Dental Explorer Q4 2025

Page 1


Why Digital Intraoral Scanning Is the Future of Dentistry

Emily R. Holt, MHA, RDH, CDA, EFDA

Jennifer E. Fehrenbacher, PhD, LDH, CDA, EFDA

Page 10

Zolid DRS Multilayer Zirconia Blocks and Disca available now from Atlanta Dental!

Imprevo wireless scanner, the next evolution of intraoral scanning, DEXIS™ Imprevo with IS ScanFlow v2.0.

October 1st - December 31st, 2025

Venus ® Bulk Flow ONE

The highly-durable, single-shade flowable bulk fill composite

Long-lasting restorations: Low shrinkage stress, high flexural strength and wear resistance.

Efficient handling: Fill prep quickly and easily without the need for a capping layer.

One shade fits all: Simplify procedures, streamline material inventory, and increase patient satisfaction.

Award-winner: Named a Dental Advisor Top Product for its outstanding clinical performance and ease of use.

Bulk-Fill Up to 4 mm: Allows bulk-fill restorations up to 4 mm without a capping layer, saving time while ensuring strength and esthetics.

Why Digital Intraoral Scanning Is the Future of Dentistry

Page 10

*Prices subject to change without notice.

Approximately 40% of dental offices use intraoral scanners to capture digital impressions for crowns, bridges, veneers, inlays, onlays, temporaries, night guards, mouth guards, surgical guides, and whitening trays—either sending the files electronically to a lab or utilizing them in-house

Here’s Why!

• Reduced errors in impressions, improving the fit of restorations with fewer remakes

• Faster Turnaround: Digital impressions can be sent instantly to labs, speeding up the workflow and reducing wait times for patients.

• Improved Patient Experience through reduced chair time

• No gagging or blocking airway or messy impression materials

• Shorter appointments for doctor, team and patient

• Easy storage and retrieval of patient scans for future reference or comparison

• Produces digital files to send to your own 3D Printer or Mill.

• Discernable R.O.I. (digital impressions do not require impression trays, material, adhesives, disinfecting, stone, vibrators, model trimmers, postage or travel time.)

For more information, see page

for article and scanner information

Who Inspires You?

Every one of us have those who inspire us. Whether it is in our career, our hobbies, our relationships or our faith, there are those who make us feel more confident that we can continue to grow and improve the important areas of life. We are inspired by those who display not only confidence but competence in their areas of expertise and it ignites the desire to refine our efforts to accomplish what matters most.

In dentistry, the advancements of technology inspire new confidence in clinicians, even those relatively new to the profession. Because of the accuracy and growing simplicity of using the latest digital equipment, dentistry is not only becoming more profitable, procedures are now faster with increased patient satisfaction which makes it even more enjoyable.

Atlanta Dental is ready to assist with demos, pricing, R.O.I. assessments and very competitive financing. We can also provide expert support in the non-clinical areas of your practice along with a complete Supply Audit to show you the savings we can bring you. Our privately held company is here to help keep your private practice private. It is you who inspires us!

We partner with dental professionals to ensure clinical and business excellence, supporting them as they work in the best interest of their patients; delivering healthy smiles & enhancing lives.

OUR CORE VALUES

As we focus on accomplishing our mission through our core strategies, our values and beliefs are the foundation that influences our behavior and supports our overall well-being. As we continue to build on that foundation we will use these core values as a measure of our accountability and as the cornerstone of our success.

Respect – We place value on the time, possessions, opinions, and needs of our customer, our employees, our families, and our company. We treat each other with dignity and fairness; and we embrace diversity.

Accountability – We take responsibility for our performance and promote a sense of urgency in all interactions. We believe in being held to a standard that can be defined and measured with understood consequences.

Innovation – We proactively seek new and better ways to meet the needs of our customers, employees and our company by being open minded and “thinking outside of the box”.

Leadership – We encourage leadership at all levels. Leaders are those who step forward to achieve difficult goals, envisioning what needs to be done and motivating others by example.

Service – We are committed to meeting and adapting to the needs of our customers and employees. We are constantly focused on increasing satisfaction through an emphasis on accuracy, timeliness, and professionalism.

Teamwork – We believe that all goals can be accomplished and all standards attained through a spirit of cooperation, positive attitude, communication, mutual support, and a common sense of purpose and action.

Heritage – We are committed to continuing the positive traditions of our company including love of country, freedom to exercise our faith, pride in our company’s legacy, personable service, and the commitment to remaining an independent, employee-owned full-service distributor.

Service and Distribution

We are one of the nation’s leading dental product and technology partners that supports dentists in the delivery of excellent clinical care while helping them build a fundamentally strong business. We do this by understanding the needs of every practice, regardless of size, and developing customized resources across the clinical, technological, and business spectrum that propel their practice forward.

Our commitment is inspired by the success of every dental practice we serve through our dedicated Territory Managers, our exceptional Service and Technology Technicians and our Inside Customer Support Team.

All of us at Atlanta Dental thank you for the opportunity to partner with you and for your business and support of our 100% employee-owned company!

Greenville

“FULL SERVICE” Is Our Commitment To Your Practice.

Equipment & Technology

Financial Services

PPM is an independent division of Atlanta Dental offering confidential business services and work exclusively with dentists, plus confidential transition services.

State-of-the-Art

Distribution Centers

(Atlanta, GA / Richmond, VA) for efficient shipping of “name brand and house brand” products. We provide our customers with a 99% fill rate.

Our experienced Equipment Specialists partner with you to evaluate your equipment and technology needs, plus provide design consultation, finance options, and installation coordination.

Service Technicians

For local in-office repairs and manufacturer certified installations. Our technicians are professional and considerate of your time and will give your equipment longer life!

Territory Managers

provide business solutions for every area of your practice. They also provide budget management for supplies, expedite credits and track free goods.

FULL SERVICE SUPPLIES

since 1868

Education

Introducing a new and fresh approach to Continuing Education exclusively for dental professionals. Ask your Atlanta Dental representative for a listing of courses scheduled!

Our Customer Service Team provides personal care and support to assist you with product information, pricing, special needs and even stress-free problem resolution.

Office Design

Atlanta Design provides a unique service to the Dental Profession in the area of Architectural Design & Consulting.

Atlanta Dental is committed to its customers through the precise delivery of Product, Services and Technology.

Local In-Office Technical Support

Atlanta Dental service technicians are known for giving longer life to your dental equipment. They are manufacturer trained and certified and experienced to handle all of your service and installation needs. We offer service discounts and priority dispatching for our Prime Plus customers.

We are here to assist you every step of the way! Today, through knowledgeable and caring territory managers and customer service representatives, your supply orders are filled and shipped the day they are received, from a well stocked, state-of-the-art distribution center.

Our Prime Plus program is designed to reward and thank you for your business.

“ I am absolutely impressed with everyone in your organization. They have all been courteous and extremely

CORPORATE OFFICE SHOWROOM 1650 Satellite Blvd. Duluth, GA 30097

DISTRIBUTION CENTERS: - Atlanta, GA - Richmond, VA

Free Shipping!*

• On Supply Orders Over $395.00!

• Plus FREE Fuel Surcharge

• Orders Ship Same Day

Cash Back Rebates!

• True Cash Back

• Simple Redemption of Incentives

• Plus Additional Savings

Reduced “Trip Charge”!

- Arrival Fee

• Additional Savings on Service Labor!

• Priority Dispatch for Service

• Extended Labor Warranties on New Equipment

Free Practice Management Software

• Low Monthly Support

• Compare to Dentrix, Eaglesoft & Others

• Open Source Code - No Politics!

FRIDAY MAY 8th, 2026

Join Atlanta Dental at this year’s Dentistry Lake Retreat at the Ritz-Carlton Lodge on Lake Oconee. Tuition includes four-hours of education, breakfast, lunch, and your choice of a featured experience.

4 Hour Course: Turning Ordinary into Extraordinary

Every office is made up of individuals who all possess a multitude of flaws. In even the most dynamic, successful, consistently happy organizations, there still exist flawed individuals, far from perfect. Dr. Gupta will not only introduce steps to take to optimize the practice structure but will also challenge each participant to reflect upon their own personal daily habits and routines, and how small changes can lead to a much-improved practice and personal life.

Choice 1 - Golf at Nationals Course

The National course at Reynolds features three distinct nine-hole layouts fashioned from the richly colored textured “paints” of grass, sand, trees and water found in the hardwood forests and rolling terrain of the region. (Limited to the 1st 32 to sign up)

Venue

Choice 2 - Spa at Ritz Carlton

Enjoy your choice of a 50-minute stress relief massage, custom facial, manicure or pedicure.

(Limited Availability)

Choice 3 - Sporting Clay Shoot at the Old Hudson Plantation

Sporting Clays offers targets from different stations placed through the country side.

(Limited Availability) *

Why

Digital Intraoral Scanning Is the Future of Dentistry

Digital intraoral scanners enhance accuracy, efficiency, and patient comfort.

Gone are the days of hand-mixed materials — intraoral scanners have taken their place. Dental hygiene has expanded to include new forms of technology, including digital intraoral scanners, that impact the way clinicians practice.

Since their initial introduction, digital intraoral scanners have become much more userfriendly. The use of computer-aided design/ computer-aided manufacturing (CAD/CAM)

began in 1973 with the introduction of optical impressions, now commonly known as digital impressions.1-3

Today, approximately 40% to 50% of dental offices use digital intraoral scanning, and this percentage is only expected to grow.1 Current systems include a scanner with the head created to fit within the oral cavity to capture files of the entire dentition. The files can be used to create restorations as well as appliances either within the dental office or via a lab. While digital intraoral scanning once focused solely on restorative needs, the opportunities for its use have expanded to applications in orthodontics and pathologies such as caries, erosion, and oral cancer. In modern dental practices, this technology can also be integrated into the dental hygiene appointment.1-4

Indications

Dental team members use digital scanning for a variety of reasons. Dentists utilize digital impressions to create crowns, veneers, inlays, onlays, occlusal guards, whitening trays, and to plan treatment for implants and orthodontics. Even though most of the scans are used by dentists, other team members help to acquire the digital scans. Dental assistants and dental hygienists may be asked to create scans.

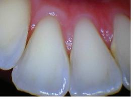
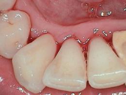
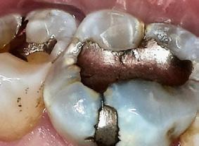
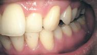
Dental hygienists independently utilize digital scanning for education and motivation. Not only can the clinician educate the patient with the images, but the patient has a visual that is easily understood. These images contain powerful visuals of attrition, fractured teeth, abfraction, gingival recession, overjet, and crowding.4 Biofilm can be displayed after the application of disclosing solution.5 Separate photos are not required to capture the biofilm present when using digital scanning.

Benefits

Digital intraoral scanners may be preferred by the dental team and patients over physical impressions for several reasons. Their use eliminates the need to purchase additional supplies, such as impression material, spray adhesive, rope wax, trays, and stone. The chair time dedicated to impression taking is reduced because the clean up after the digital procedure is minimal.2 There is no need to disinfect, pour, and separate the impression from the tray.

Another advantage is ease of use. Obtaining a physical impression is more technique sensitive compared to using a digital intraoral scanner.6 Scanning requires the same skills as the intraoral camera. Many oral health professionals use an intraoral camera routinely, so learning the skill of scanning may be smoother than expected. If there is a need to scan the mouth, it will take only a minute or two.

Of the eight studies evaluated by Chandran et al,6 seven found that clinicians preferred digital impressions over physical impressions for reasons including time efficiency and difficulty level. Storing digital impressions electronically requires less physical storage space and makes them easier to find for future use; this complements the use of electronic records, which are becoming commonplace in dentistry.

Digital intraoral scans are more comfortable for the patient and provide superior accuracy.1,4,7,8

Digital impressions do not induce gagging and nausea, there is no taste associated with it, breathing is not impacted, and cold materials are not placed on sensitive tooth structures.6,7

The accuracy of the digital impression comes from the scanner’s ability to capture hundreds of images per minute that are stitched together to create a complete three-dimensional (3D) view of the oral cavity.1 The sharp focus found in 3D images ensures greater accuracy for a whitening tray, restoration, prosthesis, or

appliance to fit properly. Chandran et al6 concluded that digital impressions are more likely to produce accurate impressions compared to physical impressions based on marginal fit and the fit of restorations. There is no contraction or expansion of digital impressions as can be found in physical impressions.

Patients may even be excited to take a digital impression knowing the practice is using new technology. Treatment timelines may be reduced as digital scans are sent electronically and arrive at the laboratory faster than physical impressions.9

Training

Training on the use of digital intraoral scanners is essential for their integration into dental practices. This begins with following manufacturer instructions for use as well as disinfection and sterilization.1 The accuracy of scanners is influenced by many factors, some patient-related and some of which fall under the responsibility of the clinician including choice of scanner, operator skill, regular technology calibration, and software maintenance.8,10

Accuracy is critical when creating whitening trays or occlusal guards that fit the dentition. A review of the literature by Alkadi8 demonstrated the importance of the clinician’s proficiency in which a more experienced clinician would achieve faster scans with more accuracy. Factors to consider with clinician proficiency include using a scanning distance of 10 mm to achieve the most accurate image and adhering to the manufacturer guidelines for scanning sequence. Software updates can affect the accuracy of the technology along with scanner

Table 1

Quick Tips to Ensure a Smooth Adoption of Digital Scanning

• Ensure the computer software is updated

• Calibrate the scanner

• Turn off the clinician’s head light and the overhead light

• Assemble the scanner tip

• Place the computer screen within the clinician’s direct sight

• Predetermine the scanning path

• Utilize an appropriate scanning speed

• Disinfect and sterilize all equipment

head size, with a smaller tip creating lower accuracy.8 Slower scanning speeds and using a scanning pattern that begins on the occlusal surfaces may increase accuracy.8,11 There is a learning curve when new technology is introduced. Problems do occur while scanning. One is when the scanner stops capturing images and is essentially “lost” within the oral cavity due to inappropriate scanning speeds and patterns. This can be remedied by returning to an occlusal surface of the posterior teeth that has already been scanned by the device and restarting the scan.11

Table 1 provides some quick tips to follow as digital intraoral scanning is incorporated to provide a smoother transition in learning. While each manufacturer has specific instructions for use, these quick tips could be considered universal.

Obstacles

Digital scanners are revolutionizing dentistry, but some clinicians may continue using physical impressions. Cost can be a hurdle and learning new things takes time, but it’s an investment in the practice that benefits both patients and clinicians.11,12

The payoff includes more opportunities to

educate the patient, but some clinicians may already feel maxed out on how many services they can offer during an appointment. Onboarding this equipment may require an adjustment to the appointment length to alleviate concerns from dental hygienists. The high price tag of this equipment may require sharing one scanner between the entire staff, which may slow down productivity related to its use. An additional concern for the operator may include the potential for eye strain from increased screen time.

“Technology is great when it works” is a common phrase and it rings true in the dental practice as well. Backup methods of capturing impressions are needed if the equipment fails to work properly. Utilizing the support services that come with the equipment is crucial to keep the workflow going when problems arise. Lastly, something to consider is maintaining the security of the electronic dental record after obtaining a digital impression. These images will become part of the electronic system incorporated throughout the practice or they could be stored exclusively on a computer connected to the scanner. Either way, the security of these images must be a priority for the office.

Conclusion

Regardless of the decision to adopt digital scanning or stick with the traditional method, it is clear that technology is here to stay. This renews curiosity and prevents stalemate from setting in while providing improved patient experiences. Many may be enticed to ditch the goo and embrace the new!

References

1. Al-Hassiny A. Intraoral scanners: the key to dentistry’s digital revolution. Compend Contin Educ Dent. 2023;44:154-156.

2. Acker SR, Hartrick NE. Onboarding intraoral scanners and the digital workflow in your practice. Compend Educ Dent. 2023;44:590.

Feature Article |

3. Angelone F, Ponsiglione AM, Ricciardi C, Cesarelli G, Sansone M, Amato F. Diagnostic applications of intraoral scanners: A systematic review. J Imaging. 2023;9:134.

4. Benvenuto VM, Sefo DL. The importance of the intraoral scanner. Dimensions of Dental Hygiene. 2019;17(5):40-43.

5. Giese-Kraft K, Jung K, Schlueter N, Vach K, Ganss C. Detecting and monitoring dental plaque levels with digital 2D and 3D imaging techniques. PLoS One. 2022 17:1-14.

6. Chandran SK, Jaini JL, Babu AS, Mathew A, Keepanasseril A. Digital versus conventional impressions in dentistry: a systematic review. J Clin Diagn Res. 2019;13:1-6.

7. de Paris Matos T, Wambier LM, Favoreta MW, et al. Patient-related outcomes of conventional impression making versus intraoral scanning for prosthetic rehabilitation: A systematic review and meta-analysis. J Prosthet Dent. 2023;130:19-27.

8. Alkadi L. A comprehensive review of factors that influence the accuracy of intraoral scanners. Diagnostics. 2023;13:3291.

9. Grauer D, Proffit WR. Accuracy in tooth positioning with a fully customized lingual orthodontic appliance. Am J Orthod Dentofacial Orthop. 2011;140:433-443.

10. Jung K, Giese-Kraft K, Fischer M, Schulze K, Schlueter N, Ganss C. Visualization of dental plaque with a 3D-intraoral-scanner – a tool for whole mouth planimetry. PLoS One. 2022;17:e0276686.

11. Ural C, Kaleli N. Direct digitalization devices in today’s dental practice: Intra oral scanners. J Exp Clin Med. 2021;38:136-142.

12. Al-Hassiny A, Végh D, Bányai D, et al. User experience of intraoral scanners in dentistry: transnational questionnaire study. Int Dent J. 2023;73:754-759.

From Dimensions of Dental Hygiene. July/August 2025;23(4):10-12.

Emily R. Holt MHA, RDH, CDA, EFDA

Emily R. Holt, MHA, RDH, CDA, EFDA, is a clinical professor of dental hygiene and dental assisting at the University of Southern Indiana in Evansville, where she has taught for the past 18 years. She currently teaches oral pathology, special needs, periodontology, pain management, board review, and periodontal clinic. Holt also practices dental hygiene in Evansville, Indiana. She is also a consultant member of the CDCA-WREB-CITA dental hygiene ADEX examination team and a member of Dimensions of Dental Hygiene’s Peer Review Panel. Holt can be reached at erholt@usi.edu.

