225 Magazine [January 2026]

Page 1


PEOPLE TO WATCH

ON THE COURT AND ON THE MIC, FLAU’JAE JOHNSON IS TAKING HER GAME TO NEW HEIGHTS

YOUR VISION OF RE TIREME N T

Is unique, and your financial advice should be too. Palmer Wealth Advisors, a private wealth advisory practice of Ameriprise Financial Services, LLC, has the qualifications and knowledge to help you grow and preserve your wealth. Whether it’s investment management, tax planning strategies or legacy planning, we’ll work with you to find the right financial solutions for your individual needs. And we’re backed by the strength and stability of one of America’s longstanding leaders in financial planning and advice.

Geaux for Greatness

Hot Shot

FROM BASKETBALL matchups to sessions in the recording studio, LSU senior Flau’jae Johnson balances a bit of a double life as a star athlete and talented rapper. 225 contributing writer Jeffrey Roedel caught up with the Lady Tiger during a break in her busy schedule to chat about how she balances her sport with her music. Turn to page 24 to read more about how Johnson is taking her career—on and off the court—to new heights this year. Photo by Trebreh Baaheth.

The Saint’s Veal Creole

Hoop dreams

MY GRANDMOTHER Louise was only 5 feet tall, but she was a force to be reckoned with on the basketball court—even in her 60s, when she won silver and bronze medals in the Louisiana Senior Olympics’ one-on-one competitions and another bronze for sinking free throws. She proudly displayed all of her medals—including others for track and field— in her home, where I couldn’t help but admire them (and maybe try on one or two) when we visited.

Raising nine children never slowed Louise down. She was full of energy and had a million hobbies, from writing poetry and tending her flower gardens to stitching quilts and playing bingo. She regularly submitted items to the newspaper’s humor column, and her red beans and rice won a parish-wide cookoff. And her passion for basketball was passed down to her daughter—my mom, who was on her high school’s team back when girls still played the game six on six in a half-court format—and then on to me and many of her other grandchildren.

Louise’s lifelong love of the game was one of my earliest lessons in all the things basketball can represent: A combination of hard work and pure joy. Quick thinking and endurance. Strategy and adaptability. Basketball and bingo and black-eyed Susans were all a part of her identity. She taught my generation that the possibilities were unlimited.

Though she never saw Flau’jae Johnson

play, my grandmother would have certainly admired her—not just for her on-court talent but for her own refusal to be defined by one single thing. Flau’jae is a force in her own right, whether with her music or her many business interests, and definitely with her basketball. Her decision to stay for her senior year to help the LSU women’s basketball team try for another national championship defied all expectations of today’s college athletes.

Home court advantage

Strategy and adaptability, indeed!

Besides exploring the life of this star in the realms of sport, music and NIL, this issue’s cover story digs even deeper into the local collegiate basketball scene, with a profile of Bob Starkey—LSU women’s associate head coach and one of the keys to the team’s success—and a look at the Baton Rouge Community College men’s team that’s been quietly racking up conference championships. We also preview the prospects of the LSU and Southern University men’s and women’s teams as they kick off their own conference play.

Like the LeBron James documentary said, basketball really is more than a game. For women like Louise and Flau’jae, it’s a thread that connects generations. While my grandmother was literally tossing up granny shots from the free throw line, today’s players are pushing the game in directions she couldn’t have imagined. They’re taking the ball and running with it, and we’re cheering them on all the way down the court.

Happy New Year and here’s to hoops!

IF YOU DON’T KNOW an airball from an alley-oop and you think traveling only happens in cars, never fear! This issue has much more to offer, including two new departments to kick off 2026. Our new Thrive section focuses on the pursuit of balance and health for mind, body and spirit; over the coming months, it will include articles on topics ranging from health and wellness trends to advice on parenting and families, fitness and nutrition, and mental health. And our new Home department is where we’re spotlighting stylish interiors and outdoor upgrades, with real-life projects and practical ideas for refreshing living spaces. This issue’s Home story focuses on the Woodstone neighborhood home of Emily Viguerie (shown here) and her husband Russ, which is filled with charming classical touches—as well as the aroma of fresh-baked sourdough, thanks to Emily’s knack for kneading dough. Find that story starting on pg. 36.

JORDAN HEFLER

This Month @ BREC [JANUARY]

WINTER ADULT LEAGUE

REGISTRATION OPENS

Basketball + Flag Football + Kickball + Softball + Volleyball

Various Locations

Jan. 1-31

KREWE DE ZOO

BREC’s Baton Rouge Zoo

Jan. 2-31 | 9:30 a.m.-4 p.m.

STORYTIME Jefferson Hwy. Park

Jan. 7 | 10 a.m.-noon

ZOO + ME MORNINGS:

WARM + FUZZY

BREC’s Baton Rouge Zoo

Jan. 10 | 9:30-11:30 a.m.

ADULT ASTRONOMY COURSES

Highland Road Park Observatory

Jan. 10 + 24 | 3:30-7:30 p.m.

HOMESCHOOL CONNECTION

Jefferson Hwy. Park

Jan. 14 | 10 a.m.-noon

BLUEPRINT FOR CHANGE [TEENS]

Independence Park Event Center

Jan. 15 | 5-6:30 p.m.

SWAMP ART SOIREE

Bluebonnet Swamp Nature Center Jan. 15 | 5-7 p.m.

SUNSHINE SOCIALS: ALL MIXED UP

Milton J. Womack Park Ballroom

Jan. 16 | 6-9 p.m.

LIGHT UP THE NIGHT FEST

Highland Road Community Park Jan. 17 | 5-9 p.m.

Zachary Community Park Jan. 31 | 5-9 p.m.

BREC.ORg/thismonth

REGISTER FOR NEW PROGRAMS + CLASSES!

BREC.ORg/calendar

BOOK DAYS

Baringer Road Art Center

Jan. 17 | 10:30 a.m.-noon

Milton J. Womack Park Art Studio Jan. 18 | 3-4:30 p.m.

TIRE STACK ATTACK

Monte Sano Park

Jan. 24 | 9 a.m.-noon

STE(A)M BRIDGE BUILDING

Baringer Road Art Center

Jan. 31 | 10:30 a.m.-noon

GEAUX SEE ART

Publisher: Julio Melara

EDITORIAL

Editor-In-Chief: Kelli Bozeman

Managing Editor: Olivia Deffes

Features Writer: Maggie Heyn Richardson

Digital Staff Writer: Catherine Clement

Digital Content Strategist: John McElwain

Staff Photographer: Collin Richie

Contributing Writers: Mark Clements, Tracey Koch, Benjamin Leger, Laura Furr Mericas, Jeffrey Roedel, Olivia Tees

Contributing Photographers: Trebreh Baaheth, Jordan Hefler, Amy Shutt, Avery White

ADVERTISING

Vice President, Sales: Elizabeth McCollister Hebert

Sales Operations Manager: Kynley Lemoine

Sales Director: André Hellickson Savoie

Multimedia Marketing Consultants: Abbie Bayham, Claire Hader, Jamie Hernandez, Ella Shipp

Sales Intern: Reagan Karczewski

Digital Operations Manager: Devyn MacDonald

Partner Success Manager: Matt Wambles

Content Creator: Londyn White

Digital Ops Coordinator: Sydney DeVille

Corporate Communications Strategist: Mark Lorando

Content Strategist: Emily Hebert

STUDIO E

Managing & Creative Director: Timothy Coles

Business Development Manager: Manny Fajardo

Custom Content Editor: Lisa Tramontana

Video Lead: Taylor Stoma

Production Coordinator: Angelle Theriot

ADMINISTRATION

Chief Technology Officer: James Hume

Marketing Director: Ashleigh Ward

Business Manager: Tiffany Durocher

Business Associate: Kirsten Milano

Office Coordinator: Donna Curry

Receptionist: Cathy Varnado Brown

CREATIVE SERVICES

Creative Services Manager: Ellie Gray

Art Director: Hoa Vu

Senior Graphic Designers: Melinda Gonzalez Galjour, Sidney Rosso

Graphic Designer: Aniya Dunn

AUDIENCE DEVELOPMENT

Circulation and Client Experience Manager: Ivana Oubre

A publication of Melara Enterprises, LLC

Chairman: Julio Melara

Executive Assistant: Brooke Motto

Vice President-Sales: Elizabeth McCollister Hebert

Chief Content Officer: Penny Font

Chief Digital Officer: Erin Pou

Chief Operating Officer: Guy Barone

Circulation/Reprints

225.928.1700 • email: circulation@225batonrouge.com 9029 Jefferson Highway, Suite 300, Baton Rouge, LA 70809 225-214-5225 • FAX 225-926-1329 • 225batonrouge.com

Earamichia Brown, Force of Nature, 2024. Mixed media textiles. Courtesy of the artist and SAQA; Marc Chagall, Midday in Summer, 1961. Color lithograph on Arches wove paper. Collection of the Park West Museum.
Daphnis and Chloe and Other Lovers: Lithographs by Marc Chagall is presented by the Park West Foundation and supported by a grant from the Pennington Family Foundation.

An unforgettable morning with two world-class speakers who prove innovation and resilience are the ultimate leadership edge.

YOU’RE WIRED FOR THIS: Leading with strength through constant change.

NINA SOSSAMON-POGUE

Tech Executive, Author, Emmy Winning News Anchor

THE INNOVATION MINDSET: How leaders ignite teams with big, bold ideas.

KYLE SCHEELE

Author, Speaker, Champion of Crazy Ideas

Wednesday, Feb. 11 • 8 - 10:45 a.m. • HPC Arena

19202 Highland Road • Tickets: $75

SCAN HERE FOR TICKETS OR MORE INFORMATION

SPONSORED BY

TOP STORIES

November 2025’s most-read articles at 225batonrouge.com

CONNECT WITH US

Feast at these local restaurants open on Thanksgiving Day Meet the mastermind behind Baton Rouge’s viral cash giveaway account A guide to White Light Night, with hundreds of vendors and several local businesses open late this Friday

Readers’ notes

Re: Our inside look feature on Stir Coffee House, a new coffee shop with a purpose:

“It’s so good! The staff, the vibes, the coffee, all 10/10!!”

—@amy_ellis1029

“Love this!! I will be patronizing this place! ”

—Tonya Aiken on Facebook

Re: Our piece on the Capital Region’s need for positivity and perspective from our anniversary issue:

“Attitude IS everything! There’s a lot to love about Baton Rouge!”

—@lauracating

“BTR is awesome. So many good attributes. Longtime locals sound odd asking why someone would live here. ”

—@kidslung_doc

Comments and analytics are from Nov. 1-30, 2025. They have been lightly edited for clarity and brevity.

