


![]()




With premier degree programs, next-generation LED volume stages, and the largest and most comprehensive university film studio complex in the nation, SCAD prepares students in acting, film and television, sound design, and more to star on set, stage, or behind the scenes.
Learn more at scad.edu/film-and-acting.

From the premier finishes within our senior residences to the concierge team that recalls your every preference and anticipates your every request, life at Corso Atlanta is enlivened by consistent, tangible luxury.


Our concierge-style care services, NoMove Adaptive Care Model, and full suite of wellness amenities and services empower your independence, comfort, and quality of life - now and for years to come.















PUBLISHER
MICHAEL A. MORRIS michael@atljewishtimes.com
EDITOR & MANAGING PUBLISHER
KAYLENE LADINSKY kaylene@atljewishtimes.com
Execuitive Assistant
RONIT FRANCO-PINSKY ronit@atljewishtimes.com
EDITORIAL
Managing Editor
SASHA HELLER sasha@atljewishtimes.com
Staff Writer & Proofreader FRAN PUTNEY fran@atljewishtimes.com
Interim Online Content Coordinator
ROBERT GARBER robbie@atljewishtimes.com
CONTRIBUTORS THIS ISSUE
BOB BAHR
CHANA SHAPIRO
DAVE SCHECHTER
DAVID OSTROWSKY
JONATHAN GREENBLATT
MARCIA CALLER JAFFE
ROBYN SPIZMAN GERSON
RABBI STEVEN LEBOW
ADVERTISING
Senior Account Manager & Team Supervisor
MICHAL BONELL michal@atljewishtimes.com
Account Manager
ILYSSA KLEIN ilyssa@atljewishtimes.com
CREATIVE & DESIGN
Creative Director LILLI JENNISON lilli@atljewishtimes.com
COMMUNITY ENGAGEMENT
Events Director
JACQUELINE MORRIS jacqueline@atlantajewishlifefoundation.com
Atlanta Jewish Connector Coordinator DIANA COLE diana@atljewishtimes.com
GENERAL OFFICE
ROBIN FREEDMAN info@atljewishtimes.com 404-883-2130
Events Director
JACQUELINE MORRIS jacqueline@atlantajewishlifefoundation.com
Distribution Manager LOU LADINSKY lou@atljewishtimes.com

Rosh





By Sasha Heller
Volunteers with Atlanta Jewish Xperience (AJX) recently returned from a trip to Israel. Group leaders Jonathan Olens and Rabbi Elazar Tendler spoke with Atlanta Jewish Times about the trip, the organization, and its future.
AJT: Please describe the Atlanta Jewish Xperience. What is the concept behind the group and its mission?
In 2016, the Atlanta Scholars Kollel placed Rabbi Yosef and Rookie Shapiro in Brookhaven to inspire Jews in the area through outreach. In just a few years, the results have been incredible: AJX consistently hosts inspiring services, lively Shabbat meals, social events both large and small, classes, and learning opportunities throughout the week.
Their expanded reach led to the hire of Rabbi Luzzy and Devorah Tendler, a talented couple who have brought their myriad skills to the tight-knit community. AJX currently services over 800 people and recently purchased a building for their op-

eration to continue to inspire and impact!
AJT: What did your itinerary include? Did the mission include time for exploration/tourism, or did it focus more on volunteering?


Our trip was primarily a volunteer trip through Olami - Israel Leadership Missions, though it was very meaningful and loads of fun as well. We joined a larger group of about 30 young professionals from across the country, and it was really nice and meaningful to be able to meet them, create new friends, and build meaningful relationships. The days kicked off with awesome Torah study with top-notch teachers at premier Torah centers in Jerusalem, including Machon


Yaakov, Aish, and Neve, after which the volunteering began. The participants studied areas of personal growth, the purpose of life, and even Talmud! Additionally, we heard from really impactful speakers including a soldier who fended off terrorists on Oct. 7 and, later, was injured in an undercover mission near Hebron and lost almost all his vision; Tamir Goodman, aka “the Jewish Jordan,” who shared that even at risk of his basketball career he always stood for G-d, Shabbos, and the Jewish people; and a geopolitical talk by a representative from Nefesh b’Nefesh about making Aliyah.
AJT: Please detail some of the volunteering activities your group participated in.
After landing in Israel on Monday morning, the group headed to the Kotel, got a tour of the Kotel tunnels, and experienced the Kotel VR. Straight after that, they got busy with their volunteering by making tzitzit for the soldiers and baking cookies for patients and their families in the hospital. The next day, they began with the learning in Yeshiva and then headed outside of Jerusalem to a vineyard where they helped out with pruning and tending to the saplings. Wednesday started with an early bus ride down to the south of Israel. It started with a tour of Kfar Aza with the IDF spokesperson unit, making beef jerky for soldiers stationed in Gaza, the infamous burnt car lot, the Nova massacre site, and concluding with a barbeque on one of the IDF bases near the border. Thursday began with learning again, and as the group headed to pack Shabbat dinners for those

in need, they pivoted for a quick ATV activity and concluded the day with an inspiring challah bake. On Friday, we volunteered in Shaarei Tzedek Hospital by going around the wards offering cookies, coffee, songs, and words of encouragement for the patients and their families, and ended with evening services at the Kotel, followed by a Shabbos dinner full of great food, fun, and inspiration.
AJT: What were some of the highlights of your volunteer mission? Any lasting memories?
The overall trip was such a great experience. For me, it had been 12 years since I last was in Israel, and I knew that I wanted to go back. Seeing everyone there going about their daily lives as if there was not a threat of attack was truly inspirational. Additionally, seeing the Israeli pride was very nice.
For me, the most impactful part of the trip was traveling south near Gaza, where we got a tour of Kfar Aza from an IDF spokesperson, visiting a car lot of burnt-out and heavily damaged vehicles of people who attended the Nova Festival, and visiting and paying our respects at the Nova Festival site. It’s one thing to see them in photos or videos; it’s a completely different thing to see them in person and to witness those areas firsthand.
For more information about the Atlanta Jewish Xperience please visit https://www.atlantajewishxperience. com/
For more information about upcoming trips through Olami - Leadership Missions, please visit https://www.israelmissions.com/ ì
Personalized daily care for seniors with Alzheimer’s, Dementia, Parkinson’s, and more.
OUR SERVICES
• 8 Hours of Care
• Nutritious Meals & Snacks
• Nurse on Staff
• Medication Management
• Transportation
• Engaging Group Activities
• Support for Caregivers ...and so much more!
8601 Dunwoody Place, Building 1, Suite 130
Compiled by AJT Staff
The following is a roundup of developing stories related to Israel’s ongoing conflicts with Hamas, Yemen, and Iran.

U.S. President Donald Trump rejected the characterization of Israel’s campaign against the Hamas terror group in the Gaza Strip as a “genocide,” emphasizing that the war started when Hamas attacked Israel on Oct. 7, 2023.
Asked about the genocide accusation, Trump said: “I don’t think it’s that. They’re in a war.”
Israel has strongly rejected allegations of war crimes, insisting it does not target civilians and pointing to efforts to evacuate civilians from harm’s way and facilitate the entry of aid throughout the 22-month campaign. International groups accuse Israel of failing to let in sufficient aid to prevent hunger and of showing disregard for civilian casualties.
“Some horrible things happened on Oct. 7,” Trump said, as he prepared to board Air Force One in Allentown, Penn. “It was a horrible, horrible thing. One of the worst I’ve ever seen.”
Asked for an update on Gaza more broadly, Trump reiterated that the U.S. was working to feed Palestinians in the Strip.
“We want the people fed. We’re the only country that’s really doing that. We’re putting up money to get the people fed. And Steve Witkoff is doing a great job.”
Trump said Washington was “giving some pretty big contributions, basically to purchase food, so that people can be fed.
To read the full story, please visit https://www.atlantajewishtimes.com/trumpdoesnt-believe-gaza-war-is-genocide/
Former prime minister Naftali Bennett warned that Israel’s status in the United States “has never been so bad” and that it is being seen as a “leper state” in a lengthy social media post last week.
The post castigating the current government’s public diplomacy efforts came after Bennett, who plans to run in next year’s elections, spent 10 days in the U.S. It follows a raft of polls and other indicators showing decreasing support for Israel and its war against Hamas in Gaza, among both major American political parties.

Former prime minister Naftali Bennett visits at the Western Wall in Jerusalem’s Old City, May 26, 2025 // Photo Credit: Yonatan Sindel/Flash90/Times of Israel
“The Democratic party hasn’t been with us for some time. We’re also losing the Republican party, whose support for Israel could once be counted on,” he wrote, though he credited U.S. President Donald Trump with retaining support for Israel within his administration.
“Even those who have been our friends are having a hard time defending the State of Israel,” Bennett continued. “Israel is being seen more and more as a liability and burden on the USA and Americans.”
To read the full story, please visit https://www.atlantajewishtimes.com/bennettisraels-status-in-us-has-never-been-so-bad/
Flagship newspapers of Israel’s ultraOrthodox parties declared “war” on efforts to enforce draft orders for Haredi men, prompting an outcry from both coalition and opposition lawmakers.
The headlines were printed after two yeshiva students were arrested for evading the draft. Following the arrests, a spokesman for Rabbi Dov Lando, spiritual leader for the United Torah Judaism party’s Degel HaTorah faction, said Israel had “declared war on yeshiva students.”

Zvi Sukkot attends a Religious Zionism Party meeting at the Knesset, Jan. 23, 2023 // Photo Credit: Yonatan Sindel/Flash90/Times of Israel
The banner headlines in Shas’s HaDerech and Degel Hatorah’s Yated Neeman papers were both laid out in bold white letters on a black background: Yated Neeman’s front page said simply, “War,” while HaDerech’s read, “A war for God,” while adding that the Haredi world was “prepared for a fierce struggle.”
HaMevaser, a paper affiliated with MK Meir Porush of UTJ’s Agudat Yisrael faction, also called the situation a “war,” railing against the “conscription decree” and topping its front page with a quote from the Passover Haggadah about the enemies of the Jewish people “rising up to destroy us” throughout history.
To read the full story, please visit https://www.atlantajewishtimes.com/haredinewspapers-declare-war-over-idf-enlistment-efforts/

Opposition Leader Yair Lapid speaks at a Yesh Atid faction meeting at the Knesset, on July 14, 2025 // Photo Credit: Yonatan Sindel/Flash90/Times of Israel
The Knesset opposition slammed Prime Minister Benjamin Netanyahu following a pair of rare back-to-back press conferences, accusing him of lying to the nation and placing his own political interests above those of the public.
“It was a horror show by a failed prime minister who replaced reality with a presentation,” declared Opposition Leader Yair Lapid, arguing that the outcome of Netanyahu’s policies in Gaza would be that “the hostages will die, soldiers will die, the economy will fall apart and our international standing will collapse.”
“Netanyahu has no majority in the Knesset, and he has no majority among the people,” Lapid stated. “He heads an illegitimate minority government, and he is unable to even manage it. This government cannot [be allowed to] drag us into the occupation of Gaza.”
Days after his cabinet approved a new major offensive in Gaza City to root out Hamas forces there, the premier denied that Israel intends to occupy Gaza, saying his intention was to swiftly end the war rather than prolong it. He described how a future “civilian administration” would be established in the Strip to govern Palestinians in a manner that does not threaten Israel, while avoiding saying who would take part in it.
As security forces and hostages’ families decried the Gaza City plan as potentially endangering the hostages’ lives, Netanyahu argued that an Israeli takeover of Gaza would in fact enable the return of the living hostages.
Netanyahu also asserted that he was working to recruit the ultra-Orthodox community into the IDF, rejecting claims that he is deliberately delaying this process to gain political support from the Haredi parties.
To read the full story, please visit https://www. atlantajewishtimes.com/opposition-pans-netanyahu-as-a-failed-prime-minister/ ì


By Bob Bahr
A crowd of nearly 900 poured into the sanctuary at The Temple in Midtown to pay tribute to Miles Alexander, the nationally famous attorney who was deeply involved in civic and community endeavors for much of his long life.
The memorial service, which was watched by another 200 on a webcast, heard The Temple’s Senior Rabbi Peter Berg describe Alexander as “a truly great man who was kind and generous and, in every way, the very definition of a mensch.”
Alexander passed away on July 11 at the age of 93.
“He was considerate and wise,” Rabbi Berg said. “He made an indelible impact on our city, the practice of law, and our entire community.”
As if to underline the many contributions Alexander had made to life in this city and this nation, the service was attended by former Georgia Gov. Roy Barnes, the one-time chief justice of the Georgia Supreme Court David Nahmias,


former Deputy Attorney General in the Obama Administration Sally Yates, and Andrew Young, the civil rights icon and former Atlanta mayor.


Alexander and his wife of 70 years, Elaine, were often at the center of progressive political life in the city. Among his closest friends was the late Elliott Lev-
itas, who served five terms in the House of Representatives from Georgia’s Sixth District. He was the first Jewish member from the state to serve in Congress.


One of Miles Alexander’s notable legal victories was in upholding the copyright of the “I Have A Dream” speech by Dr. Martin Luther King, Jr
They initially worked together when, as undergraduates at Emory University in the late 1940s, they joined an Emory debate to argue for the acceptance of Blacks as graduate students at the school. Alexander and Levitas had been attracted to the school because, unlike many major universities then, it didn’t have a Jewish quota system in place.
Alexander went on to study law at Harvard where he graduated with honors before marrying and coming back to Atlanta in 1958. He joined the law firm of what is now Kilpatrick Townsend and Stockton because, again, it was one of the few major law firms that didn’t discriminate against Jews.
His experience growing up in an era with the lingering presence of antisemitism made him an active leader in the American Jewish Committee and the Anti-Defamation League (ADL). He served twice as the ADL’s regional board chair and a member of its National Legal Committee. He was remembered in a written statement by David Hoffman, interim regional director of ADL in the Southeast.
“As Miles once reflected, his greatest achievement in life, aside from his family and children, was that he had been ‘liked … respected by more people than he ever expected.’ This sentiment captures the essence of a man who dedicated his life to building bridges, fighting injustice, and bringing people together across racial, religious, and cultural divides.”
Alexander spent his entire 65-year career at Kilpatrick Townsend and Stockton, eventually becoming its chairman. Today, it is an international firm with 22 offices around the country and nearly 1,000 lawyers.

West Point , 1982: University of Michigan Law School , 1990; Member of the National Academy of Elder Law Attorneys & Accredited Veterans Administration Attorney
Question: My Granddaughter turned 18 last year and will be graduating from high school soon She will be going to college out of state in the fall My son and I are wondering what legal documents need to be in place before she moves out of state?
As one of the nation’s leading experts in trademark law, Alexander was honored by his profession with several national lifetime achievement awards. He served on the Trademark Review Commission of the United States Trademark Association, which led to an overhaul of the Lanham Act. That is the federal law that governs the use of trademarks in America today.
He was instrumental in upholding the copyright protection for Dr. Martin Luther King, Jr.’s 1963 “I Have A Dream” speech after CBS used it in a Mike Wallace documentary. His win was said to have set a powerful legal precedent.
Alexander was an early champion of inclusion at the firm and became a mentor to Michael Tyler, who was hired in 1981 and later became the first Black partner in the firm. Tyler was one of only two speakers at the memorial service who were not family members.
“Miles was truly the heart and the soul of our firm,” Tyler commented. “He embodied all that was good and decent about who we are and about who we aspire to be, what one of our former chairmen would term, a force for good.”
In a life filled with so many accomplishments, the one word that seemed to best sum up his life is the word that was heard most often in the memorial service -- inspiration. For his son, Kent, one of four children who are all accomplished leaders in Jewish communal life here, that was one of his father’s great lessons.
“I look back at my dad’s life now, not so much with sadness, but really with celebration. If anyone who could have that kind of life over a nine-decade span, he really has won the game of life.” ì
Answer: Congratulations! While your granddaughter may always be the baby in your family in the eyes of the lay, she is now an adult This means that her mother and father may no longer be able to make important medical or financial decisions without her permission. This can cause problems since she most likely depends on her parents, and maybe even you, for most of her support .
Doctors, hospitals, and financial institutions are required by law to respect your granddaughter ’s privacy This means she needs to sign several key legal documents before she leaves for college so her “Agent ” (mom, dad, grandparents) can make important decisions for her if she cannot make them for herself.
At the bare minimum, she should sign a Health Care Power of Attorney, HIPAA Authorization, and a living will . This will help avoid the nightmare scenario where she may need medical attention, but the hospital refuses to provide a simple status update as to her condition because the right legal documents are not in place She may also want to sign a Durable Financial Power of Attorney and even a Simple Will
I recommend you call to schedule a “Discovery Meeting” so your family can have peace of mind when she goes off to college
Bob Goldberg, has practiced law for 33 years, specializing in Estate planning and Elder Law since 1999.His firm has assisted thousands of clients with wills, trusts, financial powers of attorney, health care advanced directives, Medicare appeals, Medicaid and VA benefits planning, asset preservation,and probate/trust administration
By Marcia Caller Jaffe
Philanthropist and fintech entrepreneur David Zalik knows a good deal when he sees it. Under the name of CDI Palisades LLC, he acquired the 637,000-square-foot Palisades office park for $47.5 million in a cash deal that closed in June.
The four-building complex purchase is reputed to be “highly discounted.” The seller was Atlanta Property Group which purchased the 23-acre campus more than a decade ago for $95.3 million. Through a lot of machinations, including a swap and repackaging at $121 million, the owner had a $82.5 million loan extended to summer of 2026.
On behalf of Zalik, Ryan Wiedmayer stated, “The acquisition of Palisades reflects a significant discount to replacement cost and presents a compelling value proposition in a high-demand submarket of Atlanta. We believe the asset offers immediate income with substantial upside through lease-up opportunities and strategic capital investment.”

David Zalik has been a prominent figure in Atlanta’s commercial real estate market for more than 30 years.
David Zalik has been a prominent figure in Atlanta’s commercial real estate market for more than 30 years. According to Wiedmayer, Zalik Investment Group managing director, “The Zalik In-



vestment Group remains highly active in the commercial real estate market and is well-positioned to deploy capital as compelling opportunities emerge.”
In 2022, David and Helen Zalik do-
nated one of their earliest commercial real estate investments to Children’s Healthcare of Atlanta, nearly 10 acres of land, including two office buildings, located along the I-85 northbound access

park sits on 23 acres and has easy access to GA-400 and I-285.
road near the Children’s North Druid Hills campus. Over the past eight months, Zalik Investment Group has acquired five commercial office properties, totaling approximately 1.7 million square feet in the Atlanta area. These assets were acquired either directly or through partnerships with local real estate operators.
Palisades Office Park is a prominent four-building, Class A office complex located at 5901 Peachtree Dunwoody Road in Sandy Springs’ Central Perimeter submarket, just outside I-285 and near GA400. The property comprises approximately 639,000 square feet. The campus offers direct access to major interstates and is within walking distance, roughly 1,000 steps to both the Dunwoody and Medical Center MARTA stations. Nearby is the State Farm corporate campus, the Bishop Apartments, a 425-project built in 2019 and sold for about $108 million in 2024. HR solutions company TriNet closed a major lease deal at Dunwoody’s High Street, a posh mixed-use, multiphased $2 billion development that is less than one mile from Palisades and is expected to create 750 new jobs over the next five years.
Wiedmayer told the AJT, “Palisades is an institutional-quality asset, featuring large floor plates, structured parking, and excellent visibility — attributes that help attract and retain high-caliber tenants.”
Current tenants include TRC Staff-
ing, Huddle House, Herzing University, Cigna, JFrog, Weisman Law PC, Japan External Trade Organization, among others. The property is just over 70 percent occupied.
Atlanta Property Group’s management and leasing divisions, which was acquired by Trinity Properties, will retain those duties at Palisades. The Palisades transaction was brokered on David Zalik’s behalf by Ryan Goldstein of RG Real Estate.
Regarding broader market dynamics, Wiedmayer added: “We believe commercial office properties are undergoing a broad reset in valuations. For many assets, the path forward will involve a transfer of ownership and a resetting of the capital structure to support new operational strategies.”
An April 2025 Atlanta Journal-Constitution article stated that the recovery of the Atlanta office space market had slightly turned the corner for the first three months of 2025. “Challenges persist, but Atlanta’s office market shows improvement.”
David Zalik was the co–founder and former CEO of GreenSky Inc., a Sandy Springs-based fintech company that was not involved in the Palisades deal.
Note that the Zalik group is not in a position to comment on prior ownership or any parties that may have experienced a loss on the asset prior to their acquisition. ì




The Center for Israel Education (CIE), a leader in global education on Israel and the modern Middle East, announces the launch of its reimagined website. Serving as more than a redesign, it is now considered one of the most extensive and accessible digital platforms available for exploring Israel’s storied past and the complexity of its present in a volatile Middle East.
With more than 3,000 curated items — documents, maps, timelines, videos, lesson plans, and multimedia resources — the revised CIE website serves lifelong learners, students, clergy, and teachers as well as others interested in understanding Israel, the region, and American national interests there. The source and document collection are accumulated from Hebrew, Arabic, German, and English archives and from contributing scholars who have given permission to use key items otherwise blocked by pay walls.
“CIE’s website is an indispensable treasure-trove of commentary and source material that is essential for set-

ting current affairs in their historical context,” according to Dr. Asher Susser, professor emeritus of Middle Eastern history, Tel Aviv University.
“The CIE website is a gold mine of information about Israel and its history, which will help to counteract the confusion and misinformation found in much of the discourse in the media,” said Dr. Louise Fischer, emerita historical publications editor, Israel State Archives, Jerusalem, Israel.

