Horse Health Lines - Fall 2023

Page 1

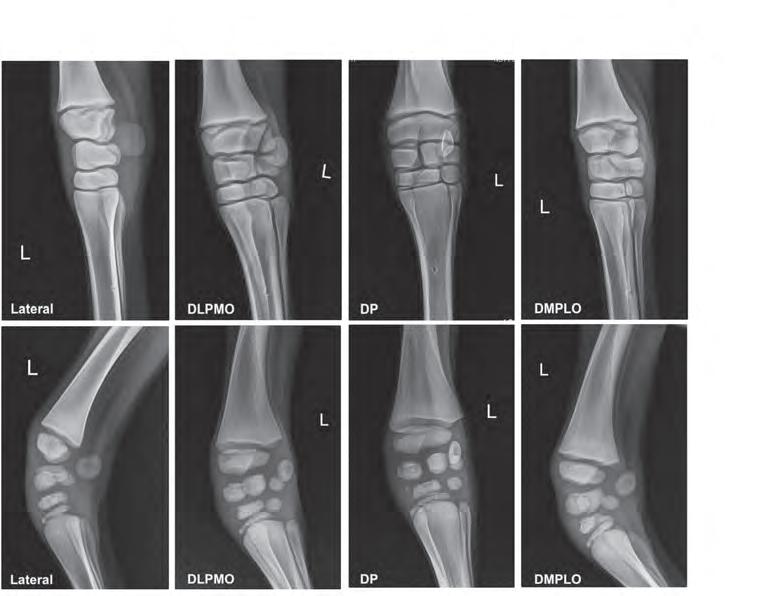
BONE FORMATION SCORING 2.0

Equine veterinarian Dr. Claire Card at the Western College of Veterinary Medicine (WCVM) and her research team are re-evaluating a decades-old bone formation (ossification) scoring system used to assess newborn foals.

The skeletal ossification index (SOI) is a four-point grading system that veterinarians use to assess bony development in newborn foals and to predict their future conformation and athletic performance.

Designed in 1988, this system uses film cassettes and one radiographic view of the knee (carpus) and hock (tarsus) for assessing a foal’s bony development. It’s especially used in cases where a foal is premature (gestation under 320 days), has a poor functioning thyroid (hypothyroid) or has a long gestation of over a year with signs of prematurity (dysmaturity).

While this method is widely used in practice, it needs updating due to technological advancements and widespread use of digital radiographs (X-rays).

Card and her colleagues are conducting a study that uses a four-view series of digital radiographs to re-evaluate the scoring system. Team members include Dr. Jasmine Gu, Dr. Maria Lopez Rodriguez and Dr. Alannah Friedlund of the WCVM, veterinary students Brooke Tonkin and Garrett Beatch, and WCVM Veterinary Medical Centre staff. Dr. Gillian Haanen, a Calgary-based veterinarian, is also part of the team.

This WCVM study is part of Card’s larger research project that’s investigating congenital hypothyroidism and dysmaturity syndrome (CHDS). This clinical disorder arises when pregnant mares have foals born with an abnor-

mal thyroid and a deficiency in thyroid hormone production.

Iodine is vital for thyroid hormone production and healthy skeletal development, but the Canadian Prairies have iodine-deficient soils, explains Card.

“Additionally, we found that when pregnant mares were fed a low-iodine diet combined with feeding compounds from mustard plants (glucosinolates), limb contracture and disturbed bony development occurred in their foals — essentially reproducing CHDS.”

Card says high levels of ergot (fungal contaminant of grass, forage and grain) and nitrate in a mare’s diet are also risk factors since both affect thyroid function.

CHDS-affected foals can have symptoms including long gestation, low body temperature, enlarged thyroid glands, a “monkey mouth” (lower jaw extending

FALL 2023
Re-evaluating the system that veterinarians use to assess bone formation in newborn foals.

BONE FORMATION SCORING 2.0 continued

past the upper jaw), contracted limbs, ruptured tendons and poor small bone development in knees and hocks.

