5785 Guide to Jewish Atlanta

Page 1


JEWISH ATLANTA JEWISH ATLANTA Guide to

2024-2025

OCT. 5, 2024 - JAN. 5, 2025

ARMORED AND FABULOUS

Get ready to discover how spikes, shells, scales, plates and exoskeletons defend against the hard-knock environment of animals.

Highlights include:

• The giant croc, Deinosuchus

• The ultimate predator, T. rex, and its prey, Anklosaurus

• Human adaptations of animal armor

• And more!

Armored Animals is designed and developed by Gaston Design. Sponsored locally in part by the Frances Wood Wilson Foundation.

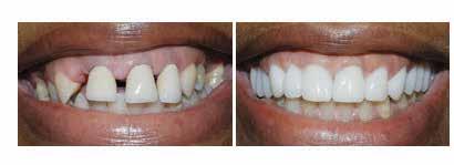
combining technology and artistry to create exceptional dentistry.

As a comprehensive dental office that goes above and beyond our specialty in Cosmetic Dentistry, our patients believe Dr. David Mastro is the right choice for all your family dentistry needs!

When it comes to your smile and oral health, Dr. Mastro has a proven 30 year track record of providing quality cosmetic and family dental care for families in our local community and around the world.

Dr. David Mastro

AWESOME

EXPERIENCE SIMCHAS IN ALPHARETTA!

FREE EVENT PLANNING RESOURCES!

Think Alpharetta first for your next SIMCHA! Take advantage of the FREE event planning resources of the Alpharetta Convention and Visitors Bureau including FREE CONSULTATION on event venues, professional service providers, Alpharetta hotels and more.

HOTEL ACCOMMODATIONS

Reserve rooms for your guests with one call to the Alpharetta Convention and Visitors Bureau. Room rates are collected from Alpharetta’s 31 upscale and modern hotels and provided to you as a comprehensive list of options. Many offer free parking, complimentary Wi-Fi, breakfast and local shuttle service.

VISITOR INFORMATION

We offer complimentary welcome bags containing information about shopping and dining, attractions, events, maps and local coupons for your Alpharetta hotel guests. Visit our Alpharetta Welcome Center located at 178 South Main Street for more details!

Want to be IN THE KNOW?

Follow us on social media and sign up for our e-newsletter at awesomealpharetta.com to get the latest information about what is happening in Alpharetta!

Jump into Jewish Summer Camp!

At Jewish overnight camp, kids discover who they are and who they want to become while racing across ziplines, jumping into lakes, singing around campfires, meeting their best friends and learning important life skills. And, thanks to One Happy Camper, you might be eligible for up to $1500 off your camper’s first summer!

Dr. Simone Lewis
Dr. Rachel Kaziyev

ESTATE SALES

Vacation rental with kosher kitchen in Turks and Caicos

• 3 bedrooms

• 3 full bathrooms

• Comfortably accommodates 8 people

• Exquisitely appointed with ocean inspired decor

• Manicured grounds featuring lap pool and zero entry infinity pool

• Full Gourmet kitchen with large dining room featuring ocean views

• Chabad certified kosher kitchen upon request

• Expansive, wraparound balcony and private hot tub with stunning ocean views

• Concierge available to arrange for private excursions, adventures and in room spa experiences

• Daily housekeeping services

• Paddle boards and sailboats available for use, as well as private lessons

• Pool and beach toys for children, and Caicos

Kids Club offering all day and early evening complimentary child care— babysitting available upon request

• On property gym

• Bicycles available

• Daily nonstop flights from Atlanta

Instagram: @thesomerset For additional information and rates please call 1-617-610-0224

Founded in 2018 by a group of committed volunteers, the Atlanta Israel Coalition (AIC) strives to unite the pro-Israel community in Atlanta and beyond. As a nonprofit nonpartisan group, the AIC seeks to inspire and educate through a collective effort. Through inclusive educational and community events, the AIC unifies a broad audience, regardless of faith. The AIC is a gathering place for multi-faceted conversations that combat media bias, a connector to foster a spirit of cooperation amongst pro-Israel organizations, and means in which to amplify our collective pro-Israel missions. Together our voices are louder, our light shines brighter, and we can be a greater force for good within our communities and across the globe. To learn more about AIC, visit:

www.facebook.com/AtlantaIsraelCoalition www.atlantajewishconnector.com/organization/the-atlanta-israel-coalition

Sandy Springs

Life is filled with moments that become lasting memories, and there’s no better place for a memorable simcha than Sandy Springs.

Let us be the full service connection between you and your event. With 20 hotels and 2800 rooms, we can provide customized and complimentary assistance to make sure you find the perfect hotel for your guests, as well as recommendations for venues, catering and more.

Contact us today to start planning!

Bree Kitchens 770-206-1552 pkitchens@sandyspringsga.org

Truist Park has a variety of enhancements and team building activities to make your special event even more memorable. Check out the following options to add on to your next event:

• Tour or Scavenger Hunt of the ballpark

• Alumni Meet and Greet

• Batting Practice

• Entertainment Team Appearances including Blooper

• And more!

PUBLISHER

MICHAEL A. MORRIS

MICHAEL@AtLjEwISHtIMES COM

EDItOR & MANAGING PUBLISHER

KAYLENE LADINSKY

KAYLENE@AtLjEwISHtIMES COM

ExECUItIvE ASSIStANt RONIt FRANCO-PINSKY

RONIt@AtLjEwISHtIMES.COM

EDItORIAL

MANAGING EDItOR

SASHA HELLER

SASHA@AtLjEwISHtIMES.COM

StAFF wRItER & PROOFREADER FRAN PUtNEY

FRAN@AtLjEwISHtIMES COM

ONLINE CONtENt COORDINAtOR

jILLIAN GERSON

jILLIAN@AtLjEwISHtIMES COM

ADvERtISING

SENIOR ACCOUNt MANAGER & tEAM SUPERvISOR MICHAL BONELL

MICHAL@AtLjEwISHtIMES COM

ACCOUNt MANAGER ILYSSA KLEIN

ILYSSA@AtLjEwISHtIMES COM

ACCOUNt MANAGER SUSAN MINSK

SUSAN@AtLjEwISHtIMES COM

CREAtIvE & DESIGN

CREAtIvE DIRECtOR

LILLI jENNISON

LILLI@AtLjEwISHtIMES COM

COMMUNItY ENGAGEMENt EvENtS AND PUBLIC RELAtIONS COORDINAtOR KAtIE GAFFIN

KAtIE@AtLjEwISHtIMES COM

AtLANtA jEwISH CONNECtOR COORDINAtOR DIANA COLE

DIANA@AtLjEwISHtIMES.COM

GENERAL OFFICE

INFO@AtLjEwISHtIMES.COM 404-883-2130

tHE AtLANtA jEwISH tIMES IS PRINtED IN GEORGIA AND IS AN EqUAL OPPORtUNItY EMPLOYER tHE OPINIONS ExPRESSED IN tHE AtLANtA jEwISH tIMES DO NOt NECESSARILY REFLECt tHOSE OF tHE NEwSPAPER PERIODICALS POStAGE PAID At AtLANtA, GA

POStMAStER SEND ADDRESS CHANGES tO AtLANtA jEwISH tIMES

270 CARPENtER DRIvE SUItE 320, AtLANtA GA 30328. EStABLISHED 1925 AS tHE SOUtHERN ISRAELItE www.AtLANtAjEwISHtIMES COM

AtLANtA jEwISH tIMES (ISSN# 0892-3345 IS PUBLISHED BY SOUtHERN ISRAELItE, LLC

© 2024 AtLANtA jEwISH tIMES PRINtED BY wALtON PRESS INC

MEMBER

CONExx: AMERICA ISRAEL BUSINESS CONNECtOR AtLANtA PRESS CLUB

AMERICAN jEwISH PRESS ASSOCIAtION

NAtIONAL NEwSPAPER ASSOCIAtION

SANDY SPRINGS/PERIMEtER CHAMBER OF COMMERCE

Atlanta Jewish Times’ mission is to create a strong sense of community that brings a diverse and geographically dispersed Jewish Atlanta together. We fulfill that goal by timely distribution of local news and vital national Jewish and Israeli news; supporting area synagogues, nonprofit and cultural activities, and events; announcing simchas and other lifecycle events; encouraging thought-provoking dialogue and debate on current issues; and reinforcing the bonds of Jewish family, culture, and tradition.

Presenting our 5785 Guide to Jewish Atlanta -- this AJT community resource helps you stay connected and is a great handbook while also serving as a Who’s Who for our nonprofits, synagogues, schools, businesses and larger kehillah. Despite losses we have all experienced over recent years, the guide reminds us we are one big mishpachah overcoming struggles and celebrating life together.

This year’s 5785 Guide to Jewish Atlanta’s theme focuses on the newspaper’s 100th anniversary and celebrating the AJT’s legacy.

Jewish Atlanta is a thriving and diverse com¬munity, rich with community leaders and public figures that consistently reaches for the stars and make the impossible … possible. The AJT hopes you appreciate the community members who make it all happen.

In addition to this print version of the 5785 Guide, there’s an online resource directory for viewing throughout the year within the Atlanta Jewish Connector, www. AtlantaJewishConnector.com. Many readers consult Connector for event planning as well as to learn what is happening around Atlanta socially, spiritually, educationally, and culturally.

The Connector also can be used for networking and to assist with holiday celebrations, just to name a few of its varied uses. Behind each calendar event is an organization with detailed information about our community (services, locations, and leaders).

This year’s resource guide adds many new companies and organizations to its registry. As comprehensive as we try to be, there will always be an organization that we inadvertently leave out or is new to the community.

Please let us know if you’d like to be included in next year’s guide or added immediately to the online resource directory at publisher@AtlJewishTimes. com or 404-883-2130, extension 100.

Thank you for being a loyal reader and advancing our mission of Keeping Jewish Atlanta Connected!

TABLE OF CONTENTS

Guide Partner: Atlanta Jewish Connector

A calendar of the holidays for the rest of 5783 and all of 5784, sponsored by Chabad Intown

Guide Partner: William Breman Museum History of Jewish Atlanta

Listings of synagogues and other religious institutions

Guide Partner: Jewish Federation of Greater Atlanta

Listings of day schools, other private schools, preschools, camps and other educational institutions

Guide Partner: Marcus Jewish Community Center

Listings of museums, theaters, galleries, festivals, and other entertainment and cultural opportunities

Guide Partner: Jewish Home Life

Listings of the nonprofit organizations that support Jews and Jewish life in Atlanta

Guide Partner: Jewish Family & Career Services

Listings of doctors, spas, salons, senior living facilities and funeral services

Listings of caterers, venues, entertainment and anything else you need to plan a great celebration

Listings of restaurants, stores and other places you might want to spend your money

Listings of the people who can help you find the right home and make it perfect for you

Listings of the lawyers, financial advisers and other professionals you might need

Listings of Atlanta’s professional sports franchises, their venues and other sports-related attractions

Jewish Holidays

OCTOBER 2024

Wed 2 Oct | Erev Rosh Hashanah

Thur 3 Oct - Fri 4 Oct | Rosh Hashanah 5785 – Rosh Ha-shanah is literally the head of the Jewish year and the birthday of all creation. It commemorates the creation of Adam and Eve, the first humans. Man was the first to acknowledge G-d’s kingship over the universe, and on Rosh Hashanah we renew this commitment to G-d’s commandments.

Sun 6 Oct | Fast of Gedaliah

On the third of Tishrei, we commemorate the assassination of Gedaliah ben Achikam, governor of the First Jewish Commonwealth in the Holy Land. The result of his assassination was the end of Jewish autonomy in the Land of Israel.

Fri 11 Oct | Erev Yom Kippur

Sat 12 Oct | Yom Kippur

Yom Kippur, the Day of Atonement, is the holiest day of the Jewish calendar. It is a day of spiritual cleansing: We acknowledge our shortcomings and transgressions with a firm resolution for a better future; G-d promises us forgiveness, and the chance for a fresh start. We refrain from work, and avoid any food or drink as well as washing, using oils or lotions, marital relations and regular (leather) shoes.

Wed 16 Oct | Erev Sukkot

Thur 17 Oct - Wed 23 Oct | Sukkot

The name Sukkot is derived from the word Sukkah or hut. In commemoration of the protective “clouds of glory” with which G-d surrounded the Jewish people on their way out of Egypt, we live in makeshift huts during the seven days of this holiday.

DECEMBER 2024

Wed 25 Dec | Erev Chanukah

Thur 26 Dec – Thurs 2 Jan | Chanukah

The kindling of the menorah is the focal point of the Chanukah holiday, symbolizing religious freedom and the strength of the Jewish spirit. The menorah is kindled on each of the eight nights of Chanukah, this year beginning Dec. 25.

The menorah is placed at the left side of a central doorway of the home or at the front window. The candles should be lit immediately following sunset and should be prepared so that they will remain lit for at least a half hour after dusk. In keeping with Shabbat observance, the menorah is lit before the Shabbat candles on Friday evening and after the Havdalah ceremony at the end of Shabbat.

Gather all family members and light the shamash, the service candle. Recite the proper blessings and then light the candles beginning from the left. Then place the shamash in its designated place, separated from the other candles.

JANUARY 2025

Jewish Holidays

APRIL 2025

Sat 12 Apr | Erev Pesach

Fri 10 Jan | Fast of 10th of Tevet

In the year 3336 from Creation (425 B.C.E.) on the 10th day of Tevet the armies of Nebuchadnezzar laid siege to Jerusalem. This led to the destruction of the Temple on 9 Av of 3338. As a result, the Jewish people were exiled to Babylonia for 70 years.

FEBRUARY 2025

Thur 13 Feb | Tu B’Shevat

In Jewish tradition, the 15th day of Shevat marks the “New Year” for the trees, opening the season in which trees begin to bud in the Holy Land.

It is customary to celebrate this date by enjoying some fruit, especially the five fruits mentioned in the Torah in connection with Israel: grapes, figs, pomegranates, olives and dates.

MARCH 2025

Thur 13 Mar | Erev Purim

Fri 14 Mar | Purim

The actual story of Purim, as told in the scroll of Esther, is as fascinating and spellbinding as any best-seller. Yet, though it is sacred scripture, we do not find the name of G-d mentioned even once. But within the intricate details of the megillah, we can detect the unmistakable hand of Divine Providence. The closer we examine the story, the more we discover that even seemingly insignificant events are precisely arranged by the hand of the Almighty.

Sun 13 Apr – Sun 20 Apr | Pesach (Passover)

On Pesach (Passover) we celebrate the birth of the Jewish nation with our miraculous redemption from Egypt. Pesach is observed by refraining from eating or even owning any foods which are chametz (leavened) and by participating in a seder dinner on the first two nights of the holiday.

THE SEDER

The Pesach seder, conducted each of the first two nights of Pesach, is the central event of the Passover festival.

We drink four cups of wine (or grape juice), remembering the redemption and its four stages.

We ask the “Four Questions” and recite the haggadah, retelling the story of Passover and the miracles of our redemption.

We eat shmurah matzah, the plain unleavened bread which isn’t allowed to rise, remembering both the simple bread of slaves and the swiftness of the redemption from Egypt.

We eat maror (bitter herbs) remembering the bitterness of the enslavement.

THE LAST DAY OF PESACH

The eighth and final day of Pesach is associated with the ultimate redemption through Moshiach and our fervent hope for its imminent arrival. In many communities, a festive “Moshiach meal” is organized toward the evening to emphasize this day’s special dimension.

Jewish Holidays

MAY 2025

Mon 12 May | Pesach Sheini

When the Holy Temple stood in Jerusalem, this day offered a second chance to offer the Passover sacrifice for those who had been unable to bring their offering at the appropriate time.

Fri 16 May | Lag B’Omer

On this date, in the early 2nd century, the students of Rabbi Akiva, the greatest sage of that era, ceased to die from an epidemic. Years later on this same date, his student Rabbi Shimon Bar Yochai, Mishnaic sage and author of the Zohar (the seminal work of Kabbalah) passed away. Having fulfilled his mission in this world, he asked that the anniversary of his death be celebrated as a joyous occasion. Throughout the Land of Israel – and indeed in Jewish communities throughout the world – this day is marked with festivities and bonfires. In particular, thousands journey to rejoice in the town of Meron, the site of Rabbi Shimon’s resting place.

JUNE 2025

Sun 1 June | Erev Shavuot

Mon 2 June – Tue 3 June | Shavuot

Shavuot celebrates the giving of the Torah at Mount Sinai. It is on this day that we became G-d’s “chosen people,” and G-d formed a bond with us that will never be broken.

SHAVUOT OBSERVANCES

All-night Torah study is practiced on the first night of Shavuot. This is the best preparation for receiving the Torah.

Reading of the Ten Commandments occurs in the synagogue on the first day of Shavuot. Bring your children too!

A festive dairy meal is served on the first day of Shavuot. Like milk for an infant, we receive our spiritual nourishment from the Torah.

Jewish Holidays

JULY 2025

Sun 13 Jul | Fast of 17 Tammuz

The 17th of Tammuz commemorates the breach of the walls of Jerusalem by the Romans, in 69 C.E., after a lengthy siege. This led to the destruction of the second Temple on the 9th of Av.

AUGUST 2025

Sat 2 Aug | Erev Tisha B’Av

Sun 3 Aug | Tisha B’Av

The ninth of Av has been a sad day on the Jewish calendar from the earliest days of our history as a people. Just one year after our forefathers left Egypt, it was on this date that G-d punished that generation, decreeing that they would wander the desert for 40 years, never entering into the Holy Land. The focus of our mourning, however, is on the destruction on this date of both the first Temple (422 B.C.E.) and the second Temple (68 C.E.).

Sat 9 Aug | Tu B’Av

Said Rabbi Shimon ben Gamliel: There were no greater festivals for Israel than the 15th of Av and Yom Kippur. On these days the daughters of Jerusalem would go out ... and dance in the vineyards. And what would they say? “Young man, raise your eyes and see which you select for yourself...” (Talmud, Taanit 26b)

SEPTEMBER 2025

Mon 22 Sep | Erev Rosh Hashanah

Tue 23 Sep - Wed 24 Sep | Rosh Hashanah

Rosh Hashanah is the Jewish New Year. It is the anniversary of the creation of Adam and Eve, and a day of judgment and coronation of G-d as king.

Rosh Hashanah observances include candle lighting in the evenings, festive meals with sweet delicacies during the night and day, prayer services that include the sounding of the ram’s horn (shofar) on both mornings and desisting from creative work.

Thur 25 Sep | Fast of Gedaliah

OCTOBER 2025

Wed 1 Oct | Erev Yom Kippur

Thur 2 Oct | Yom Kippur

Yom Kippur is the holiest day of the year, the day on which we are closest to G-d and to the quintessence of our own souls. It is the Day of Atonement: “For on this day He will forgive you, to purify you, that you be cleansed from all your sins before G-d” (Leviticus: 16:30).

Candle Lighting

Torah

Portion

Ha’azinu

Ha’azinu

Ha’azinu

Ha’azinu

Vezot Hab’rachah

Vezot Hab’rachah

Vezot Hab’rachah

Vezot Hab’rachah

Vezot Hab’rachah

Vezot Hab’rachah

Vezot Hab’rachah

Vezot Hab’rachah

Vezot Hab’rachah

Bereishit

Noach

Noach

Lech-Lecha

Candle Lighting Times for:

Atlanta, GA

Candle Lighting is 18 mins. before sunset

Shabbat times provided by Chabad.org/ShabbatTimes

Date

Wednesday, Oct 2, 2024

Thursday, Oct 3, 2024

Friday, Oct 4, 2024

Shabbat, Oct 5, 2024

Friday, Oct 11, 2024

Shabbat, Oct 12, 2024

Wednesday, Oct 16, 2024

Thursday, Oct 17, 2024

Friday, Oct 18, 2024

Shabbat, Oct 19, 2024

Wednesday, Oct 23, 2024

Thursday, Oct 24, 2024

Friday, Oct 25, 2024

Shabbat, Oct 26, 2024

Friday, Nov 1, 2024

Shabbat, Nov 2, 2024

Friday, Nov 8, 2024

Time

PM

PM 6:59 PM 7:53 PM 6:50 PM 7:44 PM 6:44 PM 7:38 PM 6:41 PM 7:36 PM 6:36 PM 7:30 PM 6:33 PM 7:28 PM 6:27 PM 7:22 PM 5:21 PM

Notes

Light Holiday Candles at: 7:02 PM

Light Holiday Candles after: 7:55 PM

Light Shabbat Candles at: 6:59 PM

Shabbat Ends: 7:53 PM

Light Shabbat / Holiday Candles at: 6:50 PM

Shabbat/Holiday Ends: 7:44 PM

Light Holiday Candles at: 6:44 PM

Light Holiday Candles after: 7:38 PM

Light Shabbat Candles at: 6:41 PM

Shabbat Ends: 7:36 PM

Light Holiday Candles at: 6:36 PM

Light Holiday Candles after: 7:30 PM

Light Shabbat Candles at: 6:33 PM

Shabbat Ends: 7:28 PM

Light Candles at: 6:27 PM

Shabbat Ends: 7:22 PM

Light Candles at: 5:21 PM

Lech-Lecha

Vayeira

Vayeira

Chayei Sarah

Chayei Sarah

Toldot

Toldot

Vayeitzei

Vayeitzei

Vayishlach

Vayishlach

Vayeishev

Vayeishev

Mikeitz

Mikeitz

Vayigash

Vayigash

Vayechi

Vayechi

Shemot

Shemot

Va’eira

Va’eira

Bo

Bo

Beshalach

Beshalach

Yitro

Yitro

Mishpatim

Mishpatim

Terumah

Terumah

Tetzaveh

Shabbat, Nov 9, 2024

Friday, Nov 15, 2024

Shabbat, Nov 16, 2024

Friday, Nov 22, 2024

Shabbat, Nov 23, 2024

Friday, Nov 29, 2024

Shabbat, Nov 30, 2024

Friday, Dec 6, 2024

Shabbat, Dec 7, 2024

Friday, Dec 13, 2024

Shabbat, Dec 14, 2024

Friday, Dec 20, 2024

Shabbat, Dec 21, 2024

Friday, Dec 27, 2024

Shabbat, Dec 28, 2024

Friday, Jan 3, 2025

Shabbat, Jan 4, 2025

Friday, Jan 10, 2025

Shabbat, Jan 11, 2025

Friday, Jan 17, 2025

Shabbat, Jan 18, 2025

Friday, Jan 24, 2025

Shabbat, Jan 25, 2025

Friday, Jan 31, 2025

Shabbat, Feb 1, 2025

Friday, Feb 7, 2025

Shabbat, Feb 8, 2025

Friday, Feb 14, 2025

Shabbat, Feb 15, 2025

Friday, Feb 21, 2025

Shabbat, Feb 22, 2025

Friday, Feb 28, 2025

Shabbat, Mar 1, 2025

Friday, Mar 7, 2025

6:17 PM 5:16 PM 6:13 PM 5:13 PM 6:10 PM 5:11 PM 6:09 PM 5:11 PM 6:09 PM 5:12 PM 6:11 PM 5:15 PM 6:14 PM 5:19 PM 6:18 PM 5:24 PM 6:23 PM 5:30 PM 6:29 PM 5:36 PM 6:35 PM 5:43 PM 6:41 PM 5:50 PM 6:48 PM 5:57 PM 6:54 PM 6:03 PM 7:00 PM 6:10 PM 7:06 PM 6:16 PM 7:11 PM 6:21 PM

Shabbat Ends: 6:17 PM

Light Candles at: 5:16 PM

Shabbat Ends: 6:13 PM

Light Candles at: 5:13 PM

Shabbat Ends: 6:10 PM

Light Candles at: 5:11 PM

Shabbat Ends: 6:09 PM

Light Candles at: 5:11 PM

Shabbat Ends: 6:09 PM

Light Candles at: 5:12 PM

Shabbat Ends: 6:11 PM

Light Candles at: 5:15 PM

Shabbat Ends: 6:14 PM

Light Shabbat Candles at: 5:19 PM

Shabbat Ends: 6:18 PM

Light Candles at: 5:24 PM

Shabbat Ends: 6:23 PM

Light Shabbat Candles at: 5:30 PM

Shabbat Ends: 6:29 PM

Light Candles at: 5:36 PM

Shabbat Ends: 6:35 PM

Light Candles at: 5:43 PM

Shabbat Ends: 6:41 PM

Light Candles at: 5:50 PM

Shabbat Ends: 6:48 PM

Light Candles at: 5:57 PM

Shabbat Ends: 6:54 PM

Light Candles at: 6:03 PM

Shabbat Ends: 7:00 PM

Light Candles at: 6:10 PM

Shabbat Ends: 7:06 PM

Light Candles at: 6:16 PM

Shabbat Ends: 7:11 PM

Light Candles at: 6:21 PM

Tetzaveh

Ki Tisa

Ki Tisa

Vayak’hel

Vayak’hel

Pekudei

Pekudei

Vayikra

Vayikra

Tzav

Tzav

Shemini

Shemini

Shemini

Shemini

Shemini

Shemini

Shemini

Tazria-Metzora

Tazria-Metzora

Acharei-Kedoshim

Acharei-Kedoshim

Emor

Emor

Behar-Bechukotai

Behar-Bechukotai

Bamidbar

Bamidbar

Naso

Naso

Naso

Naso

Naso

Behaalotecha

Shabbat, Mar 8, 2025

Friday, Mar 14, 2025

Shabbat, Mar 15, 2025

Friday, Mar 21, 2025

Shabbat, Mar 22, 2025

Friday, Mar 28, 2025

Shabbat, Mar 29, 2025

Friday, Apr 4, 2025

Shabbat, Apr 5, 2025

Friday, Apr 11, 2025

Shabbat, Apr 12, 2025

Sunday, Apr 13, 2025

Monday, Apr 14, 2025

Friday, Apr 18, 2025

Shabbat, Apr 19, 2025

Sunday, Apr 20, 2025

Friday, Apr 25, 2025

Shabbat, Apr 26, 2025

Friday, May 2, 2025

Shabbat, May 3, 2025

Friday, May 9, 2025

Shabbat, May 10, 2025

Friday, May 16, 2025

Shabbat, May 17, 2025

Friday, May 23, 2025

Shabbat, May 24, 2025

Friday, May 30, 2025

Shabbat, May 31, 2025

Sunday, Jun 1, 2025

Monday, Jun 2, 2025

Tuesday, Jun 3, 2025

Friday, Jun 6, 2025

Shabbat, Jun 7, 2025

Friday, Jun 13, 2025 7:17 PM 7:27 PM 8:23 PM 7:32 PM 8:28 PM 7:37 PM 8:33 PM 7:43 PM 8:39 PM 7:48 PM 8:45 PM 8:46 PM 8:46 PM 7:53 PM 8:51 PM 8:51 PM 7:59 PM 8:57 PM 8:04 PM 9:03 PM 8:09 PM 9:09 PM 8:15 PM 9:15 PM 8:20 PM 9:21 PM 8:24 PM 9:26 PM 8:25 PM 9:27 PM 9:28 PM 8:28 PM 9:30 PM 8:31 PM

Shabbat Ends: 7:17 PM

Light Candles at: 7:27 PM

Shabbat Ends: 8:23 PM

Light Candles at: 7:32 PM

Shabbat Ends: 8:28 PM

Light Candles at: 7:37 PM

Shabbat Ends: 8:33 PM

Light Candles at: 7:43 PM

Shabbat Ends: 8:39 PM

Light Shabbat Candles at: 7:48 PM

Light Holiday Candles after: 8:45 PM

Light Holiday Candles after: 8:46 PM

Holiday Ends: 8:46 PM

Light Shabbat / Holiday Candles at: 7:53 PM

Light Holiday Candles after: 8:51 PM

Holiday Ends: 8:51 PM

Light Candles at: 7:59 PM

Shabbat Ends: 8:57 PM

Light Candles at: 8:04 PM

Shabbat Ends: 9:03 PM

Light Candles at: 8:09 PM

Shabbat Ends: 9:09 PM

Light Candles at: 8:15 PM

Shabbat Ends: 9:15 PM

Light Candles at: 8:20 PM

Shabbat Ends: 9:21 PM

Light Candles at: 8:24 PM

Shabbat Ends: 9:26 PM

Light Holiday Candles at: 8:25 PM

Light Holiday Candles after: 9:27 PM

Holiday Ends: 9:28 PM

Light Candles at: 8:28 PM

Shabbat Ends: 9:30 PM

Light Candles at: 8:31 PM

Behaalotecha

Shlach

Shlach

Korach

Korach

Chukat

Chukat

Balak

Balak

Pinchas

Pinchas

Matot-Massei

Matot-Massei

Devarim

Devarim

Va’etchanan

Va’etchanan

Eikev

Eikev

Re’eh

Re’eh

Shoftim

Shoftim

Ki Teitzei

Ki Teitzei

Ki Tavo

Ki Tavo

Nitzavim

Nitzavim

Vayelech

Vayelech

Vayelech

Shabbat, Jun 14, 2025

Friday, Jun 20, 2025

Shabbat, Jun 21, 2025

Friday, Jun 27, 2025

Shabbat, Jun 28, 2025

Friday, Jul 4, 2025

Shabbat, Jul 5, 2025

Friday, Jul 11, 2025

Shabbat, Jul 12, 2025

Friday, Jul 18, 2025

Shabbat, Jul 19, 2025

Friday, Jul 25, 2025

Shabbat, Jul 26, 2025

Friday, Aug 1, 2025

Shabbat, Aug 2, 2025

Friday, Aug 8, 2025

Shabbat, Aug 9, 2025

Friday, Aug 15, 2025

Shabbat, Aug 16, 2025

Friday, Aug 22, 2025

Shabbat, Aug 23, 2025

Friday, Aug 29, 2025

Shabbat, Aug 30, 2025

Friday, Sep 5, 2025

Shabbat, Sep 6, 2025

Friday, Sep 12, 2025

Shabbat, Sep 13, 2025

Friday, Sep 19, 2025

Shabbat, Sep 20, 2025

Monday, Sep 22, 2025

Tuesday, Sep 23, 2025

Wednesday, Sep 24, 2025

9:33 PM 8:33 PM 9:35 PM 8:34 PM 9:36 PM 8:34 PM 9:35 PM 8:32 PM 9:33 PM 8:29 PM 9:29 PM 8:25 PM 9:24 PM 8:20 PM 9:17 PM 8:13 PM 9:10 PM 8:06 PM 9:02 PM 7:57 PM 8:53 PM 7:49 PM 8:43 PM 7:39 PM 8:33 PM 7:30 PM 8:23 PM 7:20 PM 8:14 PM 7:16 PM 8:09 PM 8:08 PM

Shabbat Ends: 9:33 PM

Light Candles at: 8:33 PM

Shabbat Ends: 9:35 PM

Light Candles at: 8:34 PM

Shabbat Ends: 9:36 PM

Light Candles at: 8:34 PM

Shabbat Ends: 9:35 PM

Light Candles at: 8:32 PM

Shabbat Ends: 9:33 PM

Light Candles at: 8:29 PM

Shabbat Ends: 9:29 PM

Light Candles at: 8:25 PM

Shabbat Ends: 9:24 PM

Light Candles at: 8:20 PM

Shabbat Ends: 9:17 PM

Light Candles at: 8:13 PM

Shabbat Ends: 9:10 PM

Light Candles at: 8:06 PM

Shabbat Ends: 9:02 PM

Light Candles at: 7:57 PM

Shabbat Ends: 8:53 PM

Light Candles at: 7:49 PM

Shabbat Ends: 8:43 PM

Light Candles at: 7:39 PM

Shabbat Ends: 8:33 PM

Light Candles at: 7:30 PM

Shabbat Ends: 8:23 PM

Light Candles at: 7:20 PM

Shabbat Ends: 8:14 PM

Light Holiday Candles at: 7:16 PM

Light Holiday Candles after: 8:09 PM

Holiday Ends: 8:08 PM

Atlanta Jewish Connector

Answers the What, Where, and When... Today, Next Week or Next Year. Connecting you to organizations, connecting organizations to you.

Have you visited Jewish Atlanta’s community calendar and resource directory?

The Atlanta Jewish Connector aims to unite Jewish Atlanta into one cohesive platform. We are committed to representing our diverse Jewish community and welcoming a broad spectrum of viewpoints.

Discover Chutzpah at The Breman Museum

CHUTZPAH

It took chutzpah to launch Georgia’s only Jewish museum in 1996, so its only fitting that Atlanta’s The Breman’s ongoing exhibition is appropriately titled History with Chutzpah.

The exhibition presents an artifact-rich and interactive immersion into the colorful history of Jewish culture in Georgia and Alabama. Whether you’re a longtime Atlantan or a newcomer to the city, it offers an entertaining and illuminating crash course on how Jewish life today was shaped by our forebears, with their legacy of boldness that extends to today.

History with Chutzpah is “driven by stories,” co-curator Sandra Berman said, illustrated and enhanced by more than 300 objects, documents, photographs and oral histories. It gives voice to people past and present whose experiences, achievements and perspectives are reflected in The Breman’s deep archival collections.

The exhibit draws strongly from the Ida Pearle and Joseph Cuba Archives for Southern Jewish History at The Breman Museum. Established in 1984, the archive has grown to be

one of the country’s most respected repositories documenting Jewish-American life. Berman was the archivist who began organizing and building it for the Jewish Federation of Atlanta even before a museum was on the drawing board. Her Chutzpah co-curator Jane Leavey was The Breman’s founding director.

Breman Museum Executive Director Leslie Gordon knew that they were perfect to organize the 25th anniversary exhibit about those who have helped shape Jewish life in Georgia and Alabama from 1733 to today.

“Jane and Sandy were insistent even before the founding of the Breman Museum that these stories be captured and treated with respect, for the insights and lessons that they would provide in the future,” Gordon said. “Now with History with Chutzpah, important chapters of our past come alive once again.”

To put it politely, people with chutzpah do not lack audaciousness or nerve. The Yiddish word originally carried a somewhat negative connotation. But in English, it has taken on a more positive meaning, emphasizing an individual’s courage, mettle or ardor.

Berman and Leavey organized the exhibit into six sections: Courage & Conformity, Hope & Survival, Success & Loss, Patriotism & Perseverance, Benevolence & Community and Murder & Mayhem.

Artifacts that illustrate these stories include a 125-year-old bagel that a mother packed in her son’s knapsack when he shipped off to Cuba to fight in the Spanish-American War; and cards played by young Polish sisters while they were in hiding from the Nazis circa 1943.

Jane Leavey
Leslie Gordon
Sandra Berman
HI ST OR Y WI TH
th e brem an museum pr esents
Remarkable Stories of the Southern Jewish Adventure
- PRESENT

Here are some of the stories that are included in the exhibition:

▼Albert Steiner

Albert Steiner, who rose to be president of the Atlanta Brewing and Ice Co. and the man for whom the Steiner Building on the Grady Memorial Hospital campus is named. In the early part of the 20th century, Steiner’s son and wife died of cancer before Steiner himself lost his battle with the disease. He gave more than $500,000 (the equivalent of $8.1 million today) to Grady Hospital to create the state-of-the-art clinic that ended up serving as the model for cancer clinics across the country. Artifacts on view will include a bottle of one of his company’s longest-produced beers, Steinerbru.

