

![]()




































Roblan of the Year: Jeff Gallagher
By Camille DeVaul
Jeff Gallagher, lifelong Paso Robles resident and community advocate, earned 2026 Roblan of the Year for decades of business, mentorship, philanthropy, and lasting contributions to local schools and projects.


By Camille DeVaul
By Camille DeVaul
Spotlight: Deep Steam Carpet and Upholstery Cleaners
Spotlight: Kaitilin Riley DDS
Spotlight: Odyssey Cafe






As we move steadily into the new year, it’s hard to believe that January alone has felt like a year unto itself. On the national, state, and county levels, so much continues to shift and demand our attention. In moments like these, the ability to pause, look inward, and tell the stories of our own community—of neighbors helping neighbors, of local leaders quietly doing extraordinary things—means everything. It reminds us who we are, what we value, and why community truly matters. That sense of connection and gratitude is at the heart of this issue.

One of our favorite annual traditions is honoring the Roblan of the Year, and this year we are proud to celebrate Jeff Gallagher on our cover. Jeff’s connection to Paso Robles is deeply rooted in decades of hard work, community pride, and an unwavering commitment to giving back. With family ties to the area dating back to the 1970s, Jeff has spent most of his life not only building a successful career but also investing in the people and places that make North County special. His legacy is one of quiet leadership, generosity, and genuine care—qualities that embody the very spirit of Paso Robles.
We are also delighted to recognize Grace & Rose Restaurant as the recipient of the Paso Robles Chamber of Commerce’s 2026 Beautification of the Year Award. This honor celebrates the thoughtful transformation of a historic home into a vibrant, welcoming dining destination. By preserving the building’s original charm while giving it new life, Grace & Rose has created more than a restaurant—it has become a beloved gathering place where history, hospitality, and community intersect. It’s a beautiful reminder that honoring the past while embracing the future can be done with intention and heart.
Wellness is another theme woven throughout this issue. Wellness isn’t one-size-fits-all—it’s a personal journey that blends physical fitness, nutrition, relaxation, mental clarity, and selfcare. Here in North County, local businesses and organizations are meeting people where they are, offering meaningful ways to support healthier, more balanced lives at every stage.
There’s also something undeniably romantic about North County this time of year. Rolling vineyards soften under the winter light, downtown streets glow with twinkle lights, and the pace of life feels just slow enough to savor the moment. Valentine’s Day here is less about spectacle and more about connection—world-class wine, crave-worthy cuisine, and thoughtful, locally inspired experiences that feel personal and unhurried. Best of all, it can all be enjoyed without the crowds—just cozy charm, warm hospitality, and plenty of reasons to linger a little longer.
This issue would not be complete without acknowledging a deep loss felt throughout our community. Paso Robles recently said goodbye to Norma—our greatest cheerleader, advocate, and friend. Her love for this town was unmatched, and her spirit touched countless lives. The community is invited to gather in her honor at the Celebration of Norma’s Life on February 28 at 11:00 a.m. at the Estrella Building at the Mid-State Fairgrounds. It will be a time to remember, to share stories, and to celebrate a woman whose heart was always rooted in Paso Robles.
As we continue into the year ahead, may we hold close the people, places, and moments that remind us why community matters. These stories—your stories—are what inspire us, ground us, and move us forward together. We hope you enjoy this issue of Paso Robles Magazine.
Hayley Mattson Publisher hayley@13stars.media
Hayley Mattson
CONTRIBUTORS
Barbie Butz
BeeWench Farm
Farm Bureau Women
Ian Parkinson
Jamie Silveira
James Brescia, Ed.D
Karyl Lammers
Paso Robles Area Historical Society
Paso Robles Wine Country Alliance Shift'N Gears
The Natural Alternative
ADVERTISING DEADLINE FEBRUARY 10, 2026
For more advertising informaton, contact our advertising representatives above, or see our media kit at: pasoroblesmagazine.com/advertise
EDITORIAL POLICY
PROUD TO BE LOCAL!












February is our shortest month of the year, it feels like spring is just around the corner and winter is ending.
American Heart Month is February. It’s a reminder for us to identify and manage heart-related health conditions. Did you realize that the heart of any mechanical motor is the oil pump? The motor will not run without this pump, and the pump won’t live without maintenance. So, maintain your heart, and live well!
The “Full Snow Moon” of February wastes no time making its appearance on the first day of the month. This is the time of year for the heaviest snowfalls. It’s fun to note that Venus is front and center at this time, too. This planet is named after the Roman Goddess of Love, and shines brightest this month. Venus is the second planet from the sun, so it’s the hottest planet in the system with surface temperatures hot enough to melt lead. This planet concerns itself with love, romance, and harmony in emotional attachments, while teaching how to love and appreciate others and the things we possess.
For over 130 years, on February 2, we wait while Ole Punxsutawney Phil emerges
from his burrow, between the winter equinox and spring solstice, looking for his shadow. If he sees it, he will retreat to his den, and winter will be an additional six weeks long. His record is spotty at best, but it’s a fun event for sure. Check it out!
Happy Valentine’s Day! February 14 is recognized around the world. It’s all about romanticism, focusing on the beauty of nature, emotions over reason, romance, and love.
President’s Day is celebrated on February 21, when we honor Presidents George Washington and Abraham Lincoln, both born in February. In the 1880s, Congress passed “The Uniform Monday Holiday Bill,” moving a number of holidays to Mondays, giving workers more three-day weekends.
The Paso Robles Downtown Main Street has another quiet month before the event calendar ramps up. On Sunday, February 15, at 7 p.m., we scheduled our “Valentine Movie Night.” Main Street Association and Park Cinemas are joining forces to bring you a classic film night at the movies. Get ready for a screening of the timeless romance “When Harry Met Sally” from 1989. So grab your popcorn, chocolate, and soda and join us for an evening of nostalgia. For more information, call the Downtown Paso Robles Main Street office at (805) 238-4103 or get your tickets at parkcinemas.com








Valentine's Day is all about celebrating love; what better way to do that than by showing some love to the most important person in your life: you! In this new year, focus on your cardiovascular health with the help of some supplements.
Just like any romantic gesture, taking care of your heart is an act of love. Dr. Mercola's fermented beet pills will help boost your heart. Beets are packed with nutrients that support healthy circulation, which is imperative for a happy heart.
Our Kyolic garlic is sure to win you over this February. Aged garlic stands out because of the way it's processed. The
aging process brings out the antioxidant properties and helps protect your cells from damage, and helps maintain your cholesterol.
The natural alternative Nattokinase is a potent enzyme that helps support a healthy blood flow. It has fibrinolytic properties that help break down blood clots and advance an overall healthy cardiovascular system.
These three products and so many more in our cardiovascular health section will be 20% off this month.
Happy Valentine's Day! — The natural alternative crew!






THE INFORMATION CONTAINED HEREIN IS FOR EDUCATIONAL PURPOSES ONLY AND DOES NOT CONSTITUTE DIAGNOSIS, PRESCRIPTION OR TREATMENT AND IS NOT INTENDED TO BE USED AS A
THE INFORMATION CONTAINED HEREIN IS FOR EDUCATIONAL PURPOSES ONLY AND DOES NOT CONSTITUTE DIAGNOSIS, PRESCRIPTION OR TREATMENT AND IS NOT INTENDED TO BE USED AS A
THE INFORMATION CONTAINED HEREIN IS FOR EDUCATIONAL PURPOSES ONLY AND DOES NOT




By
In our archives, the Paso Robles History Museum at the Carnegie Library has several notebooks filled with beautiful vintage Valentine's Day cards. Some of the cards are handmade, and many contain sweet messages to the recipient.
But how did we come to celebrate Valentine's Day? According to history.com, its origins blend ancient pagan rituals, Christian traditions, and centuries of evolving customs.
The identity of St. Valentine himself is





meant to promote fertility and purification. As Christianity spread, church leaders sought to replace pagan traditions, and in the late fifth century Pope Gelasius declared February 14 as St. Valentine’s Day, effectively ending Lupercalia.
The holiday’s strong association with romance did not fully emerge until the Middle Ages. In England and France, people believed February 14 marked the beginning of birds’ mating season, reinforcing the idea that the date was naturally tied to love. Poet Geoffrey Chaucer famously linked Valentine’s Day with romance in his 14th-century poem "Parliament of Fowls." By this time, exchanging love notes had become popular among the nobility.
Written valentines appeared in the 1400s, with one of the oldest surviving examples written by Charles, Duke of Orleans, while he was imprisoned in the Tower of London. Over time, the tradition spread beyond the elite. By the 18th century, people of all social classes exchanged handwritten notes and small gifts.
The familiar image of Cupid also comes from ancient mythology. Originally, the Greek god Eros, he was later reimagined as the chubby, playful cherub seen on modern Valentine’s cards, symbolizing love’s power to strike unexpectedly.
In the 19th century, printed cards became widely available thanks to advances in printing and cheaper postage. In the United States, Esther A. helped popularize mass-produced valentines decorated with lace and ribbons, earning her the title “Mother of the Valentine.”
Today, Valentine’s Day is celebrated around the world, and more than 145 million cards are sent each year, making it one of the most popular card-giving holidays — proof that its long, layered history still resonates with people everywhere.


February is the month of love, and while Valentine’s Day is usually reserved for partners, family, and friends, there’s another relationship that deserves some attention — the one you have with your vehicle. Your car works hard every day to get you where you need to go safely and reliably. Showing it a little love through proper maintenance can go a long way in keeping that relationship running smoothly.
Just like any healthy relationship, your car needs regular care and attention. Ignoring warning signs, skipping oil changes, or putting off repairs can lead to bigger problems down the road. Preventive maintenance is the ultimate love language for your vehicle — it helps avoid breakdowns, improves performance, and saves money over time. A well-maintained car also gives you peace of mind, knowing you can count on it when it matters most.
The Heart of Your Vehicle: The Engine
When it comes to Valentine’s Day symbolism, nothing fits better than the engine, often referred to as the “heart of your car.” Just as your heart pumps blood to keep your body alive, the engine generates power to keep your vehicle moving.
Here’s how it works: inside the engine, fuel and air mix and ignite in controlled explosions within the cylinders. This process creates energy, which is converted into mechanical motion that turns the crankshaft and ultimately powers your wheels. To function properly, the engine relies on several supporting systems — oil for lubrication, coolant for temperature control, air and fuel for combustion, and sensors to maintain efficiency. If any part of this system is neglected, the engine can suffer. Low oil levels, dirty filters, or overheating can strain the engine, leading to reduced performance or costly repairs. Regular oil changes, fluid checks, and inspections keep the engine healthy and strong — just like exercise and good nutrition do for your heart.
This February, consider giving your vehicle a little extra attention. Schedule a maintenance check, listen for unusual noises, and don’t ignore warning lights. Taking care of small issues early is a simple way to show love — and it keeps your car happy for the long run.
After all, a little love and care now can keep your vehicle running smoothly for many Valentine’s Days to come.








