Leading With Heart

Executive Director
Dolly Crespo brings two decades of passion to Grove City

![]()

Executive Director
Dolly Crespo brings two decades of passion to Grove City

Both Division I college soccer players, Andre and Ashton know how important it is to partner with a sports medicine team that understands what it means to be an athlete, and more importantly, a soccer player. Both grew up playing in central Ohio and dreamed of putting on the scarlet and gray. Throughout their careers, they’ve trusted Orthopedic One to help them return to the pitch following injuries or setbacks.
Watch their story.





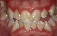
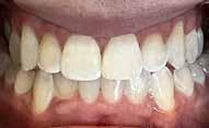
Meet Daniel.
Daniel is a patient who just completed his smile transformation with Dr. Zimmerman. With expert care and a personalized treatment plan, Daniel now has the confident, healthy smile he’s always wanted. We couldn’t be more proud of the incredible results and are so happy Daniel now has a smile he loves.
Your smile is your story — let’s make it one you love to share!






















Mayor’s Cup Pickleball Open & Festival, Sept. 6-7
Mon., Sept. 1
Community Day/Closing Day at The Big Splash
11 a.m.-7 p.m.
The Big Splash
2831 Southwest Blvd. bit.ly/GCsplash
Sept. 2-30
World of Wonders presented by the Southwest Franklin County Historical Society
Grove City Welcome Center and Museum 3378 Park St. www.swfchs.org
Thurs., Sept. 4
Pups in the Pool @ The Big Splash
5-6:45 p.m.
2831 Southwest Blvd.
(Rain Date: Fri., Sept. 5) bit.ly/GCsplash
Food Truck Festival and Shop Hop
Fridays, 4-9 p.m.
Sept. 12
Sept. 19
Oct. 10
Oct. 24
Town Center
Park St. and Broadway www.heartofgrovecity.org
Thurs., Sept. 4
Fitness in the Park: Yoga with Burn Within Yoga
6 p.m.
Town Center Park
3359 Park St. www.grovecityohio.gov
Fri., Sept. 5, 19 and Oct. 3, 17
American Red Cross Blood Drive
Noon-6 p.m.
Evans Center 4330 Dudley Ave. www.redcrossblood.org
Sat.-Sun., Sept. 6-7
Mayor’s Cup Pickleball Open & Festival
Tournament: Sat.-Sun., 9 a.m.-5 p.m. Festival: Sat., Noon-8 p.m.
The Park at Beulah
3700 Glacial Ln. www.grovecityohio.gov
Sat., Sept. 6, 13
Grove City Area Chamber
Farmers’ Market
8 a.m.-noon
Town Center Park St. and Broadway www.gcchamber.org
Thurs., Sept. 11
9/11 Memorial Service
8:30 a.m.
Jackson Township Fire Station 204 4900 Buckeye Pkwy. www.centennial.legion.org/ohio/ post164
Thurs., Sept. 11
Fitness in the Park: Bodypump with the YMCA
6 p.m.
Town Center Park
3359 Park St. www.grovecityohio.gov
Do you have an event you would like to submit?
Send details and photos to rkaras@cityscenemediagroup.com.
Fri., Sept. 12
The Blues Therapy, Summer Concert Series
6:30-8 p.m.
Town Center Park 3359 Park St. www.grovecityohio.gov
Fri., Sept. 19
Rezes-Hall Band, Summer Concert Series
6:30-8 p.m.
Town Center Park 3359 Park St. www.grovecityohio.gov
Fri.-Sun., Sept. 19-21
Arts in the Alley & Voice of Grove City Fri.: 5-9 p.m.
Sat.: 10 a.m.-8 p.m. Sun.: 11 a.m.-5 p.m.
Parade: Sat., 9:30 a.m. Town Center www.gcchamber.org
Fri., Sept. 26
Minions (2015), Special Movies in the Park
7 p.m.
Town Center Park 3359 Park St. www.grovecityohio.gov
Sept. 26-Oct. 12
Rock of Ages presented by Little Theatre Off Broadway
Various times
Little Theatre Off Broadway 3981 Broadway www.ltob.org
Sat., Sept. 27
Community Shredding Day 8 a.m.-1 p.m.
Park Street Intermediate School 3205 Park St. www.grovecityohio.gov


Sat., Sept. 27
SWACO Household Hazardous Waste Drop-off
8 a.m.-1 p.m.
Kingston Center 3226 Kingston Ave. www.grovecityohio.gov
Sat., Sept. 27
Southwest Franklin County Historical Society Open House
2-4 p.m.
Century Village at Fryer Park 4185 Orders Rd. www.swfchs.org
Sat., Sept. 27 and Oct. 4, 11
Grove City Community Club
Fall Harvest Market
8 a.m.-noon
Town Center
Park St. and Broadway www.grovecitycommunityclub.org

Wed., Oct. 1
Coffee With a Cop 10:30 a.m.-noon
Evans Center
4330 Dudley Ave. www.grovecityohio.gov
Oct. 1- Nov. 2
Minion Hunt Town Center www.grovecityohio.gov
Sat., Oct. 4
Grove City’s Smokin’ Hot Wing & Music Festival
Noon-9 p.m.
American Nitrile 3500 Southwest Blvd. www.americannitrile.com/wingfest
Sun., Oct. 5
5K-9 Rescue Dog Walk/Run 10:30 a.m.
Breck Community Park 3005 Demorest Rd. www.tedberryevents.com
Sun., Oct. 5
Old-Time Harvest Day
Noon-4 p.m.
Century Village at Fryer Park 4185 Orders Rd. www.grovecityohio.gov
Thurs., Oct. 9
Seniors and Law Enforcement (SALT) Meeting 10-11 a.m.
Evans Center 4330 Dudley Ave. www.grovecityohio.gov
Fri., Oct. 24
Boo-lah After Dark 6-10 p.m.
Charles W. Boso Jr. (Beulah) Pavilion The Park at Beulah 3700 Glacial Ln. www.grovecityohio.gov
Sat., Oct. 25
Evans Center Fall Craft Bazaar
9 a.m.-3 p.m.
Evans Center 4330 Dudley Ave. www.grovecityohio.gov
Sat., Oct. 25
Boo off Broadway
Noon-3 p.m.
Town Center Park 3359 Park St. www.gcchamber.org
Thurs., Oct. 30
Beggars’ Night 6-8 p.m.
Throughout Grove City www.grovecityohio.gov
www.DiscoverGroveCity.com
Downtown Grove City is where charm meets history – and I’m inviting you to take a walk through it all.
This fall, we’re launching something special: the Grove City History Hike. It’s a self-guided walking tour through the Town Center highlighting some of our community’s most storied buildings.

L. “Ike” Stage
The journey brings our rich local stories to life in a fresh, interactive way. Whether you’ve lived here for decades or are visiting for the first time, I think you’ll find something to love. This project is designed to be both informative and fun – a blend of technology and storytelling that honors the people, places and pivotal moments that helped shape our community.
And the best part? It’s simple. All you need is a smartphone and a bit of curiosity. Just scan one of the QR codes placed at key landmarks along the Broadway corridor, and you’ll be instantly transported into the past through short audio clips, historic photos, maps and more.
Wherever you’re headed to in Town Center, the History Hike is there – ready to turn everyday moments into meaningful discoveries. It’s a local history lesson that feels like a casual conversation with the past, and all part of the present-day charm of our city.
We’re starting with eight locations this fall, including some of our most iconic sites:
• Plank’s on Broadway, the city’s oldest commercial building and former hotel
• Little Theatre Off Broadway, still home to lively community productions
• Elias White House, a beautifully preserved piece of Grove City’s architectural history
This is just the beginning. With more than 20 stops planned in total, we’ll continue rolling out new sites and stories over time – inviting you to come back, explore more and deepen your connection to Grove City with each visit.
What makes this experience so special to me is how seamlessly it fits into everyday life. There’s no need to plan ahead, carve out extra time or book a tour. Just take a few minutes here and there – it’s perfect for a quick outing with the kids, a spontaneous stop with out-of-town guests or even a quiet moment of your own.
So, the next time you’re in the Town Center, look for the History Hike signs. Scan a code, listen in and take a walk through time. Because here in Grove City, every corner has a story – and they’re just waiting to be heard.

Richard L. “Ike” Stage Mayor








By Jane Dimel
Migdalia “Dolly” Crespo is no stranger to dreaming big. Across seven locations and eight positions, Crespo worked her way up from teen programming to director of youth development at the YMCA over the past 20 years.
Now, Crespo is bringing her vision for embracing community to Grove City as the executive director of the Grove City YMCA.
Born and raised in snowy Buffalo, New York, indoor sports were the primary option when it came to recreation for Crespo. At 5 years old, she started swim lessons at her

by

local YWCA and soon joined a team that would turn into 10 years of gelled hair, headpieces, makeup and elaborate costumes as a synchronized swimmer.
Crespo remembers her first suit from when she was 8 years old, which her mom helped turn from a blank blue suit to an elaborate costume with epaulettes, patches and more as part of a tradition in which parents help decorate them for the performance. For her performance, she recalls a solo to a song about America with a salute and fun choreography.
Her team, named the Y Knots, was co-coached by her mom and competed all across the state and sometimes out of state as well. She looks back on those days fondly.
“It’s really fun, and it’s different,” Crespo says. “If you love the water, but you don’t want to do laps, synchronized swimming is very creative, and you can do a lot of things with your hands, with your body, and it’s really pretty.”
Crespo became a competitive swimmer at 15 years old, competing all throughout college, and says she still swims at least three times a week.
“It’s my mental place and I feel most at home when I’m in the water,” Crespo says.


