
ARTICLE 1
Diagnostic, traitement et prise en charge d’un commotio retinæ et d’une uvéite traumatique secondaires à un traumatisme oculaire
HOMMAGE AU DOCTEUR CLAUDE NEILSON

![]()

ARTICLE 1
Diagnostic, traitement et prise en charge d’un commotio retinæ et d’une uvéite traumatique secondaires à un traumatisme oculaire
HOMMAGE AU DOCTEUR CLAUDE NEILSON


05 ÉDITORIAL
L’avenir c’est maintenant
Docteur Guillaume Fortin, optométriste, Président
14 HOMMAGE AU DOCTEUR CLAUDE NEILSON
17 CHRONIQUE JURIDIQUE
Les deux pieds dans le sable ou la neige : comment se protéger des imprévus lors d’un voyage?
Me Jessica Apollon-Auguste, avocate.
20 CHRONIQUE FONDS FMOQ
Ce que vous devez savoir avant d’acheter un chalet par l’entremise de votre SPA
22 CHRONIQUE LUSSIER
07
ARTICLE 1
Diagnostic, traitement et prise en charge d’un commotio retinæ et d’une uvéite traumatique secondaires à un traumatisme oculaire
Docteure Catherine Poitras, optométriste
ÉDITEUR
Association des
Optométristes du Québec 1255, boul. Robert-Bourassa, bureau 1400 Montréal, Québec H3B 3X1 aoq@aoqnet.qc.ca
PRÉSIDENT
Docteur Guillaume Fortin, optométriste
COORDONNATEUR SCIENTIFIQUE
Docteur Kevin Messier, optométriste
COORDONNATRICE DE LA PRODUCTION
Josée Lusignan 514 288-6272 josee.lusignan@aoqnet.qc.ca
PUBLICITÉ
Émilie Pilon
Gestionnaire de compte
450 227-8414, poste 310 epilon@cpsmedia.ca
CONCEPTION GRAPHIQUE BooDesign.ca
Protection et prévention : comment adapter sa maison aux réalités du climat québécois pour réduire ses primes?
24 CHRONIQUE LUSSIER
Assurance frais de bureau dans un contexte d’inflation
27 PETITES ANNONCES
Les petites annonces classées de l'AOQ
ENVOYEZ VOS ARTICLES À L’ÉDITEUR
Revue l’Optométriste 1255, boul. Robert-Bourassa, bureau 1400 Montréal, Québec H3B 3X1
TÉLÉPHONE | 514 288-6272
COURRIEL | aoq@aoqnet.qc.ca
SITE INTERNET | www.aoqnet.qc.ca
Bibliothèque nationale du Québec 2e trimestre 1979. Reproduction interdite sans autorisation.
LE PRÉSENT NUMÉRO A ÉTÉ TIRÉ À 3 050 exemplaires
ISSN-0708-3173
Numéro de convention postale 41129579
ABONNEMENT ANNUEL
CANADA | 85,45 $
ÉTRANGER | 125 $ (taxes incluses)
Articles demandés : L’Optométriste ouvre ses pages à toute collaboration pouvant intéresser la profession optométrique sur le plan professionnel, social, économique et syndical. Le Comité de rédaction invite tous les optométristes à soumettre le rapport d’un cas ou un article susceptible d’intéresser leurs confrères. Tous les écrits soumis deviennent la propriété de la revue l’Optométriste. Le Comité de rédaction se réserve le droit de publier un article dans le numéro qui lui convient. Aucune indemnité ne sera versée à l’auteur pour l’utilisation d’un article. Les textes ainsi que les publireportages publiés dans cette revue n’engagent que leur auteur.
Définition de l’optométriste : « L’optométriste (O.D.) est un professionnel de la santé de première ligne, détenteur d’un doctorat universitaire de 5 ans, qui agit comme porte d’entrée des services oculo-visuels. Il évalue la vision, la binocularité et la santé oculaire. Son rôle est de procéder à l’examen des yeux et de la vision. Il peut également prescrire et administrer des médicaments aux fins de l’examen de la vision et du traitement de certaines pathologies oculaires. Il prescrit les lentilles ophtalmiques nécessaires, qu’elles soient cornéennes ou pour lunettes, et des traitements de rééducation visuelle. L’optométriste prodigue des conseils afin de prévenir les troubles visuels et de promouvoir la saine santé oculovisuelle de ses patients et, au besoin, il peut diriger le patient vers d’autres professionnels de la santé. »

Par le docteur Guillaume Fortin optométriste, Président

Les débuts d’année sont souvent propices à regarder derrière nous et nous projeter dans l’avenir. Avouonsle, les semaines qui ont précédé l’écriture de ce premier éditorial de l’année 2026 ont été pour le moins tranquilles si nous les comparons à l’année précédente. Un blitz de négociation et une entente de principe en fin d’après-midi du 24 décembre 2024 marquent une fin d’année inégalable pour votre Association et pour l’optométrie. Un an plus tard, la majorité d’entre nous se sont bien adaptés à cette entente qui, comme nous l’avons souvent souligné, reflète mieux que jamais la réalité de la pratique et la charge de travail des optométristes d’aujourd’hui et de demain.

Comme à chaque début d’année, l’Association rencontre les optométristes de demain lors d’une soirée d’information avec les étudiants de première année et lors de l’événement Clin d’œil à la relève. Certains d’entre nous reçoivent aussi des jeunes en stage dans leur clinique. Cela nous permet de constater que, malgré l’évolution des époques et des pratiques en optométrie, les jeunes optométristes et les étudiants partagent les mêmes aspirations que tous les optométristes : disposer de cliniques bien équipées pour réaliser les diagnostics les plus précis possibles et exercer une pratique variée alliant optométrie générale et prise en charge de cas plus complexes. Ils recherchent également une collaboration accrue avec les autres professionnels de la santé, sans oublier le respect de leurs compétences et de leur champ de pratique. Les jeunes optométristes impressionnent par leur intelligence et la solidité de leurs connaissances et compétences. Cependant, si énormément de chemin a été parcouru depuis l’obtention du droit à l’utilisation des médicaments diagnostiques il y a trente ans, ces jeunes recherchent une reconnaissance accrue de l’apport de leur profession au système de santé.
D’un point de vue collectif, les jeunes optométristes auront leurs défis qui sont aussi les nôtres. Nous l’avons souvent mentionné, mais il est impératif de renverser la tendance quant à la répartition territoriale des optométristes. Étant donné que l’offre, la demande et la répartition régionale des optométristes ont suivi divers cycles dans le passé, plusieurs régions présentent aujourd’hui des possibilités qui pourraient ne pas se représenter avant plusieurs années. Aux jeunes de saisir ces occasions. Sinon, comme la nature a horreur du vide, des solutions de remplacement des optométristes émergeront, sans pour autant garantir la meilleure qualité de soins aux patients ni soutenir pleinement la profession.
La propriété des cliniques constitue un défi collectif pour notre profession. Un peu moins de 30 % des optométristes sont aujourd’hui propriétaires, ce qui souligne l’importance de rester maîtres de nos pratiques. Si notre profession perd le contrôle de ses milieux de soins, elle risque de perdre des leviers économiques et politiques qui ont soutenu les avancées des trente dernières années, et ce, tant en matière de rémunération que d’expansion des champs de pratique. Pour être précis : ce ne sont ni d’obscurs fonds d’investissement américains, ni des chaînes de lunetterie australiennes qui se soucieront de l’avenir que les optométristes veulent donner à leur profession dans les prochaines décennies.
Les milieux de travail vont changer et, soyons francs, la « petite lunetterie » qui n’a pas de TCO, pas de topographe, pas de champ visuel automatisé, car oui, cela existe encore, devra bientôt assumer non sans fierté ce qu’elle est : une lunetterie et non un endroit dans lequel un optométriste peut rendre des soins de première ligne optimaux à la population.
Bien que ce soit le rôle de l’Ordre de se positionner sur le sujet, un minimum d’équipement est requis pour offrir des services à la hauteur des standards que nous devons atteindre comme profession. Mais attention : la lunetterie a sa place et nous devons la préserver. Elle est au cœur de la profession depuis toujours et nous en sommes fiers. À notre avis, la mainmise sur la vente de lunettes par les optométristes doit même s’accroitre! Mais cela ne doit pas se faire au détriment de la qualité des soins optométriques de première ligne qui sont et seront toujours au cœur de notre profession. Ce qui nous amène à une autre mission de l’Association : guider et formuler des recommandations. L’AOQ doit réfléchir à ce qui favorise la santé économique et professionnelle de tous ses membres. Ainsi, le travail que nous faisons en ce sens est influencé par la constatation qu’il ne peut y avoir de qualité et d’accessibilité sans rentabilité. Les soins optométriques doivent donc tendre vers la rentabilité en eux-mêmes. Enfin, le temps des « réfractions en série pour nourrir la lunetterie, nourrissant à son tour la réfraction en série », est révolu. L’optométrie doit viser des honoraires qui couvrent non seulement des équipements et des soins conformes aux normes, mais aussi une rémunération personnelle qui reflète la responsabilité et la qualité des optométristes du Québec.
POUR NOUS JOINDRE
514 288-6272 1 888-SOS-OPTO
VISIBILITÉ : 20/20
Votre message devant les bons yeux.
PRESCRIPTION :
Votre prochaine vente commence ici.
Émilie Pilon epilon@cpsmedia.ca 450 227-8414, poste 310
L’avenir de l’optométrie se joue maintenant, comme cela a toujours été le cas. Les temps et les défis changent, mais chaque génération d’optométristes veut s’épanouir individuellement, professionnellement et économiquement. Pour cela, il faut d’abord et avant tout que nous nous épanouissions collectivement. Les décisions optométriques individuelles que nous prenons ont un impact sur la profession. Nous sommes certains que les optométristes et futurs optométristes en sont conscients. Tant que ce sera le cas, notre profession grandira, sera attractive, respectée et reconnue. Alors voilà, l’année sera déjà bien amorcée lorsque vous lirez cet éditorial, mais nous tenions à vous remercier pour votre soutien en 2025 et à NOUS souhaiter le meilleur pour 2026!

