Carta de la salud - Fundación Valle del Lili

Page 1

Carta de la salud

ISSN 1900-3560

Noviembre 2019 #282

Cigarrillo electrónico y vapeadores, un nuevo riesgo para la salud

El cigarrillo electrónico es un dispositivo diseñado originalmente para permitirle a las personas inhalar nicotina en forma de vapor, sin tener que utilizar el cigarrillo convencional. La acción de inhalar y exhalar estos aerosoles se conoce como “vapear”.

Usualmente está conformado por 4 elementos (ver figura 1 - estructura): una fuente de alimentación (por lo general una batería recargable de litio), un elemento calentador (bobina del atomizador), una cámara de vaporización y el cartucho de la solución (contiene el líquido que se convertirá en aerosol).

El líquido utilizado tiene una composición muy variable que incluye un solvente (glicerina o propilenglicol), saborizantes (cada vez hay más opciones) y la nicotina, en diferentes dosis. Una vez se activa la fuente de alimentación, al inhalar, la bobina calienta y gasifica el líquido, que es aspirado (vapeado) a través de una boquilla.

La comercialización de este tipo de dispositivos inició en el año 2007 y a partir de entonces, su distribución y consumo se ha propagado, hasta convertirlos en los productos inhalados de uso más frecuente entre los jóvenes en diferentes partes del mundo. Para el 2018, 3.6 millones de estudiantes de secundaria de los Estados

La Fundación Valle del Lili es una Institución privada sin ánimo de lucro que pertenece a la comunidad; organizada para ofrecer servicios de salud de alta complejidad a todas las personas indistintamente de su condición socioeconómica. Dr. Fernando Sanabria Arenas Neumólogo - Fundación Valle del Lili Figura 1 El usuario inhala por la boquilla Un chip calienta el atomizador que produce vapor Botón de encendido Batería recargable Cartucho recargable con diferentes cantidades de nicotina

Unidos los consumían, incluidos el 4.9% de los estudiantes de secundaria media y el 20.8% de los de secundaria superior. Su consumo continúa incrementándose de manera preocupante; hoy en día, se consideran la principal puerta de entrada al consumo de tabaco en la gente joven.

La OMS (Organización Mundial de la Salud) calcula que actualmente hay alrededor de 367 millones de usuarios en el mundo, siendo el cigarrillo electrónico el dispositivo de administración de nicotina más común. Su industria global alcanzó los 14 billones de dólares en el 2017 y continúa creciendo rápidamente; se espera que su mercado tenga una tasa de crecimiento de 21.6% anual entre 2019 y 2024, y que por su tamaño, para el 2025 sea uno de los líderes del sector.

En la medida en que el consumo aumenta, la oferta de dispositivos es cada vez mayor (ver figura 2: diferentes tipos de vapeadores). En la actualidad los vapeadores se consiguen en diferentes formas, como: el cigarrillo tradicional, lapiceros, memorias USB (el popular JUUL, que alcanzó un billón de dólares en ventas en el 2018), como pipas, etc., y con diferentes nombres, “e-cigarettes”, “e-cigs”, “mods”, “vapeadores”, “e-hookahs”, “narguiles electrónicos”, y otros.

La oferta creciente se ha visto asociada a un hecho que no se ha podido controlar: los fabricantes, por lo general, no proporcionan información completa sobre los productos químicos que utilizan, ni sobre los compuestos que pueden liberarse durante el proceso de vaporización, por lo tanto, tampoco pueden alertar a los consumidores sobre los posibles efectos dañinos para la salud. Regular su uso y establecer los efectos que pueden esperarse de su consumo a corto y largo plazo, se ha convertido en un enorme desafío para los gobiernos y la comunidad científica.

USOS POTENCIALES Y EFECTOS:

Fumar es un hábito fuertemente adictivo que depende fundamentalmente del contenido de nicotina en el cigarrillo. La nicotina es un compuesto que se encuentra de forma natural en el tabaco. Los efectos nocivos del cigarrillo sobre la salud son múltiples, a diferentes niveles, y muchos de ellos graves. Dejar de fumar se convierte en una herramienta terapéutica fundamental en las enfermedades relacionadas con el consumo de cigarrillo. Ideados para inhalar nicotina (y de ésta manera ayudar a los fumadores a dejar de fumar), los cigarrillos electrónicos han adquirido gran popularidad en la última década. Sin embargo, no se ha podido demostrar científicamente que su uso permita lograr la abstinencia a quien lo utiliza para tal fin.

Aunque se cree que estos provocan menos daños que el cigarrillo normal, pues contienen muchos menos químicos tóxicos, no hay todavía estudios científicos suficientes que lo demuestren y que permitan establecer claramente su seguridad a corto y largo plazo. Además, por tener un aspecto similar al del cigarrillo convencional, y contener nicotina (con frecuencia en concentraciones mayores que las del cigarrillo convencional), sus usuarios no logran eliminar el comportamiento adictivo. Por ésta razón, las sociedades científicas médicas no pueden recomendar su uso indiscriminado en el tratamiento del tabaquismo y dan preferencia al uso de terapias con efectos demostrados (otras formas de reemplazo de nicotina, como chicles, parches o tabletas y algunos medicamentos, que ayudan a reducir los síntomas de la abstinencia).