Frances Hamburger Bunzl►

Frances Hamburger Bunzl, who fled Germany in 1939 shortly after the Kristallnacht -- also called the Night of Broken Glass because of the shattered glass that littered streets after the vandalism and destruction of synagogues, Jewish-owned businesses, and homes. More than 90 Jews were killed, and approximately 30,000 Jewish men were rounded up and sent to concentration camps. With the help of American relatives, Frances found refuge in Atlanta in 1941, eventually becoming involved with the National Council of Jewish Women and serving as chancellor of the Austrian Consulate. Among many philanthropic initiatives, she endowed the Atlanta Symphony Orchestra’s timpani chair in memory of her late husband, gave generously to the High Museum of Art and established the Cantorial Chair at Temple Sinai.

◄Morris B. Abram

Morris B. Abram, who emerged from humble rural South Georgia beginnings to become one of the leading civil rights lawyers in the U.S. during the 1950s. While unmasking the Ku Klux Klan and serving as a key intermediary for the release of the Rev. Martin Luther King Jr. from prison on the eve of the 1960 presidential election, Abram carried out a successful 14-year battle to end the discriminatory voting system in his home state, which had entrenched racial segregation. The result was the historic “one person, one vote” Supreme Court ruling in 1963.

◄Sam Greenblatt

Sam Greenblatt, who lied about his age and enlisted with the 4th Tennessee Volunteer Infantry so he could fight in the Spanish-American War in 1898 when he was 16. Greenblatt is represented by one of the more unusual artifacts in Chutzpah: a nearly 125-year-old bagel. The story goes, Sam’s mother stuffed his knapsack with homemade bagels before he shipped off to Cuba, but one got buried in the bag and wasn’t discovered until his return. Petrified by time, it has been handed down through several generations of his family.

William Breman

William Breman, president of Breman Steel, who became the Breman Museum’s namesake. Co-curator Jane Leavey recalled that in 1992, Breman, for whom the William Breman Jewish Home also is named, was looking for “something big to do for the community in terms of philanthropy.” Appreciating history, a plan for what became the Breman Museum soon took shape through the Jewish Federation of Atlanta, urged and then shaped by none other than Leavey. “Benevolence, community and charity,” Chutzpah’s wall text notes, “were the hallmarks of Bill Breman’s life.”

“Benevolence, community and charity were the hallmarks of Bill Breman’s life.”

Chutzpah’s wall text notes

In addition to Sam Greenblatt’s bagel and Albert Steiner’s beer, notable artifacts bringing other stories to life in History with Chutzpah include …

Mechanical Blue Horse

A mechanical blue horse used for promotions by Montag Brothers Inc., an Atlanta paper company known for its Blue Horse brand school products featuring collectible stamps that could be redeemed for prizes. A baby bassinet made from a wooden barrel for Dr. Raymond Harris, an Army Medical Corps surgeon, by German POWs he treated during World War II at Camp Clinton in Clinton, Miss. Dr. Harris and his wife used the bassinet for their son who was born in 1944.

Enfield Rifle Musket

An Enfield rifle musket used by Confederate soldier Jacob Rothschild of Selma, Alabama, circa 1862. Rothschild fought at the Battle of Vicksburg and the Battle of Elkhorn Tavern.

Playing Cards

Playing cards used by young sisters Pola and Irene Blenstock while in hiding in a closet in Drohobycz, Poland, c.1943. To amuse the children and keep them quiet and safe, their nursemaid liberated the playing cards from the Gestapo officer’s home where she was employed as a maid.

Looking for more connection?

You Won’t Find Jewish Atlanta on a Map.

It’s not limited to a synagogue, school, or a neighborhood — though it’s alive in all those places.

Our community isn’t somewhere you go. It’s something you experience.

At Jewish Federation of Greater Atlanta, we unite Jewish ATL in a shared mission: promoting everyday Jewish thriving, standing with Israel and Jewish communities around the world, caring for those in need at every stage of life, combating antisemitism, and ensuring our Jewish future.

We inspire philanthropy and provide vital support to the many organizations that strengthen our community.

We build on the bonds that connect us — not just to our shared identity, but to our home.

We set a vision, inspire change, and make an impact.

Together, our potential is limitless.

Last year, Federation generated over $37M in impact, driven by the power of community giving.

We are Jewish ATL

Get Involved In Our Initiatives

Find Your People Help Jewish Atlanta

• PJ Library

Books, programs, and educational resources for families with young children

• JBaby

Programs for expecting parents and those with newborns, providing support and connection

• Jewish Camp Initiative

Financial aid and resources to help families access Jewish summer camp experiences

• Jumpspark

Resources and support for Jewish teens and the adults who guide them

• Young Leadership Division

Networking and community-building opportunities for Jewish young adults

• Interfaith Connector

Resources and support for interfaith couples and families navigating Jewish life

• Women’s Philanthropy

Philanthropic, travel, and networking opportunities for women in the Jewish Atlanta community

• J-Tech

Networking and professional development for Jewish tech industry professionals

• J-CREN

Networking and learning for Jewish professionals in the commercial real estate industry

• Business & Professionals

Networking and educational opportunities for professionals across all industries

• Birthright & RootOne

Israel engagement, education, and travel opportunities for young adults and teens

• Schoenbaum Shinshinim

Connect with post-high school Israelis spending the year in Atlanta to enhance community engagement and learning opportunities

• LiveSecure

A security campaign and initiative dedicated to ensuring the safety and resilience of our communities

• Jewish Abilities Atlanta

Advancing inclusion for people with disabilities by offering capacity-building resources to local synagogues, camps, schools, and other Jewish organizations

• AgeWell

Supports older adults in our community by promoting independence, enhancing quality of life, and fostering social connections

• Holocaust Survivor Support Fund

Provides critical needs of Holocaust survivors in our community and ensures they live their final days in comfort and with dignity

• Jewish Education Tax Credit

Allows you to redirect a portion of your state taxes into scholarships for students any of 18 participating Jewish schools and preschools in Georgia

• Innovation Initiative

Empowers local changemakers by offering guidance, resources, mentorship, and funding to help develop new ventures within the Jewish ecosystem

• Jewish Education Collaborative

Delivers resources, opportunities, and creative approaches to strengthen Jewish educational institutions in our community

• Jewish Community Professional Tuition Grant

Provides up to 50% off tuition at participating Jewish day schools and high schools in Atlanta for community professionals

Religious Life

ASSOCIAtION

Atlanta Rabbinical Association 1589 Peachtree Street, Atlanta 30309

404-873-1731

www.atlrabbis.org

Atlanta Rabbinical Association is a professional organization for local rabbis. ARA is led by Rabbi Alexandria Shuval-Weiner and Rabbi Joshua Lesser.

COMMUNItY MIKvAH

Metro Atlanta Community Mikvah (MACoM)

700-A Mount Vernon Highway Atlanta 30328

404-549-9679

www.atlantamikvah.org

MACoM is a community mikvah that provides a safe, sensitive, welcoming, halachic and beautiful environment for Jewish ritual immersion and conversion, Torah awareness, healing and wellness.

CHABAD

Chabad of Athens - UGA 1491 S. Lumpkin Street, Athens 30605

706-369-1289

www.jewishdawgs.com

Serving students at the University of Georgia and beyond, Chabad of Athens- UGA is a Jewish student center providing social, educational and spiritual programming for students.

Chabad of Cobb 4450 Lower Roswell Road Marietta 30068

770-565-4412

www.chabadofcobb.com

Chabad of Cobb is more than just a synagogue. It is a home for any Jew looking for a warm and spiritual place to grow.

Chabad of Downtown Universities

471 10th Street NW, Atlanta 30318 678-304-8672

www.chabaddtu.com

Chabad is a home away from home for Jewish students at Georgia Tech and Georgia State, offering weekly Shabbat services and engaging Jewish educational opportunities.

Chabad of Dunwoody

4534 Village Springs Run Dunwoody 30338

347-770-2414

www.chabaddunwoody.com

From Holiday events to teen programs, Chabad of Dunwoody ensures everyone has an opportunity to connect to their heritage in a warm, dynamic and uplifting way.

Chabad of Emory

1526 N. Decatur Road, Atlanta 30307 404-441-3199

www.chabademory.org

Chabad Emory is a space where students socialize in a comfortable home-like setting with great friends, superb food, and stimulating discussion.

Chabad of Forsyth

795 Brannon Road, Cumming 30041 www.jewishforsyth.org 470-253-7111

Chabad of Forsyth is the outreach branch for North Georgia. A warm and inviting community, experience Chabad Forsyth’s wide variety of events, programs and services.

Chabad Global NetworkGeorgia

5180 Roswell Road, Atlanta 30342 470-433-0770

www.chabadga.com

Chabad of Georgia supports the growth of new centers, develops resources for centralized programs, and provides the foundation for the entire state’s Chabad activities.

Chabad of Gwinnett - Chabad Enrichment Center of Gwinnett 2651 Smithpointe Drive, Suite B Peachtree Corners 30092 678-595-0196 www.chabadofgwinnett.org

Chabad of Gwinnett is committed to providing every Jew in the area the opportunity to celebrate Jewish programs that nurture connection, belonging and spiritual growth.

Chabad of Hall County Gainesville 30504 770-906-4970 www.JewishHall.com

Chabad of Hall is a home for Jewish life in Northeast Georgia. It provides a warm and welcoming environment for every Jew, regardless of affiliation or background.

A Place to Call Home

Congregation Ariel, located in beautiful Dunwoody welcomes Jews of all ages, stages and backgrounds. Join us for daily minyanim, classes with Rabbis and one-on-one learning. Ariel is also partnered with the Atlanta Scholars Kollel, hosting classes, workshops, and study groups. Ariel’s youth groups are full of energy and learning for all ages. The Dunwoody Branch of B’nai Akiva calls Ariel home and brings with them meaningful and exciting programming. Our growing campus includes a modern sanctuary, social hall, an elegant women’s mikvah, Keilim mikvah, and the brand-new Chai Academy Preschool, serving Hebrew and English-speaking children 2-5 years old.

Purim Parades, Purim Seudah, Shabbos Family Dinners, Lag B’Omer Extravaganza, the best Kiddushes in Atlanta!, Steak Night, Women’s Night, Simchas Torah Celebrations, And so much more…

Congregation Ariel 5237 Tilly Mill Road, Dunwoody, GA 30338 www.congariel.org | shuloffice@congariel.org | 770-390-9071

Be a part of all that The Temple has to offer. The Temple is welcoming to all and offers a variety of LEARNING & ENGAGEMENT OPPORTUNITIES to fit your interests including:

• Social justice initiatives— Racial Justice, Gun Violence Prevention, Anti-DMST, LGBTQ Equality, Women’s Rights, and more!

• Vibrant interfaith programs

• Temple Connect small groups

• Weinberg Early Learning Center Preschool Programs for children 3 months to Pre-K

• Breman Education Center Jewish Learning for Pre-K through to B’nei Mitzvah and Confirmation

More information online at WWW.THE-TEMPLE.ORG or contact our Membership Manager, Tena Drew at tdrew@the-temple.org or 404-873-1731.

Religious Life

Chabad Intown

730 Ponce de Leon Place NE Atlanta 30306

404-898-0434

www.chabadintown.org

Chabad Intown provides opportunities to learn about and experience Jewish tradition through programs like Mommy and Me, Intown Hebrew School and Young Jewish Professionals.

Chabad Israeli Center Atlanta 4276 Chamblee Dunwoody Road Atlanta 30341

404-252-9508

www.cicatlanta.com

Chabad Israeli Center is a place to speak, laugh and pray in Hebrew. It also offers summer camp, winter break camp, ulpan, Judaica and more.

Chabad Lubavitch of Georgia 5065 High Point Road, Atlanta 30342

404-843-2464

www.chabadatlanta.com

Chabad of Georgia offers youth services, adult education, Chaya Mushka Children’s Preschool, special needs activities for children and adults, and summer and winter camps.

Chabad of Kennesaw

1480 Shiloh Road NW, Suite 500 Kennesaw 30144

770-400-9255

www.chabadkennesaw.org

Chabad of Kennesaw serves Kennesaw State University and its local community. It is a place where every Jew is family and everyone is welcome.

Chabad of North Fulton

10180 Jones Bridge Road Alpharetta 30022

770-410-9000

www.chabadnf.org

Chabad of North Fulton provides a variety of services to the Jewish communities in North Fulton, including Alpharetta, Crabapple, Duluth, Johns Creek, Milton, and Roswell.

Chabad of Peachtree City

632 Dogwood Trail, Tyrone 30290 678-595-0199

www.chabadsouthside.com

Serving Jewish Atlanta’s south side, Chabad of Peachtree City offers Shabbat services, holiday programs, classes for adults and children, hospital visits, lifecycle events, and one-on-one guidance.

Chabad of Toco Hills 1985 Lavista Road, Atlanta 30329 404-337-6116

www.chabadtoco.com

Chabad of Toco Hills welcomes people of all backgrounds, with a special focus on young families. Join CTH for services, holidays, youth classes and more.

Congregation Beth Israel

795 Branning Road, Cumming 30041 470-253-7111

www.jewishforsyth.org

Together with Chabad Forsyth, Congregation Beth Israel is committed to providing high quality programming and services to every person, regardless of background, affiliation or financial support.

Congregation Beth Tefillah

5065 High Point Road, Atlanta 30342 404-843-2464

www.bethtefillah.org

Congregation Beth Tefillah is a synagogue and center of learning for Jews of all backgrounds, engendering a feeling of comfort and belonging for all.

Top 10 Reasons to join Gesher

Religious Life

CONSERvAtIvE

Ahavath Achim Synagogue

600 Peachtree Battle Avenue

Atlanta 30327

404-355-5222

www.aasynagogue.org

Ahavath Achim creates a vibrant spiritual community that empowers individuals to connect Jewishly and embraces interfaith families who desire to be part of its community.

Congregation Beth Shalom

5303 Winters Chapel Road

Dunwoody 30360 770-399-5300

www.bethshalom.net

Congregation Beth Shalom is an egalitarian, inclusive and spiritual Jewish community, providing a warm and nurturing environment to pray, learn and perpetuate Jewish values.

Congregation B’nai Torah

700 Mt. Vernon Highway NE

Sandy Springs 30328

404-257-0537

www.bnaitorah.org

Congregation B’nai Torah is committed to creating meaningful experiences based in tradition and provides a space to connect with others who share your Jewish values.

Congregation Etz Chaim

1190 Indian Hills Parkway

Marietta 30068

www.etzchaim.net

Etz Chaim is an inclusive and engaging egalitarian Conservative shul creating multigenerational connections and meaningful experiences in the northern suburbs of Atlanta in East Cobb, Marietta.

Congregation Gesher L’Torah 4320 Kimball Bridge Road Alpharetta 30022 770-777-4009

www.wearegesher.org

Whether you’re traditional, not traditional, interfaith, Jewish by choice or just exploring Jewish life, Gesher L’Torah caters to members no matter their personal experience or background.

Congregation Shearith Israel 1180 University Drive, Atlanta 30306 404-873-1743

www.shearithisrael.com

Shearith Israel is a Conservative synagogue devoted to religious enrichment, education and community. It closely follows Jewish tradition while having the insights of modern thought.

Congregation Or Hadash 7460 Trowbridge Rd

Sandy Springs 30328 404-250-3338

Or Hadash believes we each hold a divine spark of light inside of us, whether we’re total novices or come from years of experience.

NON DENOMINAtIONAL

Congregation Shema YisraelThe Open Synagogue 7100 Stonington Drive, Atlanta 30328 404-255-7955

www.shemaweb.org

Shema Yisrael is a synagogue embracing all that is Jewish by nurturing an inclusive and caring spiritual community reflecting Klal Yisrael (The Peoplehood of Israel).

Guardians of the Torah P.O. Box 767981, Roswell 30076 770-286-3477

www.guardiansofthetorah.org

Guardians of the Torah is a congregation without walls that is open to all. It also helps first responders in need of spiritual support.

n

n

n

n

n

n

Religious Life

ORtHODOx

Congregation Anshi S’Fard 1324 North Highland Avenue NE Atlanta 30306

404-969-6763

www.anshisfard.org

Anshi is a warm and welcoming congregation, where everyone feels comfortable. It offers programming and services that are enjoyable, engaging and user-friendly.

Congregation Ariel

5237 Tilly Mill Road, Dunwoody 30338

770-390-9071

www.congariel.org

Congregation Ariel welcomes Jews of all ages, stages and backgrounds. Its growing campus includes a modern sanctuary, social hall, tevilas keilim mikvah, and elegant women’s mikvah.

Congregation Beth Itzhak

6030 Goodwood Boulevard Norcross 30093

678-200-8897

www.facebook.com/BeitItzkhak www.facebook.com/BeitYitzchakNorcross/

Congregation Beit Yitzchak aims to serve the religious, educational, cultural, and social needs of its Jewish community.

Congregation Beth Jacob 1855 Lavista Road, Atlanta 30329

404-633-0551

www.bethjacobatlanta.org

Beth Jacob Atlanta is the Orthodox synagogue for all Jews, inspiring individuals and families at all levels of observance to strengthen their Jewish connection.

Congregation Ner Hamizrach 1858 Lavista Road, Atlanta 30329

404-315-9020

www.nerhamizrach.org

Steeped in the Sephardic tradition of nusach Edot Hamizrach. Congregation Ner Hamizrach serves the spiritual needs of the growing Sephardic Jewish population in Atlanta.

Congregation Netzach Israel 1985 Lavista Road NE, Atlanta 30329

www.netzachisrael.org

Enjoy a variety of programming and offerings for all ages, especially for families with young children, in this close-knit Orthodox community.

Congregation Shaarei Shamayim

1600 Mount Mariah Road NE Atlanta 30329

404-417-0472

www.shaareishamayim.com

Shaarei Shamayim is an in-town Modern Orthodox shul focused on developing a relationship with G-d through prayer and the study of Torah.

Kesher Torah Atlanta

5075 Roswell Road NE, Atlanta 30342

470-746-6627

www.keshertorahatlanta.org

Kesher Torah is a place for all Jews, inspiring people to make themselves and their lives better through the wisdom of the Torah.

New Toco Shul

2003 Lavista Road, Atlanta 30329 770-765-7485

www.newtocoshul.com

At New Toco Shul rabbinic and lay partners work together to provide a platform for nuanced Torah, reflective and meaningful Tefillah, and enriching Gemilut Chassadim.

Ohr HaTorah of Toco Hills

2056 Lavista Road, Atlanta 30329

404-315-1417

www.ohrhatorahatl.org

Ohr HaTorah celebrates commitment to traditional practice and observance coupled with profound engagement and openness to the world at large and the land of Israel.

RECONStRUCtIONISt

Congregation Bet Haverim

2074 Lavista Road, Atlanta 30329

404-315-6446

www.congregationbethaverim.org

Bet Haverim enthusiastically embraces all Jews, particularly those who have wandered seeking acceptance. Its congregation has Jews of all races, sexual orientations and gender identities.

REFORM

Congregation B’nai Israel 1633 Highway 54E, Jonesboro 30238 678-817-7162

www.bnai-israel.net

Congregation B’nai Israel is a warm and caring multi-generational community for Jews and interfaith families on the southside of Atlanta looking to make joyful connections.

Congregation Dor Tamid

11165 Parsons Road

Johns Creek 30097

770-623-8860

www.dortamid.org

Dor Tamid creates meaningful and enduring religious experiences for its members and their families. It actively welcomes all individuals interested in participating in Jewish life.

Congregation Ner Tamid

1349 Old Highway 41, Suite 220 Marietta 30060

678-264-8575

www.mynertamid.info

Congregation Ner Tamid offers a warm, welcoming environment dedicated to honoring tradition while creating a Jewish experience that is relevant to today’s society.

Rodeph Sholom Congregation

406 East 1st Street, Rome 30161

706-291-6315

www.rodephsholomrome.org

Feel at home at Rodeph Sholom. Experience a small congregation where you’ll never feel lost in a crowd and your participation can truly make a difference.

Shalom b’Harim The Jewish Community of the North Georgia Mountains

3415 Stancil Road

Gainesville, 30506

561-251-8075

www.shalombharim.org

Shalom b’Harim is an unaffiliated synagogue with no dues structure. Its participants are Reform, Conservative and Orthodox from both Ashkenazi and Sephardic traditions.

Religious Life

Temple Beth David

1885 McGee Road SW, Snellville 30078

770-978-3916

www.tbdga.org

Temple Beth David provides worship and service that does not sacrifice family closeness. TBD offers weekly services, holiday celebrations, life cycle events and educational programs.

Temple Beth Tikvah

9955 Coleman Road, Roswell 30075

770-642-0434

www.bethtikvah.com

Temple Beth Tikvah offers a wide variety of religious, educational, and social opportunities for its members, catering to the interests of all congregants from toddlers to seniors.

Temple Emanu-El 1580 Spalding Drive Atlanta 30350

770-395-1340

www.templeemanuelatlanta.org

Temple Emanu-El embodies the Jewish values of audacious hospitality and authentic companionship. It is a congregation of thought-leaders, spiritual seekers, and engaged Jewish change-makers.

Temple Kehillat Chaim

1145 Green Street, Roswell 30075

770-641-8630

www.kehillatchaim.org

Temple Kehillat Chaim is a Jewish Reform congregation located in Historic Roswell. It seeks to meet the spiritual, educational, cultural and social needs of its members.

Temple Kol Emeth

1415 Old Canton Road, Marietta 30062

770-973-3533

www.kolemeth.net

Nurture your Jewish identity at Temple Kol Emeth with energizing and inspiring leadership, spiritual music, and engaging programming that adds meaning in your life.

Religious Life

Temple Sinai

5645 Dupree Drive

Sandy Springs 30327

404-252-3073

www.templesinaiatlanta.org

Temple Sinai is a vibrant congregation that values lifelong Jewish learning, a warm spirit of community, a sense of inclusivity, and inspires active participation in Jewish life.

The Temple 1589 Peachtree Street

Atlanta 30309

404-873-1731

www.the-temple.org

The Temple blends tradition with innovation to create a vibrant and warm atmosphere that is inviting to all who walk through its famous red doors.

SEPHARDIC

Congregation Ner Hamizrach

1858 Lavista Road NE, Atlanta 30329

404-315-9020

www.nerhamizrach.com

Steeped in the Sephardic tradition of nusach Edot Hamizrach. Congregation Ner Hamizrach serves the spiritual needs of the growing Sephardic Jewish population in Atlanta.

Congregation Or VeShalom

1681 N. Druid Hills Road NE Atlanta 30319

404-633-1737

www.orveshalom.org

Congregation Or VeShalom embraces its history while envisioning a strong future with innovative programming. Come and experience the Sephardic warmth, culture and welcoming community.

MOHELS

Atlanta Circumcision

516-510-2436

www.atlantacircumcision.com

Atlanta Mohel

404-606-0468

www.atlantamohel.com

Mohel Atlanta - Rabbi Ariel Asa

404-271-8672

www.mohelatlanta.com

Mohel Georgia

404-931-6449

www.mohelga.com

Simple Circumcision

412-508-0914

www.simplecircumcision.com

The Georgia Mohel 770-765-2747

www.georgiamohel.com

ADDItIONAL RESOURCES

Atlanta Kosher Commission 1855 Lavista Road, Atlanta 30329 404-634-4063 www.kosheratlanta.org

AKC is an Orthodox non- profit kosher supervising agency that currently certifies over 150 companies in the Southeast and beyond, including manufacturing facilities, supermarkets, restaurants, and hotels.

Atlanta Scholars Kollel 1959 Lavista Road, Atlanta 30329 404-321-4085

www.atlantakollel.org

The Kollel is a nonjudgmental and knowledgeable group of rabbis and families in Georgia who have dedicated themselves to promoting Jewish identity through Jewish knowledge.

Rabbi Barry Altmark Birmingham, Alabama 205-870-1883

www.deepsouthrabbi.com

Rabbi Altmark performs interfaith and Jewish weddings as well as bar and bat mitzvahs in Georgia, Tennessee, Alabama and Mississippi.

Rabbis Barry and Michele Selvin Coffsky Marietta 770-314-0232 www.atlantarabbis.com

Rabbis Coffsky and Selvin Coffsky officiate a variety of events including weddings, baby namings and bar/bat mitzvahs. They also provide independent Jewish services to the community.

Rabbi Sol Agin, DD Dunwoody 239-560-5582 RabbiSolAgin@gmail.com

Rabbi Agin officiates at all life cycle events, including baby namings, bar/bat mitzvah preparations, Jewish and Interfaith weddings, and funeral and memorial services.

The Sukkah Project 2317 Grand Park Dr #2A Grand Junction, Colorado 81505 844-478-5568

www.sukkot.com

The Sukkah Project’s Klutz-Proof Sukkah kits enable thousands of families, congregations and schools to build sturdy, affordable sukkot in a variety of sizes and styles.

The Torah Center 5180 Roswell Road Atlanta 30342

404-333-8554

www.TheTorahCenterAtl.org

Using in-person programming and virtual study, The Torah Center provides an opportunity to connect with the rich and timeless heritage of Torah study.

Religious Life

Education

ADULt EDUCAtION

Atlanta Scholars Kollel

1959 Lavista Road, Atlanta 30329

404-321-4085

www.atlantakollel.org

The Kollel is a group of rabbis and families who are dedicated to promoting Jewish identity through Jewish knowledge. Kollel students range from high schoolers to retirees.

Dale Carnegie of Georgia

2111 Perimeter Center Parkway NE, Suite 1030, Atlanta 30346

404-634-8100

www.dalecarnegie.com

Dale Carnegie’s training methods are proven to sharpen professional skills and help people become successful, fulfilled individuals. Transform yourself, inspire others, and excel as a leader!

Limmud Atlanta and Southeast 1440 Spring Street NW, Atlanta 30309

404-507-6322

www.limmudse.org

LimmudFest is a celebration of Jewish culture where people of all lifestyles and ages gather for a weekend of workshops, discussions, arts, hiking and more.

Osher Lifelong Learning Institute (OLLI) Emory

2635 Century Pkwy NE, Ste 300 Atlanta 30345

404-727-5489

www.olli.emory.edu

OLLI is a program for seasoned adults who enjoy learning for fun. Quench your thirst for knowledge with its wide variety of classes and social programs.

CAMPS

6 Points Specialty Camps

P.O. Box 1707, Apex, NC 27502

561-208-1650

www.6points.org

The URJ hosts specialty sleepaway camps that focus on sports, science, technology and art. All of North America can experience exceptional summer programming in a Jewish home.

Atlanta’s Rock N Blues Camp

404-202-6044

www.rockandbluescamp.com

Atlanta’s Rock N Blues Camp offers talented young musicians opportunities to perform on a regular basis with others who love the same music they do.

BBYO Passport

529 14th St NW, Suite 705 Washington, DC 20045

202-537-8091

www.bbyopassport.org

BBYO Passport programs combine travel and community service with meaningful Jewish experiences. Elevate your summer with new friendships and a new way of looking at the world.

Blue Star Camps

3595 Sheridan Street, Suite 107 Hollywood, FL 33021 954-963-4494

www.bluestarcamps.com

Blue Star’s 500-acre campus and adjoining 10,400-acre forest preserve inspire campers to connect with the natural world, providing endless opportunities for summer camp adventures.

Camp Barney Medintz

5342 Tilly Mill Road, Dunwoody 30338 678-812-3844

www.campbarney.org

Camp Barney Medintz campers experience the magic of summer camp and the joy of making lifelong friends while deepening their connection to their Jewish identity.

Education

Camp Blue Ridge

510 NW 84 Avenue, Suite 101 Plantation, FL 33324

954-665-8686

www.blueridgecamp.com

A co-ed camp located in the north Georgia mountains, Camp Blue Ridge has 50 activities in the areas of athletics, aquatics, outdoor adventure, cultural arts and more.

Camp Coleman

1580 Spalding Drive, Atlanta 30350 770-671-8971

www.campcoleman.org

URJ Camp Coleman is a place where everyone feels at home. Camp Coleman strives to make every camper’s experience nurturing and fulfilling, ensuring every child feels welcome.

Camp Invention

630 W Ponce de Leon Avenue Decatur 30030

800-968-4332

www.invent.org

Led by qualified local educators, Camp Invention is a confidence-boosting STEM summer camp where kids K-6 build creative inventions and lasting friendships through exciting hands-on experiences.

Camp Judaea

1440 Spring Street NW Atlanta 30309

404-634-7883

www.campjudaea.org

Camp Judaea’s mission is to provide a safe, fun, nurturing community where children, teens and young adults grow as individuals and build lifelong friendships.

Camp Living Wonders

5425 Powers Ferry Road NW Atlanta 30327

678-888-2259

www.facebook.com/CampLivingWonders

Camp Living Wonders is a special summer place for exceptional Jewish children, bringing the magic of camping to kids with developmental and cognitive disabilities.

Camp Ramah Darom

6400 Powers Ferry Road NW

Suite 215, Atlanta 30339

404-531-0801

www.ramahdarom.org

Ramah Darom offers year-round experiential, inclusive programs for all ages, from summer camp and family camps to multi-generational retreats in the North GA mountains.

Camp Twin Lakes

1100 Spring Street, Ste 406 Atlanta 30309

404-231-9887

www.CampTwinLakes.org

At Camp Twin Lakes, children with special healthcare needs can participate in fullyadaptive camp activities, such as zip lines, rock walls, and a wheelchair accessible treehouse.

Club SciKidz

Locations across Metro Atlanta Atlanta, GA

678-294-9504

www.atlanta.clubscikidz.com

Club SciKidz’s unique science programs engage students in observation, measurement, identification of properties, and experimentation in lessons they enjoy and genuinely learn from.

Epstein Summer Camp

335 Colewood Way NW

Sandy Springs 30328

404-250-5600

www.epsteinatlanta.org

Experience a world of imagination and adventure perfectly sized for rising 2s—rising PreK. ESA incorporates the fun of camp with all the excitement of preschool.

High Meadows Camp

1055 Willeo Road, Roswell 30075 770-993-7975

www.highmeadowscamp.org

High Meadows offers an outdoor day program with unique facilities on more than 40 acres of meadow and woodland for campers age 3 through 14.

In the City Camps

2897 N. Druid Hills Road #344 Atlanta 30329

404-698-1134

www.inthecitycamps.org

In the City Camps is a values-based Jewish day camp for children entering kindergarten through 10th grade. Experience sports, art, nature, community service and more!

Education

Jewish Federation, The Jewish Camp Initiative

1440 Spring Street, Atlanta 30309

404-873-1661

www.atlantajewishcamp.org

The Jewish Camp Initiative inspires families to choose Jewish overnight camp for their children, increasing the likelihood that they will continue to live active Jewish lives.

JUMPSPARK/Atlanta Jewish Teen Initiative

1440 Spring Street, Atlanta 30309

404-873-1661

www.jewishatlanta.org

JumpSpark is a hub for teen engagement where teens, parents and professionals cultivate the resources and synergy to make Atlanta a thriving hub for Jewish teens.

Marcus Jewish Community Center Camps

5342 Tilly Mill Road, Dunwoody 30338

678-812-4000

www.atlantajcc.org

The MJCCA offers more than 100 camp options for rising pre-K to 10th grades at three Atlanta locations: Dunwoody, Intown and East Cobb.

MJCCA Day Camps

5342 Tilly Mill Road, Dunwoody 30338

678-812-4004

www.atlantajcc.org

At MJCCA Day Camps, rising pre-K through 10th graders make lifelong friends, gain new skills and have the best summer ever in a variety of specialty camps.

Sababa Beachaway

Virginia Beach, VA

516-499-5349

www.sabababeachaway.org

Sababa immerses campers in the magic and majesty of the beach, adds the right amount of spiritual practice, and provides a fun noncompetitive camp experience.

The Metal Arts Guild of GAWildfire - Jewelry Makers Camp

5353 Buford Highway NE Doraville 30340

770-519-2580

www.metalartsguildga.org

At Camp Wildfire, children ages 12-17 can learn the art of traditional metalsmithing while fabricating one-of-a-kind pieces of jewelry.

The Camp Experts & Teen

Summers

Online Resource

212-288-7892

www.campexperts.com

With a representation of over 1,000 worldwide camps and summer programs the Camp Experts will find the best place for a perfect summer experience.

Valley View Ranch Equestrian Camp for Girls

606 Valley View Ranch Road

Cloudland 30731

706-862-2231

www.valleyviewranch.com

Valley View Ranch is a horse lovers’ paradise! Choose from different riding programs such as English, Western and Barrels, Trails and Vaulting, and more.

YMCA

Locations across Atlanta

www.ymcaatlanta.org

YMCA camps promote caring, honesty, respect and responsibility. Camps include sports, teen leadership, STEAM (science, technology, engineering, arts and math) and much more!

YMCA Camp Seagull Seafarer

2744 Seafarer Road Arapahoe, NC 28510

252-249-1212

www.seagull-seafarer.org

Camp Sea Gull and Camp Seafarer allow children to build character, self-confidence, independence and a respect for nature in a safe and nurturing environment.

YMCA Camp Thunderbird

1 Thunderbird Lane Lake Wylie, SC 29710 704-716-4100

www.ymcacharlotte.org

At Camp Thunderbird, campers can enjoy the ultimate water playground on Lake Wylie while cultivating individual talents and skills like independence, self-discipline and empathy.

COLLEGE RESOURCES

Alpha Epsilon Pi

Locations across Metro Atlanta

www.aepi.org

Alpha Epsilon Pi provides opportunities and friendships for the Jewish college man seeking the best possible college and fraternity experience.

Education

American Friends of the Hebrew University

1 Penn Plaza, New York, NY 10119

www.afhu.org

The Hebrew University of Jerusalem is one of the world’s most distinguished academic and research institutions, igniting innovation and transforming the global landscape with its groundbreaking work.

Fine Educational Solutions

Atlanta and Charlotte, NC

404-444-0143

www.fineeducationalsolutions.com

Fine Educational Solutions’ students not only gain admittance to colleges and universities, they also gain direction, confidence and a sense of purpose for their collegiate journey.

Hillels of Georgia

1100 Spring Street NW, Unit 810 Atlanta 30309

470-905-1800

www.hillelsofgeorgia.org

Hillel is the Jewish home away from home for Jewish college students, providing a safe place for Jewish education, celebration and community.

Jewish Educational Loan Fund

4549 Chamblee Dunwoody Road Atlanta 30338

770-396-3080

www.jelf.org

JELF provides interest-free loans to Jewish students in need for higher education throughout a five-state region: Florida, Georgia, North Carolina, South Carolina and Virginia.

SCAD (Savannah College of Art and Design)

Atlanta and Savannah Campuses 912-525-5100

www.SCAD.edu

SCAD, “The University for Creative Careers,” offers degrees in Atlanta and Savannah, Ga and online, with additional study abroad opportunities in Lacoste, France and other locations.

DANCE AND MUSIC

Atlanta Ballet Centre for Dance Education 1695 Marietta Boulevard NW Atlanta 30318

404-873-5811

www.centre.atlantaballet.com

Founded in 1996, the official school of Atlanta Ballet provides an opportunity for everyone in the community to discover the joys of dance.