Crespo may be New York-born, but she was a Buckeye in the making as soon as she dove into the athletic world and fell in love with Division I sports.
“I started watching when I was younger. I was in school and read Coach K (about) the basketball coach from Duke and I just remember watching OSU basketball. Then I got into football, and then I started understanding what Division I sports were and how competitive they were,” Crespo says.
This flipped the switch for Crespo to transition from synchronized swimming to competitive swimming and begin her journey to The Ohio State University, where she got her bachelors of science focusing in sport and leisure and competed on the Masters Swim Team.
Following her graduation in 2002, she returned to New York where she studied sports administration at Canisius University. Crespo couldn’t stay away long though, as she soon found herself back in central Ohio.
“My swimming journey kind of started at a YWCA, and even though we’re different organizations, I knew that the YMCA was here in central Ohio when I was in school,” Crespo says. “I saw that central Ohio and Columbus were growing and very different from where I grew up, so I decided to move back in 2005.”
Crespo joined the YMCA team upon her return to Ohio as her first “real job” and hasn’t looked back since.
When Crespo’s hero, her mom, passed a few years ago, the Y team banded around her and gave her support and accommodations to help her through the hard time, solidifying her connection with the team.
“They, my supervisors and my friends, all knew (my mom). I definitely feel like a piece is missing, but she loved the Y and she knew I was thriving. The Y has just been amazing,” Crespo says. “If the Y can impact me this way, then I know we are impacting others this way.”
Earlier in the year, she started her new role as the Grove City YMCA’s exec-


“I want to create a legacy here in Grove City, so hopefully I’ll do that.”
Dolly Crespo, Executive Director at the Grove City YMCA
If you are a member of one YMCA, you are a member of them all, and Crespo has used that opportunity to explore YMCAs around the world and see their differences, histories and impact.
From the first YMCA in London, England to the Jackie Robinson mural at the YMCA near LA and more, there are unique aspects of each YMCA to check out while you’re out on vacation, traveling the world or just wanting to take a trip down the road.
utive director, which has allowed her to transition from the hands-on aspects of programming and youth development in order to evaluate future trajectories of the YMCA in Grove City. Since her start, Crespo has felt welcomed by the community and enlightened by her connections as she learns more about the community from members, partners and individuals she
She loves…
• Dogs, specifically Boxers
• The movie The Goonies
• Sweets such as Skittles and Snickers
• Popcorn, sandwiches and peanut butter
• Traveling, journaling and learning about other cultures and perspectives around the world (some of her past destinations include England, Ireland, Spain, Brazil and Israel)
She wants to…
• Try a YMCA water fitness class
• Travel to Australia and Alaska
• Make sure everyone learns how to swim, or at least knows the basics of water safety
• Be remembered for being transparent, kind, motivated, caring and a community leader
“She is vibrant, energetic. She’s a ray of sunshine. She brightens up every room that she walks in,” Jerry, Crespo’s fiancé, says.
“She’s light, bubbly, funny, sweet and generous,” Theresa, her older sister, says. “She would do anything for her people.”
“Like the YMCA she leads, Dolly reflects the spirit of Grove City: growing, inclusive and deeply connected. In just a few months, she’s built strong relationships while living out the original vision of the YMCA in Grove City, nurturing a welcoming space that offers health and wellness opportunities for all who call this community home. Dolly has stepped boldly into the community beyond the Y’s walls, and her leadership is creating lasting impact, meeting today’s needs while investing in a healthier future. With her guidance, Grove City and the YMCA are in the best hands,” President and CEO of the YMCA of Central Ohio, Tony Collins, says.
meets, and she’s committed to building up programming and working to meet community needs as Grove City continues to grow and expand.
As she looks forward, Crespo envisions getting more involved in the community with groups and organizations such as the Rotary Club and Southwest Public Library. She also hopes to continue to host events, such as her Coffee Chats that she started in May, and build up the tailored programming.
“We are looking at planning more things for families. We’re continuing to upgrade and fostering and continuing to collaborate with our community partners,” Crespo says. “The goal is to build brighter, stronger, healthier futures for everyone in Grove City.”
Jane Dimel is an assistant editor at CityScene Media Group. Feedback welcome at jdimel@cityscenemediagroup.com.

by


In Grove City, honoring military heroes isn’t limited to one day a year – it’s built into the City’s landscape. It’s how the community remembers, reflects and stays connected to the courage, resilience and sacrifice of those who served.
Nowhere is that more evident than at Henceroth Park, home to the Purple Heart Memorial Walk and other solemn tributes to military service members. These spaces don’t just honor history –they make certain it’s never forgotten.
Grove City is proud to be designated as a Purple Heart City, a national honor that reflects the community’s deep respect for the sacrifices of our nation’s combat-wounded veterans. This designation is part of the Military Order of the Purple Heart’s Purple Heart Trail, which connects communities across the country committed to honoring the service and sacrifice of Purple Heart recipients.
As a Purple Heart City, Grove City pledges to recognize and support these

Where Grove City’s gratitude lives on

heroes not just through monuments and memorials, but through ongoing public awareness, education and ceremony. It’s a formal way of saying what the community feels every day: we are grateful, and we will never forget.
Tucked away at 2075 Mallow Ln., the Purple Heart Memorial Walk offers a quiet, sacred space to honor those wounded or killed in action, or who lost their lives due to service-related injuries or illness. The crushed-rock path is shaped like a heart and lined with trees, each planted in memory of a military or first responder hero – a living symbol of courage and remembrance.
When the Walk was originally dedicated in 2017, it included 19 trees. But it was never meant to be static. As historical records and personal stories continue to surface, the memorial grows and trees are added. There are now 29 trees along the Walk.
Visitors are encouraged to visit the Purple Heart Walk and stroll the loop at their own pace, pausing to read the markers and reflect beneath the shade of the trees. It’s a peaceful, powerful experience – a reminder of lives lost and legacies that live on.
Each year on National Purple Heart Day – Aug. 7 at 10 a.m., Grove City hosts a Purple Heart Day Ceremony at the park, with remarks and personal tributes. The ceremony coincides with the city’s stirring Flags for Heroes – a five-day display of full-size American flags, each one representing someone memorialized along the Walk, standing tall and illuminated throughout the week.
Many of the individuals commemorated at Henceroth Park are enrolled in the National Purple Heart Hall of Honor, located in New Windsor, New York. The Hall preserves the stories of service
Grove City is home to nine meaningful memorial sites honoring veterans, first responders, and local heroes. Explore these sites in person and discover the stories they hold. Visit bit.ly/GCMemorialSites.
members from every branch of the military and every American conflict – ensuring their sacrifices are remembered through generations and across the country.
Enrollment in the Hall connects local remembrance to a national narrative – confirming these heroes are not only honored here at home but are forever part of our country’s enduring history.
Grove City makes a point to honor its heroes by speaking their names each year, planting trees in their memory, dedicating monuments and memorials, and so much more. All in an effort to ensure their stories live on – in the parks, in the hearts of residents and across the nation.

You don’t have
There are many high paying careers available without going to college. And even better news, the Grove City Higher Education Investment Program will assist with tuition, books and tools. These careers are available right here, at the South Western Career Academy (SWCA) in the South Western City School District. Some of the courses offered include automotive technologies, electrical trades, engineering technologies, welding and manufacturing, heating ventilation and cooling, as well as healthcare fields such as nursing, medical assisting and dental technologies.
Did you know these jobs are in high demand? According to Ohio’s Top Jobs, in central Ohio there are an estimated 3,000 openings for electricians, welders, HVAC and broadband technicians. The Bureau of Labor Statistics projects an eight percent growth in employment opportunities for nursing assistants by 2029, which is faster than the average for all occupations. Students completing their education at SWCA will

receive industry credentials and/or a certificate outlining the skills mastered throughout each course. The adult hub education program at SWCA has more than 75 percent placement success into a high wage position for participants who have completed courses.
So, you don’t have to go to college to land a high paying job. Parents, this is great information to review with your young adults as they prepare to exit high school. For adults who are underemployed or looking to change careers, this is a fantastic opportunity. Visit the SWCA website at https://swca.swcsd.us.
You can get more information about the Grove City Higher Education Investment Program online at bit.ly/gcoHEIP. College and trade certification scholarships are available through the HEIP. The trade awards can be used by recipients to pay for items often found to be barriers for some students, such as tools and other materials necessary to perform the job.
Individuals applying for an HEIP scholarship must be Grove City residents attending classes within 70 miles of City Hall and agree to participate in community service hours. The community service element provides recipients with an opportunity to give back to their community while experiencing all the wonderful events and services the City has to offer.
We are proud to offer these scholarships to our residents and look forward to your participation.
Randy Holt Council Member,
Ward 2
By Korrigan Craddock
If you have ever picked up a flyer, school program or seen a senior banner at one of the high school stadiums, you have come across the work of the one-man show behind all the printing at South Western City Schools.
Dan Springer prints everything from information packets for the first week of school to posters for classrooms.
Printing all of that work is not as simple as just making copies. It is perfecting colors, ensuring consistency, making hundreds of copies and making sure everything lines up just right.
Springer takes pride in helping and creating materials for the schools as he can see the impact his work has on the staff and students throughout the district.
His paper trail
Springer found his passion for printing in high school. He originally wanted to be a welder, but when a local print shop had an opening, he decided to give it a try.
“(The print shop owner) was willing too. He showed me this printing press, and he said, ‘I want to train somebody to use this,’” says Springer. “And I’ve never left printing since.”
Springer worked at that print shop for a couple years before moving onto commercial printing for about 10 years.
Eventually, he found his way to printing for school districts. He first worked as a printer at Lancaster City Schools before joining the South Western City School District in 2004.
Aside from a position transfer when he first started in the district, Springer has always been the oneman show behind the print shop. He works with a traditional printing press and other specialized print -


ing machines to perfect each job. Although Springer runs the entire printing operation for all South Western City Schools’ needs, he receives strong support from his colleagues such as assistance preparing design files and handling financial needs.
Each year, there are about 800 different printing requests that come through, each with their own requirements and page numbers. Some jobs take as few as five minutes while others take weeks, leading Springer’s day-today routine to look very different.
Here are a few things you might be surprised Springer has produced:
• Envelopes for letters sent home
• Hall passes
• Discipline forms
• Senior banners
• Prom invitations
• Tickets
• School musical materials
• Cursive books
• More than 10,000 graduation programs
Printing is not just a labor of love; it is a field that is constantly filled with new challenges and intricate details. With printing technology constantly evolving, Springer does his best to stay up to date by teaching himself new techniques and learning how to use new equipment often through watching YouTube videos.
“It’s a technical industry. It’s always changing. There’s always something to learn,” says Springer. “If you are on your



