



Bioseguridad en las granjas avícolas a la luz del real decreto 637/2021: una apuesta one health - PARTE 5
Santiago Vega y Clara Marín
Departamento de Producción y Sanidad Animal, Salud Pública Veterinaria y Ciencia y Tecnología de los Alimentos, Instituto de Ciencias Biomédicas, Facultad de Veterinaria, Universidad CEU Cardenal Herrera.
Refrigeración por paneles de plástico vs paneles de cartón
Michael Czarick & Brian Fairchild
Universidad de Georgia
de Serafín García Freire
Instalaciones
rentables, eficientes y con garantías
Equipo Técnico Agrener
Obesidad en pollos de engorde modernos y pechuga de madera. ¿Cuál es la relación?
Guillermo Tellez-Isaias1 y A. Gregorio Rosales2 1Departamento de Ciencia Avícola, Universidad de Arkansas, Fayetteville, 72701 2Consultor de Salud Avícola, Athens, Alabama
Vacunación en incubadora: evolución y nuevas tendencias
Equipo Técnico Zoetis
Recomendaciones para el manejo de las aves después de nacer hasta la llegada a granja
Juan Carlos López, PhD
Salud Animal
Debemos recordar: EL SIGE (Sistema de Gestión de las Explotaciones avícolas)
José Luis Valls García Director Técnico aviNewsMetabolismo del calcio y el fósforo en las ponedoras modernas de ciclos productivos largos
Guillermo Díaz
Zootecnista – Nutricionista
Memoria presentada en el LPN Congress Miami 2021
Problemas dolorosos de patas en pollos: aspectos de bienestar y producción
Paco Fernández López-Brea Zinpro Animal Nutrition, Inc.
Control de Salmonella en reproductoras y ponedoras: el rol de la vacunación viva bivalente
Technical consultant de España ELANCO SPAIN SLU
Los bacteriófagos, una herramienta complementaria para eliminar Salmonella Infantis de granjas avícolas
Sandra Sevilla Navarro1,3 , Jan Torres Boncompte2, Laura Lorenzo Rebenaque3 y Pablo Catalá Gregori1,3
1Centro de Calidad Avícola y Alimentación Animal de la Comunidad Valenciana (CECAV)
2Facultad de Medicina, Departamento de medicina preventiva y salud pública, Universitat de Valencia
3Departamento de Producción y Sanidad Animal, Salud Pública Veterinaria y Ciencia y Tecnología de los Alimentos, Instituto de Ciencias Biomédicas, Facultad de Veterinaria, Universidad Cardenal Herrera-CEU, CEU Universities
Reconversión de una recría tradicional en jaulas para recría moderna en aviario junto a Equiporave
Equipo Técnico Equiporave
¿Cómo puedo lograr que mi envase sea sostenible?
Claves para cumplir con los requisitos normativos y de seguridad alimentaria
Nieves Barnuevo, Natalia Ortuño, Raúl Díaz y Paula Torrijos Centro Tecnológico Itene
EVENTOS: Bienvenidos a la vacunación Sostenible, la visión de Calier en la protección frente a Salmonella
Equipo Técnico Calier
Un acontecimiento terrible en este año ha sido la invasión de Ucrania por Rusia. Este suceso nos ha hecho despertar del sueño europeo de prosperidad y enorme calidad de vida que teníamos las personas que vivíamos en el viejo continente, con gran diferencia en general sobre los ciudadanos de la mayoría de los países del mundo.
Actualmente tenemos una cadena de valores desequilibrada que amenaza la rentabilidad de los ciudadanos de este continente. La pequeñas subidas de precios sucedidas en la venta de los productos avícolas no cubren los costes de producción, envasado, transporte y de la calidad, que es cada vez es más exigida.
La guerra de Ucrania ha incrementado en gran medida los gastos relativos a las provisiones dentro del sector. A la ya sonada burbuja en el recibo de la luz, que se puede estimar en “un 100% para la actividad primaria y un 400% para la industrial”, se suma el efecto rebote sobre los demás materiales requeridos dentro de la producción. El cereal ha subido más del 30%, los fertilizantes se han multiplicado por 3 y los plásticos un 20%, Todo ello nos ha llevado a tener en estos momentos una GRAN INFLACIÓN que reduce sin duda la calidad de vida de los ciudadanos europeos..
A la cuestión relativa a los márgenes de rentabilidad hay que añadir, como principal reto a afrontar en el corto plazo, el “escaso grado de concienciación” que persiste en la sociedad acerca de la importancia del sector primario. Tenemos que recordar que esta industria no solo es un elemento generador de productos, sino que sus actividades redundan de un modo muy positivo sobre el mundo rural, en tanto que reducen la dependencia alimentaria a terceros países.
Es por ello que hay que apremiar a las instituciones a “sensibilizar a la sociedad” acerca de la importancia de mantener una economía primaria fuerte a fin de proteger la SOBERANÍA ALIMENTARIA en la Unión Europea. Es muy importante que sepamos trasladar esto a la sociedad. Somos un sector estratégico que genera mucha economía indirecta y que aporta productos de una alta calidad nutricional.
Por supuesto que hay que alejarse de los intereses políticos que algunos partidos políticos y asociaciones no gubernamentales quieren dar a este concepto. Lo importante en un breve plazo es que la UE no esté a los pies de los intereses de otras naciones y que ella misma sea autosuficiente en la producción de alimentos para sus ciudadanos. Priorizar la producción local, incentivar a los países a defenderse de las ventas a pérdidas y garantizar la estabilidad de los precios son las bases que deben encabezar este concepto de soberanía alimentaria europea.
Actualmente estamos en una tesitura en la que los beneficios se han recortado y el número de empresas avícolas disminuye. Esta situación no sólo amenaza el porvenir del sector, sino que pone en jaque un relevo generacional ya de por sí complicado, puesto que los jóvenes cada vez abandonan con más asiduidad el mundo rural para irse a vivir a las ciudades. De esta forma la España vaciada seguirá creciendo, además en detrimento de la calidad de sus ciudadanos.
José Luis Valls
REDACCIÓN
Osmayra Cabrera
F.X. Mora Daniela Morales Jennifer Muñoz Grein
Juan Carlos Abad José Ignacio Barragán Luis Canela
Serafín García Freire Edgar Oviedo Rondón Juan Carlos López Mike Czarick Santiago Vega Eduardo Cervantes Gonzalo González Mateos
Mercè Soler
Barcelona - España
Tel: +34 9 suscripción anual: España 36 €
Extranjero 125 €
La dirección
la revista no se hace responsable de las opiniones de los autores. Todos los derechos reservados.
Imágenes: Noun Project / Freepik/Dreamstime
Depósito Legal aviNews B11597-2013
ISSN (Revista impresa) 2696-8061
ISSN (Revista digital) 2696-807X
PROGRAMAS DE MONITOREO
Artículo 6. Condiciones higiénicosanitarias y de bioseguridad de las explotaciones
que
GRANJA
En las salas de incubación se aplicarán programas de monitorización constante de las instalaciones y procedimientos que permitan detectar rápidamente cualquier fallo en las medidas de bioseguridad.
Las salas de incubación se someterán permanentemente a procesos de limpieza y desinfección de las instalaciones.
Las operaciones de limpieza y desinfección anteriormente mencionadas quedarán registradas y verificadas de forma rutinaria.
VACÍO SANITARIO
Artículo 6. Condiciones higiénicosanitarias y de bioseguridad de las explotaciones avícolas.
Las explotaciones operarán bajo el principio de «todo dentro, todo fuera», según se define en el artículo 2.n) de este real decreto, dentro de cada unidad de producción.
Después del traslado o de la salida de cada manada o al terminar cada ciclo de producción,
Las unidades de producción y el utillaje se limpiarán y desinfectarán adecuadamente
Se mantendrá un tiempo de espera antes de la introducción del siguiente lote de animales de, al menos, 12 días tras dicha limpieza, desinfección, desratización y, en su caso, desinsectación.
Asimismo, y durante ese tiempo de espera, se realizarán las analíticas necesarias de comprobación de la eficacia de dichas operaciones.
No obstante, lo anterior, en aquellos casos en los que se disponga de resultados analíticos que demuestren la eficacia de la limpieza y desinfección realizadas, se podrá reducir el tiempo de espera hasta un mínimo de siete días.
Las explotaciones autorizadas antes de la entrada en vigor del presente real decreto y que no operen bajo los principios del «todo dentro, todo fuera», deberán hacer un vaciado completo de cada nave al menos cada 2 años y posteriormente una adecuada limpieza y desinfección, verificando su eficacia, tal y como se describe en el presente real decreto.
En el caso de unidades de producción con áreas de cría o producción al aire libre y de aves corredoras (ratites), se deberán establecer las medidas higiénico-sanitarias necesarias para lograr un descanso suficiente de las aves, que permita el control efectivo de los agentes infecciosos y parasitarios.
Ningún programa de prevención de enfermedades puede obviar un plan de bioseguridad. Si se tiene en cuenta que muchas de estas enfermedades patógenas pueden durar hasta años (Tabla 2).
Gumboro Meses
Coccidiosis Meses
Cólera Aviar Semanas
Marek Meses
Coriza De horas a días
Newscastle De días a semanas
Micoplasmosis (Mg, Ms)
De horas a días
Salmonelosis (S.Pullorum) Semanas
Tuberculosis aviar Años
Tabla 2. Supervivencia en residuos orgánicos o polvo de microorganismo patógenos responsables de enfermedades en aves.
Los titulares de las explotaciones deberán llevar de manera actualizada un registro de explotación denominado, en adelante, libro de registro.
El libro de registro se llevará de forma manual o informatizada, y será accesible para la autoridad competente, incluida la autoridad ambiental, a petición de esta, durante el período que ésta determine y que, en cualquier caso, no podrá ser inferior a tres años después del fin de la actividad de la explotación.
Este tipo de cultura se desarrolla a través de la formación, la educación, las auditorías y, en general, una buena comunicación.
Ayuda a enfatizar a los empleados que las empresas avícolas no son «sólo granjas
Su pH de acción se sitúa entre 4 y 10 Se puede utilizar en presencia de acidificantes. No reacciona con amoníaco o sales de amonio. Apto para cualquier tipo de tubería pues no provoca corrosión. No genera olores ni altera el sabor del agua. Es tan efectivo que requiere muy poco tiempo de contacto. Elimina el biofilm. Alta solubilidad. Producto no ADR sin
Los empleados deben entender que el éxito de una empresa avícola e incluso sus puestos de trabajo dependen de la correcta ejecución de los procedimientos de bioseguridad.
La instauración de un programa de bioseguridad en una granja avícola proporcionará un aumento de la productividad de los animales y un aumento en los rendimientos económicos.
Así mismo, se verá reducido el uso de determinados antimicrobianos, con lo que estaremos reduciendo los residuos de antibióticos en los huevos y en las canales de los pollos.
Hay que diseñar un plan de bioseguridad que contemple cada uno de los puntos comentados anteriormente de una forma rutinaria que nos permita controlar y hacer el seguimiento de una forma controlada de todas las medidas de bioseguridad que hemos contemplado. Para que un programa de bioseguridad sea exitoso se deberá tener conciencia de la importancia que requiere para poder tomarlo con total responsabilidad, seriedad y compromiso. La bioseguridad nunca debería tomarse como un costo impuesto por los técnicos sino como una inversión.
Un plan de bioseguridad mal implementado o mal elaborado se transforma en un riesgo tan importante como en el caso de no poseerlo, ya que genera una falsa sensación de seguridad.
El uso (excesivo) de antimicrobianos está en debate. Implementar planes exhaustivos de bioseguridad en las granjas, se convierte en una práctica habitual para evitar la entrada y propagación de microorga nismos patógenos. (Figura 12).
Así mismo, hay que tener en cuenta que, en la lucha frente a las enfermedades animales, la prevención es fundamental, para lo cual desempeña un papel básico la bioseguridad, pero también el tratamiento de las mismas se hace necesario.
En este sentido, cabe señalar que, si bien el uso de antimicrobianos en la producción avícola resulta imprescindible en determinadas circunstancias, también puede contribuir al incremento de las resistencias antimicrobianas, por lo que se debe hacer hincapié en el uso responsable de los medicamentos veterinarios.
De hecho, combatir la resistencia antimicrobiana es una prioridad básica en la Unión Europea, que ha establecido una estrategia común frente a esta cuestión.
A más bioseguridad, menos enfermedades y menos antibióticos
Nivel 1
Estrictos protocolos de bioseguridad externa
Evitar que entren enfermedades:
Vallando la granja Limpiando los camiones al entrar
Menor prevalencia de muchas enfermedades
Víricas Bacterianas Nivel 2
Programas vacunales con mayores garantías de éxito
Menos uso de antibióticosProtocolos de bioseguridad interna
Evitar la transmisión de enfermedades dentro de las granjas
Figura 12. Como un plan de bioseguridad puede contribuir a la reducción de antibióticos en la granja.
Finalmente, el programa de bioseguridad habrá que revisarlo e ir adaptándolo a la situación de la explotación, teniendo siempre presente que debe estar acorde con las posibilidades económicas de la granja y ser fácilmente adaptable a sus características específicas.
NETPOULSAFE – «Networking European poultry actors for enhancing the compliance of biosecurity measures for a sustainable production» -, que se enmarca en el Horizonte 2020, y que comenzó el 1 de octubre de 2020 con el objetivo de mejorar la bioseguridad de las granjas avícolas, mediante la recopilación, validación y puesta en común de medidas de apoyo que ayuden a la aplicación efectiva de la bioseguridad.
Estas medidas de apoyo se definen como prácticas que contribuyen a la aplicación efectiva de la bioseguridad y que pueden ser aplicadas directamente por los ganaderos, los veterinarios y la administración.
En este sentido estimamos que sería de gran relevancia para el sector promover la certificación de las Medidas Mínimas de Bioseguridad (MMB) en las granjas avícolas.
Este Real Decreto entró en vigor el día siguiente de su publicación “en el Boletín Oficial del Estado”.
Sin embargo:
Los requisitos en materia de formación que establece el artículo 4.2, entrarán en vigor a partir del 1 de enero de 2023, sin detrimento de las exigencias en esta materia establece el Real Decreto 692/2010, de 20 de mayo, y el Real Decreto 1084/2005, de 16 de septiembre.
Para las explotaciones existentes exclusivamente, los requisitos en materia de bioseguridad, higiene, infraestructuras, equipación y manejo y condiciones higiénico-sanitarias que establecen los artículos 5 y 6, entrarán en vigor a partir del 1 de enero de 2024.
No obstante, lo que prevé la disposición derogatoria única, las explotaciones de avicultura de carne tienen que cumplir las exigencias en esta materia establece el Real Decreto 1084/2005, de 16 de septiembre, hasta la entrada en vigor.
Para cualquier explotación avícola, incluidas las ya existentes antes de la entrada en vigor de este Real Decreto, la obligación de contar con un Sistema Integral de Gestión de las explotaciones avícolas que establece el artículo 9, entrará en vigor a partir del 1 de julio de 2022
Bioseguridad en las granjas avícolas a la luz del real decreto 637/2021: una apuesta one health. Parte 5. DESCÁRGALO EN PDF
ECO Unit, un intercambiador de calor que crea un clima saludable con una ventilación mínima. El desarrollo de sus aves puede mejorar gracias a un ujo de aire más saludable, mientras que ahorra hasta un 75% en su factura de gas.
Cada unidad recupera hasta un 80% de calor. El aire caliente del interior pasa al aire fresco del exterior atravesando hasta 1.325 m2 de super cie de contacto en el corazón del ECO Unit. El intercambio se produce durante un periodo de tiempo más largo y con más m2 de super cie de contacto en comparación con otro tipo de intercambiadores de calor.
Recupera la inversion en < 5 años*
de amoníaco un
de
más bajos
de
más altos de rendimiento vs intercambiadores de
más pequeños
interrupción
de refrigeración y limpieza
Aunque los avicultores han utilizado paneles evaporativos de enfriamiento de cartón durante décadas, los paneles evaporativos de plástico son un fenómeno relativamente nuevo.
Imagen 1. Nuevos paneles evaporativos de plástico - nuevo sistema
Como con cualquier producto nuevo, hay muchas preguntas.
La pregunta más común es si los paneles evaporativos de plástico producen el mismo nivel de enfriamiento del aire que los paneles evaporativos de cartón tradicionales. La respuesta es sí.
Pero el hecho de que los paneles de plástico sean capaces de producir el mismo nivel de enfriamiento que los paneles evaporativos de cartón, no significa necesariamente que lo hagan.
En la primavera de 2020 se inició un estudio para comparar los paneles de plástico con los paneles de cartón tradicionales, en una granja de broilers de seis naves en el norte de Georgia.
Tres de las naves de 152 metros x 16,5 metros estaban equipadas con paneles de plástico de dos fabricantes diferentes.
Una nave se equipó con los paneles de plástico proporcionados por una empresa de instalaciones (empresa de instalaciones-A) y dos naves se equiparon con los paneles de plástico proporcionadas por otra empresa de instalaciones (empresa de instalaciones-B)
En una de las naves con panel de plástico de la empresa de instalaciones-B, los sistemas de distribución de agua de seis años de antigüedad fueron reemplazados por los nuevos sistemas fabricados por la misma empresa de instalaciones-B.