J Dance Company at the MJCCA

5342 Tilly Mill Road, Dunwoody 30338

678-812-4049

www.atlantajcc.org

From toddlers to adults, dancers learn discipline, build strength, develop confidence and have fun at J Dance’s variety of private and group dance classes.

Metro Atlanta Dance

1530 Old Alabama Rd, Roswell 30076 (770) 645-0110

www.metroatlantadance.com

Metro Atlanta Dance is a diverse community of dancers who continually improve their technical ability, dance knowledge, performance quality and creative talent in a supportive and inclusive environment.

Sandy Springs Music

5920 Roswell Road, Suite D201

Atlanta 30328

404-250-0406

www.sandyspringsmusic.com

SSM is your home for music lessons, band and orchestra rentals, and guitar and music retail sales. SSM offers lessons in guitar, piano, voice, drums and more.

School of Rock

2469 East Piedmont Road, Suite 1101

Marietta 30062

770-579-0400

www.schoolofrock.com

School of Rock believes the best way to learn music is to play music. Its programs guide students from lesson room to stage, developing their confidence and musicianship.

European School of Music

5187 Roswell Road, Atlanta 30342

404-255-8382

www.euroschoolmusic.org

Learn Jewish, classical and popular music at the European School of Music. Unique instructional methods develop musical and intellectual abilities to help students reach their full potential.

Education

HEBREw SCHOOL

Jewish Kids Groups

Locations across metro Atlanta

404-913-9554

www.jewishkidsgroups.com

Jewish weekday afternoon community (K5th), B Mitzvah (6th-8th) and Teen Leadership Academy (8th – 10th) programs. Experience camp-style Jewish learning, fun and friendship during the school year!

Kesher@AA

600 Peachtree Battle Ave NW

Atlanta 30327

404-900-9411

www.aasynagogue.org

At Kesher@AA, children from PreK-12th grade will be inspired to learn about Judaism as they encounter a variety of topics through camp-like enrichment activities.

jEwISH DAY SCHOOLS

Atlanta Jewish Academy

5200 Northland Drive Atlanta 30342

404-843-9900

www.atljewishacademy.org

AJA is driven by a passion for academic excellence in general and Judaic studies, Torah values, and a love for Israel and all Jewish people.

Chaya Mushkah Children’s

House Elementary and Middle School

5180 Roswell Road, Atlanta 30342

404-843-0118

www.chayamushka.org

CMCH welcomes every Jewish child, regardless of background or affiliation, with the understanding that each is a unique blessing to our community and essential to our world.

The Alfred and Adele Davis Academy 8105 Roberts Drive, Atlanta 30350 770-671-0085

www.davisacademy.org

The Davis Academy gives students ages 4 through 8th grade a remarkable Jewish education at its two state-of-the-art campuses in the Sandy Springs/Dunwoody area.

The Epstein School

335 Colewood Way NW, Sandy Springs 30328

404-250-5600

www.epsteinatlanta.org

The Epstein School is an independent Jewish day school in Sandy Springs, offering a quality Jewish education to children from 18 months through 8th grade.

The Weber School 6751 Roswell Road, Atlanta 30328 404-917-2500

www.weberschool.org

The Weber School is Atlanta’s only high school serving students from all Jewish backgrounds. It offers a variety of advanced academic and co-curricular programs.

Temima - The Richard & Jean Katz High School for Girls 1839 Lavista Road, Atlanta 30329 404-315-0507

www.temima.org

Temima is committed to educating the complete Jewish woman, enabling each student to become a committed, G-d fearing Jew and a productive member of society.

Torah Day School

1985 Lavista Road, Atlanta 30329 404-982-0800

www.torahday.org

Torah Day School of Atlanta provides an authentic Torah education and a robust general studies curriculum in a warm and nurturing environment.

Education

NON-jEwISH PRIvAtE SCHOOLS

Atlanta Academy

2000 Holcomb Woods Parkway Roswell 30076

678-461-6102

www.atlantaacademy.com

Atlanta Academy serves more than 350 private school students and their families in North Atlanta. Here, every student receives the individual attention they need to succeed.

Atlanta Girls’ School

3254 Northside Parkway NW Atlanta 30327

404-845-0900

www.atlantagirlsschool.org

AGS offers girls grade 6-12 a college-preparatory curriculum of the highest standards. 100% of its graduates are accepted to a four-year college or university.

Atlanta International School

2890 N. Fulton Drive NE, Atlanta 30305

404-841-3840

www.aischool.org

AIS offers an exceptional foundation that prepares its students to seize opportunities, realize their fullest potential and make positive contributions to a complex, interdependent world.

Ben Franklin Academy

1585 Clifton Road NE, Atlanta 30329

404-633-7404

www.benfranklinacademy.org

The Ben Franklin Academy is an independent, progressive, college-prep high school. It teaches a rigorous college preparatory curriculum, tailored to each student’s individual needs.

High Meadows School

1055 Willeo Road, Roswell 30075

770-993-2940

www.highmeadows.org

High Meadows inspires children from PreK8th grade to think critically, learn creatively, act globally and live compassionately through a positive and progressive approach to education.

Holy Innocents’ Episcopal School

805 Mount Vernon Highway NW Atlanta 30327

404-255-4026

www.hies.org

Holy Innocents’ develops young men and women of integrity who achieve their goals, serve the world and persevere in the challenges of heart and mind.

McGinnis Woods School

5380 Faircroft Drive, Alpharetta 30005

770-664-7764

www.mcginniswoods.org

McGinnis Woods School is a non-parochial school serving infants through 8th graders. It inspires students to excel using small class sizes and an emphasis on hands-on learning.

Pace Academy

966 W. Paces Ferry Road NW Atlanta 30327

404-262-1345

www.paceacademy.org

Pace Academy is a co-educational, collegepreparatory day school serving over 1,110 students. Pace’s graduates are prepared, confident individuals who inspire excellence around the globe.

Education

Riverside Military Academy 2001 Riverside Drive Gainesville 30501

800-462-2338

www.riversidemilitary.com

RMA produces highly educated, motivated and physically fit young men of character who, upon graduation, are prepared to succeed in college and beyond.

Saint

Francis Schools

9375 Willeo Road, Roswell 30075 770-641-8257

www.stfranschool.com

Saint Francis Schools provides a college preparatory program to students grades K-12 with diverse academic abilities in a structured environment that is challenging and supportive.

The Cottage School

700 Grimes Bridge Road Roswell 30075 770-641-8688

www.cottageschool.org

The Cottage School uses academic and experiential programming to help students with special learning needs reach their full potential as confident, productive and independent adults.

The Friends School of Atlanta 862 S. Columbia Drive, Decatur 30030 404-373-8746

www.friendsschoolatlanta.org

The Friends School provides challenging academics based on Quaker testimonies, empowering students to go out into the world with conscience, conviction and compassion.

Education

The Galloway School

215 Chastain Park Avenue NW

Atlanta 30342

404-252-8389

www.gallowayschool.org

At Galloway, students confidently embrace challenges while developing the knowledge, skills, and cultural competence to thrive as enlightened contributors in their chosen pathways.

The Howard School

1192 Foster Street NW, Atlanta 30318

404-377-7436

www.howardschool.org

The Howard School is an extraordinary school for children with language-based learning differences, filled with a robust academic curriculum, athletics, arts and community leadership opportunities.

The Lovett School

4075 Paces Ferry Road NW

Atlanta 30327

404-262-3032

www.Lovett.org

The Lovett School provides unique experiences that inspire an enduring enthusiasm for learning and graduates young people of honor, faith and wisdom.

The Paideia School

1509 Ponce de Leon Avenue

Atlanta 30307

404-377-3491

www.paideiaschool.org

Paideia is a leading progressive school in the Southeast where students can uncover their unique gifts and learn to use them in meaningful ways.

The Walker School

700 Cobb Parkway North Marietta 30062

770-427-2689

www.thewalkerschool.org

The Walker School serves families seeking an engaging educational experience within a caring and diverse community where opportunities abound and meaningful relationships inspire transformative learning.

Westminster 1424 W. Paces Ferry Road NW Atlanta 30327

404-355-8673

www.westminster.net

Westminster is a learning community rooted in Christian values and wholesome intensity where students are inspired to become leaders of conscience in Atlanta and beyond.

Woodward Academy

1662 Rugby Avenue College Park 30337

404-765-4000

www.woodward.edu

Woodward Academy offers unparalleled opportunities in academics, arts and athletics. Its emphasis on community service prepares students to become outstanding citizens in both college and life.

OtHER RESOURCES

Am Yisrael Chai!

2472 Jett Ferry Road, Suite 400, #260 Dunwoody 30338

855-665-4234

www.amyisraelchaiatlanta.org

Am Yisrael Chai delivers Holocaust Education and Genocide Awareness through signature projects and initiatives to prevent current and future instances of bigotry, prejudice, antisemitism and genocide.

Arthur M. Blank Center for Stuttering Education and Research

1605 Chantilly Drive NE, Ste 100 Atlanta 30324

470-693-4226

www.blankcenterforstuttering.org

The Arthur M. Blank Center for Stuttering Education and Research enables people of all ages worldwide to stutter openly, speak confidently, communicate effectively and advocate meaningfully.

Center for Israel Education P.O. Box 15129, Atlanta 30333

404-395-6851

www.israeled.org

CIE provides inspired Israel learning through on-demand courses, teen programs, a resource-rich website and more as well as countering antisemitism and anti-Zionism.

Cub Scout Pack 1818 Atlanta

678-613-1422

www.pack1818.com

Pack 1818, based at the Marcus JCC, combines scouting with Jewish heritage and traditions. Bond with your child while building life skills and lifelong friendships.

Ecole du Samedi

2890 North Fulton Drive Atlanta 30305

770-634-6228

www.frenchschoolatlanta.org

École du Samedi serves the needs of Francophile and Francophone families in the Atlanta area by providing a quality French education for children and adults.

Etgar 36

P.O. Box 2212, Decatur 30031

404-456-6605

www.etgar.org

Etgar 36 is a Jewish educational institute dedicated to developing your group’s political and social justice voice by taking them on the journey of a lifetime.

Jeff Justice’s Comedy Workshoppe

273 Eureka Drive NE, Atlanta 30305

404-312-3404

www.comedyworkshoppe.com

Jeff Justice has been teaching comedy since 1990. His classes will give you the confidence needed to succeed in business and your personal life.

JumpSpark

1440 Spring Street NW, Atlanta 30309 (404) 873-1661

www.jumpsparkatl.org

JumpSpark provides Jewish teens with interest-based programming and social opportunities using innovative resources in the Atlanta community and beyond.

Education

Kollel Ner Hamizrach

1858 Lavista Road NE, Atlanta 30329

404-315-9020

www.nerhamizrach.com

Kollel Ner Hamizrach is a bastion of Torah scholarship in Atlanta and encourages others to come and share their Torah knowledge with Jews of all affiliations.

Language Center of Congo On-line

www.congolanguages.com

Language Center of Congo teaches languages spoken in the Democratic Republic of Congo, and in the diaspora, through live video classes for groups and individuals alike.

Milner Driving School

255 Village Parkway, #530 Marietta 30067

770-984-9005

www.milnerdrivingschool.com

Milner Driving School has produced thousands of skillful, safe drivers in the Atlanta area. Its program includes classroom instruction as well as driving time and road tests.

RootOne (Teen Israel Trips)

520 8th Avenue

New York, NY 10118

917-626-0869

www.rootone.org

RootOne helps thousands of Jewish teens travel to Israel each summer for a once-ina-lifetime experience that cements a strong connection to their identity and community.

Tam Institute for Jewish Studies at Emory University

Callaway Memorial Center

537 Kilgo Circle, Atlanta 30322

404-727-6301

www.js.emory.edu

The Tam Institute for Jewish Studies at Emory University brings together scholars and students from different departments and programs to engage in interdisciplinary exploration and culture.

Troop 1818 Boy Scouts USA

Metro Atlanta Troop 1818GA@gmail.com

www.troop1818.com

Troop 1818 is scouting with a Jewish twist. Jewish values are incorporated into troop activities to further your child’s Jewish education through Scouting.

PRESCHOOL

Ahava Early Learning Center 600 Peachtree Battle Avenue NW Atlanta 30327

404-900-9411

www.ahavalearning.org

At Ahava, children aged 12 weeks to 6 years learn Jewish culture, traditions and values through fun activities such as music, language, literature, cooking and dramatic play.

Alefbet Preschool

5303 Winters Chapel Road Atlanta 30360

770-399-7622

www.alefbetpreschool.com

At Alefbet Preschool, children aged 6 weeks to 5 years are engaged in creative learning, nurtured by educators, and build strong and enduring Jewish values.

Beth Jacob Preschool 1855 Lavista Road, Atlanta 30329 678-244-6659

www.bethjacobatlanta.org

Beth Jacob Preschool gives children aged 3 months to 5 years a foundation for lifelong learning by nurturing their development through the earliest years of childhood.

Beth Tikvah Early Childhood Education Center

9955 Coleman Road, Roswell 30075 770-642-0434

www.bethtikvah.com

The Early Childhood Education Center at Temple Beth Tikvah creates a comfortable and happy place for preschoolers to learn, grow and build social skills.

Education

B’nai Torah Preschool

700 Mt. Vernon Highway NE

Sandy Springs 30328

404-257-0537

www.bnaitorah.org

Congregation B’nai Torah Preschool blends age-appropriate learning with joyful Judaism. Its hands-on approach to academics and caring teachers ensure each child is kindergarten ready.

Chaya Mushkah Children’s House 5065 High Point Road NE

Atlanta 30342

404-843-9582

www.cmchpreschool.org

At CMCH Preschool, mindful practices are integrated with Torah heritage to foster a love for learning, respect for each other, and a strong connection to Judaism.

Etz Chaim Preschool

1190 Indian Hills Parkway

Marietta 30068

770-977-3384

www.etzchaim.net

Etz Chaim Preschool provides a nurturing educational environment for young children and their families, encouraging the incorporation of Jewish ideals and practices into their everyday lives.

Seeds of Wonder Journey School at Gesher L’Torah

4320 Kimball Bridge Road

Alpharetta 30022

770-777-4090

www.gltorah.org

Seeds of Wonder Journey School provides a hands-on, developmentally appropriate curriculum where children are encouraged to learn about their world by engaging their natural curiosities and creativity.

Intown

Jewish Preschool

604 Cooledge Avenue NE

Atlanta 30306

404-898-0438

www.intownjewishpreschool.org

Intown Jewish Preschool offers a creative, progressive, Reggio-inspired Jewish environment where each child’s needs and individual style of learning are valued and nurtured.

MJCCA Schiff Preschool

1580 Spalding Drive

Sandy Springs 30350

678-812-3770

www.templeemanuelatlanta.org/ learn/schiff-preschool

The Schiff School at Temple Emanu-El provides a creative and warm environment with a variety of opportunities for learning, growth, curiosity and exploration.

Morah Carol’s Place

1681 N. Druid Hills Road NE

Atlanta 30319

470-659-5484

www.morahcarolsplace.com

MCP provides each child with a top-notch preschool experience, as well as a school calendar that keeps you, the working Jewish parent, in mind.

Seeds of Wonder Journey School

1145 Green Street, Roswell 30075 770-500-4178

www.sowjs.org

New progressive Jewish preschool (ages 12 weeks to 6 years old). Featuring intentionally smaller class sizes, low student-toteacher ratios and flexible schedule options. Seeds of Wonder is the school at Gesher L’Torah

Springmont School

5750 Long Island Drive NW

Atlanta 30327

404-252-3910

www.springmont.com

Springmont, touted as Atlanta’s oldest Montessori school, offers hands-on, experiential learning including multi-aged classes, specially designed materials and highly experienced teachers who guide study toward meaningful discoveries.

Temple Sinai Preschool

5645 Dupree Drive

Sandy Springs 30327

404-255-6200

www.templesinaiatlanta.org

Temple Sinai Preschool has programs available for children aged 12 months through Pre-K. Each age group’s curriculum is focused on the development of each whole child.

The Goddard School Sandy Springs

1150 Hammond Drive, Bldg. E 6425 Roswell Road

Sandy Springs 30328

470-571-1700

www.goddardschool.com/schools/ga/ sandy-springs

Offering state-of-the-art facilities, The Goddard School has been awarded the Circle of Excellence Award 4 times and its graduates consistently excel in schools throughout Atlanta.

The Sunshine School at Temple Kol Emeth

1415 Old Canton Road, Marietta 30062

678-812-3708

www.kolemeth.net/sunshineschool

The Sunshine School features half and full day-day programs where preschoolers are immersed in a warm, nurturing educational environment infused with Jewish values and customs.

Education

Torah Tots Preschool

10180 Jones Bridge Road

Johns Creek 30022 (770) 410-9100

www.torahtots.net

Torah Tots Preschool is a loving, caring and nurturing environment where your child will get a healthy foundation for a lifelong love of learning.

Weinberg Early Learning Center

1589 Peachtree Street NE

Atlanta 30309

404-872-8668

www.the-temple.org/welc

Weinberg Early Learning Center at The Temple offers a nurturing environment and provides age-appropriate activities that enhance children’s emotional, social, physical and mental abilities.

The Weinstein School

5342 Tilly Mill Road, Dunwoody 30338 678-812-3800

www.atlantajcc.org

At the Weinstein School, preschoolers enjoy classroom learning as well as 52-acres of exciting amenities such as a lake, gym, theater, indoor swimming pool, and more.

tUtORING AND COUNSELING

Applerouth Tutoring

Locations across metro Atlanta

404-728-0661

www.applerouth.com

Applerouth provides the smartest approach to test prep and tutoring, using cutting-edge research to help students achieve a higher level of academic success.

Artz Test Prep and College Essay Coaching

3445 Stratford Avenue, #2605

Atlanta 30326

440-668-0870

www.peachtree-prep.com

Mauri Artz is a personalized, motivational tutor and college advisor who specializes in helping students through college admissions tests, application essays, and demanding high school courses.

Doherty Educational Consultants

2146 Roswell Road, Suite 108 Marietta 30062

404-488-6888

www.dohertyedu.com

Doherty Educational Consultants’ individualized student-centered approach leads students to a college that provides the best academic and personal experience, all at a cost that makes financial sense.

Huntington Learning Center

Locations across metro Atlanta

770-977-3112

www.huntingtonhelps.com

Huntington Learning Center gives every student the best education possible, helping them build skills, confidence and motivation through personalized instruction tailored to their unique needs.

Scott Rausher

1372 N. Crossing Drive, NE Atlanta 30329

404-387-4149

Scott Rausher is an experienced tutor of French, Italian and Hebrew. He helps students with exam preparation, homework, vocabulary, pronunciation and grammar.

Arts & Culture

FEStIvALS

Atlanta Jewish Film Festival

P.O. Box 746371, Atlanta 30374

404-528-2614

www.ajff.org

AJFF’s programming inspires communities to new levels of social and cultural understanding by entertaining diverse audiences with film through a Jewish lens.

Athens Jewish Film Festival

P.O. Box 5069, Athens 30604 www.athensjff.org

The AthensJFF is a unique five-day festival featuring nine great films from around the world, a shorts competition, and a free local nosh each night.

Atlanta Jewish Life Festival

270 Carpenter Drive NE, Suite 320 Atlanta 30328

www.atlantajewishlifefestival.com

The Atlanta Jewish Life Festival is an annual community festival at the Georgia Aquarium highlighting the education, arts and culture within our Jewish community.

Book Festival of the MJCCA

5342 Tilly Mill Road, Dunwoody 30338 678-812-3981

www.atlantajcc.org/bookfestival

For 30 successful years, the Book Festival of the MJCCA has provided the community with a literary extravaganza, featuring an exciting lineup of authors, celebrities and influencers.

Food

That Rocks

705 Hammond Drive, Dunwoody 30328

404-875-4434

www.foodthatrocks.org

The “Ultimate Eatertainment Experience.” Food That Rocks is a festival celebrating the culinary scene of Sandy Springs with unlimited tastes from some of its best restaurants and bakeries.

Neranenah Concert and Culture Series

1440 Spring Street NW, Atlanta 30309 www.neranenaharts.org

Formerly the Atlanta Jewish Music Festival, Neranenah entertains and connects diverse audiences through the exploration of Jewish contributions to music and the performing arts.

Taste of Atlanta

6400 Powers Ferry Road, Suite 390 Atlanta 30339

404-875-4434

www.tasteofatlanta.com

Taste of Atlanta brings an incredible energy to the Epicurean Hotel Atlanta where patrons will sip, savor and celebrate the community’s vibrant culinary scene.

The Georgia Renaissance Festival

6905 Virlyn B Smith Road Fairburn 30213 770-964-8575

www.garenfest.com

The Georgia RenFest is one of the largest Renaissance Festivals in the Southeast. Enjoy food, merriment, mirth and more at one of its many themed weekends.

LANDMARKS

Atlanta BeltLine

100 Peachtree Street, Suite 2300 Atlanta 30303

404-477-3003

www.beltline.org

The Atlanta BeltLine is a redevelopment project that will ultimately connect 45 intown neighborhoods via a 22-mile loop of multi-use trails, a modern streetcar system and parks.

Discover DeKalb Convention & Visitors Bureau 1990 Lakeside Parkway #170 Tucker 30084 866-633-5252

www.discoverdekalb.com

Discover DeKalb encourages you to get out and explore all the attractions and adventures the county offers to make your weekend getaway or day trip unforgettable.

Explore Brookhaven

705 Town Boulevard NE Brookhaven 30319 678-879-4570

www.explorebrookhaven.com

Explore Brookhaven provides professional tourism leadership and expertise to enhance the image, perception and success for tourism activities and economic opportunity in the City of Brookhaven.

Brookhaven is home to the amazing Cherry Blossom Festival, exciting events like Sip Brookhaven and Taste Brookhaven along with delicious chef driven cuisine ranging from the classics to all the international flavors along Buford Highway. Come see Brookhaven, you belong here.

Use the code to learn more about all that is happening in Brookhaven

Sarah Chang, violin Sonya Ovrutsky Fensome, piano Friday, September 20, 2024

Zee Zee, piano Friday, October 18, 2024

Doug Varone and Dancers October 25–26, 2024

PUBLIQuartet—Rhythm Nation Friday, November 1, 2024

American Railroad Silkroad Ensemble with Rhiannon Giddens Saturday, November 16, 2024

Emmanuel Pahud, flute and Alessio Bax, piano Friday, January 24, 2025

Emory Jazz Fest with David Sánchez, saxophone Friday, February 14, 2025

Daniel Hope with Polish Chamber Orchestra Friday, February 28, 2025

New York Voices Friday, March 21, 2025

Imani Winds and Boston Brass Friday, April 11, 2025 Save 15% with Promo Code

schwartz.emory.edu

Arts & Culture

Ponce City Market

675 Ponce De Leon Avenue NE

Atlanta 30308

404-900-7900

www.poncecitymarket.com

Located in the Old Fourth Ward neighborhood along the Atlanta BeltLine, PCM is a hub for residents, neighbors and visitors to gather, work and play.

Visit Sandy Springs

1 Galambos Way, Sandy Springs 30328 www.visitsandysprings.org

Visit Sandy Springs wants you to experience the best of the modern South. Come enjoy the exciting events and warm local hospitality of Sandy Springs.

MUSEUMS

Biblical History Center

130 Gordon Commercial Drive

LaGrange 30240

706-885-0363

www.biblicalhistorycenter.com

See 250 artifacts from the Israel Antiquities Authority at the Biblical History Center, including a four-room Israeli house, goat hair tents, and olive and grape presses.

Chattahoochee Nature Center

9135 Willeo Road

Roswell 30075

770-992-2055

www.chattnaturecenter.org

Explore 127 acres of natural wonder just outside of Atlanta, where the Chattahoochee gently bends. Enjoy its trails, exhibits, canoeing, events and more.

Children’s Museum of Atlanta

275 Centennial Olympic Park Drive NW Atlanta 30313

404-527-3693

www.childrensmuseumatlanta.org

The Children’s Museum of Atlanta is the only educational venue of its kind in Atlanta, presenting educational programs and exhibits specifically designed for young children.

College Football Hall of Fame

250 Marietta Street NW, Atlanta 30313

404-880-4800

www.cfbhall.com

The College Football Hall of Fame, located in the heart of downtown, is a shrine to the greatest to ever play or coach the game.

Fernbank Museum of Natural History

767 Clifton Road NE, Atlanta 30307

404-929-6381

www.fernbankmuseum.org

Home to the world’s largest dinosaurs and one of the largest assemblages of urban forest in the United States, Fernbank brings science to life through immersive programming.

Georgia Aquarium

225 Baker Street NW, Atlanta 30313

404-581-4000

www.georgiaaquarium.org

The Georgia Aquarium is an entertaining, intriguing, educational experience for guests of all ages that instills its visitors with an appreciation for the world’s aquatic biodiversity.

High Museum of Art

1280 Peachtree Street NE Atlanta 30309

404-733-5000

www.high.org

The High Museum of Art is home to world-class art, architecture, and creativity, offering a collection of renowned works, new special exhibitions and engaging family programs.

Arts & Culture

Illuminarium Atlanta

550 Somerset Terrace NE Atlanta 30306

404-341-1000

www.Illuminarium.com

Illuminarium Experiences is a digitally delivered, global experiential entertainment brand. Embark on an immersive expedition in virtual reality and discover the wonders of the world.

Martin Luther King, Jr.

National Historic Site

450 Auburn Avenue NE, Atlanta 30312

404-331-5190

www.thekingcenter.org

The Martin Luther King, Jr. Center is a global destination and community institution where visitors come to learn, be inspired and pay respects to Dr. King’s legacy.

Michael C. Carlos Museum 571 S. Kilgo Circle, Atlanta 30322

404-727-4282

www.carlos.emory.edu

The Michael C. Carlos Museum is a dynamic center for the study of art and culture, where visitors can enjoy collections from cultures all around the world.

Museum of Design Atlanta 1315 Peachtree St NE, Atlanta 30309

404-979-6455

www.museumofdesign.org

Museum of Design Atlanta (MODA) is the only museum in the Southeast devoted exclusively to the study and celebration of all things design.

Museum of History and Holocaust Education 3333 Busbee Drive, Kennesaw 30144

470-578-2083

www.historymuseum.kennesaw.edu

The Museum of History and Holocaust Education offers public events, exhibits and educational resources on World War II and the Holocaust to promote education about these events.

National Center for Civil and Human Rights

100 Ivan Allen Jr. Boulevard Atlanta 30313

678-999-8990

www.civilandhumanrights.org

The Center for Civil and Human Rights is an engaging cultural attraction that connects the American Civil Rights movement to today’s struggle for global human rights.

Tennessee Valley Railroad Museum

4119 Cromwell Road

Chattanooga, TN 37421

423-894-8028

www.tvrail.com

The Tennessee Valley Railroad Museum offers vintage train rides and educates the public concerning the role of railroads in the history and development of the region.

The Southern Museum of Civil War and Locomotive History

2829 Cherokee Street NW Kennesaw 30144

770-427-2117

www.southernmuseum.org

This Kennesaw museum provides visitors with a unique perspective on the strategic and economic use of railroads during and after the Civil War.

William Breman Jewish Heritage Museum

1440 Spring Street NW, Atlanta 30309

678-222-3700

www.thebreman.org

The Breman Museum is home to the permanent exhibition on the Holocaust, Southern Jewish history, and the Schwartz Gallery, as well as a variety of rotating exhibitions.

Zoo Atlanta

800 Cherokee Avenue, Atlanta 30315

404-624-5600

www.zooatlanta.org

Zoo Atlanta is home to over 1,000 animals representing more than 200 species and offers engaging, educational experiences for all ages.

Zuckerman Museum of Art 492 Prillaman Way, Kennesaw 30144 470-578-3223

www.zuckerman.kennesaw.edu

This museum presents significant works from Kennesaw State University’s permanent art collection and regularly exhibits contemporary works of various media by local and nationally recognized artists.

PERFORMING ARtS

Actor’s Express 887 W. Marietta Street, Atlanta 30318

404-607-7469

www.actors-express.com

Actor’s Express is a theater that jumpstarts individual transformations through the shared adventure of live performances, which range from daringly provocative to audaciously hilarious.

Alliance Theatre

1280 Peachtree Street NE Atlanta 30309

404-733-4650

www.alliancetheatre.org

The Alliance Theatre is the leading producing theater in the Southeast, delivering powerful programming that challenges adult and youth audiences to think critically and care deeply.

Arts & Culture

Ameris Bank Amphitheatre

2200 Encore Parkway

Alpharetta 30009

404-733-5010

www.awesomealpharetta.com/play/ attraction/amerisbank-amphitheatre/ Ameris Bank Amphitheatre has your soundtrack to the warm weather months as it boasts the biggest names in country, rock and the top 40 every April – October.

Art Meso

W Hotel, 45 Ivan Allen Boulevard

Atlanta 30308

770-940-0329

www.artmeso.com

Art Meso is an international art and fashion exhibition. Art Meso features national and international talent from around the world from Asia to Europe.

ART Station Theatre

5384 Manor Drive

Stone Mountain 30083

770-469-1105

www.artstation.org

ART Station provides cultural and educational opportunities to the citizens of Atlanta through arts programs focusing on the quality works of local, regional, and national artists.

Atlanta Ballet

1695 Marietta Boulevard NW

Atlanta 30318

404-873-5811

www.atlantaballet.com

Atlanta Ballet is one of the premier dance companies in the country, offering an eclectic repertoire that highlights beloved classics as well as inventive originals.

Atlanta Opera

1575 Northside Drive NW

Atlanta 30318

404-881-8801

www.atlantaopera.org

The Atlanta Opera is a cultural powerhouse celebrating the art of opera in Atlanta, Georgia, continuing a long tradition of community dedication to the ultimate musical form.

Atlanta Symphony Orchestra

1280 Peachtree Street NE, Suite 4074

Atlanta 30309

404-733-4628

www.atlantasymphony.org

The Atlanta Symphony Orchestra is an American orchestra led by music director Robert Spano. ASO’s main concert venue is Atlanta Symphony Hall in the Woodruff Arts Center.

Atlanta Workshop Players Acting Studio

355 North Peak Drive

Alpharetta, GA 30022

770-998-8111

www.atlantaworkshopplayers.com

Atlanta Workshop Players offers a Film School Conservatory, a Professional Musical Theatre Training Program and Performing Arts Camps that attract students and teachers from 5 different continents.

Center for Puppetry Arts

1404 Spring Street, Atlanta 30309

404-873-3391

www.puppet.org

The Center for Puppetry Arts inspires imagination, education and community through the global art of puppetry with performances, workshops, the hands-on museum and outreach programs.

City Winery Atlanta

650 North Avenue NE, Atlanta 30308

404-946-3791

www.CityWinery.com/Atlanta

City Winery Atlanta is an intimate concert venue where you can enjoy unobstructed views close to your favorite performer, world-class wine and great food.

City Springs Theatre Company

8601 Dunwoody Place, Suite 136

Sandy Springs 30350

404-477-4365

www.cityspringstheatre.com

City Springs Theatre Company serves the next generation of artists through high-quality arts education opportunities including summer camps, weekly classes, private lessons and more.

Cobb Energy Performing Arts Centre

2800 Cobb Galleria Parkway

Atlanta 30339

770-916-2800

www.cobbenergycentre.com

Cobb Energy Centre is a premier venue for Broadway shows, ballet, concerts, educational shows, family performances, opera, corporate meetings and events.

Core

Dance

133 Sycamore Street, Decatur 30030

404-373-4154

www.coredance.com

An award-winning contemporary dance organization with global impact, Core Dance creates, performs and produces compelling original art that empowers communities to see the self in others.

Arts & Culture

Fox Theatre

660 Peachtree Street NE

Atlanta 30308

404-881-2100

www.foxtheatre.org

The historic Fox Theatre seats 4,665 guests and hosts more than 150 performances a year — from Broadway and rock to comedy and movies.

Horizon Theatre Company

1083 Austin Avenue NE, Atlanta 30307

404-584-7450

www.horizontheatre.com

Since 1983, Horizon has produced over 130 professional contemporary plays. Located in Little Five Points, Horizon is a funky, casual, provocative and fun theater.

MJCCA Performing Arts Theatre

5342 Tilly Mill Road, Dunwoody 30338 678-812-4002

www.atlantajcc.org

The MJCCA offers an intriguing lineup of in-depth theater classes, workshops and performance opportunities for children as well as acting classes for adults.

Rialto Center for the Arts at Georgia State University

80 Forsyth Street NW, Atlanta 30303

404-413-9849

www.rialto.gsu.edu

The Rialto Center for the Arts is a performing-arts venue owned and operated by Georgia State University, presenting the best of jazz, world music, dance and more.

Sandy Springs Performing Arts Center at City Springs

1 Galambos Way, Sandy Springs 30328

770-206-2022

www.citysprings.com

Sandy Springs Performing Arts Center offers two unique spaces, the traditional Byers Theatre and the highly-adaptable Studio Theatre, to cover all of your performance or business needs.

Stage Door Players

5339 Chamblee Dunwoody Road

Dunwoody 30338

770-396-1726

www.stagedoorplayers.net

Stage Door is a professional theater committed to serving the community through expanding theatrical knowledge and experience for new audiences, existing audiences and professional talent.

Amphitheatre at Chastain Park

140 W. Wieuca Road NW

Atlanta 30342

404-233-2227

www.chastainseries.com

From comedians to rock bands, Cadence Bank Amphitheatre at Chastain Park is a beloved summer destination in Atlanta. See a show and enjoy dinner, all under the stars.

Schwartz Center for Performing Arts

1700 N. Decatur Road, Atlanta 30322

404.727.5050

www.schwartz.emory.edu

The Schwartz Center for Performing Arts at Emory University is a place where teaching, learning, and performance merge to create a vital arts presence for the community.

Synchronicity Theatre

1545 Peachtree Avenue NE Atlanta 30309

404-484-8636

www.synchrotheatre.com

Synchronicity Theatre was founded in 1997 by four women with a desire to work collaboratively and bring challenging, meaningful theater to Atlanta audiences.

Theatrical Outfit

84 Luckie Street NW, Atlanta 30303

678-528-1497

www.theatricaloutfit.org

By creating a home for artists in Atlanta and investing in meaningful relationships with its community, Theatrical Outfit helps build a brighter future for the city.

Non Profit

The Georgia Alliance for Breast Cancer

40 Technology Parkway Suite 200 Peachtree Corners, GA 30092

404-531-4111

www.gaabc.org

The Georgia Alliance for Breast Cancer has raised over $18.2 million to fund grants that provide breast cancer education, screening, early detection, support services, and more.

ALEF Fund

1440 Spring Street NW, Atlanta 30309

678-222-3739

www.aleffund.org

The ALEF Fund offers Georgia taxpayers a way to redirect a portion of their state income taxes to become scholarships at 16 participating Jewish preschools and day schools.

Atlanta CASA

395 Pryor Street SW, #4116

Atlanta 30312

404-613-4720

www.atlantacasa.org

Atlanta CASA provides support to ensure that children and families do not get lost in the overburdened legal and social service system or languish in foster care.