De la misma manera el mercado de compuestos líquidos crece progresivamente, ofreciendo sabores variados de vainilla, caramelo, frutas, menta, crema, etc., e incluyen, no solo la nicotina, sino productos de la marihuana, como aceites de tetrahidrocannabinol y cannabidiol, solos o en combinación.

Teniendo en cuenta la amplia variedad de compuestos disponibles en el mercado, se espera que los efectos de vaporizar estas soluciones sean también muy variados; desde el punto de vista de la salud, se puede afirmar, en términos generales, que los efectos dependerán de varios factores, incluido el tipo de dispositivo, el contenido específico del líquido utilizado, del aerosol producido y la experiencia del usuario con el uso del dispositivo.

Figura 2

Ya en el 2014 se estimaba que existían más de 7.000 líquidos distintos a la venta, con contenidos diferentes de nicotina y saborizantes. Entre los componentes más frecuentemente utilizados, además de la nicotina y la marihuana, están el propilenglicol, la glicerina, el etanol, el acetol y el óxido de propileno. En los aerosoles generados se han identificado aldehídos, acreolina, diacetil, glicidiol, compuestos orgánicos, especies de oxígeno reactivas y pequeñas cantidades de metales pesados (níquel, cadmio, estaño y plomo). Muchos de estos componentes generan efectos irritantes sobre los bronquios, inflamación en los pulmones, alteraciones en la función pulmonar e incluso pueden ser carcinogénicos (predisponer a cáncer).

Aunque no hay estudios que establezcan con certeza los efectos a corto y sobre todo a largo plazo, hay clara asociación entre su uso y la aparición de síntomas respiratorios. En particular es muy preocupante el reporte reciente de las autoridades sanitarias de Estados Unidos, de alrededor de 450 casos de enfermedad pulmonar aguda severa, relacionada al uso de cigarrillos electrónicos, manifestada usualmente en hombres jóvenes, con fiebre, escalofríos, malestar general, dificultad respiratoria, dolor torácico, tos, náuseas, vómito y diarrea.

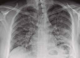
Las radiografías de tórax muestran opacidades pulmonares difusas (ver figura 3: una Rx de tórax con opacidades pulmonares bilaterales). La mayoría de los pacientes han requerido hospitalización, frecuentemente en cuidado intensivo y algunos de ellos necesitaron ventilación mecánica; siete de estos pacientes fallecieron. Aunque no se ha identificado un producto o sustancia única que explique todos los casos, la gran mayoría de pacientes reportaron el consumo de líquidos con productos de marihuana, ya sea sola o en combinación con nicotina; ha llamado especialmente la atención, el alto contenido de acetato de vitamina E presente en los líquidos que contienen productos de la marihuana, pero aún no se puede establecer una relación causal. A pesar de que es claro que se trata de un síndrome clínico nuevo, relacionado con el vapeo, no se ha podido establecer la causa específica del problema.

Con base en los datos disponibles, hasta el momento, el centro de control de enfermedades de los Estados Unidos (CDC) ha recomendado que las personas se abstengan de utilizar estos productos.

¿POR QUÉ DEBEMOS PREOCUPARNOS POR SU CONSUMO?

Como ya se mencionó, el uso de cigarrillos electrónicos y vapeadores no es inocuo; está claro que genera efectos deletéreos para la salud del ser humano y la evidencia sobre sus efectos tóxicos continúa creciendo, convirtiéndolo en un problema de salud pública.

Pero este no es el único problema relacionado con su consumo; su uso indiscriminado ha generado un impacto negativo en los avances logrados por la legislación sobre espacios libres de humo, vigente en muchos países, que prohíbe fumar en espacios públicos, haciendo evidente lo inaceptable que resulta socialmente el hábito de fumar.

Al crecer en medio de usuarios de cigarrillos electrónicos, que no están sujetos a restricciones para su consumo en espacios públicos, se teme que el hábito de fumar parezca de nuevo aceptable y se vuelva a fomentar entre niños, adolescentes y adultos jóvenes. Un factor agravante es, que estas etapas de la vida son críticas para consolidar el desarrollo cerebral, que se extiende hasta los 25 años. La nicotina afecta el desarrollo del sistema de recompensa del cerebro, convirtiendo al joven en un consumidor susceptible a la adicción, no solo a esta sino a otras sustancias adictivas, como la cocaína o las metanfetaminas, afectando además el desarrollo de circuitos cerebrales que controlan la atención y el aprendizaje. Este hecho obliga a considerar al cigarrillo electrónico como una puerta de entrada a nuevas adicciones para los jóvenes.