“There has never been a systematic study of the radiographic features of these foals to help determine their prognosis in spite of the fact that they are a common reason for hospital admission for neonatal intensive care,” says Card.

The processes affecting foal growth across four groups — healthy foals, CHDS foals, premature foals and dysmature foals — differ fundamentally. Premature foals typically display “underbaked” bones, and management includes limiting activity and strain placed on their bones until they’re sufficiently developed.

In contrast, foals with CHDS undergo changes that don’t occur in the normal development process, and it’s likely that they won’t recover after rest alone.

Consequently, veterinarians are faced with a difficult decision between recommending euthanasia versus intensive care that comes with its own financial risk. Card adds that the SOI system helps to inform this conversation.

Digital radiography produces higher resolution images that can undergo post-processing. Manipulating the contrast or size of these X-rays allows researchers to perform a more comprehensive assessment.

For clients who expect a certain performance level from their adult horses, this study may help to determine

if particular foals that score lower on the bony development grading system are good investments.

“It takes many years of publishing research findings and presenting results to get the message out. [But] we feel like we are making progress,” says Card. “This particular study on the SOI system will aid in the management of neonatal foals where

we have to make life-or-death decisions.”

This project is funded by the WCVM’s Townsend Equine Health Research Fund and the Saskatchewan Agriculture Development Fund.

Brooke Tonkin of Kamloops, B.C., is a second-year veterinary student at the WCVM. Her story is part of a series of articles written by WCVM summer research students.

Horse Health Lines is the news publication for the Western College of Veterinary Medicine’s Townsend Equine Health Research Fund (TEHRF). Visit tehrf.ca for more information, Send comments and article reprint requests to:

Myrna MacDonald, Editor

Horse Health Lines WCVM, University of Saskatchewan 52 Campus Drive, Saskatoon, SK S7N 5B4

horse.health@usask.ca

Horse Health Lines design and layout: Priddy Design

These X-ray images compare the equine carpus (knee) of a healthy foal (top) to a foal affected by CHDS (bottom). Both foals were less than one week old. Brooke Tonkin
2 HORSE HEALTH LINES | FALL 2023
These X-ray images compare the mandibles (jaws) of a healthy foal (top) to a foal affected by CHDS (bottom). Both foals were less than one week old. Brooke Tonkin

Funds fuel horse health

RESEARCH

What are effective methods for treating temporomandibular joint disease?

Drs. James Carmalt and Nathalie Reisbig, WCVM

Temporomandibular joint disease (TMD), which causes jaw pain and dysfunction, is a potential cause of poor performance issues in horses participating in competitive sports. Since few researchers have studied this area, treatment is based on individual clinicians’ past experiences or “educated guesses” in the absence of evidence-based information.

WCVM scientists aim to analyze differences in basic cellular metabolism between the temporomandibular joint (TMJ) and hyaline cartilages. Their hypothesis is that the cartilage of equine fibrocartilage-lined synovial structures, such as the TMJ and navicular bursa, responds differently to inflammation and subsequent treatment in comparison to hyaline cartilage joints (such as the fetlock and stifle). The team is also exploring if current treatments for osteoarthritis are effective therapies for TMD. Their findings can assist with further research focused on treating TMD in horses and the relationship between TMD and other joint diseases.

How do iodine-based diets affect the thyroid health of mares and foals?

Dr. Claire Card, WCVM; Dr. Bernard Laarveld, USask College of Agriculture and Bioresources; and Dr. Nadia Cymbaluk (equine health consultant)

Soils and feeds in the Canadian Prairies are deficient in iodine, a nutrient that’s essential for normal thyroid function. When mares don’t have access to adequate iodine levels in their feed during pregnancy, the deficiency can affect the future health of their foals. Specifically, the foals can be born with congenital hypothyroidism dysmaturity syndrome — a disease found in Western Canada that affects newborn foals.

