Guide to Jewish Atlanta 57862026






























![]()






























Racing across ziplines, jumping into lakes, singing around campfires, making lifelong friends, and learning skills that shape their future—Jewish overnight camp is where kids grow, explore, and shine.
With support from the Jewish Federation of Greater Atlanta and One Happy Camper, you could receive up to $1,500 off your camper’s first summer at any of these amazing Jewish overnight camps.







YOUR HOME AWAY FROM HOME always a pleasure to serve you!





Elevate your senior liv ing experience at Heartis Buckhead, where luxury meets tranquility Unwind in our chic apartment homes and immerse yourself in a community that goes beyond the ordinary. From engaging on-site activities and events to indulgent in resort-style amenities, we prioritize your comfort by offering all essential services, activities, and care in one centralized location At Heartis Buckhead, we redefine senior li ving, creating a haven where every moment is tailored to enhance your wellbeing, allowing you to live a luxurious life on your terms.







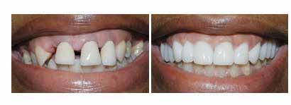
combining technology and artistry to create exceptional dentistry. As a comprehensive dental office that goes above and beyond our specialty in Cosmetic Dentistry, our patients believe Dr. David Mastro is the right choice for all your family dentistry needs!
When it comes to your smile and oral health, Dr. Mastro has a proven 30 year track record of providing quality cosmetic and family dental care for families in our local community and around the world.









Buckhead’s Luxurious Corso Residences are crafted for those who seek a truly world-class lifestyle. With every request anticipated and every detail curated to perfection, residency with Corso Atlanta is enlivened by curiosity, intention, and connection. Express interest today to explore availability.



























Since 1965, Legacy Gardens at Canterbury Court has been a source of inspiration and relaxation to residents of all faiths. A true oasis in the city, this 10-acre nature sanctuary continues to grow today with the addition of The Woodlands, our newest outdoor space. And the best is yet to come.






While Southern hospitality and charm seem hard to find in some parts, you’ll experience them every day at Somerby Sandy Springs Senior Living. Let us take care of the daily chores while you explore the best of nearby north Atlanta. Or stay home and enjoy our beautiful, multi-lifestyle community with a recent multi-million dollar renovation. Best of all, you can enjoy engaging events, endearing neighbors, and a chef prepared meal that’ll remind you of how charming life can be at Somerby.
Experience a superior level of hospitality and attention to detail that some have all but forgotten. Call (256) 579-0001 to schedule your personal visit.
Independent & Assisted Living & Memory Care
25 Glenlake Pkwy NE, Sandy Springs, GA 30328 (256) 579-0001 | SomerbySandySprings.com












We
Andy N. Siegel CPCU, CIC, AAI
Jonah Siegel
Sheldon Berch








































www.facebook.com/AtlantaIsraelCoalition

www.twitter.com/atlanta_israel
https://bit.ly/YouTube-AtlantaIsraelCoalition
www.atlantajewishconnector.com/organization/the-atlanta-israel-coalition

atlisraelco@gmail.com



















PUBLISHER
MICHAEL A. MORRIS michael@atljewishtimes.com
EDITOR & MANAGING PUBLISHER
KAYLENE LADINSKY kaylene@atljewishtimes.com
EDITORIAL
Managing Editor SASHA HELLER sasha@atljewishtimes.com
Staff Writer & Proofreader FRAN PUTNEY fran@atljewishtimes.com
Interim Online Content Coordinator
ROBERT GARBER robbie@atljewishtimes.com
ADVERTISING
Senior Account Manager & Team Supervisor
MICHAL BONELL michal@atljewishtimes.com
Account Manager ILYSSA KLEIN ilyssa@atljewishtimes.com
CREATIVE & DESIGN
Creative Director LILLI JENNISON lilli@atljewishtimes.com
COMMUNITY ENGAGEMENT
Events Director
JACQUELINE MORRIS jacqueline@atlantajewishlifefoundation.com
Atlanta Jewish Connector Coordinator DIANA COLE diana@atljewishtimes.com
GENERAL OFFICE
Executive Assistant RONIT FRANCO-PINSKY ronit@atljewishtimes.com
ROBIN FREEDMAN info@atljewishtimes.com 404-883-2130
Distribution Manager LOU LADINSKY lou@atljewishtimes.com
The Atlanta Jewish Times is printed in Georgia and is an equal opportunity employer. The opinions expressed in the Atlanta Jewish Times do not necessarily reflect those of the newspaper. Periodicals postage paid at Atlanta, Ga.
POSTMASTER send address changes to Atlanta Jewish Times
270 Carpenter Drive Suite 320, Atlanta Ga 30328. Established 1925 as The Southern Israelite www.atlantajewishtimes.com
ATLANTA JEWISH TIMES (ISSN# 0892-3345 IS PUBLISHED BY SOUTHERN ISRAELITE, LLC © 2025 ATLANTA JEWISH TIMES Printed by Walton Press Inc.
MEMBER
Conexx: America Israel Business Connector Atlanta Press Club
Jewish Press Association National Newspaper Association Sandy Springs/Perimeter Chamber of Commerce
Please send all photos, stories and editorial content to: submissions@atljewishtimes.com
Atlanta Jewish Times’ mission is to create a strong sense of community that brings a diverse and geographically dispersed Jewish Atlanta together. We fulfill that goal by timely distribution of local news and vital national Jewish and Israeli news; supporting area synagogues, nonprofit and cultural activities, and events; announcing simchas and other lifecycle events; encouraging thought-provoking dialogue and debate on current issues; and reinforcing the bonds of Jewish family, culture, and tradition.
Presenting our 5786 Guide to Jewish Atlanta -- this AJT community resource helps you stay connected and is a great handbook while also serving as a Who’s Who for our nonprofits, synagogues, schools, businesses and larger kehillah. Despite losses we have all experienced over recent years, the guide reminds us we are one big mishpachah overcoming struggles and celebrating life together.
This year’s 5786 Guide to Jewish Atlanta’s theme focuses on the newspaper’s 100th anniversary and celebrating the AJT’s legacy through the last ten decades.
Jewish Atlanta is a thriving and diverse community, rich with community leaders and public figures that consistently reaches for the stars and make the impossible … possible. The AJT hopes you appreciate the community members who make it all happen.
In addition to this print version of the 5786 Guide, there’s an online resource directory for viewing throughout the year within the Atlanta Jewish Connector, www. AtlantaJewishConnector.com. Many readers consult Connector for event planning as well as to learn what is happening around Atlanta socially, spiritually, educationally, and culturally.
The Connector also can be used for networking and to assist with holiday celebrations, just to name a few of its varied uses. Behind each calendar event is an organization with detailed information about our community (services, locations, and leaders).


This year’s resource guide adds many new companies and organizations to its registry. As comprehensive as we try to be, there will always be an organization that we inadvertently leave out or is new to the community.
Please let us know if you’d like to be included in next year’s guide or added immediately to the online resource directory at publisher@AtlJewishTimes. com or 404-883-2130, extension 100.
Thank you for being a loyal reader and advancing our mission of Keeping Jewish Atlanta Connected!




Guide Partner: Atlanta Jewish Connector
A calendar of the holidays for the rest of 5783 and all of 5784, sponsored by Chabad Intown
Listings of caterers, venues, entertainment and anything else you need to plan a great celebration
Guide Partner: William Breman Museum History of Jewish Atlanta
Listings of synagogues and other religious institutions
Listings of restaurants, stores and other places you might want to spend your money
Guide Partner: Jewish Federation of Greater Atlanta
Listings of day schools, other private schools, preschools, camps and other educational institutions
Listings of the people who can help you find the right home and make it perfect for you
Guide Partner: Marcus Jewish Community Center
Listings of museums, theaters, galleries, festivals, and other entertainment and cultural opportunities
Listings of the lawyers, financial advisers and other professionals you might need
Guide Partner: Jewish Home Life
Listings of the nonprofit organizations that support Jews and Jewish life in Atlanta
Listings of Atlanta’s professional sports franchises, their venues and other sports-related attractions
Guide Partner: Jewish Family & Career Services
Listings of doctors, spas, salons, senior living facilities and funeral services
A special thank you to our 5786 guide partners: Jewish Federation of Greater Atlanta, Jewish Family & Career Services, Jewish Home Life, Marcus JCC and the William Breman Heritage Museum. Your organizations are a valuable asset to all of Jewish Atlanta. We are proud to have you as our partners.

22 Sept | Erev Rosh Hashanah
Thur 3 Oct - Fri 4 Oct | Rosh Hashanah 5785 – Rosh Ha-shanah is literally the head of the Jewish year and the birthday of all creation. It commemorates the creation of Adam and Eve, the first humans. Man was the first to acknowledge G-d’s kingship over the universe, and on Rosh Hashanah we renew this commitment to G-d’s commandments.
25 Sept | Fast of Gedaliah
On the third of Tishrei, we commemorate the assassination of Gedaliah ben Achikam, governor of the First Jewish Commonwealth in the Holy Land. The result of his assassination was the end of Jewish autonomy in the Land of Israel.
1 Oct | Erev Yom Kippur
2 Oct | Yom Kippur
Yom Kippur, the Day of Atonement, is the holiest day of the Jewish calendar. It is a day of spiritual cleansing: We acknowledge our shortcomings and transgressions with a firm resolution for a better future; G-d promises us forgiveness, and the chance for a fresh start. We refrain from work, and avoid any food or drink as well as washing, using oils or lotions, marital relations and regular (leather) shoes.
6 Oct | Erev Sukkot
7 Oct - 13 Oct | Sukkot
The name Sukkot is derived from the word Sukkah or hut. In commemoration of the protective “clouds of glory” with which G-d surrounded the Jewish people on their way out of Egypt, we live in makeshift huts during the seven days of this holiday.

14 Dec | Erev Chanukah
15 Dec – 22 Dec | Chanukah
The kindling of the menorah is the focal point of the Chanukah holiday, symbolizing religious freedom and the strength of the Jewish spirit. The menorah is kindled on each of the eight nights of Chanukah, this year beginning Dec. 25.
The menorah is placed at the left side of a central doorway of the home or at the front window. The candles should be lit immediately following sunset and should be prepared so that they will remain lit for at least a half hour after dusk. In keeping with Shabbat observance, the menorah is lit before the Shabbat candles on Friday evening and after the Havdalah ceremony at the end of Shabbat.
Gather all family members and light the shamash, the service candle. Recite the proper blessings and then light the candles beginning from the left. Then place the shamash in its designated place, separated from the other candles.
30 Dec | Fast of 10th of Tevet
In the year 3336 from Creation (425 B.C.E.) on the 10th day of Tevet the armies of Nebuchadnezzar laid siege to Jerusalem. This led to the destruction of the Temple on 9 Av of 3338. As a result, the Jewish people were exiled to Babylonia for 70 years.

1 Apr | Erev Pesach
2 Apr – 9 Apr | Pesach (Passover)
2 Feb | Tu B’Shevat
In Jewish tradition, the 15th day of Shevat marks the “New Year” for the trees, opening the season in which trees begin to bud in the Holy Land.
It is customary to celebrate this date by enjoying some fruit, especially the five fruits mentioned in the Torah in connection with Israel: grapes, figs, pomegranates, olives and dates.
2 Mar | Erev Purim
3 Mar | Purim
The actual story of Purim, as told in the scroll of Esther, is as fascinating and spellbinding as any best-seller. Yet, though it is sacred scripture, we do not find the name of G-d mentioned even once. But within the intricate details of the megillah, we can detect the unmistakable hand of Divine Providence. The closer we examine the story, the more we discover that even seemingly insignificant events are precisely arranged by the hand of the Almighty.
On Pesach (Passover) we celebrate the birth of the Jewish nation with our miraculous redemption from Egypt. Pesach is observed by refraining from eating or even owning any foods which are chametz (leavened) and by participating in a seder dinner on the first two nights of the holiday.
The Pesach seder, conducted each of the first two nights of Pesach, is the central event of the Passover festival.
We drink four cups of wine (or grape juice), remembering the redemption and its four stages.
We ask the “Four Questions” and recite the haggadah, retelling the story of Passover and the miracles of our redemption.
We eat shmurah matzah, the plain unleavened bread which isn’t allowed to rise, remembering both the simple bread of slaves and the swiftness of the redemption from Egypt.
We eat maror (bitter herbs) remembering the bitterness of the enslavement.
The eighth and final day of Pesach is associated with the ultimate redemption through Moshiach and our fervent hope for its imminent arrival. In many communities, a festive “Moshiach meal” is organized toward the evening to emphasize this day’s special dimension.
1 May | Pesach Sheini
When the Holy Temple stood in Jerusalem, this day offered a second chance to offer the Passover sacrifice for those who had been unable to bring their offering at the appropriate time.
5 May | Lag B’Omer
On this date, in the early 2nd century, the students of Rabbi Akiva, the greatest sage of that era, ceased to die from an epidemic. Years later on this same date, his student Rabbi Shimon Bar Yochai, Mishnaic sage and author of the Zohar (the seminal work of Kabbalah) passed away. Having fulfilled his mission in this world, he asked that the anniversary of his death be celebrated as a joyous occasion. Throughout the Land of Israel – and indeed in Jewish communities throughout the world – this day is marked with festivities and bonfires. In particular, thousands journey to rejoice in the town of Meron, the site of Rabbi Shimon’s resting place.
21 May | Erev Shavuot
22 May – 23 May | Shavuot
Shavuot celebrates the giving of the Torah at Mount Sinai. It is on this day that we became G-d’s “chosen people,” and G-d formed a bond with us that will never be broken.
SHAVUOT OBSERVANCES
All-night Torah study is practiced on the first night of Shavuot. This is the best preparation for receiving the Torah.
Reading of the Ten Commandments occurs in the synagogue on the first day of Shavuot. Bring your children too!
A festive dairy meal is served on the first day of Shavuot. Like milk for an infant, we receive our spiritual nourishment from the Torah.


Police in Fulton County show off a confiscated moonshine still during the Prohibition Era. AJC PHOTO ARCHIVES
2 Jul | Fast of 17 Tammuz
The 17th of Tammuz commemorates the breach of the walls of Jerusalem by the Romans, in 69 C.E., after a lengthy siege. This led to the destruction of the second Temple on the 9th of Av.
22 Jul | Erev Tisha B’Av
23 Jul | Tisha B’Av
The ninth of Av has been a sad day on the Jewish calendar from the earliest days of our history as a people. Just one year after our forefathers left Egypt, it was on this date that G-d punished that generation, decreeing that they would wander the desert for 40 years, never entering into the Holy Land. The focus of our mourning, however, is on the destruction on this date of both the first Temple (422 B.C.E.) and the second Temple (68 C.E.).
29 Jul | Tu B’Av
Said Rabbi Shimon ben Gamliel: There were no greater festivals for Israel than the 15th of Av and Yom Kippur. On these days the daughters of Jerusalem would go out ... and dance in the vineyards. And what would they say? “Young man, raise your eyes and see which you select for yourself...” (Talmud, Taanit 26b)

11 Sep | Erev Rosh Hashanah
12 Sep - 13 Sep | Rosh Hashanah
Rosh Hashanah is the Jewish New Year. It is the anniversary of the creation of Adam and Eve, and a day of judgment and coronation of G-d as king.
Rosh Hashanah observances include candle lighting in the evenings, festive meals with sweet delicacies during the night and day, prayer services that include the sounding of the ram’s horn (shofar) on both mornings and desisting from creative work.
14 Sep | Fast of Gedaliah
20 Sep | Erev Yom Kippur 21 Sep | Yom Kippur
Yom Kippur is the holiest day of the year, the day on which we are closest to G-d and to the quintessence of our own souls. It is the Day of Atonement: “For on this day He will forgive you, to purify you, that you be cleansed from all your sins before G-d” (Leviticus: 16:30).
Vayechi
Vayechi
Shemot
Shemot
Va’eira
Va’eira
Bo
Bo
Beshalach
Beshalach
Yitro
Yitro
Mishpatim
Mishpatim
Terumah
Terumah
Tetzaveh
Tetzaveh

Candle Lighting is 18 mins. before sunset
Shabbat times provided by Chabad.org/ShabbatTimes
Friday, Jan 2, 2026
Shabbat, Jan 3, 2026
Friday, Jan 9, 2026
Shabbat, Jan 10, 2026
Friday, Jan 16, 2026
Shabbat, Jan 17, 2026
Friday, Jan 23, 2026
Shabbat, Jan 24, 2026
Friday, Jan 30, 2026
Shabbat, Jan 31, 2026
Friday, Feb 6, 2026
Shabbat, Feb 7, 2026
Friday, Feb 13, 2026
Shabbat, Feb 14, 2026
Friday, Feb 20, 2026
Shabbat, Feb 21, 2026
Friday, Feb 27, 2026
Shabbat, Feb 28, 2026 Time 5:22 PM 6:22 PM 5:28 PM 6:27 PM 5:35 PM 6:34 PM 5:42 PM 6:40 PM 5:48 PM 6:46 PM 5:55 PM 6:53 PM 6:02 PM 6:59 PM 6:08 PM 7:05 PM 6:14 PM 7:10 PM

Light Candles at: 5:22 PM
Shabbat Ends: 6:22 PM
Light Candles at: 5:28 PM
Shabbat Ends: 6:27 PM
Light Candles at: 5:35 PM
Shabbat Ends: 6:34 PM
Light Candles at: 5:42 PM
Shabbat Ends: 6:40 PM
Light Candles at: 5:48 PM
Shabbat Ends: 6:46 PM
Light Candles at: 5:55 PM
Shabbat Ends: 6:53 PM
Light Candles at: 6:02 PM
Shabbat Ends: 6:59 PM
Light Candles at: 6:08 PM
Shabbat Ends: 7:05 PM
Light Candles at: 6:14 PM
Shabbat Ends: 7:10 PM
Ki Tisa
Ki Tisa
Vayak’hel-Pekudei
Vayak’hel-Pekudei
Vayikra
Vayikra
Tzav
Tzav
Shemini
Shemini
Shemini
Shemini
Shemini
Shemini
Shemini
Shemini
Shemini
Tazria-Metzora
Tazria-Metzora
Acharei-Kedoshim
Acharei-Kedoshim
Emor
Emor
Behar-Bechukotai
Behar-Bechukotai
Bamidbar
Bamidbar
Naso
Naso
Naso
Naso
Naso
Behaalotecha
Friday, Mar 6, 2026
Shabbat, Mar 7, 2026
Friday, Mar 13, 2026
Shabbat, Mar 14, 2026
Friday, Mar 20, 2026
Shabbat, Mar 21, 2026
Friday, Mar 27, 2026
Shabbat, Mar 28, 2026
Wednesday, Apr 1, 2026
Thursday, Apr 2, 2026
Friday, Apr 3, 2026
Shabbat, Apr 4, 2026
Tuesday, Apr 7, 2026
Wednesday, Apr 8, 2026
Thursday, Apr 9, 2026
Friday, Apr 10, 2026
Shabbat, Apr 11, 2026
Friday, Apr 17, 2026
Shabbat, Apr 18, 2026
Friday, Apr 24, 2026
Shabbat, Apr 25, 2026
Friday, May 1, 2026
Shabbat, May 2, 2026
Friday, May 8, 2026
Shabbat, May 9, 2026
Friday, May 15, 2026
Shabbat, May 16, 2026
Thursday, May 21, 2026
Friday, May 22, 2026
Shabbat, May 23, 2026
Friday, May 29, 2026
Shabbat, May 30, 2026
Friday, Jun 5, 2026
6:20 PM 7:16 PM 7:26 PM 8:22 PM 7:31 PM 8:27 PM 7:37 PM 8:33 PM 7:40 PM 8:37 PM 7:42 PM 8:38 PM 7:45 PM 8:42 PM 8:42 PM 7:47 PM 8:44 PM 7:53 PM 8:50 PM 7:58 PM 8:56 PM 8:03 PM 9:02 PM 8:09 PM 9:08 PM 8:14 PM 9:14 PM 8:18 PM 8:19 PM 9:20 PM 8:24 PM 9:25 PM 8:28 PM
Light Candles at: 6:20 PM
Shabbat Ends: 7:16 PM
Light Candles at: 7:26 PM
Shabbat Ends: 8:22 PM
Light Candles at: 7:31 PM
Shabbat Ends: 8:27 PM
Light Candles at: 7:37 PM
Shabbat Ends: 8:33 PM
Light Holiday Candles at: 7:40 PM
Light Holiday Candles after: 8:37 PM
Light Shabbat Candles at: 7:42 PM
Shabbat Ends: 8:38 PM
Light Holiday Candles at: 7:45 PM
Light Holiday Candles after: 8:42 PM
Holiday Ends: 8:42 PM
Light Candles at: 7:47 PM
Shabbat Ends: 8:44 PM
Light Candles at: 7:53 PM
Shabbat Ends: 8:50 PM
Light Candles at: 7:58 PM
Shabbat Ends: 8:56 PM
Light Candles at: 8:03 PM
Shabbat Ends: 9:02 PM
Light Candles at: 8:09 PM
Shabbat Ends: 9:08 PM
Light Candles at: 8:14 PM
Shabbat Ends: 9:14 PM
Light Holiday Candles at: 8:18 PM
Light Shabbat / Holiday Candles at: 8:19 PM
Shabbat / Holiday Ends: 9:20 PM
Light Candles at: 8:24 PM
Shabbat Ends: 9:25 PM
Light Candles at: 8:28 PM
Behaalotecha
Shlach
Shlach
Korach
Korach
Chukat-Balak
Chukat-Balak
Pinchas
Pinchas
Matot-Massei
Matot-Massei
Devarim
Devarim
Va’etchanan
Va’etchanan
Eikev
Eikev
Re’eh
Re’eh
Shoftim
Shoftim
Ki Teitzei
Ki Teitzei
Ki Tavo
Ki Tavo
Nitzavim-Vayelech
Nitzavim-Vayelech
Ha’azinu
Ha’azinu
Ha’azinu
Ha’azinu
Ha’azinu
Vezot Hab’rachah
Shabbat, Jun 6, 2026
Friday, Jun 12, 2026
Shabbat, Jun 13, 2026
Friday, Jun 19, 2026
Shabbat, Jun 20, 2026
Friday, Jun 26, 2026
Shabbat, Jun 27, 2026
Friday, Jul 3, 2026
Shabbat, Jul 4, 2026
Friday, Jul 10, 2026
Shabbat, Jul 11, 2026
Friday, Jul 17, 2026
Shabbat, Jul 18, 2026
Friday, Jul 24, 2026
Shabbat, Jul 25, 2026
Friday, Jul 31, 2026
Shabbat, Aug 1, 2026
Friday, Aug 7, 2026
Shabbat, Aug 8, 2026
Friday, Aug 14, 2026
Shabbat, Aug 15, 2026
Friday, Aug 21, 2026
Shabbat, Aug 22, 2026
Friday, Aug 28, 2026
Shabbat, Aug 29, 2026
Friday, Sep 4, 2026
Shabbat, Sep 5, 2026
Friday, Sep 11, 2026
Shabbat, Sep 12, 2026
Sunday, Sep 13, 2026
Friday, Sep 18, 2026
Shabbat, Sep 19, 2026
Sunday, Sep 20, 2026 9:30 PM 8:31 PM 9:33 PM 8:33 PM 9:36 PM 8:35 PM 9:36 PM 8:35 PM 9:36 PM 8:33 PM 9:34 PM 8:30 PM 9:30 PM 8:26 PM 9:25 PM 8:21 PM 9:19 PM 8:15 PM 9:12 PM 8:07 PM 9:04 PM 7:59 PM 8:55 PM 7:50 PM 8:45 PM 7:41 PM 8:35 PM 7:32 PM 8:25 PM 8:24 PM 7:22 PM 8:15 PM 7:19 PM
Shabbat Ends: 9:30 PM
Light Candles at: 8:31 PM
Shabbat Ends: 9:33 PM
Light Candles at: 8:33 PM
Shabbat Ends: 9:36 PM
Light Candles at: 8:35 PM
Shabbat Ends: 9:36 PM
Light Candles at: 8:35 PM
Shabbat Ends: 9:36 PM
Light Candles at: 8:33 PM
Shabbat Ends: 9:34 PM
Light Candles at: 8:30 PM
Shabbat Ends: 9:30 PM
Light Candles at: 8:26 PM
Shabbat Ends: 9:25 PM
Light Candles at: 8:21 PM
Shabbat Ends: 9:19 PM
Light Candles at: 8:15 PM
Shabbat Ends: 9:12 PM
Light Candles at: 8:07 PM
Shabbat Ends: 9:04 PM
Light Candles at: 7:59 PM
Shabbat Ends: 8:55 PM
Light Candles at: 7:50 PM
Shabbat Ends: 8:45 PM
Light Candles at: 7:41 PM
Shabbat Ends: 8:35 PM
Light Shabbat / Holiday Candles at: 7:32 PM
Light Holiday Candles after: 8:25 PM
Holiday Ends: 8:24 PM
Light Candles at: 7:22 PM
Shabbat Ends: 8:15 PM
Light Holiday Candles at: 7:19 PM
Vezot Hab’rachah
Vezot Hab’rachah
Vezot Hab’rachah
Vezot Hab’rachah
Vezot Hab’rachah
Vezot Hab’rachah
Vezot Hab’rachah
Bereishit
Bereishit
Noach
Noach
Lech-Lecha
Lech-Lecha
Vayeira
Vayeira
Chayei Sarah
Chayei Sarah
Toldot
Toldot
Vayeitzei
Vayeitzei
Vayishlach
Vayishlach
Vayeishev
Vayeishev
Mikeitz
Mikeitz
Vayigash
Vayigash
Vayechi
Vayechi
Monday, Sep 21, 2026
Friday, Sep 25, 2026
Shabbat, Sep 26, 2026
Sunday, Sep 27, 2026
Friday, Oct 2, 2026
Shabbat, Oct 3, 2026
Sunday, Oct 4, 2026
Friday, Oct 9, 2026
Shabbat, Oct 10, 2026
Friday, Oct 16, 2026
Shabbat, Oct 17, 2026
Friday, Oct 23, 2026
Shabbat, Oct 24, 2026
Friday, Oct 30, 2026
Shabbat, Oct 31, 2026
Friday, Nov 6, 2026
Shabbat, Nov 7, 2026
Friday, Nov 13, 2026
Shabbat, Nov 14, 2026
Friday, Nov 20, 2026
Shabbat, Nov 21, 2026
Friday, Nov 27, 2026
Shabbat, Nov 28, 2026
Friday, Dec 4, 2026
Shabbat, Dec 5, 2026
Friday, Dec 11, 2026
Shabbat, Dec 12, 2026
Friday, Dec 18, 2026
Shabbat, Dec 19, 2026
Friday, Dec 25, 2026
Shabbat, Dec 26, 2026
8:13 PM 7:12 PM 8:06 PM 8:04 PM 7:02 PM 7:56 PM 7:55 PM 6:53 PM 7:47 PM 6:44 PM 7:38 PM 6:36 PM 7:31 PM 6:29 PM 7:24 PM 5:22 PM 6:18 PM 5:17 PM 6:14 PM 5:13 PM 6:11 PM 5:11 PM 6:09 PM 5:10 PM 6:09 PM 5:11 PM 6:10 PM 5:13 PM 6:13 PM 5:17 PM 6:16 PM
Holiday Ends: 8:13 PM
Light Shabbat / Holiday Candles at: 7:12 PM
Light Holiday Candles after: 8:06 PM
Holiday Ends: 8:04 PM
Light Shabbat / Holiday Candles at: 7:02 PM
Light Holiday Candles after: 7:56 PM
Holiday Ends: 7:55 PM
Light Candles at: 6:53 PM
Shabbat Ends: 7:47 PM
Light Candles at: 6:44 PM
Shabbat Ends: 7:38 PM
Light Candles at: 6:36 PM
Shabbat Ends: 7:31 PM
Light Candles at: 6:29 PM
Shabbat Ends: 7:24 PM
Light Candles at: 5:22 PM
Shabbat Ends: 6:18 PM
Light Candles at: 5:17 PM
Shabbat Ends: 6:14 PM
Light Candles at: 5:13 PM
Shabbat Ends: 6:11 PM
Light Candles at: 5:11 PM
Shabbat Ends: 6:09 PM
Light Shabbat Candles at: 5:10 PM
Shabbat Ends: 6:09 PM
Light Shabbat Candles at: 5:11 PM
Shabbat Ends: 6:10 PM
Light Candles at: 5:13 PM
Shabbat Ends: 6:13 PM
Light Candles at: 5:17 PM
Shabbat Ends: 6:16 PM
Answers the What, Where, and When... Today, Next Week or Next Year. Connecting you to organizations, connecting organizations to you.


Have you visited Jewish Atlanta’s community calendar and resource directory?
The Atlanta Jewish Connector aims to unite Jewish Atlanta into one cohesive platform. We are committed to representing our diverse Jewish community and welcoming a broad spectrum of viewpoints.




We are arts and history. We are story keepers and story seekers. We are ATL and Jewish. We are the Breman: a cultural center that celebrates the joy and resiliency of life, connecting people from every walk of life. From engrossing conversations about the Holocaust and Civil Rights to captivating art collections and live musical performances, we welcome you to get inspired by remarkable moments and memories.
Our mission is to connect people to Jewish history, culture,
Nestled in the heart of Midtown Atlanta, The Breman is a vibrant destination for those who seek connection, curiosity, and community. As the Southeast’s premier center for Jewish history, culture, and arts, The Breman invites visitors of all backgrounds to explore the powerful stories that shape our collective identity.
Through dynamic exhibitions, captivating programs, and robust partnerships with leading Atlanta cultural institutions like the Alliance Theatre, the Atlanta Opera, and the Atlanta Jewish Film Festival, The Breman celebrates the voices of the past and present—preserving memory while sparking new conversations.
Whether you call Atlanta home or are just passing through, The Breman offers an unforgettable experience for all generations. Step into our galleries to uncover stories of resilience, creativity, and heritage through exhibitions that inspire both history lovers and art enthusiasts alike.
Come discover a museum where stories live, culture thrives, and community grows.

4:00 pm





In today’s world, Jewish life faces unprecedented challenges. At Federation, we are committed to meeting these challenges together, with resilience, pride, and purpose.
We are part of a community that stands tall—building, protecting, and nurturing Jewish life in Atlanta. For more than a century, Federation has served as the backbone of our community: a trusted institution that unites us, strengthens our connections, and moves us forward together.
Through our work, we respond with urgency—caring for those in crisis, standing up against antisemitism, and supporting programs that enrich Jewish life across generations. We are responsible for one another, and together, as a community, we are strong, resilient, and unstoppable.

From Holocaust survivors to families facing crisis, Federation ensures that no one is left behind. We provide care for seniors, expand access to mental health services, address food insecurity and career challenges, make community spaces inclusive for those with special needs, and respond when disaster strikes—because anyone, at any moment, can become a person in need.
Jewish Education
Federation strengthens Jewish learning at every stage—from day schools and preschools to supplementary education, camp scholarships, lifelong learning, and immersive Israel experiences.
Israel & Jews Worldwide
Through our partnerships with organizations like the Jewish Agency for Israel (JAFI) and the Joint Distribution Committee (JDC), Federation provides urgent relief in Israel, helps rebuild after crises, and supports Jewish communities around the world—from Ukraine to other communities facing hardship. We also deepen Atlanta’s connection to Israel through programs like our Shinshinim (Israeli teen emissaries) initiative.
Jewish Engagement
Federation builds vibrant Jewish communities—from JBaby to JTeen to JGather—creating opportunities for meaningful connections and lifelong Jewish journeys. These programs help turn strangers into friends and friends into family.
Safety & Security
Federation works to keep our community safe by securing synagogues, schools, events, and other spaces. In partnership with the Secure Community Network (SCN) and law enforcement, we train leaders, prepare for potential threats, and protect Jewish life across Atlanta. Explore how you can get involved and make an impact in Jewish Atlanta.