And the nominees are… Baton Rouge, it’s that time again. We’re kicking off the new year by prepping for our highly anticipated annual Best of 225 issue in July. First things first: we need to hear who you think deserves a coveted spot on this year’s ballot. Think you know who serves up the best burger in Baton Rouge? Or want to get your fave live music venue in the running? Tell us by submitting your picks. Nominations are open Jan. 2 through Jan. 31. Scan the QR code below to get started. And, as always, happy nominating!

facebook.com/225magazine x.com/225batonrouge instagram.com/225batonrouge

youtube.com/225magazine tiktok.com/@225magazine

COLLIN
RICHIE

At Woman’s, our breast cancer surgery team—Dr. Cecilia Cuntz, Dr. Lindsey Fauveau, and Dr. Jamie Patterson—bring together exceptional skill and heartfelt compassion. We o er the most advanced technology in screening, surgical treatment, and reconstruction, paired with the understanding and support every woman deserves.

For more than 55 years, we’ve been by your side. And when everything changes, we’re the team you can count on to help you move forward — with con dence, strength, and care you trust.

The next chapter in your life story starts with us. womans.org/rewriteyourstory

Breast Specialists

Lucretia, age 44, Breast Patient

What ,s up January

LAST SPRING, Brusly High School biology teacher Elizabeth Bankhead was looking around for a creative side hustle when she came across the sticker machine trend. Retro sticker and temporary tattoo machines were being used to deploy tiny works of art at weddings, events and stationary locations. Enthusiastic users could quickly retrieve charming keepsake images for just a little loose change.

“I thought it was a super cute idea,” says Bankhead, 27. “I thought it would be a great way to make some extra money and spread a little bit of art around the community.”

Tiny prints

Tiny prints

Local art vending business Parchment Studio proves good things come in small packages

just a few quarters.

The trend has precedent in the Red Stick. A similar phenomenon landed in 2013 with the addition of an Art-o-Mat at Baton Rouge Gallery, a decommissioned cigarette vending machine retooled by a North Carolina artist to hold small box-shaped works created by artists from around the country. BRG installed a second Art-o-Mat at the Baton Rouge Metro Airport in 2013. There are more than 200 such machines nationwide.

For her project, Bankhead searched for original vending machines to retrofit, but she came up short. She opted instead for three reproduction models, which she began filling with 2 x 3-inch block prints. Her linocut images, inspired by Louisiana flora, fauna and foodways, have included an alligator, a can of Blue Runner beans, a bottle of Louisiana Hot Sauce, a crawfish and other whimsically rendered regional imagery. She named her new business Parchment Studio.

“It’s just really fun for people to have something to keep and display,” she says. “You can keep them in your car or on your fridge. It’s a cool thing to have.”

Two of Bankhead’s machines are set up at Light House Coffee in Baton Rouge, her favorite place to study while at LSU, and at the venerable Court of Two Sisters in New Orleans. The French Quarter restaurant’s media team reached out to Bankhead after spotting her project on TikTok, she says.

Bankhead reserves one machine for popups, events and weddings. For these, she can further customize the mini artworks to suit a bride and groom or occasion.

Each machine can hold up to 450 pieces, so Bankhead quickly adapted a digital system to reproduce her designs. For Bankhead, inspiration is never far, and she’s constantly adding to her mini art gallery of prints.

Keeping the machines full can be a challenge, she says, adding that she’s had to recruit her mom, sister and brother to pitch in. But it’s been satisfying for the artist—just as it’s satisfying to slide a few quarters into a machine in exchange for something small and beautiful.

“It’s been a real passion project for me,” Bankhead says. “And it’s just a great fit for our rich Louisiana culture.”

BY MAGGIE HEYN RICHARDSON // PHOTOS BY COLLIN RICHIE
Elizabeth Bankhead's Parchment Studio art vending machines spit out 2 x 3-inch art prints for

Subscribe to inRegister@Home, our twice weekly newsletter delivered every Tuesday and Thursday straight to your inbox. Access the latest in home design, cuisine, weddings, community happenings and more!

Keep up with inRegister on social media.

Q @inregister E InRegister Magazine

WHAT’S NEW

All fun

games

Compiled by Catherine Clement

A LOCATION CHANGE brings new life to locally owned toy store The Modern Munchkin Co. Moving down the road from its original digs in Electric Depot to the previous home of Victoria’s Toy Station on Government Street tripled the size of Whitney Tiemann’s business. Tiemann’s belief that the 100-year-old property should remain a toy store led her to purchase the building. Her focus is on selling modern versions of timeless childhood toys that encourage learning with the child’s brain, body and senses. Inside, customers will find displays of motorized cars racing on magnetic tracks, along with books, bath toys, stuffies and more. Other rooms will be dedicated to open play, workshops and events. modernmunchkin.co

Jackpot!

Bally’s Baton Rouge Casino and Hotel is now open downtown. The historic building that once housed Catfish Town and The Belle of Baton Rouge underwent a $140 million renovation and now offers an open casino floor, dining depot and luxury hotel rooms. casinos.ballys.com/baton-rouge

A slice of NYC in BR

New York pizza chain Prince St. Pizza is set to open its first Louisiana location on Siegen Lane this year in the old Blaze Pizza. The brand is known for its thick-crust Sicilian-style pizza. The restaurant will use a special filtration system to mirror the Big Apple’s tap water for an authentic flavor. princestreetpizza.com

Pamper your pooch

Parish Pets, a pet store committed to providing natural food and supplies to the fur babies of the Capital Region, has settled into its new location at 4414 Government St. The fresh spot features pet murals splashed on its exterior and plenty of treats for sale inside. parishpetsbr.com

Leading care to keep you moving

At the Ochsner Andrews Orthopedics and Sports Medicine Institute, every decision we make is focused on helping our patients move forward. From the latest technology to the depth of our expertise, our team brings elite care, cutting-edge research and advanced training to the communities we serve. Your recovery, goals and quality of life drive everything we do—and we move forward with you, every step of the way.

Learn more or schedule an appointment at ochsner.org/BRortho.

Around 225

PEOPLE

WATCH to

225 presents our annual roundup of notable names expected to make headlines in the Capital Region and beyond in 2026

BRENNA HUCKABY

Paralympian snowboarder

Though she’s from the balmy, humid Baton Rouge climate, Brenna Huckaby now spends her time on the slopes training for and competing in the Paralympic Winter Games. This March, she’s headed to Milan in hopes of adding some new medals to her collection of three golds and one bronze. Hitting the snow is now the norm for this Paralympian, but Huckaby started her sports career in the Capital Region as a competitive gymnast. After experiencing persistent leg pain, Huckaby was diagnosed with osteosarcoma, leading to the amputation of her leg at age 14. She tried out snowboarding during a rehabilitation trip in Utah, and the rest is history. Since becoming a para athlete, Huckaby has become a strong advocate for the disability community. She’s a cofounder of Culxtured, a media collective that amplifies the stories of para athletes. In 2026, she says she’s most looking forward to taking part in the games in Milan, having her family there while she competes, and sipping on all the free, unlimited Powerade that competing athletes can get. (Just like her hair, “purple” or grape is her favorite flavor.) She’s also an athlete ambassador for Ralph Lauren and helped to unveil the brand’s new Team USA opening and closing ceremony uniforms for the Milano Cortina Games.

“It’s truly an honor to be able to represent Team USA on a stage like this, because we get to showcase the different aspects of what it means to be an American. I think that looks different for everyone.”

Last November, the LSU Board of Supervisors named Wade Rousse its 29th system president, marking not just a new leader, but the system’s return to its former organizational structure separating the president’s role from that of the chancellor. Rousse is drawing on his background in business and finance to give the flagship system a bright future. Most recently, he served as president of McNeese State University in Lake Charles, where he steered a major enrollment turnaround that was credited in part to performance metrics across all departments to meet a common goal. A first-generation college graduate, Rousse earned an undergraduate degree from Nicholls State University, then worked in the marine transportation business. He later earned a Ph.D. in economics from the University of Illinois at Chicago, eventually serving as an associate dean at Northern Arizona University.

“LSU is more than a university—it’s a promise to the people of Louisiana. It’s where education, research and innovation come together to strengthen our communities and our economy. I’m honored to serve and eager to build on LSU’s strong foundation to make an even greater impact on our state and beyond.”

LANE KIFFIN LSU football head coach WADE ROUSSE LSU

MARSHALL FAULK

Southern University football head coach

Just like LSU, Southern was also in the market for a new football coach after the mid-season firing of Terrence Graves. The Jags’ replacement is none other than Marshall Faulk, Pro Football Hall of Famer. He heads back to his home state of Louisiana for his new role at the HBCU after a season coaching Colorado’s running backs. Faulk will serve as the university’s 22nd head coach, and it seems like the football great is excited to be back in the Boot with this career move. With his own decorated run in college and in the NFL, it’s fair to say Faulk will bring something fresh to the university, which saw a 2-10 football season in 2025.

“For me, to have my first head coaching job in this state that gave me everything and provided everything for me, it means the world to me to be here. I could not have it be any other way. It might be a different rendition, but these colors have been good to me. I feel comfortable wearing [blue and gold]. I feel something great is upon us.”

Back in late November, it seemed like the name on everyone’s lips was Lane Kiffin. The former Ole Miss head coach sent LSU fans into a frenzy after private jetting from Oxford to Baton Rouge. Could Kiffin be vying for that position left empty after Brian Kelly’s dramatic departure? The answer proved to be a resounding “yes,” with the coach accepting LSU’s multi-million-dollar offer. The confirmation was celebrated by diehard Tiger fans, but we can’t say the same for Ole Miss fans. Nevertheless, Kiffin’s new role as LSU’s head coach seems promising. And with his personality, charisma and not-so-serious appearances in his kids’ TikToks, it’s hard not to like this guy, especially when he’s heading your home team. Sorry, Rebels, but it’s officially geaux time for the Lane Train. Here’s hoping for a few more wins next season, and maybe even another natty to add to the collection soon.

“Then you go by Tiger Stadium, and it’s lit up. You’re like, ‘I absolutely made the right decision.’”

J. HOVER

Managing Director, Live After Five

J. Hover is really hitting his groove in the local music scene. Last year, he became managing director of downtown’s free concert series Live After Five. He also organizes the Federales Fest, an annual concert and food event celebrating country and Americana sounds, and he helps to promote the Baton Rouge Blues Festival. In addition, he is the founder of Be Positive, a nonprofit that aims to inspire and train Louisiana creatives. With recent city budget cuts, he intends to seek out sponsorships and donors to support the lively music scene. In 2026 and beyond, he hopes to see more musicians find a spot in Baton Rouge.

“[There’s] just a wealth of local talent here that needs to be supported and needs to be heard. … Go out, find the music and support the clubs and the bands that are out there working night and day to make it happen.”

Trust isn’t given. It’s earned. Just like athletes on the court, our doctors earn it every day through commitment, precision and passion. Whether you’re pushing limits or recovering from them, you can trust the team that understands both.

From championship athletes to everyday champions, FMOL Health | Our Lady of the Lake is where trusted care begins.