toes, there’s some excitement anytime there’s a new process or a new machine or a new way of going about things, that drives you.”
Constantly evolving technology isn’t the only challenge when it comes to printing. Consistency is key, especially when it comes to colors. For example, Springer pays close attention to blues in the new district logo to ensure the shades don’t look too purple.
Consistency and quality means everything to him. Everything he prints represents branding for the school district. The small details help create a positive image and environment for the schools.
“A press operator’s got to learn. It’s almost like painting,” says Springer. “Anybody can paint, but it’s going to take you a while to get a painter’s eye. Printing is the same way.”
Printing within the school district saves a significant amount of money. The funds that would have been used for printing can be put into other things.
Springer takes extra pride in knowing that the money the district saves with his printing is helping kids in other ways.
Fun Fact: Springer appreciates that he can still do traditional offset printing in an increasingly digital world. Offset printing involves creating an etched metal plate and using wet ink to create the final product. This type of printing helps produce large color print runs more efficiently and cost-effectively such as envelopes.
Some of the materials he prints are for major events such as graduation diplomas and award certificates. Many of these items are cherished keepsakes for students and families that will be kept for years.
Meredith Ackerman, communications specialist at South Western City Schools, works closely with Springer and sees the lasting impact of his work.
Teachers will often send posters for Springer to print for their classrooms. These posters stay in the classroom for years and reach multiple generations. Akerman emphasizes the impact Springer has on students and teachers. Without printing capabilities within the
district, many of the teachers wouldn’t be able to get as many posters for their classrooms.
Ackerman gets the chance to walk through the schools more than Springer does, and she often notices materials Springer has printed years ago still hanging in classrooms and halls.
“It’s definitely something that brings words and art to life. It has a big impact on our community and our district in multiple generations of students who will walk through the doors,” says Ackerman.
Springer takes his work seriously and appreciates the impact he has on the schools and the staff and students in them. His work is seen by thousands of people and touches many lives, and his materials will be a lasting part of school experiences for years to come.
Korrigan Craddock is a contributing writer at CityScene Media Group. Feedback welcome at feedback@cityscenemediagroup.com.

By Jane Dimel
From black-eyed Susans to bee balm, compass plant, coreopsis and more, the path of Highland Park Elementary holds more than 100 native plants and wildlife species.
This garden initiative, still new and growing, began as an idea from the Gantz Park team for bringing together these two spaces.
Two years ago, the team approached Highland Park Principal Stephanie Baker with the concept. She then brought the project to someone she knew could make the plan a reality: fourth-grade teacher Zachary Pearson.
A teacher of more than 18 years, with 10 years at Highland Park, Pearson is an avid gardener and botanical painter in his free time, which made him a great candidate to lead the project.
“We have this good connection (with Gantz Park). We were doing a staff scavenger hunt, and I met the mayor of Grove City, Ike Stage, and he said, ‘I’ve

Class inspecting and chatting around the garden.
Pearson often talks with his students about how humans impact their environment and though big changes might be happening around them, they can still help.
“I try to empower them to say, ‘Even though you’re 9 or 10, you can make a change.’ Planting this plant can feed, like milkweed is the preferred plant for monarch butterflies, which are in decline, and so we planted a lot of milkweed, because the kids were like, ‘We gotta help the butterflies!’” Pearson says.



Pearson’s students had a particular fascination with studying insects they found when playing in the dirt, one of which were roly polies. Through their research, the students found the ancestors of roly polies are water creatures, so they have modified gills.
always wanted to make a pathway from Highland Park to Gantz Park so the kids could go there after school,’” Pearson says. “The kids and I brainstormed, but it was Gantz Park (that) had the idea to bring a little bit of Gantz Park to Highland Park.”
After officially applying for and receiving the two grants for the project, Pearson started work on the plots with the help of students.
While a lot of the help came from his classroom students, there were several students from all across the school, especially those involved in the afterschool P.A.R.K. program, who helped with everything from building the raised beds to digging and planting.
Not only did Pearson get help when creating the space, his students also helped pick out what to plant. During classes, he encouraged students to research native plants and which ones would benefit native creatures as well.
“The kids and I brainstormed, but it was Gantz Park (that) had the idea to bring a little bit of Gantz Park to Highland Park.”
– Zachary
Pearson, fourth grade teacher at Highland Park
“I learned a lot from them researching,” Pearson says. “Did you know birds like plants that are (the) same color (as them)? Shout out to Carter from my class. I think it helps with the camouflage. So, if you want red birds, like, if you want cardinals, you should plant some red plants.”
Once the garden was in place, Pearson and his students conducted science lessons on ecosystems as well as civic lessons on giving back to the community in impactful ways by “making a space to help things live.”
“One of the things I say to the kids is, ‘We’re going to plant these this year, but you’re not going to see them grow. You’re really doing it for the future kids. You’ve got so much from Highland Park and from each other here at Highland Park,’ that this is their gift back to future kids,” Pearson says. “They have a lot of ownership in it then.”
Pearson’s classes have led the charge on the garden for the past two years; however, countless others have helped along the way.
Other classes have assisted with weeding, raising monarch caterpillars to release in the garden and overall upkeep such as gathering seeds. The garden has become a large source of


of
pride among students, as they check up on the garden frequently whether by emailing Pearson or by tagging along with him when he’s tending to the garden.
“Kids would go home after school, ask their mom if they could come back to school because they wanted to be there when I was watering the plants so they could help water the plants…I never had kids saying, ‘Can I come back to school? Because I want to help out,’ like that,” says Pearson.
The future of the space is not set in stone yet; however there are plans to create an outdoor learning space simi-
lar to the one at Monterey Elementary, equipped with park benches.
Pearson hopes to connect with other garden teachers across the district to continue improving the garden in new and unique ways and impacting students for years to come.
“I hope that they love plants and that they have a sense of possibility that they can do it themselves. They can plant something that helps their environment,” Pearson says.
Jane Dimel is an assistant editor at CityScene Media Group. Feedback welcome at jdimel@cityscenemediagroup.com.


The Official Magazine of Grove City • Mailed to more than 20,000 homes in Grove City and Jackson Township • Mailed to EVERY Grove City Business • Community Calendar • Award-winning design / editorial • The Source exclusively found in every issue

By Korrigan Craddock
You may have seen some high school boys helping with Earth Day clean-up or shoveling driveways during a school snow day. Chances are, they are a part of the Grove City High School football team.
Made up of more than 120 players between the varsity and the freshman team, the Grove City High School football program is active both on and off the field.
With a community that rallies behind them every Friday night, the team works to give back the support they get every week. Through their strong bonds on and off the field, the team hopes to not only have a season with high scores but one filled with giving as well.
Having grown up in Grove City, Head Coach Greg Waits has a deep love for the community.
Between his time both as a player and a coach, Waits has been part of the football program for about 35 years, with this season marking his fourth year as head coach.
Since becoming head coach, he and the other coaches have made community


service a priority for the team. They help facilitate and encourage the team to give back to their community.
His focus is not only shaping them as athletes but also preparing them for life beyond the team.
Being a part of the Grove City High School football team means everything to seniors Gabe Adrovet, Mitchell Merz and Carson Welsh.
Many of the players on the team grew up playing football together, which has strengthened their bond with each other.

The football team isn’t the only team who gets involved. The cheer squad and other Grove City High School athletes have joined on projects such as the Earth Day clean up and visiting StoryPoint Senior Living.
“I think we’ve all played together since like first grade. We were all on the same team. That’s unique. We’ve grown up playing together. It’s crazy,” says Welsh.
The bond between teammates goes far beyond the game. Many players on the team refer to it as brotherhood.

“We always spend a lot of time together in and out of football. So, we have a really good bond. Kind of like being a big family,” says Adrovet.
The players are not only building their team off the field, but they are also determined to continue strengthening the team on the field for this season and the future ones to come.
“We are building every year and getting better every year. We are looking to do our best,” says Adrovet.









The support the team gets each week motivates them to keep working hard and the players are very thankful for it.
“That means everything, you know, having the city behind your back and they’re always supporting us, so just playing your heart out every Friday,” says Welsh.
During the off-season, the team makes the most out of their time by doing community projects.
The players have taken part in a wide range of projects for the community such as shoveling driveways and working youth football camps.
“We had this team thing where the whole team split up into six different teams and you had all season captains for each team. And so, the captains had to set up different volunteer things,” says Merz. “Some teams went out to the food banks, some went out to the elderly home, so a lot of things like that.”
One of the favorite projects among the players are the visits to StoryPoint Senior Living to see Gary Leasure, who helped make it possible for Grove City High School to have a turf field. The team’s field was named after him, Leasure Field.
Visiting the elementary schools and working the youth football camps is another project that stands out to many of the players. Many remember being in the

Some of the other ways the team has given back:
• Making Easter baskets for the Ronald McDonald House
• Preparing and handing out hot meals to the community
• Helping at the Mid-Ohio Markets
• Participating in Earth Day clean-up
same shoes and take pride in supporting the future of the football program.
“I remember being a little kid and we used to come out here on this field and all the players used to hype up all the kids. And I remember scoring and all the people hyping you up. So, doing that again for them is just a lot of fun,” says Merz.
Waits is proud of how passionate the team has become about helping their community. He loves seeing how excited the players are about their favorite service projects.
“I’ve had several people come up to me and our other coaches just talking about how thankful they are for the players and thanking us for what they’re doing for the community,” says Waits.
The team is excited to continue their involvement and help the community with future projects.
Korrigan Craddock is a contributing writer at CityScene Media Group. Feedback welcome at feedback@cityscenemediagroup.com.