Atlanta Rabbinical Association 1589 Peachtree Street, Atlanta 30309
404-873-1731
www.atlrabbis.org
Atlanta Rabbinical Association is a professional organization for local rabbis. ARA is led by Rabbi Alexandria Shuval-Weiner and Rabbi Joshua Lesser.
Metro Atlanta Community Mikvah (MACoM)
700-A Mount Vernon Highway Atlanta 3032
404-549-9679
www.atlantamikvah.org
MACoM is a community mikvah that provides a safe, sensitive, welcoming, halachic and beautiful environment for Jewish ritual immersion and conversion, Torah awareness, healing and wellness.
Chabad of Athens-UGA
1491 S. Lumpkin Street, Athens 30605
706-369-1289
www.jewishdawgs.com
Serving students at the University of Georgia and beyond, Chabad of Athens- UGA is a Jewish student center providing social, educational and spiritual programming for students.
Chabad of Cobb
4450 Lower Roswell Road
Marietta 30068
770-565-4412
www.chabadofcobb.com
Chabad of Cobb is more than just a synagogue. It is a home for any Jew looking for a warm and spiritual place to grow.
Chabad of Downtown Universities 471 10th Street NW, Atlanta 30318
678-304-8672
www.chabaddtu.com
Chabad is a home away from home for Jewish students at Georgia Tech and Georgia State, offering weekly Shabbat services and engaging Jewish educational opportunities.
Chabad of Dunwoody
4534 Village Springs Run
Dunwoody 30338
347-770-2414
www.chabaddunwoody.com
From Holiday events to teen programs, Chabad of Dunwoody ensures everyone has an opportunity to connect to their heritage in a warm, dynamic and uplifting way.
Chabad of Emory
1526 N. Decatur Road, Atlanta 30307 404-441-3199
ww.chabademory.org
Chabad Emory is a space where students socialize in a comfortable home-like setting with great friends, superb food, and stimulating discussion.
Chabad of Forsyth 795 Brannon Road, Cumming 30041 470-253-7111
www.jewishforsyth.org
Chabad of Forsyth is the outreach branch for North Georgia. A warm and inviting community, experience Chabad Forsyth’s wide variety of events, programs and services.
Chabad Global Network - Georgia 5180 Roswell Road, Atlanta 30342 470-433-0770 www.chabadga.com
Chabad of Georgia supports the growth of new centers, develops resources for centralized programs, and provides the foundation for the entire state’s Chabad activities.
Chabad of Gwinnett
Chabad Enrichment Center of Gwinnett 2651 Smith Point Drive, Suite B Peachtree Corners 30092 678-595-0196
www.chabadofgwinnett.org
Chabad of Gwinnett is committed to providing every Jew in the area the opportunity to celebrate Jewish programs that nurture connection, belonging and spiritual growth.



Be a part of all that The Temple has to offer. The Temple is welcoming to all and offers a variety of LEARNING & ENGAGEMENT OPPORTUNITIES to fit your interests including:
• Social justice initiatives— Racial Justice, Gun Violence Prevention, Sustainability, LGBTQ Equality, Women’s Rights, and more!
• Vibrant interfaith programs
• Temple Connect small groups
• Weinberg Early Learning Center
Preschool Programs for children 3 months to Pre-K
• Breman Education Center
Jewish Learning for Pre-K through to B’nei Mitzvah and Confirmation




or contact our
Manager, Tena Drew at tdrew@the-temple.org or 404-873-1731.

Chabad of Hall County
Gainesville 30504
770-906-4970
www.JewishHall.com
Chabad of Hall is a home for Jewish life in Northeast Georgia. It provides a warm and welcoming environment for every Jew, regardless of affiliation or background.
Chabad Intown
730 Ponce de Leon Place NE Atlanta 30306
404-898-0434
www.chabadintown.org
Chabad Intown provides opportunities to learn about and experience Jewish tradition through programs like Mommy and Me, Intown Hebrew School and Young Jewish Professionals.
Chabad Israeli Center Atlanta 4276 Chamblee Dunwoody Road Atlanta 30341
404-252-9508
www.cicatlanta.com
Chabad Israeli Center is a place to speak, laugh and pray in Hebrew. It also offers summer camp, winter break camp, ulpan, Judaica and more.
Chabad Lubavitch of Georgia
5065 High Point Road, Atlanta 30342
404-843-2464
www.chabadatlanta.com
Chabad of Georgia offers youth services, adult education, Chaya Mushka Children’s Preschool, special needs activities for children and adults, and summer and winter camps.
Chabad of Kennesaw 1480 Shiloh Road NW, Suite 500 Kennesaw 30144
770-400-9255
www.chabadkennesaw.org
Chabad of Kennesaw serves Kennesaw State University and its local community. It is a place where every Jew is family and everyone is welcome.
Chabad of North Fulton 10180 Jones Bridge Road Alpharetta 30022 770-410-9000
www.chabadnf.org
Chabad of North Fulton provides a variety of services to the Jewish communities in North Fulton, including Alpharetta, Crabapple, Duluth, Johns Creek, Milton, and Roswell.
Chabad of Peachtree City
632 Dogwood Trail, Tyrone 30290 678-595-0199
www.chabadsouthside.com
Serving Jewish Atlanta’s south side, Chabad of Peachtree City offers Shabbat services, holiday programs, classes for adults and children, hospital visits, lifecycle events, and one-on-one guidance.
Chabad of Toco Hills
1985 Lavista Road, Atlanta 30329
404-337-6116
www.chabadtoco.com
Chabad of Toco Hills welcomes people of all backgrounds, with a special focus on young families. Join CTH for services, holidays, youth classes and more.
Congregation Beth Israel
795 Branning Road, Cumming 30041 470-253-7111
www.jewishforsyth.org
Together with Chabad Forsyth, Congregation Beth Israel is committed to providing high quality programming and services to every person, regardless of background, affiliation or financial support.
Congregation Beth Tefillah 5065 High Point Road, Atlanta 30342 404-843-2464
www.bethtefillah.org
Congregation Beth Tefillah is a synagogue and center of learning for Jews of all backgrounds, engendering a feeling of comfort and belonging for all.
Ahavath Achim Synagogue 600 Peachtree Battle Avenue Atlanta 30327
404-355-5222
www.aasynagogue.org
Ahavath Achim creates a vibrant spiritual community that empowers individuals to connect Jewishly and embraces interfaith families who desire to be part of its community.









Congregation Beth Shalom
5303 Winters Chapel Road Dunwoody 30360 770-399-5300
www.bethshalom.net
Congregation Beth Shalom is an egalitarian, inclusive and spiritual Jewish community, providing a warm and nurturing environment to pray, learn and perpetuate Jewish values.
Congregation B’nai Torah
700 Mt. Vernon Highway NE Sandy Springs 30328
404-257-0537
www.bnaitorah.org
Congregation B’nai Torah is committed to creating meaningful experiences based in tradition and provides a space to connect with others who share your Jewish values.
Congregation Etz Chaim
1190 Indian Hills Parkway Marietta 30068
www.etzchaim.net
Etz Chaim is an inclusive and engaging egalitarian Conservative shul creating multigenerational connections and meaningful experiences in the northern suburbs of Atlanta in East Cobb, Marietta.
Congregation Gesher L’Torah
4320 Kimball Bridge Road Alpharetta 30022 (770) 777-4009
www.wearegesher.org
Whether you’re traditional, not traditional, interfaith, Jewish by choice or just exploring Jewish life, Gesher L’Torah caters to members no matter their personal experience or background.
Congregation Shearith Israel 1180 University Drive, Atlanta 30306 404-873-1743
www.shearithisrael.com
Shearith Israel is a Conservative synagogue devoted to religious enrichment, education and community. It closely follows Jewish tradition while having the insights of modern thought.
Congregation Or Hadash
7460 Trowbridge Rd, Sandy Springs 30328 (404) 250-3338
Or Hadash believes we each hold a divine spark of light inside of us, whether we’re total novices or come from years of experience.
Congregation Shema YisraelThe Open Synagogue 7100 Stonington Drive, Atlanta 30328 404-255-7955
www.shemaweb.org
Shema Yisrael is a synagogue embracing all that is Jewish by nurturing an inclusive and caring spiritual community reflecting Klal Yisrael (The Peoplehood of Israel).
Guardians of the Torah P.O. Box 767981, Roswell 30076 770-286-3477
www.guardiansofthetorah.org
Guardians of the Torah is a congregation without walls that is open to all. It also helps first responders in need of spiritual support.
Congregation Anshi S’Fard 1324 North Highland Avenue NE Atlanta 30306 404-969-6763
www.anshisfard.org
Anshi is a warm and welcoming congregation, where everyone feels comfortable. It offers programming and services that are enjoyable, engaging and user-friendly.
Congregation Ariel 5237 Tilly Mill Road, Dunwoody 30338 770-390-9071
www.congariel.org
Congregation Ariel welcomes Jews of all ages, stages and backgrounds. Its growing campus includes a modern sanctuary, social hall, tevilas keilim mikvah, and elegant women’s mikvah.
Congregation Beth Itzhak 6030 Goodwood Boulevard Norcross 30093 678-200-8897
facebook.com/BeitYitzchakNorcross
Congregation Beit Yitzchak aims to serve the religious, educational, cultural, and social needs of its Jewish community.




























Congregation Beth Jacob 1855 Lavista Road, Atlanta 30329
404-633-0551
www.bethjacobatlanta.org
Beth Jacob Atlanta is the Orthodox synagogue for all Jews, inspiring individuals and families at all levels of observance to strengthen their Jewish connection.
Congregation Ner Hamizrach 1858 Lavista Road, Atlanta 30329
404-315-9020 www.nerhamizrach.org
Steeped in the Sephardic tradition of nusach Edot Hamizrach. Congregation Ner Hamizrach serves the spiritual needs of the growing Sephardic Jewish population in Atlanta.
Congregation Netzach Israel 1985 Lavista Road NE, Atlanta 30329 www.netzachisrael.org
Enjoy a variety of programming and offerings for all ages, especially for families with young children, in this close-knit Orthodox community.
Congregation Shaarei Shamayim 1600 Mount Mariah Road NE Atlanta 30329
404-417-0472 www.shaareishamayim.com
Shaarei Shamayim is an in-town Modern Orthodox shul focused on developing a relationship with G-d through prayer and the study of Torah.
Kesher Torah Atlanta 5075 Roswell Road NE, Atlanta 30342 470-746-6627 www.keshertorahatlanta.org
Kesher Torah is a place for all Jews, inspiring people to make themselves and their lives better through the wisdom of the Torah.

New Toco Shul
2003 Lavista Road, Atlanta 30329
770-765-7485
www.newtocoshul.com
At New Toco Shul rabbinic and lay partners work together to provide a platform for nuanced Torah, reflective and meaningful Tefillah, and enriching Gemilut Chassadim.
Ohr HaTorah of Toco Hills
2056 Lavista Road, Atlanta 30329
404-315-1417
www.ohrhatorahatl.org
Ohr HaTorah celebrates commitment to traditional practice and observance coupled with profound engagement and openness to the world at large and the land of Israel.
Congregation Bet Haverim
2074 Lavista Road, Atlanta 30329
404-315-6446
www.congregationbethaverim.org
Bet Haverim enthusiastically embraces all Jews, particularly those who have wandered seeking acceptance. Its congregation has Jews of all races, sexual orientations and gender identities.
Congregation B’nai Israel 1633 Highway 54E, Jonesboro 30238 678-817-7162
www.bnai-israel.net
Congregation B’nai Israel is a warm and caring multi-generational community for Jews and interfaith families on the southside of Atlanta looking to make joyful connections.

Congregation Dor Tamid 11165 Parsons Road Johns Creek 30097 770-623-8860
www.dortamid.org
Dor Tamid creates meaningful and enduring religious experiences for its members and their families. It actively welcomes all individuals interested in participating in Jewish life.
Congregation Ner Tamid 1349 Old Highway 41, Suite 220 Marietta 30060 678-264-8575
www.mynertamid.info
Congregation Ner Tamid offers a warm, welcoming environment dedicated to honoring tradition while creating a Jewish experience that is relevant to today’s society.

Statue of Atlanta Constitution Editor Henry Grady on Marietta Street in Atlanta on December 24, 1939. It had just been cleaned when this photo was taken. The 1891 statue still stands there today. // Atlanta Journal Constitution
Rodeph Sholom Congregation
406 East 1st Street, Rome 30161
706-291-6315
www.rodephsholomrome.org
Feel at home at Rodeph Sholom. Experience a small congregation where you’ll never feel lost in a crowd and your participation can truly make a difference.
Shalom b’Harim
The Jewish Community of the North Georgia Mountains 3415 Stancil Road Gainesville 30506 561-251-8075 shalombharim.org
Shalom b’Harim is an unaffiliated synagogue with no dues structure. Its participants are Reform, Conservative and Orthodox from both Ashkenazi and Sephardic traditions.
Temple Beth David 1885 McGee Road SW, Snellville 30078
770-978-3916
www.tbdga.org
Temple Beth David provides worship and service that does not sacrifice family closeness. TBD offers weekly services, holiday celebrations, life cycle events and educational programs.
Temple Beth Tikvah
9955 Coleman Road, Roswell 30075 770-642-0434
www.bethtikvah.com
Temple Beth Tikvah offers a wide variety of religious, educational, and social opportunities for its members, catering to the interests of all congregants from toddlers to seniors.
Temple Emanu-El
1580 Spalding Drive
Atlanta 30350
770-395-1340
www.templeemanuelatlanta.org
Temple Emanu-El embodies the Jewish values of audacious hospitality and authentic companionship. It is a congregation of thought-leaders, spiritual seekers, and engaged Jewish change- makers.
Temple Kehillat Chaim 1145 Green Street, Roswell 30075
770-641-8630
www.kehillatchaim.org
Temple Kehillat Chaim is a Jewish Reform congregation located in Historic Roswell. It seeks to meet the spiritual, educational, cultural and social needs of its members.
Temple Kol Emeth
1415 Old Canton Road, Marietta 30062 770-973-3533
www.kolemeth.net
Nurture your Jewish identity at Temple Kol Emeth with energizing and inspiring leadership, spiritual music, and engaging programming that adds meaning in your life.
Temple Sinai
5645 Dupree Drive
Sandy Springs 30327
404-252-3073
www.templesinaiatlanta.org
Temple Sinai is a vibrant congregation that values lifelong Jewish learning, a warm spirit of community, a sense of inclusivity, and inspires active participation in Jewish life.
The Temple 1589 Peachtree Street
Atlanta 30309
404-873-1731
www.the-temple.org
The Temple blends tradition with innovation to create a vibrant and warm atmosphere that is inviting to all who walk through its famous red doors.

Congregation Ner Hamizrach 1858 Lavista Road NE, Atlanta 30329
404-315-9020
www.nerhamizrach.com
Steeped in the Sephardic tradition of nusach Edot Hamizrach. Congregation Ner Hamizrach serves the spiritual needs of the growing Sephardic Jewish population in Atlanta.
Congregation Or VeShalom 1681 N. Druid Hills Road NE Atlanta 30319
404-633-1737
www.orveshalom.org
Congregation Or VeShalom embraces its history while envisioning a strong future with innovative programming. Come and experience the Sephardic warmth, culture and welcoming community.
Atlanta Circumcision
516-510-2436 www.atlantacircumcision.com
Atlanta Mohel 404-606-0468 www.atlantamohel.com
Mohel Atlanta - Rabbi Ariel Asa 404-271-8672 www.mohelatlanta.com
Mohel Georgia 404-931-6449 www.mohelga.com
Simple Circumcision
412-508-0914 www.simplecircumcision.com
The Georgia Mohel 770-765-2747 www.georgiamohel.com
Atlanta Kosher Commission 1855 Lavista Road, Atlanta 30329 404-634-4063
www.kosheratlanta.org
AKC is an Orthodox non- profit kosher supervising agency that currently certifies over 150 companies in the Southeast and beyond, including manufacturing facilities, supermarkets, restaurants, and hotels.
Atlanta Scholars Kollel 1959 Lavista Road, Atlanta 30329
404-321-4085
www.atlantakollel.org
The Kollel is a nonjudgmental and knowledgeable group of rabbis and families in Georgia who have dedicated themselves to promoting Jewish identity through Jewish knowledge.
Rabbi Barry Altmark Birmingham, Alabama 205-870-1883
www.deepsouthrabbi.com
Rabbi Altmark performs interfaith and Jewish weddings as well as bar and bat mitzvahs in Georgia, Tennessee, Alabama and Mississippi.

Rabbis Barry and Michele Selvin Coffsky Marietta 770-314-0232 www.atlantarabbis.com
Rabbis Coffsky and Selvin Coffsky officiate a variety of events including weddings, baby namings and bar/bat mitzvahs. They also provide independent Jewish services to the community.
Rabbi Sol Agin, DD Dunwoody 239-560-5582
RabbiSolAgin@gmail.com
Rabbi Agin officiates at all life cycle events, including baby namings, bar/bat mitzvah preparations, Jewish and Interfaith weddings, and funeral and memorial services.
The Sukkah Project 2317 Grand Park Dr #2A Grand Junction, Colorado 81505 844-478-5568 www.sukkot.com
The Sukkah Project’s Klutz-Proof Sukkah kits enable thousands of families, congregations and schools to build sturdy, affordable sukkot in a variety of sizes and styles.
The Torah Center 5180 Roswell Road Atlanta 30342
404-333-8554
www.TheTorahCenterAtl.org
Using in-person programming and virtual study, The Torah Center provides an opportunity to connect with the rich and timeless heritage of Torah study.





Family Dinners, Lag B’Omer Extravaganza, Purim Parade and Seudah, Simchas Torah Celebrations, Steak Night, Women’s Night, and the best Kiddushes in Atlanta!
Congregation Ariel, located in beautiful Dunwoody, welcomes Jews of all ages, stages, and backgrounds. We invite you to experience our uplifting Shabbat services, daily minyanim, engaging classes, and vibrant community programming. Ariel is proud to partner with the Atlanta Scholars Kollel, hosting classes, workshops, and study groups. We also offer a weekly Sephardic Shabbat minyan, and are honored to host Acdut Yehudit, which provides meaningful programming for Atlanta’s Israeli community. Our youth department is thriving, filled with activities and learning for children and teens of all ages. Ariel’s growing campus features a modern sanctuary, a welcoming Beis Midrash, a spacious social hall, and both an elegant women’s mikvah and a keilim mikvah. This year we welcome Rabbi Pinchas and Rebbetzin Naomi Fink to lead our community. The Finks call Dunwoody home after moving here from New York. They are the proud parents of three young children. Come see for yourself and meet the Finks in person. Congregation Ariel


Do you know procedures Internationally or Domestically?
The Travel (Protection) Plan Coverage by Inman assists in bringing a loved one home if death occurs more than 75 miles or more from their legal residence. Included in the one-time, lifetime, $450 fee:
• Contacting a licensed funeral home or professional embalming service center near the place of death, for transport
• Preparation of the deceased for transport back to funeral home near legal residence
• Securing all documentation for shipping including, one death certificate
• Placing the deceased in appropriate shipping container for transport
• Arranging for transportation to their local airport, near place of legal residence Relieve your family of the stress and financial implications in bringing you home, should death occur 75 miles or more from your legal residence. Without the Travel (Protection) Plan by Inman, these repatriation costs may range from $1,500-$15,000.





Atlanta Scholars Kollel
1959 Lavista Road, Atlanta 30329
404-321-4085
www.atlantakollel.org
The Kollel is a group of rabbis and families who are dedicated to promoting Jewish identity through Jewish knowledge. Kollel students range from high schoolers to retirees.
Dale Carnegie of Georgia
2111 Perimeter Center Parkway NE Suite 1030, Atlanta 30346
404-634-8100
www.dalecarnegie.com
Dale Carnegie’s training methods are proven to sharpen professional skills and help people become successful, fulfilled individuals. Transform yourself, inspire others, and excel as a leader!
Limmud Atlanta and Southeast 1440 Spring Street NW, Atlanta 30309
404-507-6322
www.limmudse.org
LimmudFest is a celebration of Jewish culture where people of all lifestyles and ages gather for a weekend of workshops, discussions, arts, hiking and more.
Osher Lifelong Learning Institute (OLLI) Emory
2635 Century Pkwy NE, Ste 300, Atlanta 30345
404-727-5489
www.olli.emory.edu
OLLI is a program for seasoned adults who enjoy learning for fun. Quench your thirst for knowledge with its wide variety of classes and social programs.

6 Points Specialty Camps P.O. Box 1707, Apex, NC 27502 561-208-1650
www.6points.org
The URJ hosts specialty sleepaway camps that focus on sports, science, technology and art. All of North America can experience exceptional summer programming in a Jewish home.
BBYO Passport
529 14th St NW, Suite 705, Washington, DC 20045
202-537-8091
www.bbyopassport.org
BBYO Passport programs combine travel and community service with meaningful Jewish experiences. Elevate your summer with new friendships and a new way of looking at the world.
Blue Star Camps
3595 Sheridan Street, Suite 107 Hollywood, FL 33021 954-963-4494
www.bluestarcamps.com
Blue Star’s 500-acre campus and adjoining 10,400-acre forest preserve inspire campers to connect with the natural world, providing endless opportunities for summer camp adventures.
Camp Barney Medintz
5342 Tilly Mill Road, Dunwoody 30338 678-812-3844
www.campbarney.org
Camp Barney Medintz campers experience the magic of summer camp and the joy of making lifelong friends while deepening their connection to their Jewish identity.


Camp Blue Ridge
510 NW 84 Avenue, Suite 101 Plantation, FL 33324
954-665-8686
www.blueridgecamp.com
A co-ed camp located in the north Georgia mountains, Camp Blue Ridge has 50 activities in the areas of athletics, aquatics, outdoor adventure, cultural arts and more.
Camp Coleman
1580 Spalding Drive, Atlanta 30350 770-671-8971
www.campcoleman.org
URJ Camp Coleman is a place where everyone feels at home. Camp Coleman strives to make every camper’s experience nurturing and fulfilling, ensuring every child feels welcome.
Camp Invention
Locations around metro Atlanta
800-968-4332
www.invent.org/save/summer-camp
Led by qualified local educators, Camp Invention is a summer day camp for rising K-6 students filled with fun, hands-on STEM adventures designed to spark creativity, build confidence and ignite a lifelong love for learning.
Camp Judaea
1440 Spring Street NW, Atlanta 30309
404-634-7883
www.campjudaea.org
Camp Judaea’s mission is to provide a safe, fun, nurturing community where children, teens and young adults grow as individuals and build lifelong friendships.
Camp Kingfisher
Chattahoochee Nature Center 9135 Willeo Road, Roswell 30075 770-992-2055
www.Chattnaturecenter.org
A variety of traditional camp activities are offered, such as hiking, canoeing, and swimming in CNC’s private pool. Live animal encounters, science explorations, and educational hikes meet the camp’s mission of connecting kids with nature.
5425 Powers Ferry Road NW, Atlanta 30327
678-888-2259
www.facebook.com/CampLivingWonders/
Camp Living Wonders is a special summer place for exceptional Jewish children, bringing the magic of camping to kids with developmental and cognitive disabilities.
1589 Peachtree Street NE, Atlanta 30309
404-872-8668
www.the-temple.org/camps
Each week focuses on skills and adventures of various professions. Play and learn through activities including special inhouse field trips, art, music, science, songs, games, cooking, and more!
6400 Powers Ferry Road NW, Suite 215, Atlanta 30339
404-531-0801
www.ramahdarom.org
Ramah Darom offers year-round experiential, inclusive programs for all ages, from summer camp and family camps to multi-generational retreats in the North GA mountains.
Camp Twin Lakes
1100 Spring Street, Ste 406, Atlanta 30309
404-231-9887
www.CampTwinLakes.org
At Camp Twin Lakes, children with special healthcare needs can participate in fullyadaptive camp activities, such as zip lines, rock walls, and a wheelchair accessible treehouse.







Club SciKidz
Locations across Metro Atlanta
678-294-9504
www.atlanta.clubscikidz.com
Club SciKidz’s unique science programs engage students in observation, measurement, identification of properties, and experimentation in lessons they enjoy and genuinely learn from.
Epstein Summer Camp
335 Colewood Way NW, Sandy Springs 30328
404-250-5600
www.epsteinatlanta.org
Experience a world of imagination and adventure perfectly sized for rising 2s—rising PreK. ESA incorporates the fun of camp with all the excitement of preschool.
High Meadows Camp
1055 Willeo Road, Roswell 30075
770-993-7975
www.highmeadowscamp.org
High Meadows offers an outdoor day program with unique facilities on more than 40 acres of meadow and woodland for campers age 3 through 14.
In the City Camps
2897 N. Druid Hills Road #344 Atlanta 30329
404-698-1134
www.inthecitycamps.org
In the City Camps is a values-based Jewish day camp for children entering kindergarten through 10th grade. Experience sports, art, nature, community service and more!
Jewish Federation, The Jewish Camp Initiative
1440 Spring Street, Atlantam30309
404-873-1661
www.atlantajewishcamp.org
The Jewish Camp Initiative inspires families to choose Jewish overnight camp for their children, increasing the likelihood that they will continue to live active Jewish lives.
Jewish Teen Initiative
1440 Spring Street, Atlanta 30309
404-873-1661
www.jewishatlanta.org
JumpSpark is a hub for teen engagement where teens, parents and professionals cultivate the resources and synergy to make Atlanta a thriving hub for Jewish teens.
Marcus Jewish Community Center Camps
5342 Tilly Mill Road, Dunwoody 30338 678-812-4000
www.atlantajcc.org
The MJCCA offers more than 100 camp options for rising pre-K to 10th grades at three Atlanta locations: Dunwoody, Intown and East Cobb.
Sababa Beachaway Virginia Beach, VA 516-499-5349
www.sabababeachaway.org
Sababa immerses campers in the magic and majesty of the beach, adds the right amount of spiritual practice, and provides a fun noncompetitive camp experience.
The Metal Arts Guild of GAWildfire - Jewelry Makers Camp 5353 Buford Hwy NE, Doraville 30340 770-519-2580
www.metalartsguildga.org
At Camp Wildfire, children ages 12-17 can learn the art of traditional metalsmithing while fabricating one-of-a-kind pieces of jewelry.
The Camp Experts & Teen
Summers Online Resource
212-288-7892
www.campexperts.com
With a representation of over 1,000 worldwide camps and summer programs the Camp Experts will find the best place for a perfect summer experience.
Valley View Ranch Equestrian Camp for Girls
606 Valley View Ranch Rd. Cloudland 30731
706-862-2231
www.valleyviewranch.com
Valley View Ranch is a horse lovers’ paradise! Choose from different riding programs such as English, Western and Barrels, Trails and Vaulting, and more.
YMCA
Locations across Atlanta www.ymcaatlanta.org
YMCA camps promote caring, honesty, respect and responsibility. Camps include sports, teen leadership, STEAM (science, technology, engineering, arts and math) and much more!
YMCA Camp Seagull Seafarer
2744 Seafarer Road, Arapahoe, NC 28510
252-249-1212
www.seagull-seafarer.org
Camp Sea Gull and Camp Seafarer allow children to build character, self-confidence, independence and a respect for nature in a safe and nurturing environment.










YMCA Camp Thunderbird
1 Thunderbird Lane, Lake Wylie, SC 29710
704-716-4100
www.ymcacharlotte.org
At Camp Thunderbird, campers can enjoy the ultimate water playground on Lake Wylie while cultivating individual talents and skills like independence, self-discipline and empathy.
Alpha Epsilon Pi
Locations across Metro Atlanta
www.aepi.org
Alpha Epsilon Pi provides opportunities and friendships for the Jewish college man seeking the best possible college and fraternity experience.
American Friends of the Hebrew University
1 Penn Plaza, New York, NY 10119 www.afhu.org
The Hebrew University of Jerusalem is one of the world’s most distinguished academic and research institutions, igniting innovation and transforming the global landscape with its groundbreaking work.
Fine Educational Solutions
Atlanta and Charlotte, NC
404-444-0143
www.fineeducationalsolutions.com
Fine Educational Solutions’ students not only gain admittance to colleges and universities, they also gain direction, confidence and a sense of purpose for their collegiate journey.
1100 Spring Street NW, Unit 810, Atlanta 30309
470-905-1800
www.hillelsofgeorgia.org
Hillel is the Jewish home away from home for Jewish college students, providing a safe place for Jewish education, celebration and community.
Jewish Educational Loan Fund
6065 Roswell Road, Suite 740, Sandy Springs 30328
770-396-3080
www.jelf.org
JELF provides interest-free loans to Jewish students in need for higher education throughout a five-state region: Florida, Georgia, North Carolina, South Carolina and Virginia.
Atlanta and Savannah Campuses 912-525-5100
www.SCAD.edu
SCAD, “The University for Creative Careers”, offers degrees in Atlanta and Savannah, Ga and online, with additional study abroad opportunities in Lacoste, France and other locations.
Atlanta Ballet Centre for Dance Education
1695 Marietta Boulevard NW, Atlanta 30318
404-873-5811
www.centre.atlantaballet.com
Founded in 1996, the official school of Atlanta Ballet provides an opportunity for everyone in the community to discover the joys of dance.
J Dance Company at the MJCCA 5342 Tilly Mill Road, Dunwoody 30338 678-812-4049
www.atlantajcc.org
From toddlers to adults, dancers learn discipline, build strength, develop confidence and have fun at J Dance’s variety of private and group dance classes.

Metro Atlanta Dance
1530 Old Alabama Rd, Roswell 30076 (770) 645-0110
www.metroatlantadance.com
Metro Atlanta Dance is a diverse community of dancers who continually improve their technical ability, dance knowledge, performance quality and creative talent in a supportive and inclusive environment.
Sandy Springs Music
5920 Roswell Rd, Suite D201 Atlanta GA 30328
404-250-0406
www.sandyspringsmusic.com
SSM is your home for music lessons, band and orchestra rentals, and guitar and music retail sales. SSM offers lessons in guitar, piano, voice, drums and more.
School of Rock
2469 East Piedmont Road, Suite 1101 Marietta 30062
770-579-0400
www.schoolofrock.com
School of Rock believes the best way to learn music is to play music. Its programs guide students from lesson room to stage, developing their confidence and musicianship.

European School of Music
5187 Roswell Road, Atlanta 30342
404-255-8382
www.euroschoolmusic.org
Learn Jewish, classical and popular music at the European School of Music. Unique instructional methods develop musical and intellectual abilities to help students reach their full potential.
Locations across metro Atlanta
404-913-9554
www.jewishkidsgroups.com
Fun, camp-style Jewish learning and friendship during the school year. Weekday afternoon community (K-5th), School’s Out Camp (K-5th), B Mitzvah (6th-8th) and Teen Leadership Academy (8th – 10th).
Kesher@AA
600 Peachtree Battle Ave NW, Atlanta 30327
404-900-9411
www.aasynagogue.org
At Kesher@AA, children from PreK-12th grade will be inspired to learn about Judaism as they encounter a variety of topics through camp-like enrichment activities.
Atlanta Jewish Academy 5200 Northland Drive, Atlanta 30342
404-843-9900
www.atljewishacademy.org
AJA is driven by a passion for academic excellence in general and Judaic studies, Torah values, and a love for Israel and all Jewish people.

Chaya Mushkah Children’s House Elementary and Middle School
5180 Roswell Road, Atlanta 30342
404-843-0118
www.chayamushka.org
CMCH welcomes every Jewish child, regardless of background or affiliation, with the understanding that each is a unique blessing to our community and essential to our world.
The Alfred and Adele Davis Academy
8105 Roberts Drive, Atlanta 30350 770-671-0085 www.davisacademy.org
The Davis Academy gives students ages 4 through 8th grade a remarkable Jewish education at its two state-of-the-art campuses in the Sandy Springs/Dunwoody area.
The Epstein School
335 Colewood Way NW, Sandy Springs 30328
404-250-5600
www.epsteinatlanta.org
The Epstein School is an independent Jewish day school in Sandy Springs, offering a quality Jewish education to children from 18 months through 8th grade.
The Weber School
6751 Roswell Road, Atlanta 30328
404-917-2500
www.weberschool.org
The Weber School is Atlanta’s only high school serving students from all Jewish backgrounds. It offers a variety of advanced academic and co-curricular programs.
Temima - The Richard & Jean Katz High School for Girls
1839 Lavista Road, Atlanta 30329
404-315-0507
www.temima.org
Temima is committed to educating the complete Jewish woman, enabling each student to become a committed, G-d fearing Jew and a productive member of society.
Torah Day School
1985 Lavista Road, Atlanta 30329
404-982-0800
www.torahday.org
Torah Day School of Atlanta provides an authentic Torah education and a robust general studies curriculum in a warm and nurturing environment.
Atlanta Academy
2000 Holcomb Woods Parkway, Roswell 30076
678-461-6102
www.atlantaacademy.com
Atlanta Academy serves more than 350 private school students and their families in North Atlanta. Here, every student receives the individual attention they need to succeed.
Atlanta International School
2890 N. Fulton Drive NE, Atlanta 30305
404-841-3840
www.aischool.org
AIS offers an exceptional foundation that prepares its students to seize opportunities, realize their fullest potential and make positive contributions to a complex, interdependent world.
Ben Franklin Academy
1585 Clifton Road NE, Atlanta 30329
404-633-7404
www.benfranklinacademy.org
The Ben Franklin Academy is an independent, progressive, college-prep high school. It teaches a rigorous college preparatory curriculum, tailored to each student’s individual needs.
High Meadows School
1055 Willeo Road, Roswell 30075
770-993-2940
www.highmeadows.org
High Meadows inspires children from PreK8th grade to think critically, learn creatively, act globally and live compassionately through a positive and progressive approach to education.
Holy Innocents’ Episcopal School
805 Mount Vernon Highway NW, Atlanta 30327
404-255-4026
www.hies.org
Holy Innocents’ develops young men and women of integrity who achieve their goals, serve the world and persevere in the challenges of heart and mind.
McGinnis Woods School
5380 Faircroft Drive, Alpharetta 30005
770-664-7764
www.mcginniswoods.org
McGinnis Woods School is a non-parochial school serving infants through 8th graders. It inspires students to excel using small class sizes and an emphasis on hands-on learning.
Pace Academy
966 W. Paces Ferry Road NW, Atlanta 30327
404-262-1345
www.paceacademy.org
Pace Academy is a co-educational, collegepreparatory day school serving over 1,110 students. Pace’s graduates are prepared, confident individuals who inspire excellence around the globe.
Riverside Military Academy
2001 Riverside Drive, Gainesville 30501
800-462-2338
www.riversidemilitary.com
RMA produces highly educated, motivated and physically fit young men of character who, upon graduation, are prepared to succeed in college and beyond.
Saint Francis Schools
9375 Willeo Road, Roswell 30075
770-641-8257
www.stfranschool.com
Saint Francis Schools provides a college preparatory program to students grades K-12 with diverse academic abilities in a structured environment that is challenging and supportive.
The Cottage School
700 Grimes Bridge Road, Roswell 30075
770-641-8688
www.cottageschool.org
The Cottage School uses academic and experiential programming to help students with special learning needs reach their full potential as confident, productive and independent adults.
The Friends School of Atlanta
862 S. Columbia Drive, Decatur 30030
404-373-8746
www.friendsschoolatlanta.org
The Friends School provides challenging academics based on Quaker testimonies, empowering students to go out into the world with conscience, conviction and compassion.
The Galloway School
215 Chastain Park Avenue NW, Atlanta 30342
404-252-8389
www.gallowayschool.org
At Galloway, students confidently embrace challenges while developing the knowledge, skills, and cultural competence to thrive as enlightened contributors in their chosen pathways.
The Howard School
1192 Foster Street NW, Atlanta 30318
404-377-7436
www.howardschool.org
The Howard School is an extraordinary school for children with language-based learning differences, filled with a robust academic curriculum, athletics, arts and community leadership opportunities.
The Lovett School
4075 Paces Ferry Road NW, Atlanta 30327
404-262-3032
www.Lovett.org
The Lovett School provides unique experiences that inspire an enduring enthusiasm for learning and graduates young people of honor, faith and wisdom.
The Paideia School
1509 Ponce de Leon Avenue, Atlanta 30307
404-377-3491
www.paideiaschool.org
Paideia is a leading progressive school in the Southeast where students can uncover their unique gifts and learn to use them in meaningful ways.