“What sets CIE’s platform apart is that it’s not just a collection of content, but a dynamic teaching toolkit that enhances and complements the broader ecosystem of Jewish and Israel education resource,” added Aaron Bregman, director of high school affairs, American Jewish Committee.
“The CIE’s website is the most comprehensive and reliable resource pertaining to the modern State of Israel that I know of. Every person who cares about Israel should know about this site and check it regularly as its collections expand,” commented Dr. Malka Z. Simkovich, editor-in-chief of the Jewish Publication Society, Melrose, Penn.
“The CIE website is a one-stop shop for all things Israel. Never before has there been something like it, and never has it been more sorely needed,” said Michael Eisenstadt, director, Military and Security Studies Program, The Washington Institute for Near East Policy, Washington, D.C.
with trustworthy context. The website’s content provides multiple ways to access understanding.
“Building Israel knowledge muscle,” says Dr. Ken Stein, CIE’s founder and chief content writer, “will not eradicate antisemitism, but it will provide reason and replies to those who hurl invectives. Misinformation and historical distortion need to be stopped in their tracks. Voices not lowered end in violence.”
Stein continues, “The reconfigured website results from two sources: decades of classroom teaching, public outreach, applying insightful research from hundreds of student interns and educators, and from engaging creative designers who understand user experience. Teaching across the Internet makes the number of seats in the classroom limitless.” Website sources may be found in multiple languages.
The upgraded website features powerful search functionality with intuitive navigation that allows users to explore resources by topic, time period, file type, and language. Users can find primary source documents, maps, timelines, and curated learning essentials on topics ranging from pre-state Zionism to modern-day diplomacy and conflict. Returning users find new materials weekly. The website offers tailored, age-appropriate curriculum guides, bibliographies for research, and, for the keen beginners, selflearning units and explainers in video and in prose, such as a four-part video series on Iranian antisemitism and hatred of Israel.
Since CIE’s first website launched in 2015, traffic has grown from 500 users per month to more than 100,000 visitors each week. What began as an Atlantabased academic project, supported by local institutions and philanthropists such as Bernie Marcus and Arthur Blank, the Seslowe Family, and other foundations, has evolved into a global resource used to educate and inform.

The relaunch comes at a moment of demand and urgency. For years, learning and teaching Israel have not enjoyed the attention otherwise devoted to the conflict, the Holocaust, or the politics of the moment. Statistics show rising antisemitic incidents in the public square and on campus, confounding observers who often lack context of why and what to do. When fear, vulnerability, or doubt prevail, the curious seek answers
The website’s renewal coincides with a growing interest and public demand for credible, classroom-ready educational tools.
CIE’s materials stand out for accessibility, timeliness, and accuracy. Whether in classrooms, community centers, libraries, or homes, the site inspires, enriches, and equips users as they build foundational learning and conversations. To explore the new website and its resources, visit: israeled.org. ì
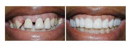
combining technology and artistry to create exceptional dentistry. As a comprehensive dental office that goes above and beyond our specialty in Cosmetic Dentistry, our patients believe Dr. David Mastro is the right choice for all your family dentistry needs!
When it comes to your smile and oral health, Dr. Mastro has a proven 30 year track record of providing quality cosmetic and family dental care for families in our local community and around the world.





NEWS By Marcia Caller Jaffe
Jewish Family & Career Services (JF&CS) is excited to announce the recipient of the Champion of Inclusion Award is Terri Bonoff. After serving as JF&CS CEO for six years, Bonoff has provided visionary leadership throughout her tenure, including the expansion of services for adults with intellectual and developmental disabilities. The JF&CS Champion of Inclusion Award celebrates those who have changed the landscape for individuals with disabilities.
Bonoff is set to transition to a new role at JF&CS in the middle of August when the new CEO, Jay Cranman, starts. Bonoff announced her desire to step back from the CEO position in the spring, having felt that the organization was at an inflection point.
When asked, “Why now?” Bonoff said, “The agency growth demands that the financial sustainability be the No. 1 priority for the coming year. We have assembled a strong stakeholder group of community members to co-create the kind of growth campaign that we believe

After six years as CEO of Jewish Family & Career Services, Terri Bonoff will be recognized with the Champion of Inclusion Award as she assumes a new role heading a major fundraising effort for the organization.
will inspire philanthropic investment. This mission is so compelling to me that I proposed to the Board, and they accepted that we begin the succession process now and allow me to focus solely on the campaign in partnership with the internal team.
“I will lead the Growth, Innovation and Durability Campaign in partnership




with the Board, Jay Cranman, the new CEO, and Amanda La Kier, chief philanthropy and marketing officer, and her team. This agency has grown tremendously in response to community needs. This growth has been accomplished with a lean organization and has stretched agency resources. Preserving and protecting the agency’s ability to lead and respond is the strategic purpose of the campaign. The hope is to raise upwards of $20 million so that JF&CS can be a force of goodwill for future generations.”
Bonoff listed the accomplishments she helped orchestrate since 2019:
1. JF&CS was recognized in 2024 as an Atlanta Journal-Constitution (AJC) Top Workplace. Bonoff focused on talent retention and building a culture that reflects the Jewish values of the mission.
2. Pre-COVID, JF&CS identified a mental health crisis among children, teens, and families. With support from the Board and past presidents, JF&CS launched a campaign, raising more than $4 million and opened the HorwitzZusman Child and Family Center. The Frances Bunzl Clinical Services program,

al pandemic that would forever change the world. Terri calmed the waters, ably navigated the agency through the pandemic, set a course for smart growth, and expanded our network of philanthropic partners while growing our overall budget and sources of support. Terri is not only an able organizational leader, she is a visionary who converts promises and possibilities to practical realities. She does it with imagination, drive and tenacity. Terri’s gift is knowing not only what is needed now but also anticipating what will be needed in the future.”
Bonoff grew up in the western suburbs of Minneapolis, Minn., as a thirdgeneration Minnesotan. Bonoff had a 20-year business career that included leadership roles in fashion retail, toy manufacturing (Tonka Toys), and software distribution. She won a State Senate seat in 2005 and served until 2016, leaving office as chair of higher education and workforce development.
Bonoff left the Senate when her husband, Matthew Knopf, joined Delta Air Lines as senior vice president deputy general counsel and moved to Atlanta. She serves on the American Jewish Committee Board, The Alliance Board, and is a trustee at her alma mater, Clark University in Worcester, Mass.
Bonoff concluded, “Leading JF&CS has been an honor of a lifetime.” Bonoff plans to spend more time with friends and family and pursuing travel and adventure.
JF&CS will celebrate the Champion of Inclusion Award to Terri Bonoff at The Tasting Experience on Thursday, April 30, 2026, at the Stave Room. More details will be shared on the event website: thetastingexperience.org. ì

By Marcia Caller Jaffe
When Sam Kleiman was rear-ended in a car accident, he thought getting his car repaired would be the end of it. The Weber High School class of 2012 graduate had no idea he was missing out on thousands of dollars his insurance company was legally required to pay him.”
Insurance companies have a legal obligation to pay for diminished value, but 99 percent of people don’t even know what that means,” says Kleiman, who teamed up with high school friend Ari Oken to launch Claims Concierge in January 2025.
“We’re talking about real money — our average client recovers $3,400 in additional compensation they would never otherwise have received.”
“According to industry data, 96 percent of drivers don’t fully understand their auto insurance policies, and 63 percent feel their final settlements were inadequate. With 13 million accidents occurring annually, that translates to $58 billion in unclaimed settlements,” added Oken.
Even after the highest quality repairs, a car’s value isn’t fully restored. This drop in market value is called “diminished value,” and it’s a real financial loss that most people never recover.
“When potential buyers see an accident history, they have natural concerns about structural damage, reliability, and safety,” Kleiman explains. “Even with perfect repairs, that accident report permanently affects resale value. You shouldn’t have to eat that loss.”
The duo also helps clients ensure their total loss settlements reflect true market value. “Insurance companies


often provide lowball offers that don’t reflect what your car is actually worth,” Kleiman adds.
These childhood friends from Sandy Springs took different routes after graduating from Weber. Kleiman studied at the University of Maryland before becoming involved in the startup world, helping scale multiple companies. Oken went to Tulane and built a career consulting for Fortune 500 organizations. Their diverse backgrounds proved complementary — Kleiman’s entrepreneurial experience in building technology companies paired naturally with Oken’s expertise in corporate strategy and process optimization. For two years, Kleiman and Oken researched Boomerheavy industries as both of them had talked about creating a company together.
Claims Concierge’s business model is straightforward. When insurance companies complete repairs or declare vehicles as totaled, that car’s resale value drops permanently — sometimes by 30 percent or more. Insurance companies are legally required to compensate for

this diminished value but rarely volunteer the information.
Claims Concierge charges a fee only on the additional settlements they secure. If they don’t increase a client’s payout, there’s no charge. Claims Concierge has maintained an approximate 95 percent success rate since launching, with settlements typically resolved in under 30 days.
Their marketing strategy leverages their Atlanta roots, partnering with independent auto body shops and law firms to reach accident victims. The service is free to try.
“A lot of our early clients have been friends and family who either didn’t know about diminished value or tried to handle it themselves and got nowhere,” says Oken.
The entrepreneurs are also building AI-powered technology to automate the claims process, making it scalable while maintaining personalized service. Rather than competing directly against law firms and insurance companies in expensive car accident marketing, they developed a partnerships strategy with
businesses already involved in the accident ecosystem. This approach allows their startup to reach customers without requiring a massive marketing budget that would be unsustainable as a startup.
Real-time examples include a recent client (Mercedes-Benz owner) who recovered an additional $4,500 after initially being offered $1,700 for diminished value. Another client discovered $2,800 in unclaimed compensation from a fouryear-old accident.-
“With average new car prices up $11,000 since 2021 and repair costs rising 25 percent in 2024, every dollar of compensation matters more than ever,” said Kleiman.
As they prepare to expand beyond Georgia, both entrepreneurs remain committed to their Jewish Atlanta base. “We’re not just building a business,” Oken reflects. “We’re helping people get what they’re legally owed. That feels pretty meaningful.”
For more information, please visit www.claimsconcierge.io or call 404334-7877. ì


By Dave Schechter
Jewish Democrat Debra Shigley is taking a second shot at a seat in the Georgia General Assembly, this time in the state Senate.
Shigley, a member of The Temple, is vying for the District 21 seat vacated by Republican former Sen. Brandon Beach, now the Treasurer of the United States.
District 21 takes in a large swath of Cherokee County and a portion of northern Fulton County.
A special election to fill the remaining portion of Beach’s term is scheduled for Aug. 26. Early voting runs through Aug. 22. If no one wins a majority of the primary votes cast, a runoff between the top two vote-getters will be held Sept. 23.
The primary ballot lists six Republicans, five men and one woman, and one Democrat, Shigley. The Republican hopefuls are Lance Calvert, Stephanie Donegan, Brice Futch, Steve West, Brian Will, and Jason Dickerson. The six all have expressed support for President Donald Trump and politically conservative policies.
Following a June 2 forum in Canton hosted by the group Americans for Prosperity, attended by five of the six Republican candidates, Ross Williams of the Georgia Recorder wrote: “Policy-wise, there was not a whole lot of space between the candidates at the forum. Each said they support legislation expanding school vouchers, reducing or eliminating the state income tax and reducing government regulations -- though the candidates did express some disagreement on accomplishing those goals.”
Shigley told the AJT: “The major issue for voters in District 21 is affordability. My team and I are out every day knocking doors and talking to voters who are struggling with high grocery prices, reduced access to healthcare, and economic uncertainty -- made worse by the chaos of the Trump administration . . . Whether it’s holding corporations accountable for price gouging or using our state’s $16 billion surplus to ease the burden on working families, my goal is to ensure that all Georgians can afford to provide for their loved ones.”
In 2024, Shigley won the Democratic





primary in House District 47 but was defeated in the general election by 12-term Rep. Jan Jones, the second-ranking Republican in the House, who received 62 percent of the vote.
Beach represented Senate District 21 from 2013 until May, when he took office after Trump appointed him the 46th Treasurer of the United States. Beach was a staunch supporter of Trump, backing efforts to overturn Georgia’s 2020 presidential election results.
Democrats hope that the six Republicans will splinter the GOP vote, allowing Shigley at least to reach a runoff. That may be an uphill task in a district where Beach won more than 70 percent of the vote in 2024 (outperforming Trump) and 2018, the only times he faced Democratic opposition.
“My hope is that enough people recognize that I’m offering something different than my opponents: a campaign grounded in service, not spectacle. I hope to earn the trust and support of those who are ready for solutions-focused representation, whether that’s on Election Day on August 26th or in a runoff,” Shigley said.
At present, Fulton County Democratic Rep. Esther Panitch is the only Jew-
ish member of the General Assembly. A single Jewish legislator accounts for 0.04 percent of the General Assembly. An estimated 1.3 percent of the state’s population is Jewish.
Republicans currently hold a trifecta under the Gold Dome, with majorities in the House and Senate and Gov. Brian Kemp as the state’s chief executive. Republicans hold 100 of the 180 seats in the House and 33 out of 56 seats in the Senate.
State representatives and senators are paid $17,342 plus per diem annually for their part-time jobs. State Senate districts average 191,000 residents and state House districts 59,500.
Shigley is an employment attorney and co-founder of a company called Colour, a technology-based hair care service for women of color.
She and her husband, Kevin, are the parents of five children. “As a Jewish woman and mom of five, I’m grounded in my faith and moved by our Jewish concept of tikkun olam -- our responsibility to repair the world. This deepens my resolve to serve our community, uplifting people in need, and working towards a more just society,” Shigley said. ì
Backpack Buddies of Metro Atlanta (BPBMA) is thrilled to announce a generous $75,000 donation from the Coldwell Banker Realty Cares Foundation. This marks the third consecutive year of donations from Coldwell Banker Realty Cares Foundation, whose continued partnership plays a critical role in supporting BPBMA’s mission.
As part of this year’s involvement, Coldwell Banker Realty Cares Foundation will also serve as the presenting sponsor for BPBMA’s signature fundraising event, the Golden Gala. Taking place on Saturday, Sept. 13, the Gala brings together community members, corporate partners, and community advocates to raise vital funds to combat childhood hunger for Metro Atlanta’s kids.
“We are incredibly grateful to the Coldwell Banker Realty Cares Foundation for their steadfast commitment to helping us fight childhood hunger,” shared BPBMA Executive Director Denise Bjurholm. “Their generosity not




only helps fill thousands of weekend food bags each year – it also inspires others to invest in this critical act of service.”
The $75,000 donation will directly fund BPBMA’s mission of providing weekend meals to children in need, helping reduce food insecurity and ensuring that kids return to school each Monday ready to learn.
“Coldwell Banker Realty Cares Foundation has a long involvement with Backpack Buddies of Metro Atlanta. We are proud to be making a difference locally with so many children in the community in partnership with this outstanding organization,” said Coldwell Banker Realty Regional Vice President Sherry Noles. For more information about Backpack Buddies of Metro Atlanta, to purchase tickets for the Golden Gala, or to learn how to get involved, please visit: https://www.backpackbuddiesatl.org/ goldengala ì
Compiled by AJT Staff
By Marcia Caller Jaffe
Psychologist Gilly Kahn drew from her own experience as a child with ADHD to arrive at her occupation and subsequently publish her new book, “Allow Me to Interrupt: A Psychologist Reveals the Emotional Truth Behind Women’s ADHD,” which highlights the missed emotional dysregulation component of ADHD that is mistakenly not included in the diagnostic criteria.
Kahn explained, “Emotional dysregulation involves difficulties with regulation of intense emotions, moving past these emotions, and suppressing problematic emotional responses. Research shows a close link between these challenges and ADHD.”
She feels that there are a lot of misconceptions surrounding ADHD and how it presents, especially in girls and women because the ADHD diagnostic criteria were developed on samples of mostly young boys.
She said, “In females, ADHD’s presentation is more complex, especially

when considering basic biological differences between males and females like menstrual cycles, common co-morbidities, and differences in brain development and functioning.
In addition to writing, Dr. Kahn





pn.


Dr. Gilly Kahn wrote “Allow Me to Interrupt: A Psychologist Reveals the Emotional Truth Behind Women’s ADHD,” just after her own official diagnosis.
works at a private group practice in Buckhead where she treats patients across the lifespan, but specializes in working with neurodivergent (e.g., ADHD, autistic) teens. She explained, “After graduating with college degrees in creative writing and psychology, I’m now able to officially pursue both of these passions. I blog for “Psychology Today” and have contributed my clinical insights to major magazines including “TIME,” “Forbes,” “Prevention,” and “Parents.”
Kahn and her brother were born in Miami after their parents immigrated from Haifa. Her father (whom she refers to as “Aba” in the book) grew up in poverty and struggled with getting a higher education. Thus, when he first arrived in Florida with the plan to provide a comfortable life for their mom (“Ima” in the book), he lived out of his car and used the public rinsing stations at the Miami beaches to take showers. Once he found a job and an affordable place to live, their mom joined him.
Kahn’s parents spoke to the children in Hebrew and visited Israel annually. When Kahn was 3, her mother (an artist) pushed for the family to move to Israel because she wasn’t happy living in Miami, and they bought an apartment in Haifa. Tragically, right before the parents were about to execute the move, her mother had a routine breast exam and was diagnosed with an aggressive, silent form of breast cancer. She passed away when Kahn was 4.
Kahn reminisced, “Like my mom’s experience, I didn’t want to stay in South Florida. Despite this, I kept getting accepted into schools in that area, so I ended up completing college, a master’s
program in experimental psychology, and my Ph.D. in clinical psychology — all in South Florida. I guess it was ‘kismet,’ and I loved attending all of those universities. In graduate school, my husband and I visited Atlanta. We fell in love with the people, culture, and weather. So, we moved here.”
Thus, Kahn was raised by a single father as she struggled significantly with regulating her emotions. Her dad described her as an “emotional child,” and often made comments about her brother being “easier.” She was described as “too emotional” and “difficult.”
As a child, she presented with many of the more well-known ADHD symptoms like describing reading assignments as “excruciating to plow through.” She explained, “I still find myself rereading paragraphs after finding that somehow my brain transported me to ‘la la land’ instead of focusing on the reading material.”
She was diagnosed with ADHD in her early 30s, and started writing the book shortly thereafter, once she realized how deeply misunderstood ADHD in women is among professionals and the general public.
She stated, “The main purpose of my book is to validate these types of experiences for other women with ADHD because hearing this type of feedback can be so damaging, especially in the absence of early diagnosis. We end up feeling misunderstood and mislabeled, because we were, and, unfortunately, many of us still are.”
Published by Post Hill Press and being sold internationally, Kahn’s book is available for preorder at www.simonandschuster.com/books/Allow-Me-to-Interrupt/ Gilly-Kahn/9798888457276bb ì
By Marcia Caller Jaffe
Amped Up? Yes. Immersive? Also, yes. Heart pounding music? You bet!
Impresario CEO of Illuminarium Experiences, Alan Greenberg, and Executive Producer Brad Siegel teamed up to premiere The Illuminarium’s partnership with Rolling Stone magazine at the Eastside BeltLine with, “Amplified,” an immersive rock experience.
The production intertwines the boundaries of storytelling, technology, and the overall cultural experience of thrilling music that aligns with much of our lives. Greenberg said, “It’s one thing to hear the story of rock’n’roll — but it’s another to be fully immersed in it. Illuminarium wanted to create something that honors the legends, the rebels, and the fans alike. Rock’n’roll didn’t just shape music — it shaped movements, identities, and entire generations … the voice of music and pop culture, to bring ‘Amplified’ here.”
“Amplified” is one of the single largest collections of rock’n’roll imagery ever assembled in one place. Through largerthan-life visuals, including 1,300 Rolling Stone covers, rare archival footage, and an unforgettable soundscape, guests feel like they are part of the stage and not just in the crowd. Guests can be on stage, backstage, and in the crowd concurrently with changing panels in all directions. Greenberg continued, “A lot of people have affected rock’n’roll — and even more have been affected by it. That’s the energy we’ve captured here. It’s raw, it’s nostalgic, and it’s never been done like this before.”
The show is virtual reality-like sans glasses, using 4K laser projection and 3-D sound to pulse the music, and “ginormous” photo panels into pulsing immersion. To bring so much information forward, it’s divided into various categories: instruments, wacky, bizarre, flashy cars, evolving hair styles, and more all, unfolding with the adrenaline-pumping, rushing roar of the crowd. Note that Rolling Stone magazine itself is not just about music … at the show’s closing, the covers line the walls to reveal their full scope, including figures like Presidents Barack Obama and Donald Trump. Included are 1,000-plus rare and iconic photos, 200 archival video clips of 300-plus artists ranging from Nirvana, Elvis, Beyonce, and Aretha. Baby Boomers will wax sentimental with the older artists and the beginnings of rock’n’roll. Some Boomers commented that they wanted to come


back with their children; Greenberg noted that multiple generations have indeed been coming to the show.
Viewers may not be able to identify every band, every song, but the screen changing adds to the momentum. Actor/musician Kevin Bacon narrates the 50-minute production. The action includes the changing floor with flowers, rug tapestries, then more lively images like a Pink Pony silhouette on a rope.
Siegel, executive producer and founder of Brand New World Studios, voiced with enthusiasm, “Amplified is a one-of-a-kind walk through the pages and playlists of our lives — it gives you an experience just like going to your first concert or playing that first record that


changed your world. From The Doors, The Who and Aretha Franklin, to Green Day, Radiohead, and Poison, to The Ramones, Blondie, Earth, Wind & Fire, and Chappell Roan, it brings generations together in a way that’s never been done before. Whether you’re reliving your favorite era or discovering it for the first time, ‘Amplified’ taps into the raw emotion, rebellion, and rhythm that defined rock’n’roll and shaped who we are.”
Siegel is the former president of Turner Entertainment Networks.
Greenberg concluded, “With such a vibrant music scene already rooted in the city, ‘Amplified’ adds something bold and new to the mix — an immersive show that’s perfect for a night out with
friends, a date, or anyone who simply loves music. This is more than a show — it’s a celebration of sound, culture, and connection that everyone should experience.”
Greenberg opened the Illuminarium in 2021 with “Wild Safari Experience,” followed by other shows, “O’Keeffe’s Flowers,” and “Space,” an interactive immersion with the James Webb Telescope, then took some time off last year for a creative break. The building is available for private and corporate functions.
To purchase tickets, please visit www.Illuminarium.com. The Illuminarium is located at 550 Somerset Terrace NE. For more information, please call 404-341-1000. ì


Israeli startup Noma Security, the developer of a platform that detects security issues with AI-based applications and agents, announced that it has raised $100 million in private funding.
The financing round was led by U.S. venture capital firm Evolution Equity Part-
Aug. 15, 2005: Soldiers and police begin carrying out Prime Minister Ariel Sharon’s plan for disengagement from the Gaza Strip. After an Aug. 14 deadline, Israelis receive evacuation orders giving them 48 hours to depart.