American Friends of Magen

David Adom - Southeast Region 4371 Northlake Boulevard, Suite 361 Palm Beach Gardens, FL 33410 561-835-0510

www.afmda.org

AFMDA supports Magen David Adom. MDA is Israel’s national ambulance, blood-services, and disaster-relief organization, serving as emergency medical first-responders for the country’s 8.8 million people.

American Israel Public Affairs

Committee - Southeast Region

P.O. Box 468122, Atlanta 31146

770-541-7610

www.aipac.org

AIPAC brings together Democrats and Republicans to strengthen, protect and promote the U.S.-Israel relationship in ways that enhance the security of both nations.

American Jewish Committee

Atlanta Chapter 404-233-5501

www.ajc.org/atlanta

AJC Atlanta connects the local community to AJC’s global advocacy work of combating antisemitism, promoting Israel’s place in the world, and promoting pluralism and democratic values.

Atlanta Jewish Foundation

1440 Spring Street NW, Atlanta 30309

404-873-1661

www.atlantajewishfoundation.org

Atlanta Jewish Foundation is the place your contributions align with your values. The Foundation ensures a vibrant, vigorous, and robust Jewish Atlanta for generations to come.

Atlanta Jewish Life Foundation, Inc.

270 Carpenter Dr. NE, Ste. 320 Atlanta 30328

www.atlantajewishlifefoundation.com

The AJLF “keeps Jewish Atlanta connected” through events like the Atlanta Jewish Life Festival and provides free home-delivery of the Atlanta Jewish Times to every Jewish Atlantan.

Americans United with Israel P.O. Box 73071, Marietta 30007 888-699-AUWI (2894)

www.americansunitedwithisrael.org

Americans United with Israel promotes awareness about the value of democracy in the Middle East, facilitates Israel education programs and improves the lives of underprivileged Israelis.

Anti-Defamation LeagueSoutheast Region

P.O. Box 8379, Atlanta 31106 404-262-3470

www.atlanta.adl.org

ADL is a powerhouse in the fight against racism, bigotry, intolerance and antisemitism. ADL is the leader in providing diverse education in schools, communities and workplaces.

Atlanta Israel Coalition 404-226-9271

www.atlantajewishconnector.com/organization/the-atlanta-israel-coalition

The AIC strives to unite the pro-Israel community in Atlanta and beyond. As a nonpartisan group, the AIC seeks to inspire and educate through a collective effort.

Atlanta Kosher Commission 1855 Lavista Road NE, Atlanta 30329 404-634-4063

www.kosheratlanta.org

An Orthodox, community-based kosher supervision agency, the AKC certifies over 150 companies in the Southeast and beyond, including manufacturing facilities, bakeries, supermarkets, restaurants, hotels and caterers.

B’nai B’rith International 1120 20th Street NW, Suite 300N Washington, D.C. 20036

202-857-6600

www.bnaibrith.org

B’nai B’rith International has advocated for global Jewry and championed the cause of human rights since 1843. The Pinch Hitter Program is Atlanta based and provides volunteer replacements for hospital workers so Christians can have Christmas off.

B’nai B’rith International/Gate City Lodge

Atlanta, GA

mbrodzki@gmail.com harry.lutz.45@gmail.com www.atlantajewishconnector.com/organization/bnai-brith-achim-gate-city

The B’nai B’rith Achim/Gate City Lodge promotes volunteer community social service programs, including “Pinch Hitter” and “Unto Every Person There is a Name”.

Birthright Israel Atlanta

1440 Spring Street NW, Atlanta 30309

404-873-1661

www.jewishatlanta.org

Birthright Israel invites you to travel to the center of Jewish history for a once-in-alifetime 10-day journey alongside a diverse community of Jewish and Israeli peers.

Non Profit

CHRIS 180 Non-Profit

Organization

1030 Fayetteville Road

Atlanta 30316

404-486-9034

www.chris180.org

CHRIS 180 helps children, adults and families who have experienced trauma change the direction of their lives to become productive, self-sufficient members of the community.

Conexx: America Israel Business Connector

879 High Green Court, Marietta 30068

404-843-9426

www.conexx.org

Conexx: America Israel Business Connector creates business opportunities for Israelis looking to expand in the U.S. and Americans looking for entry into Israel.

Creating Connected Communities

P.O. Box 500247, Atlanta 31150

404-532-9515

www.cccprojects.org

Creating Connected Communities brings life-enhancing programs to children in need by empowering teens to become engaged leaders and volunteers in their communities.

Eternal Life-Hemshech

205 Northland Ridge Trail

Atlanta 30342

404-643-5996

www.eternallifehemshech.org

Eternal Life-Hemshech is a non-profit organization founded by local Atlanta Holocaust Survivors. Survivors, their descendants, and friends continue the legacy of Hemshech’s founders through education, remembrance, and awareness.

Friends of the Arava Institute

1320 Centre Street, Suite 206 Newton Centre, MA 02459

617-266-7100

www.arava.org

The Arava Institute is a leading environmental and academic institution in the Middle East, working to advance cross-border environmental cooperation in the face of political conflict.

Friends of the Israel Defense Forces - Southeast States

P.O. Box 720556, Atlanta 30358

678-250-9030

www.fidf.org

FIDF is committed to providing soldiers with love, support, and care to ease the burden they carry on behalf of the Jewish community worldwide.

Non Profit

Friendship Circle of Atlanta

5180 Roswell Road, Suite N200

Atlanta 30342

404-618-5777

www.fcatlanta.org

Friendship Circle of Atlanta addresses the challenges facing families of individuals with special needs, using innovative programming to bridge the gap between neurotypical and special needs communities.

Georgia International Law Enforcement Exchange P.O. Box 3992, Atlanta 30302

404-413-1035

www.gilee.gsu.edu

GILEE improves public safety by enhancing interagency cooperation and educational training among law enforcement communities by offering best practices and sources of excellence in a peer-to-peer environment.

Hadassah Greater Atlanta

1050 Crown Pointe Parkway, Suite 500

Atlanta 30338

www.hadassah.org

From championing a strong US-Israel relationship to fighting antisemitism and standing up for women’s health equity, Hadassah makes a difference. Join Hadassah to connect and empower women into action.

Hebrew Order of David

Locations across metro Atlanta

www.hodnorthamerica.org

The HOD International is a forum for Jewish adult males, operating as a fraternity, supporting its members, serving the community, and applying Jewish ideals and values.

Hillels of Georgia

1100 Spring Street NW, Unit 810 Atlanta 30309

470-905-1800

www.hillelsofgeorgia.org

Hillel is the Jewish home away from home for Jewish college students, providing a safe place for Jewish education, celebration and community.

Ian’s Friends Foundation

855 Marseilles Drive, Atlanta 30327

404-966-0752

www.iansfriendsfoundation.com

IFF supports initiatives at research institutions around the country that focus on developing therapeutic methodologies for the treatment of pediatric brain tumors.

18Doors

675 Ponce de Leon Avenue NE Suite 8500, Atlanta 30308

404-991-2238

www.interfaithfamily.com/atlanta

18Doors offers programs, workshops, holiday parties and Shabbat gatherings and is welcoming and inclusive to support and empower interfaith couples and families.

Jack & Jill Late-Stage Cancer Foundation

3282 Northside Parkway NW Suite 100 Atlanta 30327

404-537-5253

www.jajf.org

JAJF treats families to WOW! Experiences®, giving children who will lose their Mom or Dad to cancer a timeout to create indispensable memories as a family.

Jewish Broadcasting Service JBS

Stanford, CT

www.jbstv.org

JBS is America’s Jewish non-profit television network covering the panorama of Jewish life. Programs on JBS reflect and address the diversity and pluralism of the Jewish experience.

Jewish Community Relations Council of Atlanta

1440 Spring Street NW, Atlanta 30309

678-222-3740

www.jcrcatlanta.wordpress.com

JCRC Atlanta, the local affiliate of the Jewish Council for Public Affairs, educates and advocates on vital issues and provides a common table for Atlanta’s Jewish community.

Jewish Early Childhood Council

1440 Spring Street, Atlanta 30309

404-873-1661

www.jewishatlanta.org

The Jewish Early Childhood Council of Atlanta supports the professional leaders and educators who shape your child’s first educational experiences in Atlanta’s Jewish early childhood education programs.

Jewish Educational Loan Fund

6065 Roswell Road, Ste 740 Sandy Springs 30328

770-396-3080

www.jelf.org

JELF provides interest-free loans to Jewish students in need for higher education through-out a five-state region: Florida, Georgia, North Carolina, South Carolina and Virginia.

Jewish Family & Career Services

4549 Chamblee Dunwoody Road Atlanta 30338

770-677-9300

www.jfcsatl.org

JF&CS improves the quality of life for individuals and families in greater Atlanta through counseling, career support, addiction programs, dental care and more.

Non Profit

Jewish

Federation of Greater Atlanta

1440 Spring Street NW, Atlanta 30309

404-873-1661

www.jewishatlanta.org

The Jewish Federation of Greater Atlanta provides opportunities, care, connection, support and strength for the Atlanta Jewish community, for Israel and for Jews globally.

Jewish Fertility Foundation

1417 Mayson Street NE, Atlanta 30324

678-744-7018

www.jewishfertilityfoundation.org

The Jewish Fertility Foundation engages hopeful parents by providing financial assistance, emotional support and infertility education to those struggling to build their families.

Jewish Interest Free Loan of Atlanta

4549 Chamblee Dunwoody Road Suite E, Atlanta 30338

470-268-5665

www.jifla.org

JIFLA provides interest-free loans to help fellow Jews in the Atlanta area maintain financial stability through periods of financial distress with an alternative to high-interestrate debt.

Jewish National Fund

6065 Roswell Road NE, Suite 214 Atlanta 30328

404-236-8990

www.jnf.org

JNF, which helped re-establish a Jewish homeland in Israel, works to ensure a strong, secure, and prosperous future for the land and people of Israel.

Jewish Student Union of Atlanta

311 Briarvista Way, Atlanta 30329

678-666-5678

www.jewishstudentunion.com

JSU supports clubs at public and non-Jewish private high schools and offers activities outside school to give thousands of students the chance to do something Jewish.

Jewish War Veterans Post 112 Atlanta

www.jwv.org

JWV is the premier voice for Jewish veterans in the United States, defending their rights and benefits, combating antisemitism, and supporting the State of Israel.

Jewish Women’s Connection of Atlanta

1959 Lavista Road NE Atlanta 30329 470-440-0324

www.jwcatlanta.org

The Jewish Women’s Connection of Atlanta is a project of the Atlanta Scholars Kollel and a partner of Jewish Federation of Greater Atlanta.

Jewish Women’s Fund of Atlanta

1440 Spring Street NW, Atlanta 30309 678-222-3716

www.jwfatlanta.org

Jewish Women’s Fund of Atlanta harnesses the power of philanthropy to promote social change and create positive opportunities for Jewish women and girls.

Non Profit

JStreet

P.O. Box 66073, Washington, D.C. 20035

202-596-5207

www.jstreet.org

J Street organizes and mobilizes pro-Israel, pro-peace Americans who want Israel to be secure, democratic and the national home of the Jewish people.

JumpSpark

1440 Spring Street NW, Atlanta 30309

404-873-1661

www.jumpsparkatl.org

A Jewish Federation of Greater Atlanta Innovation Initiative and HUB for teen engagement fostering community connection and collaboration and funding the creation of innovative programming.

Masa Israel Journey

633 3rd Avenue, Floor 21 New York, NY 10017

866-864-3279

www.MasaIsrael.org

Masa Israel Journey is a public-service organization founded by the Israel Prime Minister’s Office and is the leading organization in the long-term Israel experience space.

National Council of Jewish

Women Atlanta Section

P.O. Box 76162, Sandy Springs 30328

404-843-9600

www.ncjwatlanta.org

NCJW’s Atlanta Section champions tirelessly for women’s and children’s rights through its robust advocacy work in Georgia and nationally.

New Israel Fund

6 E. 39th Street, New York, NY 10016

212-613-4400

www.nif.org

The New Israel Fund helps Israel live up to its founders’ vision of a state that ensures complete equality of social and political rights to all its inhabitants.

ORT Atlanta

3495 Piedmont Road NE Building 12 Suite 418, Atlanta 30305

404-327-5266

www.ortatlanta.org

ORT Atlanta creates impact through education by fundraising for World ORT schools in 35 countries around the globe with a focus on STEM and Jewish education.

PJ Library in Atlanta

1440 Spring Street NW, Atlanta 30309

404-873-1661

www.jewishatlanta.org

PJ Library in Atlanta gives age-appropriate, Jewish-themed books and CDs, along with diverse programming, to children ages 6 months to 8 years old.

Repair The World Metro Atlanta

470-289-3799

www.weRepair.org/Atlanta

Repair the World Atlanta engages Jews and their communities in a lifelong commitment to service through meaningful volunteering and Jewish learning.

Second Helpings Atlanta

P.O. Box 720582, Atlanta 30358 678-894-9761

www.secondhelpingsatlanta.org

Second Helpings Atlanta is a nonprofit food rescue organization dedicated to fighting hunger and reducing food waste in metro Atlanta.

SOJOURN

1530 DeKalb Avenue, Suite A Atlanta 30307

404-275-4637

www.sojourngsd.org

SOJOURN: The Southern Jewish Resource Network for Gender and Sexual Diversity advances lesbian, gay, bisexual, transgender and queer affirmation and acceptance across the South.

The Packaged Good

5920 Roswell Road, Suite C212

Sandy Springs 30342

470-387-0551

www.solidaritysandysprings.org

The mission of The Packaged Good is to instill in children the desire to give back while inspiring the next generation of giving.

The Simon Wiesenthal Center 1399 S. Roxbury Drive

Los Angeles, CA 90035

800-900-9036

www.wiesenthal.com

The Simon Wiesenthal Center is a nonprofit international nongovernmental organization that fights terrorism, hate and bigotry.

The Sixth Point

470-210-6847

www.facebook.com/TheSixthPoint

The Sixth Point is an independent, nondenominational Jewish community in Atlanta for adults in their 20s and 30s(ish).

Tzarkei Naomi Fund

404-735-3342

www.tzarkeinaomi.org

Tzarkei Naomi raises funds to help individuals and families who, often tragically, find themselves bereft of a spouse or parent.

Health & Wellness

AUDIOLOGY

Atlanta Hearing Associates

Locations across metro Atlanta

770-282-8471

www.hearatlanta.com

Atlanta Hearing Associates provides a full range of diagnostic, and preventative hearing services, including hearing aid screening, evaluations, hearing aids and rehabilitative and preventative counseling.

Clearworks Audiology

220 Sandy Springs Circle, Ste. 185 Sandy Springs 30328

404-919-7219

www.clearworksaudiology.com

If you are looking for an exceptional customer service experience, kindness and professionalism in your hearing healthcare, your next call should be to ClearWorks Audiology.

Costco Hearing Aid Center

Locations across metro Atlanta

1-800-774-2678

www.costco.com/hearing-aid-center

Offering the latest in digital technology, Costco hearing aid staff will work to find the most appropriate solution for hearing loss and lifestyle.

Peachtree Hearing

4939 Lower Roswell Road

Marietta 30068

470-485-4327

www.peachtreehearing.com

Peachtree Hearing tests hearing, treats hearing loss, diagnoses and treats dizziness disorders and also specializes in custom solutions for musicians, athletes and audiophiles.

Aesthetic Specialty Centre

1825 Old Alabama Road, Suite 201 Roswell 30076

770-393-9000

www.asc-psd.com

With locations in Roswell and Lake Oconee, ASC provides state-of-the-art facilities, the experience of a relaxing getaway and satisfaction at every step.

BEAUtY

Anderson Center for Hair

5555 Peachtree Dunwoody Road Suite 106, Atlanta 30342

404-256-4247

www.atlantahairsurgeon.com

Dr. Ken Anderson is a plastic surgeon specializing in hair restoration in Alpharetta and Sandy Springs helping men and women reclaim their hair and their confidence.

Belle de Jour

5290 Roswell Road NE, Atlanta 30342

404-250-9100

www.bdjsalon.com

Belle de Jour is a hair color salon specializing in women’s hair. Highly trained, friendly stylists are committed to providing the best styling services to clients.

Great Clips

Locations across metro Atlanta

800-473-2825

www.greatclips.com

Great Clips is a hair salon franchise with over 4,100 locations across North America. Get a haircut that fits your hair, your lifestyle and your look.

Intrigue

1314 Johnson Ferry Road

Marietta 30068

770-977-3696

www.intriguesalon.com

Intrigue is an upscale Arrojo Ambassador salon servicing the Southeast for 20 years, located in the heart of East Cobb.

Joseph and Friends Aveda Salon and Spa

Locations across metro Atlanta

770-993-0058

www.josephandfriends.com

Each Joseph & Friends location is a fullservice Aveda concept salon, offering a variety of first class services for cut, color, extensions and any other beauty needs.

Health & Wellness

LifeHope Healing Med Spa

3333 Old Milton Parkway, Ste. 100 Alpharetta 30005

770-755-1505

www.lifehopehealingmedspa.com

Whether you’re just discovering aesthetic enhancements or desiring to maintain the best possible results our goal is to educate and empower you with the knowledge and resources to make the best decisions about your beauty and body from non-surgical facial rejuvenation to body contouring and hormone therapy.

Massage Envy

Locations across metro Atlanta

404-876-3689

www.massageenvy.com

Massage Envy caters to all. Whether a weekend warrior, an entrepreneur or a busy mom on-the-go, treating muscles is a top priority.

Paper Mill Massage and Spa

255 Village Parkway NE, Suite 420 Marietta 30067

404-492-9383

www.gotoswan.com

Paper Mill Massage provides a variety of professional massage and spa services from foot and body massages to Chinese therapy, which includes body scraping and acupuncture.

Spa Sydell

Locations across metro Atlanta

404-255-7727

www.spasydell.com

Spa Sydell offers locations in Norcross, Cumming and Perimeter with more than 75 spa and Medi-spa services to choose from.

Treat Your Feet

3275 Peachtree Road NE Atlanta 30305

404-812-0579

www.treatyourfeetatl.com

Treat Your Feet offers the best body massages and foot massages in the Atlanta area. The first location in Doraville won awards from Atlanta Magazine and City Search.

Van Michael Salon

Locations across metro Atlanta 404-237-4664

www.vanmichael.com

With locations in Atlanta and Tokyo, over 1,000 people a day trust Van Michael Salon for their beauty needs.

Vintage Barber Shop

6649 Roswell Road

Sandy Springs 30338

678-967-4700

www.vintagebarbershopatl.com

Vintage Barber Shop offers men’s and kids’ haircuts in a retro 1950s atmosphere. Stop by and get that perfect barber shop haircut you’ve been looking for.

CARDIOLOGY

Cardiology of Atlanta

755 Mount Vernon Highway NE Suite 530, Atlanta 30328

404-252-7970

www.cardiologyofatlanta.com

Cardiology of Atlanta welcomes patients to participate in and improve their health care in an informative, friendly and caring environment.

Complete Cardiology

5671 Peachtree Dunwoody Road,Atlanta 30342

404-939-9200

www.ccatlanta.com

Complete Cardiology offers a vast array of outpatient cardiac services. Practitioners have access to advanced technology to diagnose and treat any cardiac disorder, whether simple or complex.

Health & Wellness

Georgia Cardiovascular and Primary Health

111680 Great Oaks Way, Ste. 170 Alpharetta 30022

770-755-5825

www.georgiacardiovascular.com

The Cardiometabolic Clinic at Georgia Cardiovascular and Primary Care is dedicated to a patient centered, collaborative model of care, reducing the complications of cardiovascular disease.

Georgia Integrative Cardiology

11680 Great Oaks Way, Suite 170 Alpharetta, GA 30022 (770) 755-5825 www.drjasonreingold.com/

Integrative cardiology takes a patientcentered approach to optimal heart and vascular wellness, addressing the root causes of cardiovascular disease and incorporating therapies alongside conventional treatments.

Heart and Vascular Care

3970 Deputy Bill Cantrell Memorial Road, Ste. 100, Cumming 30040 678-513-2273

www.hvcmd.com

Heart and Vascular Care is proud to be a comprehensive cardiovascular practice where healthcare is provided the way you hoped it could be.

Northside Cardiology

5670 Peachtree Dunwoody Road Suite 880, Atlanta 30342

404-256-2525

www.nscatl.com

Highly trained personnel at NSC Atlanta work hard to deliver the best possible cardiovascular care, using evidence-based medicine to ensure patients receive the latest technologies and treatments.

Piedmont Heart Institute

Locations across metro Atlanta

404-605-5000

www.piedmont.org

Piedmont Heart Institute is a clinical destination for cardiovascular care and a leader in advancing innovative heart and vascular care for patients with even the most complex conditions.

CHIROPRACtIC

Adler Family Chiropractic, P.C.

1475 Holcomb Bridge Road, Suite 177 Roswell 30076

770-594-2233

www.adlerchiro.com

As the leading chiropractor in Roswell, Ga, Adler Family Chiropractic will guide you and your loved ones toward healing and achieving your chiropractic ambitions.

Complete Spine Solutions

4060 Peachtree Road NE, Suite J Atlanta 30319

770-938-4606

www.mytuckerchiropractor.com

Complete Spine Solutions is committed to improving clients’ lives. Starting with an extensive examination, the practice uses effective, proven treatments to relieve pain and improve overall health.

Excel Chiropractic

285 Mount Vernon Highway NE Atlanta 30328

770-743-4393

www.excelatl.com

From children to professional athletes and everyone in between, Excel Chiropractic’s structural approach to chiropractic corrects the root cause of pain and injuries.

Levinson Chiropractic

5457 Roswell Road NE, Suite 102 Sandy Springs 30342

404-257-0404

www.levinsonchiropractic.com

Levinson Chiropractic offers gentle treatments using various techniques, including full spine/diversified, Thompson/drop techniques, activator, toggle, SOT, extremity adjusting, cranial work, and VAX-D Therapy.

Seiden Chiropractic

1713 Mt. Vernon Road, Suite 2 Dunwoody 30338

770-399-6772

www.seidenchiropractic.com

Seiden Chiropractic strives to provide a positive and healthy experience, ensuring the improvement of both your spine and your overall health.

Health & Wellness

The Joint Chiropractic

Locations across metro Atlanta

404-975-2584

www.thejoint.com/atlanta

The Joint Chiropractic transforms the traditional, often misunderstood concept of routine chiropractic care by making it more convenient, friendly and affordable.

DENtIStRY

Aesthetic & Implant Dentistry of Atlanta

200 Galleria Parkway SE, Suite 180 Atlanta 30339

770-955-0550

www.davidzelbydds.com

Dr. David Zelby is an esteemed prosthodontist and advanced restorative dentist. The practice focuses on dental implants, advanced cosmetics dentistry and restorative dentistry.

Alluring Cosmetic Dentistry

800 Mansell Road, Roswell 30076

770-642-9900

www.alluringcosmeticdentistry.com

An international leader in cosmetic, implant and general dentistry for more than three decades, Dr. David Mastro’s patients travel worldwide for his Atlanta cosmetic dentistry.

Brightworks Dentistry

1858 Independence Square, Ste A Dunwoody 30338

770-450-0415

www.BrightworksDentistry.com

Providing you with dental care. Brightworks Dentistry is dedicated to improving and maintaining your oral health by providing personalized, high-quality preventative care, cosmetic services, sedation and restorative dentistry.

Boutique for Cosmetic Dentistry

5975 Roswell Road, Suite D-229 Sandy Springs 30328

678-701-6753

www.boutiqueforcosmeticdentistry. com

The Boutique for Cosmetic Dentistry provides exceptional dental care by using today’s technology to produce beautiful and lasting dentistry near you.

Conyers Denture and Implant Center

1916 Iris Drive SW, Conyers 30094

404-381-8266

www.conyersdentures.com

Conyers Denture and Implant Center provides restorative dental services including implants, dentures and overdentures, and periodontal treatments customized to your needs.

Dentistry 4 Children

Locations across metro Atlanta

678-813-1909

www.dentistry4children.com

Dentistry 4 Children will help your family maintain healthy smiles and work to avoid issues like cavities before they can develop.

Dentistry at East Piedmont

Cosmetic & General Dentistry

3535 Roswell Road, Suite 55

Marietta 30062

770-321-5558

www.dentistryateastpiedmont.com

Dentistry at East Piedmont delivers the very best cosmetic and general dentistry care while keeping you comfortable, bringing expertise, technology and customer service together in one place.

Dentistry With a Difference

5548 Chamblee Dunwoody Road Dunwoody 30338

770-393-9450

www.dentistrydifference.com

Dentistry With a Difference partners with clients to maintain a healthy, beautiful smile through regular home care, professional dental cleanings and regular exams.

Goldstein Garber & Salama

600 Galleria Parkway, Suite 800

Atlanta 30339

404-261-4941

www.goldsteingarber.com

The Goldstein, Garber & Salama team features eight doctors with expertise spanning a wide variety of areas of oral health and hygiene.

Green Orthodontics

2450 Lawrenceville Highway, Suite 100 Decatur 30033

404-850-1515

www.gogreenortho.com

Green Orthodontics provides high-quality braces and Invisalign in a family-friendly environment. Located minutes from Toco Hills, the practice offers convenient after-school hours and flexible interest-free financing.

Kaplan Orthodontics

4700 Chamblee Dunwoody Road Suite 300, Dunwoody 30338

404-458-5561

www.jkaplanortho.com

Kaplan Orthodontics offers custom treatment plans for children, teens and adults. Whatever age you begin treatment, you will get personalized treatment with the best orthodontic technology available.

Health & Wellness

Modern Dental Center

4608 Lower Roswell Marietta, GA 30068

770-615-6510

www.moderndentalcenterec.com/

Modern Dental Center provides exceptional, personalized dental care in a comfortable, modern setting by combining advanced technology, expertise and a genuine passion for helping others.

Peachtree Dunwoody Dental Group

6111 Peachtree Dunwoody Road Building A, Suite 101 Atlanta 30328

770-395-7057

www.peachdentist.com

Peachtree Dunwoody Dental Group is committed to offering professional, quality care in a comfortable setting for adults and children.

Rivermont Dental Care

8465 Holcomb Bridge Rd, #650 Johns Creek 30022

404-809-4400

www.RivermontDental.com

Dr. Shima Shahrokhi provides excellent dentistry in a comfortable environment. You deserve a skilled, experienced dental team that can help you ensure great oral health.

Siegel & Dolt

2751 Buford Highway NE, Suite 302 Atlanta 30324

404-634-1277

www.siegelanddolt.com

Drs. Harris Siegel and Skip Dolt have expertise in cosmetic and implant dentistry and are able to provide a comprehensive approach to their patients’ needs.

SmileScapes Dentistry

950 North Point Parkway, Suite 175 Alpharetta 30005 770-551-0808

www.smilescapes.net

SmileScapes focuses on providing clients with the highest quality in cosmetic, implant reconstructive dentistry as well as family dentistry.

Stein & Frankel Family & Cosmetic Dentistry

2450 Lawrenceville Highway, Suite 100 Decatur 30033

404-329-0000

www.2thdocs.com

Drs. Stein and Frankel provide patients with personalized, gentle care. Experience all that modern, high-tech dentistry has to offer.

Village Orthodontics

5488 Chamblee Dunwoody Road Suite 8, Dunwoody 30338

678-745-5388

www.village-ortho.com

Village Orthodontics specializes in orthodontic services, including braces and Invisalign for children and adults. It provides the highest level of treatment in a warm, comfortable environment.

DERMAtOLOGY

Atlanta Center for Dermatologic Diseases

Locations across metro Atlanta

404-252-4333

www.atlcenterforderm.com

ACDD provides exceptional dermatology health care to patients of all ages, with many options for cosmetic procedures and treatment of skin cancers.

Dermatology Associates of Atlanta

Locations across metro Atlanta

404-256-4457

www.dermatlanta.com

Dermatology Associates of Atlanta centers offer patients treatments for everything from skin cancer and acne to minimally invasive fat reduction with CoolSculpting® and SlimLipo™.

Dermatology Specialists of Georgia

Locations across metro Atlanta 770-952-2100

www.mydermspecialists.com

At Dermatology Specialists, providers combine education, experience and training with advanced treatments and technology to help patients achieve and maintain their healthiest skin at all ages.

Dermatology & Surgery

Specialist of North Atlanta

4800 Olde Towne Parkway, Suite 250 Marietta 30068

770-971-3376

www.dessna.com

Comprehensive Skin Care - All in one convenient location. From acne to aging, this practice specializes in skin care for the whole family.

Health & Wellness

MetroDerm P.C.

Locations across metro Atlanta

404-257-9933

www.metroderm.org

MetroDerm offers every patient the best care. Its providers take time to listen to patient concerns and answer questions to the best of their ability.

Olansky Dermatology Associates

3379 Peachtree Road NE

Atlanta 30326

404-355-5484

www.olanskydermatology.com

Olansky Dermatology Associates provides families with compassionate skin care and medical education, giving them the comfort and confidence to live healthy and beautiful lives.

EYE CARE

20/15 EyeCare

2090 Dunwoody Club Drive, Suite 126

Atlanta 30350

770-676-7848

www.2015eyecare.com

20/15 EyeCare is a full-service vision care provider, accepting both eye emergencies and scheduled appointments. Visit 20/15 EyeCare to receive personal attention and professional care.

Eye Consultants of Atlanta

Locations across metro Atlanta

404-351-2220

www.eyeconsultants.net

Eye Consultants of Atlanta is the largest multi- specialty ophthalmology group in Georgia, with 26 physicians and nine locations in metro Atlanta.

Ross Eyecare Group

2625 Piedmont Road NE, Atlanta 30324

404-233-3513

www.rosseyecare.com

With over 80 years of combined clinical experience, Ross Eyecare Group’s doctors and staff dedicate themselves to providing the finest eyecare, contact lenses and eyewear.

Thomas Eye Group

Locations across metro Atlanta

678-892-2020

www.thomaseye.com

For more than 40 years, Thomas Eye Group has been serving patients of all ages at eight convenient locations throughout the greater Atlanta area.

FAMILY PRACtICE

DeKalb Medical Physicians Group

200 E. Ponce de Leon Avenue Decatur 30030

404-501-6363

www.dekalbmedical.org

DeKalb Medical Physicians Group Downtown Decatur Family Medicine provides a wide range of healthcare services to prevent, diagnose and treat illnesses.

Laureate Medical Center

Locations across metro Atlanta

404-256-8500

www.laureatemed.com

Since 1962, Laureate Medical Group has built a reputation based on providing excellent medical care combined with sincere compassion for patients.

Piedmont Physicians of Buckhead

35 Collier Road, Suite 775 Atlanta 30309

404-350-1122

www.piedmont.org

Piedmont Physicians Group is a primary care office where adult patients can receive care for annual exams, sick visits, sports physicals, well checks, vaccinations and immunizations.

Health & Wellness

Speech Family

1709 Mt. Vernon Road

Dunwoody, GA 30338

404-482-2789

www.speechfamily.com

SpeechFamily is a neurodiversity-affirming private speech and language studio focused on delivering therapy to individuals in their everyday environments to develop functional skills and communication growth.

WellcomeMD

91 W Wieuca Road NE, Bldg A, Ste 1000 Atlanta 30342

866-318-2859

www.WellcomeMD.com

WellcomeMD re-establishes the close personal relationship with your physician that once prevailed in American communities. Its physicians see fewer patients while accessing new, cutting edge treatments.

WellStar Family Practice

Locations across metro Atlanta

770-956-7827

www.wellstar.org

Whether visiting WellStar for a medical procedure or to see a family physician, your WellStar visit will be as pleasant as possible.

FERtILItY

Jewish Fertility Foundation

1417 Mayson Street NE, Atlanta 30324

678-744-7018

www.jewishfertilityfoundation.org

The Jewish Fertility Foundation provides financial assistance, educational awareness and emotional support to Atlanta Jewish families facing medical fertility challenges.

JScreen

5115 New Peachtree Road, Suite 301 Atlanta 30341

404-778-8640

www.jscreen.org

JScreen is an at-home Jewish genetic screening program for people planning to have children. JScreen also offers genetic screening for cancer risk through the PEACH BRCA study.

Shady Grove Fertility

Locations across Metro Atlanta

404-843-2229

www.shadygrovefertility.com/georgia

As the largest fertility clinic in the United States, Shady Grove Fertility is a leading fertility and IVF center of excellence.

GAStROENtEROLOGY

Atlanta Gastroenterology Associates

Locations across metro Atlanta 866-GO-TO-AGA (468-6242)

www.atlantagastro.com

In addition to routine colon cancer screening, Atlanta Gastroenterology Associates board-certified specialists evaluate and treat a wide range of digestive and liver concerns.

Emory Clinic Gastroenterology

1365 Clifton Road NE, Atlanta 30322 404-778-7777

www.emoryhealthcare.org

Emory Clinic physicians provide expert medical consultation as well as diagnostic and therapeutic gastrointestinal procedural expertise in all areas of digestive health.

GI Specialists of Georgia

Locations across metro Atlanta

678-834-8126

www.gigeorgia.com

GI Specialists of Georgia physicians treat all disorders of the digestive tract including disorders of the liver and pancreas.

Health & Wellness

MEDICAL CENtERS

Children’s Healthcare of Atlanta

Locations across metro Atlanta

404-785-KIDS

www.choa.org

At Children’s Healthcare of Atlanta, doctors, nurses and staff are specially trained to care for children under the age of 21.

Emory Healthcare

Locations across metro Atlanta

404-778-7777

www.emoryhealthcare.org

Emory Healthcare is the region’s most comprehensive academic health system with 2,000 doctors and 200 locations, including hospitals, primary care, urgent care and MinuteClinics.

Emory

Saint Joseph’s Hospital

5665 Peachtree Dunwoody Road

Dunwoody 30342

678-843-7001

www.emoryhealthcare.org

Emory Saint Joseph’s Hospital was founded by the Sisters of Mercy in 1880, and is touted as Atlanta’s longest-serving hospital.

Grady Health System

Locations across metro Atlanta

404-616-1000

www.gradyhealth.org

Grady Health improves the health of the community by providing quality, comprehensive healthcare in a compassionate, culturally competent, ethical and fiscally responsible manner

Northside Hospital

1000 Johnson Ferry Road

Atlanta 30328

404-851-8000

www.northside.com

Northside Hospital physicians and health care professionals provide a full range of care, including surgery, cancer care, women’s services, emergency care and behavioral health services.

Polaris Spine & Neurosurgery Center

1150 Hammond Drive, Suite 400

Atlanta 30328

404-256-2633

www.polarisspine.com

At Polaris Spine & Neurosurgery Center neurosurgeons and non-operative spine specialists offer premium care with personal touch across the spectrum of brain and spine care needs.

Health & Wellness

WellStar Health System

Locations across metro Atlanta

770-956-STAR

www.wellstar.org

WellStar Health System encompasses a range of services from urgent care centers to health campuses in multiple locations across Atlanta.

MENtAL HEALtH AND SUBStANCE ABUSE

Atlanta Psychological Services

2308 Perimeter Park Drive, Suite 100

Atlanta 30341

770-457-5577

www.atlantapsychological.com

Atlanta Psychological Services is a fullservice mental health practice providing a wide variety of services to clients including psychological testing, therapy, training and supervision.