Docteur Guillaume Fortin, optométriste Président
DES QUESTIONS ?
écrivez-nous à aoq@aoqnet.qc.ca
FAIRE UN CHANGEMENT D'ADRESSE
Rendez-vous sur le portail de l'AOQ | aoqnet.qc.ca



Diagnostic, traitement et prise en charge d’un commotio retinæ et d’une uvéite traumatique secondaires à un traumatisme oculaire
Les traumatismes oculaires représentent une cause fréquente de consultation en urgence et peuvent entraîner des atteintes allant de bénignes à invalidantes. Ces blessures surviennent souvent dans le contexte d’accidents domestiques, sportifs, professionnels ou d’accidents de la route. Les plaintes et les lésions peuvent être isolées ou multiples, ce qui nécessite une attention particulière du clinicien afin de ne pas omettre un diagnostic et ainsi assurer une bonne prise en charge et un rétablissement optimal du patient. Bien que l’examen soit parfois plus difficile en raison de l’œdème des tissus ou encore de la douleur et du stress vécu par le patient, une évaluation systématique est essentielle afin de repérer toute lésion pouvant compromettre les fonctions visuelles à court, moyen ou long terme14
Cette étude de cas discutera de l’évaluation, du diagnostic et de la prise en charge d’un jeune patient vu à la clinique externe d’ophtalmologie de l’Hôpital de Saint-Jérôme dans le cadre de ma résidence en santé oculaire.
Visite initiale
Histoire de cas
Un jeune homme caucasien de 12 ans est référé à notre clinique pour une évaluation oculaire suite à un accident de la route survenu la veille. La référence de l’urgentologue indique :
« H, 12 ans, accident de la route, baisse d’acuité visuelle OG, scan cérébral montre fracture du nez, votre avis SVP ».
À l’histoire, on comprend que le véhicule dans lequel il prenait place sur le siège passager a percuté un camion à 70 km/h sur l’autoroute. Pendant la collision, l’avant-bras droit de son père, qui conduisait le véhicule, a percuté le jeune homme en plein visage, ce qui lui a occasionné une fracture du nez tel que mentionné dans le rapport.
Depuis l’accident, le patient se plaint d’une légère baisse de vision à l’œil gauche. Il ne rapporte aucun symptôme de son œil droit.
Le dernier examen de la vue du patient remonte à environ un an chez son optométriste habituel. On ne lui connaît aucun antécédent médical, oculaire, familial ou social particulier. Il nie tout historique de chirurgie oculaire ou de traumatisme. Il ne prend aucun médicament et n’a aucune allergie connue. Il nie tout symptôme de diplopie, flashs ou corps flottants. Il rapporte toutefois avoir des céphalées depuis l’accident, qui sont soulagées par la prise d’ibuprofène et d’acétaminophène comme recommandé par l’urgentologue.
Examen clinique
L’acuité visuelle du patient est de 20/15 dans son œil droit et de 20/20-2 non améliorable au trou sténopéïque dans son œil gauche. Ses motilités sont complètes, souples et il ne rapporte aucune diplopie ni douleur aux motilités. L’évaluation monoculaire de la vision des couleurs avec le test HRR est normale, soit de 11/11 plaques pour l’OD et l’OS.
Le test de désaturation du rouge est négatif. Sa pression intraoculaire mesurée à l’aide du tonomètre Goldmann est de 12 mm Hg dans les deux yeux. Son test écran est orthophore en position primaire, ainsi que dans toutes les positions de regard. Ses pupilles sont rondes, isocoriques et réactives à la lumière et ne présentent pas de défaut pupillaire afférent relatif. Le champ visuel GTOP fait avec l’Octopus 900 est complet et fiable pour les deux yeux.
Le segment antérieur ne révèle rien de particulier dans aucun des yeux. Les paupières sont saines, les conjonctives et les cornées sont claires et lisses, les chambres antérieures sont calmes et profondes, les cristallins sont clairs et les iris sont sains et plats. De plus, la gonioscopie avec une lentille 4-miroirs ne démontre pas de récession angulaire dans aucun œil et le corps ciliaire est visible dans tous les quadrants.
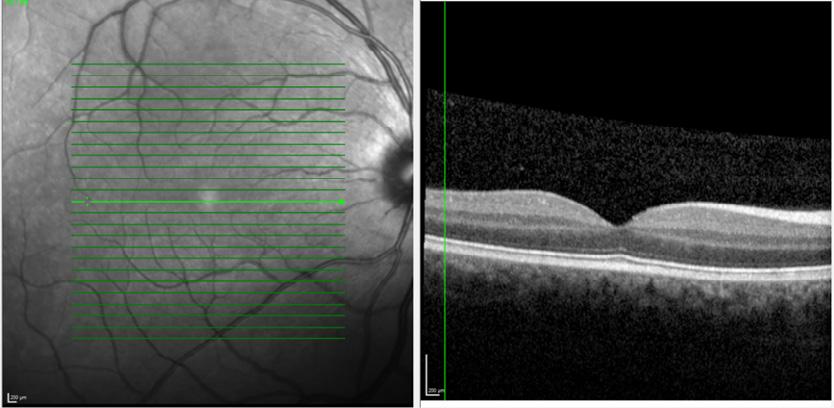
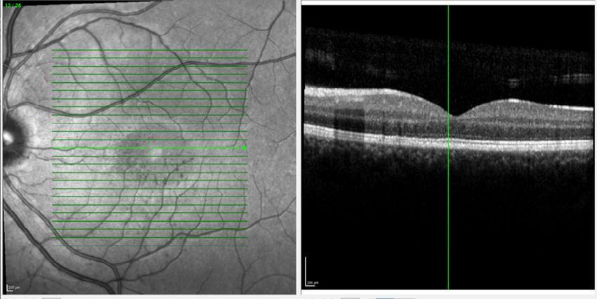
À l’examen dilaté, on note des vitrés calmes, clairs et ne présentant pas de signe de Schaffer. Les nerfs optiques sont sains, rosés et aux bords distincts. Les ratios C/D sont de 0, 2 x 0,2 dans les deux yeux. La macula de l’œil droit est saine, alors que la macula de l’œil gauche présente une zone grisâtre plus pâle bien circonscrite d’environ 1,5 diamètre de disque. Les vaisseaux rétiniens sont normaux dans les deux yeux et l’examen de la rétine périphérique avec une lentille 3-miroirs ne révèle aucune anomalie, pas de trou, déchirure, hémorragie, ni décollement de rétine. La TCO maculaire de l’œil droit révèle des couches rétiniennes saines (Figure 1). Pour l’œil gauche, la TCO dévoile un remaniement, une hyperréflectivité et un épaississement subtil des couches externes de la rétine, soit au niveau de la zone ellipsoïde (EZ), de la zone d’interdigitation (IZ) et de l’épithélium pigmentaire (EPR) (Figure 2).


Raisonnement clinique et diagnostic différentiel
Les diagnostics différentiels pour une baisse de vision qui survient immédiatement après un traumatisme contondant sont nombreux, mais l’absence de pathologie au segment antérieur permet d’exclure : l’abrasion cornéenne, l’hyphéma, l’uvéite traumatique, la mydriase traumatique, la cataracte traumatique et la luxation ou subluxation du cristallin. L’examen dilaté permet également d’exclure une baisse de vision liée à une hémorragie du vitré, des corps flottants ou un décollement/déchirure de rétine. L’absence d’un œdème de la tête du nerf optique n’indique pas pour autant l’absence d’une neuropathie optique traumatique puisqu’il pourrait s’agir d’une neuropathie rétrobulbaire. Toutefois, l’absence de défaut pupillaire afférent relatif, les tests de couleurs et de saturation du rouge normaux, le champ visuel seuil normal, ainsi que l’absence d’anomalie de l’orbite au scan cérébral tendent à démontrer l’absence de neuropathie optique.
Les diagnostics différentiels pour une pathologie rétinienne traumatique provoquant une baisse de vision incluent :
Rétinopathie de Purtscher
La rétinopathie de Purtscher est causée par un trauma indirect de compression (tête, thorax, fracture d’un os long, etc.). Elle se manifeste par des symptômes de baisse de vision et des signes rétiniens bilatéraux dans les 48 h suivant le trauma : des zones de blanchiment de la rétine autour du nerf optique, des exsudats cotonneux (cotton-wool spots, CWS), des hémorragies rétiniennes et parfois un œdème du nerf optique13, ce qui ne reflète pas du tout la présentation clinique du cas actuel.
Rupture choroïdienne
Une rupture choroïdienne se présente comme un bris de la choriocapillaire, de la membrane de Bruch et de l’EPR qui donne une apparence de ligne blanchâtre ou jaunâtre sur la rétine en forme de croissant souvent concentrique au nerf optique et parfois associée à une hémorragie adjacente. Les couches de la rétine neurosensorielle sont toutefois préservées(9), ce qui ne corrèle pas avec la TCO et le fond d’œil de notre patient.
Un autre diagnostic différentiel important à mentionner, mais d’origine non traumatique, est une occlusion artérielle de la rétine qui se présente également comme une zone plus pâle en raison d’une hypoxie qui apparaît comme un épaississement et hyper réflectivité des couches de la rétine et non pas des couches internes. La cause d’une occlusion artérielle n’est pas traumatique, mais bien d’origine vasculaire et touche généralement les patients âgés atteints de conditions systémiques vasculaires. De plus, les occlusions artérielles entraînent des baisses visuelles beaucoup plus sévères et irréversibles11
Commotio retinæ (œdème de Berlin)
Les trouvailles maculaires du patient ressemblent davantage à un œdème de Berlin qui est le terme employé pour désigner un commotio retinæ affectant la région maculaire. Il s’agit d’une rétinopathie traumatique secondaire à un trauma direct ou indirect qui occasionne un contrecoup et qui abîme les couches rétiniennes profondes. La cause est un stress mécanique produit lors d’un traumatisme à globe fermé et serait présent chez 30 % des yeux victimes d’un traumatisme oculaire, ce qui en fait une condition très fréquente. Les hommes entre 20 et 30 ans seraient les plus touchés3. Les facteurs de risques incluent donc toute activité mettant à risque de recevoir un coup au visage ou à la tête, tels que les sports de contact et l’usage de véhicules motorisés. Selon une étude, la rétine temporale serait la plus souvent touchée puisqu’elle n’est pas protégée par le nez3
La pathophysiologie exacte d’un commotio retinæ s’explique par le fait que la rétine est un organe inélastique. L’onde de choc provoque donc le déplacement des structures élastiques de l’œil, mais la rétine absorbe pleinement le contrecoup et son étirement provoque donc des lésions de plusieurs couches, principalement les couches externes à la jonction des photorécepteurs et de l’EPR. Il a été postulé que l’effet est pire au niveau des photorécepteurs, car ils ne sont pas rattachés aux cellules de Müller, contrairement au reste de la rétine neurosensorielle10
L’apparence blanchâtre et parfois brillante de la rétine aux endroits touchés par le commotio retinæ serait due à une hyperréflectivité des photorécepteurs anormaux et des débris cellulaires qui sont libérés à la jonction ellipsoïde. Cette apparence est parfois absente et c’est pourquoi la TCO est un excellent test diagnostique pour cette condition puisqu’il permet d’en visualiser les changements histologiques avec précision. La TCO montre ainsi un remaniement des couches externes de la rétine, soit au niveau de la zone ellipsoïde (EZ), de la zone d’interdigitation (IZ) et de l’épithélium pigmentaire (EPR), avec une hyperréflectivité, un épaississement et une discontinuité de celles-ci1. À titre de référence, la figure 3 montre les couches rétiniennes normales visibles chez un œil sain. Parmi les autres signes cliniques observables, il est aussi possible de voir des hémorragies rétiniennes adjacentes au commotio retinæ.
La présentation initiale des symptômes peut varier largement en fonction de l’intensité du trauma, allant de l’absence de symptômes si la rétine est touchée seulement en périphérie ou une importante baisse d’acuité visuelle et une atteinte du champ visuel si le commotio retinæ atteint le pôle postérieur et est significatif4
Pronostic et prise en charge Il n’existe aucun traitement médical approuvé ni couramment utilisé pour le commotio retinæ. Cependant, certaines études ont montré que dans les cas où la baisse d’acuité visuelle ne se résout pas spontanément, des doses élevées de corticoïdes par voie intraveineuse peuvent réduire le gonflement rétinien et améliorer l’acuité visuelle12
Normalement, les photorécepteurs commencent à se réparer environ 1 semaine après le trauma et ce processus se poursuit pour un minimum de 2 mois. L’apparence de la rétine quant à elle redevient normale après seulement une semaine, ce qui peut expliquer pourquoi certains patients présentent toujours de symptômes sans pour autant qu’il y ait de signes visibles à la rétine1
La plupart des cas récupèrent dans les 4 semaines suivant la blessure, mais certains patients expérimentent une progression pendant plusieurs mois. Certains patients moins chanceux restent marqués par des séquelles permanentes, soit une atrophie de l’ellipsoïde et de l’EPR. Ces cicatrices peuvent entraîner une baisse permanente d’acuité visuelle (si la cicatrice est maculaire) et un scotome absolu ou relatif (si la cicatrice est au pôle postérieur). Selon une étude, 26 % des patients avec une atteinte maculaire présentent une acuité visuelle inférieure à 20/30, contrairement à 3 % des patients avec une atteinte extramaculaire3. Le pronostic est également plus favorable en l’absence de comorbidités associées et lorsque la sévérité du commotio est moindre1, comme c’est le cas dans la présentation clinique de notre jeune patient.
Ainsi, le patient et ses parents furent rassurés sur la condition en expliquant le pronostic favorable et aucun traitement ne fut prescrit. Un suivi fut donné 3 semaines plus tard en avisant le patient de reconsulter en urgence s’il présentait tout nouveau symptôme de douleur, rougeur, baisse de vision, corps flottants ou flashs lumineux.