By Hayley Mattson and Camille DeVaul

By any measure, the loss of the Templeton Feed and Grain silos was more than the loss of a building. It was the loss of a landmark, a livelihood, and a piece of Templeton’s collective identity. Six months after the devastating July fire that brought down the iconic silos, the Jermin family are still navigating the aftermath—step by step—while holding fast to the community, history, and purpose that have defined their family business for nearly eight decades.
We sat down with Rick and Stacey Jermin at Vina Robles, just down the street from their temporary home at 1650 Ramada Drive, where Templeton Feed and Grain is now operating out of a 10,000-squarefoot warehouse. It was important to them, they said, to share an update with the community that has surrounded them with unwavering support since the fire.
“It’s incredibly humbling,” Rick shared. “You think you’re just running a family business—something your grandfather started—and then something like this happens. And suddenly you realize how many people care, how many people are invested in this place.”
On the night of July 4, flames erupted at Templeton Feed and Grain, ultimately consuming the silos that had stood tall along Main Street for generations. Built in the 1950s after Rick’s grandfather purchased the original feed store, the towering structures became synonymous with Templeton’s skyline. For nearly 80 years, the granary stood as both a working facility and a symbol—of agriculture, of perseverance, and of small-town pride.
Founded in 1946 by Tom Jermin Sr., the business evolved as the community evolved. The silos were built from 2x6 Douglas fir laid flat and held together with an astonishing 50 tons of nails. Inside those walls, Templeton Feed and Grain produced custom feed blends— formulas created by Rick’s grandfather—that became renowned well beyond San Luis Obispo County. At one point, overseas buyers were calling to purchase what many consider some of the highest-quality rabbit feed available.
“Showing rabbits is a really big deal,” Rick shared with a smile. “And our feed was producing some of the best rabbits out there.”
“Locals come in and share stories of the countless prize-winning
animals raised on Templeton feed,” Stacey added.
But since the fire, what once stood as a 100-foot-tall landmark is now a cleared dirt lot, surrounded by chain-link fencing. The adobe façade that remained standing after the blaze has become a silent marker of what was—and what might have been.
"This was a tremendous loss to our family and the community," Rick explained. "Templeton Feed and Grain has always been about being there for our customers. That shared commitment is what keeps us going."
In the immediate aftermath of the fire, the Jermin family faced a daunting question: how to continue serving their customers without a facility. Help came swiftly. Penny Newman, a feed store out of Hanford, stepped in almost immediately to ensure Templeton Feed and Grain’s custom blends could continue to be produced exactly as Rick’s grandfather designed them—and they have been doing so for the Jermins since July.
“Penny Newman stepped right in, no questions asked, and worked with us on our special blends so our customers are getting the same feed they’ve always counted on,” Rick shared. “That has truly been a lifesaver for us.”
At the same time, local business owner Andy Brown of ABI Engineering jumped in to assist with the removal of unstable remains and has been instrumental in guiding the Jermin family through the complex engineering and demolition process—support that continues to this day. Rick credits Andy with being a steady and essential presence throughout the last six months.
Last September, the community rallied together during the Templeton Revival fundraiser, raising more than $400,000 and lifting spirits as neighbors gathered with one shared hope: that Templeton Feed and Grain would one day rebuild. That question—what comes next?—has been at the forefront ever since.
The answer, Rick and Stacey shared, is yes—they are rebuilding. But not in the way they originally envisioned.
Engineers and architects have since determined that the remaining adobe façade on Main Street—saved with the hope of building onto
it—cannot be feasibly incorporated into new construction. As a result, the adobe building will come down, making way for a safe new chapter. Demolition is scheduled to begin on February 4.
“That was a hard reality to face,” Rick said. “But every step of this process has been about figuring out what’s actually possible, not just what we wish could happen.”
“We know this will be hard for the community to see,” Stacey added, “which is why we wanted to share this with everyone—so you all know what the plan is and why it needed to come down.”
Permitting, land clearing, environmental reviews, and approvals have made the past six months feel like a series of hurdles—each one necessary, each one time-consuming, and each carrying a tremendous cost. The Jermins are quick to acknowledge the support they have received along the way, particularly from San Luis Obispo County and Supervisor John Peschong, who has advocated on their behalf throughout the process.
“There are so many steps people don’t see,” Rick said. “The county has been very supportive, and so has John [Peschong]. We’re grateful for the help and guidance as we work through all the layers it takes to move forward. There’s just a lot involved. We probably underestimated how long all of this takes.”
Because of those realities, rebuilding will likely happen in stages, both financially and logistically. While timelines remain fluid, the family hopes to begin the rebuilding within the next few months after the final demolition is complete.
Throughout it all, the outpouring of community support has left a lasting impression—none more visible than the sea of green Templeton Feed and Grain hats, an image burned into Rick and Stacey’s memory from that devastating week.
"It was overwhelming to see all of the support from the community," Rick said.
Stacey echoed that sentiment.
“There’s no way we could ever properly thank everyone,” she said. “The kindness, the messages, the offers to help—it’s been incredibly moving.”
Six months later, the loss is still deeply felt—but so is the resolve. Templeton Feed and Grain is still here, serving customers, honoring its past, and steadily building toward the future.
"A big part of what we wanted to share is our appreciation and to give an update on the steps we're taking to rebuild," Rick said.
The Jermin family wanted to share their heartfelt gratitude with the community:
"Thank you so much for your thoughtful donations. Our family is deeply touched by your generosity and by your shared love for Templeton Feed and Grain. Losing such an iconic building has been heartbreaking, but your kindness and support have brought us comfort and strength. Templeton Feed and Grain was never just a building—it was the people and the community who gave it life. From the bottom of our hearts, thank you for standing with us during this difficult time. We look forward to one day once again calling Main Street home."
Through it all, the Jermins’ commitment remains unwavering. Even amid challenges and setbacks, their family business—and the community that surrounds it—continues to thrive, bridging the past with hope for the future.




By Camille DeVaul
Jeff Gallagher’s connection to Paso Robles is rooted in decades of hard work, community pride, and a commitment to giving back. With family ties to the area dating back to the 1970s, Gallagher has spent most of his life building not only a successful career but also a lasting legacy in the North County.
From launching his business in Paso Robles in 1995 to leaving a tangible mark on local schools, businesses, wineries, and more, Gallagher’s impact can be seen throughout the area. His dedication extends well beyond job sites, earning him the 2026 Roblan of the Year honor in recognition of a career and a life devoted to strengthening the Paso Robles community.

"I was shocked," Jeff says, taken by surprise at the news. "I thought I thought it was a roast ... I'm honored. I looked online and saw all the names, and I couldn't believe how many people were on that list, and they're all great people, and it's pretty cool."
Jeff's path to Paso Robles began long before he officially called it home. Raised in Ventura County, his family spent countless weekends at a lake house on Nacimiento Lake, building early connections to the Paso Robles area. In 1984, his father, a builder, moved the family from Camarillo to Paso Robles, where Jeff attended Paso Robles High School, wrestled, played football, and quickly found a sense of belonging through friendships already formed at the lake.

After a brief return to Camarillo, Jeff stayed behind to work in the family demolition and concrete-cutting business before ultimately returning to Paso Robles in his early 20s at his dad's birthday wish to reunite the family. What began as a return home soon became the foundation of Jeff’s life in Paso Robles — from meeting his wife shortly after arriving, to raising a growing family, and eventually launching his own concrete and demolition business in the mid-1990s — firmly cementing his future in the community he now proudly calls home.
Jeff’s involvement with Cal Coast Beer Company (Cal Coast) grew from friendship to building something meaningful. Introduced to the project by friend Neil Clayton, Jeff was brought into early conversations with founders Rich Clayton and Frank Panian as they began floating the idea of starting a brewery. Jeff immediately saw the potential, even when the proposed location was still a rough, unfinished space. He signed on as an investor and helped lead the build-out, transforming the site through ingenuity and resourcefulness.
Much of Cal Coast’s character comes from reclaimed materials, including pier wood from Pismo Beach, repurposed tin, and salvaged wood from past demolition projects, all assembled with the help of friends and local contractors who donated time and materials. What began as a scrappy, collaborative effort quickly became a beloved community gathering spot — a testament to doing things the Paso Robles way.
Even after decades in the industry, Jeff remains closely connected to the day-to-day work that built his career. While he’s begun to slow down in recent years, Jeff can still be found on job sites when things get busy. Now 58, his focus has shifted toward mentorship, working side by side with his son, who is preparing to take over the family business.



Watching his son show so much interest in following in his footsteps gives Jeff a sense of pride.
"I get to watch him grow, and he wants to go full throttle," Jeff says.
Having grown up on job sites from a young age, Jeff’s son represents the next generation of a long family legacy in concrete cutting and demolition — an industry Jeff himself entered straight out of high school, starting at the ground level and learning every aspect of the trade. From washing trucks to operating heavy equipment and managing large crews, Jeff's hands-on experience shaped a business that continues to thrive today.
The Ron Gallagher Memorial Golf Tournament stands as one of Jeff’s most meaningful contributions to the community. Established 23 years ago following the sudden passing of his father, Ron Gallagher, the tournament was created as a way to honor a man who left a lasting mark on Paso Robles through his work, generosity, and relationships.
"I love it. I look forward to it every year," Jeff says of the golf tournament. "I can see almost all the same people, and it's a good group of people to get together, and we have a good time."

What began as a memorial event has grown into a beloved annual tradition, now benefiting Paso Robles High School's SkillsUSA programs — a cause closely tied to Ron’s life as a contractor who believed deeply in the trades and in supporting young people entering the workforce.
Jeff recalls all the friends who came to support his family after his father's unexpected death. It's something he will never forget.
"We had a good life with my dad," Jeff says of the many who greatly influenced his life.
Held each year on the third Saturday in August, the tournament sells out within minutes and draws family, friends, and supporters from across the region. Through this event, Jeff has helped raise hundreds of thousands of dollars for education and career training, ensuring his father’s legacy lives on not only in memory, but in opportunity — a reflection of the values Ron Gallagher instilled and Jeff continues to carry forward.
"I just want to thank everybody that voted," Jeff shared. "I had no idea that I was even in the mix, and thanks to all the people in Paso Robles that do what they do, because we have a great city here. Good people live here."




We are a locally owned family style business. your cabinetry, door or custom project.



Wyatt Wicks Finish Carpentry, Inc., is dedicated to making homes beautiful with fine carpentry. Our personally, professionally-crafted woodworking will make your home a source of comfort and a space for connection and celebration. We offer unlimited options for your custom projects with unparalleled service.





Please Contact Us for an in-home/business consultation to determine how we can help you with your finish carpentry, furniture and/or door needs.







By Camille DeVaul
The Paso Robles & Templeton Chamber of Commerce has named Grace & Rose Restaurant the recipient of its 2026 Beautification of the Year Award. The honor recognizes the restaurant’s thoughtful transformation of a historic home into a vibrant and welcoming dining destination, preserving the building’s original charm while giving it fresh life as a beloved local gathering spot.
The project has enhanced the look and feel of downtown Paso Robles while supporting the area’s ongoing economic and cultural growth. Grace & Rose exemplifies the spirit of the Beautification Award, which celebrates businesses that invest in the community through redevelopment projects that honor Paso Robles’ heritage and elevate its unique character.
We spoke with husband-and-wife owners Justin and Julie Fischer about the vision behind Grace & Rose, the journey of restoring a historic home, and the thoughtful process that brought the restaurant to life.
What did it mean to the Grace & Rose team to receive the Beautification of the Year Award from the Paso Robles and Templeton Chamber of Commerce?
We are incredibly honored for Grace & Rose to be the recipients of this year’s Beautification Award! This recognition for us reflects not just our updated space,

but our commitment to honoring history, cultivating connection, and contributing thoughtfully to the community we love so much. We are grateful to the Paso Robles and Templeton Chamber of Commerce for this recognition, to our community for embracing our vision of a gathering space that honors local farmers and winemakers, and to our team for helping us to execute it!
Can you share the vision behind transforming a historic home into Grace & Rose while preserving its original charm and character?
The original owners, Robert and Sherry Gilson of Hotel Cheval, had the vision to revitalize this historic house that had fallen into disrepair. We learned of the project at the conception phase and immediately envisioned it as a gathering place where warmth, hospitality, and intentional design come together with food and wine. General Contractor Jack Wiest and his team did an incredible job enhancing what already existed: honoring the charm and history of the space while carefully evolving it for modern use. The result is a restoration that feels both respectful of the past and welcoming for today.
What were some of the most important design choices you made to balance historic preservation with creating a modern, vibrant dining experience?
One of the most impactful design choices was the addition of the wraparound porch, beautifully executed by Robert, Sherry, and Jack. The porch immediately welcomes guests to enjoy the expanded space, creating a beautiful setting for al fresco dining. On the interior we were inspired by old farmhouse charm; filling the dining room with vintage art, decor, and plateware sourced from local antique stores alongside floral wallpaper and handcrafted furniture that balance historic character with artisanal elegance.