Jennifer E. Fehrenbacher PhD, LDH, CDA, EFDA

Jennifer E. Fehrenbacher, PhD, LDH, CDA, EFDA, is an assistant professor of dental assisting and dental hygiene at the University of Southern Indiana in Evansville.

Imprevo Wireless Scanner

The next evolution of intraoral scanning, DEXIS™ Imprevo with IS ScanFlow v2.0. From interproximals to back molars, Imprevo’s industry leading depth of field of 25mm locks onto detail. Laser precision and dual sensor technology come together for clearer scans and richer color to captire photorealistic images. •

IS 3800W Wireless Scanner

Super-fast Scanning with a proven scanning time of 25 seconds for a single arch, the IS 3800W’s capture speed frees up more time for focusing on patients.

With a field of view of 16mm x 14mm and a depth of field ranging from -2 to +16, the IS 3800W lets you capture the details you need—even in interproximal areas and subgingival margins.

IS Voyager

The optional DEXIS™ IS Voyager All-in-One Computer combined with the sleek, flexible, ergonomic DEXIS™ IS Voyager trolley provides convenient intraoral scanning and enhanced patient engagement— right at the chair.

Together they give you a supermobile intraoral workstation that can be used with any DEXIS intraoral scanner for image acquisition throughout the clinic. Tilt and Swivel Adjustments

Wired Scanner

premium wired scanner, is a game-changer for dental professionals. The IS 3800 offers you optimal ergonomics and a high-speed scanning experience. The scanner is powered by IS ScanFlow software, which redefines and simplifies how you scan, diagnose and communicate with your patients.

Similar specs as the wireless version! The IS 3800 handpiece features an embedded sensor that lets you orient the digital model on screen by simply rotating the scanner, eliminating the need to use the mouse.

| Intraoral Scanners

AS200E

Wireless Scanner

INNOVATION TAKES FLIGHT

Introducing AS 200E, a wireless intraoral scanner that takes a quantum leap ahead of its competition. With it’s meticulous design, all-day battery life, unrivaled experience, and vibrant eco-system, it’s the ultimate intraoral scanner for the new and the pro.

• 3 year warranty, including drops

• Fast & Accurate Scanning

• Spectacular Image Edentulous Scanning

• Think Multiple Scanner

• All Day Battery Life

• Zero Calibration

• No Fees

WIRELESS TECHNOLOGY 60 CASES IN A SINGLE CHARGE!

MEDIT i900 Mobility

Wireless

Scanner

BEYOND WIRELESS,

TRUE MOBILITY.

Introducing the Medit i900 Mobility (i900M). i900 Mobility brings true iPad-native scanning to dentistry. Experience the freedom to scan anytime, anywhere, without compromise.

• Built-in Wi-Fi 6E Ultra-fast, low-latency scanning. Wire-free, hassle-free.

• Reusable Tips (Three sizes-L,M,S)

• Wide Field of View (Field of View 18x15mm)

• Scan Button Instantly start or stop scans with responsive tactile feedback.

• Control Button Navigate views hands-free—pan, zoom, and rotate directly from the handpiece.

• Durable Construction Precision-sealed body design minimizes gaps, offering water-resistant durability.

• Smart Battery Up to 1 hour of continuous use or 30+ scans per charge. Features thermal protection and real-time alerts.

Medit Link Express on iPad. A dedicated iPad app for effortless scanning on the go.

Medit Link Express delivers a fully mobile workflow.

Intraoral Photogrammetry IPG

SHINING 3D has introduced a groundbreaking innovation, Intraoral Photogrammetry Technology (IPG), revolutionizing precision and efficiency in dental implantology. This unique technology from SHINING 3D integrates photogrammetric scanning directly into intraoral procedures, enhancing the precision and efficiency of full-mouth edentulous implants, particularly in All-on-X procedures. IPG simplifies workflow and promises to elevate treatment outcomes by seamlessly combining intraoral scanning with advanced photogrammetry techniques, setting a new standard in dental care.

Also works great as a traditional scanner! Scan Bodies may be added when ready. Training is Available!

Aoralscan Elite

Two-in-One-System

Intraoral Scanning and Photogrammetry in one single unit

Intraoral Photogrammetry Technology

Intraoral Scanners Starting Under $10,000!

Aoralscan 3 Wired Scanner

• Wired

• Deep Scan Depth up to 22 mm

• No subscription or hidden fees

• High accuracy, fast speed

• AI optimized soft tissue and metal scan

• ConsulReport AI driven Oral Health report

• Standard and Pediatric tips

• Tips autoclavable up to 100 times

Aoralscan 3 Wireless Scanner

• Wireless

• Long-lasting battery life

• Deep Scan Depth up to 22 mm

• No subscription or hidden fees

• High accuracy, fast speed

• AI optimized soft tissue and metal scan

• Standard and Pediatric tips

• Tips autoclavable up to 100 times

Wireless scanner with high accuracy and fast AI optimized speed!

Intraoral

Planmeca’s Unique Features Bring Clarity,

Planmeca AutoFocus™

Our unique AutoFocus feature automatically positions the focal layer. Landmarks in the patient’s anatomy are used to calculate placement, enabling practically error-free patient positioning and dramatically reducing the need for retakes.

Planmeca CALM® Motion Reduction Technology

Patient movement occurs in about 20-40% of CBCT scans. Planmeca CALM technology corrects patient movement during acquisition, reducing the risk of retakes.

Planmeca Ultra Low Dose™

While many manufacturers offer low dose options, only Planmeca delivers an average reduction in dose of 77% with no statistical reduction in image quality. This is changing how dentists think about their diagnostic imaging protocols, paving the way for CBCT imaging for general dentistry.

True Extraoral Bitewings

Our True Extraoral Bitewings are proven to be as effective as intraoral bitewings at diagnosing caries, better at identifying crestal bone loss, and assessing periodontal health—all at less than half the patient radiation dose of a 4-bitewing series.

Normal Radiation Dose
Without Planmeca CALM®
Planmeca Ultra Low Dose™
With Planmeca CALM®

OP 3D EX

• Faster scan times

• Image homebase: DTX Studio Clinic

• User friendly interface

• Secure patient positioning

• Accurate image capture

ProMax S3-2D

Patented SCARA (Selectively Compliant Articulated Robotic Arm) Autofocus feature Anatomically accurate extraoral bitewing program

• Open-architecture

Romexis imaging software included (Mac OS compatible and DICOM compliant)

• Optimal images • User friendly

Small footprint

Local support

REQUEST A DEMO

• PreXion Smart Contrast algorithm for improved image clarity and consistency

• Optimization filters allow for customer preferred image rendering

• Fully 3D (CBCT) Upgradable at any time

• Ceph Upgradeable

• 3 FOVs (5x5, 6x9 & 9x9cm)

• Metal Artifact Reduction (MAR) for improved image capture

• Patient Motion Correction (PMC) for better diagnostic accuracy

• Ceph Upgradeable

Midas 3D Printer

Perfect Pair

Midas and NanoCure are better together

Midas and NanoCure help you deliver definitive restorations with outstanding speed, accuracy, and mechanical properties. These compact, advanced devices can help any office upgrade from outsourcing to chairside care for a fraction of the cost of a mill.

SprintRay NanoCure Curing Device

Midas is the ultimate 3D printer for fabricating chairside restorations. It uses patent-pending Digital Press Stereolithography (DPS) to overcome the challenges of printing highly-filled viscous materials, allowing it to print 3 crowns, 6 inlays, or 9 veneers in less than 10 minutes. Instead of using a separate build platform, resin tank, and resin bottle, Midas uses an all-in-one, single-use Resin Capsule that contains everything needed to print a restoration.

• Patented DPS technology and resin capsules supercharge a simplified workflow

• Print crowns, veneers, inlays, and onlays in less than 10 minutes

• Design restorations chairside with SprintRay

AI Studio

NanoCure is precisely engineered to extract the best mechanical properties from your 3D prints. Its preprogrammed resin profiles precisely deliver the right amount of heat and light. Smaller form factor accommodates any office space.

• Speed - Post cure your prints in just a few minutes, no need for nitrogen

• Chemistry - Unlock a whole new generation of material chemistry for digital dentistry

• Power - Cure for maximum mechanical properties with 365+385nm LEDS and thermal management

• Unlock Next Gen Printed Appliances - Elevate your prints to a new level of mechanical and aesthetic excellence

SprintRay Pro 2 - 3D Printer

Pro 2 is the latest precision 3D printer from SprintRay built to produce biocompatible dental appliances. Pro 2 supports 15+ high-value workflows including clear aligners, fixed restorations, night guards, dentures, and many more.

12” touchscreen, automatic resin tank and build platform detection, and workflow error proofing. Pro 2 can automatically update and receive daily optimizations to resin profiles from SprintRay Cloud, so you’re always ready to print.

Cutting Edge 3D Printing Materials

Clinically formulated, FDA cleared The Biomaterial Innovation Lab is where 3D printing meets clinical dentistry. Our chemists and engineers bring you the best materials in the industry.

The Total Package

SprintRay doesn’t stop with printing. Our ecosystem includes design software and services, printers, and post processing equipment. It all works together to create a singular, streamlined workflow experience.

The Ceramill dental workflow system is open, digital and fully integrated. Get yours today!

• Integrated compressor plug & play installation where it fits best without thinking about compressed air

• Processes Polymers, Metals, Ceramics, Hybrids, Zirconia Pucks & Blocks

• 5-axis wet & dry milling machine with automatic calibration and 8-fold blank changer

• Processes Metals, Ceramics, Hybrids, Waxes, Composites, Glass Ceramics, Zirconia Pucks & Blocks

• Auto Calibration & HD-Camera for high-quality restorations and carefree production

• Processes Polymers, Metals, Ceramics, Hybrids, Zirconia Pucks & Blocks

With the Zolid line, Amann Girrbach offers the right material for every zirconia-based indication, enabling restorations of long-term stability and natural esthetics to be fabricated economically and efficiently.

Experience the Future of Dental Milling – Live Virtual Demo

About Your Expert

Brian Li, a Los Angeles native and graduate of Pasadena City College, has over two decades of experience in the dental industry. He began his career by founding an in-house lab in Beverly Hills fora doctor specializing in cosmetic dentistry. Since 2002, Brian hastrained nearly 1,000 dental professionals on CAD/CAM systems. In 2007, he opened his own laboratory and in 2013, he joined the Amann Girrbach team where he continues to share his expertise in cutting-edge dental technology.

Schedule Virtual Demo

• Get a live walkthrough of the system and its intuitive workflow

• Ask questions directly to our expert, Brian Li Discover More — Scan to Schedule Your Discovery Call!

ver the p Ceramill Matron in a one-hour interactive session with Brian Li.

See how this cutting-edge system makes it easy to create nearly any dental restoration — from the precision dry milling of zirconia to wet milling of titanium — all faster than the competition.

Key Features of the Ceramill Matron:

• 21.5“ display with guided workflows, RFID tools & holders, and user interface

• Load 8 blanks simultaneously, allowing you to mill multiple jobs without intervention

• Quickly and accurately mills polymers, metals, ceramics, hybrids, and Zirconia

This demo will cover the design process, software overview, and crown fabrication – showcasing advanced technologies within a futureproof system.

Contact Atlanta Dental or your Atlanta Dental representative for login information.

Discover the power of the Ceramill Motion 3 Air in a one-hour interactive session with expert Brian Li. See firsthand how simple and cost-effective it can be to create a crown using the latest advancements in software and milling technology.

Key Benefits of the Ceramill Motion 3 Air:

• Hybrid Processing – Seamlessly switch between wet & dry milling

• 5-Axis Precision – Achieve high accuracy for complex restorations

• User friendly design – Intuitive guided workflows and self-service functions

• Smart Automation – Self-cleaning, tool management & minimal maintenance

• Versatile Material Handling – Supports zirconia, composites, ceramics, PMMA, and more

This demo will cover the design process, software overview, and crown fabrication – giving you practical insights to enhance your workflow.

| Intraoral Sensors

Kavo

Ti2 Sensor

The #1 sensor just got an upgrade. Building on the success of the DEXIS™ Titanium Sensor, the leading intraoral sensor in the United States, DEXIS proudly introduces the next-generationDEXIS™ Ti2 Sensor.

Brand-new AI capabilities and durability enhancements put diagnostic excellence front and center. Comfortable, durable, and one-size-fits-all, the DEXIS Ti2 Sensor empowers clinicians to capture high-resolution images consistently and enhance their diagnostic capabilities through AI.

KaVo DEXIS IXS Sensors

DEXIS IXS is the new and improved Gendex™. Built upon decades of success with Gendex GXS-700 sensors, IXS is everything you have grown to rely on in a sensor and more. Easily produce diagnostic quality images with improved contrast, less noise, and greater dose flexibility.

Intraoral Cameras |

Digital Doc

IRIS X80 Intraoral Camera

There is no installation, just plug it in and start taking the high-definition 1080p images over a standard USB 2.0 protocol. The X80 camera come with left & right-hand buttons making it extremely user friendly, including a liquid lens Auto Focus.

Digital Doc

IRIS X90 Intraoral Camera

The IRIS X90 is the intraoral camera that your practice has been missing! With Gen 3 Optics, the X90 keeps things sharp and clear so you can show patients what’s going on rather than tell them. Check out the Digital Doc difference by scheduling a demo with our team!

KaVo DEXcam™ 4 HD

For early detection and accurate representation of dental conditions, an intra-oral camera is essential to delivering optimum quality of care. DEXcam 4 HD yields remarkably clear and focused images in real-time that are crucial for diagnosis and for fully documenting your patient’s overall oral health.

Digital Doc PXL Intraoral

Introducing the Digital Doc PXL Camera –your affordable, easy-to-use, simple-to-integrate, 1/O HD imaging solution, designed to be the workhorse camera for busy practices.

iCAM

This economical Direct USB camera is ideal to motivate and educate your patients. Its image quality rivals that of more expensive cameras.

The iCAM Intraoral Video Camera is simple to install and easy to use. Designed can be used with tablets and laptops, as well as desktop with a cable that can be extended up to 16” by use of USB extensions.

DEKA Has a Laser For Any Application Your Practice Demands

Benefits Your Patients & Your Practice

Thanks to the unmatched speed and technical capabilities of DEKA dental lasers, your patients will experience less discomfort and heal more quickly. And our comprehensive training program prepares you to perform in-house procedures for increased revenue.

Offers the practitioner the ultimate in soft tissue therapies and treatments in all areas of General Dentistry, Pediatrics, Periodontics, Oral and Maxillofacial Surgery. Through its innovative design, its technical capabilities, and its versatile user programs, this laser has become the “workhorse” in the dental practice.

DEKA SmartPerio 10W Nd:YAG laser represents state-of-the-art Nd:YAG laser technology for a wide variety of applications in dentistry. Applications include periodontics, endodontics, treatment of peri-implantitis, wound healing, and biostimulation. This innovative technology provides clinicians with increased speed, precision, and optimal clinical performance.

All the features of the Smart US-20D CO2 PLUS:

› RF Excited CO2 Laser Source

› The Only CO2 Laser Capable of Choosing Between 4 Different Pulse Shapes

› Unmatched speed

› Additional fractional handpieces available for facial aesthetics and soft palate treatment

Toll Free: (866) 223-4543

info@dekadentallasers.com dekadentallasers.com

QuiteNite Fractional Handpiece
The DEKA QuiteNite Fractional Handpiece
DEKA Aesthetic Handpiece
SmartPerio Nd:YAG Laser
Smart US-20D CO2 Laser SmartXide Ultraspeed CO2 Laser

NSK’s Next-Generation Electric Handpiece

100° angle for improved visibility & accessibility

Lightweight design seamlessly cuts through zirconia

Optimized gear structure provides smoother & cooler operation

Handpiece Repair

• High Speed Turbine Rebuilds

• Turbine Replacements

• Low Speed Handpiece Repairs

CLASS A repairs includes:

• Testing

At the Atlanta Dental Handpiece Repair Center we will give you the best repair possible by using the highest quality replacement parts and OEM turbines available.

We understand the value of your handpieces so we are committed to providing you with the highest quality service and support. When we receive your handpieces, they are logged into our database to keep track of your repair and warranty information. We check all functions, including bearings, chuck, air leaks, water leaks, and clogs.

We guarantee a 24 hour turn-around on high speed handpieces once the estimate is approved, and a 48 hour turn-around on most low speed handpieces.

• Sonic Scaler Repairs

• Replace Fiber Optic Bundles

• Surgical Handpiece Repair

LOW SPEED MOTORS

Standard overhaul includes:

Scalers Rebuild & Recondition: • Cleaning & replacement of rotor (if necessary) • Front and rear suspension • Water

Includes:

• Stitched upholstery design

• Heavy-duty aluminum backrest

• Double post design

• Flexible delivery system with control panel

• 3 programmable memory positions

• Built-in Piezo scaler

• Removable and rotatable stainless steel water outlet

• 4 instrument position on premium swiveling assistant side with premium control panel

• Main switch for all (air, water and electricity)

• 4-way foot switch

• Dentist and assistant stool

Now Upgraded with

• M7 LED Light with Composite Safe Mode

• Extended 8 years warranty

• 23W of Torque

• 410,000 RPM

• Ceramic Ball Bearings

• Handles

Code

4 Hole (HP3008P)

Beye® (HP6018P) W&H® (HP3022P)

(HP3054P) NSK® (HP3043P) KAVO® (HP3036P)

M800X LED High Speed Handpiece

• 30W of Torque

• 430,000 RPM

• Extra Quiet

• 25 Months Warranty

Backend Code

Beyes® (HP6018X)

Star® (HP3054X)

NSK® (HP3043X)

KAVO® (HP3036X) Reg. $1,399/ea Net: $699.50/ea

Limitless PSI Technology

Experience the freedom from operating pressure control

X Ball Bearings Lasts 4x longer than other ball bearings

Instant Stop Technology Eliminates backflow and prevents cross-contamination

• 22W of Torque

• 45 Degree Angled Head

• 410,000 RPM

• Rear Air Exhaust

• Direct LED

• Stream Water

• 12 Months Warranty Backend Code

4 Hole (HP3048) Beyes® (HP6038) NSK® (HP3044)

(HP3037)

(HP3055)

Plus® LED Curing Light System

• Built-In Digital Radiometer

• LED Display Panel

• Cordless, Portable Design

• Cures 850 Times Per Charge

• Up to 2000 mW/cm ± 10%

• Rechargeable Samsung

Lithium-Ion Battery

• Solid Aluminum Body

• 12 Months Warranty

Reg. $699/ea Net: $349.50/ea

• 5MP High resolution images

• True auto-focus and anti-fog lens

• Plug-and-play with direct USB connection

• Intuitive camera lighting system

• Super lightweight

• Compatible with all major imaging software including Dentrix, Dexis, Eaglesoft, Curve Hero, Open Dental …and more!