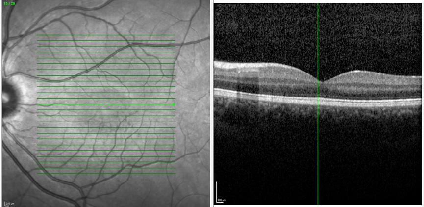
Figure 3 :
Légende des différentes couches rétiniennes d’une macula saine à la TCO5
Histoire de cas
Le patient revient pour une consultation d’urgence en raison de nouveaux symptômes de douleur intense derrière son œil droit qui l’ont réveillé durant la nuit précédente. La douleur était décrite comme une douleur sourde autour de l’œil de 8/10 qui s’atténuait légèrement avec la prise d’ibuprofène. Le patient rapporte également voir un voile flou devant son œil droit et une sensibilité à la lumière accrue.
Examen clinique
L’acuité visuelle du patient est de 20/20-2 NATS pour l’œil droit et 20/20-2 NATS pour l’œil gauche. Ses motilités sont complètes, souples et il ne rapporte aucune diplopie ni douleur aux motilités. Sa pression intraoculaire est de 8 mmHg dans l’œil droit et 12 mmHg dans l’œil gauche. Ses pupilles sont rondes, isocoriques et réactives à la lumière et ne présentent pas de défaut pupillaire afférent relatif. L’examen au biomicroscope de l’œil droit avec l’instillation d’une goutte de fluorescéine est identique à la première visite, à l’exception de la conjonctive qui présente une hyperhémie limbique diffuse sur 360° de grade ½+ et la chambre antérieure qui présente des cellules grade 2+. Les cellules sont non pigmentées, il n’y a pas de précipités kératiques sur la cornée ni d’hypopion ou de synéchies postérieures et l’iris est toujours sain. Le cristallin ne présente pas d’anneau de Vossius sur sa face antérieure. L’examen du fond d’œil dilaté dans l’œil droit est sans particularité. Le vitré ne présente pas de cellules, ni de snowballs, de snowbank ou de nouveaux corps flottants. La rétine est normale au pôle postérieur comme en périphérie. Le nerf optique est sain, rosé et les bords sont nets.
L’examen de l’œil gauche est identique à la première visite.
Raisonnement clinique et diagnostics différentiels
Les diagnostics différentiels pour des cellules dans la chambre antérieure secondaire à un trauma incluent :
Abrasion cornéenne
Une abrasion cornéenne se présente avec des symptômes de douleur importante immédiatement après le trauma. De plus, la cornée doit montrer une coloration positive à la fluorescéine et la présence de cellules dans la chambre antérieure est habituellement minime, voire souvent absente. La douleur disparait à l’instillation d’un anesthésique topique, ce qui n’est pas le cas pour l’uvéite.
Hyphéma
L’hyphéma ou la microhyphéma sont également de nature traumatique, mais il y a présence de globules rouges dans la chambre antérieure, ce qui n’était pas le cas de ce patient. De plus, les symptômes d’un hyphéma sont souvent plus axés sur la baisse de vision que sur la douleur et la photophobie. De plus, un hyphéma survient généralement immédiatement après le traumatisme, contrairement à ce patient dont les symptômes sont apparus trois jours après l’accident.
Déchirure ou décollement de rétine
Un décollement ou une déchirure de rétine peuvent entraîner un débordement (spill-over) de cellules dans la chambre antérieure, mais ces conditions ont été exclues lors de l’examen sous dilatation et n’entraînent pas de douleur.
Endophtalmie secondaire à une perforation du globe
Une endophtalmie secondaire doit être exclue dans les cas de perforation du globe. Notre patient ne présentait pas de signes de perforation du globe (pas de signe de Seidel positif, pression intraoculaire très basse ou mécanisme traumatique laissant présager la présence d’un corps étranger intraoculaire). Une endophtalmie se présente également avec une baisse d’acuité visuelle marquée et une réaction inflammatoire sévère de la chambre antérieure et du vitré (cellules et flare grade 4+).
Uvéite traumatique
Dans le contexte d’un traumatisme récent, la présence d’une rougeur ciliaire et de cellules dans la chambre antérieure relève plus probablement d’une uvéite traumatique. D’autres causes d’uvéites antérieures non granulomateuses, telles que les uvéites idiopathiques, infectieuses ou associées à des causes systémiques, sont également à garder en tête, mais sont moins probables dans le contexte du patient. Il est important de soupçonner une uvéite antérieure non traumatique si le degré d’inflammation dans la chambre antérieure ne correspond pas à l’intensité du trauma. Dans le cas de ce patient, il y a corrélation entre, d’une part, l’histoire de trauma, le délai d’apparition des symptômes et la présentation des symptômes et, d’autre part, avec une uvéite traumatique.
Une uvéite traumatique est une réaction inflammatoire causée par les produits nécrotiques que les cellules produisent à la suite des lésions occasionnées par le trauma. La réaction inflammatoire entraîne donc une augmentation de la perméabilité des vaisseaux sanguins oculaires qui permet aux globules blancs, aux médiateurs inflammatoires (protéines, etc.) et à d’autres composants sanguins de pénétrer dans les milieux oculaires.
Les symptômes incluent une douleur (due à l’irritation du nerf ciliaire et à un spasme du muscle ciliaire), de la photophobie (due à une irritation du nerf trijumeau), une légère baisse de vision due à la perte de transparence de l’humeur aqueuse et parfois des corps flottants. Les signes principaux incluent un léger myosis, la présence de cellules (globules blancs) et de flare (protéines) dans la chambre antérieure, une rougeur ciliaire au limbe due à l’inflammation des vaisseaux près de l’uvée7. Un autre signe fréquent est une pression intraoculaire plus faible en raison de la baisse de production d’humeur aqueuse par le corps ciliaire ou, moins fréquemment, une pression intra oculaire plus élevée en raison d’une moins bonne filtration par le trabéculum, obstrué par les cellules inflammatoires. La présence de synéchies postérieures est également possible lorsque l’inflammation est sévère. Souvent, les signes et symptômes d’une uvéite traumatique apparaissent dans les 3 premiers jours suivant l’incident2. La gradation se base sur l’échelle de SUN qui évalue la quantité de cellules présentes dans une illumination de 1 mm x 1 mm avec grossissement approprié dans la chambre antérieure15
Pronostic et prise en charge
Une uvéite traumatique est traitée avec de la cortisone topique, souvent PredForte 1 %, q2h à QID afin de réduire l’inflammation dans la chambre antérieure. Le dosage dépend de la sévérité de l’uvéite et des risques de comorbidités associés. De plus, un agent cycloplégique, tel que Cyclogil 1 %, est prescrit BID à TID afin de prévenir les synéchies postérieures en dilatant la pupille, de stabiliser la barrière hématoaqueuse pour prévenir l’arrivée d’autres facteurs inflammatoires et de réduire le spasme ciliaire et de l’iris qui occasionnent la douleur au patient. Certaines uvéites traumatiques légères peuvent même être suivies sans traitement puisque le processus inflammatoire est essentiellement autorésolutif dans cette condition8. Lorsque prescrite, il faut sevrer progressivement le patient de la cortisone topique afin de prévenir une uvéite rebond. La durée du sevrage dépend encore une fois de la sévérité de la présentation.
Le pronostic des patients varie en fonction des comorbidités, telles qu’une cataracte traumatique, un décollement de rétine, un hyphéma, etc. De plus, une récession d’angle, une hypertonie ou des synéchies postérieures peuvent entraîner du glaucome à long terme et nécessitent des suivis annuels.
Dans le cas où l’uvéite aurait occasionné une hypertonie oculaire, un agent antiglaucomateux aurait pu être prescrit conjointement. Une évaluation des angles iridocornéens est également importante afin de repérer tout dommage traumatique au trabéculum pouvant entraîner cette hausse de pression. De plus, il est toujours important de revérifier la pression intraoculaire environ 2 semaines après la prescription de cortisone topique afin de vérifier si celle-ci augmente en réponse à la cortisone (steroid response).
Dans le cas de ce patient, son uvéite était modérée et assez symptomatique, donc on a jugé bon de lui prescrire un traitement avec un dosage initial d’acétate de prednisolone 1 % QID x 7 jours, TID x 7 jours, BID x 7 jours, puis DIE x 7 jours. On lui a également remis une prescription de cyclopentolate 1 % BID x 7 jours pour calmer sa douleur.
Le cycloplégique a seulement été prescrit pour 1 semaine afin de diminuer les effets secondaires d’éblouissement et de perte de l’accommodation pour le patient. Des explications sur les risques et les effets secondaires de la cortisone topique lui furent également données, de même que des explications sur les effets mydriatiques et accommodatifs du cyclopentolate. Son prochain suivi prévu dans 2 semaines et demie pour son œdème de Berlin fut conservé pour suivre l’évolution de son uvéite traumatique dans l’œil droit en même temps et vérifier sa pression intra oculaire.
Suivi 3 semaines
Histoire de cas
Le patient revient pour son suivi et rapporte une nette amélioration de ses symptômes. Sa vision est revenue à la normale dans les deux yeux et il ne ressent plus aucune douleur. Il a mis ses gouttes de prednisolone et de cylopentolate comme prescrites. Il est maintenant rendu à un sevrage de prednisolone au rythme de deux fois par jour.
Examen clinique
L’acuité visuelle du patient est de 20/20 +2 dans l’œil droit et de 20/20 +1 dans l’œil gauche. Ses pupilles sont rondes, isocoriques et réactives à la lumière et ne présentent pas de défaut pupillaire afférent relatif.
L’examen au biomicroscope est sans particularités au niveau de toutes les structures de l’œil. Il n’y a plus de cellules dans la chambre antérieure de l’œil droit et la macula de l’œil gauche ne présente plus son aspect grisâtre. La pression intraoculaire est de 19 mmHg dans l’œil droit et 14 mHg dans l’œil gauche.
La TCO maculaire de l’œil gauche montre une amélioration des couches externes de la rétine qui sont moins perturbées, moins épaisses et plus lisses.
Prise en charge
La pression intraoculaire de l’œil droit est passée de 8 mmHg à 19 mmHg en 17 jours, ce qui constitue une légère réponse à la cortisone (steroid response). On demande donc au patient d’écourter la période de sevrage de sa cortisone et de passer à une dose DIE dès le lendemain pour une durée de 4 jours. En cas d’hypertonie oculaire, un agent anti-glaucomateux aurait pu être prescrit conjointement jusqu’à l’arrêt de la cortisone, mais comme la hausse de pression intraoculaire est légère, que la dose est diminuée et que la durée du traitement est presque terminée, on juge bon de ne pas prescrire un tel agent. Une autre possibilité aurait pu être de modifier le choix de corticostéroïde pour une cortisone plus douce avec un moins grand risque de faire monter la pression, tel que le loteprednol6. Toutefois, cela entraînerait des coûts supplémentaires pour le patient et n’a pas été envisagé dans le contexte où il ne restait que 4 jours de traitement avec la prescription actuelle.
Une note bien visible et mise en évidence est laissée au dossier du patient, indiquant qu’il a une « tendance steroid response ». On avise le patient qu’aucun autre suivi n’est nécessaire et on lui recommande un suivi annuel avec son optométriste habituel pour un examen visuel complet afin de faire un dépistage général de troubles oculaires.
Ce cas illustre bien les complications ophtalmiques pouvant survenir à la suite d’un traumatisme oculaire. Ce jeune patient présentait une uvéite traumatique ainsi qu’un œdème de Berlin, deux atteintes fréquentes dans ce contexte, mais souvent sous-estimées en phase aiguë. Une prise en charge incluant une surveillance rapprochée de l’acuité visuelle pour l’œdème de Berlin, ainsi que de la cortisone topique et un agent cycloplégique pour l’uvéite ont permis une évolution favorable et sans séquelles fonctionnelles. Ce cas souligne l’importance d’un suivi ophtalmologique rigoureux après un traumatisme oculaire, même en l’absence de signes initiaux sévères, afin de détecter et traiter précocement les complications potentielles.