Para poder hacer comparaciones precisas entre paneles de plástico y de cartón, los paneles de cartón de 15 centímetros (45º X 15º) en una de las naves, de seis años de antigüedad, fueron reemplazados por paneles de cartón nuevos de 15 centímetros (45º X 15º) proporcionados por la empresa de instalaciones-B.
Durante los últimos diez días de la época más cálida del verano de 2021 (los ventiladores de túnel funcionaron las 24 horas del día), los paneles evaporativos de enfriamiento se configuraron para encenderse a 26,7 °C y apagarse a 26,1 °C (sin temporizar) -ver nota del traductor-
Se registraron cada cinco minutos la temperatura y la humedad relativa del aire a la salida del panel, medidas a 46 centímetros de los paneles evaporativos, al igual que la temperatura y la humedad relativa exterior.
Temp (ºC) RH (%)
Panel nuevo cartón –distribución antigua 25,8 87,6
Las temperaturas exteriores durante este período de diez días oscilaron entre 32,2 °C durante el día y 21,1 °C durante la noche.
Las temperaturas del aire a la salida del panel durante las horas más cálidas del día (10 am - 6 pm) fueron muy similares en todas las naves (Tabla 1)
Panel plástico B –distribución nueva 25,4 88,2
Panel plástico Bdistribución antigua 26,2 88,0
Panel plástico BDdistribución antigua 25,9 87,8
Exterior 29,0 74,8
Tabla 1. Temperaturas y HR medias del aire entre las 10:00 AM y 6:00 PM durante los últimos diez días del lote.
Fotografía 2. Ejemplo de panel de cartón tradicionalYa que las temperaturas del aire a la salida del panel son similares, es lógico encontrar que las humedades relativas a la salida del panel en todas las naves fueran también semejantes.
La semana posterior a la salida de las aves, los máximos diurnos estaban a alrededor de los 35 º C.
Un día, todas las naves tuvieron todos los ventiladores del túnel y los paneles evaporativos en funcionamiento entre las 12 y las 5 de la tarde.
( o C)
RH(%)/Temperatura
37,8 36,7 35,6 34,4 33,3 32,2 31,1 30,0 28,9 27,8 26,7
11:00 AM 11:30 AM 12:00 AM 12:30 AM 1:00 PM 1:30 PM 2:00 PM 2:30 PM 3:00 PM 3:30 PM 4:00 PM 4:30 PM 5:00 PM 5:30 PM 6:00PM
Panel plástico B – distribución nueva Panel plástico B - distribución antigua Panel nuevo cartón – distribución antigua Panel plástico BD - distribución antigua
Temperatura exterior Humedad exterior
Gráfico 3. Temperaturas del aire a la salida del panel
( o C)
Temperatura
37,8 36,7 35,6 34,4 33,3 32,2 31,1 30,0 28,9 27,8 26,7
11:00 AM 11:30 AM 12:00 AM 12:30 AM 1:00 PM 1:30 PM 2:00 PM 2:30 PM 3:00 PM 3:30 PM 4:00 PM 4:30 PM 5:00 PM 5:30 PM 6:00PM
Panel plástico B – distribución nueva Panel plástico B - distribución antigua Panel nuevo cartón – distribución antigua Panel plástico BD - distribución antigua
Temperatura exterior
Gráfico 2. Temperaturas del aire a la salida del panel
Como se vio cuando las aves estaban presentes, hubo una diferencia mínima en la temperatura a la salida del panel y la humedad relativa entre las cinco naves del estudio (Gráficos 2 y 3)
Dicho esto, en la nave con panel de plástico y con el nuevo sistema de distribución de agua, la temperatura del aire a la salida del panel fue considerablemente más baja que las otras naves, incluida la nave con el mismo panel de plástico, pero con el sistema de distribución de agua antiguo.
Es importante tener en cuenta que, los paneles de plástico no absorben el agua como hacen los paneles de cartón, por tanto, son más difíciles de humedecer por completo y, como resultado, tienden a producir menos enfriamiento que los paneles de cartón.
La capacidad absorbente de los paneles de cartón a menudo se subestima.
Aunque uno o dos orificios de la tubería de distribución estén obstruidos o la bomba de circulación no haga circular la cantidad adecuada de agua, la superficie del panel tenderá a estar húmeda en su totalidad debido a que el agua se mueve desde las zonas húmedas hacia las zonas secas.
Se puede uno dar cuenta de la capacidad absorbente del panel de cartón cuando el canal inferior de recogida tiene agua, lo que hará que los 15-30 cm inferiores del panel se mantengan húmedos a pesar de que la bomba de circulación está apagada.
Dado que en los paneles evaporativos de plástico básicamente no hay absorción, es crucial que el sistema de distribución de agua entregue la mayor cantidad de agua posible en toda la superficie del panel.
Mientras que en el pasado el avicultor cerraba parcialmente la llave de paso de la bomba de circulación para reducir el agua en la parte superior del sistema de distribución; en esta prueba las llaves de paso se abrieron por completo.
Esto fue necesario porque durante las pruebas preliminares se descubrió que cuando las llaves de paso estaban parcialmente cerradas, algunas zonas de los paneles de plástico permanecían secas, lo que resultó en una reducción del enfriamiento.
Aunque abrir completamente las llaves de paso resultó en un desperdicio de agua significativo en las naves con los sistemas de distribución más antiguos, se consideró necesario para determinar la capacidad máxima de enfriamiento de los paneles de plástico.
Una de las diferencias clave entre el nuevo sistema de distribución y los sistemas de distribución más antiguos era que la bomba de circulación del nuevo sistema hacía circular aproximadamente el doble del volumen de agua.
Una diferencia igualmente importante fue que la tapa del sistema de distribución de agua era capaz de contener el mayor volumen de agua en la parte superior de los paneles con poco o ningún desperdicio de agua.
La capacidad del nuevo sistema de distribución para distribuir a los paneles aproximadamente el doble de agua, probablemente contribuyó al enfriamiento levemente mayor producido, comparado con los paneles de plástico con sistemas de distribución más antiguos.
Si se hubieran reemplazado todos los sistemas de distribución, las ligeras diferencias de enfriamiento observadas entre las naves de estudio podrían haber sido diferentes.
La falta de capacidad absorbente del plástico hace que los paneles de plástico sean más difíciles de humedecer por completo en comparación con los paneles de , lo que puede resultar en un menor enfriamiento en ciertas situaciones.
El autor indica que el encendido de las bombas de agua de los paneles de enfriamiento evaporativo está configurado a 26,7 °C (en el interior de la nave). Esta temperatura, puede parecer baja para el inicio de la refrigeración, sobre todo en naves capaces de enfriar las aves por la velocidad de aire, como es el caso de las naves que utilizan la ventilación túnel (en verano).
Tener un sistema de distribución capaz de hacer circular sobre los paneles de plástico de manera eficiente un gran volumen de agua, ayudará a garantizar el nivel necesario de enfriamiento para mantener cómodas a las aves durante el clima cálido.
De todas formas, hay que tener en cuenta las condiciones de crianza del estudio:
La temperatura exterior era de 35 oC.
La humedad relativa exterior en las horas más cálidas de verano era de 55-60 %. Una humedad exterior muy alta, por lo que la eficiencia de enfriamiento de los paneles es muy baja, aun funcionando las bombas el 100 % del tiempo (el interior de las naves están a 28,5 oC, es decir que el panel enfría la nave sólo 6,5 grados).
El peso vivo medio de los broilers en edad de sacrificio en 2021 fue de 2,93 kg (USDA 2022).
Refrigeración por paneles de plástico vs paneles de cartón
EN PDF
Nos desplazamos hasta La Parroquia, un pequeño pueblo de Lorca en Murcia, para visitar las nuevas instalaciones rentables, eficientes y con garantías para la producción de pollos de Pios Jasgan ofrecidas por Agrener, una empresa instaladora donde “el boca a boca” también la sigue situando como una referencia para las naves de pollos.
En una pequeña pedanía de Lorca, llamada La Parroquia, visitamos las instalaciones avícolas ofrecidas por Agrener para el engorde de pollos de Pios Jasgan, una granja de pollos integrada con Avinatur que está gestionada por Ginés Antonio Molina.
Ginés Antonio Molina nos cuenta durante nuestra entrevista que varias veces en su vida ha tenido que adaptarse a los cambios y cambiar de negocio para “seguir avanzando en la vida”. Tenía una empresa de construcción que iba muy bien hasta la “crisis del ladrillo”, después se puso al frente de una granja para el engorde de cerdos, pero siempre con el objetivo de desarrollarse también en el sector avícola.
“en mi pueblo había varias granjas para el engorde de pollos y siempre me gustaron. Por eso, en cuanto pude busqué la manera de tener yo también mi propia explotación avícola”
Ginés, en su empeño de tener su propia granja de pollos, se pone manos a la obra y comienza a preguntar a sus vecinos si hay alguna instalación avícola disponible que él mismo pueda gestionar. Después de dos años encuentra una nave antigua y comienza su nuevo proyecto avícola.
Nos comenta durante nuestra entrevista que a la hora de buscar empresa instaladora para reformar su nave “el boca a boca” le ayudó a contactar con Agrener.
“las naves de mi pueblo que han sido entregadas por Agrener funcionan muy bien y todos mis vecinos avicultores me hablaban maravillas de la calidad de los materiales y el servicio que ofrecen desde Agrener, así que ´si el río suena, es que agua lleva´ como dice el famoso refrán”.
A partir de estas excelentes referencias sobre Agrener que le ofrecen otros avicultores y amigos de su zona, contacta con la empresa instaladora y reforma la antigua nave, convirtiéndola en una instalación rentable y eficiente.
“Desde Agrener hicieron un estudio personalizado de mi nave y la adaptaron a la producción avícola para que fuera rentable y eficiente y la verdad es que funciona muy bien”
Después de dos años con la nave reformada por Agrener y a pleno funcionamiento, Ginés decide ampliar sus instalaciones para el engorde de pollos con la incorporación de una nave nueva completamente equipada con la mejor tecnología ofrecida también por Agrener.
“Volví a confiar en Agrener para mi nuevo proyecto porque yo mismo pude comprobar lo que decían otros avicultores sobre las calidades que ofrece y el servicio que te dan. Es vital que la empresa instaladora se implique en el proyecto y que quiera que funcione todo al máximo nivel y esto con Agrener está garantizado, ya que lo entienden también como un proyecto suyo”
Esta nueva instalación, donde todos los materiales del interior fueron proporcionados por Agrener, tiene 18 metros de ancho por 110 de largo, capacidad para engordar 30.000 pollos, y presenta ventilación combi-túnel con chimeneas de SKOV proporcionada por Agrener.
“La distribución de los animales es fantástica y se nota en el interior de la nave. Numerosos sensores garantizan que en toda la nave el control climático esté controlado y los animales están distribuidos de manera uniforme”
Como autómata de control se ha instalado el ordenador DOL 539 que ofrece un control climático completo y regula la temperatura, la humedad, la ventilación, la refrigeración, la humidificación y el nivel de CO₂ y NH3
“El ordenador de SKOV es fácil e intuitivo. Además, con ayuda de Agrener y de mis vecinos creo que estamos obteniendo el máximo rendimiento”
Para la salida de aire se han incorporado chimeneas DA 600, un revolucionario modelo aerodinámico que ofrece una salida de aire elevada con un bajo consumo energético.
Para los niveles altos de ventilación se dispone de extractores de gran caudal situados al final de la nave. Estos Bluefan DA1700 de Skov, son los extractores más potentes del mercado, sacando 63.000m³/h a 10Pa de depresión.
La calefacción es gestionada mediante calefactores de gas y la refrigeración mediante paneles cooling, situados a ambos lados de la nave, de 25 metros de largo, que garantizan el ambiente constante y adecuado para que los pollos alcancen su máximo rendimiento.
Asimismo, se ha instalado Sistema de Alarma y gestión remota para que desde su teléfono Ginés pueda ver y gestionar todo lo que está pasando en su granja.
En esta nueva nave se ha instalado la Ventana DA 1211 Transparente que ofrece Agrener, unas ventanas que permiten la entrada de aire de control de ventilación avanzado, proporcionando los flujos de aire óptimos incluso en ventilaciones mínimas, y la entrada de luz natural.
Estas ventanas están adaptadas a las nuevas normativas europeas sobre bienestar animal “Animal welfare state”, puesto que permiten la entrada de luz natural, diluyéndola, y generando un ambiente de luz homogéneo dentro de la nave.
Sus características constructivas y de diseño con doble capa de policarbonato translúcido con cámara de aire interior, evita condensaciones y rotura de puente térmico.
“Estas ventanas garantizan el buen funcionamiento de la ventilación y permiten la entrada de luz natural para el bienestar animal, puesto que según algunos indicadores la tendencia en producción de pollos puede ir hacia este nuevo enfoque”
“La tecnología que te aportan desde Agrener te permite tener algo más de tranquilidad en un sector como el avícola. Te proporcionan equipos que hacen tu nave más rentable y eficiente y además te dan mayor tranquilidad porque te acompañan”
Contar con materiales de calidad es vital para que las explotaciones duren años y sean más rentables, y en esto también desde Agrener destacan en los productos que ofrecen.
En esta instalación contamos con seis líneas de bebederos con recogedor de O’Matic de Lubing y cinco líneas de los reconocidos comederos Kickoff 330° de Landmeco ofrecidos por Agrener.
El comedero Kick-off 330° muestra el pienso a la altura de la vista de los pollitos, proporcionando así una disponibilidad del alimento nunca vista.
Además, la elevación de estos comederos y bebederos es automática para favorecer el manejo y disminuir la mano de obra.
“Estoy muy contento con los comederos y bebederos que me ha ofrecido Agrener. Mis vecinos avicultores ya me habían comentado que funcionaban de maravilla, pero yo mismo he podido comprobarlo”
Durante nuestra entrevista Ginés nos comenta que en todo momento tiene contacto con la empresa instaladora, desde el momento en que entraron los pollos hasta el “día a día”. Nos relata cómo desde Agrener le han acompañado siempre y que la confianza se la han ganado debido al excelente servicio que ofrecen.
Instalaciones avícolas rentables, eficientes y con garantías DESCÁRGALO EN PDF
“Estamos muy contentos con el servicio que nos dan desde Agrener. De hecho, repetimos con ellos porque nos hemos sentido acompañados, los materiales son excelentes y todo el mundo habla bien de Agrener. La verdad es que una vez usas sus productos ya entendemos porqué los avicultores eligen Agrener para sus proyectos”
Entrada de aire DA 1211 de control de ventilación avanzado, permitiendo los flujos de aire óptimos incluso
ventilaciones mínimas, y la entrada de luz natural.
Rotura de puente térmico.
capa de policarbonato translúcido con cámara de aire interior. Evita condensaciones.
Borde con refuerzo mediante lámina de aluminio que impide su deformación y le da perfecta estabilidad en las aperturas mínima.
entrada de luz
diluyéndola, generando un ambiente de luz homogéneo dentro de la nave
las nuevas normativas europeas sobre el bienestar animal en granja
Guillermo Tellez-Isaias1 y A. Gregorio Rosales2
1Departamento de Ciencia Avícola, Universidad de Arkansas, Fayetteville, 72701
2Consultor de Salud Avícola, Athens, Alabama
En Estados Unidos, la carne de pollo es ampliamente preferida por los consumidores y es la principal proteína consumida.
En 2021, el Consejo Nacional de Productores de Pollo (National Chicken Council) estimó que el consumo medio per cápita alcanzará aproximadamente 44,5 Kg, uno de los más altos del mundo.
Consumo estimado 44,5 Kg per cápita
Una parte importante de este consumo consiste en carne de pechuga de pollo deshuesada. Debido a esta demanda, los genetistas han seleccionado linajes de pollos de engorde con crecimiento rápido y un mayor rendimiento de la pechuga, entre otros rasgos genéticos relacionados también con rendimientos de producción, estado de salud y bienestar animal.
De acuerdo a reportes desde 1957 hasta 2005, el peso de los pollos de engorde se ha cuadruplicado y el rendimiento de la carne de pechuga (músculo pectoral mayor) ha aumentado aproximadamente en un 80%
Durante la última década, junto con las mejoras en el crecimiento, la conversión alimenticia y el rendimiento de carne en la canal (incluido el rendimiento de la pechuga), los productores de pollos han extendido los periodos de engorde para aumentar el tamaño de las aves y el rendimiento de la carne en las canales de parvadas criadas para producir carne deshuesada.
Además, el aumento del tamaño de las aves permite procesar más kilogramos de carne por personahora, reduciendo así los costos y mejorando la eficiencia del proceso.
En la actualidad, el peso vivo medio de los pollos de engorde en EE.UU. es de aproximadamente 2,8 kg, pero casi el 60% del mercado estadounidense que ha duplicado su tamaño en los últimos 20 años, está formado por pollos de engorde de entre 2,7 y 4,5 kg (en función del número de aves producidas)
La carne de pechuga deshuesada es una opción cárnica muy popular en Estados Unidos y en varios países de Europa Occidental porque es un producto versátil, de alta calidad, y magro y, por lo tanto, se le considera un producto de primera calidad.