By Korrigan Craddock
The Grove City, Ohio Rotary Club is dedicated to giving back to the community. The club is constantly working on projects, including a new one called Catherine’s Cribs started by one of its new members.
The Grove City Rotary was founded in 1996 and has been highly involved in the community ever since, donating nearly $1 million back to the community.
Mary Titus, current Rotarian and Grove City Rotary President 2024-2025, says there are countless projects the club has done that have had an impact in the community.
“Rotary is a global service organization,” says Titus. “The purpose is basically to bring together men and wom-

en from all the different backgrounds, all different lifestyles, and we share a passion and commitment to enhancing communities and improving lives across the world in our community locally through humanitarian service.”

Some projects are led by the club as a whole, and others are passion projects of the members that the club supports. Some recent projects the Rotary has completed include awarding thousands of dollars in scholarships, collecting donations for the M.A.S.H. Pantry and
Columbus Humane, and supporting the Ronald McDonald House to name a few.
Joe Horton officially joined the Rotary in February of this year after being active in events since last fall.
Joe is a Marine Corps veteran and a retired Columbus police officer. During his 30 years of service as an officer, he experienced some difficult calls. Particularly, the few calls involving the death of infants, many of which were accidental due to the baby not sleeping in proper and safe bedding.
“It was more likely than not preventable had that infant been in an appropriate sleep system such as a bassinet or a crib, something designed for infant children to sleep in,” says Joe.

During his career, Joe would often talk about the issue of crib access with his wife, Amy, a nurse who previously worked in the NICU.
He brought the idea of Catherine’s Cribs to the Rotary, and it quickly became a reality. The two started Catherine’s Cribs in February of this year. The nonprofit is dedicated to providing a safe space for infants to sleep.
Catherine’s Cribs is named for Joe’s mom, Mary Catherine “Cathy” Horton.
The Hortons are incredibly thankful for the Rotary’s support and help getting the nonprofit up and running, including connecting them with people to help build the website, create business cards and more.
As Catherine’s Cribs continues to grow, the Hortons are eager to fine-tune the details to help families in need.
The Hortons understand there are different circumstances that may lead someone to need a crib.
Catherine’s Cribs is dedicated to donating to anyone in need, including mothers, fathers, foster families, grandparents, aunts, uncles and anyone else who needs a safe space for a baby to sleep.
To request a crib, individuals can visit the nonprofit’s website and complete a short questionnaire. The crib will then be delivered directly to the recipient’s door.
Catherine’s Crib respects privacy and will not disclose the identity of the recipients. It is also important to note that Catherine’s Cribs is not a government or healthcare agency.
The Hortons are currently sourcing their cribs from either Amazon or Walmart to ensure convenient delivery to the recipient’s front door.
The Hortons bought and tested several options and emphasize the importance that the donated cribs are portable cribs, as they help provide flexibility and are easy to move to where they are needed.
“I wanted one that as the baby grew, the mattress would go further down in the crib, so it has a changing table on top,” says Amy. “As the baby gets bigger, it’s adjustable.”


Although the nonprofit is still on the newer side, the Hortons are eager to see what it will become and all the families they can help.
Catherine’s Cribs is always looking for community support.
Currently, the organization is accepting monetary donations, which can be made through the website. The donations go to the Grove City Rotary Foundation and are specifically set aside for Catherine’s Cribs.
Since Catherine’s Cribs is new and not well-known yet, another way to help is by spreading the word.
The Hortons are working hard to raise awareness and reach families in need by connecting through word of mouth and information cards placed at local churches.
“We’re just hoping it continues to grow and develop into something (that becomes) largely recognized as a charitable effort where the mother and the child or the family involved know their dignity and their privacy are respected,” says Joe. “And they’re provided a safe environment for the child.”
Korrigan Craddock is a contributing writer at CityScene Media Group. Feedback welcome at feedback@cityscenemediagroup.com.
By Jane Dimel

Many of us grew up playing house with playhouse kitchens and using our toys to depict our family. As adults, the idea of playing house has evolved in a new way: house hunting.
What better way to experience a new home than to step inside and imagine what it would be like to live there – whether you want a big island or a butler’s pantry, formal dining or an office space, a covered deck or screenedin porch and more, there are so many different options for what your future home could look like. And the perfect opportunity to house hunt or seek inspiration is arriving just around the corner with the BIA Parade of Homes.
For more than 70 years, the Building Industry Association of Central Ohio (BIA) has brought life and innovation to the house-hunting experience





by showcasing high-quality homes from top builders across central Ohio in its Parade of Homes. This event provides a unique opportunity to see what builders are doing in your community and others as well.
This route runs from Dublin to Lancaster and communities along the way, and there is a stop for every home fantasy, from farmhouse to modern to luxury styles, as well as single-family and multi-family homes to condominiums. Homes from around central Ohio will be on display, including several right here in Grove City created by companies such as 3 Pillar Homes, PNE Builders, Epcon Communities and Maronda Homes.
The 2022 Feature Community, Beulah Park, will have two homes on display from PNE Builders and 3 Pillar Homes. These four and five-bedroom spacious homes are perfect for growing families.
PNE Builders will be showcasing a home with an engaging, open concept farmhouse design, and 3 Pillar Homes will show an expansive home with a first-floor guest suite perfect for traveling friends and family and a prep kitch-
en, walk-in pantry and recreational spaces equipped for hosting them.
Off White Road, Epcon Communities will display a home in its Mulberry Run community, ready for family fun with its pickleball courts, walking trails and more.
Maronda Homes will exhibit a contemporary style with homey features such as a useable front porch, cozy breakfast nook, private den with retractable glass doors and more.
3 Pillar Homes will also be showcasing homes in Evans Farm, Carriage Farms and other communities as well, so make sure to check the BIA Parade of Homes list online to scope out the best spots to check out.
Whether you are actively house hunting, looking for design inspiration or wanting to play house for a day, the BIA Parade of Homes is a unique opportunity to step through the doors of new homes across central Ohio and try on different styles for size.
Jane Dimel is an assistant editor at CityScene Media Group. Feedback welcome at feedback@cityscenemediagroup.com.

Grove City home prices were up 10.1 percent in May 2025 compared to last year. On average, homes sold after 39 days on the market, compared to 38 days last year, with a median selling price of $410,000. A total of 67 homes were sold in May this year, up from 66 homes last year. (Data from Redfin)
All information is collected from the Franklin County Auditor’s Office.
5511 Timber Heights Ln.
4 beds, 3.5 baths
$700,044
Sold 6/24/25
2665 Longridge Way
3 beds, 2.5 baths
$604,000
Sold 6/6/25
4606 Gershwin Ave.
4 beds, 2.5 baths
$599,900
Sold 7/14/25
1923 Mallow Ln.
4 beds, 2.5 baths
$599,900
Sold 6/17/25
4919 Pinnacle Woods Dr.
4 beds, 2.5 baths
$590,000
Sold 6/5/25
1714 Tuscarora Dr.
3 beds, 2.5 baths
$578,900
Sold 6/6/25
2607 Lori’s Way
4 beds, 2.5 baths
$549,900
Sold 6/10/25
1907 Timber Haven Ct.
4 beds, 3.5 baths
$526,000
Sold 6/23/25
2880 Longridge Way
3 beds, 2.5 baths
$494,000
Sold 7/10/25
4710 Helmsbridge Ct.
4 beds, 2.5 baths
$490,500
Sold 7/7/25
5485 Demorest Dr.
5 beds, 2.5 baths
$489,900
Sold 6/5/25
1336 Great Hunter Dr.
3 beds, 2.5 baths
$480,000
Sold 6/4/25

















The Volcano Daughters (historical fiction)
by Gina María Balibrera
Told from the point of view of two sisters who escape genocide and the ghosts of their massacred friends, the story begins in El Salvador under the brutal regime of a dictator. Readers follow the sisters as they reconnect and build their lives after tragedy. Though heavy at times, the story contains hope, perseverance and strength.
Heartwood (fiction)
by Amity Gaige
When Valerie, an experienced hiker, goes missing 200 miles from her end point on the Appalachian trail, Beverly, a determined Maine Game Warden, assembles a team to try and locate her. This engaging story is mainly told from Valerie and Beverly’s perspective; it unfolds with the help of a search and rescue dog and unexpected armchair detective.
Greenteeth (fantasy)
by Molly O’Neill
Jenny, a river hag, and Temperance, a witch, form an unlikely duo as they set out on a quest to save their village from an ancient evil. Jenny and Temperance are helped by a variety of fae, monsters and legends as they find what they need to make a stand. Full of English folklore, adventure and hope, this book is a delight.




Want more recommendations? Give us a call or visit www.swpl.org and explore NoveList Plus and NoveList K-8 Plus, online readers’ advisories featuring both fiction and nonfiction. Access via the ‘Resources’ tab, ‘Books & Literature’ section. Need
Killers of a Certain Age (fiction) by
Deanna Raybourn
Billie, Mary Alice, Helen and Natalie are retiring from their careers as elite assassins and are celebrating with an all-expense paid cruise trip courtesy of their former employer, the Museum, only to discover that the Museum has taken out hits on all of them. To survive they’ll have to lean on each other and their years of experience. Luckily, they know what they’re doing.


The Perfect Marriage (psychological thriller) by
Jeneva Rose
Sarah Morgan is one of the best criminal defense attorneys in D.C., but when her husband is accused of killing his mistress, she is in for the legal fight of her life. Filled with so many twists and turns, you won’t be able to predict the ending.
The Listeners (fiction) by Maggie
Stiefvater
Set in 1942 in a luxury hotel in West Virginia, June Porter Hudson, a local girl turned the hotel’s general manager, must persuade her staff to serve with a smile when the hotel owner works with the State Department to fill the hotel with captured Axis diplomats. Mix into the story an FBI agent with a coal miner’s tattoo and the magic powers of the local water, and you won’t want to put this book down.





SEPTEMBER-OCTOBER 2025
Online and office registration begins MONDAY, AUG. 25.