LEARN MORE
Matthew P. Bumgardner, MD Sports Medicine
Flau’Jae Johnson LSU, Guard

ELIZABETH PFIFER

President and CEO, Greater Baton Rouge Food Bank

Elizabeth Pfifer stepped into the top role at the Greater Baton Rouge Food Bank in November 2025 after a career including work with Catholic Relief Services in Cambodia and Laos, where she supported a USDA-funded school feeding program and helped develop school and community gardens to further provide nutritious options. Pfifer says she’s grateful to have a “generous and supportive” community for the food bank, and she hopes to strengthen community relationships and work closely with partner agencies in the year ahead.

“I’ve learned to be creative and innovative to ensure every dollar goes farther while keeping the needs of those we serve at the center of every decision. … My hope is to bring that same mindset to our work here.”

ALFRED E. HARRELL III

CEO, Southern Foundation

Southern University alumnus Alfred Harrell has worked with a team of staff, volunteers and trustees for over a decade to give back to his alma mater. In that time, he's seen a “significant increase of 210% in the [Southern] Foundation’s net assets,” which benefitted students and faculty and led to strategic investments in university and community initiatives. The foundation is also working on the Imagine Southern campaign, which will enhance all five of Southern's campuses with new buildings and programs for increased enrollment and a better student experience. The campaign, which should conclude in 2030, will need $750 million to complete, with $360 million already amassed.

“In 2026, we have two key project and campaign milestones to achieve. First, we will begin construction on a $78 million on-campus 850-bed student residence hall. Second, we aim to reach the 60% benchmark in our $750 million Imagine Southern campaign.”

TONY ZANDERS

CEO, Nexus

Named CEO of Nexus Louisiana in 2025, Tony Zanders brings practical experience and a visionary perspective to the state’s tech incubator. As founder of the 2018 startup Skilltype, a software company that develops tools for librarians, Zanders attracted $4 million in venture capital, sparking expansion to global markets. At Nexus, he’s pumping new energy into a 33-year-old organization, sharpening its focus on supporting entrepreneurs while preaching that beefing up the tech sector is about pushing innovation across the board and shifting the way we think about recruiting talent.

“We can’t import our way out of the problem. I think we have to collectively update our mental model for workforce development.”

ALAN WALTER Mixologist and owner, Sprezzatura

“I put a lot of love into it each week. And people can tell that. What I like, and what I’m seeing on the other side of the bar, is a melting pot in the best kind of way.”

Alan Walter moves with deft purpose, combining homemade mixers, boutique spirits and unexpected ingredients until a balanced cocktail hits the glass. The nomadic mixologist and 2025 James Beard Award Semifinalist has garnered a cult following for his beverage alchemy, a talent that earned him the nickname “Spirit Handler” during several years at the International House Hotel in New Orleans. Walter relocated to Baton Rouge in 2021, where he’s been warmly received by gastronomes eager for limited-edition culinary experiences. After working for City Group Hospitality and helming its Mid City speakeasy The Brakes Bar, Walter struck out on his own last year, launching the small events cocktail catering business Sprezzatura and hosting weekly events at BinQ Liquor. Walter commands the vibe, enveloping the shop's bar space with soft lights, personal playlists and curated ephemera.

COLLIN RICHIE

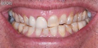
TRANSFORM YOUR SMILE

-Scott A My dental experience with Dr. Ventress and his Team is always the absolute BEST, from when I walk in until I walk out. I am always treated with courtesy and extreme professionalism. 5 stars aren’t enough to rate Dr. V and his Team!

Nothing but NET

GRAB A COURTSIDE SEAT AND TAKE A CLOSER LOOK AT THE PLAYERS, COACHES AND PROGRAMS SHAPING THE NEXT ERA OF BASKETBALL IN BATON ROUGE

THE LIST OF basketball legends who have graced the hardwood in Baton Rouge is long. At LSU, Bob Pettit and Pete Maravich made magic in the Cow Palace decades before Shaquille O’Neal shattered backboards and Mahmoud Abdul-Rauf drained three-pointers in the PMAC. The Lady Tigers stacked up plenty of their own star players, from Seimone Augustus to Sylvia Fowles and Angel Reese. And on the Bluff, dominant players like Bob Love, Bobby Phills and Avery Johnson led the Southern University Jaguars to success before excelling in the NBA.

But this is a list still being written. As the local teams launch into conference play this month, we’re previewing their prospects in the regular season and on into March Madness. We’re also pausing to dig deeper into what drives some of this era’s brightest stars, from LSU women’s basketball guard Flau’jae Johnson to associate head coach Bob Starkey and finally to the Baton Rouge Community College Bears, who are riding high on the heels of back-to-back conference championships of their own.

For a place with such a legacy of success on the court, perhaps the words of Shaq himself explain it best: “Excellence is not a single act, but a habit. You are what you repeatedly do.”

LSU associate head coach Bob Starkey and All-American guard Flau’jae Johnson

SHOT

SHOT

HEN FLAU’JAE JOHNSON recalls the game clock ticking down in Dallas on April 2, 2023, she doesn’t think about ending her freshman campaign racking up hustle stats and the most playing time of any Tiger—spending only 3 minutes on the bench—or LSU routing Iowa with a record-breaking 102-85 victory and first basketball national title. She doesn’t think about Caitlin Clark and Jasmine Carson’s pulse-raising three-point shootout, or Angel Reese’s “you can’t see me,” or even sprinting to lift Coach Kim Mulkey, and all her shimmering tiger stripes, up in her arms.

With a peak of 12.6 million TV viewers, it was the most watched women’s college basketball game in history, but when Johnson thinks about that moment, her mind is sharply focused, pivoting like a scoring spin-move at the hoop, straight to the next opportunity.

“Now—this time?” the 22-year-old, nearly 20 points-per-game scorer says. “Winning a championship would be on a spiritual level.”

From flashy freshman to multi-millionaire

ON THE COURT AND ON THE MIC, FLAU’JAE JOHNSON IS TAKING HER GAME TO NEW HEIGHTS

NIL star, rising hip-hop artist, investment-savvy entrepreneur, and—surprise— returning senior, the three years since that stunning title run have been nothing short of epic for the All-American shooting guard.

And she’s ready for anything that may come next.

“[The 2023 championship] felt amazing, but, honestly, because I was so young, I didn’t really understand it as much as I would now,” Johnson says. “That championship changed my life. I was part of something great. But this year, I’m leading something great.”

I know what I’m ’bout, but really, they just finding it out, what come with the rain, the same thing gon’ come with the drought…

The best leadership begins with sacrifice, and celebrated results start with small, unseen decisions. Every morning as a teenager, Johnson was awake at 5 a.m. to get hundreds of shots up in a quiet gym before the first ring of the bell.

That dedication paid off with a total of 1,615 points, a record at Sprayberry High School in Marietta, Georgia, where her “4”

jersey is now retired and where, last fall, Johnson gave back in a big way. She unveiled a plush renovation to the girls’ team locker room in collaboration with Meta, one of her NIL partners.

JBL, Puma and Powerade are a fraction of the other endorsement deals Johnson has inked with her mother, Kia Brooks, the agent and “momager” Johnson says has sacrificed so much for her.

“I want to be remembered for being a hard worker—that’s it,” Johnson says. “I want my LSU teammates to be like, ‘Bro, she worked hard. She was always in the gym. She was always watching film. She was always doing what she was talking about.’”

With their equal obsessions for routine and con sistency, their maximalist style and an emotional ly-charged no-filter honesty, Johnson and Mulkey are as close to a perfect player-coach pair as a team can get. The first McDonald’s All-American that Mulkey recruited to LSU, Johnson was the first player to celebrate with her coach at the 2023 championship.

“With Coach Mulkey, what you see is what you get—every day,” Johnson says. “It’s not a lot of people who can bring that same level of con sistency she does all the time. That’s what she inspires in me—a lot of energy to be consistent in my preparation.”

Whether it’s on the hardwood or the boardroom, Johnson works as if she knows that tomorrow is never promised. That realization comes from her father, Jason Johnson, a rapper known as Camouflage who not only hit the Billboard charts in the early 2000s, he spoke in Savannah-area schools

and dressed as Santa to conduct gift giveaways for children in public housing. In a case that remains unsolved, Jason Johnson was fatally shot outside of a recording studio in 2003. He was only 21.

Six months later, Flau’jae was born.

“Time is the only thing that we can’t get back, so I like to make the most of every moment,” she says. “I just feel like nowadays it’s easier to be great if you just focus, because I feel like a lot of people are so distracted.”

I’m being consistent this time around, that’s what the difference is. If you don’t believe in your dream, what make you think they listenin’?

If this Jordan-esque devotion to routine comes naturally to her, so does razzle-dazzle showmanship. Johnson announced her commitment to LSU not at a traditional cap selection ceremony but by dropping a single and a music video co-starring Lil Boosie as the fictional coach of her youth.

After writing raps with her uncles as a child and performing at parties and events in Georgia for years, she reached the quarterfinals of America’s Got Talent in 2018 with her own anti-gun violence anthem. She was only 14. Five years later she competed on an all-star edition of the show, a performance that led to her signing with Jay-Z’s Roc Nation record label, her breakthrough 2024 album Best of Both Worlds and some high-profile collaborations.

“Working with Wyclef Jean [on his ‘Paper Right’] changed my mindset, and Lil Wayne [who features on her ‘Came Out a Beast’] too,” Johnson says. “I like aligning with people who have a certain mindset. [LSU associate head coach] Bob Starkey is one of those people. He thinks on another level and gets me thinking from a different perspective.”

Her influences may be eclectic, but so are her supporters. Few have earned adoration from both Caitlin Clark and Simon Cowell, but last summer the Indiana Fever star told

“You’re not going to see many kids anymore stay four years at schools,” LSU head coach Kim Mulkey said in September about Johnson. “For her to stay all four years speaks volumes of how much she loves LSU. I certainly will never, ever take her for granted. I will always, always have a special place in my heart for her.”

TREBREH BAAHETH

Sports Illustrated that Johnson’s game is elite, while the infamously unimpressed America’s Got Talent judge confessed that her performances made him feel emotional, and that Johnson was bound to be “a big star.”

“On the court, if you’re worried about making a mistake, you’re never going to make that play that you probably could make, because you’ll be playing timid,” Johnson says. “It’s the same thing with music. I can’t be worried about messing up or some people’s opinions. I have to be confident and go all in.”

If LSU fans want reassurance of the confidence the senior leader is bringing to this final run with Tigers, they can listen to her new release One of a Kind and its aggressive single “Courtside.”

As for which of Johnson’s songs is the most personal, she chooses “Perfect Timing.”

“If someone asks me what song is the most ‘me,’ it’s that one,” Johnson says of the relaxed and confident track that is quoted throughout this story. “It really is everything I’m about.”

And my dream gon’ start alignin’. And I won’t stop ’cause I’m on my way. I just gotta keep on grindin’. And it’s gon’ come with perfect timing…

Resting on the bench at the end of an early-season LSU blowout in November, Johnson had a moment to really scan the crowd. She noticed college students waving homemade posters, and little girls waiting wide-eyed for a picture with their heroes, and whole families dressed to the nines in their purple-and-gold best for basketball church.