Para satisfacer la demanda, los procesadores de pollos han adoptado el uso de líneas genéticas de pollo de alto rendimiento para satisfacer las necesidades del mercado de carne deshuesada.
Desgraciadamente, esta tendencia ha coincidido con un aumento en la incidencia de miopatías como la pechuga de madera y estriaciones blancas (del Inglés, woody breast o WB y white stripping o WS).
Aunque hay cierta demanda de aves más pequeñas y de crecimiento más lento, es probable que el segmento de aves grandes siga siendo una proporción muy importante de los pollos de engorde producidos en el futuro
Se han asociado varios factores con el aumento de la incidencia de la pechuga de madera y las estriaciones blancas, entre ellos:
El sexo de las aves
Las líneas genéticas de alto rendimiento
Las mayores tasas de crecimiento
Estas miopatías pueden afectar a la calidad y a la aceptabilidad de los productos cárnicos de pollo por parte del consumidor.
Las miopatías en los pollos de engorde - tales como WB., WS., la carne de espagueti y la miopatía del musculo pectoral profundo (músculo verde)- son motivo de preocupación por su impacto económico creciente debido a sus efectos en la calidad de la carne, la degradación del producto, y posibles problemas en el bienestar de las aves.
Afortunadamente, según la Asociación Americana de Patólogos Aviares (AAAP), estas miopatías de la pechuga no están asociadas a agentes infecciosos o patógenos, ni amenazan la inocuidad alimentaria.
La causa o causas de estas afecciones aún no se han dilucidado.
Sin embargo, los conocimientos actuales sugieren que son causadas por un suministro inadecuado de sangre y oxígeno, lo que da lugar a trastornos metabólicos asociados a la eliminación de dióxido de carbono y ácido láctico del tejido muscular.
Al momento se están realizando numerosos proyectos de investigación, selección genética, nutrición y desarrollo de estrategias de manejo encaminadas a reducir o prevenir la incidencia de estos problemas.
El pollo de engorde doméstico ha sido un modelo básico en la investigación animal, ya que constituye una gran fuente de proteína de alta calidad para el ser humano. Durante los últimos 60 años, las estrategias de selección genética han desarrollado un ave a través de mejoras graduales en el rendimiento y el desempeño en vivo que alcanza el peso corporal para ser procesado en tan solo cinco semanas
Hoy en día, un pollito recién salido del cascarón aumenta su peso corporal un 25 % después de una noche en la granja y un 5.400 % a las 5 semanas, hasta alcanzar aproximadamente 2.273 gramos
Desgraciadamente, con este asombroso progreso genético también han aumentado algunas condiciones desfavorables, como la deposición excesiva de grasa (obesidad) y la susceptibilidad a trastornos de los sistemas esquelético, metabólico y reproductivo.
Estudios recientes han identificado 1.500 genes asociados a trastornos fisiológicos en los pollos de engorde modernos que padecen pechuga de madera (WB).
Varios investigadores han demostrado que la pechuga de madera se asocia con un aumento significativo del dióxido de carbono (CO2) y una disminución del oxígeno (O2).
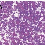
Figura 1A. Pectoralis major normal en pollos
En estas condiciones de hipoxia, se produce un aumento de la síntesis de ácidos grasos que conduce a la acumulación de estos y fosfolípidos, que son responsables del aumento en el porcentaje de grasa registrado en casos de WB., de la consistencia dura (fibrótica) y del color pálido del músculo pectoral (Figura 1B) en comparación con el músculo pectoral normal (Figura 1A).
Además, como ya se ha mencionado, un reto crítico en la producción actual de pollos de carne es la susceptibilidad para depositar un cantidad excesiva de grasa que puede resultar en una obesidad severa.
La adiposidad induce una inflamación sistémica prolongada, que está asociada a varios trastornos metabólicos.
En los humanos, hay evidencias claras de la relación entre la inflamación crónica causada por la adiposidad y las miopatías.
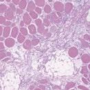
Recientemente, científicos de la Universidad de Arkansas han demostrado que los pollos afectados con pechuga de madera (WB) presentan reducciones significativas de la mineralización ósea y un aumento del tejido adiposo en la médula ósea (Figura 2B) en comparación con los pollos no afectados (Figura 2A).
Figura 2A. Médula ósea de pollos no afectados por pechuga de madera
Figura 1B. Pectoralis major afectado por pechuga de madera. El músculo muestra un color pálido, hemorrágico y un exudado viscoso en la superficie.
Figura 2A. Mineralización ósea y un aumento del tejido adiposo en la médula ósea
Histológicamente, la pechuga de madera se asocia con lesiones de una miopatía que incluyen inflamación, degeneración de miofibras, hialinización, aumento del tejido conectivo (tejido fibrótico) y una abundante infiltración de tejido adiposo (Figuras 3 B-D) en comparación con los pollos no afectados (Figura 3A).
Estos cambios dan lugar a una disminución de las proteínas, a un mayor contenido de colágeno y grasa, a un aumento del pH, a la fuga de agua y contenido celular por goteo y cocción, y a una disminución en la capacidad de retención de agua y de la absorción de liquidos de marinado. Los casos graves dan lugar a una cantidad significativa de filetes de pechuga de baja calidad que a menudo deben ser degradados, lo que provoca importantes pérdidas económicas.
Figura 3A. Regiones con más tejido adiposo. Infiltración inflamatoria focal y fibras musculares.
Figura 3B. Corte transversal. Gran cantidad de tejido adiposo, edema inflamatorio, proliferación de tejido conectivo, atrofia y necrosis de fibras musculares.
Figura 3C. Corte longitudinal. Proliferación y neovascularización del tejido conectivo.
Figura 3D. Corte longitudinal, con infiltrado inflamatorio intersticial, vasculitis, degeneración de fibras musculares y aumento de tejido adiposo.
El metabolismo de los lípidos y la adipogénesis en los animales de abasto difieren entre especies.
La variación en la composición de ácidos grasos entre las especies aviares puede atribuirse a la edad, la dieta y las condiciones fisiológicas.
A diferencia de los mamíferos, la acumulación y el almacenamiento de lípidos en las especies aviares se produce principalmente mediante la adición de lípidos a las vacuolas de los adipocitos, sin que aumente el número de células
Por desgracia, el extraordinario desarrollo muscular de los pollos de engorde modernos va acompañado de un aumento del tejido adiposo, predominantemente grasa adherida al mesenterio y a lo largo del intestino.
El genotipo, el sexo, la edad, la temperatura ambiental y la nutrición de los pollos de engorde modernos son algunos de los principales factores involucrados en la deposición de grasa.
En presencia de leptina segregada por las células adiposas, se envía una señal al hipotálamo del cerebro para regular la ingesta de alimentos y el gasto energético
Las células del tejido adiposo parecen ser muy dinámicas, ya que estas células secretan o expresan muchas proteínas endocrinas.
Entre ellas está la leptina, una adipocina central que influye en el crecimiento, el metabolismo y el comportamiento del apetito de los mamíferos.
En cambio, en los pollos modernos, la leptina desempeña un papel menor en la regulación del hambre, pero tiene un papel endocrino mayor con el ovario y los testículos.
Este efecto biológico puede explicar el apetito insaciable de los pollos de engorde, similar al apetito insaciable observado en el ratón obeso mutante (ob/ob) utilizado para estudiar la obesidad y los trastornos metabólicos en los mamíferos.
En los mamíferos, el tejido adiposo está muy vinculado al sistema inmunitario, hasta el punto de que algunos investigadores han postulado que los adipocitos y el tejido adiposo deberían considerarse parte del sistema inmunitario. Tanto las respuestas innatas como las adquiridas requieren una enorme cantidad de energía para cubrir la proliferación y diferenciación de las células inmunitarias y la producción de anticuerpos y citoquinas.
Por lo tanto, el estrés y la inflamación tienen graves repercusiones en los animales de alta producción como los pollos de engorde.
En los mamíferos, existen dos tipos de macrófagos, M1 y M2.
En condiciones normales, los macrófagos M1 están asociados a las respuestas inflamatorias y a la secreción de citoquinas proinflamatorias (INFγ, TNFα, IL-18) necesarias para combatir una infección o una herida.
A estos les siguen los macrófagos M2 que se encargan de curar (regenerar) la herida y de detener la actividad de los macrófagos M1 mediante la secreción de citoquinas antiinflamatorias como la IL-10, IL-4, IL-14, etc.
En un animal delgado, el tejido adiposo tiene pocos macrófagos M1.
Sin embargo, a medida que aumenta el número de adipocitos, también aumenta el número de células M1, que secretan más citoquinas pro-inflamatorias, creando así una inflamación crónica.
La obesidad, por tanto, se considera una enfermedad autoinmune, y todas las enfermedades patológicas asociadas a la obesidad, como el síndrome metabólico, la diabetes, la artritis, las miopatías y la osteomalacia, se deben al estado de inflamación crónica de los individuos obesos.
El aumento del tejido adiposo también reduce el oxígeno que llega al músculo.
El exceso de especies reactivas de oxígeno (ROS), que se produce durante la inflamación crónica, es responsable de la peroxidación de lípidos en los componentes de las membranas celulares y las mitocondrias, comprometiendo así la homeostasis celular
Esta condición afecta a todas las células, órganos y tejidos y es responsable de todas las patologías asociadas a la obesidad. Aunque todavía no se han identificado a los macrófagos M1 y M2 en las especies aviares, el grado extremo de tejido adiposo en los pollos de engorde modernos limita el espacio para los vasos capilares en los tejidos conectivos, lo que da lugar a una mala vascularización (oxigenación)
Por lo tanto, la reducción del oxígeno y el aumento de los productos de desecho conducen a un severo estrés oxidativo y a la inflamación en el extremo del músculo en miopatías como WB, WS, o la carne de espagueti.
Estos cambios han sido confirmados por el análisis mediante pruebas de RNA-seq y por estudios microscópicos y bioquímicos.
Ahora es evidente que los pollos con pechuga de madera sufren hipoxia localizada, aumento de la degradación muscular, reducción de la utilización de la glucosa, aumento del calcio intracelular y un cambio del tipo de fibra muscular
Además, los músculos afectados por WB muestran una mayor cantidad de calcio y sodio libres como resultado de una pérdida en la homeostasis iónica intracelular y un aumento de la actividad glucolítica que resulta en un aumento del pH en los músculos afectados
La obesidad en los pollos de engorde modernos es una condición crítica que merece mayor atención y estudios de investigación.
La relación entre el tejido adiposo y las vías y mecanismos que conducen a miopatías como la pechuga de madera merecen seguir siendo investigados.
Estudios anteriores han demostrado que el estrés y la inflamación pueden ser causados por diversos factores biológicos, químicos, ambientales o nutricionales.
En los mamíferos, la obesidad induce una inflamación sistémica crónica, misma que se ha relacionado con varios trastornos metabólicos, incluidas las enfermedades cardiovasculares y musculoesqueléticas.
Además, será igualmente importante examinar la posible relación entre el tejido adiposo de la médula ósea con las condiciones patológicas que afectan a la mineralización ósea y la hematopoyesis en los pollos de engorde.
en pollos
pechuga
engorde
Referencias disponibles bajo petición
Si desea conocer la carga de patógenos de lotes enteros, no busque más: Screenflox es la solución integral para el seguimiento de sus aves con precisión. Le proporciona un sistema intuitivo de alerta temprana que le ayuda a prevenir enfermedades y mejorar la producción.
Si está interesado en probar ScreenFlox puede disfrutar ahora de las condiciones especiales de promoción dis ponibles por tiempo limitado. Póngase en contacto con nuestro equipo Evonik en España para más información.
Para obtener información actualizada sobre licencias y descargos de responsabilidad específicos del producto, consulte el manual respectivo del manual del usuario. Los requisitos reglamentarios varían según el país, es posible que los productos no estén disponibles en su área geográfica.
Equipo Técnico de Zoetis
Elobjetivo de este artículo es realizar una revisión de la evolución de los diferentes métodos de vacunación a nivel de incubadora. Desde la vacunación subcutánea a la vacunación in ovo, la vacunación por spray con o sin sistema de parada de la cinta transportadora y la aplicación de productos vía gel.
Fuente imagen: Curso de Especialización en la Vacunación. Fotografía de Tarsicio Villalobos
En el mercado español de broiler, la vacunación subcutánea de Marek y Gumboro (tanto de vacunas asociadas a fibroblasto, vectorizadas HVT-IBD o de inmunocomplejo antígenoanticuerpo) se ha venido sustituyendo por la vía in ovo de manera mayoritaria; si bien se sigue utilizando la vía subcutánea en algunas incubadoras de menor tamaño
El inicio de esta tendencia vino con dos factores fundamentales:
La necesidad de proteger a las aves frente a los desafíos generados por el virus de Marek,
Automatizar y estandarizar estos procesos de vacunación debido a los crecientes volúmenes de aves producidas.
Todo ello manteniendo o incluso aumentando la calidad del pollito (mayores requerimientos del in ovo en cuanto a calidad microbiológica tanto del huevo fértil como ambientales en la incubadora).
Aspectos clave para garantizar una buena vacunación in ovo
Debido a que los huevos no siempre están colocados verticalmente en la bandeja, el cabezal de inyección debe poder adaptarse a la inclinación del huevo, de manera que se asegure la correcta inyección de la vacuna en el líquido amniótico o en el embrión
El sistema in ovo debe tener en su diseño un sistema de “aguja dentro de aguja”, el cual consta de un perforador diseñado especí camente para realizar la perforación de la cáscara que minimiza la posible contaminación del huevo embrionado por microorganismos presentes en su super cie, e internamente a este, una aguja que es la encargada de llegar hasta el sitio correcto de inyección.
Una efectiva vacunación se obtiene tras la inyección en el líquido amniótico o en el cuerpo del embrión. Con la localización correcta del huevo, el inyector es capaz de realizar la inyección en el sitio adecuado.
El sistema in ovo debe garantizar la integridad de los broblastos de embrión de pollo contenidos en la vacuna de Marek, desde la bolsa de disolvente hasta la punta de la aguja.
Es esencial un efectivo y seguro sistema de desinfección de las agujas en la vacunación in ovo. El sistema de “aguja dentro de aguja” permite realizar la desinfección una vez retraída la aguja de inyección, iniciándose el ciclo de desinfección con una solución de cloro sobre la parte exterior de la aguja y del perforador.
Fuente imagen:
Fuente imagen: globalagmedia
La vacunación por spray no consiste, como a veces se piensa erróneamente, en crear pequeñas gotas que contengan el virus vacunal y sean inhaladas por las aves.
En realidad de lo que se trata, es de imitar la aplicación vía gota ocular pero en forma masiva, que es considerada como la vía de aplicación ideal de los virus de tipo respiratorio
El spray se viene utilizando desde hace muchos años en las incubadoras para vacunar al nacimiento frente a:
Bronquitis Infecciosa Aviar (BIA)
Metapneumovirus
Coccidia
Escherichia coli
En un principio los dispositivos de vacunación en spray necesitaban detener cada cesta para ser rociados por 2 o 4 boquillas que dispensaban en forma circular.
La desventaja era dejar zonas de la cesta de pollitos sin cobertura (especialmente las esquinas).
Ralentizaban el proceso de preparación de los pollitos para su expedición.
Más recientemente, dispositivos más modernos permiten integrar el proceso de dispensa a la cinta transportadora realizando la vacunación sin detener la cesta, incrementándose la velocidad de trabajo.
Estos equipos utilizan 1 o 2 boquillas con un patrón de dispensación en abanico plano, permitiendo una cobertura completa del área de la cesta y por tanto de los pollitos
Los pistones donde se carga la dosis de solución vacunal que se va a administrar a cada cesta, generalmente son accionados por presión de aire proveniente del sistema neumático de la planta de incubación, aunque recientemente se han introducido en el mercado dispositivos donde estos son accionados mediante un motor eléctrico.
Otros dispositivos mantienen la solución vacunal en contenedores bajo presión neumática constante en lugar de utilizar pistones.
VOLÚMENES A ADMINISTRAR
El volumen de solución vacunal a aplicar por cada cesta de pollitos de 1 día de vida es variable y depende de la vacuna a aplicar:
Las vacunas de BIA registradas en España indican un mínimo de 15-25 ml por cada 100 aves dependiendo de la vacuna
En las vacunas frente al Metapneumovirus Aviar el mínimo indicado es mayor recomendándose un mínimo de 20-25 ml
Para las vacunas de coccidia recomiendan volúmenes mayores rondando los 21 a 28 ml por 100 aves
En la vacuna viva de Escherichia coli la recomendación va de 10 a 50 ml
Estudio comparativo utilizando 7, 14 y 21 ml por cesta en el que se evidenció, que a mayor volumen se logra que una mayor cantidad de solución vacunal llegue a las aves y que la pérdida de título de la vacuna, que ocurre entre la boquilla y el ave, disminuya desde casi 1,5 log10 a menos de 0,5 log10
El tamaño de gota se obtiene por la combinación de la presión utilizada con el flujo de la boquilla
Se deben utilizar boquillas que sean adecuadas para el volumen a aplicar, de manera que la presión utilizada genere el rango de tamaño de gota deseado.