Gedalia Healing Arts

1407 Dresden Drive, Atlanta 30319

678-357-3443

www.gedaliahealingarts.com

Gedalia Healing Arts is a women’s holistic health and healing practice providing natural alternatives to stress, anxiety, depression, grief, loss, hormonal imbalance and weight loss.

Evolve Behavioral: Advanced Psych Services LLC

Atlanta

404-436-2207

www.evolvebehavioralpsych.com

Evolve Behavioral: Advanced Psych Services LLC focuses on the intersection between the mind and body and specializes in chronic illness, cancer, women’s health and lifestyle wellness.

HAMSA

4549 Chamblee Dunwoody Atlanta 30338

833-HAMSA-HELPS www.jfcsatl.org

HAMSA provides recovery support and tools through a Jewish lens, helping people navigate the system of resources and ensuring continuity of care for all levels of recovery.

Heartwork Counseling Center

990 Edgewood Avenue, Atlanta 30307

404-658-1222

www.heartworkcounseling.com

Heartwork Counseling Center is dedicated to excellence in depth-oriented psychotherapy and quality clinical training to the Atlanta community.

Realize Better Health, Integrative Health Coaching

with Dr. Stephanie Covall

Sandy Springs

770-833-5901

www.realizebetterhealth.com

Integrative Health Coaching (IHC) is a holistic approach to health and well-being that focuses on the entire individual, considering both their physical and emotional needs.

The Berman Center

1200 Ashwood Parkway, Suite 400

Dunwoody 30338

770-336-7444

www.bermancenter.com

The Berman Center is an intensive outpatient program for adults who suffer with addiction, mental health issues and/or cooccurring disorders.

The Blue Dove Foundation

1200 Ashwood Parkway, Suite 400 Atlanta 30338

678-786-1213

www.thebluedovefoundation.org

The Blue Dove Foundation was created to help address the issues of mental health and/or substance abuse in the Jewish community.

NEUROLOGY

Axion Spine & Neurosurgery

Locations across metro Atlanta 404-579-3962

www.axionspine.com

Drs. Christopher Tomaras, Raymond Walkup, Shane Mangrum, and David Tran are boardcertified doctors specializing in providing individualized, patient-centered care at the cutting edge of spine science.

Wellstar Neurosurgery

2500 Hospital Boulevard, Ste 310 Roswell 30076 770-664-9600

www.benzussmanmd.com

Ben Zussman, MD is a cerebrovascular and spine neurosurgeon with the Wellstar Medical Group who is passionate about providing safe, high-quality patient care.

OB/GYN

Atlanta Gynecology & Obstetrics

315 Winn Way, Decatur 30030

404-299-9724

www.atlantagynob.com

Atlanta Gynecology & Obstetrics is a diverse group of female practitioners providing quality, compassionate, state-of-the-art healthcare to women at all ages and stages of their lives.

Health & Wellness

Atlanta Women’s Obstetrics and Gynecology

275 Collier Road NW, Suite 230 Atlanta 30309

404-352-3616

www.awog.org

Atlanta Women’s Obstetrics and Gynecology is an all-female practice offering a full range of healthcare services for women of all ages.

Atlanta Women’s Specialists

5445 Meridian Mark Road, Suite 430 Atlanta 30342

404-252-5196

www.awsphysicians.com

At Atlanta Women’s Specialists physicians and staff are committed to providing excellence and innovation in medical care in a diverse, bilingual practice.

Dr. Karen J. Weiss, LLC

5445 Meridian Mark Road

Atlanta 30342

678-705-4464

www.karenjweissmd.com

Dr. Weiss is a board-certified obstetrician/ gynecologist integrating conventional medical practice with a functional approach that makes treatments patient-specific rather than disease-specific.

North Atlanta Women’s Specialists

Locations across metro Atlanta

770-977-1510

www.northatlantawomensspecialists. com

North Atlanta Women’s Specialists provides obstetric and gynecologic care that is up to date with the latest research and technologies.

Premier Care for Women

960 Johnson Ferry Road NE, Suite 400 Atlanta 30342

404-257-0170

www.premiercareforwomen.com

Premier Care for Women is dedicated to providing the highest quality gynecological care throughout every stage of a woman’s life in a positive, healing experience.

ONCOLOGY

Piedmont Cancer Institute

1800 Howell Mill Road, Suite 800 Atlanta 30318

404-350-9853

www.piedmontcancerinstitute.com

Piedmont Cancer Institute provides care for those diagnosed with cancer or hematological diseases in five different cities in the Atlanta metro area.

OtHER SERvICES

9 Leaves

6070 Sandy Springs Circle, Ste B Sandy Springs 30328

404-256-1116

www.9leavesatl.com

9 Leaves is a new wellness experience providing multi-cannabinoid products that will help you restore the best version of yourself.

Adult Disability Medical Healthcare

2520 Windy Hill Road SE, Suite 303 Marietta 30067

678-595-4854

www.theadmh.org

The Adult Disability Medical Healthcare (ADMH) provides comprehensive, coordinated, person-centered healthcare for teens and adults with developmental disabilities.

Amramp Atlanta

2300 Bethelview Road, Suite 110-442 Cumming 30040

404-617-6483

www.amramp.com

Amramp is a leader in providing accessibility solutions including commercial and residential wheelchair ramps, lifts, door openers and more.

Health & Wellness

FAKS Allied Health Education Center

5530 Old National Highway, Suite C

College Park 30349

404-763-0055

www.faks-allied-health.com

FAKS offers education and certification programs for Certified Nursing Assistant, Patient Care Technician, Pharmacy Technician, phlebotomy and EKG, medical coding and billing.

LifeWatch USA

Rehovot, Israel

800-700-3788

www.lifewatch-usa.com

LifeWatch is a national provider of innovative diagnostic cardiac monitoring services.

Medical Marijuana Therapeutics

Metro Atlanta

404-291-9103

www.mmtga.com

Medical Marijuana Therapeutics is a leadingedge medical practice providing quality healthcare and product advisory services to patients who would benefit from the use of cannabis products.

Mobility Plus Alpharetta

4020 Nine McFarland Drive

Alpharetta 30004

470-545-1827

www.mobilityplus.com/alpharettaga

Mobility Plus is a family-owned franchise dedicated to providing Alpharetta families, veterans and businesses with high-quality, customer-focused mobility solutions.

NeuroKinetix

11680 Great Oaks Way

Alpharetta 30022

678-856-1700

www.lifehope-neurokinetix.com

NeuroKinetix physically and psychologically protects its clients through pre-habilitation and physiotherapy with services based on functional training and functional neurology.

Nutritionally Yours Health Solutions

604 Macy Drive, Roswell 30076

678-372-2913

www.nutritionallyyours.net

Nutritionally Yours Health Solutions addresses nutrition, naturopathy, food allergies and weight loss to help clients achieve their personal health goals and live a happier, healthier life.

Orthopedic Cortisone Injection

Center

1705 Mt. Vernon Road, Suite B

Dunwoody 30338

404-292-3538

www.theocic.com

In the changing landscape of healthcare, OCIC provides easy access to patients seeking non-surgical, non-narcotic pain relief for various orthopedic ailments such as arthritis, bursitis and tendonitis.

SmartPlex ATL

4799 Olde Towne Parkway, Suite 201

Marietta 30068

678-245-6777

www.smartplexatl.com

Looking for aesthetic treatments that will enhance your natural beauty? At SmartPlexATL, doctors provide effective, long-term treatments to make clients more confident than ever before.

Southern Foot and Ankle Institute

11680 Great Oaks Way, Suite 530

Alpharetta 30022

770-755-5749

www.southernfootandankleinst.com

Southern Foot and Ankle Institute creates a patient-centered experience where your time, understanding and health are paramount.

USA Vein Clinics

1050 E. Piedmont Road, Suite 104

Marietta 30062

404-998-5273

www.usaveinclinics.com

USA Vein Clinics treat symptoms such as leg pain, swollen legs, spider veins, skin and leg ulcers, discoloration of skin, itching and burning.

Your CBD Store

Multiple metro Atlanta locations

678-936-1522

www.cbdrx4u.com

Your CBD Store is the exclusive home of award-winning, hemp-derived SunMed and SunFlora products with stores in 41 states, bringing the highest quality CBD experience to customers nationwide.

PEDIAtRICS

Children’s Medical Group

Locations across metro Atlanta

404-633-4595

www.cmg-pc.com

For more than 70 years, Children’s Medical Group has been providing care to infants, children, adolescents and young adults in Atlanta, Johns Creek and Decatur.

Dunwoody Pediatrics

1428 Dunwoody Village Parkway

Dunwoody 30338

770-394 2358

www.dunwoodypediatrics.com

With combined experience of more than 50 years in pediatrics, Dunwoody Pediatrics staff take great pride in assisting parents in raising healthy and happy children.

Health & Wellness

Focus Pediatrics - Dr. Pip Spandorfer

1200 Lake Hearn Drive, Suite 275 Atlanta 30319

470-993-6287

www.focuspeds.com

Dr. Pip Spandorfer has decided to start a new pediatric practice called Focus Pediatrics. Focus Pediatrics will be designed with a “focus” on you.

Northside Pediatrics

6095 Barfield Road, Suite 200 Sandy Springs 30328

404-256-2688

www.northsidepediatrics.com

The mission of Northside Pediatrics is to protect the wellness and health of Atlanta’s children by providing high-quality, comprehensive care and compassionate support.

PAMPA (Pediatrics and Adolescent Medicine, P.A.)

Locations across metro Atlanta

404-255-6335

www.pampapediatrics.com

PAMPA Pediatrics offers complete medical service to infants, children and adolescents located in Woodstock, Dunwoody, Marietta and Alpharetta/Roswell.

PLAStIC SURGERY

Abramson Facial Plastic Surgery

5673 Peachtree Dunwoody, Suite 140 Atlanta 30342

404-297-1789

www.facialplasticatlanta.com

Dr. Peter Abramson specializes in facial plastic surgery, such as rhinoplasty, chin augmentation, upper and lower blepharoplasty, neck lift, face lifts, and Botox and fillers.

Artisan Plastic Surgery

5670 Peachtree Dunwoody Road Suite 820, Atlanta 30342

404-851-1998

www.artisanplasticsurgery.com

Artisan Plastic Surgery is a premier Atlanta cosmetic surgery facility, providing leadingedge treatments for the face, body and breasts.

AVIVA Plastic Surgery & Aesthetics

1100 Johnson Ferry Road NE Center Pointe 2, Suite 470 Atlanta 30342

678-974-8435

www.avivaplasticsurgery.com

Dr. Fishman is passionate about plastic and reconstructive surgery. Her extensive education, including clinical and research back-ground, plays an essential role in her approach to personalized care.

Plastic Surgery Centre of Atlanta

5673 Peachtree Dunwoody Road Suite 100, Atlanta 30342

404-260-7674

www.pscatlanta.com

At Plastic Surgery Centre of Atlanta, patients are welcome to explore our many surgical and non-surgical options to rejuvenate and enhance their appearance and self-image.

Pittman Plastic Surgery

3320 Old Jefferson Road, Building 100 Athens 30607

706-549-3203

www.pittmanplasticsurgery.com

Pittman Plastic Surgery is Athens, GA’s premier Medical Aesthetic Practice, offering both surgical and non-surgical treatments for every individual to reach their goals.

Premier Image Cosmetic & Laser Surgery

6085 Barfield Road NE, Suite 100 Atlanta 30328

770-457-6303

www.premierimage.com

Dedicated to the advancement of techniques in cosmetic and non-invasive procedures, Dr. Louis DeJoseph and his team deliver outstanding care and beautiful results.

Tailor Made Looks

3193 Howell Mill Road NW, Suite 328 Atlanta 30327

404-350-9355

www.tailormadelooks.com

Dr. Chichi Berhane is a plastic and reconstructive surgeon who possesses a skill set that cannot be duplicated.

SENIOR CARE & LIvING

Agewell Atlanta

Metro Atlanta

1-866-243-9355

www.agewellatl.org

Agewell Atlanta is a multi-agency collaborative resource created to help older adults live and age well where knowledgeable specialists will help you connect with agingspecific services.

Advantage Private Home Care

5881 Glenridge Drive NE, Suite 180 Atlanta 30328

404-312-6423

www.advantageprivatehomecare.com

Advantage Private Home Care Personal Caregivers are trained to do light housekeeping chores such as cleaning dishes, vacuuming and laundry to name just a few.

Health & Wellness

Arbor Terrace of East Cobb

886 Johnson Ferry Road Marietta 30068

770-884-2930

www.arborcompany.com

Assisted Living at Arbor Terrace of East Cobb offers all the lifestyle and amenities you could want with additional care and assistance for that peace of mind.

Attiva Peachtree

5251 Peachtree Boulevard

Chamblee 30341

470-705-0738

www.cortland.com/attiva-peachtree

In Chamblee, near Buckhead/Northeast Atlanta, this 55-plus apartment community provides comfort and designer living with all the social perks of a private club membership.

Aviv Rehabilitation Center

3150 Howell Mill Road, NW

Atlanta 30327

404-351-8410

www.avivrehab.org

The sub-acute inpatient and outpatient rehab center at The William Breman Jewish Home helps older adults recover, strengthen and restore independence after an illness.

Belmont Village Senior Living

5455 Glenridge Drive NE, Atlanta 30342

404-252-6271

www.belmontvillage.com

Belmont Village features a signature blend of hospitality and amenities with premier health and wellness programs.

Berman Commons

Assisted

Living & Memory Care

2026 Womack Road, Dunwoody 30338

678-222-7500

www.bermancommons.org

Jewish HomeLife’s kosher assisted living and memory care community offers an active and supportive lifestyle for older adults who require minimal assistance to those with advanced dementia.

Canterbury Court

3750 Peachtree Road NE Atlanta 30319

404-261-6611

www.Canterburycourt.org

Canterbury Court is growing bigger and better, with a campus expansion bringing 105 new independent living apartments, more enhanced services and more thoughtful amenities to its friendly community.

CareMinders

2475 Northwinds Parkway Alpharetta 30009

678-691-3109

www.careminders.com

CareMinders is a Joint Commission Accredited home care agency providing personal care, companionship and skilled nursing for all your short-term or long-term care needs throughout metro Atlanta.

Complete Care at Home

11 Dunwoody Park, Dunwoody 30338

770-551-9533

www.completecareatlanta.com

Every client’s needs are unique. That’s why every care plan designed at Complete Care at Home is made by a registered nurse after an extensive assessment.

Corso Atlanta

3200 Howell Mill Road, Atlanta 30327

404-891-9190

www.corsoatlanta.com

At Corso Atlanta, staff work hard every day to provide excellence for its residents, their loved ones and in each element of its community.

Delmar Gardens

Locations across metro Atlanta

636-733-7000

www.delmargardens.com

Each Delmar Gardens skilled nursing or senior living community embodies a culture of heartfelt commitment, where every moment is filled with love, care, and understanding.

Dunwoody Pines Retirement Community

4355 Georgetown Square Dunwoody 30338

770- 644-0862

www.sunshineretirementliving.com/ Dunwoody-retirement-living

Dunwoody Pines Retirement Community takes the worry out of living and puts the fun into your life! Request a tour today and view a variety of floor plans.

Eckstein Home Care

3150 Howell Mill Road NW Atlanta 30327

404-751-2277

www.ecksteinhomecare.org

Offering Jewish HomeLife’s tradition of high-quality care in your own surroundings. Caregivers and trained companions available 24/7/365.

Eldercare Companions

Serving Atlanta and Surrounding areas

770-977-9111

www.eldercarecompanions.com

Eldercare Companions provide peace of mind for you and a better quality of life for your loved one.

Health & Wellness

Hammond Glen Retirement

Community

335 Hammond Drive

Sandy Springs 30328

404-998-4106

www.sunshineretirementliving.com/ sandy-springs-retirement-living

Immerse yourself in the Hammond Glen atmosphere, and enjoy the peaceful feel of the country while still taking advantage of all of the conveniences of the city.

Heartis Senior Living Buckhead

2051 Peachtree Road NE

Atlanta 30309

404-724-5528

www.HeartisBuckhead.com

Heartis Buckhead offers the active senior a carefree environment, free from the normal chores and burdens of owning or renting a home.

HelloYou! Health & Wellness

Metro Atlanta

404-692-4300

www.HelloYouToday.com

HelloYou! is a service for anyone who is lonely and would like a daily, friendly call. However, it is not a substitute for mental health treatment.

Holbrook Life

Acworth, Decatur & Woodstock

404-496-6794

www.holbrooklife.com

Holbrook is a collection of active adult living communities located in the Southeast United States where residents can experience life at its boldest and most passionate.

Jewish HomeLife

3150 Howell Mill Road, NW

Atlanta 30327

404-351-8410

www.JewishHomeLife.org

Jewish HomeLife includes The William Breman Jewish Home, Aviv Rehab, Berman Commons assisted living, The Jewish Tower, The Zaban Towers independent living, JHL Medical Services, The One Group, and Weinstein Hospice.

Jewish HomeLife Communities

Locations across metro Atlanta

404-351-8410

www.JewishHomeLife.org

Under the Jewish HomeLife umbrella senior living communities are Aviv Rehabilitation, Berman Commons, JHLC Medical Services/ Clinic, The One Group, The William Breman Jewish Home, Weinstein Hospice and The Zaban Tower.

Joy Home Care

200 Ashford Center North, Suite 370 Atlanta 30338

770-396-0996

www.joyhomecare.com

Joy Home Care is a local, family-operated home care agency offering the top caregivers in the Atlanta area clinical supervision.

Kadan Home Care

1848-A Independence Square Dunwoody 30338

770-396-8997

www.kadan.org

With more than 75 years of combined experience in homecare, nursing and social services, Kadan ensures each client and their families are receiving the highest quality of care and unparalleled customer service.

Mansions Senior Living

Locations across metro Atlanta

678-995-0900

www.mansionsseniorliving.com

Experience redefined retirement living at Mansions Independent Senior Living. Seniors enjoy all the independence and comfort they’re accustomed to without the household chores at The Mansions.

Maurina Homecare Agency

Metro Atlanta (404) 973-0500

www.maurinahomecare.com

Maurina Homecare Agency provides a wide variety of care services, including veteran care, while adhering to Georgia’s strict state guidelines.

Peachtree Hills Place 12 Kings Circle, Atlanta 30305

404-467-4900

www.peachtreehillsplace.com

Peachtree Hills Place boasts abundant amenities with the focus on wellness and convenience for adults 55 and above.

Perfect Care Nursing

Metro Atlanta (404) 482-8410

www.perfectcarenursing.com

Perfect Care Nursing provides top notch nurses and staff to help your loved ones maintain their independence and sense of value.

Phoenix Senior Living

10933 Crabapple Road, Roswell 30075 678-214-2900

www.phoenixsrliving.com

Phoenix Senior Living serves seniors and their families with personalized care in a nurturing, compassionate environment with the core belief that “When it comes to a loved one, everything matters.”

Prescott HealthCare LLC

889 Ralph David Abernathy Boulevard SW, Atlanta 30310

404-883-3302

www.prescotthc.com

A family-owned and operated private home care provider dedicated to giving your loved one safe, personalized care in the comfort of their home.

Health & Wellness

Renaissance on Peachtree

3755 Peachtree Road NE

Atlanta 30319

404-237-2323

www.seniorlifestyle.com

Senior Lifestyle helps seniors enjoy life in a vibrant and healthy community so they and their families can rest easy.

Sanford Estates

500 Walton Way, Roswell 30076

770-679-2172

www.seniorlivingstyle.com

Sanford Estates features 24-hour management teams, available and on-site. Seniors enjoy the convenience and comfort of the bus for scheduled appointments, shopping trips, excursions and other places of interest.

Senior Helpers

696 Concord Road SE, Suite B Smyrna 30082

770-892-6950

www.seniorhelpers.com

No matter the type of care your loved one requires, Senior Helpers provides the perfect services for any of their needs, all done from home.

Sterling Estates of East Cobb

4220 Lower Roswell Road

Marietta 30068

678-946-4454

www.sterlingestateseastcobb.com

Sterling Estates of West Cobb

3165 Dallas Highway, Building 1000 Marietta 30064

770-255-7000

www.sterlingestateswestcobb.com

Sterling Estates Senior Living Communities takes pride in offering gracious, spacious retirement living in East Cobb and in West Cobb.

Somerby Senior Living

25 Glenlake Parkway NE Atlanta 30328

800-783-7957

www.somerbyseniorliving.com

At Somerby, residents, families and associates come together in each special senior living community to create a place that’s full of life.

Sunrise at Buckhead

1000 Lenox Park Boulevard NE Atlanta 30319

404-261-8700

www.sunriseseniorliving.com/communities/sunrise-at-Buckhead

Proudly offering a variety of care services, including assisted living, respite stays and care for those living with Alzheimer’s disease and other forms of dementia.

Sunrise Senior Living

8592 Roswell Road

Sandy Springs 30350

888-434-4648

www.sunriseseniorliving.com

Eleven facilities across Atlanta serve the needs of seniors including assisted living, independent living, memory care, respite care, home care and hospice assistance.

The Arbor Company

Greater Atlanta Area

404-237-4026

www.arborcompany.com

Through a commitment to developing an outstanding and tenured staff, The Arbor Company maintains a progressive clinical and competitive edge that embraces both resident and family needs, with 12 facilities across Atlanta.

The Jewish Tower

3156 Howell Mill Road NW

Atlanta 30327

404-351-3536

www.JewishHomeLife.org

Affordable retirement community offering adults aged 62-plus at any income level the comforts and conveniences of a fullservice retirement community, but with rent adjusted to their individual income.

The Piedmont at Buckhead

650 Phipps Boulevard NE Atlanta 30326

404-496-5492

www.ThePiedmontatBuckhead.com

The Piedmont at Buckhead is a high-rise building overlooking Atlanta with choices galore for socializing, fitness, recreation and fine dining right outside the front door.

The Solana East Cobb 1032 Johnson Ferry Road Marietta 30068

770-285-0691

www.arborcompany.com

The Solana offers luxury and service never imagined in a senior living community. With a variety of engaging activities, The Solana elevates the senior experience to a new level.

Vernon Springs Senior Living Community

690 Mount Vernon Road

Sandy Springs 30328

404-843-8857

www.vernonsprings.com

Vernon Springs Senior Living Community is family owned and operated with the best value senior living and memory care in the heart of Sandy Springs.

Health & Wellness

The William Breman Jewish Home

3150 Howell Mill Road NW

Atlanta 30327

404-351-8410

www.wbjh.org

Jewish HomeLife’s Medicare and Medicaid certified skilled nursing home offers top quality, compassionate long-term care for older adults who require around-the-clock supervision or care.

The Zaban Tower

3160 Howell Mill Road, Atlanta 30327

404-350-7112

www.JewishHomeLife.org

The Zaban Tower is an affordable independent living community, offering very lowincome adults aged 62-plus the comforts and conveniences of a full-service retirement community, but with rent adjusted to individual income.

Touching Hearts at Home

4880 Lower Roswell Road

Marietta 30068

470-343-5403

www.touchinghearts.com

Touching Hearts at Home is a non-medical home care company that provides caregiving services to seniors, putting belief in the dignity of all people at the forefront of its work.

Vickery Rose Retirement Resort

295 East Crossville Road

Roswell 30375

470-242-6816

www.VickeryRoseRetirement.com

This all-inclusive, 55-plus retirement community is home to those who relish living a luxurious lifestyle, complete with 24/7 service, resort-style dining and beautiful accommodations.

Village Park Senior Living

5701 Spalding Drive

Peachtree Corners 30092

770-416-0502

www.villageparkseniorliving.com

Retirement that’s full of life! Experience the Village Park difference with resort-style senior living communities in Atlanta’s most desirable neighborhoods.

Visiting

Angels

Locations across metro Atlanta

800-365-4189

www.visitingangels.com

Visiting Angels makes staying at home a positive experience with personalized care in the comfort of home.

Weinstein Hospice

3150 Howell Mill Road NW Atlanta 30327

404-352-4308

www.weinsteinhospice.org

The only Jewish hospice in Georgia, this community-based hospice offers comfort and the highest quality of care to individuals confronting life-limiting and end-of-life illnesses.

SLEEP

Atlanta Snoring Institute

1218 West Paces Ferry Road NW

Atlanta 30327

770-991-2800

www.atlantasnoring.com

These ENT experts are among Atlanta’s finest board-certified otolaryngologists with a special interest in the management and treatment of snoring, sleep apnea and other related conditions.

Integrative Sleep and ENT

2650 Holcomb Bridge Road, Suite 510

Alpharetta 30022

404-809-3383

www.JulieZweigMD.com

Integrative Sleep & ENT provides a holistic and patient-centered approach to health and wellness. As an ENT, sleep, wellness, and hearing practice, Integrative Sleep has the expertise to help you achieve optimal health.

UROLOGY

Georgia Urology

Locations across metro Atlanta

678-284-4053

www.gaurology.com

Georgia Urology, the largest urology practice in the Southeast, features board-certified urologists who strive for the best outcomes for men, women and children.

Northside Hospital

Urodiagnostics

5445 Meridian Mark Road

Atlanta 30342

404-851-8000

www.northside.com/urodiagnostics

Northside Hospital’s Urodiagnostics Center provides an integrated treatment approach, using specialized expertise, sophisticated diagnostic techniques and individualized treatment plans to effectively diagnose and treat urinary incontinence.

Urology Specialists of Atlanta

5673 Peachtree Dunwoody Road

Atlanta 30342

404-255-3822

www.urologyspecialistsatlanta.com

Urology Specialists of Atlanta use the most up-to-date medical advancements to increase cure rates while reducing patient discomfort and recovery time.

Simcha Resources

CAtERING

A Kosher Touch

5342 Tilly Mill Road, Dunwoody 30338

770-321-9592

www.akoshertouchcatering.com

A Kosher Touch works with clients to fully customize events with personalized menus, quality ingredients, unique decor and plating, experienced full-service staff and more.

Added Touch Catering

8601 Dunwoody Place, Suite 301

Atlanta 30350

770-321-9592

www.addedtouchcatering.com

Added Touch Catering works with clients to fully customize events with personalized menus, quality ingredients, unique decor and plating, experienced full-service staff and more.

Affairs to Remember

2316 Defoor Hills Road NW

Atlanta 30318

404-872-7859

www.affairs.com

Affairs to Remember Caterers is an awardwinning company specializing in off-premises catering, site selection, décor, music and entertainment, tent rental, lighting, linens, ice carvings, furniture, floral and photography.

Alon’s Bakery

1394 North Highland Avenue NE Phipps Plaza, Atlanta

404-978-2601

404-872-6000

www.alons.com

Alon’s Bakery and Market is an award-winning restaurant. Alon’s caters scratch-made baked breads, European-style cakes, handmade pastries, gourmet sandwiches, freshly prepared foods, fine cheeses, exquisite chocolates and more.

Avenue K

1236 Powers Ferry Commons SE Marietta 30067

770-578-1110

www.avenuekosher.com

Avenue K provides modern simcha catering in a Glatt kosher facility. Avenue K also offers event planning and floral services.

Bagelicious - Diamond Catering

1255 Johnson Ferry Road

Marietta 30068

770-509-9505

www.facebook.com/pages/Bagelicious

New York deli-style favorites, including a variety of bagels and salads. Bagelicious caters to all of metro Atlanta.

Goldbergs Fine Foods

Locations across metro Atlanta

www.goldbergsfinefoods.com

Here, bagels are made the old-fashioned way. Ideals and values reminiscent of times of the past are a continuing recipe for both great food and success.

Keith’s Corner BBQ

404-250-1BBQ (1227)

www.keithscornerbbq.com

Available for catering, pop-ups and special events, Keith’s Corner BBQ was founded in 2014 by Keith Marks, a multi-award-winning barbecue pitmaster.

Liquid X Cream Atlanta

www.liquidxcream.com

Liquid X Cream is a mobile ice cream caterer that brings fresh ice cream and entertainment to any party.

The Spicy Peach

2887 N. Druid Hills Road Atlanta 30329

404-334-7200

www.thespicypeach.com

The Spicy Peach offers beautiful platters for all occasions: boxed lunches, light hors d’oeuvres, wraps, salads, hot dishes and desserts.

Yum!

9955 Coleman Road, Roswell 30075 912-220-5558

www.yum.catering

Yum Catering provides food that is creative, bright, fun, and delicious. Their custom orders will fit any theme and be the highlight of your gathering.

The Kosher Gourmet

2153 Briarcliff Road, Atlanta 30329

404-636-1114

www.kgatl.com

The Kosher Gourmet features full-service Glatt kosher catering and takeout and has served Atlanta since 1983.

Simcha Resources

Simcha Resources

DECOR

Balloonacy Atlanta

1836 Georgia Terrace

Chamblee 30341

404-351-0538

Event décor for all of life’s celebrations! Balloonacy Atlanta specializes in dynamic balloon décor and custom floral designs.

Balloons Over Atlanta

1231 Collier Road, Suite H Atlanta 30318

404-231-3090

www.balloonsover.com

Balloons Over Atlanta is a full-service decor company for any budget. A full-time staff of creative professionals makes Balloons Over Atlanta convenient, affordable and creative.

Classic Tents & Events

6380 Best Friend Road, Norcross 30071

770-449-1010

www.classic-tents.com

An Atlanta-based full-service tent and rental company, serving the entire Southeast with a solution-oriented approach and the ability to anticipate client needs.

EventScapes

1484 Atlanta Industrial Way NW Suite B, Atlanta 30331

404-733-6763

www.eventscapesatlanta.com

Whether the need is centerpieces for a small function or a gala for hundreds of guests, EventScapes provides floral and non-floral decor and props from simple to extraordinary.

Jim White Designs

Atlanta

404-462-4787

www.jimwhitedesigns.com

Jim White has been planning events for more than 30 years, using theatrical lighting, customized props and themed entertainment to create a uniquely special event for each client.

JF&CS Renterpieces

4549 Chamblee Dunwoody Road

Atlanta 30338

770-677-9337

www.Jfcsatl.org/services/supportservices/renterpieces

JF&CS Renterpieces are made-to-order decorative centerpieces and large bimahsized decorations that can be customized to the event’s color scheme or other specifications.

Let’s Celebrate

4000 Northfield Way, Suite 300

Roswell 30076

678-879-9900

www.letscelebrateevents.com

Let’s Celebrate takes a client’s concept and transforms it into a dazzling reality. For 25 years, Let’s Celebrate has been a leader in the event planning industry.

SpecialTevents

Atlanta

404-216-7515

www.terrysaxeevents.net

SpecialTevents is a team of exceptional hospitality specialists, with over 17 years of experience orchestrating spectacular events both intimate and grand.

ENtERtAINMENt

Amp’d Entertainment

1500 Southland Circle NW, Suite C

Atlanta 30318

404-806-9499

www.ampdentertainment.net/

Amp’d Entertainment takes everything that is boring and predictable about traditional events and reinvents it with live mashups and remixes.

Atlanta Fever

Entertainment

978 Forest Pond Circle, Marietta 30068 770-998-2338

www.atlantafeverent.com

Atlanta Fever is an interactive DJ company with a skillful team of MCs, DJs and dancers who are masters at creating the perfect energy for parties.

Simcha Resources

Big Band Contractors

Atlanta

770-547-3279

www.bigband.band

Big Band Contractors provides a professional, full-size, 17-piece big band in the tradition of the Count Basie and Glenn Miller big bands featuring male and female vocalists.

DJ Neezy

Atlanta

678-520-0194

www.djneezy.com

More than just a DJ, owner-operator Ben Needle, aka DJ Neezy, is committed to catering to clients’ needs. He prides himself on a standard of quality that will be unsurpassed.

Endless Entertainment

555 Whitehall Street SW R18

Atlanta 30303

404-496-5105

www.Endless-Entertainment.biz

Endless Entertainment produces Atlanta’s most eclectic collection of unique performance art and talent. It specializes in producing and performing full theatrical productions as well as event entertainment.

Game Truck

Atlanta

866-253-3191

www.gametruck.com

GameTruck makes your event an exciting, stress-free success. Its amazing entertainment options, party favors, and certified GameCoaches deliver excitement to your doorstep.

Harpnotes

Alpharetta

404-401-5032

www.harpnotes.com

Lisa Handman of Harpnotes provides elegant harp music with either an acoustic or rare electric harp and can accommodate many different types of events.

Ian’s Friends Foundation

855 Marseilles Drive, Atlanta 30327

404-966-0752

www.iansfriendsfoundation.com/iffband

Ian’s Friends Band is a teen rock band from Roswell. This group of passionate, dedicated kids perform to raise awareness and funds to find a cure for pediatric brain tumors.

Jammin’ DJs

1000 Parkwood Circle, Suite 900

Atlanta 30339

404-990-4439

www.jammindjs.net

JAMMIN’ DJs is an award-winning DJ company that specializes in exceptional and trusted event entertainment, décor, uplighting and photo booth services, now including Cold Sparks!

Joe Alterman

6095 Lake Forrest Drive, Suite 150 Atlanta 30328

404-444-9869

www.joealtermanmusic.com

Pianist Joe Alterman, an Atlanta native, has performed at many world-renowned venues including The Kennedy Center, Lincoln Center, Birdland and New York’s Blue Note.

Kagan Entertainment

Johns Creek

770-826-8263

www.kaganentertainment.com

Award-winning entertainment company

Kagan Entertainment provides audiovisual production, film and videography services.

Meaningful Frames

Metro Atlanta

(404) 915-0812

www.meaningfulframes.com

Meaningful Frames makes custom, nontraditional guest books that actually add meaning rather than getting left abandoned on the shelves.

Music With Monique

Brookhaven

702-994-2340

www.musicwithmonique.com

Music With Monique offers piano and music theory lessons for children and adults, as well as classical pianists for performances and accompaniment.

Nick and The Grooves

Metro Atlanta

www.facebook.com/nick.grooves www.atlgrooves.com

404-433-1071

Nick and The Grooves is a horn party band based in Atlanta that has been celebrating and performing at simchas for over a decade.

Play It Again Sammy

Atlanta

404-863-4455

www.playitagainsammy.biz

Energetic and charismatic, Sammy Rosenberg is a DJ for all occasions. From weddings to holiday parties, company picnics and banquets, Sammy brings reliable, quality entertainment to his clients.

Sammy K

Metro Atlanta

www.facebook.com/sammyktheartist

Sammy K, the Jewish rapper, has one of the sickest flows. His rap game is clean, sophisticated and unmatched.

EvENt PLANNING

Atlanta Party Connection

770-744-5750

www.atlantapartyconnection.com

Providing planning tips, ideas and inspiration, Atlanta Party Connection will connect you with the top vendors and resources to make your celebration a success.

Simcha Resources

Bluming Creativity

Sandy Springs

770-992-4200

www.blumingcreativity.com

Bluming Creativity is widely acclaimed for expertise in the milestones that make life special: baby naming celebrations, mitzvahs, weddings and anniversary parties.

Chic Occasions

Marietta

770-257-9007

www.chicoccasions.com

Chic Occasions is a bridal show and wedding planning service, specializing in planning local, destination and in person weddings & events.

Encore Events and Entertainment

Lawrenceville

678-427-0028

Encore Events is dedicated to providing exceptional events and entertainment services for every client. Encore has a reputation for creativity and outstanding event production.

