and great-grandfather, farmers in the Union District of Paso Robles, were members of the local Farm Bureau and the Farmers Alliance of Paso Robles.
A lifelong farmgirl at heart, Debbie’s childhood years were influenced by dryland farming and raising Hereford cattle, a generational lifestyle handed down through her great-grandparents, who came to the Paso Robles area in the mid- and late 1800s.
Many local youths, including Debbie and her family, have participated in local 4-H clubs, such as El Paso de Robles 4-H. Her mom was a community leader who, along with other community parents, taught skills-based learning through projects such as sewing and crafts, cooking, leather, livestock market and breeding projects, leadership, entomology, and community service. Debbie’s daughters also spent many years in 4-H, and FFA. They raised almost every livestock species; showed dairy, breeding, and market livestock (including many arts and crafts) projects at the Mid-State and King City fairs, as well as participating in many 4-H activities.
In 1979, Debbie was the Pioneer Day Belle and graduated from Paso Robles High School, as both of her parents had (Her dad played football
on the first Bearcat team to win three consecutive CIF championships in the early 1950s, and was an FFA member). Debbie went on to study locally at both Cuesta Community College and Cal Poly, where she eventually earned a degree in agricultural science, and a teaching credential. After years of volunteering at Trinity Lutheran School, and working as a bilingual kindergarten paraeducator at Templeton Elementary, Debbie landed her first official teaching position as the first female shop teacher at Templeton High School, where she supported students with classroom shop projects for the annual Project Auction, and pig projects for the Mid-State Fair, as well as being an FFA advisor. One year later, a position opened for Debbie at the Paso Robles High School Ag Department, where at the same time, her daughters were students. Opportunities to teach a variety of ag classes were strengths of her teaching style, where Debbie was again involved in FFA leadership development and market pig projects. Taking a team to win a state vine-pruning championship during those years was a delight.
As the needs of school populations are diversified, so Debbie’s teaching experiences expanded to include home economics, service learning, and a community day school program. Eventually, she would become the science and art teacher at Liberty High School, where she joined a staff that strove to create a continuation high school program that promoted intrinsic student value and success for lifelong learning.
During those years, Liberty experienced tremendous growth in areas of community involvement and student success. A few of the many Liberty “firsts” Debbie was involved in were float creation and participation in Pioneer Day and Christmas parades, student art exhibits at the Mid-State Fair, Paso Robles Studios at the Park and the San Luis Obispo Art Museum, the world renowned Cow Parade Contest and auction at Madonna Inn, trips along the coast including the Fiscalini Ranch Preserve, and a school garden. Debbie’s heart for science and school gardens has been a common thread throughout the years, with her involvement in committee work to support school garden programs with curriculum that met state standards for schools, and making community connections supporting learning in gardens.
Debbie was recently blessed with sharing a few years of delightful gardening time with her grandchildren. One of Debbie’s greatest joys is meeting former students, and learning how far they’ve come along in their own life story!
Debbie currently substitute teaches in all grade levels in local schools. She loves to sing, and is learning how to play guitar, and re-create western style furniture … from mentoring friends! She does photography and has written a “yet to be published” children’s book, among several others. She recently completed a Spartan race with a team from Paso Robles Sports Club. Debbie has volunteered at Loaves & Fishes, learned how to raise Bourbon Red turkeys, and preserve home-grown food from her own garden, loving to try new varieties and methods. Having faith in Jesus, learning to know Him more and more, will always be the first love in her life, a most amazing journey for anyone. Out of fostering the innately given heart willing to learn and experience life will always come opportunities to encourage others along their way, and connect them to who they were created to be. Debbie looks forward to the solutions and restorations found in the “more to come” moments of everyday life.
San Luis Obispo Farm Bureau Women meet every second Monday of the month from September through June. If you’re inspired by these stories, and would like to learn more about becoming involved, contact Susan Sonne at (805)610-1375 or shortsuecakes@gmail.com







By Paso Robles Wine Country Alliance
Nobody ever said farming was easy. It comes with its ups and downs, conditions beyond human control, where mother nature can dictate success and failure.
In terms of wine grapes these variables can lead to a stellar vintage or one fraught with challenges, or more usually termed “a winemaker’s vintage.” Paso Robles traditionally has had very mild differences between vintages, yet lately extremes have been notable. The 2025 vintage had its challenges but with a silver lining.
Climactically considered a cool vintage, 2025 began with a relatively dry winter where the region received most of its precipitation in February. This led into a mild spring without any wide-spread frost events. Summer was also mild, which was encouraging considering 2024 was quite warm. As summer continued along, the expectation is that the region starts to see some heat in August that helps to begin verasion. Although we experienced some pool weather, it wasn’t its typical nature, and this continued into September and October.
The result was that some grape varieties that are considered “late ripeners” didn’t make it to the desired phenolic ripeness that growers and vintners prefer. This led to grapes left on the vine. It was not just limited to Paso Robles as much of California faced this issue. Why does it matter? For one, this means that the yields for 2025 will be down. Many consider this a positive outcome due to what some call a current grape glut in the market.
Closer to home and back in the vineyard, the physiological implications can set the stage for issues in the vine’s health and longevity. When vines are harvested, their energy goes toward preparation for the winter dormancy. This includes the storing of carbohydrates in the roots and trunk which act like a buffer for what is traditionally a cold winter, and to kickstart growth for the following vintage. If grapes are left on the vine, the plant will continue metabolic activity on the development of the fruit. Left to long, and the window for carbohydrate development lessens. This could lead to frost damaging core and cambium layer of the plant. Future implications limiting production and survival could last for years.
Another consequence of fruit not fully ripening is that those varieties are missing from the winemaker’s palette when creating blends. This is where the “winemakers vintage” term takes its root. Faced with a challenging growing season, growers and vintners make decisions that affect the quality of the wine based on experience, skill, and expert understanding of what the different varieties bring to a blend and how to pivot to still deliver on a high-quality wine.
The silver lining is that the fruit that did make it to balanced ripeness achieved flavor and tannin maturity, without excessive Brix levels, which will lead to lower alcohols and vibrant wines. Look out for the first release of 2025 wines in the spring, when many white wines are bottled and ready for purchase. It will be another year before we start to see any of the 2025 red wines on the market, but the anticipation of a quality year is high. Get out tasting and take advantage of any barrel sampling opportunities to learn more about the 2025 vintage and hear from the winemakers themselves.