Solemos utilizar el concepto “gota gruesa” cuando hablamos de vacunas respiratorias, sin embargo, cabe un rango muy amplio de tamaños de gota.
Con respecto al riesgo de enfriar demasiado al pollito, el descenso de la temperatura es pequeño y de corta duración no generando problemas en las aves (Jordan, B. J., 2020; Maman, A.H., et al, 2019)
En las vacunas de BIA registradas en España este rango varía desde indicaciones inespecíficas de “gota gruesa”, hasta valores entre 50 y 200 micras (1 micra=0,001 mm).
A mayor tamaño de gota, más solución vacunal alcanza a las aves y se minimiza la presencia de gotas finas que puedan o ser inhaladas por las aves (hecho que puede generar reacciones post-vacunales no deseadas) o ser arrastradas por corrientes de aire fuera de la cesta.
En el caso de las vacunas de Metapneumovirus, las indicaciones son simplemente de “gota gruesa”.
Para las vacunas de coccidiosis indicaciones pueden ir desde nuevamente “gota gruesa”, ≥100 micras o entre 200 y 250 micras.
Para la vacuna viva de E. coli recomendación es utilizar una 100 micras.
Basado en sus investigaciones el Jordan incluso habla de tamaños de gota de hasta 300 a 400 micras con los que observó mejores resultados (Jordan, Brian. “Essential adjustments that improve IB vaccine efficacy in broilers”. Poultry Health Today, May 7, 2020)
Recientemente diversas empresas están proporcionando equipos que además de permitir aplicar vacunas por spray, permiten dispensar soluciones acuosas densas del tipo gel
Con esto se busca, entre otras cosas, que las aves se hidraten, permitiendo incorporar productos variados como prebióticos, probióticos o vitaminas
A pesar de no existir todavía en Europa vacunas registradas para esta vía, en los últimos tiempos se ha utilizado en pequeña escala para la aplicación de vacunas tanto respiratorias como de cocccidia
En el caso de una vacuna de coccidia donde el blanco de las Eimerias es la replicación a nivel de los enterocitos, se podría considerar como una vía totalmente afín al objetivo, como lo demuestran diversos estudios (Albanese, G., et al, 2018; Tensa, L., et al, 2019)
Para las vacunas respiratorias como las de BIA, sobre esta vía de aplicación existen tanto estudios que muestran una efectividad similar a la aplicación por spray (Legnardi, M., et al, 2021), como otros que muestran una menor efectividad que la aplicación tradicional vía spray (Reith, A., et al, 2018)
El incremento de los volúmenes de producción y la necesidad de asegurar una vacunación altamente efectiva, siguen llevando a que cada vez se utilice más la vía de vacunación in ovo en sustitución de la vía subcutánea.
La vacunación in ovo requiere utilizar equipos de fiabilidad demostrada y que reúnan las características anteriormente señaladas de localización del huevo, sitio de inyección, dispensación y desinfección.
Para la aplicación de vacunas respiratorias o intestinales se siguen implementando mejoras no sólo en los equipos de vacunación, sino en las características del spray utilizado en cuanto a tamaño de gota y volumen dispensado.
l La variante
virulenta
POULVAC®
es la cepa
la
Desde el primer día de vida
1. Giner, A., Leite, P., Matos, M., and Blond, F. (16-20 November 2019). Infectious Bronchitis Virus Genotypes in the Iberian Peninsula (Spain and Portugal) from 2014 to 2017. World Veterinary Poultry Association Congress 2019, Bangkok, Thailand
Poulvac® IB QX. Liofilizado para suspensión para pulverización para pollos. Composición: Virus de la bronquitis infecciosa aviar, vivo atenuado, cepa L1148: 103,0 –105,0 DIE50 Indicaciones: Para la inmunización activa de pollos con el fin de reducir los signos respiratorios de la bronquitis infecciosa causados por las variantes QX del virus de la bronquitis infecciosa. Establecimiento de la inmunidad: 3 semanas después de la vacunación. Duración de la inmunidad: 63 días después de la vacunación. Contraindicaciones: Ninguna. Tiempo(s) de espera: cero días. Posología y vía de administración: Pollos de engorde: 1 dosis de vacuna desde 1 día de edad mediante vacunación por pulverización. Futuras ponedoras o futuras reproductoras: 1 dosis de vacuna desde los 7 días de edad mediante vacunación por pulverización. La vacuna puede administrarse desde el primer día de edad a futuras ponedoras y reproductoras con MDAs frente a IBV. Precauciones especiales para su uso en animales: Vacunar únicamente animales sanos. Vacunar a la vez a todos los pollos de una misma instalación. Puesto que la diferencia entre la dosis eficaz y la no eficaz es pequeña, administrar la dosis apropiada de forma cuidadosa. Precauciones específicas que debe tomar la persona que administre el medicamento veterinario a los animales: La reconstitución y la administración de la vacuna deben realizarse de forma cuidadosa. Evitar el contacto directo con el aerosol de la vacuna protegiendo la nariz y la boca con una mascarilla respiratoria y los ojos mediante gafas de seguridad. Lavar y desinfectar las manos después de su uso. Conservación: Conservar y transportar refrigerado. No congelar. Proteger de la luz. Eliminación: Todo medicamento
residuos derivados del mismo deberán eliminarse de conformidad con las normativas
Cabe recordar que algunos sistemas fisiológicos no están totalmente desarrollados al momento de nacer, entre ellos el termorregulador.
La espera en la planta de incubación sin ingesta de alimento hace que las aves presenten gran gasto metabólico con el fin de regular su temperatura corporal.
La temperatura corporal de las aves fluctúa de acuerdo con la temperatura externa los primeros 3- 4 días.
La temperatura corporal al día de edad está entre 39,4 - 40 ºC ( 103-104°F ). Al día 5-6 de edad alcanza los 41,1 ºC ( 106°F ) que será la misma temperatura que tendrá cuando adulto.
La Gráfica 1, publicada por Aviagen, muestra cómo las aves al salir de su zona de confort - temperatura cloacal 39,4 - 40,6 ºC (103-105°F)- la pérdida de peso se incrementa dramáticamente.
La baja temperatura cloacal generará el mismo efecto de pérdida de peso en las aves.
pérdida de peso después de 12 horas en función
Gráfica
temperatura
Desde el momento que todas las aves nacieron y están aún en las bandejas de nacedoras se debe medir la temperatura cloacal. Esa medición nos permite ajustar los perfiles de la nacedora: bajar o subir la temperatura de este si es necesario.
Al momento de ser sacadas se debería realizar otra medición - normal 39,440,6 ºC (103-105°F) -.
Durante el proceso de sexaje y vacunación la toma de temperatura nos dará valores bajos ya que la temperatura de la mano del operario y la vacuna especialmente si es por aspersión bajará la temperatura de las aves.
Una a dos horas después de entrar a el cuarto de espera se debería tomar la temperatura y con especial atención antes de montarlas al camión.
Sería ideal que todas nuestras aves nacieran de manera simultánea, pero en la realidad no pasa así.
Lo que se debe pretender en nuestras plantas es que al tiempo de espera del procesamiento de las aves antes de ser enviadas en los camiones a las granjas, no sumarles a nuestras aves tiempo de esperar innecesario dentro de las nacedoras.
Si estás fuera de esos rangos revisa tu perfil de incubación con especial énfasis en la temperatura embrionaria:
French N.A. (2010) máximo 2% , 30 horas antes de la hora programada
Ross: máximo 1% , 30 horas antes de la hora programada
Cobb: 25% a las 23 horas y 75%, 13 horas antes de la hora programada
A continuación, están algunas recomendaciones sobre el número de aves que deben haber nacido a diferentes horas previas a ser sacadas de la nacedora.
Lohmann: 5%, 26 a 30 horas previas en carga única y 28 a 32 horas en carga múltiple.
Imagen 2. Vacunación planta incubación Imagen 1. Medición de la temperatura cloacalDebemos recordar que los pollitos de lotes más jóvenes son más susceptibles a temperaturas impropias y requieren más alta temperatura ambiente para lograr su zona de confort (Weytjens et al., 1999)
Ross recomienda un grado más de temperatura ambiental para aves provenientes de lotes de reproductoras con edades iguales o menores a 30 semanas de edad.
En la naturaleza las aves al nacer junto a su madre buscan alimento y agua lo más pronto posible.
En nuestras plantas incubadoras después de nacer las aves son sometidas a diferentes manejos que generan estrés y que postergan el acceso de estas al alimento y al agua. Este lapsus de tiempo varía desde un par de horas hasta en algunos casos 36 horas o más.
Los nutrientes que están en el saco de la yema durante una espera prolongada son direccionados al funcionamiento y desarrollo del sistema circulatorio, digestivo y gastrointestinal no logrando compensar las demandas del sistema inmune
La principal inmunoglobulina presente en el saco de la yema es la inmunoglobulina G (Shawky et al 1993) la cual juega un papel importante para el control de enfermedades como encefalomielitis, anemia aviar, o Gumboro.
Diferentes estudios han demostrado que el desarrollo de los órganos linfáticos como el timo, bazo y la Bolsa de Fabricio se ven afectados tanto en pollos de engorde como en ponedoras si las aves son sometidas a ayunos prolongados después de nacer (Selim et al 2021)
La Gráfica 2 adaptada de Dibner et al 1998 muestra el retraso en el desarrollo de la Bursa en aves expuestas a ayuno por 2 días.
Esa diferencia se mantuvo hasta el día 21 del estudio a pesar de que las aves expuestas al ayuno los dos primeros días a partir del día 3 tuvieron acceso libre a alimento y agua.
Ayuno Alimento
Los valiosos anticuerpos maternos que llegan a ser el 20% de las proteínas presentes en la yema pueden durante esa espera ser usados para sobrevivir, perdiéndose todo el potencial inmunológico que le aportó la madre al pollito (Larsoon et al 1993)
Gráfica 2. Retraso en el desarrollo de la bursa en gramos en aves expuestas a ayuno por 2 días.
Uno de los sistemas que más se desarrolla las primeras horas después de nacer es el digestivo, la falta de nutrientes puede comprometer su desarrollo y por ende los componentes del sistema inmune allí presentes.
Órganos linfáticos secundarios como las tonsilas cecales para su total desarrollo y diferenciación en su respuesta humoral necesitan ser expuestos a antígenos externos, muchos de ellos presentados por el alimento (Honjo et al 1993)
Las aves que se alimentan inmediatamente al nacer pueden tener esa ventaja de tiempo necesaria para montar una mejor respuesta inmune que aves a las que se les posterga el acceso al alimento por varias horas.
Simons et al 2014, reportaron que las aves expuestas a alimentación temprana tienen niveles mayores y tempranos de IgA.
Los centros germinales, estructuras vitales para la respuesta vacunal por su presencia de linfocitos T, B y células presentadoras proliferan en las aves que no fueron expuestas a ayuno (Dibner et al 1998)
Juul-Madsen et al 2004 encontraron que el número de células CD4+ y CD8+ fue menor en aves expuestas a ayuno prolongado después de nacer.
Ese menor desarrollo y en algunos casos involución de la Bursa como consecuencia del ayuno puede ser atribuido a la generación de glucocorticoides producto del estrés al que son expuestas las aves (Constantin et al 1977)
En ponedoras se ha reportado que el ayuno prolongado las primeras horas compromete no solo el peso corporal de las aves sino órganos vitales del sistema inmune como el bazo, (Simons et al 2014)
Al momento de planear las diferentes cargas del camión, trate de que el vehículo transporte aves provenientes de lotes de reproductoras de edades similares.
Cada vehículo de transporte de aves es diferente y por ende la temperatura y la ventilación necesaria para brindarle confort a nuestras aves no es igual.
Lo que sí debe ser igual es la temperatura cloacal de las aves durante el recorrido y al momento del descargue 39,640,6 ºC (103-105 °F) con una ventilación y humedad tal que la pérdida de peso de las aves por hora sea de 0.3-0.4 % por hora.
A continuación, como guía compartimos algunos lineamientos de las casas genéticas, centros de educación y compañías de transporte:
Cobb: La temperatura en el interior de las cajas debe ser de aproximadamente 32°C(90°F) y normalmente se puede alcanzar con una temperatura del aire del vehículo de 24 °C (75 °F) en cajas de plástico o 20 °C (71 °F) en cajas de cartón. Humedad 65-70%.
Ross: dentro del camión humedad 50-65%
Heering Poultry Transport Technologies: dentro del camión la temperatura del aire debe estar entre 27-29 °C y humedad 40-80%
The Pennsylvania State University: la temperatura del aire dentro del camión 25.5-31.6 °C (78-89 °F).
En lo posible realizar el menor número de descargas posibles y utilizar cortinas en áreas del camión para evitar fluctuaciones térmicas muy fuertes.
Diferentes reportes muestran que hay mayor mortalidad los primeros días en granja cuando las aves fueron transportadas en un vehículo que realizó más de tres descargues con viaje corto comparadas con un solo descargue y muchas horas de viaje.
En lo posible la persona que entregue las aves en la granja debe registrar la temperatura del piso de la nave donde serán alojadas las aves que entrega. Debe estar entre 28-30°C
Es importante tener en cuenta que las cajas de plástico no conservan el calor tan bien como las de cartón. Si a las aves se les da alimento durante su transporte se debe ajustar la temperatura del vehículo ya que el calor generado por las aves será mayor.
Imagen 4. Medición de la temperatura del suelo de la nave
La distribución no uniforme de la temperatura dentro de la nave genera áreas que las aves evitarán amontonándose en otras y sub-utilizando la cantidad de bebederos y comederos disponibles.
En conclusión, el manejo inadecuado de la temperatura ambiental del cuarto de espera de las aves antes de ser transportadas y durante su transporte puede generar gastos metabólicos innecesarios que se reflejarán en lotes con bajo peso corporal, desuniformidad y mortalidad al llegar a la granja.
La espera innecesaria muchas veces en las plantas, en muchos casos debido a la creencia que si las aves esperan en la planta varias horas llegarán más ávidas de búsqueda de alimento, puede jugar en contra del bienestar de nuestras aves y en particular de su respuesta inmune.
Recomendaciones para el manejo de las aves después de nacer hasta la llegada a granja
DESCÁRGALO EN PDF
Imagen 5. Mala distribución de los pollitos en la nave debido a las diferencias de temperatura del suelo.
El artículo 9 del Real Decreto 637/2021, de ordenación de granjas avícolas, recoge que todas las explotaciones avícolas contarán con un Sistema Integral de Gestión de las Explotaciones avícolas (SIGE), excepto las explotaciones de autoconsumo y las reducidas de acuerdo con los apartados 5 y 6 del artículo 1.
El Ministerio de Agricultura y Alimentación de España con su Dirección General de Producciones y Mercados Agrarios acaba de publicar el Modelo del SIGE.
El SIGE no es más que un compendio de documentos que permiten articular el cumplimiento de los requisitos del RD de ordenación de las granjas avícolas y de otras normas.
El SIGE pretende unificar los elementos comunes que afectan a la actividad rutinaria de la granja bajo un solo documento, basándose en procedimientos o planes generales y añadiendo aquellos requisitos específicos que permiten el cumplimiento de todos ellos. Así, permite evitar duplicidades o contradicciones entre los distintos procedimientos.
Es responsabilidad del titular de la explotación contar con un SIGE, para el que necesitará del asesoramiento del veterinario de explotación, que será el encargado de elaborar aquellos apartados relacionados con sanidad, bienestar animal, higiene y bioseguridad.
El SIGE deberá mantenerse documentado y debidamente actualizado en la granja, a disposición de la autoridad competente de la comunidad autónoma, ante cualquier visita o a solicitud de la misma. Debiéndose su contenido actualizar, al menos, cada 5 años y, en cualquier caso, siempre que la explotación modifique sustancialmente sus instalaciones o prácticas de manejo y cuando se produzca un cambio en la normativa vigente que afecte a su contenido.
Todos los planes que integran el SIGE están interrelacionados entre sí y podrían, si así lo dispone el interesado, agruparse para facilitar la organización de los procedimientos, su puesta en marcha, así como su aplicación por parte de los titulares de las explotaciones.
La obligación de contar con un SIGE en las explotaciones avícolas entrará en vigor, según establece el RD 637/2021 en su disposición séptima, a partir del 1 de julio de 2022.
Debemos recordar. El SIGE (Sistema de Gestión de las Explotaciones avícolas) DESCÁRGALO
Hay que destacar el desarrollo del PLAN DE LIMPIEZA, DESINFECCIÓN, DESINSECTACIÓN Y DESRATIZACIÓN DE LAS INSTALACIONES DOCUMENTADO, que comprenderá:
Listado de productos utilizados en las labores de LDD, incluidos biocidas.
Listado de instalaciones y utillaje sometidos a procedimientos de LDD.
Almacenamiento de los productos utilizados en las labores de LDD.
Identificación de los trabajadores encargados de realizar las labores de LDD.
Identificación de empresas externas que participen en LDD.
Relación de aparatos y productos que se utilizan en las labores de limpieza y desinfección.
Descripción de las rutinas y procedimientos de LDD.
Descripción de la frecuencia de las labores de LDD para las diferentes instalaciones y/o utillaje.
Descripción de las operaciones de vacío sanitario.