Helene & Company, Inc.

Atlanta

770-390-9144

www.heleneandcompanyinc.com

Helene & Company offers a full range of event planning services with emphasis on one-of-a-kind weddings, bar mitzvahs and specialty parties.

Planning Makes Perfect

Atlanta

404-936-2949

www.planningmakesperfect.com

Alyson Pollack, a native Atlantan, discovered her social passion and created Planning Makes Perfect, which has helped clients plan events for 19 years.

SAK Events

Shelly Katz

678-641-2041

sakevents1999@gmail.com

SAK Events provides superior event planning and decor packages at the best price, creating memorable experiences for your family while staying within budget.

SpecialTevents

4975 Olde Towne Way, Marietta 30068

404-216-7515

www.terrysaxeevents.com

SpecialTevents is a team of exceptional hospitality specialists with more than 17 years of experience orchestrating luxury, spectacular events, both grand and small.

Visit Sandy Springs

1 Galambos Way

Sandy Springs 30328

770-206-1447

www.visitsandysprings.org

With 20 hotels and 2,800 rooms, Visit Sandy Springs provides customized and complimentary service to find the perfect hotel as well as recommendations for venues, catering and more.

Your Party by Karen Atlanta

678-665-1597

www.yourpartybykaren.com

Karen’s years of experience and expertise in this industry are invaluable. She connects clients to the finest vendors that best meet their visions, personalities, styles and budgets.

FLORISt

Flower Design by Joan 3417 Oakcliff Road, Doraville 30340

404-518-2021

www.flowerdesignbyjoan.com

Originally from South Africa, Joan has had international exposure to flowers and foliage that are grown around the world. She uses this knowledge and expertise extensively in her designs.

Simcha Resources

Village Green Flowers and Gifts

3246 Atlanta Road, Suite H Smyrna 30080

770-435-9393

www.villagegreenflowersandgifts.com

Village Green Flowers and Gifts is an environmentally conscious floral provider offering unique floral designs, upscale arrangements as well as national and local delivery.

INvItAtIONS

EventPrints

3131 Presidential Drive

Atlanta, GA 30340

404-745-9590

www.eventprints.com

EventPrints produces designer, crafted invitations that are truly unique. Other companies may outsource their design or invitation printing, but at EventPrints, everything is printed in-house.

LIqUOR

Citi Wine and Spirits

5861 Roswell Road

Sandy Springs 30328

404-228-4260

www.citipackage.com

Citi Wine and Spirits is a one stop shop for the finest beer, fantastic wines and spirits of all types.

Corks & Caps

4600 Roswell Road, Suite D-110

Sandy Springs 30342

404-843-1050

www.corkscaps.com

Corks & Caps in Sandy Springs has a knowledgeable staff to help you with every libation purchase from the newest craft beer to allocated whiskeys.

Grbinich Wines

6679-K Peachtree Industrial Boulevard

Peachtree Corners 30092

404-786-3874

www.grbinichwines.com

Grbinich Wines began as a result of several journeys through Eastern Europe by a former Atlanta synagogue president and entrepreneur who now distributes kosher wines and spirits.

Total Wine & More

Locations across metro Atlanta

855-328-9463

www.totalwine.com

Total Wine & More is a national chain of stores that is passionate about wine. Its team of trained experts will help you find the perfect bottle every time.

Tower Beer, Wine & Spirits

2161 Piedmont Road NE

Atlanta 30324

5877 Buford Highway, Doraville 30340

404-881-0902, 770-458-3272

www.towerwinespirits.com

Tower Beer, Wine & Spirits is a trusted local business that has been serving Atlanta since 1948 with retail locations across the city.

PHOtOGRAPHY

Beth Intro Photography

Atlanta

404-372-9973

www.bethintrophoto.com

Beth is passionate about preserving memories. When she had her first daughter and was given a camera, she realized the importance of capturing a child’s smile and their moments of simple joy.

Courtney Goldman

Photography

Atlanta

404-310-1577

www.courtneygoldman.com

Courtney Goldman is a portrait and event photographer with more than 11 years of experience. Her passion is to document meaningful moments and deliver them, framed, to clients.

Dani Weiss Photography

2117 Juanita Street, Decatur 30032

404-907-4970

206-409-9982

www.daniweissphotography.com

Dani Weiss has 30 years of experience as a professional photographer in Atlanta and specializes in fun, playful and documentarystyle event and family photography.

Eric Bern Studio

400 Mt. Vernon Highway NE

Atlanta 30328

404-252-0209

www.ericbernstudio.com

For more than 35 years, Eric Bern has had the pleasure of capturing the smiles and spirit of families and professionals in the community.

Simcha Resources

Harold Alan Photographers

Atlanta

770-730-8911

www.haroldalan.com

Harold Alan Photographers is a team of seasoned professionals offering a range of services and styles to meet clients’ needs. Harold Alan specializes in creating photographs that capture memories forever.

Michael Rosser

Marietta

770-516-4332

www.michaelrosserphotography.com

Michael Rosser runs a portrait studio in Marietta for all simchas, specializing in family portraits, weddings, Bar & Bat Mitzvahs, corporate headshots, and maternity and newborn portraits.

vENUE

103 West

103 West Paces Ferry Road

Atlanta 30305

404-233-5993

www.103west.com

103 West can accommodate intimate Shabbat dinners of 20 guests to mitzvahs as large as 300 guests. With separate lounge areas connected to both ballrooms for adult cocktails, these spaces offer fun for all ages.

42 West Entertainment Group

1088 Huff Road NW, Atlanta 30318

310-429-6269

www.42westentertainmentgroup.com

42 West is Atlanta’s newest and most creative event venue providing exclusive space for Atlanta’s most beautifully designed events.

Alpharetta Convention & Visitors Bureau

178 South Main Street, Suite 200 Alpharetta 30009

678-297-2811

www.awesomealpharetta.com

Here, find free event planning resources including free consultation on venues, access to service providers, hotel room accommodations, and much more.

Atlanta History Center

130 West Paces Ferry Road

Atlanta 30305

404-814-4000

www.atlantahistorycenter.com

The Atlanta History Center, with its elegance, historical appeal and natural beauty, offers five indoor and outdoor venues for weddings, corporate and nonprofit events, social events of any occasion and photo shoots.

Atlanta Marriott

Greater Atlanta Area

www.marriott.com

Marriott, with locations across the Atlanta area, offers flexible event space and expert hotel staff to execute all of life’s big celebrations.

Callanwolde Fine Arts Center

980 Briarcliff Road NE, Atlanta 30306

404-872-5338

www.callanwolde.org

Callanwolde is a community arts center and renowned venue located on a historic 12acre estate in the heart of metro Atlanta.

Cobb Energy Performing Arts Centre

2800 Cobb Galleria Parkway

Atlanta 30339

770-916-2800

www.cobbenergycentre.com/perfect

Plan on a perfect B’nai mitzvah and on Cobb Energy center to provide world-class facilities and a friendly, professional staff offering relentless attention to detail and a make-it-happen mindset.

Cobb Galleria Centre

2 Galleria Parkway, Atlanta 30339

770-955-8000

www.cobbgalleria.com

Cobb Galleria Centre offers spaces with finely appointed décor, tile floor and dramatic floor-to-ceiling windows that might be the perfect fit for your celebration.

Decatur Visitors Center

113 Clairemont Avenue

Decatur 30030

678-615-0915

www.visitdecaturga.com

With two upscale hotels downtown, banquet spaces, unique venues, a conference center, top-tier dining options and friendly shops and salons, Decatur has something special for every occasion.

Defoor Centre

1710 Defoor Avenue NW

Atlanta 30318

404-591-3809

www.defoorcentre.com

The Forum can accommodate 300 guests theater style, 250 guests for a seated dinner function with a dance floor, 300 guests with no dance floor and 400 for a cocktail reception.

Simcha Resources

Emory Conference Center

Hotel

1615 Clifton Road, Atlanta 30329

404-712-6000

www.emoryconferencecenter.com

Planning a small business meeting, corporate conference, or a social event for 300? Emory Conference Center Hotel ensures the planning process is as seamless as possible.

Explore Brookhaven

705 Town Boulevard, Suite R430

Brookhaven 30319

678-879-4570

www.explorebrookhaven.com

Explore Brookhaven provides professional tourism leadership and expertise to enhance the image, perception and success of tourism activities and economic opportunity in the city of Brookhaven.

Georgia Aquarium

225 Baker Street NW, Atlanta 30313

404-581-4000

www.georgiaaquarium.org

The entire aquarium is available for large receptions of up to 5,000 guests and the aquarium’s six galleries provide a colorful backdrop for a special event.

Hilton Garden Inn Perimeter Center

1501 Lake Hearn Drive, Atlanta 30319

404-459-0500

www.hilton.com

Located just off I-285, Hilton Garden Inn has space for receptions, weddings, parties and small dinners.

Hotel Colee

3377 Peachtree Road NE

Atlanta 30326

678-500-3100

www.hotelcolee.com

Meet with your team, clients, association or group in fabulous meeting facilities and let this expert team of event planners pull your event together without a hitch.

InterContinental Buckhead

3315 Peachtree Road NE

Atlanta 30326

404-946-9000

www.intercontinentalatlanta.com

At InterContinental Buckhead Atlanta expect flawless decor and advanced technology, complemented by expert event planning services and a kosher kitchen offering customized catering.

Kaplan Mitchell Retreat Center at Ramah Darom

6400 Powers Ferry Road, Suite 215

Atlanta 30339

404-531-0801

www.ramahdarom.org

The Kaplan Mitchell Retreat Center at Ramah Darom is a first-class, full-service facility nestled in the foothills of the Blue Ridge Mountains, just two hours north of Atlanta.

Hilton Atlanta Northeast

5993 Peachtree Industrial Boulevard

Peachtree Corners 30092

770-447-4747

www.atlantanortheast.hilton.com

As one of the largest hotels in the area, guests have access to Hilton amenities and experience personal hospitality that is warm and welcoming.

Le Meridien Atlanta Perimeter

111 Perimeter Center West

Dunwoody 30346

770-396-6800

www.lemeridienatlantaperimeter.com

Le Meridien is a AAA Four Diamond hotel in the center of the Perimeter area.

Marriott Atlanta Alpharetta

5750 Windward Parkway

Alpharetta 30005

678-624-3121

www.alpharettamarriott.com

From striking backdrops for glamorous cocktail receptions to banquet seating for up to 500 guests, these revitalized and unique spaces are easily customizable to reflect your vision of the perfect celebration.

Omni Hotel at The Battery 2625 Circle 75 Parkway, Atlanta 30339

678-567-7327

www.omnihotels.com

The Omni property is a luxurious full-service hotel adjacent to Truist Park and the official hotel of the Atlanta Braves.

Renaissance Atlanta Waverly Hotel

2450 Galleria Parkway, Atlanta 30339

770-953-4500

www.marriott.com

Offering 60,000 square feet of flexible banquet space, Renaissance Atlanta Waverly Hotel – a AAA Four-Diamond rated hotel – is the ideal location for a celebration.

Savanna Hall at Zoo Atlanta 800 Cherokee Avenue SE Atlanta, GA 30315

404-624-5600

www.zooatlanta.org/plan-an-event

From an unforgettable wedding first dance in the majestic Savanna Hall to a twilight dinner on the Takamenda Gorilla Deck, Zoo Atlanta can make your vision come to life.

Simcha Resources

Sonesta Atlanta Northwest Galleria

6345 Powers Ferry Road

Atlanta, GA 30339

770-955-1700

www.sonesta.com

Sonesta Atlanta Northwest Galleria puts you near the city’s top-rated attractions. Find ultimate comfort in one of its spacious guest rooms or luxurious suites boasting stunning floor-to-ceiling window views.

Spring Hall

7130 Buford Highway, Suite A-100

Atlanta 30340

770-613-9973

www.springhallatl.com

Spring Hall makes memorable, delicious events, whether for a small group or a party of 400 guests.

Stars and Strikes

10010 GA 92, Suite 180 Woodstock 30188

678-965-5707

www.starsandstrikes.com

This family entertainment center offers bowling, laser tag, arcade games, bumper cars, private meeting space and a full catering menu.

The Hamilton Hotel 35 Milton Avenue, Alpharetta 30009

770-777-1820

www.thehamiltonhotel.com

The Hamilton provides flexible spaces to accommodate events of all sizes, whether a business meeting or retreat, an intimate micro-wedding, or a grand wedding for 200.

Tongue & Groove 565 Main Street NE, Atlanta 30324

404-261-2325

www.tandgonline.com

Before dinner, after dinner and late into the night, Tongue & Groove caters to an upscale crowd that enjoys fashion, music, art and nightlife.

Twelve Hotels

361 17th Street NW, Atlanta 30363

404-961-1212

www.twelvehotels.com

Host an event within this exceptional Atlanta meeting space and count on expert concierges, event planners and caterers to provide a refreshing escape from the conventional.

Hyatt Regency Villa Christina

4000 Summit Boulevard Atlanta 30319

678-539-1234

www.hyatt.com

Placing an emphasis on the season’s freshest ingredients, Villa Christina’s culinary team creates tempting menu selections for meetings, mitzvahs, weddings, personal milestones and more.

Westin Atlanta Perimeter North

7 Concourse Parkway, Atlanta 30328

770-395-3900

www.marriott.com

The Westin Atlanta Perimeter North event facilities include conference space and meeting rooms. Self-parking is available on-site.

Waldorf Astoria Buckhead

3376 Peachtree Road NE Atlanta 30326

404-995-7500

www.waldorfastoriaatlantabuckhead. com

At Waldorf Astoria Atlanta Buckhead, every venue is a sophisticated place to gather. Its refined spaces like the grand ballroom are perfect for hosting up to 250 guests.

Yonah Mountain Vineyards

1717 Highway 255 S, Cleveland 30528

706-878-5522

www.yonahmountainvineyards.com

Yonah Mountain Vineyards is a winery and tasting room where you can enjoy live music and luxury dining.

vIDEOGRAPHY

Blue Orchid Productions

Metro Atlanta

678-261-6185

www.blueorchidproductions.com

Ella Szczupak considers a well-edited video to be a work of art — whether it’s a biography, a bar mitzvah or a photo/video montage.

Dewitt Smith

7025 Blue Fox Court, Cumming 30040 770-886-2999

www.dsvp.com

Dewitt Smith Video Productions has been trusted by Atlanta’s elite event planners and families to preserve important occasions for more than 35 years.

Meaningful

Media

Metro Atlanta

404-333-2235

www.createmeaningful.media

Ori Salzberg founded Meaningful Media to bring originality and emotion to web media. Ori often creates custom scores to enhance his productions. Ori works with private, commercial and nonprofit clients.

Point of View

7629 Auden Trail, Atlanta 30350 770-350-7900

www.povv.com

Memorable video starts with great personal attention. With broadcast quality HD cameras and editing systems, POV offers a variety of packages that will meet clients’ budgets and exceed expectations.

Food & Retail

DINING

101 Bagel Cafe

locations across metro Atlanta

678-992-5810

www.101bagelcafe.com

Come to 101 Bagel Cafe and try its authentic New York water bagels, soups, salads, wraps and more.

A Healthy Touch Cafe

MJCCA, 5342 Tilly Mill Road Dunwoody 30338

770-321-9592

www.atlantajcc.org/about/healthytouch-cafe.

A Healthy Touch Cafe at the Marcus Jewish Community Center’s Zaban Park offers kosher, dairy and meat options, including frozen meals and Shabbat-to-go.

Ali’s Cookies

Locations across metro Atlanta

800-220-7644

www.shipacookie.com

Ali’s Cookies specializes in gluten-free and dairy-free cookies and cakes, corporate gifts, sales initiatives, and more. Ali’s creates wonderful wedding cakes, custom cakes and delightful desserts.

Alon’s Bakery

1394 North Highland Avenue NE

Atlanta 30306

678-397-1781

404-872-6000

www.alons.com

Alon’s Bakery and Market is an awardwinning restaurant. Alon’s caters scratchmade baked breads, European-style cakes, handmade pastries, gourmet sandwiches, freshly prepared foods, fine cheeses, exquisite chocolates and more.

Antico Pizza Napoletana

1093 Hemphill Avenue, Atlanta 30318

404-724-2333

www.littleitalia.com

Within weeks of opening Antico Pizza Napoletana, lines of locals, visitors, and celebrities formed around the block. Antico is now a name synonymous with pizza greatness.

Bagel Boys Cafe

6355 Peachtree Dunwoody Road Atlanta 30328

678-585-3445

www.bagelboyscafe.com

Bagel Boys Cafe is your home for great bagels, breakfast and deli-style sandwiches. It offers food that is fast, but never tastes that way.

Bagelicious

1255 Johnson Ferry Road

Marietta 30068

770-509-9505

www.facebook.com/pages/Bagelicious

Bagelicious boasts New York deli-style favorites, including a variety of bagels and salads, in a casual, welcoming space.

Bambinellli’s

3202 Northlake Parkway NE Atlanta 30345

770-493-1311

www.bambinellispizza.com

Bambinelli’s secret recipes hail from Italian immigrant Bonnie Marisa Bambinelli, a woman born into a family that possesses passion for life and a flair for cooking.

Baskin-Robbins

Locations across metro Atlanta

800-859-5339

www.baskinrobbins.com

Baskin-Robbins is touted as the world’s largest chain of ice cream specialty shops, providing guests with a wide array of ice cream flavors and delicious treats in more than 50 countries around the world.

Bones

3130 Piedmont Road NE

Atlanta 30305

404-237-2663

www.bonesrestaurant.com

Bones has been recognized as one of the best steakhouses in Atlanta and in America. Enjoy beef and fresh seafood along with regional specialties.

Brooklyn Bagel Bakery & Deli 9925 Haynes Bridge Road, Suite 740 Johns Creek 30022 770-569-7290

www.brooklynbagel-deli.com

Brooklyn Bagel is famous for its fromscratch, kettle-boiled bagels. Breakfast menu includes homemade cream cheese, eggs and grilled meats, Nova, white fish and salmon.

Brooklyn Cafe

220 Sandy Springs Circle

Atlanta 30328

404-843-8377

www.brooklyncafe.com

Brooklyn Café provides a quality experience down to the last detail while not losing the warmth, familiarity and ease of a favorite neighborhood spot. Here, it’s all about food, wine & friends.

Bruster’s

Locations across metro Atlanta

www.brusters.com

Bruster’s Ice Cream is an American chain of ice cream parlors serving ice cream and frozen yogurt from more than 170 recipes, including many seasonal favorites.

Buckhead Diner

3073 Piedmont Road

Atlanta 30305

www.buckheadrestaurants.com

An American dining experience unlike any other, Buckhead Diner is truly an Atlanta classic. Here diner meets fine dining, with inventive and long-time favorite menu items, snappy service, and retro style.

Buckhead Life Restaurant Group

265 Pharr Road NE, Atlanta 30305

404-237-2060

www.BuckheadRestaurants.com

For business or pleasure, Buckhead Life offers a destination perfect for any appetite, mood and occasion. Restaurants include Chops, Pricci, Atlanta Fish Market, Kyma and Bistro Niko.

Café Intermezzo

Locations across metro Atlanta www.cafeintermezzo.com

At Café Intermezzo, take in the music, aromas and art -- the essence of a coffeehouse experience. Rendezvous with a friend, hold a meeting, or simply ponder.

Café Sababa

4639-D N. Shallowford Road

Dunwoody 30338

678-705-8268

www.cafesababa.info

Café Sababa strives to offer an awesome culinary experience with fresh, authentic Mediterranean and Middle Eastern dishes, including grilled chicken, fish, beef and lamb.

Food & Retail

Café Sunflower

2140 Peachtree Road, Atlanta 30309

404-352-8859

www.cafesunflower.com

For more than 20 years, Café Sunflower has consistently been voted Atlanta’s best vegan restaurant serving meat-free dishes in Buckhead.

Canton Cooks

5984 Roswell Road NE, Atlanta 30328

404-250-0515

www.cantoncooks.food-pi.com

Canton Cooks is a classic Sandy Springs favorite serving up eclectic Chinese fare, including hot pot and BBQ duck, in a casual atmosphere.

Canton Cook II

6690 Roswell Road

Sandy Springs 30328

404-255-8000

www.cantoncookii.com

Fish tanks adorn this casual Chinese eatery serving classic fare, from noodles to Peking duck.

Chai Peking

2205 Lavista Road NE, Atlanta 30329

404-327-7810

www.chaipeking.com

Chai Peking is located inside Toco Hills Kroger. Chai Peking is an easygoing choice for kosher Chinese and American standards.

Chamberlain’s Chocolate Factory

1575 Old Alabama Road

Roswell 30076

678-728-0100

www.chamberlainschocolate.com

Chamberlain’s is a full-service chocolatier and cafe, offering kosher gifts and favors, ideal for parties, camp and catering.

Chops

70 West Paces Ferry Road NW

Atlanta 30305

404-237-2060

www.buckheadrestaurants.com

An Atlanta icon known for its exceptional food and service; Chops consistently ranks as one of the top 10 steakhouses in the country.

Cibo e Beve

4969 Roswell Road, Suite 245 Atlanta 30342

404-250-8988

www.ciboatlanta.com

Acclaimed chef Linda Harrell brings more than 25 years of excitement creating magnificent Italian cuisine to Cibo e Beve.

Cinnaholic

1230 Caroline Street, Atlanta 30307

404-343-0805

www.cinnaholic.com

Cinnaholic is a vegan bakery franchise with over 20 unique frosting flavors. It’s not your typical cinnamon roll dessert shop — it’s a cinnamon roll experience!

Food & Retail

Circle Sushi

8725 Roswell Road, Suite 7

Atlanta 30350

770-998-7880

www.yelp.com/biz/circle-sushi-atlanta

Circle Sushi is a humble Atlanta restaurant known for its traditional sushi and sashimi, Japanese entrees and reasonable pricing.

City Winery

650 North Avenue NE, Atlanta 30308

404-946-3791

www.citywinery.com

City Winery is a hip, intimate venue with a New American cuisine menu located at Ponce City Market. Stop in for a unique dining experience.

Créma Espresso Gourmet

2458 Mt Vernon Road

Dunwoody 30338

678-731-9020

www.cremaespressogourmet.com

Créma Espresso Gourmet is a cheerful mainstay featuring espresso, artisanal pastries and cafe dishes in a sun-lit, airy interior.

Dunkin’

Locations across metro Atlanta

www.dunkindonuts.com

Dunkin’ Donuts is an American global doughnut company and coffeehouse based in Massachusetts with dozens of locations across metro Atlanta.

Einstein Bros. Bagels

Locations across metro Atlanta

www.locations.einsteinbros.com

Einstein Bros. Bagels is your neighborhood bagel shop. It provides guests with freshly baked bagels, breakfast sandwiches, lunch sandwiches, coffee, catering and so much more.

Emerald City Bagels

1257A Glenwood Avenue

Atlanta 30316

404-343-3758

www.emeraldcitybagels.com

What began as a small company providing bagels to local restaurants grew to a pop-up in East Atlanta Village on weekends. In 2018, Emerald City opened a permanent home in East Atlanta Village.

Farm Burger

Locations across metro Atlanta

www.farmburger.com

From catering to quick bites, Farm Burger is always a delicious choice for lunch or dinner. Its focus on sustainability makes Farm Burger stand out among the crowd.

Fellini’s Pizza

Locations across metro Atlanta

www.fellinisatlanta.com

Fellini’s Pizza is an Italian restaurant founded in Atlanta in 1982. Fellini’s seven locations are known for classic pizza and salads.

FuegoMundo

5590 Roswell Road

Sandy Springs 30342

404-256-4330

www.fuegomundo.com

FuegoMundo, voted a top kosher restaurant in Atlanta, is a healthy taste of Latin America. It’s the ideal place for people wanting good food and good times.

Goldbergs Fine Foods

Locations across metro Atlanta 404-465-1100

www.goldbergbagel.com

Goldbergs Bagel Company and Deli started in 1972 as a father and son run Atlanta deli serving six varieties of authentic New Yorkstyle boiled bagels and one very popular Po’Boy sandwich.

Hal’s Steakhouse

30 Old Ivy Road, Atlanta 30342

404-261-0025

www.hals.net

The New Orleans style steakhouse featuring live music, prime steaks and the freshest ingredients. Expect nothing but the best when dining at Hal’s On Old Ivy.

Hearth Pizza Tavern

5992 Roswell Road NE

Sandy Springs 30328

404-252-5378

www.hearthpizzatavern.com

Hearth Pizza Tavern features fresh, ovenfired pies all made in-house, right down to homemade dough, cheeses and toppings.

Henri’s

6289 Roswell Road NE

Sandy Springs 30328

404-256-7934

www.henrisbakery.com

Henri’s is famous for its roast beef sandwiches, but this long- running spot with a deli counter also offers fabulous baked goods.

HOBNOB Neighborhood Tavern

Locations across metro Atlanta

470-395-7904

www.hobnobatlanta.com

HOBNOB is a neighborhood tavern providing a warm and inviting atmosphere for all. A “spirited” place, featuring one of the largest collections of bourbon and whiskey in the Southeast.

Hudson Grille

Locations across metro Atlanta

404-249-9468

www.hudsongrille.com

Hudson Grille is Atlanta’s best sports bar with multiple locations across the city. Its private dining spaces are perfect for alumni gatherings, parties and more.

il Giallo Osteria and Bar

5920 Roswell Road, Suite B118

Sandy Springs 30328

404-709-2148

www.ilgialloatl.com

il Giallo specializes in creating made-toorder pasta in a warm, welcoming dining room. Additional highlights include a beautiful private dining room and a stellar wine list.

Ippolito’s

Locations across metro Atlanta

www.ippolitos.net

At Ippolito’s guests enjoy a casual, friendly atmosphere and excellent service, from the healthy portions of homemade sandwiches, pizzas and calzones to pastas, specialty chicken, veal and seafood dishes.

Jeni’s Splendid Ice Cream

Locations across metro Atlanta www.jenis.com

Jeni’s Ice Cream is devoted to making better ice creams and bringing people together with artful attention to detail and an elevated customer experience.

Food & Retail

Jerusalem Bakery

4150 Old Milton Parkway

Alpharetta 30005

1175 Franklin Gateway SE

Marietta 30067

770-419-1666

www.jerusalembakery.restaurant

Jerusalem Bakery is a family-owned and operated bakery store and one of the major distributors of Middle Eastern bread, pastries and sweets in the Southeast.

Keith’s Corner BBQ

2715 Peachtree Square, Atlanta 30360

404-250-1BBQ

www.keithscornerbbq.com

Whether from Tennessee, Texas, Georgia, Louisiana or the Carolinas, southern BBQ is the sweetest and most sultry taste around. Keith’s Southern comfort food is sure to satisfy any appetite.

Little Alley Steak

955 Canton Street, Roswell 30075

770-998-0440

www.littlealleysteak.com

Little Alley Steak sets the perfect scene as an upscale, New York butcher-tinged steakhouse that rivals the likes of Peter Luger in New York or Bern’s in Tampa.

Loving

Hut

220 Hammond Drive NE, #302

Sandy Springs 30328

404-941-7992

www.lovinghut.us/sandysprings

Loving Hut vegan restaurant was created with a vision that all beings could live in peace, love and harmony with each other and the planet.

Maggiano’s

Locations across metro Atlanta

800-983-4637

www.maggianos.com

Whether celebrating a special occasion or gathering the family for an informal dinner, Maggiano’s makes every guest feel comfortable enough to laugh out loud, reminisce and be indulged.

Marietta Diner

306 S. Cobb Parkway Marietta 30060 770-423-9390

www.mariettadiner.com

Since 1995, the Marietta Diner has offered 24-hour-a-day deliciousness. Catering from the Marietta Diner means classic dishes done right.

MaPa’s Matzoh Ball Soup and Nosh Atlanta 30033

404-822-7789

www.facebook.com/MaPas- MatzohBall-Soup-101485611513108

MaPa’s Matzoh Ball Soup and Nosh is a delivery only service offering matzoh ball and kreplach soup, knishes, noodle kugel and potato latkes.

McKendrick’s Steak House

4505 Ashford Dunwoody Road Atlanta 30346

770-512-8888

www.mckendricks.com

McKendrick’s Steak House has been serving the finest steak and seafood to the Atlanta community for the past 23 years.

Food & Retail

Meehan’s Public House

200 Peachtree Street, Atlanta 30303

404-214-9821

www.meehanspublichouse.com

Meehan’s is an authentic Irish eatery that offers a full menu of classic Irish dishes elevated to the gourmet level.

Mellow Mushroom

6100 Roswell Road

Sandy Springs 30328

404-252-5560

www.mellowmushroom.com

For over 40 years, Mellow Mushroom has served fresh, stone-baked pizzas to order in an eclectic, art-filled and family-friendly environment.

Menchie’s Frozen Yogurt

Locations across metro Atlanta

www.menchies.com

Enjoy real ingredients at Menchie’s: no artificial flavors, no artificial colors, no high fructose corn syrup and no partially hydrogenated oils.

Nori Nori

6690 Roswell Road, Suite 2110

Sandy Springs 30328

404-257-1288

www.norinori.com

Nori Nori has elevated buffet dining to a new standard with a buffet that consists of modern and traditional Japanese dishes, all prepared using fresh, quality ingredients.

P.F. Changs

Locations across metro Atlanta

770-352-0500

www.pfchangs.com

P. F. Chang’s China Bistro is an Asianthemed, casual restaurant chain founded in 1993 by Paul Fleming and Philip Chiang.

Persepolis

6435 Roswell Road NE, Atlanta 30328

404-257-9090

www.persepoliscuisine.com

Persepolis Cuisine is one of the oldest and most authentic restaurants for Persian cuisine in Sandy Springs, offering live belly dancing shows on the weekend.

Pricci

500 Pharr Road, Atlanta 30305

404-237-2941

www.buckheadrestaurants.com

A contemporary Italian restaurant with a creative menu, dramatic interior and friendly service, Pricci is stylish dining at its best.

Ponce City Market

675 Ponce de Leon Avenue

Atlanta 30308

404-900-7900

www.poncecitymarket.com

Ponce City Market is a market full of eateries, shopping and wellness located inside the renovated Sears, Roebuck & Company building.

Rumi’s Kitchen

6112 Roswell Road, Atlanta 30328

404-477-2100

www.rumiskitchen.com

Rumi’s Kitchen, the premiere location for Persian Cuisine, delivers fresh and healthy food, attentive Persian hospitality, and an atmosphere filled with love.

Sandy Springs Diner

8612 Roswell Road

Sandy Springs 30350

770-594-9272

www.sandyspringsdiner.com

Sandy Springs Diner offers real home cooking at a really fair price. Visit for a delightful dining experience where every meal feels like home.

Starbucks

Locations across metro Atlanta

www.starbucks.com

Starbucks Corporation is an American coffee company and coffeehouse chain founded in Seattle in 1971. The company operates at more than 25,000 locations worldwide.

Sufi’s Atlanta

1814 Peachtree Street NW

Atlanta 30309

404-888-9699

www.sufisatlanta.com

Sufi’s is a sophisticated place for upscale Persian fare in a dark-wood dining room with a canopied ceiling.

Sushi Nami

5316 Windward Parkway

Alpharetta 30004

678-566-3889

www.sushinami.com

From sushi rolls to small plates and entrees, Sushi Nami prepares menu items in-house daily.

The General Muir

1540 Avenue Place, Suite B-230

Atlanta 30329

678-927-9131

www.thegeneralmuir.com

The General Muir is a “New York-style deli gone contemporary” at this upscale Jewish deli serving fresh eats and adorned with subway tiles.

Three Peaches Gelato

985 Monroe Drive, Atlanta 30308

404-956-4649

www.3peachesgelato.com

Three Peaches Gelato offers non-dairy, lowglycemic gelato chock-full of superfoods, satisfying healthy fats and tummy-friendly prebiotics. It’s the dessert that you can and should indulge in!

True Food

3393 Peachtree Road NE

Atlanta 30326

404-481-2980

www.truefoodkitchen.com

True Food Kitchen is a health-driven, seasonal restaurant merging nutrient-rich ingredients with a flavor-forward menu that rotates regularly to let guests experience great tasting ingredients at the peak of their freshness.

Umi

3050 Peachtree Road NW

Atlanta 30305

404-841-0040

www.umiatlanta.com

Umi unites classic and modern Japanese flavors in a sophisticated, contemporary setting. Chef Fuyuhiko Ito’s menu showcases the freshest fish and the highest quality ingredients available.

Food & Retail

Upbeet

1071 Howell Mill Road, Atlanta 30318

404-347-1071

www.upbeet.com

Upbeet is a new fast-casual eatery by Young + Hungry, the team behind Yeah! Burger. Upbeat was created for guests who don’t want to sacrifice nutrition for convenience.

Vinny’s N.Y. Pizza and Grill

Greater Atlanta Area

www.vinnysatlanta.com

At locations across the city, Vinny serves dishes with distinct flavors using fresh and healthy ingredients.

Waffle House

Locations across metro Atlanta

1-877-9-WAFFLE

www.wafflehouse.com

Waffle House restaurants have offered the unbeatable combination of good food with outstanding service since 1955, making it a beloved icon of the South for the past 70 years.

Yogli Mogli

Locations across metro Atlanta

www.yoglimogli.com

Yogli Mogli frozen yogurt shop features unique flavors in both tart and sweet and includes gluten-free, dairy-free and no-sugar-added options.

Zafron

236 Johnson Ferry Road NE

Sandy Springs 30328

404-255-7402

www.persianrestaurantsandysprings. com

Persian restaurant Zafron puts a twist on the traditional flavors found in the ordinary Iranian restaurant by using intoxicating spices and herbs.

Food & Retail

GROCERY

Costco

Locations across metro Atlanta

800-774-2678

www.costco.com

Costco is a membership warehouse club bringing members specialty departments, exclusive member services and the best possible prices on quality brand-name merchandise.

Farmers & Fisherman Purveyors

6315 McDonough Drive NW Norcross 30093

www.farmersandfishermen.com

A small father-son owned business which brings top quality meats, seafoods and specialty items directly to your home in the Atlanta area including Athens and Macon, six days a week.

Griller’s Pride

3939 McElroy Road, Doraville 30340

770-454-8108

www.grillerspride.com

Griller’s Pride is a Glatt kosher beef, lamb, veal and poultry butchery that delivers directly to customers’ homes in metro Atlanta and across the Southeast.

Kroger

Locations across metro Atlanta

800-576-4377

www.kroger.com

Kroger operates more than 2,000 grocery retail stores in 35 states including supermarkets, price-impact warehouse stores, and multi-department stores, including a kosher section.

Publix

Locations across metro Atlanta

800-242-1227

www.publix.com

Publix Super Markets is an American supermarket chain headquartered in Lakeland, Fla. Find great deals on thousands of products by shopping at your local Publix.

Sprouts Farmers Market

Locations across metro Atlanta

480-814-8016

www.sprouts.com

At the heart of healthy eating are fruits and vegetables, and at the heart of Sprouts, customers find mountains of colorful, farmfresh produce.