1. Ahn, S.J., et al., Optical coherence tomography morphologic grading of macular commotio retinae and its association with anatomic and visual outcomes. Am J Ophthalmol, 2013. 156(5): p. 994-1001.e1.
2. Bagheri, N., Wajda, B., Calvo, C., & Durrani, A. (Eds.). (2016). The wills eye manual (7th ed.). Lippincott Williams and Wilkins. p. 18-19.
3. Blanch RJ, Good PA, Shah P, Bishop JR, Logan A, Scott RA. Visual outcomes after blunt ocular trauma. Ophthalmology. 2013 Aug;120(8):1588-91. doi: 10.1016/j.ophtha.2013.01.009.
4. Chabbar I, Serghini L, Hajji Z, Berraho A. Commotio retinae after severe blunt eye trauma. Saudi J Med Pharm Sci. 2020;6(6):463-465. doi : 10.36348/sjmps.2020.v06i06.009.
5. Chatard H, OCT : indications et limites. Revue Francophone d’Orthoptie, Volume 13, Issue 2, 2020, Pages 80-82, ISSN 1876-2204, https://doi.org/10.1016/j.rfo.2020.05.002
6. Feroze KB, Zeppieri M, Khazaeni L. Steroid-Induced Glaucoma. [Updated 2023 Jul 16]. In: StatPearls [Internet]. Treasure Island (FL): StatPearls Publishing; 2025 Jan. Available from: https://www.ncbi.nlm.nih.gov/books/ NBK430903/
7. Gurnani B, Kim J, Tripathy K, et al. Iritis. [Updated 2023 Aug 25]. In: StatPearls [Internet]. Treasure Island (FL): StatPearls Publishing; 2025 Jan. Available from: https://www.ncbi.nlm.nih.gov/books/ NBK430909/
8. Harthan JS, Opitz DL, Fromstein SR, Morettin CE. Diagnosis and treatment of anterior uveitis: optometric management. Clin Optom (Auckl). 2016;8:23-35. Published 2016 Mar 31. doi:10.2147/OPTO.S72079.




















A ACCUEILLI :
• 810 optométristes dont 792 optométristes inscrits à la formation du CPRO
• 283 représentantes et représentants de compagnies d’optique
• 75 étudiantes et étudiants
• 28 visiteuses et visiteurs
9. Lupidi M, Muzi A, Castellucci G, Kalra G, Piccolino FC, Chhablani J, Cagini C. The choroidal rupture: current concepts and insights. Surv Ophthalmol. 2021 Sep-Oct;66(5) :761-770. doi: 10.1016/j.survophthal.2021.01.014. Epub 2021 Feb 2. PMID: 33545177.
10. Mansour, A.M., W.R. Green, and C. Hogge, Histopathology of commotio retinae. Retina, 1992. 12 (1): p. 24-8.
11. Mehta N, Marco RD, Goldhardt R, Modi Y. Central retinal artery occlusion : acute management and treatment. Curr Ophthalmol Rep. 2017 Jun;5(2):149-159. doi: 10.1007/s40135017-0135-2.
12. Mendes S, Campos A, Beselga D, Campos J, Neves A. Traumatic Maculopathy 6 Months after Injury: A Clinical Case Report. Case Reports in Ophthalmology. 2014;5(1):78-82. doi:10.1159/000360692.
13. Miguel a IM, Henriques F, Azevedo LFR, Loureiro a JR, Maberley D a L. Systematic review of Purtscher’s and Purtscher-like retinopathies. Eye (Lond). 2013;27(1):1–13. doi:10.1038/eye.2012.222.
14. Mohseni M, Blair K, Gurnani B, et al. Blunt Eye Trauma. [Updated 2023 Jun 11]. In: StatPearls [Internet]. Treasure Island (FL): StatPearls Publishing; 2025 Jan-. Available from: https://www.ncbi.nlm.nih.gov/books/NBK470379/
15. Oshika T, Nishi M, Mochizuki M, Nakamura M, Kawashima H, Iwase K, Sawa M. Quantitative assessment of aqueous flare and cells in uveitis. Jpn J Ophthalmol. 1989;33(3):279-87.
LES GAGNANTES ET GAGNANTS DES PRIX OFFERTS :

Un panier de produits du terroir en Mauricie d’une valeur de 100 $
Dre Danielle Lemieux, optométriste
Une bouteille Hospices de Beaune
Pouilly-Fuissé d’une valeur de 150 $
Dre Marie-France Massicotte, optométriste
Un crédit voyage d’une valeur de 2 000 $
Dre Camille Langevin, optométriste
25 boîtes de produits gourmands de chez nous 21 optométristes et 4 étudiantes
Un certificat-cadeau de La Forfaiterie d’une valeur de 500 $ lié au circuit Salon Vision
Dre Alexandra Sohet, optométriste

Une lourde perte pour l’AOQ. Diplômé en 1965, le docteur Neilson a été administrateur pendant plus de 40 ans. Quarante ans pendant lesquels il a occupé les postes d’administrateur, secrétaire, trésorier et président pendant 10 ans du conseil d’administration de l’AOQ, en plus d’avoir été président de l’Association canadienne des optométristes. Son implication et son amour de la profession étaient hors norme.
J’ai eu la chance de commencer comme directrice générale alors qu’il était trésorier de l’AOQ. Tous les lundis, Steven Carrier, Guy Julien, Claude et moi, nous nous réunissions afin de faire le point sur les dossiers de l'AOQ. J’ai eu une chance inouïe. Ces géants de la profession m’ont tout appris, mais m’ont surtout transmis leur passion pour votre magnifique profession. Le docteur Neilson, au-delà de ses qualités professionnelles, était un gentleman, un vrai chic type, comme disait Steven Carrier, qui prenait le temps à chacune de ses visites au bureau de saluer chaleureusement les employées de l’AOQ une à une.
Dr Neilson, votre dévouement, vos encouragements, votre soutien indéfectible à vos collègues nous manqueront.
Maryse Nolin