Descripción del sistema de monitorización de las labores de LDD.
Es un hecho subjetivo, la observación visual del estado de limpieza de las instalaciones, equipos y utensilios. Debe designarse una persona responsable de esta comprobación.
Será un hecho objetivo, los análisis microbiológicos de los equipos y utensilios y la periodicidad.
Descripción del sistema de registro de las actividades de LDD: hojas de control donde queden registradas las tareas realizadas, la supervisión de dichas tareas, y las incidencias, si las hubiera, y en ese caso las medidas correctoras aplicadas.
Descripción del sistema de archivo de las hojas de control, fichas de seguridad y fichas técnicas de los productos empleados y resultados de los análisis microbiológicos del equipo, utensilios y superficies
A su vez tiene que haber desarrollado un PLAN DE HIGIENE EN EL ALMACENAMIENTO Y GESTIÓN DE LA ALIMENTACIÓN ANIMAL EN LA EXPLOTACIÓN, INCLUIDO EL CONTROL DE LAS FUENTES DE SUMINISTRO DE AGUA.
Control de proveedores.
Descripción del sistema de suministro de alimentos.
Descripción del sistema de carga y descarga de piensos.
Descripción del sistema de almacenamiento de piensos.
Descripción del sistema de registro de los certificados del proveedor de la alimentación animal (certificados de análisis de Salmonella y otros patógenos, certificados de tratamientos térmicos o aditivos autorizados utilizados…)
Sistema de control de suministro de agua: calidad, estado higiénico de depósitos y conducciones y frecuencia de los controles.
La integridad epitelial es esencial como la primera línea de defensa contra los patógenos. Aportar oligoelementos de performance es crítico para mantener la barrera epitelial , ayudar a asegurar que los patógenos no crucen al torrente sanguíneo. Y si lo hacen, el sistema inmunológico estará mejor capacitado para luchar contra ellos. First Line of Defense™ de Zinpro es un avance en la suplementación de oligoelementos para mejorar la integridad de los tejidos epiteliales y mejorar el sistema inmunológico, el crecimiento y la producción.
Escanee el código QR para comenzar a hacer más juntos o póngase en contacto con Luis da Veiga: ldaveiga@zinpro.com
Evolutivamente hablando, las aves descienden de los reptiles. Si vemos un pollo desplumado genéticamente, nos recordará a un mini “Tiranosaurio Rex”, y si observamos de cerca el epitelio de las patas, podremos observar estructuras muy similares a las escamas de un ofidio (serpiente).
Para poder volar, las aves poseen huesos trabeculados, con menor peso, pero gran resistencia mecánica.
Las vértebras están en su mayor parte fusionadas en el animal adulto, a modo de fuselaje, para facilitar el vuelo.
La única vértebra libre, es la Torácica número 4 (T4), lo que explica la gran tensión mecánica que dicha vértebra soporta, lo que la convierte en vulnerable a la inflamación y translocación bacteriana (espondilolistesis o CBO vertebral).
Finalmente, recordar que el hueso está compuesto de una matriz orgánica (colágeno) y otra inorgánica, altamente influenciadas por la presencia de micro y macrominerales (Ca, P, Mg, Mn, Zn, Cu, etc).
Histológicamente hablando, existen zonas estructuralmente débiles frente a los desafíos mecánicos:
tal como la intersección entre los cartílagos articular (hialino) y el de crecimiento, que, a pesar de albergar el mismo tipo celular (condrocitos), poseen características macroscópicas muy diferentes.
El mayor problema, es la escasa interconexión mediante tejido conectivo o entrecruzamiento vascular, lo que hace que cuando las aves alcanzan cierto peso, pueden formarse con relativa facilidad microfracturas entre uno y otro cartílago. En estas microfracturas podrán alojarse bacterias de procedencia lejana, como
Cabeza de tibia: formación de microfracturas en zona anatómicamente frágil entre los cartílagos articular
Fuente: Prof. Robert Wideman, Universidad de Arkansas (US)
Un problema común en todo el mundo es someter a los embriones a hipertermia en la incubadora.
Hemos de considerar que el calor endógeno generado por los embriones hoy es mayor que hace pocos años.
A partir del día 11 de incubación, se produce un desarrollo explosivo de los tejidos y sistemas.
Si el embrión no aprovecha bien los nutrientes contenidos en la yema y membrana vitelina debido al estrés calórico, tendremos casos de pollitos con patas débiles, incapaces de mantener al animal en pie (splayed legs).
Existen algunos problemas con las nuevas estirpes de pollos en las que se da prioridad al desarrollo del músculo pectoral (pechuga).
A veces la pechuga llega a ser tan desproporcionada en relación con el resto de la estructura musculoesquelética del ave, que desplazamos su centro de gravedad hacia delante (ver Fotografía 4).
Así, cuando el animal alcanza un peso elevado, el pollo apenas puede mantenerse en pie, y la presión biomecánica en determinadas articulaciones se exacerba, facilitando patologías de patas.
patología
Fotografía 4. Desplazamiento del centro de gravedad hacia delante
Consecuentemente, estos animales tienden a estar más tiempo apoyando la pechuga contra la cama, facilitando procesos irritativos y/o infecciosos.
Fotografía 3. Splayed legs (P.F. López-Brea)Continuando con debilidades anatómicas, es notoria la falta de conexión tanto en tejido conectivo como vascular entre el cartílago articular (hialino, blanco) y el de crecimiento (gris) de los huesos largos, lo que crea una zona débil mecánicamente hablando, tal como se señaló anteriormente.
Cuando el ave adquiere un peso elevado, generalmente a partir de los 35 días de vida, se producen microfracturas (osteocondrosis) que facilitan un lugar de anidamiento óptimo para bacterias que hayan previamente translocado desde el epitelio respiratorio o más frecuentemente, intestinal.
Estas translocaciones ocurren en momentos de estrés, tales como la eclosión, estrés térmico, metabólico o incluso psicológico (alta densidad p.ej.).
En estas microfracturas, las bacterias están relativamente protegidas de las células inmunitarias, así como de los antibióticos, pudiendo crear biofilms protectores.
Así es cómo ocurre la génesis de la Condronecrosis Bacteriana con Osteomielitis (CBO, Fotografía 5), antes llamada Necrosis de Cabeza de Fémur (hoy sabemos que también ocurre en la tibia y la vértebra torácica T4)
Fotografía 5. Condronecrosis Bacteriana con Osteomielitis (CBO) en cabeza de fémur descapsulada (P.F. López-Brea)
La Condronecrosis Bacteriana con Osteomielitis -CBO- es responsable de aproximadamente un 60% de las cojeras en los pollos (Wideman et al).
Es interesante que en estas lesiones, que pueden acabar en una total decapsulación de la cabeza del fémur, podemos aislar bacterias de origen típicamente intestinal (enterococos, salmonella, E. coli) y/o respiratorio (estafilococos), viviendo en colonias mixtas. Como en casi todas las patologías, no existe una causa única, sino más bien multifactorial.
En éste caso, necesitamos una acción orquestada que comienza por penetración de bacterias en el torrente circulatorio mediada por el estrés, a través de la barrera celular monocapa intestinal o respiratoria, y posteriormente una presión mecánica en un punto débil en la intersección entre los cartílagos articulares y de crecimiento.
Para completar la guinda del pastel, en este área de intersección cartilaginosa, tenemos vasos sanguíneos fenestrados (fenestra=ventana en Latín), lo que aún facilita más la emigración de las bacterias hacia su hogar final.
Las consecuencias en la calidad de la canal correspondientes a la CBO son múltiples, incluyendo:
Mayor contaminación superficial por contacto con la cama, tanto en la zona ventral (animal postrado), como por el hecho de que los animales dominantes tienden a situarse literalmente encima de los animales que no se levantan, contaminando la parte dorsal, así como produciendo rasgaduras de piel dorsal con las garras, que a su vez pueden inocular bacterias ocasionando celulitis (placas bacterianas inflamatorias subdérmicas).
Asimismo, debido al decúbito prolongado podemos ver tendinitis y quemaduras de cama, tanto en los tarsos como en la pechuga.
Al estar apoyados sobre la cama largos periodos y casi no moverse, estas aves inducen una isquemia en partes del músculo pectoral mayor, dando lugar en ocasiones a pechuga de madera unilateral.
Cuando la Condronecrosis Bacteriana con Osteomielitis -CBO- afecta a la cabeza de la tibia (Fotografía 6), que tiene una capa cortical muy fina, produce destrucción tisular, y cuando colgamos al pollo en la línea de procesado, podemos provocar fracturas que pueden ser mal interpretadas como deficiencias de calcio.
La ‘Enfermedad del Pañal’ sería el equivalente humano, ya que comienza a generarse en la edad infantil, cuando la piel es débil, poco queratinizada y hay una fermentación de la orina con formación de amoniaco irritante en el área inguinal del recién nacido, provocando la aparición de eczema cutáneo
Igualmente ocurre en los pollitos jóvenes, empeorando en las semanas sucesivas si las condiciones no mejoran.
El problema generalmente comienza en la primera semana de vida.
Es una patología multifactorial, en el que es necesario un exceso de humedad, bacterias y substrato de nitrógeno (procedente de proteína en la dieta).
El resultado es formación de amoniaco y lesiones plantares que pueden llegar a la hipodermis (tejido conjuntivo que si tiene terminaciones nerviosas y vasos sanguíneos), produciendo molestias e infecciones ascendentes.
En la Unión Europea se está considerando como marcador de bienestar, conectado a la densidad permitida por metro cuadrado en granja.
Por supuesto estas no son las únicas patologías de patas que causan incomodidad en las aves, pero quizás si son las más importantes por incidencia.
No olvidemos las tendinitis víricas, cuando vemos muchas patas inflamadas a la altura del tendón calcáneo y músculo gastrocnemio, a veces con coloraciones rojizas o incluso verdosas, cuya etiología suele estar relacionada con Reovirus, que pueden tener origen en cepas diferentes, por lo que es recomendable utilizar diferentes tipos de vacunas (cepas) en rotación.
También puede haber sinovitis causadas por Mycoplasma synoviae, E. Coli, Estreptococos y Estafilococos, entre otros.
A veces, la Pododermatitis Plantar -PDP- se confunde con “Bumble Foot” o Pododermatitis Infecciosa (Fotografía 7) , que consiste en erosiones plantares por suelos abrasivos que facilitan contaminación con estafilococos y otras bacterias de origen ambiental, que provocan infección e inflamación con deformidades.
Es evidente que un animal con problemas de patas que afectan a la zona ósea tendrá dolor y por ello verá afectado su comportamiento, bebiendo, comiendo e interactuando menos que los demás (Botreau et al, 2007)
Es frecuente encontrar animales cojos que sufren de deshidratación (Butterworth et al, 2002).
Esto va a crear faltas de uniformidad en el lote y aumentos de la mortalidad, especialmente en animales potencialmente agresivos con aves débiles (pavos macho).
El Consejo Australiano de Bienestar de Animales de Granja, define las cinco condiciones que se deben de cumplir para que los animales tengan bienestar:
Libres de padecer hambre o sed;
Libres de incomodidad;
Libres de dolor, lesión o enfermedad;
Libres para expresar comportamiento normal;
Libres de miedo y estrés (Farm Animal Welfare Council 2009)
En mayor o menor medida, los problemas de patas afectan a los 5 puntos
Estudios realizados incluyendo datos de aproximadamente un 50% de los productores del Reino Unido, han mostrado que, a los 40 días de vida, un 27.6% de las aves tenían problemas de locomoción, en mayor o menor grado, mientras que un 3.3% no podían andar (Knowles et al. 2008)
Niveles similares han sido reportados recientemente (Kaukonen et al. 2017).
En Países Bajos comenzó un movimiento en favor de los pollos de crecimiento lento. Lo cierto es que, reduciendo la velocidad de crecimiento, creando ambientes enriquecidos y reduciendo la densidad, se consiguen mejores índices de Pododermatitis Plantar, así como menos animales cojos.
Pero como todo tiene sus pros y sus contras, esta producción es peor en términos de sostenibilidad, utilizando más recursos medioambientales y produciendo más equivalente de CO₂.
¿ Qué tendrá mayor prioridad ?:
¿Producir proteína de calidad sostenible?
¿Considerar el mayor bienestar de las aves?2
Por cierto, a los supermercados, les interesa más vender pollos de crecimiento lento u orgánicos, ya que el margen para ellos es mayor. Por eso son los catalizadores de este movimiento en los Países Bajos…
Pero en tiempos como este de inflación desbocada… ¿es ético hacer este tipo de marketing, encareciendo la proteína más barata y asequible?
Problemas dolorosos de patas en pollos: aspectos de bienestar y producción.
DESCÁRGALO EN PDF
Las toxi-infecciones gastrointestinales que afectan al ser humano causadas por el consumo de productos de origen animal contaminados por patógenos zoonóticos constituyen una gran preocupación para la industria avícola, autoridades y consumidores a nivel mundial.
En este contexto, las cepas de Salmonella que provocan infecciones en el ser humano proceden principalmente de los huevos, así como carne contaminada de aves y de cerdos.
A escala mundial, S. Enteritidis es el serotipo que se ha aislado con mayor frecuencia en el ser humano y aún hoy predomina en muchas regiones del planeta.
El motivo que explica esta pandemia es la habilidad específica de Salmonella Enteritidis de colonizar el tracto reproductivo del ave y sobrevivir en la albúmina del huevo a pesar de sus propiedades antibacterianas.
Considerando lo anterior, la estrategia de control de Salmonella debe comprender un abordaje integrado, que comprende:
Por otro lado, Salmonella Typhimurium es el segundo serotipo de mayor relevancia en las infecciones que afectan al ser humano, estando asociado al consumo de carne porcina o aviar contaminada y al consumo de huevos.
Adicionalmente, este serovar representa una preocupación para la industria y agencias regulatorias debido a la emergencia de variantes con un patrón de multi-resistencia a antibióticos, como es el caso de la cepa monofásica de S. Typhimurium
Control de vectores
Calidad del pienso
Salud intestinal
Calidad del agua
Higiene del personal
Buenas prácticas de transporte, procesamiento
Adoptando siempre la vacunación lote tras lote como herramienta única capaz de conferir inmunidad activa en las aves frente a serotipos específicos
Es así como, dicho abordaje de control integrado se enfoca en la fase de producción primaria en función de reducir la presión de infección que llega a la planta de procesamiento y son objeto a evaluación constante por parte de entes regulatorios y retailers en el marco de programas de aseguramiento de calidad.
Con respecto a las vacunación frente a Salmonella la comunidad científica ha identificado una serie de criterios que definen a la vacuna ideal; entre los cuales se mencionan:
Inducción de un grado elevado de protección frente a las infecciones sistémicas e intestinales
Amplio espectro de protección frente a serotipos establecidos y emergentes
Atenuación adecuada para las aves, otras especies animales, los seres humanos y el entorno
Facilidad de administración sin causar problemas de bienestar animal
Sin repercusión sobre el desempeño de los animales
Presencia de marcadores que faciliten su diferenciación de las cepas de campo
Sin persistencia en el medio ambiente
interferencia con los métodos de detección de Salmonella
Es correspondencia con lo anterior que la vacunación con la vacuna viva bivalente de administración oral ha demostrado ser un abordaje clave para disminuir sistemáticamente la colonización y excreción de estas cepas patógenas para el ser humano, evitando así su diseminación y posterior persistencia en el medio ambiente.
En relación a su perfil de seguridad, esta vacuna posee mutaciones en ciertas enzimas y compartimentos metabólicos que resultan en un tiempo prolongado de generación y reducida virulencia, comparadas con las cepas salvajes.
La mutación de la membrana celular externa proporciona a ambas cepas vacunales características fundamentales de seguridad que incluyen:
Un corto tiempo de excreción
Limitada sobrevivencia en el medio
Sin riesgo de contaminación del huevo ni diseminación a otras
En este sentido, el perfil de seguridad conferido por la atenuación MDM se corresponde con los estándares establecidos por la OIE para evitar cualquier riesgo de contaminación de productos avícolas, o bien, cualquier peligro de persistencia medioambiental.
Con respecto al perfil de eficacia, debido a su doble composición antigénica, AviPro™ Salmonella DUO es una vacuna viva capaz de conferir protección homóloga frente a los dos serovares más prevalentes (S. Enteritidis y S. Typhimurium).
Adicionalmente es la única vacuna comercial que ha demostrado proteger los huevos frente a desafío de S. Enteritidis que es el serovar con propiedades para colonizar el oviducto y sobrevivir en la albúmina del huevo, por tanto una herramienta única y de gran valor en el ámbito de aves reproductoras y gallinas de postura comercial.
Así mismo, grupos de investigación independiente ya han demostrado y publicado datos de eficacia frente otros serovares emergentes con patrón de multi-resistencia a antibióticos los cuales pudieran transmitirse de forma vertical a la progenie.
En el contexto avícola mundial, al menos en el corto y medio plazo se espera que la salmonelosis continúe siendo foco de atención para agencias reguladoras, retailers y organizaciones no gubernamentales;
Donde se espera que los programas nacionales de control comiencen a ser más estrictos al incorporar ciertas medidas como obligatorias a nivel de producción primaria, a su vez estableciendo objetivos de reducción más ambiciosos y expandiendo las regulaciones a serovares emergentes.