Were there any unexpected challenges during the renovation process, and how did you work through them?
One of the most unexpected challenges was discovering a bee colony in the attic that had been there for at least ten years. We worked with a local bee rescue to safely rehome the bees to a nearby ranch, but the process was lengthy. Once the bees were removed, the entire interior wall had to be treated to remove pheromones and fully restore the space. We still affectionately refer to it as “the bee room.”
In what ways do you feel the transformation of this property has contributed to the aesthetic appeal and energy of downtown Paso Robles?
After three years of renovations and permits, we are thrilled to open the doors to this historic property and welcome the community to enjoy it. We hope it adds to the vibrant destination of downtown Paso Robles and helps support the culinary and wine scene. We're honored to be a part of it!
How important was it for you to create a space that felt welcoming and connected to the local community?
Grace & Rose is rooted in community so every decision is made with the intention of creating a space that feels welcoming, timeless, and distinctly Paso Robles. We designed the restaurant to foster connection between neighbors, visitors, farmers, winemakers, and friends gathered around a table — making memories together over a delicious meal and a glass of wine.
As a small, family-owned and operated business, we take pride in being hands-on stewards of the building, investing in its upkeep and longterm vitality. We are inspired to continue evolving our service, food, and space with intention, creativity, and gratitude — ensuring Grace & Rose remains a place where connection, hospitality, and community flourish.


How does Pilates at your studio help people improve their physical health, like strength, flexibility, or pain relief ?
At North County Pilates, we teach Pilates as the method was intended to be taught using concentration, control, and breath. Creating strength throughout the whole body while building flexibility, in a safe, supportive environment. Our small class size allows us to individually help each client, ensuring proper form to build core strength, build betterposture, and increase joint mobility. All of this helps prevent injuries, improves balance, and helps manage back and joint pain by building strength in the supporting muscles.
What advice do you give beginners who want to start Pilates but aren’t sure what to expect?
Pilates can seem intimidating, but it is actually really fun! The equipment seems a little scary, but it was designed to support and help you move your body through space, so it actually feels really good!! You can expect to feel
like you are working your body in a supportive way during class, and the next day, instead of being so sore you can’t walk, you will feel a little more flexible, a little taller, and like you did something good for your body!
Can you describe how your classes or private sessions support overall wellness, including mental and emotional well-being?
Pilates creates more than just physical wellbeing. The incorporation of intentional breath helps calm the nervous system, and improve lung function. You leave class feeling g more calm and connected to yourself. Maybe one of the other most important benefits is the sense of community our studio provides. From day one new clients are welcomed in with open arms, and from there the community just keeps building.
Wellness isn’t one-size-fits-all — it’s a journey that blends physical fitness, nutrition, relaxation, and more. In North County, local businesses and organizations are helping residents of all ages take steps toward healthier, more balanced lives. From strengthening the body and improving flexibility to nurturing mental clarity and promoting self-care, these wellness leaders each offer unique ways to support overall well-being. We spoke with North County Pilates, The Natural Alternative, Spa Central Coast, and the City of Paso Robles Recreation Services to learn how their programs, treatments, and guidance help the community feel stronger, healthier, and more connected.


How do you help clients improve their overall health in a way that fits their everyday lifestyle?
At Natural Alternative, we start by listening to each customer's specific concerns and do our best to help them to find a good solution that works for their individual need.
What are the most common health concerns people come to you with, and how do you typically help address them?
We hear all kinds of health concerns every day, everything from cold and flu to detoxing the system, and everything in between. We take each person's individual needs into consideration, we ask the questions, and try to suggest products that are tailored to each individual's issue.

How do your spa services, like massage and detox treatments, help people feel healthier overall?
At the Spa Central Coast, we offer a variety of modalities to detox, de-stress and rejuvenate! From facials, to infrared, massage to body scrubs and wraps we have many ways to relax and restore harmony.
Our treatments such as infrared provide deep detox via infrared light energy, flushing toxins from the body via sweat. We offer a myriad of forms of massage: Swedish, for relaxing the nervous system, integrated, and deep tissue to ease muscles and tension. Our therapies can improve circulation, which aids in faster recovery and lowers stress which provides better rest as it calms the nervous system. All modes result in mental rejuvenation. The treatments return the body to a more relaxed state. Recovery from injury or exercise is faster. Improved circulation, detox, and relaxation is important for physical and emotional health.
What advice do you give clients about making self-care and stress relief a regular part of their routine?
Regular maintenance should look like minimum once per week for massage, especially if you suffer chronic stress or have a physical job, or exercise four to six hours per week, which applies to most people. Meditation, calming the nervous system and getting mental clarity should be practiced daily.
Can you explain how different treatments, like body wraps or facials, support both physical relaxation and mental wellness?
Some treatments, such as body wraps, are a warm, nurturing way to rejuvenate the skin and flush toxins. The treatment by nature is nurturing. It provides as sense of wellbeing. Facials, not only purge the pores and remove surface debris and atmospheric pollutants, but they also restore moisture and
What advice do you most often give people who want to feel healthier but aren’t sure where to start?
Everything starts in the gut so we typically start with asking about what they are ingesting and then go into what they are experiencing/feeling. Diet and exercise are hugely important in a healthy lifestyle. It is all about finding balance and coming up with your own program that works for you!

balance oils for healthier-looking and feeling skin. The esthetician incorporates a massage that works the trigger points at the temples to decrease headaches and the Masseter (jaw muscles) where we hold tension as well. The client looks and feels pampered and restored after a basic facial. Spa Central Coast also does events. We bring the wellness to you!


What types of classes and activities does your department offer that help people stay active and healthy?
We offer a wide variety of classes and activities designed to help community members of all ages stay active and healthy, from little ones to seniors. Our schedule includes everything from dance and yoga to aerobics, Zumba, karate, Krav Maga self-defense, volleyball, futsal, basketball, and soccer. We also offer aquatic programs for all ages, including swim lessons and water-based fitness classes like Aqua Fit and Aqua Jam, which provide fun, low-impact ways to stay active.
How do your programs support overall wellness for different age groups, from kids to seniors?
Our programs support wellness by meeting people where they are in each stage of life. For young children and their caregivers, classes like YaYa Yoga, Music and Movement focus on playful exploration, body awareness, and shared experiences that often lead to new friendships for both parents and kids. For adults and seniors, classes such as 50+ Yoga and Aqua Fit emphasize balance, mobility, and low-impact movement in a welcoming environment. No matter the age, our programs are designed to support physical health, social connection, and overall well-being.
What advice would you give to someone in Paso Robles who wants to start being more active but doesn’t know where to begin?
My biggest piece of advice is to start small and try something that feels welcoming. Many of our activities offer a free first class, which gives people a chance to see if the activity fits their goals and the kind of environment they enjoy. We also offer full and partial need-based scholarships to help remove financial barriers. For those who prefer less structure, our after-school open gym program at Centennial Park offers a casual, all-ages option to get moving. Paso Robles is also fortunate to have beautiful parks and trails, and places like the pump track at Barney Schwartz Park, which make being active feel more like play. Whether someone is looking for a class, open gym time, or outdoor options, we’re always happy to help people find a great place to begin.












and family-friendly activities, making them perfect for runners of all ages and experience levels.
TRUSS Wines 5K Wine Run
Saturday, March 21
TRUSS Wines, 8800Vineyard Drive, Paso Robles
Take in the rolling vineyards of Paso Robles during this scenic 5K run and walk. Designed for all fitness levels, participants enjoy a race shirt, finisher medal, and post-race wine tasting experience.
winerun5 k.com (search “TRUSS Wines 5K Wine Run”)
CASS Wine Run 5K
Sunday, April 19
CASSWinery,7350Linne Road, Paso Robles
Set on the beautiful grounds of CASS Winery, this spring 5K winds through vineyard paths with rolling hills. The race is followed by wine, food, and live music.
runsignup.com (search “CASS Wine Run 5K”)
Lighthouse 5K Fun Run & Family Day
Sunday, May 31
Ancient Peaks Barn(Oyster Ridge),5991 West Pozo Road, SantaMargarita
A community-focused event supporting Lighthouse Atascadero’s youth programs, featuring a vineyard course, kids’ races, and family activities.
lighthouseatascadero.org/ fun-run



Wild & Free Summer 5K Walk/Run
Saturday, June 20
209 Oak Hill Road, Paso Robles
A relaxed summer 5K supporting 805 Street Outreach, emphasizing wellness, community, and giving back. Participants enjoy a postrace breakfast, raffles, and social gathering. runsignup.co m (search “Wild and Free Summer 5K”)
Ryan’s Ranch Run (5K Option)
Sunday, September 6
Thousand Hills Ranch, 550 Thousand Hills Road, Pismo Beach
This popular Central Coast race features a 5K, 10K, kids’ mile, and relay. The 5K course offers mixed terrain on a working ranch with coastal views, along with live music, vendors, and post-race festivities.
ccath letics.net/ryansranchrun
Wicked Wine Run –Paso Robles (5K)
Sa turday, October 17
Paso Robles, CA (venue announced closer to race date)
A fall- themed 5K with wine country flair, creat ive costumes, and fa mily-friendly fun, i ncluding a kids’ run and post-race celeb ration. runninginthe usa.com (search “Wicked Wine Run Paso Robles”)
Cancer Support Community Central Coast – Walk for Cancer 'Save the Peaks'
Sunday, October 26
Ancient Peaks Barn at Santa Margarita Ranch, Santa Margarita
Lace up your sneakers and join the Cancer Support Community Central Coast for its 4th Annual Walk for Cancer, hosted by Ancient Peaks Winery at the historic Santa Margarita Ranch. This community-focused event raises awareness for breast cancer while supporting local individuals and families impacted by cancer throughout San Luis Obispo County. Participants are invited to gather friends, form teams, and fundraise while enjoying a scenic 2-mile walk through the picturesque vineyard and ranch landscape. The morning blends light exercise, community connection, and breathtaking views, all in support of an important local cause. cscslo.org
ECHO Turkey Trot
Thursday, November 26 (Thanksgiving Day)
AtascaderoLakePark
The El Camino Homeless Shelter hosts its annual Turkey Trot. Participants run or walk two laps around the lake, encouraged to wear festive turkey costumes with prizes for the best adult, child, and pet outfits. echoshelter.org/turkey-trot
Paso Robles Turkey Trot: Turkeymania
Thursday, November 26
(Thanksgiving Day)
Food4Lessparkinglotoff
CrestonRoad,PasoRobles
Runners can choose a 10K, 5K, or Family Fun Run. Proceeds benefit the Paso Robles Youth Wrestling Club, supporting local youth programs. raceroster.com (search “Paso Robles Turkey Trot: Turkeymania”)
Cayucos Turkey Trot 5K
Thursday, November 26 (Thanksgiving Day) CayucosPier,PacificAvenue,Cayucos
A flat, scenic 5K along the coast, suitable for runners, walkers, families, and strollers.
Many participants make this a Thanksgiving tradition. runsignup.com (search “Cayucos Turkey Trot”)
Additional Running Events to Watch
Running Chicken 10K/5K – Run 4
Bitti and Brynn January 2027
SantaMargarita
A community-driven race with 5K and 10K options, supporting local causes. Virtual participation often available. runningintheusa.com
Event details, including dates, times, locations, and offerings, are subject to change.Readersareencouragedtovisitthe eventwebsiteslistedforthemostcurrent informationandupdatesbeforeplanning toattendorparticipate.
