The Source highlights Parks and Rec. programs, activities and amenities. For additional details, access the registration system at bit.ly/gcpReg or view the activity guide as a pdf online at bit.ly/gco. Source.
The CivicRec registration system and website allows people to find information and register online where they can sort classes by age, type of program and day of the week.
Online viewing allows users to personalize options to fit their families’ schedules and interests while accessing fresher, more accurate information.
Visit bit.ly/gcpReg or go to GroveCityOhio.gov and follow prompts from the Parks & Rec. page.

Questions? Staff are available to help! For preschool, youth and adult programs, call or visit the Kingston Center, 8 a.m.-5 p.m., Monday-Friday. For programs and activities for ages 55+, call or visit the Evans Center, 8 a.m.-5 p.m., Monday-Friday.
Walk-in registration and payment are available at both locations. Payment by phone is not available.
PARKS & RECREATION OFFICES
Kingston Center 614-277-3050
3226 Kingston Ave.
General information and preschool, youth and adult class registration
Evans Center 614-277-1060
4330 Dudley Ave.
55+ information, class registration, connections for senior services
Gantz Farmhouse 614-277-3058
2255 Home Road
Herb garden and Gardens at Gantz Farm Volunteer information
Gantz Preschool Center 614-871-6330
2259 Home Road
RecSchool and preschool programs
Weather Hot Line .......... 614-277-3060
Status updates on team sports practices and games.
Grove City Parks and Recreation
E Q @GroveCityParks
City of Grove City
E Q @GroveCityOhio
City Hall ....................... 614-277-3000
4035 Broadway Service 614-277-1100
3262 Ventura Blvd.
Public Safety/Police 614-277-1710
3360 Park St.


Classes and programs may be canceled due to adverse conditions (road and playing surface conditions, lack of utilities, etc.).
• For updates, call 614-277-3060, visit GroveCityOhio.gov or check Parks & Rec. Facebook and Instagram accounts.
• Later updates due to incoming weather/condition changes are made to the phone line.
• Participation is always at the discretion of a minor participant’s parent/guardian or the adult participant.
Outdoor Sports/Activities
• Cancellations for evening activities are determined based on field conditions by 4 p.m. by Parks and Rec. personnel.
• Contests may be canceled later if incoming weather affects conditions. Call 614-277-3060 for updates.
• Do not use dirt or grass infields of closed fields as it may cause damage requiring repair and lead to further cancellations.
Indoor Sports/Activities
• Weekday classes and programs are canceled when the SouthWestern City Schools close due to dangerous road conditions.
• If conditions change, evening classes may be canceled at the discretion of Parks and Recreation personnel by 4 p.m.
• Weekend cancellations are made by 7 a.m., Saturday and 11 a.m., Sunday.


The City of Grove City strives to add to, improve and maintain parks and recreation facilities throughout the city, including expansion of the multi-use path system linking recreational, residential and commercial areas of Grove City.
Gantz Park
• Construction of the Garden of the Five Senses, an inclusive, experiential garden for all abilities
Quarry Park
• Installation of playground with accessible surface
• Pickleball and basketball courts with lights
• Shelter with plumbed restrooms
• Paved, looped path
Windsor Park
• Expansion of lighted, paved parking lot
• Addition of basketball courts on Babbert Way
• The Park at Beulah: Park Street to Beulah Park Drive (along West Water Run)
• Jackson Pike: Hawthorne Parkway to Scioto Meadows Boulevard
• Hoover Road bridge over I-71
• Quarry Park internal loop
Gantz Park
• Resurfacing of parking lots accessible from Home Road
• Construction of RecSchool preschool programming building
The Big Splash
• Improvements to pool shell, gutter grates and filtration system
Fryer Park
• Installation of turf on West Pod Fields
• Ball field improvements including enhanced grading and drainage and repair of paths and parking lot areas
Hoover Park
• Stabilization of the pond shoreline including erosion control and planting of native tree species


Grove City offers various team sports for ages 5 through adult. Register online or in the Kingston Center during the assigned month. Spaces are limited; registration may close before the end of the month.
Pickleball Fall Ladder Leagues
Parks & Rec. is offering ladder leagues for a variety of ages and abilities. Play three games to 15 points or six games to 11 each week session. The top two players each week move up in the rankings and the bottom two move down, ensuring all participants are challenged and engaged throughout the season.
Keep Your Partner Leagues
Register as a two-person team. Play 2 rounds of best of 3 games to 11 points.
Ages: 18/up
Windsor Park
$30 per player
Keep Your Partner 2.5-2.9
• Mon., 9/22 to 10/27; 5:30-7 p.m.
Keep Your Partner 3.0-3.4
• Mon., 9/22 to 10/27; 7-8:30 p.m.
Keep Your Partner 3.5-3.9
• Wed., 9/24 to 10/29; 5:30-7 p.m.
Keep Your Partner 4.0+
• Wed., 9/24 to 10/29; 7-8:30 p.m.
Register as an individual. Play 3 games to 15 points each week.
Ages: 18/up
The Park at Beulah
$25 per player
Tuesday Beginner <3.0
• Tue., 9/23 to 10/28; 5:30-6:30 p.m.
Thursday Beginner <3.0
• Thu., 9/25 to 10/30; 5:30-6:30 p.m.
Tuesday Intermediate 3.0-3.8
• Tue., 9/23 to 10/28; 6:30-7:30 p.m.
Thursday Intermediate 3.0-3.8
• Thu., 9/25 to 10/30; 6:30-7:30 p.m.
Tuesday Advanced 3.8+
• Tue., 9/23 to 10/28; 7:30-8:30 p.m.

Strive to improve your game as you move to a higher or lower court based on weekly performance.
Ages: 16/up
Windsor Park Tennis Court 1
Beginner Singles
• Thu., 9/18 to 10/16; 6-8 p.m.
$30 per player
Intermediate Singles
• Sat., 9/20 to 10/18; 8-10 a.m.
$30 per player
Beginner Doubles
• Tue., 9/16 to 10/14; 6-8 p.m.
$60 per 2-person team
Intermediate Doubles
• Wed., 9/17 to 10/15; 6-8 p.m.
$60 per 2-person team
Youth Basketball
Grove City offers a rec. basketball experience for kindergarten though grade 12.
Individuals are assigned to teams and practice one night per week then play Saturdays.
Practice starts Dec. 8
Program Age Groups
õ Adaptive
õ Preschool (1-5)
õ Youth (5-17)
õ Adult (18+)
õ 55+/Senior
Thursday Advanced 3.8+
• Thu., 9/25 to 10/30; 7:30-8:30 p.m.
Games start Jan. 10.
$83 (NR: $88)
SWCS Facilities



Keeping your mind and body active is important for health for all ages. Whether you are into self-guided activities like utilizing bike paths or enjoy group classes, Grove City Parks & Rec. has something for you!
Lead-up Sports
Preschoolers build social skills while learning the fundamentals of sports.
Jump Bunch
Toddlers build coordination, balance, teamwork and motor skills during coach-led activities that introduce sports-readiness skills and foundations of fitness.
$78 (NR: $86) | Kingston Gym
• Ages: 1½-2: Wed., 9/10 to 10/15; 6-6:30 p.m.
• Ages: 2-3: Wed., 9/10 to 10/15; 6:30-7 p.m.
Sporties for Shorties Ages: 3-5
Young children develop kicking, running, throwing and team skills through exciting lead-up sports activities and group games.
$78 (NR: $86) | Kingston Gym
• Wed., 9/10 to 10/15; 7-7:45 p.m.
Peewee Beginner Ages: 4-7
$45 (NR: $50) | Kingston
• Mon., 9/8 to 10/13; 5-5:30 p.m.
• Wed., 9/10 to 10/15; 5-5:30 p.m.
Peewee Advanced Ages: 4-7
$45 (NR: $50) | Kingston
• Mon., 9/8 to 10/13; 5:30-6 p.m.
• Wed., 9/10 to 10/15; 5:30-6 p.m.
Beginner Ages: 8/up
$60 (NR: $65) | Kingston
• Mon., 9/8 to 10/13; 6-7 p.m.
• Wed., 9/10 to 10/15; 6-7 p.m.
Advanced Ages: 8/up
$60 (NR: $65) | Kingston
• Mon., 9/8 to 10/13; 7-8 p.m.
• Wed., 9/10 to 10/15; 7-8 p.m.
Gymnastics
$40 (NR: $45) | Kingston Gym
Gymnastics Age: 3
• Mon., 9/8 to 10/13; 5-5:30 p.m.
• Tue., 9/9 to 10/14; 5-5:30 p.m.
• Thu., 9/11 to 10/16; 5-5:30 p.m.
Gymnastics Age: 4
• Mon., 9/8 to 10/13; 5:30-6 p.m.
• Tue., 9/9 to 10/14; 5:30-6 p.m.
• Thu., 9/11 to 10/16; 5:30-6 p.m.
Gymnastics Ages: 5-6
• Mon., 9/8 to 10/13; 6-6:30 p.m.
• Tue., 9/9 to 10/14; 6-6:30 p.m.
• Thu., 9/11 to 10/16; 6-6:30 p.m.
Gymnastics Ages: 7-8
• Mon., 9/8 to 10/13; 6:30-7 p.m.
• Tue., 9/9 to 10/14; 6:30-7 p.m.
• Thu., 9/11 to 10/16; 6:30-7 p.m.
Yoga
Relax the body and calm the mind through Hatha yoga posture with breathing techniques.
$22 (NR: $24) | Evans Auditorium
• Tue., 9/2 to 9/23; 6-7 p.m.
• Tue., 10/7 to 10/28; 6-7 p.m.
Zumba Toning
Tone and sculpt muscles through cardio, muscle conditioning and toning with rhythm and coordination.
$20 (NR: $22) | Evans Auditorium
• Thu., 9/4 to 9/25; 6-7 p.m.
• Thu., 10/2 to 10/23; 6-7 p.m.
Square Dance: Basic Ages: 16/up
Join the Grove City Western Squares and learn to square dance for fun, friendship and fitness. Instructor and caller will teach you the basic calls as our members help guide you along.
Couple and singles welcome!
$20 (NR: $25) | Evans Auditorium
• Mon., 9/8 to 11/17; 7-9 p.m.