Cher Claude, Je suis heureux de t’avoir dit tout le bien que je pensais de toi lors de notre dernière rencontre. C’était en 2018, lors d’une petite fête soulignant mon départ de la présidence de l’AOQ. Ta maladie avait commencé son travail de sape et tu ne pouvais plus parler, toi qui avais des opinions sur à peu près tout, une grande culture et des connaissances sur tant de sujets. Sans oublier ton grand sens de l’humour que ta personnalité plutôt réservée cachait bien; tu me faisais toujours rire quand tu disais ta légendaire expression : « incessamment, peut-être même avant ». Lors de cette soirée de 2018 où je t’ai dit que j’ai adoré travailler avec toi, que j’ai aimé la personne que tu étais et le président que tu avais été, tu ne pouvais me répondre ou me faire rire. Ce soir-là, je n’ai pas compris la tristesse et la frustration qui devaient t’habiter quand je te racontais nos bons moments ensemble et que tu ne pouvais me répondre. Aujourd’hui, je comprends.
Merci, Claude, d’avoir été présent dans ma vie. Ton calme, ta détermination, ton honnêteté, ta grande classe m’ont grandement influencé.
Steven Carrier
C’est avec une profonde tristesse que la communauté optométrique canadienne rend hommage au Dr Claude Neilson, président de l’Association canadienne des optométristes (ACO) de 2001 à 2002 et membre du conseil de 1996 à 2004.
Homme de vision et de dialogue, le Dr Neilson a marqué la profession par son leadership rassembleur et son engagement constant envers la santé visuelle des Canadiens. Il a coordonné d’importantes études nationales sur la prévalence des maladies oculaires afin d’appuyer les démarches de représentation politique et a joué un rôle clé dans les débats législatifs entourant la portée de la pratique optométrique. Parmi ses priorités figuraient la défense du champ d’exercice de la profession et la reconnaissance de la réfraction comme un acte professionnel réglementé relevant de l’optométrie, ainsi que l’amélioration de la couverture publique des services optométriques essentiels à la santé oculaire.
Visionnaire, il a su rapprocher les communautés optométriques du Québec et du reste du pays, convaincu que notre force réside dans la collaboration et la solidarité. Sous sa présidence, l’ACO a collaboré étroitement avec la Commission sur l’avenir des soins de santé au Canada et avec le Sénat pour faire reconnaître la contribution des optométristes à un système de santé moderne et accessible.
Au-delà de ses réalisations, le Dr Neilson était reconnu pour sa diplomatie, son humanité et son dévouement indéfectible à la profession. Son engagement continue d’inspirer celles et ceux qui suivent ses traces et croient, comme lui, à une optométrie forte, unie et tournée vers l’avenir. En 2024, l’ACO lui a décerné le titre de membre honoraire, soulignant ainsi une carrière exceptionnelle au service de ses collègues et du public. Son héritage se perpétue dans les valeurs de collaboration et d’engagement qu’il a incarnées tout au long de sa vie.
Martin Spiro
Notre société se porterait beaucoup mieux si nos dirigeants avaient les qualités de Claude: honnêteté, ouverture d’esprit, capacité d’écoute. À titre de dirigeant de l’AOQ, son seul but était la défense des intérêts des membres. Ce fut un honneur de travailler avec lui.
Clermont Girard

Ma rencontre initiale avec le docteur Neilson date de mes premières années de pratique quand, bien innocemment, j’ai eu l’audace de poser ma candidature pour un poste d’administratrice de l’AOQ face au Dr Neilson et au Dr Quintal, élections que je n’ai pas remportées, faut-il le préciser. Déjà administrateur à l’Association des optométristes du Québec, plutôt que de me décourager, Claude m’a aidée à canaliser mon implication à l’AOQ et m’a servi de guide lorsque j’ai pu joindre le conseil d’administration de l’AOQ. J’ai été témoin de son implication dans sa profession qu’il aimait tant, implication qui lui a fait affronter plusieurs tempêtes, que ce soit à titre d’administrateur, de secrétaire, de trésorier et finalement de président, notamment les deux années consécutives où le gouvernement nous a imposé une désassurance, et tous les autres petits et grands défis rencontrés pendant ses différents mandats à l’Association des optométristes du Québec comme à l’Association canadienne des optométristes. Heureusement, étant un navigateur chevronné, Claude a toujours su garder le cap et entraîner la profession dans la bonne direction. Sans élever le ton, sans gestuelle dramatique ou écarts de langage, il était un féroce défenseur de ses convictions. Déterminé, il savait défendre ses idées et convaincre les récalcitrants; conciliant, il savait trouver le chemin pour que tout le monde soit gagnant. Avec son look de gentleman optométriste, le Dr Neilson est la plus belle représentation du leader tranquille et efficace, et son image pourrait illustrer n’importe quelle publication qui parle d’optométrie.
Diane G. Bergeron
Je suis profondément attristé d’avoir appris le décès du Dr Claude Neilson.
En ces moments si douloureux, je tiens à offrir à sa conjointe et à sa famille mes condoléances les plus sincères.
Que l’amour et la force de votre belle famille vous apportent du réconfort et que les souvenirs précieux que vous partagez demeurent une source de paix!
Pour moi, Claude était un collègue et bon conseiller durant mes années de présidence de l’AOQ et de la SOI.
C’était un homme travailleur, attentif à tout ce qui touchait l’avenir de l’optométrie, et d’une grande loyauté envers ses collègues et amis.
C’était non seulement un collègue que j’admirais, mais un bon ami.
Avec toute mon amitié,
Jean-Marie Rodrigue
Claude se présente à l’Association à la fin des années 70 pour représenter sa région (ville de Lachine), où il est propriétaire du bureau de son père Jean, ce dernier s’étant lui-même impliqué pour sa profession dans les années 60.
Claude n’a eu de cesse depuis son arrivée en poste, soit pendant près de 30 ans, de venir inlassablement à l’Association siéger à des comités. Ce fut pour moi une belle et enrichissante expérience de travailler avec Claude.
Et là, il a fait sa marque!
Il a en effet occupé à peu près tous les postes à l’Association, dont ceux-ci, qui ont été les plus marquants, quand je me remémore son implication :
– responsable du Comité d’assurances et de rentes (la S.A.R.) avec Dr Denis Monette, puis Dr Mathieu Proulx;
– trésorier, en collaboration avec le vérificateur, Clément Lussier, CPA;
– membre du comité de négociation avec le porte-parole à la table, Me Yvan Brodeur, avocat, ainsi que notre actuaire Clermont Girard, FICA.
Cela l’a amené naturellement à accepter la présidence de l’AOQ à la fin des années 80 pour une quasi-décennie (!), et celle de l’Association canadienne des optométristes (l’ACO) pour un mandat.
On retient de lui, sa rigueur, sa réserve, mais aussi, paradoxalement, sa détermination et une certaine fougue!
En effet, quand un organisme gouvernemental, que ce soit la RAMQ, le MSSS, l’Office des professions, se dressait devant la profession, il devenait ferme et inflexible : il défendait les optométristes dans une attitude farouche, et ce, à notre propre surprise et fier étonnement… Sa longue présidence aura été marquée par de multiples dossiers dont deux particulièrement difficiles : la désassurance (18-64 ans) des services optométriques dans les années 90, et ce que nous avions convenu d’appeler la privatisation de la SOI, fondée en 1982 par le président de l’époque, Jean-Marie Rodrigue, pour renforcer la compétitivité des cliniques optométriques indépendantes à travers le Canada.
Là comme dans d’autres dossiers, il a fait preuve de détermination, mais également d’objectivité, ce qui lui méritait le respect des optométristes.
Je garde le souvenir d’un homme intègre dont on recherchait l’avis. Il est du groupe sélect des présidents de l’AOQ : les Drs André Gauthier, Jean-Marie Rodrigue, Robert Théroux, Langis Michaud, Steven Carrier et, aujourd’hui, Guillaume Fortin.
Que la salle de réunion du siège social de l’AOQ porte aujourd’hui le nom de « Salle Claude Neilson » n’est que justice. Cela rappelle aux jeunes optométristes et futurs diplômé(e)s l’importance de s’impliquer pour promouvoir les intérêts de leur profession. L’Association aura 60 ans en 2026 grâce aux optométristes qui l’ont bâtie. Claude a été de ceux-là.
François Charbonneau

Par Me Jessica Apollon-Auguste, avocate.

Vous prévoyez vous évader de l’hiver dans les prochains mois? Que ce soit pour un congrès, une formation ou une escapade bien méritée, le voyage est souvent synonyme de détente… mais aussi de possibles contretemps. Voici un tour d’horizon des protections et recours offerts s’il vous arrive, à vous ou à votre bagage, un pépin en cours de voyage.

Bagage égaré ou retardé?
Malcom planifie un voyage de plongée sous-marine, mais sa valise manque à l’appel au carrousel de bagages. Il doit donc acheter son équipement de plongée sur place pour profiter de son voyage. Peut-il se faire rembourser?
Si votre bagage est égaré ou retardé, plusieurs options s’offrent à vous. L’assurance voyage est très utile dans ce type de situation, car vous pouvez réclamer un remboursement. Certaines cartes de crédit offrent aussi une protection en cas de perte ou de retard de bagages si vous utilisez cette carte pour payer le voyage. Vous pouvez communiquer avec l’émetteur de votre carte de crédit pour vous informer des modalités vous concernant. Si vous n’êtes pas assuré, une réclamation auprès de la compagnie aérienne est possible suivant le Règlement sur la protection des passagers aériens* (ci-après le « Règlement ») pour les voyages au Canada ou en vertu des conventions de Montréal et de Varsovie pour un voyage à l’étranger. Le remboursement maximal prévu est de 2 780 $ pour les articles essentiels manquants**. Si le bagage manque à l’appel depuis plus de 21 jours ou qu’il est déclaré perdu, vous avez sept jours pour déposer votre réclamation écrite auprès de la compagnie aérienne.
* Règlement sur la protection des passagers aériens, DORS 2019/150.
** https://rppa-appr.ca/fra/droit/bagages-perdus-endommages-ou-livres-en-retard
Attention, la compagnie aérienne n’est pas tenue de vous indemniser si elle a pris toutes les mesures raisonnables pour éviter le problème ou s’il lui a été impossible de prendre ces mesures.
Si votre bagage a été endommagé, vous pourriez avoir droit à un remboursement maximal de 2 780 $, sauf si le dommage résulte de la qualité de votre bagage. Vous devez déposer une demande d’indemnisation par écrit auprès de la compagnie aérienne dans les sept jours de la réception du bagage.
Vol annulé ou retardé : ce qu’il faut savoir
Paul et sa famille attendent à l’aéroport depuis ce matin, mais leur vol prévu à 11 h 34 est retardé de trois heures à cause d’une tempête de neige. Ont-ils droit à une compensation?
Lorsqu’un vol est annulé ou retardé, les obligations de la compagnie aérienne dépendent de la cause de la perturbation et des conditions énoncées au contrat. Trois cas de figure existent :
1. Les situations attribuables à la compagnie aérienne.
2. Les situations attribuables à la compagnie aérienne pour des raisons de sécurité.
3. Les situations indépendantes de la volonté de la compagnie aérienne.