There’s something undeniably romantic about North County. Rolling vineyards soften under winter light, downtown streets glow with twinkle lights, and the pace of life feels just slow enough to savor the moment. This Valentine’s Day, set the stage for a celebration of love rooted in world-class wine, crave-worthy cuisine, and the kind of thoughtful, locally inspired experiences that feel personal and meaningful. Best of all, couples can enjoy all of it without the crowds—just cozy charm, warm hospitality, and plenty of reasons to linger a little longer.
A perfect Valentine’s evening often begins around the table. In Atascadero, Guest House Grill delivers cozy romance with its saloon-style ambiance, crackling warmth, and hearty American comfort food. Known for perfectly cooked steaks, fresh seafood, and a well-curated bar featuring local wines, it’s the kind of place where conversation lingers. On mild February nights, the garden patio adds a hint of magic—ideal for sharing dessert beneath the stars.
For couples craving bold flavors in a relaxed, welcoming setting, Odyssey World Café in downtown Paso Robles is a standout. Family owned and deeply loved by locals, this fresh-casual favorite serves globally inspired American, Italian, and Mediterranean cuisine for lunch and dinner. The menu offers something for every palate, with popular dishes including salmon, tender ribs, hearty salads, and flavorful wraps. With its cozy, rustic interior and charming outdoor patio, Odyssey strikes the perfect balance between laid-back and intimate. The counter-order format keeps things easy and unpretentious, making it an ideal spot for everything from a spontaneous date night to a leisurely Valentine’s meal filled with great food and easy conversation.
Prefer a more laid-back date?
Head to Park Cinemas in downtown Paso Robles for a classic movie night. Whether you’re revisiting a beloved rom-com like When Harry Met Sally or catching another crowd favorite, there’s something undeniably romantic about sharing popcorn and nostalgia.










No Valentine’s Day in wine country is complete without a winery visit. Paso Robles is home to dozens of stunning estates, many offering special Valentine’s tastings, multi-course dinners, or intimate pairings. Booker Vineyard and Indigené Cellars charm with their boutique feel, while Epoch Estate Wines offers sweeping views and cozy elegance. For couples who love live music and sunset vistas, Opolo Vineyards is a perennial favorite. Reservations are strongly recommended, especially for exclusive Valentine’s experiences designed to celebrate love with every sip.
Skip the big-box rush and find something meaningful at North County’s local boutiques. The General Store in downtown Paso Robles is a treasure trove of artisan pantry goods, stylish home décor, and Paso-themed apparel—perfect for building a curated gift basket. Nearby, Reminiscence Paso Robles offers charming finds that feel personal and heartfelt.
In Atascadero, Farron Elizabeth shines with fashionable women’s clothing and accessories, ideal for gifting something both stylish and timeless. Treasure hunters will love Black Sheep Finds and Atascadero Vintage Market, where vintage and secondhand gems—from eclectic décor to statement pieces—add a one-of-a-kind touch to Valentine’s gifting.
Flowers remain a classic expression of love, and local florists elevate the gesture beautifully. Bloom N Grow in Atascadero is known for lush, artfully arranged bouquets with a focus on quality and creativity. In Paso Robles, The Floral Parlor offers modern, whimsical designs that go beyond traditional arrangements, with chic gifts, floral subscriptions, and dramatic displays perfect for making a statement.
End the evening on a glowing note at Sensorio in Paso Robles. This immersive light art experience transforms the landscape into a dreamlike world after dark. On Valentine’s Day, special packages may include tickets paired with wine, chocolate-dipped strawberries, or even a romantic three-course dinner by the firepit. Wandering hand-in-hand through illuminated installations beneath the night sky is pure magic.




or more than half a century, Deep Steam Carpet and Upholstery Cleaners has been a trusted name on the Central Coast, building a reputation rooted in experience, craftsmanship, and customer satisfaction. Founded in 1964 by Gerry Fulbre, the company began as a small, servicedriven operation focused on delivering highquality carpet cleaning. That commitment to excellence has been passed down through generations.
In the mid to late 1980s, Fulbre began training his successor, Kevin Snyder, who officially purchased the business in 1990. Under Kevin’s leadership, Deep Steam expanded its services and customer base, steadily growing into one of the region’s most established cleaning companies. The legacy continued into a third generation when
Kevin’s son, Kyler Snyder, who has worked with the company since 2010, officially took ownership at the start of 2025.
What sets Deep Steam apart in a competitive industry is its unwavering dedication to service and attention to detail. With decades of hands-on experience, the team prides itself on producing a superior clean and providing the best overall experience for every customer, whether residential or commercial.
Deep Steam offers a wide range of services to meet the needs of both homeowners and businesses, including area rugs, carpet cleaning, tile cleaning and sealing, upholstery cleaning, water damage extraction, auto interior cleaning, and RV cleaning. This versatility allows the company to be a one-stop solution for many cleaning needs.
For the team at Deep Steam, the most rewarding part of the job is seeing a satisfied customer enjoy fresh, clean carpets. Firsttime customers can expect exceptional service from the initial phone call through the completion of the work, with professionalism and expertise evident at every step.
Looking ahead, Deep Steam hopes the community remembers the company for the happiness and satisfaction it brings to homes and businesses across the Central Coast — one clean space at a time.




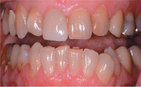
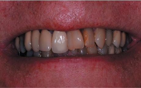
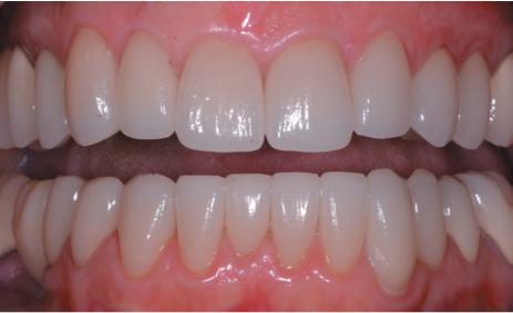
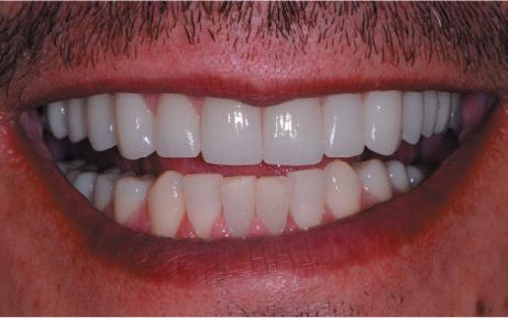
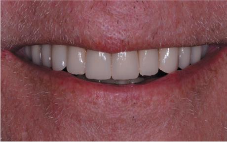
or Dr. Kaitilin Riley, the path to dentistry began far from a traditional dental office. After working as a software engineer in Silicon Valley, Kaitilin found herself questioning the impact of her work. While the fast-paced tech world was exciting, it revolved largely around marketing goals and boardroom decisions. Dentistry, she realized, offered something more grounded: a science-based profession centered on people, care, and meaningful human connection.
Kaitilin’s journey to the Central Coast was sparked by her love of waterskiing and time spent visiting friends at Lake Nacimiento. From her first visit, she was drawn to the area’s natural beauty, welcoming atmosphere, and evolving community. Within a year,
she purchased a home near the lake and soon after joined the Paso Robles dental practice of Dr. EJ Casper. She later acquired the practice, ensuring continuity of care while maintaining strong ties to its roots. Dr. Casper remains an active and respected presence, something Kaitilin says has been invaluable for patients and staff alike.
At the heart of Kaitilin’s practice is a patient-centered philosophy built on trust, listening, and teamwork. She emphasizes that dental visits are often anxiety-inducing and believes the best care comes from creating a safe, supportive environment where patients are active participants in their treatment decisions.
Her greatest professional satisfaction comes from watching patients’ attitudes


shift — from fear or shame to curiosity and confidence.
As a locally rooted business, supporting the Paso Robles community is essential to Kaitilin.
“My practice and team are all members of the local community,” she said. “We are not anonymous strangers to each other whom we’ll never see again, but are connected by just one or two degrees of separation. I really wanted that depth of emotional connection which helps to provide purpose and passion to every patient, every day.”
KAITILIN RILEY DDS
336 12th St., Paso Robles (805) 238-3880 kkrdds.com Business spotlights are offered to our annual advertising partners and are curated through a thoughtful Q&A developed and written by Camille DeVaul.

Over 40 Years of Experience
(805) 712-5393
bobsprain.com
Bob@bobsprain.com





dyssey World Cafe has become a beloved gathering place in Paso Robles by offering food that feels both comforting and thoughtfully elevated, paired with a genuine sense of hospitality. The locally owned café was built around a simple goal: to serve approachable, flavorful dishes made with quality ingredients — meals guests can enjoy regularly, not just on special occasions.
The menu reflects that philosophy, featuring a balance of longtime favorites that regulars return for again and again, alongside fresh offerings that keep things exciting. Known for truly having something for everyone, Odyssey World Cafe makes it easy for groups with different tastes and preferences to dine



together and all leave satisfied.
Beyond the food, the atmosphere is what keeps guests coming back. Warm, relaxed, and welcoming, the café feels like an extension of the Paso Robles community itself. Conversations flow easily, staff members know many guests by name, and newcomers are greeted with the same friendly energy as longtime regulars. The space reflects the spirit of Paso Robles — vibrant, approachable, and rooted in connection.
For Odyssey World Cafe, Paso Robles is more than just a location — it’s home. Being locally owned means the business is deeply invested in the people who walk through its doors, from residents who have made the café part of their routine to visitors experiencing the area for


the first time. Supporting local events, employing local talent, and building lasting relationships are central to how the café operates and stays inspired.
Ultimately, Odyssey World Cafe hopes guests remember more than any single dish. While great food is essential, hospitality is what truly lasts. If guests leave feeling nourished, comfortable, and genuinely cared for, the team considers their mission accomplished — creating not just meals, but meaningful experiences at the heart of the community.
odysseyworldcafe.com




OWNER/BROKER BRE #01706045
The new year is a great time to brush up on some common real estate terms that you’ve probably heard before but may not fully understand. Real estate professionals use these terms all the time, and having a clear grasp of their meaning can make a big difference whether you’re buying, selling, or investing in a home. By understanding concepts like market value, equity, and pre-approval, you’ll be better equipped to navigate the housing market with confidence and make informed decisions.
One of the most common points of confusion is the market value vs. assessed value of a home. The market value of a home represents the price a buyer is willing to pay and a seller is willing to accept in an open, competitive market. It reflects current market conditions and is influenced by factors such as supply and demand, location, comparable recent sales and the home’s condition and features like square footage, condition and upgrades. The assessed value, on the other hand, is determined by a local government assessor for taxation purposes and is typically calculated using standardized formulas applied across many properties at once. Because assessments are updated on a set schedule and may include exemptions or assessment caps, they often do not keep pace with rapidly changing market conditions. As a result, assessed value can differ significantly from market value and is best understood as a tool for determining property taxes rather than an accurate measure of what a home would sell for on the open market.
A real estate appraisal is another key piece of the home-buying and selling process. An appraisal is a professional, unbiased opinion of a property’s value, conducted by a licensed appraiser using established methods and guidelines. The appraiser evaluates factors such as the home’s location, size, condition, features, and recent comparable sales of similar properties in the area to determine its fair market value. Appraisals are commonly required by lenders during the buying, selling, or refinancing process to ensure the property is worth the amount being financed. They help protect both buyers and lenders by confirming that the purchase price is supported by the property’s actual value.
Another important concept is equity, which refers to the portion of a home’s value that the owner truly owns, calculated as the difference between the property’s current market value and the outstanding balance on any mortgages or loans secured by it. As homeowners make mortgage payments, their loan balance decreases, increasing equity
over time, and equity can also grow through rising property values or home improvements. Home equity is important because it represents a significant financial asset that can be used in several ways, such as funding home renovations, covering major expenses, or helping with the purchase of another property through a sale or equity-based financing. It also provides financial security, as higher equity can offer more flexibility in refinancing options, lower borrowing costs, and greater proceeds when selling a home, making it a key component of long-term wealth building in real estate.
Closely related to equity is appreciation. It refers to the increase in a property’s value over time due to factors such as rising demand, limited housing supply, improvements to the property, and overall economic growth. Homes may also appreciate as neighborhoods develop, infrastructure improves, or market conditions become more favorable. Appreciation is important because it allows homeowners to build wealth as their property becomes more valuable, increasing equity and potential profit when selling. While appreciation often occurs gradually over the long term, it can vary based on location, market trends, and economic conditions.
Finally, when it comes to purchasing a home, it’s important to understand the difference between prequalification and preapproval, which are both steps in the mortgage process, but they serve different purposes. Prequalification is an informal estimate of how much a buyer may be able to borrow, based largely on self-reported financial information, and is often used early in the home search to help buyers understand a general price range and plan their budget. Preapproval, by contrast, is a more formal process in which a lender verifies financial documents, checks credit, and approves the buyer for a specific loan amount. Buyers typically seek preapproval when they are serious about making offers, as it strengthens their position with sellers and demonstrates that financing is likely to be secured. In short, prequalification is useful for initial planning, while preapproval is important for making competitive, credible offers and moving forward confidently in the purchasing process.
Having a solid understanding of key real estate terms like market value, assessed value, equity, appreciation, appraisals, prequalification, and preapproval can make the home-buying or selling process much smoother. These concepts help you see the bigger picture of your property’s worth, your financial options, and the steps needed to make informed decisions. Whether you’re entering the market for the first time or looking to grow your investment over time, knowing these terms empowers you to navigate the process confidently and take full advantage of the opportunities real estate can offer.