While previous WCVM studies have shown the presence of subclinical thyroid disease in western Canadian horses, the relationship between iodine and thyroid hormone concentrations in mares and foals has not been clarified.

In this study, WCVM researchers are continuing their work to determine how low-iodine and iodine-based diets affect the thyroid health of mares and foals. Their findings will help to support nutritional recommendations for iodine supplementation of brood mares.

The Western College of Veterinary Medicine (WCVM) has invested over $140,000 in support of equine health-related research and graduate students for 2023.

About $60,500 of funding comes from the Townsend Equine Health Research Fund (TEHRF). While part of the money supports equine research, the remainder of the contribution supports tuition awards for five WCVM-based graduate students whose research focuses on horse health.

A second source of funding is the Mark and Pat DuMont Equine Research Fund. Created in 2016 by Mark and Pat DuMont, this fund supports equine research at the veterinary college. This year, the DuMonts made a generous contribution of $80,000 in support of equine health research projects at the WCVM.

TUITION AWARDS

Dr. Paula Viviani is a Master of Science (MSc) candidate and large animal internal medicine resident. Her work is supervised by Dr. Julia Montgomery (Department of Large Animal Clinical Sciences). Research interest: infectious diseases, immunity and fluid therapy.

Dr. Madison Ricard is a PhD student in diagnostic anatomic pathology who is supervised by Dr. Bruce Wobeser (Department of Veterinary Pathology). Research interest: equine foal loss.

Dr. Maria Monar is a MSc candidate and equine theriogenology resident who works with Dr. Claire Card (Department of Large Animal Clinical Services). Research interest: equine reproduction.

Dr. José Guerra is a large animal surgery resident who is supervised by Dr. Keri Thomas (Department of Large Animal Clinical Sciences). Research interest: equine surgery.

Toni-Anne Saworski is a MSc candidate who is working with Dr. Emily Jenkins (Department of Veterinary Microbiology). Research interest: parasites in horses.

Visit tehrf.ca to learn more about the WCVM fund’s history, goals and achievements.
3 FALL 2023 | HORSE HEALTH LINES

CHLAMYDIA LINKED TO EQUINE ABORTIONS

When Dr. Madison Ricard set out to see if the bacterium Chlamydia is potentially linked to equine abortions among western Canadian horses, she wasn’t expecting to find much evidence of chlamydial infection based on the lack of research in the area.

The study’s findings shocked Ricard and her colleagues: more than a quarter of their study’s placenta samples collected from equine abortions tested positive for chlamydial DNA.

“It got me excited because one thing about equine abortions — from a diagnostic perspective — is that for up to 50 per cent of them, we just never have an answer for the horse owners as to why they occur,” says Ricard, a PhD student in the Western College of Veterinary Medicine’s (WCVM) Department of Veterinary Pathology.

Ricard and her graduate supervisor, Dr. Bruce Wobeser, were inspired to investigate the correlation between chlamydial infections and equine abortions because of an incident at an Australian veterinary school in 2014.

A few students and staff handling an aborted equine fetus at the school ended up becoming sick by being exposed to Chlamydia psittaci (C. psittaci). This bacterial pathogen is zoonotic and can spread between animals and people. After testing and further research, Australian scientists

realized that C. psittaci was present in multiple aborted equine tissues.

Ricard, Wobeser, lab technician Betty Chow-Lockerbie and WCVM veterinary student Jaidyn Burton set out to see if similar results could be found in placenta tissue from equine abortions in Western Canada.

Their study was based on 99 samples submitted to Prairie Diagnostic Services, Saskatchewan’s veterinary diagnostic laboratory, between 2009 and 2020. The researchers discovered that 26 of these samples tested positive for Chlamydia, with 22 samples confirmed as Chlamydia abortus (C. abortus).

This bacterium is considered a closely related pathogen to C. psittaci, which is typically associated with respiratory infections in people. While C. abortus is known to cause abortions in sheep and cattle, its relationship to equine abortions is still uncertain.