Months Warranty

Color Code
Silver (SM1003P-S)
Blue (SM1003P-B)

Scaler Waterlines: The Blind Spot in Your Infection Control Protocol

Then Protect ™ Shock

The New PureClarity™ Scaler Waterline Purification System1 takes any source water and brings it into global compliance by exceeding even the strictest international standards of <100 CFU/ml for at least 6 months2 (the current U.S. standard is <500 CFU/ml). Utilizing an innovative biopharmaceutical-grade, asymmetric, microporous membrane, PureClarity filters remove bacteria, pathogens, and contaminants through a chemical-free process.

Shock Then Protect™

Every PureClarity filter comes with a Parkell Shock Syringe1 for simple loading of shock solutions into any scaler or waterline (via Luer-lock connection), and thus simplifies removal of bacterial colonies and biofilm prior to filter installation.

B uy 3 PureClarity™ Systems, G et 1 Free*

PureClarity™ Scaler Waterline Purification System (4919-D719)

Includes (1) 20 ml Shock Syringe and (1) PureClarity Filter.

(Shock solution not included.)

1. Patent pending.

2. Depends on total dissolved solids (TDS) in source water and volume of water used.

*To redeem your no charge goods, email a copy of your Atlanta Dental invoice dated 10/1/25 – 12/31/25 to Parkell at dealerpromotions@parkell.com . Limit to (10) redemptions per dental office per promotion period. Promotional goods are provided by Parkell only; not from the authorized distributor for whom the qualified goods were originally purchased. Invoices must be received by 1/31/26. Please allow 4-6 weeks for delivery of no charge goods. Offer valid in U.S. only. Not valid for orders outside of the 50 United States. This offer cannot be combined with any other offer and is subject to change without notice.

Conquering Biofilm Starts with Testing

FASTCheck15™ Rapid Response

A simple in-o ce pass/fail result you can trust

FAST Real-time results within 15 minutes

CONVENIENT Test between lab results or a er remediation to confirm success

R2A with FASTRead™ A Better Way to R2A

Lab Results with the Gold Standard

FAST Early notification within 24 hours*

COMPLIANT The only EPA-approved method with third party documentation

Scan for Free Sample of

Scaler Waterline Purification System from

Year-End Savings!

Stock Up on Infection Control and Prevention, and Power Essentials

October 1–December 31, 2025

Dental Water Management

Buy 1 VistaPure™ Water Purification System (CVV3000), Get 1 each (CVR3251) Prefilter #1 and 1 each (CVR3255) Polishing filter #5 at no additional charge

Buy 1 VistaClear™ DP (CVV1000-DP) Centralized Waterline Treatment System, Get 1 each (DP365VC) DentaPure™ Cartridge and 1 each (CVR9725) VistaClear™ DP Carbon Filter at no additional charge

Power Equipment

Buy 1 PWR Pair, Get 2 PWR Piezo Tips and 2 boxes of Powder at no additional charge

Use Promo Code: 3360

Buy 1 PWR Piezo, Get 2 PWR Tips (Scaling or Perio) at no additional charge Use Promo Code: 3361

Contact Atlanta Dental to place an order.

Offer(s) valid in the 50 United States and District of Columbia. Participation is not permitted for customers who participate in any

Promo Code 3487

program, including government, group practices, special markets, community health centers, schools, institutions, and discount customers. This offer cannot be combined with any

offer or promotion. Offer(s) not valid on Made-To-Order (MTO) products. To get your at no additional charge product(s), please email a copy of your Atlanta Dental invoice dated October 1 – December 31, 2025 indicating the required buys and your at no additional charge goods selection to redemptions@hu-friedy.com. Proof of purchases may be used for marketing purposes. Redemption must be postmarked by January 31, 2026. All company and product names are trademarks of Hu-Friedy Mfg. Co., LLC, its affiliates or related companies, unless otherwise noted. Marks not registered in all jurisdictions. ©2025 Hu-Friedy Mfg. Co., LLC. All rights reserved. 2510

WHY Clear Comfort Aligners?

• Made from a premium thermoformed plastic material that is engineered for precision fit, ongoing force retention, and exceptional durability

• Tear and stain resistant

• Manufactured in the USA using FDA 510(k) cleared, MDSAP certified processes

• Each clear aligner is marked with a unique identifier code for the case and the stage

TREATMENT OPTIONS

Perfect for Esthetic Cases.

• Mild to moderate movements like crowding, spacing, midline shift, overbite, and open bite

• Clear retainers available

ADVANCED ENGINEERING

• Premium Material – continual force for faster treatment and greater comfort for your patient

• Improved Stain Resistance – starts clear, stays clear

MODULAR PACKAGING

• Our modular packaging accommodates as many stages as the case requires.

• Modular Box includes:

- Clear aligners in baggies

- Care Kit: Carrying case, removal tool

- Patient Guide

- Treatment Review Plan

| Acrylics & Reline Materials

Advance Dental Products Temporary C & B Material

Advance Temporary Crown & Bridge Material is a syringeable bis-acryl composite for chairside provisional restorations. Available in 3 shades: A1, A2, A3, all are delivered in 76g (50mL) cartridges designed to fit on a 10:1 style automix gun. Ten waste saver tips are included per kit.

Buy 4, Get 1 FREE!

Dentsply Caulk Integrity®

Composite resin material is automatically mixed and directly dispensed from a cartridge. Used for the fabrication of provisional restorations.

• Self-cure

• Minimal shrinkage

• Mixed in the tip

• Less than 5°C temperature change

• Bonds to itself

Refill Package Contains: (1) Cartridge material, (20) mixing tips small A1 ........................................... 1264666210

Venus Temp 2 is a 10:1 auto-mix provisional material used to create temporary crowns and bridges, inlays, onlays, veneers, and long term temporaries. Venus Temp C&B Refills

Protemp™ Plus Temporization Material is the first bis-acrylic material to include a new generation of sophisticated fillers that offers unparalleled strength, easy handling – and an easier procedure for you!

Refill Pack Contains: (1) cartridge – 50ml; (16) Garant™ Mixing Tips, blue; Instructions

Luxatemp Automix Plus is used to create provisional restorations for placement in the patient's mouth during indirect and prosthodontic treatments. Available in 5 lifelike shades A1, A2, A3.5, B1, and Bleach Light.

• Provides extremely accurate provisional with excellent marginal adaptation.

• Eliminates need to re-marginate.

• Provisional is easily removable.

• Fabricate provisionals directly in the patient’s mouth with no heat damage to pulp or tissue.

• Eliminates need to remove and replace multiple times during polymerization.

Refill Kit

Advance Dental Products

Disposable Injection Needles

Single Use - Plastic Hub

25ga Box/100

Short - Red

0065ADP-025SP

Long - Red 0065ADP-025LP

27ga Box/100

Short - Yellow 0065ADP-027SP Long - Yellow 0065ADP-027LP

30ga Box/100

X-Short - Blue 0065ADP-030XSP

Short - Blue 0065ADP-030SP Ea $15.99 10+ $13.99

Advance Dental Products

Lidocaine

Lidocaine 2% with Epi 1:100,000

Features:

• No-methylparaben formulation to avoid allergic reactions on sensitive patients.

• 100 percent latex free components to help reduce allergic responses.

Box/50 ............................

0065ADP-0100 Ea $43.49 10+ $40.99

Advance Dental Products

Topical Anesthetic Gel

Contains 20% Benzocaine for maximum strength pain relief.

Bottle - 1oz

Cherry

Septodont

Septoject Needles

Bevel Indicator

Septoject triple beveled needle is siliconized to help ensure a smooth motion during injection and maximize patient comfort. Septoject’s plastic hub will not damage syringe hubs over time.

27ga Needles Box/100

Long - Yellow

Short - Orange

30ga Needles Box/100

Short - Blue

X-Short - Purple

006555011

Mint 006555012

Piña Colada 006555014

Bubble Gum ............................. 006555015

Strawberry 006555016

Raspberry 006555017 Ea $7.49

| Bleaching

Kulzer

Venus® White Pro Tooth Whitening Carbamide Peroxide

Patient Kit Contains: (6) 1.2ml Syringes, Teeth Tray Case

16%

22%

154140005166

Kulzer

Venus® White Ultra Pre-filled Trays Hydrogen Peroxide

• Pre-filled, Disposable Whitening Trays

• No chair time or multiple visits required

• Once-a-day treatment for up to seven days, with visibly whiter teeth in just three days.

• Available in mint-flavored 11.2% or 15% hydrogen peroxide gel

Dentsply Professional

Captivate by NUPRO™ Carbamide Peroxide

154140005167 35%

• Ultra thin for maximum comfort

154140005460

Ea $55.49 5+ $52.99

Refill Kit Contains: (3) 1.2ml Syringes 16%

154140005164 22%

$32.49

$30.99

Bulk Refill Packs Contains: (50) 1.2ml Syringes 16%

154140005463 22%

154140005464 35%.....................................

154140005465 Ea $224.99

• Upper and lower trays sized differently for best fit

• A great option for teens or post-orthodontic patients

Venus White Ultra 11% Contains: (7)

Upper and (7) Lower Pre-filled Trays

154140005210 Ea $45.99 3+ $43.99

Venus White Ultra+ 15% Contains: (7) Upper and (7) Lower Pre-filled Trays

154166060672

Captivate by NUPRO™ Carbamide Peroxide tooth whitening formulas are clinically proven to maintain whitening results for two years and are gentle enough to be used overnight

Bulk Kit Contains: (50) contains 50 Carbamide Peroxide Gel Syringes, 2.4g each, 50 Dispensing Tips with Cap, 50 DFUs 10%

or

Industry leading, award winning dental material solutions from DMG

Luxatemp Ultra The Gold Standard for provisionals

Rated #1 in flexural strength, Luxatemp Ultra provides unsurpassed break resistance, superior stability and long-term durability.

Luxatemp Ultra 76gm Cartridge Refill Ea.

A1 (2537110906) A2 (2537110907) A3 (2537110908) A3.5 (25374110909)

B1 (2537110910) BL (2537110911)

Luxatemp Ultra 15gm Syringe Refill Ea.

A2 (2537110901) B1 (2537110904) BL (2537110905)

LuxaCore Z Dual Simply strong from root to crown

Choose the award-winning, premium composite with added Zirconia filler for core build-up and root post cementation.

LuxaCore Z Dual 50ml Cartridge Refill Ea.

A3 (2537213330) Light Opaque (2537213332) Blue (2537213331)

LuxaCore Z Dual 9gm Syringe Refill Ea.

A3 (2537213334) Light Opaque (2537213336) Blue (2537213335)

dmg-america.com 800.662.6383

Trusted Two Striper® Performance in Euro-numbered Shapes!

9 Euro-shape convenience – Popular European-numbered shapes simplify the selection process when desired

9 Grit indication – Grit-indicating grooves located by the neck of the shank for easy identification

9 Two Striper® Performance - Cuts faster, lasts longer for multiple preps

9 Sharper diamonds that stay put – Proprietary P.B.S.® brazing process

Two Striper® EURO 5-pack

5+2 FREE!*

$74.75

Buy 5 Two Striper® EURO Packs (mix/match), Get 2 Two Striper® EURO Packs FREE!*

Aluminum Chloride Hemostatic System

Clear Control. Proven Performance.

9 25% aluminum chloride for effective hemostasis & fluid control

9 Innovative formula boosts gel penetration for faster, more effective results

9 Excellent visibility during placement & rinse

9 Syringe delivery for easy, accurate application

Traxodent® Gel

Contents: 30cc (30mL) Filled Bulk Syringe, 20 Brush Tips, 20 x 1.2ml Syringes, 20 x 1.2ml Syringe Caps, Docking Port 9007105 Traxodent® Gel Brush Tips . .

Contents: 100 Brush Tips

* To receive your free merchandise, forward a copy of your ATLANTA DENTAL invoice indicating appropriate purchase(s) by FAX 610-239-6171 or email Redemptions@premierdentalco.com. Offers valid in U.S. only. Indicate free goods of equal or lesser value. Offers valid 10/1/2 5 through 12/3 1/2 5 Redeem by 12/15/26. Premier reserves the right to substitute free goods. May not be combined with other offers. / ®Two Striper and P.B.S. are registered trademarks of the manufacturer, Abrasive Technology, LLC

at tooth-restorative interface

• Ideal restorative treatment for high-risk caries, pediatric and geriatric patients

Operative Carbide Burs

Carefully designed blade structure, rake angle, flute depth and spiral angulation combined with specially formulated tungsten carbide results in a powerful cutting performance. These burs are engineered to deliver the most efficient cutting rate and performance for the most popular procedures.

Operative Carbide Burs

Shank

FG (pkg/10)

FG (pkg/100)

RA (pkg/10)

RA (pkg/100)

FGSS (pkg/10)

FGSS (pkg/100)

FG (pkg/10)

FG (pkg/100)

FGSS (pkg/10)

FGSS (pkg/100)

Turbo Carbide Burs

Surgical & Endodonic Burs

Clinic Pack of Burs

Trimming and Finishing Burs

Advance Burs are manufactured with strict quality standards. This collection of burs is created with tungsten carbide and high-quality steel, which delivers dependable strength and powerful cutting.

Trimming and

Finishing

Burs

Advance Safe Tip Series

Trimming & Finishing Burs

Ideal for contouring and finishing subgingival and interproximal composite margins. Non-cutting rounded tip prevents “pink composites” due to damage to hard and soft tissue. The 10-blade trims and contours composites. Choose the 20-blade for a smooth pre-polish on composites. (0065110910) #SE9 (10-blade),

Unique bonding technology, uniform diamond coating, larger exposure of each diamond crystal. More than 245 shapes and grits, sold in boxes of 25, compare to all leading brands. 100% Money Back Guarantee if not Completely Satisfied.

Mosquito Round Inverted Cone Egg

Advance

Disposable Diamonds

Unique bonding technology

Larger exposure of each diamond crystal

Uniform diamond coating, including the tips

Single-Use

Sterile and individually wrapped in a roll of 25

Single-Use Diamonds

862-012C 862-012M 862-012F

837S-016C

836S-012C

836S-012M

Torpedo Short
Torpedo Short

Advance Disposable Sterile Diamonds

100% Money Back Guarantee if not Completely Satisfied.

Unique bonding technology, uniform diamond coating, larger exposure of each diamond crystal. More than 245 shapes and grits, sold in boxes of 25, compare to all leading brands.

100% Money Back Guarantee if not Completely Satisfied.

Fine

Fine 862S 012

862S-012C

862S-012M

862S-012F

862S-012XF

862S-012VF

862S-016C

862S-016M

862S-016F

862S-016XF 863S 012

863S-012C

863S-012M 863S-012F

878KS 019

863S-012XF 877KS 017

878KS-019C

878KS-019F

877KS-017C 877KS-017M 878KS 012

878KS-012C 878KS-012M 878KS 014

878KS-014C

878KS-014M 878KS-014F 878KS 016

878KS-016C 878KS-016M 878KS-016F 878KS 018

878KS-018SC

878KS-018F 879KS 012

879KS-012C

879KS-012M

880S-010SC

880S-010C

880S-010M 880S-010F

879KS 016

879KS-016C

879KS-016M

879KS 020

879KS-020SC

Advance Disposable Diamonds

• Unique bonding technology

• Larger exposure of each diamond crystal

• Uniform diamond coating, including the tips

• Single-Use

• Sterile and individually wrapped in a roll of 25

Advance Multi-Use Diamonds utilize natural diamond grit for efficient cutting and less heat. Diamond particles are precisely placed to provide the most cutting surface possible, including the tips of the diamonds. The stainless steel shank is carefully designed to operate smoothly and efficienty. Made in the U.S. Supercoarse

MU838C-012

Round End Cylinder, continued

MU880SC-010

MU880C-010

MU880SC-012

MU881SC-014

MU850C-012

MU880C-012

MU881C-014

MU850M-012

MU850F-012

MU850C-014

MU850M-014

MU850EF-012

MU850F-014

MU847SC-016

MU847C-014 MU847M-014

MU847C-016 MU847M-016

MU847SC-018

MU847C-018

MU847M-018

MU850SC-018

MU850C-018

MU850M-018

MU850F-018

MU855C-012

Round End Taper

MU855SC-016

MU855C-016

MU855M-016

MU855SC-018

MU855C-018

MU855M-018

MU855F-018

MU855SC-016SS

MU855C-016SS

MU855M-016SS

MU856SC-016

MU856C-014

MU856M-014

MU856C-016

MU856SC-018

MU856C-018

MU856M-018

MU848SC-018

MU848C-016 MU848M-016

MU848C-018

MU848M-018

MU848SC-023 MU848C-023

MU848M-023

MU862C-012

MU862M-012

MU862F-012

MU862EF-012

MU862C-016

MU862M-016

MU862F-016

MU862EF-016

MU856F-016

MU856F-018

MU863C-014

MU863F-014

MU863C-016 MU863F-016

MU878SC-012

MU879SC-018

MU878KC-012

MU863C-018

MU863F-018

MU878KM-012

MU879C-018

MU878C-012

MU878M-012

MU878F-012

MU878C-014

MU878M-014

MU879C-012

MU879M-012

MU878KC-014

MU878KM-014

Diamonds |

MU878KC-016

MU878KC-018

MU878KM-016

MU878KM-018

MU879KM-018

MU801C-010

MU801M-010

MU801C-014

MU801M-014

MU801C-016

MU801M-016

MU801SC-023

MU801C-023

MU801M-023

MU879F-018

MU801F-010

MU801F-014

MU801EF-014

MU801F-016

MU801F-023

MU889EF-008

Buy 5, Get 1 FREE* Buy 8, Get 2 FREE* Buy 12, Get 4 FREE* *Free Good Shade A2

GC

Initial® LiSi CAD/CAM Blocks

Initial® LiSi Block is a fully crystallized lithium disilicate block that delivers optimal physical properties without firing. It offers reduced processing time – you just need to mill, polish, and place.