The Kosher Gourmet

2153 Briarcliff Road NE, Atlanta 30329

404-636-1114

www.kgatl.com

Whether you need take-out or full service Glatt kosher catering for your next event, the highest quality meats, dairy and dry goods are available from the Kosher Gourmet.

The Fresh Market

Locations across metro Atlanta

866-817-4367

www.thefreshmarket.com

The Fresh Market boasts more than 170 locations nationwide and is committed to providing a warm, friendly local market with the highest quality fresh foods.

The Savory Gourmet Market

50 Canton Street, Suite 109

Alpharetta 30009

770-857-3960

www.savorygourmetmarket.com

Providing breakfast and lunch, chef-prepared meals to-go, gourmet gifts, wine and sweets, the Savory Gourmet is Alpharetta’s top destination for foodies.

The Spicy Peach

2887 N. Druid Hills Road NE

Atlanta 30329

404-334-7200

www.thespicypeach.com

The Spicy Peach offers a unique selection of kosher items, Israeli products, domestic and imported cheeses, and many other hard-tofind items.

Trader Joe’s

Locations across metro Atlanta www.traderjoes.com

Trader Joe’s is a neighborhood grocery store with amazing food and drink from around the globe and around the corner.

Whole Foods

1180 Upper Hembree Road Roswell 30076

844-936-8255

www.wholefoods.com

Whole Foods is the world’s leader in natural and organic foods, with 479 stores in North America and the United Kingdom.

SPECIALtY

DASH Hospitality

www.Dash-hospitality.com

DASH Hospitality is a management and consulting company for start-up and existing restaurants, hotels and other food and beverage services.

Lipsey Mountain Spring Water

770-449-0001

www.lipseywater.com

Lipsey is a premier company for premium bottled water in Atlanta and is believed to be the only water delivery company to bring water in glass bottles.

Tower Beer, Wine & Spirits

Buckhead and Doraville

404-881-0902

www.towerwinespirits.com

Tower Beer, Wine & Spirits offers competitive prices and a personable and knowledgeable staff that will assist and please even the most seasoned buyer.

Grbinich Wines & Spirits

6990 Peachtree Industrial Boulevard

Peachtree Corners 30071

470-395-1155

www.GrbinichWines.com

Grbinich Wines & Spirits offers products made with outstanding grape varietals rarely found in Georgia and produced under the strictest of European production guidelines.

ARtS

Ahlers & Ogletree Auction Gallery

700 Miami Circle, Atlanta 30324

404-869-2478

www.aandoauctions.com

Ahlers & Ogletree is a full-service auction gallery that presents 10 auctions each year of fine art, estate jewelry, vintage automobiles, collectibles and more.

Binders Art Supplies and Frames

3330 Piedmont Road, Suite 1B

Atlanta 30305

404-237-6331

www.bindersart.com

Binders Art Supplies and Frames specializes in providing metro Atlanta with quality service and the best in fine art supplies.

Food & Retail

Hindman Auctions

3344 Peachtree Road NE Atlanta 30326

404-800-0192

www.HindmanAuctions.com

Hindman’s Atlanta office and saleroom provides full auction and estate services for the Atlanta community and the Southeast region at large.

In Stitches

3137 E. Shadowlawn Avenue NE Atlanta 30305

www.institchesatlanta.com

In Stitches is a colorful, quaint needlepoint and embroidery retailer showcasing supplies, classes and more.

Lakewood 400 Antiques Market

1321 Atlanta Highway Cumming 30040

770-889-3400

www.lakewoodantiques.com

Lakewood 400 Antiques Market is held the third weekend of each month. It features collectibles, home decor, art, jewelry and more.

Wolf Photo Design Bar

3763 Roswell Road NE, Atlanta 30342

404-709-2981

www.photodesignbar.com

Find photography coaching, gifts, prints and more at Chuck Wolf’s Photo Design Bar.

FASHION

Abbadabba’s

Locations across metro Atlanta 844-4SHOES4

www.coolshoes.com

Abbadabba’s provides people footwear that makes sense through a business organization grounded in principles of fairness and genuine concern for others.

Best Dressed Boutique

9810 Medlock Bridge Road Johns Creek 30097 470-275-6181

www.thebestdressedboutique.com/

Best Dressed Boutique is dedicated to providing today’s woman with the latest in comfortable and stylish contemporary fashion. Its exceptional inventory is also available online.

Bloomingdale’s

3393 Peachtree Road NE Atlanta 30326 404-495-2800

www.bloomingdales.com/lenoxsquare

Bloomingdale’s is an upscale department store for apparel, accessories, cosmetics, furniture and home goods.

Chico’s

Locations across metro Atlanta 404-233-0603 www.chicos.com

Chico’s is a retail women’s clothing and accessories retailer with six stores in Atlanta.

Consigning Women

2508 Mt. Vernon Road

Dunwoody 30338 770-394-1600

www.consigningwomenatlanta.com

Quality and value are the foundation of Consigning Women. The company provides the highest levels of service to customers and consignors.

DSW

4741 Ashford Dunwoody Road

Dunwoody 30338 770-392-9880

www.dsw.com

Designer Shoe Warehouse carries the latest in designer shoes, boots, handbags and more.

Food & Retail

Education Outfitters

5290 Roswell Road NE, Suite T

Sandy Springs 30342

770-702-0837

www.atlanta.educationaloutfitters. com

Education Outfitters offers school and business uniforms as well as custom embroidery for its customers.

Finders Keepers

2134 N. Decatur Road, Decatur 30033

404-634-6995

www.fkconsign.com

Finders Keepers includes home goods, women’s, plus-sizes, children’s, menswear and jewelry in multiple locations across the city. Incoming consignment accessories include all name brands.

Fox’s

6247 Roswell Road

Sandy Springs 30328

404-252-1234

www.foxs.com

Fox’s carries top designers for women at off- prices. Visit in-store or online to shop its wide variety of styles.

H. Stockton Ladies

Locations across metro Atlanta

www.hstockton.com

H. Stockton carries men’s and women’s fashions in several locations across the city.

Jilli Boutique

2090 Dunwoody Club Drive

Atlanta 30350

404-561-5884

www.jilliboutique.com

Jilli Boutique is an Atlanta favorite, offering three different locations in Dunwoody, Chastain Park and Alpharetta/Milton.

Macy’s Locations across metro Atlanta

770-396-2800

www.macys.com

Macy’s, originally R. H. Macy & Co., is an American department store chain. Shop instore or online for great deals and sales.

Nina McLemore

110 E. Andrews Drive, Suite 3

Atlanta 30305

404-841-8111

www.ninmclemore.com

Nina McLemore offers a line of clothing designed by a woman with fashion and business expertise for smart, confident women on the go.

Nordstrom

4390 Ashford Dunwoody Road NE

Atlanta 30346

770-394-1141

www.nordstrom.com

Nordstrom is an American chain of department stores headquartered in Seattle, WA.

Plato’s Closet

6601 Roswell Road

Sandy Springs 30328

404-255-5151

www.platosclosetsandysprings.com

Find a huge selection of trendy, designer styles as well as everyday basics at Plato’s Closet at up to 70% off retail prices.

Rita Ellen’s Boutique

1205 Johnson Ferry Road, Suite 116

Marietta 30068

770-509-0039

www.facebook.com/RitaEl- lens

Rita Ellen opened the boutique in 2003 with a vision to provide women with affordable, unique fashions in a comfortable, relaxing shopping atmosphere.

Sprong Children’s Shoes

3716 Roswell Road, Atlanta 30342

404-846-8506

www.sprongshoes.com

Sprong has been taking care of Atlanta’s best dressed kids for over fourteen years, offering a selection of stylish, affordably priced shoes for active, fashionable kids.

Veronica’s Attic

220 Sandy Springs Circle

Atlanta 30328

404-257-1409

www.veronicasattic.com

Veronica’s Attic is a charming boutique, chock full of fabulous fashion and girly gifts. Customers find brands including 7 For All Mankind, Joes Jeans, Free People and more.

GIFtS

Fragile

6235 Roswell Road, Atlanta 30328

404-257-1323

www.fragilegifts.com

For over 20 years Fragile has been a preeminent gift store in the metro Atlanta area, specializing in fine china, crystal and gifts.

Judaica Corner

2185 Briarcliff Road, Atlanta 30329

404-636-2473

www.facebook.com/judaicacorneratl

Judaica Corner has been serving Jewish Atlanta for 30 years, offering an exquisite selection of Judaica, giftware, ritual items and books to enhance your Jewish learning.

ModernTribe

Online only

877-324-1818

www.moderntribe.com

ModernTribe is a great source for fun, modern and unique Judaica and gifts from all over the world.

My Gift To You

Atlanta

heather@heatherrifkin.com

My Gift To You offers Personal and Corporate Gift Coordination services. My Gift To You offers something for every taste and occasion.

Pollwood Creations

Atlanta

678-642-8824

www.pollwood.com

Pollwood Creations offers handmade Judaica and wooden gifts. Jody makes Mezuzahs, Menorahs, cutting boards and more out of locally sourced wood.

Swoozie’s

4285 Roswell Road NE, Suite 10

Atlanta 30342

404-252-7980

www.swoozies.com

Swoozie’s is the spot for entertainment accessories, invitations, personalized gifts and more. Swoozies also offers a wide selection of holiday decor.

jEwELRY

D. Geller & Son

Locations across metro Atlanta

770-955-5995

www.dgeller.com

D. Geller & Son is a family-owned and operated business helping customers to celebrate marriage, birthdays, anniversaries, a first child and so many other special occasions.

Food & Retail

H&A International Jewelry

1820 Independence Square Ste. C, Dunwoody 30338

770-396-3456

www.hajewelry.com

H&A offers diamond and precious stone jewelry at great prices as well as a full-service shop for custom orders and repairs.

Highland Diamond

1393 N.Highland Avenue

Atlanta 30306

404-228-0000

www.highlanddiamond.com

Highland Diamond works one-on-one with clients to understand their vision and takes the stress out of the buying and designing process.

Iroff & Son

3960 Old Milton Parkway, Suite 300 Alpharetta 30005

770-751-7222

www.iroff.com

Iroff & Son is in its third generation of providing clients with fine jewelers. The company specializes in diamonds and jewelry, buying, selling, and repairing.

LeeBrant Jewelers

6225A Roswell Road Sandy Springs 30328

404-256-9711

www.leebrant.com

LeeBrant Watch and Jewelry Company is celebrating over 25 years of repairing, selling and buying jewelry for metro Atlanta.

Privée Diamonds Direct

3265 North Point Parkway, Suite 101 Alpharetta 30005

404-702-6665

www.myprivee.com

Privée Diamonds Direct offers a concierge jewelry shopping experience. Customers can book an appointment to sketch from scratch or shop ready-made collections at the showroom near Avalon.

Solomon Brothers 3340 Peachtree Road NE Atlanta 30326

404-266-0266

www.solomonbrothers.com

Solomon Brothers Fine Jewelry is the city’s source for loose diamonds, wedding rings and all your jewelry needs.

Tiffany & Co. 3500 Peachtree Road NE Atlanta 30326

404-261-0074

www.tiffany.com

Since 1837, the masterpieces of Tiffany & Co. have defined their style and celebrated the world’s great love stories.

The Dusty Coin, LLC

3162 Johnson Ferry Road Suite 260 #507 Marietta, Georgia 30062 404-263-2967

www.thedustycoin.com

The Dusty Coin buys coin collections, gold and silver jewelry, bullion, and sterling items. Strict confidentiality and references on request.

Worthmore Jewelers

500 L-3 Amsterdam Avenue NE

Atlanta 30306

404-892-8294

www.worthmorejewelers.com

The Worthmore approach has always been to embrace the strange and build a passionate team through open-mindedness and honest communication.

Home & Real Estate

FOR tHE HOME

A Plus, Inc.

151 DeKalb Industrial Way

Decatur 30030

404-373-7587

www.aplusinc.net

A Plus Inc. is a great source for insulation, fireplaces, gutters and garage doors creating a more energy efficient home with lower utility bills.

Ace Hardware

Locations across metro Atlanta

866-290-5334

www.acehardware.com

Ace Hardware Corporation is an American hardware retailers’ cooperative with multiple locations around Metro Atlanta known nationally for its helpful and knowledgeable staff.

ADAC

351 Peachtree Hills Avenue, Suite 423

Atlanta 30305

404-231-1720

www.adacatlanta.com

Atlanta Decorative Arts Center is the essential design destination. Open every Monday through Friday, come shop in more than 50 stunning showrooms.

Alexis Taylor Interiors

770-229-7164

www.alexistaylorinteriors.com

Alexis Solomon is a veteran Atlanta-based designer who enjoys teaming with clients to create beautiful, unique and functional spaces.

ANDY

on Call

3544 Old Milton Parkway

Alpharetta 30005

770-640-6050

www.andyoncallroswell-gwinnett. com

ANDY OnCall® handyman service company offers a vast array of home improvement services. Whatever your needs, just call ANDY.

Artisan Closets

600 Wylie Road SE, Marietta 30067 770-790-5368

www.artisancustomclosets.com

Artisan Custom Closets will design a custom storage system that enables you to keep your belongings in a functional and beautiful fashion.

Atlanta Custom Closets

33 Moore Justus Drive

Dahlonega 30533

404-255-0589

www.atlantacustomclosets.net

Quality craftsmanship and dependable service have been the company’s everyday principles since 1988. Simplify life with a fully integrated storage system that adds function and value to any home.

B&Z Construction Services

6375 Spalding Drive

Peachtree Corners 30092

470-344-5359

www.bzconstruct.com

B&Z Construction Services provides clients with every possible cost efficiency by using the latest technologies in design, drafting, estimating, budgeting, project scheduling, purchasing, implementation and construction.

Bo Unlimited Interior Design

P.O. Box 500037, Atlanta 31150

404-249-6363

www.facebook.com/BoUnlimitedInteriorDesign

Bo Unlimited is an interior designer based in intown Atlanta.

Boutte Tree, Inc.

2158 Bolton Road NW, Atlanta 30318

404-799-5472

www.bouttetree.com

Boutte Tree cares for Atlanta’s trees using the safest procedures and the very best arboricultural practices, using trees to transform the urban environment and make it aesthetically pleasing.

California Closets

631 Miami Circle NE, Suite 12A Atlanta 30324

855-261-1573

www.californiaclosets.com

California Closets offers quality custom storage solutions that help people become better versions of themselves, with more time and space to focus on what matters most.

Candice Keilin Designs and Associates

Sandy Springs

404-372-1390

www.candicekeilindesigns.com

Candice Keilin Designs and Associates. creates interior design that is sophisticated, fresh and timeless. The company specializes in both new designs and home renovation.

Home & Real Estate

CG Interiors Group - Caryn

Grossman, ASID

537 Rosalyn Street NW, Atlanta 30318

404-518-1432

www.cginteriorsgroup.com

CG interiors group is an award-winning Atlanta-based interior design firm specializing in high-end residential, brand-based commercial and sustainable solutions.

Dr. Roof

88 Mansell Court, Roswell 30076

770-552-7663

www.drroof.com

Dr. Roof Atlanta is the area’s most experienced full exterior home renovator. Services include roofing, roof repairs, siding replacement, windows and doors, painting, and decks.

Elliott Rich Handyman

2541 Tanglewood Road, Decatur 30033

404-321-6343

Elliott Rich Handyman has over 16 years experience providing highly skilled repairs to metro Atlanta and is known for his excellent communication.

Fabric and Fringe Warehouse

2440 Canton Road, Marietta 30066

770-794-8106

www.fabricsandfringe.com

Visit its 16,000 sq ft showroom in Marietta with the largest selection in the Southeast of fabric, fringe, lining, foam and pillow inserts.

Handcrafted Homes

505 Boulder Way, Roswell 30075

770-642-1010

www.handcraftedhomes-inc.com

Handcrafted Homes provides custom remodeling that illustrates attention to detail in every aspect, from relations with the homeowners to the beautiful results.

Havertys

Locations across metro Atlanta

888-428-3789

www.havertys.com

Havertys offers the highest quality furniture in a vast array of styles so design goals can easily become a reality. Havertys guarantees excellent quality, prices and services.

The Home Depot

Locations across metro Atlanta

800-466-3337

www.homedepot.com

When Home Depot was founded in 1978, it revolutionized the home improvement and retail industry. Today, Home Depot is proud to be the world’s largest home improvement retailer.

HomeGoods

Locations across metro Atlanta 800-888-0776

www.homegoods.com

HomeGoods is where savvy shoppers of every style discover an ever-changing selection of exciting top brands and home fashions from around the world.

IKEA

441 16th Street NW, Atlanta 30363 888-888-4532

www.ikea.com

IKEA provides a range of home furnishing products that are affordable to many people, not just a few, by combining function, quality, design and value with sustainability.

Home & Real Estate

Kitchen Fronts of Georgia

3291 Laventure Drive

Chamblee 30341

770-455-3139

www.kitchenfrontsofgeorgia.com

Kitchen Fronts of Georgia is a non-franchised, full service, family-owned business operation. Its kitchen cabinet refacing service is an effective alternative to kitchen cabinet replacement.

Kudzu & Company

6450 Roswell Road

Sandy Springs 30328

404-255-2548

www.kudzuandcompany.com

Kudzu & Company is a family-owned business offering fine furnishings, custom upholstery, antiques and vintage, decor, and gifts to suit many styles and tastes.

Linda Rickles Interiors

32 Westfair Court NE

Sandy Springs 30328

770-395-6726

www.lindaricklesinteriors.com

Linda Rickles Interiors offers full interior design services and certified professional color consultation. She creates extraordinary spaces with designs that create tasteful, refined, striking environments.

MOSAIC Design + Build

2358 Perimeter Park Drive, Suite 300 Atlanta 30341

770-670-6022

www.mosaicdesignbuild.com

MOSAIC Design + Build provides an exceptional remodeling experience, embodying professional architectural and interior design, integrated construction services, and outstanding client services for Atlanta area homeowners.

Novo – Art Construction

2900 Delk Road, Marietta 30067

539-292-6653

www.novo-art.construction

The best construction company in the galaxy. Novo does everything, including gardening, plumbing, repairs and upgrades, and basic handyman services.

Pike Nurseries

Locations across metro Atlanta

770-921-1022

www.pikenursery.com

Pike Nurseries continues the tradition of excellent customer service and gardening expertise, embodying the brand promise of gardening without guesswork.

Put It There (Organizing Services)

404-784-2100

www.put-it-there.com

Put It There has an experienced eye for creating new organizing systems to implement as your life changes. It offers both residential and office organizing services.

SBS Designs

Metro Atlanta

404-924-4412

www.sbsdesignsatlanta.com

SBS Designs excels in residential interior design for renovations or a refresh of your current space and will create a cohesive, styled look for your home.

SavATree

5324 Old Norcross Road

Norcross 30071

404-288-8733

www.savatree.com

SavATree offers reliable tree services and tree removal in Atlanta, Roswell, Marietta, Dunwoody, Sandy Springs, Alpharetta, Decatur and all surrounding areas around Atlanta.

Sky Shield Roofing

678-722-8904

www.skyshieldroofing.net

No matter your roofing needs, Sky Shield Roofing is here to help, checking the quality of your roof to prevent leaks, blistering, punctures, cracks or collapse.

Simone Feldman Designs, LLC

2980 Cedar Knoll Drive, Roswell 30076

404-386-9487

www.simonefeldmandesigns.com

Simone Feldman Designs is a member of the National Kitchen & Bath Association offering architectural residential design and kitchen and bathroom design.

Home & Real Estate

Southern Comforts

Locations across metro Atlanta

770-901-5001

www.southerncomforts.com

Southern Comforts makes consignment shopping a destination experience, offering both new and consigned furniture for the discerning and savvy shopper, all at fabulous prices.

Stanley Paving

4292 New Hope Church Rd SE

Acworth 30102

770-962-7125

www.stanleypavingga.com

Boost curb appeal with beautifully installed and maintained asphalt paving from Stanley Paving, providing long-lasting and beautifully paved surfaces to clients since 1982.

The Dump

815 Sidney Marcus Boulevard

Atlanta 30324

404-442-1900

www.thedump.com/Atlanta

Open every day. Shoppers find new shipments of design samples, closeouts, overstocks, showroom buyouts and more at outlet discounts.

The Handyman Can

Greater Atlanta

404-453-3438

John Salvesen is happy to assist you with all of your handyman needs: Plumbing, electrical, sheetrock, floors, tile, framing, kitchens, stained glass and more.

UCI Kitchen & Bath

6555 Jimmy Carter Blvd

Norcross 30071

770-441-1681

www.ucikitchenbath.com

UCI Kitchen & Bath is a renowned provider of countertop and surface solutions encompassing a wide array of stone options as well as renovation and remodeling services.

Westside Market

3 Atlanta Locations Plus Greenville

404-941-3466

www.westsidemarket.com

Discover an unparalleled selection of home essentials at Westside Market. Its local artisan and home designers ensure you can adorn every room with style.

West Elm

Locations across metro Atlanta

888-922-4119

www.westelm.com

A branch of Williams–Sonoma, West Elm is focused on the intersection of modern furniture and home design, affordability, and community.

MOvING SERvICES

College H.U.N.K.S. Hauling Junk & Moving Locations across metro Atlanta

888-689-5999

www.collegehunkshaulingjunk.com

A full-service moving and storage company doing intrastate and interstate moves, full-service junk removal, and in-home labor services across Atlanta.

Masterpiece International

4200 S. Cargo Drive, Suite 214

Atlanta 30320

404-768-1978

www.masterpieceintl.com

Masterpiece International was founded in 1989 as a customs broker, freight forwarder and logistics provider specializing in the transport of works of art and antiquities.

Peter Brandi Estate Sales

940 Canton Street, Roswell 30075

770-552-1399

www.peterbrandiestatesales.com

Peter Brandi and his associates have more than 35 years of trusted, loyal experience in estate liquidation and management services.

Rhett’s Interiors and Estates 1849 Cheshire Bridge Rd NE Atlanta 30324

803-238-5684

Rhett’s Interiors and Estates is an estate sale company with 20 years of providing trusted quality service in the antique and estate sale business.

Toda Moving and Storage 1625 Rock Mountain Boulevard Stone Mountain 30083 470-875-5666

www.todamoving.com

Toda Moving and Storage is a full-service moving company specializing in packing. It provides local, long-distance, residential and commercial moving of any size.

Tomahawk Moving and Storage

1070 Sandtown Road, Suite B Atlanta 30008

404-352-2467

www.tomahawkmoving.com

Tomahawk Moving and Storage exceeds customers’ expectations every time with every move, whether it is a full house/office or a single item.

REAL EStAtE

Adams & Company

John Perlman

5784 Lake Forrest Drive, Suite 290 Sandy Springs 30328

404-255-7535

www.adamsre.net

Atlanta Fine Homes

Sotheby’s International Realty

Jared Sapp Real Estate Group

3290 Northside Parkway NW Suite 200, Atlanta 30327

404-668-7233

www.jaredsapp.com

Home & Real Estate

Atlanta Fine Homes Sotheby’s International Realty

Eydie Koonin Group

3290 Northside Parkway NW Suite 200, Atlanta 30327

404-697-8215

www.eydiekoonin.atlantafinehomes. com

Atlanta Fine Homes

Sotheby’s International Realty

Heery Brothers

3290 Northside Parkway NW Suite 200, Atlanta 30327

404-974-4378

www.heerybrothers.com

Atlanta Fine Homes

Sotheby’s International Realty

The Schiff Team

3290 Northside Pkwy NW Suite 200, Atlanta 30327

404.569.6233

www.SchiffTeam.com

Berkshire Hathaway

Gary Silverman

1163 West Peachtree St. Suite 200

Atlanta, GA 30309

404-302-7375

www.garysilverman.bhhsgeorgia.com

Here, clients both find their dream home and secure the best price for it. Leslie and Gary will exceed your expectations every step of the way.

Better Homes and Garden Real

Metro Brokers LaVista Hills Team

Jody Steinberg and Rebecca Sideris

4073 LaVista Road, Suite 373

Atlanta 30084

404-932-5771

www.LaVistaHillsTeam.com

Jody Steinberg and Rebecca Sideris specialize in residential home sales around northeast Atlanta, from Decatur to Dunwoody and everywhere in between.

Big Canoe Realty

54 Wolfscratch Village, Jasper 30143

1-866-244-2266

www.bigcanoe.com

Berkshire Hathaway

Jodi Halpert

5481 Chamblee Dunwoody Road

Dunwoody 30338

404-513-5151

www.jodihalpert.bhhsgeorgia.com

Jodi Halpert is redefining real estate with a new level of quality created from the insight of local expertise, the wealth of experience, and unwavering loyalty to clients.

Coldwell Banker Residential Brokerage

Rose Anne Schulman

5252 Roswell Road, Suite 202

Atlanta 30342

404-502-5921

www.coldwellbankerhomes.com/ atlanta

Compass Real Estate

Janis Zagoria

3107 Peachtree Road, A-1

Atlanta 30305

404-245-3628

www.compass.com/agents/janiszagoria

With city-wide expertise, experience and depth of real estate knowledge, Janis and her team guide clients through every step of the buying and selling process.

The Sonenshine Team

Debbie Sonenshine

5252 Roswell Road, Suite 202

Atlanta 30342

404-252-4908

www.sonenshineteam.com

For Debbie Sonenshine, every client is valued. She brings a sharp mind, well-honed negotiating skills, and a true sense of honesty and caring.

Chapman Hall Premier Realtors

Hallie Chasen

1772 - B Century Boulevard

Atlanta 30345

404-271-4635

www.chapmanhallrealtors.com/ hallie-chasen

Hallie Chasen ranked No. 1 in her company in 2017 and has previously been a top producer with the Atlanta Board of Realtors.

Eileen Reuben of Rose Realty Group Inc.

4062 Peachtree Road NE, Suite 430

Atlanta 30319

404-229-3340

www.roserealtygroup.com

Harry Norman Realtors Atlanta Perimeter

4848 Ashford Dunwoody Road

Atlanta 30338

770-394-2131

www.harrynorman.com/atlantaperimeter

Home & Real Estate

Harry Norman Realtors Atlanta Perimeter

Barocas & Feldman Team

4848 Ashford Dunwoody Road

Atlanta 30338

404-790-0913

www.barocasfeldmanteamweb.harrynorman.com

Harry Norman Realtors Atlanta Perimeter

Robin Blass

4848 Ashford Dunwoody Road

Dunwoody 30338

404-403-6561

www.robinblass.com

Harry Norman Realtors Atlanta Perimeter

Star Newman

4848 Ashford Dunwoody Road

Atlanta 30338

678-360-8615

www.starsellsatlanta.com

Star Newman has become one of the best real estate professionals in Dunwoody/ Sandy Springs and surrounding areas by providing skilled and sound advice to clients.

Harry Norman Realtors Atlanta Perimeter

Gloria Miller

4848 Ashford Dunwoody Road

Atlanta 30338

404-580-0181

www.gloriamiller.harrynorman.com

Harry Norman Realtors Atlanta Perimeter

Elaine S. Rabb

4848 Ashford Dunwoody Road

Atlanta 30338

404-932-0089

www.elainerabbweb.harrynorman.com

Harry Norman Realtors, Atlanta Perimeter

Melanie B. White

4848 Ashford Dunwoody Road

Dunwoody 30338

770-915-9622

www.melsellsatlhomes.com

Harry Norman Realtors Atlanta Perimeter

Robyn Zimmerman

4848 Ashford Dunwoody Road

Atlanta 30338

404-219-2191

www.robynzimmermanweb.harrynorman. com

Harry Norman Realtors Buckhead

Sandy Abrams

532 East Paces Ferry, Suite 200 Atlanta 30305

404-281-0097

www.sandyabramsweb.harrynorman. com

Harry Norman Realtors East Cobb

Rita Ellis

4651 Olde Towne Parkway Marietta 30068

770-977-9500

www.ritaellis.harrynorman.com

Harry Norman Realtors Intown Butch Whitfield

1518 Monroe Drive, Suite E Atlanta 30324

404-897-5558

www.butchwhitfield.harrynorman. Com

Keller Williams Realty Inc.

Alan Rothenberg

200 Glenridge Point Parkway Suite 100 Atlanta 30342

678-772-5629

www.alanrothenberg.kwrealty.com

Alan Rothenburg is a licensed realtor with over 40 years of helping clients find their dream homes at dream prices.

Realty One Group Edge

Team Jacober

625 Molly Lane, Suite 140 Woodstock 30189

678-451-9446

www.JacoberSellsRealEstate.com

Robyn & Andrew are a husband/wife team who make the process of buying and/or selling a home run as smooth as possible for clients.

Re/Max Around Atlanta

The Jon Shapiro Group

240 Sandy Springs Place Atlanta 30328

404-845-3050

www.jonshapiro.com

Pailey Nooromid & Eydie Koonin

pailey 214.662.0999 • paileynooromid@atlantafinehomes.com eydie 404.697.8215 • eydiekoonin@atlantafinehomes.com office 404.237.5000 • atlantafinehomes.com

Professional

AttORNEY & LEGAL SERvICES

Alyson Lembeck, Esq.

3490 Piedmont Road, Suite 400

Atlanta 30305

404-233-2800

www.ellisfunk.com

Alyson Lembeck has 18 years of experience practicing divorce and family law. Alyson cares for clients, advocates strongly, and provides high quality work and practical solutions.

Atlanta Divorce Mediation Services, LLC - Dr. Jeri Breiner 275 Carpenter Drive, Suite 303

Atlanta 30328

678-985-8858

www.AtlantaDivorceMediationServices.com

Dr. Jeri Breiner, a neutral mediator, provides both parties with the tools needed to execute an equitable divorce agreement unique to their family’s circumstances.

Berman Fink Van Horn

3475 Piedmont Road NE, Suite 1640

Atlanta 30305

404-261-7711

www.bfvlaw.com

Berman Fink Van Horn is an entrepreneurial business law firm assisting business organizations and entrepreneurs in achieving their business goals — from start-up to succession.

Beskin & Beskin P.C. Attorneys at Law

5180 Roswell Road. NW, Suite 201

Atlanta 30327

404-843-2002

www.BeskinandBeskin.com

Beskin & Beskin P.C. has provided legal services in Atlanta for over 47 years, primarily in the fields of criminal law and personal injury.

Feldman Law Offices, LLC

1847 Peeler Road, Suite C Dunwoody 30338

770-393-4757

www.feldman-law.net

Feldman Law Offices, LLC, provides its clients with excellent customer service and expertise in the areas of real estate transactions.

Fox and Weiss, PA

3348 Peachtree Road NE Atlanta 30308

770-317-1767

www.foxandweiss.com

Fox and Weiss has nearly 30 years’ experience representing both Fortune 500 companies and individual employees in all aspects of labor and employment law.

Fryer, Shuster, Lester, Pollack PC

1050 Crown Pointe Parkway, Suite 410 Atlanta 30338

770-668-9300

www.galegal.com

Fryer, Shuster, Lester and Pollack is a general practice law firm. The firm’s clientele consists of professionals, executives, closely held businesses, publicly traded companies and individuals.

Ganek, PC

Locations across metro Atlanta

404-877-5079

www.ganekpc.com

Ganek PC is Atlanta’s best choice for title insurance and closing solutions for residential and commercial real estate clients.

Greenberg Traurig, LLP

3333 Piedmont Road NE

Atlanta 30305

678-553-2100

www.gtlaw.com

Greenberg Traurig, LLP, has more than 2,000 attorneys in 38 offices in the United States, Latin America, Europe, Asia and the Middle East.

Gulden Dispute Resolution

P.O. Box 421053, Atlanta 30342

404-303-8250

www.georgiamediators.org/danielgulden

Gulden Dispute Resolution offers mediation of disputes involving issues in business, commerce, employment, divorce and custody, securities, small construction, and personal injury.

Hall Benefits Law

270 Carpenter Drive, Suite 325 Atlanta 30328

678-439-6236

www.hallbenefitslaw.com

HBL offers employers comprehensive legal guidance on benefits in mergers and acquisitions, employee stock ownership, executive compensation, health and welfare benefits, healthcare reform, and retirement plans.

Julie A. Liberman, LLC

7000 Central Parkway, Suite 1100 Atlanta 30328

678-871-7104

www.jlibermanlaw.com

Julie Liberman represents clients in real estate, business and employment disputes. Her litigation boutique specializes in homeowner associations, employment agreements and civil appeals.

Kessler & Solomiany Family Law Attorneys

101 Marietta St., Suite 3500

Atlanta 30303

404-688-8810

www.ksfamilylaw.com

As attorneys, teachers, authors and leaders in family law, Kessler & Solomiany will help you move forward, preserve your parentchild relationship and achieve a fair financial result.

Professional

Legal Shield and North American Life Plans

2115 Ashlind Street, Cumming 30040

404-518-6822

ID Shield is a full ID resolution service, not just a breach alarm. Get help with power of attorney, traffic tickets, collection letters, litigation and more.

MendenFreiman LLP

5565 Glenridge Connector Atlanta 30342

770-379-1450

www.mendenfreiman.com

MendenFreiman LLP is a boutique law firm located in Atlanta with a focus on business law, estate planning and estate administration.

Naggiar & Sarif

Family Law Attorneys Ameris Center

3490 Piedmont Road NE, Suite 1450

Atlanta 30305

404- 816-2004

www.nsfamilylawfirm.com

Naggiar & Sarif is a boutique law firm focused on family and divorce law litigation, helping encourage and empower clients to pursue their rights.

Nudelman and Associates, LTD

4411 Suwanee Dam Rd, Suite 360 Suwanee 30024

770-499-0418

www.nudelmanandassociates.com

Licensed and knowledgeable in both medicine and law, Dr. Nudelman brings all that and more when he represents someone injured in an accident or by medical negligence.

Shuman and Shuman Law

1 Peeler Road, Suite A Atlanta 30338

770-790-3700

www.shumanfamilylaw.com

Mona S. Shuman and Eileen J. Shuman are family law attorneys who work with clients who require legal representation in familyrelated cases.

The Ehrisman Law Firm, P.C. 5415 Sugarloaf Parkway, Suite 1104 Lawrenceville 30042

678-985-0313

www.ehrismanlaw.com

Stacy Ehrisman specializes in immigration law. She is part of a fully bilingual team that will fight for you and your family.

Traci Weiss of Weiss Family Law

5555 Glenridge Connector Suite 200-30, Atlanta 30339 770-727-0533

www.reweiss.wixsite.com

Traci Weiss is a highly experienced and respected attorney who passionately advocates for what is right and fair for individuals and their families.

Weinstein IP Law

Atlanta

404-735-3941

www.weinsteiniplaw.com

Doug Weinstein is a seasoned attorney with over 20 years of experience providing counsel to companies of all sizes, from startups to Fortune 100 companies.

Weissmann Zucker Euster Morochnik & Garber, P.C. 3495 Piedmont Road, Building 11 Suite 950, Atlanta 30305

404-364-2300

www.wzlegal.com

Weissmann Zucker Euster Morochnik & Garber P.C. is a full-service law firm that offers a broad array of capabilities in virtually all areas of legal practice.

Wellborn, Wallace & Mullman, LLC

1218 Menlo Dr. NW, Suite E Atlanta 30318

404-352-3990

www.wellbornlaw.com

Wellborn, Wallace & Mullman is an Atlantabased law firm with a national practice and clients ranging from individuals and mom-and-pop businesses to publicly traded Fortune 500 companies.

