BMW Owners News for February 2023

Page 1

FEBRUARY 2023 BMW OWNERS NEWS www.bmwmoa.org SPECIAL MOA FOUNDATION ISSUE
Progressive Casualty Ins. Co. & affi liates. Coverage subject to policy terms. YOUR BOSS’S RETIREMENT PARTY Protect your escape with Progressive. Progressive knows that the best part of any event is leaving on your bike. That’s why we offer comprehensive and collision coverage for your bike and more. See if you could save by switching to America’s #1 motorcycle insurer.

The Best BMW Motorcycle Restoration

and Parts Center in the United States

We also sell fully restored, partially restored, and project bikes. Huge used parts inventory. Learn more about our vintage BMW restoration and service and shop our parts catalog at www.maxbmw.com

Fully-enclosed professional paint booth on-site Full-service machine shop in-house Vintage BMW-Certified Master Technicians USA’s largest stock of new BMW Motorcycle parts

INSIDE

FEBRUARY 2023

FEATURES

42 IMAGINE THIS ICON IN YOUR GARAGE!

MOA member and BMW restoration expert John “Dutch” Lammers (#112667) gives new life to another iconic BMW–an R 80G/S which could be yours in the MOA Foundation’s Completely Vintage Raffle.

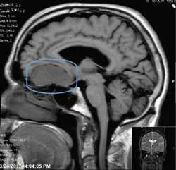
50 REHAB

Five years ago, Mark Barnes went through a highly invasive brain surgery which has affected his street riding. Can one-on-one instruction at BMW’s U.S. Rider Academy in Greer, South Carolina, bring Mark’s skillset and confidence back to his pre-surgical level?

58 EXPERIENCED OR PROFICIENT: AN AVIATOR'S TAKE ON MOTORCYCLE TRAINING

ON THE COVER: Training at the U.S. Rider Academy at the BMW Performance Center in Greer, South Carolina. Photo courtesy Continental tire.

As a pilot, Kandi Spangler knows the importance of training not only to maintain her certification but also her skills. Spangler believes motorcyclist should adopt a “pilot” mindset in their quest to become better motorcyclists.

62 GETTING TO KNOW TOM GARY

Tom Gary, MOA Foundation President, had a long career in the railroad industry and used riding as the mental release his demanding job required. As a member of the Curve Cowboys, Tom was introduced to a philanthropic dimension of motorcycling he hadn’t known before. Today, Tom brings his experience to the MOA Foundation and is determined to “make a difference.”

BMW OWNERS NEWS | February 2023 2
A beautiful sunset outside Lincoln, Massachusetts. Photo by Tim Mangini #216488.

38 TORQUE OF THE MATTER Being Prepared is part of Being Safe by Wes Fleming

68 SAFEMILES Champions

74 Corner Braking by Jon DelVecchio

78 The Clark Luster Group Grant Program by David Dunn

80 An (almost) little old lady at the California Superbike School by Jean Cordalis 82 Foundation Committee

4 HEADLIGHT The MOA Foundation–Making a Difference by Bill Wiegand 8 PRESIDENT'S COLUMN Working Toward Every Rider Trained! by Tom Gary 10 POSTCARDS FROM THE ROAD 12 RIDER TO RIDER Letters from our Members 14 NEWS Register two for the 50th National Rally for Valentine’s Day, Grab a Hotel Room for the 50th National Rally, R 80 G/S Up for Grabs in MOA Foundation Completely Vintage Raffle, 2023 Premier Training Dates Announced, Welcome our Newest
members,
introduces
and
Motorrad announces US sales for Q4 and
Year
First-Aid Kits for Motorcyclists 28 CELEBRATING OUR 50TH ANNIVERSARY Get to know some of our fellow MOA members 32 MEMBER TESTED Klim Krios Pro helmet by Ron Davis 34 MEMBER TESTED Zovii Alarmed Grip Lock by Mark Barnes
MOA
BMW
R nineT
R 18 100 Years Editions, BMW
Full
2022,
MOA
Directors 92 WHEN AND WHERE Rally listings 95 ADVERTISER INDEX 96 TAILIGHT
Reports 86 Meet your
Foundation
Bug Tussle, Texas–a town named from an incident long ago when a swarm of insects spoiled an ice cream social.
February 2023 | BMW OWNERS NEWS 3
Photo by David Baccus, #231509.

The MOA Foundation–Making a Difference in the Lives of Riders

IN THE ADVERTISING WORLD, THEY SAY IT TAKES FIVE TO SEVEN “IMPRESSIONS” BEFORE someone can remember your brand. An impression occurs each time we see or hear an ad, whether on TV, radio, in print, online or along the side of the road. In this issue of BMW Owners News, you’ll find many more than five impressions promoting the MOA Foundation, all designed to enrich our members’ understanding and appreciation of this remarkable partner to the BMW MOA.

More than 20 years ago, Clark Luster had a dream that he and a group of MOA Board members wanted to bring to fruition. Their vision was to create a non-profit foundation that would be used to fund rider safety, education and training programs, along with other motorcycle-centric goals. After a lot of hard work, a task force brainstormed the concept and worked out the details. Then, the group legalized the entity, got BMW to license it, and in the year 2000, they launched the BMW MOA Foundation.

Many of us know the group’s purpose and know the Foundation sponsors motorcycle raffles like the recent “One Ticket & You Pick It.” This issue introduces the upcoming “Completely Vintage” raffle, featuring a beautifully restored 1981 R 80 G/S given a new lease on life by MOA member John “Dutch” Lammers.

These raffles have been a primary source of funding for the Foundation’s rider training scholarships, including the Paul B. Training Grant program which awards up to $250 for MOA members and even $100 to non-members toward the cost of their participation in approved training programs. To date, more than $500,000 has been awarded in grants for training upwards of 5,000 riders. Taking advantage of that available grant money is one of the strongest, “no-brainer” reasons to join the BMW MOA.

Additionally, in honor of Clark’s work, there’s the Clark Luster Safety Training Grant available for clubs, where funding is provided to groups to supplement the cost of approved motorcycle training and thereby encourage group training opportunities. What makes this grant opportunity even more special is that it isn’t limited to BMW clubs or even BMW motorcycle owners—any group of riders can apply.

Beyond raffles, the Foundation SafeMiles Endowment is the group’s long-term initiative to permanently fund rider training activities for MOA members. The Foundation’s goal for the SafeMiles Endowment is to establish a one-million-dollar fund that will guarantee rider safety, education and training with every penny donated reserved for that purpose and not for Foundation operations.

For many of us, however, that is where our knowledge of the MOA Foundation may end, but like late-night infomercials will undoubtedly say, “Wait, there’s more!” Other initiatives of the MOA Foundation include providing and promoting programs for first-time riders, supporting a variety of educational and training programs related to safe motorcycling, and seeking opportunities to partner with other organizations with similar missions. Yet another Foundation goal is the creation of the BMW MOA Foundation Museum and Historical Archive located at MOA headquarters in Greer, South Carolina. Here, artifacts such as motorcycles, maintenance equipment, accessories, tools and other items used by our members for the last 50 years will be preserved. The Museum and Historical Archive is scheduled for an April 1, 2023, opening.

In this special issue of BMW Owners News, we highlight the MOA Foundation and the good work it does—who is doing it and who is benefitting from it, along with stories featuring products and programs to make your ride safer. We also try to spotlight why we all need training, the Foundation’s next raffle bike and some BMW MOA members who have stepped up to support the work of the Foundation through their donations and volunteer efforts, along with much, much more.

I hope you enjoy this special issue of BMW Owners News as much as we did creating it for you.

HEADLIGHT
BMW OWNERS NEWS | February 2023 4

COMFORT • OPTICS • STRENGTH for

2020-22 F900R/F900XR

Also check out our Extreme Adventure Gear™ Side Guards for both F900R and F900XR!

ADMORE LIGHT BAR PRO

ADVENTURE SAFELY

MAKE SURE YOU’RE SEEN. ORDER YOURS TODAY!

ADVANCED

Redesigned from the ground up. The Light Bar Pro is the most advanced safety lighting product on the market today.

SMART

Increased visibility and safety with an all new Bosch accelerometer sensor that lets drivers know when you’re slowing down.

POWERFUL BLUETOOTH

High intensity, Cree LEDs provide tail light, brake light, progressive amber turn signals and amber strobe when brakes are applied.

With Bluetooth onboard, the Light Bar Pro is easily customizable using the free AdMore App (available on iOS and Android).

BE SAFE. BE SEEN. | ADMORELIGHTING.COM/BMWON

DESIGNED FOR BMW MOTORCYCLES Also available at select BMW dealerships across the country

And don’t forget about our Light Kits!

www.nationalcycle.com#TheWindshieldExperts
February 2023 | BMW OWNERS NEWS 5
BMW OWNERS NEWS | February 2023 6
Cool Blue! Eric Danielson (#154151) photographed his new-to-him 2016 R 1200 RT at Crater Lake in early October.
February 2023 | BMW OWNERS NEWS 7

WORKING TOWARD EVERY RIDER TRAINED!

I WILL NEVER FORGET THAT FIRST DAY!

I wanted a motorcycle. I had never ridden a motorcycle outside a parking lot prior to that day, but I had to have one. Just weeks earlier, a friend told me how easy it was to ride one–ease out the clutch, add some throttle and off you go. He forgot to explain how to stop, and of course, I went down.

Undeterred, I walked into Rick Case Honda in my hometown of Cuyahoga Falls, Ohio, on an April day in 1971, and before long, I pulled out of the dealership on the fastest super bike of the era, a Honda CB750 K1. I will never forget the thrill and wave of terror as I accelerated down Grant Street. What was I thinking? I barely knew how to ride! Fortunately, I survived and subsequently have taken many training courses over the last 50 years.

Sadly, this scene still plays out at many dealerships today and is what propels, in part, my passion for the MOA Foundation’s mission as the source for rider education, safety and training. I think we can agree that initial skills development and ongoing training is central to safely riding a motorcycle. While I am pleased to report that last year, the MOA Foundation supported nearly 800 members through Foundation training grants, that number still only represents less than 5 percent of the BMW MOA membership.

As you read this special issue of the BMW Owners News, you will gain an understanding of the program opportunities the Foundation offers in support of individual and group training. The Foundation directors are pleased that we have seen growth in rider grant requests, but our vision is “Every Rider Trained” so we know we have more needs to meet. The Foundations directors are focused on increasing rider demand for training and skills development at all levels. Though we are faced with many challenges, including an aging rider demographic, we continue our work and encourage riders to “self-reflect” on their skills and seek out opportunities for improvement.

We have a keen interest in new rider skill introduction and development programs and believe if we can attract a first-time rider to motorize on two wheels that we have a good chance of creating that lifetime bond that many of us have. All these factors play out in the Foundation’s Strategic Plan as we work to increase member training demand. The Foundation exists to serve the rider community and needs all MOA members to spread the word: training and skill development are cool, fun and challenging! We are excited that in this special issue, we can share both program successes as well as our needs. We truly hope you find this issue both interesting and informative and that it gives you the motivation to seek your next training opportunity.

I would like to use this opportunity to thank all who donated to the Foundation. Our primary source of operational revenue is through our raffle programs. We are very pleased with the support that we receive from MOA members. The success of these raffles allows us to fully fund our program budget. In 2022, we ran three raffles, and each met or exceeded our budget. We will kick off our 2023 Raffle season with our Vintage Raffle featuring a fully restored R 80 G/S Paris Dakar edition.

Additionally, thanks to our Safe Miles Endowment donors whose contributions in 2022 have added more than $100,000 toward our goal of a million-dollar endowment fund. This fund will create a permanent funding source for our safety, education and training programs.

Also, in 2022 the Foundation kicked off its Charter Club Challenge where every dollar donated by clubs goes toward our endowment goal, which is matched dollar for dollar by the Foundation and the MOA. So far, almost $20,000 has been donated, which, with the match, means an additional $60,000 raised toward our endowment goal. A big thanks to the clubs who have made the commitment to the future of rider training. Foundation directors will be reaching out to our clubs throughout 2023 to encourage other clubs to participate.

It has been my honor to serve these last five years both as a director and now president of the MOA Foundation. Ride Often, Ride Safe.

FROM THE FOUNDATION PRESIDENT
BMW OWNERS NEWS | February 2023 8

We Can See the Future in Your Eyes

The future of motorcycle safety is the SafeMiles Endowment–an initiative of the MOA Foundation to establish a $1 million fund to guarantee rider trainin forever! Every penny donated to the SafeMiles Endowment will be reserved for the long-term future of rider training. No donation will be used for current activities or operations of the Foundation. It all goes to the future.

Donating any amount is easy. Visit bmwmoaf.org and make a secure transaction with your credit card. You have the option of a one-time gift or to make a recurring donation each month. Or, download a pledge card and return it along with payment to the MOA Foundation.

With your help, the future of motorcycle safety is in sight.

February 2023 | BMW OWNERS NEWS 9

POSTCARDS FROM THE ROAD

Each month we publish the great images sent to us by BMW MOA members from their travels around the globe. Send us your best images and you could have your work published in our Postcards from the Road pages. Email your high resolution images, image description and contact information to editor@bmwmoa.org.

Opposite page top, My 1984 R 100 RS during a local day ride with the front range of the Rockies in the background. Photo by Don Wreyford #91738.

Opposite page bottom left, Out for a holiday ride in Lincoln, Massachusetts. Photo by Tim Mangini #216488.

Opposite page bottom right, A photograph captured during our 13,000-mile journey across the U.S. and back on our K 1600 Grand America. Photo by Kathy Walters #213619.

Top, A photograph from my recent cross-country trip to the Grand Canyon. This was taken just outside the entrance to the North Rim looking north into the Kaibab National Forest. Photo by Jim Boone #224787.

Above Left, Another beautiful day just outside Eckert, Colorado, with Mt. Lamborn and West Elks in the distance. Photo by Gary Loomis #193651.

Above Right, A photograph from inside the Pinetown Amish Covered Bridge over the Conestoga River in Lancaster County, Pennsylvania. Photo by Joe Cantwell #116901.

Left, Admiring a pair of elderly R 1150 GSs at Mile 16 on Pikes Peak, Colorado, during a three-week tour of the central United States. Photo by Tim Deaves #195884.

February 2023 | BMW OWNERS NEWS 11

What Was It?

Having owned an Airhead in the past (three bikes ago), I like reading Matt Parkhouse’s column. Usually, he does a good job as a storyteller, but his recent December column left me hanging in a perplexing mystery.

Matt describes working on a ‘76 R 90/6 that started making ‘’horrible noises.’’ The problem was even part of the captions for two photos. In one he says, ‘’I was sure we were looking at some sort of bearing failure.’’ In the next photo he says, ‘’At this point we were almost sure that the noisy problem was not involving the main or con rod bearings.’’ Matt describes all the things he inspects: engine oil, gearbox, clutch plate, detent roller, and oil pressure sending unit. ‘’What could the culprit be?’’ I asked myself, mesmerized, as he describes cleaning and adjusting and replacing lubricants, all routine maintenance. Next thing I read was ‘’...we fired up the bike. Nice and quiet, just the steady sound of an idling airhead flat twin.’’

After all the buildup and mystery, he never says what caused the ‘’horrible noise.’’ Matt, can you help us out, buddy?

Arch Embler #54122 Denton, North Carolina

The Stupids

Enjoyed Ron Davis’ column, The Stupids, in the November issue of BMW Owners News.  So, here’s my capper stupid: I had forgotten to replace the oil filler cap on my ‘04 BMW K 1200 GT. I was out on a long ride and had somehow been fretting about checking my oil, so I did so at a gas stop. Must have been something about the difficult sight line to the oil sight glass (yeah, that’s it!) that made me forget to finish the job. I was underway again when I looked down

and to my horror, saw the yawning filler opening. Immediate panic and pull over at the next gas station. What to do? I was too far from home to trust that I wouldn’t lose my oil on the way back, and I wasn’t too keen on paying for a tow. I was too ignorant to know that oil wouldn’t spew out of the opening under normal engine operation.

I know! I then sauntered over to the station’s garage and asked the mechanic for a plain old shop rag. I thought I could plug that hole until I could get home and back to my dealer for a replacement. That way, I wouldn’t lose a drop!

You know what comes next.  I packed the rag into the fill opening, making sure it was snugly placed and with no bits that would flap in the wind. Yup, thought of everything. Except…what happens when the engine starts? In a flash, the rag disappeared into the bowels of the engine.

I hit the kill switch. And called a tow truck.

After a tow directly to my dealer, I had to face the music. The service guys were mercifully compassionate and kind of curious about what the result was. I wrung my hands and asked if it was fatal, like a friend bringing his best buddy to the ER with terrible wounds.

“Nahhh,” the service manager replied, nonchalantly. “These engines are indestructible. They call it the Flying Brick!”   And he was right.

Corey Dunsky #221966 San Jose, California

John Hermann

I hated to see John Hermann’s recent passing.

Back in the mid ‘80s, I contacted my friend John to get some insider tips on Alps touring. We were going there and

even borrowing a bike from BMW. John knew all the great places and some of his pals were going to be there at the same time, so he invited us to join them. They spent several weeks each year over there with each other. We were a little worried because his riding buddies were pretty well heeled, and we were on a much more limited budget. But we joined them for a few days, and it was amazing. They knew every little backwater place that we would have otherwise missed.

Thank you, John, for your friendship and your leadership on so many levels for your fellow motorcyclists. Godspeed.

Helena, Montana

High Mileage Riders

For an individual to ride 20, 40 or 100,000 miles in one MOA mileage contest period is (to me) absolutely amazing! However, I have questions.

How do you get that much time away from family? Are you widowed, single, anti-social? Rich enough to have the chores around a home done by a caretaker or no home or family to be responsible for? Maybe you don’t care about any of these things, to the exclusion of spending time in the saddle of a motorcycle?

What about the cost of lodging and food, and how do you afford tires and bike service? Even if you mount your tires and do all the maintenance, the last set of tires I purchased was almost $400! A set of four plugs for my R 1200 RT is almost $80. Modern tires are good for 7-10,000 miles under the best conditions, and oil changes are $50-$60 minimum— again, doing it yourself!

On these mileage accumulating rides

editor@bmwmoa.org
Send your letters and comments to:
RIDERTORIDER
Dal Smilie #10761
t t BMW OWNERS NEWS | February 2023 12

do you listen to podcasts, music, just ride and think? And my final question is WHY?

I love motorcycling as much as any human on this planet. I love riding, working on, talking about and simply looking at motorcycles of all kinds. I’m pushing 82 years of age, and my lifetime mileage is probably nearing 800,000 miles, and maybe before the lights go out, I’ll hit the one-million-mile mark.

Finally, I enjoy riding, time with my wife and daughter, a good book, listening to music, movies, going out to dinner, spending time with non-riding friends, watching an awesome sunset, or just sitting and enjoying a glass of good wine or a fine whiskey.

Now, I’m not saying “High Milers” don’t do any or all of those things, but when do they have time? For me to try and ride 100,000 miles in a year, it’s just never going to happen, but I admire those who do!

Successful Tire Claim

Thanks, Wes Fleming, for your December 2022 article highlighting the Platinum Roadside Assistance and Tire Hazard Protection Plan claim submittal process. I like things simple and easy. I took a picture of your six-step plan and saved it on my phone in the event of an issue while on the road. Also, I laminated a printout of the image and taped it to the inside of my top box. If ever I need to remember your steps, I have two quick reference points to check.

Thanks again.

Moving on with a G 310 GS

I recently heard a short interview with writer and producer Norman Lear on the occasion of his 100th birthday. He’s still active, still making art that will long outlast himself and me. He said that he had learned the importance of two words, “Over” and “Next.”

One must realize when something is over and move on to what is next. For me, motorcycling has been an integral part of my life since my first ride on the back of a British single at age 10 and the first bike I owned and rode at age 14. Now, six decades later, there’s been only one three-month period when I was in college that I was bikeless.

My path moved from 50cc to 250s, 500s on up to 1200s until in my late 60s. It started back down the ladder to 800, 650 and now, in my mid-70s, my main solo touring bikes are a 2021 BMW G 310 GS and a 2009 Suzuki DR 650. I still have my R 1200 GS, but it’s mated for life with a sidecar, and I have a Yamaha XT 250 for off road exploration.

far above any expectation from its size, it is in some ways a throwback to a simpler time. There are no ride modes, no “wonder wheel” controllers, no Bluetooth connections. The suspension is straightforward and non-adjustable except for preload on the back which is an uncomplicated monoshock with no links to worry about.

I get asked often, “Can it go on the highway?” Of course, it can. If the real question is, ‘Can it go 75 or 80 mph all day on an interstate,” then the answer is, maybe yes, but it probably is not a good idea for you or for the bike. But what it will do is be a delight on back roads, carving curves at 60 mph all day, making you smile with each one. And when you come to a stop, it will not be heavy, difficult to balance or maneuver in a parking lot or turnaround situation.

In August of 2022, I celebrated my first anniversary with the 310 GS with just over 10,000 miles under its tubeless wheels. It has taken me on several week-long trips, including 2,000 miles to the Springfield MOA Rally, an exploration of Arkansas on the way back, and many other multi-day excursions into other states. The little 310 has always kept up a decent pace on the backroads and carried what I needed to carry. I have modified the bike in increments, doing things that make it fit me better, including seat, footpegs and luggage with no “performance” mods on the agenda yet. Nonetheless, the 310 has handled every curve as my abilities will allow, scuffing its tires out to the edge of their tread. So far, knock on wood, I have experienced none of the potential failures that the internet groups seem to view as predestined.

Though a product of decades of mechanical progress with smooth power

Underlying the questions is the assumption that there isn’t enough power coming from the 310 engine, and folks want to add different exhausts and the other magic improvements that internet mavens offer. Really, though, it is rather like saying my significant other is a wonderful companion, but I wish he/she was taller or lamenting that my Labrador Retriever isn’t better at herding sheep.

In any relationship, human or mechanical, if one concentrates on what the partner doesn’t offer instead of what he/ she/it does provide, unhappiness is inevitable. This bike is an excellent machine. It is what it is and does what it does marvelously, almost miraculously, when one thinks about it. Any significant modification for more horsepower is going to change the characteristics that make it such a fine motorcycle to ride. It is doing what I wanted it to do, keeping me on the road and in the wind for the foreseeable future.

I cannot ask more than that.

February 2023 | BMW OWNERS NEWS 13

Register Two for the 50th National Rally for Valentine’s Day

More than 3,000 BMW MOA members have already registered for the 50th National Rally in Richmond, Virginia. The 50th is shaping up to be an epic event with plenty of friends and MOA family in attendance.

If you haven’t registered for the 50th, our special for Valentine’s Day is a great time to grab a friend and register two people for just $129. Member or non-member, ride or passenger, son, daughter, spouse or friend–it doesn’t matter. Include two people in one registration transaction and get the deal.

Valentine’s Day pricing can save two as much as $89 over gate prices. It is a great way to show some nonmember friends a little love, saving non-members $25 over single registration. This deal will be gone by February 28 and pricing will never be lower. Show a little love to your riding buddies and register for the 50th now!

Grab a Hotel Room for the 50th National Rally

Looking to spend a night or two in modern comfort at the 50th National Rally? The MOA has secured room blocks with special rates for BMW MOA members at select area hotels in Richmond and Fredericksburg. Room rates are available from $88 to $179 per night depending on the property and location. Room blocks are limited, and property types vary. For a complete list of participating hotels and room information, visit rally.bmwmoa.org.