Size 14 - Cerec Pkg/5

A1 HT 147912927

A2 HT ....................................... 147912928

A3 HT ....................................... 147912929

B1 HT 147912930

A1 LT 147912931

A2 LT 147912932

A3 LT ........................................ 147912933

B1 LT 147912934

A3.5 HT 147910037279

A3.5 LT 147910037280

Bleach 147910037281 Ea $185.99

4, Get 1 FREE

Ivoclar Vivadent

IPS e.max CAD PlanMill Blocks

IPS e.max CAD is a lithium disilicate glass-ceramic for CAD/CAM applications. IPS e.max CAD covers a comprehensive spectrum of indications.

Multiple shades are available for each block size and transparency. Shades available - A1 to A4 (including A3.5), B1 to B4, C1 to C4, D2 to D4, and BL1 to BL4.

Low Translucency - C14

High Translucency - C14

Multi Translucency - C14 ......... Ea $224.50

Low Translucency - C16 ........... Ea

Low Translucency -

VOCO

Grandio® Blocs

Universal Nano-Ceramic Hybrid CAD/CAM Blocks

Compatible

with Amman Girrbach and CEREC Mills

Grandio® blocs Universal are Nano-Ceramic

Hybrid CAD/CAM Blocks indicated for crowns, inlays, onlays, veneers as well as implant supported crowns.

• No firing or glazing required, reducing steps and saving time for true one-appointment dentistry

Multiple shades are available for each block size and transparency.

Pkg/5

Low Translucency - C12

High Translucency - C12 Ea $144.49

Low Translucency - C14

High Translucency - C14 Ea $155.59

3M/ESPE

3M™ Chairside

Zirconia

3M Chairside

Zirconia is strong enough for use in a single-unit crown and a three-unit bridge restoration.

20mm Pk/5

A1 .............................................. 450969941

A2 450969942

A3 450969943

A3.5 450969944

B1 450969945

C1 .............................................. 450969946

D2 450969947

Ask your Atlanta Dental Representative about ALL Amann Girbach Zirconia Blocks and Discs now available!

Intro

450969955

Amann Girrbach

Zolid DRS Multilayer Zirconia Blocks

Universal Mandrel Pkg/3

Ideal for same-day-dentistry: sintering highly esthetic restorations in the high-speed sintering furnace in just 20 minutes – all this with the highly translucent Zolid DRS zirconia.

• TRANSLUCENCY Highly translucent

• 3-POINT FLEXURAL STRENGTH 1100 +/- 150 MPa

Multiple Shades available for each Block Size. Available in Shades A1 to A4, B1 to B4, C1 to C4, D2 to D4, BL1, and BL3

Pkg/3

Coltene

BRILLIANT Crios

CAD/CAM Blocks

BRILLIANT Crios is a reinforced composite. The material combines all the advantages of an innovative submicron hybrid composite material with those of a CAD/CAM fabrication process for reliable, aesthetic and fast restorations without a separate firing process. Two sizes and two translucencies with multiple shade options (Bleach, A1, A2, A3, A3.5, B1, B2, B3, C2)

Size 12 – Low Translucent

– Available in all shades

Size 12 – High Translucent

– Available in A1, A2, A3, B1

Size 14 – Low Translucent

– Available in all shades

Size 14 – High Translucent

– Available in A1, A2, A3, B1

Structur® 3

Structur®

Fast-setting Bis-acrylic Structur®

Highly Durable Bis-acrylic

Q4 2025 PROMOTIONS

OCTOBER

Structur CAD blocks

You Don‘t ONLY Use Glass Ionomer, Do You?

Dr. Brian Novy – Boston, MA Date / Time 10/8/25 7:00 PM ET, 4:00 PM PT

What’s Your ADPIE?-Part 1: Mastering the Essentials of Assessment, Diagnosis and Planning

Dr. Joy Void-Homes, RDH – Bowie, MD

NOVEMBER

Dr. Howard Glazer – New York, NY

What’s Your ADPIE?-Part 2: Mastering the Essentials of Assessment, Diagnosis and Planning

Dr. Joy Void-Homes, RDH – Bowie, MD Date / Time 11/20/25 7:00

DECEMBER

Direct

Composites

Dr. Ron Kaminer – New York, NY

BUY 5 GRANDIO blocs (UNIVERSAL OR PLANMILL) OR STRUCTUR CAD SLEEVES (5 PER SLEEVE), GET 1 SLEEVE OF THE SAME PRODUCT (A2)1

BUY 8 GRANDIO blocs (UNIVERSAL OR PLANMILL) OR STRUCTUR CAD SLEEVES (5 PER SLEEVE), GET 2 SLEEVES OF THE SAME PRODUCT (A2)1

BUY 12 GRANDIO blocs (UNIVERSAL OR PLANMILL) OR STRUCTUR CAD SLEEVES (5 PER SLEEVE), GET 4 SLEEVES OF THE SAME PRODUCT (A2)2

Cluster Shading – The Next Generation of Esthetic Restoratives

Mr. Gregor Connell – London, ON Date /

Fluoride and Fluoride-Free Alternatives: Personalizing Care to Meet Individual Patient Needs

Laverne Thomas, RDH – Clinton, MD

PT

Date / Time 12/10/25 7:00 PM ET, 4:00 PM PT

| Cements

3M/ESPE

RelyX™ Unicem 2 Automix Cement

Self Adhesive Universal Resin Cement

RelyX™ Unicem 2 Automix Self-Adhesive

Resin Cement provides:

• Convenient automix in the easy-to-use syringe

• Simple and time-saving one-step solution — no etching, priming, or bonding

• Enhanced bond strength and esthetics

• Virtually no post-operative sensitivity

Value Kit Pkg/3 8.5g Syringes

Translucent 450956858

Ea $509.99

Refill 8.5g Syringe with tips Contains (10) Regular, (5) Wide and (5) Endo

A2-Universal 450956846

A3-Opaque 450956847

Translucent ............................... 450956848

Ea $188.99

4+ $186.99

3M™ RelyX™ Universal Resin Cement

• Universal dual-cure resin cement for virtually all adhesive and self-adhesive indications

• Virtually no post-op sensitivity

• Unique self-sealing syringe - Thin, long elongation tip for easy root canal application

• Outstanding self-adhesive bond strength in both self-cure and light-cure

• High esthetics by color-stable, fluorescent shades

• Thin, long elongation tip for easy root canal application

Dentsply Caulk

Calibra® Universal Self-Adhesive

Resin Cement

Dual Cure

Calibra® Universal combines esthetic shading with a self-etching adhesive, making it suitable for the permanent cementation of metal, PFM, resin/ composite, ceramic and porcelain inlays, onlays, crowns and bridges and endodontic posts without application of a separate dentin/enamel adhesive bonding agent/ system.

Refill Package Contains: (2) Syringes (4.5g each), (20) Mixing Tips

Light 1264607402

Medium 1264607403

Translucent ............................. 1264607405

Opaque 1264607406

Bleach 1264607407 Ea $189.99

Multilink® Automix Next Generation Resin Cement Self Etch, Self Cure

Multilink Automix is a self-curing, luting composite with light-curing option used for the adhesive cementation of indirect restorations made of metal, all- ceramics, metal ceramic and composite.

Refills Contains: (1) 9g Multilink Automix syringe, and (15) Automix mixing tips

Transparent ............................. 6704615216

Dentsply Caulk

Calibra® Bio Bioceramic Luting Cement

• Unique chemistry combines calcium aluminate and glass ionomers to deliver seamless adaptation towards the tooth structure.

• Works naturally within the oral environment to form a self-repairing layer of hydroxyapatite (HA) for improved marginal integrity by minimizing microleakage.

• Works well with moisture, easy cleanup, less technique sensitive, and less steps

Introductory Kit Contains: 7 Capsules & 1

Capsule Extruder 2

Capsule Refill: 14 Capsules

Kerr

Maxcem Elite™ Chroma

Self-Etch/ Self-Adhesive Resin Cement with Color Cleanup Indicator

Maxcem Elite Chroma offers a Color Cleanup Indicator, making it the smartest cement available on the market today. The pink color fades at the gel state, telling you the optimal time to cleanup excess cement. Compatible with all indirect restorations.

Refill Pack Contains: (2) Dual Syringes, (8) pink automix tips (Regular), (8) pink automix tips (wide), (8) intraoral tips, ITU, and technique guide

1264607601

1264607604

3M/ESPE

RelyX™

Luting Plus Automix Cement

Resin Modified Glass Ionomer Cement

This next generation formula now comes in an easy-to-use syringe delivery system.

• Easier to use and preferred over other RMGI cements

• Convenient automix –allows for direct delivery into the crown

• Optional light cure for faster removal of excess cement

• Easy clean up

• Sustained fluoride release for caries prone patients

• Virtually no post-operative sensitivity

Trial Kit Contains: (1) 8.5g (5ml) syringe, (12) Mixing Tips, Technique Guide, Instructions For Use

45093535TK

Ea $130.99

Buy 5, Get 1 FREE

GC

America

FujiCEM™ 2 Automix Paste Pak

Resin Reinforced Glass Ionomer Cement

Delivers superior bond strength. Ensures long-lasting restorations. Secondgeneration, resin-modified glass ionomer luting cement. Indicated for a broad array of indirect restorations (including all types of metal-, rein-, alumina-, and zirconia-based inlays, onlays, crowns, and bridges).

Automix Package Contains: (2) 7.2ml, 13.3g cartridges, and (42) mixing tips

1479004600

Ea $369.99

Refill Pkg No tips

1479004599 Ea $349.99

Dentsply Caulk Prime&Bond

Dental Adhesive

Prime&Bond Elect™ Universal Dental Adhesive is a self-priming dental adhesive system designed to bond resin based materials to enamel and dentin as well as to metals and ceramic. Prime&Bond Elect™ Universal Dental Adhesive combines etchant, primer, and adhesive in a single bottle. This robust formulation allows the dentist to utilize selective phosphoric acid etching of enamel only, phosphoric acid etching of both enamel and dentin, or no phosphoric acid etching prior to application, ensuring outstanding bond strengths, and protection against microleakage.

Value Kit Contains: (3) 8.5g (5ml) syringe, (36) Mixing Tips, Technique Guide, Instructions For Use

Buy 4, Get 1 FREE Buy 4, Get 1 FREE Buy 4, Get 1 FREE Buy 10, Get 3

45093535

Ea $329.99

3M/ESPE

RelyX™ Luting Plus Cement

Resin Reinforced Glass Ionomer

An advanced resin-modified glass ionomer formula with convenient paste-paste delivery that is easy to mix, load, and seat. This cement offers enhanced marginal integrity with low solubility, strength, and virtually no postoperative sensitivity.

Trial Kit Contains: (1) 11g Cement in Clicker™ Dispenser & (1) illustrated technique guide

45093525TK

Ea $234.99

Cement Refill 11g

Pkg/2

45093525

Ea $434.99

3M/ESPE

3M™ Scotchbond™ Universal Plus Adhesive

First radiopaque universal adhesive, minimizing the risk of X-ray misdiagnosis and invasive overtreatment. Adheres to all dental substrates, including glass ceramic, no need for a separate primer, silane or activator. Supports minimally invasive dentistry by bonding and sealing caries affected dentine. Free of BPA derivatives like BisGMA. Virtually no post-operative sensitivity.

Buy 4, Get 1 FREE Buy 10, Get 3 FREE

Dentsply

Sirona

Prime&Bond® Active

Universal Adhesive

Prime&Bond active provides well balanced hydrophobic and hydrophilic properties to ensure complete coverage and penetration at varying moisture levels.

Clinical Specials

Tetric® PowerFlow

Tetric EvoFlow® Tetric EvoCeram® Aligner

Cosmetic Restoratives |

Adhese Universal is a single-component, light-curing universal adhesive for direct and indirect bonding procedures that features compatibility with all etching techniques: self-etch, selective-enamel-etch, and total-etch.

Adhese Universal VivaPen Refill (1x2ml)

$134.94 Kerr

Buy 2, Get 1 FREE Buy 5, Get 3 FREE

OptiBond® Universal 360

OptiBond Universal 360 is a new bonding agent that offers the best outcome to every clinician, regardless of what materials they use or which techniques they follow. No matter what your goals are, OptiBond Universal 360 can help your dental practice meet them with ease.

Bottle Kit 5ml Bottle, 3g Gel Etchant, 25 Mixing Wells, Technique guide, and 100 Applicators

360436885

Ea $201.99

Unidose Kit Pack/100, 3g Gel Etchant Dispensing Tips, and 100 Applicators

360436886

Ea $349.99

Bottle Refill 5ml 360436887

$166.99

Kerr

OptiBond™ eXTRa Universal Features:

• Self-Etch, Selective Etch and Total Etch Techniques

• Two-Component only

• GPDM Monomer

• Ternary Solvent System

• Smart pH Technology Benefits:

• Etching Versatility

• Consistent and simplified protocol.

• Superior bond strength

• Effective enamel etching and dentin tubule penetration

Bottle Kit Contains: 1 Bottle Self-Etching Primer (5 ml), 1 Bottle Universal Adhesive (5 ml), 50 Applicators and 25 Four-Cavity Mixing Wells, Directions for Use and 1 Technique Guide

360436658

Ea $267.99

Advance Dental Products Temporary Luting Cement

High-retentive, eugenol-free, zinc-oxide based temporary luting cement containing calcium hydroxide. Indicated for luting temporary provisional restorations and temporary definitive restorations. Temporary Luting Cement

Get 1 of

Unidose Kit Contains: 50 Unidose SelfEtching Primers (0.18 ml each), 50 Unidose Universal Adhesives (0.18 ml each) 100 Applicators, Directions for Use and 1 Technique Guide

Primer Refill 5ml Bottle

Adhesive Refill 5ml Bottle

360436659

Ea $389.99

360436660

360436661

Ea $145.49

™ Universal Bond Quick 2 is a single-

universal adhesive with the unique MDP & Amide and new UTM monomers.

oral care is now part of Solventum

Buy one Filtek Warmer, get one Filtek Refill* at no additional charge

Offer valid 10/1/25–12/31/25. Must redeem by 1/10/26. Redeem to OralCarePromos@solventum.com.

Fast, easy and portable

New Solventum™ Filtek™ Composite Warmer

As you transform your patients’ smiles, one small device can help you transform your procedure. Use the new Filtek Composite Warmer with indicated Filtek™ Dental Composites1 and see how a little warmth can make a big difference in your day.

• Fast: warmed material in as little as 2 minutes after a fast start of only 10 minutes

• Easy: one-button operation, easy to clean and disinfect

• Portable: removable holder maintains heat and can be moved and used at point of care Filtek Dental Restoratives that are safe to warm1 • 3M™ Filtek™ Supreme Ultra Universal Restorative • 3M™ Filtek™ Easy Match Universal Restorative • 3M™ Filtek™ Universal Restorative

• 3M™ Filtek™ One Bulk Fill Restorative

• 3M™ Filtek™ Bulk Fill Flowable Restorative • 3M™ Filtek™ Supreme Flowable Restorative

1 Warm capsules to up to 70ºC for up to 1 hour. Warm flowable syringes to up to 70ºC for up to 1 hour, up to 25 times.

Ask your Atlanta Dental representative for complete ordering information.

*Promotional goods must be equal or lesser value of purchased product. To obtain promotional goods, you can redeem by email. Proof of purchase on one Atlanta Dental invoice dated October 1, 2025 – December 31, 2025 is required (multiple invoices are accepted from a single purchase order when order cannot ship complete). Redeem by January 10, 2026. Redeem by email: OralCarePromos@solventum.com. Specify promotional product selections and include your business phone. Allow 3–5 weeks for delivery. Offers valid in the United States. Offer void if purchased product is returned. © Solventum 2025. Solventum, the S logo, Filtek and other trademarks are trademarks of Solventum or its affiliates. 3M and the 3M logo are trademarks of 3M.

In 2024, 3M Health Care spun off from 3M Company, creating a new, standalone, world-class healthcare company. That new company is called Solventum. Our name may be new, but our experienced team, trusted technologies and exceptional service and support aren’t changing. We’re here to help you create many more beautiful, healthy smiles. Learn more at Solventum.com.

order call 800.218.5412 or contact your Atlanta Dental Representative.

3M/ESPE

Filtek Supreme

Ultra Universal Restorative Capsule Refills

• Excellent polish and better polish retention than a microfill

• Improved fluorescence

• Exceptional handling

• Outstanding strength for anterior and posterior use

Body Capsule Refills Pkg/20 (0.2g ea)

A1B .......................................45096029A1B

A2B 45096029A2B

A3B 45096029A3B

A3.5B 45096029A3.5B

A4B .......................................45096029A4B

A6B .......................................45096029A6B

B1B 45096029B1B

B2B 45096029B2B

B3B 45096029B3B

B5B ....................................... 45096029B5B

C1B 45096029C1B

C2B 45096029C2B

C3B 45096029C3B

D2B 45096029D2B

D3B ...................................... 45096029D3B

WB 45096029WB

XWB 45096029XWB

Enamel Capsule Refills Pkg/10 (0.2g ea)

A1E ....................................... 45096029A1E

A2E ....................................... 45096029A2E

A3E 45096029A3E

B1E 45096029B1E

B2E 45096029B2E

D2E ...................................... 45096029D2E

WE 45096029WE

XWE 45096029XWE

Dentin Capsule Refills Pkg/10 (0.2g ea)

A1D 45096029A1D

A2D ..................................... 45096029A2D

A3D 45096029A3D

A4D 45096029A4D

B3D 45096029B3D

C4D 45096029C4D

WD ....................................... 45096029WD

Translucent Capsule Refills Pkg/10 (0.2g ea)

AT 45096029AT

BT 45096029BT

CT 45096029CT

GT .......................................... 45096029GT Ea $89.49 4+ $86.49

Cosmetic Restoratives |

Dentsply Caulk TPH Spectra ST

Universal Composite

Restorative is a visible light cured, radiopaque, composite restorative for anterior and posterior restorations and cosmetic and functional reshaping of primary and permanent teeth.

