







![]()








ww w.coec.cat
TEMA DE PORTADA

EDITORIAL 08






INSTITUCIONAL

13


Cent dies de governança activa al servei dels col·legiats i col·legiades del COEC



La Dra. Maria José Guerrero participa en una jornada per impulsar un lideratge sanitari més humà i equitatiu
ACTUALITAT
19

El COEC commemora Santa Apol·lònia 2026 amb una trobada marcada per la divulgació i l’humor

El COEC se suma a la campanya «Tolerància zero a la violència contra els professionals sanitaris»

El Verifactu s’ajorna fins al 2027… però el control fiscal ja ha començat
La recepta, personal i intransferible
Què cal fer quan ens demanen una prova diagnòstica que no hem cobrat?
37
Preus «ganxo», promocions i ofertes limitades en el Black Friday i la temporada de rebaixes: com complir el marc normatiu aplicable al sector odontològic 39
A vueltas con el nuevo plan de la inspección de trabajo para los años 2025-2027 y su impacto sobre las clínicas dentales 41
Incapacitat permanent parcial, total i absoluta: quina és la diferència?
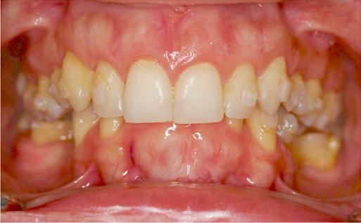
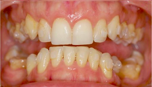
Conceptes oclusals que no passen de moda (i que augmenten la supervivència de les pròtesis dentals) Part 3
BENESTAR EMOCIONAL 52
El cost de voler fer-ho tot perfecte, tot el temps
INNOVACIÓ 56
54

Protegir-se dels fraus a les xarxes socials: una responsabilitat compartida

58
PARLEN DE NOSALTRES
EDITA
Col·legi Oficial d’Odontòlegs i Estomatòlegs de Catalunya Travessera de Gràcia, 93-95 08006 Barcelona
Tel. 93 310 15 55 / coec@coec.cat
EDICIÓ, DISSENY I MAQUETACIÓ Nexalios Comunica www.nexalios.com
PUBLICITAT coec@coec.cat
DIPÒSIT LEGAL: B 3306-2016 ISSN: 2462-4772 (edició electrònica) Els articles publicats expressen l’opinió dels seus autors.
Aquesta revista comprèn l’activitat col·legial des del mes de novembre de 2025 fins al mes de febrer de 2026.
Aquest número 204 de Som COEC ofereix als col·legiats i col·legiades un recull de continguts que reflecteixen el moment actual de la professió odontològica i el compromís del Col·legi amb l’acompanyament, la informació rigorosa i la defensa de l’exercici professional en un entorn cada cop més complex.
D’una banda, la revista inclou un article dedicat als primers cent dies de la nova Junta de Govern del COEC, en què es detallen les accions que ja s’han posat en marxa i les línies de treball que actualment són en fase de desenvolupament.
Aquest balanç permet conèixer les prioritats i els projectes orientats a reforçar un col·legi proper, útil i alineat amb les necessitats reals dels professionals.
D’altra banda, en aquest número trobareu la crònica de la celebració de Santa Apol·lònia 2026. Aquest esdeveniment es va convertir en un espai de retrobament i va posar en valor la importància de compartir espais comuns més enllà de l’àmbit estrictament assistencial.
Igualment, l’actualitat normativa té un pes rellevant en aquesta edició, amb un article dedicat al nou pla de la Inspecció de Treball per al
període 2025-2027 i l’impacte que tindrà en les clíniques dentals. El text aborda una qüestió especialment sensible per al sector odontològic: la correcta delimitació de les relacions contractuals en un context de col·laboració interprofessional que requereix claredat i seguretat jurídica.
La revista, a més, obre un espai a la reflexió sobre el benestar emocional, amb un article que analitza el cost de voler fer-ho tot perfecte i a temps, amb l’impacte que aquesta exigència pot tenir en el benestar emocional d’odontòlogues i odontòlegs. Aquest contingut convida a prendre consciència dels límits i a incorporar la cura emocional com a part essencial de la pràctica professional. En l’àmbit de la comunicació i el màrqueting, aquest número presenta un article sobre els anomenats «preus ganxo», les promocions i les ofertes limitades, especialment en períodes com el Black Friday o les rebaixes. L’objectiu és explicar com cal complir el marc normatiu aplicable al sector odontològic i exercir una comunicació comercial responsable.
Així mateix, Som COEC dedica un espai a la prevenció, amb un conjunt de consells pràctics per protegir-se dels fraus a les xarxes socials. Es tracta d’una problemàtica creixent que afecta tant professionals com pacients, i que requereix informació clara i actualitzada.
Aquesta és només una breu pinzellada de tot el que trobareu en aquestes pàgines. Us convidem, doncs, a llegir el nou número de la revista Som COEC, la revista del Col·legi Oficial d’Odontòlegs i Estomatòlegs de Catalunya.
Este número 204 de Som COEC ofrece a los colegiados y colegiadas una recopilación de contenidos que reflejan el momento actual de la profesión odontológica y el compromiso del Colegio con el acompañamiento, la información rigurosa y la defensa del ejercicio profesional en un entorno cada vez más complejo.
Por una parte, la revista incluye un artículo dedicado a los primeros cien días de la nueva Junta de Gobierno del COEC, en el que se detallan las acciones que ya se han puesto en marcha y las líneas de trabajo actualmente en fase de desarrollo. Este balance permite conocer las prioridades y proyectos orientados a reforzar un colegio cercano, útil y alineado con las necesidades reales de los profesionales.
Por otra parte, en este número podrá encontrar la crónica de la celebración de Santa Apolonia 2026. Este evento se convirtió en un espacio de reencuentro y puso en valor la importancia de compartir espacios comunes más allá del ámbito estrictamente asistencial. Igualmente, la actualidad normativa tiene un peso relevante en esta edición, con un artículo dedicado al
nuevo plan de la Inspección de Trabajo para el periodo 2025-2027 y a su impacto en las clínicas dentales. El texto aborda una cuestión especialmente sensible para el sector odontológico: la correcta delimitación de las relaciones contractuales en un contexto de colaboración interprofesional que requiere claridad y seguridad jurídica.
La revista, además, abre un espacio a la reflexión sobre el bienestar emocional, con un artículo que analiza el coste de querer hacerlo todo perfecto y a tiempo, con el impacto que esta exigencia puede tener en el bienestar emocional de odontólogas y odontólogos. Este contenido invita a tomar conciencia de los límites y a incorporar el cuidado emocional como parte esencial de la práctica profesional.
En el ámbito de la comunicación y el marketing, este número presenta un artículo sobre los llamados «precios gancho», las promociones y las ofertas limitadas, especialmente en periodos como el Black Friday o las rebajas. Su objetivo es explicar cómo cumplir el marco normativo aplicable al sector odontológico y ejercer una comunicación comercial responsable.
Asimismo, Som COEC dedica un espacio a la prevención, con un conjunto de consejos prácticos para protegerse de los fraudes en las redes sociales. Se trata de una problemática creciente que afecta tanto a profesionales como a pacientes, y que requiere información clara y actualizada.
Esta es solo una breve pincelada de todo lo que podrá encontrar en estas páginas. Le invitamos, pues, a leer el nuevo número de la revista Som COEC, la revista del Col·legi Oficial d’Odontòlegs i Estomatòlegs de Catalunya.

Aquest és el primer cop que m’adreço a vosaltres des de les pàgines de la revista Som COEC, i vull fer-ho amb un sincer agraïment: gràcies a totes les col·legiades i col·legiats que vau confiar en la proposta que encapçalava —i que vau fer possible que més del 45 % del cens optés per aquest projecte—, però gràcies també a totes aquelles persones que vau apostar per altres opcions. Des del primer dia tinc clar que soc la presidenta de tot el col·lectiu i que aquest mandat només té sentit si es basa a escoltar i representar tots els professionals del COEC.
Assumir la presidència com a primera dona al capdavant del Col·legi és un honor i una responsabilitat que visc amb orgull i amb consciència del moment que travessa la professió. L’odontologia a Catalunya és cada vegada més feminitzada, especialment entre les generacions més joves, i aquesta realitat ha d’anar acompanyada d’institucions modernes, obertes i alineades amb les necessitats reals del col·lectiu.
Quan aquest número vegi la llum, s’hauran complert aproximadament cent dies de mandat de la nova Junta de Govern. Un període breu, però suficient per constatar un
ritme de treball intens i unes línies estratègiques clares. En aquest temps hem volgut reforçar el COEC com a espai de trobada, de coneixement i de debat. El primer col·loqui presencial, que va tenir lloc el 10 de desembre sota el títol «La clínica dental del 2026: reptes i oportunitats», i la recent celebració de Santa Apol·lònia 2026 en són una bona mostra.
Una altra acció destacada ha estat la resposta a la necessitat de conèixer el funcionament del Verifactu, amb una formació organitzada en temps rècord i una excel·lent acollida: 649 inscrits i més de 300 connexions en directe. Les sessions, com altres activitats formatives, han quedat disponibles al Campus Virtual, de manera que es reafirma l’aposta per una formació accessible i adaptada als diferents ritmes professionals.
En paral·lel, s’han intensificat les relacions institucionals: reunions amb el Departament de Salut de la Generalitat de Catalunya per abordar el reconeixement de les especialitats en l’odontologia, contacte amb les societats científiques, trobades amb el Consejo General de Dentistas i col·legis d’odontòlegs i estomatòlegs d’altres comunitats autònomes, així
com una participació activa en espais com la Fundació Galatea, la Intercol·legial i el Comitè Consultiu de l’Observatori per a Situacions de Violència en l’Àmbit Sanitari de Catalunya (OSVASC). Tot això, amb una Junta de Govern plenament activa, que ha celebrat sis plens en aquest primer període.
Els mesos vinents s’hi afegiran noves iniciatives vinculades a la formació, comissions de treball, comunicació, acords i relació amb la indústria. Mentrestant, us convido a llegir aquest número 204 de la revista com una mostra d’aquest nou impuls i a sentir el COEC com un projecte compartit. El futur de l’odontologia a Catalunya només es pot construir des del compromís col·lectiu, i en aquest camí podeu comptar amb aquesta Junta de Govern.
Esta es la primera vez que me dirijo a vosotros desde las páginas de la revista Som COEC, y quiero hacerlo con un sincero agradecimiento: gracias a todas las colegiadas y colegiados que confiasteis en la propuesta que encabezaba —y que hicisteis posible que más del 45 % del censo optara por este proyecto—, pero gracias también a todas aquellas personas que apostasteis por otras opciones. Desde el primer día tengo claro que soy la presidenta de todo el colectivo y que este mandato tan solo tiene sentido si se basa en escuchar y representar a todos los profesionales del COEC. Asumir la presidencia como primera mujer al frente del Colegio es un honor y una responsabilidad que vivo con orgullo y siendo consciente del momento que atraviesa la profesión. La odontología en Cataluña es cada vez más feminizada, especialmente entre las generaciones más jóvenes, y esta realidad debe ir acompañada de instituciones modernas, abiertas y alineadas con las necesidades reales del colectivo.
Cuando este número vea la luz, se habrán cumplido aproximadamente cien días de mandato de la nueva Junta de Gobierno. Un periodo breve, pero suficiente para constatar un ritmo de trabajo intenso y unas líneas estratégicas claras. En este
tiempo hemos querido reforzar el COEC como espacio de encuentro, conocimiento y debate. El primer coloquio presencial, que tuvo lugar el 10 de diciembre bajo el título «La clínica dental de 2026: retos y oportunidades», y la reciente celebración de Santa Apolonia 2026 son una buena muestra de ello. Otra acción destacada ha sido la respuesta a la necesidad de conocer el funcionamiento de Verifactu, con una formación organizada en tiempo récord y una excelente acogida: 649 inscritos y más de 300 conexiones en directo. Las sesiones, como otras actividades formativas, han quedado disponibles en el Campus Virtual, de modo que se reafirma la apuesta por una formación accesible y adaptada a los diferentes ritmos profesionales. En paralelo, se han intensificado las relaciones institucionales: reuniones con el Departamento de Salud de la Generalitat de Cataluña para abordar el reconocimiento de las especialidades en la odontología, contacto con las sociedades científicas, encuentros con el Consejo General de Dentistas y colegios de odontólogos y estomatólogos de otras comunidades autónomas, así como una participación activa en espacios como la Fundación Galatea, la Intercolegial i el Comité
Consultivo del Observatorio para Situaciones de Violencia en el Ámbito Sanitario de Catalunya (OSVASC). Todo ello, con una Junta de Gobierno plenamente activa, que ha celebrado seis plenos en este primer periodo.
En los próximos meses se añadirán nuevas iniciativas vinculadas a la formación, comisiones de trabajo, comunicación, acuerdos y relación con la industria. Mientras, os invito a leer este número 204 de la revista como una muestra de este nuevo impulso y a sentir el COEC como un proyecto compartido. El futuro de la odontología en Cataluña solo puede construirse desde el compromiso colectivo, y en este camino podéis contar con esta Junta de Gobierno.
Els primers cent dies de governança activa: un impuls decidit per enfortir
Els primers cent dies d’una junta de govern són sempre un període especialment significatiu. Marquen el to del mandat, evidencien el ritme de treball, i permeten començar a veure les línies estratègiques que guiaran l’acció institucional els anys vinents. En aquest primer tram de recorregut, la nova Junta de Govern del Col·legi Oficial d’Odontòlegs i Estomatòlegs de Catalunya (COEC) ha desplegat una activitat intensa i sostinguda, amb una clara orientació al servei del col·lectiu i al reforç del paper de la institució.