IJAMES BRESCIA, ED.D SLO COUNTY OFFICE OF EDUCATION SUPERINTENDENT
was talking with a young person after an Opera SLO performance at the Center for Performing Arts, and the student said, “Wow, you have been a teacher that long?” Yes, and I have enjoyed every moment because seeing our former students become successful, productive, and positive adults gives me confidence in the future. Karen Salvador’s 2021 Music Educators Journal article on the joy of teaching music explains how teaching music can foster courage, peace, and resilience. Since taking office, I have promoted local arts partnerships with our schools to boost academic success. Collaborations between arts organizations and schools that include professional artists working with students in programs are highly beneficial.
I was lucky to take part in the 2025 Opera SLO New Year’s Eve Gala at the PAC, which featured 200 performers and musicians. Fifty of these participants were students working alongside professionals from the
local community, across California, and even from New York. Schools throughout San Luis Obispo County benefit from numerous arts outreach programs. Most notably, these activities are not funded through regular budgets but are supported by local arts patrons, foundations, and grants. In South County, the Clark Center Arts in Education Outreach Program provides programs for students in the county’s largest school district, Lucia Mar Unified. The Poly Arts for Youth (PAYF) program is Cal Poly Arts’ educational enrichment initiative for students of all ages throughout the county. Studios on the Park in Paso Robles and the Paso Robles Youth Arts Foundation collaborate with the community to deliver arts outreach programs that enrich the community. Other groups, such as Opera San Luis Obispo, Wine Country Theatre, Mary Bianco of the Moca Foundation, retired teachers Bob and Carol Grosse, and the SLO Career and Technical Education Foundation — which I started shortly after taking office — sponsor local student events. These are just a few examples that foster the creative spirit of San Luis Obispo County.
Luciano Pavarotti said, “For me, musicmaking is the most joyful activity possible,
the most perfect expression of any emotion.” In addition to personal expression and growth, our local economy benefits greatly from the arts. According to a recent Arts and Economic Prosperity Survey, arts and related activities in San Luis Obispo County boost the local economy, generating over $30 million in economic activity. The arts are also among the most popular Career & Technical Education (CTE) pathways chosen by San Luis Obispo County students. The Central Coast Economic Forecast highlights the positive impact the arts have on our local economy. Our county is becoming more vibrant culturally and artistically because of the dedicated individuals who call the Central Coast home. Students participating in the performing arts develop a sense of community, communication skills, collaboration, public speaking abilities, empathy, and compassion. I hope this article continues to spark discussions among all educational stakeholders about the power of involvement in arts outreach as volunteers, patrons, or participants. It is an honor to serve as your county superintendent of schools.
“I started singing when I started talking.” — Mariah Carey


By Ian Parkinson San Luis Obispo County Sheriff
From time to time, cases investigated by our Sheriff’s Office draw attention well beyond the borders of our county. National media outlets, television documentaries, podcasts, and news programs shine a spotlight on our work, often revisiting cases years or even decades after the crimes occurred. While the headlines may come and go, the responsibility behind those stories remains the same: thorough investigations, accountability, and a commitment to victims and their families.
There is no question that one investigation in particular brought an unprecedented spotlight to our community. The disappearance of Cal Poly student Kristin Smart. Kristin vanished after a party in 1996, and for decades her family waited for answers, never giving up hope that the truth would one day come out. In 2022, her classmate Paul Flores was convicted of her murder and sentenced to 25 years to life in prison. While that conviction brought a measure of justice, the Smart family continues their search for Kristin’s remains. Their perseverance is something I will never forget.
The lead detective on that case was Clint Cole. After the conviction, Clint found himself doing interview after interview with major national news organizations, explaining the painstaking work that finally led to accountability after more than 25 years. For most detectives, that would be a career-defining moment. It was for Clint. But it turned out to be just one chapter.
Now, Clint is back in the spotlight again — not for one case, but two

— and the media buzz has started all over.
One of those cases involves the 2018 murder of Nancy Woodrum in rural Paso Robles. On May 5 of that year, Nancy went missing from her home, prompting an extensive six-month missing persons investigation by the Sheriff’s Office.
In November 2018, a suspect, Carlo Fuentes Flores, was identified and brought in for questioning. He had been hired to paint Nancy’s deck in the weeks leading up to her disappearance. After a lengthy interview, he confessed and led investigators to Nancy’s remains in a secluded area off Highway 58 in the rural eastern part of the county. Clint was one of the lead investigators on that case as well.
This year renewed national interest in the Woodrum case has put Clint back on camera. In June, he was interviewed by the television show “Forensic Factor” on the Investigation Discovery Channel.
In August, CBS Documentaries interviewed him for a program set to air in 2026. Also in 2026, NBC’s “Dateline” and ABC News’ “20/20” will each feature interviews with Clint focused on the Woodrum investigation. That’s a lot of airtime — but it’s also a reflection of the thorough, methodical work that went into solving a difficult and heartbreaking case.
The other case Clint has been working on is even older — and just as haunting.
In 1980, two kindergarten-aged girls, Teresa Flores and Martha Mezo, went missing from San Miguel in broad daylight. Their naked bodies were later discovered near Camp Roberts. Both girls had been strangled, and one was sexually assaulted. Despite years of investigation, no one was ever charged.
In November, the popular podcast “Crime Junkie” revisited the unsolved murders and

interviewed — you guessed it — Clint Cole. That episode generated several new leads, breathing fresh life into a case that is nearly 50 years old.
After the Kristin Smart trial, Clint retired. But retirement didn’t last long. He came back out of retirement for two reasons: to try and find Kristin’s remains and give the Smart family some closure. And to try and solve the MezoFlores case and bring answers to families who have waited far too long.
Clint is, without question, a superstar in our department. His dedication, experience, and refusal to give up are inspiring. But I also like to think Clint represents something bigger. Every day, our detectives work quietly and relentlessly, often without cameras or headlines, doing everything they can to seek justice for victims and their families. And that’s news worth sharing.

By Camille DeVaul
The Estrella Warbirds Museum celebrated a milestone moment on January 7, with the official opening and recognition of two facility expansions: the Pfauter Red Ball Motorpool Building and Hangar 1, now dedicated as the Bauer Aviators Memorial Hangar.
Herman Pfauter, whose renowned collection of expertly restored World War II vehicles anchors the Red Ball Motorpool, attended the opening alongside members of his family. The newly completed Pfauter Building extension allows the museum to display additional vehicles from Pfauter’s collection, many of which trace the logistical backbone of Allied forces during World War II.
Speaking at the ceremony, Pfauter reflected on his life-long journey as a collector and historian, beginning with his childhood in wartime Germany and culminating in the preservation of American-built military vehicles.
"It is a very special moment for me to stand here at 90 years and see this expansion added to the museum. It means a lot to me," Pfauter said.
Pfauter recalled growing up in Saxony, Germany, largely untouched by World War II until 1943, when Allied bombing forced his family south near the Czech border. They were liberated by the Soviet Red Army in May 1945, whose forces he remembered using mostly American made vehicles. With help from British friends, his family later fled to the British Zone, where Pfauter developed a passion for military vehicles. After graduating high school in Ludwigsburg—later a major U.S. base known as “Pattonville”—he immersed himself in American culture and purchased several U.S. vehicles, including a Willys Jeep. In 1949, Pfauter immigrated to the United States, eventually settling in California, earning degrees in business and economics, and beginning a lifelong effort to collect and preserve American World War II vehicles.
"I am deeply grateful that this museum, and now this new addition to the Red Ball Express, will preserve and share this collection with future generations," said Pfauter.
The event also honored the expansion of Hangar 1, now dedicated in memory of Harold “Hal” Bauer, a lifelong aviator, journalist, and museum supporter. Hal’s widow, Margi Bauer, addressed attendees, highlighting how the improvements will allow the museum to host larger events in the future.
The Hangar 1 extension includes a 20-foot expansion, resurfaced floors, fresh paint, new sound systems, large ceiling fans to improve climate comfort, and newly curated aviation artifacts.
Hal was born in Germany in 1928 and developed a love of aviation early, learning to fly gliders at just nine years old. During World War II, his life was profoundly shaped by loss and service. At 14, his father was killed on the Russian front, and Hal was placed in a military academy while his mother raised their other children. At 17, he was conscripted to ferry aircraft to the German front.
After the war, Hal studied journalism and earned a scholarship to the University of Kentucky before immigrating to the United States in the 1950s. Deeply committed to his adopted country, he joined the Associated Press and was later drafted by the U.S. military, flying reconnaissance missions out of Alaska during the Korean conflict.
Hal went on to build a distinguished career with United Press International, spending more than a decade there and rising to Vice President of News. He later worked in international film distribution and licensing before joining the Estrella Warbirds Museum. Encouraged by museum members, Hal spent the final decade of his life sharing his remarkable story through public speaking.
Margi shared, "We dedicate the Bauer Aviators Memorial Hangar One to celebrate his love of flying, his love of this museum, and his love of this country."
With these additions, the Estrella Warbirds Museum continues to expand its mission of preserving military aviation and vehicle history while creating engaging spaces for education, community events, and remembrance.