Compules Tips Intro Kit Contains: 5 shade A1, 10 shade A2, 10 shade A3, 5 shade A3.5, 5 shade A4, 5 shade BW, Compules Tips Gun, Shade Guide,i-shade label

LV 1264642000

HV ........................................... 1264642004 Ea $279.49

Compule Tips Refill 0.25gm Box/20

Low Viscosity (LV)

A1 1264642220

A2 1264642221

A3 ........................................... 1264642222

A3.5 1264642223

A4 1264642224

Bleach White 1264642225

High Viscosity (HV)

A1 ........................................... 1264642231

A2 1264642232

A3 1264642233

A3.5 1264642234

A4 1264642235

Bleach White .......................... 1264642236 Ea $164.99 4+ $161.99

Meet the next generation of nanohybrid

universal composites infused with Adaptive Response Technology, Harmonize helps you achieve lifelike restorations with more ease and simplicity. The nanoparticle filler network provides better blending capabilities and enhanced structural integrity.

Kerr SimpliShade

SimpliShade, powered by Adaptive Response Technology, matches all 16 VITA classical shades with just 3 shades: Light, Medium, Dark. Adaptive Response Technology (ART)The ART filler network, a proven technology found in Harmonize, helps you achieve lifelike restorations with exceptional strength and unmatched esthetics.

Simplicity

Buy 3, Get 1 FREE

Tokuyama OMNICHROMA

Single shade composite that’s clinically proven to match the color of any tooth. Match any

Cosmetic Restoratives |

Buy 2, Get 1 FREE

Tokuyama

OMNICHROMA FLOW

Single shade composite that’s clinically proven to match the color of any tooth. Match any shade A1 to D4 in one application. Flow Syringe - 3g

3M/ESPE

Filtek® Supreme

Ultra Flowable

Restorative Refills Capsules or Syringes

A new benchmark for flowable composites delivering high strength and low wear.

Syringe Refills - Pkg/2 Contains: (2) 2g Syringes, (20) Dispensing Tips

Dentsply TPH Spectra ST Flow

Light-cured, flowable composite material. High-strength polish and stain resistance. Indicated for direct restoration of cavities (except occlusal stress bearing); filling defects and undercuts in crowns, inlays, and onlays; blockouts; repairing defects and pit-and-fissure sealing, and cementing light-transmissible indirect restorations. Radiopaque.

Compules - Pkg/16

A1

1264642511

A2 1264642512

A3 1264642513

A4 1264642514

1264642515

1264642516

1264642517

1264642518

1264642519

Syringe - Pkg/2

A1 1264642521 A2 1264642522 A3 1264642523

A4 ........................................... 1264642524

A3.5 1264642525

1264642526

1264642527

........................................... 1264642528

1264642529

Caulk SureFil® SDR® Flow+ Posterior Bulk Fill Flowable Base SureFil® SDR® Flow+ posterior bulk fill flowable base is an addition to our outstanding portfolio of Composites. Compula

Next-generation, Self-leveling Bulk Fill

BUY ANY 3 Single Kits

GET 1 Single Kit

BUY ANY 3 Twin Pack Kits

GET 1 Twin Kit AT NO COST

BUY ANY 1 Starter Kit

ACTIVA™ BioACTIVE-RESTORATIVE™ or KIDS™

GET 1 Single Refill AT NO COST

(Limit 2 at no cost , A1 or A2 only)

Shades: A1, A2, A3, Pediatric (ACTIVA KIDS)

BUY 3 Value Refills

ACTIVA™ BioACTIVE-RESTORATIVE™ or KIDS™

GET 1 Value Refill AT NO COST

(Limit 2 at no cost, A1 or A2 only)

Shades: A1, A2, A3, A3.5, Pediatric (ACTIVA KIDS)

To order call 800.218.5412 or contact your Atlanta Dental Representative.

Advance Dental Products

Universal Bond Plus & Universal Bond Plus DCA

Light-curing

universal adhesive. Can be applied with or without phosphoric acid etching. Suitable for direct or indirect restorations. Provides secure adhesion, without the need for additional primer, for various materials such as metals, zirconium, or aluminum oxide, as well as silicate ceramics. Dualcure activator for self-curing or dual curing. Applied in one layer: only 35 seconds total working time.

Universal Bond Plus 5ml ........................................... 006582390 Ea $114.99

Universal Bond Plus DCA 2ml

Advance Dental Products LC Nano Hybrid Flowable Composite

Light-cured, flowable, 80% nano-hybrid composite with a 3.5mm depth of cure. Natural aesthetics with lower shrinkage, the wear resistance of a hybrid, and excellent color retention. Radiopaque.* *Application requires layering technique. Light-cure layer by layer in 2mm increments.

Flowable Composite - 1.8g A1 0065825260A1

Cosmetic Restoratives |

Advance Dental Products Pre-bent Multipurpose Dispensing Tips

Tips Pkg/100

18ga - Pink 006565227

(Cavity liners, Bases & Composites)

20ga - Yellow ............................ 006565228 (Composites & Sealants) 20ga - Black 006565229 (Composites & Cements) 22ga - Gray 006565230 (Sealants, Etchants & Cements)

25ga - Blue 006565231 (Etchants) Ea $11.19 4+ $10.79

Advance Dental Products Posterior Single Shade Composite

ADVANCE LC Posterior Fill is a light-curing, highly radiopaque hybrid composite designed specifically for time-saving cost-effective use in the posterior region. The combination of a new multi-hybrid filler technology with an innovative initiator system formed the basis for a filler material exhibiting minimal polymerisation shrinkage and excellent depth of cure.

0.25g Caps - Pkg/20 00658520 Ea $89.99

Advance Dental Products Composite Polishers RA Tan

Advance medium composite polishers are ideal for pre-polishing composite.

• Aluminum oxide grit

• Soft silicone bonding adapts to the composite surface

• Tan Pkg/40 - Medium (Tan)

.........................................

Dental Products Etching Gel 37% Phosphoric

Formulated for maximum working and handling characteristics.

Advance Dental Products

Nano-Hybrid Composite

ADVANCE LC Nano-Hybrid Composite is a light-curing filling material combining proven composite and innovative nano technology. ADVANCE LC Nano-Hybrid Composite is used with a dentine/enamel bond.

0.25g Caps - Pkg/20

Syringes (1.2ml) with 12 Tips Pkg/4

Syringes (1.2ml) with 25 Tips Economy Pkg/12 0065840012

Syringes (25ml) with 50 Tips

Pre-bent Tips (23ga) - Blue

3cc Empty Refillable Syringes Pkg/5

Advance Dental Products

Basic Plastic Cups

| Disposables

• Rolled edge for comfortable drinking and easy separation

• Each cup is embossed for easier grip

• Universal fit with any 5 oz. Dispenser

• Made of recyclable plastic

5oz Cups Case/1000

Advance Basic Bracket Tray Covers are manufactured from quality paper stock which helps provide a moisture barrier and minimize fluid absorbency.

BASIC

Econoback Towels 3-Ply

• 2-ply tissue, 1-ply poly provides excellent absorbency

• High quality poly backing keeps patients dry

• Available in today’s most popular colors

2-ply tissue with 1-ply poly (3 ply bibs) 13” x 18” - Case/500

Aqua 0065ABCA00

Black .................................. 0065ABCBLK10

Green 0065ABCGR05

Lavender 0065ABCL04

Blue 0065ABCB01

Gray 0065ABCG99

Mauve ................................... 0065ABCM03

White 0065ABCW02 Ea $33.99

8 1/2” x 12 1/4”” - Case/1000

Aqua 0065ABTCA00

Blue 0065ABTCB01

Black 0065ABTCBLK10

Gray .................................... 0065ABTCG99

Green 0065ABTCGR05

Lavender 0065ABTCB04

Mauve 0065ABTCM03

Aqua 0065ABTA00

Blue 0065ABTB01

Black 0065ABTBLK10

Gray 0065ABTG99

Green ...................................0065ABTGR05

Lavender 0065ABTL04

Mauve 0065ABTM03 White 0065ABTW02

Advance Dental Products

Articulating Paper

Advance Articulating Paper is used to mark and identify contact points between the maxillary and mandibular teeth during all forms of natural tooth occlusal adjustments and dental prosthesis insertions.

• White Tab at end to keep fingers clean!

• Soft, smooth, nonsticking, sensitive surface for marking at every point of articulation

• Clear, positive markings without smudging

• Wet or dry fields

• Positive results every time

Horseshoe Red/Blue (89 microns)

Pkg/6

Thin/Blue (71 microns)

Pkg/12

0065ATP-7007

Ea $15.99

0065ATP-7001

Combo Red/Blue (71 microns)

Pkg/12

Thick/Blue (127 microns)

0065ATP-7003

Pkg/12 ................................0065ATP-7000

Ea $12.94

White 0065ABTCW02 Ea $29.99

Advance Dental Products Plastic Headrest Covers

Advance Plastic Headrest Covers lie flat on headrest, providing barrier protection between patient and headrest.

..................................

Advance Dental Products Premium Non-Woven Sponges

• Unique rayon/ polyester blend

• 4 ply non-sterile

Ea $26.99

4+ $24.99

BASIC GREAT VALUE on Everyday Products!

Both Econoback and Polyback Towels come in a wide variety of colors!

Disposables |

Advance Dental Products Econoback Towels 3-Ply

Highly absorbent tissue specially treated to enhance wet strength and tear resistance, and a bonded layer of poly film. Reinforced edge to provide strength for Towel clips.

2-ply tissue with 1-ply poly (3 ply bibs)

19” x 13” - Case/500

Aqua 006572500

Beige ........................................ 006572505

Blue 006572510

Dusty Rose 006572515

Green 006572520

Lavender 006572525

Peach ........................................ 006572530

Silver Gray 006572535

White 006572540

Yellow 006572545

Teddy Bear 006572550

Polyback Towels 4-Ply

3-Ply tissue with 1-ply poly (4 ply bibs)

19” x 13” - Case/500

Aqua 006573500

Beige ........................................ 006573505

Blue 006573510

Dusty Rose 006573515

Green 006573520

Lavender 006573525

Peach ........................................ 006573530

Silver Gray 006573535

White 006573540

Yellow 006573545

Teddy Bear 006573550

$36.99

$34.99

Advance Dental Products DC CORE Dual Cure Flowable Core Build-Up

Advance dual cure flowable core build-up and post-cementing composite with nano technology is a microhybrid composite for core build-ups and cementing of posts. This polymer based restorative material has a high content of zirconium dioxide which results in optimal mechanical properties.

5mL Syringe Pkg/2

(Contains (2) 5mL Syringes, 10 mixing tips, 10 intraoral tips) 5mL Pkg/2 ................................ 006580127 Ea $61.50

Advance Dental Products Mixing tips for Temporary Cement Mixing Tip 1:1 Ratio Pkg/20 ...................................... 006565140 Ea $19.99

Advance Dental Products

BASIC Cotton Rolls

Pliable, non-linting super absorbent rolls made from 100% cotton. They do not adhere to mucous membranes and will retain their shape and strength when wet.

Non-Sterile #2 Medium

Case/2000 ................................ 006570050 Ea $16.29

Advance Parotid Dry Angle Tips are placed directly over the open ducts of the parotid gland where saliva is optimally absorbed, allowing a more drier working area. Its super absorbent foam material traps unwanted moisture, facilitating drier fields for impression taking, cementation and filling procedures.

Large (50mm x 43mm x 2mm)

Box/50

Small (40mm x 36mm x 2mm)

Box/50

Advance Dental Products

BASIC ProBack 1-Ply

Absorbent tissue bonded to a layer of poly film.

19” x 13” Case/500 1-ply tissue with 1-ply poly (2ply bibs) Blue 006571510 Ea $28.79

Poly

Mixing Pads feature an extra heavy duty pad with a high gloss poly finish.

006575510

006575500

• 100 Sheets per Pad • Non-skid foam base • Can be used for mixing: cements, composites, rubber based materials and silicates 3"x3" (100 sheets)

(100 sheets) ..............

(100 sheets).........

| Endodontics

Advance Dental Products

Advance Ferric Sulfate Liquid

15.5% Ferric Sulfate Liquid.

30ml Bottle .....................

0065317120-28 Ea $20.49

Advance Dental Products

Advance Aluminum Clear Hemostatic Chloride Gel

25% Aluminum Chloride Clear Hemostatic Gel

• Surfactant lowers surface tension for better wound penetration

• Controls bleeding fast – WILL NOT STAIN tissue

• Viscous gel will not flow onto surrounding tissue

Standard Kit (Contains: (4) 1.2ml syringes, (8) tips)

0065504600-28

Ea $20.49

Advance Dental Products

Advance Hemostatic Brush Tip

• (Single Use) Disposable Tip

• Soft bristle end allows for non-evasive brushing of solutions

• Universal luer lock style hub

• Polyester bristle allows for spreading of viscous solutions while stiff enough to avoid metal canula contact with soft tissue

Pkg/100

Advance Dental Products

Advance Spiral Brush Tip

These syringe tips are ideal for controlled placement of materials in restorative procedures.

0065312100-28 Ea $55.89

Advance Dental Products

Advance Black Brush Tip

Intended for the precise and smooth delivery of aqueous solutions.

•Minimizes bubbles

•Luer Lock Hub

Brush Tips

Pkg/100 .............................

• Nylon brush fiber for controlled delivery of viscous material, etchants & resins

• Luer Lock Hub

• Minimizes bubbles

• Adjustable brush tip fiber length

• Curved cannula for optimal entry

• Internal spiral channel

Brush Tips

Pkg/100 .............................

0065321400-28

Advance Dental Products

Advance Micro-Suction Tip

This narrow, flexible tip easily navigates curved canals. Intended for endodontic evacuation, though not limited to, this luer lock tip is easily attached to a luer HVE adapter. This allows for connection to high or low speed suction valves.

Micro-suction Tips

Pkg/50 ...............................

0065406150-28

0065321610-28 Ea $64.99

Advance Dental Products

Pulp Vitality

Refrigerant Spray

For use of thermo testing tooth vitality. Peppermint Flavor

6oz Spray

0065800001

$22.46

Peppermint

Advance Dental Products

Irrigating Tips

Slotted end, Side-vent

• Bendable 1” needle tip designed for irrigation of canals, pockets and fistulas

• Blunt end, side port delivery needle tip

• Color coded for easier identification

• Universal Luer-style design

Pkg/100 Tips

27ga Yellow .......................

30ga Purple

0065315527-28

0065315530-28

Advance Dental Products

Probe Irrigating Tips

Safe-end, Side-port

• Bendable 1” needle tip designed to enhance the clinician’s ability to irrigate subgingival surgical sites, and sulcus

• Closed end, side port delivery needle

• For use in apical proximity

• Universal Luer-style design

Pkg/100

27ga Yellow 0065315627-28

30ga Purple 0065315630-28

$56.99

Advance Dental Products

Luer-Lock

Pre-Tipped Syringes

Slot-end, Side-vent

Endodontic syringe and irrigation needle are the ideal tools for irrigation of pockets, fistulas and canals. Both needles and syringes come in a variety of sizes.

3cc Syringe with Tip -

Pkg/100

Endodontics |

Advance Dental Products

Advance Dental Dam

• Premium latex and latex free dental dam

• High Tear Resistance

• Materials produced to FDA standards

• Low protein latex is used to minimise any risk of sensitivity

• Low powder

• Shrink wrapped for cleanliness

Non-Latex Dental Dam

Box/20 (6x6 Dark Blue) .............. 0065RDNL66

Box/15 (5x5 Dark Blue) 0065RDNL55 Ea $21.48

Latex Dental Dam

Box/52 (6x6 Blue)

Box/15 (5x5 Blue)

Advance Dental Products

Advance Sodium Hypochlorite 6%

For the debridement and irrigation of root canals during and after instrumentation.

0065RDL66

0065RDL55 Ea $10.59

Bottle - 16oz .....................

0065317008-28 Ea $13.29

Advance Dental Products

Advance Calcium Hydroxide 35%

• Contains no more than 35% calcium hydroxide paste

• 2.5 pH aqueous solution

• Radiopaque

• Antibacterial agent

• Stimulates healing of bone

Standard Kit (Contains: (4) 1.2ml Syringes & (10 tips) 0065502600-28 Ea $35.39

Advance Dental Products

Advance Dental Products

Advance EDTA 17% Solution

EDTA is a 17% aqueous solution used for endodontic irrigation, removal of the smear layer and dentin mud from root canals.