Des del primer moment, la Junta ha situat l’escolta activa i la resposta a les necessitats reals dels col·legiats com a eix central de la seva acció. En són una mostra les iniciatives formatives impulsades en un temps rècord, com la sessió adreçada a la factura electrònica, que va tenir una acollida molt destacada: 649 col·legiats inscrits, més de tres-centes persones connectades en directe i més de quaranta visualitzacions posteriors al Campus Virtual. Aquestes xifres no només evidencien l’interès generat, sinó també la capacitat de la Junta per anticiparse als requeriments normatius i per oferir solucions pràctiques i útils. En aquesta mateixa línia, l’accés a la formació a través del Campus Virtual s’ha consolidat com una aposta estratègica. Les sessions formatives que s’han fet durant aquests primers mesos han estat enregistrades i posades a disposició dels col·legiats, per facilitar-ne la consulta posterior i, així, adaptar-se a la diversitat d’horaris i necessitats del col·lectiu professional. Aquesta flexibilitat ha estat àmpliament valorada, i reforça el compromís amb
una formació continuada accessible i de qualitat.
Paral·lelament, la Junta de Govern ha intensificat l’activitat institucional i relacional. S’han mantingut reunions amb el Departament de Salut de la Generalitat de Catalunya per abordar qüestions clau com el reconeixement de les especialitats en odontologia, així com trobades amb societats científiques, amb l’objectiu d’establir vies de col·laboració estables i constructives. Aquest treball en xarxa és essencial per enfortir el posicionament del Col·legi i afavorir sinergies en benefici de la professió.
En l’àmbit estatal, també s’han mantingut trobades amb el Consejo General de Dentistas i amb col·legis d’odontòlegs i estomatòlegs d’altres comunitats autònomes, per explorar possibles col·laboracions i coordinar accions d’interès comú. Aquestes primeres reunions posen les bases d’una relació fluida i orientada a la cooperació institucional.
La dinàmica interna de treball ha estat igualment intensa, amb la celebració de sis plens de la Junta de Govern en aquests primers cent
dies, fet que reflecteix un alt grau d’implicació i un seguiment constant de les diferents línies d’actuació. Així mateix, s’han fet gairebé una vintena de reunions dels diversos grups de treball de la Junta de Govern. A això s’hi suma la presència activa en els mitjans de comunicació, que contribueix a donar visibilitat a la professió i a posicionar el Col·legi com a veu autoritzada en temes d’interès sanitari i social.
La participació en espais clau com la Fundació Galatea —incloent-hi el seu patronat—, la Intercol·legial i el Comitè de l’Observatori de Situacions de Violència en l’Àmbit Sanitari (OSVASC) completa un balanç que posa de manifest el compromís de la Junta de Govern amb el benestar dels professionals, la defensa de la pràctica segura i la col·laboració interprofessional.
Aquests primers cent dies dibuixen una Junta de Govern activa, present i orientada als resultats. Un inici de mandat que posa les bases d’un projecte sòlid, amb una mirada estratègica clara, i amb el col·legiat i la col·legiada al centre de totes les decisions.

La millor manera per estar al dia i participar en una comunitat virtual formada per més de 10.000 usuaris.
Va ser una trobada per continuar treballant cap a un lideratge més humà, equitatiu i compromès.
La presidenta del Col·legi Oficial d’Odontòlegs i Estomatòlegs de Catalunya (COEC), la Dra. Maria José Guerrero, va participar el mes de novembre passat en la jornada «Lideratges que cuiden: trencant barreres per liderar amb cura i equitat», organitzada per la Fundació Galatea.
La Dra. Guerrero va formar part de la taula de benvinguda institucional, en què es va donar el tret de sortida a la jornada amb una reflexió col·lectiva sobre una qüestió clau: per què encara costa tant liderar amb cura i equitat?
Va compartir aquest espai amb professionals d’altres col·legis sanitaris: Dolors Liria, psicòloga i vicedegana del Col·legi Oficial de Psicologia de Catalunya; Maria Pifarré, veterinària i representant del Consell de Col·legis Veterinaris de Catalunya, i Tània Piqué, farmacèutica, vocal del Consell i vicepresidenta del Col·legi Oficial de Farmacèutics de Tarragona.
Va ser una trobada per continuar treballant cap a un lideratge més humà, equitatiu i compromès.
La Dra. Maria José Guerrero, presidenta del Col·legi Oficial d’Odontòlegs i Estomatòlegs de Catalunya (COEC), va assistir el dijous 4 de desembre passat a la reunió del Patronat de la Fundació Galatea, en què va ser nomenada patrona de la institució. Aquest nou càrrec reforça el compromís compartit amb la salut i el benestar dels professionals de la salut. Durant la sessió es van abordar diversos temes rellevants per al funcionament i la projecció de la Fundació Galatea, una entitat de referència en la promoció de la salut integral dels professionals sanitaris. La participació del COEC en el seu patronat reflecteix la voluntat de continuar treballant per al benestar dels col·legiats i col·legiades.
Recordeu que, si us trobeu patint una situació de vulnerabilitat, podeu escriure al correu electrònic fgalatea@fgalatea.org, i beneficiar-vos de recursos i ajuda professional.
La participació del COEC en el seu patronat reflecteix la voluntat de continuar treballant per al benestar dels col·legiats i col·legiades.
Sedació conscient amb òxid nitrós
Crisis hipertensivas: urgencias y emergencias
Anestèsics locals: efectes adversos i gestió de les complicacions sistèmiques
Manejo de las infecciones odontogénicas en las consultas de atención primaria: ¿antibiótico?
Soporte vital básico en adultos en tiempos de covid-19
La Dra. Maria José Guerrero, presidenta del Col·legi Oficial d’Odontòlegs i Estomatòlegs de Catalunya (COEC), recentment ha reforçat les relacions amb els òrgans representatius de la professió odontològica a escala estatal assistint a diferents jornades i actes.
D’una banda, la Dra. Guerrero ha mantingut diverses trobades amb el president del Consejo General de Dentistas, el Dr. Óscar Castro Reino, i també amb representants de diversos col·legis professionals. L’objectiu és estrènyer llaços, avançar cap a una major unitat de criteri, i impulsar línies de treball conjuntes en benefici de la professió.
En concret, s’ha reunit amb el president del Consejo General de Dentistas; la presidenta del Colegio Oficial de Odontólogos y Estomatólogos (COEM), la Dra. Marisol Ucha; el president del Colegio Oficial de Dentistas de Granada, el Dr. Francisco Javier Fernández Parra; la presidenta del Colegio Oficial de Dentistas de Almería, la Dra. Sonia Berbel Salvador, i el president del Colegio Oficial de Odontólogos y Estomatólogos de la 8 Región, el Dr. Víctor Zurita Clariana. A més, s’han establert primers contactes amb la resta de col·legis professionals de l’Estat espanyol, per posar les bases d’una relació continuada basada en la col·laboració, les sinergies i el treball coordinat.
La presidenta del COEC també ha assistit a l’Assemblea General del Consejo General de Dentistas, en el marc de la qual s’han abordat diversos temes d’actualitat que afecten de manera transversal la professió odontològica. Durant la sessió, tant el Consejo com els col·legis professionals han posat en comú les seves línies d’actuació, amb la voluntat d’avançar de manera coordinada en la resolució, l’ordenació i la defensa dels interessos professionals del col·lectiu.
Finalment, la Dra. Guerrero ha participat en el sopar de gala organitzat pel Consejo General de Dentistas, durant el qual s’han lliurat els premis corresponents a l’any 2025.
Aquestes trobades reforcen el compromís del COEC amb el diàleg institucional, la cooperació entre col·legis i la defensa activa de la professió odontològica, amb l’objectiu de continuar treballant conjuntament per afrontar els reptes presents i futurs del sector.
S’han establert primers contactes amb la resta de col·legis professionals de l’Estat espanyol, per posar les bases d’una relació continuada basada en la col·laboració, les sinergies i el treball coordinat.






La presidenta del Col·legi Oficial d’Odontòlegs i Estomatòlegs de Catalunya (COEC), la Dra. Maria José Guerrero, acompanyada de la Dra. Miriam Frías i la Dra. Clara González Juidías, tresorera i comptadora del Col·legi, el 23 de gener van mantenir una reunió institucional amb la presidenta de l’Ilustre Colegio de Odontólogos y Estomatólogos de Madrid (COEM), la Dra. Marisol Ucha, a la seu de l’entitat madrilenya. La trobada va permetre aprofundir en el coneixement mutu i explorar possibles línies de col·laboració i sinergies entre ambdós col·legis, amb l’objectiu d’impulsar projectes d’interès i utilitat per als col·legiats.
En el marc d’aquesta visita institucional a Madrid, les representants del COEC van assistir també a la presentació del Primer Simposi Internacional de Diagnòstic per la Imatge en Odontologia, organitzat pel COEM, conjuntament amb la Sociedad Española de Prótesis Estomatológicas y Estéticas (SEPES), que es va celebrar a la mateixa seu del COEM.
Ja a la tarda, la Dra. Guerrero va participar en la sessió del Comité Central de Ética y Deontología del Consejo General de Dentistas, en el marc de la seva activitat institucional. La reunió de les comissions d’ètica dels col·legis oficials de dentistes, organitzada pel Comité Central de Ética i presidida pel Dr. Bernardo Perea, va abordar diverses qüestions amb l’objectiu d’oferir als professionals eines i criteris per donar resposta als reptes ètics que els poden sorgir en l’exercici professional.
Durant la jornada es va presentar un resum de les activitats desenvolupades pel Comité Central de Ética i es va donar a conèixer un projecte d’intel·ligència artificial aplicat a les clíniques dentals. Així mateix, es va debatre la proposta de crear un fòrum deontològic que faciliti l’intercanvi de consultes i informació entre les diferents comissions d’ètica dels col·legis, per reforçar la cohesió i el treball conjunt. Altres punts destacats van ser la possibilitat que el Comité Central de Ética emeti posicionaments sobre qüestions específiques —com els consentiments informats o l’ús dels raigs X—, i la presentació de casos reals que generin dubtes o reflexió entre les comissions.
La Junta de Govern continua treballant per dotar els col·legiats de les eines necessàries perquè el seu exercici professional no només compleixi la normativa vigent, sinó que assoleixi els estàndards més elevats de qualitat.
Aquests dies, com a part dels meus primers mesos a la presidència del Col·legi Oficial d’Odontòlegs i Estomatòlegs de Catalunya (COEC), he hagut de configurar la Comissió Deontològica. És una de les prioritats clares de la nova Junta de Govern, i no és casual. En un context social i professional marcat per la hiperexposició, la immediatesa i la competència creixent, l’ètica i la publicitat han esdevingut dos eixos indissociables de l’exercici odontològic responsable.
L’odontologia no és —ni ha de ser— una activitat comercial més. És una professió sanitària que es fonamenta en la confiança, el rigor científic i el respecte al pacient. No obstant això, vivim un temps en què els missatges publicitaris, especialment en l’entorn digital, poden desdibuixar aquesta frontera essencial entre informació sanitària veraç i estratègies de captació agressives, si no clarament enganyoses. Davant d’aquest escenari, el paper dels col·legis professionals com a garants deontològics té una rellevància renovada.
La constitució de la nostra Comissió Deontològica respon a la convicció que hem d’acompanyar els professionals en la presa de decisions complexes, i els hem d’oferir criteris clars, actualitzats i coherents amb la realitat del sector. L’ètica professional no és una cotilla normativa, sinó una eina viva que orienta, protegeix i dignifica la nostra pràctica clínica.
Si hi ha un àmbit on l’ètica es posa a prova de manera quotidiana, és, sens dubte, la publicitat sanitària. La temptació de prometre resultats
immediats, preus irreals o solucions miraculoses pot generar una carrera cap al descrèdit col·lectiu. Davant d’això, cal reivindicar una publicitat honesta, prudent i basada en l’evidència científica, que informi sense induir a error i que respecti l’autonomia del pacient.
Des de fa anys, el COEC manté una tasca constant de vigilància i defensa del compliment de la normativa vigent en matèria de publicitat sanitària, actuant sempre en protecció de la professió i dels drets dels pacients. Aquesta tasca, en ocasions reiterades, ha estat avalada pels tribunals, com demostren diverses resolucions judicials que han reconegut la il·licitud de determinades campanyes publicitàries i la plena legitimitat del COEC per intervenir en defensa de l’interès general.
Aquesta actuació no respon a una voluntat sancionadora, sinó a una responsabilitat institucional irrenunciable. Regular i supervisar la publicitat sanitària és una obligació inherent a la nostra funció col·legial, orientada a garantir que la informació que rep la ciutadania sigui transparent, entenedora i respectuosa. En paral·lel, és imprescindible intensificar la lluita contra l’intrusisme professional, una pràctica que no només degrada la professió, sinó que posa en risc directe la seguretat i la qualitat assistencial dels pacients.
L’ètica professional, en aquest sentit, actua com a fil conductor entre la regulació publicitària, la protecció de les dades personals, l’ús responsable de la imatge del pacient i la diligència necessària reforçada que s’exigeix als que exercim una professió sanitària.
No tot s’hi val en comunicació, i encara menys quan parlem de salut. La confiança social que es diposita als odontòlegs es construeix dia a dia, també a través de missatges responsables i ajustats a la realitat clínica.
Des del COEC assumim aquest compromís amb responsabilitat i vocació de servei. Constituir i enfortir la nostra Comissió Deontològica és, en definitiva, una aposta per una odontologia més rigorosa, més humana i més digna.

Més de 46.000 revistes electròniques de diferents especialitats
Un total de 560 revistes electròniques d’Odontologia
Periodontology 2000 Journal Of Clinical Periodontology
Journal Of Dental Research
Dental Materials
International Endodontic Journal
Clinical Oral Implants Research
Journal Of Periodontology
Journal Of Dentistry
Clinical Implant Dentistry And Related Research
I molts més títols al teu abast.
Consulta
tots els títols disponibles Dona-t’hi d'alta gratuïtament*
La seu del Col·legi Oficial d’Odontòlegs i Estomatòlegs de Catalunya (COEC) va acollir el 12 de febrer la celebració de Santa Apol·lònia, patrona dels dentistes, amb un acte institucional adreçat a tots els col·legiats. La trobada va esdevenir un espai de retrobament i desconnexió.

En arribar, els assistents van poder gaudir d’una proposta experiencial a l’anomenat Espai de les Esferes del Temps, on s’oferien diferents estratificacions que esclataven a la boca i permetien degustar el que contenien. A més, abans de començar l’acte, es va dur a terme una dinamització interactiva en què els col·legiats es van poder fer fotografies i pujar-les a una aplicació, des d’on es projectaven en directe a la pantalla de l’auditori.