By BeeWench Farm

The farm is brimming with life right now! The plants are growing, little lambs and goat kids are bouncing around, baby pigs are trotting around, the hens are laying plenty of delicious eggs, and we have chicks peeping away from their cozy brooder. It’s a very fulfilling time of the year because we get to enjoy the hard work we put in throughout the year to get to this. We’re also very busy milking sheep, processing chickens, moving animals onto new pasture daily, and planting our garden. A lot of times it seems like too much, but it’s worth it to see the health and happiness of our soil, animals, family, and customers growing!
If you are looking to start a garden this year, or at least try to grow something, this is the perfect time to get started! The warmer weather and passing threat of frost means that you can start planting many summer veggies outside or in pots. A few of our local farmers usually have seeds and started plants available at the markets to get you started. They are also quite the experts on growing things, so be sure to ask for tips while you are picking up the most beautiful produce to enjoy now!
If you participate in Lenten practices, the farmer’s market has all the wonderful produce to fill your plates for delicious Friday meals. I was shocked when my husband announced, “I’m so excited for Lent!” Did I hear that right?! He had to repeat it a couple more times until he finally told me that he was just excited for fish taco Fridays. We always get fish tacos from church, but I made some at home and they were so good that they will be on the menu at our house year-round! I’ve had very little experience cooking fish, but this was quite possibly one of the easiest meals I’ve made. If you’re looking for a tasty, simple, and healthy meal, this fish taco recipe is so simple and so good!
You can easily get all the ingredients that you need from the grocery store, but making a little extra effort to get it from your local farmers makes a huge difference for our community and for your health! You can get all the best taco toppings and the best seafood at the farmer’s market. Olde Port Fish & Seafood Company is at Templeton Farmer’s market every Saturday morning with so many options! By patronizing the farmer’s market you support local families and keep local farmers, ranchers, and fishermen in business! For tacos, we like using any kind of white fish, but we use cod, mahi mahi, or tilapia usually. Don’t forget to stop by The Groves on 41 for the best lemon olive oil for cooking your fish in!
Ingredients:
For the Fish:
• 1 lb white fish, skinless, cut into 4 pieces (cod, mahi mahi, or tilapia)
• 1 small lemon or lime
• 3 Tbsp taco seasoning
• 1 Tbsp olive oil (lemon olive oil from the Groves on 41)
For the Tacos
All toppings are optional! These are great though:
• 12 corn or flour tortillas
• 1/2 small purple cabbage
• 2 medium avocados, sliced
• 1/2 diced red onion
• 1/2 bunch Cilantro, longer stems removed
• 4 oz 1 cup Cotija cheese, grated
• 1 lime cut into 8 wedges to serve
Fish Taco Sauce
• ½ cup sour cream or Greek yogurt
• 1/3 cup mayo (optional)
• 2 Tbsp lime juice (1 medium lime)
• 1 tsp sriracha or hot sauce, or to taste

Instructions:
1. At least 15 minutes before cooking, marinade the fish in a container with juice from one small lemon or lime, and about half of the taco seasoning. You can marinade longer, but don’t skip this step for delicious fish!
2. While fish is marinating, chop any veggies and herbs you’re including on your tacos.
3. Make the fish taco sauce by mixing sour cream, mayo, lime juice, and hot sauce.
4. Preheat air fryer to 400 degrees F. Add the remaining taco seasoning and then brush the olive or avocado oil on the fish. The lemon olive oil from The Groves on 41 adds even more flavor!
5. Spray the air fryer basket with olive oil spray and add the fish in without overlapping any pieces. Cook in separate batches if there’s not enough room.
6. Cook for 10 minutes, making sure to flip them halfway through. Fish is done when it easily flakes apart. You can bake them instead at 375 for 20-25 minutes.
7. Toast the tortillas quickly on a dry skillet or griddle over medium/high heat.
8. Assemble tacos starting with a little fish taco sauce, fish, all the veggies, cheese, more sauce, and serve with lime wedges to squeeze over tacos.









OWNER/BROKER BRE #01706045
Welcome to 2026! We hope your year is off to a great start.
As we look ahead, it’s worth taking a moment to reflect on the year behind us. In San Luis Obispo County, 2025 proved to be a year of adjustment for the real estate market. While home values remained strong overall, the pace of the market shifted as inventory gradually increased and buyers gained more options. Homes generally spent more time on the market compared to previous years, and market activity became more selective across the county. Overall, 2025 marked a move toward a more balanced market, one where sellers continued to benefit from solid pricing, but buyers gained a bit more breathing room and negotiating power.
In North San Luis Obispo County, Atascadero saw relatively stable sales activity in 2025 compared to the prior year. A total of 299 homes sold in 2025, just slightly below the 304 homes sold in 2024, representing a modest 2% decrease in overall sales. Despite the small dip in volume, home values continued to trend upward, with the median sales price rising to $775,000 in 2025 from $760,500 in 2024, an increase of approximately 2%. These figures reflect a market that remains steady, with pricing strength holding firm even as transaction activity softened slightly.
Paso Robles experienced a notable increase in market activity in 2025, with 528 homes sold compared to 461 in 2024, representing a strong 15% rise in sales volume. This uptick in transactions suggests renewed buyer engagement throughout the year. At the same time, home prices continued to climb, with the median sales price reaching $746,500 in 2025, up from $725,000 the year before, reflecting a 3% increase.
The real estate market in Templeton showed a different dynamic in 2025, with 73 homes sold compared to 104 in 2024, a more notable decline of approximately 30% in sales volume. Despite fewer transactions, home values rose sharply, with the median sales price climbing to $1,172,500 in 2025 from $922,500 the prior year, representing a strong 27% increase. This divergence suggests that while fewer homes changed hands, demand for higher-priced properties remained solid, pushing prices significantly higher even as overall activity slowed.
Local sales activity remains consistent, with steady home sales and rising median prices across Atascadero, Paso Robles, and Templeton, reflecting sustained demand. Although price growth has slowed significantly from the pandemic peak, solid prices and steady sales continue to signal a healthy market. For buyers, this continued positive appreciation offers confidence that purchasing now remains a sound long-term decision. For sellers, demand and rising prices mean they can enjoy a positive return on their investment when bringing their home to market. The key going forward may be flexibility!
Inventory levels in North San Luis Obispo County have grown across all three key communities, providing buyers with more options than in the previous year. Atascadero currently has 43 homes on the market, up from 34 at this time last year, while Paso Robles shows a notable increase to 111 active listings compared to 78 in 2024. Templeton, though smaller in scale, also saw growth, with 21 homes available versus 13 a year ago. The increase in inventory suggests market conditions are no longer seller-dominated, with improved balance between supply and demand and moderated competitive pressure.
In 2025, mortgage rates experienced a downward trend, starting the year around 6.95% to 7% in January and falling to approximately 6.15% to 6.25% by December. The 30-year fixed-rate mortgage primarily hovered in the mid-to-upper 6% range for most of the year. As rates eased this year, affordability improved modestly, and buyer confidence strengthened compared to earlier in the year. That said, rates were still elevated relative to most recent years, keeping overall demand measured and driving buyers to be more deliberate, selective, and sensitive to pricing. As a result, some sellers had to be strategic with pricing and incentives to attract qualified buyers. Overall, mortgage rates acted as a moderating force on the industry, easing demand in some segments while fostering a more balanced and thoughtful market environment.
As we move into 2026, the real estate market in San Luis Obispo County enters the new year from a position of balance. While sales activity varied across communities, overall appreciation, rising inventory, and thoughtful buyer behavior point to a market that is stabilizing after several years of rapid change. Sellers can continue to benefit from solid home values, while buyers have more options and negotiating power than in recent years. With these dynamics in place, North San Luis Obispo County is poised for a steady and resilient year ahead, offering opportunities for both buyers and sellers to make informed, confident decisions.
