The Journal of Veterinary Diagnostic Investigation published the WCVM team’s results in May 2023. Since Chlamydia is a health risk to both animals and people, Ricard hopes that her team’s published research will encourage veterinary professionals and horse owners to take necessary precautions when handling equine abortions.

“From the identification of these 22 Chlamydia abortus cases we found and

the potential zoonotic risk, we are starting to recommend that if [people] are going to be handling the aborted placenta and fetus from a mare, [they] should take safety precautions — like putting on gloves and a mask,” says Ricard.

She stresses that these safety precautions are especially vital to pregnant women as C. abortus can cause pregnancy loss in people.

She believes that the identification of C. abortus may also provide answers for owners of mares with infertility issues. Ricard and Wobeser are now testing endometrial biopsies to identify if chlamydial infection is associated with infertility in horses.

“Through testing these biopsies, we’re hoping to try and identify whether Chlamydia is hanging out in the [mare’s] uterus and not necessarily causing a problem, or whether it is actually associated with infertility and abortion issues,” says Ricard.

The WCVM’s Townsend Equine Health Research Fund provided financial support for this study.

Cat Zens of North Battleford, Sask., is a fourth-year student in the University of Regina’s School of Journalism. She was a research communications intern at the Western College of Veterinary Medicine (WCVM) for summer 2023.

4 HORSE HEALTH LINES | FALL 2023
WCVM scientists have found chlamydial DNA in placenta samples collected from equine abortions. Caitlin Taylor

Butler’s love of horses drives veterinary career

Long before she became a veterinarian, Dr. Amanda Butler was a big fan of horses.

“There was never a second when I didn’t think I was going to work with horses,” says Butler, a lecturer in equine field service and large animal medicine at the Western College of Veterinary Medicine (WCVM).

“[For me], it was always horses, horses, horses.”

After graduating from her local high school in Victoria, B.C., Butler spent more than a decade working on various farms where she rode horses, cleaned pens and took care of the animals while their owners were away.

She enjoyed all of these experiences, but since a career in equine veterinary medicine was always part of Butler’s career plans, she moved across Canada to the East Coast where she began working toward her goal. She completed her Bachelor of Science degree in environmental biology at the University of Prince Edward Island (UPEI) and then earned her Doctor of Veterinary Medicine degree at UPEI’s Atlantic Veterinary College in 2017.

Butler spent one year interning at an equine hospital in Montana before returning to UPEI to work on a large animal internal medicine residency and Master of Veterinary Science (MVSc) degree — a career aspiration that she developed during veterinary school. Once Butler realized that graduate studies included discovering how things work, she was hooked.

“The second I heard about being a large animal internal medicine specialist and what that means, I thought, ‘Oh my God. That’s exactly what I want to do,’” says Butler, who is particularly interested in equine parasites and how they spread among horses.

For her master’s program, Butler’s research project focused on parasites in P.E.I. and the resistance of equine parasites to deworming medications (anthel-

mintic resistance). While equine parasites are one of Butler’s special interests, she also enjoys anything related to internal medicine in horses — especially treating equine illnesses that cause diarrhea.

After earning her master’s degree and board certification with the American College of Veterinary Internal Medicine (large animal) in 2021, Butler worked for eight months at a private equine practice in Alberta. Her next move was to Saskatoon in 2022 to cover a one-year sabbatical leave for one of the WCVM’s large animal faculty members.

During her time at the college, Butler discovered her passion for teaching and working in an academic setting. She aims to make her lectures especially entertaining for students by incorporating jokes and interactive content in her teaching. Butler uses her own clinical experiences in her coursework as real-world examples, and since it’s only been a few years since she was in veterinary school, Butler can relate to her students’ perspectives.

“Work doesn’t have to be extremely stressful even though you work in a stressful environment. It’s really important to me to get the students to relax and breathe,” says Butler, acknowledging the hardships of working in the profession amid nationwide shortages of veterinarians.