It gave her even more appreciation for every cheer and every interaction she gets with Tiger fans.

“I feel like the greatest thing we can do as people is just inspire others,” Johnson says. “I think that’s our duty, actually. Inspiration can do greater things than money ever could.”

Her time in Baton Rouge, in an LSU uniform, is

drawing to a crescendo more than an ending. Number 4 would give an arm to taste another title this year, she says. And one day, when Johnson is retired from basketball, has a family and builds a house, she wants it in the Capital City. Baton Rouge is that special to her.

“I’ve been to a lot of places, different continents and countries now, and nothing tastes like the food here,” Johnson says. “The people are the friendliest here, and I just love the energy of this place. It’s different than anything in the world.”

At an unusually young age, through hardship and healing, discipline and determination, spotlights and highlights, Johnson has earned a deep understanding and appreciation of legacy. Carrying it, and building it, too.

“I feel like I’m really present in it right now,” Johnson says. “Leaving a legacy in Baton Rouge is definitely a factor in why I came back. I feel like this year I can really establish my legacy of who I am and what I’m about.”

That motivation is evident in the bold spirit echoing through her rapid-fire vocals, in the purple letters cheering across her chest for four straight decorated seasons, and the golden belief in her heart that God’s path before her has been set.

“Just pray—I tell my teammates that all the time,” she says. “I used to try to do things by myself, and it was never fulfilling, but once I started doing this with God, with everything I have going on, it feels so much better.”

Making an impact influences every one of Johnson’s NIL and investment decisions, every early-morning gym session, every sweaty team huddle with the game on the line, and each time she steps up to the mic, or into the paint, feeling absolutely fearless.

“I came to bring a championship back to this city, and prove that I can lead this team,” Johnson says. “Whatever happens, I want to show that I’m becoming the best I can be—in basketball and in music. And I feel like my legacy has really written itself out in Baton Rouge, and to me, that’s an amazing thing.”

Johnson celebrates during a November 2025 win against Georgia Southern in her home state.

in

Shown here
the LSU women’s basketball practice gym, associate head coach Bob Starkey has helped develop some of the university’s strongest women’s and men’s teams.

BEYOND

THE BENCH

BOB STARKEY is a courtside catalyst for the LSU women’s basketball team’s game-winning chemistry

LSU women’s basketball is steeped in flash and sass, fortified by high-profile personalities like senior guard Flau’jae Johnson and colorful head coach Kim Mulkey. But another key component in the Tigers’ success stems from its understated, highly respected associate head coach Bob Starkey, a savvy tactician with 40 years of experience who is widely seen as one of the game’s great assistants.

Mulkey recruited Starkey to join her staff in 2022, but it wasn’t his first rodeo at LSU. The West Virginia native had coached for the Tigers between 1989 and 2011. Beginning with the men’s team under head coach Dale Brown, then migrating to the women’s team, Starkey counts LSU greats Shaquille O’Neal, Mahmoud AbdulRauf, Stanley Roberts, Seimone Augustus, Sylvia Fowles and Temeka Johnson among his past players.

Augustus, who joined the Lady Tigers’ coaching staff in 2024, says Starkey made a big impact on her as a player and continues to do so as a peer.

“Coach Starkey was someone who saw the best in you and was determined to figure out a way to get the best out of you,” Augustus says. “As a colleague, I still see and receive some of the same encouragement. I find myself picking his brain, and I get a chance to observe his techniques and the way he guides players. I’m beyond grateful to be able to continue to witness his greatness.”

We checked in with Starkey about this year’s team and why he’s never been interested in the top job.

Starkey has said he is intentional about getting to know his players on a personal level. “The better I know a young lady or a young man, the better I will be able to teach them basketball,” he told The Coaching Culture podcast in 2024.

225: You were the assistant head coach at Auburn in 2022 when Coach Mulkey called and asked you to return to LSU. Was it an easy sell?

STARKEY: It wasn’t an easy sell, because I’d only been at Auburn for a year, and I’d given my commitment, so that made it difficult for me. But the opportunity to come home to LSU and to work for Kim and learn how she does things was certainly enough to get me to come back. The other part was that Baton Rouge felt like home. When we lived here before, my wife had battled multiple sclerosis and breast cancer, and we have an amazingly tight circle of friends.

225: How would you describe this year’s team?

STARKEY: What’s been really unique is the chemistry. That’s become a rarity in the day of the [transfer] portal, when you’ve literally got a new team every year. Coaches sit around in the offseason and think, ‘How are we going to get these kids to blend and mesh?’ We literally didn’t have to do anything. They’ve done it themselves. They’ll jump in their cars and drive to the mall, or one of them will cook dinner and the others will show up. It’s been something special to see. The other part is they’ve been incredibly teachable. When you get a team that’s close-knit and that wants to be taught, you’ve got a chance to be pretty good.

225: How do you think that happened?

STARKEY: I think it’s three things: First, they’re just good people. Second, we have really good leadership, especially from Mikaylah Williams and Flau’jae Johnson. And the third part is our staff. We have a very, very closeknit staff.

225: How have you dealt with all the culture changes in college sports, like the portal, NIL and revenue sharing?

STARKEY: It’s such an interesting question. It’s important to know what you want to hang on to, but you also have to be versatile and flexible. When you see coaches succeed at this level, it’s because they not only accept change, but they get excited about it, and they figure out a way to maximize it.

“This man deserves to be in the Women’s Basketball Hall of Fame,” head coach Kim Mulkey said—not for the first time—during the 2025 SEC Tournament. “A lot of coaches are not blessed to have a staff with Bob Starkey on it. Why he is not already in the Hall of Fame is beyond me.”

225: You’re known as a systems guy. Can you talk about how you develop a strategy before each game?

STARKEY: I like analytics, so I’m going to delve into the numbers as much as possible. They point me in the right direction, like a GPS. And from there, I’ll go to film. I watch a lot of film. I’m blessed that I enjoy dissecting another opponent, and I take pride in making sure that when I give a scouting report to Coach Mulkey, it’s detailed but straightforward.

225: From the very beginning of your career, you’ve been focused on being an assistant. In fact, you’re known for saying you’ve never been interested in the top job. Why is that?

STARKEY: It’s what I was meant to do. I tell people there’s a great line in an old Clint Eastwood movie that says, “A man’s got to know his limitations.” I don’t think I would be a good head coach, and trying to be one wouldn’t be fair to a team or a staff or a school. I’ve had an opportunity to work for a lot of good head coaches and coach a lot of good players. I’ve had a couple of phone calls, and it’s literally taken me five seconds to say thank you but no thank you.

225: When you look back on your career, what stands out?

STARKEY: I just know that I’ve been truly blessed to be on this journey for this long. I mean, it’s a long time to be in this business, and when you look at my resume, I’ve worked for some amazing head coaches. I think there’s like five or six Hall of Famers, and I’ve coached some really good players. I just don’t know anybody who’s done this that’s been more fortunate than I have, and I feel good about my body of work. I feel like I’ve been able to make players better and I’ve been able to make kids better.

River City Jazz: John Pizzarelli & Catherine Russell

LIVE AT

Manship Theatre

Two Legendary Singers Share the Stage JANUARY 13 AT 7:30 P.M.

Grammy-winner Catherine Russell joins world-renowned guitarist, vocalist, and bandleader John Pizzarelli for an unforgettable night of timeless jazz from the Great American Songbook.

love and

basketball

For

Baton Rouge Community College head coach Byron Starks, basketball is more than a game

COACH BYRON STARKS is a fan of an acronym.

He leads the Baton Rouge Community College men’s basketball team under what he calls the M.O.B. Mentality—short for “make others better.”

And in Starks’ three years as head coach of the program, the BRCC Bears have seen the results. Last season, the Bears achieved a record 20 wins, helping them to clinch the Louisiana Community Colleges Athletic Conference for a second year in a row. Coming off a record-setting 14-game winning streak, the team advanced to the Region XXIII Elite Eight for the second time in two years.

Starks says the success has come from setting high expectations for his players.

“When I’m recruiting guys, I tell them, ‘I’m going to give you the keys to drive the car–just don’t crash it.’

Which means we have a positionless style of basketball, where the players make decisions and our job as coaches is to train them so that they can make those decisions as efficiently as possible during the game,” Starks says.

Those expectations carry over off the court as well.

“If you’re

disciplined off the court, if you’re on time off the court, if you’re going to class and take care of your responsibilities, then that kind of just spills over into your game,” he says.

Starks first fell in love with basketball as a child, watching his aunt compete for Simsboro High School in Lincoln Parish. He went on to win multiple state titles under legendary coach Michael Lyons at Grambling High School and later made two NCAA Tournament appearances with the University of Southwestern Louisiana (now the University of Louisiana at Lafayette).

After a stint playing professional ball in the Netherlands, he launched his coaching career, where he’s been putting his playerfocused and faith-based principles to practice for more than a decade.

Before coaching in junior college, Starks ran up an impressive record as a high school coach for Lafayette Christian Academy and launched Champions International Inc., a nonprofit that mentors kids through the sport. His focus then was on “building better boys,” he says.

Today at BRCC, and previously at LSU Eunice (where he won four LCCAC titles as head coach), his goal is to “mold men,” and to see what’s typically a one- to two-year junior college commitment turn into a lifelong relationship.

“Sometimes, the

discipline, they may not like it, but 10 years down the line, I still get texts from former players saying, ‘Coach, I remember, I appreciate the discipline that you instilled in us,’” says Starks, who’s also an ordained minister. “I’ve gotten some out of the bed and had to get them over on the court and run them before school ... I just go off the Biblical principle that a father disciplines those he loves. And what I tell them is if I didn’t discipline you, then that means I didn’t care about you.”

Former LSU head basketball coach John Brady has served as special assistant to Starks over the last three years. Brady says Starks’ leadership style

Action from a recent Bears home game

was one reason he was attracted to the role.

“[Starks] is a tremendous role model for the young men that play for him. He’s got a tremendous amount of character ... His thought process about what the team needs and doesn’t need–the players are always his foremost concern, and their well-being,” Brady says.

“Coaching at every level is the same, whether it’s high school, junior college or major college. You have to have a team that understands each other, that has a love, care and concern for one another and has all the

intangibles, just like a good family,” Brady continues. “A well-functioning family has a lot of love and respect … A [well-functioning team has] to have those types of qualities in order to make it all work.”

In July 2025, Starks’ 29-year-old son Byron “BJ” Starks Jr. was tragically killed in a vehicle accident. In response, the Bears have dedicated the current season to Starks’ late son, with each player wearing a “BJ 29” memorial patch featuring angel wings on his jersey.

“What BRCC has done has only helped in the grieving process,” Starks says. “My wife

and I, we know how we raised our children, but for BRCC to dedicate the season and put the expectations for our players to go out and do the absolute best—it’s only fitting. It’s something my son would want, and we’re going to try to do our best to represent him.”

For Starks, this season in particular embodies the brotherhood he’s been building at BRCC—an extension of his own family.