Welcome to the highly anticipated unveiling of the 2026 Best of North SLO County Readers’ Poll winners! After weeks of enthusiastic voting and thousands of submissions, we are proud to present this year’s champions in this special Best Of edition of Paso Robles Magazine and Atascadero News Magazine, sister publications to the Paso Robles Press (1889) and the Atascadero News (1913).
Now in its 13th year, this annual celebration is truly local in every sense of the word—locally owned businesses, local employees, local entrepreneurs, and most importantly, local readers. Every vote is 100% organic. No paid placements. No sponsored winners. Just the authentic voices of our community selecting their favorites.
The Readers’ Poll honors the heart and soul of North San Luis Obispo County, recognizing the businesses, services, and professionals that make our region exceptional. From beloved restaurants and acclaimed wineries to trusted health and wellness providers, unique retail shops, home service experts, and

automotive specialists—our readers have spoken.
This year’s results highlight both longtime favorites and impressive newcomers who competed closely for the top spot, reflecting the remarkable quality, dedication, and pride found throughout North SLO County. These honorees are more than business owners—they are neighbors, community supporters, and the driving force behind the character and vitality of our towns.
We are honored to showcase these outstanding winners, chosen by the people who know and love this area best—you. Whether you’re discovering a new favorite or celebrating a trusted local gem, we hope this guide inspires you to continue supporting the businesses that make our community thrive.
Thank you to everyone who took the time to cast a vote. Your participation ensures that this recognition remains meaningful, transparent, and truly community-driven.
Without further ado, we proudly present the 2026 Best of North SLO County winners—from Bradley to Santa Margarita. Congratulations to all!

We thank you for allowing us the opportunity to be your first choice plumbing company over the last 30 years. From our family to yours, we cannot thank our customers enough for voting us #1 in the North County again! We look forward to continuing our dedicated service for all your plumbing needs!




With a branch in Paso Robles, Educational Employees Credit Union (EECU) is a member-owned, not-for-profit financial institution focused on serving people—not shareholders. This year, EECU earned top honors as Best Bank or Credit Union and Best Mortgage or Home Loans, highlighting its trusted reputation in the community. Members share equal ownership and may participate in the Annual Meeting, including voting for leadership. EECU offers competitive rates on savings, auto loans, mortgages, and credit cards, plus free dividend-earning checking. With local branches, CO-OP ATMs, online and mobile banking, and a dedicated Member Service Center, EECU delivers convenient, dependable financial solutions.
Malik Real Estate Group is a leading real estate agency in North San Luis Obispo County, recognized for its exceptional service, expertise, and client-focused approach. Led by owner and broker Jaime Silveira, the team has built a strong reputation for guiding clients through seamless, successful real estate transactions. Jaime’s deep market knowledge, professionalism, and commitment to excellence have earned Malik Real Estate Group numerous accolades, including the prestigious Best Real Estate Group award. Beyond real estate, Jaime is an active community member, engaged with professional associations and the Atascadero Chamber of Commerce. Whether buying or selling, clients can trust Malik Real Estate Group to deliver expert guidance, integrity, and results.
Lemos Feed & Pet Supply is the largest family-owned pet supply company on the Central Coast, proudly serving the community from Paso Robles to Carpinteria with 14 locations. Since 1972, founder Mike Lemos has built the business on traditional values, starting with a flatbed truck delivering hay and ranch products to neighbors. Over 50 years later, Lemos Feed & Pet Supply continues to provide top-quality pet foods, toys, treats, and supplements, earning recognition as the Best Pet Feed & Supply Store. Customers enjoy exceptional service, including staff personally carrying large pet food bags to cars. With ongoing training and a commitment to innovation, Mike and his team remain dedicated to supporting pets, livestock, and local communities alike.



BEST COMMUNITY INVOLVEMENT BY BUSINESS OWNER
Spare Time Books
BEST NEW LOCATION OR RELOCATION FOR EXISTING BUSINESS
La Pizza E'Bella and Shop Little Cousins
BEST BEAUTIFICATION, INTERIOR OR EXTERIOR IMPROVEMENT
Spare Time Books
BEST NEW BUSINESS OPENED THIS
BEST SOCIAL MEDIA PRESENCE BY LOCAL BUSINESS
Tobin James Cellars
BEST CHARITABLE GIVING:
BEST CHARITY OR NONPROFIT
El Camino Homeless Shelter (ECHO)
BEST CHARITY EVENT
Optimist Tree Auction
BEST YOUTH CHARITY
Tom Maas Clubhouse
Boys and Girls Club
BEST FINANCIAL, REAL
OR LEGAL SERVICES:
BEST BANK OR CREDIT UNION
Educational Employees Credit Union (EECU)
BEST REAL ESTATE AGENT
Joanne Nowinski
BEST REAL ESTATE GROUP
Malik Real Estate
BEST MORTGAGE OR HOME LOANS
Educational Employees Credit Union (EECU)


Founded in 1978, Ted Hamm Agency has been dedicated to providing clients with the best coverage at affordable prices. With deep agricultural roots, the agency began as Farm Bureau Insurance, leveraging ranching experience to serve both agribusiness and commercial clients. As a locally owned and operated Trusted Choice Independent Insurance Agent in Paso Robles, Ted Hamm Agency offers personalized, one-on-one service, guiding clients through every step of the insurance process. Their team combines extensive product knowledge with hometown attention to detail, designing policies to fit individual and business needs. This commitment to excellence and client-focused service has earned Ted Hamm Agency the distinction of Best Insurance Agency, making them a trusted partner for protecting what matters most.

El Camino Veterinary Hospital has proudly served Atascadero and surrounding communities for nearly 30 years, providing the highest level of veterinary care with compassion and dedication. Founded by Dr. Ennis Ogorsolka and now led by Dr. Robinson and his wife, the hospital combines state-of-the-art equipment, including digital X-ray and ultrasound, with a highly trained, caring staff. Every patient is treated as if they were the team’s own pet, ensuring personalized attention and loving care. Accredited by the American Animal Hospital Association (AAHA), El Camino meets rigorous standards for veterinary excellence. Their commitment to modern medicine and client service has earned El Camino Veterinary Hospital the distinction of Best Veterinarian or Pet Hospital, making them a trusted choice for pet families.

Pioneer Day 2026 celebrates the 96th anniversary of Paso Robles’ beloved community tradition, featuring one of the region’s most cherished parades. First held on October 12, 1931, the event was created by volunteers and supported by local businesses, churches, and service organizations to honor the area’s heritage and foster community friendship. Unlike many local celebrations, Pioneer Day has remained true to its roots, free from commercialization, with no admission or charges for activities. Families enjoy parades, reunions, and festivities—all entirely funded by generous community members who say, “Leave Your Pocketbook at Home.” This dedication to preserving a welcoming, authentic experience has earned Pioneer Day recognition as Best Parade, making it a highlight of the year for residents and visitors alike.