Un problema adicional nace del hecho de que los cigarrillos electrónicos se regulen de manera diferente

Figura 3

al cigarrillo convencional, pues no existen restricciones con relación a sus componentes químicos y no están sujetos a un control de calidad estricto, que asegure que las concentraciones de los mismos sean las que vienen impresas en las etiquetas de cada producto. Si existieran estas regulaciones, se podrían controlar las cantidades de nicotina y podría hacerse una elección más equilibrada entre el cigarrillo electrónico y las demás terapias de reemplazo de nicotina, a la hora de considerarlos en el proceso de cesación tabáquica.

CONCLUSIONES:

Diseñados originalmente para ayudar a los fumadores a dejar de fumar, o a reducir ostensiblemente su exposición a los múltiples compuestos tóxicos presentes en el humo del cigarrillo convencional, los cigarrillos electrónicos, así como otros vapeadores, se han hecho extremadamente populares, sobre todo en poblaciones jóvenes.

Al convertirse en un mercado muy rentable a nivel mundial, la oferta de productos y de contenidos líquidos ha crecido sin control. Por no estar sometidos a regulaciones legales, su composición química y por lo tanto sus potenciales efectos tóxicos sobre la salud, son difíciles de establecer, aunque se sabe que son muy variados.

Actualmente la comunidad científica médica evalúa intensamente los efectos de estos productos a corto plazo, motivada por el brote de casos de enfermedad pulmonar aguda severa relacionada con su consumo, pero aún se desconoce si los mismos están vinculados con algún producto o sustancia específica. Se ignora también cuales puedan ser los efectos sobre la salud a largo plazo, pues el uso de estos dispositivos es de inicio reciente, y datos en este sentido solo podrán conocerse en el futuro, con el estudio y seguimiento de los consumidores prolongados.

Hasta que se cuente con datos científicos más concretos, los proveedores de salud y las personas en general, deberían tener en cuenta las siguientes recomendaciones:

Los adolescentes, adultos jóvenes, mujeres embarazadas y adultos mayores NUNCA deben utilizar cigarrillos electrónicos.

Las personas que consumen cigarrillos electrónicos deben ser conscientes de que se trata de un hábito peligroso para su salud.

Los consumidores de vapeadores deben evitar comprarlos en las calles, y no deben agregar sustancias diferentes a las ofrecidas por los fabricantes.

Si un consumidor de cigarrillo electrónico presenta síntomas como los mencionados con relación al brote de enfermedad pulmonar severa en los Estados Unidos, debe consultar inmediatamente con su proveedor de servicios de salud.

Quien utiliza el cigarrillo electrónico para dejar de fumar, no debe retomar el consumo de cigarrillo convencional y debe consultar con su médico sobre la conducta a seguir

El fumador de cigarrillo que desee dejar de fumar, debe buscar asesoría con su proveedor de salud, y no debe empezar a utilizar cigarrillos electrónicos por su cuenta. Las autoridades de salud de cada país deberían:

Someter la comercialización y consumo de cigarrillos electrónicos que contengan nicotina, a las mismas regulaciones que se aplican a los demás productos del tabaco.

Trabajar en el diseño e implementación de un plan de prevención integral del tabaquismo juvenil, dirigido a prevenir el acceso de los jóvenes a productos derivados del tabaco, restringir la comercialización de los mismos y educar a los adolescentes sobre los peligros relacionados con el consumo del cigarrillo electrónico.

COMITÉ EDITORIAL

• Dra. Marcela Granados • Dra. Diana A. Prieto

• Dr. Jorge M. Madriñán • Dra. Zamira Montoya

• Dr. César A. Arango • Dr. Harry M. Pachajoa

• Dr. Luis A. Escobar • Dr. Fernando Sanabria

• Dra. Mónica A. Villegas • Enfermera, Julia A. Leal

• Nutricionista, Jeannina Escalante Flórez

• Coordinadora de Comunicaciones, María Isabel Sánchez

• Comunicadora, Vanessa Anturi • Abogado, Camilo A. García

• Comunicadora, Margarita Londoño Vélez

Dirección: Cr. 98 # 18-49

Tel: 331 9090 - Santiago de Cali

E-mail: cartadelasalud@fvl.org.co

Citas: centraldecitas@fvl.org.co

Versión digital disponible en www.valledellili.org/cartadelasalud

Diagramación: Daniela Gutiérrez Calderón

Esta publicación de 40.000 ejemplares es cortesía de:

Los conceptos y opiniones contenidos en los artículos de la Carta de la Salud, corresponden únicamente al de los autores y editorialistas. Esta publicación pretende mejorar su información en temas de la salud en general. Las inquietudes que se relacionen con su salud personal, deben ser consultadas y resueltas con su médico.

1. 2.

Turn static files into dynamic content formats.

Create a flipbook
Issuu converts static files into: digital portfolios, online yearbooks, online catalogs, digital photo albums and more. Sign up and create your flipbook.