Or as Starks likes to say, “F.A.M.I.L.Y.”— short for “forget about me, I love you.”

Byron Starks has been named Junior College Coach of the Year by the Louisiana Association of Basketball Coaches six times.

LSU Men

Could this be the year LSU makes it back into the NCAA Tournament? Expectations weren’t too high outside the PMAC. The Tigers were picked to finish 15th in the SEC.

HOOPS H PES

As LSU and Southern’s men’s and women’s basketball teams begin conference play, we preview the rest of their seasons and beyond

Despite the doubt, LSU coach Matt McMahon has quietly assembled one of the most talented Tiger teams in recent memory, led by a transfer class ranked in the top 20 in the nation. Forwards Mike Nwoko and Marquel Sutton and guards Dedan Thomas Jr. and Max Mackinnon have made an instant impact, leading the team in points and minutes. The Tigers are on the verge of cracking the top 25 for the first time since 2022, but the real tests are on the horizon. Conference play tips off with seven ranked SEC teams.

The Tigers suffered a blow when Jalen Reed was injured, but the new additions and sophomore Robert Miller III are hoping to showcase LSU’s depth as it enters the gauntlet of its schedule. If McMahon can figure out a way to make up Reed’s minutes while maintaining the production he’s getting from the Tiger transfers, LSU may be dancing in March once again.

LSU Women

It may be a new-look LSU this season, but expectations are unchanged. Only one contributor remains from the Tigers’ 2023 national title team and just two from last year’s Elite Eight squad, but with the nation’s No. 2 recruiting class and a handful of star transfers, Kim Mulkey and company still have sights set on the big stage.

Guards Flau’jae Johnson and Mikaylah Williams are the faces of the team, leading all players in minutes per game so far. They’re also two of the team’s top four scorers. A pair of newcomers in MiLaysia Fulwiley and ZaKiyah Johnson rounds out the rest of the top four and showcases some of the new talent Mulkey has brought in. Fulwiley—a transfer from powerhouse South Carolina—brings a wealth of skill and experience, having played in two consecutive national championship games. She and her surrounding cast have helped LSU start the season 12-0. The Tigers scored 100 or more points in eight straight games, setting a new NCAA record that was previously held by Mulkey’s Louisiana Tech squad in 1982.

LSU is currently ranked in the top 5 in the country, and if they keep up the scoring spree, they’ll be a shoo-in for a top seed in the NCAA Tournament.

Southern Men

Southern Women

Expectations are high for Southern entering the 2025-26 season after the team’s historic run a year ago. The Jaguars went 20-12 overall and 15-3 in conference play, won both the SWAC regular season and tournament titles, and earned a spot in the NCAA Tournament, where they beat UC San Diego in a First Four game to secure the school’s first NCAA Tournament win.

If Southern continues to build off that success, it’ll be through a true team effort. The Jaguars under coach Carlos Funchess rotate their players in units, meaning essentially two full lineups cycle in and out together.

Production doesn’t come from one superstar point scorer but from a variety of players contributing in multiple ways.

Issue Date: Jan 2026 Ad proof #1

• Please respond by e-mail or phone with your approval or minor revisions.

Kevin Smith had a tall task trying to build off Southern’s strong 2024-25 season. The Jaguars lost six players from last year’s team that posted a 20-12 overall record and 15-3 conference record to win the SWAC regular-season title. Smith, entering his third season at the helm, tapped into the transfer portal to bring in new additions who are already making their mark. Forward Malek Abdelgowad, who transferred from Massachusetts, is averaging 9.1 points and 8.5 rebounds per game, while Terrance Dixon Jr., a Lamar transfer, is posting 7.4 points and 3.4 rebounds per game.

• AD WILL RUN AS IS unless approval or final revisions are received within 24 hrs from receipt of this proof. A shorter timeframe will apply for tight deadlines.

• Additional revisions must be requested and may be subject to production fees.

Add the team’s returning scoring leader in Michael Jacobs—who is putting up 22.3 points, 4.1 rebounds, 4.5 assists and 2.3 steals per game—and a trio of seniors in DaMariee Jones, Cam Amboree and Joe Manning, and Southern has the makings of another exciting unit. The Jaguars were picked to finish second in the conference at this year’s SWAC media day, and they’ve opened the year 4-5.

One thing is for sure—Southern can score. The Jaguars have already hit 100-plus points three times this year and are averaging a whopping 92.3 points per game—the best in the SWAC by more than 10 points.

The season looks bright for Southern, which will try to use last year’s early exit in the SWAC tournament as motivation for a deeper postseason push and potential spot in the NCAA Tournament.

Carefully check this ad for: CORRECT ADDRESS • CORRECT PHONE NUMBER • ANY TYPOS This ad design © Melara Enterprises, LLC. 2024. All rights reserved. Phone 225-928-1700 MON: 11AM-9PM | TUES-FRI: 11AM-10PM | SAT-SUN: 10AM-10PM

No player is averaging double figures in scoring, but seven Jaguars are putting up between 4 and 8.7 points per game. Sophomore DeMya Porter and Coastal Carolina transfer Zaria Hurston have been the slight leaders of the pack so far as the team’s top two scorers and rebounders.

Southern has started the season 3-5, which is not uncommon during the brutal non-conference schedule. Last year, the team opened 0-8 before going on its deep postseason run, and all five losses have come to nationally ranked opponents. The Jaguars will be truly battle-tested by the time SWAC play begins on New Year’s Day.

PIECESLife in Life in

Layers of treasures give the Viguerie home a sense of collected character

PHOTOS BY COLLIN RICHIE

The renovated kitchen is light and bright, tempered by warm touches including rattan pendant light fixtures and vintage rugs in saturated hues. A collection of blue and white platters and plates from Sage Hill in St. Francisville hangs on the wall.

WHEN EMILY and Russ Viguerie first toured the Woodstone house they now call home, there was a hole in a bedroom ceiling where a tree had fallen through. Rottweilers had gnawed on doorframes, and the air conditioning units had been stolen. But where other potential buyers saw problems, this newly married couple saw a project worth tackling.

Along with its difficulties, the house also came with some added bonuses in the form of several antique furniture pieces left behind by the former owners. It was an instant starter pack for filling the rooms, but the Vigueries didn’t stop there. Russ’s father’s years of experience flipping houses and Emily’s flair for finding hidden gems at estate sales helped the couple to truly make this house their own.

“The vision was always to have an open floorplan, but I also wanted each room to have its own feel,” Emily says.

The construction process was spearheaded by Russ’s dad, David Viguerie, and the couple did much of the work themselves. Walls were removed to improve flow between the kitchen and living room, and a new home office and pantry were tucked into a corner near the kitchen via a design by friend Allison Keppinger, an architectural associate at DNA Workshop. Another friend, Carlye Graugnard of Sage Hill in St. Francisville, helped Emily find many of the eclectic pieces that fill each room during market trips to Dallas and New York together. “We kept working on things after we moved in,” Emily says.

But the soul of this space comes from Emily herself, a degreed graphic designer who now works in design for Queen of Sparkles. Though she self-identifies as “secretly a hoarder,” her ability to pull together collections of unexpected items and to incorporate rich colors and textures ultimately grounds the house and gives it a sense of depth and history.

Emily’s collections range from the elegant—like her mother-inlaw, she loves blue and white pottery pieces and has them on display in nearly every room—to

the eclectic. The array of vintage wood-handled dough cutters that hangs on a wall surrounding the door to the pantry was assembled over time from estate sales all over Baton Rouge, objects of utility that now serve as objets d’art. And shiny copper pots hang from a rack in the kitchen, a warmly glowing holdover from another era.

Russ’s imprint is also on this space. The home office has an oldschool masculine feel, and a pair of his trophies from deer hunting excursions is on display just inside the front door. The massive turkey

Russ and Emily Viguerie in their dining room
The dressers in the primary bedroom came with the house. Details like the cowhide-upholstered bench and Turkish tribal rug add to the collected feel.

that he had mounted, however, does not currently have a place of prominence, Emily points out. “He used to hang it up whenever I would leave,” she says with a laugh.

His love for the outdoors influences the couple’s efforts in their kitchen as well. Emily has become adept at cooking game like duck and venison as well as the fresh catches he brings home from fishing trips. This room, along with the adjacent central living area with its big sectional sofa, is also where the

couple often entertains friends and family. That penchant for hospitality dovetails with Emily’s other position as director of community life for First Presbyterian Church, where she helps to create connections through yearround events.

Even with the paint barely dry on some of their new rooms, the couple already has designs on future enhancements, from sprucing up additional bedrooms to taking on the outdoor areas. As Emily proclaims, “I love a project.”

Warm wood pieces, layered rugs and a sofa topped with Turkish kilim pillows make the central living room a cozy spot despite its open layout. Antique doors hang barn-style between this room and the dining area.
A new brick accent wall and new hardwood floors set the stage for collections like these vintage doughcutters framing the entrance to the pantry.
This corner office is far from all work and no play, evoking vintage Ralph Lauren vibes with its deep green walls, ceiling and trim and a gallery wall of flora and fauna artworks. The French Provincial-style vanity came with the house and now serves as the perfect desk for this space.

RUSTIC SOUP RECIPE

Divine dishes

The Saint Restaurant’s rise to Michelin recognition, and the chef who helped perfect its menu along the way
BENJAMIN LEGER // PHOTO BY COLLIN RICHIE
Veal Creole

IT’S NOT OFTEN you hear of a restaurant that came about because the community demanded it, but that’s sort of the case with The Saint Restaurant at the St. Francisville Inn.

When partners Brandon Branch and Jim Johnston purchased the historic St. Francisville home in 2018, their aim was a luxurious boutique hotel with a cocktail lounge on the ground floor.

Soon, the inn’s renovated common areas were brimming with locals and weekenders eager for a classy night out in this sleepy town.

“The locals were the ones who decided it should have a restaurant,” says executive chef Michael Dardenne. “They started showing up as groups to hang out [at the bar] and wanted a dinner service.”

Branch and Johnston didn’t have restaurant experience, but they recognized St. Francisville was on the cusp of an upscale renaissance. So they put out an ad for a chef.

Dardenne, who got his start in John Folse’s kitchens at White Oak Estate and Gardens and the former Lafitte’s Landing in Donaldsonville, had just returned to the Baton Rouge area after stints in corporate hotel kitchens in Atlanta and New York.

Joining this fledgling hospitality business in 2019, Dardenne hired a team and crafted an elevated South Louisiana menu served up in the cozy dining rooms that took over the main floor and sunroom of the inn. The restaurant’s excellent service and ambience helped make it a special occasion spot for many visitors.

Now, it’s getting noticed on a global scale. In November 2025, the Michelin Guide hailed it a “recommended restaurant”—one of only two in the Capital Region. While not a coveted Michelin star, the list highlights places using “quality ingredients that are well cooked,” and it can sometimes

foreshadow higher praise from the guide in the future.