“Especially now, I find with students’ stress and health and well-being, it’s good for them to have a break and realize that we don’t have to be these rigid veterinarians — that there is fun to it.”

During her own down time, Butler enjoys gardening in her backyard and spending time with her dog Finn and her new kitten Ghetz.

While Butler is still working to enrich and improve her teaching skills, she’s proud of what she achieved so far.

“It makes me feel good knowing that the students are learning and that they’re getting taught in a way that’s fun for them.”

Visit tehrf.ca to read the full story.
5 FALL 2023 | HORSE HEALTH LINES
Dr. Amanda Butler

Equine vets in training

DR. ALANNAH FRIEDLUND

Resident, large animal surgery

Originally from Fort Nelson, B.C., Dr. Alannah Friedlund completed a Bachelor of Science in Agriculture (BSA) degree in animal science at the University of Saskatchewan (USask) before earning her veterinary degree at the Western College of Veterinary Medicine (WCVM) in 2022.

Friedlund remained at the college for a one-year internship in large animal surgery and is now working toward her residency, which is combined with a Master of Science program.

“I was really interested in working with horses and specifically was drawn to the surgery side of it. I knew that in order to provide the best service, specialization was the route that I wanted to go,” Friedlund says. “I really enjoyed working with all of the surgeons at the college, and I really liked the team of veterinary technicians here — so that played a big role in why I wanted to stay.”

She credits her interest in equine surgery to spending time at the local thoroughbred racetrack with Dr. Spencer Barber (DVM), a professor emeritus at the WCVM whose research focused on equine surgery and wound management.

“Getting to chat with [Dr. Barber] was what ignited that passion for doing further work with horses,” recalls Friedlund.

Supervised by WCVM assistant professor Dr. Keri Thomas, Friedlund plans to study septic arthritis and wound care in horses as part of her residency. Her goal is to become a board-certified equine surgeon and would like to practise in rural Saskatchewan. During her spare time, Friedlund enjoys riding horses on her family’s farm near D’Arcy, Sask.

DR. EVELINE JUCE

Clinical intern, equine field service

Dr. Eveline Juce hopes her new role as an equine field service clinical intern will help her discover her veterinary career goals.

“I know I want my career to involve equine work, so I felt the need to spend a little extra time, take another year and train under some of the best in the equine industry,” says Juce, who is working as part of the Equine Field Service team that’s based at the WCVM Veterinary Medical Centre.

Originally from Hamiota, Man., Juce has loved horses for most of her life and has been riding and competing in equine events since a very young age. Her admiration for horses drew her to studying equine health care.

“I have this passion of wanting to be around horses and [doing] what I can with horses and learning more about them,” says Juce.

Juce attended the University of Alberta where she completed two years of biology studies before being accepted at the WCVM in 2019. She began her internship in July after graduating from the veterinary college in June 2023.

Although Juce is still undecided about her future, she’s open to the possibility of working at a private equine practice or pursuing further education. She hopes that her equine field service internship will help her better understand what she wants to do.

“The world’s my oyster,” Juce says.

Outside of the college, Juce loves participating in horse shows with Chex, her beloved quarter horse. She also enjoys spending time with her golden retriever, Oscar, and exploring Saskatoon’s many coffee shops.

Visit tehrf.ca to read more profiles of the college’s new team members.
6 HORSE HEALTH LINES | FALL 2023
Drs. Alannah Friedlund and Eveline Juce are among the Western College of Veterinary Medicine’s team of incoming residents and clinical interns whose work focuses on equine health.

NEW AWARD SUPPORTS NEW EQUINE VETS

A new equine scholarship for veterinary graduates had a flying start at the Western College of Veterinary Medicine’s (WCVM) spring awards program in early June. The Saskatchewan Speed Horses Association (SSHA) Award is a $3,000 scholarship that’s given to a student who is graduating from the college’s Doctor of Veterinary Medicine (DVM) program. The annual award’s aim is to recognize veterinary graduates who demonstrate “a commitment to exceptional patient advocacy and compassionate care in equine clinical rotations at the WCVM.”