BEST INSURANCE AGENT
Richard Castro and Ted Hamm Agency
BEST TAX PREP OR CPA
The Tax Office
BEST BOOKKEEPING SERVICE
Tidwell Bookkeeping Services
BEST PETS & ANIMALS:
BEST PET FEED & SUPPLY STORE
Lemos Feed & Pet Supply
BEST PET GROOMING & CARE
Dirty Doxie Dog Grooming
BEST VETERINARIAN OR PET HOSPITAL
El Camino Veterinary Hospital
BEST TRAVEL, ENTERTAINMENT, ARTS AND EVENTS:
BEST PARADE Pioneer Day
BEST NEW COMMUNITY EVENT Just Baked Cookie Exchange
BEST HOTEL Paso Robles Inn
BEST OUTDOOR EVENT VENUE Vina Robles
BEST INDOOR EVENT VENUE Rava Wine
BEST WEDDING VENUE Rava Wine
BEST EVENT SUPPLY COMPANY All About Events
BEST ART GALLERY Studios on the Park
BEST ARTS EVENT Art in the Park
BEST FOOD EVENT
Tamale Festival and Rotary Winemakers Cook-off



Step into history at Pine Street Saloon, located at 1234 Pine Street in Paso Robles, a site dating back to the mid-1800s when stagecoaches stopped here and cowboys gathered for refreshments. This two-story redwood building, once a saloon, boarding house, and even a bordello, has seen horse races, street dances, and the comings and goings of early settlers. Over the decades, it became the Cosmopolitan and Young Hotel before transforming into the Estrade Bar and finally the Pine Street Saloon. Today, it blends Wild West charm with modern fun, offering a lively, welcoming spot for friends to gather. Its unique history, vibrant atmosphere, and signature drinks have earned Pine Street Saloon the distinction of Best Place for a Girl’s Night Out.
Family-owned and operated since opening in December 1997 with Titanic, Park Cinemas has been at the heart of downtown Paso Robles for over 25 years. Founded by John Roush and managed alongside his sister Wendy McBane, the theater quickly became a community gathering spot, filling the gap left by the Fox Theater’s closure in the 1980s. Today, John’s daughters, Jennifer Roush Kloth and Catherine Alyce Roush, carry on the family legacy, providing a modern, welcoming cinema experience while preserving the charm and memories of their childhood. From popcorn to projectors, their hands-on care ensures every visit feels personal. Park Cinemas’ dedication to family fun, community, and memorable experiences has earned it recognition as Best Family Entertainment, making it a beloved destination for all ages.
Located on Entrada Avenue in downtown Atascadero, Bloke Outfitters is more than a men’s clothing store—it’s a confidence hub. Since taking the reins in January 2024, owner Jessica Walker has curated a thoughtful selection of shirts, pants, and accessories that blend rugged style with everyday comfort. Beyond the racks, she celebrates the transformations that happen when customers try on her pieces, seeing their shoulders straighten and confidence grow. A former corporate talent acquisition professional, Jessica has reinvented herself, bringing personal care, attention to detail, and a focus on relationships to every shopping experience. Her dedication and eye for style have earned Bloke Outfitters the distinction of Best Men’s Clothing, making it a go-to destination for fashion and confidence in Atascadero.





Founded in 2023 by sisters Jen and Katie, Shop Little Cousins is a thoughtfully curated boutique for children, inspired by the arrival of their first little ones. Combining Katie’s expertise in marketing and retail with Jen’s background in finance, they created a cozy online haven offering stylish, comfortable, and practical pieces for kids. Named after their own baby cousins, the boutique has quickly gained recognition, earning Best New Location or Relocation for Existing Business and Best Kid’s Clothing awards. Rooted in family and a love of childhood, Jen and Katie prioritize meaningful connections with customers, providing high-quality clothing and accessories while planning to expand into brick-and-mortar spaces that offer personalized, joyful shopping experiences for families.
Located at 1344 Pine Street in downtown Paso Robles, Reminisce Antiques is a curated, award-winning destination for vintage lovers and home decor enthusiasts. Owned by Jeannie Bork, the store features over 20 specialized vendor booths arranged like a charming miniature village, guiding shoppers through “streets” filled with antiques, jewelry, refurbished furniture, and handcrafted treasures. Known for rustic, shabby chic, and vintage finds, Reminisce focuses on restoring and repurposing furniture, along with unique items like chalkboards, apparel, and children’s gifts. Its cozy, welcoming atmosphere has earned recognition as Best Antiques, and it has been voted Best Repurposed, Renewed & Resold (2020) and Best Overall Shopping/Retail (2020, 2021). Reminisce invites visitors to explore a village-like retreat where every visit feels special.
Celebrating over a decade in the heart of Atascadero, Farron Elizabeth Walker has built more than a boutique—she’s created a community. Since opening her doors, Farron has welcomed customers who have become like family, forging connections that extend beyond fashion. Her commitment to style, quality, and personal service has earned her boutique a loyal following and recognition as Best Fashion. Last year’s 10th-anniversary open house celebrated not just the store, but the friendships, partnerships, and local support that have shaped her journey. A Los Angeles transplant, Farron chose Atascadero for its sense of community, and over the years, she has cultivated a space where fashion, connection, and individuality come together, making her boutique a beloved destination for style and inspiration.



BEST KID'S CLOTHING
Shop Little Cousins
BEST FASHION
Farron Elizabeth
BEST CONSIGNMENT STORE
Return Engagement
BEST ANTIQUES
Reminisce
BEST THRIFT STORE
NCI Thrift and North County Thrift Store
BEST FLOWERS & FLORIST
Country Florist
BEST BOOKSTORE
Spare Time Books
BEST GIFT SHOP
The General Store
BEST HOME DECOR
Harrington Home Furniture
BEST PLACES TO EAT & DRINK:
BEST OVERALL FOOD & BEVERAGE
Fish Gaucho
BEST COFFEEHOUSE
AMSTRDM
BEST SEAFOOD RESTAURANT
Catch Seafood Bar and Grill

BEST MEXICAN RESTAURANT
Azteca Taqueria & Pupuseria and Pedro's Mexican Restaurant
BEST SUSHI Goshi
BEST CHINESE China Gourmet
BEST THAI Thai Elephant
BEST PIZZA Bravo Pizza Plus
BEST BURGER JOINT
Sylvester's Burger Thank



Since 1992, Pedro’s Mexican Restaurant has been a cherished family-owned destination in Paso Robles, serving authentic Mexican cuisine in a warm, festive atmosphere. Famous for its homemade chips and salsa, the menu offers bold flavors, from sizzling shrimp fajitas to classic favorites made with fresh ingredients. Friendly service and a welcoming environment make Pedro’s a favorite for both locals and visitors, whether enjoying a casual meal or celebrating a special occasion. Reservations are available (except Fridays), and gift cards let you share the experience with loved ones. With decades of dedication to quality, flavor, and hospitality, Pedro’s Mexican Restaurant has earned recognition as Best Mexican Restaurant, remaining a beloved dining spot where every guest feels like family.

Azteca Taqueria & Pupuseria, founded by Carolina and Gabriel, brings the rich flavors of Guatemala and Mexico to the Central Coast. Carolina grew up in Guatemala City, learning family recipes that honor her Mayan roots, while Gabriel brought his Chiapas heritage to the table. In 2021, they transformed four empty walls into a vibrant restaurant, carefully crafting every detail to reflect their cultures. From scratch recipes, fresh ingredients, and traditional flavors make every dish a celebration of heritage. More than a restaurant, Azteca represents family, determination, and cultural pride. This dedication to authenticity and community has earned Azteca Taqueria & Pupuseria recognition as Best Mexican Restaurant, making it a beloved dining destination for locals and visitors alike.
California Coast Beer Company has earned top honors as Best Place for a Family Outing, a testament to its welcoming spirit and strong community roots. A favorite gathering spot in North SLO County, Cal Coast Beer offers a relaxed, family-friendly atmosphere where parents can enjoy exceptional craft beer while kids feel right at home. With spacious seating, a laid-back vibe, and a commitment to inclusivity and hospitality, it’s a place where friends and neighbors naturally come together. Their focus on quality locally crafted beverages and meaningful community connection makes California Coast Beer Company more than just a brewery—it’s a destination for all ages to unwind and create lasting memories together.