Lograr la erradicación parece ser un objetivo difícil de alcanzar dada las múltiples fuentes de transmisión involucradas y considerando los aprendizajes después de 2 décadas de planes nacionales de control contra SE y ST, donde ambos serovares continúan ocupando actualmente los primeros puestos de prevalencia en Europa y también a nivel global,
Siendo S. Infantis el tercer serovar más importante, el cual pasó de ser un serovar emergente a un serovar ya establecido en varias regiones del mundo.
Ante la importancia de controlar cepas ya establecidas como emergentes de Salmonella, la elección estratégica de AviPro™ Salmonella DUO amplía el espectro antigénico de protección, protegiendo también al huevo, por tanto mejorando la seguridad alimentaria de los productos avícolas.
Esta vacuna dirigida a futuras gallinas ponedoras, futuras reproductoras, pavos reproductores, pavos de engorde y patos de engorde, reúne la seguridad y eficacia de las vacunas AviPro™ de Elanco, utilizadas desde decadas en España y los mercados más exigentes del mundo.
El código QR corresponde al SPC. En caso de duda consulte a su veterinario.
Los bacteriófagos son un tipo de virus que infectan únicamente a las bacterias. Esta característica hace de ellos una herramienta muy eficaz como terapia dirigida para el control de microorganismos resistentes a los antibióticos o desinfectantes, como Salmonella
Salmonella, es el segundo patógeno causante de toxiinfecciones en Europa y en la mayoría de los países industrializados, siendo los productos de origen avícola la principal fuente de infección.
Desde la implementación de los Programas Nacionales de Control de Salmonella (PNCS) la casuística de salmonelosis en personas ha disminuido, sin embargo, existe una preocupación por la creciente aparición de resistencias a antibióticos y a procedimientos de limpieza y desinfección (L+D).
Sandra Sevilla Navarro, Jan Torres Boncompte, Josep Garcia Llorens, Pablo Catalá Gregori Centro de Calidad Avícola y Alimentación Animal de la Comunidad ValencianaEste hecho se evidencia más en algunos serotipos, como es el caso de Infantis, ya que se ha observado que es capaz de permanecer en el ambiente aún tras la limpieza y desinfección de las instalaciones.
De hecho, los últimos datos que ha publicado la Autoridad Europea de Seguridad Alimentaria muestran que el 93,1% de las cepas de Salmonella aisladas y serotipadas en granjas de pollo de engorde son Infantis.
Por este motivo en los últimos años los bacteriófagos, o fagos, han emergido como una prometedora medida complementaria para eliminar Salmonella a nivel de campo.
A diferencia de la mayoría de los antibióticos, los fagos son muy específicos, es decir, su actividad lítica suele ser efectiva contra la bacteria diana, sin alterar el resto de las bacterias comensales beneficiosas.
Esta especificidad que poseen los fagos los convierte en una buena herramienta profiláctica y terapéutica para la eliminación de bacterias.
Los bacteriófagos son la entidad más abundante del planeta e infectan exclusivamente a las células procariotas.
Los fagos se definen como parásitos para las bacterias, puesto que sin ellas son incapaces de completar su ciclo vital y por tanto multiplicarse.
Para hacerlo, estos se adhieren a la pared de las bacterias e incorporan su material genético.
Posteriormente este se leerá y se empezará a producir copias del fago, hasta el punto en que la bacteria se destruya y libere al exterior todas las réplicas de fago generadas. Así se establece una característica muy interesante desde el punto de vista terapéutico, la capacidad de autorreplicación.
Otra de las ventajas de la terapia fágica es la rápida producción de nuevos fagos frente a bacterias que se vuelven resistentes a los antibióticos o a los desinfectantes.
Por ello y, para evitar la aparición de resistencias, nace el concepto de “autofago”, es decir, bacteriófagos aislados del propio medio donde está la bacteria y donde posteriormente serán aplicados.
De esta manera, se asegura una terapia dirigida y eficaz frente a la bacteria que se quiere eliminar.
En este contexto, el objetivo de este trabajo desarrollado por el departamento de I+D del Centro de Calidad Avícola y Alimentación Animal de la Comunidad Valenciana (CECAV) fue evaluar el empleo de autofagos para eliminar Salmonella Infantis resistente a procedimientos L+D convencionales como posible herramienta complementaria.
Para ello, se muestrearon 28 explotaciones destinadas a la producción de pollos de engorde con historial de positivo a Salmonella Infantis resistente tras la L+D.
Se tomaron muestras de heces de la explotación para el aislamiento de Salmonella y los bacteriófagos.
Tras el aislamiento de los bacteriófagos, se purificaron y escalaron, siguiendo los procedimientos descritos por Sevilla-Navarro et al. (2018-2020) para su posterior aplicación en granja (Figura 1).
Todos los bacteriófagos que se emplearon en las higienizaciones se caracterizaron en el laboratorio por su actividad lítica y por microscopía electrónica (ME).
Aplicación del autofago en granja
Figura 1. Obtención de bacteriófagos a partir de muestras de granja (Sevilla-Navarro et al. 2020.).
La aplicación de los fagos en las explotaciones se realizó intercalando procedimientos de limpieza y desinfección convencionales y aplicaciones de fago en el ambiente (Limpieza; Aplicación de fago; Desinfección; L+AP+D).
En cada uno de los pasos del protocolo de L+AP+D se tomaron muestras de diferentes puntos de las naves (suelo, paredes, comederos, bebederos, ventanas y ventiladores).
Todas las muestras se analizaron según la ISO 6579:2017, para la detección y aislamiento de Salmonella, y se serotiparon siguiendo el esquema de Kauffman-White-Le Minor.
Los datos obtenidos se analizaron siguiendo el Modelo Lineal Generalizado para valorar la relación entre la presencia y ausencia de momentos del proceso L+AP+D (P-value ≤ 0.05).
FGS012. Calvas de lisis frente a Salmonella Infantis.
Se obtuvieron diferencias estadísticamente significativas entre los distintos pasos de la L+AP+D.
Tras el paso de limpieza y retirada de la materia orgánica, el 78,6% de las muestras fueron positivas a Salmonella y tras la primera aplicación de autofago el porcentaje disminuyó a un 57,1%.
Las diferencias más significativas se pudieron apreciar tras la segunda aplicación del autofago, donde el 75% de las granjas dieron como resultado, ausencia de Salmonella Infantis, consiguiéndose la total eliminación de la bacteria tras la desinfección (P≤0.05) (Figura 3).
FGS012. Bacteriófago frente a Salmonella Infantis, perteneciente a la familia Siphovirirdae. Vista en ME.
Figura 2. Actividad lítica y vista al ME de uno de los autofagos (FGS012) aislados para realizar la higienización.
Porcentaje positivo Salmonella (%)
100%
Por otro lado, no se observaron diferencias estadísticamente significativas entre el tipo de muestra tomada dentro de cada aplicación del procedimiento.
Esto concuerda con los programas actuales de control de Salmonella, cuyo objetivo es que, si una muestra representativa de un lote tiene un resultado positivo, todo el lote se considera positivo a Salmonella
Sin embargo, sí que se observó una mayor tendencia de Salmonella en aquellas muestras tomadas de suelo y de paredes.
Estos resultados están en línea con otros autores, ya que se ha observado que Salmonella es capaz de resistir en superficies porosas, como el suelo, tras la aplicación de la L+D .
Previa aplicación de bacteriófago
Tras aplicación del bacteriófago Tras desinfección
Figura 3. Resultados de la reducción de Salmonella tras la aplicación del protocolo de L+AP+D.
La eliminación de Salmonella Infantis de lotes infectados resulta complicada debido a las propiedades de resistencia intrínsecas que presenta la bacteria.
Su persistencia en las granjas se ha visto relacionada con procedimientos inadecuados de limpieza o con el desarrollo de resistencias a los desinfectantes.
Hasta la fecha, se utilizan diferentes desinfectantes como el glutaraldehído, los compuestos de amonio cuaternario y el formaldehído a nivel de campo.
El formaldehído sigue siendo uno de los antibacterianos más eficaces disponibles, sin embargo, la preocupación por el peligro para los seres humanos ha llevado a reducir su uso a nivel de campo, motivando la investigación de métodos alternativos, como el uso de bacteriófagos.
Existen estudios que demuestran la eficacia de los bacteriófagos como biocidas en la industria alimentaria, sin embargo poco hay descrito sobre su empleo en condiciones de campo.
Por ello, el objetivo de este trabajo fue realizar una primera aproximación del empleo de los bacteriófagos junto con los protocolos estandarizados de limpieza y desinfección.
Los resultados obtenidos en este estudio demuestran que los bacteriófagos son una herramienta prometedora y un aliado perfecto a los protocolos actuales de limpieza y desinfección frente a patógenos como Salmonella Infantis en las explotaciones avícolas.
No obstante, hacen falta más estudios donde se combinen diferentes tipos de desinfectante (orgánicos y/ o químicos) y diferentes bacteriófagos (autofago o cóctel de autofagos), para poder dotar al sector avícola de un protocolo estandarizado y dirigido donde se combinen ambos biocidas, y conseguir así reducir la contaminación entre lotes, eliminando por completo la bacteria de las instalaciones.
La terapia fágica ha sido estudiada y empleada con éxito para el control de patógenos en animales, personas y alimentos, postulándose como una de las medidas alternativas con mayor éxito y proyección en los últimos años. Además, el hecho de poder aislar los bacteriófagos del mismo ambiente donde está la bacteria es una solución ventajosa ya que siempre habrá un bacteriófago que lise la bacteria problema de un lote.
Los bacteriófagos son la entidad más abundante de nuestro planeta, estimándose una concentración de 1030-31 partículas víricas y por ello, como se ha comentado anteriormente, su aislamiento resulta fácil.
En este aspecto, las granjas avícolas suponen una fuente de bacteriófagos frente a diferentes serotipos de Salmonella
De hecho, un trabajo previo publicado por este mismo grupo, aisló al menos un bacteriófago en el 100% de las granjas que se muestrearon, haciendo posible tener una terapia personalizada para hacer frente a Salmonella resistentes a desinfectantes.
Actualmente nos encontramos en una situación donde cada vez las bacterias evolucionan y se hacen más fácilmente resistentes a los desinfectantes y antibióticos, suponiendo un riesgo tanto para la sanidad pública como para la sanidad animal.
En este sentido, el sector avícola cuenta con una herramienta natural, sostenible y respetuosa con el medio ambiente, que no altera el microbioma de la granja, y que contribuye a la reducción de cepas de Salmonella multirresistentes, ayudando a garantizar la seguridad alimentaria.
Los
Dr. Guillermo Díaz Arango Zootecnista – Nutricionista, Memoria presentada en el LPN Congress Miami 2021
Las gallinas ponedoras modernas están siendo seleccionadas genéticamente para ciclos productivos largos, con la promesa de ser longevas y productivas, tienen mayor habilidad para el consumo de alimento en las etapas tempranas y una mejor persistencia en la producción de huevos.
Sin embargo, los manejos nutricionales y de alimentación tradicionales deben revisarse para que la operación sea económicamente viable y uno de los temas a revisar es el del manejo nutricional del calcio y el fósforo.
Es normal en las etapas tardías la mortalidad de las aves se incremente y empiecen a presentarse eventos como: prolapsos, ovo-peritonitis, postura intraabdominal, fatiga de jaula, infarto, quillas torcidas, huesos descalcificados, engrasamiento, huevos con cáscara delgada o en fárfara, lo que sería un claro indicador
uno de los factores que debe revisarse es el metabolismo del calcio y el fósforo como responsables de una gran cantidad de funciones de las cuales depende su vida y los rendimientos productivos.
El Calcio es el elemento mineral más abundante en el cuerpo animal, el 99% está en los huesos como fosfatos de calcio y el restante 1% distribuido en forma iónica.
2.34
2.42
2.50
2.59
2.67
2. Influencia del peso del huevo sobre el peso de la cáscara y su contenido de calcio.
Es el principal constituyente del cascarón en forma de cristales de carbonato de calcio. Además, participa en algunas funciones metabólicas como:
formación y mantenimiento de los huesos;
contracción de los músculos esqueléticos, cardiacos y lisos, coagulación de la sangre, regulación del ritmo cardíaco, ganancia de peso y utilización de los alimentos, producción de huevos y calidad de la cáscara,
de impulsos nerviosos y en la excitabilidad neuromuscular, catalizador de enzimas, secreción de hormonas y de factores liberadores de hormonas;
de
y
La deficiencia en calcio genera: retardo en el crecimiento, bajo consumo alimenticio, baja producción de huevos, osteoporosis, raquitismo, postración, hemorragias internas, incremento en los volúmenes de orina, tetania e incremento de cáscaras delgadas.
de
El nuevo pienso de recría Pollitas Booster está diseñado para recuperar los lotes de pollitas que van retrasados en su crecimiento y conseguir que alcancen su peso corporal estándar
Además de ser parte del hueso el fósforo, interviene en la movilidad muscular, metabolismo energético, de los carbohidratos, grasas y aminoácidos, metabolismo de los tejidos nerviosos, desarrollo del esqueleto, algunas enzimas y coenzimas.
Asimismo, está implicado en el almacenamiento y transporte de
forma parte del ADP,
y creatina fosfato.
Solo un 10% de fósforo está en forma de fosfato inorgánico
Es muy importante, asegurar la calidad y granulometría de la fuente de calcio suministrado pues las ponedoras tienen necesidades de calcio fino o de rápida solubilidad, para ser usado durante el día para su metabolismo basal y funcional y fuentes de lenta solubilidad o de granulometría gruesa que serían retenidos en la molleja, para suplir las necesidades de formación de cáscara en las horas oscuras.
Zona de absorción
Cloaca
fecal
absorbido
urinario
El esqueleto proporciona una gran reserva de calcio y fosfato para utilizarse en otros sitios corporales cuando los aportes dietéticos son inadecuados.
Durante la puesta el calcio presente en el hueso medular es utilizado para la formación de la cáscara cuando la absorción intestinal de calcio es insuficiente.
El nivel de movilización ósea es inversamente proporcional al contenido de calcio ingerido o circulante y las cáscaras formadas son más gruesas cuanto menor sea la participación del calcio óseo en el proceso.
Se debe hacer especial énfasis en favorecer al máximo el origen intestinal del calcio, con el fin de proteger la salud del hueso.
Acción
Se construye la talla del ave.
Sensibilidad al consumo de minerales en forma cúbica.
debe
construye la reserva de minerales
la formación de cáscara.
Sensible al subconsumo de minerales que deteriora el área medular.
Deterioro
de cáscara
pérdida del área medular.
Incremento de prolapso y fatiga de jaula indica deterioro del área cortical.
Manejo nutricional para equilibrar la remodelación ósea.
A las pollitas antes de comenzar la producción es importante alimentarlas con alimentos balanceados con niveles intermedios de calcio (2 -2,5%) y presencia de granos gruesos de caliza para favorecer y potencializar la salud de los huesos, preparándose para los ciclos largos.
Después del huevo 200 que normalmente sucede entre las 55 a 60 semanas de vida, los parámetros productivos empiezan a disminuir de manera significativa, y la mortalidad se incrementa.
Por ello, en esta etapa, se hace importante hacer una revisión en el plan de alimentación y el plan de suplementación de piedras de calcio y la relación de éste con el fósforo disponible para que la ponedora pueda soportar de manera eficiente el ciclo de producción largo.
La estrategia de manejo y alimentación incluye la revisión de la granulometría del alimento y la fuente calcio, el uso de dietas diseñadas para la protección del hígado, la mejora de la inmunidad, el mantenimiento de la salud ósea, complementado con un plan de iluminación de acuerdo con los objetivos de la empresa.
Metabolismo del calcio y el fósforo en las ponedoras modernas de ciclos productivos largos DESCÁRGALO EN PDF
Nos desplazamos hasta Ferreira do Zêzere en Portugal para visitar las modernas instalaciones de Agrozel, un proyecto de reconversión de una nave de recría tradicional en jaulas para unas instalaciones de recría moderna, desarrollado con éxito por Equiporave Ibérica.
Agrozel, empresa que recría pollitas, forma parte del Grupo Zezerovo el cual lleva en activo en el sector agropecuario desde los años 50, gracias a la gran labor de Don Francisco Fernandes, pionero en este tipo de negocios en Portugal.
El Grupo Zezerovo cuenta en la actualidad con numerosas empresas, entre las que encontramos Agrozel e incluso Zezerovo, una de las empresas líderes de la producción de huevos en Portugal.
Debido a la alta demanda de pollitas recriadas en sistemas alternativos a las jaulas por parte de Zezerovo, Agrozel ha ido transformado sus instalaciones de recría hacia modernas naves con aviarios. En sus últimas reconversiones ha confiado en Equiporave Ibérica , ya que tal y como nos comenta el señor Jorge Cotrim, Gerente de Agrozel.
La calidad de los materiales que ofrece y la implicación en el proyecto por parte de la empresa instaladora, Equiporave Ibérica, marca la diferencia
Zezerovo lleva dedicándose a la producción, clasificación y comercializa ción de huevos desde 1986. Comenzaron la actividad con 30.000 gallinas ponedoras y dos naves de puesta, y desde entonces su crecimiento ha sido notable.