BMW MOA members may call the participating properties directly and secure rooms at the special rate until the room blocks are sold out. Room blocks are extremely limited, and members should call early to have the best chance of securing a room. There are additional properties in the Richmond area that may not be listed. More listings will be added as they become available.

R 80 G/S Up for Grabs in MOA Foundation Completely Vintage Fundraiser

The BMW MOA Foundation’s latest restoration project, a 1981 R 80 G/S, is up for grabs in this spring’s Completely Vintage raffle. Designated as the world’s first adventure bike, fewer than 22,000 units of the R 80 G/S were built worldwide. One lucky MOA member will take home this fantastic survivor on April 22, 2023.

The Foundation found the highly desirable boxer on eBay nearly three years ago and started the process of making it the subject of the Completely Vintage raffle. After two failed attempts to deliver the bike during the COVID lock down to MOA member John “Dutch” Lammers for restoration, the process finally began in late 2021. The result is a beautifully restored example of one of the most iconic BMW motorcycles ever built.

Tickets for the Completely Vintage raffle are available for purchase between January 29 and April 8, 2023, online at bmwmoaf.org or by calling the MOA membership office at (864) 438-0962. The live winner’s drawing will take place April 22 at the MOA Getaway at Fontana. The drawing will be broadcast online, and members may attend in person.

The Completely Vintage fundraiser benefits the BMW MOA Foundation and its mission to advance rider safety, education, and training. According to MOA Foundation President Tom Gary, the popular fundraiser will fund all the Foundation’s rider training activity for a full year. Complete details and more information about the R 80 G/S build are available online at bmwmoaf.org.

NEWS
BMW OWNERS NEWS | February 2023 14

2023 Premier Training Dates Announced

In partnership with the BMW MOA, MOA Foundation and the BMW Performance Center Rider Academy, Premier Training opportunities for MOA members have been scheduled for 2023 at the BMW Performance Center Rider Academy in Greer, South Carolina. 2023 dates include March 23-24, April 13-14, September 28-29, October 26-27 and November 16-17.

Limited to only 14 participants, this full day of rider training will encompass both on- and off-road skill development using BMW Performance Center facilities, motorcycles and instructors. This unique opportunity includes two nights lodging at the Greenville Marriott Hotel with a Thursday night “Meet and Greet” and introductory session at the BMW MOA Campus. Friday features a full day of both on- and off-road training with breakfast, lunch and an evening dinner. Transportation between the hotel and the Performance Center facility, a special Premier event polo shirt, and the use of a Performance Center BMW motorcycle are also provided. Riders may choose to use their personal motorcycles for this training opportunity but will assume all risk and responsibility for any damage. This program does provide a $200 grant from the MOA Foundation on completion of the weekend

If you want to improve your on-road skills and get a solid introduction to off-road riding, this training is for you. On-road

training includes slow rides and trial stops, a city course, emergency stops, obstacles avoidance and braking. The off-road section gives you a flavor of a slow ride on dirt, the slalom course, how to tackle washboard ruts, emergency stops and an intro to hills if the time allows.

The MOA Premier Training event costs $1,495 per person and includes:

• Thursday and Friday night lodging at the Greenville Marriott with Friday breakfast

• Thursday night “Meet and Greet” at the BMW MOA Campus

• One full day of training with the use of a BMW Performance Center motorcycle

• Friday lunch at the BMW Performance Center

• Friday evening dinner at a favorite Greenville restaurant

• Transportation between the hotel and BMW Performance Center on both days

• A Special Premier Event polo shirt

• Shuttle to the Greenville airport

The $1,495 price point represents a great opportunity to receive quality training at a significantly reduced cost. Availability for this unique event is sure to fill quickly, so don’t delay in registering.

February 2023 | BMW OWNERS NEWS 15

Welcome our newest MOA members

Patrick Abuzeni Jacksonville, FL

Gbola Adesogan Gainesville, FL

Paul Aiken Huntersville, NC

Francisco Amaya Elgin, IL

Tom Anderson Oakland, CA

Christopher Anderson Edmond, OK

John Anello Middlesex, NJ

Fred Anton Oakdale, PA

Paul Antram Jersey Shore, PA

Simon Astor Miami, FL

Ned Bailey Richmond, VA

Everett Ballenger Beaufort, SC

Jim Barbee Madison, MS

Martin Basham Chesapeake, VA

Pawel Batura Elk Grove Village, IL

Thomas Baxter Denver, CO

Jim Beck Wixom, MI

Edward Beckett Fairmount, GA

Thomas Belger Solon, IA

Stacy Belisle Macomb, MI

Dan Biesterveld Appleton, WI

Bruce Borchers Scots Valley, CA

Johann Borenstein Land O' Lakes, FL

Philip Browne Charleston, SC

Matt Buchanan Burnsville, NC

Eric Bulington Grayslake, IL

Richard Caruso Southbury, CT

Richard Casper Waterford, MI

Abraham Cepeda Locust Grove, VA

Will Chitwood Loganville, GA

Terry Chontos Rockford, MI

Blane Christian Fairfield, CA

Steve Cipelle Saint Joseph, TN

Owen Clayton Daytona Beach, FL

Josh Coltrin Meridian, ID

Phillip Cotton Gaston, SC

Thomas Crane Spring Hill, TN

James Crawford Lenox, GA

Mike Crowley Bourne, MA

John Cushman Denver, CO

Blaine Cybulski Haley Station, ON

Greg Cyr Green Cove Springs, FL

Dan Dagnino Lakeland, FL

Roger Dalal Palm City, FL

Michael Dando Phoenix, AZ

Sven Davies Naperville, IL

Stanford Dawson Pensacola, FL

Jeffrey Day Portland, ME

Alex Demers Boston, MA

Gilles Demeulenaere Chicago, IL

Kenneth DeMeurichy Forney, TX

Jason Deschambeau Doylestown, PA

Scott DeShano Gladwin, MI

Andy Dills Colorado Springs, CO

Grant Dodenhoff Indianapolis, IN

Paul Dodero Gainesville, VA

Michael Duchon Cross River, NY

Scott Dunlap San Antonio, TX

Michael Dunn Colona, IL

Tom DuPlanti Schuyler, NE

Max Durling Brighton, MI

Jason Dyer Phenix City, AL

Stewart Ellis Virginia Beach, VA

David Ellison Winnsboro, SC

Monkey Escobar Greenville, SC

Thomas Fair Leander, TX

Christian Ferri Palo Alto, CA

Michael Fink Gaffney, SC

Rosemary Finley Pensacola, FL

Michael Freedman Stow, MA

Sidney Fuller Campbell River, BC

Bill Galeota Moneta, VA

Robert Galvin Austin, TX

M.T. Gammon New Riegel, OH

Jeff Gillenwaters Belton, TX

Peter Ginnegar Wendell, NC

Albert Giorla Swainton, NJ

Scott Glixon Middleburg, VA

John Gluszak Los Gatos, CA

K.S. Gosal Flushing, NY

Todd Grischke Saranac, MI

Sujata Gupta Silver Spring, MD

Guy Hackett Carolina Beach, NC

Taurik Haddad Midlothian, VA

Steven Hahn Easley, SC

Andrew Halpern Port Orange, FL

Robert Halsey Longmont, CO

Jerry Harmon Astoria, OR

Vincent Hauser Austin, TX

William Heath Melbourne, FL

Larry Hedberg Ozark, MO

Sterling Heldenbrand Duncan, OK

Samuel Hensley Bloomington, IN

Evan Hipp Evansville, IN

Tim Horrocks Richmond, VA

Jeff Howe Lakewood, CO

Charles Hudson Salem, NH

Richard Hughes Saint John, IN

Pat Huss Custer, SD

Chris Hutcheson Rohnert Park, CA

Mark Ingersoll Tonopah, AZ

Glenn Johnson Lawrenceville, NJ

Richard Johnson Fenton, MI

Joseph Johnson Round Hill, VA

Marcus Johnson Columbus, OH

Daniel Jordan Easley, SC

Yury Kabak Komoka, ON

Christopher Kauffman Austin, TX

William Kearns Colorado Springs, CO

Floyd Keim Emmaus, PA

Amey Khare Aurora, IL

Lee King Sugar Land, TX

Dmytro Kolesnikov Schiller Park, IL

Eric Kramber Conyers, GA

Kevin Krebel Tower Lakes, IL

Keith Kropidlowski Anderson, SC

Kenneth Kundrot Panama City, FL

Mohan Kurup Brecksville, OH

Tom Lamar Mill Valley, CA

Tim Lau Orange, CA

Jacques Leclerc Montreal, QC

Thomas Lee Bridgeville, DE

Bruce Lee Ruskin, FL

Gregory Leighty Harrison, TN

Virginia Lingham San Diego, CA

Scott Linn Sacramento, CA

Bob Lumby Cedar Park, TX

Krzysztof Macias Chicago, IL

Patrick MacLellan Plymouth, MI

Aaron Maxey Daytona Beach, FL

Michael McAdoo Fredericksburg, VA

Randolph McCook Dunedin, FL

Paul McGowan Box Springs, GA

Keith McLennan Longport, NJ

Brandon McMartin Post Falls, ID

Vishnu Medisetty West Bloomfield, MI

Mark Merical Winston Salem, NC

Brent Miller Jacksonville, FL

Barry Miller Brandon, FL

Mike Moellenkamp Simcoe, ON

Allen Moore Eden Prairie, MN

Phil Morrison Mason, MI

Phil Moss Milford, MI

Nona Moss Jackson Seattle, WA

Justin Motley St. Augustine, FL

Joseph Murphy Chevy Chase, MD

Antony Narcisso Rock Hill, SC

NEWS
BMW OWNERS NEWS | February 2023 16

"I joined the MOA because I am a faithful BMW rider and enjoy the camaraderie of the organization. I am an ASE Master Certified Auto/Diesel/Hybrid Tech and have worked on motorcycles most of my life.

I ride a 2021 S 1000 XR–it's a BEAST and the best bike I have ever ridden. It does everything, and does it well! I rode cross-country last June racking up 6,300 miles. One of favorite rides is California Highway 1, from Santa Cruz to Big Sur. I also ride a 2013 F 800 GT, which is a great little bike."

"I'm excited to do some fall riding on my new-to-me 1971 R 75/5. The membership has already welcomed and helped me so much with all my questions getting my beautiful bike dialed in. She’s going in the garage soon for the winter. I’ll be online with you all dreaming about spring."

Luis Nessi Miami Shores, FL

Richard Nguyen Winchester, CA

Lucy Oldfield Brooklyn, MI

Chad Olson Bloomington, IL

James Osborne San Pedro, CA

Shanker Padmanabhan San Jose, CA

Matt Parman Urbandale, IA

Daimon Parrotte Havre, MT

Matt Phelps Memphis, TN

John Pillitteri Louisville, KY

Raul Pinon Wetumpka, FL

Colin Powell City Beach, WA

Stephen Prescott Belding, MI

Joe Prezioso Mechanicsville, VA

Paul Price Houston, TX

Jeff Przybylak Hodgenville, KY

Andrew Richter Ashburn, VA

Matthew Ring Indianapolis, IN

Erick Risher Church Hill, TN

Alexander Roberts Newnan, GA

Austin Robinson Halethorpe, MD

Greg Rogers Livonia, MI

Lee Rudbart Hillsborough Township, NJ

Mike Ryan San Antonio, TX

David Salazar Los Ranchos, NM

Anthony Sanchez Albuquerque, NM

Joseph Sanchez New Orleans, LA

Dennis Sander Fairbank, IA

Anjum Sarwar Naperville, IL

Dan Schaaf Fairfield Township, OH

Eric Schwindt Cleburne, TX

Wiliam Shelton Fredericksburg, VA

Josh Simons Pasco, WA

Arvind Singh Plymouth, MI

Robert Sipress Stevensville, MI

Jason Snitker Jefferson, LA

Sergey Sokolov Port Coquitlam, BC

Windy Sorrels Geneva, AL

Alex Soto New York, NY

Thomas Starkweather Arvada, CO

David Steinbrunner Shady Shores, TX

Thomas Stelter Lake Bluff, IL

Karl Streckfuss Wentzville, MO

Gerald Stritt Hays, KS

Shichao Sun Clawson, MI

Eli Tallman Pearland, TX

John Taylor Wichita Falls, TX

Alan Telakowiec Lake Worth, FL

James Teller Millstone Township, NJ

Sal Terranova Williamsville, NY

Gabriel Terrasa Columbia, MD

William Thompson El Paso, TX

Brian Thompson Alexandria, VA

David Thunselle Lakewood, CO

Michael Torossy Wauconda, IL

John Ustupski Fallbrook, CA

Richard Van Zanten Bellflower, CA

Amy Vokal Mankato, MN

Jeff Wahrmund Elgin, TX

Winston Wakeford Pensacola, FL

Shane Walker Silver Lake, WI

Mauricio Wallis Brighton, MI

Scott Warren McKees Rocks, PA

Patrick Webster Jenks, OK

Jeremy Wood Rapid City, SD

Ross Wright Ashland, VA

JT Wu Rancho Cucamonga, CA

Theresa Yoakum Pensacola, FL

William Zigle Solvang, CA

February 2023 | BMW OWNERS NEWS 17

BMW introduces R nineT and R 18 100 Years Editions

BMW Motorrad USA proudly presents the 2023 BMW R 18 100 Years Edition and the BMW R nineT 100 Years Edition to commemorate 100 Years of BMW Motorrad. In keeping with the year in which BMW Motorrad was founded, each model will be limited to 1,923 units globally.

In December 1922, BMW chief designer Max Friz put the first full-scale BMW motorcycle on the drawing board. At its heart was a 494cc, 8.5 hp, air-cooled two-cylinder, four-stroke boxer engine. The first BMW motorcycle, the R 32, was unveiled in September 1923 at the German Motor Show in Berlin. Production soon began at the BMW aircraft engine works on the edge of the Munich’s

Oberwiesenfeld airfield in an area sectioned off by a wooden fence. Those humble beginnings of BMW motorcycle production launched an unprecedented success story that would span a century and continue to this day.

BMW R nineT 100 Years Edition

The design of the R nineT is shaped by 100 years of motorcycle production and by BMW Motorrad’s unwavering passion for the boxer engine. The classic roadster design recipe begins with a compact tank and an upright seating position and extends to premium materials and stylish design elements. The new R nineT

NEWS
BMW OWNERS NEWS | February 2023 18

100 Years becomes an exclusive anniversary edition thanks to numerous special features. The heart is still the air/oil-cooled, 1,170 cc, 109 hp two-cylinder boxer engine. In the anniversary edition, the legendary engine is accompanied by chrome and Option 719 parts, including paint-on-chrome surfaces and exquisitely milled parts and wheels.

Paint finishes in combination with chrome surfaces also have an almost 100-year tradition in motorcycle production. Chrome surfaces, usually consisting of a copper, nickel and final chrome layer are known for their hardness and resulting high durability (very good protection against corrosion) but above all by their radiant,

mirror-like shine. This made chrome a common stylistic device for designers from the late 1920s onwards. The BMW R 75/5 with its chrome-plated tank sides and side covers, for example, is legendary within BMW Motorrad enthusiast circles. With the new BMW R nineT 100 Years and R 18 100 Years and the Classic Chrome surface finish, BMW Motorrad is reviving this incomparably beautiful and sophisticated interplay of paint and chrome.

Fifty years ago, the “paint-on-chrome” technology did not pose much of a problem for motorcycle manufacturers. At that time, the solvent-based paints combined well with chromium and significantly better than the solvent-free paints of today.

February 2023 | BMW OWNERS NEWS 19

Today, the 100 Year Edition models use only REACH compliant Chromium III. The chrome plating process and the preparatory work are extremely complex: In preparation, the metal tank for example, is first polished to a high gloss. After this step, the part is immersed in various electroplating baths. Layers of copper, nickel and ultimately chromium are applied. The finished chrome-plated part is then painted in several layers; a final coat of clear coat covers the entire tank.

The metal tanks on both anniversary models feature this paint-on-chrome process, called Classic Chrome. On the R nineT, the tank finish combines black paint with chrome and white double-pinstriping, knee pads and a 100 Years badge. Classic Chrome is also found on the seat’s rear cover. The front wheel fender is painted in black and features white double-pinstriping.

A two-tone seat in black/oxblood red rounds off the design. Numerous black components such as fork tubes, air intake snorkels and some Option 719 components complement the look. The R nineT 100 Years includes Option 719 Classic wheels with black anodized rims, the Option 719 Billet Pack Shadow with

milled cylinder head covers, front engine cover, seat holders, oil filler plug and the Option 719 Billet Pack Shadow II, consisting of adjustable hand levers and foot pegs, passenger foot pegs as well as expansion tank covers and handlebar end mirrors. The 100 Years Edition also includes an adaptive turning headlight, heated grips, cruise control and Riding Modes Pro. An anti-theft alarm system can be fitted as a dealer-installed accessory.

NEWS
BMW OWNERS NEWS | February 2023 20
Above, R 32 production. Below, A 100 Year Edition R nineT on the production line.

BMW R 18 100 Years Edition

The unmistakable center piece of the R 18 100 Years is the 1,802 cc, 91 hp boxer motor, the largest displacement engine ever installed in a BMW motorcycle. Both technically and visually, the BMW R 18 borrows from famous BMW models such as the 1936 BMW R 5 and puts the focus back on the essentials of motorcycling: Purist and no-frills, with the boxer engine as the epicenter of the riding experience. The big boxer is complemented by numerous special features and details. The paint finish of the R 18 100 Years, like that of the anniversary model of the R nineT, is in Classic Chrome and thus combines black paintwork and high-gloss chrome surfaces as well as white double- pinstriping and a 100 Years badge. The paint-onchrome Classic Chrome finish is also found on the rear fender in combination with white double-pinstriping. The front fender and the side covers are painted in black, complemented by white double-pinstriping on the front fender. The Option 719 seat is upholstered in the two-tone combination black/oxblood red and features diamond embossing.

Black is a symbolic and traditional BMW Motorrad color and also adorns the engine, transmission housing and rear axle drive. The exact designation of the color is Avus Black–a nod to the legendary 12.1-mile-long high-speed racetrack running through the Grunewald Forest, West of Berlin, where BMW Motorrad once celebrated great racing successes and where the AVUS monument with BMW Motorrad factory rider Ernst Henne still stands today. Berlin is also home to the BMW Motorrad production plant. The plant, located in Berlin-Spandau, is the lead plant for BMW Motorrad’s international

motorcycle production.

The R 18 100 Years Edition is complemented by numerous chrome design parts. The durable galvanic surface coating can be found on the handlebar fittings, gear shift and foot brake levers, handlebar clamps, handlebar weights, mirrors, brake master cylinders, brake calipers, engine cover, cylinder head covers and intake manifold covers.

Other features of the BMW R 18 100 Years also include a chromed Akrapovič rear muffler with perforated tailpipe trim in the shape of the BMW logo. Safety and comfort are ensured by ASC Automatic Stability Control, Headlight Pro, cruise control and heated grips.

With the Heritage line R nineT and R 18 models, BMW Motorrad is paying tribute to its 100-year history and tradition, which is inextricably linked with the legendary boxer engine. Tradition and history can also be found at the BMW Motorrad production plant in Berlin, the birthplace of almost every BMW motorcycle for over 50 years. The iconic design and the unmistakable boxer engine illustrate that it’s about the roots of BMW Motorrad, about historically inspired shapes and details, about an authentic riding experience and about reducing motorbikes to the essentials. In short: The Heritage line experience is all about a unique attitude to life, shaped by the legendary boxer engine.

The MSRP is $18,990 plus $895 Destination for the R 18 100 Years, and the MSRP is $19,995 plus $695 Destination for the R nineT 100 Years. Market Launch is planned for Q1, 2023. For complete information, including pricing details, please visit your local BMW Motorrad dealer.

February 2023 | BMW OWNERS NEWS 21

BMW Motorrad USA announces sales numbers for Q4 and full year 2022

BMW MOTORRAD USA REPORTED 3,459 MOTORCYCLES

sold in the fourth quarter of 2022, an increase of 232 units and 7.2 percent compared to Q4 2021. While supply chain issues have significantly improved for BMW Motorrad, helping to fuel strong demand for Beemers in the USA, there are still some spotty problems with getting bikes equipped with certain options.

For all of 2022, Motorrad USA sold 17,690 units, an increase of 1,660 units and 10.4 percent over 2021. This represents the best year of retail sales in BMW Motorrad USA history and may be enough to move the USA up BMW’s motorcycle market rankings, where it has languished behind France and Italy for the last few years. Worldwide sales figures for 2022 have not yet been released.

BMW NA says its U.S. motorcycle dealers “continue to out-perform the overall industry and have increased retail sales for the year well ahead of the industry average,” crediting a “freshened product lineup of new models like the all-new R 18 B and R 18 Transcontinental.” BMW motorcycle sales continue to be dominated by sales of the R 1250 GS and GS Adventure, with “strong performance” from the S 1000 RR and new M 1000 RR. BMW Motorrad USA expects its dealers—now numbering 145 in the USA—to show continued growth in sales and market share in 2023 based on new products they expect to drive demand and produce a record year of retail sales.

To view a list of BMW Motorrad dealers, visit bmwmoa.org/page/ bmwdealers.

NEWS
BMW OWNERS NEWS | February 2023 22
TOUR NEW ZEALAND "...the best place on Earth to ride a bike" – UK BIKE magazine ADVENTURE NEW ZEALAND MOTORCYCLE TOURS AND RENTALS P.O. Box 674 Nelson, New Zealand Tel: +64 21 696 071 Fax: +64 3 5485783 Email: mctours@gotournz.com www.GoTourNZ.com Guided & Self Guided Tours, Off-TheBeaten-Track Tours, Rental, Buy Backs. Introducing the WunderLINQ Handlebar control of your phone Motorcycle per formance and fault data USB power por t blackboxembedded.com by Become a Motorcycle Operator, not just a rider On-Road & Off-Road Instruction Cassie Maier, Owner www.fullgearfemale.com February 2023 | BMW OWNERS NEWS 23

Three Times the Love for Motorcycle Safety

The slogan says you can “shine brighter in Colorado” and the BMW Motorcycle Rides of Colorado believe just that. This dedicated group of club members proved it with a $3,334 donation to the MOA Foundation’s SafeMiles Endowment. The total impact of their generosity? $10,002 for the long-term future of motorcycle safety.

The MOA Foundation and the BMW Motorcycle Owners of America will match any chartered club donation to the Foundation’s SafeMiles program. Every dollar donated by MOA Chartered clubs is now worth $3 for the long-term future of motorcycle rider safety, education, and training.

Congratulations, BMW Motorcycle Owners of Colorado. Your commitment to motorcycling and riders everywhere is now three times the love! Visit

bmwmoaf.org to find out more about the SafeMiles Endowment and how your Chartered Club can make a 3x difference. BMW OWNERS NEWS | February 2023 24
"DAY-LONG" TOURING SADDLES By Russell Support Suspension System 4917 Shasta Dam Blvd. Shasta Lake, CA 96019 (800) 432-9566 info@day-long.com www.day-long.com February 2023 | BMW OWNERS NEWS 25

FIRST-AID KITS FOR

A s we focus on the mission of the MOA Foundation in this month’s issue, perhaps nothing promotes rider safety— in a concrete sense—more than having a good first aid kit along with you when you ride. From minor issues like headaches, dry lips and insect bites to major problems like broken bones, burns and puncture wounds, you’re sure to find here a kit suitable for your needs that also fits conveniently in a top or side case.