For full details on offerings and registration, visit bit.ly/gcpReg Registration opens: Mon., 8/25

Esports are coming to Grove City Parks and Recreation!
Come experience the exciting world of competitive video games with us at the Kingston Center. Our new Esports room features 12 high-powered PCs with access to over 15 titles from Fortnite to EAFC and more!
For more information about open play times, leagues, and computer classes, visit bit.ly/gcpReg.
All ages experience a free walking program led by a healthcare provider as you safely walk/roll, learn about current health topics, and meet new people.
• Sat., 9/6; 9-10 a.m.
Fryer Park (Century Village shelter)
• Thu., 9/18; 6-7 p.m.
Fryer Park (Century Village shelter)
• Sat., 10/14; 9-10 a.m.
Windsor Park (large shelter)
• Thu., 10/16; 6-7 p.m.
Windsor Park (large shelter)

For full details on offerings and registration, visit bit.ly/gcpReg
Registration opens: Mon., 8/25


Grove City’s Adaptive and Inclusive Program provides opportunities for children and adults, including veterans with disabilities, through recreation and leisure activities with the belief that recreation should be accessible to every body and every ability, including individuals with developmental, physical and invisible disabilities, or those who need adaptive equipment.
Adaptive Kids Indoor Play Time Ages: 1-5
Kids of all abilities burn off extra energy during cold weather using mats, balls, toys and other play equipment. Parents/ guardians are REQUIRED to supervise at all times; Grove City staff is NOT responsible for supervising children. No rough play or fighting.
$5 | Kingston Gym
• Sun., 10/12; 9-11 a.m.
• Sun., 10/26; 9-11 a.m.
Adaptive Craft Ages: 5/up
Creativity meets inclusivity as all skill levels and abilities make crafts that reflect the season.
$12 | Kingston Room 2
• Wed., 9/17; 6-7 p.m.
• Wed., 10/22; 6-7 p.m.
Adaptive Karaoke Ages: 8/up
Sing, dance and enjoy friendship while taking turns singing favorite tunes or dancing to others.
$5 | Evans Auditorium
• Fri., 10/17; 6-7:30 p.m.
Adaptive Youth Golf Clinic Ages: 7-9
Participants are introduced to the game of golf in a fun, safe, and empowering environment where every child is encouraged to thrive, regardless of experience or ability through engaging activities as they build life skills, connect with peers and experience success.
$90 | Kingston Gym
• Mon., 10/20 to 11/24; 6-7:30 p.m.



Children need spaces where they can feel free, safe and active while interacting with others. Grove City offers preschool programs that provide the foundations of group learning with a nature-based philosophy. Options vary from parent/adult-child activities to child-only classes.
PARK serves elementary school students by providing activities that keep them engaged, but without the structure of school. Each day includes arts and crafts as well as small- and large-muscle play.
Preschool programs foster physical, mental and cultural development for children as young as 2. Participants build self-confidence, discover interests and develop age-appropriate skills while having fun in a brand new facility built with nature-based learning for young children in mind.
Located in the brand new Gantz RecSchool Center in Gantz Park, ages 3-5 build academic, social, creative, physical and emotional skills in a child-centered group setting.
Children connect with the environment through nature-based classroom experiences and frequent outdoor adventures.
Registration opens in February for the following school year (SeptemberMay). For info, visit bit.ly/GCRecSchool or call 614-871-6330.
Ages 2-3 with an adult explore a classroom setting filled with play-based learning opportunities including planned activities and circle time with reading and movement for an hour on Friday mornings, September-May.
PARK Programmed After-school Recreation for Kids offers a safe place for children in grades K-4 to stay physically, mentally and socially active when the South Western City Schools are in session.
The program operates MondayFriday, 2:30-6 p.m., at SWCS elementary schools in Grove City:
• Buckeye Woods
• J.C. Sommer
• Highland Park
• Monterey
• Richard Avenue.
This very popular program fills up quickly! Waiting lists are maintained throughout the year, so when openings happen, they can be filled quickly.
Program Age Groups
õ Adaptive
õ Preschool (1-5)
õ Youth (5-17) õ Adult (18+) õ 55+/Senior



Grove City is full of creativity! Much like physical activity improves health, making things with your hands and performing, especially in a group, offers personal benefits that extend beyond the final product.
Blacksmithing Intro
Curious about metalworking?
Experience the blacksmithing process through demonstrations and practical application of the fundamental techniques used to form and shape metal.
First-time apprentices make “S” and “J” hooks. Returning apprentices work on a project of interest, time and complexity best for them.
Discuss equipment and safety procedures of establishing a home blacksmith shop and learn the science of the craft learn. Tools, materials and PPE (personal protective equipment) supplied. Instructor: Max Bauman.
$60 (NR: $65)
Fryer Park Century Village
• Sat., 9/13; 9 a.m.-2 p.m.
• Sat., 9/27; 9 a.m.-2 p.m.
• Sat., 10/11; 9 a.m.-2 p.m.
• Sat., 10/25; 9 a.m.-2 p.m.
First Steps in Music Ages: 3-5 with Adult
Express yourself with joy through developmentally appropriate dance and movement set to folk music led by Katerina Hiles, certified Feierabend Music instructor.
$62 (NR: $70) | Kingston
• Tue., 10/7 to 10/21; 6:15-7 p.m.
• Tue., 9/9 to 9/23; 6:15-7 p.m.
Kids’ Craft Night Ages: 5-10
Build skills, make new friends and get creative making seasonal crafts.
$10 (NR: $12) | Kingston Room 2
• September
Apple-themed arts and science activities.
Wed., 9/10; 6:30-7:30 p.m.
• October
Halloween-themed crafts & not-sospooky projects
Wed., 10/8; 6:30-7:30 p.m.
Parents’ Night Out!: Ohio
State Spirit Night Ages: 5-10
Parents kick back and relax while staff set the game plan! Kids gear up for an evening of Ohio State-themed crafts, active games and a snack.

School’s Out! Camp’s In!
Ages: 5-10
Take advantage of a day off from school to enjoy a day of fun activities like fitness, group games and themed art activities under PARK leader guidance.
$60 (NR: $65) | Kingston Room 2
• Fri., 10/17; 8:30 a.m.-5 p.m.
Pumpkin Painting Fun
Ages: 6/up with Adult
Bring the family (up to 4) for festive pumpkin decorating. We provide pumpkins, paint and the cleanup!
$10 (NR: $12) | Kingston Room 2
• Sat., 10/25; 4-6 p.m.
Painting Fun
It is easy and enjoyable to create your own masterpiece! Bring ideas to life on canvas, mixing colors for vibrant results and exploring techniques that simplify the process. Paint at an easel to really get into the artistic spirit!
$15 (NR: $17) | Evans Classroom
• Thu., 9/4; 6:30-8:30 p.m.
• Thu., 10/2; 6:30-8:30 p.m. For full details on offerings and registration, visit bit.ly/gcpReg Registration opens: Mon., 8/25
$15 (NR: $17) | Kingston Room 2
• Fri., 9/26; 6:30-9:30 p.m.


Herb Classes
Combining creativity with nature is just one way the Gardens at Gantz Farm staff and volunteers share their knowledge. Join an upcoming class to create beautiful, useful items or learn a new approach to gardening.
Pickles! Ages: 6-9
Prepare a jar each of refrigerator dill and sweet pickles. Basic kitchen prep and safe knife skills are emphasized.
$12 (NR: $17) | Gantz Farmhouse
• Wed., 9/17; 6:30-7:30 p.m.
For the Birds Ages: 6-9
Make a bird treat wreath to take home and hang outside to feed the birds who visit your yard. Gloria Hartung instructs.
$15 (NR: $20) | Gantz Farmhouse
• Wed., 10/15; 6:30-7:30 p.m.
Cookie Graveyard Ages: 6-9
Conjure up a scary, completely edible graveyard scene using cookies and a brownie base.
$25 (NR: $30) | Gantz Farmhouse
• Wed., 10/29; 6:30-7:30 p.m.
Oh! My Aching Knees
Discuss and make salves for aching muscles that include ingredients like cayenne, turmeric-ginger, wintergreen and frankincense and arnica.
$25 (NR: $30) | Gantz Farmhouse
• Thu., 9/11; 6:30-7:30 p.m.
Garden Under Glass
Make a beautiful serving plate using pressed flowers that looks like a garden under glass (not dishwasher safe).
$25 (NR: $30) | Gantz Farmhouse
• Thu., 10/23; 6:30-7:30 p.m.
Easy Apple Strudel
Enjoy the fruit of autumn: make a delectable dessert/breakfast treat using fresh apples and frozen puff pastry.
$25 (NR: $30) | Gantz Farmhouse
• Tue., 10/21; 6:30-8 p.m.
Elderberry Syrup
Follow the step-by-step process to make a jar of elderberry syrup, an excellent immune booster to have on hand when you experience cold symptoms.
$15 (NR: $20) | Gantz Farmhouse
• Wed., 10/22; 6:30-7:30 p.m.