BEST STEAKHOUSE
Loading Chute
BEST BBQ SPOT
Jeffery’s Wine Country BBQ
BEST PASTA RESTAURANT
Etto
BEST BREAKFAST PLACE
The Nest
BEST LUNCH SPOT
Nogi's
BEST JUICE BAR
Juice Boss
BEST DESSERT, BAKE OR CAKE SHOP
Just Baked
BEST VEGETARIAN/VEGAN
Ziggys
BEST FAMILY RESTAURANT
Blast and Brew
BEST OUTDOOR DINING
Guest House Grill
BEST GROCERY STORE
Gather Natural Market
BEST ORGANIC FARM-TO-TABLE RESTAURANT
Thomas Hill Organics


BEST INDIVIDUAL ITEMS:
BEST TACOS
Azteca Taqueria & Pupuseria
BEST BREAKFAST BURRITO
Finca Paso Robles
BEST APPETIZER
Pretzels and cheese — Jacks Bar & Grill
BEST SALAD Tri tip Salad–Sylvesters
BEST FRENCH FRIES
Street Side


At Black Sheep Sourdough in Paso Robles, Paula Kopper “P.K.” and her husband Matt have turned a love of family meals and homemade bread into a thriving bakery. After a career change from running a daycare, P.K. embraced her passion for sourdough, creating “Dough-Rita,” a thriving starter for naturally fermented loaves that are flavorful, healthy, and easier to digest. Using traditional, small-batch methods, she crafts breads that encourage sharing, connection, and community. Her dedication to quality, care, and the joy of feeding others has earned Black Sheep Sourdough recognition as Best Bakery. What began as a personal gluten-free journey has grown into a mission: helping the Central Coast fall in love with bread again, one loaf at a time.

Since 1996, Bravo Pizza Plus has been a beloved cornerstone of the Atascadero community. Founded by Sam Ayesh, the restaurant is built on quality, service, and a commitment to community. Every pizza is crafted with fresh tomato sauce, house-made dough prepared daily with olive oil, and a signature twisted sesame crust. From traditional favorites to unique gourmet creations—including glutenfree options—Bravo Pizza Plus offers something for every taste, featuring fresh vegetables and premium meats like beef and low-fat turkey. Known for treating every guest like family, the team combines exceptional food with welcoming service. Their dedication to flavor and community has earned Bravo Pizza Plus recognition as Best Pizza, making it a favorite dining destination for locals and visitors alike.

Dr. Jason Pambrun’s orthodontic practice is renowned for its patient-focused care, advanced technology, and commitment to excellence. As a Board-Certified Orthodontic Specialist, Dr. Pambrun provides expert treatment for patients of all ages, from children to adults, ensuring optimal results. The practice offers streamlined scheduling, automated reminders, direct insurance billing, and a Growth & Guidance Program that monitors the best timing for treatment. Adults enjoy comfortable, affordable options, while families benefit from financing and discounts. Located near Atascadero Junior High and High School, the office combines convenience with personalized attention. Dr. Pambrun’s dedication to quality and community support has earned his practice recognition as Best Orthodontist, making it a trusted choice for exceptional orthodontic care in the Central Coast.








Montoya Family Dental is dedicated to providing comprehensive, compassionate care for patients of all ages. Led by Dr. Edward Montoya, a Tufts University graduate and U.S. Army veteran with advanced restorative training, the practice combines artistry and technology to deliver exceptional results, from routine cleanings to cosmetic veneers, implants, crowns, and bridges. Dr. Jennifer Kang, also a Tufts graduate, focuses on individualized care, making every dental visit positive and successful, especially for children. The team prioritizes creating a welcoming, familyoriented environment, turning routine visits into exceptional experiences. Their commitment to quality, expertise, and patient care has earned Montoya Family Dental recognition as Best Surgical and Cosmetic Dentistry, making it a trusted destination for families seeking both health and beautiful smiles.
Patterson and Tedford Pediatrics is a family-centered practice dedicated to providing compassionate, high-quality care for infants, children, and young adults in San Luis Obispo County. Their pediatricians and nurse practitioner prioritize accessibility, medical expertise, and empathy, ensuring every visit—whether prenatal, preventive, or for acute or chronic care—is personalized and thorough. The team works closely with parents to support each child’s physical and emotional wellbeing, helping them reach their highest potential. With convenient office hours, comprehensive resources, and an exceptional staff, families feel welcomed and supported at every appointment. Their commitment to excellence and patientcentered care has earned Patterson and Tedford Pediatrics recognition as Best Pediatrician Practice, making them a trusted partner in children’s health and development.
Optometric Care Associates (OCA) is dedicated to providing personalized, highquality eye care with a friendly and professional approach. Their team prioritizes exceptional customer service, ensuring every patient receives the time, attention, and guidance needed for an outstanding experience. Led by Dr. Daniel Hile, Dr. Douglas L. Major, Dr. Brent R. Wells, Dr. Karen R. Kudija, and Dr. Steve Jio, OCA offers expert care for patients of all ages. Known for their patience, precision, and detail-oriented approach, the doctors make every effort to communicate in the patient’s preferred language, including Spanish. Their commitment to compassionate, personalized eye care has earned Optometric Care Associates recognition as Best Optometrist and Eye Care, making them a trusted choice for vision health in the community.



Stout
Sculpterra
Patterson


SPECS BY KYLA
Kyla Skinner’s passion for optics began right after high school, working hands-on in a small optometric office. She earned her American Board of Opticianry (ABOC) certification in 1999 and has since collaborated with numerous eye care professionals, even helping establish a new practice in Asheville, N.C. For the past decade, she has specialized in luxury frames on the Central Coast. Specs by Kyla, her lifelong dream, blends her love for optics, nature, and family. Managed alongside her husband Jeff, who ensures precision and crafts the shop’s unique shelving, the family-run business is dedicated to serving the Atascadero community with expertise and care. Kyla’s commitment to quality and personalized service has earned her recognition as Best Eyewear and Glasses.
DR. TAMARA BATTLE WITH CENTRAL COAST PEDIATRICS
Dr. Tamara Battle and her team at Central Coast Pediatrics provide compassionate, evidence-based care for infants, children, and young adults. Committed to following the American Academy of Pediatrics’ immunization recommendations, the practice ensures families receive scientifically backed guidance for their child’s health and well-being. Central Coast Pediatrics stays current with updates from the California Department of Public Health and the CDC, helping parents make informed decisions. Dr. Battle and her staff prioritize patient education, accessibility, and personalized care, creating a welcoming environment where families feel supported and heard. Their dedication to quality pediatric care has earned Dr. Tamara Battle recognition as Best Pediatrician, making her a trusted partner for families seeking expert guidance and lifelong health for their children.
Since 1988, Paso Robles Auto Repair has been a trusted family-owned business providing honest, professional automotive repair and maintenance in Paso Robles, Atascadero, Templeton, and San Miguel. Their ASE-certified technicians use the latest automotive technology to handle all major and minor repairs on foreign and domestic vehicles. As a certified NAPA AutoCare Center, they combine the reliability of a national network with the personal touch of a local business. Customers enjoy the NAPA “Peace of Mind” Warranty, covering 36 months or 36,000 miles on qualifying parts and labor, honored nationwide. Paso Robles Auto Repair’s commitment to quality, integrity, and customer satisfaction has earned them recognition as Best Overall Auto Care, making them the go-to destination for dependable, expert vehicle service.