Quality is apparent in Dardenne’s takes on dishes like Redfish Lafitte with citrus beurre blanc and buttery jumbo crab. His Chesapeake Crabcake starter is prepared with minimal breading “Maryland-style,” a nod to his culinary training in Baltimore.

The elegant dishes also find roots in the Creole/country recipes Dardenne learned from his grandmothers as a child.

After helping get The Saint off the ground, Dardenne stepped away for a few years to focus on his family and start a private chef business. He came back in early 2025 after then-chef Jaime Hernandez died in a tragic car accident. While Dardenne’s return followed unfortunate circumstances, he didn’t hesitate when Branch and Johnston reached out.

The Michelin attention that followed was assurance that Dardenne was back in the right place. The Saint now entertains more out-of-towners and even international travelers who’ve confessed to bypassing New Orleans to give it a try.

While the team at the St. Francisville Inn is hopeful for more accolades in the future, Dardenne is focused on the consistency and quality to bring visitors—and maybe Michelin inspectors—back again and again.

“My hope is more people will see Louisiana cuisine for more than the same words they might know, like gumbo or jambalaya,” he says. “It puts a spotlight on how we can use really good ingredients in unique ways with unique flavor profiles. I’m glad to see that style of elevated Southern cuisine is getting its time to shine.”

And now St. Francisville is shining, too, as an idyllic small town destination, thanks in no small part to the allure of the St. Francisville Inn.

As Dardenne says, “It really feels like it’s become the heart and soul of the town.”

Cozy classic

IAM ALWAYS amazed by the swings of emotions I feel as one year ends and the new one begins. I find myself reflecting on the events of the past year—some happy, some sad. But whatever the emotions, I always feel grateful for all of the experiences the year brought, along with feeling excited to hopefully do things a little better in the year ahead. I vow to exercise more, eat better and procrastinate less. All very typical New Year’s resolutions to be sure, and fairly easy to stick to with a bit of mindfulness and discipline. In 2026, I once again feel inspired to hit the reset button and choose wholesome, satisfying foods that do not contain a lot of processed

ingredients. Eating simple and clean doesn’t have to be some big dramatic overhaul. This year, it’s all about keeping things wholesome, unprocessed, simple and easy.

In keeping with my New Year’s resolution, I decided to kick off my 2026 Dining In recipes with one of my favorite cold weather dishes, French style lentil soup. This hearty and satisfying soup checks off all of my criteria for my New Year’s resolution. It is full of pure, fresh, healthy ingredients and is quick and easy to make. This hearty, quintessentially French-inspired soup is great served with warm crusty bread and is a delicious supper on a chilly January night.

Goes great with homemade bread and honey butter! Search “quick classic French boule” at 225batonrouge.com for an easy bread recipe, and whip up your own compound butter by blending softened butter with local honey.

French style lentil soup

Yield: 6 servings (with leftovers)

1 (1-lb.) bag dried lentils

4 Tbsp. olive oil

1 cup chopped tasso

½ cup chopped shallot

½ cup chopped carrot

½ cup chopped celery

½ tsp. herbes de Provence

1 tsp. kosher salt

1 tsp. black pepper

1½ cups dry white wine

10 cups low-sodium chicken broth

Pour dried lentils into a mesh strainer; rinse and drain well.

Heat olive oil in a heavy 4-quart pot over medium-high heat; add tasso. Sauté for 3 to 4 minutes, then add shallot, carrot, celery, herbes de Provence, salt and pepper. Continue sautéing for another 2 to 3 minutes, then reduce heat to low and pour in wine.

Turn heat back up to medium and stir well, scraping bottom of pot to release any bits that may have stuck. Add rinsed lentils and chicken broth. Bring up to a boil, then reduce heat to low and cover. Continue simmering, covered, stirring every 10 minutes to prevent sticking, until lentils are tender. This should take about an hour.

Once lentils are tender, remover from heat and serve warm with crusty bread. Soup can be made a day in advance and quickly warmed before serving. Cooked lentil soup will last in the fridge for 5 days or in the freezer for up to 3 months.

Warm cold January nights with a rustic soup rooted in French tradition
DINING IN
“Trust your training! Small daily choices quietly compound into lasting resilience.”
Tiffany Stewart, PhD

Pennington Biomedical

TRAIN YOUR MIND AND YOUR BODY WILL FOLLOW

One Positive Change: Establish a daily “grounding” routine that intentionally trains the mind, using brief, practiced skills like mindfulness, breathing, managing emotions and building tolerance for uncertainty and distress. When we practice these consistent mental skills daily as deliberately as the skills we devote to our physical health and fitness, psychological resilience becomes sustainable under real-world stress.

Action Items: Every day, do one small thing for your mind and body. Lock in the basics—sleep enough, eat to nourish and move to feel good, focusing on functionmobility, stamina and recovery. Choose calm on purpose. Spend 2 to 5 minutes on breathing, mindfulness, or calming skills to prepare for stress before it hits. Gently face what you usually avoid. Each week, choose one hard emotion, conversation or task to approach instead of avoiding. This creates comfort with uncertainty and distress.

Benefit: Over time, these small shifts accumulate, strengthening the very foundation of your nervous system. You begin to meet pressure with steadiness, rebound from hard days with greater ease, and reclaim the mental space not just to make it through, but to genuinely experience a fuller quality of life.

PENNINGTON BIOMEDICAL RESEARCH CENTER

“Schedule a private consultation and let us craft your bespoke aesthetic plan, designed to strengthen your collagen, restore your skin’s foundation, and reveal your most radiant, youthful self!”

Dr. J. Anthony Stephens

COMMIT TO A SKIN CARE ROUTINE

One Positive Change: Beyond sunscreen and daily collagenboosting habits, focus on a skincare routine that strengthens your skin’s foundation, supporting collagen, hydration and overall resilience.

Action Items: To start looking and feeling your best now, combine a smart and medical-grade at-home skincare routine with professional treatments that rebuild and refresh your skin’s foundation. At our clinic, we offer Morpheus8 for skin tightening, Hydrafacial and DiamondGlow for deep hydration and glow, laser treatments like BBL and Moxi for pigmentation and texture, and Sofwave to stimulate collagen and tighten the skin.

Benefit: By committing now to a consistent skincare routine and professional aesthetic treatments, you’re strengthening your skin’s foundation and boosting collagen production to support overall health. Over time, this prevents premature aging, maintains firmness and glow, and reduces the need for more invasive treatments later.

STEPHENS PLASTIC SURGERY & SKINCARE AESTHETICS

PHOTO BY CATHERINE CRAWFORD
“Don’t be a prisoner in your older body … keep your spine in good health!”
Dr. Eric Oberlander, Board Certified Neurosurgeon and Spine Specialist

LOW IMPACT EXERCISE = HIGH IMPACT HEALTH

One Positive Change: Switch your jogging routine to biking or swimming, which provides the same cardiovascular and muscle toning benefits but is much easier on your spine and major joints.

Action Items: Maintain an ideal body weight. Those extra pounds significantly increase spinal wear and tear. Avoid tobacco products. Nicotine contributes to spinal degeneration by constricting blood vessels, which reduces the flow of nutrients to spinal discs and bones. Don’t wait for the inevitable. Involve a spine specialist in your preventative health care regimen now so they can guide you for the future.

Benefit: Switching to a lowimpact exercise routine will significantly diminish the chances that you will need corrective spinal surgery down the road.

THE NEUROMEDICAL CENTER

“When you finally feel balanced hormonally and metabolically, everything in your life gets lighter, clearer, and more manageable. That transformation starts with one brave step. You’re not stuck … you’re one decision away from feeling like yourself again.”

Brittany Lipoma, PA-C & Kady Lato, FNP-C

Co-Owners, Highland Hills Aesthetics

HIGHLAND HILLS

IT’S TIME TO PUT YOURSELF FIRST

One Positive Change: In 2026, make it a priority to put your own physical and mental health first. Many adults juggle work, children, and the constant pull of daily responsibilities, and simply push through their exhaustion and brain fog. Commit to a daily routine—like movement, quiet time, or a short screen break—that nourishes you, so you can feel clearer, stronger, and more energized in every part of your life.

Action Items: Schedule a hormone and metabolic consultation to get a clear picture of your internal health. Many adults feel fatigued, irritable, or foggy simply because key levels like Vitamin D, B12, thyroid hormones, or sex hormones are imbalanced. We’ve specialized in Hormone Replacement Therapy for over 10 years, and with the new FDA guidelines removing the black box warning from HRT for women, it’s clearer than ever that safe, effective hormone therapy can be life-changing.

Benefit: If you stick with this shift in prioritizing yourself, you’ll experience more energy, clearer thinking, a more stable mood, and a deeper sense of calm and control in your everyday life. Over time, you’ll feel more like yourself again— present, confident, and capable, rather than constantly running on empty.

PHOTO BY DON KADAIR
“Your body thrives on authenticity. When you act in alignment with your truth, your nervous system finally exhales and life flows with more ease.”
Sarah Oldendorf & Sarah Nelms, Co-Owners

STEP INTO ALIGNMENT SECOND

One Positive Change: Make 2026 the year you live in alignment: choose actions, relationships, and routines that reflect who you truly are. Reducing the gap between your truth and your reality is one of the most powerful ways to lower chronic stress.

Action Items: Practice “Truth-Based DecisionMaking”: Before saying yes or no, ask yourself, “Is this true to who I am and what I value?” and “Is this a priority or a performance?” Pre-Load Compassion: Assume you and your kids will be imperfect and remember a low-capacity day isn’t a flaw—it’s just life, sleep, or stress. Expect reality, not perfection. MicroTransitions: Before shifting roles (from worker to parent, parent to spouse, spouse to self), take 60 seconds to reset intention.

Benefits: You’ll make decisions with confidence, move through your days less overwhelmed, and protect your energy instead of leaking it on things that don’t matter.

PHOTO BY DON KADAIR

“Your dream skin won’t appear on its own—your daily choices create it. Start today, stay consistent, and watch your confidence grow with every step!”

Pamela Regira & Alyssa Kliebert, Certified Medical Esthetician and Laser Technician; and Licensed Medical Esthetician

EMBRACE YOUR BEAUTY BY ENHANCING YOUR SKIN

One Positive Change: Restore your natural beauty by committing to a regular skin health and rejuvenation regimen.

Action Items: Book a skin consultation and let the Pamela Skin Care team create a customized treatment plan to help you achieve natural and beautiful skin. With more than 25 years of business experience, we have become known for providing first-class medical skin treatment to a long list of satisfied clients, which includes A-list celebrities.

Benefit: Boost confidence by creating a healthier, more radiant you.

PAMELA SKIN CARE

PHOTO BY DON KADAIR
“This is your moment! Stop waiting for the perfect time and create it. One brave decision today can change everything about tomorrow.”
Chris Gendusa, Owner

RECOVER BETTER TO TRAIN HARDER

One Positive Change: Add a RecoveryFirst Ritual to your daily routine, consisting of just 5 minutes of restorative work like light stretching, deep breathing and targeted muscle release. It can be done any time of day and helps your body handle stress, reduce soreness, and recover better so you can train harder and live healthier.