By Camille DeVaul
On Saturday, December 27, 2025, Shandon local Callie Twisselman stepped onto one of country music’s most respected stages, making her official debut at the Grand Ole Opry.
"I feel like I couldn't have asked for it to go any better," Callie told Paso Magazine of her debut. "I was pretty happy."
Celebrating 100 years since its first broadcast on November 28, 1925, membership at the Opry is one of country music's crowning achievements, and making a debut
on the stage is one of those moments that tells artists like Callie that they are on the right track. Some of the Opry's most well-known and classic members include Loretta Lynn, Patsy Cline, Johnny Cash, Dolly Parton, and Willie Nelson — but there are over 200 current members in the Opry.
The Opry is the longest-running radio broadcast in the country. Performances include a number of subgenres including bluegrass, Americana, folk, gospel, and even more recently, comedy.
Artists making their Opry debut are given the opportunity to perform two songs, and Callie chose selections that reflect both sides of her artistry. She performed “Ghost in My Head” and “King & Queen of Recklessness,” both taken from her new EP, "Growing in Grace."
Mainly a solo songwriter, Callie draws inspiration directly from life, her own experiences, and those of people around her. Songs like “King & Queen of Recklessness” reflect the frustrations of modern dating, while “Ghost in My Head”
captures the lingering emotions of a breakup that’s hard to shake. Other tracks on the EP delve into faith and family, including “God Made a Farmer,” inspired by her father and the dedication required to keep a family ranch going.
Raised on a seventh-generation ranch in Shandon, Callie knew from a young age that she wanted to pursue country music.
"I was 10, and I was watching a music video of Shania Twain. And I really like her fashion and style. All of that combined with her singing,

and I'm like, I want to do that," Callie explains. "As well as my mom, who was a singer in a local band. Those two combined [convinced me] singing is what I want to do. You get to sing, write songs, and dress up."
From there, Callie began to sing the national anthem everywhere she could. Later, she picked up her mom's old guitar and started to write her own songs.
Callie says from then on she knew, "This is what I'm doing. I didn't have any other plan B's. Still don't. We're headed in the right direction."
Callie's Opry debut was made extra special with her family by her side. Her parents were in attendance, along with her aunt and uncle, and most notably her grandmother, who will turn 90 in March.
"When I was doing rehearsals, [my family] were all standing side stage and watching, and [my mom] just started crying ... I think they really enjoyed themselves, and my grandma said, my grandpa would have loved to have been there. I'm sure he was in spirit. It was very special."
On the day of her debut, Callie was able to have a sound check session with the Opry's house band prior to her performance.
"Everything was smooth," Callie explained. "The band was amazing. I feel like they're one of the most amazing bands I've ever played with."
During her debut, Callie was warmly welcomed by Opry staff, who presented her with a special gift
box and reserved signs marking the milestone. She and her family spent time backstage, where debut artists are given their own green room, a rare perk due to limited space. Callie took the stage as the second performer of the night, describing the experience as both exciting and memorable. After her performance, her family stayed to watch the rest of the show alongside other artists, and she later celebrated the occasion with friends and her manager. Callie said she hopes to return to the Opry soon.
Now, Callie is looking for her new milestone, "I feel like now, what do I do next to top that? There's not much, though. I can't really top that, but it put some more drive in me to continue pursuing other things that seem kind of out of reach, because they really aren't that far out of reach. After getting to play the Opry, it makes me feel a little bit like I can choose what I want to do and go do it. Just make it happen."
Callie is looking forward to releasing some new music throughout the year.
"Lots of new music I'm excited about," she said. "I feel like this is the record that I feel like will most be me out of them all. I can't wait for other people to hear it."
Callie will also open for Dolly Parton at the rescheduled "Live in Vegas" show on Sunday, September 17. Learn more about Callie Twisselman and find her music at callietwisselman.com



By SLO County Farm Bureau Women
This month, the San Luis Obispo County Farm Bureau Women are proud to recognize Jeanne Myers as our Member of the Month. Born into a multi-generational farming family in Ventura County, Jeanne has spent her life immersed in agriculture, from helping on her family’s ranch to raising her own children with the same appreciation for the land.
Jeanne was born in 1955 in Ventura County to Vincent Friedrich and Frances Borchard, both from longtime farming families. She fondly remembers helping out on the ranch, tending celery, lettuce, lima beans, tomatoes, and avocados. The youngest of five sisters, Jeanne also grew up playing tennis, following in her sisters’ footsteps.
She attended Santa Clara Elementary School and went on to graduate from Santa Clara High School in 1973. Growing up in Oxnard, a hub of agriculture, Jeanne feels lucky to have been raised in a community so deeply connected to the land.
After high school, Jeanne spent two years at Ventura Junior College before heading to Cal Poly, San Luis Obispo, where she earned her degree and teaching credential. She kept up her love of tennis by playing on the Cal Poly team under coach Sonja Glassmeyer, and those years at Cal Poly remain some of her fondest memories.
In 1981, Jeanne married Ed Myers, who also comes from an Oxnard farming family. Although they had lived in the same apartment complex during college, they didn’t meet until they both returned home after graduation. Their parents were neighbors, and it was there that their paths finally crossed. Jeanne and Ed settled in Camarillo, where she taught middle school in Ventura.
Jeanne and Ed have two boys: Jim and Mike. In 2001, the family packed up and moved to beautiful Paso Robles, where the boys could continue their agricultural education. Both boys attended Paso Robles High School and Cal Poly. Jim is an equine veterinarian in Northern California and is married to Luisa. Mike works at AgWest in Paso Robles. He is married to Katelyn, and they have one son, Marshall.
Jeanne and Ed are proud of their agricultural background and always support and promote the agricultural community. They have been Farm Bureau SLO members since 1997, and their parents were longtime members of Ventura County Farm Bureau.
Jeanne has been chairperson for Farm Bureau Women SLO for several years and has just stepped down this past September. She continues to serve on the SLO Farm Bureau Board of Directors.
Jeanne enjoys supporting students with scholarships to help them continue their journey in agriculture. She feels it is very rewarding to meet with the recipients and shake their hands.

San Luis Obispo Farm Bureau Women meet every second Monday of the month from September through June. If you’re inspired by these stories and would like to learn more about becoming involved, contact Susan Sonne at (805) 610-1375 or shortsuecakes@gmail.com





By Paso Robles Wine Country Alliance
Paso Robles locals understand the beauty of a great blend — both in the glass and in the moments shared around it. The art of blending comes alive on the coast at BlendFest, February 19-22, a wine-focused weekend that invites you to swap vineyard views for ocean air while celebrating one of the region’s most creative wine expressions.
Just a short, scenic drive from home, Cambria and San Simeon offer a refreshing change of pace — cooler temperatures, salty breezes, and a relaxed rhythm that feels like a true getaway without the hassle of long, winter travel. BlendFest is the perfect excuse to pack an overnight bag, book a coastal stay, and experience Paso Robles wines in a new setting.
Blends are where Paso Robles winemakers often flex their creative muscles. Free from the constraints of single-varietal rules, blending allows for experimentation, balance, and storytelling — each bottle reflecting both the vintage and the vision behind it. Paso’s diverse soils, elevations, and microclimates make it especially well-suited to blended wines, offering winemakers a broad palette to work with.
BlendFest brings these wines together in one place, creating an experience that’s both educational and celebratory. For locals who already love Paso wine, it’s an opportunity to taste across producers, compare styles, and deepen an appreciation for how different grapes work together to create something greater than the sum of their parts.
BlendFest highlights the depth and diversity of local producers while reinforcing Paso’s reputation as a region defined by innovation, collaboration, and approachability. One of the joys of BlendFest is that it naturally lends itself to a weekend getaway. Stay along the coast and enjoy morning walks on the beach followed by an afternoon and evening of wine tasting.
The festival features several ways to immerse yourself in the world of wine blends.
Dine with Paso’s best winemakers and sip blended wines paired with unique menus that highlight the best of Central Coast cuisine. Select from two special and exclusive wine dinners at The Cow Tipper in Cambria on Thursday, February 19, with Lone Madrone, Tablas Creek Vineyard, Thacher Winery, and Thibido Winery, and at the Cavalier Oceanfront Resort Event Space in San Simeon with Hearst Ranch Winery, J. Lohr Vineyards & Wines, JUSTIN Vineyards & Winery, and Robert Hall Winery on Friday, February 20.
Become a winemaker for a morning on Saturday, February 21. Try your hand at making the perfect blend with some of Paso’s finest winemakers as your guides, including Alta Colina Winery & Vineyard, Barton Family Wines, and Castoro Cellars, and The Blending Lab Winery. Guests will learn the philosophy of blending and then compete for the best blend. Lunch follows with the winemakers and their finished wines.
On Saturday, February 21, more than 40 renowned Paso Robles wineries will come together each showcasing distinct Paso blends. Guests will enjoy spectacular wines, only surpassed by stunning Pacific Ocean views, on the Sundance Lawn of Oceanpoint Ranch in Cambria, along the Highway 1 Road Trip. Stunning wines and views will be complemented by live music.
On Sunday, February 22, head back inland and home to Paso Robles to explore wines from the source. Many Paso wineries are hosting their own events to celebrate BlendFest weekend.
BlendFest is an opportunity to step outside your routine without leaving SLO CAL, to rediscover familiar wines with a fresh perspective, and to celebrate the creativity that defines Paso Robles winemaking.
BlendFest on the Coast is a partnership between Paso Robles Wine Country, Visit Cambria, Visit San Simeon, and Highway 1 Road Trip. Learn more, plan your coastal getaway, and purchase BlendFest tickets at PasoWine. com.

“Cheers!”
It’s February and my favorite month for many reasons. First, it’s my birth month and second, red is my favorite color, and in February everything seems to be red, or close to it. And third, it’s definitely the month of chocolate. Just drop by See’s Candy and you’ll see what I mean. (If you plan on buying me a box of chocolates for Valentine’s Day on February 14, I like anything chocolate!).
For those of you who want to bake something special for your sweetheart, I’m including this recipe for Chocolate Bundles, using frozen puff pastry, chocolate Kisses, and miniature chocolate candy bars, such as Snickers, or your sweetheart’s favorite.
Back in December, on Christmas Eve, my husband and I had dinner with our son, Doug, and his wife, Michele. Michele served ratatouille (ra-tuh-TOO-ee) which is a popular dish from the French region of Provence and combines eggplant with other vegetables all simmered in olive oil. It can be served hot, cold, or at room temperature, and works as a side dish or appetizer with bread or crackers. She served it with warm corn bread, baked in a cast-iron skillet.
We all agreed that the recipes for the ratatouille and the corn bread should be shared with you, along with a chocolate recipe for your Valentine. Let’s start with the chocolate!
Ingredients
1 sheet frozen puff
pastry dough
2 eggs
1 teaspoon whipping
cream
8 chocolate Kisses (Hershey’s)
8 miniature chocolate
candy bars
½ cup whipping
Directions:
cream
4 ounces milk
chocolate, broken into small pieces
Sweetened whipped cream
Sliced fresh strawberries, for garnish Mint sprigs, for garnish

Preheat oven to 350 degrees. Line a cookie sheet with parchment paper. To make bundles, allow the puff pastry to thaw, covered, for 30 minutes at room temperature. When pliable, unfold pastry and cut sheet into 4-by-4-inch squares. Beat eggs and cream together to make egg wash. Brush entire surface of each pastry square with egg wash. In the center of each pastry square, place 2 chocolate Kisses and 2 mini candy bars. Pull corners of each square up and around the chocolate, and twist top of dough clockwise to complete the “bundle.” Brush exteriors of chocolate bundles with more egg wash. Place bundles on cookie sheet and bake about 35 minute, until golden brown.
To make chocolate sauce, use a small saucepan and bring cream to a boil. Place chocolate pieces in a bowl and pour the hot cream over the top. Whisk until sauce is smooth. Puddle chocolate sauce on a plate and place a bundle on top. Top with whipped cream. Garnish with strawberry slices and mint sprigs.
Serve to that someone special and watch his or her eyes light up!
1 large (1¼ pounds) eggplant, cut into 1/3-inch cubes
Salt
6 tablespoons extra virgin olive oil
2 medium zucchini (about 1 pound) cut into 1/3inch cubes
1 medium yellow onion, finely chopped
1 red, orange or yellow bell pepper, cut into 1/4-inch dice
Directions:

5 large cloves garlic, chopped
5 large vine-ripened tomatoes (1¾ pounds), cut into 1/3-inch cubes, with their juices
1 tablespoon tomato paste
2 teaspoons fresh chopped thyme, plus more for serving
¾ teaspoon sugar
¼ teaspoon crushed red pepper flakes (optional)
3 tablespoons chopped fresh basil
Heat 3 tablespoons of oil in large nonstick pan over medium heat. Add eggplant and season with ¼ teaspoon salt. Cook, stirring frequently, until soft and starting to brown, 10 to 12 minutes. Transfer to a plate and set aside.
Add another tablespoon of oil to pan (no need to clean it). Add zucchini and cook, stirring frequently, until tender-crisp, 3 to 4 minutes. Season with ¼ teaspoon salt and transfer to a plate; set aside. Add 2 more tablespoons of oil to the pan and add onion and bell pepper. Cook, stirring frequently, for about 5 minutes. Add garlic and continue cooking for about 3 minutes more. Do not brown. Add tomatoes and their juices, tomato paste, thyme, sugar, crushed pepper flakes (if using) and ¾ teaspoon salt. Cook, stirring occasionally, until tomatoes are broken down into a sauce, 8 to 10 minutes. Add cooked eggplant to pan; bring to a gentle boil, then reduce the heat to low, and simmer, uncovered, for about 10 minutes or until eggplant is soft. Add zucchini and cook for 1 to 2 minutes more, or until just warmed through. Taste and adjust seasoning if necessary. Sprinkle with fresh basil and thyme, drizzle with a little olive oil if desired, and serve warm or chilled. Leftovers can be stored in the refrigerator in an airtight container for up to 5 days.
By BeeWench Farm