Learning Together
Ages: 2-3 with Adult
Use art and play to explore nature in a classroom setting. Draw, paint, build, sing and dance for hands-on learning. Dress for play and exploration.
$20 (NR: $25)
Gantz Preschool Center Room 1
• A is for Apple Thu., 9/11 to 9/18; 6-7 p.m.
• L is for Leaves Thu., 10/9 to 10/16; 6-7 p.m.
Program Age Groups
õ Adaptive
õ Preschool (1-5)
õ Youth (5-17) õ Adult (18+) õ 55+/Senior


Older residents of Grove City stay active physically, mentally and socially engaging in offerings like parties, trips to restaurants and cultural sites, and classes that help navigate the challenges that come with aging.
On-site Entertainment
Members Appreciation
Ice Cream Social
Scoop up joy with us! Experience an amazing sundae bar as you enjoy engaging conversations and plenty of laughs while celebrating community.
Free | Evans Multipurpose Room
• Tue., 9/9; 11 a.m.-1 p.m.
Octoberfest
Raise a stein of root beer, tap your toes to polka and enjoy festive fun as we bring a taste of Bavaria to the Center.
$17 | Evans Multipurpose Room
• Fri., 9/26; 11 a.m.-1 p.m.
Musical Bingo
Combine classic bingo with the delight of music as tunes replace the numbers. Listen to a clip and mark the song on a special bingo card to win prizes.
$17 | Evans Multipurpose Room
• Fri., 10/10; 11 a.m.-1 p.m.
Movie Fun
Join us in the Evans Center "theater" with fresh popcorn and the emotion of the surrounding crowd.
Remember the Titans
Amid racial tensions in 1971, a Virginia city's football tradition is tested when desegregation forces the merger of an all-Black school with an all-white one.
Free | Evans Auditorium
• Fri., 9/12; 1-3 p.m.
Travel by minibus to off-site tours, shopping or entertainment. Be prepared for walking.
Piatt Castle Tour
History and natural beauty blend during a self-guided tour of a stunning 19thcentury masterpiece: marvel at unique architecture and uncover intriguing stories. Then indulge in lunch and wine tasting at Dragon Fly Vineyard & Wine Cellar (on your own), while savoring the breathtaking views of a lush vineyard.
$32 | Departs the Evans Center
• Fri., 9/5; 9 a.m.-4 p.m.
Shop & Dine: Morgan House
This charming spot in the heart of Dublin specializes in gourmet foods and unique gifts, serving as a treasure trove for culinary enthusiasts and giftgivers. Enjoy lunch (on your own).
$12 | Departs the Evans Center
• Mon., 9/29; 10:15 a.m.-4 p.m.
Mystery Day Trip
Take a fun, exciting adventure exploring new places, sharing unforgettable experiences, and making wonderful memories. Bring your curiosity and discover all the amazing things that await! Stop for lunch (on your own).
$32 | Departs the Evans Center
• Fri., 10/3; 9 a.m.-5 p.m.
Annual Membership - Maximize Your Benefits
Be a part of something special for a $15 annual fee (January-December):
• Early access to register for 55+ classes (Friday before the public).
• Full access to the Fitness Room ($120 per year value!)
• Discounted fee for select classes.
Bridge Tour
DYK Ohio features over 125 original covered bridges? Hearken back to the time when horses ruled the roads, and follow a trail through Ohio's scenic routes to explore these architectural wonders. Stop for lunch along the way.
$27 | Departs the Evans Center
• Tue., 10/21; 8 a.m.-5 p.m.
New Member Shop & Dine
Head to Der Dutchman for a full homestyle meal or buffet, then browse the bakery for fresh pies and pastries, and the storefront shop for unique décor and gifts.
$12 | Departs the Evans Center
• Wed., 10/29; 10:15 a.m.-4 p.m.
Dining Trips ¤ ∆
Travel by minibus to enjoy a meal at regional restaurants with a fun group of people.
$10 | Departs the Evans Center
Lunch Bunch: 11 a.m.-3 p.m.
Streetside 62 Bistro Thu., 9/4
Chuy’s Mexican Wed., 9/17
Molly Woo’s Wed., 10/15
Supper Club: 4-8 p.m.
Bonefish Grill Thu., 9/25
Brio Italian Grille Thu., 10/2
Fusion Japanese Steakhouse Thu., 10/30
LifeCare Alliance Lunch
Ages: 60/up
Tue.-Thu.; 11:30 a.m.–12:30 p.m.
Enjoy a nutritious lunch ($1.50).
Reserve in advance: 614-277-1067


Arts and Crafts
Express your creativity and keep your mind and fingers nimble with engaging artistic activities.
Diamond Art
Create stunning art that sparkles and shines via a calming experience. Purchase kits or bring your own.
Free | Evans Classroom
• Fri., 9/5 to 10/31; 10 a.m.-1 p.m.
Bead Artwork
Combine beads with your personality to create handcrafted items perfect for sharing. Purchase kits separately.
Free | Evans Classroom
• Mon., 9/8 to 10/20; 10 a.m.-1 p.m.
Wellness & Creativity
Create balance and inspiration by learning to integrate wellness practices with creative expression.
$15 | Evans Classroom
• Wed., 9/10; 2-3 p.m.
• Wed., 10/8; 2-3 p.m.
Painting Fun
Mix colors for vibrant results and explore fun techniques to paint a masterpiece at an easel by following simple steps.
$15 | Evans Classroom
• Mon., 9/15; 1-3 p.m.
• Mon., 10/20; 1-3 p.m.
Greeting Cards
Celebrate memorable moments in life: make stunning, relative and useful greeting cards with creative coaching. Free; $10 material fee due at class Evans Classroom
• Thu., 9/18; 10 a.m.-noon
• Thu., 10/16; 10 a.m.-noon
Crafts, Creativity & Conversations
Complete a new fun art project with step-by-step guidance while enjoying the company of others.
$14 | Evans Classroom
• Wed., 9/24; 10 a.m.-noon
• Wed., 10/22; 10 a.m.-noon
MONDAY-FRIDAY
Games
Keep your mental and social skills sharp through friendly competition. Euchre
Show off your card-playing skills, taking tricks and making friends.
Free; bring $1 for prizes
Evans Rec Room
• Thu., 9/4 to 10/30; 1-3 p.m.
Bingo
Earn prizes by being the first to complete winning arrangements on your card like classic, X, T, postage stamp and full. Free; 50¢ per card
Evans Multipurpose Room
• Thu., 9/4 to 10/30; 12:30-2:30 p.m.

Travel 101: Savvy Traveler Tricks
Maximize your travel experience.
I. Travel Insurance: why traveling without insurance is a no-go.
II. Pro packing tips: travel light and choose the right luggage.
Free | Evans Multipurpose Room
• Mon., 9/15; 10-11 a.m.
Alzheimer’s Education
Learn to recognize common warning signs and symptoms, understand the differences from dementia, the stages, risk factors and more. Presenter: by Joan Million from Grove City Senior Living.
Free | Evans Multipurpose Room
• Mon., 9/22; 11 a.m.-noon
Oh, My Aching
Hit the road to managing arthritis. Learn about types, symptoms and treatment, and suggestions on meeting the challenges of chronic pain. Presenter: Rita Haider of COAAA.
Free | Evans Multipurpose Room
• Wed., 9/24; 1-2 p.m.
Tech Education for Seniors
Southwest Public Library staff share online safety tips, electronic resources, and answer common technology questions.
Free | Evans Multipurpose Room
• Mon., 10/20; 11 a.m.-noon

For full details on offerings and registration, visit bit.ly/gcpReg Registration opens: Mon., 8/25
Evans Members: Fri., 8/22

Lunch & Learn: Understanding Estate Planning
Safeguard your future and loved ones by avoiding probate and family stress! Cover topics including legal protections for home and savings, essential documents for medical emergencies, and qualifying for VA benefits or Medicaid. Hosted by Collins & Kruse Law.
$5 | Evans Multipurpose Room
• Fri., 9/19; 1-2 p.m.
Life After Loss
Someone you love has died, and you now face the difficult, but important, need to mourn, which is essential to healing. Join group discussion or listen until ready to share. Led by Tami Nies.
Free | Evans Center Classroom
• Wed., 9/10 to 10/8; 10-11 a.m.
Fitness Room ∆
Exercise at your own pace using elliptical machines, treadmills, NuSteps, recumbent and upright bikes, hydraulic weight machines and free weights.
$10/month | Evans Fitness Room
• Weekdays; 8 a.m.-4 p.m.
Chair Volleyball
Played while seated with a light-weight beach ball, this game fosters physical wellness, upper-body mobility, social interaction, competition and laughter!
Free | Evans Auditorium
• Mon., Wed., 9/3 to 10/29; 1-2 p.m. No class: 10/13

Exercise
Increase strength and range of motion while improving mobility, balance and gait with motivating and camaraderiebased, low-impact aerobic exercise followed by strength training.
$15 | Evans Auditorium
• Mon., Wed., 9/3 to 9/29; 9-10 a.m.
• Mon., Wed., 10/1 to 10/29; 9-10 a.m. No class: 10/13
Tai Chi
Build calm, balancing energy using slow, mindful movements that leave you energized, confident and more flexible.
$18 | Evans Auditorium
• Tue., 9/2 to 9/23; 10 a.m.-11 a.m.
• Tue., 10/7 to 10/28; 10-11 a.m.
Senior Yoga
Move through poses and restorative breathing designed with seniors’ special needs in mind to increase flexibility, balance and range of movement.
$20 | Evans Auditorium
• Thu., 9/4 to 9/25; 11 a.m.-noon
• Thu., 10/2 to 10/23; 11 a.m.-noon
Ballroom Dance
Whether social or competitive, ballroom dancing features structured step patterns, elegant postures and synchronized, graceful movements. Partner not needed.
$25 | Evans Auditorium
• Wed., 9/3 - 9/24; 11-11:45 a.m.
• Wed., 10/1 - 10/29; 11-11:45 a.m. No class: 10/8
Memorial Fields Tanglebrook

Scioto Grove Metro Park
Century Village 4185 Orders Rd.
Eagle Pavilion 3670 Discovery Dr.
Evans Center 4330 Dudley Ave.
Gantz Farmhouse/ Gardens & Preschool Center 2255 & 2259 Home Rd.
George Edge Music Broadway at Park St. G Grant-Sawyer Home 4126 Haughn Road H Grove City Gold Star
The Park at Beulah, Gantz Park and Windsor Park feature shelters for gatherings available to the public year-round, dawn to dusk. These shelters can be reserved May through September.
Reminders
• Reservations are available for May 1-Sept. 30.
• Refunds only granted 30 or more days before reservation date.
• Water fountains/flushing toilets are turned off seasonally to protect pipes (approximately Oct. 1-April 30).
• Restrooms are open to all park users.
• Reservations have priority. Police will assist if walk-up occupants refuse to leave. Call the nonemergency police number at 614-277-1710.