SA 4.0, via Wikimedia Commons
Aug. 16, 1966: Operation Diamond, Israel’s plan to obtain a Russian-made MiG-21 fighter jet, succeeds when an Iraqi Christian pilot, Munir Redfa, lands at Hatzor Air Force Base for a $1 million bounty and other benefits for his family.
Aug. 17, 1898: A few weeks before the Second Zionist Congress, 160 Russian Zionists meet in Warsaw, where organizer Ahad Ha’am calls for a Jewish cultural renaissance before the Zionist political actions sought by Theodor Herzl.
Aug. 18, 2000: Archaeologist Claire Epstein, a London native who discovered the Golan’s Chalcolithic Period culture (4500 to 3300 B.C.E.) in a career that began during the War of Independence, dies at 88 at Kibbutz Ginossar.
ners. Existing investors, including Ballistic Ventures and Israeli venture capital fund Glilot Capital, also participated. The capital round brings total funds raised to date to $132 million.
Founded in 2023 by Niv Braun, CEO, and Alon Tron, CTO, who met in Israel’s prestigious 8200 intelligence unit, the startup emerged from stealth in November. The duo developed a one-stop shop, single-security platform for AI-driven applications and autonomous agents, which it says enables businesses to adopt AI at scale by making security for AI as seamless and automatic as using it. The platform protects everything from critical infrastructure to consumer apps — both proactively and in real-time.
Compiled by AJT Staff
Aug. 19, 2003: A suicide bomber kills 23 Israelis and injures more than 130 others by detonating an 11-pound explosive packed with ball bearings on a bus in the Orthodox central Jerusalem neighborhood of Shmuel Hanavi.
Aug. 20, 1967: Etgar Keret, one of Israel’s most popular writers, is born in Ramat Gan. Keret’s quirky work, mainly short stories and graphic novels, wins critical acclaim and sales. He also writes screenplays.

The Al-Aqsa arson Aug. 21, 1969, extensively damaged this 12th-century pulpit, known as the minbar of Saladin and photographed early in the 20th century.
Aug. 21, 1969: An Australian Christian immigrant, Denis Michael Rohan, sets fire to Al-Aqsa mosque in Jerusalem by pouring kerosene through a keyhole and throwing in a match. He enters an insanity plea and is deported.
Aug. 22, 1952: The Development Corporation for Israel, known as Israel Bonds, brings 22 American Jewish leaders to Israel on a 15-day American Champions of Israel Bonds mission, the first of its kind.

British low-cost carrier easyJet on Tuesday announced it will not resume flight operations to Israel before the spring of 2026, as more foreign airlines started to bring back their services to the country ahead of the lucrative summer season and the busy travel period during the Jewish holidays in the fall.
August 23, 1969: Gamal Abdel Nasser, who has turned to devout Muslim practice since the 1967 war, calls for all-out war against Israel in response to the arson attack on Al-Aqsa mosque two days earlier.
Aug. 24, 1954: The Knesset passes the Bank of Israel Law, which goes into effect Dec. 1, 1954. It sets up the Bank of Israel as the central financial authority for the state with 10 million pounds in initial capital.

Wearing his windsurfing gold medal, Gal Fridman is honored during a ceremony upon his arrival at Ben Gurion Airport on Aug. 30, 2004. // By Moshe Milner, Israeli Government Press Office, CC BY-SA 3.0
Aug. 25, 2004: Windsurfer Gal Fridman wins Israel’s first Olympic gold medal at the Summer Games in Athens and thus becomes the first Israeli with multiple Olympic medals. He took the bronze in Atlanta in 1996.
Aug. 26, 1955: Secretary of State John Foster Dulles reveals a U.S. plan to launch covert peace talks, guarantee the borders of Israel and Arab states, and provide a loan to Israel to pay reparations to Arab refugees.
The U.K. carrier, which had been expected to restart its flight operations at the end of October, announced that it would extend the suspension of all routes to and from Tel Aviv through March 28, 2026. Despite recent developments, some European and U.S. airlines have yet to announce or have postponed their resumption dates for flights to and from Israel. U.S. carrier Delta and Air India delayed the resumption of their Israel operations through Aug. 31. British Airways and lowcost carrier Ryanair canceled their Tel Aviv route through Oct. 25.
U.S. carrier United Airlines announced that it would resume flight services from New York to Tel Aviv with a single flight starting on July 21, 10 days earlier than it previously planned.
Compiled by AJT Staff

Aug. 27, 1892: The first passenger train arrives in Jerusalem from Jaffa. The 53-mile Ottoman railroad line reduces the travel time from the Mediterranean port to the holy city from two days to four hours.
Aug. 28, 1898: The Second Zionist Congress opens in Basel with 400 delegates, nearly double the size of the First Zionist Congress. The new participants include Chaim Weizmann, the first president of Israel.
Aug. 29, 1967: Two months after the SixDay War, the Fourth Arab League Summit convenes in Khartoum, Sudan. The summit ends Sept. 1 by declaring the “three nos”: no peace with, no recognition of and no negotiations with Israel.
Aug. 30, 1987: The Israeli Cabinet decides to end production of the Lavi fighter jet. The Lavi (“Young Lion”) is doomed by cost overruns and by an agreement with the United States not to sell the aircraft to other countries.
Items are provided by the Center for Israel Education (israeled.org), where you can find more details.

By TOI and Agencies
Prime Minister Benjamin Netanyahu gave a rare press conference to foreign media on Sunday at which he laid out Israel’s plans for the continuation of its war against Hamas in the Gaza Strip and sought to dispel the “global campaign of lies” about Israel’s conduct, as criticism continues to mount after nearly two years of conflict.
He later gave a second lengthy press conference in Hebrew to local media, during he said he wanted to end the war in Gaza as soon as possible, but that his plan to expand the conflict and capture Gaza City was the only way to secure the release of all 50 hostages still held in the Strip.
Days after his cabinet approved a new major offensive in Gaza City to root out Hamas forces there, the premier denied that Israel intends to occupy Gaza. He described how a future “civilian administration” would be established in the Strip to govern Palestinians in a manner that does not threaten Israel.
As security forces and hostages’ families decry the Gaza City plan as potentially endangering the hostages’ lives, Netanyahu argued that an Israeli takeover of Gaza would in fact enable their release.
The prime minister also lashed out at foreign media for buying into Gaza starvation claims, saying the allegations
were largely a “fake” Hamas campaign that the world had fallen for “hook, line and sinker.” He said the three most “celebrated” cases of ostensible Israeli-imposed starvation were all false, and gave details of each.
He also claimed the belief by some world leaders that Palestinian statehood would solve the region’s problems was “absurd,” insisting that “Palestinians are not about creating a state; they’re about destroying a state.”
And the Israeli leader charged that in imposing a partial arms embargo on Israel, German Chancellor Friedrich Merz had “buckled” under pressure from foreign and domestic groups opposing Israel.
Opening the first, English-language press conference at his Jerusalem office with a prepared statement, Netanyahu said he had convened it “to puncture the lies and tell the truth.”
“Our goal is not to occupy Gaza. Our goal is to free Gaza, free it from Hamas terrorists,” Netanyahu said. “The war can end tomorrow if Hamas lays down its arms and releases all the remaining hostages.”
Describing his five-point postwar vision for the Strip, Netanyahu said: “Gaza will be demilitarized; Israel will have overriding security responsibility; a security zone will be established on Gaza’s border with Israel to prevent future terrorist incursions; a civilian administra-

tion will be established in Gaza that will seek to live in peace with Israel.”
“That’s our plan. Given Hamas’s refusal to lay down its arms, Israel has no choice but to finish the job and complete the defeat of Hamas,” he said.
The Palestinian Authority is not an acceptable option for a role in post-war Gaza, Netanyahu added, accusing it of promoting terrorist activity against Israel. Later, in his Hebrew event, he said the PA ultimately shared the same goal as Hamas of destroying Israel, but sought to do so
by first using international bodies such as the UN and International Criminal Court to force an Israeli retreat to “indefensible boundaries,” and then to attack.
Netanyahu said the IDF had been instructed “to dismantle the two remaining Hamas strongholds in Gaza City and the central camps.” Israel will begin the plan “by first enabling the civilian population to safely leave the combat areas to designated safe zones. In these safe zones, they’ll be given ample food, water, and medical care,” he said. ì
The following is an index of Israeli hostages with the most current information available as of press deadline.
The first phase of Israeli hostage transfers is complete. The Atlanta Jewish Times will update this hostage tracker with current news of the next round of hostage transfers. Bring Them Home.
Israeli hostages remaining:
Fifty-five more hostages are held in Gaza by Hamas and Islamic Jihad terrorists. The hostages are:
Rom Braslavski, 21
Yosef-Chaim Ohana, 24
Nimrod Cohen, 20
Matan Angrest, 22
Ziv Berman, 27
Gali Berman, 27
Maxim Herkin, 36
Segev Kalfon, 27
Bipin Joshi, 24
Elkana Bohbut, 35
Alon Ohel, 24
Ariel Cunio, 27
Bar Kupershtien, 23
Guy Gilboa-Dalal, 23
Eitan Horn, 38
Tamir Nimrodi, 20
Matan Zangauker, 25
Avinatan Or, 31
Omri Miran, 47
Eitan Mor, 24
David Cunio, 34
Eyvatar David, 24
The following hostages are either believed to be dead or their deaths have been confimed:
Amiram Cooper, 84 (murdered in captivity)
Inbar Hayman, 27 (murdered in captivity)
Asaf Hamami, 41 (murdered in captivity)
Eliyahu Margalit, 75 (murdered in captivity)
Uriel Baruch, 35 (murdered in captivity)
Tal Haimi, 41 (murdered in captivity)
Oz Daniel, 19 (murdered in captivity)
Tamir Adar, 38 (murdered in captivity)
Eitan Levy, 52 (murdered in captivity)
Ran Gvili, 24 (murdered in captivity)
Yair Yaakov, 59 (murdered in captivity)
Ronen Engel, 54 (murdered in captivity)
Sahar Baruch, 35 (murdered in captivity)
Itay Chen, 19 (murdered in captivity)
Aviv Atzili, 49 (murdered in captivity)
Dror Or, 48 (murdered in captivity)
Muhammad Al-Atrash, 39 (murdered in captivity)
Joshua Loitu Mollel, 21 (murdered in captivity)
Idan Shitvi, 28 (murdered in captivity)
Yossi Sharabi, 53 (murdered in captivity)
Arie Zalmanovich, 85 (murdered in captivity)
Daniel Peretz, 22 (murdered in captivity)
Guy Illouz, 26 (murdered in captivity)
Lior Rudaeff, 61 (murdered in captivity)
Meny Godard, 73 (murdered in captivity)
Ilan Weiss, 56 (murdered in captivity)
Hadar Goldin, 23 (murdered in 2014)
Omer Neutra, 21 (murdered in captivity)
Sonthaya Oakkharasri (murdered in captivity)
Sudthisak Rinthalak (murdered in captivity)

On June 2, 1995, Tom Watson Brown wrote a letter to the editor of a local paper complaining that the paper had reported that a "mob" had lynched Leo Frank and that the word, “mob,” did not adequately describe the “strictly disciplined representing Marietta’s leading families ...” Two weeks later, Tom Watson Brown penned another letter which continued to justify the actions of the lynch mob, since it was obvious to him that Frank was guilty.
Not realizing who Tom Watson Brown was, the great-grandson of Tom Watson, the writer who fanned the flames of Jew-hatred that led to Frank’s murder, I dashed off a quick letter of protest.
“It’s difficult to know what planet Tom Watson Brown lives on,” I wrote, “but it is
clearly not the earth.” My letter went on to try to educate the newer arrivals to Cobb County on the intricacies of the case and why it was clear that Frank had been falsely accused and then wrongly convicted.
A Marietta native mentioned to me that it was open knowledge where the Frank lynching had occurred and he invited me to join him at the spot in question.
“This is where ‘my people’ did something terrible to ‘your people,’” he said. He drove away and with that cryptic comment I realized that I was now standing on the ground where the tree had once been.
Although the actual lynching tree had been cut down, the site of the lynching was a squat office building, next to the I-75 overpass. As everyone in Marietta knew (except for me, at that time) Frank had been lynched on the site where Cobb’s Sherriff regularly nursed a drink or two. Hence, the name of the Marietta Street, Frey’s Gin Mill.
As a relatively newcomer and as someone who was obviously Jewish and who sounded like a Yankee, I shyly approached the owner of the office building, Roy Varner.
Mr. Varner, an early developer in Cobb

County, could not have been nicer or kinder to me. He acknowledged that his building was built on the site of the Frank lynching. He had bought the building in the 1950s and had been aware of the historical association on his property.
“Can we place a memorial plaque (Yahrzeit) on your building and have a memorial service on your property, on the 80th anniversary of the Frank lynching?” I asked Roy.
He could have turned me away or simply shown me the door. Instead, he was as gracious and as kind as I have discovered that Mariettans truly are.
“Of course, you can have your service here,” he said to me. “Put your memorial plaque on my building, so that people will remember it was a bad time and that a thing like that will never happen again.”
With Roy Varner’s permission and blessing, I had the first Frank memorial plaque made by a local signage company. On Sunday Aug. 14, 1995, I organized the first ever memorial service for Leo Frank on the site of the lynching. I was joined by Dale Schwartz and Charles Wittenstein, the attorneys who had argued in 1984 for Frank’s pardon.
We were joined by a crowd of Mariettans that day, Jews and Christian alike. Staying up late one night in July 1995, I had penned the words, “Leo Frank was Wrongly accused, Falsely Convicted, Wantonly Murdered.” I was told to leave my name off the plaque, lest it cause personal attacks on me. I signed that first plaque “(Leo Frank) remembered by the Jewish Community of Cobb County.”
Even so, my caution wasn’t rewarded. People saw my name in the local newspapers, and I occasionally received the odd hate letter or death threat.
Several other events happened in the years following the placing of that first plaque. The Tony Award-winning play, “Parade,” premiered on Broadway. Another play about the case, “The Lynching of Leo Frank” premiered at Marietta’s Theater in the Square.
A reporter asked Tom Watson Brown if the City of Marietta should issue an apology for the lynching of Leo Frank. I should not have been surprised by Brown’s comment, but I was.
Leo Frank was killed not “because of his religious persuasion, but because the Jews bribed the governor [John Slaton] to commute Frank’s sentence," said Brown.
When the reporter dug even further, Brown said, “Maybe the Frank family should apologize for paying off the governor!”
Reading Brown’s quotes made me wonder if I had entered some parallel universe where the facts of Frank’s innocence were
ignored and Tom Watson Brown had decided to revive that old stereotype that the Jews manipulate the world because we have all the money!
By 2000, I had discovered who Tom Watson Brown was. He was the great-grandson of Tom Watson, a renowned antisemitic writer in 1913. It is said that the antisemitic screeds penned by Watson helped fan the flames of Jew hatred throughout Georgia. His great-grandson, Tom Watson Brown, was a Harvard educated lawyer, one of the wealthiest men in Atlanta, and a partowner of the Atlanta Falcons!
I fired off a letter of complaint to NFL Commissioner Roger Tagliabue about Brown’s comments. A few days later, Brown wrote me a personal letter in which he acknowledged that the Frank lynching was a tragedy … “but only for the Mary Phagan,” implying that Leo Frank got exactly what he deserved!
Ten years later (2005), I returned to the very same site and placed a second plaque there which read simply, “Am I my brother’s Keeper? On the 90th anniversary of the lynching and in memory of all victims of lynching.”
This time, I wasn’t afraid of signing the second plaque.
Thirty years later, after I had gathered that first group to memorialize Leo Frank, Tom Watson Brown is gone. His great-grandfather represented a part of the era of the Old South- antisemitism and naked racism. The local writers and editors, Otis Brumby, Jr. and Bill Kinney, were always gracious and encouraged me in my efforts to write and to speak about the Frank case. Otis and Bill represented to me the best of the New South, a Marietta free of hatred and prejudice.
At this date, as we approach the 110th anniversary of the Frank lynching, I choose to honor the memories of those Mariettans who encourage me to speak out, rather than to simply disparage the legacy of Tom Watson Brown.
As of this date, the Frank case is now under review of the Correction Integrity Unit of the Fulton County DA. It is now in their hands to vacate the charges against Frank. The arc of Southern history is long, but it moves ever upwards. Eventually, Frank will receive the complete exoneration that he deserves. Until that time, I’ll stand at Frey’s Gin Mill and Roswell Road every August and offer a simple Mourner’s Kaddish for him, a prayer in memory of the dead.
It’s the least I can do, as we await the eventual exoneration of a man charged with a crime he did not commit.
Rabbi Steven Lebow is the Senior Rabbi Emeritus of Temple Kol Emeth. ì