The Walker School
700 Cobb Parkway North, Marietta 30062
770-427-2689
www.thewalkerschool.org
The Walker School serves families seeking an engaging educational experience within a caring and diverse community where opportunities abound and meaningful relationships inspire transformative learning.
Westminster 1424 W. Paces Ferry Road NW, Atlanta 30327
404-355-8673
www.westminster.net
Westminster is a learning community rooted in Christian values and wholesome intensity where students are inspired to become leaders of conscience in Atlanta and beyond.
Woodward Academy 1662 Rugby Avenue, College Park 30337
404-765-4000
www.woodward.edu
Woodward Academy offers unparalleled opportunities in academics, arts and athletics. Its emphasis on community service prepares students to become outstanding citizens in both college and life.
Am Yisrael Chai!
2472 Jett Ferry Rd, Suite 400, #260 Dunwoody 30338
855-665-4234
www.amyisraelchaiatlanta.org
Am Yisrael Chai delivers Holocaust Education and Genocide Awareness through signature projects and initiatives to prevent current and future instances of bigotry, prejudice, antisemitism and genocide.
Arthur M. Blank Center for Stuttering Education and Research
1605 Chantilly Drive NE, Ste 100 Atlanta 30324
470-693-4226
www.blankcenterforstuttering.org
The Arthur M. Blank Center for Stuttering Education and Research enables people of all ages worldwide to stutter openly, speak confidently, communicate effectively and advocate meaningfully.
Center for Israel Education
P.O. Box 15129, Atlanta 30333
404-395-6851
www.israeled.org
CIE provides inspired Israel learning through on-demand courses, teen programs, a resource-rich website and more as well as countering antisemitism and anti-Zionism.
Cub Scout Pack 1818 Atlanta 678-613-1422
www.pack1818.com
Pack 1818, based at the Marcus JCC, combines scouting with Jewish heritage and traditions. Bond with your child while building life skills and lifelong friendships.
Ecole du Samedi
2890 North Fulton Drive, Atlanta 30305
770-634-6228
www.frenchschoolatlanta.org
École du Samedi serves the needs of Francophile and Francophone families in the Atlanta area by providing a quality French education for children and adults.
Etgar 36
P.O. Box 2212, Decatur 30031
404-456-6605
www.etgar.org
Etgar 36 is a Jewish educational institute dedicated to developing your group’s political and social justice voice by taking them on the journey of a lifetime.
Jeff Justice’s Comedy Workshoppe
273 Eureka Drive NE, Atlanta 30305
404-312-3404
www.comedyworkshoppe.com
Jeff Justice has been teaching comedy since 1990. His classes will give you the confidence needed to succeed in business and your personal life.
1440 Spring Street NW, Atlanta 30309 (404) 873-1661
www.jumpsparkatl.org
JumpSpark provides Jewish teens with interest-based programming and social opportunities using innovative resources in the Atlanta community and beyond.
Kollel Ner Hamizrach
1858 Lavista Road NE, Atlanta 30329
404-315-9020
www.nerhamizrach.com
Kollel Ner Hamizrach is a bastion of Torah scholarship in Atlanta and encourages others to come and share their Torah knowledge with Jews of all affiliations.

Language Center of Congo
On-line
www.congolanguages.com
Language Center of Congo teaches languages spoken in the Democratic Republic of Congo, and in the diaspora, through live video classes for groups and individuals alike.
Milner Driving School
255 Village Parkway, #530 Marietta 30067
770-984-9005
www.milnerdrivingschool.com
Milner Driving School has produced thousands of skillful, safe drivers in the Atlanta area. Its program includes classroom instruction as well as driving time and road tests.
RootOne (Teen Israel Trips)
520 8th Ave
New York, NY 10118
917-626-0869
www.rootone.org
RootOne helps thousands of Jewish teens travel to Israel each summer for a once-ina-lifetime experience that cements a strong connection to their identity and community.
Tam Institute for Jewish Studies at Emory University
Callaway Memorial Center
537 Kilgo Circle, Atlanta 30322
404-727-6301
www.js.emory.edu
The Tam Institute for Jewish Studies at Emory University brings together scholars and students from different departments and programs to engage in interdisciplinary exploration and culture.
Troop 1818 Boy Scouts USA
Metro Atlanta Troop
www.troop1818.com
Troop 1818 is scouting with a Jewish twist. Jewish values are incorporated into troop activities to further your child’s Jewish education through Scouting.
Ahava Early Learning Center
600 Peachtree Battle Avenue NW, Atlanta 30327
404-900-9411
www.ahavalearning.org
At Ahava, children aged 12 weeks to 6 years learn Jewish culture, traditions and values through fun activities such as music, language, literature, cooking and dramatic play.
Alefbet Preschool
5303 Winters Chapel Road
Atlanta 30360 770-399-7622
www.alefbetpreschool.com
At Alefbet Preschool, children aged 6 weeks to 5 years are engaged in creative learning, nurtured by educators, and build strong and enduring Jewish values.
Beth Jacob Preschool
1855 Lavista Road, Atlanta 30329
678-244-6659
www.bethjacobatlanta.org
Beth Jacob Preschool gives children aged 3 months to 5 years a foundation for lifelong learning by nurturing their development through the earliest years of childhood.
Beth Tikvah Early Childhood Education Center
9955 Coleman Road, Roswell 30075 770-642-0434
www.bethtikvah.com
The Early Childhood Education Center at Temple Beth Tikvah creates a comfortable and happy place for preschoolers to learn, grow and build social skills.

B’nai Torah Preschool
700 Mt. Vernon Highway NE, Sandy Springs 30328
404-257-0537
www.bnaitorah.org
Congregation B’nai Torah Preschool blends age-appropriate learning with joyful Judaism. Its hands-on approach to academics and caring teachers ensure each child is kindergarten ready.
Chaya Mushkah Children’s
House 5065 High Point Road NE, Atlanta 30342
404-843-9582
www.cmchpreschool.org
At CMCH Preschool, mindful practices are integrated with Torah heritage to foster a love for learning, respect for each other, and a strong connection to Judaism.
Etz Chaim Preschool
1190 Indian Hills Parkway Marietta 30068
770-977-3384
www.etzchaim.net
Etz Chaim Preschool provides a nurturing educational environment for young children and their families, encouraging the incorporation of Jewish ideals and practices into their everyday lives.
Seeds of Wonder Journey School at Gesher L’Torah
4320 Kimball Bridge Road, Alpharetta 30022
770-777-4090
www.gltorah.org
Seeds of Wonder Journey School provides a hands-on, developmentally appropriate curriculum where children are encouraged to learn about their world by engaging their natural curiosities and creativity.
Intown Jewish Preschool
604 Cooledge Ave. NE, Atlanta 30306
404-898-0438
www.intownjewishpreschool.org
Intown Jewish Preschool offers a creative, progressive, Reggio-inspired Jewish environment where each child’s needs and individual style of learning are valued and nurtured.
MJCCA Schiff Preschool
1580 Spalding Drive, Sandy Springs 30350
678-812-3770
www.templeemanuelatlanta.org/ learn/schiff-preschool
The Schiff School at Temple Emanu-El provides a creative and warm environment with a variety of opportunities for learning, growth, curiosity and exploration.
Morah Carol’s Place
1681 N. Druid Hills Road NE, Atlanta 30319
470-659-5484
www.morahcarolsplace.com
MCP provides each child with a top-notch preschool experience, as well as a school calendar that keeps you, the working Jewish parent, in mind.
Springmont School
5750 Long Island Drive NW, Atlanta 30327
404-252-3910
www.springmont.com
Springmont, touted as Atlanta’s oldest Montessori school, offers hands-on, experiential learning including multi-aged classes, specially designed materials and highly experienced teachers who guide study toward meaningful discoveries.
Temple Sinai Preschool
5645 Dupree Drive, Sandy Springs 30327
404-255-6200
www.templesinaiatlanta.org
Temple Sinai Preschool has programs available for children aged 12 months through Pre-K. Each age group’s curriculum is focused on the development of each whole child.
The Goddard School Sandy Springs
1150 Hammond Drive, Bldg. E, 6425 Roswell Road
Sandy Springs 30328
470-571-1700
www.goddardschool.com/schools/ga/ sandy-springs
Offering state-of-the-art facilities, The Goddard School has been awarded the Circle of Excellence Award 4 times and its graduates consistently excel in schools throughout Atlanta.
The Sunshine School at Temple Kol Emeth
1415 Old Canton Road, Marietta 30062 678-812-3708
www.kolemeth.net/sunshineschool
The Sunshine School features half and full day-day programs where preschoolers are immersed in a warm, nurturing educational environment infused with Jewish values and customs.

Torah Tots Preschool
10180 Jones Bridge Road, Johns Creek 30022 (770) 410-9100
www.torahtots.net
Torah Tots Preschool is a loving, caring and nurturing environment where your child will get a healthy foundation for a lifelong love of learning.
Weinberg Early Learning Center
1589 Peachtree Street NE, Atlanta 30309
404-872-8668
www.the-temple.org/welc
Weinberg Early Learning Center at The Temple offers a nurturing environment and provides age-appropriate activities that enhance children’s emotional, social, physical and mental abilities.
The Weinstein School
5342 Tilly Mill Road, Dunwoody 30338
678-812-3800
www.atlantajcc.org
At the Weinstein School, preschoolers enjoy classroom learning as well as 52-acres of exciting amenities such as a lake, gym, theater, indoor swimming pool, and more.
Applerouth Tutoring
Locations across metro Atlanta
404-728-0661
www.applerouth.com
Applerouth provides the smartest approach to test prep and tutoring, using cutting-edge research to help students achieve a higher level of academic success.
Test Prep and College Essay Coaching
3445 Stratford Avenue, #2605 Atlanta 30326
440-668-0870
www.peachtree-prep.com
Mauri Artz is a personalized, motivational tutor and college advisor who specializes in helping students through college admissions tests, application essays, and demanding high school courses.
Doherty Educational Consultants
2146 Roswell Road, Suite 108 Marietta 30062
404-488-6888
www.dohertyedu.com
Doherty Educational Consultants’ individualized student-centered approach leads students to a college that provides the best academic and personal experience, all at a cost that makes financial sense.
Huntington Learning Center
Locations across metro Atlanta 770-977-3112
www.huntingtonhelps.com
Huntington Learning Center gives every student the best education possible, helping them build skills, confidence and motivation through personalized instruction tailored to their unique needs.
Scott Rausher
1372 N. Crossing Drive, NE Atlanta 30329
404-387-4149

Scott Rausher is an experienced tutor of French, Italian and Hebrew. He helps students with exam preparation, homework, vocabulary, pronunciation and grammar.
Book Festival of the MJCCA 5342 Tilly Mill Road, Dunwoody 30338 678-812-3981
www.atlantajcc.org/bookfestival
For 30 successful years, the Book Festival of the MJCCA has provided the community with a literary extravaganza, featuring an exciting lineup of authors, celebrities and influencers.
Atlanta Jewish Film Festival
P.O. Box 746371, Atlanta 30374-6371 404-528-2614
www.ajff.org
AJFF’s programming inspires communities to new levels of social and cultural understanding by entertaining diverse audiences with film through a Jewish lens.
Athens Jewish Film Festival
P.O. Box 5069, Athens 30604
www.athensjff.org
The AthensJFF is a unique five-day festival featuring nine great films from around the world, a shorts competition, and a free local nosh each night.
Atlanta Jewish Life Festival
270 Carpenter Drive NE, Suite 320 Atlanta 30328
www.atlantajewishlifefestival.com
The Atlanta Jewish Life Festival is an annual community festival at the Georgia Aquarium highlighting the education, arts and culture within our Jewish community.
Atlanta Kosher BBQ Festival
www.theatlantakosherbbq.com
Atlanta Kosher BBQ Festival is about bringing the local community together in one venue where we all are comfortable eating the same food and meeting new friends, showing people that kosher food is easier to prepare than you might think. We raise money for local charities or beneficiaries who support our community.
Food That Rocks
705 Hammond Drive, Dunwoody 30328 404-875-4434
www.foodthatrocks.org
The “Ultimate Eatertainment Experience”, Food That Rocks is a festival celebrating the culinary scene of Sandy Springs with unlimited tastes from some of its best restaurants and bakeries.




Plan your next celebration at BrookhavenCityCentre.com










Life is filled with moments that become lasting memories, and there’s no better place for a memorable simcha than Sandy Springs.
Let us be the full service connection between you and your event. With 20 hotels and 2800 rooms, we can provide customized and complimentary assistance to make sure you find the perfect hotel for your guests, as well as recommendations for venues, catering and more.

Contact us today to start planning!
Bree Kitchens
770-206-1552 pkitchens@sandyspringsga.org





Neranenah Concert and Culture Series
1440 Spring Street NW, Atlanta 30309 www.neranenaharts.org
Formerly the Atlanta Jewish Music Festival, Neranenah entertains and connects diverse audiences through the exploration of Jewish contributions to music and the performing arts.
Taste of Atlanta
6400 Powers Ferry Road, Suite 390 Atlanta 30339
404-875-4434
www.tasteofatlanta.com
Taste of Atlanta brings an incredible energy to the Epicurean Hotel Atlanta where patrons will sip, savor and celebrate the community’s vibrant culinary scene.
The Georgia Renaissance Festival
6905 Virlyn B Smith Road, Fairburn 30213
770-964-8575
www.garenfest.com
The Georgia RenFest is one of the largest Renaissance Festivals in the Southeast. Enjoy food, merriment, mirth and more at one of its many themed weekends.
Atlanta BeltLine
100 Peachtree Street, Suite 2300 Atlanta 30303
404-477-3003
www.beltline.org
The Atlanta BeltLine is a redevelopment project that will ultimately connect 45 intown neighborhoods via a 22-mile loop of multi-use trails, a modern streetcar system and parks.
Discover DeKalb Convention & Visitors Bureau
1990 Lakeside Pky. #170 Tucker, GA 30084
866-633-5252
www.discoverdekalb.com
Discover DeKalb encourages you to get out and explore all the attractions and adventures the county offers to make your weekend getaway or day trip unforgettable.
705 Town Boulevard NE, Brookhaven 30319
678-879-4570
www.explorebrookhaven.com
Explore Brookhaven provides professional tourism leadership and expertise to enhance the image, perception and success for tourism activities and economic opportunity in the City of Brookhaven.
Ponce City Market
675 Ponce De Leon Avenue NE
Atlanta 30308
404-900-7900
www.poncecitymarket.com
Located in the Old Fourth Ward neighborhood along the Atlanta BeltLine, PCM is a hub for residents, neighbors and visitors to gather, work and play.
Visit Sandy Springs
1 Galambos Way, Sandy Springs 30328 www.visitsandysprings.org
Visit Sandy Springs wants you to experience the best of the modern South. Come enjoy the exciting events and warm local hospitality of Sandy Springs.
Biblical History Center
130 Gordon Commercial Dr., LaGrange 30240
706-885-0363
www.biblicalhistorycenter.com
See 250 artifacts from the Israel Antiquities Authority at the Biblical History Center, including a four-room Israeli house, goat hair tents, and olive and grape presses.
Chattahoochee Nature Center
9135 Willeo Road Roswell 30075
770-992-2055
www.chattnaturecenter.org
Explore 127 acres of natural wonder just outside of Atlanta, where the Chattahoochee gently bends. Enjoy its trails, exhibits, canoeing, events and more.
Children’s Museum of Atlanta
275 Centennial Olympic Park Drive NW Atlanta 30313
404-527-3693
www.childrensmuseumatlanta.org
The Children’s Museum of Atlanta is the only educational venue of its kind in Atlanta, presenting educational programs and exhibits specifically designed for young children.
College Football Hall of Fame
250 Marietta Street NW, Atlanta 30313
404-880-4800
www.cfbhall.com
The College Football Hall of Fame, located in the heart of downtown, is a shrine to the

Fernbank Museum of Natural History
767 Clifton Road NE, Atlanta 30307
404-929-6381
www.fernbankmuseum.org
Home to the world’s largest dinosaurs and one of the largest assemblages of urban forest in the United States, Fernbank brings science to life through immersive programming.
Georgia Aquarium
225 Baker Street NW, Atlanta 30313
404-581-4000
www.georgiaaquarium.org
The Georgia Aquarium is an entertaining, intriguing, educational experience for guests of all ages that instills its visitors with an appreciation for the world’s aquatic biodiversity.
High Museum of Art
1280 Peachtree Street NE, Atlanta 30309
404-733-5000
www.high.org
The High Museum of Art is home to world-class art, architecture, and creativity, offering a collection of renowned works, new special exhibitions and engaging family programs.
Illuminarium Atlanta
550 Somerset Terrace NE, Atlanta 30306
404-341-1000
www.Illuminarium.com
Illuminarium Experiences is a digitally delivered, global experiential entertainment brand. Embark on an immersive expedition in virtual reality and discover the wonders of the world.

Martin Luther King, Jr.
National Historic Site
450 Auburn Avenue NE, Atlanta 30312
404-331-5190
www.thekingcenter.org
The Martin Luther King, Jr. Center is a global destination and community institution where visitors come to learn, be inspired and pay respects to Dr. King’s legacy.
Michael C. Carlos Museum
571 S. Kilgo Circle, Atlanta 30322
404-727-4282
www.carlos.emory.edu
The Michael C. Carlos Museum is a dynamic center for the study of art and culture, where visitors can enjoy collections from cultures all around the world.
Museum of Design Atlanta
1315 Peachtree St NE, Atlanta 30309
404-979-6455
www.museumofdesign.org
Museum of Design Atlanta (MODA) is the only museum in the Southeast devoted exclusively to the study and celebration of all things design.
Museum of History and Holocaust Education
3333 Busbee Drive, Kennesaw 30144
470-578-2083
www.historymuseum.kennesaw.edu
The Museum of History and Holocaust Education offers public events, exhibits and educational resources on World War II and the Holocaust to promote education about these events.
National Center for Civil and Human Rights
100 Ivan Allen Jr. Boulevard, Atlanta 30313
678-999-8990
www.civilandhumanrights.org
The Center for Civil and Human Rights is an engaging cultural attraction that connects the American Civil Rights movement to today’s struggle for global human rights.
Tennessee Valley Railroad Museum
4119 Cromwell Road Chattanooga, TN 37421
423-894-8028
www.tvrail.com
The Tennessee Valley Railroad Museum offers vintage train rides and educates the public concerning the role of railroads in the history and development of the region.
The Southern Museum of Civil War and Locomotive History 2829 Cherokee Street NW, Kennesaw 30144 770-427-2117
www.southernmuseum.org
This Kennesaw museum provides visitors with a unique perspective on the strategic and economic use of railroads during and after the Civil War.
William Breman Jewish
Heritage Museum
1440 Spring Street NW, Atlanta 30309
678-222-3700
www.thebreman.org
The Breman Museum is home to the permanent exhibition on the Holocaust, Southern Jewish history, and the Schwartz Gallery, as well as a variety of rotating exhibitions.
Zoo Atlanta
800 Cherokee Avenue, Atlanta 30315 404-624-5600
www.zooatlanta.org
Zoo Atlanta is home to over 1,000 animals representing more than 200 species and offers engaging, educational experiences for all ages.
Zuckerman Museum of Art 492 Prillaman Way, Kennesaw 30144 470-578-3223
www.zuckerman.kennesaw.edu
This museum presents significant works from Kennesaw State University’s permanent art collection and regularly exhibits contemporary works of various media by local and nationally recognized artists.
Actor’s Express
887 W. Marietta Street, Atlanta 30318
404-607-7469
www.actors-express.com
Actor’s Express is a theater that jumpstarts individual transformations through the shared adventure of live performances, which range from daringly provocative to audaciously hilarious.
Alliance Theatre
1280 Peachtree Street NE, Atlanta 30309
404-733-4650
www.alliancetheatre.org
The Alliance Theatre is the leading producing theater in the Southeast, delivering powerful programming that challenges adult and youth audiences to think critically and care deeply.
2200 Encore Parkway, Alpharetta 30009
404-733-5010
www.awesomealpharetta.com/play/ attraction/amerisbank-amphitheatre
Ameris Bank Amphitheatre has your soundtrack to the warm weather months as it boasts the biggest names in country, rock and the top 40 every April – October.
Art Meso
W Hotel, 45 Ivan Allen Boulevard, Atlanta 30308
770-940-0329
www.artmeso.com
Art Meso is an international art and fashion exhibition. Art Meso features national and international talent from around the world from Asia to Europe.
ART Station Theatre
5384 Manor Drive, Stone Mountain 30083
770-469-1105
www.artstation.org
ART Station provides cultural and educational opportunities to the citizens of Atlanta through arts programs focusing on the quality works of local, regional, and national artists.
Atlanta Ballet
1695 Marietta Boulevard NW, Atlanta 30318
404-873-5811
www.atlantaballet.com
Atlanta Ballet is one of the premier dance companies in the country, offering an eclectic repertoire that highlights beloved classics as well as inventive originals.
Atlanta Opera
1575 Northside Drive NW, Atlanta 30318
404-881-8801
www.atlantaopera.org
The Atlanta Opera is a cultural powerhouse celebrating the art of opera in Atlanta, Georgia, continuing a long tradition of community dedication to the ultimate musical form.
Atlanta Symphony Orchestra
1280 Peachtree Street NE, Suite 4074
Atlanta 30309
404-733-4628
www.atlantasymphony.org
The Atlanta Symphony Orchestra is an American orchestra led by music director Nathalie Stutzmann. ASO’s main concert venue is Atlanta Symphony Hall in the Woodruff Arts Center.
Atlanta Workshop Players
Acting Studio
355 North Peak Dr., Alpharetta 30022
770-998-8111
www.atlantaworkshopplayers.com
Atlanta Workshop Players offers a film school conservatory, a professional musical theatre training program and performing arts camps that attract students and teachers from 5 different continents.
Center for Puppetry Arts
1404 Spring Street, Atlanta 30309
404-873-3391
www.puppet.org
The Center for Puppetry Arts inspires imagination, education and community through the global art of puppetry with performances, workshops, the hands-on museum and outreach programs.
City Winery Atlanta
650 North Avenue NE, Atlanta 30308
404-946-3791
www.CityWinery.com/Atlanta
City Winery Atlanta is an intimate concert venue where you can enjoy unobstructed views close to your favorite performer, world-class wine and great food.
City Springs Theatre Company
8601 Dunwoody Place, Suite 136
Sandy Springs 30350
404-477-4365
www.cityspringstheatre.com
City Springs Theatre Company serves the next generation of artists through high-quality arts education opportunities including summer camps, weekly classes, private lessons and more.
Cobb Energy Performing Arts Centre
2800 Cobb Galleria Parkway, Atlanta 30339
770-916-2800
www.cobbenergycentre.com
Cobb Energy Centre is a premier venue for Broadway shows, ballet, concerts, educational shows, family performances, opera, corporate meetings and events.
Core Dance
133 Sycamore Street, Decatur 30030
404-373-4154
www.coredance.com
An award-winning contemporary dance organization with global impact, Core Dance creates, performs and produces compelling original art that empowers communities to see the self in others.
Fox Theatre
660 Peachtree Street NE, Atlanta 30308
404-881-2100
www.foxtheatre.org
The historic Fox Theatre seats 4,665 guests and hosts more than 150 performances a year — from Broadway and rock to comedy and movies.
Gas South District
6400 Sugarloaf Parkway Duluth 30097
(770) 813-7500
www.gassouthdistrict.com
Gas South District is a 118-acre campus just minutes outside of Atlanta that can accommodate a variety of events from concerts, performances, meetings, trade shows, conventions, banquets, and celebrations.
Horizon Theatre Company
1083 Austin Avenue NE, Atlanta 30307
404-584-7450
www.horizontheatre.com
Since 1983, Horizon has produced over 130 professional contemporary plays. Located in Little Five Points, Horizon is a funky, casual, provocative and fun theater.
5342 Tilly Mill Road, Dunwoody 30338
678-812-4002
www.atlantajcc.org
The MJCCA offers an intriguing lineup of in-depth theater classes, workshops and performance opportunities for children as well as acting classes for adults.
Rialto Center for the Arts at Georgia State University
80 Forsyth Street NW, Atlanta 30303
404-413-9849
www.rialto.gsu.edu
The Rialto Center for the Arts is a performing-arts venue owned and operated by Georgia State University, presenting the best of jazz, world music, dance and more.
Sandy Springs Performing Arts Center at City Springs
1 Galambos Way, Sandy Springs 30328
770-206-2022
www.citysprings.com
Sandy Springs Performing Arts Center offers two unique spaces, the traditional Byers Theatre and the highly-adaptable Studio Theatre, to cover all of your performance or business needs.

Stage Door Players
5339 Chamblee Dunwoody Road, Dunwoody 30338
770-396-1726
www.stagedoorplayers.net
Stage Door is a professional theater committed to serving the community through expanding theatrical knowledge and experience for new audiences, existing audiences and professional talent.
Amphitheatre at Chastain Park
140 W. Wieuca Road NW, Atlanta 30342
404-233-2227
www.chastainseries.com
From comedians to rock bands, Cadence Bank Amphitheatre at Chastain Park is a beloved summer destination in Atlanta. See a show and enjoy dinner, all under the stars.
Schwartz Center for Performing Arts
1700 N. Decatur Road, Atlanta 30322
404-727-5050
www.schwartz.emory.edu
The Schwartz Center for Performing Arts at Emory University is a place where teaching, learning, and performance merge to create a vital arts presence for the community.
Synchronicity Theatre
1545 Peachtree Avenue NE, Atlanta 30309
404-484-8636
www.synchrotheatre.com
Synchronicity Theatre was founded in 1997 by four women with a desire to work collaboratively and bring challenging, meaningful theater to Atlanta audiences.
Theatrical Outfit
84 Luckie Street NW, Atlanta 30303
678-528-1497
www.theatricaloutfit.org
By creating a home for artists in Atlanta and investing in meaningful relationships with its community, Theatrical Outfit helps build a brighter future for the city.
18Doors
675 Ponce de Leon Avenue NE, Suite 8500, Atlanta 30308
404-991-2238
www.interfaithfamily.com/atlanta
18Doors offers programs, workshops, holiday parties and Shabbat gatherings and is welcoming and inclusive to support and empower interfaith couples and families.
ALEF Fund
1440 Spring Street NW, Atlanta 30309 678-222-3739
www.aleffund.org
The ALEF Fund offers Georgia taxpayers a way to redirect a portion of their state income taxes to become scholarships at 16 participating Jewish preschools and day schools.
Atlanta CASA
395 Pryor Street SW, #4116 Atlanta 30312
404-613-4720
www.atlantacasa.org
Atlanta CASA provides support to ensure that children and families do not get lost in the overburdened legal and social service system or languish in foster care.
American Friends of Magen
David Adom - Southeast Region
4371 Northlake Boulevard, Suite 361 Palm Beach Gardens, FL 33410 561-835-0510
www.afmda.org
AFMDA supports Magen David Adom. MDA is Israel’s national ambulance, blood-services, and disaster-relief organization, serving as emergency medical first-responders for the country’s 8.8 million people.