Adventure Medical Kits

Adventure First Aid 2.0 ($25.99)

The Adventure First Aid 2.0 is fully stocked for the most common injuries and illnesses encountered on the trail: sprains, fractures, cuts, scrapes, headaches, and allergic reactions. With enough supplies to treat a group of four on a day-long outing, the 2.0 is ideal for families, scouts, and anyone else who enjoys outdoor adventure. Items are organized by injury and the kit includes instruction cards to help anyone quickly and confidently give first aid.

www.adventuremedicalkits.com

Adventure Medical Kits

Watertight .9 Medical Kit ($45.99)

Intended for backpackers, this kit contains the first aid supplies you need in a kit that keeps water and the elements out with two layers of rugged waterproofing protection. Weighs less than 8 ounces, while still providing enough supplies to treat common outdoor injuries—plus supplies to provide trauma care for bleeding, fractures and sprains. Available through Aerostich!

(https://www. aerostich.com).

www.adventuremedicalkits.com

PRODUCT NEWS
BMW OWNERS NEWS | February 2023 26

FOR MOTORCYCLISTS

Rescue Essentials

Motorcycle Operator Kit ($115.00)

The recently re-vamped Rescue Essentials Motorcycle Operator Kit is designed to meet the needs of motorcycle patrol officers and recreational cyclists, in the event of self-injury or motorcycle accident response. Includes supplies to address catastrophic trauma, as well as minor fractures, and everyday first aid needs, plus lightsticks for visibility and scene safety. This compact first aid kit slides easily into most motorcycle storage compartments for quick access in the event of accident.

www.rescue-essentials.com

Doom and Bloom

Motorcycle Grab N Go First Aid Kit ($119.99)

Doom and Bloom believes motorcycle riders should be prepared to control bleeding with trauma supplies, cover simple cuts with latex-free bandages, stabilize sprained ankles, treat burns and close small wounds, plus more. Their Grab N Go first aid kit is lightweight and compact, perfect inside a saddlebag or any backpack; it features MOLLE straps and is available in black or red.

www.doomandbloom.net

February 2023 | BMW OWNERS NEWS 27

Since the MOA's inception, our members have come from all walks of life and corners of the globe. Our recent Oral History Project offers a living history intended to preserve our past and be enjoyed by all. Below are a sampling of the overwhelming response we've received by our members for the project.

Vicki J. Fretz #58864

I’ve been riding for a long time. I rode with the kids when they were little and couldn’t go riding by themselves. They had their little Hondas, and I went with them on the little Yamaha we had at that time. It was all dirt riding.

I graduated to riding on the back of the bike, which I was happy to do. My husband had ridden for years, and that was what we wanted to do. We had ridden other bikes; the last one we had was a Gold Wing, and it was uncomfortable for me. We bought our BMW and never looked back; it was comfortable and smooth.

We attended the National Rally in 1987, and that was the first National Rally we attended. It was interesting, and we met a lot of nice people. My favorite times have been the 250 rallies we have attended. It’s like a big family reunion.

George Berg #167336

A friend of mine I went to college with has owned BMW motorcycles for 50 years. He likes to go on long trips, and he puts trips together.

My first ride was a moped. I started with a little 50cc moped, then I got a 125 moped. I got a 500cc before I got my first BMW motorcycle. I like them because I can work on them. When you’re in faraway places you have to be able to fix them.

Bradley K. Stevens #7447

In 1959, a high school friend’s father bought an R 60, and he gave me a ride home one night. I said to myself, “Someday, I want one of these.”

I’ve driven over 700,000 miles now, but what stands out to me are my trips to the Alps. I’ve been to the Alps four times and the Pyrenees once, and the Alps are motorcycle heaven. Nothing comes close.

I have another 300,000 miles on other brands, so I have the AMA LongRider One Million Mile Award. Most of those miles have been made alone on weekend and annual vacation trips. My wife has ridden with me for about 50,000 miles. I’ve been to a couple of national rallies, but I just want to be out there in the wide-open spaces.

In a couple of weeks, I’ll be going on my 48th annual trip to Death Valley. I’ve had 16 BMWs, and I’m down to four right now. My favorite would have to be the R 1200 GS because I’m on my third one.

I’ve gone to places in Canada where there are no repair shops, so if something happens you must fix it yourself. I was in Japan, and I have Japanese friends who own BMW motorcycles. We started in Tokyo, went up to the north island, and then back down. That was a 3,000-mile ride, along with a couple of ferries. I also went on a European trip from Barcelona, Spain, to Rome, Italy, that took more than two weeks.

I was in Minneapolis, and someone talked me into joining BMW MOA. I like the magazine.

Jon Barry #206431

At the age of 65, I took an MSF introductory course, purchased a Honda 250 CBR and set off riding around my small town in Connecticut, including regular, and always delightful Sunday morning espresso runs to New York City.

A year later I swapped the Honda for a Triumph Tiger 800 and started more widely exploring the Northeast from New Jersey to Maine. The following year I moved to Los Angeles, traded in my Triumph for a BMW S 1000 XR and joined the BMW Club of Southern California. The extraordinarily patient and much more accomplished riders in the club helped me elevate my riding skills

CELEBRATING OUR 50TH ANNIVERSARY
Bradley K. Stevens

Christopher Raymond Butler #224758

I desperately wanted the BMW R 1150 RS when I first laid eyes on it in 2002. Unfortunately, it wasn’t in the cards at the time.

In 2021, almost 20 years later, on a whim, I searched the internet for one that might be for sale. I found a beautiful, well-maintained BMW RS in California for an awesome price with low mileage, so I bought it sight unseen from my laptop in New York. I flew to California, picked up the bike, and familiarized myself with it for a week while exploring Los Angeles, the valley and the surrounding hills. I was instantly in love with my BMW RS and departed California for the BMW MOA National Rally in Great Falls, my first rally.

Then I rode back to New York. I took my time and put 4,500 miles on the odometer. The bike was reliable and a dream to ride. It was a great inaugural road trip. A photo was taken in Los Angeles before the cross-country trip by Ryan, who was an exceptional professional photographer and a close friend of mine. I wanted to commemorate the purchase of my dream bike on the eve of my journey.

from “terrible” to merely “mediocre” and subsequently have led me on countless rides throughout the Western United States. Without the continuing support and fellowship of other members of the BMW Club of Southern California, plus the opportunity to pilot an epic machine like the BMW S 1000 XR, I doubt I would otherwise ever have put on over 120,000 “moto-miles” in the past decade and enjoyed so many “moto-adventures” as an increasingly aging and increasingly cranky senior citizen.

Mega props to BMW MOA and to the men and women of the BMW Club of Southern California.

I started out with a little dirt bike in 1971, and I grew up from there. I got into more dirt bikes, and then I got into street bikes. I’ve always been interested in BMWs, and that’s why I joined the BMW MOA.

I did a trip from Whitefish, Montana, to Atlanta in three days and that was a good time. Track days were a fun time as well and I did those at a track in Tennessee. I also went on a ride with a handful of people who sought out low-traffic roads in North Carolina and West Virginia, and we spent three days riding through the mountains. We covered about 300 miles a day at an aggressive pace, and that was really fun. My buddy and I would also take two or three rides a year, and we’ve ridden over in east Tennessee, the western Carolinas, and West Virginia. Those were interesting and fun rides.

I’ve been to a few BMW MOA events throughout the years. I went to one down in Atlanta and one up in West Virginia. I met a lot of nice folks, and it was a lot of fun.

Jon Barry Christopher Raymond Butler John C. Wilkinson #86844

Robert Wichtendahl #150547

Friends and family got me into riding. My earliest memory of riding a motorcycle was when my uncle took me on the back of his, and that was really scary.

The first time I personally rode a motorcycle was when my brother-in-law let me ride his Nighthawk. Then my best friend from college got a job at BMW of Manhattan Motorrad. He would let me ride his bike and would get me loaner bikes. Then we’d go out for rides. That’s where the addiction started. She’s the one who really got me into the entire thing.

My wife noticed the passion building, and she bought me my first motorcycle as a father’s day gift! That’s how it all started! Since then, we’ve been to most of Northeastern U.S., Nova Scotia and Quebec City. That was beautiful summer riding. We have also been to the Blue Ridge Parkway, the Tail of the Dragon, Tennessee, and North Carolina.

The most planning I’ve done was for my biggest two-week trip out to Utah, Wyoming, Idaho, Montana, and Colorado. We did 12 over 10,000-foot mountain passes in two weeks. BMWs are the best tool to make incredible memories!

high quality and works really well. I’m really pleased with the bike. The day that I bought it, there were people at the dealership who were a part of the BMW MOA, and I spent an hour talking to a guy and his 20-year-old son about bikes.

I enjoy talking to other people who are motorcyclists, and that’s what I’ve liked about the BMW MOA. I’ve also really enjoyed the magazine. I’m now also riding a new Triumph that I got about a week ago, and it reminds me of my brother.

Peter Hoshyla #62330

A friend of my father’s had some Nortons, and I rode those bikes. When I got a little older, I bought a Ducati. I went into the Triumphs, and then I had BMWs for quite a while.

Jay Antognini #224027

My brother was five years older than me, and he bought a Honda 305 Scrambler, which he gave me rides on. He then bought a Triumph Trophy 500, and after that, I was hooked. My brother was killed in Vietnam shortly afterward. My parents weren’t into us riding motorcycles, but before he went off to Vietnam, my brother and I convinced them that we could get me a little Honda 90 to commute to junior college.

I bought the BMW in 2015. It’s fun to ride, and everything is

I bought a Gold Wing in 1982 and put 65,000 miles on that in four years. The first cross-country trip I took was on the Gold Wing. I went to a lot of BMW MOA rallies, and I got a long-distance sidecar at the Missoula rally. My wife was on the back of my bike for all of those trips. We rode to Daytona for Bike Week for 20 years. We’ve been to the Rockies several times, and we rode from there to Spokane for the BMW MOA National Rally.

From there, we rode through Washington and to the West Coast down to Northern California. We went to Crater Lake, Idaho, and Yellowstone, and we stayed at Sturgis. That town is pro-motorcycle–they love bikes there. I like the club and the people.

CELEBRATING OUR 50TH ANNIVERSARY
Robert Wichtendahl
BMW OWNERS NEWS | February 2023 30
Jay Antognini

The KERMIT Chair

Molyoil ‐ oil, fuel & air filters – 12/24K maintenance kits – brake pads & rotors – fuel pumps – Hall sensors – repair manuals & dvds–tools – fuel line disconnect sets – fuel injection controllers – exhausts – batteries & chargers –master cylinders & rebuild kits – starters – spark plugs & wires – cables –  radiator fans – alt belts – fender extenders – Carbtune carb/TB synchronizers

New gear, downloadable catalog, updated website & more specials online!
aerostich.com/on aero bmwon 2021a.indd 1 7/8/21 4:33 PM www.beemerboneyard.com ORDER ONLINE 24/7 – M/C, Visa, Discover, Paypal 973.775.3495 M ‐ F 12 ‐ 5PM Enter code BMWMOA in source code box @ checkout & click “apply” Used Oil‐Head, K‐Bike & Hex‐Head Parts – 50% of New or Less New Maintenance Parts & Tools – WAY BELOW Retail Prices NO BACKORDERS – ORDERS SHIP IN 24 HOURS 10% BMW MOA Discount Online Orders Only Beemerbon e yar d .co m Liqui
www.kermitchair.com
Photo: Gina Miele
©2021
Strong, Light, Comfortable. Packs to 22" in less than a minute! KERMIT CHAIR COMPANY www.kermitchair.com 888-729-9836
byRiders byRiders M A D E FO R INTHE U .S .A. February 2023 | BMW OWNERS NEWS 31
Hand crafted from oak wood, aluminium, and Cordura fabric.

First Look: Klim Krios Pro helmet

SINCE IT HAS BEEN A LONGTIME CLICHÉ IN THE REALM OF motorcycle gear reviews, in all my writing about clothing, helmets, electronic gizmos and luggage systems I’ve always resisted using the term “revolutionary.” However, looking at Klim’s Krios Pro helmet right out of the box, I find that term has never been more appropriate for four basic reasons:

Weight

In size medium, the Klim Krios Pro I ordered weighs in at about three pounds. Most of the full-face helmets I’ve used have always weighed around four or more pounds. One pound of difference, whether you’re on a daylong slog on the slab or a bumpy single track, can make a world of difference. The hand laid carbon fiber shell on the Krios is one feature that allows this helmet to be so light, but also reducing weight is another innovation that makes the Krios revolutionary.

Koroyd

Most helmets today, including ones at the highest end, use an expanded polystyrene (EPS) liner. Look in your helmet—that stuff that looks like Styrofoam crushes on impact, reducing the g-forces to your head. Instead, the Klim Krios Pro uses Koroyd, a honeycomb of thermally welded, co-polymer extruded tubes. Already in use in bicycle, Formula One and fighter pilot helmets, it’s claimed, with some evidence, that using Koroyd can absorb 25 percent or more of the g-forces on impact than a conventional EPS liner. The Krios Pro exceeds ECE and DOT standards and probably anticipates the raising of those standards in a few years. As one would expect, in addition to being more energy absorbent and lighter, a Koroyd liner also increases ventilation since it’s 95 percent air, a welcome perk for any kind of rider.

Fidlock

Most helmet manufacturers use the traditional D-ring strap buckle or, in the case of helmets from Nolan, the MicroLock latch. The Klim Krios Pro is one of a very few that uses the Fidlock. As you join the two chin strap ends, a magnet grabs them together with a click. The latch is as secure as any other fastening system, but can be released easily by pulling a red tag. Besides being a quicker, more convenient way for buckling in (especially while wearing gloves), I would guess that in the event of a serious accident, that red tag release would make helmet removal easier for first responders.

Transitions® Face Shield

Included with the purchase of a Klim Krios are two anti-scratch, polycarbonate face shields. One is a clear shield, the other is a photochromatic “Transitions”® shield that darkens in response to sunlight. When I checked the helmet going from complete darkness to brilliant sunlight, the shield went to full dark tint in less than a minute. One drawback (and Klim notes this in their instructions) is that when the “Transitions”® lens is retracted and used in conjunction with the brim, sunlight poking through the ventilation holes in the brim can cause uneven tinting, so that when the rider pulls the shield back down, there may be dark and clear spots. However, shading becomes uniform within a minute or so after the shield is lowered. The brim is easily removed with two levers and a small turnbuckle (the same operation for changing out the shield). Actually, the use of the “Transitions”® shield is another weightsaving feature, since a retractable sun visor is not required, nor is the larger shell size for a storage cavity. A PinLock® fog resistant lens is also included and fits either shield.

At over $700, riders in the market for a new helmet may wonder if the Klim Krios Pro is worth that much, just on the basis of its

PRODUCT REVIEWS
BMW OWNERS NEWS | February 2023 32

revolutionary features. Over the next few months, I plan to put the Klim through its paces both on- and off-road and should be able to come to an evidencebased verdict. Five things I especially want to evaluate on this unique lid are:

• Noise. I have a feeling that Koroyd liner may be noisier than a comparably priced helmet with an EPS liner. I’ll be curious to see if the removable wind guard under the chin and the collar padding help with that.

• Comfort. Right now, the Krios liner padding feels plush, and Klim’s fit guide seems to be accurate, but a day-long ride will be the real test. Klim claims the two shell sizes and six different padding options should make the helmet comfortable for just about any size noggin.

• Versatility. Klim says the helmet is equally at home on the highway or dirt. Since the brim and face shield can be removed easily without tools, and the field of view is designed to accommodate goggles, Klim may be justified in saying this helmet is suitable for ADV, dual-sport, trail and dirt riding.

• Durability. Though the helmet shell is carbon, the fasteners for the peak and face shield and other bits are not; how will they hold up?

• Ventilation. Like most helmet designers, Klim has tinkered with configuring ventilation vents on their helmets to strike a balance between exhausting heat, eliminating fogging and cutting noise. The Krios Pro has a large, adjustable chin vent and intake vents at the forehead. There are exhaust vents on both sides of the chin bar with a larger one at the rear under a spoiler. Klim has tried different configurations of vents in the past, and road tests will reveal if they’ve found a good combination.

Stay tuned for a more extensive field evaluation review coming in an August or September issue of Owners News with a video review on BMWOwnersNews.org.

Visit Klim.com for more information and a video on the Klim Krios Pro. More information on the history, applications and physics of Koroyd’s protective qualities is available at Koroyd.com, and Fidlock.com offers more background on this unique fastening system.

February 2023 | BMW OWNERS NEWS 33
Klim's Fidlock latch system.

Zovii Alarmed Grip Lock

NOBODY WANTS THEIR MOTORCYCLE stolen, but most riders rely on the simple lack of an ignition key to deter potential thieves, despite the fact no key is required to wheel their bike into a thief’s van; that pesky ignition key issue can be readily overcome elsewhere. Maybe a rider also uses their bike’s provision for locking the handlebars to one side, accomplished by turning the ignition key an extra click, pressing the keyless ignition button a certain way, or using a separate keyed lock built into the steering head. However, I almost never see motorcyclists perform even this one, extremely convenient, extra step to protect their valuable machinery. If they’ve never had a bike stolen—or damaged in an attempt—it can seem like a farfetched threat.

Granted, I don’t live or park my bike in high-crime areas where I’m sure I’d witness many riders routinely going to greater lengths to ensure security, but a motorcycle sitting out in the open could be stolen (or molested) anywhere. When I lived in an apartment complex and parked my bike—completely covered and with bars locked—in a dedicated lot 50 feet from my bedroom window, someone took a hammer and chisel to my ignition cylinder, which cost over $200 to replace

four decades ago. Even if you keep your bike garaged and you’re confident about the safety of areas where you park locally, traveling exposes you to additional risks and uncertainties, with theft being one of these. It’s also of much greater consequence to be suddenly stranded on a trip to another state than on a ride to meet a friend for lunch nearby, so protection is especially important away from home.

might attach a disk lock to your front rotor, preventing it from completing a single revolution, but the wheel could be removed in this case, too—and there’s the possibility you’ll forget the lock is in place and try to ride away before crashing unceremoniously a split-second later (Don’t ask me how I know). Of course, the same thing could happen if a thief just tries to roll your bike away without noticing the disk lock. Some disk locks also feature loud, motion-sensoractivated alarms. There are electronic alarm systems that can be installed deep within a bike’s innards, and which will set off an ear-piercing siren when motion is detected; some of these will alert you via cell phone, allow the bike’s location to be tracked, or disable its ignition. Installing such high-tech options may be intimidating to many riders.

There are a variety of ways to make a motorcycle harder to steal. You can run a chain or heavy cable through an anchor embedded in concrete and your bike’s frame (a wheel can be removed and replaced later by thieves who throw the rest of your bike into their truck). You

Anti-theft devices can be expensive, with sophisticated electronic versions running hundreds of dollars. Others are physically awkward to carry on rides due to their heft and/or bulk. It’s really not surprising few motorcyclists take additional precautionary measures, as the costs or hassles don’t seem worthwhile if theft risk is considered

PRODUCT REVIEWS
BMW OWNERS NEWS | February 2023 34

minimal. I recently stumbled upon an option on the Aerostich website that leaves fewer excuses for eschewing this kind of protection. The Alarmed Grip Lock from Zovii is effective, economical ($60), compact (6.5”x2”x2”), and lightweight (9 oz.). It can immobilize a front wheel and throttle grip or render a clutch inoperable, while making its presence obvious to anyone—including the owner!—who might try to move the motorcycle. It also emits an obnoxiously loud (120 dB) screech if disturbed while armed.

Operation is simple: The burly, carbonfiber-look, hard nylon clamp is hinged at its wide end and opens easily when unlocked at the narrow end with a small, sturdy key. The unlocking process releases the spring-loaded key cylinder to extend out from its housing as the 10mm carbidereinforced, hardened steel locking pin exits its socket inside the clamp. The user then folds the clamp shut to capture either handgrip with its associated lever, locking everything in place by pushing the protruding key cylinder back into its housing. A single beep confirms the alarm is armed, and the rider can walk away with confidence a potential thief will likely find this bike a poor candidate for stealing. Upon returning, the rider unlocks the clamp just like at the start, disarming the siren and allowing the clamp’s removal in seconds. While it’s easy to accomplish this task quickly, it’s also critically important to be prompt, since fiddling with the lock triggers the motion sensor; if you dither, you’ll soon be punished. A sequence of five beeps warns of the siren’s imminent activation, with 15 seconds of aural hell unleashed if movement is detected after this notice. Whether or not the alarm is ultimately set off, the system automatically resets and rearms after any disturbance. For storage, the device can be locked closed with the siren disarmed by simply

MOTORCYCLE CARRIER

2 - 4 Wheel Air Ride Cargo Carrier for Bikes, Trikes, SXS, Golf Carts, Wheel Chairs • 2 Point Mount to Pickup, 5th Wheel, Travel Trailer, Motorhome, Car, Jeep, SUV • Drive On One Side to Load, Drive Off the Other Side to Unload with Pullout Self Storage 8' Ramps, 24"High • 12 V Power Loader Available in Lieu of Pullout Ramps • YouTube: Sturgis Gerry Piercey 30-40 videos and movies

New RT AeroScreens deliver quiet, turbulence free, smooth air to the body and helmet. Smoke AeroWings expand the envelope of protection for both driver and passenger HeadLight Covers (HLC) protect your pricey headlight assembly from hazing or damage.

HIGHLIGHTS King Ludwig II’s castles, (Unesco World Heritage sites), Romantic Road, Lake Constance, Alsace, iconic Road B500, Black Forest, Rothenburg ob der Tauber

ROUTE LENGTH 1.400 km (870 miles) COUNTRIES Germany, Switzerland, Austria, France DURATION 9 days / 7 riding days adriaticmototours.com TOUR DATES JUL 3 - 11, 2023 JUL 8 - 16, 2023
Alsace and the Black Forest BMWON-120x82-ALS.indd 1 20/12/2022 10:49 A eroFlow '21-On R1 250R T AeroScreens, AeroWings & HLC AeroFlo wS creens .com (714) 777 - 4 844
Smoke AeroWings 4' x 8' Pullout Drawer Under
20" Sport screen shown
Deck
MOUNTAINMASTER.NET 623-451-7121 February 2023 | BMW OWNERS NEWS 35

double-pressing the key cylinder at that time. The brief instructions included in the box don’t make clear exactly how to do this, but a little experimentation revealed the following method. Depress the cylinder slowly until the single arming beep is heard about half-way in, then allow the cylinder to spring back out to full extension before depressing it again, this time all the way. A double beep signals there’s no need to worry about triggering the alarm unintentionally. If you want to use the lock without the siren function, just employ this same procedure.

Electrons are provided courtesy of an included CR2 (stubby cylinder-style) lithium battery, which resides under a waterproof rubber flap, accessible only

when the clamp is open. Also accessible only with the clamp open is an adjustment for the distance between handgrip and lever; a single #2 Phillips screw secures the lever slot in one of several positions— plenty of range for the vast majority of motorcycles. However, because the clamp is designed to tightly hold a standard throttle handgrip in place, some oversized grips may prevent closure. Note that, when the clamp is locked in place, the brake or clutch lever should be positioned close enough to the handgrip to activate the

brake or disengage the clutch. Locking the brake and throttle is the most effective choice in most cases. Three keys are supplied, along with a code for ordering replacements, and the snug-fitting zippered carrying pouch is equipped with a cinching strap.