I still remember the first time I visited European Jewish communities as CEO of ADL. It was about a decade ago, early in my new role.
In Paris, I stood inside the Hypercacher kosher supermarket, where a terrorist had held Jewish hostages and murdered four innocent people just months before. The exterior has been turned into a shrine. Stone-faced French police guarded the site.
I remember thinking how grateful I was that no American Jews were afraid to go to a kosher supermarket.
During that trip, I also was struck by something I had never seen in America: synagogues fortified by bulletproof glass, day schools flanked by armed guards bearing assault rifles, communities surrounded by fences, cameras, and fear. It surprised me, frankly.
I remember asking one of my European colleagues whether this level of protection was really necessary. He looked me in the eye and said something chilling: “It’s coming your way.”
I didn’t believe him. I thought America was different. But here we are, 10 years later, and the change is unmistakable.
Today, virtually every synagogue in the United States is fortified by the same security infrastructure I once found unthinkable: armed guards, metal detectors, and bulletproof glass. The same precautions that once shocked me in Paris

are now part and parcel of Jewish life across America.
So how did we get here? The cause is not a mystery. Antisemitism is like a plague that has metastasized globally at a speed and scale unlike anything we’ve seen in our lifetimes.
Our latest Global 100 survey reveals the sobering reality: 46 percent of adults worldwide, an estimated 2.2 billion people, harbor deeply entrenched antisemitic attitudes. That’s more than double the level from our first survey a decade ago.
In 2024, the United States experienced the worst year for antisemitic incidents in ADL’s recorded history — over 9,300 cases of harassment, vandalism, and violence. That’s a nearly 10X increase in incidents since I started in this role.
This hatred is no longer confined to the margins. It’s inserted itself squarely into the mainstream. It has penetrated political parties, media platforms, and the public conversation.
You see it in corporate boardrooms where anti-Israel activists hijack ESG principles to push antisemitic resolutions. You see it on college campuses where Jewish students are assaulted for expressing their identity. You see it in the algorithms that reward conspiracy theories and extremist rhetoric, spreading hate to millions with the tap of a screen. You see it in the invective spewed on popular podcasts, feeding the beast of bigotry with every ugly exchange.
And increasingly, you see it at the ballot box. Ten years ago in France, Marine Le Pen — a far-right figure leading a party with its roots in Vichy France — was a concerning possibility. Now, the prospect of her party winning a French election is an impending reality. Ten


years ago, the idea of someone calling to “globalize the intifada” running for office in New York City would have been unimaginable. Today, such a candidate is on the verge of taking City Hall. This is the new reality.
This normalization of hate, whether through ballot boxes or the Internet, not only endangers Jews, it erodes the fabric of democracy itself.
When antisemitism is tolerated or disguised as political critique, or no longer relegated to the margins, it sends a clear signal: bigotry is negotiable. History has shown where that leads. When antisemitism gains ground, other forms of hate are rarely far behind.
The changes in America are not subtle; they are unambiguous. When I first visited Europe as ADL’s CEO, I came with questions, trying to understand how Jewish life could survive in the shadow of such hostility. But when I returned to Paris just a couple weeks ago, it was the European leaders who were asking me the questions.
They weren’t asking how I thought they were doing. They were asking what’s happening in America. They were trying to make sense of our political climate, our culture wars, our campus chaos. The same leaders who once warned me now look at me with concern.
But, as I told them, even in this difficult moment, I still believe we can turn the tide.
On my last trip, I retraced my steps from 10 years ago, returning to the Hypercacher market. This time, I went down into the basement, the same basement where a store clerk had hidden customers in a walk-in freezer during the attack, risking his own life to save theirs.
There’s nothing visibly special about

this room. There are still boxes piled high, old equipment lining the walls. But to me, it has become a sacred space.
And in that quiet, cluttered space, I laid tefillin and prayed.
This is a Jewish ritual that I’ve adopted since taking on the role of ADL CEO. It’s something that I now do a few times a week. Wrapping those leather straps around my arm and my head feels like putting on armor.
It reminds me of our covenant, our history, our responsibility. It reminds me that this fight didn’t start with me, and it won’t end with me. But I have a role to play. We all do.
In that basement, reflecting on a decade of leading this fight, I thought of the young store clerk who acted with courage and humanity when it mattered most. He wasn’t Jewish, but he chose to protect human life. That’s the kind of moral clarity we need today, from all of us.
Despite the darkness of this moment, I still have hope. I’ve seen what’s possible when Jewish communities unite. I’ve seen our true allies join with us, rejecting the extremism that powers antisemitism, whether from the right or the left. I’ve seen the strength that comes from standing together — across borders, across backgrounds, across beliefs. The threats we face are real. But so is our resolve. Together, we will not just survive this moment — we will thrive. We will emerge sturdier and stronger. We will realize the promise of America, a place where Jewish people and people of all faiths can sit under their own vine and under their own fig tree and no one will make them afraid.
Jonathan Greenblatt is the CEO of the Anti-Defamation League. ì





This is the story of two men and how the grandson of one returned a keepsake to the grandson of the other.
The friendship of Frank Schechter and Melvin Krulewitch likely began as young men in New York City, in the 1910s, probably through their parents, who were active in the Jewish community, most notably in the Conservative movement.
Schechter received bachelor’s and law degrees from Columbia University, before becoming Lt. Schechter and serving as an Army intelligence officer during World War I, inhaling poisonous gas during combat in France.
Post-war, the veterans returned to Columbia, where Schechter earned a Doctor of Jurisprudence and Krulewitch completed his law degree. Krulewitch — look him up — holds a distinguished place in Jewish American history, rising through the ranks of the Marine Corps and in public service.
Schechter had a distinguished, but abbreviated, legal career. The gas that he inhaled in World War I contributed to his death in 1937, when my father was just 11 years old.
I grew up knowing the name Mel Krulewitch.
Three years ago, I was contacted by Krulewitch’s grandson, Michael Socolow, a communications and journalism professor at the University of Maine, who, in a previous lifetime, worked for CNN in Los Angeles.
He remembered my name from CNN’s national desk. Michael told me about a box bearing the initials, “FIS,” that had been in his family for many
After receiving his bachelor’s degree from Columbia, Krulewitch entered the Marine Corps, where Sgt. Krulewitch led troops in the iconic Battle of Belleau Wood and the Meuse-Argonne Offensive.



years and that was used to store family photographs.
“FIS” was Frank Isaac Schechter. As best we can figure, my grandmother must have given the box to Krulewitch as a remembrance after Frank died.
The box passed from Krulewitch to his children, Peter Krulewitch and Nan Krulewitch Socolow, Michael’s uncle and mother, respectively.
A couple of weeks ago, Michael and I met, for the first time, at an Iraqi restaurant in Waterville, Maine. There was nothing clandestine about the location; more on that in a minute.
Socolow brought the box, a humidor that Frank Schechter likely used to store tobacco for his ever-present pipe.
Audrey, my wife, took pictures to mark the occasion.
The engraved humidor now sits in my office at home, alongside one of my grandfather’s pipes and other of his personal effects.
The exchange took place in Waterville because that small city is a short drive from “Camp Schechter” — two cabins nestled in a forest, bordered by a lake — for close to 90 years a source of cherished family memories.
alone or with Audrey, ever mindful of my father’s instruction to “Put the wood in the water.”
In the early morning, before the summer camps sound reveille and boaters rev their engines, the water flows like liquid glass. The experience can be idyllic — if you avoid the boulders along the shoreline and those in open water that lurk mostly or completely below the surface.
I lack the mechanical and maintenance skills of my brother the rabbi, who now owns the property, so I trim the brush, fully aware that what I cut will grow back by next year.
And I paint. I joke that cabins — the larger, green, and the smaller, white — are held up by coats of paint applied over decades. This year I painted the steps of the smaller cabin white. Two years ago, I painted them gray.
From my grandmother’s time to the present, admiring the sunsets has been a constant. Viewed from the cabins or, as I prefer, from a kayak, the colors can be bold, with a fiery, orange globe descending into the forest, or muted, with broad pastel shades.
•
•
My father was a boy when his mother and her sister rented, and later bought the cabins, built in the early 1900s as cold-water camps for fishermen. Today, the cabins are modest in their comforts.
The photographs displayed in the larger cabin speak to the continuity of the family’s presence. One end of the spectrum is a photo of my paternal grandmother with her mother, my great-grandmother. At the other, one of my nephews recently brought his infant daughter for her first visit.
I spent the last week of July at the lake (or pond, as it’s designated on maps) — at what Audrey says is my “happy place” — to mark a milestone birthday.
I kayaked daily, twice some days,
Another feature of camp life is the call of the loons. It’s a treat to see loons while paddling on the lake, seemingly unbothered by a kayak. I watch quietly as these birds, with their black and white bands around their necks, and similarly speckled feathers, dive in search of food or teach their young the ways of the water.
When we arrived at camp, I walked down the path to the cabins eager to get on the water. When it was time to leave, I lingered, gazing at the cabins and the lake before treading slowly up the path. I took with me renewed appreciation for what this place has meant to my family. And with a keepsake of the grandfather I never met, grateful to his friend’s descendants for its return. ì
In recognition of the Atlanta Jewish Times celebrating its 100th year from its first edition in 1925, the AJT will re-publish articles from the Southern Israelite from editions dating as far back as 1929, the earliest edition available through the Digital Library of Georgia. All of the Southern Israelite editions, from 1929-1986, can be viewed at gahistoricnewspapers.galileo.usg.edu/lccn/sn78003973/
Please enjoy this retrospective of Jewish journalism in Atlanta and across Georgia, and thank you for supporting the Atlanta Jewish Times for the last 100 years.



David Ostrowsky
The JCC Maccabi Games, the world’s largest Jewish youth sporting event that galvanizes hundreds of Jewish amateur athletes across multiple continents, has been a storied midsummer tradition since 1982. However, this year’s edition of the five-day Olympic-style competition — which also coincides with the JCC Maccabi Access program for Jewish athletes (ages 12-22) with intellectual and developmental disabilities — marked quite possibly the most triumphant run in Atlanta’s history, as Team Atlanta, comprised of 71 athletes across eight teams, medaled in nearly every sport with the boys’ soccer team and the 15U and 17U baseball teams earning gold.
Additionally, the 17U boys’ basketball and girls’ volleyball teams both went on impressive runs into the medal rounds, with basketball reaching the playoffs before ultimately getting eliminated. Atlanta’s competitors in individual sports enjoyed similar success as Ilan Weintraub medaled in 11 out of 12 swimming events while three out of the delegation’s four tennis players medaled.
However, the final results — as impressive as they were — didn’t tell the whole story.
JCC Maccabi 2025 splashed down in two locations this summer: Tucson, Ariz. (July 27 to Aug. 1) and Pittsburgh (Aug. 3-8). Atlanta only competed at the 2025 JCC Maccabi Games at the Tucson JCC, which last hosted the Games in 2000. The Tucson JCC was celebrating its 70th anniversary, including 36 years on its current campus, but the more pressing narrative was that of the dangerous extreme heat engulfing the playing fields. Indeed, Tucson’s sweltering environment presented imposing challenges for the 1,200 Jewish teen athletes participating in rigorous games of baseball, basketball, flag football, soccer, and tennis among other sports.
“With temperatures reaching 100°F by 10 a.m. daily, the extreme heat was a factor, but Tucson organizers did a great job scheduling outdoor events in the morning,” shared Jammie Harrison, Marcus Jewish Community Center of Atlanta (MJCCA) athletics director, when speaking to the Atlanta Jewish Times last week.

“Atlanta’s coaches and staff were vigilant about hydration and sun protection to keep athletes safe and strong throughout the week.”
One of those outdoor morning events was, in fact, boys’ soccer, in which Team Atlanta excelled. The Atlanta boys’ soccer squad, coached by longtime JCC member Glenn Frank and led in part by his son, Brandon, steamrolled through the competition to finish the week undefeated. In an exhilarating championship match, Atlanta trailed 1–0 before tying the game and then netting the go-ahead goal in the final minute, courtesy of Davis Schmitz. “The boys’ teamwork and determination were evident all week long, but it was their never-quit mindset in the final match that made this gold medal especially meaningful,” commented Harrison.
Over on the diamond, Atlanta’s upand-coming baseball players also beautifully represented the city’s Jewish community. The 15U baseball team, managed by coaches Josh Alterman and Joshua Greenspon, dominated the JCC Maccabi Games from the first pitch. The only real speed bump came in the championship
game, when Atlanta was down 2-1 before Ryan Blatt socked a three-run triple to give the locals a 4-2 lead, which they wouldn’t relinquish. Atlanta’s 17U baseball team, skippered by David Frankel and Steve Strauss, breezed through the tournament, securing gold with an 11-1 championship game victory in which Isaac Mastin was the winning pitcher. For good measure, the 17U baseball team also celebrated two birthdays during its championship run, with Max Blondheim and Liam Dardik having an extra special week.
Gold medals aside, the week in Tucson was an unforgettable one for Atlanta’s delegation thanks to a spectacular closing ceremony held at the Pima Air & Space Museum where participants enjoyed historic aircraft exhibits while reconnecting with scores of other Jewish athletes with whom they had engaged in social activities, seminars conducted by Israeli Olympic athletes, and community service projects throughout the week. There had been a particularly strong emphasis on JCC Maccabi competitors participating in a volunteer project, jointly spearheaded by JCC Cares and the Tuc-
son non-profit organization Ben’s Bells, to craft wind chimes in support of community kindness initiatives.
The ceremony concluded with the symbolic passing of the Maccabi torch to next year’s host cities, Toronto and Kansas City. The Prosserman JCC and Schwartz/Reisman Centre will be the venues in Toronto as the city hosts the Games for the first time since its inaugural run in 1986 while The Jewish Community Center of Greater Kansas City last hosted the event in summer 1997.
Similar to rosters for next year’s JCC Maccabi Games, those for the 2026 Maccabiah Games in Israel are months away from being finalized, but a sizable contingent of Atlanta athletes is expected to represent the city at the Jewish Olympic Games next summer — certainly not surprising, judging by the extraordinary success of this year’s JCC Maccabi representation.
“Nearly every team competed in a medal round, an unprecedented accomplishment for our delegation,” noted Harrison. “This year’s JCC Maccabi Games were one of the most successful in Atlanta’s history.” ì
By David Ostrowsky
When quarterback Jake Retzlaff likens transferring to Tulane to stepping “into a different world, a different galaxy,” the former Brigham Young University standout is not just referring to his new school’s vastly different geography and climate.
Admittedly unfamiliar with the suffocatingly hot South as well as New Orleans culture, Retzlaff is also referring to his transition from BYU, a school with traditionally hardly any Jewish students, to one in Tulane whose Jewish population comprises approximately 37 percent of the school’s 13,078 students. Last fall, Retzlaff, as the first Jewish starting quarterback in BYU history, piloted the Cougars to an 11-2 season that culminated with an Alamo Bowl win over nationally ranked Colorado. This fall, Retzlaff is one of many Jewish scholar-athletes at Tulane, which has the second-largest population of Jewish students for any nonJewish university, behind that of Touro University in New York.
For Retzlaff, who was an active congregant at Temple Beth Israel, a Reform synagogue in Pomona, Calif., near his hometown of Corona and last year inked a historic sponsorship deal with Manischewitz, having such a high-profile athletic role for a university well-represented by Judaism remains at the forefront of his mind.
“It’s a cool deal because it is so opposite. At BYU, I was one of two Jews on campus. I was thinking of starting a Jewish club and me and the other guy could just go eat a lot of expensive meals with whatever budget they give us. [We’d get the budget] for a full club and pretend there are a lot of us in it,” Retzlaff joked with reporters covering Tulane’s football team on Aug. 1.
“That club would be a lot bigger here and I think that is awesome. That fact just made it so much sweeter to come here.”
But all kidding aside, Retzlaff, who hopes to follow in the footsteps of J.P. Losman, who played college football for the Tulane Green Wave and was selected by the Buffalo Bills in the first round (22nd overall) in the 2004 NFL Draft, added, “I’ve already been put in contact with local rabbis. I am excited to explore that side of it at Tulane, no doubt.”
Last season, rabbis — and their respective congregations — were hooked on a quarterback who passed for 2,947 yards and 20 touchdowns while sporting a Star of David necklace. Retzlaff’s string of im-

pressive performances in the ever-competitive Big 12 Conference, coupled with his beaming pride of Judaism, made him an instant sensation in Jewish communities across America and even overseas in England. At one point, by mid-November, BYU was the seventh ranked team in America, well positioned for a run at the school’s first national title since 1984, and Retzlaff was becoming a household name among football fans of all religions.
While Retzlaff left BYU earlier this summer with a sparkling on-field resume (he officially withdrew from the school on July 11), his legacy away from the gridiron proved to be a far more complicated one. In a civil lawsuit filed this past May, Retzlaff was accused of sexually assaulting a woman, identified in court documents as Jane Doe A.G., in Provo, Utah, in November 2023. Through a statement from his attorney, Retzlaff immediately denied “each and every allegation.” The parties jointly agreed to dismiss the civil lawsuit on June 30, with Retzlaff’s response including an admission of “consensual” premarital sex with the woman who accused him of sexual assault.
However, officials at BYU further examined the filing in Utah’s Third District Court. Subsequently, as the university is
operated by The Church of Jesus Christ of Latter-day Saints and enforces a very strict Honor Code that forbids premarital sex, calling on students to “live a chaste and virtuous life,” Retzlaff faced a sevengame Honor Code suspension that would have sidelined him until late October, as reported by the Salt Lake Tribune. Even though by early summer, nearly every Division I program had settled on its starting quarterback and there weren’t too many enticing situations, Retzlaff couldn’t bear the thought of sitting out essentially the first two months of the upcoming season. After weighing his options for his final season of college football — he seriously considered Wake Forest and Oklahoma State — Retzlaff felt that Tulane offered him the best chance to start. Indeed, he is expected to be starting under center for Tulane when the Green Wave takes on Northwestern on Aug. 30.
“He’s a really bright guy, and he’s played high-level football,” Tulane head coach Jon Sumrall remarked about Retzlaff, whom he actually tried to recruit when he was coaching Troy University, and the QB was transferring a couple years back. “Jake’s got time on task. There’s no substitute at that position for
having been in the saddle and looked across the line at another team in a different-colored jersey. He’s a very calm, poised guy. I don’t think he’s going to get rattled.”
While there may not be a quarterback controversy sparking drama for Tulane, the trail of controversies following Retzlaff’s unceremonious departure from BYU naturally has been a source of intrigue at the school’s football training camp. Retzlaff refused to comment on the case or suspension when reporters brought it up — “Nah, I’m just worried about where my feet are”— and only briefly touched on his time at BYU.
“The circumstances are what the circumstances are and I left,” Retzlaff said. “But I told them [former teammates at BYU], anyone call me anytime and I’ll pick up. I don’t care what I am doing. Those are my brothers over there and they know that. I’m excited to see their future and their success. I guarantee you if I have a chance to throw on one of their games [on TV], I will.”
As for Retzlaff’s new team, Tulane will be playing on national TV (ESPNU) when it opens the 2025 schedule against Northwestern with a noon kickoff on Aug. 30 at Yulman Stadium. ì
By Marcia Caller Jaffe
Pini Haroz may have never heard the English expression, “better late than never.” Nonetheless, into his seventh decade, he dipped his toes into the running universe.
After just 17 days of training, he ran his race, and said, “At the age of 62, I ran my first marathon in October 2009 in Hartford. I completed it in a better time than I expected and realized that there is nothing in the world that I would have rather done that Sunday than running that race.”
Now 77, he has since completed 67 marathons in all 50 U.S. states and on seven continents, including the Antarctic Ice Marathon.
On Thanksgiving in 2008, he sat down for dinner with friends. He recalled, “The food was delicious and when we discussed what we did that that day, the husband-and-wife hosts mentioned that very morning they ran a marathon. After finding out that the distance of a marathon is 26.2 miles, I thought that it was almost inhuman to be able to run that distance in the morning and then serve a great Thanksgiving dinner, all while eating and discussing art, music and politics. I wasn’t a couch potato. I still couldn’t understand how someone could run 26.2 miles.”
At that point, he committed to do the work and attempt to run a marathon, He found a training book and followed it “to the letter,” and a 16-week training schedule. When he started training, his goal was to prove to himself that he could run one marathon. Weeks went by and he registered for yet another in Palm Beach for December 2009, saying, “I don’t know what made me do that!”
He ultimately ran that race faster than the first one and felt fantastic. So, he registered for a third marathon in Goodyear, Ariz., in February 2010. When he completed that race, he mused, “I didn’t know then, but looking back I was hooked. From that point on, it was history. I decided to run a marathon in each of the 50 states and then in each of the seven continents.”
Words of advice from Pini, who wants to inspire others. “I know that some of you get tired running one mile, but believe me, everyone can do it. It takes ‘C-C-C’ meaning: commitment, commitment, and commitment.
“Commitment to train. I train by running, on average, 30 miles per week. I also exercise twice a week. A strong core



is the most important trait to prevent injuries.
“Commitment to have a healthy diet and lifestyle. Commitment for time management for the demanding and time consuming training.”
Haroz also is fulfilled by the rewarding camaraderie with other runners during and after races.
Haroz’ personal journey is equally fascinating. He was born in Germany in Landsberg am Lech in a U.S. Displaced Person’s camp for Holocaust survivors. He later served in the IDF in active duty in the infantry, from 1965 to 1968. He participated in the Six Day War, and the 1973 Yom Kippur War (while a graduate student at Georgia Tech), the Lebanon War in 1982, and made it back to his own wedding the night before.
Haroz came to the U.S. and was undergraduate student at the University of Texas. He and wife, Stef, have three children and four grandchildren. He is president of Conversion Technology, Inc., an environmental and safety consulting firm.
Haroz concluded, “It is all worth it. The reward is the excitement at the beginning of the marathon and the high that you will have when crossing the finish line. You will get a partial taste of the high every time you complete a training run.” ì
The Maccabiah Camp Experience got under way this summer on July 14-15 at Camp Judaea in Hendersonville, N.C., with a day of sports activities in which campers in first through seventh grade had the opportunity to meet and train with basketball, karate, and soccer athletes who have participated in past Israeli Maccabiah Games.
On July 16, the Camp Experience arrived at Camp Ramah Darom in Clayton, Ga., meeting with third- through tenth graders, and on July 17, at Camp Coleman in Cleveland, Ga., with second- to ninth graders. The goal of the Maccabiah Camp Experience is to give Jewish youth an understanding of what the Maccabiah Games are, and to encourage the participation of Jewish youth in sports. The activities included sports workshops, a Maccabiah torch ceremony, and the awarding of medals of participation.
According to Camp Judaea Assistant Director Ilana Schlam, the program was a unique opportunity for the young campers to be exposed to athletes who showed them that they also had the real potential to practice and become outstanding ath-



letes, one day participating in the Maccabiah themselves. Said Schlam, “The children thought it was so cool to meet real athletes in person; it really added to their camp experience. It also inspired them to try hard to succeed in their own futures!”
Nofar Shalom is an Israeli basketball player who participated in the Maccabiah. She said she feels responsibility as more than just a basketball coach, but as someone who is helping build a bridge between