• Shelters are cleaned early each morning. Be prepared in case conditions are affected by others' use, weather or animals.
• Be courteous! Leave shelters in same or better condition.
• Place all refuse in proper containers.
• Prohibited actions include smoking/vaping of tobacco or marijuana, alcohol use/impairment and possession of weapons.
• All park laws apply; see Grove City Code Chapter 903.

All other shelters are accessible on a first-come basis and cannot be reserved by the public.
• Blodwen
• Cread Lawless
• Creekside
• Fryer
• Indian Trails
• Keller Farms
• Meadowgrove
• The Park at Beulah
• Scioto Meadows
• Swearingen
• Westgrove
• Windsor
details on four-season pavilions, visit






bit.ly/gcpReg
24-7
Credit card only

Drop Box, 3226 Kingston Ave. (Rear)
24-7
Check or money order

Kingston Center, 3226 Kingston Ave. 8 a.m.-5 p.m., Monday-Friday
Credit card, cash, money order, check Ages 1-54

Evans Center, 4330 Dudley Ave.
8 a.m.-5 p.m., Monday-Friday
Credit card, cash, money order, check Ages 55+
• Due to security concerns, payments are not accepted by phone.
• Online using a credit card (VISA, MasterCard or Discover Card).
• In person via credit card, cash, money order or check made payable to the City of Grove City.
• Drop box (parking-lot side of the Kingston Center) by check or money order.
Most activities list two fees with a lower rate for residents. Grove City Parks and Rec. facilities and offerings are funded through property and income taxes; in recognition of this, residents receive a discount.
• A resident is someone whose home address lies within the corporation limits of Grove City or unincorporated Jackson Township.
• Note: this does not include all of ZIP code 43123; the U.S. Postal Service uses ZIP codes to designate the office that delivers mail to an address.
• Verify your rate level at Property.FranklinCountyAuditor.com. Search for your address. Eligible addresses feature a parcel ID that starts with 040 or 160.
• The Fair Share Policy extends eligibility for lower rates to non-residents who pay income tax to the City of Grove City. Proof of employment (e.g., current pay stub showing tax payment) must be confirmed annually.
• No further confirmation regarding registration is made unless there is a change to the time or location. Participants are responsible for being present at the time and location listed.
• View your household’s schedule: log in and select the account tab (top left) to view upcoming classes.

Cancellation by Participant
• Registered participants may cancel 7+ business days before program starts or materials are ordered. Requests must be in writing (hard copy or email).
• For a full refund for team sports, a request must be made before uniforms are ordered.
• Decisions on refunds are at the discretion of department personnel.
• Refunds are by check mailed to household or reversal of a credit card charge.
Class/Event Cancellation by Department
• Activities are subject to change or cancellation based on participation, instructor availability, weather or building conditions, and public safety concerns. Staff will notify registered participants of changes to classes.
• For day-of updates team sports, call 614-277-3060, monitor social media and visit GroveCityOhio.gov.
• Every attempt is made to print accurate, complete information. Unfortunately, due to the nature of the publication and the timeline for printing, the guide may include incorrect or incomplete information.
• We apologize for any errors or omissions and encourage you to visit the website and review online offerings for the most up-to-date information.
The City of Grove City reserves the right to photograph or otherwise record activities, participants, spectators and park visitors. Images may be used in social media, website, catalogs, brochures, magazines, ads or other print or electronic communications or promotions.
Looking for your photo?
Did you see someone taking photos and want to view them?
• Check EQ@GroveCityParks and EQ@GroveCityOhio.
• Browse Discover Grove City.
• Visit GroveCityOhio.gov.
Grove City Parks and Rec. is committed to serving the whole community regardless of age, sex, race, color, national origin or religion. Our goal is to include individuals with special needs in existing programs based on need and ability. Individuals or groups serving special populations are welcome to contact the department to make proper arrangements.
The City of Grove City does not discriminate on the basis of disability in admission or access to programs or activities. An ADA Coordinator is designated to coordinate compliance with the nondiscrimination requirements contained in the Department of Justice regulations implementing Subtitle A of Title II of the Americans with Disabilities Act (42 U.S.C. §12101 et seq.), prohibiting discrimination on the basis of disability by public agencies. Call 614-277-3050 for information.





Please have leaves raked for pickup by 7 a.m., Monday of your designated week.
• Leaf collection for each area begins Mondays and may take the entire week to complete.
• Help keep leaves out of the street gutter, away from storm drains, ravines and streams.
• Rake leaves to the grassy area between the street and sidewalk or to the edge of your lawn for streets without sidewalks. Leaves will not permanently damage the lawn.

• Relocate parked vehicles from the street, 7 a.m.-4 p.m., during your collection week.
• Leaves in bags cannot be collected.
• Leaves are accepted year-round when placed in yard waste bags/containers as part of regular trash pickup by Local Waste Services.
• A greener alternative is to mulch leaves with a mower to provide a natural fertilizer. For more information, view the FAQs at bit.ly/gcLeafCollection or contact the Grove City Service Department at 614-277-1100.


September and October offer perfect conditions for clearing out the last remnants of spring and summer annuals, raking or mulching leaves and prepping your property for winter. Ensure you know how to properly handle the yard waste left behind.
Leaf Collection
• Grove City offers residential collection of loose leaves raked to the curb each year mid-October through mid-December. View page 16 for a map, schedule and procedures.
• Leaves can also be bagged and placed at the curb with other yard waste as part of regular refuse collection.
Yard Waste
Through the collection contract with Local Waste Services, residents can place contained yard waste at the curb on their normal collection day.
Accepted Yard Waste
• Grass, bush and shrub cuttings, leaves, garden growth and vines.
• Tree limbs or branches less than four feet in length and two inches in diameter or less. (It is recommended to prune trees in the spring.)
• Do NOT include food waste, rocks or dirt. Food waste can be deposited in the composting collection bins at 2831 Southwest Blvd.
Acceptable Containers/Binding
• Bundle items with twine or fiber string or place in biodegradable paper bags.
• Place loose items in a sturdy, rigid container clearly marked “yard waste only” that can be easily dumped. Yard-waste container stickers are available at City Hall and the Public Service Department.
• Plastic and metal cannot be processed, so do not use wire, plastic strips, plastic bags or flower pots to hold materials.
Yard Waste Collection Rules
• There is a maximum 50-pound limit for containers/bundles.
• Place at curb on your collection day by 7 a.m., but no earlier than 5 p.m. the day before.
• Residents are responsible for cleaning the area if bags break due to weather, animals or unstable containers.


SWACO Household Hazardous Waste Drop-off Sat., 9/27, 8 a.m.-1 p.m.
Kingston Center Bring materials for proper disposal including gasoline, lighter fluid and thinners; pool chemicals; fluorescent light bulbs; propane tanks under 20 pounds; batteries; corrosives (e.g., drain cleaner); and oil-based liquid or spray paint.
Shredding Day (Residential) Sat., 9/27, 8 a.m.-1 p.m.
Park Street Intermediate School, 3205 Park St.
Drop off personal papers for safe destruction by Ohio Mobile Shredding. Limit five boxes/bags per resident.
Great Pumpkin Disposal
Fri., 10/31 - Mon., 12/1
Fryer Park, front parking lot
Drop off pumpkins and gourds only for environmentally friendly disposal. Collection may end early if capacity is reached.
Reminder: Local Waste Services trash pickup is delayed one day for Labor Day, Mon., 9/1.
Contact
Grove City Public Service 3262 Ventura Blvd.
614-277-1100
Hours: 7 a.m.-4 p.m.


As a new school year starts, it is important to talk with children about school bus safety. Here are some tips to follow:
• Arrive at the bus stop five minutes early.
• Stand at least 10 feet from the edge of the road (take five giant steps back).
• Ensure clothing and bags with drawstrings, straps or dangling objects do not get caught in the handrail or door when exiting the bus.
• Wait until the bus fully stops, the door opens and the driver gives his/ her okay before stepping onto the bus.
• Make eye contact with the bus driver to ensure you see each other.
• Walk in front of the bus, never behind it.
• Before crossing the street, stop and look left-right-left before crossing.
National Seat Check Saturday is Sept. 27. Check your children’s seat to ensure it offers the most security. Moving onto a larger or adult seat before a child is ready increases the risk of injury and death in the event of an accident.
Visit NHTSA.gov/TheRightSeat to learn more including the appropriate seat for your child. Ohio's child passenger laws (e.g., a child under 40 pounds must be in a safety seat) are detailed in ORC 4511.81
Road safety starts with us, Grove City! The Grove City Division of Police reminds everyone to stay alert and share the road responsibly. Let’s work together to keep our streets safe for our community!
• Drivers: Always look out for pedestrians, especially at crosswalks, obey all traffic laws, follow speed limits and watch for school zones.
• Pedestrians: Be visible, consider wearing reflective or bright clothing, especially at night or in low-light conditions.
No matter if you are walking, riding a bike or motorcycle, or driving a golf cart or car, everyone needs to give their full attention! Don’t be distracted, put the phone away until you reach your destination.

Halloween means decorating, dressing up and enjoying events, but it comes with special hazards. Make sure it is both fun and safe!
• Be visible! Include bright or reflective elements in your costume and/or carry a flashlight or glow stick.
• Avoid costumes that make it hard to see or be seen.
• Follow traffic laws, cross at corners and crosswalks when possible, and look both ways.
• If distributing treats, turn on a porch light 6-8 p.m., Thu., 10/30.
• Make sure your sidewalk is clear of cars and other obstacles.
• Be extra careful driving. Watch for more foot traffic and excited kids not accustomed to being out after dark.
Grove City Safety Complex
3360 Park St.
• Emergency: 911
• Non-emergency: 614-277-1710
• Public Records: 614-277-1714
• Fax: 614-277-1717
• Mayor’s Court: 614-277-1715