Wilensky Law

1555 Mt Vernon Road, Atlanta 30338

678-791-1725

www.WilenskyLaw.com

Wilensky Law is an exclusive award-winning, wrongful death & serious injury law firm. The firm also handles cases involving auto accidents, nursing home negligence and more.

AUtOMOtIvE

Audi Atlanta

5805 Peachtree Boulevard

Atlanta 30341

404-606-0286

www.audiatlanta.com

A Jim Ellis family dealership where you can always expect the best. Audi Atlanta has an extensive selection of new Audi and quality used luxury cars.

CarMax

Locations across metro Atlanta 800-519-1511

www.carmax.com

CarMax is the way car buying should be. Experience clear and simple car buying and selling at CarMax with upfront prices and certified quality vehicles.

Curry Honda

5525 Peachtree Industrial Boulevard Chamblee 30341

770-451-2700

www.curryhondaga.com

Curry Honda has a simple goal of exceeding customers’ expectations. Find a new or used vehicle with excellent customer service at Curry Honda.

Hennesey

Ford-Lincoln

5675 Peachtree Industrial Boulevard

Atlanta 30341

770-621-0200

www.hennessyford.com

Hennessy has more than 900 vehicles in stock, from new Fords and Lincolns to preowned models, and offers full service for all Ford, Lincoln and Mercury vehicles.

Professional

Hennesey Lexus of Atlanta

5955 Peachtree Industrial Boulevard

Atlanta 30341

866-540-2472

www.lexusatlanta.com

Hennessy Lexus of Atlanta is the only family-owned and managed Lexus dealer in Atlanta. The Hennessy family is deeply rooted in the Atlanta community.

Mercedes-Benz of Buckhead

2799 Piedmont Road NE Atlanta 30305

800-709-6185

www.buckhead.mercedesdealer.com

Located in the heart of Buckhead near Lenox Square and Phipps Plaza, MercedesBenz of Buckhead serves drivers throughout metro Atlanta.

RBM of Atlanta

7640 Roswell Road, Atlanta 30350

855-650-5167

www.rbmofatlanta.com

Mercedes-Benz enthusiasts come to RBM of Atlanta because they know the staff is knowledgeable, courteous and attentive.

Subaru of Kennesaw

905 Ernest Barrett Parkway NW Kennesaw 30144

678-665-1024

www.subaruofkennesaw.com

Buying a new vehicle or deciding where to service your Subaru is a big decision. Trust Subaru of Kennesaw’s highly trained staff with all of your Subaru needs.

World Toyota

5800 Peachtree Industrial Boulevard

Atlanta 30341

678-547-9130

www.worldtoyota.com

From new Toyota vehicles and used cars in Atlanta to routine maintenance and car repairs, World Toyota has customers covered.

CONSULtING

Michelle Day Coaching and Consulting

240-644-8967

www.callme.coach

Michelle Day Coaching and Consulting in Atlanta offers leadership development, professional coaching and consulting for business owners and professionals.

Idea Associates

1303 Hightower Trail Suite 230 Atlanta, GA 30350

770-234-9407

www.ideaassociates.com

Idea Associates will take initiative, think outside the box and invest in your goals. Your best interest is Idea’s best interest.

DAtING

Just Kibbitz.com

954-205-1352

www.JustKibbitz.com

The Jewish dating site where moms do the matchmaking, arrange the date and pick up the check, all the daters have to do is show up.

FINANCE

Aprio LLP

2002 Summit Blvd, Suite 120 Atlanta 30319

404-892-9651

www.aprio.com

As a premier, CPA-led professional services firm, Aprio delivers advisory, assurance, tax and private client services to build value, drive growth, manage risk and protect wealth.

Bank of America

Locations across metro Atlanta 800-432-1000

www.locators.bankofamerica.com

Bank of America is a global leader in wealth management, banking and trading that serves corporations, governments, institutions and individuals around the world.

Birnbrey, Minsk, Minsk & Perling CPA

1801 Peachtree Street NE, Suite 300 Atlanta 30309

404-355-3870

www.bmmcpa.com

Birnbrey Minsk believes in the value of relationships and takes pride in delivering years of advanced training, technical experience and financial acumen to all its clients.

Carr, Riggs and Ingram 4004 Summit Blvd, Suite 800 Atlanta, GA 30319

770-394-8000

www.cricpa.com

CRI is a family of CPAs and business advisors who get to know clients professionally and personally to better advise them through critical financial opportunities, challenges and transitions.

Commission Express

8306 Professional Hill Drive Fairfax, Va. 22031

703-560-5500

www.commissionexpress.com

Commission Express works with real estate professionals (brokers and agents) to purchase their unsettled commissions prior to settlement at a discount.

Professional

Fidelity

Locations across metro Atlanta

800-343-3548

www.fidelity.com

Fidelity Investments offers financial planning and advice, retirement plans, wealth management services, trading and brokerage services at multiple locations across metro Atlanta.

Foley Financial Group

1200 Abernathy Rd. Bldg 600 Suite 1750, Atlanta 30328

404-460-1729

www.foleyfinancialservices.net

Foley Financial Group works with clients to determine the service and solutions that fit your financial needs for whatever life brings – both the expected and the unexpected.

Frazier and Deeter, LLC

1230 Peachtree Street, Suite 1500

Atlanta 30309

404-253-7500

www.frazierdeeter.com

In today’s complex and ever-changing tax environment, you need a partner who can steer you toward success. Trust Frazier and Deeter, LLC with all your financial needs.

Georgia Banking Company

6190 Powers Ferry Road

Sandy Springs 30339

770-226-8800

www.geobanking.com

Georgia Banking Company is proud of its reputation for personal service and for offering excellent accounts and products to make managing clients’ money easy.

Israel Bonds

3525 Piedmont Road, Building 6 Suite 250, Atlanta 30309

404-817-0617

www.israelbonds.com

Israel Bonds was established in 1951 and is a FINRA-member broker dealer and underwriter for securities, issued by the State of Israel in the United States.

Jewish Educational Loan Fund

4549 Chamblee Dunwoody Road Atlanta 30341

770-396-3080

www.jelf.org

JELF provides interest-free loans to Jewish students in need for higher education throughout a five-state region (FL, GA, NC, SC, VA).

Jewish Interest-Free Loan of Atlanta

5115 New Peachtree Road, Suite 200A Chamblee 30341

470-268-5665

www.jifla.org

Jewish Interest-Free Loan provides financial stability in challenging times. JIFLA loans are available for a wide range of reasons, including debt consolidation, healthcare and life cycle events.

Laura Schilling of Financial Innovations

6111 Peachtree Dunwoody Road Suite F101, Atlanta 30328

404-458-0065

www.financialinnovations.biz

Clients benefit from Schilling’s legal, accounting and financial planning expertise. Schilling’s diverse background enables her to review a client’s financial situation from many different perspectives.

Levy Tax and Consulting

1040 Crown Pointe Parkway, Suite 775 Atlanta 30338

770-804-3199

www.levycpafirm.com

Levy Tax and Consulting has extensive tax experience and offers strategic consulting and tax preparation services for individuals and small businesses in a fresh, modern environment.

Merrill Lynch

Locations across metro Atlanta

866-706-8321

www.ml.com

With nearly 40 years of experience in the financial services industry, Merrill Lynch employs a mix of emotional intelligence, financial acumen and superior customer service.

Raymond James

Locations across metro Atlanta

800-248-8863

www.raymondjames.com

Principal belief is that everything begins with a well-designed financial plan, seeing the big picture of your financial life, and then addressing all the details that make the plan work, including identifying and resolving any gaps that may have previously been overlooked.

Renasant Bank

Locations across metro Atlanta 770-399-2040

www.renasantbank.com

Renasant understands clients’ needs while providing extraordinary service, building relationships, helping individuals, families and businesses reach their financial dreams, and supporting its local community.

S.J. Gorowitz Accounting & Tax Services

5755 North Point Parkway Alpharetta 30022 770-740-0797

www.sjgorowitz.com

S.J. Gorowitz Accounting & Tax Services specializes in the accounting, tax and advisory services that will get its clients to their financial goals.

ATTORNEYS PORTION

Professional

Signature Bank of Georgia

6065 Roswell Road, Suite 110

Sandy Springs 30328

404-973-5833

www.signaturebankga.com

Signature Bank of Georgia is the primary community bank headquartered in Sandy Springs. The bank serves local communities with a boutique-style approach that focuses on the individuality of clients.

Stifel

3630 Peachtree Road, Suite 400 Atlanta 30326

404-231-6753

www.stifel.com

Stifel’s financial advisors in Atlanta believe in doing business face to face. Advisors will understand your unique financial objectives to develop a strategy specific to your financial goals.

The 365 Group Ameriprise Financial Services

11175 Cicero Drive, Suite 450 Alpharetta 30022

770-754-9670

www.ameripriseadvisors.com

The 365 Group’s goal is to help balance the pursuit of future dreams with financial needs today and provide the confidence that retirement is within reach.

Truist

Locations across metro Atlanta

877-907-1012

www.truist.com

Banking services and products from Truist Bank include checking and savings accounts, credit cards, mortgages, wealth management, retirement and more.

Wells Fargo

Locations across metro Atlanta

866-675-4698

www.wellsfargo.com

Wells Fargo is a provider of banking, mortgage, investing, credit card, personal, small business and commercial financial services.

FUNERAL ARRANGEMENtS

Cremation Society of Georgia

826 Marietta Boulevard NW Atlanta 30318

404-355-7627

www.csog.com

Georgia residents deserve a simple, affordable, dignified option with all inclusive pricing and no hidden fees. That option is the Cremation Society of Georgia.

Dressler’s Jewish Funeral Care

3734 Chamblee-Dunwoody Road Atlanta 30341

770-451-4999

www.jewishfuneralcare.com

Caring and experienced professionals offer a range of personalized services to carefully guide you through the many decisions that must be made during this challenging time.

H.M. Patterson and Son Arlington Chapel

173 Allen Road

Sandy Springs 30328

404-851-9900

www.dignitymemorial.com

H.M. Patterson and Son Arlington Chapel helps create remembrances that reflect the unique values, character and traditions of the families it serves.

H.M. Patterson and Son Spring Hill

1020 Spring Street NW, Atlanta 30309

404-876-1022

www.hmpattersonspringhill.com

H.M. Patterson and Son Spring Hill helps create remembrances that reflect the unique values, character and traditions of the families it serves.

Northside Chapel Funeral Directors and Crematory

12050 Crabapple Road, Roswell 30075 770-645-1414

www.funeralhomeroswellga.com

Northside Chapel has served its community members in their time of need since 1995. Family-owned and operated, it is committed to delivering high-quality funeral and cremation services.

Remembrance Memorials

5755 North Point Parkway, Suite 65 Alpharetta 30022

770-757-0330

www.rmemorials.com

Remembrance Memorials has helped thousands of families through the difficult process of memorializing a loved one. Expert counselors and designers partner with clients every step of the way.

Roberts-Shields Memorial Co. 850 Williams Drive, Marietta 30066 678-784-2100

www.rsmemorial.com

Roberts-Shields Memorial Co.’s mission is your family’s chief advocate for all end-oflife care services with an approach that will change the monument industry in Georgia and beyond.

Sandy Springs Chapel

136 Mount Vernon Highway

Sandy Springs 30328

404-255-8511

www.sandyspringschapel.com

Trust Sandy Springs Chapel for compassionate experience in delivering funeral services. Families across north Atlanta can depend on Sandy Springs Chapel for attentive service when it matters most.

INSURANCE

AAA The Auto Club South 2161 LaVista Road NE, Atlanta 30339

404-633-9418

www.autoclubsouth.aaa.com

Knowledgeable staff provides members and customers with continued peace of mind and courtesy as a part of the AAA family.

AFLAC

135 Fox Grape Lane, Alpharetta 30022

770-763-7796

www.local.aflac.com/mindy_ellin

Working with businesses of all sizes, Mindy offers workplace products such as shortterm disability, hospital gap insurance, cancer, critical illness and injury plans.

Georgia Banking Company

6190 Powers Ferry Road, Suite 400

Atlanta 30339

678-996-8578

www.geobanking.com

Georgia Banking Company offers clients a complete range of financial services including banking, lending, insurance and wealth management.

HealthMarkets Insurance

6334 Roswell Road, Suite A

Sandy Springs 30328

404-518-6822

www.healthmarkets.com

Life, Medicare, disability, long-term care, annuities, retirement, nursing and home care, accident and more, Jessie Herman covers the body from cradle to grave and protects your wallet.

Inman Travel (Protection)

Plan-Professional Services

Metro Atlanta

770-289-8964

www.inmantravelprotection.weebly. com

Often the death of a loved one occurs away from home. Give your family peace of mind when traveling with travel insurance from Inman Travel.

Professional

Insurance Depot

Locations across Metro Atlanta

855-450-3376

www.insurancedepot.com

Insurance Depot is an insurance company in business since 1970. From humble beginnings in Texas, Insurance Depot has helped thousands get the coverage they need.

Jessie Herman Insurance

404-518-6822

hermanplans4life@gmail.com

www.JessieHermanInsurance.com

Since 2011, Jessie Herman has helped educate and enroll over 175 senior clients to get health insurance to cover the gaps in Medicare and fit their budget.

Ironclaim

3565 Piedmont Rd. Bldg. 1 Suite 450

Atlanta 30305

800-831-1331

www.ironclaim.com

Ironclaim represents policyholders during the entire insurance claim process, speeding up recovery by maximizing results and minimizing financial impact for clients.

Metro Public Insurance - David Isenberg Roswell

404-353-4769

www.FreeDependableInsuranceHelp. com

At Metro Public Insurance, experienced licensed field adjusters determine claim damage at the maximum allowable repair cost and negotiate settlements. Agents only get paid when you get paid.

North American Life Plans, LLC + Legal Shield

2115 Ashlind Street, Cumming 30040

404-518-6822

www.InsuranceAgentGeorgia.com

Health, life, Medicare and supplemental insurance offered for individuals, families and small businesses, such as cancer, accident, overseas health, disability, long-term and short-term care.

Siegel Insurance

2987 Clairmont Road, Suite 425 Atlanta 30329

404-633-6332

www.siegelinsurance.com

Siegel Insurance is a family-owned, independent insurance agency that provides a full spectrum of insurance products including personal, business, health and life.

State Farm

Locations across metro Atlanta 800-782-8332

www.statefarm.com

The mission of State Farm is to help people manage the risks of everyday life, recover from the unexpected and realize their dreams.

USAA Insurance

Locations across metro Atlanta

800-531-8722

www.usaa.com

USAA earned the trust of its members by providing years of award-winning service through a comprehensive suite of financial products, tools and advice.

Professional

INvEStMENtS & FINANCIAL SERvICES

Fidelity Investments

Locations across metro Atlanta

800-972-2155

www.fidelity.com

Fidelity helps choose stocks, bonds, exchange-traded funds, options and mutual funds to easily build the portfolio suited to clients’ needs.

Financial Innovations, LLC

Laura Schilling

6111 Peachtree Dunwoody Road Suite F101, Atlanta 30328

404-458-0065

www.financialinnovations.biz

Laura K. Schilling, J.D., CPA, is principal and founder of Financial Innovations, LLC. Laura is licensed to practice law in both Georgia and Florida.

Fujiyama Wealth Management

Junko Horvath

1 Concourse Parkway, Suite 185 Atlanta 30328

404-483-4666

www.fujiyamawealth.com

Fujiyama Wealth Management helps clients through life transitions such as death of a spouse, divorce, inheritance, retirement, selling a business or winning the lottery.

Gary Brochin-Stifel

Two Locations - Atlanta & Sarasota

678-575-1399

www.brochinwealthmanagement.com

For more than 36 years, Gary has provided families, individuals and institutions with investment planning, tax-advantaged investment strategies, estate planning and wealth transfer strategies.

Linea Wealth - Howard Katz

300 Galleria Parkway SE, Ste 630 Atlanta 30339

770-731-8500

www.lineawealth.com

At Linea Wealth Advisors work closely with clients to consult and collaborate strategies designed to protect assets, simplify the complexities of finances, and foster family harmony.

Merrill Lynch

3455 Peachtree Road NE Suite 200-1100, Atlanta 30326

404-264-2075

www.ml.com

Merrill Lynch delivers a broad array of integrated solutions, coupled with unrivaled client access, to create a unique competitive advantage.

Morgan Stanley

3280 Peachtree Road NE, #1900

Atlanta 30305

888-454-3965

www.morganstanley.com

Morgan Stanley is guided by five core values: Do the right thing, put clients first, lead with exceptional ideas, commit to DEI, and give back.

Nathan Wealth Management

1050 Crown Pointe Parkway Suite 1800, Atlanta 30339 770-551-3427

www.advisors.massmutual.com/ harrison-nathan

Nathan Wealth Management prides itself on its background, experience and commitment to providing clients with the resources they need to make financial decisions.

PEtS

Atlanta Dog Spa

707 Edgehill Avenue NW

Atlanta 30318

404-879-1600

www.atlantadogspa.com

Atlanta Dog Spa and Resort provides a place for dogs to run, play, relax and socialize while their owners are at work or out of town.

Bark and Board

426 Trabert Avenue NW Atlanta 30309

404-870-8564

www.barkandboard.com

Bark and Board features large indoor and outdoor yards, private kennels for bedding down at night and classical music to soothe the sleeping pups.

Big Daddy Biscuits LLC

3300 Marjan Drive, Atlanta 30339

404-692-2331

www.bigdaddybiscuits.com

Big Daddy Biscuits provides healthy treats for dogs and puppies without processed ingredients so pet parents can know exactly what they are feeding to their dogs.

Briarcliff Animal Hospital

1850 Johnson Road NE, Atlanta 30306

404-874-6393

www.briarcliffanimal.com

Briarcliff Animal Clinic offers leading-edge expertise in veterinary medicine. Staff and doctors are committed to continuous training on the latest in veterinary medicine, procedures and best practices.

Camp Woof

4590 Buford Highway, Norcross 30071

770-558-6100

www.campwoof.com

When a dog walks his parents through Camp Woof’s doors for the first time, they all become part of the Camp Woof family.

Cumberland Animal Clinic

1860-D Spring Road SE, Smyrna 30080

770-433-1414

www.cumberlandanimalclinic.com

Cumberland Animal Clinic is an experienced, caring hospital with a staff that strives to know you and your best friend personally.

Professional

Deceased Pet Care

4991 Peachtree Road, Atlanta 30341

770-457-7659

www.deceasedpetcare.com

For more than 49 years, the Shugart Family of Deceased Pet Care Funeral Homes has provided respectful, compassionate care for pets and the families that love them.

Dog City Bakery

4369 Roswell Road, Marietta 30062

770-971-5200

www.mydogcity.com

Dog City Bakery provides wholesome and nutritious alternatives to treats found at pet supply chains as well as an array of leashes, toys, chews and apparel.

Dunwoody Animal Medical Center

2482 Jett Ferry Road, Suite 600

Dunwoody 30338

770-698-9227

www.dunwoodyamc.com

Dunwoody Animal Medical Center develops and nurtures long term relationships with people and pets to ensure the highest quality veterinary care and customer service.

Fido Fido

275 Mt. Vernon Highway NE

Sandy Springs 30328

404-250-3920

www.fidofido.com

Fido Fido is a boutique dog daycare that gets to know the unique individual you are and tailors services to fit your pet’s unique needs.

Furkids

Multiple Locations

678-624-1003

www.furkids.org

Furkids is a 501c3 nonprofit that operates the largest cage-free, no-kill shelter in the Southeast for rescued cats and Sadie’s Place, a no-kill shelter for rescued dogs.

Good Dog Atlanta

Metro Atlanta 404-626-0036

www.gooddogatlanta.com

Whether you just brought home a new puppy, want to fine tune your dog’s training, or fix behavior problems, Good Dog Atlanta can help.

Haven, The Dog Spot

4719 Lower Roswell Road, Suite 160 Marietta 30068

770-672-7343

www.havendog.com

Haven makes a dog’s away-from-home experience familiar, calming, safe and enjoyable with a place to hang out, spend the night, be bathed and be groomed.

Heavenly Paws Pet Aquamation

3040 Business Park Drive, Suite E Norcross 30071

678-995-9520

www.heavenlypawsatlanta.com

Heavenly Paws knows losing your companion is one of the most challenging things you’ll ever do and is here to help with a gentle pet cremation alternative.

Hollywood Feed

Locations across metro Atlanta

678-795-9096

www.hollywoodfeed.com

Hollywood Feed is Atlanta’s local pet food expert, with multiple locations throughout greater Atlanta. Check out its natural and holistic pet supplies at a store near you.

Professional

My Pet Image Photography

Metro Atlanta

(404) 333-2272

www.mypetimagephotography.com

My Pet Image Photography creates unique artistic portrait “paintings” using your own pet’s photos at an affordable price in metro Atlanta.

Petco

Locations across metro Atlanta petco.com

Petco is a leading pet specialty retailer delivering health services and happy experiences for pets and the people who love them.

PetSmart

Locations across metro Atlanta www.petsmart.com

Every day with every connection, PetSmart’s passionate associates help bring pet parents closer to their pets so they can live more fulfilled lives.

Powers Ferry Animal Hospital

5565 New Northside Drive

Atlanta 30339

770-955-1291

www.powersferryanimalhospital.com

Powers Ferry Animal Hospital provides top-notch, personalized medical care in an environment that is both welcoming and comfortable for owners and their beloved companions.

The

Ark Pet Spa & Hotel

6485 Peachtree Industrial Boulevard

Doraville 30360

770-696-1897

www.thearkspa.com

Send your little (or big) buddy on a vacation to the Ark! Your pet will receive excellent, full-service accommodations and live pet cams are always on.

Vernon Woods Animal Hospital

270 Vernon Woods Drive, Atlanta 30328

404-252-1641

www.vernonwoodsanimalhospital.com

A full-service pet hospital providing a range of medical services including soft-tissue and oral surgery and preventative dental care for dogs, cats and exotic animals.

Veterinary Referral Surgical Practice

900 Holcomb Bridge Road Roswell 30076

770-594-2603

www.veterniaryreferralsurgery.com

VRSP offers compassionate expertise in the areas of surgery, neurology and rehabilitation, from injury to recovery, in a personalized care environment.

Wellness Waggin’ Acupuncture and Laser

Marietta Area

404-579-7806

www.wellwag.com

Wellness Waggin’ offers a unique, holistic and natural approach to improve your pet’s quality of life in the comfort of your own home.

tECHNOLOGY

Computer House Calls

2015 North Creek Circle

Alpharetta 30009

770-751-5706

www.healthycomputer.com

Computer House Calls is Atlanta’s premier service company for onsite training, troubleshooting and consulting. CHC is the most trusted company to address your computer and technology needs.

Experimax

Locations across metro Atlanta

770-857-3070

www.experimax.com/locations/sandy-springs-ga

Experimax offers professional technology services to customers looking to buy, repair or upgrade computers, tablets, and phones for all premium brands.

Geek Squad

Locations across metro Atlanta

800-433-5778

www.geeksquad.com

Geek Squad, Best Buy’s in-house technology repair service, installs, sets up, protects, supports, and repairs technology from appliances to video gaming systems.

Peachtree Computers

1590 Holcomb Bridge Road Suite 200 Roswell 30076

www.peachtreecomputers.net

Peachtree Computers provides expert technical support services and products for all makes of computers, phones, and tablets. PC offers computers and laptops.

WebTech Marketing Services

3295 River Exchange Parkway

Suite 220, Norcross 30092

404-348-4921

www.wtmarketing.com

WebTech Marketing helps small and midsize businesses and organizations achieve rapid performance-driven results that continue to grow over time.

Zixzox

10945 State Bridge Road, Suite 426

Alpharetta 30339

470-331-9719

www.zixzox.com

When you need a new website or an update to the one that you have, tell Zixzox what you need and Zixzox will do it for you.

Professional

tRAvEL SERvICES

AAA Travel

Locations across metro Atlanta

800-AAA-HELP

www.autoclubsouth.aaa.com

AAA Travel has multiple Atlanta locations that specialize in cruises, tours, packages, groups, honeymoons, reunions and special occasion getaways.

Amazing Journeys

733 Valleyview Road Pittsburgh, PA 15243

412-571-0220

www.amazingjourneys.net

Amazing Journeys is where Jewish singles turn when they want a unique way to embrace their wanderlust where each delightful detail is considered and every whim indulged.

Blairsville-Union County Chamber of Commerce

129 Union County Recreation Road

Blairsville 30512

877-745-5789

www.visitblairsvillega.com

Blairsville has some of Georgia’s most beautiful landmarks. Enjoy lakes and creeks, rivers and waterfalls, captivating scenery, or one of its many festivals held throughout the year.

Costco Travel Worldwide

866-921-7925

www.costcotravel.com

Costco Travel sells exclusively to Costco members and uses its buying authority to negotiate the best value in the marketplace, and then passes savings to members.

Expedia Cruises of Alpharetta

Elana Miller 10945 State Bridge Rd, Suite 105 Alpharetta 30022

770-833-2439

www.expediacruises.com/en-US/ElanaMiller

You can count on Expedia Cruises of Alpharetta for every vacation possibility over land, sea or air including customized trips, coach and rail tours, and insurance.

Expedia Cruises of Alpharetta

Lindsay Branum

Alpharetta 30022

678-712-5059

www.expediacruises.com/en-US/LindsayBranum

Expedia Cruises are navigators of spectacular vacation experiences with advice you can trust, the best choice in prices and expedia extras.

Georgia Wine Tours

3292 Oakcliff Road, Doraville 30340

404-924-1288

www.georgiawinetours.com

Enjoy a day trip to Georgia’s best wineries. Georgia Wine Tours provides the transportation and logistics from Atlanta to the north Georgia wineries for any excursion.

Gil Travel - Jewish Explorations 1511 Walnut Street Philadelphia, PA 19102

800-223-3855

www.giltravel.com

Gil Travel has professional, multilingual staff located in offices in Pennsylvania, New York, Florida and Israel. Employees speak Hebrew, Yiddish, Spanish, French, Creole, Urdu, Arabic and more.

Honeymoon Israel Worldwide

www.honeymoonisrael.org

Honeymoon Israel creates communities of couples who are building families with deep and meaningful connections to Jewish life and the Jewish people.

Israel Discovery Tours

4957 Oakton Street, Suite 303 Skokie, IL 60077

800-362-8882

www.israeldiscoverytours.com

Israel Discovery Tours is dedicated to superb service and quality, assisting you from your first phone call until the day you return.

Kenes Tours Israel

888-887-1706

www.kenes-tours.com

Kenes Tours is a team of Israel-based specialists providing targeted areas of interest, peace of mind with on-the-ground planners, and attractive and flexible tour host benefits.

Mr. and Mrs. Italy Travel

825 Malvern Hill, Johns Creek 30022

888-770-8048

www.mrandmrsitaly.com

Mr. and Mrs. Italy works with clients to create the best, most tailored Italian travel experience that suits clients’ needs, interests and style.

Other Cuban Journeys

5110 Falcon Chase Lane

Atlanta 30339

404-276-0032

www.othercubanjourneys.com

Even with the newest regulations, OCJ creates authorized, tailor-made itineraries to fit your interests and delivers memorably rich journeys to last you a lifetime.

Sports & Recreation

ARENAS

Gas South District

6400 Sugarloaf Parkway, Duluth 30097

770-813-7500

www.gassouthdistrict.com

The campus of Gas South District, formerly Infinite Energy Center, includes an outdoor arena, theater and convention center.

Mercedes-Benz Stadium

1 AMB Drive NW, Atlanta 30313

470-341-5000

www.mercedesbenzstadium.com

The Mercedes-Benz Stadium is a multipurpose retractable roof stadium located in downtown Atlanta — home to Atlanta United FC and the Atlanta Falcons.

State Farm Arena

1 State Farm Drive, Atlanta 30303

470-341-5000

www.statefarmarena.com

Home to the Atlanta Hawks and the Atlanta Dream, State Farm Arena is a downtown Atlanta venue for concerts, comedy shows and more.

Truist Park

755 Battery Park, Atlanta 30339

404-577-9100

www.mlb.com/braves

The Atlanta Braves moved to what is now Truist Park for the 2017 MLB season. Truist Park also boasts restaurants, bars, concerts and nightlife at The Battery.

FItNESS

CorePower Yoga

Locations across metro Atlanta

866-441-YOGA

www.corepoweryoga.com

CorePower Yoga studios feature modern, consciously designed spaces filled with thoughtful amenities. Each studio has the conveniences and comforts clients need to discover their power and purpose.

Exhale

1065 Peachtree Street NE

Atlanta 30309

404-720-5000

www.exhalespa.com

Exhale’s expertly created classes and results-oriented, best-in-class spa therapies including massage, facials, nails, waxing and acupuncture. Exhale features a detoxifying co-ed hammam, gym, sauna and more.

LA Fitness

Locations across metro Atlanta 770-973-3370

www.lafitness.com

LA Fitness offers a wide range of amenities and a highly trained staff with workout options to family members of all ages and interests readily available.

Sports & Recreation

LifeTime Fitness

Locations across metro Atlanta

855-430-5433

www.lifetime.life

Work out and play in spaces designed to move and inspire members. Then, relax in the lounge and social areas to recover, reset and refresh.

Marcus Jewish Community Center of Atlanta

5342 Tilly Mill Road, Atlanta 30338

678-812-4000

www.atlantajcc.org

MJCCA offers a myriad of wellness options including a fitness center, swimming pools, hard and clay tennis courts, a basketball gym, and sand volleyball courts.

Orangetheory Fitness

Locations across metro Atlanta

678-920-9455

www.orangetheoryfitness.com

Orangetheory Fitness is a one-of-a-kind, group personal training workout. The result is more energy, visible toning, and extra calorie burn for up to 36 hours.

Stronger Now Gym

214 Johnson Ferry Road NE Sandy Springs 30328

404-788-0483

www.strongernowgym.com

Stronger Now Gym is a personal training studio located in the heart of Sandy Springs, helping people get healthier in a safe, effective way possible.

PRO tEAMS

Atlanta Braves

755 Battery Avenue, Atlanta 30339

404-577-9100

www.mlb.com/braves

Since 1991, the Atlanta Braves have earned National League wild cards, division championships, National League pennants, and have won four World Series titles.

Atlanta Dream

101 Marietta Street NW, Atlanta 30303

877-977-7729

www.dream.wmba.com

The Atlanta Dream is a professional basketball team of the Women’s National Basketball Association based at State Farm Arena in Atlanta.

Atlanta Falcons

1 AMB Drive NW, Atlanta 30313

470-341-5000

www.atlantafalcons.com

The Atlanta Falcons play at Mercedes-Benz Stadium. The Falcons have appeared in two Super Bowls, the first in 1998 and the second in 2017.

Atlanta Hawks www.nba.com/hawks

The Atlanta Hawks is a professional basketball team based in Atlanta, Georgia. The team settled in Atlanta in 1968 and now plays in State Farm Arena.

Atlanta United

1 AMB Drive NW, Atlanta 30313

470-341-1500

www.atlutd.com

Atlanta United joined Major League Soccer in 2017. Owned by Arthur M. Blank, Atlanta United plays home matches at MercedesBenz Stadium in downtown Atlanta.

Georgia Swarm

6340 Sugarloaf Parkway, Suite 390 Duluth 30097

844-442-7927

www.georgiaswarm.com

The Georgia Swarm are a box lacrosse team in the National Lacrosse League, playing at the 13,000-seat Infinite Energy Arena, now named Gas South District.

RECREAtION

Andretti Indoor Karting and Games

Buford and Marietta www.andrettikarting.com

Andretti takes adventure to new heights with ziplining, rock climbing and a rope obstacle course. At Andretti, there is something for everyone.

Atlanta BeltLine

100 Peachtree Street NW, Suite 2300 Atlanta 30303 404-477-3003

www.beltline.org

From community meetings and exercise classes to art installations and walking tours, the BeltLine connects 20,000 of the city’s residents each week.

Atlanta Country Club

500 Atlanta Country Club Drive Marietta 30067 770-953-2100

www.atlantacountryclub.org

Home to the Atlanta Classic annual PGA tour event won by Jack Nicklaus, the golf course is consistently ranked one of the top in the country.

Sports & Recreation

Atlanta School of Aikido

8 Concourse Parkway, Atlanta 30328

770-522-9898

www.atlantaaikido.com

With a style of Aikido based on the teachings of Koichi Tohei’s Ki Society, it is movement based, flowing and smooth studio true to Aikido’s martial roots.

Chattahoochee Nature Center 9135 Willeo Road, Roswell 30075

770-992-2055

www.chattnaturecenter.org

What better place to play than in nature? With 127 acres along the Chattahoochee River, CNC offers plenty of activities and eco-fun for the whole family.

Dunwoody Country Club 1600 Dunwoody Club Drive Atlanta 30350

770-394-4492

www.dunwoodycc.org

Dunwoody Country Club is one of the most prestigious country clubs in the South. It is vibrant, social and family-oriented with a full range of services and facilities.

ElectroBike Georgia

2484 Briarcliff Road NE, #25 Atlanta 30329

404-400-7132

www.elctrobikega.com

ElectroBike Georgia bicycles are powered by a clean, quiet lithium battery and go from a traditional bike to a pedal-assisted bicycle at the touch of a button.

iFLY Atlanta Indoor Skydiving

2778 Cobb Parkway, Atlanta 30339 678-803-4359

www.iflyworld.com

iFLY is the company that created modern indoor skydiving. iFLY makes the dream of flight a reality by giving customers a safe and reliable environment.

Indian Hills Country Club

4001 Clubland Drive, Marietta 30068 770-971-2605

www.indianhillscc.com

A private club featuring 27 holes of golf, eight tennis courts, three swimming pools, a clubhouse with dining options and social events for the entire family.

SkyZone

Locations across metro Atlanta

678-745-9900

www.skyzone.com

SkyZone is a high flying, high energy, awesome fun-time bouncing from wall to wall with an incredible trampoline experience for youth groups and parties.

Stars and Strikes

10010 GA 92, Suite 180 Woodstock 30188

678-965-5707

www.starsandstrikes.com

This family entertainment center offers bowling, laser tag, arcade games, bumper cars, private meeting space and a full catering menu.

The Standard Club

6230 Abbotts Bridge Road Johns Creek 30097 770-497-0055

www.standardclub.org

Members can enjoy one of the top 20 golf courses in Georgia as well as a large clubhouse, basketball courts, fitness rooms, squash and tennis courts.

Topgolf

1600 Ellsworth Industrial Boulevard NW, Atlanta 30318

404-475-4000

www.topgolf.com

Topgolf was born when two brothers wanted to find a place where they could work on their game and also have the best time!

Experience the versatility, driving dynamics, and elevated comfort of an Audi SUV. Each model is designed with luxury in mind and engineered with innovative, progressive technology at its core—including legendary, quattro® all-wheel drive and options of turbocharged, hybrid or electric powertrains.

Turn static files into dynamic content formats.

Create a flipbook
Issuu converts static files into: digital portfolios, online yearbooks, online catalogs, digital photo albums and more. Sign up and create your flipbook.