No theft deterrent is foolproof. Given unlimited time, privacy and an angle grinder, any mechanical deterrent can be defeated. If three or four stout men arrive in a van, they can lift your bike into the back and carry it off to be fully liberated at

their shop, regardless of your countermeasures. More commonly, though, thieves go for quickly and easily acquired targets. If you make stealing your motorcycle a time- or labor-intensive project with lots of unwanted publicity, it won’t hold much appeal. Zovii’s Alarmed Grip Lock does exactly that, and at a very reasonable price point.

For more information, visit aerostich. com.

PRODUCT REVIEWS BMW OWNERS NEWS | February 2023 36
Left, The Zovii's hinge along with its keys and case. Top, Inside the Zovii Grip Lock.
REDVERZ.COM 72 0 21 3 8287 Gear ForEvery Adventure THELIMITEDEDITIONIVORYATACAMA Join the BMW MOA FACEBOOK page today! Get the MOA Newsfeed via Twitter for more BMW and motorcycle news – www.twitter.com/bmwmoa February 2023 | BMW OWNERS NEWS 37

Being prepared is part of being safe

A FEW YEARS BACK, RideApart published a curious, almost quaint list of supplies a late 19th century motorcyclist might do well to carry with them as their “Touring Requisites.” While there were some odd items the 21st century rider might not know the use for (Fullers earth, carbonate of soda, studs, permanganate of potash, methylated spirits, etc.), most of the items are readily recognizable as kit we might want to have along with us on a motorcycle trip in 2023. Being properly prepared as far as your load-out goes is a critical aspect of any ride. If nothing else, knowing you have the right gear with you takes one more thing off your mind; the less tugging at the corners of your “Did I forget the…” reflex, the more of your limited attention you can pay to the road ahead and staying upright in the saddle.

What the 1897 list kicks off with is “Necessities,” which includes basic riding gear. What might have passed for heavy trousers and a thick flannel shirt for protection against the weather back then, we’ve replaced with Kevlar-lined jeans or space-age textile overpants and leather or high-tech textile jackets. Out is the “hat or cap;” in is the full-face or flip-front helmet—but don’t discount the utility of bringing along a decent hat, especially on a summer tour. We can, of course, read modern riding boots for old-timey shoes. It seems even in 1897, no well-prepared rider would be caught without gloves, and I rest assured most of us wouldn’t dream of leaving on a ride without a pair on our mitts and perhaps even a second pair in a tank bag or pannier.

We often easily include our riding gear without a second thought, but every day the ride ends—and then what? Whether

you’re camping, tenuously sleeping above the bedspread in a roach-infested no-tell motel, or languishing in the luxury of a five-star resort, you’ll need your basic toiletries. If you shave, you’ll need those supplies, and of course any brushes or

combs you might need to groom or otherwise keep yourself up hygienically can be considered basic necessities. A hot (or cool) shower at the end of a long day’s ride can rinse away all sorts of stresses and aches, and in my case at least, I know a

TORQUE OF THE MATTER
BMW OWNERS NEWS | February 2023 38

thorough brushing of my typically unkempt beard both feels good and helps tamp down screams of terror emanating from small children I might encounter in the course of the evening. I even like to bring along nail clippers suitable for fingers and toes so I can take care of any nagging hangnails, split nails or just something catching on a glove or sock. Eliminating those minor nuisances before they can become distracting is an effective way to reduce attention-robbing physical things.

One aspect of the list that surprised me a bit was the attention to first aid items; I suppose in my mind, a 19th century rider wouldn’t feel these things were necessary. That’s where permanganate of potash and methylated spirits come in—both can be used to clean and disinfect wounds. In modern times we might use hydrogen peroxide, rubbing alcohol or (if you’re old enough) mercurochrome. Fullers earth is an old-fashioned detoxifier, a kind of clay one might take in small doses if poisoning was suspected (it was also useful for getting oil stains out of wool garments). We wouldn’t carry sulphate of quinine with us in this century, we’d just get vaccinated against malaria, but the lesson holds true when considering the disease environments we might face in an overlanding journey. I know as far as my first aid kit goes, I keep a variety of “sticking plasters” (bandages) handy for the occasional cut or scrape, but given the high-speed nature of modern motorcycling, I’ve supplemented my stash with splints, clotting powder and even a field tourniquet.

Another thing I found interesting on the

1897 list was the presence of a number of what we might consider leisure items. A cup or flask, corkscrew, pipe and tobacco, a guide book and writing materials sound conducive to having a nice, relaxing evening. I know smoking (or otherwise consuming) tobacco is in the modern era a well-known way to develop a number of cancers and other likely fatal conditions, but here we can consider it analogous to something you might do simply to fill time when not otherwise occupied—maybe for you it’s a deck of cards for solitaire or a game app on your smartphone, but whatever it is, it’s something mindless you can do instead of just staring at a wall waiting to grow sleepy. The 1897 list includes things like white collars and cuffs, which might indicate the ability to convert one’s regular shirt into something more suitable for elevated company; throwing a polo or linen button-down shirt into one’s pannier might be a modern equivalent, so you don’t have to look like a filthy biker if you’re invited to dinner at a restaurant with cloth napkins.

Finally, there are what I consider the absolute essentials included back then— spanners/tools, spare spokes, spare nuts, spare inner tubes and “spares applicable to your specific machine.” While many of our motorcycles sport cast wheels and tubeless tires, the admonition here to be able to do basic wheel/tire repairs on the side of the

road is important, and a lesson I learned not long ago when suffering a puncture without having my plug kit on the bike.

Like many of us, I travel with a basic tool kit—if my panniers are on the bike, I have tools. Since I jumped forward into the CANbus era, I rarely carry spare fuses any more, and the proliferation of auto parts stores across the continent means I don’t need to pack spare bulbs. Now that I think about it, thanks to the technology of my 2015 R 1200 GS, I’m not sure what spare parts I might need to travel with, but I’m sure going to think hard about it before I set off on any long trips in the coming years.

While we might look at a list like this 19th century one as a curiosity or even overkill— especially considering what must have been the miniscule carrying capacity of what was basically a rickety bicycle with an internalcombustion engine strapped precariously to it—it really serves two purposes. Certainly, it reminds us how connected we as motorcyclists are to each other, even across more than a hundred years, and that’s a lesson which has given me deep interest in what motorcycling must have been like at the turn of the 20th century. It also reminds us how important it is to be prepared for a trip—and not just a long tour, but even a ride to the store for milk and bread.

Being ready for just about anything during a ride–knowing we have the right gear with us–is a great way to be able to concentrate on riding and arriving safely at our chosen destination, rather than being met at the scene of the crash by first responders because we were distracted wondering if we forgot our barometer.

February 2023 | BMW OWNERS NEWS 39
Photo courtesy of BMW NA.

RIDEWEISER

SINGLE FUNCTION TURN SIGNALS

DUAL FUNCTION FRONT DRIVING LIGHTS/TURN SIGNALS

TRIPLE FUNCTION REAR RUNNING/BRAKE LIGHTS/TURN SIGNALS

Weiser’s updated EVO range of LED lights add dynamic multi-functionality to your bike’s turn signals in a stunningly effective package. Designed to help get your motorcycle seen... whatever the maneuver...whatever the weather conditions.

CAN-BUS COMPATIBLE | NO FAULT CODES GUARANTEED | STRAIGHT FORWARD INSTALLATION
MAKE YOUR INTENTIONS CLEAR...

Weiser’s products are jointly designed & manufactured in the USA and UK

Turn Signal/Running

VERY LATEST, HIGH INTENSITY OSRAM AUTOMOTIVE LED’S EMITTING CLASS LEADING 120 DEGREES OF VISIBLE LIGHT. (LENS DIFFUSED TO 180 DEGREES)

Hazard Lights

Running Lights

Brake Lights

Available for most BMW R,F,S & G series bikes manufactured 1969-2023. Includes the very latest R1250 GS/A models Turns low level amber front running lights into a bright white. LET WEISER LIGHT UP YOUR BIKE!

E M AIL/TELEPHONE SUPPORT | 4 YE AR MANUFACTURING WAR RANTY | W EI SERTECHNIK.COM
WEISERTECHNIK.COM (831)713-4365 INFO@WEISERTECHNIQ.COM

imagine this icon in your garage!

BMW OWNERS NEWS | February 2023 42

Galande “offroad” and Straße “street.”

Released to the world in 1980, BMW’s R 80 G/S is often described as the first real dual-sport motorcycle. Who could have imagined at that time, what BMW engineer Rudiger Gutsche’s adaptation of an R 75/5 built to compete in the International Six Days Trial, one of the toughest off-road races in the world, would become. More than 40 years later, more than a half million GS models have rolled out of showroom floors across the world.

The bike originally targeted by Foundation President Tom Gary on the auction website “Bring a Trailer” was an R 90S. But when the bidding for that bike began to move into an “uncomfortable” range for a future Foundation raffle bike, plans changed.

Luckily another iconic BMW, an R 80 G/S appeared on eBay. Belonging to a former MOA member on the east coast who was selling the bike for a friend’s widow, the bike had all of the requisite documentation along with video showing the bike

being ridden.

With their curiosity piqued, the Foundation buying group brought in MOA member and BMW restoration expert Dutch Lammers to visually inspect the auction page and offer his opinion on both the quality and potential value of the bike. From what he could see, the bike had all of its important parts intact, and the video seemed to show the bike running well so the bike was purchased.

Being the middle of the pandemic, the first challenge was getting the bike across the border and into Canada where Dutch could perform his restorative magic. Nearly 18 months later after the sale, the U.S./Canada border opened for a brief window, and Dutch was able to travel to Aurora, New York, and bring the R 80 to his shop in southern Ontario between Lakes Ontario and Erie in the area known as the Niagara Peninsula. Finally, Dutch was able to begin work on the bike.

February 2023 | BMW OWNERS NEWS 43
Opposite page, This beautifully restored R 80 G/S up for grabs in the MOA Foundation's Completely Vintage raffle. Top, The R 80 G/S just after it arrived in Dutch Lammer's shop. Bottom left to right, Details of the project including fuel tank and instrument cluster, corroded rear drive housing and finally, the reassembly of the bike.

Based on the early eBay photos of the bike that Dutch had seen and evaluated, he thought he would be doing just a “sympathetic” restoration which for him means just a simple service and the addition of the Paris Dakar bits. Unfortunately, that was not the case.

“Because the bike spent most of its time on the east coast, it was beaten a bit by the salt water and there were a lot of rusty bits and fasteners,” Dutch said.

Digging deeper, Dutch found another challenge inside the engine cases when he discovered salt moisture had found its villainous way into the transmission leaving every gear pitted. Because of that damage, every gear and bearing was replaced as was the clutch. Additionally, the charging system is new as are all cables and relays. The carbs have been rebuilt, the forks serviced, new exhaust system installed and period-correct handlebars mounted.

The perfectionist he is, Dutch had difficulty sourcing the correct tires but was eventually able to find an original set of Metzelers with the correct tread pattern at a shop in Italy. When he received the bike, both front and back rims were also significantly pitted, and Dutch thought he’d simply be able to get a new 21” front and 18” rear. Nope! When he realized the original rims were built for BMW by Akront and were no longer available, he got out the abrasives and began the painstaking sanding, sanding and more sanding before finally polishing them many hours later.

“I thought the back rim was a standard 18” rim but I soon found out it’s a heavy-duty rim. So, like I did with the front rim, I spent hours sanding the rims and then polishing them because I didn’t want to replace them with something that wasn’t correct,” Dutch said. “That was a bit of a challenge!”

From the beginning of the six-month restoration, Dutch wanted to add the iconic Paris Dakar parts to make this 1981, first-year G/S into a Paris Dakar replica bike. An award-winning painter himself, Dutch tried to find a GS Paris Dakar tank in primer but couldn’t find one with the four kneepads and graphics and had to “settle” for one already completed.

“Being a painter, I enjoy that part of the restoration process, but this one came from Germany,” he said.

BMW OWNERS NEWS | February 2023 44
February 2023 | BMW OWNERS NEWS 45
Opposite page, Details of the completed restoraton. Above, The odometer reads 10,077 miles which, based on the condition of the cylinder walls, piston and heads, Dutch believes to be actual mileage. The Paris Dakar tank highlighted by Gaston Rahier's signature.

When the bike arrived at Dutch’s shop, the odometer was reading about 10,000 miles. Based on the condition of the pitted fasteners he saw, Dutch didn’t believe that to be actual mileage, but once he began working on the engine, he soon saw the telltale crosshatch pattern on the cylinder walls and along with the condition of the heads, he now believes the 10,000-mile number to be the correct mileage.

Currently, there are about 20 beautifully restored BMWs in Dutch’s shop. As a perfectionist, what drives him is his goal to restore each bike to its condition when it rolled off the assembly line.

“Correctness of the parts and how it left the factory, that’s the big thing for me,” he said. “While many people can make the engine run well, getting the first visual correctness of the bike right is the big thing for me. If there’s something that’s not right, it will jump out to people (and me), he continued.” “Valve covers, side covers, tires, etc., if those things are not right, they will be noticed.”

Of all the bikes he has restored over the years, a R 80 G/S had never found its way into his shop.

“It’s not a bike I have had in my collection, but it’s one I have admired,” he said. “I’ve never had a monoshock bike, but I’ve always thought BMW created an awfully good package, and now that I’ve worked on one, I’m really taken aback by how really beautiful the bike is……it’s a stunning bike.”

Since he got it back together, of course he had to put some test miles on it, noting how fun the bike is to ride.

“They don’t come up very often for sale, and I’ve told Kate that one of these days we’re going to find one somewhere, and we’ll definitely bring it home and make it part of our collection here.”

Tickets for the Completely Vintage raffle are available for purchase between January 29 and April 8, 2023, online at bmwmoaf.org or by calling the MOA membership office at (864) 438-0962. The live winner’s drawing will take place April 22 at the MOA Getaway at Fontana. The drawing will be broadcast online, and members may attend in person.

The Completely Vintage fundraiser benefits the BMW MOA Foundation and its mission to advance rider safety, education, and training. According to MOA Foundation President Tom Gary, the popular fundraiser will fund all the Foundation’s rider training activity for a full year.

BMW OWNERS NEWS | February 2023 46
February 2023 | BMW OWNERS NEWS 47
Dutch Lammers with the R 80 G/S he beautifully restored for the MOA Foundation's Completely Vintage Raffle.
BMW OWNERS NEWS | February 2023 48
Engine detail of the MOA Foundation's Completely Vintage R 80 G/S. Tickets for the raffle are available for purchase between January 29 and April 8, 2023, online at bmwmoaf.org or by calling the MOA membership office at (864) 438-0962.
BMW OWNERS NEWS | February 2023 50

REHAB Mark Barnes, PhD #222400

At the 2022 National Rally, I met Aaron Rankin, Chief Motorcycle Instructor at the BMW US Rider Academy, located within BMW’s Performance Center (BPC) in Greer, South Carolina. I wanted roadgoing instruction soon, mostly due to certain baffling difficulties (see below), but also because I hadn’t had formal rider education in years, making me long overdue.

The BPC would provide a bike like my R 1250 RS, so I wouldn’t have to risk damage to my own. This held immediate appeal. Simply dropping my beloved machine during a walking-speed drill could cost four figures in cosmetic repairs, whereas I’d incur no expense for a mishap on a school bike. Various group classes were offered on multiple dates, but I was intrigued by an option for individual instruction that would allow custom-tailored focus on my atypical problems.

A day of one-on-one training normally costs $1,400, with the specific activities negotiated between student and instructor. A rider could spend the whole time working on one particular street or dirt skill (assuming the instructor didn’t believe other

prerequisites were missing), or a more varied curriculum could be chosen. A $200 discount applied to spots purchased at the rally. As an MOA member, I’d also be eligible for a $250 scholarship from the Paul Bachorz Grant program, yielding a bottom-line total of just $950–not cheap, but an incredible value given the level of personal attention, the liability-free use of most any current-generation BMW, and the chance to have training areas (e.g., a portion of the racetrack) all to myself! Additionally, such a day could be split into two half-days, allowing a night’s sleep after the first day’s instruction to better consolidate learning. After previous two-day rider schools, I’ve been impressed with how beneficial this overnight effect can be. Also, I’ve usually felt like I’d absorbed all I could partway through each full day of training, making the final hours seem almost wasted. Two half-days would address both these issues for the cost of an extra night’s hotel room. I could, at my future convenience, reserve my training time during any available slots (the token expiration date was so distant it was meaningless), and cancellations would be accepted without penalty with a week’s prior notice. Sold!

February 2023 | BMW OWNERS NEWS 51

After scheduling, I sent Aaron the following letter:

I don’t know what goes into the process of matching an instructor with a 1:1 student, but it might be useful to know my situation, since it’s probably one you don’t encounter often. Five years ago, I discovered I had a large brain tumor in the center of my head and underwent highly invasive surgery to remove it. A multitude of things could have gone wrong during the operation that would have left me dead or disabled, but it was a complete success, at least based on what we could tell at the time. I had some vision issues afterward, but those cleared up after a few months, and there were no other signs of damage. I’ve come to realize, however, my street riding was affected in ways that weren’t immediately apparent.

At first, I thought I was simply more anxious because I’d had a close call with death. But as that anxiety faded, I still had trouble riding at my pre-surgery level. This hasn’t shown up as much off-road (so I spent most of my riding time in the dirt during the first few post-op years), and I can do casual street riding just fine. But when I try to corner on pavement at speed, I can’t coordinate all the ingredients; I lack the necessary bandwidth. I’ve done a dozen track and street-skill schools (pre-surgery), I’ve got a bookcase of riding books and instructional videos, I’ve ridden for five decades, and Deal’s Gap is in my back yard. Before it became a tourist destination, I’d ride it most weekends, over and over with my local buddies. I was never all that fast, but I could lean a bike, feel traction and put to use the stuff I’d read and heard. Now I feel like someone who had a stroke and must learn to walk all over again in a painfully deliberate, incremental program of rehabilitation. The problem is more than just being rusty after neglecting street riding for a while. I can list 20 things I’m supposed to do when cornering, but I can’t attend to more than one at a time, so the project never comes together. I can remember the state of flow, with lots of things happening automatically throughout my body, but now I have to think about every detail – obviously not a recipe for smooth, graceful, fast riding. I end up making multiple line/speed/ body-position corrections as I try to go through any turn quickly. When I fix one behavior, three others get out of whack.

So, what I’m hoping for in my 1:1 training is someone to break down my cornering and help me figure out where to begin (again). I can’t reinstate everything all at once, and I can’t figure out how to prioritize the rehab sequence. On top of that, there’s the fact my R 1250 RS is the heaviest bike I’ve ever owned by almost 100 lbs., which

makes low-speed maneuvering scary, even though I’ve trained on trials bikes and have an intellectual understanding of counterbalancing, etc. The problem is all that knowledge exists only in my head these days, instead of in my body, where I need it. I love my RS dearly and have greatly enjoyed riding it in the nearby mountains. If I maintain a sedate pace, there’s no trace of impairment. But when I try to hang with my buddies in the twisties, I’m a mess, making countless sloppy errors, noticing and critiquing each one, and of course losing even more focus as a result. My body often feels tense and wooden instead of relaxed and fluid. The wonderful joys of riding are now frequently contaminated with fear and crippling self-consciousness unless I just cruise around, and I know it’s not the bike’s fault. I need someone to help me start over from scratch, like a stroke patient re-learning to walk. I may never drag a knee again, but I don’t want to keep one-inch chicken strips on my rear tire for the rest of my riding lifetime and feel like I’m on the ragged edge at a mere 30- to 35-degree lean-angle (according to my BMW Connected app). I want to regain trust in my tires, my bike, and my body – these have never felt the same since my brain surgery. I’ve been trying to get that trust back on my own in recent years, hoping things would start to click again with enough seat-time, but they haven’t. Instead, I’ve no doubt developed more bad habits during these struggles. I’ve surrendered to the reality I must start over, and I need expert guidance on where to focus my attention and effort. I chose 1:1 training so I could zoom in on this primary concern.

I hope you have an instructor who can help me reboot. I realize it’s a weird request, and I’m very embarrassed and frustrated about it. It seems ridiculous for someone with an extensive riding/training history to have so much trouble turning a motorcycle at a five- or six-tenths pace, and to know how it’s supposed to be done yet be persistently unable to execute the required actions. Subtle brain damage creates strange problems. I am grateful, though–it could have been much worse.

Aaron assigned me to Ricardo Rodriguez, Lead Motorcycle Instructor at the Academy. This was excellent matchmaking.

Given the highly individualized nature of one-on-one training, the following specifics may have little overlap with the experience of anyone else who signs up for such instruction. However, the basic approach will be the same: Student and instructor collaborate on teaching methods tailored to pursue the student’s unique

BMW OWNERS NEWS | February 2023 52

goals. While waiting to meet Ricardo in the BPC cafeteria, I was impressed by how the unadorned, straightforwardly functional space instantly created a comfortable yet serious learning environment. After introductions, he ushered me back to one of the nearby classrooms, where our strategizing began.

It turns out Ricardo had talked with others in the past about odd neurologically related riding difficulties. This was a tremendous relief right away, allowing me to feel less weird and humiliated about my own hard-to-articulate problems. He recommended we spend Day One doing exercises on the flat asphalt range, followed by lapping a small section of the adjacent racetrack. On Day Two, we’d ride to a loop of country road where I’d apply what I’d learned in a low-stress, real-world setting. Throughout, Ricardo would describe and demonstrate specific actions, then provide feedback as I attempted to follow his lead. Spoiler alert: He indeed helped me narrow down what I needed to reestablish first. This short list of basics was shockingly tough for me to get right. Whenever I did, I tasted the visceral exhilaration and mental coherence I’d been missing. My body, mind, and bike aligned like musical instruments coming into tune with one another. These moments were frustratingly sparse and fleeting, but they inspired hope and served as fresh experiential reference points I could aim to repeat.

In the movie, Training Day, Denzel Washington’s character uses the phrase, “All that jelly and no toast!” to refer to a problem like my own; I needed to eliminate esoteric distractions and ground my attention and effort in the fundamentals that carried the task’s real weight. With numerous details from prior rider education competing for my attention, I’d been unable to prioritize them usefully or assess my execution of them accurately, despite having taught many new motorcyclists the building blocks of riding in a systematic manner. Now, in the saddle myself, I couldn’t distinguish jelly from toast.

February 2023 | BMW OWNERS NEWS 53
Opposite page, A scan showing the brain tumor in the center of my head. Top left, Ricardo Rodriguez, Lead Motorcycle Instructor at the Riding Academy. Left, Inside the BMW Performance Center in Greer, South Carolina. Bottom, The track and testing area at the BMW Performance Center.

I’d thought I was following the basic mandate to look where I wanted to go, justifying my attention’s (admittedly scattered) movement to more advanced cornering techniques, but the range drills proved me very wrong. While weaving through a straight line of cones, navigating offset gates, and circling within the ever-tighter confines of the “snowman,” I repeatedly failed to look far enough through turns. I usually had an erroneous sense of where my front tire was on the ground, imagining it much further outboard from the center of my rotation than it really was. This led to completely unwarranted micro-panics, which in turn compelled me to chop the throttle and/or pull in the clutch–the exact opposite of what I needed to do: maintain/increase power to the rear wheel to keep the tightly turning machine from falling inward. (Remember this when I get to my errors in wide open corners.)