February is one of the busiest months for many farmers and ranchers. I did not grow up in agriculture, so my first experience of true farm life was when I worked at the Cal Poly sheep unit my sophomore year. I was told February was lambing season and I learned very quickly that my life would revolve around two or three daily pasture checks, rain or shine! It was so much work, but it sparked a love for agriculture in me!
Ranchers are busy with kidding, lambing, and calving season this time of year. Although most animals handle birth much better than we do, it’s always good to check them often in case anyone needs some help. Farmers are often starting to plant seeds and starting plants under cover so they can get a great start with the threat of a freeze still happening. Most of us are unaware of just how much time goes into growing and raising the food that we eat. After raising and growing food for our family and community, I am so thankful for the people who work to provide us with our food!
Right now, citrus, root vegetables, cruciferous veggies, and leafy greens are incredibly delicious! One veggie that doesn’t seem to get enough attention is fennel. It smells and looks beautiful, but it’s usually only listed as a seasoning ingredient in spice mixes. Honestly, I wasn’t sure what to do with it the first time I got one from a farm basket, but it smelled so good that I knew it would be delicious! Fennel is like a combo of celery and onion with a beautiful, sweet flavor. It goes great in almost everything, but pairs well with pork. The pasta recipe below is wonderfully simple and so delicious!
Grapefruit is also a love it or leave it fruit for a lot of people. I love it, while most in my family would rather not even have it in the house. If you love grapefruit and happen to get some from a local farmer or friend, try out the panna cotta recipe! It’s such a refreshing dessert and even gives a nice pink color that’s perfect for Valentine’s Day!
What’s

Ingredients:
• Tagliatelle or fettuccini pasta
• 1 lb Italian Sausage casings removed
• 1 tbsp olive oil
• 1 fennel bulb coarsely chopped, and fronds removed
• 2 cups raw baby spinach
Instructions:
• 8 oz mushrooms cremini or blue oyster
• 2 cloves minced garlic
• 1 cup chicken broth or stock
• ½ cup half & half (sub full-fat coconut milk)
• ½ tsp sea salt to taste
• Parmesan (optional)
• Parsley (optional)
1. Bring a pot of water to a boil and cook pasta according to package directions.
2. Meanwhile, heat 1 tbsp olive oil in a skillet over medium heat. Add fennel, sausage, garlic and mushrooms. Break up the sausage as you mix everything together. Sauté until the sausage is browned and cooked through and the fennel and mushrooms have softened, approximately 7-8 minutes. Add in chicken broth, stir, and let it simmer until the pasta is done.
3. Add in spinach and stir 1-2 minutes until wilted. Stir in the coconut milk. Add in drained pasta and toss to combine.
4. Serve with parsley and parmesan if desired. Enjoy!
Ingredients:
• 220 g (about ¾ cup) freshsqueezed grapefruit juice, about 1 large grapefruit
• 2 teaspoons gelatin powder
• 150 (about ½ cup) g whipping cream
• 75 g (about ¼ cup) granulated sugar
• 1 teaspoon vanilla extract
Instructions:
Whipped Cream Topping:
• 150 g (about ½ cup) whipping cream
• 1 tablespoon powdered sugar
• ½ teaspoon vanilla extract
• pistachios and grapefruit segments, for garnish
1. Squeeze grapefruit juice into a small bowl. Sprinkle gelatin powder over grapefruit juice and let it sit for 5 minutes until the gelatin has bloomed.
2. In a small pot, add whipping cream, sugar, and vanilla extract. Heat it on medium heat until it’s warm and the sugar has dissolved but just before it starts to simmer.
3. Add in the grapefruit gelatin mixture and stir to mix well until the gelatin has dissolved.
4. Pour panna cotta into ramekins or glass jars and chill in the fridge for at least 2-3 hours or overnight until it has set.
5. In a mixing bowl, whip the whipping cream, powdered sugar, and vanilla extract until it has passed the soft peaks stage and holds its shape. Pipe whipped cream on top and garnish with grapefruit segments and pistachios before enjoying.









Despite steady rain, hundreds of residents gathered at Downtown City Park on December 31, 2025, to celebrate the Paso Robles Bonfire New Year’s Eve event, welcoming 2026 with live music, food, and a massive bonfire. The free, rain-or-shine celebration featured the Lucky Devils Band, food trucks, and local beer, wine, cocktails, and sparkling wine. Family-friendly activities included face painting, glitter tattoos, and roaming Dragon Knights stilt walkers. The evening’s centerpiece was the towering bonfire, built and managed by the Paso Robles Fire Department using about 400 untreated wooden pallets and dry Christmas trees donated by a local tree lot. Administrative Fire Captain Paramedic Ross Porter said crews closely monitored weather conditions, tarped the structure, and used careful construction methods to ensure stability and a safe, natural ignition without flammable liquids.
Event organizers expanded the footprint this year, moving food trucks and picnic tables onto nearby streets to accommodate crowds and account for wet ground. While rain reduced attendance to about half of last year’s turnout, according to Public Works Director Freda Berman, the crowd remained energetic and engaged. The celebration included an early 9 p.m. East Coast countdown, allowing families to ring in the New Year together. As rain fell and the bonfire burned brightly, the event once again highlighted Paso Robles’ strong community spirit and growing popularity.







FEBRUARY 6–7
FATHER & DAUGHTER
SWEETHEART DANCE
PAVILION ON THE LAKE
FRIDAY & SATURDAY, 7–10PM
A semi-formal evening of dancing with DJ Manny Medina, plus snacks, door prizes, and more. Professional photos by Jimmy Dee available. Advance ticket purchase required at Colony Park Community Center; tickets not sold at the door.
FEBRUARY 13
SWEETHEART STROLL:
SIP & SHOP
DOWNTOWN ATASCADERO
5–8PM
Sip, shop, and celebrate the season with wine, beer, coffee, and treats from 15+ downtown businesses. Enjoy late-night shopping, tastings, and complimentary Historic City Hall tours with the City of Atascadero and the Atascadero Historical Society. For ticket details, visit the event website or call (805) 466-2044.
FEBRUARY 14
WOO AT THE ZOO
CENTRAL COAST ZOO, ATASCADERO
10AM–1PM
Celebrate Valentine’s Day with keeper talks on animal matchmaking, special enrichment, and activities included with zoo admission or membership.
FEBRUARY 15
VALENTINE MOVIE NIGHT
PARK CINEMAS
1100 PINE STREET, PASO ROBLES
7PM
Watch "When Harry Met Sally." For more information and tickets, visit parkcinemas.com
FEBRUARY 19-22
BLENDFEST ON THE COAST
SAN SIMEON AND CAMBRIA DAILY
Experience a taste of Paso Robles Wine Country on the beautiful California coast. Paso Robles BlendFest on the Coast will take place Feb. 19-22 in San Simeon and Cambria with a selection of exciting events.
FEBRUARY 28
PASO ROBLES & TEMPLETON CHAMBER GALA
RAVA WINE
5-10PM
Welcome the 2026 Board of Directors and thank the 2025 outgoing Board members. They will also honor the Roblan of the Year, Citizen of the Year, Beautification Award recipient, and Business of the Year, as they share the Chamber’s accomplishments from 2025 and look forward to the year ahead.
MARCH 1
14TH ANNUAL CIOPPINO & VINO PASO ROBLES EVENT CENTER 1-4PM
Indulge in a mouthwatering feast while supporting a great cause — The Paso Robles Children's Museum. Cioppino & Vino will feature cioppino tasting from local chefs, wine tasting, cheese and wine pairings, and live and silent auctions with all proceeds going directly to the museum.
MARCH 21
CENTRAL COAST CRAFT BEER FEST
SUNKEN GARDENS
6505 EL CAMINO REAL, ATASCADERO 12–4PM
Sample 55+ craft breweries, plus cider, wine, seltzers, kombucha, food trucks, vendors, games, live music, and shuttle service; souvenir glass included.



The 8th Annual Running Chicken Fun Run brought nearly 250 runners to Santa Margarita Lake on Sunday, January 4, for a day of competition, remembrance, and community. The 5K and 10K event is held each year in honor of sisters Brittni “Bitti” and Brynn Frace, former Atascadero High School runners, and follows the same trails they once trained on. The race has grown into a beloved tradition that welcomes participants of all ages and abilities while supporting young athletes. This year’s theme, “We Got This!,” featured race bib artwork designed by Brittni prior to her passing, continuing the tradition of highlighting the sisters’ words and creativity.
Top finishers included Connor Fisher of Reno and Nora Pizzella in the men’s and women’s 10K, while Jameson Mora and Kailyn Gunther led the 5K divisions. A new addition this year, the Granny Goose Award, honored the sisters’ late grandmother, a longtime supporter of the event.
Beyond the race, the fun run serves as a fundraiser for the Run 4 Bitti and Brynn Foundation, which has awarded nearly $50,000 in scholarships and provided more than 300 pairs of running shoes to student-athletes. The event continues to celebrate the sisters’ legacy while investing in the next generation of runners.