American Israel Public Affairs Committee - Southeast Region
P.O. Box 468122, Atlanta 31146
770-541-7610
www.aipac.org
AIPAC brings together Democrats and Republicans to strengthen, protect and promote the U.S.-Israel relationship in ways that enhance the security of both nations.
American Jewish Committee
Atlanta Chapter 404-233-5501
www.ajc.org/atlanta
AJC Atlanta connects the local community to AJC’s global advocacy work of combating antisemitism, promoting Israel’s place in the world, and promoting pluralism and democratic values.
Atlanta Jewish Foundation 1440 Spring Street NW, Atlanta 30309 404-873-1661
www.atlantajewishfoundation.org
Atlanta Jewish Foundation is the place your contributions align with your values. The Foundation ensures a vibrant, vigorous, and robust Jewish Atlanta for generations to come.
Atlanta Jewish Life Foundation, Inc.
270 Carpenter Dr. NE, Ste. 320 Atlanta 30328 www.atlantajewishlifefoundation. com
The AJLF “keeps Jewish Atlanta connected” through events like the Atlanta Jewish Life Festival and provides free home-delivery of the Atlanta Jewish Times to every Jewish Atlantan.
Americans United with Israel P.O. Box 73071, Marietta 30007-3071 888-699-AUWI (2894)
www.americansunitedwithisrael.org
Americans United with Israel promotes awareness about the value of democracy in the Middle East, facilitates Israel education programs and improves the lives of underprivileged Israelis.
Anti-Defamation LeagueSoutheast Region
P.O. Box 8379, Atlanta 31106
404-262-3470
www.atlanta.adl.org
ADL is a powerhouse in the fight against racism, bigotry, intolerance and antisemitism. ADL is the leader in providing diverse education in schools, communities and workplaces.
Atlanta Israel Coalition
404-226-9271
www.atlantajewishconnector.com/ organization/the-atlanta-israel-coalition/
The AIC strives to unite the pro-Israel community in Atlanta and beyond. As a nonpartisan group, the AIC seeks to inspire and educate through a collective effort.
Atlanta Kosher Commission 1855 Lavista Road NE, Atlanta 30329
404-634-4063
www.kosheratlanta.org
An Orthodox, community-based kosher supervision agency, the AKC certifies over 150 companies in the Southeast and beyond, including manufacturing facilities, bakeries, supermarkets, restaurants, hotels and caterers.
B’nai B’rith International/Gate City Lodge Atlanta, GA mbrodzki@gmail.com harry.lutz.45@gmail.com www.atlantajewishconnector.com/organization/bnai-brith-achim-gate-city
The B’nai B’rith Achim/Gate City Lodge promotes volunteer community social service programs, including “Pinch Hitter” and “Unto Every Person There is a Name”.
Birthright Israel Atlanta
1440 Spring Street NW, Atlanta 30309
404-873-1661
www.jewishatlanta.org
Birthright Israel invites you to travel to the center of Jewish history for a once-in-alifetime 10-day journey alongside a diverse community of Jewish and Israeli peers.
1030 Fayetteville Road, Atlanta 30316
404-486-9034
www.chris180.org
CHRIS 180 helps children, adults and families who have experienced trauma change the direction of their lives to become productive, self-sufficient members of the community.
Conexx: America Israel Business Connector
879 High Green Court Marietta 30068
404-843-9426
www.conexx.org
Conexx: America Israel Business Connector creates business opportunities for Israelis looking to expand in the U.S. and Americans looking for entry into Israel.
P.O. Box 500247, Atlanta 31150
404-532-9515
www.cccprojects.org
Creating Connected Communities brings life-enhancing programs to children in need by empowering teens to become engaged leaders and volunteers in their communities.
Eternal Life-Hemshech
205 Northland Ridge Trail, Atlanta 30342
404-643-5996
www.eternallifehemshech.org
Eternal Life-Hemshech is a non-profit organization founded by local Atlanta Holocaust Survivors. Survivors, their descendants, and friends continue the legacy of Hemshech’s founders through education, remembrance, and awareness.
Friends of the Arava Institute 1320 Centre Street, Suite 206 Newton Centre, MA 02459 617-266-7100
www.arava.org
The Arava Institute is a leading environmental and academic institution in the Middle East, working to advance cross-border environmental cooperation in the face of political conflict.
Friends of the Israel Defense Forces - Southeast States P.O. Box 720556, Atlanta 30358 678-250-9030
www.fidf.org
FIDF is committed to providing soldiers with love, support, and care to ease the burden they carry on behalf of the Jewish community worldwide.
5180 Roswell Road, Suite N200
Atlanta 30342
404-618-5777
www.fcatlanta.org
Friendship Circle of Atlanta addresses the challenges facing families of individuals with special needs, using innovative programming to bridge the gap between neurotypical and special needs communities.
The Georgia Alliance for Breast Cancer
40 Technology Pky. Suite 200 Peachtree Corners 30092
404-531-4111
www.gaabc.org
The Georgia Alliance for Breast Cancer has raised over $18.2 million to fund grants that provide breast cancer education, screening, early detection, support services, and more.
Georgia International Law Enforcement Exchange P.O. Box 3992, Atlanta 30302
404-413-1035
www.gilee.gsu.edu
GILEE improves public safety by enhancing interagency cooperation and educational training among law enforcement communities by offering best practices and sources of excellence in a peer-to-peer environment.
Hadassah Greater Atlanta
1050 Crown Pointe Parkway, Suite 500 Atlanta 30338
www.hadassah.org
From championing a strong US-Israel relationship to fighting antisemitism and standing up for women’s health equity, Hadassah makes a difference. Join Hadassah to connect and empower women into action.
Hebrew Order of David Locations across metro Atlanta www.hodnorthamerica.org
The HOD International is a forum for Jewish adult males, operating as a fraternity, supporting its members, serving the community, and applying Jewish ideals and values.
Hillels of Georgia
1100 Spring Street NW, Unit 810, Atlanta 30309
470-905-1800
www.hillelsofgeorgia.org
Hillel is the Jewish home away from home for Jewish college students, providing a safe place for Jewish education, celebration and community.
Ian’s Friends Foundation
855 Marseilles Drive, Atlanta 30327
404-966-0752
www.iansfriendsfoundation.com
IFF supports initiatives at research institutions around the country that focus on developing therapeutic methodologies for the treatment of pediatric brain tumors.
Jack & Jill Late-Stage Cancer Foundation
3282 Northside Parkway NW Suite 100 Atlanta 30327
404-537-5253
www.jajf.org
JAJF treats families to WOW! Experiences®, giving children who will lose their Mom or Dad to cancer a timeout to create indispensable memories as a family.
Jewish Broadcasting Service JBS
Stanford, CT
www.jbstv.org
JBS is America’s Jewish non-profit television network covering the panorama of Jewish life. Programs on JBS reflect and address the diversity and pluralism of the Jewish experience.
Jewish Community Relations Council of Atlanta
1440 Spring Street NW, Atlanta 30309 678-222-3740
www.jcrcatlanta.wordpress.com
JCRC Atlanta, the local affiliate of the Jewish Council for Public Affairs, educates and advocates on vital issues and provides a common table for Atlanta’s Jewish community.
Jewish Early Childhood Council 1440 Spring St., Atlanta, GA 30309 404-873-1661
www.jewishatlanta.org
The Jewish Early Childhood Council of Atlanta supports the professional leaders and educators who shape your child’s first educational experiences in Atlanta’s Jewish early childhood education programs.
Jewish Educational Loan Fund 6065 Roswell Road, Suite 740, Sandy Springs 30328 770-396-3080
www.jelf.org
JELF provides interest-free loans to Jewish students in need for higher education through-out a five-state region: Florida, Georgia, North Carolina, South Carolina and Virginia.

4549 Chamblee Dunwoody Road, Atlanta 30338
770-677-9300
www.jfcsatl.org
JF&CS improves the quality of life for individuals and families in greater Atlanta through counseling, career support, addiction programs, dental care and more.
Jewish Federation of Greater Atlanta
1440 Spring Street NW, Atlanta 30309
404-873-1661
www.jewishatlanta.org
The Jewish Federation of Greater Atlanta provides opportunities, care, connection, support and strength for the Atlanta Jewish community, for Israel and for Jews globally.
Jewish Fertility Foundation
1417 Mayson Street NE, Atlanta 30324
678-744-7018
www.jewishfertilityfoundation.org
The Jewish Fertility Foundation engages hopeful parents by providing financial assistance, emotional support and infertility education to those struggling to build their families.
4549 Chamblee Dunwoody Road Suite E Atlanta 30338
470-268-5665
www.jifla.org
JIFLA provides interest-free loans to help fellow Jews in the Atlanta area maintain financial stability through periods of financial distress with an alternative to high-interestrate debt.
Jewish National Fund
6065 Roswell Road NE, Suite 214 Atlanta 30328
404-236-8990
www.jnf.org
JNF, which helped re-establish a Jewish homeland in Israel, works to ensure a strong, secure, and prosperous future for the land and people of Israel.
311 Briarvista Way, Atlanta 30329
678-666-5678
www.jewishstudentunion.com
JSU supports clubs at public and non-Jewish private high schools and offers activities outside school to give thousands of students the chance to do something Jewish.

Atlanta
www.jwv.org
JWV is the premier voice for Jewish veterans in the United States, defending their rights and benefits, combating antisemitism, and supporting the State of Israel.
Jewish Women’s Connection of Atlanta
1959 Lavista Road NE Atlanta 30329 470-440-0324
www.jwcatlanta.org
The Jewish Women’s Connection of Atlanta is a project of the Atlanta Scholars Kollel and a partner of Jewish Federation of Greater Atlanta.
Jewish Women’s Fund of Atlanta
1440 Spring Street NW, Atlanta 30309 678-222-3716
www.jwfatlanta.org
Jewish Women’s Fund of Atlanta harnesses the power of philanthropy to promote social change and create positive opportunities for Jewish women and girls.
P.O. Box 66073, Washington, D.C. 20035 202-596-5207
www.jstreet.org
J Street organizes and mobilizes pro-Israel, pro-peace Americans who want Israel to be secure, democratic and the national home of the Jewish people.
1440 Spring Street NW, Atlanta 30309 (404) 873-1661
www.jumpsparkatl.org
A Jewish Federation of Greater Atlanta Innovation Initiative and HUB for teen engagement fostering community connection and collaboration and funding the creation of innovative programming.
Masa Israel Journey
633 3rd Ave., Floor 21 New York, NY 10017
866-864-3279
www.MasaIsrael.org
Masa Israel Journey is a public-service organization founded by the Israel Prime Minister’s Office and is the leading organization in the long-term Israel experience space.
National Council of Jewish
Women Atlanta Section
P.O. Box 76162, Sandy Springs 30328 404-843-9600
www.ncjwatlanta.org
NCJW’s Atlanta Section champions tirelessly for women’s and children’s rights through its robust advocacy work in Georgia and nationally.
New Israel Fund
6 E. 39th Street, New York, NY 10016
212-613-4400
www.nif.org
The New Israel Fund helps Israel live up to its founders’ vision of a state that ensures complete equality of social and political rights to all its inhabitants.
3495 Piedmont Road NE
Building 12, Suite 418, Atlanta 30305 404-327-5266
www.ortatlanta.org
ORT Atlanta creates impact through education by fundraising for World ORT schools in 35 countries around the globe with a focus on STEM and Jewish education.
PJ Library in Atlanta
1440 Spring Street NW, Atlanta 30309 404-873-1661
www.jewishatlanta.org
PJ Library in Atlanta gives age-appropriate, Jewish-themed books and CDs, along with diverse programming, to children ages 6 months to 8 years old.
Repair The World Metro Atlanta
470-289-3799
weRepair.org/Atlanta
Repair the World Atlanta engages Jews and their communities in a lifelong commitment to service through meaningful volunteering and Jewish learning.

Second Helpings Atlanta
P.O. Box 720582, Atlanta 30358 678-894-9761
www.secondhelpingsatlanta.org
Second Helpings Atlanta is a nonprofit food rescue organization dedicated to fighting hunger and reducing food waste in metro Atlanta.
SOJOURN
1530 DeKalb Avenue, Suite A Atlanta 30307
404-275-4637
www.sojourngsd.org
SOJOURN: The Southern Jewish Resource Network for Gender and Sexual Diversity advances lesbian, gay, bisexual, transgender and queer affirmation and acceptance across the South.
The Packaged Good 5920 Roswell Road, Suite C212 Sandy Springs 30342 470-387-0551
www.solidaritysandysprings.org
The mission of The Packaged Good is to instill in children the desire to give back while inspiring the next generation of giving.
The Simon Wiesenthal Center 1399 S. Roxbury Drive Los Angeles, CA 90035 800-900-9036 www.wiesenthal.com
The Simon Wiesenthal Center is an nonprofit international nongovernmental organization that fights terrorism, hate and bigotry.
The Sixth Point 470-210-6847
www.facebook.com/TheSixthPoint/
The Sixth Point is an independent, nondenominational Jewish community in Atlanta for adults in their 20s and 30s(ish).
Tzarkei Naomi Fund 404-735-3342
www.tzarkeinaomi.org
Tzarkei Naomi raises funds to help individuals and families who, often tragically, find themselves bereft of a spouse or parent.







Atlanta Hearing Associates
Locations across metro Atlanta
770-282-8471
www.hearatlanta.com
Whether you need assistance with hearing loss, tinnitus, balance, or another hearing disorder, Atlanta Hearing Associates practices the entire scope of Audiology, using the latest technology by compassionate Doctors who work with patients of all ages, including pediatrics.
Clearworks Audiology
220 Sandy Springs Circle, Ste. 185, Sandy Springs 30328
404-919-7219
www.clearworksaudiology.com
If you are looking for an exceptional customer service experience, kindness and professionalism in your hearing healthcare, your next call should be to ClearWorks Audiology.
Costco Hearing Aid Center
Locations across metro Atlanta
1-800-774-2678
www.costco.com/hearing-aid-center
Offering the latest in digital technology, Costco hearing aid staff will work to find the most appropriate solution for hearing loss and lifestyle.
Peachtree Hearing
4939 Lower Roswell Road
Marietta 30068
470-485-4327
www.peachtreehearing.com
Peachtree Hearing tests hearing, treats hearing loss, diagnoses and treats dizziness disorders and also specializes in custom solutions for musicians, athletes and audiophiles.
Aesthetic Specialty Centre
1825 Old Alabama Road, Suite 201 Roswell 30076
770-393-9000
www.asc-psd.com
With locations in Roswell and Lake Oconee, ASC provides state-of-the-art facilities, the experience of a relaxing getaway and satisfaction at every step.
Anderson Center for Hair 5555 Peachtree Dunwoody Road Suite 106, Atlanta 30342
404-256-4247
www.atlantahairsurgeon.com
Dr. Ken Anderson is a plastic surgeon specializing in hair restoration in Alpharetta and Sandy Springs helping men and women reclaim their hair and their confidence.









de Jour
5290 Roswell Road NE Atlanta 30342
404-250-9100
www.bdjsalon.com
Belle de Jour is a hair color salon specializing in women’s hair. Highly trained, friendly stylists are committed to providing the best styling services to clients.
Great Clips
Locations across metro Atlanta
800-473-2825
www.greatclips.com
Great Clips is a hair salon franchise with over 4,100 locations across North America. Get a haircut that fits your hair, your lifestyle and your look.
1314 Johnson Ferry Road, Marietta 30068
770-977-3696
www.intriguesalon.com
Intrigue is an upscale Arrojo Ambassador salon servicing the Southeast for 20 years, located in the heart of East Cobb.
Joseph and Friends Aveda Salon and Spa
Locations across metro Atlanta
770-993-0058
www.josephandfriends.com
Each Joseph & Friends location is a fullservice Aveda concept salon, offering a variety of first class services for cut, color, extensions and any other beauty needs.
Massage Envy
Locations across metro Atlanta
404-876-3689
www.massageenvy.com
Massage Envy caters to all. Whether a weekend warrior, an entrepreneur or a busy mom on-the-go, treating muscles is a top priority.

Paper Mill Massage and Spa
255 Village Parkway NE, Suite 420 Marietta 30067
404-492-9383
www.gotoswan.com
Paper Mill Massage provides a variety of professional massage and spa services from foot and body massages to Chinese therapy, which includes body scraping and acupuncture.
Spa Sydell
Locations across metro Atlanta
404-255-7727
www.spasydell.com
Spa Sydell offers locations in Norcross, Cumming and Perimeter with more than 75 spa and Medi-spa services to choose from.
Treat Your Feet
3275 Peachtree Road NE, Atlanta 30305
404-812-0579
www.treatyourfeetatl.com
Treat Your Feet offers the best body massages and foot massages in the Atlanta area. The first location in Doraville won awards from Atlanta Magazine and City Search.
Van Michael Salon
Locations across metro Atlanta
404-237-4664
www.vanmichael.com
With locations in Atlanta and Tokyo, over 1,000 people a day trust Van Michael Salon for their beauty needs.
Vintage Barber Shop
6649 Roswell Road, Sandy Springs 30338
678-967-4700
www.vintagebarbershopatl.com
Vintage Barber Shop offers men’s and kids’ haircuts in a retro 1950s atmosphere. Stop by and get that perfect barber shop haircut you’ve been looking for.
Cardiology of Atlanta
755 Mount Vernon Highway NE, Suite 530, Atlanta 30328
404-252-7970
www.cardiologyofatlanta.com
Cardiology of Atlanta welcomes patients to participate in and improve their health care in an informative, friendly and caring environment.
Complete Cardiology
5671 Peachtree Dunwoody Road, Atlanta 30342
404-939-9200
www.ccatlanta.com
Complete Cardiology offers a vast array of outpatient cardiac services. Practitioners have access to advanced technology to diagnose and treat any cardiac disorder, whether simple or complex.
Georgia Cardiovascular and Primary Health
111680 Great Oaks Way, Ste. 170 Alpharetta 30022
770-755-5825
www.georgiacardiovascular.com
The Cardiometabolic Clinic at Georgia Cardiovascular and Primary Care is dedicated to a patient centered, collaborative model of care, reducing the complications of cardiovascular disease.
Georgia Integrative Cardiology
11680 Great Oaks Way, Suite 170, Alpharetta 30022 (770) 755-5825
www.drjasonreingold.com
Integrative cardiology takes a patientcentered approach to optimal heart and vascular wellness, addressing the root causes of cardiovascular disease and incorporating therapies alongside conventional treatments.
Heart and Vascular Care
3970 Deputy Bill Cantrell Memorial Road, Ste. 100 Cumming 30040
678-513-2273
www.hvcmd.com
Heart and Vascular Care is proud to be a comprehensive cardiovascular practice where healthcare is provided the way you hoped it could be.
Northside Cardiology
5670 Peachtree Dunwoody Road Suite 880, Atlanta 30342
404-256-2525
www.nscatl.com
Highly trained personnel at NSC Atlanta work hard to deliver the best possible cardiovascular care, using evidence-based medicine to ensure patients receive the latest technologies and treatments.
Piedmont Heart Institute
Locations across metro Atlanta
404-605-5000
www.piedmont.org
Piedmont Heart Institute is a clinical destination for cardiovascular care and a leader in advancing innovative heart and vascular care for patients with even the most complex conditions.
Adler Family Chiropractic, P.C.
1475 Holcomb Bridge Road Suite 177, Roswell 30076
770-594-2233
www.adlerchiro.com
As the leading chiropractor in Roswell, Ga, Adler Family Chiropractic will guide you and your loved ones toward healing and achieving your chiropractic ambitions.
Complete Spine Solutions
4060 Peachtree Road NE, Suite J Atlanta 30319
770-938-4606
www.mytuckerchiropractor.com
Complete Spine Solutions is committed to improving clients’ lives. Starting with an extensive examination, the practice uses effective, proven treatments to relieve pain and improve overall health.
Excel Chiropractic
285 Mount Vernon Highway NE Atlanta 30328
770-743-4393
www.excelatl.com
From children to professional athletes and everyone in between, Excel Chiropractic’s structural approach to chiropractic corrects the root cause of pain and injuries.
Chiropractic
5457 Roswell Road NE, Suite 102 Sandy Springs 30342
404-257-0404
www.levinsonchiropractic.com
Levinson Chiropractic offers gentle treatments using various techniques, including full spine/diversified, Thompson/drop techniques, activator, toggle, SOT, extremity adjusting, cranial work, and VAX-D Therapy.
Chiropractic
1713 Mt. Vernon Road, Suite 2 Dunwoody 30338
770-399-6772
www.seidenchiropractic.com
Seiden Chiropractic strives to provide a positive and healthy experience, ensuring the improvement of both your spine and your overall health.
The Joint Chiropractic
Locations across metro Atlanta
404-975-2584
www.thejoint.com/atlanta
The Joint Chiropractic transforms the traditional, often misunderstood concept of routine chiropractic care by making it more convenient, friendly and affordable.
Aesthetic & Implant Dentistry of Atlanta
200 Galleria Parkway SE, Suite 180 Atlanta 30339
770-955-0550
www.davidzelbydds.com
Dr. David Zelby is an esteemed prosthodontist and advanced restorative dentist. The practice focuses on dental implants, advanced cosmetics dentistry and restorative dentistry.
Alluring Cosmetic Dentistry
800 Mansell Road, Roswell 30076 770-642-9900
www.alluringcosmeticdentistry.com
An international leader in cosmetic, implant and general dentistry for more than three decades, Dr. David Mastro’s patients travel worldwide for his Atlanta cosmetic dentistry.

Brightworks Dentistry
1858 Independence Square, Ste A Dunwoody 30338
770-450-0415
www.BrightworksDentistry.com
Providing you with dental care. Brightworks Dentistry is dedicated to improving and maintaining your oral health by providing personalized, high-quality preventative care, cosmetic services, sedation and restorative dentistry.
Boutique for Cosmetic Dentistry
5975 Roswell Road, Suite D-229 Sandy Springs 30328 678-701-6753
www.boutiqueforcosmeticdentistry. com
The Boutique for Cosmetic Dentistry provides exceptional dental care by using today’s technology to produce beautiful and lasting dentistry near you.
Conyers Denture and Implant Center
1916 Iris Drive SW, Conyers 30094
404-381-8266
www.conyersdentures.com
Conyers Denture and Implant Center provides restorative dental services including implants, dentures and overdentures, and periodontal treatments customized to your needs.
Dentistry 4 Children
Locations across metro Atlanta 678-813-1909
www.dentistry4children.com
Dentistry 4 Children will help your family maintain healthy smiles and work to avoid issues like cavities before they can develop.
Dentistry at East Piedmont
Cosmetic & General Dentistry
3535 Roswell Road, Suite 55 Marietta 30062
770-321-5558
www.dentistryateastpiedmont.com
Dentistry at East Piedmont delivers the very best cosmetic and general dentistry care while keeping you comfortable, bringing expertise, technology and customer service together in one place.
Dentistry With a Difference
5548 Chamblee Dunwoody Road, Dunwoody 30338
770-393-9450
www.dentistrydifference.com
Dentistry With a Difference partners with clients to maintain a healthy, beautiful smile through regular home care, professional dental cleanings and regular exams.
Goldstein Garber & Salama
600 Galleria Parkway, Suite 800 Atlanta 30339
404-261-4941
www.goldsteingarber.com
The Goldstein, Garber & Salama team features eight doctors with expertise spanning a wide variety of areas of oral health and hygiene.
Green Orthodontics
2450 Lawrenceville Highway, Suite 100 Decatur 30033
404-850-1515
www.gogreenortho.com
Green Orthodontics provides high-quality braces and Invisalign in a family-friendly environment. Located minutes from Toco Hills, the practice offers convenient after-school hours and flexible interest-free financing.
4700 Chamblee Dunwoody Road Suite 300, Dunwoody 30338
404-458-5561
www.jkaplanortho.com
Kaplan Orthodontics offers custom treatment plans for children, teens and adults. Whatever age you begin treatment, you will get personalized treatment with the best orthodontic technology available.
4608 Lower Roswell, Marietta 30068 (770) 615-6510
www.moderndentalcenterec.com
Modern Dental Center provides exceptional, personalized dental care in a comfortable, modern setting by combining advanced technology, expertise and a genuine passion for helping others.
6111 Peachtree Dunwoody Road Building A, Suite 101 Atlanta 30328 770-395-7057
www.peachdentist.com
Peachtree Dunwoody Dental Group is committed to offering professional, quality care in a comfortable setting for adults and children.
8465 Holcomb Bridge Rd #650, Johns Creek 30022
404-809-4400
www.RivermontDental.com
Dr. Shima Shahrokhi provides excellent dentistry in a comfortable environment. You deserve a skilled, experienced dental team that can help you ensure great oral health.
Siegel & Dolt
2751 Buford Highway NE, Suite 302 Atlanta 30324
404-634-1277
www.siegelanddolt.com
Drs. Harris Siegel and Skip Dolt have expertise in cosmetic and implant dentistry and are able to provide a comprehensive approach to their patients’ needs.
SmileScapes Dentistry
950 North Point Parkway, Suite 175 Alpharetta 30005
770-551-0808
www.smilescapes.net
SmileScapes focuses on providing clients with the highest quality in cosmetic, implant reconstructive dentistry as well as family dentistry.
Stein & Frankel Family & Cosmetic Dentistry
2450 Lawrenceville Highway, Suite 100 Decatur 30033
404-329-0000
www.2thdocs.com
Drs. Stein and Frankel provide patients with personalized, gentle care. Experience all that modern, high-tech dentistry has to offer.
Village Orthodontics
5488 Chamblee Dunwoody Road, Suite 8
Dunwoody 30338
678-745-5388
www.village-ortho.com
Village Orthodontics specializes in orthodontic services, including braces and Invisalign for children and adults. It provides the highest level of treatment in a warm, comfortable environment.
Atlanta Center for Dermatologic Diseases
Locations across metro Atlanta
404-252-4333
www.atlcenterforderm.com
ACDD provides exceptional dermatology health care to patients of all ages, with many options for cosmetic procedures and treatment of skin cancers.
Dermatology Associates of Atlanta
Locations across metro Atlanta
404-256-4457
www.dermatlanta.com
Dermatology Associates of Atlanta centers offer patients treatments for everything from skin cancer and acne to minimally invasive fat reduction with CoolSculpting® and SlimLipo™.
Dermatology Specialists of Georgia
Locations across metro Atlanta
770-952-2100
www.mydermspecialists.com
At Dermatology Specialists, providers combine education, experience and training with advanced treatments and technology to help patients achieve and maintain their healthiest skin at all ages.
Dermatology & Surgery
Specialist of North AtlantaDESSNA
4800 Olde Towne Pky. Suite 250 Marietta 30068
770-971-3376
www.dessna.com
Comprehensive Skin Care - All in one convenient location. From acne to aging, this practice specializes in skin care for the whole family.
MetroDerm P.C.
Locations across metro Atlanta
404-257-9933
www.metroderm.org
MetroDerm offers every patient the best care. Its providers take time to listen to patient concerns and answer questions to the best of their ability.
Olansky Dermatology Associates
3379 Peachtree Road NE, Atlanta 30326
404-355-5484
www.olanskydermatology.com
Olansky Dermatology Associates provides families with compassionate skin care and medical education, giving them the comfort and confidence to live healthy and beautiful lives.

20/15 EyeCare
2090 Dunwoody Club Drive, Suite 126
Atlanta 30350
770-676-7848
www.2015eyecare.com
20/15 EyeCare is a full-service vision care provider, accepting both eye emergencies and scheduled appointments. Visit 20/15 EyeCare to receive personal attention and professional care.
Eye Consultants of Atlanta
Locations across metro Atlanta
404-351-2220
www.eyeconsultants.net
Eye Consultants of Atlanta is the largest multi- specialty ophthalmology group in Georgia, with 26 physicians and nine locations in metro Atlanta.
Ross Eyecare Group
2625 Piedmont Road NE, Atlanta 30324
404-233-3513
www.rosseyecare.com
With over 80 years of combined clinical experience, Ross Eyecare Group’s doctors and staff dedicate themselves to providing the finest eyecare, contact lenses and eyewear.
Thomas Eye Group
Locations across metro Atlanta
678-892-2020
www.thomaseye.com
For more than 40 years, Thomas Eye Group has been serving patients of all ages at eight convenient locations throughout the greater Atlanta area.
DeKalb Medical Physicians Group
200 E. Ponce de Leon Avenue, Decatur 30030
404-501-6363
www.dekalbmedical.org
DeKalb Medical Physicians Group Downtown Decatur Family Medicine provides a wide range of healthcare services to prevent, diagnose and treat illnesses.
Laureate Medical Center
Locations across metro Atlanta
404-256-8500
www.laureatemed.com
Since 1962, Laureate Medical Group has built a reputation based on providing excellent medical care combined with sincere compassion for patients.

35 Collier Road, Suite 775
Atlanta 30309
404-350-1122
www.piedmont.org
Piedmont Physicians Group is a primary care office where adult patients can receive care for annual exams, sick visits, sports physicals, well checks, vaccinations and immunizations.
5667 Peachtree Dunwoody Road, Suite 285, Atlanta, 30342
404-882-7206
www.PolarisPrimaryCare.com
At Polaris Primary Care, Dr. Hutchinson is able to tailor medical care to your needs. Whether you are a busy professional seeking to combine executive tier annual visits with on-the-go telehealth access or you prefer more extensive in-person care for high blood pressure, diabetes and more.
Speech Family
1709 Mt. Vernon Road Dunwoody 30338
404-482-2789
speechfamily.com
SpeechFamily is a neurodiversity-affirming private speech and language studio focused on delivering therapy to individuals in their everyday environments to develop functional skills and communication growth.
91 W Wieuca Road NE, Bldg A, Ste 1000 Atlanta 30342
866-318-2859
www.WellcomeMD.com
WellcomeMD re-establishes the close personal relationship with your physician that once prevailed in American communities. Its physicians see fewer patients while accessing new, cutting edge treatments.
WellStar Family Practice
Locations across metro Atlanta
770-956-7827
www.wellstar.org
Whether visiting WellStar for a medical procedure or to see a family physician, your WellStar visit will be as pleasant as possible.
Haven PostNatal Retreat
404-369-8834
www.havenpostnatal.com
Atlanta’s first luxury postnatal retreat, prioritizing postpartum wellness & self-care, with 24/7 specialized care, wellness support and instruction.
Jewish Fertility Foundation
1417 Mayson Street NE, Atlanta 30324
678-744-7018
www.jewishfertilityfoundation.org
The Jewish Fertility Foundation provides financial assistance, educational awareness and emotional support to Atlanta Jewish families facing medical fertility challenges.
JScreen
5115 New Peachtree Road, Suite 301
Atlanta 30341
404-778-8640
www.jscreen.org
JScreen is an at-home Jewish genetic screening program for people planning to have children. JScreen also offers genetic screening for cancer risk through the PEACH BRCA study.
Shady Grove Fertility
Locations across Metro Atlanta
404-843-2229
www.shadygrovefertility.com/georgia
As the largest fertility clinic in the United States, Shady Grove Fertility is a leading fertility and IVF center of excellence.
Atlanta Gastroenterology
Associates
Locations across metro Atlanta
866-GO-TO-AGA (468-6242)
www.atlantagastro.com
In addition to routine colon cancer screening, Atlanta Gastroenterology Associates board-certified specialists evaluate and treat a wide range of digestive and liver concerns.
Emory Clinic Gastroenterology
1365 Clifton Road NE, Atlanta 30322
404-778-7777
www.emoryhealthcare.org
Emory Clinic physicians provide expert medical consultation as well as diagnostic and therapeutic gastrointestinal procedural expertise in all areas of digestive health.
GI Specialists of Georgia
Locations across metro Atlanta
678-834-8126
www.gigeorgia.com
GI Specialists of Georgia physicians treat all disorders of the digestive tract including disorders of the liver and pancreas.
Children’s Healthcare of Atlanta
Locations across metro Atlanta
404-785-KIDS
www.choa.org
At Children’s Healthcare of Atlanta, doctors, nurses and staff are specially trained to care for children under the age of 21.
Emory Healthcare
Locations across metro Atlanta
404-778-7777
www.emoryhealthcare.org
Emory Healthcare is the region’s most comprehensive academic health system with 2,000 doctors and 200 locations, including hospitals, primary care, urgent care and MinuteClinics.
Emory Saint Joseph’s Hospital
5665 Peachtree Dunwoody Road, Dunwoody 30342
678-843-7001
www.emoryhealthcare.org
Emory Saint Joseph’s Hospital was founded by the Sisters of Mercy in 1880, and is touted as Atlanta’s longest-serving hospital.

Grady Health System
Locations across metro Atlanta
404-616-1000
www.gradyhealth.org
Grady Health improves the health of the community by providing quality, comprehensive healthcare in a compassionate, culturally competent, ethical and fiscally responsible manner.
Northside Hospital
1000 Johnson Ferry Road
Atlanta 30328
404-851-8000
www.northside.com
Northside Hospital physicians and health care professionals provide a full range of care, including surgery, cancer care, women’s services, emergency care and behavioral health services.
Polaris Spine & Neurosurgery Center
860 Johnson Ferry Road NE
Atlanta 30342
404-256-2633
www.polarisspine.com
At Polaris Spine & Neurosurgery Center neurosurgeons and non-operative spine specialists offer premium care with personal touch across the spectrum of brain and spine care needs.
WellStar Health System
Locations across metro Atlanta
770-956-STAR
www.wellstar.org
WellStar Health System encompasses a range of services from urgent care centers to health campuses in multiple locations across Atlanta.
Atlanta Psychological Services
2308 Perimeter Park Drive, Suite 100 Atlanta 30341
770-457-5577
www.atlantapsychological.com
Atlanta Psychological Services is a fullservice mental health practice providing a wide variety of services to clients including psychological testing, therapy, training and supervision.
Gedalia Healing Arts
1407 Dresden Drive, Atlanta 30319
678-357-3443
www.gedaliahealingarts.com
Gedalia Healing Arts is a women’s holistic health and healing practice providing natural alternatives to stress, anxiety, depression, grief, loss, hormonal imbalance and weight loss.
Evolve Behavioral: Advanced Psych Services LLC
Atlanta
404-436-2207
www.evolvebehavioralpsych.com
Evolve Behavioral: Advanced Psych Services LLC focuses on the intersection between the mind and body and specializes in chronic illness, cancer, women’s health and lifestyle wellness.


Atlanta Falcons linebacker, Tommy Nobis, heading down the practice field at Woodward Academy, Atlanta, Georgia, July 28, 1970. // Atlanta Journal Constitution





















Axion Spine & Neurosurgery
Locations across metro Atlanta
404-579-3962
www.axionspine.com
Drs. Christopher Tomaras, Raymond Walkup, Shane Mangrum, and David Tran are boardcertified doctors specializing in providing individualized, patient-centered care at the cutting edge of spine science.
Wellstar Neurosurgery
2500 Hospital Blvd, Ste 310 Roswell 30076
770-664-9600
www.benzussmanmd.com
Ben Zussman, MD is a cerebrovascular and spine neurosurgeon with the Wellstar Medical Group who is passionate about providing safe, high-quality patient care.