Si la perturbation relève de la responsabilité de la compagnie aérienne (incluant pour des raisons de sécurité), elle doit proposer un vol de remplacement dans les neuf heures auprès de sa propre flotte ou de celle d’un partenaire. Passé ce délai, l’entreprise est responsable de réserver un vol dans les 48 heures, et ce, même auprès d’une autre compagnie. Le passager peut choisir entre un remboursement intégral ou le réacheminement alternatif.
Dans le cas de Paul, le retard est dû aux conditions météorologiques et au dégivrage de l’avion pour des raisons de sécurité. La compagnie aérienne doit alors offrir un vol de remplacement dans les neuf heures et fournir un repas si le retard dépasse deux heures. Si le délai excède neuf heures, il lui incombe de réserver un vol dans les 48 heures, et ce, même auprès d’une autre compagnie. En revanche, aucune indemnité n’est prévue, car la perturbation n’est pas entièrement attribuable à la compagnie, mais pour des raisons de sécurité et des conditions météorologiques.
Cependant, lorsque votre vol est annulé ou retardé parce que la compagnie aérienne a réorganisé les vols pour des raisons commerciales ou selon sa volonté, vous pouvez réclamer une indemnité, soit :
Situation attribuable entièrement à la volonté de la compagnie aérienne*
Retard de trois à six heures
Retard de six à neuf heures
Indemnité financière prévue au Règlement
400 $
700 $
Retard de neuf heures ou plus 1 000 $ Si vous préférez être remboursé plutôt que de profiter d’un réacheminement
400 $
*(excepté raison de sécurité)
Ces indemnités s’appliquent aux grandes compagnies aériennes. Si vous voyagez avec un petit transporteur aérien, les montants sont réduits.
À noter : le passager victime d’un refus d’embarquement peut aussi bénéficier d’indemnités prévues au Règlement.
Hébergement, vol ou services touristiques non rendus
Martine s’en allait en famille dans son tout-inclus préféré, mais un ouragan a endommagé l’hôtel qui, depuis, n’a toujours pas ouvert ses portes. Que faire?
Au-delà des vols et des bagages, un autre imprévu fréquent concerne l’hébergement ou les services touristiques. Que vous fassiez affaire en personne ou en ligne avec un agent de voyage titulaire d’un permis de l’Office de la protection du consommateur, vous bénéficiez automatiquement et sans frais du Fonds d’indemnisation des clients des agents de voyage (le « Fonds d’indemnisation ») lorsque le service touristique prévu n’est pas rendu ou seulement partiellement rendu. Les causes acceptées sont variées : catastrophe naturelle, grève, faillite, guerre, avertissement de ne pas voyager dans la région émis par le gouvernement canadien après la réservation.
Le Fonds d’indemnisation couvre le remboursement total ou partiel des services touristiques et peut offrir jusqu’à 247 $ par jour pour les frais de subsistance dans certaines circonstances. Il ne couvre pas la perte de bagages. Si vous déposez une réclamation au Fonds d’indemnisation, un accusé de réception vous sera envoyé dans un délai de 30 jours après l’envoi du formulaire de réclamation***.
Vous pouvez aussi contacter l’émetteur de votre carte de crédit pour exiger un remboursement si le service n’est pas rendu (par exemple, l’activité ne peut pas avoir lieu à cause des conditions météorologiques). Dans tous les cas, si vous obtenez déjà un remboursement partiel de vos frais, le Fonds d’indemnisation ne couvrira que l’excédent.
*** www.opc.gouv.qc.ca/consommateur/bien-service/voyage/fonds-indemnisation/ demarche/

Martine n’est pas au bout de ses peines : redirigée vers un hôtel partenaire, elle constate que la qualité du séjour laisse franchement à désirer. De retour au Québec, elle souhaite obtenir un remboursement partiel.
Lorsqu’un service est rendu, mais non conforme au contrat signé, il est possible d’intenter une poursuite en justice. La première étape consiste à envoyer une lettre de mise en demeure. Les dommages réclamés peuvent être matériels, comme une perte de salaire si le voyage a duré plus longtemps que prévu, ou moraux, comme la perte de jouissance et le stress causé par la situation. La responsabilité peut incomber au voyagiste ou à la compagnie aérienne, selon l’origine du manquement. Un tel recours doit être intenté dans les deux ans de la survenance de l’incident.
Dès qu’un vol est retardé de trois heures ou plus ou qu’il est annulé, déposez rapidement une demande écrite auprès de la compagnie aérienne directement. En cas de refus, sachez que la plainte doit être déposée auprès de l’Office des transports du Canada dans l’année qui suit l’incident. Les personnes qui réservent avec l’aide d’une agence de voyages sont également protégées par le Fonds d’indemnisation. Bref, que vous partiez sous les palmiers ou vers les pistes enneigées, mieux vaut voyager l’esprit léger. Avant de faire vos valises, assurez-vous d’être bien couverts, même en cas de tempête!
Si vous avez des questions au sujet de vos droits et recours en cas d’imprévus lors de voyages, n’hésitez surtout pas à contacter les avocats de votre ligne d’assistance téléphonique juridique gratuite du lundi au vendredi de 8 h à 18 h en composant le 1 877 579-7052.

fondsfmoq.com
info@fondsfmoq.com 514 868-2081
Par Ronald Miglierina, planificateur financier, notaire, fiscaliste, Directeur Solutions et planification financière, Fonds FMOQ1
Si vous êtes optométriste et détenez une société par actions (SPA) avec des placements importants, vous vous demandez peut-être si votre SPA peut acheter un chalet pour un usage personnel. Cette option semble intéressante, surtout si vos fonds personnels sont limités et que le retrait d’un dividende de votre SPA entraînerait un impôt pouvant atteindre 48,7 %.

Cas illustratif : Gilbert, optométriste Gilbert*, 54 ans, est le seul actionnaire de Dr Gilbert, optométriste inc., une SPA fondée en 2008. Il y a accumulé 2,5 M$ en placements. Marié sous le régime de séparation de biens et copropriétaire de la résidence familiale, Gilbert souhaite acheter un chalet d’une valeur de 500 000 $ pour sa famille, mais il n’a pas les fonds nécessaires à titre personnel. Son CELI, son REER et ses économies personnelles sont insuffisants.
S’il achète le chalet personnellement, il devra se verser un dividende de 940 000 $ à partir de sa SPA, engendrant environ 440 000 $ d’impôt. Une hypothèque personnelle serait alors envisagée. Pour éviter cela, il se demande donc si sa société pourrait acheter directement le chalet.
* Prénoms fictifs
Analyse fiscale : l’achat par la SPA
L’acquisition d’un bien personnel par une société implique des conséquences fiscales importantes. Selon les lois fiscales, l’usage personnel d’un bien détenu par une SPA est considéré comme un avantage imposable pour l’actionnaire, même si les règles pour en déterminer la valeur sont floues.
Cet avantage pourrait être évalué de différentes façons :
La valeur locative du chalet pour un tiers non lié;
Un taux de rendement appliqué à la valeur marchande, plus les frais d’exploitation;
Dans certains cas rares, la valeur entière du bien, plus les frais annuels, pourrait être considérée comme un avantage imposable immédiat.
Cet avantage est pleinement imposable au taux marginal (jusqu’à 53,3 %), sans être déductible pour la SPA. Chaque année, la société devra produire un feuillet fiscal indiquant cet avantage, réduit du loyer payé par l’actionnaire.

Pour limiter l’impact fiscal, Gilbert signe un bail avec sa SPA et s’engage à verser un loyer mensuel de 4 200 $ (plus de 50 000 $/an), établi avec l’aide d’un courtier immobilier. Le bail est indexé annuellement. Gilbert paie personnellement les frais d’entretien, d’électricité et fournit le mobilier.
Ce bail, à usage de villégiature, n’est pas soumis au Tribunal administratif du logement. Les loyers perçus par la SPA sont imposables, mais elle pourra déduire ses dépenses (taxes foncières, assurances) et amortir l’immeuble. Le revenu net de location est imposé à 50,17 %, mais l’impôt est partiellement remboursable grâce au compte d’IMRTD.
Pour Gilbert, ce loyer n’est pas déductible de son revenu personnel, car le chalet est utilisé à des fins privées.
L’achat du chalet par la SPA pourrait être assujetti à la TPS et à la TVQ, selon plusieurs facteurs. De plus, les loyers versés par Gilbert pourraient devoir inclure ces taxes, et certains crédits de taxes pourraient être réclamés par la société. Ces règles étant complexes, Gilbert consulte un fiscaliste en taxes de vente et ajoute une clause spécifique dans le contrat notarié. L’achat sera aussi soumis à un droit de mutation (taxe de bienvenue) municipale.
Plutôt que de liquider des placements pour financer l’achat, la SPA pourrait contracter un prêt hypothécaire de 375 000 $ (75 % du prix), à un taux plus élevé que celui d’un particulier. Gilbert devrait probablement agir comme caution et co-emprunteur.
Les intérêts versés par la SPA seraient en principe déductibles de ses revenus locatifs, si le loyer versé par Gilbert est jugé conforme au marché. Ce prêt permettrait aussi d’éviter des gains en capital immédiats en retardant la vente de placements.
Selon l’Ordre des optométristes du Québec, une société d’optométriste peut effectuer des placements immobiliers et louer des immeubles, à condition que ces activités demeurent secondaires aux activités professionnelles et qu’elles soient conformes au Code de déontologie des optométristes.
Acheter un chalet par l’entremise sa SPA peut permettre d’éviter une imposition personnelle élevée, mais comporte des enjeux fiscaux complexes : avantage imposable, règles sur les loyers, taxes de vente, prêt commercial, etc. Une telle transaction nécessite un encadrement rigoureux et la collaboration de spécialistes en fiscalité, en droit et en comptabilité. Le risque de vérification ou de redressement fiscal demeure réel, mais peut être réduit par une documentation adéquate et des conditions de marché respectées.

1. Fonds FMOQ est un nom de marque exploité par Société de services financiers Fonds FMOQ inc. à travers ses filiales. Conseil et Investissement inc. est inscrite à titre de courtier en épargne collective et planificateur financier auprès de l’AMF et est la propriété de la Société de services financiers Fonds FMOQ inc., une propriété de la FMOQ. La Société offre des services financiers auprès de clients résidents du Québec.