La benvinguda institucional va ser a càrrec de la presidenta del COEC, la Dra. Maria José Guerrero Torres, que va adreçar unes paraules a totes les persones assistents.
En la intervenció, va fer una breu pinzellada de les principals línies de treball de la nova Junta de Govern: va posar l’accent en la voluntat de mantenir un col·legi proper als professionals, defensar la professió, impulsar la formació continuada, defensar la professió odontològica i vetllar per l’ètica professional.

Tot seguit, va tenir lloc la conferència a càrrec d’Elsa Punset, una de les principals referències en l’àmbit de parla hispana per aplicar la intel·ligència emocional com a eina per al canvi positiu. L’escriptora i divulgadora va pronunciar una conferència al voltant de la gestió de les emocions en un entorn de canvi constant, i va proporcionar eines per enfortir les capacitats des de l’optimisme intel·ligent, per tal de millorar el benestar.

A la mitja part de l’esdeveniment, es va poder gaudir d’un espai audiovisual amb diverses entrevistes al públic, conduïdes per Alex Flores, que també va exercir de conductora de la vetllada. En aquest mateix espai, es va compartir un avançament de la nova temporada de TV Dents, la televisió en línia especialitzada en salut bucodental impulsada pel COEC.
La segona part de la celebració va començar amb el monòleg de l’actor i humorista David Fernández, que va posar el punt d’humor a la nit amb una actuació pensada com un tractament de xoc contra l’apatia i el malestar.





Recupera el discurs de benvinguda a l’acte de la presidenta del COEC.
Una delegació del Col·legi Oficial d’Odontòlegs i Estomatòlegs de Catalunya (COEC), encapçalada per la seva presidenta, la Dra. Maria José Guerrero, ha mantingut recentment una reunió amb el director general de Professionals de la Salut, el Dr. Jordi Vilana, amb l’objectiu de continuar impulsant el reconeixement oficial de les especialitats odontològiques.
A la trobada hi van participar també el vicepresident del COEC, el Dr. José Nart —qui alhora representa les societats científiques odontològiques d’Espanya—, i el vocal del Col·legi, el Dr. Toni Caro. En representació de la Conferència de Degans/es i Directors Acadèmics de les Facultats d’Odontologia d’Espanya (CRADO), hi va assistir el Dr. Carles Subirà, en substitució del seu president.
Aquesta reunió s’emmarca en la voluntat del COEC de treballar coordinadament amb les institucions, l’àmbit acadèmic i les societats científiques per avançar cap al reconeixement de les especialitats odontològiques, amb l’objectiu final de contribuir a una millor salut bucodental per al conjunt de la ciutadania.
En paral·lel, el Dr. José Nart va assistir a la reunió de la Comissió d’Especialitats de l’Organització Col·legial de Dentistes d’Espanya, convocada pel Consejo General de Dentistas de España. La sessió, presidida pel seu president, el Dr. Óscar Castro Reino, va permetre formalitzar la presentació davant el Ministerio de Sanidad de les memòries elaborades per sis societats científiques, en el marc del que estableix el Reial decret 589/2022, que regula la creació de nous títols d’especialista en Ciències de la Salut.
Aquest tràmit representa un avanç dins del procediment administratiu, que actualment es troba en una fase inicial de valoració.
Des del COEC es vol recordar que, a dia d’avui, no existeix cap especialitat odontològica oficialment creada, ni cap norma aprovada que reguli les condicions d’accés, reconeixement o exercici professional vinculades a aquestes possibles especialitats.
En cas que el Ministeri emetés un pronunciament favorable, s’obriria posteriorment una fase normativa més extensa, que inclouria l’elaboració del corresponent Reial decret, els tràmits d’audiència pública, els informes preceptius i la definició dels programes formatius. Es tracta, per tant, d’un procés que requeriria temps i desenvolupament reglamentari abans de tenir cap aplicació efectiva.

En conseqüència, no hi ha cap canvi en l’exercici professional actual. Els odontòlegs i estomatòlegs col·legiats poden continuar desenvolupant la seva activitat amb plena normalitat, sense cap modificació en les seves competències ni en les condicions d’exercici.
La participació activa del COEC en aquestes reunions garanteix la presència directa del Col·legi en un procés que podria tenir impacte futur en l’organització de la professió. La institució manté una actitud constructiva i de diàleg, amb la voluntat de defensar els interessos dels professionals i assegurar que qualsevol eventual desenvolupament normatiu tingui en compte la realitat del sector.
Cal recordar que, en processos similars dins l’àmbit sanitari, és habitual que s’estableixin mecanismes transitoris i vies de reconeixement de l’experiència professional i de la formació prèvia, evitant plantejaments de caràcter retroactiu. Tanmateix, aquestes qüestions encara no estan definides i dependran del contingut de les eventuals normes que, si escau, pugui aprovar l’Administració.
Des del COEC es continuarà fent un seguiment constant de l’evolució del procediment i s’informarà puntualment els col·legiats i col·legiades de qualsevol novetat rellevant, amb criteris de transparència, prudència i responsabilitat institucional.

La resistència als antibiòtics constitueix, avui, una de les principals amenaces per a la salut pública global. En aquest context, el nou Pla nacional enfront de la resistència als antibiòtics 2025-2027 (PRAN), impulsat per l’Agència Espanyola de Medicaments i Productes Sanitaris (AEMPS), redefineix el marc d’actuació estatal amb una estratègia transversal i ambiciosa que també afecta de ple l’exercici odontològic. El document, actualment en fase de treball, consolida l’enfocament «una sola salut» (one health) i reforça la corresponsabilitat de tots els professionals sanitaris en l’ús prudent dels antimicrobians.
L’odontologia, com a disciplina mèdica amb capacitat prescriptora, té un paper rellevant en el consum global d’antibiòtics en l’àmbit ambulatori. Les infeccions odontogèniques, la profilaxi en determinats procediments invasius i la gestió de complicacions postoperatòries exigeixen criteri clínic i adequació terapèutica. En aquest sentit, el PRAN 2025-2027 posa l’accent en la necessitat d’optimitzar la prescripció mitjançant guies actualitzades, formació continuada i sistemes de vigilància que permetin monitorar patrons de consum i resistències emergents.
El Pla s’estructura en sis línies estratègiques: vigilància, control, prevenció, investigació, formació i comunicació. En l’àmbit de la vigilància, es proposa reforçar els sistemes d’informació sobre consum d’antibiòtics en tots els nivells assistencials, inclosa l’atenció primària i l’activitat privada. Aquest punt resulta especialment rellevant per al col·lectiu odontològic, atès que una part significativa de la pràctica clínica
es desenvolupa fora de l’entorn hospitalari. La disponibilitat de dades robustes permetrà identificar desviacions, promoure bones pràctiques i harmonitzar protocols.
Pel que fa al control de la resistència, el document insisteix en la consolidació dels programes d’optimització d’ús d’antibiòtics (PROA) i en l’extensió d’aquests programes a àmbits no hospitalaris. Per a les consultes dentals, això es tradueix en la necessitat d’integrar criteris basats en l’evidència, limitar l’ús d’antibiòtics en patologies d’origen inflamatori sense component infecciós i prioritzar, sempre que sigui possible, el tractament local i causal de la infecció.
La prevenció constitueix un altre eix fonamental. La reducció de la incidència d’infeccions mitjançant una higiene oral correcta, protocols estrictes d’asèpsia i una adequada educació sanitària del pacient contribueix indirectament a disminuir la necessitat de prescripció antibiòtica. En aquest sentit, l’odontologia no només actua com a disciplina terapèutica, sinó també com a agent clau de promoció de la salut.
El PRAN també reforça la dimensió investigadora i formativa. La generació de coneixement sobre resistències en patògens orals, així com la participació en estudis multicèntrics, esdevé una oportunitat perquè el sector odontològic contribueixi activament a l’estratègia nacional. Paral·lelament, la formació continuada en farmacologia antimicrobiana i en criteris de prescripció racional s’erigeix en un deure deontològic.
Per al Col·legi Oficial d’Odontòlegs i Estomatòlegs de Catalunya (COEC), aquest nou marc estratègic representa una crida a reforçar el compromís institucional amb l’ús responsable dels antibiòtics. La resistència als antimicrobians no és una qüestió aliena a la pràctica dental, sinó que, al contrari, interpel·la directament la responsabilitat clínica i ètica dels professionals
Més informació a l’informe:
Plan nacional frente a la resistencia a los antibióticos 2025-2027




Notícies:


Amb enllaç al canal de notícies del web del COEC. Calendari d’esdeveniments: Curs acadèmic, extraacadèmic, cursos privats externs, actes institucionals i celebracions diverses del COEC.

Avisos de temes d’especial rellevància que el COEC vulgui comunicar a la col·legiació o informacions instantànies.

Carnet: Nom, cognom i nombre de col·legiat, i la foto que tingueu penjada a l’espai personal.


Receptes: Us permetrà generar receptes digitals, que després podreu descarregar i haureu d’imprimir per signar manualment.
Accés a l’espai personal: Amb enllaç a la resta del vostre perfil personal d’Unitia (la intranet col·legial).
El Col·legi Oficial d’Odontòlegs i Estomatòlegs de Catalunya (COEC) s’adhereix a la campanya «Tolerància zero a la violència contra els professionals sanitaris», impulsada pel Departament de Salut de la Generalitat de Catalunya amb l’objectiu de conscienciar la ciutadania sobre la importància de respectar els professionals sanitaris en l’exercici de la seva tasca. Aquesta acció recorda que qualsevol forma de violència, sigui física, verbal o digital, és absolutament inadmissible i posa en risc tant la seguretat dels professionals com la qualitat de l’atenció sanitària que rep la població. Aixecar la veu, intimidar, insultar, amenaçar —també a través de les xarxes socials— o causar danys materials dins o fora dels centres sanitaris són conductes que formen part d’aquestes situacions de violència.
La campanya està liderada per l’Observatori per a Situacions de Violència en l’Àmbit Sanitari de Catalunya (OSVASC). És una iniciativa impulsada per la Direcció General de Professionals de la Salut, conjuntament amb el CatSalut i l’Institut Català de la Salut, i hi participen organitzacions sindicals, patronals, col·legis professionals, entitats proveïdores, organitzacions ciutadanes i societats científiques del sistema sanitari català.
En aquest marc, la presidenta del COEC, la Dra. Maria José Guerrero, ha estat present en el Comitè Consultiu de l’OSVASC, del qual ha sorgit aquesta campanya. Es reafirma, així, el compromís del Col·legi amb la defensa dels professionals de la salut bucodental i amb la promoció d’entorns assistencials segurs, respectuosos i lliures de violència.
Un problema creixent en el sistema sanitari
Segons dades del Departament de Salut, durant l’any 2024 es van registrar més de 2.000 situacions de violència contra professionals del sistema sanitari català. La majoria d’aquests episodis es van produir en l’àmbit de l’atenció primària i extrahospitalària, i principalment es va tractar de situacions de violència no física, com insults, amenaces o intimidacions.
Per fer front a aquesta realitat, l’OSVASC coordina i promou diverses accions de prevenció i gestió de la violència, entre les quals destaca el Registre de casos de violència als professionals de la salut, que ha de permetre disposar d’un coneixement més precís del fenomen i avançar cap a mesures de protecció més eficaces.

Compromís amb la tolerància zero
El COEC dona ple suport a aquesta campanya i se suma a l’objectiu compartit d’erradicar qualsevol percepció d’impunitat davant la violència contra els professionals sanitaris. El respecte als odontòlegs, estomatòlegs i tot el personal dels centres sanitaris és imprescindible per garantir una atenció de qualitat i preservar la confiança entre professionals i ciutadania.
Tota la informació sobre la campanya

El Col·legi Oficial d’Odontòlegs i Estomatòlegs de Catalunya (COEC) va celebrar el dimecres 3 de desembre passat, amb una resposta excepcional, la sessió informativa «Verifactu. No és només facturar: és saber quan, com i per què», a càrrec de Carlos Oya, advocat especialitzat en dret mercantil i assessor d’empreses amb una àmplia trajectòria en l’àmbit fiscal, laboral i legal de les clíniques dentals. Un total de 651 persones col·legiades es van inscriure a la xerrada, un èxit que confirma que el COEC dona resposta a les necessitats reals del col·lectiu i d’oferir formació continuada i accessible.
La sessió va abordar de manera exhaustiva la facturació en les clíniques dentals. El contingut es va centrar en aspectes clau com ara els tipus de factures i els errors més habituals, els criteris sobre quan emetre una factura, i la regulació dels pagaments en efectiu i el límit dels 1.000 euros. Igualment, es va tractar la implantació del sistema Verifactu, un requisit normatiu que afecta directament a la gestió administrativa de les clíniques dentals, que entrarà en vigor el 2027.
La gran participació demostra la importància d’aquest tema per a les clíniques i reafirma el compromís del COEC de mantenir una oferta formativa actual, rigorosa i alineada amb les necessitats del sector.
Per als col·legiats que no van poder assistir a la sessió o per aquells que van assistir-hi i volen repassar-ne els continguts, la trobaran disponible al Campus Virtual. A més, el COEC també va publicar unes preguntes freqüents o FAQ específiques sobre el tema tractat.
El dimarts 3 de març vinent, el Col·legi durà a terme una nova sessió en línia sobre fiscalitat a les clíniques dentals, també amb Carlos Oya. Les inscripcions ja estan obertes.