Atlanta Gynecology & Obstetrics
315 Winn Way, Decatur 30030
404-299-9724
www.atlantagynob.com
Atlanta Gynecology & Obstetrics is a diverse group of female practitioners providing quality, compassionate, state-of-the-art healthcare to women at all ages and stages of their lives.
Atlanta Women’s Obstetrics and Gynecology
275 Collier Road NW, Suite 230 Atlanta 30309
404-352-3616
www.awog.org
Atlanta Women’s Obstetrics and Gynecology is an all-female practice offering a full range of healthcare services for women of all ages.
Atlanta Women’s Specialists
5445 Meridian Mark Road, Suite 430 Atlanta 30342
404-252-5196
www.awsphysicians.com
At Atlanta Women’s Specialists physicians and staff are committed to providing excellence and innovation in medical care in a diverse, bilingual practice.
Dr. Karen J. Weiss, LLC
5445 Meridian Mark Road, Atlanta 30342
678-705-4464
www.karenjweissmd.com
Dr. Weiss is a board-certified obstetrician/ gynecologist integrating conventional medical practice with a functional approach that makes treatments patient-specific rather than disease-specific.
Atlanta Women’s Specialists
Locations across metro Atlanta 770-977-1510
northatlantawomensspecialists.com
North Atlanta Women’s Specialists provides obstetric and gynecologic care that is up to date with the latest research and technologies.
960 Johnson Ferry Road NE, Suite 400 Atlanta 30342
404-257-0170
www.premiercareforwomen.com
Premier Care for Women is dedicated to providing the highest quality gynecological care throughout every stage of a woman’s life in a positive, healing experience.
Eight locations within metro Atlanta (404) 778-1900
www.winshipcancer.emory.edu
As Georgia’s only NCI-designated Comprehensive Cancer Center, Winship offers innovative care and resources whether you live near or outside Atlanta.
Numerous locations throughout Georgia
404-531-4444
www.Northside.com
Cancer care services since 1978, providing compassionate, personalized patient care utilizing a multidisciplinary care team approach; practicing evidence-based medicine; and, providing cutting-edge treatments and technologies.
Piedmont Cancer Institute
1800 Howell Mill Road, Suite 800 Atlanta 30318
404-350-9853
www.piedmontcancerinstitute.com
Piedmont Cancer Institute provides care for those diagnosed with cancer or hematological diseases in five different cities in the Atlanta metro area.
6070 Sandy Springs Circle, Ste B
Sandy Springs 30328
404-256-1116
www.9leavesatl.com
9 Leaves is a new wellness experience providing multi-cannabinoid products that will help you restore the best version of yourself.
2520 Windy Hill Rd. SE, Suite 303
Marietta 30067
678-595-4854
www.theadmh.org
The Adult Disability Medical Healthcare (ADMH) provides comprehensive, coordinated, person-centered healthcare for teens and adults with developmental disabilities.
2300 Bethelview Road, Suite 110-442
Cumming 30040
404-617-6483
www.amramp.com
Amramp is a leader in providing accessibility solutions including commercial and residential wheelchair ramps, lifts, door openers and more.
5530 Old National Highway, Suite C College Park 30349
404-763-0055
www.faks-allied-health.com
FAKS offers education and certification programs for Certified Nursing Assistant, Patient Care Technician, Pharmacy Technician, phlebotomy and EKG, medical coding and billing.
Metro Atlanta 404-291-9103
www.mmtga.com
Medical Marijuana Therapeutics is a leadingedge medical practice providing quality healthcare and product advisory services to patients who would benefit from the use of cannabis products.
4020 Nine McFarland Drive
Alpharetta 30004
470-545-1827
www.mobilityplus.com/alpharettaga
Mobility Plus is a family-owned franchise dedicated to providing Alpharetta families, veterans and businesses with high-quality, customer-focused mobility solutions.
11680 Great Oaks Way
Alpharetta 30022
678-856-1700
www.lifehope-neurokinetix.com
NeuroKinetix physically and psychologically protects its clients through pre-habilitation and physiotherapy with services based on functional training and functional neurology.
604 Macy Drive, Roswell 30076
678-372-2913
www.nutritionallyyours.net
Nutritionally Yours Health Solutions addresses nutrition, naturopathy, food allergies and weight loss to help clients achieve their personal health goals and live a happier, healthier life.
Orthopedic Cortisone Injection Center
1705 Mt. Vernon Road, Suite B Dunwoody 30338
404-292-3538
www.theocic.com
In the changing landscape of healthcare, OCIC provides easy access to patients seeking non-surgical, non-narcotic pain relief for various orthopedic ailments such as arthritis, bursitis and tendonitis.
SmartPlex ATL
4799 Olde Towne Parkway, Suite 201 Marietta 30068
678-245-6777
www.smartplexatl.com
Looking for aesthetic treatments that will enhance your natural beauty? At SmartPlexATL, doctors provide effective, long-term treatments to make clients more confident than ever before.
Southern Foot and Ankle Institute
11680 Great Oaks Way, Suite 530
Alpharetta 30022
770-755-5749
www.southernfootandankleinst.com
Southern Foot and Ankle Institute creates a patient-centered experience where your time, understanding and health are paramount.
USA Vein Clinics
1050 E. Piedmont Road, Suite 104 Marietta 30062
404-998-5273
www.usaveinclinics.com
USA Vein Clinics treat symptoms such as leg pain, swollen legs, spider veins, skin and leg ulcers, discoloration of skin, itching and burning.
Your CBD Store
Multiple metro Atlanta locations
678-936-1522
www.cbdrx4u.com
Your CBD Store is the exclusive home of award-winning, hemp-derived SunMed and SunFlora products with stores in 41 states, bringing the highest quality CBD experience to customers nationwide.
Children’s Medical Group
Locations across metro Atlanta
404-633-4595
www.cmg-pc.com
For more than 70 years, Children’s Medical Group has been providing care to infants, children, adolescents and young adults in Atlanta, Johns Creek and Decatur.
Dunwoody Pediatrics
1428 Dunwoody Village Parkway, Dunwoody 30338
770-394 2358
www.dunwoodypediatrics.com
With combined experience of more than 50 years in pediatrics, Dunwoody Pediatrics staff take great pride in assisting parents in raising healthy and happy children.

Focus Pediatrics - Dr. Pip Spandorfer
1200 Lake Hearn Drive, Suite 275, Atlanta 30319
470-993-6287
www.focuspeds.com
Dr. Pip Spandorfer has decided to start a new pediatric practice called Focus Pediatrics. Focus Pediatrics will be designed with a “focus” on you.
Northside Pediatrics
6095 Barfield Road, Suite 200 Sandy Springs 30328
404-256-2688
www.northsidepediatrics.com
The mission of Northside Pediatrics is to protect the wellness and health of Atlanta’s children by providing high-quality, comprehensive care and compassionate support.
PAMPA (Pediatrics and Adolescent Medicine, P.A.)
Locations across metro Atlanta
404-255-6335
www.pampapediatrics.com
PAMPA Pediatrics offers complete medical service to infants, children and adolescents located in Woodstock, Dunwoody, Marietta and Alpharetta/Roswell.
Abramson Facial Plastic Surgery
5673 Peachtree Dunwoody, Suite 140 Atlanta 30342
404-297-1789
www.facialplasticatlanta.com
Dr. Peter Abramson specializes in facial plastic surgery, such as rhinoplasty, chin augmentation, upper and lower blepharoplasty, neck lift, face lifts, and Botox and fillers.
Artisan Plastic Surgery
5670 Peachtree Dunwoody Road, Suite 820, Atlanta 30342
404-851-1998
www.artisanplasticsurgery.com
Artisan Plastic Surgery is a premier Atlanta cosmetic surgery facility, providing leadingedge treatments for the face, body and breasts.
AVIVA Plastic Surgery & Aesthetics
1100 Johnson Ferry Road NE, Center Pointe 2, Suite 470, Atlanta 30342
678-974-8435
www.avivaplasticsurgery.com
Dr. Fishman is passionate about plastic and reconstructive surgery. Her extensive education, including clinical and research back- ground, plays an essential role in her approach to personalized care.
Plastic Surgery Centre of Atlanta
5673 Peachtree Dunwoody Road, Suite 100, Atlanta 30342
404-260-7674
www.pscatlanta.com
At Plastic Surgery Centre of Atlanta, patients are welcome to explore our many surgical and non-surgical options to rejuvenate and enhance their appearance and self-image.
Pittman Plastic Surgery
3320 Old Jefferson Rd, Building 100 Athens, GA 30607
706-549-3203
www.pittmanplasticsurgery.com
Pittman Plastic Surgery is Athens, GA’s premier Medical Aesthetic Practice, offering both surgical and non-surgical treatments for every individual to reach their goals.
Premier Image Cosmetic & Laser Surgery
6085 Barfield Road NE, Suite 100 Atlanta 30328
770-457-6303
www.premierimage.com
Dedicated to the advancement of techniques in cosmetic and non-invasive procedures, Dr. Louis DeJoseph and his team deliver outstanding care and beautiful results.
Tailor Made Looks
3193 Howell Mill Road NW, Suite 328 Atlanta 30327
404-350-9355
www.tailormadelooks.com
Dr. Chichi Berhane is a plastic and reconstructive surgeon who possesses a skill set that cannot be duplicated.
Agewell Atlanta
Metro Atlanta
1-866-243-9355
www.agewellatl.org
Agewell Atlanta is a multi-agency collaborative resource created to help older adults live and age well where knowledgeable specialists will help you connect with agingspecific services.
Advantage Private Home Care
5881 Glenridge Drive NE, Suite 180 Atlanta 30328
404-312-6423
www.advantageprivatehomecare.com
Advantage Private Home Care Personal Caregivers are trained to do light housekeeping chores such as cleaning dishes, vacuuming and laundry to name just a few.
Attiva Peachtree
5251 Peachtree Boulevard
Chamblee, GA 30341
470-705-0738
www.cortland.com/attiva-peachtree
In Chamblee, near Buckhead/Northeast Atlanta, this 55-plus apartment community provides comfort and designer living with all the social perks of a private club membership.
Aviv Rehabilitation Center
3150 Howell Mill Road, NW Atlanta 30327
404-351-8410
www.avivrehab.org
The sub-acute inpatient and outpatient rehab center at The William Breman Jewish Home helps older adults recover, strengthen and restore independence after an illness.
Belmont Village Senior Living 5455 Glenridge Drive NE Atlanta 30342
404-252-6271
www.belmontvillage.com
Belmont Village features a signature blend of hospitality and amenities with premier health and wellness programs.
Berman Commons Assisted Living & Memory Care
2026 Womack Road, Dunwoody 30338
678-222-7500
www.bermancommons.org
Jewish HomeLife’s kosher assisted living and memory care community offers an active and supportive lifestyle for older adults who require minimal assistance to those with advanced dementia.
Beteli Care Services
Serving metro Atlanta
770-678-2918
www.homehealthcareservicedouglasville.com
Health care plays a vital role in supporting families through challenging life transitions and ongoing daily needs. Beteli Care Services LLC provides compassionate, home-based solutions designed for dignity, comfort, and trust.
Better Care Home Aide
Serving metro Atlanta
770-875-7785
www.bettercareha.com
In-home care services by Better Care Home Aide, Inc. deliver compassionate and personalized support, helping seniors and veterans lead fulfilling lives with dignity in Atlanta, GA.
Canterbury Court
3750 Peachtree Road NE, Atlanta 30319
404-261-6611
www.Canterburycourt.org
Canterbury Court is growing bigger and better, with a campus expansion bringing 105 new independent living apartments, more enhanced services and more thoughtful amenities to its friendly community.
2475 Northwinds Parkway, Alpharetta 30009
678-691-3109
www.careminders.com
CareMinders is a Joint Commission Accredited home care agency providing personal care, companionship and skilled nursing for all your short-term or long-term care needs throughout metro Atlanta.
Complete Care at Home
11 Dunwoody Park, Dunwoody 30338
770-551-9533
www.completecareatlanta.com
Every client’s needs are unique. That’s why every care plan designed at Complete Care at Home is made by a registered nurse after an extensive assessment.
CORSO Atlanta
3200 Howell Mill Road, Atlanta 30327
404-891-9190
www.corsoatlanta.com
At Corso Atlanta, its staff work hard every day to provide excellence for its residents, their loved ones and in each element of its community.
Delmar Gardens
Locations across metro Atlanta
636-733-7000
www.delmargardens.com
Each Delmar Gardens skilled nursing or senior living community embodies a culture of heartfelt commitment, where every moment is filled with love, care, and understanding.
Dunwoody Pines Retirement Community
4355 Georgetown Square, Dunwoody 30338
770- 644-0862
www.sunshineretirementliving.com/ Dunwoody-retirement-living
Dunwoody Pines Retirement Community takes the worry out of living and puts the fun into your life! Request a tour today and view a variety of floor plans.
Eckstein Home Care
3150 Howell Mill Road NW
Atlanta 30327
404-751-2277
www.ecksteinhomecare.org
Offering Jewish HomeLife’s tradition of high-quality care in your own surroundings. Caregivers and trained companions available 24/7/365.
Serving Atlanta and Surrounding areas
770-977-9111
www.eldercarecompanions.com
Eldercare Companions provide peace of mind for you and a better quality of life for your loved one.
Hammond Glen Retirement Community
335 Hammond Drive, Sandy Springs 30328
404-998-4106
www.sunshineretirementliving.com/ sandy-springs-retirement-living
Immerse yourself in the Hammond Glen atmosphere, and enjoy the peaceful feel of the country while still taking advantage of all of the conveniences of the city.
2051 Peachtree Road NE, Atlanta 30309
404-724-5528
www.HeartisBuckhead.com
Heartis Buckhead offers the active senior a carefree environment, free from the normal chores and burdens of owning or renting a home.
HelloYou! Health & Wellness
Metro Atlanta
404-692-4300
www.HelloYouToday.com
HelloYou! is a service for anyone who is lonely and would like a daily, friendly call. However, it is not a substitute for mental health treatment.

Helping Others Is Our Passion
2302 Parklake Drive NE
Atlanta 30345
678-968-8787
www.HelpingOthersIsOurPassion.com
Helping Others is Our Passion provides professional, heartfelt care in the comfort of your home. From professional assistance round the clock to simply providing companionship, handpicked Certified Nursing Assistants (CNAs) support your loved ones with kind, committed, tailored care.
Holbrook Life
Acworth, Decatur & Woodstock
404-496-6794
www.holbrooklife.com
Holbrook is a collection of active adult living communities located in the Southeast United States where residents can experience life at its boldest and most passionate.
Jewish HomeLife
3150 Howell Mill Road, NW
Atlanta 30327
404-351-8410
www.JewishHomeLife.org
Jewish HomeLife is a comprehensive network of exceptional residential communities and at-home care services that support every state of aging, from independent and assisted living to memory care, skilled nursing, home care and hospice.
Joy Home Care
200 Ashford Center North Suite 370
Atlanta 30338
770-396-0996
www.joyhomecare.com
Joy Home Care is a local, family-operated home care agency offering the top caregivers in the Atlanta area clinical supervision.
Kadan Home Care
1848-A Independence Square, Dunwoody 30338
770-396-8997
www.kadan.org
With more than 75 years of combined experience in homecare, nursing and social services, Kadan ensures each client and their families are receiving the highest quality of care and unparalleled customer service.
Mansions Senior Living
Locations across metro Atlanta
678-995-0900
www.mansionsseniorliving.com
Experience redefined retirement living at Mansions Independent Senior Living. Seniors enjoy all the independence and comfort they’re accustomed to without the household chores at The Mansions.
Maurina Homecare Agency
Metro Atlanta
(404) 973-0500
www.maurinahomecare.com
Maurina Homecare Agency provides a wide variety of care services, including veteran care, while adhering to Georgia’s strict state guidelines.
Peachtree Hills Place
12 Kings Circle, Atlanta 30305
404-467-4900
www.peachtreehillsplace.com
Peachtree Hills Place boasts abundant amenities with the focus on wellness and convenience for adults 55 and above.
Care Nursing
Metro Atlanta
(404) 482-8410
www.perfectcarenursing.com
Perfect Care Nursing provides top notch nurses and staff to help your loved ones maintain their independence and sense of value.
Phoenix Senior Living
10933 Crabapple Road, Roswell 30075 678-214-2900
www.phoenixsrliving.com
Phoenix Senior Living serves seniors and their families with personalized care in a nurturing, compassionate environment with the core belief that “When it comes to a loved one, everything matters.”
Prescott HealthCare LLC
889 Ralph David Abernathy Blvd, SW Atlanta 30310
404-883-3302
www.prescotthc.com
A family-owned and operated private home care provider dedicated to giving your loved one safe, personalized care in the comfort of their home.
Renaissance on Peachtree
3755 Peachtree Road NE, Atlanta 30319
404-237-2323
www.seniorlifestyle.com
Senior Lifestyle helps seniors enjoy life in a vibrant and healthy community so they and their families can rest easy.
Sanford Estates
500 Walton Way, Roswell 30076
770-679-2172
www.seniorlivingstyle.com
Sanford Estates features 24-hour management teams, available and on-site. Seniors enjoy the convenience and comfort of the bus for scheduled appointments, shopping trips, excursions and other places of interest.
Senior Helpers
696 Concord Rd SE, Suite B Smyrna 30082
770-892-6950
www.seniorhelpers.com
No matter the type of care your loved one requires, Senior Helpers provides the perfect services for any of their needs, all done from home.
Sterling Estates of East Cobb 4220 Lower Roswell Road, Marietta 30068 678-946-4454
www.sterlingestateseastcobb.com
Sterling Estates of West Cobb 3165 Dallas Highway, Building 1000 Marietta 30064 770-255-7000
www.sterlingestateswestcobb.com
Sterling Estates Senior Living Communities takes pride in offering gracious, spacious retirement living in East Cobb and in West Cobb.
Somerby Senior Living 25 Glenlake Parkway NE, Atlanta 30328 800-783-7957
www.somerbyseniorliving.com
At Somerby, residents, families and associates come together in each special senior living community to create a place that’s full of life.
Sunrise at Buckhead
1000 Lenox Park Boulevard NE, Atlanta 30319 404-261-8700
www.sunriseseniorliving.com/communities/sunrise-at-Buckhead
Proudly offering a variety of care services, including assisted living, respite stays and care for those living with Alzheimer’s disease and other forms of dementia.
Sunrise at Huntcliff Senior Living
8592 Roswell Road, Sandy Springs 30350 888-434-4648
www.sunriseseniorliving.com
Eleven facilities across Atlanta serve the needs of seniors including assisted living, independent living, memory care, respite care, home care and hospice assistance.
The Arbor Company
Greater Atlanta Area
404-237-4026
www.arborcompany.com
Through a commitment to developing an outstanding and tenured staff, The Arbor Company maintains a progressive clinical and competitive edge that embraces both resident and family needs, with 12 facilities across Atlanta.
The Balser Tower
3156 Howell Mill Road NW Atlanta 30327
404-351-3536
www.JewishHomeLife.org
Affordable retirement community offering adults aged 62-plus at any income level the comforts and conveniences of a fullservice retirement community, but with rent adjusted to their individual income.

The Piedmont at Buckhead
650 Phipps Boulevard NE, Atlanta 30326
404-496-5492
www.ThePiedmontatBuckhead.com
The Piedmont at Buckhead is a high-rise building overlooking Atlanta with choices galore for socializing, fitness, recreation and fine dining right outside the front door.
The Solana East Cobb
1032 Johnson Ferry Road, Marietta 30068
770-285-0691
www.arborcompany.com
The Solana offers luxury and service never imagined in a senior living community. With a variety of engaging activities, The Solana elevates the senior experience to a new level.
Vernon Springs Senior Living Community
690 Mount Vernon Road, Sandy Springs 30328
404-843-8857
www.vernonsprings.com
Vernon Springs Senior Living Community is family owned and operated with the best value senior living and memory care in the heart of Sandy Springs.
The William Breman Jewish Home
3150 Howell Mill Road NW, Atlanta 30327
404-351-8410
www.wbjh.org
Jewish HomeLife’s Medicare and Medicaid certified skilled nursing home offers top quality, compassionate long-term care for older adults who require around-the-clock supervision or care.
The Zaban Tower
3160 Howell Mill Road, Atlanta 30327
404-350-7112
www.JewishHomeLife.org
The Zaban Tower is an affordable independent living community, offering very lowincome adults aged 62-plus the comforts and conveniences of a full-service retirement community, but with rent adjusted to individual income.
4880 Lower Roswell Road, Marietta 30068 470-343-5403
www.touchinghearts.com
Touching Hearts at Home is a non-medical home care company that provides caregiving services to seniors, putting belief in the dignity of all people at the forefront of its work.
Vickery Rose Retirement Resort
295 East Crossville Road, Roswell 30375
470-242-6816
www.VickeryRoseRetirement.com
This all-inclusive, 55-plus retirement community is home to those who relish living a luxurious lifestyle, complete with 24/7 service, resort-style dining and beautiful accommodations.
Village Park Senior Living
5701 Spalding Drive, Peachtree Corners 30092 770-416-0502
www.villageparkseniorliving.com
Retirement that’s full of life! Experience the Village Park difference with resort-style senior living communities in Atlanta’s most desirable neighborhoods.
Locations across metro Atlanta 800-365-4189
www.visitingangels.com
Visiting Angels makes staying at home a positive experience with personalized care in the comfort of home.
Weinstein Hospice
3150 Howell Mill Road NW, Atlanta 30327
404-352-4308
www.weinsteinhospice.org
The only Jewish hospice in Georgia, this community-based hospice offers comfort and the highest quality of care to individuals confronting life-limiting and end-of-life illnesses.
Atlanta Snoring Institute
1218 West Paces Ferry Road NW, Atlanta 30327
770-991-2800
www.atlantasnoring.com
These ENT experts are among Atlanta’s finest board-certified otolaryngologists with a special interest in the management and treatment of snoring, sleep apnea and other related conditions.

Integrative Sleep and ENT
2650 Holcomb Bridge Road, Suite 510 Alpharetta 30022
404-809-3383
www.JulieZweigMD.com
Integrative Sleep & ENT provides a holistic and patient-centered approach to health and wellness. As an ENT, sleep, wellness, and hearing practice, Integrative Sleep has the expertise to help you achieve optimal health.
Georgia Urology
Locations across metro Atlanta
678-284-4053
www.gaurology.com
Georgia Urology, the largest urology practice in the Southeast, features board-certified urologists who strive for the best outcomes for men, women and children.
Northside Hospital
Urodiagnostics
5445 Meridian Mark Road, Atlanta 30342
404-851-8000
www.northside.com/urodiagnostics
Northside Hospital’s Urodiagnostics Center provides an integrated treatment approach, using specialized expertise, sophisticated diagnostic techniques and individualized treatment plans to effectively diagnose and treat urinary incontinence.
Urology Specialists of Atlanta
5673 Peachtree Dunwoody Road Atlanta 30342
404-255-3822
www.urologyspecialistsatlanta.com
Urology Specialists of Atlanta use the most up-to-date medical advancements to increase cure rates while reducing patient discomfort and recovery time.
A Kosher Touch
5342 Tilly Mill Road, Dunwoody 30338
770-321-9592
www.akoshertouchcatering.com
A Kosher Touch works with clients to fully customize events with personalized menus, quality ingredients, unique decor and plating, experienced full-service staff and more.
Added Touch Catering
8601 Dunwoody Place, Suite 301, Atlanta 30350
770-321-9592
www.addedtouchcatering.com
Added Touch Catering works with clients to fully customize events with personalized menus, quality ingredients, unique decor and plating, experienced full-service staff and more.
2316 Defoor Hills Road NW, Atlanta 30318
404-872-7859
www.affairs.com
Affairs to Remember Caterers is an awardwinning company specializing in off-premises catering, site selection, décor, music and entertainment, tent rental, lighting, linens, ice carvings, furniture, floral and photography.
Alon’s Bakery
1394 North Highland Avenue NE, Atlanta 30306
678-397-1781
404-872-6000
www.alons.com
Alon’s Bakery and Market is an award-winning restaurant. Alon’s caters scratch-made baked breads, European-style cakes, handmade pastries, gourmet sandwiches, freshly prepared foods, fine cheeses, exquisite chocolates and more.
Avenue K
1236 Powers Ferry Commons SE, Marietta 30067
770-578-1110
www.avenuekosher.com
Avenue K provides modern simcha catering in a Glatt kosher facility, Avenue K also offers event planning and floral services.
1255 Johnson Ferry Road, Marietta 30068
770-509-9505
www.facebook.com/pages/Bagelicious
New York deli-style favorites, including a variety of bagels and salads. Bagelicious caters to all of metro Atlanta.
Locations across metro Atlanta www.goldbergsfinefoods.com
Here, bagels are made the old-fashioned way. Ideals and values reminiscent of times of the past are a continuing recipe for both great food and success.
Keith’s Corner BBQ
404-250-1BBQ (1227)
www.keithscornerbbq.com
Available for catering, pop-ups and special events, Keith’s Corner BBQ was founded in 2014 by Keith Marks, a multi-award-winning barbecue pitmaster.
Liquid
Atlanta
www.liquidxcream.com
Liquid X Cream is a mobile ice cream caterer that brings fresh ice cream and entertainment to any party.
The Spicy Peach
2887 N. Druid Hills Road, Atlanta 30329
404 334-7200
www.thespicypeach.com
The Spicy Peach offers beautiful platters for all occasions: boxed lunches, light hors d’oeuvres, wraps, salads, hot dishes and desserts.





Yum!
9955 Coleman Road, Roswell 30075
912-220-5558
www.yum.catering
Yum Catering provides food that is creative, bright, fun, and delicious. Their custom orders will fit any theme and be the highlight of your gathering.
The Kosher Gourmet
2153 Briarcliff Road, Atlanta 30329
404-636-1114
www.kgatl.com
The Kosher Gourmet features full-service Glatt kosher catering and takeout and has served Atlanta since 1983.
Balloonacy Atlanta
1836 Georgia Terrace Chamblee 30341
404-351-0538
www.balloonacyatlanta.com
Event décor for all of life’s celebrations! Balloonacy Atlanta specializes in dynamic balloon décor and custom floral designs.
Balloons Over Atlanta
1231 Collier Road, Suite H Atlanta 30318
404-231-3090
www.balloonsover.com
Balloons Over Atlanta is a full-service decor company for any budget. A full-time staff of creative professionals makes Balloons Over Atlanta convenient, affordable and creative.
6380 Best Friend Road, Norcross 30071
770-449-1010
www.classic-tents.com
An Atlanta-based full-service tent and rental company, serving the entire Southeast with a solution-oriented approach and the ability to anticipate client needs.
1484 Atlanta Industrial Way NW Suite B
Atlanta 30331
404-733-6763
www.eventscapesatlanta.com
Whether the need is centerpieces for a small function or a gala for hundreds of guests, EventScapes provides floral and non-floral decor and props from simple to extraordinary.
Atlanta
404-462-4787
www.jimwhitedesigns.com
Jim White has been planning events for more than 30 years, using theatrical lighting, customized props and themed entertainment to create a uniquely special event for each client.
JF&CS Renterpieces
4549 Chamblee Dunwoody Road, Atlanta 30338
770-677-9337
Jfcsatl.org/services/support-services/ renterpieces
JF&CS Renterpieces are made-to-order decorative centerpieces and large bimahsized decorations that can be customized to the event’s color scheme or other specifications.
4000 Northfield Way, Suite 300
Roswell 30076
678-879-9900
www.letscelebrateevents.com
Let’s Celebrate takes a client’s concept and transforms it into a dazzling reality. For 25 years, Let’s Celebrate has been a leader in the event planning industry.
Atlanta
404-216-7515
www.terrysaxeevents.net
SpecialTevents is a team of exceptional hospitality specialists, with over 17 years of experience orchestrating spectacular events both intimate and grand.
Amp’d Entertainment
1500 Southland Circle NW, Suite C
Atlanta 30318
404-806-9499
www.ampdentertainment.net
Amp’d Entertainment takes everything that is boring and predictable about traditional events and reinvents it with live mashups and remixes.

Atlanta Fever Entertainment
978 Forest Pond Circle, Marietta 30068
770-998-2338
www.atlantafeverent.com
Atlanta Fever is an interactive DJ company with a skillful team of MCs, DJs and dancers who are masters at creating the perfect energy for parties.
Big Band Contractors
Atlanta
770-547-3279
www.bigband.band
Big Band Contractors provides a professional, full-size, 17-piece big band in the tradition of the Count Basie and Glenn Miller big bands featuring male and female vocalists.
DJ Neezy
Atlanta
678-520-0194
www.djneezy.com
More than just a DJ, owner-operator Ben Needle, aka DJ Neezy, is committed to catering to clients’ needs. He prides himself on a standard of quality that will be unsurpassed.
Endless Entertainment
555 Whitehall Street SW R18
Atlanta 30303
404-496-5105
www.Endless-Entertainment.biz
Endless Entertainment produces Atlanta’s most eclectic collection of unique performance art and talent. It specializes in producing and performing full theatrical productions as well as event entertainment.
Game Truck
Atlanta
866-253-3191
www.gametruck.com
GameTruck makes your event an exciting, stress-free success. Its amazing entertainment options, party favors, and certified GameCoaches deliver excitement to your doorstep.
Alpharetta
404-401-5032
www.harpnotes.com
Lisa Handman of Harpnotes provides elegant harp music with either an acoustic or rare electric harp and can accommodate many different types of events.
Ian’s Friends Foundation
855 Marseilles Drive, Atlanta 30327
404-966-0752
www.iansfriendsfoundation.com/iffband
Ian’s Friends Band is a teen rock band from Roswell. This group of passionate, dedicated kids perform to raise awareness and funds to find a cure for pediatric brain tumors.
Jammin’ DJs
1000 Parkwood Circle, Suite 900 Atlanta 30339
404-990-4439
www.jammindjs.net
JAMMIN’ DJs is an award-winning DJ company that specializes in exceptional and trusted event entertainment, décor, uplighting and photo booth services, now including Cold Sparks!
6095 Lake Forrest Drive, Suite 150 Atlanta 30328
404-444-9869
www.joealtermanmusic.com
Pianist Joe Alterman, an Atlanta native, has performed at many world-renowned venues including The Kennedy Center, Lincoln Center, Birdland and New York’s Blue Note.
Kagan Entertainment
Johns Creek
770-826-8263
www.kaganentertainment.com
Award-winning entertainment company
Kagan Entertainment provides audiovisual production, film and videography services.
Metro Atlanta
(404) 915-0812
www.meaningfulframes.com
Meaningful Frames makes custom, nontraditional guest books that actually add meaning rather than getting left abandoned on the shelves.
Music With Monique
Brookhaven
702-994-2340
www.musicwithmonique.com
Music With Monique offers piano and music theory lessons for children and adults, as well as classical pianists for performances and accompaniment.
Nick and The Grooves
Metro Atlanta
404-433-1071
www.facebook.com/nick.grooves atlgrooves.com
Nick and The Grooves is a horn party band based in Atlanta that has been celebrating and performing at simchas for over a decade.
Atlanta
404-863-4455
www.playitagainsammy.biz
Energetic and charismatic, Sammy Rosenberg is a DJ for all occasions. From weddings to holiday parties, company picnics and banquets, Sammy brings reliable, quality entertainment to his clients.
Sammy K
Metro Atlanta
www.facebook.com/sammyktheartist
Sammy K, the Jewish rapper, has one of the sickest flows. His rap game is clean, sophisticated and unmatched.

Atlanta Party Connection
770-744-5750
www.atlantapartyconnection.com
Providing planning tips, ideas and inspiration, Atlanta Party Connection will connect you with the top vendors and resources to make your celebration a success.
Sandy Springs
770-992-4200
www.blumingcreativity.com
Bluming Creativity is widely acclaimed for expertise in the milestones that make life special: baby naming celebrations, mitzvahs, weddings and anniversary parties.
Chic Occasions
Marietta
770-257-9007
www.chicoccasions.com
Chic Occasions is a bridal show and wedding planning service, specializing in planning local, destination and in person weddings & events.
Encore Events and Entertainment
Lawrenceville
678-427-0028
Encore Events is dedicated to providing exceptional events and entertainment services for every client. Encore has a reputation for creativity and outstanding event production.
Gold Events By Rachel
www.GoldEventsatl.com
From Mitzvahs to weddings, corporate events to birthdays, Rachel offers both decor and planning services. Rachel’s design expertise and creative solutions bring a unique perspective to your special event.
Atlanta
770-390-9144
www.heleneandcompanyinc.com
Helene & Company offers a full range of event planning services with emphasis on one-of-a-kind weddings, bar mitzvahs and specialty parties.
Atlanta
404-936-2949
www.planningmakesperfect.com
Alyson Pollack, a native Atlantan, discovered her social passion and created Planning Makes Perfect, which has helped clients plan events for 19 years.
4975 Olde Towne Way, Marietta 30068
404-216-7515
www.terrysaxeevents.com
SpecialTevents is a team of exceptional hospitality specialists with more than 17 years of experience orchestrating luxury, spectacular events, both grand and small.
SAK Events
Shelly Katz
678-641-2041
sakevents1999@gmail.com
SAK Events provides superior event planning and decor packages at the best price, creating memorable experiences for your family while staying within budget.
The Perfect Party
404-580-1184
www.perfectpartyatlanta.com
A full-service event planning & design company. Their experienced team will pull all of the elements together to get the special look clients want while maximizing their budget.