The award is funded by the SSHA, a former quarter horse racing organization that was active in the province until 2010 when quarter horses became ineligible to compete at Marquis Downs in Saskatoon, Sask. The racetrack was permanently closed in 2021. Remaining SSHA members — including treasurer Tom Kenway — decided to give the association’s residual funds of $12,000 to the WCVM to establish an award for veterinary students pursuing equine health-related careers. The SSHA scholarship will remain in existence for at least three academic years.

The award’s first recipient is Dr. Shelby Krywonos who grew up in Vernon, B.C., and has been involved with horses for much of her life. She competed in local hunter-jumper shows, rode horses in the mountains and spent 10 years as a Canadian Pony Club member — successfully completing her practical HB2 and written A levels in the national organization. Krywonos plans on working in equine ambulatory practice after completing her one-year equine rotating internship at Paton & Martin

RESEARCH IN PRINT

Veterinary Services in Aldergrove, B.C. She’s grateful for the SSHA’s support of her personal career goals and of veterinary medicine.

“I’m very honoured to receive this award from a community like the Saskatchewan Speed Horses Association,” Krywonos says. “I think the relationship between veterinarians and people who compete with sport horses is really important.”

Kenway adds that he’s glad that the SSHA’s remaining funds are going toward an award that supports equine work: “We wanted to put our money to good use. We hope this award helps students go on with a career in equine medicine.”

Ricard M, Burton J, Chow-Lockerbie B, Wobeser B. “Detection of Chlamydia abortus in aborted chorioallantoises of horses from Western Canada.” Journal of Veterinary Diagnostic Information. May 2023. doi.org/10.1177/10406387231171844.

Tucker ML, Wilson DG, Bergstrom DJ, Carmalt JL. “Computational fluid dynamic analysis of upper airway procedures in equine larynges.” Frontiers in Veterinary Science. April 2023. doi: 10.3389/fvets.2023.1139398.

Kingsley NB, Sandmeyer L, Bellone RR. “A review of investigated risk factors for developing equine recurrent uveitis.” Veterinary Ophthalmology. March 2023. 26(2):86-100.

Visit tehrf.ca for more news updates.

A round up of WCVM-related equine research articles that were recently published in peer-reviewed journals.
Left to right: WCVM dean Dr. Gillian Muir, Dr. Shelby Krywonos and Blair Anderson of the SSHA. David Stobbe
7 FALL 2023 | HORSE HEALTH LINES

“Our practice (Paton & Martin Veterinary Services) began to make contributions to the fund on behalf of clients when their horses passed away. We have found this to be a gratifying contribution and have been humbled by the responses that we have received from many of our clients. I think that it is very helpful for them to know that their horses have been honoured in such a fashion. The fund gives horse owners the additional opportunity to contribute to this very wor thwhile cause: supporting vital research in the areas of equine health.”

tehrf.ca Check out Horse Health Lines online at tehrf.ca PUBLICATIONS MAILAGREEMENTNO. 40112792 RETURN UNDELIVERABLE CANADIANADDRESSESTO: University of Saskatchewan 52 Campus Drive Saskatoon, SK S7N 5B4 horse.health@usask.ca
Research
HONOUR THEIR LIVES WITH THE GIFT OF EQUINEHEALTH Questions? wcvm.supportus@usask.ca | 306-966-7268
Pay tribute to the lives of your patients, clients and loved ones by making a donation to the Townsend Equine Health
Fund (TEHRF) through its memorial program. Each time you give to the fund, we will send a letter to the client or loved one’s family acknowledging your gift to the equine health fund.

Turn static files into dynamic content formats.

Create a flipbook
Issuu converts static files into: digital portfolios, online yearbooks, online catalogs, digital photo albums and more. Sign up and create your flipbook.