I could try to blame my troubles on a lack of familiarity with the bike I rode on the range, an R 1250 GS in full battle armor to prevent damage from the inevitable dropping by students. However, I found this modern GS extremely user-friendly (much more than iterations I’d ridden in the distant past). After a brief period of acclimation to the higher, wider bars and slightly taller saddle, it was actually much easier to maneuver at low speeds than my RS. No, the responsibility was squarely on me (and yes, I did drop the GS – but only once!). I eventually made progress in each exercise, and I was thrilled to discover I could complete a couple of laps in both directions within the snowman’s tightest confines, but I was also amazed at how much effort was required to maintain my concentration, and how quickly it unraveled, even when I was doing well. I’d have thought it’d be easy to simply keep doing what proved successful, but I couldn’t sustain it. I’d again misjudge the location of my front contact patch, anxiety would prompt my eyes to scan frantically instead of remaining fixed on their proper target, and I’d either run wide or cut power with the throttle or clutch and then dab my inside foot to catch the falling

bike–all while Ricardo stood nearby, insistently reminding me to turn my eyes and feed power to the rear. Fear kept provoking bad habits I hadn’t even realized I’d developed. These were incredibly difficult to override with my strongest intentions; despite my cognitive understanding of the principles involved, my errant bodily reactions prevailed.

Clearly, I’d require much repetition to retrain my muscle memory. Directing everything via individual thoughts was a terribly inefficient alternative and felt like herding cats. I needed those skill programs running in parallel, not sequentially, and I needed the majority to be automatic, requiring little conscious oversight. Where was my (previously) reflexive counterbalancing and friction-zone management? I wish I still had the old trials bike on which I’d spent so much time working on exactly these techniques!

Although I certainly didn’t master the range drills, I made some gains and Ricardo got a clearer picture of my problem. We ventured onto a deceptively simple peanut-shaped section of the track (containing kinks, elevation changes, and multiple corner radius configurations) to see how my issues would manifest there. I switched to an RS. Its bars felt welded in place compared to the much greater leverage I’d enjoyed on the GS, but its familiarity was a comfort. Ricardo and I took turns following each other, and he sometimes watched from a central location. Different colored cones marked corner apexes, braking zones, and sequential eye targets. As I circulated the track, the bike wasn’t the only thing familiar to me–I experienced the same cornering problems I’d struggled with back home. At least here I could repeat a limited set of curves over and over again in quick succession, and I had Ricardo to clarify priorities.

Eerily similar to what had occurred on the range, I kept reacting as though my trajectory was much wider than it really was. I’d turn in early and cut power. I accomplished the latter by chopping the throttle mid-corner, but I also sometimes caught myself pulling in

BMW OWNERS NEWS | February 2023 54
Hydration–one of the keys to riding faster. Getting familiar with the our rides for the day.

the clutch, as well. I was horrified to a) notice this utterly nonsensical habit, and b) realize I’d been oblivious to its development in recent years. I can only guess it’s some perverse transfer of the constant clutch work required in my technical off-road riding; how it got here, I don’t know. The combination of my premature turn-in and counterproductive slowing landed me too close to the inside of the corner, an overcorrection to my misguided perception I was running wide. Then, alarmed by my proximity to the corner’s inner edge, I’d reflexively slow even further and make wobbly course corrections, the exact opposite of what was needed. Wanna guess

where my eyes were pointed?

Somehow, I’d misconstrued my problem as lean-angle timidity (I knew something was spooking me) and had therefore tried to add lean angle in much of my prior “problem solving.” Actually, I was already leaning too far (and too early) for my increasingly inadequate speed through the turn. What was really required was more throttle to widen my arc and keep the bike from falling inward. Again, I was thoroughly familiar with the principles

involved, but something had been disconnected within me, and I had to very deliberately think of the throttle as a lever that would lift me up and pull me toward the outside of the curve. When I did so (with my eyes aimed properly!), the corner would seem to open up and I’d find myself more appropriately positioned within it. This is something I used to do by feel, but that ability had been lost. I was astonished at how grossly I’d misunderstood my problem and then applied a totally inappropriate “solution.” I needed to add power, not lean angle. Of course, I’d had trouble leaning further–not because of timidity, but because I’d have run off the inside of the turn at my slow pace! How could this have gotten so scrambled? No wonder I fell behind in corners! As I gradually grew more comfortable in the curves and carried more speed, additional lean angle was eventually justified. I finally scraped a carelessly splayed boot on the tarmac, which felt like a victory of sorts, but it also reminded me to keep the balls of my feet on the pegs–yet another example of muscle memory gone missing.

Ricardo’s frequent appraisals helped tremendously in limiting the list of things I was monitoring to just a few key items. A little

February 2023 | BMW OWNERS NEWS 55
Above, On the track working on cornering skills. Below, A diagram of the track at the BMW Performance Center.

confidence began to return as I reduced the jelly-to-toast ratio. I felt more relaxed, the fun factor increased, and I was both smoother and faster. It was gratifying to notice the chicken strips on my school bike’s fresh tires were much narrower than those on my bike at home (with identical rubber), and I’d been able to feel those tires bite in several turns–a delicious sensation I hadn’t experienced in years.

Over lunch on the BPC’s patio, Ricardo and I reviewed the morning while soaking up the sunny, mild, early-October weather. As always, Ricardo engaged me with a perfect balance of professionalism and friendliness. His coaching was personalized, empathic, concrete, clear and succinctly specific. He was straightforward and persistent in critiquing my mistakes, but always warmly encouraging and quick to acknowledge my progress.

On Day Two, Ricardo led me to a picturesque, deserted and twisty ten-mile loop nestled in the foothills 45 minutes out of town. After a full lap, he let me decide whether to circulate the whole thing or run one particularly good mile of it back and forth; I chose the latter. Again, we took turns following each other and discussed how I’d done after each stretch. Given the big jump in complexity, I couldn’t regain the confidence level I’d achieved on the track, but increasing comfort and improved performance came with repetition. I was able to build upon the prior day’s lessons, remembering to pull myself up and outward with the throttle and looking further through each corner.

Back at the BPC, Ricardo presented me with a bag of swag and a certificate of completion of the program, which would be required for reimbursement from the Paul Bachorz Grant and could reduce a

BMW OWNERS NEWS | February 2023 56
Working on my skills in the foothills away from the Performance Center.

rider’s insurance premium if their policy offered a safety training discount. Two half-days of work wasn’t enough to cure my ills, but it did get me oriented and focused. Now it’s a matter of practicing at home, wearing in the grooves that seem to have been cross threaded by my surgery. Given the transient vision problems I suffered post-op and the centrality of visual-spatial processing errors revealed during my training, this may be the category of brain circuitry that sustained subtle damage. Also suspect are areas devoted to attention/concentration and prioritizing. Cornering a motorcycle is apparently the only activity in my current routine that demands enough from these circuits to expose impairment. Fortunately, brains are quite plastic, with an amazing ability to develop workarounds for damaged connections.

I’m deeply grateful to Ricardo for providing such sensitive and helpful instruction. My training would have been worthwhile at the full $1,400 price, but it was a great bargain with the $200 rally discount and $250 Paul Bachorz Grant scholarship. I highly recommend motorcyclists looking for custom-tailored training contact BMW’s US Rider Academy to investigate their options. Forego a few farkles and invest in yourself!

Mark Barnes is a clinical psychologist and motojournalist. To read more of his writings, check out his book Why We Ride: A Psychologist Explains the Motorcyclist’s Mind and the Love Affair Between Rider, Bike and Road, currently available in paperback through Amazon and other retailers.

February 2023 | BMW OWNERS NEWS 57

EXPERIENCED OR PROFICIENT:

AN AVIATOR'S TAKE ON MOTORCYCLE TRAINING

SPANGLER #220021

I started flying in 1994 and received my private pilot license in 1998. In 2006, I obtained my instrument rating, and then in May of 2022, I passed my commercial pilot check ride. Though I never wanted to be a professional pilot, I do enjoy flying and work in the aviation industry, so it made sense for me to continue my training and pursue the next level.

To achieve this latest rating, I had to accumulate a specific number of hours acting as Pilot-in-Command (PIC) of the aircraft as well as receive dual instruction from a certified flight instructor. In the end, my training flights added up to about 50 hours in an airplane most of which included practicing precision take-offs, landings and numerous aerial maneuvers performed within tight parameters. The weeks leading up to my test with an FAA Designated Pilot Examiner were very stressful, and there were many hours spent studying and going up on my own to practice the exacting test maneuvers.

I was so relieved when I passed my check ride that I decided to take a few weeks off from flying completely. Since then, I’ve done about one flight a month. Legally per the FAA, I’m still current, and if I keep up my monthly flights, I will remain legally current for the next 24 months. Coupled with the fact that I have been flying for over 25 years and even owned an airplane for a while, I consider myself a very experienced pilot. But does that make me proficient?

If I’m being honest, the answer is “no” even if I did just complete a myriad of challenging skills tests less than 12 months ago. I know what proficiency feels like as I’ve been there before. Proficiency is like a muscle that needs to be exercised to be maintained. For example, if I don’t bench press every Thursday, I’m not going to be able to maintain my personal best. When I don’t practice flying maneuvers consistently, I’m not going to be at the top of my game when I want to perform those maneuvers. This mindset and personal assessment before every flight is commonly practiced in the aviation community, but it wasn’t until a few years ago that I made the connection between aviation and riding.

In fall of 2019, I was at the top of my riding game. Earlier that year I had taken second place at the GS Trophy U.S. Qualifier and made the U.S. Women’s Team, then earned a 10th place finish at the International Female GS Trophy Qualifier in Malaga, Spain. The experience and training throughout that year helped me become very comfortable on my machines (R 1200 GS and F 850 GS), and my skills were sharp. When I returned home, I attended rallies and rode with groups on terrain that put my skills to the test where riders wanted to see just how well a 5’2” girl could ride on that big bike, and most the time I didn’t disappoint. My goal was to inspire others on what was possible on a motorcycle, and I felt like I was doing just that.

In Denver between December and March, there aren’t many good riding days, but when they’d show up, I was out there mainly on roads at the lower elevations, but I was riding. Come spring, I was itching to get up into the mountains and start riding some dirt again. I knew my skills would be rusty, but I figured they’d be back to “normal” after a few weeks. They weren’t.

I could tell by June that the skills I had possessed just six months earlier were not as sharp, and they hadn’t magically returned, even though I was riding every weekend. That’s when I made the flying connection. Because both flying and riding exhibit perishable skills, to maintain those skills I needed to make a conscience effort to practice those skills at a high standard on a consistent basis.

My motorcycle skills weren’t as sharp as they were after the GS Trophy Qualifiers just as I am not as skilled at the maneuvers that I flew last May. Even if I were to fly every day, I’m not necessarily practicing those maneuvers within tight parameters, and though I might ride my motorcycle every day, I’m not necessarily practicing tight maneuvers in a parking lot or setting up my course in the dirt.

Proficiency is conscience effort, and just because we do something every month, every week, or even every day, doesn’t mean we’re proficient. It’s the same reason professional airline pilots are required to go to recurrent training every six months to train even though they fly all the time. So why not have this same mentality with riding?

Opposite page, Practicing on a skills course. Above, In the cockpit.

GS = E3 Greater Skill = Exponentially More Enjoyment!

Those who know me know I’m a huge GS fangirl, and I think those bikes are the Swiss Army knife of motorcycles. But now, Greater Skill means you will also have exponentially more enjoyment on the motorcycle!

Seriously, this equation might seem like a clever way to catch your eye, but I can honestly tell you this was a game changer once I figured it out. It doesn’t matter if you know you want to achieve greater skill or think your skills are just fine where they’re at, if you make an effort to consistently improve your skills, you will enjoy riding even more than you do right now!

How do you apply it in your own life? First, you must understand the difference between experience and proficiency. Experience is something you have or gain simply by doing it; proficiency is something you have or gain because you make a conscience effort to be good at it. Proficiency means learning and maintaining the skills you don’t necessarily use on a regular basis, like lock-to-lock turns or riding up a steep, rocky hill. The two are not the same and the question you have to ask yourself is where do you fall?

Experience is a product of time. Whether you ride every day, or you ride once a month, you are gaining experience as a rider. It’s only the rate at which you gain experience that is variable, but you will always achieve an upward trend. Your “fun factor” (E3 in the equation) however, fluctuates some after an initial climb but generally stays the same as you gain more experience without a conscience effort to improve skills.

Alternatively, Proficiency is a product of a conscience effort to improve and maintain skills over time. Proficiency fluctuates based on your experience and ability to set aside time to practice and maintain physical and mental skills that aren’t necessarily a part of normal, everyday riding. And with increased proficiency comes exponentially more fun!

How do you adopt a pilot mentality to achieve proficiency? First, you need to establish a baseline. I learned long ago that no matter your skill level on the motorcycle, there will always be someone better than you. The sooner you realize that, the better off you will be. Where does the measurement begin? It begins with you. The only person you should ever measure yourself against is yourself.

BMW OWNERS NEWS | February 2023 60
Taking a training class or setting up a practice course will allow a rider to continually improve their skills.

Measuring your skills on a motorcycle takes nothing more than a tape measure and a few cones (or tennis balls cut in half). Find an empty parking lot and do a couple warm up drills. Then, test your skills for a few maneuvers. Everyone, regardless of his or her riding style, should attempt figure 8s as tight as possible as well as threshold braking exercises including front brake only, rear brake only and then both brakes, all while recording your diameters and distances.

The next tests are a little more subjective. On a curvy country road, ride at a comfortable rate of speed and make a personal assessment of how comfortable you are in the turns. Are you tense? Do you feel safe? Does the bike feel stable? Do you think you could go faster or would you want to go faster if you had the proper technique? If your riding style takes you off road, what sort of trails do you ride now and are you comfortable on them? Would you like to do more technical terrain? Write everything down. Use road names, trail names, speeds and parking lot dimensions, and write down the distances and how you felt. These are your baseline measurements.

Next, write down where you envision your skills being in a year from now. Do you want to be able to turn tighter in a parking lot or after getting turned around on a busy city road? Do you want to carve the canyons faster and with more confidence? Do you want to take your GS on that fun dirt trail that you hear everyone talking about? Set your goals.

The next steps are really up to you. How do you get the skills you seek? There are countless YouTube videos out there to teach

Top graph, Experience is a product of time while proficiency (bottom graph) is a product of a conscience effort to improve and maintain skills over time.

you how to do something, but you’ll lack the personal feedback that someone who is watching you can often give. You can also set up your own parking lot or dirt field courses to help you train and practice.

I do all these things but have found that if I want my skills to progress, I need to get training from a qualified and reputable riding instructor. I am such a huge believer in professional training that I attend a different training course every year. I can’t even begin to articulate how much I have benefited from these courses. Not only am I a safer rider, but I also enjoy riding so much more today than even three years ago. Greater Skill (GS) definitely equals more enjoyment!

Now you have a pathway to achieve the skills you yearn for and a benchmark to measure your progress. Or maybe you’re happy with the skills you currently possess. How do you keep those skills and stay proficient? This is the conscious effort piece. You must set aside time to consistently exercise those skills. You don’t normally practice threshold braking on a normal ride, and you don’t do figure 8s on a normal ride either. You must set aside time to go do this on a regular basis. For me, I put this on my calendar just like I do with my practice flights, and just like I have to get a proficiency check for flying every two years, I schedule a training clinic for myself every year and include something new that I want to learn.

“That’s great, Kandi, but some of us don’t have hundreds of dollars just lying around to be used on training.”

Well, that’s where your MOA membership comes in handy. Sign up for an approved training course and the MOA Foundation will reimburse you $250 toward that training! Some training providers even offer discounted training for MOA members, such as the BMW Performance Center. There’s really no excuse. Affordable training is out there if you want it.

I may be odd, but improving my skills by taking a training class each year or setting up a practice course every other month is really enjoyable to me. If done correctly and often enough, you will slowly but surely see the braking distances get shorter, the turning radiuses get smaller, the curvy country roads get more enjoyable and that technical dirt trail become a blast.

I never thought I could enjoy riding more than I did last year, yet each year, I love it a little more. You can, too, with the right approach.

Just set a course and fly the heading.

February 2023 | BMW OWNERS NEWS 61

Getting to Know Tom Gary

Akron, Ohio, was a great place for a kid to grow up in the 1950s. No one locked their doors, and every summer morning kids got on their bikes and were gone until dusk. As the Goodyear blimp floated in the clouds, everybody was working in this city where the rubber industry ruled the roost.

“You could smell the tires cooking all the way from downtown,” Tom Gary (#91268) said.

A self-described gear head, Tom was into anything with a motor. Drag racing was a first love, with motorcycles close behind. As a teenager, a neighbor had a Zundapp, and when the pair took the short drive to Medina, Ohio, for a motocross race, Tom knew a motorcycle had to be in his future. The only catch: Tom’s parents wouldn’t buy him one, and Tom didn’t have the money, so his dream of two-wheeled adventures had to sit on a back burner.

Tom was a senior in high school when he first saw Debbie Briers sitting across from him in their senior civics class, Problems with Democracy. Tom’s attention quickly moved from his text to Debbie and before long the two had their first date at the fall homecoming dance. Two years later, Tom and Debbie were married. With Tom going to school full time at the University of Akron while working nights in a downtown parking garage, Debbie was working at BF Goodrich. The couple worked to create a future, living in their small apartment and dreaming of a bright future together. When he left his night job at the parking garage, Tom took another at BF Goodrich building tires. Meanwhile, his desire to ride a motorcycle began to simmer.

Because he had never piloted a motorcycle before, a friend offered Tom a quick riding lesson aboard a Honda 90. They talked about the throttle, the clutch and how to shift. It wasn’t until Tom was rolling along that he realized he hadn’t received any instruction about how to stop. Though Tom ended that first ride on the ground, the bike bug had bitten him hard, and he had to have a motorcycle.

BMW OWNERS NEWS | February 2023 62
February 2023 | BMW OWNERS NEWS 63

Despite that frightful first and only riding lesson, Tom soon marched into Rick Case Honda in Cuyahoga Falls and walked out with a brand new, 1971 Honda CB750K1 with simultaneous feelings of terror and excitement pulsing through his body.

“I remember accelerating down Grant Street heading home and thinking, holy sh** this thing is really fast,” Tom said.

Despite not learning of Tom’s purchase until he got home, Debbie loved the bike, too, and after mounting a sissy bar, a luggage rack for their army surplus tent and stuffing Tom’s boy scout backpack with everything they thought was needed, the pair took off on their first vacation together, a Lake Ontario circle tour.

“We had no real riding gear,” Tom said, “just blue jeans, helmets and a jacket with my name embroidered on my chest from my days as a parking attendant.”

Before long, Tom was a new college graduate and began his long railroad career with the Akron Canton and Youngstown Railroad working as a revenue clerk. Promotions and a position in management followed as did a transfer to Roanoke, Virginia, where Tom took a job with the larger Norfolk and Western Railroad with responsibility for managing freight claims for all of their subsidiary companies.

Roanoke provided better riding opportunities for Tom, and he was able to share his riding passion with colleagues who also rode. Trips to Bike Week in Daytona were an annual spring adventure. Before long, as it happens with many young couples, career and family demanded more of their focus. Soon Tom and Debbie welcomed the first of their two sons, and the big Honda was parked.

Steadily climbing the corporate ladder and with his job as assistant director of freight claims with responsibility for all damages paid out by Norfolk and Southern, the stress of working 14-hour days began to take a toll on his sanity. Another transfer took him to Detroit and a position as director of automotive operations with responsibility for all automotive loading and unloading as well as facilities and damage prevention across the system for both vehicles and automotive parts. This didn’t help his mental health but got him thinking that he really needed a diversion to de-stress from his very demanding job.

Woodworking had long been another passion for Tom and provided an escape from career pressures, but the need to get back out on the road with Debbie was steadily growing stronger.

At the Detroit auto show in 2000, Tom saw BMW’s latest bike, the K 1200 LT. He thought what a beautiful bike it was and recalled

the fun he and Debbie had touring on the Honda 750. Tom quickly realized he had to have that bike, and just as he had done so many years earlier, Tom went to his local BMW dealer and rode out on a brand-new K 1200 LT despite not riding since parking the Honda years earlier.

“What did I do? This thing is big!”, Tom recalls thinking as he was back in the saddle.

That question quickly faded away as the LT reopened the door for Tom and Debbie to riding together again, something Tom credits with saving his sanity and giving him a much-need outlet to focus on something other than work.

“When you’re riding, the focus is on riding and nothing else,” Tom said. Riding at those times wasn’t about getting anywhere for Tom but was simply for the mental escape it provided. “You may end up somewhere,” he said, “but it was just riding.”

Soon after buying the LT, Tom joined the BMW Touring Club of Detroit and the BMW MOA. Most importantly, Tom and Debbie were back on a bike.

Around the same time as BMW’s introduction of the R 1200 LT, a group of LT riders who had been exchanging information about the new model online had their first face to face meeting at the MOA National Rally in Midland, Michigan, in 2000. Later that fall, the group named themselves the Curve Cowboys and began holding “reunions,” fun-filled get-togethers set at upscale resorts in areas featuring great riding. As a 501c3 tax-exempt corporation, the Curve Cowboy Reunion’s other objective was to raise money for local charities. With 300 to 600 riders typically showing up at their events, the group would typically raise a staggering $20,000 to $30,000 at each reunion through their silent auctions, private donations, 50/50 proceeds and rally profits.

As the CCR grew, so did Tom’s involvement with the group. In 2012, he joined the CCR board of directors and a year later was named treasurer.

“Sadly,” Tom said, “as time marched on and the R 1200 LT became a dated model, once we got into the second and third generation of owners, the interests of the original LT riders changed. With the writing on the wall and the realization that everything comes to an end, the CCR board decided to sunset the organization.”

The last thing the group needed to do was to decide how best to dispose of their treasury. While some thought one last party would be the best way to spend the money, the group decided to donate

BMW OWNERS NEWS | February 2023 64

just over $63,000 to the BMW MOA Foundation and did just that in 2017 at the MOA National Rally in Salt Lake City, Utah..

With the CCR in his rear-view mirror, Tom still wanted to continue the charitable work the group had done so successfully, and in 2018 he joined the MOA Foundation board. A year after he joined the Foundation board, Foundation President Chuck Manley asked Tom to serve as their treasurer, a position he gladly accepted. Two years later, Tom then became Foundation president, the position he holds today.

“It gives me great personal satisfaction to see the progress the Foundation has made, doing something important and making a difference in the lives of riders,” Tom said.

Under his leadership, the Foundation’s Safemiles Endowment, the group’s long-term initiative to permanently fund rider training

activities for MOA members, has grown significantly. Additionally, the Foundation’s Museum and Archive currently under construction in Greer, South Carolina, is poised to engage riders with both the MOA and the Foundation and provide another reason for donations, long-term donor relationships and connections with BMW riders.

Tom said he wants to see the MOA Foundation as the preeminent source for motorcycle safety training and education in North America.

“I want to make a difference,” he said.

Today, Tom and Debbie call Saline, Michigan, home and since retiring from the railroad have enjoyed two-up touring in the U.S., Europe, Mexico and New Zealand. Tom still has that CB750K1 in his garage along with an S 1000 XR, an R 1200 GS Adventure and an R 1200 RT.