American and Israeli Jewish communities.
“I feel a deep sense of responsibility to represent not only my country, but also the values and spirit of Israeli youth,” she said. “Camps like this are a special opportunity to connect with Jewish kids from the U.S., share stories, culture, and identity, and strengthen the bond we all have as one people.” She added, “For me basketball is a way of life, and I love to use it to bring people together by combining basketball elements,
like dribbling, shooting, and passing, with life values (teamwork, communication, sportsmanship, and respect.”
When asked about the athletes’ visit, 14-year-old Charlie from Camp Coleman said, “My experience was definitely enjoyable. I learned how to be a good team player on the court – and also anywhere else that I need to be a team player.” ì
Compiled by AJT Staff
















MJCCA’s fall season features a celebrated NPR comedian, an Alliance Theatre production for young audiences, a soul-stirring Motown cabaret, and a world-renowned magician.
The Marcus Jewish Community Center of Atlanta (MJCCA) has unveiled its Fall 2025 Arts & Authors lineup — a curated mix of cultural programming designed to inspire, engage, and bring the community together through the power of storytelling and the arts. From stand-up comedy and immersive theater to musical tributes and world-class illusions, this season offers something for every age and interest.
Fall 2025 Event Highlights:
Ophira Eisenberg with Special Guest Jerry Farber – Stand-Up Comedy
Saturday, Aug. 17 | 7 p.m.
Get ready for a night of laughter and unfiltered comedy with the one and only Ophira Eisenberg. Known for her quick wit, sharp observations, and deeply relatable storytelling, Ophira brings her signature voice to the MJCCA for a candid and hilarious evening covering everything from motherhood to dating as a single mom. A beloved mainstay on the stand-up circuit, her live show promises big laughs, unexpected moments, and a refreshing take on the everyday absurdities of modern life.
The Birthday of the World – by Alliance Theatre for the Very Young Saturday, Sept. 14 | 10 a.m. & 11:15 a.m. (For infants to 5-year-olds; Infants under 2 attend free)
Celebrate wonder and discovery in this magical, immersive performance crafted just for infants to age five and their grown-ups. “Birthday of the World” brings to life a timeless story of how the world came to be—told through gentle
storytelling, visual spectacle, and sensory play.
The Men of Motown – Cabaret Musical Performance
Saturday, Sept. 14 | 4 p.m.
Get ready to groove as MJCCA presents, “The Men of Motown” — a powerhouse cabaret performance celebrating the unforgettable artists and timeless sound that defined a generation. Featuring top local vocalists and musicians, this soulful evening pays tribute to musical icons like Marvin Gaye, Stevie Wonder, The Temptations, Smokey Robinson, The Four Tops, and The Jackson 5.
Joshua Jay – World-Renowned Magician & Mentalist
Friday, Oct. 25 | 8 p.m.
Step into a world of wonder, mystery, and mind-bending illusions with one of the most acclaimed magicians of our time. Joshua Jay has amazed audiences in over 100 countries, earned a Guinness World Record, and even fooled Penn & Teller. Now, he brings his awardwinning performance to the MJCCA for an evening filled with enchantment, astonishment, and artistry.
All events will be held at the MJCCA (5342 Tilly Mill Road, Dunwoody, GA, 30338).
For more information and details, please visit https://www.atlantajcc.org/ our-programs/arts-authors/
Compiled by AJT Staff

Evolve Hadassah is growing in Atlanta and across the U.S. This community of passionate, dynamic, and super-savvy young women under 50 is dedicated to advancing Hadassah’s core mission for future generations, ensuring it remains a vibrant, thriving organization. Evolve’s tagline, “The NEXT Generation,” reflects its focus on empowering young women to develop connections that will last a lifetime and help create change in the world.
Evolve in Atlanta has taken off! Hana Landesman, Hadassah Southeastern Region Evolve chair, explains, “Evolve encourages younger women under 50 to be a part of our community of empowered women supporting Israel and women’s health, combating antisemitism, making a local impact, and helping shepherd Hadassah into the future.”
To foster these connections, Landesman and Ellen David Weinstein, Hadassah Southeastern Region VP of membership & community outreach, recently organized an event on July 16 at Puttshack’s Midtown location. The evening brought together a group of Atlanta’s young, inspiring women for food, conversation, and a game of miniature
golf.
Weinstein said, “It was such a great night. We want to be a part of making a positive difference in our own lives as well as in others’. One thing is for sure: these young women have a voice, have passions, and really like being part of a more connected community.”
Evolve in Atlanta members channel their passion into two of Hadassah’s key pillars: supporting at-risk youth and advancing women’s health equity. Hadassah supports initiatives like Youth Aliyah, which has set more than 300,000 young people from 80 countries on the path to a successful future in Israel since 1934. They also advocate for the Coalition for Women’s Health Equity, which works to address disparities in healthcare that put women at risk for misdiagnosis, ineffective treatments, and compromised care. By focusing on these critical areas, members ensure their impact is felt both globally and locally, now and for generations to come.
To get involved with Evolve in Atlanta, visit https://bit.ly/EVOLVEINATLINFO. Compiled by

Ryan Cain receives a $2,000 scholarship check from JO Gives, Inc. in recognition of his leadership in environmental initiatives. He plans to attend Georgia Tech this fall, where he hopes to continue making a positive impact on the environment.
JOGives, Inc., the nonprofit arm of the Janice Overbeck Real Estate Team, has awarded its 2025 World Nature Conservation Day Scholarship to Charles “Ryan” Cain, a senior at The Lovett School. Cain received a $2,000 scholarship in recognition of his academic excellence, leadership, and commitment to equity and service.
Cain is a National Merit Commended Scholar and AP Scholar with Distinction, with a 4.7 GPA and extensive coursework in AP and honors classes. He served as a two-time varsity basketball captain, led fundraising efforts for the Innocence Project through his school’s Black Af-
finity Group, and created a free online recruiting platform to support studentathletes.
Cain receives a $2,000 scholarship check from JO Gives, Inc. for demonstrating leadership, academic excellence, and a strong commitment to equity. He plans to attend Brown University this fall, studying economics-computer science and continuing his mission to make a difference.
For more information about Overbeck and her team, visit www.janiceoverbeck.com.
Compiled by AJT Staff

An individual recently visited multiple Jewish institutions — including the Jewish Federation of Greater Atlanta (Federation) — and made violent, antisemitic threats both in person and online.
Federation and its security partner, the Secure Community Network (SCN), immediately began working with federal and local law enforcement, including increasing security at Jewish facilities throughout Atlanta. The individual was arrested on Aug. 1 and has been federally charged with interstate communication of threats.
“This level of coordination is a direct result of the security program made possible by your generous support of Federa-
tion. Atlanta is proud to have been the first community to hire a CommunityWide Security Director [Brian Davis] in 2001, and we have been committed to growing and strengthening our program ever since. Today, in partnership with SCN, we benefit from unparalleled intelligence access, deep relationships with law enforcement at every level, and a coordinated system that includes alert technology, Flock camera networks, and an incredible team of professionals and volunteers who remain ever vigilant,” Federation said in a statement.
Federation and SCN will host a community-wide security training on Sunday, Aug. 24, from 10:30 a.m. to 12:30 p.m. This training will include High Holiday preparedness and will cover situational awareness, how to respond during an active assailant situation, an introduction to first aid/medical response, and other related topics.
Additional details, including the location, will be provided upon registration. To register, please visit the following link: https://jewishatlanta.org/events/ high-holiday-emergency-preparednesstraining/
Compiled by AJT Staff
Co-founder of The Genesis Prize Foundation (GPF) Stan Polovets announced that Steven Rakitt will step down as president of the Foundation and will transition to the role of senior advisor. Rakitt has served as president of GPF — which awards the annual $1 million “Jewish Nobel” – for the past eight years, following a distinguished 38-year career leading Jewish federations across the United States.
Rakitt’s successor has not yet been named. Polovets, who serves as chairman of GPF, will manage the day-to-day activities of the Foundation prior to the appointment of the new president.
“The Genesis Prize was created to recognize exceptional individuals who inspire the next generation of Jews with their professional achievements, commitment to Jewish values, and dedication to improving the world,” said Polovets. “The president of our Foundation must embody all these qualities himself, which Steve certainly did. Under his steward-

ship, the Genesis Prize Foundation has reached new heights of global impact, amplifying the uplifting stories of our laureates and supporting meaningful philanthropic initiatives that touch millions of lives.”
Rakitt brought almost four decades
of distinguished experience in Jewish communal leadership to GPF. Before becoming the Foundation’s president in 2017, Rakitt served as CEO of the Jewish Federation of Greater Washington, where he launched innovative engagement programs and championed inclusion for in-
terfaith families and people with disabilities. The D.C. Federation distributes more than $40 million in grants and financial assistance per year. Prior to that, Rakitt served 11 years as president and CEO of the Jewish Federation of Greater Atlanta and previously spent 17 years in various leadership roles — including CEO — at the Jewish Federation of Rhode Island.
“It has been the honor of a lifetime to serve as president of The Genesis Prize Foundation,” said Rakitt. “Celebrating the extraordinary accomplishments of our laureates and supporting their philanthropic vision to improve lives and inspire Jewish pride has been deeply meaningful and fulfilling. Genesis Prize is a powerful force for good in the Jewish world and beyond, and I look forward to continuing to contribute to its work in my new role as senior advisor to the cofounders of GPF, Stan Polovets and Natan Sharansky.”
Compiled by AJT Staff
By Bob Bahr
Eighty-seven years after he first flew off the pages of Action Comics No. 1, the birth of Superman was finally honored in the city where he was created. A statue of the Man of Steel, poised to take to the sky, his broad cape billowing behind him, was unveiled in Cleveland, Aug. 2.
A few steps away from the statue, which was cast, appropriately enough in stainless steel, stood his creators. They were both near the metal telephone booth where the superhero had changed into his iconic costume.
Joe Shuster and Jerry Siegel were students at Cleveland’s Glenville High when they first began exploring the birth of a superhero, who, like Moses, would appear, seemingly from nowhere, to save his people.
Both creators were the first generation sons of European Jewish immigrants. Their personalities meshed easily. Shuster was the shy introvert, who had a talent for art but had such poor eyesight that he would be nearly blind later in life.

Siegel was the gregarious, emotional idea man, whose father had died of a heart attack during a robbery at the family’s clothing store.
One of the early strips the pair drew was of Superman saving a man who is


being held up. The victim looked a lot like his father. The character’s alter ego, a mild-mannered reporter named Clark Kent, was patterned after Siegel’s childhood dream of becoming a famous journalist.


It would take the pair nearly five years of tinkering with the Superman idea to finally sell it in 1938 to a recently organized firm, which was publishing the first issue of Action Comics. The initial press run of 200,000 copies sold out

Presented by:

Thursday, October 2nd 6-9pm
Enjoy 20+ local restaurants paired with beer, wine & cocktail tastings, plus live music & more!
Purchase your all-inclusive ticket today and celebrate Brookhaven’s vibrant culinary scene all under one roof! Brookhaven City Centre 4001 Peachtree Road NE, Brookhaven, GA 30319

Action Comics No. 1 in 1938 introduced Superman to the American public. This copy sold for $6 million last year.
quickly and the Superman character was launched forever into the American imagination.
The latest version of the Superman legend has been one of this summer’s hits in the nation’s theaters. In just over a month, it has racked up $500 million in revenues here and abroad.
The film, which is the first to star a Jewish actor, David Corenswet, as the Man of Steel, hews pretty close to the original spirit of the comic book hero. This Superman is a likeable and earnest hero taking on the bad guys with the help of Lois Lane, the love interest. She’s played by Rachel Brosnahan, who is well known to Jewish audiences as Midge Maisel in the Amazon series, “The Marvelous Mrs. Maisel.” He’s also aided by Krypto the Wonder Dog, who’s owned by Supergirl, a character that’s featured in a film being readied for release next year.
Much of the sound stage work on the film was shot at Atlanta’s Trilith Studios, with outdoor scenes shot in La Grange and Macon.
It was homecoming of sorts for Superman, who was highlighted in a major exhibit at The Breman Jewish Heritage and Holocaust Museum that ran from Fall 2004 through Summer 2005 and was provided in the AJT in October 2004. Their “ZAP! POW! BAM! THE SUPERHERO: The Golden age of Comic Books, 1938 to 1950,” paid homage not just to Superman, but Batman, Captain America and Wonder Woman and their creators, most of whom were Jewish -- men like Bob Kane, Will Eisner, Jack Kirby and Stan Lee, whose impact on popular culture

Captain America, who was one of the many superheroes inspired by the success of Superman, takes on Hittler in this 1943 comic book.
during that golden age and later are immeasurable.
That exhibit was created by The Breman’s first executive director, Jane Leavey. She pointed out in the exhibit catalogue that was written with Jerry Robinson, that the superheroes of the 1930s and 1940s were very much a part of the Jewish ethos of tikkun olam. They were repairing the world and safeguarding it from destruction. A 1943 cover of Captain America, shows the hero personally going up against Adolf Hitler. Leavey points out that the success of the comic book superheroes convinced many Americans, particularly young people, that they, too, could be heroes. And, if they were Jewish, that had powerful allies in the fight against antisemitism and discrimination.
For their first illustrated Superman story, which ran 13 pages, Shuster and Siegel were paid $130, for which Action Comics also acquired all the rights to the Superman character. The magazine went for a dime. Such has been the success of their creation that last year that one of those dime comic books sold for $6 million!
The cover of that iconic first edition shows Superman lifting over his head an automobile, which belonged to the villainous gang he was fighting. Fighting evil and righting wrongs was an integral part of the character from the start.
This year’s Superman is the tenth version of the filmed saga, since Christopher Reeve first pulled on his red and blue tights in 1978. And with the encouragement of solid box office returns, like this summer’s film, it’s likely to be up, up and away for much of the next decade. ì



By Marcia Caller Jaffe
Director of The Westminster School’s performing arts Adam Koplan mused that he’s always impressed with his “accomplished and incredible' colleagues and found himself stimulated by the visual interplay of the deep rich blue of the cyanotypes with old black-andwhite photos along with cosmic symbols credited to Black artist Michael Reese, a Westminster digital arts and photography teacher.
Koplan explained, “Somehow, I had taken for granted all the places that I had seen of Reese’s work … like the embedded text that somehow relates to the figures in his photographs … like putting the pieces of the puzzle together to understand Reese’s body of work.”
Some of Reese’s professional works that Koplan admired include an outsized photograph of a jazz festival, a permanent downtown public art window, largescale pieces at a Summerhill eatery, and a wall-size plexiglass display in Terminal T at Hartsfield-Jackson Atlanta Interna-


tional Airport.
Koplan proceeded to chat up Reese about the depiction of Koplan’s family in



the subject of a piece where, like so many African Americans, hardships were faced that were not always talked about openly.
Reese spoke about how photographs, and even written letters, only reveal the surface level of the world his family inhab-

Since our founding in 1965 with 40 adventurous souls, Canterbury Court has been adding new colors, new shapes, and new stories to the tapestry of lives that makes our senior living community so special. Come join us—the best is yet to come.
Come tour to see what makes our community so deeply vibrant. Call 404-737-2639 or visit CanterburyCourt.org/Tapestry.

ited.
“A surface that still conjures a whole cosmos,” Koplan related. “These ‘blueprints’ are like maps of lives that hint that tiny bits of info can deliver a more nuanced whole picture. Reese’s work was so damn cool. Maybe I could commission him to make a piece for me about my family. After the sale of some comic books, I felt I could pull it off.”
The resulting piece was the ultimate collaboration. All the artistry was Reese’s, but Koplan combed through his family materials to tell the visual story with a lot of give-and-take. Koplan’s father’s mother’s family came from Ciechanow, Poland. Most of that branch settled in Atlantic City, N.J. A few years ago, just before COVID, Koplan’s father, Dr. Jeffrey P. Koplan, former director of the Centers for Disease Control, found a postcard that reminded them that several family members from that Atlantic City wing stayed behind in Poland. Great aunt, Sura Dena, in the late 1930s, was writing to alert the Atlantic City family that cousin, Binem, was coming to visit the U.S.
While sleuthing, Koplan discovered that Binem had many reunions with the family in Atlantic City. The cousins and siblings urged them to immigrate to America ASAP. They didn’t. Everyone (except one who escaped to Israel) who stayed in Poland was murdered.
In Reese’s “Koplan” piece, the first panel depicts Koplan’s great-grandpar-
ents, integrated with the great-grandmother’s immigration documents. In the next panel, the photograph and the Yiddish script come from the postcard Koplan’s father found. In the final panel are forms from Yad Vashem indicating Cousin Binem’s murder in the Warsaw ghetto, with a vibrant picture of him and his wife and child when they were thriving.
Koplan explained, “Part of my collaboration with Michael was wrapping my head around whether I wanted to display people who met with such a tragic end in my own domestic spaces. He helped me process that if it were me, I’d want to be remembered, seen, and thought of in my prime. Having a picture of them displayed would honor their memory, which is surely my intent. The piece now sits on the wall in our living room. Now, I need to sell more comics so we can do something equally deep, though on different and likely happier subjects, with my wife’s side of the family.”
L’dor Va Dor: Koplan’s daughter is one of a few Jewish girls in an American Jewish Committee program, The Jewish Black Teen Initiative, finding connections with the Black community.
Koplan serves as a board trustee of the Breman Museum & Cultural Center as well as the director of performing arts for The Westminster School. Koplan was featured in AJT’s Chai Style (“Koplan is King of the Arts,” June 28, 2023.) ì













By Marcia Caller Jaffe
Pittsburgh native Jeff Fibus takes inspiration from the ocean and some of its fantastical, real-life creatures to create out-of-the-box sculptures. Some of his other inspirations include using AI to create images which he then turns into 3D sculptures.
Whichever direction he takes, Fibus’ art can be scary, creepy, weird or simply challenging. Sometimes, he is inspired by science fiction movies.
A Cobb County resident, Fibus’ workshop doubles as his basement/laundry room. A combination of friendly and threatening, these mini monsters tend to leap off the wall or their stands. Fibus is very technical about his method, and he explained, “My sculptures are made of paper clay, polymer clay for the teeth, claws and horns, and then I cover the entire sculpture in two coats of a clear, epoxy resin.”
When Fibus was 8 years old, he was gifted baby guppies which initiated his love of fish. He had fish tanks into his 20s;


and after the family moved to Florida, he learned to Scuba dive and discovered saltwater fish. He’s had very little formal training in art, but his “aha” moment
was being exposed to paper mâché by his third-grade art teacher.
Looking at his production schedule, Fibus usually has a digital image as a
starting point. Sometimes, it’s just an image or idea in his mind. It takes on average about three months to produce one piece. His octopus took six months. He


only tackles one piece at a time. Timewise, he can get carried away and work for several hours, a few times a day. He related, “Sometimes, it’s an hour here, an hour there, sometimes, when my vision is not clear, and I’m waiting on my subconscious to deliver a clearer image or come up with a solution to a problem, I might not work on it for days.
“Since I’m self-taught, I’ve definitely used trial and error to arrive at a method. My method is to start with an armature. The first of which is a ‘landscape cloth,’ a quarter-inch wire mesh. I cut a shape like fins out of the cloth using leather gloves and a tin snip tool. I then cover the shape with masking tape so the clay can adhere and then I put the clay on the shape.”
He also uses ceiling insulation as an armature, by compressing it into a shape, covering with masking tape, applying the paper clay, drying, then cutting in half to remove the insulation and re-attach the two halves. He also uses balls as armatures, applying the clay to half of an inflated ball, drying, deflating the ball to free the clay, repeating for the other half, then joining the two halves together to create a round shape.
He composes the sculptures in pieces: fins, eyes, tongue, the main body,

SEP 4–OCT 5
then hot glues them all together. After it’s done, he uses either metallic or mica latex paints and then applies the epoxy resin.
For example, the dragon’s tongue is made out of two thick copper wires, covered in masking tape, then covered in clay. His latest work, “Yellow Fish,” took seven months to complete. The dragon’s teeth are made of an air dry, porcelain polymer clay. It measures 32 inches high, 27 inches long, and 18 inches wide, including the base.
He explained, “I paint my creatures with metallic and mica acrylics which add to their whimsical and other-worldly character. It is finished in two coats of a clear epoxy resin which adds incredible depth to the metallic and mica paints.”
Fibus’ sculptures are priced at $1,500 to $4,000 (for the larger, more detailed/lighted ones). His work has been featured in several shows, including the Marietta Museum of Art’s, “The Metro Montage XXII.”
Fibus concludes, “I am not an engineer, nor a chemist. I do not name my creatures. My favorite sculpture is the last one I made.”
His hobbies are kayaking and walking his dog, Luna, by Cochran Shoals Chattahoochee Park. ì










By Marcia Caller Jaffe
The Atlanta Jewish Film Festival (AJFF) will hold a one-night only special musical performance to mark its 25th anniversary with a gala concert on Monday, Oct. 20, at Symphony Hall where celebrated conductor Stuart Chafetz will lead the Atlanta Symphony Orchestra (ASO).
The full program will be announced closer to the event, but guests can expect some 20 film scores spanning decades of Jewish storytelling and influence in cinema. From Biblical epics to beloved musicals, the program will be paired with curated visual moments to create one-of-a-kind, multimedia experiences. And unlike AJFF’s 2010 Gala Concert, this program will feature live vocal performances from both soloists and a choir. AJFF officials anticipate a sold-out performance where Atlanta Symphony Hall seats 1,800, as enthusiasm is building with the announcement of ticket sales.
Renowned for his charisma, maestro Chafetz brings a wealth of experience as a principal pops conductor and a specialist in film scores and crowd-pleasing


programs. He has conducted major orchestras across North America and collaborated with acclaimed artists across genres. Teaming with AJFF Executive & Artistic Director Kenny Blank, Chafetz will helm the evening of music celebrating the magic of Jewish cinema, along-




side Turner Classic Movies (TCM) primetime host Ben Mankiewicz.
hub for diverse, important storytelling."
While the Gala Concert celebrates AJFF’s 25-year legacy, it also serves as a launchpad for what comes next. Through the Kenny Blank Vision Initiative, AJFF is midway through a $2.5 million growth campaign to transform into a year-round Jewish cultural institution which includes:
• A filmmaker fund to support emerging and diverse Jewish voices;
• New educational initiatives for youth and schools;
• Broadened community programming and partnerships;
• Enhanced accessibility and technological innovation.