23ga .................................. 0065316133-28

27ga 0065316137-28

$39.99 Slotted-end Side-vent

Bottle - 16oz

0065317011-28 Ea $38.99

Advance Ferric Sulfate Gel Standard Kit

• 15.5% Ferric Sulfate Hemostatic Gel

• Provides effective tissue management when completing impressions, restorations, crown & bridge procedures

• Will not flow onto surrounding tissue

• Conveniently packaged in pre-filled syringes with 2 applicator styles

• Also Available in a Pre-filled 30ml Bulk Syringe

Standard Kit (Contains (4)1.2ml Prefilled Syringes, (8 brush tips) 0065502804-28 Ea $18.29

| Endodontics

HEAT TREATED NiTi ROTARY FILES

● Same sizes, lengths and tapers enable you to use the same protocol or technique you use with ProTaper® Gold and Edge Taper Platinum™ file systems for shaping and finishing

NiTi ROTARY FILES

● Shaping files cut dentin throughout each canal zone with greater efficiency, while reducing the potential for over-preparation

GUTTA PERCHA POINTS

● Multiple tapers and the Heat Matrix technology of the Advance Taper HT ensure added flexibility while easily cutting through dentin in specific canal zones

ABSORBENT PAPER POINTS

● Shaping files have multiple tapers that ensure flexibility and cut dentin in specific canal zones with greater efficiency

Pk/6 $30.39

FILES

● Same sizes, lengths and tapers enable you to use the same protocol or technique you use with ProTaper® Universal and Edge Taper™ file systems for shaping and finishing

GUTTA PERCHA POINTS

● Shaping files cut dentin throughout each canal zone with greater efficiency, while reducing the potential for over-preparation

ABSORBENT PAPER POINTS

● Shaping files have multiple tapers that ensure flexibility and cut dentin in specific canal zones with greater efficiency

Pk/6 $30.39

HEAT
NiTi ROTARY

● Same sizes, lengths and tapers enable you to use the same protocol or technique you use with Wave One® Gold and Edge One Fire™ file systems

● Shaping files cut dentin throughout each canal zone with greater efficiency, while reducing the potential for over-preparation

● Multiple tapers and the Heat Matrix technology of the Advance One HT ensure added flexibility while the optimized tip promotes safe canal navigation

● Finishing files ensure the proper apical fit for the matching Advance One or your existing Gutta Percha points

Pk/3 $19.89

Asst. Pk/4 $26.25

● Same sizes, lengths and tapers enable you to use the same protocol or technique you use with Wave One® file system

● Shaping files cut dentin throughout each canal zone with greater efficiency, while reducing the potential for over-preparation

● Finishing files ensure the proper apical fit for the matching Advance One or your existing Gutta Percha points

Pk/3 $19.89

Asst. Pk/4 $26.25

NiTi ROTARY FILES
GUTTA PERCHA POINTS

More Flexibility for Half The Cost

● Same sizes, lengths and tapers enable you to use the same protocol or technique you use with Vortex™ Blue and Edge Sequel™ Sapphire file systems

● Creates reproducible access and predictable canal patency

● Increased torque strength for safe and predictable canal navigation while the unique design enhances tactile experience

● Guide files polish dentin surfaces for easier identification of hidden canals

Pk/4 $19.89

Endodontics |

Each Advance Taper NiTi File system includes matching: - Paper Points - Gutta Percha

● Size-matched to the Advance Taper & Advance Taper HT File System

● Superior absorbency

Box/60 $12.78

● Size-matched to the Advance Taper & Advance Taper HT File System

● Excellent radiopacity

Box/60 $12.78

Each Advance One NiTi File system includes matching: - Paper Points

- Gutta Percha

● Size-matched to the Advance One & Advance One HT File System

● Millimeter-marked length indicator lines

● Superior absorbency Box/60 $12.78

● Size-matched to the Advance One & Advance One HT File System

● Millimeter-marked length indicator lines

● Excellent radiopacity

● Color coded size identification

Box/60 $12.78

GUTTA PERCHA POINTS

● Size-matched to the Advance Cobalt

● File System

● Superior absorbency

Box/60 $12.58

● Size-matched to the Advance Cobalt

● File System

● Excellent radiopacity

Box/60 $12.58

Optimize Tissue Recovery Time with an Anti-Bacterial Endodontic Sealer

Advance Dental Products Bioceramic Endodontic Sealer combines the proven advantages of MTA (Mineral Trioxide Aggregate) with a superior canal obturation product. Our bioceramic sealer is as biological as the actual pulp tissue, and is engineered to penetrate, fill, and seal main and lateral root canals. The 13% MTA based sealer maintains an optimal pH, which elicits anti-bacterial effects and encourages new tissue formation and recovery.

● Provides rapid recovery of tissue without causing inflammatory reaction

● Avoids tooth stain and discoloration; eugenol and bismuth oxide free

● Easy to use dual syringe automix

● Easy removal for retreatment

● No need for low temperature gutta percha cone use standard heat settings for warm vertical

● Working Time: 23 minutes, Set Time: 130 minutes

$209.95

$21.99

#ADVRCS - 1 Ea. 4g Dual Barrel Syringe

#ADVRCST - 10 Pk. Auto Mix Tips

Each Advance Cobalt Twirl NiTi File system includes matching:
- Paper Points
- Gutta Percha

tissue using a unique wire-reinforced tube,

Advance Dental Products

Evac System Cleaner

Advance Evacuation System Cleaner

Neutral, EPA pH

Compliant (6-8 level)!

All-natural, eco-friendly microbial vacuum line cleaner that breaks down organic waste and eliminates the need for daily trap cleaning. No harmful

Non-foaming formula is safe for dry pump systems. Safe for use with amalgam separators, and is compliant with the EPA amalgam separator ruling. Each bottle contains 128 treatments. May be used at the end of each day, or twice per week. Lemon/ginger scent. ........................ 0065230132 Ea $68.49

that deodorizes as it cleans, dissolves organic fluids and debris. It has a neutral pH formula and is safe for use with Amalgam Separators.

• Economical concentrate. One ounce mixes with warm water to make 1 gallon of solution.

• Environmentally friendly, neutral pH Safe for use with amalgam separators.

• Easy dispensing Solution squeezes easily into pre-measured reservoir.

• Safe to use every day. Daily use improves cleaning efficiency.

Contains: Enzymatic Evacuation Cleaner, 33.81 oz. Concentrate Metered Dose Tip & Measure Bottle

Innovative technology eliminates Risk of backflow and reduces risk of cross contamination.

Disposable saliva ejector with a built-in, one-way valve to prevent backflow from the suction line into the patient’s mouth.

Advance Basic Saliva Ejectors are easy to shape, have efficient suction & greater patient comfort. Easy bending saliva ejectors keep their shape. Placement of aspiration holes avoid contact with tongue and tissues to avoid becoming blocked.

3M/ESPE

Imprint™ 4

Preliminary Penta™

Imprint™ 4

| Impression Material

Preliminary is ideal for all alginate indications but features easier handling and accuracy compared to alginate products, a fresh mint flavor, and easy to read color (pink) and is scannable with chairside and standalone scanners.

Refill Pack Contains: (2) base pastes – 300ml each, (2) catalysts – 60ml each

Regular 450971521

Super Quick

450971522

$77.49

$75.49

Value Pack Contains: (6) base pastes – 300ml each, (6) catalysts – 60ml each

Regular 450971523

Super Quick

Dentsply

Caulk

Algin∙X™ Ultra

Alginate Alternative

450971524 Ea $419.99

Cartridge or Deca Delivery Systems

Algin X™ Ultra Alginate Alternative Material instead of traditional alginate material allows immediate pouring in the office following disinfection, or the option of delayed and/or repeated pours, without sacrificing accuracy, either in the office, or shipped to an off-site laboratory. The 1:00 work time and 2:30 MRT (mouth removal time) allow the user to take full arch impressions fast.

50ml Cartridge Teal Hub

Pkg/4 - Refill with 6 Mixing Tips

126461E800 Ea $75.99 4+ $73.99

380ml Cartridge Deca Standard Tray Material DECA

Pkg/2

126461E810

$165.99

$163.99

Advance Dental Products

Alginate Substitute

An A-silicone replacement impression material that is ready to use and requires no messy mixing of powders and liquids. Ideal for preliminary impressions, orthodontic and study models and provisional and temporary impressions. Dimensionally stabled when cured, eliminates the need to pour immediately and able to do multiple pours without loss of accuracy. Can be disinfected using standard methods.

50mL - Pkg/8

Mint (Fast Set) 006533510

380mL - Pkg/2

Mint (Fast Set) ........................... 006533512

$95.49

Premier Traxodent

Hemodent

Paste

Retraction System

• The sleek syringe with bendable tip permits easy application.

• After two minutes Traxodent is rinsed, leaving a clean, accessible margin. Traxodent is gentle, absorbent, and fast.

• The soft paste produces gentle pressure on the sulcus while it absorbs excess crevicular fluid.

• Aluminum chloride creates an astringent effect without irritating or discoloring surrounding tissue.

Syringe Value Pack Contains: (25) Syringes and (50) Tips 52129007091

Ea $314.99

Syringe Starter Pack Contains: (7) Syringes and (15) Tips 52129007093

Ea $113.75

Advance Dental Products

Mixing Tips for VPS Impression Material

Pkg/48

Large -Teal (6.5mm) 006565005

Small - Yellow (4.2mm) 006565006

Medium - Pink (5.0mm) 006565014

X-Large - Purple (7.5mm).......... 006565015

Pkg/100

Intra-Oral Clear (fits 6.5mm) 006565007

Intra-Oral Yellow (fits 4.2mm) 006565008 Ea $40.99

Kulzer

Flexitime® Dynamix®

Working time: 60-seconds to 2:30 minutes; Total set time: 3:30 to 5 minutes. Save time and money with fast automated mixing and precise dosage of material. Select between tray and syringe filling. Choose from three velocities—high speed, standard speed, and syringe. Ensure precision and accuracy with void-free mixing. Choose from heavy tray, monophase, and putty automix material.

Refill Pack Contains: (2) 380ml Cartridges, (2) dynamix mixing tips & (1) Fixation Ring

Heavy 154166035992

Ea $469.99

Impression Material |

3M/ESPE

Imprint™ 4 VPS Material Refills

Penta Delivery

Fastest intra-oral setting time of 75 seconds. Its active self-warming technology allows for real time savings. Truly hydrophilic in the unset state, which helps capture the finest details for highly accurate impressions, and a stress-free procedure.

Penta Heavy Refill Pack Contains: (2) 300ml Base, (2) 60ml Catalyst 450971484

Penta Super Quick Heavy Refill Pack Contains: (2) 300ml Base, (2) 60ml Catalyst 450971485

Ea $549.99

4+ $543.99

Dentsply Caulk

Aquasil® Ultra Smart

Wetting® Impression Material

Refill Kits Fast Set - (4) 50ml Cartridges & (12) Mixing Tips

LV 1264678772

XLV 1264678770

Mono ...................................... 1264678774

Heavy 1264678776

Rigid 1264678778

Refill Kits Regular Set - (4) 50ml Cartridges & (12) Mixing Tips

LV 1264678771

XLV 1264678768

Mono 1264678773

Heavy ...................................... 1264678775

Rigid 1264678777

Ea $169.99 4+ $167.99

Dentsply Caulk

Aquasil Ultra Cordless Tissue Managing

Impression System

Deca Delivery

This new, less traumatic way to record which doesn’t use retraction cord or paste in most cases.

Tray Material 2 DECA™ Cartridges Tray

Material (380ml each), (20) Mixing Tips, (1)

Bayonet Ring ............................ 1264678059 Ea $587.99

3M/ESPE

Impregum® Penta®

Universal, medium viscosity (regular body), polyether tray/syringe material for use with the Pentamix Cybernetic Impression Material System.

Standard Pack Contains: (2) polybags each (300ml base, 66ml catalyst) 228831641 Ea $499.99

3M/ESPE

Impregum™ Penta™ Soft Quick Step

• Intrinsic hydrophilicity provides accuracy even in moist conditions, right from the start of the mix.

• Optimal thixotropic properties for precise detail reproduction and easy handling.

Heavy Body Refill

Contains: (2) 300ml base paste and (2) 60ml catalyst. 228831769

Medium Body Refill Contains: (2) 300ml base paste and (2) 60ml catalyst 228831765

3M/ESPE

Impregum™ Penta™ Soft

A precision impression material that provides all the characteristics of a polyether with easy removal from the mouth and model, as well as better taste.

Standard Package Medium Body

Contains: (2) polybags each (300ml base & 60ml catalyst) 2288031731 Ea $529.99 4+ $524.99

Ideal For:

• Occlusal registration

• Copying transfers

| Impression Material

Advance Dental Products

Multi-Color Disposable

Impression Trays

Perforated

• Strategically perforated trays allow easy modification with dental bur to accommodate implants

• Can be heated and molded for a custom fit

• Bright color-coded body for quick and easy identification during procedure

• Easy to apply I.D. labels included in every bag

• Non-sterile

Large Perforated

Yellow - Bag/12

• Primary impressions with bite trays

Advance Dental Products

High Performance Bite

Registration Material

Formulated to have a light, mousse-like consistency ideal for occlusal registration, copying transfers and primary impressions with bite trays. Our material has excellent durometer or hardness preventing distortion in disposable trays, specifically the 'triple trays. Our unique Bite Registration approaches zero resistance allowing for unmodified natural movement of the jaw. The non-flowing, thixotropic formula stays in place and will not drip, run, or sag.

Bite Registration Kit w/Tips - 50ml

Each pack contains (2) 50ml cartridges & (6) 6.5mm mixing tips

Regular Set

Work Time 2:00 Intraoral Set 1:00

Unflavored 006539001

Fast Set

Work Time 0:30 Intraoral Set 1:00

Unflavored 006539002

Vanilla 006539003

Super Fast Set

Work Time 0:30 Intraoral Set 0:30

Unflavored 006539000

Vanilla ....................................... 006539004

Rigid Bite - Fast Set

Unflavored 006539005

Clear Bite - Fast Set

Unflavored 006539006

#1 - Upper 0065377201

#2 - Lower 0065377202

Medium Perforated Blue -Bag/12

#3 - Upper .............................. 0065377203

#4- -Lower 0065377204

Small Perforated Orange - Bag 12

#5 - Upper 0065377205

#6 - Lower 0065377206

Quadrant Perforated Green - Bag/12

#7 - UL/LR 0065377207

#8 - UR/LL 0065377208

Anterior Perforated Pink - Bag/12

#9 - Upper 0065377209

#10 - Lower 0065377210

Assorted Perforated Bag/12 0065377210-A Ea

Advance Dental Products Disposable Impression Trays

• Rigid high-impact styrene with smooth rounded edges

• Interior retention slots and vertical perforation enhance material retention

• Generates a consistently detailed reproduction with dimensionally-stable results

Perforated Upper PKG/12

#1 - Large

Advance Dental Products

Premium 3 Way

Impression

Bite Trays

Color Coded

• Rigid frame with nylon webbing to ensure accurate bite

• Ergonomically designed thumb grip aids in placement and removal

• Patent Pending grooves provide superior material retention

Box/50

Posterior (Blue) 0065387315

Sideless (White) ...................... 0065387313

Box/35

Anterior (Purple) 0065387314

Quadrant (Yellow) 0065387312

Assorted Sizes 0065387316

Box/30 Full Arch (Pink) 0065387311 Ea $21.49

006531884

#3 - Medium 006531885

#5 - Small .................................. 006531886

Perforated Lower PKG/12

#2 - Large 006531887

#4 - Medium 006531888

#6 - Small 006531889

Solid - PKG/12

#7 - Partial UR/LL Solid 006531890

#8 - Partial UL/LR Solid 006531891

#9 - Anterior Lower Solid 006531892

#10 - Anterior Upper Solid .............. 006531893

Perforated - PKG/12

#7S - UR/LL Perforated Partial 006531894

#8S - UL/LR Perforated Partial 006531895

#9S - Lower Preforated Anterior 006531896

#10S - Upper Preforated Anterior ..... 006531897 Ea $8.99 6+ $7.99

Advance Dental Products

Dust Free Alginate Mint

• Color changing and dust free.

• Easy to use, avoiding remakes.

• Shorter duration in the mouth offers maximum patient comfort.

• Pleasing mint flavor.

1 lb. Bag - Color Changing Fast Set (Mint) ......................... 0065305525 Ea $12.99

1 lb. Bag

Impression Material |

Advance Dental Products VPS Impression Material

A hydrophilic impression material with super wetting agents that improve wettability resulting in a highly accurate impression. Excellent tear strength and dimensional stability also help to reduce the chances for distortion. Available in multiple viscosities, flavored and non-flavored in both fast and regular set.

Light Body - 50mL - Pkg/4

Mint (Fast Set)

Vanilla (Fast Set)

006533317

006533321

Unflavored (Fast Set) 006533322

Unflavored (Regular Set) ........... 006533323

Regular Body - 50mL - Pkg/4

Mint (Fast Set)

Vanilla (Fast Set)

006533318

006533324

Unflavored (Fast Set) 006533325

Unflavored (Regular Set) ........... 006533326

Heavy Body - 50mL - Pkg/4

Mint (Fast Set) 006533319

Vanilla (Fast Set)

006533327

Unflavored (Fast Set) 006533328

Unflavored (Regular Set) ........... 006533329

Heavy Body - 380mL - Pkg/2

Ea $40.99

Unflavored (Fast Set) 006533330 Ea $114.69

Advance Dental Products

Putty Kit Contains (300mL)

- Base Jar - Catalyst Jar

VPS Impression Material - Putty

This hand kneedable addition cure silicone material is an ideal tray material for a 2-step putty/wash technique. This easy to mix, non-oily material when cured hardens to a high durometer which helps resist distortion and provides excellent hydraulic force when combined with a light body material.

Putty Kit contains:

• 300 mL Base Jar

• 300 mL Catalyst Jar

Putty Kit (Fast Set) ....................

Advance Dental Products

Mail-in Test Biological Indicators

Advance Mail-in Biological Indicators is a biological monitoring service that provides increased testing accuracy with 3rd party documentation with service test results available online within 24 hours. This product can be used with Steam (gravity), Steam (Pre-vac), Chemical Vapor, Dry Heat, or Ethylene Oxide sterilization methods.

Mail-in Biological Indicators Pkg/12 ...............................

Mail-in (Value Test) Biological Indicators

Pkg/52

Advance Dental Products Sterilization Wrap

Advance Sterilization wrap brings an affordable balance of drapeability and softness with excellent bacterial barrier and strength.

• Reduces risk of residual humidity due to use of cellulose fibers

• Bacterial barrier that gives confidence to daily work

• Made of cellulose reinforced with up to 20% of synthetic binders

• Synthetic binders help improve mechanical properties while maintaining excellent bacterial barrier values

Suitable for the following Sterilization Methods:

Steam

EO

Low Temperature

Steam Formaldehyde (LTSF)

Sheets

Cellulose Fibers

Advance Dental Products

General Purpose

Cleaner

| Infection Control

Non-ammoniated concentrated liquid formula employs surfactants and anti-corrosive additives to safely and thoroughly clean instruments prior to sterilization. Phosphate-free.

Gallon .....................................

Advance Dental Products

Tartar & Stain

Remover

Powerful, ready-to-use ultrasonic solution to remove stains from dentures, partials, appliances. Also removes temporary cement.

Gallon

Advance Dental Products

Plaster & Stone Remover

For removal of plaster and stone from bridges, crowns, dentures, inlays, metal impression trays, spatulas, ect.

Advance Dental Products

Ready to use sterilizing and disinfecting solution. No activator required.

Advance Dental Products

Enzymatic Ultrasonic Cleaner

Effervescent Tablets

Enzymatic ultrasonic cleaning solution that is available in easy-to-use tablets which are also effective for cleaning the evacuation system and pre-soaking instruments.