Action Items: Our trainers can choose the exact stretches and techniques that match your lifestyle, stress level, and training needs. We will also help you stay consistent through reminders, progress tracking, and small adjustments.

Benefit: Most people focus on workouts but ignore recovery, which leads to tightness, fatigue, plateaus and even injury. A small, consistent recovery ritual keeps your muscles flexible, your nervous system calmer, and your body more resilient long-term.

FUTURE FITNESS

PHOTO BY DON KADAIR

SAVE THE MUSCLE, LOSE THE FAT

“Start believing in the strength you have. You are stronger than your emotions! Believe in yourself and become more confident in who you are, and the weight loss will come.”

One Positive Change: Teach your body how to burn its own fat! ShiftSetGo is a fresh new approach to dieting and is a more holistic and effective way to lose weight. The program is tailored to help you shed pounds while preserving your lean muscle mass and achieving a healthier body composition

Action Items: “Shift” your mindset, “Set” your metabolism and “Go” LIVE YOUR LIFE! By following the ShiftSetGo protocol, you will lose fat mass while protecting your muscle mass. And as we age, we need all the muscle mass we can get!

Benefit: One of the benefits of the ShiftSetGo protocol is that this program removes all the guesswork from dieting and instead targets body fat so clients can quickly and effectively burn it. Following this medically backed and scientifically proven protocol puts clients at ease and restores their confidence that they can achieve success. Along with one-on-one coaching, you will be surprised at your results!

PHOTO BY DON KADAIR
“Don’t wait for the perfect moment. Small, daily tasks can turn into habits. Your glow, your energy, your peace, all start with the choices you make today.”
Amber Leonard, Owner

MAKE SELF-CARE PART OF YOUR DAILY ROUTINE

One Positive Change: In 2026, make self-care non-negotiable and truly attainable, whether it’s monthly or quarterly facials, drinking more water, walking/exercising, or something as simple as committing to a new bedtime routine.

Action Items: Schedule your first monthly or quarterly facial so we can map out a realistic treatment plan and cadence for your goals. Set a daily hydration goal and keep a cup or water bottle with you. Infuse your water with fruit and herbs if it helps. Build small movements into your day, like a 15-minute walk or stretch session. Establish a bedtime routine you can commit to and wind down 30 minutes earlier. (No “doom scrolling” before bed!)

Benefit: By committing to these small habits, you’ll notice healthier, more radiant skin, improved energy and better sleep. Prioritizing attainable self-care consistently can truly transform your skin and well-being.

BLACK + BLANC AESTHETICS

Standing, from left: Aesthetician Journie Mims; Owner/Lead Aesthetician Amber Leonard; Aesthetician Alyssa Guidroz. Seated: Partner/Nurse Practitioner Leah Cullins

AT BROC, THE FUTURE OF ORTHOPEDICS IS NOW

Baton Rouge Orthopaedic Clinic (BROC) is not merely maintaining its position of prominence in the Capital Region health care landscape. It’s aggressively expanding its services, reach and technology.

"In the last couple of years, we've made tremendous strides in the areas of technology advancements, community partnerships and increased patient access, all phenomenal achievements in a short time frame," Chief Operating Officer Wendy Gaudet says.

The organization now boasts 39 orthopedic physicians and surgeons, supported by a robust team of advanced practitioners and ancillary support staff.

One of BROC’s most distinctive strengths is its expertise, covering everything from primary care orthopedics to complex subspecialties such as hand, foot and ankle, spine and musculoskeletal oncology, to name a few.

"We have you covered from head to toe, literally and figuratively," Gaudet says, noting that comprehensive orthopedic coverage in one place is rare.

A cornerstone of BROC’s community engagement is its nonprofit arm. BROC Foundation places athletic trainers at local high schools and colleges, providing critical care, often for the underserved ALICE (Asset Limited, Income Constrained, Employed) population.

"We really want to make sure that we're doing thorough outreach to kids that otherwise would not receive this type of

care," Gaudet explains.

BROC further extends its reach through partnerships with major institutions like Louisiana State University and Our Lady of the Lake for sports coverage, as well as providing trauma coverage and acute orthopedic care for multiple hospitals throughout the region.

CARE AT ALL HOURS

To manage growth and meet patient expectations, BROC recently launched EPIC’s electronic medical record platform that most patients know as MyChart. This technology leap has streamlined continuity of care, making it easier for community physicians to send referrals and for patients to communicate with providers.

"EPIC is the Cadillac of electronic medical records and has been a complete shift and tremendous benefit for BROC," Gaudet says.

Another key area of patient-focused growth is their highly popular “After Hours” clinic. Open seven days a week on Bluebonnet Boulevard , the clinic saves patients from high co-pays and long waits at the emergency room.

“Anything from a fall, fracture or sprain to a jammed finger,” Gaudet says, “we’re here for it all.”

THE FUTURE OF ORTHOPEDICS

BROC is poised for substantial growth in 2026. It has recently signed a letter of intent to merge with Louisiana

Orthopedic Specialists in Lafayette. The combined orthopedic practices, operat ing as Gulf South Orthopedic Partners, would push BROC to well over 60 orthopedists, significantly increasing its footprint and strength across the state.

BROC is also in the midst of ongoing expansion of therapy sites and clinic spaces in surrounding communities such as Zachary, Walker and Gonzales.

Gaudet also notes a commitment to education in the new year. BROC physicians are actively involved with LSU Medical School, mentoring residents as well as working with gap-year students who are looking to progress in a health care career. This benefit s future physicians while helping to retain top orthopedic talent in the area.

Looking forward, the shift toward less invasive procedures and faster recovery times is shaping the future of orthopedic care. "We can perform complex procedures such as a total hip replacement and send most patients home the same day," Gaudet says.

BROC is also spearheading a Healthy Bone Program focusing on fragility fractures and osteoporosis, largely in women, demonstrating a proactive approach to common orthopedic issues.

“It’s all about building relationships,” Gaudet concludes. “We want to make sure we have the community covered for all of their orthopedic needs , while continuously improving the patient experience through high-quality care .”

Dr. Stephen Etheredge , board-certified Sports Medicine Specialis t

The highly anticipated opening marks the completion of Bally’s $141 million investment to revitalize a long dormant area of downtown Baton Rouge. The new casino features 25,000 square feet of Vegas-style gaming, DraftKings sportsbook, entertainment and restaurants. Thank you to the community for helping us Paint the Town Rouge!

Healthcare with us, FMOLHealth.org

LOCAL PRIDE, SYSTEM STRENGTH

FMOL Health | Our Lady of the Lake is part of the leading health system in the Gulf South. Our connected team is committed to delivering exceptional care, and we do it with great love. We believe that the best possible care is not just a job for us — it’s our calling.

Thrive Resolution revolution

It is possible to achieve your New Year’s goals—local experts share how

READY OR NOT, the new year is here. And though 2026 may just be a number, it’s also an opportunity to adopt healthy habits and kick the ones that are not so healthy.

Whether you’re looking to start fresh completely or just want to make a few lifestyle changes, now’s the time. And, yes, we know keeping New Year’s resolutions can be tough. So, we asked local experts to give us suggestions for practical resolutions as well as advice on keeping up with these new goals throughout the year. Say goodbye to planners that go blank after January and gym memberships that don’t get used. Read on for healthy and helpful tips and tricks to implement this month and beyond. Happy New Year!

Want to tackle more resolutions?

Fitness

The resolution: Commit to a consistent weekly workout routine that gradually increases in intensity.

The expert: Lauren Temple, ToneBR

The how and why: Slow and steady wins the race every time. Define your goals. Weight loss? Get with a nutrition coach. Strength building? Book some resistance training classes or a session with a personal trainer. Start small with a goal of increasing movement and then add from there. Most importantly, calendar it! You are more likely to stick to a resolution if it’s on your calendar and other events revolve around it. A fitness-related resolution is beneficial as it enhances overall health, increases energy levels, and contributes to improved mental clarity, setting a strong foundation for personal and professional success.

Mindfulness

The resolution: Spend two to five minutes each day engaged in a tech-free activity.

The expert: Sarah Carbo, social worker and mindful chair yoga program facilitator, Mary Bird Perkins Cancer Center

Issue Date: May 2024 Ad proof #1

Head to 225batonrouge.com for more commentary from these experts.

• Please respond by e-mail or phone with your approval or minor revisions.

The how and why: [A tech-free activity] can include a breathing exercise, a brief post-dinner walk or journaling. This is a valuable New Year’s resolution because it requires minimal time, yet it delivers significant benefits that support both mental and physical well-being. Research shows that it can lower cortisol levels, boost energy and reduce anxiety.

• AD WILL RUN AS IS unless approval or final revisions are received within 24 hrs from receipt of this proof. A shorter timeframe will apply for tight deadlines.

Issue Date: SEP 2025 Ad proof #1

Nutrition

The resolution: Win the day by making breakfast a priority.

The expert: Kassidy Noto, Siding with Citrus

The how and why: When you break your fast each morning with a nutritious and satiating meal, you have the nutrients and long-lasting energy you need to fuel you for the day. Eat a mix of protein, healthy fats and veggies, and avoid too much sugar, such as large amounts of fruit, smoothies and flavored yogurt, which can lead to energy swings, sugar cravings and increased hunger throughout the day. If you aren’t particularly hungry (after eight hours of not eating!), it may mean your hormones are off, which can be fixed by eating breakfast consistently to help reset your hunger cues.

Organization

The resolution: Do a daily 15-minute reset.

The expert: Sara West, South Coast Organizers

Issue Date: Jan 2026 Ad proof #2

• Please respond by e-mail or phone with your approval or minor revisions.

• AD WILL RUN AS IS unless approval or final revisions are received within 24 hrs from receipt of this proof. A shorter timeframe will apply for tight deadlines.

The how and why: Set aside one consistent time each day for a quick, focused reset. Set a timer for 15 minutes and put things back, toss trash and clear surfaces. It’s long enough to make a visible difference but short enough to commit to all year. The regular rhythm prevents clutter from snowballing. Invite the whole family to join in by giving each person a simple task; when everyone pitches in for a few minutes, the entire home stays consistently calmer with far less effort.

• Additional revisions must be requested and may be subject to production fees.

Carefully check this ad for: CORRECT ADDRESS • CORRECT PHONE NUMBER • ANY TYPOS This ad design © Melara Enterprises, LLC. 2024. All rights reserved. Phone 225-928-1700

OFF YOUR ATHLETE’S SEASON WITH LEAGUES LED BY EXPERIENCED COACHES FOCUSED ON DEVELOPMENT, CONFIDENCE, AND COMPETITION.

SPRING 2025 LEAGUES INCLUDE:

INDOOR AND OUTDOOR SOCCER — BOYS & GIRLS

FOOTBALL — FLAG, TACKLE & 7-ON-7

RUGBY — YOUTH + INTRO PROGRAMS

LACROSSE — SKILL DEVELOPMENT + LEAGUE PLAY

REGISTER NOW — SPOTS FILL FAST ELITETRAININGACADEMYBR.COM/LEAGUES

Relationships

The resolution: Implement the 2:2:2 rule: a date every two weeks, a short getaway every two months, and a vacation every two years.