The ASO will assemble a hand-selected group of elite musicians to bring Chafetz’s vision to life. Chafetz is an acclaimed conductor, percussionist, and pops specialist, known for his magnetic presence on the podium and ability to bridge classical music with popular culture. He currently serves as principal pops conductor for the Columbus Symphony, Chautauqua Symphony, and Marin Symphony, and a frequent guest conductor with major orchestras across North America, including Detroit, Seattle, Vancouver, and Naples. His collaborations span artists like Ne-Yo, Leslie Odom Jr., David Foster, and Nas, and his original programs, “Symphonic Genesis” and “Totally 80s.” Chafetz was a former principal timpanist of the Honolulu Symphony.
Also on hand will be special guest Ben Mankiewicz, longtime primetime host of Turner Classic Movies (TCM) and one of the most recognizable voices in film commentary. Known for his wit, warmth, and deep knowledge of film history, Mankiewicz has introduced thousands of classic films to audiences across the country. A third-generation film insider, Ben is the grandson of “Citizen Kane” screenwriter Herman J. Mankiewicz and part of a legendary Hollywood family. He embraces his Jewish heritage and is a passionate advocate for preserving and celebrating diverse stories through cinema. Mankiewicz is also a longtime friend and supporter of AJFF, having emceed the festival’s 10th Anniversary Gala and contributed to programs over the years, and introduced films in past festivals. He considers AJFF “a preeminent global Jewish film festival, and Atlanta a meaningful
Blank said, “These efforts will ensure that AJFF’s impact reaches all Atlantans — regardless of background or ability — with storytelling that inspires, challenges, and connects.”
In terms of the October event, Blank stated, “ASO, TCM, and AJFF reuniting once again in a new decade, a new era, is something of movie magic. We’re absolutely thrilled to have such incredible arts partners in this pioneering city. It’s Atlanta, it’s Jewish, it’s film — and it’s a celebration that cannot be missed. Especially as our organization is poised for unprecedented growth coming off the heels of its 25th anniversary.”
VIP Experience tickets ($360) include a pre-show reception at 6:30 p.m. in the Robert Shaw Room and premium orchestra seating, open bar and light
meet & greet with TCM host Ben Mankiewicz, and complimentary parking.
Tickets range from $49 to $139, including taxes & fees. Up to eight tickets per account. To purchase tickets, please visit ajff.org/concert. The suggested dress code is festive cocktail or evening attire. ì
By Marcia Caller Jaffe
Artist Rachel Rose’s work has been described as “vulnerable, unsettling, seductive, complex, narrative, detailed, and vibrant,” mainly because she uses flowers, the natural world, and vivid colors to shape the range of her emotions.
She explained, “I instinctively turn to botanical forms — flowers, vines, leaves — as a visual language for what I’m experiencing. Flora has always felt like the most natural way for me to give shape to emotion. Flowers can stand in for people, moods, or memories. They carry such innate, anthropomorphic qualities — delicate, expressive, fleeting, and resilient.”
Her vines and weeds represent the more difficult or tangled parts of life, while blooms and bursts of color speak to joy, hope, or moments of beauty. This way of working began after the birth of her first child.
She related, “During those early days of motherhood, sketching became a lifeline. The vines came to symbolize the monotony, the weight of responsibility, the exhaustion. The petals and leaves captured the wonder and sweetness of caring for this new tiny human. Over time, this visual language has evolved alongside my life.”
More recently, it’s been a way for Rose to process living with lupus, a largely invisible illness which she likens to “the outer beauty of the forms remains, but underneath, there’s often pain, discomfort, and complexity. That contrast — the surface versus the internal — is something I explore again and again in my work. Nature, with all its beauty and messiness, has become the perfect metaphor.”
Rose’s primary medium is acrylic paint on canvas. She likes that acrylics dry quickly, which pushes her to work with more immediacy and purpose. She does extensive planning before even touching the canvas. First, she pulls directly from her daily sketchbook, choosing the compositions that feel ready for her to translate into larger works. She then begins with a quick under painting to “block in” the structure before diving fully in.
Before having children, she worked with oils but became more conscious of the chemicals and their potential effects, and switched to acrylics. She explained, “There’s less room for overworking or reworking a piece like you might with oils, which adds a certain pressure, but I’ve come to appreciate that.”
She uses Photoshop as a digital




sketchpad for troubleshooting and experimenting with color before committing to paint. Her paintings aren’t heavily layered, but they are heavily detailed.
In the early stages of her career, she primarily exhibited in small group shows around Massachusetts. Over time, her work has gained traction and found a place in a wider variety of venues, both online and in-person. She’s been featured in Create, Art Seen, Friends of the Artist, and Women’s United magazines, books, online exhibitions, and group shows across the U.S. and internationally. Her work was exhibited in 19 Queen’s Gallery, Queensland, Australia. In 2023, she had a two-person show with Voltz
Clarke Gallery in New York City, and last year, she had a solo show at The Colony Hotel in Palm Beach with the same gallery. This year, she’s preparing for her first show with Ze Arts Gallery, based in Tel Aviv.
Although her art “handle” is Rachel Rose, she was born Rachel Spengler (now married) Morrisey. Born in 1986 in Dorchester, Mass., she recalls constantly drawing, painting, coloring — always enrolled in art classes. Her parents have a house in the Berkshires, so weekends and summers were full of hiking, swimming, and exploring nature. That early connection to the natural world continues to influence her work. She earned a BFA from
Indiana University in 2009, a post-baccalaureate degree in studio art at School of the Museum of Fine Arts (MFA) in Boston in 2014, and an MFA from Mass Art 2016. She works from her home studio and can be seen playing pickleball at the Marcus Jewish Community Center of Atlanta. Examples of paintings for sale online are: “Delighted by Dahlia” ($7,200), “Viva Aviva” ($,4680), and “Flower Chutzpah” ($5,850). To see more of Rose’s works, please visit (Ze Arts) https://www. zearts.com/artist-page-2/rachelrose, (Artsy) https://www.artsy.net/artist/ rachel-rose-1, or (Artsper) www.artsper. com/us/contemporary-artists/unitedstates/131199/rachel-rose. ì
By Bob Bahr
As students return to classrooms this month, a highly contagious disease, once thought to be eliminated in the United States, is again a threat. Measles, which was declared to have been extinguished as a public health menace 25 years ago is once again on the rise in many states, including Georgia.
The Centers for Disease Control and Prevention reported on Aug. 6 that since the beginning of July, there have been a total of 89 confirmed cases. That monthly figure is larger than the total number of measles cases frequently reported for recent entire years.
For the first seven months of this year, 1,288 people have come down with the disease in 38 states. That’s up approximately 180 percent over last year. With five more months before the year ends, that figure has already exceeded any yearly total since 2000, when measles was thought to have been conquered in this country.
In Georgia, six cases have been re-

ported so far this year and, although that number may seem low, it equals the total number of cases in the state in 2024.
One of the reasons for the sharp rise,
according to many experts, is the decline in the numbers of individuals, particularly children, who are not being vaccinated. All children six months of age or older
can be given the MMR vaccine, which protects against a trio of childhood illnesses -- measles, mumps and rubella. Dr. Carlos Del Rio, professor of infec-
Founded in 1979, Dermatology Associates of Atlanta, P.C. (DAA) has been helping the metro Atlanta area with all of their skin care needs for over 45 years. Their mission since opening has been to provide comprehensive skin care from head to toe. This means covering all aspects of both general and cosmetic dermatology. Their staff of board-certified dermatologists, physician assistants, and additional dermatological experts are dedicated to delivering the most professional and personal level of care to every patient they treat.
Led by their three partners including Dr. Scott Karempelis, Dr. Joseph Payne, and Dr. Ashley Curtis, the providers at Dermatology Associates of Atlanta have over 250 years of combined experience in their fields. Their licensed and experienced team of providers stay on the cutting edge when it comes to adopting and mastering new treatments and technologies for their patients. Each provider has a different specialty, allowing for treatments to be directly tailored to each patient’s unique skin. Dr. Karempelis and Dr. Curtis have been recognized as Top Doctors in Atlanta

for many years.
Dermatology Associates of Atlanta specialize in the diagnosis and treatment of the most common conditions and issues pertaining to the skin, hair, and nails. This includes providing a wide variety of safe and effective skin cancer treatments including Mohs skin cancer surgery, cryosurgery, photodynamic therapy (PDT), laser treatments, and more. They have comprehensive expertise in helping patients who experience acne, eczema, psoriasis, rosacea, age spots, sun damaged skin, nail fungus, spider veins, unwanted
body hair, warts, moles, hair loss, and so much more.
Dermatology Associates of Atlanta is a comprehensive practice that features nine specialty centers within one location, all dedicated to promoting healthy skin, hair, and nails. This includes Skin MedicsTM Medical Spa, the Laser Institute of Georgia, and The Center for Non-Surgical Hair Loss, as well as an on-site surgical suite for any dermatological surgery procedures. This adds an additional element of convenience for all of their
patients, regardless of their specific needs. All laser treatments performed at the Laser Institute of Georgia are done so by boardcertified dermatologists or physician assistants, adding an additional level of safety for their patients.
The goal at Dermatology Associates of Atlanta remains providing the best possible skin care using the most advanced treatments and techniques available, while also making sure that each appointment is as comfortable, pleasant, and convenient for their patients as possible. For more information or to schedule an appointment today, contact Dermatology Associates of Atlanta by phone (call or text) at (404) 256-4457. And find them online at DermAtlanta.com.


tious diseases at Emory Medical School and frequent commentator on public medical issues, lays an important part of the blame on those who opt out of vaccinations.
“I want to emphasize, the most vulnerable individuals are those that have not been vaccinated. And if you look at the cases that have occurred so far in our country during this outbreak, roughly 80 percent of the cases are under the age of 19, and almost 40 percent of the cases are under the age of 5. And 95 percent of them are unvaccinated.”
Before the vaccine was introduced in 1963, three million to four million people in the U.S. came down with measles each year and 400 to 500 of them died. The measles virus is highly infectious, and in areas where there are large numbers who are unvaccinated, as many as 90 percent of those exposed will come down with the disease.
Fourteen states allow for an exemption if it conflicts with any personal belief an individual might have. Many other states, including Georgia, also allow for an exemption when it conflicts with an individual’s religious beliefs.
A serious outbreak of measles that led to 242 infections in 2018 and 2019 started in the Hasidic community of Jews in the Williamsburg and Borough Park neighborhoods of Brooklyn and two upstate New York counties.
A similar outbreak was reported among Hasidim five years before. The cases were blamed on low vaccination rates, based in part on poor medical practice as well as, in some instances, a stubborn resistance to vaccination.
It was thought that a number of those cases were also the result of travel by Hasidim in New York to visit relatives in Israel. In 2018 and 2019, there were more than
4,100 people who came down with the disease in Israel; often they were Hasidic Jews who had not been vaccinated.
Among the most serious outbreaks of the disease earlier this year was among Mennonites in West Texas. They, like Hasidim have a low rate of vaccination and are a closely-knit community where infectious disease can easily spread. Two children and an adult died by measles there. All of the fatalities were unvaccinated.
Complicating the national public health response to measles has been the lack of a clear and unequivocal call by federal officials for more vaccinations, particularly the Secretary of Health and Human Services, Robert F. Kennedy, Jr.
The Secretary has spoken about the use of alternative treatments such as Vitamin A or cod liver oil. He has also raised questions about whether vaccines may be responsible for the rise of autism in recent decades.
Dr. Stephen Patrick, chair of the Department of Health Policy and Management at Emory’s School of Public Health and a neonatologist at Children’s Healthcare of Atlanta, disagrees with the Secretary’s beliefs.
“There’s a ton of evidence that the MMR vaccine that protects against measles does not cause autism,” Dr. Patrick points out. “We also see a lot of evidence that not getting the MMR vaccine does cause measles outbreaks.”
His colleague, Dr. Del Rio, past president of the Infectious Diseases Society of America, also passionately defends the safety of the vaccine used to prevent measles.
“I study vaccines. I work in infectious disease. If I thought vaccines weren’t safe, do you think I would be vaccinating my kids or my grandchildren?” ì





By Marcia Caller Jaffe
The conversation about the rise in adult autism may appear to be trending, but Dr. Avital Cohen, and much of the recent literature, advise not to overinterpret these figures, but rather, how we got there.
Autism and Autism Spectrum Disorder are the medical terms to encompass all individuals who meet a set of criteria of challenges related to social communication, restricted interests, and repetitive behaviors. Autism is a broader term, and some individuals may prefer it. “Spectrum” leaves room for “catch basket” parlance when folks like Elon Musk are lumped in with those who cannot communicate.
According to a recent JAVA Network Open Study, adult autism rates have risen by 175 percent over the last few years; those 26-34 years old have risen by 450 percent. In terms of metrics, Harvard Health (Dec. 3, 2024) found that approximately 2.2 percent of adults are on this spectrum. The Wall Street Journal confirmed, “This last decade surge is not a



new phase vs. previously undiagnosed or unrecognized cases.”
Rate increases are also attributed to better research and social progress.
Cohen explained, “We really can-




not quantify this number, but we know many individuals, especially women or high-masking individuals, were often not diagnosed or misdiagnosed when they were younger. Adult autism assessment requires a range of tools, including rating scales for the individual and someone who knows them well, as well as assessments to measure social interactions and other behaviors within the clinic setting. With adult assessment, the interview itself is one of the most important parts to help begin to understand an individual’s experience.”
Cohen also noted the advancement of female cases where medical providers initially had a very narrow view of autism. “Girls are socialized from a young age to learn the ‘rules’ of social interaction, and so some autistic women learned to be successful in their interactions initially but then began to struggle to continue to mask. They can know what is expected socially, but it doesn’t come naturally or comfortably. Societal demands have changed over time – social media, more people in crowded metropolitan areas, and other ways the world has transitioned, have made some of the challenges autistic people experience more significant.”
Since there is no cure, what’s the benefit of getting diagnosed? Cohen noted, “Acceptance and understanding of oneself – for many diagnosed adults share a sense of relief at finding out why certain experiences have felt more challenging and have new language to talk about their experiences. It can also help guide the types of therapies more likely to be helpful. There is no medication for autism. Also, common co-occurring is-
sues can be anxiety and health challenges as well as ADHD.”
Cohen observed that the most common reason she sees adults seeking out an evaluation is when they have a child who is diagnosed and recognize similar traits in themselves. Most adults she sees for adult autism evaluations have average to above average IQs.
Dr. Cohen addressed masking in that some people are relatively content, not experiencing distress, and generally don’t seek answers. However, she questions whether someone who is masking is really “fitting in.”
She related, “They are having to expend so much effort, they are often exhausted and not able to keep it up longterm. They might have happiness in some areas of their life but struggles in others. I have seen individuals who have a partner who accepts and supports them, so their marital relationship isn’t where they are experiencing distress, but they are struggling with work or friendships.”
Insurance might cover testing with medical necessity. For self-pay, the cost range is $1,800 to $2,800 for a professional adult autism evaluation.
Dr. Avital Cohen is a licensed psychologist and the founder/clinical director of Peachtree Pediatric Psychology. She is an Army veteran who deployed to Iraq and earned a Bronze Star for her service. Currently, her clinical focus is psychological testing, including autism, ADHD, and learning disorders. While she focuses primarily on pediatrics, Dr. Cohen conducts autism assessments across the lifespan.
To learn more, Cohen recommends the book, “NeuroTribes,” by Steve Silberman. ì
Compiled by AJT Staff
When Orit Reisman Berliner was just 16, her mother, Zipporah Reisman, was diagnosed with stage 3 breast cancer. Thankfully, her mom survived and has been in remission for more than 25 years, but the experience left a deep emotional mark. At the time, BRCA testing was newly discovered and not widely used —so it wasn’t discussed.
Years later, as a young mom herself, Berliner learned that two of her cousins on her mother’s side had tested positive for the BRCA2 mutation. She shared this with her OB/GYN, who encouraged her to get tested, too. Berliner tested positive, and thanks to that knowledge, was able to join a high-risk surveillance program.
At age 30, she began early screenings and eventually chose to undergo a preventative double mastectomy, reducing her cancer risk from 80 percent to just two percent. Her diagnosis prompted her mom — and then her father and three siblings — to also get tested. Her mom was confirmed as the carrier, and one of her three siblings were also found to


carry the mutation — two out of four, a textbook example of the 50/50 genetic inheritance pattern.
With her mom by her side through the entire surgery and recovery process, Berliner’s personal journey became one of empowerment and advocacy. That
experience ultimately led her to work for JScreen, a national nonprofit that provides accessible, at-home genetic testing and telehealth counseling services.
Berliner hopes to raise awareness about the importance of genetic screening — not just for those with a family his-
tory of cancer, but for anyone who wants the power of knowledge on their side. It’s a story of love, legacy, and how one mother’s battle helped her daughter (and her whole family) take control of their future.
For more information about JScreen, please visit www.jscreen.org. ì





By Robyn Spizman Gerson
Meet AFCOA. Located in Georgia, Florida, and the Southeast, their mission is to make sure consumers understand what’s in their water. Have you ever asked, “How healthy is my water?” It’s important to find out the quality of the water that you drink, cook with, and bathe and shower in.
AFCOA Water Filtration (Advanced Filtration Companies of America) was founded by Jay and Terry Koerner with the purpose and vision of bringing honesty and integrity to the business of cleaning up water with the highest quality equipment available in the industry. They have more than 37 years of experience in the water filtration industry and are committed to ongoing service and maintenance of equipment that has been installed in their clients’ homes, some of whom have been clients since AFCOA was founded.
According to Jay Koerner, who serves as the CEO and founder of AFCOA, “One of the best decisions you can make for you and your family is to remove chlorine and various potential chemicals from your drinking, showering, and bathing water. Water is so vitally important in your life and your health, and you use it from the time you wake up in the morning to the time you go to bed. We contain 60 percent to 70 percent water by volume in our bodies, and the quality of the water can directly relate to the quality of our health.”
Jay Koerner explained, “One might say, ‘You can buy a filter or be a filter’ when it comes to water. We are what we drink. Healthy water is free of any contaminants, impurities, and pollutants that can get into our water. No additives attached to the H2O, just two hydrogen atoms and one oxygen atom. The closer your water is to this definition, the healthier it is for you. Unhealthy water can have a wide variety of adverse effects on your health. Many illnesses have been correlated with the quality of water you drink. Unhealthy water can have many different contaminants and impurities, as well as PFOS, and PFAS (the ‘forever chemicals’), and the list goes on.”
“Chlorine is added to protect against waterborne illnesses such as typhoid, cholera, and dysentery, to name a few. New Jersey, in 1908, was one of the first communities to add chlorine to the water. Within a few years, most municipalities in the United States joined in. Chlorine is a great oxidizer and has been

used for over 100 years to treat our water for immediate bacteriological problems. However, as time goes on, certain illnesses have been linked to having chlorine in the water supply.”
Jay Koerner added, “City and county municipalities have to use chlorine to protect the public health from any bacteriological contamination. Chlorine creates by-products such as THMs. Two-thirds of the chemicals that we get into our bodies typically come directly through our skin from showering and bathing, as well as some that can be inhaled as gaseous vapors while taking hot showers.”
He elaborated, “A whole-house carbon filtration system that’s been designed to remove all VOCs, chlorine, and other contaminants is a great investment for your family’s health and well-being. Whole-house filtration systems are also very popular because they remove all the chlorine, chemicals, and different VOCs that can potentially be in your water supply while you’re taking a bath or showering.”
When dealing with boil water alerts, he suggests a UV (ultraviolet) system which has been found to help break down some pharmaceuticals in the water. It will safeguard your family, so you won’t have to worry about a boil water alert being announced two or three days after the fact. UV systems can work 30,000 times faster than chlorine in dealing with bacteriological issues.
Reverse osmosis is a technology that’s been used for many years. Jay Koerner indicated that it could refine your water down to .0001 μm, effectively