Opposite page, Just as riding did, woodworking provided a means to destress from a very stressful job. Above. Ted Moyer accepts a donation for the MOA Foundation from Dan Finazzo and Tom Gary of the Curve Cowboy Reunion at the 2017 MOA National Rally in Salt Lake City, Utah. Below, Getting ready to hit the road.
February 2023 | BMW OWNERS NEWS 65
BMW OWNERS NEWS | February 2023 66
Heading out from his Saline, Michigan, home aboard his 2016 S 1000 XR. Tom's other rides include a R 1200 RT, an R 1200 GS Adventure and the first bike he ever bought, his 1971 CB750K1.
February 2023 | BMW OWNERS NEWS 67

Champions

Sam Garst (#103463)

Sam Garst leaned on his friends’ advice to find his first bike in 1999, a Honda 650 he said was being passed around between new riders in his area. Newly married to his wife Meghan, he relied on his background with manual transmission cars to get him through the awkward early stages of learning to ride a motorcycle. “Let’s just say the learning curve was steeper than I thought it would be,” Sam said. “It took me about a month of part-time riding to be comfortable enough to try the highway.” He soon passed his motorcycle test, after which he quickly started looking for a different bike.

“I was living in Milwaukee at the time and there was a lot of pressure to acquire two wheels from The Motor Company,” Sam said. “I took a Sportster for a long test ride and knew a Harley was not for me.” His friend Kendall Moore introduced him to the K 75. “Of course, I thought that was pretty cool,” Sam said. “It was a little tall for me, but I was hooked. I bought a K 75 out of somebody’s garden shed.”

That first K 75 led Sam to a series of BMWs, what he called “a mix of airheads and R bikes.” The K 75 died ignominiously under the grill of a distracted driver yakking on a cell phone, but now Sam rides a 1988 R 100 GS, a sidecar-equipped R 1200 GS and a G 310 GS.

“A flyer at my local shop led me to the Madison BMW club—they were promoting their club rally and I thought that looked like fun,” Sam said. He went to the rally, not knowing anybody or even what a motorcycle rally really was. He had a blast and quickly forked over $20 to join the club. At one of their monthly breakfast

rides, he heard about the MOA and the National, attending his first MOA Rally in Spokane, Washington. “I’m a joiner, so here I am!” Sam said.

After serving on the MOA Board of Directors, Sam got more involved in the National and can often be seen wheeling a forklift around the vendor building and grounds, helping everybody get set up or break down on the days on either side of the rally proper. “I was on the MOA Board at the time the Foundation was going through a transition,” Sam said. “After working with Stan Herman to interview and help seat a new Foundation Board, I became immersed in their mission. When the idea of SafeMiles was put forward, I knew my stepping forward to support it was the right thing to do.”

Vance Harrelson #100402

Like many of us who grew up in familyoriented suburbs and subdivisions in the 1950s and ‘60s, Vance was introduced to motorcycling at about 10 years old, thanks to a mini-bike cobbled together from parts he gathered from friends and neighbors. He found a frame and a five-horsepower Briggs & Stratton lawnmower engine, then hooked up a brand-new centrifugal clutch and a drive chain and the rest, as they say, is history. After a few years, he graduated to a 1970 Honda C90, a step-through motorcycle most of us would consider a scooter these days.

Though he spent his time on a number of motorcycles–mostly Honda, Yamaha

Sam Garst
BMW OWNERS NEWS | February 2023 68

and Kawasaki–he found himself inspired by an older brother who rode an R 1200 C. Vance joined the BMW world with a “gently used” year-old R 1100 R he bought from Venture BMW in Birmingham, Alabama, in 2001. Now he splits his time between a 2016 R 1200 GS Adventure and a 2018 G 310 GS.

Vance came to the MOA fold through his local chartered club, the BMW Motorcycles Owners of Alabama–the other BMW MOA, as some folks call it. His compatriots in MOA charter club #5 found him at Venture BMW, highlighting the relationship between dealers and the MOA (both of them!).

After serving as the Rally Chair for the 2009 National in Johnson City, Tennessee, Vance found himself drawn into volunteering more with the MOA Foundation. “I have always believed in the mission of the Foundation,” Vance said. “From the early days of the Foundation and my MOA Board service, I clearly saw the Foundation’s mission and set out to support it.”

Following two three-year terms as a member of the MOA’s Board of Directors, Vance heard a request from Chuck Manley to serve on the board of the Foundation. It was during his tenure there where the Safemiles Endowment got its start and Vance became a Safemiles Champion. “I didn’t hesitate,” Vance said. His participation in the structured donation program every month supports the Foundation’s mission.

“I am certainly proud of the great work done by the Foundation,” Vance said, underplaying his role in getting the Safemiles Endowment off the ground in the first place.

Vance doesn’t just believe in the Foundation’s mission, he participates in it

as well. “I have taken a number of training classes over the years, but I’ve been fortunate to train several times with the great programs offered by the BMW Performance Center in Greer, South Carolina,” Vance said. Vance has taken advantage of both on- and off-road course offerings from the U.S. Rider Academy at the BMW Performance Center.

Lee Deyoung (#31683)

In 2018, Lee Deyoung was honored with the Prof. Dr. Gerhard Knöchlein BMW Classic award, an accolade reserved for club members who have made a special contribution towards conserving and promoting the history of the BMW brand. He is one of only 12 BMW MOA members

awarded this superlative, and it is considered one of the most prestigious in the industry. However, Lee’s journey on motorcycles started over 50 years ago— and on a Suzuki! “My first bike was a ‘71 90cc enduro my brother and I pulled together money for,” Lee said. “It wasn’t until 1982 I got a BMW, that was a 1965 R 60/2. It was clunky and cool—a gentlemanly ride.” Lee was instantly hooked and gravitated to vintage BMWs almost immediately.

This is not to say he’s unaware of more modern bikes; he does, after all, ride a ‘99 R 1100 RT when he hits the road for long distances on two wheels. “I’ve probably lost track by now of all the vintage BMWs I’ve owned,” Lee said, noting his stable included at one time—and truthfully, may still include—an R 42 (1927), R 52 (1928),

February 2023 | BMW OWNERS NEWS 69
Vance Harrelson

R 11 (1929 and 1931), R 2 (1932), R6 (1937), R 17 (1937), R 20 (1938), R 51 (1938), R 71 (1939), R 12 (1941), and even a few post-war twins.

“I joined the MOA in 1984,” Lee said, “and have been a lifetime member for a while now. I really enjoy the National and all the local rallies I can get to—plus the magazine and being able to share information on how to maintain our motorcycles.”

Lee is a fixture at the National, having helped run the Vintage Display for close to 15 years. He saw supporting the MOA Foundation as a logical next step beyond volunteering at the Rally. “Promoting rider education is a no-brainer,” he said. In addition to attending MSF courses at a local college, Lee is also a trained sidecar instructor.

old. As the general manager of Gateway BMW, you’d expect him to have a long history with BMW motorcycles, and indeed he does, having started in 1988 with a 10-year-old R 100/7 he got from Bob Odel and BMW Motorrad of St. Louis.

“I wanted something different,” Honz

said. “I took one for a ride and was totally hooked!” He still has that Slash 7, along with another Airhead, a 1995 R 100 GSPD Classic, the last of the two-valve boxers. He continues in his pursuit of adventure bikes with a 2014 R 1200 GS Adventure and a 2019 F 850 GS Adventure. He also rides a Beta 390RR and a Beta Trials 300.

In addition to selling Honz his first BMW, Bob Odel also introduced him to “other folks that enjoyed these fine bikes”–in other words, the people of the MOA! In addition to engaging in training classes at the BMW Performance Center in Greer, South Carolina, Honz has also completed classes at the Gateway Adventure School and competed in a GS Trophy Qualifier.

“I have always been a believer in training and learning to be a better, safer rider,” Honz said. He was inspired to become a Safemiles Champion by Chuck Manley and Bob Aldridge.

“They introduced me to the program, its goals and mission. It’s a great fit for me,” Honz said.

Bob Honz #50541

Bob Honz–who answers the phone with just “Honz”–started riding with what he called his “original adventure bike,” a Honda Trail 55, when he was just five years

Lee Deyoung
BMW OWNERS NEWS | February 2023 70
Honz’s Honda Trail 55.

DON’T RUN AWAY FROM YOUR PROBLEMS.

RIDE AWAY FROM THEM. IT’S A LOT FASTER.

THERAPEUTIC MOTORCYCLE ADVENTURES FOR VETERANS AND FIRST RESPONDERS WITH PTSD (AND OTHER NASTY STUFF)

©2020
MOTORCYCLE RELIEF PROJECT MOTORELIEF.ORG

SAFEMILES Champions ($10,000 donation level)

Robert Aldridge

Greg Beck

Keith Bishop

Mike Bitschenauer

Gary Blakney

Don Braasch

Warren Brownell

Simeon Chow

Lee DeYoung

David Dunn

Bill & Virginia Duran

Edward Eagle

Muriel Farrington

Roy Ferguson

John Fromhold

Sam Garst

Thomas Gary

Vance Harrelson

Bob Henig

Bob Honz

John & Kate Lammers

Richard Lewis

Clark Luster

Chuck Manley

Julie Manley

Steve Martin

Ted Moyer

SAFEMILES Donors ($250 donation level)

William Andrews

Efrain Arteaga

Richard Ballo

Robert Baker

Nicholas Bednarski

Tim Bernard

Patricia Blaskovic

Karl Boehm

James Bowen

Warren Bowers

Christopher Brown

Steven Brown

Arthur Buckheister

Glenlivet Burke

Joe Burns

Andre Champagne

Adam Chandler

Michael Clayton

Simon Clement

Robert Cohen

Andres Cools

Bruce Davidson

Christopher DeRosa

Karol Dietrich

William Dirkmaat

Bradley Duzan

Eric Ernsberger

Brad Fehler

John Ferenz, III

Wes Fleming

Chuck Foster

David Frank

John Gamel

William Ganser

Peter Giano

Terry Gilchrest

Stephen D Gomez

David Goodwin

Robert Gould

Charles Grant

Jeff Green

David Greenwood

Thomas Guidry

Gary Hagemann

Scott Henderson

William Hiatt

Barry Hinkle

Jess Holderbaum

Edwards Holliday

John Hoskins

Edwin Jarvis

David Paul Johnson

Clayton Jolley

Brian Jones

Dale Jones

Vince Kelly

Alvion Kimball

Freddie Kokesh

Wayne Koppa

Juergen Korbanka

George Law

Douglas LeFevre

Don Loudermilk

Charles Mamasco

David Mangun

Charles Markin

Marty Martin

Shawn Marquardt

Richard Mellon

John Meyer

Dimitri Michalopoulos

Tom Miklik

Cole Mills

Thomas Moe

Vincent Morabito

Robert Muller

Reece Mullins

Mary & Quintin Murray

Jeff Nesmith

James Nyffeler

Timothy O’Connell

Robert O’Reilly

Douglas Olin

Hakki Orun

Michael Padovan

Robert Pixlgy

Steven Polk

SAFEMILES Supporters ($100 donation level)

James Adams

Robert Adams

Tamara Bakke

Joseph Bark

Richard Barnhart

Jim Benefield

Erik Berg

Walter Blohm

Stephen Brooks

Steven Brown

Simon Burton

Richard Candrilli

Tom Casey

John Chapman

Keith Christensen

Jennifer Cleveland

Jeffrey Cohen

William Cole

Jeffrey Cook

Philip Devers

Eric Deyerl

Barry Downing

John Drobish

Alan Duncan

Brian Dutcher

Jonathon Eesley

Ronald Ewasuik

Walton Rogers

Marc Souliere

Fritz Spokas

Tim Steenhoek

Laura Susan Tubbs

Ray Tubbs

Jack Wells

Tom & Pam Werstler

BMW Club of Northern California

BMW Motorcycle Club of Dallas/Ft. Worth

BMW Motorcycle Owners of America

Bob’s BMW Motorcycles MOA Foundation

George Rademacher

Corky Rey

Teo Risquez

Ernesto Rivera

Jim Robison

Robert Rocco

Scott Roe

Jim Rostron

Jason Sanford

Craig Schilling

Richard Schrimpf

John Schumacher

Lee Schumacher

Jerry Scolari

William Senn

Dean Sherick

Stephen Sherry

Dean Smestad

Becky Smith

David Smith

Michael Smith

Richard Stanley

Matthew Staropoli

Kevin Streeter

Jason Svetek

David Thomas

Ashish Tomar

Thomas Tremblay

Cheryl G Turnmire

Brad Ulery

Gregg Unwin

Brian Valley

Dane Walther

Bill Wiegand

Michael Wilcox

Adam Yaun

BMW Dutch Country Riders

BMW Motorcycle Club of Colorado

BMW Motorcycle

Owners of Alabama

BMW Motorcycle

Riders of Northeast Florida

BMW Riders of Central California

BMW Motorcycle

Riders of the Emerald Coast

BMW Motorcycle Riders of Western Colorado BMW Motorcycle Owners of Vermont

Central California

BMW Riders

Hoosier Beemers

Andrew Faglio

Daniel Finazzo

Antonio Florez

Jeffrey Ford

David Frank

Matthew Furlong

Roland Garlinghouse

Mary Gniech

Dallas Green

Casey Gwozdz

David Haedt

John Hancock

Rennick & Marilyn

Harris

Michael Heeremans

Michal Heiplik

Marcus Hoffman

James Hofner

BMW OWNERS NEWS | February 2023 72

SAFEMILES Supporters ($100 donation level) continued

Kent Howard

Mark Hughes

Clayton Hutcheson

Mark Jolley

Clifford Jones

Michael Kalinosky

Charles Keefe

Joe Kint

Nancy Kirner

Raylynn Knight

Joe Knit

Steven Krueger

Steven Kwok

John Lang

Raymond Laubenthal

Travis Leeman

Jeremy Lenzner

David Litchford

Stephen Livingston

George Lussier

Richard Macpherson

Kevin Madden

John Mangiagli

David Mangun

Randall Marquardt

David Marsh

John McGraw

Blair R Meiser

J Eric Miller

Gregory Milne

Reece Mullins

Bui Ngo

Kurt Niemetscheck

Andrew Nikolai

Craig Oyer

Nick Oz

Gregory Pappas

Gregory Partalis

Greg Patzer

John Pawelski

Geralyn Pawelski

Josef Pelc

Paul Perisho

Irvin Peters

Edward Perry

Glenn Phillips

Tod C Powers

Dominique Rambie

Allan Rassi

David Reiff

Gregory Richardson

Douglas Richter

Jeffrey Ricketts

Susan Rihn

Mary Ring

Glen Robbins

Jim Robison

Thomas Rodowsky

Glenn Rybacki

Charles Schlatter

Patric Schretlen

James Schukow

Allan Schuster

Donna Scoates‐Nixon

Robert Scott

John P Seiler

David Seratt

Robert Severa

Michiael “Roc” Shannon

Thomas Sheets

Roger Simmons

Dennis Skonier

Dean Smestad

Britt Smith

Eric & Terri Spaulding

Brian Strader

Kent Streibel

Karen Thomson

Kenneth Thomson

Les Tillman

Andrew Travincek

Jon Wagnild

Douglas Waines

Richard Wallace

Grant Ward

Jeffrey Wardlow

Mark Webb

Jonathan Webber

James Wildman

Tom Wilmotte

David Witte

Rex Wright

Matthew Zych

Laurel Highlands BMW Riders Club

New Jersey Shore

BMW Riders

February 2023 | BMW OWNERS NEWS 73

CORNER BRAKING

EVEN THE BEST MOTORCYCLISTS OUT there have blown a curve, probably hundreds of times. What sets top riders apart from everyone else is what they do to correct their technique.

Slowing down is the easiest and most sensible way to stop entering corners too fast; however, there is a way to enjoy a faster pace in the twisties with complete confidence. The primary objective to riding a motorcycle faster when the road bends isn’t more speed, but precisely controlling speed up or down at the right moments.

Riders presume to be in full control of their approach speed, but riders not trail braking when riding quickly are vulnerable in the first half of the curve. People don’t typically fear the second half because acceleration is required to straighten up the motorcycle. Misjudging speed isn’t

usually a problem when exiting.

Many people I’ve talked to equate expert sport riding with minimal brake application. This viewpoint has deep roots in our community. Unfortunately, the premise isn’t true and is causing all sorts of trouble for motorcyclists. Don’t believe me? Watch any MotoGP race and try to spot a competitor not using their brakes. If brakes weren’t necessary to win races, these race bikes wouldn’t require high performance braking components.

Why aren’t people using the brakes effectively to navigate through turns? The easiest answer is the lack of basic rider training. Thousands of new riders each year are told to “never use their brakes in a corner.” While that isn’t helping the situation, there is another plausible explanation. Experienced riders are simply passing down this misinformation because

they haven’t evolved with the times.

Many of our most trusted sport riding gurus and club hotshots discovered the thrill of back road riding about 30 years ago. Back then, bikers had few resources. Only a handful of print magazines were the gatekeepers of information including model reviews, touring destinations and riding skills. The enthusiast population could be reached almost entirely through these limited publications.

Today, an eager rider can consume endless content from online groups, digital magazines, websites, YouTube channels, podcasts and social media–there’s no shortage of opinions and advice.

Old school print magazines were certainly effective in spreading the groundbreaking “Pace” method for sport riding to the masses, such as in a 1991 issue of Motorcyclist. A follow-up titled “Pace

BMW OWNERS NEWS | February 2023 74

Yourself” was featured in Sport Rider in 1993. These articles had a huge influence on fun weekend rides with friends. One could argue that they ushered in the modern age of Sunday group riding.

I can recall many instances over the years when fellow riders directly referenced this article or passed along some portion of it in conversation. Among its many innovative teachings, the Pace method had a focus on steering with the handlebars and flicking the bike. Handlebars are used to steer, but much more has come to light regarding direction changes.

Here’s where it gets a little sticky. When it comes to braking, the Pace method seemed to discourage brake light flashes and minimized reliance on the brakes. Lots of folks still believe this to be true.

Last summer I had the opportunity to ride through the Appalachian Mountains with some talented sport riders–my first ride with these guys. After a relaxing pace for most of the trip positioned mid-pack, I found myself leading for the last 30 miles. We were pushing pretty hard and trail braking eased my anxiety and kept cornering risk under control. I faithfully held in my front brake lever deep into most of the corners.

We were all energized after dismounting our bikes at the end. I was surprised when one of my new friends, who was riding right behind me on the last stretch, proudly declared that his brakes were still “like new” because he never used them. This person had probably seen my brake light taper off in every turn as the lead rider. Yet here he was, attributing lack of brake use to his speedy cornering abilities. It blows my mind that people still ride fast through gnarly curves without purposefully braking until the apex.

I used to be that rider who leaned into a curve with my right hand in a fist on the grip. Corners were intimidating, no matter how good a rider I envisioned myself. Things are much better now after learning

Over 40 essays, features, reviews, profiles and memoirs focusing on the two-wheeled life from the author of the acclaimed Shiny Side Up.

I’ve enjoyed Ron Davis’s columns and stories for a long time…he does what all the best motorcycle writing does: he makes you wonder why you aren’t out there riding your own bike, right now, except during the long Wisconsin winter, when his work simply helps you stay sane until spring.”

The best books on motorcycling and adventure travel

ISBN 978-1-890623-74-6, Softcover

252 pages, $19.99 SRP

February 2023 | BMW OWNERS NEWS 75

two-finger braking and throttle transitioning techniques.

In the spirit of full disclosure, I still occasionally misjudge my corner entry speed. When I come in too slow, I just roll on the throttle early. When I come in too fast, I thank my lucky stars I’m still on the brakes and keep squeezing until I make the turn. Then I roll back on.

Much has changed over the last three decades. With an endless amount of digital information available nowadays, the “Pace 2.0” in Cycle World (2013) has had more difficulty getting traction in the community. The updates were so important that the “Brake Light Initiative” appeared in the same magazine a year later.

The biggest revision in these subsequent articles was a focus on steering with the brakes. Brakes control your steering. To do this, “leave a bit of brake pressure on at the turn-in point…it’s called trail braking.” In other words, use your brakes in a corner.

The hesitation to use brakes in a curve is more of a mental challenge than a physical one. An experienced motorcyclist that can brake and throttle smoothly under normal

riding conditions should be able to resist it.

Some people learn trail braking by reading a book. Others benefit under the watchful eye of a coach. We can take different paths to literally grasp the technique. No matter how long it takes, it’s worth the effort to acquire. Learning proper trail braking might be the single most important achievement of a motorcyclist.

Unfortunately, this editorial isn’t going to teach trail braking, and while I can make suggestions for those curious to feel its potential, the simplest first step is to read the previously mentioned articles. My book, Cornering Confidence, teaches trail braking in bite size lessons. While trail braking skills may be taught by others, I know that my schools Street Skills and Champ School both do, and both each offer online and in-person motorcycle courses.

In my opinion, it’s an error to abandon

the front brake after tipping into a corner. Braking is an essential skill for control, confidence and enjoyment when riding at a sporting pace. Yes, going fast on twisty roads can be done with a brake avoidance mindset. However, cornering strategy under those conditions creates more guesswork than certainty.

BMW OWNERS NEWS | February 2023 76 2023 PREMIER TRAINING! March 23-24 • April 13-14 • September 28-29 • October 26-27 • November 16-17 Register today at bmwmoa.org
April 2016 BMW OWNERS NEWS 75 www.westcobattery.com www.re-psycle.com 11 11 ADVance Guard 908 652 6779 PROTECT IN COMFORT & STYLE www machineartmoto com for Adventure Sport Touring multi-functional OVERSEAS SPEEDOMETER & INSTRUMENT REPAIR R & K Bikes 512-329-8200 www.speedometer.com EUROPE ON YOUR OWN! SERVICES: • Motorcycle Transport Sea Freight & Air Freight • Bike Storage and Service • Green Card Insurance • Rental Bikes • Bed & Breakfast • And all you need CONTACT: Stefan Knopf knopftours@aol.com www.knopftours.com

The Clark Luster Group Grant Program

IN 1998, CLARK LUSTER (#36336) AND a group of BMW MOA volunteers had a dream they wanted to bring to fruition. Their vision was to create a non-profit foundation that to fund rider safety, education, and training programs, along with other motorcycle-centric goals. After a lot of hard work, in 2000 the BMW MOA Foundation was born. In recognition of Clark’s planning and work the MOA Foundation is pleased to honor him with the creation of the Clark Luster Group Grant Program.

The Foundation created the Clark Luster Group Grant Program to provide funding to groups to supplement the cost of approved motorcycle training consistent with the mission of the MOA Foundation. The purpose is to encourage group training where motorcyclists learn not only from their instructors but also from their peers, sharing knowledge, experiences and camaraderie.

The Clark Luster Group grant is not limited to BMW clubs or even BMW motorcycle owners; any group of bikers can apply. Applications must be submitted and received before the event, and applicants must understand that the financial award can be variable depending upon the volume of all grant requests and Foundation funds available. Clark Luster Group Grant requests may only be made for a single specific training event.

When considering an application, groups of fewer than 10 motorcyclists have the option to have each rider apply individually for a grant under our Paul B. Scholarship program or the group may appoint a grant leader who can apply for a single Clark Luster Group Grant, whichever financial arrangement works best for the group. The Foundation does not have a template for the Clark Luster Group Grant application form; instead, we leave it up to applicants to be creative and

prepare their own.

The Foundation executive committee administers this program and determines whether a grant request meets the mission guidelines. Grant requests must take into consideration the nature of the training to be provided, the qualifications of the training provider, the anticipated benefit to be realized and how the training will advance the mission of the Foundation. Applications should be sent directly to Foundation President Tom Gary via email at tgary@bmwmoaf.org

Grant awards are made as a single payment to the grant leader, based on reimbursement of funds spent as demonstrated by applicable receipts and certificates of completion for all participants. It is

important to note that no MOA member within a group may receive more than $250 ($100 for non-MOA members) in a calendar year. Group grants are not available for partially or fully funded MOA Foundation or MOA training events offered at our National Rally.