1 855 587-7437
Lussier.co/AOQ
Le Québec connaît une fréquence et une intensité accrues des événements météorologiques extrêmes, allant des vagues de froid et de chaleur aux pluies diluviennes, aux vents violents et aux verglas. Cette nouvelle réalité climatique a un impact direct sur les assureurs et, par conséquent, sur les primes d’assurance habitation des Québécois. Loin d’être passif, le propriétaire a un rôle clé à jouer. En adaptant sa résidence, non seulement il protège mieux son investissement, mais il peut aussi démontrer à son assureur qu’il est un risque moins élevé, ce qui peut se traduire par des économies substantielles.
1

Contrer les dégâts d’eau : la priorité absolue
Les dégâts d’eau sont la principale cause de réclamations en assurance habitation. Adopter des mesures préventives est essentiel :
Installer des clapets antiretour : le refoulement d’égout est un risque majeur lors de fortes pluies. L’installation d’un clapet antiretour sur la conduite d’égout principale empêche les eaux usées de remonter dans votre soussol. Cet ajout est critique pour la protection et souvent considéré comme un facteur de réduction du risque par les assureurs.
Gérer l’eau en surface : assurez-vous que le terrain autour de votre maison a une pente positive (qui s’éloigne de la fondation). Les gouttières et rallonges doivent diriger l’eau le plus loin possible de la maison pour éviter l’accumulation près de la fondation.
Entretenir le toit : un toit mal entretenu est une porte ouverte aux infiltrations. L’inspection annuelle et le remplacement préventif des bardeaux usés sont cruciaux.
2

Prévenir les sinistres liés au froid et au verglas
Le gel et le dégel constants du climat québécois mettent les infrastructures à rude épreuve :
Protéger contre le gel des tuyaux : isolez adéquatement les tuyaux situés dans les zones non chauffées et apprenez à fermer l’entrée d’eau en cas d’absence prolongée.
Éliminer les barrages de glace : les barrages de glace qui se forment sur le bord du toit peuvent causer des infiltrations. Assurez-vous que votre grenier est bien isolé et ventilé afin de maintenir le toit à une température uniforme et éviter la fonte et le regel de la neige.

Renforcer la structure contre les vents et mettre la technologie à profit
Avec des tempêtes plus puissantes, la solidité est primordiale. De plus, la technologie peut vous aider à devenir un assuré de premier choix :
Élagage des arbres : les arbres matures à proximité représentent un risque majeur de chute. Un élagage professionnel des branches mortes ou surplombantes est un investissement préventif essentiel.
Systèmes d’alarme et détection : l’installation d’un système de sécurité certifié (alarme intrusion/incendie) donne droit à des rabais.
Les détecteurs de fuite d’eau intelligents qui coupent l’eau automatiquement sont de plus en plus récompensés par les assureurs.
Le rôle crucial du courtier : ne travaillez pas en vase clos
Vos efforts d’adaptation et de prévention sont vains s’ils ne sont pas communiqués à votre courtier.
Mentionnez toute amélioration majeure : chaque fois que vous apportez une modification significative (installation de systèmes de détection d’eau, remplacement du toit, mise à jour des systèmes), informez votre courtier. Non seulement cela peut vous ouvrir la porte à un rabais préventif, mais cela garantit aussi que la valeur de votre habitation est correctement évaluée en cas de sinistre.
Vérifiez vos avenants (clauses spéciales) : si vous vivez dans une zone exposée aux inondations ou craignez les refoulements d’égout, confirmez que vous détenez les avenants couvrant ces risques, car ces protections ne sont pas automatiques.
Confirmez l’impact : demandez explicitement à votre courtier comment vos mesures de prévention influencent la prime et si vous remplissez les conditions pour un crédit ou un rabais.
Une communication transparente est la clé pour que vos efforts de prévention se traduisent par une tranquillité d’esprit et, idéalement, par une réduction de votre prime d’assurance habitation.
SUR
Apprenez à reconnaître et à gérer le Dysfonctionnement des glandes de Meibomius (DGM) en utilisant des outils pratiques et des stratégies pour intégrer de façon proactive les soins de la sécheresse oculaire dans la pratique optométrique courante.
CONNECTEZ-VOUS À VOTRE COMPTE SUR LE CENTRE D’APPRENTISSAGE DE L’ACO

info@opto.ca | www.opto.ca

1 855 587-7437
Lussier.co/AOQ
Dans un contexte d’inflation persistante et de forte pression sur les marges, les petites et moyennes entreprises (PME) québécoises sont plus vulnérables que jamais. Pour les propriétaires ou actionnaires d’une clinique, l’incapacité de travailler est déjà un désastre personnel. Mais lorsque l’arrêt de travail s’accompagne de l’explosion des coûts d’exploitation, la survie même de l’entreprise est menacée. C’est là que l’assurance frais généraux de bureau devient une bouée de sauvetage vitale, malheureusement souvent négligée.

1. L’inflation : le facteur de risque accéléré
Historiquement, une assurance invalidité classique couvre la perte de revenu du dirigeant. Cependant, elle ne couvre jamais les dépenses courantes de l’entreprise.
Depuis quelques années, l’inflation affecte directement la structure de coûts des PME :
Loyer commercial : les renouvellements de baux sont souvent assortis d’augmentations importantes, en particulier dans les zones urbaines.
Énergie et services : le coût de l’électricité, du chauffage et d’un réseau Internet professionnel est en hausse constante.
Salaires du personnel clé : pour retenir les employés, les PME doivent offrir des salaires plus compétitifs, augmentant la masse salariale fixe.
Services de soutien : frais de comptabilité, logiciels spécialisés, entretien, etc., tous subissent la pression inflationniste.
Le constat : si le dirigeant est invalide, ces frais continuent de s’accumuler. Un fonds d’urgence qui aurait suffi à couvrir trois mois de frais il y a deux ans pourrait n’en couvrir que deux aujourd’hui. L’entreprise s’essouffle plus rapidement.

2. Le scénario catastrophe pour la PME
Imaginez un optométriste propriétaire de clinique qui doit s’absenter pour une longue période (maladie, accident).
Sans assurance frais de bureau :
Les revenus de l’entreprise tombent à zéro ou diminuent drastiquement.
Les dépenses fixes (loyer, salaires du personnel de soutien, assurances) continuent d’être exigées.
Le propriétaire, déjà aux prises avec son invalidité personnelle, doit utiliser son épargne personnelle (ou son assurance invalidité personnelle) pour payer les frais de l’entreprise, affaiblissant sa sécurité financière familiale.
Résultat : faillite ou fermeture accélérée due au manque de liquidités.
Avec assurance frais de bureau :
L’assureur rembourse les dépenses admissibles de l’entreprise (dans la limite du montant garanti) jusqu’à ce que le dirigeant puisse reprendre le travail.
Ceci permet de maintenir l’entreprise ouverte (continuer de payer les employés, le loyer, l’électricité).
L’entreprise est en mode survie et peut reprendre ses activités dès que le dirigeant est rétabli, sans avoir accumulé de dettes insurmontables.
3. Ce que couvre l’assurance frais de bureau
Cette assurance est expressément conçue pour le contexte d’une PME québécoise ayant des frais d’exploitation réguliers. Elle couvre généralement :
Le loyer commercial (ou une partie des frais d’hypothèque commerciale).
Les salaires du personnel de soutien (secrétaires, adjoints, assistants), mais pas le salaire du dirigeant.
Les services publics (électricité, chauffage, eau, téléphone, Internet).
Les primes d’assurance (assurance biens, assurance responsabilité).
L’amortissement ou les paiements de location d’équipement.
Point clé : le montant de la garantie doit être réévalué chaque année en fonction de l’inflation. Si votre loyer augmente de 10 %, votre couverture doit suivre pour rester pertinente.
L’assurance frais de bureau ne devrait plus être perçue comme un luxe ou un ajout, mais comme un élément essentiel de la gestion des risques d’une PME québécoise, surtout dans un environnement économique tendu.
Elle est un complément indispensable à l’assurance invalidité personnelle.
En investissant dans cette couverture, le propriétaire de clinique s’assure que son absence n’anéantira pas l’entreprise qu’il a bâtie, préservant ainsi les emplois de son personnel et la continuité du service pour sa clientèle. C’est une protection contre l’effet ciseau : la chute des revenus d’un côté et la hausse des dépenses fixes de l’autre.
Le saviez-vous?
Le programme d’assurance collective de Lussier offre la protection Frais de bureau. Parlez-en à votre conseiller!
Statistique récoltée à la suite du sondage de satisfaction effectué en mai 2025 auprès des membres de l’AOQ assurés dans le cadre du programme d’assurance de Lussier.
Responsabilité