Visit Sandy Springs
1 Galambos Way
Sandy Springs 30328
770-206-1447
www.visitsandysprings.org
With 20 hotels and 2,800 rooms, Visit Sandy Springs provides customized and complimentary service to find the perfect hotel as well as recommendations for venues, catering and more.
Your Party by Karen
Atlanta
678-665-1597
www.yourpartybykaren.com
Karen’s years of experience and expertise in this industry are invaluable. She connects clients to the finest vendors that best meet their visions, personalities, styles and budgets.
Flower Design by Joan
3417 Oakcliff Road, Doraville 30340
404-518-2021
www.flowerdesignbyjoan.com
Originally from South Africa, Joan has had international exposure to flowers and foliage that are grown around the world. She uses this knowledge and expertise extensively in


Village Green Flowers and Gifts
3246 Atlanta Road, Suite H Smyrna 30080
770-435-9393
www.villagegreenflowersandgifts.com
Village Green Flowers and Gifts is an environmentally conscious floral provider offering unique floral designs, upscale arrangements as well as national and local delivery.
EventPrints
3131 Presidential Drive, Atlanta 30340
404-745-9590
www.eventprints.com
EventPrints produces designer, crafted invitations that are truly unique. Other companies may outsource their design or invitation printing, but at EventPrints, everything is printed in-house.
Citi Wine and Spirits
5861 Roswell Road, Sandy Springs 30328
404-228-4260
www.citipackage.com
Citi Wine and Spirits is a one stop shop for the finest beer, fantastic wines and spirits of all types.
Corks & Caps
4600 Roswell Road, Suite D-110 Sandy Springs 30342
404-843-1050
www.corkscaps.com
Corks & Caps in Sandy Springs has a knowledgeable staff to help you with every libation purchase from the newest craft beer to allocated whiskeys.
Grbinich Wines
6679-K Peachtree Industrial Boulevard
Peachtree Corners 30092
404-786-3874
www.grbinichwines.com
Grbinich Wines began as a result of several journeys through Eastern Europe by a former Atlanta synagogue president and entrepreneur who now distributes kosher wines and spirits.
Total Wine & More
Locations across metro Atlanta
855-328-9463
www.totalwine.com
Total Wine & More is a national chain of stores that is passionate about wine. Its team of trained experts will help you find the perfect bottle every time.
Tower Beer, Wine & Spirits
2161 Piedmont Road NE, Atlanta 30324
5877 Buford Highway, Doraville 30340
404-881-0902, 770-458-3272
www.towerwinespirits.com
Tower Beer, Wine & Spirits is a trusted local business that has been serving Atlanta since 1948 with retail locations across the city.
Beth Intro Photography
Atlanta
404-372-9973
www.bethintrophoto.com
Beth is passionate about preserving memories. When she had her first daughter and was given a camera, she realized the importance of capturing a child’s smile and their moments of simple joy.

BimaShots Photo
Atlanta
470-962-0455
www.bimashots.com
High quality, creativity, professional standards and a whole lotta fun...all while providing the most affordably priced mitzvah photo package in the South.
Courtney Goldman
Photography
Atlanta
404-310-1577
www.courtneygoldman.com
Courtney Goldman is a portrait and event photographer with more than 11 years of experience. Her passion is to document meaningful moments and deliver them, framed, to clients.
Dani Weiss Photography
404-907-4970, 206-409-9982
www.daniweissphotography.com
Dani Weiss has 35 years of experience as a professional photographer in Atlanta and specializes in fun, playful and documentarystyle event and family photography.
Eric Bern Studio
400 Mt. Vernon Highway NE, Atlanta 30328
404-252-0209
www.ericbernstudio.com
For more than 35 years, Eric Bern has had the pleasure of capturing the smiles and spirit of families and professionals in the community.

Harold Alan Photographers
Atlanta
770-730-8911
www.haroldalan.com
Harold Alan Photographers is a team of seasoned professionals offering a range of services and styles to meet clients’ needs. Harold Alan specializes in creating photographs that capture memories forever.
Jessica Kalina Photography
www.jessicakalina.com
678-824-4297
From teens to seniors, business branding to mitzvahs, portraits and event photography, Jessica will deliver images you are incredibly proud to show off.
Michael Rosser
Marietta
770-516-4332
www.michaelrosserphotography.com
Michael Rosser runs a portrait studio in Marietta for all simchas, specializing in family portraits, weddings, Bar & Bat Mitzvahs, corporate headshots, and maternity and newborn portraits.
103 West
103 West Paces Ferry Road
Atlanta 30305
404-233-5993
www.103west.com
103 West can accommodate intimate Shabbat dinners of 20 guests to mitzvahs as large as 300 guests. With separate lounge areas connected to both ballrooms for adult cocktails, these spaces offer fun for all ages.
42 West Entertainment Group
1088 Huff Road, NW Atlanta 30318
310-429-6269
www.42westentertainmentgroup.com
42 West is Atlanta’s newest and most creative event venue providing exclusive space for Atlanta’s most beautifully designed events.
Alpharetta Convention & Visitors Bureau
178 South Main Street, Suite 200 Alpharetta 30009
678-297-2811
www.awesomealpharetta.com
Here, find free event planning resources including free consultation on venues, access to service providers, hotel room accommodations, and much more.
Atlanta History Center
130 West Paces Ferry Road Atlanta 30305
404-814-4000
www.atlantahistorycenter.com
The Atlanta History Center, with its elegance, historical appeal and natural beauty, offers five indoor and outdoor venues for weddings, corporate and nonprofit events, social events of any occasion and photo shoots.
Atlanta Marriott
Greater Atlanta Area www.marriott.com
Marriott, with locations across the Atlanta area, offers flexible event space and expert hotel staff to execute all of life’s big celebrations.
Callanwolde Fine Arts Center
980 Briarcliff Road NE, Atlanta 30306
404-872-5338
www.callanwolde.org
Callanwolde is a community arts center and renowned venue located on a historic 12acre estate in the heart of metro Atlanta.
Energy Performing Arts Centre
2800 Cobb Galleria Parkway, Atlanta 30339
770-916-2800
www.cobbenergycentre.com/perfect
Plan on a perfect B’nai mitzvah and on Cobb Energy center to provide world-class facilities and a friendly, professional staff offering relentless attention to detail and a make-it-happen mindset.
Cobb Galleria Centre 2 Galleria Parkway, Atlanta 30339 770-955-8000
www.cobbgalleria.com
Cobb Galleria Centre offers spaces with finely appointed décor, tile floor and dramatic floor-to-ceiling windows that might be the perfect fit for your celebration.
Decatur Visitors Center
113 Clairemont Avenue
Decatur 30030
678-615-0915
www.visitdecaturga.com
With two upscale hotels downtown, banquet spaces, unique venues, a conference center, top-tier dining options and friendly shops and salons, Decatur has something special for every occasion.
Defoor Centre
1710 Defoor Avenue NW, Atlanta 30318
404-591-3809
www.defoorcentre.com
The Forum can accommodate 300 guests theater style, 250 guests for a seated dinner function with a dance floor, 300 guests with no dance floor and 400 for a cocktail reception.
Emory Conference Center Hotel
1615 Clifton Road, Atlanta 30329
404-712-6000
www.emoryconferencecenter.com
Planning a small business meeting, corporate conference, or a social event for 300? Emory Conference Center Hotel ensures the planning process is as seamless as possible.
Explore Brookhaven
705 Town Boulevard, Suite R430 Brookhaven 30319
678-879-4570
www.explorebrookhaven.com
Explore Brookhaven provides professional tourism leadership and expertise to enhance the image, perception and success of tourism activities and economic opportunity in the city of Brookhaven.
Georgia Aquarium
225 Baker Street NW, Atlanta 30313
404-581-4000
www.georgiaaquarium.org
The entire aquarium is available for large receptions of up to 5,000 guests and the aquarium’s six galleries provide a colorful backdrop for a special event.
Hilton Garden Inn Perimeter Center
1501 Lake Hearn Drive, Atlanta 30319
404-459-0500
www.hilton.com
Located just off I-285, Hilton Garden Inn has space for receptions, weddings, parties and small dinners.
Hotel Colee
3377 Peachtree Road NE, Atlanta 30326
678-500-3100
www.hotelcolee.com
Meet with your team, clients, association or group in fabulous meeting facilities and let this expert team of event planners pull your event together without a hitch.
InterContinental Buckhead
3315 Peachtree Road NE, Atlanta 30326
404-946-9000
www.intercontinentalatlanta.com
At InterContinental Buckhead Atlanta expect flawless decor and advanced technology, complemented by expert event planning services and a kosher kitchen offering customized catering.
Kaplan Mitchell Retreat Center at Ramah Darom
6400 Powers Ferry Road, Suite 215 Atlanta 30339
404-531-0801
www.ramahdarom.org
The Kaplan Mitchell Retreat Center at Ramah Darom is a first-class, full-service facility nestled in the foothills of the Blue Ridge Mountains, just two hours north of Atlanta.
Hilton Atlanta Northeast
5993 Peachtree Industrial Boulevard, Peachtree Corners 30092
770-447-4747
www.atlantanortheast.hilton.com
As one of the largest hotels in the area, guests have access to Hilton amenities and experience personal hospitality that is warm and welcoming.
Le Meridien Atlanta Perimeter 111 Perimeter Center West, Dunwoody 30346
770-396-6800
www.lemeridienatlantaperimeter.com
Le Meridien is a AAA Four Diamond hotel in the center of the Perimeter area.
Marriott Atlanta Alpharetta 5750 Windward Parkway, Alpharetta 30005
678-624-3121
www.alpharettamarriott.com
From striking backdrops for glamorous cocktail receptions to banquet seating for up to 500 guests, these revitalized and unique spaces are easily customizable to reflect your vision of the perfect celebration.
Omni Hotel at The Battery 2625 Circle 75 Parkway, Atlanta 30339 678-567-7327
www.omnihotels.com
The Omni property is a luxurious full-service hotel adjacent to Truist Park and the official hotel of the Atlanta Braves.
Renaissance Atlanta Waverly Hotel
2450 Galleria Parkway, Atlanta 30339 770-953-4500
www.marriott.com
Offering 60,000 square feet of flexible banquet space, Renaissance Atlanta Waverly Hotel – a AAA Four-Diamond rated hotel – is the ideal location for a celebration.
Savanna Hall at Zoo Atlanta
800 Cherokee Avenue SE, Atlanta 30315
404-624-5600
www.zooatlanta.org/plan-an-event
From an unforgettable wedding first dance in the majestic Savanna Hall to a twilight dinner on the Takamenda Gorilla Deck, Zoo Atlanta can make your vision come to life.
Sonesta Atlanta Northwest Galleria
6345 Powers Ferry Road, Atlanta 30339
770-955-1700
www.sonesta.com
Sonesta Atlanta Northwest Galleria puts you near the city’s top-rated attractions. Find ultimate comfort in one of its spacious guest rooms or luxurious suites boasting stunning floor-to-ceiling window views.

Spring Hall
7130 Buford Highway, Suite A-100 Atlanta 30340
770-613-9973
https://www.springhallatl.com
Spring Hall makes memorable, delicious events, whether for a small group or a party of 400 guests.
Stars and Strikes
10010 GA 92, Suite 180 Woodstock
678-965-5707
www.starsandstrikes.com
This family entertainment center offers bowling, laser tag, arcade games, bumper cars, private meeting space and a full catering menu.
The Hamilton Hotel
35 Milton Avenue, Alpharetta 30009
770-777-1820
www.thehamiltonhotel.com
The Hamilton provides flexible spaces to accommodate events of all sizes, whether a business meeting or retreat, an intimate micro-wedding, or a grand wedding for 200.
Tongue & Groove
565 Main Street NE, Atlanta 30324
404-261-2325
www.tandgonline.com
Before dinner, after dinner and late into the night, Tongue & Groove caters to an upscale crowd that enjoys fashion, music, art and nightlife.

Twelve Hotels
361 17th Street NW, Atlanta 30363
404-961-1212
www.twelvehotels.com
Host an event within this exceptional Atlanta meeting space and count on expert concierges, event planners and caterers to provide a refreshing escape from the conventional.
Hyatt Regency Villa Christina 4000 Summit Boulevard, Atlanta 30319
678-539-1234
www.hyatt.com
Placing an emphasis on the season’s freshest ingredients, Villa Christina’s culinary team creates tempting menu selections for meetings, mitzvahs, weddings, personal milestones and more.
Westin Atlanta Perimeter North
7 Concourse Parkway, Atlanta 30328
770-395-3900
www.marriott.com
The Westin Atlanta Perimeter North event facilities include conference space and meeting rooms. Self-parking is available on-site.
Waldorf Astoria Buckhead
3376 Peachtree Road NE Atlanta 30326
404-995-7500
waldorfastoriaatlantabuckhead.com
At Waldorf Astoria Atlanta Buckhead, every venue is a sophisticated place to gather. Its refined spaces like the grand ballroom are perfect for hosting up to 250 guests.
Yonah Mountain Vineyards
1717 Highway 255 S, Cleveland 30528
706-878-5522
www.yonahmountainvineyards.com
Yonah Mountain Vineyards is a winery and tasting room where you can enjoy live music and luxury dining.
Blue Orchid Productions Metro Atlanta 678-261-6185
www.blueorchidproductions.com
Ella Szczupak considers a well-edited video to be a work of art — whether it’s a biography, a bar mitzvah or a photo/video montage.
Dewitt Smith
7025 Blue Fox Court, Cumming 30040 770-886-2999
www.dsvp.com
Dewitt Smith Video Productions has been trusted by Atlanta’s elite event planners and families to preserve important occasions for more than 35 years.
Meaningful Media
Metro Atlanta 404-333-2235
www.createmeaningful.media
Ori Salzberg founded Meaningful Media to bring originality and emotion to web media. Ori often creates custom scores to enhance his productions. Ori works with private, commercial and nonprofit clients.
Point of View
7629 Auden Trail, Atlanta 30350 770-350-7900
www.povv.com
Memorable video starts with great personal attention. With broadcast quality HD cameras and editing systems, POV offers a variety of packages that will meet clients’ budgets and exceed expectations.
Spotlight Productions Atlanta LLC
770-750-5908
www.SpotlightProductionsatl.com
Unique and customized montages using photos, while adding unique transitions, exciting movement, videos and music to tell your personal story in a memorable way.
101 Bagel Cafe
locations across metro Atlanta
678-992-5810
www.101bagelcafe.com
Come to 101 Bagel Cafe and try its authentic New York water bagels, soups, salads, wraps and more.
MJCCA, 5342 Tilly Mill Road, Dunwoody 30338
770-321-9592
www.atlantajcc.org/about/healthytouch-cafe
A Healthy Touch Cafe at the Marcus Jewish Community Center’s Zaban Park offers kosher, dairy and meat options, including frozen meals and Shabbat-to-go.
Ali’s Cookies
Locations across metro Atlanta
800-220-7644
www.shipacookie.com
Ali’s Cookies specializes in gluten-free and dairy-free cookies and cakes, corporate gifts, sales initiatives, and more. Ali’s creates wonderful wedding cakes, custom cakes and delightful desserts.
Alon’s Bakery
Phipps and Morningside
404-978-2601
404-872-6000
www.alons.com
Alon’s Bakery and Market is an awardwinning restaurant. Alon’s caters scratchmade baked breads, European-style cakes, handmade pastries, gourmet sandwiches, freshly prepared foods, fine cheeses, exquisite chocolates and more.
Antico Pizza Napoletana
1093 Hemphill Avenue, Atlanta 30318
404-724-2333
www.littleitalia.com
Within weeks of opening Antico Pizza Napoletana, lines of locals, visitors, and celebrities formed around the block. Antico is now a name synonymous with pizza greatness.
6355 Peachtree Dunwoody Road, Atlanta 30328
678-585-3445
www.bagelboyscafe.com
Bagel Boys Cafe is your home for great bagels, breakfast and deli-style sandwiches. It offers food that is fast, but never tastes that way.
1255 Johnson Ferry Road, Marietta 30068
770-509-9505
www.facebook.com/pages/Bagelicious
Bagelicious boasts New York deli-style favorites, including a variety of bagels and salads, in a casual, welcoming space.
Bambinelli’s
455 Pleasamour Drive NE Atlanta 30324 770-493-1311
www.bambinellispizza.com
Bambinelli’s secret recipes hail from Italian immigrant Bonnie Marisa Bambinelli, a woman born into a family that possesses passion for life and a flair for cooking.
Locations across metro Atlanta 800-859-5339
www.baskinrobbins.com
Baskin-Robbins is touted as the world’s largest chain of ice cream specialty shops, providing guests with a wide array of ice cream flavors and delicious treats in more than 50 countries around the world.

Bones
3130 Piedmont Road NE, Atlanta 30305
404-237-2663
www.bonesrestaurant.com
Bones has been recognized as one of the best steakhouses in Atlanta and in America. Enjoy beef and fresh seafood along with regional specialties.
Brooklyn Bagel Bakery & Deli
9925 Haynes Bridge Road, Suite 740
Johns Creek 30022
770-569-7290
www.brooklynbagel-deli.com
Brooklyn Bagel is famous for its fromscratch, kettle-boiled bagels. Breakfast menu includes homemade cream cheese, eggs and grilled meats, Nova, white fish and salmon.
Brooklyn Cafe
220 Sandy Springs Circle, Atlanta 30328
404-843-8377
www.brooklyncafe.com
Brooklyn Café provides a quality experience down to the last detail while not losing the warmth, familiarity and ease of a favorite neighborhood spot. Here, it’s all about food, wine & friends.
Bruster’s
Locations across metro Atlanta
www.brusters.com
Bruster’s Ice Cream is an American chain of ice cream parlors serving ice cream and frozen yogurt from more than 170 recipes, including many seasonal favorites.
Buckhead Life Restaurant Group
265 Pharr Road NE, Atlanta 30305
404-237-2060
www.BuckheadRestaurants.com
For business or pleasure, Buckhead Life offers a destination perfect for any appetite, mood and occasion. Restaurants include Chops, Pricci, Atlanta Fish Market, Kyma and Bistro Niko.
Café Intermezzo
Locations across metro Atlanta
www.cafeintermezzo.com
At Café Intermezzo, take in the music, aromas and art -- the essence of a coffeehouse experience. Rendezvous with a friend, hold a meeting, or simply ponder.
Café Sababa
4639-D N. Shallowford Road, Dunwoody 30338
678-705-8268
www.cafesababa.info
Café Sababa strives to offer an awesome culinary experience with fresh, authentic Mediterranean and Middle Eastern dishes, including grilled chicken, fish, beef and lamb.
2140 Peachtree Road, Atlanta 30309
404-352-8859
www.cafesunflower.com
For more than 20 years, Café Sunflower has consistently been voted Atlanta’s best vegan restaurant serving meat-free dishes in Buckhead.
Canton Cooks
5984 Roswell Road NE, Atlanta 30328
404-250-0515
www.cantoncooks.food-pi.com
Canton Cooks is a classic Sandy Springs favorite serving up eclectic Chinese fare, including hot pot and BBQ duck, in a casual atmosphere.
2205 Lavista Road NE, Atlanta 30329
404-327-7810
www.chaipeking.com
Chai Peking is located inside Toco Hills Kroger. Chai Peking is an easygoing choice for kosher Chinese and American standards.
1575 Old Alabama Road, Roswell 30076
678-728-0100
www.chamberlainschocolate.com
Chamberlain’s is a full-service chocolatier and cafe, offering kosher gifts and favors, ideal for parties, camp and catering.
70 West Paces Ferry Road NW, Atlanta 30305
404-237-2060
www.buckheadrestaurants.com
An Atlanta icon known for its exceptional food and service; Chops consistently ranks as one of the top 10 steakhouses in the country.
Cibo e Beve
4969 Roswell Road, Suite 245 Atlanta 30342 404-250-8988 www.ciboatlanta.com
Acclaimed chef Linda Harrell brings more than 25 years of excitement creating magnificent Italian cuisine to Cibo e Beve.
1230 Caroline Street, Atlanta 30307 404-343-0805
www.cinnaholic.com
Cinnaholic is a vegan bakery franchise with over 20 unique frosting flavors. It’s not your typical cinnamon roll dessert shop — it’s a cinnamon roll experience!
8725 Roswell Road, Suite 7 Atlanta 30350
770-998-7880
www.yelp.com/biz/circle-sushi-atlanta
Circle Sushi is a humble Atlanta restaurant known for its traditional sushi and sashimi, Japanese entrees and reasonable pricing.
650 North Avenue NE, Atlanta 30308
404-946-3791
www.citywinery.com
City Winery is a hip, intimate venue with a New American cuisine menu located at Ponce City Market. Stop in for a unique dining experience.
Créma Espresso Gourmet
2458 Mt Vernon Road, Dunwoody 30338
678-731-9020
www.cremaespressogourmet.com
Créma Espresso Gourmet is a cheerful mainstay featuring espresso, artisanal pastries and cafe dishes in a sun-lit, airy interior.
Locations across metro Atlanta
www.dunkindonuts.com
Dunkin’ Donuts is an American global doughnut company and coffeehouse based in Massachusetts with dozens of locations across metro Atlanta.
Locations across metro Atlanta
www.locations.einsteinbros.com
Einstein Bros. Bagels is your neighborhood bagel shop. It provides guests with freshly baked bagels, breakfast sandwiches, lunch sandwiches, coffee, catering and so much more.
Emerald City Bagels
1257A Glenwood Avenue, Atlanta 30316
404-343-3758
www.emeraldcitybagels.com
What began as a small company providing bagels to local restaurants grew to a pop-up in East Atlanta Village on weekends. In 2018, Emerald City opened a permanent home in East Atlanta Village.
Locations across metro Atlanta
www.farmburger.com
From catering to quick bites, Farm Burger is always a delicious choice for lunch or dinner. Its focus on sustainability makes Farm Burger stand out among the crowd.
Fellini’s Pizza
Locations across metro Atlanta
www.fellinisatlanta.com
Fellini’s Pizza is an Italian restaurant founded in Atlanta in 1982. Fellini’s seven locations are known for classic pizza and salads.
Fuego Mundo
5590 Roswell Road, Sandy Springs 30342
404-256-4330
www.fuegomundo.com
FuegoMundo, voted a top kosher restaurant in Atlanta, is a healthy taste of Latin America. It’s the ideal place for people wanting good food and good times.

The 26th annual AJC Peachtree Road Race gets underway as some of the more than 50,000 athletes make their way down Peachtree Road at the Lenox Square starting line on July 4, 1995. // Atlanta Journal Constitution
Locations across metro Atlanta 4 404-465-1100
www.goldbergbagel.com
Goldbergs Bagel Company and Deli started in 1972 as a father and son run Atlanta deli serving six varieties of authentic New Yorkstyle boiled bagels and one very popular Po’Boy sandwich.
Hal’s Steakhouse
30 Old Ivy Road, Atlanta 30342
404-261-0025
www.hals.net
The New Orleans style steakhouse featuring live music, prime steaks and the freshest ingredients. Expect nothing but the best when dining at Hal’s On Old Ivy.
Hearth Pizza Tavern 5992 Roswell Road NE, Sandy Springs 30328 404-252-5378
www.hearthpizzatavern.com
Hearth Pizza Tavern features fresh, ovenfired pies all made in-house, right down to homemade dough, cheeses and toppings.
Henri’s
6289 Roswell Road NE, Sandy Springs 30328 404-256-7934
www.henrisbakery.com
Henri’s is famous for its roast beef sandwiches, but this long- running spot with a deli counter also offers fabulous baked goods.
Locations across metro Atlanta 470-395-7904
www.hobnobatlanta.com
HOBNOB is a neighborhood tavern providing a warm and inviting atmosphere for all. A “spirited” place, featuring one of the largest collections of bourbon and whiskey in the Southeast.
Hudson Grille
Locations across metro Atlanta
404-249-9468
www.hudsongrille.com
Hudson Grille is Atlanta’s best sports bar with multiple locations across the city. Its private dining spaces are perfect for alumni gatherings, parties and more.
il Giallo Osteria and Bar
5920 Roswell Road, Suite B118
Sandy Springs 30328
404-709-2148
www.ilgialloatl.com
il Giallo specializes in creating made-toorder pasta in a warm, welcoming dining room. Additional highlights include a beautiful private dining room and a stellar wine list.
Ippolito’s
Locations across metro Atlanta
www.ippolitos.net
At Ippolito’s guests enjoy a casual, friendly atmosphere and excellent service, from the healthy portions of homemade sandwiches, pizzas and calzones to pastas, specialty chicken, veal and seafood dishes.
Jeni’s Splendid Ice Cream
Locations across metro Atlanta
www.jenis.com
Jeni’s Ice Cream is devoted to making better ice creams and bringing people together with artful attention to detail and an elevated customer experience.
Jerusalem Bakery
4150 Old Milton Parkway, Alpharetta 30005
1175 Franklin Gateway SE, Marietta 30067
770-419-1666
www.jerusalembakery.restaurant
Jerusalem Bakery is a family-owned and operated bakery store and one of the major distributors of Middle Eastern bread, pastries and sweets in the Southeast.
Keith’s Corner BBQ
2715 Peachtree Square, Atlanta 30360
404-250-1BBQ
www.keithscornerbbq.com
Whether from Tennessee, Texas, Georgia, Louisiana or the Carolinas, southern BBQ is the sweetest and most sultry taste around. Keith’s Southern comfort food is sure to satisfy any appetite.
Little Alley Steak
955 Canton Street, Roswell 30075
770-998-0440
www.littlealleysteak.com
Little Alley Steak sets the perfect scene as an upscale, New York butcher-tinged steakhouse that rivals the likes of Peter Luger in New York or Bern’s in Tampa.
Loving Hut
220 Hammond Drive NE, #302 Sandy Springs 30328
404-941-7992
www.lovinghut.us/sandysprings
Loving Hut vegan restaurant was created with a vision that all beings could live in peace, love and harmony with each other and the planet.
Maggiano’s
Locations across metro Atlanta
800-983-4637
www.maggianos.com
Whether celebrating a special occasion or gathering the family for an informal dinner, Maggiano’s makes every guest feel comfortable enough to laugh out loud, reminisce and be indulged.
Marietta Diner
306 S. Cobb Parkway Marietta 30060 770-423-9390
www.mariettadiner.com
Since 1995, the Marietta Diner has offered 24-hour-a-day deliciousness. Catering from the Marietta Diner means classic dishes done right.
MaPa’s Matzoh Ball Soup and Nosh
Atlanta 30033
404-822-7789
MaPa’s Matzoh Ball Soup and Nosh is a delivery only service offering matzoh ball and kreplach soup, knishes, noodle kugel and potato latkes.
McKendrick’s Steak House
4505 Ashford Dunwoody Road, Atlanta 30346
770-512-8888
www.mckendricks.com
McKendrick’s Steak House has been serving the finest steak and seafood to the Atlanta community for the past 23 years.
Meehan’s Public House
200 Peachtree Street, Atlanta 30303
404-214-9821
www.meehanspublichouse.com
Meehan’s is an authentic Irish eatery that offers a full menu of classic Irish dishes elevated to the gourmet level.
Mellow Mushroom
6100 Roswell Road, Sandy Springs 30328
404-252-5560
www.mellowmushroom.com
For over 40 years, Mellow Mushroom has served fresh, stone-baked pizzas to order in an eclectic, art-filled and family-friendly environment.
Nori Nori
6690 Roswell Road, Suite 2110
Sandy Springs 30328
404-257-1288
www.norinori.com
Nori Nori has elevated buffet dining to a new standard with a buffet that consists of modern and traditional Japanese dishes, all prepared using fresh, quality ingredients.
P.F. Changs
Locations across metro Atlanta
770-352-0500
www.pfchangs.com
P. F. Chang’s China Bistro is an Asianthemed, casual restaurant chain founded in 1993 by Paul Fleming and Philip Chiang.
Persepolis
6435 Roswell Road NE Atlanta 30328
404-257-9090
www.persepoliscuisine.com
Persepolis Cuisine is one of the oldest and most authentic restaurants for Persian cuisine in Sandy Springs, offering live belly dancing shows on the weekend.
Pricci
500 Pharr Road, Atlanta 30305
404-237-2941
www.buckheadrestaurants.com
A contemporary Italian restaurant with a creative menu, dramatic interior and friendly service, Pricci is stylish dining at its best.
Ponce City Market
675 Ponce de Leon Avenue, Atlanta 30308
404-900-7900
www.poncecitymarket.com
Ponce City Market is a market full of eateries, shopping and wellness located inside the renovated Sears, Roebuck & Company building.
Rumi’s Kitchen
6112 Roswell Road, Atlanta 30328
404-477-2100
www.rumiskitchen.com
Rumi’s Kitchen, the premiere location for Persian Cuisine, delivers fresh and healthy food, attentive Persian hospitality, and an atmosphere filled with love.

Sandy Springs Diner
8612 Roswell Road, Sandy Springs 30350
770-594-9272
www.sandyspringsdiner.com
Sandy Springs Diner offers real home cooking at a really fair price. Visit for a delightful dining experience where every meal feels like home.
Starbucks Locations across metro Atlanta
www.starbucks.com
Starbucks Corporation is an American coffee company and coffeehouse chain founded in Seattle in 1971. The company operates at more than 25,000 locations worldwide.
Sufi’s Atlanta
1814 Peachtree Street NW, Atlanta 30309
404-888-9699
www.sufisatlanta.com
Sufi’s is a sophisticated place for upscale Persian fare in a dark-wood dining room with a canopied ceiling.
Sushi Nami
5316 Windward Parkway, Alpharetta 30004
678-566-3889
www.sushinami.com
From sushi rolls to small plates and entrees, Sushi Nami prepares menu items in-house daily.
The General Muir
1540 Avenue Place, Suite B-230 Atlanta 30329
678-927-9131
www.thegeneralmuir.com
The General Muir is a “New York-style deli gone contemporary” at this upscale Jewish deli serving fresh eats and adorned with subway tiles.
Three Peaches Gelato
985 Monroe Drive, Atlanta, GA 30308
404-956-4649
www.3peachesgelato.com
Three Peaches Gelato offers non-dairy, lowglycemic gelato chock-full of superfoods, satisfying healthy fats and tummy-friendly prebiotics. It’s the dessert that you can and should indulge in!
True Food
3393 Peachtree Road NE, Atlanta 30326
404-481-2980
www.truefoodkitchen.com
True Food Kitchen is a health-driven, seasonal restaurant merging nutrient-rich ingredients with a flavor-forward menu that rotates regularly to let guests experience great tasting ingredients at the peak of their freshness.
Umi
3050 Peachtree Road NW, Atlanta 30305
404-841-0040
www.umiatlanta.com
Umi unites classic and modern Japanese flavors in a sophisticated, contemporary setting. Chef Fuyuhiko Ito’s menu showcases the freshest fish and the highest quality ingredients available.
Upbeet
1071 Howell Mill Road, Atlanta 30318
404-347-1071
www.upbeet.com
Upbeet is a new fast-casual eatery by Young + Hungry, the team behind Yeah! Burger. Upbeat was created for guests who don’t want to sacrifice nutrition for convenience.
Vinny’s N.Y. Pizza and Grill
Greater Atlanta Area
www.vinnysatlanta.com
At locations across the city, Vinny serves dishes with distinct flavors using fresh and healthy ingredients.
Locations across metro Atlanta
1-877-9-WAFFLE
www.wafflehouse.com
Waffle House restaurants have offered the unbeatable combination of good food with outstanding service since 1955, making it a beloved icon of the South for the past 60 years.
Yogli Mogli
Locations across metro Atlanta
www.yoglimogli.com
Yogli Mogli frozen yogurt shop features unique flavors in both tart and sweet and includes gluten-free, dairy-free and no-sugar-added options.
Zafron
236 Johnson Ferry Road NE, Sandy Springs 30328
404-255-7402
www.persianrestaurantsandysprings. com
Persian restaurant Zafron puts a twist on the traditional flavors found in the ordinary Iranian restaurant by using intoxicating spices and herbs.
Costco
Locations across metro Atlanta
800-774-2678
www.costco.com
Costco is a membership warehouse club bringing members specialty departments, exclusive member services and the best possible prices on quality brand-name

Purveyors
6315 McDonough Drive NW, Norcross, GA 30093
www.farmersandfishermen.com
A small father-son owned business which brings top quality meats, seafoods and specialty items directly to your home in the Atlanta area including Athens and Macon, six days a week.
Griller’s Pride
3939 McElroy Road, Doraville 30340
770-454-8108
www.grillerspride.com
Griller’s Pride is a Glatt kosher beef, lamb, veal and poultry butchery that delivers directly to customers’ homes in metro Atlanta and across the Southeast.
Kroger
Locations across metro Atlanta
800-576-4377
www.kroger.com
Kroger operates more than 2,000 grocery retail stores in 35 states including supermarkets, price-impact warehouse stores, and multi-department stores, including a kosher section.
Locations across metro Atlanta
800-242-1227
ww.publix.com
Publix Super Markets is an American supermarket chain headquartered in Lakeland, Fla. Find great deals on thousands of products by shopping at your local Publix.