Des que es va crear, la revista Som COEC s’ha consolidat com un canal de referència per als col·legiats i col·legiades. A través de continguts vinculats a l’actualitat del sector i la pràctica professional, la revista s’ha convertit en una eina clau per informar, divulgar i acompanyar en l’exercici odontològic, que aposta per una comunicació digital i propera.
En aquest article, fem un repàs de l’abast i la repercussió que han tingut les darreres quatre edicions en els principals canals de difusió, amb l’objectiu de compartir una visió clara de l’interès que generen els continguts d’aquesta publicació trimestral.
Acollida positiva i consolidació digital
Els últims números han demostrat una acollida molt positiva entre els lectors. En el cas de l’edició 200, va marcar un punt de partida destacat, gràcies al canvi d’imatge i al disseny renovat, que li va aportar un aire fresc i atractiu, i va assolir un total de 2.499 visualitzacions.
Les edicions posteriors han confirmat aquesta tendència, amb un creixement progressiu: l’edició 201 va registrar 2.387 obertures, mentre que la 202 va augmentar a 2.515 i la 203 va arribar a 2.611. Són unes dades que reflecteixen un interès sostingut i una resposta especialment positiva quan s’uneixen informació pràctica i novetats professionals.
La combinació de formats a través dels quals es distribueix la revista permet arribar a un ventall més ampli d’usuaris, ja que s’adapta a diferents preferències de consum i hàbits de lectura. Així mateix, els darrers números evidencien la fidelitat dels subscriptors i l’eficàcia de la difusió digital, que la consolida com una revista que connecta amb els professionals en el seu dia a dia.
Interès creixent i connexió amb els lectors
Les dades ens confirmen que Som COEC continua sent una publicació de referència per als col·legiats i col·legiades, amb un abast creixent i un públic fidel que valora els continguts exclusius, la qualitat informativa i la utilitat pràctica de la revista. Tant les novetats com el disseny renovat han captat especialment l’atenció i reforçat la relació amb els lectors.
El seguiment de les visualitzacions i obertures de les últimes edicions ens ofereix una informació clau per continuar millorant la revista, per orientar-la a les necessitats del Col·legi i garantir que continuï sent una eina actual i atractiva. La trajectòria de creixement i consolidació digital demostra que som en el camí correcte: oferir continguts rellevants i accessibles que connectin amb els col·legiats.

Us recordem que les clíniques dentals, com a centres productors de residus sanitaris, han de presentar anualment, dins del primer trimestre de l’any, la Declaració anual de producció i gestió de residus sanitaris i biosanitaris, de notificació obligada a l’Agència de Salut Pública de Catalunya (ASPCAT). En aquesta declaració hi ha de constar el volum de residus de risc o específics (grup III) generats pel centre durant l’any anterior, d’acord amb les recollides que hagi efectuat l’empresa autoritzada que tingueu contractada per prestar-vos aquest servei.
Són residus del grup III, per exemple, les dents exodonciades (residus anatòmics), les agulles i el material punxant i tallant, així com els residus derivats de l’activitat assistencial que puguin contenir residus infecciosos (per exemple, després de tractar un pacient amb infecció de covid-19).
Actualment, aquest tràmit només es pot fer en línia i s’ha de disposar d’un certificat digital. Podeu accedir al tràmit, al web de la Generalitat de Catalunya.
A més, us facilitem un videotutorial sobre com fer les tramitacions electròniques, pas a pas, al web de la Generalitat de Catalunya (no específic d’aquest tràmit).
Trobareu tota la informació sobre els residus sanitaris a l’apartat corresponent del web del Col·legi Oficial d’Odontòlegs i Estomatòlegs de Catalunya (COEC).


El Col·legi Oficial d’Odontòlegs i Estomatòlegs de Catalunya (COEC) es va convertir el dimecres 10 de desembre passat en un espai de reflexió sobre cap a on es dirigeix la professió. El col·loqui «La clínica dental el 2026: oportunitats i reptes», retransmès simultàniament a les seus provincials, va reunir quatre veus expertes que, des d’àmbits diversos, van dibuixar un escenari en transformació marcat per la innovació tecnològica, l’eficiència en la gestió, l’evolució de la demanda i la necessitat de reforçar el paper de la clínica com a agent de salut.
La Dra. Maria José Guerrero, presidenta del COEC, va obrir la sessió destacant la rellevància de generar espais en què la professió pugui compartir inquietuds, anticipar canvis, i mantenir-se alineada amb els temes que més afecten el dia a dia de les clíniques.


Després de la benvinguda, el Dr. José Nart, vicepresident del COEC, va presentar els ponents i va situar els participants davant un panorama en què la innovació i la mirada estratègica seran determinants.
Així, el consultor i investigador Roberto Rosso va aportar una visió basada en dades sobre l’evolució de la demanda odontològica a Espanya. Segons va explicar, els perfils de pacients i les expectatives que tenen estan canviant, i les clíniques hauran d’adaptar-se a un entorn on la personalització, la conveniència i la percepció de valor tindran un pes creixent.
La transformació digital va ser un dels eixos centrals de la jornada. La Dra. Laura San Martín, doctora en Odontologia, emprenedora i docent universitària, va exposar com la incorporació de la intel·ligència artificial (IA) i de tecnologies digitals avançades ja no és una opció, sinó una exigència. Va descriure un futur immediat en què la IA contribuirà al diagnòstic predictiu, a la gestió intel·ligent de processos, i a una experiència de pacient més fluida i personalitzada.
En la mateixa línia de canvi, però des d’una perspectiva de gestió, el Dr. Pedro de Ahumada Servant va situar l’eficiència com a pilar imprescindible per a les clíniques del futur. Basant-se en la seva experiència investigadora i docent, va remarcar el potencial de l’analítica de dades i de l’organització intel·ligent de recursos per millorar tant els resultats clínics com la sostenibilitat dels centres.
El punt de vista sobre els valors i la comunicació va arribar amb Javier García, director executiu de la Sociedad Española de Periodóncia y Osteointegración (SEPA), que va reivindicar el paper de la clínica dental com un veritable proveïdor de salut. García va alertar que el sector no afronta només reptes tecnològics o de gestió, sinó també de relat i percepció social.
La taula rodona final, moderada pel Dr. Nart i la Dra. Neus Carrió, vocal del COEC, va servir per aterrar les idees exposades i obrir un diàleg amb els assistents, que van plantejar preguntes sobre els diferents temes tractats.
La jornada va cloure amb la sensació compartida que el futur de les clíniques dentals es construirà des del coneixement, la col·laboració i la capacitat d’anticipació. Amb iniciatives com aquesta, el COEC reafirma la voluntat d’acompanyar el col·lectiu en un camí que combina innovació, adaptació i compromís amb la salut de la població.




Disponibles al Campus Virtual:
- Tips en format vídeo dels quatre ponents sobre els reptes i oportunitats per a la clínica dental en el 2026.
- El col·loqui «La clínica dental el 2026: oportunitats i reptes».



QUÈ HAN DE SABER AVUI
ODONTÒLEGS I CLÍNIQUES DENTALS?
A finals de novembre es va parlar molt del sistema Verifactu i de l’impacte que té sobre la facturació dels professionals i les empreses. Finalment, el Govern a principis del mes de desembre de 2025 va confirmar que n’ajornava l’entrada en vigor fins a l’any 2027 :

Peraferrer
Economista sòcia dels
Serveis Integrals M. Crous Economistes
• Gener de 2027, per a les societats mercantils.
• Juliol de 2027, per a les persones físiques i autònoms.
Aquesta notícia ha estat rebuda amb alleujament per moltes clíniques dentals i professionals sanitaris, però convé deixar molt clar un aspecte essencial: l’ajornament del Verifactu no implica cap relaxació en el control tributari. Ben al contrari.
EL MISSATGE D’HISENDA ÉS CLAR: MÉS CONTROL, MÉS DADES I MÉS
INSPECCIONS
Tot i el retard del nou sistema de facturació, l’Agència Tributària ja ha
intensificat de manera significativa els mecanismes de control dels ingressos reals d’autònoms i empreses, incloses les clíniques dentals.
En concret, des del gener de 2026 Hisenda ha eliminat el límit mínim a partir del qual els bancs havien d’informar dels cobraments amb targeta. Això implica que:
• De tots els cobraments amb targeta (crèdit, dèbit, diners electrònics, TPV virtuals, etc.), se n’informa Hisenda, independentment de l’import
• També se la informa dels cobraments mitjançant Bizum quan el receptor és un autònom o una empresa.
• La informació deixa de ser anual i passa a ser mensual, cosa que permet un seguiment molt més immediat dels ingressos.
Aquesta mesura té com a objectiu declarat contrastar que les vendes i els ingressos reals coincideixin amb els imports declarats a l’IRPF o a l’impost sobre societats.

El sector dental presenta algunes característiques que el fan especialment visible en aquest nou escenari de control:
• Alt volum de cobraments amb targeta, sovint per imports elevats (tractaments, implants, ortodòncies).
• Pagaments fraccionats o combinació de diferents mitjans de cobrament.Diferències habituals entre l’agenda clínica, la facturació interna i les declaracions fiscals, si no hi ha sistemes ben integrats.
A partir d’ara, Hisenda disposa de la fotografia mensual real dels cobraments, independentment de com s’hagin registrat comptablement o declarat fiscalment.
VERIFACTU
MÉS TARD, PERÒ EL «MODEL VERIFACTU» JA S’APLICA
Tot i que l’obligació formal d’utilitzar sistemes de facturació certificats s’ha ajornat, la filosofia del Verifactu ja està plenament operativa:
• Traçabilitat dels ingressos.
• Eliminació de zones opaques en la facturació.
• Capacitat de creuar dades bancàries, fiscals i comptables quasi en temps real.
A això, s’hi suma un increment notable de les actuacions de comprovació limitada i de les inspeccions, especialment en activitats amb cobrament directe al consumidor final.
(SENSE ESPERAR AL 2027)?
Des d’un punt de vista fiscal i de gestió responsable, per a odontòlegs i clíniques dentals no és prudent adoptar una actitud d’espera. Les recomanacions clau són:
1. Revisar la coherència entre cobraments bancaris (targetes i Bizum), facturació i declaracions fiscals.
2. Assegurar que tots els ingressos estan registrats i justificats degudament.
3. Millorar els circuits interns entre gestió clínica, facturació i comptabilitat.
4. Analitzar si el programari de facturació actual està preparat per a les exigències que arribaran amb el Verifactu.
5. Adoptar una visió preventiva: avui, el cost d’anticipar-se és molt inferior al d’una regularització futura.
CONCLUSIÓ: TRANQUIL·LITAT AMB EL CALENDARI, RIGOR AMB LA FISCALITAT
És cert que el Verifactu no serà obligatori fins al 2027, però també ho és que Hisenda ja disposa de molta més informació que abans i que la utilitza activament.
Per a les clíniques dentals i els professionals de l’odontologia, el missatge és inequívoc: no es tracta només de complir quan arribi el VeriFactu, sinó de tenir avui una facturació ordenada, coherent i defensable davant qualsevol revisió tributària.
La millor estratègia, com sempre, és anticipar-se amb criteri professional i seguretat fiscal.
La recepta mèdica és un document clau que proporciona seguretat al pacient, i permet un ús racional i control sanitari dels medicaments.
La Llei 29/2006, de 26 de juliol, de garanties i ús racional dels medicaments i productes sanitaris, és la norma bàsica a Espanya que regula la dispensació de medicaments amb recepta, la validesa de la recepta en tot el territori espanyol i les dades mínimes que ha de contenir la recepta, entre d’altres. El Reial decret 1718/2010, de 17 de desembre, sobre recepta mèdica i ordres de dispensació, desplega la Llei anterior respecte a la recepta mèdica i les ordres de dispensació.
A Catalunya, el Decret 159/2007, de 24 de juliol, pel qual es regula la recepta electrònica i la tramitació telemàtica de la prestació farmacèutica a càrrec del Servei Català de la Salut, regula la recepta electrònica i la tramitació telemàtica de la prestació farmacèutica dins del Servei Català de la Salut.
El marc normatiu anterior determina que, perquè la recepta sigui vàlida, ha de contenir, com a mínim, les dades següents: 1) les dades necessàries per garantir la identificació correcta i inequívoca del pacient; 2) les dades d’identificació del prescriptor, juntament amb el número de col·legiat o identificació professional, el centre sanitari (si escau) i la signatura manuscrita o electrònica; 3) les dades del medicament: denominació del principi o principis actius, denominació del medicament, dosificació i forma farmacèutica, via o forma d’administració, format, nombre d’envasos o d’unitats, i posologia; i 4) altres dades: data de prescripció, data prevista de dispensació i número d’ordre.
Per què la recepta és un document mèdic personal i intransferible? La recepta s’emet després d’un acte mèdic individualitzat amb un pacient concret,

per la qual cosa la prescripció del medicament pot ser inadequada o perillosa per a una altra persona —fins i tot, amb símptomes similars. Per això, està prohibit que la utilitzi un tercer.
El fet que la recepta sigui personal i intransferible també permet controlar l’accés als medicaments subjectes a prescripció, ja que evita l’ús indegut de medicaments o l’automedicació. D’aquesta manera, es garanteix un dels principis bàsics que estableix la llei: l’ús racional del medicament.
La legislació espanyola estableix el principi de validesa estatal de la recepta mèdica. Per això, les receptes mèdiques són vàlides en tot el territori nacional, independentment de la comunitat autònoma on s’hagi emès i tant si són en paper com electròniques. La finalitat és garantir la lliure circulació del pacient i la igualtat en l’accés a la prestació farmacèutica dins del Sistema Nacional de Salut.
Us recordem que, per evitar la falsificació i l’ús indegut de receptes, els models de recepta que han d’utilitzar els dentistes són els que el COEC posa a la disposició vostra des de l’Espai Personal, siguin en paper o en format electrònic i us recomanem fer ús de la plataforma gratuïta de recepta electrònica REMPe
Consulta la guia d’activació REMPe per a col·legiats COEC

Jordi Vives Folch
Advocat soci ENTIA Assessors Legals i Tributaris
Durant la pràctica odontològica els professionals fan nombrosos diagnòstics als pacients que tenen com a finalitat un estudi i una personalització adequats del cas concret per dur a terme el millor tractament. Aquests diagnòstics, que poden ser des de radiografies fins a tota classe de proves complementàries, són documentació que s’inclou en la història clínica del pacient. És una pràctica habitual que es facin aquests diagnòstics sense cost, però com s’ha d’actuar quan un pacient sol·licita que
se li lliurin les proves? Se li han d’entregar de manera gratuïta, ja que formen part de la història clínica? O, com que hi ha hagut una despesa en fer la prova, se’ls pot repercutir aquesta despesa?
El marc legal el trobem en la Llei 21/2000, de 29 de desembre, sobre els drets d’informació concernent la salut i l’autonomia del pacient, i la documentació clínica; concretament, en els articles 13 i 14, que regulen els drets d’accés a la història clínica i els drets en relació amb el contingut de
la història clínica. Anteriorment, la llei permetia repercutir al pacient el cost de l’expedició de les còpies de la història clínica —el cost del paper, del CD o de l’enviament, entre d’altres. Ara bé, actualment, l’entrada en vigor del Reglament del Parlament Europeu i del Consell de 27 d’abril de 2016 relatiu a la protecció de les persones físiques pel que fa al tractament de dades personals i a la lliure circulació d’aquestes dades (RGPD), i el desplegament posterior en la

Llei orgànica 3/2018, de 5 de desembre, de protecció de dades personals i garantia dels drets digitals (LOPDGDD), han establert un principi general de gratuïtat per a l’exercici del dret d’accés, que inclou l’obtenció de còpies.
Aquest principi el regula l’article 12.5 de l’RGPD: determina que l’exercici del dret d’accés i obtenció de la còpia de la història clínica és gratuït. Tanmateix, estableix una excepció: quan les sol·licituds d’accés i l’obtenció siguin manifestament infundades o excessives —especialment pel caràcter repetitiu—, la clínica dental o el professional que treballa de manera individual pot cobrar un cànon raonable, en funció dels costos administratius de facilitar la informació o comunicació o de fer l’actuació sol·licitada, o bé pot negar-se a actuar respecte a la sol·licitud.
Per tant, hi ha l’obligació legal de lliurar les còpies de la història clínica gratuïtament, incloent-hi les proves diagnòstiques, encara que siguin proves
internes per a la clínica o el professional. No es permet cobrar per la consulta o pel mer exercici del dret d’accés o pel cost de l’expedició de les còpies de la història clínica. Només es pot repercutir al pacient un cànon raonable si la seva sol·licitud és manifestament infundada o excessiva.
Per aquest motiu, quan la prova diagnòstica s’ha fet de manera gratuïta, posteriorment no es pot demanar al pacient que la pagui quan en demana una còpia. Només hi ha dues maneres d’evitar aquesta situació: o bé es cobra la prova diagnòstica quan es fa, o bé s’especifica en el pressupost que, en cas de no contractar el tractament pressupostat o d’abandonar el tractament, el pacient haurà de pagar el cost de la prova en aquell moment (reiterem, però, que el que no es pot cobrar és el cost d’expedició de la còpia de la prova diagnòstica, segons la normativa de protecció de dades).