removing all salts, heavy metals, and minerals that may or may not be in the water supply. Filtering to this level also removes forever chemicals, lead, toxins, fluoride, and many other unwanted contaminants.
He added, “Alkaline water has been a big hit for the past decade on the supermarket shelves and in convenience stores throughout the U.S. As a go-to beverage, alkaline water is water in which the pH is above 7.0. Alkaline filters can be added to a reverse osmosis system to get the very best water. All impurities will be removed by the reverse osmosis system, then calcium and magnesium minerals are added back to increase your pH (potential of hydrogen), therefore increasing your alkalinity.
“Your water should be tested by a company that focuses on what is in the water supply listed in the quarterly reports, and how these substances can be removed effectively. Regulations now require counties to send you water testing reports to show where the MCL (Maximum Contaminant Levels) are in your specific water that they deliver to your home. Some of the items that are listed on the water quality report you may not even be able to pronounce or certainly not recognize as far as what they are, but they have been found in the water supplies. The Clean Water Act (1972) Report in 1974, 50 years ago, had already found that in public drinking water supply sources such as rivers, lakes, and streams, there were over 2,100 chemical compounds present. We must ask ourselves whether the industry has gotten better over the last 50 years, or have we
developed more chemicals and medicines that turn into more chemical compounds over time.”
Jay Koerner advocates that the quality of drinking water is extremely important. He confirms, “That’s why more and more bottled water is being stocked in the coolers and on the shelves at stores. People are becoming more concerned and aware of the quality of water. A drinking water system installed at your home puts the water right there at your fingertips. In most cases, the system can also be hooked up to your refrigerator and icemaker. A reverse osmosis system is the smartest option based on research and convenience. Water filtration, whether it be a drinking system, a whole-house filtration system, or a complete water filtration system, is one of the best investments that you can ever make for your home and health. It protects the longevity of your plumbing, your faucets, your fixtures, and your water heaters. And it certainly also protects your health.”
If you have well water in your home, then you should have it tested at least once a year for bacteriological contamination. Studies have been conducted in different states, and they found that, on average, between 24 to 70 percent of wells tested had contamination, with the percentage varying between state reports. A water filtration expert can do a test onsite and determine what type of equipment is needed for other parameters of your water, such as pH, hardness, iron, and more. Bacteria tests should be sent to a lab for analysis. For more information, you can contact AFCOA at 770-377-3810 or visit afcoawaterfiltration.com. ì
By Robyn Spizman Gerson
The term “healthy air” is a timely and hot topic. Stephen Andrews, author of “Detox The Air in Your Home - Eliminating Mold and Toxins from Your Indoor Environment,” is the CEO and founder of Healthy Air USA and a leading authority his company, headquartered in Atlanta, specializes in systems that keep your air clean of toxic mold and allergens.
Andrews, a highly respected go-to resource, built his success on experience, science, and a passion to make air healthier. His credentials include being a certified mold inspector, certified mold remediator, indoor air quality professional, and a licensed Georgia conditioned air contractor. He has devoted his life’s mission to ensuring healthy air in homes, schools, hospitals, and workplaces.
As consumers, we often focus on comfortable systems that provide cool or warm air. However, Andrews is adamant that the air we breathe should be clean.
Andrews defines healthy air as invisible protection — clean, balanced, and free from the invisible threats that quietly erode our well-being. He advocates that it isn’t just about what you can see or smell; it’s about the microscopic world you can’t. Healthy air exists in an environment where mold and biological contaminants can’t survive — where conditions are deliberately maintained to support health, not harm.
Andrews explains, “Most people are shocked to learn that the air inside their homes is often more polluted than the air outside. If someone is dealing with chronic sinus infections, fatigue, skin rashes, headaches, or wake up daily feeling stuffy — and especially if they feel noticeably better when they leave the house — consider what’s in the air. These symptoms are often linked to hidden mold, volatile organic compounds (VOCs), or other airborne pollutants. Testing and assessing your indoor air isn’t just a precaution — it’s the first critical step to uncovering what you’re breathing and whether it’s affecting your health.”
Andrews’ career began in the plumbing industry in 1968, and by 1979, combined plumbing with heating and airconditioning services. That insight led to the founding of R.S. Andrews Services Inc., a company he built from the ground up with just two service trucks, eventually evolving into a substantial operation with more than 100 trucks. In 1999, Andrews sold the business to a subsidiary of Kansas City Power and Light, a utility
company.
Regarding his company, Andrews shared, “Healthy Air USA was born out of need, and around that time, my health began to deteriorate. I was battling relentless allergies and undergoing weekly allergy shots with no relief. Frustrated, I turned to my research and became increasingly convinced that my symptoms were tied to something far more insidious — mycotoxins in the air. That discovery led me to a renowned ear, nose, and throat specialist in Atlanta, and this evolved into a lifelong commitment to helping people breathe clean, healthy air. That passion continues to drive my work every day.”
Andrews wanted to shed light on the problem, share what he learned, and demonstrate how your home should be a place of healing and healthy living, not harm. Regarding poor air quality, he advised, “Watch for clues like a faint, musty odor, or water stains creeping across ceilings or behind furniture. Notice foggy windows with beads of condensation that return, black dust gathered around vents, or simply a dense or heavy feeling in the air you can’t quite explain. A closer look often reveals paint that bubbles or peels, warped, swollen baseboards, and windowsills quietly rotting beneath the surface. These are the home’s way of whispering that something deeper is wrong. Moisture readings in walls, floors, or concrete can reveal hidden dampness that feeds mold colonies, often out of sight. And inside your HVAC system, a speckled layer of black buildup often signals the perfect storm for airborne contamination. These signs may seem small on their own but form a powerful warning: the air in your home may be quietly undermining your health. Your HVAC system is the lungs of your home — and depending on how it’s maintained, it can either purify the air you breathe or poison it.”
The difference lies in the details, as Andrews explained, “High-quality filters — rated MERV 13 or higher — can trap microscopic particles as small as 0.3 microns, including allergens, bacteria, and mold fragments. If indoor moisture levels exceed 50 percent, your HVAC system may inadvertently fuel mold growth. The sweet spot is 35 percent to 45 percent — a range where mold can’t thrive, and the air feels fresh, not damp. A clean, optimized HVAC system safeguards your health. While modern air conditioning makes it easy to control temperature, managing moisture is a far more
elusive — and dangerous — challenge. Older homes are especially vulnerable. In a city like Atlanta, managing air quality isn’t a luxury; it’s a necessity. This means keeping volatile organic compounds (VOCs) at exceptionally low levels — ideally below 0.016 parts per million over an eight-hour exposure period. Healthy air is your safeguard.”
He further described, “Unhealthy air is the kind of danger that slips into your body unnoticed and slowly takes its toll. It starts with elevated humidity, rising quietly above 50 percent, creating the perfect climate for mold to flourish. Add a cocktail of airborne particles and chemical offgassing from furniture, building materials, and household cleaners, and the air in your home becomes a toxic brew. The longer it goes unchecked, the more damage it can cause.”

Devoted to his healthy air mission, Andrews spent years walking into homes where the air was making people sick — and walking out knowing their lives were about to change. He said, “The real proof is in the people. I’ve stood with families at their breaking point — parents who had seen specialist after specialist, children missing school, and then we found it: hidden mold behind a wall, high VOC levels in a nursery, a damp crawlspace poisoning the entire house. Once the source was uncovered and removed, everything shifted. Although a water event from the foundation, a pipe break, sewage backup, or a continuous water drip can create a toxic environment from black mold, most homes become sick because of air-conditioners. Numerous air-quality problems result from ‘oversized’ air conditioners, improperly sized air ducts, a lack of air duct insulation, and leaking air ducts. The problems they create are usually invisible and slow to develop, so people become sick without even realizing it’s their home making them sick, especially infants and the elderly with underdeveloped or weakened immune systems. Most air-quality profession-
als look for or test for mold, but not the cause. It’s more important to identify the reason a building is sick. If one simply cleans the toxin without eliminating the cause, the problem will return.”
Healthy Air USA advocates that the air we breathe may be invisible — but its power over our health is undeniable. A genuinely healthy air system weaves together three essential pillars: powerful filtration, precise humidity control, and fresh, filtered outside air. And none of it works without an HVAC system that’s properly sized and engineered — not just to move air, but to move clean air without dragging contaminants through your ductwork.
Andrews added, “When we test the air in a house and investigate the duct systems and HVAC units, we believe our customers deserve a healthy indoor environment with quality, uncontaminated air. A healthy home impacts every breath you take, which should bring peace of mind, not uncertainty. Your home can be a place where healthy living begins, and that’s our mission. You can breathe easier when Healthy Air USA is at work.”
Visit Healthy Air USA at www. healthyairusa.com or the main office at info@healthyairusa.com or (770) 2051710. ì

Etz Chaim Young Adults Shabbat Dinner at City Green- 7 to 10 p.m. Congregation Etz Chaim’s Young Adults group is open to Jewish young professionals in their 20s and 30s to join us for Shabbat dinner and Moon Taxi at City Green in Sandy Springs. BYOBlankets or lawn chairs. Admission is free. Learn more at https://tinyurl.com/mr9k7jry.

Shake It Up Shabbat at Etz Chaim
– 9:30 a.m. to 12 p.m. Join us at Etz Chaim for our monthly Shabbat morning service geared toward students in kindergarten through seventh grades and their families. The goal of this service is for everyone to become more comfortable in the Radow Sanctuary, where our classes will lead parts of the service. After services, we invite you to join us for our kiddush lunch. Learn more at https://tinyurl.com/29d2bcw7.
Sing-a-long Shabbat at Etz Chaim –10:30 a.m. to 12 p.m. Congregation Etz Chaim and the Etz Chaim Preschool invite you and your family to join us for Sing-along Shabbat geared for families with young children. Find out more at https://tinyurl.com/yc7ez6ts.

The CHRIStal Ball – 6:30 to 11 p.m. CHRIS 180 proudly celebrates the 25th anniversary of its signature fundraising event, The CHRIStal Ball, on Saturday, Aug. 16. This milestone event will support mental health, school based, foster care, adoption, safe housing and independent living programs. RSVP at https://tinyurl.com/2rkezvzh.

End of Summer Bash at Congregation Beth Shalom – 10 a.m. to 12:30 p.m. Mark your calendar for the summer event. Join us for a fun and informative day for everyone. Whether you jump in the bounce houses, play in the bubble party, or visit the tables of all of our auxiliaries to learn and make takeaways, there is something for everyone. You can even learn how to make sushi. And who can say no to an ice cream truck? This event is open to the community so please invite your friends of all ages to see Beth Shalom in action! Register at https://tinyurl. com/ykwubn6h.
JBaby Intown Mini Mensch Love Fest – 4 to 5 p.m. Join us for a sweet and sensory-filled celebration of Tu B’Av, the Jewish holiday of love! This heartwarming morning is designed especially for our youngest community members (and their grownups), with hands-on activities that spark joy, creativity, and connection. Find out more at https://tinyurl.com/4wb5mja3.

An Evening of Comedy with Ophira Eisenberg – 7 to 9 p.m. Get ready for a night of laughter, wit, and unfiltered comedy with the one and only Ophira Eisenberg! Join us for an unforgettable evening as Ophira takes the stage to share her hilarious take on life, love, and everything in between. You may know her as the host of NPR’s comedy show, “Ask Me Another.” Now, see her live and in-person as she riffs on everything from motherhood to dating as a single mom! Known for her quick wit, sharp observations, and unique storytelling, Ophira has been making audiences roar with laughter for years. Purchase tickets from the MJCCA at https://tinyurl.com/mry3mmke.

Monday, August 18
Bible & Bourbon @ Moondog Pub & Grub – 6 to 8 p.m. Sip, savor, eat and explore ancient wisdom with a modern twist from different faith perspectives. Don’t miss this unique blend of spiritual exploration and social networking. Get more information at https://tinyurl.com/yckdy98p.

Tuesday, August 19
Stitch and Kibbitz at Etz Chaim w/ Rabbi Adler – 1 to 3 p.m. Join Rabbi Jonathon Adler at Congregation Etz Chaim for a fun afternoon of chatting and working on your creative projects. Whether it’s needle point, cross stitch and/or knitting, we welcome you to bring your work and join us! Learn more at https://tinyurl.com/yc5br55b.

Wednesday, August 20
PJ Library Mahjong & Mitzvot– 6:30 to 9:30 p.m. Celebrate Tu B’Av, the Jewish holiday of love, with an evening of giving back, connection, and community fun. We’ll begin by making sandwiches for The Sandwich Project, then enjoy light bites and a lively night of mahjong. Whether you’re new to the game or a seasoned player, Marni from MarniMahj will be generously donating her time to teach and support new learners. Come for the mitzvah, stay for the mahjong — build community, give back, and celebrate love. This event is for adults 21+. Register at https://tinyurl.com/4xjp968s.
Kesher Torah’s Nurturing You: Jewish Wisdom for New Motherhood – 11:30 a.m. to 1 p.m. Join Sarah Werbin for Nurturing You: Jewish Wisdom for New Motherhood, a cozy, supportive space for new moms navigating the sacred (and often messy) first year of parenthood. Over two relaxed mornings in August, we’ll gather — with a light lunch, and our babies — to explore Jewish wisdom on motherhood, healing, and the importance of caring for ourselves as we care for others. Led and hosted by Sarah, a Jewish educator and certified life and relationship coach, with a pelvic floor physical therapist joining the second session. Each gathering blends Jewish insight with practical, grounded guidance. Together, we’ll create space to feel seen, supported, and strengthened — just as we are. Register at https://tinyurl.com/ mrjucb96.

Great Southeast Pollinator CensusCitizen Science at Work! – 10 a.m. to 1 p.m. Join the Master Gardener Volunteers of Cobb County for the 2025 Great Southeast Pollinator Census! Become a citizen scientist and help count pollinator insects for 15 minutes to support vital research and conservation. It’s fun, fast, and impactful for all ages. Find out more at https://tinyurl. com/2jpn338n.

Music & Play – 11 a.m. to 12 p.m. Let’s spark joy and curiosity through the magic of music and play! Jumpstart your morning with an upbeat, interactive music and movement class led by Here We Grow, where little ones can dance, wiggle, and sing their hearts out. Afterward, Nurture invites children into a world of themed sensory play and hands-on adventures — perfect for curious minds and messy fingers. Come ready to move, create, and make memories together! Register at https://tinyurl.com/mpftwc7z.
Torah Reading: Eikev
Friday, August 15 Light Shabbat Candles at: 8:05 PM
Saturday, August 16 Shabbat Ends: 9:01 PM
Torah Reading: Re’eh
Friday, August 22 Light Shabbat Candles at: 7:57 PM
Saturday, August 23 Shabbat Ends: 8:52 PM
Torah Reading: Shoftim
Friday, August 29 Light Shabbat Candles at: 7:48 PM
Saturday, August 30 Shabbat Ends: 8:43 PM

Tot Shabbat - 6 to 8 p.m. Tot Shabbat from Congregation Dor Tamid is a Shabbat program geared for children (second grade and younger) to laugh, meet new children, make new friends, and explore the wonders of Judaism in an exciting fun way! The service is filled with songs, prayers, blessings, stories, snacks, and a place where a kid can be a kid when they pray to G-d. This service meets on selected Friday nights throughout the year at 6 p.m. Each service is followed by a pot-luck Shabbat dinner. Parents are encouraged to model the behavior they would like to see in their own children. So, remember: come to Tot Shabbat ready to dance, sing, pray, and have fun. Tot Shabbat is geared toward children 4 and under. Learn more at https://tinyurl.com/w94ra3de.

Newcomers Rockin’ Shabbat and Dinner – 6 to 8:30 p.m. Join Congregation Beth Shalom for a Musical Rockin’ Shabbat service followed by a Shabbat rotisserie or fried chicken dinner in the Social Hall prepared & served by our Men’s Club. Obtain more information at https://tinyurl.com/3jx8bpu9.
Shabbat Hadasha: A New Shabbat Morning Experience – 10 a.m. to 12 p.m. Ever feel like the words in the siddur (prayer book) aren’t speaking your language? Or maybe they do, but you’re craving something deeper? Introducing Shabbat Hadasha: A Contemplative Shabbat Morning Service — think fewer words, more meaning. Less rush, more time to find meaning and personal connection in the essence of prayers. Through chant, meditation, learning, and reflection, Rabbi Lauren from Congregation Or Hadash will guide us beyond the page and into what really matters. Find out more at https://tinyurl.com/sxts7r9v.

Shalom b’Harim Shabbat Service/ Lunch and Learn – 10 a.m. to 1 p.m.
Please join Shalom b’Harim at Unity of Gainesville for our next Shabbat morning service. It will be led by Rabbi Matan Peled and will be followed by a meat potluck luncheon. The service will be followed by a special presentation by our own congregant, Mark Bauman, on “The History of Jews in Colonial Georgia.” Bauman is a retired professor of history at Atlanta Metropolitan State College. Advance registration at https://tinyurl.com/vzydjm84 is requested.
Great Southeast Pollinator CensusCitizen Science at Work! – 10 a.m. to 1 p.m. Join the Master Gardener Volunteers of Cobb County for the 2025 Great Southeast Pollinator Census! Become a citizen scientist and help count pollinator insects for 15 minutes to support vital research and conservation. It’s fun, fast, and impactful for all ages. Find out more at https://tinyurl. com/2jpn338n.
PJ Library Intown Waffles & Wiggles – 10:30 a.m. to 12:30 p.m. Start your morning with PJ Library at the park for Waffles and Wiggles! Perfect for kids ages 3–8, this joyful gathering features delicious waffle treats, music and movement, and plenty of time to wiggle, giggle, and play. We’ll share a sweet PJ Library story and connect with other families in the community. Register at https://tinyurl.com/bdeb3p3x.

Brunch Club – 11 a.m. to 12 p.m. BLT Sundays. tefillin, bagels, lox, and all the good stuff. Mitzvah House’s monthly men’s brunch with a side of meaning. Sign up at https://tinyurl. com/3p6jupxc.

E-Sports & Safety - Cub Scout Pack 1818 Meet-and-Greet – 11 a.m. to 1 p.m. Parents -- do your kids love gaming, but you’re not sure if or how to safely immerse them in that world? Visit with Cub Scout Pack 1818 at its August meet-and-greet for a fun-filled morning of gaming with E-sports safety lessons and tips. Mix and mingle with current and prospective member families and have fun doing it! For boys and girls grades K-5 and their families. RSVP at https://tinyurl.com/6ktnvd2x.
Atlanta Jewish Bowling League Meet & Greet 2025! – 6:30 to 8:30 p.m. Come bowl for free and try out the fun Atlanta Jewish Bowling League co-ed league. Adults are always welcome! Free bowling – free pizza. Meet, Eat and greet! Learn more at https:// tinyurl.com/39df3fd9.

Yacht Rock Revue Concert Presented by Synovus – 7 to 9 p.m. Celebrate the transformation of our Zaban Park campus, made possible by our generous Capital Campaign donors, with a special concert by Yacht Rock Revue. Rock out to super sounds from the ‘70s and ‘80s on the new Heyman Stage in MJCCA’s reimagined Halpern Plaza Courtyard! Purchase tickets at https:// tinyurl.com/3ys4tdf6.
Ancient Wisdom for Your Life – 8 to 9 p.m. Join Chabad of Fulton for a weekly journey into the Torah’s relevance. Obtain more information at https:// tinyurl.com/58ck7ses.

Shalom Siporim: Hebrew Storytime – 10 to 11 a.m. Join Nurture for Shalom Siporim, a joyful Hebrew-English story time designed especially for toddlers and their grown-ups! Through engaging stories, playful songs, and simple movement activities, young children will be introduced to Hebrew words and Jewish culture in a warm and welcoming environment. No Hebrew experience necessary — just bring your curiosity and love of stories! No class week of Sept. 23 in observance of Rosh Hashanah. RSVP at https://tinyurl. com/2b88f5mt.
AgeWell Koffee & Kibbitz at Etz Chaim – 10:30 a.m. to 12 p.m. AgeWell in East Cobb/Roswell will be hosting a conversation on the 3C’s of effective estate planning with attorney Kelley Napier at Etz Chaim. Sign up at https:// tinyurl.com/42ux92th.

Reconnect #BeHighHolidayReady- 7 to 9 p.m. Enjoy an evening of delicious food, great company, and inspiring words from JWC Atlanta co-founder Helen Zalik! Purchase tickets at https://tinyurl.com/299paeuf.
Sacred Choices: A Jewish Call for Reproductive Justice - 7 to 9:30 p.m. Uniting generations in faith, medicine, and policy to protect our future. Welcome Alli Tombros Korman, founder of the Red Tent Fund, back to Atlanta. The Red Tent Fund provides a faithaffirming space for abortion support, addressing the dual crises of growing restrictions on abortion access and the alienation of Jewish supporters from existing funding channels. Register at https://tinyurl.com/mwb7hcvd.

Listening for Redemption with Rabbi Elyse Wechterman – 7:30 to 9 p.m. What do we hope to hear when the shofar sounds? Join Rabbi Elyse Wechterman for a dive into the meaning behind the blasts — from ancient tradition to modern interpretation — as we prepare to enter the month of Elul. This teaching will conclude with live shofar sounds, and you’re warmly invited to bring your own shofar and join in. As Congregation Bet Haverim welcomes Rabbi Elyse for the first time, we invite you to join us for a special teaching with her, as she prepares to lead us through this year’s High Holidays. Register for the Zoom link at https://tinyurl.com/mwjkwh54.
Wednesday, August 27
NCJW/ATL Banned Book Group – 12 to 1:30 p.m. NCJW/ATL will discuss the book, “The Patron Saint of Liars,” by Ann Patchett. Bring your lunch; beverages and dessert provided. Please RSVP to https://tinyurl.com/7b37bztd.