Hoy cuentan con una gran capacidad de producción y un modelo de gestión moderno, innovador y adecuado a las exigencias del mercado, capaz de posicionarles como la empresa con mayor capacidad de clasificación de huevos en el país vecino, Portugal.
En la avicultura, el objetivo básico es la cría de aves que puedan mostrar todo su potencial productivo durante el período de puesta. El éxito en este punto se produce debido a los altos índices de productividad que se ven influenciados por la genética, la nutrición, el ambiente y el manejo.
Por esto, Jorge Cotrim, Gerente de Agrozel, nos comenta durante nuestra entrevista que la recría tiene un papel fundamental en los resultados productivos de las instalaciones de gallinas ponedoras.
Por ello, desde Agrozel cuidan al máximo este período de 17 semanas para que sus aves lleguen en perfectas condiciones a las nave de puesta
Cuidar las pollitas con el manejo adecuado, enseñarles a usar el sistema, garantizar la homogeneidad y que los pesos estén incluso sobre la media de las casas de genética es un gran reto para nosotros y por ello, contamos con instalaciones y equipos que nos permitan ofrecer a Zezerovo pollitas bien recriadas
Asimismo, el señor Cotrim pone especial énfasis en el seguimiento de la evaluación del peso corporal de las aves en los períodos de cría y recría, ya que es imprescindible para obtener una buena uniformidad.
Debido a la creciente demanda de aves recriadas en sistemas de aviario, el manejo también gana especial protagonismo durante la recría. Tenemos que ser capaces que la ave interacione perfectamente con el aviario, se habitúe a él y se desarrolle de acuerdo a su estándar de crecimiento y comportamiento.
Jorge Cotrim nos cuenta que poco a poco van reconvirtiendo antiguas naves hacía sistema alternativos de recría para cumplir con las exigencias del consumidor.
La calidad de los materiales, el servicio postventa y el buen hacer por parte de Equiporave Ibérica , ha hecho que esta empresa instaladora vuelva a ser la elegida por parte de Agrozel para la reconversión de su recría tradicional en jaulas en modernas naves de recría mediante un sistema de aviario UNISTART de Vencomatic.
Nosotros ya hemos trabajado en otras ocasiones con Equiporave Ibérica y seguimos confiando en ellos para las nuevas instalaciones porque es una empresa que te ofrece calidad de materiales y un excelente servicio
Las nuevas instalaciones para la recría en aviario de Agrozel, situadas en Vale Longo, Ferreira do Zêzere, se han llevado a cabo en una nave de 110m x 27m x 4m y pueden llegar a alojar hasta 113.000 aves.
En estas instalaciones Equiporave Ibérica ha desarrollado un excelente trabajo para cumplir con los objetivos del cliente, adaptándose a las características físicas de una nave ya existente, teniendo en cuenta los métodos, conocimientos y gestión existente entre los operarios.
La antigua nave de recría para gallinas en jaula ahora es una moderna nave de recría para gallinas en aviario que funciona muy bien debido a la implicación y el buen trabajo realizado por parte de Equiporave Ibérica
En estas instalaciones Equiporave Ibérica ha instalado 6 líneas de aviario del modelo Unistart de Vencomatic. Unistart es un sistema de cría económico y fácil de utilizar.
Se configura en filas y ofrece al avicultor el control absoluto de las aves
Gracias a sus dimensiones compactas encaja en cualquier gallinero y permite mayor número de aves por metro cuadrado de superficie de suelo
Las pollitas de un día se reparten de forma homogénea en los compartimentos.
Tras cuatro semanas de entrenamiento, los compartimentos se abren para que las pollitas puedan moverse a través del sistema
El sistema Unistart, ofrecido por Equiporave Ibérica, permite dar la flexibilidad que Agrozel quería puesto que puede recriar pollitas para los sistemas aviarios modernos y también para las jaulas enriquecidas que todavía tiene en su grupo empresarial.
Una pollita de un día debe ser capaz de encontrar el alimento y el agua directamente tras su colocación en el aviario y con este sistema que nos ofrece Equiporave Ibérica las aves aprenden poco a poco a saltar hasta los distintos niveles y a descansar en lo aseladeros.
Así, la misión de Equiporave Ibérica ha sido mantener un equilibrio óptimo para obtener la mejor conjugación entre el apro vechamiento de los equipos existentes y los nuevos y de esa forma conseguir un manejo correcto y optimizado.
Solamente así se puede obtener parámetros zootécnicos de primera y una pollita adaptada a los desafíos de los sistemas de aviarios modernos e incluso hacer frente a una jaula aún existente en el mercado.
Línea de bebederos que se puede elevar
Aseladero
Malla de alambre Vencotrough
Aire fresco
Plataforma móvil
Tubo de ventilación
Cinta de estiércol
Los pasillos de una nave de recría antiguamente tenían que tener espacio suficiente para la entrada y salida de las pollitas y una buena iluminación. Hoy en día, hay que tener mucho cuidado con los pasillos ya que es aquí donde se desarrollará una de las características más importantes de la pollita moderna, la flexibilidad y la agilidad para saltar y volar entre distintas alturas.
De esta manera tendrán acceso al agua y al pienso pudiendo garantizar uniformidad y flexibilidad y al final una puesta de alto rendimiento.
La pollita moderna debe tener la capacidad de moverse, horizontal y también verticalmente. Esta capacidad de preparar la pollita para movimientos verticales es muy importante a la hora de elegir el modelo de equipo para recría. Este entrenamiento es una nueva variable de manejo para los técnicos, por ello la gestión de iluminación es una herramienta indispensable.
Equiporave Ibérica ha optado por montar en este proyecto un sistema de lámparas de 12W con dimmer, estabilización de corriente, una elevada y correcta distribución de lúmenes para garantizar uniformidad en todo el pasillo.
Cuando reconvertimos una nave para ser utilizada bajo otro sistema de producción es vital identificar problemas para saber que equipos podemos mantener y cuáles tenemos que cambiar y en este punto es donde Equiporave Ibérica también ha hecho un trabajo excelente.
El número de pollitas varía en cada producción y como tal tenemos que adaptar la ventilación, la calefacción, las entradas de aire, las entradas de luz exterior, el sistema de control de la humedad dentro de la nave, etc.
No podemos olvidar que la pollita ahora es libre de moverse de un lado para otro, y siempre las variables de temperatura, luz, humedad, velocidad del aire, entre otros no son uniformes.
La pollita siempre buscará su zona de confort y por ello, la correcta gestión de todos los parámetros ambientales es la obligación del avicultor moderno.
La nueva instalación que nos ha entregado Equiporave Ibérica garantiza que las aves que estamos recriando se encuentran en un ambiente ideal que garantiza su zona de confort y rendimientos productivos futuros. Los equipos de gestión ambiental que hemos incorporado son muy fáciles e intuitivos de usar. Además, desde Equiporave Ibérica Ibérica nos ofrecen asesoramiento y ayuda constantemente
Como fue una reconversión, la nave ya tenía paneles de cooling los cuales se conservarían, pero ahora en conjugación con el Sistema Fresh-Niebla 110, sistema desarrollado por Equiporave Ibérica , que nos permite mucho más que simplemente enfriar con altos caudales de ventilación.
Una de las características importantes del sistema es que las boquillas permiten hacer una gestión de los niveles de humedad de forma muy fina y muy sensible que nos ayuda a garantizar que los niveles de humedad estén entre los 50% - 65% dentro de la nave, sin mojar los pasillos y enfriando muy poco (esto es importantísimo ya que estamos gastando dinero en calefacción ya que se trata de aves jóvenes).
Esto se consigue gracias a la conjugación de las características físicas de la boquilla con la tubería en inox y con la presión de todo el sistema. Es una nebulización muy diferente de otras que encontramos en el mercado.
Además, también permite desinfectar y aplicar insecticidas durante la producción, reduciendo las emisiones de amoníaco a la atmósfera.
Confiar en una empresa que se adapte a tus necesidades y que cumple con lo que ofrece es vital en un sector avícola cambiante y en el que siempre debemos estar a la vanguardia de las producciones ganaderas.
He confiado en Equiporave Ibérica porque sé que instalan los mejores productos y que te ayudan en todo lo posible para que la instalación sea rentable y eficiente. Además, el hecho de poder contar con los mejores equipos pero sólo con un interlocutor se agradece muchísimo, ya que puedes trabajar más tranquilo
Baja la temperatura hasta 13oC
Nebulizadores de alta eficiencia
Ahorro de agua.
No moja camas ni pasillos
Refresca un 30% más
Sistema anticáreo incorporado
Eficiencia con bajos caudales de ventilación y baja velocidad.
Experiencia, compromiso, calidad y asesoramiento individual, hacen de Equiporave Ibérica la empresa elegida por muchos avicultores de toda la península Ibérica.
Reconversión de una recría tradicional en jaulas para recría moderna en aviario junto a Equiporave Ibérica DESCÁRGALO EN PDF
La industria cárnica que emplea envases para sus productos ha de lidiar en la actualidad con muchos y variados “frentes” que tienen que ver con:
La seguridad alimentaria de los materiales que van a entrar en contacto con el alimento envasado
Con el diseño y materiales del propio envase en aras de la protección del producto y su vida útil
Con el control de costes de unas materias primas con precios en constante ascenso
Todo ello, sin perder de vista los requerimientos normativos en materia de sostenibilidad, tanto europeos como nacionales, que afectan también a los aspectos anteriores.
Nieves Barnuevo, Natalia Ortuño, Raúl Díaz y Paula Torrijos Centro Tecnológico IteneEn los últimos años se ha ido desarrollando un marco legislativo que regula la generación y gestión de envases, tanto a nivel europeo como nacional, e incluso a nivel regional. Concretamente, en la Unión Europea (UE) tenemos:
El Plan de Acción para la Economía
Circular publicado en 2015 por la Comisión Europea y que fomenta que los productos, materiales y recursos se mantengan en la economía durante el mayor tiempo posible, reduciendo así al mínimo la generación de residuos.
La Estrategia Europea de Plásticos, publicada en 2018 por la Comisión Europea, estipula que el 100% de los envases de plástico comercializados en 2030 deberán ser reutilizables, reciclables o compostables.
La Directiva 2018/852, establece un aumento paulatino de las tasas de reciclado de envases, alcanzando el 65% en 2025 y el 70% en 2030. Además del objetivo general del 65 y el 70%, se fijan objetivos específicos por cada tipo de material, por ejemplo, un 55% para los envases de plástico en 2030.
¿Cómo hacer que nuestro envase para un producto cárnico sea sostenible?
1
Adicionalmente, en España se publicó a principios de abril la nueva Ley de Residuos y Suelos Contaminados para una Economía Circular y está pendiente de que se publique el Proyecto de Real Decreto de Envases y Residuos de Envase.
La Ley de Residuos y Suelos Contaminados regula desde un punto de vista integral la gestión de desechos con el fin de cumplir los requisitos que ha fijado la UE para los horizontes 2025, 2030 y 2035. De este modo, se incluyen nuevos impuestos:
Sobre los envases de plástico no reutilizables que contengan plástico virgen. A partir del 1 de enero de 2023 se deberá pagar 0,45 euros por kilogramo de plástico no reciclado y será una tasa indirecta que recaerá sobre la fabricación, importación o adquisición intracomunitaria de los envases que, conteniendo plástico virgen, no son reutilizables o sobre aquellos productos semielaborados destinados a ser envase (como preformas o láminas).
Sobre el depósito de residuos en vertederos, la incineración y la coincineración de residuos. Esta tasa recaerá en quien entregue residuos para la eliminación o valorización energética en instalaciones de incineración o coincineración, con algunas excepciones. La base imponible se establecerá según el peso y tipo de los residuos.
La nueva ley pone además límites a los plásticos de un solo uso.
En concreto, los recipientes de plástico para alimentos de consumo inmediato deberán tener reducciones del 50% en peso en 2026, y en 2030 del 70 % en peso, siempre con respecto a 2022. Para poder lograr estos objetivos, la legislación establece que “todos los agentes implicados en la comercialización fomentarán el uso de alternativas reutilizables o de otro material no plástico”.
Además, queda prohibida la fabricación e introducción en el mercado de productos de plástico como los recipientes para alimentos de poliestireno expandido -las bandejas de este tipo de material han sido tradicionalmente empleadas para el envasado de carne trozada-, todos los productos de plástico oxodegradable y las microesferas de plástico de menos de 5 mm. También queda prohibido el uso de sustancias como ftalatos y bisfenol A en envases.
Adicionalmente, se impulsa la sustitución de bandejas, artículos monodosis, anillas de plástico y palitos de plástico usados por el sector alimentario por alternativas reutilizables y otros materiales tales como plástico compostable, madera, papel o cartón.
Por su parte, el Real Decreto de Envases y Residuos de Envase está enfocado en la gestión de los envases y su fin de vida para mitigar su impacto. Para ello, se estructura su contenido a partir de la jerarquía de residuos y se establecen objetivos y medidas, entre las que destacamos:
Los envases deberán diseñarse de manera que a lo largo de todo su ciclo de vida se reduzca su impacto ambiental y la generación de residuos.
Se establecen objetivos de reducción –respecto a 2010- del peso de los residuos de envases de entre un 13% y un 15% para 2025 y 2030, respectivamente.
Fomenta la venta a granel de alimentos: Desde el 1 de enero de 2023, los comercios minoristas de alimentación cuya superficie sea igual o mayor a 400 m² destinarán al menos el 20 % de su área de ventas a la oferta de productos presentados sin embalaje primario, incluida la venta a granel o mediante envases reutilizables.
Se promueve la reutilización de los envases para el ámbito doméstico, comercial e industrial, para los que se han marcado objetivos para 2025, 2030 y 2035.
Se determina que todos los envases comercializados deben ser reciclables en 2030 y, cuando sea posible, reutilizables. Se incluyen las tasas de reciclado de envases que ya establecía la Directiva 2018/852 y, además, la obligación de introducir material reciclado en envases para bebidas que contemplaba la Directiva 2019/904 se extiende al resto de los envases de plástico, marcando objetivos específicos por tipo de envase en 2025 y en 2030.
Se da especial relevancia al marcado de los envases y se dan instrucciones sobre la comunicación de los envases compostables, conforme a la norma UNEEN 13432, y de los envases reutilizables, indicando su correcta gestión. Igualmente, se podrá informar sobre la composición, porcentaje de reciclabilidad o contenido reciclado de los envases, pero de forma voluntaria, y será necesario acreditarlo en los dos últimos casos.
El envase destinado a estar en contacto con alimentos se encuentra en una disyuntiva en la que ha de cumplir los requisitos de reciclabilidad/compostabilidad/ reutilización marcados por Europa y, al mismo tiempo, garantizar que es seguro para el consumidor final.
Por ello, se han propuesto diversas soluciones, entre las que cabe destacar el empleo de materiales, principalmente de origen renovable, con carácter biodegradable y con los que fabricar un envase compostable que cumpla con los requisitos recogidos en la norma UNE-EN 13432:2001.
Otra de las soluciones posibles es la simplificación de estructuras de envase flexible mediante el uso de recubrimientos barrera o la utilización de materiales reciclados en contacto con alimentos.
En lo referente a la introducción de materiales plásticos reciclados, la Comisión Europea anunció un proyecto de nuevo reglamento (notificada en la World Trade Organization como G/SPS/N/EU/524), que reemplazará al Reglamento (UE) No 282/2008 y que, en el caso de ser adoptado, entraría en vigor en el último cuatrimestre de 2022.
Menos costes de climatización al contar con un eficiente aislamiento térmico todo el año.
Fáciles de colocar, fáciles de mantener. Contribuyen a reducir los costes de ins talación y recuperar la inversión lo antes posible.
Excelente estanqueidad, alta resistencia a agentes externos y máxima durabilidad con una garantía de hasta 30 años.
Amplia gama de colores y acabados para crear soluciones personalizadas.
ISOVETRO PLUS EXTREME de ISOPAN es un panel para cubierta de cinco grecas mono-lámina con aislamiento de espuma de poliuretano, que se caracteriza por la presencia de un laminado interno de fibra de vidrio que confiere una excelente resistencia contra la acción de agentes agresivos presentes en ambientes agrozootécnicos, como granjas. Además, incorpora un perfil PVC adicional para mejorar la estanqueidad y proteger la durabilidad de la cubierta. Además de un elevado aislamiento térmico que garantiza el confort ambiental interior del edificio, facilita el mantenimiento del mismo y una fácil limpieza. Aporta estabilidad mecánica, dimensional y ligereza, y permite una rapidez de ejecución de obra. Disponible en diferentes espesores y colores.
De igual modo, para utilizar materiales reciclados para el envasado de productos cárnicos es necesario evaluar el riesgo de las sustancias que potencialmente pueden migrar al alimento envasado. Esto cobra especial relevancia en las sustancias no añadidas intencionalmente al material de envase (o NIAS), dado que el material a reciclar ha podido entrar en contacto con diferentes contaminantes, proceder de un origen no alimentario, e, incluso, generarse sustancias de degradación por el propio proceso de reciclado.
En el centro tecnológico ITENE trabajamos en alternativas innovadoras más sostenibles que los materiales tradicionales para su uso en contacto alimentario.