While there are some nuances to understanding how Clark Luster Group Grants work, the Foundation is proud to underwrite this program using donations and proceeds from our donors. Our intent is to promote group rider training events because we believe that they increase skills and encourage safe riding, which helps protect the lives of the riders who take them.

BMW OWNERS NEWS | February 2023 78

Never ride alone

With Platinum Roadside Assistance and Tire Protection added to your BMW MOA membership, you’ll never ride alone again. BMW MOA’s 24/7 Platinum Roadside Assistance gets you to a repair facility fast and will even replace a punctured tire for free! All that for only $109 a year, which includes the cost of your MOA membership.

Join online at bmwmoa.org or convert your current BMW MOA membership by calling 864-4380962. BMW MOA Platinum Roadside and Tire Protection, available exclusively for BMW MOA members.

An (almost) little old lady at California Superbike School

WHAT IF THERE WAS SOMETHING YOU could do to make you a safer, more confident, more comfortable rider? Of course there is—motorcycle training! It’s one of those things most of us agree we need more of, yet most riders don’t do it. Even MotoGP riders train. They have rider coaches and train on race tracks. They train on dirt bikes. They’re the most skilled riders in the world, almost superhuman in their abilities, and they train constantly in an analytical way. There must be riders who think their skills are enough for the riding they do, but the riders I know enthusiastically approve when someone they know does a training course.

When I decided to return to riding a

motorcycle after years of not riding, I signed up for the MSF course, the easiest route to a motorcycle license in California. I didn’t anticipate how much fun the two-day classroom and range riding would be. I did not know this ahead of time, but the “range” is a big parking lot. I was amazed there were people in class who had never thrown a leg over any kind of bike; I had the advantage of having ridden dirt bikes, so I didn’t have to learn how to operate a bike. I was impressed by the “never evers” riding motorcycles at the end of the two days!

Our instructor, a mustachioed Vietnam veteran who rode his full-dress Harley to class, was a strict disciplinarian but also

very funny. Out of a class of 20 students, only three of us were women. The men ranged from a skinny young guy with a small scooter to grizzled bikers. One woman dropped her bike on the first day and in spite of a lot of encouragement from staff and students, did not return for day two. The other woman, who was young and a real firecracker, bought a Suzuki sport bike from another classmate by the end of the course. The thing I was the most surprised about was that the majority of the class had been riding on the street for years and were just now getting around to getting an actual motorcycle license. I felt naïve that it never even occurred to me to ride without a license.

BMW OWNERS NEWS | February 2023 80
California Superbike School took me from being a competent road rider to being comfortable on the track in just one day.

I got a small Honda and rode for a year, then upgraded to an F 800 GT and rode it for several more years, learning how to ride on the road and discovering the joys of motorcycle touring. I was an MOA member and knew about the Paul B. program but put motorcycle training in the category of “I’ll do that someday.”

When my husband and I went to the MOA rally in Great Falls, I signed us up for the Streetmasters Cornering School. It was held in a big parking lot, it was a blast, and I was surprised that a few hours in a parking lot could make me a better rider. The Paul B. Scholarship paid for the course, so it was even free! I resolved to do some sort of training course every year.

This year I looked online at all sorts of training offered near where I live in California. The choices ranged from dirt bike camps to road riding courses, including courses offered on a range or a private mini-track. What I really wanted to do was go to a track school. I had done track days on four wheels, ridden as a pillion on a hot lap of Thunderhill on the back of an instructor’s bike, and watched my husband while he did a track school at the fabled Laguna Seca, but I had been too nervous to go to the track myself on a motorcycle. I would be a novice on the track and I was sure it would be a testosterone festival with few or no other women. In the past, I’ve found that many things I was apprehensive about doing turned out to be rewarding, so I took a deep breath and told myself, “I’m going to the track.”

I decided to do everything in my power to cut down on the stress. I picked Thunderhill Raceway; I’ve driven there more than any other track, so I know that track the best. On the advice of a salesman at my local BMW dealer, I selected California Superbike School and signed up to ride it on their bike; that way I didn’t have to prepare my own bike, worry about new tires, or ride/trailer to the track. Plus,

their school bikes are BMWs. By now my personal bike was an S 1000 XR—definitely a capable track bike—so I won’t rule it out in the future. Another benefit of Superbike School was I would get to ride a trackprepped S 1000 RR! I figured it was similar enough to my XR that I would be comfortable on it. It was a great decision as the RR was a fantastic bike, and riding a trackprepped bike with race tires was simply amazing.

think I was ever in 5th or 6th gear all day! Unsurprisingly, I wasn’t the most aggressive rider in the class; after all, I’m dangerously close to little old lady territory. I felt comfortable with the other riders, though; everyone was very respectful on and off the track. After being on track in a car, it seemed like there was so much room on the track for passing! When my fantastic rider coach would give me a suggestion, it was like magic how well it worked.

Mostly though, Superbike School was about the most fun a motorcycle enthusiast could possibly have. There was so much to concentrate on I couldn’t let the adrenaline rushing through me overwhelm my brain, but every time I came off track and took my helmet off, I was grinning like a fool. Each track session lasted 20 minutes, and I’m sure they meticulously time them, but I swear each one got shorter; by the last session when I saw the checkered flag, I thought “That can’t be right! We’ve only been out here five minutes!” When any activity I’m doing compresses time, I know it’s a good one. Not only am I quite certain my riding skills improved and I had the most fun ever, but California Superbike School took me from being a competent road rider to being comfortable on the track in just one day.

I showed up at Thunderhill and found I was one of three women in the class of about 60; all the staff, instructors and other students were friendly and encouraging. The classroom portions were very technical and crammed with information; it was tough trying absorb everything. We had specific goals and drills for each track session. An example of one drill was to ride around the track using 4th gear only and no brakes! This was really fun and the RR has so much torque and power it was easy to use only fourth gear. In fact, I don’t

So, use your Paul B. Scholarship money! You can use it for any type of motorcycle training course, so pick a fun one! I have to warn you though, some types of training may be addictive.

Individuals interested in receiving a Paul B. Grant should complete the submission available online at bmwmoaf. org. Requests must be submitted prior to the registration deadline for the training selected and should contain a description of the training, cost, location and dates of the training.

February 2023 | BMW OWNERS NEWS 81

Suburban Machinery

FOUNDATION COMMITTEE REPORTS

Communications Committee

THE COMMUNICATIONS COMMITTEE

was busy in 2022, and we are carrying our momentum into 2023 with several initiatives supporting the mission of the MOA Foundation.

First, I’d like to highlight some recent initiatives including the redesign of the MOA Foundation’s logo, the birth of our new website (bmwmoaf.org) and a recommitment to connecting with and building a closer relationship with riders through our social media channels. These initiatives have helped highlight the necessary legal distinction of the MOA Foundation, a not-for-profit 501c3 organization, from the BMW MOA. While both organizations work closely together and our missions complement each other, each organization is distinct in structure, operations and funding.

Our new logo mirrors the colors of the BMW marque, and the outstretched wings beckon all motorcycle enthusiasts, regardless of their choice of ride, to join the foundation in efforts to promote rider education and safety and to celebrate the rich history of motorcycling.

The new website (bmwmoaf.org) has been expanded from a single page to a vast collection of resources where riders can learn about potential training opportunities, contact the foundation directly, apply for partial training reimbursement (up to $250 per year) through the Paul Bachorz Training Grant program, learn more about the mission of the foundation, connect with volunteer opportunities, and donate funds in support of foundation initiatives through programs such as the SafeMiles Endowment, Legacy Giving, and “One Ticket & You Pick It” raffles.

If you already follow the Foundation on Facebook, you may have seen our recent

posts. To all who have begun to engage with us there, we are having a great time connecting with you and getting the word out about the mission of the Foundation, the benefits of continued training, and the celebration of our vibrant community of motorcycle enthusiasts. If you don’t follow us yet, please take a moment to search for the BMW MOA Foundation on Facebook and hit the “Like” button to stay informed and entertained as part of the foundation family. Your interaction with the Foundation Facebook page is much appreciated and helps more riders to find us and learn about our mission. If you would like to see your photos featured on our Facebook page or website, please email them to photos@ bmwmoaf.org

As spring and summer are quickly approaching and our members are finding it safer and more comfortable to ride, we look forward to connecting with you at local, regional and national meetups and rallies. We are eager to answer questions and hear your ideas about how we can best enhance your experience with the MOA Foundation. In the meantime, you can reach out to us through bmwmoaf.org, our Facebook page, or via email to MOA Foundation President Tom Gary at tgary@bmwmoaf.org

It should be noted that the training, education and community that are available to you through the MOA Foundation would simply not be possible without dedicated and talented volunteers. If you have skills in fundraising, marketing, communications or other areas that could be useful to the Foundation, please consider volunteering with us. An email to Tom Gary at tgary@ bmwmoaf.org will ensure that you get connected with the right people to begin the conversation.

www.suburban-machinery.com 1-440-951-6555 BMW OWNERS NEWS | February 2023 82
Footpeg lowering kits for rider & passenger, bar backs and bar end weights for select BMW models.

Historical/Archive Committee

THE MISSION OF THE MOA FOUNDAtion’s Museum and Historical Archive Committee is to oversee and execute the planning, design, construction and operation of the BMW MOA Foundation Museum and Historical Archive which will preserve artifacts used by MOA members between 1972 and today. These artifacts will include motorcycles, maintenance equipment, accessories, tools and other items, and the museum will provide a backdrop against which the microcosm of the BMW Motorcycle, the MOA and members are viewed.

The committee has spent much of 2022 drafting and developing policy documents that will provide a framework from which the Museum and Historical Archive will operate. The first document developed is the Museum’s Collections Policy document. This document governs how the museum and Historical Archive will access, preserve, conserve, de-access and receive or transfer loaned artifacts to and from the Museum. This comprehensive document will allow the Museum and Historical Archive to manage the collection in an ethical manner using proper preservation standards and allow the Museum to rotate and refresh artifacts on display within the bounds of the policy. Along with policies being developed, the Committee has begun planning for the actual Museum and Historical Archive structure to be built inside the current BMW MOA spaces located in Greer, South Carolina.

With the planning of the Museum and Historical Archive underway, we will soon focus our attention with the renovation of the second floor of the BMW MOA office space. When demolition activities are completed in early 2023, construction tasks such as renovating the walls, lighting and flooring in the museum spaces will begin with the goal of having a soft opening of the Museum and Historical Archive on or about April 1, 2023. As the renovation and construction activities move forward, the committee will begin a full inventory and accounting of

artifacts on hand, including current motorcycles, MOA member memorabilia and early MOA documentation. Each will be a part of the Museum and Historical Archive collection. The initial opening exhibit will showcase a part of a BMW member’s BMW motorcycle collection and any noteworthy associated equipment or gear. Through exhibit design and interpretive panels and displays, these artifacts will tell the member’s story of how they were associated with and related to the BMW MOA, resulting in a more personal story about a motorcycle and its rider–a story that visitors will be able to relate to.

Hopefully, you’re asking, “How can I help?”

The MOA is comprised of more than 25,000 members with many different talents and skills. We appreciate all that you can volunteer for in the form of time, treasure or talent. When it comes to time and talent, the artifact inventory tasks mentioned earlier require assistance in conducting the physical inventory of our small collection. While not a sexy task, it’s one that must be done to prevent our archive from being featured on the next episode of American Pickers.

That said, any MOA member that has museum experience and would like to assist in our project is welcome. On the treasure side, we always welcome generous donors to help with the finances of the Museum and Historical Archive project. Treasure also comes in the form of sought-after artifacts that would become a part of the museum’s collection.

Things are heating up on the Museum and Historical Archive committee.

Museum and Historical Archive committee membership began as a volunteer effort, and now more than ever, we need your time and energy! If interested in helping with this project, please reach the MOA Foundation at volunteer@ bmwmoaf.org.

TAILGATE ON OR OFF TRUCK LOADED & CLOSES W/O BIKE. $2995 - $3995 AVAILABLE FOR JEEP February 2023 | BMW OWNERS NEWS 83

FOUNDATION COMMITTEE REPORTS

Programs Committee

IN JANUARY 2021, THE MOA FOUNDAtion board embarked on creating a strategic plan for our organization. In that process we spent time considering how to best define our organization and who we serve in order to refine our efforts. We created four pillars to provide direction for our work. One of those is Programs, which our committee is responsible for. Our committee includes board members along with key volunteers. The goal for our committee is to “create, oversee and communicate to clarify and increase the program opportunities for those we serve.”

We began by reviewing our Paul B. Grant program. This program honors Paul Bachorz and provides grants to individuals who choose to participate in motorcycle skills development. The program provides financial assistance for MOA members as well as nonmembers, and in our review, we found that the MOA staff has a good process of evaluating, accounting and processing these applications. The Paul B. (which has been renamed The Paul Bachorz Rider Safety Training Grant), has been in existence since 2014 and has helped thousands of riders receive skills development training.

We created six seminars for the New Rider Experience. The first NRE took place at the 2021 MOA National Rally in Great Falls, Montana. The NRE was created to introduce non riders who are interested in becoming motorcyclists yet also appeals to new motorcyclists. An initial experience with electric bicycles on a closed dirt course provided a simulation of basic skills needed to operate a motorcycle. Along with this hands-on experience, we conducted two sessions, each made up of six seminars appealing to the new rider: Before the Ride, Roadside Breakdown, Proper Motorcycle Gear,

Women on ADV Motorcycles, From Behind the Radar Gun and Which is the Right Motorcycle for Me? Most participants are new riders in search of more information to keep them safe on the road. Special thanks to our presenters, Shawn Thomas, Louise Powers, Wes Fleming, Greg Hutchinson, David Dunn and Great Falls Officer Jon Marshall. Without these dedicated professionals we could not have provided these high-quality seminars. Program committee member Andreas Gneist brought an idea that would provide a significant challenge to our group. His

web site along with the application for the Paul Bachorz grant. As of today, we have 50-60 providers listed, along with a brief description, provider websites links and contact information.

Here is where we need your help: If you are part of an organization that provides motorcycle training (skills development), or know of a training organization in your state, please contact them and ask them to submit their information to be included in our directory. The listing is free and is provided as a service for those searching for a training provider that would meet their objectives. Submit provider names to bmwmoaf.org/ridertraining/training-directory/.

vision was to create a program that we now call Mentor Based Skills Development (MBSD). This program mimics a similar program used in the UK. The idea is to create a program that uses a trainer who serves as a mentor to work with experienced riders on a one-to-one basis. The trainer would work through a list of skills development subjects with the student for 8-10 training sessions. Together they would practice skills on the road and stop periodically to debrief. This program is intended for riders with a minimum of three years and 5,000 miles of riding experience. We are currently working on writing a curriculum for this based on the book Motorcycle Roadcraft.

As we promote motorcycle skills development, it is clear that we needed to create a directory of motorcycle training providers. This directory is found on our

We have also developed the Clark Luster Group Training Grant, a grant intended for groups of riders like our local MOA chartered clubs. This program provides training for your group, while pulling club members together for a positive group event. You will see more about this program in future Foundation communications.

We continue to build relationships with motorcycle training organization as we continue to fill the training gaps. Currently we sponsor the online training with Motosafe-Street Strategies, where MOA members can take this high-quality online training for free. Just visit the link bmwmoaf.org/rider-training/ to sign up. We also offer discounted training programs at BMW Premier Training, Champ U and Stay’n Safe Training.

As we move forward, we will continue to build relationships with motorcycle training organizations as we continue to “fill the training gaps.”

A special thank you to our committee volunteers, including Andreas Gneist, Greg Patzer, Chad Gillen, David Dunn, Dan Finazzo and Fritz Spokas.

BMW OWNERS NEWS | February 2023 84

Fundraising Committee

THE BMW MOA FOUNDATION’S Fundraising Committee has an important role in delivering the Foundation’s mission to advance rider safety, education and training. Fundraising is a very necessary activity to generate support for more training and safety courses, educational materials and awareness campaigns that promote the benefits of developing riding skills.

As a 40-year veteran of the financial services industry, proper financial planning and helping people achieve financial independence have been my life’s mission. Our work on the Fundraising Committee has many parallels to the financial services industry as we try to provide a stable financial future for the MOA Foundation and its efforts. By conversing with MOA members at our National Rally, Premier Training events or Chartered Club gatherings, the Fundraising Committee is able to share the story of our Foundation’s efforts and meet generous MOA members who genuinely want to help advance the Foundation’s mission. Speaking with MOA members who share the Foundation’s passion is extremely rewarding and always insightful. It makes for a great reason to ride, too!

Our primary focus as a committee is the development of the SafeMiles Endowment Fund which will provide rider training resources for many generations of MOA members. You can help us in 2023 by going to 23safemiles.com to donate. There, you can structure a donation in a variety of ways, and our committee is always available to discuss more complex issues such as the benefits of giving to the SafeMiles Endowment, legacy giving or specific tax advantages of various donation options. You can also support the Foundation

through raffle programs or by designating the Foundation as a beneficiary in your legacy planning.

Along with the SafeMiles program, we have exciting plans for this year. The Chartered Club Match program is gaining steam, and we have over $30,000 in commitments from clubs that will be matched to make a $100,000 impact. At least two donors have made $100,000 commitments to the future of motorcycle safety, and we are managing over $200,000 in SafeMiles Champion commitments with more to come. The future of motorcycle safety for MOA members is very bright. The Foundation’s Fundraising

Committee includes dedicated MOA members Jim Nyffeler, Marty Martin, Kevin Conroy, Fritz Spokas, Rik Lewis, Robert Baldauf, Pam Werstler, and Walton Rogers. Together, with every MOA member, we can make a difference in motorcycle skills and safety, providing a better experience for all riders. The key word is “together,” and your support of the BMW MOA Foundation’s efforts is paramount to everything we do.

I hope you will take the opportunity to reach out to one of our committee members and ask about the future of motorcycle safety and the Foundation’s efforts to train every rider.

February 2023 | BMW OWNERS NEWS 85

Meet your MOA Foundation Directors

Tom Gary Foundation President

Tom has held several management positions over his 38-year career, before retiring from the Norfolk Southern Corporation in his position with corporate responsibility for automotive operations and damage prevention for Norfolk Southern Corporation. Over the years, Tom has also served in many volunteer leadership roles, including serving as president of a credit union in Roanoke, Virginia, as well as his current position as a Planning Commissioner for York Township in Michigan where he lives. Tom serves as the MOA Foundation President with responsibility for the operations and strategic direction of the organization.

Tom believes the Foundation provides him a rare opportunity to serve in a volunteer capacity directly benefiting the organization in a way that literally can save lives.

“It gives me great satisfaction to be able to use my business skills to raise money to further the mission of the foundation of advancing rider, safety, education and training,” Tom said. “I believe skill development and safety are totally fundamental to riding a motorcycle, and it gives me great joy that as a Foundation, we are impacting riders in a positive way. Guiding the Foundation future has been an honor.”

Tom became a Life Member of the MOA in 2000 when he was encouraged to join soon after purchase of his first BMW. He currently has three BMWs including his 2019 R 1250 RT, a 2016 S 1000 XR and his 2012 R 1200 GS Adventure.

Steve Martin Foundation Vice President

Over the years, I have served on many local and regional boards, including a local homeless shelter, a tri-state Economic Development organization financially promoting business growth and development of new businesses, and a regional membership organization supporting the Printing Industries of America, as well as church boards and other general business boards. As vice president of the MOA Foundation Board of Directors, I rely on my passion for motorcycling and my experiences with other boards to support the work of our foundation.

As a rider with more than 50 years of experience and a former MSF Rider Coach, I am dedicated to helping as many riders as possible have a safe and fun motorcycling experience. I have seen firsthand the results of motorcycle crashes that could have been avoided with proper training, and I support motorcycling as a lifelong learning process. Working with our Programs Committee, I have the pleasure of creating and evaluating programs that will

help riders be safer.

I became an MOA member in 1995 after buying my first BMW motorcycle. I currently ride an R 1200 RT and an R 1250 RS and have traveled more than 300,000 miles on BMW motorcycles.

Dan Finazzo Foundation Treasurer

My role with the MOA Foundation is serving as our treasurer, and I have been happy to have been recruited for this assignment.

As a practicing engineer for more than five decades, my focus has always been on numbers, regardless of whether I am performing calculations for life safety, system and equipment performance requirements or simply balancing the project budgets. Numbers are always in the background making sure things are done correctly.

Being a part of a team of like-minded volunteers is very satisfying to me–just like the project teams I have worked with in my past. As a focused team, we have goals and aspirations, and on the Foundation team, our desire is to provide funds to motorcycle riders to improve their riding skills. As a Foundation we are a conduit to solicit and obtain funds and to disperse those funds in a responsible manner. Ensuring those funds are managed properly and accounted for takes the efforts of several individuals both within the Foundation and the MOA. I enjoy working with the Foundation Board as we continue to grow the organization while at the same time raising the skill levels of all riders from beginners to those more experienced.

I became a member of BMW MOA in 2005 a few years after purchasing a 2002 K 1200 LT. Over the years, I have owned many BMWs but currently own two sidecar rigs along with an R 1250 RT that can fall over—unless I put my foot down!

David Dunn Foundation Director

Over the years, David has served on several non-profit boards, including multiple terms on a large school board. He has also donated his time to helping many charities, including United Way, Habitat for Humanity and Rotary International. For the past 18 years, David has worked as a paramedic and now teaches EMS classes in the Lehigh Valley in eastern Pennsylvania.

David came to the MOA Foundation board because of his EMS experiences. While responding to motorcycle accidents, he saw riders who failed to wear proper gear, failed to negotiate corners, avoid obstacles or who had over-run their abilities. He realized that skills training could help all riders from beginners to long-term enthusiasts and helping the Foundation raise money for skills development grants

BMW OWNERS NEWS | February 2023 86

would help reduce motorcycle accident statistics.

David currently puts about 10,000 miles annually on his 2020 R 1250 GS. He loves long distance touring, motorcycle camping and splitting his time between riding and serving as an EMS at rallies.

David says, “I look forward to growing the Foundation into a self-sustaining organization supporting rider safety, education and training. One day, I hope every rider participates in annual training events, no matter their skill level.” David and his wife Vikki have three grown children, a granddaughter and another grandchild on the way.

Andreas Gneist Foundation Director

Andreas leads the Marketing and Communications activities of the MOA Foundation. After many years in the corporate world, in 2017 Andreas quit his job and moved to Vancouver Island, British Columbia, with his wife Carolann.

Since the move, Andreas has engaged in collaborations with universities, worked for a global social enterprise in Vancouver, served on a non-profit board and, after witnessing the devastation left by B.C.’s recurring wildfires, set up a company providing carbon offsets for motorcyclists.

Andreas believes the BMW MOA is a unique organization in the motorcycle world—a place for people who share the joy of riding a motorcycle. The MOA’s Foundation amplifies what the MOA stands for: Providing an opportunity to be part of the rider community, encouraging everyone to be active, to reach out and to help one another.

Riders help the Foundation through their donations and the purchase of raffle tickets. The Foundation then “re-invests” this money, supporting riders by helping to improve their riding skills and developing an MOA museum as a central location for riders to gather.