BEST ORTHODONTIST PRACTICE
North County
Orthodontist
BEST ORTHODONTIST
Dr. Pambrun
BEST AUDIOLOGIST AND HEARING AID SERVICE
Connect Hearing Paso Robles
BEST OPTOMETRIST AND EYE CARE
Optometric Care Associates
BEST CHIROPRACTOR
McGaughey Health Group and Dr. Fox
BEST EYEWEAR AND GLASSES
Specs by Kyla
BEST HOLISTIC HEALTHCARE
McGaughey Health Group
BEST GYM
Kennedy Club Fitness
BEST WEIGHT LOSS OR PERSONAL TRAINER(S)
Marlee Aimone with Athlon
BEST DAY SPA
River Oaks Hot Springs Spa
BEST NAIL SALON
Spa and Nails by Amy

BEST WOMEN'S HAIR SALON
The Beauty Lounge and Pure Element
BEST MEN'S BARBER SHOP
New Era Barber Shop
Paso Robles
BEST TATTOO STUDIO
Pioneer Tattoo Company
BEST AUTO CARE:
BEST OVERALL AUTO CARE
Paso Robles Auto Repair

Family-owned since 1977, Sunset Honda Atascadero is a trusted hometown auto center providing expert, factory-trained maintenance and repair along the Central Coast. With locations in Atascadero and San Luis Obispo, they serve drivers from Paso Robles to Santa Maria, offering specialized care for every Honda model and expanded expertise for all makes, including Toyota, Nissan, Mazda, Ford, Chevrolet, and more. Their approachable, professional team communicates clearly with customers—and hablan español! Beyond quality auto care, Sunset Honda gives back to the community, donating a portion of every new vehicle sale to local non-profits. Their dedication to exceptional service, community involvement, and comprehensive maintenance has earned Sunset Honda Atascadero recognition as Best Japanese Auto Repair & Maintenance, making them a trusted destination for all drivers.
Since 2005, Figueroa Tires in Atascadero has been a trusted name for tire and wheel services across the Central Coast. Owned and operated by Jose Figueroa, the shop provides new and used tires for cars and trucks, custom rims, brake services, and expert advice on suspension upgrades. Their friendly, knowledgeable staff—including Jr. and Ethan—deliver fast, reliable, and personalized service for all makes and models. Customers appreciate the shop’s competitive pricing, quick turnaround, and professional expertise, whether for emergency flat repairs or same-day installations. Figueroa Tires’ commitment to quality, convenience, and customer satisfaction has earned them recognition as Best Tire Sales and Service, making them the go-to destination for tires, rims, and automotive care in the Atascadero community.


Founded on integrity and credibility, A-1 Glass is a trusted, second-generation family-owned business serving the Central Coast, including San Luis Obispo and parts of Santa Barbara County. Since 1992, the company has specialized in residential, commercial, automotive, and farm equipment glass, as well as paint protection film and auto detailing. Led by Bryan Carroll and Sophia Stephens, A-1 Glass is dedicated to detail-oriented craftsmanship, top-quality service, and customer satisfaction on every project. From window replacements and sliding glass wall systems to custom glass tabletops and auto glass repairs, no job is too large or intricate. Their commitment to excellence has earned A-1 Glass recognition as Best Residential Renovation and Rehab and Best Construction & Building Material Supplier, making them a go-to choice for glass needs.


Celebrating over 30 years of service (1995–2025), Mid State Roofing is a trusted family-owned business with the experience and capability to handle any roofing project, big or small. They have installed roofs on apartment complexes, townhomes, wineries, and shopping centers, including Vons, Borders, and Rite Aid, as well as thousands of single-family homes with standard, steep, flat, and even dome roofs. Specializing in tile, composition shingles, and low-slope roofing, their team works directly with homeowners to ensure quality, integrity, and reliability on every project. Known for free estimates and personalized service, Mid State Roofing’s dedication to craftsmanship and customer satisfaction has earned them recognition as Best Roofing, making them the go-to choice for residential and commercial roofing across the Central Coast.
Bell’s Plumbing Repair Inc., a trusted locally-owned business in Atascadero, has been providing top-quality residential and commercial plumbing services for years. Known for reliability, expertise, and exceptional customer care, their team handles everything from leak repairs, shower valves, faucets, toilets, tubs, garbage disposals, and low-flow toilets to preventive maintenance, gas line installation and repair, remodels, re-pipes, water heaters (tankless and traditional), drain snaking, and 24-hour emergency services. Bell’s Plumbing combines professionalism with prompt, courteous service, ensuring every job is completed efficiently and correctly. Their commitment to quality and customer satisfaction has earned them recognition as Best Plumbing, making them the go-to choice for homeowners and businesses seeking reliable, expert plumbing solutions in the Atascadero community.


Steam Pro has been providing exceptional carpet and tile cleaning services to residential and commercial clients in San Luis Obispo’s North County since 2012. As a fully licensed, insured, and bonded company, they combine professional-grade equipment with an owner/operator’s personal touch, ensuring every job meets the highest standards. Certified by the Institute of Inspection Cleaning and Restoration (IICRC), Steam Pro specializes in steam extraction, advanced emulsifying pre-sprays, and rapid-drying techniques, delivering superior results while minimizing downtime. They also provide expert emergency water loss restoration, quickly removing moisture and preventing mold growth. Recognized as Best Commercial or Residential Cleaning Service, Steam Pro continues to set the standard for quality, reliability, and customer satisfaction, keeping homes and businesses clean, safe, and refreshed.

Tyndall




With over 25 years of experience, Story Termite & Pest Control delivers expert, reliable service to protect homes and families across the Central Coast. They treat every client like a friend, prioritizing safety, communication, and long-term results. From termite inspections to rodent and general pest control, their professional team ensures thorough solutions for every problem, big or small. Known for honesty, expertise, and dedication, Story Termite & Pest Control provides peace of mind while keeping homes healthy and safe. Proudly recognized as Best Pest and Rodent Control, they continue to set the standard for trusted, family-friendly pest management.
Harrington Home Furniture has been helping Central Coast families furnish their dream homes for over 20 years. Family-owned and operated, the store offers a curated mix of timeless and trendy pieces, customizable furniture, and modern sleep solutions—all at accessible prices. Owner Floyd Harrington, raised in a family of furniture experts, brings decades of experience and a passion for quality craftsmanship. Every visit promises personalized service, attention to detail, and furniture that fits your lifestyle. Proudly recognized as Best Home Decor, Harrington Home Furniture continues to blend tradition, expertise, and style to make your house feel like home.





text.org





Founded in 2021 by Sonny and Nicole Tyndall, Tyndall Tile has quickly become a trusted destination for homeowners, designers, and contractors seeking high-quality tile and expert guidance. Built on Sonny’s 20 years as a licensed tile contractor, the showroom offers a curated selection of unique tile, design tools, and personalized advice to bring any project to life—from full home renovations to small updates. Tyndall Tile provides layout assistance, product education, and referrals to trusted local installers, creating a boutique, full-service experience. Known for its creativity, craftsmanship, and client-focused approach, Tyndall Tile has earned the distinction of Best Flooring, solidifying its role as a key resource for Central Coast design and renovation projects.
5 Star Rain Gutters, Inc., a family-owned business serving San Luis Obispo and Santa Barbara counties for 36 years, specializes in custom-designed, professionally installed rain gutters that protect foundations, prevent water damage, and enhance curb appeal. They offer seamless aluminum, copper, and steel gutters in multiple styles and colors, plus cleaning, maintenance, guard installation, and repairs for long-lasting performance. Known for craftsmanship and customer satisfaction, they have earned the Best of North SLO County award. Built on two generations of expertise, 5 Star Rain Gutters delivers reliable, top-quality service with free estimates.
3226 El Camino Real, Atascadero fivestarraingutters.com