En este sentido, ITENE ha desarrollado un film translúcido para aplicaciones de envase alimentario flexible, que es compostable a nivel doméstico.
Una alternativa es el uso de barreras funcionales correctamente validadas, tras las que incorporar el material reciclado. Para ello, es necesario garantizar que la estructura seleccionada impida la migración de las sustancias presentes en el material reciclado al alimento a contener.
En este film se alcanzó una mejora de la barrera al oxígeno de hasta el 89% y al vapor de agua del 70%, en comparación con el material virgen de partida y se mantuvo una elongación a la rotura de entre el 200 y el 600%.
Este material puede adaptarse a distintas formas (film tapa, bolsa, etc.) y a distintos productos (frescos, secos, etc.). Este desarrollo se obtuvo en el proyecto COMFUME (2020-2021), financiado por el Instituto Valenciano de Competitividad Empresarial (IVACE).
En el caso del cartón, también hay que analizar la posible presencia de los MOSH (hidrocarburos saturados de aceite mineral) y MOAH (hidrocarburos aromáticos de aceite mineral), metales pesados, ciertos ftalatos y bisfenol A; entre otras sustancias sugeridas por el instituto alemán BfR en su recomendación XXXVI para papel y cartón destinado al contacto alimentario, incluyéndose el uso de fibras recicladas.
De igual manera, los nuevos materiales deben asegurar que la vida útil no solo no se vea mermada, sino que garantice la preservación de los alimentos.
Una de las estrategias principales consiste en envasarlos con materiales con propiedades barrera, generalmente con estructuras multicapa.
Esta composición, normalmente de diferentes materiales, confiere a los envases propiedades mecánicas y físicas (resistencia térmica o de barrera a la humedad y al oxígeno) que ayudan a conservar el producto, alargando su vida útil y reduciendo el desperdicio de alimentos.
Otro ejemplo es el proyecto europeo AGRIMAX (2016-2021), en el cual se desarrollaron dos plantas piloto de procesamiento para extraer compuestos de alto valor de los residuos agrícolas y de procesamiento de alimentos, siendo una de sus aplicaciones la obtención de materiales de envase, tales como biopolímeros, biocomposites, recubrimientos bio, envases activos y agentes estabilizantes.
En el caso de ITENE, la aportación a este proyecto, en el que había involucrados 29 socios, fue la creación de fibras de celulosa microfibrilada (MFC) para la producción de envases rígidos y flexibles para aplicaciones alimentarias, como bandejas, tarros, bolsas y películas.
Sin embargo, suelen presentar un alto coste de fabricación, al conllevar diferentes procesos de coextrusión y laminación, y son de difícil clasificación y reciclado (heterogeneidad de residuos, puntos de fusión diferentes, densidades similares, etc.).
En este contexto, el proyecto europeo BIOSMART (2017-2021), desarrolló diversas soluciones de envase biobasadas compostables para alimentos frescos y tratados. Una de ellas permitió el envasado de jamón cocido en una bandeja termoformada bajo atmósfera modificada (MAP).
En el caso del jamón cocido, la MAP se logró reduciendo el contenido de oxígeno (factor importante en la pérdida de la calidad de este alimento) y aumentando los niveles de dióxido de carbono (proporciona un efecto antimicrobiano).
Otra de las soluciones se ha centrado en dos rutas de mejora para materiales biobasados y biodegradables. Para ello, se trabajó en la incorporación mediante procesos de extrusión de una arcilla modificada a partir de compuestos aptos para contacto alimentario, una solución patentada por ITENE para mejorar las propiedades barrera del ácido poliláctico (PLA)
El material desarrollado se utilizó para la obtención de láminas multicapa empleadas para el termoformado de las bandejas para jamón cocido.
¿Cómo
Igualmente, se han desarrollado formulaciones de recubrimientos barrera basados en el uso de barnices aditivados con refuerzos que mejoraron sus propiedades. Estos recubrimientos fueron aplicados mediante tecnologías convencionales de impresión sobre un film flexible de PLA, actuando como tapa de la bandeja termoformada.
El PLA es uno de los bioplásticos biodegradables más prometedores, capaz de procesarse mediante tecnologías convencionales de transformación de envases rígidos y flexibles. Normalmente carece de las propiedades barrera para conservar la calidad y propiedades organolépticas de los alimentos. Con las dos soluciones antes mencionadas, se logra solventar esta cuestión.
Nueva granja avícola en la localidad granadina de Lanteira
En Lanteira, Granada, inauguramos una explotación de aves"Avícola Beas Benavides", en las características de Agrener de ventilación combi-túnel de Skov.
Agrener es una empresa que ofrece soluciones completas para la climatización de naves de producción ganadera para la completa satisfacción del cliente. Su compromiso empieza desde la primera visita y no acaba después de la venta, ya que tras instalar el sistema de climatización en su granja el servicio técnico de Agrener verifica el correcto funcionamiento de todos los componentes del sistema y coopera con el cliente durante las primeras crianzas resolviendo todas las dudas que se le pudieran plantear.
Desde Agrener queremos agradecer a nuestro cliente “Avícola Beas Benavides” por haber apostado por nosotros para el diseño y desarrollo de la ventilación de su nueva explotación
La nave "Avícola Beas Benavides" trata de una nave con 160 m de longitud y 16 m de anchura situada en la falda de Sierra Nevada, a más de 1.000m metros de altura. Esta situación condiciona unos cambios de clima extremos, no solo de verano a invierno sino del día a la noche, que en todas las estaciones fluctúa unos 20º.
Además, se compagina con los extractores de alto caudal más potentes del mercado, los Bluefan de Skov (con transmisión a motor directa y fabricados en fibras plásticas aislantes y anticorrosivas) que permiten en las situaciones en las que se quiere disminuir la sensación térmica dentro de la nave, conseguirlo de una manera eficiente y eficaz.
En dadas condiciones tan cambiantes se ha optado por la ventilación combi-túnel de Skov, basada en unas ventilaciones mínimas de manera cenital, realizadas por chimeneas variables situadas en el techo de la nave.
Esta ventilación permite que en periodos en los que la temperatura exterior es baja, o el pollo es muy joven, haya la posibilidad de renovar toda la cantidad de aire necesaria de la nave, homogeneizándolo y consiguiendo que las diferencias de temperaturas en las cuatro zonas térmicas de la sala no lleguen a ser superiores a 0.5º.
Inauguraciones. Nueva granja avícola en la localidad granadina de Lanteira
los días 26 y 27 de Mayo de 2022, Calier, el laboratorio veterinario del Grupo Indukern, ha presentado ante más de 70 profesionales del sector avícola en España su nueva vacuna aviar Primun Salmonella T una vacuna viva frente a Salmonella typhimurium.
Esta nueva vacuna ha demostrado no tener interacciones negativas con Primun Salmonella E en una formulación combinada como así indica la ficha técnica aprobada por la Agencia Española del Medicamento.
Con este producto, Calier cierra el ciclo de protección frente a Salmonella con dos vacunas Primun Salmonella E y Primun Salmonella T.
Ambas ofrecen un excelente perfil de seguridad y una mayor eficacia, al generar una inmunidad más prolongada con el mínimo nivel de excreción.
También facilita al veterinario desarrollar su propio plan de vacunación contra estos dos tipos de salmonella. La administración de ambas es sencilla y eficaz, ya que se aplican a través del agua de bebida.
Primun Salmonella E -vacuna frente a la salmonella enteritidis- es, además, la primera y única vacuna del mercado con autorización en puesta, por lo que permite una inmunización más completa durante todo el ciclo productivo de las gallinas.
Calier comercializará inicialmente su nueva vacuna Primun Salmonella T en España, y otros países europeos como Italia, Alemania, Polonia y Portugal .
Se trata de vacunas
íntegramente desarrolladas y producidas en España
Con este nuevo lanzamiento, Calier continúa posicionándose en el sector de los productos biológicos para avicultura. El laboratorio cuenta con unas instalaciones de 6.000m2 a la vanguardia en el desarrollo y fabricación de este tipo de fármacos en León, ciudad que ha acogido la presentación de este nuevo producto.
Además, con esta nueva propuesta, Calier sigue impulsando su compromiso con la prevención de enfermedades y la seguridad alimentaria, especialmente en productos como el huevo y la carne de pollo, dos de los alimentos más completos e ingredientes básicos de nuestra dieta.
Imagen 2. Presentación de Calier de la nueva vacuna aviar Primum Salmonella TPara esta ocasión, Calier ha elegido León para este lanzamiento. León es una ciudad llena de historia. Su condición de Reino, fundado en el año 910 le confiere una monumentalidad muy destacable entre las ciudades de España.
Se trata de una ciudad, además, con una tradición remarcable en la producción de fármacos y otros productos de prevención en ganadería y humana. No en vano, una de sus avenidas lleva el nombre de “Avenida de los Antibióticos”
Los participantes en el evento tuvieron la oportunidad de visitar el museo de La Real Colegiata de San Isidoro lugar donde se encuentra el Panteón de los Reyes conocido como la Capilla Sixtina del Románico.
Este fue el lugar donde Calier decidió realizar la jornada técnica de presentación de su nueva vacuna. La sala Pendón de Baeza reunía las condiciones técnicas necesarias dentro del marco de la Colegiata.
El evento fue presentado por Jesús Rubio, Poultry Global Marketing Manager de Calier que actuó como maestro de ceremonias dando paso a un grupo de ponentes que abordaron
La sostenibilidad en salud animal y el concepto de One Health es un término muy interiorizado por el Grupo Indukern que produce soluciones tanto para salud animal como humana. Javier Sanz hizo una actualización de la situación de la compañía y su proyecto de futuro.
Presentación de las caracteristicas más importantes de la nueva vacuna Primun Salmonella T destacando la singularidad de la cepa, duración de inmunidad y ausencia de interacción negativa en una fórmula combinada con Primun Salmonella E
PRESENTACIÓN PRIMUN SALMONELLA T DE CALIER ¡BIENVENIDO A LA VACUNACIÓN SOSTENIBLE!
Importancia de la auditoría del proceso de vacunación especialmente en vacunas tan importantes como las vacunas vivas frente a Salmonella. La revisión del proceso, especialmente en lugares poco habituados a la vacunación como las granjas de puesta, es esencial para asegurar que el antígeno atenuado llegue a las aves y se pueda iniciar el proceso de inmunización en el momento adecuado.
Para ello, Calier ha puesto en marcha herramientas digitales especiales como WEVAP así como un servicio específico de auditoría en colaboración con la empresa TSS especializada en calidad de agua y servicios de certificación.
Jesus Rubio cerró la jornada resumiendo cuáles son los principales problemas de prevalencia en Salmonella y cuál es el origen de estas Salmonellas según su categoría. Claramente S. enteritidis y Typhimurium siguen siendo las principales salmonellas responsables de toxiinfecciones alimentarias aunque habrá que vigilar en un futuro la evolución en prevalencia de otros serovares.
La jornada concluyó con una cena al aire libre en el claustro de la Real Colegiata de San Isidoro donde el buen tiempo acompañó y donde los profesionales del sector tuvieron la oportunidad de charlar y ponerse al día después de tanto tiempo en el que la pandemia ha impedido este tipo de encuentros presenciales.
Debido a la situación de pandemia, no se ha podido realizar una inauguración oficial de las instalaciones de Calier León así que nos pareció muy oportuno que el sector visitará nuestro laboratorio y hacerles así partícipes del proceso productivo. La visita y presentación de nuestras instalaciones de León se llevó a cabo el día 27 por la mañana.
La comercialización de vacunas es una cuestión de confianza que se adquiere especialmente cuando puede conocerse el lugar donde se producen las vacunas y, sobre todo, cuando puede verse en directo el proceso productivo.
Calier Leon cuenta con capacidad productiva suficiente para producir sus vacunas frente a Salmonella y vacunas viricas así como inmunomoduladores (Inmunair).
A su vez, Calier León es un centro de diagnóstico y producción de autovacunas para avicultura y otras especies. Recientemente se han producido los primeros lotes de autovacuna frente a Mycoplasma.
Sin duda, este evento es un punto de inflexión en la compañía. Queremos avanzar en la prevención frente a Salmonella y queremos seguir desarrollando soluciones para el sector.
La pertenencia al grupo Indukern y la interiorización del concepto One Health nos anima a seguir trabajando en prevención.
Bienvenidos a la vacunación Sostenible, la visión de Calier en la protección frente a Salmonella DESCÁRGALO EN PDF
Liofilizado para administración en agua de bebida para pollos. Cada dosis contiene: Salmonella enterica subsp. enterica serovar Typhimurium viva, atenuada, cepa ST CAL 16 Str+/Rif+/Enr-,1-6 x 108 UFC. Indicaciones de uso: Inmunización activa de pollos (pollitas futuras ponedoras y reproductoras) para reducir la excreción fecal y la colonización de órganos internos por cepas de campo de Salmonella Typhimurium. Establecimiento de la inmunidad: 14 días después de la primera vacunación. Duración de la inmunidad: 61 semanas después de la tercera vacunación, cuando se administra de acuerdo al programa de vacunación recomendado. Contraindicaciones: Ninguna. Especies de destino: Pollos (pollitas futuras ponedoras y reproductoras). Posología y vía de administración: Vía oral después de su resuspensión en agua de bebida. Programa de vacunación recomendado: Una dosis única a partir de un día de edad (en las primeras 72 horas), seguida de una segunda vacunación de 6 a 8 semanas de edad y una tercera vacunación a las 14-18 semanas, al menos 4 semanas antes del inicio del periodo de puesta.Tiempo de espera: Carne: 28 días después de la 1ª y 2ª vacunación y 14 días después de la 3ª vacunación. Precauciones especiales de conservación: Mantener fuera de la vista y el alcance de los niños. Conservar y transportar refrigerado (entre 2 oC y 8 oC). Proteger de la luz. No usar este medicamento veterinario después de la fecha de caducidad que figura en la etiqueta. Periodo de validez después de su reconstitución según las instrucciones: 3 horas. Medicamento sujeto a prescripción veterinaria. Medicamento administrado bajo el control o supervisión del veterinario. Interacción con otros medicamentos y otras formas de interacción: Debido a que la cepa vacunal consiste en una bacteria viva, debe evitarse la utilización simultánea de quimioterápicos, que son eficaces frente a Salmonella. Sin embargo, si esto es inevitable, el lote debe re-inmunizarse. La decisión sobre el uso de esta vacuna antes o después de cualquier tratamiento quimioterápico se deberá realizar caso por caso. No existe información disponible sobre la seguridad y la eficacia del uso de esta vacuna con cualquier otro medicamento veterinario. La decisión sobre el uso de esta vacuna antes o después de la administración de cualquier otro medicamento veterinario se deberá realizar caso por caso. Los estudios
vacunación cuando se utiliza
vacunal recomendada.
usar
destino:
Posología y vía de administración: En el agua de bebida. Debe administrarse una dosis de vacuna por cada ave. La vacuna puede emplearse a partir
1er día de vida. Programa de vacunación recomendado: Una dosis a partir de un día de edad, seguida de una segunda vacunación a la edad de 6 a 8 semanas y una tercera vacunación a las 15-20 semanas al menos 3 semanas antes de la puesta. Se puede utilizar una cuarta vacunación durante el periodo de puesta a las 55 semanas para reducir la colonización del ciego y la excreción de las cepas de campo. Tiempo de espera: Carne: 21 días después de la 1ª, 2ª y 3ª vacunación. 14 días después de la 4ª vacunación. Huevos: Cero días después de la 4ª vacunación. Precauciones especiales para su uso en animales: No se ha ensayado en aves ornamentales ni en las de pura raza. La cepa vacunal puede propagarse a aves susceptibles en contacto con las vacunadas. Las aves vacunadas excretan la cepa de la vacuna hasta 14 días después de la vacunación. Se deben tomar las medidas veterinarias y de manejo apropiadas para evitar la propagación de la cepa vacunal a especies sensibles. Precauciones específicas que debe tomar la persona que administre el medicamento veterinario a los animales: Cuando se manipule el medicamento veterinario usar un equipo de protección personal consistente en guantes. El frasco debe abrirse sumergido en agua para evitar los aerosoles. Después de manipular la vacuna deben desinfectarse y lavarse las manos. No ingerir. En caso de ingestión consulte con un médico. Hasta 28 días después la cepa de la vacuna es sensible a algunos antibióticos incluyendo quinolonas (ciprofloxacina). Se debe tener precaución y lavarse y desinfectarse las manos después de manipular las heces de las aves vacunadas, en particular durante los primeros 14 días después de la vacunación. Se aconseja a las personas inmunodeprimidas que eviten todo contacto con la vacuna y los animales vacunados durante la manipulación y 28 días después de la vacunación. Precauciones especiales de conservación: Conservar en nevera (entre 2ºC y 8ºC). No congelar. Proteger de la luz. Titular de la autorización de comercialización
fabricante:
Franqueses
Vallès, Barcelona
Contribuyendo a alimentar a una población creciente Reduciendo el impacto medioambiental de la producción de carne de ave. Proporcionando más eficiencia en granjas para que sean más sostenibles. Seleccionamos para mejorar la sostenibilidad. Se lo mostramos en aviagen.com