Jordi Vives Folch
Advocat soci ENTIA Assessors Legals i Tributaris
Aquest número és indicatiu del risc del producte Així, 1/6 és indicatiu de menys risc i 6/6 és indicatiu de més risc
Compte Sabadell Negocis Plus PRO Pensat perquè autònoms, comerços i petites empreses es facin grans
Indicador de risc aplicable a la gamma de comptes Sabadell PRO Banco de Sabadell, S A es troba adherit al Fons Espanyol de Garantia de Dipòsits d’Entitats de Crèdit La quantitat màxima garantida actualment pel fons esmentat és de 100 000 euros per dipositant
A Sabadell Professional treballem en PRO dels PROfessionals del Col·legi d'Odontòlegs i Estomatòlegs de Catalunya Innovem constantment la nostra ofer ta de productes i ser veis per ajudar-te a aconseguir els teus objectius, protegir els teus interessos, propulsar iniciatives i proposar solucions financeres úniques, a les quals només poden accedir PROfessionals com tu Solucions com aquesta:
Si vols conèixer tots els avantatges que t’ofereix el Compte Sabadell Negocis Plus PRO, contacta amb nosaltres i identifica’t com a membre del teu col·lectiu i un gestor especialitzat t’explicarà detalladament els avantatges que tenim per a PROfessionals com tu.
T’esperem.
La competència entre clíniques dentals ha provocat una proliferació d’estratègies comercials que són habituals en altres sectors, fora de l’àmbit sanitari: descomptes agressius, ofertes temporals o limitades a un nombre de pacients, paquets promocionals que inclouen diversos serveis, o preus «ganxo» destinats a captar pacients. Si bé és habitual que els sectors mercantils utilitzin campanyes de descomptes agressius en dates com el Black Friday o les rebaixes per eliminar o renovar estoc, el sector odontològic ha aprofitat aquesta inèrcia comercial per traslladar al camp de la salut patrons de consum que no li són propis.
A diferència dels sectors purament mercantils, que comercialitzen béns, l’odontologia ofereix prestacions sanitàries que exigeixen d’un diagnòstic previ fet per un professional, i això no encaixa dins de les «compres compulsives» que busquen les campanyes promocionals com ara el Black Friday, el Cyber Monday o el període de rebaixes. Així i tot, com hem pogut comprovar en la darrera campanya del Black Friday, el sector odontològic ha implementat aquest tipus de promocions agressives, que, més enllà d’un debat ètic, poden arribar a infringir la normativa sobre publicitat aplicable al sector.
Com a exemple, a continuació reproduïm alguns lemes reals utilitzats per clíniques o xarxes de clíniques durant el darrer Black Friday:
• «Oferta limitada amb un estalvi de 1.000 € en ortodòncia invisible! Corre: les places són limitades!»
• «Descompte de 750 € en el tractament. Places limitades»
• «Obtén fins a 1.150 € de descompte en el tractament d’alineadors invisibles»
Aquests tipus de reclams poden infringir diferents normes, especialment en matèria de protecció als consumidors i de competència. Les afirmacions que fan aquestes promocions sobre un descompte o sobre la limitació temporal o numèrica de l’oferta han de ser veraces, comprovables, i no poden induir a error o a falses expectatives. En cas contrari, es poden enfrontar a una sanció admi-
nistrativa o poder ser declarades mitjançant els jutjats mercantils com a actes d’engany.
Hem comprovat que és habitual utilitzar aquest tipus de recurs en la publicitat de tractaments odontològics, en què s’afirma que la promoció està limitada a un nombre d’unitats o a un període concret, encara que la promoció continua publicada o exposada durant més temps del que s’indica, o bé es va renovant de manera continuada. Per tant, no són certes les afirmacions publicades.
D’entrada, a parer nostre, fer promocions limitades a un cert nombre d’unitats no és ètic en aquest sector, i la decisió de fer-se una prestació odontològica s’ha de prendre sota un criteri mèdic, no com una reacció a un estímul econòmic.
Tanmateix, per no infringir la normativa, l’afirmació sempre ha de ser verdadera, comprovable, i ha d’indicar d’una manera clara, transparent i accessible les condicions de la promoció.
En concret, si la promoció limita el nombre de pacients que se’n poden beneficiar s’ha de tenir en compte que no es poden fer promocions amb un nom-

bre de serveis manifestament insuficients en funció de la durada i previsió de possibles pacients. Així mateix, s’ha d’informar del sistema de prioritat per atendre les demandes de la promoció i s’ha de permetre comprovar objectivament que s’han seguit les referències fixades a la publicitat. Si la promoció està limitada temporalment, la clínica ha d’estar en condicions de poder aplicar la promoció en el període assenyalat.
Quant al descompte sobre el preu habitual del servei odontològic, també ha de ser real. No és possible simular un estalvi inexistent, apujant de manera fictícia el preu habitual per acabar aplicant un descompte amb el qual el preu final és el mateix que el preu real o habitual.
El preu normal o habitual al qual s’aplica un descompte ha de ser el que s’ha aplicat almenys durant un mes en els últims sis mesos. A més, la publicitat ha d’incloure de manera clara aquest preu normal o habitual, segons el que estableix l’article 211-11 del Codi de consum de Catalunya.
Aquest tipus de pràctica ja ha estat sancionada pel Ministeri de Consum, que va constatar que set empreses havien incrementat fictíciament el preu normal sobre el qual s’aplica el descompte en el marc de la campanya del Black Friday. Per això, els va imposar sancions que oscil·len entre els 20.000 i els 110.000 euros.
A la vegada, aquestes promocions
no tan sols s’han d’ajustar al Codi de consum, sinó també a la Llei 3/1991, de competència deslleial. En concret, podrien ser declarades com a acte d’engany, omissió enganyosa, venda a pèrdua o pràctica esquer.
El Codi de consum de Catalunya estableix un contingut mínim que han d’incloure totes les promocions destinades als consumidors, especialment quan incorporen incentius econòmics. En concret, cal informar de manera clara, llegible i accessible de:
• La data d’inici de la promoció.
• La durada exacta de la promoció.
• El preu normal o habitual del servei al qual s’aplica el descompte.
• El nombre real de pacients que es podran beneficiar de la promoció, i cal indicar el sistema de prioritat per atendre aquests pacients.
• Les condicions de la prestació.
• El responsable de la promoció: nom o raó social, adreça de l’establiment o establiments on s’aplicarà la promoció, i número de registre de l’autorització sanitària.
• Tota la informació ha de ser real i no es pot ometre informació de caràcter essencial o oferir informació que pot induir a error.
La manca d’alguna d’aquestes dades es pot considerar omissió d’informació
essencial perquè el pacient pugui adoptar una decisió, i és sancionable tant administrativament com judicialment per infracció de la Llei de competència deslleial.
Per tant, les clíniques dentals poden fer promocions —fins i tot, aprofitant campanyes comercials pròpies d’altres sectors— sempre que es respecti el marc normatiu aplicable, i el pacient adopti una decisió motivada per un criteri mèdic i no sota una pressió comercial. La salut bucodental no és un producte sotmès a l’estacionalitat comercial, sinó una ciència de la salut d’interès públic.
El preu normal o habitual al qual s’aplica un descompte ha de ser el que s’ha aplicat almenys durant un mes en els últims sis mesos.

Advocada ICAB núm. 44511

Eduardo Monedero
Advocat ICAB núm. 25907
El sector odontológico, como muchos otros ámbitos profesionales, se enfrenta a la compleja tarea de discernir con precisión la naturaleza de las relaciones contractuales que rigen la colaboración entre profesionales. Esta distinción, a menudo sutil, entre una relación mercantil y una laboral ha sido históricamente un punto de fricción, y en los últimos años ha cobrado especial relevancia la figura del «falso autónomo». Este fenómeno describe a profesionales que, pese a estar dados de alta en el Régimen Especial de Trabajadores Autónomos (RETA), operan bajo condiciones de dependencia y ajenidad propias de un trabajador por cuenta ajena, y representa una preocupación creciente por la precarización laboral y la distorsión de la competencia. En este contexto, la reciente publicación del Plan Estratégico de la Inspección de Trabajo y Seguridad Social (ITSS) para el periodo 2025-2027 emerge como un documento de vital importancia para las clínicas dentales, a pesar de no mencionar explícitamente al sector.
EL PLAN ESTRATÉGICO: «AFLORAR EMPLEO CON DERECHOS»
El nuevo Plan Estratégico de la ITSS se erige en una hoja de ruta ambiciosa, diseñada para modernizar y potenciar la acción inspectora en la lucha contra el fraude laboral. Aunque su articulado no se detiene en las particularidades del ámbito odontológico, sus objetivos y líneas de actuación tienen un impacto directo e ineludible sobre la gestión de personal en las clínicas.
De entre sus múltiples propósitos, destaca el objetivo 7, «Aflorar empleo con derechos», que se convierte en el

epicentro de la estrategia contra la irregularidad en la contratación. Dentro de este objetivo, la línea 7.2 se enfoca de manera específica en la problemática de los falsos autónomos. El plan los define como «aquella persona trabajadora que se presenta formalmente como autónoma […] y que, sin embargo, trabaja bajo las condiciones de una relación laboral, pero sin disfrutar de los derechos y protecciones propios de un trabajador asalariado». El documento califica esta situación como un fraude que no solo menoscaba los derechos de los trabajadores, sino que también «provoca […] distorsión […] en la competencia leal entre empresas». Para combatir esta práctica, la ITSS desplegará un conjunto de medidas robustas y coordinadas:
• Intensificación del intercambio de información con la Agencia Estatal de Administración Tributaria (AEAT) para facilitar la identificación del fraude.
• Potenciación de actuaciones inspectoras derivadas del cruce masivo de datos fiscales y de Seguridad Social.
• Formación especializada del personal inspector para la identificación de estas situaciones de abuso.
• Actividades informativas para sensibilizar a la población sobre el fraude que representa esta figura.
Un aspecto fundamental del nuevo plan es la decidida apuesta por la tecnología. El objetivo 13, «Avanzar en la modernización tecnológica del organismo», subraya la importancia de fomentar el uso de la tecnología al servicio de la Inspección. Se prevé crear «nuevas reglas algorítmicas para el control del fraude» y organizar «unidades de tratamiento masivo de datos».
Esto supone un cambio de paradigma: la Inspección transitará de un

a uno proactivo, fundamentado en el análisis de datos e inteligencia artificial. Esta capacidad tecnológica le confiere una herramienta sin precedentes para detectar irregularidades, lo que transforma el panorama de la vigilancia laboral.
La preocupación por los falsos autónomos en el sector sanitario no es nueva. La jurisprudencia ha abordado esta cuestión desde hace años y en numerosas ocasiones: ha establecido que la naturaleza de una relación no depende de cómo la denominen las partes, sino de la realidad de la prestación del servicio. Sentencias como la del Tribunal Superior de Justicia de Madrid de 9 de enero de 2019 (Clínicas Vitaldent) o la del Tribunal Superior de Justicia de Castilla y León de 9 de febrero de 2017 (Clínicas Vitaldent) han declarado la existencia de relación laboral en clínicas dentales, al constatar indicios de dependencia y ajenidad, tales como:
• La clínica fija los precios de los tratamientos y los cobra directamente a los pacientes.
• La clínica proporciona los medios materiales, el instrumental y el personal auxiliar.
• La agenda de los pacientes es organizada por la clínica.
• El profesional percibe una retribución basada en un porcentaje de la facturación, sin asumir el riesgo y ventura de la actividad.
Estos criterios ya estaban recogidos en documentos como el Criterio Técnico 79/2009 de la Inspección, que la orienta sobre cómo determinar el régimen de la Seguridad Social aplicable a los profesionales sanitarios. El nuevo plan estratégico no inventa un nuevo marco, sino que dota a la ITSS de herramientas mucho más potentes para aplicar el ya existente.
IMPLICACIONES PRÁCTICAS Y RECOMENDACIONES PARA LAS CLÍNICAS
Las implicaciones para las clínicas dentales son significativas. El riesgo de ser objeto de una inspección se incrementa, y estas auditorías no serán fruto del azar, sino el resultado de análisis de datos que habrán señalado posibles inconsistencias. La Inspección pondrá el foco en la realidad de la prestación de servicios, más allá de la forma jurídica que adopten los contratos.
Ante este escenario, resulta imperativo que las clínicas dentales revisen proactivamente sus relaciones contractuales con los profesionales, para asegurarse que la forma jurídica se corresponda fielmente con la realidad material de la prestación. La prevención y la regularización son esenciales para evitar riesgos legales y económicos, que
pueden derivar en actas de liquidación de cuotas a la Seguridad Social, sanciones y recargos.
El Plan Estratégico de la ITSS 20252027 sitúa la lucha contra los falsos autónomos en un lugar prioritario de su agenda. Aunque no se dirija específicamente al sector dental, las características de las relaciones profesionales en las clínicas lo convierten en un foco de atención potencial. La estrategia basada en el análisis de datos y la coordinación interadministrativa otorga a la Inspección una capacidad de detección de fraudes sin precedentes. Por tanto, regularizar las situaciones irregulares y adoptar medidas preventivas se tornan indispensables para garantizar la seguridad jurídica y el cumplimiento normativo en el sector odontológico.
La preocupación por los falsos autónomos en el sector sanitario no es nueva. La jurisprudencia ha abordado esta cuestión desde hace años y en numerosas ocasiones.