Stilson Cellars, founded in 2019 by Deb Stilson and her sons Tyler and Cole, offers a warm, family-run tasting room in Downtown Paso Robles. Known for elegant wines like The Return, Rosé Ray, AWARE, and The Reverie, the winery specializes in Rhône and Bordeaux varieties. Beyond exceptional wine, Stilson Cellars champions community and social causes, including mental health awareness inspired by personal loss. Visitors enjoy a welcoming atmosphere and free parking. Celebrated for its boutique experience and dedication to both quality and community, Stilson Cellars proudly earned the Best Downtown Tasting Room award.
Bravo Concrete, located in Paso Robles, has over 20 years of experience transforming outdoor spaces. Owned by a USAF veteran, they specialize in decorative concrete, custom swimming pools, and complete outdoor living areas throughout the 805 region. Their services include stamped concrete, patios, concrete countertops, pool cabanas, fire features, and custom rockscapes with waterfalls and artificial rock installations. Known for artisan craftsmanship, attention to detail, and durable designs, Bravo Concrete consistently creates stunning and functional outdoor entertainment spaces. Their dedication to excellence earned them the Best Pools Design & Build award.













The following listing of area houses of worship is provided by the partnership between Adelaide Inn and PASO Magazine. We hope to include all houses of worship in the Paso Robles, Templeton, San Miguel, Shandon, and Bradley areas. Your congregation is welcomed to send us updates and information to make our list complete and accurate. If you have information, please send an email to office@13starsmedia.com or call (805) 237-6060. Please include your name, address, phone, service times, and name of spiritual leader of your congregation. Thank you, and stay blessed.
“ABC” Atascadero Bible Church
6225 Atascadero Mall
Atascadero (805) 466-2051
Sunday 8am, 9am, 10:45
Thursday 7pm, Celebrate Recovery
Pastor Jeff Urke
Awakening Ways Center for Spiritual Living 9315 Pismo Ave.
10:00 a.m. at the Pavilion
Rev. Elizabeth Rowley Hogue awakeningways.org (805) 391-4465
Congregation Ohr Tzafon
“The Northern Light” 2605 Traffic Way
Atascadero, CA 93422
Friday Night Service 6:30 PM (805) 466-0329 congregationohrtzafon.org
Hope Lutheran Church 8005 San Gabriel Road, Atascadero
9am Sunday (in-person and livestream on YouTube)
Pastor: Aaron Smith (805) 461-0340 ourhopelutheran.net
Resurrection Anglican Church
9005 Santa Lucia Rd 828-406-7253
Sunday 9:30am
Priest: Reverend Dr. Cynthia Gaw sites.google.com/view/ resurrectionanglicana-town
CRESTON
Creston Community Church
5170 O’Donovan Road Service: 9:00 a.m.
Pastor JD Megason
LOCKWOOD
True Life Christian Fellowship Lockwood/Jolon Road, across from the school in Lockwood Service: 9:30 a.m.
Pastor Erick Reinstedt (805) 472-9325
NACIMIENTO
Heritage Village Church
At The Don Everingham Center Heritage Ranch Service: 10 a.m.
Pastor Brad Brown (805) 712-7265
Hilltop Christian Fellowship 2085 Gateway Drive Heritage Ranch Service: 10:30 a.m.
Pastor Perry Morris & Jerry Gruber (805) 239-1716
Oak Shores Christian Fellowship
2727 Turkey Cove Rd., at the Oak Shores Community Clubhouse Service: 8:30 a.m.
Pastor Jerry Gruber (760) 304-2435
Apostolic Assembly of the Faith of Christ Jesus 2343 Park St Bilingual Services: Services: Thursday 7 p.m.
Sunday 2 p.m.
Pastor Miguel Alvarado (805) 610-2930
Bridge Christian Church Centennial Park Banquet Room 600 Nickerson Dr. Service: 9:30 a.m.
Pastor Tim Mensing (805) 975-7178
Calvary Chapel Paso Robles 1615 Commerce Way Service: Sunday at 9 a.m., Wednesday at 7 p.m.
Pastor Aaron Newman (805) 239-4295
Chabad of Paso Robles
Rabbi Meir Gordon. 805-635-8684 info@chabadpaso.com
Monthly - Friday evening at 7:00pm, Saturday morning at 10:00am
Please contact us for address and current schedule
Christian Life Center 1744 Oak Street Sunday: 9:30 a.m.
Life Groups weekdays
Youth Group: Tues. 7:00 p.m.
Preschool: Christian Life Early Learning Ctr.
Pastor Guy Drummond (805) 238-3366
Christian Science Services 17th & Chestnut Streets
Service: 10 a.m. Sunday & 2nd and 4th Wednesdays 7 p.m. (805) 238-3833
Church of Christ
3545 Spring St. (Corner 36th & Spring)
Service: Sunday, 11 a.m.
Bret Eckard (805) 952-5186
Bob Champion (805) 295-9533
Steven DiDonna (805) 257-7034
Church of Jesus Christ of Latter-day Saints
1020 Creston Rd.
Service: 10 a.m. (805) 406-8910
Missionaries: (805) 366-2363
Covenant Presbyterian Church 1450 Golden Hill Rd.
Service: Sunday, 10:30 a.m.
Pastor Dan Katches (805)238-6927 covenantpaso.com
Family Worship Center
616 Creston Rd.
Service: 10 a.m.
Pastor Patrick Sheean (805) 239-4809
First Baptist Church
1645 Park St.
Pastor Michael R. Garman
Services: 9 a.m. & 10:45 a.m.
Discipleship 10 a.m. (805) 238-4419
First Mennonite Church
2343 Park St
Service: 11 a.m
Pastor Romero (805) 238-2445
American Sign Language (ASL) interpreting available
First United Methodist Church of Paso Robles
915 Creston Rd.
Sunday Worship at 11 AM
Pastor Kathleen McShane (805) 238-2006
Highlands Church
Corner S. River and Niblick | 215 Oak Hill
Services: 9-10 am & 10:30-11:30 am
Pastor James Baird (805) 226-5800
Live Oak 1521 Oak St. Service: 10 a.m.
Pastor John Kaiser (805) 238-0575
New Day
1228 11th St (east off Paso Robles St) Services: Sunday 10 a.m., Wednesday 7 p.m.
Pastor Brad Alford (805) 239-9998
New Life Tabernacle
3850 So. Ramada Dr. Ste. D Service: 10 a.m.
Pastor Efrain Cordero
North County Christian Fellowship 421 9th St. Service: 10 a.m.
Pastor Matthew T. Willis (805) 239-3325
Paso Robles Bible Church
2206 Golden Hill Rd. Service: Sunday 9:30 a.m.
Pastor Mark Wheeler/Pastor Dave Rusco (805) 226-9670
Paso Robles Church of the Nazarene
530 12th St.
Service: 10:30 a.m.
Pastor Stephen Anastasia (805) 238-4300 www.pasonaz.com
Paso Robles Community Church
2706 Spring St.
Service: 9:30 a.m.
Pastor: Daniel Baxter (805) 239-4771 www.pasochurch.com
Plymouth Congregational Church, UCC
Thirteenth & Oak Street
Service: 10 a.m.
Rev. Wendy Holland (805) 238-3321
Redeemer Baptist Church
Kermit King Elementary School
700 Schoolhouse Circle Service: 10:30 a.m.
Pastor Christopher Cole (805) 238-4614
Second Baptist Church
1937 Riverside Ave. Service: 11 a.m.
Pastor: Gary Jordon (805) 238-2011
St. James Episcopal Church 1335 Oak St.
Services: 8 a.m. (Rite I), 10 a.m. (Rite II)
Reverend Barbara Miller (805) 238-0819
St. Rose of Lima Catholic Church
820 Creston Rd.
Daily Mass- 8:30 a.m.
Saturday 8 a.m.
Tues. 7 p.m.
Saturday Vigil Mass 5 p.m.
Sunday 8 a.m. & 10 a.m.
Spanish Mass at 1 p.m. & 6 p.m.
Father Rodolfo Contreras (805) 238-2218
The Revival Center
3850 Ramada Dr., Ste. A-3 Service: 10 a.m.
Pastor Gabe Abdelaziz (805) 434-5170
The Light of the World Church
2055 Riverside Ave. Services: Everyday, 6 p.m.
Sundays 10 a.m. & 5 p.m.
Pastor Bonifacio Robles (612) 990-4701
Trinity Lutheran Church 940 Creston Rd. Worship Service: 9:30 a.m. (805) 238-3702 trinitypaso.com
Victory Baptist Church 3850 Ramada Dr. Ste D4
Sundays - 10 & 11 a.m.
Wednesday - 6:30 p.m.
Pastor Bruce Fore (805) 221-5251 vbcpaso.org
Victory Outreach Paso Robles 2919 Union Road, Paso Robles, CA Services: Sunday, 10:30 a.m.
Thursday, 7:00 p.m.
Pastor Pete Torres (805) 536-0035
Bible Believers Baptist Church
206 5th St. Templeton Sundays at 11 a.m.
Pastor Vincent Calvert 860-373-8854 biblebelievers805.com
Bethel Lutheran Church
295 Old County Rd. Service: 9:30 a.m.
Pastor Diana Edis (805) 434-1329 blctempleton.org
Celebration Worship Center Pentecostal Church of God
988 Vineyard Drive
Pastor Roy Spinks Services: 10:30 a.m. & 6 p.m. (805) 610-9819
Family Praise & Worship Located at Vineyard Elementary School
2121 Vineyard Dr, Templeton Service: 10 a.m.
Pastor Vern H Haynes Jr. (805) 975-8594
Templeton Presbyterian Church
610 S. Main St. Service: 10 a.m.
Reverend Roger Patton (805) 434-1921
Higher Dimension Church
601 Main St.
1st Sunday: 1:30 p.m. 2nd - 5th Sundays 12:30 p.m.
Pastor Charlie Reed, Jr. (805) 440-0996
Life Community Church
8:30 & 10:30 Sundays 3770 Ruth Way, Paso Robles, CA 93446 (805) 434-5040 hello@lccpaso.org
Pastor Brandon Hall
Solid Rock Christian Fellowship
925 Bennett Way Service: 10 a.m.
Pastor Jeff Saylor (805) 434-2616
Seventh-Day Adventist Church
Templeton Hills
930 Templeton Hills Rd. Services: Saturday 9:30 & 10:30 a.m.
Pastor Zac Page (805) 434-1710
Vineyard Church of Christ
601 So. Main St. Service: 10 a.m. (805) 610-4272
Vintage Community Church
692 Peterson Ranch Road Services: 9 & 11 a.m.
Coaches: Aaron Porter, Dayn Mansfield (805) 296-1120
SAN MIGUEL
Iglesia Fuente De Agua Viva
301 13th St. Services: 10 a.m. & 7 p.m.
Pastor Mike Duran (805) 467-5500
Mission San Miguel Parish
775 Mission Street
Daily Mass: Monday – Friday, 8:00 am
Father Lucas Pantoja (805) 467-2131 1
SHANDON
Shandon Assembly of God
420 Los Altos Ave.
Spanish Service: Sun. 5 p.m., Thurs. 7 p.m. Pastor Jim Mei (805)226-9737