64 Tablets

Advance Dental Products

Earloop Mask

Level 1

Procedural mask with soft white facial tissue inner layer, fluid resistant outer facing, and a front (outside) earloop attachment to eliminate potential irritation. Filtration efficiency of 99.5% at 1 micron. Latex Free. Box/50

Advance Dental Products

Temporary Cement Remover

Strong ready-to-use ultrasonic solution to remove temporary cement.

Gallon

Advance Dental Products BASIC Earloop Face Mask

Level 1 - protection for low-risk procedures. Ideal for patient appointments and exams. Level 3 - protection for a bit higher-risk procedures. Comes in white only.

• Inner and outer layer constructed for fluid resistance, with ultrasonically sealed, soft, stretchy, latex-free earloops for superior comfort.

• Adjustable nosepiece for custom fit and easy breathing.

Level 1 Mask - Box/50

Level 3 Mask - Box/50

006577601

Advance Dental Products

Self-Sealing Autoclave Pouches

Autoclavable self-sealing, blue tinted, see-through pouches. Easy-to-read color changing arrows are indicators for chemical vapor, steam or gas sterilization. Utilizes a triple seal plus a fourth "Secure Seal" at the chevron.

Box/200

2.25" x 4"

2.75" x 9"

3.5" x 5.25"

3.5" x 9"

5.25" x 10"

006542254

Ea $10.79 6+ $10.29

006542790

006543554

006543590

$11.99 6+ $11.49

$17.99 6+ $16.99

Economy - Box/500

3.5" x 9"

0065435905

$24.79 6+ $23.79

Advance Dental Products

BASIC Self-Sealing Sterilization Pouches

• Dual External Indicators, Built-in Internal Indicator

• Triple Seal & Heat Processed

• Wide Self-Seal Adhesive Strip

Box/200

2.25” x 4”

3.5” x 5.25”

2.75” x 9”

0065ADP-225

0065ADP-3565

Ea $8.99 4+ $8.4.9

0065ADP-2710

Ea $10.49 4+ $9.99

3.5” x 9” ............................

5.25” x 10”

7.5” x 13”

Advance Dental Products

Chair Covers

Infection Control |

Tapered design conforms neatly to patient chairs, covering chair back

Box/225 27.5”x24”

Advance Dental Products

Syringe Sleeve

0065428023

Syringe sleeves have pre-cut openings for easy application. Made of clear poly material that protects instruments from cross-contamination.

Box/500

10"

Advance Dental Products Light Handle Covers

Specially designed barriers effectively cover equipment with near custom fit.

Box/500 T-Style 4"x 5.75"

Advance Dental Products Tray Sleeves

Back-flip closure ensures tray is completely covered. Made of a clear poly material to prevent cross-contamination.

Box/500

0065ADP-3510

Ea $11.49 4+ $10.99

0065ADP-5211

Ea $16.99 4+ $15.99

0065ADP-7513

Ea $28.99 4+ $26.99

Pkg/1000- Economy

2.75” x 9” ....................

0065ADP-2710-1K

Ea $39.99

3.5” x 9” 0065ADP-3510-1K

Ea $44.49

Advance Dental Products X-Ray Cover

Specially designed barriers cover equipment with near custom fit. Box/250

Advance Dental Products Plastic Headrest Covers

• Protects headrest on operatory chair from damaging effects of surface disinfectants such as cracking or fading

• Manufactured from clear, soft 1 mil thick polyethylene with a 3/8" gusset Box/250 9.5"x11"

Advance Dental Products

Universal Cover Film

4"x6" perforated sheets with nonadhesive side edges for easy removal. Specially formulated adhesive leaves no residue behind. Helps to prevent crosscontamination. Roll/1200

Advance Dental Products

Air/Water Syringe Tips

• Rounded edge for maximum patient comfort

• Convenient dispenser bottle keeps work area clear and assists in preventing crosscontamination

• Rounded non-scratch end to minimize wear and tear of O-ring in hand piece

Advance Dental Products

Nitrile exam 2.7

Powder-Free

Nitrile exam 2.7 is the culmination of decades of medical glove evolution. This new nitrile medical glove is thinner than other gloves, but it is stronger and far more elastic than normal nitrile gloves. More gloves per box, a lower cost per glove, incredible elasticity and comfort.

Box/300

X-Small 006545050

Small 006545100 Medium ................................... 006545200

Large 006545300 X-Large 006545350

Advance Dental Products

Aqua CR PF Gloves Powder-Free

Advance Aqua Chloroprene exam gloves are made from non-latex, polychloroprene synthetic polymer. Textured finish provides excellent wet or dry gripping ability. Aqua color.

Box/200

X-Small 006543050

Small 006543100

Medium 006543200 Large 006543300 X-Large .................................... 006543350

Infection Control |

Advance Dental Products

Ultra Black 3.0 Gloves

Powder-Free

This nitrile glove is thinner than other gloves, but it is stronger and far more elastic than normal nitrile gloves. The softer, more relaxed formulation with its ability to reduce muscle fatigue is ideal wearing gloves for prolonged periods.

Box/200

X-Small 006547050

Small 006547100

Medium 006547200

Large........................................ 006547300 X-Large 006547350

$12.99

$6.49

Advance Dental Products

Nitrile exam 3.2 Powder-Free

Niltrile exam 3.2 is a thinner, lighter nitrile glove that provides increased tactile sensitivity for the user while maintaining its exceptional durability. Textured fingertips create excellent gripping properties. Automated flat packing allows each glove to be dispensed easily and without waste.

Box/200 X-Small 006546050 Small 006546100 Medium .................................... 006546200 Large 006546300 X-Large 006546350

$12.99

$6.49

Advance Dental Products

Pink CR PF Gloves Powder-Free

Advance Pink Chloroprene exam gloves are made from non-latex, polychloroprene synthetic polymer. Textured finish provides excellent wet or dry gripping ability. Pink color.

Box/200

X-Small

006541050

Small 006541100

Medium

Advance Dental Products

Latex Gloves

Natural Latex

Engineered to be slightly thinner for superior tactile sensitivity. Online chlorination provides superior gripping ability and results in very soft gloves with a clean white color. Excellent donning properties and comfort.

Box/100

X-Small

**Each offer above is a volume discount offer consistent with the requirements of safe harbor provisions at 42 C.F.R. 1001.952(h) such that for example, “Buy 5 Get 5 means buy 10 at the same list price as 5 boxes of gloves. Buy 6 Get 4 means buy 10 at the same list price as 6 boxes of gloves.” The total invoice price for the volume purchase should be divided equally over the total purchases. Customer is responsible for reporting these discounts in accordance with the safe harbor requirements, as applicable. Offer valid on qualifying purchases made from 10/1/25-12/31/25 Free goods shipped with order. No mix and match.

The COLOR LAVENDER is a Registered Trademark or Trademark of O&M Halyard or its affiliates. *Registered Trademark or Trademark of O&M Halyard or its affiliates. ©2025. All rights reserved. COPY-05633B

• Faster checkout, shopping lists, and order tracking

• Secure private login and password

• Simplified registration

• Use phone to scan barcode and reorder items

• Save, print, and view statements and invoices

• Easier search and browsing options

• Secure and convenient online payment options

• View current specials

Introducing CaviCide™ HP

1-Step Cleaning/disinfection¹ from a hydrogen peroxide formulation

1-minute universal contact time2

Effective disinfection against 70 pathogens

Fully qualified for EPA’s emerging viral pathogen claim3

Use of gloves is not required1

College Pliers

0065EXPL23-SE

Ended - #5

Explorers

Explorers are used to detect caries and calculus. The knurled handle provides a solid, ergonomic grip for greater tactile sensitivity.

Our college pliers can be used to grasp gauze or other materials from the tray or oral cavity. Precision tips and our two-stage guide pin ensure accuracy and prevent glove punctures when closed.

College Pliers

Serrated 6" 0065COLPL-SERR Ea $10.99

Self-Locking College Pliers

X-Fine Serrated 6" 0065COLPL-LKSERR Ea $12.49

Narrow Tip College Pliers #317B 6" 0065COLPL-FT Ea $11.49 Single Ended - #23 Shepherds Hook

#CP11 Color Coded - 3,6,8,11

0065EXPR23CP11CC

Expros

Expros have an explorer on one end and a probe on the other. This ergonomic design allows the practitioner to examine and evaluate the oral cavity with more precision without putting the instrument down.

#CP12 Color Coded - 3,6,8,12 0065PRSECP12CC

Probes

Probes are used to assess pocket depth and measure dental anomalies and lesions during diagnostic examinations.

Mirrors

Front surface mirrors give a true reflection, eliminating the ghost or double image seen on plane front mirrors. The stainless steel housing on this mirror offers a longer life than typical brass housings.

Mirror Handles

Our solid construction knurled mirror handles are the perfect complement to our front surface mirrors, offering a tight fit and tactile connection to the instrument.

1.1% Neutral Sodium Fluoride 5000 ppm

Toothpaste with 5% Potassium Nitrate.

TruGuard 5000

TruGuard 5000 is a sodium fluoride dentifrice formulated for the treatment of patients best suited to receive single step additional fluoride incorporated into their everyday home oral care regimen. TruGuard 5000 also contains 5% potassium nitrate that will stop decay and sensitivity.

Advance Dental Products

TruGuard 5000

1.1% Neutral Sodium Fluoride 5000 ppm Toothpaste with 5% Potassium Nitrate. Sweetened with Xylitol. Does not Contain Sodium. Fresh mint flavor.

• Reduces Caries

• Relieves Hypersensitivity

• Reduces Plaque Formation

• Strengthens Tooth Enamel

• Control root surface caries

• Reduces Dry Mouth

• Provides Gentle Cleaning

Tube 4 oz 0065TG-5000 Ea $12.99

Sonic Touch

Rechargeable Sonic power Toothbrush

• Produces 40,000 brush strokes per minute

• Built-in 2 minute timer

• Inductive charging

• Protection from direct contact with water

• Built-in 30 second interval timer

• 4 brushing modes

• 3 brush heads included

Sonic Touch includes:

Rechargeable tooth Brush, Base charger, 3 brush heads

Sonic Touch ................. 0065A18950ST Ea $49.99

Advance Dental Products

Sonic Touch Replacement Brushes

• The rubberized brush head is designed to protect tooth enamel.

• The brush conforms to the contours of your teeth for effective, deep cleaning.

• High quality DuPont bristles promote naturally whiter teeth by gently polishing off surface stains, end-rounded.

Replacement Brushes Pkg/2

0065A18955RB Ea $9.99

Preventive Prophy |

Advance Dental Products

Advance Prophy Paste

Mint with Fluoride Box/200

X-Coarse

006555257

Coarse 006555255

Medium ................................... 006555250

BubbleGum with Fluoride Box/200

Coarse 006555265

Medium 006555260

Fine 006555263

Raspberry with Fluoride Box/200

Coarse 006555285

Medium 006555280

Assorted with Fluoride Box/200

Coarse 006555275

Medium ................................... 006555270 Ea $25.29

Advance Dental Products

Fluoride Trays

Fluoride trays are color-coded for easy identification and are disposable for your convenience. The Single Arch trays are made of soft, light foam for patient comfort and have a convenient handle for easy placement and removal. The Dual Arch trays have a fill line that helps reduce gel overflow and have locking handles for easy placement and removal.

Single Arch Pkg/100

Small 006555101

Medium .................................... 006555102

Large 006555103 Ea $18.29 4+ $17.29

Dual Arch Pkg/100

Pedo 006555110

Small/Medium .......................... 006555111

Medium 006555112

Large 006555113 Ea $43.29

$42.29

Buy 4, Get 1 FREE! Buy 4, Get 1 FREE!

Dentsply Professional NUPRO® Prophy Paste

A blend of polishing and cleaning agents containing 1.23% Fluoride ion, used with a prophylaxis procedure.

Plus Mint with Fluoride Box/200

X-Coarse 0485801299

Mint with Fluoride Box/200

Coarse .................................... 0485801212

Medium 0485801222

Fine 0485801232

Orange with Fluoride Box/200

Coarse .................................... 0485801211

Medium 0485801221

Fine 0485801231

Cherry Blast with Fluoride Box/200

Coarse 0485801322

Medium .................................. 0485801321

Grape with Fluoride Box/200

Coarse 0485801227

Medium 0485801226

Fine 0485801225

Bubble Extreme with Fluoride Box/200

Coarse 0485801300

Medium 0485801301

Fine 0485801302

Cookie Dough with Fluoride Box/200

Coarse .................................... 0485801306

Medium 0485801307

Fine 0485801308

Razzberry with Fluoride Box/200

Coarse 0485801309

Medium .................................. 0485801310

Fine 0485801311

Zinnamon with Fluoride Box/200

Coarse 0485801312

Medium 0485801313

Fine ......................................... 0485801314

Orange Vanilla with Fluoride Box/200

Coarse 0485801319

Medium 0485801318

Fine ......................................... 0485801317

Strawberry Vanilla Swirl with Fluoride Box/200

Coarse 0485801328

Medium 0485801327

Fine ......................................... 0485801326

Mint without Fluoride Box/200

Coarse 0485801213

• Enamel Pro®, the only prophy paste formulated to deliver ACP (Amorphous Calcium Phosphate).

• Scientific data supports that Enamel Pro actually gives greater luster for whiter, brighter teeth.

• Available in fine, medium and coarse grits, in box of 200 single-dose cups, VanillaMint, Mint, Strawberry, Cinnamon, Grape, Raspberry Mint, Bubblegum, Mixed Berry, and ChocHazelnut.

| Preventive Prophy

Advance Dental Products

Disposable Prophy Angles

Latex Free

Straight-body style with a webbed cup that is soft and latex-free. This angle features a screw-type cup, allowing for stability. Fits comfortably and securely in the hand for hard-to-reach areas, while maintaining a favorable paste-holding capacity.

Soft Gray Cup

Box/100

0065553100

Ea $49.99

Box/500 0065553500

Firm White Cup

Box/100

Ea $239.99

0065554100

Ea $49.99

Box/500 0065554500

Ea $239.99

BASIC Disposable Prophy Angles

Latex Free

Soft Gray Cup

Box/100

Firm White Cup

Box/100

0065551002

0065551003

Ea $32.99 4+ $29.99

Dentsply Professional

NUPRO® revolv™ Disposable Prophy Angles

• Multiple cup options to choose from: soft, firm, pedo, tapered brush, pointed tip, and the unique NUPRO spiral cup designed to reduce splatter and improve interproximal cleaning

• Ergonomically designed contra DPA and straight angle styles

Straight Prophy Angles Soft Cup Pkg/200 .................................. 0485965250

Contra Prophy Angles Spiral Cup Pkg/200 0485965212 Ea $175.99 4+ $172.99

Young Vera by Young™ Disposable Prophy Angle

Vera by Young eases maneuverability and access during polishing with its compact head and slim neck design. Its rounded head is designed to add patient comfort and easy reach into the mouth.

Soft Petite Web

Pkg/125

Pkg/750

Soft Elite Original

Pkg/125 ..................................

6972120025

Ea $152.99

6972120075

Ea $792.99

6972121025

Advance Dental Products

Advance Varnish 5% Sodium Fluoride

Easy non-messy single dose delivery system. Tooth-shaded color. Contains Xylitol. Tasteful and transparent 5% sodium fluoride.

Ea $152.99 Pkg/750

6972121075

Ea $792.99

3M/ESPE

Clinpro™ 5000 1.1% Sodium Fluoride Anti-Cavity Toothpaste Vanilla Mint Flavor

Clinpro™ 5000 1.1% Sodium Fluoride Anti-Cavity Toothpaste is an advanced formula containing an innovative tricalcium phosphate ingredient and is available exclusively from 3M/ESPE. It contains fluoride as well as calcium and phosphate, which are components naturally found in saliva. The optimized formula successfully integrates these ingredients, enhancing, rather than compromising, the product’s performance.

Tube 4oz

Vanilla

3M/ESPE

3M™ Clinpro™ Clear Fluoride

Treatment 0.5 mL Unit Dose

3M™ Clinpro™ Clear Fluoride Treatment is a water-based, rosin-free formula that’s ready to apply and provides protection to enamel and dentin surfaces. This fluoride treatment features a ready-release formula that enables effective fluoride uptake with a minimum contact time of just 15 minutes, making it easy for your patients to say “yes”.

• Water-based fluoride treatment for improved taste, smell and mouthfeel

• Formula is free of rosin with a neutral pH

Dentsply Professional

Cavitron

• For fine, definitive debridement scaling

• Patented Focused Spray™ water delivery system eliminates external water tube, increases clinical visibility

• Extra-thin design provides maximum subgingival access

• Enhanced water management increases patient comfort

30K FSI® - SLI®

FSI® - SLI® - 10S Straight 048580395

FSI® - SLI® - 10R Right 048580397

FSI® - SLI® - 10L Left 048580396 Ea $259.95 3+ $249.95

Dentsply Professional

Focus Spray® slimLINE® FITGRIP™ Ultrasonic Inserts

Ergonomically designed with clinician’s fingers in mind, the hygienist’s grip naturally conforms to the insert’s unique one piece design. The large diameter silicone soft grip lessens muscle load and pinch force to help maintain tactile sensitivity. The rippled grip is designed to lessen change of slipping.

Focus Spray slimLINE FITGRIP 30K

FSI-SLI-10S 048582005

FSI-SLI-10L 048582006

FSI-SLI-10R 048582007

FSI-SLI-1000 048582008

Ea $236.99

3+ $233.99

SDI

Radii-CAl CX LED Curing Light

• Collimated uniform beam

• Pulse technology = High intensity 1200 mW/cm2 plus low heat emission

• Battery life = 1200 x 10 second cures Advanced heat sink technology – no fan required

• Built in ramp up mode

• Built in radiometer indicator Cordless, lightweight design – 5.1 oz

• 2 year limited warranty

Radii-Cal CX LED Curing Light Contains:

Radii-Cal CX LED Curing Light, Recharger, Transformer, and 3 Replacement Lens Caps 59405600110

Ea $526.99

TECHNOLOGY

• Highly sophisticated refining equipment.

• Accurate measurements give you the highest yield.

• 99.9% accuracy with ICP machine.

EXPERIENCE

• More than 50 years of experience.

• Professional refining team and on-site chemists.