Locations across metro Atlanta 480-814-8016
www.sprouts.com
At the heart of healthy eating are fruits and vegetables, and at the heart of Sprouts, customers find mountains of colorful, farmfresh produce.
The Kosher Gourmet
2153 Briarcliff Road NE, Atlanta 30329
www.kgatl.com
404-636-1114
Whether you need take-out or full service Glatt kosher catering for your next event, the highest quality meats, dairy and dry goods are available from the Kosher Gourmet.
The Fresh Market
Locations across metro Atlanta
866-817-4367
www.thefreshmarket.com
The Fresh Market boasts more than 170 locations nationwide and is committed to providing a warm, friendly local market with the highest quality fresh foods.
The Savory Gourmet Market
50 Canton Street, Suite 109 Alpharetta 30009 770-857-3960
www.savorygourmetmarket.com
Providing breakfast and lunch, chef-prepared meals to-go, gourmet gifts, wine and sweets, the Savory Gourmet is Alpharetta’s top destination for foodies.
The Spicy Peach
2887 N. Druid Hills Road NE, Atlanta 30329
404-334-7200
www.thespicypeach.com
The Spicy Peach offers a unique selection of kosher items, Israeli products, domestic and imported cheeses, and many other hard-tofind items.
Trader Joe’s
Locations across metro Atlanta
www.traderjoes.com
Trader Joe’s is a neighborhood grocery store with amazing food and drink from around the globe and around the corner.
Whole Foods
1180 Upper Hembree Road, Roswell 30076
844-936-8255
www.wholefoods.com
Whole Foods is the world’s leader in natural and organic foods, with 479 stores in North America and the United Kingdom.
DASH Hospitality
www.Dash-hospitality.com
DASH Hospitality is a management and consulting company for start-up and existing restaurants, hotels and other food and beverage services.
Lipsey Mountain Spring Water
770-449-0001
www.lipseywater.com
Lipsey is a premier company for premium bottled water in Atlanta and is believed to be the only water delivery company to bring water in glass bottles.
Tower Beer, Wine & Spirits
Buckhead and Doraville
404-881-0902
www.towerwinespirits.com
Tower Beer, Wine & Spirits offers competitive prices and a personable and knowledgeable staff that will assist and please even the most seasoned buyer.
Grbinich Wines & Spirits
6990 Peachtree Industrial Boulevard
Peachtree Corners 30071
470-395-1155
www.GrbinichWines.com
Grbinich Wines & Spirits offers products made with outstanding grape varietals rarely found in Georgia and produced under the strictest of European production guidelines.
Ahlers & Ogletree Auction
Gallery
700 Miami Circle, Atlanta 30324
404-869-2478
www.aandoauctions.com
Ahlers & Ogletree is a full-service auction gallery that presents 10 auctions each year of fine art, estate jewelry, vintage automobiles, collectibles and more.
Binders Art Supplies and Frames
3330 Piedmont Road, Suite 1B Atlanta 30305
404-237-6331
www.bindersart.com
Binders Art Supplies and Frames specializes in providing metro Atlanta with quality service and the best in fine art supplies.
Hindman Auctions
3344 Peachtree Road NE, Atlanta 30326
404-800-0192
www.HindmanAuctions.com
Hindman’s Atlanta office and saleroom provides full auction and estate services for the Atlanta community and the Southeast region at large.
3137 E. Shadowlawn Avenue NE, Atlanta 30305
www.institchesatlanta.com
In Stitches is a colorful, quaint needlepoint and embroidery retailer showcasing supplies, classes and more.
1321 Atlanta Highway, Cumming 30040 770-889-3400
www.lakewoodantiques.com
Lakewood 400 Antiques Market is held the third weekend of each month. It features collectibles, home decor, art, jewelry and more.
3763 Roswell Road NE, Atlanta 30342 404-709-2981
www.photodesignbar.com
Find photography coaching, gifts, prints and more at Chuck Wolf’s Photo Design Bar.
Abbadabba’s
Locations across metro Atlanta 844-4SHOES4 www.coolshoes.com
Abbadabba’s provides people footwear that makes sense through a business organization grounded in principles of fairness and genuine concern for others.



9810 Medlock Bridge Rd. Johns Creek, GA 30097
470-275-6181
www.thebestdressedboutique.com
Best Dressed Boutique is dedicated to providing today’s woman with the latest in comfortable and stylish contemporary fashion. Its exceptional inventory is also available online.
Bloomingdale’s
3393 Peachtree Road NE, Atlanta 30326
404-495-2800
www.bloomingdales.com/lenoxsquare
Bloomingdale’s is an upscale department store for apparel, accessories, cosmetics, furniture and home goods.
Chico’s
Locations across metro Atlanta
404-233-0603
www.chicos.com
Chico’s is a retail women’s clothing and accessories retailer with six stores in Atlanta.
Consigning Women
2508 Mt. Vernon Road, Dunwoody 30338
770-394-1600
www.consigningwomenatlanta.com
Quality and value are the foundation of Consigning Women. The company provides the highest levels of service to customers and consignors.
4741 Ashford Dunwoody Road, Dunwoody 30338
770-392-9880
www.dsw.com
Designer Shoe Warehouse carries the latest in designer shoes, boots, handbags and more.
5290 Roswell Road NE, Suite T Sandy Springs 30342 770-702-0837
www.atlanta.educationaloutfitters. com
Education Outfitters offers school and business uniforms as well as custom embroidery for its customers.
2134 N. Decatur Road, Decatur 30033
404-634-6995
www.fkconsign.com
Finders Keepers includes home goods, women’s, plus-sizes, children’s, menswear and jewelry in multiple locations across the city. Incoming consignment accessories include all name brands.
Fox’s
6247 Roswell Road, Sandy Springs 30328
404-252-1234
www.foxs.com
Fox’s carries top designers for women at off- prices. Visit in-store or online to shop its wide variety of styles.
Locations across metro Atlanta www.hstockton.com
H. Stockton carries men’s and women’s fashions in several locations across the city.
2090 Dunwoody Club Drive, Atlanta 30350
404-561-5884
www.jilliboutique.com
Jilli Boutique is an Atlanta favorite, offering three different locations in Dunwoody, Chastain Park and Alpharetta/Milton.
Macy’s
Locations across metro Atlanta
770-396-2800
www.macys.com
Macy’s, originally R. H. Macy & Co., is an American department store chain. Shop instore or online for great deals and sales.
Nina McLemore
110 E. Andrews Drive, Suite 3 Atlanta 30305
404-841-8111
www.ninmclemore.com
Nina McLemore offers a line of clothing designed by a woman with fashion and business expertise for smart, confident women on the go.
Nordstrom
4390 Ashford Dunwoody Road NE, Atlanta 30346
770-394-1141
www.nordstrom.com
Nordstrom is an American chain of department stores headquartered in Seattle, WA.
Plato’s Closet
6601 Roswell Road, Sandy Springs 30328
404-255-5151
www.platosclosetsandysprings.com
Find a huge selection of trendy, designer styles as well as everyday basics at Plato’s Closet at up to 70% off retail prices.
Rita Ellen’s Boutique
1205 Johnson Ferry Road, Suite 116 Marietta 30068
770-509-0039
www.facebook.com/RitaEl- lens
Rita Ellen opened the boutique in 2003 with a vision to provide women with affordable, unique fashions in a comfortable, relaxing shopping atmosphere.
Sprong Children’s Shoes
3716 Roswell Road, Atlanta 30342
404-846-8506
www.sprongshoes.com
Sprong has been taking care of Atlanta’s best dressed kids for over fourteen years, offering a selection of stylish, affordably priced shoes for active, fashionable kids.
Veronica’s Attic
220 Sandy Springs Circle, Atlanta 30328
404-257-1409
www.veronicasattic.com
Veronica’s Attic is a charming boutique, chock full of fabulous fashion and girly gifts. Customers find brands including 7 For All Mankind, Joes Jeans, Free People and more.
6235 Roswell Road, Atlanta 30328
404-257-1323
www.fragilegifts.com
For over 20 years Fragile has been a preeminent gift store in the metro Atlanta area, specializing in fine china, crystal and gifts.
LilliAnn’s Treasures
Online only linktr.ee/lillianns_treasures
LilliAnn’s Treasures is a mother-daughter team selling crystals, jewelry, and gifts.
ModernTribe
Online only 877-324-1818
www.moderntribe.com
ModernTribe is a great source for fun, modern and unique Judaica and gifts from all over the world.

My Gift To You
Atlanta
heather@heatherrifkin.com
My Gift To You offers Personal and Corporate Gift Coordination services. My Gift To You offers something for every taste and occasion.
Pollwood Creations
Atlanta 678-642-8824
www.pollwood.com
Pollwood Creations offers handmade Judaica and wooden gifts. Jody makes Mezuzahs, Menorahs, cutting boards and more out of locally sourced wood.
Swoozie’s
4285 Roswell Road NE, Suite 10 Atlanta 30342
404-252-7980
www.swoozies.com
Swoozie’s is the spot for entertainment accessories, invitations, personalized gifts and more. Swoozies also offers a wide selection of holiday decor.
Adamark Jewelers & Silversmiths
4880 Lower Roswell Road, Suite 175 Marietta 30068
770-565-6558
www.Adamarkjewelers.com
Offering a wide selection of beautiful jewelry, Adamark Jewelers buys, sells, trades and consigns. No matter what your jewelry, silver, or repair needs are, Adamark Jewelers & Silversmiths can handle it for you quickly, reliably, and professionally every time.
D. Geller & Son
Locations across metro Atlanta
770-955-5995
www.dgeller.com
D. Geller & Son is a family-owned and operated business helping customers to celebrate marriage, birthdays, anniversaries, a first child and so many other special occasions.
Global Gems & Jewelry
3652 North Peachtree Road
Chamblee, GA 30341
770-451-2717
www.globalgems.com
Best prices when selling your jewelry, diamonds, gemstones, silver, gold, coins, silver flatware and precious metals.
H&A International Jewelry
1820 Independence Square Ste. C, Dunwoody 30338
770-396-3456
www.hajewelry.com
H&A offers diamond and precious stone jewelry at great prices as well as a full-service shop for custom orders and repairs.
Highland Diamond
1393 N.Highland Ave. Atlanta 30306
404-228-0000
www.highlanddiamond.com
Highland Diamond works one-on-one with clients to understand their vision and takes the stress out of the buying and designing process.
Iroff & Son
3960 Old Milton Parkway, Suite 300 Alpharetta 30005
770-751-7222
www.iroff.com
Iroff & Son is in its third generation of providing clients with fine jewelers. The company specializes in diamonds and jewelry, buying, selling, and repairing.
LeeBrant Jewelers
6225A Roswell Road, Sandy Springs 30328
404-256-9711
www.leebrant.com
LeeBrant Watch and Jewelry Company is celebrating over 25 years of repairing, selling and buying jewelry for metro Atlanta.
Privée Diamonds Direct
3265 North Point Parkway, Suite 101, Alpharetta, GA 30005
404-702-6665
www.myprivee.com
Privée Diamonds Direct offers a concierge jewelry shopping experience. Customers can book an appointment to sketch from scratch or shop ready-made collections at the showroom in Avalon.
Solomon Brothers
3340 Peachtree Road NE, Atlanta 30326
404-266-0266
www.solomonbrothers.com
Solomon Brothers Fine Jewelry is the city’s source for loose diamonds, wedding rings and all your jewelry needs.
Tiffany & Co.
3500 Peachtree Road NE, Atlanta 30326
404-261-0074
www.tiffany.com
Since 1837, the masterpieces of Tiffany & Co. have defined their style and celebrated the world’s great love stories.
The Dusty Coin, LLC
3162 Johnson Ferry Road Suite 260 #507 Marietta 30062
404-263-2967
www.thedustycoin.com
The Dusty Coin buys coin collections, gold and silver jewelry, bullion, and sterling items. Strict confidentiality and references on request.
Worthmore Jewelers
500 L-3 Amsterdam Avenue NE, Atlanta 30306
404-892-8294
www.worthmorejewelers.com
The Worthmore approach has always been to embrace the strange and build a passionate team through open-mindedness and honest communication.

A Plus, Inc.
151 DeKalb Industrial Way, Decatur 30030
404-373-7587
www.aplusinc.net
A Plus Inc. is a great source for insulation, fireplaces, gutters and garage doors creating a more energy efficient home with lower utility bills.
Ace Hardware
Locations across metro Atlanta 866-290-5334
www.acehardware.com
Ace Hardware Corporation is an American hardware retailers’ cooperative with multiple locations around Metro Atlanta known nationally for its helpful and knowledgeable staff.
351 Peachtree Hills Avenue, Suite 423 Atlanta 30305
404-231-1720
www.adacatlanta.com
Atlanta Decorative Arts Center is the essential design destination. Open every Monday through Friday, come shop in more than 50 stunning showrooms.
Alexis Taylor Interiors
770-229-7164
www.alexistaylorinteriors.com
Alexis Solomon is a veteran Atlanta-based designer who enjoys teaming with clients to create beautiful, unique and functional spaces.
ANDY on Call
3544 Old Milton Parkway, Alpharetta 30005
770-640-6050
www.andyoncallroswell-gwinnett. com
ANDY OnCall® handyman service company offers a vast array of home improvement services. Whatever your needs, just call ANDY.
Artisan Closets
600 Wylie Road SE, Marietta 30067 770-790-5368
www.artisancustomclosets.com
Artisan Custom Closets will design a custom storage system that enables you to keep your belongings in a functional and beautiful fashion.


Atlanta Custom Closets
33 Moore Justus Drive, Dahlonega 30533
404-255-0589
www.atlantacustomclosets.net
Quality craftsmanship and dependable service have been Closter’s everyday principles since 1988. Simplify life with a fully integrated storage system that adds function and value to any home.
B&Z Construction Services
6375 Spalding Drive, Peachtree Corners 30092
470-344-5359
www.bzconstruct.com
B&Z Construction Services provides clients with every possible cost efficiency by using the latest technologies in design, drafting, estimating, budgeting, project scheduling, purchasing, implementation and construction.
Boutte Tree, Inc.
2158 Bolton Road NW, Atlanta 30318
404-799-5472
www.bouttetree.com
Boutte Tree cares for Atlanta’s trees using the safest procedures and the very best arboricultural practices, using trees to transform the urban environment and make it aesthetically pleasing.
California Closets
631 Miami Circle NE, Suite 12A Atlanta 30324
855-261-1573
www.californiaclosets.com
California Closets offers quality custom storage solutions that help people become better versions of themselves, with more time and space to focus on what matters most.
Candice Keilin Designs and Associates
Sandy Springs
404-372-1390
www.candicekeilindesigns.com
Candice Keilin Designs and Associates. creates interior design that is sophisticated, fresh and timeless. The company specializes in both new designs and home renovation.
Grossman, ASID
537 Rosalyn Street NW, Atlanta 30318
404-518-1432
www.cginteriorsgroup.com
CG interiors group is an award-winning Atlantabased interior design firm specializing in highend residential, brand-based commercial and sustainable solutions.
88 Mansell Court, Roswell 30076
770-552-7663
www.drroof.com
Dr. Roof Atlanta is the area’s most experienced full exterior home renovator. Services include roofing, roof repairs, siding replacement, windows and doors, painting, and decks.
Elliott Rich Handyman
2541 Tanglewood Road, Decatur 30033
404-321-6343
Elliott Rich Handyman has over 16 years experience providing highly skilled repairs to metro Atlanta and is known for his excellent communication.
2440 Canton Road, Marietta 30066
770-794-8106
www.fabricsandfringe.com
Visit its 16,000 sq ft showroom in Marietta with the largest selection in the Southeast of fabric, fringe, lining, foam and pillow inserts.
505 Boulder Way, Roswell 30075
770-642-1010
www.handcraftedhomes-inc.com
Handcrafted Homes provides custom remodeling that illustrates attention to detail in every aspect, from relations with the homeowners to the beautiful results.
Locations across metro Atlanta
888-428-3789
www.havertys.com
Havertys offers the highest quality furniture in a vast array of styles so design goals can easily become a reality. Havertys guarantees excellent quality, prices and services.
Locations across metro Atlanta
800-466-3337
www.homedepot.com
When Home Depot was founded in 1978, it revolutionized the home improvement and retail industry. Today, Home Depot is proud to be the world’s largest home improvement retailer.
Locations across metro Atlanta
800-888-0776
www.homegoods.com
HomeGoods is where savvy shoppers of every style discover an ever-changing selection of exciting top brands and home fashions from around the world.

IKEA
441 16th Street NW, Atlanta 30363
888-888-4532
www.ikea.com
IKEA provides a range of home furnishing products that are affordable to many people, not just a few, by combining function, quality, design and value with sustainability.
Kitchen Fronts of Georgia
3291 Laventure Drive
Chamblee 30341
770-455-3139
www.kitchenfrontsofgeorgia.com
Kitchen Fronts of Georgia is a non-franchised, full service, family-owned business operation. Its kitchen cabinet refacing service is an effective alternative to kitchen cabinet replacement.
Kudzu & Company
6450 Roswell Road, Sandy Springs 30328
404-255-2548
www.kudzuandcompany.com
Kudzu & Company is a family-owned business offering fine furnishings, custom upholstery, antiques and vintage, decor, and gifts to suit many styles and tastes.
32 Westfair Court NE, Sandy Springs 30328
770-395-6726
www.lindaricklesinteriors.com
Linda Rickles Interiors offers full interior design services and certified professional color consultation. She creates extraordinary spaces with designs that create tasteful, refined, striking environments.
2358 Perimeter Park Drive, Suite 300 Atlanta 30341
770-670-6022
www.mosaicdesignbuild.com
MOSAIC Design + Build provides an exceptional remodeling experience, embodying professional architectural and interior design, integrated construction services, and outstanding client services for Atlanta area homeowners.
2900 Delk Road, Marietta 30067
539-292-6653
www.novo-art.construction
The best construction company in the galaxy. Novo does everything, including gardening, plumbing, repairs and upgrades, and basic handyman services.
Locations across metro Atlanta
770-921-1022
www.pikenursery.com
Pike Nurseries continues the tradition of excellent customer service and gardening expertise, embodying the brand promise of gardening without guesswork.
404-784-2100
www.put-it-there.com
Put It There has an experienced eye for creating new organizing systems to implement as your life changes. It offers both residential and office organizing services.
Metro Atlanta
404-924-4412
www.sbsdesignsatlanta.com
SBS Designs excels in residential interior design for renovations or a refresh of your current space and will create a cohesive, styled look for your home.
5324 Old Norcross Road, Norcross 30071
404-288-8733
www.savatree.com
SavATree offers reliable tree services and tree removal in Atlanta, Roswell, Marietta, Dunwoody, Sandy Springs, Alpharetta, Decatur and all sur rounding areas around Atlanta.
678-722-8904
www.skyshieldroofing.net
No matter your roofing needs, Sky Shield Roofing is here to help, checking the quality of your roof to prevent leaks, blistering, punctures, cracks or collapse.
2980 Cedar Knoll Drive, Roswell 30076
404-386-9487
www.simonefeldmandesigns.com
Simone Feldman Designs is a member of the National Kitchen & Bath Association offering architectural residential design and kitchen and bathroom design.
Locations across metro Atlanta 770-901-5001
www.southerncomforts.com
Southern Comforts makes consignment shopping a destination experience, offering both new and consigned furniture for the discerning and savvy shopper, all at fabulous prices.
4292 New Hope Church Rd SE, Acworth 30102
770-962-7125
www.stanleypavingga.com
Boost curb appeal with beautifully installed and maintained asphalt paving from Stanley Paving, providing long-lasting and beautifully paved surfaces to clients since 1982.
815 Sidney Marcus Boulevard, Atlanta 30324
404-442-1900

Open every day. Shoppers find new shipments of design samples, closeouts, overstocks, show-
The Handyman Can
Greater Atlanta
404-453-3438
John Salvesen is happy to assist you with all of your handyman needs: Plumbing, electrical, sheetrock, floors, tile, framing, kitchens, stained glass and more.
UCI Kitchen & Bath
6555 Jimmy Carter Blvd, Norcross 30071
770-441-1681
www.ucikitchenbath.com
UCI Kitchen & Bath is a renowned provider of countertop and surface solutions encompassing a wide array of stone options as well as renovation and remodeling services.
Westside Market
3 Atlanta Locations Plus Greenville
404-941-3466
www.westsidemarket.com
Discover an unparalleled selection of home essentials at Westside Market. Its local artisan and home designers ensure you can adorn every room with style.
West Elm
Locations across metro Atlanta
888-922-4119
www.westelm.com
A branch of Williams–Sonoma, West Elm is focused on the intersection of modern furniture and home design, affordability, and community.
College H.U.N.K.S. Hauling Junk & Moving
Locations across metro Atlanta
888-689-5999
www.collegehunkshaulingjunk.com
A full-service moving and storage company do ing intrastate and interstate moves, full-service junk removal, and in-home labor services across Atlanta.
Masterpiece International
4200 S. Cargo Drive, Suite 214 Atlanta 30320
404-768-1978
www.masterpieceintl.com
Masterpiece International was founded in 1989 as a customs broker, freight forwarder and logistics provider specializing in the transport of works of art and antiquities.
Peter Brandi Estate Sales
940 Canton Street, Roswell 30075 770-552-1399
www.peterbrandiestatesales.com
Peter Brandi and his associates have more than 35 years of trusted, loyal experience in estate liquidation and management services.
Rhett’s Interiors and Estates
1849 Cheshire Bridge Rd NE, Atlanta 30324
803-238-5684
Rhett’s Interiors and Estates is an estate sale company with 20 years of providing trusted quality service in the antique and estate sale business.
Toda Moving and Storage
1625 Rock Mountain Boulevard, Stone Mountain 30083
470-875-5666
www.todamoving.com
Toda Moving and Storage is a full-service moving company specializing in packing. It provides local, long-distance, residential and commercial moving of any size.
Tomahawk Moving and Storage
1070 Sandtown Road, Suite B Atlanta 30008
404-352-2467
www.tomahawkmoving.com
Tomahawk Moving and Storage exceeds customers’ expectations every time with every move, whether it is a full house/office or a single item.
Ansley Real Estate
Leigh & Michael Schiff - The Schiff Team
3035 Peachtree Road NE, Suite 202 Atlanta 30305
404-569-6233 www.SchiffTeam.com

Adams & Company
John Perlman
5784 Lake Forrest Drive, Suite 290
Sandy Springs 30328
404-255-7535
www.adamsre.net
Atlanta Fine Homes Sotheby’s International Realty
Jared Sapp Real Estate Group
3290 Northside Parkway NW, Suite 200
Atlanta 30327
404-668-7233
www.jaredsapp.com
Atlanta Fine Homes Sotheby’s International Realty
The Pailey and Eydie Group 3290 Northside Parkway NW, Suite 200
Atlanta 30327
404-697-8215
www.eydiekoonin.atlantafinehomes. com
Atlanta Fine Homes Sotheby’s International Realty
Heery Brothers
3290 Northside Parkway NW, Suite 200
Atlanta 30327
404-974-4378
www.heerybrothers.com
Berkshire Hathaway - Gary Silverman
1163 West Peachtree St. Suite 200
Atlanta 30309
404-302-7375
www.garysilverman.bhhsgeorgia.com
Better Homes and Garden Real
Metro Brokers LaVista Hills Team
Jody Steinberg and Rebecca Sideris 4073 LaVista Road, Suite 373
Atlanta 30084
404-932-5771
www.LaVistaHillsTeam.com
Big Canoe Realty
54 Wolfscratch Village, Jasper 30143
1-866-244-2266 www.bigcanoe.com
Berkshire Hathaway
Jodi Halpert
5481 Chamblee Dunwoody Rd Dunwoody, GA 30338
404-513-5151
www.jodihalpert.bhhsgeorgia.com
Coldwell Banker Residential Brokerage
Rose Anne Schulman
5252 Roswell Road, Suite 202 Atlanta 30342
404-502-5921
www.coldwellbankerhomes.com/ atlanta
Compass Real Estate
Janis Zagoria
3107 Peachtree Road, A-1 Atlanta 30305
404-245-3628
www.compass.com/agents/janiszagoria
The Sonenshine Team
Debbie Sonenshine 5252 Roswell Road, Suite 202 Atlanta 30342
404-252-4908 www.sonenshineteam.com
Chapman Hall Premier Realtors
Hallie Chasen
1772 - B Century Boulevard, Atlanta 30345
404-271-4635
www.chapmanhallrealtors.com/ hallie-chasen
Eileen Reuben of Rose Realty Group Inc.
4062 Peachtree Road NE, Suite 430 Atlanta 30319
404-229-3340
www.roserealtygroup.com
Harry Norman Realtors Atlanta Perimeter
4848 Ashford Dunwoody Road, Atlanta 30338 770-394-2131
www.harrynorman.com/bio/atlantaperimeter
Harry Norman Realtors Atlanta Perimeter
Barocas & Feldman Team
4848 Ashford Dunwoody Road, Atlanta 30338
404-790-0913
www.barocasfeldmanteamweb.harrynorman.com
Harry Norman Realtors Atlanta Perimeter
Robin Blass
4848 Ashford Dunwoody Road, Dunwoody 30338
404-403-6561
www.robinblass.com
Harry Norman Realtors Atlanta Perimeter
Star Newman
4848 Ashford Dunwoody Road, Atlanta 30338 678-360-8615
Harry Norman Realtors Atlanta Perimeter
Gloria Miller
4848 Ashford Dunwoody Road, Atlanta 30338
404-580-0181
www.gloriamiller.harrynorman.com
Harry Norman Realtors Atlanta Perimeter
Elaine S. Rabb
4848 Ashford Dunwoody Road, Atlanta 30338
404-932-0089
www.elainerabbweb.harrynorman.com
Harry Norman Realtors, tlanta Perimeter
Melanie B. White
4848 Ashford Dunwoody Road, Dunwoody 30338
770-915-9622
www.melsellsatlhomes.com
Harry Norman Realtors Atlanta Perimeter
Robyn Zimmerman
4848 Ashford Dunwoody Road, Atlanta 30338
404-219-2191
www.robynzimmermanweb.harrynorman.com
Harry Norman Realtors Buckhead
Sandy Abrams
532 East Paces Ferry, Suite 200 Atlanta 30305
404-281-0097
www.sandyabramsweb.harrynorman. com
Harry Norman Realtors East Cobb
Rita Ellis
4651 Olde Towne Parkway, Marietta 30068
770-977-9500
www.ritaellis.harrynorman.com
Harry Norman Realtors Intown
Butch Whitfield
1518 Monroe Drive, Suite E Atlanta 30324
404-897-5558
www.butchwhitfield.harrynorman.com
Keller Williams Realty Inc.
Alan Rothenberg
200 Glenridge Point Parkway, Suite 100 Atlanta 30342
678-772-5629
www.alanrothenberg.kwrealty.com
Realty One Group Edge
Team Jacober
625 Molly Lane, Suite 140 Woodstock 30189
678-451-9446
www.JacoberSellsRealEstate.com
Re/Max Around Atlanta
The Jon Shapiro Group 240 Sandy Springs Place, Atlanta 30328
404-845-3050 www.jonshapiro.com

We are seeing strong global demand for fine art, jewelry, and luxury consignments. Contact us to schedule an appointment to see what your collection or single item might sell for at auction.
SCHEDULE AN APPOINTMENT
Kristin Vaughn SVP, Trusts, Estates & Private Clients 404.800.0192 atlanta@freemansauction.com







Alyson Lembeck, Esq.
3490 Piedmont Road, Suite 400
Atlanta 30305
404-233-2800
www.ellisfunk.com
Alyson Lembeck has 18 years of experience practicing divorce and family law. Alyson cares for clients, advocates strongly, and provides high quality work and practical solutions.
Atlanta Divorce Mediation Services, LLC - Dr. Jeri Breiner 275 Carpenter Drive, Suite 303 Atlanta 30328
678-985-8858
www.AtlantaDivorceMediationServices.com
Dr. Jeri Breiner, a neutral mediator, provides both parties with the tools needed to execute an equitable divorce agreement unique to their family’s circumstances.
Berman Fink Van Horn
3475 Piedmont Road NE, Suite 1640
Atlanta 30305
404-261-7711
www.bfvlaw.com
Berman Fink Van Horn is an entrepreneurial business law firm assisting business organizations and entrepreneurs in achieving their business goals — from start-up to succession.
at Law
5180 Roswell Road. NW, Suite 201
Atlanta 30327
404-843-2002
www.BeskinandBeskin.com
Beskin & Beskin P.C. has provided legal services in Atlanta for over 47 years, primarily in the fields of criminal law and personal injury.
Cohen Pollock Merlin Turner
3350 Riverwood Parkway, Suite 1600
Atlanta 30339
770-858-1288
www.cpmtlaw.com
With decades of experience, specialized, advanced degrees in taxation, attentive ears and creativity, CPMT, Atlanta GA estate planning attorneys, offers an unmatched ability to help you plan your affairs in a thoughtful, detailed manner, especially tailored for you and your family.
Feldman Law Offices, LLC
1847 Peeler Road, Suite C Dunwoody 30338
770-393-4757
www.feldman-law.net
Feldman Law Offices, LLC, provides its clients with excellent customer service and expertise in the areas of real estate transactions.






Fox and Weiss, PA
3348 Peachtree Road NE, Atlanta 30308
770-317-1767
www.foxandweiss.com
Fox and Weiss has nearly 30 years’ experience representing both Fortune 500 companies and individual employees in all aspects of labor and employment law.
Fryer, Shuster, Lester, Pollack PC
1050 Crown Pointe Parkway, Suite 410
Atlanta 30338
770-668-9300
www.galegal.com
Fryer, Shuster, Lester and Pollack is a general practice law firm. The firm’s clientele consists of professionals, executives, closely held businesses, publicly traded companies and individuals.
Ganek, PC
Locations across metro Atlanta
404-877-5079
www.ganekpc.com
Ganek PC is Atlanta’s best choice for title insurance and closing solutions for residential and commercial real estate clients.
Greenberg Traurig, LLP
3333 Piedmont Road NE, Atlanta 30305
678-553-2100
www.gtlaw.com
Greenberg Traurig, LLP, has more than 2,000 attorneys in 38 offices in the United States, Latin America, Europe, Asia and the Middle East.
Gulden Dispute Resolution
P.O. Box 421053, Atlanta 30342
404-303-8250
www.georgiamediators.org/danielgulden
Gulden Dispute Resolution offers mediation of disputes involving issues in business, commerce, employment, divorce and custody, securities, small construction, and personal injury.
Hall Benefits Law
270 Carpenter Drive, Suite 325
Atlanta 30328
678-439-6236
www.hallbenefitslaw.com
HBL offers employers comprehensive legal guidance on benefits in mergers and acquisitions, employee stock ownership, executive compensation, health and welfare benefits, healthcare reform, and retirement plans.
Julie A. Liberman, LLC
7000 Central Parkway, Suite 1100
Atlanta 30328
678-871-7104
www.jlibermanlaw.com
Julie Liberman represents clients in real estate, business and employment disputes. Her litigation boutique specializes in homeowner associations, employment agreements and civil appeals.
Kessler & Solomiany Family Law Attorneys
101 Marietta St., Suite 3500
Atlanta 30303
404-688-8810
www.ksfamilylaw.com
As attorneys, teachers, authors and leaders in family law, Kessler & Solomiany will help you move forward, preserve your parentchild relationship and achieve a fair financial result.
Legal Shield and North American Life Plans
2115 Ashlind Street, Cumming 30040
404-518-6822
ID Shield is a full ID resolution service, not just a breach alarm. Get help with power of attorney, traffic tickets, collection letters, litigation and more.
MendenFreiman LLP
5565 Glenridge Connector, Atlanta 30342
770-379-1450
www.mendenfreiman.com
MendenFreiman LLP is a boutique law firm located in Atlanta with a focus on business law, estate planning and estate administration.
Naggiar & Sarif
Family Law Attorneys Ameris Center 3490 Piedmont Road NE, Suite 1450
Atlanta 30305
404- 816-2004
www.nsfamilylawfirm.com
Naggiar & Sarif is a boutique law firm focused on family and divorce law litigation, helping encourage and empower clients to pursue their rights.
Nudelman and Associates, LTD 4411 Suwanee Dam Rd, Suite 360 Suwanee 30024
770-499-0418
www.nudelmanandassociates.com
Licensed and knowledgeable in both medicine and law, Dr. Nudelman brings all that and more when he represents someone injured in an accident or by medical negligence.
Shuman and Shuman Law
1 Peeler Road, Suite A Atlanta 30338
770-790-3700
www.shumanfamilylaw.com
Mona S. Shuman and Eileen J. Shuman are family law attorneys who work with clients who require legal representation in family-







The Ehrisman Law Firm, P.C.
5415 Sugarloaf Parkway, Suite 1104 Lawrenceville 30042
678-985-0313
www.ehrismanlaw.com
Stacy Ehrisman specializes in immigration law. She is part of a fully bilingual team that will fight for you and your family.
Traci Weiss of Weiss Family Law
5555 Glenridge Connector, Suite 200-30 Atlanta 30339
770-727-0533
www.reweiss.wixsite.com
Traci Weiss is a highly experienced and respected attorney who passionately advocates for what is right and fair for individuals and their families.
Weinstein IP Law
Atlanta 30303
404-735-3941
www.weinsteiniplaw.com
Doug Weinstein is a seasoned attorney with over 20 years of experience providing counsel to companies of all sizes, from startups to Fortune 100 companies.
Weissmann Zucker Euster
Morochnik & Garber, P.C.
3495 Piedmont Road, Building 11 Suite 950, Atlanta 30305 404-364-2300
www.wzlegal.com
Weissmann Zucker Euster Morochnik & Gar-
Wellborn, Wallace & Mullman, LLC
1218 Menlo Dr. NW, Suite E Atlanta 30318
404-352-3990
www.wellbornlaw.com
Wellborn, Wallace & Mullman is an Atlantabased law firm with a national practice and clients ranging from individuals and mom-and-pop businesses to publicly traded Fortune 500 companies.
Wilensky Law
1555 Mt Vernon Road, Atlanta 30338
678-791-1725
www.WilenskyLaw.com
Wilensky Law is an exclusive award-winning, wrongful death & serious injury law firm. The firm also handles cases involving auto accidents, nursing home negligence and more.
Audi Atlanta
5805 Peachtree Boulevard, Atlanta 30341
404-606-0286
www.audiatlanta.com
A Jim Ellis family dealership where you can always expect the best. Audi Atlanta has an extensive selection of new Audi and quality used luxury cars.
CarMax
Locations across metro Atlanta
800-519-1511

CarMax is the way car buying should be. Experience clear and simple car buying and selling at CarMax with upfront prices and
5525 Peachtree Industrial Boulevard, Chamblee 30341
770-451-2700
www.curryhondaga.com
Curry Honda has a simple goal of exceeding customers’ expectations. Find a new or used vehicle with excellent customer service at Curry Honda.
5675 Peachtree Industrial Boulevard, Atlanta 30341
770-621-0200
www.hennessyford.com
Hennessy has more than 900 vehicles in stock, from new Fords and Lincolns to preowned models, and offers full service for all Ford, Lincoln and Mercury vehicles.
Hennesey Lexus of Atlanta
5955 Peachtree Industrial Boulevard, Atlanta 30341
866-540-2472
www.lexusatlanta.com
Hennessy Lexus of Atlanta is the only family-owned and managed Lexus dealer in Atlanta. The Hennessy family is deeply rooted in the Atlanta community.
Mercedes-Benz of Buckhead
2799 Piedmont Road NE, Atlanta 30305
800-709-6185
www.buckhead.mercedesdealer.com
Located in the heart of Buckhead near Lenox Square and Phipps Plaza, MercedesBenz of Buckhead serves drivers throughout metro Atlanta.
RBM of Atlanta
7640 Roswell Road, Atlanta 30350 855-650-5167
www.rbmofatlanta.com
Mercedes-Benz enthusiasts come to RBM of Atlanta because they know the staff is knowledgeable, courteous and attentive.