SUBMIT UPCOMING EVENTS TO: editor@13starsmedia.com
EVENT DETAILS ARE SUBJECT TO CHANGE verify prior to attending.
MARCH 1
14TH ANNUAL CIOPPINO & VINO
PASO ROBLES EVENT CENTER
1-4pm
Indulge in a mouthwatering feast while supporting a great cause The Paso Robles Children's Museum. Cioppino & Vino will feature cioppino tasting from local chefs, wine tasting, cheese and wine pairings, and live and silent auctions with all proceeds going directly to the museum.
MARCH 17
ST. PATRICK'S DAY
MARCH 21
CENTRAL COAST CRAFT BEER FEST
SUNKEN GARDENS, ATASCADERO 12–4pm
Sample 55+ craft breweries, plus cider, wine, seltzers, kombucha, food trucks, vendors, games, live entertainment, shuttle service, and a souvenir glass.
MARCH 28
HOP TO IT – VISIT THE EASTER BUNNY
DOWNTOWN PASO ROBLES CITY PARK 11am–2pm
Bring your camera for free photos with the Easter Bunny during this family-friendly springtime event.

APRIL 18
ATASCADERO CITYWIDE YARD SALE
CITYWIDE, ATASCADERO 8am-2pm
Shop neighborhood yard sales across Atascadero for bargains, vintage finds, and unique gifts.
PARTY FOR THE PLANET!
CENTRAL COAST ZOO
ATASCADERO LAKE PARK, ATASCADERO 10am–1pm
Celebrate Earth Day with hands-on activities, conservation education, demos, and interactive fun throughout the zoo, included with general admission.
APRIL 25
CENTRAL COAST CIDER FESTIVAL
SUNKEN GARDENS, ATASCADERO 4–8pm
Sample a wide variety of ciders, meet cider makers, and enjoy an evening of tasting and community; 21 and over event.
VINTAGE SIDECAR RENDEZVOUS
DOWNTOWN PASO ROBLES CITY PARK 9am–4pm
Explore antique motorcycles, sidecars, British cars, and recycled treasures at this all-day vintage vehicle showcase.
Wednesdays Saturdays Tuesdays
PASO ROBLES 11TH & SPRING, PASO ROBLES, CA 93446 9am - 11am
ATASCADERO
6505 EL CAMINO REAL, ATASCADERO, CA 93422 3pm - 6pm
TEMPLETON
CROCKER ST & 6TH ST, TEMPLETON, CA 93465 9am - 12:30pm
Saturdays
PASO ROBLES: COUNTY FARM & CRAFT MARKET 11TH & SPRING, PASO ROBLES 9am - 1pm

in people in partnerships in organic food, a healthy planet, and doing our part to preserve it in getting it right, the first time, every time in our history, and our future in life, liberty, and the pursuit of happiness
culture eats strategy for breakfast to change anything, create a new model that makes the old model obsolete that all ideas are big ideas when they matter to you in art, music, sports, education, and kids in being the most fun handshakes and hugs are better than likes and shares Main Street is more powerful than Wall Street in holding the door, smiling, waving, and greeting strangers as new friends
small business is a state of mind everything looks better on high-gloss pages in the magic of teamwork, hard work, and high fives in homemade lemonade and local honey in family, friends, and sharing warm bread in lighting each other’s candles in the Story of Us