• Insurance policy ensures safe delivery.

HONESTY

• Personal service and transparent reporting.

• No hidden fees.

• Risk-free guarantee.

• Photo documentation of all materials.

• If not 100% satisfied, all materials are returned at no cost.

Sutures

Super sharp siliconized needles for repeated passage through tissue. Needles are drilled-end to ensure smooth transition from the needle to the material and maximizes the needle attachment strength. Packaged in a double sterile pouch for sterile transfer, in color-coded suture boxes with a front dispenser. Packaged 12 per box.

18" Sutures

Chromic

27" Sutures

18” Plain Gut Sutures with Needle
18” Chromic Gut Sutures with Needles
27” Plain Gut Sutures with Needles
27” Chromic Gut Sutures with Needles
18” Silk Braided Sutures with Needles
Silk = Light Blue
Gut = Beige
Plain Gut = Yellow

How Can We Help?

Solutions to Build Your Dream Practice

PPM

Accounting, Tax & Transitions

Accounting & Tax Services

• Monthly Accounting / Bookkeeping

• Financial statement preparation

• Budgets and financial projections

• Quickbooks software set-up

• Tax planning, Projections and Compliance

• Personal financial statements

• Succession planning

• Choosing the right type of entity (Sole Proprietor, PC, PA, LLC, S Corp, C Corp.)

• Practice overhead analysis

• Practice Benchmark Comparisons

Practice Transitions

• Do you know how to position yourself for retirement?

• Do you know the value of the practice you own?

• Do you know how to determine the appraised value of a practice you are seeking to purchase or sell?

• Are you sure it’s time to sell?

Practice Evaluations

The starting point of a practice sale begins with a confidential consultation with the seller. We schedule an office visit to gather the information needed to prepare a thorough appraisal.

PPM’s comprehensive brokerage service includes the screening of potential qualified purchasers and consultation with both the purchaser and the seller. We draft the letter of intent, prepare the bank package, and arrange the compilation of all legal contracts, agreements, and other required documentation.

While vir tual CE is widely available, AIDA Education stands out for one compelling reason: we focus exclusively on the needs of independently owned dental practices. We understand the unique challenges you face and are committed to suppor ting your success.

Our content is carefully tailored to your requests and preferences, ensuring it’s not just another CE course, but a valuable resource that truly enhances your practice. Discover how AIDA Education delivers unmatched value with these key benefits:

▶ Interactive Learning: Engage with live Q&A sessions and real-time case discussions led by industry experts.

▶ Convenient Education: Access webinars anytime, anywhere, through your computer browser or mobile app.

▶ Practical Tools: Access proven strategies and downloadable resources designed to drive private practice growth.

▶ Community Connection: Join a network of independent dental clinicians for peer support and collaboration.

▶ Accredited Excellence: Earn CE credits recognized by leading dental associations, hassle-free.

Scan here to learn more and Register

OCTOBER 14, 21, 28

3 Part Series Dr. Jennifer Bell

Wish They Had Taught This in Dental School: A 3-Part Blueprint for Practice Success:

Part 1 - OCTOBER 14

Optimizing Dental Practice Performance: Essential KPIs & Improvement Strategies

Part 2 - OCTOBER 21

Navigating Financial Success

Part 3 - OCTOBER 28

The End Game for Practice Ownership: How to Position Your Practice for Your Retirement Future

DECEMBER 9

Dr. Karson Carpenter

Pain Management, Prescribing Requirements, and Opioid Abuse: Strategies for Dentists and Hygienists

Stronger Practice. Stronger Life.

Preferred Fee Schedule

A Preferred Fee Schedule that pays 20-30% higher rates than market rates. Most offices are eligible to participate. Ideal for practices that are:

• Fee for Service and need to grow volume

• Start-up or new acquisition

• Adding a new associate or location

Business Coaching & Team Development

Grow and scale your practice through Executive Business Coaching, In-Office Team Training and Practice Operations Support. Increase efficiencies of the day-to-day operations, all while gaining knowledge to increase the value of your business.

Lease Negotiations

for the renter or buyer with no added fees. Will help find the right new location or negotiate the space where you are. When does your current lease expire? Allow time to negotiate! You could save thousands of dollars.

FREE Open Source Management Software

The fastest growing practice management software happens to be free! It comes with low cost monthly support and “no politics or strings attached”. Open platform for future growth. You keep the code!

Communications

Patient Communication Software combines all your communication streams from your Practice Management Software to your mobile device and business phone into a single simple tool.

Clinical Artificial Intelligence

The first real-time dental AI platform that automatically detects numerous conditions in dental x-rays to give dentists a second set of eyes for superior radiologic accuracy.

HR Services

Discover the powerful benefits a dedicated HR advisor brings to your organization. Guidance is available for HR Support, Risk Reduction, Management Training, Process Improvement.

Technology Services

Providing technology solutions and IT services including: HIPAA compliance, backup monitoring, onsite support, anti-virus, and full IT project support.

Practice Transitions

Trust the transition of your practice to those who care more about you and your patients than the sale of your practice. Understand the timing and explore your options. Don’t sell too soon!

Dental Accounting

Dental Accounting requires knowledge of the benefits that exist for dental professionals. Receive financial statements, budgets, financial projections and overhead analysis, plus expert tax advice.

Patient Payment Plans

Easily grow your practice by letting patients split big costs into smaller monthly payments. Choose from a range of plans lengths to fit treatment needs, with 0% APR for qualifying patients. No hidden costs of fees. No hard credit check.

Website Marketing & Social Media

Specialized online marketing strategies, website design, and reputation management for dental professionals. Established specifically with dental practices and related businesses in mind, the company’s mission is to drive relevant, specialty-specific, local traffic to clients’ websites, attracting new patients while managing each business.

“The event was great today! Job super well done planning and coordinating. The speaker, venue, food, beers, vendors, everything…It was all phenomenal!“

Dr. Catherine Hatch - Savannah Attendee

“This has been the best course I’ve attended in a long time. The content was engaging, up-to-date, and extremely insightful. I look forward to attending more courses like this one, and Dr. Gupta is simply fantastic!”

At Atlanta Dental, relationships matter. Our educational events provide an exceptional continuing education experience, featuring top industry speakers, engaging sessions, and a dynamic environment designed for both learning and enjoyment. Join us to expand our knowledge, connect with peers, and make CE education truly memorable.

Thank you for being a part of our 2025 education events! We appreciate your support and look forward to seeing you in 2026!

Scan the QR codes below for event details and registration.

5 hours of CE! Come Learn, Stay and Play!

Location: Truist Park / The Battery

Come for the course, stay for the after party and game!

| Redemption Information

All offers expire December 31, 2025. Redemption submittals must be received by manufacturer by January 31, 2026 unless noted otherwise. Be sure to use the promo code if shown next to the listed promotion when redeeming!

Beyes (p33) Free Goods Shipped with order

DENTSPLY Restorative (p38,56,57,61,63,76,77)

All free goods must be of equal or lesser value than least expensive product purchased. Purchase must be made on ONE invoice. To receive your free products for Restorative email USConsumableRedemptions@dentsplysirona.com with the subject line “4th Quarter Offers”. Attach your invoice and note promotion code and free product(s) requested within email. Incomplete submissions will not be processed. Limit 5 redemptions of each offer per location. These offers may not be combined with any other Dentsply Sirona offers, contracts, or formulary agreements. All free goods fulfilled through Dentsply Sirona. Allow 4-6 weeks for delivery.

DENTSPLY Professional and Preventive (p89,90,91)

All free goods must be of equal or lesser value than least expensive product purchased. Purchase must be made on ONE invoice. To receive your free products for Preventive email USConsumableRedemption@dentsplysirona.com with the subject line “4th Quarter Offers”. Attach your invoice and note promotion code and free product(s) requested within email. Incomplete submissions will not be processed. Limit 5 redemptions of each offer per location. These offers may not be combined with any other Dentsply Sirona offers, contracts, or formulary agreements. All free goods fulfilled through Dentsply Sirona. Allow 4-6 weeks for delivery.

Directa USA (p40) Qualifying purchase must be on one invoice. Invoice must be received by 1/15/26. Please allow 3-6 weeks for delivery. To receive your no additional charge goods, email a copy of your Atlanta Dental invoice to freegoods@directadental.com.

DMG America (p38,41) To redeem free goods, email freegoods@dmg-america.com, indicating shade/flavor of free good. Each qualifying purchase must be submitted on one invoice within 30 days. Cannot be combined with other offers and may change or be discontinued at any time without notice. Limit 5 per dental office.

GC America (p43,57) To receive your free goods, send a copy of your Atlanta Dental invoice to GC America Inc., 3737 West 127th Street, Aslip, IL 60803 or fax to (800) 423-2963, Attention: Customer Care Group. Offers cannot be combined with any other offer or promotion.

Halyard (p84) Free Goods Shipped with order.

HuFriedy (p35,75) Participation is not permitted for customers who participate in any other pricing program, including government, group practices, special markets, community health centers, schools, institutions, and discount customers. This offer cannot be combined with any other offer or promotion. To get your “at no additional charge” product(s), please fax a copy of your distributor invoice (purchase must be from an authorized Hu-Friedy Group distributor) indicating the required buys and your “at no additional charge” goods selection to 773-6941971 or by email to redemptions@hu-friedy.com.

Ivoclar Vivadent (p52,56,58,59) To redeem your promotional goods, please visit: freegoods. IvoclarVivaDentUSA.com or email: MBUSFreegoods@ ivoclarvivadent.com. Ivoclar Vivadent reserves the right to modify or cancel these promotions at any time. These specials cannot be combined with any other offer or rebate program.

Kerr (p56,59,61,62) The required purchase from an authorized Kerr dealer must be reflected on one invoice. Use code ADQ425. Fax to (888) 727-2614 or e-mail a PDF of your invoice to kerrpromo@kerrdental.com. Allow 8 weeks for promotion to be processed. Limit 3 redemptions per location.

Kerr Total Care (p85) Free Goods Shipped with order. Kulzer (Inside Front Cover,76) No charge item must be of

equal or lesser value. To redeem products, write campaign number on dealer invoice. Invoices may also be mailed to Kulzer, ATTN: Free Goods Fulfillment, 4315 S. Lafayette Blvd, South Bend, IN 46614, or emailed to: freegoods. NA@kulzer-dental.com. All offers subject to change. Not to be combined with any other offers. Please allow 6–8 weeks from receipt of invoice for delivery.

Kuraray (p41,59,63) Please send a copy of your qualifying invoice by email to promotional.goods@kuraray.com. Remember to provide the promo code for the promotion you are applying for, as well as your promotional goods choice. If no selection is indicated, the promotional product will be at our discretion. Promotional item must be equal or lesser value of lowest priced product purchased. Promotions cannot be combined with multiple dealers / invoices.

Medicom (p101) Free Goods Shipped with order.

NSK (p77) All NSK no charge goods requests must be submitted to NSK. Please send a copy of your distributor invoice to NSK promotions, 1800 Global Parkway, Hoffman Estates, IL 60192 or fax to: 1-800-838-9328 or email to orders@nskdental.com.

Pac-Dent (p53) To qualify and receive your free goods, please submit your qualified Atlanta Dental invoice to freegoods@pac-dent.com. Cannot be combined with any other offer. No cash value. Equal or lesser value item(s) only. Promotions are subject to change or cancellation without notice. Please allow 6-8 weeks for delivery.

Parkell (p34) To receive your no additional charge goods, email a copy of your Atlanta Dental invoice to dealerpromotions@parkell.com. Please allow 4-6 weeks for delivery. Qualifying purchase must be on one invoice. Date of purchase must be between the dates on the offer. Limit 10 redemptions per dental office per promotional period.

Pierrel Pharma (p39) Free Goods Shipped with order.

Premier (p43,76,89) To receive your free merchandise not shipped with order, forward a copy of your invoice indicating appropriate purchase(s) to Premier Redemption Center, P.O. Box 640, Plymouth Meeting, PA 19462-0640. Fax: 610-239-6171. Email: Redemptions@premusa.com. Indicate free goods of equal or lesser value. Redeem by January 15, 2026. Premier reserves the right to substitute free goods. May not be combined with other offers.

Pulpdent (p64) PULPDENT Corporation 80 Oakland St. Watertown, MA 02472 T: (617)926-6666 F: (617) 9266262/ sales@pulpdent.com/ www.pulpdent.com To redeem free goods email your invoice to sales@pulpdent. com. Special offer purchases must appear on one invoice to be eligible. Please allow 6-8 weeks for receipt of free goods.

Septodont (p17) Free Goods Shipped with order.

Solventum- Previously 3M Oral Care (p56,57,60,66,76,77,90) Redeem by email to: OralCarePromos@Solventum.com. Proof of purchase on one Atlanta Dental invoice number for your qualifying purchase is required (multiple invoices are accepted from a single purchase order when order cannot ship complete). Specify free product selection(s) and include your shipping info and business phone. Allow 3-5 weeks for delivery. Invoice must be submitted no later than January 10, 2026.

Sterisil (p34) *To redeem free goods, submit invoices at https://solmetex.com/FREEGOODS/ by 2/15/2026. For additional submissions or questions, email PROMOS@ Solmetex.com. Purchased products must be on the same order. Free goods may not be exchanged for other products or credit. Offers may be discontinued or changed without notice and void where not valid. Free goods selection cannot be combined with other free goods

that have the same purchased product. Special Market accounts do not qualify. Distributor restrictions apply.

Supermax (p82) Free Goods Shipped with order.

Tokuyama (p63) To receive bonus product(s), please submit a claim through the following online form https:// www.tokuyama-us.com/redemptions, or fax an invoice to +1 (760) 942-7212, or email to info@tokuyama-us.com. Please use PROMO CODE: U425 to redeem the promotions above. Must be received no later than 1/21/2026. Tokuyama reserves the right to discontinue the promotion(s) at any time. Cannot be combined with any other offer. Participating doctors or dentists are obligated to properly report and reflect any bonus product, rewards, rebates, discounts or other benefit they receive on their submissions to Medicare, Medicaid, state or federally funded healthcare program and/or private insurance. Please allow 2-4 weeks for delivery of bonus products.

VOCO (p52,54,55) To obtain your No Charge Goods, send a copy of your invoice to VOCO America, Inc. Attn: Redemption Center, 1285 Rosemont Drive, Indian Land, SC 29707. Fax: 1-888-849-3989. Email your requests to: redemptionusa@voco.com. Please allow 4–6 weeks for delivery. All No Charge Goods will be redeemed for the most popular shade or flavor. Qualifying purchase(s) must be on one invoice. Please include your office phone number. Participation is not permitted for customers who participate in any other pricing programs, including government, group practices, special markets, community health centers, schools, institutions, and discount customers. Receipt of No Charge goods, after rebate, cannot be combined with other offers or promotions. Offers for No Charge Goods cannot be combined with any other VOCO promotions.

Young Dental (p90) To receive promotional goods, email a copy of your authorized dealer invoice to fulfillmentfax@ younginnovations.com. Email is the preferred method of delivery, but invoices can still be faxed via 888.771.7573. Please allow 6-8 weeks for delivery. Qualifying purchase(s) must be on one invoice. Not valid in conjunction with any other offer(s). Questions? Please call 866.753.4392. Promotional offer(s) subject to change. Where applicable, indicate your choice of product on invoice. If no indication is made, available product will be sent at our discretion.

Terms - Open Account to qualified buyers. We invoice each shipment. Invoices are due by the 10th of the following month. All past due invoices will be charged a 1 1/2% finance charge. Please return the payment stub from each statement to ensure proper credit for each invoice that you are paying. You may view and print copies of invoices and statements through your account on our Website.

Returns - The original invoice or invoice number must accompany all goods returned. Special order returns will be subject to MFG’s restocking fees and handling charges. Items subject to FDA Regulations may not be returned for credit if seal is broken.

Equipment - Orders over $10,000 require a signed purchase agreement and a 15% down payment. The balance is due on or before delivery of the equipment. Atlanta Dental has many equipment financing options. The warranty on labor for new equipment is 6 months. The warranty on parts for new equipment is as stated by the manufacturer.

Order Processing - You may phone or fax your order or you may place it with your personal sales representative. Local and toll-free phone lines channel your calls and faxes to our customer service team. For reduced or free shipping charges, you may place orders through “breeze,” our in-office ordering software.

To order call 800.218.5412 or contact your Atlanta Dental Representative.

SafeWear® Hipster Jacket

Premium Protective Apparel - Hip Length Jacket Protection and style featuring knitted cuffs and collar.

43348101-B Deep Blue

43348102-B Pretty Pink

43348103-B Plum Purple

43348105-B White Frost

43348104-B Soft Blue

43348115-B Tropical Teal

43348118-B Jet Black

12 units/bag. Codes shown in Medium. Also available in lab coat.

SafeMask® FreeFlow

Procedure Earloop Face Masks

Integrated strip prevents eyewear from fogging. low price.

99

4+1

79 ASTM LEVEL 3

4334200514 4334200511

4334200515 4334 200516 50 masks/box; 10 boxes/case. Also available in ASTM levels 1 & 2.

SafeSeal™ Quattro Self-Sealing Sterilization Pouches

Multivariable process indicators confirm time,

Duraflor® Ultra

Fast-acting, great tasting, dries clear.

43341016-M30 Mint

43341016-CH30 Cherry

43341016-ST30 Strawberry

43341016-BG30 Bubble gum 0.4 ml x 30 units/box Promotion also applicable on 200 units/box.

Polychloroprene Medical Examination Gloves Comfort and strength.

43341228-A XS

43341228-B S

43341228-C M

43341228-D L

43341228-E XL

Romexis 7

Planmeca Romexis® 7 transforms your workflow with powerful built-in AI that functions side by side with you, automating time-consuming tasks and streamlining treatment planning. With fewer clicks and less routine work, Romexis 7 boosts productivity and frees up valuable time, so you can focus on what you do best - delivering exceptional patient care. Elevate your practice with intelligent efficiency.

For more information, please reach out to your friendly Atlanta Dental representative.

Romexis 7 is the marketing name for Romexis version 6.5.1

AI always included

Turn static files into dynamic content formats.

Create a flipbook
Issuu converts static files into: digital portfolios, online yearbooks, online catalogs, digital photo albums and more. Sign up and create your flipbook.