Jordi Oleart Soci d’Oleart Abogados
Comprendre les característiques dels graus d’incapacitat pot marcar la diferència entre una protecció adequada o una situació de vulnerabilitat econòmica davant d’un imprevist. A continuació, us ajudem a aclarir-ho tot plegat d’una manera entenedora.
INCAPACITAT TEMPORAL VS. INCAPACITAT PERMANENT
Incapacitat temporal
Comencem per aclarir una diferència bàsica: la incapacitat temporal es refereix a la situació en què una persona no pot exercir l’activitat laboral durant un període limitat de temps, però se’n preveu una recuperació completa o quasi completa. És la baixa laboral a causa de qualsevol malaltia o lesió que, amb el tractament adequat, permet la reincorporació a la feina.
Incapacitat permanent
La incapacitat permanent és el reconeixement oficial de la situació d’una persona que, malgrat haver seguit el tractament mèdic prescrit, presenta importants reduccions anatòmiques o funcionals que disminueixen o anul·len la seva capacitat laboral de manera definitiva o previsiblement definitiva.
TIPOLOGIES D’INCAPACITAT PERMANENT
La incapacitat permanent pot ser parcial, total o absoluta, segons el grau d’afectació en l’acompliment d’una activitat laboral. Aquest grau, entre altres factors, és determinant per establir, en cada cas, l’import de la prestació econòmica i altres beneficis de la Seguretat Social, i també per identificar les cobertures d’una assegurança de vida, d’accidents o de dependència.
Incapacitat permanent parcial
El treballador pateix una pèrdua funcional o física que redueix la seva capacitat laboral, però pot continuar fent les tasques fonamentals del treball. La persona no està completament incapacitada, tot i que hi ha una reducció en el rendiment normal de la seva feina.
Incapacitat permanent total
En aquest cas, la pèrdua de capacitats fa que la persona no pugui continuar exercint la professió habitual, però sí que pot dedicar-se a altres activitats laborals, en el mateix àmbit o en d’altres. L’impacte en el desenvolupament de les tasques laborals és més gran que en el cas de la incapacitat parcial, però encara hi ha la possibilitat de reorientar-se professionalment.
Incapacitat permanent absoluta
Aquesta és una incapacitat més greu, ja que impossibilita a la persona mantenir qualsevol activitat laboral. La pèrdua funcional afecta la capacitat de desenvolupar qualsevol tipus de feina remunerada, independentment de les tasques que impliqui.
Gran invalidesa
Ens referim a la situació en què la persona afectada no només no pot treballar en cap mena de feina, sinó que també necessita l’assistència d’una altra persona per dur a terme activitats bàsiques del dia a dia, com vestir-se o menjar.

En resum:
• Incapacitat permanent parcial: reducció de la capacitat laboral, però amb la possibilitat de continuar exercint la seva professió o especialitat.
• Incapacitat permanent total: l’individu no pot treballar en la seva professió habitual, però pot treballar en una altra àrea o professió.
• Incapacitat permanent absoluta: la persona no pot fer cap activitat laboral de manera remunerada, ni en la seva professió habitual ni en cap altra.
• Gran invalidesa: la persona no pot treballar i, a més, necessita un tercer per fer les tasques personals bàsiques.
La cobertura de les incapacitats permanents es preveu habitualment en les assegurances de vida, d’accidents o de dependència. Decidir-se per una opció asseguradora concreta, però, és un procés complex que requereix una anàlisi acurada tots els factors i necessitats d’una persona.
Per això, és imprescindible comptar amb l’assessorament d’una persona experta que ajudi a escollir la millor opció segons cada perfil personal i professional. A Medicorasse, com a corredoria col·laboradora del COEC, us oferim un assessorament professional especialitzat, gratuït i sense compromís, a més d’assegurar-vos sempre amb les millors companyies.

• 900 104 969
• medicorasse@med.es
• medicorasse.med.es

EL COEC actua com a col·laborador extern de Medicorasse, corredoria d’assegurances del Col·legi de Metges de Barcelona, SAU. CIF A 59498220. Domicili social: passeig de la Bonanova, 47, 08017 Barcelona. RM de Barcelona volum 20624, foli 211, full B10481, inscripció 1a. Direcció General d’Assegurances i Fons de Pensions, clau J0928. Pòlissa de responsabilitat civil i capacitat financera de conformitat amb el llibre II del Reial decret llei 3/2020,de 4 de febrer, que transposa la Directiva (UE) 2016/97, de 20 de gener, sobre la distribució d’assegurances.

Oferim protecció asseguradora personalitzada per als col·legiats del COEC a nivell personal, professional i empresarial amb condicions avantatjoses.

Assessorament personalitzat
Solucions a mida Accés a productes amb condicions especials Gestió integral de sinistres
Sol·licita sense compromís una revisió gratuïta d’assegurances
Professionals al servei de professionals 900 10 49 69 medicorasse.med.es medicorasse@med.es
El COEC actua com a col·laborador extern de Medicorasse, Correduría de Seguros del CMB, SAU. NIF A-59-498220. Domicili social: Passeig Bonanova 47, 08017 Barcelona. Inscrita al Registre Mercantil de Barcelona, al tom 20624, foli 211, full número B-10481, inscripció 1a, amb clau DGSFP J0928. Pòlissa de responsabilitat civil i capacitat financera d’acord amb el Llibre II del Real Decret Llei 3/2020, de 4 de febrer, que transposa la Directiva (UE) 2016/97, de 20 de gener, sobre la Distribució d’assegurances.
(i que augmenten la supervivència de les pròtesis dentals)
Després d’haver revisat el paper de la posició de màxima intercuspidació (PIM) i de la relació cèntrica (RC), en aquest tercer article completarem el recorregut abordant un altre concepte clau de l’oclusió: l’envolvent de funció.
El Glossary of Prosthodontic Terms (GPT-10) descriu l’envolvent de funció com l’espai tridimensional dins del qual la mandíbula es mou durant les activitats funcionals habituals, com ara la masticació o la parla. Aquest espai funcional defineix el rang fisiològic i quotidià de l’oclusió i s’inscriu dins d’un marc més ampli, l’anomenat envolvent de moviment (envelope of motion, EM)1 . Aquest últim inclou tots els moviments mandibulars possibles dins d’un límit, clàssicament representat pel diagrama de Posselt i àmpliament conegut per tots els odontòlegs des de la formació universitària.
L’envolvent de funció no pot entendre’s únicament com un concepte teòric, sinó com una realitat clínica present en tots els pacients. Atès que una part important de la patologia funcional i del desgast dental s’associa a envolvents disminuïts2 , és essencial saber identificar quan aquest envolvent és limitant o potencialment nociu, per tal de tenir-ho en compte en la planificació de qualsevol intervenció clínica.
L’envolvent de funció està condicionat principalment per l’anatomia de l’articulació temporomandibular i de les estructures que en limiten i guien el moviment —lligaments i musculatura masticatòria—, així com per la morfologia i la posició dental. Es tracta d’un espai de moviment dins del qual la mandíbula pot funcionar amb normalitat, de mane-
ra similar a com un lluitador es mou dins del ring que delimita el combat.
Aquest envolvent funcional és un espai dinàmic i individual, propi de cada pacient; per aquest motiu, dos individus amb estructures anatòmiques diferents presenten envolvents funcionals particulars. 4
La principal situació de risc es produeix quan la posició de les dents anteriors compromet l’envolvent de funció i limita la llibertat de moviment mandibular. Aquesta situació es pot observar de manera característica en les classes II/2, però també en altres contextos clínics en què la retroinclinació dels incisius i l’augment de l’angle interincisal generen un front anterior excessivament restrictiu.
Quan aquest angle supera aquests valors, sovint com a conseqüència d’una retroinclinació dels incisius, i s’associa a una sobremossegada marcada i a una corba de Spee inferior pronunciada, el front dental anterior esdevé una barrera rígida que restringeix els moviments mandibulars (fig. 1a 1b). Davant d’aquesta restricció, la mandíbula es veu obligada a funcionar dins d’un corredor de moviment molt limitat, fet que incrementa el risc funcional i la demanda adaptativa del sistema estomatognàtic.
Com a resposta a aquesta limitació, el sistema tendeix a adaptar-se mitjançant un augment de la fricció entre les dents anteriors, que es manifesta clínicament com un desgast progressiu (fig. 2). Aquest desgast no s’ha d’interpretar com un fenomen patològic aïllat, sinó com un mecanisme compensador orientat a guanyar espai de moviment i a recuperar més llibertat funcional dins de l’envolvent de funció.
Cal tenir present, però, que no sempre ens trobem da-

Fig. 1a. Situació clínica compatible amb una classe II/2 amb sobremossegada profunda en màxima intercuspidació, en què les dents anteroinferiors no són visibles. Aquesta configuració condiciona una limitació dels moviments excèntrics mandibulars. La pacient refereix dolor a la regió mandibular esquerra i presència de clics articulars de manera intermitent.

Fig. 1b . Obertura mandibular lleu del mateix cas, on s’observa una corba de Spee inferior accentuada, associada a una limitació de l’envolvent de funció.
vant d’un envolvent de funció limitant d’origen natural. En algunes ocasions, som els mateixos odontòlegs els qui, de manera iatrogènica, generem una restricció funcional en pacients que prèviament funcionaven dins d’un envolvent adequat. Corones excessivament voluminoses —especialment a la cara palatina dels anteriors—, perfils d’emergència inadequats o moviments ortodòntics que tanquen un corredor funcional preexistent poden acabar limitant el moviment mandibular i provocar simptomatologia que no existia abans del tractament.
La iatrogènia relacionada més directament amb l’envolvent de funció és la col·locació de pròtesis anteriors excessivament voluminoses a la seva cara palatina. Aquest excés de volum pot reduir l’espai funcional original del pacient i limitar els moviments mandibulars, de manera que genera molèsties o adaptacions neuromusculars que no existien abans del tractament. Diversos estudis han posat de manifest que les restauracions protètiques poden introduir interferències oclusals absents prèviament, especialment quan no es respecten els moviments funcionals del pacient. 5 6
Per aquest motiu, és de vital importància fer una fase de provisionalització adequada i mantenir aquests provisionals
un temps suficient a la boca, amb l’objectiu de verificar que les restauracions no envaeixen l’envolvent de funció. Qualsevol restauració que interfereixi en aquest espai funcional pot provocar interferències durant la funció, hiperactivitat muscular, desgast dental, fractures restauradores o, fins i tot, mobilitat dentària. La fase provisional permet detectar precoçment fractures, descimentacions o signes d’incomoditat funcional que podrien passar desapercebuts en una avaluació estàtica i, un cop demostrada l’estabilitat clínica del provisional, el disseny hauria de ser reproduït fidelment en la pròtesi definitiva per minimitzar el risc de iatrogènia funcional.
Igualment, durant la prova o el col·locament definitiu de les pròtesis, és molt útil observar el pacient en funció real, ja que una avaluació oclusal basada exclusivament en contactes estàtics o en moviments de tancament repetits pot resultar insuficient. L’avaluació funcional durant la masticació ha estat descrita com clínicament rellevant per detectar interferències que no es manifesten en condicions estàtiques i que poden generar alteracions funcionals. 7
En aquest context, accions tan simples com fer mastegar al pacient un xiclet o un aliment de consistència moderada a la mateixa clínica poden ajudar a identificar molèsties, desviacions mandibulars o moviments d’adaptació exagerats, indicatius que l’envolvent de funció no és respectat.
Amb aquest tercer article es tanca la revisió sobre l’oclusió iniciada amb l’anàlisi de la posició de màxima intercuspidació i de la relació cèntrica, i es completa una visió global dels principals referents oclusals. Les posicions estàtiques aporten punts de referència indispensables, però per si soles no expliquen com funciona el sistema durant el moviment.
L’experiència clínica demostra que una oclusió pot presentar una morfologia aparentment correcta i uns contactes ben distribuïts, però resultar problemàtica si limita els moviments funcionals del pacient. En aquest

Fig.2. Escaneig intraoral corresponent a una situació clínica amb sobremossegada moderada, però amb un envolvent de funció restringit i una corba de Spee inferior accentuada. S’hi observa un desgast avançat de les dents anteroinferiors, així com un desgast localitzat de les peces anterosuperiors per palatí degut a una limitació de l’envolvent de funció.
sentit, l’envolvent de funció esdevé l’element clau que integra l’estàtica amb la dinàmica i permet valorar si l’oclusió és realment compatible amb la funció. Respectar l’envolvent de funció implica no imposar trajectòries artificials, sinó verificar, mitjançant la provisionalització i l’observació de la funció real, que la mandíbula es mou dins dels límits que en són propis. Independentment de l’àmbit de pràctica —ortodòncia, odontologia conservadora, estètica, implantologia o rehabilitació oral—, l’oclusió hauria de formar part del llenguatge clínic bàsic de qualsevol odontòleg. Entesa des d’una perspectiva funcional i no dogmàtica, permet exercir una odontologia més previsible, més respectuosa i més ben adaptada a cada pacient.