Looking forward to the next 50 years, Andreas believes the Foundation is well positioned to support the MOA as a leader in the riding community, and together, both organizations can create a great place where riders can get the best out of our sport, support one another or simply enjoy a rider’s life well beyond the white and blue marque.

Andreas has been a MOA member for ten years. He currently owns three R 1200 GS Adventures and a KTM 500 EXC.

Marty Martin Foundation Director

In my role as Foundation director, I support the Museum/Archive and Fundraising committees. To do this, I bring experience from my current job as the Development and Operations Officer at the Naval Aviation Museum Foundation, supporting

the National Naval Aviation Museum in Pensacola, Florida, where I work on museum and exhibit design to improve the visitor experience.

Service is what drives my service to both MOA members and the MOA Foundation. I believe my professional experience can help fulfill the Foundation’s dream of building a Museum/Archive that will tell and document the unique story of not only our MOA members, but also our organization, while inspiring a new generation of riders to be a part of motorcycling and hopefully, the MOA.

While we are all able to ride a motorcycle, I enjoy the challenge of riding better each time I go out and taking a reflective look at how I am doing. Taking a motorcycle training course has always been rewarding for me as it is a vector check on how well I am doing and where I can improve. Seeing motorcyclists take advantage of the benefits of formal training as they seek to perfect their craft of riding a motorcycle safely and responsibly is what I see as the most rewarding part of being a member of the Board.

I currently ride a 2012 R 1200 RT and a ‘16 K 1600 GTL and have been a member of the MOA since 2015.

Walton Rogers Foundation Director

As a Foundation Director and Fundraising Chair, Walton has been tasked with telling the Foundation’s story and suggesting ways donors can help. To do that, Walton is looking for experienced riders who promote safety and training for all and for the new riders who want to experience the fun in motorcycling without the crashes.

Each spring when he begins riding after several months of very few rides, he is reminded that his riding skills are both perishable AND renewable. While saddle time can be one of his teachers, Walton believes a well-organized training class can create more muscle memory in one day than a month of riding can accomplish.

Walton has spent more than 40 years as a financial professional and every year is required to renew his knowledge and skills with classes, drills and situations to resolve. He believes in continually getting better at what he does whether it be with his woodworking hobby, motorcycling or financial skills.

Walton discovered the BMW MOA Foundation after he joined the MOA in 2014 when he wanted to attend the MOA National Rally in St Paul, Minnesota, to see how other riders “did it.” His current ride is a 2017 R 1200 RT which he says fits his riding interest perfectly, describing the bike like a teenager–hot and sassy!

February 2023 | BMW OWNERS NEWS 87
BMW OWNERS NEWS | February 2023 88

BMW MOA 50th Anniversary Shirts

Every milestone needs a commemorative t-shirt. But something as meaningful as 50 years demands more than just one! We’re celebrating every month with a new design worthy of the 50th Anniversary of the MOA. Grab one shirt or the entire series and show your MOA pride.

50th Anniversary shirts will be available in limited quantities online each month or pre-order the entire series at a discount to guarantee you get yours!

earstore gear.bmwmoa.org Gearstore gear.bmwmoa.org
HELP US CELEBRATE 50 YEARS STRONG!
9 NEW DESIGNS EACH MONTH! ORDER TODAY!
Shirt Design

BMW MOA OFFICERS

Reece Mullins, President (334) 470-7770; reece.mullins@bmwmoa.org

Brian Dutcher, Vice President (402) 289-7182; brian.dutcher@bmwmoa.org

Kelly Moore, Treasurer (859) 536-8638; kelly.moore@bmwmoa.org

Adam Chandler, Secretary (415) 894-0857; adam.chandler@bmwmoa.org

BMW MOA DIRECTORS

Jon Kurtz (859) 338-9801; jon.kurtz@bmwmoa.org

Doug Peters (478) 747-4718; doug.peters@bmwmoa.org

Louise Powers (805) 598-1529; louise.powers@bmwmoa.org

Michiael “Roc” Shannon (812) 322-1378; roc.shannon@bmwmoa.org

Phil Stalboerger (612) 616-2445; phil.stalboerger@bmwmoa.org

OUR MISSION

Building a vibrant community, inspiring enthusiasts to connect, sharing our passion for motorcycles.

BMW MOA HEADQUARTERS

2350 Hwy. 101 South Greer, SC 29651 864-438-0962 (p)

BMW MOA STAFF

Membership Services Ray Tubbs, Digital Marketing Manager ray@bmwmoa.org

Tonya McMeans, Membership Services tonya@bmwmoa.org

Lesa Howard, Membership Services lesa@bmwmoa.org

Media

Bill Wiegand, Managing Editor bill@bmwmoa.org

Karin Halker, Art Director karin@bmwmoa.org

Wes Fleming, Digital Media Editor wes@bmwmoa.org

Sales & Marketing Chris Hughes, Director of Advertising chris@bmwmoa.org

Chad Warner, Business Development Director chad@bmwmoa.org

Ted Moyer, Executive Director ted@bmwmoa.org

in this issue

CONTRIBUTORS

Cover Courtesy of Continental Tire

Table of Contents

Tim Mangini #216488

David Baccus #231509

Big Picture

Eric Danielson #154151

Postcards from the Road

Don Wreyford #91738

Tim Mangini #216488

Kathy Walters #213619

Jim Boone #224787

Gary Loomis #193651

Joe Cantwell #116901

Tim Deaves #195884

News

BMW Motorrad

Member Tested

Ron Davis #111820

BMW MOA FOUNDATION HEADQUARTERS 2350 Hwy. 101 South Greer, SC 29651 (864) 438-0962

Mark Barnes #222400

Tech

Wes Fleming #87301

Features

Bill Wiegand #180584

Mark Barnes #222400

Kandi Spangler #220021

Skills

Jon DelVecchio #208163

BMW MOA FOUNDATION OFFICERS

Tom Gary, President tgary@bmwmoaf.org

Steve Martin, Vice President steve.martin@bmwmoaf.org

Dan Finazzo, Treasurer dfinazzo@bmwmoaf.org

BMW MOA FOUNDATION DIRECTORS

Tami Bakke tbakke@bmwmoaf.org

David Dunn david.dunn@bmwmoaf.org

Andreas Gneist andreas.gneist@bmwmoaf.org

Marty Martin mmartin@bmwmoaf.org

Jim Nyffeler james.nyffeler@bmwmoa.org

Walton Rogers walton.rogers@bmwmoaf.org

Lifestyle

David V. Dunn #117435

Jean Cordalis #210419

Andreas Gneist #175518

Marty Martin #210371

Steve Martin #69767

Walton Rogers #195257

Tailight

Michael Brown #45061

Kandi Spangler The BMW MOA and MOA™ are trademarks of the BMW Motorcycle Owners of America. OUR MISSION
BMW OWNERS NEWS | February 2023 90
The BMW Motorcycle Owners of America Foundation is dedicated to to building a vibrant community, inspiring enthusiasts to connect and share their passion for motorcycles.

IBMW MOA KEY VOLUNTEERS

MILEAGE CONTEST COORDINATOR

Jim Low (608) 347-5910; lowjim09@gmail.com

AMBASSADOR LIAISON

Jason Olson bmwjiggs@gmail.com

CONSUMER LIAISON

John Gamel john.gamel@bmwmoa.org

FORUM LIAISON

Kurt Schrader Forum Administrator - Steve Henson Forum Moderators - Gary Nelson, Lee Fulton, Voni Glaves, Don Eilenberger

2023 BMW MOA RALLY CHAIRS

Wes and Paula Fitzer rallychairs@bmwmoa.org

REGIONAL COORDINATORS

Jerry Barron - South Carolina (313) 587-2740; jerry.barron@bmwmoa.org

Charles L. Buchanan IV - Virginia (920) 574-0170; charles.buchanan@bmwmoa.org

Joe Burns - Pennsylvania (814) 229-0896; joe.burns@bmwmoa.org

Doug Christensen - Florida (561) 536-3663; doug.christensen@bmwmoa.org

Joe Dawson - Arizona (480) 721-4412; joe.dawson@bmwmoa.org

Ken Decroo - California (909) 961-7762; ken.decroo@bmwmoa.org

Jean Excell - Colorado (719) 650-6215; jean.excell@bmwmoa.org

Frank Florio - New York (518) 369-8339; frank.florio@bmwmoa.org

Karolina Francis - British Columbia, Canada (604) 657-7351; karolina.francis@bmwmoa.org

Johnathan Gifford - Oklahoma (484) 919-7277; jgifford@bmwmoa.org

Vince Kelly - Pennsylvania (610) 7047611; vince.kelly@bmwmoa.org

Ben Lower - Georgia (469) 831-1021; ben.lower@bmwmoa.org

Bruce McKelvy - Pennsylvania (215) 872-4605; bruce.mckelvy@bmwmoa.org

Pete Mikolaitis - Indiana (401) 924-2526; pete.mikolaitis@bmwmoa.org

Thomas Moe - Montana (916) 919-6770; tom.moe@bmwmoa.org

Stephen Rome - Florida (850) 479-2701; stephen.rome@bmwmoa.org

Mike Secor - Texas (214) 557-4577; mike.secor@bmwmoa.org

Gary Shuman - Massachusettes (617) 513-2053; gary.shuman@bmwmoa.org

Phil Stalboerger - Minnesota (612) 616-2445; phil.stalboerger@bmwmoa.org

Thomas Van Horn - Wisconsin (608) 695-6784; tomvanhorn@bmwmoa.org

Gerry Weninger - Saskatchewan (306) 221-3787; gerry.weninger@bmwmoa.org

Bryan Whitehead - Illinois (312) 804-2293; bryan.whitehead@bmwmoa.org

Tom Gary Jean Cordalis Jon DelVecchio Dutch Lammers Ron Davis
February 2023 | BMW OWNERS NEWS 91
Wes Fleming

WHEN AND WHERE

APRIL

1 4/14/2023 – 4/16/2023

HILL COUNTRY HANGOUT 2023

LOCATION: Kerrville, TX CONTACT: Mike Makowski makowski.michael@gmail.com

2 4/21/2023 – 4/23/2023

MOA GETAWAY AT FONTANA

LOCATION: Fontana Dam, NC

CONTACT: BMW MOA (864) 438-0962 membership@bmwmoa.org

MAY

3 5/3/2023 – 5/7/2023

BMWs TAME THE TAIL OF THE DRAGON LOCATION: Robbinsville, NC CONTACT: Kevin Rasmussen (423) 302-0448 qbird66@gmail.com

4 5/5/2023 – 5/7/2023

GEORGIA MOUNTAIN RALLY LOCATION: Hiawassee, GA CONTACT: rally@bmwmcoga.org (678) 838-7515

5 5/5/2023 – 5/7/2023

MOA GETAWAY AT SANTA FE LOCATION: Santa Fe, NM CONTACT: BMW MOA (864) 438-0962 membership@bmwmoa.org

6 5/18/2023 – 5/21/2023

EUROPEAN RIDERS RALLY LOCATION: Burkesville, KY CONTACT: Ken King ridersrally@bmwmcon.org

7 5/19/2023 – 5/21/2023

OVERLAND EXPO WEST LOCATION: Flagstaff, AZ

CONTACT: BMW MOA (864) 438-0962 membership@bmwmoa.org

8 5/19/2023 – 5/21/2023

30th DOWNEAST RALLY

LOCATION: Poland, ME

CONTACT: Cedric Harkins (207) 415-5907 rally@bmwrsm.org

9 5/19/2023 – 5/21/2023

GREAT RIVER ROAD RALLY (GR3)

LOCATION: Soldier’s Grove, WI

CONTACT: Sam Garst (414) 704-7767 rally@madisonbmwclub.org

JUNE

10 6/1/2023 – 6/4/2023

LAND OF OZ RALLY

LOCATION: Paola, KS

CONTACT: Bruce Weber (913) 620-4529 moa_84843@yahoo.com

For complete details on any event listed, please visit bmwmoa.org and click on

Map courtesy of

Email your event information to editor@bmwmoa.org
the Rallies & Events tab
14 11 15 16 17 19 20 18 21 22 1 6 4 7 2 3 5 8 13 9 10 Spain 12 BMW OWNERS NEWS | February 2023 92

11 6/2/2023 – 6/4/2023

46TH HIAWATHA RALLY LOCATION: Houston, MN

CONTACT: Mike Murdaugh murdaughm@gmail.com

12 6/8/2023 – 6/11/2023

50TH ANNUAL BMW MOA

NATIONAL RALLY LOCATION: Doswell, VA

CONTACT: Ray Tubbs (864) 438-0962 ray@bmwmoa.org

13 6/23/2023 – 6/25/2023

MOTOMO RALLY 2023

LOCATION: Crane, MO

CONTACT: Steve Kronberger (801) 597-1678 kronie12@gmail.com

JULY

14 7/7/2023 – 7/9/2023

OVERLAND EXPO PNW

LOCATION: Richmond, OR

CONTACT: BMW MOA (864) 438-0962 membership@bmwmoa.org

15 7/20/2023 – 7/23/2023

TOP O’ THE ROCKIES RALLY LOCATION: Paonia, CO

CONTACT: Norm Wright torrallymaster@bmwmcc.co 303-478-8203

AUGUST

16 8/25/2023 – 8/27/2023

OVERLAND EXPO MTN WEST LOCATION: Loveland, CO

CONTACT: BMW MOA (864) 438-0962 membership@bmwmoa.org

SEPTEMIBER

17 9/8/2023 – 9/10/2023

52ND ANNUAL WISCONSIN DELLS RALLY

LOCATION: Wisconsin Dells, WI

CONTACT: Robert Preuss barnrazer@yahoo.com (262) 391-0550

18 9/8/2023 – 9/10/2023

KENTUCKY STATE BMW RALLY LOCATION: Pineville, KY

CONTACT: Fred Bramblett 859-653-9585 prorepoms@aol.com

Order your subscription at www.roadrunner.travel RoadRUNNER COMPARISON: YAMAHA TÉNÉRÉ 700 vs KTM 990 ADVENTURE DEC’21 HOLIDAY BUYERS GUIDE • FREE TANKBAG MAPS www.roadrunner.travel TOURINGMOTORCYCLE & TRAVEL SHAMROCK TOUR WINSTON-SALEM, NORTH CAROLINA NEVADA NEW ZEALAND DECEMBER 2021 HOMETOWN RIDING North Carolina Shamrock Tour® NEVADA Black Rock Desert Glaciers Rainforeststo NEW ZEALAND BMW R18B AND R18 TRANSCONTINENTAL Subscribe Today! The Only Magazine for Motorcycle Traveling! RiderMagazine.com RiderMagazine.com HONDACRF450RLHITSTHEDUNES GLORYHONDACBR1000RR-RFIREBLADESPTESTED WESTBOUNDDAYS:KAWASAKIEDDIELAWSONREPLICA &DOWNONABMWK1600B Subscribe 1-year digital subscription 1-year print subscription (Includes a digital subscription) $4.99 $24.97 ridermagazine.com/subscribe customerservice@epgmediallc.com For the Touring, Sport and Adventure Touring Enthusiast February 2023 | BMW OWNERS NEWS 93

THERIDE INSIDE

The Ride Inside with Mark Barnes

WHEN AND WHERE

19 9/21/2023 – 9/24/2023

2023 PURE STODGE IOWA RALLY

LOCATION: Elkader, IA

CONTACT: Mark and Teresa Mumaw

pstarally@gmail.com (319) 213-5389

20 9/22/2023 – 9/24/2023

36TH ANNUAL HOOSIER BEEMER RALLY

LOCATION: North Vernon, IN

CONTACT: Andy Fountain (812) 498-2031 k12lts@gmail.com

octoiber

21 10/6/2023 – 10/8/2023

OVERLAND EXPO EAST

LOCATION: Arrington, VA

CONTACT: BMW MOA (864) 438-0962 membership@bmwmoa.org

22 10/8/2023 – 10/22/2023

BMW MOA & IMTBIKE

bmwownersnews.com

CELEBRATION TOUR OF SPAIN

LOCATION: Madrid, Spain

CONTACT: Scott Moreno 412 468-2453 tours@imtbike.com

Hill Country Hangout 2023

April 14-16, 2023 Kerrville, Texas Kerrville-Schreiner Park in Kerrville, TX

• The rally camping will be in the Fawn Hide-a-Way loop

• Dining hall and mini-cabins in the Midway Mini-Cabin loop

• Rally fee of $40 includes 2 nights tent camping, Friday and Saturday night dinner, and door prizes and awards.

• Poker run is an additional $5 entry fee

• You will be situated in some of the best riding in Central Texas, - minutes from Hwy 16 and the Three Sisters.

To register, visit www.sabmwra.org

Advanced online registration of $40 ends March 25th. Registration after that time is onsite only - $50 at the gate, cash or check only.

For questions email Mike Makowski makowski.michael@gmail.com

500 REASONS TO JOIN THE MOA

In the market for a new BMW motorcycle? BMW MOA members are now included in the BMW Motorrad Appreciation Program that gives members up to $500 off the purchase of a new BMW motorcycle. You must be a member for a year to qualify, so don’t wait any longer to join! Membership options start at just $49 per year and include a saddlebag full of benefits including the new motorcycle purchase discount.

Get

Brought to you by BMW MOA Foundation MOA’s newest podcast features Mark’s insights into the mental, emotional and social aspects of motorcycling.
started today by joining online at bmwmoa.org or call (864) 438-0962.
BMW OWNERS NEWS | February 2023 94

BMW OWNERS NEWS STAFF

Bill Wiegand, Managing Editor bill@bmwmoa.org

Karin Halker, Art Director karin@bmwmoa.org

Wes Fleming, Digital Media Editor wes@bmwmoa.org

Ron Davis, Associate Editor ron.davis@bmwmoa.org

Jose Abiles, Associate Editor iridertp@gmail.com

Chris Hughes, Director of Advertising chris@bmwmoa.org 509-921-2713 (p) 509-921-2713 (f)

Advertising materials, including chartered club rally display advertising, should be sent to our Advertising Office. Please contact Chris Hughes for display rates, sizes and terms.

Submissions should be sent to the BMW MOA office or editor@bmwmoa.org. Submissions accepted only from current members of the BMW MOA and assume granting of first serial publication rights within and on the BMW MOA website and use in any future compendium of articles. No payments will be made and submissions will not be returned. The BMW MOA reserves the right to refuse, edit or modify submissions.

Opinions and positions stated in materials/articles herein are those of the authors and not by the fact of publication necessarily those of BMW MOA; publication of advertising material is not an endorsement by BMW MOA of the advertised product or service. The material is presented as information for the reader. BMW MOA does not perform independent research on submitted articles or advertising.

JOINING AND RENEWING

Membership in the BMW Motorcycle Owners of America is open to all riders, regardless of brand affiliation. Although we are united by the BMW marque, adventure-minded motorcyclists will find a home here.

Join today by visiting bmwmoa.org or call one of our friendly membership associates at 864-438-0962.

Primary Annual memberships are available in one year, two year or monthly options. Additional membership options include Primary Membership with Basic 25/100 Roadside Assistance, Primary Membership with Platinum Roadside Assistance, Digital Membership with Basic 25/100 Roadside Assistance, Digital Membership with Platinum Roadside Assistance. We also offer Roadside Assistance without an MOA Membership.

For a complete listing of membership options, please visit bmwmoa.org or call 864-438-0962.

Change of address notification and membership inquiries should be made by calling the BMW MOA office or via email at: membership@bmwmoa.org. BMW MOA membership is $49/year and includes the BMW Owners News, which is not available separately. Canadian members add $16 for postal surcharge.

ADVERTISING INDEX

BMW ON (ISSN:1080-5729) (USPS: 735-590) (BMW Owners News) is published monthly by BMW Motorcycle Owners of America Inc., 2350 Hwy 101 South, Greer, SC 29651. Periodicals postage paid at Pewaukee, Wisconsin and additional mailing offices. Opinions and positions stated in materials/articles herein are those of the authors and not by the fact of publication necessarily those of BMW MOA; publication of advertising material is not an endorsement by BMW MOA of the advertised product or service. The material is presented as information for the reader. sBMW MOA does not perform independent research on submitted articles or advertising.

POSTMASTER: SEND ADDRESS CHANGES TO BMW ON, 2350 Hwy 101 South, Greer, SC 29651 © 2020 by BMW Motorcycle Owners of America Inc. All information furnished herein is provided by and for the members of BMW Motorcycle Owners of America, Inc. Unless otherwise stated, none of the information (including technical material) printed herein necessarily bears endorsement or approval by BMW MOA, BMW NA, the factory or the editors. The editors and publisher cannot be held liable for its accuracy. Printed in the USA. Volume 53, Number 2

2PerfectWheels LLC.............................. 23 Adaptive Technologies ....................... 23 Admore Ligting 5 Adriatic Moto Tours .............................. 35 Adventure New Zealand Tours ........ 23 AeroFlow 35 Aerostich-Rider WearHouse .............. 31 Alaska Leather ........................................ 25 Beemer Boneyard 31 Beemer Shop, The ................................. 37 Best Rest Products/Cycle Pump ...... 82 Bing 75 Black Box Embedded ........................... 23 Boxer Works Service ............................. 23 Capital Cycle 23 Colorado Tourbike Rentals ................ 31 Euro Moto Electrics .............................. 31 Full Gear Female 23 Geza Gear 82 Helmet Sun Blocker .............................. 75 HEX ezCAN 77 Hill Country Hangout Rally 94 Ilium Works .............................................. 88 IMTBike Tours 25 Kermit Chair Company 31 Knopf Tours ............................................. 77 M4Moto ............................................. 25, 77 MachineartMoto ................................... 77 Max BMW 1 MOA 50 Years ........................................ IBC MOA Gear Store .......................................... MOA Platinum Roadside Assist 79 Morton’s BMW ........................................ 73 Moto Bike Jack ....................................... 83 Moto Bins 75 Motonation .............................................BC Motorcycle Relief Project ................... 11 Mountain Master Truck Equip 35, 83 Overseas Speedometer ...................... 77 Progressive Insurance ........................ IFC Redverz 37 Re-Psycle BMW Parts 77 Rider Magazine....................................... 93 Roadrunner Magazine 93 Ron Davis - Rubber Side Down 75 Russel Cycle Products .......................... 25 Sargent Cycle Products 88 Street Skills 25 Suburban Machinery ........................... 82 Vanson Leathers 35 Weiser Technik 40, 41 Zetechnik (National Cycle) ...................5
February 2023 | BMW OWNERS NEWS 95

Which Way is Up?

A gravity defying mural found in Tucumcari, New Mexico, while on my way to Las Vegas, New Mexico, from Lubbock, Texas.

TAILIGHT
Photo by Michael Brown #45061.

I joined to be a member of a great team who rides the same BMW brand like me. I want to be able to share my thoughts about the bike with other BMW owners. I would love to learn from them every time we meet or talk. My R18 TC is best bike I have ever owned; it’s a beast and looks amazing. Im getting attention anywhere I go and people can’t believe its a BMW. It has definitely made me happy. This cold weather now is my favorite time to ride for a long time. It puts a smile on my face.”

Do you know someone who would like to join?

Scan the code and give them their first year of membership free. Enter the activation code 50YRSON.

* First year free membership offer available to new MOA members only.

– Wesam Mahmoud #231501
$279.99 motonation.com ® motonation @motonation_usa PROBUT X-FACTOR JEANS

Turn static files into dynamic content formats.

Create a flipbook
Issuu converts static files into: digital portfolios, online yearbooks, online catalogs, digital photo albums and more. Sign up and create your flipbook.