Subaru of Kennesaw
905 Ernest Barrett Parkway NW, Kennesaw 30144
678-665-1024
www.subaruofkennesaw.com
Buying a new vehicle or deciding where to service your Subaru is a big decision. Trust Subaru of Kennesaw’s highly trained staff with all of your Subaru needs.
World Toyota
5800 Peachtree Industrial Boulevard, Atlanta 30341
678-547-9130
www.worldtoyota.com
From new Toyota vehicles and used cars in Atlanta to routine maintenance and car repairs, World Toyota has customers covered.
Idea Associates
1303 Hightower Trail Suite 230, Atlanta, GA 30350
770-234-9407
www.ideaassociates.com
Idea Associates will take initiative, think outside the box and invest in your goals. Your best interest is Idea’s best interest.
Michelle Day Coaching and Consulting
240-644-8967
www.callme.coach
Michelle Day Coaching and Consulting in Atlanta offers leadership development, professional coaching and consulting for business owners and professionals.
Just Kibbitz.com
954-205-1352
www.JustKibbitz.com
The Jewish dating site where moms do the matchmaking, arrange the date and pick up the check, all the daters have to do is show up.
Aprio LLP
2002 Summit Blvd, Suite 120, Atlanta 30319
404-892-9651
www.aprio.com
As a premier, CPA-led professional services firm, Aprio delivers advisory, assurance, tax and private client services to build value, drive growth, manage risk and protect wealth.
of America
Locations across metro Atlanta 800-432-1000 locators.bankofamerica.com
Bank of America is a global leader in wealth management, banking and trading that serves corporations, governments, institutions and individuals around the world.
Birnbrey, Minsk, Minsk & Perling CPA
1801 Peachtree Street NE, Suite 300 Atlanta 30309
404-355-3870
www.bmmcpa.com
Birnbrey Minsk believes in the value of relationships and takes pride in delivering years of advanced training, technical experience and financial acumen to all its clients.
Carr, Riggs and Ingram
4004 Summit Blvd, Suite 800, Atlanta, GA 30319
Atlanta 30341
770-394-8000
www.cricpa.com
CRI is a family of CPAs and business advisors who get to know clients professionally and personally to better advise them through critical financial opportunities, challenges and transitions.
Commission Express
8306 Professional Hill Drive Fairfax, Va. 22031
703-560-5500
www.commissionexpress.com
Commission Express works with real estate professionals (brokers and agents) to purchase their unsettled commissions prior to settlement at a discount.
Locations across metro Atlanta
800-343-3548
www.fidelity.com
Fidelity Investments offers financial planning and advice, retirement plans, wealth management services, trading and brokerage services at multiple locations across metro Atlanta.

Financial Innovations
Laura Schilling
6111 Peachtree Dunwoody Road, Suite F101, Atlanta 30328
404-458-0065
www.financialinnovations.biz
Clients benefit from Schilling’s legal, accounting and financial planning expertise. Schilling’s diverse background enables her to review a client’s financial situation from many different perspectives.
Foley Financial Group
1200 Abernathy Rd. Bldg 600, Suite 1750, Atlanta 30328
404-460-1729
www.foleyfinancialservices.net
Foley Financial Group works with clients to determine the service and solutions that fit your financial needs for whatever life brings – both the expected and the unexpected.
Frazier and Deeter, LLC
1230 Peachtree Street, Suite 1500 Atlanta 30309
404-253-7500
www.frazierdeeter.com
In today’s complex and ever-changing tax environment, you need a partner who can steer you toward success. Trust Frazier and Deeter, LLC with all your financial needs.
Fujiyama Wealth Management
Junko Horvath
1 Concourse Parkway, Suite 185 Atlanta 30328
404-483-4666
www.fujiyamawealth.com
Fujiyama Wealth Management helps clients through life transitions such as death of a spouse, divorce, inheritance, retirement, selling a business or winning the lottery.
Georgia Banking Company
6190 Powers Ferry Road, Sandy Springs 30339
770-226-8800
www.geobanking.com
Georgia Banking Company is proud of its reputation for personal service and for offering excellent accounts and products to make managing clients’ money easy.
Jewish Educational Loan Fund
4549 Chamblee Dunwoody Road, Atlanta 30341
770-396-3080
www.jelf.org
JELF provides interest-free loans to Jewish students in need for higher education throughout a five-state region (FL, GA, NC, SC, VA).
Jewish Interest-Free Loan of Atlanta
5115 New Peachtree Road, Suite 200A
Chamblee 30341
470-268-5665
www.jifla.org

Jewish Interest-Free Loan provides financial stability in challenging times. JIFLA loans are available for a wide range of reasons, including debt consolidation, healthcare and life cycle events.
Linea Wealth - Howard Katz
300 Galleria Parkway SE, Ste 630 Atlanta 30339
770-731-8500
www.lineawealth.com
At Linea Wealth Advisors work closely with clients to consult and collaborate strategies designed to protect assets, simplify the complexities of finances, and foster family harmony.
Israel Bonds
3525 Piedmont Road, Building 6 Suite 250, Atlanta 30309
404-817-0617
www.israelbonds.com
Israel Bonds was established in 1951 and is a FINRA-member broker dealer and underwriter for securities, issued by the State of Israel in the United States.
Levy Tax and Consulting
1040 Crown Pointe Parkway, Suite 775 Atlanta 30338
770-804-3199
www.levycpafirm.com
Levy Tax and Consulting has extensive tax experience and offers strategic consulting and tax preparation services for individuals and small businesses in a fresh, modern environment.
Merrill Lynch
Locations across metro Atlanta
866-706-8321
www.ml.com
With nearly 40 years of experience in the financial services industry, Merrill Lynch employs a mix of emotional intelligence, financial acumen and superior customer service.
Morgan Stanley
3280 Peachtree Road NE, #1900
Atlanta 30305
888-454-3965
www.morganstanley.com
Morgan Stanley is guided by five core values: Do the right thing, put clients first, lead with exceptional ideas, commit to DEI, and give back.
Nathan Wealth Management
1050 Crown Pointe Parkway, Suite 1800, Atlanta 30339
770-551-3427
www.advisors.massmutual.com/ harrison-nathan
Nathan Wealth Management prides itself on its background, experience and commitment to providing clients with the resources they need to make financial decisions.
PB FAM Private Wealth
5555 Glenridge Connector, Suite 1075
Atlanta 30342
404-418-4444
www.PBFamPrivateWealth.com
PB FAM Private Wealth prioritizes your financial goals by learning about you as part of their family and guiding you through every step of your financial journey. They focus on proactive communication and concierge level engagement so you feel supported throughout the path forward.
Raymond James
Locations across metro Atlanta
800-248-8863
www.raymondjames.com
Principal belief is that everything begins with a well-designed financial plan, seeing the big picture of your financial life, and then addressing all the details that make the plan work, including identifying and resolving any gaps that may have previously been overlooked.
Renasant Bank
Locations across metro Atlanta
770-399-2040
www.renasantbank.com
Renasant understands clients’ needs while providing extraordinary service, building relationships, helping individuals, families and businesses reach their financial dreams, and supporting its local community.
S.J. Gorowitz Accounting & Tax Services
5755 North Point Parkway, Alpharetta 30022
770-740-0797
www.sjgorowitz.com
S.J. Gorowitz Accounting & Tax Services specializes in the accounting, tax and advisory services that will get its clients to their financial goals.
Signature Bank of Georgia
6065 Roswell Road, Suite 110
Sandy Springs 30328
404-973-5833
www.signaturebankga.com
Signature Bank of Georgia is the primary community bank headquartered in Sandy Springs. The bank serves local communities with a boutique-style approach that focuses on the individuality of clients.
Stifel
Gary Brochin
3630 Peachtree Road, Suite 400
Atlanta 30326
404-231-6753
www.stifel.com
Stifel’s financial advisors in Atlanta believe in doing business face to face. Advisors will understand your unique financial objectives to develop a strategy specific to your financial goals.

The 365 Group Ameriprise Financial Services
11175 Cicero Drive, Suite 450
Alpharetta 30022
770-754-9670
www.ameripriseadvisors.com
The 365 Group’s goal is to help balance the pursuit of future dreams with financial needs today and provide the confidence that retirement is within reach.
Locations across metro Atlanta 877-907-1012
www.truist.com
Banking services and products from Truist Bank include checking and savings accounts, credit cards, mortgages, wealth management, retirement and more.
Wells Fargo
Locations across metro Atlanta 866-675-4698
www.wellsfargo.com
Wells Fargo is a provider of banking, mortgage, investing, credit card, personal, small business and commercial financial services.
Cremation Society of Georgia 826 Marietta Boulevard NW, Atlanta 30318
404-355-7627
www.csog.com
Georgia residents deserve a simple, affordable, dignified option with all inclusive pricing and no hidden fees. That option is the Cremation Society of Georgia.
Dressler’s Jewish Funeral Care
3734 Chamblee-Dunwoody Road
Atlanta 30341
770-451-4999
www.jewishfuneralcare.com
Caring and experienced professionals offer a range of personalized services to carefully guide you through the many decisions that must be made during this challenging time.
H.M. Patterson and Son Arlington Chapel 173 Allen Road
Sandy Springs 30328
404-851-9900
www.dignitymemorial.com
H.M. Patterson and Son Arlington Chapel helps create remembrances that reflect the unique values, character and traditions of the families it serves.
H.M. Patterson and Son Spring Hill
1020 Spring Street NW, Atlanta 30309
404-876-1022
www.hmpattersonspringhill.com
H.M. Patterson and Son Spring Hill helps create remembrances that reflect the unique values, character and traditions of the families it serves.
Northside Chapel Funeral Directors and Crematory
12050 Crabapple Road, Roswell 30075 770-645-1414
www.funeralhomeroswellga.com
Northside Chapel has served its community members in their time of need since 1995. Family-owned and operated, it is committed to delivering high-quality funeral and cremation services.
Remembrance Memorials
5755 North Point Parkway, Suite 65 Alpharetta 30022
770-757-0330
www.rmemorials.com
Remembrance Memorials has helped thousands of families through the difficult process of memorializing a loved one. Expert counselors and designers partner with clients every step of the way.
Roberts-Shields Memorial Co. 850 Williams Drive, Marietta 30066 678-784-2100
www.rsmemorial.com
Roberts-Shields Memorial Co.’s mission is your family’s chief advocate for all end-oflife care services with an approach that will change the monument industry in Georgia and beyond.
Sandy Springs Chapel
136 Mount Vernon Highway, Sandy Springs 30328
404-255-8511
www.sandyspringschapel.com
Trust Sandy Springs Chapel for compassionate experience in delivering funeral services. Families across north Atlanta can depend on Sandy Springs Chapel for attentive service when it matters most.

AAA The Auto Club South 2161 LaVista Road NE, Atlanta 30329 404-633-9418
www.autoclubsouth.aaa.com
Knowledgeable staff provides members and customers with continued peace of mind and courtesy as a part of the AAA family.
135 Fox Grape Lane, Alpharetta 30022 770-763-7796
www.local.aflac.com/mindy_ellin
Working with businesses of all sizes, Mindy offers workplace products such as shortterm disability, hospital gap insurance, cancer, critical illness and injury plans.
Georgia Banking Company
6190 Powers Ferry Road, Suite 400 Atlanta 30339
678-996-8578
www.geobanking.com
Georgia Banking Company offers clients a complete range of financial services including banking, lending, insurance and wealth management.
HealthMarkets Insurance
6334 Roswell Road, Suite A Sandy Springs 30328
404-518-6822
www.healthmarkets.com
Life, Medicare, disability, long-term care, annuities, retirement, nursing and home care, accident and more, Jessie Herman covers the body from cradle to grave and protects your wallet.
Inman Travel (Protection) Plan-Professional Services
Metro Atlanta 770-289-8964
www.inmantravelprotection.weebly.com
Often the death of a loved one occurs away from home. Give your family peace of mind when traveling with travel insurance from Inman Travel.
Insurance Depot
Locations across Metro Atlanta
855-450-3376
www.insurancedepot.com
Insurance Depot is an insurance company in business since 1970. From humble beginnings in Texas, Insurance Depot has helped thousands get the coverage they need.
Jessie Herman Insurance
404-518-6822
hermanplans4life@gmail.com
www.JessieHermanInsurance.com
Since 2011, Jessie Herman has helped educate and enroll over 175 senior clients to get health insurance to cover the gaps in Medicare and fit their budget.
Ironclaim
3565 Piedmont Rd. Bldg. 1 Suite 450 Atlanta 30305
800-831-1331
www.ironclaim.com
Ironclaim represents policyholders during the entire insurance claim process, speeding up recovery by maximizing results and minimizing financial impact for clients.
Metro Public Insurance - David Isenberg Roswell 30075
404-353-4769
www.FreeDependableInsuranceHelp.com
At Metro Public Insurance, experienced licensed field adjusters determine claim damage at the maximum allowable repair cost and negotiate settlements. Agents only get paid when you get paid.
North American Life Plans, LLC + Legal Shield
2115 Ashlind Street, Cumming 30040
404-518-6822
www.InsuranceAgentGeorgia.com
Health, life, Medicare and supplemental insurance offered for individuals, families and small businesses, such as cancer, accident, overseas health, disability, long-term and short-term care.
Insurance
2987 Clairmont Road, Suite 425 Atlanta 30329
404-633-6332
www.siegelinsurance.com
Siegel Insurance is a family-owned, independent insurance agency that provides a full spectrum of insurance products including personal, business, health and life.
Solomon Consultants Enterprises
678-427-2763
www.solomonconsultants.com
Solomon Consultants Enterprises, LLC are dedicated to helping you make informed decisions about Medicare health plans. Our team is here to guide you every step of the way.
Farm
Locations across metro Atlanta
800-782-8332
www.statefarm.com
The mission of State Farm is to help people manage the risks of everyday life, recover from the unexpected and realize their dreams.
USAA Insurance
Locations across metro Atlanta
800-531-8722
www.usaa.com
USAA earned the trust of its members by providing years of award-winning service through a comprehensive suite of financial products, tools and advice.
Atlanta Dog Spa
707 Edgehill Avenue NW, Atlanta 30318
404-879-1600
www.atlantadogspa.com
Atlanta Dog Spa and Resort provides a place for dogs to run, play, relax and socialize while their owners are at work or out of town.
Bark and Board
426 Trabert Avenue NW, Atlanta 30309
404-870-8564
www.barkandboard.com
Bark and Board features large indoor and outdoor yards, private kennels for bedding down at night and classical music to soothe the sleeping pups.
3300 Marjan Drive, Atlanta 30339
404-692-2331
www.bigdaddybiscuits.com
Big Daddy Biscuits provides healthy treats for dogs and puppies without processed ingredients so pet parents can know exactly what they are feeding to their dogs.

Briarcliff Animal Hospital
1850 Johnson Road NE, Atlanta 30306
404-874-6393
www.briarcliffanimal.com
Briarcliff Animal Clinic offers leading-edge expertise in veterinary medicine. Staff and doctors are committed to continuous training on the latest in veterinary medicine, procedures and best practices.
Camp Woof
4590 Buford Highway, Norcross 30071
770-558-6100
www.campwoof.com
When a dog walks his parents through Camp Woof’s doors for the first time, they all become part of the Camp Woof family.
Cumberland Animal Clinic
1860-D Spring Road SE, Smyrna 30080
770-433-1414
www.cumberlandanimalclinic.com
Cumberland Animal Clinic is an experienced, caring hospital with a staff that strives to know you and your best friend personally.
Deceased Pet Care
4991 Peachtree Road, Atlanta 30341
770-457-7659
www.deceasedpetcare.com
For more than 49 years, the Shugart Family of Deceased Pet Care Funeral Homes has provided respectful, compassionate care for pets and the families that love them.
Dog City Bakery
4369 Roswell Road, Marietta 30062
770-971-5200
www.mydogcity.com
Dog City Bakery provides wholesome and nutritious alternatives to treats found at pet supply chains as well as an array of leashes, toys, chews and apparel.

2482 Jett Ferry Road, Suite 600 Dunwoody 30338
770-698-9227
www.dunwoodyamc.com
Dunwoody Animal Medical Center develops and nurtures long term relationships with people and pets to ensure the highest quality veterinary care and customer service.
275 Mt. Vernon Highway NE, Sandy Springs 30328
404-250-3920
www.fidofido.com
Fido Fido is a boutique dog daycare that gets to know the unique individual you are and tailors services to fit your pet’s unique needs.
Multiple Locations
678-624-1003
www.furkids.org
Furkids is a 501c3 nonprofit that operates the largest cage-free, no-kill shelter in the Southeast for rescued cats and Sadie’s Place, a no-kill shelter for rescued dogs.
Metro Atlanta 4
04-626-0036
www.gooddogatlanta.com
Whether you just brought home a new puppy, want to fine tune your dog’s training, or fix behavior problems, Good Dog Atlanta can help.
4719 Lower Roswell Road, Suite 160 Marietta 30068
770-672-7343
www.havendog.com
Haven makes a dog’s away-from-home experience familiar, calming, safe and enjoyable with a place to hang out, spend the night, be bathed and be groomed.
3040 Business Park Drive, Suite E Norcross 30071
678-995-9520
www.heavenlypawsatlanta.com
Heavenly Paws knows losing your companion is one of the most challenging things you’ll ever do and is here to help with a gentle pet cremation alternative.
Locations across metro Atlanta
678-795-9096
www.hollywoodfeed.com
Hollywood Feed is Atlanta’s local pet food expert, with multiple locations throughout greater Atlanta. Check out its natural and holistic pet supplies at a store near you.
My Pet Image Photography
Metro Atlanta (404) 333-2272
www.mypetimagephotography.com
My Pet Image Photography creates unique artistic portrait “paintings” using your own pet’s photos at an affordable price in metro Atlanta.
Locations across metro Atlanta petco.com
Petco is a leading pet specialty retailer delivering health services and happy experiences for pets and the people who love them.
Locations across metro Atlanta
www.petsmart.com
Every day with every connection, PetSmart’s passionate associates help bring pet parents closer to their pets so they can live more fulfilled lives.
Powers Ferry Animal Hospital
5565 New Northside Drive, Atlanta 30339
770-955-1291
www.powersferryanimalhospital.com
Powers Ferry Animal Hospital provides top-notch, personalized medical care in an environment that is both welcoming and comfortable for owners and their beloved companions.
The Ark Pet Spa & Hotel
6485 Peachtree Industrial Boulevard, Doraville 30360
770-696-1897
www.thearkspa.com
Send your little (or big) buddy on a vacation to the Ark! Your pet will receive excellent, full-service accommodations and live pet cams are always on.
Vernon Woods Animal Hospital
270 Vernon Woods Drive, Atlanta 30328
404-252-1641
www.vernonwoodsanimalhospital.com
A full-service pet hospital providing a range of medical services including soft-tissue and oral surgery and preventative dental care for dogs, cats and exotic animals.
Veterinary Referral Surgical Practice
900 Holcomb Bridge Road, Roswell 30076
770-594-2603
www.veterniaryreferralsurgery.com
VRSP offers compassionate expertise in the areas of surgery, neurology and rehabilitation, from injury to recovery, in a personalized care environment.
Wellness Waggin’ Acupuncture and Laser
Marietta Area
404-579-7806
www.wellwag.com
Wellness Waggin’ offers a unique, holistic and natural approach to improve your pet’s quality of life in the comfort of your own home.
House Calls
2015 North Creek Circle, Alpharetta 30009
770-751-5706
www.healthycomputer.com
Computer House Calls is Atlanta’s premier service company for onsite training, troubleshooting and consulting. CHC is the most trusted company to address your computer and technology needs.
Locations across metro Atlanta
770-857-3070
www.experimax.com/locations/sandy-springs-ga
Experimax offers professional technology services to customers looking to buy, repair or upgrade computers, tablets, and phones for all premium brands.
Locations across metro Atlanta
800-433-5778
www.geeksquad.com
Geek Squad, Best Buy’s in-house technology repair service, installs, sets up, protects, supports, and repairs technology from appliances to video gaming systems.
1590 Holcomb Bridge Road Suite 200 Roswell 30076
www.peachtreecomputers.net
Peachtree Computers provides expert technical support services and products for all makes of computers, phones, and tablets. PC offers computers and laptops.
WebTech Marketing Services
3295 River Exchange Parkway Suite 220, Norcross 30092
404-348-4921
www.wtmarketing.com
WebTech Marketing helps small and midsize businesses and organizations achieve rapid performance-driven results that continue to grow over time.
Zixzox
10945 State Bridge Road, Suite 426 Alpharetta 30339
470-331-9719
www.zixzox.com
When you need a new website or an update to the one that you have, tell Zixzox what you need and Zixzox will do it for you.
Locations across metro Atlanta
800-AAA-HELP
www.autoclubsouth.aaa.com
AAA Travel has multiple Atlanta locations that specialize in cruises, tours, packages, groups, honeymoons, reunions and special occasion getaways.

Amazing Journeys
733 Valleyview Road, Pittsburgh, PA 15243
412-571-0220
www.amazingjourneys.net
Amazing Journeys is where Jewish singles turn when they want a unique way to embrace their wanderlust where each delightful detail is considered and every whim indulged.
Blairsville-Union County Chamber of Commerce
129 Union County Recreation Road
Blairsville 30512
877-745-5789
www.visitblairsvillega.com
Blairsville has some of Georgia’s most beautiful landmarks. Enjoy lakes and creeks, rivers and waterfalls, captivating scenery, or one of its many festivals held throughout the year.
Costco Travel Worldwide
866-921-7925
www.costcotravel.com
Costco Travel sells exclusively to Costco members and uses its buying authority to negotiate the best value in the marketplace, and then passes savings to members.
Expedia Cruises of Alpharetta
Elana Miller
10945 State Bridge Rd, Suite 105 Alpharetta 30022 770-833-2439
www.expediacruises.com/en-US/ElanaMiller
You can count on Expedia Cruises of Alpharetta for every vacation possibility over land, sea or air including customized trips, coach and rail tours, and insurance.
Expedia Cruises of Alpharetta
Lindsay Branum
Alpharetta 30022
678-712-5059
www.expediacruises.com/en-US/LindsayBranum
Expedia Cruises are navigators of spectacular vacation experiences with advice you can trust, the best choice in prices and expedia extras.
Georgia Wine Tours
3292 Oakcliff Road, Doraville 30340
404-924-1288
www.georgiawinetours.com
Enjoy a day trip to Georgia’s best wineries. Georgia Wine Tours provides the transportation and logistics from Atlanta to the north Georgia wineries for any excursion.
Gil Travel - Jewish Explorations
1511 Walnut Street, Philadelphia, PA 19102
800-223-3855
www.giltravel.com
Gil Travel has professional, multilingual staff located in offices in Pennsylvania, New York, Florida and Israel. Employees speak Hebrew, Yiddish, Spanish, French, Creole, Urdu, Arabic and more.
Honeymoon Israel Worldwide www.honeymoonisrael.org
Honeymoon Israel creates communities of couples who are building families with deep and meaningful connections to Jewish life and the Jewish people.
Israel Discovery Tours
4957 Oakton Street, Suite 303
Skokie, IL 60077
800-362-8882
www.israeldiscoverytours.com
Israel Discovery Tours is dedicated to superb service and quality, assisting you from your first phone call until the day you return.
Kenes Tours Israel
888-887-1706
www.kenes-tours.com
Kenes Tours is a team of Israel-based specialists providing targeted areas of interest, peace of mind with on-the-ground planners, and attractive and flexible tour host benefits.
Mr. and Mrs. Italy Travel 825 Malvern Hill, Johns Creek 30022 888-770-8048
www.mrandmrsitaly.com
Mr. and Mrs. Italy works with clients to create the best, most tailored Italian travel experience that suits clients’ needs, interests and style.
Other Cuban Journeys
5110 Falcon Chase Lane, Atlanta 30339
404-276-0032
www.othercubanjourneys.com
Even with the newest regulations, OCJ creates authorized, tailor-made itineraries to fit your interests and delivers memorably rich journeys to last you a lifetime.
Gas South District
6400 Sugarloaf Parkway, Duluth 30097
770-813-7500
www.gassouthdistrict.com
The campus of Gas South District, formerly Infinite Energy Center, includes an outdoor arena, theater and convention center.
Mercedes-Benz Stadium
1 AMB Drive NW, Atlanta 30313
470-341-5000
www.mercedesbenzstadium.com
The Mercedes-Benz Stadium is a multipurpose retractable roof stadium located in downtown Atlanta — home to Atlanta United FC and the Atlanta Falcons.
State Farm Arena
1 State Farm Drive, Atlanta 30303
470-341-5000
www.statefarmarena.com
Home to the Atlanta Hawks and the Atlanta Dream, State Farm Arena is a downtown Atlanta venue for concerts, comedy shows and more.
Truist Park
755 Battery Park, Atlanta 30339
404-577-9100
www.mlb.com/braves
The Atlanta Braves moved to what is now Truist Park for the 2017 MLB season. Truist Park also boasts restaurants, bars, concerts and nightlife at The Battery.

CorePower Yoga
Locations across metro Atlanta
866-441-YOGA
www.corepoweryoga.com
CorePower Yoga studios feature modern, consciously designed spaces filled with thoughtful amenities. Each studio has the conveniences and comforts clients need to discover their power and purpose.
1065 Peachtree Street NE, Atlanta 30309
404-720-5000
www.exhalespa.com
Exhale’s expertly created classes and results-oriented, best-in-class spa therapies including massage, facials, nails, waxing and acupuncture. Exhale features a detoxifying co-ed hammam, gym, sauna and more.
Locations across metro Atlanta
770-973-3370
www.lafitness.com
LA Fitness offers a wide range of amenities and a highly trained staff with workout options to family members of all ages and interests readily available.
Locations across metro Atlanta
855-430-5433
www.lifetime.life
Work out and play in spaces designed to move and inspire members. Then, relax in the lounge and social areas to recover, reset and refresh.
Marcus Jewish Community Center of Atlanta
5342 Tilly Mill Road, Atlanta 30338 678-812-4000
www.atlantajcc.org
MJCCA offers a myriad of wellness options including a fitness center, swimming pools, hard and clay tennis courts, a basketball gym, and sand volleyball courts.
Orangetheory Fitness
Locations across metro Atlanta
678-920-9455
www.orangetheoryfitness.com
Orangetheory Fitness is a one-of-a-kind, group personal training workout. The result is more energy, visible toning, and extra calorie burn for up to 36 hours.
Stronger Now Gym
214 Johnson Ferry Road NE, Sandy Springs 30328
404-788-0483
www.strongernowgym.com
Stronger Now Gym is a personal training studio located in the heart of Sandy Springs, helping people get healthier in a safe, effective way possible.
Atlanta Braves
755 Battery Avenue, Atlanta 30339
404-577-9100
www.mlb.com/braves
Since 1991, the Atlanta Braves have earned National League wild cards, division championships, National League pennants, and have won four World Series titles.
Atlanta Dream
101 Marietta Street NW, Atlanta 30303
877-977-7729
www.dream.wmba.com
The Atlanta Dream is a professional basketball team of the Women’s National Basketball Association based at State Farm Arena in Atlanta.
Atlanta Falcons
1 AMB Drive NW, Atlanta 30313
470-341-5000
www.atlantafalcons.com
The Atlanta Falcons play at Mercedes-Benz Stadium. The Falcons have appeared in two Super Bowls, the first in 1998 and the second in 2017.
Atlanta Hawks
1 State Farm Drive
Atlanta 30303
www.nba.com/hawks
The Atlanta Hawks is a professional basketball team based in Atlanta, Georgia. The team settled in Atlanta in 1968 and now plays in State Farm Arena.
Atlanta United
1 AMB Drive NW, Atlanta 30313
470-341-1500 www.atlutd.com
Atlanta United joined Major League Soccer in 2017. Owned by Arthur M. Blank, Atlanta United plays home matches at MercedesBenz Stadium in downtown Atlanta.
Georgia Swarm
6340 Sugarloaf Parkway, Suite 390 Duluth 30097
844-442-7927
www.georgiaswarm.com
The Georgia Swarm are a box lacrosse team in the National Lacrosse League, playing at the 13,000-seat Infinite Energy Arena, now named Gas South District.
Andretti Indoor Karting and Games
Buford and Marietta
www.andrettikarting.com
Andretti takes adventure to new heights with ziplining, rock climbing and a rope obstacle course. At Andretti, there is something for everyone.
Atlanta BeltLine
100 Peachtree Street NW, Suite 2300
Atlanta 30303
404-477-3003
www.beltline.org
From community meetings and exercise classes to art installations and walking tours, the BeltLine connects 20,000 of the city’s residents each week.
Atlanta Country Club
500 Atlanta Country Club Drive, Marietta 30067
770-953-2100
www.atlantacountryclub.org
Home to the Atlanta Classic annual PGA tour event won by Jack Nicklaus, the golf course is consistently ranked one of the top in the country.

Atlanta School of Aikido
8 Concourse Parkway, Atlanta 30328
770-522-9898
www.atlantaaikido.com
With a style of Aikido based on the teachings of Koichi Tohei’s Ki Society, it is movement based, flowing and smooth studio true to Aikido’s martial roots.
Chattahoochee Nature Center
9135 Willeo Road, Roswell 30075 770-992-2055
www.chattnaturecenter.org
What better place to play than in nature? With 127 acres along the Chattahoochee River, CNC offers plenty of activities and eco-fun for the whole family.
Dunwoody Country Club
1600 Dunwoody Club Drive, Atlanta 30350
770-394-4492
www.dunwoodycc.org
Dunwoody Country Club is one of the most prestigious country clubs in the South. It is vibrant, social and family-oriented with a full range of services and facilities.
ElectroBike Georgia
151 Sampson St, NE Atlanta 30312
404-400-7132
www.elctrobikega.com
ElectroBike Georgia bicycles are powered by a clean, quiet lithium battery and go from a traditional bike to a pedal-assisted bicycle at the touch of a button.

iFLY Atlanta Indoor Skydiving
2778 Cobb Parkway, Atlanta 30339 678-803-4359
www.iflyworld.com
iFLY is the company that created modern indoor skydiving. iFLY makes the dream of flight a reality by giving customers a safe and reliable environment.
Indian Hills Country Club
4001 Clubland Drive, Marietta 30068 770-971-2605
www.indianhillscc.com
A private club featuring 27 holes of golf, eight tennis courts, three swimming pools, a clubhouse with dining options and social events for the entire family.

Stars and Strikes
10010 GA 92, Suite 180
Woodstock 30188 678-965-5707
www.starsandstrikes.com
This family entertainment center offers bowling, laser tag, arcade games, bumper cars, private meeting space and a full catering menu.
The Standard Club
6230 Abbotts Bridge Road, Johns Creek 30097 770-497-0055
www.standardclub.org
Members can enjoy one of the top 20 golf courses in Georgia as well as a large clubhouse, basketball courts, fitness rooms, squash and tennis courts.
Topgolf
1600 Ellsworth Industrial blvd, NW Atlanta 30318
404-475-4000



Give the gift of Braves Baseball this holiday season! Whether it’s tickets, merchandise or experiences, we’ve got the perfect gift for the Braves fans in your life!














