REFERÈNCIES BIBLIOGRÀFIQUES
1. Layton DM, et al., eds. The Glossary of Prosthodontic Terms 2023: Tenth Edition. J Prosthet Dent. 2023;130(4 Suppl 1):e1–e126. doi:10.1016/j.prosdent.2023.03.003.
2. Dawson PE. Functional Occlusion: From TMJ to Smile Design. St. Louis: Mosby; 2007.
3. A. Trivedi, S. Agarwal, I. Gupta, R. Goswami, A. Mowar. Comparative evaluation of malocclusion and associated risk factors in patients suffering with temporomandibular disorders: a systematic review and meta-analysis of observational studies. Eur J Gen Dent. 2022;11(3):149-157. ipsonline.in
4. Harris K. Solved: occlusion confusion - Dr. Kois’s approach to occlusal guidance and the envelope of function. Dentistry (UK). 2009. Disponible a: https:// dentistry.co.uk/2009/05/08/solved-occlusion-confusion/ (accés: 14 de desembre de 2025)
5. Ettala-Ylitalo UM, Markkanen H, Yli-Urpo A. Occlusal interferences analysed in patients treated with fixed prostheses four years earlier. J Oral Rehabil. 1986;13(5):395-399. doi:10.1111/j.1365-2842.1986. tb01301.x
6. Clayton JA. Occlusion and prosthodontics. Dent Clin North Am. 1995 Apr;39(2):313-33. PMID: 7781829.



La pràctica de la sedació en odontologia és una eina de gran valor per millorar l’experiència assistencial de determinats pacients i facilitar tractaments complexos. Tanmateix, fer-ne ús comporta una responsabilitat elevada i exigeix, de manera ineludible, complir de manera estricta el marc normatiu vigent i totes les garanties de seguretat associades.
Des del Col·legi Oficial d’Odontòlegs i Estomatòlegs de Catalunya (COEC) es vol recordar als col·legiats la conveniència d’extremar el compliment de la normativa aplicable en matèria de sedació. Qualsevol tècnica de sedació utilitzada en l’àmbit odontològic s’ha d’aplicar sempre dins del marc legal, dels protocols i de les recomanacions aprovades per les autoritats sanitàries i les societats científiques corresponents, i amb les condicions adequades d’equipament, formació i col·laboració professional.
A Catalunya, els procediments amb sedació en una clínica dental estan regulats per un conjunt de disposicions legals que estableixen els requisits tecnicosanitaris, els drets dels pacients, les condicions d’autorització dels centres, la gestió de residus, la seguretat de les instal·lacions i altres aspectes essencials. És important que els professionals puguin accedir fàcilment a tota aquesta normativa, que inclou decrets i lleis autonòmiques i estatals en matèria sanitària, administrativa, farmacèutica, d’accessibilitat i de radiodiagnòstic, entre d’altres.
Per poder dur a terme qualsevol tècnica de sedació en una clínica dental, cal sol·licitar prèviament l’autorització corresponent al Departament de Salut, mitjançant l’ampliació de la cartera de serveis del centre. Aquesta autorització requereix disposar d’una documentació específica, que serà objecte de comprovació en les visites d’inspecció.
Entre els requisits documentals, cal aportar un plànol de distribució on s’identifiqui l’espai destinat als procediments amb sedació conscient —amb una superfície mínima de 10 m2—, així com la documentació acreditativa del metge anestesiòleg responsable: dades identificatives, vinculació professional i assegurança de responsabilitat civil. Igualment, s’ha de presentar la documentació relativa a l’equipament i a les instal·lacions, incloent-hi la declaració que el material necessari es troba en custòdia al centre, i, si escau, la documentació específica per usar òxid nitrós.
Pel que fa a l’organització assistencial, és imprescindible disposar de la declaració de l’anestesiòleg en què s’especifiquin el tipus de sedació, els fàrmacs i les vies d’administració, així com dels models de consentiment informat, les declara-

cions responsables sobre la informació al pacient i les dades de l’hospital de referència. Tot aquest procés comporta, a més, pagar les taxes establertes pel Departament de Salut de la Generalitat de Catalunya.
La legislació catalana és clara: la tècnica de sedació l’ha d’aplicar un metge especialista en anestesiologia. Durant el procediment és obligatori tenir sistemes de maneig de la via aèria i de reanimació, així com un monitoratge adequat del pacient. En aquest sentit, es recomana comptar amb monitors multiparamètrics que incloguin pulsioximetria, electrocardiograma continu i control no invasiu de la pressió arterial, i, segons el cas, amb capnografia i monitors de profunditat anestèsica. L’ús de bombes d’infusió, tant intel·ligents com convencionals, contribueix també a un desenvolupament més segur de la tècnica.
Per identificar si un pacient pot beneficiar-se d’ansiòlisi o analgèsia, es pot utilitzar l’índex de necessitat de sedació

(INS), una eina àmpliament emprada al Regne Unit per la fiabilitat i simplicitat. Aquest índex combina el nivell d’ansietat del pacient, l’estat clínic general i la complexitat del tractament odontològic previst, de manera que facilita una presa de decisions més objectiva.
Cal destacar també que el Consejo General de Dentistas ha creat una comissió conjunta amb la Sociedad Española de Anestesiología, Reanimación y Terapéutica del Dolor (SEDAR), amb l’objectiu de reforçar la cooperació entre dentistes i anestesiòlegs i oferir criteris clars, actualitzats i alineats amb l’evidència científica i la normativa vigent. Aquesta comissió treballa a revisar protocols, millorar les recomanacions de seguretat i promoure la formació continuada en aquest àmbit.
Disponibles al Campus Virtuals tips en format vídeo sobre la sedació.
1. Decret 151/2017, de 17 d’octubre, pel qual s’estableixen els requisits i les garanties tecnicosanitàries comunes dels centres i serveis sanitaris i els procediments per a la seva autorització i registre.
− Reial decret 1277/2003, de 10 d’octubre, pel qual s’estableixen les bases generals sobre autorització de centres, serveis i establiments sanitaris.
− Llei 39/2015, d’1 d’octubre, del procediment administratiu comú de les administracions públiques.
− Llei 16/2010, de 3 de juny, de modificació de la Llei 21/2000, del 29 de desembre, sobre els drets d’informació concernent la salut i l’autonomia del pacient, i la documentació clínica.
− Llei 21/2000, de 29 de desembre, sobre els drets d’informació concernent la salut i l’autonomia del pacient, i la documentació clínica.
− Decret 27/1999, de 9 de febrer, de la gestió dels residus sanitaris.
− Reial decret 1976/1999, de 23 de desembre, pel qual s’estableixen els criteris de qualitat en radiodiagnòstic.
− Reial decret 1085/2009, de 3 de juliol, pel qual s’aprova el Reglament sobre instal·lació i utilització d’aparells de raigs X amb finalitats de diagnòstic mèdic.
− Llei 31/1991, de 13 de desembre, d’ordenació farmacèutica de Catalunya (correcció d’errades en el DOGC núm. 1659, pàg. 6069, de 21.10.1992 i en el DOGC núm. 1669, pàg. 6565, de 13.11.1992).
− Reial decret 314/2006, de 17 de març, pel qual s’aprova el Codi Tècnic de l’Edificació.
− Decret 209/2023, de 28 de novembre, pel qual s’aprova el Codi d’accessibilitat de Catalunya.
En l’actual ecosistema sanitari, marcat per la sobreinformació, la digitalització i una creixent exigència per part dels pacients, la comunicació s’ha consolidat com una competència estratègica per als professionals de l’odontologia. Ja no és només un instrument complementari de l’acte clínic, sinó una eina transversal que incideix directament en la confiança, la fidelització i el posicionament de la clínica dental.
La comunicació, entesa en un sentit ampli —intern, extern, assistencial i institucional—, forma part de la qualitat percebuda del servei. Comunicar bé és, en definitiva, una altra manera de cuidar.
Avui, el primer contacte amb el pacient sovint no es produeix al seient dental, sinó a través d’una cerca a internet, d’una visita al web de la clínica o d’un contingut a les xarxes socials. En aquest context, la comunicació externa esdevé clau per generar una primera impressió basada en el rigor, la proximitat i la professionalitat.
La divulgació de continguts de salut bucodental —explicats amb un llenguatge entenedor, visual i adaptat a cada canal— permet a les clíniques posicionar-se com a referents i reforçar el vincle amb els pacients. Informar sobre prevenció, higiene oral o opcions de tractament no és només una acció comunicativa:
és una contribució directa a l’educació sanitària i a la lluita contra la desinformació.
La coherència del missatge, el to utilitzat, l’estètica visual i els valors que es projecten construeixen la identitat de marca de la clínica. Una comunicació alineada amb la vocació de servei i amb una mirada a llarg termini afavoreix la diferenciació i la fidelització en un entorn cada vegada més competitiu.
Dins la consulta, la comunicació és un element terapèutic en si mateix. L’escolta activa —atendre sense interrompre, reformular, preguntar amb interès i validar emocions— redueix l’ansietat del pacient i millora l’adhesió als tractaments. Un pacient que se sent escoltat confia més i col·labora millor.

Explicar els procediments de manera clara, utilitzant un llenguatge adaptat i recursos visuals quan cal, contribueix a una presa de decisions informada i responsable. Aquesta connexió humana no només millora l’experiència assistencial, sinó que reforça el vincle a llarg termini amb la clínica.
COMUNICACIÓ INTERNA I ASSERTIVITAT: EQUIPS COHESIONATS, CONSULTES MÉS SALUDABLES
La qualitat comunicativa també impacta directament en el funcionament de l’equip. Una comunicació interna fluida, empàtica i transparent afavoreix la cohesió, minimitza conflictes i millora el clima laboral.
L’assertivitat és una habilitat clau per gestionar situacions complexes, tant amb pacients com amb companys. Saber posar límits amb respecte, expressar desacords de manera constructiva i establir normes clares protegeix l’equilibri emocional del professional i contribueix a crear entorns de treball més segurs i eficients.
COMUNICAR AMB RESPONSABILITAT: MÀRQUETING, ÈTICA I MARC LEGAL
En l’àmbit odontològic, la comunicació i el màrqueting han d’estar sempre alineats amb un marc normatiu estricte. La publicitat sanitària no pot induir a error, prometre resultats garantits ni utilitzar reclams que comprometin la llibertat de decisió del pacient. Igualment, l’ús d’imatges, testimonis o dades clíniques requereix sempre el consentiment informat, explícit i documentat.
La digitalització i l’ús creixent d’eines d’intel·ligència artificial obren noves oportunitats, però també nous riscos. El professional és sempre el responsable últim del contingut que comunica i, per això, cal revisar qualsevol missatge abans de
publicar-lo, per assegurar-ne el rigor científic, l’adequació legal i la coherència ètica.
El Col·legi Oficial d’Odontòlegs i Estomatòlegs de Catalunya (COEC) posa a disposició dels col·legiats i col·legiades diversos recursos orientats a millorar la comunicació amb els pacients, reforçar la imatge professional, i garantir una pràctica alineada amb els criteris deontològics i legals. Iniciatives com canals de divulgació, materials gràfics, certificats web o serveis d’assessorament ajuden els professionals a comunicar amb rigor i responsabilitat en un entorn cada vegada més exigent. En aquest context, la formació en comunicació i màrqueting esdevé una inversió estratègica per a la pràctica professional. Al Campus Virtual del COEC està disponible el curs Màrqueting i comunicació per a dentistes i clíniques odontològiques, una proposta formativa orientada a dotar els professionals d’eines pràctiques per millorar la comunicació amb els pacients, potenciar la visibilitat de la clínica, i desenvolupar estratègies de màrqueting alineades amb el marc ètic i legal de la professió. Perquè comunicar bé no és només informar: és generar confiança, cuidar la relació amb el pacient i enfortir el projecte professional.
Disponible al Campus Virtual el curs: Màrqueting i comunicació per a dentistes i clíniques odontològiques. Inscripcions obertes fins al 31 de juliol de 2026. Tota la informació sobre la formació: https://www.coec.cat/ca/esdeveniment/marqueting-i-comunicacio-per-a-dentistes-i-cliniques-odontologiques

Així podreu obsequiar els pacients més petits!

Informeu-vos-en enviant un correu electrònic a coec@coec.cat

Moltes odontòlogues viuen amb la pressió de ser impecables a tota hora, de fer-ho tot bé, sense marge d’error, sense mostrar dubtes. I això genera tensions emocionals profundes, que no es veuen, però tenen grans conseqüències.
El perfeccionisme és un tema molt recurrent en les dones, i és una experiència que he viscut de manera personal i que veig en les dones dentistes que tinc el plaer d’acompanyar. La societat, des de petites, ens ha imposat una sèrie de requisits pel simple fet de ser dones: excel·lents estudiants, educades, guapes, simpàtiques, bones mares, bones amigues, bones filles... Sembla que, si no complim aquests cànons establerts, ja no som «perfectes» i hi ha alguna cosa malament dins nostre. Moltes vegades no ens n’adonem, perquè ho tenim tan inculcat i normalitzat que passa desapercebut.
Aquest perfeccionisme i autoexigència també ens l’apliquem a l’odontologia, pensant que ho hem de fer tot perfecte en tot moment, sense cap marge d’error. Això fa que visquem la professió amb una ansietat i un estrès que, al final, no ens permeten donar el millor de nosaltres, perquè, quan vivim situacions d’estrès intens o sostingut, el cos allibera cortisol i aquesta hormona, en excés, interfereix en el bon funcionament de l’escorça prefrontal, la part del cervell encarregada de prendre decisions, pensar amb claredat i regular les emocions. Tot plegat fa que, malgrat estar preparades, ens costi accedir als nostres recursos i actuar amb seguretat en moments de pressió. Per tant, sense adonar-nos-en, entrem en un cicle viciós que ens desconnecta de la saviesa interna i de tots els coneixements i experiència que hem ob-
Dra. Maria Quintana
Especialista en ortodòncia i ortopèdia dentofacial Coach i mentora especialitzada en dones dentistes Núm. de col·l. 7325
tingut al llarg de la nostra formació i carrera professional.
Si et sents reflectida en el que t’explico, tranquil·la: no estàs sola . I, sobretot, tranquil·la: es pot regular. Et donaré uns recursos perquè els puguis aplicar des d’ara mateix i, així, començar a abaixar aquest perfeccionisme patològic:
1. Tota professió té una corba d’aprenentatge , i és fonamental integrar que és normal no fer les coses «tan bé» com les faries amb molts anys d’experiència. Per mi, el més important és saber on són els nostres límits i, a partir d’aquí, fer-ho el millor possible, sempre donant un bon servei als nostres pacients.
2. Canvia el teu diàleg intern. Conec moltes doctores altament preparades que fan una feina excel·lent i, quan acaben, en lloc de dir «que bé que ho he fet», el primer que fan és buscar què podrien haver fet millor, i castigar-se amb pensaments negatius i destructius que l’únic que fan és baixar l’autoestima.
3. Cada situació ens porta un aprenentatge. Així, quan acabis de fer un tractament, enfoca-ho de manera positiva i digues: «He fet el millor que