by Rick Evans/PRM






The following listing of area houses of worship is provided by the partnership between Adelaide Inn and PASO Magazine. We hope to include all houses of worship in the Paso Robles, Templeton, San Miguel, Shandon, and Bradley areas. Your congregation is welcomed to send us updates and information to make our list complete and accurate. If you have information, please send an email to office@13starsmedia.com or call (805) 237-6060. Please include your name, address, phone, service times, and name of spiritual leader of your congregation. Thank you, and stay blessed.
“ABC” Atascadero Bible Church
6225 Atascadero Mall
Atascadero (805) 466-2051
Sunday 8am, 9am, 10:45
Thursday 7pm, Celebrate Recovery
Pastor Jeff Urke
Awakening Ways Center for Spiritual Living 9315 Pismo Ave.
10:00 a.m. at the Pavilion
Rev. Elizabeth Rowley Hogue awakeningways.org (805) 391-4465
Congregation Ohr Tzafon
“The Northern Light” 2605 Traffic Way
Atascadero, CA 93422
Friday Night Service 6:30 PM (805) 466-0329 congregationohrtzafon.org
Hope Lutheran Church 8005 San Gabriel Road, Atascadero
9am Sunday (in-person and livestream on YouTube)
Pastor: Aaron Smith (805) 461-0340 ourhopelutheran.net
Resurrection Anglican Church
9005 Santa Lucia Rd 828-406-7253
Sunday 9:30am
Priest: Reverend Dr. Cynthia Gaw sites.google.com/view/ resurrectionanglicana-town
CRESTON
Creston Community Church
5170 O’Donovan Road Service: 9:00 a.m.
Pastor JD Megason
LOCKWOOD
True Life Christian Fellowship Lockwood/Jolon Road, across from the school in Lockwood Service: 9:30 a.m.
Pastor Erick Reinstedt (805) 472-9325
NACIMIENTO
Heritage Village Church
At The Don Everingham Center Heritage Ranch Service: 10 a.m.
Pastor Brad Brown (805) 712-7265
Hilltop Christian Fellowship
2085 Gateway Drive Heritage Ranch Service: 10:30 a.m.
Pastor Perry Morris & Jerry Gruber (805) 239-1716
Oak Shores Christian Fellowship
2727 Turkey Cove Rd., at the Oak Shores Community Clubhouse Service: 8:30 a.m.
Pastor Jerry Gruber (760) 304-2435
Apostolic Assembly of the Faith of Christ Jesus 2343 Park St Bilingual Services: Services: Thursday 7 p.m.
Sunday 2 p.m.
Pastor Miguel Alvarado (805) 610-2930
Bridge Christian Church Centennial Park Banquet Room 600 Nickerson Dr. Service: 9:30 a.m.
Pastor Tim Mensing (805) 975-7178
Calvary Chapel Paso Robles 1615 Commerce Way Service: Sunday at 9 a.m., Wednesday at 7 p.m.
Pastor Aaron Newman (805) 239-4295
Chabad of Paso Robles
Rabbi Meir Gordon. 805-635-8684 info@chabadpaso.com
Monthly - Friday evening at 7:00pm, Saturday morning at 10:00am
Please contact us for address and current schedule
Christian Life Center 1744 Oak Street Sunday: 9:30 a.m.
Life Groups weekdays
Youth Group: Tues. 7:00 p.m.
Preschool: Christian Life Early Learning Ctr.
Pastor Guy Drummond (805) 238-3366
Christian Science Services 17th & Chestnut Streets
Service: 10 a.m. Sunday & 2nd and 4th Wednesdays 7 p.m. (805) 238-3833
Church of Christ
3545 Spring St. (Corner 36th & Spring)
Service: Sunday, 11 a.m.
Bret Eckard (805) 952-5186
Bob Champion (805) 295-9533
Steven DiDonna (805) 257-7034
Church of Jesus Christ of Latter-day Saints
1020 Creston Rd.
Service: 10 a.m. (805) 406-8910
Missionaries: (805) 366-2363
Covenant Presbyterian Church 1450 Golden Hill Rd.
Service: Sunday, 10:30 a.m.
Pastor Dan Katches (805)238-6927 covenantpaso.com
Family Worship Center
616 Creston Rd. Service: 10 a.m.
Pastor Patrick Sheean (805) 239-4809
First Baptist Church
1645 Park St.
Pastor Michael R. Garman Services: 9 a.m. & 10:45 a.m.
Discipleship 10 a.m. (805) 238-4419
First Mennonite Church
2343 Park St Service: 11 a.m
Pastor Romero (805) 238-2445
American Sign Language (ASL) interpreting available
First United Methodist Church of Paso Robles 915 Creston Rd.
Sunday Worship at 11 AM
Pastor Kathleen McShane (805) 238-2006
Highlands Church
Corner S. River and Niblick | 215 Oak Hill Services: 9-10 am & 10:30-11:30 am
Pastor James Baird (805) 226-5800
Live Oak 1521 Oak St. Service: 10 a.m.
Pastor John Kaiser (805) 238-0575
New Day
1228 11th St (east off Paso Robles St) Services: Sunday 10 a.m., Wednesday 7 p.m.
Pastor Brad Alford (805) 239-9998
New Life Tabernacle
3850 So. Ramada Dr. Ste. D Service: 10 a.m.
Pastor Efrain Cordero
North County Christian Fellowship 421 9th St. Service: 10 a.m.
Pastor Matthew T. Willis (805) 239-3325
Paso Robles Bible Church 2206 Golden Hill Rd. Service: Sunday 9:30 a.m.
Pastor Mark Wheeler/Pastor Dave Rusco (805) 226-9670
Paso Robles Church of the Nazarene 530 12th St. Service: 10:30 a.m.
Pastor Stephen Anastasia (805) 238-4300 www.pasonaz.com
Paso Robles Community Church
2706 Spring St. Service: 9:30 a.m.
Pastor: Daniel Baxter (805) 239-4771 www.pasochurch.com
Plymouth Congregational Church, UCC
Thirteenth & Oak Street Service: 10 a.m.
Rev. Wendy Holland (805) 238-3321
Redeemer Baptist Church
Kermit King Elementary School 700 Schoolhouse Circle Service: 10:30 a.m.
Pastor Christopher Cole (805) 238-4614
Second Baptist Church
1937 Riverside Ave. Service: 11 a.m.
Pastor: Gary Jordon (805) 238-2011
St. James Episcopal Church 1335 Oak St.
Services: 8 a.m. (Rite I), 10 a.m. (Rite II)
Reverend Barbara Miller (805) 238-0819
St. Rose of Lima Catholic Church
820 Creston Rd.
Daily Mass- 8:30 a.m.
Saturday 8 a.m.
Tues. 7 p.m.
Saturday Vigil Mass 5 p.m.
Sunday 8 a.m. & 10 a.m.
Spanish Mass at 1 p.m. & 6 p.m.
Father Rodolfo Contreras (805) 238-2218
The Revival Center
3850 Ramada Dr., Ste. A-3 Service: 10 a.m.
Pastor Gabe Abdelaziz (805) 434-5170
The Light of the World Church
2055 Riverside Ave. Services: Everyday, 6 p.m.
Sundays 10 a.m. & 5 p.m.
Pastor Bonifacio Robles (612) 990-4701
Trinity Lutheran Church 940 Creston Rd. Worship Service: 9:30 a.m. (805) 238-3702 trinitypaso.com
Victory Baptist Church
3850 Ramada Dr. Ste D4
Sundays - 10 & 11 a.m.
Wednesday - 6:30 p.m.
Pastor Bruce Fore (805) 221-5251 vbcpaso.org
Victory Outreach Paso Robles 2919 Union Road, Paso Robles, CA Services: Sunday, 10:30 a.m.
Thursday, 7:00 p.m.
Pastor Pete Torres (805) 536-0035
Bible Believers Baptist Church
206 5th St. Templeton Sundays at 1 p.m.
Pastor Vincent Calvert 860-373-8854 biblebelievers805.com
Bethel Lutheran Church
295 Old County Rd. Service: 9:30 a.m.
Pastor Diana Edis (805) 434-1329 blctempleton.org
Celebration Worship Center Pentecostal Church of God
988 Vineyard Drive
Pastor Roy Spinks Services: 10:30 a.m. & 6 p.m. (805) 610-9819
Family Praise & Worship
Located at Vineyard Elementary School
2121 Vineyard Dr, Templeton Service: 10 a.m.
Pastor Vern H Haynes Jr. (805) 975-8594
Templeton Presbyterian Church
610 S. Main St. Service: 10 a.m.
Reverend Roger Patton (805) 434-1921
Higher Dimension Church
601 Main St.
1st Sunday: 1:30 p.m. 2nd - 5th Sundays 12:30 p.m.
Pastor Charlie Reed, Jr. (805) 440-0996
Life Community Church
8:30 & 10:30 Sundays 3770 Ruth Way, Paso Robles, CA 93446 (805) 434-5040 hello@lccpaso.org
Pastor Brandon Hall
Solid Rock Christian Fellowship
925 Bennett Way Service: 10 a.m.
Pastor Jeff Saylor (805) 434-2616
Seventh-Day Adventist Church
Templeton Hills
930 Templeton Hills Rd. Services: Saturday 9:30 & 10:30 a.m.
Pastor Zac Page (805) 434-1710
Vineyard Church of Christ
601 So. Main St. Service: 10 a.m. (805) 610-4272
Vintage Community Church
692 Peterson Ranch Road Services: 9 & 11 a.m.
Coaches: Aaron Porter, Dayn Mansfield (805) 296-1120
SAN MIGUEL
Iglesia Fuente De Agua Viva
301 13th St. Services: 10 a.m. & 7 p.m.
Pastor Mike Duran (805) 467-5500
Mission San Miguel Parish
775 Mission Street
Daily Mass: Monday – Friday, 8:00 am
Father Lucas Pantoja (805) 467-2131 1
SHANDON
Shandon Assembly of God
420 Los Altos Ave.
Spanish Service: Sun. 5 p.m., Thurs. 7 p.m. Pastor Jim Mei (805)226-9737
inteRviewed

By Hayley Mattson
When a national television producer called last summer, Camille DeVaul did not immediately think of spotlights or studio lights. She thought of Nancy Woodrum.
Last July, DeVaul, content editor for the Paso Robles Press, was interviewed by CBS Documentaries for a new true crime series created by No. 1 New York Times bestselling author Harlan Coben. The series, “Harlan Coben’s Final Twist,” premiered January 7 on the CBS Television Network and is streaming on Paramount+.
The third episode, “No Sign of Nancy,” which aired on January 21, centers on the 2018 murder of Woodrum, a Paso Robles hairdresser, mother, grandmother and friend who was killed in her home on Cinco de Mayo (May 5).
For DeVaul, the opportunity marked a fullcircle moment—from community member who followed the crime in local headlines, to journalist who revisited the case years later, to a contributor helping tell Woodrum’s story on a national stage.
“I was first introduced to Nancy’s case just as a resident in the community,” DeVaul said. “I remember seeing it on the news and online, but it didn’t really grab my attention until I started working in local journalism.”
That changed in 2023, when the fifth anniversary of Woodrum’s murder approached. Around the same time, San Luis Obispo County Sheriff’s Detective Clint Cole, the lead investigator on the case, retired. DeVaul saw an opportunity to revisit the investigation through the eyes of the detective who led it.
She spent weeks reviewing press releases, court
records and public information, building notes before sitting down with Cole for an in-depth interview. The resulting article reflected on the case five years later, tracing the investigation from its earliest days through the arrest and conviction of Carlo Flores, a contractor who had worked at Woodrum’s home.
Cole’s candor stood out to DeVaul. During their conversation, he openly reflected on decisions he wished he had handled differently — including an early phone interview with Flores, whom he initially contacted as a potential witness rather than a suspect.
“That honesty is not something you usually get from law enforcement,” DeVaul said. “He talked about missteps and how, in his mind, the case could have been solved even faster.”
The investigation ultimately hinged on geofencing data, which placed Flores near Woodrum’s home at the time of her murder. Without that digital evidence, Cole acknowledged, Flores might never have returned to the center of the investigation.
That detail, DeVaul said, underscores the broader significance of the case.
“Nancy’s case shows the importance of geofencing and how critical it can be, especially in cases where DNA isn’t what solves it,” she said.
CBS producers later told DeVaul that her five-year anniversary article helped draw their attention to Woodrum’s story. They were researching local coverage nationwide when they came across the Paso Robles Press reporting.
“They told me that having that article accessible online and in print helped push them to want to tell Nancy’s story,” DeVaul said. “That meant a lot, because sometimes it feels like local
This issue of Paso Robles Magazine brought to you by
journalism just disappears into the atmosphere.”
For DeVaul, the interview process itself was a shift in perspective. Accustomed to asking questions, she found herself on the other side of the camera, recounting the case not only as a reporter but as a resident who lived through its aftermath.
“It was surreal,” she said. “There was a lot of pressure to do right by Nancy — to tell her story accurately, but also with heart. She was a real person who mattered deeply to people here.”
Coben’s series aims to peel back layers in cases that initially seemed straightforward but revealed unexpected twists — a framework that producers felt fit the Woodrum investigation.
“This is a story about one of our own,” she said. “Something horrific happened to her, and that’s not something we should forget just because time has passed or because the case was solved.”
She also sees the moment as a reminder of the role local newspapers play in preserving community history.
“All national stories start locally,” DeVaul said. “Without reporters on the ground, these stories don’t get told. We’re historians in a way — documenting what happens day to day, even when it doesn’t seem significant in the moment.”
As Woodrum’s story reaches a national audience, DeVaul hopes viewers remember not just the crime, but the person at its center — and the importance of supporting local journalism that keeps such stories alive.
“Every word matters,” she said. “Years from now, these articles become the record. That’s why it’s so important to pay attention to local news and support it — because once it’s gone, people realize how much they needed it.”
pasoroblespress.com


Celebration of Norma’s Life
February 28, 2026 at 11:00 am
Estrella Building Mid-State Fairgrounds
All are welcome.