Thursday, August 28
Weekly Mah Jongg Night – 6 to 8:30 p.m. Join Congregation Beth Shalom’s Sisterhood for weekly for a night of mah jongg. Find out more at https:// tinyurl.com/3s9ez9px.
Friday, August 29
LimmudFest at Ramah Darom - LimmudFest at Ramah Darom is a celebration of Jewish thought, arts, culture, and life, created in partnership with Limmud North America. This festival unites hundreds of Jews of diverse backgrounds and ages at Ramah Darom’s picturesque North Georgia mountains campus over Labor Day Weekend. Participants engage in workshops, discussions, art, music, performances, text-study sessions, yoga, hiking and a variety of other enriching and fun activities for all ages and stages. Register at https://tinyurl.com/ mr38yzat.

Music & Play – 11 a.m. to 12 p.m. Let’s spark joy and curiosity through the magic of music and play! Jumpstart your morning with an upbeat, interactive music and movement class led by Here We Grow, where little ones can dance, wiggle, and sing their hearts out. Afterward, Nurture invites children into a world of themed sensory play and hands-on adventures — perfect for curious minds and messy fingers. Come ready to move, create, and make memories together! Register at https://tinyurl.com/mpftwc7z.

LimmudFest at Ramah Darom - LimmudFest at Ramah Darom is a celebration of Jewish thought, arts, culture, and life, created in partnership with Limmud North America. This festival unites hundreds of Jews of diverse backgrounds and ages at Ramah Darom’s picturesque North Georgia mountains campus over Labor Day Weekend. Participants engage in workshops, discussions, art, music, performances, text-study sessions, yoga, hiking and a variety of other enriching and fun activities for all ages and stages. Register at https://tinyurl.com/ mr38yzat.

LimmudFest at Ramah Darom - LimmudFest at Ramah Darom is a celebration of Jewish thought, arts, culture, and life, created in partnership with Limmud North America. This festival unites hundreds of Jews of diverse backgrounds and ages at Ramah Darom’s picturesque North Georgia mountains campus over Labor Day Weekend. Participants engage in workshops, discussions, art, music, performances, text-study sessions, yoga, hiking and a variety of other enriching and fun activities for all ages and stages. Register at https://tinyurl.com/ mr38yzat.

D i s c o v e r W h a t M a k e s U s
D i f f e r e n t
Sunkissed Swimming Pool
Sensations Dining
Health & Fitness Center Art Studio
i v i t i e s a n d e v e n t s t o i n d u l g e n t i n r e s o r t - s t y l e
a m e n i t i e s , w e p r i o r i t i z e y o u r c o m f o r t b y o f f e r i n g
a l l e s s e n t i a l s e r v i c e s , a c t i v i t i e s , a n d c a r e i n o n e
c e n t r a l i z e d l o c a t i o n A t H e a r t i s B u c k h e a d , w e
r e d e f i n e s e n i o r l i v i n g , c r e a t i n g a h a v e n w h e r e
e v e r y m o m e n t i s t a i l o r e d t o e n h a n c e y o u r
w e l l b e i n g , a l l o w i n g y o u t o l i v e a l u x u r i o u s l i f e o n
y o u r t e r m s .





Ingredients
4 and 1/2 cups water
1 cup Haddar Brown Sugar
1/3 cup oil, such as Gefen Canola Oil
1 teaspoon pepper
1/2 teaspoon salt
12 ounces (340 grams) Gefen Fine Noodles
2 eggs
Directions
1. Preheat oven to 350 degrees Fahrenheit (175 degrees Celsius).
2. Boil the water with sugar, oil, and spices. Then remove from heat and add the noodles. Let stand for 15 minutes.
3. Add eggs and mix. Pour into a 9×13-inch (23×33-centimeter) pan. Bake for one hour.
Recipe by Chaya Stein kosher.com

Sadie is out shopping in Phipps Plaza when she bumps into Beckie, an old friend of hers. Beckie is looking after her two grandchildren while their mother does some shopping on her own.
Sadie says, “Oh, Beckie, what beautiful children. How old are they?”
“Well,” Beckie says proudly, “the lawyer is six months old and the doctor is two years.”
n. The act of being duped and cheated by a financial transaction on the Internet.
“Poor Aunt Ruthy, the first time she made an order online, she was a victim of electroshvindl.”
From the Yiddish, “shvindl,” meaning, “scam.”

By: Yoni Glatt, koshercrosswords@gmail.com
Difficulty Level: Medium
ACROSS
1. Collaborative web document
5. Gripes
10. One popular cyberspace “room”
14. Get off here
15. “Not ___ in the world”
16. Occupy the throne
17. “Look out for that falling elm, son of Nun!”
19. Notable Jewish pilgrimage locale
20. Fjord metropolis
21. Portuguese explorer Bartolomeu
23. “Fear Street” author
26. Trick comic Shandling or Gulman into respelling their first name?!
30. Top-notch
31. Deg. for a startup starter, maybe 33. Big name in chocolate
34. One might get a pref. rate
35. Kapporot cages
37. Sportscaster’s summary
38. They’re known as “America’s best idea”...or another title for this puzzle
41. DKNY’s Donna
42. Reeded instruments
43. Opposite of maj.
45. Like this puzzle before publication
47. It’s put in an env.
48. Ki ___

This week, 100 years ago
49. “Hey, Jew!”
51. Alleys have them
52. Word with “road” or “’roid”
53. Cereal ingredient, sometimes
55. Manager’s helper: Abbr.
58. When Shaul failed to kill the herds of Agag?
63. Gambling town near Carson City
64. Totally eliminate
65. Jewish Mama
66. Jewish mamas
67. Gives an R or G
68. Simcha dance
1. It covers the NYSE
2. Judge of the Simpson trial
3. Bout enders, briefly
4. Many people have one in their pocket
5. God in Canaan
6. Blast or plasm preceder
7. Mr. Potato Head item
8. Not the most impressive Corleone
9. Dating
10. One oppressing Jews in 1099, perhaps
11. Not exactly sing
12. Palindromic menu phrase
13. Number of lost tribes
18. Manipulate

Jewish man sentenced to a year in prison in Hungary for criticizing law that limited university attendance.
In the context of the anti-evolution Scopes trial in Tennessee, the Western Association of Jewish Ministers rules that the folklore and legends of the Bible are incidental to its basic message.
This week, 75 years ago
An AJT writer spotlights the Subversive Activities Controls Act for effectively giving the U.S. Attorney General the power to establish concentration camps.
Columbia University announces establishment of a Center of Israeli Studies.
Rabbi Samuel Gup leaves pulpit with Temple Emanu El at Dothan to lead congregation in Chicago.
Saly Mayer, Swiss Jewish leader who negotiated saving
AJT Cover Photo on Aug. 11, 2000, depicting presidential candidate Al Gore’s recently chosen running mate, Joseph Lieberman – the first Jewish VP candidate in U.S. history.

the lives of around 200,000 Hungarian Jews from deportation to extermination camps in Poland, dies of a heart attack at 67 years old.
This week, 50 years ago
In New York, observant Jews win three wrongful termination lawsuits, where they were fired for not working on the Sabbath.
Rabbi Marc Wilson assumes the pulpit at Congregation Shearith Israel.
Dr. Yudl Mark, foremost Yiddish lexicographer and Editor-In-Chief of “The Great Dictionary of the Yiddish
22. Ancient Greek marketplaces
23. Droop, as a mattress
24. Whirlwind
25. “Midnight ___” (Woody Allen hit)
26. Up to the task
27. Alan who played Snape
28. Dodgy
29. “Israfel” author’s monogram
31. Something heard from a herd
32. Rock star born Paul David Hewson
35. Movies, collectively
36. Opening
39. Hash browns nugget
40. Unit pricing term
41. Essential
44. Permission-denying replies
46. Gold or grave follower
48. Heavy sefer, often
50. Earth, in many sci-fi stories
51. Where some science tests occur
53. Safe place
54. 1 and 66, e.g.
55. Rabbi Berman of Yeshiva University
56. Yeshiva alt.
57. Winter product prefix
59. Nosh
60. ___Paulo
61. Destroyer of Iran’s air force, Abbr.
62. Govt. employer of cryptologists
Language,” dies at 78 years old in Wilmington, Del. President Ford Visits Auschwitz.
This week, 25 years ago
Delegation from Congregation Bet Haverim attends the 2000 World Congress for Gay, Lesbian, Bisexual and Transgender Jews, which that year adopts the Hebrew name Kesher Ga’avah.
Sen. Joseph Lieberman becomes first Jewish vice presidential candidate in U.S. history.
First Atlanta Jewish Film Festival is announced and scheduled.
Issues of the AJT (then Southern Israelite) from 1929-1986 can be found for free online at https:// gahistoricnewspapers.galileo.usg.edu/lccn/sn78003973/
Dr. Sidney Breibart, 96, of Atlanta, Ga., passed away peacefully on Wednesday, July 9, 2025, next to his beloved wife of over 63 years, Bernice.
Born on Dec. 21, 1928, in Charleston, S.C., to Sam and Ida Breibart, Dr. Breibart was the fourth of five children. He was shaped by a close-knit family life above the family grocery store on Meeting Street, where he developed his lifelong values of hard work, community, and Jewish identity.

Dr. Breibart was an alumnus of the College of Charleston and earned his medical degree from Duke University. Following service as a U.S. Army captain stationed in post-WWII Japan, he pursued further training at Johns Hopkins University before joining Strong Memorial Hospital in Rochester, N.Y., where he met Bernice, at the time an occupational art therapist.
In 1961, the couple married and moved to Philadelphia, where Dr. Breibart joined the staff of Children’s Hospital of Philadelphia. A few years later, they settled in Atlanta, where he became the city’s first pediatric endocrinologist at Emory University Hospital. He eventually transitioned into private practice, where he continued to care for generations of patients with dedication, compassion, wisdom and quiet authority.
Dr. Breibart is survived by his loving wife, Bernice; his children, Evan Breibart (Claudia), Andrew Breibart, and Leah Breibart; his grandchildren, Laura, Olivia, Alexis, and Jonathan; and his brother, Jack Breibart. He is remembered as a deeply devoted husband, father, and grandfather, who led by example and inspired those around him through his integrity, humility, intelligence, and unwavering kindness.
A lifelong learner with a quiet curiosity about the world, Dr. Breibart had a deep love of literature, music, poetry, art films, and world travel. He was a man of gentle humor who delighted in the simple pleasures of life — family beach vacations, birdwatching, book clubs, and the company of good friends.
He was a beloved mentor to many young medical professionals, and his legacy lives on in the countless patients, colleagues, friends, and family members whose lives he touched.
In his final years, he was cared for at home under Bernice’s loving supervision, with support from dedicated caregivers and the Weinstein Hospice team. His final days were marked by dignity, peace, and enduring love.
Funeral services were held at Crest Lawn Memorial Park in Atlanta, on July 11, 2025. Donations in Dr. Breibart’s memory may be made to Weinstein Hospice, The Temple, Atlanta Food Bank, or a charity of your choice. Arrangements made by Dressler’s Jewish Funeral Care, 770-451-4999
Carol Banks Fink, 82, passed away suddenly at home on Aug. 9, 2025. Born in Huntsville, Ala., Carol moved to Atlanta in the early 1960s. She was a take-charge legal secretary who worked for some of the city’s most esteemed lawyers. Her greatest joy came from her family, whom she cared for with generosity and total devotion.
Carol will be dearly missed by her husband, David H. Fink; her children, Mark Taratoot and Dori Kleber (David); grandchildren, Nathan and Naomi; stepchildren, Jacob Fink, Anna Quinn (Greg), Micah Fink (Samantha), and their children, Aria and Asher; her cousins and extended family and many beloved friends.

She was predeceased by her parents, Rose and Jake Banks, and her brother, Jerry Banks, all of blessed memory.
A graveside service was held Tuesday, Aug. 12, at 3 p.m. at Arlington Memorial Park in Sandy Springs, with arrangements by Dressler’s Jewish Funeral Care. If you wish to honor Carol’s life with a charitable donation, please consider a gift to Congregation Shaarei Shamayim, 1600 Mt. Mariah Rd. Atlanta, 30329. Arrangement by Dressler’s 770451-4999.
Harris Charles Friedman, devoted husband, father, grandfather, brother, and uncle passed away on Aug. 6, 2025, in Marietta, Ga. He leaves behind his loving wife of 60 years, Margie Matelsky Friedman, their children, Kenneth Friedman (Megan); daughter, Nona Friedman Taitz (Kevin); four grandchildren, Katie, Kayla, Josh, and Rollin; and sister, Marcia Friedman Kanter.
Born and raised in Cleveland, Ohio, Harris met Margie when they were just kids. They attended The Ohio State University together and were married in 1965. After graduating in 1967 with his MBA, he went on to earn his PhD from UCLA.

His professional life began in Washington, D.C., where he served as chief economist for the Federal Home Loan Bank Board. After years of living in the cold north, he and Margie headed south in search of warmer weather, where he served as senior vice president of savings for American Savings & Loan, in Miami.
In 1982, looking for a new challenge, the family relocated to Atlanta where he became a partner in the consulting firm Kaplan, Smith & Assoc. Eventually, American Savings came calling again - this time asking him to return to Miami to lead the company as president and CEO. Under his leadership, American grew into one of the largest thrifts in Florida, with nearly $5 billion in assets and branches located all over the state.
After retiring from the banking world, he wasn’t quite ready to slow down. He continued to work and consult in the mortgage and real estate industries, with both First Mortgage Network and Lenders Clearing House.
While he had a most impressive career, what mattered most to him was his family. After nearly 40 years in the Sunshine State, Harris and Margie moved back to Atlanta to be closer to their two children and four grandchildren, where he was able to celebrate all four high school graduations, three college graduations, and two graduate school graduations. One of his great joys was being able to take his family on trips to Alaska, Colorado, Maine, Hawaii, and Europe over the years. Another was much simpler, but just as meaningful: sharing ice cream with his grandchildren, always with a big smile and a big scoop.
Harris will be remembered for his gentle wisdom, steady presence, generous heart, and his deep love for his family. He will be missed more than words can say. Donations in his memory can be made to Temple Emanu-El.

Marsha Debra (Debbie) Gold, born on June 1, 1955, in Atlanta, Ga., passed into heaven on July 28, 2025. She was preceded in death by her parents, Morris and Irene Gold.
Debbie was a shining light in the lives of all that had the privilege of knowing her. Her passing has left a hole in the hearts of her family, and the many associates and friends that had the privilege of knowing and working with.

Debbie is survived by her sister, Linda Buford, and brother, Martin Gold, brother-in-law, David Buford, and sister-in-law, Missy Gold. Debbie leaves behind cousins, Barbara Kaminsky, Wayne Kaminsky, nieces, Jennifer Orrison (Daniel Orrison), Marisa Byard (Philip Byard), nephews, Randy Gold (Caroline Gold), Jeffrey Gold (Marla Gold), great-nephews, Nat Gold, Liam Byard, and Caiden Orrison, great-nieces, Sydney Gold, Eden Gold, Shai Gold, Clara Byard, and Molly Orrison.
Debbie attended Northside High School, University of Georgia, and received her law degree in family law from Georgia State. She practiced family law for many years and served as a guardian ad litem in later years. In 2000, she took a sabbatical from law and moved to Barcelona, Spain, for four years, and gave tours to American tourists. She loved Barcelona and went back each year to visit. She had many friends there. After returning to Atlanta, she became a guardian ad litem. She was greatly respected by her peers, and in March 2024, was awarded The Hon. Clarance F. Seeliger Phoenix Award for her outstanding work in the fight for protection, dignity, and justice for survivors of domestic violence. She met with the Bar Association of Barcelona and started a program, The Joint Family Law Conference and Networking Exchange, where for the past three years, Atlanta family law judges and attorneys went to Barcelona and conferenced with their judges and attorneys. They were able to earn CLR credits also. Last year was her largest with over fifty attendees from Atlanta. She was planning a fourth trip this October when she fell ill.
A memorial for family and friends was held at Ahavath Achim Synagogue in Atlanta on Sunday, Aug. 3, at 11 a.m. Arrangements by Dressler’s Jewish Funeral Care, 770451-4999.




Betty K. Jacobson, 92, died Thursday, July 31, 2025, in Gainesville Fla. She was born to the late Miller Kaminsky and Ann Miller Kaminsky in 1932 in Savannah, Ga. Betty received a Bachelor of Fine Arts from the University of Pennsylvania and a master’s in landscape architecture from the Radcliffe Institute.
Betty worked as a landscape architect, designing beautiful gardens in several states. She enjoyed bridge, golf, and outdoor activities. Her love for nature, sharp mind, and creativity enriched everyone in her orbit.

Betty was preceded in death by Perry Jacobson to whom she was married for 60 years. They lived in Waban and Dover, Mass., before retiring to Savannah, Ga, and then Gainesville, Fla.
Betty is survived by three children and their spouses, Michael and Trine of Palo Alto, Andrew and Peggy of Petaluma, Susan and Jeff of Gainesville, grandson, Matthew of San Francisco, and brother Allen Kaminsky and Charlotte of Atlanta. Her sister, Janet, and Phil Sunshine preceded her in death.
In lieu of flowers, the family is requesting that donations be made to your favorite charity.
Arrangements are under the care of Milam Funeral and Cremation Services, Gainesville, Fla.
Obituaries in the AJT are written and paid for by the families; contact Editor and Managing Publisher Kaylene Ladinsky at kaylene@atljewishtimes.com or 404-883-2130, ext. 100, for details about submission, rates and payments. Death notices, which provide basic details, are free and run as space is available; send submissions to editor@atljewishtimes.com.


Chana Shapiro
A few days ago, I came home with an armload of used books. One of my friends stopped by, but I wasn’t fast enough to hide them before she saw them. “Where did all those books come from?’ she asked, accusingly. I braced myself, then came clean, “Thrift store,” I said. I was proud of my shameless, succinct response. “You told me you had more than enough books to fill an entire library, and you would never buy more,” she shrugged. “You have no will power. You’re an addict.”
We paused for a moment, as my so-called friend swept her arms broadly across the room. “Actually,” she noted, “You’re living in the middle of a library already. Chana, I’m worried about you.”
I attempted to lighten the mood and emphasize my philanthropic side. “They’ll all go in my Little Free Library (LFL) when
I finish reading them, every single one,” I lied. I’m keeping the O’Henry anthology, I thought. “For the record,” I explained, “the books I bought today cost less than one dollar each,” I picked up the fattest book.
“The paper and ink in this one probably cost the publisher a few bucks, not counting the cover. Look, it was $29.99 new.”
“You’re hopeless,” were her parting words.
After the pandemic, in summer 2022, I attempted to wean myself from acquiring books and keeping them: I would only borrow them. Our local library’s less than a mile away. My dentist has a Little Free Library outside of his office, and I could sustain my need for a life-sustaining supply at least twice annually. My friend, Esther, who buys new books, is happy to give them to me after she’s read them. My intention was to read a book and then pass it on. Sometimes, neighbors dropped their books into my Little Free Library, and I occasionally found great books there, planning to return them to my LFL. after finishing them. Yet, despite my resolve, I admit that I remain a book junkie. I thrive on a constant infusion of the bound written word into my



living space.
Years ago, when I was a first-year teacher in New York, I saw a student kicking a book down a flight of stairs. I lunged to catch it but missed. However, I did manage to grab the miscreant, Peter, a student of mine. I was known as an amiable educator, but at that moment I felt a need to emote, “A book is not a toy, Peter. I thought you were aware of that. I’m sure you know the difference between a book and a soccer ball.”
Peter did not fall to his knees in contrition, nor did he claim that he had left his glasses at home and that’s why he didn’t know the difference between a book and a soccer ball. He picked up the book, dusted it off on his pants, and walked away. I learned that there are people in the world, even good students, who do not think of books as prized possessions.
Then, there was the incident in college. My classmate, Elaine, and I were English majors, and we often sat in the library together reading the assignments for our Contemporary Lit class. When the semester ended, we had a final goodbye lunch because Elaine was moving. She
had brought all the books we had read in our shared class with her. “Do you want these?” Elaine asked me. I had my own copies of the same books, so I said no. Then, she ceremoniously threw the books, one-by-one, into the big trashcan near us. She joyfully sang as she dumped each one, “Goodbye Faulkner, goodbye Salinger, goodbye Melamud, goodbye Conrad.”
My protests did not dissuade her. After Elaine left, I managed to retrieve the books, wipe them off, bring them home, and stack them in the darkest corner of the bedroom I shared with my little sister. They weren’t kid-appropriate; however, a few days later, I found her reading, “A Catcher in the Rye.” She was 10 years old, but she’d already been bitten by the age-blind book bug. She saw a book, so she read it. Last year, an acquaintance called to tell me she was moving into a smaller apartment, and she was getting rid of lots of books. Did I want them? Of course I did. She knew about my Little Free Library and offered to drive by and put the books into it. “Do you want to go through them first?” she asked. Guess what I answered. ì















