Optométristes recherché(e)s
CAP-DE-LA-MADELEINE
SHERBROOKE • VICTORIAVILLE
QUÉBEC • TROIS-RIVIÈRES
RIMOUSKI • ROUYN
ST-JÉROME • JOLIETTE
BELOEIL • GRANBY • LA RÉGION DU GRAND MONTRÉAL
Temps plein / permanent / temporaire / partiel
Greiche & Scaff greiche-scaff.com
Dr André Aoun
Optométriste 514 207-9211
andre.aoun@greiche-scaff.com
Nous vous offrons des conditions exceptionnelles, une très grande flexibilité de pratique et un encadrement dynamique. Nos priorités sont vos besoins pour oeuvrer à la santé de vos patients. Parce qu’avant d’être nos clients, ils sont avant tout vos patients. Saisissez dès maintenant l’opportunité de faire partie de notre grande famille Greiche & Scaff. Notre promesse ? Votre tranquillité d’esprit. Discrétion assurée.
Contractuel 1 semaine ou + / année
Optique Donnelly optiquedonnelly.com
Dre Annie Dionne
Optométriste 514 694-0836
Demandez Steffan steffandonnelly_ood@hotmail.com
Optique Donnelly est à la recherche d’optométristes pour accompagner ses équipes d’opticiens d’ordonnances à travers le Nunavik. Saisissez l’opportunité de découvrir les communautés du Grand Nord québécois. 14 villages de la Baie d’Hudson et d’Ungava vous attendent. Les voyages sont de 6 jours. Déplacements et hébergements pris en charge. Rémunération jusqu’à 2 000 $ / jour de travail + perdiem. Expérience extraordinaire et dépaysement garanti.
Temps partiel / remplacements ponctuels
Raymond et Côté, services mobiles d’optométrie www.visionrc.ca
Dr Shelton Regismarianayagam Optométriste 514 946-1010 poste #3 cv@visionrc.ca
L’équipe de Raymond et Côté est à la recherche d’optométristes désireux de varier leur pratique à travers nos cliniques visuelles mobiles au service des aînés. Forts de nos 31 ans d’expertise en cliniques mobiles dans la région de Montréal, nos services s’installent dans la région de Québec. Nous offrons un environnement de travail atypique et très enrichissant auprès d’une clientèle ayant de grands besoins. Que ce soit pour des besoins ponctuels ou de façon plus régulière à temps partiel, nous serons enchantés de vous accueillir dans notre belle équipe déjà composée de 6 opticiens d’ordonnances et 7 optométristes. Au plaisir de vous rencontrer!
Temps plein / permanent
Clinique d’optométrie de Buckingham buckingham@opto-reseau.com
Dre Christine Paquin
Optométriste 819 213-5438 cpaquin@optobuck.ca
Clinique indépendante, membre de la bannière Opto-Réseau recherche un(e) optométriste pour joindre une équipe dynamique de 4 opticiens d’ordonnances et plusieurs assistantes. Les horaires sont flexibles et nous sommes fermés la fin de semaine. Nous avons 4 salles d’examens disponibles et avons OCT, Optomap, topographe, champ visuel Humphrey, biométrie et clinique de sécheresse (IPL, radiofréquence) ainsi qu’un laboratoire sur place. Nous avons une clientèle très diversifiée, familiale et fidèle. N’hésitez pas à me contacter en toute confidentialité.
Temps partiel (2 jours / semaine) / permanent
Centre d’optique
Martine Monette www.centreoptiquemonette.com
Dr Pierre Bannon
Optométriste
Mme Martine Monette 514 776-7802
martine.monette@yahoo.ca
Recherche un(e) optométriste 2 jrs / semaine. Clinique établie depuis 70 ans, axée sur le service à la clientèle, ouverte 6 jours ∕ semaine, n’est pas dans le réseau. Clientèle variée (enfants, adultes, aînés). Clinique située aux Halles de Saint-Jean-sur-Richelieu.
Temps plein / partiel / volant / permanent ou temporaire
IRIS, Le Groupe Visuel career.iris.ca/fr/optometristes
Dre Jahel St-Jacques
Optométriste
418 234-4510
jahel.st-jacques@iris.ca
La qualité des services aux patients vous tient à coeur ? Vous recherchez un environnement de pratique favorisant la collaboration interprofessionnelle, une clientèle familiale et fidèle ainsi que de l’équipement de pointe ? IRIS a des opportunités partout au Québec : Rive-Sud et Rive-Nord de Montréal, Laurentides, Outaouais, Lanaudière, Trois-Rivières, Sherbrooke, Québec/ Lévis, Bas-St-Laurent, Charlevoix, Sept-Îles, Saguenay–Lac-St-Jean, Abitibi-Témiscamingue! Plusieurs postes d’optométristes volants et opportunités de partenariat sont disponibles ! En plus d’une remarquable qualité de pratique, plusieurs secteurs vous offriront une qualité de vie avantageuse et de nombreux attraits touristiques et activités de plein air.
(Lanaudière)
1 à 3 journées par semaine (pas de samedi). Disponible dès maintenant Clinique d’Optométrie
St-Gabriel
Dr Frédéric Lussier Optométriste
Cell. 438 929-6781 Bureau : 450 835-2525 freluss@icloud.com
Horaire flexible, pourrait être de jour seulement. Possibilité de continuer par la suite 1 ou 2 journées par semaine. Il y aurait possibilité d’association s’il y a un intérêt réciproque. Petite pratique de type familiale, proximité de la clientèle, liberté de pratique, environnement convivial. Une seule salle d’examen.
Temps partiel / permanent
Lunët Espace Vision lunet.ca
Dr Yannick Jarjour Optométriste 418 929-7549 yannickopto@gmail.com
Lunët Espace Vision est à la recherche d’un(e) optométriste à temps partiel pour notre succursale de Québec. Vous rejoindrez une équipe dévouée et dynamique dans un environnement vaste, épuré et avec un équipement à la fine pointe. La clientèle y est active et sympathique. Si vous êtes intéressé(e) à faire partie de notre équipe rejoignez-nous par courriel.
Temps partiel / permanent
Vizualis Optométriste www.vizualis.ca
Dr Shant Donabedian Optométriste 514 773-2222 shant.donabedian@gmail.com
Vizualis Optométriste, une clinique indépendante située dans le Centre Fairview à Pointe-Claire depuis plus de 20 ans est à la recherche d’un(e) optométriste 1 ou 2 jour(s) par semaine. Clinique achalandée, prétests, OCT, champ visuel seuil.
Temps partiel / remplacements ponctuels
Raymond et Côté, services mobiles d’optométrie visionrc.ca
Dr Shelton Regismarianayagam Optométriste
514 946-1010 poste #3 cv@visionrc.ca
L’équipe de Raymond et Côté est à la recherche d’optométristes un jour/ semaine sur le territoire de Laval et de la Rive-Nord. Vous êtes optométriste à la recherche d’un peu d’aventure ? Nous sommes ouverts à rencontrer des professionnels de cœur qui veulent améliorer le monde. Si vous voulez explorer vos possibilités de pratique mobile en RPA et en CHSLD avec une méquipe dédiée à la mission, contactez-nous pour en discuter et venir observer nos équipes sur le terrain. Nous serons enchantés de vous accueillir dans notre belle équipe déjà composée de 6 opticiens d’ordonnances et 7 optométristes. Au plaisir de vous rencontrer !
Temps plein / partiel / permanent / temporaire
Optique Santé optiquesante.com
Dre Myriam Maltais Optométriste
Mme Christine Michaud 418 543-2020 ou 418 590-2021 info@optiquesante.com
Chez Optique Santé nous cherchons à offrir la flexibilité, l’humanité, l’équilibre entre la vie professionnelle, sociale et familiale, dans un environnement technologique doté d’un personnel dévoué ?
Optique Santé, clinique indépendante établie depuis 35 ans au coeur de la ville de Chicoutimi, peut vous offrir cette vie équilibrée. Nous possédons 8 salles d’examen, la présence de 5 optométristes, OCT, caméras, Lipiview-Lipiflow ainsi que la technologie Neurolens. Votre vie exceptionnelle, c’est chez nous à carriereenvue.com
Urgent • Départ à la retraite Temps plein / partiel / permanent
Bédard Centre Vision www.bedardcentrevision.com
Dr Denis Demers Optométriste 819 362-8228 info@bedardcentrevision.com
Clinique indépendante établie depuis plus de 50 ans, procurant ainsi un horaire bien rempli avec une clientèle fidèle et agréable. Toujours fermée les weekends. La clinique est équipée de tout le matériel nécessaire aux examens, mais possibilité d’ajouter ou de moderniser l’équipement selon votre préférence. Profitez d’un environnement calme et paisible où le coût de la vie est nettement plus abordable qu’en ville! Possibilité d’association à court terme.
Temps plein / partiel / permanent / temporaire / volant
Nova Vision optonovavision.com
Dre Nadia Girard Optométriste 418 589-6682 nadiagirard@hotmail.com
Nous cherchons, pour notre clinique indépendante, un(e) optométriste qui serait intéressé(e) par une pratique plus diversifiée, valorisante et enrichissante, dans une région où la qualité de vie est incomparable et où le contact avec la population est des plus agréables. Nous avons une belle clientèle autochtone, très aimable à côtoyer ! Conditions selon ce que vous souhaitez. Possibilité d’association dans une clinique à la rentabilité élevée et aussi de transmission d’expérience ! Lien pour la région : https://placeauxjeunes.qc.ca/regions/ cote-nord/manicouagan
Optométristes recherché(e)s
Temps plein / partiel / permanent
Clinique Visuelle Beauport
OptoPlus optoplus.com
Dre Valérie Vigneault
Optométriste
418 667-5778 cliniquebeauport@videotron.ca
OptoPlus Beauport recherche optométriste selon le nombre de jours ou d’heures désirés. Entièrement rénovée, la clinique possède : OCT, topographe, laboratoire, vaste choix de montures de marque. Horaire selon vos préférences. Personnel impliqué et attentionné. Partenariat possible.
Temps partiel, possibilité d’association
Clinique d’optométrie
St-Joseph Opto-Réseau www.opto-reseau.com/fr/ cliniques/clinique-doptometriest-joseph
Dr Sylvain McMahon
Optométriste
Dre Ariane Labonté-Boyer Optométriste
Cell. : 819 421-0550 arianelabonte@hotmail.com
Située sur le Plateau-Mont-Royal et établie depuis 75 ans, la Clinique d’optométrie St-Joseph Opto-Réseau recherche un(e) optométriste intéressé(e) par une association au sein de notre pratique indépendante. Clinique entièrement équipée : 2 salles, OCT antérieur/postérieur, topographe, prétests faits par des assistantes, trois opticiens d’ordonnances. Clientèle fidèle et diversifiée. Ouverte 2 soirs, fermée le weekend.
Grâce à la section des petites annonces classées de la revue l’Optométriste vous faites d’une pierre deux coups : votre annonce, au coût de 25 $ par parution (taxes en sus), sera publiée dans la revue et sera distribuée aux optométristes, aux opticiens d’ordonnances, aux ophtalmologistes et aux compagnies d’optique. Elle se retrouvera également sur notre site Internet jusqu’à la parution de la prochaine revue. Vous bénéficierez donc d’une visibilité accrue.
Votre annonce doit contenir environ 50 mots et doit être au nom d’un optométriste membre de l’AOQ. Vous devez nous faire parvenir votre annonce par courriel à josee.lusignan@aoqnet.qc.ca
Temps plein / partiel permanent
Centre Visuel de Prévost www.centrevisuel.net
Dr Christine Larivière
Optométriste
450 224-2993 cv@centrevisuel.net
Le Centre Visuel de Prévost recherche un(e) optométriste pour compléter son équipe dans une clinique familiale ayant pignon sur rue depuis 30 ans dans les Laurentides. Prétests effectués par des assistantes (auto-ref, CV Octopus, OCT Nidek). 2 salles d’examen disponibles. Opticien d’ordonnances sur place. Horaire flexible, bureau ouvert 2 soirs la semaine et fermé les week-ends.





































































Découvrez les conférences en ligne qui seront présentées dans les prochaines semaines.
Matinée des résidentes – dimanche 22 mars 2026, 8 h 30 à 12 h, 3 UFC
Innovations – dimanche 26 avril 2026, 8 h 30 à 12 h, 3 UFC
Je réserve ma place https://portail.cpro.ca



Scannez-moi
es 11 et 12 avril 2026 à votre agenda dès nt!
ntre de l’industrie réunissant tes, opticiens, fournisseurs et réseaux au uébec.
ment alliant contenus inspirants, s québécoises, réseautage convivial et ve
étails suivront sous peu sur la page d accueil du portail du CPRO


REND LE CONFORT DES LENTILLES EXTRAORDINAIRE.
Le téléphone, la tablette et l’ordinateur portable; matin, midi et soir. Nous sommes tous branchés en tout temps. Il existe désormais une lentille à usage unique dotée de la technologie et du confort nécessaires pour affronter toutes les situations. Les lentilles cornéennes à usage unique MyDay EnergysMD sont les premières lentilles à usage unique dotées de DigitalBoostMC et de la technologie Aquaform MD La conception peut aider à réduire les symptômes de fatigue et de sécheresse dus à la fatigue oculaire numérique. Un confort extraordinaire toujours en place.