he sabut fer i he estat supervalenta per fer-ho». I a partir d’aquí pregunta’t: «Què podré fer millor la pròxima vegada?», però no des de l’exigència, sinó des de l’amor a la teva professió, per evolucionar i millorar.
Quan vaig entendre tot això, la meva forma de viure el dia a dia va canviar completament, perquè em vaig sentir empoderada i, sobretot, vaig sentir que jo era la que decidia què volia pensar en cada moment, per enfocar-ho sempre tot des d’un caire respectuós i amable cap a mi i cap a la meva carrera. Ja veus que el perfeccionisme és una trampa de l’ego per no avançar, perquè l’ego l’únic que vol és protegirnos, i sent que si avances estàs en perill.
Et convido que, a partir d’ara, posis llum al teu perfeccionisme . Que canviïs el teu diàleg intern i afrontis cada situació des de la certesa que tot està bé i que confies en tu i en la vida.
No estàs sola en aquest camí i, tot i que potser no ho expresses amb cap altra doctora, n’hi ha moltes a qui els passa exactament el mateix.
L’empatia és reconeguda com la base d’una comunicació efectiva i una de les habilitats socials més rellevants en el desenvolupament humà. En l’àmbit de la salut, i de manera particular en la pràctica odontològica, aquesta competència adquireix una importància central, tant per a la qualitat assistencial com per al benestar de pacients i de professionals.
En el context clínic, l’empatia contribueix de manera directa a millorar la relació terapèutica entre el professional de la salut i el pacient. Una comunicació empàtica afavoreix una major precisió diagnòstica, incrementa el grau de satisfacció del pacient i millora l’adherència als tractaments proposats. Alhora, fomenta l’adquisició d’hàbits saludables i ajuda a reduir el malestar psicològic i la probabilitat de complicacions associades als processos assistencials. En aquest sentit, l’empatia esdevé un element imprescindible en la relació d’ajuda que s’estableix entre el pacient, la seva família i el professional sanitari.
A les clíniques dentals, on sovint els pacients poden experimentar por, ansietat o inseguretat, la capacitat del professional per comprendre i reconèixer les emocions de l’altre resulta especialment rellevant. Aspectes com el contacte visual, l’expressió facial, la postura corporal, el to de veu o la detecció adequada de les emocions constitueixen eines bàsiques per a una comunicació empàtica i efectiva, que permet generar confiança i seguretat en l’entorn assistencial.
Més enllà del benefici directe per al pacient, el desenvolupament de competències relacionals i emocionals també actua com un factor protector per a la salut mental dels professionals de la salut. L’empatia contribueix a

humanitzar l’atenció, reforça la qualitat de la pràctica clínica i pot ajudar a prevenir situacions de desgast emocional i estrès professional, sovint associades a l’exercici sanitari. En aquest marc, esdevé un recurs clau per afavorir entorns de treball més saludables i lideratges més sensibles a les necessitats dels equips.
La incorporació conscient de l’empatia en la pràctica odontològica implica, així mateix, un exercici d’autoconsciència per part del professional. Reconèixer les emocions, actituds i límits propis permet millorar la capacitat d’escolta i d’acompanyament del pacient, alhora que reforça una praxi professional basada en el respecte, la qualitat assistencial i la responsabilitat ètica.
L’empatia no només és una habilitat desitjable, sinó un component essencial de l’odontologia contemporània, que contribueix a una atenció més humana, efectiva i alineada amb les necessitats reals de les persones.
En aquest context, la Fundació Galatea ofereix el curs en línia Desenvolupem l’empatia en la pràctica professional. La formació està disponible al Campus Virtual i es pot consultar fins al 6 de juliol. Podeu ampliar la informació al mateix web.

Les xarxes socials s’han convertit en una eina de comunicació i informació imprescindible en el dia a dia de la ciutadania i també dels professionals de la salut. Tanmateix, aquest entorn digital, dinàmic i obert, és igualment un espai propici perquè proliferin fraus i estafes, que poden tenir conseqüències econòmiques, professionals i reputacionals. Davant d’aquesta realitat, la prevenció i l’esperit crític esdevenen elements clau.
Un dels primers senyals d’alerta són les ofertes excessivament atractives. Premis inesperats, descomptes desproporcionats o beneficis difícils de creure solen ser l’ham que els estafadors utilitzen per captar l’atenció dels usuaris. En l’àmbit digital, la prudència és essencial: allò que sembla massa bo per ser veritat sovint no ho és.
La protecció de les dades personals i bancàries és un altre pilar fonamental. No s’haurien de facilitar mai dades sensibles a través de formularis, missatges privats o correus electrònics sense tenir la certesa absoluta de qui hi ha al darrere. Abans de compartir qualsevol informació, cal preguntar-se si la font és legítima i si realment és necessari proporcionar aquestes dades.
Igual d’important és verificar la identitat dels perfils a les xarxes socials. Les suplantacions són habituals, especialment en el cas de marques o institucions conegudes.


Els perfils oficials solen tenir una trajectòria clara, un volum significatiu de publicacions i una comunitat consolidada de seguidors. Quan aquests elements no hi són, cal extremar la cautela.
Pel que fa als enllaços, és recomanable no clicar mai sobre adreces sospitoses i accedir als webs escrivint directament l’adreça al navegador. D’aquesta manera, es pot comprovar amb més facilitat que es tracta d’una pàgina oficial i segura, i evitar redireccions fraudulentes.
Abans de fer una compra o contractar un servei desconegut, resulta molt útil consultar les opinions d’altres usuaris. L’experiència compartida pot ajudar a detectar possibles fraus i a descartar webs o perfils poc fiables. La manca total de referències o la presència d’opinions negatives reiterades són indicadors que cal tenir en compte.
Els missatges que transmeten urgència o pressa mereixen una atenció especial. Els estafadors acostumen a generar una falsa sensació d’oportunitat limitada per forçar decisions ràpides i irreflexives.
Davant d’aquests missatges, és preferible aturar-se, analitzar la situació i no actuar sota pressió.
En un context en què la desinformació i els continguts manipulats —incloent-hi vídeos generats amb intel·ligència artificial— són cada vegada més sofisticats, comprovar la font de la informació és imprescindible. Contrastar les notícies amb mitjans oficials i fonts fiables ajuda a evitar la difusió de continguts falsos.
Cal recordar també que la majoria de plataformes digitals disposen de mecanismes per denunciar continguts sospitosos. Fer ús d’aquestes eines
no només protegeix l’usuari, sinó que contribueix a un entorn digital més segur per a tothom.
La prevenció dels fraus a les xarxes socials no depèn únicament de la tecnologia, sinó també del comportament responsable i informat de les persones que en són usuàries. Adoptar hàbits digitals segurs és una inversió necessària per protegir tant l’àmbit personal com el professional.
No s’haurien de facilitar mai dades sensibles a través de formularis, missatges privats o correus electrònics sense tenir la certesa absoluta de qui hi ha al darrere.
12 de març de 2026 a les 20h COL·LOQUI DEBAT: «MACRO DISEÑO Y POSICIÓN DEL IMPLANTE: ¿MODA O INDICACIONES CLÍNICAS?»
Docents: Cristina Vallès i Albert Barroso
Moderador: Pablo Altuna
Lloc: Auditori COEC
Modalitat: Presencial, gratuït sense inscripció
*Obert a professionals del sector i estudiants d’Odontologia
Del 23 al 27 de març de 2026 CURS INTENSIU EN ESTÈTICA DENTAL
Docent: Dr. José Luis Padrós
Lloc: Fundació SCOE
Modalitat: Presencial
23 de març de 2026 a les 20h COL·LOQUI DEBAT: «TRACTAMENT ACTUAL DE LA PERIODONTITIS. PER QUÈ ES FA MOLTA MENYS CIRURGIA PERIODONTAL? »
Ponents: Juan Rumeu i Blanca Paniagua
Moderadora: Javi Vilarrasa
Lloc: Auditori COEC
Modalitat: Presencial, gratuït sense inscripció
*Obert a professionals del sector i estudiants d’Odontologia
Del 8 al 22 d’abril de 2026
CURS: RCP - SUPORT VITAL BÀSIC AMB DEA (ACREDITAT CCR)
Coordinació: SEM (Sistema Emergències
Mèdiques)
Lloc: COEC
Modalitat: Semipresencial, inscripció i matrícula requerida
Del 13 d’abril de 2026 al 21 de maig de 2026
CURS: DIRECTOR D’INSTAL·LACIONS DE RADIODIAGNÒSTIC DENTAL
Docent: Ariadna Lozano
Lloc: Moodle UTPR i COEC
Modalitat: Semipresencial, inscripció i matrícula requerida
16 d’abril de 2026 a les 20h CONFERÈNCIA DEBAT: « MANEJO DEL PACIENTE CON MIEDOS Y FOBIA DENTAL»
Docent: Victoria Reyes (psicòloga)
Moderadora: Claudia Hahn
Lloc: Auditori COEC
Modalitat: Presencial, gratuït sense inscripció *Obert a professionals del sector i estudiants d’Odontologia
Del 17 al 18 d’abril de 2026
CURS EN COMPÒSITS, EMBLANQUIMENT I MICROABRASIÓ
Docent: Dra. Silvia Vera
Lloc: Fundació SCOE
Modalitat: Presencial
Del 24 al 25 d’abril de 2026
CURS: FACETES DE CERÀMICA: APRÈN TOTS ELS DETALLS DES DEL TALLAT AL CIMENTAT
Docent: Albert Verd
Lloc: Fundació SCOE
Modalitat: Presencial
25 d’abril de 2026
ACTIVITAT ESPORTIVA: CURSA ATLÈTICA
MEDIJOCS 2026
Lloc: Sant Cugat del Vallès
7 de maig de 2026 a les 20h
COL·LOQUI DEBAT: « REHABILITACIÓ DELS SEXTANTS POSTERIORS ATRÒFICS. QUINA ÉS LA PREFERÈNCIA DEL PACIENT? »
Ponents: M Àngels Sánchez i Jorge Toledano
Moderadora: Octavi Camps
Lloc: Auditori COEC
Modalitat: Presencial, gratuït sense inscripció *Obert a professionals del sector i estudiants d’Odontologia
Del 13 al 27 de maig de 2026
CURS: RCP - SUPORT VITAL BÀSIC AMB DEA (ACREDITAT CCR)
Coordinació: SEM (Sistema Emergències Mèdiques)
Lloc: COEC
Modalitat: Semipresencial, inscripció i matrícula requerida
Del 15 al 22 de maig de 2026
CURS INTENSIU EN REHABILITACIÓ ADHESIVA
Docent: Dr. Àlex Urpí
Lloc: Fundació SCOE
Modalitat: Presencial
21 de maig de 2026 a les 20h CONFERÈNCIA: « COMPOSITE VS CERÁMICA: MENOS DOGMA, MÁS CRITERIO »
Ponents: Andrés de la Nuez i Andrea Tinti.
Presenten: Roberto Padrós i Víctor Henarejos
Lloc: Auditori COEC
Modalitat: Presencial, gratuït sense inscripció *Obert a professionals del sector i estudiants d’Odontologia
4 de juny de 2026 a les 20h COL·LOQUI DEBAT: «MANEJO CLÍNICO DE LA MORDIDA
ABIERTA: OPCIONES DE TRATAMIENTO»
Ponents: Montse Puigpinós i Oriol Quevedo
Moderadora: Claudia Hahn
Lloc: Auditori COEC
Modalitat: Presencial, gratuït sense inscripció
*Obert a professionals del sector i estudiants d’Odontologia
Fins al 6 de juliol de 2026
CURS: DESENVOLUPEM L’EMPATIA EN LA PRÀCTICA PROFESIONAL
Equip Docent: Fundació Galatea
Lloc: Campus Virtual COEC
Modalitat: En línia autoformatiu, inscripció i matrícula requerida
Fins al 31 de juliol de 2026
CURS: PREVENINT LA LEGIONEL·LOSI
SEGONS EL RD 487/2022. NORMATIVES I BONES PRÀCTIQUES PEL SECTOR
ODONTOLÒGIC
Docents: Santi Raimí i Fortuny
Lloc: Campus Virtual COEC
Modalitat: En línia autoformatiu, inscripció i matrícula requerida
Fins al 31 de juliol de 2026
CURS: MÀRQUETING I COMUNICACIÓ PER A DENTISTES I CLÍNIQUES
ODONTOLÒGIQUES
Docent: Javi Polinario i Mireia Curto
Lloc: Campus Virtual
Modalitat: En línia autoformatiu, inscripció i matrícula requerida
Visualització oberta a tots els col·legiats del COEC
SEMINARI WEB: VERIFACTU Y FACTURACIÓN EN LA CLÍNICA DENTAL
Docent: Carlos Oya
Lloc: WebTV (Campus Virtual)
Modalitat: En línia (reemissió)
Visualització oberta a tots els col·legiats del COEC
COL·LOQUI DEBAT: «LA CLÍNICA DENTAL AL 2026: OPORTUNITATS I REPTES»
Ponents: Laura San Martín, Roberto Rosso, Pedro de Ahumada i Javier García
Lloc: WebTV (Campus Virtual)
Modalitat: En línia (reemissió)
Visualització oberta a tots els col·legiats del COEC
SEMINARI WEB: SEGURIDAD FISCAL PARA TU CLÍNICA DENTAL
Docent: Carlos Oya
Lloc: Campus Virtual COEC
Modalitat: En línia (reemissió)





AGÈNCIA EUROPA PRESS

REDACCIÓN MÉDICA

B-ONE





MADRID DIGITAL

INICIATIVA EMPRESARIAL

NOTICIAS.MADRID







Divulguem salut bucodental perquè tothom l’entengui clarament.

TV Dents cuida la boca de la gent amb continguts útils.