The expert: Jennifer R. Jones, The Family Counselor

The how and why: I often remind partners that communication, connection and closeness are essential to a strong relationship–and how we show up for each other directly shapes the joy and fulfillment we experience. Consistent, scheduled experiences help to maintain connection more effectively than irregular, hard-to-plan or missed chances for time together. Regular dates keep intimacy present, short getaways allow a break from routine often enough but without too much disruption, and longer vacations create continued movement toward shared experiences and space for a deeper emotional connection. I recommend putting these on the calendar at the start of the year as a sign to your partner of your intentionality to continue to invest in the relationship and in each other.

A new act

THE CLOSURE OF the Capital Region’s oldest community theater last spring was grim news for arts enthusiasts, but their spirits were lifted in early November with the announcement of a new theater group to take its place.

The all-volunteer Mid City Civic Theatre has assumed Theatre Baton Rouge’s nonprofit charter and is operating out of its longtime Florida Boulevard performance space. MCCT, also nicknamed “The Civic,” begins offering educational programs for young performers this month and will stage its first ticketed production this summer.

“We’ve been so encouraged with the response,” says board president and LSU

associate professor of theater history Shannon Walsh, who co-founded the organization with arts professionals Caty LeJeune, Joe Carleton and Shea Stephens.

The team had advocated for maintaining TBR’s 327-seat Main Stage auditorium located adjacent to Bon Carre. “We are a space-poor community,” Walsh says. “It would have been a shame to lose it.”

TBR closed in March 2025 due to financial challenges brought on by the pandemic, its board said. The veteran nonprofit abruptly suspended operations before the end of its 79th season—a tough blow to the local theater world. A performing arts powerhouse, TBR had produced around 10 big name musicals and plays annually.

But such shows are expensive to produce, requiring thousands of dollars

in licensing fees. MCCT won’t bite off such costs at this point, Walsh says. Its first live performance will be a work of Shakespeare, which doesn’t require licensing since it’s in the public domain.

The organization will also save on overhead with an all-volunteer staff, she says.

Shortly after opening, The Civic held a cleanup day to prepare the theater for future programming. It hadn’t been touched since TBR’s last performance of Xanadu last year. Walsh says it was moving to see about 40 theater enthusiasts show up to help. “It was glorious,” she says. “The space means a lot to a lot of people. A few of the folks who showed up walked in and just started weeping.”

MCCT held a fundraiser in December, during which some past TBR performers took the stage in a cabaret format. This month, it begins a series of six-week classes for young people on topics like lighting design, improv and film directing. With time, MCCT will add more workshops and performances, according to Walsh. “We want to start slowly and build,” she says.

MCCT founders Caty LeJeune, Shea Stephens and Shannon Walsh, along with Joe Carleton (not pictured), are working to draw new audiences to fill the former Theatre Baton Rouge’s signature red seats.

From Theatre Baton Rouge’s ashes, Mid City Civic Theatre takes the stage

January

Compiled by Olivia Tees and Catherine Clement

Support local artists and crafters at the Full Moon Market, an after-dark artisan market in Plaquemine. Shop a little bit of everything from artists, makers, bakers and chefs. Find it on Facebook 4

Krewe of D’ville is getting a jump on Mardi Gras celebrations by hosting a parade before the traditional start of the season. Gather your krewe and kick off Carnival with this festive happening in Ascension Parish. Find it on Facebook.

Try your luck with blackjack, roulette, poker, slots and more at General Informatics’ 2026 Casino Night Fundraiser at the Baton Rouge Marriott. Proceeds benefit the Boys & Girls Clubs of Metro Louisiana. kickoff.geninf.com

9+30

14-18

Manship Theatre celebrates the diversity of the Jewish experience through film with the annual Baton Rouge Jewish Film Festival. Since 2007, this festival has aimed to inspire viewers and highlight the multicultural community in Baton Rouge. brjff.com

Experience iconic hits from the ’70s live with the Black Jacket Symphony’s performance of Pink Floyd’s full album The Dark Side of the Moon at the River Center Theatre. The group brings these songs to life with a full band and stunning visuals. raisingcanesrivercenter.com

The Walrus: A New Orleans Beatles Experience will bring the iconic music of the Fab Four to New Roads with a show that’s sure to transport you back in time to peak Beatlemania. Twist, shout and sing your heart out to the group’s biggest hits. artscouncilofpointecoupee.org

Jan. 1: Allstate Sugar Bowl Game, allstatesugarbowl.org

Jan. 6: Phunny Phorty Phellows parade, phunnyphortyphellows.com

Jan. 9-11: Fan Expo New Orleans 2026, fanexpohq.com/fanexponeworleans

17

The Harlem Globetrotters are touring the nation and making a pit stop at the Raising Cane’s River Center. The group is celebrating over 100 years of heart-stopping tricks and eyebrow-raising stunts. raisingcanesrivercenter.com

17+18

Lace up your running shoes for the 15th annual Louisiana Marathon Runners and their supporters can enjoy live music, local cuisine and enthusiastic community support. Don’t want to run the full 26.2 miles? Sign up for the quarter- or half-marathons, 5K or kids’ marathon. thelouisianamarathon.com

17+19

Revitalize local neighborhoods as part of The Walls Project’s annual MLK Fest. Volunteer for projects like mural painting and garden restoration, and end the weekend with a block party and resource fair. thewallsproject.org/mlkfestbr

ACADIANA

18

Plant the seed for a greener future at the LSU Ag Center Botanic Gardens and Baton Rouge Green’s Arbor Day celebration, which features tree planting, food trucks, scavenger hunts and a visit from Smokey Bear. A thousand native trees grown by staff and volunteers at Burden will be distributed on a first-come, firstserved basis. batonrougegreen.com

24

Celebrate Baton Rouge Gallery’s annual Surreal Salon exhibition at the Surreal Salon Soiree, a night of music, food trucks, surreal art, complimentary beverages and more. Attendees are encouraged to take inspiration from the over five dozen featured artworks for their attire. Don an over-thetop headpiece, spread a set of costume wings or get creative with face paint for this unique local event. batonrougegallery.org

MORE EVENTS

Subscribe to our newsletter 225 Daily for our twice-weekly roundups of events. 225batonrouge.com/225daily

Jan. 17: Mardi Gras Traditions Night, childrensmuseumofacadiana.com

Jan. 21-28: Cinema on the Bayou, cinemaonthebayou.com

Jan. 23: Candlelight: 90s Hip-Hop on Strings, feverup.com

ASK THE EXPERT

Dr. Courtney Morgan

WHAT DOES GLEAUX RX SPECIALIZE IN, AND WHAT MAKES YOUR APPROACH UNIQUE?

Gleaux Rx specializes in integrative medicine, functional wellness, advanced injectables, hormone optimization, weight management, and medical-grade skincare. Our focus is delivering comprehensive, personalized care that enhances both inner health and outward confidence.

What sets Gleaux Rx apart is our commitment to quality over volume. We create an environment that allows for extended visit times, unrushed conversations, comprehensive evaluations, and individualized treatment plans.

WHAT INSPIRED YOU TO START GLEAUXRX?

I saw a significant gap in traditional medicine: a lack of true, whole-body wellness. Too often, healthcare focuses on treating problems after they occur rather than preventing them through proactive, patient-centered care.

WHAT IS A COMMON QUESTION OR MISCONCEPTION YOU HEAR FROM CLIENTS?

One of the most common misconceptions I hear is the belief that hormone therapy causes cancer. In reality, this is outdated information that doesn’t reflect what we now know from modern research.

At Gleaux Rx, we use bioidentical hormone replacement therapy (BHRT)—hormones that are structurally identical to what the body naturally produces. Evidence shows that when properly prescribed, monitored, and balanced, bioidentical hormone therapy can actually reduce inflammation, improve metabolic health, and lower the risk factors associated with chronic disease. In many cases, optimizing hormones can support cellular repair, protect bone health, improve cardiovascular markers, and enhance overall longevity.

Ric and Melanie Seeling Ric and Melanie Seeling

DECADES OF TEACHING Baton Rougeans how to tango, waltz and cha-cha-cha have earned Ric Seeling a kind of celebrity status.

“Everybody recognizes him,” says Ric’s wife and business partner Melanie. “It happens all the time.”

By now, thousands of students have been saved from dance floor embarrassment by the Seelings and their team of instructors. They teach around 45 different dance styles, and their clients range from festival enthusiasts eager for a crisp Cajun two-step to empty nesters looking for a new diversion. Generations of engaged couples and their parents have also sought the Seelings’ help in pulling off perfect wedding reception numbers.

These days, classes take place exclusively at Ric Seeling Dance Studio on North Harrells Ferry Road, but many across the Capital Region remember their wildly popular LSU Leisure Classes held at the Student Union.

As a young boy, Ric couldn’t repress the desire to move in time with the beat. Some of his earliest memories were made in a New Orleans dance hall with his mother and aunts, who said his footwork was better than theirs.

He would go on to minor in dance at LSU, become an instructor and open his first Baton Rouge studio in 1988. Three years later, he met and fell in love with Melanie, who was taking swing classes with a friend.

“I was really into it, and I wanted to get better,” Melanie recalls. “I asked for private lessons.”

Ric, choked up, remembers the moment. “She changed my life,” he says.

The two say they found common ground in their Christian faith and mutual love of dance. They married in 1994 and have raised three children.

Their studio is a haven for community, the Seelings say, with regular clients meeting up for Friday-night socials. The casual gatherings help dancers bone up on their moves while fostering new friendships—and even a few relationships.

“It’s really amazing what happens,” Ric says. “We have a dance family here.”

“Coming here, being physically connected to another person, reading each other’s forms–dance is just amazing.”
—Melanie Seeling
MAGGIE HEYN RICHARDSON

No idea… but I’m checking 225 Daily. What are we doing this weekend?

225 Daily — Free. Fun. Every weekday. Subscribe Today! Let’s get social Q @225batonrouge | E 225 Magazine

BACKBONE OF OUR PRACTICE.

Your back pain deserves the best. We are proud to welcome two exceptional doctors to our growing practice.

Dr. Kelly Boussert is a Louisiana native and board-certified Anesthesiologist and Pain Management specialist. She completed a Pain Management fellowship at Stanford University and brings over 10 years of experience. Dr. Hunter Waddell is a Shreveport native and former pitcher for the Arkansas Razorbacks. He completed a residency at Vanderbilt University and a Spine Fellowship at the world-renowned Rothman Orthopaedic Institute in Philadelphia.

Bringing specialized care to more Louisianians every day.

Hunter Waddell, MD
Kelly E. Boussert, MD

Turn static files into dynamic content formats.

Create a flipbook
Issuu converts static files into: digital portfolios, online yearbooks, online catalogs, digital photo albums and more. Sign up and create your flipbook.